Innovation in Veterinary Medicine - nr 46 - Luglio 2023 (MB0282)

Page 1

Nefropatia in corso di leishmaniosi canina.

Casi clinici

La leishmaniosi canina (LCan) è una delle più importanti zoonosi potenzialmente letali trasmesse da insetti vettori (flebotomi) in Europa. Nonostante gli sforzi in ottica preventiva, nell’ultimo trentennio questa malattia parassitaria si è espansa fino a raggiungere zone geografiche tradizionalmente non endemiche.1-3 La diagnosi di LCan non è delle più semplici o immediate: Leishmania infantum, protozoo responsabile della LCan, causa un’infestazione cronica che può rimanere asintomatica oppure evolvere in malattia sintomatica evidente, a seconda della risposta immunitaria dell’individuo. Inoltre, l’infezione può evolvere in quadri di malattia estremamente variabili e polimorfi, in tempi che vanno da poche settimane a svariati mesi.3-5

La malattia renale è considerata la manifestazione clinica più comune della LCan, e l'insufficienza renale cronica ne è principale causa di morte. Infatti, la deposizione di immunocomplessi a livello glomerulare favorisce lo sviluppo di una condizione infiammatoria locale, la quale si amplifica per effetto di una iperattivazione del sistema immunitario e coinvolge, per continuità, anche il comparto tubulointerstiziale. Ne risulta un danneggiamento dell’intero nefrone, a cui segue una marcata proteinuria e dunque una compromessa funzionalità dell’organo.3-5

Per questo motivo, con il trattamento antiLeishmania non si intende soltanto ridurre la carica parassitaria, ma anche limitare il

Inn Vet Med. • N.o 46 • Luglio 2023 1
N.o 46 • Luglio 2023
Introduzione Continua...

danno renale e aumentare i tempi di sopravvivenza, stabilizzando la condizione indotta dai farmaci e dalla dieta.6-8

In questo panorama, il composto cannabimimetico PEA (palmitoiletanolamide) rappresenta un’interessante prospettiva terapeutica. La sua fisiologica presenza nel tessuto renale e la capacità di esercitare effetti protettivi e di recupero omeostatico, principalmente tramite il controllo della reattività dei mastociti (“effetto ALIA”), la rendono infatti uno strumento ideale per il controllo del danno renale precoce.9-15 I due casi clinici descritti di seguito

rappresentano esempi pratici dell’utilizzo di una formulazione orale a base di PEAum (PEA ultramicronizzata, la sua forma più attiva e biodisponibile) e silimarina in corso di LCan, in forma viscerale, con compromissione della funzionalità renale. PEA-um consente di supportare la funzionalità renale compromessa dall’infezione in atto, ripristinando la fisiologica reattività dei mastociti renali “secondo Natura”, mentre la silimarina (complesso di bioflavonoidi estratti dal Cardo mariano - Silybum marianum) contrasta lo stress ossidativo a livello renale, neutralizzando i radicali liberi.

IMMAGINE DI COPERTINA Leishmania spp. Forme libere di promastigoti (viola) e amastigoti intracellulari in monocita (bianco) nel torrente circolatorio.

INNOVATION IN VETERINARY MEDICINE

Semestrale di Scienze Veterinarie registrato presso il Tribunale di Milano il 18/2/2000 al n° 128

Proprietario: Innovet Italia srl, Saccolongo (PD)

Direzione ed Edizione:

Centro di Documentazione e Informazione Scientifica (Ce.D.I.S.) Innovet

Via Leonardo da Vinci, 3

35030 Saccolongo

Tel. (+39) 049.80.15.583

Fax (+39) 049.80.15.737

E-mail: cedis@innovet.it

Web: www.innovet.it

Direttore Responsabile:

M. Federica della Valle

Tipografia:

Grafiche Nuova Jolly Srl

Viale dell’Industria, 28

35030 Rubano

Abbonamento annuo € 130

Invio gratuito ai Medici Veterinari iscritti all’Ordine

Tutti i diritti sono riservati

Valeria Pantaleo

Med Vet, DVM, LP, Veggiano (Padova)

Laureata a pieni voti in Medicina Veterinaria presso l’Università di Padova nel 2000. Nel 2005 completa un programma di fellowship in Emodialisi e Medicina Renale presso il Veterinary Teaching Hospital dell’Università di Davis (California, USA) sotto la guida dei dottori Larry D. Cowgill e Thierry Francey.

