Post mortem pathology - Dr. Umar Hussain

Page 1


Post-mortem pathology

ST6 Histopathology

Objectives

• Go through the 22 questions with average of just under 3 minutes to read case and discuss

• We can’t cover all information on the slides and will pick and choose discussion points

• Slides have been made with the intention of serving as notes for you during your revision

• Opportunity to ask questions in the end provided enough time

1. You are a busy consultant pathologist in a post-mortem room currently performing the identification checks with the anatomic pathology technician. The deceased belongs to a Muslim family who are eager to have the postmortem exam completed as soon as possible so they can expedite the burial in keeping with their religious beliefs. You note a discrepancy with the police ID band and the details on the coroner’s permission to examine form. What is the next most appropriate action?

A. Proceed with the post-mortem examination. Submit provisional cause of death and ask the Coroner to correlate the identification.

B. Proceed with the post-mortem examination ensuring toxicology and histology is taken. Submit provisional cause of death and ask the Coroner to clarify the identification.

C. Proceed with the post-mortem examination ensuring toxicology and histology is taken. Submit provisional cause of death and ask the Police to clarify the identification.

D. Refuse to proceed with the post-mortem examination

E. Alert the medical examiner

1. You are a busy consultant pathologist in a post-mortem room currently performing the identification checks with the anatomic pathology technician. The deceased belongs to a Muslim family who are eager to have the postmortem exam completed as soon as possible so they can expedite the burial in keeping with their religious beliefs. You note a discrepancy with the police ID band and the details on the coroner’s permission to examine form. What is the next most appropriate action?

A. Proceed with the post-mortem examination. Submit provisional cause of death and ask the Coroner to correlate the identification.

B. Proceed with the post-mortem examination ensuring toxicology and histology is taken. Submit provisional cause of death and ask the Coroner to clarify the identification.

C. Proceed with the post-mortem examination ensuring toxicology and histology is taken. Submit provisional cause of death and ask the Police to clarify the identification.

D. Refuse to proceed with the post-mortem examination

E. Alert the medical examiner

What happens after someone dies?

Medical Examiner’s Office

Coroner’s Office

Patient dies in community

Ambulance/police attends (ID confirmed by police) Transported to hospital mortuary (or to funeral directors)

Patient dies in hospital Nursing staff contact porters

ID’d in mortuary

Coroner’s request for PM examination.

Also send:

• Circumstances of death (containing police notes)

• Ambulance notes

• GP notes

Await coroner/medical examiner decision

Coroner’s release note:

1. Closed

2. Investigation

3. Inquest or Medical examiner issues Medical Certification of Cause of Death (MCCD)

Release body to funeral directors when permitted

Porters transport body to hospital mortuary

What happens during this period?

• ID band from police, funeral director or hospital checked

• Presence of lines, deterioration, injuries and clothing documented

• Measured (height and width: important for funeral directors and CT scanner)

• Assigned mortuary number and ID band

• Storage place confirmed

• Documentation from the Coroner forwarded to pathologist

Burial/cremation

How we interact with other teams

Coroner’s Officers

Hospital Porters

Transplant team (especially corneas)

Ambulance crew

Mortuary staff

Bereavement Centre/Medical examiner’s Officers

Police officers

Fingerprint team

Funeral directors

Pathologist

2. You have completed a post-mortem examination for the Coroner and submitted the Postmortem Cause of Death form. The cause of death was due to myocardial infarction secondary to coronary artery thrombosis. You receive a call from the Bereavement office who say the wife of the deceased would like to speak about the circumstances of the death. She believes she is responsible for his death as she did not give him his evening meal on time even though he mentioned he was having pangs of hunger. The bereavement staff tell you that she is very distressed and feels that knowing more about the findings may help her cope. Which of the following is the most appropriate response?

A. Invite the patient for a discussion to better elicit her understanding of the situation

B. Tell the bereavement officer to only mention that she is not responsible for the death and disclose no further information

C. Advise the bereavement officer to speak with the Coroner’s Office

D. Refuse to disclose the information and do not elaborate further

2. You have completed a post-mortem examination for the Coroner and submitted the Postmortem Cause of Death form. The cause of death was due to myocardial infarction secondary to coronary artery thrombosis. You receive a call from the Bereavement office who say the wife of the deceased would like to speak about the circumstances of the death. She believes she is responsible for his death as she did not give him his evening meal on time even though he mentioned he was having pangs of hunger. The bereavement staff tell you that she is very distressed and feels that knowing more about the findings may help her cope. Which of the following is the most appropriate response?

A. Invite the patient for a discussion to better elicit her understanding of the situation

B. Tell the bereavement officer to only mention that she is not responsible for the death and disclose no further information

C. Advise the bereavement officer to speak with the Coroner’s Office

D. Refuse to disclose the information and do not elaborate further

Reportable

Reportable deaths

• Doctor unable to issue COD (sudden/unexpected death)

• Death was unnatural or violent (e.g. treatment/medical procedure, related to occupation, drugs/suicide)

• Cause of death unknown

• Death occurred in custody or other state detention

Not reportable

Provisional COD offered by attending doctor

Coroner reviews the circumstances Investigates further PM exam or inquest or both

Coroner refers to NHS medical examiner as feels no further investigation necessary

NHS medical examiner refers to coroner as believes further investigation is necessary

NHS medical examiner reviews

• An experienced medical doctor (ideally a consultant or fully qualified GP) with training in medical examining

• Reviews medical information, interviews relatives/clinicians

• Scrutinises COD offered or provides COD if not offered

Once PM completed and COD form submitted to Coroner body is released (even if COD pending/unascertained)

Registrar Registers death, issues crem/burial certificate

Medical examiner

• An experienced senior doctor (does not have to be a pathologist –many are GPs) employed by the NHS who has undertaken special training

• Act as a safeguard for deaths not reported to the coroner

• Aim is to scrutinise the COD, provide opportunities for the bereaved to raise concerns, provide advice to the Coroner and doctors and have a local overview of patterns in reported deaths

