Breast Pathology - Dr. Abeer Shaaban - February 2025

Page 1


BREAST SLIDE SEMINAR

Manchester FRCPath Course

MBBCh PhD FRCPath Dip Health Research

Queen Elizabeth Hospital Birmingham & University of Birmingham

Outline

◼ Case discussion

◼ Approach to exam cases

◼ Role of immunohistochemistry

◼ Brownie points!

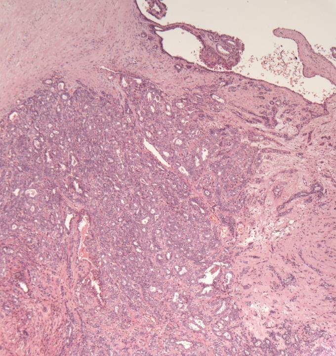
Exam cases

◼ Tiny malignant tumour: lobular

◼ pseudo infiltrative benign lesions: papilloma, radial scar

◼ Uncommon entities

◼ Hot topics: basal phenotype cancer

◼ Two pathologies

◼ Borderline lesions/DD

◼ Calcification in core biopsy

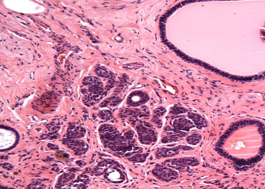
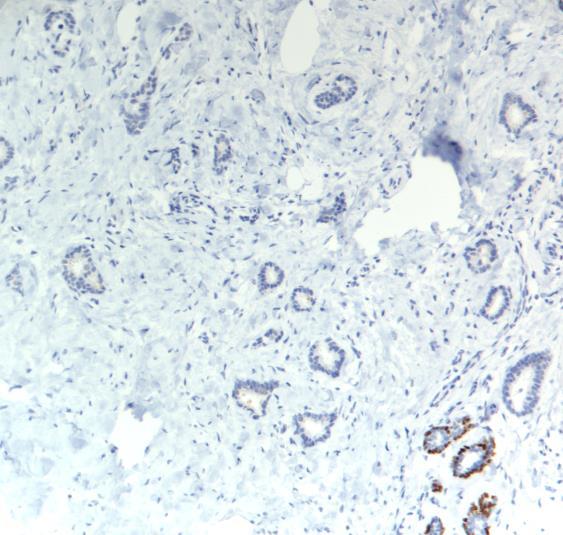
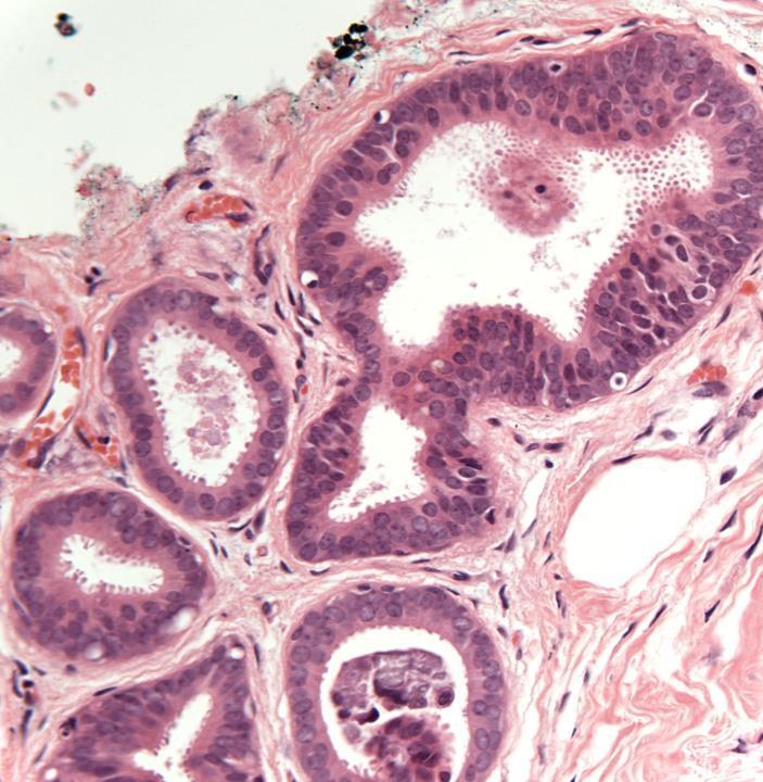
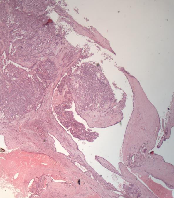
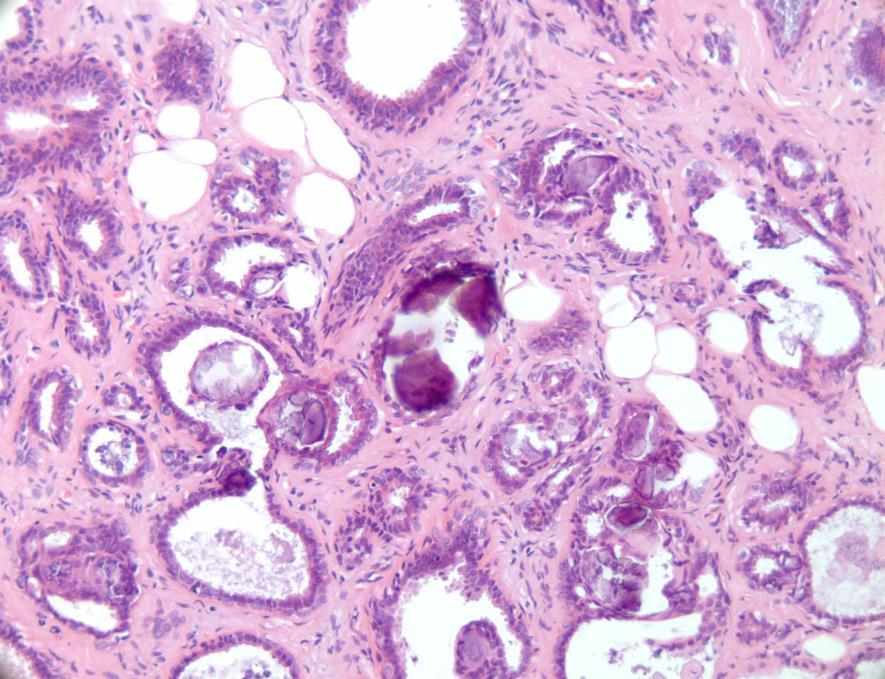
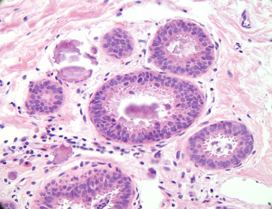
Case 12

