


SE T INGGI-TINGGI PENG HAR GAAN
T ENTERA LA U T D IRA JA MA LA YSIA
A T A S SEG A LA PENG ORBANAN
MELINDUNNGI & MEMPERTAHANKAN
PE RA IRAN MALAYSIA, N EGARA BERT UAH IN I
WITH BEST COMPLIMENTS
TLDM Mengungguli Sukan Antara Perkhidmatan
Rencana
The Prospect of Malaysia-India Maritime Connectivity in the Indo-Pacific
10 Siaga
ii. OP PATKOR MALINDO 161/23
iii. Latihan Kuasa Tembakan 2023
Informasi
Kelayaklayaran (Seaworthiness) Kapal TLDM
Penulis Tamu
Mempertingkatkan Kesiagaan TLDM dalam Persekitaran VUCA
Veteran
i. RAPAT 2023 Kru Perintis MCMV 26
ii. Persidangan Perwakilan Tahunan PVTLDM Ke-15
Tahukah Anda
Hubung Kait Kegiatan Pelanunan di Selat Melaka dan Kedatangan Kolonialis Eropah Pada Abad Ke-16 Hingga Ke-19
Eksklusif
Pangkalan TLDM Johor Bahru
Lensa #1
Sambutan Hari ATM Ke-90 di Pangkalan TLDM
Lumut
Snapshot
Lagak Penerjun Bebas anggota PASKAL “SENTIASA TERBAIK”
The Navy People
Wajah-wajah the Navy People
Lensa #2
Navy Run 2023
Sukan
i. Sukan Golf: Kemenangan Kekal Milik TLDM
ii. Naga Muncul Di Pangkalan TLDM Kota Kinabalu
iii. TLDM Gemilang Mempertahankan Kejuaraan
Olahraga 15 Tahun berturut-turut dalam ISG 2023
PSSTLDM
i. Pegawai Pasukan Simpanan Pertama Berjaya Menamatkan Kursus Peperangan Elektronik
ii. Uniform Combine Exercise (UNICOMBEX)
Politeknik Kuching Sarawak 2023
Pejabat Wakil Tentera Laut Pulau Pinang
Globalisation and Its Maritime Challenges
Didik
Majlis Penyampaian Dermasiswa Premium dan Sumbangan Komputer Riba oleh Yayasan Lembaga
Tabung Angkatan Tentera (LTAT)
Sihat
Rawatan Penskaleran (Scaling) Gigi
Berita
i. Hari Angkatan Tentera Malaysia Ke-90 di Pangkalan TLDM Lumut
ii. Pengunduran Panglima Armada Barat Ke-26
iii. 25th International Seapower Symposium (ISS)
iv. Hari Pahlawan Peringkat Negeri Kedah Tahun
2023
v. TLDM Terima Anugerah Khas Keselamatan dan Kesihatan Pekerjaan Peringkat Nasional
vi. Navy Run 23 di Dataran DBKL sempena KL Car Free Morning (KLCFM)
vii. Markas Pemerintahan Kapal Selam Terima
Anugerah Panglima Angkatan Tentera Yang Kedua
viii. Istiadat Perbarisan Pentauliahan Diraja dan Pengurniaan Watikah Tauliah Pegawai Kadet
Graduan Angkatan Tentera Malaysia Tahun 2023
ix. Sambutan Hari Ulang Tahun PASKAL Ke-41
x. Pertandingan Menembak Sempena Hari ATM Ke-90
xi. Istiadat Pengurniaan Darjah Kepahlawanan
Angkatan Tentera (DKAT) Tahun 2023
xii. Seminar Pegawai Kanan TLDM 2023
xiii. Majlis Pemakaian Pangkat Pegawai Kanan
TLDM dan Serah Terima Tugas Panglima Armada Barat
xiv. Tingkatkan Hubungan Diplomasi Pertahanan Malaysia-Singapura
i. Majlis Hi-Tea BAKAT ATM Sempena Sambutan Hari ATM Ke-90 di JUGRA, Pangkalan TLDM
Lumut
ii. Lawatan BAKAT(L) Markas Wilayah Laut 3 (MAWILLA 3) ke Program Perkampungan
Pelancongan Seni Langkawi
iii. Family Fun Walk BAKAT LAUT Lembah Klang
Srikandi
i. Seminar Wanita TLDM 2023
ii. Bengkel Pembangunan Kerjaya Pegawai Wanita TLDM 2023
Puding Raja Istana Negara
Samudera
3
Tahun 2023 melabuhkan sauhnya dengan pelbagai kejayaan ditempa oleh TLDM. Pelbagai kisah suka dan duka dicoretkan. Lembaran 2024 kini telah dibentang dan hanya menunggu tinta untuk ditulis dan menempa kejayaan demi kejayaan. Kesempatan ini PUSMAS TLDM ingin mengucapkan Selamat Tahun Baru buat sekalian warga the Navy People dan pembaca setia Majalah Samudera.
Kejayaan demi kejayaan dicapai tahun lalu membuktikan komitmen yang ditunjukkan oleh sekalian warga the Navy People. Sesungguhnya ia adalah sesuatu yang membanggakan TLDM yang tidak berputus asa untuk terus menjadi sebuah ketumbukan yang sentiasa bersiap siaga baik dari aspek operasional hinggalah ke bidang sukan. Apa pun, yang pastinya tahun mendatang pasti akan lebih mencabar dan TLDM sentiasa bersedia menyahut cabaran ini. Kejayaan lalu akan dijadikan sebagai penanda aras agar menjadikan TLDM sentiasa berdaya saing sebagai tentera laut yang kredibel.
Dikesempatan ini kami mengucapkan jutaan terima kasih kepada mantan Ketua Pengarah PUSMAS, P/Laksma Ivan Mario Andrew di atas jasa beliau yang tak terhingga. Banyak idea serta keringat dicurahkan beliau agar Majalah Samudera menjadi bualan kepada setiap pembaca.
Yang patah pasti akan tumbuh berganti
Yang hilang pasti akan ditemui
Yang pasti Tuan KP tetap dihati
Keluarga PUSMAS sentiasa berdoa merestui
#SelamatMenyambut2024
#SediaBerkorban!
#FairWindsAndFollowingSeas
Samudera 3/2023
4
PENAUNG/PENASIHAT
Laksamana Madya Dato’ Zulhelmy bin Ithnain
KETUA EDITOR
P/Laksma Ivan Mario Andrew
EDITORIAL
Kdr Zakirunizam bin Ismail TLDM
Lt Kdr Tan Sze Lin TLDM
PW I KOM (PE) Nor Hasmin bin Hashim
BM PNK Norazyra binti Shukor
LK PNK Muhammad Afifi bin Marzalan
REKA BENTUK
Arif Corporation Sdn. Bhd.
Muhammad Asnawi bin Aminuddin
ALAMAT
Sidang Redaksi Majalah Samudera
PUSMAS TLDM
(RMN Sea Power Centre)
Jalan Sultan Yahya Petra 54100 KUALA LUMPUR
Tel: 03-4016 0138
E-mel : majalahsamuderatldm21@gmail.com
Majalah Samudera diterbitkan tiga kali setahun dan diedarkan secara
PERCUMA. Sidang Redaksi mengalu-alukan sumbangan rencana, berita, gambar, cerpen, puisi dan seumpamanya yang berorientasikan ‘Wadah Informasi the Navy People’
OLEH PW I KOM (PE) Nor Hasmin bin Hashim (PUSMAS TLDM)
TLDM
bukan sahaja menumpukan kepada aspek operasi dan latihan ketenteraan semata-mata malah aktiviti sukan juga amat dititikberatkan kepada setiap warga the Navy People. Budaya sihat ini diterapkan pada setiap warga seawal memasuki perkhidmatan untuk mereka mengekalkan tahap kesihatan dan kecergasan diri serta kesihatan mental selain daripada dijadikan sebagai jambatan penghubung ikatan ukhwah sesama anggota.
Sejarah
Seawal penubuhan Tentera Laut Simpanan Sukarelawan Negeri Selat - Straits Settlement Naval Volunteer Reserve (SSNVR) di Singapura pada 1934. Sukan ketika itu hanya merupakan aktiviti sampingan. Namun selari dengan keperluan dalam meningkatkan moral anggota dari pelbagai latar belakang aktiviti sukan seperti olahraga, tinju, bola sepak, hoki, kriket, ragbi dan renang dan telah mula diadakan secara sukan dalaman. Seterusnya acara sukan tersebut diperluas dan dipertandingkan ke peringkat seperti Wisma, Pangkalan dan antara kapal-kapal.
Lembaga Kawalan Sukan TLDM (LEKAS TLDM)
Justeru, LEKAS telah ditubuhkan pada 1974 di bawah pengurusan sukan TLDM bertujuan mengawal selia serta menyelaras setiap aktiviti sukan dalam TLDM.
Objektif utama LEKAS TLDM selain daripada memperolehi kemenangan pada setiap kejohanan yang disertai adalah untuk membangunkan kecergasan fizikal dan mental pada setiap anggota di samping meningkatkan produktiviti dan keteguhan rohani serta jasmani di samping mencungkil bakat baru untuk diketengahkan ke peringkat lebih tinggi. Pada masa kini sebanyak 31 persatuan sukan telah diwujudkan di bawah pengawasan LEKAS TLDM bagi membangunkan dan memacu kecemerlangan sukan TLDM.
Lembaga Pengurusan Kompleks Sukan (LPKS) yang dahulunya dikenali Lembaga Perbadananan Kompleks Sukan TLDM diberi tanggungjawab dalam mengurus selia serta menjaga dalam memperbaharui kemudahankemudahan sedia ada.
Kompleks Sukan TLDM di Lumut dilengkapi dengan kemudahan seperti stadium utama yang boleh memuatkan seramai 15,000 penonton beserta trek balapan olahraga, kolam renang bersaiz Olimpik, gelanggang skuash, gelangang tenis, padang ragbi, gimnasium, serta pelbagai lagi kemudahan sukan disediakan. Manakala, Kompleks Sukan TLDM Pangkalan TLDM Kota Kinabalu merupakan Kompleks bagi menampung kemudahan sukan untuk TLDM di Wilayah Timur.
Kejohanan Mini Olimpik
Pada mulanya dikenali sebagai Karnival Sukan TLDM, kejohanan ini pertama kali diadakan pada tahun 1970 di Woodlands, Singapura. Ilham kejohanan ini telah dicetuskan oleh Captain M Bugoyne RN, Komander Tentera Laut Malaysia Barat. Pada tahun 1975, karnival sukan ini telah ditukar nama dan dikenali sebagai Pesta Mini Olimpik. Semasa penganjuran sulung kejohanan hanya 18 jenis acara sukan yang dipertandingkan. Walau bagaimanapun sejak tahun 1983 ianya telah ditambahbaik dan 24 jenis sukan telah mula dipertandingkan. Kejohanan ini telah dianjurkan setiap 2 tahun melibatkan 4 formasi iaitu Markas Armada (FOC), Markas Bantuan, Kolej Tentera Laut Diraja (KTLD) dan Armada. Mulai tahun 2020, kumpulan bagi markas formasi yang terlibat dengan kejohanan ini telah diubah untuk dipertandingkan antara Markas Bantuan, Markas Armada Barat, Markas Armada Timur dan Markas Pemerintahan Pendidikan dan Latihan TLDM.
Kejohanan Sukan Antara Perkhidmatan ATM
Kejohanan ini merupakan sukan tahunan yang
dipertandingkan oleh ketiga-tiga cabang perkhidmatan ATM setiap tahun. Majlis Sukan Angkatan Tentera Malaysia (MSAT) merupakan pencetus kepada kejohanan ini pada tahun 1991 dan berlanjutan hingga kini.
Objektif utama kejohanan adalah mencari bakat-bakat warga yang berpotensi tinggi untuk mewakili ATM diperingkat kebangsaan dan antarabangsa.
Tahun 2023 telah menyaksikan TLDM sekali lagi
dinobatkan sebagai johan keseluruhan Sukan Antara Perkhidmatan dan ianya merupakan kemenangan buat kali ke-15 berturut-turut sejak tahun 2008.
Kejohanan bagi tahun 2024 akan lebih mencabar kerana bakal mempertandingkan sebanyak 40 acara sukan yang mempunyai kiraan mata daripada keseluruhan 42 acara sukan. Penambahan 9 acara sukan dwi tahunan akan membuka lebih saingan kepada Perkhidmatan ATM yang lain untuk merebut takhta kejuaraan. TLDM mensasarkan sekurang-kurangnya 19 emas bagi mengekalkan kejuaraan kali ke-15 berturut-turut.
Perkhidmatan
TLDM
TUDM 3 8 22
Penglibatan Sukan Antarabangsa
Tidak dinafikan ramai atlet daripada TLDM telah berjaya mengharumkan negara dalam pelbagai sukan baik dari dalam mahupun luar negara, dari kejohanan unit yang disertai sehinggalah ke sukan Olimpik. Antara penglibatan sukan yang berjaya ditempa oleh the Navy People pada tahun 2023 adalah seperti berikut:
Acara Penyumbang Pingat/ Pencapaian
Sukan SEA ke-32
a. 3 Pingat Emas Olahraga
(1) 8008574 LK PAP Muhammad Irfan bin Shamshuddin - Lempar Cakera Lelaki.
(2) 8010615 LK II PAP Andre Anura AnuarLompat Kijang.
(3) 8010617 LK II TNL Grace Wong Xiu Mei - Baling Tukul Besi Wanita.
b. 3 Pingat Perak
(1) 837974 LK TLR Mohd Khairul Afendy bin Kamaruzaman.
Acara Hoki
(2) 837973 LK I TLS Mohd Norhafizie bin Jami Azomi.
Olahraga 8008568 LK PAP Jackie Wong Siew Cheer - Baling Tukul Besi Lelaki.
