
Serving Up Gratitude, Oh, And Pie!







![]()

Serving Up Gratitude, Oh, And Pie!








In this season of giving thanks, we often find ourselves reflecting on the many blessings in our lives. The true spirit of Thanksgiving encourages the conscious expression of gratitude. Its focus is spending time with those you love and encourages giving back in meaningful ways. While ambition, competition and slaying goals can be very healthy, forgetting to place importance on being present, enjoying the ride and appreciating those who've helped us along in our journey, can leave us missing out on what truly matters. It's hard to feel content if we only look outside ourselves, and at our possessions or titles, to determine if we're fulfilled.
True contentment comes from within and from fulfilling who we were made to be.
Our November edition is dedicated to stories of gathering, gratefulness and giving back to our community. We're very thankful for the residents and businesses in our community who support so many wonderful organizations and help make our vibrant community what it is.
We're especially thankful for our advertising partners who help bring this magazine to your homes each month. They're part of our vision and purpose of providing inspiring stories and good community news directly to you.
As we prepare to gather with our loved ones this holiday season, in the true spirit of thanksgiving, let’s set time aside to consider what truly makes life meaningful and stop to reflect on those blessings.

SHARON DUFFY THOMAS, PUBLISHER @FRISCOMAG
PUBLISHER
Sharon Duffy Thomas | sharon.duffy@citylifestyle.com
PUBLICATION DIRECTOR
William Thomas | william.thomas@citylifestyle.com
EDITORIAL COORDINATOR
Amy Schmidt | amy.schmidt@citylifestyle.com
COPY EDITOR
Julie Brown Patton | julie.patton@citylifestyle.com
CONTRIBUTING WRITERS
Julie Brown Patton, Hannah Barricks, Kara Witherow, Angela Broockerd, Madeline Leblanc
CONTRIBUTING PHOTOGRAPHERS
Lucy Thornton, Janie Jones, Fahr Wassser
CHIEF EXECUTIVE OFFICER Steven Schowengerdt
CHIEF OPERATING OFFICER Matthew Perry
EXECUTIVE DIRECTOR OF HR Janeane Thompson
AD DESIGNER Rachel Chrisman
LAYOUT DESIGNER Rhiannon Coffman































Arwa Yemeni Coffee opened in Frisco at The Centre within the Preston Ridge shopping center, 3211 Preston Road, Ste. 1. The coffee shop offers patrons a chance to experience Yemeni culture, and sells Yemeni coffee and pastries, such as honeycomb bread, which is a bread stuffed with honeycomb and served with warm syrup as a balance of sweet and savory. The staff reports sourcing green coffee beans directly from Yemen before roasting them in-house.

available. Users can create podcasts, short videos or hold a photo shoot, all for free! Time for the studio can be reserved online at FriscoLibrary. com/Studio. The Library doesn't provide one-on-one assistance, however online training tutorials are available. Guests must bring their own SD card or external drive to save their work and files must be saved or exported before the end of each reservation.

Frisco Chamber Foundation representatives, the charitable arm of Frisco Chamber of Commerce, unveiled the Frisco Rail District Receipt Race as an initiative to boost foot traffic and supporting businesses in the Frisco Rail District during ongoing construction. The Receipt Race is a fun competition open to PTAs with 501(c)(3) status. Through Dec. 31, 2024, participants shop, dine or do business at any Rail District establishment, save their receipts, and submit them to their selected PTA. Want to





