Jaarverslag monitoring 2024

Page 1


Inhoud

Voorwoord 3

1 Monitoring: zo doen we dat Interview met prof. dr. Ron Fouchier van het Erasmus MC 4

2 Tijdlijn: een jaaroverzicht van belangrijke bevindingen uit en ontwikkelingen in de monitoring 12

3 Samenwerking: in gesprek met dr. Els Broens van het Veterinair Microbiologisch Diagnostisch Centrum (VMDC), faculteit Diergeneeskunde 22

4 Verdiepingen: interessante casussen uit de monitoring rundvee, varken, pluimvee, kleine herkauwers en paard 28

5 De mensen van GD achter de monitoring 50

Het Jaarverslag Monitoring Diergezondheid geeft een overzicht van de diergezondheid over 2024. Het is een productie van Royal GD, team monitoring en marketingsupport & communicatie. Het copyright ligt volledig bij Royal GD. De resultaten in deze publicatie mogen niet zonder schriftelijke toestemming van de auteurs of de leden van de Begeleidingscommissie Monitoring Diergezondheid verwerkt of gebruikt worden (bijvoorbeeld in wetenschappelijk onderzoek) tenzij sprake is van citatie. Op citaties is auteursrecht van toepassing.

Voorwoord

Verrassingen. We kennen ze allemaal. Vaak hoop je dat ze aangenaam zijn: een onverwachte ontmoeting met een oude vriend, een leuke attentie in de brievenbus of een meevaller… Soms heb je te maken met onaangename verrassingen, zoals een onverwachte ziekte-uitbraak. Partijen betrokken bij veterinaire gezondheid weten maar al te goed hoe belangrijk het is om ook op deze verrassingen voorbereid te zijn.

Neem bijvoorbeeld de uitbraak van mond-en-klauwzeer in Duitsland begin dit jaar. Het was een schok, een bevinding die iedereen weer op scherp zette. Ook de opkomst van de nieuwe blauwtongvariant (BTV-12) herinnerde ons eraan hoe plotseling een ziekte die niet in Nederland voorkomt kan opduiken. Dreigingen zoals Afrikaanse varkenspest en schapen- en geitenpokken onderschrijven ook het belang van continue alertheid.

Samenwerking binnen en buiten de landsgrenzen, korte communicatielijnen en het delen van informatie zijn cruciaal om het volledige plaatje te krijgen en snel te kunnen reageren. We spraken hierover met viroloog prof. dr. Ron Fouchier van het Erasmus MC in het kader van ontwikkelingen rondom hoog pathogene aviaire influenza. Daarnaast gingen we in gesprek met dr. Els Broens, hoofd van het Veterinair Microbiologisch Diagnostisch Centrum van de Universiteit Utrecht, over het belang van structurele monitoring bij gezelschapsdieren.

Uit het veld komen ook voortdurend signalen die helpen om het plaatje compleet te krijgen. In de verdiepende hoofdstukken van ons jaarverslag komen deze signalen aan bod. Van blauwtong bij herkauwers en resistentie in de varkenshouderij tot het belang van bioveiligheid bij rhinopneumonie en een zeldzame Brachyspira-stam bij pluimvee.

Met de diergezondheidsmonitoring en de vele samenwerkingen zetten we in op het voorkomen en beperken van onaangename verrassingen. Elk stukje informatie, elke samenwerking, elk signaal telt.

Een groot dankwoord aan iedereen die in 2024 op deze wijze aan de diergezondheidsmonitoring heeft bijgedragen!

Lotte Roos, Coördinator Diergezondheidsmonitoring Landbouwhuisdieren & Paard

1

Diergezondheidsmonitoring is belangrijk voor diergezondheid en dierenwelzijn, het beschermen van de volksgezondheid en de exportpositie van Nederland.

In Nederland leven veel mensen en dieren samen op een klein oppervlak. Daarom is het belangrijk dat we een systeem hebben dat de gezondheid van dieren in Nederland constant en nauwkeurig in de gaten houdt. De overheid en veehouderijsector hebben samen met Royal GD de diergezondheidsmonitoring opgezet. GD voert deze monitoring uit.

Monitoring: zo doen we dat

De diergezondheidsmonitoring biedt een breed vangnet voor het zo vroeg mogelijk opvangen van signalen over diergezondheid. Het systeem is laagdrempelig en vrijwillig. De signalen zijn afkomstig uit de sectoren rund, varken, pluimvee, schaap, geit en paard. Ze komen van dierhouders, dierenartsen, verwerkende industrie, onderzoeksinstituten en instanties die zich inzetten voor de volksgezondheid. De monitoring onderzoekt, bundelt en analyseert deze signalen. De uitkomsten van de monitoring worden gedeeld met dierhouders, dierenartsen en betrokken partijen, zoals overheid, veehouderijsector, humane gezondheidszorg en (mits relevant) omringende landen. Zo kunnen zij, indien nodig, actie ondernemen.

Drie doelen

Diergezondheidsmonitoring is essentieel voor de gezondheid en het welzijn van dieren, mensen en de Nederlandse economie. Daaruit volgen de volgende monitoringsdoelstellingen:

• Opsporen van uitbraken van bekende ziekteverwekkers die, voor zover bekend, niet in Nederland voorkomen;

• Opsporen van onbekende aandoeningen of ziekteverwekkers;

• Zicht houden op trends en ontwikkelingen in de veehouderij.

Animal Health Regulation (AHR)

De Europese regels om dierziekten te voorkomen en te bestrijden zijn vastgelegd in de Europese diergezondheidsverordening, de Animal Health Regulation (AHR). Deze verordening bepaalt dat elke lidstaat een systeem moet inrichten om aangewezen en opkomende (nieuwe) dierziekten bij landbouwhuisdieren en paarden te monitoren. De AHR is sinds 2021 van kracht. Sindsdien zijn de monitoringsprogramma’s voor het bewaken en opsporen van aangewezen dierziekten en relevante nieuwe ziekten een wettelijke taak van de Nederlandse overheid. Het ministerie van Landbouw, Visserij, Voedselzekerheid en Natuur (LVVN) heeft GD, als uitvoerder van deze monitoringsprogramma’s, aangewezen als rechtspersoon met een wettelijke taak.

Hoe werkt het?

Stap 1 – Verzamelen

De diergezondheidsmonitoring verzamelt signalen uit het veld, zowel reactief als proactief. Deze informatie geeft inzicht in trends en ontwikkelingen in diergezondheid.

Reactieve monitoringsinstrumenten

Bij de reactieve instrumenten ligt het initiatief bij veehouders, dierenartsen en andere erfbetreders. Doel is het breed opvangen van zoveel mogelijk signalen uit het veld.

Reactieve instrumenten zijn:

• Veekijker en Helpdesk Paard

De telefonische helpdesken voor dierenartsen en dierhouders waar ervaren en gespecialiseerde GDdierenartsen kosteloos deskundige hulp en advies op maat bieden.

• Pathologie

Dierhouders en dierenartsen kunnen dieren inzenden voor pathologisch onderzoek. Hiermee kunnen ze inzicht krijgen in doodsoorzaken en/of bedrijfsproblemen of juist bepaalde zaken uitsluiten.

• Veterinaire Monitoring Pluimvee (VMP)

Een samenwerkingsverband tussen een aantal pluimveepraktijken en GD. Dierenartsen leveren op vrijwillige basis digitaal informatie aan over pluimveegezondheid, zoals toegediende vaccinaties en bevindingen van bedrijfsbezoeken.

• Online Monitor

In opdracht van de varkenshouder leggen dierenartsen na elk bedrijfsbezoek de klinische signalen (en eventuele diagnose) vast in de Online Monitor. Zo houden we zicht op trends in de varkensgezondheid in Nederland.

• Veterinaire Milieutoxicologie

Ondersteuning voor dierhouders en dierenartsen bij de vraag of diergezondheidsproblemen te maken hebben met milieuverontreiniging. Het vroeg signaleren van dit soort problemen kan voorkomen dat ze uitgroeien tot volksgezondheidsrisico’s en economische schade.

Proactieve monitoringsinstrumenten

Bij de proactieve instrumenten ligt het initiatief voor informatieverzameling bij GD. Proactieve instrumenten zijn:

• Data-analyse

Analyse van geanonimiseerde data brengt trends en ontwikkelingen van algemene gezondheidskenmerken en aandoeningen in beeld. Hiervoor worden gegevens gebruikt vanuit het labonderzoek en van diverse dataleveranciers. Denk aan gegevens over onder andere melkproductie, melkkwaliteit, vruchtbaarheid, antibioticumgebruik, dierverplaatsingen en sterfte.

• Prevalentieonderzoek

Regelmatig wordt onderzoek uitgevoerd naar de mate van voorkomen van (endemische) dierziekten. Deze dierziekten worden gekozen op basis van criteria als economische schade, belang voor de volksgezondheid en de mogelijkheid tot het nemen van maatregelen.

• Bewakingsprogramma’s

Voor een aantal dierziekten schrijft Europese regelgeving onderzoek bij een deel van de Nederlandse veestapel voor, om de aanwezigheid van de betreffende ziekten uit te sluiten. GD voert bewakingsprogramma’s uit voor onder andere brucellose en aviaire influenza.

Stap 1: Verzamelen
Stap 2: Analyseren
Het vertalen van informatie uit de monitoring naar de praktijk is dé grote meerwaarde van dit unieke systeem

Stap 2 – Analyseren

Regelmatig bespreken en analyseren de Veekijkerdierenartsen samen met andere GD-experts alle signalen en uitkomsten in het Veekijkeroverleg.

Stap 3 – Concluderen

GD schrijft voor elke sector rapportages met de conclusies en eventuele aanbevelingen voor vervolgacties.

Stap 4 – Informeren

De uitkomsten van de monitoring delen we periodiek met de overheid, veehouderijsector, veehouders en dierenartsen, humane gezondheidszorg en omringende landen. Als er mogelijk (acuut) risico voor dier en/of mens is, neemt GD direct contact met de betreffende partijen op. De overheid en sectorpartijen besluiten of vervolgacties voor de veehouderij nodig zijn zoals extra onderzoek, communicatie of aanpassingen van beleid.

Informatie uit de monitoring delen we via de monitoringsrapportages, Veekijkernieuws, website, nieuwsbrieven, vakbladen (zoals Veterinair) én onze podcasts. We delen de informatie ook via kanalen buiten GD zoals het Tijdschrift voor Diergeneeskunde. Daarnaast hebben we een WhatsApp-service waarmee we dierenartsen snel op de hoogte kunnen brengen van belangrijk nieuws uit de monitoring. Ook netwerken zoals het kennisnetwerk kleine herkauwers, monitoringsbijeenkomsten en nationale en internationale congressen zijn belangrijk.

Op de hoogte blijven?

In het Veekijkernieuws geven we, per diersoort, een terugkoppeling van opvallende zaken uit de monitoring. Wilt u het meest actuele monitoringsnieuws ook in uw postvak ontvangen? Meldt u dan aan via: www.gddiergezondheid.nl/email

In de podcast ‘Trends uit de monitoring’ bespreken onze experts opvallende signalen uit de diergezondheidsmonitoring. De podcast is te beluisteren via de website van GD en Spotify. Abonneren op de podcast kan via: www.gddiergezondheid.nl/podcasts.

Stap 3: Concluderen

Stap 4: Informeren

“In 2024 werd hoog pathogene aviaire influenza (HPAI) onder meer gevonden in runderen en mensen in de Verenigde Staten (VS). Dat had ook gevolgen voor de humane en dierziektemonitoring in Nederland. Het HPAI-virus is lastig te bestrijden, maar dankzij de sterke samenwerking in de Nederlandse monitoringstructuur zitten we erbovenop.

Ron Fouchier, professor Moleculaire Virologie, influenza-expert en vervangend hoofd van de afdeling Virologie van het Erasmus MC

HPAI, waaronder H5N1, is een sectoroverschrijdend thema in de monitoring. Vogelgriep is inmiddels wijdverspreid in wilde vogels en tegenwoordig jaarrond aanwezig in Europa. Voorheen ging het in Nederland vaak alleen om een piek in de wintermaanden, maar sinds 2020 zijn deze virussen eigenlijk continu aanwezig. Elk voorjaar is er kans op een nieuwe influx via trekvogels uit Afrika en Zuid-Europa, en elke herfst door trekvogels vanuit Noordoost-Europa en Azië. Het virus blijft steeds weer veranderen; een andere gastheer, een andere locatie of nieuwe eigenschappen… Dat maakt HPAI erg lastig om te bestrijden. Het is moeilijk te voorspellen wat de volgende stap zal zijn en waar je je ditmaal op moet voorbereiden.

Zoogdieren besmet

Sinds 2021/2022 zien we steeds vaker HPAI-virussen in zoogdieren. In eerste instantie in wilde carnivoren, zoals vossen en marters, ook in Nederland. En in zeezoogdieren, zoals de zeeleeuwen en zeeolifanten, die in 2023 massaal stierven in Zuid-Amerika. Wanneer we dat soort signalen krijgen vanuit wilde zoogdieren moeten we ook naar

gehouden zoogdieren kijken. Als bijvoorbeeld vossen geïnfecteerd raken, moet je ook honden en katten gaan bestuderen. En landbouwhuisdieren. In 2024 werden gevallen van vogelgriep gezien bij rundvee in de VS en ook de eerste gevallen bij varkens kwamen daar voor. In Europa hadden we recent ook gehouden pelsdieren als slachtoffers van dit soort virussen, maar die hebben we in Nederland niet meer. Allerlei zoogdieren staan daarom momenteel in onze belangstelling. Je moet weten wat er gebeurt.

Screenen bij runderen

Naar aanleiding van de uitbraak in de VS hebben we in 2024 ook in Nederland bij runderen gescreend. In Europa is vogelgriep in runderen nog niet aangetroffen. In de VS daarentegen gaat het inmiddels om meerdere HPAI-virussen. Het is niet uit te sluiten dat wij er in Europa ook mee te maken krijgen. Er is wel een groot verschil tussen de rundveehouderij in de VS en die in Europa, en zeker Nederland. In de VS zijn de aantallen dieren per bedrijf veel groter en deze dieren worden bovendien heel vaak verplaatst naar ‘groenere weides’. De rundveesector hier is anders ingericht; er vindt veel minder transport en vermenging van populaties plaats. Daarmee is bij infectie de kans op verspreiding veel kleiner. Ook is de manier waarop wij monitoren beter; wij hebben daar goede systemen voor. Alleen al door de productiemonitoring in de rundvee- en pluimveehouderij komen problemen snel naar boven, nog voordat je zelfs maar diagnostiek hebt gedaan bij dieren. Dankzij onze monitoringsstructuur kunnen we problemen heel snel herkennen en direct aanpakken.

Voorbereid zijn

“Vogelgriep is een echt One Healthprobleem waarbij we nauw samenwerken”

We moeten er rekening mee houden dat HPAI-virussen voorlopig niet verdwijnen uit wilde vogels en ook zoogdieren kunnen treffen. In Nederland zijn al HPAI-seropositieve verwilderde katten gevonden en in Polen hebben we zelfs huiskatten gezien die ziek werden nadat ze gevoerd waren met geïnfecteerd rauw kippenvlees. De monitoring bij mensen in Nederland is aangescherpt vanwege het zoönotische risico dat HPAI inmiddels oplevert. Bij een uitbraak op een pluimveehouderij worden nu bijvoorbeeld ook de betrokken dierverzorgers, dierenartsen en ruimers gemonitord op eventuele infecties.

Varkens

Varkens zijn bekende gastheren voor griepvirussen, in tegenstelling tot koeien waar we dat afgelopen jaar eigenlijk pas voor het eerst zagen. Bij varkens in Nederland loopt sinds enkele jaren een pilotstudie surveillance varkensgriep om circulerende virussen in kaart te brengen. Dat is een samenwerking tussen GD, het RIVM, WBVR en het Erasmus MC in opdracht van de ministeries van VWS en LVVN. Ook dierenartspraktijken zijn hier nauw bij betrokken. De ministeries hebben gevraagd om ook vogelgriep in deze surveillance mee te nemen. Dat doen we, maar de dekking over Nederland is niet 100 procent zoals in de pluimveehouderij. Daar worden alle bedrijven gemonitord, in de varkenshouderij gaat het om een kleine selectie over Nederland verspreid.

