Mann About Town September/October 2022

Page 1

Mann About Town

T-BAR RE-OPENS ON THE UPPER EAST SIDE

Tony Fortuna and Derek Axelrod bring their new vision of the Upper East Side classic to life

CONCORDE HOTEL NEW YORK

A re-polished gem on East 55th Street

“SURVIVORS: FACES OF LIFE AFTER THE HOLOCAUST”

Martin Schoeller’s portraits of Holocaust Survivors now on display at New York’s Museum of Jewish Heritage

SPECIAL COVERAGE: NEW YORK FASHION WEEK

The hottest new fashions to hit the runway this fall

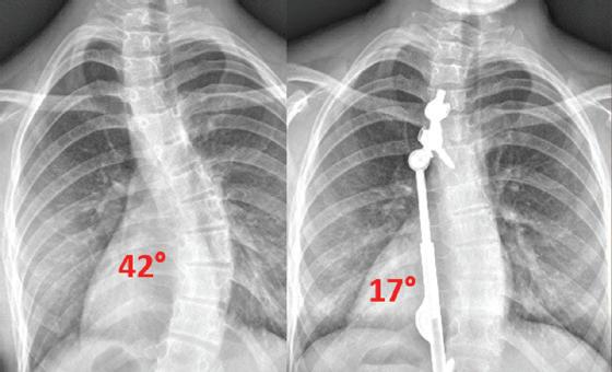
DR. BARON LONNER

Changing young lives with advanced scoliosis surgery at Mount Sinai

STACEY BENDET

Creative Director and CEO of alice + olivia

New York New York Los Angeles Miami Palm Beach

The Hamptons

Rare Oceanfront Residences Nearly Sold Out

849544221- 3550 South Ocean Spread in Mann Publications.indd 1 3/1/22 1:15 PM

ready oceanfront

contemporary yet timeless

here, but not for long.

only remain

for a limited time. Don’t miss your chance to own in this tranquil oasis of only 30 oceanfront new-construction condominiums on the exclusive Palm Beach Island, featuring a beachfront pool, on-site fitness studio, full-time concierge, semi-private lobbies, private residence entrance, and access to amenities at the exclusive Eau Palm Beach.

MOVE-IN READY RESIDENCES

THE COMPLETE OFFERING TERMS ARE IN A CPS-12 APPLICATION AVAILABLE FROM THE OFFER OR. FILE NO. CP17-0062. ORAL REPRESENTATIONS CANNOT BE RELIED UPON AS CORRECTLY STATING REPRESENTATIONS OF THE DEVELOPER. FOR CORRECT REPRESENTATIONS, MAKE REFERENCE TO THIS BROCHURE AND TO THE DOCUMENTS REQUIREDBY SECTION 718.503, FLORIDA STATUTES, TO BE FURNISHED BY A DEVELOPER TO A BUYER OR LESSEE. WARNING: THE CALIFORNIA DEPARTMENT OF REAL ESTATE HAS NOT INSPECTED, EXAMINED, OR QUALIFIED THIS OFFERING. Schedule your private tour and secure your residence at 3550 South Ocean before they’re all sold out. Schedule Your Private Tour: 561.336.6781 | 3550SOUTHOCEAN.COM/MAG Move-in
residences are
These
spaces will
available
OFFERED FROM $2.7M - $4.9M 849544221- 3550 South Ocean Spread in Mann Publications.indd 2 3/1/22 1:15 PMPM
212 743 7000
years of natori NATORI.COM

President & CEO

Jeff Mann

Editor

Lauren Schuster

Editorial Consultant

Debra Hazel

Associate Editor Aida M. Toro

Copy Editor Laurie Melchionne

Senior California Editor

Daniella Platt

California Editor Kimberly Goodnight

Communications Director Penelope Herrera

Art Director Krystal Peguero

Associate Designer Ran Jing

Cover Image Credit alice + olivia

Technology Consultant Joshua Fried Distribution Mitchell's Delivery Service California Distribution MD Service

West Coast Consultant Ilse Metchek

Event Producer Arthur Mandel, Nolcha

Worldwide Editorial Director Margaret Luce

Contributing Editor Dottie Herman

Digital Media Aida M. Toro Debra Hazel Penelope Herrera Ran Jing

Krystal Peguero Lauren Schuster

Social Media Manager Le’Trice DeShon

Director of Newswire Division Cheri Phillips

94

mann about town contributors

Concorde Hotel New York Photo courtesy of Concorde Hotel

Crossword Myles Mellor

Cocktails & Dining Barrett Cortellesi

Travel Carolina Buia

East Coast Office

450 Seventh Avenue Suite 2306

New York, NY 10123 (212) 840-MANN (6266)

West Coast Office

578 Washington Blvd., Suite 827

Marina Del Rey, CA 90292 (866) 306-MANN (6266)

BEHIND THE SCENES
Merging the worlds of fashion, art, real estate and philanthropy, Mann About Town delivers cutting-edge lifestyle content to New York and beyond. 100 Autumnal Luxury Shopping Escape Photo courtesy of Gran Hotel Inglesmannpublications.com
116 E 60th St, New York, NY | tbarnyc.com | 212 772 0404

one mann’s opinion

I would like to start out by saying that I am extremely excited for our feature this issue covering the triumphant return of T-Bar to Manhattan, led by my good friend Tony Fortuna. T-Bar has been an Upper East Side staple for over 27 years and is truly a classic New York establishment, with great food, great people and a great atmosphere. It was deeply missed on the Upper East Side during its short closure and like many, I am looking forward to seeing everything its new location on East 60th Street has in store. Tony and his partner Derek have been hard at work re-envisioning the restaurant in its new space with the same great flavors we all know and love.

I am also excitedly gearing up for our upcoming Mann Charitable Foundation Golf Outing. This year we have a new addition to the day’s events, as we are introducing for the first time The Luxury Suite pop-up in collaboration with Art Bodega. The Luxury Suite will feature stunning artwork and unique jewelry pieces that you won’t want to miss out on, with proceeds going to charity. Seeing the Mann Charitable Foundation continue to grow has been such an honor, and seeing more women get involved in the work we do has been especially rewarding. I am looking forward to a very fun and exciting event ahead!

On the topic of golf, I am also extremely proud of the great success of our recent golf outing held by the National Realty Club Foundation. Just over a year ago, I set out to revive the National Realty Club (of which my father was a founding member) after discovering that membership and activity levels had died down significantly in recent years. As we’ve worked to re-grow the club and restore it to its former glory this past year, the response we’ve received has been absolutely incredible. We’ve received amazing support at our events and we’re always working hard to continue to improve and expand ever further. Now, through our charitable arm, we are setting out to give back to nonprofits that work to improve quality of life in New York City, and that feels great to be a part of.

We are currently in the process of planning even more new and exciting events to come, where people can meet, mingle, network and more. I hope to see you all there!

BEHIND THE SCENES
“BELIEVE YOU CAN AND YOU’RE HALFWAY THERE.” -THEODORE ROOSEVELT
departments 20 Out on the Town 34 En Vogue 38 Center Stage 44 On the Upswing 52 Mann of the Hour 56 On the Table 66 In Good Spirits 70 On the Cover 78 Special Coverage: New York Fashion Week 84 Health & Wellness 94 Mann Overboard 106 Sunshine State of Mind 110 Arts & Affairs 119 Window Shopping 127 Crossword BEHIND THE SCENES 84 Brenners Park Hotel & Spa Photo courtesy Brenners Park

features

THEATRE

first

YEARS OF COSTUMING THE NEW YORK CITY BALLET FALL FASHION GALA

ensemble’s main

on

JEWELRY

and Tiffany

their

EXPANDS

TREK BIOMASS COLLECTION

America, Inc.

to expand its PRO TREK collection of outdoor

with the

ITALIAN

Italian

V. Gashi’s take on rural Tuscan cooking

named for a staple of the region’s cuisine, rosemary

Kevan Hall presents his Spring/ Summer 2023 collection inspired by time spent Todos Santos, Mexico

ALBRIGHT COLLEGE RETURNS TO NYFW

Six recent graduates and two current students presented collections on the celebrated runways of NYFW

BRENNER’S PARK HOTEL &

celebration of its 150th anniversary, Brenners Park-Hotel & Spa, will launch a brand-new “150 Years” package this autumn

SANTA ROSA

present their first auction

to artist-made

MARCUS

Marcus

the launch of

“Live

exquisite traditional

cuisine, Asian-fusion

Mediterranean-inspired

of the highest quality

REOPENS ON THE UPPER EAST SIDE

Luxury”

SAKS CELEBRATES FALL FASHION WITH CHLOE BAILEY

announces its Fall 2022 campaign starring singer, songwriter, producer and actress, Chlöe Bailey

Fortuna and Derek Axelrod bring their new vision of the Upper East Side classic to life

MARRISA WILSON NY

the Spring 2023 Runway Collection, founder and creative director Marrisa Wilson highlights her Guyanese heritage

hidden hiking routes and

award winning spa await on the Amalfi Coast

EUPEPSIA WELLNESS RESORT

in the heart of the Blue Ridge Mountains, Eupepsia was voted #1

Health & Wellness Resort in the U.S. for 2022

DR. BARON LONNER

Changing young lives with advanced scoliosis surgery at Mount Sinai

HOTEL NEW YORK

re-polished gem on East 55th Street

fall, discover Corfu’s

ON THE COVER

Director and

of alice + olivia

KI’AMA BAHAMAS

world’s first equity

LUXURY SHOPPING ESCAPE

Canalejas,

premium shopping

opens near Gran Hotel Inglés in downtown

TOP MUSEUM

Ombre

Dickinson Gallery presents its newest exhibition

“SURVIVORS: FACES OF LIFE AFTER THE HOLOCAUST”

Martin Schoeller’s Portraits of Holocaust

IN

best places to grab a bite

eat in Florida’s cultural

now on display at New York’s Museum of Jewish Heritage - A Living Memorial to the Holocaust

38 MIDNIGHT
Glamorous variety theater in Manhattan West to become the
home for mastercard’s innovative multisensory experiences 40 TEN
The
contributors discussed
experiences
designing for dance 44 NFT
Sotheby’s
Dubin will
devoted solely
jewelry 46 NEIMAN
F22 Neiman
proudly announces
its Fall 2022 campaign,
Your
48
Saks
52 CASIO
PRO
Casio
is pleased
timepieces
PRG340 series 56 RAMERINO
PRIME Ramerino
Prime is Sammy
and is
58 REI Serving
Japanese
and
dishes
60 T-BAR
Tony
78
In
70
Stacey Bendet Creative
CEO
Photo courtesy of REI 80 HOTELITO
82
84
SPA In
86 MONASTERO
Spectacular
an
88
Located
Best
90
94 CONCORDE
A
96 MAMMA-MIA This
charms 98 CLUB
The
club to offer ultra-sustainable solar residences and carbon neutral solar yachts 100 AUTUMNAL
Galerías
elite
destination,
Madrid 106
RESTAURANTS
FLORIDA The
to
institutions 110
Debbie
112
Survivors

They said it couldn’t be done. We didn’t listen.

We’ve done hard things before, we do them all the time.

For most cancer patients, the usual options are surgery, chemotherapy, or radiation. So we’re working on ways to get the immune system to deploy billions of cancer-killing cells and help more patients survive.

When some people experienced mysterious COVID symptoms and had nowhere to go, our team created the first Center for Post-COVID Care.

It wasn’t that long ago we had to open up your whole chest for heart surgery. Now we’re pioneering a bypass that goes through a few tiny incisions. With this surgery, we can get you back on your feet in weeks instead of months.

So if anyone ever tells you there’s no other way—don’t listen.

editor’s letter

Welcome back to Mann About Town! It is with great excitement that I introduce you all to our September/October 2022 issue. As the weather gets cooler and the leaves start to fall, we have rounded up the hottest trends in dining, shopping, fashion, art, real estate and more for you all. For our cover story this issue, I got the chance to speak with the incredible Stacey Bendet, founder, chief executive officer and creative director of alice + olivia. From early days working on trouser designs to reaching international fashion fame and becoming a celebrity favorite, Bendet has stayed remarkably true to herself and her creative vision. We are thrilled and honored to have her grace our cover.

In this issue, we also have a number of other amazing features, including the re-opening of Upper East Side classic T-Bar, the best museum restaurants in Florida, special coverage from New York Fashion Week and so much more!

At Mann About Town, we are always looking for ways to expand and provide our readership with content we know you will love, and I look forward to continuing to bring you all the cutting edge luxury lifestyle content you enjoy.

Image courtesy of Ki’ama Bahamas

OCTOBER 17, 2022

Join Jeffrey Mann and the Mann Charitable Foundation at the beautiful Fresh Meadow Country Club in Lake Success, New York for a great day of golf, food, and networking.

The Mann Charitable Foundation was founded 20 years ago in memory of Marion and Irving Mann. Its mission is to fund research for geriatric diseases, and to ultimately find a cure for Alzheimer’s disease. Last year, the Mann Charitable Foundation expanded its initiatives to include Crohn’s and colitis, breast cancer, and liver diseases. This year we are expanding our donations to lymphoma and macular degeneration.

HONOREES

something from my heart: yes, it is

what it means to me to

success

in the fashion capital of the world, New York City, as my

Marc Heller and Harriet Greenberg.

With love and deep appreciation, Jeff

more information, please contact

Ticke GOLF $850 per person $3,400 per foursome DINNER & COCKTAILS ONLY $300 per person
Marc Heller
President CIT Commercial Services ANNUAL GOLF OUTING
Harriet Greenberg
CPA, PFS, Co-Managing Partner Marcum LLP Polina Veselova at 212-840-6266 x 319 pveselova@themanncharitablefoundation.com Itinerary 8:30 AM Arrival and Registration 9:00 AM Breakfast/Brunch 11:00 AM Call to Carts 11:15 AM (SHARP) Shotgun Start 5:00-6:00 PM Hors D’oeuvres and Cocktails 6:00-7:00 PM Dinner and Presentation of Golf Winners and Honorees For
I would be remiss if I didn’t say
our 20th anniversary, and I cannot tell you
have my two dearest friends and two of the greatest
stories in the history of the financial industry
honorees:
$10,000 l STEPANDREPEAT SPONSOR Sponsor's name /logo all over the banner. Reservation for one golf foursome. $10,000 l GLOVE SPONSOR Sponsor’s name/logo on golf gloves. Reservation for one golf foursome. $20,000 l SPONSOR OF THE DAY: SPONSOR WILL BE FEATURED AS “YOUR COMPANY NAME” PRESENTS THE MANN CHARITABLE FOUNDATION’S ANNUAL GOLF OUTING

Stronger Together

20 MANN ABOUT TOWN • SEPTEMBER/OCTOBER 2022
Photos courtesy of Leviev Diamonds
OUT ON THE TOWN
Cecilie Fjellho, Chagit Leviev, Pernilla Sjoholm and Ayleen Charlotte Stronger Together Charm Bracelet Eugenia Bullock, Janna Bullock Chagit Leviev, Libbie Mugrabi and R. Couri Hay

Chagit Leviev, the CEO of Leviev Diamonds, launched her company’s new website leviev. com with a glamorous party at Mister French. The event showcased the company’s Stronger Together diamond bracelet, created in collaboration with the Netflix’s “Tinder Swindler” stars Cecilie Fjelhoy, Pernilla Sjöholm and Ayleen Charlotte. Guests included Libbie Mugrabi, Greg Sofiev, artist Elizabeth Sutton, designer Frederick Anderson, philanthropist Jean Shafiroff, Eugenia and Janna Bullock, Greg Yuna, Hofit Golan, Alvaro Nunez, Rachel Deloache Williams (from the Netflix series “Inventing Anna”), fashion designer Galit Levi, psychotherapist Dr. Lee Phillips and CEO of Mann Publications, Jeff Mann. Guests enjoyed a variety of tasty kosher

treats and champagne. Chagit and the three ladies unveiled the golden diamond bracelet that features two interlocking rings with two natural diamonds. The bracelet is engraved with the words “Stronger Together.” All profits from the sale of the jewelry will go to the women to help defray their losses from the Leviev imposter Shimon Hayut, with a percentage also going to the charity Women for Women.

“Look at the good that comes and how much things can change when you speak up, and how many people can support you and love you and encourage you,” said Chagit Leviev.

The bracelet is being sold for $169.00 at leviev.com.

SEPTEMBER/OCTOBER 2022 • MANN ABOUT TOWN 21 OUT ON THE TOWN
Stronger Together Charm Bracelet Greg Sofiev, Jeff Mann and Chagit Leviev Frederick Anderson, Ken Downing Cecilie Fjellho, Ralph Aronov, Irene Aronov

SUMMERFEST BENEFIT AND CULINARY ARTS FESTIVAL RETURNED TO SOUTHAMPTON ARTS CENTER FIRST EVER AFTER DARK PARTY

Southampton Arts Center (SAC) hosted their largest benefit and culinary arts festival, SummerFest, this September. Honorees Hel ena and Rob Vahradian accepted the 2022 Champion of the Arts Award for their commitment to the arts of Southampton. Broad way star Jessica Vosk (Elphaba in Wicked) performed a medley of songs entertaining over 370 guests, with dinner and dancing into the morning hours. SummerFest is SAC’s most critical fundraising initiative generating one third of SAC’s annual contributed income – allowing the continuation of our year-round world class programming while serving as a critical eco nomic driver of our beloved community. They have proudly announced that the event raised over $650,000! Committee members were dressed in Bulgari jewelry while guests perused Bulgari vitrines in their bespoke lounge and enjoyed sweet treats from their dessert cart. LaLique partnered with Oscar Mora to produce and design the floral decor for the tables and, additionally, their historic LaLique vases were centerpieces. As guests ar rived for cocktails, they were greeted by the stunning LaLique floral cart for the perfect photo op. Guests strolled through the galleries experienc ing SAC’s current exhibition, “Figures Transformed,” curated by Christina Mossaides Strassfield after enjoying signature dishes for an authentic taste of the Hamptons from its most celebrated East End restaurants. Serving as the backdrop for SummerFest, guests freely explored the historic grounds and galleries of 25 Jobs Lane, with artwork by Deborah Buck, Hal Buckner and Strong-Cuevas.

“We’ve now completed our 9th season at The Southampton Arts Cen ter. Next year that’s double digits time!” shared founding co-chair, Sim one Levinson, in her opening speech. “SummerFest originated as a way to have a great party to represent who we are and what we do. It is an op portunity to come together to celebrate our mission of building community through the arts. Each year, we’ve grown exponentially, and tonight we’re hosting 370 people here for dinner. We have an after-dark party where we’re going to have over 200 young patrons spearheaded by Andrew Warren and his host committee.”

Following SummerFest was SAC’s first annual SummerFest After Dark par ty. Hosted by Alexander Hankin, Danielle Naftali, Makenzie Moon Phel an and Andrew Warren, with event co-chairs Emira D’Spain, Julia Moshy, Noor Pahlavi, Julian Polak, Ryan Thomas Roth and Harrison Vail. Whip shots played a pivotal role as it hyped up the party with signature milkshakes

passed just in time for Grammy Nominated singer Kelis’ performance of her iconic hit “Milkshake.” Boozy, alcohol-infused whipped cream topped the milkshakes, instantly taking everything to the next level. Guests enjoyed their bottomless drinks, bites and danced past 2 a.m. to music by DJ’s Zeke Thomas and Timo Weiland.

Honorees Helena and Rob Vahradian were joined by event chairs Sylvia Hemingway, Simone and David Levinson, Nicole and Allen Salmasi and Aline and Tom Shapiro, as well as distinguished supporters, including Stacey Bronfman, Henry Buhl, Candace Bushnell, Lisa Dennison, Jamee and Peter Gregory, Dorothy Lichtenstein, Margie Loeb, Daniel Nir, Susan Rockefeller, The Honorable Wilbur and Hilary Ross, Kara Ross, Chuck Scarborough, Jean and Martin Shafiroff, Sarah and Andrew Wetenhall and more. After Dark guests included Mercedes de Guardiola, Gabi Demartino, Noriella (Nora Gjieli), Morgan Halberg, Logan Horne, Natalie Jackson, Brooke Korine, Brooks Marks, Micah McLaurin, Brooks Nader, Stepha nie Nass, Preston Nicholas, Jeff O’Donnell, Newman Parker, Erica Pelosini, Taylor Phillips, Giancarlo Purch, Kameron Ramirez, Melany Rodriguez, Nathan Romano, Sydney Sadick, Rosa Sanchez, Ally Shapiro, Duckie Thot, Blake and Elliot Tomaeno and Michaela V.

