
verkopen



7 8 11
![]()

verkopen



7 8 11

Rebecca (11), Ceyda (11), Roxy (11), Norah (11), Mia (11), Caithlynn (10), Madelief (10) en Ida (11) gingen woensdag 2 oktober naar het Noord-Hollands Archief. Ze maakten in het DrukLAB een kunstwerk met een bijzondere techniek: ‘cyanotype’. “Het is superleuk om te doen”, zegt Caithlynn.
TEKST: JACQUELINE SCHADEE | FOTO’S: CHRIS UITERWIJK
Ida legt uit hoe cyanotype werkt. “We leggen eerst bladeren en andere vormpjes op een vel wit papier. Met een kwast smeren we er een doorzichtige vloeistof overheen. We leggen het vel onder een UV-lamp en wachten tien minuten.”
Iets magisch
Tijdens het wachten gebeurt er iets magisch: het papier wordt bijna helemaal blauw. “Alleen de plekken waarop we iets hebben neergelegd, blijven wit”, zegt Ida. “Net zoals je huid wit blijft op de plekken die je insmeert met zonnebrand.” Trots laten de meiden hun kunstwerken zien. “Ik hou ervan om creatieve dingen te doen”, zegt Mia.
Bouwtekeningen
“De kleur blauw die ontstaat als er licht op het papier valt, heet cyaan”, legt een medewerker van het Noord-Hollands Archief uit. “Daarom heet deze druktechniek ‘cyanotype’. De techniek werd in 1842 ontdekt. Het is een soort fotografie. Veel bouwtekeningen werden met cyanotype afgedrukt.”
Moderne kunst
“Ik hou van kunst”, zegt Madelief, terwijl ze haar cyanotype-kunstwerk schoonmaakt. “Ik ga elke week naar kunstcentrum Rebup. En ik ben naar alle musea in Haarlem geweest. Ik hou vooral van moderne kunst. Die vind je hier helaas niet. Naturalis en Nemo vind ik ook leuk.” Mia: “Het is leuk als je iets kunt doen in een museum. Anders is het saai.”
Oude drukpersen
De meiden volgen de workshop cyanotype in het DrukLAB. In de ruimte staan twee oude drukpersen. Die waren vroeger van drukkerij Joh. Enschedé. Er werden postzegels mee gedrukt. Twee woensdagen per maand is in het DrukLAB een workshop met de drukpers of de cyanotype-techniek.
Museumnacht en Kinderkunstlijn
Ook tijdens de Museumnacht Kids op 26 oktober én tijdens de Kinderkunstlijn op 2 en 3 november is het DrukLAB open. Kinderen kunnen dan zelf – gratis - een kunstwerk maken met cyanotype of met de postzegelpers.



Ceyda heeft op haar vel veertjes en blaadjes geplakt. “Wat nu wit is, wordt blauw.”
De meester vraagt: “Alisha, als ik vier eieren leg, en jij legt er twee bij, hoeveel eieren liggen er dan?” Alisha denkt even na. Dan zegt ze: “Nog steeds vier, want ik kan geen eieren leggen.”
Kenan (9)
Wie kan er hoger springen dan een berg?
Bijna iedereen, want een berg kan niet springen.
Sieneke (10)
Vera is met haar moeder in de dierentuin. Ze lopen naar de apen. Vera zegt: “Hee, die aap lijkt precies op oom Maxim, vind je niet?” Haar moeder antwoordt: “Dat mag je niet zeggen!” Vera: “Hoezo? Dat hoort die aap toch niet?”
Franklin (8)
Hoe doet een mug een gum na?
Achteruit vliegen!
Jamie (10)
Een man wil de grens over met een olifant. De man van de douane zegt: “Met die olifant mag u de grens niet over!” Mopperend gaat de man naar huis. Hij plakt een boterham op de slurf en eentje op de staart van de olifant. Dan gaat hij terug naar de grens. “Bent u er nu weer met die olifant?”, zegt de man van de douane. “Ja”, zegt de man, “maar ik mag toch zeker zelf weten wat ik op mijn boterham doe?”
Damian (10)
Een klas moet rekensommen maken. De juf vraagt: “Zeven en zeven, wat krijg je dan?”
Bram antwoordt: “Heel fijn zand, juf!”
Emy (9)
Heb jij een leuke mop of een goed raadsel? Mail ze met je voornaam en je leeftijd naar redactie@jong023.nl
DE NIEUWE JONG023 VERSCHIJNT DONDERDAG 12 DECEMBER 2024
Losse krant bestellen?
Mail je adres naar redactie@jong023.nl en ontvang een betaallink voor € 6,95 (krant + administratie- en verzendkosten).
Het antwoord van de vorige woordzoeker was 'bodemdier'
Dat werd gevonden door • Tessel, Rudolf Steinerschool • Nio, Veronicaschool
• Samuel, De Cirkel
• Jasmijn, De Zuidwester • Lorenzo, De Cirkel • Sebas, De Ark • Anne en Ben, Ter Cleeff • Tobias, Franciscus Xaverius
Jasmijn
heeft de boekenbon van de Kennemer Boekhandel gewonnen, gefeliciteerd!
Meer informatie en contact: redactie@jong023.nl www.jong023.nl facebook.com/jong023.nl



