Smyrna Vinings, GA January 2025

Page 1


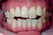
You r Path to Health and Wellness Begins Here

JANUARY 2025 GLOW-UP SPECIALS:

• FREE Water Flosser with a comprehensive exam (while supplies last!)

• $100 OFF Aesthetic Analysis

Let’s design the smile you’ve always dreamed of with a personalized evaluation that enhances your natural beauty.

CALL TODAY To make your smile the highlight of your 2025!

From our family to yours, wishing you a blessed and beautiful New Year.

Dr. and Mrs. Villar

Happy New Year from the Editor . . .

Dear Readers,

Welcome to a new year — a fresh slate filled with possibilities, potential, and, perhaps, a touch of curiosity about what lies ahead. While January often invites ambitious resolutions and big plans, it can also be a wonderful time to focus on something simpler, yet equally powerful: self-care and wellness.

In this issue of Smyrna Vinings Lifestyle, we’re diving into all things health and wellness to help you start 2025 on the right foot. From practical tips for mindfulness to insights on physical health, we’ve curated articles to inspire you to prioritize what truly matters — you . Because when you care for yourself, everything else tends to fall into place.

This year, I’m approaching wellness as more than just a goal — it’s becoming a mindset. Small shifts, like carving out a few minutes for reflection, prioritizing movement that feels good, or even saying “no” when my plate feels too full, have already made a big difference in how I move through my days. These aren’t grand gestures or sweeping overhauls; they’re simple, manageable habits that make space for a healthier, happier me.

As you flip through the pages of this issue, I hope you feel a gentle nudge to embrace wellness in a way that feels authentic to you. Maybe it’s discovering a new recipe to nourish your body, finding motivation to organize your home for peace of mind, or learning ways to recharge your spirit through movement or mindfulness. Whatever it is, know that every small step you take is part of a bigger, more beautiful journey.

So here’s to you, dear readers — to prioritizing self-care, making space for joy, and showing up for yourself this year. Let’s make 2025 a time of growth, renewal, and all the little moments that add up to a life well-lived. We’re honored to share this journey with you.

Warm wishes,

January 2025

PUBLISHER

Burke Scott | burke.scott@citylifestyle.com

EDITOR

Stacey Scott | stacey.scott@citylifestyle.com

ACCOUNT MANAGERS

Karyn Slovin | karyn.slovin@citylifestyle.com

Hannah Yahne | hannah.yahne@citylifestyle.com

CONTRIBUTING WRITERS

Ararat Leguizamon, Stacey Scott, Alexandra Thompson, Hannah Yahne

CONTRIBUTING PHOTOGRAPHERS

Stephanie Franje, Morgan Haddox, Minnie Lee Studios, Emil Powella, Sergio Queiroz Santos, Alana Wickham

Corporate Team

CEO Steven Schowengerdt

COO Matthew Perry

CRO Jamie Pentz

CTO Ajay Krishnan

VP OF OPERATIONS Janeane Thompson

VP OF FRANCHISE DEVELOPMENT Erika Smiley

AD DESIGNER Zach Miller

LAYOUT DESIGNER Andi Foster

QUALITY CONTROL SPECIALIST Marina Campbell

Business Foundations

This month is the launch of this Small Business Insider column. Each month we will dive into topics relevant to small and home-based businesses. The objective is to share insider knowledge that I have learned in the many years of running TRUE Space, a Smyrna-based virtual office, workspace rental, corporate formation and registered agent service business. These services help small businesses get up and running, reduce risk, improve their business image, expand, and maximize their chances for success.

The beginning… Once you have your idea for your business venture, select a business name, and have some capital to start, it’s time to build the foundation of your business. The three required foundational components, in order that you need to establish them, are address, website domain, and phone number.

Business Address: Nearly every step along the path you will be asked your business address, so you should establish this first. You absolutely do not want to associate your home address with your business. The internet can link and display that address for all to see. Separating your personal life from your business life it a must. There are plenty of crazy people out there, and no matter how well you operate your business, there will always be someone who fails to read instructions and is unhappy. You don’t want them showing up on your doorstep. A PO Box or a retail mailbox store address is typically a death sentence for a business. One quick look at Google and anyone sees your business is in a Publix or Kroger shopping center. Similarly using your home address can result in your house showing up on Google when people search for your business. You want to show potential customers that you are established enough to have a business address. The same applies to meeting clients. You should never meet a potential client at a coffee shop or other unprofessional location. A virtual office, located in an office building, with rentable meeting space is a must have foundational item for any small business operating out of a home or for a mobile business.

Website Domain: You need a website. You want a domain name that aligns with your business name. With millions of businesses out there you want to find and buy a domain before finalizing your business name. There are many services like GoDaddy.com or Wix.com that can help you purchase a domain, build a business website, and provide email service. The domain name typically stays where it is purchased, but gets electronically “pointed” to wherever the servers hosting your website are located. Your domain service and website can be through the same or different platforms. My recommendation: Set up email service to use your domain through Google Admin Console (paid service). Your business email will operate just like Gmail.

Phone Number: Your business phone number will likely be displayed everywhere so you don’t want to change it. Don’t make the mistake of using your cell phone as your business number, and don’t add an extra phone line to your personal phone plan. Your business needs to own the phone number. There are some very low-cost services like grasshopper.com where you can purchase a phone number, get a phone tree (Press 1 for x), voicemail, call forwarding, etc. They offer apps that enable you to make outbound calls from your personal cell phone that show your business phone number on caller ID. Warning: Never use a phone number provided by a virtual office service since it is not owned by you. Plus, if you leave the virtual office, you lose your phone number that you already pasted everywhere.

If you already launched your business without the 3 key foundational pieces, it’s never too late to add them.

SERVICES FOR HOME-BASED BUSINESSES & SMALL BUSINESSES READY TO GROW

VIRTUAL OFFICE

• Professional Business Address

• Business Mailbox

• Conference Room Rentals

• Enables you to put your business on the Google Map

• Image Boost for Your Business

WORKSPACE RENTALS

• Offices

• Cubicles

• Designated Desks

CORPORATE FORMATION & FILING

• LLC Formation

• Inc./Corp Formation

• State Annual Registration

• Updates and Corrections

REGISTERED AGENT SERVICE

• Used for State Corporate Filing Compliance

Atlanta Locations: Smyrna (pictured above), Midtown, Kennesaw, Perimeter North, Atlanta East, Peachtree Corners

“Our goal is a win-win relationship that enables our

We at Mezza Luna believe an intimate atmosphere in the right location, personal and attentive service, and great company is what separates a delicious dinner from an unforgettable experience. Our handmade dishes accompanied with exclusively selected Italian wines and amazing staff represent the core of Italian culture.