◼ Diagnostic excision

Diagnosis

◼ Flat epithelial atypia with calcification

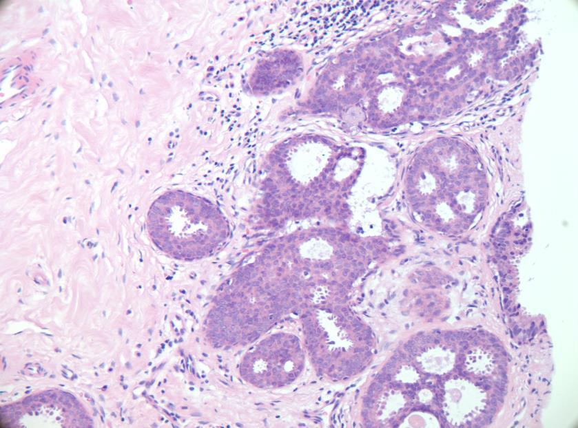
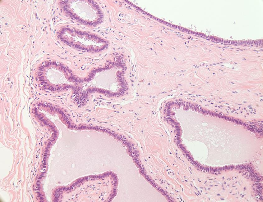
Current Classification

◼ Columnar cell change without atypia: columnar cell change/columnar cell hyperplasia

◼ Flat epithelial atypia

Note: Architectural complexity: ADH/DCIS

High grade nuclei: DCIS

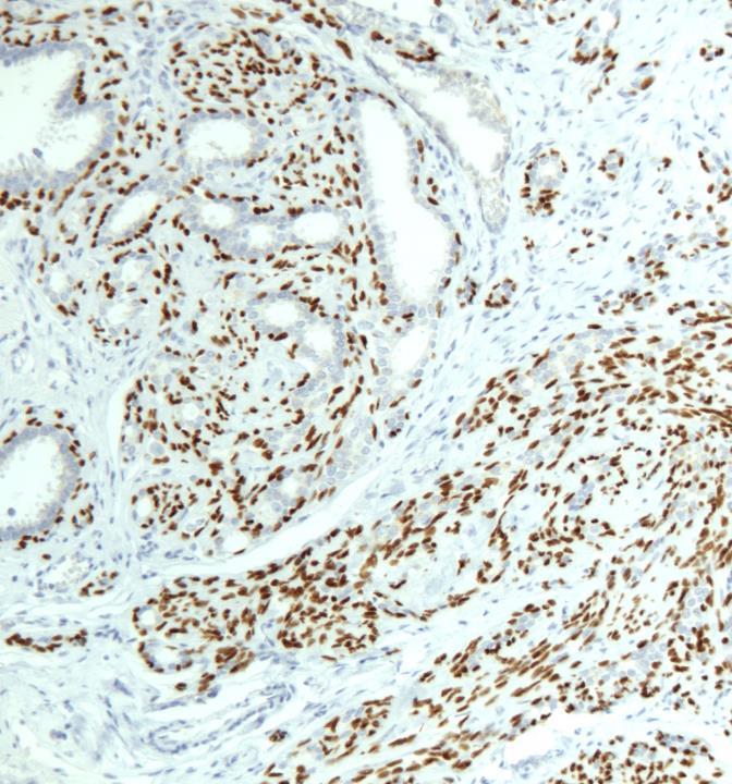
Immunohistochemistry: not helpful

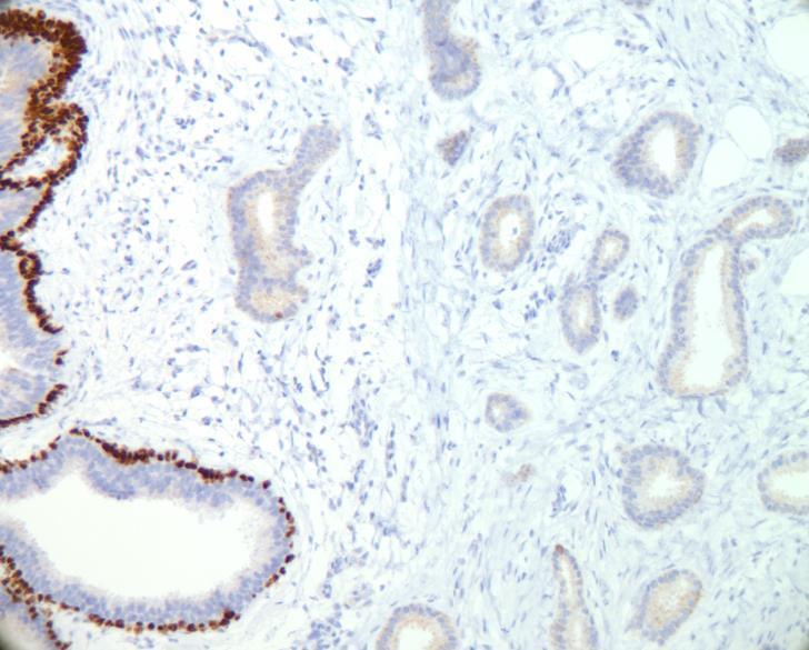
Columnar cell change

FEA

◼ Uniform rounded nuclei resembling cells of low/intermediate grade DCIS

◼ Nuclear pleomophism (not high grade)