Er gebeuren steeds vaker ongelukken met kinderen op fatbikes. In de eerste zes maanden van 2024 belandden er al vijftig op de Spoedeisende Hulp van het Spaarne Gasthuis, het ziekenhuis in Schalkwijk. Sommige mensen vinden daarom dat er strengere regels voor fatbikes moeten komen. Burgemeester Jos Wienen vroeg de kinderraadsleden naar hun mening.
Zijn er strengere regels voor fatbikes nodig?
“Ik vind het gevaarlijk hoe snel fatbikers kunnen rijden. Vaak gaan ze net zo snel als brommers met een blauw kenteken. De minimale leeftijd zou 16 jaar moeten zijn. En een helm opzetten is ook een goed idee.”

“Ik vind fatbikes mooi. Ze gaan lekker snel. Ik heb er geen, maar ik zou er best een willen. Dan ben ik sneller bij de sportclub. Ik zit op kickboksen in het centrum en dat is best ver. Een helmplicht zou jammer zijn voor de fatbikers, maar het kan wel helpen. Een leeftijdsgrens niet.”
(11), De

“Ik vind veiligheid in het verkeer belangrijk. Een minimum-leeftijd voor fatbikes zou goed zijn, maar de burgemeester van Haarlem kan dat niet bepalen. Wat ik niet snap: fatbikers willen hard gaan, maar ze hebben een zware fiets met dikke banden. Ik heb liever een gewone lichte fiets die snel kan.”


“Fatbikes gaan heel hard. Sommige zijn opgevoerd. Een minimum-leeftijd van 14 jaar vind ik goed. Een helm verplichten heeft geen zin. Niemand gaat die opzetten. Ik vind de fatbikes ook niet mooi, met die dikke banden en een heel groot zadel. Het lijken meer scooters.”

“Sommige fatbikes gaan te hard. Daar heb ik last van. Ik vind 15 jaar een goede leeftijd. Een helm is ook een goed idee. Kinderen onder de 15 met een fatbike hoeven hem niet weg te geven. Ze mogen een andere fiets erbij nemen en de fatbike bewaren tot ze 15 zijn.”

“Ik ken veel mensen met een fatbike. Ik denk dat 9 van de 29 kinderen in mijn klas er één hebben. Een helm vind ik een goed idee, en dat je 16 jaar moet zijn. Dat moet ook bij een scooter. Als ik naar de middelbare school ga, krijg ik een racefiets. Net als mijn broer.”
“Ik vind van wel. Mensen op fatbikes dragen nu geen helm. Vaak zijn de fietsen opgevoerd om sneller te gaan. Er gebeuren superveel ongelukken. Ik vind dat de maximale snelheid 25 km per uur moet zijn. Voor alle e-bikes. En je mag pas een fatbike als je naar de middelbare school gaat.”


“Andere kinderen vinden fatbikes cool, maar ik vind ze weinig toevoegen. Ze zijn gevaarlijk. Mijn broer zag een fatbike waar de ketting vanaf was. En hij reed gewoon door! Er zat een gashendel op, of zo. Minimaal 14 jaar en een helmplicht vind ik helemaal prima. Zo worden ze vanzelf minder cool.”


“Er gebeuren veel ongelukken met fatbikes. Ik heb er één gezien. Daarna voelde ik me gespannen. Ik zie ook jonge kinderen op fatbikes. Vanaf 15 jaar vind ik goed en een helm ook. Veiligheid is belangrijk. Als je zelf een fatbike hebt, komen andere fatbikers je opzoeken. Ik zou dat niet willen.”
Meer dan zeshonderd kinderen van negentien basisscholen genoten deze herfst van de Scholendagen in de Haarlemmerhout. Lopend, fietsend of met een Amerikaanse schoolbus kwamen de leerlingen naar het beroemde stadsbos.
TEKST:
Ze worden opgewacht door Lodewijk Napoleon, broer van dé Napoleon. Hij was van 1808 tot 1810 koning van Holland en woonde in Paviljoen Welgelegen, nu het Provinciehuis. De Haarlemmerhout was zijn voortuin.
Geiten, beelden en muziek
De Franciscus Xaveriusschool is als eerste in De Hout. In stadsboerderij
De Houthoeve leren de kinderen over het leven van de kippen en geiten daar. Even verderop zien ze standbeelden rondom een vijver. Het blijken personages uit een roman van de Haarlemse schrijver Hildebrand.
En in de muziektent ontdekken de kinderen dat ze muziek kunnen maken door op een eikelhoedje of blaadje te blazen.
Vogelpoep
“Ik vind het hier heel leuk”, zegt Emir (10). “We zijn er bijna de hele dag en hoeven niet naar de klas. We leren wie Lodewijk Napoleon is en waarom vogelpoep wit is.” Jayjay (10) vindt het stadsbos ook mooi, maar gaat toch liever sporten of naar Bloemendaal.
Zakmes
Aan het eind van de ochtend maken de leerlingen een kunstwerk en lossen ze een puzzel op. Daarmee vinden ze de plek waar de schat begraven ligt. Trots laat Ahmed (10) hem zien. Het is het zakmes van Lodewijk, waar hij vast al héél lang naar op zoek is…


De beelden zijn mensen uit het boek van Hildebrand.





