Skip to main content

Skin Pathology part 2

Page 1


TUMOURS OF THE SKIN

Skin tumour origin (=normal skin histology)

• Epidermis

• Keratinocytes

• Melanocytes

• Dermis

• Supporting connective tissues – collagen and elastin

• Blood vessels

• Nerves

• Adnexal structures – hair follicles, eccrine glands, sebaceous glands

• Subcutis + Haematolymphoid + Local infiltration + Metastasis

• Epithelial

• Epidermis

• Adnexal structures

• Sweat glands

• Sebaceous glands

• Hair follicles

• Merkel cells

• Mesenchymal (dermal)

• Muscle

• Nerves

• Blood vessels

• Fibroblasts

• Adipose tissue

• Melanocytic

• Haematolymphoid

• Lymphoid

• Histiocytes

• (Germ cell tumour)

• Epithelial

• Epidermis

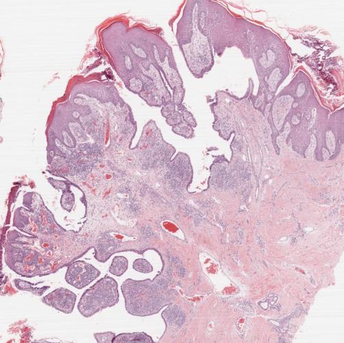
Seborrheoic keratosis

Actinic keratosis

Squamous cell carcinoma

• Adnexal structures

• Sweat glands

Sebaceoma

Sebaceous carcinoma

• Sebaceous glands

• Hair follicles

• Merkel cells

Merkel cell carcinoma

Cylindroma

Porocarcinoma

Trichoblastoma

Basal cell carcinoma

• Mesenchymal (dermal)

• Muscle

• Nerves

• Melanocytic

Naevus

Dysplastic naevua

Melanoma

Tumour of uncertain malignant potential

Intermediate lesions – “the specials”

• Haematolymphoid

• Lymphoid

• Histiocytes

Lymphoma

Leukaemia cutis

Langerhan cell histiocytosis

Juvenile xanthogranuloma

• (Germ cell tumour)

Fibroma

Pilar leiomyoma

Atypical smooth muscle meoplasm/cutaneous leiomyosarcoma

Neurofibroma

Malignant peripheral nerve sheath tumour

• Blood vessels

• Fibroblasts

Fibrosarcoma

• Adipose tissue

Haemangioma

Kaposi sarcoma??

Angiosarcoma

Lipoma

Liposarcoma

• Sebaceous neoplasms

• Eccrine and apocrine neoplasms

• Follicular neoplasms

Adnexal neoplasms Syndromes

Adnexal neoplasms

• All derived from epithelium

• Positive for cytokeratins

• AE1/3, CK5/6, p63, p40

• Melanocytes - MelanA, HMB45, S100 and SOX10

• Spitzoid – NTRK, ROS1 and ALK

• Deep penetrating naevus – Beta catenin

• BAP inactivated – Loss of BAP1

• Smooth muscle – desmin and actin

• Nerves – S100 and SOX10

• Neuroendocrine – chromogranin, synaptophysin and CD56

• Merkel cell – CK20 (CAM5.2 and AE1/3) – dot like or signet ring positivity, CK7 and TTF1 negative

• Pleomorphic dermal sarcoma and AFX – All generally negative (except CD10 and CD99)

• DFSP – CD34 and COL1A1-PDGF

Tumours: Adnexal neoplasms

Benign v malignant (epithelial)

BENIGN

• +/-Remain in continuity with the epidermis

• Grow around dermal structures

• Cytonuclear features bland or mild variation only

• Few mitoses usually only in basal layers

• No perineural or lymphovascular invasion

MALIGNANT

• Extends beyond the epidermis into dermis (and beyond)

• Destruction of dermal structures

• Cytonuclear atypia

• Increased mitoses and apoptosis

• Perineural invasion

• Lymphovascular invasion

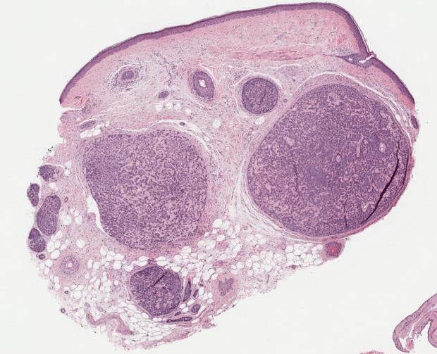
Tumours: Adnexal neoplasms

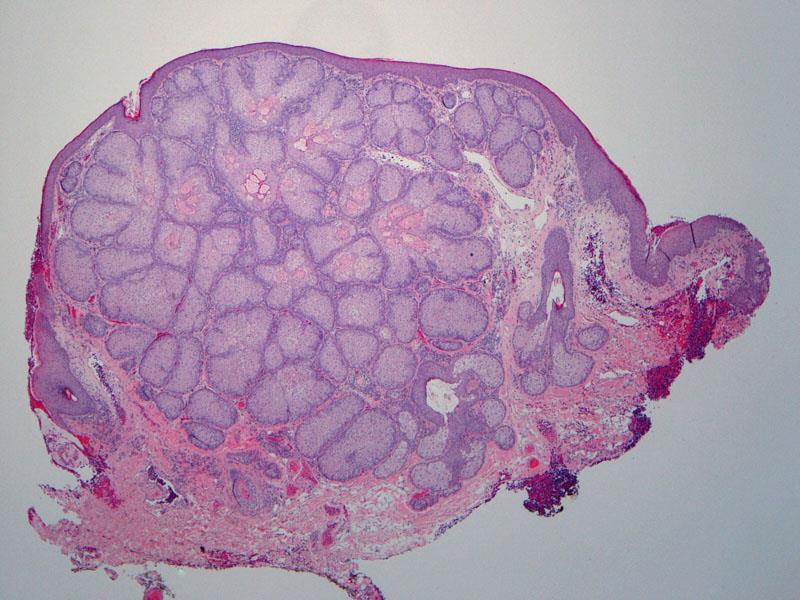
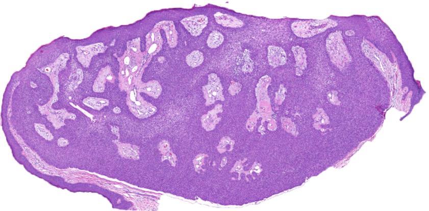
Sebaceous neoplasms