Our culinary team creates weekly featured items such as off menu dessert, pasta, fish and meat dishes. Authentic and freshly cooked Italian meals with the freshest ingredients, accompanied by high

city scene

WHERE NEIGHBORS CAN SEE AND BE SEEN

1: Ellie of Shells by Els transforms beach shells with watercolors, shining at the Kids Handmade Market. 2: The Peceros Bros proudly showcase their amazing handmade creations at the Smyrna Kids Handmade Market. 3: Jazz Under the Gazebo Event was a big success for the Smyrna Public Safety Foundation! 4: Cheryl Waybright, Alexa Hesse, Burke Scott and Paul Powers proudly support SPSF! 5: Bluebird Lane & Gifting Tree bring charm to SVL’s tent at Smyrna Parks & Recreation’s Girls Night Out! 6: Local artist Kristen Ramsey showcases her creations at the Indie Arts Alliance Handmade Market event. 7: Quinise of Conceit Nails & Beauty rocks her Shop Smyrna Saturday gear, supporting local businesses in style!

MARIE CAMPBELL
PAUL PECEROS

8: Pet Supplies Plus is all set for Shop Smyrna Saturday, ready to serve pets and owners! 9: The Cumberland Counseling team dazzles at the Shine the Light Gala! 10: Anthony Alvarez of Vineyard Wine Market and Denise Czarnik of SPSF welcome guests at Jazz Under the Gazebo. 11: Neela Smith and Ailyn Peterson present their lovely paintings and bracelets at the Handmade Market. 12: Oddle Inks delights visitors with original art, prints, stickers, and custom silly “oddles” at Smyrna Kids Handmade Market. 13: Dr. Ara and Tiffany Leguizamon pose with their sons, Andrew and Luke, spreading family joy! 14: Denise Czarnik presents Peter and Veronica Tompkins their Shop Smyrna Saturday sign at Good Kitchen!

15: The Smyrna Parks & Rec team shines during Girls Night Out at Smyrna Market Village!
Night Out at Smyrna Market Village!
Photography by @smynaparks_

business

Maria Shiung: A Volunteer Making Smyrna Shine

Meet Maria Shiung, Keep Smyrna Beautiful's 2024 “Ready-forAnything” volunteer award winner!  Since retiring in 2015, Maria dedicates her time to making Smyrna cleaner and greener. Whether shredding documents, tabling at festivals, or supporting Bring One for the Chipper, she goes above and beyond for her community. “Helping others gives my life meaning,” Maria says. Smyrna is lucky to have her dedication and heart!

Photography by @KeepSmyrnaBeautiful

Smyrna Parks & Recreation Earns Top Honor for Community Impact!

Congratulations to Smyrna Parks and Recreation for being named the 2024 GRPA Agency of the Year in the 40,001–80,000 population category! This prestigious award recognizes their outstanding dedication to fostering community connections through exceptional programs and beautiful spaces. We appreciate your commitment to enhancing the quality of life in our city. Thank you for making Smyrna a better place to live, work, and play!

Photography by @SmyrnaParks_

Mayor Norton Declares November 30th as 'Shop Smyrna Saturday'

Mayor Derek Norton officially proclaimed November 30th, 2024, as 'Shop Smyrna Saturday,' encouraging the community to support local businesses. Smyrna Business Association leaders and supporters gathered to receive the proclamation, including Paul Powers of Powers Electric, Councilwoman Susan Wilkinson, Denise Czarnik of Smyrna Public Safety Foundation, and Burke Scott, owner of Smyrna Vinings Lifestyle. Together, they celebrated Smyrna’s thriving local economy!

Photography by

Shining a Light on Mental Wellness!

On November 7, 2024, Cumberland Counseling Centers hosted their firstever fundraising gala. Thanks to the incredible support of the community, they met their fundraising goal, ensuring affordable, high-quality mental health care for those in need. With 40% of clients unable to afford clinical therapy, these funds will make a lasting impact. Together, we’re breaking barriers to care and building a stronger, healthier community. Learn more: www.cumberlandcenters.org.

Photography by @cumberlandcounseling

GREAT TEACHERS, EXPERT SERVICE

Find your perfect instrument with expert guidance and flexible lessons. Our friendly team offers personalized recommendations, no pressure.

QUALITY THAT INSPIRES

From student instruments to pro equipment, we stock gear that grows with your skills. Make this the year you discover your sound.

LOCAL VALUES, PERSONAL TOUCH

resolution into reality

expert guidance from musicians who understand your goals. Whether you’re picking up your first instrument or upgrading your gear, we’re here to help you succeed.

Skip the big-box stores. Get personalized attention & unbeatable value, in-store or online.

Rotating Art Exhibits Celebrate Smyrna’s Local Artistic Talent

Explore Smyrna’s vibrant art scene at the Smyrna Community Center and City Hall! Featuring works by local talents like Nena Allen and Saul Hernandez, these rotating exhibits showcase the creativity within our community. View them anytime during facility hours. Want to support or participate? Contact Leah Barnes at SmyrnaArtsCouncil@ gmail.com to get involved and help enrich the local arts!

Connect and Grow at Smyrna Business Association Networking Luncheon

Kick off the new year with the Smyrna Business Association's January Networking Luncheon on Thursday, January 9th from 11:30 am to 1:00 pm at the Smyrna Community Center! Featuring Farrell Middleton from Bell Curve, this is a great opportunity to connect with local professionals. Early tickets: $20 for members, $25 for non-members. Reserve a signature table for $120! Prices increase after early registration (deadline: Tuesday before the luncheon). Visit smyrnabusiness.org for details and tickets. Don’t miss it!

Organized Spaces, Balanced Lives with Balance and Bins

Balance and Bins specializes in creating functional, clutter-free spaces tailored to your lifestyle. From closets and kitchens to playrooms and garages, they offer personalized home organization solutions to bring peace and clarity to your daily life. Start your new year with a beautifully organized home designed just for you! Contact them today at (478) 2333986, balanceandbins@gmail.com, or visit www.balanceandbins.com to learn more.

Photography by @smyrnaartscouncil
Photography by @smyrnabusiness
Photography by @balanceandbins

Small Steps, Big Impact: Your Healthier Year Starts Here

SIMPLE, SUSTAINABLE CHANGES TO HELP YOU FEEL YOUR BEST IN 2025

A new year often brings fresh opportunities to focus on health and wellness. Yet, for many, the idea of starting—or restarting—a journey to better health after the holiday season can feel overwhelming. Jeff Wolfson, the founder and CEO of Wolfson Weight Loss & Wellness, has spent over a decade helping people navigate these challenges with practical advice and a steady focus on what works.