Op zaterdag 5 oktober werd in de Kweektuin het ‘Haarlem Kleurt Groener’-festival gehouden. Honderden ouders en kinderen kwamen kijken hoe ze Haarlem groener kunnen maken. Maar wat is dat eigenlijk, vergroenen?
Netali (10) is samen met haar vader hard aan het werk. Bij Werkplaats Jeroen zaagt en boort ze een voederplankje. “Dit is geen vogelhuisje, want vogels gaan hier niet in slapen”, legt ze uit. “In het plankje dat ik maak, past precies een pot vogelpindakaas.” Voederplankjes zijn belangrijk voor vogels. Doordat steeds meer tuinen vol tegels liggen, wordt het moeilijker voor ze om zelf voedsel te vinden in gras, bladeren en struiken.
Feest in de Kweektuin
Overal op het terrein van de Haarlemmer Kweektuin is op deze zonnige herfstdag iets leuks en leerzaams te doen. Op de Biomarkt staan kraampjes met lekkers, zoals biologische bitterballen. In het NME-gebouw kleuren kinderen mee aan de grootse groene tekening van Haarlem. En in de Palmenkas vertelt bioloog Geert-Jan Roebers over de manier waarop planten met elkaar praten.
Doordat steeds meer tuinen vol tegels liggen, wordt het moeilijker voor vogels om zelf voedsel te vinden in gras, bladeren en struiken.

Een groene stad NME Haarlem wil inwoners helpen om hun omgeving groener te maken. Mensen leren op het festival daarom ook welke planten op hun tuin of balkon passen, en hoe ze egels, vlinders en andere dieren kunnen helpen. Wist je bijvoorbeeld dat wormen heel belangrijk zijn? Hun poep zorgt voor een gezonde bodem, en hierdoor groeien planten beter.
VERVOLGVERHAAL door

een raampje vlak boven de grond. ‘Komt dat glas uit die kelder?’
‘Help!’ klonk een stem.
‘Amy!’ Adam zakte door zijn knieën. Door het gebroken raam zag hij Amy op een wiebelige stoel staan.
‘Adam!’ riep Amy. ‘Gelukkig! Ik wil eruit!’
‘Ik haal een hamer!’ zei Xavi en hij holde weg. Noor kroop op haar knieën naast Adam. ‘Wat is er gebeurd?’
een luik in de vloer en kwam in deze kelder. En toen kon ik niet meer terug!’
‘Heb je ons niet gehoord?’ vroeg Adam. Amy’s blik werd zacht. ‘De poes heeft vier kleintjes. Zo schattig!’
Xavi kwam terug gerend met een hamer.
naar Amy.
Dan klinkt glasgerinkel..
Adam en Noor renden om het schoolgebouw.
Er stak glas uit het gras. Adam wees naar
‘Iemand – ik zeg niet wie – zei dat ik van juf schriften moest halen uit het voorraadhok.
Toen ik naar binnen ging, werd de sleutel omgedraaid. En –’
‘Dit is het voorraadhok toch niet?’ zei Noor.
‘Ik hoorde een poes’, zei Amy. ‘Ik klom door
‘Opzij, Amy!’ Met een hamer sloeg hij alle glas uit het raam. Daarna veegde hij met een borstel langs de randen om elke glassplinter te verwijderen. Samen trokken ze Amy door het raam naar buiten.
‘Je bent een held!’, riep Adam tegen Xavi. ‘Mijn beste vriend!’
‘Maar wie heeft je nou opgesloten? Zeg het! Want diegene krijgt een pak op z’n donder!’
Lees volgende keer hoe het afloopt…
WAT KUN JE ZELF DOEN VOOR MEER GROEN?
Tegels wippen, zelf groenten laten groeien, afval opruimen... Iedereen kan helpen om de wereld groener te maken.

“Onze tuin is heel groen. Er staan veel planten en bloemen in. Straks hang ik er ook dit voederplankje voor vogels in op. Het schoolplein van De Ark kan wel veel groener worden gemaakt. Ik wil geen stenen voetbalveld, tegels of klimrekken. Ik wil bloemen en gras, en bomen waar je in kunt klimmen. Ik wil een megabos als plein!”

