PDMJ
PENN DENTAL MEDICINE JOURNAL | FALL 2025

HOLISTIC CARE BRIDGING MEDICINE & DENTISTRY
THE SCHOOL'S NEWEST COMMUNITY SITE INTEGRATES DENTAL AND MEDICAL CARE AT THIS FEDERALLY QUALIFIED HEALTH CENTER
![]()
PENN DENTAL MEDICINE JOURNAL | FALL 2025

THE SCHOOL'S NEWEST COMMUNITY SITE INTEGRATES DENTAL AND MEDICAL CARE AT THIS FEDERALLY QUALIFIED HEALTH CENTER
With each academic year, it is always rewarding to watch a new class of students mark the milestone of becoming part of the Penn Dental Medicine community, and once again, we welcomed a stellar group of students to both our DMD and advanced graduate dental education programs. This academic year, the entire Penn Dental Medicine community is also recognizing another special milestone as the School’s Department of Periodontics celebrates its 70th Anniversary (see page 14). Under the founding leadership of Drs. D. Walter Cohen and Morton Amsterdam, Penn indeed has a rich history of accomplishment in periodontics and periodontal prosthesis that continues to grow and develop through the ongoing commitment of alumni and faculty (see page 16). And with this academic year, our second cohort of dual-board eligible periodontalprosthodontics residents is underway.
In January, we will mark two years of operation for our newest community care center — Penn Dental Medicine at PHMC on Cedar. Part of the PHMC Public Health Campus on Cedar, this federally qualified health center in West Philadelphia integrates dental and medical care, supporting improved health outcomes for patients and providing immersive coordinated-care experiences for our students, integrating with the health professionals at the Campus, and actively reducing emergency room utilization among the population (see page 10).

In the realm of research, while the uncertain landscape of federal funding is having a profound impact on investigations here and nationwide, our research enterprise continues to thrive. Under the leadership of Dr. Modupe Coker, who joined Penn Dental Medicine last year (see page 20), the Center for Clinical and Translational Research is supporting a growing portfolio of human-subjects research with more than 25 ongoing projects.
In this issue, we also spotlight alumni who have chosen to serve the underserved through a career path in public health dentistry. In varied roles, they share the rewards of helping vulnerable communities improve their oral health (see page 32).
We are also pleased to acknowledge the many alumni and friends who have supported Penn Dental Medicine this past fiscal year (see page 24). In FY25, 1,251 donors made a gift to a Penn Dental Medicine fund — thank you for your investment in the School’s mission and the many ways you are helping to propel Penn Dental Medicine forward.
Stay well and stay connected.




Mark S. Wol , DDS, PhD


Morton Amsterdam Dean



Holistic Care Bridging Medicine & Dentistry
The School’s newest community site integrates dental and medical care at this West Philadelphia health center
Advancing Clinical & Translational Research
Modupe Coker, BDS, MPH, PhD, is analyzing the oral microbiomes of people living with HIV 2 9 14 24 31 On Campus School News in Brief
Faculty Perspective Views on Dental Topics & Trends
Department of Periodontics Turns 70
Marking this Special Milestone
Alumni Giving & Engagement
Celebrating Philanthropic Impact & Engagement in 2024–2025
Research Spotlight
Translating Science to Practice
ON THE COVER: Penn Dental Medicine at PHMC on Cedar, the School’s newest community site, opened in January 2024 as part of the PHMC Public Health Campus on Cedar, located at 54th Street and Cedar Avenue at what was formerly the Mercy Hospital Building.
PHOTO: Eddy Marenco
Alumni Highlights
Profiles, Gatherings & Engagement
Student Perspective
Views on the Educational Experience
Class Notes
News from Fellow Alumni
In Memoriam
Remembering Members of the Penn Dental Medicine Community
Calendar Upcoming Events & Programs
Serving the Underserved
Penn Dental Medicine Alumni
Choose a Path in Public Health
PENN DENTAL MEDICINE JOURNAL: Vol. 22, No. 1 University of Pennsylvania School of Dental Medicine www.dental.upenn.edu
Dean: Mark S. Wolff, DDS, PhD
Vice Dean of Marketing & Communications: Elizabeth Ketterlinus
Associate Dean for Development & Strategic Initiatives: Maren Gaughan
Director, Publications: Beth Adams
Contributing Writers: Beth Adams, Judy Hill, Laura Dattaro, Debbie Goldberg
Photography: Lisa Godfrey, Mark Garvin, Eddy Marenco, Eric Sucar
Office of Institutional Advancement: 215-898-8951
Penn Dental Medicine Journal is published twice a year by the Office of Communications for the alumni and friends of the University of Pennsylvania School of Dental Medicine. ©2025 by the Trustees of the University of Pennsylvania. All rights reserved. The views expressed in this publication are not necessarily those of Penn Dental Medicine. We would like to get your feedback — address all correspondence to: Beth Adams, Director of Publications, Robert Schattner Center, University of Pennsylvania School of Dental Medicine, 240 South 40th Street, Philadelphia, PA 19104–6030, adamsnb@upenn.edu

Penn Dental Medicine’s Center for Integrative Global Oral Health (CIGOH) is presenting its 4th Global Oral Health & Climate Action Conference in conjunction with the 30th United Nations Conference of the Parties (COP30), being held in Belém, Brazil, Nov. 10–21, 2025. COP is an annual global meeting where world leaders, scientists, non-governmental organizations, and civil society leaders gather to discuss actions to tackle climate change. The CIGOH Conference is a livestream program with international participants.
CIGOH has established its multi-year Global Oral Health and Climate Action Conference to promote and contribute to a consistent and coherent approach to addressing complex climate global challenges and help advance the discussion on how the dental community can build a climate-smart and resilient service and practice model in partnership with government, business, and society.
The Global Oral Health and Climate Action Conference program has two components — a transdisciplinary program and a global oral health program with focused attention on themes and issues specific to oral health and dentistry.
“The aim is to showcase innovation in sustainable dentistry, strengthen opportunities for oral health diplomacy and crosssectoral collaboration, and advance the integration and mainstreaming of oral health in and across global health and sustainability agendas,” says Dr. Julian Fisher, Director of Oral and Planetary Health Policies within CIGOH. “We hope to create new opportunities and partnerships and ensure that the dental community actively participates in planetary and human health decision-making at a global level.”
Learn about the full program and register to attend virtually at www.dental.upenn.edu/ COP30.
DMD GRADUATES IN THE CLASS OF 2025, INCLUDING 150 WOMEN AND 48 MEN
112 students graduated with honors and 11 with dual degrees (5 Master in Law, 2 Master of Bioethics, 2 Master of Public Health, 1 Master of Science in Nutrition Science, 1 Master of Science in Engineering)
78 pursuing postdoctoral study in a dental specialty
64 entering dental practice
41 entering a general dentistry residency or an advanced education in general dentistry program
22 National Health Service Corps scholars
15 entering the military
50 Program for Advanced-Standing Students (foreign-trained dentists earning their DMD to practice in the U.S.), representing 15 countries
DMD STUDENTS IN THE CLASS OF 2029, INCLUDING 126 WOMEN AND 52 MEN
31 states, U.S territories, and Canadian provinces represented 29 languages spoken
3.82 average science GPA
23.49 DAT academic average
3.85 overall average GPA
2,999 applicants

Penn Dental Medicine joined with deans, program directors, faculty, and Ministers from across Africa for the inaugural African Dental Education Symposium that culminated in the launch of the African Education Dental Association (AEDA), the continent’s first collaborative association committed to advancing dental education. The symposium took place July 11-12 at the Université Mohammed VI des Sciences de la Santé (UM6SS) in Casablanca, Morocco.
Penn Dental Medicine was one of the institutional partners for the event with Penn Dental Medicine’s Morton Amsterdam Dean, Dr. Mark Wolff, and Dr. Michael Glick, Executive Director of the School’s Center for Integrative Global Oral Health (CIGOH), among the symposium speakers. Dean Wolff was part of a panel discussion that focused on dental curriculum in Africa, addressing standards, fundamental principles, preclinical and clinical instruction, and the role and importance of simulation centers in dental education.
“The wide range of educational and oral health needs across Africa requires new approaches to education and dedicated efforts to identify potential shared solutions,” says Dean Wolff. “This meeting marks the start of a process intended to develop excellence in educational and research programs throughout Africa in order to establish innovative methods for improving oral health.”
Dr. Glick presented on evidence-informed practice guidelines and CIGOH’s collaboration with the American Dental Association (ADA) on the ADA Living Guideline Program.
“It is rewarding to see educators from throughout Africa come together again to explore how to advance oral health,” says Dr. Glick. “This type of collaboration is what we are working to support within CIGOH and builds on what we saw at our Nairobi conference in 2023.” In November 2023, CIGOH partnered on a conference with the World Health Organization (WHO) Regional Office for Africa and the University of Nairobi
“This meeting marks the start of a process intended to develop excellence in educational and research programs throughout Africa in order to establish innovative methods for improving oral health.”
— DR. MARK WOLFF
to bring together oral health leaders and experts from different African nations to discuss the oral health needs of the populations across their respective countries.
This recent symposium under the theme “Unity and Collaboration for Dental Education in Africa” addressed current challenges related to dental science curricula, governance, and the promotion of educational human resources.
“The creation of the AEDA will play a key role in bringing African nations together to support the exchange of dental education resources, while also advocating for improved dental health systems.” adds Dean Wolff. “We are pleased to lend our support to these efforts.”
Representatives from the FDI World Dental Federation, American Dental Education Association, and Association for Dental Education in Europe also participated in the symposium, offering their guidance and support for African-led solutions. Mercy Ships was the official organizing partner of the gathering, noting its commitment to strengthening healthcare systems by equipping professionals to serve their own communities.
ABOVE: Dr. Michael Glick, Executive Director of the School’s Center for Integrative Global Oral Health, presented on the development of evidence-informed practice guidelines.
SHREYA SHAH (D’25, GD’27)

this
To help support her success at Penn Dental Medicine, a team of faculty and staff developed a coordinated plan to accommodate her needs and create a supportive learning environment.
Shreya Shah’s dreams of becoming a dentist began young. Like many with such aspirations, she was inspired by positive childhood experiences of going to the dentist. But Dr. Shah (D’25, GD’27) was also motivated by something more specific — the desire to communicate better.
Diagnosed with severe hearing loss at the age of three, Dr. Shah underwent intensive speech therapy where she learned to focus on people’s lips and teeth to see how sounds were formed and understand what people were saying. She noticed that people who were confident about the way their smile looked enunciated more clearly, which made it easier for her to lipread. Her desire to be a dentist sprang, she says, “from wanting to help create healthy smiles, so that I could understand more people around me.”
Dr. Shah chose Penn for dental school — after attending UNC Chapel Hill for undergrad — in part because of the diverse populations she knew she would get to treat through the school’s community rotations and the Care Center for Persons with Disabilities. Moving
to Philly also seemed like a good way for the Atlanta native to move out of her comfort zone and meet people with different backgrounds and perspectives.
“My experience here has been phenomenal,” says Dr. Shah, who recently began her postgraduate training in orthodontics at the School. “I truly believe I would not be where I am today without the mentorship and guidance I received.”
Dr. Shah was the only deaf/hard of hearing student in her class when she arrived at Penn, and her challenges were compounded by the COVID pandemic. In her first year of dental school, masking was required in all lectures and labs, which was problematic since she relied heavily on visual aids and lipreading to learn.
“My experience here has been phenomenal. I truly believe I would not be where I am today without the mentorship and guidance I received.”
— DR. SHREYA SHAH (D’25, GD’27)
“We wanted to make sure that we had everything on site for her ready to go when she walked in,” says Vice Dean for Academics Dr. Faizan Alawi, who met with Dr. Shah the summer before she started the program to better understand her needs. Separately, Dean Mark Wolff also met with Dr. Shah. Dean Wolff and Dr. Alawi then coordinated a plan of action with a team that included leadership from the School’s Offices of Academic Affairs, Student Affairs and Clinical Affairs, the Department of Preventive and Restorative Sciences, Information Technology, the Center for Educational Technology and Innovation, and Student Disability Services at the University of Pennsylvania Weingarten Learning Center.
“One of the first things we did,” says Dr. Alawi, “was to have all of our pre-existing lectures that were going to be reused in the curriculum transcribed.” With the use of a third-party real-time transcription service, Dr. Shah was also able to have access to live lectures as they were happening.
In the preclinical lab, she was assigned to a seat at the front of the room right next to the faculty member who was demonstrating what the students had to do in the lab. She also wore her own device to amplify the sound. Clinic faculty also sometimes wore clear masks so that she could lipread them more easily as they provided feedback and instruction. Once COVID restrictions eased up in her third year, says Dr. Shah, “my professors pulled down their masks [the clear masks tended to fog up] to talk to me and understood the need to make eye contact with me, which made clinic a much easier environment to learn in.”
Sometimes, says Dr. Shah, professors would stay behind with her after lab ended, when there was less background noise, to explain concepts to her. She would also ask her fellow students to write down what they were talking about or asking her through the Notes app on her iPhone. “I still look back at these notes sometimes and feel dental school nostalgia!” she says.
“In both lecture and lab settings, she did wonderfully well,” says Dr. Alawi. “She’s just a high-achieving student, and with these accommodations, she really excelled.”
Every hard of hearing student learns differently and has a unique experience with their disability, says Dr. Shah, so reaching out to students early and establishing a connection with them, as Dr. Alawi did, is critical for understanding their personal needs and how they can succeed.
When treating patients, Dr. Shah uses the same methods as her peers who are not hard of hearing — establishing rapport, asking questions, remembering personal details about them — and she communicates with them through lipreading and direct eye contact. Being deaf, she says, means she is more visually oriented, and some of her patients have told her that her use of direct eye contact has made them feel they have a provider that really listens and sees them as a whole person.
Dr. Shah’s advice for dentists treating patients who are hard of hearing or deaf: “I recommend getting to know your patient as a person and being open minded in how you approach and implement dental treatment plans. Asking patients how you can make their dental experience in the chair easier for them goes a long way in showing you care about them.” For some patients, having written (rather than verbal) oral hygiene instructions is helpful, and using a text/video chat feature instead of a call can assist in scheduling appointments. Engaging an outside service that provides sign language interpretation may further enhance accessibility.

Dr. Yu Zhang Professor, Dept. of Preventive & Restorative Sciences
Penn Dental Medicine’s Dr. Yu Zhang, Professor in the Department of Preventive & Restorative Sciences and Director of Restorative Research, has been recognized for his leadership in advancing the field of dental materials as the 2025 recipient of the International Association for Dental Research (IADR) Distinguished Scientist Wilmer Souder Award.
The IADR Wilmer Souder Award recognizes excellence in the field of dental materials research among those scientists who, through research in this field, bring about outstanding advances in dental health. Established and supported by an endowment provided by IADR’s Dental Materials Group, the award is intended to confer the highest honor in the field of dental materials research and is one of the 17 IADR Distinguished Scientist Awards.
Applying a background in physics and material science, Dr. Zhang is a highly respected researcher in the area of dental ceramics, with a focus on zirconia. His work has involved tailoring the composition and microstructure of zirconia, using a gradient approach to combine it with porcelain to make it more esthetic and improve cement bonding and durability. Applying the same gradient approach to calcium phosphate glass and zirconia, Dr. Zhang has also produced a strong material that promotes bone integration while repelling microbes. In addition, he is working on developing new protocols for ductile machining and ultrafast sintering of ceramics.
As she begins her postdoctoral training in orthodontics, Dr. Shah is particularly interested in craniofacial orthodontics, which deals with complex skeletal and genetic disorders. “Many of these individuals also present with hearing loss and go through intensive speech therapy like I did,” she says. “I’d love to be able to be a part of helping this population.” — By Judy
Hill

In collaboration with the National Coalition of Dentists for Health Equity (NCDHE), Penn Dental Medicine is hosting a series that brings visionary leaders together to explore the importance of integrating oral health into whole health policy and practice. This four-part, Zoom-webinar series covers the wide-reaching implications of the current changes to the nation’s health system and highlights a critical path forward for oral health through medical-dental healthcare collaboration.
Registration is free for the entire series with Penn Dental Medicine awarding attendees 1.5 continuing dental education lecture credits for each program. All sessions will be available through Penn Dental Medicine’s CDE Portal (https://cde.dental.upenn.edu) for viewing online after the livestream.
The series includes: “Oral Health in Transition: Charting a Collaborative Path Forward” (presented live Sept. 10, among the panelists was the President of the American Dental Association, Brett Kessler, DDS, who played a key role in establishing Colorado’s adult Medicaid dental benefit); “Integration at the Clinical Level” (presented live Oct. 15); “Integration at the Community Level,” (live webinar Nov. 19, 6–7:30 pm EST); and “Call to Action – Policy and Advocacy,” (live webinar Dec. 10, 6–7:30 pm EST).
View all and register at https://cde.dental.upenn.edu.