Sepak Takraw 837966 LK TNL Norfaizzul bin Abd Razak.
c. 4 Pingat Gangsa
Acara Kriket
8009287 LK II PNK Nik Nur Atiela binti Nik Din merangkul 3 pingat untuk Sukan Kriket bagi Kategori T50, T20 dan T10.
Olahraga SY Marikh Johan kategori Classic Class
Raja Muda Selangor International Regatta 2023
Sukan
Perahu Layar SY Marikh Johan kategori Classic Class
* Antara kejohanan sukan antarabangsa yang dipertandingkan tahun 2023
n terms of geopolitics and strategic outlook, the Indo-Pacific redefines the maritime connectivity between Malaysia and India. The two countries share a traditional and long-standing friendship, and as the Indo-Pacific construct aims to positively restore and further build on new dynamics, the maritime relations between both countries provides opportunities. The prospect for both countries in the maritime realm can be best understood in the context of ‘regional security complex’ wherein the Indo-Pacific composition furthers inter-regional connectivity and state-led networks seeking to achieve common interests and shaping a more integrated Indo-Pacific. In line with this, three regional platforms provide opportunities for greater maritime connectivity between Malaysia and India.
First is the Indian Ocean Rim Association (IORA). Playing a predominant role, India can act as a bridge for Malaysia. When India took over as Chair in 2011, it rejuvenated IORA-this simply shows India’s leadership role and commitment in IORA. As a member of the Quadrilateral Security Dialogue (Quad), and as an actor seeking to further materialize the Indo-Pacific objectives, India stands to play a more active role in spearheading Malaysia’s dialogue partnership through supporting deeper engagements and capacity-building initiatives in maritime domain awareness. As a member since 1997, Malaysia is yet to fulfil its role to the fullest; one way to gain endorsement, however, would be to build on
government-to-government engagement parallel with IORA objectives. New Delhi can support Kuala Lumpur’s position by setting up secretariats in both countries at the political level to represent IORA initiatives. At a lower key, both countries could also set up a centre of excellence to promote policy studies, scholarly discussions, workshops and conferences to share best practices.
Second is The Association of Southeast Asian Nations (ASEAN). Malaysia can be a strong bridge for India in ASEAN. If one looks at the first phase of the Look East Policy (LEP) in 1992, it signifies an understanding of the long-term need for enhanced cooperation in all areas of strategic operation in both regions. Since the LEP’s first phase, India’s position has risen from a sectorial dialogue partner in 1992 to a full member in 2005 in the East Asian Summit. Under the second phase of the LEP, India began using existing ASEAN- led regional processes; through the ASEAN Defence Ministers Meeting (ADMM), India has promoted defence and military exchanges and cooperation, and through the ASEAN Regional Forum, India has fostered constructive dialogue and consultation on political and security issues. Lest we forget, Malaysia-India defence cooperation in 1993 was the first amongst ASEAN members. The Malaysia-India Defence Cooperation Meeting (MIDCOM) established under this framework marked an important maritime development among SEA countries in the region.
After commemorating fifty years of their diplomatic relations in 2007, Malaysia and India formed an even stronger foundation through the establishment of the Strategic Partnership in October 2010. This ‘strategic partnership’ meant building stronger bilateral ties and re-engagement in areas such as economy, securitydefence and socio-cultural dimensions. The Act East Policy (AEP) in 2014 also became a more purposeful intensified effort to engage more regional friendship in the Asia Pacific Region. Today, with the shift from ‘Asia’ to Indo-Pacific confluence, a stronger partnership can be fostered simply because the definition of ‘East’ has been elevated to extend from Australia to East Asia, with ASEAN playing an important role in the maritime domain.
Whilst Malaysia and India already have existing partnerships via IORA and ASEAN, true potential for both states exists in third, The Bay of Bengal Initiative for Multi-Sectoral Technical and Economic Cooperation (BIMSTEC). Although Malaysia is not a member of BIMSTEC, the country naturally holds a strong geographical proximity in terms of sea connectivity, as it sits at the entrance of the Bay of Bengal. With Malaysia situated at the end of the Bay of Bengal’s gate at the east, linking further to the Strait of Malacca, its role cannot be ignored. If there is a strong conviction in India to expand partnership with littoral and non-littoral
7 countries members of Bay of Bengal Initiative for Multi-Sectoral Technical and Economic Cooperation (BIMSTEC). The member countries are India, Bhutan, Bangladesh, Myanmar, Thailand, Nepal and Sri Lanka
states under the Indo Pacific confluence, Malaysia’s involvement in BIMSTEC is crucial; India’s ability to build stronger connectivity and a bridge between South Asia and SEA under the Indo Pacific confluence will rely on Malaysia in this regard.
The Quad is a diplomatic partnership between India, Japan, Australia and the United States committed to supporting an open, stable and prosperous Indo-pacific that is inclusive and resilient
No doubt both states are good friends. However, despite a cordial friendship, the relationship between the two countries has not been fully explored. The emergence of the Indo Pacific region has indeed given new life to the relationship. But it is important to understand that the Indo Pacific confluence resembles a spaghetti bowl, and for the Indo Pacific to fully achieve its agenda, Malaysia-India is a key strand; connecting these two countries further could enable extra-regional connectedness. A breakthrough in the two countries’ current relationship is therefore necessary. It is strongly recommended that India should play a bigger role in this relationship, especially since India is a Quad member and holds a better position in the Indo Pacific construct. In the case of Malaysia, stronger political will and trust is important to engage with India. With both sides assuming stronger positions, this particular cord of convergence will improve the implementation of the Indo Pacific composition.
Latihan Wira Hitam yang melibatkan 5 pegawai dan 33 anggota LLP PASKAL merupakan latihan melawan sebarang ancaman berbentuk keganasan maritim di pelantar minyak. Ianya bertujuan memberikan pendedahan taktikal kepada anggota PASKAL dalam meningkatkan teknik-teknik penyusupan di dalam sesuatu operasi sekiranya berlaku ancaman keganasan di pelantar minyak. Lokasi latihan kali ini adalah di pelantar minyak Anjung Jacket Alpha iaitu 61 batu nautika dari Beting Patinggi Ali dalam perairan negeri Sarawak.
OLEH Bahagian Komunikasi Strategik MAWILLA 3
dan Tentera Nasional
Indonesia-Angkatan
Laut (TNI-AL) terus memperkukuhkan keselamatan maritim di perairan Selat Melaka melalui pelaksanaan Operasi Patroli Terkoordinasi (Op PATKOR MALINDO) Siri 161/23 mulai 6 hingga 19 September 2023.
Majlis pembukaan telah berlangsung di MAWILLA 3, Langkawi manakala Majlis penutup telah dilaksanakan di Pangkalan Utama Angkatan Laut 1 (LANTAMAL 1), Belawan, Indonesia. KD LAKSAMANA HANG NADIM, KD HANDALAN, KRI SURIK dan KRI PARANG telah terlibat dalam operasi kali ini.
Operasi rondaan di perairan Selat Melaka yang dilaksanakan sejak 1983 ini telah meningkatkan tahap kesalingoperasian antara TLDM dan TNI-AL bagi mengekang sebarang aktiviti dan kegiatan jenayah rentas sempadan sekaligus menjamin keselamatan serta keamanan pengguna Selat Melaka.
Pesawat Super Lynx dan Fennec TLDM buat julung kali telah terlibat dalam Latihan Kuasa Tembakan (LKT) 2023 yang dilaksanakan di Lapang Sasar Kem Syed Sirajuddin, Gemas pada 8 Jul 23. Latihan yang memperlihatkan keupayaan sistem persenjataan yang terdapat dalam ATM telah dimulakan dengan Opening Gambit aksi formasi terbang lintas hormat melibatkan helikopter daripada TDM dan TLDM. Dalam latihan ini Helikopter Super Lynx telah melaksanakan penembakan menggunakan peluru jenis 12.7mm Armor Piercing Explosive Incendiary (APEI) manakala helikopter Fennec menggunakan peluru jenis 7.62mm Mixed Belt.
Memasuki edisi ke-39 sejak pelaksanaannya pada tahun 1984, Eksesais MalaysiaSingapura (MALAPURA) 31/23 telah berlangsung pada 4 hingga 14 Sep 23 dengan menyaksikan penglibatan KD LEKIU, KD LEKIR, pesawat Super Lynx, dua buah Fast Combat Boat (FCB) dan dua buah pesawat pejuang milik TUDM. Manakala RSS STEADFAST dan RSS VALIANT serta pesawat S-70B Seahawks Naval Helicopter Tentera Laut Republik Singapura (TLRS) turut terlibat dalam dalam eksesais ini.
Majlis pembukaan eksesais telah disempurnakan oleh Panglima Armada Barat Laksamana Madya Datuk Abu Bakar bin Mohd Ajis pada 5 Sep 23 di Auditorium Zain, Pusat Taktik Maritim (PUSTAKMAR) manakala majlis penutup eksesais telah berlangsung di Changi Naval Base (CNB) dan telah disempurnakan oleh Panglima Armada TLRS, Colonel Kwan Hon.
Berkonsepkan Field Training Exercise (FTX), eksesais kali ini memfokuskan kepada penilaian dalam pelaksanaan operasi maritim meliputi aspek peperangan asimetrik dan konvensional. Antara siri latihan yang dilaksanakan
merangkumi anti-serangan udara, penembakan sasaran permukaan, manuvra taktikal dan pengoperasian bot. Selain itu, acara riadah sukan yang lebih sinonim dengan panggilan “MALAPURA Cup” dan majlis resepsi turut dilaksanakan.
Eksesais ini membuktikan sikap profesionalisme, interoperabiliti serta hubungan pertahanan diplomatik yang sangat teguh bagi memastikan keselamatan perairan serantau sentiasa terjamin sepanjang masa.
Tragedi letupan (implossion) bot Submersible Titans pada 18 Jun 2023 sehingga mengorbankan 5 orang sekali gus mendatangkan kegemparan kepada dunia. Bagi masyarakat dunia, tragedi ini mengimbau kisah tragis tenggelamnya kapal RMS Titanic pada April 1912 yang mengorbankan hampir 1500 orang di mana kaitan misi Titans tersebut adalah untuk meninjau kapal berkenaan. Namun, kisah Titanic perlu dilihat lebih daripada sebuah tragedi hanya untuk diratapi. Apa yang penting adalah apa yang manusia belajar daripada tragedi ini?
Tenggelamnya RMS Titanic telah menatijahkan perjanjian Konvensyen Safety of Life at Sea (SOLAS) pada tahun 1913 dan kemudiannya dikuatkuasakan sebagai peraturan pada tahun 1914. Antara isi peraturan SOLAS 1914 adalah rakit penyelamat yang bersesuaian perlu untuk setiap penumpang dan telegraf wireless yang perlu dilengkapkan pada kapal mengikut saiz. SOLAS ini dikemaskini dari semasa ke semasa dan yang terbaru adalah SOLAS 2020. Seiring dengan tragedi lain di laut seperti Torrey Canyon pada tahun 1967 dan USS Forestal pada tahun yang sama, setiap tragedi ini mewujudkan peraturan-peraturan baru pada dunia maritim.
Standard dan Peraturan (Regulation) terus dikemaskini dengan penubuhan agensi-agensi di dunia. Antaranya adalah International Martime Organization (IMO), International Association of Classification Societies (IACS) dan International Naval Safety Association (INSA).
Peraturan yang dikeluarkan oleh badan-badan ini menjadi rujukan bagi pembinaan sesebuah kapal baharu dan seterusnya pengoperasian kapal tersebut.
Bagi TLDM, Directorate General Technical Seaworthiness (DGTS) ditubuhkan pada 1 Jun 2014 bertujuan sebagai badan yang mengkoordinasikan standard dan regulasi di dalam TLDM. TLDM tidak menggunakan badan profesional di luar contohnya Bureau Veritas (BV) disebabkan kapal TLDM yang beroperasi dalam kapasiti yang unik, mempunyai kerahsiaan dan hubungkait dengan kedaulatan negara. DGTS berperanan melaksanakan penilaian kepada kapal yang telah selesai menjalani rutin pasang pulih di limbungan dengan menilai kelayaklayaran dari segi memenuhi standard IMO dan antarabangsa yang lain. Di samping itu, DGTS juga turut melaksanakan penilaian ke atas limbungan yang melaksanakan rutin pasang pulih kapal TLDM.
Selain daripada penubuhan DGTS, inisiatif kepada penerbitan Buku Rujukan Laut (BRL) 4272 – Technical Seaworthiness Guide adalah salah satu lagi usaha TLDM bagi merealisasikan Seaworthiness bagi kapalkapal TLDM. Penerbitan BRL 4272 ini dirancang untuk diterbitkan dari semasa ke semasa bermula daripada BRL induk yang menerangkan skop, garis panduan, penyataan operasi dan pematuhan. Penerbitan lain yang dirancang untuk dibangunkan sebagai sub kepada penerbitan induk meliputi struktur, keapungan dan kestabilan, sistem kejuruteraan, keselamatan kebakaran, EER (Escape, Evacuation, and Rescue), komunikasi, navigasi, peralatan merbahaya dan ilmu kelautan.
Usaha penubuhan DGTS adalah salah satu langkah ke hadapan bagi memastikan TLDM seiring dengan sebarang kemaskini standard dan peraturan di dalam dunia maritim. Namun, apa yang lebih penting adalah usaha bagi meminimumkan sebarang kejadian yang tidak diingini di laut yang tentunya akan memberikan kesan kerugian yang besar kepada negara. Tragedi yang menimpa terhadap negara jiran iaitu kapal Tentera Laut Thailand - HTMS SUKHOTAI dan KD SRI PERAK adalah salah satu justifikasi kenapa dan mengapa usaha ke arah standard dan peraturan adalah penting terutamanya bagi aset ketenteraan negara.
Ask not what your country can do for you but what you can do for your country(John F Kennedy)
Ungkapan popular bekas Presiden Amerika Syarikat ini menjadi quote yang paling sesuai sebagai mukadimah perbincangan kita tentang peri pentingnya Tentera Laut Diraja Malaysia (TLDM) meningkatkan kesiagaan, kapasiti dan kebolehannya bagi memelihara pertahanan dan keselamatan negara masa kini. Gesaan Presiden Kennedy yang dibuat pada tahun 60an supaya kita menanyakan diri sendiri apa yang boleh kita sumbangkan kepada negara ialah soalan yang masih relevan sehingga ke hari ini dalam konteks nation building dan memelihara keselamatan negara.
TLDM hari ini ternyata bukan pasukan tentera konvensional yang tugasnya tertumpu kepada pertahanan keselamatan dan kedaulatan maritim semata-mata seperti di masa lalu. Ia kini menjadi agen perubahan yang telah, sedang dan akan terus mendatangkan impak mendalam kepada pertahanan negara. Berlatarbelakangkan persekitaran yang dicorakkan oleh VUCA (volatility, uncertainty, complexity, ambiguity ) atau ketidaktentuan, kesamaran, kerumitan dan ketidakpastian. Tanggungjawab serta peranan TLDM sebagai cabang angkatan tentera untuk memastikan pertahanan dan keselamatan perairan negara semakin berkembang, besar dan kompleks.
