

Breaking Bread









Thankful During 2025

Frisco, what are you thankful for this year? When we look around, we have so many reasons to count our blessings. Frisco consistently receives high rankings for quality of life, earning spots on "Best Places to Live" lists due to its strong economy, health and education, particularly Frisco ISD, which has a state A rating. The city also is recognized as the safest in America by some studies, and one of the No. 1 fastest-growing affordable city in the United States by others.
Here's a friendly reminder that the annual North Texas Turkey Trot reportedly benefits the Miracle League of Frisco. You can join thousands of participants who celebrate the holiday by racing or walking with friends and relatives.
This month, we hope your home is filled with the aroma of freshly baked pies, the sounds of laughter around the table and the feeling of gratitude in your hearts.
As always, thanks for reading, and rest assured that we appreciate you.

SHARON DUFFY, PUBLISHER @FRISCOMAG
November 2025
PUBLISHER
Sharon Duffy Thomas | sharon.duffy@citylifestyle.com
PUBLICATION DIRECTOR
William Thomas | william.thomas@citylifestyle.com
EDITOR
Julie Brown Patton | julie.patton@citylifestyle.com
EDITORIAL COORDINATOR
Amy Schmidt | amy.schmidt@citylifestyle.com
ACCOUNT MANAGER
Anju Rao | anju.rao@citylifestyle.com
CONTRIBUTING WRITERS
Elizabeth Lenart, Julie Brown Patton, Alison Stanton, Kara Witherow
CONTRIBUTING PHOTOGRAPHERS
Rachel Sanchez, Ben Skye, Denae Sereno, Olivia Ogren-Hrejsa Photography
Corporate Team
CEO Steven Schowengerdt
President Matthew Perry
COO David Stetler
CRO Jamie Pentz
CoS Janeane Thompson
AD DESIGNER Mary Albers
LAYOUT DESIGNER Emily Lisenbee
QUALITY CONTROL SPECIALIST Anna Minnick





inside the issue















1: Leia's Kids began a beautiful tradition holding their first Hope in the Kingdom Royal Ball. 2: Dad Jokes Cheesyburger in Frisco’s Rail District serves cheesy smash burgers with every joke. 3: Collin College Foundation scholarship recipients, through funds raised at Texas Big Star Half Marathon/5K.



RACHEL SANCHEZ
DENAE SERENO
FRISCO CHAMBER OF COMMERCE


FRISCO TEENS LAUNCH 'WEAR IT FORWARD' INSPIRING
ARTICLE BY ELIZABETH LENART PHOTOGRAPHY BY BEN SKYE, THE STOREHOUSE COMMUNITY CENTER
Joseph's Coat big selection.


Two Frisco residents who are Liberty High School students, Eli Kim and Amit Jennings, turned a simple idea into a powerful movement of compassion and community service. Together, they founded Wear It Forward, a student-led nonprofit that has donated more than 6,000 clothing items — valued at more than $90,000 — to The Storehouse Community Center in less than a year, providing essential support to local families in need.
“We know that everyone has clothes they no longer need, but many people don’t donate because it’s inconvenient,” says Eli, co-founder. “We are working to remove the barriers and create a system that makes giving back easy, fast and meaningful.”
What began in early 2025 with a few front-porch pickups has grown into a multischool operation spanning Frisco, McKinney, Allen and Plano. Today, Wear It Forward boasts two chapters, a team of 15-plus student volunteers and active partnerships with seven high schools and three elementary or middle schools.
The organization’s model is both simple and impactful: make donating clothes easier by offering home pickups, collecting unclaimed items from lost and found closets at schools and organizing donation drives.
(L to R): Eli Kim, Susan Gradick, Joseph's Coat director, Amit Jennings.
On Sept. 2, the student founders delivered 750 clothing items to Joseph’s Coat, The Storehouse’s clothing closet. Through this program, neighbors in need once a month can make an appointment on Mondays and Wednesdays to “shop” for clothing and shoes at no cost, choosing items for themselves and their families.
Last fiscal year, Joseph’s Coat distributed 130,583 articles of clothing, a significant increase from 90,325 in the previous fiscal year. All clothing is provided through community donations.
The students have put in hundreds of volunteer hours, leading National Honor Society drives, managing social media, designing and posting flyers and promoting their cause across the community. With plans to expand into Carrollton and Richardson, their vision is to scale their efforts and continue empowering young people to lead with purpose.
“The overwhelming support we’ve received from the community has far exceeded anything we imagined,” adds Amit, co-founder. “It’s been incredibly meaningful to know that we’re helping people through difficult times, offering not just clothing, but warmth and hope to our neighbors in need.”
Candace Winslow, CEO of The Storehouse Community Center (formerly The Storehouse of Collin County), says the generosity and leadership shown by the students behind Wear It Forward have made a tremendous difference in the lives of the families they serve. “Their commitment to meeting a basic, yet often overlooked, need has helped restore dignity and confidence to so many in our community. We’re proud to partner with such inspiring young leaders who are proving that age is no barrier to making a meaningful impact.”
Candace says TSCC works to address the root causes of food insecurity and empower neighbors to achieve self-sufficiency.
In addition to a clothing closet, The Storehouse’s pathway of programs serves neighbors holistically, and includes a food pantry, a resource referral program and an education program that offers job, language and life skills training. This pathway culminates in a job partnership program connecting neighbors with stable, high-quality employment opportunities. Presently, The Storehouse serves approximately 5,000 families per month.
Community members can support Wear It Forward by donating gently used clothing. To schedule a pickup, visit their Instagram page at @wear_itforward or email wearitforward733@gmail.com.
469.385.1813
TheStorehouseCC.org