Jeff Wolfson, Founder and CEO of Wolfson Weight Loss & Wellness

THE COMMON STRUGGLES OF STARTING FRESH

The post-holiday season often leaves us balancing hectic schedules, strained finances, and waning motivation, making the pursuit of healthy habits feel like an uphill battle. For some, the sheer amount of information online can be overwhelming and add to the confusion. Others find the demands of everyday life hard to balance with the commitment required for meaningful lifestyle changes.

But here’s the good news: creating lasting change doesn’t have to mean upending your entire life. It’s about finding small, realistic steps that fit your unique situation and making them stick.

THREE SMALL CHANGES THAT MAKE A BIG IMPACT

If the idea of tackling health goals feels intimidating, consider starting with these three straightforward habits: 1. Move MoreAdding extra movement to your day can be simple. Take the stairs instead of the elevator, park farther away from the store, or make it a goal to walk 8,000 steps daily. It doesn’t have to be a formal workout to count.

2. Focus on Nutrition, One Step at a TimeBig dietary overhauls are rarely sustainable, but small changes can be. Start with a daily goal of drinking three liters of water, gradually reducing your intake of processed carbs, or aiming for a shorter eating window (like 7 a.m. to 7 p.m.).

3. Prioritize SleepGetting 7–8 hours of quality sleep each night is one of the most impactful ways to support your overall health. Sleep plays a critical role in everything from mood to metabolism, so it’s worth treating it as a priority.

WHY SMALL STEPS MATTER

The idea of “small steps” isn’t just practical; it’s grounded in what actually works. Gradual changes are easier to manage and more likely to become permanent habits. By starting small, you also give your body and mind time to adjust, which can help avoid the burnout that often comes with attempting drastic measures.

Building a healthier lifestyle is less about perfection and more about consistency. Small, thoughtful adjustments compound over time, leading to meaningful, sustainable results.

CONTINUED >

THE ROLE OF NUTRITION AND EXERCISE

Nutrition and exercise form the foundation of health and wellness, but finding the right balance can feel tricky. The key is to start where you are and focus on manageable adjustments. Think of it as a long-term shift rather than a short-term fix—small, steady changes to how you eat and move that eventually feel like second nature.

A PERSONAL APPROACH TO WELLNESS

Jeff Wolfson’s background in nutritional biochemistry and preventative health informs his philosophy: there’s no one-size-fits-all solution. His clinics focus on personalized care, combining nutrition and activity guidance with medical tools like hormone therapy or weight-loss medications, when appropriate. Wolfson emphasizes that wellness is deeply personal, and the best path is one that considers an individual’s unique needs and goals.

LOOKING AHEAD TO A HEALTHIER YEAR

As you think about your health in 2025, it’s helpful to keep things in perspective. Focus on small, consistent actions that you can stick with day to day. Whether it’s taking more steps, drinking more water, or turning off your screens earlier for better sleep, every little effort adds up. Progress matters more than perfection.

The journey to better health doesn’t have to be complicated or overwhelming. By focusing on what’s manageable and meaningful for you, this can be the year you lay the groundwork for lasting change.

ABOUT WOLFSON WEIGHT LOSS & WELLNESS CENTER

Since 2009, Wolfson Weight Loss & Wellness Center has offered personalized solutions to help individuals achieve their health goals. Founder and CEO Jeff Wolfson leads a dedicated team, including a nurse practitioner specializing in obesity management and a general manager with a Doctorate in Health Care Administration. Their Vinings location at 2810 Paces Ferry Rd SE, 276, Atlanta, GA 30339, along with a clinic in Sandy Springs, provides expert care rooted in compassion and cutting-edge treatments.

Wolfson Weight Loss & Wellness at Vinings (678) 305-7066

www.wolfsonweightlossviningsga.com

SATURDAY, DEC. 7

SUNDAY, DEC. 8

THE ENTREPRENEURIAL JOURNEY

How entrepreneurship shapes resilience, fosters growth, and transforms challenges into opportunities for wellness.

The path of an entrepreneur is often portrayed as one of innovation and success. Yet, behind the triumphs lies a journey filled with challenges, growth, and an evolving sense of self. For those willing to take the leap, entrepreneurship offers mental and emotional health benefits that can far outweigh its difficulties. By fostering resilience, autonomy, and personal growth, entrepreneurship becomes not just a career choice, but a transformative lifestyle.

Starting and running a business often brings uncertainty and stress. From choosing the right business structure to setting up operations, the initial steps can feel overwhelming. Add to that long hours, self-doubt, and the fear of failure, and it’s clear why entrepreneurship can challenge mental health. However, the rewards are significant. Many entrepreneurs find that the process of overcoming challenges builds resilience and confidence, a

BY ALANA WICKHAM

mindset that becomes integral to their personal and professional growth. They report a deep sense of fulfillment from pursuing their passions, often fueled by the autonomy to create something meaningful. Studies show that transitioning from traditional employment to self-employment can lead to better physical and mental health, largely due to increased flexibility and control.

Solutions like virtual office services, that provide a business address, mailbox service, and conference room access, can help establish boundaries, reduce stress, and create a healthier work-life dynamic while simultaneously enhancing a business’s image.

Technology also supports these boundaries. Tools like dedicated business phone numbers and phone number services with apps that label all

While failures are a natural part of the journey, each setback offers lessons that will improve the odds of success moving forward. The highs and lows of entrepreneurship create a unique transformative experience, helping business owners develop not only their companies but themselves.

Maintaining a clear boundary between work and personal life is one of the biggest challenges for entrepreneurs. Protecting home as a sanctuary is crucial for mental wellness. As Gary Krajecki, a seasoned entrepreneur and owner of TRUE Space Smyrna says, “It is perfectly fine to work from home if the environment meets your needs, but your home address should never double as your official business address. It doesn’t take long for clients and vendors to start showing up at your address at all hours”. This deliberate separation of public business information and private is best employed from the start to enhance privacy and prevent unwanted crossovers into your personal life.

work calls as such give entrepreneurs greater control over their availability. Setting up business hours on your phone system so that work calls are routed to voicemail after hours and during family time, can significantly reduce stress and help maintain focus on personal priorities.

The selection of a workspace—whether at home, in an office, or through a hybrid model—plays a key role in mental health and productivity. A good workspace minimizes distractions and promotes focus. For those who struggle with interruptions at home, workspaces such as those offered by TRUE Space provide quiet, structured settings where work gets done.

Professional environments not only enhance a business’s image but also provide a sense of legitimacy and confidence. Meeting clients in a professional conference room, for example, makes a stronger impression than meeting at a coffee shop, boosting both self-assurance and outcomes.

Entrepreneurship is all about flexibility so it’s wise to utilize tools and services that support change without stress. Choosing a workspace that can adapt to changing needs, such as moving from a virtual office to a designated desk or office, ensures stability without the burden of frequent changes to your business address.