Int contour irregular irregular smooth variable

Nuclei columnar columnar Col/cuboidal cuboidal

Cell layers 2 >2 variable variable

architect flat hyperplastic Flat/tufts Not complex complex

N/C ratio normal normal increased increased

Atypia Absent absent Present (uniform nuclei/ pleomorphism present

Management of CCC on NCB

◼ Examine cores at multiple levels (at least 3)

◼ Non atypical (CCC, columnar cell hyperplasia): B2excision not required.

◼ Atypical: FEA/atypical intraductal proliferation:B3 further tissue examination, submit all tissue, look for ADH, DCIS, invasion.

◼ High grade cytological atypia: DCIS (flat type), B5a

New B3 Management guidelines

◼ Second line VAB (VAE =Vacuum Assisted Excision) is the method of choice for further sampling of B3 lesions.

◼ This applies to all B3 lesions except: papilloma with atypia, cellular fibroepithelial lesions and other rare B3 lesions (spindle cell lesions, vascular lesions…etc).

Third International Consensus

◼ Swiss Minimal-Invasive Breast Biopsy (MIBB) Working Group

◼ Voting by experts: 11 pathologists, 12 radiologists, and 10 specialist gynecologists/specialist medical oncologists/breast surgeons from seven European countries.

◼ If a core-needle biopsy (CNB) returned as B3 lesion on histology, should the lesion be excised?

◼ If so, should it be excised using vacuum-assisted biopsy (VAB) or open surgical excision (OE)?

◼ If the VAB returned a B3 lesion on histology and if the lesion was completely removed on imaging, is surveillance acceptable or should a repeat VAB or OE be performed?

Elfgen et al Virchows Archives 2023 483, pages5–20 (2023)

Summary of atypia follow up

◼ Current UK guidelines, a yearly mammographic follow up for 5 yrs, still apply.

◼ Consult with colleagues and audit your B3 rate.

◼ ? Effect of digital reporting on atypia diagnosis.

◼ Ongoing work to refine follow up strategies.

◼ Various guidelines available for management

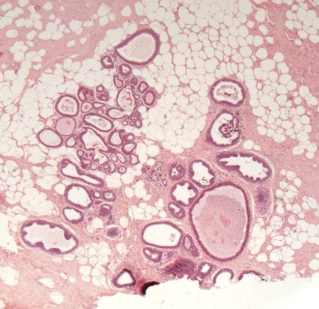
Columnar cell lesions in surgical excision

◼ With atypia: good sampling to exclude more advanced lesions.

◼ Part of low nuclear grade neoplasia lesions.

◼ Associated lesions

FEA and Lobular insitu neoplasia

Key diagnostic points

◼ FEA with relevant calcifications.

◼ No ADH, DCIS or invasive carcinoma.

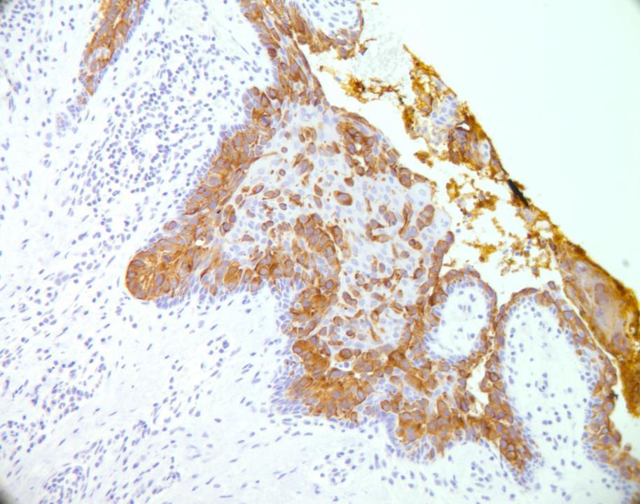
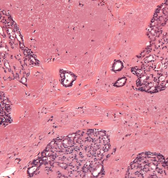
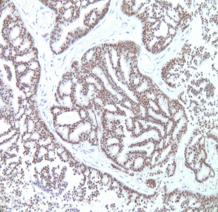
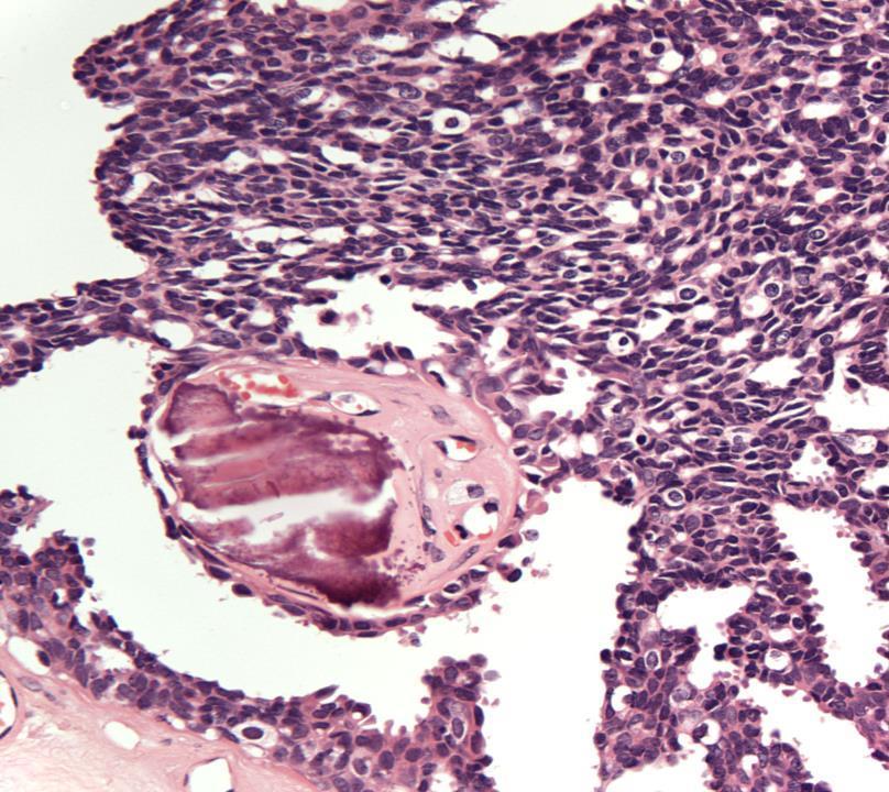
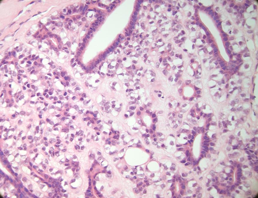
Case 4