Joseph's Coat shopping.










IMMENSE COMMUNITY SUPPORT
Proper hygiene is important for youths’ health, self-esteem and dignity. At Refresh NTX, formerly named Refresh Frisco, the mission is to ensure children in local communities have access to personal hygiene items, such as toothpaste, deodorant, shampoo, soap, combs/ brushes, shaving cream, personal care products, sunscreen, lip balm and hand sanitizer.
“We can only accomplish this mission with the help of our community,” says Elizabeth Watkins, founder and president of the nonprofit. “Donations help us
FRISCO-FOUNDED REFRESH NTX NONPROFIT PROVIDES ESSENTIAL PERSONAL HYGIENE ITEMS
ARTICLE BY JULIE BROWN PATTON
PHOTOGRAPHY BY PROVIDED BY REFRESH NTX

Photo by Olivia Ogren-Hrejsa Photography
provide students with Refresh Packs filled with full-size hygiene products every three months. Students enrolled in our program receive four hygiene packs per school year.”
A standout element of this generosity in every pack are heartfelt, handwritten notes of encouragement from volunteers.
Liz, a Frisco resident, launched Refresh Frisco during May 2019, after seeing the need through her years of parent volunteer work at schools and a local food pantry. She says she’s always been inspired by Dr. Martin Luther King Jr. comment: “Life’s most persistent and urgent question is, ‘What are you doing for others?’”
The group also receives sponsorships and donations from community partners and other organizations, such as CoServ, H-E-B, Preston Trail Community Church and Northwood Woman’s Club. Local youth groups, school sports teams and community service organizations also support Refresh by hosting hygiene product drives and volunteering at the warehouse.
To qualify to receive hygiene packs, students must attend Pre-Kindergarten through 12th grade in the following school geographies: Frisco ISD; Little Elm ISD; and select schools in Denton ISD, as well as participating private or charter schools. Refresh NTX is currently serving more than 2,300 students each quarter in 100 local schools.
Ways to contribute to Refresh NTX include donating products, providing monetary funding, hosting hygiene product drives and shopping online via the group’s Amazon wish list or Walmart Registry for Good List. Refresh Frisco is a registered 501(c)(3), as all donations are tax-deductible.

“We seek to ensure every child in our communities has access to personal hygiene items.”
DROP OFF FRISCO LOCATIONS:
• Refresh Warehouse, 124 Rose Lane, Unit 405, Entrance 2
• Grace Avenue United Methodist Church, 3521 Main St.
• Frisco Family YMCA, 3415 Main St.
• Shaddock Creek Estates, 11000 Yorkshire Lane
• Lone Star Ranch, 5831 Summer Star Lane
• Waterstone, 5932 Myrtle Lane
• Turnbridge Manor, 15078 Daneway Drive
• Edward Jones, 9300 John Hickman Parkway, Ste. 402
• Bay Ridge Estates, 4016 Moonlight Drive
469.269.6966
RefreshNTX.org





Tips on meal prepping for less stress
ARTICLE BY ALISON STANTON
Let’s face it: hosting Thanksgiving dinner can be stressful.
Between grocery shopping, house cleaning, cooking and baking, it’s no wonder the day devoted to giving thanks can feel a tad daunting.
Here’s some very welcome good news: whether this is your first holiday hosting rodeo or you’ve stuffed many a turkey over the years, you can knock out most of the Thanksgiving meal prep work in advance – some of it two weeks before the big day.
To make this year’s Thanksgiving meal easier and more enjoyable, consider the following timeline of tips.