A very special thanks to SummerFest sponsors 21 Seeds Tequila, Baked by Melissa, Bloomberg Philanthropies, Bulgari, D&G Gelato, Geo Events, GTIS Partners, ICHIBan Japanese Catering, KPMG, LaLique, New York Lounge Decor, Pearl Street Caviar, Peter Thomas Roth, PS Balloons, Puff Delights, Shearman & Sterling, Sundae Donuts, Tickets 2 Events, Whip Shots and Whispering Angel. Additional thanks to Fiduciary Trust Interna tional and Purist. Dinner was served by Acquolina.

Select Southampton Arts Center programs are made possible by the New York State Council on the Arts with the support of Governor Kathy Hochul and the New York State Legislature. “Figures Transformed” is presented by Sylvia Hemingway and Lana Jokel, with media partners Purist and WLIWFM. FILM @ SAC is sponsored by Brown Harris Stevens. Wellness @ SAC media partner is The Purist. ECO Programs at SAC are made possible by Dorothy & Michael Reilly. Financial Literacy Partner: J.P. Morgan Pri vate Bank. General operating support is provided by Bank of America. The SAC Summer Stage 2022 is sponsored by Primary Care and Reproductive Medicine at Weill Cornell Medicine and NewYork-Presbyterian.

22 MANN ABOUT TOWN • SEPTEMBER/OCTOBER 2022
OUT ON THE TOWN

MUSEUM OF ARTS AND DESIGN PRESENTS FIRST SOLO EXHIBITION OF GENRE-DEFYING ARTIST MACHINE DAZZLE

The Museum of Arts and Design (MAD) presents Queer Maximalism x Machine Dazzle, the first solo exhibition dedicated to the genre-defying artist Matthew Flower, better known as Machine Dazzle. A provocateur commanding an expanding repertoire of stagecraft, design, performance and music, Machine Dazzle is a virtuoso practitioner of queer maximalism’s aesthetic language of gay liberation.

On view through February 19, 2023, the exhibition brings together more than 80 of the artist’s creations for stage, spectacles and street theater, alongside a variety of environments, ephemera, material samples, photography and video. Together, they chronicle the metamorphosis of Flower, a closeted suburban kid from Upper Darby, Pennsylvania, into “Machine Dazzle,” the queer experimental theater genius.

On view are both Machine Dazzle’s famous collaborations with drag and performance luminaries such as the Dazzle Dancers and Mx Justin Vivian Bond, among others, as well as the artist’s recent emergence from behind the scenes to the center stage of his own artistic life. Installed on two floors of the museum, the multimedia exhibition culminates with the first public installation of the more than two dozen tour-de-force costumes created by the artist for himself and his long-time collaborator Taylor Mac to wear in the queer performance art concert production, “Taylor Mac’s A 24-Decade History of Popular Music” (2016), a finalist for the Pulitzer Prize

for Drama.

“Since its founding, the Museum of Arts and Design has been a home for artists who have reimagined and radically subverted traditional craft techniques in search of more authentic self-expression,” said Exhibition Curator Elissa Auther, deputy director of curatorial affairs and William and Mildred Lasdon, chief curator. “In his quest to queer design, Machine Dazzle demonstrates how costumes have world-making capacity, why unorthodox materials have become the preferred way for those outside of majority culture to describe themselves, and the ways in which excess can both transform and transfigure the queer body.”

A self-taught designer, Machine Dazzle’s costumes are a mesmerizing display of densely layered, fantastical found objects and materials that, when draped over the human form, suggest a wearable Wunderkammer of American kitsch, culture and history. Excessive in scale, color, surface, texture and movement, the living sculptures constantly transform, adapt and grow with the familiar embellishments of drag and burlesque, such as sequins, glitter, feathers, beads, rhinestones and ribbons, combined with ping pong balls, hoop skirts, Slinkys, soup cans, holiday lights, pipe insulation, potato-chip bags, chess pieces, toy soldiers and more to build and deepen the work’s narrative intent. The result is an explosive queer maximalism aesthetic that joyfully counters the prejudices of high culture regarding extravagance and the overly decorated and embraces these

associations as queer for affirming hybridity over purity, rejecting cultural hierarchies and valuing different kinds of bodies.

Queer Maximalism x Machine Dazzle will be accompanied by a 160-page catalog published by Rizzoli. The catalog brings together an expansive collection of essays and reminiscences from fellow performers, historians and cultural critics that consider every aspect of Machine Dazzle’s rich body of work, along with images of his over-the-top stage creations, made for himself and others, stage environments, ephemera and more.

During the exhibition, MAD will present a series of films curated by Machine Dazzle. The films, dating to the late seventies and early eighties, helped shape the artist’s aesthetic sensibility as a child. The series, which gets underway this fall, will include screenings of the Faye Dunaway classic “The Eyes of Laura Mars” (1978) for Halloween and “Xanadu” (1980) starring Olivia NewtonJohn to mark the artist’s birthday. Attendees of the film screenings can expect costume contests, giveaways, photo shoots and more.

Queer Maximalism x Machine Dazzle is generously supported by Leslie and Dale Chihuly. This project is supported in part by the National Endowment for the Arts. To find out more about how National Endowment for the Arts grants impact individuals and communities, visit arts. gov.

24 MANN ABOUT TOWN • SEPTEMBER/OCTOBER 2022
Photos by PMC/GETTY PATRICK MCMULLAN AND SYLVAIN GABOUREY Elissa Auther, Barbara Tober, Marsy Mittlemann and Michele Cohen Dan Romer, Katwise and Mason Chris Tanner

Wethersfield Garden Luncheon 2022

Wethersfield Estate & Garden hosted their second Garden Luncheon on Sunday, September 4, 2022. Co-Chairs Karen Klopp and Jennifer Oken welcomed over 350 of guests to the formal gardens for music and champaign before adjourning to a tent for lunch. Many guests came sporting hats, including milliner Patricia Underwood.

Tara Shafer, Wethersfield’s executive director and a granddaughter of its founder, alongside Bernadette Murry, a trustee and leader of the Friends of Wethersfield, offered a warm welcome and thanks to all who helped make the day a success.

Marion de Vogel was honored with the Spirit of Wethersfield award, for her tireless devotion and upholding founder Chauncey Stillman’s, legacy of protecting land, conserving beauty and supporting culture and arts.

Alex Farman-Farmaian spoke warmly of de Vogel’s accomplishments; standing near a young Linden he shared, “Chauncy Stillman embraced a tradition of planting a tree to mark special occasions such as the birth of each grandchild…. rather than a silver tray, this tree represents today’s award.”

Marion de Vogel followed by saying, “I stand before you as a humble honoree…I fell in love with Wethersfield fourteen years ago…on the back of a horse. My very dear friends Fernanda Kellogg and Kirk Henkels brought me here.” She spoke with passion and erudition of best practices for protection of the natural world through conservation

This year’s luncheon was the largest in the charity’s history. Guests included

Barbara Tober, John and Karen Klopp with Meghan Klopp, Erik and Jennifer Oken, Karen Bechtel and Will Osborne, Christopher Spitzmiller and Anthony Bellamo, William Benedict, Daniele Bodini, Farnham and Anne Collins, Tara Shafer and Gavin Curran, Clare de Boer and Luke Sherwin, Alexander, Ligon and Willem De Vogel, Edith Dicconson, Patricia and Alex Farmaian, Deban and James Flexner, Monica Gerard-Sharpe and Ali E. Wambold, Claire Glover, Richard Hass, Nancy Hathaway, Fernanda Kellogg and Kirk Henckels, Edwina and James Hunt, Fernanda Kellog, Carolina Kim, Peter and Jill Kraus, Pam Howard and Wynn Laferty, Morgan and Westy LeConey, Chris Mann and his beautiful daughters, Timothy and Elizabeth Mayhew, Susan Mercandetti, Kelly A. Morgan, Steven and Deanna Mulligan, Bernadette and Bran Raskovic, Connie and Tom Newberry, Peter Pennoyer and Katie Ridder, Candace Platt, Terry Regan, Alexander and Sarah Saint-Amand, Bryant and Rebecca Seamann, Joseph Singer, Dorothy Sprague and Bill Benedict, David and Sarah Stack, Stanley and Whit Stillman, Jim and Zibby Tozer and many more.

Nestled in 1000 acres of rolling hills of rural New York State, Wethersfield Estate and Garden provides visitors, visionaries, artists and residents an opportunity to reflect on the importance of natural and classical artistic beauty as a crucial means of human expression for our times. Wethersfield Founder Chauncey Devereux Stillman (1907–1989) first experienced the beauty of Dutchess County as an equestrian. The role of equestrian sport remains central to Wethersfield, which incorporates more than 20 miles of trails in and around the property for public enjoyment. In 1937, realizing the potential of the land, Stillman purchased two abandoned farms, and Wethersfield was born – based upon premises as timely then as they are today.

26 MANN ABOUT TOWN • SEPTEMBER/OCTOBER 2022
OUT ON THE TOWN
SEPTEMBER/OCTOBER 2022 • MANN ABOUT TOWN OUT ON THE TOWN
Rebecca Rutherfurd, Bettina Prentice, Sasha Martin, Joyann Michael, Meghan Klopp, Jane Keltner de Valle, Leah MacDonald, Julia Workman Brown, Chrissy McCurdy, Marina Rutherfurd, Chani Churhill, Chrissy Franz Marion de Vogel, Barbara Tober John Klopp, Karen Klopp Greg Grimes, Michele Gerber Klein Karen Klopp, Carolina Kim Lily Venezia, Andrea Venezia Marion de Vogel, Barbara Tober
27
Nancy Hathaway, Laureen Knutsen

GABRIELA HEARST & MYTHERESA HOST LUNCHEON AT ELEVEN MADISON PARK IN CELEBRATION OF NEW YORK FASHION WEEK

G abriela Hearst and Mytheresa hosted an intimate luncheon at the famed Eleven Madison Park restaurant to celebrate New York Fashion Week. Michael Kliger, CEO of Mytheresa, co-hosted the event with Gabriela Hearst.

Chef Daniel Humm created a four-course, fully plant-based tasting menu that included dishes such as chilled celery juice with honeydew, celtuce steamed dumplings, grilled squash with poblano pepper and seitan and fresh peaches with cherry and almond.

All guests in attendance received an Eleven Madison Home box which includes chef-curated, plant-based meals and snacks. Every purchase of an Eleven Madison Home box helps provide meals to those experiencing food insecurity in New York City, in partnership with Rethink Food, a non-profit organization which was founded to address hunger by contributing to a sustainable and equitable food system.

As part of the brands’ commitment to sustainability, all of the plants used in the décor were seasonal and locally sourced and will be donated to local gardens.

OUT ON THE TOWN
Photos courtesy of Mytheresa x Gabriela Hearst NYFW
OUT ON THE TOWN

OneFirelight Hamptons Launch

The OneFirelight Wellness Platform launched in the Hamptons this summer at LongHouse Re serve in East Hampton. Guests were invited to participate in a dance cardio, yoga, boxing or sound meditation class, enjoy specialty cocktails and hors d’oeuvres topped off with a soul-nurtur ing musical performance by Skip Marley.

OneFirelight (OFL) is an inspirational online wellness platform that promotes unity, strength and a sense of balance through hundreds of one-of-a-kind streaming fitness classes taught by a diverse group of world-class instructors. Most of the classes are exquisitely filmed in nature and choreographed to the li censed music and unifying expressions of global icon Bob Mar ley, grandson Skip Marley, as well as other conscious musicians from the Blue Mountain Music Catalog. The music produces a spiritual enrichment and the beautiful settings of water and greenery induce a meditative state of mind. The OneFirelight name has musical roots and was inspired by Bob Marley’s clas sic hit “No Woman, No Cry,” in which “firelight” symbolizes hope and light for the future.

The wellness platform combines the restorative effects of yoga practice, strength building of cardio/kickboxing, healing of sound meditation and joyfulness of dance. OneFirelight results in calming the mind, strengthening the body and uplifting the spirit as a means of breaking down barriers and uniting as one community. The platform offerings of mind, body, spirit and nurturing practices are carefully curated to promote expres sions of love, peace and unity.

For more information visit onefirelight.com.

30 MANN ABOUT TOWN • SEPTEMBER/OCTOBER 2022
Carrie Rebora Barratt, LongHouse Reserve Director
OUT ON THE TOWN
SEPTEMBER/OCTOBER 2022 • MANN ABOUT TOWN 31
Melissa Berger, Michelle Jassem, Janet Montag, Christy Turlington Burns Kathryn Leary, OneFirelight Co-Founder OneFirelight Boxing Instructor Jelani OneFirelight Instructor Meredith leading Dance Cardio
OUT ON THE TOWN
T H E 2 5 T H A N N U A L C O L L A B O R A T I N G F O R A C U R E GALA T H U R S D A Y , N O V E M B E R 1 7 T H 2 0 2 2 6 : 3 0 P M CIPRIANI, WALL STREET 55 WALL ST Invites you to attend w a x m a n c a n c e r . o r g / e v e n t s / w a x m a n - g a l a
AMERICAN FRIENDS OF RABIN MEDICAL CENTER 212 279-2522 or afrmc@afrmc.org www.afrmc.org AMERICAN FRIENDS OF RABIN MEDICAL CENTER WE SUPPORT INNOVATIVE MEDICAL TREATMENT AND HEALTHCARE AT ISRAEL’S RABIN MEDICAL CENTER FOR ONE MILLION PATIENTS ANNUALLY ISRAEL’S PREMIER HOSPITAL: RABIN MEDICAL CENTER OF PETACH TIKVAH DAVIDOFF CANCER CENTER • JUSIDMAN EMERGENCY & TRAUMA CENTER FELSENSTEIN MEDICAL RESEARCH CENTER • GOUR SASHA HOSPITALIZATION TOWER HELEN SCHNEIDER WOMEN’S HOSPITAL • RAPHAEL RECANATI GENETICS INSTITUTE 636 BROADWAY, SUITE 618 NEW YORK, NEW YORK 10012 212-279-2522 AFRMC@AFRMC.ORG WWW.AFRMC.ORG

Blaze(r) of Glory

SIGMA BEAUTY INVITES YOU DOWN THE RABBIT HOLE

Sigma Beauty is launching their newest line of fairytale-inspired cosmetics for the fall season. Inspired by your favorite characters, songs and moments from Disney’s Alice in Wonderland, this collection launches a mesmerizing new eyeshadow palette, enchanting pressed-powder cheek duo, limited-edition 5-piece brush set and luxurious lip duo featuring a brand new, ultra-hydrating lip cream formula.

“We are thrilled to launch another collection with Disney!” said Dr. Simone Xavier, co-founder and chief creative officer of Sigma. “Our first collaboration with Disney was our Cinderella Collection, and our take on it was mature and nostalgic, chic and elevated. For ‘Alice in Wonderland,’ I wanted to visit this dreamlike world. The curiosity to follow the White Rabbit, the sensation of falling into the unknown, the surprise of encountering surrealist elements and characters, the joy of interacting with out-of-the-ordinary scenarios; everything about ‘Alice in Wonderland’ is exciting and new. The collection is designed to embody the dreams depicted in the original movie, with every aspect following Alice’s journey. The packaging and limited-edition brush finishes are inspired by Alice’s fall down the rabbit hole, imprints on each eyeshadow feature the characters who inspired the hues. The cheek duo is inspired by Alice’s first meeting with the Queen of Hearts and designed to perfectly compliment the vibrant eyeshadow palette with cool-toned highlighter and blush. This Disney Alice in Wonderland Collection is daring, colorful and a playground for makeup lovers. I hope it entices our clients to dream and dare and use their imagination to be whoever they want to be.”

The Disney Alice in Wonderland Eyeshadow Palette, Cheek Duo and Lip Duo are cruelty-free, gluten-free, lactose-free and a part of Sigma’s Clean Beauty Program, meaning they’re completely free of harsh chemicals and made with the clean, safe ingredients consumers and their skin love.

The Disney Alice in Wonderland Eyeshadow Palette retails for $59, the Cheek Duo and Lip Duo each retail for $35 and the Brush Set retails for $120. Find them all at sigmabeauty.com.

34 MANN ABOUT TOWN • SEPTEMBER/OCTOBER 2022 EN VOGUE
A classic silhouette with a metallic twist. 1. Libertine, Beijing Garden Double-Breasted Jacquard Jacket, $2,750 (saksfifthavenue.com) 2. Bottega Veneta, Canvas Flat-Front Trousers, $1,150 (saksfifthavenue.com) 3. Schutz, Heyde Ankle-Tie Sandals, $118 (saksfifthavenue.com) 4. Themoirè, Bios Laminated Vegan Metallic Leather Clutch, $345 (saksfifthavenue.com) 5. Saks Fifth Avenue Collection, 14K Gold Tube Hoop Earrings, $980 (saksfifthavenue.com) 6. Tom Ford, Eye Color Quad, $90 (saksfifthavenue.com 7. Lash Star, Full Control Lash Styling Mascara, $35 (saksfifthavenue.com)
2 )
Photo courtesy of Signma Beauty

KOURTNEY KARDASHIAN BARKER INTRODUCES LEMME

Kourtney Kardashian Barker introduces Lemme, a new vitamin and supplement brand with innovative science-backed formulations that are delicious, clean and packaged in 100% post-consumer-recycled materials. Lemme is the culmination of Kourtney’s decades-long passion for health and wellness, and five years of research with a team of leading scientists, medical doctors and botanists to create the cleanest-possible gummy vitamins and supplements.

After launching Poosh in 2019, a multimedia platform that quickly became one of the most followed and trusted authorities in the space, Kourtney began learning about products and health issues that were important to her community.

“After years of struggling to find the right supplements, I embarked on a journey to create science-backed products that you would legitimately look forward to taking every day,” said founder Kourtney Kardashian Barker.

Lemme launches with three gummy supplements formulated with clinically studied ingredients to ensure optimal results:

• Lemme Matcha ($30): Energy B12 Gummies with Organic Matcha, CoQ10 and Vitamin B12 to support cellular energy, promote energy metabolism and aid in the conversion of food into energy.

• Lemme Chill ($30): De-Stress Gummies with clinically studied KSM-66 Ashwagandha to support reduced stress, healthy cortisol levels and reduce stress-related food cravings. Formulation includes a botanical blend of Passionflower, Lemon Balm and Goji Berry in a natural mixed berry flavor.

• Lemme Focus ($30): Concentration Gummies with clinically tested Cognizin Citicoline to support focus, concentration and attention. Formulation includes Organic Lion’s Mane, Organic MCT Oil and Vitamin B12 in a natural strawberry flavor.

Lemme’s eye-catching bottle design is inspired by Kourtney’s love of vintage candy jars. The bespoke spiral gummy design, which can also be seen on the bottle caps, was designed by Kourtney.

Formulated and manufactured in the United States with globally sourced ingredients, Lemme products are vegan, gluten-free and nonGMO. There is no corn syrup, glucose syrup, gelatin or palm oil, and all Lemme products are free of artificial sweeteners, synthetic colors and sugar alcohols.

Back to Cool

application necessary for this collegiate ensemble of your dreams!

Alice + Olivia, Clyde Embellished Shift Dress, $495 (saksfifthavenue.com)

Alice + Olivia, Kidman Embellished Tweed Jacket, $795 (saksfifthavenue.com)

Prada, Spazzolato Logo Leather Loafers, $1,150 (saksfifthavenue.com)

Kate Spade New York, Large Leather Tote, $328 (saksfifthavenue.com)

Falke, Argyle Wool-Blend Socks, $26 (saksfifthavenue.com)

Tom Ford, Ombré Leather Body Spray, $50 (saksfifthavenue.com)

Marco Bicego, Africa 18K Yellow Gold & 11-12mm Freshwater Dangle Earrings, $1,460 (saksfifthavenue.com)

SEPTEMBER/OCTOBER 2022 • MANN ABOUT TOWN 35 EN VOGUE 1.
2.
3.
4.
5.
6.
7.
No
Photo courtesy of Lemme

on an outdoor patio, Mykonos Blue serves classic Greek cuisine made with all-natural ingredients. hotelhaydennyc.com

S. OTTOMANELLI & SONS MEATS

Ottomanelli is the oldest family-owned and -operated meat retailer in New York. The family has been selling high-quality meats and wild game since the early 1900s. It offers prime cuts and exotic meat, among other products. With many New Yorkers waiting out the COVID-19 pandemic in the Hamptons, Ottomanelli is delivering from the city all the way to Montauk on the East End. It is based in Queens.