Dr. Flavia Teles, Professor in the Department of Basic & Translational Sciences, has been recognized for her periodontal research with two awards — the 2025 IADR/IAP Ricardo Teles Clinical Research Award and the American Academy of Periodontology (AAP) 2025 Clinical Research Award.
Presented annually by the International Association for Dental Research (IADR) Periodontal Research Group, the Ricardo Teles Clinical Research Award recognizes investigators who have made innovative and significant contributions in onset, progression, and treatment of periodontal diseases.
The AAP Clinical Research Award recognizes the most outstanding published work each year that offers direct clinical relevance in periodontics, presenting innovative insights that can be readily applied by practitioners in the evaluation and management of periodontal diseases. Dr. Teles was recognized as lead author for the paper, Salivary and serum inflammatory biomarkers during periodontitis progression and after treatment. J Clin Periodontol. Teles FRF, Chandrasekaran G, Martin L, et al. 2024 Dec;51(12):1619-1631.
Dr. Teles leads a world-class research program focused on the oral microbiome, particularly the discovery and characterization of previously uncultivated periodontal pathogens. Utilizing cutting-edge cultivation and molecular techniques, her lab aims to identify hidden members of oral biofilms. The study of these new bacterial species may lead to the discovery of new compounds and metabolic pathways, which can foster the development of better strategies for prevention and treatment of periodontal diseases as well as other oral conditions.
Her program also explores salivary markers of periodontitis progression and response to treatment, aiming to enable personalized, at-home monitoring of gum diseases. She is also working on a project that will harness AI-based approaches to integrate and analyze genetic, immunological, and clinical data along with demographic information to build models that predict the likely course of periodontitis in an individual.
Her multidisciplinary program is redefining oral health through the convergence of microbiology, immunology, informatics, and clinical innovation — promising earlier detection, personalized treatment, and improved outcomes for patients worldwide.

Penn Dental Medicine’s Dr. Kelly Jordan-Sciutto, Professor in the Department of Oral Medicine and Associate Dean for Organizational Effectiveness, has been appointed to a new leadership role within the University of Pennsylvania, named Vice Provost for Graduate Education. Her appointment, effective July 1, 2025, highlights the integration of Penn Dental Medicine within the fabric of the University's educational and scholarly initiatives.
This was one of two new vice provosts named at the University — the other being a Vice Provost for Undergraduate Education (Russell J. Composto, Professor at Penn Engineering). These two new positions will assume many of the previous administrative and oversight roles of the Deputy Provost and the Vice Provost for Education.
“By creating these expanded new faculty leadership roles, dedicated separately to graduate and undergraduate education, we aim to recognize and address the specialized needs of our different groups of students,” said Penn Provost John L. Jackson Jr. when making the announcement.
Among her many roles, Dr. Jordan-Sciutto served as Chair of Penn Dental Medicine’s Department of Pathology from 2011 through 2019 and Vice Chair of the Department of Basic & Translational Sciences from 2019 through 2022. Since 2017, she has also served as Associate Dean for Graduate Education and Director of Biomedical Graduate Studies in the Perelman School of Medicine. In addition, she has been Chair of the Faculty Senate Committee on Students and Educational Policy and part of both the Provost’s Leadership Academy and Penn Fellows Program, which provide leadership training to select Penn faculty members. She also participated in the Management Development Program of the Harvard Institutes for Higher Education.
Dr. Jordan-Sciutto remains an active member of the Penn Dental Medicine Department of Oral Medicine, where her research focuses on the cellular and molecular responses to inflammation in the brain, especially how these mechanisms can be used therapeutically to advance new treatments for preventing cognitive changes in people with HIV, Alzheimer’s disease, and Parkinson’s disease.


A pioneering collaboration between Penn Dental Medicine’s Center for Integrative Global Oral Health and the American Dental Association (ADA) launched the ADA Living Guideline program earlier this year, the first and only known living clinical practice guideline program dedicated to oral health. The goal of the program is to provide dentists and other healthcare professionals continually updated, evidence-informed guidelines to help guide care and improve health outcomes.
One of the first projects, currently underway, is to update a guideline on the early detection of potentially malignant disorders and oral cancer, last published in 2017. The recommendations are expected to be released later this year.
In the meantime, to preview the visual and interactive format that will be used in the guideline program, the team brought its 2024 Adult and Adolescent Acute Pain Guideline into the new format, available at ADA.org/livingguideline. Living guidelines are free and open access for everyone.

Penn Dental Medicine launched “Find a Penn Dentist” in response to calls from the public who were interested in getting their dental care from a Penn Dental Medicine graduate. Currently, 1,449 alumni have added their practices to this web-based directory, which allows visitors to the Penn Dental Medicine website to search by city and state or zip code to find a Penn dentist in their area. Searches can also be done by dental specialty.
All Penn Dental Medicine alumni are invited to list their practice information on Find a Penn Dentist. To sign up, contact the Office of Institutional Advancement at 215-898-8951 or complete a form online at www.dental.upenn.edu/enrollFAPD Practices are added within one week of enrollment. Add your practice >


Penn Dental Medicine hosted the Carnival of the Senses, a vibrant health fair dedicated to individuals with autism and their families. Held September 27, 2025, the event welcomed families into a thoughtfully designed environment that celebrated sensory-friendly engagement and hands-on oral health education presented by Penn Dental Medicine students and faculty.
With support from the Eagles Autism Foundation, the fair featured a variety of interactive stations, including toothpaste tasting with over 25 unique flavors, games and activities, tours of Penn Dental Medicine’s Personalized Care Suite, and sensory-friendly food options. Attendees also benefited from educational materials and live demonstrations, all designed to promote better understanding and practices around oral health in a welcoming environment.
The event drew families from across the region, fostering community connections and highlighting Penn Dental Medicine’s commitment to accessible, compassionate care for the neurodiverse population.
Contributed by Dr. Joseph Fiorellini, Professor, Dept. of Periodontics; Dr. Hector Sarmiento, Clinical Associate Professor of Periodontics; and Dr. Sean Mojaver, Adjunct Assistant Professor of Periodontics
Dental implants have become a cornerstone of modern restorative dentistry, offering patients highly predictable function and esthetics. The dental implant market value is estimated to be $5.7 Billion by 20271. Alarmingly, the value of the peri-implantitis treatment market will be $1.3 Billion2. Despite the success of dental implants, there is a rising awareness of complications. Peri-implant diseases, such as mucositis and peri-implantitis, are now among the most pressing issues clinicians face in longterm implant care. As more patients receive implants, understanding how to prevent and manage these conditions has never been more important.
Peri-implant mucositis is an inflammatory lesion confined to the soft tissues surrounding an implant. It presents with redness, swelling, and bleeding on probing, but without bone loss. If left untreated, mucositis can progress to peri-implantitis, a destructive condition involving both soft-tissue inflammation and progressive loss of supporting bone. Unlike periodontitis, peri-implantitis often shows a more aggressive trajectory, with crater-like bone defects that compromise implant survival. Prevalence estimates vary, but studies consistently show that mucositis affects nearly half of implant patients, and peri-implantitis occurs in about 15–25%.
Peri-implant disease is multifactorial. Patient-related risks include a history of periodontitis, smoking, diabetes, and
inadequate plaque control. A patient’s periodontal history is one of the strongest predictors of implant complications. On the restorative side, excess cement, poor prosthetic contours, and malpositioned implants increase plaque retention and compromise cleanability. Implant surface roughness, once considered a biological advantage, may also contribute to biofilm persistence when exposed. Equally important are behavioral and systemic factors — patients who do not return for maintenance or struggle with oral hygiene inevitably face greater risk.
The foundation of peri-implant care is prevention. Every implant case should begin with a risk assessment, and patient-specific modifications should be made before surgery, such as smoking cessation, improved glycemic control, or adjustments to prosthetic design. Once an implant is restored, early diagnosis is key. Peri-implant mucositis can usually be reversed with non-surgical therapy, patient re-education, and risk modification. When peri-implantitis develops, however, management becomes more complex. Non-surgical debridement may reduce inflammation but rarely eliminates disease progression. Surgical access is often required to achieve decontamination for regenerative outcomes. Techniques such as implantoplasty, use of lasers or bone substitutes with application of biologics can improve clinical results, but evidence remains mixed.
1https://www.fortunebusinessinsights.com/industryreports/dental-implants-market-100443. 2https://www.grandviewresearch.com/industry-analysis/periimplantitis

One of the most significant advances in recent years is the concept of supportive peri-implant therapy (SPiT). Similar to supportive periodontal therapy, SPiT provides structured maintenance protocols tailored to implant patients, emphasizing routine monitoring, professional debridement, and reinforcement of oral hygiene. Evidence shows that consistent supportive therapy markedly reduces the risk of peri-implantitis, even in susceptible individuals.
Ultimately, the best way to manage peri-implant disease is to minimize its occurrence. Careful patient selection remains critical since implants are not for everyone, particularly those unable or unwilling to maintain long-term care. Patients must be educated that implant therapy is not a one-time event, but a lifelong commitment.
As clinicians, we have powerful tools to replace teeth predictably, but long-term success depends less on the implant itself than on choosing the right patient, designing restorations that facilitate hygiene, and ensuring regular maintenance. With thoughtful prevention, supportive care, and timely intervention, we can manage peri-implant disease effectively and safeguard the predictability of implant therapy for the future.

“Integrating
dental care within a collaborative-care center, such as Cedar, where patients have access to comprehensive healthcare services, supports improved health outcomes.”
— DR. MARK S. WOLFF
IYER (D’26), a fourth-year student at Penn Dental Medicine, examined a patient’s blood pressure this spring as part of a routine exam, she assessed that it was, she says, “through the roof.” Typically, she would refer them to their primary care provider. At Penn Dental Medicine at PHMC on Cedar, she walked them upstairs.
“I think a lot of times you can say something to a patient, and then it doesn’t end up happening because there are so many things that slip through the cracks for various reasons, or determinants that are preventing that patient from getting the care they need,” says Iyer. “So being able to actually take a patient for medical evaluation when they need it [is so helpful].”
This system of dental-medical integration is by design. Penn Dental on Cedar — the School’s newest community care site that opened for patient care in January 2024 — is part of the PHMC Public Health Campus on Cedar, located at 54th Street and Cedar Avenue at what was formerly the Mercy Hospital Building. The Campus also includes the PHMC Health Center on Cedar, a federally qualified health center and HUP (Hospital of the University of Pennsylvania) Cedar, which provides emergency, inpatient,
and behavioral health services. Additionally, Children’s Hospital of Philadelphia offers a crisis response center for pediatric mental and behavioral emergencies.
Penn Dental on Cedar features 11 stateof-the art dental operatories, and in 2024, its first year in operation, there were 2,348 patient visits and nearly 8,350 dental procedures completed at the site.
“Maintaining optimal oral health is essential to overall well-being,” says Penn Dental Medicine’s Morton Amsterdam Dean, Dr. Mark S. Wolff. “Integrating dental care within a collaborative-care center, such as Cedar, where patients have access to comprehensive healthcare services, supports improved health outcomes.”
At its core, the Cedar care center serves as a bridge between Penn Dental Medicine and the West and Southwest Philadelphia community — and also between types of care.

OPPOSITE: Penn Dental on Cedar features 11 state-ofthe-art operatories. In 2024, the first year of operation, there were 2,348 patient visits.
ABOVE: Dr. Cassandra Gafford (D’13), Director of the Community Oral Health Clinics at Penn Dental Medicine (right) and Dr. Kari Hexem (D’15), Assistant Professor of Community Oral Health (left).
STORY PHOTOS: Eric Sucar
While connecting dentistry and medicine for overall healthcare is an integral part of Penn Dental Medicine’s care model, medical-dental integration at the Cedar site is the most holistic of the School’s community programs, being situated on a campus that offers behavioral health services, prenatal and postnatal care, emergency care, and more. And, perhaps most importantly when it comes to supporting “whole” healthcare, the dental and medical electronic health records of Cedar patients are also integrated.
“Having that relationship between medical and dental really opens up and encourages the idea that dentistry is part of overall health, and allows for people who might otherwise not have access to a dentist to find dental care here,” says Dr. Cassandra Gafford (D’13), an Assistant Professor of Clinical Community Oral Health and Director of the Community Oral Health Clinics at Penn Dental Medicine, part of the Division of Community Oral Health.
Penn Dental at Cedar is staffed with a combination of rotating third- and fourthyear Penn Dental Medicine students, residents in the School’s Advanced Education in General Dentistry program, and Penn Dental Medicine faculty and hygienists. Students and hygienists at Cedar also conduct free, optional screenings on select days of the week as part of physical exams at Cedar.
“A lot of people who don’t have regular access to dental care, only go in for ‘episodic’ care — when something is wrong,” says Gafford. “So, to lower that barrier here at Cedar, if during a medical appointment they say, ‘I haven’t seen a dentist in a while,’ they can simply be directed downstairs to our center to make an appointment.”
Another benefit of the co-location of medical and dental services is that the upstairs emergency department can redirect patients with dental emergencies to the Penn Dental Medicine care center, freeing up emergency resources. Gafford says this sometimes can happen several times per day. In addition, patients benefit as well given

“Having that relationship between medical and dental really opens up and encourages the idea that dentistry is part of overall health, and allows for people who might otherwise not have access to a dentist to find dental care here.”
— DR. CASSANDRA GAFFORD (D’13)
emergency departments do not always have the X-ray equipment to diagnose a dental issue and physicians do not have the level of expertise in oral care that a dentist has. There are also moments like Iyer’s, too, where a patient may present as hypertensive or gum health may indicate signs of diabetes, allowing Penn Dental providers to directly refer to a medical provider upstairs.
Since the arrival of Dean Wolff in 2018, Penn Dental Medicine’s community sites have also broadened the level of restorative care and range of treatments provided. Today, most procedures can be conducted directly at Penn Dental on Cedar with more complex cases referred to the dental School for specialty care as needed.
Shelley Henderson, an Assistant Professor of Clinical Family Medicine and Community Health at Penn Medicine, has served as a provider at PHMC on Cedar since 2022. She’s long been committed to seeing patients in a community health center.
“I love my patients, and I love that they can walk from across the street where many of them live,” says Henderson.
The collaboration with Penn Dental Medicine, she says, has “changed the game for us,” being able to send patients for an optional dental examination during a visit for a physical. Patients have also been offered examinations while waiting, she says, on occasions when there is a longer than usual wait to be seen by a doctor.
Penn Dental Medicine’s five community care programs take comprehensive dental care to the neighborhoods where patients live and work, improving access to care while providing invaluable learning experiences for students. In 2024, there were a total of 9,013 patient visits and 32,511 procedures completed at the community sites, including:
4,810 PROCEDURES, 1,306 PATIENT VISITS AT MERCY LIFE (LIVING INDEPENDENTLY FOR ELDERS), 4508 Chestnut Street, which provides interdisciplinary medical, dental, behavioral and pharmacy services for elders living in West Philadelphia.
5,781 PROCEDURES, 920 VISITS THROUGH PENNSMILES, the School’s oral health outreach program that travels to area schools, Head Start programs, and other neighborhood sites.
8,019 PROCEDURES, 2,103 PATIENT VISITS AT PUENTES DE SALUD, 1700 South Street, which provides medical and dental care, as well as health education and outreach services to the predominantly Latino community.
5,553 PROCEDURES, 2,336 PATIENT VISITS AT MIKEY FAULKNER DENTAL CARE CENTER, Woods Services Langhorne, Pa. campus, which serves children and adults with intellectual and developmental disabilities and acquired brain injuries.
8,348 PROCEDURES, 2,348 PATIENT VISITS AT PENN DENTAL MEDICINE AT PHMC PUBLIC HEALTH CAMPUS ON CEDAR, 54th Street and Cedar Avenue, part of the federally qualified health center serving West and Southwest Philadelphia.
To learn more on how to help support Penn Dental Medicine’s community care programs, contact Maren Gaughan, Associate Dean for Development and Strategic Initiatives, at gaughan@upenn.edu or make a gift at www.dental.upenn.edu/community.

“There can be a lot of trauma around dental care. For one reason or another, people can put that off,” says Henderson. “Diabetics with terrible infections, whatever the issue. And so, we try to hold them over until they can get a dental appointment, or follow up, and it’s drastically different to say, ‘Well, I can actually have them take a look at it right now.’”
Jackie Cuccurullo (D’26), a fourth-year student at Penn Dental Medicine, came to Penn specifically to have the opportunity to work in community sites like Penn Dental on Cedar, as part of a dental curriculum that requires rotations in Penn Dental Medicine’s community care centers. She’s rotated in and out of Cedar for the past year and says the experience has helped her learn how to make patients who may not have a history with dentists that much more comfortable.
“I think being within the community is really helpful for gaining perspective, because not everyone is going to come in and things are stable, where they’ve been coming for regular care,” she says. “One person came in and it was their first dentist appointment ever.”
It’s a contrast, she says, to have Penn Dental Medicine come to the neighborhood, rather than the other way around.
“We’re there to serve the community,” says Gafford. “This is one of the ways Penn pursues its goal of being a good citizen and a good neighbor to West Philadelphia.”
Gafford adds that care centers like the one at Cedar showcase to students that community dentistry is a viable alternative to private practices.
“This is an exciting opportunity for [us] to be part of inspiring students to go out and treat everybody with dignity and respect and understand that this is a real career path,” says Gafford, “a way to do good work in the communities they serve. This is a mission-driven department, clinic, and site.” n
— By Brandon K. Baker
OPPOSITE: Care centers like the one at Cedar, a federally qualified health center, showcase to students that community dentistry is a viable alternative to private practices.
ABOVE: Penn Dental at Cedar is staffed with a combination of rotating third- and fourth-year DMD students, residents in the School’s Advanced Education in General Dentistry program, and Penn Dental Medicine faculty and hygienists.
Penn Dental Medicine’s Department of Periodontics turned 70 this year, and throughout the 2025–2026 academic year, the Department is marking this special milestone. It was the pioneering work of Dr. D. Walter Cohen, who joined the faculty in 1951, and Dr. Morton Amsterdam, who joined the faculty in 1953, that led to the establishment of a separate Department of Periodontics in 1955. Together, their work established Penn as a national model for periodontics and periodontal prosthesis, launching decades of storied accomplishment and graduating many leaders in the field. Here we highlight some of the news and events celebrating this platinum anniversary.

