






























![]()































Our dog, Rigby, enjoys our yard. He relishes the freedom to explore all the smells, as do we, from the flowers and plants we've placed throughout it. We're pleased and humbled that our neighbors apparently also like our front yard, as evidenced by us being recognized as Yard of the Month in our subdivision. I work diligently to enhance the yard, so honestly, this designation makes me smile and smile.

Just like Rigby loves the chance to get outside to reawaken his senses in a whole new way, so do we. This edition holds a special place in my heart. As parents and caregivers, we put much effort into nurturing pets and our children's growth, teaching them and investing in their futures. But let’s not forget that children also shape us — they bring joy, laughter and meaning to our everyday lives.
At the core of both children and pets is a simple truth: they need us. Our care and attention shape who they become, and in turn, they shape us. This edition is dedicated to celebrating the kids and pets who fill our homes with joy and love. Here’s to our youth and the pets who make everything better!

SHARON
DUFFY, PUBLISHER @MCKINNEYANDPROSPERLIFESTYLE
PUBLISHER
Sharon Duffy Thomas | sharon.duffy@citylifestyle.com
PUBLICATION DIRECTOR
William Thomas | william.thomas@citylifestyle.com
COPY EDITOR
Julie Brown Patton | julie.patton@citylifestyle.com
STAFF WRITER
Alexis Jacobs
CONTRIBUTING WRITERS
Alexis Jacobs, Julie Brown Patton
CONTRIBUTING PHOTOGRAPHER
Julie Brown Patton
CEO Steven Schowengerdt
COO Matthew Perry
CRO Jamie Pentz
VP OF OPERATIONS Janeane Thompson
VP OF SALES Andrew Leaders
AD DESIGNER Rachel Otto
LAYOUT DESIGNER Emily Lisenbee
QUALITY CONTROL SPECIALIST Hannah Leimkuhler


Proverbs 3:5-6

At Southern Style Remodel, we are committed to delivering premium-level remodeling and construction services tailored to meet your needs. Our expertise in full home remodeling as well as kitchen and bath remodeling extends across the DFW area, ensuring every project reflects our dedication to quality and craftsmanship. Southern Style Remodel is particularly noted for its precision and attention to detail.

www.southernstyleremodel.com
469.305.2179
info@SoutherStyleRemodel.com




Stephanie
Taxi Mom McKinney Deepens Community Partnerships With Families Through Tailored, Child-Centered Transportation Solutions
Grand Love: Supporting Texas Grandparents And Kinship Families With Help, Heartfelt Connection, Community
How
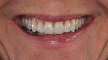
At Jensen Orthodontic Arts, we combine ART, SCIENCE, and EXPERTISE in orthodontics to customize your smile and improve or reconstruct the function and harmony of your teeth. That alone says a lot, but Dr. Doug Jensen also uses his training in the closely-related specialty of PROSTHODONTICS and dental aesthetics to create wonderful outcomes for unusual or complex dental problems– Think VENEERS, CROWNS, IMPLANT CROWNS, and DENTURES. Dr. Jensen is one of the few dual specialists in both orthodontics and prosthodontics in America, and we are lucky to have his experience in this area. He offers clear orthodontic treatment options including CLEAR BRACES, LINGUAL BRACES, and CLEAR ALIGNER THERAPY to meet your aesthetic needs. Count also on getting treatment rendered efficiently without ignoring the balance that should be present between the teeth, joints and muscles in a properly functioning bite.

Dr. Doug Jensen, DDS, MS
Board-Certified Orthodontist, Prosthodontist




Don’t wait! Come see us for an expert’s Complimentary Evaluation
Get a straightforward assessment and roadmap to the PERFECT SMILE!
WHERE NEIGHBORS CAN SEE AND BE SEEN







1: Habitat for Humanity volunteers working The Jimmy Carter House at 809 Green Street in McKinney. 2: Celebrating Community Lifeline Center updates to their food pantry thanks to Tom Thumb and Albertsons. 3: Prosper Ladies Association's Summer Lunch Program was a huge success thanks to the Prosper community. 4: Groundbreaking celebration for the new Sunset Amphitheater set on a 46-acre site in McKinney. 5: Cornerstone Assistance Network Back to School Bash provided local children with essential school supplies. 6: 'Arting' with Amanda Summer's Digital Arts Camp enabled youths to know how technology can transform art. 7: Congratulations to the graduates of the 2025 Prosper Citizens Academy, a 10-week program.
Want to be seen in the magazine?