“Als het kon, zou ik met verf heel Haarlem groen schilderen. In het echt kan dat natuurlijk niet. Maar de schutting bij ons thuis is al wel groen. En er staat een superhoge palmboom in onze tuin. Ik snoep vaak blauwe bessen van mijn eigen plant. We hebben zaadjes voor courgette en tomaten in de voortuin geplant. Hopelijk kunnen we die volgend jaar eten.”

“Ik verkoop hier biologische koffie uit Brazilië, Colombia en Uganda. Later wil ik ook goede dingen doen voor de wereld, zoals dieren uit andere landen ophalen en helpen. Vorig jaar zeiden we tegen onze meester dat we meer planten wilden. Die heeft hij gekocht. Nu heeft onze juf van groep 8 ook allemaal plantjes in de klas gezet. Heel groen en gezellig!”

Mijn naam: …………… Leeftijd: …... Hoe maak jij je tuin, buurt of schoolplein groener?
In de laatste week van september gingen in Nederland meer dan 130 duizend leerlingen langs de deuren voor kinderpostzegels. Dit goede doel bestaat dit jaar honderd jaar. Met het geld dat wordt opgehaald, komt er hulp voor kinderen die het moeilijk hebben.
Ook groep 7c van De Ark doet mee met de Kinderpostzegel-actie. Meester Wouter deelt woensdag 25 september de enveloppen uit in de klas. “Superkracht”, staat erop. Nieuwsgierig maakt Annemijn (10) hem open. “We gaan langs de deuren om postzegels en andere dingen te verkopen”, zegt ze. “We helpen daarmee kinderen die bijvoorbeeld weinig geld hebben of die niet thuis kunnen wonen.”
Wacht buiten
Meester Wouter vertelt waar de leerlingen op moeten letten als ze aanbellen. “Ga niet naar binnen. Zeg: ‘Ik wacht buiten’ als mensen vragen of je binnenkomt”, zegt hij. Ook mogen mensen niet met contant geld betalen. “Betalen gaat via een qr-code. Jullie hoeven dus niet met losse euro’s rond te lopen.” Dat was heel anders toen meester Wouter jong was, vertelt hij. “Ik liep met een zak vol Kinderpostzegel-geld over straat!”
Armoede en eenzaamheid
Billie (10), Evi (10), Julie (10) en Eva (10) willen meteen na school langs de deuren. “Ik heb er superveel zin in!”, zegt Billie. “We doen dit voor kinderen die weinig geld hebben of die eenzaam zijn.” Julie denkt even na. “Geld helpt toch niet tegen eenzaamheid?”, vraagt ze. Eva: “Jawel. Want als je weinig geld hebt, voel je je niet blij. Dan maak je dus minder vrienden.”
Meteen ‘ja’
Ook Kai (10), Ole (9), Gijs (10) en Faas (10) beginnen meteen met de verkoop. Binnen anderhalf uur heeft Kai al €93,- opgehaald. Hij snapt zelf niet hoe het kan. “Ik vraag gewoon of mensen wat willen kopen van Kinderpostzegels of een donatie willen doen. Ze zeggen bijna allemaal ‘Ja’!” Ole: “Het is alleen jammer dat bij sommige huizen al kinderen zijn geweest. Niet iedereen heeft een stickertje opgeplakt.”
Toch trots
Elke dag houdt de klas bij hoe veel geld er is opgehaald. Volgens meester Wouter is dat niet het belangrijkste: “Je doet het voor een ander. Daar haal je je plezier uit.” Toch is hij trots op zijn klas. ‘Zijn’ groep 7c heeft in een week tijd namelijk meer dan €3.500 opgehaald voor andere kinderen.
Het thema van de kinderpostzegels is dit jaar ‘Veerkracht’. Veerkracht is de energie die je nodig hebt om te herstellen als er iets vervelends is gebeurd. Je veert weer terug, net als een trampoline…


Eva: “Als je eenzaam bent, maak je minder makkelijk vrienden.”



Kira en Juultje vinden dat kinderen te veel op hun telefoon zitten. Ze doen zelf liever iets creatiefs, zoals sokpoppen maken.