Penn Dental Medicine brought together nearly 180 attendees from across the country and around the world for the 7th Penn Periodontal Conference, providing a forum to exchange the latest science in the field of periodontal research. The Conference, held July 28-31, was also a key event in the Department of Periodontics’ 70th Anniversary celebration.

Held biennially, Penn Dental Medicine launched the first Penn Periodontal Conference in 2013 to not only bring together leading researchers in their respective fields of study but also to foster the development of junior researchers working with them. That dual focus – scientific excellence and promoting the next generation of scientists – has remained a primary goal of the conference.
“We were honored to host nationally and internationally recognized researchers on a wide range of topics,” says Dr. Dana Graves, Vice Dean for Scholarship & Research and Interim Chair of the Department of Periodontics, who was Co-Chair of the conference with Dr. George Hajishengallis, Thomas W. Evans Centennial Professor in the Department of Periodontics. “The high level of science presented was inspiring.”
The program speakers represented 21 universities and institutions within the United States, and seven international schools. The four-day scientific program featured presentations that addressed periodontal-related research topics across four key categories: microbiology, inflammation and systemic disease, pathogenesis, and regeneration. In addition, there was a session of junior investigator presentations.
The two keynote speakers included John Seykora, MD, PhD, Professor, Departments of Dermatology and Pathology, University of Pennsylvania Perelman School of Medicine, who spoke on “How Analysis of Stratified Squamous Epithelium Informs our Understanding of Cancer and Inflammatory Diseases” and Pamela G. Robey, PhD, Senior Investigator, National Institute of Dental and Craniofacial Research, who presented “Stem Cells for the DOC Complex: What They Are and What They Can Do.”
The program was structured to encourage interaction among participants with one afternoon free for networking and a poster presentation session that provided the opportunity for participating researchers to share their work and talk one-on-one with each other.
“There were lively discussions and a great exchange of information,” notes Dr. Hajishengallis. “We hope the connections made and research shared will lead to new collaborations.”
THE EVOLUTION OF A PARADIGM: THE ROLE OF TEETH…IN THE AGE OF IMPLANTS
NOV. 7–8, 2025 (IN-PERSON)
The 2-day symposium will focus on presenting classic periodontic and periodontal-prosthesis concepts alongside modern advancements. Topics will include the management of compromised dentitions, interdisciplinary treatment in orthodontics, periodontal influences, the peritooth environment and its impact on restorative dentistry, and the evolving role of implants in modern practice. In addition, we will explore the impact of genetic disorders on dental management, the peri-tooth environment, and emerging technologies like digital aligners. Learn more: www.dental.upenn.edu/paradigm
DEPT. LECTURE SERIES, SPRING 2025 (WEBINAR)
The Department of Periodontics will restart its lecture series in Spring 2025 with lectures on a diversity of topics on techniques and technologies.
Watch for programming schedules at www.dental.upenn.edu/cde.
By the Numbers
20,335
PROCEDURES WERE PERFORMED WITHIN THE PERIODONTIC CLINIC IN 2024 WITH 9,140 PATIENT VISITS
As Penn Dental Medicine’s Department of Periodontics marks its 70 years of leadership in the specialty, it is celebrating its legacy while also looking to the future, with a recent major gift from an alumnus promising to help advance the Department’s continued strength and development. This generous contribution was made by Dr. Hector Sarmiento (GD’14), who earned both a certificate in periodontics and a Master of Science in Oral Biology here in 2014.
“This support will have a tremendous impact on the department and our residents, providing renewed energy as we continue to build on a history of excellence while ushering in a new era,” says Dr. Joseph Fiorellini, Director of the Penn Dental Medicine graduate dental education program in periodontics and former Chair of the Department of Periodontics.
“Hector’s commitment to the field of periodontics and Penn are inspiring.”
Sarmiento’s gift is twofold, establishing The Hector Sarmiento Support Fund and adding to The Hector Sarmiento Resident Award Fund, which he established in 2021 with a previous contribution. The purpose of the Support Fund is to provide financial support to the Department of Periodontics, including but not limited to renovations to the Department's spaces, faculty support, and resident support. The Award Fund will provide an annual award to one graduating resident of the program to give them $10,000 worth of equipment they may need in their first year of practice. In recognition of the gift, the periodontics clinic will be renamed The Sarmiento Center for Periodontics.

DR. HECTOR SARMIENTO (GD’14)
Clinical Associate Professor of Periodontics
“Just as others invested in me when I was a resident [as a Coslet Scholar], I feel motivated to do the same so that Penn continues to lead the way in periodontics, producing clinicians who patients can seek out with confidence.
— DR. HECTOR SARMIENTO (GD’14)
Sarmiento has been sharing his passion for periodontics with Penn Dental Medicine students as part of the School’s faculty for the past 11 years, currently serving as Clinical Associate Professor of Periodontics. Sarmiento, who lives in Greenwich, Conn., is the lead clinician in New York Periodontics on East 64th Street, a long-established, legacy periodontics practice in New York City, and his research interests include peri-implantitis, sinus complications, and bone biology. We sat down with Sarmiento to learn more about his commitment to giving back to Penn Dental Medicine and to the field of periodontics.
WHY HAVE YOU MADE THIS COMMITMENT TO PENN PERIODONTICS WITH THIS GIFT?
For me, giving a donation is not just about funding a project — it’s about inspiring fellow alumni to give back, whether financially or academically. Even a small gesture, like offering a Zoom lecture for residents or spending time in the clinic, has a tremendous impact. These contributions, big or small, help shape the future of our residents and strengthen the sense of community within our department.

I remember ten years ago, during the celebration of our department’s 60th anniversary, I had the privilege of sitting alongside Morton Amsterdam and the faculty members I looked up to then — and still do today. I recall thinking to myself that I wanted to give back to the department in the same way they had through knowledge, support, and friendship. That event was incredibly meaningful, and Penn made me feel like I was an integral part of its legacy.
Now, as we celebrate our 70th year, I feel such pride in showcasing what we represent. I am incredibly proud of our residents. Moving forward, I want our department to shine in every way possible — from our residents becoming board certified and demonstrating their depth of knowledge, to patients seeking out Penn-trained periodontists with confidence. It’s about carrying a standard of excellence forward.
One of my greatest motivations for teaching came from my mentor, Dr. Joe Fiorellini. I’ll never forget when he asked me to give a lecture that was originally his. When I asked him why, he said, ‘Part of being a teacher is making sure your students and residents shine even more than you do.’ Those words have stayed with me and continue to guide my approach. They remind me that our responsibility as educators is not just to teach, but to lift our students higher.
That philosophy has fueled my dedication to making our field as special as it can be. I also feel deeply motivated to support the department financially, just as others did for me during my residency. I was honored to be a Coslet Scholar and I know firsthand how much it meant to
receive that support. Today, I feel it is both my duty and privilege to give back — whether through teaching, mentorship, or financial contributions — so that future residents can have the same opportunities to thrive.
I was motivated by the finesse of the specialty. When practiced correctly, periodontics is like being the plastic surgeon of the mouth — you can truly transform a patient’s health and appearance. What excites me most is the opportunity to help patients both systemically and locally, including those with rare diseases where periodontics plays such a critical role. My residency gave me the confidence to work with biologic materials and advanced techniques, providing the tools to approach complex cases with confidence.
For more information on how to support the future of the department, please contact Maren Gaughan, Associate Dean for Development and Strategic Initiatives, gaughan@upenn.edu


IS
Penn periodontics shaped me from day one — it gave me the knowledge, skillset, and confidence to feel comfortable practicing independently from the very start. For that reason, I feel a deep responsibility to give back. I started with teaching residents and as my commitment to the program grew, the Office of Institutional Advancement and the Dean helped me focus that support into meaningful giving. I knew that I wanted to be a part of the future; supporting the program is my way of ensuring that future residents have access to the same level of training and opportunity that I did. Just as others invested in me when I was a resident, I feel motivated to do the same so that Penn continues to lead the way in periodontics, producing clinicians who patients can seek out with confidence.
Penn Perio 70th Anniversary Support Fund — This fund will benefit resident research, travel, new equipment, outside lecturers and a host of other discretionary costs.
Joel Frankel Award & Wellness Lecture Series Fund — The award honors a Periodontics resident who exemplifies service and leadership, and The Wellness Series was created by Joel’s family to promote mental health and provide resources for dental professionals.
Service Program Providing Much-Needed Care to Ectodermal Dysplasia Patients
In the 70-year history of Penn Dental Medicine’s Department of Periodontics, faculty and students have helped countless patients regain their oral health, but for nearly 20 years, they have also taken the lead in restoring smiles, and in turn, changing the lives of a special group of patients with particularly unique dental needs — those living with ectodermal dsyplasias.
While there are many different types of ectodermal dysplasias, each caused by specific mutations in certain genes, individuals affected by these inherited disorders often have significant dental challenges — from unpredictable patterns of tooth eruption and poorly-shaped teeth to missing teeth altogether.
It was at an implant symposium in 2007 that Dr. Jonathan Korostoff (D'85, GR'91, GD'92), Professor of Periodontics at Penn Dental Medicine, saw a presentation on the disorder by Mary Fete, now Executive Director of the National Foundation for Ectodermal Dysplasias (NFED), which included a video of patients describing how dramatically dental work has changed their lives.
“I was so taken by what she shared with us,” says Korostoff. “It touched the core of what we as dentists are supposed to be doing — enhancing people’s lives.”
Shortly after that introduction to the disorder and the work of NFED, Korostoff worked with Fete to establish Penn Dental Medicine as a NFED Dental Treatment Center (there are currently 24 such centers nationwide to which NFED refers patients).
“Dr. Korostoff took an immediate interest in our community,” says Fete. “I can't thank him and the other Penn Dental Medicine faculty and students enough for
their compassionate care and desire to truly make a difference in the lives of people affected by ectodermal dysplasias.”
Korostoff stresses that it is an interdisciplinary team of dedicated faculty volunteering their time to support the program — in particular, Dr. Howard Fraiman (D’91, GD93, GD94), Clinical Associate Professor, Department of Periodontics and Department of Preventive & Restorative Sciences, and Director of
On average, two or three new ectodermal dysplasia cases come to the School each year, ranging from children needing their first set of dentures to adults who require a full-mouth restoration, with complex cases taking two or three years to complete. Patients come from throughout the Northeast and beyond (arrangements were made for a patient from Pakistan, who then couldn’t travel due to recent visa changes). Most patients travel at least two
“Along with this care being transformative for the patients, it's an amazing experience for our residents. They have an opportunity to see how their interdisciplinary training can benefit people that may not normally have access to this type of care.”
— DR. HOWARD FRAIMAN (D'91, GD'93, GD'94)
Periodontal-Prosthesis (2017–2024); Dr. Harold Baumgarten (D'77, GD'82), Clinical Professor of Periodontics; and Dr. Dumitru Gogarnoiu (D'89, GD'92), Clinical Professor of Periodontics from the Department of Periodontics, along with Dr. Neeraj Panchal, Assistant Professor of Oral & Maxillofacial Surgery; Michael Bergler, Director of the School’s Center for Virtual Treatment Planning; Dr. Alina O’Brien, Director of the Pediatrics Graduate Dental Education Program; and Dr. Nupur Patel, Chief of the Division of Prosthodontics. Prior to this year, residents in the School’s former Periodontal-Prosthesis program and Pediatrics program worked on these cases with residents in the Prosthodontics and Periodontics graduate dental education programs now involved.
or three hours to come to the School, and through this service program, they only pay for the lab fees associated with prosthetics and the cost of any biologic materials used in surgery. All dental implants for these patients are donated by Straumann USA.
“Along with this care being transformative for the patients, it's an amazing experience for our residents,” says Fraiman. “They have an opportunity to see how their interdisciplinary training can benefit people that may not normally have access to this type of care.”
Dr. Marianthi Papaioannou (GD’24, D’27), who graduated last year from the Periodontal-Prosthesis program agrees. “I was motivated to get involved in this program because of the unique challenges


and the profound, life-changing impact of this care for patients,” says Papaioannou. During her residency, she had the opportunity to work on two cases, teaming with a different resident on each. Their patients included a 22-year-old woman and a 30-year-old woman, both of whom she describes as presenting with significant partial anodontia (so very few teeth) and underdeveloped alveolar ridges (a common issue in these patients, for if they are born with few or no teeth the alveolar bone doesn’t develop either).
“The cases required an interdisciplinary treatment approach to restore both function and esthetics,” says Papaioannou, noting that both patients underwent comprehensive full-mouth rehabilitation of the maxillary and mandibular arches. “It was


an invaluable learning experience — managing complex interdisciplinary treatment planning, gaining exposure to CAD/CAM design, and most importantly, witnessing the transformation in the patients’ confidence and quality of life.”
Indeed, the impact on patients’ lives is immeasurable. Doug, who was 22 years old when he was referred by NFED to Penn Dental Medicine in 2018, travelled from Colorado to receive care (his brother also received care here a few years before him). Doug was missing about half of his teeth and shares that his case, completed over a two-year period, required a double sinus lift, bone grafts, and some extractions before receiving six implants and 12 veneers.
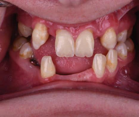
The before and after of two ectodermal dysplasia cases.
TOP (1 + 1A): A 22-year-old female with multiple missing teeth and a history of both orthognathic and orthodontic treatment. Following a comprehensive review, the likelihood of achieving predictable outcomes with bone grafting was deemed limited due to inadequate bone volume. Consequently, the treatment plan focused on tooth-supported restorations in both arches.
BOTTOM (2 + 2A): A 30-year-old female with a history of a few previously placed implants that failed. The treatment plan required extensive bone augmentation, followed by implant placement in both the maxilla and mandible. Definitive treatment consisted of implantsupported restorations.
“Receiving treatment has allowed me to live normally. I’m able to eat confidently in public, smile, and interact with others without thinking twice about my teeth,” he says. “I’m eternally grateful for the team at Penn and NFED for making this happen. It’s been absolutely life changing.”
Penn Dental Medicine does accept referrals of patients affected by the disorder by contacting Korostoff at jkorosto@dental.upenn.edu
To learn how to support the ectodermal dysplasia program, contact Maren Gaughan, Associate Dean for Development and Strategic Initiatives, gaughan@upenn.edu
DR. MODUPE COKER GOT HER FIRST TASTE of the collaborative, interdisciplinary nature of research at Penn before she even arrived for her first official day as Assistant Dean of Clinical and Translational Research and the new director of Penn Dental Medicine’s Center for Clinical and Translational Research (CCTR). At the School’s 2024 Research Day just before the fall semester started, her colleague (Dr. Cagla Espinoza) encouraged her to apply for funding through the Penn Mental Health AIDS Research Center (PMHARC). Coker studied HIV, oral microbes, and cognition, not mental health, but she decided to give it a shot.
She was already running a National Institutes of Health (NIH)-funded study comparing oral microbes, neurocognition, and makers of epigenetic age in Nigerian children with and without HIV, called Uncovering the Biological Link between Oral and Mental Health in Adolescents Living with HIV (uBLOoM). She proposed piloting a trial like that in Philadelphia.
PMHARC funded her pilot, and Coker is now recruiting Philadelphians for the Interactions between HIV, Oral Microbiome, Epigenetics and Mental/Neurocognitive Impairment (iHOME) study. It’s one of several projects she has added to CCTR’s portfolio in her short time as director, and it’s a perfect
example of Coker’s approach to research: interdisciplinary and using population-level information to improve individuals’ health.
“The interdisciplinary part of my work is among the many reasons I take pride in what we do,” says Coker, an Associate Professor in the Department of Basic & Translational Sciences. “It combines infectious disease, mental health, the aging brain, and oral and dental health. Our work is translational in many disciplines and it’s inspiring to see colleagues advancing this field through their own innovative approaches.” Drs. Temitope Omolehinwa, Cagla Espinoza, and Kelly Jordan-Sciutto at Penn Dental Medicine are all conducting HIV-related research.
Coker came to Penn Dental Medicine in August 2024 from the Rutgers University School of Dental Medicine, where she had served as an Assistant Professor of Oral Biology since 2019. A native of Nigeria, she earned her Bachelor of Dental Surgery from the University of Ibadan in 2004. At that time, HIV was spreading rapidly across sub-Saharan Africa, and she saw an opportunity to combine her interest in epidemiologic investigations with an urgent public health challenge.
Coker moved to the United States to pursue a Master of Public Health from Johns Hopkins Bloomberg School of Public Health with a focus on Epidemiology and Biostatistics.