2 WEEKS BEFORE
Create Your Thanksgiving Menu
• Print out the recipes you plan to use – this will be much easier than constantly tapping your phone to prevent the screen from going dark or scrolling when your hands are covered with flour or onions.
• Using your menu and printed out recipes as a guide, compose a complete shopping list.
• Double check your supply of herbs and spices to see what you have on hand –even the ones you are pretty sure you have enough of, like salt and pepper (this tip comes from personal experience!).
• Shop for all non-perishable and frozen food items. Basically, if it doesn’t need to be stored in the fridge, or if it doesn’t have a short shelf life, it’s going in the cart.
• Plan three easy and tasty dinners for the days leading up to Thanksgiving and purchase those ingredients during your shopping trip. Or plan at least one night of takeout.
4-5 DAYS BEFORE
Clean & Organize, Buy Fresh Groceries
• Clean your home completely, enlisting family members to help. Then, as the big day approaches, you can touch up as needed.
• Finish your grocery shopping for fresh vegetables like potatoes, onions and carrots and other items not purchased earlier.
• Go through your fridge and toss any old, expired condiments, leftovers and mysterious food items that no one is eating. This will free up valuable real estate for your various dishes.

Prep Meals & Set the Table 2-3 DAYS BEFORE
• Wash and chop all veggies and place the prepped produce into plastic baggies or airtight food storage containers. If some recipes call for “minced onion” and others require “chopped onion,” label the bags accordingly.
• Set the table, and include the empty serving dishes. This will help you figure out ahead of time where the larger dishes can go (and if they will all fit!) Add Post-It notes to the empty dishes to remind you what will go in what. Use a clean sheet to cover everything and keep it all dustfree until Thursday. You can also do this for a buffet.
• Gather all needed serving spoons and other serving pieces.
• Pre-measure herbs and spices for your recipes and store them in labeled small plastic bags with the name of the dish they are for and what’s in the baggies. You can also do the same for any flour, sugar or other non-perishable ingredients you’ll use in your dishes.


Tidy, Prepare Dishes & Drinks 1 DAY BEFORE
• Do a quick clean and tidy around the home; for instance, run the vacuum and shine up the bathrooms.
• If you haven’t already done so, bake your pies, or, at the very least, prepare your pie dough. Wrap the dough in plastic and keep it in the fridge until you’re ready to assemble and bake the pies.
• Make the mashed potatoes. Bonus tip: on Thanksgiving, put the potatoes into a slow cooker and heat them up using the “warm” setting.
• Prepare the gravy. If you have a second slow cooker, it too can be warmed up this way on Thanksgiving. This will also help free up pots, pans and burners on the stove!
• Set up a separate drink station where guests can help themselves or someone can serve them away from the kitchen. Stock it with glasses of different sizes, napkins, bottle and can openers and straws.

Fifth Gear Automotive: Your First Choice
Fifth Gear Automotive is the go-to shop for those in need of auto service and repair. We cover all the major makes and models, from the iconic American vehicles to import giants. Our trained technicians use state-of-the-art diagnostic tools on all vehicles to best identify any potential problems before they become bigger issues.
Customers can have peace of mind knowing their car will be running at its peak performance while they enjoy a cost-effective solution.



Need top-notch plumbing services?
Look no further! At Pure Plumbing, we deliver phenomenal solutions for all your plumbing needs.
• Same- Day Appointments
•24/7 Emergency Services
•Residential & Commercial
•Affordable Financing Options
•Low Monthly Memberships For Hassle-Free Maintenance
Services We Offer:
• General Plumbing
•Tank & Tankless Water Heaters
•Drain Cleaning
•Hydro Jetting Services
• Gas Line Repairs
• Leak Detection
• Water Filtration Systems






thanksgiving cornucopia
How To Decorate Tables With Noteworthy November Flair
ARTICLE BY JULIE BROWN PATTON



Whether traditional or modern, formal or fussfree, Thanksgiving centerpieces set a memorable ambiance for November gatherings.