Juultje (11) en Kira (11) zitten in de zesde klas (groep 8) van de Rudolf Steinerschool. Ze zijn, samen met twee anderen, de enigen uit hun klas die geen telefoon hebben. Ze willen er ook geen. Ze schrijven samen een boek over de nadelen van smartphones.
TEKST: FLEUR LEEFLANG FOTO’S: EVA CAMERON
Elke donderdag na school werken de vriendinnen aan hun boek. Kira: ‘’We bedenken het verhaal samen. Juultje typt het. Als we straks alle tekst geprint hebben, maken we de tekeningen en een mooie voorpagina.’’
Juultje: “We willen dat het een aantrekkelijk boek wordt. Serieus én leuk. Er komt ook een fantasieverhaal in over mensen die robots worden.”
Zombies op straat
Juultje: “We zien kinderen veranderen door hun telefoon. Ze gebruiken andere woorden. Ze hebben een slomere houding. Ze zijn vaak niet meer zo gezellig. Op straat zie ik een soort zombies lopen met een telefoon in hun hand. Mensen grijpen ook constant naar hun zak. Daar zit die telefoon in.”
Beter nadenken
De vriendinnen hopen dat kinderen door hun boek de nadelen van een smartphone
kennen voordat ze er eentje nemen. Juultje: “Je raakt snel verslaafd en geeft dan al je tijd aan je telefoon. Ik denk niet dat dat gezond is.” Kira: “Het boek is ook voor ouders. Zij geven hun kind een telefoon. We zeggen: ‘Denk goed na voor je eraan begint’.’’
Iets anders doen
De tijd die kinderen op hun telefoon doorbrengen, kunnen ze volgens Juultje en Kira heel goed anders besteden. “We hebben zelf een serie sokpoppen gemaakt”, zegt Juultje. “We tekenen ook heel vaak.” De meiden hebben elkaar beloofd dat ze op de middelbare school ook geen telefoon zullen nemen. “Alleen als het moet”, zegt Kira. Ze hebben die belofte opgeschreven in een contract en ondertekend.
Kai is een goede





Heb je al plannen voor de vakantie?
In het Frans Hals Museum is weer van alles te doen, van superleuke workshops tot een speurtocht en De Dikke Doe- en Luistertour: een audiotour door het museum waarbij je al je zintuigen gebruikt.
In het museum is tot en met 19 januari een expositie over Maarten van Heemskerck. Deze beroemde schilder werd in 1498 in Heemskerk geboren en stierf 76 jaar later in Haarlem. Ook Teylers Museum en Stedelijk Museum Alkmaar tonen zijn werk.
Zelfportret maken
Hoe Heemskerck te werk ging in zijn atelier, kun je ontdekken in de inloopworkshop voor het hele gezin in het Frans Hals Museum. Je schildert daar je eigen zelfportret op een houten paneel, precies zoals Maarten van Heemskerck dat deed.


Check dagen en tijden op www.franshalsmuseum.nl. Ook de Dikke Doeen Luistertour en de speurtocht kun je elke dag komen doen. www.franshalsmuseum.nl.

Saif-Edinne, Marwe en Zohra van De Globe met de poetsbokaal. Die wonnen ze omdat hun klas het best gepoetst had.

Vorig schooljaar kreeg basisschool
De Globe twee keer bezoek van de Poetsbus. “De mensen die bij de Poetsbus werken, kijken of je tandplak hebt. Ze leren je ook hoe je moet poetsen”, vertelt Saif-Edinne (12). “De Poetsbus is beter dan de tandarts.”
“De Poetsbus is een grote gele bus. Het is een verbouwde Amerikaanse schoolbus”, vertelt Zohra (11). Ze zit net als Saif-Edinne en Marwe (11) in groep 8 van De Globe. “De Poetsbus parkeert voor de school. Om de beurt gaan de kinderen naar binnen”, legt Saif-Edinne uit.
Paars en roze
Marwe: “In de bus kreeg ik een paarse vloeistof op mijn tanden. Die vloeistof is gemaakt van bloemetjes en smaakt nergens naar. Na één keer spoelen met water, verkleurden mijn tanden en tandvlees. Waar ik niet goed had gepoetst, werd het paars. Waar ik een beetje goed had gepoetst, werd het roze.”
Een filmpje
“Na het paarse testje maakten ze een foto van mijn mond”, vertelt Zohra. “Ik kreeg een koptelefoon op en een tandenborstel. Ik bekeek een filmpje waarop werd voorgedaan hoe ik
“Als je nu goed poetst, krijg je later minder problemen.”

moest poetsen. Daarna keken de mensen van de Poetsbus of ik de paarse en roze plekken had weggepoetst.”
Bijna-gaatje verdwenen
Saif-Edinne: “De mensen van de Poetsbus zeiden dat ik bijna een gaatje had. Door goed te flossen en te poetsen, is dat geen echt gaatje geworden. Dat zagen ze toen ze na vier maanden terugkwamen op school.” Volgens
Saif-Edinne is het belangrijk om goed voor je tanden te zorgen. “Anders krijg je heel veel operaties als je later groot bent.”
Kindertaal
Elke keer dat je iets eet of drinkt, wordt je tandglazuur aangevallen. Eet en drink daarom niet meer dan zeven keer per dag. Anders kan je glazuur niet herstellen.
Suikers uit drankjes, ook uit vruchtensap, zijn een ramp voor je gebit. Drink dus water als je dorst hebt.
Wacht minstens een half uur met tandenpoetsen nadat je iets zoets of zuurs hebt gegeten. Anders is het slecht voor je tandglazuur.
Kinderen met kiespijn slapen slechter, eten slechter en kunnen zich minder goed concentreren.
Tot je elf jaar bent, moeten je ouders je tanden ‘napoetsen’.
Baby’s worden geboren zonder de bacteriën die gaatjes veroorzaken.
Ze krijgen die bacteriën meestal van hun ouders, omdat die bijvoorbeeld speentjes in hun eigen mond ‘schoonmaken’ nadat ze op de grond gevallen zijn.
Anne van de Haarlemse Hannie Schaftschool heeft de Jong023-schrijfwedstrijd voor Dierendag gewonnen! Gefeliciteerd! Haar verhaal is een beetje ingekort voor de krant.
“Ik hou heel veel van je, Poekie. Ik voel me meteen blij als ik bij je ben. Je hebt vanochtend al zacht voer gehad, maar je mag in de avond nog wel een zakje!”