Nel 2010 si aggiorna in Medicina Interna, Emodialisi e Medicina Renale presso l'Università di Berna. Seguono altri due aggiornamenti, nel 2014 e nel 2016, in Emodialisi e Medicina Renale presso il Veterinary Teaching Hospital dell’Università di Davis. Nel 2018 riceve la certificazione in Emodialisi presso L’Università di Davis.

Nel 2020 inizia un dottorato di ricerca sulla leishmaniosi canina presso l’Università autonoma di Barcellona (Spagna).

Ha presentato diverse comunicazioni brevi a congressi nazionali ed internazionali e ha pubblicato un lavoro scientifico relativo all’emodialisi nel cane e nel gatto e sull'osteopatia metafisaria nel gatto.

Dal 2006 svolge la sua attività di internista con interesse particolare alla nefrologia e urologia negli animali da compagnia presso la Clinica Veterinaria San Marco di Veggiano (Padova).

Inn Vet Med. • N.o 46 • Luglio 2023 2
... continua

CASO 1 | LEO

Meticcio, maschio castrato, di 2 anni e 14,7 kg di peso.

ANAMNESI E MOTIVO DELLA VISITA

• Il cane proviene dalla Puglia ed è stato adottato all’età di 1 anno.

• Vive in casa, con accesso al giardino. Non ci sono animali conviventi. Regolarmente vaccinato e sottoposto a profilassi antiparassitaria.

• Riferito a visita specialistica per affaticamento ed epistassi intermittente della durata di 10 giorni.

CASO 2 | ALTEA

Galgo, femmina sterilizzata, di 5 anni e 18,8 kg di peso.

ANAMNESI E MOTIVO DELLA VISITA

• Il cane è stato adottato dalla Spagna all’età di 3 anni. Vive in casa, con accesso al giardino, assieme ad un altro cane e un gatto.

• Regolarmente vaccinato e sottoposto a profilassi antiparassitaria.

• Riferito a visita specialistica per abbattimento, dimagrimento e disappetenza della durata di 1 mese.

Inn Vet Med. • N.o 46 • Luglio 2023 3

VISITA CLINICA ED ESAMI COLLATERALI

• Soggetto normopeso (BCS 3/5);

• mucose pallide;

• epistassi monolaterale sinistra;

• adenomegalia dei linfonodi prescapolari;

• ipertensione borderline (pressione sistolica: 147 mmHg).

Screening parassitologici

Esame Per la ricerca di Esito

Test sierologici Malattie da zecche Negativi

ELISA1 quantitativo Leishmania spp. Positivo

PCR2 da midollo osseo Leishmania spp. Positivo

Immunofenotipo anti IgG-IgM RBC Ab anti eritrociti Positivo

1 ELISA = Enzyme-Linked Immunosorbent Assay

2 PCR = Polymerase Chain Reaction

Esame ematobiochimico e delle urine

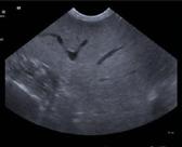
Ecografia addominale

• Lieve nefromegalia e nefropatia bilaterale;

• splenomegalia e splenopatia diffusa.

SINISTRO DESTRO

↑ valore aumentato rispetto al controllo precedente

↓ valore diminuito rispetto al controllo precedente

Reni: lievemente aumentati di dimensioni, con diffusa iperecogenicità parenchimale e lieve riduzione della normale distinzione cortico-midollare.