Make an edible bread cornucopia, ‘horn of plenty,’ for the Thanksgiving table using refrigerated bread or pizza dough, a plastic bottle mold and aluminum foil. Wrap the bottle with foil, make a tail at one end and then layer adjoining strips of dough on the foil. Brush cornucopia with melted butter, remove the plastic bottle and bake at 350 F for 25 to 30 minutes on the lower rack, or until it turns a golden, shiny brown. Fill with sweet or savory nibbles, such as fresh fruits, vegetables, gourds, nuts, rosemary breadstick twists or even cookies, for an impressive centerpiece that’ll keep guests happily munching while they wait for the main meal to begin.
florals can be gourd- geous
Or, get inspired from the following ideas and have fun creating a centerpiece completely customized.

• Slice and fill real squashes with floral foam to hold classic fall flowers, such as mums, pom-pom daisies and dahlias.
• For a pop of color on Thanksgiving tables, a large turquoise or pink pumpkin goes a long way.
• For a cranberry-filled vase, place a smaller glass cylinder inside a larger one, then pour fresh cranberries into the gap between the two vases. For flowers, mix a few grocery-store blooms with dried millet and faux dill blooms, or silk and dried flowers.


• An old dough bowl or wood trencher makes a great low centerpiece when filled with seasonal pumpkins, gourds, pinecones and flowering branches.
• Fill a stoneware sugar bowl with seeded eucalyptus, chrysanthemums and pears.
• Use one or a nest of baskets, floral foam and some blooms to craft a themed stunner.
• Incorporate family heirlooms by using an inherited (or thrifted) antique teapot, surrounded by other vintage finds.
• Stack two cake plates on top of each other with bite-size edibles; add other, shorter floral arrangements in pitchers or vases, if desired.
• Add soft candlelight with rustic textures of wood and lots of fall color via an assortment of fresh and faux gourds, silk sunflowers and dried seed pods.
use vintage finds





• Accentuate a beautiful vintage container, antique tins, teapots, pitchers and storage containers, for charming stand-ins for modern vases while adding a hand-me-down touch of family history to tables.
• Place a few blooms, in fall shades, in a clear water glass for a less complicated or casual look.
• Cut leaf shapes from colorful card stock and attach to bare branches gathered from the backyard; before the meal, ask guests to write what they’re most thankful for on the leaves, or just leave them blank.

Christmas Shines Brightest In Grapevine, ‘Christmas Capital Of Texas’
Advice Editorial: Upscale Gaylord Texan Resort Makes The Holiday Season One Never To Forget
ARTICLE BY KARA WITHEROW
The best Christmas memories don’t have to be made far from home. Just a quick drive from McKinney, Prosper and Frisco, Gaylord Texan Resort in Grapevine soon turns into a winter wonderland where families can slow down, laugh together and make new traditions.
From Nov. 14, 2025, through Jan. 4, 2026, the resort comes alive with millions of twinkling lights, towering Christmas trees, festive music and seasonal treats that dazzle, delight and set the perfect holiday scene.
ICE! FEATURING ELF
At the heart of it all is ICE! featuring Elf, the hilarious and heartwarming holiday film brought to life with more than 2 million pounds of hand-carved, colorful ice.
An immersive winter wonderland of ice sculptures, ice slides and scenes from the holiday hit Elf, ICE! is masterfully crafted by 40
expert artisans from Harbin, China. Following a 300-page design book filled with sketches and blueprints to sculpt each individual piece — some as small as a coin and others nearly 30 feet tall — the artisans work for six weeks to create the 20,000-square-foot attraction. They use chisels, chippers, tongs, handsaws, grinders and even chainsaws to bring the experience to life.
This holiday spectacle takes guests on a frosty journey from the North Pole to New York City as they explore a winter wonderland carved from more than 2 million pounds of ice, where Buddy’s hysterical hijinks are brought to life in stunning, frozen detail.
To preserve the frozen sculptures, Gaylord Texan maintains a state-of-the-art chilling system, but there’s no need to pack coats (scarves, gloves and extra apparel are suggested for those who tend to get cold). Even though it’s cool inside, the resort provides parkas to keep guests warm as they zoom down ice slides, marvel at largerthan-life displays and wander through the arctic attraction.