District 121 at 6731 Alma Road in McKinney offers a vibrant mix of restaurants, entertainment and fun for the whole family. For example, the month's planned, live events are: Aug. 1, First Friday Market and Music as well as The Guitombres; Aug. 2 and 16, karaoke; Aug. 8, Shelby Ballenger Music; Aug. 15, Jaden Hamilton; Aug. 22 Scotty Schafer; Aug. 29 Beware! Criminals. To be in the know, check out their online events at District121.com

Now seeking sponsors for future fundraising event: GraceToChange will hold their gala Oct. 30, 2025, from 6:30-9 p.m. at The Augustus in McKinney. GraceToChange’s outpatient substance abuse treatment program is designed to meet individuals where they are in their journeys. Their mission is to break the cycle of addiction for adolescents and adults by providing the tools, support and hope for a lifetime of recovery. Individual tickets are $100. For tickets, phone 972.542.2900 or GraceToChange.org

Prosper Police Department officers launched a groundbreaking, air-based drone program to enhance emergency response/public safety. Prosper reportedly is the first Texas agency to deploy the Flock Aerodome Drone as First Responder (DFR) system, using DFR 2.0 technology, Detect and Avoid (DAA) radar and integrating Flock911 and Flock License Plate Readers (LPR). These drones fly up to 400 feet. This program's partially funded by the Motor Vehicle Crime Prevention Authority (MVCPA) Auto Theft Reduction Grant.








ARTICLE BY ALEXIS
StephanieTalley, owner/director, AcademicsPlus

WHAT INSPIRED ACADEMICS PLUS, AND HOW HAS IT EVOLVED SINCE 1991?
“When Mark and Melinda Crenwelge founded Academics Plus in 1991, their goal was to teach students how to think. Though we’ve adapted to new technologies and challenges, like the pandemic and AI, we stay committed to that mission: helping students learn how to learn and build the confidence to take academic risks.”
WHAT DISTINGUISHES ACADEMICS PLUS FROM OTHER TUTORING OR LEARNING CENTERS?
“Academics Plus is a woman-founded, woman-owned small business, and we were the very first learning center in McKinney. Between myself and our two founders, we hold three master’s degrees, a Ph.D., and one Ph.D. currently in progress. And, this is a big one, we provide school advocacy and collaboration at no extra cost to our enrolled students. That’s an incredible value we provide because our students are worth it.”
YOUR TEAM FOCUSES ON RESEARCH-BASED, PERSONALIZED INSTRUCTION FOR K–12 AND TEST PREP. PLEASE EXPLAIN YOUR APPROACH AND METHODS.
“Many educators say they use researchbased practices but what does that really mean? True evidence-based strategies are backed by solid research, not just intuition. For example, highlighting while reading feels helpful but is actually ineffective at promoting learning. In contrast, retrieval practice (or testing) is proven to boost learning. At Academics Plus, we use retrieval, interleaving and spaced practice, all methods grounded in research. Our focus is on building skills, with content as the space to apply them.”
HOW DO DIAGNOSTIC EVALUATIONS AND MEASURABLE, DATA-DRIVEN GOALS SHAPE LEARNING JOURNEYS FOR STUDENTS?
“We use standardized and in-house assessments to understand each learner’s strengths, gaps and challenges. What do they already
know how to do? What needs review? What have they yet to learn? What are possible contributing factors? We then review school data, including 504s and IEPs, and create personalized plans with parents to build skills and address needs.”
HOW DO YOU COLLABORATE WITH SCHOOLS, TEACHERS AND FAMILIES TO ENSURE CONTINUITY BETWEEN CLASSROOM AND CENTER?
“With parental consent, we meet each child’s classroom teachers upon enrollment and annually in the fall, and I attend 504 and ARD/IEP meetings. Our goal is collaborative advocacy, supporting students’ unique needs while guiding parents through the process.”
WHAT FIRST DREW YOU TO THIS FIELD, AND WHAT MADE YOU DECIDE TO PURCHASE AND LEAD ACADEMICS PLUS IN 2015?
“I think I was born to be a teacher — I just didn’t realize it at first. In high school, I often helped friends with math and loved working CONTINUED >

