01. LESIONES DE ARTICULACIONES
Luxaciones
Conocidas también como dislocaciones, consiste en el desplazamiento del hueso del lugar donde se articula. Son consideradas lesiones intraarticulares porque afectan directamente las caras articulares de los huesos que están comprometidos. Las luxaciones usualmente generan deformación de la articulación, hallazgo que las caracteriza.
Tipo de luxación más frecuente según grupo etario:
Adultos: luxación de hombro anterior
Niños: luxación del codo posterior.
Recuerda
El hueso distal determinará la posición. Ejemplo: la articulación glenohumeral está compuesta por la cabeza del húmero y la cavidad glenoidea. En una luxación de hombro anterior, la cabeza del húmero se desplaza hacia adelante, aun cuando la escápula tenga un desplazamiento posterior relativo, es el hueso más distal, en este caso el húmero, el que determina la posición.
Clínica: Dolor, deformidad y disfunción (o impotencia funcional).
TRATAMIENTO
El manejo ortopédico sigue la secuenciade reducción, inmovilización y rehabilitación. La reducción se hace de forma precoz. El tiempo de inmovilización varía, las luxaciones del miembro inferior tienden a movilizarse por más tiempo (promedio 5 semanas) a diferencia de las luxaciones del miembro superior (3 a 4 semanas). Toda luxación tiene este manejo secuencial, siempre que no haya lesiones asociadas.
COMPLICACIONES
Tempranas: son propias de la lesión. Lesiones neurovasculares y/o de ligamentos, son las complicaciones más comunes.
Mediatas y tardías: son lesiones posteriores propias de un inadecuado manejo. Por ejemplo: por inmovilización muy prolongada.
Rigidez articular Atrofia muscular Calcificaciones
Esguinces
Consiste en la ruptura parcial o total de los ligamentos que les dan soporte y estabilidad a las articulaciones. Son lesiones extraarticulares, no existe compromiso de la articulación sino de los ligamentos que están por fuera de las vainas sinoviales. Al ser extraarticular no generan deformación, sin embargo, puede presentarse deformación secundaria al proceso inflamatorio generado en esa misma localización. Los esguinces generan inestabilidad.
La lesión usualmente no pone en riesgo la extremidad (salvo lesión multiligamentaria de rodilla por daño neurovascular), sin embargo, el diagnóstico y tratamiento precoz son importantes para la funcionalidad.
Los esguinces del tobillo lateral por inversión/supinación del pie son los más comunes.
Recuerda
La inmovilización para los esguinces de grado II es mediante el uso de férulas. No se recomienda la inmovilización con yeso puesto que la colocación de estos dentro de las primeras 48 horas puede generar síndrome compartimental.
Al peroné están unidos los ligamentos peroneo tibial anterior y posterior, los ligamentos peroneo astragalino anterior y posterior, y el ligamento peroneo calcáneo. Todos pueden generar esguince pero el más frecuente es el peroneo astragalino anterior. Este es lesionado por movimientos de inversión/ supinación del pie, sobre todo en mujeres.
Los esguinces del tobillo medial se dan por movimientos de eversión/ pronación del pie generando lesión de los ligamentos deltoideos (superficiales, medios, profundos).
Clínica: Dolor, inestabilidad y disfunción como triada en todos los grados, sin embargo, uno de ellos puede predominar de acuerdo a la severidad.
CARACTERÍSTICAS
I Microrupturas Elongamiento
II Ruptura parcial (<50%) (ENAM EXTRA 2021-II)
III Ruptura total (>50%)
CLÍNICA
Dolor, inestabilidad e impotencia funcional, leves
Dolor, inestabilidad e impotencia funcional, moderados
Dolor, inestabilidad e impotencia funcional, severos
MANEJO INICIAL TRATAMIENTO
Moderada Hielo local Vendaje elástico
Elevar miembro afectado
Reposo/inmovilización AINEs
Inmovilizar con férulas
Cirugía reparadora
Recuerda
Las luxaciones, las fracturas y la rotura de tendones generan dolor, deformidad y disfunción (“3D”). A diferencia de los esguinces que generan dolor, inestabilidad y disfunción
(ESSALUD 2006)
Esguinces sindesmóticos: La sindesmosis son articulaciones de tipo fibroso en la cual los huesos están unidos por una lámina de tejido fibroso. Son lesiones complejas, es decir, varios tipos de mecanismos están involucrados (rotación más eversión). La mayoría necesitará correcciones quirúrgicas. Las lesiones de la sindesmosis a menudo se asocian a fracturas de tobillo.
Subluxaciones
Son luxaciones incompletas, que no deforman la articulación. La subluxación del codo es una de las más frecuentes. En este caso, la cabeza del radio se desplaza parcialmente de su lugar, sin afectar la unión entre el cúbito y el húmero. Estas lesiones no generan deformación de por sí ; sin embargo sí ocasionan dolor y disfunción.
Lesiones articulares complejas
LUXOFRACTURAS
Coexistencia de luxación y fractura ya sea en el mismo hueso o en otro adyacente. Por su complejidad el manejo casi siempre es quirúrgico.
FRACTURAS INTRAARTICULARES
Son lesiones que comprometen caras articulares. Es típico encontrar hemartrosis más grasa, médula ósea amarilla, al hacer la artrocentesis. El manejo usualmente es quirúrgico
Lesiones nerviosas
LEVE: NEUROPRAXIA
Solo existe lesión de vaina de mielina. Es el tipo de lesión nerviosa más frecuente y de rápida recuperación con buen pronóstico. Los pacientes refieren parestesias y dolor. Por ejemplo: el uso prolongado de muletas genera neuroapraxia del plexo radial por compresión.
MODERADO: AXONOTMESIS
Ruptura axonal sin compromiso de las envolturas. La parte distal del axón tiende a degenerar, es decir, sufre un proceso de cromatolisis (degeneración Walleriana). La recuperación se observa a los meses y requiere rehabilitación.
SEVERO: NEUROTMESIS
Ruptura de todo el nervioso con compromiso de las envolturas. Es de mal pronóstico, el manejo es quirúrgico y el paciente no podría nunca recuperar la función.
Lesiones vasculares
Recuerda
• Lesión arterial:
Pain (dolor) –
Palidez – Pulso disminuido
- Parestesias –
Parálisis
• Lesión venosa:
Dolor – Cianosis
– Pulso normal
La clínica dependerá si es lesión arterial o venosa. En general ambas producen dolor (Pain), parestesia y parálisis (3“P”). Sin embargo, las lesiones arteriales generan además, palidez. Esto se debe a que la extremidad deja de recibir sangre oxigenada en la parte distal. Es característico en este tipo de lesiones encontrar un pulso disminuido. Por otro lado, las lesiones venosas tienen a generar cianosis debido a la congestión de sangre poco oxigenada. En este tipo de lesiones el pulso es normal.
Para ambas lesiones, venosas y arteriales, la principal medida es la compresión de la zona afectada, el uso de torniquete solo es utilizado en ciertas lesiones. El objetivo es la revascularización temprana para restaurar el flujo arterial ya que la necrosis muscular inicia a partir de las 6h (los nervios son aún más sensibles).
02. FRACTURAS
Generalidades
Recuerda
Fractura oblicua vs transversa
Si el ángulo formado entre la dirección de la fractura con el eje horizontal es < 30°, se denomina fractura transversa. Si el ángulo formado entre la dirección de la fractura con el eje horizontal es > 30°, se denomina fractura oblicua.
Recuerda
La más estable de todas las fracturas son de orientación transversal.
Clasificación
Las fracturas son una solución de continuidad en el hueso. En toda fractura se debe evaluar la localización (epífisis, diáfisis o metáfisis), la orientación (transversa, longitudinal, oblicua, horizontal) y el desplazamiento (desplazada o no desplazada).
Una fractura desplazada se define cuando existe más del 50% de desplazamiento en la fractura, suelen tener indicaciones quirúrgicas en el manejo. En huesos pequeños como en el tarso, desplazamientos superiores a 2 mm pueden requerir manejo quirúrgico. Las fracturas desplazadas presentan mayor acortamiento y angulación.
Fractura cerrada: no hay herida asociada ni exposición de partes blandas, tienen riesgo de complicarse con síndrome compartimental.
Fractura abierta: si hay herida asociada, con lesión de partes blandas suele generar osteomielitis.
Clasificación de Gustillo y Anderson para fracturas abiertas:
Herida de menos de 1 cm
Herida de más de 1 cm
Herida severas con exposición de partes blandas:
♦ Herida con periostio normal
♦ Daño del periostio
♦ Daño del periostio con lesión vascular (ENAM 2015-B)
Tipos de fracturas
Fracturas normales: Se refiere a las lesiones sobre hueso sano y duro, sobre todo en jóvenes por lesiones de alta energía, especialmente accidentes de tránsito.