EQUINOX HOTEL

reopened with enhanced safety measures for both guests and staff. Equinox Hotels has coupled the strictest hygiene and cleaning standards in the industry with a tailored approach to well-being. This holistic method delivers a personalized experience for guests, especially as it pertains to health, service and safety.

has been nicknamed “the fittest hotel on Earth.” From its beautifully-designed rooms and facilities to its dynamic Rooftop Terrace restaurant and fitness center and spa, Equinox Hotels was created for those who rest and play as hard as they work. equinox-hotels.com/nyc

To benefit

featuring paintings, photography, sculptures and mixed media installations by artists in the advertising industry. The show included artworks by 135 contemporary artists on the 22 screens of the Oculus. mvvoart.com

The Mann Charitable Foundation

GABRIELA GIL

Proceeds will go towards research for geriatric diseases

MVVO ART: THE DIGITAL ART SHOW CONTINUES

While the Ad Art Show at the Oculus in the Westfield World Trade Center is over, the show continues; the art is for sale on the MvVO Art Artsy gallery. The Ad Art Show 2020 was an innovative, all-digital contemporary art show

Artist Gabriela Gil connects elements of the immediate present through the use of line, color and rhythm. This combination in her painting reflects an admiration for both nature’s softness and the human instinct to connect.

Born in Tegucigalpa, Honduras, Gil has moved throughout South and North America her entire life. The constant migration has shaped her multicultural perspective and nurtured her interest in art as a way to transcribe her personal experience using a unique visual language. Her studio is based in New York. She will hold her first solo art exhibit showcasing her work on December 3. gabrielagil.com

DOMENICO VACCA

Luxury men’s and women’s fashion designer Domenico Vacca has reopened his flagship store on Madison Avenue. Born in Italy, Vacca‘s family has been deeply-rooted in the craft of fashion for decades. In 2002, Vacca launched his own label and opened his flagship store on Fifth Avenue in New York, spearheading the sartorial trend in fashion. domenicovacca.com

MANN OVERBOARD
Equinox Hotel Electric Lemon Rooftop Terrace Hotel Hayden ©Hotel Hayden My Darling Ivy ©Sylvester Zawadzki
100 SOUTH OCEAN BLVD. MANALAPAN FL 33462 RESERVATIONS 800.328.0170 EAUPALMBEACH.COM Stay. The water’s perfect.
CENTER STAGE Photos courtesy of Brett
Beyer
Photography. NYC’S NEWEST PERFORMANCE VENUE MIDNIGHT THEATRE SET TO OPEN THIS FALL

Glamorous Variety Theater in Manhattan West to Become the First Home for Mastercard’s Innovative Multisensory Experiences

music, comedy and much more.”

Midnight Theatre, the anticipated new variety theater in midtown Manhattan, plans to open the doors to its beautiful, state-of-the-art space this fall. This intimate performance venue is located in the heart of New York’s Manhattan West, Brook field Properties’ latest neighborhood development between 9th and 10th Avenues and West 31st and 33rd streets. The ever-evolving, 160-seat theater was conceptualized by Creative Director Warren Adcock to be a unique home setting for talent in all genres of music, magic, theater and performance art, and will become the home of Mastercard’s in novative multisensory studio. Widely acclaimed for bringing people closer to their passions, Mastercard will bring its Priceless experiences and unique ap proach, tapping into peoples’ senses – taste, scent, sound, sight and touch – to Midnight Theatre as part of its official presenting sponsorship.

Currently in preview-mode, the venue is kicking off with a specially crafted Midnight Theatre Show case created by Adcock, which features a mix of magic, music and comedy. These showcases will begin in early September as an enchanting sneak peek of what’s to come, warming up audiences pri or to the unveiling of the full fall and winter line up, which will include the premiere of a signature show, “A Brief History of Magic.”

“With the theater opening, this completes the dream of creating the ideal New York night out all under one roof,” said Warren Adcock. “There’s been such a positive response to the opening of Hidden Leaf, and it’s been rewarding to see guests come enjoy the dining and cocktails that we have to offer. We are beyond excited to extend their experience inside the walls of the tech-enhanced Midnight Theatre with intimate, one-of-a-kind storytelling across magic,

Speaking of magic, Mastercard will be creating some of its own, with imaginative, multisensory events inside Midnight Theatre. Mastercard card holders will have exclusive access to upcoming Priceless experiences like a Pride-themed cocktail tasting and five course off-menu dinner. Cardhold ers will also have early ticket access to Midnight Theatre’s always-on programming.

Mastercard will integrate its other multisensory ex pressions, such as its Priceless fragrances, Passion and Optimism as the ambient scent for the theater and sonic melody and music into the programming and activities.

“As a brand that connects with people through their senses and passions, it’s a natural next step for us to join forces with an immersive venue like Midnight Theatre to bring our multisensory vision to life,” said Raja Rajamannar, Mastercard chief market ing and communications officer. “We’re excited to strengthen our authentic connections with theater, music and culinary fans in New York and those vis iting one of the most dynamic cities in the world.”

Midnight Theatre’s dazzling technological capa bilities will bring performances to the next level. The architecture of the theater features a perma nently installed 270-degree immersive projection system to digitally change the decor of the room, and transport visitors anywhere as part of a per formance’s narrative or needs. It features an array of built-in animated digital scenery and also has re al-time animated environments that react to music. A multi-modal theater, the space can be arranged for cabaret, comedy, music, magic, podcast tapings, ensembles and more, with versatile audio-visual sys tems and customizable acoustics. It also boasts full broadcast and live-streaming capabilities.

More than ever, people value experiences. Accord

ing to a recent Mastering the Art of Experiences study, 61% globally say that they prioritize experi ences over material possessions and 87% are seek ing experiences that give them joy (Source: Master card).

An escape from the everyday, Midnight Theatre is also a culinary destination. Since July, patrons have been enjoying the exciting and delicious pan-Asian restaurant and bar inside Midnight Theatre, Hid den Leaf. This is the latest restaurant from Josh Co hen (Chez Ma Tante, Lilia, Saint Vitus) featuring an incredible menu of dim sum, noodles and wok dishes from Chef Chai Trivedi (Pranna, Tamarind, Buddakan, Eventi Hotel). Midnight Theatre’s street level aperitivo bar Midnight Cafe is also open, deliv ering a high-energy, fun experience, soundtracked to 70’s Italian disco with cocktails created by inter nationally renowned bartender Iain Griffiths.

Adding to the stellar group of talent involved in this cultural destination, Dolphin Entertainment, led by CEO Bill O’Dowd, has an ownership position in the Midnight Theatre. Dolphin manages all aspects of publicity and marketing for the venue, as well as facilitates talent and commercial relationships with in the entertainment and culinary industries.

“After over 20 years of creating film, TV and digital content, I’m thrilled for Dolphin to make its first foray into a brick-and-mortar, live entertainment venue with the debut of our major investment, Midnight Theatre,” O’Dowd said. “We couldn’t have a more creative and hardworking partner than Warren Adcock, who along with partner Josh Cohen has driven the vision and will steer the in novation of this magnificent space, bringing pre mium and discoverable talent to our state-of-theart theater. And with Mastercard as our powerful partner, helping us create even more unforgettable experiences, we truly believe that NYC will be more exciting, more glamorous and more delicious with the addition of Midnight Theatre to its landscape.”

CENTER STAGE

NYFW’S THE TALK HOSTED “TEN YEARS OF COSTUMING THE NEW YORK CITY BALLET FALL FASHION GALA”

NYFW’s The Talk hosted “Ten Years of Costuming the New York City Ballet Fall Fashion Gala,” a fireside chat featuring Gianna Reisen, Marc Happel, Humberto Leon and Zac Posen which was moderated by Donya Archer Bommer. Ahead of New York City Ballet’s decade anniversary of its iconic Fashion Gala, the ensemble’s main contributors discussed their experiences on designing for dance.

Photo credit: Getty Images for IMG Fashion
ARTS & AFFAIRS
Marc Happel, Zac Posen and Humberto Leon Elise Swopes Gianna Reisen

Sotheby’s and Metagolden bring NFT Jewelry to the Global Stage in Inaugural Jewelry Auction

44 MANN ABOUT TOWN • SEPTEMBER/OCTOBER 2022

NFTs have changed the face of the art market. Is artist jewelry next? The Upcoming “Art as Jewelry as Art” Sale by Sotheby’s features NFT pioneer Metagolden alongside physical jewelry pieces by Picasso and Salvador Dalí.

From September 24 to October 4, Sotheby’s and Tiffany Dubin will present their first auc tion devoted solely to artist-made jewelry. The auction will contain a “phygital” ring, defined by its designer as “being simultaneously phys ical and digital.” Conceptualized by Francine Ballard of Metagolden expressly for this up coming sale, the buyer of this one-of-a-kind 18k gold and emerald ring will own the piece in both the physical world and in the “metaverse.”

The auction also features twentieth-century art and jewelry, with pieces representing major modern art movements from kineticism to sur realism, including pendants by Picasso, earrings designed by Dalí and a piece by Man Ray. Con temporary design is just as present, including works by Tom Otterness and Jean Boggio.

Amongst these masters, there is only one NFT to be auctioned, which is the digital twin of the “Ethereum Expedition” ring by Metagolden.

Resembling a miniature geodesic dome, the piece is inspired by the intercontinental rocket launches that typically span upwards of sixteen hours, which would be curtailed to approxi mately thirty minutes via up-and-coming space programs like Elon Musk’s SpaceX.

Metagolden anchors luxury physical invest ments to NFTs to authenticate and ascribe provenance to her creations, but also to provide long-term value in purchasing the item’s “digi tal twin,” which might be a piece of digital art, or an AR (or VR) digitally wearable asset that appreciates in value independently from the physical item and can be worn in the metaverse. Since 2021, industry leaders, including Doyle Auction House, have offered a similar service for marquee lots, possibly indicating a new di rection for fine art and jewelry sales. Sotheby’s Artist Jewelry Specialist Tiffany Dubin is pio neering this new genre of “Art to Wear” open ing alongside Contemporary Art.

“For under-30 consumers, digital assets have become as important as physical ones. Luxury is awakening to that fact now. And this is where our brand sits,” said Francine Ballard.

SEPTEMBER/OCTOBER 2022 • MANN ABOUT TOWN 45
The “Ethereum Expedition” ring by Metagolden (CNW Group/Metagolden)
ON THE UPSWING
Photos
courtesy of Neiman
Marcus
Neiman Marcus Debuts Brand New Fall 2022 Campaign: Live Your Luxury

Neiman Marcus proudly announc es the launch of its Fall 2022 cam paign. Titled “Live Your Luxury,” this brand new, company-wide endeavor encompasses all that it means to be proud of oneself–and purely in the moment. Inspired by Neiman Marcus’ customers’ desire for genuine expression, it exemplifies that luxury is meant to be lived in–and loved–through out the rhythms and the instances of the everyday. The campaign incorporates a 360-degree ap proach, inspiring discovery across advertising, instore visuals, The Fall Book, events, digital content and videos. As a springboard for Neiman Marcus’ overall brand evolution, “Live Your Luxury” will serve as a strategic and creative platform for the brand.

The campaign encourages Neiman Marcus cus tomers to inhabit and move through life in a way that’s true to the individual, with assurance, bold ness, eclecticism, radiance and purpose. “Live Your Luxury” answers a call for newness and singular ity, giving customers permission (and power) to embody the term as they see fit. Nowadays, style is about so much more than just the clothes and accessories one puts together; to live the way one wants—and to maintain optimism in doing so—is the truest luxury there is.

“Live Your Luxury” also takes a confident, vi talized step with its easy going verve. There’s an irreverence apparent, yet there remains a deep interest in elevated and elegant fashion. Musical ity abounds, and a compositional emphasis on self-expression and individual character is key. The campaign’s colorful, energetic, humorous and en gaging video vignettes demonstrate that luxury is not something stuffy, and that it is not something to be preserved for a perfect moment. The ethos is just the opposite: luxury is for the here and now, so

make it yours. It’s time to live it up.

“This campaign signals a reimagined perspective of luxury, which, ultimately, means something dif ferent and often very personal to the individual,” said Daz McColl, chief marketing officer, Neiman Marcus. “It is not just about styles or trends–and the unspoken expectations that come with them. It’s about how you wear a piece or a look, when you wear it, why you wear it and what it means to you. It is about imbuing luxury as a mindset and a prism within our daily paces–and embracing it all.” The video advertising showcases key tenets of Nei man Marcus’ value proposition—relationships, assortment, curation, inclusivity—and shows how style advisors inspire customers to live their luxu ry. The lead’s charisma and charm dramatize how they make every moment remarkable by solving style conundrums and guiding customers through the assortment with ease.

Shot on location in New York City and the sur rounding Tri-State area by a roster of top creatives, the imagery and videos highlight a variety of de signers and talent, bringing customer relationships to life. Throughout, models are seen in moments of happiness and freedom—smiling, socializing and scintillating through the scene (pronounced camera angles add to the kinetic energy). The visu als, in essence, bring a sense of remarkability into life’s reportage—and they capture a spirit of the extraordinary.

The campaign is composed of product-focused chapters including the flagship fashion story, “The Art of Fashion,” which features sonically inspired shots of the season’s most coveted ready-to-wear from global luxury brands such as Fendi, Dior, Pra da, Chanel and Gucci. In total, “Live Your Lux ury” includes 418 brands across women’s, men’s, children, home and beauty. Additional campaign

segments include: designer menswear, coats (all genders), color, shoes and handbags, alternative evening wear (all genders), platforms, jewelry, menswear tailoring, kids and beauty.

Additionally, there are editorialized features includ ing The List–which holds style tips and takes by Neiman Marcus Vice President of Luxury Fashion Jodi Kahn, Neiman Marcus Men’s Fashion Director Bruce Pask, “Harper’s Bazaar” Fashion News Direc tor Rachel Tashjian and “Esquire” Editor-in-Chief Michael Sebastian–and “The Refresh,” which looks at emerging trends in both fashion and beauty.

The Fall Book is packed with yet more original content, including interviews with Donatella Ver sace and Casablanca’s Charaf Tajer, and a Q&A with David Yurman’s Evan Yurman. This printed tome–a staple in Neiman Marcus’ storied history–also features Valentina Sampaio on the cover. Her turn marks the first time a transgender woman has appeared on the book’s exterior. Supplementary campaign material includes interviews with style advisors and more–all encapsulating and reflecting the world of Neiman Marcus under the paradigm of “Live Your Luxury.”

Neiman Marcus’ “Live Your Luxury” campaign went live on August 29, with digitally led content appearing online and in stores, supported simulta neously through email and social media. Neiman Marcus customers can discover exclusive access, world-class service, and one-of-a-kind experiences both online and in person. As a fashion authority and established industry leader, Neiman Marcus welcomes customers to visit our stores and explore private shopping appointments with expert style advisors.

Follow along @neimanmarcus and #neimanmarcus on so cial media.

SEPTEMBER/OCTOBER 2022 • MANN ABOUT TOWN 47
ON THE UPSWING
Saks CelebratesFall Fashion with Next-Gen SuperstarChlöe Bailey ON THE UPSWING

Saks, the premier digital platform for luxury fashion, announces its Fall 2022 campaign starring singer, songwriter, produc er and actress, Chlöe Bailey. With this campaign, Saks celebrates fall fashion trends from noteworthy de signers and emerging brands that are changing the industry landscape. Saks is encouraging customers to take liberties with style and bend the rules, honoring their individuality by find ing pieces that best suit and elevate their lives. The campaign pushes for self expression and inspires customers to be bold in their fashion choices and stay true to their personal taste with offerings from must-have everyday pieces to statement items.

The fall campaign features unique content across Saks-owned channels and partner-owned editorial plat forms. Components include videos and interviews that can be seen on Saks social media channels, in dedi cated emails and on “The Edit,” the Saks online editorial hub for fashion news and style inspiration.

To further celebrate the start of the fall season and New York Fashion Week, Saks is hosting an exclusive celebration co-hosted by Saks CEO Marc Metrick and campaign star Chlöe Bailey, who will also perform live.

“We’re thrilled to bring our cam paign’s vivid storytelling and unique take on seasonal style to life in part nership with Chlöe,” said Emily Ess ner, chief marketing officer, Saks. “As we kick off this new season, we’re cel ebrating fall fashion and showcasing how to incorporate the latest trends into everyday style through compel ling editorial pieces and impressive visuals. Saks believes that elevated fashion can still be fun and approach able, and we’re excited to share this perspective with our customers through a creative Saks lens.”

Saks Delivers the Best in Fall Fashion

Each season, the “Saks It List” high lights the biggest styles and trends that appeal to each individual’s needs.

This fall, key styles include: leath er separates, the slip dress, tall shaft boots, platforms and the crescent bag. Customers can find recommended pieces and tips on how to wear them on the “Saks It List,” available on saks.com.

“Saks prides itself on offering our customers the best luxury fashion assortment in the business,” noted Tracy Margolies, chief merchan dising officer, Saks. “We deliver an expertly curated selection of the sea son’s best trends as well as timeless essentials. This campaign reflects the excitement of the fall with fresh and fashion-forward pieces from the most sought-after designers.”

Chlöe For Saks

In “The Edit,” Chlöe Bailey shares how she makes her own rules for fashion, what sparks her creativity and discusses her style and career evolution. Throughout the cam paign, she can be seen boldly wear ing some of the season’s most daring fashion while owning each look in the process. In imagery, Bailey is seen sporting a matching bandeau, legging and jacket set from LaQuan Smith, a body-hugging dress from Mônot and designs from Khaite and Gianvito Rossi. Bailey also shows off her charismatic personality in a vid eo that can be seen on the Saks In stagram (@saks) and YouTube (Saks) channels. In the video, she reviews runway looks from Alaïa, Burberry, Balmain and Isabel Marant, using only emojis. Saks is also partnering with internet media, news and enter tainment company, BuzzFeed, for a piece showcasing the seasonal cam paign and Chlöe’s fashion inspiration for fall and will run ads in “Vogue,” “Harper’s Bazaar,” “T Magazine,” and “The New York Times.”

On her ever-changing fashion journey, Bailey shared, “I’m still developing my personal style. Every. Single. Day. Fashion’s about evolution and figur ing out what makes you feel best in that moment. Peo ple can definitely expect evolution from me in the coming years.”

Photos courtesy of Saks
ON THE UPSWING
grand-seiko.com/us-en

CASIO EXPANDS PRO TREK BIOMASS COLLECTION WITH NEW CLIMBER SERIES

Casio America, Inc. is pleased to expand its PRO TREK collection of outdoor timepieces with the PRG340 series. Built for the great outdoors with sustainability in mind, the PRG340 series consists of three models – the PRG340-1 (Black), PGR340-3 (Green) and PRG340T-7 (Titanium band) – and features Casio’s Triple Sensor technology, Tough Solar and more.

The new watches are designed for ease of use in mountain climb ing, trekking and other outdoor activities, providing high readabil ity with a dual-layer LCD. Casio demonstrates its commitment to environmentally-friendly product development by making the case, case back, band and rotating bezel with biomass plastics us ing raw materials from castor seeds and corn. Produced from re newable resources, biomass plastics are expected to help promote the shift to circular economies and curb CO2 emissions. The be zel, which is more prone to impact than other parts, is made of a newly developed, even stronger biomass plastic.

The PRG340 models feature a large, rotating bio-based plastic bezel, lug case back and a soft, comfortable band that allows the watch to lay flat for maximum compass readability when using a map. The dual-layer LCD separates the graphic indicators of the compass on the upper layer from time & measurements on the

lower layer for easier readings. The PRG340 models are also pow ered by a Tough Solar system that even keeps functions operating for up to 7 months with exposure to only small amounts of light.

“At Casio we pride ourselves on developing gear built for explor ers, outdoor enthusiasts and environmentalists alike,” said Ta dashi Shibuya, vice president of Casio’s Timepiece Division. “We couldn’t be more excited to introduce the latest PRG340 series which contributes to our sustainability efforts and passion for con necting adventurers to their environment.”

Equipped with Casio’s V3 Triple Sensor technology, the new watches provide easy measurements of compass bearing, baro metric pressure, temperature and altitude with the push of a but ton, all necessary for outdoor exploration. Each measurement is accessible directly from its own non-slip button, making for ef fortless readouts even when wearing gloves. The band boasts a fine knurled texture, giving the look and feel of a piece of serious outdoor gear. These rugged watches will feel perfectly at home in rough usage scenarios. Additional features include a duplex LCD with full auto LED Super-Illuminator and bolder font for improved readability, water resistance up to 100 meters, five in dependent daily alarms, a 1/100-second stopwatch, countdown timer and more.

