












![]()














My beloved dog, Rigby, gets it. There are days in which we want to just stick out our tongues, throw our covers back over our heads and blow a raspberry to the world. But then, there also are days that we're inspired to spring out of bed, take a brisk walk and smell the fresh air. Just as blowing raspberries is a developmental milestone for babies, which helps them learn to control their lips, tongue and mouth, it struck me that we as adults could think about those same raspberry moments as reasons to contemplate and internalize gratitude while developing deeper appreciation for all the good things we have.
We have each other, we have opportunities. We also have the chance to practice self-reflection, meditation, prayer and simply quiet silence.
Let's devote the month of August to recognizing those times when our pets and the youths in our lives are notably beneficial to our overall well-being — being sure along the way to blow some kisses, as well, amidst those raspberries!

SHARON DUFFY, PUBLISHER @FRISCOMAG
PUBLISHER
Sharon Duffy Thomas | sharon.duffy@citylifestyle.com
PUBLICATION DIRECTOR
William Thomas | william.thomas@citylifestyle.com
EDITOR
Julie Brown Patton | julie.patton@citylifestyle.com
EDITORIAL COORDINATOR
Amy Schmidt | amy.schmidt@citylifestyle.com
CONTRIBUTING WRITERS
Julie Brown Patton, Bailey Hall, Pam Reid, Angela Broockerd
CONTRIBUTING PHOTOGRAPHERS Надія Коваль, Julie Brown Patton, Janie Jones
CEO Steven Schowengerdt
COO Matthew Perry
CRO Jamie Pentz
VP OF OPERATIONS Janeane Thompson
VP OF SALES Andrew Leaders
AD DESIGNER Rachel Otto
LAYOUT DESIGNER Emily Lisenbee
QUALITY CONTROL SPECIALIST Hannah Leimkuhler












These
Frisco








AUGUST 2025







1: Mayor Jeff Cheney recognized Battalion Chief Will Tramel for 20-year service to Frisco/Frisco Fire Department. 2: Deputy Chief Scott Vetterick also was honored for 20 years service to Frisco/Frisco Fire Department. 3: Fun times in Frisco at Party in the USA 5K Run at Kaleidoscope Park. 4: Young Artist Music School in Frisco launched by founders Eva Brandys and Anar Aliyev. 5: TX Sparks Construction started Lexington Square, a 41,560-square-foot commercial development in heart of Frisco. 6: Frisco hosted KPMG Women’s PGA Championship for first time this event was played in Texas. 7: Frisco ISD elementary students dominate the Lone Star Challenge, with six FCCLA teams to nationals.
Want to be seen in the magazine?







Discover the artistry of Performance Painting & Remodeling, your premier destination for exquisite kitchen, bathroom, and whole-home renovations, along with interior and exterior painting. Our palette of services extends beyond just painting and remodeling, to include an array of home improvement specialties.
From precision carpentry and luxurious flooring to intricate trim and crown molding, we master every detail. Our skilled team is adept in drywall repair, elegant tile work, bespoke countertops, and the seamless removal of popcorn ceilings, among other services. Entrust us with your vision, and we will sculpt it into reality, enhancing every corner of your home with impeccable craftsmanship and beauty.






The grocery store staff of Hareli Fresh Market opened in east Frisco 10650 Coit Road to offer fresh produce, meats, snacks and pantry staples for Indian, South Asian, Hispanic and other global products. Their other, previous Frisco store is located at 2525 Main St., #430. They also offer frequent "super saver" deals for grocery shopping. The new store is their third in the region.
Collin College officials approved a guaranteed maximum price of $55.05 million for constructing a new health sciences center at the college’s Frisco campus. This agreement is reportedly the second price cap approved by the board of trustees and includes a contingency of $1.5 million. The first $11.31 million construction phase was approved during February. The project's overall estimated cost is approximately $70 million. The center is slated to open in spring 2027.
Frisco city staffers installed new, advanced technology as they brought more traffic signals online. Advanced Traffic Controllers, or ATC cabinets, allow for more efficient intersections. Sal Marquez, traffic superintendent, Frisco Public Works, stated these new devices specifically allow for safer intersections at the city's 190 signal-controlled locations. Taylor Cappe, Frisco traffic engineer says ATC is the "big brain, body of the entire intersection that controls everything that happens." The cabinets reportedly allow for growth, too.