as a music teacher at a youth theater. A college professor once suggested teaching, but I didn’t consider it until I explored other majors and realized I love learning broadly. I switched to education and became a teacher. Joining Academics Plus showed me the power of personalized instruction, helping students catch up and get ahead. When the opportunity to lead Academics Plus came in 2015, I jumped at the chance.”
"IT’S NO SECRET: SKILL DEVELOPMENT TAKES PRACTICE. HAVE CHILDREN READ DAILY AND REVIEW MATH FACTS OR SAT PROBLEMS CONSISTENTLY. WHETHER IT’S BOOKS, ARTICLES OR EXERCISES, A
OUTSIDE THE CENTER, YOU’RE INVOLVED IN CIVIC GROUPS SUCH AS ROTARY AND YOUTH SERVICES. HAVE YOU SUPPORTED ANY YOUTH-FOCUSED NONPROFITS RECENTLY, AND HOW DO THOSE EFFORTS ALIGN WITH ACADEMICS PLUS’S MISSION?
“We love being part of the community! I currently serve on the boards of Volunteer McKinney and the McKinney Chamber of Commerce. I’m also the 2025–26 president of the McKinney Rotary Club and a proud Paul Harris Society member. Academics Plus supports the McKinney Education Foundation by awarding a $1,000 scholarship annually to an MISD student, and I also volunteer as a grant and scholarship reader and event volunteer for MEF. Each July, we collect donations and promote the Back-to-School Fair for the Children’s Advocacy Center of Collin County. We love McKinney and we love to serve.”
Academics Plus was named 2025 Small Business of the Year by the McKinney Chamber of Commerce.



ARTICLE BY JULIE BROWN PATTON
Taxi Mom McKinney Deepens Community Partnerships With Families Through Tailored, Child-Centered Transportation Solutions

Lisa Jackson Jones' transportation business started with peace of mind for her own son. "Now, it's a mission for our community," she asserts.
"Three years ago, our family found more than just a transportation service — we found a lifeline. Taxi Mom LLC gave us the peace of mind every parent dreams of, knowing our son would get home safely from school each day. But what we received went beyond rides and schedules; we found people who truly cared. His transportation specialist quickly became like family, cheering him on, watching out for him and easing the everyday worries we carried," she explains.
Lisa adds that she's incredibly proud and grateful to now be the McKinney franchise owner for the child-transporting business Taxi Mom LLC, as of this April. Since this spring's launch, she says parents have been incredibly gracious, with many sharing how Taxi Mom has been a true blessing to their family.
"They’ve expressed how comforting it is to know their son or daughter is in safe hands, being treated like an extension of their own family. We’re proud to provide not just reliable transportation, but peace of mind and the gift of time back to families' busy schedules," she adds.
Joining the Taxi Mom mission feels like coming full circle, Lisa reflects, from a family who needed help to someone now able to help other busy families. "I adore being part of the village that keeps our kids safe, supported and right where they need to be."
Lisa's business services the following schools: Brenda Calhoun Early School, Cockrill Middle School, Minshew Elementary School, Lawson Early Childhood School, Imagine International School, Wilmeth Elementary School, Hughes Elementary School, Baker Elementary School, McClure Elementary School, Reeves Elementary School, Frazier Elementary School, Serenity High School, Scott Johnson Middle School, McKinney Boyd High School, Vega Elementary School, Press Elementary School, Slaughter Elementary School, McKinney Christian Academy, Primrose School of Stone Brooke and Stonebridge Academy.
"We're actively scaling to expand our network across McKinney, reaching families in need of safe, reliable transportation, especially where traditional bus service is unavailable," Lisa adds.
Taxi Mom's proprietary mobile app provides instant notifications of youth pick-ups and drop-offs; real-time tracking of children and easy schedule changes via communication with the group's drivers.
Lisa adds that the mobile app ensures parents always know where their kids are once they board Taxi Mom vehicles. "Children are dropped off or picked up directly from their homes or schools, and we wait until they enter their destination."
She says that local Taxi Mom transportation specialists are more than just drivers, as they care for families’ most precious cargo: children.