3. Which of the following deaths would not require referral to the Coroner?

A. A 75-year-old gentleman with a long history of interstitial lung disease who used to work as a construction worker

B. Man who dies at home due to disseminated metastatic prostate cancer and his regular GP is away on holiday for the next 3 weeks

C. An 18-year-old gentleman who died shortly after returning home from a night club

D. A 55-year-old man recently diagnosed with chronic lymphocytic leukaemia found dead at home

3. Which of the following deaths would not require referral to the Coroner?

A. A 75-year-old gentleman with a long history of interstitial lung disease who used to work as a construction worker

B. Man who dies at home due to disseminated metastatic prostate cancer and his regular GP is away on holiday for the next 3 weeks

C. An 18-year-old gentleman who died shortly after returning home from a night club

D. A 55-year-old man recently diagnosed with chronic lymphocytic leukaemia found dead at home

Reportable

Reportable deaths

• Doctor unable to issue COD (sudden/unexpected death)

• Death was unnatural or violent (e.g. treatment/medical procedure, related to occupation, drugs/suicide)

• Cause of death unknown

• Death occurred in custody or other state detention

Not reportable

Provisional COD offered by attending doctor

Coroner reviews the circumstances Investigates further PM exam or inquest or both

Coroner refers to NHS medical examiner as feels no further investigation necessary

NHS medical examiner refers to coroner as believes further investigation is necessary

NHS medical examiner reviews

• An experienced medical doctor (ideally a consultant or fully qualified GP) with training in medical examining

• Reviews medical information, interviews relatives/clinicians

• Scrutinises COD offered or provides COD if not offered

Once PM completed and COD form submitted to Coroner body is released (even if COD pending/unascertained)

Registrar Registers death, issues crem/burial certificate

4. You have performed a post-mortem histology on a 50-year-old gentleman who showed no gross internal examination findings. Histology samples from the heart reveal contraction band necrosis and you list the cause of death as myocardial infarction and submit the cause of death form and the PM report. A few days later you obtain a request from family members for the tissue blocks taken so they can be buried along with the body. Which of the following is the most appropriate responses?

A. Have the blocks ready to collect from the bereavement office at the family’s convenience

B. Do not release the blocks to the family. Ask the family to speak with the Coroner’s Office

C. Do not release the blocks to the family. Instead speak with the funeral director and have them collect the blocks when collecting the body.

D. Do not release the blocks to the family. Inform the family that as the tissue has been processed in a hospital lab consent must be obtained from the laboratory manager

4. You have performed a post-mortem histology on a 50-year-old gentleman who showed no gross internal examination findings. Histology samples from the heart reveal contraction band necrosis and you list the cause of death as myocardial infarction and submit the cause of death form and the PM report. A few days later you obtain a request from family members for the tissue blocks taken so they can be buried along with the body. Which of the following is the most appropriate responses?

A. Have the blocks ready to collect from the bereavement office at the family’s convenience

B. Do not release the blocks to the family. Ask the family to speak with the Coroner’s Office

C. Do not release the blocks to the family. Instead speak with the funeral director and have them collect the blocks when collecting the body.

D. Do not release the blocks to the family. Inform the family that as the tissue has been processed in a hospital lab consent must be obtained from the laboratory manager

Human Tissue Act

• Not a completely realistic scenario. The coroner would usually have sent instructions regarding blocks as they send the release note.

• HTA website (particularly FAQs section) is a useful resource

5. Examination of the base of the brain shows the following findings. What do these findings indicate?

A. Increased intracranial pressure

B.Haemorrhagic stroke

C.Embolic disease

D.Lacunar infarcts

5. Examination of the base of the brain shows the following findings. What do these findings indicate?

A.Increased intracranial pressure

B.Haemorrhagic stroke

C.Embolic disease

D.Lacunar infarcts

Robbins and Cotran Atlas of Pathology, Fourth Edition

© 2021 by Elsevier, Inc. All rights reserved.

Transtentorial Herniation

• Most common herniation

• Due to increased intracranial pressure above the tentorium e.g. bleeding, hydrocephalus, swelling or tumour

• Compression of medial temporal lobe, CN III and PCA (and subsequent infarction)

• Duret haemorrhages (late sign): rupture of small blood vessels supplying upper brainstem

Compression of ACA and subsequent infarction

Any intracranial mass but usually posterior fossa (i.e. cerebellar area). Causes compression of important centres in the brainstem

Robbins & Cotran Pathologic Basis of Disease, Tenth Edition. Copyright © 2021 by Elsevier, Inc

Falx cerebri
Tentorium cerebelli
Foramen magnum

6. You are performing a postmortem examination of a 70-year-old man who was the passenger in a road traffic collision. Resuscitation was attempted but unsuccessful. An image of the patient’s brain is shown below. You are able to displace the material using the blunt side of the blade. What was the likely cause of this finding?

A. Tearing of the bridging veins

B.Rupture of the middle meningeal artery

C.Ruptured berry aneurysm

D.Hypertension

6. You are performing a postmortem examination of a 70-year-old man who was the passenger in a road traffic collision. Resuscitation was attempted but unsuccessful. An image of the patient’s brain is shown below. You are able to displace the material using the blunt side of the blade. What was the likely cause of this finding?

A.Tearing of the bridging veins

B.Rupture of the middle meningeal artery

C.Ruptured berry aneurysm

D.Hypertension

Robbins and Cotran Atlas of Pathology, Fourth Edition

Epidural, subdural and subarachnoid

Epidural haemorrhage: Direct injury to side of the head → rupture of middle meningeal artery

Leptomeninges

• Arachnoid mater (green)

• Pia mater (red)

Becomes infected in meningitis

Subdural haemorrhage: Direct injury to side of the head → rupture of middle meningeal artery

Firm attachment of dura to suture lines: epidural haematoma does not cross suture lines

Subarachnoid haemorrhage: Rupture of aneurysm, head injuries, AVMs

Gray's Anatomy for Students, Fifth Edition. Copyright © 2024 by Elsevier Inc. All rights reserved.