• Benign

• Sebaceous adenoma

• Sebaceoma

• Malignant

• Sebaceous carcinoma

Tumours: Adnexal neoplasms

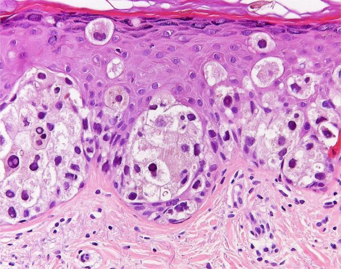
Sebaceous neoplasms

• Sebaceous adenoma

• Lobular proliferation

• Peripheral basaloid/germinative cells

• Central mature sebocytes – large cells with indented nuclei and abundant pale vacuolated cytoplasm

• Sebaceoma

• Lobular proliferation

• Admixed basaloid/germinative cells and mature sebocytes

• Sebaceous carcinoma

• Irregular infiltrative growth pattern

• Many have little sebaceous differentiation (i.e. not many sebocytes)

• Can be basaloid or squamoid

• Positive for EMA and adipophilin, negative for BerEP4

Tumours: Adnexal neoplasms

• Absence of immunoreactivity for mismatch repair gene products including MLH1, MSH2, MSH6 and PMS2 can be associated with Muir-Torre syndrome

Muir-Torre syndrome

• Muir in 1967 and Torre in 1968

• Sebaceous neoplasms – most commonly sebaceous adenoma

• Carcinomas of the endometrium, ovary, breast, parotid, upper GI tract and larynx, and haematological malignancies

• Autosomal dominant inherited germline mutation in one of the DNA mismatch repair genes, most commonly hMSH2.

• The male:female ratio is 3:2.

Tumours: Adnexal neoplasms

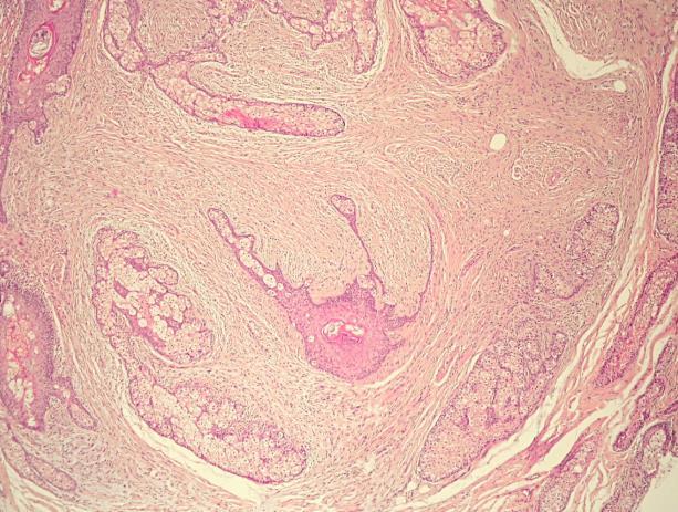
Eccrine/apocrine neoplasms

Derived from eccrine or apocrine glands/ducts

Apocrine

• Apocrine snouts or blebs

Apocrine carcinoma – dd is metastatic breast carcinoma

Tumours: Adnexal neoplasms

Tumours: Adnexal neoplasms

• Syringoma

• Lower eyelids

• Eccrine duct derived

• Small cysts and cords with ‘tadpole’ appearance

• Poroma

• Extremities

• Intradermal pt eccrine duct

• Interconnected downgrowths from the epidermis of small bland cells (in comparison to normal keratinocytes with small duct-like spaces

Tumours: Adnexal neoplasms

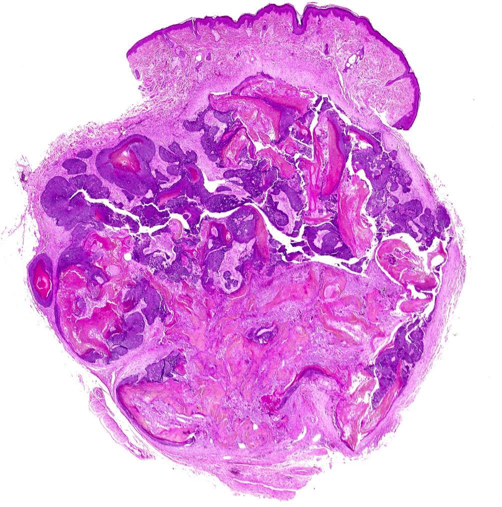
• Spiradenoma

• Multinodular benign eccrine gland derived

• Face/upper trunk

• Admixed basaloid and clear cells

• Brooke-Spiegler syndrome - CYLD

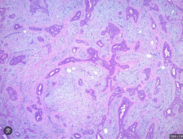
• Cylindroma

• Head and neck

• Well defined nests of basaloid cells in a jigsaw pattern with eosinophilic PAS positive basement membrane-type material