ARTICLE BY JULIE BROWN PATTON PHOTOGRAPHY PROVIDED BY CITY OF FRISCO


Frisco’s Mayor’s Youth Council (MYC) is a group of diverse, high-achieving and well-rounded high school students in the 11th or 12th grade who express the desire to make Frisco a better place, particularly for young people. The program’s goals are to encourage students to engage with local government representatives, to perhaps consider a career in public service and to vote in future local elections.
Former Frisco Mayor Mike Simpson championed the first group of students during the 2006 school year.
MYC applicants should be interested in learning more about local government, leadership development and serving community initiatives. Karla Munoz-Horton, MYC staff liaison, says applicants can either live inside the Frisco city limits or attend a Frisco ISD high school.
“Frisco students who are home schooled may also apply,” she adds.
Past recommendations from MYC participants included ideas such as advocating for a crossing walk from Stonebriar Mall to Rough Rider Stadium and proposing the construction of a community stage in Simpson Plaza, which is under development.
The group’s meetings usually take place on the second Tuesday of each month, between October and May.
2024-25 Mayor’s Youth Council graduates were (shown here with this feature, listed in alpha order): Diya Balagopal, Alexander Barber, Katherine Bustetter, Gabriella Carrillo, Tanvi Chimmula, Olivia Cho, Mason Classe, Saisaharsh Devireddy,

Nora Ferriss, Camila George, Nicholas Griffin, Karishma Jaiswal, Phillip Joe, Nithya Jonnalagedda, Isabel Jung, Dylan Kim, Hayden Lee, Tiffany Lin, Serena Manaloor, Jace Mehta, Tanisha Mitra, Judy Osman, Avishi Pandya, Carson Payne, Mason Payne, Saish Raguru, Raghav Ramprasad, Abigail Schroer, Aashi Shah, Liam Shinneman, Rajdeep Singh, Maraya Smith, Rianna Sood, Diya Srinivasan, Advith Suggala, Dhatri Tadimeti, Ashvin Tiwari, Graeme Tysell, Saanvi Vinod, Mudra Vithal, Reeshan Waghmare and Tvisha Yadiki.
MYC 2024-25 committee liaisons included Frisco Mayor Jeff Cheney; Bill Woodard, mayor pro tem; Tammy Meinershagen, deputy mayor pro tem; Angelia Pelham, city council; Ashley Sine, Frisco ISD director of community relations; Alyssa Barstow, assistant to the city manager; and Michael Choate, assistant to the city manager. New committee liaisons will be designated for the next class.
During this May, members of the MYC graduating class sought approval and funding for a community film project, with a budget of $1,000. The initiative turned into a project titled “Reel Frisco,” as the firstever student film showcase calling creative youths in 7th through 12th grades to submit original short
films that celebrate the community and inspire connection. The theme of this film showcase was “what I love about Frisco.”
At press time, selected Reel Frisco films were to be featured during a special showcase event on July 26. Cash prizes were established for the top three films. Additionally, the best films are slated to be spotlighted in Frisco’s 125th Birthday Exhibit during 2027.
Karla indicates MYC applications for the 2025-2026 school year will be available online during September.
972.292.5107
Applicants for the Mayor’s Youth Council typically are invited to attend an optional Meet & Greet prior to the selection process, however attendance doesn't guarantee acceptance to MYC. Organizers indicate this year's event will take place in late September or early October. Contact khorton@friscotexas.gov with questions.