Ultimately, finding the right balance between work and life is key to maintaining mental wellness on the entrepreneurial journey. By setting boundaries, selecting effective workspaces, and prioritizing flexibility, entrepreneurs can thrive—not just in their businesses, but in life.

Gary Krajecki is the founder of TRUE Space, a premier provider of flexible office solutions in Smyrna, Georgia, offering professional office and virtual spaces designed to support business growth. With a customer-focused approach, Gary helps clients find their ideal workspace to thrive.

Contact Information

404-965-4141 (dial 700 at voice menu) g.krajecki@truesp.com

TRUE Space Smyrna -- 2400 Herodian Way SE, #220, Smyrna, GA 30080

TrueOfficeSpace.com

TrueVirtualOffice.com

Wellness, Your Way in Smyrna & Vinings!

As we step into 2025, I find myself exploring new and creative ways to feel my best—physically, mentally, and emotionally. Achieving balance is essential, and I’ve discovered a variety of approaches to keep both my mind and body healthy. Whether I’m sweating it out at Orangetheory Fitness, finding my calm at Haven Yoga, or enjoying the beauty of the Silver Comet Trail and Kennesaw Mountain, Smyrna offers countless opportunities to make a wellness routine engaging and enjoyable.

GETTING FIT AT ORANGETHEORY FITNESS

Walking into my first class at Orangetheory Fitness in Smyrna was an exhilarating experience. The energy in the room was contagious, from the enthusiastic staff to the upbeat instructor guiding us through the workout. The session began with 28 minutes on the treadmill, accompanied by motivational music that set the tone for the rest of the class. The instructor encouraged everyone to push their limits while offering modifications to suit individual fitness levels.

What I love most about Orangetheory is its inclusive atmosphere. Whether you’re a seasoned athlete or a beginner, the camaraderie within the group motivates you to strive harder. The combination of personalized pacing, clear guidance, and visible results keeps me coming back for more. By the end of each class, I leave feeling accomplished and inspired, ready to tackle whatever comes next.

The mix of cardio and strength training not only improves endurance but also builds muscle and boosts overall health. It’s the perfect way to start or end the day on a high note.

Orangetheory

FINDING INNER PEACE AT HAVEN YOGA

Balance is vital to maintaining a sustainable fitness routine, and Haven Yoga provides the perfect sanctuary to recharge and reconnect. From the moment I step into the serene studio, I feel a sense of calm washing over me. The instructors at Haven Yoga are not only skilled but also compassionate, guiding me through poses that enhance strength, flexibility, and mindfulness.

Each class offers something unique, whether it’s a gentle stretch to ease tension or a challenging pose that builds resilience. The focus on breathwork and intention allows me to be fully present in the moment. Beyond the physical benefits, Haven Yoga fosters a sense of community, encouraging connections with fellow yogis. It’s a peaceful retreat that leaves me feeling refreshed and ready to face the week ahead.

Yoga has also taught me valuable lessons in self-awareness and patience. It reminds me to focus on progress, not perfection, making every session meaningful and restorative.

OUTDOOR ADVENTURES IN SMYRNA, VININGS AND BEYOND

Living in Smyrna-Vinings comes with the perk of access to incredible outdoor spaces. One of my favorite destinations is the Silver Comet Trail, a scenic pathway ideal for running, cycling, or leisurely walks. With multiple access points throughout Smyrna, the trail offers a peaceful escape from daily life. Surrounded by nature, the fresh air and rhythmic sound of footsteps create a refreshing change of pace.

Another beloved spot is Kennesaw Mountain, perfect for hiking and enjoying stunning views of the surrounding area. The trails cater to various fitness levels, from steep climbs to relaxed, scenic routes. Reaching the summit is always rewarding, with breathtaking vistas that make the effort worthwhile. Hiking here clears my mind and provides a full-body workout.

“True wellness is about more than fitness—it’s finding balance through movement, mindfulness, and rest. Smyrna offers everything you need to create a healthy, fulfilling lifestyle.”
“Wellness isn’t just about working out—it’s about creating balance through movement, mindfulness, and rest. Whether it’s high-energy fitness classes, calming yoga sessions, or outdoor adventures, the SmyrnaVinings area offers endless opportunities to nurture both body and mind.”

Spending time outdoors also benefits mental well-being. The connection with nature reduces stress, boosts mood, and creates a sense of grounding. Whether it’s a solo run or a group hike, Smyrna’s outdoor options add variety and excitement to any wellness routine.

THE PERFECT BALANCE OF FITNESS AND WELLNESS

Between Orangetheory Fitness, Haven Yoga, and the incredible outdoor spaces like the Silver Comet Trail and Kennesaw Mountain, I’ve discovered a wellness routine that feels balanced and sustainable. True wellness isn’t just about physical activity—it’s about integrating movement, mindfulness, and rest into your lifestyle. Smyrna offers a vibrant mix of options that cater to every preference, making it easy to prioritize health and happiness.

One of the greatest lessons I’ve learned is the importance of flexibility—not just in a yoga pose, but in adapting my routine to fit my changing needs. Whether it’s a high-energy class, a calming yoga session, or a refreshing hike, Smyrna provides the tools to nurture both body and mind.

With so many opportunities to explore, staying fit and balanced has never been easier—or more enjoyable.

Silver Comet Trail
Kennesaw Mountain Trail

Family Practice Center, PC, is a comprehensive medical practice where we provide healthcare the way you hoped it could be. Our attentive, patient-focused approach to medicine is the main reason we have become one of the highest-rated primary care practices in the Georgia.

A COMMUNITY OF WOMEN SUPPORTING WELLNESS THROUGH CONNECTION, EDUCATION, AND SHARED JOURNEYS TOWARD HEALTH AND HEALING.

WOW: Women Owning Wellness

When Veronica Tompkins opened Good Kitchen Smyrna, her vision extended beyond serving clean, nutrient-dense food; she hoped to create a space that inspired a wellness-focused community. By October 2023, that dream became a reality with the launch of WOW (Women Owning Wellness), a group dedicated to bringing women together to prioritize health and support one another through shared experiences.

The idea for WOW began as Veronica met countless women at Good Kitchen—many overcoming health challenges or eager to connect with others on a similar wellness journey. After brainstorming with a few wellness professionals, she launched the group with simple grassroots efforts: an Instagram account (@wowsmyrna), flyers at both Good Kitchen locations, and an Eventbrite listing. To her amazement, the inaugural gathering drew over 40 women. Some were familiar faces, while others discovered the event through word of mouth or online.

WOW quickly became a safe space for authentic connections. At the first gathering, a woman undergoing chemotherapy found hope and guidance from others who had triumphed over cancer. A young mother with a son battling cancer connected with another mom who had navigated similar challenges decades ago. These connections underscore the heart of WOW—women lifting one another through shared struggles and triumphs.