Fracturas patológicas: En huesos desmineralizados (ej. osteoporosis, osteomalacia, tumores, osteogénesis imperfecta). Afectan comúnmente las vértebras, el cuello del fémur, el radio distal (fractura de Colles). La epífisis y metáfisis son las localizaciones más afectadas. La mayoría requiere manejo quirúrgico.
Fracturas por fatiga o por estrés: son microtraumatismos por esfuerzos repetidos sobre un hueso.
Ejemplos son:
Fractura del soldado: la fractura ocurre en la cabeza/cuello del 2do-3er metatarsiano del pie. Fractura del cargador: Apófisis espinosas de las vértebras cervicales.
Lesión de Ollanquist: fracturas a nivel de la tibia próxima típico de los atletas, generando inflamación a ese nivel.
En niños los huesos no están del todo osificados por lo tanto es más común que presenten las siguientes tipos de fractura:
Fractura en tallo verde: ocurre comúnmente en huesos largos, sobre todo en el radio y cúbito. Son fracturas de tipo incompletas.
Fractura en “torus” o en rodete: ocurre comúnmente en el radio. Existe formación de rodete por aplastamiento.
Clínica
Lo común es la presencia de dolor, deformidad y disfunción (triple D), puede haber equimosis, crepitación o parestesias.
Diagnóstico
Radiografía: es el estudio diagnóstico inicial, para excluir una luxación oculta deben incluirse la articulación proximal y distal del sitio de fractura.
TAC: están indicadas cuando se busca fractura de huesos pequeños, lesiones de apófisis o lesiones intraarticulares.
RM: está indicada para visualizar partes blandas.
Ecografía: indicado en recién nacidos o gestantes.
Fases de la consolidación ósea
INFLAMATORIA
Comienza con la formación de barrera hemostática e inflamatoria. Tiene una duración de 48 horas aproximadamente.
REPARACIÓN
Proliferación de condroblastos (formación del callo blando) y osteoblastos (formación del callo duro/óseo). Dura aproximadamente 6 semanas.
REMODELACIÓN O MADURACIÓN
El callo del hueso desaparece.
Reparación Inflamatoria Remodelación o maduración
Factores de riesgo que retrasan la consolidación:
Mala inmovilización
Infecciones
Osteoporosis
Diabetes Mellitus
Complicaciones
EMBOLIA GRASA
Hipotiroidismo
Corticoides
AINEs
Antibióticos (quinolonas).
Síndrome de respuesta inflamatoria sistémica (SIRS) por lesión de la médula ósea, con liberación de émbolos grasos y citoquinas. Es secundario a fractura cerrada de huesos largos de la extremidad inferior, más frecuente en fémur. Los émbolos pueden migrar a los pulmones generando distrés respiratorio así como daño al SNC generando alteraciones del sensorio, incluso coma. Puede haber petequias en conjuntivas y piel. Los síntomas suelen aparecer entre 24 -72h después de la lesión (ENAM EXTRA 2021-II).
NECROSIS AVASCULAR O NECROSIS ASÉPTICA
Necrosis que no tiene causa infecciosa, ocurre por lesión de vasos sanguíneos. Es frecuente por fracturas de zonas cervicales de los huesos. Lo más común son lesiones del cuello del fémur y húmero, sin embargo, puede suceder en huesos pequeños como el escafoides y astrágalo. La necrosis afecta la cabeza del hueso o zona proximal con frecuencia, de ahí el nombre de necrosis proximal, la cual puede ser de indicación quirúrgica.
LESIONES NEUROVASCULARES
Dependiendo de la dirección de la fractura, se lesionarán estructuras distintas. Por ejemplo, en la fractura supracondílea del húmero en desviación de varo el nervio comprometido es el radial. Por el contrario, en la fractura con desviación en valgo el nervio que se compromete es el mediano.
Torso
Extremidad superior
Fractura Arteria Nervios
Vertebra Médula espinal o raíz nerviosa
Clavícula Subclavia Plexo branquial
Húmero proximal Axilar – Braquial Axilar – Supraescapular
Eje del húmero Braquial Radial – Mediano – Cubital
Supracondilar (húmero) Braquial Mediano – interóseo anterior – Radial – Cubital Mediano – Cubital
Radio/Cúbito Mediano (túnel carpiano agudo)
Escafoides Braquial – Axilar – Cubital
Sacroilíaco Plexo sacro Plexo lumbosacro
Pelvis
Extremidad inferior
Recuerda
En una fractura de tibia el compartimento que se lesiona comúnmente es el compartimento anterior (conformado por el músculo tibial anterior, músculos extensores de los dedos del pie, arteria y vena tibial anterior y nervio tibial anterior o nervio profundo) por la cercanía con dicho hueso.
Acetábulo Ciático
Fémur Femoral Femoral
Tibia
Poplíteo – tibial anterior –tibial posterior
Tibial – peroneo superficial y profundo Cabeza y cuello del periné Peroneo
SINDROME COMPARTIMENTAL:
Definida como una elevación de la presión intrafascial / intracompartimental / intraaponeurótica / intratisular, que compromete la circulación y consecuentemente la función de los tejidos. La zona más frecuentemente lesionada es la pierna seguida del antebrazo.
El origen del síndrome compartimental no es únicamente por fractura, siendo factores de riesgo: síndrome de reperfusión, sangrado espontáneo, quemadura, SIRS, reanimación masiva con líquidos, infección de tejidos blandos
CLÍNICA
Se caracteriza por una secuencia evolutiva, siendo lo principal el dolor de tipo intenso y desproporcionado, seguido de cianosis y finalmente disminución del pulso, puede haber palidez (ENAM 2012-A / ENAM 2011-A / ENAM 2016-B) Otros hallazgos clínicos son el dolor al estiramiento pasivo del compartimento afectado, hipoestesia, parálisis muscular, parestesias del primer y segundo dedos, dificultad para la dorsiflexión. Los exámenes seriados (cada hora) son vitales en pacientes con riesgo.
El diagnóstico es clínico, sin embargo, como ayuda diagnóstica se puede hacer medición de la presión intratisular con el equipo de Stryker. El uso de oximetría de pulso no es sensible.
- Presión tisular normal: 0-8 mmHg
- Síndrome compartimental: >30 mmHg de presión tisular
- Presión diastólica - Presión tisular < 30 mmHg
Tratamiento (ENAM EXTRA 2021-II / ENAM EXTRA 2020)
Las medidas de soporte general incluyen: Elevación del miembro afectado < 30 ° grados respecto a nivel del corazón. Manejo de la presión arterial, es decir, manejo de la hidratación. El único tratamiento reconocido es la fasciotomía, idealmente dentro de las 4h después del inicio de los síntomas. La fasciotomía después de 6h de inicio aumenta la tasa de necrosis y amputación.
SÍNDROME DE APLASTAMIENTO
Llamado también síndrome de reperfusión, síndrome de Bywaters. Consiste en un daño renal por liberación de mioglobina al torrente sanguíneo por lesión muscular severa. Conlleva a una falla renal aguda. Los componentes son:
- Rabdomiólisis → mioglobina
- Tercer espacio → shock hipovolémico
- Hiperkalemia → fibrilación auricular
ODISTROFIA DE SUDECK
Llamado también síndrome de Sudeck, síndrome doloroso regional complejo, distrofia simpático refleja. Consiste en el compromiso de las fibras simpáticas, que evoluciona en forma típica desde una fase aguda hiperémica, aumento de la vellosidad, dolor inespecífico y sudoración hasta una fase secundaria con dolor y atrofia por desmineralización ósea. Las fracturas, con o sin lesión nerviosa, son un evento desencadenante común.
- CID → trastorno de coagulación
- Otras complicaciones → síndrome compartimental
Recuerda
Las complicaciones de las fracturas también se pueden clasificar según el tiempo en:
Tempranas: ocurren dentro de las 48 horas, son secundarias a las fracturas per se.
- Sindrome compartimental
- Embolia grasa
- Lesiones neurovasculares
- Necrosis avasculares
Mediatas: ocurren a las semanas y meses, son secundarias a un inadecuado manejo.
- Osteomielitis
- Pseudoartrosis
- Síndrome de Sudeck
Tardías
- Malignidad
Manejo
PSEUDOARTROSIS
Es la formación de una falsa articulación en una zona de fractura por retraso en la formación del callo más allá de los 9 meses. Es frecuente en fracturas de huesos largos.
Factores de riesgo: Inadecuada inmovilización, tracción excesiva, infecciones, riego sanguíneo bajo en zona de fractura (escafoides), tabaquismo, alcoholismo, medicamentos (quimioterapia, glucocorticoides, fluoroquinolona, gentamicina, tetraciclina, AINEs)
Clínica: movilidad anormal, escaso dolor.
Patrones:
Hipertróficos o en patas de elefante (A): asociado a una inadecuada inmovilización. Atrófica (B); asociado a una excesiva tracción.
Flotante (B): asociado a infecciones (Ej, osteomielitis) .
Tratamiento: Suele ser quirúrgico (osteosíntesis).