HAIMAN HOGUE PROFESSIONALS HELP OTHERS PRESERVE ESTATES, PROTECT INVESTMENTS


Estate planning can be complex; it also provides opportunities for empowerment and peace of mind.
As a family protection planning and elder law firm, professionals at Frisco-headquartered Haiman Hogue, PLLC, say their foundational belief is to “faithfully serve God, clients and community” in legal projects they handle.
“Our focus is to use our unique God-given talents and abilities to help and serve others,” says founding partner Fred Haiman.
“We treat our clients with dignity and respect while ensuring they’re in full control of their money and assets,” adds founding partner Rex Hogue.
This legal assistance spans wills, trusts, trust administration, college planning, probate, guardianship, special needs, powers of attorney, deeds, business planning and asset protection, with services tailored to each client’s unique needs.
“There’s no such thing as one-size-fits-all estate planning,” says Susan Barnett, Haiman Hogue estate planning and elder law attorney.
Estate planning is the process of making arrangements for how assets and affairs will be handled if one becomes incapacitated or passes on. This planning is important because it helps ensure assets go to the intended beneficiaries, reduces family strife and avoids expensive and time-consuming court proceedings.
This law team assists clients with defining and understanding necessary steps for estate planning. For example, the probate of someone’s estate is a court-supervised process used when a person passes on with or without a will. Trust administration is a more private process, and is used when a decedent has a trust.
Asset protection planning involves making current prudent decisions to protect oneself, business, and hard-earned assets from loss due to lawsuits, creditors or bankruptcies.
Sometimes, a guardianship is needed, which allows a person or entity to make decisions for an adult who can no longer take care of himself/herself due to mental or physical disability or incapacity.
Sheila Williamson, Haiman Hogue director of community services, says the team offers free educational events each year, regarding topics such as ‘Does a Trust Make Sense in Texas?’ and ‘Estate Planning 101.’ They also participate in community resource fairs.
They have done webinars on these topics: Trusts Including Special Needs; Guardianship In Texas; Strategies For Mediating and Avoiding Family Fights; Blended Families: A Brady Bunch Nightmare; Addiction In The Family/How It Affects Care and Planning; My Loved One Just Passed…Now What; Elder Abuse and Adult Protective Services; and Preparing For Cognitive Incapacity.
“And we’re always willing to provide a guest speaker for professional organizations and civic groups,” Sheila adds.
She says she and her colleagues truly live out their faith, offering complimentary phone consultations to potential clients, because “we believe it shouldn’t cost people something just to find out if we can help them.”
Meals on Wheels is one nonprofit initiative supported by the Haiman Hogue staff. Sheila says it’s the combination of checking on homebound residents and bringing them nutrition that is most inspiring. “This cause fits perfectly for the way we do business.”
Additional charitable groups that Haiman Hogue professionals have sponsored or actively are participating in include Grace To Change; Latter House Décor; Lift R & R; Treasured Vessels; Melody of Hope; Camp Craig Allen; Alzheimer’s Association; McKinney Repertory Theatre; Frisco Family Services; Prosper Education Foundation; The Fairhill School; and 29 Acres.
In addition to its headquarters within the Comstock Building, 5300 Town and Country Blvd., Suite 200, the firm also has locations in Arlington, Sherman and Gainesville.
214.618.3160
HaimanHogue.com





We treat our clients with dignity and respect while ensuring they’re in full control of their money and assets.


Our attorneys create customized estate plans based on your family structure, life plans, goals, values, principles, and vision. There is no such thing as one-size-fits-all estate planning.
The probate process helps to ensure that your deceased loved one’s estate is distributed according to their wishes. Mourning the loss of a loved one is difficult, and the thought of dealing with legal issues and piles of paperwork can make you feel overwhelmed.
Appointing a guardian is necessary when a person can no longer make or communicate safe or sound decisions about his/her person and/or property or has become susceptible to fraud or undue influence. A special needs trust allows a person with a disability to have money put aside for their care.
Trust administration includes settling any debts, paying taxes, transferring property titles and other administrative tasks that must be handled to close out or settle the estate of the decedent.
Asset protection planning involves making prudent decisions today to protect yourself, your business, and your hard-earned assets from loss due to lawsuits, creditors or bankruptcies.
An effective business plan is not only a roadmap that outlines your goals, strategies, and potential hurdles, but also helps protect your business from death, divorce, or disability by preparing in advance.



In Celina, Texas, there is a place where the charm of history meets the sophistication of modern luxury. It’s a haven where golf isn’t just a game; it’s a celebration of opulence. And guess what? We’ve got an exclusive offer just for you to become one of our very first Founding Members, unlocking a world of unique perks and experiences that you won’t find anywhere else. As a Founding Member, you’ll etch your name in the walls of 1876 Country Club. Picture this: you’ll be the first to grace our meticulously crafted course, a masterpiece reserved for those who have a taste for the extraordinary. But there’s more to 1876 than the greens.