MANN OF THE HOUR
Photos courtesy of Casio
TIME and SPACE www.gabrielagil.com b@ygabrielagil

Each year, world-renowned artists like Jean-Michel Basquiat, Keith Haring, and Shantell Martin have their work emblazoned on our iconic tequila bottles. These limited-edition bottles, FIlled with 1800 Silver Tequila, become instant collectors’ items. www.1800tequila.com

Ramerino Italian Prime Opens in Midtown

Ramerino Italian Prime, located steps away from the New York Public Library and Bryant Park, is owned by Sammy V. Gashi, an industry veteran with a career spanning 25 years. He currently owns and operates San Marino SoHo and Antica Ristorante on Stone Street. Ramerino Italian Prime is Gashi’s take on rural Tuscan cooking and is named for a staple of the region’s cuisine, rosemary. The menu celebrates the culinary offerings from the region of Tuscany prepared simply, using olive oil rather than butter, clean natural ingredients, prime meats and fish, vegetables and house made pastas.

To bring the concept to life, Sammy has enlisted Tuscan Native, Executive Chef Vilfredo Hodai, who gained his culinary chops working his way through restaurants in Florence, Italy including La Giostra, before arriving in New York.

The meal begins with fresh bread accompanied by soppressata and 36-month aged parmigiano-reggiano, compliments of the chef. A large selection of Antipasti includes highlights: Carciofi e Avocado, artichoke hearts tossed with avocado and topped with parmigiano-reggiano; Cavolfiore Gratinati, cauliflower in creamy bechamel sauce with

34-month aged parmigiano-reggiano and Tartar di Fileto, beef filet tartare over cream of burrata. The Insalate are clean and showcase seasonal produce, a classic Caesar Salad for two prepared tableside, and Ramerino, mixed greens, walnuts, pear, goat cheese and a lemon dressing.

The Paste e Risotto course features house made pasta selections like Bottarga, linguine, topped with shaved bottarga di muggile, shallots and parsley; Ravioli Della Casa, homemade spinach and ricotta stuffed ravioli topped with Parmigiano-Reggiano; Carbonara, spaghetti with organic egg, speck, as-

56 MANN ABOUT TOWN • SEPTEMBER/OCTOBER 2022
Photos courtesy of Ramerino Italian Prime
ON THE TABLE

paragus and 24-month aged Parmigiano-Reggiano; and Risotto, carnaroli rice with asparagus, zucchini and zafferano.

Main Courses are divided amongst Land and Sea. The Land showcases Manzo, a sliced ribeye steak cooked in olive oil and the restaurant’s namesake rosemary rather than butter; Fileto al Barolo, a filet mignon cooked in a red wine reduction; and Pollo Castelle, chicken breast with baby artichokes, capers, mushrooms, white wine and lemon. From The Sea: Dover Sole and Branzino prepared tableside as well as Cartoccio alla Isolana, a baked branzino

filet wrapped in parchment paper with cherry tomatoes, olive oil, lemon sauce and extra virgin oil.

Desserts include Cheesecake, made with ricotta cheese and topped with fresh berries, Il Nostra Tiramisu, espresso-soaked ladyfingers and mascarpone dusted with cocoa powder and a traditional Panna Cotta.

The wine list is composed of selections largely from Italy and California by the glass and by the bottle with strengths from Tuscany, including Super Tuscan varieties. The cocktail program focuses on

classic cocktails like Martinis, Manhattans and Old Fashioneds, made with premium ingredients.

The restaurant was designed in collaboration with the owner and Paul Vega, founder of VLDG Design, to emphasize the large dining room with smart and elegant accents of millennial blue and Venetian plaster, wine displays and large mosaicked columns. The tranquil outdoor patio is lined with greenery to provide an oasis in Midtown Manhattan.

For more information, visit their website ramerinoprime.com and follow them on Instagram @ramerinoprime.

SEPTEMBER/OCTOBER 2022 • MANN ABOUT TOWN 57 ON THE TABLE

ANDALUSIA’S

AWARD-WINNING HOTEL, GOLF & SPA DESTINATION

The spectacular independent ly owned hotel, golf and spa resort set in the rolling hills between Marbella and So togrande continues to set the standard for refined and sophisticated Mediterra nean living with the launch of brand-new culinary of fering, REI – an exquisite traditional Japanese dining

experience on the Southern Spanish coast.

Heralded as being home to some of the best Japa nese cuisine outside Japan, the award-winning Fin ca Cortesin on Spain’s Southern coast recently un veiled a brand-new Japanese restaurant, REI. REI will serve exquisite traditional Japanese cuisine, Asian-fusion and Mediterranean-inspired dishes of the highest quality, working primarily with seafood and raw ingredients, and with all produce sourced locally in line with the hotel’s “0km” ethos.

In Japanese culture, the name “REI” refers to thanks, gratitude, courtesy and reward. The newest addition to Finca Cortesin’s cast of excellent restau rants will offer a traditional Japanese menu with a thoughtful, curated selection of delicious dishes all made-to-order. Dishes are prepared in a unique open kitchen setting for guests to admire the young Chef, Luis Olarra, at work. Olarra combines the finest seafood and raw materials with local produce grown in the area, from sustainable fisheries in the local Straits to organic produce from the hotel’s

THE HOTTEST NEW CULINARY ADDITION TO FINCA CORTESIN
Photos courtesy of REI
ON THE TABLE

own vegetable garden. Sustainability paired with technical, elegant and harmonious processes are fundamental to the culinary process.

The menu features signatures dishes such as Galicia Razor Clams in sashimi with a smoked avocado emulsion, lime zest, yuzu air and finished with pea shoots; Blue Fin Almadraba Tuna Belly Tartar with dashi jelly, flakes with smoked dried bonito and beluga caviar; and Turbot marinated in white miso, cooked in Josper and accompanied by or-

ganic seasonal vegetables. Chef Olarra explains the inspiration behind the delectable menu as being “…based on gratitude; gratitude to the local seasonal product and passion for Asian gastronomy and Japanese cooking techniques,” as inspired by Confucius: “If you serve nature, she will serve you,” embodying the modern Japanese restaurant concept.

REI will offer dinner service between Tuesday to Saturday, 19:30 to 23:00.

Located 25 minutes from Gibraltar and 50 minutes from Malaga airports respectively, Finca Cortesin is easily accessible and the perfect place to stay when visiting Andalusia. Sotogrande is 20 minutes away; Puerto Banús, Marbella30 minutes; Jerez is just over one hour. Finca Cortesin is an independent hotel affiliated to Preferred Hotels & Resorts in the Legend Category. Nightly rates at Finca Cortesin start from €754 per suite, per night (includes breakfast; excludes 10% VAT).

For more information, please visit fincacortesin.com.

ON THE TABLE

Breathing New Life into a New York Classic: T-Bar Reopens on the Upper East Side

Insideof a chic tri-level townhouse on East 60th street in Manhattan, a New York classic is be ing reborn. Tony Fortuna and Derek Axelrod have been hard at work bringing to life their renewed vision for the space, complete with an exclusive private event room and a separate VIP entrance.

“We were established for about 27 years on Third Av enue and 73rd,” Fortuna said. “We’re still at the be ginning of the Upper East Side, but we wanted to be closer to Midtown, we’re kind of in between. With my partner Derek. We decided that it was time to make a change, we wanted something a little bit more mod ern, going to the next step. Because T-Bar was there for years but we became a little bit of the Upper East Side go-to restaurant for the neighborhood, very spe cial, very supportive, very nice but I wanted to kind of go a different direction a little bit.”

They also have a T-Bar location in the Hamptons which is open seasonally, drawing the chicest of the Hamptons summer set to its tables.

“We have Southampton that we do seasonal, but these last couple years have been a little bit exception al, unfortunately because of COVID, everybody was out there so we were open in the wintertime, when normally we close,” Fortuna said. “Right now [in September] we’ve actually closed for the season [this year].”

With COVID concerns fading, T-Bar is ready to re turn to its normal schedule of year-round service in Manhattan and seasonal service in the Hamptons. And what better way to do that than with a totally revamped Manhattan location?

Originally, the plans for the renovation started out small, but over time, the team’s new vision for the restaurant began to blossom into something totally new.

“We started with a small renovation, then we real ized we wanted to do something different, and the next step took a lot longer than we wanted to, but the results speak for itself, thanks to Derek and Leslie,”

With its new luxurious style, T-Bar is also looking forward to offering a different dining atmosphere on their new location, especially on their third floor.

“We have a private dining room, and we hope that upstairs will be more of a later night crowd, more of a different crowd than it would be downstairs later in the night,” Fortuna said.

The new location’s interior was designed with their customers’ desire for a nightlife atmosphere in mind.

“The [old] Upper East Side [location] was more of an open restaurant, big windows,” Fortuna said. “Here we don’t have a lot of windows, it’s a little bit more of a club-y atmosphere, which we did not have that uptown. The club-y atmosphere [in the old location], that was done by the customers themselves, here we do it with the décor.”

In addition to the new nightlife vibes, with the new location closer to Midtown, Fortuna and Axelrod are also looking forward to also welcoming power lunch es at their tables.

“We’ll be open seven days a week, lunch and dinner; this area here is definitely more business [oriented]

than [our old location],” Fortuna said. “For dinner I think we’ll definitely be busy also; we’re on a great street.”

While the restaurant itself may have had a full make over, diners will be able to rely on the same great T-Bar taste they know and love.

“Our kitchen, basically our style is the same as South ampton, T-Bar on the Upper East Side, we want to stay in that format because that’s what our custom ers like,” Fortuna said. “The fact that we have a very good following also helps... We’re going to tweak some dishes and bring out some more maybe season al [dishes] down the road, but overall, we can’t really change too much of our menu because our customers love it.”

As customers’ love for T-Bar only continues to grow, Fortuna has hopes that its number of locations will continue to grow as well.

“I would like to see one or two more T-Bars; we have Southampton which is seasonal, definitely,” Fortuna said. “We’d like to do Florida, which Florida is a state that’s basically all year round, Florida has become an all year round [destination], and we do have a couple things, looking in other places, but […] one step at a time as my dad used to say when I was smaller.”

Fortuna said.
ON THE TABLE
212.869.2296info@randirahm.com501 MADISON AVENUE, NEW YORK New At-Leisure
FHWADSWORTH.COM

Announces Launch of

818 Tequila, the award-winning Tequila brand founded by Kendall Jenner, has announced the launch of Eight Reserve by 818 – an ultra-premium Añejo Reserve that will be available for purchase in September.

The debut of Eight Reserve by 818 marks an expansion for the brand to new consumers. This comes on the heels of the company’s first year successes including becoming the best-selling new spirit brand of 2021 in the United States (source: Nielsen & IRI Total US, Multi Outlet + Convenience). The brand has also won 25 blind tasting awards at eight international spirits competitions.

Developed in the heart of Jalisco, Mexico, the new Eight Reserve liquid is a blend of one-year-old Añejo and ex tra Añejos as old as eight years which creates a level of complexity, softness and depth rarely experienced in Te quila. The result is an elegant expression that is smooth and rich, made to be enjoyed neat while celebrating life’s special moments.

“The launch of Eight Reserve is a milestone moment for the 818 Tequila brand,” said Kendall Jenner, founder of 818 Tequila. “We are constantly looking to innovate and with this new liquid we are building on what makes 818 Blanco, Reposado and Añejo so beautiful and complex and taking it to the next level. It’s been incredible to work alongside our team in Mexico to develop Eight Reserve.”

The Eight Reserve bottle is just as special as its liquid. The handmade ceramic decanter is produced by artisans in Pachuca, Mexico, and the eight shape symbolizes this moment in 818’s history – an unforgettable shape made for passing hands and infinite tequila enjoyment.

Retailing for $200 SRP and coming in 750mL, Eight Reserve will be rolling out for purchase on September 19 starting in New York, Texas, Florida, Nevada, Illi nois and California, with more states launching through the end of the year. Eight Reserve will also be available to order online through alcohol marketplaces including ReserveBar. The bottle is available for pre-order starting today by visiting eightreserve.com.

“Our Eight Reserve Tequila Añejo is a blend that is as harmonious as it is unique,” said David Yan González, director of Tequila Operations at 818 Tequila. “Aged in French and American barrels, the Tequila is a masterful Añejo blend that is wonderfully rich and layered. We’re proud to introduce this delicious product.”

The launch of Eight Reserve will expand 818 Tequi la’s consumer base, coming to shelves at a time when Americans are spending more on premium Tequila and Mezcal. According to new data from the IWSR, U.S. Te quila consumption jumped 27% in 2021 and is expect ed to surpass vodka sales by 2023, making it the U.S.’s most-purchased spirit category.

Guests attending the brand’s annual 8.18 celebration, hosted at Soho House’s Little Beach House Malibu, were among the first to taste the new liquid, joined by Kendall Jenner and her 818 Tequila team.

From its 1% for the Planet giveback to partnering with S.A.C.R.E.D. – a nonprofit that supports Mexican com munities where heritage agave spirits are made – and working with local, family-owned businesses in Jalisco, Mexico and sustainable suppliers, 818 Tequila embod ies an emerging consumer ethos. For more information, visit drink818.com.

66 MANN ABOUT TOWN • SEPTEMBER/OCTOBER 2022
818 Tequila
Eight Reserveby 818 Photo courtesy of 818 Eight Reserve by 818 (Photographer: Thibaut Grevet; Creative Direction and Production: Septembre00; Stylist: Dan Sablon; Set Designer: Christian Feltham; Post Production: Ink Retouch)

Fall Cocktail Recipes

Caramel Apple Delight

IN GOOD SPIRITS Photos courtesy of Lauren Schuster As the days get cooler, cozy up with these fun fall flavors!
Ingredients: • .5 oz caramel syrup • 2 oz Jameson whiskey • 4 oz Apple cider (or to taste) • Apple (for garnish) Directions: 1. Combine caramel syrup, whiskey, apple cider and ice in a shaker 2. Shake contents 3. Strain into glass filled with ice 4. Cut apple into rounds and garnish 5. Enjoy! Pumpkin Spice Espresso Martini Ingredients: • 1.5 oz vodka • 1.5 oz coffee liqueur • 1.5 oz pumpkin spice espresso (chilled) • Pumpkin spice blend (for garnish) Directions: 1. Combine vodka, coffee liqueur, espresso and ice in a shaker 2. Shake contents 3. Strain into martini glass 4. Sprinkle pumpkin spice blend onto foam as garnish 5. Enjoy! (Recipes created by Barrett Cortellesi)

TERRI KAHAN FINE ART

Terri Kahan Fine Art is a leading independent fine art advisory service that specializes in Modern, Post-War and Contemporary Art, working with both emerging and seasoned col lectors alike. With over 30 years of experience, we offer unparalleled access and a highly individualized, discreet and client-focused approach to our services, including art acquisition, curation, management, resale and investment. Drawing on long-term relationships with artists, dealers, gallerists, auction houses and private collectors we assist our clients in building collections of lasting value.

New York - Palm Beach
RUDOLF BAUER POINTS, 1936 - OIL ON CANVAS 49.5 x 49. 5 inches
123 EAST 75th STREET TEL: 917 331-1536 EMAIL: INFO@KAHANFINEART.COM KAHANFINEART.COM

BHI IS THE FINANCIAL PARTNER YOU NEED TO HELP YOU GROW YOUR BUSINESS SECTOR EXPERTISE. TAILORED SOLUTIONS.

The financial backing of a global bank, and the streamlined structure and agility of a boutique bank that will keep your business moving forward.

BHI offers full commercial banking services that combine the personal attention of a prestigious boutique bank with the expertise and financial strength of Bank Hapoalim – the leading financial institution in Israel.

With a footprint in the largest U.S. metropolitan areas, we are committed to creating innovative funding solutions for your short– and long-term needs and providing convenient banking and liquidity products for your everyday business needs.

www.bhiusa.com

BHI is a registered service mark of Bank Hapoalim B.M. Member FDIC. Deposit accounts offered by the New York Branch are fully insured by the FDIC to the maximum extent permitted by law. Deposit accountsoffered by the Americas Tower Branch and Plaza Branch are not FDIC insured.

Stacey Bendet

Photo courtesy of alice + olivia
CREATIVE DIRECTOR AND CEO OF ALICE + OLIVIA

E

ver since she was a very young girl, alice + olivia’s Creative Director and CEO Stacey Bendet has had an eye for fashion. As years went by, her passion for beautiful cloth ing only got stronger, which set her on the path to become the fashion icon she is today.

“I spent many hours of my childhood creating clothes for my dolls from fabric and lace remnants, as my father, grandfather and great grandfather were lace manufacturers,” Bendet said. “Some of my earliest memories are visiting their fancy offic es and getting to play with all of the materials I would find there. Shortly after I graduated from the University of Pennsylvania, I had a vision of making trousers in the shapes of the best fitting jeans, but in beautiful brocade fabrics… this was the start of alice + olivia!”

Since her early days of setting out to revolutionize the trouser, Bendet has now molded her company into an extremely successful contemporary fashion brand that includes ready-to-wear, gowns, shoes, handbags, accessories and eyewear, all while em powering women with the company run by wom en, for women.

Alice + olivia is worn by both everyday women and celebrities everywhere, with fans including Meghan Markle, Michelle Obama, Beyonce, Gwyneth Paltrow, Gigi Hadid and Jessica Alba. The brand has independent boutiques in ma jor cities around the world, including New York, Los Angeles, Atlanta, Boston, Chicago, Dallas, East Hampton, Greenwich, Houston, Malibu, Manhasset, Miami, Orange County, Palm Beach, San Francisco, Southampton, Washington D.C., Hong Kong, Tokyo, Kuwait, Singapore, Shang hai, Doha, Taipei, Macau, Chengdu and Bang kok.

select department and specialty stores worldwide, including Saks Fifth Avenue, Neiman Marcus, Bergdorf Goodman, Net-a-Porter, Lane Craw ford, Isetan, Hankyu, Harvey Nichols and Har rods.

This summer, the brand celebrated its 20th anni versary with a star-studded bash, complete with custom cocktails, elaborate photo backdrops and even an alice + olivia tattoo station. Twenty years in the fashion industry is no small accomplish ment, and the alice + olivia brand’s success is a clear testament to Bendet’s dedication and cre ative vision.

Long before each Fashion Week begins, Bendet is hard at work planning her next collection and piecing together her latest artistic vision that she will bring to life on the runway.

“Inspiration comes from everywhere; I am in

COVER FEATURE
The brand can also be found inside over 800
©BFA

spired by art, interiors, vintage clothing and powerful women. Every collection has a different starting point. It can be a movie, a city, a painting… creativity, design and inspiration are always evolving,” Bendet said.

The brand’s new Spring/Summer 2023 collection recently showcased at New York Fashion Week was no exception to Bendet’s ever-evolving vision. Instead of a more traditional runway show, the alice + olivia Spring/Summer 2023 collection was showcased through intricate scenes with varying color stories highlighting the inspiration for the collection’s pieces.

“The recent show theme was ‘house of alice + olivia.’ It was about interiors inspiring design and how an iconic outfit is about the woman, the clothes and where she wears those clothes…” Bendet said. “An iconic moment is iconic when the look and the setting come together in a magical way. The show looks were bold, colorful, modern with a bit of a street sensibility/edge!”

Bendet is always looking out for the latest upcoming trends, with some of her favorites right now being “sequins, wide leg pants, colorful suiting and pairing everything with a trucker hat!”

Even with the Spring/Summer 2023 showcase barely behind her, Bendet is always looking forward to the future. What’s next for alice + olivia?

“Expanding into the metaverse!” Bendet said. “And the launch of a new category this spring!”

COVER FEATURE
72 MANN ABOUT TOWN
© Getty Images
© Getty Images

Despite devoting much of her time to fashion, Ben det has also branched out beyond the industry. Ben det is the founder of Creatively, a networking and job platform for creatives. Launched in May 2020, Creatively champions and connects the world’s cre ative community through best-in-class portfolios, collaborative features and opportunities in a world where remote work will be more part of our lives

than ever before. It’s designed by creatives, for cre atives, to be a place to showcase work and connect authentically, and for companies and brands to dis cover amazing talent.

Bendet also makes supporting charity endeavors a priority in her personal and professional activities. She is a member of the board of trustees of New

York-based GOOD+ Foundation, a foundation that provides essentials for children of families in need. She also supports Ronald McDonald House, which offers assistance to the families of children suffering from life-threatening illnesses. Additional ly, Bendet is a member of the board of the Jay H. Baker Retailing Center of The Wharton School at the University of Pennsylvania, her alma mater.