A: Pseudoartrosis hipertrófica en patas de elefante.
B: Pseudoartrosis atróficas y flotantes.
La inmovilización es el manejo más importante. Tiene el propósito de evitar el daño de partes blandas y, por lo tanto, prevenir el síndrome compartimental, pseudoartrosis, asimismo, reducen el dolor, asegura una adecuada consolidación y alineamiento, entre otros beneficios.
Principios:
Se prefiere el uso de férulas sobre los yesos, ya que estos últimos pueden generar síndrome compartimental.
Se inmoviliza siempre la articulación distal y proximal a la fractura.
Colocar almohadillas
Las férulas deben ser revisadas las 24 horas.
Los yesos se colocan a partir del tercer día.
Manejo inmediato: es aquel que se da en el lugar del accidente.
Inicia con la atención primaria del politraumatizado (A, B, C, D, E). Luego se debe determinar si la fractura es cerrada o abierta (ENAM 2020).
FRACTURAS CERRADAS FRACTURAS ABIERTAS
Objetivo Evitar lesión de partes blandas Evitar contaminación y hemorragia
Lavado/debridación/limpieza quirúrgica
Conducta inicial Inmovilización/ estabilización (ENAM 2015-B)
Recuerda
Las fracturas cerradas tienen como medida inicial la estabilización de la fractura. Las fracturas abiertas, tienen como medida inicial, en el lugar el accidente, lavado e irrigación profusas e inmovilización.
En la atención hospitalaria se incluye debridación, manejo antibiótico y antitetánico según esquemas.
(ENAM EXTRA 2021-II / ENAM 2017-A / ENAM 2017-B / ENAM 2014-A / ENAM 2012-B / ENAM 2018-B / ENAM 2017-A)
Cobertura y vendaje
Inmovilización (ENAM 2017-B)
Antibióticos y suero antitetánico
Manejo ortopédico: Se refiere al manejo no quirúrgico. Incluye uso de yesos, tracciones, vendajes, cabestrillos. Está indicado en niños, en fracturas no complicadas del adulto y ancianos con mal pronóstico.
Manejo quirúrgico: se usa material metálico para fijar los huesos. Tiene las siguientes indicaciones:
Fracturas desplazadas >50% />2 mm
(ENAM EXTRA 2020)
Inestabilidad / conminuta
Fracturas múltiples / luxofracturas
(ENAM 2017-A)
Síndrome compartimental
Fracturas patológicas
Fracturas intraarticulares
Dentro del manejo quirúrgico tenemos dos opciones quirúrgicas: Fijaciones internas u osteosíntesis: generalmente se usan en fracturas múltiples. Los materiales a usar son:
♦ Placas con tornillos
♦ Clavos endomedulares (Ender / Rush)
♦ Sistemas DHS
♦ Prótesis (parciales / totales)
Fijaciones externas u osteotaxis: es preferible usarla en fracturas abiertas (grado II y III) con riesgo de osteomielitis.
03. LESIONES DE LA CLAVÍCULA
Luxación de clavícula
La clavícula puede luxarse en la parte externa (articulación acromioclavicular) o en la parte interna (articulación esternoclavicular). La más frecuente es la primera, suele ocurrir en jóvenes por un traumatismo directo en la cara superior o lateral del hombro con el brazo en aducción, de esta forma se desplaza el acromion hacia abajo y aumenta la tensión en los ligamentos.
Clínica: Cursa, como la mayoría de luxaciones, con dolor, disfunción y deformidad (“signo de la tecla de piano y pseudocharretera”)(ENAM 2014-B)
Imágenes: Se suele utilizar 2 enfoques: Una radiografía anteroposterior, que incluya ambas articulaciones acromioclaviculares. Dos radiografías anteroposteriores, una de cada hombro como placa comparativa. Para detectar lesión grado III se recomienda rotar internamente el brazo afectado para aumentar la sensibilidad. Anteriormente se utilizaba una vista de estrés del hombro, en la cual, se solicita una radiografía con peso para que el miembro superior desciende y se haga notorio el signo de la tecla de piano, sin embargo, actualmente se utilizan solo en caso de duda diagnóstica
Tipo I Esguince del ligamento acromioclavicular (AC)
Tipo II
Ligamento acromioclavicular desgarrado, ligamento coracoclavicular (CC) intacto; Articulación AC subluzada
Tipo III Ligamento AC y CC rotos; dislocación completa de la articulación
Tipo IV
Tipo V
Tipo VI
Luxación completa con desplazamiento posterior de la clavícula distal hacia el músculo trapecio a través de él
Luxación superior de la articulación de una a tres veces el espaciamiento normal, aumentando la distancia del ligamento CC de dos a tres veces lo normal; ruptura de la fascia deltotrapezial
Luxación completa con desplazamiento inferior de la clavícula distal a un aposición subacromial o subcoracoidea
Se consideran luxaciones complejas a partir de la lesión y compromiso de los ligamentos coracoclaviculares, situación en la cual suele requerir manejo quirúrgico.
TRATAMIENTO
Ortopédico (férula /yeso). De indicación en los tipos I y II. Quirúrgico: cuando está asociado a fractura de clavícula o acromion, o cuando hay lesión de ligamentos coracoclaviculares. Indicado principalmente en tipos IV y V. La lesión tipo III está en controversia, aunque clásicamente es de indicación quirúrgica. Rehabilitación para fortalecimiento de estabilizadores escapulares y del hombro.
Fractura de clavícula
La gran mayoría son causas por caída sobre hombro, especialmente asociado a accidentes de tránsito y deportes en jóvenes. Es frecuente en recién nacidos asociado a macrosomía.
CLÍNICA
Dolor localizado, equimosis, angulación ósea. Es importante realizar un examen neurovascular y pulmonar en busca de otras lesiones. Las características clínicas usualmente están relacionadas a la lesión del plexo braquial, que en el caso de los niños se suele manifestar con reflejo de Moro asimétrico y signos de parálisis braquial (ENAM 2017-B).
Según su localización, Allman las clasifica en:
Grupo I: Fractura del tercio medio: es la más frecuente (69%). Suele generar lesión del plexo braquial (parálisis), vasos subclavios y pleura.
Grupo II: Fractura del tercio distal: es la segunda en frecuencia, se asocia a lesión de ligamentos coracoclaviculares.
Grupo III: Fractura del tercio proximal: es infrecuente
Recuerda
La fractura del tercio medio de clavícula suele generar lesión del plexo braquial.
Tratamiento: dependerá del grupo etario afectado y de la localización. Fracturas del tercio medio. Usualmente de manejo no quirúrgico.
Recién nacidos: solo observación
Niños: vendaje en 8 (salvo casos complicados) (ENAM 2011-B)
Adultos: Cabestrillo, vendaje Velpeau en fracturas no desplazadas. Vendaje en 8 en fracturas desplazadas.
Cirugía (placa con tornillos) en fracturas complicadas (abiertas, bilaterales, múltiples). Por el contrario, en su mayoría, las fracturas del tercio distal requieren de cirugía. Más aún si se asocian a lesión de ligamentos coracoclaviculares.
04. LUXACIÓN DEL HOMBRO
Generalidades
La articulación glenohumeral es de tipo esferoidea o enartrosis, lo que permite al hombro movimientos poliaxiales. La más frecuente es la luxación anterior o subcoracoidea (95%) por caída en abducción, rotación externa y extensión de hombro. Es típico de jóvenes (ENAM 2014-A).
Clínica
Al igual que la mayoría de luxaciones, la “triple D” es característica: dolor, disfunción y deformidad (signo de la “charretera” o “hachazo deltoideo”).
El paciente suele acudir con posición de Desault (sostén del brazo con mano contraria) con imposibilidad para el movimiento de dicha actividad
Complicaciones
Principalmente lesiones neurovasculares:
Lesión del nervio axilar (o circunflejo)
Lesión de Bankart por fractura del borde de la cavidad glenoidea o labrum.
Lesión de Hill Sachs por desgarro de la epífisis del húmero.
Tratamiento
No existen pruebas claras que apoyen la superioridad de cualquiera de los muchos métodos utilizados para reducir las luxaciones anteriores del hombro. El método empleado depende de la preferencia del médico y del estado del paciente. Generalmente, una técnica que sea rápida, simple y que no requiera una fuerza significativa ni medicación intravenosa es ideal. El fundamento principal de la reducción consiste en la tracción del miembro superior y la rotación externa. Se suele iniciar con la manipulación escapular y, si no tiene éxito, intentar luego la técnica de rotación externa. Si no se logra la reducción usando estos enfoques, entonces se puede usar tracción-contratracción o la técnica de Stimson. La reducción exitosa es anunciada por un "clunk" cuando la cabeza humeral se reubica y el retorno del contorno normal del hombro. Con técnicas más graduales (p. Ej., Rotación externa), la reducción puede ser más sutil sin un "chasquido" apreciable. La capacidad del paciente para colocar la mano de la extremidad afectada sobre el hombro opuesto confirma aún más la reducción.