Steeds nauwer samenwerken

Het wordt steeds duidelijker dat HPAI geen opgave is voor één pijler of sector. Het is echt een One Health-probleem. Je ziet dan ook dat alle partijen, zoals GD, het RIVM, WBVR, de UU en het Erasmus MC, steeds nauwer gaan samenwerken. De risico’s voor mensen en dieren zijn namelijk nauw met elkaar verbonden. We doen dat binnen diverse monitoringsen onderzoeksprogramma’s, van wilde vogels en zoogdiermonitoring tot onderzoek bij mensen. Je merkt dat die samenwerking ook steeds soepeler gaat lopen. We weten elkaar tegenwoordig uitstekend te vinden. Iedereen is uit de eigen toren gekomen en we zijn het samen gaan doen.”

Strong One Health

Meerdere gezamenlijke onderzoeksprogramma’s worden momenteel uitgerold door partijen uit de monitoring. Vorig jaar startte bijvoorbeeld het programma Strong One Health (Strong1H). Europa heeft geld beschikbaar gesteld om eventuele gaten die vallen tussen de grote reguliere monitoringprogramma’s op te sporen en in te vullen. Het onderzoek draait om vogel- en varkensgriep en het westnijlvirus bij verschillende diersoorten. Strong1H is een consortium bestaande uit Wageningen Bioveterinary Research (WBVR), GD, het Erasmus MC, de Universiteit Utrecht/Dutch Wildlife Health Centre (UU/ DWHC) en het RIVM.

Veekijkerdierenartsen • 6 Dierenartsen Paard • 104 Bedrijfsbezoeken • 9 Pathologen

Vroegsignalering • Laagdrempelig to produce • Reactief-Proactief • Data-analyse • 6.429 Pathologische onderzoeken • 10 Monitoringsrapportages • One Health

Internationaal • Kennisdeling • Overheid Zoönosen • Opkomende dierziekten

2024

januari februari

Waterdeprivatie tijdens vorst • Gedurende de vorstperiode kreeg de Veekijker melding van acute uitval van hoogdrachtige schapen, die dood werden gevonden in de weide of langs de sloot. Dieren die leefden vertoonden neurologische verschijnselen. De waterbakken bleken bij nadere inspectie bevroren. Bij onvoldoende beschikbaar drinkwater bestaat een verhoogd risico op zoutintoxicatie. In dezelfde periode zijn soortgelijke signalen binnengekomen bij runderen, waarbij sectie afwijkingen passend bij zoutintoxicatie aantoonde. Tijdens vorstperioden dient de drinkwatervoorziening van vee meerdere keren per dag te worden gecontroleerd.

Blindheid bij schapen • In januari ontving de Veekijker vragen over koppels schapen met infectieuze keratoconjunctivitis. Ze vertoonden op een of beide ogen een witte waas, knipperden vaak en hadden een traanstreep bij het aangetaste oog. De schapen hadden jeuk aan de kop, alopecia, een verdikte huid met pushaarden en oedeem. Pathologisch onderzoek toonde ernstige, chronische, eosinofiele dermatitis door schurft. Schurftinfecties kunnen heftig verlopen en de algehele immuniteit zwaar aantasten. In koppels met schurftinfecties worden vaak andere ziektebeelden gezien. Oogproblemen kunnen secundair ontstaan door schuren van de kop.

Uitbraak E. coli op melkgeitenbedrijf • Pathologisch onderzoek op melkgeiten duidde op sterfte als gevolg van sepsis door E. coli. Na aanhoudende problematiek, abortus en uitval van ruim vijftig volwassen dieren zijn opnieuw dieren ingestuurd, die het beeld van een coli-sepsis bevestigden. Het antibiogram van gevonden isolaten wees op een voor antibiotica gevoelige stam. In de zoektocht naar de oorsprong van de infectie is bronwater onderzocht. Een hoog kiemgetal gaf aanleiding om ook een kweek op drinkwater uit te voeren en te onderzoeken of de coliformen in het drinkwater gelijk waren aan die uit de secties. Een clusteranalyse toonde geen clustering aan. De problemen stopten na overgang van bronwater op leidingwater.

Update BTV-3 in Nederland • Eind 2023 ontstonden op basis van pathologische bevindingen aanwijzingen voor verticale overdracht van BTV-3: bij drie doodgeboren of verworpen kalveren werd BTV aangetoond in de milt. In het eerste kwartaal van 2024 werd een onvoldragen, afwijkend kalf geboren op een bedrijf waar in oktober 2023 klinische verschijnselen waren waargenomen. Het kalf werd verworpen op een drachtlengte van 7 maanden en had een hydranencefalie (waterhoofd). BTV werd met een lage Ct-waarde (grote hoeveelheid virus) aangetoond met een PCR op miltweefsel. Belangrijke andere infectieuze oorzaken werden uitgesloten. Lees meer over deze casus in hoofdstuk 4.

Foto: Verworpen kalf met hydranencefalie.

Zenuwproblemen bij gespeende biggen

• Analyse in 2024 van data van de Online Monitor Varken lieten zien dat in 2023 bij 10 tot 12 procent van de Nederlandse bedrijven met gespeende biggen, melding gemaakt is van zenuwverschijnselen. In juli en augustus werd een significante toename ten opzichte van juni waargenomen in de regio Noordwest-Nederland. Statistisch onderzoek liet echter zien dat er geen significant verband was tussen meldingen van zenuwstelselproblemen en specifieke dierenartspraktijken. De lichte toename in de Online Monitor kon daarom niet verklaard worden door een nieuw of veranderend ziektebeeld, maar door een toevallige tijdelijke verandering in de incidentie.

Zenuwstelselproblemen bij gespeende biggen

Oost-Nederland Zuid-Nederland Noord-/West-Nederland

Figuur: Percentage UBN’s met zenuwstelselproblemen bij gespeende biggen.

Porcine Circovirus type 3 bij abortus • In januari 2024 werd de Veekijker betrokken bij een casus van verwerpers bij gelten en zeugen. Pathologisch onderzoek uitgevoerd op de ingezonden foetussen toonde fibrose als gevolg van een ontstekingsreactie in de hartspier van de (5 dagen te vroeg geboren) foetussen aan. Deze verschijnselen zijn een bekend teken van circovirus-infecties in de baarmoeder. Via verder moleculair biologisch onderzoek bleek PCV-3 duidelijk aanwezig in de laesies, met aanwezigheid van veel virusdeeltjes (Ct<10).

Onverklaarbare bleke biggen • Bij een biologisch zeugenbedrijf nam het aantal bleke biggen op 3 weken leeftijd flink toe. Deze biggen werden acuut bleek, dun en stopten met eten. Ze hadden bruinoranje diarree. Bleke biggen lopen een groeiachterstand op en worden vaak slijters. Bleekheid is een teken van anemie (bloedarmoede). Deze veehouder behandelde al routinematig met ijzer om anemie te voorkomen, in combinatie met een behandeling tegen coccidiose. Na evaluatie van de bloeduitslagen adviseerde de Veekijker om de bleke biggen extra ijzer te geven. Daarna zijn ze weer gaan eten.

Salmonella Pullorum-uitbraak bij hobbypluimvee • In februari ontving GD van een dierenspeciaalzaak jonge kuikens van verschillende rassen met verminderde groei, vermagering, diarree en sterfte. Na sectie werd Salmonella Pullorum (SP) aangetoond. SP veroorzaakt de ziekte van Pullorum ('wittekuikendiarree'). Volwassen dieren zijn symptoomloos drager en kunnen de ziektekiem verspreiden via het ei naar de nakomelingen. Aanvullend brononderzoek bij twee leveranciers van de dierenspeciaalzaak toonde deze kiem aan in bebroede eieren en in dons. Een fokkoppel had antistoffen tegen SP. Genetisch onderzoek op de aangetoonde stammen gaf aan dat drie verschillende bronnen betrokken waren.

Laagpathogene aviaire influenza • In 2024 werden op enkele tientallen pluimveebedrijven, verspreid over het land, antistoffen tegen laagpathogene aviaire influenzavirus (LPAI) aangetoond. Naast antistoffen werd op enkele bedrijven ook het virus gedetecteerd. In januari werd op een bedrijf met ernstige kliniek H5N1-virus aangetoond. Er werd een verhoogde sterfte en een zeer ernstige daling van de voeropname en productie waargenomen. Deze casus is ook beschreven in het jaarverslag van 2023. Het merendeel van de LPAI-besmettingen werd aangetoond in legkoppels met uitloop, hierbij werd een grote verscheidenheid aan H- en N-typen vastgesteld.

SEIN

2.0 jaaroverzicht paard • SEIN (Surveillance Equine Infectieziekten Nederland) is een e-mail-alertsysteem om dierenartsen op de hoogte te brengen van bevestigde gevallen van infectieuze aandoeningen bij paarden op tweecijferig postcodeniveau in Nederland. Wekelijks wordt een e-mail met meldingen van actuele gevallen verstuurd. Elk kwartaal worden kaartjes op de website geplaatst met alle meldingen per ziektekiem. Hoe donkerder de kleur van het gebied, hoe vaker daar een melding is gedaan. Aan het eind van ieder jaar worden kaartjes van het afgelopen jaar op de website geplaatst.

Gemelde gevallen van droes gedurende 2024.

Seizoensgebonden meldingen in SEIN •

Van bepaalde ziektes bij paarden zien we duidelijk seizoensgebonden variaties in het aantal meldingen in SEIN. Zo zagen we in het eerste en laatste kwartaal (de koude maanden) van 2024 een duidelijk hoger aantal meldingen van equine coronavirus (ECoV)-positieve casussen. In totaal waren er dit jaar 32 ECoV-meldingen, waarvan 80 procent in het najaar en de winter. Voor Rhodococcus equi waren daarentegen duidelijk meer meldingen van positief geteste veulens in de warme maanden.

Droes | Strangles Q1-Q4 2024
Foto: Kuiken met Salmonella Pullorum.
Figuur:

maart april

Genetische

afwijking

bij

Barbados Black Belly-schapen • Twee schapenlammeren, afkomstig uit een koppel Barbados Black Belly-schapen, werden in 2024 bij GD pathologisch onderzocht in verband met een afwijkende pootstand. De lammeren, van 3 maanden leeftijd, hadden beide een progressieve standsafwijking van de poten ontwikkeld. Eerder werd op dit bedrijf eveneens een lam van 3 maanden oud met een vergelijkbare standsafwijking geeuthanaseerd. Met histologisch onderzoek werd een milde vorm van osteogenesis imperfecta vastgesteld bij beide lammeren. Hierbij is de opbouw van het bot afwijkend; er wordt geen compact bot opgebouwd. De oorzaak is vermoedelijk een genetische aandoening.

Salmonella type B en D op melkgeitenbedrijven • Aan de hand van pathologisch onderzoek werd salmonellose vastgesteld bij geitenlammeren op twee melkgeitenbedrijven. Bij één bedrijf ging het om geaborteerde vruchten. Hier waren bij enkele lammeren aanwijzingen voor sepsis door Salmonella type D. Onder type D valt onder andere S. Dublin. De geiten die aborteerden bleken gehuisvest te zijn naast vleeskalveren. De opfok van jonge geiten van dit bedrijf vindt plaats op een externe opfoklocatie, waar enkele weken na de eerste abortusgevallen ook salmonellose werd vastgesteld. Daarnaast werd op een melkgeitenbedrijf bij lammeren Salmonella type B vastgesteld.

Foto: Stal met geitenlammeren.

Melkschapenbedrijf positief op Q-koorts

• In april bleek via de reguliere Q-koorts-tankmelkmonitoring dat het tankmelkmonster van een melkschapenbedrijf positief was op Coxiella burnetii. Dit is de verwekker van Q-koorts. De initiële monsters zijn door GD ter bevestiging naar WBVR gestuurd, waar de uitslag werd bevestigd. Bij een bedrijfsbezoek werd vastgesteld dat een groep jaarlingen die recent had afgelammerd, door omstandigheden niet tegen Q-koorts was gevaccineerd. Dit ondanks een vaccinatieverplichting. Op het betreffende melkschapenbedrijf hebben zich geen abortussen voorgedaan. Er is besloten om zes drachtige, niet tegen Q-koorts gevaccineerde jaarlingen, en de Q-koortsbacterie uitscheidende jaarlingen te euthanaseren.

Stand van zaken abortus • Aan de hand van pathologisch onderzoek en andere vormen van abortusdiagnostiek monitort GD jaarlijks abortusverwekkers bij kleine herkauwers. Abortus, vroeggeboorte, doodgeboorte en geboorte van slappe lammeren kunnen worden veroorzaakt door besmettelijke en niet-besmettelijke oorzaken. Vaak gaat het om zoönosen. In 2024 waren de meest gediagnosticeerde abortusverwekkers Listeria spp., Campylobacter spp., Chlamydia spp. en Toxoplasma gondii. Enkele lammeren werden ingestuurd met een verdenking van het blauwtongvirus. Er zijn geen afwijkingen gevonden die te relateren waren aan de blauwtonguitbraak in 2023.

Figuur: Abortusverwekkers pathologie kleine herkauwers 2024.

Ernstige gevolgen Jacobskruiskruid en aflatoxine • In het eerste kwartaal stierven op een rundveebedrijf meerdere vaarzen. Een halfjaar eerder waren meerdere pinken van dezelfde lichting gestorven, mogelijk door de aanwezigheid van Jacobskruiskruid in het gevoerde hooi. De zieke vaarzen toonden een heftig neurologisch beeld met platliggen, kreunen, slaan met de poten en vaak een rectumprolaps. Bij het uitgevoerde pathologisch onderzoek bleken twee dieren een stevige lever met uitgebreide fibrosering te hebben. Dit beeld hoort bij een chronische intoxicatie met pyrrolizidine alkaloïden (PA) of aflatoxines. PA zijn vooral aanwezig in Jacobskruiskruid en aflatoxines zijn schimmeltoxines (bijvoorbeeld in beschimmelde kuil). Histologisch onderzoek kan geen onderscheid maken tussen deze oorzaken. Vermoedelijk hebben de dieren als pink schade aan de lever opgelopen door Jacobskruiskruid. Als vaars zijn de dieren dan gevoeliger voor mycotoxines, hoge kopergehaltes of hernieuwde blootstelling aan PA.

Dystocia Campylobacter Placentitis Toxoplasmose

Botryomycose maanden na keizersnede • Bij de Veekijker werd een casus gemeld van een koe waarbij in de zomer van 2023 een keizersnede was uitgevoerd. Na een ogenschijnlijk normaal herstel, vertoonde de koe zes maanden later tekenen van een etterige infectie ter hoogte van de voormalige incisieplaats. Aanvullend weefselonderzoek was indicatief voor botryomycose. Dit is een bacteriële infectie van de huid (cutane vorm) en/of onderliggende weefsels of ingewanden. Dit kan veroorzaakt worden door Pseudomonas aeruginosa of andere bacteriën zoals Staphylococcus aureus en Trueperella pyogenes. Antibacteriële therapie heeft weinig effect en er is kans op onvruchtbaarheid en verwerpen. Ter preventie zijn strikte hygiënemaatregelen bij een operatieve ingreep belangrijk. Bij deze casus werd bij bacteriologisch onderzoek een mengflora met veel Trueperella pyogenes aangetoond. De koe is geëuthanaseerd.

Foto: Botryomycose van de huid ter plaatse van het litteken van de keizersnedewond.

