TB 4 - 2023

Page 1

Tema

Implantatindsættelse i den atrofiske posteriore mandibel

IMPLANTATER:

Sådan opnår du et holdbart behandlingsresultat

Implantatindsættelse Behandlingsplanlægning Korte implantater Vertikal knogleopbygning N. alveolaris inferior

TANDLÆGEFORENINGENS MEDLEMSBLAD DANISH DENTAL JOURNAL N°04 ∕ APRIL 2023 #127
+
T

Nyt aftenkursus:

De nye retningslinjer for fjernelse af visdomstænder

Vil du også opdateres på de nye retningslinjer for fjernelse af visdomstænder, så udbyder NORD Specialtandlæger nu et spændende aftenkursus om emnet.

På kurset vil Malene Hallund og NORDs kirurgiske team af specialtandlæger foretage live-kirurgi med amotio, gennemgå de nye retningslinjer og indikationer for profylaktisk fjernelse af visdomstænder samt give teoretisk gennemgang af lejring, sværhedsgrad og kirurgiske teknikker.

Kurset afholdes som et aftenkursus i NORD Specialtandlægers state-of-the-art digitale undervisningsfaciliteter i de nybyggede kliniklokaler i Kongens Lyngby.

Vælg mellem to datoer:

Onsdag d. 21. juni, kl. 17 -21

Tirsdag d. 27. juni, kl. 17 -21

Pris: 2.800 kr. (inkl. en let aftensmad)

Tilmelding på NORD.dk/kurser

Åben for tilmelding

Nord Specialtandlæger samarbejder med Sundhed+. Som Sundhed+ Partner får du derfor 25 % rabat på kursusprisen.

Læs mere om Sundhed+ og opret din klinik gratis på sundhedplus.dk eller kontakt

Sundhed+ på tlf. 82 82 83 83.

NORD.DK HENVISNINGSKLINIK

Attraktiv rabatordning (individuel)

Nordenta

Favoritkøb

Din genvej til mere tid og plads

Fagligt kompetente medarbejdere

Mere end 17.000 varenumre Dag til dag

levering

Nordenta

Forbrugsvarer

Bestil inden kl. 13.00 – så leverer vi næste dag

Prismatch

Vi matcher selvfølgelig laveste pris på det danske marked Konvertering af varenumre

Det er nemt at blive kunde

TopDent – høj kvalitet til lav pris

Det er nemt at handle med Nordenta

Vi gør det nemt for dig at drive en tandklinik gennem driftsorienterede fordele.

Nordenta er totalleverandøren med de bedste løsninger, der sikrer dig optimal effektivitet og en god økonomi på klinikken.

Ring til vores kompetente medarbejdere på tlf. 87 68 16 11 – tast 1.

Bestil online på nordenta.dk eller via Nordenta Appen.

Det er nemt at handle med Nordenta
Nordenta A/S | Tlf. 87 68 16 11 | www.nordenta.dk

REDAKTION

Nils-Erik Fiehn

Lektor, dr.odont.

Ansvarshavende og

faglig-videnskabelig redaktør nef@tdl.dk

Bjarne Klausen Tandlæge, dr.odont. Faglig konsulent

FAGREDAKTION

Palle Holmstrup Professor, dr.odont.

Lise-Lotte Kirkevang Lektor, dr.odont.

DET VIDENSKABELIGE PANEL

Gitte Almer Nielsen Adm. redaktør, gan@tdl.dk

Anne Burlund Redaktionssekretær og journalist, abu@tdl.dk

Nanna Fløjborg Journalist, nfl@tdl.dk

Louise Lynggaard Rosenmejer Nielsen Stud.medhjælp, lln@tdl.dk

Søren Schou Specialtandlæge, dr.odont.

Lene Baad-Hansen, Erik Dabelsteen, Jon E. Dahl, Ellen Frandsen Lau, Dorte Haubek, Anne Havemose-Poulsen, Palle Holmstrup, Siri Beier Jensen, Mats Jontell, Lise-Lotte Kirkevang, Björn Klinge, Gulnoush Bahrami Møller, Anne Marie L. Pedersen, Søren Schou, Gunhild V. Strand, Svante Twetman, Ann Wenzel, Esben Boeskov Øzhayat

MANUSKRIPTVEJLEDNING

Videnskabelige manuskripter sendes til den faglig-videnskabelige redaktør på nef@tdl.dk. Find i øvrigt Tandlægebladets manuskriptvejledninger på Tandlægebladet.dk under menupunktet “Om Tandlægebladet”

ANNONCER

Stillingsannoncer og kollegiale henvendelser: Marketingkonsulent Tina Andersen ta@tdl.dk Produkt- og leverandørannoncer varetages af DG Media, Heidi Dyhr, tlf. 2834 2921, Heidi.d@dgmedia.dk, www.dgmedia.dk

UDEBLIVER TANDLÆGEBLADET?

Klik ind på Tandlaegebladet.dk/reklamation eller skriv til tblevering@tdl.dk. Ved adresseændring skriv til medlemsregistrering@tdl.dk

UDGIVER

Tandlægeforeningen, Amaliegade 17, 1256 Kbh. K

Tandlægebladet udkommer 12 gange årligt Distribueret oplag pr. nummer: 5.491

Medlem af Danske Medier

ISSN: 0039-9153

LAYOUT OG GRAFISK PRODUKTION

Creative Zoo (AD)

vahle+nikolaisen (layout og tryk)

FORSIDE

Rasmus Juul Pedersen

TEMA

Implantatindsættelse i den atrofiske posteriore mandibel

INTERVIEW

Nye praksisser i den gamle tandlægepraksis

Det skabte store og positive forandringer på en klinik i Fredensborg, da kliniksekretæren tog et kursus på Akademiuddannelsen i Odontologisk Praksis.

indhold
FOTO: THOMAS NIELSEN FOTO: RASMUS JUUL PEDERSEN /307 /350
290 T ∕

GUIDE

Fire faktorer for holdbarhed af plastfyldninger i kindtænder

Bliv klogere på, hvilke faktorer og foranstaltninger du kan tage, for at fyldningerne holder længst muligt.

VIDENSKAB & KLINIK

Faglig leder / 307

SCHROPP L, JENSEN SS, STARCH-JENSEN T

Behandlingsplanlægning i forbindelse med implantatindsættelse i den atrofiske posteriore mandibel med fokus på den radiologiske undersøgelse / 308

JENSEN SS, SCHROPP L, STARCH-JENSEN T

Korte implantater til protetisk rehabilitering af den atrofiske posteriore mandibel / 318

STARCH-JENSEN T, SCHROPP L, JENSEN SS

Vertikal knogleopbygning af den atrofiske posteriore mandibel før implantatindsættelse ved hjælp af sandwich-osteotomi / 324

STARCH-JENSEN T, JENSEN SS

Onlay bloktransplantat eller alveolær distraktionsosteogenese til vertikal knogleopbygning af processus

alveolaris i den atrofiske posteriore mandibel / 332

STARCH-JENSEN T, KRARUP SAC, JENSEN SS

Lateralisering eller transposition af n. alveolaris inferior i forbindelse med implantatindsættelse i den atrofiske posteriore mandibel / 340

FAST STOF

Leder / 292

Update / 295

Guide / 348

Formand for OATU, Stine Brems Mørkholdt, svarer i denne måneds fagstafet på, hvordan vi kan bygge bro mellem generationerne og skabe attraktive arbejdspladser. Fleksibilitet og godt arbejdsmiljø er essentielt, mener hun.

Kom til orde / 358

Medlemsservice / 366

Et døgn med / 388

FOTO: ANDREAS BANG KIRKEGAARD FOTO: SHUTTERSTOCK /348
/356
FAGSTAFETTEN
291 2023 127 ∕ 4
”De unge er mere aktivistiske i dag”

Delegering bliver nøglen i en ny model for voksentandplejen

Behovet for en ny model for voksentandplejen er presserende. Der er grupper i befolkningen, der har et behandlingsbehov, som de ikke får dækket i dag. De kommer ikke til tandlægen – enten pga. den høje brugerbetaling, eller fordi de eksisterende tilskudsordninger ikke gælder for dem. Kort sagt: Mange af de patienter, som har allermest brug for vores hjælp, ser vi desværre ikke på klinikken.

Sådan burde det ikke være, men med den nuværende voksentandpleje er det virkeligheden. Mens vi venter på en opdateret voksentandpleje og på flere tandlæger, er jeg fortaler for, at vi løser udfordringen med de mange opgaver og de manglende tandlægehænder igennem delegering. Ved at delegere flere opgaver til det øvrige personale på klinikken kan vi hjælpe flere patienter.

Derfor tør jeg godt sige, at jeg håber, at der med en ny model for voksentandplejen følger en stor gruppe nye patienter med, som har fået tilført midler til at kunne komme til tandlægen. For selvom vi allerede har flere patienter, end vi tandlæger har tid til, så er det min overbevisning, at vi kan klare også denne gruppe af patienter ved hjælp af en ansvarlig delegering af opgaver til tandplejere og klinikassistenter.

Nogle vil måske mene, at det er at skyde sig selv i foden, når jeg som klinikejer i Region Syddanmark – regionen med størst

mangel på tandlæger – presser på for at få endnu flere patienter i stolen. Det er også derfor, vi må finde alternative løsninger på udfordringerne med at finde nok behandlere. Og her er delegering til vores andre personalegrupper nøglen.

Jeg siger ikke, at det bliver nemt med delegering, for delegering kræver efteruddannelse af kollegaerne, og at man har styr på administrationen. Der skal laves delegeringsinstrukser til hver enkelt behandling, og vi skal sikre, at vores kollegaer er fagligt kvalificeret. Derfor skal der afsættes mere tid og flere midler til efteruddannelse.

Alligevel mener jeg, at politikerne hurtigst muligt bør genoptage arbejdet med at indrette en ny voksentandpleje, hvor flere patienter kan komme til tandlægen. Det er på høje tid. Derfor er det også på Klinikejerudvalgets dagsorden til de kommende møder at komme med forslag til, hvilke elementer en ny voksentandplejemodel bør indeholde.

Ja, vi mangler tandlæger. Ja, vi har allerede flere patienter, end vi har mulighed for at behandle selv. Men der er for mange patienter med et behandlingsbehov, som ikke får den nødvendige hjælp med den nuværende voksentandpleje. Tiden kalder på en ny model, og med effektiv opgavedelegering kan vi tage hånd om også disse patienter. ♦

leder
SØREN BACH-PETERSEN formand for Klinikejerne (KEU) i Tandlægeforeningen
Det er på høje tid
292 T ∕
Vi kender tandlægernes behov Vi støtter Tandsundhed uden Grænser Tlf: 39 46 00 80 · web@tdlt.dk · www.tdlt.dk · Facebook: @tandlaegetryghed Vi gør hverdagen bedre … Cool kids via Dansk Sundhed. Hjælp til børn, der lider af angst.

Styrelse trækker flere nationale kliniske retningslinjer tilbage

SUNDHEDSSTYRELSEN HAR IKKE LÆNGERE RESSOURCER til at opdatere flere nationale kliniske retningslinjer og har derfor trukket dem tilbage. Ærgerligt, hvis penge og ikke faglighed skal afgøre behov for nationale retningslinjer, lyder det fra Tandlægeforeningens formand.

En lang række nationale kliniske retningslinjer (NKR) – herunder ”Brug af antibiotika ved tandlægebehandling” – er blevet stemplet som ”Ikke gældende” og dermed trukket tilbage. Det oplyser Sundhedsstyrelsen.

”Litteratursøgningerne er forældede, og der kan derfor være kommet ny evidens på området, som kan have indflydelse på anbefalingerne,” lyder det på Sundhedsstyrelsens hjemmeside.

En NKR er ifølge styrelsen forældet, når litteratursøgningen eller den faglige vurdering af anbefalingerne er mere end tre år gammel. NKR for ”Brug af antibiotika ved tandlægebehandling” er udarbejdet i 2016 og genvurderet i 2019, og selvom styrelsen ikke udelukker, at anbefalingerne stadig er udtryk for bedste kliniske praksis, kan styrelsen ”ikke stå inde for retningslinjen”.

Burde være myndighedsopgave

Ifølge Sundhedsstyrelsen var udarbejdelsen af de nationale kliniske retningslinjer et tidsbegrænset projekt, der løb

ud ved årsskiftet, og man har ”på nuværende tidspunkt i meget begrænset omfang mulighed for at opdatere eller udarbejde nye anbefalinger.”

I Tandlægeforeningen er formand Susanne Kleist uforstående over for styrelsens melding:

– Det undrer mig, at det ikke bliver betragtet som en myndighedsopgave at udarbejde nationale faglige retningslinjer. Det lader til, at den eneste grund til, at de bliver trukket tilbage, er, at der ikke er sat flere midler af. Og det er da ærgerligt, at det er penge og ikke et fagligt behov, der skal afgøre det, lyder det fra formanden.

NKR for indkaldeintervaller stadig gældende

Inden for odontologien er der udarbejdet tre NKR om hhv. sygdomme i væv og tandimplantater (2013), brug af antibiotika (2016 – genvurderet 2019) og indkaldeintervaller (2013 – opdateret i 2016). De to første er nu trukket tilbage pga. forældelse, mens den sidste stadig er gældende – til trods for, at også den

for længst har overskredet forældelsesfristen.

Ifølge chefkonsulent i Sundhedsstyrelsen Lene Vilstrup er den kliniske retningslinje baseret på anbefalinger og evidens i en guideline fra engelske NICE (National Institute for Health and Care Excellence), der senest i 2020 har vurderet, at der ikke var et aktuelt behov for at opdatere anbefalingerne på baggrund af nyere evidens. Sundhedsstyrelsen har derfor vurderet, at den kliniske retningslinje er gældende, og har for nærværende ikke konkrete planer om at opdatere retningslinjen.

Tandlægeforeningen har, efter at NKR om sygdomme i væv og tandimplantater blev trukket tilbage i november, igangsat et arbejde med at udvikle egne branchespecifikke kliniske anbefalinger om behandling af parodontitis. Ifølge Susanne Kleist er der dog ingen konkrete planer om at udvikle retningslinjer for andre områder. ♦

TEKST ANNE BURLUND
T ∕ nyhed 294

Ventetid for klagesager nedbragt

Ved udgangen af 2022 var sagsbehandlingstiden for en klagesag i Styrelsen for Patientklager (STPK) for første gang under det politiske mål på ni måneder. Det viser den seneste opgørelse fra STPK.

Efter at styrelsen i 2018 overtog ansvaret for klagesager over tand-

læger i privat praksis fra regionerne, eksploderede ventetiden fra 6-10 måneder til op mod 16 måneder. Den nedbragte sagspukkel glæder derfor formand i Tandlægeforeningen, Susanne Kleist.

– Det er fantastisk, at STPK er nået i mål og lidt til. Det er en stor lettelse

for både patienter og behandlere, at sagsbehandlingstiderne er så korte som muligt, da det giver usikkerhed og påvirker tandlægernes arbejdsglæde og selvtillid, når man har en klagesag hængende over hovedet. Så det er en rigtig god nyhed.

87 %

GLÆD DIG TIL TANDLÆGEFORENINGENS NYE APP, der er lige på trapperne. Her får du mulighed for at komme nemt i dialog med foreningen, få svar på dine spørgsmål og få nyheder direkte på mobilen.

Så meget er ventelisten for den kommunale børne- og ungetandpleje i Græsted blevet nedbragt siden august 2022. Dengang stod 944 børn og unge på venteliste til undersøgelse, mens antallet i marts 2023 er 123.

Ny app på vej
2022-4 2022-3 2022-2 2022-1 2021-4 2021-3 2021-2 2021-1 2020-4 2020-3 2020-2 2020-1 2019-4 2019-3 2019-2 2019-1 14,4 13,2 15,1 15,5 14,6 14,0 13,4 13,8 13,7 14,2 14,7 13,3 10,8 10,1 9,2 8,3 Målsætning på 9 mdr.
Kilde: Styrelsen for Patientklager
∕ T update 295 2023 127 ∕ 4
Gennemsnitlig sagsbehandlingstid - måneder

TILBAGEBLIK 2006

Tandlægestanden er som en solid Opel Astra

TJEK FOR EVENTUELLE BIVIRKNINGER VED DIN PATIENTS MEDICIN i pro.medicin.dk, der giver information om medicin og er udgivet af Dansk Lægemiddelinformation. Det er overraskende, hvor meget medicin der fx giver mundtørhed, hovedpine, myalgi, muskelkramper og dyskinesi og dermed er væsentlig for patientens behandling eller årsag til nogle af patientens symptomer. Lægehåndbogen på sundhed.dk er også god til at få en kort opdateret gennemgang med hensyn til patientens sygdomme og er skrevet for fagpersoner af eksperter.

SOM EN OPEL ASTRA – PÅLIDELIG, MEN USEXET. Omfattende mediestudier viser, at 10 % af en virksomheds omtale sædvanligvis er negativ. Omtalen af de danske tandlæger er overvejende positiv, og under en tiendedel af den samlede omtale har negativ karakter.

– Omtalen af tandlægestanden er meget stabil. Den ligger på et godt og roligt niveau. Hvis jeg skal bruge en sammenligning, som de fleste kan forholde sig til, så vil jeg sammenligne tandlægestanden med en nyere Opel Astra. Den kører upåklageligt og kommer gennem synshallen uden anmærkninger. Den er pålidelig og slidstærk, og man ved, hvad man har. Dermed også sagt at den hverken er sexet, aggressiv eller lynhurtig, udtaler analysechef Jan Wie.

Steinicke I. Tandlægestanden er som en solid Opel Astra. Tandlægebladet 2006:110;914..

Når tandlægen bliver patient

SIDEN APRIL 2022 HAR TANDLÆGE HENRIETTE HOLMGÅRD VÆRET IGENNEM ET ORTOKIRURGISK FORLØB på Kæbekirurgisk afdeling på Rigshospitalet. Årsagen var et åbent bid i kombination med krydsbid. Med Henriettes egne ord: ”En ortodontists værste mareridt”, da tilfredsstillende resultater er næsten umulige at opnå uden operation, og risikoen for tilbagefald er ret høj.

I forbindelse med operationen oprettede hun en Instagramprofil, der kunne dokumentere forløbet.

– Min tanke med profilen var at have et sted at gemme de mange fotos, jeg løbende tog. Og at kunne

parkere de tanker og spørgsmål, der uundgåeligt kommer under så voldsomt et forløb. Jeg har bevidst holdt tonen lødig og informativ, så det måske kunne bruges af andre. For Instagram viste sig at være et rigtig godt sted at erfaringsudveksle med andre ortognatkirurgiske patienter, fortæller Henriette Holmgård, der til daglig er klinikejer i København.

– Ortognatkirurgi må være et af de eneste behandlingsforløb, hvor begge specialer er involveret. Og hvis en patients synspunkt kan være relevant, så vil jeg gerne dele mit forløb med mine kollegaer i faget.

T ∕ update 296
Find Henriette på Instagram under profilen @dentistdoingdoublejawsurgery

PIA ROSENLUND RASMUSSEN

klinikejer hos Tandlægerne i Strømgade, om, hvordan hun tiltrækker personale til sin klinik i Hjørring

Kilde: Nordjyske Stiftstidende 602

Så mange tandlæger har fået behandlinger hos fysioterapeut og kiropraktor eller er blevet henvist til udredning/operation gennem sundhedsforsikringen hos TandlægeTryghed.

Kilde: TandlægeTrygheds

Årsberetning 2022

AF FEJLEN

Siden 2010 har det været lovpligtigt for tandlæger at rapportere utilsigtede hændelser (UTH) til Styrelsen for Patientsikkerhed. I alle fem regioner er der ansat risikomanagere, der arbejder med at øge patientsikkerheden på tandlægeområdet bl.a. ved at drage læring af utilsigtede hændelser og videreformidle denne læring til gavn for andre tandlæger. I samarbejde med regionernes risikomanagere deler vi på denne plads patienttilfælde, som er omskrevet, men baseret på lignende indrapporteringer. Du kan rapportere en UTH på dpsd.dk

Rodfilfraktur

PATIENTTILFÆLDE

Under endelig udrensning af distale rodkanal i -6 skete fraktur af filstørrelse 40. Den frakturerede filspids efterlades, da den er umulig at fjerne. Ved efterfølgende rodspidsbetændelse pga. den efterladte fil kan det ende ud med ekstraktion af tand.

LÆRING

Filfraktur er desværre en – om end sjælden – ikke ukendt komplikation i forbindelse med rodbehandling. Filene er lavet af meget fleksible materialer, og de har generelt stor modstandsdygtighed overfor frakturer. Samtidig er filene meget gracile og udsættes for slid og forholdsvis kraftige belastninger. På trods af alle forholdsreglerne vil filfrakturer ikke

kunne undgås. Der bør dog alligevel være kontrol af de brugte file og deres anvendelse. Det foreslås, at der i klinikken er en procedure for håndtering af gamle file, som indeholder, hvornår filene skiftes, og hvordan de behandles under arbejdet. Fx ”alle file kasseres efter 3 x brug”, og ”der arbejdes kun med file i fugtige kanaler”.

De fleste af de ansatte er jo i dag mødre i alderen 25-40 år. Vi skal vise, at vi prioriterer faglig udvikling, og at de også har gode muligheder for at få familieliv og arbejdsliv til at hænge sammen
LÆR
297 2023 127 ∕ 4
Foto: Dansk Endodontiforening

TANDLÆGEFORENINGEN: KOMMENDE KURSER

SVAR: Du kan vælge at få kontant udbetaling for den del af pensionen, som overstiger 15,8 %. Hvis du er i ansættelsen og giver besked senest 1. oktober, kan det træde i kraft 1. januar året efter. Vær opmærksom på, at beløbet ikke er feriepengeberettiget eller pensionsgivende.

Kontakt Tandlægeforeningen for rådgivning på tlf.: 70 25 77 11

OK23: Ny overenskomst med HK Privat sikrer mere fleksibilitet for klinikejere

1.406

OFFENTLIGT ANSAT: Hvilke ønsker har du til den kommende overenskomst?

OPTAKTEN TIL OK24 er skudt i gang, og det er nu, du som offentligt ansat kan gøre din stemme gældende. Hvilke ønsker har du til den kommende overenskomst? Og hvordan sikrer vi, at den offentlige tandpleje er et attraktivt sted at arbejde som tandlæge?

Send dine ønsker enten direkte til Tandlægeforeningen på OK24@tdl.dk eller via din tillidsrepræsentant senest 21. maj 2023

Nyt fra Tdlnet

Ansat tandlæge: Regler om seksuel chikane bliver skærpet

Ligebehandlingsloven bliver fra 1. juli 2023 ændret, så arbejdsgivers ansvar for at sikre ansatte mod seksuel chikane fremgår direkte af lovteksten Intensivt efteruddannelsesforløb i fast protetik starter igen

Tilmeld dig senest 1. maj og få styrket dine kompetencer inden for fast protetik. Forløbet strækker sig over 10 måneder fra august 2023 til maj 2024.

Klinikejer: Har du en tillidsrepræsentant?

Ved denne overenskomstforhandling er det aftalt, at tillidsrepræsentanter har ret til fri med løn til deltagelse i informationsmøder om overenskomstresultatet.

Nye honorartabeller til BUT og omsorgstandplejen

Der er kommet nye honorartabeller pr. 1. april for tandpleje omfattet af TF’s overenskomster med KL for henholdsvis børne­ og ungdomstandplejen (BUT) og omsorgstandplejen. Hent de nye honorartabeller på Tdlnet.dk.

Læs mere og tilmeld dig på Tdlnet.dk

298
klik
Odense SV Faglig Temadag II om okklusion og kæbeled Tilmeldingsfrist 8. maj Horsens Cone Beam CT kursus Tilmeldingsfrist 8. maj Odense SV Marketing for tandklinikker –Klinikadministration Tilmeldingsfrist 1. juli JUNI
JUNI 15-17 AUGUST 16 T ∕ update
Jeg er kommunalt ansat og har ret til 20,74 % arbejdsgiverbetalt pension. Kan jeg få det udbetalt som løn i stedet?
2
Det spørger I om

Celebrating 50 years of exclusive clinic solutions

Det er 50 år siden, at vi hos Danish Healthcare Design begyndte at levere inventar til tandlæger og sundhedshuse. Meget har ændret sig – og så alligevel.

Vi tror stadig på, at skræddersyede indretningsløsninger er de bedste. Vi mener også stadig at hygiejne, ergonomi, arbejdsmiljø og kompromisløst snedkerhåndværk altid bør gå op i en højere enhed. Og vi arbejder fortsat sammen med branchens

førende udstyrsleverandører. Et samarbejde, der sikrer dig den helt optimale løsning for inventar, teknik og mennesker. Sammen leverer vi stærkest.

Save the date

Vi håber, I vil være med til at fejre vores jubilæum fredag den 30. juni 2023. På dagen fejrer vi også COO, Jan Hansens 25-års jubilæum og sidste arbejdsdag inden et velfortjent otium. Tilmelding senest 23. juni på – info@dhdas.dk.

Legende let

Leg, læring og sang. Det er opskriften på at sænke forekomsten af caries markant hos børnehavebørn i Skive Kommune. I Danmark deltager 99 % af børnene i den kommunale tandpleje, hvilket betyder, at meget få børn (< 0,5 %) har fyldningskrævende caries frem til treårsalderen.

Men for tre år siden observerede Skives kommunale tandpleje en stigning i caries hos de 4-5-årige børn pga. mangelfuld tandbørstning. Tandplejen satte derfor ind for at stoppe udviklingen og besøgte en række udvalgte børnehaver over seks uger. Igennem et tværfagligt samarbejde med pædagogerne legede og sang tandplejepersonalet sammen med børnene for at lære dem om tænder og mundsundhed. Strategien var at nå forældrene ved at starte hos børnene, der om aftenen fortæller, hvad de har oplevet i løbet af dagen. Og det er netop den snak, der kan gøre, at forældrene tager mere ansvar for børnenes tandbørstning.

Og indsatsen har virket. Antallet af 4-5-årige skibonitter med caries er nu faldende, og børnene – som seksårige Liam Skjød – er mere trygge ved tandlægebesøg, fordi velkendte tandplejere, som Anette Moltzau Pedersen på billedet her, har leget og sunget med dem i børnehaven. Indsatsen fortsætter i nye børnehaver, så tandplejen kan nå ud til så mange af kommunens børn som muligt. ♦

T ∕ detaljen 300
301 2023 127 ∕ 4

Parodontitis: Motion er gavnligt, hårdt fysisk arbejde er skadeligt

FYSISK AKTIVITET ER SUNDT, hvis den foregår i fritiden i form af sport, motion eller bare en rask gåtur. Motion styrker kredsløbet og reducerer mængden af lavgraderet systemisk inflammation, og personer, der ikke motionerer, har højere forekomst af hjerte-kar-sygdomme, type 2 diabetes mellitus, cancer og depression end fysisk aktive.

Derimod kan fysisk hårdt arbejde med fx tunge løft, statisk arbejde og hyppigt gentagne bevægelser være skadeligt for helbredet, og personer med den type arbejde har højere forekomst af en række sygdomme.

Det har hidtil været uafklaret, om fysisk aktivitet kan påvirke udviklingen af parodontitis, bl.a. fordi man i tidligere studier ikke har skelnet mellem fysisk aktivitet i fritiden og i relation til arbejdet. En ny italiensk tværsnitsundersøgelse tyder imidlertid på, at devisen om, at motion er sundt, og fysisk hårdt arbejde er skadeligt, også gælder for parodontitis.

Undersøgelsen er baseret på data fra den store amerikanske befolkningsundersøgelse NHANES. I alt indgår oplysninger fra 10.679 voksne personer, som har fået fuld parodontalundersøgelse og desuden er adspurgt om fysisk aktivitet.

Høj fysisk aktivitet i fritiden synes at have en beskyttende effekt mod parodontitis (OR = 0,81), mens høj fysisk aktivitet på arbejdet var en signifikant risikoindikator (OR = 1,16).

Kombinationen af lav aktivitet i fritiden og høj aktivitet på arbejdet var ekstra uheldig, idet personer med dette aktivitetsmønster havde betydeligt forhøjet risiko for svær parodontitis (OR = 1,66).

Forfatterne anfører, at disse resultater i nogen grad kan forklares ud fra systemisk inflammation, BMI og komorbiditet.

fodbold i 2021 var en supersprederbegivenhed

RESULTATET AF EN FODBOLDKAMP foreligger efter godt 90 minutter og offentliggøres på alle platforme umiddelbart efter sidste fløjt. Helt så hurtigt går det ikke med videnskabelige resultater. Tyske forskere har i starten af 2023 publiceret en grundig analyse af, hvilken indflydelse EM i fodbold sommeren 2021 havde på spredningen af COVID-19 i 12 deltagerlande.

Store fodboldkampe er potentielle supersprederbegivenheder, fordi mange mennesker står eller sidder tæt sammen og jubler højlydt, ikke blot på stadion, men også ved storskærmsarrangementer og i mindre forsamlinger på værtshuse og i hjemmene.

Den EM-relaterede smittespredning var mest udtalt i England, hvor ca. 1 % af landets samlede befolkning blev smittet i perioden, og over halvdelen af tilfældene skyldtes smittekæder, der var startet i forbindelse med kampene. To afgørende faktorer var, at England nåede helt frem til finalen og dermed havde det maksimale antal kampdage, og at smitteniveauet i landet i forvejen lå højt i denne periode. Portugal slap billigst; de røg ud i ottendedelsfinalen og havde generelt et lavt smittetryk i perioden.

Skotland røg ud efter gruppespillet, men blev alligevel nummer to på smittespredningslisten. Dette skyldtes, at der blandt skotterne var overvældende interesse for arvefjendeopgøret mod England. Denne ene kamp, der i øvrigt endte 0-0, var faktisk ansvarlig for omkring 30 % af alle tilfælde i Skotland de kommende uger.

Desværre er Danmark ikke med i analysen, da vi ikke i perioden offentliggjorde daglige kønsopdelte smittetal. Et andet afgørende fund i analysen var nemlig, at der var en meget skæv kønsfordeling i smittetilfældene – et tydeligt udtryk for, at der stadig er flere mænd end kvinder, der interesserer sig for fodbold.

Marruganti C, Baima G, Grandini S et al. Leisure-time and occupational physical activity demonstrate divergent associations with periodontitis: A population-based study. J Clin Periodontol 2023. https://doi.org/ 10.1111/ jcpe.13766 [Online ahead of print].

ny viden FOTO: SHUTTERSTOCK
EM i
Dehning J, Mohr SB, Contreras S et al. Impact of the Euro 2020 championship on the spread of COVID-19. Nature Commun 2023;14:122.
303 ∕ T 2023 127 ∕ 4
Høj fysisk aktivitet i fritiden synes at have en beskyttende effekt mod parodontitis

Komposit er mere syreresistent end glasionomer

GASTROØSOFAGEAL REFLUKSSYGDOM (GERD) er en tilstand, hvor ventrikelindhold lejlighedsvis over en længere periode kommer i kontakt med tænder og mundslimhinde. Det er velkendt, at især mavesaftens indhold af saltsyre (HCl) kan forårsage erosion af tandvæv; men også fyldningsmaterialer bliver udsat for HCl i forbindelse med GERD. Brasilianske forskere har i et laboratoriestudie undersøgt, hvordan en række egenskaber for fem forskellige materialer påvirkes efter eksponering for HCl.

Fire forskellige kompositbaserede materialer (Admira Fusion, Activa BioActive-Restorative, Charisma, Filtek Universal Restorative/FU) og et kemisk hærdende glasionomerprodukt (Equia Forte HT Fil/EF) blev udsat for 0,06 M HCl (pH 1,2) ved 37 °C i 30 timer. Efterfølgende blev prøverne analyseret for overfladeruhed, ruhedsprofil, overfladetab, mikrohårdhed og glans (gloss) og sammenlignet med tilsvarende prøver, der ikke var blevet eksponeret for HCl.

Ingen af kompositmaterialerne mistede mikrohårdhed efter syrepåvirkningen. Kompositmaterialerne blev gennemgående kun i ringe grad påvirket af syreeksponeringen. Filtek klarede sig lidt bedre end de øvrige kompositter, idet produktet efter eksponeringen havde laveste overfladeruhed og ruhedsprofil og den højeste glans. Derimod lå Equia Forte højest på parametrene overfladeruhed, ruhedsprofil og overfladetab og lavest på glans.

Forfatterne konkluderer, at HCl kun havde minimal effekt på kompositmaterialerne, men at glasionomercement tilsyneladende ikke er et velegnet restaureringsmateriale til patienter med GERD.

kommentar

– Materialerne er blevet testet efter uafbrudt kontakt med syreopløsning i 30 timer, hvilket ifølge forfatterne skulle simulere et treårs GEDR-forløb.

Der kan sættes spørgsmålstegn ved, om den syrekoncentration (0,06 M HCl), der er anvendt i studiet, er realistisk. Saltsyrekoncentrationen er omtrent 0,16 M ved parietalcellerne og kan variere mellem 0,01 og 0,10 M i mavesækken. Syrekoncentrationen falder imidlertid yderligere i kontakt med spyt i mundhulen. Testning af forskellige saltsyrekoncentrationer ville have givet et indtryk af, hvilken rolle spytmængden spiller i processen. Materialerne er desuden blevet testet umiddelbart efter syrepåvirkning. Fremtidige undersøgelser kunne med fordel inkludere en simulation af bufferkapaciteten af humant spyt, som formodes at reducere syreskaden på glasionomercementen.

Det er velkendt, at kompositmaterialer ikke let påvirkes af syre, hvorfor kompositmaterialer fremstår mere stabile ved konstant eller hyppig forekomst af syre i tilfælde af nedsat spytsekretion eller bufferkapacitet.

Til gengæld, da glaspartiklerne i glasionomercement angribes af syren i starten af dens syre-basehærdnings-reaktion, er det ingen overraskelse, at det kemisk hærdende materiale bliver mere udsat for syreskade. Studiet viste desuden opløsning i glasionomercementens matrix.

internationalt forskningsnyt
304 T ∕
LEKTOR ANA BENETTI Odontologisk Institut, Københavns Universitet Willers AE, Branco TB, Sahadi BO JJ et al. Effect of erosive challenge with HCl on restorative materials. Clin Oral Investig 2022;26:51895203.

Sjælden resorptionstype kan opdages tidligt

EKSTERN CERVIKAL RESORPTION er en invasiv sygdom i de hårde tandvæv, som skyldes patologisk osteoklastaktivitet. Tilstanden starter i det cervikale område, og den overfladiske læsion er ofte ganske lille, men hårdtvævsdestruktionen kan sprede sig både i vertikal retning, langs tandens omkreds og ind i pulpa. I fremskredne stadier kan tanden være så destrueret, at tilstanden ikke kan behandles, og tidlig diagnostik er derfor af afgørende betydning.

Forskere fra Institut for Odontologi og Oral Sundhed, Aarhus Universitet, og Børne- og Ungdomstandplejen, Aalborg Kommune, har gennemført en epidemiologisk undersøgelse til belysning af forekomsten af ekstern cervikal resorption blandt 17-årige i Aalborg Kommune.

Studiet er baseret på posteriore bitewings fra 5.596 unge. I alt 81.248 kindtænder kunne identificeres på optagelserne. 41 patienter havde forandringer, der kunne tyde på ekstern cervikal resorption, og af disse tog 32 mod tilbuddet om supplerende CBCT-undersøgelse. Ved hjælp af CBCT kunne man henføre 24 patienter (27 tænder) til andre diagnoser (fx caries, mineralisationsdefekter eller rodkonkaviteter), mens otte patienter (ni tænder) fik bekræftet diagnosen ekstern cervikal resorption. Prævalensen kunne dermed beregnes til 0,18 %.

Forfatteren konkluderer, at prævalensen af ekstern cervikal resorption er meget lav blandt 17-årige; men da tidlig diagnostik er afgørende for vellykket behandling af tilstanden, anbefaler de, at bitewings, der optages med andre formål (fx cariesdiagnostik), undersøges nøje for eventuel forekomst af ekstern cervikal resorption.

Spyttets mikrobiota afspejler livsstil og helbred

SPYTTETS MIKROBIOTA er en blanding af mikroorganismer fra bl.a. tunge, tonsiller, svælg og tændernes biofilm. Undersøgelse af spyttets mikrobiota kan måske på sigt anvendes til diagnostik af en række sygdomme, herunder bl.a. caries, parodontitis og hjerte-kar-sygdomme. Ifølge et nyt dansk studie kan en spytprøve også give indsigt i en persons livsstil. Studiet er gennemført af forskere fra Odontologisk Institut (Københavns Universitet) og syv andre afdelinger i Danmark og Schweiz. Spytprøver fra 746 personer er blevet karakteriseret ved hjælp af 16s rRNA sekventering, og desuden er der indhentet oplysninger om en række sundhedsparametre og livsstilsfaktorer.

Resultaterne viste en beskeden, men signifikant sammenhæng mellem salivas mikrobiologiske sammensætning og personernes glykæmiske status, hæmoglobin-A1c (HbA1c), køn, rygevaner samt ugentligt indtag af alkohol (variansanalyse; P < 0,05).

Selvom rygning kun kunne forklare 3,3 % af variationen i spyttets mikrobiologiske sammensætning, var det alligevel muligt at skabe en model, der kunne forudsige personernes rygerstatus med en korrekt klassifikationsrate på hele 79,6 %. Tidligere studier har vist, at manifest parodontitis og caries har meget stærkere sammenhæng med sammensætningen af spyttets mikrobiota end rygning; men forskerne understreger, at der må flere studier til, før man kan sige, om spyttets mikrobiota kan anvendes som diagnostisk biomarkør for prækliniske stadier af parodontitis og caries.

dansk forskningsnyt
Suhr Villefrance J, Wenzel A, Kirkevang L-L, Væth M, Christensen J, Matzen LH. Early detection of external cervical resorption in posterior teeth: a radiographic, cross-sectional study of an adolescent population. Dentomaxillofac Radiol 2022;20220223. [Online ahead of print]. Poulsen CS, Nygaard N, Constancias F, Stankevic E, Kern T, Witte DR, Vistisen D, Grarup N, Pedersen OB, Belstrøm D, Hansen T. Association of general health and lifestyle factors with the salivary microbiota – Lessons learned from the ADDITION-PRO cohort. Front Cellular Infect Microbiol 2022;12:1055117.
FOTO: SHUTTERSTOCK 305 ∕ T 2023 127 ∕ 4
41 patienter havde forandringer, der kunne tyde på ekstern cervikal resorption
Primescan Connect™ Easy scan, seamless collaboration The benefits of one of the leading intraoral scanners on the market are now available in a laptop configuration. Fast, accurate, comfortable and flexible: Primescan Connect provides an easy entry into digital dentistry. Now you can focus even more on what matters most: your patients. Visit dentsplysirona.com/primescan-connect to learn more. Let’s Connect! #PrimescanConnect

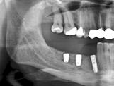
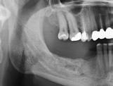
Tema: Implantatindsættelse i den atrofiske posteriore mandibel

Implantatindsættelse i den atrofiske posteriore mandibel kan være umulig eller vanskelig som følge af reduceret afstand fra toppen af processus alveolaris til den øvre begrænsning af canalis mandibulae. Indsættelse af korte implantater, vertikal knogleopbygning før implantatindsættelse ved hjælp af sandwich-osteotomi, onlay bloktransplantat og alveolær distraktions-osteogenese eller lateralisering eller transpositionering af n. alveolaris inferior med samtidig indsættelse af standardlængde implantater er de hyppigst anvendte kirurgiske teknikker til protetisk rehabilitering af den atrofiske posteriore mandibel. Behandlingsstrategien afhænger primært af processus alveolaris’ højde samt afstanden fra toppen af processus alveolaris til den øvre begrænsning af canalis mandibulae. Kendskab til de forskellige behandlingsmetoder og begrænsninger er derfor vigtigt i forbindelse med planlægning og udførelse af implantatbehandling i den atrofiske posteriore mandibel for at opnå et forudsigeligt og holdbart behandlingsresultat med mindst risiko for komplikationer.

Formålet med nærværende temanummer er at præsentere den nuværende viden om principperne for behandlingsplanlægning med fokus på den radiologiske undersøgelse samt valg af relevant behandlingsstrategi i forbindelse med protetisk rehabilitering af den atrofiske posteriore mandibel. Indledningsvis omtales de ge-

nerelle aspekter for behandlingsplanlægning. Herefter beskrives den nuværende viden om protetisk rehabilitering med korte implantater. De kirurgiske teknikker til vertikal knogleopbygning før implantatindsættelse ved hjælp af sandwich-osteotomi, onlay bloktransplantat og alveolær distraktions-osteogenese vil blive beskrevet i de efterfølgende artikler. Afslutningsvis redegøres for lateralisering eller transpositionering af n. alveolaris inferior med samtidig indsættelse af standardlængde implantater.

Det er redaktionens ønske, at dette temanummer vil bibringe læserne en ajourført viden om retningslinjerne for protetisk rehabilitering af den atrofiske posteriore mandibel med orale implantater til glæde og gavn for vores patienter.

THOMAS STARCH-JENSEN

Klinisk professor, overtandlæge, Aalborg Universitetshospital

NILS-ERIK FIEHN

Ansvarshavende og fagligvidenskabelig redaktør Tandlægebladet

307 2023 127 ∕ 4
faglig leder ∕ videnskab & klinik

ABSTRACT

Atrofi af den posteriore mandibel byder på udfordringer, når en eller flere manglende tænder ønskes erstattet med en implantatbaseret protetisk restaurering. Behandlingsstrategi afhænger af flere faktorer, herunder dimensionerne af processus alveolaris samt beliggenheden af relevante anatomiske strukturer i mundbunden og mandiblen. Lokalisation af canalis mandibulae er således yderst vigtigt i forbindelse med implantatindsættelse i den atrofiske posteriore mandibel, da intraoperativ beskadigelse af n. alveolaris inferior vil medføre neurosensoriske forstyrrelser bl.a. svarende til hagen og underlæben. Omhyggelig behandlingsplanlægning inklusive radiologisk identifikation af canalis mandibulae er derfor afgørende for valg af relevant behandlingsmodalitet ved protetisk rehabilitering af den atrofiske posteriore mandibel og at gennemføre behandlingen med et forudsigeligt og sikkert behandlingsresultat med god langtidsprognose og mindst mulig risiko for komplikationer. I nærværende oversigtsartikel gennemgås forskellige metoder til vurdering af det tandløse område posteriort i mandiblen før implantatbehandling, herunder røntgenundersøgelse med særlig fokus på anvendelse af CBCT til lokalisering af canalis mandibulae.