Posterior a la reducción, el miembro superior debe quedar en inmovilización por un máximo de 3 a 4 semanas. Mayor tiempo de inmovilización está asociada a rigidez articular. Debe considerarse rehabilitación posterior para recuperar el tono muscular y los rangos de movimiento.
Reducción de la luxación de hombro - Método de tracción
se
una rotación externa sostenida y lenta. Una vez que el chasquido ocurra, se aproxima el miembro superior al tórax y se lleva la mano al hombro contralateral. Este procedimiento tiene una alta tasa de lesiones y complicaciones asociadas.
Complicaciones de largo plazo
Recuerda
Aun cuando son menos frecuentes, Las luxaciones posteriores se generan en su mayoría por crisis convulsivas. Las luxaciones superiores se asocian a fractura de acromion.
Son más comunes la rigidez articular, artrosis, luxaciones recidivantes. Puede haber lesiones nerviosas o vasculares, pero con menos frecuencia.
En casos de sospecha se puede realizar una electromiografía a las 4 semanas para estudio de conducción del nervio axilar.
Lesiones de los músculos del manguito rotador
El manguito de los rotadores está compuesto por cuatro músculos (ENAM 2010-B):
Supraespinoso: Abducción inicial
Infraespinoso: Rotación externa
Redondo menor: Rotación externa
Subescapular: Rotación interna
Factor de riesgo más importante es la actividad repetitiva por encima de la cabeza. El más común en lesionarse es el supraespinoso, con limitación a la abducción inicial (ENAM 2018-B / ENAM 2019-A)
El manejo generalmente es médico e incluye reposo, crioterapia, AINEs por 7-10 días y fisioterapia; se debe considerar manejo quirúrgico en los siguientes casos: Déficit funcional que interfiere en las actividades diarias
Dolor persistente
05. FRACTURA DE HÚMERO
La localización de las fracturas del húmero varía según el grupo etario, es así que las fracturas de la parte superior (cuello del húmero) son más comunes en los ancianos, la parte media o diafisiaria es más común en jóvenes o adultos y la parte distal en niños.
Fractura del húmero proximal
Puede ocurrir a nivel del cuello anatómico o quirúrgico siendo más frecuente el segundo. Cuello quirúrgico: es común en ancianos con osteoporosis. Además de la presencia de dolor, disfunción y deformidad es característico el hematoma de Hennequin. El manejo, la mayoría de veces, es quirúrgico, se opta por el manejo ortopédico en presencia de comorbilidades.
Cuello anatómico: Las fracturas del cuello anatómico no suelen caracterizarse por la equimosis de Hennequin, sino por la necrosis avascular propio de las lesiones intraarticulares.
Fractura de la diáfasis humeral
Es frecuente en jóvenes y suele ocurrir por lesiones directas o lesiones por torsión. Una de las complicaciones más comunes es la lesión del nervio radial lo cual limita los movimientos de extensión de la mano y los dedos (ENAM EXTRA 2021-I / ENAM 2012-A)
MANEJO:
En casos no complicados, en los cuales no haya inestabilidad ni desplazamientos severos, el manejo es ortopédico con yeso colgante de Caldwell, el cual lleva un peso de 3-4kg que permiten realizar una tracción suficiente para mantener alineado el húmero.
Este procedimiento podría generar pseudoartrosis como complicación frecuente. En fracturas complicadas, inestables o muy desplazadas, el manejo es quirúrgico, usualmente colocación de clavo endomedular. La principal complicación es la pseudoartrosis. En pacientes ancianos con factores de riesgo asociado, se puede considerar manejo conservador. (ENAM 2020)
Recuerda
Las lesiones de la diáfisis del húmero, lesionan el nervio radial, ocasionando limitación a la extensión de la mano y los dedos de la mano.
Fractura distal del húmero
Es común que se presente en los niños, al presentar zonas con osificación incipiente. La fractura supracondílea es más frecuente y suele lesionar la arteria braquial, nervio mediano y en algunas ocasiones compromiso del nervio radial y cubital. Esta compresión nerviosa y vascular puede generar contracturas distales y reducción del flujo sanguíneo (síndrome compartimental), asociación conocida como Síndrome de Volkmann, complicación más severa y temible de las fracturas supracondíleas.
Otras fracturas de la zona distal del húmero son:
Fractura de la epitróclea: suelen lesionar al nervio cubital produciendo parestesias en el cuarto y quinto dedos, así como pérdida de la función de los músculos inervados por éste. Asimismo, la fractura de la epitróclea, al ser origen de músculos flexores de la mano, genera disfunción de este movimiento.
Fracturas del epicóndilo: lesionan al nervio radial causando disfunción de los músculos extensores de la mano y los dedos de la mano (ENAM 2018-B)
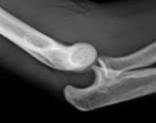
06. LUXACIÓN DEL CODO
Generalidades Clínica
La luxación posterior es la más frecuente, sobre todo, en niños y la segunda luxación más frecuente en el adultos después de la luxación de hombro.
Dolor, impotencia, deformidad en forma de hachazo tricipital. También genera rigidez e inestabilidad. Deformación del triángulo de Nelaton. Puede lesionar el nervio mediano
Recuerda
Las luxaciones anteriores de codo están asociadas a fracturas de olécranon (lesión de Hume). El manejo es quirúrgico, siendo el cerclaje con alambre el procedimiento de elección por la alta probabilidad de desplazamiento del fragmento roto.
Tratamiento
El manejo es ortopédico mediante reducción, inmovilización en 90° y rehabilitación temprana. En caso se confirme una fractura de olécranon, se debe tratar de forma quirúrgica e incluye cerclaje más alambre en el olécranon. (ENAM 2019-A)
07. LESIONES DE RADIO Y CÚBITO
Subluxación de la cabeza y radio
Llamada también “subluxación de codo” o “prono doloroso” o “codo de la niñera”. Es común en niños de 1 a 4 años. El principal antecedente es la tracción severa de miembro superior, con el codo en extensión y pronación. La cabeza del radio sale de su ligamento anular.
Recuerda
Otras lesiones del codo incluyen:
Epicondilitis (codo del tenista): Proceso inflamatorio del epicóndilo con la consecuente disfunción de los músculos extensores que se originan acá.
Epitrocleitis (codo del golfista): En este caso son los músculos flexores del carpo quienes presentan alteración.
Clínica: Dolor, impotencia funcional, el codo suele estar en posición de semiflexión y prono. Debido a que la articulación humerocubital se encuentra sin alteraciones, no se evidencia deformación característica. La radiografía suele ser normal, por lo que el diagnóstico debe ser principalmente clínico (ENAM 2019-A).
Tratamiento: El manejo es la reducción inmediata en 3 pasos: Extensión de codo con tracción de antebrazo Supinación de antebrazo Flexión de codo
Fractura de radio y cúbito
Clasificación de Frykman: Muestra los distintos trazos de fractura considerando el posible compromiso de las caras articulares o el cúbito distal, o ambas.
Fractura de Colles
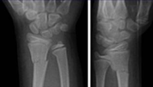
Llamada también Fractura de Pouteau-Colles: es una lesión extraarticular de la metáfisis del radio (clasificación de Frykman I). Es la fractura más frecuente del miembro superior (ENAM 2013-A). El mecanismo de lesión es por caída sobre la palma de la mano (mano en dorsiflexión). Es común en ancianos con osteoporosis.
Clínica: Deformación de la muñeca de la mano con desplazamiento dorsal y radial, los cuales generan los signos del “dorso de tenedor” y el signo de la “bayoneta”, respectivamente. Asimismo, se describe el signo de Laugier, en la cual el estiloides radial se ubica en la misma línea que el estiloides cubital. La dorsiflexión, así como el desplazamiento del fragmento roto pueden comprometer el nervio mediano.
Recuerda
La inmovilización del miembro superior, luego de una fractura de Colles, es aproximadamente 6 semanas, tiempo luego del cual se ha formado un callo óseo apropiado.
Tratamiento: En casos de lesiones no complicadas, el manejo es ortopédico con reducción ventral y cubital. La inmovilización inicial se recomienda con yeso braquipalmar por tres semanas, seguida de un yeso antebraquiopalmar por tres semanas más. Aproximadamente 6 semanas de inmovilización en pacientes sin osteoporosis.
Fractura de Goyrand - Smith
También corresponde a una lesión de la metáfisis del radio. Sin embargo, el mecanismo es por caída sobre el dorso de la mano (o hiperflexión), con la respectiva desviación ventral o palmar de la mano con el fragmento fracturado. (Colles invertido).
Clínica: Deformación de la muñeca de la mano, con desviación ventral (signo de la “pala de jardinero”).
Tratamiento: el manejo es quirúrgico.
Otras fracturas son:
Barton: fractura distal del radio con compromiso de la cara articular con el carpo, es decir, es intraarticular. Está acompañada de luxación anterior del carpo. Es una luxofractura.