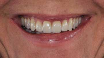
At Jensen Orthodontic Arts, we combine ART, SCIENCE, and EXPERTISE in orthodontics to customize your smile and improve or reconstruct the function and harmony of your teeth. That alone says a lot, but Dr. Doug Jensen also uses his training in the closely-related specialty of PROSTHODONTICS and dental aesthetics to create wonderful outcomes for unusual or complex dental problems– Think VENEERS, CROWNS, IMPLANT CROWNS, and DENTURES. Dr. Jensen is one of the few dual specialists in both orthodontics and prosthodontics in America, and we are lucky to have his experience in this area. He offers clear orthodontic treatment options including CLEAR BRACES, LINGUAL BRACES, and CLEAR ALIGNER THERAPY to meet your aesthetic needs. Count also on getting treatment rendered efficiently without ignoring the balance that should be present between the teeth, joints and muscles in a properly functioning bite.

Dr. Doug Jensen, DDS, MS
Board-Certified Orthodontist, Prosthodontist




Don’t wait! Come see us for an expert’s Complimentary Evaluation
Get a straightforward assessment and roadmap to the PERFECT SMILE!





ARTICLE BY JULIE BROWN PATTON
1. WHAT A GREAT DOG! 10550 John W. Elliott Dr.; 214.297.3000; WhatAGreatDog.com
2. ALL DOGS UNLEASHED DOG TRAINING FRISCO 6136 Frisco Square Blvd, #400; 972.573.1715; AllDogsUnleashed.com/ Dog-Training-Frisco-TX
3. TIP TOP K9 DOG TRAINING 6735 Salt Cedar Way Building 1, Ste. 300; 833.484.7867; TipTopK9.com/ our-locations/frisco-dog-training
4. DOG TRAINING ELITE FRISCO 4747 4th Army Drive, #600; 214.501.5807; DogTrainingElite.com/Frisco
5. LAKESIDE PAWS 1170 Kruger Lane; 469.328.7191; LakesidePawsFrisco.com

Helmed by brothers Tim and Trey Hutchins, Hutchins BBQ offers a variety of the best, authentic Texas barbecue in the Dallas area. Our long-standing commitment to the craft has led to recognition among the “50 Best BBQ Joints” by Texas Monthly three times running.
We’re honored to uphold the traditions of Texas BBQ and admire the innovations of new generations of pitmasters joining the ranks. Whether you’re old school or new school, there’s something for everyone at our family table!
Visit us in McKinney, Frisco or online for your dining and catering needs.






ARTICLE BY BAILEY HALL | PHOTOGRAPHY PROVIDED
THROW A PAWSOME BIRTHDAY PARTY FOR YOUR FURRY FRIEND



Create delightful DIY party favors for your dog guests by filling small bags or boxes with goodies. Include a tennis ball for playtime fun and a selection of treats for them to enjoy. You can also add a small toy or chew for variety. These favors ensure that every pup goes home happy and tired from all the play and treats.
Keep the human guests happy with a creative Treat Station for Owners. Use brand new, clean dog food bowls as serving dishes for snacks like chips, pretzels, and candies. Arrange the bowls on a table with a festive tablecloth and some dog-themed decorations. Label each bowl with fun names like “Puppy Chow” for trail mix or “Doggie Biscuits” for cookies.


A birthday party isn’t complete without a cake, even for dogs! To make a dog-friendly birthday cake, start with ingredients like peanut butter, bananas, and carrots. Mix 1 cup of flour, 1/4 cup of rolled oats, 1 teaspoon of baking powder, and a pinch of cinnamon in one bowl. In another bowl, blend 1/4 cup of unsweetened applesauce, 1/4 cup of peanut butter, 1 mashed banana, and 1/2 cup of grated carrots. Combine the wet and dry ingredients, then pour the batter into a greased cake pan. Bake at 350°F for 25-30 minutes. Let it cool, then frost with a mixture of Greek yogurt and peanut butter. Decorate with dog treats and serve to your excited pup!