• Brooke-Spiegler syndromeCYLD

Tumours: Adnexal neoplasms

• Syringocystadenoma papilliferum

• Benign apocrine neoplasm

• Isolated or in association with naevus sebaceous

• Endophytic crateriform proliferation with papillary architecture

• Mixed tumour

• Benign mixed tumour of the skin

• Epithelial and mesenchymal components

• PLAG and EWSR1

Tumours: Adnexal neoplasms

• Microcystic adnexal carcinoma

• Head/face

• Superficial keratocysts

• Infiltrative cords of relatively bland cells

• Ductal differentiation

• Perineural invasion

• DD: Desmoplastic trichoepithelioma and infiltrative BCC

• Mucinous carcinoma

• Nests/single cells in abundant mucin

• Can be associated with endocrine mucin producing sweat gland carcinoma

• Mucin: blue appearance; positive for Alcian blue PASD and Hales colloidal iron stains

• DD: Metastatic (breast) carcinoma

Tumours: Adnexal neoplasms

• Porocarcinoma

• Arising from the epidermis

• Nests of atypical cells with duct formation

• Can appear squamoid

• EMA and CEA highlight ducts

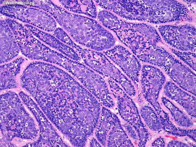
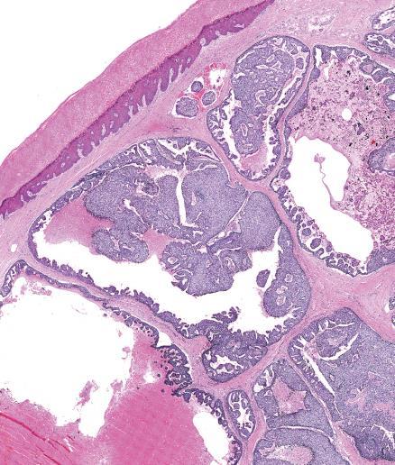
• Digital papillary adenocarcinoma

• HPV42

• Nodular tumour of fingers, toes and palms

• Papillary architecture

• Epithelial and myoepithelial cells (S100)

Tumours: Adnexal neoplasms

Follicular neoplasms

Derived from hair follicles

+ Basal cell carcinoma

+ Follicular variant squamous cell carcinoma

Tumours: Adnexal neoplasms

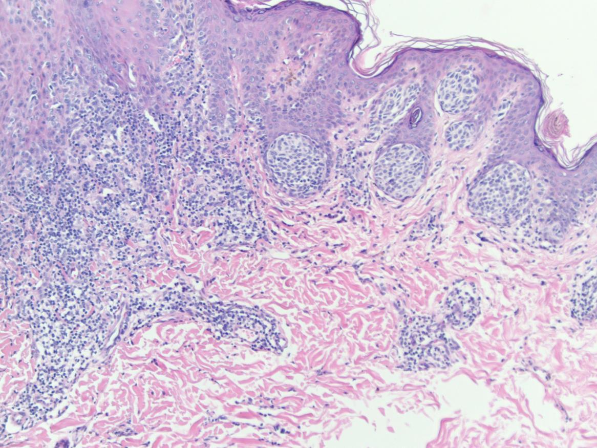
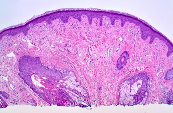
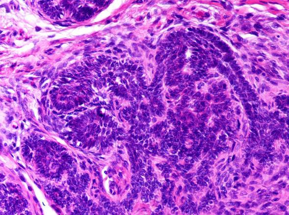
• Trichoblastoma and trichoepithlioma

• Dual differentiation towards follicular germinative epithelium and follicular papillae

• Head and neck

• Can be associated with naevus sebaceous and syndromes (BSS)

• Well defined, nodular nested proliferation of basaloid cells with follicular differentiation

• Palisading of cells

• Papillary mesenchymal bodies

• No cytonuclear atypia

• No retraction – dd with BCC

• Contain Merkel cells – CK20

Multiple familial trichoepitheliomas

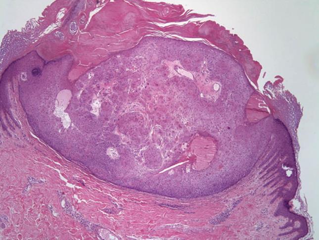
• Pilomatricoma

• Differentiation towards matrical cells and hair cortex

• Usually sporadic, can be familial or multiple or occur in myotonic dystrophy, Garnder syndrome, Turner syndrome, Rubinstei-Taybu syndrome

• Mutations of CTNNB1 – beta catenin gene

• Nodular basaloid tumour with small germinative basaloid cells and ‘ghost cells’.

• Calcification.

• Tricholemmoma

• Epithelial proliferation associated with follicule infundibulum

• Can be verroucous

• Frequently develop in naevus sebaceous, multiple in Cowden syndrome

• HRAS multation – suggesting true neoplasm

• Endophytic nested proliferation of pale bland cells, peripheral palisading

• Positive for PAS and CD34

Tumours: Adnexal neoplasms

• Trichofolliculoma

• Panfollicular differentiation

• Central dilated follicular infundibulum with small secondary follicles radiating from it

• Trichodiscoma and fibrofolliculoma

• Hamartomas

• Differentiate towards epithelium and mesenchyme of hair follicle mantle

• Multiple lesions – BHDS

• Morphological continuum

• Fibrofolliculoma – epithelial strands arising from hair follicle resulting in fenestrated appearance, stroma with mucin, collagen and fibroblasts

• Trichodiscoma – More stromal than epithelial components Tumours: Adnexal neoplasms

• Proliferating trichilemmal tumour

• Solid-cystic neoplasm with differentiation towards outer root sheath

• Well defined interconnected proliferation of squamoid cells

Tumours: Adnexal

Syndromes

• BAP1 tumour predisposition syndrome

• Xeroderma pigmentosum

• Naevoid basal cell carcinoma syndrome (Gorlin syndrome)

• Carney complex

• Muir-Torre syndrome

• Brooke-Spiegler and related syndromes

• Cowden syndrome

• Gardner syndrome

• Birt Hogg Dube syndrome

BAP1 tumour predisposition syndrome

BAP-1 inactivated melanocytoma

• Characterised by mutation in the BAP-1 gene (BRCA-Associated Protein 1 on chromosome 3)

• Can occur sporadically or as part of a syndrome

• Typical morphological findings: Epithelioid and naevoid components with associated lymphoid aggregates

Wiesner T, et al. Nat Genet. 2011;43(10):1018-21.