◼ Intraduct papilloma with florid epithelial hyperplasia

and fibrosis

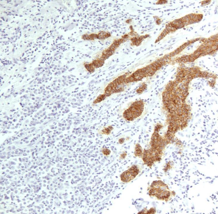
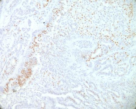
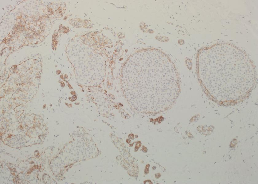
Useful Immunohistochemistry

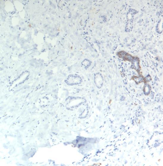
Papilloma Papillary DCIS CK5

ER Patchy pos

Uniformly pos

SMM present absent

Tips

◼ Assess the overall architecture of the lesion

◼ Look for myoepithelium

◼ Examine solid areas in detail

◼ Look for involvement of adjacent lobules (DCIS)

◼ IHC can be helpful to support your morphological diagnosis

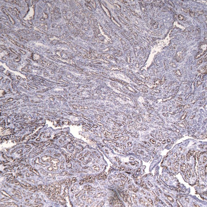
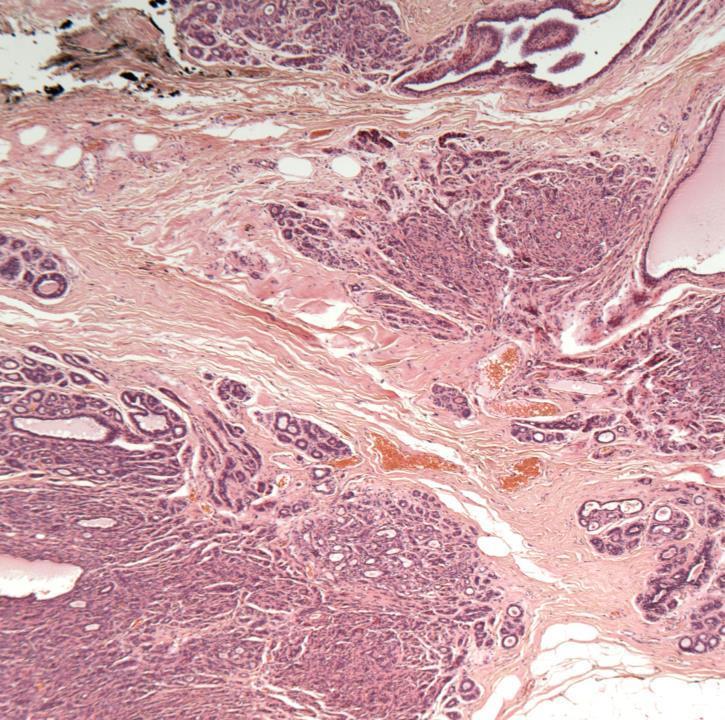
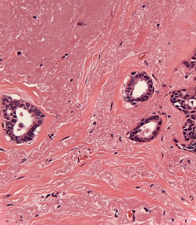
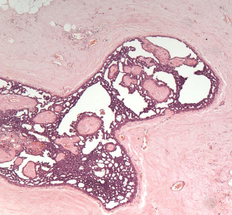
Case 9

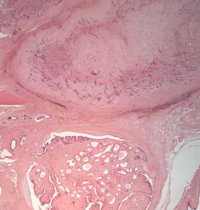
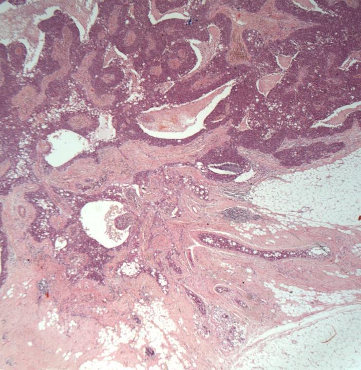
◼ sclerosed papilloma/Duct adenoma

◼ Papillomas may undergo sclerosis leading to distortion and pseudo infiltrative growth pattern DD carcinoma.