Ini menuntut pendekatan multi-dimensional dalam apek-aspek kritikal seperti peruntukan kewangan, pembelian dan penyelenggaraan aset, pembinaan dan penaiktarafan prasarana, sokongan dasar, pemerkukuhan institusi dan tadbir urus,
penambahbaikan proses dan prosedur, pembinaan modal insan, penerapan businesss approach, penggunaan teknologi tinggi dan aplikasi digital bagi memperkasakan TLDM dan meningkatkan tahap kesiapsiagaannya untuk memelihara keselamatan serta kedaulatan maritim negara.
Pentas strategik global semakin dicorakkan dengan pelbagai percaturan kuasa-kuasa besar dan kemelut geopolitik yang kompleks. Sekarang ini sahaja, dunia menggapai dengan beberapa konflik yang mendatangkan kesan mendalam kepada emosi kita serta kepentingan negara. Peperangan antara Russia dan Ukraine yang sudah hampir masuk ke tahun kedua serta genocide yang dilakukan oleh rejim Zionis Israel ke atas penduduk Palestin di Gaza menggoncang dunia dan menyerlahkan pelbagai aspek keselamatan dan pertahanan yang boleh dijadikan iktibar oleh negara-negara yang walaupun jauh dari arena dan wilayah konflik tersebut. Ini ditambah pula dengan elemen VUCA lain seperti kemungkinan berlakunya konflik di Laut China Selatan, isu pelarian dan pendatang asing yang boleh menggugat keselamatan negara, ancaman perubahan iklim dan pandemik, kenaikan harga makanan dan kos sara hidup serta ketidaktentuan prospek ekonomi negara dan global yang menambahkan kerisauan kita.
Bagi kita di Malaysia, syukurlah negara kita tidak menghadapi ancaman dari mana-mana tentera laut negara yang hostile terhadap kita. Benar ada negara yang mengambil sikap belligerent dengan aksi-aksi provokatif di wilayah maritim di mana kita mempunyai kepentingan. Sebagai contoh, kita maklum yang China menuntut sebahagian besar Laut China Selatan melalui apa yang dikenali sebagai peta nine dash line yang merangkumi Zon Ekonomi Eksklusif atau Exclusive Economic Zone (EEZ) kita. Kapal-kapal People’s
*Penulis mengalu-alukan maklumbalas malalui e-mel di nazerykhalid@gmail.comLiberation Army (PLA) dan China Coast Guard (CCG) atau Penguatkuasa Maritim China sering memasuki EEZ kita malah pernah dilaporkan bertindak dengan agresif di perairan nelayan-nelayan kita menangkap ikan serta aktiviti pencarian dan pengeluaran minyak dan gas dilakukan.
Namun situasi ini tidaklah sampai ke tahap di mana tentera laut kita bersemuka dengan tentera laut PLA dalam keadaan yang tegang. Keadaan masih terkawal setakat ini walaupun Kementerian Luar Negeri telah memprotes kepada Beijing tentang pencerobohan kapal-kapal PLA dan CCG di EEZ Malaysia. Kita masih terus mengutamakan saluran diplomatik untuk mengutarakan ketidakpuasan hati kita terhadap aksi-aksi provokatif China di Laut China Selatan. Ini sejajar dengan dasar luar kita untuk menyelesaikan permasalahan dua-hala (bilateral) secara diplomasi dan mengelakkan konfrontasi ketenteraan yang tentunya tidak mendatangkan manfaat kepada sesiapa dan boleh menggugat keselamatan serantau.
Dalam pada Malaysia menunjukkan kematangan statecraft dan memilih penyelesaian diplomatik dalam menghadapi cabaran hubungan dua hala atau bilateral dengan negara-negara lain, ia akur dengan peri pentingnya mempunyai aset, kapasiti dan keupayaan bagi mendokong pendiriannya. Ini teserlah dalam bidang maritime diplomacy yang memerlukan negara-negara maritim mempunyai kebolehan bagi mempertahankan kepentingan mereka di lautan, mengukuhkan tuntutan maritimnya serta memberikan impression yang mereka tidak boleh diperlekehkan.
Walaupun Malaysia bukanlah kuasa besar di lautan dan tentunya tidak menginginkan konflik dengan manamana pihak sekalipun, ia tidak mengabaikan keperluan mempunyai tentera laut yang berwibawa. Kerajaan Malaysia komited untuk memperkasakan TLDM bagi membolehkannya menjalankan tugas mempertahankan wilayah maritim negara. Ini terbukti oleh peruntukkan belanjawan yang berkadar dan munasabah besarnya yang diberi oleh Kerajaan untuk memperkasakan pertahanan maritim kita melalui pembelian dan pembaikpulihan aset, pembinaan dan penyelenggaraan
infrastruktur serta pembangunan sumber manusia TLDM.
TLDM akur dengan kepentingan berada dalam tahap kesediaan yang optimum bagi menghantar aset dengan seberapa segera bilamana tercetusnya kejadian di lautan yang memerlukan intervensinya. Masa itu emas, apatah lagi dalam suasana runcing yang boleh menggugat keselamatan maritim negara seperti pencerobohan tentera laut asing, penangkapan ikan secara haram serta kehadiran pendatang asing atau kapal-kapal yang mencurigakan di perairan kita. Kelewatan bertindak balas dengan pantas menggunakan aset dan kakitangan yang bersesuaian bakal menjadikan situasi yang sedia tegang semakin bahaya dan berpotensi mendatangkan mudarat kepada keselamatan dan kepentingan strategik maritim negara.
Berlatarbelakangkan situasi VUCA yang mewarnai pentas operasinya kini, TLDM perlu mentransformasikan diri bagi memastikan ia ready, willing and able untuk memenuhi pelbagai tuntutan dan menangani bermacam cabaran secara tangkas dan berkesan.
Bagi memastikan TLDM siapsiaga dan berkemampuan menggerakkan rapid response kepada sebarang situasi, TLDM perlu sentiasa meningkatkan tahap kesediaan aset dan pasukannya di tahap yang optimum pada setiap masa dan ketika. Ini hanya boleh dicapai dengan pendekatan menyeluruh melalui penyediaan aset di tahap combat ready, struktur organisasi, proses dan prosedur yang efisien, penggunaan teknologi canggih bagi mencapai tahap kecekapan operasi dan produktiviti yang tinggi serta kakitangan yang terlatih, bermotivasi dan komited.
Bibit-bibit transformasi TLDM untuk menjadi sebuah organisasi berprestasi tinggi bagi menyempurnakan tugasan yang lebih luas skopnya sudah bercambah setelah disemai oleh pucuk pimpinan terdahulu dan dibaja oleh kepimpinan sekarang. Pengurusan tertinggi TLDM akur dengan cabaran besar yang menanti untuk memperkasakan organisasi ini. Ia sedar untuk membawa TLDM ke tahap yang lebih gemilang dan memenuhi pelbagai tanggungjawabnya, cabaran yang dihadapi tidak seharusnya dilihat sebagai alasan untuk mengelak transformasi. Malah, jelas dari ucapan Panglima- Panglima Tentera Laut (PTL) terdahulu dan sekarang yang mereka dan pengurusan kanan TLDM komited mentransformasikan TLDM agar mempunyai armada moden dan tangkas dengan aset fit for purpose serta menjadi pasukan berwibawa untuk memelihara keselamatan serta kedaulatan maritim negara.
Rekod menunjukkan yang mereka serius untuk mengemudi bahtera TLDM ke destinasi yang lebih gemilang dan terbilang. Ungkapan salah seorang bekas PTL di bawah menyimpulkan dengan jelas tanggungjawab kepimipinan dalam mengemudi TLDM:
“Pemerintahan ini bagaikan pelayaran kerana walaupun kaptennya berubah, namun pelayaran tetap diteruskan meskipun terpaksa menempuh pelbagai cabaran”
Pendekatan strategik, semangat positif dan can do spirit yang ditunjukkan kepimpinan TLDM amat diperlukan bagi organisasi ini menghadapi persekitaran operasi yang kompleks dan penuh mencabar. Kekangan belanjawan pertahanan negara akibat kegawatan ekonomi, peningkatan kos operasi menguruskan aset-aset usang serta faktor geopolitik dan kemelut kewilayahan dan antarabangsa yang rumit dan mencabar menuntut TLDM untuk meningkatkan tahap kesiagaannya untuk beraksi apabilia diperlukan. TLDM dipertaruhkan negara untuk memainkan peranan pelbagai dimensi di luar batas tanggungjawab utamanya sebagai war fighting outfit. Ini merangkumi aspek-aspek seperti constabulary duties (termasuk tugas anti-pelanunan, anti-keganasan dan menentang pencerobohan nelayan asing), mencari dan menyelamat (search and rescue), bantuan kemanusiaan dan bencana alam (humanitarian assistance and disaster relief) serta tanggungjawab mengibarkan Jalur Gemilang sebagai satu instrumen diplomasi maritim negara.
Memenuhi tanggungjawab, melaksanakan amanah
Menjadikan TLDM sebuah tentera laut yang tinggi tahap kesiagaannya bukanlah mudah. Ini menuntut komitmen sepenuhnya serta tumpuan 100% setiap anggota bagi melonjakkan organisasi ini ke tahap yang lebih cemerlang.
Berhadapan dengan tanggungjawab berat dan harapan menggunung rakyat terhadap TLDM untuk memelihara keselamatan dan kedaulatan maritim negara, the Navy People perlu mengambil sikap positif terhadap memenuhi tugas yang diamanahkan, bukan gentar dengan cabaran yang dihadapi. Mereka perlu akur dengan tanggungjawab yang perlu digalas dan bersedia menghadapi apa jua situasi yang memerlukan penglibatan mereka samada semasa aman mahupun bila berlakunya insiden atau tercetusnya konflik.
Penulis mencadangkan critical sucess factors berikut untuk memacu TLDM ke arah transformasi bagi meningkatkan tahap kesiagaanya:
• Belanjawan yang sesuai dengan infrastruktur, aset, sistem, proses, sokongan dan sumber modal yang diperlukan bagi menyediakan infrastruktur dan membina armada moden yang berupaya memberikan maklum balas yang tangkas dan efektif dalam apa jua keadaan.
• Konsolidasi sumber yang menyaksikan aset TLDM dikurangkan atau digabungkan bagi mengurangkan kos operasi dan penyelengaraan, meningkatkan
tahap response dan war fighting capability, mengelakkan pembaziran serta memaksimakan potensi aset.
• Pengenalan strategi transformasi yang terancang, ditakrifkan dengan tepat, boleh diukur dan realistik, samada menyambung momentum strategi Transformasi 15to5, menambahbaiki aspekaspeknya atau memperkenalkan strategi baru yang bersesuaian dengan keadaan dan tuntutan semasa, senario masa depan, strategi pertahanan negara serta hala tuju TLDM.
• Pelaksanaan strategi, inisiatif dan pelan rancangan yang diperkenalkan dengan penuh komitmen sejajar dengan Nilai Teras TLDM serta diringi pemantauan dan pengukuran keberkesanan, pencapaian dan kebolehan bertindak yang rapi bagi memperbetulkan kelemahan dan memperbaiki prestasi. Ini termasuklah menjalankan audit dalaman secara beterusan, menyeluruh dan telus seperti yang dilaksanakan melalui Audit Kesiagaan TLDM serta mengimplementasikan hasil penemuan audit dengan serius dan tanpa prejudis.
• Pengenalan proses-proses yang mencerminkan kaedah pengurusan business-like bagi menyuruti masalah ketirisan, mengatasi kekangan kos, mengamalkan perbelanjaan berhemah serta membuat keputusan perolehan dan kewangan berdasarkan pulangan ke atas pelaburan (return on investment), bukan sekadar membelanjakan peruntukan yang diberikan semata-mata.
Pengawasan berterusan daripada TLDM dan pihak sahabat seperti APMM dan PDRM
• Pembinaan modal insan yang mencukupi, berkemahiran tinggi, berinovasi, berdisiplin, komited dan mempunyai kepakaran dalam pelbagai bidang selain dari ketenteraan termasuk teknologi tinggi, menyelesaikan masalah, perancangan strategik, hubungan luar dan penguasaan bahasa asing.
• Sokongan padu pihak-pihak berkepentingan terutamanya Kerajaan, pengamal industri pertahanan/keselamatan dan masyarakat serta hubungan baik dengan agensi-agensi Kerajaan dan pelbagai organisasi dan institusi berkepentingan.
• Penggunaan teknologi tinggi terutamanya aplikasi Industri 4.0 seperti artificial intelligence, drones, Big Data Analytics, Internet of Things, machine learning, Augmented Reality, Virtual Reality, sensors, 3-D printing dan nanotechnology.
• Pengurusan rantaian bekalan atau supply chain yang cekap dan profesional mengikut amalan terbaik (best practices) dalam bidang ini. Askar berjuang di medan perang namun antara faktor utama kemenangan ialah pergerakan aset, bekalan dan tentera yang lancar dan teratur di sepanjang rantaian bekalan.
• Latihan serta drill yang kerap, samada latihan dalaman atau dengan agensi keselamataan dan tentera laut lain, bagi memastikan yang anggota TLDM berada dalam tahap kesediaan yang optimum dan sentiasa bersedia untuk menghadapi apa jua situasi dan cabaran.
Dengan mengamalkan dan melaksanakan CSF di atas, Insya Allah TLDM dapat mentransformasikan dirinya untuk menjadi pasukan yang lebih berwibawa dan berprestasi tinggi. Walaupun banyak rintangan dan kekangan serta faktor-faktor luaran yang menjadi cabaran kepada memenuhi objektif ini, the Navy people tidak seharusnya menjadikannya sebagai alasan tidak meneruskan agenda menjana transformasi organisasi mereka. Fokus harus terus diberikan kepada areas of priority yang boleh dikawal dan berada dalam lingkungan bidang kuasa pimpinan dan usaha TLDM.