Sterfte geoormerkte kalveren hoger • In het tweede kwartaal van 2024 was de sterfte van geoormerkte kalveren van melkvee en zoogkoeien in alle leeftijdscategorieën hoger dan verwacht in vergelijking met hetzelfde kwartaal in 2023 en 2022 (zie tabel) en op basis van de vijfjarige trend. Elk jaar is de sterfte in het tweede kwartaal het hoogst. Het is onbekend waarom de sterfte in 2024 nog hoger lag dan in andere jaren. Mogelijk hebben kalveren van in 2023 met BTV-3 besmette moeders een minder goede gezondheid.

Hoge uitval en hoog antibioticumgebruik • Op een varkensbedrijf was sprake van hoge uitval van gespeende biggen. De problemen werden veroorzaakt door een combinatie van infecties met PRRSv, Streptococcus suis, influenza, PCV3 en E. coli-F4. Tijdens een bedrijfsbezoek bleek de ventilatie te intensief. Er was sprake van koude luchtval. De vloer was te warm omdat deze permanent aanstond. Na aanpassing steeg de afdelingstemperatuur naar 28 graden Celsius en gingen de biggen meer op de dichte vloer liggen. Verdere optimalisatie van het stalklimaat moet het antibioticumgebruik verder verminderen.

Rhodococcose bij een jong paard • Een 2,5-jarige IJslanderruin was mager en had diarree, neusuitvloeiing, koorts en een ontstekingsbloedbeeld. Na een langdurige zoektocht en verdenking op immuunsuppressie door onbekende oorzaak, werd besloten tot euthanasie. Pathologisch onderzoek onthulde abcessen in de lymfeklieren (abcederende lymfadenitis) door infectie met Rhodococcus equi. Deze bacterie komt wereldwijd in de bodem voor. Rhodococcose komt meestal bij veulens voor, maar kan soms ook oudere paarden en immuungecompromitteerde dieren infecteren. Incidenteel veroorzaakt de bacterie ook infecties en longontsteking bij mensen met een verminderde weerstand.

*Let op: de sterftecijfers per kwartaal kunnen niet worden opgeteld naar jaarniveau.

Figuur: Percentage sterfte geoormerkte zoogkoe- en melkveekalveren in verschillende leeftijdscategorieën, tweede kwartaal van 2024, 2023 en 2022.

Ziek veulen door Streptococcus zoöepidemicus • Bij een veulen van 12 weken oud met langdurige koorts, zenuwverschijnselen en ademhalingsproblemen werd na sectie een Streptococcus zoöepidemicus gekweekt uit de longen en hersenen. Deze bacterie kent veel variatie in stammen en is potentieel zoönotisch. Bij paarden wordt de bacterie beschouwd als een opportunistische ziektekiem van de luchtwegen, maar kan ook primaire veroorzaker zijn van (pleuro)pneumonie (long(vlies)ontsteking), endometritis en abortus. Er is meer onderzoek nodig om het ziekmakend vermogen van de bacterie beter te begrijpen.

Foto: Abcedering van de lymfeknopen langs de wand van de dikke darm.

mei juni juli

Eerste gevallen van BTV-3 in 2024 • Het eerste bevestigde geval van BTV-3 in 2024 werd gemeld in Ommeren op 17 juni. Daarna heeft het virus zich vanaf begin juli binnen enkele weken over grote delen van het land verspreid. Ondanks de uitbraak in 2023, toonden prevalentiestudies aan dat de prevalentie op schapen- en melkveebedrijven na het eerste jaar van de uitbraak laag was. Nederland heeft het noodgebruik van drie geïnactiveerde BTV-3-vaccins toegelaten om verspreiding en ziektelast tegen te gaan. Ondanks vaccinatie werden op schapenbedrijven klinische klachten van blauwtong gezien. Het klinisch beeld bleek gevarieerder dan in 2023. Kreupelheid overheerste en de sterfte op besmette bedrijven was lager dan in 2023.

Foto: Schaap met klinische verschijnselen passend bij blauwtong.

Veel last van rode lebmaagworm • Dierenartsen meldden al vroeg in het jaar verhoogde eitellingen en klinische symptomen van rode lebmaagwormziekte (haemonchose) bij schapen. Bij secties gedurende de zomermaanden werd haemonchose veelvuldig vastgesteld als doodsoorzaak. Vaker dan in voorgaande jaren. In veel gevallen speelde een co-infectie met blauwtong. Opvallend was dat de parasiet, die frequenter bij lammeren wordt aangetoond, ook bij volwassen schapen ernstige ziekte veroorzaakte.

Tumoren door REV? • In juli ontving GD leghennen voor pathologisch onderzoek vanwege slechte prestaties. De volwassen leghennen hadden tumoren (lymfomen) in diverse organen. GD toonde het reticuloendotheliosisvirus (REV) aan. Er werden geen andere ziekteverwekkers aangetoond die tumoren bij kippen kunnen veroorzaken. Hoewel REV in meerdere Europese landen is gevonden, is dit de eerste keer dat het virus in Nederland is gevonden in commercieel gehouden pluimvee. Het moment van introductie in het koppel en de route van besmetting zijn onbekend.

IDS bij leggende hennen • Intestinaal dilatatiesyndroom (IDS) zorgt in witte leghennen en bruine legmoederdieren voor klinische problemen zoals vermageren en uit productie gaan. GD en de Universiteit Utrecht onderzochten tien koppels met IDS en tien controlekoppels zonder deze aandoening. In de koppels met IDS werden productiedalingen tot 38 procent gezien bij bruine moederdieren en tot 5 procent bij witte leghennen. Aangetaste darmen waren 25 procent korter en darmdilataties werden altijd op dezelfde locatie gevonden. PathoSense-onderzoek vond consistent Campylobacter spp. bij aangedane koppels, maar de relatie met IDS blijft onduidelijk. IDS-darmdilataties verdwijnen niet. Witte leghennen herstellen wel beter dan bruine vermeerderingsdieren. GD en UU volgen momenteel meerdere vermeerderingskoppels op om verder onderzoek te doen naar het ontstaan van de aandoening.

Vervuild grasland na brand distributiecentrum • Begin mei 2024 ontving de Veekijker meldingen over vervuild grasland na een brand. Resten van zonnepanelen en andere (isolatie)materialen waren door de brand verspreid en in omliggende percelen grasland terechtgekomen. Materialen uit het weiland zijn onderzocht op zware metalen om een inschatting te maken van het risico van het voeren van gras van deze percelen. In geen van de onderzochte materialen zijn verontrustende concentraties van zware metalen gevonden. De hoogst gevonden metaalconcentratie was zink, dit is niet snel giftig voor runderen. Afgaande op toxicologisch onderzoek, de inschatting van de afdeling pathologie en eerdere praktijkervaringen, leek het risico acceptabel om het gras te voeren. Wel is geadviseerd om zoveel mogelijk industrieel materiaal te verwijderen en alert te blijven op scherp-in en verhoogde zinkopname.

Foto: Intestinaal dilatatiesyndroom.
Foto: Materiaal aangetroffen in omliggend grasland na brand.

Schimmels op zoete aardappels • Half juli stierven op een melkveebedrijf in korte tijd twee koeien en een kalf. Symptomen waren benauwdheid, koorts en emfyseem. Onderzoek van een longspoelsel toonde geen luchtwegpathogenen aan. Drie weken eerder waren zoete aardappelen geleverd als koeienvoer. De partij vertoonde inmiddels schimmelgroei. De schimmel Fusarium solani kan ervoor zorgen dat zoete aardappelen het toxine 4-ipomeanol bevatten. Deze stof veroorzaakt acute benauwdheid, longoedeem en longbloedingen. In Nederland is geen testmogelijkheid voor 4-ipomeanol. De vergiftiging stopt wanneer opname stopt, maar de schade kan onherstelbaar zijn. Deze schimmel komt enkel voor bij zoete aardappels, niet bij gewone aardappelsoorten.

Toename E. coli bij jonge kalveren • In het tweede kwartaal werd bij pathologisch onderzoek een stijging waargenomen in het percentage ingezonden kalveren met een E. coli-infectie. Het ging om 26,3 procent tegenover respectievelijk 13,0 en 12,9 procent in het tweede kwartaal van 2023 en 2022. Het betrof vooral kalveren van 0 tot 30 dagen oud (zie figuur). Deze E. coli werd aangetoond bij sepsis, longontsteking of polyserositis. Ook werd er meer E. coli-K99 vastgesteld, een veroorzaker van neonatale kalverdiarree. E. coli-K99 wordt apart geanalyseerd en geteld. De stijging van ingezonden kalveren met een E. coli- of E. coli K99-infectie zette niet door in het derde kwartaal van 2024 en er is nog geen verklaring voor.

Urolithiasis bij biggen • In het voorjaar van 2024 werd de Veekijker benaderd over een bedrijf met langdurige uitval van vooral gespeende borgjes rond de 15 tot 20 kilogram. Sectie toonde buikvliesontsteking als gevolg van blaasrupturen en een onderhuidse ontsteking (urineus flegmoon). Nader onderzoek op de gestorven biggen toonde urinewegstenen (urolithiasis) aan in de urethra. Een borg loopt vaker een fatale urolithiasis op dan een gelt. Het macroscopische en microscopische aspect van de blaasinhoud en de urinewegstenen passen bij ophoping en vastlopen van bijvoorbeeld kristallen. Dit is een verklaring voor deze klachten.

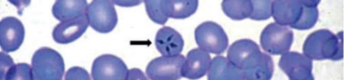
Piroplasmose bij geïmporteerde paarden • Piroplasmose wordt veroorzaakt door de parasieten Theileria equi of Babesia caballi. Uit Frankrijk, Spanje en Portugal worden regelmatig Theileria equi-positieve paarden geïmporteerd. De Dermacentor-teek kan piroplasmose overbrengen en komt in Nederland voor. In het teekgebonden PCR-pakket werd in 2024 bij ongeveer 16 procent van de inzendingen piroplasmose (Theileria equi of Babesia caballi) aangetoond. In absolute aantallen zien we een toename van Theileria equi-diagnoses. Deze parasieten vermeerderen in de rode bloedcellen en kunnen leiden tot bloedarmoede, verhoogde leverwaardes in het bloed, koorts, vermageren en malaise.

Figuur: Theileria equi-parasieten in rode bloedcellen paard (bron: Wise et al. 2013, Review of Equine Piroplasmoses, J Vet Intern Med 2013;27:1334–1346).

Figuur: Verdeling leeftijd in maanden van ingezonden kalveren van melkveebedrijven met E. coli (geen E. coli-K99)-infectie van 1 april 2024 t/m 30 juni 2024.

Toltrazuril-resistente coccidiën • Toltrazuril is de enige beschikbare werkzame stof om coccidiose bij biggen te behandelen. Het middel wordt ingezet op een groot deel van de Nederlandse zeugenbedrijven. De Veekijker kreeg in juni een vraag over coccidioseproblematiek bij biggen ondanks behandeling met toltrazuril. Een veterinair parasitoloog met veel ervaring met coccidiën stelde vast dat de op het bedrijf voorkomende coccidiën resistent waren tegen toltrazuril. Het bedrijf gebruikt nu een desinfectans met cresolen om het aantal infectieuze oöcysten te beperken. De resistentie is gemeld bij CBG-Meb.

Longontsteking door Klebsiella • Bij volwassen paarden komt bacteriële longontsteking minder vaak voor dan bij veulentjes. Streptococcus zoöepidemicus wordt in zulke gevallen het meest gevonden (44%), gevolgd door Escherichia coli (19%) en Klebsiella spp. (18%). Bij een volwassen Haflinger werd postmortaal Klebsiella spp. als oorzaak van de longontsteking vastgesteld. Deze klebsiella-stam was resistent tegen penicilline, waarmee behandeld was. Multiresistente stammen komen vaak voor. De prognose bij klebsiella-pneumonie in volwassen paarden is niet gunstig (52% overleving). Preventie is essentieel, middels onder meer goede stalhygiëne.

Foto: Longen van paard dat gestorven is aan klebsiella-pneumonie: met name rechterlonghelft is oedemateus en te bloedrijk door de ontsteking.

augustus september oktober

BTV-12 in Nederland aangetoond • In september was de Veekijker betrokken bij een casus waarbij een ram verschijnselen van blauwtong vertoonde, maar waarvan twijfel bestond over aanwezigheid van BTV-3. Nadere typering door WBVR wees uit dat het BTV-serotype 12 betrof. BTV-12 is een serotype dat niet eerder in Europa is vastgesteld. Het is wel eerder buiten Europa aangetoond. Uit retrospectief onderzoek in een straal van 20 kilometer om het bedrijf, bleek het aantal besmettingen in 2024 beperkt. De herkomst van BTV-12 is onbekend.

Fotosensibiliteit bij schapen • Eind oktober ontving de Veekijker meerdere signalen van dierenartsen over huidklachten bij schapen. Aanvullend onderzoek op leverenzymen en sporenonderzoek op grasmonsters bevestigden in meerdere gevallen het voorkomen van een intoxicatie met sporidesmin. De signalen kwamen uit de provincies Utrecht en Zuid-Holland. Sinds 2019 zijn in Nederland jaarlijks meerdere gevallen van fotosensibiliteit waargenomen bij schapen ten gevolge van sporidesminintoxicaties. Bij verdenkingen van huidproblemen bij schapen door sporidesmin is het advies om de leverfunctie te controleren middels bloedonderzoek.

Zeldzaam lymfoom bij schaap • Eind oktober 2024 werd een dierenarts geraadpleegd voor een 6 jaar oude Welsh Hill Speckled Face-ooi met huidafwijkingen. Knobbeltjes bedekten het hele lichaam. De huidafwijkingen waren oppervlakkig, stevig en goed afgebakend, met een diameter van 1 tot 4 centimeter. De knobbeltjes waren rood en de omliggende haren waren verdwenen. Omdat het beeld leek op schapen- en geitenpokken, is de NVWA ingelicht. Gelukkig werd deze aangifteplichtige ziekte niet aangetoond. Toen het dier verslechterde is het aangeboden voor pathologisch onderzoek. Hierbij werd een cutaan lymfoom aangetoond. Pathologisch onderzoek bij GD wees uit dat het een zeldzaam cutaan lymfoom betrof.

ILT-uitbraken in de Gelderse Vallei • In het derde kwartaal van 2024 werd via de Early Warning infectieuze laryngotracheïtis (ILT) wildtypevirus gemeld bij veertien pluimveekoppels, waarvan acht in de Gelderse Vallei. De schade door uitbraken was wisselend en afhankelijk van onder meer vaccinatie. Vanwege het grote risico op verspreiding, stelden sectorpartijen een gezamenlijk plan van aanpak op. Met onderzoeksgelden van de sector (AVINED) is aanvullend DNA-onderzoek op het virus uitgevoerd. Dit gaf inzicht in het betrokken virus en onderlinge verbanden tussen uitbraken. In het vierde kwartaal volgden nieuwe meldingen van ILT-wildtypevirus.

Toename Salmonella Enteritidis bij legpluimvee • Vanaf 2023 neemt Salmonella Enteritidis (SE) toe bij legpluimvee in Nederland. Deze trend zette door in 2024 (zie figuur). Ook humaan waren er in 2023 en 2024 meer patiënten met SE dan in voorgaande jaren. Bij een humane SE-uitbraak onderzoekt het RIVM de besmettingsbron. In 2023 is een link gevonden met consumptie van eieren en met besmette eierschalen in leghennenvoer. Na passende maatregelen bij de eierverwerker is de desbetreffende uitbraakstam in 2024 niet teruggezien. Voor de toename in 2024 is zowel humaan als veterinair geen aanwijsbare oorzaak gevonden. In opdracht van AVINED gaat GD meer onderzoek doen naar actuele uitbraken bij legpluimvee.

Figuur: Aantal leghennenkoppels besmet-verklaard voor Salmonella Enteritidis 2017-2024 (bron: NVWA).

Foto: Welsh Hill Speckled Face-ooi met huidafwijking.
Foto: Opfokleghen met bloed in de luchtpijp door infectieuze laryngotracheïtis.