After graduating, she worked as a research associate at the University of Maryland Baltimore on a project, funded by the U.S. President’s Emergency Plan for AIDS Relief (PEPFAR), to provide care for people living with HIV in Nigeria. During her fieldwork, she noticed that people living with HIV, even when on treatment (antiretroviral therapy) had higher rates of dental caries. With encouragement from her mentors (Drs. Man Charurat and William Blattner), she pursued a PhD in Epidemiology at the University of Maryland School of Medicine, focusing on the link between HIV and dental health. It was during her doctoral work that she began the HICOM (HIV Infection and its Association with Caries and the Oral
“The interdisciplinary part of my work is among the many reasons I take pride in what we do. It combines infectious disease, mental health, the aging brain, and oral and dental health. Our work is translational in many disciplines and it’s inspiring to see colleagues advancing this field through their own innovative approaches.”
— DR. MODUPE COKER

“It takes a community to conduct human research. What’s very exciting about having a center at Penn Dental is the spirit of transdisciplinary and interdisciplinary innovation it fosters. This is truly the place to do clinical research, and we are proud to serve as a model for this kind of work.”
— DR. MODUPE COKER
Microbiome in Nigerian Children aged 6 to 72 months) study. Coker’s advisor (Charurat) was studying differences in growth outcomes between children exposed to HIV in the womb and those never exposed to the virus.
Because public health efforts in the United States have largely eradicated mother-to-child transmission of HIV, Coker and Charurat studied children in Nigeria, where — despite large drops in the country’s HIV prevalence rate — about 22,000 newborns contract HIV during their birth every year. This work laid the foundation for subsequent projects, including DOMHaIN (Dental Caries and its Association with Oral Microbiomes and HIV in Young Children–Nigeria) in close collaboration with colleagues.
Families enrolled in the initial study were offered the opportunity to continue in follow-up research, resulting in longitudinal datasets now spanning more than a decade.
Many of the children enrolled prenatally or in early childhood are now adolescents, allowing Coker and her team to track oral-systemic health across key developmental transitions.
She’s learned a lot about them in the last decade. Children with HIV have different oral microbiomes than those who were prenatally exposed or are uninfected, a difference that’s more pronounced in diseased teeth than in healthy teeth. They also have a distinct oral mycobiome — the fungal community in the mouth — reduced salivary flow, and more developmental defects of the enamel surface.
In the children without HIV, the populations of bacteria in the mouth are constantly changing, while those exposed to or living with the disease show more static microbial communities, suggesting they are less able to adapt to changing conditions in the
mouth. Sluggish bacterial turnover is also associated with more of the bacteria that cause cavities and caries, Coker reported in a study published in June.
“The children in this study are in their adolescence, experiencing a lot of changes in their bodies,” Coker says. “We expect the microbiome to change, so when it doesn’t, that signals impaired adaptability.”
Coker’s work further opens a window into the connections between oral health and brain health in this vulnerable population. While Coker points out that the oral cavity and brain are developmentally linked, their connection extends beyond embryology. She notes that one of the most prominent pieces of evidence for this connection is a 2013 study finding traces of periodontal disease bacteria in postmortem brain tissue from people who had Alzheimer’s Disease.
It's possible that the systemic inflammation caused by HIV can weaken the bloodbrain barrier, Dr. Coker says, enabling oral microbes to wander into the brain and wreak havoc. That means children living with HIV, who have systemic inflammation, could be a key to understanding this link.
In collaboration with the uBLOoM study team, which includes Drs. Stephanie Shiau at Rutgers and Jibreel Abubakar Jumare at the University of Maryland, Baltimore, she is investigating whether microbial shifts in the oral cavity correspond to markers of premature aging and cognitive decline. In a cohort of 50 children and adolescents living with HIV, compared with 50 without the virus, she has found that HIV-positive children show genetic markers of accelerated aging in their blood as early as age 11, along with distinct oral microbiomes. Her team is analyzing whether these microbial changes correlate with differences in cognition, potentially offering insight into how oral health affects brain health.
It’s troubling to her, then, that the NIH recently requested removal of all foreign subawards collecting new data in Nigeria, in what the administration calls an effort to focus on research benefiting U.S.-based populations.

“It’s really very sad,” Coker says. “When we don’t have the large cohorts and money to follow low-risk people over time, the best thing we can do to study the link between oral health and the brain health in a population where the signal might be loudest.”
Still, Coker is undeterred. Through her grant from PHMARC, she is bringing the same research questions to Philadelphia, aiming to recruit adults living with and without HIV. Participants will provide samples, respond to surveys to assess their mental health and lifestyle, and play computerized memory games and puzzles designed to assess cognition — a test they’ll repeat after one year to measure any changes.
In 2022, she was awarded a five-year grant of $4.5 million from the NIH to launch the HPV, HIV, and Oral Microbiota Interplay in Nigeria Youth (HOMINY) study, which will use data already collected from the Nigerian cohort to document the course of Human Papilloma Virus (HPV) and the ways HIV alters it, in the hopes of understanding how microbes impact the chance of HPV infection and the cancers it causes. Working with Drs. Osazuwa-Peters at Duke University School of Medicine, Nicolas Schlecht at Eastern New Mexico University - Roswell, and Yana Bromberg at Emory University, Coker ultimately aims to develop and test a deep learning algorithm based on clinical data and microbiome profiles to predict oral HPV persistence.
It's the kind of work that’s right at home at CCTR, which was founded in 2019 with the mission of supporting Penn Dental Medicine researchers — from idea generation to clinical translation — who conduct clinical human-subjects research.
Now, Coker oversees a team of 12, including dental clinicians and professionals, clinical research coordinators, data management specialists, and laboratory and research administrative staff, who support more than 25 ongoing projects with approximately $18 million in total funding since the Center’s opening. Through the Center, researchers applied for $36 million in grant funding in the 2025 fiscal year.
Since the Center’s founding, 11 multidisciplinary projects have been successfully completed. They span a wide range of clinical and translational research, from pediatric studies such as the Hum Brush smart toothbrush project for autistic children and clinical trials testing cavity-preventing toothpaste in children to behavioral interventions like video-based oral health education in dental clinics, large surveys on oral health and access to care among college students, as well as investigations of oral health outcomes following bariatric surgery, studies exploring pain experiences and management in dental patients, and trials focused on preventing oral mucositis in cancer patients undergoing treatment.
Coker’s job is to support faculty through the process of translating their lab findings into treatments, products, and improvements to clinical practice that directly help patients. That also ultimately protects investment in basic dentistry research, Coker says. “The research we do won’t be relevant in five years if it doesn’t improve the way we take care of patients and prevent disease,” she says. “We cannot be better clinicians and providers if we do not invest in discoveries that improve health.”
Nearly all of CCTR’s projects are funded by federal agencies like the NIH, which are now facing major budget cuts and policy changes. To address the challenge, Coker is tirelessly working to secure funding for CCTR itself, allowing the Center to directly support pilot studies and early-stage projects, instead of requiring investigators to first secure external grants — which overwhelmingly come from the NIH. That funding will likely come from industry partners, philanthropic individuals, and private foundations.
Looking ahead, she also plans to expand the Center’s staff capacity, which would enable more robust support for clinical faculty who have limited time for research due to their patient care responsibilities. She also sees opportunities to strengthen partnerships with Penn’s School of Medicine, and she plans to build a centralized biobank to store discarded tissue and biospecimens from patients and study participants to accelerate future pilot studies.
“It takes a community to conduct human research,” Coker says. “What’s very exciting about having a center at Penn Dental is the spirit of transdisciplinary and interdisciplinary innovation it fosters. This is truly the place to do clinical research, and we are proud to serve as a model for this kind of work.” n — By
Laura Dattaro
OPPOSITE: Coker oversees a team of 12 within the CCTR.
ABOVE: The CCTR is currently supporting more than 25 ongoing projects.

The generosity and involvement of our alumni, friends, and partners continue to strengthen Penn Dental Medicine — supporting our students, enhancing patient care, and advancing research across disciplines. Your investment is a powerful affirmation of our mission, and we are deeply grateful for the many ways you help propel the School forward. As we look ahead to the exciting opportunities of the new academic year, we are pleased to share key philanthropic highlights from the 2024–2025 fiscal year, which concluded on June 30, 2025.
$7.33M
DOLLARS committed to programs supporting Penn Dental Medicine’s mission of transforming global oral health and wellbeing through exceptional clinical care, innovation, scholarship, and research
$436,990
DOLLARS raised for the Penn Dental Medicine Annual Fund which supports the daily operations essential to training the next generation of Proud Penn Dentists
$3M+
DOLLARS received through planned giving options such as charitable bequests, gift annuities, and charitable giving using an IRA
1,251
DONORS made a gift to a Penn Dental Medicine fund
117
9
NEW DONORS made their first gift to the School
ALUMNI SCHOLARS providing support to students of all backgrounds pursuing their dream of a career in dental medicine
71
BENJAMIN FRANKLIN SOCIETY members recognized for their leadership in unrestricted support, including 9 Young Alumni members
1,980
ALUMNI & STUDENTS participated in a Penn Dental Medicine Institutional Advancement event or continuing education course
Penn Dental Medicine is proud to present the 2025 Honor Roll of Classes. Each section includes Dental (DMD/DDS), Graduate Dental, and Dental Hygiene alumni by decade representing outright gifts, pledges, and/or pledge payments to Penn Dental Medicine in the 2025 fiscal year: July 1, 2024 – June 30, 2025. Graduates with multiple degrees from Penn Dental Medicine are listed under the class year of their first dental degree.
Charles Curtis Harrison Society * Ben Franklin Society (BFS) + PDM Leadership Volunteer (Board of Advisors, Dean's Council, Alumni Society Executive Board) ^
The late Clement C. Alpert, C32, D34
Cynthia White Hamilton, DH47
The late R. Leonard Weinberg, D49, GD54
The late Edwin S. Sved, D51
Mary Elizabeth Cyr, DH53
Bernard P. Lewis, D53
William A. Billingham, D54 +
Joseph P. Falcetti, D54
Marlene Roach Hee, DH55
C. Wendell Lofland, D55
Jack Rubin, C52, D55
Estelle Gampel Cushner, DH56
David C. Dickinson, D56
Lois Greiss Graver, DH56
Myra H. Lehman, DH56
Bartley C. Reuter 3rd, D56
Thomas M. Sagges, D56
Richard M. Cushner, D57
Alan M. Stoneback, D57
Richard S. Altman, D58
Abe M. Finton, D58
The late Aaron M. Hader, D58
Barbara Gaylin Kannee, DH58
Myron I. Schaffer, D58
Charles W. Tager, D58
Richard Y. Cheskis, D59
Elisabeth Mc Clellan Peebles, DH59
Michael Schneider, D59
James L. Ackerman, D60
Calvin Z. Daks, D60, GD70
James H. Dyen, D60
Arthur Fertman, D60
Irwin I. Getz, D60
Daniel B. Green, D60
Helaine Roos Hazlett, DH60
Hugh C. Howarth, C57, D60
Robert J. Cooperman, D61
Richard M. Dannenbaum, D61, WG83
Harry E. Dolph, D61, GD64
James A. Hazlett, D61
Anastassios T. Koussis, D61
Walter L. Myers, C58, D61
Marjorie Jaffe Sitrin, DH61
Norman A. Whytock, D61
Robert C. Adams, GD62
Gordon B. Groff, D62
Barry W. Langsam, D62
Martin J. Peskin, D62
Mary Burdick Shaw, DH62
Arthur W. Sitrin, D62
David J. Crossley, D63
Henry S. Hammer, D63
Albert S. Mowery, Jr., D63
Jeanne Swallow Mowery, DH63
Richard L. Nyce, C59, D63
I. David Popkin, C59, D63
Betty Brussel Shamas, DH63
Ronald A. Thompson, D63
Emanuel R. Tress, D63
Jeffrey A. Watson, D63
Myron Allukian, Jr., D64
The late Breese M. Dickinson, Jr., GD64
Marshall J. Goldin, C60, D64
Mervin M. Kroop, C61, D64, GD68
Henry A. Miller, C59, D64
James D. Smallwood, D64
Sanford A. Stein, C61, D64
James A. Tatoian, Jr., D64, GD65
Frank R. Besson, D65, GD68
Richard E. Derrick, D65
Thomas A. Giegerich, D65
Robert F. Goulstone-Stone, D65
Abraham J. Kadish, D65
Joseph Kornbleuth, D65
Irvin G. Lubis, D65
Paul J. Markowitz, D65
George B. Marschall, D65
Albert J. Repicci, D65
Glenn D. Ruoss, D65
Howard J. Schare, D65
Theodore A. Souliotis, D65
Kathleen Arkle Borofsky, DH66
Howard Buckwald, D66
Bruce M. Elliott, D66
Neil B. Epstein, D66
Ronald M. Gittess, GD66
Jeffrey H. Harnett, D66
Robert Henner, D66
Myron E. Katz, D66
Samuel E. Molind, D66 + Thomas F. Morgenstern, D66
Donald C. Phillips, D66
Jerold R. Shapiro, GD66
Henry J. Turner, GD66
Philip C. Giarraputo, D67
Veronica Prang Giarraputo, DH67
Michael Russ Glogoff, D67
Robert L. Leff, D67
Walter E. Maust, Jr., D67
Roger H. McConnell, D67, GD71
Charles B. Millstein, GD67
Samuel R. Selzer, D67
Jeffrey B. Shapiro, D67, GD70
Murry A. Awrach, D68
Randall G. Baldwin, D68
Donald G. Bell, Jr., D68
Frederic J. Freidus, D68
Martin S. Greenberg, GD68
Donald M. Humen, D68, GD72
John E. Koyen, D68
Gerald H. Kreinces, D68 + William S. Laubach, D68
James S. McKelvey, D68
Charles Tzagournis, GD68
Dorothy Herrick Washburn, DH68
C. Robert Waters, Jr., D68
Julia A. Carr, DH69
Deborah Lychak Deldotto, DH69
James R. Elder, D69
Arnold I. Galer, D69
John F. Gell, D69
David H. Kornbluth, D69
Robert A. Leigh, D69
Judith Sinanis Nist, DH69
Richard L. Rothstein, D69
Lawton C. Thomas, Jr., C65, D69
Anonymous (2)
Benedict V. Alibrandi, D70
David K. Anderson, D70 + John R. Bartlett, D70
Alan H. Frankel, C67, D70
James R. Granite, C66, D70, GD73
Gail Thompson Hiltunen, DH70
Bernard C. Maloney, Jr., D70
George H. Master, D70, GD73
Michael F. Miller, C67, D70, GD73
Robert E. Nist, D70
Louis F. Rose, GD70
Ivan Stangel, D70
Alvin T. Boyd, D71
Carol Ann Scuro (D’75) and W.Bradford Emery (D’72) commemorated their 50th class reunions by Taking a Seat in the William W.M. Chung Auditorium. Their gift celebrates decades of connection to Penn Dental Medicine and creates a lasting tribute within a space where future generations of students will learn, collaborate, and be inspired.