TLDM boleh berbangga dengan reputasi baik yang dinikmatinya sekarang. Namun, masih banyak ruang untuk ia meningkatkan martabatnya sebagai sebuah organisasi yang berwibawa dan disegani bukan sahaja di kalangan agensi-agensi Kerajaan dan masyarakat malah di kalangan tentera-tentera laut lain dan di persada antarabangsa. Usaha berterusan harus digembeling untuk membina di atas asas kukuh yang telah disediakan oleh pucuk pimpinan dan kakitangannya dulu dan sekarang bagi melonjakkan pencapaian dan kesiagaan TLDM serta meningkatkan persepsi positif dan profilnya di kalangan masyarakat serta community of navies di peringkat antarabangsa.
Mentransformasikan sebuah pasukan tentera yang besar serta mempunyai sejarah yang panjang seperti TLDM bukan satu perkara yang enteng. Ia menuntut pendekatan whole of organization approach yang melibatkan banyak aspek dan komitmen yang
tinggi. Ia juga memerlukan pimpinan dan kakitangan menanyakan pelbagai soalan muhasabah diri secara serius dan bersedia menghadapi pelbagai disruption untuk merubah falsafah, metod, proses, prosedur dan pendekatan usang dan tidak lagi relevan dengan kehendak dan keadaan semasa bagi membentuk perspektif baru dan memulakan amalan yang lebih inovatif, produktif dan efektif.
Sebagai contoh, cabaran besar menunggu TLDM sebagai sebuah organisasi ketenteraan yang dibiayai oleh dana awam/pembayar cukai untuk merubah orientasinya ke arah mengamalkan kaedah pengurusan business-like atau berorientasikan perniagaan. Ini penting dalam pada ekonomi negara menghadapi pelbagai ketidaktentuan dan nilai Ringgit yang lemah berbanding matawang asing utama serta tuntutan masyarakat supaya perbelanjaan pertahanan dibuat dengan lebih telus. Agenda ketirisan dan ketelusan harus diletakkan di atas senarai priority dalam usaha meningkatkan kesiagaan TLDM. Fokus yang tidak berbelah bagi perlu diberikan kepada elemen-elemen yang selama ini tidak mendatangkan economic and operational sense kepada TLDM dan tidak membantu kepada memenuhi objektif organisasinya.
Benih-benih perubahan yang bakal merubah falsafah serta ‘model perniagaan’ TLDM sebenarnya telah disemai dan mula menunjukkan hasil. Namun, ini harus disusuli oleh komitmen tinggi oleh seluruh anggota TLDM untuk menjana dan memupuk semangat inovasi, berfikir di luar kotak, menerapkan kesedaran business not as usual serta mengamalkan etika kerja tekun, mulia dan berintegriti.
Walaupun proses transformasi TLDM sudah rancak berjalan, masih banyak lagi yang harus dilakukan untuk membawa TLDM ke arah mencapai tahap tentera laut berkelas dunia. Sebagai rakyat Malaysia, kita berharap yang building blocks yang telah disusun di atas pelantar transformasi TLDM oleh pucuk pimpinannya akan terus diperkukuhkan oleh kakitangannya untuk beroperasi dengan cekap dan menangani persekitaran VUCA masa kini dan akan datang.
Kita yakin yang proses mengubah mindset di kalangan para anggota TLDM untuk meningkatkan keupayaan, merubah cara kerja serta mentransformasikan organisasi akan membawa tentera laut kebanggaan kita ini ke tahap kecemerlangan yang dihasratkan kepimpinannya. Sama-samalah kita berdoa agar TLDM terus maju jaya dan meningkatkan kesiagaannya bagi memenuhi tanggungjawab besarnya memelihara pertahanan dan keselamatan negara di lautan serta mengawal integriti kewilayahan maritimnya.
Fair Winds and Following Seas!
OLEH Bahagian Strategik dan Komunikasi Markas Tentera Laut
PUTRAJAYA 7 Oktober 2023 - Rapat 2023 Kru
Perintis Mine Countermeasure Vessel (MCMV 26) telah diadakan di Marina Putrajaya. Seramai 70 orang veteran TLDM yang terlibat dengan projek kapal ini telah hadir ke majlis tersebut. KD MAHAMIRU (11), KD JERAI (12), KD LEDANG (13) dan KD KINABALU (14) telah dibina di La Spezia, Itali dan ditauliahkan serentak pada 11 Disember 1985. Brothers for Life.
OLEH Bahagian Strategik dan Komunikasi Markas Tentera Laut
LUMUT, 11 Oktober 2023 - Lebih 200 perwakilan dari
16 Cawangan PVTLDM seluruh negara telah menghadiri
Persidangan Perwakilan Tahunan PVTLDM Ke-15 anjuran
Persatuan Veteran TLDM (PVTLDM) di Auditorium Venus, Markas Pemerintahan Pendidikan dan Latihan TLDM.
Perasmian persidangan telah disempurnakan oleh Ketua
Jurutera TLDM, Laksamana Muda Dato’ Ir Ts. Hj Mohd
Shaiful Adli Chung bin Abdullah. Persidangan ini bertujuan untuk mencapai tiga Strategic Outcome iaitu:
a. Soal kebajikan ahli diambil berat di samping membimbing warga the Navy People yang baru tamat perkhidmatan selaras dengan Piagam Persatuan.
b. Sebagai platform ‘suara’ dalam menyuarakan pandangan ahli.
c. Menjadikan sebuah Persatuan yang tidak bergantung harap sepenuhnya dengan dana entiti lain.
OLEH PS 2 Sumber Manusia Markas Tentera Laut
Selat Melaka merupakan nama yang tidak asing bagi komuniti maritim tempatan mahupun antarabangsa. Menurut catatan sejarah, Selat Melaka telah menjadi laluan utama kapal-kapal dagang yang berulang-alik dari China dan India serta penduduk tempatan di sekitarnya untuk menjalankan aktiviti perdagangan sejak abad Ke-5 Masihi lagi. Keadaan tersebut terus memuncak hingga mewujudkan laluan perdagangan antarabangsa yang sibuk setelah tertubuhnya Kerajaan Melayu Melaka pada awal abad ke-15 Masihi.
Jika dilihat dari aspek geografi, Selat Melaka terletak di antara pantai Barat Thailand dan pantai Utara Semenanjung Tanah Melayu serta menganjur sehingga ke bahagian Selatan pantai Sumatera. Selat Melaka merupakan sebuah laluan selat yang sempit dengan panjang keseluruhannya kira-kira 520 batu nautika. Kelebaran dan kedalamannya pula adalah berbeza-beza iaitu kira-kira 200 batu nautika di bahagian Utara dan 11 batu nautika di bahagian Selatan dengan kedalaman di antara 70 kaki hingga 100 kaki. Laluan ini menjadi laluan utama yang menghubungkan Lautan Hindi dengan Laut China Selatan dan menyediakan laluan perkapalan terpendek menuju ke Timur Tengah berbanding melalui laluan-laluan alternatif lain seperti Selat Lombok, Selat Sunda atau Selat Makasar. Berdasarkan faktor geografi yang strategik tersebut, muncul banyak bandar pelabuhan yang berkembang di sepanjang Selat Melaka terutama di bahagian Barat Semenanjung Tanah Melayu dan juga di sepanjang Timur Sumatera. Sebahagian dari pelabuhan yang muncul dan telah berkembang pesat ialah Srivijaya, Palembang, Riau, Kedah dan Melaka. Pengasas Kerajaan Melayu Melaka telah menjadikan
Melaka sebagai pelabuhan entrepot dan pusat pemerintahannya.
Potensi mengembangkan ekonomi berasaskan perdagangan menerusi jalan laut yang wujud di sekitar Selat Melaka telah menjadi pemangkin kepada pelbagai kegiatan ekonomi di kalangan masyarakat tempatan dan antarabangsa. Sehubungan itu, wujud sistem perundangan Melayu seperti Hukum Kanun Melaka, Undang-undang Laut Melaka, Undang-undang Kedah, Undang-undang Sembilan Puluh Sembilan Perak, Undang-undang Perahu dan Undang-undang Belayar yang menunjukkan pelaut serta pelayar Melayu merupakan bangsa yang bertamadun setanding dengan bangsa-bangsa yang lain.
Kemakmuran ekonomi dan perkembangan peradaban di sekitar Selat Melaka akhirnya telah mengundang kepada eksplorasi dan penjajahan pelbagai kuasa asing dari Eropah untuk menguasai laluan perdagangan terpenting di rantau Asia Tenggara ini sekali gus memonopoli perdagangannya. Penjajahan oleh kuasa asing dari Eropah ini bermula apabila angkatan laut Portugis yang diketuai oleh Alfonso de Albuquerque telah berjaya menakluki Melaka pada 24 Ogos 1511. Penguasaan Portugis ke atas Melaka ini berkekalan sehingga 130 tahun iaitu mulai tahun 1511 hingga 1641. Penguasaan Portugis ke atas Melaka berakhir apabila Belanda berjaya menewaskan Portugis dengan bantuan Kerajaan Johor pada 14 Januari 1641. Ekspedisi pedagang Belanda yang tiba terawal di Kepulauan Melayu adalah pada tahun 1559 untuk mendapatkan bahan rempahratus, buah pala dan cengkih. Para pedagang Belanda ini akhirnya bergabung membentuk Syarikat Hindia
Timur Belanda (Vereenigde Oost-Indische Compagnie) pada 20 Mac 1602 bagi menguasai perdagangan rempah dan memonopoli perdagangan bijih timah.
Pengaruh Inggeris di Tanah Melayu bermula apabila
Francis Light berjaya menduduki Pulau Pinang pada
11 Ogos 1786 dengan cara tipu daya terhadap Sultan
Kedah. Penguasaan Inggeris secara mutlak ke atas
Tanah Melayu akhirnya tercapai apabila Perjanjian
Inggeris-Belanda termeterai pada 17 Mac 1824.
Menerusi perjanjian ini, Kepulauan Melayu Nusantara telah dibahagikan kepada dua lingkungan pengaruh iaitu semua kawasan di bahagian bawah Singapura adalah di bawah pengaruh Belanda manakala kawasan Singapura dan ke atas di bawah pengaruh Inggeris.
Kekayaan yang dijana hasil daripada aktiviti
perdagangan di sepanjang persisiran Selat Melaka bukan sahaja telah menarik perhatian penjajah Eropah untuk menguasai laluan perdagangan ini, malah turut menarik minat “perompak laut” atau “bajak laut” ataupun “lanun” untuk menjalankan kegiatan mereka di kawasan perairan ini. Sebelum wujud perkataan “lanun” pada awal abad ke-19, peristilahan bahasa Melayu lama
menggunakan istilah “merompak atau menyamun” bagi merujuk kepada kegiatan merampas atau mengambil harta orang secara kekerasan dan paksaan sama ada di darat atau di laut. Mereka yang melakukan perbuatan ini pula dikenali sebagai “penyamun”, “pencuri”, “perompak” atau “perompak laut”. Dalam Undang-undang Melayu lama, tiada fasal khusus yang membincangkan tentang perompakan di laut ini sama ada dalam Hukum Kanun Melaka atau Undangundang Laut Melaka. Justeru, tiada peruntukan bagi menghukum orang yang melakukan rompakan di laut. Perkataan “perompak laut” atau “bajak laut” ini telah didefinisikan sebagai lanun (pirates) dan kegiatan pelanunan (piracy) dalam Bahasa Inggeris. Dalam peristilahan undang-undang Inggeris, wujud perbezaan dari sudut definisi bagi perkataan perompak (robber) dan lanun. Perompak merujuk kepada orang yang merampas atau mengambil harta orang secara paksa untuk kepentingan diri sendiri. Berbeza dengan lanun yang juga merompak, tetapi perbuatan itu dilakukan di laut. Oleh hal yang demikian, istilah “melanun” didefinisikan sebagai satu kegiatan yang mesti berlaku di laut lepas (high seas) dan di luar bidang kuasa (jurisdiction) wilayah sebarang negara.
Walau bagaimanapun, pada sekitar abad ke-16 hingga 19, perkataan lanun di Kepulauan Melayu Nusantara tidak dapat didefinisikan sepenuhnya dengan perkataan “pirates” tersebut. Terdapat banyak perbezaan di antara sebab dan motif pelanunan di kawasan ini berbanding “pirates” orang Barat. Istilah “lanun” sebagai perompak laut berasal daripada perkataan “Iranun” atau “illanun”
yang merupakan satu suku kaum penduduk asal pulau Mindanao, Selatan Filipina. Puak ini sangat terkenal di seluruh Nusantara sebagai perompak laut. Justeru itu, masyarakat Melayu Nusantara telah mensinonimkan nama suku kaum itu dengan kegiatan merompak di laut.
Kegiatan merompak di sekitar Selat Melaka mulai berkurangan apabila muncul kerajaan-kerajaan yang kuat di persisirannya. Contohnya kerajaan Srivijaya pada abad ke-5 telah menggunakan perompakperompak yang terdiri daripada Orang Laut sebagai tentera laut untuk menentukan keselamatan pelayaran di Selat Melaka dan kemakmuran empayarnya. Orang Laut secara umumnya merangkumi pelbagai jenis suku kaum peribumi (kini dikategorikan sebagai Orang Asli) yang mendiami persisiran pantai dan pulau di Selatan Semenanjung Tanah Melayu, Singapura serta Timur pulau Sumatera. Orang Laut lazimnya tinggal di dalam rumah perahu (sampan panjang) dan mengamalkan kehidupan nomad (berpindahrandah). Selain berperanan sebagai tentera laut yang mengawal sempadan laut dan mengusir lanun, Orang Laut turut berperanan sebagai tukang kayu, tukang senjata serta penghantar surat-surat raja ke negaranegara jiran. Peranan Orang Laut ini diteruskan ketika zaman Kesultanan Melayu Melaka sehingga kepada keturunannya yang terakhir di Johor pada tahun 1699.
Namun, kegiatan merompak di laut ini semakin meningkat setelah kedatangan penjajah Eropah ke Nusantara. Keruntuhan Kerajaan Melayu Melaka telah menyebabkan serangan yang berterusan terhadap kapal-kapal dagang yang berdagang dengan Portugis dan Belanda di Melaka. Serangan-serangan berkenaan disifatkan oleh Portugis dan Belanda sebagai piracy Walau bagaimanapun, didapati bahawa serangan tersebut hanya mensasarkan kapal-kapal dagang yang berdagang dengan pihak musuh iaitu Portugis dan Belanda. Perkara ini dilihat sebagai suatu bentuk perang gerila menentang penguasaan Portugis dan Belanda di Melaka.