Join others on Thanksgiving day, Nov. 28, for a family fun event in downtown Frisco.
Everyone can enjoy a 5K, 10K or the Miracle Mile (1 Mile Fun Run) before sitting down for turkey time and holiday festivities; virtual option available, too. All proceeds benefit the Miracle League of Frisco, a sports organization for children with special needs, from ages 5 through 22.
"Our goal is to provide positive experiences for children who participate in our league, which offers baseball, soccer, basketball, football, bowling and track. Eligible players are any child with all levels of disabilities, who reside throughout the North Texas area," says Miracle League President Jeremy Silvas.
• Miracle Mile Start Time on Nov. 28 is 7:55 a.m.
• 5K and 10K Start Time is 8:15 a.m.
To register ($23 to $45): Runsignup.com/Race/TX/Frisco/NorthTexasTurkeyTrot
Scheels in The Colony is the 2024 title sponsor of the event. Email info@northtexasturkeytrot.com with questions.
NorthTexasTurkeyTrot.com



This Year's North Texas Turkey Trot In Frisco Benefits Miracle League Of Frisco



Gratefulness For Holiday Food Preparation: Hurry To Secure Reservations At City Works Frisco
ARTICLE BY JULIE BROWN PATTON
Feast on City Works’ Thanksgiving meal will feature herb-roasted turkey, slow-roasted prime rib and a special roasted turkey option for the kids, all accompanied by classic Thanksgiving sides. Guests also may add their favorite desserts for a perfect holiday meal.
City Works Frisco opened on Aug. 16, 2017, as part of The Star development, a joint project between the Dallas Cowboys and the City of Frisco. It has a full bar on each of its two floors, plus indoor and outdoor dining.
Turkey Day reservations are available on Thursday, Nov. 28 only, from noon to 6 p.m. and can be made online via OpenTable.
Slow-Roasted Prime Rib $55
10-ounce, hand-carved, horseradish cream, au jus, served medium rare unless specified.
Herb-Roasted Turkey $40
10-ounce hand-carved, oven-roasted breast.

Kids Roasted Turkey $20
Hand-carved, oven-roasted breast; standard kid’s menu will be available as well.
Sides Buffet (included with entrée)
• Creamy Mashed Potatoes
• Grilled Asparagus
• Corn Casserole
• Roasted Brussels Sprouts with bacon lardons
• Green Bean Casserole
• Au gratin Potatoes
• Traditional Sage Stuffing
• Cranberry-Orange Relish
• Assorted Dinner Rolls and Whipped Butter
Desserts $8
• Bourbon Pecan Pie, vanilla bean ice cream
• Brownie Sundae, vanilla bean ice cream, chocolate sauce, caramel sauce, whipped cream
• Pumpkin Pie, whipped cream, fall spice
City Works also maintains a sprawling craft beer list with more than 90 local and global varieties.
This special meal is available only on Nov. 28. City Works is located in Frisco at 3680 The Star Boulevard, Suite 1300. For questions, phone 469.850.1850 or visit CityWorksRestaurant.com. City Works eateries also exist in Pennsylvania, Illinois, Florida and Massachusetts, as well as in Fort Worth. CITYWORKSRESTAURANT.COM










ADVICE EDITORIAL: HEAD TO HOLIDAY VACATION
EVERYONE WILL ENJOY AT GAYLORD TEXAN
Holidays are for family, friends and making memories. Whether it’s bundling up and spending a day walking through a winter wonderland, zipping down a snowy hill or singing Christmas carols while enjoying cookies and milk, guests can find it at Gaylord Texan Resort. Amid millions of holiday lights, elaborately decorated trees, seasonal cuisine and a sleigh-full of Christmas cheer, visitors will experience a Christmas to remember.
Standing on the shores of the majestic Lake Grapevine, Gaylord Texan is a perfect choice for families looking for a fun holiday getaway close to home.
From Nov. 15 through Jan. 5, 2025, the resort transforms into a wondrous holiday haven with acres of décor, live entertainment, and immersive activities for all ages.
ICE! FEATURING RUDOLPH THE RED-NOSED REINDEER
The coolest attraction of all is ICE! featuring Rudolph the Red-Nosed Reindeer. This holiday spectacle is kept at 9 degrees and hand-carved by artisans out of 2 million pounds of brightly colored ice.
Guests will see Rudolph the Red-Nosed Reindeer, Hermey the Elf, Yukon Cornelius and all their friends come to life in more than 10 vibrant ice scenes from the beloved television special.
And there’s no need to pack coats (scarves, gloves, and extra apparel are suggested for those who tend to get cold). Even though it’s chilly inside, Gaylord Texan provides parkas to keep guests comfortable as they marvel at larger-than-life displays, take fun selfies and wander through the one-of-a-kind, arctic attraction.
ARTICLE BY KARA WITHEROW | PHOTOGRAPHY
PROVIDED BY GAYLORD TEXAN RESORT




