The Non-CME Corporate Forum content and views expressed therein do not necessarily reflect the views, policies, or position of the American College of Allergy, Asthma, & Immunology.


![]()
The Non-CME Corporate Forum content and views expressed therein do not necessarily reflect the views, policies, or position of the American College of Allergy, Asthma, & Immunology.



• Explain the underlying causes and effects of nonadvanced SM, with an emphasis on its clinical manifestations and the pathophysiologic basis for targeted therapies
• Differentiate SM, including indolent forms, by recognizing key symptoms and appropriately utilizing laboratory and genetic testing
• Summarize clinical trial findings for emerging and established therapies, including FDA-approved treatments
• Tailor treatment plans for nonadvanced SM by incorporating clinical evidence, safety considerations, patient-reported outcomes, shared decision-making, and patient education

Dr. Maitland



• SM is characterized by the abnormal expansion and accumulation of MCs in ≥1 ECO system1
• SM affects approximately 1 in 10,000 people1,2
• No apparent gender bias with SM overall3
• Mean age at onset is 46 to 61 years, with a peak in the mid to late 50s4
ECO, extracutaneous organ; MC, mast cell.
Nonadvanced SM (≈88%-95%)5-7
• Bone marrow mastocytosis (BMM)
• Indolent SM (ISM; ≈88% of cases)6
• Smoldering SM (SSM)
Advanced SM (≈5%-12%)5-7
• SM with associated hematologic neoplasm (SM-AHN)
• Aggressive SM (ASM)
• Mast cell leukemia (MCL)
1. Brockow K. Immunol Clin Allergy North Am. 2014;34(2):283-295; 2. Jørgensen MP, et al. Eur J Epidemiol. 2025;40(1):43-53; 3. Mohsin F, et al. J Clin Oncol. 2025;43(suppl 16):e22559; 4. Sizemore JA, et al. J Am Acad Dermatol. 2025. [Epub ahead of print]; 5. Cohen SS, et al. Br J Haematol. 2014;166(4):521-528; 6. Ungerstedt J, et al. Cancers (Basel). 2022;14(16):3942; 7. Mesa RA, et al. Cancer. 2022;128(20):3700-3708.











KIT D816V causes constitutive activation of the KIT receptor and downstream signaling

SCF binds KIT and activates signaling pathways that control MC differentiation, maturation, migration, proliferation, survival, and cytokine production.
Approximately 90% to 95% of patients with nonadvanced SM have a KIT D816V mutation, the most common driver mutation of SM.3



























C5a KIT
















mediators (found in granules)
• Histamine


• Tryptase
• Heparin
Lipid mediators (synthesized from arachidonic acid)
















• Leukotrienes
• Prostaglandins
Chemokines/Cytokines
• IL-4
• IL-6
• TNF 15-90 sec 20-30 min 2-5 hours
C, complement; FcεR1, high-affinity IgE receptor 1; GPCR, G protein-coupled receptor; IgE, immunoglobulin E; IL, interleukin; MRGPRX2, Mas-related G-protein coupled receptor member X2; TNF, tumor necrosis factor.
Figure adapted from 1. Castells M, Akin C. Nat Med. 2021;27(12):2081-2082; 2. Giannetti MP. Ann Allergy Asthma Immunol. 2021;127(4):412-419; 3. Moon TC, et al. Front Immunol. 2014;5:569; 4. Theoharides TC, et al. Biochim Biophys Acta. 2012;1822(1):21-33; 4. Xu H, et al. J Neuroinflammation. 2020;17(1):356.

• Anxiety
• Decreased concentration and memory
• Cognitive dysfunction/Brain fog
• Depression
• Headaches/Migraines
• Insomnia
• Angioedema
• Generalized itching
• Shortness of breath/Wheezing
• Chest pain

• Aches
• Bone pain
• Joint pain
• Muscle pain
• Stiffness
• Bladder pain, urgency and frequency

• Nasal congestion/Itching
• Runny nose
• Difficulty swallowing
• Oral itching and swelling
• Flushing (of the face, neck, and upper chest)
• Hypotension/Hypertension/ Blood pressure instability
• Syncope/Near syncope
• Tachycardia
• Osteopenia
• Osteoporosis
• Gastroesophageal reflux Generalized systemic symptoms



• Malaise
• Weakness


• Weight loss Women
• Uterine cramps and/or bleeding Men
• Prostatitis
• Sexual dysfunction
Patients with SM experience an average of 14 SM-related symptoms over the course of their disease.2
1. Jennings SV, et al. Ann Allergy Asthma Immunol. 2023;127(4):407-409; 2. Mesa RA, et al. Cancer. 2022;128(20):3691-3699.
Triggers Examples
Venomsa
IgE Mediated
Food & beveragesc
Allergens
MRGPRX2 Medications
Cyclooxygenase
Inhibition