LARS SCHROPP, lektor, tandlæge, ph.d., Sektion for Oral Radiolog og Endodontii, Institut for Odontologi og Oral Sundhed, Health, Aarhus Universitet

SIMON STORGÅRD JENSEN, professor, overtandlæge, specialtandlæge i tand-, mund- og kæbekirurgi, dr.odont., Afdeling for Kæbekirurgi, HovedOrtoCentret, Rigshospitalet, og Fagområde Oral Kirurgi, Sektion for Oral Biologi og Immunpatologi, Odontologisk Institut, Det Sundhedsvidenskabelige Fakultet, Københavns Universitet

THOMAS STARCH-JENSEN, klinisk professor, overtandlæge, specialtandlæge i tand-, mund- og kæbekirurgi, postgraduat klinisk lektor, ph.d., Kæbekirurgisk Afdeling, Aalborg Universitetshospital, og Klinisk Institut, Det Sundhedsvidenskabelige Fakultet, Aalborg Universitet

Accepteret til publikation den 3. november 2022

Tandlægebladet 2023;127:308-16

Korrespondanceansvarlig førsteforfatter: LARS SCHROPP schropp@dent.au.dk

GENERELLE BETRAGTNINGER I FORHOLD TIL BEHANDLINGSPLANLÆGNING før implantatindsættelse og relevante undersøgelsesmetoder til vurdering af processus alveolaris’ dimensioner med fokus på bredden er tidligere beskrevet i et nyligt publiceret temanummer af Tandlægebladet (1). Nærværende oversigtsartikel vil således udelukkende fokusere på de specielle udfordringer, der ses i forbindelse med implantatbehandling i den atrofiske posteriore mandibel, inklusive relevante kliniske og radiologiske undersøgelsesmetoder til identifikation af canalis mandibulae og omkringliggende anatomiske strukturer.

Som det altid gælder før tandbehandling, og specielt ved kirurgiske indgreb, er der behov for afklaring af patientens helbredsforhold og medicinforbrug ved en grundig anamnese, hvor der også bør være fokus på en forventningsafstem-

videnskab & klinik ∕ oversigtsartikel
Behandlingsplanlægning i forbindelse med implantatindsættelse i den atrofiske posteriore mandibel med fokus på den radiologiske undersøgelse
EMNEORD Cone beam computed tomography | dental implants | diagnostic techniques and procedures | inferior alveolar nerve | treatment planning
308 T ∕

ning i forhold til ønsker, behov, prognose, risici og økonomi i forbindelse med behandlingen. I den forbindelse skal alternative behandlingsmuligheder overvejes og diskuteres, herunder behovet for erstatning af manglende tænder.

Ved agenesi eller tandtab vil dimensionerne af processus alveolaris være mindskede som følge af manglende knogleudvikling eller fysiologisk resorption af den tandbærende del af kæben (2,3). Det er vist, at specielt bredden i kindtandsområdet i underkæben reduceres væsentligt efter fjernelse af tænder (4). Sufficient højde og bredde af processus alveolaris er en forudsætning for at sikre en ideel implantatplacering i kæbeknoglen og etablere grundlaget for en korrekt æstetisk og funktionel udformning af den efterfølgende protetiske erstatning med en god langtidsprognose. En mindsket afstand fra toppen af processus alveolaris til den øvre begrænsning af canalis mandibulae i forbindelse med tandtab fordrer derfor ofte anvendelse af kortere implantater eller genopbygning af processus alveolaris før eller i forbindelse med indsættelse af standardlængdeimplantater. Dimensionerne af processus alveolaris samt graden af atrofi har således væsentlig indflydelse på valg af behandlingsstrategi i den atrofiske posteriore mandibel.

En klassifikation af de tandløse kæber blev i 1988 foreslået af Cawood og Howell (5). Ifølge denne blev den tandløse posteriore mandibel inddelt i seks klasser baseret på graden af atrofi (Fig. 1). Når forholdene og pladsen er væsentligt kompromitterede i forhold til optimal indsættelse af implantater med en passende diameter og længde for den kommende protetiske restaurering, kan kirurgisk forbehandling eller alternative kirurgiske metoder være indicerede. Valget af kirurgisk teknik vil bl.a. afhænge af graden af atrofi. Forskellige behandlingsmodaliteter har tidligere været anvendt til implantatbaseret protetisk rehabilitering af den atrofiske posteriore mandibel,

inklusive indsættelse af korte implantater, sandwich-osteotomi, onlay autolog bloktransplantation, styret knogleregeneration, alveolær distraktions-osteogenese samt transposition eller lateralisering af n. alveolaris inferior (NAI). Imidlertid er den aktuelle afstand fra den øvre begrænsning af canalis mandibulae til toppen af processus alveolaris afgørende for valg af relevant behandlingsmodalitet (6).

DEN ATROFISKE POSTERIORE MANDIBEL

OG IMPLANTATINDSÆTTELSE

Kravene til længden og diameteren af implantatet, placeringen samt hældning er større i den posteriore mandibel sammenlignet med den anteriore mandibel, da tyggekræfterne og dermed belastningen af implantaterne er større. En implantatdiameter på 5-6 mm vil ofte være optimal i molarregionerne. Det betyder, at bredden af processus alveolaris gerne skal være minimum 8-9 mm i molarområderne, da diameteren af implantatet bør modsvare den tand, som implantatet skal erstatte, og hele implantatoverfladen samtidig skal være omgivet af mindst 1,5-2 mm knogle. Kravene til implantatlængden vil bl.a. afhænge af knoglekvaliteten i området planlagt for implantatindsættelse samt belastningsforholdene. Endvidere er den vertikale placering af implantatet vigtig, da en for overfladisk placering af implantatskulderen i forhold til den marginale knoglekant og slimhinden kan have negativ indflydelse på det æstetiske resultat og langtidsholdbarheden. Det æstetiske krav vil dog oftest være mindre posteriort i kæben end anteriort.

De morfologiske karakteristika for den posteriore mandibel samt tilstedeværelsen af ”kritiske” anatomiske strukturer stiller væsentlige krav til behandleren, når implantatbehandlingen skal planlægges og udføres. Kendskab til anatomien, normalanatomiske variationer samt opmærksomhed på mu-

Cawood & Howell’s klassifikation af den tandløse posteriore mandibel

Fig. 1. Mandiblen inddelt i seks klasser: Klasse I, betandet posterior mandibel. Klasse II, umiddelbart efter tandudtrækning. Klasse III, velafrundet processus alveolaris med sufficient højde og bredde. Klasse IV, knivskarp processus alveolaris med sufficient højde og utilstrækkelig bredde. Klasse V, flad processus alveolaris med utilstrækkelig højde og bredde. Klasse VI, deprimeret processus alveolaris med varierende grad af basalt knogletab.
I II
V
309 2023 127 ∕ 4
Fig. 1. The mandible graduated into six classes: Class I, dentate posterior mandible. Class II, immediately post extraction. Class III, well-rounded ridge form, adequate in height and width. Class IV, knife-edge ridge form, adequate in height and inadequate in width. Class V, flat ridge form, inadequate in height and width. Class VI, depressed ridge form, with some basalar loss evident. III IV VI

Fossa submandibularis

lige afvigelser er afgørende for at mindske risikoen for komplikationer og sikre et forudsigeligt behandlingsresultat med en god langtidsprognose (7). Intraoperative skader på nerver, kar og omliggende blødtvæv kan medføre neurosensoriske forstyrrelser svarende til bl.a. hagen og underlæben samt intra- og postoperativ blødning.

Indkærvninger i mandiblen kan ligeledes give udfordringer (8). Lingvalt i mandiblen findes konkaviteter i form af fossa

submandibularis i molarregionen og fossa sublingualis i præmolarregionen, som bl.a. indeholder blodkar og kirtelvæv (Fig. 2). Risiko for perforation til disse strukturer i forbindelse med udboring af implantatlejet er naturligvis større, når fossae er særligt udtalte. Omhyggelig palpation og evt. ”ridge mapping” (9), hvor morfologien vurderes på basis af mål af slimhindetykkelsen og en savemodel (1), samt røntgenundersøgelse er essentielt til vurdering af de anatomiske forhold.

Canalis mandibulae og foramen mentale er ligeledes strukturer, som er vigtige at identificere før indsættelse af implantater i den posteriore mandibel for at undgå skade på NAI. Man skal her være opmærksom på variationer af canalis mandibulae – fx bifide kanaler (10) eller det såkaldte ”anteriore loop” (11), som udgår fra NAI. Dette loop kan også have forskellig form og forløb.

Når der ses udtalt atrofi af mandiblen, er behandleren endnu mere udfordret end ellers, da der vil være mindre knogle til stede, og afstanden til vigtige anatomiske strukturer er mindsket. Kompleksiteten ved planlægningen af implantatindsættelse i den atrofiske posteriore mandibel er således større (12), hvorfor mere avancerede undersøgelsesmetoder kan være relevante.

VURDERING AF PROCESSUS ALVEOLARIS’ BREDDE OG AFSTAND TIL CANALIS MANDIBULAE

Som tidligere nævnt er generelle undersøgelsesmetoder til vurdering af processus alveolaris’ bredde beskrevet i en nyligt publiceret artikel i Tandlægebladet (1). I nærværende artikel vil der være fokus på metoder til bestemmelse af den vertikale dimension af processus alveolaris samt relationen til canalis mandibulae.

For at kunne vurdere den vertikale og horisontale atrofi af processus alveolaris før indsættelse af implantater med en passende længde i den posteriore mandibel er det nødvendigt at identificere toppen af processus alveolaris og den øvre be-

Målinger af pladsforholdene posteriort i en atrofisk mandibel

af processus alveolaris til canalis mandibulae på et CBCT-snit i det koronale plan (ca. 14 mm). C. Længdemål fra tværlinje (grøn), hvor bredden af processus alveolaris er 8 mm, til canalis mandibulae på samme CBCT-snit (ca. 5 mm).

Fig. 3. A. Vertical measurement from the top of the alveolar ridge to the mandibular canal in a CBCT section in the sagittal plane (approximately 13 mm). B. Vertical measurement from the top of the alveolar ridge to the mandibular canal in a CBCT section in the coronal plane (approximately 14 mm). C. Vertical measurement from horizontal line (green), where the width of the alveolar ridge is 8 mm, to the mandibular canal in the same CBCT section (approx. 5 mm).

videnskab & klinik ∕ oversigtsartikel
Fig. 2. Fossa submandibularis (markeret med pile) ses oralt i den posteriore del af mandiblen på en 3-d-model i et softwareprogram til analyse af CBCTscanninger. Fig. 2. The submandibular fossa (marked with arrows) is located lingually in the posterior part of the mandible on a 3D model in a software program for analysis of CBCT scans. Fig. 3. A. Længdemål fra toppen af processus alveolaris til canalis mandibulae på et CBCT-snit i det sagittale plan (ca. 13 mm). B. Længdemål fra toppen
310 T ∕

grænsning af canalis mandibulae. I præmolarregionen er det også relevant at identificere foramen mentale. Til det formål anvendes røntgenoptagelser, som desuden vil kunne afsløre patologiske tilstande, der skal behandles før implantatindsættelsen. Periapikale røntgenoptagelser har typisk en forholdsvis høj billedopløsning og vil i teorien være ideelle til at visualisere fx canalis mandibulae. Ulempen er den begrænsede størrelse af billedfeltet, hvorfor det kan være vanskeligt at få relevante anatomiske strukturer gengivet på billedet i hele deres udstrækning. Panoramabilleder dækker et større område af kæben og er, på trods af en lidt ringere billedopløsning i forhold til periapikale optagelser, derfor ofte oplagte ved implantatplanlægningen, specielt hvis det drejer sig om større behandlinger med indsættelse af flere implantater. Panoramabilledet giver et godt overblik over hele tandsættet og kæberne, hvormed patologiske tilstande, som skal behandles inden eventuel implantatbehandling, kan identificeres. I visse tilfælde kan det være relevant at anvende segmenterede optagelser, så man fx ved planlægning posteriort i mandiblen kan fravælge bestråling af øvrige områder og hermed reducerer stråledosis.

Da et implantat ideelt set skal være omgivet af 1-2 mm knogle langs hele implantatoverfladen, vil der i tilfælde af en smal knoglekam være risiko for, at implantatet bliver placeret dybt, hvor implantatets skulder således forsænkes i forhold til den mest marginale begrænsning af processus alveolaris. Dette kan bl.a. medføre en uhensigtsmæssig krone-implantat-ratio. Klinisk og radiologisk vurdering af knoglens bredde er derfor også nødvendig for at kunne bestemme den mest optimale implantatlængde, inklusive om der er behov for horisontal knogleopbygning enten før eller i forbindelse med implantatindsættelsen (Fig. 3). Dette er naturligvis ikke muligt med todimensionale (2-d) røntgenoptagelser, og en klinisk vurdering af breddeforholdene med palpation og evt. ”ridge mapping” (9) eller ved hjælp af tredimensionale (3-d) røntgenoptagelser vil derfor ofte være nødvendig. Det skal her nævnes, at en 3-d-optagelse også kan afklare, hvordan canalis mandibulae er orienteret i det facioorale plan, hvilket ligeledes kan influere på behandlingsplanlægningen.

Undersøgelser har vist, at canalis mandibulae er mere synlig på CBCT-snitbilleder end på panoramabilleder (13,14). En undersøgelse fandt, at canalis mandibulae og foramen mentale kunne identificeres på alle de undersøgte CBCT-billeder af yngre personer og med god visibilitet af canalis mandibulae på 51 % og foramen mentale på 98,5 % af billederne (13). På panoramabillederne kunne canalis mandibulae udelukkende identificeres på 93 % af billederne (12 % med god visibilitet) og foramen mentale på 45 % af billederne (0 % med god visibilitet). En anden undersøgelse viste endvidere, at canalis mandibulae på både CBCT- og panoramabilleder er mest synlig svarende til den distale del af kanalen, og at synligheden afhænger af kanalens forløb, hvor det var sværest at se kanaler med et lineært (lige linje, modsat et elliptisk, skeformet eller knækket) kurveforløb (14). Af og til kan det være svært at identificere canalis mandibulae i et specifikt område, hvor implantatindsættelsen er planlagt, og man kan også forveksle kanalen med et marvrum i knoglen på rekonstruerede CBCT-

klinisk relevans

Omhyggelig behandlingsplanlægning er en forudsætning for at kunne vælge den bedst mulige behandlingsstrategi i forbindelse med implantatbaseret protetisk behandling og at opnå et forudsigeligt og sikkert behandlingsresultat med en god langtidsprognose og mindst mulig risiko for komplikationer. Atrofi af den posteriore del af mandiblen giver ekstra udfordringer for behandleren, da reduceret bredde af processus alveolaris og mindsket afstand til canalis mandibulae kan vanskeliggøre implantatindsættelsen og fordre anvendelse af alternative behandlingsmetoder. I den sammenhæng er det vigtigt at have viden om relevante kliniske og radiologiske undersøgelsesmetoder, herunder styrker og svagheder, samt at vælge og udføre undersøgelserne ud fra de anbefalede retningslinjer.

tværsnitsbilleder. Et tip til, hvorledes man kan lette identifikationen, er i det koronale plan først at identificere foramen mandibulae posteriort. Herefter ”bladrer” man gennem de koronale tværsnit posteriort fra i anterior retning mod implantatstedet og holder øje med canalis mandibulae hele vejen. Alternativt kan man lokalisere foramen mentale og bevæge sig i posterior retning (Fig. 4). Ved hjælp af scanningssoftwaren kan canalis mandibulae oftest indtegnes, således at kanalen kan følges i alle snitplanerne (Fig. 4).

Udover en god visualisering af de nævnte strukturer er det naturligvis også afgørende, at måling af dimensioner og afstande er pålidelig på røntgenbillederne. Det er velkendt, at der for 2-d-optagelser ses projektionsforstørrelse (15,16). Det er vist, at en forstørrelse horisontalt og vertikalt på 5-10 % gennemsnitligt skal påregnes på periapikale optagelser med parallelteknik (17). Forstørrelsen varierer dog meget og afhænger primært af afstanden mellem objektet og receptoren. For panoramaapparatur anfører fabrikanterne typisk en forstørrelsesgrad på 20-25 % i gennemsnit, men ovennævnte undersøgelse viste, at forstørrelsen på panoramaoptagelser varierer meget fra optagelse til optagelse med forskelligheder i de to plan og i forskellige regioner (17). I den forbindelse skal det nævnes, at positioneringen af patienten i røntgenapparatet har stor betydning for projektionsforstørrelsen. Patienten skal placeres korrekt i apparatet i forhold til midterplanet (lodret), Frankfurt-horisontalplanet samt hjørnetandslyslinjen, således at kæberne ligger inden for skarphedszonen. Det er således afgørende, at der kompenseres for forstørrelsen ved målinger på billederne. En metode til dette er kuglekalibrering, hvor man ved placering af en metalkugle med kendte dimensioner (typisk Ø 5 mm) i det aktuelle område efterfølgende kan beregne den reelle forstørrelse (17). Da forstørrelsen, som sagt, varierer afhængigt af region (maksil/mandibel, anteriort/posteriort), skal kuglen placeres så tæt som muligt på det sted, hvor implantatet planlægges indsat (Fig. 5). Det betyder, at der skal anvendes en kugle for hvert implantatsted. Korrekt placering

311 2023 127 ∕ 4

videnskab & klinik ∕ oversigtsartikel

Lokalisering af canalis mandibulae

(koronalt

i en CBCT-scanning af den posteriore del af mandiblen. Foramen mentale (gul pil) kan nemt lokaliseres i snit 1, og herefter kan canalis mandibulae (markeret med gule pile) følges posteriort i de andre snit til snit 12, hvor kanalen vanskeligere kan identificeres. B. Canalis mandibulae er indtegnet med rødt i et CBCT-genereret panoramasnit. C. Den indtegnede kanal kan følges i tre udvalgte tværsnit (koronalt plan).

Fig. 4. A. Twelve cross-sections (coronal plane) in a CBCT-scan of the posterior part of the mandible. The mental foramen (yellow arrow) can easily be localized in section 1, and hereafter the mandibular canal (marked with yellow arrows) can be followed posteriorly in the other sections to section 12, where it is more difficult to identify the canal. B. The mandibular canal is drawn in red in a CBCT-generated panoramic section. C. The drawn canal can be followed in three selected cross-sections (coronal plane).

Kalibreringskugler i et panoramabillede

gælder ligeledes i faciooral retning, således at kuglen placeres svarende til den centrale del af implantatstedet, som sikrer samme afstand til receptoren ved de periapikale optagelser, eller at kugle og implantatsted begge ligger i skarphedszonen ved panoramaoptagelser.

På CBCT-optagelser ses der i praksis ingen projektionsforstørrelse, og målingerne foretaget ved hjælp af scanningssoftwarens måleværktøj anses for målfaste. I mange af softwareprogrammerne, som findes på markedet, kan man gøre brug af såkaldte implantat-attrapper i forskellige størrelser og design og derved foretage en virtuel implantatindsættelse før operationen (Fig. 6).

I en systematisk oversigtsartikel blev det konkluderet, at målenøjagtigheden for lineære målinger af processus alveolaris er høj på CBCT-billeder (18). Det blev dog også konkluderet, at CBCT både kan over- og underestimere i forhold til den anatomiske sandhed baseret på histologiske vævssnit. Hovedparten af de undersøgelser, som artiklen inkluderede, var ikkekliniske studier, og det blev understreget, at nøjagtigheden af målinger hos patienter sandsynligvis vil være mindre på grund af arte-

Fig. 4. A. Tolv tværsnit plan) Fig. 5. En metalkugle med kendte dimensioner er placeret for hver region, hvor implantatindsættelse planlægges.
312 T ∕
Fig. 5. A metal ball with known dimensions is placed for each region planned for implant placement.

Implantatattrapper indsat i koronale CBCT-snit

fakter, fx forårsaget af patientbevægelse under optagelsen (19). Det kan derfor anbefales at arbejde med en sikkerhedsmargen på ca. 2 mm til ”kritiske” anatomiske strukturer ved implantatplanlægning på CBCT-billeder. I en undersøgelse blev målinger foretaget på basis af henholdsvis CBCT og panoramabilleder sammenlignet (20). Undersøgelsen viste, at nøjagtigheden af vertikale, lineære mål i forbindelse med implantatplanlægning var tilstrækkeligt for begge modaliteter. En anden undersøgelse konkluderede, at de tilgængelige vertikale knogledimensioner for implantater posteriort i underkæben blev undervurderet på panoramabilleder i forhold til på CBCT-billeder, og sidstnævnte kunne derfor anbefales ved bestemmelse af passende implantatlængde og diameter i denne region (20). Det kan således ligeledes anbefales at anvende en sikkerhedsmargen på ca. 2 mm ved vurdering af afstanden til canalis mandibulae på panoramabilleder (21).

Et tredje vigtigt element ved planlægningen er orientering på billedet/scanningen, så stedet, hvor man planlægger indsættelse af et eller flere implantater, kan overføres til patienten i forbindelse med operationen. Til det formål kan anvendes en styreskinne, som er forsynet med markører eller borehuller. Styreskinnen placeres efterfølgende i munden ved operationen. Alternativt kan man foretage en intraoral overfladescanning af patientens tænder og kæber. En virtuel model kan fremstilles og projiceres til en CBCT-scanning (fusioneres), og implantatpositionen kan planlægges ved hjælp af computersoftware.

På basis heraf laves en virtuel guideskinne, som herefter kan printes i en 3-d-printer. En virtuel planlægning ved hjælp af computersoftware kan således foretages på forhånd, inklusive markørerne eller borehullerne i skinnen, som kan anvendes ved implantatindsættelsen.

RETNINGSLINJER FOR DEN RADIOLOGISKE

BEHANDLÆGNINGSPLANLÆGNING I FORBINDELSE MED IMPLANTATINDSÆTTELSE I DEN ATROFISKE

POSTERIORE MANDIBEL

Omhyggelig planlægning før implantatbehandling er afgørende for at kunne træffe det rigtige valg i forhold til behandlingsmetode samt sikre et forudsigeligt behandlingsresultat med en god langtidsprognose og mindst mulig risiko for komplikationer. Dimensionerne, pladsforholdene i mandiblen og afstanden fra toppen af processus alveolaris til den øvre begrænsning af canalis mandibulae er de væsentlige parametre, som har betydning for valg af behandling. I dette temanummer vil tre behandlingsteknikker, som kan anvendes i den atrofiske posteriore mandibel, blive nærmere gennemgået involverende transposition eller lateralisering af NAI (ved en højde af processus alveolaris på ca. 0-4 mm), sandwich-osteotomi (højde på ca. 4-8 mm) og indsættelse af korte implantater (højde på > ca. 8 mm) (Fig. 7). De undersøgelsesmetoder, man vælger i forbindelse med behandlingsplanlægningen, skal gerne være til gavn for patienten og med færrest mulige ulemper. Man skal derfor arbejde

Fig. 6. A. Virtuel planlægning med en implantatattrap (5 x 7 mm) i præmolarregionen, hvor der tages hensyn til den smalle processus alveolaris og beliggenheden af canalis mandibulae (markeret med gule pile). Horisontal knogleopbygning kan være relevant i dette tilfælde for at undgå den dybe placering af implantatskulderen. B. Implantatattrap (5 x 5 mm) indsat i molarregionen med en sikkerhedsmargen til canalis mandibulae (gule pile). Fig. 6. A. Virtual planning with an implant dummy (5 x 7 mm) in the premolar region, where the narrow alveolar ridge and the location of the mandibular canal (marked with yellow arrows) are taken into account. Horizontal bone augmentation may be relevant in this case to avoid the deep placement of the implant shoulder.
313 2023 127 ∕ 4
B. An implant dummy (5 x 5 mm) placed in the molar region with a safety margin to the mandibular canal (yellow arrows).

Behandlingsretningslinjer

efter ALADA (As Low As Diagnostically Acceptable)-princippet (22), hvor indikationerne for en given undersøgelse og den anvendte protokol nøje skal overvejes, så man derigennem tilstræber dosisoptimering.

Ved CBCT udsættes patienten for en betydelig højere effektiv stråledosis, som ligger på 5-1000 µSv afhængigt af fabrikat og apparatindstillinger (23), end ved en panoramaoptagelse (typisk < 10 µSv). Vælges CBCT, skal man derfor reducere den effektive stråledosis så vidt muligt ved at anvende hensigtsmæssige optagelsesparametre, fx billedopløsning/voxelstørrelse, strømstyrke, spænding, eksponeringstid og strålefelt (field-ofview, FOV) (24).

I en systematisk oversigtsartikel blev det foreslået, at en tilstrækkelig god diagnostisk billedkvalitet i forbindelse med implantatplanlægning (18) kan opnås ved en voxelstørrelse på 0,3-0,4 mm. Kun få undersøgelser har vurderet brugen af low-dose og ultralow-dose protokoller i forbindelse med behandlingsplanlægning før implantatindsættelse, inklusive visualisering af relevante anatomiske strukturer (25-28), mens flere producenter af CBCT-udstyr de seneste år har promoveret deres scannere netop mhp. denne feature. Low-dose protokoller indebærer oftest, at der justeres på strømstyrken (mA), voxelstørrelsen, rotationsgraden og antallet af projektioner, men sjældnere på spændingen (kV) for at opnå dosisreduktion (29). En nyligt publiceret oversigtsartikel om anvendelse af low-dose protokoller for CBCT inden for forskellige dentale specialer konkluderede, at de fleste publicerede undersøgelser er ikkekliniske, og at der ikke findes retningslinjer fra myndighedsorganer om brugen af low-dose CBCT (29). For nuværende er der derfor ikke evidens for, at scanning med lav eller ultralav dosis giver tilstrækkelig god billedkvalitet til planlægning af

implantatbehandlinger. I den forbindelse skal det pointeres, at bifund, dvs. afvigelser og patologiske forhold, ofte gøres i et scanningsvolumen. For at kunne diagnosticere disse bifund er den opløsning, man har valgt til implantatplanlægningen, ikke altid sufficient, og en ekstra scanning kan derfor blive nødvendig. Man skal derfor overveje, om man i alle tilfælde skal scanne med en lidt højere opløsning end måske nødvendigt for den primære opgave, eller om man i specifikke tilfælde vil supplere med en ny scanning, hvis dette viser sig påkrævet i diagnosticeringssammenhæng. Denne beslutning kan bl.a. bero på patientens alder, da yngre patienter er mere strålefølsomme, og der hos disse typisk ses færre patologiske forandringer. Med den fortsatte hastige udvikling af CBCT-teknikken, som pågår i disse år, må det forventes, at man på sigt vil kunne øge billedkvaliteten ved lav dosis og dermed retfærdiggøre brugen af CBCT som standardoptagelse og som afløser for 2-d-optagelser.

En anden metode til at begrænse strålemængden er at vælge et passende strålefelt (FOV). Tilsvarende ved segmentering af panoramaoptagelser bestråles kun den relevante del af kæben, samtidig med at man undgår at skulle beskrive et større scanningsvolumen end nødvendigt. Man skal være opmærksom på, at det er et lovkrav, at hele volumenet bliver beskrevet og ikke kun de fund, der er relevante for implantatplanlægningen. Kvaliteten af scanningen bliver normalt også bedre ved at vælge et mindre FOV, da billedopløsningen ofte vil være højere. Er der behov for implantatbehandling posteriort i begge sider af underkæben, kan det derfor anbefales at optage to separate scanninger i sideregionerne fremfor at tage en enkelt scanning af hele underkæben.

EAO (European Association for Osseointegration) har i forbindelse med en konsensus-konference i 2011 beskrevet ret -

videnskab & klinik ∕ oversigtsartikel
314 T ∕
Fig. 7. Anbefalede behandlingsretningslinjer for implantatindsættelse i den atrofiske posteriore mandibel. Fig. 7. Recommended treatment guidelines for implant placement in the atrophic posterior mandible.

ningslinjer for ”diagnostic imaging” i forbindelse med diagnostik og planlægning af implantatindsættelse (30). Kortfattet kan her nævnes, at konklusionen var, at der i de fleste tilfælde kun er behov for at supplere med en CBCT-undersøgelse, hvis tilstrækkelig information ikke kan opnås ved den kliniske undersøgelse og periapikale optagelser og/eller panoramarøntgenbilleder, evt. kombineret med ridge mapping og savemodel.

I den atrofiske posteriore mandibel, som er karakteriseret ved en væsentlig reduktion af processus alveolaris’ dimensioner og formindsket plads til implantater, skønnes det, at CBCT ofte er indiceret ved behandlingsplanlægningen, da dette værktøj bedst kan visualisere de relevante anatomiske strukturer og give pålidelige mål, samtidig med at knoglens bredde kan bestemmes.

SAMMENFATNING

Behandlingsplanlægning før implantatindsættelse i den atrofiske posteriore mandibel indebærer nøje vurdering af knoglebredden og -højden, inklusive afstanden til canalis mandibulae. Dimensionerne af processus alveolaris og pladsforholdene kan bl.a. have betydning for valget af behandlingsmetode. Et hensigtsmæssigt valg af undersøgelsesmetode, herunder røntgenoptagelser, er afgørende for ikke at udsætte patienten for unødig røntgenbestråling samt at minimere risikoen for neurosensoriske forstyrrelser som følge af nerveskade eller intraoperative blødninger. Det kan således konkluderes, at CBCT-scanning ofte er indiceret i forbindelse med implantatindsættelse i den atrofiske posteriore mandibel med henblik på vurdering af dimensionerne af processus alveolaris, inklusive visualisering af canalis mandibulae samt nærliggende anatomiske strukturer.

TREATMENT PLANNING IN RELATION TO IMPLANT PLACEMENT IN THE ATROPHIC POSTERIOR MANDIBLE WITH FOCUS ON THE RADIOGRAPHIC EXAMINATION

Atrophy of the posterior mandible presents challenges, when one or more teeth are to be replaced with an implant-based prosthetic restoration. The treatment strategy is influenced by several factors, including the dimensions of the alveolar ridge as well as the location of relevant anatomical structures in the floor of the mouth and the mandible. Localization of the mandibular canal is therefore of utmost importance in relation to implant placement in the atrophic posterior mandible since injury to the inferior alveolar nerve may cause neurosensory disturbances of the chin and lower lip. Thus,

LITTERATUR

1. Schropp L, Jensen SS, Starch-Jensen T. Behandlingsplanlægning før lateral genopbygning af processus alveolaris med henblik på implantatbehandling. Tandlægebladet 2022;126:410-7.

2. Jahangiri L, Devlin H, Ting K et al. Current perspectives in residual ridge remodeling and its clinical implications: a review. J Prosthet Dent 1998;80:224-37.

3. Van der Weijden F, Dell'Acqua F, Slot DE. Alveolar bone dimensional changes of post-extraction sockets in humans: a systematic review. J Clin Periodontol 2009;36:1048-58.

4. Schropp L, Wenzel A, Kostopoulos L et al. Bone healing and soft

tissue contour changes following single-tooth extraction: a clinical and radiographic 12-month prospective study. Int J Periodontics Restorative Dent 2003;23:313-23.

5. Cawood JI, Howell RA. A classification of the edentulous jaws. Int J Oral Maxillofac Surg 1988;17:232-6.

6. Felice P, Pistilli R, Zucchelli G et al. Decision criteria proposed for the treatment of vertical bone atrophies in the posterior mandible. Int J Periodontics Restorative Dent 2021;41:71-7.

7. de Souza LA, Souza Picorelli Assis NM, Ribeiro RA et al. Assessment of mandibular posterior regional landmarks using cone-

careful treatment planning, including radiological identification of the mandibular canal is essential for the selection of relevant treatment modality for prosthetic rehabilitation of the atrophic posterior mandible as well as conducting the treatment with a predictable and safe treatment outcome with a good long-term prognosis and the lowest risk of complications.

In the present review, various methods for assessment of the edentulous area in the posterior mandible prior to implant treatment, including radiographic examination with special focus on the use of CBCT for localization of the mandibular canal are presented.

beam computed tomography in dental implant surgery. Ann Anat 2016;205:53-9.

8. Herranz-Aparicio J, Marques J, Almendros-Marques N et al. Retrospective study of the bone morphology in the posterior mandibular region. Evaluation of the prevalence and the degree of lingual concavity and their possible complications. Med Oral Patol Oral Cir Bucal 2016;21:e731-6.

9. ten Bruggenkate CM, de Rijcke TB, Kraaijenhagen HA et al. Ridge mapping. Implant Dent 1994;3:179-82.

10. von Arx T, Bornstein MM. The bifid mandibular canal in three-dimensional radiography: morphologic

and quantitative characteristics. Swiss Dent J 2021;131:10-28.

11. Mishra SK, Nahar R, Gaddale R et al. Identification of anterior loop in different populations to avoid nerve injury during surgical procedures – a systematic review and meta-analysis. Oral Maxillofac Surg 2021;25:159-74.

12. Tözüm MD, Ataman-Duruel ET, Duruel O et al. Association between ridge morphology and complexity of implant placement planning in the posterior mandible. J Prosthet Dent 2021;125. doi: 10.1016/j.prosdent.2020.07.034.

13. Cantekin K, Sekerci AE, Miloglu O et al. Identification of the mandibular landmarks in a pediatric

(ENGLISH)
ABSTRACT
315 2023 127 ∕ 4

videnskab & klinik ∕ oversigtsartikel

population. Med Oral Patol Oral Cir Bucal 2014;19:e136-41.

14. Jung YH, Cho BH. Radiographic evaluation of the course and visibility of the mandibular canal. Imaging Sci Dent 2014;44:273-8.

15. Mallya SM. Projection geometry. In: Mallya SM, Lam EWN, eds. White and Pharoah's Oral Radiology: Principles and interpretation. 8th ed. St. Louis: Elsevier, 2019;81-8.

16. Devlin H, Yuan J. Object position and image magnification in dental panoramic radiography: a theoretical analysis. Dentomaxillofac Radiol 2013;42:29951683.

17. Schropp L, Stavropoulos A, Gotfredsen E et al. Calibration of radiographs by a reference metal ball affects preoperative selection of implant size. Clin Oral Investig 2009;13:375-81.

18. Fokas G, Vaughn VM, Scarfe WC et al. Accuracy of linear measurements on CBCT images related to presurgical implant treatment

planning: A systematic review. Clin Oral Implants Res 2018;29 (Supp 16):393-415.

19. Spin-Neto R, Costa C, Salgado DM et al. Patient movement characteristics and the impact on CBCT image quality and interpretability. Dentomaxillofac Radiol 2018;47:20170216.

20. Bertram F, Bertram S, Rudisch A et al. Assessment of location of the mandibular canal: correlation between panoramic and cone beam computed tomography measurements. Int J Prosthodont 2018;31:129-34.

21. Vazquez L, Saulacic N, Belser U et al. Efficacy of panoramic radiographs in the preoperative planning of posterior mandibular implants: a prospective clinical study of 1527 consecutively treated patients. Clin Oral Implants Res 2008;19:81-5.

22. Jaju PP, Jaju SP. Cone-beam computed tomography: Time to move from ALARA to ALADA. Imaging Sci Dent 2015;45:263-5.

23. Ludlow JB, Timothy R, Walker C et al. Effective dose of dental CBCT –a meta analysis of published data and additional data for nine CBCT units. Dentomaxillofac Radiol 2015;44:20140197.

24. da Silva Moura W, Chiqueto K, Pithon GM et al. Factors influencing the effective dose associated with CBCT: a systematic review. Clin Oral Investig 2019;23: 1319-30.

25. Savoldi F, Yon MJ, Kwok VM et al. Accuracy of CBCT in the identification of mental, lingual, and retromolar foramina: a comparison with visual inspection of human dry mandibles. Int J Periodontics Restorative Dent 2021;41: e277-86.

26. Horsch L, Labis C, Trebing CT et al. Predictability and image quality of low-dose cone-beam computed tomography in computer-guided implantology: An experimental study. J Dent 2021;112:103744.

27. Liljeholm R, Kadesjö N, Benchimol D et al. Cone-beam com -

puted tomography with ultra-low dose protocols for pre-implant radiographic assessment: An in vitro study. Eur J Oral Implantol 2017;10:351-9.

28. de Castro HS, Kehrwald R, Matheus RA et al. Influence of lowdose protocols of CBCT on dental implant planning. Int J Oral Maxillofac Implants 2021;36:307-12.

29. Yeung AWK, Jacobs R, Bornstein MM. Novel low-dose protocols using cone beam computed tomography in dental medicine: a review focusing on indications, limitations, and future possibilities. Clin Oral Investig 2019;23:2573-81.

30. Harris D, Horner K, Gröndahl K et al. E.A.O. guidelines for the use of diagnostic imaging in implant dentistry 2011. A consensus workshop organized by the European Association for Osseointegration at the Medical University of Warsaw. Clin Oral Implants Res 2012;23: 1243-53.

316 T ∕

Mere end 300 klinikker

tager ikke fejl...

Med PlanOrder bruger du mindre tid på at bestille varer og sparer penge på dit materialeforbrug.

Mere end 300 klinikker, store som små, nyder godt af fordelene med PlanOrder.

Derfor vi PlanOrder

Vi oplever, at vi bruger færre penge på varer end før, så det har gjort en forskel på vores årlige indkøb Greve Tandlægecenter

Efter vi har fået PlanOrder, er der frigivet tid til andre opgaver, hvilket giver god værdi for os i en travl hverdag.

Tandlæge Søren Ruf Larsen

Det er helt sikkert et kæmpe hit, som vi alle er glade for.

Tandlæge Charlotte Trolle

Jeg vil helt sikkert anbefale PlanOrder til andre klinikker – både store og små. Jeg kan ikke sige andet, end at det er genialt og smart.

Overtandlæge Kathrine Nørgaard, Tandplejehuset Hillerød

Vil du vide mere om PlanOrder? Book en uforpligtende demo på plandent.dk/planorder

Line Dalsgaard

Salgs- og projektleder PlanOrder

Sjælland/Fyn

Mobil: 31 14 73 09

line.dalsgaard@plandent.dk

Sisell Rose

PlanOrder salgskonsulent

Fyn/Jylland

Mobil: 28 10 19 49

sisell.rose@plandent.dk

Jeanette Branick

PlanOrder salgskonsulent

Fyn/Jylland

Mobil: 31 16 10 63

jeanette.branick@plandent.dk

ABSTRACT

Implantatretineret protetisk rehabilitering af den atrofiske posteriore mandibel nødvendiggør ofte, at der enten foretages vertikal knoglegenopbygning før implantatindsættelse eller indsættes korte implantater ( ≤ 7 mm). Korte implantater udgør den mindst invasive behandlingsmetode, og adskillige randomiserede kontrollerede studier samt systematiske oversigtsartikler med metaanalyser har vist høj implantatoverlevelse, begrænset marginalt knogletab og få komplikationer efter op til fem års funktionel belastning. Ud fra biomekaniske betragtninger må der eksistere en nedre grænse for længden af et implantat, der kan bære en protetisk rekonstruktion posteriort i mandiblen, og en øvre grænse for, hvor høj en protetisk rekonstruktion et kort implantat kan bære (krone-implantat-ratio).

Studier med mellemlang observationstid (fem år) har imidlertid vist høj implantatoverlevelse ved implantatlængder ned til 4 mm og krone-implantatratio > 2.

I nærværende oversigtsartikel præsenteres den nuværende viden om anvendelse af korte implantater til protetisk rehabilitering af den atrofiske posteriore mandibel.

EMNEORD Alveolar bone loss | dental implants | oral surgical procedures | treatment planning

Korte implantater til protetisk rehabilitering af den atrofiske posteriore mandibel

SIMON STORGÅRD JENSEN, professor, overtandlæge, specialtandlæge i tand-, mund- og kæbekirurgi, dr.odont., Afdeling for Kæbekirurgi, HovedOrtoCentret, Rigshospitalet og Fagområde Oral Kirurgi, Sektion for Oral Biologi og Immunpatologi, Odontologisk Institut, Det Sundhedsvidenskabelige Fakultet, Københavns Universitet

LARS SCHROPP, lektor, tandlæge, ph.d., Sektion for Oral Radiologi og Endodonti, Institut for Odontologi og Oral Sundhed, Health, Aarhus Universitet

THOMAS STARCH-JENSEN, klinisk professor, overtandlæge, specialtandlæge i tand-, mund- og kæbekirurgi, postgraduat klinisk lektor, ph.d., Kæbekirurgisk Afdeling, Aalborg Universitetshospital og Klinisk Institut, Det Sundhedsvidenskabelige Fakultet, Aalborg Universitet

Accepteret til publikation den 25. januar 2023

Tandlægebladet 2023;127:318-23

Korrespondanceansvarlig førsteforfatter: SIMON STORGÅRD JENSEN simon.storgaard.jensen@regionh.dk

INDSÆTTELSE AF IMPLANTATER MED OPTIMAL LÆNGDE for protetisk rekonstruktion i den posteriore mandibel kan vanskeliggøres af atrofi af processus alveolaris, anatomisk variation i forløbet af canalis mandibulae samt tilstedeværelse af udtalt fossa submandibularis. Der eksisterer en række kirurgiske teknikker til vertikal opbygning af den atrofiske posteriore mandibel samt til lateralisering eller transpositionering af n. alveolaris inf., som er gennemgået i nærværende temanummer (Starch-Jensen et al., de sidste tre artikler i dette temanummer). Der findes imidlertid også muligheden for indsættelse af korte implantater i det omfang, at der fortsat kan respekteres en afstand på 2 mm til den øvre begrænsning af canalis mandibulae (Fig. 1) (Schropp et al., den første artikel i dette temanummer).

Fordelene ved indsættelse af korte implantater sammenlignet med indsættelse af standardlængdeimplantater forudgået af vertikal knogleopbygning er færre kirurgiske indgreb og mindre invasiv kirurgi. Herved reduceres risikoen for komplikationer og postoperativt ubehag samt kortere samlet behandlingstid og lavere pris. Korte implantater vil alt andet lige have en

videnskab & klinik ∕ oversigtsartikel
318 T ∕

Skematisk illustration af korte implantater indsat i den posteriore mandibel

Indsættelse af korte implantater, hvor afstanden mellem toppen af processus alveolaris og den øvre begrænsning af canalis mandibulae ikke tillader indsættelse af standardlængdeimplantater. A. Kort afstand mellem toppen af processus alveolaris og den øvre begrænsning af canalis mandibulae. B. To korte implantater indsat med en sikkerhedsafstand på 2 mm til overkanten af canalis mandibulae.

Fig. 1. Placement of short dental implants in the atrophic posterior mandible with a reduced distance between the alveolar crest and the upper border of the mandibular canal not allowing placement of standard-length implants. A. Short distance from the alveolar crest to the upper border of the mandibular canal. B. Two short implants placed respecting a safety distance of 2 mm to the upper border of the mandibular canal.

reduceret forankring i kæbeknoglen sammenlignet med standardlængdeimplantater. Endvidere vil et begrænset marginalt knogletab omkring korte implantater medføre et procentuelt større forankringstab sammenlignet med standardlængdeimplantater, hvorved langtidsoverlevelsen kan blive reduceret. Endelig kan der være en bekymring for, at anvendelsen af korte implantater vil medføre en uhensigtsmæssigt stor krone-implantat-ratio, der vil kunne medføre implantattab som følge af overbelastning.