SO MUCH CHRISTMAS
Beyond ICE! featuring Elf, Gaylord Texan Resort offers a winter wonderland of more than 10 festive activities for the whole family.
Brave the six-lane ice tubing hill for a thrilling ride, craft and decorate gingerbread creations, grab a tub of real snow and build and launch snowballs, or step inside Santa’s workshop to meet the man in red himself. Little ones will love taking a spin on the Christmas Carousel, while parents will appreciate all the opportunities for the perfect holiday photo.
For a mesmerizing performance the whole family will love, grab seats for Cirque: Frost, an original Gaylord Hotels’ production that dazzles with high-flying stunts, breathtaking feats and the heartwarming story of a dreamer who brings enchantment and wonder to the world.
After a day filled with Christmas cheer, linger a little longer over an exceptional meal. At Old Hickory Steakhouse, savor timeless cuts in an elegant setting. Zeppole invites diners to enjoy Italian favorites in its newly renovated space, while Riverwalk Cantina tempts with bold Tex-Mex flavors and festive surroundings. As the day winds down, enjoy an evening stroll through the glowing, glittering atrium.
This year, skip the travel stress and give family members the greatest gift of all: time together. With so much to see and do, Gaylord Texan Resort can be the ultimate destination for creating holiday traditions and making memories that will be treasured for years to come.
Overnight packages, ticket bundles and special offers are available.
817.778.1000
ChristmasAtGaylordTexan.com


Through Jan. 4, the Gaylord Texan resort transforms into a wondrous holiday haven with acres of décor, live entertainment and immersive activities for all ages. The resort is located at 1501 Gaylord Trail in Grapevine. This holiday season, experience the magic with the return of ICE! featuring Elf.
H O P E
with YOU
The holidays have a way of calling us back to what matters most—faith, family, compassion, and the quiet but powerful act of giving. As lights go up and calendars fill, there are still many who sit in silence, carrying burdens too heavy to bear alone. But what if this season, you could be the spark that changes everything for someone else?
The founders of City Lifestyle, through their private foundation, are once again launching its annual Christmas Giving Campaign—a heartfelt effort to seek out and support individuals and families who have quietly fallen through the cracks. The mission is simple: to bring light, dignity, and hope to those who need it most.
Since its beginning just four years ago, this initiative has grown from a humble idea into a life-changing movement. Last Christmas alone, more than 200 families across the country received unexpected support—financial relief, but also something even more powerful.
“We don’t just send checks,” says Steven Schowengerdt, CEO and founder of City Lifestyle. “We send a message: You are seen. You are loved. And you are not forgotten.”
Together with City Lifestyle President Matthew Perry, Steven has helped shape this into a tradition that goes far beyond charity. “This is about community,” Matthew adds. “We believe we’ve been blessed, so now we get to be a blessing.”
Every story begins with a nomination. Often, it’s a neighbor, coworker, friend, or teacher—someone who’s been quietly carrying too much for too long. One past recipient, after receiving unexpected support during a time of deep personal struggle, wrote:
SCAN TO NOMINATE