ARTICLE BY JULIE BROWN PATTON
Teens4Green is an award-winning, student-run club whose participants strive to improve environmental sustainability by conducting team projects and promoting environmental awareness in Frisco. This group of 14- to 17-year-olds are concerned about the health and social impacts caused by noneco-friendly practices.
Initiated by two high schoolers in 2014, Teens4Green was provided supervision to conduct service projects by Frisco Environmental Services staffers. Per a YouTube video that documented those initial group efforts, under the leadership of co-founder Cristelle Meza, they weeded gardens, went to elementary school classes to share tips about recycling and adopted streets to clean up trash.
“The best part about Teens4Green is we’re able to attract a diverse group of people because of the range of events we hold and the kind of volunteer opportunities we provide,” she explained in the video.
Gauri Pala, one of the original members, indicated in the video that she enjoyed going outdoors to help the environment in many ways.
As highlighted in the video, Teens4Green during 2016 provided environmental outreach to 20,000 citizens, as well as volunteering at 46 events to save the community more than $18,000.
Molly Kinson, Frisco’s environmental educator coordinator at that time, said when the club first started during August 2014, they had about 20 participants and it then grew to 300-plus individuals.
Teens4Green is a recipient of the Texas Environmental Excellence Awards in the Youth Category, an honor awarded by the Texas Commission of Environmental Quality.
“Our small differences are going to inspire others, and together, we’ll make one big difference,” proclaimed Cristelle.
All Teens4Green volunteers are required to register online through Better Impact/MyImpactPage.com. Volunteers must be 14-18 years old and either residents of Frisco or students at a Frisco ISD school. Any attendee not registered won’t able to participate in volunteering events.
The city’s contact for Teens4Green is Hannah Valentine, who can be reached at 972.292.6516 or hvalentine@friscotexas.gov.




Advice Editorial: Tips For Integrating New, Especially Rescued, Lifelong Furry Friends


When embracing a furry family member within one’s home, it’s vital to understand what’s become known as the 3-3-3 Rule This phased adjustment approach reflects time-tested guidelines that it can take a dog or cat 3 days to decompress from its prior circumstances, particularly if coming out of noisy, unfamiliar shelter surroundings; 3 weeks to adapt to a new environment; and 3 months to bond and build trust with new pet parents. In other words, patience, patience, patience is essential as new pets learn to heal and enjoy life again in a safe, loving environment.
Consider how to handle the following top reasons that pet adoptions don’t feel like they’re working out; often it’s because pets don’t immediately show appreciation, affection or interaction.
Behavioral Issues: Adopted animals may need to be redirected from food guarding, chewing, marking, separation anxiety or difficulty getting along with other pets.
Lifestyle Mismatch: Decide ahead of time if a high-energy dog will receive enough exercise, if a long-haired cat will get enough grooming, or if a dog with separation anxiety can settle into a busy household with young children or vacant house during work shifts.
Unexpected Veterinary Costs: Adopting a pet can come with unexpected veterinary bills due to pre-existing conditions later discovered or finally identified.
Training and Socialization: Seek assistance with a new pet’s adequate training or socialization, before giving up too soon.
Change in Adopter’s Circumstances: Life changes, such as job loss, relationships or moving, can make it difficult for adopters to continue caring for pets. Always first try to place pets with a trusted friend or relative.
Lack of Resources: Budget for veterinary care, food, grooming or perhaps training.
By asking questions before adopting and then establishing a comfortable routine for pets, you’ll become friends for life.