◼ Duct adenoma: solid occlusive adenosis growth pattern within a duct. Focal papillary architecture may be seen.

◼ Look for focal papillary pattern

◼ Look for myoepithelium

◼ IHC for myoepithelium: SMM, p63

Case 13

◼ DCIS in a papilloma/papillary DCIS, with post surgical changes

Case 15

Atypical lobular hyperplasia (ALH), fibrocystic change

Tips

◼ Look for discohesion (lobular neoplasia).

◼ E-cadherin: negative in lobular neoplasia

◼ Beta catenin: negative in lobular neoplasia

◼ P120: Cytoplasmic in LCIS

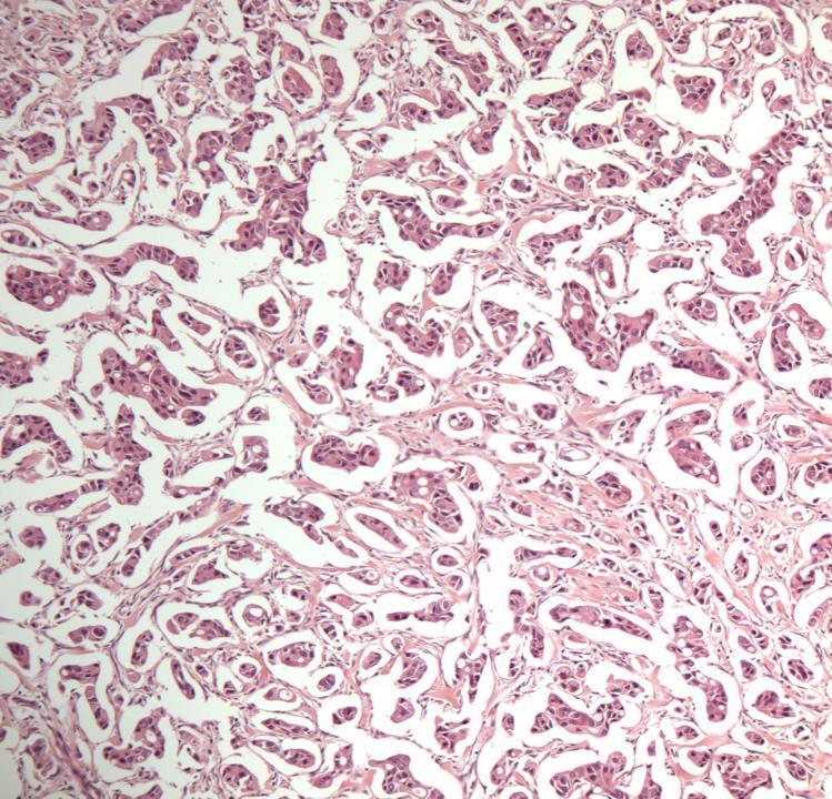
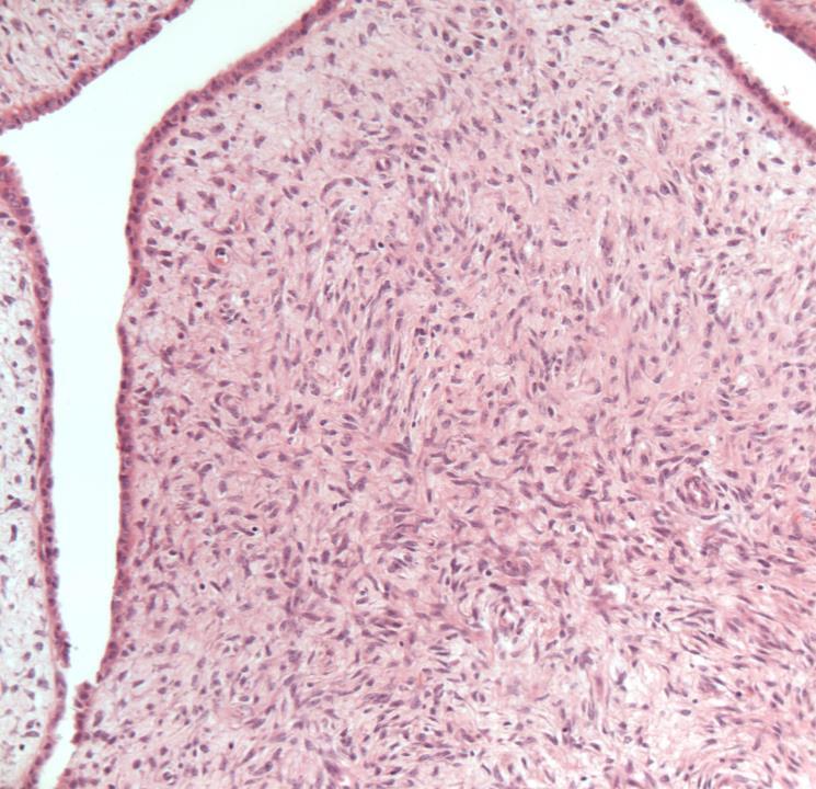
Case 3