Kegiatan merompak dan merampas barang dagangan di laut ini terus meningkat apabila penjajah Eropah terutamanya Belanda berusaha untuk memonopoli
perdagangan dan kuasa politik di wilayah ini. Tindakan Portugis dan Belanda mewajibkan setiap kapal dagang yang melalui Melaka untuk singgah dahulu di pelabuhan itu bagi mengambil pas pelayaran dianggap sebagai suatu usaha untuk menyekat kebebasan perdagangan dan pelayaran penduduk tempatan yang telah diamalkan sejak sekian lama.
Kebanyakan penduduk tempatan melakukan kegiatan merompak di laut bagi menggantikan sumber pendapatan yang terjejas dan kerugian yang mereka alami kesan daripada monopoli perdagangan oleh penjajah Eropah. Justeru, kegiatan “perompakan di laut” dilihat sedikit sebanyak dapat mengatasi kesan monopoli penjajah Eropah terhadap aktiviti perdagangan di Nusantara. Penjajah Eropah telah melabelkan ramai pejuang dan ketua masyarakat tempatan sebagai lanun semata- mata untuk memudahkan usaha mereka bagi memonopoli perdagangan di Selat Melaka. Dengan melabelkan mereka sebagai lanun, tindakan untuk memusnahkan mereka boleh dilaksanakan dengan lebih mudah. Perkara ini berlaku disebabkan peraturan dan undang-undang antarabangsa pada zaman berkenaan yang membenarkan lanun diserang dan dimusnahkan di mana-mana sahaja apabila mereka ditemui. Berbeza dengan perompak yang bukan lanun, mereka perlu diadili oleh pihak berkuasa dalam wilayah di mana kegiatan itu berlaku.
Berdasarkan perbincangan di atas, dapat dirumuskan bahawa pelanunan adalah suatu versi sejarah yang ditulis oleh orientalis Barat dalam usaha menafikan pencapaian politik, ekonomi dan sosiobudaya masyarakat Melayu. Mereka telah mengemukakan pelbagai alasan demi menghalalkan misi dan visi mereka ketika menjajah bagi menguasai sumber ekonomi, laluan perdagangan dan kuasa politik di Kepulauan Melayu Nusantara. Manakala bagi sejarawan tempatan, kegiatan merompak di laut dilihat lebih kepada tindak balas golongan pembesar dan penduduk Nusantara terhadap tindakan penjajah Eropah yang merampas kuasa politik dan kebebasan perdagangan di Selat Melaka. Selain itu, tindakan memonopoli perdagangan oleh penjajah Eropah juga telah menjejaskan sumber pendapatan penduduk tempatan sekali gus memberi tekanan terhadap kehidupan harian mereka.
Ilustrasi pemandangan di pelabuhan Melaka yang diterbitkan dalam Wagner –bertajuk “Die Statt Malacca in Indien” (1685)Duli Yang Maha Mulia (DYMM) Sultan Ibrahim
Ibni Almarhum Sultan Iskandar, Sultan Yang
Dipertuan Bagi Negeri dan Jajahan Takluk
Johor Darul Ta’zim berkenan mencemar duli ke Majlis
Perasmian dan Penamaan Pangkalan TLDM Johor Bahru di Markas Pemerintahan Pasukan Simpanan TLDM, Sungai Lunchoo, Masai, Johor pada 27 Sep 23.
Dikenali sebagai Home of Naval Reservists, projek pembinaan pangkalan ini telah bermula pada 20 Dis 16 dan mula beroperasi penuh pada 6 Mac 20. Pusat Pemerintahan Markas yang juga merupakan
penempatan bagi anggota KD SRI MEDINI yang
dipindahkan dari kem sementara di Kem Tebrau dan UPS Pasir Gudang. Penaiktarafan dilakukan sejajar dengan perkembangan fungsi matlamat visi dan misi Markas Pemerintahan Pasukan Simpanan TLDM.
Pemerintah bagi unit-unit Pasukan Simpanan TLDM. Ia bertanggungjawab menggubal dasar, struktur latihan dan pelaksanaan latihan bagi pegawai dan anggota Pasukan Simpanan Sukarela TLDM (PSSTLDM). Selain itu, Markas turut berfungsi sebagai pusat latihan bersepadu PSSTLDM dan menjadi garison TLDM di selatan Semenanjung Malaysia.
Kompleks ini juga menyediakan pusat latihan yang serba lengkap dan moden serta menempatkan keperluan ketenteraan semasa, keperluan infrastruktur serta tempat tinggal warga the Navy People dan keluarga yang lebih selesa dan mesra pengguna.
Mengekalkan kejuaraan bukan perkara mudah, tetapi ianya dibuktikan oleh Pasukan Golf
TLDM setelah dinobatkan selaku Juara sukan golf untuk kali ke-14 berturut-turut sejak sukan ini dipertandingkan di dalam Inter Service Game (ISG). Kejohanan Golf Antara Perkhidmatan berlangsung pada 11 dan 12 Okt 23 di Kelab Rekreasi Tentera Udara, Subang dan 15 Okt 23 di Sungai Long Golf and Country Club, Kajang.
Komitmen yang dipamerkan oleh Pasukan Golf
TLDM tidak sedikit pun mematahkan semangat juang walaupun ketinggalan sebanyak 17 pukulan kepada
TDM pada hari pertama kejohanan berlangsung. Dengan kesungguhan, komitmen dan disiplin setiap atlet, TLDM telah berjaya memperbaiki mutu permainan
dengan mengatasi TDM dengan 2 pukulan pada hari kedua dan seterusnya menjuarai Kejohanan Golf Antara Pekhidmatan bagi tahun 2023.
Bagi kategori Individu Inter HQ, Kepten Mohammed Noorsyarizal bin Mohammed Noordin TLDM dinobatkan sebagai Johan manakala bagi kategori Inter HQ, TLDM sebagai Naib Johan.
OLEH PW ll JJM Hasman bin Hisam Asngari FOTO Markas Pemerintahan Armada Timur
Bertemakan “BAH KANO KARNIVAL
ARMADA TIMUR 2023” (BaKaKAT23) telah
dilaksanakan di Pangkalan TLDM Kota
Kinabalu (PTKK) bersempena dengan sambutan bulan Hari Angkatan Tentera Malaysia yang ke-90 dan sambutan Hari Malaysia ke-60 pada 16 dan 17 Sep 23.
Pelbagai acara sukan dilaksanakan dan salah satu menggamit pengunjung adalah acara perlumbaan
Perahu Naga. Acara kolaborasi bersama Universiti Malaysia Sabah (UMS) ini merupakan penyertaan tunggal antara TLDM dan UMS yang diadakan di jeti PTKK. Penyertaan terdiri daripada setiap Markas dan pertandingan ini telah dimenangi oleh Markas
Pemerintahan Kapal Selam (MPAKS) dengan jarak dan perlumbaan bermula di Tambatan TLDM Kota
Kinabalu sejauh 700 meter.
Pasukan Olahraga TLDM berjaya mengekalkan kejuaraan kali ke-15 berturut-turut Kejohanan Sukan Antara Perkhidmatan ATM 2023 bagi acara Olahraga yang telah berlangsung
pada 10 hingga 12 Okt 23 bertempat di Pangkalan Udara Sendayan anjuran Lembaga Sukan Tentera Udara Diraja Malaysia.
TLDM berjaya merangkul 48 emas, 48 perak dan 45 gangsa dan lebih membanggakan buat Pasukan Olahraga TLDM apabila berjaya mendapat Anugerah Olahragawati Kejohanan, Peserta Terbaik serta Juara Keseluruhan.
Walaupun terdapat penambahan 4 kategori iaitu Junior Veteran Lelaki, Junior Veteran Wanita, Senior Veteran Lelaki dan Senior Veteran Wanita, atlet TLDM terus unggul jauh meninggalkan Pasukan TDM dan Pasukan TUDM sekaligus menambah 2 pingat emas bagi keseluruhan pingat ISG 23 yang dipertandingkan.
Pegawai
PSSTLDM pertama yang berjaya menamatkan
Kursus Peperangan
Elektronik Lanjutan
Leftenan Madya Ahmad Amzar Khairi bin
Abd Malek PSSTLDM merupakan Pegawai PSSTLDM pertama berjaya menamatkan Kursus
Peperangan Elektronik Lanjutan Komunikasi/Bukan Komunikasi (Pegawai) Angkatan Tentera Malaysia (ATM) siri 15/23. Majlis penyampaian insignia “Burung Hantu” dan sijil kepakaran Peperangan Elektronik (PE) telah disempurnakan oleh Ketua Pengarah Siber dan Elektromagnetik Pertahanan, Laksamana Muda Dato’ Ts. Shamsuddin bin Haji Ludin kepada 24 pegawai yang
berjaya menamatkan kursus anjuran Markas Operasi Siber dan Elektromagnetik Pertahanan (BSEP).
Kursus Peperangan Elektronik yang berlangsung selama 7 minggu itu adalah lanjutan daripada kursus asas dengan memberikan penekanan secara hands on kepada kemahiran dan keupayaan dalam sub-elemen Peperangan Elektronik serta aset-aset ATM yang berkaitan.
PSSTLDM melalui PSTL Kuching dengan kerjasama Jabatan Sukan, Kokurikulum dan Kebudayaan Politeknik Kuching Sarawak (PKS) telah berjaya melaksanakan program Uniform Combine Exercise (UNICOMBEX) 2023 pada 20 hingga 22 Okt 23 bertempat di Politeknik Kuching, Sarawak.
Eksesais yang melibatkan 200 orang peserta dari empat badan beruniform; PSSTLDM & PLASTLDM PKS, Rejimen Askar Wataniah PKS, Pasukan Institusi Pertahanan Awam PKS dan Briged RELASIS PKS bertujuan untuk mempamerkan penglibatan anggota badan beruniform dalam menjalankan aktiviti lasak secara berkumpulan bagi mengetahui potensi kepimpinan serta menguji daya ketahanan fizikal serta mental anggota.
Selain itu, program ini juga telah membantu anak muda untuk mengamati erti sebenar kemerdekaan yang membabitkan kemerdekaan jiwa dan minda, dipupuk menerusi jati diri yang dibentuk menerusi empat aspek utama; agama, akhlak, pendidikan dan bahasa.
Pejabat Pegawai Wakil Tentera Laut Pulau Pinang (PWTL PP) atau dikenali sebagai Resident Naval Office (RNO) yang terletak di Jalan Tun Syed Sheh Barakbah, Padang Kota Lama, Pulau Pinang merupakan pejabat TLDM di kawasan utara Malaysia yang tertua. Ianya dibina oleh Tentera Laut Diraja British pada 4 Sep 39 untuk menempatkan Pegawai Staf Tentera Laut British dan beberapa anggota dari Straits Settlement Royal Navy Volunteer Reserve (SSRNVR) pada asalnya.
Bangunan yang keluasannya 5,555 meter persegi ini merupakan aset terpenting semasa Perang Dunia Kedua iaitu sebagai Pangkalan Tentera Laut British. Pegawai Memerintah PWTL PP yang pertama adalah Commander Alexander RN.
Pada tahun 1952, PWTL PP telah dijadikan ibu pejabat Malayan Royal Naval Volunteer Reserve (MRNVR) Pulau Pinang sebelum dipindahkan ke Gelugor yang sekarang dikenali sebagai KD SRI PINANG pada tahun 1957. PWTL dikendalikan oleh Tentera Laut British sehinggalah pada tahun 1964 Malaysia mula mengambil alih tugas sebagai PWTL PP. Setelah KD SRI PINANG beralih penempatan, PWTL PP bertanggungjawab menguruskan pentadbiran dan logistik TLDM manakala KD SRI PINANG menguruskan Pasukan Simpanan di kawasan utara.
Dengan Penubuhan Markas Wilayah Laut 3 di Pulau Langkawi pada 29 Jun 07, PWTL PP telah diletakkan di bawah pemerintahan dan pentadbiran Markas Wilayah Laut 3.
Pada awal tahun 1939, bilangan anggota Pasukan Simpanan Tentera Laut British telah bertambah daripada 6 orang pegawai dan 40 orang anggota kepada 12 orang pegawai dan 120 orang anggota. Pada peringkat ini, sebahagian daripada anggota bawahan masih lagi dilatih oleh Tentera Laut British. Apabila perang tercetus di antara Britain dan German pada 3 Sep 39, kekuatan SSRNVR Pulau Pinang telah mencecah jumlah maksimum iaitu 160 orang anggota bawahan dan 20 orang pegawai.
Kini, PWTL PP bertanggungjawab menguruskan hal ehwal TLDM di Pulau Pinang dalam aspek operasi dan pentadbiran seperti berikut:
a. Menguruskan keperluan logistik dan pentadbiran kapal-kapal TLDM dan tentera laut asing yang membuat persinggahan di Pulau Pinang.
b. Wakil TLDM dalam jawatankuasa keselamatan yang ditubuhkan di peringkat negeri Pulau Pinang.
c. Memantau pergerakan kapal tentera laut dan kapal dagang negara asing yang memasuki pelabuhan Pulau Pinang dan memajukan laporan perisikan kepada pihak yang berkenaan.
d. Wakil TLDM dalam jawatankuasa kecemasan pelabuhan jika diperlukan.
e. Wakil TLDM dalam setiap acara yang melibatkan TYT Pulau Pinang dan Ketua Menteri Pulau Pinang.
f. Menguruskan keperluan logistik bagi setiap bengkel, mesyuarat atau eksesais di kawasan Pulau Pinang.
g. Sebagai unit penyelaras PKBM(L) Zon Utara:
1. SMK Seri Balik Pulau.
2. SMK Bukit Jambul.
3. SMK Convent Lebuh Light.
4. MRSM Balik Pulau.
h. Menguruskan hal ehwal kebajikan warga TLDM di kawasan utara.
Pada tahun 1982, Lt Kdr Abu Hassan bin Hj Yusof TLDM telah berusaha untuk mendapatkan dua laras ceremonial gun jenis Bofors 40/60mm yang diambil dari HMS Sultan III. Impian untuk menempatkan meriam berkenaan kemudian direalisasikan oleh Lt Kdr Thyagarajah a/l Govindasamy TLDM pada tahun 1983 malah loceng
SSRNVR tahun 1939 juga diperolehi daripada pihak British pada ketika itu.