To ensure the highest quality of service and safety, Lisa says they follow a rigorous five-step hiring process:
1: Pre-screening application.
2: Initial phone interview.
3: In-person interview.
4: Background check and driving record review.
5: Final onboarding, including CPR and First Aid certification.
Lisa says they also provide ongoing, monthly training focused on vehicle safety, maintenance and improving child pick-up and drop-off procedures, customer service and communication.
"We're committed to maintaining a hiring culture that reflects our values. We seek individuals who are patient, trustworthy, flexible and enjoy working with children — people who want to build community, not just drive. A great Taxi Mom transportation specialist isn’t just a driver; they're a trusted partner for the families we serve," she explains.
She says the team is already exploring two key areas of service expansion: Supporting students and adults with special needs and providing ADA-compliant vehicles with trained transportation specialists; as well as assisting local college students with safe, reliable transportation to and from area campuses.
"We understand your children are your most valuable possession. When safety feels like family, it’s more than just a ride," reminds Lisa.
972.210.2867
TaxiMom.com/McKinney

Lisa Jackson Jones says she channels her passion for leadership into building a business that directly empowers families in local communities. "By offering safe, reliable and flexible transportation solutions, we're not just growing a business — we're creating a trusted network that families can count on, day after day."


Need top-notch plumbing services?
Look no further! At Pure Plumbing, we deliver phenomenal solutions for all your plumbing needs.
• Same- Day Appointments
•24/7 Emergency Services
•Residential & Commercial
•Affordable Financing Options
•Low Monthly Memberships For Hassle-Free Maintenance
Services We Offer:
• General Plumbing
•Tank & Tankless Water Heaters
•Drain Cleaning
•Hydro Jetting Services
• Gas Line Repairs
• Leak Detection
• Water Filtration Systems




Advice Editorial: Tips For Integrating New, Especially Rescued, Lifelong Furry Friends


When embracing a furry family member within one’s home, it’s vital to understand what’s become known as the 3-3-3 Rule. This phased adjustment approach reflects time-tested guidelines that it can take a dog or cat 3 days to decompress from its prior circumstances, particularly if coming out of noisy, unfamiliar shelter surroundings; 3 weeks to adapt to a new environment; and 3 months to bond and build trust with new pet parents. In other words, patience, patience, patience is essential as new pets learn to heal and enjoy life again in a safe, loving environment.
Consider how to handle the following top reasons that pet adoptions don’t feel like they’re working out; often it’s because pets don’t immediately show appreciation, affection or interaction.
Behavioral Issues: Adopted animals may need to be redirected from food guarding, chewing, marking, separation anxiety or difficulty getting along with other pets.
Lifestyle Mismatch: Decide ahead of time if a high-energy dog will receive enough exercise, if a long-haired cat will get enough grooming, or if a dog with separation anxiety can settle into a busy household with young children or vacant house during work shifts.
Unexpected Veterinary Costs: Adopting a pet can come with unexpected veterinary bills due to pre-existing conditions later discovered or finally identified.
Training and Socialization: Seek assistance with a new pet’s adequate training or socialization, before giving up too soon.
Change in Adopter’s Circumstances: Life changes, such as job loss, relationships or moving, can make it difficult for adopters to continue caring for pets. Always first try to place pets with a trusted friend or relative.
Lack of Resources: Budget for veterinary care, food, grooming or perhaps training.
By asking questions before adopting and then establishing a comfortable routine for pets, you’ll become friends for life.

















When Lena Smith and her husband found themselves unexpectedly raising their grandchildren, they quickly discovered just how challenging the journey can be, even with financial stability. That experience sparked something bigger: the creation of Grand Love, a nonprofit built to support grandparents and kinship caregivers raising a second generation.
“Even though we had resources, it was still overwhelming,” Lena Smith, founder of Grand Love, explains. “We looked around and saw other grandparents doing the same thing, but without the same financial means. We felt called to help.”
Since its founding, Grand Love has blossomed into a vibrant and compassionate network of support. What began as simple outreach has evolved into year-round programs, including emotional support groups, spiritual encouragement, holiday wish trees, school supply drives, scholarships and even access to arts enrichment, such as music lessons.
“We continue to listen to what our grandfamilies need,” Lena says. “That’s what drives everything forward.”
Two of their newest programs already are making a positive impact. Backpacks with Love is an annual event in July providing children with backpacks and school supplies, along with
Grand Love: Supporting Texas Grandparents And Kinship Families With Help, Heartfelt Connection, Community
ARTICLE BY ALEXIS JACOBS