Milza: aumentata di dimensioni, con margini arrotondati e parenchima diffusamente disomogeneo.

4 Inn Vet Med. • N.o 46 • Luglio 2023
CASO 1 | LEO
sangue urina PARAMETRO (unità di misura) INTERVALLO DI RIFERIMENTO PRIMA VISITA Globuli rossi (milioni/μL) 6,39 - 8,58 < 2,46 Piastrine (migliaia/μL) 169 - 388 < 102 Proteina C reattiva (mg/dL) 0,01 - 0,7 > 3,78 Aptoglobina (mg/dl) 1 - 102 > 276 Ferritina (ng/ml) 47 - 254 > 870 Fibrinogeno (mg/dL) 125 - 269 > 285 Antitrombina (%) 113 - 156 < 103 Albumina (g/dL) 3 - 3,6 < 2 Globuline (g/dL) 2,4 - 3,6 > 7 Urea (mg/dL) 22 - 50 > 60 PU/CU 0 - 0,5 > 1,3

Esame citologico

La citologia da agoaspirato dei linfonodi prescapolari e del midollo osseo conferma la positività alla Leishmania.

Linfonodo prescapolare: si osserva una popolazione linfoide a vario stadio maturativo, con piccoli linfociti e numerose plasmacellule. Nel citoplasma dei macrofagi sono riconoscibili corpi protozoari riferibili a Leishmania spp.

DIAGNOSI

Midollo osseo: sono presenti numerose plasmacellule, e piccoli e numerosi macrofagi contenenti molti amastigoti di Leishmania spp.

LCan, in forma viscerale, con compromissione della funzionalità renale.

TRATTAMENTO

• Ospedalizzazione per monitorare l’anemia e la piastrinopenia;

• associazione di farmaci anti-leishmania quali antimoniato di N-metilglucammina (50 mg/kg/SC/ BID/28 giorni) e allopurinolo (10 mg/kg/PO/BID).

Dopo 5 giorni, l’esame emocromocitometrico è stabile e non ci sono più stati sanguinamenti nasali; il cane viene dimesso con la terapia prescritta e con l’integrazione di un alimento complementare a base di PEA-um (palmitoiletanolamide ultra-micronizzata) e silimarina.

EVOLUZIONE CLINICA

A una settimana dalle dimissioni:

• miglioramento dell’attività fisica;

• assenza di sanguinamenti nasali.

A 30 giorni dall’inizio della terapia:

• normalizzazione dei parametri infiammatori e miglioramento dei parametri renali al controllo ematochimico e delle urine;

• esame citologico (linfonodi e midollo osseo) e PCR (midollo osseo) negative per Leishmania spp.

A 180 giorni dalla diagnosi:

• peso corporeo ideale mantenuto (15 kg);

• parametri infiammatori e di funzionalità renale rientrati nei range di normalità;

• citologia e PCR da midollo osseo riconfermati negativi.

In seguito alla remissione clinica, viene sospesa la terapia con antimoniato di N-metilglucammina. Il cane viene mantenuto in terapia con allopurinolo per i successivi 12 mesi (per tenere bassa la carica parassitaria), associato all’alimento complementare a base di PEA-um e silimarina (per supportare la funzionalità renale).

5 Inn Vet Med. • N.o 46 • Luglio 2023
30 GG 180 GG ↑ 6,4 7,1 ↑ 244 185 ↓ 0,29 0,01 ↓ 29 15 ↓ 182 145 ↓ 198 181 ↑ 147 150 ↑ 2,7 ↑ 3,4 ↓ 4,8 ↓ 2,7 ↓ 39 45 ↓ 0,7 ↓ 0,2

CASO 2 | ALTEA

VISITA CLINICA ED ESAMI COLLATERALI

• Soggetto sottopeso (BCS 2/5);

• ipertensione grave (pressione sistolica: 189 mmHg).

