TÉCNICAS EM DETALHES
Marcus
Collares
Nivaldo Alonso
Marcelo Maino


Cirurgia Craniomaxilofacial TÉCNICAS EM
DETALHES
Marcus Collares, MD, PhD
Professor Associado do Depar tamento de Cirurgia da Faculdade de Medicina da Univer sidade Federal do Rio Grande do Sul (UFRGS)
Chefe da Divisão de Cirurgia Plástica e Craniomaxilofacial do Hospital de Clínicas Porto Alegre da UFRGS
Doutor em Medicina e Cirurgia pela Univer sidade de Barcelona, Espanha
Consultor de Cirurgia Plástica e Craniomaxilofacial –Complexo Hospitalar Santa Casa, Hospital Mãe de Deus, Hospital Moinhos de Vento, Porto Alegre
Membro Certificado pela Sociedade Brasileira de Cirurgia Plástica (MEC/AMB/CFM) e pela Associação Brasileira de Cirurgia Cranio -Maxilo -Facial (MEC/AMB/CFM)
Nivaldo Alonso, MD, PhD
Professor Associado de Cirurgia Plástica da Faculdade de Medicina da Univer sidade de São Paulo (FMUSP)
Diretor de Cirurgia Craniofacial do Hospital de Reabilitação de Anomalias Craniofaciais da Univer sidade de São Paulo (HR AC-USP)
Chefe do Serviço de Cirurgia Plástica do HR AC-USP
Pesquisador 1B do Conselho Nacional de Desenvolvimento Científico e Tecnológico (CNPq)
Marcelo Maino, MD, MsC
Membro Titular da Sociedade Brasileira de Cirurgia Plástica (SBCP)
Membro do Depar tamento de Eventos Científicos da Sociedade Brasileira de Cirurgia Plástica (DEC –SBCP)
National Secretary of Brazil da International Society of Aesthetic Plastic Surgery (ISAPS)
International Member da American Society of Plastic Surgeons (A SPS)
Mestre em Cirurgia pela Univer sidade Federal do Rio Grande do Sul (UFRGS)
Cirurgia Craniomaxilofacial
TÉCNICAS EM
DETALHES
Marcus Collares
Nivaldo Alonso
Marcelo
Maino
T hieme
Rio de Janeiro• St ut tgar t• New York •Delhi
Dados Internacionais de Catalogação na Publicação (CIP) (eDOC BRASIL, Belo Horizonte/MG)
C697c
Collares, Marcus
Cirurgia craniomaxilofacial: técnicas em detalhes/Marcus Collares, Nivaldo Alonso, Marcelo Maino. – 1. ed. – Rio de Janeiro, RJ : Thieme Revinter Publicações, 2026.
il.; 21 x 28 cm
Inclui bibliografia.
ISBN 978-65-5572-382-3
eISBN 978-65-5572-383-0
1. Cirurgia plástica. 2. Otorrinolaringologia. 3. Cirurgia de cabeça e pescoço. 4. Cirurgia craniomaxilofacial. I. Alonso, Nivaldo. II. Maino, Marcelo. III. Título.
CDD 617.52
Contato com o autor: Marcus Collares collares.cmf@gmail.com
Nivaldo Alonso nivalonso@usp.br
Marcelo Maino marcelo.maino@gmail.com
© 2026 Thieme. All rights reserved.
Thieme Revinter Publicações Ltda. Rua do Matoso, 170 Rio de Janeiro, RJ CEP 20270-135, Brasil http://www.thieme.com.br
Thieme USA http://www.thieme.com
Design de Capa: © Thieme
Impresso no Brasil por Forma Certa Gráfica Digital Ltda. 5 4 3 2 1
ISBN 978-65-5572-382-3
Também disponível como eBook: eISBN 978-65-5572-383-0
Nota: O conhecimento médico está em constante evolução. À medida que a pesquisa e a experiência clínica ampliam o nosso saber, pode ser necessário alterar os métodos de tratamento e medicação. Os autores e editores deste material consultaram fontes tidas como confiáveis, a fim de fornecer informações completas e de acordo com os padrões aceitos no momento da publicação. No entanto, em vista da possibilidade de erro humano por parte dos autores, dos editores ou da casa editorial que traz à luz este trabalho, ou ainda de alterações no conhecimento médico, nem os autores, nem os editores, nem a casa editorial, nem qualquer outra parte que se tenha envolvido na elaboração deste material garantem que as informações aqui contidas sejam totalmente precisas ou completas; tampouco se responsabilizam por quaisquer erros ou omissões ou pelos resultados obtidos em consequência do uso de tais informações. É aconselhável que os leitores confirmem em outras fontes as informações aqui contidas. Sugere-se, por exemplo, que verifiquem a bula de cada medicamento que pretendam administrar, a fim de certificar-se de que as informações contidas nesta publicação são precisas e de que não houve mudanças na dose recomendada ou nas contraindicações. Esta recomendação é especialmente importante no caso de medicamentos novos ou pouco utilizados. Alguns dos nomes de produtos, patentes e design a que nos referimos neste livro são, na verdade, marcas registradas ou nomes protegidos pela legislação referente à propriedade intelectual, ainda que nem sempre o texto faça menção específica a esse fato. Portanto, a ocorrência de um nome sem a designação de sua propriedade não deve ser interpretada como uma indicação, por parte da editora, de que ele se encontra em domínio público.
Todos os direitos reservados. Nenhuma parte desta publicação poderá ser reproduzida ou transmitida por nenhum meio, impresso, eletrônico ou mecânico, incluindo fotocópia, gravação ou qualquer outro tipo de sistema de armazenamento e transmissão de informação, sem prévia autorização por escrito.
DEDICATÓRIA
Este livro não poderia ser dedicado a outra pessoa que não o nosso amigo Ricardo Lopes da Cruz. Ricardo foi um ícone da Cirurgia Craniomaxilofacial, um colosso inigualável no estímulo, nas ações práticas pelo ensino e pelo desenvolvimento da Cirurgia Craniomaxilofacial brasileira. Certamente, se estivesse conosco, nos lideraria nesta empreitada.
AGRADECIMENTOS
Agradecemos às nossas famílias e aos nossos pacientes que, de diferentes formas, permitiram e positivamente influenciaram esta caminhada; aos nossos mestres na Cirurgia Craniomaxilofacial, Luis Tresserra Llauradó, Ian Thomas Jackson, Daniel Marchac, que, com seu conhecimento e desprendimento para ensinar, impactaram as nossas vidas.
PREFÁCIO
Olivro Cirurgia Craniomaxilofacial – Técnicas em Detalhes, dos cirurgiões plásticos Marcus Vinicius Martins Collares, Nivaldo Alonso e Marcelo Marafon Maino, nos seus 40 capítulos, será certamente um marco nesta especialidade.
A abordagem dos temas da cirurgia craniomaxilofacial: anomalias congênitas maiores; fissura labiopalatina; trauma; anomalias do desenvolvimento; e tumores craniofaciais –abordagem e reconstrução, torna a obra completa.
Será de grande importância para alunos de Medicina e Odontologia; residentes e cirurgiões da Cirurgia Plástica, Otorrinolaringologia, Cirurgia de Cabeça e Pescoço, Cirurgia
Bucomaxilofacial, Neurocirurgia e Cirurgia Cranioma xilofacial.
O fato que diferencia este livro são as videoaulas e os vídeos de técnicas cirúrgicas. Este foco na parte prática será muito útil para que muitos, após lerem o livro, tenham condições de realizar os procedimentos.
Parabenizo os autores, certo do sucesso desta importante contribuição.
Fausto Viterbo Professor Titular da Disciplina de Cirurgia Plástica da Faculdade de Medicina de Botucatu – Unesp
PRÓLOGO
Las alteraciones craneofaciales datan de tiempos inmemoriales; inicialmente se identificaron las alteraciones congénitas, las modificaciones craneales y las secuelas por trauma craneofacial. Posteriormente se hicieron hallazgos de alteraciones tumorales y las causadas por infecciones.
Mucho se ha discutido sobre quién es el padre de la Cirugía Plástica. Inicialmente fue considerado el médico Súshruta, cirujano indio del siglo VI antes de nuestra era y posteriormente se mencionó a Gaspare Tagliacozzi (1545-1599); sin embargo, actualmente conocemos como padre de la Cirugía Plástica moderna a Sir Harold Gillies (1882-1960) por sus aportes a la cirugía reconstructiva en la primera y segunda guerras mundiales.
La Cirugía Craneofacial nace en la década de los años 60 con los trabajos del doctor Paul Tessier (1917-2008) en craneosinostosis y osteotomías faciales. En los años 70, el doctor Fernando Ortiz Monasterio en México y los doctores Jorge Miguel Psillakis y Cassio Raposo do Amaral en Brasil fueron los pioneros de la Cirugía Craneofacial en Latinoamérica y, a partir de ellos, se entrenaron muchos cirujanos plásticos en los diferentes países de la región, así como también en Europa.
Es un gran honor ser el prologuista de esta obra desarrollada por los doctores Marcus Collares, Nivaldo Alonso y Marcelo Maino, grandes profesionales en el área y profesores reconocidos nacional e internacionalmente. Hemos creado una amistad muy grande en el camino de esta apasionante profesión.