Update reovirus • In 2023 was er een sterke toename van het aantal gevallen van peesschedeontsteking door reovirus in vleeskuikens. In januari 2024 werden slechts acht gevallen gevonden, vanaf februari nam het aantal weer sterk toe (zie grafiek). Vanaf september nam het aantal diagnoses sterk af. Deels omdat er minder werd ingezonden omdat deze inzendingen niet meer werden vergoed vanuit de monitoring. Uit contacten met de praktijk bleek ook dat het aantal gevallen in het veld sterk was afgenomen.

Aantal diagnoses van peesschedeontsteking door reovirus

Vleeskuikens (regulier) Vleeskuikens (trager groeiend) Overig pluimvee

Figuur: Aantal inzendingen met de diagnose peesschedeontsteking door reovirus bij vleeskuikens en overig pluimvee in 2024.

Mastitisuitbraken door Streptococcus agalactiae • Het uiergezondheidsteam (UGA) kreeg meerdere meldingen van mastitis door Streptococcus agalactiae (SAG). Bij één bedrijf waren er opvallend veel gevallen van klinische mastitis. Een ander bedrijf had een zeer hoog tankmelkcelgetal. Bij beide speelden risicofactoren, zoals insleep, een rol. Hoewel het jaarlijks nog om lage aantallen gaat, lijkt SAG meer voor te komen. Het klassieke beeld van subklinische mastitis, snelle verspreiding en stijging van het tankmelkcelgetal, en goede reactie op therapie, lijkt meer wisselend te worden. Nader onderzoek is nodig.

IBR door cytomegalovirus • In augustus werden meerdere gespeende biggen ingestuurd naar GD voor pathologisch onderzoek. Klinische verschijnselen waren niezen en traanogen. Behandeling met antibiotica werkte onvoldoende. Histopathologisch zagen we een beeld dat past bij Inclusion Body Rhinitis (IBR). IBR wordt veroorzaakt door porcine cytomegalovirus (PCMV, Suid herpesvirus 2), en het histologisch beeld is typisch en diagnostisch. We zien bij pathologisch onderzoek niet vaak zo’n duidelijk beeld van IBR ten gevolge van een PCMV-infectie.

Foto: Basofiele insluitlichaampjes (zie pijlen) in de kernen van de epitheelcellen van de kliertjes in het neusslijmvlies en vergroting van de cellen door PCMV-infectie.

Zwarte mest bij zeugen • In september werden dragende zeugen met zwarte mest gemeld. De zeugen kregen dragend-zeugenvoer. Zeugen die lactatievoer kregen, hadden geen afwijkende mest. Veel van de zeugen met zwarte mest bleven niet drachtig. Er kunnen drie verklaringen voor zwarte mest zijn. Allereerst ernstig bloedverlies, dat gepaard gaat met bleke zeugen en een specifieke geur. Ook de voersamenstelling (veel raapzaadschroot) kan donkere mest opleveren. Tenslotte kan kopervergiftiging spelen. Uit een voeranalyse bleek dat het voer geen 13 ppm, maar 81 ppm koper bevatte.

Sterfte door rode bloedworminfecties • Infecties met Cyathostominae (rode bloedworm) komen veel voor bij paarden en leiden tot aanzienlijke, economische schade en welzijnsproblemen, vooral bij jonge dieren. Veel paarden houden op een beperkt beweidingsoppervlak, vormt een risico. Eind 2024 zagen we in de sectiezaal meerdere (jonge) paarden die gestorven waren door een dikkedarmontsteking door infectie met Cyathostominae. Er ontstaan in de herfst en winter soms massale ontstekingsreacties bij het actief worden van in de darmen aanwezige larven. Dit kan getriggerd worden door een ontworming.

Importgegevens paarden • Binnen de diergezondheidsmonitoring paard wordt jaarlijks een data-analyse uitgevoerd. Ook importgegevens worden geanalyseerd. In 2023 werden 7.724 paarden geïmporteerd vanuit 57 verschillende landen. De meeste geïmporteerde paarden kwamen uit Europese landen (zie figuur). Daarnaast kwamen 57 paarden uit Noord-Amerika, 49 uit Azië, 18 uit Oceanië, 17 uit Zuid-Amerika en 7 uit Afrika. Niet alle importen worden gemeld in de I&R-database die voor deze analyse gebruikt werd. Het is wenselijk om ook data van TRACES te analyseren, ook in het kader van alertheid op mogelijke insleep van niet-endemische infectieziekten.

Figuur: Landen van herkomst van paarden geïmporteerd naar Nederland vanuit Europese landen in 2023, een donkere kleur geeft een groter aantal paarden afkomstig uit dat land aan (bron: I&R).

november december

Kwaadaardige veranderingen uierhuid melkgeiten • Bij pathologisch onderzoek werd een plaveiselcelcarcinoom, een kwaadaardige vorm van huidkanker, op de uierhuid van een melkgeit gevonden. Het bedrijf kampt al meerdere jaren met progressieve huidveranderingen op de uierhuid, wat leidde tot verhoogde afvoer van dieren. Bij een bedrijfsbezoek stelde GD vast dat ongeveer 15 procent van de melkgeiten in meer of mindere mate afwijkende plekken vertoonden. Vooral oudere, witte melkgeiten. Bij kleine herkauwers is het koppelsgewijs optreden van plaveiselcelcarcinomen vaker beschreven, soms met een virale achtergrond, maar de oorzaak is niet altijd duidelijk.

Vogelgriep aangetoond • 2024 was een rustig jaar voor wat betreft vogelgriepvirus (hoogpathogene aviaire influenza; HPAI). Half november en begin december werden echter twee HPAI-H5N1-uitbraken vastgesteld bij commercieel pluimvee. Het betrof leghennen van circa 54 weken oud en trager groeiende vleeskuikens van 53 dagen oud, met verhoogde sterfte. Tevens werd vanaf november ook verhoogde sterfte door HPAI-H5N1 waargenomen onder wilde vogels, met name bij ganzen. Deze vogels worden vooral in het noorden van Nederland rondom de kust en gebieden met water aangetroffen.

REV bij legvermeerderingspluimvee • Bij meerdere legvermeerderingskoppels van verschillende rassen toonde GD het reticuloendotheliosisvirus (REV) aan. Hoewel dit niet de eerste keer is dat we in Nederland REV aantonen bij commercieel pluimvee, is de detectie in Nederlandse legvermeerderingskoppels wel voor het eerst. Er lijkt geen directe link te zijn tussen de verschillende koppels. Wanneer en hoe de koppels besmet raakten, is vooralsnog onbekend. Van REV is bekend dat het potentieel kan spreiden naar nakomelingen via het ei, hoewel dit niet altijd hoeft te gebeuren. GD doet samen met de betrokken partijen nader onderzoek om na te gaan of de nakomelingen van de besmette legvermeerderingskoppels besmet zijn geraakt.

Verhoogde incidentie kippenpokken • Van september tot december ontving GD een ongebruikelijk hoog aantal gevallen van kippenpokken voor pathologisch onderzoek. Kippenpokken komen voor in de droge vorm, met korsten en laesies rond ogen en snavel, en de natte vorm, met zweren in mond en keel. Bij ongeveer de helft van de gevallen was tevens sprake van productiedaling, waarbij lang niet altijd pokken de enige mogelijke oorzaak waren. Begin december deden we een oproep om pluimvee met pokken in te sturen voor genetisch onderzoek. Mogelijk speelt er een veranderde stam waarbij het reticuloendotheliosevirus (REV) in het pokkenvirus is ingebouwd. Het belang van REV in het pokkenvirus is onbekend. Resultaten worden begin 2025 verwacht.

Koeien gezond oud laten worden • Sinds 2019 steeg de gemiddelde leeftijd van koeien op melkveebedrijven. Een gunstige ontwikkeling. In recent verdiepend onderzoek zijn verschillende diergezondheidskengetallen vergeleken tussen koeien van verschillende leeftijden. Naarmate koeien ouder werden, steeg het celgetal. Dit kan te maken hebben met zowel managementbeslissingen als fysiologische of immunologische redenen. Afkalfproblemen komen vaker voor bij vaarzen in vergelijking met oudere koeien, omdat het geboorteproces voor het eerst plaatsvindt. Dit kengetal is stabiel, met een seizoensvariatie mogelijk gerelateerd aan managementfactoren zoals rantsoen. Kortom, een stijging in de gemiddelde leeftijd vraagt om een goed management om koeien gezond oud te laten worden.

Pilot: Mannheimia polyserositis opfokkalveren • Bij sectie op meerdere opfokkalveren met polyserositis bleek Mannheimia haemolytica (Mh) de oorzakelijke kiem. Dit is een bekend beeld bij vleeskalveren, maar wordt niet vaak bij fokkalveren gezien. Daarom is onderzocht hoe vaak dit beeld de laatste jaren bij opfokkalveren is vastgesteld. Alhoewel het enkele elkaar kort opvolgende diagnoses waren, is er geen sprake van een stijging afgelopen jaren. Op het herkomstbedrijf van één van de kalveren werden monsters genomen. Hier werd Mh-serotype 2 aangetoond. Bij pleuropneumonie bij melkkoeien zien we vaak Mh-A1/A6. De gevonden Mh-stammen vertoonden weinig tot geen resistentie tegen antibiotica, dit in tegenstelling tot de Mh-serotype A2-stammen die doorgaans bij vleeskalveren worden geïsoleerd. Het bezochte bedrijf was een regulier melkveebedrijf. Het advies is om het vóórkomen van polyserositis bij opfokkalveren de komende jaren te blijven monitoren.

Foto: Plaveiselcelcarcinoom op de uierhuid van een melkgeit.
Foto: Droge vorm (links) en natte vorm (rechts) van kippenpokken.

Pilot: Oogafwijkingen bij kalveren • De Veekijker kreeg in de herfst signalen over kalveren met een blauwwitte waas over de ogen en een puntvormige vervorming van de oogbol. Bloedmonsters van tien kalveren met oogafwijkingen zijn onderzocht op de aanwezigheid van blauwtongvirus (BTV), BTV-antistoffen, Boviene Virale Diarree Virus (BVDV) en BVD-antistoffen. Oogswabs werden bacteriologisch onderzocht. Negen van de tien kalveren hadden cornea-oedeem, in hun bloed werden zowel BTV als BTV-antistoffen aangetoond. Dit gold ook voor de onderzochte moederdieren. BTV was de enige gemeenschappelijke factor bij alle onderzochte dieren, wat wijst op een verband tussen een BTV-infectie en de oogafwijkingen.

Foto: Ogen van twee onderzochte kalveren waarbij duidelijk cornea-oedeem en puntvormige vervorming van de oogbol te zien is.

App: serotype 13 of serotype 7? • Eind 2023 werden op een recent opgestart SPF-bedrijf zeugen in de kraamstal ziek. Ze hadden koorts, aten niet en enkele dieren stierven. Pathologisch onderzoek vond een fibrineuze pleuropneumonie (vezelige longontsteking), passend bij infectie met Actinobacillus pleuropneumoniae (App). Dit is zeldzaam bij varkens, zeker als er geen ademhalingsproblemen gezien worden. Een antistoffentest bleek positief voor App-serotype 13, maar opvallend genoeg was de test bij vervolgonderzoek negatief voor App-serotype 13 en positief voor serotype 7. DNA-onderzoek wees vervolgens naar App-serotype 7.

Equine coronavirus • In het najaar van 2024 werd een dierenarts geconsulteerd voor een paard met sloomheid en slappe mest. Het paard was net terug van een paardenkamp en had hoge koorts en een opgetrokken buik. Een dag later vertoonde een stalgenoot dezelfde symptomen. Bij navraag bleken meerdere paarden die op het kamp geweest waren, vergelijkbare klachten te hebben. Via SEIN waren eerder gevallen van equine coronavirus (ECoV) gemeld. Een ECoV-infectie kon vervolgens retrospectief met serologisch onderzoek bij dit paard worden bevestigd.

Brachyspira in varkens • De Veekijker krijgt jaarlijks tien tot twintig vragen over diverse Brachyspira-infecties bij varkens, inclusief Brachyspira hyodysenteriae. De bacterie B. hyodysenteriae wordt soms gevonden bij bloederige en/of slijmerige diarree bij varkens vanaf ongeveer 6 weken leeftijd. In sommige gevallen wordt deze darm-ziektekiem ook gevonden in mest van dieren zonder ziekteverschijnselen. In 2024 werden bij 5 procent van de onderzochte monsters aanwijzingen gevonden voor aanwezigheid van deze bacterie. B. hyodysenteriae werd in 2024 niet als oorzaak van problematiek vastgesteld bij pathologisch onderzoek.

Salmonella Kedougou bij varkens • Bij een routine-inzending van biggen met luchtwegproblemen, waarbij ook PRRSv, influenza en verschillende bacteriële ziekteverwekkers werden gevonden, is ook een salmonella-bacterie geïsoleerd. Deze werd in eerste instantie getypeerd als Salmonella F-67. Dat is de naam voor alle isolaten die niet tot de serogroepen A, B, C, D of E behoren. De serogroepen F tot 67 worden niet vaak bij varkens gevonden, er is ook geen structurele surveillance voor. Nader genetisch onderzoek wees uit dat er sprake was van een Salmonella Kedougou-besmetting. Salmonella Kedougou-infecties bij mensen zijn beschreven en duidt het belang van waakzaamheid voor zoönotische aandoeningen bij varkens.

Vetdiarree bij biggen • Een vermeerderingsbedrijf meldde langere tijd problemen te ervaren met ‘vettige diarree’ bij biggen tussen 1 en 3 weken leeftijd. In veel gevallen worden aanwijzingen voor meerdere infectieuze oorzaken aangetoond, bijvoorbeeld positieve testuitslagen voor zowel Clostridium perfringens type A, rotavirus en/of coccidiën. Bij vetdiarree speelt slechte voeropname of spijsvertering een rol. De vetvertering en -opname zijn verstoord. De vetvertering vindt plaats in de dunne darm en kan verstoord worden door darmschade en verminderde lipase-activiteit, of door verstoorde productie of excretie van gal.

Pilot salmonella • In een pilotstudie is geprobeerd om van salmonella-PCR-positieve inzendingen de bacterie op te kweken. Dat lukte in bijna 80 procent van de gevallen. Bij dertig monsters is de bacterie getypeerd en de antibioticumgevoeligheid gemeten. We vonden resistentie tegen onder meer ampicilline, gentamycine, doxycycline en TMPS. Meerdere stammen toonden multiresistentie. Voor derde keuze antibiotica die alleen mogen worden ingezet na een antibiogram, werd geen resistentie gevonden. De pilot wordt in 2025 voortgezet, waarbij ook het genoom van de salmonella-stammen in kaart wordt gebracht.

3

Landsgrenzen vervagen, mensen reizen vaker en verder. Dit vergroot de kans op insleep van ziekten. Het is daarom belangrijk zicht te houden op diergezondheid in binnen- én buitenland.

Samen sta je sterker en weet je meer. Daarom is het belangrijk dat verschillende organisaties samen werken voor de monitoring van diergezondheid. Binnen Nederland én daarbuiten. Door de jaren heen is een uitgebreid netwerk ontstaan, dat nog steeds groeit.

Samenwerking nationaal en internationaal

Diergezondheid in Nederland

De diergezondheidsmonitoring is een initiatief van de overheid en de veehouderijsector. De betrokken partijen geven mede vorm aan de wijze waarop de monitoring plaatsvindt en laten zich adviseren door GD. Deze samenwerking tussen private en publieke partijen is één van de succesfactoren van de monitoring. De overheid en brancheorganisaties werken onder andere samen in de Begeleidingscommissies Monitoring. Vier keer per jaar worden daarin resultaten uit de monitoring besproken, en wordt besloten of vervolgstappen nodig zijn, zoals het uitvoeren van extra onderzoek, communicatie richting dierenartsen of beleidsaanpassingen.