I dag eksisterer der ikke en globalt accepteret definition af længden på et kort implantat. Tidligere blev implantater < 10 mm betragtet som korte, men med øget erfaring samt med udviklingen inden for implantatmaterialer og -overflader har definitionen ændret sig. Således har indførelsen af moderat ru overflader (middelruhed: Sa > 1-2 μm), hvor man tidligere anvendte ”glatte” implantatoverflader (middelruhed: Sa < 0,5 μm), medført et betydeligt øget forankringsareal for implantaterne. I de seneste systematiske oversigtsartikler anvendes henholdsvis ≤ 6 mm (1), < 7 mm (2), ≤ 7 mm (3), < 8 mm (4) og ≤ 8 mm (5,6). Endvidere skelner en del artikler ikke mellem korte implantater indsat i maksillen og mandiblen (1,2,4,6), hvilket kan gøre tolkningen af resultaterne udfordrende. Ligeledes understøtter korte implantater ofte en koblet protetisk erstatning sammen med enten standardlængdeimplantater eller flere korte implantater, hvorfor årsagen til et eventuelt implantattab kan være vanskelig at relatere til længden på implantat eller krone-implantat-ratioen. I nærværende artikel defineres korte implantater som ≤ 7 mm, mens implantater > 7 mm betragtes som standardlængdeimplantater. Der fokuseres udelukkende på korte implantater indsat i den posteriore del af mandiblen. I teorien findes der ikke nogen nedre grænse for længden af et implantat, men der er ikke identificeret stu-

dier, der har dokumenteret anvendelsen af implantater med en længde < 4 mm.

Formålet med nærværende oversigtsartikel er at præsentere den nuværende viden om anvendelse af korte implantater til forankring af protetisk rehabilitering i den atrofiske posteriore mandibel.

IMPLANTATOVERLEVELSE

Talrige studier har dokumenteret overlevelsen af korte implantater indsat i den atrofiske posteriore mandibel (7-25) (Tabel 1). Overlevelsen af korte implantater er generelt høj (84-100 %) på kort og mellemlang sigt (op til fem år), og overlevelsen synes ikke at aftage med implantatlængden (Tabel 1). Således er femårs overlevelsen for implantater med en længde på 4 mm 92,2-100 % (8,11,15,18).

De fleste studier er randomiserede kontrollerede undersøgelser, der sammenligner indsættelse af korte implantater med implantater indsat i vertikalt opbygget knogle. Flere systematiske oversigtsartikler med metaanalyser har konkluderet, at overlevelsen af korte implantater og standardlængdeimplantater indsat i vertikalt opbygget knogle samlet set er sammenlignelig (3-5,26). To metaanalyser viser imidlertid, at risikoen for tab af korte implantater, uden at skelne mellem korte implantater indsat i maksillen og mandiblen, stiger med funktionstiden (27,28). Forekomsten af postoperative komplikationer, patientrapporteret ubehag, behandlingsvarighed og -pris er til gengæld statistisk signifikant reduceret ved anvendelse af korte implantater sammenlignet med standardlængdeimplantater indsat i vertikalt opbygget knogle (3,15,26).

Enkelte randomiserede kontrollerede undersøgelser har sammenlignet overlevelsen af korte og standardlængdeimplantater i tilfælde, hvor den vertikale afstand til canalis man-

Fig. 1.
A B 319 2023 127 ∕ 4

videnskab & klinik ∕ oversigtsartikel

Kliniske studier

Studier, hvor implantater med en længde på ≤ 7 mm er indsat i den atrofiske posteriore mandibel på >10 ptt. Hvor flere artikler rapporterer resultater fra den samme patientkohorte, er kun studiet med den længste opfølgning medtaget.

mdr.: Måneder

NR: Ikke rapporteret

PAAM: præoperativ afstand fra toppen af processus alveolaris til den øvre begræsning af canalis mandibulae

RCT: Randomiseret kontrolleret undersøgelse

Tabel 1. Korte implantater indsat i den atrofiske posteriore mandibel. Table 1. Short implanys inserted into the atrophic posterior mandible.

Antal patienter (n) Undersøgelsesdesign Antal implantater (n) PAAM (mm) Implantatlængde (mm) Krone-implantatratio Implantatoverlevelse (%) Periimplantært knogletab (mm) Followup (mdr.) Reference 40 Prospektivt 54 > 6 5 og 7 NR 84 NR 60 Perelli et al. 2011 (14) 25 Prospektivt 61 7-8 6 1,94 96,8 0,60 24 Pieri et al. 2012 (7) NR Prospektivt 28 > 6 6 NR 96,4 NR 60 Rossi et al. 2015 (17) 28 Prospektivt 86 > 5 4 NR 92,2 0,53 60 Slotte et al. 2015 (18) 18 RCT 18 NR 6 NR 94,4 NR 60 Rossi et al. 2016 (16) NR Prospektivt 23 ≥8 6 NR 91,3 NR 45 Villarinho et al. 2017 (20) 36 RCT 86 < 9 6 NR 94,2 NR 12 Bernardi et al. 2018 (9) 24 RCT 24 > 10 6 NR 87,5 NR 60 Naenni et al. 2018 (13) 11 RCT 25 < 10 4 NR 100 0,30 12 Rokn et al. 2018 (15) 20 RCT 32 5-7 5 NR 96,9 1,22 60 Esposito et al. 2019 (22) 20 RCT 41 6-8 6 NR 95,1 1,34 60 Felice et al. 2019 (24) 15 RCT 26 5-7 5 NR 92,3 1,72 60 Felice et al. 2019 (23) 21 Prospektivt 31 8 6 NR 100 0,14 60 Gulje et al. 2019 (25) 23 RCT 23 > 10 6 NR 91,3 0,28 12 Weerapong et al. 2019 (21) 18 Prospektivt 18 > 5 4 NR 100 NR 36 Leighton et al. 2020 (11) NR Retrospektivt 126 < 10 5 og 6 NR 95,8 0,54 60 Lombardo et al. 2021 (12) 20 RCT 43 5-6 4 NR 95,3 0,60 60 Barausse et al. 2022 (8) 81 Retrospektivt 248 NR 5-6 NR 97,8 1,27 58 Hakobyan et al. 2022 (10) 45 Prospektivt 64 > 6 6 NR 93,8 0,04 >60 Sui et al. 2022 (19)
320 T ∕

Patienttilfælde med korte implantater

klinisk relevans

Implantatindsættelse i den posteriore del af mandiblen kan være vanskeliggjort af atrofi eller anatomiske variationer, der reducerer knoglehøjden over canalis mandibulae. Korte implantater er en minimalt invasiv metode til protetisk rehabilitering af den atrofiske posteriore mandibel, som har vist høj implantatoverlevelse, begrænset marginalt knogletab og få komplikationer efter op til fem års funktionel belastning. Korte implantater kan derfor overvejes som alternativ til større vertikale knogleopbygninger.

lige høj implantatoverlevelse for korte og standardlængdeimplantater efter hhv. et og fem års funktionel belastning (16,21).

Det er en udfordring for tolkningen af resultaterne, at de korte implantater i nogle undersøgelser udelukkende er evalueret med enkelttandskroner (11-13,16,17,20,21,25); i andre undersøgelser er de protetiske rekonstruktioner koblet til flere korte implantater eller til standardlængdeimplantater (15,18,19), og i yderligere andre undersøgelser skelnes ikke mellem anvendelsen af de forskellige typer af suprastrukturer (8,9,14,22-24) (Fig. 2). De kraftmomenter, som de korte implantater har været udsat for, kan derfor variere betragteligt mellem undersøgelserne.

MARGINALT KNOGLENIVEAU

Fig. 2. Patient med multiple agenesier protetisk rehabiliteret med korte implantater i den atrofiske posteriore mandibel. A. Panoramabillede før implantatindsættelse viser begrænset vertikal knoglehøjde over canalis mandibulae bilateralt i mandiblen. B. Panoramabillede ved baselineundersøgelse efter montering af suprastruktur. Der er indsat to 6-mm-implantater i højre side af mandiblen til forankring af treleddet ekstensionsbro og to 6-mm-implantater i venstre side af mandiblen til forankring af to enkelttandskroner. Der ses 2-3 mm marginalt knogletab svarende til det mesiale implantat i højre side af mandiblen og 1 mm tab svarende til det distale implantat i venstre side af underkæben.

C. Panoramabillede syv år efter implantatindsættelse viser stabilt marginalt knogleniveau omkring alle indsatte implantater.

Fig. 2. Patient with multiple congenitally missing teeth prosthetically rehabilitated with short dental implants in the atrophic posterior mandible. A. Panoramic radiograph before implant placement discloses bilateral reduced vertical bone height above the mandibular canal. B. Panoramic radiograph at baseline examination after mounting the suprastructures. In the right side of the mandible, two 6-mm implants retain a three-unit cantilever fixed dental prosthesis, and in the left side, two 6-mm implants support two single crowns. A crestal bone loss of 2-3 mm is observed around the mesial implant in the right side of the mandible and a loss of 1 mm around the distal implant in the left side of the mandible. C. Panoramic radiograph seven years after implant placement showing stable crestal bone levels around all inserted implants.

dibulae var ≥ 10 mm. Opbygning af processus alveolaris var derfor ikke nødvendig (13,16,21). Et enkelt af disse studier viste signifikant reduceret overlevelse af 6 mm-implantater sammenlignet med 10 mm-implantater efter fem års funktionel belastning (91 % vs. 100 %; P = 0,036). De to øvrige studier viste

De fleste undersøgelser af korte implantater rapporterer udviklingen i det marginale knogleniveau omkring implantater over tid, men det er ikke i alle artikler, der skelnes mellem knogleniveauet omkring korte implantater indsat i mandiblen og maksillen. Generelt rapporteres det marginale knogletab omkring korte implantater indsat i den atrofiske posteriore mandibel at være lavt op til fem år efter funktionel belastning (0,04-1,72 mm) (Tabel 1). Der synes ikke at være nogen forskel i marginalt knogletab omkring korte implantater og standardlængdeimplantater indsat i ikkeopbygget knogle (13,16,21). Sammenlignet med standardlængdeimplantater indsat i vertikalt opbygget knogle, er det gennemsnitlige knogletab omkring korte implantater (< 7-8 mm) signifikant mindre (gennemsnitligt 0,60-0,77 mm efter fem år) (3,5,26).

INTRAOPERATIVE, BIOLOGISKE

OG TEKNISKE KOMPLIKATIONER

Reduceret primær stabilitet (< 25 Ncm) er den hyppigst rapporterede intraoperative komplikation ved anvendelse af korte implantater sammenlignet med standardlængdeimplantater, men denne udfordring er overvejende beskrevet i maksillen (22,23). Det kan diskuteres, om dette er en reel komplikation, da helingstiden normalt blot forlænges, og det besluttes ofte at tildække implantater med lav primær stabilitet i helingsperioden.

Hyppigheden af temporære neurosensoriske komplikationer er signifikant lavere ved anvendelse af korte implantater

A B C 321 2023 127 ∕ 4

videnskab & klinik ∕ oversigtsartikel

sammenlignet med standardlængdeimplantater indsat efter vertikal opbygning af processus alveolaris med sandwichosteotomi (3,26). Der er ikke i nogen af de sammenlignende studier rapporteret tilfælde af permanente neurosensoriske skader.

Forekomsten af periimplantitis omkring korte implantater er kun sporadisk rapporteret, men synes at være sammenlignelig med forekomsten omkring standardlængdeimplantater (29).

De hyppigste tekniske komplikationer relateret til anvendelse af korte implantater omfatter skrueløsning, decementering samt porcelænschipping. Sammenlignet med standardlængdeimplantater ses en dobbelt så høj forekomst af tekniske komplikationer ved anvendelse af korte implantater (20,30).

KRONE-IMPLANTAT-RATIO

Krone-implantat-ratio er forventeligt øget, når der indsættes korte implantater sammenlignet med standardlængdeimplantater i vertikalt opbygget knogle eller i ikkeopbygget knogle (13). Ud fra biomekaniske betragtninger må der eksistere en øvre grænse for, hvor store vertikale momenter et implantat kan tolerere, før osseointegrationen svigter, men der har hverken i de refererede studier eller i systematiske oversigtsartikler kunnet identificeres en sammenhæng mellem øget krone-implantat-ratio og risikoen for implantattab (30-32). Derimod er der rapporteret øget marginalt knogletab omkring implantater med en krone-implantat-ratio > 2 over tid (20,32), hvorfor det kan tænkes, at fremtidige langtidsstudier vil vise et øget implantat -

tab ved anvendelse af korte implantater. Et enkelt studie har vist en dobbelt så høj forekomst af tekniske komplikationer ved en krone-implantat-ratio 2 (12,5 %) sammenlignet med < 2 (6 %) efter fem års funktionel belastning (33), hvilket evt. forklares ved skrueløsninger som følge af øgede vertikale momenter. Denne forskel var dog ikke statistisk signifikant. Et enkelt femårs studie fandt, at sent tab af korte implantater ikke var f orudgået af inflammatoriske mukosale forandringer, fordybede pocher eller radiologisk knoglesvind (13). Dette blev tolket som, at årsagen skulle findes i overbelastning som følge af en uhensigtsmæssigt stor krone-implantat-ratio.

SAMMENFATNING

Korte implantater til protetisk rehabilitering af den atrofiske posteriore mandibel er karakteriseret ved en veldokumenteret høj overlevelse på > 90 % op til fem år efter funktionel belastning. Sammenlignet med standardlængdeimplantater indsat i vertikalt opbygget knogle er anvendelsen af korte implantater en billigere og hurtigere behandling, der er ledsaget af færre intraoperative komplikationer. Det tyder på, at overlevelsen af korte implantater reduceres mere over tid sammenlignet med anvendelsen af standardlængdeimplantater, og at der er en øget forekomst af tekniske komplikationer ved korte implantater. Fremtidige kontrollerede undersøgelser med langtidsopfølgning (> 5 år) med fokus på betydningen af ikkekoblede enkelttandskroner samt krone-implantat-ratio er derfor nødvendige.

SHORT DENTAL IMPLANTS FOR PROSTHETIC REHABILITATION OF THE ATROPHIC POSTERIOR MANDIBLE

Implant-supported prosthetic rehabilitation of the atrophic posterior mandible requires either vertical bone augmentation or the use of short dental implants (≥ 7 mm). Placement of short dental implants constitutes the least invasive treatment option and several randomised controlled clinical trials and systematic reviews including meta-analyses have documented high implant survival rates, limited peri-implant crestal bone

loss and few complications after up to five years of prosthetic loading. From a biomechanical point of view, a lower limit for implant lengths supporting a prosthetic reconstruction must exist as well as an upper limit for crown-to-implant ratio. However, studies with medium-range observation periods (5 years) have documented high implant survival rates of implants with a length of 4 mm and a crown-to-implant ratio of > 2. This review will present the existing evidence on the use of short dental implants for prosthetic rehabilitation of the atrophic posterior mandible.

(ENGLISH) ≥ 322 T ∕
ABSTRACT

LITTERATUR

1. Papaspyridakos P, De Souza A, Vazouras K et al. Survival rates of short dental implants (</= 6 mm) compared with implants longer than 6 mm in posterior jaw areas: A meta-analysis. Clin Oral Implants Res 2018;29 (Supp 16):8-20.

2. Lizio G, Pellegrino G, Felice P. Posterior jaws rehabilitation with < 7 nmm-short implants. A review. J Stomatol Oral Maxillofac Surg 2022;123:e45-56.

3. Terheyden H, Meijer GJ, Raghoebar GM. Vertical bone augmentation and regular implants versus short implants in the vertically deficient posterior mandible: a systematic review and meta-analysis of randomized studies. Int J Oral Maxillofac Surg 2021;50:1249-58.

4. Lemos CA, Ferro-Alves ML, Okamoto R et al. Short dental implants versus standard dental implants placed in the posterior jaws: A systematic review and meta-analysis. J Dent 2016;47:8-17.

5. Starch-Jensen T, Nielsen HB. Prosthetic rehabilitation of the partially edentulous atrophic posterior mandible with short implants (</= 8 mm) compared with the sandwich osteotomy and delayed placement of standard length implants (> 8 mm): a systematic review. J Oral Maxillofac Res 2018;9:e2.

6. Thoma DS, Cha JK, Jung UW. Treatment concepts for the posterior maxilla and mandible: short implants versus long implants in augmented bone. J Periodontal Implant Sci 2017;47:2-12.

7. Pieri F, Aldini NN, Fini M et al. Preliminary 2-year report on treatment outcomes for 6-mmlong implants in posterior atrophic mandibles. Int J Prosthodont 2012;25:279-89.

8. Barausse C, Pistilli R, Canullo L et al. A 5-year randomized controlled clinical trial comparing 4-mm ultrashort to longer implants placed in regenerated bone in the posterior atrophic jaw. Clin Implant Dent Relat Res 2022;24:4-12 (withdrawn).

9. Bernardi S, Gatto R, Severino M et al. Short versus longer implants in mandibular alveolar ridge augmented using osteogenic distraction: One-year follow-up of a randomized split-mouth trial. J Oral Implantol 2018;44:184-91.

10. Hakobyan G, Jilavyan A, Khachatryan G et al. Evaluation of the survival rate of short implants placed in the posterior atrophic mandible: 5-year clinical study. Quintessence Int 2022;53:690-6.

11. Leighton Y, Carpio L, Weber B et al. Clinical evaluation of single 4-mm implants in the posterior mandible: A 3-year follow-up pilot study. J Prosthet Dent 2022;127:80-5.

12. Lombardo G, Signoriello A, Marincola M et al. Survival rates of ultra-short (< 6 mm) compared with short locking-taper implants supporting single crowns in posterior areas: A 5-year retrospective study. Clin Implant Dent Relat Res 2021;23:904-19.

13. Naenni N, Sahrmann P, Schmidlin PR et al. Five-year survival of short single-tooth implants (6 mm): A randomized controlled clinical trial. J Dent Res 2018;97:887-92.

14. Perelli M, Abundo R, Corrente G et al. Short (5 and 7 mm long) porous implant in the posterior atrophic mandible: a 5-year report of a prospective study. Eur J Oral Implantol 2011;4:363-8.

15. Rokn AR, Monzavi A, Panjnoush M et al. Comparing 4-mm dental implants to longer implants placed in augmented bones in the atrophic posterior mandibles: One-year results of a randomized controlled trial. Clin Implant Dent Relat Res 2018;20:997-1002.

16. Rossi F, Botticelli D, Cesaretti G et al. Use of short implants (6 mm) in a single-tooth replacement: a 5-year follow-up prospective randomized controlled multicenter clinical study. Clin Oral Implants Res 2016;27:458-64.

17. Rossi F, Lang NP, Ricci E et al. Early loading of 6-mm-short implants with a moderately rough surface supporting single crowns – a prospective 5-year cohort study. Clin Oral Implants Res 2015;26:471-7.

18. Slotte C, Gronningsaeter A, Halmoy AM et al. Four-millimeterlong posterior-mandible implants: 5-year outcomes of a prospective multicenter study. Clin Implant Dent Relat Res 2015;17 (Supp 2):e385-95.

19. Sui H, Tang Z, Zhang X et al. A prospective, multicentre study of 6-mm short implants in posterior alveolar bone supporting splinted crowns: A 5-year follow-up study. J Clin Periodontol 2022;49:537-46.

20. Villarinho EA, Triches DF, Alonso FR et al. Risk factors for single crowns supported by short (6mm) implants in the posterior region: A prospective clinical and radiographic study. Clin Implant Dent Relat Res 2017;19:671-80.

21. Weerapong K, Sirimongkolwattana S, Sastraruji T et al. Comparative study of immediate loading on short dental implants and conventional dental implants in the posterior mandible: A randomized clinical trial. Int J Oral Maxillofac Implants 2019;34:141-9.

22. Esposito M, Barausse C, Pistilli R et al. Posterior atrophic jaws rehabilitated with prostheses supported by 5 x 5 mm implants with a nanostructured calciumincorporated titanium surface or by longer implants in augmented bone. Five-year results from a randomised controlled trial. Int J Oral Implantol (Berl) 2019;12:39-54.

23. Felice P, Barausse C, Pistilli R et al. Five-year results from a randomised controlled trial comparing prostheses supported by 5-mm long implants or by longer implants in augmented bone in posterior atrophic edentulous jaws. Int J Oral Implantol (Berl) 2019;12:25-37.

24. Felice P, Pistilli R, Barausse C et al. Posterior atrophic jaws rehabilitated with prostheses supported by 6-mm-long 4-mm-wide implants or by longer implants in augmented bone. Five-year post-loading results from a within-person randomised controlled trial. Int J Oral Implantol (Berl) 2019;12:57-72.

25. Guljé FL, Raghoebar GM, Vissink A et al. Single crown restorations supported by 6-mm implants in the resorbed posterior mandible:

A five-year prospective case series. Clin Implant Dent Relat Res 2019;21:1017-22.

26. Esposito M, Buti J, Barausse C et al. Short implants versus longer implants in vertically augmented atrophic mandibles: A systematic review of randomised controlled trials with a 5-year post-loading follow-up. Int J Oral Implantol (Berl) 2019;12:267-80.

27. Vazouras K, de Souza AB, Gholami H et al. Effect of time in function on the predictability of short dental implants (</= 6 mm): A meta-analysis. J Oral Rehabil 2020;47:403-15.

28. Ravida A, Wang IC, Barootchi S et al. Meta-analysis of randomized clinical trials comparing clinical and patient-reported outcomes between extra-short (</= 6 mm) and longer (>/= 10 mm) implants. J Clin Periodontol 2019;46:118-42.

29. Badaró MM, Mendoza Marin DO, Pauletto P et al. Failures in single extra-short implants (</= 6 mm): A systematic review and metaanalysis. Int J Oral Maxillofac Implants 2021;36:669-89.

30. Xu X, Hu B, Xu Y et al. Short versus standard implants for singlecrown restorations in the posterior region: A systematic review and meta-analysis. J Prosthet Dent 2020;124:530-8.

31. Padhye NM, Lakha T, Naenni N et al. Effect of crown-to-implant ratio on the marginal bone level changes and implant survival – A systematic review and metaanalysis. J Oral Biol Craniofac Res 2020;10:705-13.

32. Pellizzer EP, Marcela de Luna Gomes J, Araujo Lemos CA et al. The influence of crown-to-implant ratio in single crowns on clinical outcomes: A systematic review and meta-analysis. J Prosthet Dent 2021;126:497-502.

33. Mangano F, Frezzato I, Frezzato A et al. The effect of crown-toimplant ratio on the clinical performance of extra-short lockingtaper implants. J Craniofac Surg 2016;27:675-81.

323 2023 127 ∕ 4

ABSTRACT

Sufficient højde og bredde af processus alveolaris er en forudsætning for at sikre optimal implantatplacering i kæbeknoglen og etablere grundlaget for en æstetisk og funktionel udformning af den protetiske erstatning med god langtidsprognose. Imidlertid kan implantatindsættelse i den atrofiske posteriore mandibel være umulig eller vanskelig som følge af reduceret afstand fra toppen af processus alveolaris til den øvre begrænsning af canalis mandibulae. Vertikal knogleopbygning af processus alveolaris’ højde før implantatindsættelse ved hjælp af sandwichosteotomi og interpositionelt transplantationsmateriale foretages almindeligvis, når højden af processus alveolaris ikke tillader protetisk rehabilitering med korte eller standardlængdeimplantater, men hvor knoglehøjden muliggør en kraniel forskydning af processus alveolaris over canalis mandibulae. Langtidsundersøgelser og systematiske oversigtsartikler har vist høj overlevelse af suprastruktur og implantat, begrænset periimplantært marginalt knogletab, forudsigelig vertikal knogleopbygning af processus alveolaris og relativt få komplikationer efter sandwich-osteotomi med anvendelse af interpositionelt transplantationsmateriale. I nærværende oversigtsartikel præsenteres den nuværende viden om vertikal knogleopbygning af den atrofiske posteriore mandibel før implantatindsættelse ved hjælp af sandwich-osteotomi, og den kirurgiske procedure illustreres.

EMNEORD

Alveolar bone loss | alveolar ridge augmentation | dental implants | oral surgical procedures

sandwich­osteotomi

THOMAS STARCH-JENSEN, klinisk professor, overtandlæge, specialtandlæge i tand-, mund- og kæbekirurgi, postgraduat klinisk lektor, ph.d., Kæbekirurgisk Afdeling, Aalborg Universitetshospital, og Klinisk Institut, Det Sundhedsvidenskabelige Fakultet, Aalborg Universitet

LARS SCHROPP, lektor, tandlæge, ph.d., Sektion for Oral Radiologi, Institut for Odontologi og Oral Sundhed, Aarhus Universitet

SIMON STORGÅRD JENSEN, professor, overtandlæge, specialtandlæge i tand-, mund- og kæbekirurgi, dr.odont., Afdeling for Kæbekirurgi, HovedOrtoCentret, Rigshospitalet og Fagområde Oral Kirurgi, Sektion for Oral Biologi og Immunpatologi, Odontologisk Institut, Det Sundhedsvidenskabelige Fakultet, Københavns Universitet

Accepteret til publikation den 20. september 2022

Tandlægebladet 2023;127:324-31

Korrespondanceansvarlig førsteforfatter: THOMAS STARCH-JENSEN

thomas.jensen@rn.dk

SUFFICIENT HØJDE OG BREDDE af processus alveolaris er en forudsætning for at sikre en optimal implantatplacering i kæbeknoglen og etablere grundlaget for en korrekt æstetisk og funktionel udformning af den efterfølgende protetiske erstatning med god langtidsprognose (1). Imidlertid kan retablering af tyggefunktionen i den atrofiske posteriore mandibel ved hjælp af implantatbåret protetik være vanskelig eller umulig som følge af reduceret afstand fra toppen af processus alveolaris til den øvre begrænsning af canalis mandibulae. Forskellige kirurgiske behandlingsmetoder har været anvendt til vertikal knogleopbygning af den svært atrofiske posteriore mandibel før implantatindsættelse involverende alveolær distraktions-osteogenese, styret vævsregeneration samt onlay bloktransplantation (2-5). Imidlertid er disse kirurgiske procedurer ofte forbundet med betydelig risiko for komplikationer i form af slimhindedehiscens, infektion, eksponering af transplantationsmaterialet samt permanent påvirkning af sensibiliteten svarende til hagens

videnskab & klinik ∕ oversigtsartikel
Vertikal knogleopbygning af den atrofiske posteriore mandibel før implantatindsættelse ved hjælp af
324 T ∕

hud og underlæben (2-6). Vertikal knogleopbygning af den atrofiske posteriore mandibel før implantatindsættelse ved hjælp af sandwich-osteotomi kombineret med interpositionelt transplantationsmateriale har derfor været anbefalet for at mindske risikoen for komplikationer og simplificere det kirurgiske indgreb, såfremt protetisk rehabilitering med korte implantater ikke er en gangbar behandlingsmulighed (7-9). Vertikal knogleopbygning af processus alveolaris ved hjælp af sandwich-osteotomi er en kirurgisk procedure, hvor den øvre del af processus alveolaris i det tandløse område spaltes fra mandiblen og forskydes kranielt, således højden af processus alveolaris øges og muliggør efterfølgende indsættelse af korte eller standardlængdeimplantater. Sandwich-osteotomi fordrer en minimumshøjde af processus alveolaris på 4 mm for at kunne frigøre og eventuelt fiksere den kranielt forskudte del af processus alveolaris over canalis mandibulae (7-9). Hulrummet mellem den kranielt forskudte del af processus alveolaris og den øvrige del af mandiblen udfyldes almindeligvis med en autolog knogleblok (10). Imidlertid er udtagning af en autolog knogleblok fra hoftekammen eller underkæben forbundet med risiko for komplikationer og morbiditet svarende til donorstedet (11-13). Forskellige knogleerstatningsmaterialer i blokform anvendes derfor hyppigt som interpositionelt transplantationsmateriale i forbindelse med sandwich-osteotomi for at simplificere det kirurgiske indgreb og mindske risikoen for komplikationer (14-18).

Systematiske oversigtsartikler har vist høj overlevelse af suprastruktur og implantat, begrænset periimplantært marginalt knogletab, forudsigelig øgning af processus alveolaris’ højde og relativt få komplikationer efter vertikal knogleopbygning af den atrofiske posteriore mandibel ved hjælp af sandwichosteotomi og anvendelse af et interpositionelt transplantationsmateriale (7-9).

I nærværende oversigtsartikel præsenteres den nuværende viden om vertikal knogleopbygning af processus alveolaris i den atrofiske posteriore mandibel ved hjælp af sandwich-osteotomi før implantatindsættelse, og den kirurgiske procedure illustreres. Imidlertid er denne oversigtsartikel ikke en syste-

Medicinering

Sandwich-osteotomi med autolog knogleblok

eller knogleerstatningsmateriale

Præoperativt: Tabl. Ibuprofen 400 mg

Tabl. Panodil 1 g

Postoperativt:

matisk oversigtsartikel, der har til formål at besvare en specifik klinisk problemstilling, men en oversigtsartikel baseret på publicerede randomiserede kontrollerede undersøgelser, der sammenligner anvendelsen af autolog knogle og knogleerstatningsmateriale i blokform som interpositionelt transplantationsmateriale i forbindelse med sandwich-osteotomi i relation til andre behandlingsmetoder til vertikal knogleopbygning af den atrofiske posteriore mandibel.

KIRURGISK PROCEDURE

Vertikal knogleopbygning af processus alveolaris i den atrofiske posteriore mandibel ved hjælp af sandwich-osteotomi før implantatindsættelse foretages almindeligvis i generel anæstesi eller lokalanalgesi, eventuelt kombineret med sedering. En standardiseret vejledning til præ- og postoperativ medicinering af raske voksne personer er præsenteret i Tabel 1, og en skematisk illustration af den kirurgiske procedure er vist i Fig. 1. Anvendelse af præ- og postoperativ kortikosteroid kan i udvalgte patienttilfælde være hensigtsmæssig for at mindske postoperativ hævelse i mundbunden.

Indledningsvis lægges en incision til knoglekontakt i sulcus alveolobuccalis inferior svarende til det tandløse område under hensyntagen til lokalisationen af foramen mentale og forløbet af n. mentalis og n. buccalis. Incisionen lægges i en afstand på mindst 5 mm fra den fastbundne gingiva for at simplificere den senere suturering. Slimhinde og periost rougineres til side, hvorefter eventuelle blødtvævsrester svarende til den faciale knogleoverflade af mandiblen fjernes med rougine eller skarp ske. Slimhinden svarende til den øvre del af processus alveolaris lades være slimhindebeklædt, således at blodforsyningen ikke kompromitteres. Foramen mentale lokaliseres, og forløbet af canalis mandibulae determineres, hvorefter der med fissurbor, piezokirurgi og/eller knoglesav laves et længdegående borespor i den faciale kortikale knogle kranielt for den øvre begrænsning af canalis mandibulae og samtidig i størst mulig afstand fra toppen af processus alveolaris. Sædvanligvis anbefales en sikkerhedsafstand på 1-2 mm til canalis mandibulae. Den faciale kortikale knogle bores igennem til trabekulær knogle,

2 tabl. x 4

Præoperativt:

Tabl. Amoxicillin 2 g

Penicillinallergi:

Tabl. Clindamycin 600 mg

Postoperativt:

Ingen indikation for rutinemæssig brug af postoperativt antibiotikum

Præoperativt:

Tabl. Triazolam 0,125 mg

(vægt: 50-65 kg)

Tabl. Triazolam 0,250 mg

(vægt: 65-80 kg)

Tabl. Triazolam 0,375 mg (vægt: >80 kg)

325 2023 127 ∕ 4
Analgetika Antibiotikum Anxiolytikum
Kirurgisk intervention
Ibuprofen 400 mg, p.n. maks. 1 tabl. x 4 Tabl. Panodil 500 mg, p.n. maks.
Tabl.
Forkortelser: Tabl.: tablet, p.n.: pro necessitate (efter behov). Tabel 1. Præ- og postoperativ medicinering ved vertikal genopbygning af den atrofiske posteriore mandibel ved hjælp af sandwich-osteotomi. Table 1. Pre- and postoperative medication in conjunction with vertical bone augmentation of the atrophic posterior mandible with the use of sandwich osteotomy.

vertikal atrofi af processus alveolaris i den bagerste del af mandiblen, som umuliggør implantatindsættelse på grund af reduceret afstand mellem toppen af processus alveolaris og canalis mandibulae. B. Incision i sulcus alveolobuccalis inferior med frilæggelse af foramen mentale og n. mentalis. Slimhinde og periost rougineres til side svarende til den nedre del af mandiblen, mens den øvre del af processus alveolaris lades være slimhindebeklædt. Længdegående og vertikale borespor gennem den faciale og lingvale kortikale knogle kranielt for den øvre begrænsning af canalis mandibulae og i størst mulig afstand fra toppen af processus alveolaris. C. Den mobiliserede del af processus alveolaris frigøres skånsomt fra den øvrige del af mandiblen og forskubbes kranielt, således at højden af processus alveolaris øges. D. Hulrummet mellem den kranielt forskudte del af processus alveolaris og den øvrige del af mandiblen fyldes med et interpositionelt transplantationsmateriale for at opretholde den etablerede højde af processus alveolaris. E. Den kranielt forskubbede processus alveolaris stabiliseres almindeligvis med osteosynteseplader og skruer, såfremt tykkelsen af knoglen muliggør fiksering med skruer.

Fig. 1. A. Pronounced vertical atrophy of the alveolar ridge in the posterior part of the mandible compromising implant placement due to diminished distance between the top of the alveolar ridge and the mandibular canal. B. Lower vestibular incision exposing the mental foramen and nerve. Mucoperiosteal reflection corresponding to the lower part of the mandible without detaching the mucoperiosteum covering the transport segment. Horisontal and vertical osteotomies through the facial and lingual cortical bone above the upper border of the mandibular canal and at the largest possible distance from the top of the alveolar ridge. C. The mobilized bony segment is gently released from the mandible and raised in coronal direction, thus increasing the height of the alveolar ridge. D. The created space between the mandible and the coronally raised bony segment is filled with an interpositional grafting material to maintain the gained height of the alveolar ridge. E. The coronally raised bony segment is often stabilized with osteosynthesis plates and screws, provided that the thickness of the coronally raised bony segment allows fixation with screws.

og der fortsættes til den lingvale kortikale knogle, som helt eller delvist bores igennem under hensyntagen til nærliggende anatomiske strukturer i mundbunden. Herefter laves vertikale borespor gennem den faciale og lingvale kortikale knogle svarende til yderpunkterne af det længdegående borespor. Med mejsel eller rougine løsnes forsigtigt den kranielle del af processus alveolaris fra den resterende del af mandiblen, og den lingvale mundslimhinde rougineres forsigtigt, således at den slimhindebeklædte og mobiliserede del af processus alveolaris kan forskydes kranielt. En autolog knogleblok eller et knogleerstatningsmateriale i blokform anvendes almindeligvis som interpositionelt transplantationsmateriale mellem den mobiliserede del af processus alveolaris og øvrige del af mandiblen for at stabilisere den etablerede højde af processus alveolaris og støtte knogleregeneration. Ligeledes fikseres den mobiliserede del af processus alveolaris oftest til den øvrige del af mandiblen ved hjælp af osteosynteseplader og skruer, såfremt den kranielt forskubbede del af processus alveolaris har sufficient tykkelse til fiksering af skruerne. Det genopbyggede område

afdækkes afslutningsvist oftest med en resorberbar membran. Herefter sutureres slimhinden med resorberbar eller ikkeresorberbar sutur. Implantatindsættelse foretages som hovedregel 6-9 måneder efter sandwich-osteotomien, hvilket afhænger af det anvendte transplantationsmateriale. Illustrativt patienttilfælde er vist i Fig. 2.

OVERLEVELSE AF SUPRASTRUKTUR

En randomiseret etårs undersøgelse har vist overlevelse af suprastrukturen på 100 % efter sandwich-osteotomi med autolog knogleblok fra hoftekammen sammenlignet med 90 % ved bloktransplantat af xenogen oprindelse (15). Suprastrukturen blev mistet 11 uger efter funktionel belastning som følge af implantattab (15).

OVERLEVELSE AF IMPLANTAT

En randomiseret etårs undersøgelse har vist implantatoverlevelse på 100 % efter sandwich-osteotomi med autolog knogleblok fra hoftekammen og efterfølgende indsættelse af 18

videnskab & klinik ∕ oversigtsartikel
Skematisk fremstilling af sandwich-osteotomi til vertikal knogleopbygning af den atrofiske posteriore mandibel før implantatindsættelse
Fig. 1. A. Udtalt
326 T ∕ D E A B C

implantater sammenlignet med 95 % ved bloktransplantat af xenogen oprindelse og indsættelse af 20 implantater (15). Der var ingen signifikant forskel i implantatoverlevelsen mellem behandlingsmodaliteterne (15).

En randomiseret etårs undersøgelse har vist implantatoverlevelse på 95,5 % efter sandwich-osteotomi med autolog knogleblok fra mandiblen og efterfølgende indsættelse af 22 implantater sammenlignet med 95,5 % ved anvendelse af alloplastisk bloktransplantat og indsættelse af 22 implantater (16). Der var ingen signifikant forskel i implantatoverlevelsen mellem behandlingsmodaliteterne (16).

PERIIMPLANTÆRT MARGINALT KNOGLETAB

En randomiseret etårs undersøgelse har vist et gennemsnitligt periimplantært marginalt knogletab på 0,8 mm efter sandwichosteotomi med autolog knogleblok fra hoftekammen sammenlignet med 0,6 mm ved bloktransplantat af xenogen oprindelse (15). Der var ingen signifikant forskel i det marginale knogletab mellem behandlingsmodaliteterne (15).

En randomiseret etårs undersøgelse har vist et gennemsnitligt periimplantært marginalt knogletab på 0,8 mm efter sandwich-osteotomi med autolog knogleblok fra mandiblen sammenlignet med 0,7 mm ved anvendelse af alloplastisk bloktransplantat (16). Der var ingen signifikant forskel i det marginale knogletab mellem behandlingsmodaliteterne (16).

ØGNING AF PROCESSUS ALVEOLARIS’ HØJDE

En randomiseret etårs undersøgelse har vist en gennemsnitlig øgning af processus alveolaris’ højde på 6,5 mm efter sandwichosteotomi med autolog knogleblok fra mandiblen sammenlignet med 7,0 mm ved anvendelse af alloplastisk bloktransplantat (16). Der var ingen signifikant forskel i den gennemsnitlige øgning af processus alveolaris’ højde mellem behandlingsmodaliteterne (16).

En randomiseret undersøgelse har vist en gennemsnitlig øgning af processus alveolaris’ højde på 5,1 mm efter sandwich-osteotomi med autolog knogleblok fra hoftekammen sammenlignet med 6,2 mm ved bloktransplantat af xenogen oprindelse, efter fire måneder (19). Der var ingen signifikant forskel i øgning af processus alveolaris’ højde mellem behandlingsmodaliteterne (19).

POSTOPERATIV REDUKTION AF PROCESSUS ALVEOLARIS’ HØJDE

En randomiseret undersøgelse har vist en gennemsnitlig postoperativ reduktion af processus alveolaris’ højde på 1,1 mm efter sandwich-osteotomi med autolog knogleblok fra hoftekammen sammenlignet med 0,6 mm ved bloktransplantat af xenogen oprindelse, efter fire måneder (19). Der var ingen signifikant forskel i den postoperative reduktion af processus alveolaris’ højde mellem behandlingsmodaliteterne (19).

MÆNGDEN AF NYDANNET KNOGLE OG IKKEMINERALISERET VÆV I KNOGLESPALTEN

En randomiseret undersøgelse har vist 32,2 % nydannet knogle og 46,7 % ikkemineraliseret væv i knoglespalten efter sand-

klinisk relevans

Implantatindsættelse i den atrofiske posteriore mandibel er ofte vanskelig eller umulig som følge af reduceret afstand fra toppen af processus alveolaris til den øvre begrænsning af canalis mandibulae. Indsættelse af korte implantater, vertikal knogleopbygning før implantatindsættelse ved hjælp af sandwich-osteotomi samt lateralisering eller transpositionering af n. alveolaris inferior er de hyppigst anvendte kirurgiske teknikker til protetisk rehabilitering af den atrofiske posteriore mandibel. Sandwich-osteotomi med anvendelse af et interpositionelt transplantationsmateriale foretages almindeligvis, når højden af processus alveolaris ikke tillader protetisk rehabilitering med korte implantater, men muliggør en vertikal forskydning af processus alveolaris over canalis mandibulae, således korte eller standardlængdeimplantater efterfølgende kan indsættes.

wich-osteotomi med autolog knogleblok fra hoftekammen sammenlignet med 27,3 % og 41,0 % ved bloktransplantat af xenogen oprindelse efter fire måneder (19). Der var ingen signifikant forskel i den procentvise fordeling af nydannet knogle og ikke-mineraliseret væv mellem behandlingsmodaliteterne (19).

En randomiseret undersøgelse har vist 78,5 % nydannet knogle og 15,6 % ikke-mineraliseret væv i knoglespalten efter sandwich-osteotomi med autolog knogleblok fra mandiblen sammenlignet med 61,5 % og 29,7 % ved anvendelse af alloplastisk bloktransplantat efter seks måneder (19). Sandwichosteotomi med autolog knogleblok fra mandiblen medførte signifikant mere nydannet knogle sammenlignet med anvendelse af alloplastisk bloktransplantat (19).

KOMPLIKATIONER

Hævelse, smerter, infektion, slimhindedehiscens, påvirket sensibilitet svarende til hagens hud og underlæbe, eksponeret osteosyntesemateriale samt blottelse og eventuel afstødning af transplantationsmaterialet er kendte og velbeskrevne komplikationer efter vertikal knogleopbygning af den atrofiske posteriore mandibel ved hjælp af sandwich-osteotomi og interpositionelt transplantationsmateriale (7-9). Imidlertid er intra- og postoperative komplikationer relativt sjældent forekommende med de rette kirurgiske kompetencer, og såfremt korrekt kirurgisk teknik anvendes.

En randomiseret undersøgelse har beskrevet, at infektion og slimhindedehiscens forekom hos 20 % af patienterne efter sandwich-osteotomi med autolog knogleblok fra hoftekammen, hvilket resulterede i henholdsvis fuldstændigt og delvist tab af transplantationsmaterialet, mens mindre slimhindedehiscens forekom hos 10 % ved bloktransplantat af xenogen oprindelse (15).