Love a Broadway-style spectacle? An original Gaylord Hotels production, Cirque: Spirit of Christmas features amazing acrobatics and feats of flexibility. Designed for the entire family to enjoy, the story centers around Noel, a child dismayed by the hustle and bustle of the holidays.
A heartwarming story that soars through the air and sparkles with imagination, this 45-minute show will delight and dazzle with a riveting score, world-class contortionists, jugglers, trapeze artists and more.
With signature events, classic holiday activities, including photos with Santa and thrilling experiences such as snow tubing and Snowball Build & Blast, there’s something for everyone to enjoy during So Much Christmas at Gaylord Texan Resort.
After a festive day of memory making, unwind with a meal at Old Hickory Steakhouse, Riverwalk Cantina, Texas Station or Zeppole before taking a spin on the Christmas Carousel. This timeless, family-friendly ride is sure to get the whole family in the holiday spirit!
This season, give a gift that can’t be wrapped but will be remembered forever. Unwrap the magic of Christmas at Gaylord Texan.
ChristmasAtGaylordTexan.com
Through Jan. 5, 2025, the Gaylord Texan resort transforms into a wondrous holiday haven with acres of décor, live entertainment and immersive activities for all ages.













Discover the artistry of Performance Painting & Remodeling, your premier destination for exquisite kitchen, bathroom, and whole-home renovations, along with interior and exterior painting. Our palette of services extends beyond just painting and remodeling, to include an array of home improvement specialties.
From precision carpentry and luxurious flooring to intricate trim and crown molding, we master every detail. Our skilled team is adept in drywall repair, elegant tile work, bespoke countertops, and the seamless removal of popcorn ceilings, among other services. Entrust us with your vision, and we will sculpt it into reality, enhancing every corner of your home with impeccable craftsmanship and beauty.



ARTICLE BY ANGELA BROOCKERD I PHOTOGRAPHY BY JANIE JONES
Fall is synonymous with gathering with friends and family and enjoying time together. Whether it is for Thanksgiving, a football watch party or a simple fall gathering, these easy appetizer dips are the perfect shareable snack to share.
The perfect cheesy fall dip that is both savory and sweet. The chopped pecans add a subtle crunch that makes this irresistible.
ingredients:
• 8 ounce brie wheel
• 1/3 cup fig spread or jam
• ¼ cup pecans
• 2 teaspoons honey
• 1 teaspoon fresh rosemary, chopped
• 1 teaspoon fresh parsley
directions: Place brie in a baking dish. Spread the fig spread on top of brie and sprinkle with chopped pecans. Drizzle with honey. Add fresh herbs, and bake at 350 degrees for 20 minutes. Serve with pita chips or crackers.


This savory dip is quick and easy to assemble and is perfect to serve with fresh veggies or crackers of any kind.
ingredients:
• ½ cup plain Greek yogurt
• 1 whole garlic bulb, roasted
• 1 ¼ cup feta cheese
• 3 teaspoons olive oil
• 1 Tablespoon lemon juice
• ½ teaspoon dill
• 1 teaspoon parsley
• Salt and pepper to taste
directions:
First, cut the head off of the top of the garlic bulb, and drizzle olive oil on top. Wrap in foil, and place it in an oven heated to 425 degrees. Roast for 30 minutes or until soft. Squeeze roasted garlic into a bowl, and set aside. Next, add the yogurt, feta, lemon juice, salt, pepper and water in a blender and lightly blend. Add the roasted garlic and blend until smooth. Transfer to a serving dish and sprinkle with fresh herbs. Serve with crackers or fresh vegetables. Enjoy!


This crowd-pleaser can be made in advance for easy entertaining.
hummus ingredients:
• 2 cans of garbanzo beans (chickpeas), drained
• Juice from one lemon (or ¼ cup)
• 1/3 cup water
• 1 garlic clove, minced
• ½ teaspoon cumin
• ¼ teaspoon cayenne pepper
• ½ teaspoon salt
• ¼ teaspoon pepper
• 1 tablespoon olive oil
toppings:
• Olives
• Cherry tomatoes
• Chickpeas
• Feta cheese
• Red onion
• Fresh Parsley
directions:
In a blender, add all of the ingredients except the olive oil and the toppings. Blend until smooth. Spread Hummus onto a plate or platter and top with chopped toppings. Serve with fresh bell peppers, zucchini, crackers and pita bread.