Stressors
Medications
Acute infection
Pain
Environment
Fatigue
Physical triggers
Surgery
Bee, wasp,3,b mixed vespids, fire ants
Pollen, pet dander, dust mites
Opioids, some antibiotics (eg, vancomycin), contrast dyes
NSAIDs
Viral, bacterial, fungal
Emotional, physical
Heat, cold, sudden changes in temperature, natural and chemical odors, sun/sunlight
Lack of sleep/Sleep deprivation
Mechanical irritation, friction, vibration, exercise
Anesthesia (eg, atracurium)
Proceduresc Colonoscopy, endoscopy, interventional radiology
Vaccinations
NSAID, nonsteroidal anti-inflammatory drug.
aVenoms can trigger activation through IgE- and non-IgE—mediated pathways; bHymenoptera venom was recently identified as the most common trigger in ISM; cAlcohol consumption can induce a reaction but the reaction is not IgE mediated; cPerioperative management should be considered.
1. Adapted from National Comprehensive Cancer Network (NCCN). https://www.nccn.org/professionals/physician_gls/pdf/mastocytosis.pdf; 2. Rama TA, Castells M. Curr Treat Options Allergy. 2023;10:442-457;
3. Niedoszytko M, et al. Allergy. 2024;79(9):2470-2481.
• The median time from symptom onset to diagnosis of SM is 5 to 6 years1,2
• Prior to diagnosis, patients have seen an average of 6 HCPs3
• Diagnostic delays put patients at risk of life-threatening anaphylaxis, organ dysfunction, and severe osteoporosis3,4


HCP, health care professional.
1. Mesa RA, et al. Cancer. 2022;128(20):3691-3699; 2. Tse KY, et al. J Allergy Clin Immunol. 2024;3(4):100316; 3. Mikkelsen CS, et al. Dermatol Reports. 2014;6(1):5199; 4. Ungerstedt J, et al. Cancers (Basel). 2022;14(16):3942.

• Patients with ISM reported1,a:
– Disruptions, limitations, and problems in social, leisure, and daily activities
– Making adjustments to their daily lives, including avoiding certain foods, sun exposure, alcohol, and odors
– Severity of difficulties increased with greater symptomatic burden (TSS ≥28)
– Non-White patients with ISM reported more frequent and more severe symptoms following diagnosis, suggesting that disease burden may vary by race and/or ethnicity3
N=237
≥

N=56
• Symptom assessment:
– Direct questions about symptom response to treatment
– Validated tools used in clinical trials
• Mastocytosis Symptom Assessment Form (MSAF)1
• Mastocytosis Activity Score (MAS)2
• ISM Symptom Assessment Form (ISM-SAF©)3
• Mastocytosis Symptom Severity Daily Diary (MS2D2)4
• QOL:
– Mastocytosis Quality-of-Life Questionnaire (MQLQ)1
– Mastocytosis Quality of Life Questionnaire (MC-QoL)5
Abdominal pain
Diarrheaa
Nausea
Spots
Itching
Flushing
Brain fog
Headache
Dizziness
Bone pain
Fatigue
Symptoms scored daily over a 24-hour recall period
0 = no symptom 10 = worst imaginable symptom

TSS (0-110)
≥28 indicates moderate to severe symptoms
HRQOL, health-related quality of life; OTC, over the counter; QOL, quality of life.
aDiarrhea frequency is scored separately but contributes to total score.
1. NCCN. https://www.nccn.org/professionals/physician_gls/pdf/mastocytosis.pdf; 2. Siebenhaar F, et al. Allergy. 2018;73(7):1489-1496; 3. Taylor F, et al. Orphanet J Rare Dis. 2021;16(1):414; 4. Marcus J, et al. Value Health. 2025;28(6 suppl 1):S342-S343; 5. Siebenhaar F, et al. Allergy. 2016;71(6):869-877; 6. Mesa RA, et al. Cancer. 2022;128(20):3691-3699.
• Maintain a high index of suspicion for MC disorders when patients present with seemingly unrelated symptoms and/or individuals with anaphylaxis or osteoporosis
– Anaphylaxis has been reported in up to 50% of patients with ISM1
– Osteoporosis affects up to 30% of patients with SM2
• Young men who are not commonly affected by osteoporosis
• Spine osteoporosis and vertebral fractures are hallmarks of SM
• Bone involvement should be assessed regularly in patients with SM via bone metabolism markers (eg, serum calcium and phosphorus, 25[OH]D, ALP) and/or radiologic assessment of BMD (eg, DEXA, X-rays, CT scan, MRI)
• Life expectancy in patients with ISM is approximately equivalent to age/gender-matched US population3-5
– Reduced in patients with SSM and AdvSM
25(OH)D, 25-hydroxyvitamin D; BMD, bone mineral density; DEXA, dual-energy X-ray absorptiometry; MRI, magnetic resonance imaging.
1. Farmer I, Radia DH. Curr Hematol Malig Rep. 2024;19(5):197-207; 2. Degboé Y, et al. Curr Osteoporos Rep. 2025;23(1):10; 3. Aperna F, et al. Am J Hematol. 2020;100(9):1566-1576; 4. Lim K, et al. Blood. 2009;113(23):5727-5736; 5. Cohen SS, et al. Br J Haematol. 2014;166(4):521-528.