Lignende randomiseret undersøgelse beskrev eksponering af osteosyntesemateriale hos 9 % af patienterne efter henholdsvis sandwich-osteotomi med autolog knogleblok fra mandiblen eller alloplastisk bloktransplantat, som blev be-

327 2023 127 ∕ 4

videnskab & klinik ∕ oversigtsartikel

Vertikal knogleopbygning af den atrofiske posteriore mandibel før implantatindsættelse ved hjælp af sandwich-osteotomi

fra toppen af

alveolaris til den øvre begrænsning af canalis mandibulae. D. Længdegående incision i sulcus alveolobuccalis inferior med frilæggelse af den nedre del af mandiblen, mens den øvre del af processus alveolaris lades være slimhindebeklædt. E. Med bor, piezokirurgi og/eller knoglesav laves længdegående og vertikale borespor gennem den faciale og lingvale kortikale knogle kranielt for den øvre begrænsning af canalis mandibulae og i størst mulig afstand fra toppen af processus alveolaris. F. Med mejsel eller rougine løsnes forsigtigt den slimhindebeklædte del af processus alveolaris fra den nedre del af mandiblen og forskydes kranielt. G. Bloktransplantat af xenogen oprindelse er placeret i hulrummet mellem den kranielt forskudte del af processus alveolaris og den nedre del af mandiblen. H, I. Panoramarøntgenbillede og koronalt snit af CBCT-scanningsbillede viser øget højde af processus alveolaris umiddelbart efter sandwich-osteotomien. J-M. Syv måneder efter sandwich-osteotomi ses tilfredsstillende klinisk og radiologisk højde af processus alveolaris, og bloktransplantatet af xenogen oprindelse er velintegreret. N, O. Radiologisk ses indsættelse af implantater i god afstand til den øvre begrænsning af canalis mandibulae. P. Endelig protetisk rekonstruktion forudgået af gingivatransplantat fra ganen som følge af manglende fastbundet slimhinde omkring implantaterne. Patienten tilkendegav normal sensibilitet svarende til hagens hud og underlæben.

Fig. 2. A. Pronounced vertical atrophy of the alveolar ridge in the posterior part of the mandible. B, C. CBCT-scan images showing diminished distance between the top of the alveolar ridge and the upper border of the mandibular canal. D. Lower vestibular incision and mucoperiosteal reflection corresponding to the lower part of the mandible without detaching the upper mucoperiosteum. E. Horizontal and vertical osteotomies with bur, piezo surgery and/or bone saw through the facial and lingual cortical bone above the upper border of the mandibular canal and at the largest possible distance from the top of the alveolar ridge. F. The osteotomized bony segment is gently released and mobilized using chisel or periosteal elevator and displaced in the coronal direction. G. Block graft of xenogeneic origin is positioned in the cavity between the coronally displaced bony segment and the mandible. H, I. Orthopantomography and coronal CBCT-scan image showing increased vertical height of the alveolar ridge immediately after sandwich osteotomy. J-M. Satisfying clinical and radiological height of the alveolar ridge is achieved and the xenogeneic block graft is well integrated, seven months after sandwich osteotomy. N, O. Radiographs illustrate implant placement in an acceptable distance from the upper border of the mandibular canal. P. Final prosthetic reconstruction, preceded by a soft tissue graft from the palate due to lack of attached mucosa around the implants. The patient expressed normal sensation in the chin and lower lip.

Fig. 2. A. Udtalt vertikal atrofi af processus alveolaris i den bagerste del af mandiblen. B, C. CBCT-scanningsbillede viser reduceret afstand processus
C D E F G I J L M N O P K H 328 T ∕
A B

handlet sufficient med klorhexidinskylning og mekanisk renhold (20). Temporære sensibilitetsforstyrrelser svarende til hagens hud og underlæbe forekom hos 55 % af patienterne. Imidlertid tilkendegav ingen af patienterne permanent ændret sensibilitet (20).

PATIENTTILFREDSHED

En randomiseret undersøgelse af patienttilfredsheden har vist, at sandwich-osteotomi med bloktransplantat af xenogen oprindelse blev foretrukket hos 70 % af patienterne frem for autolog bloktransplantat fra hoftekammen, mens 30 % af patienterne fandt behandlingerne ligeværdige, efter tre uger (19). Tilsvarende fandtes, at sandwich-osteotomi med bloktransplantat af xenogen oprindelse blev foretrukket hos 80 % af patienterne sammenlignet med autolog bloktransplantat fra hoftekammen, mens 20 % af patienterne fandt behandlingerne ligeværdige, en måned efter protetisk rehabilitering. Forskellen mellem behandlingsmodaliteterne var signifikant (19).

SANDWICH-OSTEOTOMI SAMMENLIGNET MED

ALVEOLÆR DISTRAKTIONSOSTEOGENESE

Alveolær distraktionsosteogenese er en kirurgisk teknik, hvor den øvre del af processus alveolaris frigøres fra den øvrige del af mandiblen og knoglesegmentet gradvist forskydes ved hjælp af knogleforlængelsesapparatur, således højden af processus alveolaris og omliggende mundslimhinde langsomt øges (21,22). Alveolær distraktionsosteogenese medfører samtidig en gradvis strækning af omliggende slimhinde, hvilket teoretisk mindsker risikoen for svind af den opbyggede knogle. Knogleforlængelsesapparaturet opretholdes almindeligvis i tre måneder, mens hulrummet mellem de forskudte knoglesegmenter fyldes med nydannet knogle. Implantatoverlevelse og knogleregeneration efter sandwich-osteotomi med knogleblok fra hoftekammen og alveolær distraktionsosteogenese har tidligere været sammenlignet i en randomiseret undersøgelse involverende 12 personer med en atrofisk posterior mandibel (23). Overlevelse af suprastruktur og implantat var 100 % for begge behandlingsmodaliteter efter gennemsnitlig 30 måneder. Alveolær distraktionsosteogenese medførte signifikant større øgning af processus alveolaris’ højde og mindre postoperativ vævsreduktion sammenlignet med sandwich-osteotomi. Imidlertid var komplikationsfrekvensen signifikant større ved alveolær distraktionsosteogenese involverende infektion og lingval forskydning af det øvre og mobiliserede knoglesegment (23). Lignende randomiseret undersøgelse har evalueret knogleregenerationen efter sandwich-osteotomi med autolog knogleblok fra skinnebenet og alveolær distraktionsosteogenese (24). Ensartet øgning af processus alveolaris’ højde og bredde fandtes ved begge behandlingsmodaliteter (24). Imidlertid var knogletætheden signifikant mindre ved sandwich-osteotomi sammenlignet med alveolær distraktionsosteogenese (24).

Sandwich-osteotomi med anvendelse af interpositionelt transplantationsmateriale og alveolær distraktionsosteogenese er forudsigelige kirurgiske procedurer til øgning af processus alveolaris’ højde før implantatindsættelse i den atrofiske posteriore mandibel. Imidlertid er alveolær distraktionsos -

teogenese en særdeles krævende kirurgisk teknik, der fordrer høj patientkomplians og er forbundet med øget komplikationsfrekvens.

SANDWICH-OSTEOTOMI SAMMENLIGNET MED ONLAY BLOKTRANSPLANTAT

Onlay bloktransplantation er en kirurgisk teknik, hvor en autolog knogleblok fikseres ovenpå mandiblen for at øge processus alveolaris’ højde før implantatindsættelse (2,4). Implantatoverlevelse og knogleregeneration efter sandwich-osteotomi og autolog onlay bloktransplantation fra hoftekammen har tidligere været sammenlignet i en randomiseret undersøgelse involverende 20 personer med en atrofisk posterior mandibel (25). Begge behandlingsmodaliteter viste sammenlignelig implantatoverlevelse, periimplantært marginalt knogletab, ensartet øgning af processus alveolaris’ højde og komplikationsfrekvens efter 18 måneder (25).

Tilsvarende har en retrospektiv undersøgelse involverende 20 patienter med en atrofisk posterior mandibel vist sammenlignelig implantatoverlevelse, periimplantært marginalt knogletab, ensartet øgning af processus alveolaris’ højde og postoperativ vævsreduktion samt komplikationsfrekvens efter sandwich-osteotomi med knogleblok af xenogen oprindelse sammenlignet med onlay autolog bloktransplantation fra hoftekammen (26).

Sandwich-osteotomi med anvendelse af interpositionelt transplantationsmateriale og onlay bloktransplantation med autolog knogleblok synes at være sammenlignelige behandlingsmodaliteter til vertikal knogleopbygning af den atrofiske posteriore mandibel før implantatindsættelse. Imidlertid anvendes ofte knogletransplantat fra hoftekammen i forbindelse med onlay bloktransplantation, hvilket er forbundet med øget morbiditet inklusive behandling i generel anæstesi og hospitalsindlæggelse. Endvidere bevares blodforsyningen til den mobiliserede del af processus alveolaris i forbindelse med sandwichosteotomi, mens onlay bloktransplantation involverer et frit knogletransplantat. Onlay bloktransplantation med knogleerstatningsmateriale i blokform anses som en ikkeacceptabel behandlingsmodalitet (6).

SANDWICH-OSTEOTOMI SAMMENLIGNET MED STYRET KNOGLEREGENERATION ELLER TRANSPOSITION OG

LATERALISERING AF N. ALVEOLARIS INFERIOR Vertikal knogleopbygning af den atrofiske posteriore mandibel ved hjælp af sandwich-osteotomi og interpositionelt transplantationsmateriale før implantatindsættelse er ikke tidligere sammenlignet med styret knogleregeneration eller transposition og lateralisering af n. alveolaris inferior i forbindelse med protetisk rehabilitering af den helt eller delvist tandløse atrofiske posteriore mandibel.

KONKLUSION

Korttidsundersøgelser har vist, at vertikal knogleopbygning af den atrofiske posteriore mandibel ved hjælp af sandwichosteotomi og autologt knogletransplantat eller knogleerstatningsmateriale i blokform før implantatindsættelse er ka-

329 2023 127 ∕ 4

videnskab & klinik ∕ oversigtsartikel

rakteriseret ved høj overlevelse af suprastruktur og implantat, begrænset periimplantært marginalt knogletab, øgning af processus alveolaris’ højde på mellem 5 mm og 7 mm, knogleregeneration og relativt få komplikationer. Patienttilfredsheden er signifikant bedre, og reduktionen af processus alveolaris’ højde mindskes efter sandwich-osteotomi med anvendelse af knogleerstatningsmateriale i blokform sammenlignet med autolog

knogleblok. Imidlertid er ovennævnte konklusioner baseret på enkelte korttidsundersøgelser involverende få patienter og et begrænset antal indsatte implantater, hvorfor der er behov for langtidsundersøgelser med større patientgrupper af knoglekvaliteten ved anvendelse af knogleerstatningsmaterialer i blokform. til understøttelse af ovennævnte konklusioner kombineret med histologisk vurdering.

ABSTRACT (ENGLISH)

VERTICAL BONE AUGMENTATION OF THE ATROPHIC POSTERIOR MANDIBLE PRIOR TO IMPLANT PLACEMENT WITH THE USE OF SANDWICH OSTEOTOMY

Sufficient height and width of the alveolar ridge is a prerequisite to ensure optimal implant placement for a correct aesthetic and functional prosthetic solution with a good long-term prognosis. However, placement of implants in the atrophic posterior mandible may be impossible or difficult due to reduced distance from the top of the alveolar ridge to the upper border of the mandibular canal. Vertical alveolar ridge augmentation prior to implant placement with the use of sandwich osteotomy technique and placement of an interpositional grafting material is therefore commonly performed

when the height of the alveolar ridge does not allow prosthetic rehabilitation with short or standard-length implants but permits cranial displacement of the alveolar ridge above the mandibular canal. Long-term studies and systematic reviews have revealed high survival of suprastructures and implants, limited peri-implant marginal bone loss, predictable vertical bone gain and relatively few complications following the use of sandwich osteotomy technique with an interpositional grafting material.

In the present review, the current knowledge on vertical alveolar ridge augmentation of the atrophic posterior mandible with the use of sandwich osteotomy prior to implant placement is presented and the surgical procedure is illustrated.

1. Albrektsson T, Zarb G, Worthington P et al. The long-term efficacy of currently used dental implants: a review and proposed criteria of success. Int J Oral Maxillofac Implants 1989;1:11-25.

2. Esposito M, Grusovin MG, Felice P et al. The efficacy of horizontal and vertical bone augmentation procedures for dental implants –a Cochrane systematic review. Eur J Oral Implantol 2009;2:167-84.

3. Terheyden H, Meijer GJ, Raghoebar GM. Vertical bone augmentation and regular implants versus short implants in the vertically deficient posterior mandible: a systematic review and meta-analysis of randomized studies. Int J Oral Maxillofac Surg 2021;50:1249-58.

4. Toti P, Marchionni S, MenchiniFabris GB et al. Surgical techniques used in the rehabilitation of partially edentulous patients with atrophic posterior mandibles: a systematic review and metaanalysis of randomized controlled

clinical trials. J Craniomaxillofac Surg 2017;45:1236-45.

5. Camps-Font O, Burgueño-Barris G, Figueiredo R et al. Interventions for dental implant placement in atrophic edentulous mandibles: vertical bone augmentation and alternative treatments. A metaanalysis of randomized clinical trials. J Periodontol 2016;87:144457.

6. Carlsen A, Hillerup S. Mislykket kæberekonstruktion med samtidig implantatindsættelse. Tandlægebladet 2010;114:1122-5.

7. Starch-Jensen T, Nielsen HB. Sandwich osteotomy of the atrophic posterior mandible with interpositional autogenous bone block graft compared with bone substitute material: a systematic review and meta-analysis. Br J Oral Maxillofac Surg 2020;58:e237-47.

8. Roccuzzo A, Marchese S, Worsaae N et al. The sandwich osteotomy technique to treat vertical alveolar

bone defects prior to implant placement: a systematic review. Clin Oral Investig 2020;24:1073-89.

9. Kamperos G, Zografos I, Tzermpos F et al. Segmental sandwich osteotomy of the posterior mandible in pre-implant surgery – a systematic review. Med Oral Patol Oral Cir Bucal 2017;22:e132-41.

10. Block MS, Haggerty CJ. Interpositional osteotomy for posterior mandible ridge augmentation. J Oral Maxillofac Surg 2009;67(11 Supp):31-9.

11. Starch-Jensen T, Thorn JJ, Becktor JP et al. Udtagning af autolog knogleblok fra mandiblen med henblik på genopbygning af kæbeknoglen. En oversigtsartikel. Tandlægebladet 2022;126:42431.

12. Boehm KS, Al-Taha M, Morzycki A et al. Donor site morbidities of iliac crest bone graft in craniofacial surgery: a systematic review. Ann Plast Surg 2019;83:352-8.

13. Starch-Jensen T, Deluiz D, Deb S et al. Harvesting of autogenous bone graft from the ascending mandibular ramus compared with the chin region: a systematic review and meta-analysis focusing on complications and donor site morbidity. J Oral Maxillofac Res 2020;11:e1.

14. Felice P, Barausse C, Barone A et al. Interpositional augmentation technique in the treatment of posterior mandibular atrophies: a retrospective study comparing 129 autogenous and heterologous bone blocks with 2 to 7 years follow-up. Int J Periodontics Restorative Dent 2017;37:469-80.

15. Felice P, Marchetti C, Iezzi G et al. Vertical ridge augmentation of the atrophic posterior mandible with interpositional bloc grafts: bone from the iliac crest vs. bovine anorganic bone. Clinical and histological results up to one year after loading from a randomizedcontrolled clinical trial. Clin Oral Implants Res 2009;20:1386-93.

330 T ∕
LITTERATUR

16. Dottore AM, Kawakami PY, Bechara K et al. Stability of implants placed in augmented posterior mandible after alveolar osteotomy using resorbable nonceramic hydroxyapatite or intraoral autogenous bone: 12-month followup. Clin Implant Dent Relat Res 2014;16:330-6.

17. Laino L, Iezzi G, Piattelli A et al. Vertical ridge augmentation of the atrophic posterior mandible with sandwich technique: bone block from the chin area versus corticocancellous bone block allograft –clinical and histological prospective randomized controlled study. Biomed Res Int 2014;2014:982104.

18. Domingues EP, Ribeiro RF, Horta MCR et al. Vertical augmentation of the posterior atrophic mandible

by interpositional grafts in a splitmouth design: a human tomography evaluation pilot study. Clin Oral Implants Res 2017;28:e193200.

19. Felice P, Marchetti C, Piattelli A et al. Vertical ridge augmentation of the atrophic posterior mandible with interpositional block grafts: bone from the iliac crest versus bovine anorganic bone. Eur J Oral Implantol 2008;1:183-98.

20. Kawakami PY, Dottore AM, Bechara K et al. Alveolar osteotomy associated with resorbable nonceramic hydroxylapatite or intraoral autogenous bone for height augmentation in posterior mandibular sites: a split-mouth prospective study. Clin Oral Implants Res 2013;24:1060-4.

Sustainability matters

Hos TePe er vi overbeviste om, at det både er muligt og nødvendigt at omstille sig til en bæredygtig fremtid. Sammen kan vi gøre en forskel allerede i dag. Derfor producerer vi vores produkter til oral sundhed med anvendelse af vedvarende materialer og grøn energi. Ved at sænke vores CO₂-aftryk hjælper vi dig med at sænke dit. www.tepe.com

21. Toledano-Serrabona J, SánchezGarcés MÁ, Sánchez-Torres A et al. Alveolar distraction osteogenesis for dental implant treatments of the vertical bone atrophy: A systematic review. Med Oral Patol Oral Cir Bucal 2019;24:e70-5.

22. Pérez-Sayáns M, Martínez-Martín JM, Chamorro-Petronacci C et al. 20 years of alveolar distraction: a systematic review of the literature. Med Oral Patol Oral Cir Bucal 2018;23:e742-51.

23. Bianchi A, Felice P, Lizio G et al. Alveolar distraction osteogenesis versus inlay bone grafting in posterior mandibular atrophy: a prospective study. Oral Surg Oral Med Oral Pathol Oral Radiol Endod 2008;105:282-92.

24. Hashemi HM, Javidi B. Comparison between interpositional bone grafting and osteogenic alveolar distraction in alveolar bone reconstruction. J Oral Maxillofac Surg 2010;68:1853-8.

25. Felice P, Pistilli R, Lizio G et al. Inlay versus onlay iliac bone grafting in atrophic posterior mandible: a prospective controlled clinical trial for the comparison of two techniques. Clin Implant Dent Relat Res 2009;11 (Supp 1):e69-82.

26. Barone A, Toti P, Menchini-Fabris GB et al. Early volumetric changes after vertical augmentation of the atrophic posterior mandible with interpositional block graft versus onlay bone graft: A retrospective radiological study. J Craniomaxillofac Surg 2017;45:1438-47.

AD5849DK Et bæredygtigt valg
Vedvarende & plantebaseret materiale Ergonomisk og gribevenligt skaft 331 2023 127 ∕ 4
Børster af høj kvalitet & plastovertrukket metaltråd

Implantatindsættelse i den atrofiske posteriore mandibel kan være vanskeligt som følge af reduceret afstand mellem toppen af processus alveolaris og den øvre begrænsning af canalis mandibulae. Indsættelse af korte implantater eller sandwichosteotomi med forsinket implantatindsættelse er de hyppigst anvendte kirurgiske teknikker til protetisk rehabilitering af klasse III- og IV-knogledefekter i mandiblen. Imidlertid kan protetisk rehabilitering med korte implantater ofte medføre en uhensigtsmæssig kroneimplantat-ratio, og sandwichosteotomi kan være forbundet med utilstrækkelig øgning af processus alveolaris’ højde eller være umulig grundet insufficient knoglehøjde over canalis mandibulae. Autologt onlay bloktransplantat eller alveolær distraktionsosteogenese før implantatindsættelse har derfor været anbefalet som behandlingsalternativ for at skabe tilstrækkelig højde af processus alveolaris før implantatindsættelse og sikre en bedre udformning af den protetiske rekonstruktion. Begge behandlingsmodaliteter har vist høj implantatoverlevelse, minimalt periimplantært marginalt knoglesvind og en større øgning af processus alveolaris’ højde sammenholdt med sandwichosteotomi. Imidlertid er begge behandlingsmodaliteter særdeles kirurgisk krævende og derfor kun tilrådeligt i udvalgte patienttilfælde, hvor der er behov for betydelig øgning af processus alveolaris’ højde. Endvidere kræver alveolær distraktionsosteogenese i lighed med sandwichosteotomi tilstedeværelse af minimum 4 mm knoglehøjde over canalis mandibulae med henblik på at kunne foretage den nødvendige osteotomi. I nærværende oversigtsartikel præsenteres den nuværende viden om vertikal knogleopbygning af den atrofiske posteriore mandibel før implantatindsættelse ved hjælp af autolog onlay bloktransplantation og alveolær distraktionsosteogenese.

EMNEORD Alveolar bone loss | alveolar ridge augmentation | dental implants | oral surgical procedures

Korrespondanceansvarlig førsteforfatter: THOMAS STARCH-JENSEN thomas.jensen@rn.dk

Onlay bloktransplantat eller alveolær distraktionsosteogenese til vertikal knogleopbygning af processus alveolaris i den atrofiske posteriore mandibel

THOMAS STARCH-JENSEN, klinisk professor, overtandlæge, specialtandlæge i tand-, mund- og kæbekirurgi, postgraduat klinisk lektor, ph.d., Kæbekirurgisk Afdeling, Aalborg Universitetshospital, og Klinisk Institut, Det Sundhedsvidenskabelige Fakultet, Aalborg Universitet

SIMON STORGÅRD JENSEN, professor, overtandlæge, specialtandlæge i tand-, mund- og kæbekirurgi, dr.odont., Afdeling for Kæbekirurgi, HovedOrtoCentret, Rigshospitalet, og Fagområde Oral Kirurgi, Sektion for Oral Biologi og Immunpatologi, Odontologisk Institut, Det Sundhedsvidenskabelige Fakultet, Københavns Universitet

Accepteret til publikation den 3. november 2022

Tandlægebladet 2023;127:332-8

RETABLERING AF TYGGEFUNKTIONEN i den atrofiske posteriore mandibel ved hjælp af implantatbåret protetik kan være problematisk som følge af reduceret afstand fra toppen af processus alveolaris til den øvre begrænsning af canalis mandibulae. Indsættelse af korte implantater, vertikal knogleopbygning af processus alveolaris ved hjælp af sandwichosteotomi og forsinket implantatindsættelse eller lateralisering og transposition af n. alveolaris inferior med samtidig implantatindsættelse er de hyppigst anvendte kirurgiske teknikker til protetisk rehabilitering af den atrofiske posteriore mandibel (1,2). Imidlertid vil protetisk rehabilitering af denne med korte implantater ofte medføre en uhensigtsmæssig krone-implantat-ratio med risiko for tab af implantat (3), mens sandwichosteotomi og forsinket implantatindsættelse er kendetegnet ved begrænset mulig øgning af processus alveolaris’ højde, risiko for afstødning af det interpositionelle transplantationsmateriale samt neurosensoriske forstyrrelser (4,5). Tilsvarende er lateralisering eller transposition af n. alveolaris inferior forbundet med risiko for

videnskab & klinik ∕ oversigtsartikel
ABSTRACT
332 T ∕

alvorlige komplikationer, der involverer fraktur af mandiblen, tab af sensibilitet i tænderne anteriort for foramen mentale samt temporære og permanente neurosensoriske forstyrrelser svarende til hagens hud og underlæbe (6-9).

Autologt onlay bloktransplantat eller alveolær distraktionsosteogenese har derfor været anvendt som behandlingsalternativ for at sikre sufficient højde af processus alveolaris før implantatindsættelse og at etablere grundlaget for optimal udformning af den implantatbårne protetiske rekonstruktion i den atrofiske posteriore mandibel (1,2). Imidlertid skal det understreges, at onlay bloktransplantation med knogleerstatningsmateriale i blokform anses som en ikkeacceptabel behandling (10).

Vertikal knogleopbygning af processus alveolaris ved anvendelse af autologt onlay bloktransplantat involverer fiksering af en knogleblok på toppen af processus alveolaris, mens alveolær distraktionsosteogenese involverer gradvis vertikal forskydning af den øvre del af processus alveolaris over canalis mandibulae ved hjælp af knogleforlængelsesprincippet. Autologt onlay bloktransplantat og alveolær distraktionsosteogenese forudsætter således en initial højde af processus alveolaris over den øvre begrænsning af canalis mandibulae, som enten muliggør fiksering af knogleblokken til mandiblen uden at interferere med forløbet af canalis mandibulae eller minimum 4 mm højde af processus alveolaris over canalis mandibulae, således at der både kan foretages osteotomi og fiksering af distraktionsapparaturet. Autologt onlay bloktransplantat og alveolær distraktionsosteogenese før implantatindsættelse er derfor kun egnet ved klasse III- og IV-knogledefekter i mandiblen (Fig. 1).

I nærværende oversigtsartikel præsenteres den nuværende viden om vertikal knogleopbygning af den atrofiske posteriore

mandibel ved hjælp af autologt onlay bloktransplantat og alveolær distraktionsosteogenese før implantatindsættelse.

AUTOLOGT ONLAY BLOKTRANSPLANTAT

Kirurgisk procedure

Autologt onlay bloktransplantat før implantatindsættelse i den atrofiske posteriore mandibel foretages almindeligvis i lokalanalgesi eventuelt kombineret med sedering eller i generel anæstesi, såfremt en autolog knogleblok fra crista iliaca anvendes. Skematisk illustration af den kirurgiske procedure er vist i Fig. 2.

Indledningsvis lægges incision til knoglekontakt på toppen af processus alveolaris svarende til det tandløse område fortsættende marginalt langs nabotænderne til mindst en tandbredde fra den tandløse region med mesialt og distalt aflastningssnit. Slimhinde og periost rougineres til side, og lokalisationen af foramen mentale identificeres. Toppen af processus alveolaris svarende til recipientstedet perforeres multiple steder med et lille rosenbor for at facilitere vaskularisering og integration af den autologe knogleblok, som almindeligvis er høstet fra crista iliaca eller kontralaterale ramus mandibulae. Knogleblokken tilpasses toppen af processus alveolaris, således den kan anlægges passivt svarende til recipientstedet. Med rosenbor eller fissurbor præpareres gennemgående hul/huller i knogleblokken med en større diameter end selve størrelsen på osteosynteseskruen, således at denne udelukkende fikserer i recipientknoglen og fastholdes ved hjælp af kompressionsskrueprincippet. Såfremt der fortsat er skarpe knoglekanter svarende til den fikserede knogleblok, foretages en afglatning, hvorefter knogleblokken almindeligvis dækkes med et partikulært ikkeresorberbart transplantationsmateriale af xenogen

Cawood & Howells klassifikation af den tandløse posteriore mandibel

Fig. 1. Klasse I, betandet posterior mandibel. Klasse II, umiddelbart efter tandudtrækning. Klasse III, velafrundet processus alveolaris med sufficient højde og bredde. Klasse IV, knivskarp processus alveolaris med sufficient højde og utilstrækkelig bredde. Klasse V, flad processus alveolaris med utilstrækkelig højde og bredde. Klasse VI, deprimeret processus alveolaris med varierende grad af basalt knogletab.
333 2023 127 ∕ 4
Fig. 1. Class I, dentate posterior mandible. Class II, immediately after tooth extraction. Class III, well-rounded alveolar ridge, with adequate height and width. Class IV, knife-edge alveolar ridge, with adequate height and inadequate width. Class V, flat alveolar ridge, with inadequate height and width. Class VI, depressed alveolar ridge, with varying degree of alveolar basal bone loss.

Autologt onlay bloktransplantat i den atrofiske posteriore mandibel. Skematisk fremstilling

2. A. Incision på toppen af processus alveolaris svarende til det tandløse område med bilaterale aflastningssnit. B. Slimhinde og periost er rougineret til side visende udtalt vertikal atrofi af processus alveolaris i den posteriore mandibel med reduceret afstand fra toppen af processus alveolaris til den øvre begrænsning af canalis mandibulae. C. Den autologe knogleblok tilpasses toppen af processus alveolaris, således den kan anlægges passivt svarende til recipientstedet og fikseres med osteosynteseskruer. D. Efter ca. 6 måneder er den autologe knogleblok integreret med processus alveolaris, hvorefter der kan foretages indsættelse af korte eller standardlængdeimplantater i acceptabel afstand til canalis mandibulae.

Fig. 2. A. A crestal incision corresponding to the edentulous area with bilateral releasing incisions are performed. B. The mucosa is reflected showing pronounced vertical atrophy of the alveolar ridge in the posteriore mandible with reduced distance between the top of the alveolar ridge and the mandibular canal. C. The autogenous bone block graft is adapted to passively fit the recipient site and fixated with osteosynthesis screws. D. The autogenous bone block graft is integrated with the recipient site after approximately six months. Short implants or standard-length implants can be inserted at an acceptable distance to the mandibular canal.

oprindelse enten alene eller i kombination med et partikuleret autologt knogletransplantat. Det genopbyggede område afdækkes afslutningsvis med en resorberbar eller ikkeresorberbar membran, hvorefter periost svarende til den faciale slimhindelap gennemskæres, således at slimhindelappen kan mobiliseres tilstrækkeligt og anlægges passivt over det genopbyggede område uden træk i sårrandene. Herefter sutureres slimhinden med resorberbar eller ikkeresorberbar sutur.

Implantatindsættelse efter autologt onlay bloktransplantat foretages som hovedregel efter seks måneder.

Implantatoverlevelse, periimplantært marginalt knogletab efter vertikal knogleopbygning Tidligere undersøgelser af implantatoverlevelse, periimplantært marginalt knogletab og øgning af processus alveolaris’ højde efter autologt onlay bloktransplantat, der involverer mere end 10 patienter, er vist i Tabel 1 (11-14). Samtlige undersøgelser viste gennemsnitlig øgning af processus alveolaris’ højde mellem 6,5 mm og 7,4 mm samt høj implantatoverlevelse og begrænset periimplantært marginalt knogletab, omend observationstiderne er begrænsede (11,13). Imidlertid angives en resorption af pro-

Tidligere studier – implantatoverlevelse – bloktransplantat

IR: ikke rapporteret, M: måneder, PAAM: præoperativ afstand fra toppen af processus alveolaris til canalis mandibulae.

Tabel 1. Autologt onlay bloktransplantat i den atrofiske posteriore mandibel. Table 1. Onlay autogenous bone graft in the atrophic posterior mandible.

videnskab & klinik ∕ oversigtsartikel
Pt (n) Studiedesign Autologt onlay bloktransplantat Implantater (n) PAAM (mm) Øget højde af processus alveolaris (mm) Implantat-overlevelse (%) Periimplantært knogletab (mm) Followup (M) Reference Umiddelbart postoperativt Implantat-indsættelse Svind af højden 10 Prospektivt Crista iliaca: 10 23 7,6 (4,910,7) 6,5 (4,7-8,0) 4,0 (2,0-4,9) 2,8 (1,34,7) 100 0,9 (0,2-2,8) 18 Felice 2009 (11) 20 Retrospektivt Mandiblen: 20 45 7-8 IR IR IR 95,6 0,7 ± 1,1 12 Peñarrocha-Oltra 2014 (12) 10 Retrospektivt Crista iliaca: 17 34 3-7 7,4 ± 0,8 5,5 ± 0,8 1,9 100 1,3 ± 0,4 12 Barone 2017 (13) 16 Retrospektivt Mandiblen: 16 36 7-8 IR IR IR 100 1,0 ± 1,0 36 AloyPrósper 2018 (14)
Fig.
A B C D 334 T ∕

cessus alveolaris’ højde på mellem 1,9 mm og 2,8 mm i perioden fra knogleopbygning til implantatindsættelse (11,13).

Patienttilfredshed

En spørgeskemaundersøgelse baseret på visuel analog skala (VAS, 0-10) undersøgte livskvalitetsforbedring (VAS: 9,2), æstetisk resultat af den protetiske rekonstruktion og omliggende slimhinde sammenholdt med de initiale forventninger til behandlingen (VAS: 8,2 og 7,7), lysten til at gennemgå samme behandling igen (VAS: 9,7) samt tyggefunktionen og muligheden for renhold af den protetiske rekonstruktion (VAS: 8,7 og 8,0) efter autologt onlay bloktransplantat med knogletransplantat fra kontralaterale ramus mandibulae (14). Spørgeskemaundersøgelsen viste således stor patienttilfredshed med behandlingen og den endelige protetiske rekonstruktion (14).

Komplikationer

Hævelse, smerter, infektion, slimhindedehiscens, blottelse og hel/delvis afstødning af den autologe knogleblok samt temporære neurosensoriske forstyrrelser svarende til hagens hud og underlæbe er relativt hyppigt forekommende efter autologt onlay bloktransplantat i den atrofiske posteriore mandibel (1113). Endvidere er udtagning af autolog knogleblok fra crista iliaca eller kontralaterale ramus mandibulae forbundet med risiko for morbiditet svarende til donorstedet (15,16). Autologt onlay bloktransplantat i den atrofiske posteriore mandibel er således en kirurgisk teknik forbundet med betydelig risiko for intra- og postoperative komplikationer.

Konklusion

Autologt onlay bloktransplantat i den atrofiske posteriore mandibel har vist høj implantatoverlevelse, begrænset periimplantært marginalt knoglesvind, moderat øgning af processus alveola-

klinisk relevans

Protetisk rehabilitering af den atrofiske posteriore mandibel ved hjælp af autologt bloktransplantat eller alveolær distraktionsosteogenese før implantatindsættelse er særdeles kirurgisk krævende og forbundet med en betydelig risiko for komplikationer. Indsættelse af korte implantater eller vertikal knogleopbygning af processus alveolaris ved hjælp af sandwichosteotomi og forsinket implantatindsættelse er således det foretrukne behandlingsvalg til protetisk rehabilitering af den atrofiske posteriore mandibel.

ris’ højde, uforudsigelig postoperativ resorption af den opnåede højde af processus alveolaris, livskvalitetsforbedring inklusive stor tilfredshed med den protetiske rekonstruktion samt relativt få komplikationer ved anvendelse af korrekt kirurgisk teknik. Imidlertid er ovenstående konklusioner baseret på et begrænset antal korttidsundersøgelser med relativt få patienter og indsatte implantater. Desuden er vertikal knogleopbygning af processus alveolaris i den atrofiske posteriore mandibel ved hjælp af autologt onlay bloktransplantat særdeles kirurgisk krævende og forbundet med risiko for intra- og postoperative komplikationer inklusive morbiditet svarende til donorstedet samt eventuelt hospitalisering og behandling i generel anæstesi.

ALVEOLÆR DISTRAKTIONSOSTEOGENESE

Kirurgisk procedure

Alveolær distraktionsosteogenese før implantatindsættelse i den atrofiske posteriore mandibel foretages almindeligvis i generel anæstesi eller lokalanalgesi, eventuelt kombineret

Alveolær distraktionsosteogenese i den atrofiske posteriore mandibel. Skematisk fremstilling

øvre og slimhindebeklædte del af processus alveolaris er således mobil og fikseret til den øvre transportplade. C. Distraktionsapparaturet aktiveres efter 7 dage med ca. 1 mm dagligt, indtil den ønskede højde af processus alveolaris er nået. Distraktionsapparaturet opretholdes, mens knogledannelse mellem den øvre del af processus alveolaris og mandiblen konsolideres.

Fig. 3. A. Pronounced vertical atrophy of the alveolar ridge in the posterior mandible. B. The distraction device is fixed to the facial cortical bone without interfering with the mental foramen or the mandibular canal. Osteotomies between the upper and lower transport plate of the distraction device is performed as well as trapezoidal vertical osteotomies to the top of the alveolar ridge. The upper and mucosal lined part of the alveolar crest is thus mobile and fixed to the upper transport plate. C. The distraction device is activated after seven days by approximately one millimetre per day until the anticipated height of the alveolar ridge is achieved. The distraction apparatus is maintained while bone formation between the upper part of the alveolar crest and the mandible is consolidated.

Fig. 3. A. Udtalt vertikal atrofi af processus alveolaris i den posteriore mandibel. B. Distraktionsapparaturet ses fikseret til den faciale knogleoverflade uden at interferere med foramen mentale og forløbet af canalis mandibulae. Der er lavet gennemgående borespor mellem distraktionsapparaturets øvre og nedre transportplade samt trapezformede vertikale borespor til toppen af processus alveolaris. Den
A B C 335 2023 127 ∕ 4

Tidligere studier – implantatoverlevelse – distraktionsosteogenese

IR: ikke rapporteret, M: måneder, PAAM: præoperativ afstand fra toppen af processus alveolaris til canalis mandibulae.

med sedering. Skematisk illustration af den kirurgiske procedure er vist i Fig. 3.

Indledningsvis lægges incision til knoglekontakt i sulcus alveolobuccalis inferior svarende til det tandløse område under hensyntagen til lokalisationen af foramen mandibulae og forløbet af n. mentalis og n. buccalis. Incisionen lægges i en afstand på mindst 5 mm fra den fastbundne gingiva for at simplificere den senere suturering. Slimhinde og periost rougineres til side. Imidlertid lades den øvre del af processus alveolaris være slimhindebeklædt, således blodforsyningen til den øvre del af processus alveolaris (transportsegmentet) ikke kompromitteres. Foramen mentale og forløbet af canalis mandibulae identificeres, hvorefter distraktionsapparaturet tilpasses og fikseres til den faciale knogleoverflade uden at interferere med foramen mentale og forløbet af canalis mandibulae. Med fissurbor, piezokirurgi og/eller knoglesav markeres et længdegående borespor mellem distraktionsapparaturets øvre og nedre transportplade, der fortsættes i vertikale trapezformede borespor gående mod toppen af processus alveolaris. Distraktionsapparaturet fjernes, og boresporene kompletteres, således den øvre og slimhindebeklædte del af processus alveolaris (transportsegmentet) kan mobiliseres. Distraktionsapparaturet fikseres igen og aktiveres, indtil der ses 1 mm mellem den øvre og mobile del af processus alveolaris og mandiblen. Slimhinden omkring distraktionsapparaturet sutureres med resorberbar eller ikkeresorberbar sutur. Distraktionsapparaturet aktiveres efter syv dage med 1 mm dagligt, indtil den ønskede højde af processus alveolaris er nået. Distraktionsapparaturet forbliver i mund-

hulen i 3-4 måneder, mens knogledannelse mellem transportsegmentet og mandiblen konsolideres. Implantatindsættelse foretages som hovedregel seks måneder efter endt distraktion.

Implantatoverlevelse, periimplantært marginalt knogletab efter vertikal knogleopbygning Tidligere undersøgelser af implantatoverlevelse, periimplantært marginalt knogletab og øgning af processus alveolaris’ højde efter alveolær distraktionsosteogenese er vist i Tabel 2 (17-22). Samtlige undersøgelser viste høj implantatoverlevelse, begrænset periimplantært marginalt knogletab og en gennemsnitlig øgning af processus alveolaris’ højde mellem 5,1 mm og 14,5 mm umiddelbart efter endt knogleforlængelse (17-22). Resorption af processus alveolaris’ højde i perioden fra endt knogleforlængelse til implantatindsættelse angives som 0,9 mm (18,19).

Komplikationer

Smerter, hævelse, infektion, slimhindedehiscens, fraktur af mandiblen eller transportsegmentet, knoglenekrose, eksponering af distraktionsapparaturet, oral inklinering af processus alveolaris efter endt distraktion, knogleinterferens, der umuliggør vertikal forskydning af transportsegmentet, samt temporære og permanente neurosensoriske forstyrrelser svarende til hagens hud og underlæbe er relativt hyppigt forekommende i forbindelse med alveolær distraktionsosteogenese i den atrofiske posteriore mandibel (17-22). Retrospektive undersøgelser har beskrevet en komplikationsfrekvens på henholdsvis 48,6 %

videnskab & klinik ∕ oversigtsartikel
Pt (n) Studiedesign Alveolær distraktionsosteogenese Implantater (n) PAAM (mm) Øget højde af processus alveolaris (mm) Implantat-overlevelse (%) Periimplantært knogletab (mm) Followup (M) Reference Efter alveolær distraktion Implantat-indsættelse Svind af højden 37 Retrospektivt 39 94 IR 8,2 (5-15) IR IR 95,7 IR 35,7 Enislidis 2005 (17) 10 Prospektivt 14 34 6-10 5,1 ± 1,7 (2,3-8,1) 4,2 ± 1,9 (1,4-7,3) 0,9 ± 0,6 (0,0-0,6) 94,1 2,6 ± 1,0 12 Pool 2005, 2007 (18,19) 32 Retrospektivt 43 105 IR 11,7 (5-18) IR IR 100 IR 62 Zwetyenga 2012 (20) 18 Prospektivt 21 56 IR 14,5 (12-15) IR IR 96,4 1,5 36 Rachmiel 2017 (21) 37 Retrospektivt 37 77 IR 5,4 ± 2,7 (4,5-10) IR IR IR IR IR SomozaMartin 2021 (22)
336 T ∕
Tabel 2. Alveolær distraktionsosteogenese i den atrofiske posteriore mandibel. Table 2. Alveolar distraction osteogenesis in the atrophic posterioe mandible.

og 89,0 % efter alveolær distraktionsosteogenese i den atrofiske posteriore mandibel (17,20).

Konklusion

Alveolær distraktionsosteogenese i den atrofiske posteriore mandibel har vist høj implantatoverlevelse, begrænset periimplantært marginalt knoglesvind og betragtelig øgning af processus alveolaris’ højde i enkelte korttidsundersøgelser involverende få patienter og implantater. Muligheden for betragtelig øgning af højden på processus alveolaris synes at være bedre ved hjælp af alveolær distraktionsosteogenese sammenlignet med sandwichosteotomi og autologt onlay bloktransplantat. Imidlertid er alveolær distraktionsosteogenese særdeles kirurgisk krævende og forbundet med risiko for alvorlige komplikationer inklusive fraktur af mandiblen samt temporære og permanente neurosensoriske forstyrrelser svarende til hagens hud og underlæbe.

Protetisk rehabilitering af den atrofiske posteriore mandibel ved hjælp af alveolær distraktionsosteogenese kan derfor udelukkende anbefales i de patienttilfælde, hvor der er behov for en betragtelig øgning af processus alveolaris’ højde før implantatindsættelse.

AUTOLOGT ONLAY BLOKTRANSPLANTAT VERSUS ALVEOLÆR DISTRAKTIONSOSTEOGENESE

En randomiseret kontrolleret undersøgelse har sammenlignet anvendelse af autologt onlay bloktransplantat og alveolær distraktionsosteogenese før implantatindsættelse i den atrofiske posteriore mandibel (23). 17 patienter blev allokeret til autologt onlay bloktransplantat fra kontralaterale ramus mandibulae (8 patienter, 19 implantater) eller alveolær di-

straktionsosteogenese (9 patienter, 21 implantater). Der var ingen signifikant forskel i den kumulative implantatoverlevelse (100 %) eller periimplantære marginale knogletab (1,1 mm versus 1,3 mm) mellem behandlingsmodaliteterne efter gennemsnitlig fire år. Autologt onlay bloktransplantat var forbundet med signifikant mindre vertikal øgning af processus alveolaris’ højde (4,6 mm versus 5,3 mm) og større postoperativ resorption af den oprindelige opnåede højde på processus alveolaris (0,6 mm versus 0,3 mm) sammenlignet med alveolær distraktionsosteogenese. Slimhindedehiscens og delvis afstødning af bloktransplantatet opstod hos en patient, mens temporære og permanente neurosensoriske forstyrrelser svarende til hagens hud og underlæbe forekom hos henholdsvis to og en patient efter autologt onlay bloktransplantat. Oral inklinering af processus alveolaris forekom hos to patienter, mens interferenser mellem knoglesegmenterne forhindrede aktivering af distraktionsapparaturet hos en patient. Ingen neurosensoriske forstyrrelser blev angivet i forbindelse med alveolær distraktionsosteogenese (23).