food trucks, snow cones, vendors and fun activities. Meanwhile, the Grand Love Wish Tree collects holiday wish lists from children and connects them with donors who help make their season magical.
And the momentum keeps growing. “We’ve also expanded our fundraising events,” Lena shares. “One of our biggest hits has been Bingo on Broadway, a lively monthly event that raises funds and awareness while bringing the community together in downtown Prosper.”
Another beloved tradition is the Breakfast with Santa, offering two seatings of a festive pancake buffet, photo ops, balloon artists and visits from characters like Elsa and Frosty. “It’s more than just fun,” Lena says. “It’s about giving back and reminding these families they’re seen, loved and supported.”
Grand Love’s mission remains focused on Texas for now, but its reach is growing. Partnerships with orthodontists, health care providers and legal professionals have expanded services for grandfamilies. Additionally, Lena recently joined state-level advocacy coalitions that are lobbying for increased support.
“There’s still so much to be done,” Lena says. “But every scholarship, every guitar lesson, every smile from a child — we see how big of a difference this work makes.”
Want to get involved? Volunteers are needed for events and to serve as Grandparent Encouragers. “Even one act of kindness can lift a family up,” Lena adds.
469.224.3355
Grand-Love.com

“Grandparents are saving the state billions by keeping children out of foster care — yet they’re often doing it with no support, no recognition and little relief,” shares Lena Smith, Founder of Grand Love.































ARTICLE BY JULIE BROWN PATTON
PHOTOGRAPHY PROVIDED
Rotary Club of McKinney members sponsor the McKinney High School Interact Club. Other schools in McKinney have Interact clubs sponsored by the McKinney Sunrise Rotary Club. Stephanie Talley, M.S., owner/director of Academics Plus, Rotarian youth leader for the past five years and president-elect of Rotary Club of McKinney, fills in McKinney + Prosper Lifestyle readers regarding what’s happening with MHS Interact Club and Rotary Club of McKinney.
Interact is a Rotary-sponsored service club for young people ages 12-18 that focuses on developing leadership skills and fostering international understanding through community projects. Interact clubs are self-governing and self-supporting; they work to benefit both their local community and the wider world.
Stephanie says Rotarian advisers act as a liaison between the Rotary Club and the Interact Club.

“The adviser supports the Interact Club and its on-campus adviser where needed, be it chaperoning or volunteering. Additionally, the Rotarian adviser provides information about service and scholarship opportunities to the Interactors, and reports Interact Club activities to Rotary Club members,” explains Stephanie.
She says the MHS on-campus adviser is Dana Dougherty, a special education teacher at the high school.
Activities of this program achieve various objectives. Several Interactors helped Rotarians pack food last July for Kids Against Hunger, a nonprofit that provides meals to children in 70-plus countries. Interactors also helped Rotarians put out flags for Sept. 11.