“Mijn roepnaam is Poekie. Ik vind die naam erg grappig! Mijn baasjes zijn Anne, haar broertje Thijs en haar ouders. Ik kan heel lekker met ze knuffelen. Natuurlijk wek ik Anne om vijf uur ’s nachts. Weet je waarom? Omdat ik honger heb. Anne geeft mij dan zacht voer. Als haar ouders eindelijk naar beneden komen, vraag ik weer om zacht voer. Daar trappen ze helaas niet in!”
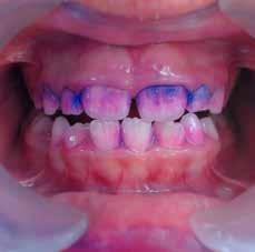
Brrrr! Een gebit tijdens de plaktest. Waar het paars is, zit veel tandplak.

Saif-Edinne, Marwe en Zohra vinden de Poetsbus beter dan de tandarts. “Een tandarts zegt vaak alleen dat je goed moet poetsen. De mensen in de Poetsbus geven veel meer informatie”, vindt Saif-Edinne. Marwe: “Ze vertellen het in kindertaal, zodat je het echt goed snapt.”
Een mondhygiënist helpt mensen om hun gebit gezond te houden. Zo willen ze voorkomen dat je gaatjes en andere problemen krijgt. De tandarts controleert of je gaatjes hebt en helpt als je toch pijn of andere problemen in je mond hebt.
De tandarts is bijna helemaal gratis voor kinderen tot en met 18 jaar!
De Poetsbus gaat in november weer langs verschillende scholen in Haarlem, waaronder De Globe. De Poetsbus werd in 2013 opgericht door mondhygiënist Judith en haar dochter Amanda. De Gezonde School van de GGD werkt samen met de Poetsbus. Website: www.poetsbus.nl



Een coach van het Centrum voor Jeugd en Gezin (CJG) beantwoordt elke maand een vraag in Jong023. Heb je een vraag? Mail redactie@jong023.nl.
FOTO: MIRANDA BRUINSMA
ILLUSTRATIE: ALEX VAN KOTEN


Elsa antwoord.geeft
Hafsa (11): “Na de vakantie vertelt iedereen in mijn klas mooie verhalen. Wij gaan nooit met vakantie. We komen uit Syrië. Soms verzin ik maar wat, maar dan weet ik niet meer aan wie ik wat heb verteld.”
Hoi Hafsa,
Wat een goeie vraag heb jij gesteld! Ik denk dat heel veel kinderen en volwassenen hier soms mee zitten.
Grote verhalen
Vakantie betekent voor iedereen iets anders. Sommigen gaan ergens heen, anderen blijven lekker thuis. Er is niet maar één soort vakantie. Maar ik snap dat je daarover gaat twijfelen wanneer andere kinderen grote verhalen vertellen over wat ze hebben gedaan. Misschien voel je je daardoor onzeker en vraag je je af of jouw vakantie wel goed genoeg was. Maar jouw vakantie is goed zoals die was. Je mag je zeker voelen over je vakantie en over jezelf!
Wat vond jij leuk?
Het belangrijkste is dat je in de vakantie dingen doet die jij leuk vindt. Ook is het fijn dat je kunt uitrusten van school. Je vertelt dat je soms maar wat verzint om aan anderen
te vertellen. Het is op zich niet erg dat je dingen bedenkt om te vertellen. Dat betekent, denk ik, alleen maar dat je een goeie fantasie hebt. Alleen: je hoeft echt niets te verzinnen. Bedenk gewoon wat jij fijn vond in je vakantie. Heb je bijvoorbeeld lekker uitgeslapen? Veel buiten gespeeld? Of een film gekeken die je leuk vond? Dit kun je allemaal vertellen in de klas. Je af en toe vervelen hoort trouwens ook bij vakantie. Dat heeft iedereen wel eens… Vrij zijn Vakantie betekent vooral: vrij zijn. Vrij om te doen wat jij en je ouders willen en kunnen. En plezier maken. Wil je toch meer doen in je vakanties? Kijk dan eens bij SportSupport of bij Team SportService als je in Zandvoort woont. Zij organiseren gratis sportactiviteiten. Websites: www.sportsupport.nl/agenda of www.noordhollandactief.nl.
Groetjes, Elsa
Bij het CJG werken mensen die jou en je ouders kunnen helpen met vragen over lastige dingen thuis, op school, of ergens anders. Kijk voor meer informatie op www.cjgkennemerland.nl.
Ook iets doen voor een ander? Schrijf je in op haarlem.buuv.nu.