Konklusion

Protetisk rehabilitering af den atrofiske posteriore mandibel ved hjælp af autologt onlay bloktransplantat og alveolær distraktionsosteogenese før implantatindsættelse har vist høj implantatoverlevelse, minimalt periimplantært marginalt knoglesvind og øgning af processus alveolaris’ højde. Imidlertid er begge behandlingsmodaliteter særdeles kirurgisk krævende og således kun tilrådelige i udvalgte patienttilfælde med behov for betydelig øgning af højden på processus alveolaris før implantatindsættelse for at sikre en optimal udformning af den implantatbårne protetiske rekonstruktion.

ABSTRACT (ENGLISH)

ONLAY BONE BLOCK GRAFT OR ALVEOLAR DISTRACTION OSTEOGENESIS FOR VERTICAL BONE AUGMENTATION OF THE ATROPHIC POSTERIOR MANDIBLE

Implant placement in the atrophic posterior mandible can be compromised due to reduced distance between the top of the alveolar crest and the upper border of the mandibular canal. Placement of short implants or sandwich osteotomy in conjunction with delayed implant placement are the most frequently used surgical procedures for prosthetic rehabilitation of class III and IV mandibular defects. However, prosthetic rehabilitation with short implants will commonly be associated with an inappropriate crown-to-implant ratio, and the vertical augmentation of the alveolar ridge height can be inadequate following sandwich osteotomy or present with an insufficient distance to the mandibular canal to allow sandwich osteotomy.

Onlay autogenous bone block graft or alveolar distraction osteogenesis prior to implant placement have therefore

been recommended as a treatment option to create sufficient height of the alveolar ridge prior to implant placement and ensure a better design of the prosthetic reconstruction. Both treatment modalities have demonstrated high implant survival, minimal peri-implant marginal bone loss, and improved vertically bone gain compared with sandwich osteotomy. However, both treatment modalities are surgically demanding and thus only advisable in selected cases requiring a significant enhancement of the alveolar ridge height. In addition, the presence of a minimum of 4mm vertical bone height above the mandibular canal is a prerequisite for performing the osteotomy necessary for distraction osteogenesis.

This review presents the current knowledge of vertical augmentation in the atrophic posterior mandible prior to implant placement using onlay autogenous bone block graft and alveolar distraction osteogenesis.

337 2023 127 ∕ 4

videnskab & klinik ∕ oversigtsartikel

1. Toti P, Marchionni S, MenchiniFabris GB et al. Surgical techniques used in the rehabilitation of partially edentulous patients with atrophic posterior mandibles: A systematic review and meta-analysis of randomized controlled clinical trials. J Craniomaxillofac Surg 2017;45:123645.

2. Esposito M, Grusovin MG, Felice P et al. The efficacy of horizontal and vertical bone augmentation procedures for dental implants –a Cochrane systematic review. Eur J Oral Implantol 2009;2:167-84.

3. Al-Johany SS. Survival rates of short dental implants (≤ 6.5 mm) placed in posterior edentulous ridges and factors affecting their survival after a 12-month followup period: a systematic review. Int J Oral Maxillofac Implants 2019;34:605-21.

4. Starch-Jensen T, Nielsen HB. Sandwich osteotomy of the atrophic posterior mandible with interpositional autogenous bone block graft compared with bone substitute material: a systematic review and meta-analysis. Br J Oral Maxillofac Surg 2020;58:e237-47.

5. Roccuzzo A, Marchese S, Worsaae N et al. The sandwich osteotomy technique to treat vertical alveolar bone defects prior to implant placement: a systematic review. Clin Oral Investig 2020;24:107389.

6. Abayev B, Juodzbalys G. Inferior alveolar nerve lateralization and transposition for dental implant placement. Part I: a systematic re-

view of surgical techniques. J Oral Maxillofac Res 2015;6:e2.

7. Palacio García-Ochoa A, PérezGonzález F, Negrillo Moreno A et al. Complications associated with inferior alveolar nerve reposition technique for simultaneous implant-based rehabilitation of atrophic mandibles. A systematic literature review. J Stomatol Oral Maxillofac Surg 2020;121:390-6.

8. Abayev B, Juodzbalys G. Inferior alveolar nerve lateralization and transposition for dental implant placement. Part II: a systematic review of neurosensory complications. J Oral Maxillofac Res 2015;6:e3.

9. Vetromilla BM, Moura LB, Sonego CL et al. Complications associated with inferior alveolar nerve repositioning for dental implant placement: a systematic review. Int J Oral Maxillofac Surg 2014;43:1360-6.

10. Carlsen A, Hillerup S. Mislykket kæberekonstruktion med samtidig implantatindsættelse. Tandlægebladet 2010;114:1122-5.

11. Felice P, Pistilli R, Lizio G et al. Inlay versus onlay iliac bone grafting in atrophic posterior mandible: a prospective controlled clinical trial for the comparison of two techniques. Clin Implant Dent Relat Res 2009;11 (Supp 1):e69-82.

12. Peñarrocha-Oltra D, Aloy-Prósper A, Cervera-Ballester J et al. Implant treatment in atrophic posterior mandibles: vertical regeneration with block bone grafts versus implants with 5.5-mm intrabony

length. Int J Oral Maxillofac Implants 2014;29:659-66.

13. Barone A, Toti P, Menchini-Fabris GB et al. Early volumetric changes after vertical augmentation of the atrophic posterior mandible with interpositional block graft versus onlay bone graft: A retrospective radiological study. J Craniomaxillofac Surg 2017;45:1438-47.

14. Aloy-Prósper A, Peñarrocha-Oltra D, Peñarrocha-Diago M et al. Peri-implant tissues and patient satisfaction after treatment of vertically augmented atrophic posterior mandibles with intraoral onlay block bone grafts: a retrospective 3-year case series follow-up study. Int J Oral Maxillofac Implants 2018;33:137-44.

15. Starch-Jensen T, Thorn JJ, Becktor JP et al. Udtagning af autolog knogleblok fra mandiblen med henblik på genopbygning af kæbeknoglen. Tandlægebladet 2022;126:424-31.

16. Starch-Jensen T, Deluiz D, Deb S, et al. Harvesting of autogenous bone graft from the ascending mandibular ramus compared with the chin region: a systematic review and meta-analysis focusing on complications and donor site morbidity. J Oral Maxillofac Res 2020;11:e1.

17. Enislidis G, Fock N, Millesi-Schobel G et al. Analysis of complications following alveolar distraction osteogenesis and implant placement in the partially edentulous mandible. Oral Surg Oral Med Oral Pathol Oral Radiol Endod 2005;100:25-30.

18. Polo WC, Cury PR, Sendyk WR et al. Posterior mandibular alveolar distraction osteogenesis utilizing an extraosseous distractor: a prospective study. J Periodontol 2005;76:1463-8.

19. Polo WC, de Araujo NS, Lima YB et al. Peri-implant bone loss around posterior mandible dental implants placed after distraction osteogenesis: preliminary findings. J Periodontol 2007;78:204-8.

20. Zwetyenga N, Vidal N, Ella B et al. Results of oral implant-supported prostheses after mandibular vertical alveolar ridge distraction: a propos of 54 sites. Oral Surg Oral Med Oral Pathol Oral Radiol 2012;114:725-32.

21. Rachmiel A, Shilo D, Aizenbud D et al. Vertical alveolar distraction osteogenesis of the atrophic posterior mandible before dental implant insertion. J Oral Maxillofac Surg 2017;75:1164-75.

22. Somoza-Martín JM, Vázquez-Casal A, Suárez-Cunqueiro M et al. A new morphologic classification of the alveolar ridge after distraction osteogenesis in human patients. A 17 years retrospective case series study. Med Oral Patol Oral Cir Bucal 2021;26:e304-13.

23. Chiapasco M, Zaniboni M, Rimondini L. Autogenous onlay bone grafts vs. alveolar distraction osteogenesis for the correction of vertically deficient edentulous ridges: a 2-4-year prospective study on humans. Clin Oral Implants Res 2007;18:432-40.

338 T ∕
LITTERATUR

Vi forstår dig nok lidt bedre end andre banker

Tandlægeforeningen er medejer af Lån & Spar, og det giver dig klare fordele – naturligvis.

Udover Danmarks højeste rente på lønkontoen, lave gebyrer, billige billån og meget andet, får du en fagspecifik rådgiver. Det er en rådgiver, der kender alt til din branche, dit fag og dine ansættelsesvilkår.

Ring 3378 2388 eller gå på lsb.dk/erhverv

Er du selvstændig?

Som selvstændig får du de samme fordele som andre tandlæger – endda også en specialiseret rådgiver, der taler dit fagsprog. Og det er uanset, om vi skal tale finansiering af klinik, pension eller forsikring. For hvad der er vigtigt for dig, er vigtigt for os.

Lån & Spar Bank A/S, Højbro Plads 9-11, 1200 København K, Cvr.nr. 13 53 85 30.

ABSTRACT

Implantatindsættelse i den svært atrofiske posteriore mandibel kan indebære en risiko for intraoperativ beskadigelse af n. alveolaris inferior som følge af reduceret afstand mellem toppen af processus alveolaris og den øvre begrænsning af canalis mandibulae. Lateralisering eller transposition af n. alveolaris inferior i kombination med samtidig implantatindsættelse kan derfor være en behandlingsmulighed, når højden af processus alveolaris ikke tillader protetisk rekonstruktion med korte implantater eller vertikal knogleopbygning med sandwichosteotomi og forsinket implantatindsættelse. Systematiske oversigtsartikler har vist høj implantatoverlevelse og begrænset periimplantært marginalt knogletab i forbindelse med lateralisering og transposition af n. alveolaris inferior. Imidlertid er denne behandling forbundet med risiko for alvorlige komplikationer, herunder fraktur af mandiblen, tab af sensibilitet i tænderne anteriort for foramen mentale samt temporære og permanente neurosensoriske forstyrrelser svarende til hagens hud og underlæbe.

I nærværende oversigtsartikel præsenteres den nuværende viden om lateralisering og transposition af n. alveolaris inferior i kombination med samtidig indsættelse af standardlængdeimplantater i den atrofiske posteriore mandibel, og de kirurgiske procedurer illustreres.

EMNEORD Alveolar bone loss | alveolar ridge augmentation | dental implants | oral surgical procedures

THOMAS STARCH-JENSEN, klinisk professor, overtandlæge, specialtandlæge i tand-, mund- og kæbekirurgi, postgraduat klinisk lektor, ph.d., Kæbekirurgisk Afdeling, Aalborg Universitetshospital, og Klinisk Institut, Det Sundhedsvidenskabelige Fakultet, Aalborg Universitet

SØREN AKSEL CHRISTIAN KRARUP, specialtandlæge i tand-, mund- og kæbekirurgi, Kæbekirurgisk Klinik, Hovedvagtsgade, København K

SIMON STORGÅRD JENSEN, professor, overtandlæge, specialtandlæge i tand-, mund- og kæbekirurgi, dr.odont., Afdeling for Kæbekirurgi, HovedOrtoCentret, Rigshospitalet, og Fagområde Oral Kirurgi, Sektion for Oral Biologi og Immunpatologi, Odontologisk Institut, Det Sundhedsvidenskabelige Fakultet, Københavns Universitet

Accepteret til publikation den 11. oktober 2022

Tandlægebladet 2023;127:340-6

Korrespondanceansvarlig førsteforfatter: THOMAS STARCH-JENSEN thomas.jensen@rn.dk

LANGVARIG TANDLØSHED i den posteriore mandibel kan medføre et betragteligt svind af processus alveolaris med reduceret afstand mellem toppen af processus alveolaris og den øvre begrænsning af canalis mandibulae. Ligeledes kan reduceret afstand mellem toppen af processus alveolaris og canalis mandibulae forekomme som en normalanatomisk variation eller ved medfødte manglende tandanlæg. Retablering af tyggefunktionen i den svært atrofiske posteriore mandibel ved hjælp af implantatbåret protetik indebærer derfor en betydelig risiko for intraoperativ beskadigelse af n. alveolaris inferior. LTNAI er derfor ofte nødvendigt i forbindelse med implantatindsættelse ved klasse V- og VI-knogledefekter i mandiblen (Fig. 1 og 2). Den kirurgiske teknik til LTNAI blev oprindeligt beskrevet af Alling i 1977 (1) og efterfølgende modificeret i 1987 af Jensen & Nock (2). Lateralisering af n. alveolaris inferior indebærer frilæggelse og lateral forskydning af nerven fra canalis mandibulae svarende til den planlagte implantatregion i forbindelse med udboring og indsættelse af standard-

videnskab & klinik ∕ oversigtsartikel
Lateralisering eller transposition af n. alveolaris inferior i forbindelse med implantatindsættelse i den atrofiske posteriore mandibel
340 T ∕

Cawood & Howells klassifikation af den tandløse posteriore mandibel

and inadequate width. Class V, flat alveolar ridge, with inadequate height and width. Class VI, depressed alveolar ridge, with varying degree of alveolar basal bone loss.

længdeimplantater. Når implantatet er indsat i mandiblen, vil n. alveolaris inferior således være beliggende lateralt for det indsatte implantat. Transposition af n. alveolaris inferior involverer frilæggelse og lateral forskydning af nerven inklusive foramen mentale. Den anteriore gren af n. alveolaris inferior overskæres, således nerven kan mobiliseres lateralt i en længere udstrækning, hvilket muliggør indsættelse af flere implantater i den posteriore atrofiske mandibel.

Partielt tandløs posterior mandibel, klasse V

Systematiske oversigtsartikler har vist høj implantatoverlevelse, begrænset peri-implantært marginalt knogletab og relativt få komplikationer efter LTNAI (3,4). Imidlertid kan LTNAI være forbundet med risiko for alvorlige komplikationer, som kan omfatte fraktur af mandiblen, tab af sensibilitet i tænderne anteriort for foramen mentale samt temporære og permanente neurosensoriske forstyrrelser svarende til hagens hud og underlæbe (5,6). LTNAI er således en vanskelig kirurgisk teknik,

Fig. 2. A. Partielt tandløs posterior mandibel med udtalt vertikal atrofi. B. Oversigtsrøntgen viser udtalt vertikal atrofi af processus alveolaris med minimal afstand mellem toppen af processus alveolaris og den øvre begrænsning af canalis mandibulae. C. Koronalt CBCT-scanningssnit visende en flad processus alveolaris med minimal afstand mellem toppen af processus alveolaris og den øvre begrænsning af canalis mandibulae.

Fig. 2. A. Partially edentulous posterior mandibel with severe atrophy. B. Radiograph showing severe vertical atrophy of the alveolar ridge with minimal distance between the alveolar crest and the mandibular canal. C. Coronal CBCT scan image showing a flat alveolar ridge with minimal distance between the alveolar crest and the mandibular canal.

Fig. 1. Klasse I, betandet posterior mandibel. Klasse II, umiddelbart efter tandudtrækning. Klasse III, velafrundet processus alveolaris med sufficient højde og bredde. Klasse IV, knivskarp processus alveolaris med sufficient højde og utilstrækkelig bredde. Klasse V, flad processus alveolaris med utilstrækkelig højde og bredde. Klasse VI, manglende processus alveolaris med varierende grad af basalt knogletab. Fig. 1. Class I, dentate posterior mandible. Class II, immediately after tooth extraction. Class III, well-rounded alveolar ridge, with adequate height and width. Class IV, knife-edge alveolar ridge, with adequate height
341 2023 127 ∕ 4
A B C

af canalis mandibulae. C. Med piezokirurgi eller fissurbor laves knoglevindue distalt for foramen mentale. D. Med mejsel eller rougine løsnes og fjernes det kortikale knoglevindue forsigtigt, og forløbet af n. alveolaris inferior identificeres. E. N. alveolaris inferior frigøres skånsomt fra canalis mandibulae og mobiliseres lateralt svarende til den planlagte implantatregion. F. Efter sædvanlig procedure foretages udboring og implantatindsættelse. G. N. alveolaris ses herefter at være beliggende lateralt for det indsatte implantat.

Fig. 3. A. Crestal incision with bilateral releasing incisions. B. Pronounced vertical atrophy of the alveolar ridge in the posterior mandible compromising implant placement due to reduced distance between the top of the alveolar crest and mandibular canal. C. With piezoelectric surgery or bur, a bony window is prepared posterior to the mental foramen. D. With a chisel or periosteal retractor, the cortical bony window is carefully mobilized and removed. The inferior alveolar nerve is identified. E. The inferior alveolar nerve is gently released from the mandibular canal and mobilized laterally corresponding to the planned implant position. F. The drilling procedure and implant placement is performed according to the usual procedure. G. The inferior alveolar nerve is afterwards located laterally to the inserted implant.

som kræver kirurgisk erfaring og ekspertise til håndtering af såvel intra- som postoperative komplikationer.

I nærværende oversigtsartikel præsenteres den nuværende viden om LTNAI i forbindelse med samtidig implantatindsættelse i den svært atrofiske posteriore mandibel, og de kirurgiske procedurer illustreres.

ANATOMI

N. alveolaris inferior er en sensorisk nervegren, som afgår fra n. mandibularis i spatium parapharyngeum lige under foramen ovale og passerer ind i mandiblen gennem foramen mandibulae. N. alveolaris inferior fortsætter anteriort gennem canalis mandibulae frem til foramen mentale i præmolarregionen, hvor den deler sig i en anterior gren, som fortsætter intraossøst i mandiblen, mens den del af nerven, som går gennem foramen mentale, ændrer navn til n. mentalis og deler sig i tre mindre grene, som benævnes rami mentales, labiales og gingivales. N. alveolaris inferior og n. mentalis innerverer tænderne og gingiva i mandibel samt hagens hud og underlæbe. Canalis mandibulae indeholder ligeledes a. alveolaris inferior og v. alveolaris inferior.

KIRURGISKE PROCEDURER

LTNAI foretages i generel anæstesi eller lokalanalgesi. Sidstnævnte eventuelt kombineret med sedation. Anvendelse af præog postoperativ kortikosteroid kan være hensigtsmæssigt for at

reducere postoperativ hævelse omkring den frilagte nerve. Skematisk illustration af de kirurgiske procedurer er vist i Fig. 3 og 4. Indledningsvis lægges incision på toppen af processus alveolaris svarende til det tandløse område med aflastningssnit under hensyntagen til lokalisationen af foramen mentale samt forløbet af n. mentalis og n. buccalis. Slimhinden og periost rougineres til side, og eventuelle blødtvævsrester svarende til den faciale knogleoverflade fjernes med rougine eller skarpske. Foramen mentale og forløbet af canalis mandibulae identificeres, hvorefter der med piezokirurgi eller fissurbor laves et vindue gennem den faciale kortikale knogle. Den anteriore del af knoglevinduet placeres umiddelbart distalt for foramen mentale og strækker sig ca. 1 cm posteriort for den planlagte implantatregion. Med rougine eller egnet instrument løsnes knoglevinduet forsigtigt og fjernes, således forløbet af n. alveolaris inferior kan visualiseres. Ved lateralisering af n. alveolaris inferior frigøres nerven skånsomt fra canalis mandibulae svarende til den planlagte implantatregion og holdes lateralt til side med nerveretraktor under udboring og implantatindsættelse. Ved transposition af n. alveolaris inferior laves ydermere et cirkulært kortikalt borespor omkring foramen mentale. N. alveolaris inferior inklusive den cirkulære knogleblok, som omgrænser foramen mentale, frigøres skånsomt, og den anteriore gren af n. alveolaris inferior overskæres, således at nerven kan mobiliseres og lateraliseres i en længere udstrækning. Den cirkulære knogleblok omkring n. alveolaris inferior fjernes

videnskab & klinik ∕ oversigtsartikel
Lateralisering af n. alveolaris inferior i forbindelse med samtidig implantatindsættelse i den svært atrofiske posteriore mandibel. Skematisk fremstilling
Fig. 3. A. Incision på toppen af processus alveolaris med bilaterale aflastningssnit. B. Udtalt vertikal atrofi af processus alveolaris i den posteriore mandibel, som umuliggør implantatindsættelse på grund af reduceret afstand mellem toppen af processus alveolaris og den øvre begrænsning
A E B F C G D 342 T ∕

skånsomt, og nerven fastholdes lateralt med nerveretraktor under udboring og implantatindsættelse. Transposition af n. alveolaris inferior muliggør indsættelse af flere implantater i den atrofiske posteriore mandibel. Ved LTNAI ses nerven efterfølgende at være beliggende lateralt for de indsatte implantater. Tykkelsen af det udtagne knoglevindue reduceres, således at knoglevinduet kan genplaceres uden at trykke på n. alveolaris inferior og fikseres almindeligvis med osteosynteseskruer/-plader. Alternativt kan knoglevinduet partikuleres og pakkes omkring den eksponerede implantatoverflade, således at nerven ikke appliceres direkte på den blottede implantatoverflade. N. alveolaris inferior lægges herefter tilbage og dækkes med partikuleret knogle. Afslutningsvis afdækkes området oftest med en resorberbar membran. Herefter sutureres slimhinden med resorberbar eller ikkeresorberbar sutur.

IMPLANTATOVERLEVELSE OG PERIIMPLANTÆRT

MARGINALT KNOGLETAB

Systematiske oversigtsartikler har vist en implantatoverlevelse mellem 88-100 % efter LTNAI, når kasuistiske patienttilfælde udelades (3,4). Undersøgelser af implantatoverlevelse og pe-

klinisk relevans

Implantatindsættelse i den atrofiske posteriore mandibel kan være umulig som følge af reduceret afstand fra toppen af processus alveolaris til den øvre begrænsning af canalis mandibulae. Indsættelse af korte implantater, sandwichosteotomi og lateralisering eller transposition af n. alveolaris inferior (LTNAI) er de hyppigst anvendte kirurgiske teknikker til protetisk rehabilitering af den atrofiske posteriore mandibel. Imidlertid er LTNAI forbundet med højere frekvens af intra- og postoperative komplikationer sammenlignet med indsættelse af korte implantater eller sandwichosteotomi. Implantatindsættelse i forbindelse med LTNAI kan derfor kun anbefales, når højden af processus alveolaris ikke tillader protetisk rekonstruktion af den atrofiske posteriore mandibel med korte implantater eller sandwichosteotomi.

riimplantært marginalt knogletab efter LTNAI med mere end 10 patienter er vist i Tabel 1 (7-22).

af n. alveolaris inferior i forbindelse med samtidig implantatindsættelse i den svært atrofiske posteriore mandibel. Skematisk fremstilling

Transposition

på grund af reduceret afstand mellem toppen af processus alveolaris og den øvre begrænsning af canalis mandibulae. B. Med piezokirurgi eller fissurbor laves knoglevindue distalt for foramen mentale. Endvidere laves cirkulært borespor omkring foramen mentale. C. Med mejsel eller rougine løsnes og fjernes det kortikale knoglevindue samt den cirkulære knogleblok omkring foramen mentale. Den anteriore gren af n. alveolaris inferior overskæres, således n. alveolaris inferior kan frigøres og mobiliseres lateralt i en længere udstrækning svarende til de planlagte implantatregioner. D. Efter sædvanlig procedure foretages udboring og implantatindsættelse. E. N. alveolaris inferior ses herefter at være beliggende lateralt for de indsatte implantater.

Fig. 4. A. Pronounced vertical atrophy of the alveolar ridge in the posterior mandible compromising implant placement due to reduced distance between the top of the alveolar crest and mandibular canal. B. With piezoelectric surgery or a bur, a bony window is prepared posterior to the mental foramen. Moreover, a circular osteotomy around the mental foramen with the mental nerve is prepared. C. With a chisel or periosteal retractor, the cortical bony window and the circular bone block around the mental foramen are mobilized and removed. The anterior branches of the inferior alveolar nerve are cut, so the alveolar inferior nerve can be mobilized laterally to a greater extent according to the planned implant position. D. The drilling procedure and implant placement are performed according to the usual procedure. E. The inferior alveolar nerve is afterwards located laterally to the inserted implants.

Fig. 4. A. Udtalt vertikal atrofi af processus alveolaris i den posteriore mandibel, som umuliggør implantatindsættelse
A B C D E 343 2023 127 ∕ 4

videnskab & klinik ∕ oversigtsartikel

Oversigt over studier

ikke rapporteret, PIMK: periimplantært marginalt knogletab, pt: patienter, TNSF: Temporære neurosensoriske forstyrrelser; PNSF: permanente neurosensoriske forstyrrelser Tabel 1. Lateralisering og transposition af n. alveolaris inferior. Table 1. Lateralization and transposition of the inferior alveolar nerve.

Studiedesign Pt (n) Lateralisering/ transposition Antal implantater (n) Implantatoverlevelse (%) PIMK (mm) TNSF (%) PNSF (%) Undersøgelsesmetode Followup (mdr./ range) Reference Prospektivt 18 Lateralisering: IR 45 92,1 % IR 12,5 % 36 Hirsch 1995 (7) Retrospektivt 15 Transposition: IR 64 93,8 % IR 2-punktsdiskrimination 41 (10-67) Kan 1997 (8) Retrospektivt 12 Lateralisering: 12 30 100 % IR 100 % 20 % Let berøringstest 16 (6-60) Morrison 2002 (9) Prospektivt 15 Transposition: 9 46 95,7 % IR IR 21,1 % Spørgeskema 49 (12-78) Ferrigno 2005 (10) Prospektivt 15 Transposition: 20 25 88,0 % IR 100 % 0 % 2-punktsdiskrimination 6 Chrcanovic 2009 (11) Prospektivt 87 Transposition: 19 IR IR IR 100 % 3 % Let berøringstest Smertetest 12 Hashemi 2010 (12) Prospektivt 15 Transposition: 15 38 97,4 % IR 100 % 6 % 2-punktsdiskrimination 24 Fernández Díaz 2013 (13) Prospektivt 21 Lateralisering: 110 65 100 % IR 100 % 7,1 % Let berøringstest Smertetest 12 Khajehahmadi 2013 (14) Retrospektivt multicenter 57 Lateralisering: 19 232 99,0 % IR 5 % 0 % Priktest 21 (12-45) Lorean 2013 (15) Prospektivt 13 Transposition: 28 27 100 % IR 100 % 5 % Spørgeskema 12 de Vicente 2016 (16) Retrospektivt 69 Lateralisering: 68 184 98,7 % 0,8 mm 2-punktsdiskrimination 18,5 Khojasteh 2016 (17) Prospektivt 27 Transposition: 11 74 98,6 % 0,3 mm 100 % 4 % 2-punktsdiskrimination 60 MartinezRodriguez 2016 (18) Prospektivt 40 Lateralisering: 13 129 98,4 % 1,3 mm 100 % 0 % Let berøringstest 60 MartinezRodriguez 2018 (19) Prospektivt 34 IR 82 97,6 % IR 100 % 0 % 2-punktsdiskrimination Von Frey Test 12 de Campos 2019 (20) Retrospektivt multicenter 15 Lateralisering: 27 48 95,8 % IR 100 % 13 % 2-punktsdiskrimination 61 (12-120) Deryabin 2021 (21) Randomiseret kontrolleret undersøgelse 18 Lateralisering: 48 43 100% 0,4 mm 100 % 0 % Let berøringstest Smertetest 6 Garoushi 2021 (22) IR:
344 T ∕

KOMPLIKATIONER

Intra- og postoperative komplikationer i forbindelse med LTNAI er relativt sjældent forekommende med de rette kirurgiske kompetencer, og såfremt korrekt kirurgisk teknik anvendes. Hævelse, smerter, infektion og slimhindedehiscens er kendte og velbeskrevne komplikationer, som oftest kan behandles sufficient med analgetikum, antibiotikum og eventuelt præ- og postoperativ kortikosteroid (3). Imidlertid er LTNAI forbundet med risiko for alvorlige komplikationer, som kan involvere fraktur af mandiblen, tab af sensibilitet i tænderne anteriort for foramen mentale samt temporære og permanente neurosensoriske forstyrrelser svarende til hagens hud og underlæbe (5,6). Systematiske oversigtsartikler har beskrevet hyppigheden af temporære og permanente neurosensoriske forstyrrelser svarende til hagens hud og underlæbe efter LTNAI, hvor de temporære ændringer forekommer mellem 58,9 % og 100 %, mens permanente ændringer forekommer mellem 0,5 % og 22,1 % (4-6). Undersøgelser af temporære og permanente neurosensoriske forstyrrelser svarende til hagens hud og underlæbe efter LTNAI er vist i Tabel 1.

Tænderne anteriort for foramen mentale innerveres af den anteriore gren af n. alveolaris inferior. En randomiseret kontrolleret undersøgelse har vist 100 % negativ sensibilitetstest af tænderne anteriort for foramen mentale efter transposition af n. alveolaris inferior, mens negativ sensibilitetstest fandtes hos 20 % af tænderne ved lateralisering efter 12 måneder (14). Overskæring af den anteriore gren i forbindelse med transposition af n. alveolaris inferior influerer således, som forventeligt, signifikant på tændernes sensibilitet.

Fraktur af mandiblen efter LTNAI og samtidig implantatindsættelse er en kendt komplikation og tidligere beskrevet i talrige kasuistiske patienttilfælde og systematiske oversigtsartikler (3,4,10,21,23-28).

PATIENTTILFREDSHED

En spørgeskemaundersøgelse har vist, at 100 % af patienterne var tilfredse med den implantatbårne protetiske rekonstruktion efter transposition af n. alveolaris inferior og samtidig implantatindsættelse (10). Endvidere var patienter villige til at gennemgå samme behandling igen, selvom 21,1 % tilkendegav permanente neurosensoriske forstyrrelser svarende til hagens hud og underlæbe efter 49 måneder (10).

Tilsvarende har en spørgeskemaundersøgelse vist, at 94 % af patienterne var tilfredse med behandlingsresultatet efter lateralisering af n. alveolaris inferior efter 12 måneder (12). Neurosensoriske forstyrrelser i form af kilden samt nedsat følelse i hagens hud og underlæbe var årsagen til manglende behandlingstilfredshed hos 6 % af patienterne (12).

KONKLUSION

LTNAI i kombination med samtidig implantatindsættelse er karakteriseret ved høj implantatoverlevelse og begrænset periimplantært marginalt knogletab. Imidlertid er LTNAI forbundet med risiko for alvorlige komplikationer, herunder fraktur af mandiblen, tab af sensibilitet i tænderne anteriort for foramen mentale samt temporære og permanente neurosensoriske forstyrrelser svarende til hagens hud og underlæbe.

ABSTRACT (ENGLISH)

LATERALIZATION OR TRANSPOSITION OF THE INFERIOR ALVEOLAR NERVE IN CONJUNCTION WITH IMPLANT PLACEMENT IN THE ATROPHIC POSTERIOR MANDIBLE

Placement of dental implants in the severely atrophic posterior mandible may involve a risk of intraoperative injury of the inferior alveolar nerve due to a reduced distance between the top of the alveolar crest and the mandibular canal. Lateralization or transposition of the inferior alveolar nerve in conjunction with simultaneous placement of implants is therefore considered a treatment option when the height of the alveolar ridge does not allow prosthetic reconstruction with short implants or vertical bone augmentation with sandwich osteotomy and delayed implant placement. Systematic reviews

have revealed high implant survival and limited peri-implant marginal bone loss following lateralization or transposition of the inferior alveolar nerve. However, this treatment is associated with risk of serious complications involving mandibular fracture, loss of sensitivity of the teeth anterior to the mental foramen as well as temporary or permanent neurosensory disturbances of the chin and lower lip.

In the present review, the current knowledge on lateralization or transposition of the inferior alveolar nerve in conjunction with simultaneous placement of standard-length implants in the atrophic posterior mandible is presented and the surgical procedures are illustrated.

345 2023 127 ∕ 4

videnskab & klinik ∕ oversigtsartikel

1. Alling CC. Lateral repositioning of inferior alveolar neurovascular bundle. J Oral Surg 1977;35:419.

2. Jensen O, Nock D. Inferior alveolar nerve repositioning in conjunction with placement of osseointegrated implants: a case report. Oral Surg Oral Med Oral Pathol 1987;63:263-8.

3. Abayev B, Juodzbalys G. Inferior alveolar nerve lateralization and transposition for dental implant placement. Part I: a systematic review of surgical techniques. J Oral Maxillofac Res 2015;6:e2.

4. Palacio García-Ochoa A, PérezGonzález F, Negrillo Moreno A et al. Complications associated with inferior alveolar nerve reposition technique for simultaneous implant-based rehabilitation of atrophic mandibles. A systematic literature review. J Stomatol Oral Maxillofac Surg 2020;121:390-6.

5. Abayev B, Juodzbalys G. Inferior alveolar nerve lateralization and transposition for dental implant placement. Part II: a systematic review of neurosensory complications. J Oral Maxillofac Res 2015;6:e3.

6. Vetromilla BM, Moura LB, Sonego CL et al. Complications associated with inferior alveolar nerve repositioning for dental implant placement: a systematic review. Int J Oral Maxillofac Surg 2014;43:1360-6.

7. Hirsch JM, Brånemark PI. Fixture stability and nerve function after transposition and lateralization of the inferior alveolar nerve and fixture installation. Br J Oral Maxillofac Surg 1995;33:276-81.

8. Kan JY, Lozada JL, Boyne PJ et al. Mandibular fracture after endosseous implant placement in conjunction with inferior alveolar nerve transposition: a patient

treatment report. Int J Oral Maxillofac Implants 1997;12:655-9.

9. Morrison A, Chiarot M, Kirby S. Mental nerve function after inferior alveolar nerve transposition for placement of dental implants. J Can Dent Assoc 2002;68:46-50.

10. Ferrigno N, Laureti M, Fanali S. Inferior alveolar nerve transposition in conjunction with implant placement. Int J Oral Maxillofac Implants 2005;20:610-20.

11. Chrcanovic BR, Custódio AL. Inferior alveolar nerve lateral transposition. Oral Maxillofac Surg 2009;13:213-9.

12. Hashemi HM. Neurosensory function following mandibular nerve lateralization for placement of implants. Int J Oral Maxillofac Surg 2010;39:452-6.

13. Fernández Díaz JÓ, Naval Gías L. Rehabilitation of edentulous posterior atrophic mandible: inferior alveolar nerve lateralization by piezotome and immediate implant placement. Int J Oral Maxillofac Surg 2013;42:521-6.

14. Khajehahmadi S, Rahpeyma A, Bidar M et al. Vitality of intact teeth anterior to the mental foramen after inferior alveolar nerve repositioning: nerve transpositioning versus nerve lateralization. Int J Oral Maxillofac Surg 2013;42:1073-8.

1

5. Lorean A, Kablan F, Mazor Z et al. Inferior alveolar nerve transposition and reposition for dental implant placement in edentulous or partially edentulous mandibles: a multicenter retrospective study. Int J Oral Maxillofac Surg 2013;42:656-9.

16. de Vicente JC, Peña I, Braña P et al. The use of piezoelectric surgery to lateralize the inferior alveolar nerve with simultaneous implant

placement and immediate buccal cortical bone repositioning: a prospective clinical study. Int J Oral Maxillofac Surg 2016;45:851-7.

17. Khojasteh A, Hassani A, Motamedian SR et al. Cortical bone augmentation versus nerve lateralization for treatment of atrophic posterior mandible: a retrospective study and review of literature. Clin Implant Dent Relat Res 2016;18:342-59.

18. Martínez-Rodríguez N, BaronaDorado C, Cortes-Breton Brinkmann J et al. Implant survival and complications in cases of inferior alveolar nerve lateralization and atrophied mandibles with 5-year follow-up. Int J Oral Maxillofac Surg 2016;45:858-63.

19. Martínez-Rodríguez N, BaronaDorado C, Cortés-Breton Brinkmann J et al. Clinical and radiographic evaluation of implants placed by means of inferior alveolar nerve lateralization: a 5-year follow-up study. Clin Oral Implants Res 2018;29:779-84.

20. de Campos CG, Francischone CE, Souza Picorelli Assis NM et al. Neurosensory function and implant survival rate following implant placement with or without an interposed bone graft between the implant and nerve: prospective clinical trial. Int J Oral Maxillofac Implants 2019;33:1450-6.

21. Deryabin G, Grybauskas S. Dental implant placement with inferior alveolar nerve repositioning in severely resorbed mandibles: a retrospective multicenter study of implant success and survival rates, and lower lip sensory disturbances. Int J Implant Dent 2021;7:44.

22. Garoushi IH, Elbeialy RR, Gibaly A et al. Evaluation of the effect of the lateralized inferior alveolar nerve isolation and bone grafting on the nerve function and implant

stability. (Randomized clinical trial). Clin Implant Dent Relat Res 2021;23:423-31.

23. Luna AH, Passeri LA, de Moraes M et al. Endosseous implant placement in conjunction with inferior alveolar nerve transposition: a report of an unusual complication and surgical management. Int J Oral Maxillofac Implants 2008;23:133-6.

24. dos Santos PL, Gaujac C, Shinohara EH et al. Incomplete mandibular fracture after lateralization of the inferior alveolar nerve for implant placement. J Craniofac Surg 2013;24:e222-4.

25. Karlis V, Bae RD, Glickman RS. Mandibular fracture as a complication of inferior alveolar nerve transposition and placement of endosseous implants: a case report. Implant Dent 2003;12:211-6.

26. Rahpeyma A, Khajehahmadi S. Mandibular body fracture during inferior alveolar nerve transposition: review of literature. Ann Maxillofac Surg 2019;9:218-20.

27. Kablan F, Abu-Sobeh A, Lorean A et al. Spontaneous mandibular fracture as a complication of inferior alveolar nerve transposition and placement of endosseous dental implants in the atrophic mandible: a review of the literature and a report of two cases and their nonsurgical conservative management. Quintessence Int 2020;51:230-7.

28. Haeberle CB, Abreu A, Metzler K et al. Complications associated with rehabilitation of a unilateral partially edentulous mandible with inferior alveolar nerve transposition and implant placement: a clinical report. J Prosthodont 2021;30:285-9.

346 T ∕
LITTERATUR
VITA Easyshade® LITE The One-Click Shade Guide. • Hurtigt resultat • Let og anskuelig at anvende • Præcis bestemmelse af tandfarve, uafhængig af omgivende lys For mere information, kontakt venligst DK DentalDepot | 3614 0000 | info@dkdentaldepot.dk VITA Teemu Visuri | 358 400 585806 | t.visuri@vita-zahnfabrik.com NU TILGÆNGELIG!

Fire faktorer med betydning for holdbarhed af plastfyldninger i kindtænder

NÅR DU SKAL LAVE EN FYLDNING, ER DER SPECIELT FIRE FAKTORER, DER HAR BETYDNING FOR KVALITETEN fra starten og dermed for fyldningens holdbarhed. Bliv klogere på dem her, samt hvilke foranstaltninger du kan tage for at få dine fyldninger til at holde længst muligt.

Undersøgelser har vist, at de to væsentligste årsager til, at plastfyldninger i kindtænder laves om, er caries og fraktur af fyldningsmateriale. Tanden, materialet, patienten og tandlægen er fire faktorer, som kan være medvirkende til, at dette sker.

Tanden

Den tand, fyldningen er udført i, har en væsentlig betydning for holdbarheden. I molarer holder fyldninger fx dårligere end i præmolarer, og klasse I-fyldninger holder langt bedre end klasse II-fyldninger. Størrelsen af kaviteten har også stor betydning, og derfor er det vigtigt allerede under ekskavering og præparation at holde kaviteten så lille som muligt. Selektiv cariesekskavering er ikke bare godt for pulpa, men også for bevarelse

af tandsubstans. Adhæsivteknikken har heldigvis også gjort det muligt at undlade præparation af underskæringer i kaviteten og i stedet nøjes med dem, der kommer automatisk ved korrekt cariesekskavering, hvor sund emalje over carieret dentin ikke fjernes.

Materialet

Valg af plastmaterialet er ikke afgørende for holdbarhed, når det drejer sig om materialer, der har været på markedet i længere tid. Derimod skal man passe på med at vælge helt uprøvede produkter som fx nye bioaktive materialer, der ikke har været klinisk testet. I det hele taget er det godt at vælge materialer, der har været afprøvet over 2-3 år i kliniske undersøgelser. Ingen plastmaterialer har cariesforebyggende egenskaber, og for at forebygge caries er det vigtigt

at undgå spalter og luftlommer mellem plast og kavitetsvægge, som vil kunne give adgang for akkumulering af bakterier og senere caries. Derfor kan anvendelse af flydende plast (flow) som første lag være en god hjælp. Om det skal være flydende plast, der kan hærdes i tykkere lag (bulk-fill), afhænger af, om det er en stor dyb kavitet, hvor fyldningsteknikken gøres lettere ved at kunne hærde i tykkere lag, eller om det er en helt lille kavitet, hvor lyspolymerisering gennem tandsubstans kan udføres sikrest med et lysfølsomt materiale, som bulk-fillmaterialer er. Kliniske undersøgelser har heller ikke vist, at valget af adhæsiv er afgørende for holdbarhed, når blot der anvendes en amfifil adhæsiv, der kan binde til både hydrofil dentin og til hydrofob plast. Sammenlignet med tidligere har disse adhæsiver i dag ført til, at kun få plastfyldninger laves om som følge af postoperative symptomer. Samlet kan det konkluderes, at valg af materialer ikke er det, der har den største indflydelse på plastfyldningers holdbarhed.

BEARBEJDET AF ULLA PALLESEN, OVERTANDLÆGE, TANDLÆGESKOLEN VED KØBENHAVNS UNIVERSITET, OG JOURNALIST NANNA FLØJBORG
T ∕ guide 348

Patienten

Det kan opleves, at på nogle patienter holder fyldninger godt, og på andre er der store udfordringer. Her er det nok oftest patientens cariesaktivitet i forhold til mundhygiejne og kulhydratindtag, der fører til caries og omlavning af fyldninger, men også faktorer som nedsat spytsekretion, brukisme og mulighed for optimal behandling har betydning. Det er vist, at amalgamfyldninger holder længere end plastfyldninger på cariesaktive patienter, og derfor kan det være indiceret at vælge et cariesforebyggende materiale som glasionomercement gingivalt i de approksimale kaviteter, hvor caries opstår, og kun anvende plast okklusalt, hvor der er brug for styrke. Det samme gælder for patienter med nedsat spytsekretion, hvor fluoridafgivelsen fra glasionomercement ofte må prioriteres i hele kaviteten frem for plastens styrkeegenskaber. Patienter, der sidder uroligt i stolen, har en lille mund eller snakker meget, kan være vanskelige at behandle, og her vil kvaliteten af fyldningen fra start og den kommende holdbarhed oftest kunne forbedres ved anvendelse af kofferdam. Hvis en kavitet ikke kan holdes tør under fyldningsproceduren, opstår der en spalte.