Ook samenwerking met andere partijen is een groot onderdeel, omdat zij aanvullende kennis en informatie hebben of andere laboratoriumtechnieken gebruiken. Zoals bij verdenkingen of uitbraken van meldings- en bestrijdingsplichtige ziekte. Ontstaat er vanuit de diergezondheidsmonitoring de verdenking dat sprake is van zo’n ziekte? Dan stuurt GD het onderzoeksmateriaal in overleg met de Nederlandse Voedsel- en Warenautoriteit door naar Wageningen Bioveterinary Research, waar het laboratoriumonderzoek wordt gedaan en een definitieve diagnose wordt gesteld. Ook wisselen we kennis uit met het Dutch Wildlife Health Centre en het Centrum Monitoring Vectoren.

One Health

De gezondheid van mens en dier hangt nauw met elkaar samen. Voor de monitoring van de volksgezondheid is het Rijksinstituut voor Volksgezondheid en Milieu de centrale speler. Humane en veterinaire gezondheidspartijen werken samen onder het principe ‘One Health’, om tijdig maatregelen te kunnen nemen bij zoönosen. Dit zijn ziekteverwekkers die van dieren op mensen kunnen worden overgedragen. Het beschermen van de gezondheid van mens en dier staat daarbij altijd voorop. GD neemt deel aan het landelijke

Signaleringsoverleg Zoönosen, waarin maandelijks bevindingen uit zowel volksgezondheid als diergezondheid worden doorgenomen door deskundigen uit zowel de humane als de veterinaire sector.

Internationale samenwerking

Dierziekten stoppen niet bij de landsgrens. Door het veranderende klimaat en toenemende internationale handel neemt de kans op verspreiding van dierziekten toe. GD werkt op het gebied van onderzoek en kennisuitwisseling samen met een breed internationaal netwerk van onderzoekers en laboratoria. Dit netwerk, binnen en buiten Europa, groeit gestaag. Door de uitwisseling van monitoringsbevindingen worden deze in een breder internationaal kader geplaatst. Dit vergroot de kans op vroegtijdige opsporing van nieuwe aandoeningen en meer inzicht in de best mogelijke respons daarop.

“Het is belangrijk om op nationaal niveau in de gaten te houden welke pathogenen in dieren spelen. Gezelschapsdieren horen daar ook bij. Ten eerste voor de monitoring van zoönosen, maar ook om antibioticumresistentie in kaart te kunnen brengen en om dierenartsen op de hoogte te kunnen houden en ondersteunen bij dierziektes.”

Els Broens, directeur van het Veterinair Microbiologisch Diagnostisch Centrum van de faculteit Diergeneeskunde van de Universiteit Utrecht

“Het Veterinair Microbiologisch Diagnostisch Centrum (VMDC) van de faculteit Diergeneeskunde van de Universiteit Utrecht onderzoekt materialen afkomstig van gezelschapsdieren op de aanwezigheid van ziektekiemen of specifieke antistoffen. De ‘Gezelschapsdierenkijker’ van het VMDC levert naar analogie van de ‘Veekijker’ bovendien input voor de monitoring van zoönosen.

Zoönoseoverleg

Onze organisaties komen elkaar onder meer tegen bij het Signaleringsoverleg Zoönosen (SO-Z). Daarnaast werken de pathologen van de faculteit Diergeneeskunde (fD) en GD regelmatig samen, bijvoorbeeld bij secties die GD uitvoert op honden en katten en waarvoor wij de microbiologische tests doen. Deze data gaan vervolgens mee in onze jaarrapportages over bijvoorbeeld leptospirose of mycobacteriële infecties.

Wat is het SO-Z?

Het Signaleringsoverleg Zoönosen vindt maandelijks plaats om op gestructureerde wijze regionale, landelijke en internationale signalen van (mogelijk) zoönotische aard afkomstig uit verschillende sectoren en dierreservoirs te beoordelen. In de kerngroep van het SO-Z zitten experts vanuit RIVM, GGD, GD, WBVR, fD, DWHC, EMC en NVWA. SO-Z adviseert de ministers van VWS en van LVVN over de signalen die opgepikt zijn en beoordeelt of er naar aanleiding van deze signalen vervolgacties noodzakelijk zijn.

Huisdier en mens: intensief contact Uitbraken bij gezelschapsdieren zijn meestal anders van vorm dan bij landbouwhuisdieren. Het gaat veel vaker om individuele dieren en kleinschalige uitbraken. Het contact tussen mensen en hun huisdier is heel intensief. Bijna de helft van alle Nederlandse huishoudens heeft een huisdier en zo’n 40 procent van alle honden en katten ligt ook bij de baas in bed. Dus het is evident dat overdracht van ziektes tussen dier en mens mogelijk is. Bij landbouwhuisdieren is overdracht natuurlijk mogelijk naar de veehouder of via de voedselketen, maar dat is wel een heel andere situatie. We zagen dat bijvoorbeeld heel duidelijk in de coronapandemie, waarbij een kwart van de huisdieren ook corona kreeg als hun eigenaar besmet was. Dat intensieve contact is een belangrijk gegeven. Mensen met een onderliggende aandoening hebben bijvoorbeeld vaak veel steun aan een huisdier, maar soms ook een verzwakt immuunsysteem. Daardoor lopen ze toch een zeker risico. Om daar een balans in te vinden, is goede informatie over de risico’s belangrijk.

Schimmels en bacteriën

“Samen werken aan het complete plaatje voor Nederland”

Voorbeelden van zoönosen die door huisdieren overgedragen kunnen worden zijn bijvoorbeeld huidschimmels zoals ringworm. Mensen kunnen zo’n schimmelbesmetting oplopen door het knuffelen met bijvoorbeeld een cavia of een kitten. Dat is niet direct levensbedreigend, wel lastig en soms hardnekkig. Ook bacteriën zoals campylobacter of salmonella kunnen via huisdieren bij mensen terechtkomen. Bijvoorbeeld wanneer honden rauw vlees te eten krijgen. Over het algemeen zien we in onze monitoring gelukkig een vrij stabiele situatie in Nederland.

Vogelgriep

Een ziekte die voor zowel GD als voor ons belangrijk is, is hoogpathogene aviaire influenza (HPAI). Het afgelopen jaar werd deze ziekte in de VS ook bij huisdieren, runderen en mensen gezien. De faculteit Diergeneeskunde heeft veel contacten met dierenartsen van honden en katten, waardoor we relatief gemakkelijk een onderzoek kunnen starten als er iets opduikt. Dat hebben we in 2024 voor HPAI gedaan. Eerst is gekeken naar zwerfkatten, die relatief vaak antistoffen bleken te hebben tegen HPAI. Vervolgens is het onderzoek uitgebreid naar huiskatten, die buiten ook contact met vogels kunnen hebben. Bij deze dieren kwamen ook antistoffen tegen HPAI voor, maar in veel mindere mate dan bij de zwerfkatten. Een studie naar antistoffen bij honden gaf vergelijkbare resultaten, jachthonden hadden vaker antistoffen tegen HPAI dan huishonden. De studie naar de zwerfkatten heeft vervolgens locaties en regio’s opgeleverd die interessant waren voor het HPAI-onderzoek van GD bij runderen, want zwerfkatten houden zich vaak bij boerderijen op. GD vond op deze rundveebedrijven trouwens geen AI. Ook bij de katten en honden ging het niet om hoge aantallen dieren met antistoffen en het virus zelf werd in geen enkel dier aangetoond.

Gezamenlijk belang

De samenwerking tussen fD en GD vind ik heel belangrijk en verloopt fijn: we versterken elkaar en kunnen van elkaar leren. Elke organisatie heeft een eigen vakgebied, maar we informeren elkaar en stemmen af. Ons gezamenlijke belang is om het plaatje voor Nederland zo compleet mogelijk te krijgen. Wij delen onze data. Zo gaan de resultaten van onze diagnostiek bij paarden ook naar GD, bijvoorbeeld in het geval van droes en salmonella. Een ander belangrijk voorbeeld van onze samenwerking, is het onderzoek naar antibioticumresistentie. Ook hierbij zien wij duidelijk hoe intensief het contact tussen huisdieren en mensen is. Resistente bacteriën kunnen onderling worden uitgewisseld. Zeker honden zijn een soort stofzuigers die alles eten wat los en vast zit. Als een bepaalde resistentie humaan opduikt, dan zien wij dat ook vaak terug bij honden en katten. En er zijn natuurlijk dwarsverbanden met landbouwhuisdieren. Beide organisaties gebruiken bij het rapporteren over antibioticumresistentie dezelfde methodes. Zo produceren GD en wij onderling goed vergelijkbare rapportages. Ook dat is belangrijk voor het complete plaatje.

Vooruitblik

In de monitoring bij gezelschapsdieren zien we een aantal trends. Door het opwarmende klimaat rukken vectoren uit Zuid-Europa steeds verder op met potentiële risico’s op nieuwe infectieziekten. Ook worden steeds meer honden uit het buitenland geïmporteerd, vanuit Europa, maar ook van buiten de EU. Insleep van bijvoorbeeld brucella ligt dan op de loer. Dit is al een paar jaar een risico en wordt zeker niet minder.”

Betrokken partijen monitoring

Begeleidingscommissies diergezondheid

De diergezondheidsmonitoring is een initiatief van de overheid en de veehouderijsector. Betrokken partijen geven mede vorm aan de wijze waarop de monitoring plaatsvindt en zijn betrokken bij het bespreken van bevindingen uit de monitoring.

Kennisuitwisseling diergezondheid

Samenwerking is van belang omdat andere partijen aanvullende kennis en informatie hebben of bijvoorbeeld andere laboratoriumtechnieken gebruiken.

Centrum Monitoring Vectoren (CMV)

Ministerie van Landbouw, Visserij, Voedselzekerheid en Natuur

Signaleringsoverleg

Zoönosen

Volksgezondheid

Volksgezondheid en diergezondheid hangen nauw met elkaar samen. Onder de noemer ‘One Health’ werken humane en veterinaire gezondheidspartijen samen om tijdig maatregelen te kunnen nemen bij zoönosen: ziekten die van dieren op mensen kunnen worden overgedragen. Het beschermen van de gezondheid van mens en dier staat daarbij altijd voorop.

Internationale samenwerking

European Veterinary Surveillance Network

Dierziekten stoppen niet bij de Nederlandse grens. Door het veranderende klimaat en de toenemende internationale handel neemt de kans op verspreiding van dierziekten over grenzen toe. GD werkt op onderzoeksgebied en kennisuitwisseling samen met een breed internationaal netwerk van onderzoekers en laboratoria. Dit netwerk, binnen en buiten Europa, groeit gestaag.

Verdiepingen

FACTS & FIGURES

TOTAAL 29.862 BEDRIJVEN

2024

13.255 melkveebedrijven

16.152 niet-melkleverende bedrijven

BEDRIJFSDICHTHEID*

TOTAAL ±4,0 MILJOEN DIEREN >699 UBN’s

877.968

melkvee jonger dan 2 jaar

1.554.555

melkvee ouder dan 2 jaar

1.546.670 overig rundvee

3.846 VEEKIJKERCONTACTEN

UBN’s

TOTAAL 2.425 PATHOLOGIE-INZENDINGEN

Diagnoses per orgaansysteem

Maagdarmkanaal en lever

Longen en luchtwegen

Abortus en doodgeboorte

Hart en bloedvaten

*Bedrijfsdichtheid van rundveebedrijven in Nederland per tweecijferige postcode. Hoe donkerder het gebied, hoe meer bedrijven er aanwezig zijn.

Sereuze vliezen

Overige infectieuze aandoeningen

Overig

Rund

Blauwtong serotype 3: kalf als reservoir

Blauwtongvirus serotype 3 (BTV-3) kan bij runderen leiden tot vruchtbaarheidsproblemen en verwerpen, en bij kalveren tot neurologische verschijnselen. In maart 2024 werd door de pathologen van GD voor het eerst een kalfje gezien met hersenschade door BTV-3. Kalveren die geboren worden met levend circulerend virus, vormen bovendien een risico voor nieuwe besmettingen op het bedrijf.

Zowel in 2023 als in 2024 is er verhoogde sterfte van rundvee waargenomen.

Verworpen kalf

Op 18 maart 2024 werd een verworpen kalf na zeven maanden dracht ingestuurd naar GD voor pathologisch onderzoek. In oktober 2023 waren verschijnselen van blauwtong (BT) waargenomen op het bedrijf en eerder serologisch onderzoek bij droge koeien had BTV aangetoond. Bij het onvoldragen kalf werd op doorsnede van de schedel een hydranencefalie (waterhoofd) zichtbaar. De schedel, wervelkolom en poten waren niet afwijkend; van buiten was aan dit kalf niets te zien. Bij onderzoek door Wageningen Bioveterinary Research (WBVR) van de milt werd BTV aangetroffen. Andere virale oorzaken voor abortus, zoals schmallenbergvirus, werden niet aangetoond en ook het bacterieel onderzoek was negatief.

Transplacentale infectie

De hersenafwijkingen hydrocefalus en hydranencefalie (beide een vorm van waterhoofd) zijn eerder beschreven bij infecties met andere serotypes van BTV. De verschijnselen zijn waarschijnlijk het gevolg van een transplacentale infectie vroeg in de dracht (70-130 dagen dracht).

Reservoir

Niet alleen doodgeboren dieren, ook dieren die levend geboren worden kunnen deze aangeboren hersenafwijking hebben. Op basis van signalen uit het veld en de bevindingen bij de voor pathologie ingestuurde kalveren, lijkt er een aanzienlijk aantal van dergelijke kalveren geboren te worden. Deze kalveren kunnen niet goed meekomen of drinken niet en worden vaak na enkele dagen geëuthanaseerd. Bij deze dieren kan door middel van PCRonderzoek virus(materiaal) worden aangetoond. Het is onduidelijk in hoeverre dit circulerende virus nog infectieus is bij opname door knutten. Recent is aangetoond dat ook volwassen koeien tot wel zes maanden circulerend BTV-3-virus bij zich dragen, terwijl virusisolatie na twee maanden niet meer succesvol is. Runderen worden beschouwd als belangrijk reservoir voor BTV, waarbij gesuggereerd wordt dat transplacentale infecties mogelijk een rol spelen in de overwintering van het virus. De infectiecyclus van BTV is echter complex, onder andere door de tussenkomst van de knut en de rol van weersinvloeden. Hoe lang PCR-positieve runderen en kalveren bijdragen aan verspreiding en overwintering van het virus is nog niet volledig helder.

Kalveren die verdacht worden van hersenafwijkingen kunnen ingestuurd worden voor pathologisch onderzoek bij GD. Dit is ook van belang voor de dierziektemonitoring.

Vaccinatie

In 2024 kwam een drietal vaccins tegen BTV-3 beschikbaar. Vaccinatie heeft de rundersterfte geassocieerd met BTV-3 in Nederland significant gereduceerd, zeker bij jonge dieren. Bij volledig en tijdig gevaccineerde bedrijven was de sterfte onder kalveren en jongvee niet meer verhoogd. Het is nog niet duidelijk of vaccinatie ook voorkomt dat jonge kalveren als reservoir kunnen dienen.

Liesbeth Harkema, patholoog Royal GD

“Creatief denken en uitproberen brengt je samen verder”

“Op een vrijdagochtend belde de veehouder dat hij meerdere verwerpers had. Dankzij snel schakelen door de ophaaldienst van GD kon nog dezelfde dag een dier naar GD ingestuurd worden. ’s Middags kwamen de pathologen al met de sectie-uitslag: het kalf had een hersenafwijking. Toen vielen de puzzelstukjes in elkaar. De diagnose was hersenschade door een BTV-infectie.

