Medical Market - Reumatologie 2025

Page 1


Prof. Univ. Dr. Elena Rezuș

Preşedinte al Societății Române de Reumatologie

Prof. Univ. Dr. Andra Bălănescu

UMF „Carol Davila” din Bucureşti

Prof. Univ. Dr. Florentin Vreju

Universitatea de Medicină şi Farmacie din Craiova

Prof. Univ. Dr. Gelu Onose

Șef Secție recuperare Neuromusculară, Spital „Bagdasar-Arseni”, Bucureşti

Conf. Univ. Dr. Daniela Opriș-Belinski

UMF „Carol Davila” din Bucureşti

Conf. Univ. Dr. Răzvan Adrian Ionescu

UMF „Carol Davila” din Bucureşti

Conf. Univ. Dr. Violeta-Claudia Bojincă

M.pr. Reumatologie, Dr. Șt. Med., UMF „Carol Davila” din Bucureşti

Șef de lucrări Dr. Georgiana Tache

UMF „Carol Davila” din Bucureşti

As. Univ. Dr. Denise-Ani Mardale

UMF „Carol Davila” din Bucureşti

Reumatologie

Citește revista integral

„Lupusul eritematos sistemic a fost și rămâne pentru reumatolog o mare provocare prin modul cameleonic de prezentare și prin evoluția potențial severă a acestei boli”

Interviu realizat cu Doamna Prof. Univ. Dr. Elena Rezuș

Progresia radiografică în spondiloartrita axială - factori de predicție

Dr. Georgiana-Eliza Murgu, Prof. Univ. Dr. Elena Rezuș

Boala Sjogren și fatigabilitatea: între manifestare subiectivă și expresie imunologică

As. Univ. Dr. Denise-Ani Mardale, Prof. Univ. Dr. Andra Bălănescu

Imagistica în hemofilie: locul ecografiei ca metodă de diagnostic precoce

Prof. Univ. Dr. Florentin Vreju

Durerea în Reumatologie

Prof. Univ. Dr. Simona Rednic, Dr. Iulia Szabo

Artrita reumatoidă din perspectiva geneticii

Dr. Maria Stratan, Dr. Andreea Ţuţulan-Cuniţa

Diagnosticul diferențial al gutei - adesea, o provocare

Conf. Univ. Dr. Răzvan Adrian Ionescu

Entezita - perspective actuale Dr. Mihaela Agache

Noutăți în abordarea terapeutică a vasculitelor ANCA pozitive

Conf. Univ. Dr. Daniela Opriș-Belinski

Hepatita lupică: de la diagnostic la management - navigând prin complexitatea unei boli rare

Dr. Monica Chiș

Riscul pacienților cu boli reumatice mediate imun în fața COVID-19 – lecții învățate din pandemie Dr. Andreea-Iulia Vlădulescu-Trandafir, Prof. Univ. Dr. Gelu Onose, Dr. VioletaClaudia Bojincă

Cum ne ajută ecografia musculo-scheletală la evaluarea leziunilor de tendon și la aprecierea evoluției efectelor terapiei injectabile (monitorizare ecografică) Șef de lucrări Dr. Georgiana Tache 32

Copierea fără acordul scris al editurii a oricăror elemente de grafică sau conținut editorial apărute în revistele editurii sunt considerate furt de proprietate intelectuală și intră sub incidența legii.

Trimite email pe adresa redactie@finwatch.ro, solicită un abonament la revista Medical Market şi primeşti 10 puncte EMC.

Mihaela Agache

UMF

Universitatea de Medicină, Farmacie, Științe şi Tehnologie, „George Emil Palade” din Târgu Mureş

Georgiana-Eliza Murgu

Medic specialist, UMF „Grigore T. Popa” din Iaşi

Dr. Iulia Szabo

Medic specialist Reumatologie, UMF „Iuliu Hațieganu” din Cluj Napoca

Maria Stratan

Medic specialist Genetică medicală

Dr. Biolog Andreea Țuțulan-Cuniță

Dr. Biolog

Dr. Andreea-Iulia Vlădulescu Trandafir

Doctorand UMF „Carol Davila” din Bucureşti

Dr.
Medic specialist,
„Carol Davila” din Bucureşti
Dr. Monica Chiș
Dr.
Dr.

Stimată Doamnă Prof. Univ. Dr. Elena Rezuş, Congresul Național de Reumatologie va avea loc în perioada 25-27 Septembrie 2025 la Sibiu. Care vor fi principalele obiective ştiințifice, educaționale şi clinice ce urmează a fi prezentate în cadrul Congresului?

Congresul Național de Reumatologie reprezintă pentru profesioniștii din domeniul reumatologiei un eveniment important, atât din punct de vedere științific, educațional, cât și din punct de vedere social. Cu această ocazie sunt discutate cele mai importante progrese în diagnosticul și tratamentul bolilor reumatismale, ghiduri internaționale actualizate, precum și perspective din domeniul cercetării medicale. Concomitent, reumatologii din țară și din străinătate au ocazia să se cunoască și să își împărtășească experiența personală din practica clinică, ajutându-ne să ne îmbogățim perspectiva profesională și să devenim mai performanți în îngrijirea pacientului reumatic. Ce noutăți există în diagnosticul şi tratamentul lupusului eritematos sistemic?