Tandlægen

Undersøgelser har vist, at der er meget stor forskel på, hvor længe fyldninger holder, afhængigt af hvilken tandlæge patienten har. Når en plastfyldning frakturerer, er det fx oftest en tandlægefejl, fordi randcrista ikke har været korrekt udformet. Plast i randcristaområdet skal, hvis der er okklusion/artikulation, være understøttet af tandsubstans, hvilket gøres ved at udforme den som på en naturlig tand, hvor randcrista er trukket godt ind på okklusalfladen. Praktisk udføres det ved at lægge det approksimale kontaktpunkt ca. 1/3 under/over

okklusalfladen. Hvad angår diagnostikken må en gammel plastfyldning i dag gerne have dårlig morfologi, spalte, kantfraktur, kantmisfarvning osv. uden at skulle omlægges, hvis blot den er i god funktion, der ikke er sygdomstegn i de omgivende væv som caries og parodontitis, og patienten ikke er generet af den. Hver gang en fyldning laves om, bliver kaviteten større og pulpa påvirket, så derfor er det ofte bedst at lade tvivl om omlavning komme tanden til gode. I dag kan en reaktiv tandlæge, der venter og ser tiden an, være en bedre tandlæge end den proaktive, der straks

griber til behandling. Er det muligt at lave en reparation i stedet for at skifte hele fyldningen, er det også en god løsning. Omlægning af fyldninger som følge af caries kan på sigt også afhjælpes ved, at tandlægen gør en indsats for at motivere og instruere patienten i god mundhygiejne og et fornuftigt indtag af kulhydrater og ikke mindst følger op på det. Hvis man er ude for, at en fyldning skal laves om, er det vigtigt at evaluere på sit eget arbejde og analysere, hvad årsagen er, så det muligvis kan undgås fremover. ♦

Pilcher L, Pahlke S, Urquhart O et al. Direct materials for restoring caries lesions: systematic review and meta-analysis – a report of the American Dental Association Council on Scientific Affairs. J Am Dent Assoc 2023. (Set 2023 marts). Tilgængelig fra: URL: https://jada.ada.org/article/S00028177(22)00650-X/fulltext

Laske M, Opdam NJM, Bronkhorst EM et al. Longevity of direct restorations in Dutch dental practices. Descriptive study out of a practice based research network. J Dent 2016;46:12-7.

Pallesen U, van Dijken JWV, Halken J et al. Longevity of posterior resin composite restorations in permanent teeth in Public Dental Health Service: A prospective 8 years follow up.

Journal of Dentistry. 2013;41:297-306.

Pallesen U, van Dijken JWV, Halken J et al. A prospective 8-year follow-up of posterior resin composite restorations in permanent teeth of children and adolescents in Public Dental Health Service: reasons for replacement. Clin Oral Investig 2014;18:819-27.

Opdam NJM, van de Sande FH, Bronkhorst E et al. Longevity of posterior composite restorations: A systematic review and meta-analysis. J Dent Res 2014;93:943-9.

van Dijken JWV, Pallesen U. Posterior bulk-filled resin composite restorations. A 5-year randomized controlled clinical study. J Dent 2016;51:29-35.

van Dijken JWV, Pallesen U, Benetti A. A randomized controlled evaluation of posterior resin restorations of an altered resin modified glass-ionomer cement with claimed bioactivity.

Dental Mater 2019;35:335-43.

Wilson NHF, Lynch CD, Brunton PA et al. Criteria for the replacement of restorations: Academy of Operative Dentistry European Section. Oper Dent 2016;41 (Supp 7):S48-S57.

van Dijken JWV, Pallesen U. Three-year randomized controlled clinical study of a one-step universal adhesive and a 2-step self-etch adhesive in Class II resin composite restorations. J Adhes Dent 2017;19:287-94.

Kilder
349 2023 127 ∕ 4
T ∕ interview 350

Nye praksisser i den gamle tandlægepraksis

DA

KLINIKSEKRETÆR SUSANNE

ELLEGAARD JENSEN PÅBEGYNDTE 1. MODUL på Akademiuddannelsen i Odontologisk Praksis, kom det til at få stor betydning for klinikken i Fredensborg. Hvert af de seks moduler skabte nemlig små og store forandringer ikke bare i receptionen, men i hele huset. Det har været som at sætte gang i en lang række udviklingsprojekter, fortæller tandlæge og klinikejer Lotte Hein Sørensen.

Den gamle herskabelige bygning med de smukke blyindfattede ruder ligner ikke ved første øjekast en højt specialiseret tandlægeklinik med et progressivt og moderne arbejdsmiljø.

Men det er det.

Bag de hvidmalede mursten har klinikejere og medarbejdere ved Tandlægerne Fredensborghus i Fredensborg nemlig arbejdet målrettet for at udvikle og sikre en høj kvalitet i både arbejde og arbejdsmiljø og har siden 2013 været ISO-certificeret. Indtil for få år siden har fokus imidlertid primært været rettet mod det, der kan karakteriseres som enhver

TEKST FREELANCEJOURNALIST FREJA BECH-JESSEN FOTO THOMAS NIELSEN
¾¾ 351 2023 127 ∕ 4

hver kliniks kerneopgave, nemlig tandpleje og behandling af patienter. Men i 2018 skete der noget, der fik ledere og medarbejdere til at løfte blikket fra tandlægestolen. Klinikkens sekretær Susanne Ellegaard Jensen påbegyndte et modul på Akademiuddannelsen i Odontologisk Praksis, og hendes studier satte gang i en række forandringer, der fik betydning ikke bare for hendes eget domæne i receptionen, men for hele huset.

LOTTE HEIN SØRENSEN

Klinikejer

– Man kan sige, at Susannes videreuddannelse har bragt det kvalitetsarbejde, vi havde påbegyndt i klinikken, helt ind i det administrative arbejde og dermed fået hele huset med, fortæller klinikejer

Lotte Hein Sørensen og fortsætter:

– Hver eneste af Susannes skriftlige opgaver på uddannelsen har resulteret i en form for udviklingsprojekt for os, som har været virkelig inspirerende og skabt positive forandringer for både effektivitet, kvalitet og arbejdsglæde.

– Det hele hænger jo sammen, siger kliniksekretær

Susanne Ellegaard Jensen og tilføjer så:

– Når først man forstår det, kan man for alvor begynde at skabe forandringer.

Udgangspunkt i konkrete problemstillinger

De to kvinder sidder ved det aflange køkken- og mødebord på husets øverste etage. Det er her, under de skrå vægge, at de sammen har identificeret

NY FAGGRUPPE. Tidligere var det en udfordring, at de klinikassistenter, der sad i receptionen, aldrig vidste, om de var efterspurgt til en behandling. Men nu er der ansat to kontoruddannede medarbejdere – heriblandt Denice Kokfelt (tv.) – så arbejdsopgaverne er blevet skilt ad.

Det har været virkelig inspirerende og skabt positive forandringer for både effektivitet, kvalitet og arbejdsglæde
T ∕ interview 352

en stor del af de emner, der har dannet udgangspunkt for Susanne Ellegaard Jensens opgaveskrivning i løbet af den videreuddannelse, hun i dag har gennemført.

– Ved at tage udgangspunkt i konkrete problemstillinger og udfordringer i klinikken er opgaverne blevet til mere end teoretiske øvelser, for så har vi jo rent faktisk kunnet bruge mine opgaver til at skabe regulære forandringer i huset, siger Susanne Ellegaard Jensen.

Og hvad er det så for nogle problematikker og udfordringer, kliniksekretæren er dykket ned i?

Susanne Ellegaard Jensen tog bl.a. fat i det faktum, at hun selv og andre på klinikken havde en oplevelse af, at de løb hurtigere end tidligere og havde mindre tid til at se hinanden i øjnene – socialt såvel som fagligt.

– Det var en meget naturlig konsekvens af, at klinikken var vokset betydeligt – fra 3.000 til 6.000 patienter på bare fem år – og nu også rummede flere specialer lige fra kirurgi til tandregulering. Men det betød samtidig, at de opgaver, der var vigtige, men ikke ligefrem akutte, i stigende grad blev skubbet lidt foran os, siger Susanne Ellegaard Jensen.

Velkomstterminal og akuttider

Hun begyndte derfor systematisk at finde ud af, hvordan hun kunne effektivisere nogle arbejdsgange, så der kunne frisættes tid til de vigtige, men ikke akutte opgaver – udvikling, kvalitetssikring, men også et godt og velfungerende arbejdsmiljø.

– Jeg undersøgte bl.a., hvorvidt vores patienter egentlig havde brug for at blive manuelt tjekket ind eller følte sig lige så velkomne med en velkomstterminal. Det gjorde de. Det, der betød noget, var, at de fik et smil og et hej, når de ankom. En velkomstterminal sparede os for en masse spildtid og gjorde os samtidig mere skarpe på, hvordan vi bedst tager imod vores patienter, fortæller hun.

Susanne Ellegaard Jensen kortlagde også, hvor mange ressourcer det rent faktisk krævede at finde akuttider i en i forvejen tætpakket kalender. Mange, skulle det vise sig.

– På en vilkårlig uge fik vi 13 akuttider ind, hvilket betød, at vi flere gange dagligt måtte stoppe op midt i andre opgaver for at gå på jagt efter tider, der ikke fandtes i kalenderen, og også ofte løb rundt i hele huset for at finde ud af, hvem der måske lige kunne finde et kvarter, hvilket så forstyrrede

FORDYBELSE. Et nyt tiltag er, at mange småmøder uden dagsorden er blevet skiftet ud med heldagsmøder, hvor klinikken bliver lukket, så personalet kan fordybe sig i udvalgte emner og områder.

SUSANNE OG LOTTES BEDSTE RÅD TIL UDVIKLING

3.

tid af til kvalitetssikring og udviklingsarbejde for alle på klinikken – det kommer så godt igen.

¾¾
1. Investér i, at medarbejderne tager efteruddannelse og videreuddannelse – det giver stor værdi for alle på klinikken. 2. Tænk på, at klinikkens udvikling afhænger af medarbejdernes engagement og gode idéer. Sæt
353 2023 127 ∕ 4

en masse andre mennesker midt i deres opgaver, fortæller Susanne Ellegaard Jensen.

Som en direkte konsekvens af hendes kortlægning har Tandlægerne Fredensborghus i dag afsat tid til akutte behandlinger. En hel time hver dag står nu åben i husets kalender.

– Det betyder, at jeg ikke skal bruge tid på at lave dårlige nødløsninger, men kan give patienten en tid med det samme. Og det giver ikke bare bedre service og bedre behandling, det giver også stor arbejdsglæde. For det er bare helt vildt fedt at kunne hugge til og sige: Ja selvfølgelig har vi en tid til dig! I stedet for at rende rundt og hugge en hæl og klippe en tå og forstyrre en masse kolleger i processen, siger Susanne Ellegaard Jensen.

OM AKADEMIUDDANNELSEN I ODONTOLOGISK PRAKSIS

Akademiuddannelsen henvender sig til den erfarne tandklinikassistent eller kliniksekretær, der ønsker at opnå nye kompetencer indenfor et enkelt fagområde eller ønsker at gennemføre en hel videreuddannelse.

Tandklinikassistenten – eller kliniksekretæren –spiller i dag en langt mere aktiv rolle med flere arbejdsopgaver inden for patientbehandling, drift og administration. Akademiuddannelsen kan bidrage til at underbygge og udvikle såvel teoretiske som praktiske kompetencer indenfor de forskellige områder ved at bygge videre på den enkeltes grunduddannelse og erfaringer fra det daglige arbejde.

Se mere på: odontschool.ku.dk/udd/aop/

– Risikoen er selvfølgelig, at man står med en time uden indtjening, siger Lotte Hein Sørensen.

– Og det er måske forklaringen på, at vi ikke har gjort det tidligere. Men Susannes undersøgelse viste, at det ikke kunne betale sig at gøre andet. Og det er jo det, hendes arbejde har kunnet. Susanne har jo ikke bare foretaget et par tilfældige interview med patienter eller tænkt lidt over det med akuttider. Hun er gået i dybden med de her problemstillinger og har undersøgt dem til bunds. Vi havde ikke kunnet få en bedre analyse, hvis vi havde hyret McKinsey. Helt som forventet har timerne, der er afsat til akuttider, da også kun vist sig overflødige forsvindende få gange.

– De timer har for længst tjent sig ind, for den afsatte akuttime har været en total gamechanger for vores effektivitet, men lige så vigtigt i forhold til at give mindre stress og mere arbejdsro og større arbejdsglæde for os alle sammen, siger Lotte Hein Sørensen.

Flere fagligheder på banen

En anden form for gamechanger er af mere fysisk karakter. De hedder Denice Kokfelt og Christina Andersen og er nyansatte medarbejdere i receptionen. Susanne Ellegaard Jensens studieopgaver har nemlig introduceret en helt ny faggruppe til tandlægehuset i Fredensborg.

– Tidligere blev receptionsarbejdet varetaget af klinikassistenterne. Og det lagde et dagligt pres på både mig og dem, fordi vi aldrig helt vidste, om de kunne lægge timerne her eller blev nødt til at gå på klinik. Med ansættelsen af to kontoruddannede medarbejdere har vi fået skilt arbejdsopgaverne ad og samtidig opgraderet med netop deres kompetencer inden for service, kommunikation og administrativt arbejde, siger Susanne Ellegaard Jensen.

Lotte Hein Sørensen er enig.

– God service og kommunikation kræver, at du har kompetencerne og brænder for at gøre det godt og virkningsfuldt. Vi har taget de første skridt for

Ved at tage udgangspunkt i konkrete problemstillinger i klinikken, har vi kunnet bruge mine opgaver til at skabe regulære forandringer i huset
T ∕ interview 354
SUSANNE ELLEGAARD JENSEN Kliniksekretær

at blive bedre på den front med to nye dygtige medarbejdere, som kan netop det. Men vi kan gøre uendeligt meget mere inden for det felt, siger hun og fortsætter:

LOTTE HEIN SØRENSEN

– Og det er jo den udvikling, Susanne har været med til at sætte i gang med sin uddannelse. Vi er ikke længere en klinik, der bare taler om, at vi vil udvikle os, prøve nye ting af og inddrage alle medarbejderes faglighed. Vi gør det faktisk.

Klinikejer

alle – uanset deres faglighed eller rolle i huset – får mulighed for at komme til orde, når de har noget på hjerte eller noget at bidrage med. Et oplæg om en ny behandlingsmetode fx, en idé til en ny arbejdsgang i receptionen, et forslag til en anden afspritningsprocedure i klinikken eller idéer til det næste sociale arrangement – rundbold, bowling, fredagsbar.

Også det er blevet sat i system. Med introduktionen af en ny mødestruktur.

– Vi har skiftet mange små møder uden dagsordener ud med heldagsmøder, hvor vi lukker klinikken, så vi kan fordybe os i de emner og områder, vi har brug for at dykke ned i, siger Susanne Ellegaard Jensen.

Heldagsmøderne er struktureret omkring et program, som alle kan byde ind med indslag til. Så

– Det er heldigvis længe siden, at det var tandlægerne alene, der egenrådigt satte retningen for, hvordan en klinik skal udvikle sig. I hvert fald her i huset, siger Lotte Hein Sørensen.

– Og for en leder er det selvfølgelig enormt dejligt og givtigt med medarbejdere, der er kompetente, engagerede og byder ind. Men det gør det også sjovere og mere spændende for alle at gå på arbejde og er i sidste ende med til at sikre, at vi bliver ved med at udvikle vores klinik.♦

UDVIKLING. Hver eneste af Susanne Ellegaards skriftlige opgaver på uddannelsen har resulteret i en form for udviklingsprojekt for klinikken, som har været virkelig inspirerende og skabt positive forandringer for både effektivitet, kvalitet og arbejdsglæde, fortæller klinikejer Lotte Hein Sørensen.

Vi er ikke længere en klinik, der bare taler om, at vi vil udvikle os. Vi gør det faktisk
355 2023 127 ∕ 4

STINE BREMS MØRCHOLDT

47 år

Uddannet tandlæge i 2000 på Københavns Universitet

Overtandlæge i Hedensted Kommune og formand for Offentligt Ansatte Tandlægers Udvalg (OATU) i Tandlægeforeningen.

T ∕ fagstafetten 356

De unge er mere aktivistiske i dag

Freddie Sloth-Lisbjerg spørger:

Kampen om arbejdskraft er i fuld gang. Hvordan bygger vi bro mellem generationerne, og hvordan skaber vi attraktive arbejdspladser for fremtidens tandpleje?

– Jeg tror, at den yngre generation i højere grad er optaget af en sag og fællesskaber. Altså det at være sammen om noget, fx at vi er sammen om patienterne og gør noget godt for dem. De unge er mere aktivistiske og bevidste i dag og engagerer sig i klima osv. Jeg tror, at fællesskabet er den branding, vi skal fortælle. At tandlægefaget ikke kun handler om at tjene penge, men også om at være sammen om at skabe tandsundhed, og at vi gør noget godt for nogen. På samme måde mener jeg, at arbejdsgiverne også kan brande deres klinik. Fortæl den gode historie om klinikken, og lev op til den. Den yngre generation skal føle fællesskabet i, at man kan hente hjælp hos kollegaer, og at man er sammen om patienterne. Jeg tror, at mange unge er bange for at sidde i ensomhed, og så kan man som forholdsvis nyuddannet godt blive usikker på sig selv. Vi skal tilbyde sparring, og faglige fællesskaber skal være i højsædet.

Har dimittenderne og de yngre tandlæger andre krav til arbejdslivet?

– Ja, jeg tror, at de i langt højere grad har fokus på fleksibilitet og ikke kun løn. Derfor mener jeg, at man skal kigge på selve lønpakken, og hvilke goder der tilbydes, fx muligheder for efteruddannelse, fleksibilitet osv. De unge

har mange interesser, og det er vigtigt for dem med work life balance. Samtidig er vi i en tid, hvor sårbarhed reelt er en ting. Der bliver stillet meget høje krav på arbejdspladserne, og det gælder ikke kun i tandplejen, men i alle fag. Det starter jo allerede i skoletiden, hvor man bliver mødt af et pres, og er du kommet ind på tandlægestudiet, har du allerede i gymnasiet skullet være flittig for at få et højt snit. Det fortsætter jo så på studiet. Tandpleje stiller også følelsesmæssigt høje krav i forhold til den indlevelse, man har over for andre mennesker. Det er ikke kun et håndværk, for der sidder også en patient med en historie. Derfor er det vigtigt, at man som arbejdsgiver skaber en god balance og tryghed for sine medarbejdere.

Du blev formand for OATU i november. Hvorfor valgte du at stille op? – For det første vil jeg gerne arbejde for at skabe gode forhold for de offentligt ansatte tandlæger og kæmpe for dem og den kommunale tandplejes sag i Tandlægeforeningen, fordi jeg synes, den er så vigtig. Nu går overenskomstforhandlingerne 2024 snart i gang, og der glæder jeg mig til at kæmpe benhårdt for så gode løn­ og arbejdsvilkår for de kommunalt ansatte som overhovedet muligt. Jeg ser virkelig frem til den opgave. På sigt har jeg også et fremtidigt ønske om, at vi fusionerer med ATO, så vi i fællesskab kan lægge mere pres på politikerne i forhold til at skabe gode forhold for dem, der arbejder i den kommunale tandpleje, hvilket jo skal komme de borgere, som vi servicerer, til gode.

Hvorfor har du selv valgt at blive offentligt ansat tandlæge?

– For seks år siden gik jeg fra at være klinikejer til at blive overtandlæge i

Hedensted Kommune. Det gjorde jeg, fordi jeg godt kunne tænke mig at skifte fra, at jeg skulle have fokus på klinikdrift og tjene penge. Jeg ville gerne have, at mit tandlægeliv skulle handle mere om tandsundhed og forebyggelse, og så var jeg også meget optaget af ledelse samt det strategiske og tværfaglige samarbejde, som der er i en kommune. Her er man ikke kun fokuseret på sit eget område, men har i stedet utrolig mange snitflader, fx til sundhedsplejerske, børnehave og skoler, når det gælder børn, og når det handler om omsorgsog specialtandplejen, samarbejder vi bl.a. med plejecentre, socialpsykiatrien og mentorordninger i beskæftigelsesafdelingen. Det er sindssygt spændende.

Hvad brænder du især for i dit arbejde som overtandlæge?

– Mit hjerte brænder for omsorgs­ og specialtandplejepatienterne, som jeg synes vi kan have svært ved at hjælpe i privat praksis. De har simpelthen ikke råd, og de har nødvendigvis ikke ressourcerne til at søge kommunen om tilskud. Det er de allerdårligst stillede, vi typisk hjælper, og der synes jeg, at det vitterlig gør en forskel. For mig er der lidt mere på spil, end der var i mit tidligere job som klinikejer, og jeg føler helt sikkert, at jeg er landet på den rigtige hylde som offentligt ansat og overtandlæge i kommunen.

Hvem vil du gerne give fagstafetten videre til og hvorfor?

– Klinikejer Birgitte Skadborg. Hun er eneejer af Brædstrup Implantatcenter med over 30 ansatte. Brædstrup er en by i Midtjylland med ca. 4.000 indbyggere, og jeg synes, det er imponerende, at hun har så stor en klinik i en mindre by.

Hvad er dit spørgsmål?

Stine Brems Mørcholdt spørger:

Hvordan skaber man en attraktiv arbejdsplads og store faglige fællesskaber uden for de store byer?

I Fagstafetten går vi tæt på en tandlæge med en helt særlig drive og passion for sit fag. Månedens tandlæge sender fagstafetten videre til en kollega, der har været en inspiration for ham eller hende.

TEKST NANNA FLØJBORG FOTO ANDREAS BANG KIRKEGAARD
357 2023 127 ∕ 4

På Tandlægebladets indlæg- og debatsider har læserne ordet. Vi modtager følgende typer af indlæg:

Læserbreve max. 500 ord Kommentarer max. 500 ord Essay max. 1.000 ord Kronikker max. 2.000 ord Faglige referater af kurser eller møder max. 500 ord

Indlæg sendes til fagligvidenskabelig redaktør Nils-Erik Fiehn på nef@tdl.dk.

kronik ←

Af MORTEN HØJTE DAHL

De holdninger, der kommer til udtryk i de enkelte indlæg, er forfatternes egne, og er ikke et udtryk for generelle holdninger i tandlægestanden eller i Tandlægeforeningen. Redaktionen forbeholder sig ret til at redigere de indsendte bidrag.

Find mere information om krav til indlæg på Tandlægebladet.dk under “Om Tandlægebladet”.

Specialtandlæge i tand-, mund- og kæbekirurgi, ph.d., Afdeling for Kæbekirurgi, HovedOrtoCentret, Rigshospitalet

Af MARIE KJÆRGAARD LARSEN

Specialtandlæge i tand-, mund- og kæbekirurgi, ph.d., adjunkt, Afdeling for Kæbekirurgi, HovedOrtoCentret, Rigshospitalet, og Fagområde Oral Kirurgi, Sektion for Oral Biologi og Immunpatologi, Odontologisk Institut, Det Sundhedsvidenskabelige Fakultet, Københavns Universitet.

Retningslinje

Nærværende retningslinje er vedtaget på generalforsamlingen ved Dansk Selskab for Oral og Maxillofacial Kirurgi den 6. november 2022 på grundlag af et arbejde af en af selskabet nedsat arbejdsgruppe.

nfektion og inflammation i relation til 3.-molarer er hyppigt forekommende og skyldes oftest anatomiske forhold, som vanskeliggør sufficient mundhygiejne. Patologiske forhold omkring 3.-molarer, som oftest er bakterielt forårsaget, kan medføre lokale skader i mundhulen med risiko for tab af nabotænder og generel infektionsspredning med påvirkning af almentilstanden. Lokal infektion med eller uden systemisk infektionsspredning forårsaget af

3.-molarer nødvendiggør ofte antibiotisk behandling og kirurgisk fjernelse af 3.-molarer. I nogle tilfælde medfører det også hospitalsindlæggelse med evt. operation. Med rettidig klinisk og radiologisk vurdering og fjernelse af 3.-molarer kan et senere mere omfattende behandlingsbehov forventeligt minimeres, hvorved gener for det enkelte individ og udgifter for samfundet kan reduceres. Der eksisterer i dag ikke en nationalt accepteret retningslinje for diagnostik og fjernelse af 3.-molarer. Derfor har

kom til orde
I
358 T ∕
for diagnostik og indikation for fjernelse af 3.­molarer

Dansk Selskab for Oral og Maxillofacial Kirurgi nedsat en arbejdsgruppe med repræsentanter fra begge tandlægeskoler, alle fem regioners kæbekirurgiske afdelinger samt fra privat specialtandlægepraksis med henblik på at formulere en fælles vejledning. Den aktuelle kronik er resultatet af arbejdsgruppens arbejde og har til formål at vejlede tandlæger og tandplejere med hensyn til diagnostik og indikation for fjernelse af 3.-molarer hos sunde og raske patienter i 16-25-årsalderen samt redegøre for den videnskabelige baggrund herfor med det overordnede mål at sikre et ensartet behandlingsniveau i Danmark.

Forekomst

3.-molarer i over- og underkæben er den hyppigst manglende tand, og således mangler ca. 23 % én eller flere 3.-molarer, og ca. 2 % mangler alle fire

3.-molarer. Med en årlig fødselsrate på omkring

61.000 vil der derfor komme en årlig tilvækst på ca. 150.000 nye 3.-molarer.

3.-molarer bryder typisk frem i 17-24-årsalderen.

Det kræver bl.a. korrekt lejring og tilstrækkelig plads mellem henholdsvis ramus mandibulae og bagkanten af tuber maxillae til 2.-molar, for at 3.-molar kan eruptere til en relevant funktionel position, og at der kan etableres et inflammationsfrit miljø.

Ufuldstændigt frembrud af en 3.-molar kan bl.a. skyldes en uhensigtsmæssig lejring, eruptionshindring eller utilstrækkelige pladsforhold. 3.-molar kan forblive retineret (beliggende i kæben under intakt slimhinde) eller semiretineret (delvist frembrudt eller ej frembrudt, men med kommunikation til mundhulen). En retineret 3.-molar har ikke forbindelse til mundhulen og den orale mikrobiota, hvorfor den som udgangspunkt ikke giver anledning til sygdomsudvikling og infektionsspredning. Derimod har en semiretineret 3.-molar kommunikation til mundhulen og er derfor eksponeret for den orale mikrobiota, hvilket medfører risiko for udvikling af lokal sygdom, herunder infektion i den omkringliggende tandfollikel/blødt- og hårdtvæv (pericoronitis/parodontal sygdom) og caries samt generel infektionsspredning. Derudover kan semiretinerede og retinerede 3.-molarer forårsage resorption på nabotænder med risiko for tab af disse.

Flere studier viser, at ca. 70-90 % af alle 3.-molarer i underkæben fjernes i løbet af individets liv. På nuværende tidspunkt foreligger der ingen validerede data på antallet af 3.-molarer, som fjernes i Danmark. Det er konkluderet i mange studier, at tidlig fjernelse (i alderen 18-25 år) kan forebygge sygdomme og skader i mundhulen. Derudover er

tidlig fjernelse karakteriseret ved en mindre risiko for komplikationer, færre postoperative sygedage, reduceret forbrug af smertestillende medicin og antibiotika samt en bedre heling. Ligeledes anbefaler internationale retningslinjer i stigende grad en tidlig stillingtagen til indikation for fjernelse af 3.-molar.

Køn, alder, genetik og evolution (mindre kæber) har indflydelse på frembrud af 3.-molarer. Allerede omkring 18-20-årsalderen kan det med stor sandsynlighed forudsiges, om en given 3.-molar vil kunne forventes at eruptere til en normal anatomisk position, hvor den kan holdes inflammationsfri.

Klinisk og radiologisk undersøgelse af 3.-molarer I forbindelse med behandlingsplanlægning af 3.-molarer er det vigtigt at have kendskab til patientens generelle helbred og medicinske status for at kunne yde den rette behandling. Nærværende retningslinje omfatter sunde og raske patienter i alderen 16-25-år.

Vurdering af indikation for observation eller fjernelse af 3.-molarer skal ske på baggrund af en fyldestgørende klinisk og radiologisk vurdering. Den første kliniske og radiologiske undersøgelse af 3.-molarer bør finde sted omkring 16-20-årsalderen, hvor ca. 2/3 af roden typisk er mineraliseret. Rodkomplekset er færdigmineraliseret omkring 18-25-årsalderen.

Ved den kliniske undersøgelse vurderes 3.-molarens mulighed for frembrud til normal funktion, relation til nabostrukturer herunder 2.-molar, ramus mandibulae, tuber maxillae, omkringliggende blødtvæv og antagonist samt evt. tegn på infektion, patologiske pocher eller andre patologiske tilstande.

Ved røntgenundersøgelsen vurderes 3.-molarens lejring, røddernes forløb og form, 3.-molarens relation til canalis mandibulae, 2.-molar, ramus mandibulae, sinus maxillaris og tuber maxillae samt den omkringliggende knogle. Undersøgelsen kan være i form af en enoral røntgenoptagelse eller panoramaoptagelse. 3.-molarens lejring kan eksempelvis beskrives og klassificeres ud fra Winters samt Pell & Gregorys klassifikationer. Winters klassifikation beskriver 3.-molarens vinkling, hvor sværhedsgraden og komplikationsraten forøges, jo længere man bevæger sig ud af klassifikationen mod højre grundet dybere lejring og overlejring med ramus mandibulae. Pell & Gregorys klassifikation beskriver underkæbens 3.-molarers relation til ramus mandibulae samt vertikale lejring i forhold til 2.-molar. Jo dybere 3.-molaren er lejret og jo mere dækket af ramus ≥

359 2023 127 ∕ 4

Tidlig klinisk og radiologisk vurdering af 3.-molarer ved 16-20-årsalderen anbefales, hvor en tidlig kirurgisk fjernelse

ske forandringer samt horisontalt lejrede og mesioverterede 3.-molarer med tæt relation til 2.-molar, som ikke vurderes at kunne eruptere til normal anatomisk position.

Komplikationer ved observation

eller kirurgisk fjernelse af 3.-molarer Afvejningen af fordele og ulemper ved kirurgisk fjernelse af en 3.-molar i forhold til fortsat observation er overordnet set en afvejning mellem risikoen for komplikationer ved det kirurgiske indgreb sammenholdt med risikoen for sygdomsudvikling omkring 3.-molar og dermed for, at 3.-molar vil skulle fjernes senere, hvor risikoen for postoperative gener og komplikationer er større.

mandibulae, desto sværere er det at fjerne 3.-molaren, og komplikationsraten øges.

I enkelte patienttilfælde kan der være behov for yderligere diagnostik i form af en cone beam computed tomography (CBCT) scanning med henblik på vurdering af 3.-molarens relation til canalis mandibulae, nabotænder, nærliggende anatomiske strukturer samt udbredelse af patologisk tilstand. Valg af radiologisk undersøgelse vurderes af behandlende tandlæge/specialtandlæge. Hvis det vurderes, at der er behov for en CBCT-optagelse, må sværhedsgraden indikere, at 3.-molaren bør fjernes af en specialtandlæge i tand-, mund- og kæbekirurgi. 3.-molarer i underkæben, som ligger nervenært, anbefales ligeledes fjernet ved specialtandlæge i tand-, mund- og kæbekirurgi for at mindske risikoen for permanente neurosensoriske forstyrrelser svarende til slimhinden, hagens hud og underlæben.

Den kliniske og radiologiske vurdering bør foretages i 16-20-årsalderen. Ved tilstedeværelse af 3.-molarer skal der i denne periode tages stilling til den videre behandling, som kan omfatte observation eller fjernelse. Der kan således planlægges tidlig fjernelse af 3.-molarer med tegn på patologi-

Retinerede og semiretinerede 3.-molarer kan medføre en række patologiske tilstande, herunder infektion i omkringliggende blødtvæv (pericoronitis), caries, parodontal sygdom og resorption af 3.-molar eller 2.-molar samt udvikling af cyster. Desuden viser studier, at periopatogene mikroorganismer i blødtvævet omkring 3.-molarer kan medføre lokal inflammation, som kan give anledning til påvirkning af inflammatoriske tilstande andre steder i kroppen. Ligeledes kan der evt. ses infektionsspredning til andre dele af kroppen. Patologiske tilstande kan opstå over tid, og det er således vigtigt med en defineret plan for fremtidig opfølgende klinisk og radiologisk undersøgelse, når der er fundet indikation for fortsat observation af en 3.-molar.

Kirurgisk fjernelse af 3.-molarer kan medføre komplikationer i form af infektion, nerveskade, skade på nabotænder, langvarig smerte, blødning, fraktur og muskulære problemer. Forventelige kortvarige postoperative gener omfatter smerte, hævelse og påvirket funktion, herunder nedsat gabeevne og tyggefunktion. Foruden disse er man gennemsnitlig sygemeldt i 2-3 dage efter kirurgisk fjernelse af en 3.-molar. Alder, køn, almentilstand, medicin, mundhygiejne, lejring, operationsvarighed og kirurgisk erfaring hos operatøren har både indflydelse på forekomsten og graden af postoperative gener og komplikationer.

Foruden de nævnte komplikationer ved observation og fjernelse af 3.-molarer er der et økonomisk og et strålehygiejnisk aspekt, idet observation kræver regelmæssig klinisk og radiologisk kontrol. Fjernelse af 3.-molar har økonomiske omkostninger i form af selve indgrebet, sygemelding og evt. behandling af postoperative gener og erstatning ved varige skader og komplikationer.

360 kom til orde T ∕
af 3.-molarer kan være indiceret

Medicinering

Patologiske tilstande/høj risiko for udvikling af patologiske tilstande

Følgende 3.-molarer anbefales fjernet:

• 3.-molarer med kliniske og/eller radiologiske tegn på patologiske tilstande (pericoronitis, cyster, tumorer, caries, parodontal sygdom, resorption)

• Horisontalt lejrede og mesioverterede 3.-molarer med tæt kontakt til 2. molar, som ikke vurderes at kunne bryde frem til normal funktion

Indikation for observation

og kirurgisk fjernelse af 3.-molarer

Det er veldokumenteret, at risikoen for komplikationer og postoperative gener efter fjernelse af 3.-molarer er stigende med alderen. Oftest inddeles risikoen i forhold til, om patienten er over eller under 25 år. Et enkelt studie har vist, at helingsperioden forlænges, og at de postoperative gener forøges ved fjernelse af 3.-molarer i underkæben, hvis patienten er ældre end 21 år, hvorfor det anbefales, at første stillingtagen til indikation for fjernelse af 3.-molarer bør finde sted inden 21-årsalderen.

Tilstedeværelse og fravær af symptomer samt objektive tegn på patologi kan ændre og udvikle sig over tid, hvorfor indikationen for fjernelse eller observation af 3.-molar ikke er stationær. Fuldt frembrudte 3.-molarer samt retinerede 3.-molarer uden tegn på patologiske tilstande eller kritisk tæt relation til 2.-molarer bør observeres. Alle andre 3.-molarer med kliniske og/eller radiologiske tegn på patologiske tilstande anbefales fjernet, hvis det vurderes, at 3.-molar ikke kan eruptere til en funktionel position i et sygdomsfrit miljø.

I forbindelse med den kliniske og radiologiske vurdering af underkæbens 3.-molarer i 16-20-årsalderen skal 3.-molars relation til canalis mandibulae vurderes. Ved tæt relation til kanalen anbefales fjernelse af 3.-molaren, inden roddannelsen er afsluttet, for at mindske risikoen for beskadigelse af n. alveolaris inferior, såfremt tanden med stor sandsynlighed ikke forventes at kunne eruptere til en normal anatomisk position i et sygdomsfrit miljø. Ved observation anbefales regelmæssig klinisk og radiologisk kontrol. I tilfælde af, at der findes indikation for fjernelse af 3.-molarer med tæt relation

Sunde forhold/lav risiko for udvikling af patologiske tilstande

Følgende 3.-molarer anbefales observeret:

• 3.-molarer uden kliniske eller radiologiske tegn på patologiske tilstande

• Ektopisk lejrede retinerede 3.-molarer uden patologiske tilstande/med lav risiko for udvikling af patologiske tilstande

til n. alveolaris inferior, anbefales disse fjernet af en specialtandlæge i kæbekirurgi.

Konklusion og anbefaling

Tidlig klinisk og radiologisk vurdering af 3.-molarer ved 16-20-årsalderen anbefales, hvor en tidlig kirurgisk fjernelse af 3.-molarer kan være indiceret. 3.-molarer med tegn på patologiske forandringer samt horisontalt lejrede og mesioverterede 3.-molarer med tæt kontakt til 2.-molar, som ikke vurderes at kunne eruptere til en normal anatomisk position, anbefales fjernet. Retinerede 3.-molarer uden tegn på patologiske forandringer og uden kritisk tæt relation til 2.-molar eller canalis mandibulae anbefales observeret med regelmæssig klinisk og radiologisk vurdering. Herefter anbefales livslang regelmæssig klinisk og radiologisk vurdering af 3.-molarer. Aktuelle retningslinje stemmer overens med internationale retningslinjer.

Det anbefales, at 3.-molar i underkæben, som ligger nervenært, fjernes ved specialtandlæge i tand-, mund- og kæbekirurgi for at mindske risikoen for permanente neurosensoriske forstyrrelser.

KILDER

1. AAOMS. White paper on third molar data. Task force by Am Assoc Oral Maxillofac Surg 2007;1-25.

2. Mcardle LW, Renton T. The effects of NICE guidelines on the management of third molar teeth. Br Dent J 2012;213:1-8.

3. Schou S, Kenrad B, Simonsen B et al. Kirurgisk fjernelse eller koronektomi af mandiblens 3. molar. Tandlægebladet 2009;944-7.

361 2023 127 ∕ 4
Tabel. Oversigt over anbefalinger vedrørende observation eller fjernelse af 3.-molarer hos sunde og raske patienter i 16-25-årsalderen.

debatindlæg ←

Efterlysning af manglende svar

Jeg stillede et relevant og rimeligt spørgsmål til Kim Ekstrand, Vibeke Qvist og Azam Bakhshandeh i min kronik ”Kan huller bare lakeres eller hvad?” i Tandlægebladet nr. 2/2023. De står bag en anbefaling om “revolutionerende” behandling af caries med lakering. Jeg vil vide, hvilken patientinformation denne behandling skal ledsages af. Det er et helt essentielt spørgsmål, der skal besvares, før behandlingen kan tages i brug. Det følger af sundhedslovens regler om, at ingen behandling må indledes uden informeret samtykke, og således ikke uden information.

Jeg fik dog ikke noget svar. I stedet fik vi en gang udenomssnak, hvor de angreb tre “påstande” i min kronik og forsøgte at bevare udseendet af, at deres behandling er dokumenteret på en evidens-baseret måde. Desværre er det vildledende, for Vibeke Qvist har sagt det modsatte i et såkaldt Trepartsinterview, som hun gav til Ansatte Tandlægers Organisations medlemsblad dateret 7. september 2017. Her udtrykker hun også en parathed til at udvande principperne om evidens i sundhedsbehandling i en grad, som bør føre til særdeles kritisk læsning af forfatternes (svargiverne) artikler og anbefalinger.

Morsomt nok er Vibeke Qvist nemlig enig med mig i min vurdering af, at SEAL-undersøgelsen ikke er en rigtigt kontrolleret klinisk undersøgelse. Det forhindrede dog ikke forfatterne i at hævde det modsatte overfor Tandlægebladets læsere i en overfor mig belærende tone. Jeg skal lade det være op til den enkelte læser selv at trække grænsen mellem, hvad de forstår ved misvisende information og direkte usandhed.

Som om det ikke var slemt nok, så er data i undersøgelsen sminkede. 25 % af læsionerne var droppet ud efter tre års observation, men ved at tage gennemsnittet inden databehandlingen så tæller disse

observationer med i 4,1 år. En observation på to år kan ikke bidrage med information i fire år. Sådan er det altså. Jeg kan faktisk godt forstå, at andre forskere har sorteret Vibeke Qvists forskning fra, når de laver metaanalyser, sådan som hun selv fortæller i det nævnte interview:

”I nogle metaanalyser og systematiske reviews over fyldningsterapi i det primære tandsæt er vores undersøgelser blevet frasorteret, fordi eksfolierede tænder blev betragtet som dropouts, og dropoutprocenter over 25-30 ikke blev accepteret. Derfor blev kun undersøgelser på maks. to-tre år medtaget i de pågældende reviews. Det er jo absurd, når vi ved, at en fyldning i en primær tand i gennemsnit skal holde i ca. syv år. Derfor har jeg visse indvendinger imod ”evidence-based dentistry” – for at sige det mildt. (…) Så ryger der først 10 undersøgelser ud på grund af diverse indvendinger, så 10 til af andre grunde osv., så der til sidst kun er seks undersøgelser tilbage. Det minder om prinsessen i Klodshans: ”Dur ikke – væk!” Konklusionen bliver derfor ofte, at der ikke er tilstrækkelig evidens for effekten af den undersøgte behandling, eller hvad det nu måtte være.”

Det er, fordi manipulerede undersøgelser eller undersøgelser med dårlige studiedesign faktisk ikke bidrager med meget reel information. Det er derfor, de ikke rigtig kan bruges i de der metaanalyser. Bemærk også, hvordan standarden i den slags undersøgelser er, at dropoutprocenter over 25 ikke kan accepteres. SEAL-undersøgelsen nåede dette niveau efter tre år!

Selv titlen: ”Sealing occlusal dentin caries in permanent molars: 7 year results of a randomized con-

kom til orde
362 T ∕
Af MORTEN SKOV HANSEN Tandlæge, privat praksis, Silkeborg

trolled trial” (1) er misvisende – ikke kun mht. til at det ikke er en RCT, men også fordi kun halvdelen af de inkluderede cariesangreb involverede dentinen. Den anden halvdel omfatter både sunde flader og emaljecaries (ikke kaviteret emaljecaries og sunde flader, som udgjorde godt 10 % af de inkluderede læsioner). Hvis man følger emaljecaries i få år og blander dem med dentincaries, halvt af hvert, så skjuler man jo de eventuelle negative virkninger af behandlingen på de dybe læsioner i dentinen, fx om der opstår behov for rodbehandling – det meste kan jo gå godt i 3-4 år.

Forfatterne skylder også Tandlægebladets læsere at redegøre for, hvorfor fire tænder, der klinisk var klassificeret som sunde, fik en fyldning. Det samme gjorde 17 tænder med caries uden kavitet og begrænset til emaljen. Hvem anbefaler fyldningsterapi til sådanne tænder og hvorfor?

Når man fravælger det, som ligger ligefor, nemlig at svare, så bliver det jo tydeligt for enhver, at der må være en grund til, at man ikke vil forpligte sig på et svar. Er det mon, fordi det lyder hult at hævde, at SEAL er en god erstatning for fyldningsterapi, når risikoen for, at der sker sygdomsprogression, er ni gange højere hvert eneste år, end hvis man havde lavet fyldning? Det er i hvert fald en forskel i risiko, som patienten skal informeres om og acceptere, inden behandling kan indledes. Måske er det også, fordi man rent faktisk kan blive holdt op på den information, som man giver sine patienter.