Wiesner T, et al. Am J Surg Pathol. 2012;36(6):818-30

Familial cases:

• Autosomal dominant

• Patients with germline mutation in BAP-1 are at increased risk of cutaneous melanoma, uveal melanoma, mesothelioma and meningioma

Wiesner T, et al. Nat Genet. 2011;43(10):1018-21

Xeroderma pigmentosa

• Skin

• Eyes

• Nervous system

• Tumours/malignancy

Naevoid BCC syndrome

• ‘Gorlin syndrome’

• Multiple basal cell carcinomas from young age

• Germline mutation in genes involved in hedgehog signalling pathway

• PTCH1

• Loss of function mutation 9p22.3

• Constant activation of hedgehog signalling pathway

Vismodegib is an orally bioavailable Hedgehog pathway signalling inhibitor of G-protein coupled receptor-like protein Smoothened (SMO)

Naevoid BCC syndrome

• Skin – BCC, sebaceous cysts/facial milia, palmoplantar pits, epidermal inclusion cysts, multiple naevi

• Jaw – odontogenic keratocysts, cleftlip/palate

• Bone – Congenital abnormalities

• CNS – macrocephaly, falx cerebri, medulloblastoma, meningioma, craniopharyngioma

• Fibromas – ovarian, cardiac

Carney complex

• Autosomal dominant, PRKAR1A inactivation

• Skin pigmentation

• Lips, inner eyes, conjunctiva, genital

• Myxomatosis (cardiac myxoma)

• Secretory endocrine tumours

• Pigmented schwannomas

• Pigmented epithelioid melanocytoma

Brooke-Spiegler syndrome (BSS)

• Autosomal dominant, CYLD – tumour suppressor gene

• Multiple cutaneous spiroadenomas

• Cylindromas

• Spiroadenocylinidromas

• Trichoepitheliomas

Cowden syndrome

• Autosomal dominant

• Hamartomas in breast, thyroid, brain and mucocutaneous

• PTEN hamartoma tumour sydrnome

• Increased breast and thyroid cancer

• Mucocutaneous

• Tricholemmomas

• Acral keratoses

• Papillomatous lesions

• Mucosal lesions

Gardner syndrome

• Variant of familial adenomatous polyposis with extracolonic features

• Autosomal dominant, APC gene

• GI polyps, osteomas, cutaneous lesions

• Epidermoid cysts – earlier, unusual sites, multiple, hybrid pilomatricoma-like histology

• Fibromas, lipomas, leiomyomas, neurofibromas

Birt Hogg Dube syndrome (BHDS)

• Autosomal dominant, BHD or FLCN gene

• Benign tumour face, head, upper body

• Fibrofolliculoma

• Trichodiscoma

• Angiofibroma (fibrous papule)

• Dermal, ectatic vessels, increased spindled cell/fibroblasts, some are stellate

• Acrichordon

• Increased colon and renal cancer (15%), spontaneous pneumothorax, pulmonary cysts

Question EMQ 1

Options

A.Trichoepithelioma

B.Basal cell carcinoma

C.Halo naevus

D.Compound melanocytic naevus

E.Intradermal melanocytic naevus

F.Blue naevus

G.Keratoacanthoma

H.Lichen planus

I. Malignant melanoma

J. Trichilemmoma

K.Seborrhoeic keratosis

L.Simple lentigo

M.Squamous cell carcinoma

Question 1 A 55 year old female present with a pigmented lesion on the hand. Histology shows naevus cells in the dermis with pigmented dendritic processes with overlying normal epidermis.

• Each of these subjects has a skin biopsy. For each one, select the most likely condition form the list of options. Each may be use once, more than once, or not at all.

Question EMQ 1

Options

A.Trichoepithelioma

B.Basal cell carcinoma

C.Halo naevus

D.Compound melanocytic naevus

E.Intradermal melanocytic naevus

F.Blue naevus

G.Keratoacanthoma

H.Lichen planus

I. Malignant melanoma

J. Trichilemmoma

K.Seborrhoeic keratosis

L.Simple lentigo

M.Squamous cell carcinoma

Question 2

A 35 year old man present with a pigmented lesion on the arm with an outer hypo-pigmented area. Biopsy shows a band of inflammatory cells at the dermo-epidermal junction with scattered bland nests of naevus cells.

• Each of these subjects has a skin biopsy. For each one, select the most likely condition form the list of options. Each may be use once, more than once, or not at all.

Question EMQ 1

Options

A.Trichoepithelioma

B.Basal cell carcinoma

C.Halo naevus

D.Compound melanocytic naevus

E.Intradermal melanocytic naevus

F.Blue naevus

G.Keratoacanthoma

H.Lichen planus

I. Malignant melanoma

J. Trichilemmoma

K.Seborrhoeic keratosis

L.Simple lentigo

M.Squamous cell carcinoma

Question 3

A 28 year old female with a papule on the nose. Histology shows islands of basaloid cells with occasional mitotic activity and papillary mesenchymal bodies.

• Each of these subjects has a skin biopsy. For each one, select the most likely condition form the list of options. Each may be use once, more than once, or not at all.