Dit melkveebedrijf had koeien die al twee of drie maanden niet drachtig wilden worden en koeien die te vroeg kalfden. Vroeg in 2024 volgde een BTV-positieve koe, de eerste van het jaar in Nederland. Het bedrijf ging op slot. Vanuit GD kwam rundveedierenarts Thomas Dijkstra toen op bedrijfsbezoek en hij vertelde dat BTV kan overwinteren in koeien. We moesten nog kalveren onthoornen en besloten om daarbij ook bloed te tappen voor onderzoek. Twee van de vijf kalveren bleken BTV-3-positief. Daarmee hadden we een duidelijke indicatie dat BTV-3 kan overwinteren in de drachtige koe. Slechts zes weken later kon GD-dierenarts Katrien van den Brink op het Wereldrundveecongres in Mexico al enkele honderden dierenartsen uit de hele wereld informeren over deze casus.

Wij hebben als praktijk altijd korte lijnen met GD en waren nieuwsgierig, dus vervolgens zijn alle droge koeien getest. Van de 32 koeien

hadden er 30 BTV-antistoffen. Dat was niet echt wat je zou verwachten, het bedrijf ligt in Drenthe en in 2023 was hier weinig BT. In de weken daarna waren er op het bedrijf meerdere vroeggeboortes en ‘rare’ kalveren, die blind leken en niet goed konden drinken.

Het getroffen bedrijf werkt met natuurlijke dekkingen en had, naast problemen met de kalveren, ook koeien die maandenlang niet drachtig werden. Bij zowel koeien als stieren leek de vruchtbaarheid helemaal stil te liggen. Als alle veehouders op deze manier de blauwtong door moeten, wordt dat een groot drama. We hebben deze problematiek daarom met onze klanten besproken en veel veehouders van vaccinatie kunnen overtuigen. De resultaten daarvan zijn goed.

Als practicus vind ik het mooi dat we vanuit de praktijk, met een heel vervelende situatie, dankzij de juiste onderzoeken bijdragen aan fundamentele bevindingen. En daarvan kan de praktijk dan weer leren. Door ervaring, creatief denken en uitproberen kom je samen verder. Nauwe samenwerking met onze veehouders helpt daarbij. Zij houden ons goed op de hoogte van wat ze tegenkomen in de stal. Ze vertrouwen ons en voelen zich serieus genomen. Daarnaast houden we korte lijntjes met de Veekijker.”

Paul van de Ven, biologisch rundveehouder bij De Vense Hoeve

“Blauwtong is een sluipmoordenaar”

“Er sluimerde iets op ons bedrijf in de tweede helft van 2023. De dierenarts was al een paar keer geweest voor algehele malaise, longontsteking, pootproblemen… Er speelden de gekste dingen, achteraf gezien waarschijnlijk niet-klassieke kenmerken van blauwtong. Ook de vruchtbaarheid stond onder druk. Bij de drachtigheidscontrole half november ging alles hartstikke goed, maar in januari waren de koeien opeens niet meer drachtig. Ook onze stieren waren aan het kwakkelen in de tweede helft van 2023.

Half maart 2024 had ik ineens drie verwerpers in één weekend. Dat hadden we nog nooit meegemaakt. Samen met mijn partner Sanne hebben we toen besloten om ze in te sturen naar GD voor sectie. Bij één kalf werd BTV-3 aangetoond. Dat hadden we niet verwacht, want het was gewoon nog winter. Dat de foetus een hersenafwijking had, was een noviteit. Vervolgens werd bij een aantal kalveren die al 5 of 6 weken oud waren, BTV aangetoond. De infectie hadden ze waarschijnlijk al tijdens de dracht opgelopen. Ook die kalveren zijn geen succesverhalen geworden, het virus is blijkbaar erg ingrijpend.

Nadat ook bijna alle droge koeien BTVpositief testten, was wel duidelijk wat het probleem was. En ook dat het al langer speelde. Blauwtong blijkt een soort sluipmoordenaar te zijn. Als er problemen zijn ga je overal zoeken, want er verandert natuurlijk regelmatig van alles op een bedrijf. Het weer, het voer, nieuwe dieren… Het zal een optelsom geweest zijn, met BTV als belangrijkste oorzaak. Wij zitten in een beekdal en veengebied, en langs de sloten zoemt het eind februari overal al van de muggen. Ik heb de stal nu vol ventilatoren hangen en de koeien stonden al ’s nachts op stal in het knuttenseizoen. Ook is de hele veestapel nu twee keer gevaccineerd. Dat is niet honderd procent dekkend, maar als we dat niet gedaan hadden, dan waren we nu helemaal weggeweest.

De samenwerking met GD was prima en het onderzoek bij de droge koeien is onze redding geweest. Daardoor was gewoon heel duidelijk wat er aan de hand was. Gelukkig bleken we verzekerd. Mede dankzij die proef met dertig koeien vergoedde de verzekering een groot deel van de afgevoerde koeien.”

FACTS & FIGURES

TOTAAL 10.182.000 VARKENS

2024

4.283.000 gespeende biggen (tot 50 kg)

3.370.000 vleesvarkens (>50 kg)

TOTAAL ± 10,2 MILJOEN DIEREN

BEDRIJFSDICHTHEID*

>158 UBN’s

30-158 UBN’s

7-29 UBN’s

1-6 UBN’s

*Bedrijfsdichtheid van varkensbedrijven in Nederland per tweecijferige postcode. Hoe donkerder het gebied, hoe meer bedrijven er aanwezig zijn.

1.326 VEEKIJKERCONTACTEN

van de pathologie-inzendingen betrof gespeende biggen 233 over PRRS 146 over streptokokken 73 over App 78 over diarree 84 over kreupelheid 36 over voeding/ water 85% van de bellers naar de Veekijkertelefoon was dierenarts

1.793 PATHOLOGIE-INZENDINGEN

AFRIKAANSE VARKENSPEST IN EUROPA

764 meldingen bij gehouden varkens: 220 in Roemenië 310 in Servië

7.892 meldingen bij wilde zwijnen

ONLINE MONITOR VARKEN

2.994 verschillende bedrijven Meest gemeld: respiratieklachten. Meest gestelde waarschijnlijkheidsdiagnoses: streptokokken (25%), App en influenza, daarna voeding, PRRS en klimaat. Bij ruim 79 procent van de bedrijfsbezoeken meldde de dierenarts geen gezondheidsklachten in Online Monitor. 198 verschillende dierenartsen en 75 verschillende dierenartspraktijken meldden gezondheidsstatussen in Online Monitor.

Varken

Zorgwekkende geneesmiddelenresistentie op varkensbedrijf

Resistentie tegen antibiotica en andere geneesmiddelen is een probleem in zowel de humane als dierlijke geneeskunde. In 2024 bleek bij een zeugenbedrijf resistentie te bestaan tegen het veelgebruikte middel toltrazuril. Er ontstonden klachten van vettige diarree en slechte opname van voedingsstoffen in de darm bij jonge biggen. Stringente hygiëne is de enige remedie.

In 2017 was ook al eens een toltrazuril-resistentie op een Nederlands varkensbedrijf geconstateerd, dat leek toen een geïsoleerde casus. Toltrazuril is een veelgebruikt medicijn dat standaard preventief gegeven wordt aan biggen van 2 of 3 dagen oud. Het moet coccidiose, vettige diarree veroorzaakt door eencellige parasieten zoals Cystoisospora suis, voorkomen. Deze parasiet is in stallen aanwezig en varkens ontwikkelen er in de loop van hun leven weerstand tegen. Jonge biggen zijn nog kwetsbaar, vandaar de toltrazurilbehandeling. Coccidiose wordt alsnog regelmatig gezien bij biggen.

Oplettende dierenarts

Een oplettende dierenarts van een zeugenbedrijf waar ondanks behandeling toch coccidioseproblematiek bestond, vroeg zich af of er niet meer aan de hand was. Na veel zoekwerk kwam hij op het spoor van resistentie. Om dat te laten onderzoeken werd eerst gecontroleerd of de preventieve behandelingen met toltrazuril op de juiste wijze en in de juiste doseringen waren uitgevoerd op het bedrijf. Toen dat het geval bleek, stuurde de dierenarts dertien mengmonsters van de mest van zieke tomen naar de Universiteit van Wenen, waar een expert zit op het

gebied van toltrazuril-resistentie. In Wenen werden de oöcysten (‘eitjes’) van Cystoisospora suis uit de mest opgekweekt en getest met toltrazuril en diclazuril. De parasieten uit de mestmonsters van het bedrijf bleken resistent tegen beide middelen. De behandelend dierenarts deelde deze bevindingen met GD.

Grote consequenties

De resistentie tegen toltrazuril op dit zeugenbedrijf heeft grote consequenties voor de veehouder. Er zijn namelijk geen andere middelen tegen de darmparasieten. Alleen strikte interne biosecurity en hygiëne kan besmettingen voorkomen. Voor desinfectie worden vooral middelen met cresolen gebruikt, omdat die de oöcysten kunnen vernietigen. Alleen dan wordt de infectiedruk lager. Dit is bewerkelijker en duurder dan een preventieve behandeling met toltrazuril en vereist een strak protocol.

Alertheid vereist

We vragen varkenshouders en practici om alert te zijn op tekenen van toltrazuril-resistentie. Verdenkingen kunnen bij GD gemeld worden. In een later stadium kan dan bijvoorbeeld een prevalentie-onderzoek ingezet worden. Het ministerie van LVVN heeft haar aandacht voor antibioticumresistentie verbreed naar resistentie tegen andere middelen dan antibiotica. Zoals tegen eencellige parasieten en bijvoorbeeld schimmels. Het is aan de farmaceutische industrie om met alternatieve middelen op de markt komen.

Eveline van Langen-Willems,

“De dierenarts verdient alle credits”

“Voor jonge biggen is het goed om een klein beetje in aanraking te komen met Cystoisospora suis, om op die manier zelf immuniteit hiertegen op te bouwen. Volwassen varkens hebben lichaamseigen weerstand tegen deze parasiet. Biggen krijgen standaard toltrazuril om hen te ondersteunen tegen infecties. Als de parasieten resistent zijn tegen dit middel, dan nemen ze de overhand en worden de biggen ziek. Dat laatste gebeurde op dit bedrijf.

Het is belangrijk om meer over toltrazurilresistentie te weten te komen. Dit middel wordt namelijk heel veel ingezet. Er is geen andere werkzame stof beschikbaar om coccidiose te voorkomen. De meeste desinfectiemiddelen krijgen de oöcysten van Cystoisospora suis niet kapot. De dierenarts van het zeugenbedrijf, Paul Waijers, zocht zelf contact met een expert op het gebied van deze problematiek. Anja Joachim van de Universiteit van Wenen ontwikkelde een eigen methode om de parasieten te vermenigvuldigen en te testen op resistentie tegen toltrazuril. Dat is goed nieuws, want eerder was een dierproef nodig voor dit onderzoek. Nu kan deze test in het laboratorium gedaan worden. De dierenarts stuurde daarvoor monsters van het bedrijf op naar Oostenrijk. Uit dat onderzoek bleek dat de Cystoisospora-stam die op het bedrijf aanwezig was, resistent was.

In minder dan 20 procent van de monsters zag men effectiviteit van toltrazuril. Terwijl een controlestam, die wel gevoelig was voor deze medicatie, een gevoeligheid van meer dan 95 procent had. Paul Waijers deelde de resultaten met GD in het belang van de monitoring en verdere kennisdeling.

Het is belangrijk om de sector te informeren dat resistentie bestaat en mogelijk wijder verspreid is. Bij een vermoeden van toltrazuril-resistentie kan een practicus eerst checken of het bedrijf de juiste toedieningsmethode en dosering van toltrazuril gebruikte. Dat was bij dit bedrijf het geval. Als de dosering en toediening op orde zijn en coccidiose blijft spelen, kunnen eventueel mestmonsters getest worden. Het is heel fijn dat de dierenarts in deze casus het belang van de monitoring ziet en zijn bevindingen deelde met ons. GD helpt graag met het verspreiden van nieuwe kennis. Practici die denken iets nieuws of afwijkends te vinden op een bedrijf, mogen altijd bellen met de Veekijkertelefoon voor overleg over volgende stappen. Voor wat betreft toltrazuril-resistentie gaat de zoektocht verder. We ontdekten eind 2024 een aantal andere verdachte bedrijven na een bredere oproep in de sector. Monsters van die bedrijven worden dit voorjaar onderzocht.”

Paul

“We zijn blijven zoeken naar een oorzaak“

“Op een zeugenbedrijf zagen we diarree en terugval in de kraamstal vanaf 10 tot 14 dagen leeftijd, na een heel goede start direct na de geboorte. De biggen werden standaard behandeld met toltrazuril. Eerst 0,7 cc per big in de bek, later hoogden we de dosering op naar 1,0 cc per big. Geleidelijk aan werden problemen toch ernstiger. Op sommige momenten ging het om ruim 60 procent van de tomen. We kregen er geen grip op en dan ga je verder zoeken. Coccidiose is lastig aan te tonen, de parasiet veroorzaakt veel primaire schade op de darm, daardoor krijgen bacteriën ook kansen. Die secundaire infecties zijn heel zichtbaar, de schade door coccidiose veel minder. Terwijl dat de onderliggende oorzaak is, die al ontstaat op de eerste dag in de kraamstal.

We hebben de vaccinatiestrategie tegen clostridium aangepast, dat had geen effect. Ook met ander voer ging het probleem niet weg. De biggen zijn behandeld en ondersteund met medicatie. Maar week in week uit gebeurde precies hetzelfde. De start van de biggen was goed, na tien dagen zag je de eerste problemen en op 15 of 16 dagen verergerden de klachten. We zijn blijven zoeken naar oorzaken en blijven rondbellen.

Bij twee tests kwam toch coccidiose naar voren, terwijl dat in andere monsters niet was aangetroffen. Uiteindelijk zocht ik contact met Anja Joachim in Wenen. Uit het verhaal was voor haar al aannemelijk dat resistentie speelde. Haar onderzoek op de mestmonsters toonde heel duidelijk coccidiose aan, terwijl ik mest had ingestuurd van biggen die een dubbele dosis toltrazuril hadden gehad. Zodat de dosering in elk geval het probleem niet kon zijn. Vervolgens toonde ze ook toltrazurilresistentie aan.

Het kostte veel tijd om dit op te helderen. In eerste instantie hoorden we ook dat toltrazuril-resistentie niet voorkomt.

Inmiddels is pilotonderzoek naar resistentie gestart, daar kunnen we allemaal van leren. Als ik nu vermoedens heb bij bedrijven van klanten, ga ik direct aan de gang met hygiëneprotocollen. Dat is zeker niet eenvoudig, maar geeft op reguliere varkensbedrijven meestal een behoorlijk resultaat. Het zeugenbedrijf uit de casus heeft veel wisselend en onervaren personeel. Dat betekent dat de protocollen heel strak moeten zijn en de communicatie heel goed. Anders komt het probleem weer terug; die oöcysten zijn heel hardnekkig.”

FACTS & FIGURES

AANTAL BEDRIJVEN

2024

1.060 bedrijven met vleeskippen (inclusief opfok en fok)

1.051 bedrijven met legkippen (inclusief opfok en fok)

43 bedrijven met eenden

30 bedrijven met kalkoenen

BEDRIJFSDICHTHEID*

1.668 VEEKIJKERCONTACTEN

1.162 PATHOLOGIE-INZENDINGEN

Reguliere secties: 706

Secties peilpraktijken: 398

NVWA-slachtlijnonderzoek: 51

Secties monitoringspilots: 7

453.208 ONDERZOCHTE MONSTERS AI EN NCD

NCD-HAR: 275.626

AI-ELISA: 174.126

AI-AGP: 3.456

*Bedrijfsdichtheid van pluimveebedrijven in Nederland per tweecijferige postcode. Hoe donkerder het gebied, hoe meer bedrijven er aanwezig zijn.

EARLY WARNING SYSTEM

Salmonella Gallinarum/Pullorum: 2 meldingen

Mycoplasma gallisepticum: 13 meldingen

Coryza/Avibacterium paragallinarum: 14 meldingen

Gumboro: 27 meldingen

ILT: 20 meldingen

Pluimvee

‘Nieuwe’ Brachyspira-stam veroorzaakt

ziekte bij pluimvee

Sommige stammen van de bekende bacterie

Brachyspira zijn onschuldig, andere veroorzaken meer problemen in commercieel pluimvee. De stam Brachyspira hyodysenteriae leek weinig problemen bij kippen te geven, in 2024 kantelde dat beeld.