Hutchison o chauffeaur (del chofér): Fractura de la apófisis estiloide del radio, por compresión por el escafoides. Genera una desviación dorsal y cubital.
Die - Punch: fractura cuneana interna del radio intraarticular por impactación del semilunar. Puede comprometer la articulación radiocubital distal.
Luxofracturas
Monteggia: Fractura de tercio proximal de cúbito y luxación de cabeza de radio (ENAM 2016-B)
Galeazzi: Fractura de tercio distal de radio y luxación radiocubital distal
Essex - Lopresti: fractura de cabeza de radio con ruptura de membrana interósea y luxación radiocubital distal.
Otras facturas
Fractura de Skillern: fractura completa del radio más fractura en tallo verde del cúbito.
Fractura de Mason: fractura de la cabeza del radio.
Tríada terrible de Hotchkiss: Se caracteriza por fractura de la cabeza del radio, apófisis coronoides y luxación posterior del codo. Asociada a mal pronóstio.
Fractura aislada del cubito: el mecanismo principal es por agresión. Es característico el signo de “bastonazo” y generalmente requiere de manejo ortopédico en casos no desplazados.
08. LESIONES DE LA MANO
Fractura de escafoides
Es el hueso del carpo más fracturado, el mecanismo es por caída en dorsiflexión. La mayoría ocurre a nivel del cuello.
Clínica: Dolor a la presión en tabaquera anatómica y movilización del pulgar.
Imágenes: la radiografía en los primeros días es poco sensible por lo que se prefiere la TAC, en caso se requiera diagnóstico precoz.
Tratamiento: debe de iniciarse el manejo, aunque en la radiografía no existen hallazgos de fractura. Se realiza la inmovilización con férula “en guante” con inmovilidad del pulgar (ENAM 2011-A).
Recuerda
La tabaquera anatómica está formada por los tendones del extensor largo del pulgar y el extensor corto del pulgar.
Las complicaciones más frecuentes son:
Necrosis avascular proximal Pseudoartrosis
OTRAS FRACTURAS DE LA MANO
Fractura de Bennet: es una fractura oblicua del primer metacarpiano con desplazamiento del pulgar, a causa del abductor largo de este dedo (ENAM 2013-A)
Fractura de Rolando: es una fractura conminuta del primer metacarpiano sin desplazamiento del pulgar.
Fractura del boxeador: fractura de la diáfisis del quinto metacarpiano.
Luxación del semilunar
Es el hueso del carpo más luxado. El mecanismo es por caída sobre la palma de la mano con desviación ventral. Signo del “dorso de tenedor”, es común la lesión del nervio mediano, el cual pasa, anatómicamente, por delante del semilunar. (Ver Figura 61)
Luxofracturas
Luxofractura de Bennet: es una fractura oblicua de la base del primer metatarsiano que genera un desplazamiento cefálico del pulgar. (Ver Figura 62)
Síndrome del túnel del carpo
Inflamación del retináculo de los flexores generando compresión del nervio mediano. Ocurre comúnmente en el trabajadores de oficina y personas con uso constante de la muñeca y la mano.
Clínica: parestesias en el primero, segundo y tercer dedo a predominio nocturno, puede comprometer parte del cuarto dedo. A mediano plazo puede haber hipotrofia tenar comprometiendo la inervación del músculo oponente del pulgar.
Maniobras
Maniobra de Phalen: Parestesia al flexionar la palma de la muñeca a 90 grados.
Maniobra de Tinel: percusión: Parestesias al percutir de forma suave la zona del tendón palmar.
Izquierda: Maniobra de Phalen. Derecha: Maniobra de Tinel.
Diagnóstico: Ante la duda diagnóstica electromiografía del territorio del mediano.
Tratamiento:
Primera línea: El manejo inicial es con terapia física y manejo del dolor con AINES
Segunda línea: en caso falle se opta por Infiltración de corticoides (ENAM 2013-B)
Tercera opción: En última instancia la cirugía para descomprimir el nervio mediano
Tenosinovitis de Quervain
Inflamación de la vaina sinovial que envuelve al abductor largo y extensor corto del pulgar.
Maniobra de Finkelstein: dolor a la colocación del pulgar en la palma y la desviación cubital de la muñeca.
Tratamiento: sigue el mismo manejo del síndrome del túnel del carpo.
Otras lesiones
Síndrome de compresión del canal de Guyon: hay compromiso del nervio cubital, el cual discurre entre el hueso pisiforme y el ganchoso. Sigue el mismo manejo del síndrome del túnel del carpo.
Enfermedad de Dupuytren: inflamación de la aponeurosis palmar con compromiso de los flexión de los dedos, iniciando por el 4° y 5°. El tratamiento es mediante fasciotomía para liberar los tendones flexores.
Dedo en martillo: lesión del extensor de la falange distal.
09. FRACTURA DE PELVIS
Generalidades
La causa más frecuente de fractura de pelvis es por accidente de tránsito, en jóvenes y generalmente son fracturas inestables con elevado riesgo de lesiones intrapélvicas. Frente a un paciente politraumatizado con hipotensión, en ausencia de hemorragia activa en tórax, abdomen o extremidades, debe descartarse sangrado retroperitoneal por fractura de pelvis.
Recuerda
En todo paciente politraumatizado debe tomarse radiografía de columna cervical, de tórax y de pelvis.
Clasificación
Depende del grado de inestabilidad generada (ligamentos sacroilíacos posteriores son los elementos más importantes de estabilidad del anillo pélvico).
- Simple: fractura en un punto, no genera inestabilidad.
- Complejas: fractura en más de dos puntos de la circunferencia pélvica, generan inestabilidad.
- Parcelares: fractura en uno de los huesos pélvicos sin comprometer la circunferencia pélvica. La fractura más frecuente son las simple a nivel del pubis. El estudio inicial es la radiografía, sin embargo, la TAC es de elección para confirmar y evaluar lesiones asociadas, que son la principal causa de mortalidad.
Complicaciones
Las más comunes son las vasculares, seguidas del compromiso en otras estructuras como la uretra, vejiga, vísceras. Pueden lesionar nervio ciático (ENAM 2011-A).
Tratamiento
El manejo inicial en caso de fracturas inestables es la fijación externa para estabilizar el anillo pélvico y frenar el sangrado. Si el paciente está estable se opta por un manejo ortopédico, por el contrario, si el paciente se encuentra inestable el manejo será quirúrgico.
En caso de fractura de acetábulo la medida inicial es inmovilizar y traccionar del miembro inferior con la finalidad de evitar la adherencia y posterior artrosis en la articulación coxofemoral. Son fracturas intraarticulares, que generalmente requieren manejo conservador, excepto en fracturas desplazadas, inestables, luxación asociada o incarceración intraarticular de fragmentos óseos.
10. LUXACIÓN DE CADERA
La luxación de cadera ocurre con frecuencia en los jóvenes debido a accidentes de tránsito. En forma general se dividen en luxaciones anteriores (anteroinferior o anterosuperior) y posteriores (posteroinferior o posterosuperior).
Luxación de cadera posterior
Es la más frecuente de las luxaciones de cadera y el mecanismo de lesión principal es por accidentes en tránsito.
Recuerda
Las luxaciones de cadera ocurren con más frecuencia en personas jóvenes, mientras las fracturas en esta región son más comunes en ancianos.
longitudinal, ocasionando el desplazamiento de la cabeza del fémur en sentido posterosuperior.
Clínica: Dolor, impotencia funcional y deformación. La posición que adopta el miembro afectado incluye rotación interna, semi flexión, aducción y acortamiento ENAM 2013-B / ENAM 2012-A).
Tratamiento: La reducción debe incluir como concepto general tracción y rotación externa. Puede realizarse en decúbito prono o supino, sin embargo, en ambos casos deben participar dos personas y el paciente debe estar sedado con relajación muscular.
Figura 72 En la reducción de una luxación posterior de cadera, el segundo operador realiza contratracción sujetando la pelvis mientras el operador principal realiza tracción de fémur, con rotación externa. En esta maniobra el paciente se encuentra en decúbito supino.
Figura 73 Reducción de luxación posterior con el paciente en decúbito prono.
Complicaciones: Lesión neurovascular, que incluye lesión del nervio ciático, puede estar asociado a fractura de acetábulo, siendo ésta la fractura asociada más frecuente. Asimismo, puede haber fracturas de la cabeza del fémur.
Luxación de cadera anterior
El principal mecanismo de lesión es la abducción forzada (Ej., accidentes de tránsito en motocicleta, deportistas).
Clínica: Rotación externa, abducción y flexión
Complicación: compromiso del VAN femoral, asimismo, puede estar asociado también a fractura de acetábulo .
Recuerda
La luxación traumática más frecuente es la luxación posterior
Figura 74. Posición característica de la luxación anterior de cadera
FRACTURA DE FÉMUR 11.