Dr. Tashi



• Anaphylaxis to insect venom1
• History of hypotensive anaphylaxis, especially if associated with baseline or event-related tryptase increases2
• History of hypotensive episodes resulting in presyncope or syncope + absence of urticaria and angioedema + elevated BST level2
• History of flushing, itching, and abdominal pain2
• BST >8 ng/mL2
• Skin lesions: UP2









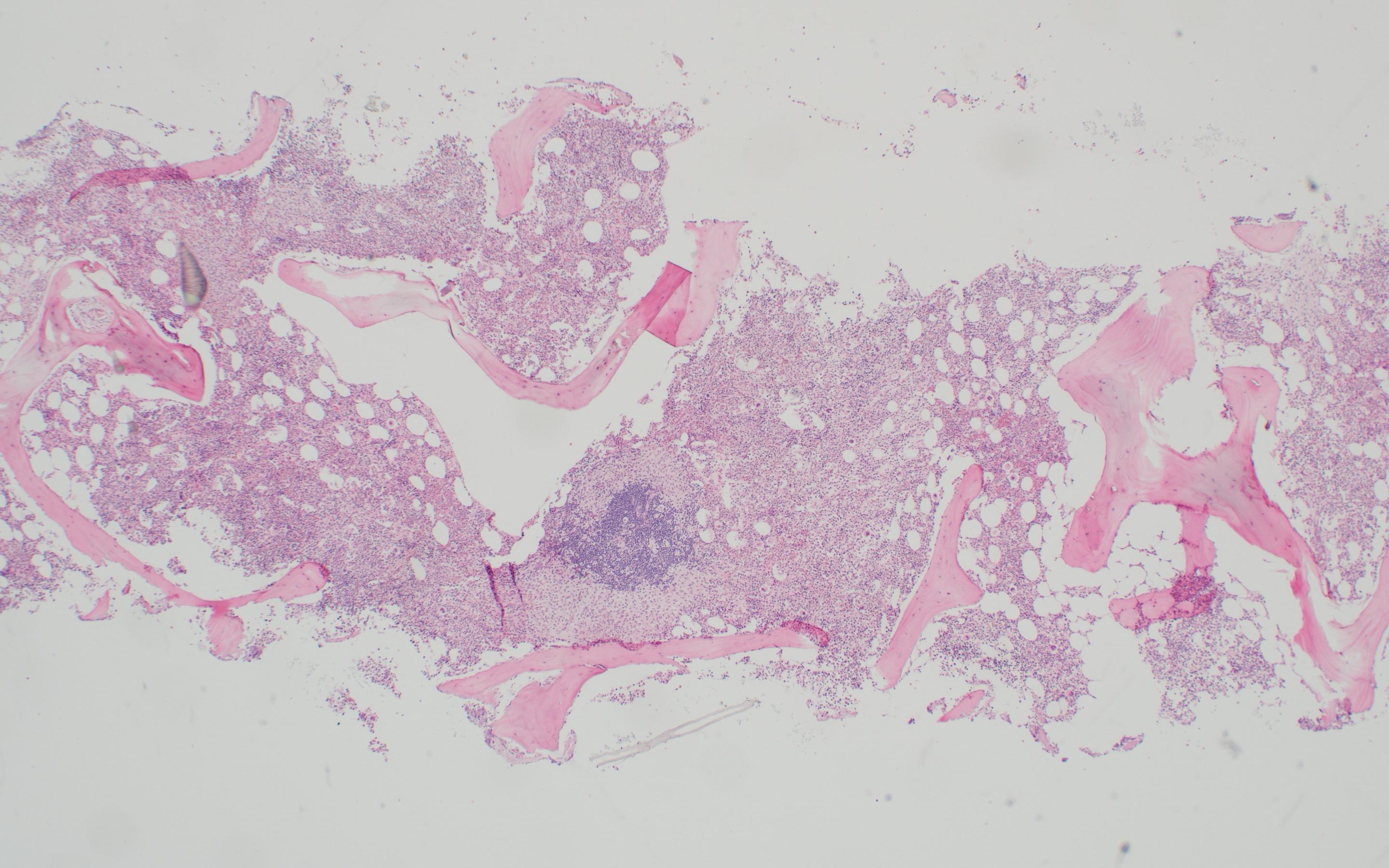
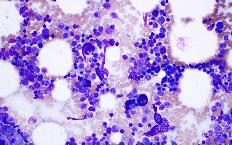
Serum tryptase level >20 ng/mL (in the case of known HαT, tryptase levels should be adjusted) KIT D816V (or any other mutation causing ligand-independent activation of KIT) >25% of MC are immature or atypical in BM smears or spindle-shaped in MC infiltrates detected in sections of BM or ECO


and/or
and/or CD30 detected on MCs in BM, blood, or other ECO
Bloodwork
• CBC/Diff
• CMP

Genetics


• BST Morphology
• Blood smear
• BM aspirate smear
• BM biopsy


• High-sensitivity KIT D816V mutation analysis (ddPCR)
• Tryptase genotype (HαT)
• Myeloid gene panel (highly recommended)
• Screen for FIP1L1::PDGFRA if eosinophilia is present and KIT D816V is negative





MC Immunophenotype

• Flow cytometry (CD2, CD25, CD34, CD117, CD30)
• Immunohistochemistry (tryptase, CD25, CD117, CD30)



CBC/Diff, complete blood count with differential; CMP, comprehensive metabolic panel; ddPCR, droplet digital PCR; PCR, polymerase chain reaction; PDGFRA, platelet-derived growth factor receptor alpha. NCCN. https://www.nccn.org/professionals/physician_gls/pdf/mastocytosis.pdf.
• Most reliable for KIT D816V analysis, especially with a low VAF1-3
– 0.01% to 0.03% sensitivity vs 3% to 5% sensitivity of NGS1-3
– ddPCR detected KIT D816V mutations in 84% more samples than NGS because of its lower LOD4
– Consider testing BM samples if the PB is negative in a patient with a high suspicion of disease5
• 70% of participants with undetectable KIT D816V by PB ddPCR had KIT mutations, including non-D816V mutations, detected by duplex sequencing6
– Recommended by NCCN and ICC Guidelines to avoid false negatives5,7