Robert J. Collins, D71
C. Dwight Decker, D71
James A. Dyer, D71
Jeffrey G. Garber, D71, GR04, FEL75
Joseph E. Gian-Grasso, C67, D71^+
Allan C. Goldfeder, D71
Maria Perno Goldie, DH71 +
Sandra T. Greenberg, DH71
Howard B. Grover, D71
Jennie Carcaud Hennigar, D71
Kenneth A. Ingber, D71 ^ +
Mark A. Judy, D71 +
Michael J. Kish, C67, D71
Edward D. Landau, D71
Arthur J. Lane, GD71
Charles E. Levy, C67, D71
Mary E. McFadden-Agostinelli, DH71
Joel Ross, D71
Michael H. Rutberg, D71
Thomas L. Snyder, D71, WG74
The late Mark Unger, D71
William S. Wray, D71
Theodore M. Camesano, D72
Caryn J. Clayman, DH72
W. B. Emery, D72
Melvin J. Flamenbaum, D72
Robert S. Frankel, D72
Anne Rushmore Gershey, DH72
Joseph R. Greenberg, D72, GD76
Lawrence T. Herman, D72
Howard P. Kessler, D72
Martin D. Levin, D72, GD74 ^ +
Richard E. Levitt, C68, D72, GD77 ^
David Levy, D72
Robert B. Martin, D72
Douglas E. Peterson, D72, GD76, GR76
Anthony M. Rossi, D72
Paul A. Scheier, D72
Robert J. Seltzer, D72, GD76
William G. Sloan, D72, GD87
Ronald P. Strauss, D72, GR79
Charles M. Brenner, D73
Richard A. Brogadir, D73 *
David Brother, D73
Dennis N. Cohen, D73 *
Elliott K. Gutman, D73
Neil S. Hiltunen, D73
Bernard W. Kurek, D73, WMP03, WEV04 ^ +
Steven D. Lasser, D73
Vernon Loveless, D73
Vincent J. Mannino, C69, D73
Randolph C. Myerson, D73, GD78
Ralph S. Pfeifer, D73
Robert P. Reiner, D73
Richard L. Rush, D73
Howell I. Strauss, D73
Lance J. Adelson, D74
Harvey J. Barbag, D74
Alan M. Barnett, GD74 *
John W. Burk, D74 +
Walter I. Chinoy, D74
Ellen Eisenberg, D74
Howard Fluhr, D74
Jaclyn M. Gleber, DH74
Gene J. Goldstein, D74
Carl S. Gulrich, D74
W. Grant Hennigar, Jr., D74
Benjamin P. Iuvone, D74 +
Richard M. Kanter, D74
John A. Kerchoff, D74
Allan D. Klenetsky, D74 +
Jeffrey C. Laufer, D74
Jeffrey M. Leitner, D74
Arnold J. Mars, D74
Jay M. Neuschatz, D74
Robert I. Orenstein, D74
Charles F. Post, D74, GD75
Edwin W. Slade, Jr., D74
Mark B. Snyder, D74, GD77
Robert M. Sorin, D74
John E. Trapp, D74
Charles C. Wilson, D74
William S. Branting, D75 *
Howard J. Bresin, D75
Scott M. Dubowsky, D75
Charlene Jennings Fenster, DH75 ^
Carol Falcone Fetter, DH75
Spencer Z. Forman, D75
Ronald S. Goldenberg, D75
Susan H. Kass, DH75
Melvyn J. Kellner, D75
William O. Knight, GD75
James W. McClellan, D75
Daniel P. Melien, D75
Fedele A. Musso, D75
Alan J. Rogoff, D75
Ruth Schanzer Rosenberg, D75
Louis E. Rossman, D75, GD77 ^
Sally R. Rutkowski-Morgan, DH75
Lisa Solden Schildhorn, DH75
Carol Ann Scuro, D75
Arlene S. Stein, D75
Timothy Tam, D75, GD77
Robin Friedmann Waner, DH75
Jack Weil, D75
Arthur Z. Weiss, D75
John C. Worsley, Jr., D75
Hymie Akst, GD76
Kenneth A. Fetter, C72, D76
John N. Gershey, Jr., D76
Robert J. Golden, D76
Victor Gregor, D76
Gary N. Kitazawa, GD76
Neil L. Moscow, GD76
Stephen D. Pascal, D76
David M. Roshkind, D76, WG76
Steven Alan Schwartz, D76
Walter G. Spigelman, D76
Alexandra A. Baker, D77
Peter R. Barnett, D77, WG79
Edward E. Best, GD77
Robert B. Bookman, C73, D77
Israel Brenner, D77
Richard Krauss, D77, GD79
Walter K. Kulick, D77
Robert N. Lipner, D77
Larry J. Quate, D77, M80
Garry Anthony Rayant, GD77 ^
Robert Resnick, D77
Mitchell A. Smolow, D77
P. Deborah Weisfuse, D77
Alan M. Zaretsky, D77 +
Jay R. Augenstein, D78
Sidney Chonowski, D78
Arthur F. Dean, D78
Lawrence M. Erwich, D78
Cary J. Limberakis, C73, D78
Farideh Moattari Madani, GD78, GD80, D84
Mansoor Madani, GD78, GD81, D82
Mahvash Navazesh, GD78, GD80, D83
Larry Pepper, D78
Steven J. Rothenberg, D78
John R. Shaw, D78
Neal S. Slutsky, D78
Donna Lewis Smolow, DH78
Robert M. Solomon, D78
Cheryl Lang Ullman, D78
Patti Lee Werther, D78, GED78, GD81
Andrew B. Casabianca, D79
Jenny C. Chung, GD79
Nancy B. Creed, D79
Gary A. Di Santo-Rose, D79, GD80
Leslie S. Finkelstein, DH79
Hal D. Fruchtman, D79
Bruce H. Godick, D79, GD83
Stephen H. Grossman, D79, GD80
Gary L. Hartz, D79
Michael L. Iczkovitz, GD79
William G. Kelly, D79
Anna Kornbrot, D79, GD82 *
Rochelle G. Lindemeyer, GD79
Isaac V. Perle, D79
Saul M. Pressner, D79 ^
Joanne S. Reiffe Fishbane, D79
David Tai-Man Shen, D79, GD81 ^
Leonard C. Taddei, Jr., D79
David A. Tecosky, D79
Anonymous
Pamela L. Alberto, D80 + Joseph Bartoloni, D80
Jay A. Black, D80
Sherrie Allemang Black, D80
James V. Bordoni, D80
Gail Spiegel Cohen, C76, D80 ^ +
Angela Collins, D80
Daniel C. Eckhard, D80
James F. Edelstein, D80, G96
Hillel D. Ephros, D80
Richard L. Fiese, D80
George L. Grillon, D80
David S. Hershkowitz, D80
Jeffrey Koslow, D80
Cynthia Keller Marra, DH80
Frederick J. Marra, D80, GD82
Charles M. Riotto, D80
Marian Glynn Royer, D80
Sandra L. Shire, D80
Gary B. Toubman, D80
Ronald W. Zartarian, D80
William W. M. Cheung, D81, GD82 ^
Johnson Chung, D81
Constance M. Killian, D81
Jerome A. Kleponis, D81
Michael R. Kremer, D81
Charles T. Loo, D81
Randolph L. Mitchell, D81 +
Ann Nasti, D81
Richard L. Oshrain, D81
Richard J. Phillips, Jr., D81
Gary W. Seldomridge, D81
Susan L. Stern, C77, D81 ^ +
John A. Weierbach II, D81, GD82 +
J. Craig Alexander II, D82
Rainer H. Bergmann, GD82, D83
Earl D. Childs, D82
Francine Trzeciak Cwyk, D82, GD84
Neal D. Futran, C78, D82
Elizabeth Barry Garrett, DH82
Barbara Franco Hudson, DH82
James D. Hudson, D82
The late Christopher V. Hughes, D82
Francine J. Paladino, D82
Chester J. Palmieri, D82
Mark A. Ruggerio, D82, GD83, GD85
Ann Eshenaur Spolarich, DH82, GED99 +
Emil W. Tetzner, D82
Robert H. Turchin, D82
Mark L. Waltzer, D82
Carolyn Izu Bergmann, D83
Scott J. Chanin, D83 +
Jeffrey M. Finkelstein, D83
David E. Freilich, D83
Robert C. Garrett, D83
Steven M. Gilson, D83, C84, GD84
Michael G. Hasker, D83
Michael W. Lew, D83
Vanessa A. Morenzi, D83, GD84, GD89
Ira S. Rosen, D83
Walter F. Russo, D83
Gail E. Schupak, D83 ^ +
Jane K. Segal, GD83
Francis J. Smithgall, C79, D83
Steven Speroni, D83
Shari Samansky Summers, D83 +
Abhinav Sinha (D’05) and family established the Dr. Abhinav N. Sinha Pediatric Dental Medicine Leadership & Excellence Endowed Fund. This fund will provide enduring support to pediatric dental residents at Penn Dental Medicine and will enhance the curriculum by supporting advanced topics in laser surgery and airway health — equipping residents with expertise in critical, emerging areas of pediatric dentistry. Dr. Sinha’s gift underscores his commitment to advancing pediatric dental education and fostering leadership within the specialty.

Michael David Yasner, C79, D83, GD84, GD86 + Valerie Eisenberg Yasner, C79, D83, GD86
Marshall J. Alter, C80, D84
Jerald Blum, D84
Robert A. Brody, C80, D84 ^ + Peter Chin, D84
Mark B. Desrosiers, D84
Egidio A. Farone, D84 ^
Cecile Arlene Feldman-Zohn, C80, D84, GD85, WG85 + Jay S. Fishbein, D84
Joan D. Francis, D84
David A. Goodman, D84
Paula Grant, DH84
James G. Hupp, D84
Wendy Stavrides Hupp, D84
Steven C. Isaacson, D84, GD85
Wayne W. Maibaum, D84
Larry P. Markel, D84
Kathleen S. McAdoo, DH84
John C. Newland, D84 +
Brenda G. Paulen, D84
Michael R. Smith, D84 +
Stephen A. Solomon, D84
Robert W. Baker, Jr., D85
Gregory L. French, D85
Rosalia Gallo, D85
Dominick A. Giordano, D85
Steven A. Karmel, D85
Kenneth L. Kobliner, GD85
John F. Lhota, D85
David A. Naegele, D85
Nguyen T. Nguyen, D85
Theresa M. O'Connell, D85
John R. Paquette, D85
Susan S. Plotnick, D85
Stephanie Ravett, D85
Karen Knopf Rosen, C82, D85
Keith F. Silverman, D85
Maria A. Smith, D85
Timothy P. Sweet, D85
Michael Andrew Carol, D86
Paul J. Carpinello, D86
Bruce J. Cutilli, D86, GD92
Daniel (D’02) and Shanta (D’03) Richardson have continued their commitment to Penn Dental Medicine with a generous gift to bolster the Alumni Scholars Program and establish the Richardson Student Support Fund. The new fund will provide critical resources to enhance student life, support research and academic pursuits, and meet needs across both DMD and specialty programs. The Richardsons’ generosity reflects their passion for empowering students and enriching the academic experience at Penn Dental Medicine.

Judy DiDonato, D86, GD96
Andrew Michael Halbert, GD86
Emmy Omoto, D86
John W. Rosenlieb, Jr., D86
Erich G. Wunsch, C82, D86
Harry Kenneth Zohn, GD86 + Gregory S. DiRenzo, D87
Albert Smith Harris III, D87
Thomas A. Herberger, GD87
Irena Jug-Weiss, D87
Lloyd Kenneth Klausner, D87
Craig Steven Pate, D87
Richard Allen D'Innocenzo, D88, GD94
Marc Phillip Gimbel, D88
Douglas Scott Harte, D88, GD91
Frederick E. Kane, D88
Thomas Basil Puschak, D88
Paul F. Batastini, GD89, GD91
Gerard A. Begley, D89
Susan M. Chialastri, GD89
Vincent D. Dinick, D89, GD96, RES98
Michael J. Feldman, D89
Richard G. Gray, D89
Alice K. Lau, D89
Thomas P. Sollecito, D89, GD91
Gustavo A. Viggiano, GD89, GD91
Anonymous (2)
Hilary Chung, D90
Salvatore L. Franco, D90
Patrick C. Kline, D90
Lori B. Lubliner-Robinson, D90, GD92
Laura Ann Randolph, D90
Lawrence R. Selinger, GD90
Nipul K. Tanna, D90, GD91, GD10, GD11
Peter Timothy Bliss, D91
Marion Scialabba Brown, D91
Gilberto J. Debelian, GD91
Russell L. Forman, D91
Howard P. Fraiman, D91, GD93, GD94 ^
Jeong-Hwan Kim, D91 +
Maria E. Parrella, GD91
Tony L. Skanchy, GD91
Lori Vespia, D91
Michael Glenn Weinberg, D91
Ann Kearney Astolfi, D92
Bruce W. Corbin, D92
Kara G. Fraiman, D92, GD94 +
Jonathan A. Keller, D92
Ceceilia Marie McGarvey, D92
Sean Christopher Meehan, D92
Dianne Eileen Nottke, D92
Albani Quintero, D92
Jonathan Michael Richter, GD92 + Vicki Sobieski Schauber, D92
Masooma Saba Zaidi, D92
Paul Luff Boger, D93
Joseph T. Kelly, D93, GD95, GD96
Benjamin A. Maldonado, Jr., D93
Steven S. Oh, C89, D93
Andrew Lawrence Putter, C89, D93
AnnMarie Stefano, D93
Samantha A. Vitagliano, D93
Roger A. Achong, D94
Thomas K. Bachstein, D94
Joy Bockstein Abt, D94
Mi K. Chung, D94, GD97
Daniel C. Harper, D94
Robert S. Kane, GD94
Jose R. Lugay, D94
Wei-Hsin Men, D94
Alan M. Polson, D94 + Manaf Saker, D94
Jun Sun, D94 +
Anne Annone, D95
Jill S. Baldinger, D95, GD98
Wendy M. Beratan, D95
Chun-Thai Chung, D95, GD97 +
William N. Cummings, D95
Pouya Hatam Ebrahimi, D95, GD98
Richard Y. Liu, D95 +
Michael Stephen Marmo, D95, GD98
Tony Saito, D95 ^
Maria-Paz U. Smith, D95, WMP03
Frederick Rodney Cho, GD96 + Chinyelu N. Dibor, D96
Donald Tsung-I Liu, D96, GD99
Yuci Ma, D96
Muralidhar Mupparapu, D96
John Rawa, Jr., D96
Constantine Simos, D96
Maria-Isabel Atique-Rojas, GD97
Patrick T. Cuozzo, GD97
Kevin T. Nii, GD97
John T. Wu, D97
Jeanne M. Badillo, GD98
David Rossi Boschken, D98, GD00 +
Eric J. Brendlinger, GD98
Shiaw-Wei Chang, D98, GD99
Ruby A. Gelman, D98 +
Geoffrey M. Glick, D98
Rahul Malik, D98 +
Brian A. Suh, D98, GD01
Laurence C. Articolo, GD99, GD02
Matthew J. Baron, D99
Jonathon S. Bowden, D99
Douglas L. Ditty, D99, M02, GD05, RES00 +
Caryn Siegel Finley, C95, D99 + Matt Forster, D99, GD04
Wendy M. Halpern, D99, GD02, GD03
Aejaaz A. Issa, D99 + Noelle Ling, D99
Vincent Mongiovi, D99, GD01 + Gregg M. Nagel, D99
Trung D. Tran, D99
Soun L. Wong, D99
Anonymous (6)
Nada M. Afeiche, D00
Alexander T. Kim, D00
Brian Lee, D00, GD04 ^ + Biplab K. Malo, D00
Taiwo Mary Osunkoya, D00
Neha K. Shah, D00
Nathaniel S. Treister, D00
Matthew S. Cantner, D01, GD04 John Chang, D01
Prathima Chawla, D01
M. Alexandre Cho, GD01, GD02 + Lina Frost, D01
Jessica L. Greenberg, C97, D01, GD03
Stephanie H. Nguyen, D01
Afolabi O. Ogunleye, D01
A. Steven Singh, GD01
Alicia K. Wong, D01
Vinamra Bhasin, D02
Gerry J. Cellura, D02
Paul J. Connolly, D02
Anthony P. Eltink, D02
Heather Lynn Zablocki Gietzen, D02
Ira E. Goldberg, D02, GD04
Alyssa Marlin Greenberger, D02 ^ + Alan Ching-Wen Ko, D02
Meetu R. Kohli, D02, GD05, GD25 ^ +
Joseph C. Lattinelli, D02
Jay B. Laudenbach, D02, GD06 + Jane W. Liu, D02, GD03
Anne M. Parade-Polson, D02 + Rinku Parmar, D02, GD09
Abigail Quinn Peterson, C96, D02, GM23
Daniel T. Richardson, D02 ^ +
Gregory R. Urfrig, C99, D02
Vivian A. Wasmuht-Perroud, D02
Lawrence Ck Wu, D02
Allen Yang, GD02, D04
Bradford G. Young, D02
Jamie Ahl, D03 +
Amir H. Barati, D03
Ricardo A. Boyce, GD03
Wendy Seltzer Brill, C99, D03
Kai-Zu Chi, D03, GED03
Mark E. Doherty, D03
Carey L. Fister, D03
Carlos Enrique Gomez, D03, GED22
Tara L. Gostovich, GD03
Timothy Leung, D03
Frank Meng, CGS99, D03
Shanta D. Richardson, D03 +
Yoon K. Tak, D03 +
Erika Johnston Becker, D04
Bridget Chow, D04
Ryan K. Graver, D04
Gultaj Grewal, D04 +
Je rey N. Grove, D04 ^
Jessica L. Jarecki, D04
Mulokozi K. Lugakingira, D04 +
Brian T. Robinson, M01, GD04
Alison N. Shufran, D04
Xin Zhang, D04
Dean Chang, D05
Enehizena N. Ehondor, D05
Maki Ishii, D05, GD08
Jessica S. Kim, GD05 +
Jeonghun Lee, D05
Sanam A. Magrey, D05
Aida Pasalic Miloradovic, CGS00, D05
Suketu Patel, D05, M08, GD11, RES11 +
Sang T. Pham, D05 + Monila Reheman, D05 +
Adam L. Saylor, D05
Abhinav N. Sinha, D05
Larisse R. Skene, D05, GD08
Eddie Tailung Tai, D05, WEV06, GD07 *
Courtney J. Ullrich, D05
Bobby Vijay, D05 ^ +
Cheng C. Yen, D05
Ning Zhang, D05 +
Angeli Agarwal, D06 +
Adam C. Barbag, D06
Vinne Wei-Ying Chen, GD06 *
Giselle Carmina Coelho, D06
Stephen W. Colite, D06
Julie E. DeSimone-Larsen, D06
Marianna Evans, D06, GD10
Roger F. Hennessey, D06
Hiroshi Ishii, GD06
Ronald Baker Rawlins II, D06
Igor Roitman, D06
Derek A. Sanders, D06 ^
Saman Souri, D06
Takako I. Tanaka, GD06
Dana L. Ahron, D07
Liya Avshalumov-Ostrow, D07
Benedict Bachstein, D07, GD08
Matthew S. Bryington, D07
Paul Jr Deitrick, D07, M11, M12, GD14
Emily F. Eilerman, D07, GD12
Amy D. Kuhmichel, D07
Elizabeth D. Spence, D07
Jenny M. Yoo, C04, D07
Sarah S. Yoon, D07, GD13 ^ +
Brigitte Zinkovic, CGS04, D07 +
Magdalena K. Zorawska, D07
Diya Chadha, D08
Havva Z. Ertugrul, D08
Ajikwaga Felli, D08
Byounggon Kim, D08
Sahng Gyoon Kim, GD08, GD09
Julia Hsin-Fong Liao, GD08, GD09
Alexander C. Quintner, D08
Trina Sengupta, D08 ^
Sweta B. Shah, D08, GD10
Dustin Snyder, D08
Melissa Bachstein, GD09
Nima Dejbod, D09, GD11
Pablo Elizondo, D09