Interact is a club for young people ages 12-18 who want to join together to tackle community issues about which they care most. Interact Club helps students execute hands-on service projects; make international connections; develop leadership skills; and have fun.
What is Interact Club like at McKinney North? The club organizes at least two service projects a year: one that benefits the community and one that encourages international understanding. The Interact Club at McKinney North High School receives guidance from the McKinney Sunrise Rotary Club. Some past activities include mums/garter for special needs students on campus, making Valentines for soldiers and making a Thanksgiving lunch-in for teachers to say “Thank you” for all they do.
“Everyone's welcome to participate in the McKinney High School Interact Club. There's a remind group that students can join to get announcements and reminders about meetings and projects.”
Each winter, Stephanie says MHS Interact holds a sock drive benefiting Streetside Showers, and McKinney Rotary members promote and participate in it. She adds: “Essentially, anytime one club has a service project, the other can get involved. We are stronger together.”
The McKinney High School Interact Club was chartered Dec. 30, 2014. While the club was inactive during the pandemic, Stephanie says it currently has approximately 20 students in grades 9 through 12, and does more than five service projects per year. “This is made possible by our on-campus adviser, Dana, who’s both a compassionate educator and driven servant leader,” she adds.
Interact clubs have student officers. On-campus and Rotarian advisers provide guidance and support, but students do the planning and execution. For example, MHS Interact students find and coordinate with local restaurants as a fundraiser. They clean up Towne Lake, assemble gifts for teachers and volunteer before and after school.
By the numbers, Stephanie says they’re so proud of MHS Interact for collecting roughly 1,300 pairs of socks for their annual sock drive last year. All socks were donated to Streetside Showers.
“However, the thing I personally take most pride in is the joy these students add to their campus. Many of the projects are geared toward building up their peers. For example, the night before school starts each year, MHS Interact students Chalk the Walk by drawing and writing positive messages on the pavement in front of campus,” says Stephanie. “Students and teachers alike have commented on how nice it is to start the year with that encouragement.”
Another annual project has been Cards of Kindness, which usually takes place during February. During this lunchtime event, MHS Interact hosts a table where all students on campus can make cards with kind messages on them. Students can take the card home to family or friends, or they can make one for a teacher or staff member and MHS Interact delivers it.
“There’s no cost for students to make the cards, and more than one staff member has teared up when their card is delivered,” Stephanie reveals.
Finally, MHS Interact students complete a teacher appreciation project each year during May. They create a small gift for every staff member on campus, more than 300, and deliver them.
For those interested in participating, MHS Interact has a poster in the MHS Library, and makes regular announcements about service projects. They also have a table at the freshman welcome event each year. Stephanie says any MHS student who wants to participate can just show up.
MHS Interactors attend bi-weekly meetings and participate in service projects. Many Interact students also support, or are members of, the Leos club on campus, which is sponsored by McKinney Lions Club.
“I love seeing the friendship and kindness that’s present in MHS Interact,” concludes Stephanie.
“I’ve personally become good friends with Dana, who has selflessly given dozens of hours of time and resources to support our students. I love that we have students of all ages and abilities, and that they include each other and treat each other with respect. To me, this is how Rotary unites us -- as fellow human beings with inherent value. It’s wonderful to be able to pass that along to these amazing students.”
McKinneyRotary.org
Editor’s Note: Stephanie started as president of the Rotary Club of McKinney on July 1, 2025, so is no longer is Rotarian adviser for MHS Interact. She asserts, “However, I’ve gotten to know and love these students. I’ll definitely visit them at their meetings this year. I’m also excited to involve them in our own club’s service projects. They’re learning the value of Service Above Self.”
Best of luck to new Rotarian adviser for the McKinney initiative, Carmen Alencar.
The Rotary Club of McKinney was chartered on July 1, 1919, according to Rotary District 5810. So, club members celebrated its 100th anniversary in 2018.








ARTICLE BY ALEXIS JACOBS
PHOTOGRAPHY PROVIDED BY SOLES4SOULS

Soles4Souls creates opportunities for people through shoes and clothing.
Soles4Souls gives goods a second life — and people a second chance.

Jamie Ellis, Soles4Souls vice president, strategic communications, shares via McKinney + Prosper Lifestyle the organization’s mission, how it serves communities like McKinney and the ways residents can get involved. Local contact Christine Ortega is the Texas senior manager, community partnerships for the nonprofit.
WHAT IS SOLES4SOULS, AND WHO DOES THE ORGANIZATION SERVE?
“Soles4Souls creates opportunities for people through shoes and clothing. Through our four key programs — 4Opportunity, 4Relief, 4EveryKid, and Solutions4Good — we create meaningful change in people’s lives and for the planet. Our work advances economic opportunity, educational access, physical health and emotional well-being. Since 2006, more than 107 million pairs of shoes and pieces of clothing have created opportunities for individuals and communities in 138 countries and all 50 US states.”
HOW DOES THE 4EVERYKID PROGRAM SUPPORT HOMELESS CHILDREN IN THE MCKINNEY AREA UNDER THE MCKINNEY-VENTO ACT?
“Soles4Souls works directly with programs in our public schools and other community organizations that identify students who are experiencing homelessness to address their critical needs. These programs are often called McKinney Vento, or Homeless Education, programs. These partners know their communities inside and out, and are already providing other resources to these children and their families. Then we can come alongside them and give shoes.”
WHAT OPPORTUNITIES ARE AVAILABLE FOR MCKINNEY RESIDENTS TO VOLUNTEER OR SUPPORT THE 4OPPORTUNITY PROGRAM?
“Soles4Souls has so many ways to engage with our mission. McKinney residents can support us by volunteering at the Regional Donation Center in Coppell, starting a shoe drive or donating financially. Local businesses can get involved by hosting a collection box or starting a shoe drive. We’re incredibly grateful to Personalized Touch in
McKinney for hosting a collection box and doing a shoe drive with us.”
HOW DOES SOLES4SOULS PARTNER WITH MCKINNEY ISD AND LOCAL ORGANIZATIONS TO IDENTIFY AND ASSIST CHILDREN IN NEED?
“We understand how important it is for each child to receive their new shoes as soon as possible, and our goal is always to get shoes to students as quickly as we can. Our partners ensure the shoes are provided in an intentional and discreet manner, keeping the dignity of the child in mind above everything else. While we aren’t currently partnering with McKinney ISD, we’ve been able to serve thousands of students across Dallas and North Texas, and would love to continue to serve more students through new partnerships.”
WHAT CAN VOLUNTEERS FROM MCKINNEY EXPECT WHEN WORKING AT THE REGIONAL DONATION CENTER IN COPPELL?
“There are so many activities that happen at our Coppell warehouse, and all of the volunteer roles are vital to helping us fulfil our mission of creating opportunity through shoes and clothing. Volunteers sort and organize shoes, clothing and accessories by size, style and condition. They help us package and prepare items by counting, bagging or boxing shoes and clothing, ensuring they’re ready for distribution. Volunteers also help with loading and unloading trucks and donation bins and managing inventory by weighing and recording processed items.”
WHAT ARE SOLES4SOULS’ LONG-TERM GOALS FOR EXPANDING ITS IMPACT IN MCKINNEY AND SURROUNDING COMMUNITIES?
“Whether you’re donating, fundraising or volunteering, your support reaches people both in McKinney and beyond, helping those in crisis, empowering entrepreneurs and reducing waste. The beauty of what we do is that we have so many ways to engage with us. While a pair of shoes might seem like a small thing, it can have a major impact.”
Soles4Souls.org
“Soles4Souls works directly with McKinney Vento programs, public schools and community organizations to identify students experiencing homelessness, addressing their critical needs. A pair of shoes can have a major impact.”
Lisa Jones Owner