Semasa di bawah pemerintahan Lt Kdr Naimuddin bin
Subarai TLDM pada tahun 1990, PWTL PP telah terlibat secara langsung dalam International Royal Fleet Review 1990 (IRFR) di perairan Pulau Pinang sebagai platform pentadbiran dan bilik operasi. Sebanyak 27 buah kapal daripada lebih 10 buah negara (tidak termasuk kapal
TLDM) yang terlibat dengan IRFR telah berakhir dengan jayanya.
BY A/First Admiral Ivan Mario Andrew
Whosoever commands the sea commands the trade; whoever commands the trade of the world commands the riches of the world and consequently the world itself.
Sir Walter Raleigh, 1616
Globalisation has propelled the relentless amalgamation of economic, political and cultural activities beyond borders. In tandem, E-Commerce and the uninhibited internet, being the rudiments of globalisation, have dismantled the barriers to the movement of goods and capital while expanding political and economic powers. This evidently has enabled nations to revel in the benefits of this world’s increasing prosperity and most up-todate technologies. Since the internet took root, it has significantly expanded economic globalisation, making geo-economics replace geopolitics. Today, international incidents influence local activities at exponential speed thanks to the escalation of this computer technology.
Characteristically at the heart of geo-economics is the sea. Being the governing catalyst and impact of globalisation, the sea has contemporaneously transformed the global strategic environment in the expansion of economic globalisation and seaborne trade. However, economic globalisation’s increasing reliance on reliable seaborne trade exposes maritime assets to vulnerabilities such as piracy, terrorism and other non-conventional threats. This, to the esoteric defence intellect, holds profound security implications and the decision-making process of a nation. Rightly, this manifests the magnitude of challenges and opportunities faced by Navies to uniquely spearhead the national and international maritime security and safety efforts in maintaining good governance at sea and preserving the freedom of navigation for democracy and seaborne commerce to flourish.
Although the internet and E-Commerce are evidently the symbols of globalisation, the ocean remains the primary medium or forte of globalisation. This is because products commerce via the internet, if not for local consumption, must be physically transported abroad.
Hence, oceanic commerce, being the most economical means of expanding exports to the rest of the world, still dominates this global economic agenda. Irrefutably, this associates the sea with globalisation, whereby the safety and economic security of the world’s oceans depend upon its secure use.
Thus, conflict of any scale with regard to the geopolitical complexities, in particular, can hamper states from reaping the benefits of proven and potential riches. This will equally impede the interconnected nature of maritime globalisation and have the potential to significantly impact and influence the economies of nations across the globe.
Accordingly, geopolitical complexities will most certainly dictate the nature of military technology and culture of the littoral states in determining the type of force required to project its sea power to secure its own SLOC and facilitate and preserve the freedom of the seas for all seafarers.
Arguably, sea power can be characterised as the facilitator of economic power, whilst economic power is the motivator for the development of sea power. This is because the sea, as the metaphor for access to the global economy, requires an effective navy to defend access and enforce the freedom of seas
against interdiction to trade and resources to benefit all members of the international economic system.
Although navies are the prominent armed element of Sea Power, nonetheless, Sea Power does not synonymously incline exclusively towards naval warfare but rather transcends it. The ability to control international trade, commerce and wealth is integral to Sea Power. Accordingly, the employment of navies as the mechanism of ‘diplomacy, deterrence and political influence in peacetime’ also proves that globalisation and sea power share common characteristics where the Navy relies on both to achieve its prowess in controlling the use of the sea.
Then again, the effect of globalisation, which has transformed the prevailing social, cultural, political and economic forte of activity, profoundly affects the formulation of each nation’s security planning. Hence, the increasing nature of international economic exchanges facilitates the linkage between sea power and economic globalisation. To have an adequate navy, one needs the economic viability to develop the Navy and how best, if not with a secure global economy.
Threats to the country’s security originate internally and externally. Non- conventional threats such as maritime terrorism, piracy, illegal migrations, human and drug trafficking, and illegal fishing are but several maritimelinked national security threats stemming from the effects of globalisation. All these maritime-linked vulnerabilities have significant effects and potentially destabilise a nation’s maritime security and safety, thus deterring the constructive or beneficial aspects of globalisation.
Similarly, in addressing non-conventional threats such as maritime terrorism and piracy, a nation requires adequate intelligence and establishing bilateral or unilateral maritime collaboration. Successful maritime collaboration means developing shipping protection practices, strategies and doctrines and implementing joint naval patrols in territorial waters, mainly within the littoral states’ confined routes/straits. The challenge for a nation is who among the littoral state is to initiate or develop this maritime regime that would use maritime
or naval forces with different capabilities and levels of ambitions in projecting power, especially in the confined territorial waters or the Straits.
Additionally, natural disasters such as earthquakes, tsunamis and floods impact security at various levels. Also, disasters do not occur within strict national boundaries, while their effects have a nexus to untold suffering that requires comprehensive responses. Historically, it has been proven that the only capable element that can be mobilised to deliver the first aid and necessary volumes of relief supplies in a timely fashion to those affected is the Navy. Nonetheless, for a Navy to respond adequately to any disaster, it must be able to collaborate and assist amid key factors and major challenges in handling disasters and coordinating recovery efforts. More often than not, inefficient coordination and decision-making between the international supports hampers the entire relief operation.
Unquestionably, international maritime collaboration is sine qua non to enable relief efforts to succeed. However, with naval heterogeneity and different technological paths being followed, maritime interoperability is the greatest challenge compounding the Navy. It has to establish an effective rudimentary of Networking in terms of Command, Control and Communications, Standard Operating Procedures, and concurrently have an effective global alliance to communicate and exchange data or information flawlessly. To remain elusive, these challenges must be addressed amicably.
Indisputably and ubiquitously, there is valence between globalization and technology. Technology is one of the most prominent characteristics of globalisation that has radically transformed and, more importantly, reduced the effects of time and space in terms of military applications. Technology with a profound integration with military applications represents the globalisation nature of military might. The proliferation of commercial equipment using military applications will significantly enhance the capabilities in interoperability, improve situational awareness, protect maritime traffic and thus
deter potential threats to the maritime world. In essence, to remain relevant and be able to interoperate with other allies, navies must have compatible types of equipment that can ‘network’ immeasurable amounts of data and information, which is absolutely essential for the success of operations at sea and ashore.
The evolving strategic environment after the 9/11 tragedy and the present global ISIS threat, the RussianUkraine conflict and the most recent Gaza atrocities primes a nation’s importance for collaborating with other maritime nations to defend the international shipping lanes in its littoral waters. The challenge is what deterrence policy is most appropriate with the present maritime capability and collaborations to keep pace with globalisation effects. The benign environment currently restricts the use of force to resolve disputes or at least prevent escalation. However, in the face of increasing challenges to safety and security due to globalisation, this should not preclude its vulnerabilities in protecting the global trade plying its waters.
While most nations delineate economic prosperity as their top priority, they have to spend on defence in tandem with its threats, which have exponentially increased. However, with the present precautionary strategic environment and with maritime base threats becoming more prevalent, the government’s adhesion to the Armed Forces’ plans for future capabilities should dictate the precedence for the Navy as the first line of defence and for all the 3 services (Army, Navy and Air force) to be more synergised and prudently ‘Joint’ and not proceed on different technological paths.
The sea, without doubt is the metaphor for global trade and the dominant facilitator of the globalisation process. It will remain the linchpin of global economic expansion, whereby the safety and economic security of the world depend on the secure use of the seas.
Globalisation, which has unprecedentedly caused economic interdependence, cross- border capital movements, rapid technological transfer and real-time information flows, has evidently and complexly impacted the navy’s development and defence posture. As such the primary security element of the country’s SLOC and maritime interest, the Navy requires significantly new processes and systems to deter potential conventional and non-conventional threats that can hinder economic globalisation. It must be able to control the use of its regional seas to enable the continuance dependence of protected international maritime trade and seaborne resources to flourish uninterrupted.
OLEH Bahagian Komunikasi Strategik Markas Tentera Laut
Menteri Pertahanan telah menyempurnakan Majlis Pelancaran Karnival
Pendidikan Angkatan Tentera Malaysia (ATM) Tahun 2023 di Auditorium Wisma Pertahanan pada 4 Jul 23. Dalam majlis tersebut MENHAN telah menyampaikan Dermasiswa Premium serta komputer riba kepada anak-anak warga
ATM dan veteran yang melanjutkan pelajaran ke Institut Pengajian Tinggi Awam (IPTA).
Tema Karnival Pendidikan ATM pada tahun ini adalah ‘Membangun Warga Kerja
Pertahanan Ke Arah Masyarakat Berasaskan Pengetahuan’ iaitu sejajar dengan etika kerja yang terkandung dalam aspirasi MENHAN.
Seramai 22 anak-anak warga ATM telah menerima Dermasiswa Premium manakala
29 menerima Komputer Riba yang disumbangkan oleh Yayasan Lembaga Tabung
Angkatan Tentera (LTAT). Tujuh dari penerima adalah anak-anak the Navy People yang telah dipilih berdasarkan pencapaian cemerlang mereka.
Panglima Tentera Laut turut menerima senaskah buku berjudul Nutrisi Jiwa terbitan
Jabatan Arah Pendidikan yang telah disampaikan oleh YB Menteri Pertahanan dalam majlis tersebut.
Apa itu rawatan penskaleran gigi?
Pernahkah anda ke mana-mana Pusat Pergigian Angkatan Tentera (PGAT) atau ke klinik pergigian di mana ramai doktor gigi menasihatkan anda untuk melakukan penskaleran gigi yang juga dikenali sebagai scaling? Penskaleran adalah prosedur menghilangkan tartar (plak yang mengeras) dan kotoran yang melekat pada gigi anda kesan daripada makanan, rokok atau teknik pemberusan yang kurang efektif. Rawatan ini adalah salah satu cara untuk mencegah dan merawat penyakit gusi jika doktor gigi telah mengesahkan anda mempunyai plak pada gigi.
Apa yang terjadi sewaktu rawatan penskaleran?
Jangan panik! Rawatan ini adalah termasuk rawatan rutin yang perlu dilakukan sekurang-kurangnya 2 kali setahun bagi mengelakkan penyakit gusi. Sepanjang
rawatan, doktor akan menggunakan ‘scaler’ untuk menghilangkan tartar dan kotoran pada gigi anda. Bagi yang tidak pernah melakukan rawatan ini akan merasa kurang selesa namun begitu, anda boleh mendapatkan rawatan ini bersama-sama ubat bius dari doktor gigi.
Apakah yang terjadi selepas rawatan penskaleran ini?
Anda akan merasa mulut dan gigi lebih bersih dan licin berbanding sebelum rawatan. Terdapat beberapa pesakit menyatakan mereka merasa lubang atau ruang di celah-celah gigi yang sebelum ini tidak pernah wujud akan terasa di ruang tersebut. Untuk pengetahuan umum, Tuhan telah menciptakan sesuatu sebaikbaik kejadian termasuklah ruang di antara gigi bagi memudahkan aliran air liur dan makanan. Air liur bukan sahaja bertugas sebagai ‘pelincir’ apabila kita makan, tetapi juga mempunyai sifat anti bakteria yang boleh mencuci dan membunuh kuman bahaya dalam mulut.
Oleh kerana makanan sering berada di celah-celah atau ruang di antara gigi, lama kelamaan makanan tersebut menjadi tartar dan tidak dapat dicuci menggunakan berus gigi biasa. Maka dengan itu, lama-kelamaan ruang tersebut tertutup dan anda akan merasakan tiada ruang dicelah permukaan gigi. Setelah rawatan penskaleran ini dilakukan, kesihatan gusi anda akan menjadi lebih baik dan anda akan merasakan tanda-tanda penyakit gusi seperti gusi mudah berdarah sewaktu memberus gigi akan berkurangan.
OLEH Maj (Dr) Tengku Natasha Eleena binti Tengku Ahmad Noor (801 RSAT Kem Penrissen)Apakah yang akan terjadi jika tidak melakukan rawatan penskaleran?
Tartar dan kekotoran pada gigi dan gusi anda akan menyebabkan keradangan pada gusi kerana lama kelamaan tartar akan berkumpul ke dalam gusi seterusnya merosakkan gusi dan tulang yang menyokong gigi anda. Mengikut American Academy of Periodontology, tanda-tanda anda mengalami penyakit gusi adalah:
• Gusi merah, bengkak atau sakit lain di dalam mulut anda.
• Pendarahan semasa memberus gigi, menggunakan flos atau makan makanan keras.
• Gusi menjadi surut dari gigi yang menyebabkan gigi kelihatan lebih panjang daripada sebelumnya.
• Gigi menjadi longgar atau goyang.
• Nanah di antara gusi dan gigi.
• Terdapat seperti luka di mulut.
• Nafas berbau yang berterusan.
• Perubahan pada gigi anda apabila anda menggigit.
• Perubahan pada kesesuaian gigi palsu jika anda memakainya.
Penyakit gusi adalah termasuk penyakit yang senyap dan kebanyakan pesakit tidak merasa sakit sehingga penyakit ini menjadi lebih rumit. Rawatan penskaleran amat penting dalam mencegah penyakit gusi. Namun begitu, penjagaan kesihatan pergigian di rumah juga penting seperti memberus gigi 2 minit 2 kali sehari dan mengamalkan penggunaan flos atau berus ‘interdental’ yang boleh didapati di mana-mana farmasi berdekatan.