La Cirugía Craneofacial está en un constante cambio y afortunadamente creciendo en toda Latinoamérica en los centros especializados en anomalías craneofaciales. Esto genera la necesidad de preparar a los estudiantes y a especialistas de
forma adecuada, proporcionando material de estudio y revisión. Este libro es lo que se necesita para tal fin.
Esta obra congrega todos los aspectos de la Cirugía Craneofacial ordenados en cinco secciones perfectamente organizadas, en las cuales participan especialistas de alta calidad, dando un gran aporte en cada capítulo. No es fácil lograr esto ya que muchas patologías y tratamientos se entrecruzan en las diferentes secciones, a saber: Anomalías Congénitas Mayores, Fisura de Labio y Paladar, Trauma Craneofacial, Anomalías del Desarrollo y Tumores Craneofaciales; sin embargo, son secciones muy organizadas, completas y de actualidad.
Este libro también cuenta con videos que complementan la información. Estas ayudas audiovisuales acercan más a los lectores y hacen más fácil entender el tema y el pensar del profesor.
Quiero felicitar a los autores por este libro que solo se logra con la pasión que tenemos por la Cirugía Craneofacial y la necesidad por transmitir conocimiento a los que vienen.
Dr. Rolando Prada Madrid Cirurgião Plástico e Craniofacial. Hospital Universitário da Fundação Santa Fé, Hospital Universitário Infantil de San José e no Centro de Reabilitação para Crianças com Lábio e Palato Figurativo – FISULAB, Bogotá, Colombia Professor de Cirurgia Plástica do Hospital Universitário Infantil de San José Coordenador do Programa de Fellowship em Cirurgia Craniofacial da Fundação Universitária de Ciências da Saúde.
PRÓLOGO
As anomalias craniofaciais remontam à Antiguidade. Inicialmente, foram identificadas alterações congênitas, modificações cranianas e sequelas de traumas craniofaciais. Posteriormente, descobriram-se alterações tumorais e aquelas causadas por infecções.
Há muito debate sobre quem é considerado o pai da Cirurgia Plástica. Inicialmente, o médico Sushruta, um cirurgião indiano do século VI a.C., foi apontado como tal. Mais tarde, mencionou-se Gaspare Tagliacozzi (1545-1599). No entanto, atualmente reconhece-se Sir Harold Gillies (1882-1960) como o pai da Cirurgia Plástica moderna, devido às suas contribuições à cirurgia reconstrutiva durante a Primeira e a Segunda Guerra Mundial.
A Cirurgia Craniofacial surgiu na década de 1960 com o trabalho do Dr. Paul Tessier (1917–2008), voltado para o tratamento das craniossinostoses e osteotomias faciais. Na década de 1970, o Dr. Fernando Ortiz Monasterio, no México, e os Drs. Jorge Miguel Psillakis e Cássio Raposo do Amaral, no Brasil, foram pioneiros da cirurgia craniofacial na América Latina. Muitos cirurgiões plásticos formaram-se com eles em diversos países da região, bem como na Europa.
É uma grande honra ser o autor do prólogo desta obra desenvolvida pelos Drs. Marcus Collares, Nivaldo Alonso e Marcelo Maino — grandes profissionais da área e professores reconhecidos nacional e internacionalmente. Construímos uma estreita amizade ao longo da trajetória nesta profissão apaixonante.
A cirurgia craniofacial está em constante evolução e, felizmente, em expansão por toda a América Latina, com centros especializados em anomalias craniofaciais. Isso gera a necessidade de preparar adequadamente estudantes e especialistas,
oferecendo materiais de estudo e revisão. Este livro atende perfeitamente a esse propósito.
A obra reúne todos os aspectos da Cirurgia Craniofacial em cinco seções perfeitamente organizadas, cada uma com a participação de especialistas altamente qualificados, proporcionando uma contribuição significativa em cada capítulo. Isso não é fácil de alcançar, considerando que muitas patologias e tratamentos se sobrepõem nas diferentes seções, a saber: Anomalias Congênitas Maiores, Fissura Labial e Palatina, Traumatismos Craniofaciais, Anomalias do Desenvolvimento e Tumores Craniofaciais. Ainda assim, as seções são bem estruturadas, abrangentes e atualizadas.
Este livro também inclui vídeos que complementam as informações apresentadas. Esses recursos audiovisuais aproximam os leitores do tema e facilitam a compreensão do conteúdo e do raciocínio dos autores.
Gostaria de parabenizar os autores por esta obra, que só foi possível graças à paixão que temos pela Cirurgia Craniofacial e ao compromisso com a transmissão de conhecimento para aqueles que virão depois de nós.
Dr. Rolando Prada Madrid Cirurgião Plástico e Craniofacial. Hospital Universitário da Fundação Santa Fé, Hospital Universitário Infantil de San José e no Centro de Reabilitação para Crianças com Lábio e Palato Figurativo – FISULAB, Bogotá, Colombia Professor de Cirurgia Plástica do Hospital Universitário Infantil de San José Coordenador do Programa de Fellowship em Cirurgia Craniofacial da Fundação Universitária de Ciências da Saúde.
COLABORADORES
ALICE FISCHER MORELLO, MD, MSC
Cirurgiã Plástica e Craniomaxilofacial (MEC/AMB/CFM)
Mestrado pela Universidade Federal do Rio Grande do Sul (UFRGS)
Preceptora do Serviço de Cirurgia Plástica do Hospital de Clínicas de Porto Alegre
ALINE HANKE STERN TOVO
Especialista em Ortodontia e Ortopedia Facial pela Universidade de São Paulo (USP)
Mestre em Ciências Cirúrgicas pela Universidade Federal do Rio Grande do Sul (UFRGS)
Pesquisadora no Ambulatório de Cirurgia Craniomaxilofacial do Hospital de Clínicas de Porto Alegre
AMANDA DE FARIAS GABRIEL
Cirurgiã-Dentista
Doutoranda em Estomatologia pela Universidade Federal do Rio Grande do Sul (UFRGS)
AMANDA GOSMAN, MD
Division of Plastic Surgery, University of California San Diego, San Diego, California, USA
Division of Plastic Surgery, Rady Children’s Hospital, San Diego, California, USA
ANDERSON CASTELO BRANCO
Otorrinolaringologista
Cirurgião Craniomaxilofacial, Medicina do Sono (MEC/AMB/ ABORLCCF/ABCCMF/ABMS)
Cirurgia Robótica Transoral (Certified Advanced Robotic Surgeon at Nicholson Center, FL, USA
Professor Assistente de Cirurgia Craniomaxilofacial no Serviço de Otorrinolaringologia da Santa Casa da Bahia
ANTÔNIO ALBUQUERQUE DE BRITO
Médico, Cirurgião Dentista, Cirurgião de Cabeça e Pescoço, Cirurgião Craniomaxilofacial e Cirurgião Bucomaxilofacial
Mestre em Odontologia com Concentração em Ortodontia pela Universidade Metodista de São Paulo (Umesp)
ANTONIO CARLOS PINTO OLIVEIRA, MD, MSC
Mestre em Cirurgia pela Universidade Federal do Rio Grande do Sul (UFRGS)
Coordenador da Cirurgia Estética do Serviço de Cirurgia Plástica do Hospital de Clínicas de Porto Alegre (HCPA)
Supervisor e Preceptor do PRM em Cirurgia Plástica do HCPA
ARTHUR CARVALHO SILVA
Residente de Cirurgia Plástica no Hospital das Clínica da Faculdade de Medicina da Universidade de São Paulo (HCFMUSP)
BARTOSZ STARTEK
Doctor of Dental Medicine (DMD) - Medical University of Silesia, Wroclaw 2010
Specialization: Maxillofacial Surgery, Medical University of Opole 2019
BENJAMIN B. MASSENBURG, MD
Assistant Professor of Surgery, Division of Plastic Surgery, Rady Children’s Hospital, University of California, San Diego
Division of Plastic Surgery, Department of Surgery, UC San Diego Health, San Diego, California, USA
BERNARDO SCARIOLI