LOD, limit of detection; NCCN, National Comprehensive Cancer Network; NGS, next-generation sequencing; VAF, variant allele frequency. 1. Greiner G, et al. Clin Chem. 2018;64(3):547-555; 2. George T, et al. Blood. 2020;136(suppl 1):7-8; 3. Boggs NA, et al. Blood Adv. 2023;7(13):3150-3154; 4. Shean RC, et al. Am J Clin Pathol. 2025;164(2):145-149; 5. NCCN. https://www.nccn.org/professionals/physician_gls/pdf/mastocytosis.pdf; 6. Pongdee T, et al. J Allergy Clin Immunol. 2025;155(2):AB312; 7. Arber DA, et al. Blood. 2022;140(11):1200-1228.

YES

Perform
• Serum tryptase
• CBC/Diff
Does the patient have skin lesions consistent with MPCM/UP?




• High-sensitivity assay for KIT D816V mutational analysis on PB (if available)









Does the patient experience presyncope, syncope, signs of recurrent mediator-related symptoms, anaphylaxis, unexplained osteoporosis? Perform BM biopsy
Perform high-sensitivity assay for KIT D816V mutational analysis on PB (if available)




Perform BM biopsy Mutation not detected or not available Mutation detected
BM biopsy may be needed in the future; continue to monitor patient


MPCM/UP, maculopapular cutaneous mastocytosis/UP. Figure adapted from Zanotti R, et al. J Clin Med. 2021;10(7):1420.





SM diagnostic criteria met



No additional findings
• Absence of skin lesions
• BM involvement
• Serum tryptase <125 ng/mL
ISM


SSM


ASM
SM-AHNa
MCLa



<2 B findings
• Skin lesions may be present
≥2 B findings, no C findings
• Does not meet criteria for AHN

≥1 C finding
• Does not meet criteria for AHN
WHO criteria for AHN met (eg, dysplasia, monocytosis, eosinophilia)
• AML, CMML, MDS, MPN, lymphoma, other
≥20% MCs on BM aspirate smear
• Classic MCL: ≥10% MCs in PB smear
• Aleukemic MCL: <10% MCs in PB smear
• MCs in BM ≥30% and/or serum tryptase ≥200 ng/mL and/or KIT D816V with VAF ≥10% in BM or PB leukocytes
• BM hypercellularity or dysplasia or myeloproliferation in a non-MC lineage
• Organomegaly (without organ impairments)
• Cytopenia(s) present (ANC <1.0×109 /L, hemoglobin <10 g/dL, or platelets <100×109 /L)
• Hepatomegaly with portal hypertension/ascites
• Splenomegaly with hypersplenism
• Osteolytic lesions (≥2 cm) or pathologic fractures
• Malabsorption with weight loss and hypoalbuminemia
• Any other life-threatening end-organ damage
AML, acute myeloid leukemia; ANC, absolute neutrophil count; CMML, chronic myelomonocytic leukemia; MDS, myelodysplastic syndromes; MPN, myeloproliferative neoplasm.
aB and C findings possible; in acute MCL, C findings are detectable. Adapted from Ustun C, et al. Blood Adv. 2025;9(9):2048-2062; Khoury JD, et al. Leukemia. 2022;36(7):1703-1719; NCCN. https://www.nccn.org/professionals/physician_gls/pdf/mastocytosis.pdf; Zanotti R, et al. Leukemia. 2022;36(2):516-524.

• About 5-10% of patients do not have a detectable KIT mutation1
– Mutational load may be lower than the detection limit of the test or poor sample quality (low DNA)
– There may be other types of KIT mutations that are “non-D816V”
– They may be truly KIT WT
• Well-differentiated SM (WDSM)2
– A morphologic variant, with round MCs, more likely CD30+ and KIT mutation negative
– Can be seen across all subtypes of SM
– May be responsive to imatinib





Del417-418-419-InsNA± Del417-418-419-InsI± Del417-418-419-InsY± Del419++ C443Y± S451C± S4761± ITD502-503+ K5091++ F522C± A533D± K550N± V559I± V560G± D572A± R634W± L799F± InsVI815-816± D816Y± D816F± D816I± D816V+++ D816H± I817V± V819Y± D820G± N822I/K± E839K± S840N± S849I± 1 2 3
JMD, juxtamembrane domain; TK1, tyrosine kinase domain 1; TK2, tyrosine kinase domain 2; TMD, trans-membrane domain; ±, mutation is present in <1% of patients; +, mutation is present in in 1%-5% of patients; ++, mutation is present in 5%-20% of patients; +++, mutation is present in >20% of all adult patients.
1. Cilloni D, et al. Int J Mol Sci. 2024;25(20):10885; 2. Álvarez-Twose, et al. Allergy Clin Immunol. 2016;137(1):168-178.e1.
• BST variability1:
– HαT affects BST levels, so adjustments should be made
– Tryptase is not reliable when AHN is present
– Tryptase <20 ng/mL does not rule out SM
• Negative KIT D816V in PB does not rule out SM (often negative even by highsensitivity methods with low MC burden)2
• Be aware of overlapping findings between MMAS and SM3
MMAS, monoclonal mast cell activation syndrome.
1. Boggs NA, et al. Blood Adv. 2023;7(13):3150-3154; 2. Arock M, et al. Leukemia. 2015;29(6)1223-1232; 3. Jackson CW, et al. Int J Mol Sci. 2021;22(20):11270.