Bridging veins (subdural haematoma)

By Mysid - Made by Mysid Inkscape, based on plate 769 from Gray's Anatomy (1918, public domain)., Public Domain, https://commons.wikimedia.org/w/index.php?curid=10493338

Bridging veins at increased risk of tearing with age (brain atrophy)

Middle meningeal artery (epidural haematoma)

Anatomy for Students, Fifth Edition. Copyright

2024 by Elsevier Inc. All rights reserved.

Fractures at this weak point causes a rupture of the anterior branch of the middle meningeal artery. This artery is present between the periosteal lining of the bone and the periosteal layer of the dura

for Students,

Gray's
Gray's

Ability to displace the haematoma

• When brain removed arachnoid mater and pia mater (leptomeninges) are attached

• If there is subdural haematoma → sits on top of the arachnoid → can be scraped off

• If there is subarachnoid haematoma → sits beneath arachnoid → cannot be scraped off

https://commons.wikimedia.org/wiki/File:Brain_with_ arachnoid_and_pia_mater.jpg

7. You are performing a post-mortem examination on a 40-year-old man who had a history of psychosis, memory deficits and involuntary jerking movements. His father who died at 50 had similar symptoms. Which of the following structures in the normal brain image below would you expect to be abnormal?

7. You are performing a post-mortem examination on a 40-year-old man who had a history of psychosis, memory deficits and involuntary jerking movements. His father who died at 50 had similar symptoms. Which of the following structures in the normal brain image below would you expect to be abnormal?

https://renaissance.stonybrookmedicine.edu/sites/ default/files/sbumcfiles/images/IMG_0005.jpg

Internal capsule

Motor cortex initially sends signal to basal ganglia for processing, once “confirmation” from thalamus received sends motor signal

Execution of motor signal

Thalamus (sends “confirmation” to motor cortex to initiate movement)

Basal ganglia (except SN) inhibit/regulate/refine motor movement and communicates with Thalamus

SN inhibits/regulates other basal ganglia

Huntington

• ↓GABA → excitation/unc ordination

• Death via aspiration pneumonia

Parkinson’s

• ↓dopamine → ↑GABA activity from remaining BG → ridigity

• Death via aspiration pneumonia or falls

By File:BrainCaudatePutamen.svg: User:LeevanjacksonDerivative work: User:SUM1 - Derivative work based on

File:BrainCaudatePutamen.svg, CC BY-SA 4.0, https://commons.wikimedia.org/w/index.php?curid=85845448

Huntington’s disease

Caudate nucleus (atrophy on right)

Robbins & Cotran Pathologic Basis of Disease, Tenth Edition. Copyright © 2021 by Elsevier, Inc

Parkinson’s disease

Robbins & Cotran Pathologic Basis of Disease, Tenth Edition. Copyright © 2021 by Elsevier, Inc

Neuroanatom

• Advise consultation with neuroanatomy text such as Crossman to get comfortable with images of brain sections

• Suggest to be familiar with:

• Caudate nucleus and putamen (Huntington: Atrophy)

• Globus pallidus (CO poisoning: dark red/brown discolouration)

• Thalamus (Lacunar infarction)

• Mamillary bodies (Wernicke disease: petechial haemorrhages)

• Substantia nigra (Parkinsons: Pallor)

8. You are reviewing the postmortem histology from the heart. The findings are as depicted in the photomicrograph below. What can be said about the likely age of the infarct?

A.Less than 4 hours old

B.4- 24 hours old

C.1 day to 1 week old

D.>1 week old

E.>4 weeks old

8. You are reviewing the postmortem histology from the heart. The findings are as depicted in the photomicrograph below. What can be said about the likely age of the infarct?

Robbins and Cotran Atlas of Pathology, Fourth EditionCopyright © 2021 by Elsevier, Inc. All rights reserved.

A.Less than 4 hours old

B.4- 24 hours old

C.1 day to 1 week old

D.>1 week old

E.>4 weeks old

Aging an infarct (resources will differ slightly)

Robbins and Cotran Atlas of Pathology, Fourth EditionCopyright © 2021 by Elsevier, Inc. All rights reserved.

Normal heart

(<4 hours)

Contraction band necrosis, coagulation necrosis (i.e. loss of nuclei) +/- haemorrhage

(4-24 hours)

Neutrophils + haemorrhage

(>24 hours, most at day 3)

Granulation tissue and macrophages (>1 week) Scar tissue formation

(>2-8 weeks)

9. You are performing a postmortem examination on a 25-year-old athlete who died suddenly. On examination of the heart you see the features below. What is the next appropriate step prior to closing the body?

A. Obtain blood for toxicology

B. Obtain vitreous humour

C. Obtain a sample of spleen

D. Obtain a sample of lung

9. You are performing a postmortem examination on a 25-year-old athlete who died suddenly. On examination of the heart you see the features below. What is the next appropriate step prior to closing the body?

Robbins and Cotran Atlas of Pathology, Fourth EditionCopyright © 2021 by Elsevier, Inc. All rights reserved.

A. Obtain blood for toxicology

B. Obtain vitreous humour

C. Obtain a sample of spleen

D. Obtain a sample of lung

Hypertrophic cardiomyopathy

• This is hypertrophic cardiomyopathy: an autosomal dominant condition

• Subtypes of HCM:

• Symmetric

• Asymmetric

• Without outflow obstruction

• With outflow obstruction (HOCM)

• “Myocardial disarray” on histology

• Causes death via arrythmia

• Reserve tissue from the spleen (then liver or kidney) for future genetic testing → family tested if confirmed molecularly

• Ideally heart should be reserved too

Robbins and Cotran Atlas of Pathology, Fourth EditionCopyright © 2021 by Elsevier, Inc. All rights reserved.