Médico, Cirurgião Craniomaxilofacial, Otorrinolaringologista Cirurgião-Dentista
BONNIE L. PADWA, DMD, MD
Chefe de Cirurgia Oral, Departamento de Cirurgia Plástica e Oral, Boston Children’s Hospital, Professora de Cirurgia Oral e Maxilofacial, Harvard School of Dental Medicine, Boston, MA
BRUNO RAFAEL SABEL
Médico Otorrinolaringologista (HGCR) e Fellowship em Cirurgia Craniomaxilofacial do Hospital das Clínicas de Porto Alegre (HCPA)
CAROLINE DE PAULA OLIVEIRA GRINGO
Cirurgiã-Dentista
Especialista em Radiologia e Imaginologia pelo Hospital de Reabilitação de Anomalias Craniofaciais (HRAC/Centrinho) da Universidade de São Paulo (USP)
Mestre em Estomatologia, Radiologia e Imaginologia pelo Faculdade de Odontologia de Bauru, USP
Doutora em Ciências da Reabilitação pela USP
CARRIE Z. MORALES, MD
Médica Residente em Cirurgia Plástica no Hospital Infantil da Filadélfia, Divisão de Cirurgia Plástica, Reconstrutiva e Oral, Filadélfia, PA
CASSIO EDUARDO RAPOSO DO AMARAL, MD, PHD
Cirurgião Plástico e Craniofacial
Presidente da Associação Brasileira de Cirurgia Crânio-MaxiloFacial (ABCCMF) – Gestão: 2016-2020
Presidente da Associação Latino-Americana de Cirurgia Craniofacial (LATICFA) – Gestão: 2022-2024
Vice-Presidente do Hospital SOBRAPAR
CESAR AUGUSTO RAPOSO DO AMARAL, MD
Cirurgião Plástico e Craniofacial
Chefe dos Residentes em Cirurgia Plástica do Hospital SOBRAPAR
Crânio e Face
CÍCERO ANDRÉ DA COSTA MORAES
Bacharel em Marketing pela Uninter
Doutor Honoris Causa pela FATELL
Doutor Honoris Causa pelo CEGECIS (México)
CIRO PAZ PORTINHO
Cirurgião Craniomaxilofacial do Serviço de Cirurgia Plástica (SCP) do Hospital de Clínicas de Porto Alegre (HCPA)
Professor Adjunto do Departamento de Cirurgia da Faculdade de Medicina da Universidade Federal do Rio Grande do Sul (UFRGS)
CLÁUDIA SCHWEIGER
Professora do Departamento de Oftalmologia e Otorrinolaringologia da Faculdade de Medicina da Universidade Federal do Rio Grande do Sul (UFRGS)
Mestrado, Doutorado e Pós-Doutorado em Saúde da Criança e do Adolescente pela UFRGS
Research Fellowship no Cincinnati Children’s Hospital - Cincinnati/ Ohio/EUA
CRISTIANO TONELLO, MD, PHD
Professor Associado da Faculdade de Medicina de Bauru da Universidade de São Paulo (USP)
Doutorado em Clínica Cirúrgica pela Faculdade de Medicina da USP
Chefe do Departamento Hospitalar do Hospital de Reabilitação de Anomalias Craniofaciais da Universidade de São Paulo
CRISTINA PIRES CAMARGO
Livre-Docente pela Disciplina de Cirurgia Plástica e Queimaduras do Departamento de Cirurgia da Faculdade de Medicina da Universidade de São Paulo (FMUSP)
DANIELA TANIKAWA, MD, PHD
Diretora Médica do Programa de Fissura Labiopalatina do Hospital Municipal Menino Jesus e Sabará Hospital Infantil, SP
DANIELE WALTER DUARTE, MD, PHD
Cirurgiã Plástica e Craniomaxilofacial (MEC/SBCP/ABCCMF)
Mestre em Epidemiologia e Doutora em Ciências Cirúrgicas pela Universidade Federal do Rio Grande do Sul (UFRGS)
Preceptora do Serviço de Cirurgia Plástica do Hospital de Clínicas de Porto Alegre
DAVI SANDES SOBRAL
Mestre em Ciências Cirúrgicas pela Universidade Federal do Rio Grande do Sul (UFRGS)
Otorrinolaringologista e Cirurgião Craniomaxilofacial
DAVID L. BEST, DDS, MD
Cirurgião Maxilofacial do Departamento de Cirurgia Plástica e Oral, Boston Children’s Hospital, Instrutor de Cirurgia Oral e Maxilofacial, Harvard School of Dental Medicine
DAVID PERRAULT
Craniofacial Fellow at the Division of Plastic, Reconstructive and Oral Surgery at Children’s Hospital of Philadelphia, USA
DAVID W. LOW, MD
Professor de Cirurgia, Hospital Infantil da Filadélfia, Divisão de Cirurgia Plástica, Reconstrutiva e Oral, Universidade da Pensilvania, Filadélfia, PA
Diretor, International Visiting Scholar program in plastic surgery, Hospital Infantil da Filadélfia
DENISE MANICA, MD, PHD
Otorrinolaringologista (MEC/ABORLCCF)
Doutora em Saúde da Criança e do Adolescente pela Universidade Federal do Rio Grande do Sul (UFRGS)
Preceptora do Serviço de Otorrinolaringologia e Cirurgia de Cabeça e Pescoço do Hospital de Clínicas de Porto Alegre
DIOGO FRANCO
Mestre e Doutor em Cirurgia Plástica
Professor Associado de Cirurgia Plástica da Faculdade de Medicina da Universidade Federal do Rio de Janeiro (UFRJ)
DOV CHARLES GOLDENBERG, MD, PHD
Professor Livre-Docente pelo Departamento de Cirurgia da Faculdade de Medicina da Universidade de São Paulo (FMUSP)
Responsável pelo Grupo de Cirurgia Plástica Pediátrica e da Clínica de Anomalias Vasculares do Hospital das Clínicas da FMUSP
Supervisor do Programa de Residência em Cirurgia Plástica do Hospital das Clínicas da FMUSP
EDUARDO ANGELI FREITAS
Estudante de Medicina da Faculdade Evangélica Mackenzie do Paraná
EDUARDO FREITAS ROCHA DE SOUZA AMARAL, CD
Graduação em Odontologia pela Universidade Paulista
Especialista em Cirurgia e Traumatologia Bucomaxilofacial pelo
Hospital Regional de Cotia
EDUARDO GROSSMANN, CD, MSC, PHD
Pós-Doutorado em Cirurgia e Traumatologia Bucomaxilofacial pela Universidade Estadual de Maringá (UEM)
Professor Titular, Responsável pela Disciplina de Dor Craniofacial Aplicada à Odontologia da Universidade Federal do Rio Grande do Sul (UFRGS)
Diretor do Centro de Dor e Deformidade Orofacial - CENDDOR, RS
EDUARDO OLMSTEAD
Cirurgião Plástico e Craniomaxilofacial
Especialista em Cirurgia Plástica e Craniomaxilofacial, Hospital das Clínicas de Porto Alegre da Universidade Federal do Rio Grande do Sul (UFRGS)
EDUARDO TOSHIRO TODA NISHIMURA, MD, PHD
Membro Titular da Sociedade Brasileira de Cirurgia Plástica (SBCP)
Membro Especialista da Associação Brasileira de Cirurgia CrânioMaxilo-Facial (ABCCMF)
Membro Assistente da Disciplina de Cirurgia Plástica do Hospital das Clínicas da Faculdade de Medicina da Universidade de Sâo Pualo (HCFMUSP)
ELIZABETH B CARD, MD
Médica Residente em Cirurgia Plástica, Divisão de Cirurgia Plástica, Reconstrutiva e Oral, Hospital Infantil da Filadélfia, Filadélfia, PA
ENDRIGO OLIVEIRA BASTOS
Cirurgião Plástico e Craniomaxilofacial pela Universidade de São Paulo (USP)
Graduado em Medicina e em Odontologia pela USP
Mestre em Ciências pela USP
ENRICO GHIZONI, MD, PHD Neurocirurgião Pediátrico
Professor Livre-Docente MS5 da Universidade Estadual de Campinas (Unicamp)
EVERTON LUIS SANTOS DA ROSA
Graduação em Odontologia pela Universidade Federal de Santa Maria (UFSM)
Mestre em Cirurgia e Traumatologia Bucomaxilofacial pela Pontifícia Universidade Católica do Rio Grande do Sul (PUC-RS)
Doutor em Patologia Molecular (Proteômica e Nanobiotecnologia), UNB-Brasília
FABIO DE FREITAS BUSNARDO
Coordenador da Cirurgia Plástica do Instituto do Câncer do Estado de São Paulo (ICESP)
Professor Colaborador do Departamento de Cirurgia da Faculdade de Medicina da Universidade de São Paulo (FMUSP)
FERNANDO CESAR AMAZONAS LIMA
Médico e Cirurgião Dentista
Cirurgião de Cabeça e Pescoço, Cirurgião Craniomaxilofacial e Cirurgião Bucomaxilofacial
Chefe do Serviço de Cirurgia Maxilofacial do Hospital Federal dos Servidores RJ
GABRIEL ZORRON CAVALCANTI
Otorrinolaringologista e Cirurgião Craniomaxilofacial pela Universidade Federal de Uberlânida (UFU)
Coordenador do Serviço em Cirurgia Craniomaxilofacial dos Hospitais IPO, Nações e Iguaçu em Curitiba, PR