Question EMQ 1

Options

A.Trichoepithelioma

B.Basal cell carcinoma

C.Halo naevus

D.Compound melanocytic naevus

E.Intradermal melanocytic naevus

F.Blue naevus

G.Keratoacanthoma

H.Lichen planus

I. Malignant melanoma

J. Trichillemmoma

K.Seborrhoeic keratosis

L.Simple lentigo

M.Squamous cell carcinoma

Question 4

A 70 year old man presents with a ulcerated lesion on the face. Skin biopsy shows squamous islands in the dermis with atypia and dyskeratosis.

• Each of these subjects has a skin biopsy. For each one, select the most likely condition form the list of options. Each may be use once, more than once, or not at all.

Question EMQ 1

Options

A.Trichoepithelioma

B.Basal cell carcinoma

C.Halo naevus

D.Compound melanocytic naevus

E.Intradermal melanocytic naevus

F.Blue naevus

G.Keratoacanthoma

H.Lichen planus

I. Malignant melanoma

J. Trichilemmoma

K.Seborrhoeic keratosis

L.Simple lentigo

M.Squamous cell carcinoma

Question 5

A 68 year old man with multiple papules on the face. Histology shows epidermal proliferation with glycogenated keratinocytes, peripheral palisade and thickened basement membrane. No atypia or mitoses are seen.

• Each of these subjects has a skin biopsy. For each one, select the most likely condition form the list of options. Each may be use once, more than once, or not at all.

Non-melanoma skin cancers

Non-melanoma skin cancers

• Squamous cell carcinoma

• Basal cell carcinoma

• Cumulative genetic abnormalities

• Chromosomal aberrations can be

• Structural rearrangements

• Copy number variations

• Often associated with

• Age

• UV exposure

TNM – T stage NMSC

MCQ 7a

• Predisposing factors for squamous cell carcinoma are all the following except:

a. UVB exposure

b. HPV Infection

c. Immunosuppression

d. Scarring

e. HHV-8 Infection

MCQ 7b

• A 35 year old presents with an invasive poorly differentiated squamous cell carcinoma of the scalp.

• Identify the most likely aetiological factor.

a. Solar damage/sun exposure

b. Immunosuppression

c. HHV8 infection

d. Previous radiotherapy

e. Idiopathic

• A 72 year old presents with a squamous cell carcinoma of the scalp. An excision biopsy is performed and reported as per the RCPath dataset.

• Identify which feature would upstage the tumour to pT3.

a. Perineural invasion –subcutis nerves

b. Location in head and neck

c. Depth of invasion 5.5mm

d. Clinical diameter >20mm

e. Lymphovascular invasion

MCQ 9

• A 72 year old presents with an ulcerating tumour of the scalp. He has had androgenetic alopecia for many years. A biopsy shows basaloid nests of atypical cells infiltrating the dermis.

• Identify the most likely predisposing factor in this case.

a. Solar damage

b. Immunosuppression

c. Gorlins syndrome

d. Xeroderma pigmentosum

e. Underlying lichen planopilaris

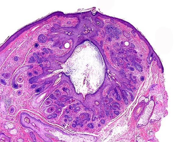
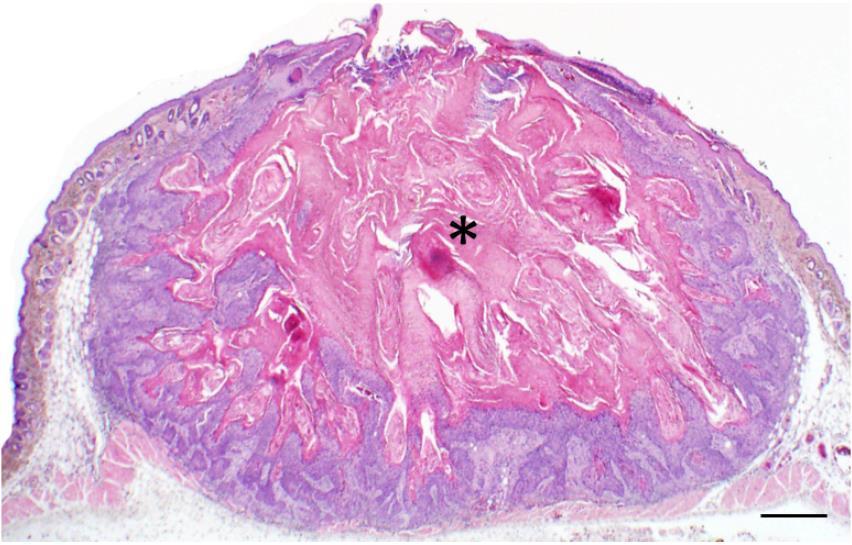
Keratoacanthoma