The Baker Family Foundation made the lead gift to support a new Sedation Center at Penn Dental Medicine. The suite will primarily serve patients in the School’s Care Center for Persons with Disabilities and will also reduce wait times for all patients requiring general anesthesia for complex dental procedures.








































Jennifer L. Englebright, D09
Spyridon Floratos, GD09, GD10
Emily Ahlum Johnson, D09
Dawna M. Kowalski, D09
Lucas E. Mantilla, D09
Priya Mathew, D09
Marshall B. Montgomery, CGS06, D09
Anjali Puri Patel, D09 + Huan Su, GD09, GD10
Hilda M. Villegas, D09
Qian Zhang, D09
Anonymous (6)
Ho Jung Cho, D10
J. S. Demeo, D10
Karina Hariton-Gross, D10
Harrison H. Jo, D10
Quan Liu, D10
Jessica R. Marino , C06, D10
Allison S. Park, D10
Spencer D. Peoples, CGS07, D10
Rhae Anna Riegel Alcorn, D11, M14, GD17, RES17
Stefani L. Cheung, C08, D11 ^ +
Alysa Ann Donaldson, D11





Carmen A. Garcia-Paul, D11, WEV11


Markus S. Hill, GED10, D11, GED11
Obianuju Mbamalu, GD11
Alexander D. Paul, D11
Meenal Thirtha, D11
Alexander Apple, D12
Sandrine Barakat, GD12
Byung Choi, CGS06, D12
Carolyn R. Dominica, D12
Hayward B. Drane IV, C06, D12, GD14
Andrew M. Henry, D12, M15, GD18 +
Sai N. Kham, D12
Je Y. Li, D12
Marcela R. Mujica, D12
Michael D. Segall, D12
Matthew K. Sones, D12 + Lyusya R. Badishyan, D13
James M. Barra, D13
Aynur Ismayil, D13
Keith D. Jackson, D13 + Peter Jackson, GD13
Jooyoung Kim, D13
Anthony A. Prousi, C03, M10, GD13, RES13
Tu-Anh Vu, CGS06, D13
Katharine Woehling Antoian, D14, GD16
Christine M. Capogna, D14, GD16
Fred Y. Chen, D14
Milda Chmieliauskaite, D14, GR14, GD16
Mohammed Forhad, D14
Chizobam N. Idahosa, GD14, GD15
Colleen O'Neill, D14
Charles Odion, GD14
Hector Sarmiento, GD14 ^
Amy M. Ames, D15
Meeta Chawla, D15
Hye-Yoon Choi, GD15
Evan R. Eisler, C11, D15
Yvonne A. Felli, D15
Shili Feng, D15
Caroline A. Fulop, D15
Kari Hexem, D15
Hillary Khodari, D15
Allison P. Lawrence, D15
Eunice Lee, D15
Sheedeh Madani, C09, D15
Allison Hoose Moala, D15
Bradley D. Packer, D15
Chafic Safi, GD15
Debbie A. Schub, C11, D15
Irina Zagorodny, D15, GD17
Anthony M. Bianchi, D16
Katherine A. D. France, D16, GR16, GD18 +
Mark J. Guevarra, D16, GD18
Naa Norkor Hammond, D16
Stephen P. Howarth, D16 ^ +
Brittany N. Lahoda, D16
Heather K. Lenker, D16
Bonolo B. Odirile, GD16 +
Ali R. Abdul Majeed, D16
Joshua M. Simpson, D16 +
Brett E. Stein, D16
Amanda B. Albin, D17
Daniel Q. Bui, D17
Michael J. Capogna, GD17
Martin Chocholik, D17
Sara Gholam, D17
Ashish P. Gurav, D17
Shutong Hartsell, D17 +
John V. Kracke, D17, GD19 +
Kristianne V. MacAraeg, D17, GD19
Wichayapha Manorak, GD17
Yoojin R. Rhee, D17
Harold L. Robinson III, D17
Kevin B. Seto, GD17
Catherine Worthington, D17, GED17
Min-Seong Kim, D18
Catherine Lee, D18, GD20
Samaneh Mojarrad, GD18
Joyce D. Yin, D18, GD21
Alexia L. Blackhurst, D19, GR19
Scarlet Charmelo Silva, RES19, GD19
Jerry Choi, D19
Dasha F. Donado, C13, D19
Emily L. Funk, GD21
Ana Kodra, D19, GD24 +
Roopali Kulkarni, D19, GR19, GD21, RES21 +
Bret S. Lesavoy, D19 +
Diana M. Carvel, D20
Sara Hamzeinejad, D20
Juyoung Park, GD20, GD21
Nupur S. Patel, D20
Irada Rahman Lahnemann, D20
Leslie W. Tay, D20
Erica M. Weinberg Gatta, D20, GD22
Catherine M. Wroclawski, D20
Emily C. Alper, D21
Grace Huang, C18, D21
Kristen Leong, C16, GED20, D21 +
Leanne Lin, GD21
Xuefeng Zhao, GD21
Adeyinka Dayo, D22, GM24
Byron B. Hu, D22
Madison E. Richards, D22
Aleena Defreitas, GD23, D28
Jeffrey William Goetz, GD23
Julie Berenblum Meyerson, D23 +
Dhamar Al-Hammadi, D24
Analis T. Alba Valdes, D24
Mustafa Alkasem, D24
Elmaz Dzhaparova, D24
Neda Falsafi, D24
Sara A. Jawad, D24
Zoe A. Belen Brown, GD25
Kendra Domotor, D25, GM25
Angel Elias, D25
Emily Everlith, D25
Simran Grewal, D25
Dominque Gross, D25
Hazel Kerr, GD25
Caroline Grace Littlejohn, GD25
Sophia Nottoli, D25, GD28
Kiana Nwachukwu, D25
Katherine Skola, D25
Jessica Y. Tan, C22, D25
Payton Whyne, D25
Tanaya Williams, D25
Simrah Ajmal, D26
Lilian Arce, D26
Shreya Mukesh Dalal, D26
Joie Yuqing Dillon, D26
Carolina Guillen Del Castillo, D26
Puneet Nanda, D26
Malavika Ramesh, D26
Mehar Soni, D26
Claudia Valladares, D26
Veronica Tze June Wong, D26
Carly Camille Campion, D27
Brandon Lee Chin, D27
Mina E. Fahmy, D27
Lauren J. Ghong, D27
Peyton Rose Grant, D27
Natalie Heurtelou, D27
Celine Jinhee Jarvis, D27
Apurva Reddy Kanathala, D27
Rosemarie Giovanna Milelli, D27
Denis Parinov, D27
Sonam Pathak, D27
Nicole Rose Randazza, D27
Megan Tirrell, D27
Tina Zheng, D27
Annie Zhou, D27
Penelope Andreolas, D28
Gabriella N. Casiano, D28
Victoria L. Chan, D28, ML29
Ashley M. Chanpong, D28
Erica S. Chen, D28
Valerie Y. Chen, D28
Jimmy Cheng, D28
Seung Ah Choi, C25, D28
Sophia Choi, D28
Wesley D. Chow, D28
Kaylauni M. Cisneros, D28
Kenny Feng, D28
Evan D. Fortier, D28
Claire M. Griffin, C25, D28
Aidan Ho, D28
Jeonghoon Hyun, D28
Hanam Kim, D28
Casey R. Kozlik, D28
Sydney Lam, D28
Amanda W. Lee, D28
Charlotte Li, D28
Solomon Li, D28
Zicong Li, D28
Melodie Q. Liu, C24, D28
Anjie Luo, D28
Brianna M. Mearim, D28
Pooya Namavari, D28
Gina J. Oh, D28
Riya Patel, D28
Tulsi Patel, D28
Orell Rayhan, D28
Connor J. Riesenberger, D28
Natalie Sadek, D28
Maddie F. Sand, D28
Rachel M. Scheske, D28
Jenny A. Shulkin, D28
Layla M. Siahatgar, D28
Samuel Suslavich, D28
Andrew J. Thayer, D28
Meghan E. Tracy, D28
William C. Tsai, C25, D28
Emma J. Van Dorn, D28
Brooke A. Weaver, D28
Shuchen Zhang, GEN23, D28
Xiwen Zhu, D28
One of the more important unsolved problems in dentistry is the problem of knowing when — and how — teeth start to functionally wear out from decades of use. “What are the key changes in tooth structure, chemical composition and other aspects of tooth biology that lead to the breakdown of occlusal surfaces and deterioration of efficiency?” asks Dr. Myra Laird, Assistant Professor in the Department of Basic and Translational Sciences. “If we can understand and tie together those earlywarning signals, we can know when to step in with clinical interventions.”
Achieving that level of understanding will mean surmounting some major challenges. It simply isn’t feasible to study a cohort of human volunteers from early to late adulthood, controlling their diets and other variables, and recording relevant aspects of dental wear as their chewing function declines. Moreover, there are no good animal models for studying long-term human dental wear, given how much other animals differ from humans in their jaws, teeth and diets.
That’s why Dr. Laird and her colleagues, under a substantial National Science Foundation grant, recently began working with a robot called “Chewy.”
Built at the University of Minnesota, and known more formally as an Artificial Resynthesis Technology (ART VII) chewing simulator, Chewy does just one thing: chews. And chews, and chews — completing a year’s worth of human munching, gnawing and noshing in a day.
The device can be mounted with pairs of opposing human teeth — even a mouthful — and programmed to chew in a natural human way.
“Chewy modulates its chewing kinetics based on feedback about food texture, and replicates other factors that are important for human chewing such as cheeks, tongue, saliva, and mouth temperature,” Dr. Laird explains.
Assistant Professor Dept. of Basic & Translational Sciences

For their project, the researchers are fitting Chewy with human wisdom teeth (“third molars”) that have been extracted by dentists before incurring any wear. Dr. Laird and her team in Philadelphia perform much of the data analysis, while the device is operated in Chicago in the laboratory of co-investigator Dr. Kristin Krueger, Professor and Chair of Anthropology at the University of Loyola. The general idea is to evaluate how these teeth change during a simulated fifty-year adulthood’s worth of chewing. Throughout and within each of these “chewing lifetimes,” the researchers are controlling key variables such as the food being chewed, to see the effects of different diets.
As the teeth go through these chewing lifetimes, the team tracks — at simulated five-year intervals — changes in different aspects of dental biology: dental function in terms of efficiency at breaking down food; the shape of each tooth’s chewing surface, a.k.a. “occlusal topography;” the fine structure of the tooth including enamel, dentin and other tissues; and lastly the detailed composition of calcium, phosphorus and other elements in the tooth surface.
The result, Dr. Laird says, will be the first truly comprehensive and integrated model of how human molars wear down — and potentially wear out — in a lifetime of use.
The study is also likely to inform some wider issues. For example, it is believed that humans nowadays tend to grow substantially smaller jaws — incurring more dental overcrowding and misalignment — than they did in earlier times when foods were tougher and required more chewing. But perhaps our softer modern diets provide a tradeoff in terms of greater tooth longevity.
“One of our hypotheses is that we’re going to see much higher rates of wear and earlier ‘senescence’ for teeth when they are chewing more mechanically challenging foods,” Dr. Laird says.
Her work thus spans dentistry, basic biology, and anthropology.
“Given our unique approach in this study, we expect our findings to have a broad, interdisciplinary significance,” she says.
Dr. Laird’s dental wear research has also been supported by the 2024 Joseph and Josephine Rabinowitz Award for Excellence in Research at Penn Dental Medicine.
Penn Dental Medicine has long prioritized providing students with opportunities to engage in community and public health experiences. Students, for instance, can join the Community Oral Health Honors Program, enroll in dual-degree master’s programs in either Oral and Population Health or Public Health, and all students gain experience working in community settings as part of the curriculum.
“Penn Dental Medicine has a long-standing commitment to community engagement, and I think many students interested in public health are choosing Penn because they see that commitment,” says Dr. Joan Gluch, Professor of Clinical Community Oral Health at Penn Dental Medicine.
Indeed, all Penn Dental Medicine students are required to work in communitybased care programs (see related story, page 10) at least one day a week for a calendar year, starting in their third year. Through this, students provide much-needed oral health services to local communities and come to better understand the impact of social, cultural, and economic factors on oral healthcare.
“Our goal is to open our students’ eyes to the needs of patients who don’t have access to dental care, and to advocate for increased public funding in community settings,” Gluch says.
Nationally, there is a growing need for public health dentists to provide care for vulnerable populations — including those in
low-income, rural, and immigrant communities — that may have limited, or possibly no, access to oral healthcare.
The U.S. Health Resources and Services Administration cites a shortage of at least 10,000 dentists needed to provide dental care for some 61 million people who live in underserved areas. That need is spread across more than 7,000 Dental Health Professional Shortage Areas, according to the federal agency.
At the same time, Gluch sees interest in public and community health experiences continuing to grow at Penn Dental Medicine. For the 2025-26 academic year, there are 32 students enrolled in the Community Oral Health Honors Program, up from 25 students in the program just two years ago. The honors students spend a minimum of 120 hours developing and implementing community health programs from an interdisciplinary perspective.
And, there are currently 29 National Health Service Corps (NHSC) scholars enrolled at Penn Dental Medicine. The
highly competitive program, which is part of the U.S. Department of Health and Human Services, covers the student’s total cost of attendance in exchange for a year of service for each year of support received, which can be fulfilled at a wide range of NHSCapproved sites in rural, urban, and tribal shortage communities that have limited access to dental care. The NHSC also offers loan repayment for students who join the program later in their dental school career.
Gluch believes a good number of Penn Dental Medicine alumni who have been NHSC scholars often remain in public health even after their required service ends.
“Anecdotally,” she says, “our conversations with graduates confirm that public health dentistry is a viable career option that offers many financial and nonfinancial benefits.”
We talked with three Penn Dental Medicine alumni who have pursued careers in public health roles — their stories follow.




Growing up in San Diego with limited resources, Dr. Marshall Montgomery (CGS’06, D’09) did not have access to dental care until after graduating high school. By that time, he required extensive treatment, including a root canal, orthodontics, and corrective jaw surgery. These experiences, tough as they were, sparked a profound interest in dentistry, ultimately inspiring Montgomery to pursue a public health career dedicated to expanding access to care for others.
It also opened his eyes to the problems posed by a lack of access to dental care, particularly in low-income and immigrant populations, ultimately driving his decision to work in public health.
“I didn’t go to the dentist when I was younger because it was cost prohibitive,” says Montgomery, Dental Director at New Bedford Community Health, a Federally Qualified Health Center in New Bedford, Mass., that provides medical, dental, and mental healthcare. “Now, as a public health dentist, I can help people who come from similar means as I did when I was growing up.”
Montgomery has worked at the health center since graduating in 2009 from Penn Dental Medicine, where he previously worked in a research laboratory under Dr. Kelly Jordan-Sciutto, Professor and Vice Provost for Graduate Education, before starting dental school.
As a NHSC scholar interested in working with the underserved, he says, “I found Penn Dental to be very supportive of planning a career in public health.”
He spent his first four years at New Bedford fulfilling his NHSC commitment and became its Dental Director in 2011. Now, in addition to overseeing four other dentists at the health center, as Director, he has an impact on decisions that can help provide better patient care and services.
In this practice, the rewards are many, but so are the challenges. Many patients, from newborns to the elderly, have not had regular — or sometimes any — dental care in their lives and come to the clinic with extensive caries, tooth loss, and other significant dental problems.
“We see a lot of baby bottle caries in really young children, almost exclusively immigrant patients,” says Montgomery, noting that many are from Central America.
“Now, as a public health dentist, I can help people who come from similar means as I did when I was growing up.”
— DR. MARSHALL MONTGOMERY (CGS’06, D’09)
“In other countries, the water is not safe to drink, and a lot of parents will put soda or juice in the bottle. The parents are trying to keep their kids from getting sick from organisms in the water, but don’t realize they are wreaking havoc on their teeth.”
There are other challenges working with the New Bedford population: most patients don’t speak English and need help from bilingual sta or remote translators to communicate, and many lack reliable transportation to get to appointments.
Over the years, he has considered leaving public health dentistry. “There are certainly drawbacks: the compensation is lower, we do a more limited scope of services, and most of our patients need interpreters, which can make it tough to build rapport,” he says.
For instance, he says, patients cannot always get the treatment they’d benefit from because they’re limited to what is covered by Medicaid.
But on the whole, he says, working in public health allows for a good balance of income, work-life accommodations, and job satisfaction — a balance that works well for his family, which includes his wife, an intensive care physician, and three children.
“At the end of the day, I feel like what I’m able to accomplish as a public health dentist has more meaning to me as both a person and a dentist,” Montgomery says. “I do think I’ve made a meaningful di erence in patients’ lives, and that’s very compelling.”