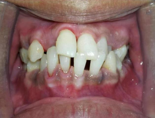
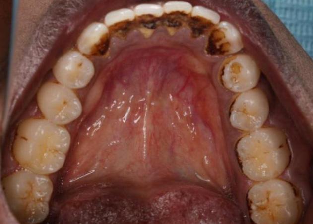
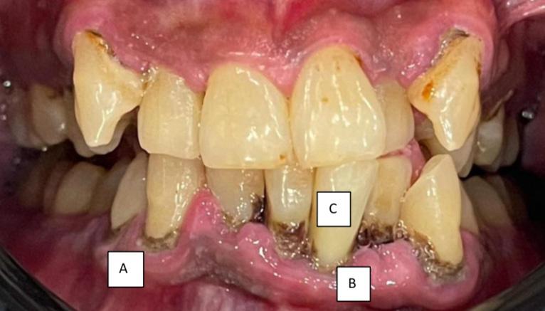
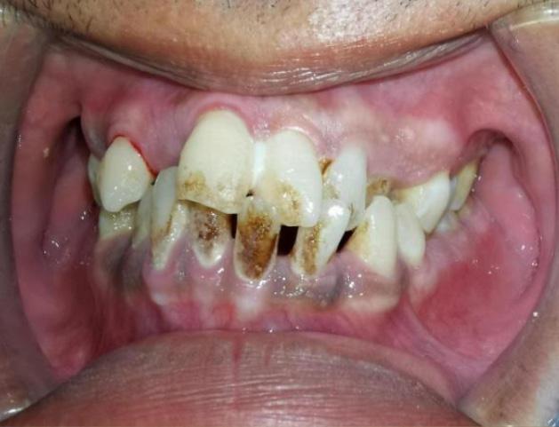
Sebelum rawatan penskaleran Selepas rawatan penskaleran Keadaan gigi yang tidak pernah melakukan rawatan penskaleran. (A) menunjukkan tartar yang berkumpul pada gusi (B) gusi berwarna merah, bengkak dan lembut seperti span (C) gigi kelihatan lebih panjang dan bergoyang akibat penurunan gusi dan tulangLUMUT, 10 Oktober 2023 - Sambutan Hari
Angkatan Tentera Malaysia (ATM) Ke-90 telah diadakan di perkarangan Jeti Operasi Markas Pemerintahan
Armada Barat (MPAB) bertemakan ‘Kedaulatan Negara
Tanggungjawab Bersama’. Sambutan kali ini telah
disempurnakan oleh Panglima Angkatan Tentera, Jeneral Tan Sri Datuk Seri Mohammad bin Ab Rahman dengan dipertontonkan Perbarisan Tempur Statik dan
Demonstrasi Keupayaan ATM melibatkan kira-kira 1,500
Pegawai dan Anggota Lain-Lain Pangkat (LLP) ATM.
Fair Winds and Following Seas
LUMUT, 18 Oktober 2023 - Majlis
Pengunduran Panglima Armada Barat (PA Barat)
Laksamana Madya Datuk Abu Bakar bin Md Ajis
yang menerajui Markas Pemerintahan Armada Barat (MPAB) selama 3 tahun berlangsung di Pangkalan
TLDM Lumut dari 16 hingga 17 Okt 23.
Program penghargaan ini diraikan melalui Majlis
Makan Beradat di Wisma Samudera. Istiadat
Perbarisan Penghargaan PA Barat telah berlangsung di Padang Kawad KD PELANDOK yang terdiri
daripada lapan kontinjen yang turut diiringi oleh terbang lintas hormat oleh empat buah pesawat
TLDM jenis Fennec dan Super Lynx. Kontinjen the Navy People yang menyertai perbarisan ini telah disusun dan membentuk tulisan PAB-26 (Panglima
Armada Barat - 26) diikuti acara Street Lining yang disertai lebih 1600 warga Pangkalan TLDM Lumut termasuk kakitangan awam.
Program Penghargaan PA Barat ini diakhiri dengan Fleet Review. Acara ini telah disertai oleh 14 buah kapal, 6 buah Fast Combat Boat (FCB), 10 buah Rigid-Hulled Inflatable Boat (RHIB) dan 4 buah helikopter.
PAT merasmikan Hari ATM Ke-90 di Pangkalan TLDM Lumut
Dalam perbarisan ini, PAT turut menyampaikan Anugerah
Kesiagaan Panglima Angkatan Tentera (PAT) kepada
Formasi atau Briged terbaik bagi Tentera Darat - 21 Gerup
Gerak Khas, TLDM - Angkatan Kapal Selam dan TUDMPangkalan Udara Kuantan.
RHODE ISLAND, 23 September 2023 - Panglima
Tentera Laut, Laksamana Tan Sri Abdul Rahman bin Ayob
telah mengetuai delegasi Malaysia yang turut diiringi
Timbalan Panglima Armada Timur ke 25th International Seapower Symposium (ISS) di Newport, Amerika Syarikat.
Tema untuk ISS edisi ini ialah ‘Security Through Partnership’, memfokuskan kepada kerjasama dalam persekitaran maritim global yang merupakan rangka kerja bagi mencapai kata sepakat dalam keamanan, kestabilan dan kemakmuran.
PTL juga menerima Kunjungan Hormat daripada Pemangku
Panglima Tentera Laut Diraja Brunei dan Panglima Tentera Laut Diraja New Zealand. Beliau turut menghadiri majlis makan tengah hari yang dianjurkan oleh Naib Ketua Operasi
Tentera Laut Amerika Syarikat bersama pemimpin tentera laut lain yang mengambil bahagian dalam ISS.
Kunjungan
Hormat oleh
Tentera Laut
Diraja Brunei
OLEH Bahagian Komunikasi dan Strategik Markas Pemerintahan Armada Barat OLEH & FOTO Markas Pemerintahan Armada Barat OLEH Bahagian Komunikasi dan Strategik Markas Tentera LautALOR SETAR, 31 Julai 2023 - Seramai 15 Pegawai dan 52 anggota Lain-lain Pangkat dari Markas Wilayah
Laut 3 terlibat secara langsung dengan Istiadat Perbarisan dan meletak kalungan bunga sempena Sambutan Hari
Pahlawan peringkat negeri Kedah Tahun 2023 di Tugu Peringatan, Jalan Tunku Bendahara. Seramai 10 kontinjen terlibat terdiri daripada Angkatan Tentera Malaysia (ATM), Agensi Penguatkuasaan Maritim Malaysia (APMM), Polis Diraja Malaysia (PDRM), Angkatan Pertahanan Awam (APM), Veteran ATM, Veteran PDRM, Jabatan Bomba Negeri Kedah dan Jabatan Sukarelawan Malaysia (RELA) telah terlibat dalam upacara memperingati pahlawan negara.
Istiadat dimulakan dengan pemeriksaan Kawalan
Kehormatan Utama (KKU) Batalion Ke- 2 Rejimen Askar Melayu Diraja (RAMD) oleh KDYMM Tuanku Sultan Kedah diiringi Pancaragam Kolej Tentera Udara (KTU) Kepala Batas. Istiadat diteruskan dengan tiupan ‘Last Post’ daripada gabungan Tentera Darat dan Tentera Laut Diraja Malaysia. Sajak bertajuk ‘Pahlawan’ didendangkan oleh Koperal Mohd Sani Abdul Malik dari Jabatan Siasatan Jenayah, Ibu Pejabat Polis Kontinjen Negeri Kedah.
KDYMM Tuanku Sultan Kedah kemudiannya mencemar duli dengan meletakkan kalungan bunga di Tugu Peringatan. Turut diberi penghormatan meletakkan kalungan bunga di Tugu Peringatan adalah DYTM Tuanku Raja Muda Kedah, DYAM Tunku Mahkota Kedah, YTM Tunku Temenggong
Kedah, Menteri Besar Kedah, Panglima Briged ke-6 Infantri Malaysia, Ketua Polis Kedah, Panglima Wilayah Laut 3 dan Komandan KTU.
PETALING JAYA, 25 Oktober 2023 - TLDM hari ini menempa sejarah tersendiri apabila dinobatkan sebagai penerima Anugerah Khas Keselamatan dan Kesihatan Pekerjaan daripada Kementerian Sumber Manusia melalui Majlis Negara bagi Keselamatan dan Kesihatan Pekerjaan (MNKKP) sempena Majlis Anugerah MNKKP Negara 2022.
Anugerah berprestij Khas ini adalah pengiktirafan tertinggi Negara yang diberi kepada individu atau majikan daripada pelbagai sektor industri termasuk awam yang menghasilkan rekod pencapaian cemerlang di dalam pengurusan Keselamatan dan Kesihatan Pekerjaan (KKP) sepanjang tahun 2022.
Penyampaian Anugerah Khas ini telah disempurnakan oleh Timbalan
Menteri Sumber Manusia, Yang Berhormat Datuk Ts. Mustapha bin
Sakmud. Manakala bagi pihak TLDM, Laksamana Muda Dato’ Ir. Ts. Haji Mohd Shaiful Adli Chung mewakili Panglima Tentera Laut telah hadir untuk menerima Anugerah Khas yang merupakan manifestasi kecemerlangan dalam aspek pengurusan keselamatan dan kesihatan.
DI DEWAN DATARAN
DBKL SEMPENA KL CAR FREE MORNING (KLCFM) MARKAS PEMERINTAHAN KAPAL SELAM TERIMA
KUALA LUMPUR, 5 November 2023Program Navy Run 23 yang julung kali dianjurkan oleh TLDM berlangsung di Dataran DBKL dan dijalankan secara bersama sewaktu program KL Car Free Morning (KLCFM).
Aktiviti riadah ini telah disertai oleh warga the Navy People, ATM, veteran, selebriti tempatan dan juga komuniti awam setempat di sekitar bandaraya
Kuala Lumpur dengan jumlah penyertaan seramai 2,000 orang. Pelepasan peserta larian sejauh 7 km telah disempurnakan oleh Asisten Ketua Staf Sumber Manusia, merangkap Timbalan Pengerusi Lembaga Kawalan Sukan (LEKAS) TLDM bersama wakil jemputan DBKL. Pelbagai aktiviti menarik turut disediakan seperti senamrobik, persembahan kumpulan pancaragam DBKL dan cabutan bertuah kepada peserta larian.
OLEH Lt Kdr Azizul bin Che Ramli TLDM (N7 MPKS)
LUMUT, 10 Oktober 2023 - Markas Pemerintahan
Kapal Selam (MPKS) sekali lagi melakar sejarah apabila berjaya memenangi Anugerah Kesiagaan Panglima Angkatan
Tentera 2023 (Siaga PAT 2023). Panglima Angkatan Tentera (PAT) telah menyampaikan hadiah berupa piala, sijil dan wang tunai kepada Panglima Angkatan Kapal Selam (PAKS) semasa Sambutan Hari Angkatan Tentera Malaysia di Pangkalan TLDM Lumut, Perak.
Terdahulu di peringkat awal penilaian, MPKS telah menjalani
Audit Verifikasi melibatkan 3 komponen utama yang terdiri daripada Pengurusan, Perkhidmatan Teras dan Pengurusan Pelanggan bagi tujuan semakan pembuktian pelaporan. Perolehan markah yang tertinggi telah melayakkan
MPKS dianugerahkan penganugerahan Siaga PAT 2023. Kecemerlangan ini merupakan kejayaan kali kedua kepada
MPKS setelah menerima anugerah Siaga PAT yang pertama pada tahun 2016. Begitu juga pada tahun berikutnya, pencapaian ini disusuli penganugerahan kepada KD TUN RAZAK selaku unit bawah naungan MPKS iaitu pada tahun 2017.
KUALA LUMPUR, 7 Oktober 2023 - Kebawah
Duli Yang Maha Mulia (KDYMM) Al Aminul Karim
Sultan Sallehuddin ibni Almarhum Sultan Badlishah, Sultan Kedah, telah berkenan mencemar duli bagi
menyempurnakan Istiadat Perbarisan Pentauliahan Diraja dan Pengurniaan Watikah Tauliah kepada 221 orang
Pegawai Kadet Graduan Tentera Darat Malaysia (TDM), 46 orang Pegawai Kadet Graduan Tentera Laut Diraja Malaysia (TLDM) dan 58 orang Pegawai Kadet Graduan
OLEH Markas Pemerintahan Pasukan Khas Laut
LUMUT, 2 Oktober 2023 - Perbarisan sempena
sambutan Hari Ulang Tahun (HUT) PASKAL Ke-41 telah
diadakan di Padang Kawad KD PANGLIMA HITAM, Pangkalan TLDM Lumut, Perak. Upacara perbarisan
berkonsepkan Kesiagaan PASKAL terdiri daripada 7
Platun melibatkan 9 Pegawai dan 132 anggota Lain-lain
Pangkat yang diketuai oleh Lt Kdr Mohd Aziry bin Zakri TLDM.
Panglima Pasukan Khas Laut, Laksamana Pertama
Dato’ Hj Mohd Redzuan bin Hj Talib menyempurnakan
Perbarisan tersebut dan turut menyampaikan Anugerah
Wira Bantuan kepada 835440 LK PAP Amirul Nizam bin Gahzali, Wira PASKAL kepada 831555 P/PW II PAP (PKL) Mohd Kamil bin Mustafa dan Sijil Pencapaian Audit
Kesiagaan 4 bintang kepada KD PANGLIMA HITAM.
Tentera Udara Diraja Malaysia (TUDM) di Padang Kawad Akademi Latihan Ketenteraan, Kem Perdana Sungai Besi.
Dalam perbarisan ini KDYMM turut mencemar duli dan menyampaikan Anugerah dan Pedang Kehormat berserta Piala kepada Pegawai Kadet Graduan Terbaik TLDM iaitu Lt Muda Muhammad Danish Haiqal Abdul Nasir TLDM.
LUMUT, 10 Oktober 2023 - Panglima Angkatan Tentera, Jeneral Tan Sri Datuk Seri Mohammad bin Ab Rahman telah menyertai pertandingan menembak pistol anjuran Persatuan Menembak TLDM (PMTLDM) bertempat di Lapang Sasar Abdul Samad, KD PELANDOK. Acara yang telah dipertandingkan ialah Pool Bull, Precision Fire and Rapid Fire serta acara tembak Jatuh Piring.
Acara tahunan yang diadakan saban tahun ini adalah untuk mengeratkan silaturahim dan hubungan baik di antara Pegawai Kanan dari ketiga-tiga cabang perkhidmatan ATM disamping meningkatkan kompetensi di kalangan Pegawai Kanan ATM khasnya.
Tim TLDM 1 telah dinobatkan sebagai Johan Keseluruhan bagi pertandingan kali ini.
OLEH Bahagian Komunikasi Strategik Markas Tentera Laut
KUALA LUMPUR, 17 & 19 Oktober 2023 - Kebawah
Duli Yang Maha Mulia Seri Paduka Baginda Yang di-Pertuan Agong dan KDYMM Seri Paduka Baginda Raja Permaisuri Agong telah berkenan mencemar duli ke Istiadat Pengurniaan Darjah Kepahlawanan Angkatan Tentera (DKAT) tahun 2023 di Balairung Seri Istana Negara, Kuala Lumpur.