Need top-notch plumbing services?
Look no further! At Pure Plumbing, we deliver phenomenal solutions for all your plumbing needs.
• Same- Day Appointments
•24/7 Emergency Services
•Residential & Commercial
•Affordable Financing Options
•Low Monthly Memberships For Hassle-Free Maintenance
Services We Offer:
• General Plumbing
•Tank & Tankless Water Heaters
•Drain Cleaning
•Hydro Jetting Services
• Gas Line Repairs
• Leak Detection
• Water Filtration Systems



Food is exciting to cook, and satisfying to eat but is it enjoyable to read? Novels where food is prominently featured can be a veritable feast for the eyes. Food imagery, also called gustatory imagery, adds depth to a novel, providing a springboard for all kinds of descriptive and symbolic language. Different dishes can transport a reader to new regions of the world, reveal a character’s culture, or symbolically deepen the meaning of a text. So, dive into this list of autumn reads and don’t forget to save room for seconds.

ARTICLE BY HANNAH BARRICKS

by Timothy Taylor
True crime fans and foodies alike will enjoy this beautifully written novel. The novel follows a Vancouver based chef, Jeremy Papier and his failing bistro. As Papier tries to hold his dreams together, his homeless father drags him into a real-life, 1940s “cold case” investigation. The novel mindfully uses the investigation as well as Papier’s commitment to locally grown foods to pay tribute to Vancouver’s landscape and history.

by Ernest Hemingway
Published after his untimely death, A Moveable Feast is Hemingway’s memoir. A love letter to 1920s Paris and the literary movement, Hemingway charters the reader through his early years there, one cafe at a time. Along the way, familiar characters like Gertrude Stein and F. Scott Fitzgerald float in and out. This no-frills prose will stick to your ribs and leave you satisfied.

by Erica Bauermeister
Love is in the air at this Monday night cooking school. The novel follows a cast of hapless students as they are instructed in both the kitchen and in life by the school’s owner, Lillian. Lillian is the group’s fairy godmother as she hands out morsels of advice and challenges the students with advanced recipes. A cozy read, be prepared to fall in love with the decadence of the school’s dishes as well as the sweet message that lingers long after you put down the book.

by Ferrett Steinmetz
If you love science fiction, this big-hearted, culinary space opera is sure to hit the spot. The story follows impoverished Kenna, an aspiring guru who hungrily wanders the cosmos until he wins dinner at the galaxy’s most renowned restaurant, The Sol Majestic. A novel that is both fun and thought provoking, Steinmetz uses striking food imagery to explore what truly excites the spirit.










Recognized as the #1 Resort in Texas by the prestigious Travel + Leisure World’s Best Readers’ Choice Awards, Omni PGA Frisco Resort proudly stands among the global elite. This honor, earned in our inaugural year, celebrates our outstanding service and authentic Texas hospitality. Experience the level of luxury and service that truly sets us apart.
Book the “Simply the Best” resort package to elevate your stay with a complimentary suite upgrade and a celebratory bo le of Veuve Clicquot Champagne. Enjoy the ultimate luxury and make your escape truly unforge able.

ARTICLE BY MADELINE LEBLANC
As the vibrant colors of summer slowly yield to the warm and earthy hues of autumn, there’s a distinct charm in the air at the arrival of fall. It’s a season filled with the crisp rustling of leaves, cozy sweaters, and the promise of pumpkin-spiced everything. What better way to embrace the changing seasons than by indulging in a delightful treat that captures the essence of both summer’s sweetness and fall’s rich flavors?
My recipe for “Acorn Donut Holes” combines the light, airy sweetness of summer donuts with the warm, comforting tones of fall. Grab your ingredients and let’s get started!
Ingredients:
• Donut holes
• Melting chocolates
• Fall sprinkles
• Pretzels