Lupusul eritematos sistemic a fost și rămâne pentru reumatolog o mare provocare prin modul cameleonic de prezentare și prin evoluția potențial severă a acestei boli. Introducerea precoce a terapiei biologice (Anifrolumab, Belimumab), lucru susținut de ghidurile de practică EULAR, are un efect pozitiv asupra prognosticului acestor pacienți, cu creșterea calității vieții și îmbunătățirea marcată a speranței de viață. Anul acesta, experiența practică acumulată în utilizarea terapiei biologice confirmă datele teoretice publicate anterior.

Care sunt mecanismele fiziopatologice implicate în

„Lupusul eritematos sistemic

a fost și rămâne pentru reumatolog o mare provocare prin modul cameleonic de prezentare și prin evoluția potențial severă a acestei boli”

Interviu realizat cu Doamna Prof. Univ. Dr. Elena Rezuș, UMF „Grigore T. Popa” din Iași, Președinte al Societății Române de Reumatologie

scleroza sistemică şi impactul acestora asupra terapiei antifibrotice moderne?

Scleroza sistemică este o afecțiune autoimună care implică mecanisme fiziopatologice complexe, în ultimii ani înregistrându-se progrese importante în identificarea elementelor cheie implicate în apariția și progresia bolii. Scleroza sistemică apare la un individ susceptibil (teren genetic, expunerea la factori de mediu precum siliciu, hidrocarburi etc.), la care apare un factor trigger (virusuri precum EBV, CMV, Parvo B19, Mimiviridae, Picornaviridae etc.).

În acest context, apare perturbarea toleranței imune, cu implicarea limfocitelor T și B, precum și activarea sistemului imun înnăscut (PAMPs având un rol important). Secvențele patogenice ulterioare cuprind anomalii vasculare (proliferare fibro-intimală a vaselor mici, vasospasm și ischemie consecutivă), anomalii imunologice (activare limfocitară, secreția de citokine și autoanticorpi) și apariția fibrozei (fibroblaștii se transformă în miofibroblaști, sintetizează în exces colagen și determină acumulare excesivă de DAMPs, care întrețin acest cerc vicios). Fibroza afectează diverse organe și țesuturi: piele, plămân, cord, tub digestiv - determinând tabloul clinic specific. Terapia antifibrotică este un pas foarte important în frânarea procesului de fibroză, prin inhibarea kinazelor cu rol central în acest proces: PDGFR, FGFR, VEGFR, CSF1R și Lck. Această terapie reprezintă o verigă foarte importantă în tratamentul afectării interstițiale pulmonare la pacientul cu scleroză sistemică, afectare care reprezintă în continuare prima cauză de deces la acești pacienți.

Care sunt sistemele imunologice incluse în patogeneza artritei psoriazice şi țintele actuale ale terapiilor biologice?

Artrita psoriazică este o afecțiune autoimună cu potențial distructiv înalt și cu

o invaliditate consecutivă marcată, pentru care terapia biologică a reprezentat o mare schimbare de paradigmă pentru calitatea vieții acestor pacienți. Pe un teren genetic predispus (HLA, genele ce codifică IL12, IL-23 etc.), activarea sistemului imun înnăscut (activarea celulelor dendritice, macrofagelor, celulelor NK), precum și a sistemului imun dobândit (în special limfocitele T CD4+), determină secreția de citokine inflamatorii cu rol patogenic: IL-17, IL-12/23, TNF-alfa etc.

Aceste citokine reprezintă ținte terapeutice, blocarea lor prin terapii biologice și terapii țintite sintetice (ts) având un efect spectaculos în ameliorarea afectării cutanate și osteoarticulare la acești pacienți.

Care este rolul testelor ANCA (anticorpi antineutrofili citoplasmatici) p-ANCA şi c-ANCA în diagnosticul vasculitelor?

Testarea anticorpilor anticitoplasma neutrofilelor (ANCA - Antineutrophil Cytoplasmic Antibody) are un rol central în diagnosticul vasculitelor ANCA -pozitive: granulomatoza cu poliangeită (GPA), poliangeita microscopică (MPA) și poliangeita granulomatoasă eozinofilică (EGPA).

Ghidul Kidney Disease: Improving Global Outcomes (KDIGO) 2024 recomandă testarea anticorpilor anti-MPO și anti-PR3 folosind metode imunoenzimatice performante, dat fiind superioritatea sensibilității și specificității acestor teste comparativ cu imunofluorescența.

Interpretarea rezultatelor trebuie însă făcută cu prudență și în context clinic, dat fiind faptul că acești anticorpi pot fi fals pozitivi în anumite condiții (infecții, vasculită indusă de droguri), iar absența lor nu exclude vasculita (există o minoritate de pacienți seronegativi).

Un alt aspect este cel legat de utilitatea determinării seriate a titrului ANCA pentru monitorizarea evoluției bolii, element important în adaptarea conduitei terapeutice în context clinic.

Suplimente alimentare destinat doar adulților.