Brachyspira-bacteriën kunnen aviaire intestinale spirochetose (AIS) veroorzaken. Vanuit de blindedarm geeft de bacterie dan ontstekingen en vormt waarschijnlijk toxinen, waardoor voedingsstoffen minder goed worden opgenomen. Tot nu toe waren bij pluimvee drie ziekteverwekkende Brachyspira-soorten bekend: B. intermedia, B. pilosicoli en B. alvinipulli.

Verspreidingswijze

Brachyspira-infecties spelen vooral in oudere koppels. De bacterie kan blijven hangen door onvoldoende reiniging en ontsmetting tussen twee rondes. Brachyspira wordt overgedragen via besmette mest. Versleep tussen stallen kan plaatsvinden via bijvoorbeeld kleding of laarzen. Ook ongedierte, vliegen en huisdieren kunnen zorgen voor de verspreiding. Bovendien kunnen wilde vogels en varkens een bron zijn. Er zijn geen besmettingen van moederdier op nakomelingen mogelijk bij Brachyspira.

Infecties in 2023 en 2024

In 2023 bleek de bacterie Brachyspira hyodysenteriae te spelen op een legbedrijf in Nederland. Deze specifieke Brachyspira-stam is vooral bekend uit de varkenssector, niet bij pluimvee. De besmette hennen hadden darmproblemen, natte mest en vieze veren. Bovendien

was er sprake van productieverlies en vieze eieren. De bacterie veroorzaakte dus zowel diergezondheidsproblemen, als vermindering van het welzijn (vies verenkleed) en economische schade voor de veehouder. Bij onderzoek in augustus, september en oktober 2024 toonde GD infecties met B. hyodysenteriae aan in acht legkoppels van zeven verschillende legbedrijven. In alle koppels werden naast B. hyodysenteriae ook twee andere stammen gevonden, namelijk B. intermedia en B. pilosicoli Niet alle kippen droegen alle drie de bacteriestammen bij zich. Sommige hennen hadden alleen B. hyodysenteriae, andere hadden een menginfecties met ook B. intermedia en B. pilosicoli. Tenslotte waren er dieren met een menginfectie zonder B. hyodysenteriae. Uit het onderzoek bleek dat B. hyodysenteriae in deze koppels meer invasief was dan de andere Brachyspira-soorten. De bacteriën van deze stam hebben de neiging om het blindedarmweefsel binnen te dringen. Of zo’n infectie vervolgens ook tot ziekte leidt, is mede afhankelijk van de darmgezondheid en de aanwezigheid van andere ziekteverwekkers en wormen in de darm.

Onderzoek en informatie

Inmiddels is binnen de Veterinaire Monitoring Pluimvee (VMP) een onderzoek gestart naar het voorkomen van B. hyodysenteriae bij legkippen. VMP is een samenwerkingsverband tussen pluimveedierenartsen en GD. In het onderzoek worden legkoppels ouder dan 40 weken onderzocht op de aanwezigheid van deze bacterie in de mest. GD heeft ook een podcast gemaakt over dit onderwerp, die te beluisteren is via www.gddiergezondheid.nl/podcasts.

Naomi

“Het productieverlies door deze bacterie is echt zonde”

“De eerste aanwijzingen voor Brachyspira hyodysenteriae dateren uit 2023. In 2024 zagen we een verhoogd aantal incidenten in legpluimvee. Brachyspira is een bijzondere bacterie, die de vorm heeft van een kurkentrekker. Deze ‘schroef’ boort zich in het darmslijmvlies, meestal vrij oppervlakkig, maar wel licht irriterend voor de kip.

We hadden nog niet eerder gezien dat B. hyodysenteriae op grotere schaal ziekte veroorzaakt, dat was in 2024 anders. Met een PCR-test werd de aanwezigheid van deze soort aangetoond in kippen die voor sectie waren ingezonden. Vervolgens kon ik onder de microscoop zien dat deze Brachyspira-bacterie zich relatief diep in de darmwand boort. Dat veroorzaakt problemen, we konden in het darmweefsel zien dat er schade was ontstaan. De dieren werden ziek met bloedinkjes in de blindedarm, diarree, productieverlies en vooral vieze eieren. Als er natte mest op de eieren blijft zitten, zijn de eieren niet meer geschikt als consumptie-ei of als broedei. Getroffen koppels kunnen een langdurig lagere eiproductie van 1 tot 5 procent doormaken. Daar bovenop komt dat een deel van de eieren slecht verkoopbaar is door de mestvlekken. Dat is toch echt wel zonde.

Vooral oudere koppels worden door B. hyodysenteriae getroffen. Hygiënemaatregelen tussen de rondes door kunnen de infectiedruk verlagen. Maar wanneer het al speelt, zijn vooral voermaatregelen effectief. Melkzuur zorgt er in het laboratorium voor dat de bacterie zich

minder goed kan vastschroeven. Ook in een levende kip lijkt dat zo te werken. Door via de voeding de ontwikkeling van melkzuurbacteriën in de darm van de kippen te stimuleren, kun je de schade beperken en de eiproductie weer stabiel krijgen. Van oudsher wordt dit gedaan door bijvoorbeeld gefermenteerde maïs door het voer te mengen. Tegenwoordig kunnen ook speciale toevoegingen die via de dierenarts verkrijgbaar zijn hieraan bijdragen. De hen kan zo beter met de Brachyspira-bacteriën leven. Als de darmgezondheid verder goed is, hoeft er niet veel schade te zijn. In de koppels waarin B. hyodysenteriae werd gevonden in 2024 zijn dit soort voermaatregelen genomen. We zagen daarna dat de situatie beter werd en de productie weer terugkwam op een acceptabel niveau.

Brachyspira is een bacterie die altijd wel in enige mate op het bedrijf achterblijft. Goed schoonmaken helpt, helemaal weg krijg je de bacterie echter niet. De kiem verstopt zich als het ware onder vetlaagjes, dus ook onder pluimveestof. Vooral oudere koppels en biologische hennen, die meer contact hebben met strooisel, worden getroffen. Het gebruik van antibiotica wordt niet aangeraden, de bacterie wordt daar maar tijdelijk mee onderdrukt en zal na de behandeling vanuit de besmette omgeving opnieuw aanslaan. Bovendien komt er resistentie tegen meerdere soorten antibiotica voor bij Brachyspira-bacteriën. De kippen moeten eigenlijk met deze bacterie leren leven.”

Roelof

Swart, pluimveedierenarts bij dierenartsenpraktijk

Demetris Diergezondheid, Animal Health Group

“Het klopte niet, dus dan schakel ik GD in”

“Bij een bedrijf met witte leghennen met uitloop deed ik de kwartaaltap voor vogelgriep. Het oudste koppel was op dat moment 80 weken oud. Bij dat reguliere bezoek vertelde de veehouder dat hij al weken te veel mestvlekken op de eieren zag. Doorvragen leerde dat de productie bij dit koppel ook verlaagd was, naar 82 procent. Bovendien was de voeropname verhoogd en de kippen dronken relatief veel water. De sterfte was niet hoger.

Het viel op dat de mest wat te dun en plakkerig was, de dieren hadden ook een smoezelig verenkleed. Ik dacht toen ook aan Brachyspira, maar in mijn ervaring zie je dan vaak fijnschuimige mest in de stal liggen. Die kon ik niet vinden. Ik zocht een gemiddelde hen en eentje met een opvallend bleke kam uit voor sectie op het bedrijf. Er zaten kleine spoelwormen in de blindedarm, de darminhoud in de hoofddarm was waterig en één hen had een te rode darmwand, wat wijst op darmontsteking. Daarbij kon Clostridium perfringens een rol spelen. De levers waren wat vervet. Ook Brachyspira was een mogelijkheid, wij zien echter nooit andere stammen dan B. pilosicoli of B. intermedia. Ook vond ik het raar dat ik de daarvoor typische fijnschuimige mest niet zag, er zat wel veel mest op de eieren.

Het voer was niet veranderd en de gevonden wormen vormden voor mij geen sluitende verklaring voor de problemen. Daarom schakelde ik GD in, uiteraard na overleg met de pluimveehouder. Ondertussen adviseerde ik om te ontwormen, om een FLS-kuur te geven tegen de leververvetting en om een combinatie van organische zuren, etherische oliën en kopersulfaat op het water in te zetten. Dat zijn eigen producten van onze praktijk, die de darmgezondheid ondersteunen en de mest wat droger maken.

GD vond naast B. intermedia ook de bijzondere B. hyodysenteriae. Ik zit al 25 jaar in de kippen en deze Brachyspira had ik nog nooit gezien. Mogelijk zat er een wat langer bestaande darmontsteking vooraan in de darm, misschien veroorzaakt door Clostridium. Kennelijk heeft de Brachyspira mede daardoor kans gezien om problemen te veroorzaken. Vanuit GD kwam het advies om te proberen het melkzuur in de darm te verhogen. De voerleverancier paste het voer aan, de pluimveehouder heeft de beschreven aanpak op water ingezet en daarna verdween geleidelijk de mest op de eieren Dit koppel is uiteindelijk pas weggegaan op 99 weken leeftijd en toen waren de mestvlekken op de eieren nog steeds weg.”

FACTS & FIGURES

AANTAL BEDRIJVEN

2024

31.097 schapenbedrijven waarvan

3.971 beroepsmatig

16.166 geitenbedrijven waarvan 513 beroepsmatig

BEDRIJFSDICHTHEID*

Schapen: 1.042.292

Geiten: 646.695

1.794 VEEKIJKERCONTACTEN

935 PATHOLOGIE-INZENDINGEN

DIERDICHTHEID**

*Bedrijfsdichtheid van geiten- en schapenbedrijven in Nederland per tweecijferige postcode. Hoe donkerder het gebied, hoe meer bedrijven er aanwezig zijn.

SCHAPEN

GEITEN

**Dierdichtheid van schapen- en geitenbedrijven in Nederland per tweecijferige postcode. Hoe donkerder het gebied, hoe meer dieren er aanwezig zijn.

Kleine herkauwers

Nienke Snijders-van de Burgwal, dierenarts Royal GD

BTV-12: nieuwe blauwtongvariant nog niet wijdverspreid

2024 was opnieuw een veelbewogen jaar voor wat betreft het blauwtongvirus (BTV). Eén van de opvallendste gebeurtenissen was het opduiken van een niet eerder in Europa aangetoond serotype, namelijk BTV-12. Na de initiële bevinding onderzocht GD de verspreiding en de kliniek van BTV-12. Het aantal BTV-12 besmette bedrijven en het aantal BTV-12 besmette dieren per besmet bedrijf bleek laag te zijn.

Ook in 2024 was er veel aandacht voor BTV. Vanaf mei waren drie verschillende BTV-3-vaccins toegelaten. BTV-3 spreidde vanaf half juni over heel Nederland en het aantal besmette bedrijven en het aantal gestorven schapen lag hoger dan in 2023. Echter, de sterfte per bedrijf was lager dan in 2023.

Goed gevaccineerd, en toch klachten

Een bijzondere vondst was de vaststelling van serotype 12 bij een schaap in september. BTV-12 was nog nooit eerder in Nederland of Europa aangetoond en deze bevinding kwam daarom als een verrassing. De variant was wel bekend uit onder meer Israël en landen in zuidelijk Afrika en Amerika. BTV-12 werd ontdekt toen er ernstige ziekteverschijnselen werden waargenomen bij een ramlam in een goed tegen BTV-3 gevaccineerd koppel. In samenspraak met WBVR werd besloten om breder te kijken dan BTV-3. Daarbij werd BTV-12 aangetoond. Bij nader onderzoek op monsters uit de omgeving werd BTV-12 aangetoond bij een rund en haar enkele weken oude kalf.

Verspreiding

Na ontdekking van de nieuwe variant was de vraag hoe wijdverspreid serotype 12 was. In opdracht van het ministerie van LVVN heeft WBVR daarom alle monsters die tussen begin september en december ingestuurd werden (opnieuw) gescreend. In totaal werd in monsters van negen rundvee- en drie schapenbedrijven BTV-12 aangetoond. Deze uitkomst was aanleiding om nader onderzoek uit te voeren op de bedrijven waar BTV-12 was aangetoond. Uit dit onderzoek is gebleken dat naast een beperkt aantal BTV-12 besmette bedrijven ook het aantal BTV-12 besmette dieren per bedrijf relatief laag was. Dit zijn gunstige signalen die de kans op overwintering verkleinen, maar zekerheid biedt het niet.

Ziekteverschijnselen

Het is nog onduidelijk of op basis van ziekteverschijnselen onderscheid gemaakt kan worden tussen BTV-3 en BTV-12. Daarvoor waren de aantallen binnen dit onderzoek te laag. Bovendien blijken BTV-3 en BTV-12 gelijktijdig te kunnen voorkomen, zowel op bedrijven als in één dier. Het is daarom lastig om precies te zeggen welke verschijnselen door BTV-12 veroorzaakt worden. Het blijft belangrijk om alert te blijven op klinische verschijnselen van BTV. Wanneer een geval niet past in het verwachte beeld, bijvoorbeeld omdat de dieren volledig gevaccineerd zijn, dan kan een sequentieanalyse – in overleg met WBVR – verstandig zijn. Echter, dit kan niet iedereen aanvragen. Bij onverwachte bevindingen kan de practicus contact opnemen met de Veekijker.

“Meedoen aan het onderzoek viel me enorm mee”

“In 2023 hadden we een behoorlijke ziektelast door blauwtong op het bedrijf. Het is bizar als je daaraan terugdenkt, ik hoop dat nooit meer mee te maken. Er lag een stapel dode schapen aan de weg, we verloren er op een gegeven moment veertig in één weekend. Dat blijft wel in je hoofd spoken.

Begin juni 2024 heb ik alles geënt tegen BTV3 en aan het einde van de zomer dacht ik eigenlijk dat ik er doorheen gerold was. Maar tussen half september en half oktober werden er alsnog dieren ziek. Ik verloor vijftien schapen aan blauwtong in die periode. Eind oktober was er bovendien nog een schaap met wat vreemde verschijnselen. Dat dier bleef maar liggen en had steeds zweren aan de poten. De dierenarts dacht opnieuw aan blauwtong en na insturen bleek dat serotype 12 te zijn.

GD vroeg in de winter of ik mee wilde werken aan het prevalentie-onderzoek naar BTV-12. Dat zag ik in eerste instantie niet zitten. Je hoofd staat niet naar al die drukte. Maar mijn kameraad is dierenarts en hij heeft me overtuigd. Als niemand het doet, komen we ook niet verder. Ik heb er geen seconde spijt van gehad. We hadden goede hulp en de samenwerking liep vlot. Dierenkliniek De Rijp bracht vier dierenartsen mee om bloed te prikken en GD kwam met twee dierenartsen. Daarnaast was er nog iemand om te helpen met vasthouden en een vriend met een hond

die de dieren bijeendreef. We hebben zeven koppels van twintig schapen gedaan in zeven verschillende weitjes. We waren in een halve dag klaar met bloedprikken. Als je het goed organiseert en wat mensen hebt die mee kunnen helpen, is zo’n onderzoek best te doen. Gelukkig zijn mijn schapen over het algemeen ook mak. Na een paar weken kwam de uitslag. Bij slechts één ander schaap, van de 140, werd BTV-12 aangetoond.

De dreiging van blauwtong vreet aan je. De ellende van een uitbraak moet je niet ieder jaar hebben, dan blijf je geen boer. Het is ook niet te betalen voor schapenboeren, want wij krijgen geen compensatie. Ik heb dit jaar weer 150 schapen die hebben afgelammerd en ik ga gewoon dapper verder. Al blijft het spannend want je ziet vanaf het vroege voorjaar overal in het land op luwe plekken knutten zweven. Natuurlijk is niet elk knut gevaarlijk, maar in veenweidegebied met veel vocht is het risico op besmetting aanwezig. We hopen er maar het beste van.”