The group meets monthly, covering topics ranging from clean living and managing stress to gratitude and indoor gardening. Each session fosters learning, sharing, and camaraderie. Past discussions have included “Replacing Toxins in Your Home,” “Autoimmune Strategies,” and “Backyard Herb & Vegetable Gardens.” CONTINUED >

What started as an idea has blossomed into a thriving community of women supporting one another in their wellness journeys. Friendships have formed, knowledge has been shared, and the group continues to grow.

WOW returns Tuesday, January 7th, at 6:30 PM at Good Kitchen Smyrna. Whether you’re looking to connect with like-minded women, learn more about wellness, or simply feel inspired, WOW invites you to join the conversation.

Looking to start the new year with support and inspiration? Join WOW at Good Kitchen. For more information or to sign up for updates, email info@goodkitchenandmarket.com. Together, we can own our wellness journeys and build a brighter, healthier future.

Good Kitchen 2750 Atlanta Rd SE #110, Smyrna, GA 30080 (678) 653-9129 goodkitchenandmarket.com

The First WOW Gathering, October 2023

MINDFULNESS Made Simple

A Practical Guide to Mental Wellness

ARTICLE BY ALEXANDRA THOMPSON | PHOTOGRAPHY BY MORGAN HADDOX AND EMIL POWELLA

As the hustle and bustle of the holidays fade, many of us are left juggling the lingering stress of packed schedules, family dynamics, and the emotional weight of the season. At Cumberland Counseling Centers, we often see this time of year amplify life’s stressors, which is why I’m excited to share one of the simplest, most effective tools for improving mental wellness: mindfulness.

Mindfulness isn’t about achieving perfection or silencing your thoughts. Instead, it’s the practice of staying present, observing your thoughts, feelings, and surroundings with curiosity and without judgment. Think of it as pressing “pause” during life’s whirlwind to reset and refocus. And the best part? Mindfulness doesn’t require fancy equipment or hours of free time. It’s accessible, portable, and free, a gift you can give yourself anytime, anywhere.

Mindfulness is a game-changer for mental wellness. Research consistently shows it reduces stress, manages anxiety, and strengthens emotional resilience. When we practice mindfulness, we ground ourselves in the present moment, allowing us to step off the hamster wheel of “what ifs” and instead find calm in the “right now.” At Cumberland Counseling Centers, we integrate mindfulness techniques into therapy sessions to help clients navigate everything from relationship struggles to trauma recovery.

THREE SIMPLE MINDFULNESS PRACTICES TO TRY

Getting started with mindfulness is easier than you might think. Here are three quick and effective practices:

1. Deep Breathing: Find a comfortable spot and take a deep breath in through your nose. Hold it for a moment, then slowly exhale through your mouth. Repeat a few times, focusing on the sensation of your breath. This simple practice calms your nervous system and can be done in under a minute.

2. Mindful Observation: Choose an object—a plant, your coffee cup, or even your hand—and spend a minute observing it closely. Notice its texture, color, and details without judgment. This practice helps anchor you in the present moment and can provide a surprising sense of calm.

3. 5 Senses Mindfulness Activity: This simple yet powerful exercise helps ground you in the present moment by focusing on your five senses: sight, sound, touch, taste, and smell. To practice, find a quiet spot and begin by noticing five things you can see—colors, shapes, and details around you. Then, listen for four things you can hear, from obvious sounds like traffic to subtle ones like your breathing. Identify three things you can feel, such as the texture of your clothes or the chair beneath you. Next, notice two things you can smell, like fresh air or a cup of coffee, and finish with one thing you can taste, such as the lingering flavor of a sip of water. This quick exercise can be done anywhere to reduce stress and bring calm to your day.

If mindfulness resonates with you, there’s so much more to discover. Apps like Calm and Headspace can guide you in building a mindfulness habit, and our team at Cumberland Counseling Centers would love to help you take the next step. Whether through counseling or mindfulness practices, we’re here to support you on your journey toward healing and wellness. Mindfulness isn’t about doing it perfectly, it’s about showing up for yourself, even in small ways. Just a few mindful moments a day can add up to meaningful shifts over time. As we enter the new year, I encourage you to take a deep breath, pause, and embrace the present. Together, you can make 2025 a year of growth, healing, and mental wellness for you and your loved ones.

ALEXANDRA THOMPSON, LCSW

Alexandra Thompson, LCSW, is the Executive Director of Cumberland Counseling Centers, a nonprofit committed to revolutionizing access to professional mental health care by partnering with the community. Learn more at cumberlandcenters.org

Photo by Emil Powella
Photo by Morgan Haddox

Certificate of Deposit (CD) rates are on the move, and now’s the time to access special rates through an alliance with U.S. Bank. Contact me to get started.

Lisa J Dobbs Ins Agency Inc

Lisa Dobbs, Agent

2675 Paces Ferry Rd SE, Suite 460 Atlanta, GA 30339 Bus: 404-365-8515 lisadobbs.com

SPINAL HEALTH FOR A STRONGER NEW YEAR

Prioritize posture, exercise, and care to improve mobility, reduce pain, and support overall wellness all year long.

It’s a new year! The holidays have come and gone. The parties, celebrations, and endless Christmas goodies may have taken their toll, and now the dreaded “New Year’s Resolution Time” is upon us. As you consider your resolution—keeping in mind that studies show 80% of them end by February 1st—here’s an idea worth considering: focus on your spinal health to keep yourself moving and feeling your best throughout the year.

Think of your body like a car. How you drive it, what you put into it, and how you maintain it determines how long and how well it functions. Your spine is like the car’s suspension, and your muscles are like the tires. When your spine is out of alignment or your muscles are imbalanced, it can lead to discomfort, reduced mobility, and a lower quality of life—just like an unbalanced car experiences excessive wear and tear. Similarly, the digestive system acts like fuel and fluids for the body. Highquality fuel keeps a car running smoothly, and good nutrition and hydration do the same for your body.

CONTINUED >

Dr. Ara with Office Manager, Missy Sutton

As a reminder: “Your body is the only vehicle you get. You might replace a few parts, but you can’t trade it in for a new one.” Taking care of your body now can help it serve you well for years to come.

Common spinal health issues, such as back pain, sciatica, and headaches, often stem from misalignments, injuries, or even poor posture. Left unaddressed, these issues may contribute to chronic pain, limited movement, and other health concerns. Maintaining spinal health is about more than managing pain— it’s about supporting your body’s overall functionality, from improving posture to enhancing nerve and muscle health.

To support your spine in the new year, focus on good posture and regular exercise, especially strengthening your core muscles. A strong core helps stabilize the spine and reduces the risk of injuries. Resistance training is particularly effective -- adding three to four sessions of resistance exercises per week can significantly enhance your overall muscle tone and physical resilience.