• Classic History – rapidly increasing in size then may regress

• Crateriform squamoproliferative lesion

• Epithelial Collarette

• Bulbous nested downgrowths with well defined borders

• Neutrophil microabscesses

• Abundant glassy cytoplasm

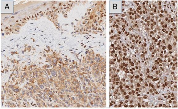
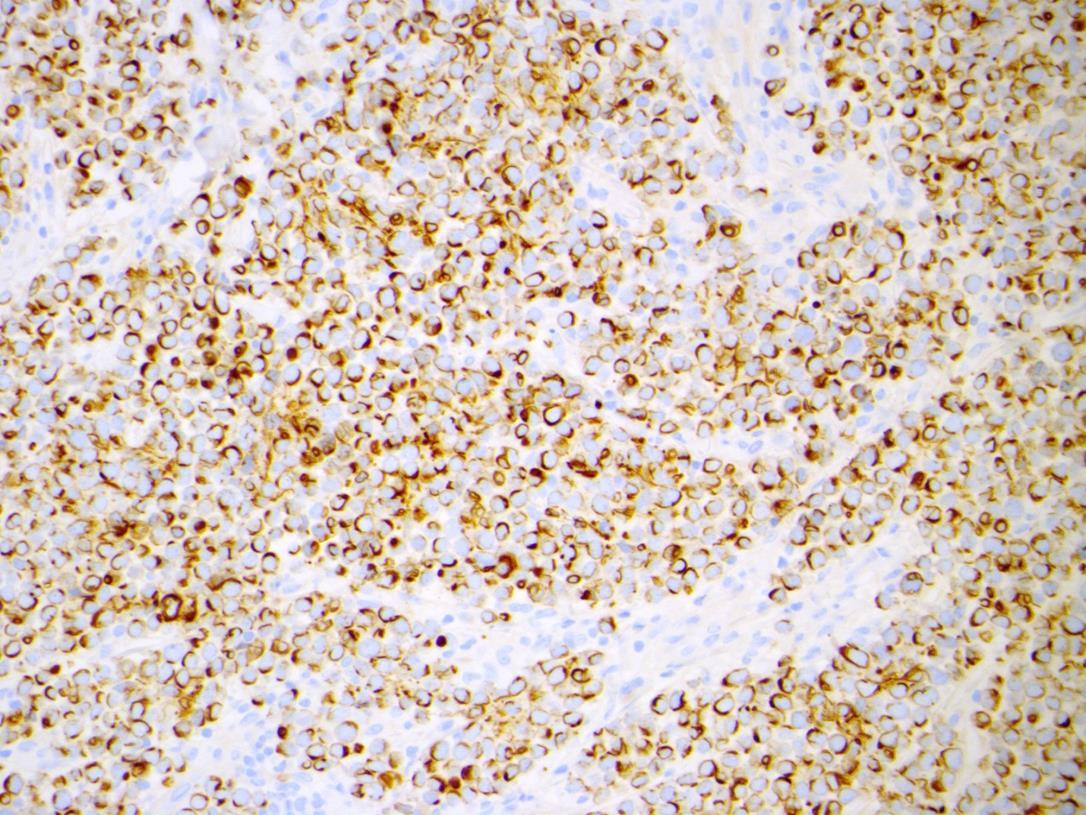
Merkel cell carcinoma

• Primary cutaneous neuroendocrine carcinoma

• UV radiation

• Clonal integration of Merkel cell polyomavirus (MCPyV)

• x10 in HIV +ve

• x5-10 in solid organ recipients

• x40 in patients with chronic lymphocytic lymphoma

• Cell of origin unknown – possibly not a Merkel cell

• MCPyV positive and negative tumours

• Negative group

• More mutations in TP53 and RB1 genes

• UV mutation signature

• Higher mutation burden

• Positive for neuroendocrine markers

– chromogranin, synaptophysin and CD56

• Main clinical difficulty:

• Is it primary skin tumour or metastasis?

• Panel of immunohistochemistry

• CK7 –ve, CK20 +ve, TTF1 -ve

• MCPyVm IHC

Benign epithelial entities

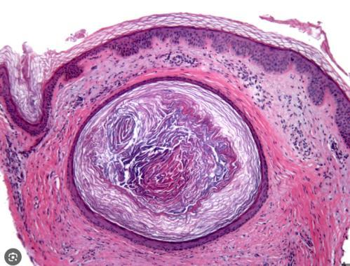
Inverted Follicular Keratosis

• ? Variant of seborrhoeic keratosis

• Numerous whorls/ eddies – eosinophilic flattened squamous cells arranged in an onion-peel fashion

• No cytological atypia

Clear Cell Acanthoma

• Arise on the shin of elderly females

• Distinctive tumour

• Collarette often seen at periphery

• Pale cells

• Intraepidermal neutrophils

• PAS and EMA positive

Cutaneous Horn

• Viral Wart

• Seborrhoeic keratosis

• Actinic keratosis

• Lichenoid keratosis

• Squamous cell carcinoma

Melanocytic neoplams

Tumours: Melanocytic neoplasms

Common blue naevus

• Dorsum of hands and feet

• Slate blue nodule

• Melanocytes are of the same appearance as naevus of Ito/Ota but show much greater density

• Epidermis normal

• Melanocytes contain fine granules of melanin

Tumours: Melanocytic neoplasms

Cellular blue naevus

• Usually larger than a common blue naevus (1-3 cms)

• 50% over the buttocks

• Histopathology

• Areas similar to blue naevus admixed with more cellular islands composed of closely aggregated, rather larger spindle shaped cells with ovoid nuclei and abundant pale cytoplasm.

• Extends into the superficial subcutis

• May have atypical features

Special variants of melanocytic naevi

• Halo Naevus

• Spitz naevus

• Pigmented spindle cell naevus of Reed

• BAP1 inactivated naevus/melanocytoma

• Deep penetrating naevus/melanocytoma

• Dysplastic naevus

Tumours: Melanocytic neoplasms

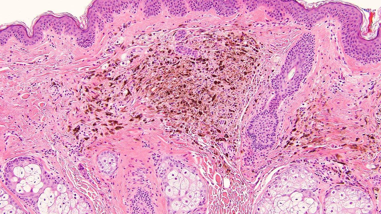
Halo Naevus

• Clinical appearance

• Nest of naevus cells in the papillary dermis associated with a lympho-histiocytic inflammatory cell infiltrate

Tumours: Melanocytic neoplasms

Spitz naevus

• Children and young to early middle aged adults

• Solitary, lower limbs and face

• Histopathology

• Small, symmetrical and well circumscribed

• Usually compound

• Epithelioid and spindled cells

• Maturation can be hard to assess

• Kamino bodies

• Spitzoid lesions

• BRAF V600E negative

• Spitz defining mutations with IHC – ALK, NTRK, ROS1 Tumours: Melanocytic neoplasms

Pigmented Spindle Cell Naevus of Reed

• ?Variant of Spitz naevus

• Young adults, lower extremities

• Spindle shaped cells in nests.