Screening parassitologici

Esame Per la ricerca di Esito

Test sierologici Malattie da zecche Negativi

ELISA1 quantitativo Leishmania spp. Positivo

PCR2 da midollo osseo Leishmania spp. Positivo

Esame ematobiochimico

e delle urine

1 ELISA = Enzyme-Linked Immunosorbent Assay

2 PCR = Polymerase Chain Reaction

Ecografia addominale

• Nefromegalia e nefropatia bilaterale;

• epatomegalia ed epatopatia diffusa;

• splenomegalia e splenopatia diffusa. DESTRO

SINISTRO

↑ valore aumentato rispetto al controllo precedente

↓ valore diminuito rispetto al controllo precedente

= valore inalterato rispetto al controllo precedente

Reni: aumentati di dimensioni, con diffusa iperecogenicità parenchimale e pelvi lievemente distesa da contenuto anecogeno.

Fegato: aumentato di dimensioni con margini arrotondati, parenchima diffusamente iperecogeno a trama fine in assenza di lesioni focali.

Milza: moderatamente aumentata di dimensioni, con parenchima nei limiti per ecostruttura ed ecogenicità.

6 Inn Vet Med. • N.o 46 • Luglio 2023
sangue urina PARAMETRO (unità di misura) INTERVALLO DI RIFERIMENTO PRIMA VISITA Piastrine (migliaia/μL) 165 - 373 < 146 Proteina C reattiva (mg/dL) 0,01 - 0,4 > 4,36 Aptoglobina (mg/dl) 1 - 89 > 111 Ferritina (ng/ml) 38 - 272 > 449 Fibrinogeno (mg/dL) 121 - 267 > 502 Antitrombina (%) 114 - 157 < 92 Colesterolo (mg/dL) 141 - 327 > 355 Amilasi (IU/L) 297 - 968 > 2382 Albumina (g/dL) 2,9 - 3,7 < 2,2 Globuline (g/dL) 2,5 - 3,6 > 3,7 Urea (mg/dL) 20 - 48 > 188 Creatinina (mg/dL) 0,84 - 1,37 > 2,71 Fosforo (mg/dL) 2,2 - 4,7 > 6,4 Peso specifico 1019 - 1055 < 1012 PU/CU 0 - 0,5 > 9,7

Midollo osseo: sia sul fondo dei preparati che in sede intracellulare, si osservano frequenti amastigoti di Leishmania spp.

La citologia da agoaspirato del midollo osseo conferma la positività alla Leishmania

Esame citologico EVOLUZIONE

A due settimane dalle dimissioni:

• miglioramento dell’appetito e lieve aumento di peso.

A 60 giorni dall’inizio della terapia:

• miglioramento dei parametri infiammatori e renali al controllo ematochimico e delle urine (Tabella);

• esame citologico (midollo osseo) negativo, ma PCR (midollo osseo) positiva per Leishmania spp., nonostante la carica parassitaria risulti notevolmente diminuita rispetto al momento della diagnosi;

• si decide di continuare la terapia con allopurinolo (10 mg/kg/PO/BID) e di sostituire la miltefosina con antimoniato di N-metilglucammina (50 mg/kg/SC/BID/28

DIAGNOSI

LCan, in forma viscerale, con compromissione della funzionalità renale.

TRATTAMENTO

• Ospedalizzazione e farmaci antiemetico (maropitant, 2 mg/kg/SC/die) e antipertensivo (amlodipina, 0,2 mg/kg/PO/die);

• dieta ipoproteica-ipofosforica;

• associazione di farmaci anti-leishmania quali miltefosina (2 mg/kg/PO/die/28 giorni) e allopurinolo (10 mg/kg/PO/BID).