“We send a message: You are seen. You are loved. And you are not forgotten.”
“Beyond the very practical solution of receiving funds to fix my car, this thing you guys worked together to do is bigger than that. I carry the Christmas card you sent in my purse. When things get really hard, I pull it out and remember what it felt like to be seen. That card represents hope— that change for the better is possible. I’m not sure how many people get to carry hope around in their purse. But I do.”
Another wrote in after her husband was diagnosed with aggressive brain cancer and unable to work:
“This support has blessed our family not only financially, but emotionally and spiritually as we trust God to meet our needs throughout this difficult time. Thank you to our anonymous friend and to your foundation. What a joy and gift to be part of God’s family!”
Each year brings countless stories like these—real lives touched by simple acts of kindness. Some use the funds to pay overdue bills, others to afford groceries, medication, or repairs. But no matter the circumstance, the impact is the same: hope is restored.
This season, you have the opportunity to be part of that. The campaign is now open to nominations—completely confidential and prayerfully considered. Whether it’s someone battling illness, facing unemployment, or just in need of a helping hand, you can bring them a moment of grace that will ripple far beyond Christmas morning.
“Knowing my mom was chosen filled my heart with indescribable joy,” said another past recipient. “Your generosity doesn’t just brighten her life; it inspires hope and faith in all of us. It enables her to stay in her home and get back on her feet.”
Nominations are open from November 1st to December 5th, 2025. To submit someone you know, simply scan the QR code or visit @CityLifestyle on Instagram, where you’ll find the nomination form in the bio.
This holiday season, let’s give more than gifts. Let’s give each other the gift of being seen. Because sometimes, the smallest gesture becomes someone’s greatest miracle.
To nominate someone in need, visit: KingdomBuildingFoundation.org or scan the QR code.
2025
events
A SELECTION OF UPCOMING LOCAL EVENTS
NOVEMBER 1ST
ArborFest
Frisco Commons Park | 9:00 AM
ArborFest is an annual celebration of trees and Frisco's urban forests. It's hosted by Frisco city staff and the Frisco Garden Club members. The goal is to increase community understanding of the value of local urban forests and to encourage the conservation of forests in Frisco. This event is held in conjunction with Buffalo Stomp-Wildflower Seed Planting restoration efforts.
NOVEMBER 8TH
Verbz & Vibez Live
Frisco Performing Arts Center | 8:00 PM
Verbz & Vibez Live Frisco is where the party's at! Get ready for a night of incredible music and good vibes. Organizers indicate this in-person event will feature some of the hottest artists in the game and to get ready to dance the night away until 10 p.m. Tickets are available online for $12.51 plus a processing fee.
NOVEMBER 16TH-20TH
13U PGA Jr. League Championship
Fields Ranch West | 9:00 AM
Twelve 13U All-Star teams will compete in the 2025 13U PGA Jr. League Championship. There is no admission cost. Go to PGA.com/events/PGA-Jr-League-Championship for details.
NOVEMBER 21ST-JANUARY 5TH
20th Anniversary Of Christmas In The Square
Frisco Square | 6:00 PM
Christmas in the Square is the largest choreographed lights and music display in North Texas. The Holiday lights and music will run daily 6-10 p.m. This show is free to the public, and also will feature Skate the Square, an outdoor ice-skating rink, as well as a Christmas tree lot. Some activities do require a fee.
NOVEMBER 24TH-27TH
Hoopfest Women's College Basketball Challenge
Comerica Center | 4:00 PM
The Hoopfest Women's Basketball Challenge is an electrifying college basketball event. Witness fierce competition, as eight of the nation's best college teams battle it out in a vibrant atmosphere where future stars are born. Hoopfest organizers indicate they are passionate about empowering female athletes and shining a spotlight on women's sports. Tickets start at $35.55. For a schedule, visit HoopfestBasketball.com/event/Hoopfest-Basketball-Womens-Challenge .
NOVEMBER 29TH
Shop Local Holiday Market
Kaleidoscope Park Performance Lawn | 10:00 AM
Discover festive goods, winter treats and handcrafted gifts that are just right for everyone on gift lists. This market is sponsored by Comerica Bank and concludes at 4 p.m. The vendor booth fee is $200. Vendors keep 100% of sales.
Want to be featured?






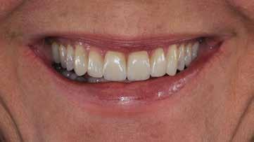
At Jensen Orthodontic Arts, we combine ART, SCIENCE, and EXPERTISE in orthodontics to customize your smile and improve or reconstruct the function and harmony of your teeth. That alone says a lot, but Dr. Doug Jensen also uses his training in the closely-related specialty of PROSTHODONTICS and dental aesthetics to create wonderful outcomes for unusual or complex dental problems– Think VENEERS, CROWNS, IMPLANT CROWNS, and DENTURES. Dr. Jensen is one of the few dual specialists in both orthodontics and prosthodontics in America, and we are lucky to have his experience in this area. He offers clear orthodontic treatment options including CLEAR BRACES, LINGUAL BRACES, and CLEAR ALIGNER THERAPY to meet your aesthetic needs. Count also on getting treatment rendered efficiently without ignoring the balance that should be present between the teeth, joints and muscles in a properly functioning bite.

Dr. Doug Jensen, DDS, MS
Board-Certified Orthodontist, Prosthodontist




Don’t wait! Come see us for an expert’s Complimentary Evaluation
Get a straightforward assessment and roadmap to the PERFECT SMILE!
Veneers
Photos & Smiles by Dr. Jensen