Progresia radiografică în spondiloartrita

axială - factori

de predicție

Grupul spondiloartritelor cuprinde patologii cu manifestări clinice variate ce includ afectarea axială, artrita periferică, entezita și manifestările extramusculoscheletale precum uveita, psoriazisul și bolile inflamatorii intestinale. Simptomatologia axială prezintă frecvența cea mai înaltă, fiind predominantă în stadille incipiente de boală. Evoluția naturală a spondiloartritei axiale este heterogenă, cu un grad variat al severității. Identificarea fenotipului pacientului privind progresia radiografică poate facilita implementarea precoce a unui tratament optim (1)

LDr. Georgiana-Eliza Murgu

Medic specialist, UMF „Grigore T. Popa” din Iaşi, Spitalul Clinic de Boli Infecțioase „Sfânta Parascheva”, Iaşi

Prof. Univ. Dr. Elena Rezuș

UMF „Grigore T. Popa” din Iaşi, Spitalul Clinic de Recuperare Iaşi, Clinica I Reumatologie

oturile reduse de pacienți din studiile clinice, utilizarea Bath Ankylosing Spondylitis Disease Activity Index (BASDAI), un scor de activitate mai puțin obiectiv comparativ cu Axial Spondyloarthritis Disease Activity Score (ASDAS), și gradul înalt de dificultate în măsurarea progresiei radiografice au determinat temporizarea validării unei asocieri dintre activitatea bolii și progresia radiografică. Studiul de cohortă OASIS, publicat în 2014, a fost primul studiu care a obiectivat contribuția longitudinală a formei de boală active asupra evoluției modificărilor radiografice la nivelul coloanei vertebrale în spondilita anchilozantă. În cadrul studiului, radiografiile au fost evaluate utilizând scorul Stoke Ankylosing Spondylitis Spine modificat (mSASSS). Activitatea bolii a fost obiectivată prin scorurile BASDAI și ASDAS, reactanți de fază acută (proteina C reactivă - CRP și viteza de sedimentare a hematiilor), evaluarea globală a activității bolii de către pacient și evaluarea durerii la nivel vertebral pe o scală analog vizuală. Asocierea longitudinală dintre activitatea bolii și progresia radi-

ografică a fost confirmată pentru toate metodele de evaluare, având o corelație semnificativă cu ASDAS: pentru fiecare unitate a ASDAS s-a demonstrat o creștere a mSASSS cu 0.7 într-o perioadă de 2 ani. Aceste asocieri sunt mai frecvente la pacienții de sex masculin, în fazele incipiente ale bolii (2)

Între 20 și 80% dintre pacienții nou diagnosticați cu spondiloartrită axială prezintă o formă de boală non-radiografică. Dintre aceștia 8-44% progresează la spondiloartrita axială forma radiografică într-o perioadă de 2 până la 11 ani (3). Un studiu publicat în 2017 a evaluat datele din cohorta DESIR cu obiectivul de a estima progresia radiografică de la nivelul articulațiilor sacroiliace și de a analiza efectele inflamației obiectivate imagistic prin studii de rezonanță magnetică (IRM) asupra progresiei modificărilor structurale. Studiul a evidențiat faptul că, pacienții diagnosticați cu spondiloartrită forma non-radiografică, la care HLA-B27 este negativ și CRP în limite normale prezintă o probabilitate de progresie la forma radiografică de 1.2%, în timp ce la pacienții cu HLA-B27 pozitiv, CRP cu valori crescute și edem osos obiectivat prin IRM probabilitatea este de 18.4% (4) . Studiul PROOF, publicat în 2024, studiu observațional prospectiv de cohortă din viața reală a avut ca obiectiv analiza progresiei pacienților cu spondiloartrită axială de la forma non-radiografică la cea radiografică pe o perioadă de 5 ani și evaluarea factorilor de predicție a progresiei. 246 pacienți au fost diagnosticați cu spondiloartrită axială non-radiografică și au efectuat radiografie de articulații sacroiliace la reevaluare. Dintre aceștia, 40 de pacienți (16%) au prezentat evolu-

ție la forma radiografică de boală într-o perioadă de 5 ani. Timpul mediu până la obiectivarea progresiei radiografice a fost de 2.4 ani. În cadrul studiului PROOF factorii asociați cu progresia la spondiloartrita axială forma radiografică au fost sexul masculin, răspunsul favorabil la antiinflamatoarele nonsteroidiene, inflamația activă la nivelul articulațiilor sacroiliace obiectivată imagistic. Studiul a confirmat rolul pozitivității HLA-B27 și al modificărilor inflamatorii la nivelul articulațiilor sacroiliace evidențiate prin IRM ca factori de predicție a progresiei radiografice (3)

Literatura de specialitate a evidențiat un efect pozitiv al antiinflamatoarelor nonsteroidiene, în special inhibitorul selectiv de ciclooxigenază II, celecoxib, în stagnarea modificărilor structurale la pacienții cu spondiloartrită axială forma radiografică. Acest beneficiu a fost obiectivat cu precădere la pacienții cu niveluri crescute ale CRP (5, 6). Tratamentul continuu cu diclofenac pe o perioadă de 2 ani nu a determinat o reducere a progresiei radiografice comparativ cu tratamentul administrat la nevoie în spondilita anchilozantă (7). Studiul CONSUL, un studiu randomizat, controlat, multicentric de fază IV, publicat în 2023, a evaluat efectul potențial al asocierii celecoxib tratamentului cu golimumab față de tratamentul cu golimumab în monoterapie asupra progresiei radiografice la nivel vertebral. Această analiză s-a realizat la pacienții cu risc crescut de progresie radiografică, identificați prin prezența sindesmofitelor și/sau a CRP cu valori crescute. În brațul în care s-a asociat celecoxib, s-a remarcat un număr mai redus de cazuri de progresie radiografică,

dar nu s-a evidențiat o diferență semnificativă statistic între cele două grupuri de pacienți. Rezultatele studiului CONSUL susțin recomandările actuale privind managementul spondiloartritei axiale: tratamentul cu antiinflamatoare nonsteroidiene nu este recomandat la pacienții care urmează terapie biologică în afara unor indicații clare, chiar și la pacienții cu risc crescut de progresie radiografică (prezența sindesmofitelor și/sau a CRP cu valori crescute) (6) .