Dopo 5 giorni, il cane viene dimesso con il consiglio di integrare la terapia prescritta con un antiaggregante piastrinico (clopidogrel, 1 mg/kg/ PO/die) ed un alimento complementare a base di PEA-um (palmitoiletanolamide ultra-micronizzata) e silimarina.

giorni), vista la riduzione della carica parassitaria e la normalizzazione dell'azotemia.

A 90 giorni dalla diagnosi:

• recupero del peso corporeo ideale (22 kg);

• parametri infiammatori rientrati nei range di normalità, e parametri di funzionalità notevolmente migliorati (Tabella);

• citologia e PCR da midollo osseo risultano negativi.

Si sospende l’antimoniato di N-metilglucammina e viene introdotta una terapia farmacologica per la proteinuria (enalapril 0,5 mg/kg/PO/BID); si mantengono allopurinolo (per tenere bassa la carica parassitaria), amlodipina, clopidogrel, dieta ipoproteica-ipofosforica e alimento complementare a base di PEA-um e silimarina (per supportare la funzionalità renale).

7 Inn Vet Med. • N.o 46 • Luglio 2023
CLINICA
60 GG 90 GG ↑ 182 195 ↓ 0,01 0,01 ↓ 27 2 ↓ 322 ↓ 253 ↓ 307 ↓ 195 ↓ 87 ↑ 135 ↓ 325 274 ↓ 1414 ↓ 933 = 2,2 ↑ 2,6 ↓ 3 3 ↓ 46 22 ↓ 1,05 0,98 ↓ 2,8 2,5 ↑ 1021 1028 ↓ 3,7 ↓ 1,5

CASO 1 | LEO

A 12 mesi dalla remissione, il controllo riporta un quadro clinico generale e un profilo ematochimico e urinario nella norma.

CASO 2 | ALTEA

A 6 mesi dalla remissione, il controllo riporta un quadro clinico nella norma, un profilo ematochimico nei range di normalità ed un ulteriore miglioramento della proteinuria (rapporto PU/CU 0,8).

FOLLOW UP CONCLUSIONI

L’integrazione dietetica con l’alimento complementare a base di PEA-um e silimarina si è rivelata molto utile nel controllare l’alterata funzionalità renale in corso di Leishmaniosi. Il miglioramento è proseguito anche dopo la sospensione della terapia leishmanicida (antimoniato di n-metilglucamina), tanto da portare alla normalizzazione o a una sostanziale riduzione della proteinuria, indice di un corretto funzionamento dei reni. L’elevata sicurezza e tollerabilità dell’alimento complementare ha consentito di inserirsi

Riferimenti

1. Otranto D, Dantas-Torres F. The prevention of canine leishmaniasis and its impact on public health. Trends Parasitol. 2013; 29(7):339-345. (Cod. 26713)

2. Maroli M, Gradoni L, Oliva G, et al. Leishmaniosi canina: linee guida su diagnosi, stadiazione, terapia, monitoraggio e prevenzione. Parte III: Prevenzione. Veterinaria. 2009; 23(4):19. (Cod. 26711)

3. Castagnaro M, Crotti A, Fondati A, et al. Leishmaniosi canina: linee guida su diagnosi, stadiazione, terapia, monitoraggio e prevenzione. Parte I: approccio diagnostico e classificazione del paziente leishmaniotico e gestione del paziente proteinurico. Veterinaria. 2007; 21(3):19-32. (Cod. 26709)

4. Solano-Gallego L, Miró G, Koutinas A, et al. LeishVet guidelines for the practical management of canine leishmaniosis. Parasit Vectors. 2011; 4:86. (Cod. 26714)

5. McGwire BS, Satoskar AR. Leishmaniasis: clinical syndromes and treatment. QJM. 2014; 107(1):7-14. (Cod. 26716)

6. Oliva G, Roura X, Crotti A, et al. Guidelines for treatment of leishmaniasis in dogs. J Am Vet Med Assoc. 2010; 236(11):1192-8. (Cod. 26715)

Integrazione dietetica con PEA-um e silimarina in corso di Leishmaniosi canina: quando?