Cardiac hypertrophy

Normal Concentric (sarcomeres laid in parallel) Asymmetric (myocyte disarray) Eccentric (sarcomeres laid in series)

• ↑Afterload (pressure): Hypertensive heart disease (HHD), Aortic stenosis, Strength athletes/bodybuilders

• Symmetric hypertrophic cardiomyopathy (HCM)

• Hypertrophic cardiomyopathy:

• Without outflow obstruction: Asymmetric hypertrophic cardiomyopathy (HCM)

• With outflow obstruction: Hypertrophic obstructive cardiomyopathy (HOCM)

• ↑Preload (volume) Aortic/mitral regurgitation, heart failure, endurance athletes

• Dilated cardiomyopathy (idiopathic, alcohol, coxsackie etc.)

You are performing the post-mortem examination on a 65-year-old gentleman with a history of myocardial infarction. Examination of the lungs shows pulmonary oedema. Examination of the bowel shows findings as depicted in the photograph below. What gross findings would be expected on examination of the heart?

You are performing the post-mortem examination on a 65-year-old gentleman with a history of myocardial infarction. Examination of the lungs shows pulmonary oedema. Examination of the bowel shows findings as depicted in the photograph below. What gross findings would be expected on examination of the heart?

Robbins and Cotran Atlas of Pathology, Fourth EditionCopyright © 2021 by Elsevier, Inc. All rights reserved.

Acute mesenteric ischaemia

• This is a patient who died because of acute mesenteric ischaemia

• Pathogenesis of acute mesenteric ischaemia

• Embolisation of mural thrombus: MI, AF, valvular heart disease

• Non-contractile scarred myocardium causes static blood flow → clot formation → dislodges and embolises to systemic circulation causing:

• Stroke

• Renal infarction

• Acute mesenteric ischaemia

• Thrombosis: Atherosclerosis, vasculitis, aortic dissection, aortic aneurysm

Aging an infarct (resources will differ slightly)

Robbins and Cotran Atlas of Pathology, Fourth EditionCopyright © 2021 by Elsevier, Inc. All

Complications (after 2 weeks):

Normal heart

(<4 hours)

Contraction band necrosis, coagulation necrosis (i.e. loss of nuclei) +/- haemorrhage

(4-24 hours)

Neutrophils + haemorrhage

• Mural thrombus

(>24 hours, most at day 3)

• Dressler’s pericarditis (autoimmune)

Granulation tissue and macrophages (>1 week)

• Arrythmias

• CCF

Scar tissue formation

(>2-8 weeks)

11. You are performing a post-mortem examination on a 65-year-old female. On examining the heart, you notice the heart appears noticeably large and exhibits a deep blue-purple colour as depicted in the image below. On opening of the pericardium, you see a large haematoma encasing the heart and an area of ventricular perforation. What histological findings would be expected from the heart adjacent to the perforation?

A. Normal heart histology

B. Contraction band necrosis and coagulation necrosis

C. Neutrophilic infiltration of myocardium

D. Early fibrosis

E. Well-established fibrosis

11. You are performing a post-mortem examination on a 65-year-old female. On examining the heart, you notice the heart appears noticeably large and exhibits a deep blue-purple colour as depicted in the image below. On opening of the pericardium, you see a large haematoma encasing the heart and an area of ventricular perforation. What histological findings would be expected from the heart adjacent to the perforation?

A. Normal heart histology

B. Contraction band necrosis and coagulation necrosis

C. Neutrophilic infiltration of myocardium

D. Early fibrosis

E. Well-established fibrosis

Robbins and Cotran Atlas of Pathology, Fourth EditionCopyright © 2021 by Elsevier, Inc. All rights reserved.

Aging an infarct (resources will differ slightly)

Complications between 1-7 days

Normal heart

(<4 hours)

Contraction band necrosis, coagulation necrosis (i.e. loss of nuclei) +/- haemorrhage

(4-24 hours)

Neutrophils + haemorrhage

(>24 hours, most at day 3)

• Fibrinous pericarditis (not the same as Dressler’s)

Granulation tissue and macrophages

• Ventricular rupture

(>1 week) Scar tissue formation

(>2-8 weeks)

• free wall → haemopericardium

• IV septum → VSD

• Inferior MI → papillary muscle rupture → mitral valve insufficiency

12. You are performing the post-mortem examination of a 75-year-old gentleman who was a lifelong smoker. He died suddenly at home. External examination shows cachexia and tar staining of the nails. You discover a large tumour in the lung with multiple enlarged hilar lymph nodes and similar nodules in the brain. Examination of the heart reveals findings as depicted in the photograph below. The vegetations are present on one side of the valve. How would you best classify this disease process?

A. Infective endocarditis
B. Marantic endocarditis
C. Libman-Sacks endocarditis
D. Rheumatic heart disease

12. You are performing the post-mortem examination of a 75-year-old gentleman who was a lifelong smoker. He died suddenly at home. External examination shows cachexia and tar staining of the nails. You discover a large tumour in the lung with multiple enlarged hilar lymph nodes and similar nodules in the brain. Examination of the heart reveals findings as depicted in the photograph below. The vegetations are present on one side of the valve. How would you best classify this disease process?

A. Infective endocarditis
B. Marantic endocarditis (Nonbacterial thrombotic endocarditis)
C. Libman-Sacks endocarditis
D. Rheumatic heart disease
Robbins & Cotran Pathologic Basis of Disease, Tenth Edition. Copyright © 2021 by Elsevier, Inc

Valvular vegetations

Both sides

Immune complex deposition during acute phase (rheumatic fever): autoimmune reaction that occurs 10 days to 6 weeks after GAS infection of throat (in childhood) causes → NES symptoms. Mitral valve prolapse initially, mitral valve stenosis eventually

Extends on to chordae

Infective proliferation on preexisting damaged valves

Thrombus formation due to hypercoagulable state (e.g. malignancy, thrombophilia) on non-damaged valves (or marantic endocarditis)

Immune complex deposition in SLE or antiphospholipid syndrome (autoantibodies against anticoagulant proteins C and S)

Right heart

• IVDU (the injection of drugs causes damage to right sided valves)

• Embolic to lungs

• Staph aureus, Viridans Strep (e.g. S. Sanguinis), Enterococcus

Left heart

• Most common (left sided valves show more wear and tear than right sided)

• Qs may mention history of dental procedures (but there are other causes including IVDU)

• Emboli to systemic circulation (brain, Osler nodes, Janeway lesions etc.)