“Belangrijk om de betekenis van BTV-12 te onderzoeken”

“In de nazomer van 2024 had deze veehouder zieke schapen met BTV-3. Eind oktober zagen we opeens nog een schaap met wat vreemde blauwtongachtige verschijnselen. Het was erg laat in het jaar, maar met dit virus weet je soms niet wat je moet verwachten. Het schaap had pijnlijke poten en lag veel, maar was niet erg ingevallen en speekselde ook niet overmatig. Ik wilde weten of het dier ook BTV had en heb daarom een bloedmonster ingestuurd. Voordat de uitslag er was, was het dier al gestorven. Uit de test kwam BTV-12.

In onze praktijk was ook één rundveebedrijf met een BTV-12-besmetting. GD heeft daarom gevraagd of beide bedrijven wilden meedoen in het prevalentieonderzoek. Ondanks de drukke periode hebben we dat gedaan, je kan ook niet te lang wachten als je de infectie nog wilt aantonen. De schapenhouder zag er tegenop, maar zei: ‘als jij vindt dat we mee moeten doen, zeg ik geen nee.’ Als dierenarts realiseer je je niet altijd hoe belangrijk je rol bij dat soort beslissingen is. Ik vond het belangrijk want BTV-3 was er in 2023 ook ineens en explodeerde vervolgens. Het was gek dat de twee serotypes zo ver uit elkaar staan en dat BTV-12 nog niet eerder in Europa gezien werd. Als dierenarts wil je dan toch weten wat voor een betekenis zo’n vondst heeft.

Ook om veehouders goed te kunnen adviseren vond ik het belangrijk om te weten hoe groot en verspreid het probleem was.

Uiteindelijk werd naast het gestorven schaap bij slechts één ander schaap BTV12 aangetoond. Aan dat dier hebben we niets gezien. Op het rundveebedrijf was BTV-12 ontdekt na routineonderzoek naar blauwtong. Die koe was niet ziek. Van de tweehonderd koeien die op dat bedrijf aan het prevalentieonderzoek meededen, werd bij nog twee runderen BTV-12 aangetoond.

Na een grote uitbraak zoals in 2023, zien mensen al snel overal BTV in. Wij gaan altijd op onderzoek uit bij ziekte, want er kunnen allerlei dingen spelen. Ook in 2024 zagen we in onze praktijk pas in juli de eerste gevallen van blauwtong, terwijl veel mensen dachten dat het vroeger uitbrak. Wij zetten erop in dat veehouders blijven vaccineren tegen BTV-3. Als dierenarts moet je de verantwoordelijkheid voor communicatie over preventie blijven nemen. En ook onderzoek faciliteren, anders komen we niet verder. Je hebt iedereen nodig.”

FACTS & FIGURES

DIERDICHTHEID

2024

BEDRIJFSDICHTHEID

Dierdichtheid van paardenbedrijven in Nederland per tweecijferige postcode. Hoe donkerder het gebied, hoe meer dieren er aanwezig zijn.

Bedrijfsdichtheid van paardenbedrijven in Nederland per tweecijferige postcode. Hoe donkerder het gebied, hoe meer bedrijven er aanwezig zijn.

98 SEIN-MELDINGEN: 361 CASUSSEN GEMELD

479 CONTACTEN HELPDESK PAARD

CONTACTMOMENTEN SPECIFIEKE ZIEKTE

Droes

Overige infectieuze aandoeningen

Rhinopneumonie

Toxicologische aandoeningen

Rhodococcose (R. equi)

Maagdarmwormen, coccidiën

Teekgebonden aandoeningen

Clostridium-infecties

Virale encephalomyelitiden (o.a. WNV)

Salmonella

Koorts

Diarree

Overig, o.a. bespreken bloeduitslagen, voeding/drinkwater

Ademhalingsproblemen/hoesten

Neurologische verschijnselen

Vermageren

Verwerpen

Plotseling dood

Huidaandoeningen/jeuk

Bevangenheid/ kreupelheid

Paard

Bioveiligheidsmaatregelen belangrijk bij rhinopneumonie

Rhinopneumonie is een voor de paardensector belangrijke infectieuze aandoening. Uitbraken worden regelmatig opgepikt door de media en kunnen veel impact hebben op het getroffen bedrijf en de betrokkenen. Ook roept de ziekte regelmatig vragen op bij paardeneigenaren en dierenartsen.

Rhinopneumonie wordt veroorzaakt door een equine herpesvirus (EHV) dat de luchtwegen van het paard infecteert en zich vermeerdert in het slijmvlies van neus en luchtpijp. Het subtype EHV-1 is bovendien in staat om zich via de bloedbaan naar andere organen te verspreiden. Als het virus in de baarmoeder van een drachtige merrie terechtkomt, kan dit aanleiding geven tot abortus of de geboorte van een dood of zwak veulen. Komt het virus in het ruggenmerg, dan kunnen ataxie en verlammingsverschijnselen ontstaan (neurologische rhinopneumonie). EHV-1 verspreidt zich via direct contact (via neusuitvloeiing van besmette paarden), indirect contact zoals via de voederbak en drinkbak, en over korte afstanden via de lucht. Bij een uitbraak wordt geadviseerd om het bedrijf minimaal vier weken te sluiten.

Veel reisbewegingen

Een EHV-1-uitbraak op een gemengd sport- en fokkerijbedrijf in 2024 onderstreepte het belang van het gescheiden huisvesten van verschillende leeftijdsgroepen en van bijvoorbeeld drachtige merries en sportpaarden. Paarden worden net als andere landbouwhuisdieren op veel bedrijven in groepen gehouden, maar maken veel vaker individuele reisbewegingen. Bijvoorbeeld naar concoursen, waar ze bovendien paarden van andere stallen treffen. Het EHV-1-virus kan binnengesleept worden van buitenaf,

of latent aanwezig zijn bij paarden op het bedrijf en door bijvoorbeeld stress gereactiveerd worden. Het bestrijden van EHV-1 bij paarden is daardoor lastig.

Rol Helpdesk Paard Rhinopneumonie is geen zoönose, maar wel een zeer besmettelijke aandoening die veel impact heeft. Wanneer de eigen dierenarts een bedrijfsprobleem met meerdere zieke dieren constateert, dan kan de Helpdesk Paard een bedrijfsbezoek aanbieden. Dat geldt overigens zowel voor rhinopneumonie, als voor andere infectieuze aandoeningen zoals bijvoorbeeld salmonellose of rhodococcose. Zo’n bedrijfsbezoek gaat altijd in overleg met de paardenhouder. Het is bedoeld om samen met de eigen dierenarts en de eigenaar van het bedrijf de behandeling, het stalmanagement en preventieve maatregelen te bespreken. Bij de rhinouitbraak op het gemengde sport- en fokkerijbedrijf in 2024 kwam naar voren dat de indeling van de stal voor verbetering vatbaar was.

Biosecurity onderbelicht

In de paardensector is aandacht voor bioveiligheidsmaatregelen en gescheiden huisvesting voor verschillende leeftijdsgroepen en doeldieren (zoals fokmerries en sportpaarden) niet altijd vanzelfsprekend. Daarnaast is het bewustzijn van infectieziektes soms beperkt. Hygiënemaatregelen zijn vaak lastiger te nemen, bijvoorbeeld omdat er vaak geen isolatiestal aanwezig is. Voor de sector is het van belang dat hier meer aandacht voor komt.

“Data van dit soort uitbraken zijn enorm belangrijk”

“Ik ben specialist en vrijwel nooit met spoed op locatie bij klanten. Maar nu was er een paard met neurologische verschijnselen dat acuut geëuthanaseerd moest worden. Vanwege een verdenking van rhinopneumonie, schakelden onze buitenpraktijkdierenartsen mij in. Als internist weet je namelijk meer over infectieziekten.

Het was heel fijn dat de dierenartsen van GD daarna op bedrijfsbezoek kwamen, dat geeft toch een aanvullende kijk op de zaak. We hebben in 2018 zelf ook een grote uitbraak gehad in de kliniek. Toch heb je nooit zoveel rhinopneumonie gezien en bestudeerd als GD. Mede omdat de klant een nieuwe stal ging bouwen, vond ik het bezoek heel interessant. De dierenartsen van GD keken zorgvuldig naar hoe het virus door de groep was gegaan en naar de stalindeling. Bovendien gaven ze tips om dit in de toekomst te voorkomen. De stalhouder kan iets leren van een bedrijfsbezoek, net als GD en ikzelf ook. Het is heel leuk om daarin meegenomen te worden. Daar worden we als paardenartsen slimmer van en het houdt ons gemotiveerd. Ik ben nu zelf ook sneller geneigd om bij een infectieuze uitbraak de Helpdesk Paard te bellen om te vragen of ze willen meekijken.

Bij paarden is koppeldiagnostiek echt nog een ondergeschoven kindje. Dit soort uitbraken gaat echter gepaard met veel leed en schade, dus het is goed om ervan te leren en het in de toekomst te voorkomen. In deze casus was sprake van een interessante populatie, omdat die zo gemengd was. Al snel was duidelijk dat het heel onhandig was dat alle paarden allemaal door elkaar in één hal stonden. De grootste winst voor de stalhouder zat in het aanpassen van de inrichting van de stal. Bij dit bedrijf was bovendien sprake van een niet volledig waterdicht vaccinatieplan. Sommige paarden waren heel trouw geënt, andere helemaal niet. De paardenhouder zag bij deze uitbraak duidelijk een relatie tussen de entingen en de ziektelast. Onderzoek daarnaar is nog in ontwikkeling, op dit bedrijf lijken ziektebeeld en vaccinatiestatus verband te houden. We kunnen het effect van vaccinatie tegen rhino bij paarden niet gemakkelijk onderzoeken. Dit ziektebeeld is namelijk niet zomaar te triggeren, dat is wel eens tevergeefs geprobeerd. Daarom zijn de data van dit soort uitbraken superbelangrijk. Er komt steeds meer bewijs dat vaccinatie wel wat doet, in elk geval om abortus en virusuitscheiding te voorkomen. Wij raden onze klanten altijd aan om te enten, dat is goed voor de hele paardenpopulatie.”

Berit Boshuizen, specialist inwendige ziekten bij Paardenkliniek Wolvega
“Als ik ooit een ander bedrijf koop, wil ik aparte stalgangen om de groepen te scheiden”

“In 2024 hadden wij een uitbraak van rhinopneumonie op stal. Ik heb daarbij drie paarden verloren, twee waardevolle dressuurpaarden en een veulen dat dood geboren werd. Het was opvallend dat paarden die eerder met het virus in aanraking waren geweest, geen of weinig last hadden.

In 2022 hadden we hier al de abortusvorm van rhinopneumonie. Nu waren vier merries drachtig, waarvan drie al hier waren in 2022. Zij hebben dit keer geen last gehad, alleen de merrie die er toen nog niet was. Terwijl die dieren overdag bij elkaar stonden. Een dravermerrie die ik als draagmerrie gebruik, was ook niet ziek. Zij is veel geënt tijdens haar baancarrière, maar was recent niet meer gevaccineerd. Ook twee volledig gevaccineerde paarden van andere eigenaren bleven gezond. Een hengst die in het verleden geënt was, heeft maar één dag koorts gehad. Vijf van de veertig paarden stonden én in 2022 niet hier én waren nog nooit geënt. Daarvan stierven er twee en is één paard neurologisch geworden. Na de uitbraak in 2022 had ik de paarden een basisenting gegeven, daarna was ik weer gestopt. Ik had geen booster gegeven, omdat toch vaak gezegd wordt dat enten niet zo zinvol is en het is best een investering. Eén van die paarden is in 2024 ook neurologisch geworden. Omdat ik toch een heel

duidelijke lijn zag in het verloop van de uitbraak, heb ik besloten om voortaan wel te vaccineren. Ik adviseer dat ook aan anderen.

Op het moment van de uitbraak waren we bezig met het bouwen van een nieuwe stal. Daar staan nu zeven sportpaarden. Ik kan daar niet altijd alle sportpaarden kwijt. Dat betekent dat in de grote stal nog steeds paarden door elkaar staan, ook fokmerries en jaarlingen. De groepen helemaal scheiden betekent dat we compleet nieuwe stallen moeten bouwen en dat is voor nu een te grote investering. Als ik ooit nog eens een ander bedrijf koop, wil ik wel aparte stalgangen. Nu zorg ik ervoor dat alle nieuwe paarden geënt zijn voordat ze hier aankomen. Wij zijn heel open geweest over de uitbraak, ook op sociale media. Daar werd superpositief op gereageerd. Tegelijkertijd vermoed ik dat veel mensen er niet open en eerlijk over zijn en dat het vaker voorkomt dan je denkt. Rhino leek ook voor mij een ver-van-mijn-bed-show. Omdat veel mensen het stil houden, zie je de risico’s ook niet.”

Joey van de Grijp, eigenaar dressuurstal Van de Grijp

Annet Heuvelink

De mensen van GD achter de monitoring

Inge Berends

Deborah van Doorn

Anneke Feberwee

Kees van Maanen

Anouk Veldhuis

Deon van der Merwe

Marleen Aarninkhof

den Wollenberg

van

Henriëtte BrouwerMiddelesch

Erik van Engelen

Overkoepelend Rund Varken Pluimvee Kleine herkauwers Paard

Myrna Bunte
Eveline van Langen-Willems
Karin Junker
Jeanine Wiegel
Irene Bisschop
Jet Mars
Linda van Duijn
Maarten Weber
Linda van
Gerdien van Schaik
Erhard
der Vries
Paulien Boom
Liza le FeberDekker
Samantha de Vos
Lotte Roos
Bas Engel
Yannique Jacobs
Eva Dieterman
Rob Nijland
Fiona Schoemakervan Kaam
Christiaan Sanderman
Sjoerd Klarenbeek
Nienke Snijdersvan de Burgwal
Menno Holzhauer
Evert van Garderen
Christiaan ter Veen

Klaas Peperkamp

Maaike Gonggrijp

Lianneke Bosma

Robert Jan Molenaar
Heleen Kellij-Klunder
Reinie Dijkman
Karianne Peterson
Theo Lam
Lucia Dieste Pérez
Debora Smits
Nadine Meertens
Carlijn ter BogtKappert
Nienke Paarlberg
Saskia van der Drift
Jobke van Hout
Ant Koopmans
Mark Delany
René van den Brom
Nannet Fabri
Remco Dijkman
Judith de Jong
Liesbeth Harkema
Willem Dekkers
Manon Holstege
Marian Aalberts
Irene Jorna
Jasper het Lam
Mirthe de Wit
Tijs Tobias
René Renzhammer
Emma Strous
Naomi de Bruijn
Eveline Dijkstra
Paola Meijer
Sjaak de Wit

GD Monitoring • Jaarverslag 2024

Royal GD

Arnsbergstraat 7

Postbus 9

7400 AA Deventer

Belangrijke telefoonnummers

Veekijker

088 20 25 555

Helpdesk Paard 088 20 25 555

Ophaaldienst voor sectie- en monstermateriaal 088 20 25 500

Diergezondheidsadministratie, laboratorium, facturering 088 20 25 500

NVWA meldpunt besmettelijke dierziekten

045 546 31 88

Colofon

Royal GD

Arnsbergstraat 7

7418 EZ Deventer

Monitoring wordt uitgevoerd door Royal GD met financiering van de veehouderijsector en de overheid.

Opdrachtgever: Lotte Roos

Eindredactie: Daphne de Leeuw, Mirjam Hommes

Ontwerp: Ineke Oerlemans

Opmaak en drukwerk: Ovimex b.v.

Turn static files into dynamic content formats.

Create a flipbook
Issuu converts static files into: digital portfolios, online yearbooks, online catalogs, digital photo albums and more. Sign up and create your flipbook.