If pain persists for more than a few days or begins to interfere with daily activities, seeking advice from a qualified healthcare professional can help prevent minor issues from becoming major ones.

By taking steps now to prioritize spinal health, you’ll set yourself up for a year of better mobility, less discomfort, and an improved quality of life.

NEED HELP WITH SPINAL HEALTH?

Visit East West Spine and Rehab Clinic for expert care.

We specialize in treating back pain, sciatica, headaches, and more.

East West Spine and Rehab Clinic

1385 Highlands Ridge Road, Suite C Smyrna, GA 30082

(770) 432-5600

www.eastwestspineandrehab.com

Start your journey to better spinal health today!

Dr. Ararat Leguizamon is the dedicated and experienced founder of East West Spine and Rehab, a Smyrna-based clinic that combines modern chiropractic techniques with holistic wellness practices to help patients achieve optimal health. Known for his compassionate approach and focus on personalized care, Dr. Leguizamon is committed to improving the quality of life for his patients by addressing their unique needs with innovative treatments.

Beyond his professional life, Dr. Leguizamon is deeply rooted in the Smyrna community. His wife, Tiffany, is a beloved first-grade teacher at King Springs Elementary School, where their twin sons, Andrew and Luke, also attend first grade. Together, the Leguizamon family enjoys participating in local events and fostering meaningful connections within the community they call home.

The Leguizamon Family

SMYRNA’S PICKLEBALL LEAGUE

A Community of Competition, Fun, and Friendship

Since the spring of 2023, the Smyrna Pickleball League has quickly become a local favorite. As someone who has watched it grow from the sidelines, I can see why it’s such a hit! Whether you’re a seasoned player or just getting started, there’s something special about the way this league brings the community together.

Pickleball, often described as a mix of tennis, badminton, and ping pong, is a sport that’s easy to pick up but offers enough challenge to keep players engaged. Its accessibility and fast-paced action have made it the fastest-growing sport in America—and the Smyrna Pickleball League reflects this surge in popularity. With its welcoming atmosphere and engaging team-based structure, the league has become a cornerstone of the local community.

Each Thursday night during the spring and fall seasons, teams gather on the courts at Tolleson Park for fun yet competitive matches. The league operates with a team-based format, where players compete in weekly “meets” featuring three matches: men’s doubles, women’s doubles, and mixed doubles. The team that wins the best of these three matches earns the victory for that week. After 6–8 weeks of regular-season play, the top four teams advance to a single-elimination playoff bracket to compete for the championship title. It’s a great mix of friendly competition and team spirit that keeps everyone engaged, regardless of their skill level.

What’s particularly exciting about the Smyrna Pickleball League is its rapid growth. Pickleball is currently the fastest-growing sport in America, and the league has attracted players of all skill levels, from beginners to seasoned pros. However, with only 100–120 spots available each season, registration fills up quickly, so you’ll need to act fast! Players can sign up with a team of up to 10 people, or, if you don’t have a team, you can register as a free agent and be placed on an existing team. It’s a great way to ensure that everyone who wants to participate has the opportunity to get involved.

CONTINUED >

Last year’s winners, Team Cobra Kai, are back and competing again for the championship title in the 2025 Smyrna Pickleball League. The league championship will take place on December 5, 2024.

The league fosters an incredible sense of community throughout the season and beyond. Through its partnership with Stout Brothers Smyrna Beer Market, the league hosts an end-of-season party that offers free food and drinks for all participants. This event is always a highlight, providing an opportunity to unwind and connect with fellow players. It’s the perfect way to wrap up the season, celebrate everyone’s hard work, and enjoy the social side of the sport.

In addition to its community-building efforts, the Smyrna Pickleball League offers significant physical and mental health benefits. Pickleball is a great way to stay active, improve agility, and boost cardiovascular health. For many participants, the league also provides a chance to unwind, have fun, and escape the stresses of daily life. The supportive and inclusive environment makes it easy for players of all backgrounds to feel welcome and valued.

For those interested in joining, early registration is key. With the league’s popularity growing each season, spots are limited, and they go fast. Whether you’re looking to improve your skills, meet new people, or simply try something new, the Smyrna Pickleball League offers an experience that’s as rewarding as it is enjoyable.

From what I’ve seen, the Smyrna Pickleball League strikes the perfect balance of competition, community, and fun. It’s a space where players of all levels can come together to share the joy of pickleball, create lasting connections, and be part of something truly special. Don’t wait—grab your paddle, find a team, and join the action. This is one league you won’t want to miss!

Smyrna Bouncers -- Spring 2023
Cobra Kai Pickleball Dojo -- Spring 2023
“PICKLEBALL BRINGS SMYRNA TOGETHER WITH COMPETITION, CAMARADERIE, AND UNFORGETTABLE FUN EVERY SEASON.”
Peaked in High School -- Fall 2024

Scanto learnmore andclaim thisoffer.† The Joint Chiropractic - Vinings (770) 805-9977 4500 W Village Pl, Smyrna, GA 30080 See website for clinic details

*Offervaluedat$45.Validfornewpatientsonly.Initialvisitincludesconsultation,examandadjustment.OfferandoffervaluemayvaryforMedicare eligiblepatients.NC:IFYOUDECIDETOPURCHASEADDITIONALTREATMENT,YOUHAVETHELEGALRIGHTTOCHANGEYOURMINDWITHINTHREEDAYSAND RECEIVEAREFUND.(N.C.Gen.Stat.90-154.1).FL&KY:THEPATIENTANDANYOTHERPERSONRESPONSIBLEFORPAYMENTHASTHERIGHTTOREFUSETOPAY, CANCEL(RESCIND)PAYMENTORBEREIMBURSEDFORANYOTHERSERVICE,EXAMINATIONORTREATMENTWHICHISPERFORMEDASARESULTOFANDWITHIN72 HOURSOFRESPONDINGTOTHEADVERTISEMENTFORTHEFREE,DISCOUNTEDORREDUCEDFEESERVICES,EXAMINATIONORTREATMENT.(FLA.STAT.456.02)(201 KAR21:065).Subjecttoadditionalstatestatutesandregulations.Seeclinicforchiropractor(s)’nameandlicenseinfo.Clinicsmanagedand/orownedby franchiseeorProf.Corps.RestrictionsmayapplytoMedicareeligiblepatients.Individualresultsmayvary. †Visitthejoint.comforofficialprivacypolicy,termsandconditions.Messageanddataratesmayapply.©2023TheJointCorp.AllRightsReserved. Scanto learnmore andclaim thisoffer. thejoint.com | Walk-ins Welcome. Open Nights + Weekends. No