• Staph aureus, Viridans Strep (e.g. S. Sanguinis), Enterococcus

Rheumatic heart disease

Fish mouth mitral valve: mitral stenosis

Aschoff body (granuloma):

• Anitschkow cells (plump histiocytes with “caterpillar” condensation of chromatin)

• Mixed in lymphocytes

Robbins & Cotran Pathologic Basis of Disease, Tenth Edition. Copyright © 2021 by Elsevier, Inc

Infective endocarditis

Robbins & Cotran Pathologic Basis of Disease, Tenth Edition. Copyright

© 2021 by Elsevier, Inc

• Irregular, red vegetations

• Extension on to the chordae

https://webpath.med.utah.edu/CVHTML/C V041.html

• Blue material: degenerated neutrophils and bacterial colonies

• Pink material: fibrin

Libman-Sacks

• Flat tan-coloured vegetations on either side of the valve

• Note focal extension on to chordae (so not only in IE)

• Often do not embolise and are incidental finding

https://webpath.med.utah.edu/CV HTML/CV122.html

Marantic endocarditis (NBTE)

• Organised looking row of small vegetations (can embolise and cause infarcts)

• No inflammation on valve cusps

• Histology: thrombus, pauci-inflammatory

Robbins & Cotran Pathologic Basis of Disease, Tenth Edition. Copyright © 2021 by Elsevier, Inc

13. You are performing a post-mortem examination of an 25-year-old man who collapsed during a friend’s birthday party. His friends report that before his death he seemed to have a lot of energy and seemed jittery. External examination reveals a collapsed nasal bridge. Which of the following are expected on post-mortem examination?

A. Saddle embolism

B. Splitting of the aortic media

C.Lobar pneumonia

D. Twisted bowel

E. Splenic rupture

13. You are performing a post-mortem examination of an 25-year-old man who collapsed during a friend’s birthday party. His friends report that before his death he seemed to have a lot of energy and seemed jittery. External examination reveals a collapsed nasal bridge. Which of the following are expected on post-mortem examination?

A. Saddle embolism

B. Splitting of the aortic media

C.Lobar pneumonia

D. Twisted bowel

E. Splenic rupture

Aortic dissection

Proximal aorta

Heart

Blood in dissected media

Tear in intima

Robbins & Cotran Pathologic Basis of Disease, Tenth Edition. Copyright © 2021 by Elsevier, Inc

Aortic dissection

Robbins & Cotran Pathologic Basis of Disease, Tenth Edition. Copyright © 2021 by Elsevier, Inc

Blood
Torn Media

Aortic dissection

• Causes:

• Hypertensive patients → atherosclerosis of aorta → less pliable and more prone to tearing: older patients (most common cause)

• Connective tissue disorders (Marfans or Vascular Ehlers-Danlos)→ flimsy media prone to tearing: younger patients

• Aortitis (Tertiary syphilis or Takayasu arteritis)

• Cocaine is rare cause of aortic dissection without pre-existing disease (our patient taking cocaine may have had history of Marfans or vEDS)

• Trauma (deceleration injury)

Stimulants

Amphetamines

• MDMA (ecstasy): larger serotonin affect

• Methamphetmine (crystal meth): larger dopamine/noradrenalin e affect (and longer duration of action)

⍺1 : ↑vasoconstriction

• Cocaine induced vasospasm → ischaemia: MI, CVA, ischaemic colitis, rhabdomyolysis, nasal perforation. If smoked can get DAD (“crack lung”)

• High BP → dissection

β1 : ↑HR/contractility → increased myocardial oxygen demand → compounds myocardial ischaemia

Cocaine: Inhibits reuptake of NE, dopamine and serotonin

https://neurotorium.org/image/thenormal-process-of-noradrenalinesynaptics-activity/

Adrenaline, noradrenaline, serotonin and dopamine (monoamines) are closely related neurotransmitters. This particular neurone shows a NE neurone but the same thing will happen with neurones using dopamine and serotonin.

Toxicology tests

Blood/urine

• Ketones

• Ethanol

• Drugs and their metabolites

Vitreous humour

• Mainly glucose (high means something, low means nothing –bacterial consumption)

Hair

• Presence in hair correlates with regular intake of substances

• Can detect multiple substances

• Assess potential drug-facilitated sexual abuse prior to death i.e.

“date rape” with Rohypnol (flunitrazepam)

14. You are performing a post-mortem examination of an otherwise fit and healthy young man who suddenly became ill and died at home. Examination of the lung shows changes as depicted in the photograph below. These changes are most likely caused by which of the following organisms?

A. Staphylococcus aureus
B. Haemophilus influenza
C. Streptococcus pneumoniae
D. Klebsiella pneumonia
E. Pseudomonas aeruginosa

14. You are performing a post-mortem examination of an otherwise fit and healthy young man who suddenly became ill and died at home. Examination of the lung shows changes as depicted in the photograph below. These changes are most likely caused by which of the following organisms?