SEPTEMBER/OCTOBER 2022 • MANN ABOUT TOWN 75 ”
“Inspiration comes from everywere; I am inspired by art, interiors, vintage clothing and powerful women. Every collection has a different starting point.” Stacy Bendet
COVER FEATURE
©
Getty
Images
Telling the uniquely American stories of immigrants, migrants, and refugees in the ongoing creation of our nation. 103 ORCHARD STREET (CORNER OF DELANCEY STREET), NEW YORK, NY 10002 TENEMENT.ORG SUPPORT THE MUSEUM AND ITS MISSION BY: Visiting the Museum Becoming a Member Making a Donation TENEMENT MUSEUM

MARRISA WILSON NEW YORK PRESENTS SPRING 2023 RUNWAY COLLECTION AT NYFW

MANN ABOUT TOWN • SEPTEMBER/OCTOBER 2022 NYFW

The excitement and anticipation were palpable as attendees gathered on the Public Hotel’s rooftop for the Marrisa Wilson New York Spring 2023 Runway Show. Since her New York Fashion Week Runway debut this past February, Wilson has been excitedly preparing for her second opportunity to showcase her beautiful pieces at New York Fashion Week (NYFW).

As the show began, the models strutted down the runway donning the new collection’s vibrant ensembles created by Wilson, with products and accessories by Oribe, Kevyn Aucoin, Commando, Doc Martens, Barton Perreira, Rebecca Allen and Bella Caetano finishing off the looks with perfect details. Clear beaded braids, gold cuff earrings and colorful smokey eyeshadow looks were among the trends carried throughout the looks for the show.

In the brand’s Spring 2023 Runway Collection, founder and creative director Marrisa Wilson set

out to explore her Guyanese heritage by looking at her past as well as the generations that came before her. The collection is built around an expressive print story: the gestural palm prints, multihued brushstrokes and watercolor strokes are reminiscent of family boat rides down the Demerara River and long walks through the country’s lush rainforests and the sea walls that expand endlessly across Guyana’s coastline. It is in the details where the past is drawn— the utilitarian pockets and functional trimming an homage to the uniforms of the Women’s Army Corp that emerged in the post-colonial ‘70s; the tuck lace stitching is a tribute to her father’s memories of a childhood spent detangling fisherman nets; the sweater tipping and neckline is inspired by Guyana’s traditional cricket uniforms that remain beloved in the country today.

Just as with her first runway collection, the physical clothing collection was not the only thing launching. In conjunction with this runway show, Wilson

also released her Genesis SuperRare Fashion Illustration Collection— a series of five hand-painted illustrations developed for the MW Spring ‘23 Runway Collection. The auction for the artwork in the series launched as the model walked down the runway wearing the physical representation of the style depicted within the illustrations themselves. Attendees were able to view the artwork and auction during the show by scanning the QR codes provided in each guest’s program. This is the first-ever collection of fashion illustrations released as a digital art series in conjunction with an NYFW runway show, a historic moment for fashion in Web3.

Combining the heritage of her past, the energy of the present and the technology of the future in her collection launches, Marrisa Wilson is a designer to be sure to watch for seasons to come.

Visit marrisawilsonny.com for more information.

SEPTEMBER/OCTOBER 2022 • MANN ABOUT TOWN 79

HOTELITO

As a designer who is known for his lush inspirations and richly storied collections, Kevan Hall lives his life on a visual safari of sorts. For Spring 2023, the designer took his sketchbook south of the border to Todos Santos, Mexico, where he found himself enthralled by the burgeoning community of local artisans that call the region home. Hall’s inspiration took final form when he checked into Hotelito, where he was surrounded by a feast of vibrant colors, textures and clean architectural lines that define the décor of the hotel. The saturated palette of persimmon, fuchsia, yellow, azure and violet, all of which are just a stone’s throw away from the crystal-clear turquoise ocean, are the final ingredients in the fashionable feast of the collection that was sent down the runway for the season.

Hall set out to create a collection that his customers can wear as they go about every aspect of their busy lives.

“These are clothes that women can wear effortlessly for a day; cotton embroidered dresses, neon brights, summer tweeds, graphic-printed georgettes are casual and chic,” said Kevan Hall. “There are also cocktail dresses and evening ensembles in textured jacquards, taffeta, silk organza, beaded laces and fringe that are at once sophisticated and sexy, providing the perfect balance for the modern woman… the woman for whom I design.”

summer

Spring 2023 also saw the launch of a capsule handbag and belt collection, all created in Italy with the interlocked “KH” monogram logo that will be a signature of the collection going forward. The bags are made of some of the finest Italian leathers on the market, some with perforated detailing. The belts are reversible in vibrant color combinations like chartreuse/ turquoise, persimmon/yellow, pink/coral and black/white for a graphic, more classic statement.

The collection all came together in a salon-style showing where models were encouraged to stop, turn, pivot and pose at a lessthan-standard runway pace. The effect was at once classic and “old school” in feel, and yet wholly modern with more than one in the audience smiling with delight as the models of all ages made their way through the breezy, white space that evoked a feeling that truly complemented the inspirational roots of the collection.

at

80 MANN ABOUT TOWN • SEPTEMBER/OCTOBER 2022 NYFW KEVAN HALL SPRING SUMMER 2023
SEPTEMBER/OCTOBER 2022 • MANN ABOUT TOWN 81 NYFW

Albright College Returns to the Runways of NYFW

A Fashionable Sophomore Showing:
Photos courtesy of Albright College

This September fashion had eight new reasons to celebrate when Albright College returned to the runways of NYFW with its “8 Collections” Fashion Show. For the second straight year, Albright College, a Liberal Arts-based fashion design, merchandising and costume design program based on a historic campus in Reading, PA, sent collections from six recent graduates and two current students down the celebrated runways of NYFW.

Found in the eight collections was a wide range of inspirations ranging from the opening collection “Déjà Vu” by Smithtown, NY designer Jennifer Raineri, which was inspired by menswear styles during the Regency Period of history. The bow details at the necklines and button front detailing of many of the designer’s looks truly married the inspiration with the looks that walked the runway. Camille Fuller presented a collection of naturally dyed ensembles under the title “Earth’s Confections,” which proved that vibrant, contemporary fashion can indeed be environmentally friendly. Philadelphia, PA’s Na’Yalaijah Fournillier, took a slightly different take on the message of environmentalism with her collection of upcycled den-

im silhouettes that pushed forward her theme of “renewal.”

take on gender fluidity with “Pollan,” his collection of edgy pieces that evoked feelings of 1980s runway looks while feeling wholly updated and now. Baltimore, MD was well represented by designer Olivia Connor, who showed her elegant dressy sportswear collection named “Bittersweet” which, according to the designer “was a beautiful representation of the beauty that can emerge from the pain of loss.”

York, PA native, Jonathan Otero, presented a dressy sportswear/evening wear collection entitled “A Force of Color,” which truly celebrated the vibrancy of color with every stitch.

The show concluded with powerful, dramatic fashion when Ligonier, PA native costume design major, Sarah Kim, presented her “Haunted Garden” collection of Goth-inspired eveningwear that walked to a truly ghostly version of Roy Orbison’s “Crying” in Spanish (“Llirando”) by Rebekkah Del Rio from the David Lynch’s “Mulholland Drive.”

In the audience was influencer and author Caroline Vazzana, herself a graduate of the Albright College fashion program. Vazzana said, “I’m so excited I could come out tonight and support my alma mater, Albright College, on their latest New York Fashion Week show! I always love supporting emerging designers and am so happy to be here for these eight designers. The collections were so beautiful, and you could just feel the energy and excitement from everyone in the crowd as the models made their way down the runway. Congratulations to Albright College and to all of the incredibly talented designers. I can’t wait to see what each does next.”

debuted at Albright’s fi rst showing in September of 2021, but she has just recently returned to her alma mater as a professor in the Costume Design Department.

Centreville, VA native Nich-

The keystone collection of the evening was presented by returning designer Liz Polley, who showed a collection inspired by the various places visited on her travels during the numerous relocations her career has required. Now hailing from King of Prussia, PA, Polley is not only returning to the runway for a second year, having Nicholas Kedge presented his

Also in the audience was noted actor/musician Sloan Morgan (D4M $loan), the West Philadelphia native known for his hit singles “Don’t Diss Me,” featuring his late rap partner D4M Skiano, and “Wolf-N-Demon” featuring Kur, as well as his acting role of “Darnell” on the “Fresh Prince of Bel-Air” reboot “Bel-Air.”

out my D4M well

NYFW
• MANN ABOUT TOWN 83
HEALTH & WELLNESS
Photos courtesy of Brenners Park Hotel & Spa

BRENNERS PARK-HOTEL & SPA

THE GRANDE DAME OF BADEN-BADEN CELEBRATES ITS LANDMARK 150th ANNIVERSARY WITH THE LAUNCH OF THE EXPERIENTIAL 150 YEARS PACKAGE –TRACING THE ROOTS OF THE GREAT SPA TOWN’S TIME-HONORED HERITAGE

In celebration of its 150th anniversary, Brenners Park-Hotel & Spa, the flag ship hotel in the prestigious Oetker Collection, will launch a brand-new “150 Years” package this autumn. The three-night package will immerse visitors into the legendary hospitality of “Brenners,” as the hotel is affectionately known by its loyal guests, where tradition and modern elegance blend with inim itable spa experiences. Combining the best that the emblematic hotel and the historic spa town of Baden-Baden have to offer, the experience will include guided tours, world-class dining, bespoke spa treatments and more – all suitably tailored for the modern-day, cultured traveler.

Arriving in the charming town – one of the offi cial “Great Spa Towns of Europe” founded 2,000 years ago to “do people good” – guests are wel comed to Brenners and immediately engaged with the rich history of the property in the foyer and adjacent showcase room, where a historical time line, themed walls, and displays tell the story of the past 150 years of the Grand Hotel. Having pre sided over the Lichtentaler Allee since opening its doors in 1872, it has been in the hands of just two families, maintaining its passionate commitment to the traditions of elegant European hospitality and the sense of being at a home away from home. Checking into an impressive Corner Suite, visitors will be able to unwind from their journey while soaking in views of the private park, the famous Lichtentaler Allee, and the magical Black Forest from their balcony, or luxuriate in the suite’s ex pansive integrated library and living room. After

settling in, a fashionable dinner at Fritz & Felix Restaurant awaits, featuring a Chef’s Choice sixcourse menu, followed by a meet & greet with Chef Farid Fazel.

The next day, a city expert will lead a curated World Heritage Tour of Baden-Baden to discover the treasures of the 19th century “Summer Capi tal of Europe.” The afternoon is dedicated to the property’s own Villa Stéphanie Spa & Wellbeing, one of Europe’s finest and most innovative spas, where guests are pampered with a signature treat ment in the private Couples Treatment room. Dinner for the evening is held in the Wintergarten Restaurant, where the property’s expert sommeli er gives a consultation for the perfect Champagne to accompany the meal.

The following morning, visitors are treated to a private breakfast on one of the hotel’s spectacular terraces, taking in the lush scenery while indulg ing in homemade pastries and traditional German breakfast fare, fresh juices and smoothies. After suitably fueled, one can enjoy a guided hiking ex perience on what is considered Germany’s most beautiful hiking trail, the Panorama Trail, before being rewarded with a rustic lunch in a country inn at the end of the trek. The afternoon features a choice of either a horse drawn carriage ride through Baden-Baden, stopping for a luxury Bren ners picnic in one of its most charming locations, or a private experience and expert introduction in the Brenners Patisserie, followed by the hotel’s Af ternoon Tea inspired by Pierre Hermé Paris. The final evening lures guests into the iconic Casino at

the Kurhaus of Baden-Baden, Germany’s oldest casino, for a dinner at The Grill and a chance to find gambling luck, with a €200 per person contri bution of tokens from Brenners Park.

Baden-Baden was recently awarded UNESCO World Heritage status, with Brenners offering a surprising alternative to the typical Mediterranean holiday, in a town replete with fresh woodland air and nature pursuits, cutting-edge cuisine and out standing spa & wellness facilities at Germany’s most iconic holistic medical spa.

Rates for the Brenners “150 Years” package start from €15,000 (currently approx. £12,678), in cluding: 3x nights in a Corner Suite with a view of Lichtentaler Allee for two with VIP amenities, B&B; 1 curated World Heritage tour of the spa town; 6-course Chef’s Choice menu in Fritz & Fe lix restaurant for two; 1x Signature Ritual in the Couples’ Room at Villa Stéphanie Spa & Wellbe ing; 1x 6-course dinner from at the Wintergarten restaurant menu at a place of guests’ choosing in the hotel; 1x private breakfast on one of the spec tacular hotel terraces; 1x guided country walk with a rustic lunch at a charming forest inn; 1x carriage ride with luxurious Brenners picnic; 1x afternoon tea for two; 1x evening at the Baden-Baden casi no with filled chip bags and dinner at the casino restaurant, The Grill. For more information, visit oetkercollection.com/hotels/brenners-park-hotelspa/offers/the-150-years-arrangement.

To reserve, please contact reservations.brenners@oetkercol lection.com or call +49 7221 900 803.

HEALTH & WELLNESS

GAIN EXCLUSIVE ACCESS TO SOME OF THE

MOST SPECTACULAR HIDDEN HIKING ROUTES WITH “HEALTH AND HIKE” AT MONASTERO SANTA ROSA, AMALFI COAST

Wind down at the idyllic hotel’s award-winning spa, located in the vaults of the converted monastery

The Amalfi Coast is one of the most dramatic coastlines in Europe. Mountains jut steeply out of the Mediterranean and picturesque towns are nestled in the coves below. This combination of spectacular coastal views, heritage sites and quaint towns of Positano, Ravello and Amalfi itself undoubtedly makes it one of the most popular destinations for walking. During a stay at Monastero Santa Rosa Hotel & Spa, a converted 17th century monastery and one of the most dramatic properties on the Italian coastline, guests can explore the destination with “Health & Hike.” The exclusive wellness package incorporates a day’s guided hiking to otherwise unvisitable areas of the incredible Amalfi coastline, alongside tailored treatments in one of the finest spas in the region. This package is ideal for keen walkers of all abilities looking to get energized and explore the region accompanied by a local expert guide. Guests of Monastero Santa Rosa will have the opportunity to hike the little-known route called “Valle delle Ferriere” or “Ironworks Valley” that takes approximately three hours; it begins at the Piazza Duomo in Amalfi and ends at the “green heart” of the coast. Following a day of hiking, guests can relax and unwind in the hotel’s award-winning spa, located in the historic vaults of the monastery. Guests have a choice of two individual treatment rooms, a Spa Suite and a “Treatment Garden.” There is also a domed herbal steam room, an ice fountain to boost circulation, a natural rock sauna and hydrotherapy pool. The family-run hotel offers just 20 individually designed rooms each with stunning sea-views and is home to a Michelin star restaurant, award-winning spa, outdoor gym, infinity pool, 12th century chapel, stunning landscaped gardens and a historic herb garden.

Monastero Santa Rosa is a 90-minute drive from Naples International Airport and 15 minutes from the Amalfi Port. Rates start from €2,490 (currently ap prox. $2,495) for three nights in a Sea View Deluxe Room. This is based on two people sharing on a B&B basis and includes a private guided hike, signature arnica spa treatment, tour of the kitchen garden and lunch with the chef. monasterosantarosa.com.

86 MANN ABOUT TOWN • SEPTEMBER/OCTOBER 2022 HEALTH & WELLNESS
AMALFI COAST’S
Photos courtesy of Monastero Santa Rosa
87

Eupepsia Wellness Resort is #1 Best Health & Wellness Resort in the U.S. for 2022

Photo
courtesy of Eupepsia Wellness Resort

Virginia-based Eupepsia Wellness Resort, located in the heart of the Blue Ridge Mountains, was voted #1 Best Health & Wellness Resort in the U.S. for 2022.

Earning this award for the second year in a row, based on its nomination by a distinguished expert panel and an overwhelming number of public votes in USA Today’s Readers’ Choice, Eupepsia contin ues to exceed guests’ expectations, with a highly personalized wellness offering that delivers deeply transformative benefits, earning it consistent fivestar ratings on Trip Advisor and Google reviews.

“Unanimous 5-star reviews are no surprise. A re treat here is the best gift you can give yourself. Con ventional spas are a band-aid. My one-week retreat helped me reboot my all-around wellness from the inside out,” wrote Stacy B. in her Trip Advisor re view.

Over the last year, the boutique resort has further elevated its wellness experience, with premium ad ditions to its facilities and new cutting-edge treat ments, as part of its relentless drive to deliver the latest developments in health and wellness.

The wellness sanctuary wraps guests in warmth and a deep sense of peace from the minute they set foot onto the property with its red cedar chalet interior, which is now carried through to the guest bedrooms, featuring cedar furniture, a glowing in frared fireplace wall inset and luxury, state-of-theart amenities.

To further enhance guests’ sleep experience, one of the foundational pillars of its wellness experience,

rooms are equipped with a fully adjustable bed and a custom-made Eupepsia x Bear Performance mat tress developed in partnership with a leader in sleep wellness and designed to deliver a rejuvenating and restorative sleep. Based on their requests, Eupepsia has also made its new mattress available for guests to take home.

Grounded in Ayurveda, Eupepsia’s programs fea ture a unique and careful blend of traditional and future-forward natural therapies, curated in real time to deliver optimal wellness aligned with each guest’s specific health condition and goals. The latest in Eupepsia’s pioneering offerings is the Ho catt Infrared Ozone Sauna, offering exceptional preventative and management benefits for a wide variety of health conditions.

Guests also enjoy Eupepsia’s traditional Ayurvedic therapies, with the healing power of a realigning Shirodhara treatment or a Marma Facial. They can relax and recharge with a signature massage or a re-balancing herbal treatment indoors or in the outdoor cabana, to the soothing sound of the nearby creek; cleanse and renew in the Himalayan Salt Chalet; or drift into deep relaxation in the salt flotation session.

With a bio-individual diet another key wellness pillar, guests savor delicious, chef-prepared, plantbased gourmet meals, which are organically sourced from the property’s gardens, greenhouses and dairy farm, whether in the indoor dining room or the alfresco terrace with its breathtaking views.

Grazing on acres of lush green fields on the proper ty, Eupepsia’s free-range cows, sheep, goats, chick ens and bees produce 100% pure organic milk,

eggs and honey - free of fertilizers, antibiotics or herbicides - which is used to create the purest dairy produce and dishes for guests to relish.

“If you are looking for a place to reset and recharge, you will find it at Eupepsia. Ayurvedic therapies and world-class cuisine are just two of the reasons to make the trip. And the staff is phenomenal,” wrote Teresa Macalolooy in her Google review.

Eupepsia’s stunning hillside setting sprawled over pristine fields, waterfall ponds, fruit orchards and endless farm and forest land, with a refreshing yearround breeze, encourages guests to soak up nature’s wonders and breathe in some of the nation’s purest air, with daily hikes and newly added mountain bik ing on one of the seven trails starting right on the property and connected to the Appalachian Trail and nearby Jefferson National Forest. Daily func tional training sessions in the outdoor pool, kayaking and pedal boating in the pond are also on the menu.

Traveling from across the nation and around the world, guests can also deep dive into a personal journey of self-awareness and self-reflection with Eupepsia’s “meditation in motion” yoga sessions in the Grand Yoga Hall or in one of the scenic outdoor yoga studios on the pond or in the pergo la. The newly added labyrinth garden also allows guests to experience a walking meditation, as a way to quiet the mind, calm anxieties, recover balance in life, enhance creativity and encourage medita tion, insight, self-reflection and stress reduction.

For more information, please visit eupepsia.com, contact 276-722-0584 or info@eupepsia.com, and follow @eupepsiaWellnessResort on Facebook and @eupepsia on Instagram.

SEPTEMBER/OCTOBER 2022 • MANN ABOUT TOWN 89
HEALTH & WELLNESS Dance Cardio with OFL Instructor Meredith

Dr. Baron Lonner

Mount Sinai’s Baron Lonner, MD, Changes Young Lives with Advanced Scoliosis Surgery

Baron Lonner, MD, frequent ly receives videos from the parents of his young patients. In the clips, the children are dancing, golfing, swimming or doing competitive gymnastics. It is remarkable to watch them flip or twirl—some times just a few months after Dr. Lonner, Professor of Orthopedic Surgery and Chief of Minimal ly Invasive Scoliosis Surgery at The Mount Sinai Hospital, performed surgery to correct their twisted spines. He is inspired and gratified by every one of the videos.

Scoliosis, a sideways curvature of the spine, is com mon in adolescents. It occurs in 3 out of 100 peo ple. Most cases are mild, but some children develop severe scoliosis as they grow. Without treatment, the condition causes pain, weakness, numbness and physical asymmetries such as uneven shoulders or a hump on the back. In severe cases, untreated scoli osis can interfere with a person’s breathing or affect their quality of life and ability to do daily activities, including recreation and work.

For many young people with scoliosis, the physical changes cause significant distress, says Dr. Lonner,

a world leader in treating scoliosis. “It is not a cos metic issue. Scoliosis affects their self-image, their interactions with peers, their whole life,” he said. And as they go through life, they are more likely to experience pain that limits their function. In some cases, external braces can prevent the curve from worsening or even partially straighten it. But in severe cases, Dr. Lonner uses a variety of surgical procedures to correct scoliosis.