• Prominent vertical orientation of cells are noted.

• Heavily pigmented + melanophages.

• Junctional clefting is noted in some cases.

Tumours: Melanocytic neoplasms

Deep penetrating naevus/melanocytoma

• First described by Helwig et al and 1989

• Dermal based melanocytic lesion composed of pigmented spindled and/or epithelioid cells with deep architecture

• Melanocytes maintain size and pigmentation throughout the dermis (i.e. don’t mature)

• Morphological overlap with conventional, blue and Spitz naevi

• Rarely progress to melanoma

• WNT activated deep penetrating/plexiform melanocytoma

• Caused by combined activation of MAP-kinase and WNT signalling pathways

• Beta catenin – nuclear positive

• Usually BRAF positive

Tumours: Melanocytic neoplasms

Tumours: Melanocytic neoplasms

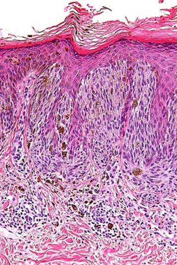
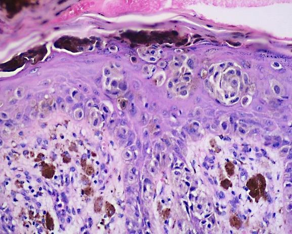
Dysplastic Naevus

• Clinically and histologically form a continuum extending from common naevus to a superficial spreading melanoma

• Histopathology

• Architectural atypia

• Lentiginous proliferation of melanocytes

• Bridging between adjacent rete ridges

• Lamellar fibroplasia

• Cytological atypia

• Shouldering of dermal component

Tumours: Melanocytic neoplasms

Malignant melanoma

• Useful pointers to malignant melanoma

• Ulceration

• Asymmetrical Lesion

• Architectural Atypia

• Pagetoid Spread

• Diffuse cytological atypia with prominent eosinophilic nucleolus

• Dermal Mitoses

• Lack of Maturation

• Regression

• Factor in age!

Tumours: Melanocytic neoplasms

Tumours: Melanocytic neoplasms

• Melanoma associated with CSD

• Superficial spreading melanoma

• Lentigo maligna melanoma

• Desmoplastic melanoma

• Melanoma not associated with CSD

• Spitzoid

• Acral

• Mucosal

• Uveal

• Melanoma arising in congenital naevi

• Melanoma arising within blue naevi

• Nodular melanoma

Tumours: Melanocytic neoplasms

Tumours: Melanocytic neoplasms

Superficial spreading melanoma

• May develop in any part of the body and at any age. It is commonly noted on the trunk and lower extremities.

• Episodic skin damage – episodes of sun burn

• Histologically , the lesion is characterized by proliferation of atypical melanocytes at all levels in the epidermis.

• The tumour cells are present singly and in nests.

• Pagetoid spread in the epidermis.

Lentigo Maligna

• In 1969, Clark and Mihm described LM

• Most frequently occurs on the sun-exposed face and upper extremities of elderly people (chronic sun exposure)

• Histologically, there is proliferation of atypical melanocytes singly and in nests along the basal layer of the epidermis.

Tumours: Melanocytic neoplasms

Nodular melanoma

• 2nd most common subtype of melanoma. It represents 15% of all melanomas.

• The most common sites for nodular melanoma are the trunk, head, and neck.

• Macroscopically, the lesion presents as a nodular, polypoid or pedunculated dark brown or blue black lesion. May also present as an amelanotic nodule.

• Often ulcerated

• Often no junctional component – dd. metastasis

Tumours: Melanocytic neoplasms

MCQ 10

• All the following lesions are benign except

A. Spitz naevus

B. Lentigo maligna

C. Cellular blue naevus

D. Naevus of ota

E. Freckles

Acral lentiginous melanoma

• The most common type of malignant melanoma in skin type

3+

• Peak incidence in the seventh decade for males and in the sixth decade for females.

• These lesions are usually located on palmar, plantar and subungual skin.

• Lentiginous and some nesting proliferation of atypical melanocytes.

• Perineural invasion not uncommon

• Genetic mutation in cKIT most common Tumours:

• A 23 year old woman presents with a changing melanocytic lesion on the sole of the foot. An excision biopsy shows malignant melanoma.

• Identify the most likely genetic mutation.

c. ALK

d. k-RAS

e. Tyrosine kinase

a. cKIT
b. BRAF

• Breslow thickness

• Most important prognostic factor

• Only for invasive lesions

• Measure from Granular cell layer

• If Ulcerated; base of ulcer Tumours: Melanocytic

• A 27 year old man presents with a pigmented lesion on the upper arm. An excision biopsy is performed. The lesion is compound in nature with prominent Pagetoid ascent in the epidermis and multiple dermal mitoses (3 per mm2).