• ≈6% of general population, accounting for 90% of cases with elevated BST levels1
• Amplification at the TPSAB1 locus (encodes alpha tryptase) that increases BST levels (>8 ng/mL)2,3
– ≈9- to 10-ng/mL increase in tryptase for every extra copy of TPSAB11
– Important to genotype when BST elevated4
• Affects ≈12% to 17% of patients with SM5
– HαT+ patients with SM have a higher rate of mediator-related symptoms and severe anaphylaxis6,7
Chromosome 163

Duplication
Predicting HαT8
• Expected level of tryptase can be calculated via
1 + extra copy numbers of TPSAB1
TPSAB1, tryptase alpha/beta 1; TPSB2, tryptase beta 2; TPSD1, tryptase delta 1; TPSG1, tryptase gamma 1. 1. Glover SC, et al. Ann Allergy Asthma Immunol. 2021;127(6):638-647; 2. Lyons JJ, et al. Nat Genet. 2016;48(12):1564-1569; 3. Lyons JJ. Immunol Allergy Clin North Am. 2018;38(3):483-495; 4. McMurray JC, et al. Front Allergy. 2025;6:1599358; 5. Polivka L, et al. J Allergy Clin Immunol. 2024;153(1):349-353.e4; 6. Lyons JJ, et al. J Allergy Clin Immunol. 2021;147(2):622-632; 7. Crupi F, et al. Front Allergy. 2025;6:1592001; 8. NCCN. https://www.nccn.org/professionals/physician_gls/pdf/mastocytosis.pdf.



• Idiopathic MCAS1,2
• Chronic idiopathic urticaria1,3,a
• hEDS4
• Neuroendocrine tumors, carcinoids2,3,5 (eg, pheochromocytoma)
• Atypical infections—delayed immune dysregulations (eg, long COVID)6
• Cardiovascular (eg, coronary hypersensitivity,3,a postural orthostatic tachycardia syndrome,3 syncope7)
• Digestive (eg, adverse food reaction,3,a celiac disease,8 GERD,3 gluten enteropathy,8 IBS3)
• Neurologic (eg, anxiety,3 chronic fatigue syndrome,3 depression,8 fibromyalgia,8 headaches3)
GERD, gastroesophageal reflux disease.
aLocalized MC activation can occur.
1. Leru PM, et al. Exp Ther Med. 2020;20(3):2348-2351; 2. Rare Disease Advisor. https://www.rarediseaseadvisor.com/disease-info-pages/systemic-mastocytosis-differential-diagnosis/; 3. Theoharides TC, et al. N Engl J Med. 2015;373(2):163-172; 4. Monaco A, et al. Immunol Res. 2022;70(4):419-431; 5. Picard M, et al. Clin Ther. 2013;35(5):548-562; 6. Dr. Matthew Giannetti and Dr. Tsewang Tashi, personal communication; 7. Theoharides TC, et al. Expert Rev Clin Immunol. 2019;15(6):639-656; 8. Scherber RM, Borate U. Br J Haematol. 2018;180(1):11-23.
• Disease subtype1
• Age: >60 years1
Nonadvanced SM Subtype2 Risk of Progression

• Hemoglobin: <10 g/dL1
• Platelets: <100/150×109/L1,a
• BST level2
• ≥6% VAF of KIT D816V in PB3
• Elevated serum ALP (≥100 U/L)4
• Other genetic mutations2 (eg, ASXL1, RUNX1, F2, TET2)
• High symptom burden5
Progression to more severe subtypes occurs in ≈1% to 3% of cases, although one recent study found that the estimated progression from ISM to AdvSM is approximately ≈18% ± 3%.6,7
AdvSM, advanced SM;

aDependent on whether Mutation-Adjusted Risk Score (MARS) for advanced SM or Mayo Alliance Prognostic System (MAPS) for mastocytosis is used. 1. NCCN. https://www.nccn.org/professionals/physician_gls/pdf/mastocytosis.pdf; 2. Valent P, et al. J Allergy Clin Immunol Pract. 2022;10(8):1999-2012; 3. Maurer M, et al. J Allergy Clin Immunol. 2024;153(2):AB238; 4. Mukherjee, et al. Blood. 2023;142(suppl 1):6406; 5. Reiter A, et al. Blood. 2020;135(16):1365-1376; 6. Sizemore JA et al. J Am Acad Dermatol. 2025. [Epub ahead of print]; 7. Mukherjee S, et al. Blood. 2023;142(suppl 1):6406.