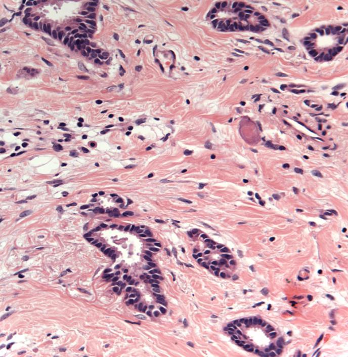
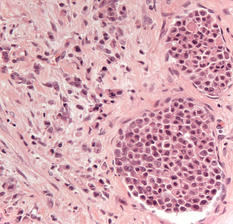
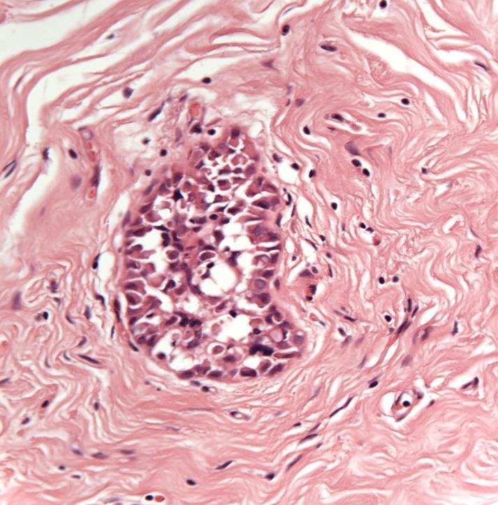
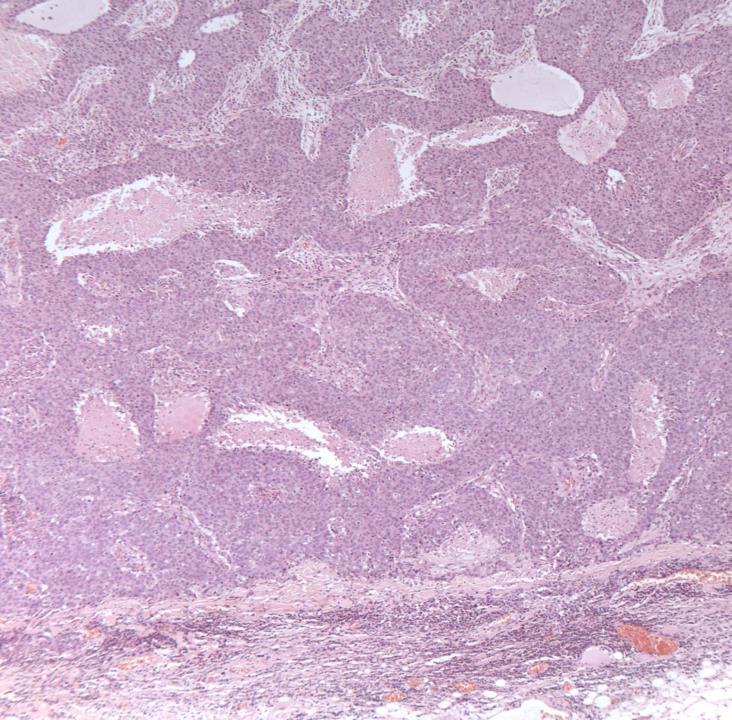
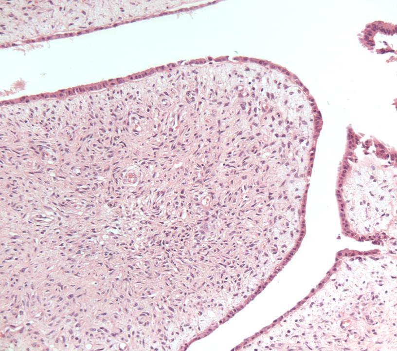
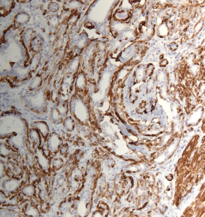
◼ Adenomyoepithelioma with calcification

Adenomyoepithelioma

◼ Spindle, tubular, lobulated (most common).

◼ Well circumscribed/infiltrative lesion

◼ Fibrous septa with central hyalinization/infarction : common in lobulated lesions.

◼ Cells: clear, eosinophilic, plasmacytoid.

◼ Satellite nodules can be seen.

◼ Mitotic activity 2 or less/10hpf.

◼ Both epithelial and myoepithelial components can undergo malignancy.