Alt studiu realizat pe o cohortă de pacienți cu spondiloartrită axială cu o durată a simptomatologiei de maxim 5 ani a urmărit evoluția leziunilor structurale vertebrale în funcție de nivelul reactanților de fază acută și a statutului de fumător al pacienților. Acesta a obiectivat asocierea dintre valoarea medie crescută a CRP, definită ca 6 mg/L, pe o perioadă de 2 ani și progresia radiografică la nivel vertebral. Cu toate că această variabilă nu poate fi utilizată ca factor de predicție, este asociată semnificativ și independent cu evoluția modificărilor structurale la analiza statistică multivariată. Prezența fumatului și a valorii crescute a CRP la includerea în studiu au crescut riscul progresiei radiografice de la 4% la 20% la pacienții fără modificări structurale inițiale. La pacienții la care s-a obiectivat prezența sindesmofitelor la evaluarea inițială, riscul a crescut de la 19% la 55% (8). Trebuie avută în vedere prezența unei ferestre de oportunitate privind modificările structurale. Depăsirea acestui moment terapeutic cheie poate implica o evoluție a bolii bazată pe căi ale formării osoase deja activate și la care intervenția terapeutică nu are același potențial (9) .

Analiza factorilor de predicție a modificărilor structurale în funcție de sexul pacientului a revelat o progresie mai importantă în rândul pacienților de sex masculin pe o perioadă de 5 ani. Modificările structurale vertebrale la evaluarea inițială, valorile crescute ale CRP, obezitatea au prezentat semnificație statistică la ambele sexe. Fumatul a fost asociat cu evoluția leziunilor la sexul masculin, în timp ce la sexul feminin s-a evidențiat faptul că, expunerea la bisfosfonați și limitarea mobilității au reprezentat factori de predicție a dezvoltării sindesmofitelor (10). Inflamația din spondiloartrita axială prezintă efecte diferite asupra compartimentelor osoase trabeculare și corticale.

Inflamația persistentă poate preveni răspunsul anabolic la nivelul osului trabecular al corpului vertebral, dar cu osteoproliferare la nivel cortical și apariția sindesmofitelor (11, 12). Densitatea minerală osoasă redusă la evaluarea inițială a fost asociată cu progresie semnificativă a mSASSS într-o perioadă de doi ani. Procesul inflamator, prin intermediul inflamației sistemice și a inflamației specifice osoase, determină alterarea remodelării osoase și creșterea resorbției la acest nivel. Citokinele proinflamatorii influențează osteoclastogeneza și activitatea osteoblastelor. Densitatea minerală osoasă scăzută este rezultatul inflamației persistente și a remodelării osoase alterate (11)

Cunoașterea factorilor de predicție privind progresia radiografică la nivel vertebral și al articulațiilor sacroiliace la pacienții cu spondiloartrită axială determină posibilitatea de intervenție terapeutică precoce, clasificarea pacienților în funcție de profilul de risc și eliminarea anumitor elemente modificabile, precum fumatul și obezitatea. Sexul masculin, pozitivitatea HLA-B27, valoarea crescută a CRP și prezența modificărilor inflamatorii la momentul evaluării reprezintă factorii cei mai importanți pentru progresia radiografică.

Bibliografie:

1. Dougados M, d’Agostino MA, Benessiano J, et al. The DESIR cohort: a 10-year follow-up of early inflammatory back pain in France: study design and baseline characteristics of the 708 recruited patients. Joint Bone Spine. 2011;78(6):598-603.

2. Ramiro S, van der Heijde D, van Tubergen A, et al. Higher disease activity leads to more structural damage in the spine in ankylosing spondylitis: 12-year longitudinal data from the OASIS cohort. Ann Rheum Dis. 2014;73(8):1455-1461.

3. Poddubnyy D, Sieper J, Akar S, et al. Radiographic Progression in Sacroiliac Joints in Patients With Axial Spondyloarthritis: Results From a Five-Year International Observational Study. ACR Open Rheumatol. 2024;6(2):103-110.

4. Dougados M, Sepriano A, Molto A, et al. Sacroiliac radiographic progression in recent onset axial spondyloarthritis: the 5-year data of the DESIR cohort. Ann

Rheum Dis. 2017;76(11):1823-1828.

5. Kroon F, Landewé R, Dougados M, van der Heijde D. Continuous NSAID use reverts the effects of inflammation on radiographic progression in patients with ankylosing spondylitis. Ann Rheum Dis. 2012;71(10):1623-1629.

6. Proft F, Torgutalp M, Muche B, et al. Comparison of the effect of treatment with NSAIDs added to anti-TNF therapy versus anti-TNF therapy alone on the progression of structural damage in the spine over 2 years in patients with radiographic axial spondyloarthritis from the randomised-controlled CONSUL trial. Ann Rheum Dis. 2024;83(5):599-607.