Fractura de la cabeza del fémur
Las fracturas de la cabeza del fémur son consideradas intraarticulares, debido a que la cabeza está dentro del acetábulo. Son más frecuentes en ancianos la osteoporosis como factor de riesgo.
Usualmente suelen requerir manejo quirúrgico y el tipo de cirugía dependerá de la presencia o ausencia de necrosis avascular.
Con necrosis avascular: se puede optar por colocar tornillos para fijar las estructuras
Sin necrosis avascular: se reemplaza el fémur con una prótesis metálica.
El manejo ortopédico se indica en caso de ser un paciente de alto riesgo. En el caso de los ancianos, se puede valorar con el índice de comorbilidad de Charlson.
Fractura del cuello del fémur
Es frecuente en ancianos por caídas, también está asociado a osteoporosis. Al examen físico es evidente el acortamiento, la aducción y rotación externa, a veces una equimosis en la cara lateral de la cadera sobre el trocánter mayor que caracteriza las fracturas extracapsulares. Se debe confirmar con un estudio radiográfico. Las fracturas trocantéricas suelen caracterizarse por abducción el miembro afectado, además de rotación externa y acortamiento (ENAM EXTRA 2021-I / ENAM 2017-A /
Figura 77. Posición característica de la fractura de cuello de fémur. Rotación externa con acortamiento del miembro afectado en un anciano con antecedente de caída.
Tratamiento: El manejo es quirúrgico por ser fractura patológica y dependerá del grado de desplazamiento e inestabilidad.
Fractura no desplazada o de mínimo desplazamiento / estable (G1-G2) → osteosíntesis con tornillos transcervicales o sistemas de fijación DHS
Fractura desplazada/inestable (G3-G4):
Paciente con baja demanda funcional, esperanza de vida menor a 3 años → hemiartroplastia (reemplazo solo de la cabeza del fémur).
Paciente activo y en buen estado general, con esperanza de vida mayor a 3 años → artroplastia total (reemplazo de la cabeza del fémur y acetábulo)
Desplazada / Inestable (G3.G4)
No desplazada Estables (G1-G2)
Baja demanda funcional Esperanza de vida < 3 años Activo y buen estado general
Complicaciones: En fracturas intracapsulares necrosis isquémica de la cabeza femoral y ausencia de consolidación debido a la vascularización precaria; sin embargo, en fracturas extracapsulares se da a nivel de hueso metafisario con rica vascularización y con múltiples inserciones musculares por lo que el riesgo es de consolidación en mala posición.
Fractura de la diáfisis del fémur
Frecuente en jóvenes, por accidentes de alta energía. Es común el compromiso de la arteria femoral con consecuente shock hipovolémico, así como embolia adiposa. El manejo aproximado dependerá del grupo etario:
Niños: manejo ortopédico con tracción cutánea con posterior colocación de yeso pelvipedio (ENAM 2015-B)
Adultos: La elección dependerá del grado de severidad de la fractura, manejo ortopédico con tracción ósea o manejo quirúrgico con clavo endomedular. Al fresar la cavidad medular aumenta el riesgo de embolia grasa por lo que se prefieren clavos no fresados. El peso en la tracción ósea debe ser como máximo el 10% del peso corporal total del adulto (ENAM EXTRA 2020)
Recuerda
Las fracturas distales del fémur suelen ser lesiones intraarticulares y generan lesión del VAN ciático poplíteo, con el riesgo de síndrome compartimental. El manejo es quirúrgico.
Complicaciones: Las fracturas diafisiarias de fémur tienen pueden lesionar la arteria femoral ocasionando pérdidas masivas de sangre, que pueden llevar al shock hipovolémico. Asimismo, la falta de la consolidación y la tracción excesiva pueden ocasionar pseudoartrosis.
12. LESIONES DE RODILLA
Figura 81.
Se muestra la configuración de los diferentes ligamentos de la rodilla, cruzados (LCP, LCA) y colaterale (LCM, LCL). Asimismo, la presencia de los meniscos medial y lateral.
Lesión del ligamento cruzado anterior
Es el ligamento más frecuentemente lesionado. Ocasionado por rotación externa con la rodilla en extensión. Se puede asociar a avulsión del margen tibial anterolateral (Fractura de Segond). Al examen físico, el signo de cajón anterior, signo de Lachman (más sensible), signo pivot shift son positivos. Asimismo, al realizar una punción de la articulación (artrocentesis) se suele tener como resultado hemartros, sin grasa. El tratamiento depende del grado del esguince y actividad del paciente, con altas probabilidades de manejo quirúrgico.
Lesión de ligamentos colaterales
El mecanismo de lesión es por agresión externa ocasionando un valgo forzado en el caso del ligamento colateral interno y varo forzado en el caso del ligamento colateral externo. Clínicamente, al igual que otros esguinces genera dolor, impotencia funcional e inestabilidad. Ésta última se caracteriza por la lateralización de la rodilla, la cual no debe ser posible en condiciones normales.
En la artrocentesis, puede encontrarse líquido articular limpio, sin sangre no grasa. El manejo es usualmente es conservador con inmovilización por 4-6 semanas, salvo casos complicados.
Recuerda
Las lesiones de los ligamentos cruzados muestran inestabilidad con el signo del cajón. Por el contrario, las lesiones del ligamento cruzado externo muestran el signo del “bostezo” (dolor al varo forzado).
Lesión de meniscos
Lesión de ligamento cruzado posterior
Es lesionado con frecuencia en la “lesión del salpicadero” por traumatismo directo sobre la tibia con la rodilla en flexión, usualmente en accidentes de tránsito. Al examen físico, el signo de cajón posterior es positivo.
Figura 83. Se muestra la disposición de los meniscos, medial y lateral. El medial se caracteriza por la disposición de sus cuernos, anterior y posterior.
El cuerno posterior del menisco interno es el más afectado y la lesión del asa de cubo es la forma más frecuente. Característico de jóvenes y deportistas.
Clínica: Presenta dolor difuso, derrame articular seroso; tras el episodio agudo suele haber atrofia del cuadríceps, episodios recurrentes de bloqueo articular y dolor en la interlinea articular posterior. En la exploración el talón nos orienta respecto al menisco lesionado (rotación externa explora menisco interno y la rotación interna el menisco externo), prueba de McMurray (+). El diagnóstico es por RMN o artroscopía diagnóstica.
Recuerda
El menisco
“interno” tiene forma de “C” mientras que el menisco “externo” tiene forma de “O”
Tratamiento: El tratamiento es por artroscopia y dependerá de la irrigación de la zona afectada, considerando que la zona periférica es más vascularizada que la central.
Buena irrigación: Sutura meniscal
Mala irrigación: Meniscectomía parcial.
La presencia de hemartros es un signo indirecto de buena vascularización de la zona lesionada por lo que se esperan mejores resultados.
Otras lesiones de la rodilla y la rótula
LUXACIÓN DE RODILLA
Las más comunes son anterior o posterior (lesión de “salpicadero”). Este último suele asociarse a lesión del VAN ciático poplíteo (puede lesionarse la íntima arterial poplítea generando trombosis arterial aguda en las 24h siguientes), el ligamento rotuliano o los ligamentos cruzados. Se puede observar el signo del hoyuelo en la rodilla. El manejo es reducción, inmovilización, vigilancia estrecha de la circulación distal y rehabilitación.
FRACTURA DE RÓTULA
El mecanismo de lesión suele ser por golpe directo y es común en jóvenes. En su mayoría los fragmentos de rótula suelen ser desplazados por la tracción que ejerce el músculo cuadríceps. El manejo es quirúrgico mediante un cerclaje con alambre.
LUXACIÓN DE RÓTULA
La luxación más frecuente es la lesión de rótula lateral, común en mujeres jóvenes adolescentes. El mecanismo usual está relacionado al valgo excesivo [ángulo Q > 15-16°]). El paciente refiere dolor, disfunción y deformidad (triple D). El tratamiento incluye reducción manual por medialización asociada a extensión de la rodilla para luego colocar un yeso o inmovilizador ortopédico; en el caso de luxaciones recidivantes se debe considerar la rehabilitación de la porción medial del cuádriceps
13. LESIONES DE TIBIA Y PERONÉ
Fractura de tibia y peroné
La lesión a nivel de la diáfisis tibial es la más frecuente. Es ocasionado por accidentes de alta energía, ya sea por golpe directo o mediante lesiones por torsión (espiroideas). La fractura de tibia puede comprometer el compartimento anterior de la pierna, por lo que una de sus complicaciones frecuentes es el síndrome compartimental. Por otro lado, es común que las fracturas de tibia se presenten como fracturas abiertas, por ello el alto riesgo de desarrollar osteomielitis secundaria a fractura abierta. Asimismo, puede generar pseudoartrosis, embolia grasa y otras complicaciones. El tratamiento dependerá si la fractura de abierta o cerrada.
Fractura cerrada
Estable: son fracturas simples, transversas, no desplazadas, únicas, con peroné sin lesión. El manejo es ortopédico (yeso muslopedio) .