ARTICLE BY ANGELA BROOCKERD
BY JANIE JONES
PHOTOGRAPHY
There’s something truly special about inviting your child into the kitchen—not just for the cookies or cupcakes, but for the confidence, creativity, and connection that come with it. Cooking with your children isn’t just a fun way to pass the time; it’s an opportunity to build lifelong skills and memories that stick.
Sure, teaching a young child how to crack an egg or measure flour can test your patience—but hang in there. With a little trial and a fair amount of error, they’ll start to develop the fine motor skills that allow them to prep a recipe all on their own one day. The best part? They’ll gain confidence along the way, one scoop, stir, and sprinkle at a time.
Cooking together also taps into something a little magical—memory. The smell of cookies baking or chili simmering on the stove can instantly transport us back to childhood. That’s not just nostalgia talking—science backs it up. Our sense of smell is closely tied to autobiographical memory, especially memories formed early in life. So those sweet, savory scents? They’re more powerful than you might think.
The key is to start simple. Let your toddler play with mixing bowls, spoons, and measuring cups. These little moments of pretend play actually help build the fine motor skills needed for real kitchen tasks. Begin with small jobs—scooping flour, flattening cookie dough with a rolling pin—and gradually add more steps as your child becomes more confident.
It won’t be perfect. The flour might fly, the sugar might spill, and the measurements might be slightly off—and that’s okay. Embrace the mess, stay patient, and focus on the fun. A dash of encouragement and a sprinkle of praise go a long way in keeping your little chef engaged and excited.
Over time, you’ll see the magic unfold: a child who’s not only learning how to cook but also growing more independent, capable, and proud of what they’ve created. And who knows? Maybe one day, they’ll pass those same recipes—and memories—on to their own kids.
• 1 cup and 2 tablespoons white flour
• 1/4 teaspoon baking soda
• 1/2 cup oatmeal
• 4 tablespoons honey
• 1/2 teaspoon vanilla

• 4 tablespoons buttermilk
• 1/2 teaspoon almond extract
• 1/4 teaspoon salt
• 1/4 cup whole wheat flour
• 1/4 cup unsalted butter, room temperature
• Optional: add 1/4 teaspoon nutmeg or cinnamon
1. Preheat the oven to 400 degrees.
2. Put the oatmeal in a blender or food processor and pulse for about a minute, until it’s reduced to a rough powder. Add the ground oatmeal to the whole wheat and 1/2 cup of the white flour, baking soda and salt to the bowl of an electric mixer affixed with a paddle attachment, and turn on to mix. Add butter and blend on medium speed until the butter has been incorporated and the mix looks a little like wet sand. Add the buttermilk, vanilla, honey and almond extract and blend. If the dough looks too wet to roll, add the remaining flour 1/4 cup at a time until the dough forms a ball and pulls away from the sides of the blender.
3. Turn the dough out onto a piece of plastic wrap and flatten into a disc. Cover completely and chill in the fridge for at least one hour, up to overnight.
4. When ready to bake, preheat the oven to 400 degrees and place dough on a lightly floured surface (using the remaining 2 tablespoons of flour). Roll out until 1/8 inch thick. Cut out with desired cookie cutters and bake for five to seven minutes, based on your preference. Five minutes will get you a softer cracker, while seven will get you a crisp cracker.
Enjoy!


ARTICLE BY PAM REID | PHOTOGRAPHY PROVIDED
Summertime is the best time for kids to disconnect and enjoy being outdoors.
Long, long ago, in a time before technology, children entertained themselves and played endlessly with nothing more than ... wait for it ... their imagination. They played outdoors for hours with friends, balls, jump ropes, buckets, chalk, bicycles, you name it! The level of creativity saw no limits in the minds of these children. While some families have plans for getaway vacations, there are those planning to stay home and scrambling for things their children can do. We’d like to share some ideas that don’t include technology or cost a boat load of money for that matter. The benefits of spending time outdoors and unplugged outweigh complaints about temperature or those annoying creepy crawlers. The added bonus is that many outdoor games secretly teach life skills. Technology is used only to confirm game rules.
Ready or not, it’s time to play! A day - or two or three - full of outdoor games will invoke a trip down memory lane for some adults, or a “this is great” thought for others. In either case, playing these games has tremendous benefits - young people can fully embrace human connection, get a break from the instant gratification associated with technical devices and social media, and enjoy some good wholesome, age-appropriate fun. Many adults admit they played many of their favorite childhood games well into their teen years, and still others say they relish in a good game of dodgeball or tug of war today. This list is not all-inclusive, but it certainly gets the games started!

