Guia Ilustrado de Laudos em Ultrassonografia
Abdominal

![]()

Médico Graduado pela Univer sidade Federal do Rio Grande do Sul (UFRGS)
Especialização em Ultrassonografia
Títulos de Especialista em Ultrassonografia pela Sociedade Brasileira de Ultrassonografia e pelo Colégio Brasileiro de Radiologia/A ssociação
Médica Brasileira
Mestre e Doutor pela UFRGS, com pesquisas na área de Doppler e Pré-eclâmpsia
Especialista em Ensino a Distância pela Pontifícia Univer sidade
Católica do Rio Grande do Sul (PUCRS)
Master in Ultrasound in Gynecology and Obstetrics pela
Univer sidade de Dubrovnik, Croácia
Ultrassonografista Geral na Unimed Porto Alegre e no Hospital Mãe de Deus, RS
Professor e Diretor do Instituto de Pós- Graduação em
Ultrassonografia (IPUS)
Autor de quatro livros na área, incluindo o“Atlas de Ultrassonografia”e “Lesões Sólidas e Císticas–Como Descrever” –Editora Revinter
T hieme
Rio de Janeiro• Stut tgar t• New York•Delhi
Dados Internacionais de Catalogação na Publicação (CIP)
(eDOC BRASIL, Belo Horizonte/MG)
M838g
Moreira Neto, Raul
Guia ilustrado de laudos em ultrassonografia abdominal/Raul Moreira
Neto. – 1. ed. – Rio de Janeiro, RJ: Thieme Revinter Publicações, 2026.
il. color.; 14 x 21 cm
Inclui bibliografia.
ISBN 978-65-5572-374-8
eISBN 978-65-5572-375-5
1. Radiologia. 2. Gastroenterologia I. Título.
CDD: 616.07543
Elaborado por Maurício Amormino
Júnior – CRB6/2422
Contato com o autor: info@cursosultrassom.com.br
© 2026 Thieme. All rights reserved.
Thieme Revinter Publicações Ltda. Rua do Matoso, 170 Rio de Janeiro, RJ CEP 20270-135, Brasil http://www.thieme.com.br
Thieme USA http://www.thieme.com
Design de Capa: © Thieme Créditos Imagem da Capa: Imagem gerada por ChatGPT.
Impresso no Brasil por Meta Brasil 5 4 3 2 1
ISBN 978-65-5572-374-8
Também disponível como eBook: eISBN 978-65-5572-375-5
Nota: O conhecimento médico está em constante evolução. À medida que a pesquisa e a experiência clínica ampliam o nosso saber, pode ser necessário alterar os métodos de tratamento e medicação. Os autores e editores deste material consultaram fontes tidas como confiáveis, a fim de fornecer informações completas e de acordo com os padrões aceitos no momento da publicação. No entanto, em vista da possibilidade de erro humano por parte dos autores, dos editores ou da casa editorial que traz à luz este trabalho, ou ainda de alterações no conhecimento médico, nem os autores, nem os editores, nem a casa editorial, nem qualquer outra parte que se tenha envolvido na elaboração deste material garantem que as informações aqui contidas sejam totalmente precisas ou completas; tampouco se responsabilizam por quaisquer erros ou omissões ou pelos resultados obtidos em consequência do uso de tais informações. É aconselhável que os leitores confirmem em outras fontes as informações aqui contidas. Sugere-se, por exemplo, que verifiquem a bula de cada medicamento que pretendam administrar, a fim de certificar-se de que as informações contidas nesta publicação são precisas e de que não houve mudanças na dose recomendada ou nas contraindicações. Esta recomendação é especialmente importante no caso de medicamentos novos ou pouco utilizados. Alguns dos nomes de produtos, patentes e design a que nos referimos neste livro são, na verdade, marcas registradas ou nomes protegidos pela legislação referente à propriedade intelectual, ainda que nem sempre o texto faça menção específica a esse fato. Portanto, a ocorrência de um nome sem a designação de sua propriedade não deve ser interpretada como uma indicação, por parte da editora, de que ele se encontra em domínio público.
Todos os direitos reservados. Nenhuma parte desta publicação poderá ser reproduzida ou transmitida por nenhum meio, impresso, eletrônico ou mecânico, incluindo fotocópia, gravação ou qualquer outro tipo de sistema de armazenamento e transmissão de informação, sem prévia autorização por escrito.
Avocês, meus lindos filhos, Lucas e Giulia, meus maiores tesouros, minha força e meu orgulho. Que cada imagem, cada página e cada conquista aqui registradas sejam também sementes para os seus próprios sonhos.
E a você, minha mãe, Carla, que me ensinou a enxergar além do que os olhos veem, a acreditar quando tudo parecia distante, e a seguir em frente com fé e amor.
Este livro é nosso — um reflexo do que recebi de vocês e do que desejo deixar como legado: o amor pela vida, a paixão pelo conhecimento e a certeza de que compartilhar o que sabemos é uma das formas mais bonitas de amar.
Na prática da ultrassonografia, cada exame carrega a responsabilidade de orientar diagnósticos, decisões clínicas e tratamentos. E é no laudo que todo esse conhecimento se transforma em informação clara e confiável para quem cuida do paciente.
Este livro foi criado para ajudar você a redigir laudos com segurança, objetividade e qualidade, reunindo modelos comentados e ilustrados dos exames mais realizados na rotina: abdome, aparelho urinário e parede abdominal.
Aqui, você encontrará exemplos práticos, imagens que demonstram os principais achados e orientações diretas sobre como descrever e padronizar seus relatórios, seja em situações comuns ou em casos que exigem atenção especial.
Mais do que um simples compilado de textos, este material é um convite a tornar seu trabalho ainda mais preciso e valorizado. Que ele seja seu guia diário e uma fonte constante de aprendizado e confiança.
Por fim, sugiro que você leia atentamente as referências bibliográficas citadas ao longo do livro. Elas oferecem respaldo científico atualizado, aprofundam conceitos apresentados e contribuem para que sua prática se mantenha alinhada às melhores evidências disponíveis.
Ao longo de décadas dedicadas à ultrassonografia, o autor construiu uma carreira marcada pelo rigor técnico, pela atenção aos detalhes e pelo compromisso em transformar imagens em informações clínicas de valor inestimável. Sua experiência diária à frente de exames, aliada ao hábito de estudar e revisar casos, resultou na habilidade de traduzir achados em laudos claros, objetivos e úteis para a tomada de decisão médica.
Este livro é fruto dessa trajetória. Nele, o autor reuniu modelos, comentários e imagens que refletem não apenas o aspecto técnico, mas também a necessidade em compartilhar conhecimento. Cada exemplo foi pensado para atender tanto ao profissional em formação quanto ao especialista experiente, oferecendo suporte no dia a dia e inspiração para a constante melhoria na elaboração dos laudos.
Mais do que um compêndio técnico, esta obra transmite a visão de que o laudo é uma extensão do cuidado com o paciente. Para o autor, cada exame representa uma oportunidade de contribuir de forma decisiva para o diagnóstico e essa responsabilidade é o que norteia cada página deste trabalho.
Ao leitor, fica o convite para mergulhar neste material com a mesma dedicação e atenção que o autor sempre empregou em sua prática e, assim, manter vivo o compromisso com a excelência na ultrassonografia e com o cuidado a quem realmente interessa – o paciente.
Carlos Maia Radiologista
A o longo deste livro, você encontrará o símbolo “##” no lugar de medidas, volumes ou dimensões específicas. Esse marcador indica que o valor deve ser preenchido conforme o achado individual de cada exame realizado.
A utilização do “##” tem como objetivo padronizar os modelos de laudo, facilitando sua adaptação para diferentes casos clínicos. Basta substituir o marcador pelo valor exato obtido durante a avaliação ultrassonográfica, sempre respeitando as unidades de medida apropriadas (cm, mm, cm³, mL, g).