Coordenador do Serviço de Fellowship em Otorrinolaringologia e Cirurgia Craniomaxilofacial do Hospital IPO
GALO ANDRÉS VERDUGO AVALOS
Cirurgião Plástico e Craniomaxilofacial
Ex-Residente e Ex-Fellow do Serviço de Cirurgia Plástica (SCP) do Hospital de Clínicas de Porto Alegre (HCPA)
GHULAM QADIR FAYYAZ, MD
Member Board of Directors ICOPLAST
Former President, Pakistan Association of Plastic Surgeons (PAPS)
General Secretary Cleft Lip & Palate Association of Pakistan (CLAPP) CEO Clapp Hospital, Lahore, Pakistan
GUSTAVO JULIANI FALLER
Otorrinolaringologista (MEC/AMB/ABORLCCF)
Cirurgião Craniomaxilofacial (AMB/ABCCMF)
Mestre do Programa de Pós-Graduação em Ciências Cirúrgicas da Universidade Federal do Rio Grande do Sul (UFRGS)
GUSTAVO MOREIRA COSTA DE SOUZA
Cirurgião Plástico
Titular da da Sociedade Brasileira de Cirurgia Plástica (SBCP)
Cirurgião Craniomaxilofacial, Titular da Associação Brasileira De Cirurgia Crânio-Maxilo-Facial (ABCCMF)
HENRIQUE DE SOUZA REHDER
Especialista em Cirurgia Plástica Pela Sociedade Brasileira de Cirurgia Plástica (SBCP)
Fellowship do Setor de Cirurgia Craniofacial da Universidade Federal de São Paulo (Unifesp-EPM)
Cirurgião Geral Pela Associação Médica Brasileira (AMB)
ISABELA TOLEDO TEIXEIRA DA SILVEIRA
Cirurgiã-Dentista
Mestre em Cirurgia Bucomaxilofacial pela Universidade de São Paulo (USP)
JAKE MOSCARELLI, BS
Estudante de Medicina, Divisão de Cirurgia Plástica, Departamento de Cirurgia, Faculdade de Medicina de Yale
JASON LLANERAS, MD
Division of Plastic Surgery, Department of Surgery, UC San Diego Health, San Diego, California, USA
JAY XUE, MD
Division of Plastic and Craniofacial Surgery, Department of Surgery, Rady Children’s Hospital, San Diego, California, USA
Division of Plastic Surgery, Department of Surgery, UC San Diego Health, San Diego, California, USA
JESSE A. TAYLOR, MD
Chief of the Division of Plastic, Reconstructive and Oral Surgery
Co-Director of the Cleft Lip and Palate Program
Co-Director of the Craniofacial Program at the Children’s Hospital of Philadelphia, USA
Peter Randall Endowed Chair of Plastic Surgery
JORDAN SWANSON, MD
Associate Professor in the Division of Plastic, Reconstructive and Oral Surgery at Children’s Hospital of Philadelphia, USA
Program Director, Craniofacial Surgery Fellowship, University of Pennsylvania, Philadelphia, USA
Co-Director, Cleft Lip/Palate Program, Children’s Hospital of Philadelphia, USA
Linton A. Whitaker Endowed Chair in Plastic, Reconstructive and Oral Surgery
JOSÉ CARLOS MARQUES DE FARIA
Professor do Departamento de Cirurgia da Faculdade de Medicina da Universidade de São Paulo (FMUSP)
JOSÉ FAIBES LUBIANCA NETO
Professor Titular do Departamento de Clínica Cirúrgica, Disciplina de Oftalmo e Otorrinolaringologia do Curso de Medicina da Universidade Federal de Ciências da Saúde de Porto Alegre (UFCSPA)
Chefe do Serviço de ORL Pediátrica do Hospital da Criança Santo Antônio da Santa Casa de Misericórdia de Porto Alegre
Mestre e Doutor em Medicina pelo PPG em Medicina: Ciências Médica da Universidade Federal do Rio Grande do Sul (UFRGS) Fellowship na Divisão de ORL Pediátrica do Massachusetts Eye & Ear Infirmary, Harvard Medical School, Boston, EUA
JUAN ESTEBAN MARTINEZ
Neurocirurgião, Cirurgião Plástico e Reconstrutivo, Cirurgião Craniofacial
Chefe da Unidade de Cirurgia Reconstrutiva Craniofacial – Hospital de Alta Complexidade “Pte Juan Domingo Perón” – Formosa –Argentina
Membro da AACE, SACPER, SACPERNEA, ISAPS, AANC
JUAN JOSÉ BUTTI CUBILLA, MD
Médico
Ex-Residente Estrangeiro do Serviço de Cirurgia Plástica do Hospital de Clínicas de Porto Alegre (HCPA)
KAITLYN E. WAN
Royal College of Surgeons Ireland University of Medicine and Health Sciences, Dublin, Ireland
KEELEY NEWSOM, MD
Division of Plastic Surgery, University of California San Diego, San Diego, California, USA
KLAUS RODRIGUES DE OLIVEIRA
Médico, Faculdade de Medicina de Barbacena, MG Cirurgião-Dentista pela Pontifícia Universidade Católica de Minas
Gerais (PUC/MG)
Cirurgião Plástico e Craniomaxilofacial, Hospital Felício Rocho, SBCP, ABCCMF
LAURÍCIO CASSOL ARGENTA
Médico Cirurgião de Cabeça e Pescoço pela Universidade Federal de Ciências da Saúde de Porto Alegre (UFCSPA)
Cirurgião Craniomaxilofacial do Hospital das Clínicas de Porto Alegre (HCPA)
LEONARDO BALSALOBRE
Médico Otorrinolaringologista pela Universidade Federal de São Paulo (Unifesp)
Mestre em Ciências da Saúde, Fellowship em Rinologia (Cirurgia Endoscópica Nasossinusal) pela Unifesp
Professor Afiliado do Departamento de Otorrinolaringologia e Cirurgia de Cabeça e Pescoço da Unifesp
LUCY SHEAHAN, MD
Division of Plastic Surgery, University of California San Diego, San Diego, California, USA
LUÍS GUSTAVO FERREIRA DA SILVA, MD, MSC
Professor de Cirurgia Plástica Craniofacial no Serviço de Cirurgia
Plástica e Queimados do Hospital Universitário da Universidade Federal de Santa Catarina (UFSC)
Mestre em Medicina pela Universidade Nova de Lisboa
Membro e Certificado pela Sociedade Brasileira de Cirurgia Plástica (MEC/AMB/CFM)
Membro e Certificado pela Associação Brasileira de Cirurgia Craniomaxilofacial (MEC/AMB/CFM)
LUISA FRANCO
Acadêmica de Medicina da Faculdade de Medicina de Petrópolis
MARCELO PAGLIOLI FERREIRA
Neurocirurgião
Mestre em Cirurgia pela Universidade Federal do Rio Grande do Sul (UFRGS)
Research Fellow na Wayne State University Preceptor da Residência de Neurocirurgia do Hospital São José –Santa Casa de Misericórdia de Porto Alegre
MARCO ANTONIO TREVIZANI MARTINS
Doutor em Medicina Oral
Chefe do Serviço de Estomatologia do Hospital das Clínicas de Porto Alegre (HCPA)
Professor Associado do Departamento de Odontologia Conservadora da Faculdade de Odontologia (FO) da Universidade Federal do Rio Grande do Sul (UFRGS)
MARCOS PITTA, CD, MSC
Mestre em Cirurgia e Traumatologia Bucomaxilofacial Fellowship em Cirurgia Ortognática e em Cirurgia da ATM, Baylor College of Dentistry Dallas USA
Cirurgião Bucomaxilofacial dos Hospitais Albert Einstein e SírioLibanês, São Paulo
MARIA LUIZA ILGENFRITZ, MD
Cirurgiã Craniomaxilofacial (MEC/ABCCMF)
Otorrinolaringologista (MEC/ABORLCCF)
Fellow do Curso Avançado em Cirurgia Craniomaxilofacial do Hospital de Clínicas de Porto Alegre (HCPA)
MARIANA FRAGA
Médica
Cirugiã Craniomaxilofacial pelo Hospital de Clínicas de Porto Alegre (HCPA)
Especialista em Cirurgia Craniomaxilofacial, AMB/ABCCMF
Especialista em Otorrinolaringologia, AMB/ABORLCCF
MAURÍCIO PEREIRA MANIGLIA
Otorrinolaringologista, Cirurgião Craniomaxilofacial, FAMERP, ABORLCCF, ABCCMF
Mestre em Medicina Universidade Federal do Paraná (UFPR)
Doutor em Medicina pela Faculdade de Medicina de São José do Rio Preto (FAMERP)
MAX DOMINGUES PEREIRA
Membro Titular da Sociedade Brasileira de Cirurgia Plástica (SBCP)
Membro Ativo da Sociedade Internacional de Cirurgia Craniofacial e da Associação Brasileira de Cirurgia Crânio-Maxilo-Facial (ABCCMF)
Coordenador do Setor de Cirurgia Craniofacial da Disciplina de Cirurgia Plástica da Universidade Federal de São Paulo (Unifesp)
Doutor em Medicina pela Unifesp
MICHAEL ALPEROVICH, MD
Divisão de Cirurgia Plástica, Departamento de Cirurgia, Faculdade de Medicina da Universidade de Yale
MUHAMMAD DAIEM, MD