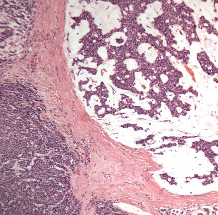
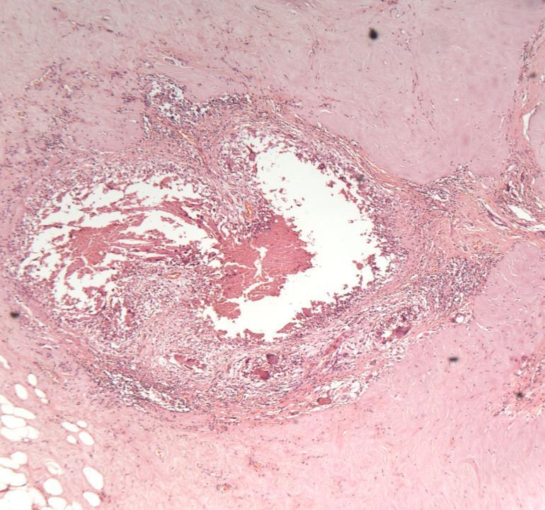
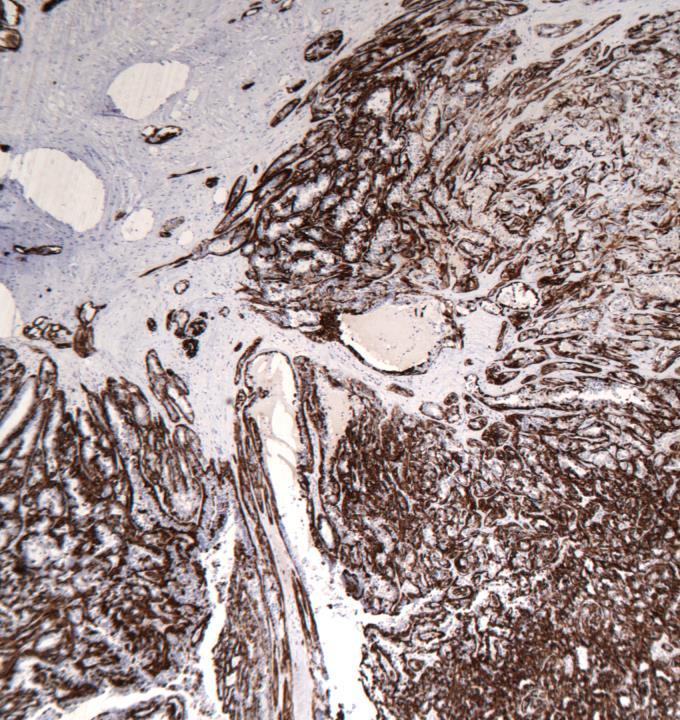
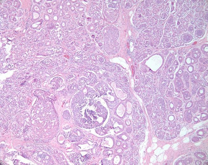
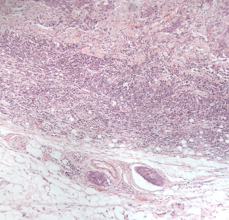
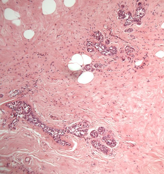
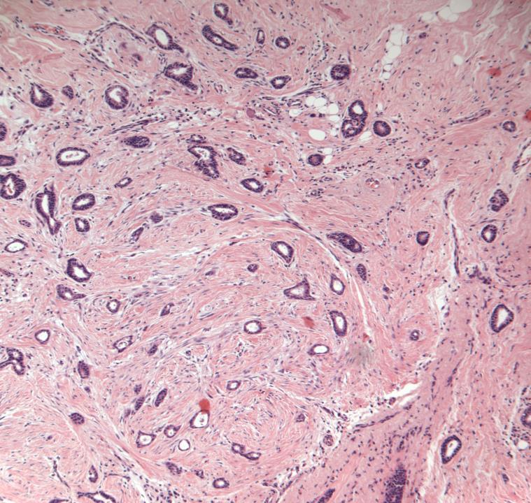
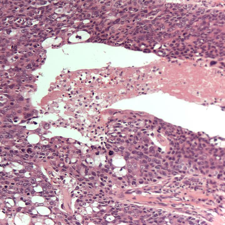
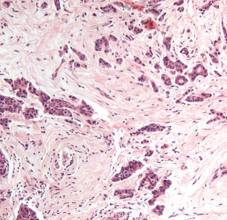
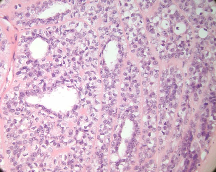
Case 7

◼ Invasive ductal NST carcinoma, grade 1

◼ Sclerosing adenosis

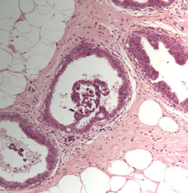
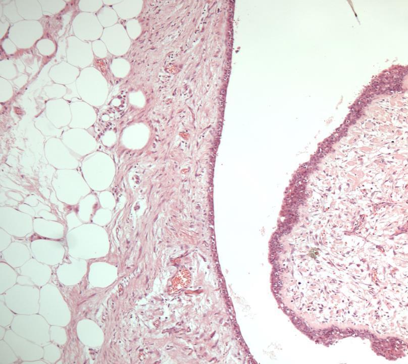
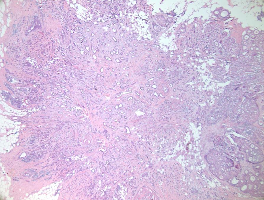
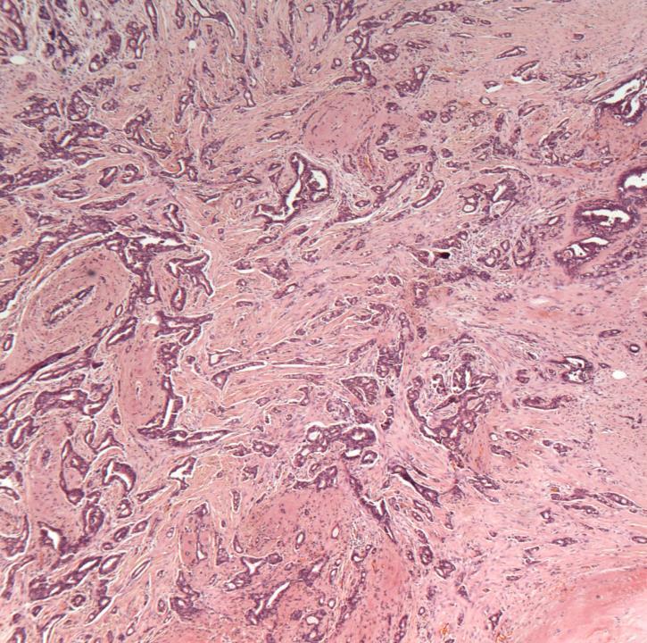
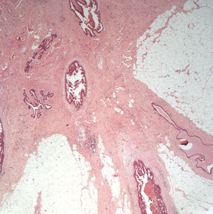
Case 11

◼ Radial scar.

◼ No atypia or malignancy.