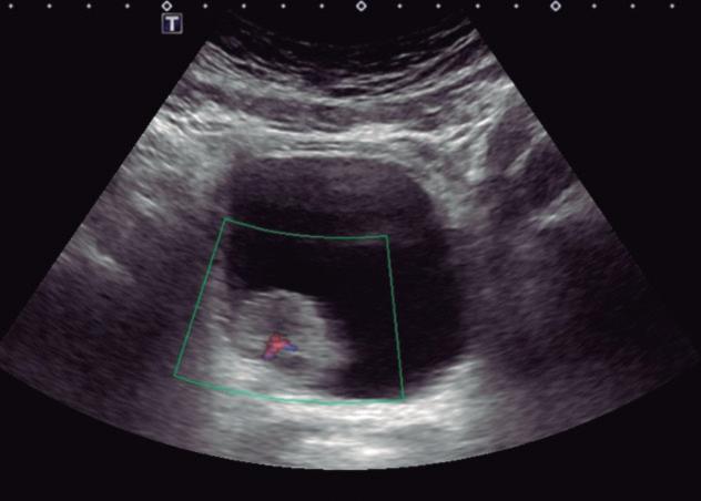
Fig. 2-18. Nódulo na bexiga com vascularização ao Doppler.
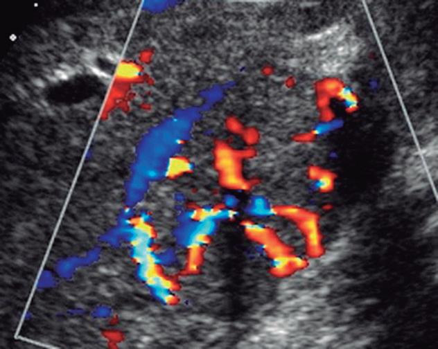
Fig. 2-31. Doppler tipo “roda de carroça” da hiperplasia nodular focal.