Dr. Lonner treats patients through the Young Spine Program at Mount Sinai, which offers comprehen sive, compassionate care to pediatric patients with spine conditions. As a member of the Young Spine Program, Dr. Lonner works closely with an expert team that includes orthopedic surgeons, pediatri cians, anesthesiologists, plastic surgeons and phys ical therapists who work together to find the best treatment for each young patient.

The program draws patients of all ages from across the country and around the world, who consult with Dr. Lonner and his team because of his deep expertise in minimally invasive scoliosis surgery and other approaches for treating scoliosis and other spinal curve differences. In addition to performing a range of leading-edge procedures, he is actively

involved in developing new devices for non-fusion and fusion approaches that can correct scoliosis with shorter recovery times, fewer complications and better long-term outcomes.

“These treatments are life-changing,” Dr. Lonner said. “We restore the patient’s body symmetry, abil ity to function, and self-image. The individual sees the change when they look in the mirror.”

Orthopedic Surgery: A Meeting of Hands and Mind

Dr. Lonner grew up on Long Island, the son of ref ugees whose families left Germany during World War II. His mother fled to Uruguay and then Ar gentina before reuniting with family in Pittsburgh as a teenager. His father arrived at Ellis Island at the age of 8. “My parents are survivors who came to the U.S. and gave so much to provide for me and my brother, who is also an orthopedic surgeon,” he said. “Their support set the tone for me to pursue medicine.”

From an early age, he had an innate interest in sci ence and a deep desire to help people. When he was around 9, his beloved grandmother began experi encing a decline in health due to myasthenia gravis,

90 MANN ABOUT TOWN • SEPTEMBER/OCTOBER 2022
Photos courtesy of Mount Sinai Health System

a chronic neuromuscular disorder. “From that point on, I was tilted toward a career in medicine,” he said.

Dr. Lonner had always been athletic and was nat urally drawn to orthopedic surgery. “I was inter ested in orthopedics because I appreciated the im portance of restoring function at the highest level. And surgery, because I like to use my hands and my mind,” he said. “Orthopedic surgery requires a lot of judgment and decision-making. At the same time, there is a physicality needed to perform these long surgeries with intense focus and technical skill that I really enjoy.”

He went to medical school at Boston University School of Medicine. As a student, he became a re search assistant to the late John Hall, MD, former Chief of Orthopedic Surgery at Boston Children’s Hospital and Professor at Harvard Medical School, a pioneer in pediatric scoliosis surgery. It was a time before digital X-rays, and Dr. Lonner painstaking ly measured thousands of X-rays by hand over the next two years as he helped Dr. Hall with scoliosis research.

That early experience, combined with a residen

cy at Montefiore Medical Center and the Albert Einstein College of Medicine in New York City, cemented a lasting interest in spinal surgery. One of his mentors, Stanley Hoppenfeld, MD, was a leader in scoliosis surgery and education. He was instrumental in fostering Dr. Lonner’s interest. In 1999, Dr. Lonner took over Dr. Hoppenfeld’s prac tice. Today, most of Dr. Lonner’s patients are ad olescents, though he also treats younger children and babies with spinal deformities, as well as adults living with the consequences of having scoliosis for decades. “Treating that spectrum of patients allows me to understand the impact of the treatments we offer today and what that might look like for pa tients 20 or 30 years down the road, whether they were previously treated or never had treatment be fore for their condition,” he said.

Innovations in Spine Surgery

Dr. Lonner’s drive to learn and improve has led him to publish more than 200 research papers. He is also pioneering the development of new devices for scoliosis treatment. In collaboration with oth er surgeons and engineers, he helped develop the Tether Vertebral Body Tethering System, a scoliosis treatment approved by the U.S. Food and Drug Ad ministration in 2019. Traditionally, people with se

vere spinal curves needed spinal fusion, which per manently joins two or more vertebrae, the bones of the spine. Though it is an effective treatment, fusion limits normal spinal motion. It also increases the risk that the spinal discs below the fused area will develop wear and tear over time, leading to back pain and sciatica, a pain that radiates down the leg.

The Tether offers an alternative to spinal fusion for patients who are still growing. During the Tether procedure, the surgeon makes very small incisions and inserts a narrow scope to visualize and reach the spine. They place screws to the vertebrae in the curved portion of the spine, attach a flexible cord to the screws and then apply tension to partially straighten the curve. As the child grows, the cord continues to straighten the spine.

Compared to spinal fusion surgery, patients who receive the Tether have less bleeding, lower risk of infection and faster recoveries. They also maintain motion in their spines. Long-term studies are need ed to reveal how these patients do over the decades, but Dr. Lonner believes they are less likely to expe rience the disc degeneration and back pain that are common with spinal fusion. “Their recoveries are remarkable,” he said. “Within six weeks, they can

SEPTEMBER/OCTOBER 2022 • MANN ABOUT TOWN 91 ADVERTORIAL
Dr. Lonner with a patient who underwent a successful Tether procedure for scoliosis and is doing very well.

return to full activity.”

The Tether has become so successful that it is now the biggest part of Dr. Lonner’s practice. Over the last seven years, he has performed nearly 500 of these procedures. He has also been involved in designing other new treatments. He was a consultant on the development of a system called ApiFix, also known as posterior dynamic distraction correction. In this system, surgeons place a rod on the spine, which acts as an internal brace that corrects the curve when it is inserted. As the patient grows, the device ratchets open to correct the curve further. Like the Tether, ApiFix allows for a more natural range of movement than spinal fusion. “For the right patients, it has been a wonderful option. We see very quick recoveries and rapid return to activities,” Dr. Lonner says.

A Commitment to Patient Care

Every patient is unique, and Dr. Lonner spends a lot of time with patients and their families to learn

about their lives, activities and aspirations. “A solution that is right for one person is not the best choice for another. I customize treatment to a patient’s goals and desires,” he said. “It is an exciting time in scoliosis treatment because we can give people options where there were not a lot of alternatives before.”

His commitment to advancing patient care aligns well with the values of Mount Sinai, he added. “I have practiced in many hospitals, and I can say this is absolutely a world-class institution,” he said. “There is really a team approach at Mount Sinai. Everyone on the team focuses on the well-being of each patient and strives to improve the patient experience.”

During his career, Dr. Lonner has performed more than 3,000 surgeries on children and adults. It is a physically demanding job, and when Dr. Lonner is not in the operating room, he heads to the beach to give his muscles a break. “Swimming is my passion,

especially in the ocean. I take my swimsuit with me wherever I go,” he said. He has competed in long swims and triathlons, including the Escape from Alcatraz Triathlon, which includes a 1.5-mile swim through the San Francisco Bay and has done a sixmile, 4-hour swim off Coney Island in Brooklyn, New York.

He also enjoys spending time with his two sons and stepdaughter and traveling with his wife. His travels have taken him around the world on mission trips to Asia, Africa, the Caribbean and the Middle East to train local surgeons in spinal surgery techniques and perform surgeries on young patients. Those experiences have been gratifying. “We may have different accents and customs, but underneath we are all the same. Families want the best for their children. They want a safe operation that will relieve their suffering and free them from pain,” he said. “I have been blessed to have patients from all over the world. I am fortunate to be here at Mount Sinai and be able to offer my patients this innovative care.”

92 MANN ABOUT TOWN • SEPTEMBER/OCTOBER 2022 ADVERTORIAL
The X-rays that the patient is viewing show her spine before and one year after the procedure.

The medical expertise of Mount Sinai.

Right here in Palm Beach.

When you visit Mount Sinai Doctors New York-Palm Beach, you get access to the same expertise and medical advancements available throughout the Mount Sinai Health System in New York.

That means personalized care in cardiology, pulmonology, dermatology, internal medicine, and endocrinology from the comfort of your own community in West Palm Beach and Jupiter.

Book an appointment close to home today at mountsinai.org/florida

Mount Sinai Doctors-New York, Palm Beach 625 N. Flagler Dr., West Palm Beach, FL 33401 561-627-2210

Mount Sinai Heart-New York, Palm Beach 600 University Blvd., Ste. 200, Jupiter, FL 33458 561-627-2210

CONCORDE HOTEL NEW YORK: A RE-POLISHED GEM ON EAST 55TH STREET

The Concorde Hotel New York is a 4-Star luxury boutique hotel located within the Park Avenue Plaza District. The hotel was once home to British Airways’ New York to London crews but is now a retreat for the discerning traveler. Its name, The Concorde Hotel, exudes the same sleek design synonymous to the original Concorde jet. This glass, intimate, modern structure recently underwent an extensive transfor mation of its 122 minimalistic rooms, elegant lobby and expansive use of public space. A cozy restau rant and bar entice your appetite as you approach the courtyard where you can enjoy an early break fast or a late-night nightcap.

In 2016, the building completed a significant ren ovation and was redesigned by Andres Escobar, of Lemay + Escobar. The building’s architecture captures the brilliancy of natural light that enters the rooms and takes advantage of the exceptional

North-South perspective, capitalizing on the glit tering panoramic views of the New York City sky line. The design creates a Zen-like encounter with all rooms being light and airy, minimally decorat ed with furniture that appears to be floating and some of the most spacious bathrooms available in Manhattan hotels; each with a separate shower area and bathtub. The rooms have marble-top furniture with low-top drawers designed to double as luggage racks, and under-the-bed pullout drawers that allow guests to live comfortably out of their suitcase or unpack and simply stay for a while.

Situated off of the renowned Park Avenue, it is a short walk to corporate offices, luxury shopping on Fifth Avenue and Central Park. The hotel attracts a wide variety of travelers; from diplomats and busi ness executives, to shoppers, families and those who want to have a true New York experience. The hotel has been a favorite among luxury brand executives

such as Rolex and Sotheby’s auction clientele, as well as designers participating in New York Fashion Week.

The Concorde Hotel New York staff openly wel comes you to your home away from home. Its man agement team has cultivated a friendly environment to match the tranquil atmosphere by employing an ultra-courteous multilingual staff that ensures all guests’ needs are met.

Lobby

As you enter the hotel lobby, you are immediately drawn further into the property by the beauty of each distinct area. The lobby is divided into four specific areas: the foyer, the reception desk and guest services, Bonsaii café and tapas bar, and the enclosed outdoor terrace; each is a private vignette buffered by public seating areas that provide glimps es into what the hotel offers its guests.

MANN OVERBOARD
Photos courtesy of Concorde Hotel

Accommodations

Each floor houses a maximum of four guest rooms granting near private access to the rooms, with a residential feel. From the 5th to the 14th floor, each has one front facing suite including the Ter race One Bedroom Suite on the 10th floor, which offers sweeping views of the city overlooking the Central Synagogue, a gem of New York architecture known for its double towers and beautiful domes, as well as the southward skyline.

The hotel has five junior suites, five doubles, 14 standard, 23 pre mier king, 20 city view queen rooms and 44 deluxe king rooms. The 37th floor boasts a 650 square-foot Ambassador Parlor that features a separate living room with a fireplace, kitchenette and leather sofa that pulls out into a full-size bed.

Adding to the comfort of the stay is the accessibility; guests con trol the amount of natural light in their rooms with electric-pow ered curtains and light switches controlled at bedside.

Amenities

Each room is equipped with a Nespresso machine accompanied by assorted coffees and teas. The hotel provides guests with Mol ten Brown toiletries—as well as bathrobes and slippers—guaran teeing that each stay is memorable and relaxing.

The Concorde Hotel New York’s business center on the third floor can be booked for meetings and private events. The business cen ter is available for guests as well as private booking. Also on the third floor is an outdoor terrace that is available for guests as an alcove for additional privacy. The hotel’s fourth floor comprises a 24-hour fitness center to be upgraded to a state-of-the-art fa cility with innovative exercise machines overlooking the Central Synagogue.

Food and Beverage

Bonsaii, a café and tapas bar located at the rear of the lobby of fers hotel guests and public alike a unique breakfast menu that includes Salmon Truffle Toast, whole wheat bread, smoked salm on, ricotta cheese, sunflower seeds, and chia seeds finished with

black truffle oil; Spanish Omelet, a traditional tortilla Española made with organic eggs, confit potatoes, and Spanish onions; and specialty coffee. The café transitions into a tapas wine bar at 5pm, pairing small dishes with a global wine list. Menu highlights include Aguachile Ceviche, diced whitefish, white tiger shrimp, green peppers, spicy salsa verde accompanied with plantain chips; and Bonsaii Meatballs, Italian seasoned meatballs, grated parme san, pine nuts, crema agria, served with a choice of pesto or chi potle marinara sauce.

Group Bookings

The hotel is a wonderful place to stay for wedding parties and its suites are ideal for honeymooners. Wedding parties can book up to 15 rooms with a complimentary hold for 30 days.

Guaranteed booking for groups of business travelers is available without a minimum or maximum night stay.

127 East 55th Street New York, NY, 10022 concordehotelnewyork.com 212-355-2755

MANN OVERBOARD
The Concorde Hotel New York is pet friendly and allows guests to bring this family member under 25lbs at no additional charge.
@concordehotelnyc

MAMMA-MIA

THIS FALL, DISCOVER CORFU’S CHARMS
Photo

While it seems everyone went Greek this summer, the best time to truly enjoy Greece is in the early fall. And one of the best spots to indulge in Greece’s warm hos pitality, culture, history and venerated vistas of green ery and sea is on the island of Corfu. Often referred to as the “least Greek of the Greek islands,” this large, 230 square mile island sits in the Ionian sea: Italy is to the west and the coasts of Albania and main land Greece dot the easterly horizon. Towering hills, awe-inducing cliffs, celestial coves, cypress clusters, olive trees and water that is so crisp, clear and blue make it a must on the fall itinerary. And yet, Ameri cans have leaned towards the more barren beauties of the Cycladic archipelago of Mykonos and Santorini. The tide is changing.

Steeped in a cultural genealogy that has been influ enced by Venetian, French and British occupations, Corfu has long been the stopping ground for British royals, international celebrities and Greek VIPs like Aristotle Onassis. The late Duke of Edinburgh, mar ried to Queen Elizabeth II, was born in Corfu. And then there’s the addictive TV series, “The Durrells,” (Amazon Prime) which was mostly filmed on the is land. The series follows the true story of a British wid ow who transplants her unruly family to Corfu. No surprise how days—or weeks—here seem to unfurl in cinematic form.

The pulse of the island is the charming Old Town–a UNESCO World Heritage Site–with its Venetian arches, Neoclassical architecture, old and new shops that beckon along the quaint labyrinth-looping streets. Favorite Old Town stops include the Palace of St. Michael and St. George, the Liston Arcade, the Ionian Parliament and the Kapodistrias family mansion. On a balmy summer night, Old Town is thronged by an international sea of tourists, locals and summer regulars, all too happy to hop between bars, tavernas or plazas where musicians spin tra ditional and contemporary songs. But in fall, there is more room to breathe and explore the charming alleys and the historical artifacts; there is space to reserve a table at the popular restaurant and on the private boat charter that will take you to uninhabit ed islands, coves and caves. The more striking beach coves dot the western and northern spine of the is land, while along the interior there are plenty of hikes that were too hot for summer, but perfect for a fall morning or afternoon.

As more Americans succumb to Corfu’s charms–something our European friends have long kept un der wraps–the island has responded with a line-up of newer hotels (and renovated, all-time favorites like Kontokali Bay Resort), restaurants and activities. Fall is prime time for an escape—whether solo or with the unruly family in tow—to Corfu.

STAY

• Kontokali Bay Resort & Spa, minutes from Corfu Town, this multi-level mid-century resort is surrounded by olive trees, oleander shrubs and cypress. Excellent restaurants with stun ning views.

• Olivar Suites, larger suites set along a tranquil 300-year-old olive grove. For those looking for the ultimate in privacy without sacrificing mod ern luxuries.

• Domes Miramare, adults-only resort, part of Marriott’s Luxury Collection, and once part of the Onassis family. It recently went through a multi-million-dollar renovation.

EXPLORE

• While there are so many amazing beaches on the island, go West for the best. Paleokastritsa is the most famous with its green cliffs and seeto-the-bottom crystalline water. Rent a boat for 50-100 Euros and cruise around the many sea caves and idyllic coves that can only be visited by sea. Don’t forget snorkeling gear or goggles–although you really can see to the bottom with out them. Other great beaches include Rovinia, Barbati and the Sidari Canal d’Amour beach–one of the most photographed spots on the is land. A must. You will see many jumping from the Canal’s cliffs into the cool waters.

• Old Perithia (Palea Perithia). Old Perithia is a ghost village located on the slopes of Mount Pantokrator, the highest mountain in Corfu. Al though mostly uninhabited today, it’s a highlight for its Venetian architecture and cool factor.

• Angelokastro Castle: The name of Angelokas tro means the “castle of the Angels” in Greek. Atop a steep cliff overlooking the sea, near Pa leokastritsa. It’s not an easy hike, but the views are mythical.

• Diapontia islands: The mostly uninhabited is lands north of Corfu are ideal for diving and fishing. You can even spend the night at the Hotel Erikousa, on the most populous island (meaning: a whopping 450 people live there!).

• Paxos and Anti-Paxos: Two islands not more than a handful of kilometers apart. The larg er, Paxos, delights with lovely cafes, shops and homes. Thymari, in Paxos, is a favorite taverna among locals. Next door, the island of An ti-Paxos is uninhabited. Swimming in its clear waters, the undulating shades of turquoise are unbelievable. You will need to arrange a boat tour (they usually leave from the new port) or charter a private yacht to take you there.

EAT

• In Old Town: Rosmarino for fine Italian, Elia and Fishalida for traditional ‘Corfiot’ taverna food and Papagiorgis for the best gelato and baklava in all Old Town. I think the owners must have Italian ancestors. Corfu Sailing Club Restaurant, located in the Old Fortress is a

unique experience, one literally walks through the old Venetian fortress. The views and food are top-notch. (Skip the Venetian Well, the at mosphere is pretty, but our shrimp appetizer was raw inside and the service was pretentious).

• In Agni Bay: Toula’s Seaside is a great seafood spot where all the beautiful yachts and sunbath ers stop in. Road is a bit hairy by car, but the set ting, lobster pasta or grilled seafood will make you forget what felt like a one-way street!

• In Kontokali Bay: Asterias, famed chef Spiros Voulismas blew us away with his Corfiot inter pretations of Greek Salad, grilled baby cala mari and pistachio-cream baklava. The setting above the sea is deeply romantic and the service worthy of its five-star resort. Roula’s Fish Tav erna is for when you crave an honest, homestyle taverna with fresh fish and Corfiot favorites.

SAMPLE

• Fish, fish and more fresh fish. Hit up the local tavernas in the small villages where you can pick a whole fish that was swimming earlier in the day.

• Other local favorites include pastitsada (beef stew in a rich, spiced tomato sauce with pasta), sofrito (battered beef in olive oil and wine) and bourdeto (fish stew). The olive oil in Corfu is outstanding, as is their local honey.

• The island is also known for tsitsibira, a Greek ginger beer.

• And for dessert of course, galaktoboureko (filo pastry with custard filling) and kumquat every thing–liquor, jams and desserts.

MANN TIPS

• Sure there is local transportation, but this is not NYC transit. We advise renting a car at the air port or hiring a driver. Inter Corfu is a great, family-owned car rental company. Keep in mind that most cars are manual transmission, so if you don’t drive stick, let them know asap.

• Dayboat rentals are a must. There are many boat rental spots, including Corfu Explore Boats. It’s the best way to see the different parts of the island and hit the best beaches.

• Bring or buy (they are quite inexpensive) slip-on water shoes. Many beaches are full of pebbles.

SEPTEMBER/OCTOBER 2022 • MANN ABOUT TOWN 97 MANN OVERBOARD

SILENT RESORTS & ECOISLAND DEVELOPMENT

Announce World’s First Fully Sustainable, Zero Carbon, Solar-Powered Yacht & Residence Club

Ushering in a new era for Caribbean vacation home communities, Silent Resorts and EcoIsland Development have announced Club Ki’ama Bahamas, the world’s first equity club to offer ultra-sustain able solar residences and carbon neutral solar yachts. Club Ki’ama is located within the new Ki’ama Bahamas enclave on Elizabeth Island, minutes from Great Exuma. It represents a one-of-a-kind co-ownership opportunity that combines luxurious solar-powered, oceanfront homes with a fleet of solar-powered and crewed yachts, as well as electric day boats, a beach club, spa and restaurant. Construction began in May 2022 and, upon completion, Club Ki’ama will have the lowest environmental impact of any development in the Caribbean.

