
2 minute read
08. LESIONES DE LA MANO
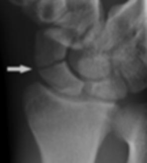
Fractura de escafoides
Es el hueso del carpo más fracturado, el mecanismo es por caída en dorsiflexión. La mayoría ocurre a nivel del cuello.
Advertisement
Clínica: Dolor a la presión en tabaquera anatómica y movilización del pulgar.
Imágenes: la radiografía en los primeros días es poco sensible por lo que se prefiere la TAC, en caso se requiera diagnóstico precoz.
Tratamiento: debe de iniciarse el manejo, aunque en la radiografía no existen hallazgos de fractura. Se realiza la inmovilización con férula “en guante” con inmovilidad del pulgar (ENAM 2011-A).

Recuerda
La tabaquera anatómica está formada por los tendones del extensor largo del pulgar y el extensor corto del pulgar.

Las complicaciones más frecuentes son:
Necrosis avascular proximal Pseudoartrosis
OTRAS FRACTURAS DE LA MANO
Fractura de Bennet: es una fractura oblicua del primer metacarpiano con desplazamiento del pulgar, a causa del abductor largo de este dedo (ENAM 2013-A)
Fractura de Rolando: es una fractura conminuta del primer metacarpiano sin desplazamiento del pulgar.
Fractura del boxeador: fractura de la diáfisis del quinto metacarpiano.
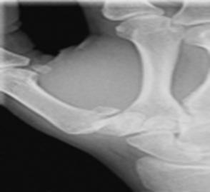
Luxación del semilunar
Es el hueso del carpo más luxado. El mecanismo es por caída sobre la palma de la mano con desviación ventral. Signo del “dorso de tenedor”, es común la lesión del nervio mediano, el cual pasa, anatómicamente, por delante del semilunar. (Ver Figura 61)
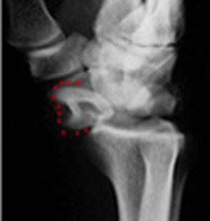
Luxofracturas
Luxofractura de Bennet: es una fractura oblicua de la base del primer metatarsiano que genera un desplazamiento cefálico del pulgar. (Ver Figura 62)



Síndrome del túnel del carpo
Inflamación del retináculo de los flexores generando compresión del nervio mediano. Ocurre comúnmente en el trabajadores de oficina y personas con uso constante de la muñeca y la mano.
Clínica: parestesias en el primero, segundo y tercer dedo a predominio nocturno, puede comprometer parte del cuarto dedo. A mediano plazo puede haber hipotrofia tenar comprometiendo la inervación del músculo oponente del pulgar.
Maniobras
Maniobra de Phalen: Parestesia al flexionar la palma de la muñeca a 90 grados.
Maniobra de Tinel: percusión: Parestesias al percutir de forma suave la zona del tendón palmar.
Izquierda: Maniobra de Phalen. Derecha: Maniobra de Tinel.
Diagnóstico: Ante la duda diagnóstica electromiografía del territorio del mediano.
Tratamiento:
Primera línea: El manejo inicial es con terapia física y manejo del dolor con AINES
Segunda línea: en caso falle se opta por Infiltración de corticoides (ENAM 2013-B)
Tercera opción: En última instancia la cirugía para descomprimir el nervio mediano
Tenosinovitis de Quervain
Inflamación de la vaina sinovial que envuelve al abductor largo y extensor corto del pulgar.
Maniobra de Finkelstein: dolor a la colocación del pulgar en la palma y la desviación cubital de la muñeca.
Tratamiento: sigue el mismo manejo del síndrome del túnel del carpo.
Otras lesiones
Síndrome de compresión del canal de Guyon: hay compromiso del nervio cubital, el cual discurre entre el hueso pisiforme y el ganchoso. Sigue el mismo manejo del síndrome del túnel del carpo.
Enfermedad de Dupuytren: inflamación de la aponeurosis palmar con compromiso de los flexión de los dedos, iniciando por el 4° y 5°. El tratamiento es mediante fasciotomía para liberar los tendones flexores.

Dedo en martillo: lesión del extensor de la falange distal.