Fig. 2-47. “Artefato cintilante” no Doppler posterior ao cálculo.
Fig. 2-65. Colecistite – Doppler mostrando hipervascularização das paredes da vesícula.
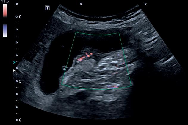
Fig. 2-69. Nódulo vascularizado na vesícula biliar.



Fig. 4-9. Vasos epigástricos inferiores. A hérnia inguinal direta fica medial aos vasos e a indireta lateral aos vasos.
Fig. 4-17. Vascularização usual do linfonodo – padrão hilar (central).
Fig. 4-20. Vascularização aberrante em linfonodo atípico.
Fígado com dimensões normais, paredes regulares e ecogenicidade do parênquima preservada, sem evidência de lesão nodular focal. Ramos vasculares e ductos biliares intra e extra-hepáticos com calibres e distribuição normais.

Vesícula biliar normoexpandida, sem espessamento parietal ou conteúdo anômalo.

1-2. Vesícula biliar normal.
Pâncreas com paredes regulares e ecogenicidade usual.

1-3. Pâncreas normal.
Baço com dimensões normais e ecogenicidade homogênea.

Fig. 1-4. Baço normal.
Rins apresentando dimensões normais e espessura cortical preservada, sem sinal de litíase, dilatação pielocalicial ou lesão expansiva.

Fig. 1-5. Rim normal.
Aorta abdominal com diâmetro normal.

Bexiga urinária com capacidade habitual, com paredes de espessura normal.

Não há evidência de líquido livre ou massa expansiva na região pélvica.
⫸ Impressão diagnóstica: exame ultrassonográfico do abdômen dentro dos limites da normalidade.
ULTRASSONOGRAFIA ABDOMINAL SUPERIOR
Fígado com dimensões normais, paredes regulares e ecogenicidade do parênquima preservada, sem evidência de lesão nodular focal. Ramos vasculares e ductos biliares intra e extra-hepáticos com calibres e distribuição normais.
Vesícula biliar normoexpandida, sem espessamento parietal ou conteúdo anômalo.
Pâncreas com paredes regulares e ecogenicidade usual.
Baço com dimensões normais e ecogenicidade homogênea.
⫸ Impressão diagnóstica: exame ultrassonográfico do abdômen superior dentro dos limites da normalidade.
Rins apresentando dimensões normais e espessura cortical preservada, sem sinal de litíase, dilatação pielocalicial ou lesão expansiva. O rim direito mede ## cm e o esquerdo ## cm.
Bexiga urinária com capacidade habitual, com paredes de espessura normal.
Volume urinário pós-miccional de ## mL.
Não há evidência de líquido livre ou massa expansiva na região pélvica.
⫸ Impressão diagnóstica: exame ultrassonográfico do aparelho urinário dentro dos limites da normalidade.
Próstata com peso estimado de ## g.

Fig. 1-8. Medida da próstata.
Vesículas seminais simétricas e com espessura e dimensões normais.

VES.SEM D
VES.SEM E
Fig. 1-9. Vesículas seminais.
Bexiga urinária com capacidade habitual, com paredes de espessura normal. Volume pós-miccional de ## mL.
Não há evidência de líquido livre ou lesão expansiva na região pélvica.
⫸ Impressão diagnóstica: exame ultrassonográfico por via abdominal da próstata dentro dos limites da normalidade.

A arte de transformar imagens em diagnósticos precisos.
Fruto de décadas de experiência prática e paixão pelo ensino, este livro oferece um guia direto e confiável para a elaboração de laudos de ultrassonografia. Com uma linguagem clara e acessível, reúne casos reais, descrições detalhadas e orientações objetivas, que refletem a vivência de milhares de exames realizados.
Médicos, residentes e estudantes encontrarão aqui um material indispensável, tanto para quem está começando quanto para profissionais experientes que buscam padronização, agilidade e excelência na redação.
Do consultório à sala de aula, este guia é um aliado diário. Porque, no ultrassom, cada detalhe conta. E um laudo bem elaborado é parte fundamental do cuidado e da segurança do paciente.

ISBN 978-65-5572-374-8
www.Thieme.com.br