“Club Ki’ama represents the future for sustainable residential and resort devel opment,” says Steve Dering, EcoIsland Development partner and global pioneer of the residence club co-ownership model. “It’s incumbent on us to protect Eliza beth Island’s ecologically sensitive environment while thoughtfully creating com fortable spaces where our owners and their guests can enjoy the best of the Ba hamas. Our equity club provides abundant owner use while consuming less land with fewer homes and adds an incredible yacht experience. We’re hopeful that our first-of-its-kind club and community will set the standard for eco-conscious development around the world.”

The Ki’ama Bahamas community, Club residences and facilities were designed by Silent Resorts CEO and founder Victor Barrett. The single-story Club resi dences will be constructed using linear designs that complement the natural to pography of the island. They feature 10- to 12-foot ceilings for enhanced ventila tion and light, “living roof” landscape systems, solar panels and structural timber frames designed to withstand a Category 4 hurricane. The pre-engineered build ing system allows for the bulk of construction to take place off-island, minimizing disruption to the natural landscape and reducing construction delays and costs.

“We are thrilled to announce our first community for Silent Resorts,” said Barrett. “Sustainable development has long been a passion of mine and Club Ki’ama will bring this to life with state-of-the-art solar technology and sustainable building practices unlike any in the resort and residential markets. We’re excited for our Club owners and their guests to experience a smart, responsible way to own and a new way to travel.”

Club Ki’ama will feature 16 four-bedroom residences and eight yachts. The in troductory ownership price is $525,000. Owners will enjoy a minimum of five weeks of vacation annually, including 10 yacht days, and have additional use subject to reservation policies and availability. Club Ki’ama ownership also grants immediate access to the prestigious Elite Alliance exchange program with more than 120 coveted international destinations.

98 MANN ABOUT TOWN • SEPTEMBER/OCTOBER 2022 MANN OVERBOARD
Photos courtesy of Ki’ama Bahamas

Combining one-of-a-kind land and sea adventures, Club Ki’ama will make a fleet of eight crewed, fully catered, solar-powered Silent Yachts available to owners. These remarkable 60- to 80-foot luxury catamarans eliminate the major draw backs of traditional yachts – the environmental impact and noise of fossil fuel engines, high operating costs and expensive maintenance – without diminishing the pleasures that make yachting one of the ultimate vacation experiences.

The Ki’ama Bahamas community will serve as a worldwide example for sustain able development. Much of the resort will be constructed on piers to avoid land excavation or fill using “carbon negative” pre-engineered building structures with near-zero construction waste. All residences, yachts, buildings and amenities will be fully and independently solar-powered. The resort also utilizes highly efficient, advanced water purification and wastewater treatment systems. In addition to its environmentally friendly energy, water and building systems, only 18 percent of the total land area will be developed, leaving most of the Ki’ama property undis turbed and left in its natural habitat.

The resort community was even recently visited by the Prime Minister of the Bahamas, Philip Davis.

Commenting on the visit, Prime Minister Davis said, “We are very excited about

Ki’ama Bahamas. Sustainable, eco-forward development is a priority for our ad ministration. Renewable energy, solar energy specifically, is an important piece in the fight against climate change and what EcoIsland Development is creating in partnership with Silent Resorts aligns with our long-term energy goals. The project is an exemplary model for future development, and we look forward to seeing its continued build-out.”

The eco-conscious island sanctuary will feature the oceanfront Club Ki’ama Beach Club, Spa & Restaurant. As the centerpiece of the community, the Beach Club will be uniquely constructed in “tent & timber,” utilizing the highest quality natural fabrics, bamboo and timber with very little impact to the environment.

The removed-but-not-remote location of Club Ki’ama is 36 acres on Elizabeth Island, a private island in Elizabeth Harbour, with a two-acre protected marina and six private beaches. Upon flying into Exuma International Airport, owners take an electric water taxi from George Town Dock to the island, a 10-minute ride. Within 130 nautical miles of the island are more than 365 cays and other is lands to be explored on the Club yachts and electric day boats. Ki’ama Bahamas also offers eight spectacular five- and six-bedroom estate homes.

Additional information can be found at kiamabahamas.com.

SEPTEMBER/OCTOBER 2022 • MANN ABOUT TOWN 99 MANN OVERBOARD
Interior
Kiama Residence Exterior

AN AUTUMNAL LUXURY SHOPPING ESCAPE

The Opening Of Galerías Canalejas, Spain’s Newest And Most Elite Premium Shopping Destination In Downtown Madrid, Is The Perfect Excuse To Stay At Gran Hotel Inglés This Year The City’s Original Luxury Hotel

Autumn is one of the most ap pealing seasons to visit Madrid, when crowds of tourists have dispersed, the weather is mild and the evenings are bright, and a host of interesting, exciting ex hibitions pop up across the city.

This year however, the vibrant city is drawing in “the fashion set,” as it embraces its status as one of Europe’s most desirable destina tions for the international jet-set to enjoy a luxury shopping break.

A recent addition to the electric Capital is the open ing of Galería Canalejas. Located in the former Palacio de la Equitativa, between Calle Alcalá and Calle Sevilla, this ultra-exclusive shopping district marks the latest symbol of luxury and glamor in the heart of Madrid. Visitors to the cities will find over 30 boutiques selling luxe fashion, accessories, per fume and high-end jewelry and watches by some of the world’s most prestigious brands including Her mès, Cartier and Rolex, not to mention a fantastic selection of restaurants and gastronomic concepts designed by renowned Michelin-star chefs.

Spanning an area of 15,000m2, Galería Canalejas is spread across three floors, with the ground floor and first floor dedicated exclusively to shopping. The opening of its first phase saw French luxury design house Hermès and prestigious Cartier jewelry open their doors, recently joined by new boutiques from Aquazzura, OMEGA, Rolex, Saint Laurent, Valen tino and Zegna. There is also the Beauty Gallery by Isolée, with over 20 brands of premium cosmetics, make-up and signature perfumes.

Of the city’s lures, a mere stone’s throw away is the Gran Hotel Inglés, the oldest hotel in Madrid, which serves as the ideal base for such a special shopping experience in Europe. For an accompanying dose of culture, the narrow streets that surround Gran Hotel Inglés are steeped in history, lined with tapas bars, best-in-class restaurants and quirky shopping bou tiques. Be it for a cup of hot chocolate with chur ros in the Plaza del Ángel, a promenade to visit the original home of Cervantes, a late evening visit to the old Botanic Gardens and to buy flowers at the oldest florist in Spain, or drinks and live music with friends at Café Central, one of the best jazz clubs in the world... history lives in these streets, coined

the birthplace of Spanish theater and the arts, and the Gran Hotel Inglés is a custodian of such quint essential madrileño culture. The Barrio de las Letras is one of Madrid’s most central neighborhoods – a dynamic, cultural melting pot studded with monu ments – so, moving around the Spanish capital and its surrounding areas is simple and easy, no matter the mode of transportation. Gran Hotel Inglés en ables its guests to live Madrid’s history in the present day, while effortlessly enjoying all the contemporary delights of this energetic city.

To celebrate the opening of Spain’s hottest new shopping district, Galería Canalejas and Gran Hotel Inglés will unveil a special partnership to offer guests of the hotel a luxury shopping package, which will include a 20% discount on the room rate, a daily buffet breakfast, a 10% discount on personal shop per service by Galería Canalejas, access to the Gal lery’s private VIP lounge, a welcome drink by Carti er in the private room of Galería Canalejas, a special welcome gift from Galería Canalejas and a person ally curated shopping map by Gran Hotel Inglés’s concierge, comprising charming shops and ateliers of the neighborhood.

Photos courtesy of Gran Hotel Inglés
MANN OVERBOARD

PALM BEACH JEEP RENTALS

PALM BEACH GARAGE REPAIR - RESTORATION - MAINTENANCE - STORAGE WHEN YOU ARE TRAVELING BUT YOUR CAR IS NOT At Palm Beach Garage, we have professional technicians who are trained to diagnose, maintain and repair your automobile, whether it is a European, English, Vintage, or an American classic or muscle. Our factory-trained team has over 100 years of automotive repair experience. 3215 South Dixie Highway West Palm Beach, FL 33405 561.833.6622 info@palmbeachgarage.com Palm Beach Garage is now taking reservations for automotive storage. If you are traveling but your car is not, now is the time to book your reservation for our white glove storage service. Our state-of-the-art facility is available for secure long or short-term, air-conditioned, indoor vehicle storage for fine automobiles. Vehicles are always in good hands, and as part of our regular storage service, your car will be benefitting from: • Stored in a Climate-controlled Environment with 24/7 Security and Video Surveillance • Monthly Startup and Exercising • Tire Pressure Monitoring • Fluid Inspections • Battery Trickle Efficiency Testing Call today and reserve your spot. SERVICE & MAINTENANCEFINE VEHICLE STORAGE Contact us today to reserve a brand new, 4-door, automatic transmission, 2021 Jeep Wrangler, featuring the Sky One-Touch Power Top Daily, weekly, or monthly reservations are available! Don't delay, reserve today. Palm Beach Jeep Rentals has a fleet of 40 brand new, 5-seater Jeep Wranglers that are perfect for the beach, a night on the town, or a mall crawl. Call 561.668.4172 today!
NEW YORK | WYNN PL AZA SHOPS | KWIAT. COM | CONCIERGE@KWIAT. COM | 646.759.9677

Top Museum Restaurants in Florida

Bistro at Sarasota Art Museum of Ringling College

Bistro at the Sarasota Art Museum of Ringling College is a chef-driven culinary concept helmed by the brilliant Chef Kaytlin Danagaran. The restaurant is inside the museum, which is housed in a historic high school in Sarasota, FL. Bistro features a Florida farmstand-inspired menu focusing on locally sourced and seasonal ingredients that can be enjoyed within the interior dining space complemented by thoughtfully curated exhibits, on the go or outdoors within the Museum Plaza. Menu specials will be featured on the blackboard behind the counter, a nostalgic nod to the former high school. Chef Dangaran, who is making waves in the area as a leading female chef, hosts cooking classes and demos for guests to learn, taste and celebrate.

Address: 1001 S Tamiami Trail, Sarasota, FL 34236

Verde at the Perez Art Museum in Miami

Tucked inside the breathtaking Pérez Art Museum Miami is the casual, modern restaurant Verde. Known for its sweeping views of Biscayne Bay, diners sip craft cocktails as they watch sailboats and cruise ships sail from mainland Miami to South Beach. Verde is a Mediterranean-American cuisine restaurant with both indoor and expansive outdoor seating with lush vegetation cascading from the canopy’s overhang. Led by Executive Chef Jeremy Shelton of Constellation Culinary Group, Verde is known for its waterfront brunch on weekends and its Thursday night happy hours and dinner, known for garden-in-a-glass cocktails and museum activations.

Address: 1103 Biscayne Blvd Miami, FL 33132

106 MANN ABOUT TOWN • SEPTEMBER/OCTOBER 2022 SUNSHINE STATE OF MIND
Photo courtesy of Bistro Photos courtesy of Bistro Photo courtesy of Bistro

The Restaurant at the Norton

The Restaurant at the Norton is the premier dining destination located inside of the Norton Museum of Art in West Palm Beach, FL. Operated by the renowned Constellation Culinary Group, The Restaurant offers light, modern-American fare with nods to coastal influence. Offering beautiful views of the museum’s sculpture garden, Chef Jair Solis takes inspiration from the current exhibitions on site to create a thoughtful and curated listing of entrees, starters and cocktails.

Address: 1450 S. Dixie Highway West Palm Beach, FL 33401

BRAVA! At the Adrienne Arsht Center

For theater and a show, BRAVA!, located on the second floor of the Arsht Center’s Ziff Ballet Opera House, sets the mood for an evening fi lled with entertainment and art. Helmed by the team at Constellation Culinary Group, the expansive menu is heavily inspired by classic French cuisine.

The perimeter of the dining room is lined with large-scale photography of the Arsht Center and two walls covered in white orchids that serve as the restaurant’s main focal points. The dining room is outfitted with black wooden tables, plush cerulean chairs and a warm mustard sofa, creating an inviting setting for pre-show dinners and drinks.

Address: 1300 Biscayne Blvd, Miami, FL 33132

Food@Science Café at Frost

Come for the science, stay for the food. Visit Food@Science at Frost Museum of Science for a science inspired lunch and enjoy Downtown Miami’s Maurice A. Ferré Park. After exploring the show-stopping Oculus aquarium, an eye-opening show at the planetarium or digging for dinosaur bones at the Mini-Camp: Dino Explorers event, aspiring scientists can munch on some brain food to power through the day. The café elevates the Frost Science Museum experience by offering themed menu items related to the museum exhibitions.

Address: 1101 Biscayne Blvd Miami, FL 33132

SEPTEMBER/OCTOBER 2022 • MANN ABOUT TOWN 107 SUNSHINE STATE OF MIND
Photos courtesy of BRAVA! Photo courtesy of The Restaurant Photo courtesy of The Restaurant Photo courtesy of The Restaurant
From Somewhere in the Mediterranean Hailed as “The Best New NYC Restaurant of the Pandemic” by the New York Post, Dagon is an exciting restaurant on Manhattan’s Upper West Side showcasing modern Israeli cuisine with Levantine influences. 2454 BROADWAY AT W. 91ST STREET • (212) 873-2466 • DAGONNYC.COM

Debbie Dickinson Gallery Presents New Exhibition “Ombre”

110 MANN ABOUT TOWN • SEPTEMBER/OCTOBER 2022
ARTS & AFFAIRS
Photos courtesy of Debbie Dickinson Gallery
ARTS & AFFAIRS
Artist Bill Buchman Debbie Dickinson Artist Megan Heekin Triantafillou and Husband

Curator Debbie Dickinson invites guests to view how seven artists reflect and respond to the influence of dark to light in a group exhi bition of working painters, sculptors, art photographers and mixed media artists. Every work the viewer experiences in this show will feature how the artists have interpreted these times while enduring this dra matic era. From the artists’ fingertips, “Ombre” is the extension of sage energy using expert techniques directly communicated from their minds to canvas, mixed media and bronze. It is when the greatest pianist executes his opus. Great artists’ minds and visual artworks merge into one. These artworks fea ture an awakening and reinvention. Shades from the perspective of the artists are interpreted through various mediums and periods when they originally imagined the works. Everything is becoming emotionally light. For the viewer it could be a period of rebirth, an experiential metaphorical process of pain to pleasure or the dawn of a new concept. The viewer’s interpretation is subjec tive. There is a collective interspatial mindset from the artists that everything doesn’t have to be identified to the viewer. Labels have evaporated. This is an experience of exhilaration without explanation and allowing personal realiza tions upon viewing the “Ombre” exhibition that will bring forth levity from the heaviness we have gone through.

The Debbie Dickinson Gallery Debbie Dickinson established her art experience with over 70 art shows, pro motions and curations throughout New York, The Hamptons, Palm Beach, Wynwood and Art Basel Week in Miami Beach. This will mark the second chapter for her in the arts as she has a legendary international super modeling career as a photographer’s muse. Dickinson traveled the globe working with the top international artists and fashion designers by representing their work as consultant, curator, public relation expert and producer of major projects. The new location encompasses 2900-square-foot retail space on 14th Street in the Union Square District. The gallery will be known for showing a balance of post-modern masters, working and emerging artists. She also exhibits at major art fairs, curates’ private homes, new real estate developments and hotels.

About The Artists

Audrey Schilt is an artist, designer and illustrator who has worked in the fash ion industry for more than thirty years, sketching and designing for some of the most revered names in fashion history (including Halston for whom she most notably created Jackie Kennedy’s pillbox hat). Schilt became the cre ative director VP of Design for Women’s Runway Collection at Ralph Lauren where she collaborated on the now celebrated pink silk gown that Gwyneth Paltrow wore to the 1998 Academy Awards. Her artistic range also includes watercolors, portraiture and illustrative line drawings.

“When I was designing, we had a team, they would bring in mood boards, there was always Ralph [Lauren] talking about the theme that he wanted so a lot of it came from tear sheets and exactly what he wanted,” Schilt said. “Then you just do so much sketching and re-sketching and designing that it just comes through. You’re not even thinking about it, you know? It’s just like ‘oh this is new’ and it’s like the universe is channeling through you. I’m channeling the

universe, that’s what it feels like.”

Although shaped by memory, Bryan LeBoeuf’s work springs from his imagina tion. He then borrows from the visual world to give it authenticity. Traditional compositions incorporate meticulously painted surfaces and lighting effects informed by European masters. His tightly controlled technique, representa tional subject matter and subtly manipulated compositions create a throughthe-looking-glass illusion, removing barriers between viewers and the images.

“I’m very excited to work with Debbie and this group of artists she’s curated,” LeBoeuf said. “I have nine pieces that are in the show and some of them are very contemporary and very recent and some of them have spanned quite a few years and the overarching theme of the show I was impressed with how it came together with what she curated.”

Bill Buchman is a popular and prolific artist, musician, educator and author whose expressive work draws on his extensive musical background. An inti mate familiarity with what is meant by a harmony, a melody and a rhythm informs his every move with the paint brush. Buchman’s career has spanned more than fifty years and he is known for abstractions characterized as “sym phonies of space, form and color” and his figures, which are described as “lightning bursts of energy condensed into a fine line.”

David Hostetler is an American wood carver, sculptor, painter, jazz musician and Professor Emeritus at Ohio University. His career-spanning 67 years- has focused on the feminine form in exotic and Native American hardwoods that translated into bronze sculptures and paintings. He saw a female form in the trees while walking through his woods and with the sound of his mallet strik ing a metal gouge, transformed those ancient trees into women. This world, unique unto itself, is the world created by David L. Hostetler.

Iran Issa Khan shared, “In 2000, I transitioned from photographing beauti ful people and celebrities in national and international magazines to flowers and objects of nature. My photographic work has captured the sensuality of flowers, tropical plants, seashells and numerous flora and fauna objects, imme diately translating their natural beauty into sensuous art forms.”

Megan Heekin Triantafillou has been featured in galleries throughout the United States in both group shows and solo exhibitions and has been high lighted locally in Cincinnati at several notable galleries. Her paintings are “abstract, nonobjective representations of aspects relating to nature and spir ituality.” Extensive anthologies of Triantafillou’s work can be found in collec tions throughout Cincinnati, including the Cincinnati Children’s Hospital and Good Samaritan Hospital and has received several awards, including a feature in the Top 100 Artists at The Circle Foundation for the Arts in Lyon, France in 2018.

Debbie Dickinson and the artists send gratitude and heartfelt thanks to Chashama for their support of this exhibition. To learn more, visit www.chashama.org.

SEPTEMBER/OCTOBER 2022 • MANN ABOUT TOWN 111
Artist Louis Angel Refreshments

NOW OPEN: Martin Schoeller’s Portraits of Holocaust Survivors on Display in the U.S. for the First Time at the Museum of Jewish Heritage A Living Memorial to the Holocaust

The Museum of Jewish Heritage – A Living Memorial to the Holocaust opened the first major museum exhibition in the United States of Martin Schoeller’s “Survivors: Faces of Life after the Holocaust,” an exhibition featuring 75 close-up portraits of Holocaust survivors. The exhibition is on view in the newly named Rita Lowenstein Gallery.

The portrait series by award-winning portrait photographer Martin Schoeller includes 75 pho tographs that capture Holocaust survivors in Schoeller’s signature style, with intense lighting in extreme close-up. His subjects gaze unflinchingly at the viewer, revealing their humanity as well as their pain, struggle, hope and resilience. Each portrait is paired with a biography, as their stories come to gether to create a collective history. The exhibition also features behind-the-scenes video footage doc

umenting the photography shoots at Yad Vashem, where the project originated in 2019.

“This project is very close to my heart, born out of my experience growing up in Germany, and I’m so proud to bring it to New York and the Museum of Jewish Heritage,” said Martin Schoeller. “I hope that the series resonates with the survivor communi ty here and inspires New Yorkers of all backgrounds to envision a more tolerant and peaceful future.”

German-born Schoeller is one of the world’s most prominent contemporary portrait photographers. He created the series to combat the rising hate and antisemitism across the globe and drew inspiration from the Holocaust education he received in his youth.

“As an institution dedicated to educating visitors

about the Holocaust, we are preparing for the in evitable future, where we no longer have survivors with us,” said Jack Kliger, president and CEO of the Museum of Jewish Heritage – A Living Memo rial to the Holocaust. “These portraits capture the humanity of survivors and remind us that the atroc ities they endured are not so far away. They also preserve their memory for generations to come.”