Robbins and Cotran Atlas of Pathology, Fourth EditionCopyright © 2021 by Elsevier, Inc. All rights reserved.

aeruginosa

A. Staphylococcus aureus
B. Haemophilus influenza
C. Streptococcus pneumoniae
D. Klebsiella pneumonia E. Pseudomonas

CMV

Opportunistic fungal infections

• Pneumocystis jiroveci (PCP)

• MAI Complex

• Invasive aspergillosis

• Invasive candidiasis

As well as typical organisms

Strep pneumo

Klebsiella

MS Staph Aureus

MR Staph Aureus

Immuno compro mised

Chronic pneumonia (immunoco mpetent) Lung abscess

Pneumonia

Branching gram +ves: Nocardia, Actinomyces

Granulomatous: TB, Atypical mycobacteria,

Histoplasma, Coccidiodes, Blastomyces

Polymicrobial (anaerobic organisms of oral cavity e.g. Bacteroides, Fusobacterium)

Aspiration

Community

Strep pneumo

Haemophilus

Moraxella

MS Staph Aureus

Most lobar pneumonias are community acquired Strep pneumo infections

MS Staph Aureus

MR Staph Aureus

Pseudomonas

Strep pneumo

MR Staph Aureus

Gram –ve rods:

• Pseudomonas

• Klebsiella

• Serratia

• E.coli

Enterobacteriaceae

15. You are performing a post-mortem examination on a 65-year-old gentleman who used to work as a mason. He has a history of ischemic heart disease for which he took regular medications. Examination of the lungs shows nodularities in the upper lobes. Histology shows nodules of whirled collagen and fibroblasts as shown in the photomicrograph below. Which of the following is the most likely explanation?

A. Silicosis
B. Asbestosis
C. Rheumatoid nodules
D. Medication induced fibrosis

15. You are performing a post-mortem examination on a 65-year-old gentleman who used to work as a mason. He has a history of ischemic heart disease for which he took regular medications. Examination of the lungs shows nodularities in the upper lobes. Histology shows nodules of whirled collagen and fibroblasts as shown in the photomicrograph below. Which of the following is the most likely explanation?

D. Medication induced fibrosis

Robbins and Cotran Atlas of Pathology, Fourth EditionCopyright © 2021 by Elsevier, Inc. All rights reserved.

A. Silicosis
B. Asbestosis
C. Rheumatoid nodules

Hypersensitivity pneumonitis

interstitial inflammation/fibrosis _ poorly formed granulomas + fibroblastic foci

Siderosis

Haemosiderin laden macrophages filling alveoli + intersitial fibrosis

Pneumoconiosis Coal workers

Carbon pigment + fibrosis

Whirled fibrotic nodules

Sarcoidal granulomas (need clinical correlation)

Robbins and Cotran Atlas of Pathology, Fourth EditionCopyright © 2021 by Elsevier, Inc. All rights reserved.
Robbins
Cotran

16. You are performing the post-mortem examination on an 85 year old gentleman. Internal examination of the lungs shows findings as depicted in the image below. What can be deduced about the deceased relating to this pathological finding?

A. He was a smoker

B. He was immunocompromised

C. He was a roofer

D. He was taking antibiotics

16. You are performing the post-mortem examination on an 85 year old gentleman. Internal examination of the lungs shows findings as depicted in the image below. What can be deduced about the deceased relating to this pathological finding?

A. He was a smoker

B. He was immunocompromised

C. He was a roofer

D. He was taking antibiotics

Robbins and Cotran Atlas of Pathology, Fourth EditionCopyright © 2021 by Elsevier, Inc. All rights reserved.

Mesothelioma

• Strongly associated with exposure to asbestos

• Remember exposure to asbestos is more likely to cause adenocarcinoma than mesothelioma.

Asbestos

http://wwww.microlabgallery.co m/gallery/Crocidolite.aspx

From serpentine rocks

“Blue asbestos” as looks blue. Considered the most hazardous form

“Brown asbestos” as looks light brown

http://wwww.microlabgallery.com/ga llery/AmositeGlassAcoustic2.aspx

http://wwww.microlabgallery. com/gallery/images/Chrysotil eLow482-09.JPG

Serpentine
Chrysotile

Asbestos related deaths

• Asbestos exposure more often causes adenocarcinoma than mesothelioma, but asbestos exposure is the only cause of mesothelioma

17. You are performing a post-mortem examination of a 55-year-old gentleman. You see enlarged airspaces diffusely involving the upper, middle and lower zones of both lungs as depicted in the image below. What other findings would you expect to find elsewhere in the postmortem examination?

B. Hepatic nodularity

C. Red and swollen calf

D. Tricuspid valve vegetations

E. Dissection of the aortic media

A. Splenic infarcts

17. You are performing a post-mortem examination of a 55-year-old gentleman. You see enlarged airspaces diffusely involving the upper, middle and lower zones of both lungs as depicted in the image below. What other findings would you expect to find elsewhere in the postmortem examination?

A. Splenic infarcts

B. Hepatic nodularity

C. Red and swollen calf

D. Tricuspid valve vegetations

E. Dissection of the aortic media

Robbins and Cotran Atlas of Pathology, Fourth EditionCopyright © 2021 by Elsevier, Inc. All rights reserved.

This patient has alpha-1 antitrypsin deficiency

Emphysema

• Irreversible enlargement of airspaces + subtle fibrosis of small airways → impaired gas exchange

• Two main types:

Centriacinar

(95% of cases; heavy smokers)

Central/proximal acini affected first, distal acini spared (unless severe) Typically upper lobes

Panacinar

(alpha-1 antitrypsin deficiency)

Nothing spared Affects the lower zones the most

Robbins & Cotran Pathologic Basis of Disease, Tenth Edition. Copyright © 2021 by Elsevier, Inc

Alpha 1-antitrypsin deficiency

SERPINA1 gene

(SERine Protease Inhibitor)

Normal (M)

Normal alpha-1 antitrypsin (A1AT)

Hepatocyte

Mutation with moderate affect (S)

Mutation with severe affect (Z)

Mutated alpha-1 antitrypsin A1AT accumulates in hepatocyte

Trypsin (a serine protease) is inhibited by A1AT

Trypsin is not inhibited and continues to damage the alveolar walls

Autosomal codominance:

• PiMM: 100% normal serum A1AT

• PiMS: 80% serum A1AT levels

• PiMZ: ~50%

• PiSS: ~50%

• PiSZ: ~50%

• PiZZ: 10%

Liver cirrhosis
Panacinar emphysema

18. You have been requested by the Coroner to perform an external examination on a 22year-old female who committed suicide via hanging. She was found by her mother who says she had been home alone all day. The police attended the scene and reported no suspicious circumstances. Which of the following findings would be unexpected in this scenario?