In 2023, Dr. Lisenia Collazo (D’19, GR’19) was named Dental Director at Upper Great Lakes Family Health Center in rural Gwinn, Michigan, the Federally Qualified Health Center where she had fulfilled her four years of NHSC service.
It’s a role she’d been preparing for even before she started at Penn Dental Medicine.
“My goal was to work with children from low socio-economic and minority groups,” Collazo says.
Now, Collazo is trying to encourage other dentists to consider jobs in public health, particularly in more remote areas of the country. Last year, she wrote an article, titled “Why I Chose to Practice in Rural Michigan,” for the Journal of the Michigan Dental Association, o ering insights into the challenges and rewards of working with an underserved population in a rural area.
The Upper Great Lakes Family Health Center o ers integrated medical, behavioral, and dental healthcare at its 12 clinics, three of which provide dental care, and recently acquired a mobile dental unit to better serve the spread-out communities. The Upper Peninsula, as this area of Michigan is called,
includes about 30 percent of the state’s land mass, but only 3 percent of its population. Four dentists, including Collazo, work in the three clinics, each of which has six treatment chairs. Even with her administrative responsibilities, Collazo spends most of her work time treating patients. “Unfortunately, both the children and adults in our population have high incidences of caries,” she says. Collazo was interested in public health from an early age. When she was 10, she left Allentown, Pa., to live with her grandparents in Puerto Rico, where she “became more aware of the struggles people face when they don’t have easy access to care.”
After earning her undergraduate degree in cellular and molecular biology at the University of Puerto Rico, Collazo received both her DMD and Master of Public Health from Penn in 2019. She says the opportunity to earn a dual degree in public health was one of the reasons she applied to Penn Dental Medicine.
At Penn, she participated in the Community Oral Health Honors Program, volunteering at the Philadelphia FIGHT health center and PennSmiles, the school’s mobile outreach program that travels to schools and other neighborhood sites.
In her fourth year, Collazo was named one of the inaugural Delta Dental Endowed Community Scholars, which provides $25,000 for students who plan to work with vulnerable populations. That year, Collazo also received the NHSC Students to Service award, which provided $120,000 in student loan repayment in exchange for three years of work in a public health setting.
“The education I received at Penn, both at the dental school and in public health, gave me the foundation to ultimately succeed not only clinically but as a leader within a community health center,” she says.
After receiving her DMD, Collazo completed a general practice residency at St. Peter’s Hospital in Albany, N.Y., before joining Upper Great Lakes Family Health Center. Two years into her NHSC commitment, she was named Dental Director. “It’s a broader role that utilizes my public health expertise,” she says.
Several years ago, Collazo returned to Penn Dental Medicine along with her dental colleagues to receive on-site training for treating patients with intellectual and developmental disabilities. The on-site training (through a partnership with Delta Dental) within the School’s Care Center for Persons with Disabilities, focused on behavioral management, tools, and processes to increase access to preventive and therapeutic services for this population.
Currently, in her role as Dental Director, Collazo is working to re-establish partnerships with local schools, which were put on hold during the Covid pandemic. The dental clinics also are putting more emphasis on educating families in oral health literacy, which she expects will have “more impact than just treating disease.”
Another goal is to foster more medical and dental integration within the clinic, so for instance, a dental hygienist may be present during an obstetrics/gynecology appointment, providing additional opportunities to reach pregnant mothers and their children.
“There’s such a huge need, and we try to do the best we can with the resources we have,” she says. “At the same time, it’s very rewarding that the patients we are able to see are very grateful for the care they receive.”
To commute to his first job after graduating from Penn Dental Medicine, Dr. Vick Hirani (D’01) would take a helicopter down to the bottom of the Grand Canyon to work in a single-chair clinic serving some 600 members of the Havasupai tribe.
Once transported down to the clinic, he would spend one week a month on-site before helicoptering back up the walls of the canyon. “It was one of the most beautiful places in Arizona,” he says, “and there were no dentists for hundreds of miles.”
During the three weeks a month that he wasn’t on the floor of the Grand Canyon, Hirani worked in clinics on the Colorado River and Lake Havasu that served other Native American tribes, including the Mojave, Chemehuevi, Navajo and Hopi. To reach some of these clinics, he used a more conventional commuting method — a boat.
At the time, Hirani served as a lieutenant in the Indian Health Service, a branch of the U.S Public Health Service, fulfilling his two-year service commitment in exchange for dental school loan repayment. While on-site at the clinics, he stayed in government quarters and was available at all hours, as in a military deployment. His first supervisor in that role was another Penn Dental Medicine alumnus, Dr. Bernard Beriau (D’95).
Now, as Dental Director for the state of Arizona, Hirani oversees dental activities for the Division of Developmental Disabilities, which serves about 60,000 people with conditions such as cerebral palsy and autism, and for whom the state acts as guardian.
In this role, he helps regulate insurance companies that serve his constituents. “We want to change the rules of the game,” he says. “We’re always fighting for better coverage.”
Over the years, Hirani worked in a number of private and public health jobs, both clinical and administrative, before moving into his current position in 2022. Along the way, he earned a Master of Business Administration using tuition benefits from his time in the Indian Health Service.


“It was one of the most beautiful places in Arizona, and there were no dentists for hundreds of miles.”
— DR. VICK HIRANI (D’01)
Hirani, who grew up in Mumbai and Texas, earned both his undergraduate and DMD degrees from the University of Pennsylvania through the seven-year accelerated program.
At Penn Dental Medicine, he participated in Bridging the Gaps, an interdisciplinary community health internship program that gives Penn students in health-related disciplines the opportunity to gain experience working at community organizations.
“Penn does a great job of teaching you to be a dentist and looking at the big picture, including public health and treating vulnerable populations,” he says. In addition, he notes, his experience training alongside medical colleagues through rotations at the Hospital of the University of Pennsylvania has helped him throughout his career.
“The dental school was very integrated with the medical school,” he says. “I learned to read medical charts and was familiar with the e ects of such conditions as uncontrolled diabetes and alcoholism,” Hirani says. “I’m very focused on oral health as part of overall health.”
That focus served him well during his time working at the Indian Health Service. Along with rampant caries enhanced by the adoption of Westernized high-sugar diets, the need for dental care was often compounded by the many medical issues faced by patients, including diabetes, infections, and drug and alcohol abuse.
“I saw patients in need of full mouth rehabilitation, where every tooth was decayed, and children with advanced periodontal disease, things you don’t see in a traditional dental practice,” Hirani says, “It can be disillusioning, because there is so much unmet need.”
Yet, helping to provide much-needed dental care for people in vulnerable communities continues to be compelling for Hirani. “The pressure is high-volume, high-needs, but the rewards for me are caring for the underserved,” he says. “We’re fighting a war on dental disease.” n — Debbie Goldberg
Penn Dental Medicine’s ETA Chapter of the Omicron Kappa Upsilon
National Dental Honor Society (OKU) welcomes its newest members, inducted from the Class of 2025 in May. New inductees are selected based on scholarship, exemplary traits of character, and potential qualities of future professional growth. The new OKU members from the Class of 2025 include:

Kelsey Busch
Doris Chen
Min-Hsuan Chen
Emilia Dolaway
Stephanie Dominguez
Lindsay Fisher
Alexandra Fontana
Nirel Gidanian
Dominque Gross
Nader Hanna
Ebru Hazar
Shabhsangeet Kaur
Andrew MacElroy
Pietro Maisano
Kathryn Mason
Corinne Nicolas
Ryan Noseworthy
Ajaykumar Parasiya
Jim Park
Alexis Pettisani
Eleanor Rhodehamel
Armaghan Hojjati Sabet
Jessica Tan
David Wall
Faculty inductees include Alicia Risner-Bauman and Muralidhar Mupparapu.
ABOVE: Class of 2025 OKU inductees and other OKU members at the Senior Farewell in May.

Save the date to join Penn Dental Medicine in New York, NY, for an alumni reception at the Greater NY Dental Meeting on December 1, 5:30-7:30. Last year marked the centennial anniversary of this large gathering, and over its 101-year history, a number of Penn Dental Medicine alumni have led the meeting as General Chairs — among them Carrol Whitcomb (D’15), Arthur E. Corby (D’17), Irving E. Gruber (D’41), Gerard E. McGuirk (GD’57), Jay Glat (D’59), John McIntyre (D’79), Marc Gainor (C’77 D’81), Jim Doundoulakis (D’82), and Richard Oshrain (D’81). In recent years, Paul Teplitsky (D’80), Edward Millers (D’92), and Gail Schupak (D'83) have also been actively involved. Penn Dental Medicine thanks all who have worked over the years to make this conference an outstanding success. Register for this year’s reception at www.dental.upenn.edu/GreaterNY
This past May, alumni, friends, and family returned to Penn Dental Medicine for Alumni Weekend 2025 to celebrate reunions and milestones.







In April, alumni and friends came together at Penn Dental Medicine in conjunction with the 2025 American Association of Orthodontics (AAO) Annual Meeting, which was held in Philadelphia.


In recognition of the Class of 2025’s transition from predoctoral students to the Penn Dental Medicine Alumni Society, the Office of Institutional Advancement hosted the annual Senior Farewell at the Bellevue Hotel.



In April, more than 120 students, residents, and alumni gathered at the American Association of Endodontics (AAE) Annual Meeting in Boston.



For a personalized illustration, contact: Brian T. Myers
Sr. Associate Dean of Institutional Advancement Penn Dental Medicine
215.898.4643
btmyers@upenn.edu giving.upenn.edu/gift-planning


When you support Penn Dental Medicine through a Charitable Gift Annuity (CGA), you create a meaningful legacy and lock in guaranteed payments for life. This secure and tax-advantaged gift option allows you to turn valued assets into a guaranteed payment stream, backed by the University.
By funding your CGA with cash, appreciated securities, or, in some cases real estate, you’ll receive:
• Fixed, reliable payments for you or a loved one
• An immediate income tax deduction
• Tax-free treatment on a portion of each payment
Your generosity helps advance scholarships, research, and community care at Penn Dental Medicine.

Contributed by Nam Le (D’27)
It was Spring of 2024, when during my oral surgery consultation, Dr. Steven Wang noticed something about my facial development was off and recommended that I follow-up with a blood test. The test result came back as abnormal, with my hormone level off the chart. From there, I consulted with Penn physicians, took several more MRI scans, and was subsequently diagnosed with a brain tumor. The whole situation caught me off-guard, and I suddenly felt overwhelmed, “What would be my next step? How much will it cost? What would happen to my study and schooling? And most importantly, who will be there for me?”
I would soon discover that the Penn Dental Medicine community would be there for me with tremendous support and guidance during this challenging time. Downhearted and unsure of my next steps, I stopped by Dr. Faizan Alawi’s [Vice Dean of Academics] office to let him know about the findings and seek his advice. The atmosphere in the room shifted, and he asked me a simple question — “How are you feeling?” — yet, I could not answer it at the time. I couldn’t say what I thought or what
I felt back then — I was at a loss for words. He then told me to rest, keep following up with my doctors, and that the Offices of Academic and Student Affairs would reach out to me for support as needed.
My symptoms then suddenly got worse — my vision got blurrier with migraines every day, my hands and fingers started swelling, and I could not focus on class or in the simulation lab, as the noise from the handpiece burs or the light in the lab would easily trigger my headache and nausea. It was then that Margaret Yang, the Director of Student Affairs and Engagement, and others from Academic and Student Affairs reached out to me, to give me not only academic help, but also the emotional support that I did not know I would need. Their help ranged from assisting me with the surgery scheduling and reorganizing the class schedule to best fit with my condition, to reaching out for support through the University’s Graduate Emergency Fund. The Fund assists graduate and professional students with urgent financial needs due to unanticipated circumstances. The Fund
“The support and aid I received from Penn Dental Medicine was nothing but exceptional. Now as a third-year student on track with my dental education, I am healthy and grateful.”
— NAM LE (D’27)
expedited my father's VISA from Vietnam so that he could fly over to take care of me. To reunite with my father, who I barely saw for the past six years, to eat his homecooked meals, and have him at my surgical bedside was an emotional moment. I am indebted to everyone for the many favors I received during my hardship — it really meant so much to me.
May 13, 2024, I had surgery. It was longer than expected — a whole 7 hours. While I woke up with a heavy headache, being able to see my dad, I felt happy. My dental school friends also visited me during my hospital stays, which gave me such a great mental boost to help in my recovery. The support and aid I received from Penn Dental Medicine was nothing but exceptional.
Now as a third-year student on track with my dental education, I am healthy and grateful. Without everyone reaching out to me, I would have continued to be lonely and lost, overwhelmed with the whole situation. I am thankful I am here and have this opportunity in the Penn Dental Medicine Journal to express my appreciation to all.
To learn how to support Penn Dental Medicine’s Student Emergency Fund, contact Maren Gaughan, Associate Dean for Development and Strategic Initiatives, gaughan@upenn.edu.

Dr. Myron Allukian, Jr. (D’64) served as the 2024 White Coat Speaker at Penn Dental Medicine, inspiring the incoming class with a message of service. That same year, he was named an Honorary Member of the Hispanic Dental Association for his contributions to the profession and support of minority dentists. In 2025, the ADA dedicated Fluoridation Facts to Dr. Allukian and Dr. Howard Pollick in recognition of their lifelong advocacy for community water fluoridation.

Dr. Abraham (Av) Kadish (D’65) served as a Dental O cer with the U.S. Public Health Service at the Leech Lake Indian Reservation in Minnesota after graduating from Penn Dental Medicine. He later practiced in Kinnelon, New Jersey, from 1968 until his retirement in 2016. He now enjoys life in the Berkshires, spending time golfing, kayaking, and engaging in local cultural activities. He is the proud father of four and grandfather of seven.

Judith Sinanis Nist (DH’69) and Julia Carr (DH’69) recently reunited in Misquamicut, RI, for the first time since the COVID-19 pandemic. Dr. Robert Nist (D’70) also joined.
Maria Perno Goldie (DH’71) has been a national and international leader in advancing dental hygiene. She served as President of both the ADHA (1997–98) and the International Federation of Dental Hygienists (2010–13) and has contributed to numerous advisory boards and public health initiatives. Her work has earned multiple honors, including the ADHA Alfred C. Fones Award, the inaugural Ann Battrell Visionary Legacy Award (2024), and the International Federation’s first Distinction in Service Award (2016).
Dr. Edward Landau (D’71) retired from his practice in 2020. Since then, he has been involved in investment banking with RLS Associates, helping sell general businesses for their clients. He says it’s a great way to enjoy retirement.
As we mark the 70th Anniversary of the Department of Periodontics, share a memory of Penn Periodontics by submitting a class note.


Dr. Cary Limberakis (C’73, D’78) completed a highly successful tenure as the PDA's 156th President. During his term, he spoke at Philadelphia's 70th anniversary observance of community water fluoridation, introduced the free PALMM program (Professional Advice on Legal Matters for Members), successfully lobbied for Virtual Credit Card reform and increased the dental Medicaid budget for adults. Most significantly, he led the PDA's transition from a quadripartite to a tripartite governance structure, aligning with the ADA, and laid the groundwork for a return to a proportionate representative general assembly.
Dr. George Yankopolus (D’79) relocated to Canton, Georgia, and is active with his local veterans’ group.
Dr. James Jacobs (GD’81) was elected to a four-year term on the Board of Directors of the New York State Dental Association.

Dr. Glenn Burgner (D’82) is practicing full-time in Massachusetts and Rhode Island, specializing in both endodontics and periodontics. He enjoys cycling, traveling, kayaking, fishing, and spending time at Disney World with his four grandchildren. He sends warm wishes to all his classmates.
Dr. Allen Pearlman (D’83) recently retired from his periodontal practice after 38 rewarding years in South Florida.
Dr. Erela Katz Rappaport (D’85) recently published a book titled Breathe Easy, Sleep Deep, a practical and accessi ble guide to sleep-dis ordered breathing and its impact on energy, focus, and long-term brain health. The book aims to empower both patients and healthcare providers to recognize symptoms and take action. It is now available on Amazon.
accessisleep-dis-


Dr. Douglas Harte (D’88, GD’91) has been re-elected as a Director on the American Association of Orthodontics Political Action Committee (AAOPAC). His group is responsible for raising funds for federal advocacy and shaping policy on issues such as student debt, tele-dentistry, and small business support. Dr. Harte has held numerous leadership roles, including Past President of the Middle Atlantic Society of Orthodontists and Past Chair of the AAO Council on Government A airs.

Dr. Ann Kearney Astolfi (D’92) recently became a grandmother and is thoroughly enjoying her new role. Her grandson, Luke, is now two years old.

Dr. Miguel Hirschhaut (GD’95) received the Lee Graber Changing Lives Award from the World Federation of Orthodontists. He was recently named Associate Editor for Seminars in Orthodontics and has authored three cover articles for the American Journal of Orthodontics Clinical Companion.

Dr. Tony Saito (D’95) and the Class of 1995 are planning a reunion in 2028 to celebrate Penn Dental Medicine’s 150th anniversary.