Veel kinderen vinden het leuk om iets te maken in de keuken. Bak jij wel eens iets voor de rest van de familie? Maak dan deze keukenquiz!
Wat doe je als je 1 el en 1 tl nodig hebt?
a. Ik pak elleboogmacaroni en een truffel.
b. Ik zoek een liniaal. Een el is 60 centimeter.
c. Ik pak een eetlepel en een theelepel.
Wat is het verschil tussen bloem en meel?
g. Er is geen verschil. Het is hetzelfde.
h. Bloem is de binnenkant van de graankorrel. Het is fijner dan meel.
k. Meel is de binnenkant van de graankorrel. Het is fijner dan bloem.
Hoe breek je een rauw ei zonder kleine stukjes?
c. Ik sla erop met een mes.
d. Ik tik ermee op de rand van een pan of kom. e. Ik sla met de platte kant op het aanrecht.
Wanneer krijgt een restaurant een ster?
e. Als er elke maand een ster komt eten, bijvoorbeeld een pop-ster.
f. Als inspecteurs van de firma Michelin het eten heel goed vinden.
g. Als ze ook ’s avonds open zijn en er dus sterren te zien zijn.
Bonusvraag: Hoeveel sterrenrestaurants zijn er in Haarlem? En in Zandvoort?
De vier letters voor de goede antwoorden vormen een woord.
Mail dat woord, met je voornaam, leeftijd en school, naar redactie@jong023.nl en wie weet win je een hoodie van AH Vos!
De herfstvakantie is de perfecte tijd om lekkere dingen te maken. Nina (11) van de Bos en Vaartschool is dol op bakken. Speciaal voor Jong023 maakt ze, zonder hulp van haar vader en moeder, deze blauwe-bessencake. Dankzij de citroen en de roomkaas smaakt ie zoet, fruitig én fris. Het recept vind je op allerhande.nl. Zoek op blauwe bessen cake















Tips voor een perfecte worp
• Houd je wijsvinger langs de rand van de frisbee.
• Gooi vanuit je pols.
• Laat de frisbee los als hij plat is, ter hoogte van je borst.
• Laat de frisbee draaien tijdens het vliegen.
• Wijs de frisbee met je hand na als je hebt gegooid. Scan de code voor
Een groep jongeren in rode T-shirts rent, springt en vliegt over het sportveld langs de Kleverlaan. Het is vrijdag 4 oktober en de leden van Ultimate Frisbeeclub MUG Haarlem hebben hun laatste buitentraining van het seizoen. Vanaf morgen spelen ze weer in de zaal.
Frisbee is een van de meest sportieve sporten die er bestaan. De wedstrijden worden namelijk gespeeld zonder scheidsrechter. Zelfs op het hoogste niveau. De teams bepalen onderling of iemand een fout maakte en de tegenpartij dus een vrije worp krijgt.
Spirit of the Game Frisbee-teams geven hun tegenstander ook punten voor sportief gedrag: ‘spirit points’. “Je geeft bijvoorbeeld een spirit point omdat je tegenstander eerlijk speelde en lichaamscontact vermeed”, zegt Rein (11). Er zijn na de competitie twee kampioenen: het team dat de meeste wedstrijden won, én het team dat het sportiefst was - al kan dat ook hetzelfde team zijn. “Veel spelers winnen liever spirit points dan ‘gewone’ punten”, zegt Rein.
Regels van het spel
Het veld voor volwassen frisbee-spelers is 100 meter lang: net zo lang als een voetbalveld. Aan de uiteinden zitten de ‘thuisvakken’ van de teams: de eindzones. Spelers scoren punten door de disc – zoals zij de frisbee noemen –te vangen in het vak van de tegenpartij. Spelers mogen niet rennen met de disc. Ze mogen elkaar ook niet aanraken en de disc niet afpakken.
Goed samenwerken
“Omdat je niet mag lopen met de disc, moet je steeds goed vrijlopen. Je teamgenoot kan dan
om een keer te proberen
naar jou gooien”, zegt Rein. Hij zit al een paar jaar op Ultimate Frisbee, zoals het wedstrijdfrisbeeën heet. “Je leert daardoor goed samenwerken. Ook met de tegenstander werk je samen, omdat er geen scheidsrechter is.”
Strakke streep
Faye (8) is nog maar net begonnen. Zij vindt het superleuk en heeft vandaag een vriendin meegenomen, Siënna. “Zij vindt het ook leuk.” Faye laat een forehand- en een backhandworp zien en een ‘overhead’, waarbij ze de disc boven haar hoofd houdt. Het liefst gooit ze heel hard. “Dan gaat ie als een strakke streep door de lucht.”
Gezellige uitwedstrijd
Omdat er nog niet veel teams in Nederland spelen, zijn de uitwedstrijden vaak ver weg. De hele vereniging gaat op zo’n dag samen naar een uitclub, waar dan tegen drie of vier tegenstanders wordt gespeeld. “Dat zijn altijd heel gezellige dagen”, zegt Marleena (22), die jarenlang training gaf bij MUG en in Jong Oranje zat.
Het wereldrecord van de verst gegooide frisbee is 338 meter: meer dan drie voetbalvelden ver! Het werd in 2016 gegooid door de Amerikaan Wiggins Jr.