A. Posterior lividity
B. Oblique ligature mark
C.Protrusion of the tongue
D. Facial petechiae

18. You have been requested by the Coroner to perform an external examination on a 22year-old female who committed suicide via hanging. She was found by her mother who says she had been home alone all day. The police attended the scene and reported no suspicious circumstances. Which of the following findings would be unexpected in this scenario?

A. Posterior lividity
B. Oblique ligature mark
C.Protrusion of the tongue
D. Facial petechiae

Hangings

By goga312 at Russian Wikipedia, CC BY-SA 3.0, https://commons.wikimedia.org/w/index.php?cur id=9749090

Face

• Petechiae (more common in incomplete hangings)

• Protrustion of tongue (upward pressure from ligature)

• Dried saliva contralateral to point of suspension

Injuries

• Self harm scars

• Bruising: Struggle may occur in response to hanging e.g. regret, pain, hypoxic seizure perimortem

• Fingertip bruising/fingernail abrasions

Lividity or “livor mortis” (blood pooling – fixed after approximately 8 hours)

• Circumferential petechial lividity to the lower legs

• Unexpected findings

• Lividity in a different distribution such as along posterior aspect of body

Hangings

Neck

• Ligature mark

• Dimensions including breadth and depth

• Course around the neck (oblique) and point of suspension

• Bleeding into skin between two loops (i.e. gone around the neck twice)

• Decapitation (partial or complete) –associated with long drop

• Unexpected findings

• Surface injuries inconsistent with suspension

• Horizontal ligature mark

Any suspicion of foul play should be communicated with Coroner’s officers – do not proceed with examination if in doubt

Other things to check

Documentation

• Review police documentation confirming death is not suspicious

• If this information is not present do not proceed

Rope

• Mention material and dimensions

• Number of loops around neck

• Type of knot (running or fixed), position of the knot

Further reading: https://www.rcpath.org/static/7b8672cc-e074-4c32-86e1e18f4d65296e/G179-Deaths-following-known-or-suspected-hanging.pdf

19. A 45-year-old man was recovered from a local river after being spotted by passersby on the adjacent footpath. An ambulance crew was called, and CPR was attempted but unsuccessful. He had a history of alcohol dependence and dilated cardiomyopathy. He had no other medical history. Internal examination reveals moderate atheroma of the left anterior descending and right coronary arteries. There are mild fatty liver changes. The stomach is free of contents and shows appearances as shown in the photograph below. The remainder of the examination including the lungs showed no significant findings. What is the likely cause of death?

A. Submersion

B. Immersion

C. Haemorrhagic shock
D. Septic shock

19. A 45-year-old man was recovered from a local river after being spotted by passersby on the adjacent footpath. An ambulance crew was called, and CPR was attempted but unsuccessful. He had a history of alcohol dependence and dilated cardiomyopathy. He had no other medical history. Internal examination reveals moderate atheroma of the left anterior descending and right coronary arteries. There are mild fatty liver changes. The stomach is free of contents and shows appearances as shown in the photograph below. The remainder of the examination including the lungs showed no significant findings. What is the likely cause of death?

A. Submersion

B. Immersion

C. Haemorrhagic shock

D. Septic shock

Bright,F., Winskog,C.& Byard,R.W. Wischnewski spots and hypothermia: sensitive, specific,or serendipitous?.Forensic Sci MedPathol 9, 88–90 (2013). https://doi.org/10.1007/s12024-0129342-1

Submersion

Upper respiratory tract

• Froth around mouth and nose (Champignon de mousse)

• Extrinsic material in upper airway e.g. sand, silt or weeds

Lungs

• Lung weight >1000g (may be affected by resuscitation) +/- lung overlapping (latter also seen in deaths secondary to asthma)

• Paultauf spots (bruises on anterior lungs secondary to alveolar haemorrhages secondary to high pressures)

Stomach

• Fluid and debris content (may suggest submersion, but a soft sign)

Notes

• Review police documentation to understand context of the death

• Length of time: water can eventually seep into lungs with time even in immersion death

Drowning

Immersion

Death caused by autonomic response illiciting ischemia/arrythmia. Diagnosis of exclusion

Stomach

• Wischnewsky spots due to cold stress (hypothermia)

Extensor surfaces

• Reddish/brown discoluration (hypothermia)

https://doi.org/10.1007/s12024-012-9342-1

Other things to check

Internal examination

• Heart: evidence of underlying cardiac pathology

• Brain: consideration of neuropathology e.g. epilepsy

Histology and Toxicology

• Lungs: intraalveolar oedema, ruptured alveolar septae (overexpansion i.e. emphysema aquosum), aspirated material

• Wischnewsky spots: gastric mucosal necrosis, hemorrhage and neutrophilic infiltration

• Toxicology: blood, urine and vitreous humour (low threshold to speak with toxicologists as results can be diluted)

• “Analysis of liver, lungs, bone marrow and kidneys for diatoms is of limited utility”

Further reading: https://www.rcpath.org/static/a0eab7db-454b-4556-b9961ecfd8356307/06f19d98-8ca1-40c3-ab3d757e7c258281/Guidelines-on-autopsy-practice-Autopsy-for-bodies-recovered-from-water.pdf

Bright,F.,Winskog C.&Byard,R.W. Wischnewski spotsandhypothermia: sensitive, specific,or serendipitous?.ForensicSciMedPathol9 88–90(2013).