Istiadat Pengurniaan DKAT tahun ini melibatkan seramai 587 penerima. Selain dari Panglima Angkatan Tentera yang dikurniakan Darjah Panglima Gagah Angkatan Tentera (PGAT), Panglima Tentera Darat dan Panglima Tentera Laut, enam pegawai kanan tentera negara Indonesia, Singapura, Emiriah Arab Bersatu, Pakistan, Thailand, Air Chief Marshal, Ketua Staf Tentera Nasional Indonesia - Angkatan Udara dan Panglima Tentera Udara Republik Singapura turut dikurniakan PGAT Kehormat.
KDYMM Seri Paduka Baginda Yang di-Pertuan Agong selaku
Pemerintah Tertinggi Angkatan Tentera Malaysia turut juga berkenan mengurniakan Darjah Panglima Setia Angkatan Tentera (PSAT) kepada 22 penerima, Pahlawan Angkatan Tentera (PAT) kepada 86 penerima, Kesatria Angkatan Tentera (KAT) kepada 224 penerima dan Bentara Angkatan Tentera (BAT) kepada 242 penerima sepanjang dua sesi berlangsung.
LUMUT, 13 September 2023 - Seminar Pegawai
Kanan TLDM 2023 yang telah berlangsung pada 12 dan 13 Sep 23 di Auditorium Venus, MPPL TLDM telah disertai seramai 222 Pegawai Kanan TLDM dan PSSTLDM. Lima taklimat yang memberikan fokus tentang operasi TLDM dan isu geostrategik telah dibentangkan pada hari pertama. Hari kedua seminar pula dimulakan dengan sesi forum oleh dua orang penceramah jemputan dari Bahagian Penyelidikan, Jabatan Perdana Menteri dan Institut Kajian Malaysia dan Antarabangsa, UKM sebelum sesi dialog bersama pimpinan tertinggi TLDM dilaksanakan. YBhg Tan Sri PTL ketika menutup SPK TLDM 23 mengingatkan semua peserta untuk memimpin pegawai dan anggota bawahan dengan sebaiknya. Justeru, pelaksanaan SPK TLDM ini merupakan salah satu platform terbaik untuk pegawai kanan TLDM berkongsi segala permasalahan, buah pandangan dan idea penambahbaikan supaya dapat dimanfaatkan secara bersama bagi memacu TLDM ke arah yang lebih gemilang.
PTL dikurniakan PGAT KDYMM bersama penerima Kehormat Sesi dialog bersama Kepimpinan Tertinggi Moderator bersama penceramah jemputan OLEH Jabatan Hal Ehwal Maritim PUSMAS TLDM 50 Samudera 3/2023OLEH Bahagian Komunikasi dan Strategik Markas Pemerintahan Armada Barat Menerima pedang sebagai simbolik kenaikan pangkat
LUMUT, 18 Oktober 2023 - Majlis Pemakaian
Pangkat Pegawai Kanan TLDM dan Serah Terima Tugas
Panglima Armada Barat telah disempurnakan oleh
Panglima Tentera Laut di Markas Pemerintahan Armada
Barat. Majlis ini menyaksikan Laksamana Muda Ts.
Dato’ Shamsuddin bin Hj Ludin dinaikkan ke pangkat
Laksamana Madya manakala pegawai kanan yang juga
telah dinaikkan pangkat adalah seperti berikut:
a. Laksamana Muda Yusne bin Mokhtar (Pengarah Kanan Perancangan dan Pembangunan).
b. Laksamana Pertama Hassan bin Zainudin (Pengarah Kanan Mk TL Material).
c. Laksamana Pertama Ivan Mario Andrew (Ketua Pengarah PUSMAS TLDM).
d. Laksamana Pertama Azhar bin Baharum (Pengarah Mk TL- KPSI).
e. Kepten Mohamad Faris bin Daud TLDM (Pegawai Memerintah KDSG).
f. Kepten Mohd Fauzi bin Sabtu TLDM (Pengarah Peperangan dan Eksesais Mk TL- KPSI).
Majlis seterusnya diikuti dengan Upacara Serah Terima
Tugas Panglima Armada Barat antara Laksamana Madya
Datuk Abu Bakar bin Md Ajis dan Laksamana Madya Ts.
Dato’ Shamsuddin bin Hj Ludin.
OLEH Bahagian Komunikasi Strategik Markas Pemerintahan Armada Barat
LUMUT, 13 SEPTEMBER 2023 - Goh Keng Swee
Command and Staff College Singapore (GKS CSC) ke Pangkalan TLDM Lumut. Lawatan sambil belajar oleh penuntut GKS CSC merupakan kerjasama diplomatik pertahanan yang sedia terjalin sejak sekian lama.
Asisten Ketua Staf, Bahagian Operasi (N3) Markas Pemerintahan Armada Barat, telah menyambut ketibaan delegasi di Tambatan Pangkalan Lumut (TPL) yang diketuai oleh Commandant GKS CSC, Colonel Goh Wee Tiong terdiri daripada 102 orang pegawai tentera yang merangkumi ahli akademik, staf dan penuntut kursus Singapore Armed Forces (SAF).
Lawatan yang singkat namun padat ini dimanfaatkan dengan lawatan ke kapal-kapal dan unit sekitar pangkalan antaranya KD JEBAT, KD SRI INDERA SAKTI dan Markas Selam dan Peperangan Periuk Api (Mk SPPA) bagi berkongsi pengalaman dan pengoperasian
Laksdya Ts. Dato’ Shamsuddin dilantik Panglima
Armada Barat Ke-27 bermula 18 Okt 23. Beliau telah
menyertai TLDM pada tahun 1987 dan ditauliahkan pada tahun 1989. Sebelum ini beliau pernah
menyandang beberapa jawatan penting termasuk
sebagai Pegawai Memerintah KD JEBAT, Asisten
Ketua Staf Perancangan Pembangunan di Markas
Tentera Laut dan Ketua Pengarah Bahagian Siber dan Elektromagnetik Pertahanan.
kapal dan markas tersebut. Pada masa sama kedua-dua pihak dapat mengambil peluang ini untuk berinteraksi mengenai pelbagai topik, termasuk keselamatan maritim, operasi bersama dan strategi pertahanan serantau.
MAJLIS HI-TEA BAKAT ATM SEMPENA SAMBUTAN HARI
ATM KE-90 DI JUGRA, PANGKALAN TLDM LUMUT
LUMUT, 10 Oktober 2023 - Pengerusi
Jemaah Tertinggi BAKAT ATM telah menghadiri Majlis
Hi-Tea anjuran BAKAT TLDM sempena Sambutan Hari Angkatan Tentera Malaysia Ke-90 bertempat di Jugra, Pangkalan TLDM, Lumut.
Selain meraikan sambutan Hari Angkatan Tentera Malaysia Ke-90, objektif utama penganjuran majlis
LAWATAN BAKAT (L) MARKAS
WILAYAH LAUT 3 (MAWILLA 3) KE PROGRAM PERKAMPUNGAN PELANCONGAN SENI LANGKAWI
LANGKAWI, 9 November 2023 - Seramai
12 ahli jawatankuasa BAKAT (L) MAWILLA 3 telah menghadiri program Perkampungan Pelancongan Seni Langkawi yang dilaksanakan selama 3 hari di Kampung Bohor Langkawi. Program yang dianjurkan oleh Persatuan Melodi Kenangan dan Penggiat Seni (PEMEKAR) dengan bantuan dari Lembaga Pembangunan Langkawi (LADA) dan Pusat Kraftangan Langkawi. Program ini merupakan salah satu cara untuk memperkenalkan seni lama tradisional Tanah Melayu kepada pelancong asing yang hadir disamping mengekalkan tradisi ini kepada golongan generasi muda. Program ini turut dihadiri oleh seniman tanah air, pelapis artis kebangsaan serta model professional dari luar negara yang dijemput khas.
Di antara aktiviti yang di rencana sepanjang program berlangsung adalah seperti pertandingan, pertunjukan, pameran serta jualan langsung. Busana Melayu tradisional berjaya mencuri tumpuan pelancong dalam dan luar negara. Ahli BAKAT turut menyertai dan merasai beberapa aktiviti yang dianjurkan seperti memakai busana tradisional, mempelajari tarian tradisional, mencanting batik dan memainkan alat tradisi melayu.
Hi-Tea ini adalah untuk mengeratkan hubungan silaturahim khususnya di kalangan pemimpin tertinggi BAKAT di bawah naungan BAKAT ATM.
Hadir sama memeriahkan majlis ini adalah Pengerusi
Jemaah BAKAT Darat, Pengerusi Jemaah BAKAT Laut, dan Pengerusi Jemaah BAKAT Udara, serta ahli BAKAT yang lain.
KUALA LUMPUR, 18 November 2023Family Fun Walk anjuran BAKAT Laut merupakan salah satu program yang berjaya mengumpulkan penyertaan ahli-ahli BAKAT sekitar Lembah Klang dengan penyertaan kehadiran bersama keluarga. Majlis telah dirasmikan oleh Pengerusi Jemaah BAKAT Laut dan dihadiri bersama Panglima Tentera Laut.
Objektif pelaksanaan Family Fun Walk ini bertujuan mengeratkan silaturahim serta memupuk semangat kekeluargaan sesama ahli. Selain itu ia juga telah dapat menyematkan gaya hidup sihat, minda aktif dan jiwa yang positif di kalangan keluarga besar BAKAT Laut.
KUALA LUMPUR, 4 Oktober 2023 - Bertemakan “Peranan
Wanita: How Do We Do Better”, penganjuran seminar wanita melibatkan 156 Pegawai dan Bintara wanita TLDM. Tujuan seminar ini adalah untuk memperkasakan serta mengiktiraf peranan wanita TLDM sebagai pemimpin yang berdaya saing setaraf pencapaian anggota lelaki terutamanya di dalam aspek pentadbiran dan operasi TLDM khasnya.
Selaku penganjur seminar, Bahagian Sumber Manusia Markas Tentera Laut, Cawangan Strategi dan Perkhidmatan - Seksyen Hal Ehwal Wanita, telah berkolaborasi bersama agensi-agensi luar seperti Cawangan Pengurusan Psikologi, Kementerian Pertahanan; Polis Diraja Malaysia; Pusat Pungutan Zakat-MAIWP; Bahagian Pengurusan Kesihatan, Markas ATM dan Cawangan Dasar dalam penganjuran seminar ini. Tajuk-tajuk yang telah dibentang dan dibincangkan seperti berikut:
• Women on Leadership: Rise and Lead - Cawangan Pengurusan Psikologi, Kementerian Pertahanan
• Domestic Violence dan Gangguan Seksual - Polis Diraja Malaysia
• Cara Wanita Menjalani Gaya Hidup Sihat Secara Rohani, Mental, Emosi dan Fizikal - MATM BPK
• Pengurusan Sumber Manusia terhadap Peningkatan Kerjaya Wanita TLDM - PS 1 Polisi dan Skim Perkhidmatan
• Peranan Wanita dalam Pembangunan Keluarga dari Perspektif
Fi Zilalil Quran - Pusat Pungutan Zakat - MAIWP
JOHOR BAHRU, 20 Oktober 2023 - Bengkel Pembangunan Kerjaya Pegawai Wanita Tentera Laut Diraja Malaysia (TLDM) 2023 telah diadakan di KSL Hotel and Resort, Johor Bahru melibatkan seramai 24 orang Pegawai Wanita TLDM dari pelbagai latarbelakang.
Bengkel ini diadakan bertujuan meneliti dan mengkaji semula keperluan pembangunan kerjaya wanita TLDM meliputi perkaraperkara berkaitan polisi, kuota, kesesuaian perjawatan dan penilaian merit serta keperluan gender focal point bagi mewakili suara wanita TLDM. Pembangunan modal insan juga diambil kira merangkumi sosial dan kebajikan.
Pengisian bengkel selama 3 hari ini telah dipadatkan dengan perbincangan sindiket dan leadership team building bagi mencapai objektif utama iaitu membincangkan secara interaktif hala tuju dan pembangunan kerjaya wanita di dalam perkhidmatan TLDM khasnya dan ATM amnya. Pengarah Kanan Sumber Manusia hadir merasmikan majlis penutup bengkel kali ini.
Puding Raja Istana Negara merupakan menu santapan pencuci mulut istimewa yang dibawa khas dari Istana Negara untuk tatapan pembaca Majalah Samudera siri kali ini. Untuk makluman, pencuci mulut ini hanya di hidangkan di Istana Negara dan dipersembahkan semasa acara yang dihadiri oleh pembesar atau tetamu negara. Menu yang diberi sentuhan peribadi oleh DYMM SPB Raja Permaisuri Agong ini memberikan keunikan tersendiri kepada sesiapa yang merasainya. Disediakan oleh Bendari Istana Negara PW I BDI Ramli bin Yaacob memperhalusi cara pembuatannya.
Bahan-Bahan:
Bahan-Bahan
• 4 sikat pisang lemak manis - dibuang kulit
• 1 cawan biji gajus - digoreng
• 2 - 3 genggam urat mas/jala emas
• 200 gm buah prun - dipotong 4
• Buah ceri merah/hijau
• 2 sudu besar minyak sapi **
• Minyak (untuk menggoreng)
Cara Penyediaan:
Untuk Kuah Puding:
• 1 tin (410 gm) susu cair/sejat
• 3 biji telur - diambil kuning sahaja
• Daun pandan - disimpul
• Air sebanyak 1⁄2 tin susu
• 1 hingga 2 cawan gula - secukup rasa
• Esen vanila
1. Panaskan minyak dan minyak sapi untuk menggoreng dengan minyak yang penuh.
2. Goreng pisang sehingga kuning. Angkat dan letakkan di atas kertas minyak untuk meresap minyak yang berlebihan.
3. Goreng biji gajus.
Kuah Puding:
1. Pukul kuning telur bersama susu cair/sejat dan air. Tapis untuk membuang pusat putih telur.
2. Masukkan gula dan kacau sehingga gula larut. Masak di atas api kecil bersama daun pandan sehingga sederhana pekat. Masukkan sedikit esen vanilla. Jangan guna api besar dan kacau berterusan supaya tidak berketul. Keluarkan daun pandan bila siap.
Cara Menghidang:
1. Aturkan pisang goreng 2 -3 lapis di dalam mangkuk. Taburkan urat emas.
2. Kemudian aturkan buah prun, ceri dan gajus.
** Untuk mengelakkan pisang dari melekat.