Inestable: son oblicuas, complejas, múltiples y con o sin el peroné fracturado. El manejo es quirúrgico con uso de clavo endomedular.
89. Izquierda: Yeso muslopedio. Derecha: osteosíntesis con clavo endomedular.
Fractura abierta: el tratamiento dependerá de la clasificación de Gustilo
Grado I: el manejo es similar al de fractura cerradas más la administración de antibióticos. Grado II y III: el manejo es con antibióticos, osteotaxis y colgajo.
Otras lesiones
Otras lesiones de en la pierna incluyen: Lesión de los platillos tibiales: es una lesión intraarticular, el manejo quirúrgico y pueden generar lesiones neurovasculares con compromiso del VAN ciaticoplopiteo.
Espina tibial anterior: la clínica es parecida a la ruptura del ligamento cruzado anterior porque es el sitio de inserción de dicho ligamento.
Tuberosidad anterior de la tibia: es una avulsión de la tuberosidad anterior de la tibia por tracción del cuádriceps. Es sitio de inserción del ligamento rotuliano. Es más común en niños (enfermedad de Osgood-Schlatter).
Fractura de cabeza de peroné: Si la fractura ocurre a nivel de la cabeza del peroné es común el compromiso del nervio peroneo común, con pérdida de inervación de los músculos del compartimento anterior de la pierna, ocasionando “pie caído” o “pie equino”(ENAM 2011-A / ENAM 2011-B)
Fracturas de tobillo: Son lesiones que comprometen a la tibia, el astrágalo o el peroné. Lo más frecuente es la fractura del maleolo del peroné. El manejo puede ser ortopédico siempre que no haya compromiso ligamentario o de otros huesos
Indicaciones quirúrgicas para fractura de tobillo: Fracturas que incluyen el maleolo tibial Compromiso ligamentario Fracturas múltiples
Fractura de TillauxChaput Fractura de Wagstaffe Fractura de Pott Fractura de Dupuytren Fractura de Fractura de Maisonneuve
Avulsión de la tuberosidad tibial por el ligamento tibioperoneo anterior.
Avulsión de tuberosidad peronea anterior
Fractura distal del peroné con lesión de la sindesmosis
Ruptura del tendón de aquiles
Fractura del maleolo tibial y maleolo del peroné (bimaleolar).
Fractura de peroné, ruptura de membrana interósea y lesión de ligamento peroneotibial.
Es la lesión tendinosa más frecuente y está ocasionada por cambios bruscos de dirección, por ejemplo, saltadores o atletas ante un impulso brusco.
Factores de riesgo: sedentarismo, debilidad de tejidos, falta de preparación física, etcétera.
Clínica:
Dolor: “signo de pedrada”
Deformidad “signo del hachazo”
- Disfunción: Imposibilidad para la flexión plantar (maniobra de Thompson)
Tratamiento: la medida inicial es la inmovilización y requerirá un aparato de yeso. En caso de compromiso total del tendón el manejo es quirúrgico con posterior inmovilización.
14. LESIONES DEL PIE
Fractura del calcanéo
Es el hueso del tarso más frecuentemente afectado. El mecanismo de lesión es por caída de altura por lo que se asocia a fractura de meseta tibial y vertebras lumbares. El tratamiento es quirúrgico.
Fractura del astrálgalo
Recuerda
Las lesiones aisladas de los demás huesos del tarso, que incluyen el navicular, cuboides y las cuñas, suelen ser de manejo ortopédico, mediante la inmovilización con una bota de yeso, salvo casos con desplazamientos mayores a 2 mm o con otras lesiones asociadas.
Llamada también “fractura del aviador”. El mecanismo de lesión es por dorsiflexión forzada. Su vascularización es precaria por lo que hay riesgo de mala consolidación y necrosis avascular del cuerpo. El manejo es quirúrgico.
Fractura de los metamartasianos
Diáfisis quinto metatarsiano: o fractura de Jones, cercana a la base.
Base del quinto metatarsiano: Más frecuente. Se denomina también pseudo Jones o “lesión de la bailarina”. Es una fractura por avulsión del tendón del músculo peroneo lateral corto, en el contexto de una inversión del pie.
Base del primer metatarsiano: Puede ocurrir por golpe directo. En esta fractura se compromete la inserción del tendón del músculo peroneo lateral largo.
Segundo metatarsiano: Es una fractura por fatiga o estrés, llamado también fractura del recluta o soldado.
Recuerda
Las lesiones del primer metatarsiano por su mayor importancia suele requerir cirugía en el manejo, a diferencia del resto de metatarsianos que se puede considerar inicialmente inmovilización y manejo ortipédico.
Luxofracturas que ocurren en la articulación tarsometatarsiana. Lesiones distales del tarso
Luxofracturas que ocurren en la articulación de la zona proximal del tarso con su región distal.
Deformaciones del pie
PIE EQUINO O CAÍDO
Existe la imposibilidad para hacer dorsiflexión. El nervio lesionado va a depender de la zona de fractura o lesión. En casos de fractura de tibia suele estar comprometido el nervio tibial anterior o peroneo profundo; en fracturas de cabeza de peroné se compromete el nervio peroneo común o ciático poplíteo externo.
PIE PLANO
Aplanamiento del arco longitudinal interno. Está asociado a hiper laxitud de tejidos. La posición que adquiere el pie en valgo, pronado y con rotación externa. El tratamiento es ortopédico, en caso de limitaciones funcional el manejo será quirúrgico.
PIE CAVO
Se debe a la hipertonicidad de los músculos plantares, es secundario a compromiso de motoneurona en trastornos neurológicos.
PIE ZAMBO/EQUINOVARO/BOTT:
Llamado también pie bot o pie equinovaro. La posición que suele adquirir el pie es equino, varo, aducido, supino y cavo. Se ha asociado al síndrome de Edwards, consumo de éxtasis materno, oligohidramnios, bridas amnióticas, entre otras. El tratamiento es progresivo con uso de yesos, usualmente incluye tenotomía del tendón de Aquiles. Si la desviación es muy severa el manejo será corrección quirúrgica.
15. DEFORMACIONES Y LESIONES DE LA COLUMNA
Escoliosis
La escoliosis es una curvatura lateral de la columna vertebral que ocurre con mayor frecuencia durante el período de crecimiento anterior a la pubertad. El 60% es de causa idiopática, aunque puede estar relacionada a la hiperlaxitud de tejidos. Debe diferenciarse de la pseudoescoliosis, en la que no hay anomalía estructural. La maniobra de Adams es usada para diferenciar una escoliosis de una pseudo escoliosis. En esta maniobra se realiza hiperflexión torácica; en la escoliosis estructural no hay corrección de la deformación de la columna, mientras en la pseudoescoliosis se corrige con la hiperflexión (ENAM EXTRA 2020)
Se clasifica según el ángulo de Cobb:
<30 grados → leve
30 – 40 → moderado
>40 → severo
El tratamiento quirúrgico está indicado en casos severos, siendo la artrodesis el procedimiento de elección. En casos leves y moderados el manejo ortopédico con ejercicios de terapia física y corsés es lo más indicado.
Enfermedad de Grisel
Subluxación atlantoaxoidea (C1-C2), secundario a degeneración de los cartílagos de las apófisis transversas.
Deformación de Sprengel
Falta de descenso caudal de la escápula y demás estructuras asociadas, se manifiesta como “joroba” .
Fractura del ahorcado
También llamada espondilolistesis traumática. Ocurre a nivel de los pedículos del axis (C2) (ENAM 2014-B)
16. OSTEOCONDROSIS
Es una degeneración de la parte ósea y cartilaginosa. La historia natural inicia con la devascularización seguido de un proceso de revascularización, finalizando con regeneración con deformidad. La osteocondrosis más frecuente es la enfermedad de Perthes.
Osteocondrosis
Lesión
Sever Calcáneo
Scheuermann Columna vertebral
Kienbock Hueso semilunar
Köhler Hueso navicular
Koenig
Freiberg
Enfermedad de Perthes
Hueso Rodilla
Metatarso
Enfermedad de Legg-Calvé-Perthes: es una osteocondrosis que afecta a la cabeza del fémur y suele ocurrir en niños entre los 3 a 12 años. La causa es idiopática, sin embargo, hay asociación con obesidad, inmadurez esquelética y nivel socioeconómico más bajo, hiperactividad.
Clínica: Dolor que inicia en la cadera con irradiación de la rodilla, limitación de movilidad en especial abducción y rotación interna. Cuando evoluciona genera cojera.
Imagen: el estudio de elección de la gammagrafía ósea que muestra una disminución de la perfusión de la cabeza femoral. Para valorar la extensión se utiliza el sistema del pilar lateral de Herring (Ver imagen).
Clasificación de Herring:
A: No colapso pilar lateraal,
B: Colapso < 50% del pilar lateral,
C: Colapso > 50% del pilar lateral.