Dr. Mike Panahi (D’05) continues to make a significant impact in dental medicine as a senior executive, investor, and board leader. With over 15 years of experience scaling healthcare organizations, he helped grow Beacon Oral Specialists from 6 to over 120 locations, co-founded Roligo Dental (now with 18 practices in the tri-state area), launched Affinity Dental Management, and currently leads Haworth Capital Dental Partners, supporting innovative, patient-centered dental platforms.

Dr. Abhinav Sinha (D’05) recently celebrated the 20th Reunion of the Class of 2005 at Penn Dental Medicine. His accomplishments include establishing the Dr. Abhinav N. Sinha Pediatric Dental Medicine Leadership & Excellence Endowed Fund, creating the Sinha Family Commons at Penn Dental Medicine, being promoted to Professor of Clinical Pediatric Dentistry, and joining the prestigious Dean's Council.

Dr. Omar Hussain (D’12) has joined Dr. Jorge Mancia (D’12) as a partner at Asheville Oral and Maxillofacial Surgery. The practice recently celebrated its five-year anniversary. Also pictured is Dr. Alison Mancia (D’12), celebrating alongside her colleagues.

Dr. Brian Rowan (D'15) has recently been appointed as a trustee of the Southwest Idaho Dental Society. This appointment acknowledges Dr. Rowan's commitment to excellence in the field of dentistry and dedication to serving the community. He is past President of Southwest Idaho

Dr. Joseph Brier (D’17) launched Dental Care of Lucas, a startup practice in Lucas, TX, this past April. He has partnered with a local agency serving individuals with intellectual and developmental disabilities, combining his passions for dentistry and social work.
Dr. Benjamin Truong (D’19) recently purchased Brighton Dental Health in Chandler, AZ.
Dr. Madison Richards (D’22) has joined the faculty at the Dental College of Georgia as an Assistant Professor in the Department of Oral Health & Diagnostic Sciences, where she will be practicing and teaching Oral Medicine. She is excited to begin her academic career.

Dr. Julie Berenblum (D’23) married Henry Meyerson (WG’22) in Greenwich, CT. Her bridesmaids included Penn Dental Medicine alumnae Dr. Kylie Schlesinger (D’22), Dr. Jenna Panek (D’23), and Dr. Jaime Guberman (D’23). She is now practicing as a General Dentist in New York City with fellow Penn Dental alumna Dr. Julie Cho (D’98) and is thrilled to be joining the Alumni Society Executive Board.

Dr. Akhil Ramani (C’21, D’24) recently opened his first dental practice in Palm Beach Gardens, Florida. After completing the Bio–Dental program at Penn and a General Practice Residency at the West Palm Beach VA Medical Center, he returned to his hometown with his fiancée, Anahita (D’24), to acquire and rebrand a long-standing local office — now Ramani Dentistry of Palm Beach Gardens. The practice blends advanced technology with a strong commitment to community care, reflecting the full-circle impact of his Penn education.

Dr. Michael Segall (D’12) and Dr. Colleen Segall (D’14) are happy to announce they are now the proud owners of the Double T Smiles Pediatric Dentistry & Orthodontics Practice in Lubbock, Texas. Share Your News Or, you c an send your submissions to: Robert Schattner Center Penn Dental Medicine Office of Institutional Advancement 240 South 40th Street Philadelphia, PA 19104 We want to hear from you. Submit a Class Note to www.dental.upenn.edu/ classnotes
R. Leonard Weinberg (D’49, GD’54) West Hartford, CT; June 5, 2025
Edward S. Sved (D’51) Saint Petersburg, FL; March 8, 2025
George L. Wisehaupt (D’51) Lancaster, PA; May 14, 2025
William Douglass (C’50, D’52) Wynnewood, PA, April 1, 2025
Dorothy A. Kinney (D’52) Scottsdale, AZ; February 21, 2025
Elizabeth Fischer Brownlow (DH’53) Lenox, MA; April 27, 2025
Donna Hoke Dunkelberger (DH’54) Pittsburgh, PA; November 17, 2024
Robert D. Zanone (GD’55) Crossville, TN; March 14, 2025
James A. O’Malley (D’57) Darien, CT; October 24, 2024
Burton Rosan (D’57, GD’62) Haverford, PA; March 31, 2025
Theron A. Winter (D’58) Lewisburg, PA; May 28 2, 2025
James J. Farrell (D’59) Binghamton, NY; May 2, 2025
William O. Houston, Jr. (GD’59) Boise, ID; July 5, 2025
Stanley P. Brickman (GD’60) Atlanta, GA; January 26, 2025
Stephen F. Goodman (D’60) New York, NY; May 21, 2025
Arnold G. Green (D’60, GD’61) Lake Worth, FL; February 26, 2025
Carole Balla Hutzell (DH’60) Ligonier, PA; March 7, 2025
Arlene Clements Winters (DH’60) West Haven, CT; July 8, 2024
Arthur E. Zack (D’60) Boca Raton, FL; May 2, 2025
Edwin S. Mehlman (D’61) Providence, RI; July 8, 2025
Sheldon Paley (D’61) Bradenton, FL; October 13, 2024
David B. Payne (C’58, D’61, GD’63) Sarasota, FL; October 24, 2024
Dan C. Pullen (D’61) Hillsborough, NJ; August 7, 2025
Stephen S. Rothman (C’56, D’61, GR’64) Sherman Oaks, CA; April 20, 2025
James W. Shira (GD’61) Chambersburg, PA; July 24, 2025
Bonnie Wilson Hartsock (DH’61) Mechanicsburg, PA; August 18, 2025
Charles W. Ashman (D’62) Las Vegas, NV; January 19, 2024
Martin Phillips (D’62) Boca Raton, FL; November 13, 2024
Edward A. Noe (D’56, GD’62) Ocala, FL; September 25, 2025
Jerome M. Pleskonko (D’63) Huntington, PA; April 14, 2025
William H. Baile III (D’64) Palmyra, PA; May 16, 2024
Breese M. Dickinson, Jr. (GD’64) Stuart, FL; July 13, 2025
Malcolm R. Freedman (C’59, D’64, GD’67) Enfield, CT; August 27, 2025
Warner E. Lund, Jr. (D’64) Canton, MA; July 26, 2025
E. Marston Jones (D’64, GD’65) Cambridge, MD; May 27, 2025
Joseph Damone II (D’65, GD’72) Williamstown, NJ; May 10, 2025
Stanley M. Baer (D’66) Morristown, NJ; March 14, 2025
Charles V. Pasqualini, Jr. (D’66) Elkton, MD; March 1, 2025
John T. Curtiss (D’67) Groton, CT; April 10, 2025
Louis J. Landino (D’67) Seattle, WA; June 29, 2025
Sharon Kauffman Winstead (DH’68) York, PA; June 19, 2025
Vernon Y. C. Kwok (D’69) Hartford, CT; May 18, 2025
David L. Rooney (D’70) Salisbury, MA; July 6, 2025
Jay M. Auerbach (D’71) Atlanta, GA; May 19, 2025
Ronald Friedman (D’71) Delray Beach, FL; July 29, 2025
Mark Unger (D’71) Center Valley, PA; June 17, 2025
Richard B. Janney (D’72) West Barnstable, MA; February 14, 2025
Ronald G. Mangan (C’68, D’72) Carlisle, PA; June 19, 2025
James E. Holford (GD’73)
Lake Geneva, WI; July 17, 2025
Susan B. Marcus (DH’73)
Saint Petersburg, FL; March 19, 2025
David S. Crimmins (D’74)
Mt. Pleasant, SC; July 18, 2025
Kevin T. Kilcoyne (D’77) Philadelphia, PA; April 25, 2025
Frederick J. Lacey (D’80)
Hilton Head Island, SC; August 28, 2025
Dana R. Martin (GD’80, GED’80) Knoxville, TN; July 17, 2025
Stuart E. Lieblich (D’81)
New York, NY; February 28, 2024
Jerald S. Matt (D’88)
Hillsborough, NJ; August 11, 2025
Darren E. Mantyla (D’13)
Grosse Point Woods, MI, July 26, 2025
Luis A. Pérez-Melean (D’16)
San Antonio, TX; March 30, 2023
NOVEMBER 7-8, 2025
CDE: The Evolution of a Paradigm: The Role of Teeth… in the Age of Implants
Penn Dental Medicine
NOVEMBER 10-21, 2025
Oral and Planetary Health Conference Series
COP 30: Dentistry in a Changing World Webinar
NOVEMBER 14-15, 2025
CDE: Penn Interdisciplinary Microscopy Symposium
Penn Dental Medicine
NOVEMBER 19, 2025
CDE: The National Coalition of Dentists for Health Equity Webinar 3: Integration at the Community Level Webinar
NOVEMBER 20, 2025
CDE: Penn OMFS Alumni & Friends
CDE Lecture and Dinner
Hybrid
Visit www.dental.upenn.edu/events or call 215-898-8951 for information on alumni events

DECEMBER 1, 2025
Greater New York Alumni Reception Javits Center Hospitality Suite
DECEMBER 4, 2025
CDE: Office Based Emergency Airway Management (OBEAM) Recognition and Management of Airway Problems Simulation Course
Penn Medicine Simulation Center
DECEMBER 5, 2025
Ortho Alumni Day
Penn Dental Medicine
DECEMBER 10, 2025
CDE: The National Coalition of Dentists for Health Equity Webinar 4: Call to Action –Policy and Advocacy Webinar
FEBRUARY 8, 2026
Alumni Brunch
Boca Raton, FL
FEBRUARY 9, 2026
CDE: Penn Orthodontic Department Lecture Series Webinar
FEBRUARY 25- 26, 2026
Career Fair
Penn Dental Medicine
APRIL 15, 2026
Research Day
Penn Dental Medicine
APRIL 16, 2026
American Association of Endodontists Alumni Reception
Salt Lake City, UT
APRIL 23, 2026
American Academy of Oral Medicine Alumni Reception Dallas, TX
MAY 1, 2026
American Association of Orthodontists Alumni Reception Orlando, FL
MAY 12, 2026
Senior Farewell Philadelphia, PA
MAY 14, 2026
ACCE Day
Penn Dental Medicine
MAY 15-16, 2026
Alumni Weekend
Penn Dental Medicine
MAY 18, 2026
Commencement
Irvine Auditorium
MAY 28, 2026
CDE: CiPD Symposium
Philadelphia, PA
Visit www.dental.upenn.edu/cde or call 215-573-6841 for information on continuing dental education programs

PENN DENTAL MEDICINE ALUMNI SOCIETY 2025–2026 EXECUTIVE COMMITTEE
Alyssa Greenberger, D’02 President
Katherine France, D’16, GR’16, GD’18 Vice-President
Members-at-Large
Pam Alberto, D’80
Karam Alyashooa, D’25
David Boschken, D’98, GD’00
Scott Chanin, D’83
Gail Spiegel Cohen, C’76 D’80
Milan Doshi, D’07
Caryn Siegel Finley, C’95, D’99
Kara Fraiman, D’92, GD’94
Andrew Fraser, D’16
Maria Perno Goldie, DH’71
Jason Goodchild, D’98
Andrew Henry, D’12 M’15 GD’18
Stephen Howarth, D’16
Ken Ingber, D’71
Ana Kodra, D’19, GD’24
JV Kracke, D’17 GD’19
Daniel Kubikian, D’01, GD’04, GD’05
Roopali Kulkarni, D’19, GR’19, GD’21
Bernard Kurek, D’73, WMP’03
Kristin Lee, D’25, GD’27
Kristen Leong, C’16 GED’20, D’21
Bret Lesavoy, D’19
Kevin Luan GD’17
Craig McKenzie, GED’20, D’21
Julie Berenblum Myerson, D’23
John Newland, D’84
Nimesh Patel, D’09
Lindsay Pfeffer, D’08 GR’08
Shabnam Sedaghat, D’06
Josh Simpson, D’16
Matt Sones, D’12
Ann Eshenaur Spolarich, DH’82
Shari Summers, D’83
Ben Truong, D’19
Michael Yasner, C’79, D’83, GD’84, GD’86
Sarah Yoon, D’07, GD’13
Brigitte White Zinkovic, CGS’04 D’07
DEAN’S COUNCIL
Martin D. Levin, D’72, GD’74, Chair
Gail E. Schupak, D’83, Vice Chair
Robert Brody, C’80, D’84
Stefani Cheung, C’08, D’11
Charlene Jennings Fenster, DH’75
Joseph P. Fiorellini, DMD, DMSc
Howard P. Fraiman, D’91, GD’93, GD’94
Joseph E. Gian-Grasso, C’67, D’71
C. Mitchell Goldman, WG’75
Jeffrey N. Grove, D’04
Elliot Hersh, DMD, MS, PhD
Anil J. Idiculla, C’98, GD’06
Christopher Joy, D’80
Meetu Kohli, D’02, GD’05
Brian Lee, D’00, GD’04
Richard Levitt, C’68, D’72, GD’77
Daniell J. Mishaan, D’03
Saul M. Pressner, D’79
Michael Ragan, D’77
Daniel Richardson, D’02
Louis Rossman, D’75, GD’77
Derek Sanders, D’06
Trina Sengupta, D’08
Tara Sexton, D’88
Abhinav Sinha, D’05
Susan Stern, C’77, D’81
Bobby Vijay, D’05
Arnold Weisgold, GD’65
BOARD OF ADVISORS
David Tai-Man Shen, DMD, D’79, GD’81, Chair
Ruchi Aggarwal Goel, WG’04
Stanley M. Bergman - Emeritus
Dirk Brunner, MSC, MBA
Julie Charlestein
William W. M. Cheung, DMD, D’81, GD’82 - Emeritus
Joanne Chouinard-Luth, D’79
Terri Dolan, DDS, MPH
Matthew J. Doyle, PhD
Egidio Farone, D‘84
Allen Finkelstein, DDS
Anne Koch, D’77, GD’93
David Kochman
Myechia Minter-Jordan, MD
Vincent Mosimann
Catherine O’Hern Lyons, C’86
Joan O’Shea, MD
Daniel W. Perkins
Garry Rayant, GD’77
Maria Ryan, DDS, PhD
Tony Saito, D’95
Hector Sarmiento, GD‘14
Thomas Schwieterman, MD
Alfred Spencer
Heather Trombley
Joerg Vogel
Robert Zou, WG’94
Ex Officio Members
Martin D. Levin, DMD, D’72, GD’74, Chair, Dean’s Council
Alyssa Greenberger, DMD, D’02, President, Alumni Society
PDMJ ADVISORY COMMITTEE
Beth Adams
Director of Publications
Dr. Faizan Alawi
Associate Professor, Basic & Translational Sciences
Associate Dean for Academic Affairs
Dr. Markus Blatz
Professor of Restorative Dentistry
Chair, Department of Preventive & Restorative Sciences
Sarah Burton Flynn
Director of Strategic Development & Alumni Relations
Maren Gaughan
Associate Dean for Leadership Giving
Dr. Joan Gluch
Division Chief and Professor of Clinical Community
Oral Health, Associate Dean for Academic Policies
Dr. Dana Graves
Professor, Department of Periodontics
Vice Dean for Research and Scholarship
Elizabeth Ketterlinus
Vice Dean of Institutional Advancement
Dr. Robert Ricciardi
Professor, Acting Chair, Department of Basic & Translational Sciences
Dr. Thomas Sollecito
Professor of Oral Medicine
Chair, Department of Oral Medicine
Margaret Yang
Director of Student Affairs and Engagement
INSTITUTIONAL ADVANCEMENT
Elizabeth Ketterlinus, ekett@upenn.edu
Vice Dean of Marketing & Communications
Brian T. Myers, btmyers@upenn.edu
Senior Associate Dean for Development & Alumni Relations
Maren Gaughan, gaughan@upenn.edu
Associate Dean for Development & Strategic Initiatives
Sarah Burton Flynn, sburton@upenn.edu
Director of Strategic Development & Alumni Relations
Lindsay Murphy, lhonzak@upenn.edu
Associate Director of Annual Giving
Matthew Breen, breen1@upenn.edu
Assistant Director of Events Services
Domenic Gaeta, dtgaeta@upenn.edu
Development Coordinator
Beth Adams, adamsnb@upenn.edu
Director, Publications
Pam Rice, pamrice@upenn.edu
Senior Director of Continuing Education
Rachel Dager, rdager@upenn.edu
Associate Director of Continuing Education
Brittani Kelly, brikelly@upenn.edu
Program Coordinator of Continuing Dental Education
Office of Institutional Advancement: 215–898–8951
The University of Pennsylvania values diversity and seeks talented students, faculty and staff from diverse backgrounds. The University of Pennsylvania does not discriminate on the basis of race, color, sex, sexual orientation, gender identity, religion, creed, national or ethnic origin, citizenship status, age, disability, veteran status or any other legally protected class status in the administration of its admissions, financial aid, educational or athletic programs, or other University-administered programs or in its employment practices. Questions or complaints regarding this policy should be directed to the Executive Director of the Office of Affirmative Action and Equal Opportunity Programs, Sansom Place East, 3600 Chestnut Street, Suite 228, Philadelphia, PA 19104–6106; or (215) 898–6993 (Voice) or (215) 898–7803 (TDD).