1. In attesa di conferma della diagnosi;

2. con l’inizio del trattamento, e per tutta la durata del trattamento;

3. dopo la stabilizzazione o remissione clinica.

in maniera ottimale nel contesto di un approccio multimodale alla sofferenza renale nel lungo termine, coadiuvando gli interventi farmacologici mirati a supportare la funzionalità d’organo e a contrastare l’ipertensione, sia durante la fase più critica (es. ospedalizzazione) che a seguito delle dimissioni dei pazienti.

Rivedi la video presentazione dei due casi clinici su VideoAcademy

7. Oliva G, Roura X, Crotti A, et al. Leishmaniosi canina: linee guida su diagnosi, stadiazione, terapia, monitoraggio e prevenzione. Parte II: Approccio terapeutico. Veterinaria. 2008; 22(6):1 (Cod. 26710)

8. Oliva G, Roura X, Crotti A, et al. Leishmaniosi Canina aggiornamenti su diagnosi e terapia. Parte II: terapia. Veterinaria. 2011; 25(2):19. (Cod. 26712)

9. Barutta F, Bruno G, Mastrocola R et al. The role of cannabinoid signaling in acute and chronic kidney diseases. Kidney Int. 2018;94(2):252-258 (Cod. 24054)

10. Chua JT, Argueta DA, DiPatrizio NV et al. Endocannabinoid system and the kidneys: from renal physiology to injury and disease. Cannabis Cannabinoid Res. 2019; 4(1):10-20 (Cod. 25644)

11. Owens EP, Vesey DA, Kassianos AJ et al. Biomarkers and the role of mast cells as facilitators of inflammation and fibrosis in chronic kidney disease. Transl Androl Urol. 2019; 8(Suppl 2):S175-S183 (Cod. 24259)

12. Di Paola R, Impellizzeri D, Mondello P et al. Palmitoylethanolamide reduces early renal dysfunction and injury caused by experimental ischemia and reperfusion in mice. Shock. 2012; 38(4):356-66 (Cod. 16810)

13. Cordaro M, Impellizzeri D, Bruschetta G et al. A novel protective formulation of Palmitoylethanolamide in experimental model of contrast agent induced nephropathy. Toxicol Lett. 2016; 240(1):10-21 (Cod. 20631)

14. Mattace Raso G, Simeoli R, Russo R et al. N-palmitoylethanolamide protects the kidney from hypertensive injury in spontaneously hypertensive rats via inhibition of oxidative stress. Pharmacol Res. 2013; 76:67-76 (Cod. 18588)

15. Impellizzeri D, Bruschetta G, Ahmad A et al. Effects of Palmitoylethanolamide and silymarin combination treatment in an animal model of kidney ischemia and reperfusion. Eur J Pharmacol. 2015; 762:136-49 (Cod. 20274)

Invio articoli citati Gli articoli sono disponibili presso il CeDIS (Centro di Documentazione e Informazione Scientifica). Per richiedere l’invio gratuito di una copia (al solo scopo di studio personale) inviare una mail a cedis@innovet.it, indicando il codice riportato tra parentesi alla fine del riferimento bibliografico specifico. Per accedere a BiblioVet, il servizio di documentazione on line disponibile alla sezione CeDIS, è sufficiente registrarsi sul sito www.innovet.it

8 Inn Vet Med. • N.o 46 • Luglio 2023
Informazione riservata ai Medici Veterinari. © 2023 –Innovet Italia S.r.l. -
Tutti
di
e
Saccolongo (PD)
diritti
riproduzione, traduzione
adattamento anche parziale sono riservati per tutti paesi.
MB0282-06-2023

Turn static files into dynamic content formats.

Create a flipbook
Issuu converts static files into: digital portfolios, online yearbooks, online catalogs, digital photo albums and more. Sign up and create your flipbook.