Dr. Giannetti


Organ Involvement/Symptom
Skin: pruritus, flushing, urticaria, angioedema, dermatographisma
H1R and H2R antagonists

GI: abdominal pain, cramping, diarrhea, GERD/heartburn, nausea, vomiting
Neurologic: headache, cognitive impairment (eg, brain fog, poor concentration and memory), depression
Cardiovascular/Pulmonary: presyncope, tachycardia, wheezing, throat swelling
Hypotensive episodes/Anaphylaxis
Osteopenia/Osteoporosis


2. Leukotriene receptor antagonist
3. Aspirin
4. Ketotifen
5. Cromolyn sodium, topical
2. Cromolyn sodium
H2R antagonist
H1R and H2R antagonists
H1R and H2R antagonists
Epinephrine IM (acutely), supine positioning
Supplemental calcium and vitamin D, bisphosphonate; BMD assessment
3. Proton pump inhibitor
4. Leukotriene receptor antagonist
5. Ketotifen
2. Cromolyn sodium
3. Aspirin
4. Ketotifen
2. Corticosteroids
3. Omalizumab
Prevention: VIT, rush desensitization, omalizumab
Denosumab, interferon-α inhibitor, cytoreductive agent; vertebroplasty/kyphoplasty
More than 50% of patients with SM take ≥3 prescription medications and ≥3 OTC medications.2
H1R, histamine 1 receptor; H2R, histamine 2 receptor; IM, intramuscular; OTC, over the counter; VIT, venom immunotherapy.
aPsoralen and ultraviolet A (PUVA) therapy can improve cutaneous manifestations of SM, in some cases resulting in disappearance of skin lesions; however, lesions recur with cessation of treatment.
1. NCCN. https://www.nccn.org/professionals/physician_gls/pdf/mastocytosis.pdf; 2. Mesa RA, et al. Cancer. 2022;128(20):3691-3699.

• Anti-IgE monoclonal antibody1
• FDA approved to treat CSU, CRSwNP, allergic asthma, and IgE-mediated food allergy1
• Effective on all vasomotor symptoms, including anaphylaxis and urinary symptoms2
• Safety and efficacy study of omalizumab in SM (2018)3,b
– Demonstrated significant reduction in symptoms and improvement in patient-reported QOL:
• 38.5% had complete symptom control
• 23% had major response, 23% had partial response
– Most effective for recurrent anaphylaxis and skin symptoms, less for GI, musculoskeletal, and neuropsychiatric symptoms
– No significant changes in tryptase levels or KIT VAF
– No SAEs
CRSwNP, chronic rhinosinusitis with nasal polyps; CSU, chronic spontaneous urticaria; SAE, serious adverse event.
aOmalizumab is not FDA approved for SM or recurrent anaphylaxis. Omalizumab is FDA approved to treat moderate to severe persis tent allergic asthma, nasal polyps in adults, and chronic urticaria; bN=14 adult patients with SM who received omalizumab for a median duration of 17 months.
1. US Food and Drug Administration (FDA). https://www.accessdata.fda.gov/drugsatfda_docs/label/2024/103976s5245lbl.pdf; 2. Buonomo A, et al. Mediterr J Hematol Infect Dis. 2022;14(1):e2022040; 3. Broesby-Olsen S, et al. Allergy. 2018;73(1):230-238; 4. Valent P, et al. J Allergy Clin Immunol Pract. 2022;10(8):1999-2012.
• Usually target active site of the kinase receptor1
• Classified based on type of binding (eg, competitive, allosteric)1
• KIT inhibitors2,3:
– Imatinib: inhibits WT or non-D816V mutations
• Inhibits ABL1, FLT3, PDGFRA, PDGFRB, CSFR1; FIP1L1::PDGFRA
– Midostaurina: inhibits WT and D816V
– Avapritinib,b bezuclastinib, elenestinib: selectively inhibit D816V
• Potential for overlap in inhibition (eg, avapritinib inhibits KIT and PDGFRA mutants4)






aNot indicated for nonadvanced disease and utility limited by GI toxicity; bAvapritinib is the only TKI currently FDA approved to treat ISM. 1. Pottier C, et al. Cancers. 2020;12(3):731; 2. Akin C. Immunol Allergy Clin North Am. 2023;43(4):743-750; 3. Akin C, et al. J Allergy Clin Immunol. 2022;149(6):1912-1918; 4. Trullas-Jimeno A, et al. ESMO Open. 2021;6(3):100159. ATP binding domain

ABL1, ABL proto-oncogene 1, non-receptor tyrosine kinase; ATP, adenosine triphosphate; CSFR1, colony-stimulating factor 1 receptor; FLT3, FMS-like tyrosine kinase 3; GI, gastrointestinal; PDGFRB, platelet-derived growth factor receptor β; TKI, tyrosine kinase inhibitor.


Avapritinib Targets the Mutant KIT D816V Receptor on the MC1
Avapritinib Significantly Improved TSS Score2