◼ Radial scar/complex sclerosing lesion:

Architecture

Fibroelastotic stroma preserved myoepithelium

No epithelial atypia

DD

Tubular Carcinoma/grade 1 carcinoma

◼ Absent myoepithelium

◼ Desmoplastic stroma

◼ Epithelial atypia

Radial scar

◼ On core biopsy: B3

◼ Comment on presence/absence of atypia

◼ Second line VAB (VAE)

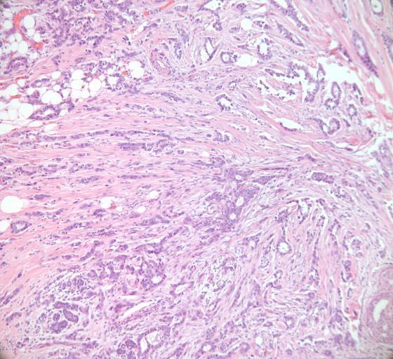
Case 1

◼ Mixed ductal NST and lobular carcinoma with DCIS and LCIS/PLCIS

◼ E-cadherin can be helpful.

❑ Note: e-cadherin can show heterogeneous/aberrant expression.

❑ Beta catenin and p120 can help in difficult cases.

Beta catenin

Case 8

◼ Invasive mixed lobular and mucinous carcinoma with DCIS

Case 10

◼ Invasive no special type (NST) carcinoma with basal like features.

◼ Lymphovascular invasion

Morphological features of basal tumours

◼ Pushing margin

◼ Central scarring/necrosis

◼ Syncytial growth pattern

◼ Prominent lymphocytic infiltrate

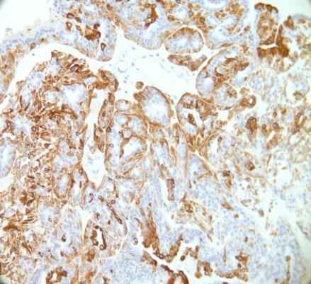
Basal cytokeratins

◼ CK5 (or CK5/6)

◼ CK14

◼ Others : p63, EGFR

Medullary carcinoma

◼ This terminology was dropped in the Blue WHO Book (published Dec 2019).

◼ Invasive ductal carcinoma with medullary like features to be used.

◼ UK guidelines being updated.

◼ Metaplastic carcinoma, grade 3

DCIS

Current WHO Classification for Metaplastic ca

◼ Squamous cell carcinoma

◼ Spindle cell carcinoma

◼ Carcinoma with mesenchymal differentiation

◼ Low grade adenosquamous ca

◼ Fibromatosis like ca

◼ Mixed

All have a basal phenotype

Case 6

◼ Invasive lobular carcinoma invading muscle

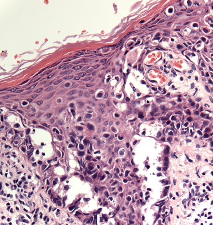
Case 2

◼ Melanoma

◼ Squamous cell carcinoma in situ

◼ Clear cell change/Toker cell hyperplasia

◼ Paget’s disease of nipple with DCIS

Paget’s cells

◼ Positive for EMA, low molec wt cytokeratin

◼ Majority Her2 positive

◼ May express ER, PR

◼ Negative for HMB45, Melan A (and also S100)

Clues

◼ Look for underlying DCIS/invasion.

◼ Paget’s cells may lie singly in all layers of epidermis or as basal clusters

◼ Look for melanin, junctional activity, full thickness dysplasia

Case 5

◼ Invasive micropapillary carcinoma

Case 16

◼ Mammotome core biopsy for calcs, R3

◼ Invasive tubular carcinoma (B5b).

◼ Look for calcification and comment on its presence/absence

◼ Angulated tubules without conspicuous myoepithelium: suspect invasion, do myoepithelial markers to confirm.

Case 17

◼ Increasing calcifications from previous screen, history of WLE for DCIS

◼ Fat necrosis, haemosiderin deposition, scarring

◼ Calcification of appropriate size

◼ No DCIS or invasive carcinoma

◼ Dystrophic calcification- B2

Case 18

◼ U/S guided core biopsy of a solid mass

◼ Myxoid fibroadenoma

– B2

◼ A minority can be associated with Carney’s syndrome: Familial condition of cutaneous and cardiac myxomas, spotty cutaneous pigmentation, endocrine overactivity and melanotic schwannoma.

◼ Most patients with myxoid fibroadenomas, however, do not have a systemic abnormality: discuss at the MDT meeting

Case 19

◼ Fibroepithelial lesion

◼ Stromal overgrowth

◼ Stromal cellularity

◼ Leaf-like pattern

◼ Stromal atypia

◼ Infiltrative margin

◼ Phyllodes tumour (borderline)

◼ Cellular fibroepithelial lesion and benign phyllodes are managed similarly.

◼ Borderline and malignant phyllodes: excision with margin.

DD: Spindle cell lesion on core biopsy

◼ Look for biphasic pattern

◼ Look for DCIS

◼ A panel of cytokeratins (including basal cytokeratins) to exclude metaplastic carcinoma

Technical considerations

B coding

Benign lesions mimicking malignant

Malignant lesions mimicking benign lesions

Metastases

Non epithelial lesions

Pitfalls in hormone receptors

Birmingham Breast Pathology Update Course

◼ Friday 7 November (first week of November each year)

◼ One day virtual with slide seminar

◼ 7CPD credits

◼ https://birminghambreastpathology.co.uk/ bbpuc-register/ Thank you

Turn static files into dynamic content formats.

Create a flipbook
Issuu converts static files into: digital portfolios, online yearbooks, online catalogs, digital photo albums and more. Sign up and create your flipbook.