7. Sieper J, Listing J, Poddubnyy D, et al. Effect of continuous versus on-demand treatment of ankylosing spondylitis with diclofenac over 2 years on radiographic progression of the spine: results from a randomised multicentre trial (ENRADAS). Ann Rheum Dis. 2016;75(8):1438-1443.

8. Poddubnyy D, Haibel H, Listing J, et al. Baseline radiographic damage, elevated acute-phase reactant levels, and cigarette smoking status predict spinal radiographic progression in early axial spondylarthritis. Arthritis Rheum. 2012;64(5):1388-1398.

9. van der Heijde D, Østergaard M, Reveille JD, et al. Spinal Radiographic Progression and Predictors of Progression in Patients With Radiographic Axial Spondyloarthritis Receiving Ixekizumab Over 2 Years. J Rheumatol. 2022;49(3):265-273.

10. Deminger A, Klingberg E, Geijer M, et al. A five-year prospective study of spinal radiographic progression and its predictors in men and women with ankylosing spondylitis. Arthritis Res Ther. 2018;20(1):162.

11. Kim HR, Hong YS, Park SH, Ju JH, Kang KY. Low bone mineral density predicts the formation of new syndesmophytes in patients with axial spondyloarthritis. Arthritis Res Ther. 2018;20(1):231.

12. Bautista-Aguilar L, López-Medina C, Ladehesa-Pineda L, et al. Prevalence and Associated Factors of Low Bone Mineral Density in the Femoral Neck and Total Hip in Axial Spondyloarthritis: Data from the CASTRO Cohort. J Clin Med. 2021;10(12):2664.

Boala Sjogren și fatigabilitatea: între

manifestare

subiectivă și expresie imunologică

Fatigabilitatea este un simptom frecvent întâlnit în numeroase boli inflamatoare mediate imun, dar rămâne adesea subestimată în evaluarea medicală curentă. În boala Sjögren, fatigabilitatea apare precoce și persistent și influențează profund calitatea vieții pacientului, depășind uneori ca impact, manifestările clinice obiective. Complexă, multifactorială și greu de cuantificat, aceasta necesită o înțelegere nuanțată și o abordare terapeutică personalizată.

FAs. Univ. Dr. Denise-Ani Mardale

UMF „Carol Davila” din Bucureşti, Clinica de Medicină Internă şi

Reumato. „Sfânta Maria”, Bucureşti

Prof. Univ. Dr. Andra Bălănescu

UMF „Carol Davila” din Bucureşti, Clinica de Medicină Internă şi

Reumato. „Sfânta Maria”, Bucureşti

atigabilitatea este un simptom central și profund invalidant în boala Sjögren, afectând aproximativ 70% dintre pacienți și având adesea un impact mai mare asupra calității vieții, ce poate depăși disconfortul cauzat de afectarea glandulară sau de durere. Fatigabilitatea este multidimensională, incluzând componente fizice, mentale și oculare. Pacienții o descriu ca pe o lipsă de energie permanentă, fluctuantă și incontrolabilă, diferită de oboseala obișnuită, frecvent însoțită de tulburări cognitive precum dificultăți de memorie, atenție și funcții executive. Această fatigabilitate profundă determină limitări funcționale semnificative și suferință psihosocială, inclusiv depresie și anxietate, reprezentând un factor major al scăderii productivității la locul de muncă și al reducerii participării sociale.

Fiziopatologia fatigabilității în boala Sjögren este complexă și încă incomplet elucidată. Deși modelele tradiționale puneau accentul pe factori psihologici, dovezile actuale indică o origine multifactorială, ce implică disfuncții ale sistemului imunitar, dezechilibre neuroendo-

crine și, posibil, o predispoziție genetică. Oboseala în boala Sjögren se corelează cu markerii obiectivi ai inflamației sau cu disfuncția glandulară, iar biomarkerii specifici lipsesc. Tulburările de somn, durerea și depresia comorbidă contribuie suplimentar la intensificarea oboselii.

Mecanisme patogenice posibile

Pe fondul îmbătrânirii și al instalării treptate a comorbidităților, oboseala tinde să se amplifice, alimentată de dezechilibrele metabolice, stresul oxidativ acumulat și inflamația persistentă. Literatura de specialitate descrie fatigabilitatea ca pe o consecință a eșecului sistemului neuromuscular de a susține un nivel funcțional optim, fie din cauza epuizării resurselor energetice, fie pe fondul afectării procesului contractil la nivel muscular. În bolile inflamatorii sistemice, precum boala Sjögren, acest simptom capătă valențe suplimentare, fiind alimentat de dereglări imune, secreția de citokine proinflamatorii și dezechilibre metabolice și hormonale. Astfel, oboseala devine adesea disproporționată față de efortul depus, afectând major capacitatea pacientului de a desfășura activități cotidiene, de a se integra social și profesional, și de a menține o bună calitate a vieții.

Inflamația sistemică joacă un rol crucial în patogeneza bolii Sjögren, fiind implicată atât în distrucția glandulară, dar și în fatigabilitate.

Interleukina-1 (IL-1) este recunoscută ca o citokină-cheie în răspunsul inflamator, având acțiune predominant la nivelul hipotalamusului, însă un aspect important este rolul său în declanșarea

comportamentului specific stării de boală („sickness behaviour”), contribuind semnificativ la percepția stării de oboseală. IL-1 favorizează producția de prostaglandine asociate cu fatigabilitatea cronică, iar în boală Sjögren, această citokină intensifică marcant senzația de epuizare.