Research Fellow Department of Plastic Surgery, CLAPP Hospital, Lahore, Pakistan
Volunteer Operation Smile Incorporated, Virginia Beach, VA
NATALIYA BISKUP, MD
Cirurgiã Plástica e Craniofacial, Division of Plastic Surgery, Kansas Cleft and Craniofacial Center, Wichita, KS, USA
NELSON PIRES FERREIRA
Professor da FAMED, da Universidade Federal do Rio Grande do Sul (UFRGS) e da Fundação Universidade Federal de Ciências da Saúde de Porto Alegre
Especialista em Neurocirurgia pela Sociedade Brasileira de Neurocirurgia (SBN)
Doutor em Ciências Médicas pela UFRGS
OKSANA A. JACKSON
Professora de Cirurgia, Hospital Infantil da Filadélfia, Divisão de Cirurgia Plástica, Reconstrutiva e Oral, Universidade da Pensilvania, Filadélfia, PA
Codiretora, Cleft Lip and Palate Program, Hospital Infantil da Filadélfia, Filadélfia, PA
OTÁVIO BEIJMAN PILTCHER
Professor Associado, Departamento de Oftalmologia e Otorrinolaringologia da Faculdade de Medicina da Universidade Federal do Rio Grande do Sul (FAMED-UFRGS)
Mestrado e Doutorado em Medicina (Otorrinolaringologia) pela Faculdade de Ciências Médicas da Santa Casa de São Paulo
Ex-Presidente da Academia Brasileira de Rinologia
Research Fellow Pediatric Otolaryngology, University of Pittsburgh
PABLO MARICEVICH
Cirurgião Plástico na AVIVA Cirurgia Plástica, no Hospital da Restauração e no Hospital das Clínicas da Universidade Federal de Pernambuco
Especialista em Cirurgia Plástica pelo Instituto Ivo Pitanguy (SBCP/AMB)
Especialista em Cirurgia Craniomaxilofacial pelo INTO-RJ (ABCCMF/AMB)
Criador do software livre RhinOnBlender
PHILIP D. TOLLEY, MD
Fellow em Cirurgia Craniofacial na Divisão de Cirurgia Plástica, Reconstrutiva e Oral do Hospital Infantil da Filadélfia, Filadélfia, PA
RAYMOND TSE, MD
Professor, Divisão de Cirurgia Plástica e Craniofacial Seattle Children’s Hospital Universidade de Washington Seattle, EUA
REBECCA ROSSENER, MD
Cirurgiã Plástica
Assistente do Grupo de Cirurgia Plástica Pediátrica e da Clínica de Anomalias Vasculares do Hospital das Clínicas da Faculdade de Medicina da Universidade de São Paulo (FMUSP)
RENATO ANDRÉ DE SOUZA FACO
Especialista em Cirurgia e Traumatologia Bucomaxilofacial pela
Universidade do Sagrado Coração de Bauru (USC)
Mestre e Doutor em Ciências da Reabilitação/Fissura labiopalatina pelo HRAC-USP-BAURU
RENATO DA SILVA FREITAS, MD, PHD
Professor Titular de Cirurgia Plástica da Universidade Federal do Paraná (UFPR)
Cirurgião Plástico e Craniofacial
Cirurgião Plástico e Craniofacial do Centro de Atendimento Integral ao Fissurado Lábio Palatal
RENATO YATUSSAKA FARIA YAEDÚ
Cirurgião-Dentista Bucomaxilofacial
Professor de Cirurgia da Faculdade de Odontologia de Bauru –Universidade de São Paulo e Hospital de Reabilitação de Anomalias Craniofaciais da Universidade de São Paulo (USP)
ROBERTA MARTINELLI CARVALHO
Especialista em Cirurgia e Traumatologia Bucomaxilofacial pela Universidade Estadual Paulista (Unesp)
Mestre em Cirurgia e Traumatologia Bucomaxilofacial pela Unesp Doutora em Ciências da Reabilitação/Fissura Labiopalatina pelo HRAC-USP-BAURU
ROBERTO L FLORES, MD
Joseph G. McCarthy Endowed Associate Professor of Reconstructive Plastic Surgery
Director, Cleft Lip and Palate Program
Director, Craniofacial Surgery Fellowship Program
Hansjörg Wyss Department of Plastic Surgery, NYU Langone Medical Center, New York
RODRIGO DE FARIA VALLE DORNELLES
Membro Titular da Associação Brasileira de Cirurgia CrânioMaxilo-Facial (ABCCMF)
Mestre em Cirurgia Plástica pela Universidade de São Paulo (USP)
Doutor em Clínica Cirúrgica pela USP
RODRIGO ITOCAZO ROCHA
Cirurgião Plástico e Craniomaxilofacial
Doutor em Ciências pelo Programa de Cirurgia Plástica, pela Faculdade de Medicina da Universidade de São Paulo (FMUSP)
RODRIGO REZENDE SILVA CABRAL
Residente de Cirurgia Plástica, Serviço de Cirurgia Plástica do Hospital de Clínicas da Universidade Federal do Paraná
ROGÉRIO RAFAEL DA SILVA MENDES
Médico Assistente da Equipe de Cirurgia Plástica do Instituto do Câncer do Estado de São Paulo (ICESP)
ROLAND K. ASSAF, MD
Global Smile Foundation, Norwood, MA, USA
ROLF GEMPERLI
Professor Titular da Disciplina de Cirurgia Plástica da Faculdade de Medicina da Universidade de São Paulo (FMUSP)
SERGIO LUÍS DE MIRANDA
Médico, Cirurgião-Dentista
Especialista em Cirurgia de Cabeça e Pescoço e ORL, Medicina do Sono e Craniomaxilofacial
Mestre e Doutor em Medicina pela Universidade Federal de São Paulo (Unifesp)
SÉRGIO MOREIRA DA COSTA
Cirurgião Plástico
Titular da Sociedade Brasileira de Cirurgia Plástica (SBCP)
Cirurgião Craniomaxilofacial, Titular/Fundador da Associação
Brasileira de Cirurgia Crânio-Maxilo-Facial (ABCCMF)
STEFANO RICARDO MORA LÓPEZ, MD, MSC
Residente de Cirurgia Plástica do Hospital de Clínicas Porto Alegre, Universidade Federal do Rio Grande do Sul (UFRGS)
Mestre em Direção e Gestão Sanitária, Universidade de La Rioja, Espanha
Membro da Sociedade Brasileira de Cirurgia Plástica (SBCP)
TALITA FRANCO
Mestre e Doutora em Cirurgia Plástica
Professora Titular de Cirurgia Plástica da Faculdade de Medicina da Universidade Federal do Rio de Janeiro (UFRJ)
TÁSSIA CIVIDANES PAZINATO
Médica Otorrinolaringologista do Hospital das Clínicas de Porto
Alegre (HCPA)
Fellowship em Otorrinopediatria e Via Aérea Pediátrica pelo HCPA
Mestranda do Programa de Pós-Graduação em Saúde da Criança e do Adolescente pela Universidade Federal do Rio Grande do Sul (UFRGS)
THAYER MUKHERJEE, MD
Médico Residente da Divisão de Cirurgia Plástica do Departamento de Cirurgia da Faculdade de Medicina da Universidade de Yale, EUA
THIAGO KREUTZ GROSSMANN, MD
Bolsista CNPq/CAPES da Universidade Livre de Amsterdam, Holanda, 2015-2016, Graduação tipo Sanduíche
Estágios no Serviço de Cirurgia Plástica e Reconstrutiva, Universidade de Columbia, Nova Iorque
Membro Coordenador de Ensino da Liga da Dor da UFCSPA, por um período de dois anos e Cirurgião Geral formado pelo Grupo Hospitalar Conceição
USAMA S. HAMDAN, MD, FICS
Presidente e Cofundador, Global Smile Foundation, Norwood, MA, USA
VICTOR ANTÔNIO BROCCO, MD
Cirurgião Geral
Residente Chefe, Serviço de Cirurgia Plástica do Hospital de Clínicas de Porto Alegre
WILSON CINTRA JUNIOR
Cirurgião Plástico e Craniomaxilofacial
Professor Livre-Docente pelo Departamento de Cirurgia da Faculdade de Medicina da Universidade de São Paulo (FMUSP)
Doutor em Ciências - Programa de Cirurgia Plástica, pela FMUSP
Médico-Assistente do Hospital das Clínicas da Faculdade de Medicina da Universidade de São Paulo e Hospital do Servidor Público Estadual (IAMSPE)
SUMÁRIO
Coordenador: Jesse A. Taylor
1 ATRESIA PIRIFORME E MAXILAR 3
Marcus Vinicius Martins Collares Aline Hanke Stern Tovo
Cláudia Schweiger José Faibes Lubianca Neto
Mariana Fraga Tássia Cividanes Pazinato
2 FISSURAS CRANIOFACIAIS RARAS .................................... 9
Renato da Silva Freitas Eduardo Angeli Freitas
Cristiano Tonello Nivaldo Alonso
3 TRATAMENTO CIRÚRGICO DAS ANOMALIAS VASCULARES 57
Dov Charles Goldenberg Rebecca Rossener
4 MALFORMAÇÕES AURICULARES –RECONSTRUÇÃO AURICULAR
5
.............................. 65
Marcus Vinicius Martins Collares Cristiano Tonello
Luís Gustavo Ferreira da Silva Stefano Ricardo Mora López