Wil je een proefles frisbee doen? Meld je dan aan op frisbeehaarlem.nl

26 oktober Museumnacht Kids
30 oktober Wild-wandeling
2 en 3 november Kinderkunstlijn Haarlem
17 november Intocht Sinterklaas
21 november Tech Event Haarlem
23 november Haarlem is jarig!
Doe mee met de speurtocht bij 37PK, dans mee in de ‘old skool’-dansles in het Frans Hals Museum of ontmoet de eerste koning van Nederland bij Huis Barnaart!


Meedoen is helemaal gratis.

De herten zoeken een partner! Zoek mee naar burlende en knokkende herten in de Waterleiding-duinen, van 15.30-17.00 uur.


Stuur je antwoord voor 25 november naar redactie@jong023.nl, met je voornaam, leeftijd en school. Sebastiaan van De Ark had het vorige maand goed gezien: Eva en Adam stonden voor het station van Zandvoort!
Hou je van kunst, van knutselen of creatief bezig zijn? Doe dan mee aan de KinderKunstlijn op 2 en 3 november. Je volgt workshops en doet leuke opdrachten op mooie plekken in de stad.
De KinderKunstlijn is een ontdekkingstocht door de stad voor het hele gezin. Je gaat naar musea, ateliers en galeries. De route staat in een opdrachtenboekje. Het boekje kun je ophalen bij alle locaties die meedoen.
• In het ABC Architectuurcentrum ga je kleien en een spinner maken.
• In het Noord-Hollands Archief maak je een kunstwerk met cyanotype.
• In het Kunstcentrum kun je stemmen op het mooiste kunstwerk… en ga zo maar door.
We verloten onder de goede inzendingen een boekenbon van Kinderboekwinkel Kiekeboek. Alleen de winnaar krijgt bericht.
Het woord van de vorige puzzel was REGENWORM
Dat werd opgestuurd door:
• Sebastiaan, De Werkschuit
• Alvyn, De Werkschuit
• Wiktoria, De Dolfijn
• Maud, De Cirkel
• Mila, De Cirkel,
• Nio, Veronicaschool,
• Samuel, De Cirkel,
• Teun, Bernardusschool
• Sophie, De Kring
• Juul, De Lindeboom
Maud heeft de boekenbon van Kiekeboek gewonnen, hiep hoera!
• Ovis, Rudolf Steinerschool
• Timo & Mattheo, Rudolf Steinerschool
• Gijs, Bavinckschool
• Anne & Ben, Ter Cleeff
• Jonathan & Sebastiaan, De Ark
• Tobias, Franciscus Xaveriusschool

De route gaat langs deze plekken:
• Frans Hals Museum,
• Noord-Hollands Archief,
• ABC Architectuurcentrum,
• Verwey MH,
• Stadhuis en Kloostergangen,
• Teylers Museum,
• Kunstcentrum Haarlem,
• De Koepel,
• Museum van de Geest,
• Stedelijk Gymnasium.
Informatie: www.kunstlijnhaarlem.nl.
Schrijf je antwoord in de witte vakjes. De letters in de gele balk vormen een woord. Mail dit woord, samen met je voornaam, je school en je leeftijd voor 25 november naar redactie@jong023.nl.

Hoe heten de fietsen met dikke banden die soms te hard gaan? Pagina 3
Hoe heet de beroemde broer van Lodewijk Napoleon? Pagina 4
Welke kleur zou Haarlem (meer) moeten krijgen? Pagina 5
Met welke druktechniek maken de meiden een blauw kunstwerk? Pagina 1
Hoe heet de meester van groep 7c van De Ark? Pagina 6
In welk museum kun je schilderen als Maarten van Heemskerck? Pagina 7
Wat wonnen Saif-Edinne, Marwe en Zohra voor het goede poetsen? Pagina 8
Hafsa komt uit Syrië. Hij gaat nooit met …….. Pagina 9
Welke sportieve sport kun je doen bij MUG Haarlem? Pagina 11 9
De antwoorden op de vragen vind je in deze krant!
Maak de puzzel met de hele klas en een win een boekenpakket van Kiekeboek!