• Identify the most important prognostic factor.

a. Depth of invasion

b. Macroscopic diameter

c. Presence of dermal mitoses

d. Pagetoid ascent

e. Absence of tumour infiltrating lymphocytes

• Microsatellite – Foci of metastatic tumour cells in the skin or subcutis adjacent or deep to but discontinuous from the primary tumour detected in microscopic examination of tissue

• Satellite metastasis – Foci of clinically evident cutaneous and/or subcutaneous metastasis occurring within 2cm of but discontinuous from the primary melanoma

• In-transit metastasis – Clinically evident cutaneous and/or subcutaneous metastasis occurring >2cm from the primary melanoma in the region between the primary and the regional lymph node basin

• Any cutaneous metastasis that does not fall into the above categories is considered distant metastasis and staged under the M category

Tumours: Melanocytic neoplasms

Question EMQ 2

Options

A.MelanA

B.SOX10

C.S100

D.HMB45

E.P16

F.BRAF V600E

G.BAP1

H.Ki67

I. Beta-catenin

J. NTRK

K.ROS1

L.ALK

M.PRAME

Question 1

An intradermal melanocytic lesion show spindle cell morphology with fibrillary cytoplasm. A diagnosis of deep penetrating melanocytoma is suspected on H&E sections.

Identify the IHC stain which would be most helpful in confirming this diagnosis.

• Each of these immunohistochemistry stains can be used in diagnosing melanocytic lesion. Identify the more relevant option based on the descriptions above.

Question EMQ 2

Options

A.MelanA

B.SOX10

C.S100

D.HMB45

E.P16

F.BRAF V600E

G.BAP1

H.Ki67

I. Beta-catenin

J. NTRK

K.PRAME

Question 2

A 9 year old child presents with a compound melanocytic lesion demonstrating epithelioid morphology and prominent Kamino bodies. Identify the IHC stain which would be most helpful in confirming this is a Spitzoid lesion.

• Each of these immunohistochemistry stains can be used in diagnosing melanocytic lesion. Identify the more relevant option based on the descriptions above.

Question EMQ 2

Options

A.MelanA

B.SOX10

C.S100

D.HMB45

E.P16

F.BRAF V600E

G.BAP1

H.Ki67

I. Beta-catenin

J. NTRK

K.PRAME

Question 3

A 52 year old patient is diagnosed with malignant melanoma. Complete loss of which IHC stain suggests homozygous deletion of CDKN2a?

• Each of these immunohistochemistry stains can be used in diagnosing melanocytic lesion. Identify the more relevant option based on the descriptions above.

Question EMQ 2

Options

A.MelanA

B.SOX10

C.S100

D.HMB45

E.P16

F.BRAF V600E

G.BAP1

H.Ki67

I. Beta-catenin

J. NTRK

K.PRAME

Question 4

A 72 year old patient presents with an ill defined junctional melanocytic lesion on their face and is diagnosis with lentigo maligna. IHC is performed and one of the markers show strong and diffuse nuclear positive staining throughout the lesion, helping to confirm the diagnosis. Identify the most likely answer.

• Each of these immunohistochemistry stains can be used in diagnosing melanocytic lesion. Identify the more relevant option based on the descriptions above.

Question EMQ 2

Options

A.MelanA

B.SOX10

C.S100

D.HMB45

E.P16

F.BRAF V600E

G.BAP1

H.Ki67

I. Beta-catenin

J. NTRK

K.PRAME

Question 5

A 31 year old patient is diagnosed with stage pT4b invasive malignant melanoma. Which IHC stain should be performed to guide further management.

• Each of these immunohistochemistry stains can be used in diagnosing melanocytic lesion. Identify the more relevant option based on the descriptions above.

Question EMQ 2

Options

A.MelanA

B.SOX10

C.S100

D.HMB45

E.P16

F.BRAF V600E

G.BAP1

H.Ki67

I. Beta-catenin

J. NTRK

K.PRAME

Question 6

A 25 year of patient presents with a melanocytic lesion on their arm. They have a FHx of thyroid and renal cancer and ocular melanoma. The lesion is compound and shows mixed naevoid and epithelioid morphology on H&E sections with an associated lymphocytic infiltrate. Identify the relevant IHC stain to confirm the specific diagnosis in this case.

• Each of these immunohistochemistry stains can be used in diagnosing melanocytic lesion. Identify the more relevant option based on the descriptions above.

Thank you and good luck!

Acknowledgment to Dr Mikheil and Dr Iskander H Chaudhry

Sarcoma and soft tissue tumours involving the skin

• Dermatofibrosarcoma protuberans

• Angiosarcoma

• Clear cell sarcoma (melanoma of soft tissue)

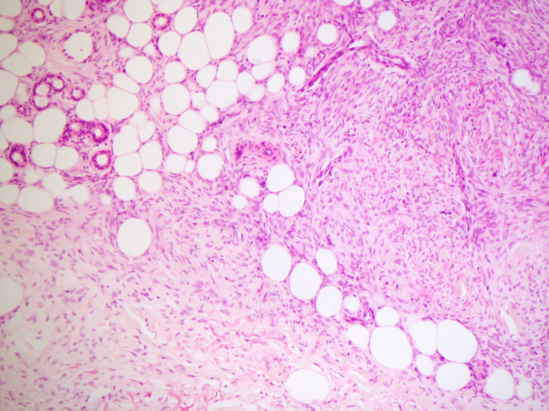
Dermatofibrosarcoma protuberans (DFSP)

• Superficial fibroblastic neoplasm

• Prone to local recurrence

• Characteristic storiform arrangement of monomorphic spindled cells strongly positive for CD34

• t(17;22)(q21.3;q13.1) results in COL1A1-PDGFB fusion

Angiosarcoma

• Malignant neoplasm of blood vessels

• Head and neck of elderly patients

• In areas of lymphoedema

• Post-radiotherapy

• MYC positive in >90% cases related to lymphoedema and radiotherapy

Clear cell sarcoma (melanoma of soft tissue parts)

• Morphologically and immunohistochemistry profile same as a melanoma

• Can involve dermis (but coming from below)

• Characteristic t(12,22)(q13,q12) EWSR1-ATF translocation

Turn static files into dynamic content formats.

Create a flipbook
Skin Pathology part 2 by IHC001 - Issuu