Diatom testing

Further reading: https://www.rcpath.org/static/a0eab7db-454b-4556-b9961ecfd8356307/06f19d98-8ca1-40c3-ab3d757e7c258281/Guidelines-on-autopsy-practice-Autopsy-for-bodies-recovered-from-water.pdf By Vader1941 - Own work, CC BY 4.0, https://commons.wikimedia.org/w/ind ex.php?curid=141068485

Diatom – unicellular microalgae

20. You obtained histology and toxicology from the lungs of a 30-year-old deceased man who died after he fell off a ladder at work. Polarisable material is seen with focal foreign body giant cell reaction as per the photomicrograph below. What conclusion can be deduced about the patient from these findings?

A. Patient was a cocaine user

B. Patient was a heroin user

C. Patient was a sandblaster

D. Patient worked with aluminium

20. You obtained histology and toxicology from the lungs of a 30-year-old deceased man who died after he fell off a ladder at work. Polarisable material is seen with focal foreign body giant cell reaction as per the photomicrograph below. What conclusion can be deduced about the patient from these findings?

A. Patient was a cocaine user

B. Patient was a heroin user

C. Patient was a sandblaster

D. Patient worked with aluminium

Robbins and Cotran Atlas of Pathology, Fourth EditionCopyright © 2021 by Elsevier, Inc. All rights reserved.

These are perivascular talc granulomas. The polarisable material is talc, which is used to dilute the heroin. It is present in and around blood vessels of the lung (first organ to receive the injected blood). There may be associated MNGC reaction.

21. You perform the postmortem examination on a 63-year-old female with a history of alcohol dependence. She had no history of any other medical conditions. Blood tests from a recent over 60s health check at her GPs office were normal including cholesterol and HbA1c. Her relatives are sure that the death was related to alcohol consumption. Identification of which of the following substances would confirm the relatives suspicions?

A. Lactate
B. Beta-hydroxybutyrate
C. Thiamine
D. Glucose

21. You perform the postmortem examination on a 63-year-old female with a history of alcohol dependence. She had no history of any other medical conditions. Blood tests from a recent over 60s health check at her GPs office were normal including cholesterol and HbA1c. Her relatives are sure that the death was related to alcohol consumption. Identification of which of the following substances would confirm the relatives suspicions?

A. Lactate
B. Beta-hydroxybutyrate
C. Thiamine
D. Glucose

Ketoacidosis

• Ketones – usually low level compounds that serve as alternate energy source.

• Main ketones: Acetoacetate and beta-hydroxybutyrate

• Problem: at high levels are toxic and cause acidosis

• Due to any reason that glucose cannot be utilised

• Two main causes

• Diabetic ketoacidosis (in type 1 diabetes; type 2 have just enough insulin response to avoid acidosis, but instead “allowed time” to develop high sugar levels and hyperosmolar state)

• Vitreous: raised glucose

• Alcohol dependence (indirectly halts TCA cycle)

• Vitreous: not raised glucose

Glucose

Type 1 diabetes

Autoimmune destruction of Beta cells in Islet of Langerhans (Pancreas)

Taken to other cells (brain is particularly reliant if no glucose available) and converted back to Acetyl CoA to enter TCA cycle. Only issue is ketones are acidic and can make you very sick and potentially fatal in high concentrations.

Alcohol dependence

NAD+ not NADH needed to allow TCA cycle to continue. Overconsumption of NAD causes halt of TCA cycle and then body completely reliant on ketones

Acetoacetate
Acetone
3-Hydroxybutyrate

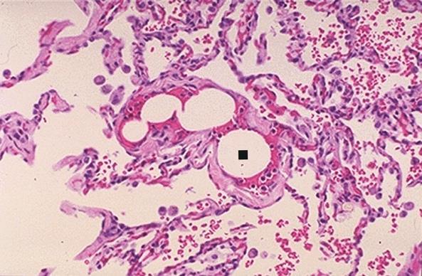
22. You are a trainee who has just joined the consultant pathologist in reporting postmortem lung histology on a 40-year-old female patient. The consultant asks you based on the finding observed in the photomicrograph below what can be deduced about the deceased?

A. She was an IV drug user

B. She has vegetations on the tricuspid valve

C. She had a swollen and painful calf

D. She was pregnant

E. She was immunocompromised

22. You are a trainee who has just joined the consultant pathologist in reporting postmortem lung histology on a 40-year-old female patient. The consultant asks you based on the finding observed in the photomicrograph below what can be deduced about the deceased?

A. She was an IV drug user

B. She has vegetations on the tricuspid valve

C. She had a swollen and painful calf

D. She was pregnant

E. She was immunocompromised

Robbins and Cotran Atlas of Pathology, Fourth EditionCopyright © 2021 by Elsevier, Inc. All rights reserved.

Septic

• Blue material: degenerated neutrophils and bacterial colonies

• Pink material: fibrin

https://webpath.med.utah.edu/CVHTML/CV041.ht ml

Amniotic

Emboli

Thrombotic

https://webpath.med.utah.edu/ ATHHTML/ATH031.html

Fat

Tumour

Lines of Zahn: alternating bands of fibrin (pink) and RBCs (red)

Robbins and Cotran Atlas of Pathology, Fourth

• Robbins Atlas of Pathology

• Robbins and Cotran Pathologic Basis of Disease

• https://webpath.med.utah.edu/webpath.html

• Questions!

you

• Any questions?

• Feel free to email umarhussain@doctors.org.uk

Would be grateful for any feedback

• https://docs.google.com/forms/d/e/1FAIpQLSe68w_RJfIfeRWww_ B9p70QHOV5nScAj8ccfL1jv1r_YR0EiA/viewform?usp=preview

Turn static files into dynamic content formats.

Create a flipbook
Issuu converts static files into: digital portfolios, online yearbooks, online catalogs, digital photo albums and more. Sign up and create your flipbook.
Post mortem pathology - Dr. Umar Hussain by IHC001 - Issuu