Cristina Pires Camargo Arthur Carvalho Silva
Rodrigo Rezende Silva Cabral Renato da Silva Freitas
Nivaldo Alonso
6 SEQUÊNCIA DE ROBIN ................................................... 93
Marcus Vinicius Martins Collares Roberto L. Flores
Daniele Walter Duarte Denise Manica Maria Luiza Ilgenfritz
7 CRANIOSSINOSTOSE NÃO SINDRÔMICA 103
Philip D. Tolley Elizabeth B. Card Jordan W. Swanson
8 CRANIOSSINOSTOSE SINDRÔMICA .............................. 123
David Perrault Jordan W. Swanson Jesse A. Taylor
Cristiano Tonello Nivaldo Alonso
9 CRANIOSSINOSTOSES SINDRÔMICAS RARAS ............... 135
Nivaldo Alonso Cristiano Tonello Marcus Vinicius Martins Collares
10 HIPERTELORISMO ORBITÁRIO ...................................... 151
Cassio Eduardo Raposo do Amaral Enrico Ghizoni
Cristiano Tonello Renato da Silva Freitas Nivaldo Alonso
12 SÍNDROME DE TREACHER COLLINS 177
Cristiano Tonello Nivaldo Alonso
13 OUTRAS ANOMALIAS CONGÊNITAS ............................. 187
Marcus Vinicius Martins Collares Cristiano Tonello
Antonio Carlos Pinto Oliveira Marcelo Marafon Maino
Juan José Butti Cubilla PARTE II FISSURA LABIOPALATINA
Coordenador: Renato da Silva Freitas
14 FISSURA LABIAL UNILATERAL ....................................... 203
Raymond Tse Daniela Tanikawa Marcus Vinicius Martins Collares
15 FISSURA LABIAL BILATERAL ......................................... 219
Lucy Sheahan Keeley Newsom Amanda Gosman
16 FISSURA PALATINA ...................................................... 231
Elizabeth B. Card Carrie Z. Morales
David W. Low Oksana A. Jackson
17 FISSURA LABIOPALATINA SECUNDÁRIA –
LÁBIO E NARIZ 241
Usama S. Hamdan Kaitlyn E. Wan Roland K. Assaf
18 FISSURA PALATINA SECUNDÁRIA –INSUFICIÊNCIA VELOFARÍNGEA .................................... 253
Diogo Franco Luisa Franco Talita Franco
Marcus Vinicius Martins Collares
19 FISSURA PALATINA SECUNDÁRIA – FÍSTULAS 259
Ghulam Qadir Fayyaz Muhammad Daiem Nivaldo Alonso
20 ENXERTO ÓSSEO ALVEOLAR ........................................ 287
Renato André de Souza Faco Roberta Martinelli Carvalho
21 GENGIVOPERIOSTEOPLASTIA ....................................... 295
Marcus Vinicius Martins Collares Roberto L. Flores
Alice Fischer Morello Aline Hanke Stern Tovo
Maria Luiza Lopes Ilgenfritz Victor Antônio Brocco
22 CIRURGIA ORTOGNÁTICA NA FISSURA LABIOPALATINA ... 309
Cesar Augusto Raposo do Amaral 11 MICROSSOMIA CRANIOFACIAL .................................... 165
David L. Best Bonnie L. Padwa
PARTE III
TRAUMA
Coordenador: Marcelo Maino
23 FRATURA PRIMÁRIA ÓRBITO-ZIGOMÁTICO-MAXILAR .. 323
Wilson Cintra Junior Rodrigo Itocazo Rocha
24 FRATURA DE MANDÍBULA ........................................... 329
Eduardo Toshiro Toda Nishimura Marcus Vinicius Martins Collares
Nivaldo Alonso
25 FRATURA PRIMÁRIA ISOLADA DO TERÇO MÉDIO –NARIZ, ARCO ZIGOMÁTICO, MAXILA, ÓRBITA 339
Gustavo Juliani Faller Anderson Castelo Branco
Otávio Beijman Pilcher Marcus Vinicius Martins Collares
26 FRATURA FRONTAL, NASOETMOIDORBITAL (NEO) E FRONTONASOETMOIDORBITAL (FNEO) ..................... 347
Sérgio Moreira da Costa Gustavo Moreira Costa de Souza
Klaus Rodrigues de Oliveira Bernardo Scarioli
27 RECONSTRUÇÃO SECUNDÁRIA APÓS TRAUMA FACIAL: TRATAMENTO DE DEFORMIDADES ÓSSEAS E DOS TECIDOS MOLES .......................................................... 357
Benjamin B. Massenburg Jason Llaneras Nataliya Biskup Jay Xue
PARTE IV
ANOMALIAS DE DESENVOLVIMENTO
Coordenador: Jordan W. swanson
28 CIRURGIA ORTOGNÁTICA – PLANEJAMENTO
VIRTUAL (3D) × TRADICIONAL (MODELOS) .................. 371
Rodrigo de Faria Valle Dornelles Cícero André da Costa Moraes
Everton Luis Santos da Rosa Gabriel Zorron Cavalcanti
Bartosz Startek
29 CIRURGIA ORTOGNÁTICA – MANDÍBULA 379
Isabela Toledo Teixeira da Silveira Caroline de Paula Oliveira Gringo
Renato Yatussaka Faria Yaedú Nivaldo Alonso
30 CIRURGIA ORTOGNÁTICA – MAXILA 397
Nivaldo Alonso Renato da Silva Freitas Cristiano Tonello
31 CIRURGIA ORTOGNÁTICA – COMBINADA ..................... 415
Antônio Albuquerque de Brito Fernando Cesar Amazonas Lima
Maurício Pereira Maniglia
32 MENTOPLASTIA DE DESLIZAMENTO ............................ 423
Endrigo Oliveira Bastos
33 APNEIA OBSTRUTIVA DO SONO ................................... 431
Davi Sandes Sobral Sergio Luís De Miranda
34 ORBITOPATIA DE GRAVES ............................................ 445
Max Domingues Pereira Henrique de Souza Rehder
Gustavo Juliani Faller Marcus Vinicius Martins Collares
35 DISFUNÇÕES ARTROGÊNICAS DA ARTICULAÇÃO TEMPOROMANDIBULAR 461
Eduardo Grossmann Thiago Kreutz Grossmann
Eduardo Freitas Rocha de Souza Amaral Marcos Pitta
36 CIRURGIA FACIAL DE AFIRMAÇÃO DE GÊNERO ............. 473
Thayer Mukherjee Jake Moscarelli Michael Alperovich
PARTE V
TUMORES CRANIOFACIAIS: ABORDAGEM E RECONSTRUÇÃO
Coordenador: Ciro Paz Portinho
37 TUMORES MANDIBULARES: ABORDAGEM E RECONSTRUÇÃO.................................. 483
Ciro Paz Portinho Marco Antonio Trevizani Martins
Amanda de Farias Gabriel Galo Andrés Verdugo Avalos
38 TUMORES MAXILARES: ABORDAGEM E RECONSTRUÇÃO .......................................................... 493
Fabio de Freitas Busnardo José Carlos Marques de Faria
Rogério Rafael da Silva Mendes Nivaldo Alonso Rolf Gemperli
39 TUMORES DA BASE ANTERIOR DO CRÂNIO E ÓRBITA –ABORDAGEM E RECONSTRUÇÃO.................................. 501
Leonardo Balsalobre Marcelo Paglioli Ferreira
Laurício Cassol Argenta Bruno Rafael Sabel
Marcus Vinicius Martins Collares
40 RECONSTRUÇÃO CRANIANA ........................................ 511
Marcus Vinicius Martins Collares Pablo Maricevich
Juan Esteban Martinez Eduardo Olmstead Nelson Pires Ferreira
ÍNDICE REMISSIVO ............................................................. 533
Cirurgia Craniomaxilofacial TÉCNICAS EM
DETALHES
Parte I Anomalias Congênitas Maiores
ATRESIA PIRIFORME E MAXILAR
Marcus Vinicius Martins Collares aline Hanke stern Tovo Cláudia schweiger
José Faibes lubianca Neto Mariana Fraga Tássia Cividanes Pazinato
INTRODUÇÃO
A estenose congênita da abertura nasal piriforme (ECAP; CNPAS em inglês) é uma malformação óssea rara da abertura nasal anterior, manifestando-se nos primeiros dias de vida. Pode ocorrer isoladamente ou com outras anomalias de linha média, como a síndrome do incisivo central mediano solitário (SMMCI), presente em até 50% dos casos. Isso reflete sua origem embriológica comum com as estruturas da linha média facial e cerebral.1,2 Descrita inicialmente, em 1952, por Douglas et al., sua incidência é estimada em 1:25.000 nascimentos.3-6
A ECAP resulta de alterações no desenvolvimento dos processos nasais da maxila. A controvérsia entre crescimento ósseo excessivo ou deslocamento medial dessas estruturas foi abordada em estudos recentes, evidenciando que os pacientes com ECAP têm hipoplasia maxilar, um estreitamento não só piriforme, mas de mais de dois terços da cavidade nasal anterior.
DIAGNÓSTICO
As atresias da abertura piriforme e da maxila podem causar grave comprometimento respiratório neonatal. Como recém-nascidos respiram preferencialmente pelo nariz, a obstrução nasal pode levar a quadros de cianose e risco de vida.7 Assim, diagnóstico precoce e intervenção oportuna são essenciais.