“READY OR NOT, IT’S TIME TO PLAY!”




TUG OF WAR - contest between two teams at opposite ends of a rope; each team trying to drag the other across a center line.
SACK RACE - stand in your sack, hold on to the top of your sack and hop as fast as you can to the finish line!
FREEZE TAG - each player freezes when tagged and can be unfrozen only by a player who is not yet frozen. Game ends when all players are frozen.
RED LIGHT GREEN LIGHT - shout “green light” and all players run towards you, shout “yellow light” and they are allowed to walk, but when “red light” is shouted, they must stop and freeze. If player moves at “red light”, they go back to start line.
MUSICAL CHAIRS - walk to music around a group of chairs containing one chair fewer than number of players, and rush to sit down when music stops. The player left standing in each round is eliminated.
KICK THE CAN - find players in their hiding spots and put them in “jail”. Once a player is “jailed” the only way to be freed is for another player to beat the “IT” person to the can and kick it.
DODGEBALL - team sport in which players on two teams try to throw balls and hit opponents, while avoid being hit themselves. Consider water balloons instead of balls on a hot day.
There are more great outdoor games. Get unplugged and get outside!





AUGUST 9TH
PGA Trail Route; Parking/Starting Location: Stafford Middle School | 8:00 AM
Take a bike ride at a conversational pace with Frisco's elected officials and staff from Frisco Fire, Frisco Police and Play Frisco. Routes are a combination of on-street and hike and bike trails with distances ranging from 5 to 10 miles. Pedal the city, learn about Frisco, enjoy beautiful parks and discover public art and more, concluding at 11 a.m.
AUGUST 9TH
Frisco Water Park | 6:00 PM
Play Frisco team members will throw an epic summer send-off at the Water Park featuring a live DJ, snacks and fun activities for all. Celebrate the season one last time and end summer on a high note. Event cost: members and splash passes are included; event only attendees $7 for youths or $9 for adults.
AUGUST 15TH
Comerica Center | 6:00 PM
This dynamic tribute band, armed with musical talent, takes attendees on a journey through Taylor Swift's iconic career. The stage comes alive with a stunning video wall production, adding a visual spectacle that complements the music perfectly Tickets range from $44-$94 each.
AUGUST 20TH
RED Conference
Frisco Chamber of Commerce | 9:00 AM
This world-class event, the 3-hour RED Conference, brings nationally renowned authors and speakers to Frisco to deliver actionable insights to leaders and managers to dream big, lead boldly and achieve extraordinary goals via personal and professional development. Costs start at $125. Learn more online at FriscoChamber.com/Red.
AUGUST 22ND-24TH 2025 Art In The Arena
Comerica Center
The second annual Art in the Arena Frisco is a unique, indoor fine art festival at which visual artists exhibit, along with music, food vendors and a juried student/professional artist gallery. The event is sponsored in part by the Dallas Stars and made possible in part by a grant from the Frisco Arts Foundation. Aug. 22: VIP $55 VAGF donation.
AUGUST 28TH
Frisco Heritage Center | 6:30 PM
Step into an immersive experience glowing in deep-sea hues, perfectly complementing the mesmerizing "Deep Glow: Bioluminescent Sea Creature" exhibit. Sip on ocean-inspired mocktails while nibbling on sea creature-themed bites, such as octopus-themed cupcakes. Embark on a thrilling scavenger hunt through the museum, with glowing art installations by artist Lauren Lewchuk, cool photo ops and an electrifying atmosphere.


