“The images captured by Martin Schoeller peer into the eyes and souls of these 75 Holocaust survi vors. Several of these powerful portraits hang in my office on the Mount of Remembrance,” remarked Yad Vashem Chairman Dani Dayan. “For decades these survivors have guided Holocaust remem brance, research and education. Now, nearly 78 years later, they not only continue to inspire me and all of humanity to remember, they also encourage us to act and stand up to injustice and hatred wher

ARTS & AFFAIRS
(Exhibit opening photos courtesy of John Halpern)
"Survivors: Faces of Life after the Holocaust” is now on view in the new Rita Lowenstein Gallery
Joyce Shenker

TICKET INFORMATION

$18 Adults

$12 ADA/Access, Seniors, Students, Veterans

• FREE to children under 12 and NYC DOE K-12 students FREE to Holocaust Survi vors, active members of the military, educators with current ID cards, and first responders

ever it may be found.”

The portraits are on display in the museum’s rotun da on the third floor, recently named in memory of Rita Lowenstein, who survived the Holocaust as a hidden child, under a false identity.

“It is fitting that the first exhibition on display in the Rita Lowenstein Gallery is a tribute to the humanity and resilience of Holocaust survivors,” said Wendy Lowenstein Sandler, Rita’s daughter. “My mother left a legacy of resilience and also a commitment to Holocaust education. She believed strongly in hav ing hope for the future and sharing survivors’ stories with the next generation, so we never forget.”

Surrounded by the portraits, visitors can consider the personal experience tied to each person who survived the Holocaust. Their messages are essen

tial and galvanizing towards love and action.

Sara Leicht z”l (1929–2021) told Schoeller, “The most important thing we can do is to love. To love more and to love everyone. To be kinder, more humble and more generous, and to be better peo ple. To love our fellow human beings, whoever they are.”

Eva Lavi (b. 1937) shared her sentiments: “We have much work to do in order to convince the world that the worst thing is baseless hatred. The world should stay away from hatred, from antisemitism and Ho locaust denial, and from all forms of evil.”

The museum’s new permanent exhibition, “The Holocaust: What Hate Can Do,” is similarly fo cused on individual stories, bringing together over 750 artifacts to tell the history of the Holocaust

MUSEUM HOURS

Sunday and Wednesday: 10 AM to 5 PM

Thursday: 10 AM to 8 PM

Friday: 10 AM to 5 PM

The Museum will be closed on all other days, on Jewish Holidays, and on Thanksgiving.

through personal stories, family objects and more.

“Survivors: Faces of Life After the Holocaust” is made possible by The Knapp Family Foundation; the Goldie & David Blanksteen Foundation; David Wiener 189897, son of Moishe Chaim and Han nah Wiener and other generous supporters.

“Survivors: Faces of Life After the Holocaust” is co-organized by Martin Schoeller and the Museum of Jewish Heritage – A Living Memorial to the Ho locaust. Originated by Yad Vashem on the occasion of the 75th Anniversary Liberation of Auschwitz. Special thanks to Kai Diekmann, chairman of the German Friends of Yad Vashem, and Anke Degen hard who were instrumental in realizing the project at Yad Vashem.

For more details, visit mjhnyc.org/facesoflife.

SEPTEMBER/OCTOBER 2022 • MANN ABOUT TOWN 113 ARTS & AFFAIRS
Suzy Applebaum, Patricia Askwith Kenner, Zoe Costanzo Martin Schoeller photographs Holocaust survivors at Yad Vashem. Credit: Martin Schoeller Studio, 2019 Michael Lowenstein & Shari Warshaw and Wendy & Neil Sandler Martin Schoeller Credit: Kathy Ryan, 2017

More agents, more experience, more exclusives: Corcoran is New York’s first name in residential rentals. Start your search at corcoran.com.

If renting an apartment makes you want to cry, you’re doing it wrong.
The Corcoran Group is a licensed real estate broker located at 590 Madison Ave, NY, NY 10022

Lanesborough restaurant

GOLF CLASSIC

BENEFITING NATIONAL JEWISH HEALTH

2020

The Lanesborough

EL CABALLERO COUNTRY CLUB

ESTATE AND FINANCIAL SERVICES

members-only restaurant with semi-private dining area flanked by a manicure and pedicure suite (The Painting Room) and an expansive fitness area.

2020 COMMITTEE

The Lanesborough Club & Spa is one of London’s most exclusive fitness and health clubs, offering members and hotel guests access to internationally-recognized experts and leaders in the fields of fitness, beauty and wellness. It offers a 360-degree approach to well-being for modern-day Londoners, seeking to offer an environment within which members can re-invigorate, re-energize and relax, mirroring The Lanesborough’s core principles of being vibrant, elegant and grand.

Design

Design firm 1508 London furthered the tone of the hotel’s 2015 renovation while simultaneously generating a new design aesthetic totally unique to The Lanesborough Club & Spa. Inspired by the ceremonial spaces and intimate areas associated with a Roman bath spa, 1508 London respected and re-imagined the classical aesthetic of the hotel while creating an inimitable strength of character. The concept team sought to create a balanced hybrid of luxury club and lounge with fitness and spa retreat.

The interiors have British characteristics and classical details, as British materials and craftsmanship have been used throughout. Silk wallpapers, wood panelling and leather upholstering give an opulent feel, while colors, such as peacockblue satins, deep green silks and bronze trims, complement the classical beauty of oak, marble and stone.

Spaces

The Lanesborough Club & Spa is accessed via the hotel and also by a members-only entrance on Grosvenor Crescent. A stately and traditional lobby set under the easterly wing of the hotel welcomes guests into a social area with the tone of a private club. This area features a

Moving through to a quieter central zone, spaces split to intimate male and female zones, changing rooms and thermal suites surrounding a central spa treatment lounge and series of elegant treatment rooms. The easterly side of The Lanesborough Club & Spa will be a mixed area with a hydro-pool designed to encourage quiet contemplation and relaxation.

Bold New Entrances & Retail Storefronts

Nearby local experiences include outdoor fitness classes at Hyde Park, including running tracks with a view of the London skyline.

Deborah Medway

Paul Stern

New Turnstiles for Touchless Entry

Partners

Guggenheim Commercial Real Estate Finance, LLC

Reserve your foursome or sponsorship today at labreathoflifegolfclassic.org or contact Steven Prawat at 818.905.1300 or PrawatS@njhealth.org.

Proud to partner with the world’s leading brands and experts in the fields of health, fitness beauty and wellbeing, The Lanesborough Club & Spa operates with a collection of resident experts and residencies. Partners include much-loved spa and beauty brands La Prairie and Ila, super-facialist and beauty expert Anastasia Achilleos, the creator of The Couture Brow Suzanne Martin and, as of last year, “Queen of Green Beauty” Tata Harper.

“We have total exclusivity in London,” said Jessica Sardo, general manager, of the Tata Harper partnership. “We are so glad to be working with this high-class brand and offering 100% natural, anti-ageing skincare to our guests.”

The Club & Spa also welcomed Bodhimaya, the awardwinning wellness retreat specialists, with a brand-new residency and mind-focused Day and Overnight Retreats. Hailing from Tokyo, Japan, holistic beauty specialist Mikiko Hayano will also join as a consultant and visiting practitioner, showcasing her unique, integrated theray, later in 2020.

Peter S. Duncan I 212.481.1137 I pduncan@gcomfort.com Matt Coudert I 212.542.2121 I mcoudert@gcomfort.com Andrew F. Conrad I 212.542.2101 I aconrad@gcomfort.com
Newly Renovated Lobby with Sleek Modern Design State-of-the-Art Facial Recognition at Select Turnstiles New Grab & Go Coffee Shop & Lounge Area New Touchless Destination Dispatch Elevators to Maximize Service Experience the Transformation as it Unfolds 12,712 RSF - 30,289 RSF VISION MANN OVERBOARD
The
LOS ANGELES REAL
MONDAY, MAY 4
Tarzana, California
Jonathan Canter
Real Estate Investment and Operational Exec and Principal

Helping Our Clients Build and Sustain Wealth, One Client at a Time.

not so good

Welcome to The Entrepreneurial Bank Manhattan | 99 Park Avenue • 212 365-6700 | 16 West 46th Street • 212 938-0770 | 1359 Broadway • 212 643-6981 | 1270 Lexington Avenue • 646 930-3386 Brooklyn 5101 13th Avenue • 718 851-2105 | Great Neck 111 Great Neck Road • 516 441-5232 © 2020 Metropolitan Commercial Bank Metropolitan Commercial Bank is a registered trademark of Metropolitan Commercial Bank.
For more than 20 years, our bankers have worked alongside middle-market and small business owners during the good times as well as the
–tailoring our traditional and innovative banking products and services to meet the challenges and seize opportunities in front of our clients. Laura Capra, Executive Vice President LCapra@MCBankNY.com, 212 659-0606
Wheels Up Partners LLC (“Wheels Up”) does not operate aircraft; FAA licensed and DOT registered air carriers participating in the program exercise full operational control of all flights offered by or arranged through Wheels Up. For on-demand flights and shuttle flights operated as scheduled service, Wheels Up acts solely as an agent for Wheels Up members and guests in arranging these flights on their behalf. All aircraft owned or leased by Wheels Up are leased to the operating air carrier and are operated exclusively by that air carrier. WheelsUp.com | 855-FLY-8760 YOUR TOTAL PRIVATE AVIATION SOLUTION Wheels Up offers a next-level platform designed to meet your needs in the air and on the ground.

Fall Beauty Favorites

1. LANEIGE, Lip Sleeping Mask Intense Hydration with Vitamin C, $24.00 (sephora. com)

Dior, Lip Glow Oil, $38.00 (sephora. com)

Supergoop!, Unseen Sunscreen SPF 40, $36.0 (sephora.com)

Tatcha, The Dewy Skin Cream Plumping & Hydrating Moisturizer, $69.00 (sephora. com)

Youth To The People, Superfood Antioxidant Cleanser, $36.00 (sephora.com)

Fenty Beauty by Rihanna, Gloss Bomb Universal Lip Luminizer, $20.00 (sephora. com)

Anastasia Beverly Hills, Brow Wiz Ultra-Slim Precision Brow Pencil, $23.00 (sephora.com)

Rare Beauty by Selena Gomez, Warm Wishes Effortless Bronzer Sticks, $23.00 (sephora.com)

Ouai, Detangling and Frizz Fighting Leave In Conditioner, $28.00 (sephora.com)

Sol de Janeiro, Brazilian Bum Bum Body Cream, $48.00 (sephora.com)

First Aid Beauty, KP Bump Eraser Body Scrub with 10% AHA, $30.00 (sephora. com)

Summer Fridays, Jet Lag Mask, $49.00 (sephora.com)

WINDOW SHOPPING
2.
3.
4.
5.
6.
7.
8.
9.
10.
11.
12.
4 All the products you need to look your best this fall! 2 5 9 11 10 12 8

and don’t miss our sponsored seminar from 1:15 p.m. - 2:15 p.m.:

Hospitality is more than a hashtag – it’s a philosophy of service that instills a culture of comfort and trust. In a rare, in-person panel, management leaders from 53W53, 432 Park Avenue, The Plaza Condominiums and The Beekman Residences will share how they create personalized resident experiences, maintain staff morale, the value of hospitality coaching programs for building staff, and how their service standards can be replicated in all building types – from ultra-luxury to market-rate. Together, these leaders offer a century of experience enhancing residents’ lifestyles, property reputation, and curb appeal for boards and building owners.

first-come,

Thursday, October 27, 2022 from 10:00 a.m. to 4:30 p.m. Javits Convention Center 655 West 34th Street Visit FirstService Residential in Booth 401 LIVEEVENT ENHANCING THE RESIDENT EXPERIENCE: HOSPITALITY COACHING FOR BUILDING STAFF & PROPERTY MANAGERS Len
General Manager, 432 Park Avenue Marc Kotler Senior Vice President, New Development Jeffrey Poirot Vice President, New Development Aziz Bendriss General Manager, 53W53 CLICK HERE TO REGISTER The registration link is to attend the full expo. You cannot register specifically for this seminar. Seating is
first-served.

Sweater Weather

Comfy and cozy knitwear for cooler days ahead. WINDOW SHOPPING 1. Arch4, Clifton Gate Collared Sweater, $795 (saksfifthavenue.com) 2. Wayf, Faux Fur-Trimmed Zip Cardigan, $99 (saksfifthavenue.com) 3. English Factory, Mixed-Media Cable-Knit Sweater, $110 (saksfifthavenue.com) 4. LoveShackFancy, Chantria Cropped Tweed Cardigan, $495 (saksfifthavenue.com) 5. Bernadette, Camilla Wool-Blend Sweaterdress, $820 (saksfifthavenue.com) 6. Saint Laurent, Faux Fur Collar Sheath Midi-Dress, $2,990 (saksfifthavenue.com) 7. Versace, Logo Virgin Wool Knit Beanie, $250 (saksfifthavenue.com) 8. Galvan, Rhea Ribbed Knit Bodycon Midi-Dress, $725 (saksfifthavenue.com) 9. Milly, Twisted Cable Ribbed Skirt, $295 (saksfifthavenue.com) 10. Bottega Veneta, Lightweight Spiral Knit Sweater, $2,250 (saksfifthavenue.com) 11. Wayf, Still The One Feather Cardigan, $128 (saksfifthavenue.com) 12. Amur, Cruz Merino Wool Colorblock Sweater, $328 (saksfifthavenue.com) Knit Lightweight 9 11 12 3 4 5 6 10 7 8 12

Leather & Lace

About Face(less)

feminine meets

‘In Between’ series kicks off with Ben Hagari

AZ Corner, a recently-introduced public digital gallery presented by ZAZ10TS that showcases artwork on a large LED billboard in the heart of Times Square, kicks off its latest “In Between” series with artist Ben Hagari and his pandemic-inspired “About Face” collection.

Located on the corner of 41st Street and 7th Avenue, the “In Between” series of video art is a public service sponsored by Tzili Charney, owner of 10 Times Square and founder of ZAZ10TS, in an effort to have the art continue in the area for

Hagari is an award-winning artist whose works have been shown in prominent museums around the world. At the center of his project is an expres sionless protagonist shown from the back of his head — which is shaved — and a projected face void of all facial features. His attire is worn frontside-back, and his movements are reversed.

“The scenarios portray a mundane existence in a world whose marks have been erased,” Hagari said. “Books have no titles or words; photographs are blanked out; labels are removed; we are left with data. It generates a binary structure: backward and forward, front and rear, serious and funny.”

1. LVIR, Glossed Faux Leather Miniskirt, $305 (saksfifthavenue.com)

2. Amina Muaddi, Ida Croc-Embossed Leather Booties, $1,055 (saksfifthavenue. com)

The video project is shot entirely in New York City as the Tel Aviv artist was isolated and stayed in place during the COVID-19 pandemic. The character, constrained by limited expression and space, continues to navigate daily routines. The faceless protagonist found new relevance with ev eryone around wearing masks, concealing their faces and, inevitably, their facial expressions.

3. Alice + Olivia, Ofra Vegan Leather Minidress, $465 (saksfifthavenue.com)

4. Saint Laurent, Crocodile-Embossed Leather Wallet, $475 (saksfifthavenue.com)

5. L’Agence, Simone Lace Pumps, $395 (saskfifthavenue.com)

Simone Lace Pumps, $395

6. Jonathan Simkhai, Bonnie Silk & Lace Plisse Bustier Midi-Dress, $645 (saksfifthavenue.com)

ZAZ Corner features a digitally activated screen with a rotating series of images and videos that in dividually morph, bringing the art to life for public street viewing. The “In Between” series will fea ture a rotation of artists and themes that are inter spersed between commercial messages every two to three minutes.

Bonnie Silk & Lace

7. Dolce&Gabbana, Floral Lace Bralette, $415 (saksfithavenue.com)

8. Strathberry, Midi Croc-Embossed Leather Tote, $775 (saksfifthavenue.com)

9. Valentino Garavani, VLogo Leather Bracelet, $270 (saksfifthavenue.com)

10. Misha, Simone Lace Bustier Minidress, $383 (saksfifthavenue.com)

“Although New York City has been in a shut down mode due to the pandemic with galleries and museums closed to visitors, ZAZ Corner continues to bring digital art to the public for viewing safely while social distancing and wearing a mask,” Char ney said. “The ‘In Between’ collection will feature artwork on a continuous, ongoing basis with in spiring themes and images. Even though museums continue to be shuttered, our intent is that the show must go on and the art can never stop.”

11. Fendi, First Metallic Leather Wedge Boots, $1,950 (saksfifthavenue.com)

Paris Texas, Moc Croco Tall Boots, $790 (saksfifthavenue.com)

• MANN ABOUT TOWN 123 DO GOOD, FEEL GOOD
WINDOW SHOPPING
12.
When
edgy and texture comes alive. ,
,
Z1 9 11 2 3 4 5 6 10 7 12 8

We get down to banking, so you can get down to

We may be one of the 10 largest banks in the U.S., but we never lose sight of the individual. Our Relationship Managers personally get to know your business, taking the time to understand your unique needs before offering their custom solutions. And with over 150 years of industry experience, you won’t just like working with us. You’ll love it.

business. Commerical Banking with TD Bank. TD Bank, N.A.
tdbank.com/commercialbanking

A new perspective opens a world of possibility.

Many of the biggest names in New York trust Kramer Levin for real estate and land use counsel. The reason is simple. We have the experience to view matters from all sides and find solutions others overlook. The results speak for themselves. We have played key roles in many iconic projects, including Hudson Yards, Central Park Tower and the Moynihan Train Hall at Penn Station. Let us show how results-oriented counsel can make your next project a reality.

Kramer Levin Naftalis & Frankel LLP 1177 Avenue of the Americas, New York, NY 10036 212.715.9100
www.kramerlevin.com 9235_Ad_Mann Report_v9.indd 1 12/10/2020 1:49:20 PM

Crossword Puzzle

Across 1. “The Princess of Diamonds” Chagit ____ 4. Andy Warhol muse, Jane ____ 10. Going public letters 11. Distinguished hospital where Emma Gutman, MD, PHD works (leading scientist and caring physician), 2 words 13. Spanish appetizers 15. Fruit dessert 16. Slight drop in a share price 17. Spectacular historic home Passalacqua, now opened on this Italian stretch of water, 2 words, 22. Pop art great 24. “Chicago” lyricist 26. Newhaven’s state, abbr. 28. Shrek, for one 30. Dark brown Hawaiian wood 31. Record breaking Central Park charity runner, Oz _____ ​33. ​U.S.N. officer, abbr. 34. Mine discovery 35. Trattoria dessert 37. American-Ivorian contemporary artist based in Brooklyn, New York 39. Lanai wreath 40. Nurse, abbr. 41. She was recently named Tory Burch’s brand ambassador, Sydney _____ 42. World renowned artist whose work is displayed at the Hamptons White Room, ____ Waterous Down 1. Tiffany offering 2. Ming, famously 3. Directional ending 5. Top 6 Brand name in lighters 7. Government department concerned with climate change, abbr. 8. Derby prize 9. Number one selling watch brand according to NDP Group / Retail Tracking 12. Appreciation for a server 14. Target 18. A while back 19. Harry Potter’s mailman 20. Emerging artist with an inaugural series presented at the newly renovated Flamingo Building in West Palm Beach, 2 words ​21​. Popular figure 23. Laughter on the internet, abbreviation 24. Historical period 25. Iconic photographer, Harry _____ 27. New kind of tavern featuring Spanish, Latin and Caribbean food on the Upper West Side 29. US car maker ​30​. Brand that has expanded into its first ever collection of watches, ___ Scott ​31​. Country club figure 32. German wine valley (in German) 34. Kentucky Derby quotes 36. Middle grade 37. Actress Adams 38. Bed and breakfast FOR ANSWERS, PLEASE VISIT HTTPS://WWW.MANNPUBLICATIONS.COM/MANNABOUT TOWN/CROSSWORD-ANSWERS-FOR-OCTOBER-2022/
miabecar.com miabecar.com
NEW YORK STATE'S FASTEST GROWING GENESIS DEALER! GENESIS G80 ALL GENESIS MODELS IN STOCK FOR IMMEDIATE DELIVERY! GENESIS CONCIERGE A fresh approach to shopping for a luxury vehicle, genesis concierge leaves you with only the fun parts of the experience. A complimentary personal shopping service, your concierge can gather information you need, arrange at-home test drives,* personally liaise with retailers for you and more. Whatever you need, from wherever you are, they’re here to help. GENESIS GV80 GENESIS OF BROOKLYN 9013 4th Ave, Brooklyn, NY 11209 Phone (888) 602-9745, Brooklyn-Genesis.com

Turn static files into dynamic content formats.

Create a flipbook
Issuu converts static files into: digital portfolios, online yearbooks, online catalogs, digital photo albums and more. Sign up and create your flipbook.