Instructions:
1. Pour your fall sprinkles into a small bowl for dipping. Lay wax paper down.
2. In a small microwave-safe bowl, melt the melting chocolates in the microwave, about 15-20 seconds. Carefully watch to ensure they don’t burn.
3. Dip the top of each donut hole into the melted chocolate, covering about halfway down the donut.
4. After dipping, immediately dip the chocolate-covered portion of the donut hole into the bowl of sprinkles, coating it with the fall sprinkles.
5. Insert a pretzel into the top of the “acorn” to create the acorn stem.
6. Carefully place the decorated acorn donut holes on the wax paper to let them cool and allow the chocolate to set.
7. Once the chocolate has hardened, your acorn donut holes are ready to enjoy!
These delightful treats are perfect for fall and make for a fun and tasty dessert or snack. Enjoy!
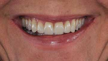
At Jensen Orthodontic Arts, we combine ART, SCIENCE, and EXPERTISE in orthodontics to customize your smile and improve or reconstruct the function and harmony of your teeth. That alone says a lot, but Dr. Doug Jensen also uses his training in the closely-related specialty of PROSTHODONTICS and dental aesthetics to create wonderful outcomes for unusual or complex dental problems– Think VENEERS, CROWNS, IMPLANT CROWNS, and DENTURES. Dr. Jensen is one of the few dual specialists in both orthodontics and prosthodontics in America, and we are lucky to have his experience in this area. He offers clear orthodontic treatment options including CLEAR BRACES, LINGUAL BRACES, and CLEAR ALIGNER THERAPY to meet your aesthetic needs. Count also on getting treatment rendered efficiently without ignoring the balance that should be present between the teeth, joints and muscles in a properly functioning bite.

Dr. Doug Jensen, DDS, MS
Board-Certified Orthodontist, Prosthodontist




Don’t wait! Come see us for an expert’s Complimentary Evaluation
Get a straightforward assessment and roadmap to the PERFECT SMILE!
NOVEMBER 9TH
Frisco Dog Adoptions
PetSmart | 9:30 AM
Adoptable dogs will be available at PetSmart Frisco, 3333 Preston Road, until 12:30 p.m. Lost Paws Rescue of Texas will be there in-person with adoptable dogs, located just north of Stonebriar Mall and next to DSW Shoes. Pre-printed adoption forms will be available at the event or ahead of time online LostPawsRescueOfTexas.org/pet-adoption-forms.
NOVEMBER 9TH
Frisco Commons Park
Join an exciting time filled with outdoor exploration and fun. Immerse in the beauty of nature while hiking through scenic trails, observe wildlife, and learn about the local flora and fauna. Organizers say this event is perfect for all ages. Meet the Natural Resources Team and the guide at the west pavilion to start this 1.5-hour adventure.
NOVEMBER 10TH
Frisco Discovery Center | 2:30 PM
This play-within-a-play, considered the funniest farce ever written, captures a touring theatre troupe’s production of Nothing On in three stages: dress rehearsal, opening performance, and performance toward the end of a debilitating run. It gives a window into the inner workings of theatre, progressing from flubbed lines and missed cues to mounting friction between cast members in the final performance.
NOVEMBER 16TH
Industrial Cigar Co. | 9:30 AM
The lounge/humidor will be open, with limited capacity, and they'll have coffee from Distretto coffee roasters available to all. This is a free event for all ages to join in the parking lot to admire each other’s cars, while sharing cigars and coffee. There will be exotics, classics, modern muscle cars, and the shop Indian Motorcycle. Cigars for sale.

How would you like to meet with us within 24 hours of when you reach out?


NOVEMBER 29TH
Frisco Discovery Center | 8:00 PM
Join Frisco Improv Players as they improvise their way through a series of game-based comedic performances, similar to those seen on the syndicated television show "Whose Line is it Anyway?" Tickets are $17 each. Tickets can be purchased online at FriscoImprovPlayers.com.
NOVEMBER 30TH
Comerica Center | 6:00 PM
Rapper Jeezy (Jay Wayne Jenkin, an American rapper) and his friends will take over the Comerica Center stage for one epic night to perform some of the greatest hits. Performance starts at 7:30 p.m. Tickets available at Ticketmaster.com






ARTICLE BY ANGELA BROOCKERD| PHOTOGRAPHY BY JANIE JONES
This butter is versatile and goes with just about anything. You can use this on top of bread, popcorn, veggies, as a sandwich spread and more.
• 1/2 cup unsalted butter, softened to room temperature
• 4 tablespoons fresh parsley, chopped
• 1 tablespoon herb of your choice (dill, basil or oregano are my go-to herbs.)
• 1 clove garlic, chopped
• 1 tablespoon fresh lemon juice
• 1/2 teaspoon salt
• cracked pepper to taste
Add all ingredients in a food processor (or mix by hand in a bowl). Transfer butter mixture on parchment paper or plastic wrap. Cover butter tightly and roll into a log. Place in refrigerator until firm. Enjoy!