Tratamiento: consiste en reposo y tracción del fémur si es que ha sido diagnosticado oportunamente. La secuela más frecuente es la coxa magna (artrosis entre la cabeza del fémur y el acetábulo) y suele manifestar con cojera crónica que podría requerir una prótesis de cadera.
Epifisiolisis femoral
Consiste en el desgarro de la cabeza del fémur y ocurre en niños entre los 3 a los 12 años de edad.
Factores de riesgo: Obesidad, enfermedades que cursan con desmineralización ósea, asimetrías de las extremidades inferiores.
Clínica: Dolor con la actividad que se irradia a la rodilla y cojera. Se clasifica en crónica (>3 sem) y aguda, esta a su vez en estable e inestables dependiendo de la tolerancia a la carga. Bilateral en 50%.
Imagen: La radiografía es diagnóstica. Se traza la línea de Klein-Trethowan (prolongación de cortical superolateral del cuello) en cada cadera y se compara el segmento cefálico femoral interceptado.
Tratamiento: el manejo es quirúrgico mediante epifisiodesis.
17. LUXACIÓN CONGÉNITA DE CADERA
Está asociado a partos distócicos, oligohidramnios, partos podálicos, macrosomía, sexo femenino, cadera izquierda. Es bilateral en aproximadamente un 25%. Existe limitación a la abducción por hipotrofia de los músculos glúteo medio y glúteo menor. La forma más frecuente de lesión es posterosuperior.
Clínica
Niños menores: Maniobras de Barlow (luxa la cadera) y maniobra de Ortolani (reduce la cadera luxada) son sugestivos de displasia congénita de cadera. Puede encontrarse asimetría de pliegues y signo de Galeazi, asimetría de miembros inferiores.
Niños mayores: Signo de Trendelenburg, que corresponde a una claudicación en la marcha, por hipotrofia del músculos abductores ya descritos (ENAM 2013-B / ENAM 2017-B)
Figura 108.
Superior: Maniobra de Barlow.
Inferior: Maniobra de Ortolani.
Figura 109.
Signo de Trendelenburg, con inclinación contralateral por debilidad de músculos abductores.
Imágenes
La displasia de cadera se debe confirmar con imágenes. En niños menores de 3 meses se prefiere el estudio ecográfico. En niños mayores de 6 meses la radiografía es de elección (ENAM EXTRA 2021-I)
Se debe buscar el índice acetabular (>30 °) y el arco de Shenton o arco cérvico-obturatriz
Tratamiento
Consiste en la colocación del arnés de Pavlik manteniendo las extremidades del paciente en posición de abducción y rotación externa, está indicado por al menos 6 meses (ENAM 2017-B). En casos no diagnosticados oportunamente o que no se pudieron resolver ortopédicamente se considera tratamiento quirúrgico: liberación capsular y tenotomía de los aductores (ENAM 2020), la abducción excesiva puede generar necrosis de la cabeza del fémur, grave complicación del tratamiento ortopédico de la luxación congénita de cadera.
18. OSTEOMIELITIS
Generalidades
Infección ósea, la vía de infección es por contacto directo o vía hematógena (más común en bebés y niños). La vía por contacto directo está asociada a la exposición de fracturas abiertas y la vía hematógena por infecciones previas. El germen comúnmente aislado es el Staphylococcus aureus. El hueso más frecuentemente afectado es la tibia.
Bacterias grampositivas
Staphylococcus aureus
Estafilococos coagulasa (-)
Características clínicas
Todas las edades. Posible infección asociada de piel o tejidos blandos.
Recién nacidos en UCI. Niños con catéteres vasculares permanentes.
Estreptococo del grupo A Común en menores de 4 años. Puede estar asociado a infección por varicela zóster
Estreptococo del grupo B Lactantes menores de 3 meses.
Bacterias gramnegativas
E. coli y otros bacilos gram(-)
Características clínicas
Desde el nacimiento hasta los 3 meses, niños con anemia de células falciformes; instrumentación del tracto gastrointestinal o urinario; huésped inmunodeprimido.
Bartonella henselae Niños expuestos a gatos. Puede ser multifocal
Brucella Zonas endémicas, asociado a consumo de lácteos no pasteurizados
Tabla 6. Características clínicas de la osteomielitis en niños según tipo de bacteria
Dentro de la patogenia, la edad cumple un rol importante:
Nacimiento – 3 meses: Corteza delgada y el periostio laxo no pueden contener la infección y llega a penetrar hasta tejido blando; de igual manera los capilares metafisarios perforan la placa de crecimiento epifisiaria de cadera, hombro y rodilla generando complicación con artritis séptica.
Bebes mayores y niños pequeños: La corteza se vuelve mas gruesa y el periostio denso por lo que se desarrollan abscesos subperiósticos a nivel de metáfisis; los capilares metafisarios se atrofian desde los 8 meses lo que limita la propagación articular de la infección, excepto sean metáfisis intracapsulares como en cadera.
Niños mayores y adolescentes: Tienden a localizar la infección siendo más predispuestos a absceso de Brodie
Clínica
Fiebre. Inflamación, calor y enrojecimiento en la zona de la infección. Dolor en la zona de la infección. Limitación a los movimientos. En casos no tratados oportunamente o resistente a antibióticos puede evolucionar a la cronicidad. En fases crónicas puede manifestarse mediante los patrones abscedado de Brodie, esclerosante de Garré o perióstico de Ollier. El absceso está compuesto por una zona central de necrosis (secuestro) rodeado de una zona de neoformación de hueso (involucro) .
Absceso de Brodie Esclerosis de Garré Periostico de Ollier
Diagnóstico
Se prefiere el uso de gammagrafía ósea ya que detecta cambios en la perfusión ósea en estadio temprano. Sin embargo, el estudio más específico es la RMN que detecta cambios más tardíos.
Imagen Hallazgos
Radiografía simple
RMN
Inflamación profunda de los tejidos blandos (3 días después del inicio) Reacción perióstica o elevación (10 a 21 días después del inicio) Esclerosis lítica (<1 mes después del inicio)
Inflamación en médula ósea. Edema en médula ósea y tejidos blandos. Signo de la penumbra (zona de transición de señal de alta intensidad entre el absceso y la médula ósea esclerótica) Ausencia de flujo sanguíneo, sugerente de necrosis o absceso.
Gammagrafía Captación focal de trazador.
Tomografía
Aumento de la densidad de la médula ósea. Destrucción de la corteza. Formación de reacción perióstica (formación de hueso nuevo). Purulencia perióstica. Secuestro (hueso esclerótico desvitalizado).
Ecografía Colección de líquido adyacente. Engrosamiento y elevación de periostio.
Tratamiento
Etapa aguda (3-4 semanas): se administra antibioterapia dirigida por 4 a 6 semanas. Etapa crónica: suele hallarse distintas lesiones de cronificación y requiere tratamiento quirúrgico con resección ósea (ENAM 2017-B).
19. TUMORES ÓSEOS
Tumores benignos
Osteocondroma
Es el tumor benigno más frecuente. Radiológicamente tiene aspecto pediculado que podría generar síntomas por compresión o irritación de estructuras contiguas. Suele dejar de crecer cuando acaba el crecimiento y se cierra la fisis.
Quiste óseo esencial
Predominan en niños y adolescentes, se caracterizan por tener localización central (contrario al quiste aneurismático que es excéntrico). Localización más frecuente es húmero proximal. Suele debutar como fractura patológica. En la radiografía se observa lesión lítica que adelgaza e insufla las corticales. El tratamiento clásicamente es con aspiración seguida de inyección de corticoides o relleno con injerto.
Tumores malignos
Los tumores malignos más frecuentes que se pueden encontrar en el hueso corresponden a metástasis, provenientes de mama y próstata, según sexo, respectivamente, asimismo, pueden provenir de tiroides, pulmones y riñón. Los tumores malignos metastásicos suelen afectar a la vertebras y zonas proximales de los huesos largos (Ej,. epífisis y metáfisis del húmero y fémur). El tumor maligno primario, de origen óseo, más frecuente es el osteosarcoma.
Osteosarcoma
Tumor maligno característico de jóvenes (segunda década de la vida). Se asocia a retinoblastoma. Localización mas frecuente es la metáfisis de fémur distal y tibia proximal. El tipo histológico mas frecuente es intramedular de alto grado. En la radiografía se observa el “signo de sol naciente” que aparece como lesión lítica con áreas blásticas asociado a reacción perióstica, se describe además la formación del triángulo de Codman. El tratamiento consiste en resección quirúrgica con márgenes amplios, incluyendo quimioterapia neoadyuvante y coadyuvante (ENAM 2020).
Sarcoma de Ewing
Tumor maligno radiosensible generalmente de la diáfisis de huesos largos. Los de peor pronóstico suelen ser los sarcomas localizados en la pelvis. Clásico en radiografía la reacción perióstica en “capas de cebolla”. Salvo casos complicados, el tratamiento incluye quimioterapia y radioterapia local.