Avapritinib Significantly Improved Clinical Markers and Symptoms

Avapritinib Improved on a 30% Reduction in Symptoms vs Placebo

• With a median 2-year follow-up, 25 mg QD avapritinib demonstrated sustained improvements in1:
– TSS and all 11 individual symptom scores, with the greatest improvements in spots, itching, flushing, and fatigue
– MC-QoL total score and all 4 health domain scores, with the greatest improvement in the social life/functioning domain
• Increases in mean BMD were observed after 3 years of treatment (eg, lumbar spine, femoral neck) regardless of concomitant use of other medications known to increase BMD2,3
• Anaphylactic events decreased with avapritinib use4
• TEAEs, regardless of causality, occurred in 99% of patients (grade ≥3 events, 39%)1
• TRAEs were comparable to placebo and the rate of grade ≥3 TRAEs remained low1
– 2% of TRAEs led to discontinuation (n=5)
– Most common: edema events, mainly grade 1 and occurred most frequently the first 3 to 4 months of treatment
QD, once daily; TEAE, treatment-emergent adverse event; TRAE, treatment-related adverse event.
1. Castells M, et al. J Allergy Clin Immunol Pract. 2025;13(8):2194-2196.e1; 2. Siebenhaar F, et al. J Allergy Clin Immunol Pract. 2025;155(suppl 2):AB168; 3. Castells M, et al. Presented at: American Society of Hematology Annual Meeting. December 6-9, 2025; Orlando, Fl. Abstract abs25-7813; 4. Pongdee T, et al. Ann Allergy Asthma Immunol. 2023;131(5 suppl 1):S121.
• 25 mg orally QD on an empty stomach1
– (AdvSM: 200 mg orally QD)
– CONTRAINDICATED for patients with platelet count <50×109/L or pregnant
• Avoid coadministration with strong and moderate CYP3A inhibitors and inducers1
• AEs: peripheral and periorbital edema, dizziness, flushing, photosensitivity
• Intracranial bleeding has not been reported in patients with ISM who are taking avapritinib1,a
– Ensure patient does not have a history of intracranial hemorrhage before prescribing
• Avapritinib was well tolerated in patients receiving concomitant omalizumab, similar to overall avapritinib-treated PIONEER part 2 population2
• Monitoring: lab monitoring (CMP, CBC/Diff) and visit at 3 and 6 months after starting medication, then every 6 months1

AE, adverse event; CYP, cytochrome P450.
aAs of October 6, 2025.
1. Drugs@FDA. https://www.accessdata.fda.gov/drugsatfda_docs/label/2023/212608s013lbl.pdf; 2. Akin C, et al. Ann Allergy Asthma Immunol. 2024;133(suppl 6):S83.











































2,3









4
2 (Summit)
2 Phase 2/3 (HARBOR)
2 Phase 3
BTK, Bruton tyrosine kinase; C, complement; IL, interleukin; siglec-8, , sialic acid-binding immunoglobulin-like lectin-8. 1. Figure adapted from Castells M, Akin C. Nat Med. 2021;27(12):2081-2082; 2. Nicolosi M, et al. Medicina (Kaunas). 2021;57(11):1135; 3. Akin C, et al. Blood. 2022;140(suppl 1):6838-6839; 4. ClinicalTrials.gov. https://clinicaltrials.gov/study/NCT04655118.
• Minimal CNS penetration1
• High selectivity: does not inhibit PDGFRA, PDGFRB, FLT3, CSFR12
• No treatment-related SAEs; majority of TEAEs at 100 QD were low grade and reversible1,3,4
– Transaminitis, no hospitalizations resulted4
– No bleeding or cognitive impairment events reported
• Part 2: 24-week treatment5
– Enrollment closed6

Bezuclastinib Significantly Improved MS2D2 TSS Score at Week 244,a


aN=179 adult patients with ISM or SSM per 2016 WHO criteria with moderate to severe symptoms (on ≥2 antimediator therapies), who were randomly assigned 2:1 to BSC + bezuclastinib (100mg QD, n=119) or BSC + placebo for 24 weeks (n=60); bP=0.0002.
1. Bose P, et al. Blood. 2023;142(suppl 1):77; 2. Akin C. Immunol Allergy Clin North Am. 2023;43(4):743-750; 3. Rein LAM, et al. Blood. 2024;144(suppl 1):4556; 4. Rein LAM, et al. Presented at: American Society of Hematology Annual Meeting. December 6-9,2025; Orlando, Fl. Abstract abs25-1953; 5. Modena B, et al. J Allergy Clin Immunol. 2024;153(suppl 2):AB224; 6. Cogent Biosciences. https://smpathways.com/.

Sustained improvement in symptom severity and reduced BSC use observed at 48 weeks.4,d Bezuclastinib received FDA Breakthrough Therapy designation in October 2025.5
NA, not available.
aN=54 adult patients with ISM or SSM per 2016 WHO criteria with moderate to severe symptoms (on ≥2 antimediator therapies), who were randomly assigned 1:1:1 to BSC + bezuclastinib (2 dosage arms) or BSC + placebo for 12 weeks, followed by OLE: part 1a, n=20, 100 mg QD or 200 mg QD or placebo; part 1b, n=34, 100 mg QD (n=11), 150 mg QD (n=11), placebo (n=12); OLE: N=36; bN=179 adult patients with ISM or SSM per 2016 WHO criteria with moderate to severe symptoms (on ≥2 antimediator therapies), who were randomly assigned 1:1 to BSC + bezuclastinib (100mg QD, n=119) or BSC + placebo for 24 weeks (n=60); cP<0.0001; dN=27 participants in OLE who participated in Summit part 1 trial; all patients who were randomly assigned to 100 mg QD bezuclastinib (n=18) or to placebo, then continued in OLE to receive open-label bezuclastinib at the 100 mg QD dose (n=9). Efficacy results include all patients who received bezuclastinib 100 mg QD through 48 weeks of active treatment.
1. Modena B, et al. J Allergy Clin Immunol. 2024;153(suppl 2):AB224; 2. Rein LAM, et al. Presented at: American Society of Hematology Annual Meeting. December 6-9,2025; Orlando, Fl. Abstract abs25-1953; 3. Rein LAM, et al. Blood. 2024;144(suppl 1):4556; 4. Boggs NA, et al. J Allergy Clin Immunol. 2025;155(suppl 2):AB166; 5. Cogent Biosciences. October 20, 2025. https://investors.cogentbio.com/news-releases/news-release-details/cogentbiosciences-announces-fda-breakthrough-therapy. Improvement in
• Limited CNS penetration1
• Selectively inhibits KIT D816V; does not inhibit WT KIT1
• Primary endpoints: safety, PK, PD1
– Well tolerated at all dose levels for 35 weeks (median)
– No treatment-related SAEs or AEs that led to drug discontinuation
• Part 2 actively enrolling2