TaxiMom offers private student transport, afterschool pickup, daycare drop-offs & more. as a personal search for dependable rides for our own child has grown into a mission to serve the families of

AUGUST 2025
A SELECTION OF UPCOMING LOCAL EVENTS
AUGUST 1ST, 2ND, 8TH AND 9TH
McKinney Repertory Theatre (MRT) Presents: Barefoot In The Park
McKinney Performing Arts Center Courtroom Theater | 7:30 PM
Love, laughter and life’s little chaos come crashing into one tiny New York apartment in Neil Simon’s beloved romantic comedy, Barefoot in the Park. Full of heart and hilarity, it's a timeless comedy that reminds that opposites attract, and that marriage, like life, is all about finding the right balance. Go to McKinney Performing Arts Center | Upcoming Events.
AUGUST 7TH
Blood Drive
Medical City McKinney Blood Drive | 9:30 AM
Medical City Healthcare organized 19 blood drives this summer, including this one in McKinney this month. These efforts, in partnership with the American Red Cross, aim to address seasonal blood shortages and save lives during the summer months. This drive concludes at 3 p.m. According to the Red Cross, type O blood and platelet donors are essential needs for hospitals.
AUGUST 12TH
Bingo On Broadway Fundraising Event By Grand Love
Black Hawk Brewery's Rooftop Patio | 6:30 PM
Participation in this event can make a real impact in the quality of life for the grandchildren being raised by their grandparents. Everyday expenses, school trips, extracurricular activities, braces, sports equipment and basic needs, such as clothing,







CONTINUED
are sometimes out of reach financially for grandparents on fixed incomes when they take on raising their grandchildren. Tickets found at: Grand-Love.com/events .
AUGUST 15TH
Taylorville
Comerica Center | 7:00 PM
This dynamic tribute band, armed with musical talent, takes attendees on a journey through Taylor Swift's iconic career. The stage comes alive with a stunning video wall production, adding a visual spectacle that complements the music perfectly Tickets range from $44-$94 each.
AUGUST 16TH
McKinney Performing Arts Center, Courtroom Theater | 6:30 PM
If you can't wait until Wicked: For Good to hit theaters in November, come to a wickedly fun pre-celebration with a screening of Wicked: Part One Sing-Along! Pre-Party begins at 6:30 p.m., theater doors open 7 p.m., costume contest 7:30 p.m.; prizes for Best Elphaba and Best Glinda. Movie begins immediately following the contest. Tickets: McKinneyPerformingArtsCenter.org
AUGUST 29TH
380 Acoustics
Brass Tap Prosper | 6:30 PM
This duo, Danny and Justin, who both sing and play, state their music style ranges from classic country (George Strait) to hair metal (Mötley Crüe), and that they're coming with new songs. They also take song requests. The bar and grill is located at 790 North Preston Road, Ste. 80. They are slated to play until 9:30 p.m.














Monday
Monday
Monday