eligiblepatients.NC:IFYOUDECIDETOPURCHASEADDITIONALTREATMENT,YOUHAVETHELEGALRIGHTTOCHANGEYOURMINDWITHINTHREEDAYSAND RECEIVEAREFUND.(N.C.Gen.Stat.90-154.1).FL&KY:THEPATIENTANDANYOTHERPERSONRESPONSIBLEFORPAYMENTHASTHERIGHTTOREFUSETOPAY, CANCEL(RESCIND)PAYMENTORBEREIMBURSEDFORANYOTHERSERVICE,EXAMINATIONORTREATMENTWHICHISPERFORMEDASARESULTOFANDWITHIN72 HOURSOFRESPONDINGTOTHEADVERTISEMENTFORTHEFREE,DISCOUNTEDORREDUCEDFEESERVICES,EXAMINATIONORTREATMENT.(FLA.STAT.456.02)(201 KAR21:065).Subjecttoadditionalstatestatutesandregulations.Seeclinicforchiropractor(s)’nameandlicenseinfo.Clinicsmanagedand/orownedby franchiseeorProf.Corps.RestrictionsmayapplytoMedicareeligiblepatients.Individualresultsmayvary. †Visitthejoint.comforofficialprivacypolicy,termsandconditions.Messageanddataratesmayapply.©2023TheJointCorp.AllRightsReserved.

smart SWEETS

The beginning of the year is packed with inspiration and motivation to get back on track after a sweet-filled holiday season. It can feel extreme, and it also can be depleting to cut oneself off from everything indulgent after weeks of eating favorite sweet and savory recipes. For sugar lovers who believe going cold-turkey feels intimidating or overwhelming, nutrition-packed desserts are a great way to stick to healthy food goals without the guilt.

Nutrient-Rich Dessert To The Rescue

This recipe is a classic favorite. If you cut the bars into 16 pieces, they are around 270 calories each. They are very filling, packed with healthy goodies and taste, oh so delicious. If you can’t finish them yourself (it makes a lot!), bring samples along to your next workout class to share the love. Your accountability group will be asking you for the recipe! These come in handy for a quick breakfast on-the-go or an afternoon snack. You’ll want to taste these out of the oven once they cool a bit... simply scrumptious.

Combine:

• 1 cup wheat flour

• 2 cups cooked quinoa, cooled

• 2 cups oats

• 2/3 cup of your choice of chopped nuts

• 1 teaspoon cinnamon

• 1 teaspoon baking soda

• 2 tablespoons chia seeds

• 2/3 cup raisins

• Optional: chocolate chips as desired

• Optional: add additional seeds or nuts on hand such as pumpkin seeds, sunflower seeds, etc.

Notes: Boil quinoa at a 2:1 water to rice ratio. For estimating, 1/3 cup of uncooked quinoa yields 1 cup cooked quinoa.

Add this mixture slowly to combine:

• 2 eggs

• 2/3 cup peanut butter, almond butter or sunflower butter

• 1/2 cup honey

• 1 banana

• 1 teaspoon vanilla

Bake at 375 degrees for 20 minutes, or until when the edges get golden brown. Bake in a 9x13-inch glass dish. After they cool, slice and enjoy. Keep them covered to maintain freshness.

Quinoa BREAKFAST Bars

Frozen PEANUT BUTTER Bites

Danger ahead: this snack is amazing. It’s the easiest of the bunch and also satisfies a sweet tooth craving. This can be whipped together in just 5 minutes and makes just a small amount. Feel free to take creative liberty here with your amounts, but if you make it to this recipe, they are around 90 calories per bite.

1. Cut a banana into 8-10 small slices, around 1/2 inch each.

2. Spread 1/2 tablespoon of peanut butter (or your choice of nut butter) on each banana slice.

3. Drizzle a small amount of melted chocolate chips or caramel over each bite.

4. Freeze for 15-20 minutes and enjoy!

Pro tip: A dash of sea salt flakes on top of these can be *chef’s kiss.*

These are great to keep on hand in the freezer all weeklong. Once they set, add them to a closed container to keep the bananas from browning.

Late night snack cravings are real! When finding yourself rooting through the cabinets for a sweet fix, these protein cookie dough bites are a great way to curb temptation. This recipe yields around 20 small bites, which can be cut into small squares or rolled into dough balls. Each bite is around 105 calories. If you find the dough is a little too dry, add a dash of milk as needed.

Ingredients

• 1/4 cup milk

• 1/2 cup vanilla protein powder

• 1/4 cup maple syrup

• 1/4 cup peanut butter (or alternate nut or sunflower butter)

• 1 cup almond flour

• 1 teaspoon vanilla

• Chocolate chips as desired

Pro tip: Use mini chocolate chips and for a dash of savory add sea salt flakes on top. Once combined, store the bites in the refrigerator in a covered container to keep them moist.

Protein COOKIE DOUGH Bites

As the new year begins, we naturally turn our focus to new beginnings and setting fresh goals. While resolutions often include health or career changes, January is also an excellent time to consider one of the most life-changing goals: finding a new home. A new home can provide not only a fresh physical space but also a renewed sense of purpose, comfort, and possibility for the year ahead. Whether you’re a first-time buyer or a seasoned homeowner, January offers some unique advantages in the real estate market that make it the perfect month to start your home search.

In January, the real estate market typically experiences less competition than in the spring and summer months. Fewer buyers are actively searching, so you’re more likely to find motivated sellers open to negotiations. This can mean better pricing, more flexible terms, and a greater chance to secure the home you truly love without feeling pressured to make a quick decision. Additionally, lenders are less overwhelmed by applications, which often results in a faster mortgage approval process. This timing can help streamline your path to ownership, allowing you to get settled in your new space sooner.

Buying a home in January means you’re on track to settle in and personalize your space well before spring. By the time warmer weather arrives, you can focus on outdoor projects, garden plans, or simply enjoying your new neighborhood. If you’re moving with children, this timing allows for a seamless transition before summer

activities begin, helping everyone feel comfortable in the new environment.

As the saying goes, “Out with the old, in with the new.” January offers a unique opportunity to embrace a fresh start, whether that means downsizing, expanding, or finding a community that feels like home. If the new year has inspired you to explore new places and possibilities, now is the time to begin your journey toward homeownership. Call us today to get started!

Leanne
Sheila Parast Gross Parast Law
Matt Garcia

A SELECTION OF UPCOMING LOCAL EVENTS

NOW THROUGH JANUARY 12TH

Garden Lights Illuminate

Atlanta Botanical Garden with Stunning Displays

Atlanta Botanical Garden -- 1345

Piedmont Ave NE Atlanta, GA 30309

Garden Lights, Holiday Nights at the Atlanta Botanical Garden dazzles through January 12, 2025! Experience “Nature’s Wonders,” the world’s largest synchronized light curtain, and enjoy stunning displays like the White Rabbit and Cheshire Cat from Alice’s Wonderland Returns. Get tickets and details at atlantabg.org.