KILDE

Svar ←

Odontologisk Institut, Københavns Universitet

Odontologisk Institut, Københavns Universitet

Odontologisk Institut, Københavns Universitet

Vi forsøger en gang mere at svare på Morten Skov Hansens spørgsmål om SEAL-projektet og SEAL-behandling

Vi har derudover et par kommentarer til nogle af Morten Skov Hansens (MSH) påstande. Der er 2 direkte spørgsmål, som MSH ønsker besvaret:

Spørgsmål 1: ”Kan huller bare lakeres eller hvad?”

Spørgsmål 2: ”Hvilken patientinformation skal denne behandling ledsages af?”

Svar på spørgsmål 1

Ordlyden i det første spørgsmål finder vi nedladende. Som fagperson bør man ikke tale om huller i tænderne, men om caries eller carieslæsioner, og vi kan blankt afvise, at plastlakering kan anvendes på enhver okklusal carieslæsion. Det afgøres af læsionens alvorlighed og aktivitet samt manglende mulighed for anvendelse af andre nonoperative behandlinger. I ca. 50 år har vi i Danmark anvendt plastlakeringer profylaktisk eller terapeutisk med stor succes. I det aktuelle projekt har vi undersøgt, om plastforseglingers indikationsområde kan udvides til også at inkludere okklusale læsioner, som tandlæger i børne- og ungdomstandplejen i 2007 normalt ville foretage et operativt indgreb på. Afgrænsningen i vores SEAL-projekt var, at læsionerne radiologisk ikke var dybere end halvdelen af afstanden mod pulpa.

1. Qvist V, Borum MK, Møller KD et al. Sealing occlusal dentin caries in permanent molars: 7-year results of a randomized controlled trial. JDR Clin Trans Res 2017;2:73-86. Af KIM EKSTRAND Af VIBEKE QVIST Af AZAM BAKHSHANDEH
≥ 363 2023 127 ∕ 4

Et RCT-studie er et klinisk studie, hvor deltagerne tilfældigt placeres i en test- eller en kontrolgruppe. Ved det traditionelle RCT-studie er der ofte kun en eller få kalibrerede behandlere, der laver forsøgets undersøgelse og/eller behandlinger under optimale forhold. Vores SEAL-projekt var et praksisbaseret/multicenter RCT, der blev gennemført i ni kommunale tandplejer i Danmark. Der var 68 tandlæger, der udførte 368 lakeringer og 153 fyldninger på 521 børn og unge. Hovedkriteriet var, at læsionerne efter tandlægens vurdering skulle være fyldningskrævende. Altså at tandlægerne ville have valgt fyldningsterapi af alle de udvalgte læsioner. I denne undersøgelse valgtes det, at kun 1/3 skulle behandles operativt med en fyldning som kontrolbehandling, og at 2/3 skulle SEAL-behandles. For at sikre en tilfældig udvælgelse af, hvilke læsioner der skulle SEAL-behandles, og hvilke der skulle have en fyldning, blev der anvendt en matematisk randomisering. Fordelen ved det praksisbaserede/multicenter RCT er, at resultaterne bedre kan generaliseres, fordi de afspejler de mulige variationer, der findes blandt forskellige behandlere. Projektet blev godkendt af De Regionale Videnskabsetiske Komitéer, og syvårsresultaterne blev efterfølgende publiceret i et internationalt peer-reviewed tidsskrift.

Klasse I-fyldningerne holdt, ikke overraskende, signifikant bedre end SEAL-behandlinger i det aktuelle studie. Den årlige fejlfrekvens (renovering/ genlakering/omlavning til fyldning) for SEAL-behandlinger i projektet var under 10 %, hvilket svarer til holdbarhed og effektivitet af fx profylaktiske fissurforseglinger. Efter syv år var der 45 % (36 -54 %) af SEAL-behandlingerne, der var blevet lavet om til fyldninger. Det forekommer ikke sandsynligt, at samtlige SEAL-behandlede flader med tiden vil blive fyldt.

Dvs. at tidspunktet for fyldningsbehandling i ca. halvdelen af de SEAL-behandlede læsioner var udskudt i mere end syv år. Det er vigtigt at understrege, at ingen SEAL-behandlede læsioner progredierede til stadier, hvor endodontisk behandling var nødvendig.

Alle okklusale carieslæsioner skal selvfølgelig ikke plastlakeres. Det terapeutiske indikationsområde for plastlakering på okklusalflader er progredierende emaljelæsioner, og læsioner penetreret ind i dentinen må ikke være dybere end halvdelen af afstanden mod pulpa. Dette indikationsområde diagnosticeres bedst ved en kombination af den kliniske og radiologiske undersøgelse.

Svar på spørgsmål 2

Inden deltagelse i SEAL-projektet havde alle deltagere/forældre underskrevet samtykkeerklæring, baseret på skriftlig og mundtlig information, udfærdiget af forskerne og godkendt af De Regionale Videnskabsetiske Komitéer. I forsøgsperioden blev der registreret information om den SEAL-behandlede og fyldningsbehandlede læsion, herunder tandog behandlingsstatus inden afslutning fra den kommunale tandpleje. Den kommunale tandpleje styrer, hvilke informationer patienterne får omkring deres SEAL-behandlede tand, når de forlader den kommunale tandpleje. Vi forskere står til rådighed, hvis der skulle være behov for vores bistand.

På tandlægeskolen får patienterne information om SEAL-behandling og fyldningsbehandling og deres respektive fordele og ulemper. Den valgte behandling kan som alle andre behandlinger kun laves efter indhentet patientsamtykke.

MSH kommenterer endvidere titlen på vores artikel, operativ behandling af sunde tænder og undersøgelsens dropoutfrekvens. Her er vores genkommentarer:

1. Titlen på artiklen Når vi publicerer artikler både nationalt og internationalt, er der krav til titlen. Fx må titlen kun indeholde maksimalt 100 karakterer inkl. mellemrum. Fra forskernes synspunkt er vi interesseret i, at overskriften skal være retvisende, men også en øjenåbner. MSH kan være forvisset om, at hvis titlen ikke svarede til indholdet af artiklen, så ville reviewerne og editor ikke have godkendt den.

2. Operativ behandling af sunde flader Sunde tænder behandles ikke operativt, og det var heller ikke tilfældet i SEAL-projektet. I undersøgelsen var okklusalfladen på 21 af de 521 inkluderede tænder klinisk registreret som sund, og 29 var radiologisk sunde, men ingen af de inkluderede okklusalflader var sunde både klinisk og radiologisk, dvs. alle okklusalflader havde caries og var vurderet som fyldningskrævende af de behandlende tandlæger.

3. Dropout 521 okklusalflader på 521 børn fik en SEALbehandling eller fyldningsbehandling efter randomisering. Efter syv år var der 28 ud af 368 patienter i SEAL-gruppen og 12 ud af 153 patienter i fyldningsgruppen, der var droppet

medlemsservice
364 T ∕

ud. Dropouts var enten pga. ønske fra patient/ forældre (18 patienter), flytning til en anden kommune (19 patienter) eller ortodontisk behandling (3 patienter). Dropout var ligeligt fordelt mellem behandlingsgrupperne og svarede til 7,7 % efter syv år, hvilket er langt under de 25 %, som MSH angiver.

Afsluttende skal vi henvise til den omfattende digitale information, der er tilgængelig for alle, dvs. patienter, studerende og behandlere, på hjemmesi-

den https://odont.ku.dk/Forskning/seal-dk/, Odontologisk Institut, Københavns Universitet. Her kan man finde en kort beskrivelse af SEAL-DK-projektet ”Lak kan erstatte tandlægens bor og fyldninger”, links til væsentlige medieomtaler, herunder det af MSH’s omtalte trepartsinterview samt links til publicerede artikler/abstracts. Der er endvidere links til Information til patienter om SEAL-behandling og Vejledning til SEAL-behandling samt oplysning om kontaktpersoner.

Hjælp til børn med angst

Når du har tegnet en sundhedsforsikring gennem TandlægeTryghed og har valgt børnedækning, har du nu mulighed for at få hjælp, hvis dit barn har angst.

Dansk Sundhedssikring har etableret et angstbehandlingsprogram

– Cool Kids – til børn mellem 7 og

12 år og – Chilled – til børn mellem

13 og 17 år, som har lægehenvisning på psykologbehandling af angst.

Programmet tilbydes som et gruppeforløb for børn/unge og deres forældre eller i enkelte tilfælde som individuelt forløb. Forløbet indledes med en individuel samtale med en psykolog, hvor det afklares om barnet er i målgruppen.

Kontakt Dansk Sundhedssikring på 70 20 61 21

365 2023 127 ∕ 4
ANNONCE

navne

Fødselsdage 26/4 - 23/5 2023

FYLDER DU RUNDT?

Hvis du ønsker din fødselsdag offentliggjort i Tandlægebladet, skal du give samtykke til det.

Det kan du gøre ved at logge ind på Tdlnet.dk dk → vælg ”mine sider”

→ vælg ”personlige oplysninger” → vælg ”mine samtykker”

Hvis du har spørgsmål, kan du kontakte medlemsregistreringen på e-mail medlemsregistrering@tdl.dk

30

Ali Imad Bakkar, Viby J, 1. maj

Julie Roland Hjorth Hansen, Faxe, 2. maj

Kristine Fønss Hansen, Dragør, 7. maj

Josefine Maria Eiberg, København N, 11. maj

Maj Elisabeth Ellehammer Hansen, Humble, 15. maj

40

Hanan Ismail, Vejle, 5. maj

Christian Ibsen-Bjerget, København V, 7. maj

Morten Tang Jensen, Esbjerg V, 9. maj

50

Susanne Kargo Jensen, Vejen, 8. maj

Camilla Amtoft, Roskilde, 15. maj

Hadrian Pop, Aalborg SV, 16. maj

Pernille Vibenskiold, Virum, 20. maj

David Joakim Richter, Jægerspris, 22. maj

60

Jesper Rolf Lassen, Haderselv, 1. maj

Vibeke Mandrup Johansen, Korsør, 10. maj

Lars Twile Weltzer, Græsted, 13. maj

Helle Kramhøft, Bagsværd, 20. maj

Anne Bilø Hansen, Aarhus C, 23. maj

70

Henrik Ingvor Petersen, Svendborg, 30. april

Jørn Lund Jepsen, Skanderborg, 5. maj

Troels Kemp, Hørve, 12. maj

Carl-Børge Bach Christensen, Aulum, 22. maj

75

Thyge Rossel, Birkerød, 3. maj

Mogens Grønvold Mikkelsen, Silkeborg, 12. maj

Jette Margrethe Dyekjær, Esbjerg, 13. maj

Harry Fjellvang, København S, 15. maj

80

Gete Tue Wivel, Hørsholm, 29. april

Mogens Bastved, Hørsholm, 22. maj

85

Hans Boysen, Vejle Øst, 9. maj

Ejvind Budtz-Jørgensen, Risskov, 21. maj

Dødsfald

† Erling Knud Fritzen

Fødselsår: 1936, Kandidatår: 1961

Afgået ved døden 13. november 2022

† Poul Erik Petersen

Fødselsår: 1951, Kandidatår: 1975

Afgået ved døden 19. marts 2023

† Alex Gert Sørensen

Fødselsår: 1930, Kandidat år 1955

Afgået ved døden 2. april 2023

medlemsservice
366 T ∕

COURSE ON PRETTAU ® SKIN ® WITH EXPLANATION OF THE FULL WORKING PROTOCOL: 18 – 19 SEPTEMBER 2023 FOR DENTISTS

22 – 23 JUNE & 14 – 15 SEPTEMBER 2023 FOR DENTAL TECHNICIANS INFO AND REGISTRATION: T +39 0474 066 721, BARBARA.SCHWINGSHACKL@ZIRKONZAHN.COM

ÆSTETISK SMIL TIL ENHVER UDEN PRÆPARERING AF SELVE TANDEN

Ny teknik til fremstilling af ultratynde Prettau ® zirkonia-facader (0,2 mm) og til at give patienter deres sunde smil tilbage uden eller med minimal bearbejdning af selve tanden. Den nye teknik er egnet til æstetisk korrektion af tandmisfarvninger, gab mellem tænder, skæve tænder, taptænder og abraderede tænder.

Ved en individuel forberedende modelopbygning kan tandteknikeren afmærke de områder af tænderne, som tandlægen skal forberede til påføring af facader. Disse forberedelses-skabeloner er et nyttigt planlægnings- og kommunikationsredskab mellem tandtekniker og tandlæge, i sidste ende til gavn for patienten.

Zirkonzahn Worldwide – T +39 0474 066 680 – info@zirkonzahn.com – www.zirkonzahn.com NYT! PRETTAU®
SKIN®
Prettau® Skin® facader fremstillet af Prettau® 2 Dispersive® zirkonia, udstyret med naturlig farvegradient (fra 13 til 23 og 43 til 33). Tilfælde oprettet af dr. Francisco García Torres, Mexico og ttandtekniker Alexander Lichtmannegger, Zirkonzahn Education Center Brunico, Sydtyrol, Italien SCAN KODEN

Mindeord

Professor emeritus Poul Erik Petersen, Holte, in memoriam

Født

den 9.

december 1951. Død den 19. marts 2023.

TIDLIGERE PROFESSOR I SAMFUNDSODONTOLOGI, POUL ERIK PETERSEN, døde i en alder af kun 71 år.

Poul Erik Petersen blev cand.odont. i 1975, cand.scient.soc. i 1989 og dr.odont. i 1989 på en afhandling med titlen: ”Tandplejeadfærd, tandstatus, odontologisk behandlingsbehov blandt arbejdere og funktionærer på en dansk industrivirksomhed”. Han aftjente sin værnepligt som militærtandlæge i 1975 til 76 og blev herefter kandidatstipendiat ved Københavns Tandlægehøjskole frem til 1979, hvor han blev adjunkt. 1982-84 var han lektor, docent 1989-90 og professor på Odontologisk Institut ved det Sundhedsvidenskabelige Fakultet på Københavns Universitet i perioden 1991-2016, hvorefter han fik emeritus-status. I perioden 1996-99 var Poul Erik Petersen institutleder på Odontologisk Institut i København. Fra 2002 til 2014 var han som direktør for WHO’s sektion for Global Oral Health i Genève og derefter Senior Consultant ved WHO’s Regional Office for Europe – en af de højest placerede odontologer i verden. Han havde således en helt central rolle i WHO vedrørende oral

sundhed og var adjungeret professor og æresdoktor ved Universitetet i Majunga på Madagascar. Han var desuden æresdoktor ved universiteter i Kina, i Jordan, Tanzania, Rumænien og England og modtog en lang række internationale hædersbevisninger for sin indsats. Ud over hans faglige styrke havde han store sproglige evner og mestrede således også fransk på WHO-niveau.

Poul Erik Petersen var engageret i forskning i talrige lande i hele verden med det mål at reducere ulighed i oral sundhed gennem undervisning, oral sundhedsfremme og ved at ændre det orale sundhedssystem mod integration af sygdomsforebyggelse og sundhedsfremme. Han har medvirket til langt over 300 videnskabelige artikler, den seneste fra januar 2023, og vi har ladet os fortælle, at yderligere to publikationer er på vej. Poul Erik Petersen efterlader således et stort aftryk på international odontologisk forskning og på de samfundsodontologiske forhold i lande over hele verden, og den samfundsodontologiske forskning har mistet en højt værdsat forsker og et internationalt fagligt koryfæ. Æret være hans minde.

Anne Havemose-Poulsen

Nils-Erik Fiehn

Palle Holmstrup

medlemsservice
368 T ∕

Mindeord

Poul Erik Petersens bortgang – nogle personlige minder

VI HAR MISTET EN AF VORE STORE DANSKERE i odontologien. Dansk og international samfundsodontologi har mistet en strateg, en fortaler og en forskningsbaseret praktiker, som utrætteligt – selv efter alvorlig sygdom stoppede ham midt i hans gerning – arbejdede for at forbedre befolkningers tandsundhedstilstand og formindske de sociale uligheder, der er indbygget i de fleste tandplejesystemer. Poul Erik kom på banen, før samfundsodontologi var et begreb eller et fag. Vi var kun en håndfuld studerende og tandlæger, som havde beskæftiget os med såkaldt socialodontologi, da 1960’ernes og 70’ernes oprørsbevægelser langsomt strejfede tandlægefaget, som efterhånden gennemtvang en styrkelse af fagområdet i tandlægeuddannelsen. Poul Erik tog skridtet fuldt ud og valgte at blive fuldbyrdet sociolog i tillæg til sin tandlægeuddannelse. Hans doktorafhandling, som var baseret på arbejdere på Odense Staalskibsværft, vidner om hans dybe interesse for de sociale forskelle i befolkningens tandplejeforhold, og dette blev senere fulgt op af undersøgelser af arbejdere på en chokoladefabrik og i granitindustrien. Gennem hele Poul Eriks karriere gav hans dobbeltbaggrund ham anledning til at publicere flere artikler i Tandlægebladet om samfundsodontologien i sociologisk perspektiv (1984), om sundheds- og sygdomsadfærd: begreber og teorier i sundhedssociologien (1985) samt en af hans sidste artikler i 2021 om uligheder i oral sundhed – teoretisk tilgang. I det hele taget var han generøs med at dele sin omfattende viden med den danske tandlægestand, ofte i samarbejde med hans utallige studerende under videreuddannelse. Han publicerede over 60 artikler i Tandlægebladet og Tandlægernes Nye Tidsskrift, hvortil kom adskillige rapporter for Tandlægeforeningen og Sundhedsstyrelsen. Det skete i en periode, hvor danske akademikere i stigende grad forventedes at publicere deres arbejder på engelsk i udenlandske tidsskrifter.

Uden tvivl var Poul Eriks fokus på befolkningers tandsundhedstilstand helt unikt i hans internationale

arbejde. Hans engagement var ikke begrænset af landegrænser eller kulturer. Allerede kort efter han startede på Københavns Tandlægehøjskole, blev han involveret i WHO’s europæiske arbejde for at udarbejde kvalitetsstandarder inden for tandlægevirket. Dette arbejde placerede ham centralt på den internationale odontologiske scene. Han var derfor også en naturlig kandidat til i 2001 at overtage posten som chef for verdenssundhedsorganisationens tandlægeafdeling. De efterfølgende 12 år blev en hæsblæsende, verdensomspændende odyssé med udgangspunkt i WHO’s centralkontor og med skiftende medaktører i alle verdenshjørner. Ofte er det arbejde, der udføres af personer i administrative stillinger, usynligt for en bredere offentlighed. Men Poul Eriks umådelige produktivitet i form af mere end 300 videnskabelige eller kommenterende artikler har efterladt en omfattende dokumentation af hans virksomhed. De røde tråde i hovedparten af disse arbejder har været indsamling af epidemiologiske basisinformationer om internationale befolkningers tandsundhedstilstand; forekomsten af ulighed i befolkningens tandplejetilbud; hvorledes disse uligheder kunne modificeres; hvilke forebyggelsestiltag et land kunne iværksætte for at forbedre situationen. Flere af hans hovedbidrag er reflekteret i World Health Assembly resolutions om oral health, der anvendes som retningsgivende for national planlægning.

Et gammelt ordsprog siger, at bag enhver succesfuld mand står en stærk kvinde. Bag Poul Erik stod hans kone, Vibeke, som fulgte ham i tykt og tyndt, og som med deres børn var en ubeskrivelig støtte for ham, både under de travle år og især gennem de sidste svære år. Al ære til hende for at have medvirket til, at vi kunne få så meget fagligt udbytte fra Poul Eriks energiske tid på jorden. Æret være Poul Eriks minde, han vil blive savnet.

369 2023 127 ∕ 4

HJÆLP DINE PATIENTER MED AT BEHOLDE ET SUNDT TANDKØD

HJÆLP DINE PATIENTER MED AT BEHOLDE ET SUNDT TANDKØD

HJÆLP DINE PATIENTER MED AT BEHOLDE ET SUNDT TANDKØD

parodontax er en flourtandpasta til daglig brug med en unik 67% natriumbikarbonat formulering

parodontax er en flourtandpasta til daglig brug med en unik 67% natriumbikarbonat formulering

parodontax er en flourtandpasta til daglig brug med en unik 67% natriumbikarbonat formulering

58%

reduktion af blødende tandkød*1

reduktion af blødende tandkød*1

reduktion af blødende tandkød*1

58% 4X

mere effektiv til at fjerne plak**2

mere effektiv til at fjerne plak**2

mere effektiv til at fjerne plak**2

Læs mere om parodontax og bestil prøver og patientmateriale ved at scanne QR-koden eller tilmelde dig på www.haleonpro.dk

Læs mere om parodontax og bestil prøver og patientmateriale ved at scanne QR-koden eller tilmelde dig på www.haleonpro.dk

Læs mere om parodontax og bestil prøver og patientmateriale ved at scanne QR-koden eller tilmelde dig på www.haleonpro.dk

*Efter 24 uger. Alle patienter fulgte et regime med professionel rengøring ved baseline og herefter tandbørstning to gange dagligt i 24 uger.

*Efter 24 uger. Alle patienter fulgte et regime med professionel rengøring ved baseline og herefter tandbørstning to gange dagligt i 24 uger.

*Efter 24 uger. Alle patienter fulgte et regime med professionel rengøring ved baseline og herefter tandbørstning to gange dagligt i 24 uger.

**sammenlignet med en almindelig tandpasta efter professionel rengøring og 24 ugers børstning to gange dagligt.

**sammenlignet med en almindelig tandpasta efter professionel rengøring og 24 ugers børstning to gange dagligt.

**sammenlignet med en almindelig tandpasta efter professionel rengøring og 24 ugers børstning to gange dagligt.

1. Akwagyiram et al. Efficacy and Tolerability of Sodium Bicarbonate Toothpaste in Subjects with Gingivitis: A 6-month Randomized Controlled Study. Oral Helth Prev. Dent. 2017; 16(5): 401-407.

1. Akwagyiram et al. Efficacy and Tolerability of Sodium Bicarbonate Toothpaste in Subjects with Gingivitis: A 6-month Randomized Controlled Study. Oral Helth Prev. Dent. 2017; 16(5): 401-407.

1. Akwagyiram et al. Efficacy and Tolerability of Sodium Bicarbonate Toothpaste in Subjects with Gingivitis: A 6-month Randomized Controlled Study. Oral Helth Prev. Dent. 2017; 16(5): 401-407.

2. Jose A et al. J Clin Dent. 2018; 29:33–39.

2. Jose A et al. J Clin Dent. 2018; 29:33–39.

2. Jose A et al. J Clin Dent. 2018; 29:33–39.

GlaxoSmithKline Consumer Healthcare ApS. Haleon, tidligere del af GSK, er ansvarlig for dette materiale.

GlaxoSmithKline Consumer Healthcare ApS. Haleon, tidligere del af GSK, er ansvarlig for dette materiale.

GlaxoSmithKline Consumer Healthcare ApS. Haleon, tidligere del af GSK, er ansvarlig for dette materiale.

NYHED PM-DK-PAD-23-00009, 01/02/2023
NYHED PM-DK-PAD-23-00009, 01/02/2023
58% 4X
NYHED PM-DK-PAD-23-00009, 01/02/2023
4X

kalender

Sidste frist for indlevering af stof til kalenderen i

Tandlægebladet nr. 5 2023

Deadline: 3. maj 2023

Udkommer: 23. maj 2023

Sidste frist for indlevering af stof til kalenderen i

Tandlægebladet nr. 6 2023

Deadline: 5. juni 2023

Udkommer: 20. juni 2023

Yderligere oplysninger kan indhentes hos Tina Andersen, Tandlægebladet, tlf. 33 48 77 33, ta@tdl.dk.

Kurser udbudt kommercielt:

Pris: kr. 37,00 pr. mm + moms

Kurserne faktureres efter hver udgivelse

Kurser udbudt af foreninger, skoler og faglige selskaber

2023 maj

Det nye i praksis, del 2: Tilskudsmuligheder for dine patienter

Dato: 13. maj 2023

Sted: Comwell H.C. Andersen, Odense

Tilmeldingsfrist: 11. maj 2023

Tilmeld dig på tdlnet.dk

juni

Faglig temadag II: Okklusion og kæbeled

Dato: 2. juni 2023

Sted: Scandic Odense

Tilmeldingsfrist: 15. maj 2023

Tilmeld dig på tdlnet.dk

Får styr på målepunkterne – kvalitetsudvikling og -dokumentation.

Dato: 12. juni 2023, klokken 8.15-12.00

Sted: SKT, Panum, Nørre Allé 20, København N. Arrangør: Skolen for Klinikassistenter og Tandplejere

Info og tilmelding: www.skt.ku.dk/udd/efterudd

august

Marketing for tandklinikker: Klinikadministration

Dato: 16. august 2023

Sted: Scandic Odense

Tilmeldingsfrist: 1. juli 2023

Tilmeld dig på tdlnet.dk

september

Digitalisering af tandplejen i Danmark

Dato: 1. september 2023

Sted: Tivoli Congress Center

Tilmeldingsfrist: 29. maj 2023

Tilmeld dig på tdlnet.dk

Parodontologi i praksis

Dato: 12. september (Aarhus), 26. september (København)

Sted: Comwell Aarhus og Scandic Spectrum Kbh

Tilmeldingsfrist: 7. august (Aarhus), 21. august (Kbh)

Tilmeld dig på tdlnet.dk

Konference i oral patologi og medicin

Dato: 15. september 2023

Sted: Scandic Copenhagen

Tilmeldingsfrist: 1. august 2023

Tilmeld dig på tdlnet.dk

november

Symposium 2023: Det slidte tandsæt

Dato: 3.-4. november 2023

Sted: Aalborg Kongres & Kultur Center

Tilmeldingsfrist: 20. oktober 2023

Tilmeld dig på tdlnet.dk

371 2023 127 ∕ 4

Giv dine patienter god information

ogHvadertandkødsbetændelse Hvordanparodontitis?opstårsygdomOgmene?hvordanbehandlesde?

og bestil brochurerne på Tdlnet.dk
NR. 18 Revner i tænderne -dentininfraktioner NR. 13 Kroner og broer NR. 22 Mundtørhed Nr. 34
parodontitis NR. 25
Se
Almindeligegenerog sygdommeikæbe ledogtyggemuskler
ogTandkødsbetændelse

kollegahjælp

TANDLÆGEFORENINGENS KOLLEGAHJÆLP formidler

gratis og anonym hjælp til medlemmer i krise.

Region Hovedstaden

Marie Winding

Turpinsvej 2

2605 Brøndby

Tlf. 36 75 48 75

Region Sjælland

Thomas Hjorth

Platanvej 1

4684 Holmegaard

Tlf. 55 54 64 49 – 42 700 500

Louise Vilhelmsdal

Søndergade 10

4800 Nykøbing F.

Tlf. 54 86 00 86 – 22 93 85 11

Region Syddanmark

Michael Rasmussen

Gl. Vardevej 191

6715 Esbjerg N

E-mail:

mr.mr.rasmussen@gmail.com

Tlf. 75 13 75 13

Niels Holgersson

Søndergade 13 C

6000 Kolding info@tdl-holgersson.dk

Tlf. 75 52 74 34

Peter Boch

Stadionvej 32

6510 Gram

Tlf. 74 82 12 12 – 24 27 02 23

Region Midtjylland

Tina El-Dabagh

Tordenskjoldsgade 37, 1. th

8200 Århus N

E-mail: tinaeldabagh@hotmail.com

Tlf. 86 16 85 10

Region Nordjylland

Majbritt Jensen

Strandvejen 3

9000 Aalborg

Tlf. 20 77 32 66

Tandlægeforeningen Region Grønland

Karen Haarbo-Nygaard

Tuapannguit 40

3900 Nuuk

E-mail: karenhaarbo@yahoo.com

Tlf. (+299) 547373

TandlægeTryghed

Susanne Raben

Britt Betina Jørgensen

Svanemøllevej 85

2900 Hellerup

Tlf. 39 46 00 80

Tandlægeforeningen

Vivian Riel

Amaliegade 17

1256 København K

Tlf. 70 25 77 11

Ved alkohol- og misbrugsproblemer

Halsnæs

Alkoholambulatorium

Ambulatorieleder

Charlotte H. Seidler

Tlf. 28 59 02 08

Psykologhjælp

Erhvervspsykologisk

Rådgivning

v/erhvervspsykolog

Majken Blom Søefeldt

Tlf. 60 40 72 10

E-mail: mail@blomsoefeldt.dk

373 2023 127 ∕ 4

kollegiale henvisninger

Henvendelse angående kollegiale henvisninger

Tina Andersen, tlf. 33 48 77 33, e-mail: ta@tdl.dk

Pris: kr. 39,00 pr. mm + moms pr. gang.

Annoncer tegnes for 12 numre (1 år ad gangen).

Der faktureres for et halvt år ad gangen i juni måned og i december måned.

Tandlægeforeningen påtager sig ikke ansvar for om kolleger, der annoncerer under kollegiale henvisninger, besidder de fornødne kvalifikationer.

Annoncering under kollegiale henvisninger er forbeholdt medlemmer af Tandlægeforeningen.

Adipositas

Tandklinikken Ravn

• Behandling af overvægtige patienter op til 350 kg. Patienterne kan køres ind, men skal kunne gå de sidste 4 m til stolen

• Handicapvenlig parkering og indgang

Strøby Egede Center 15

4600 Køge

Tlf. 56 26 72 77 www.tandklinikkenravn.dk

Behandlingscentre

Hausergaarden I/S

Specialuddannede tandlæger

Hauser Plads 20, 2 (elevator)

1127 København K

v/Nørreport Station

Tlf. 33 15 15 34 info@hausergaarden.dk www.hausergaarden.dk

• Endodonti * komplicerede

• Implantologi * Komplikationer

• Kirurgi * Knogle-opbygning

• Æstetik * Rekonstruktioner

• Protetik * Narkose

John Orloff

Dip. Imp Dent Adv RCS (Eng)

Jens Kristiansen

MSc Endo KCL (Eng)

Adam Gade Ellesøe MSc Imp Dent (URJC)

Colosseumklinikken

Kongens Nytorv

Østergade 1

1100 København K

Tlf. 33 12 24 21/Fax 33 33 99 90 kongensnytorv@colosseumklinikken.dk www.colosseumtand.dk

• Bidfunktion.

• Bidrekonstruktion.

• Implantologi, Invisalign.

• Knogleopbygning, Kirurgi.

• Parodontal kirurgi.

• Protetik, Æstetik, Endodonti.

• Panoramarøntgen.

• Cone-Beam scanning.

• LiteWire.

Kenneth Vikkelsø Jordy

Lennart Jacobsen

Clara Marie Bjerre Windeløv

Lars Bo Petersen

Gry Hegelund Olsson

Jesper Klinck Pedersen

Thomas Groth-Lauritsen

Bidfunktion

Jylland

Brædstrup Implantatcenter

Birgitte Skadborg

Tlf. 75 75 12 36

www.implantatcenter.dk

Bidfunktion og oral bidrehabilitering

Tømmergårdens Tandlæger

Steen Rosby

Stationsvej 1, 6880 Tarm

Tlf. 97 37 15 15 info@rokketand.dk

• Behandling af funktionelle lidelser i tyggeorganet.

Sjælland

Stylvig

H.C. Ørsteds Vej 50C 1879 Frederiksberg C Tlf. 33 24 85 85 forum@tandlaegen.dk

Tandlægen.dk – Greve Anders Vilmann, ph.d. Tlf. 43 43 98 98 greve@tandlaegen.dk

Tandlæge Katharina Axtmann

Farum Hovedgade 15, 1. Tlf. 31 72 83 56 Info@axtmann.dk

Tandlæge Betina Grønbæk ApS

Betina Grønbæk

Stjernegade 22 1 tv

3000 Helsingør

Tlf. 49 21 99 60 info@stjernegade22.dk

Tandlægen.dk Hundige Strandvej

Specialtandlæge Glen Happel

Hundige Strandvej 182

2670 Greve

Tlf. 43 90 15 15 hundigestrandvej182@tandlaegen.dk

Børnetandpleje

Sjælland Børnetandpleje

Mobilkirurgi

Svend Fægteborg

Tlf. 28 74 73 25

Dental og maksillo-facial radiologi

Tandlægerne Fyrvej, Esbjerg

CBCT-scan og panorama

Tandlægerne Fyrvej

Fyrvej 26

6710 Esbjerg V Tlf.: 75 15 06 00 www.fyrvej.dk

Aarhus Tandlægeskole

• CBCT og panorama-undersøgelse Henvisning og prisliste på dent.au.dk/tandlaegeskolen/forfagfolk

Colosseumklinikken

Kongens Nytorv

• CBCT, panorama, beskrivelser. Lars Bo Petersen ph.d

Østergade 1

1100 København K

Tlf. 33 12 24 21 kongensnytorv@colosseumklinikken.dk www.colosseumklinikken.dk

SpecialTandlægeCenter

Gentofte v/ specialtandlæge

Pernille Egdø

• Implantater, knogleopbygning, amotio, rodresektion, autotransplantation

• Panorama/OTP CBCT/3D Baunegårdsvej 7 L, 2820 Gentofte Tlf. 39 64 65 14 www.kaebekirurg.dk pernille@kaebekirurg.dk

Specialtandlægerne

Seedorffs Stræde, Aarhus

• Panorama og CBCT (3D), inkl. beskrivelse af Hanne Hintze, dr.odont. www.sptand.dk

Tandlægeskolen

Afd. for Radiologi

Panorama og kranieoptagelser samt Cone-Beam scanning. (spec. implantatbehandling og kæbeled)

Henvisningsblanket hentes på http://odont.ku.dk/specialklinik/radiologi/henvisn_rtg/ og faxes eller sendes til afdelingen. Nørre Allé 20, 2200 Kbh. N. Tlf. 35 32 69 05/Fax 35 32 67 73

Tandlægen.dk Roskilde

Sahar Talebi (Msc i Oral Radiologi)

• CBCT, panorama og beskrivelse

Algade 52, 1. 4000 Roskilde

Tlf. 46 35 33 13

Implantater

Fyn

Centrum Tandlægerne

Odense og Middelfart

B. Pade

N. Pade

Tlf. 66 12 62 26 – 64 40 24 03

• Implantater, protetik, kirurgi. www.centrumtandlaegerne.dk

Oris Tandlægerne

Steen Bjergegaard

Slotsgade 21, 5000 Odense C

Tlf. 66 11 44 33

E-mail: info@klinik21.dk

www.klinik21.dk

• Panoramarøntgen

• Cone-Beam

• 3d-scanning

Jylland

Aarhus Implantat Center

Klostergade 56, 8000 Aarhus C

Tlf. 86 12 45 00

Hermodsvej 22, 8230 Åbyhøj

Tlf. 70 22 35 53

www.implantatcentret.dk

medlemsservice
374 T ∕

Brædstrup Implantat Center

John Jensen

Martin Dahl

Jens Hartlev

Kristoffer Schwartz

Martin Saaby

Birgitte Skadborg

• Implantologi, kirurgi, narkose

• Protetiske rekonstruktioner

• 3D scanning

Tinghuspladsen 6

8740 Brædstrup

Tlf. 75 75 12 36

E-mail: tandlaegehuset@ implantatcenter.dk www.implantatcenter.dk

Herning Implantat Center

Louise Kold & Simon Kold

Bryggergade 10

7400 Herning

Tlf. 97 12 03 99

www.herningimplantatcenter.dk

• Kirurgi og protetik.

• Mulighed for narkose

KOHBERGTANDKLINIK.DK

Peter Kohberg

• Implantatcenter

• Speciale: immediat implantologi

• Kirurgi og protetik

Jernbanegade 6

6360 Tinglev

Tlf. 74 64 20 00

www.Kohbergtandklinik.dk mail@Kohbergtandklinik.dk

Kolding Implantat Center

Jens Thorn, specialtandlæge

Henrik Hedegaard

ORIS Tandlægerne Kolding

Banegårdspladsen 9

6000 Kolding

Tlf. 81 18 81 18

www.ORIS.dk/kolding

• Kirurgi og protetik

Tandlægerne Fyrvej

Specialtandlæge

Kristian Thesbjerg

Fyrvej 26

6710 Esbjerg V

Tlf. 75 15 06 00

rtg@fyrvej.dk

www.fyrvej.dk

Bredt Smil Haderslev

Puk Bergmann

Nørregade 11

6100 Haderslev

Tlf. 74 52 22 49

6100@bredtsmil.dk

dinTANDLÆGE Brande

Torben Lillie

• Immediat implantologi

• Kirurgi og protetik

Torvegade 8

7330 Brande

Tlf. 97 18 00 79 www.dintandlaege-brande.dk brandetand@brandetand.dk

Risskov Implantatklinik

– Tandlægerne Risskov

v/Ulrik Holm-Christoffersen MSc.

Impl.

Immediat implantologi. Blødvævskirurgi

• Implantater, knogleopbygning, Amotio, Retrograd.

• Straumann, Nobel, Ankylos, Astra.

Rolighedsvej 30, Risskov.

Tlf. 70 70 55 25 info@tandlaegernerisskov.dk

Sjælland

Tandlægen.dk Roskilde

Maziar Talaeipour

Algade 52, 1., 4000 Roskilde

Tlf. 46 35 33 13

• www.tandlaegen.dk/Roskilde

Klinikken Vestergade

Specialtandlæger i kæbekirurgi

Nino Fernandes, specialtandlæge

Teis Schjals Hansen, specialtandlæge

Pouya M. Yazdi, specialtandlæge

Sanne W.M. Andersen, specialtandlæge

Frey Brus Madsen, kæbekirurgisk videreuddannelsestandlæge

Rasmus Hartmann-Ryhl, kæbekirurgisk videreuddannelsestandlæge

Obels Gaard, Vestergade 2, 1456 København K

Tlf. 33 15 48 99

www.klinikkenvestergade.dk

Straumann, Astra, Nobel, Xive, Camlog, Dio

CBCT og digital 3d-guided implantatkirurgi og planlægning

• Narkose

SpecialTandlægeCenter

Gentofte v/ specialtandlæge

Pernille Egdø

• Implantater, knogleopbygning, amotio, rodresektion, autotransplantation

• Panorama/OTP CBCT/3D

Baunegårdsvej 7 L, 2820 Gentofte

Tlf. 39 64 65 14

www.kaebekirurg.dk

pernille@kaebekirurg.dk

Specialtandlægerne i Bredgade

Specialtandlæge Malene Hallund

Specialtandlæge Lars Pallesen www.bredgade.dk eller info@bredgade.dk

Knogle- og blødtvæv. Enkelttand, bro, fuldkæbe. Narkose

Mobilkirurgi

Svend Fægteborg

Tlf. 28 74 73 25

Specialtandlægerne i kæbekirurgi i Lyngby

Thomas Kofod ph.d. Ole Schwartz ph.d.

Niels Ulrich Hermund ph.d

Rasmus Kuniss-Kriegbaum

Even Nisja

• Alt indenfor tand,- mund,- og

kæbekirurgi

• De fleste typer implantater og rekonstruktioner. tandlægen.dk

Lyngby & Implantatcenter

Lyngby Hovedgade 27, 3. sal

2800 Kgs. Lyngby

Send henvisning over ediportalen 45870190 eller henvisningsblanket

på hjemmesiden: https://tandlaegen.dk/lyngby/ lyngby-hovedgade/henvisning/

Kirurgi

Fyn

Klinik for Kæbekirurgi, Odense

Kæbekirurger, Ph.D.

Torben Thygesen

Gregory Tour

50 65 62 66 tht@klinik-vs15.dk www.klinik-vs15.dk

Tanlægen.dk, Centrum Odense

Peter Marker

Specialtandlæge

Grønnegade 16, 5000 Odense C

Tlf 66 12 62 26

Mail: centrum-odense@tandlaegen.dk www.tandlaegen.dk/odense

Kirurgi, implantater, narkose

Jylland

Aalborg Implantat Center v/specialtdl.

Thomas Starch-Jensen

Boulevarden 5, 9000 Aalborg

Tlf. 98 13 48 70 www.harald.dk/aalborgtandlaegecentret-9000

Brædstrup Implantat Center

John Jensen

Martin Dahl

Jens Hartlev

Kristoffer Schwartz

Martin Saaby

Tinghuspladsen 6 8740 Brædstrup

Tlf. 75 75 12 36 www.implantatcenter.dk

Oris Tandlægerne

Kolding

Specialtandlæge, ph.d. Jens Thorn

Banegårdspladsen 9

6000 Kolding

Tlf. 81 18 81 18

Mail. Kolding@oris.dk

Kirurgiklinik

– Klinik f. TMK-kirurgi

Lone Lenk-Hansen

Thomas Urban

Hermodsvej 22, 8230 Åbyhøj

Tlf. 70 22 35 53

www.kirurgiklinik.dk

Tandlægerne Fyrvej

Specialtandlæge

Kristian Thesbjerg

Fyrvej 26, 6710 Esbjerg V

Tlf. 75 15 06 00 rtg@fyrvej.dk

www.fyrvej.dk

Tandlægerne Silkeborgvej 297 Specialtandlæge

Lambros Kostopoulos

• Implantatbehandling samt knogleopbygning med membran.

• Rekonstruktiv knogle- og blødtvævskirurgi. Behandling af periimplantitis

Silkeborgvej 297, 8230 Åbyhøj

Tlf. 86 15 43 44

Tandlægerne Kold

Louise Kold

Simon Kold

Bryggergade 10

7400 Herning

Tlf. 97 12 03 99

www.tandherning.dk

E-mail: post@tandherning.dk

Mulighed for narkose

Aalborg Tandplejeteam ApS

Specialtandlæge

Martin Dahl

Boulevarden 9, 9000 Aalborg

Tlf. 98 11 76 16

• Implantatbehandling

≥ 375 2023 127 ∕ 4

medlemsservice

Specialtandlægerne

Seedorffs Stræde, Aarhus

• Oral kirurgi og implantater, inkl. narkose

Søren Schou, dr.odont.

Helle B. Nielsen

Jens Hartlev, ph.d.

Otto Schmidt www.sptand.dk

Leif Fagernæs

Jernbanegade 11

6000 Kolding

Tlf. 75 52 16 16 tdl@tdlfagernaes.dk

• Kirurgi, Implantater.

Sjælland

SpecialTandlægeCenter

Gentofte v/ specialtandlæge

Pernille Egdø

• Implantater, knogleopbygning, amotio, rodresektion, autotransplantation Panorama/OTP CBCT/3D

Baunegårdsvej 7 L, 2820 Gentofte

Tlf. 39 64 65 14 www.kaebekirurg.dk pernille@kaebekirurg.dk

Kæbekirurgisk Klinik

Niels Ulrich Hermund, ph.d., Kæbekirurg

Esben Aagaard, kæbekirurg

Søren A. C. Krarup, Kæbekirurg

Hovedvagtsgade 8, 3. sal

1103 København K

Tlf. 33 12 24 04

W: kæbekirurgiskklinik.dk

• Rodresektioner

• Cyster og tumorer

• Slimhindeforandringer

• Fjernelse af tænder

• Knoglerekonstruktion

• Straumann, Astra og Nobel

• Nervelateralisering

• Generel anæstesi

Specialtandlæge

Merete Aaboe ApS

Specialtandlæge, ph.d.