IL-6, ale cărei niveluri crescute se corelează cu severitatea simptomelor, traversează bariera hemato-encefalică, favorizând neuroinflamația și afectarea funcției cognitive. În paralel, TNF-α perturbă metabolismul energetic și ciclul somn-veghe, contribuind astfel la instalarea unei oboseli profunde și persistente. Interesante sunt și rezultatele unor studii recente ce sugerează o relație inversă între fatigabilitate și citokinele proinflamatorii la pacienții cu boală Sjögren, indicând că oboseala nu este întotdeauna direct legată de inflamație.

Prin declanșarea neuroinflamației și afectarea funcțiilor cognitive, citokinele proinflamatorii accentuează starea de oboseală. În același timp, scăderea eficacității mitocondriale și fragmentarea somnului contribuie suplimentar la instalarea unei fatigabilități persistente.

Instrumente clinice pentru evaluarea fatigabilității

Pentru cuantificarea fatigabilității în boala Sjögren au fost utilizate mai multe scale validate, care evaluează atât intensitatea simptomului, cât și impactul său funcțional. Printre cele mai frecvente se numără: Chalder Fatigue Questionnaire (CFQ) ce cuantifică componenta cognitivă, FACIT-F pentru evaluarea oboselii

cronice, Multidimensional Fatigue Inventory (MFI) cu aprecierea dimensiunilor multiple ale oboselii, precum și SF-36 pentru o analiză generală a stării de sănătate.

În plus, au fost dezvoltate instrumente specifice pentru pacienții cu boală Sjögren, precum scalele PROFAD-SSI-SF și PSS-QoL. PROFAD-SSI-SF evaluează simultan fatigabilitatea și simptomele de tip sicca, în timp ce PSS-QoL permite o apreciere integrată a calității vieții, corelând percepția uscăciunii cu activitatea imunologică. Ambele scale au fost traduse și adaptate cultural pentru limba română.

Opțiuni terapeutice

în fatigabilitatea asociată sindromului

Sjögren

Intervențiile non-farmacologice reprezintă pilonul principal în gestionarea fatigabilității la pacienții cu boală Sjögren, în condițiile în care niciun tratament medicamentos nu și-a dovedit în mod constant eficacitatea pentru acest simptom. Programele regulate și structurate de exerciții fizice - în special cele care combină antrenamentul aerobic cu cel de rezistență - sunt recomandate ca primă linie terapeutică, având beneficii modeste, dar semnificative, atât asupra oboselii, cât și asupra calității vieții. Terapia cognitiv-comportamentală și educația pacientului, axate pe igiena somnului, controlul durerii și strategii de adaptare, pot aduce beneficii suplimentare.

Opțiunile farmacologice rămân limitate. Agenții imunomodulatori precum hidroxiclorochina, inhibitorii TNF (infliximab, etanercept) și rituximab nu au demonstrat beneficii semnificative asupra oboselii în studiile clinice randomizate și nu sunt recomandați în mod specific pentru această indicație. Hidroxiclorochina poate fi luată în considerare la pacienții cu manifestări articulare sau cutanate asociate, dar nu este indicată în cazul fatigabilității izolate. Terapiile experimentale, precum RSLV-132 (o proteină de fuziune RNază–Fc), au arătat rezultate promițătoare în studii clinice de fază incipientă la pacienți cu oboseală severă, însă nu fac încă parte din standardul terapeutic.

Concluzii

În concluzie, oboseala din boala Sjögren reprezintă un simptom complex și multifactorial, influențat de o combinație de factori inflamatori, neurocognitivi și metabolici. Deși inflamația sistemică joacă un rol important în patogeneza bolii, relația dintre inflamație și fatigabilitate nu este pe deplin elucidată, studiile evidențiind o legătură paradoxală între markerii proinflamatorii și nivelul oboselii resimțite de pacienți. Tratamentul fatigabilității rămâne o provocare, exercițiile fizice și intervențiile suportive non-farmacologice constituind tratamentele bazate pe dovezi în fatigabilitatea asociată bolii Sjögren, în timp ce opțiunile medicamentoase ar trebui rezervate manifestărilor sistemice, opțiunile farmacologice fiind limitate. Pe viitor, este necesară o abordare multidisciplinară și continuarea cercetărilor pentru a înțelege mai bine mecanismele implicate și pentru a dezvolta strategii eficiente de gestionare a oboselii în boala Sjögren.

Bibliografie:

1. Arron HE, Marsh BD, Kell DB, Khan MA, Jaeger BR, Pretorius E. Myalgic Encephalomyelitis/Chronic Fatigue Syndrome: the biology of a neglected disease. Front Immunol. 2024 Jun 3;15:1386607.

2. Baldini C, Fulvio G, La Rocca G, Ferro F. Update on the pathophysiology and treatment of primary Sjögren syndrome. Nat Rev Rheumatol. 2024 Aug;20(8):473–91.

3. Hulkkonen J. Elevated interleukin-6 plasma levels are regulated by the pro-

moter region polymorphism of the IL6 gene in primary Sjogren’s syndrome and correlate with the clinical manifestations of the disease. Rheumatology. 2001 Jun 1;40(6):656–61.