NOW THROUGH JANUARY 20TH

Skate Under the Stars at Atlantic Station This Winter Atlantic Station -- 1380 Atlantic Drive NW, Atlanta, GA 30363

Lace up for Atlanta’s coolest holiday tradition at Atlantic Station! Enjoy ice skating under the stars until January 20, 2025. Tickets, including skate rentals, must be purchased online in advance. Timed ticketing ensures a smooth experience. Visit atlanticstation.com for details, hours, and group bookings. Don’t miss this magical winter experience!

JANUARY 4TH

Recycle your Christmas tree at Bring One for the Chipper!

The Home Depot -- 2450 Cumberland Pkwy; Atlanta, GA 30339 | 10:00 AM

Recycle your live Christmas tree into free mulch for the community with Keep Smyrna Beautiful’s annual event!  Live trees only—no ornaments, flocking, or garlands. Free mulch and seedlings (while supplies last). Volunteer or donate to support this eco-friendly tradition!  Christmas trees may be dropped

From Pennington’s Pen:

A few Christmases ago , I recei ved a gi f t un l i ke any I ha ve ever r ece ive d My he art i s st i rre d at the ver y th ou ght of i t. I t was quite va luable , so much s o th at w he n my fri en d gave it to me, I st ruggl e d to co mfo rtabl y re cei ve i t B ut w hen I l e ar ned the perso nal story beh i nd t he pre se nt, I then understood that th e gi f t was wo rth mu ch mo re than any sum of money I co nsi dered n ot accepti ng th e gi f t, beca use I didn ’t feel as i f I de se rved i t. But afte r h ear i ng the st or y, it wou ld have be en h ur tful to have no t recei ve d i t I still struggle to f e el wo rth y o f such an ove rwhe l m i ng e xpre ssion of love .

T his expe rie nce is a beau ti f ul re fl ecti o n o f t he he a ven l y gif t that we cele brate thi s mo nth Gal ati an s 4:4-5 capture s the esse nce o f Ch ri stmas: “ But when th e f ullness of time had com e, Go d sent for th hi s So n, b o rn o f woman, bor n und e r the l aw, to re dee m tho se who w ere under th e law, so that we mi gh t recei ve ado pti o n as s ons ” Whe n Je sus w as born i n a mang er, Go d gave th e gr eatest an d m o st perfect gi ft any p erso n co ul d eve r be given. Je su s we nt on to l i ve th e si nl e ss l i fe we coul d no t l ive to die a death we deserved to di e

“But

READY TO ELEVATE YOUR LOOK?

Lauren - With over 14 years of experience, Lauren has spent her years in the hair industry coloring, cutting and styling. She enjoys creating a relaxing environment for clients to retreat to.

Annie - Annie brings 12 years of expertise, specializing in all types of color and airy textured cuts. She’s known for her warm, cozy personality and is ready to tailor unique looks to make you feel both fabulous and right at home.

April - She can help you get the hair of your dreams! She’s been in the industry since 2013 and extensions are her passion! She also enjoys bright blondes and lived in blondes! She really just enjoys blondes!

Alaina - With 11 years of experience, Alaina loves to make her clients feel good about themselves and their hair. She loves working with hilights and full color services for any desired look while maintaining the integrity of the hair.

CONTINUED

off during the week before the event. Visit  keepsmyrnabeautiful.com/bringone-for-the-chipper for more details!

JANUARY 6TH

Exciting Smyrna Events: Registration Opens

January 6th at 8AM!

Online! | 8:00 AM

Mark your calendar! Registration opens January 6th at 8 a.m. for Smyrna Parks & Recreation's Spring Leagues, Market Applications, camps, and exciting events like the Daddy Daughter Dance, Mother Son Nerf Wars, and Galentine’s Brunch. Don’t miss out! Visit https://secure.rec1. com/GA/smyrna-ga/catalog for details and sign up.

JANUARY 17TH

Fun Awaits at Parents Night Out

This January!

Smyrna Community Center -- 1250 Powder Springs Street SE Smyrna, Georgia 30080 | 5:00 PM

Parents can relax while Smyrna Parks & Recreation entertains kids at Parents Night Out on January 17th, 5–8 p.m., at the Smyrna Community Center. Activities include cartoon creation, a Pixar movie, gym games, and dinner. Open to ages 4–12, $30/child. Registration begins December 19th. Visit Smyrna Parks & Rec to secure a spot!

JANUARY 25TH-26TH, FEBRUARY 1ST-2ND, & 8TH-9TH

Stone Mountain Hosts

Dazzling Lunar New Year Festival Celebrations

Stone Mountain Park -- 1000 Robert E. Lee Blvd. Stone Mountain, GA 30083

Celebrate the Year of the Snake at Stone Mountain Park’s Lunar New Year Festival! Join the festivities Jan. 25–26, Feb. 1–2, and Feb. 8–9 for live entertainment, cultural crafts, a lighted parade, and a dazzling Lunar New Year Drone and Light Show. Experience traditions from Korean, Chinese, and Vietnamese cultures. Visit stonemountainpark.com for tickets and info.

Alaina
Lauren Annie

Find Your Flow: Wellness That Sticks

Balanced habits for a healthier, happier life.

With the fun of the holidays behind us, many are looking ahead to 2025 and wondering how they can make this year their best yet—I know I am! One of my biggest goals this year is to find balance in the hustle and bustle of daily life and maintain it for more than a month. That’s why I spoke with Bobby Keenum, owner of Premier Fitness & Nutrition, LLC, to learn more about creating healthy, sustainable habits to improve both my physical and mental well-being throughout the year. As I’ve progressed in my wellness journey, a major focus has been on shifting my mindset and understanding that perfection isn’t possible. With so much

“We were born to move; we were made for movement.”

happening in our day-to-day lives, it’s a privilege just to find time to take care of ourselves. That’s why Bobby emphasized celebrating small wins each day, whether it’s a 10-minute walk, a strength-training session at the gym, or simply going to bed on time to ensure you’re the best version of yourself.

“Food freedom” is also a central part of Bobby’s coaching philosophy. He works with clients to view food on a spectrum, encouraging them to prioritize larger amounts of healthy options while still allowing for indulgences in their favorite treats from time to time.

“We were born to move; we were made for movement,” Bobby said. “Get some sunlight, get some steps, and get some sleep.”

Premier Fitness and Nutrition, LLC premierfitnessandnutrition.health (601) 826-9766 bobbykeenum341@gmail.com

ARTICLE BY HANNAH YAHNE
Bobby Keenum

Turn static files into dynamic content formats.

Create a flipbook
Issuu converts static files into: digital portfolios, online yearbooks, online catalogs, digital photo albums and more. Sign up and create your flipbook.