Merete Aaboe

Solrød Center 45, 1.

2680 Solrød Strand

Tlf. 56 16 75 00

• TMK-kirurgi og implantatbeh.

Klinikken Vestergade

Specialtandlæger i kæbekirurgi

Nino Fernandes, specialtandlæge

Teis Schjals Hansen, specialtandlæge

Pouya M. Yazdi, specialtandlæge

Sanne W. M. Andersen, specialtandlæge

Frey Brus Madsen, kæbekirurgisk videreuddannelsestandlæge

Rasmus Hartmann-Ryhl, kæbekirurgisk videreuddannelsestandlæge

Obels Gaard, Vestergade 2

1456 København K

Tlf. 33 15 48 99 www.klinikkenvestergade.dk

• Straumann, Astra, Nobel, Xive, Camlog, Dio

• CBCT og digital 3d-guided implantatkirurgi og planlægning

• Narkose

Tandlægen.dk Falkonercentret

Thomas Kofod

Libana Raffoul Bjørnstrup

Falkoner Alle 7 2000 Frederiksberg

Tlf. 38 34 01 33 www.tandlaegen.dk/falkonercentret

Oral kirurgi og implantatbehandling

Specialtandlægerne

i Bredgade www.bredgade.dk eller info@bredgade.dk

Klinik for Kirurgi og Endodonti

Vibe Rud

Thomas Foldberg

Puggaardsgade 17, st.

1573 København V

Tlf. 33 14 83 86

Online henvisning via www.endokir.dk

Mobilkirurgi

Svend Fægteborg

Privat og kommunal tandpleje

Tlf. 28 74 73 25

Specialtandlægerne Sjælland København, Roskilde, Kalundborg

• Dentoalveolær kirurgi

• Oral rehabilitering

Specialtandlæger i Tand-, Mund- og

Kæbekirurgi:

• Tore Tranberg Lefolii

• Simon Storgård Jensen, dr.odont

• Jesper Øland Petersen, ph.d

• Libana Raffoul Bjørnstrup

• Karoline Brørup Marcussen

• Even Nisja

Protetikere:

• Klaus Gotfredsen, dr. og lic.odont

• Brian Møller Andersen

www.spsj.dk

E-mail: klinik@spsj.dk

Tlf. 70 22 52 30

Specialtandlægerne i kæbekirurgi i Lyngby

Thomas Kofod ph.d.

Ole Schwartz ph.d.

Niels Ulrich Hermund ph.d

Rasmus Kuniss-Kriegbaum

Even Nisja

• Alt indenfor tand,- mund,- og kæbekirurgi

• De fleste typer implantater og rekonstruktioner. tandlægen.dk

Lyngby & Implantatcenter

Lyngby Hovedgade 27, 3. sal

2800 Kgs. Lyngby

Send henvisning over ediportalen 45870190 eller henvisningsblanket på hjemmesiden: https://tandlaegen.dk/lyngby/ lyngby-hovedgade/henvisning/

Narkose

Fyn

Centrum Tandlægerne

Danmarks Implantatcenter

Odense klinikken

Tlf. 66 12 62 26 info@centrumtandlaegerne.dk

Middelfart klinikken

Tlf. 64 40 24 03 middelfart@ centrumtandlaegerne.dk www.centrumtandlaegerne.dk

Jylland

Brædstrup Implantat

Center

Tlf. 75 75 12 36 www.implantatcenter.dk

Tandlægerne Kold

Louise Kold

Simon Kold

Bryggergade 10

7400 Herning

Tlf. 97 12 03 99

E-mail: post@tandherning.dk

• Patienter modtages til behandling i narkose. Alm. tandbehandling, kirurgi og implantatbehandling.

Centrum Tandlægerne

Danmarks Implantatcenter

Aarhus klinikken

Tlf.: 86 13 26 36 aarhus@centrumtandlaegerne.dk www.centrumtandlaegerne.dk

Sjælland

Specialtandlæge

Merete Aaboe ApS Specialtandlæge, ph.d.

Merete Aaboe

Solrød Center 45, 1. 2680 Solrød Strand Tlf. 56 16 75 00

Tandlægecentret Svanen v/tandlæge Per Bjørndal Lyngby Hovedgade 27, 4. 2800 Lyngby

Tlf. 45 88 96 88/Fax 45 88 91 69 www.svanetand.dk

Tandlægerne i Carlsro

Tårnvej 219

2610 Rødovre Tlf. 36 70 31 67 www.carlsrotand.dk

Tandlægerne i Gl. Skovlunde

Kildestrædet 108

2740 Skovlunde

Tlf. 44 92 01 01

• Patienter modtages til alm. tandbehandling, kirurgi og implantatbehandling i narkose.

• Der er mulighed for at leje sig ind. Tandlægen.dk Hundige Strandvej

Hundige Strandvej 182

2670 Greve

Tlf. 43 90 15 15 hundigestrandvej182@tandlaegen.dk Alle former for behandling tilbydes.

Odontofobi

Maj-Britt Liliendahl

Højbro Plads 5, 2. sal 1200 København K

Tlf. 33 12 14 38

Ortodonti Jylland

Tandregulering

Ane Falstie Juul

Nørgårds Allé 11, 1. 7400 Herning

Tlf. 97 12 59 00

• Specialtandlæge i ortodonti

Brædstrup Implantatcenter

Carsten Lemor

Tlf. 75 75 12 36 www.implantatcenter.dk

376 T ∕

Specialtandlægerne

Aarhus Tandregulering

Morten G. Laursen

Janne Grønhøj

Susanna Botticelli

Frederiks Allé 93

8000 Aarhus C

Tlf 86 12 17 66

mail@specialtandlaeger.dk www.specialtandlaeger.dk

Tandreguleringshuset

Kim Carlsson

Jens Kragskov

• Specialtandlæger i ortodonti

Jyllandsgade 79 C, 1. sal

6700 Esbjerg

Tlf. 76 13 14 80

Tandreguleringsklinikken

Lisbeth Nielsen, Specialtandlæge, ph.d.

Christian Iversen, Specialtandlæge

Tandreguleringsklinikken

Toldboden 1, 5C

8800 Viborg

Tlf. 86 62 76 88

• Specialtandlæge i ortodonti post@tandreguleringsklinikken.dk www.tandreguleringsklinikken.dk

Specialtandlægecenter

Vestjylland

Søren Povlsen

Stationsvej 35a

7500 Holstebro

Tlf. 97 84 05 88

www.tandregulering.com

• Specialtandlæge i ortodonti

Sjælland

Harry Fjellvang

Specialtandlæge, ph.d.

• Specialklinik for tandregulering

Tlf. 33 93 07 23 www.tandregulering.info mail@tandregulering.info

Specialtandlæge i Holte

• Specialtandlæge i ortodonti

Lone Møller

Holte Stationsvej 6, 1. sal, 2840 Holte

Tlf. 45 42 16 88 www.holtetandreguleringsklinik.dk

Specialtandlægerne

• Specialtandlæger i ortodonti

Michael Holmqvist

Rosenborggade 3, 1.

1130 København K

Tlf. 33 12 32 12

orto@specialtandlaegerne.dk

Specialtandlægerne i Roskilde

• Specialtandlæger i ortodonti

Søren Wiborg Lauesen

Jens Fog Lomholt

Algade 12, 4000 Roskilde

Tlf. 46 36 50 33

www.specialtandlaegerne.com

Tandlægerne i Vangede

Specialtandlæge i ortodonti

Lene Hansen

Vangede Bygade 63, 1. sal

2820 Gentofte

Tlf. 39 65 34 31

www.vangedetand.dk

Tandlægen.dk Hundige Strandvej

Specialtandlæge Glen Happel

Hundige Strandvej 182

2670 Greve

Tlf. 43 90 15 15 hundigestrandvej182@tandlaegen.dk

Parodontalbehandling

Fyn

Oris Tandlægerne

Det Gule Pakhus

Mette Rylev, ph.d.

Havnepladsen 3b

5700 Svendborg

Tlf. 62 21 20 09

E-mail: detgulepakhus@oris.dk www.oris.dk/svendborg

Jylland

Brædstrup Implantat

Center

Camilla Kristensen

Tlf. 75 75 12 36

www.implantatcenter.dk

Tandlægerne på Store Torv

Lone Sander, ph.d.

Mette Rylev, ph.d.

Mette Kjeldsen, ph.d.

Martin Persson (protetik)

Store Torv 6, 3.

8000 Århus C

Tlf. 86 12 73 50 http://tdl-storetorv.dk

Tandlægerne i Løgstør

Rikke Wedell Nielsen

Bredgade 1

9670 Løgstør

Tlf. 98 67 18 55

tandlaegernebredgade1@os.dk

• Henvisninger modtages for generel parodontitis behandling, parodontitis kirurgi med og uden knogle regeneration, periimplantitis.

Sjælland

Københavns Paradentoseog Implantat Klinik

Marianne Hoffmeyer, M.S., Diplomate Board Certified Periodontist (USA)

Strøget, Kbh K. Tlf. 33 13 66 60 www.strogettand.dk

Tandlægen.dk Roskilde

Maziar Talaeipour

-Parodontal kirurgi bla. regenerativ behandling

-Mikro kirurgi (paradontal plastikkirurgi)

-Behandling af periimplantitis

Algade 52, 1., 4000 Roskilde

Tlf. 46 35 33 13 www.tandlaegen.dk/Roskilde

Colosseumklinikken

Kongens Nytorv

Østergade 1

1100 København K

Tlf. 33 12 24 21 kongensnytorv@colosseumklinikken.dk www.colosseumtand.dk

Colosseum Tandlægerne

Rosenborggade København

Rosenborggade 3, 2.

1130 København

Tlf. 33 11 39 66

E-mail: noerreport@colosseumklinikken.dk www.colosseumklinikken.dk

Tandklinikken Ravn

Nørregade 9 og Strøby Egede Center 15

4600 Køge

Tlf. 56 65 25 09 – 56 26 72 77 www.tandklinikkenravn.dk

Specialtandlægerne i Bredgade

Lektor, ph.d. Christian Damgaard www.bredgade.dk eller info@bredgade.dk

Parodontitis, peri-implantitis, regenerativ parodontalkirurgi, CBCT, narkose

Protetik

ORIS Tandlægerne

Steen Bjergegaard

Slotsgade 21, 5000 Odense C

Tlf. 66 11 44 33

• Fast og aftagelig, inkl. implantatforankret protetik

Rodbehandling

Brædstrup Implantatcenter

Christian Dalby

Tlf. 75 75 12 36

www.implantatcenter.dk

Evident Tandlægerne

Andreas Riis, tandlæge og specialisttandläkare i endodonti.

• Udfører orto- og retrograde endodontiske behandlinger vha. mikroskop.

• Behandling af komplikationer, knækkede rodfile, revisioner mv. Behandling i Dragør og Brøndby. www.etand.dk brondby@etand.dk

Tandlægen.dk Bagsværd Endodonti Christian Bruun Møller Bagsværd Hovedgade 99, 1. sal, 2880 Bagsværd

Tlf. 44 98 34 20

Mail: bagsvaerd@tandlaegen.dk www.tandlaegen.dk/bagsværd

Colosseum Tandlægerne Kongensgade Odense Kongensgade 54

5000 Odense

Tlf. 66 11 67 01 odense@colosseumklinikken.dk

Ref. Kirsten Rysgaard

Tandlægerne Kasper og Niels Bruun ApS Niels Bruun Kasper Bruun Vesterbrogade 37, 2. 1620 København V Tlf. 33 24 79 33 mail@tandlaegerne-bruun.dk

Tandlægen.dk Allerød

• Udelukkende endodonti Jørgen Buchgreitz

Younes Alipanah

M.D. Madsensvej 8 3450 Allerød

Tlf. 48 17 24 25 j.buchgreitz@gmail.com

Tandlægen.dk Bagsværd

• Retrograd endodonti

Jens Tang

Bagsværd Hovedgade 99, 1. sal. 2880 Bagsværd

Tlf. 44 98 34 20

Mail: bagsvaerd@tandlaegen.dk

www.tandlaegen.dk/bagsværd

RodbehandlingsCenter.dk

v/ Thomas Harnung

Vester Farimagsgade 1, 3. sal. 1606 København V www.endo-henvisning.dk

Tlf. 44 44 44 11

≥ 377 2023 127 ∕ 4

medlemsservice

Klinik for rodbehandling

Otto Schmidt

Casper Kruse, ph.d.

Lise-Lotte Kirkevang, dr.odont. Store Torv 6, 3 sal, Aarhus C www.ottoschmidt.dk

• Ortograd og kirurgisk endodonti

Colosseumklinikken

Kongens Nytorv

Kenneth Vikkelsø Jordy

Østergade 1

1100 København K.

Tlf. 33 12 24 21 kj@colosseumklinikken.dk kongensnytorv@colosseumklinikken.dk www.colosseumtand.dk

Tandlægerne Fyrvej

Søren Grønlund

Fyrvej 26

6710 Esbjerg V

Tlf: 75 15 06 00 rtg@fyrvej.dk www.fyrvej.dk

Tandlægerne

Hedegaard & Kjærgaard

Thomas Hedegaard

Storegade 3, 8382 Hinnerup

Tlf. 86 98 56 26

E-mail: henvisning@storegade3.dk www.storegade3.dk

Ortograd og kirurgisk endodonti

Tandklinikken Perlegade 13 ApS

Tom Lykke Gregersen

Perlegade 13

6400 Sønderborg

Tlf. 74 42 84 42 tandlaege@perletand.dk www.perletand.dk

Tandlægen.dk Roskilde

Kasper Holm-Busk

Algade 52, 1. sal, 4000 Roskilde

Tlf. 46 35 12 07

www.tandlaegen.dk/Roskilde

Oris Tandlægerne

Det Gule Pakhus

Vitus Jakobsen

Havnepladsen 3b

5700 Svendborg

Tlf. 62 21 20 09

E-mail: detgulepakhus@oris.dk

www.oris.dk/svendborg

Colosseum Tandlægerne

Slotsgade Odense

Anders Burgaard

Slotsgade 18

5000 Odense C

Tlf.: 66 11 96 46

Henvisninger:

EDI: Tandlæge Anders Burgaard ApS

Sikkermail: ab@slotsgade18.dk

Risskov Tandklinik

Mads Juul

Dybbølvej 25, 8240 Risskov

Tlf. 86 17 83 22 Henvisning modtages via EDI www.risskovtand.dk

Specialtandlægerne i Bredgade

Younes Alipanah (specialuddannet) www.bredgade.dk eller info@bredgade.dk Mikroskopvejledt endo, stiftopbygning ifm. endodonti, CBCT, narkose

Slotstandlægerne Hillerød

• Endodonti

Farhina Khan (MSc London)

Helsingørsgade 7, 1. sal Hillerød

Tlf. 48 26 12 88 fk@slotstandlaegerne.dk www.slotstandlaegerne.dk

Tandlægen.dk – Greve

• Endodonti

Anders Vilmann, ph.d. Tlf. 43 43 98 98 greve@tandlaegen.dk

Tandlægerne Rådhusstrædet

Mads Bojer

Rådhusstrædet 12A, 7430 Ikast

E-mail: mads@tandikast.dk

Æstetisk tandpleje

Hausergaarden

John Orloff

• Æstetik * eget dental lab. Se under behandlingscentre www.hausergaarden.dk

Colosseumklinikken

Kongens Nytorv

Lennart Jacobsen

Thomas Groth-Lauritsen Østergade 1

1100 København K

Tlf. 33 12 24 21 kongensnytorv@colosseumklinikken.dk www.colosseumtand.dk lja@colosseumklinikken.dk tgl@colosseumklinikken.dk

378 T ∕

PROFESSIONEL TANDPLEJE

Uanset om du er til manuel eller til elektrisk tandbørste

VERDENS FØRENDE BRAND INDEN FOR PROFESSIONEL TANDBLEGNING

HYDROSONIC PRO elektrisk
Ultrafine Curen®-børstehår. Skånsomme og effektive. Læs mere
om
tandbørste:
Anbefales af Ønsker du at forhandle eltandbørsten via klinikken kontakt os på tlf. 70 26 81 70
FÅ MERE AT VIDE PÅ ULTRADENT.EU eu.ultradent.blog © 2023 Ultradent Products, Inc. All rights reserved. 30+ års erfaring 50+ Priser fra branchen inden for blegning 100 millioner lysnede smil 379 2023 127 ∕ 4

medlemsservice

stillinger

Henvendelse angående rubrikannoncer

Tina Andersen, tlf. 33 48 77 33, e-mail: ta@tdl.dk

Pris

Stillingsopslag kr. 36,00 pr. spaltemm.

Køb & salg kr. 28,00 pr. spaltemm.

Brugtbørsen kr. 24,00 pr. spaltemm. Bureauprovision ydes ikke for annoncer indrykket gennem bureau.

Stillingsopslag i udlandet modtages ikke under billetmrk.

Sidste frist for indrykning af rubrikannoncer

Tandlægebladet nr. 5 2023: 3/5. Udkommer: 23/5.

Tandlægebladet nr. 6 2023: 5/6. Udkommer: 20/6.

Ansættelseskontrakter for ansatte tandlæger

Ifølge loven skal du som ansat have en ansættelseskontrakt, der beskriver alle relevante forhold for ansættelsen.

Offentligt ansatte tandlægers ansættelseskontrakt skal henvise til den relevante overenskomst, mens lønnen som regel vil fremgå af en særskilt lønaftale. Lønaftalen indgås af Tandlægeforeningen efter aftale med dig.

Privat ansatte tandlæger har ingen gældende overenskomster, men når du bruger Tandlægeforeningens standardkontrakter, bliver lovens betingelser opfyldt. Kontakt altid Tandlægeforeningen, inden du skriver kontrakten under. Læs mere om ansættelseskontrakter på Tdlnet.dk

Ved Kæbekirurgisk afdeling, Aalborg Universitetshospital er en uddannelsesstilling til specialtandlæge i tand­, mund­ og kæbekirurgi ledig til besættelse pr. 1. september 2023. Stillingen er en 5­ årig blokansættelse, hvoraf et år af uddannelsen foregår ved Tand­, Mund­ og Kæbekirurgisk Afdeling på Århus Universitetshospital.

Målbeskrivelsen for uddannelsen kan findes på www.sst.dk (se link). Vi tilbyder en stilling i en udviklingsorienteret afdeling med et engageret personale. Yderligere information om afdelingen kan findes på www.aalborguh.rn.dk (se link). Afdelingens detaljerede uddannelsesprogram kan rekvireres. Løn og ansættelsesvilkår iht. gældende overenskomst. Yderligere oplysninger (herunder stillingsog funktionsbeskrivelse) kan indhentes hos: Uddannelsesansvarlig overtandlæge Kristian Rude, tlf. 97 66 90 73, e-mail: krru@rn.dk.

Ansøgningsfrist: den 15. maj 2023. Ansøgninger modtages elektronisk via Region Nordjyllands jobportal.

380 T ∕
Uddannelsesstilling, specialtandlæge i tand-, mund- og kæbekirurgi

Vi søger nu en kollega til vores store og flotte klinik i Esbjerg

– måske er du den vi leder efter?

Vi er et velfungerende team bestående af en masse dygtige og erfarne behandlere og klinikassistenter, vi har det sjovt sammen og så er vi vilde med at levere kvalitetsbehandlinger til vores mange søde patienter. Vores dagligdag tilbringer vi på en stor og topmoderne klinik, beliggende centralt i Esbjerg. Klinikken har alt hvad hjertet kan begære for en kvalitetsbevidst tandlæge, herunder CBCT, OTP, Trios 3Shapescanner, mikroskop og meget mere. Vi har ikke kun det tekniske udstyr i orden! Vi vil også vove at påstå, at vi har nogle af de dygtigste og mest engagerede assistenter, der alle er med på at tage behandlingen, servicen og kvaliteten til næste niveau. Med andre ord – du vil ikke komme til at mangle noget.

Vores omgangstone er uformel og humoristisk, og vi sørger for at der altid er plads til et smil og et grin. Vi ønsker at levere den bedst mulige behandling til vores patienter og netop derfor har vi sat barren for det faglige niveau højt. Dette betyder også at din hverdag vil være varierende og med en masse spændende behandlinger i din aftalebog. Vi tilbyder stort set alle former for tandbehandling, hvorfor der er mange gode muligheder for at du kan arbejde med ­ og udvikle dig i netop den retning du ønsker at bevæge dig. Vi ønsker at du fastholder din faglige udvikling, og med etableringen af Colosseum Academy, et topmoderne uddannelsescenter i Oslo, er det vores ambitionen at tilbyde Colosseums behandlere fra alle lande, adgang til unik efteruddannelse i faglig verdensklasse.

Læs mere her: academy.colosseumdental.com

Hvis du… Kan se dig selv være en del af ovenstående og har lyst til at høre mere, vil vi meget gerne møde dig og høre mere om dine kompetencer, ønsker og tanker. Vi vil håbe at høre fra dig!

Kontakt:

Anni.Lambertsen@colosseumklinikken.dk colosseumtand.dk/klinikker/esbjerg

Tandlæge Odense

Vi er to tandlæger, to tandplejere og 4 super dygtige og motiverede klinikassistenter og vi har alle super travlt. Derfor overvejer vi at udvide med 1 evt. 2 tandlæger henad vejen. Vi har et stort og varieret patient klientel med behov for alle slags behandlinger, inkl. kirurgi og implantater, hvortil vi også modtager henvisninger.

Administrative opgaver og diverse øvrige opgaver udover patientbehandling er sat i system og varetages af vores erfarne klinikassistenter, så behandlerne kan koncentrere sig om kerneopgaven: patientbehandling.

Vi vægter den enkelte medarbejders trivsel og udvikling højt og lægger vægt på balancen mellem arbejde og fritid. Vi har et godt sammenhold og kammeratskab på klinikken, og vi løfter i flok. Vi har skemalagte personalemøder hver 2. uge, hvor alle kan komme med inspiration og få indflydelse på drift og arbejdsgange. Desuden har vi jævnligt hyggelige sociale arrangementer.

Har du interesse og lyst til at blive en del af vores team nu eller indenfor en overskuelig fremtid eller evt. en uforpligtigende snak, hører vi gerne fra dig. Fuld diskretion er en selvfølge. På sigt kan der blive mulighed for et gradvist generationsskifte.

Kontakt:

Anne­Mette Kromann, piat@privat.dk

Nanna Danielsen, nannadan@pc.dk

Tandlægerne Tarup Center

www.smil-i-tarup.dk

381 2023 127 ∕ 4

medlemsservice

Klinik i Bredballe, Vejle, søger klinikassistent til 30-36 timers fast stilling pr. 01.05.2023 eller tidligere

QUICK NR. 15689

Stor klinik i Haderslev søger tandplejer

QUICK NR. 15709

Klinik i Odense søger tandlæge med interesse for ejerskab ved generationsskifte

QUICK NR. 15715

Slotstandlægerne Hillerød søger en tandplejer

QUICK NR. 15716

Gladsaxe Kommunale Tandpleje søger overtandlæge

QUICK NR. 15734

Klinik i Vojens søger tandlæge til trofaste patienter og fuld aftalebog

QUICK NR. 15753

Aalborg Universitetshospital, Kæbekirurgisk Afdeling, tilbyder en uddannelsesstilling til specialtandlæge i tand-, mund- og kæbekirurgi

QUICK NR. 15773

Klinik i Esbjerg søger teamorienteret tandlæge

QUICK NR. 15780

Henvisningsklinik i Roskilde søger tandplejer

QUICK NR. 15781

Tandlægen.dk Magnoliavej, Odense, søger erfaren/ nyuddannet tandplejer

QUICK NR. 15782

Større klinik i Vordingborg søger tandplejer

QUICK NR. 15783

Travl klinik i hjertet af Ishøj Bycenter søger tandplejer

QUICK NR. 15784

Tandlægerne Søborg søger tandlæge med jus. ca. 30 timer pr. uge

QUICK NR. 15785

Tandplejen i Aalborg Kommune søger klinikleder

QUICK NR. 15787

Tandlægerne Sundhedshuset Svendborg søger erfaren klinikassistent

QUICK NR. 15788

dinTANDLÆGE Odense SV søger tandplejer fuldtid/deltid

QUICK NR. 15790

Strandby Tandklinik, Frederikshavn, søger klinikassistent

QUICK NR. 15791

Tre Margueritter Tandlægeklinik i Odense C søger klinikassistent

QUICK NR. 15794

Tandlægernes Hus i Ry, Skanderborg Kommune, søger tandplejer

QUICK NR. 15795

Klinik i Nordsjælland søger klinikassistent

QUICK NR. 15797

Klinik i Horsens søger sød og dygtig klinikassistent

QUICK NR. 15798

Center for Tandregulering Nordvestjylland søger overtandlæge

QUICK NR. 15799

quickannoncer www.dentaljob.dk 382 T ∕

Klinik i Slagelse midtby søger positiv og dygtig tandplejer

QUICK NR. 15800

Klinik i Haderslev søger tandplejer til et spændende og alsidigt job

QUICK NR. 15801

Tandcentret i Frederiksværk søger klinikassistentelev

QUICK NR. 15805

Aarhus Universitet, Institut for Odontologi og Oral Sundhed, søger klinikleder

QUICK NR. 15815

Klinik i Hellerup søger tandlæge

QUICK NR. 15816

Klinik i skønne Trøjborg, Aarhus N, søger tandlægeassistent til barselsvikariat

QUICK NR. 15817

Klinik i Herlev søger tandplejer

QUICK NR. 15806

Tandlægeklinik i Søborg søger klinikassistentelev

QUICK NR. 15808

Tandlægeklinik på Amager v. Femøren St. søger faglig stærk og omsorgsfuld tandplejer

QUICK NR. 15809

Tandlægeklinik på Amager v. Femøren St. søger dygtig og faglig ambitiøs tandlæge

QUICK NR. 15810

Lyngetand i Nordsjælland søger erfaren klinikassistent

QUICK NR. 15811

Klinik på Vestfyn søger tandlæge

QUICK NR. 15818

Tandlægerne i Egedal Centret i Stenløse søger en klinikassistent

QUICK NR. 15819

Moderne klinik ved Randers søger klinikassistent vikar

QUICK NR. 15820

Tandlægen.dk Vejle søger receptionist

QUICK NR. 15812

Mindre klinik beliggende i Herning centrum søger tandplejer

QUICK NR. 15813

Veletablerte klinikk sentralt beliggende i Kristiansand sentrum, Norge, søker 1-2 kjeveortopeder

QUICK NR. 15814

Klinik i Odense søger tandlæge

QUICK NR. 15823

Moderne klinik i Aarhus søger klinikassistent til barselsvikariat

QUICK NR. 15824

Tandlægehuset i Måløv søger klinikassistent/elev

QUICK NR. 15825

Klinik i Rødovre søger erfaren tandlæge til deres team

QUICK NR. 15828

Klinik i Ringe på Midtfyn søger tandlæge

QUICK NR. 15829

quickannoncer www.dentaljob.dk ≥ 383 2023 127 ∕ 4

Tandlægerne Kold - Herning Implantat Center søger 3 tandplejere

QUICK NR. 15830

Herning Kommune søger tandlæge pr. 1. august

QUICK NR. 15831

Ringkøbing-Skjern Kommune søger tandlæge/cand.odont.

QUICK NR. 15837

Klinik på Midtsjælland søger dygtig tandplejer

QUICK NR. 15838

Struer Kommunale Tandpleje søger tandlæge/cand.odont.

QUICK NR. 15832

Klinik i Nykøbing Falster søger tandplejer

QUICK NR. 15835

Klinik i Aarhus-området søger tandlæge

QUICK NR. 15839

medlemsservice quickannoncer www.dentaljob.dk
384 T ∕ 50% Mangler du en medarbejder? Hvis jobannoncen bliver indrykket på både Dentaljob.dk og i Tandlægebladet, får du 50 % rabat på annoncen i bladet dentaljob.dk

køb og salg

Dental Consult ApS

v/

Strandvej 22 4220 Korsør M: 20 20 92 12 kk@DentalConsult.dk www.DentalConsult.dk

Vores særlige kompetencer er:

• Handel med Tandklinikker (klinikmægler)

– Ejerskifte og Generationskifte af Tandlægeklinikker

– Køb og Salg af tandklinikker

– Sælgerrådgivning Salgsopstillinger (prospekt)

– Køberregister (potentielle købere)

– Sælgerkartotek (potentielle sælgere)

• Finansiering af klinikker og udstyr www.Kapital-Coach.dk

• Forretningsudvikling af tandklinikker, ring og hør mere

• Rekruttering af tandlæger, tandplejere og klinikassistenter

Klinikbørsen ApS

Kvæsthusgade 6 E, 3. sal 1251 København K.

Tlf.: +45 70 20 69 79

Mobil: +45 20 24 49 79

E-mail: bc@klinikborsen.dk www.klinikborsen.dk

385 2023 127 ∕ 4

leverandørhenvisninger

Henvendelse angående leverandørhenvisninger

Heidi Dyhr hos DG Media, tlf. 28 34 29 21, e-mail: heidi.d@dgmedia.dk

advokater

JURIDISK RÅDGIVNING TIL TANDLÆGER

Med mere end 20 års erfaring inden for sundhedssektoren kan jeg hjælpe dig sikkert i mål med dine juridiske spørgsmål og bistår i forhandlinger om overdragelse, samarbejdsvilkår, opløsning af samarbejde, ansættelsesforhold, lejemål, deltagelse i rets­ og voldgiftssager etc.

Niels Gade Advokat (H)

ng@adv­nyhavn.dk ⁄ +45 33 11 93 13 / Nyhavn 6, 1051 København K www.tandlaege­advokat.dk

LEJE AF LOKALER?

LEJE AF LOKALER?

Safe Sterilization ApS

DK-4000 Roskilde

Tlf: +45 70 231 313 (9:00-11:30)

www.safeint.com

Skift dine engangshandsker ud med Bionedbrydelige Nitrilhandsker fra Nordic Protect

Rådgivning om kliniklejemål, løn-og ansættelsesforhold og andre juridiske spørgsmål.

Rådgivning om kliniklejemål, løn- og ansættelsesforhold og andre juridiske spørgsmål.

...dit valg af rådgiver gør en forskel!

...dit valg af rådgiver gør en forskel!

Mette Neve Advokat, partner

Mette Neve Advokat, partner

neve@clemenslaw.dk

neve@clemenslaw.dk, +45 5074 4173

+45 5074 4173

arbejdsplads

Som tandlæge hos

Godt Smil kan du forvente:

Fuldt fokus på patienten – vi klarer resten.

En fyldt aftalebog (vores bookingprocent er pt. på 90%).

En arbejdsplads, hvor der bliver lyttet til dig og dine ønsker.

24 FORSKELLIGE DESIGNS AT VÆLGE IMELLEM... www.ruhnecompany.dk inventar/klinikindretning 386 medlemsservice T ∕
hygiejne GØR DET NEMT FOR BÅDE PERSONALE OG PATIENTER www.scjp.com danmark.pro@scj.com +45 64 72 24 00 Effektiv håndsprit - anvendes i min. 30 sek. SCJP Tandlægebladet 04-23-80x40mm.indd 1 12-04-2023 09:49:03
Din næste leverandør af periodiske tests til kontrol af sterilisationsprocesser i autoklaver og/eller tørsterilisatorer

• Vi rådgiver og vejleder gerne om den rigtige akvarieløsning til venteværelset

• Et akvarie er med til at give en afstressende og beroligende effekt på jeres patienter

• Vi passer og plejer samtidig akvariet for jer gennem en serviceaftale

• Mere end 30 års erfaring med akvarier

Vores stærke serviceteam holder din klinik kørende – vi klarer alt indenfor:

• rådgivning og salg

• service og reparation af udstyr klinikindretning

Kontakt vores servicecenter på 70 23 31 21 www.dentsupport.dk – info@dentsupport.dk

leasing/finansiering

HINGE Ledelsesrådgivning

Klinikejerens foretrukne leasingpartner

Brug leasing og behold dine egne kunder. Du kan nu investere i højteknologisk udstyr af allerbedste kvalitet - uden det koster likviditet.

Deloitte rådgiver mere end 2.000 tandlæger og læger i Danmark om:

- Optimering af klinikdrift

- Køb og salg af klinik

- Økonomi og regnskab.

revision – administration vikarservice

Kontakt Sten Peters på tlf. 40 41 77 35 eller

Jeanne Svendsen på tlf. 30 93 49 06 | www.deloitte.dk

Vikarbureauet for klinikassistenter

• Landsdækkende Vikarservice

• Nu også for Tandplejere

• Lidt billigere

• Ring fra kl. 6.00 på tlf. 40 40 12 18

www.vikartoteket.dk

+DEN LILLE TANDFE

VIKARBUREAUET FOR KLINIKASSISTENTER OG TANDPLEJERE

• Erfarne klinikassistenter og tandplejere

• TryB4Hire

• Rekruttering

• Dækker hele Danmark

Kontakt os på

70 20 40 24 / kontakt@denlilletandfe.dk

Læs mere på: denlilletandfe.dk

387 2023 127 ∕ 4
www.hinge.nu
DENTAL + LEASING
Bodil Hinge: bh@hinge.nu
Christoffer Skanse Hinge: ch@hinge.nu
Telefon
· Telefon +45 20 98 97 57
·
+45 26 12 97 57

Tanken om, det kunne være min egen søn, gør mig trist

Farideh Fahimi arbejder i en privat hjemmetandpleje inden for special- og socialtandpleje og kriminalforsorgen. Det kræver meget mentalt, men er det hele værd. Følg hende et døgn her.

07.00 / Jeg sætter mig i bilen og kører fra mit hjem i Søborg til Køge, hvor min arbejdsdag starter kl. 7.45. Jeg arbejder tre dage om ugen i en privat hjemmetandpleje. Mine dage er inddelt sådan, at jeg om tirsdagen altid er i specialtandplejen, om onsdagen i kriminalforsorgen og i dag, torsdag, i socialtandplejen. Tidligere arbejdede jeg fire dage om ugen, men fordi det er en hård patientgruppe at arbejde med, er jeg gået ned på en tredages arbejdsuge.

07.45 / Min klinikassistent og jeg pakker vores tandbus med redskaber og planlægger de praktiske ting, inden vi kører. Vi skal til Maribo i dag, så vi har ca. halvanden til to timer, før vi er fremme.

09.45 / Vi ankommer til Maribo, og efter vi har gjort bussen klar, kommer den første patient. Hun er en kvinde i midten af 30’erne, som er tidligere misbruger. Det er fjerde gang, hun kommer, og vi kender hinanden godt nu. Hun har store tandsmerter, men hun har været seksuelt misbrugt som barn og er meget bange for at skulle ligge i stolen og åbne munden. Det har været en lang proces, men sidste gang lykkedes det os at trække overkæbetænderne ud, og i dag kan vi få taget aftryk til hendes protese.

10.45 / Vi tager os god tid til hver enkelt patient, så der er sat mellem 45-60 minutter af til hver og 30 minutter til nye patienter, som der kommer en af nu. Hun er en kvinde i slutningen af 20’erne og også tidligere misbruger. Hun har voldsom tandlægeskræk, hvilket ca. 95 % af vores patienter har. Kvinden tør ikke gå ind i bussen, men kaster i stedet op i en busk, fordi hun er så bange. Vi tager det meget roligt, og først nærmer hun sig bussen, sætter sig så i stolen og lidt efter lidt lykkes det os at få taget 12 røntgenbilleder, hvilket gør mig glad. Jeg er opvokset i Iran, hvor der ikke var nogen pædagogik i børnetandplejen, så jeg har selv tandlægeskræk, og det fortæller jeg altid patienterne. Det hjælper nogle gange.

11.30 / Den næste patient er en ung mand i starten af 20’erne, der er tidligere narkoman. Han har boet på gaden i mange år, og han har et meget eroderet tandsæt med mange knækkede tænder. Han har været her seks gange, og første gang græd han, fordi det gjorde så ondt, og fordi han længtes efter at tygge og nyde et ordentligt måltid. Vi laver altid behandlingerne i små step, og de seneste par gange har vi trukket to-tre tænder ud hver gang, og vi kan nu lave en protese. Patienten er lykkelig over, han

ikke længere har ondt, og giver mig et knus. Jeg bliver rørt. Min egen søn er 30 år, og tanken om, at han skulle have så store smerter og protese, gør mig trist.

12.45 / Efter frokost får vi en patient ind med ADHD og autisme. Første gang han kom, var han meget negativ og havde en infektion. Vi har dog fået trukket tænder ud og lavet protese til overkæben. I dag laver vi aftryk til underkæben. Han går glad derfra, og min klinikassistent og jeg giver hinanden en highfive over, at forløbet er gået så godt med ham. Eftermiddagens sidste patienter skal alle have reguleret proteser, og vi instruerer dem i, hvordan de skal renses.

15.30 / Vi er kommet tilbage til Køge og pakker vores udstyr ud. Bagefter kører jeg hjem til Søborg, mens jeg tænker over dagen. Jeg er altid ekstremt træt efter en arbejdsdag. Derfor kører jeg direkte i svømmehallen for lige at rense hovedet.

20.00 / Da jeg kommer hjem fra svømmehallen, har min kæreste lavet aftensmad, og vi hygger os og ser en film. Selvom mit arbejde er mentalt hårdt, og det kræver meget udover de faglige kompetencer, så er jeg så glad for det. Det betyder mere for mig, at jeg hjælper de her patienter, end at jeg tjener mange penge på en klinik.♦

388 T ∕ et døgn med
FARIDEH FAHIMI Tandlæge i HjemmeTandplejen
FORTALT TIL NANNA FLØJBORG

Arbejd på første

Vil du have et sundt arbejdsliv? Ønsker du optimale behandlinger? Vil du spare penge? Det bedste af det bedste med KaVo MASTERseries. Plasmatec™ -belægning for et perfekt greb. Lav lydstyrke for at forhindre nedsat hørelse. Lav vibration og lang levetid med keramiske kuglelejer og Triple Gear Technology. Optimal adgang Høj sikkerhed KaVo Dental Nordic AB | Staffans Väg 8 A | Box 7006 | SE-192 07 Sollentuna, Sverige www.kavo.com/master KaVo MASTERseries Køb KaVo MASTERseries til samme pris som den populære standard EXPERTserie. Op til 50% rabat! Gælder for airrotor, blå & opgearet vinkelstykker indtil 30. juni 2023 Kontakt din nærmeste forhandler: Dental Kompagniet | www.dentalkompagniet.dk | 70 70 77 70 Dentotal Nordic | www.dentotal.dk | 70 20 32 80 Dent Support | www.dentsupport.dk | 70 23 31 21 Wessels Dental | www.wessels-dental.dk | 32 55 65 44
klasse.

Drømmer du om at  indrette ny klinik?

Så gør som Tandlægerne i Sportsbyen: Tag os med på råd fra første spadestik for at være sikker på at overholde kravene til en moderne tandklinik.

Plandent har været med som rådgiver i hele processen fra A-Z

Processen har været utrolig nem, og det har været meget givende at have Plandent med i samarbejdet.

Jeg har hele tiden følt, at der er blevet fulgt op på og taget hånd om tingene. Jeg har vidst, at når jeg vågnede om morgenen, så var der styr på de ting, der skulle i gang den dag.

Det er utroligt rart, at man kan sove om natten og lave sine tænder om dagen, som man plejer – og samtidig se, at der bare er styr på tingene, mens en ny klinik er ved at blomstre op.

Thomas Kofoed, klinikejer og tandlæge hos Tandlægerne i Sportsbyen

Book et sparringsmøde

Book et uforpligtende sparringsmøde og få vores ekspertråd og første skitse til en vellykket klinikindretning. Scan QR-koden eller kontakt vores udstyrsafdeling på telefon 43 66 44 44.

Turn static files into dynamic content formats.

Create a flipbook

Articles inside

Tanken om, det kunne være min egen søn, gør mig trist

2min
page 102

medlemsservice

3min
pages 94-95

Poul Erik Petersens bortgang – nogle personlige minder

2min
page 83

Hjælp til børn med angst

3min
pages 79-83

De unge er mere aktivistiske i dag

19min
pages 71-79

OM AKADEMIUDDANNELSEN I ODONTOLOGISK PRAKSIS

3min
pages 68-70

Nye praksisser i den gamle tandlægepraksis

3min
pages 65-68

Fire faktorer med betydning for holdbarhed af plastfyldninger i kindtænder

4min
pages 62-64

videnskab & klinik ∕ oversigtsartikel

3min
pages 60-61

videnskab & klinik ∕ oversigtsartikel

2min
pages 58-59

af n. alveolaris inferior i forbindelse med samtidig implantatindsættelse i den svært atrofiske posteriore mandibel. Skematisk fremstilling

1min
page 57

Vi forstår dig nok lidt bedre end andre banker

6min
pages 53-57

videnskab & klinik ∕ oversigtsartikel

3min
page 52

videnskab & klinik ∕ oversigtsartikel

17min
pages 44-51

videnskab & klinik ∕ oversigtsartikel

4min
pages 42-43

LITTERATUR

14min
pages 37-41

videnskab & klinik ∕ oversigtsartikel

2min
page 36

videnskab & klinik ∕ oversigtsartikel

2min
pages 34-35

Korte implantater til protetisk rehabilitering af den atrofiske posteriore mandibel

3min
pages 32-33

tager ikke fejl...

1min
pages 31-32

videnskab & klinik ∕ oversigtsartikel

2min
pages 30-31

videnskab & klinik ∕ oversigtsartikel

8min
pages 26-29

Tema: Implantatindsættelse i den atrofiske posteriore mandibel

10min
pages 21-25

Spyttets mikrobiota afspejler livsstil og helbred

1min
pages 19-20

Sjælden resorptionstype kan opdages tidligt

1min
page 19

Komposit er mere syreresistent end glasionomer

1min
page 18

fodbold i 2021 var en supersprederbegivenhed

1min
page 17

Parodontitis: Motion er gavnligt, hårdt fysisk arbejde er skadeligt

1min
page 17

Legende let

1min
pages 14-16

Celebrating 50 years of exclusive clinic solutions

1min
pages 13-14

AF FEJLEN

2min
pages 11-12

Når tandlægen bliver patient

1min
pages 10-11

Ventetid for klagesager nedbragt

1min
pages 9-10

Styrelse trækker flere nationale kliniske retningslinjer tilbage

1min
page 8

Delegering bliver nøglen i en ny model for voksentandplejen

1min
page 6
Issuu converts static files into: digital portfolios, online yearbooks, online catalogs, digital photo albums and more. Sign up and create your flipbook.