Clinicamente, suspeita-se de ECAP por sinais como ronco, desconforto respiratório, cianose e dificuldade na amamentação, com melhora ao chorar.7 O exame físico mostra obstrução uni ou bilateral, com passagem dificultada de sondas ou cateteres nasais. Pode-se observar alterações no filtro nasal.2,8
A tomografia computadorizada (TC) é o exame de escolha: valores abaixo de 11 mm são considerados sugestivos. Alguns autores mais rigorosos consideram o limite inferior de 8 mm (Fig. 1-1). A TC também avalia malformações associadas e estruturas como lâmina cribriforme e base do crânio.9 O diagnóstico diferencial deve incluir atresia de coanas, cistos, encefaloceles e tumores. A endoscopia nasal é útil para localização da obstrução.5,10
TRATAMENTO
O tratamento depende da gravidade. Casos leves respondem bem ao manejo conservador: umidificação nasal, aspiração, descongestionantes, dilatadores, alimentação por sonda e monitoramento. A cirurgia está indicada em quadros

moderados a graves ou sem resposta em 10-15 dias.4,6,11 Indicações cirúrgicas incluem cianose, apneia, distúrbio alimentar grave, abertura piriforme < 8-11 mm, colapso do palato duro ou deformidades da linha média.1,7,9 A via sublabial com desgaste ósseo maxilar é historicamente descrita na literatura como o tratamento padrão. Entretanto, essa máxima tem sido contestada por novos métodos terapêuticos.
A seguir, explicaremos esta e as demais técnicas cirúrgicas descritas na literatura.
Desgaste Ósseo Maxilar por Via Sublabial
Apesar de eficaz, pode estar associado a riscos como estenose cicatricial, lesão de estruturas adjacentes, reintervenção e internação prolongada. Há preocupações com recidiva, sequelas ósseas ou cicatriciais, como lesões no sistema lacrimal e germes dentários, perfuração septal e sinequias, especialmente em cirurgias realizadas nos primeiros meses de
vida. O preparo inclui confirmação tomográfica, avaliação multidisciplinar, profilaxia antibiótica e monitorização intraoperatória com capnografia e oximetria. O procedimento padrão de abordagem sublabial transoral com osteotomia de alargamento da abertura piriforme pode ser descrito em etapas:
1. Anestesia geral com intubação orotraqueal (o tubo deve ser fixado em uma posição que permita bom acesso à cavidade oral).
2. Um suporte para a cabeça e um rolo sob os ombros podem ser utilizados.
3. O campo cirúrgico deve ser montado de forma a proteger os olhos, deixando o nariz, o terço médio da face e a boca acessíveis.
4. Preparar o nariz com cotonoides neurocirúrgicos embebidos em descongestionante nasal.
5. Com uma seringa, infiltrar anestésico local (lidocaína a 1% com adrenalina 1:100.000) no sulco gengival superior e na mucosa da abertura piriforme.
6. Fazer uma incisão sublabial de 1,5 cm com lâmina 15 até o osso, tomando cuidado para não danificar o osso fino que recobre os germes dentários (Fig. 1-2).
7. Realizar dissecção subperiosteal para expor a espinha nasal anterior e o assoalho de cada narina, permanecendo anterior aos cornetos inferiores para evitar lesão ao sistema nasolacrimal (Fig. 1-3).


8. Utilizar uma broca diamantada de 2 mm para alargar lateralmente a abertura piriforme (evitar broqueamento inferior para não atingir os germes dentários; utilizar a TC como guia e o corneto inferior como marco anatômico para alcançar a profundidade ideal de perfuração).
9. Continuar o broqueamento até que a cavidade nasal possa acomodar bilateralmente um tubo endotraqueal de calibre 3,5 (é possível manter um dilatador na cavidade nasal oposta durante a perfuração, para evitar o deslocamento do septo nasal).
10. Reposicionar a mucosa nasal.
11. Recomenda-se realizar uma incisão de liberação na mucosa ao longo do assoalho nasal.
12. Pode-se optar pela colocação de stents nasais. Neste caso, estes podem ser confeccionados cortando tubos endotraqueais de calibre 3,5 e inseridos no nariz (as extremidades dos stents devem estar na orofaringe, logo abaixo do palato mole. Para evitar o deslocamento dos stents, pode-se passar uma sutura entre as extremidades dos tubos).
13. A avaliação endoscópica transoperatória é opcional, mas pode ser útil para verificar a permeabilidade posterior.
Não há consenso sobre o uso e duração dos stents; quando usados, manter por até 4 semanas. Remoções precoces podem


lesão ao sistema
causar deiscência ou reestenose, enquanto usos prolongados aumentam o risco de lesões e granulação.11
A atresia maxilar associada à ECAP exige adaptações na técnica cirúrgica e, em casos graves, osteotomias ou expansão com órteses.1 Alterações sindrômicas ou fusão precoce da sutura palatina podem demandar técnicas ortopédicas adicionais.
Dilatação Nasal com Balão
Técnica menos invasiva, com relatos limitados na literatura. Desde 2017, Vijayasekaran aplicou-a em quatro pacientes, com sucesso em três após uma única sessão e falha em um, que necessitou cirurgia aberta. O método utiliza balão de 7 mm, insuflado a 10 ATM por 5 minutos, aproveitando a plasticidade óssea neonatal influenciada pelo estrogênio materno.5,11 A técnica oferece menor tempo de internação e recuperação mais rápida, mas ainda carece de consenso quanto ao uso de stents e pode requerer reintervenções. A experiência clínica permanece limitada.
Abordagem Endoscópica Endonasal
A abordagem endoscópica endonasal é uma técnica cirúrgica alternativa e recente para tratamento da ECAP. Nela, a incisão na mucosa lateral nasal permite acesso à abertura piriforme óssea, que é removida com cinzel ou broca. A mucosa é então reposicionada e suturada para cobrir o osso, reduzindo risco de cicatrizes e granulação. Quando essa cobertura é eficaz, evita-se o uso de stents, optando-se por splints de silicone no septo para prevenir sinéquias. Essa técnica pode minimizar complicações da via sublabial, como lesões dentárias, estenose do ducto nasolacrimal e distúrbios no crescimento facial, embora ainda seja considerada experimental.5

Expansão Rápida Maxilar
A expansão maxilar é uma alternativa menos invasiva em comparação à abordagem cirúrgica sublabial no tratamento da ECAP. Fundamentada nos princípios da expansão rápida da maxila (ERM), técnica consagrada na odonto-ortopedia para correção da deficiência transversal da maxila, essa abordagem foi adaptada à anatomia delicada dos neonatos, configurando-se como uma proposta inovadora para a reabilitação funcional da via aérea superior.
Além da correção esquelética, a ERM proporciona alargamento da base nasal, promovendo a redução da resistência ao fluxo aéreo e, consequentemente, aumento da ventilação nasal (Fig. 1-4).
A ERM em neonatos divide-se em duas abordagens principais: a utilização de aparelhos móveis, mucossuportados ou de aparelhos fixos com ancoragem esquelética por meio de miniparafusos. Apesar de menos invasiva, a expansão com aparelhos móveis apresenta limitações biomecânicas significativas, uma vez que, ao se apoiarem exclusivamente sobre estruturas mucosas e alveolares, promovem maior abertura na região bucal da sutura palatina, com efeitos mínimos sobre a porção nasal. Tal limitação, como apontado por Sitzia et al., leva à necessidade de associação com dilatação nasal com balão em diversos casos clínicos.
De acordo com Wine et al., pacientes com ECAP apresentam fusão precoce da sutura palatina, acarretando restrição ao crescimento transversal do palato e de toda a região centrofacial, de forma análoga às craniossinostoses.2,12 Nesse contexto, a técnica de expansão ancorada em miniparafusos proporciona uma distribuição mais uniforme das forças expansivas, viabilizando a separação paralela das estruturas maxilares, desde a base palatina até a porção nasal superior.

Fernandes et al. identificaram o ponto de fulcro rotacional (RF) e os efeitos esqueléticos e dentoalveolares da ERM em dois tipos de dispositivos: um dento-ósseo-suportado e outro exclusivamente dento-suportado.13 Os autores concluíram que, quando ancorado no osso por meio de parafusos, o dispositivo posiciona o RF na região da sutura frontozigomática (ou acima dela), ao passo que os dispositivos dento-suportados concentram o RF bem abaixo dessa estrutura. A extrapolação desse achado para pacientes com ECAP permite inferir que a ancoragem esquelética promove abertura mais elevada da sutura palatina mediana e, por consequência, a ampliação de forma mais fisiológica, tridimensional e previsível, não só da abertura piriforme como de toda a extensão anteroposterior da cavidade óssea nasal, com maior impacto funcional sobre a via aérea superior.
A ERM apresenta benefícios adicionais: menor risco de lesão óssea ou tecidual, ausência da necessidade de fresagem óssea, maior estabilidade da expansão e menor índice de recidiva associada à estenose cicatricial.
Entre as intercorrências na nossa casuística de 24 pacientes, incluem-se um caso de má inserção dos parafusos, com exposição ao assoalho nasal (o que não impediu a expansão) e uma extrusão do aparelho com necessidade de reposicionamento.
Outras possíveis complicações são: lesão de germes dentários em desenvolvimento e infecção nos locais de inserção dos parafusos, descritas na literatura em infantes e adolescentes, sem relatos em neonatos.