Significant Dose-Dependent Improvements After 12 Weeks of Elenestinib1,3
Secondary Endpoints


Dr. Giannetti


a
Compared with before diagnosis, after diagnosis, patients with SM had an increase in1:
• Specialty provider visits
– Greatest increases noted for hematologist/oncologist, allergist/immunologist, dermatologist, and gastroenterologist
• Urgent care visits
• ED visits
• Number of hospital admissions
Multidisciplinary

Primary Disease

Allergist/Immunologist General practitioner Hematologist/Oncologist Other
collaboration is critical for accurate diagnosis and comprehensive management of SM.
department.

• Patients with stable SSMa should be monitored every 6 months and those with stable ISMa every 12 months, for changes in1,2:
KIT D816V VAF
CBC/Diff
CMP – Weight – Physical examination, including skin/lesions3


If laboratory results or symptoms change, therapeutic adjustment should be considered. – BST level
• Regression of MPCM lesions does not correlate with changes in underlying ISM4
– QOL/Symptom burden: ability to participate in daily activities, ability to eat, respiratory symptoms under control, sleep1,3
• DEXA scan every 1 to 3 years for patients with osteopenia/osteoporosis1,b

aPatients with unstable SSM or ISM should be seen more frequently until stabilized; Patients with BMM are at higher risk for osteopenia/osteoporosis. 1. NCCN. https://www.nccn.org/professionals/physician_gls/pdf/mastocytosis.pdf; 2. Siebenhaar F, et al. Allergo J Int. 2025;34:57-68; 3. Brockow K, et al. Arch Dermatol. 2002;138(6):785-790; 4. Dr. Anne Maitland, personal communication.
Medication Type

General Medications
• Alcohol
• Amphotericin B
• Dextran
• Dextromethorphan
• Polymyxin B
Pain Medications
General Anesthetics
Local Anesthetics
Avoid or Use With Caution
• Quinine
• Vancomycin IV
• Alpha-adrenergic blockers
• Beta-adrenergic blockers
• Opioid narcotics (may be tolerated by some individuals)
• Ketorolac
• Atracurium
• Doxacurium
• Benzocaine
• Chloroprocaine
Intraoperative Induction Medications
Inhaled Anesthetics
• NSAIDs (unless the patient is already taking a drug from this class)
• Rocuronium
• Mivacurium
• Procaine
• Tetracaine
Medications That Are Typically Tolerated
• Calcium channel blockers
• Centrally-acting alpha 2 adrenergic stimulants
• Aldosterone antagonists
• Fentanyl (may require adjunctive treatment with ondansetron)
• Tramadol
• Pancuronium
• Vecuronium
• Bupivacaine
• Lidocaine
• Levobupivacaine
• Ketamine
• Midazolam
• Propofol
• Sevoflurane
• Mepivacaine
• Prilocaine
• Ropivacaine
IV, intravenous.
The Mast Cell Disease Society (TMS). https://tmsforacure.org/wp-content/uploads/2023/03/TMS_Full-Patient-Guide_r6.pdf.
• Trigger avoidance1
– Identification of potential triggers
– Unpredictability of response
• Periprocedural precautions1,2
– Consult with anesthesia and surgical team
– Review prior anesthesia records
• Anaphylaxis action plan1
• ED response plan1
• Medication adherence1
• The Mast Cell Disease Society (TMS)1





NCCN Guidelines for Patients® Systemic Mastocytosis, 2025
TMS provides multifaceted support to patients, families, and medical professionals through education, advocacy, and collaboration.
GARD helps patients find information, services, experts, financial aid, and support groups.
NORD is a patient advocacy organization committed to the identification, treatment, and cure of rare disorders through programs of education, advocacy, research, and patient services.


– Patient education and resources (eg, support groups)

AIM is a group dedicated to advancing the research, education, and treatment of mastocytosis and related mast cell diseases.
ECNM (European Competence Network on Mastocytosis) is a group dedicated to improving disease recognition, diagnosis, and therapy in patients with mastocytosis in Europe.


• KIT D816V is responsible for most cases of nonadvanced SM, contributing to a broad and often severe spectrum of clinical symptoms
• High-sensitivity molecular testing, such as ddPCR, provides the most dependable detection of KIT D816V, especially when VAF is low
• Symptom management focuses on trigger avoidance and MC mediator–related manifestations
• Avapritinib is the first FDA-approved therapy for ISM, addressing both the disease pathology and symptom burden
– Other selective TKIs in clinical development may soon expand therapeutic options for patients with nonadvanced SM
• Patient education, including strategies for anaphylaxis preparedness and trigger recognition, is critical to alleviating disease burden
• Achieving optimal outcomes depends on a collaborative, multidisciplinary approach that integrates expertise across specialties