
1 minute read
06. LUXACIÓN DEL CODO
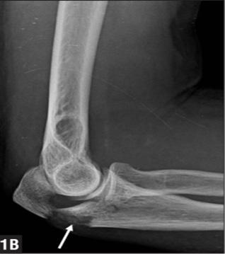
Generalidades Clínica
La luxación posterior es la más frecuente, sobre todo, en niños y la segunda luxación más frecuente en el adultos después de la luxación de hombro.
Advertisement
Dolor, impotencia, deformidad en forma de hachazo tricipital. También genera rigidez e inestabilidad. Deformación del triángulo de Nelaton. Puede lesionar el nervio mediano



Recuerda
Las luxaciones anteriores de codo están asociadas a fracturas de olécranon (lesión de Hume). El manejo es quirúrgico, siendo el cerclaje con alambre el procedimiento de elección por la alta probabilidad de desplazamiento del fragmento roto.
Tratamiento
El manejo es ortopédico mediante reducción, inmovilización en 90° y rehabilitación temprana. En caso se confirme una fractura de olécranon, se debe tratar de forma quirúrgica e incluye cerclaje más alambre en el olécranon. (ENAM 2019-A)