Descrição Técnica
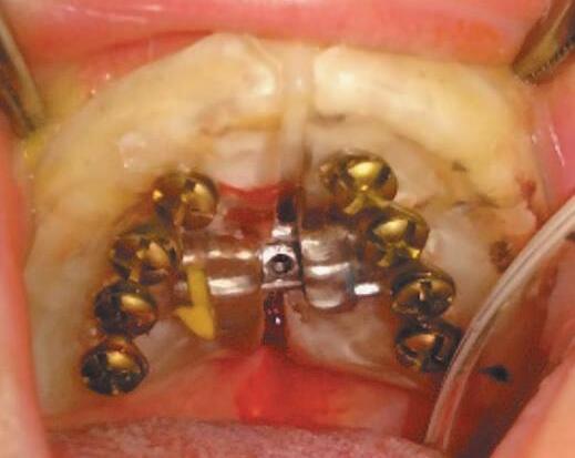
1. Moldagem da arcada superior do neonato realizada com silicone de condensação (Perfil, Vigodent, RJ) e moldeiras de acrílico perfuradas e customizadas. O modelo de gesso (tipo III, Asfer, SP) é isolado com Cel-Lac (SS White, RJ), e sobre ele é confeccionado um dispositivo em acrílico, contendo um parafuso expansor (Morelli Orthodontics, SP) e duas placas de osteossíntese (titânio, 1,5 mm) fixadas lateralmente ao parafuso expansor (Fig. 1-5).


Fig. 1-5. dispositivo em acrílico contendo um parafuso expansor (Morelli orthodontics, sP) e duas placas de osteossíntese (titânio, 1,5 mm) com quatro furos e parafusos expansores de 6,5 a 9 mm, fixadas lateralmente ao parafuso expansor.
2. O posicionamento das placas de osteossíntese no aparelho é planejado com base na TC, prevendo a fixação no palato na projeção da parede medial da maxila, com angulação precisa para evitar danos aos germes dentários. São utilizadas placas com quatro furos e parafusos expansores de 6,5 a 9 mm, dependendo da amplitude de expansão necessária.
3. A instalação do dispositivo é realizada sob anestesia geral, intubação orotraqueal fixada à esquerda para cirurgiões destros e à direita para canhotos. O paciente é posicionado em decúbito dorsal, com hiperextensão cervical.
4. Os miniparafusos de 16 mm são inseridos no palato perpendicularmente, na projeção planejada (Fig. 1-6).



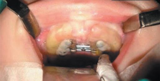
Fig. 1-7. Momento de retirada do dispositivo em bloco cirúrgico após fases ativa e passiva da expansão maxilar.

1-8. (a) Pré-operatória e (b) pós-retirada de dispositivo de expansão rápida de maxila à direita.
5. O procedimento tem tempo médio de 15 minutos.
6. Não há uso de balões, stents, splints, incisões, ressecções ou descolamento de tecidos.
7. A fase ativa da expansão inicia 24 horas após a cirurgia, com protocolo de 1/4 de volta duas vezes ao dia, durante aproximadamente 18 dias. A interrupção da fase ativa baseia-se em critérios clínicos e avaliação nasoendoscópica.
8. A fase passiva, de contenção, dura 45 dias, visando à consolidação óssea e reorganização da sutura maxilar (Fig. 1-7).
9. Ao final da expansão, nova TC pode ser realizada para mensuração objetiva do ganho de espaço aéreo (Fig. 1-4), além da avaliação clínica (Fig. 1-8).
CONSIDERAÇÕES FINAIS
Apesar da eficácia da técnica de desgaste ósseo na abertura piriforme, seus potenciais riscos e complicações levaram ao aparecimento de outras opções terapêuticas. Vários estudos demonstraram que a atresia é maxilar, não se limitando ao piriforme, mas se estendendo por quase toda a cavidade óssea nasal.12,14 A expansão rápida da maxila, com dispositivo disjuntor e ancoragem esquelética por meio de miniparafusos, com sua fundamentação anatômica, biomecânica e funcional, é menos invasiva, proporciona uma expansão tridimensional eficaz ao longo de toda a fossa nasal, produzindo uma melhora funcional consistente nas vias aéreas superiores, que se mantém ao longo de todo o período de crescimento craniofacial (Fig. 1-9). Assim, a ERM credencia-se como técnica de escolha no tratamento da ECAP.15

REFERÊNCIAS BIBLIOGRÁFICAS
1. Galeotti A, De Vincentiis GC, Sitzia E, Marzo G, Maldonato W, Bompiani G, et al. Use of an orthodontic and otolaryngological approach in an infant with holoprosencephaly. Children. 2024;11(5).
2. Wine TM, Prager JD, Mirsky DM. Congenital nasal pyriform aperture stenosis: Evidence of premature fusion. Am J Neuroradiol. 2021;42(6):1163–6.
3. Vijayasekaran S. Congenital nasal piriform aperture stenosis—A new paradigm. Am J Otolaryngol Head Neck Surg. 2023;6.
4. Abelardo E, Manuelian C, Devarajan D, Jones G. Conservative management of congenital nasal pyriform aperture stenosis. BMJ Case Rep. 2021;14(3).
5. Galluzzi F, Garavello W, Dalfino G, Castelnuovo P, Turri-Zanoni M. Congenital bony nasal cavity stenosis: A review of current trends. Int J Pediatr Otorhinolaryngol. 2021;144.
6. Hallikainen J, Seppa J, Kellokoski J. Novel maxillary enlargement technique in congenital nasal pyriform aperture stenosis. BMJ Case Rep. 2021;14(5).
7. Chakravarty PD, Sim F, Slim MAM, Patel N, Wynne DM, Clement WA. Congenital nasal pyriform aperture stenosis; our experience of 34 cases. Int J PediatrOtorhinolaryngol. 2023;166.
8. Moreddu E, Le Treut-Gay C, Triglia JM, Nicollas R. Congenital nasal pyriform aperture stenosis: Elaboration of a management algorithm. Int J Pediatr Otorhinolaryngol. 2016;83:7-11.

9. Naina P, Dahiya V, Irodi A, Varghese AM. Congenital nasal pyriform aperture stenosis: Same CT dimensions, varied scenarios. Indian J Radiol Imaging. 2022;32(4):591-3.
10. Heppt H, Widmann G, Riechelmann F, Runge A, Riechelmann H, Giotakis AI. CT comparison of the nasal airway anterior and posterior to the piriform aperture. Head Face Med. 2024;20(1).
11. Wood J, Van G, Meer D. Open access atlas of otolaryngology, head & neck operative surgery. [s.d.].
12. Pollaers K, Herbet E, Giblett N, Thompson A, Vijayasekaran S, Herbert H. Re-thinking congenital piriform aperture stenosis: Modern imaging demonstrates narrowing of the full nasal cavity length. Int J PediatrOtorhinolaryngol. 2022;158:111184.
13. Fernandes LQP, Vilani GNL, Pasqua BPM, André CB, Capelli J Jr. Rotational fulcrum and dentoskeletal changes after rapid palatal expansion with tooth-bone-borne (MARPE) and toothborne appliances in post-pubertal patients. Angle Orthod. 2025 Apr 17.
14. Pérez CG, Gabaldon Masse P, Cocciaglia A, Rodríguez H. Congenital pyriform aperture stenosis: Ten years experience. Acta Otorrinolaringol Esp. 2021;72. www.elsevier.es/ otorrinoBRIEFCOMMUNICATION
15. Collares MVM, Tovo AHS, Duarte DW, Schweiger C, Fraga MM. Novel treatment of neonates with congenital nasal pyriform aperture stenosis. Laryngoscope. 2015 Dec;125(12):2816-9.
Uma abordagem prática, atual e abrangente de todas as áreas da Cirurgia Craniomaxilofacial.
Cirurgia Craniomaxilofacial - Técnicas em Detalhes apresenta um sólido e atualizado conteúdo. Escrito por renomados autores nacionais e estrangeiros, abrange todas as áreas da CMF: Anomalias Congênitas Maiores, Fissuras Labiopalatinas, Trauma, Anomalias do Desenvolvimento e Tumores Craniofaciais. Em todos os capítulos são analisados: a deformidade, o tipo e a classificação da anomalia; as indicações e o momento da cirurgia; as considerações sobre as vantagens e desvantagens das diferentes técnicas; o planejamento cirúrgico; os cuidados pós-operatórios; os resultados produzidos; os problemas e complicações enfrentados; e uma discussão sobre o tema.
Nas videoaulas de cada capítulo, o autor explica um pouco mais sobre o descrito no texto, assim como as nuances de outras abordagens mais comuns para a anomalia apresentada. Os vídeos de técnica cirúrgica fornecem o passo a passo cirúrgico e dicas de técnicas que os autores consideram como as mais relevantes sobre cada assunto.
Esta obra supre, com qualidade, abrangência e pluralidade, temas específicos para o aprendizado na Cirurgia Plástica, Otorrinolaringologia, Cirurgia de Cabeça e Pescoço, Cirurgia Bucomaxilofacial, Neurocirurgia e na própria Cirurgia Craniomaxilofacial.
Online em MedOne
Acesse o conteúdo complementar online através dos QR codes específicos no texto.
ISBN 978-65-5572-382-3
www.Thieme.com.br