4. Mæland E, Miyamoto ST, Hammenfors D, Valim V, Jonsson MV. Understanding Fatigue in Sjögren’s Syndrome: Outcome Measures, Biomarkers and Possible Interventions. Front Immunol. 2021 Jun 25;12:703079.

5. Mardale DA, Opriș-Belinski D, Bojincă V, Bojincă M, Păsăran E, Săulescu I, et al. The Translation, Validation and Cultural Adaptation of Questionnaires Assessing the Quality of Life and Fatigue among Patients with Sjogren’s Syndrome for the Romanian Context. Clinics and Practice. 2023 Dec 5;13(6):1561–76.

6. Mardale DA, Opriș-Belinski D, Bojincă V, Bojincă M, Mazilu D, Păsăran E, et al. The Physical and Psychosocial Impact of Fatigue among Patients with Sjogren’s Syndrome: A Systematic Review. JCM. 2024 Mar 7;13(6):1537.

7. Mariette X, Criswell LA. Primary Sjögren’s Syndrome. Solomon CG, editor. N Engl J Med. 2018 Mar 8;378(10):931–9.

8. Omdal R, Gunnarsson R. The effect of interleukin-1 blockade on fatigue in rheumatoid arthritis—a pilot study. Rheumatol Int. 2005 Sep;25(6):481–4.

9. Posada J, Valadkhan S, Burge D, Davies K, Tarn J, Casement J, et al. Improvement of Severe Fatigue Following Nuclease Therapy in Patients With Primary Sjögren’s Syndrome: A Randomized Clinical Trial. Arthritis & Rheumatology. 2021 Jan;73(1):143–50.

Imagistica în hemofilie: locul ecografiei

ca metodă de

diagnostic precoce

Background. Hemophilic arthropathy results from recurrent hemarthrosis, which induces chronic synovitis and progressive osteochondral damage. Early and accurate imaging is essential to prevent irreversible joint destruction. Radiography remains limited to detecting late-stage changes, while MRI provides detailed assessment but is less feasible for repeated evaluations due to costs and accessibility. Musculoskeletal ultrasonography (MSK-US) is rapid, accessible, and reproducible, with high accuracy for detecting joint effusion, hemarthrosis, synovial hypertrophy, and early osteochondral changes. Standardized protocols (HEAD-US) correlate well with MRI and clinical scores. Doppler adds value in assessing synovial vascularity. Limitations include operator dependency and reduced sensitivity for deep cartilage assessment. Conclusions. MSK-US is a practical, cost-effective, and sensitive modality for early detection and monitoring of haemophilic arthropathy, with potential to reduce long-term morbidity when integrated into routine care.

Hemartroza repetată determină instalarea unei sinovite cronice, deteriorare condro-osoasă și, în final, artropatie hemofilică. Radiografia surprinde tardiv modificările structurale, iar imagistica prin rezonanță magnetică (IRM) rămâne standardul de referință pentru detaliile de țesut moale, însă este costisitoare, consumă timp și nu este practicabilă pentru evaluări seriate multi-articulare. Ecografia musculo-scheletală (MSK-US) s-a impus ca instrument rapid, accesibil și reproductibil pentru detectarea precoce a sinovitei și a modificărilor osteo-condrale, cu valoare deosebită în monitorizarea de rutină.

Necesitatea imagisticii precoce în hemofilie

Hemartroza inițiază un cerc vicios de inflamație sinovială, depuneri de hemosiderină, degradare cartilaginoasă și remodelare osoasă subcondrală. În ciuda tratamentului modern, o parte dintre pacienți dezvoltă în timp artropatie. Monitorizarea imagistică periodică este recomandată pentru a surprinde modificări subclinice și a ajusta conduita terapeutică. IRM detectează devreme modificările de țesut moale și cartilaj, însă nu este fezabilă pentru screening multi-articular repetat.

IRM și scorurile dedicate vs radiografie

IRM permite cuantificarea sinovitei, edemului osos și leziunilor osteo-condrale, fiind metoda de referință pentru stadializare. Scorurile IRM standardizate (ex. IPSG) au îmbunătățit comparabilitatea între centre, dar durata examinării, necesitatea sedării la copil și costurile ridicate limitează utilizarea de rutină. Radiografia convențională rămâne utilă pentru stadiile tardive, fiind insensibilă la boala precoce.

Evoluția tehnicilor imagistice și comparația scorurilor

Primele scoruri radiografice (Pettersson, Denver, Arnold-Hilgartner) sunt simple, dar insensibile la boala precoce. IPSG MRI score este detaliat, dar costisitor. HEAD-US este echilibrat: rapid, accesibil, utilizabil inclusiv în centre cu resurse limitate.

Ecografia musculo-scheletală: valoare diagnostică precoce Ecografia are un rol important atât în evaluarea activității de boală (poate identifica revărsatul articular, hemartroza, hipertrofia sinovială ± semnal Doppler) cât și a modificărilor structurale (hiperecogenitate cartilaginoasă, subțiere, neregularități de contur, eroziuni superficiale). În comparație cu IRM, acuratețea pentru țesuturile moi este chiar mai înaltă, iar pentru os și cartilaj este de la moderată la înaltă, în funcție de articulație și de experiența examinatorului.

Detecția hemartrozei

Ecografia diferențiază lichidul hematic de efuziunile nehemoragice la concentrații foarte mici (0,5–5%), performanță dificil de atins prin IRM convențional. Acest avantaj explică utilitatea MSK-US în evaluarea episoadelor acute, când diagnosticul diferențial „hemartroză vs proces non-hemoragic” determină imediat conduita terapeutică. Doppler-ul color și Power Doppler evidențiază neoangiogeneza sinovială, marker de inflamație și risc de sângerare recurentă. Tehnici emergente (ecografie de contrast, elastografie) sunt investigate pentru a diferenția sinovita activă de cea fibrotică.

HEAD-US - scoruri, grade și validare

Protocolul HEAD-US (Haemophilia

Early Arthropathy Detection with Ultrasound) a fost creat pentru a standardiza evaluarea ecografică a articulațiilor cel mai frecvent implicate la pacienții cu hemofilie - coate, genunchi și glezne. Examinarea este rapidă, cu un timp mediu de 1–2 minute per articulație, și urmărește identificarea atât a modificărilor de activitate, cât și a celor de deteriorare structurală.

• Scorul de activitate: se referă la prezența și amploarea efuziunii/hemartrozei, la hipertrofia sinovială și, atunci când este disponibilă tehnologia, la intensitatea semnalului Doppler (ca indicator de neovascularizație și inflamație).

• Scorul de deteriorare: include evaluarea cartilajului (subțiere, hiperecogenitate, neregularități de suprafață) și a osului (eroziuni superficiale, întreruperi ale conturului cortical).

Prof. Univ. Dr. Florentin Vreju
Universitatea de Medicină şi Farmacie din Craiova, Clinica Reumatologie

Fiecare articulație este notată pe o scară simplificată, cu grade între 0 și 4 pentru fiecare parametru:

Activitatea bolii ia în calcul prezența sinovitei, scorul fiind de la 0 pentru Absență/minimă, 1 pentru ușoară/moderată și 2 pentru hipertrofie sinovială severă.

Deteriorarea structurală ia în calcul atât modificările de la nivelul cartilajului, cât și modificările osoase, astfel:

• Cartilaj normal - scor 0, anomalii de ecotextură; pierdere focală parțială/ pe toată grosimea cartilajului care implică <25% din suprafața-țintă* - scor 1, pierdere parțială/pe toată grosimea cartilajului care implică 25–50% din suprafața-țintă* - scor 2, pierdere parțială/pe toată grosimea cartilajului care implică >50% din suprafața-țintă* - scor 3, distrucție completă a cartilajului sau absența vizualizării cartilajului pe suprafața osoasă-țintă* - scor 4. Modificări osoase: Os normal - scor 0, neregularități ușoare ale osului subcondral cu/fără osteofite inițiale perarticulare - scor 1, os subcondral profund alterat, cu/fără eroziuni, cu osteofite proeminente perarticulare - scor 2.

*Suprafața-țintă: Cot - aspectul anterior al epifizei humerale distale; Genunchi - trohleea femurală; Gleznă - aspectul anterior al domului talar.

Scorul pe articulații se calculează prin însumarea informațiilor obținute: Scor Activitate (sinovită): 0–2 + Scor Cartilaj: 0–4 + Scor Os: 0–2, cu un scor HEAD-US total maxim de 8.

De menționat faptul că, fiecare categorie este independentă, nu se „condiționează” între ele. Astfel, un cartilaj grad 3 nu implică automat sinovită grad 2.

Validările internaționale au demonstrat corelații solide cu IRM, în special pentru sinovită și afectarea cartilajului superficial, precum și o bună reproductibilitate interși intra-observator. În studiile pediatrice, HEAD-US a arătat sensibilitate superioară pentru identificarea modificărilor subclinice, fiind preferat datorită rapidității și faptului că evită sedarea necesară la IRM.

Prin caracterul său practic, HEAD-US este utilizabil atât în centre specializate, cât și în contexte cu resurse limitate.

Ecografia permite diagnostic rapid al hemartrozei, monitorizarea resorbției și diferențierea de episoadele non-hemoragice, reducând administrările inutile de factor. Studii multicentrice au arătat că, includerea ecografiei modifică semnificativ conduita terapeutică.

Populația pediatrică beneficiază de evaluare precoce, deoarece prevenirea artropatiei are impact major asupra calității vieții la vârsta adultă. HEAD-US identifică modificări înainte de debutul semnelor clinice și evită necesitatea sedării pentru IRM.

Contextul centrelor cu resurse limitate

În regiunile cu acces redus la factori de coagulare și IRM, ecografia devine soluția optimă. Costul redus, portabilitatea și durata scurtă permit implementarea unor programe naționale de screening.

Perspective de cercetare

Direcțiile actuale includ standardizarea globală a protocoalelor, integrarea inteligenței artificiale pentru analiza imaginilor și validarea algoritmilor multimodali (clinic, imagistic, biomarkeri). Se preconizează ca ecografia să devină instrument central de monitorizare în registrele internaționale.

Concluzie

Ecografia musculo-scheletală reprezintă o metodă accesibilă, reproductibilă și sensibilă pentru depistarea precoce a modificărilor articulare la pacienții cu hemofilie. Integrarea sa în practica clinică poate preveni progresia spre artropatie invalidantă și optimiza strategiile terapeutice.

Bibliografie:

• Doria AS. State-of-the-art imaging techniques for the evaluation of haemophilic arthropathy: present and future. Haemophilia. 2010;16(Suppl 5):107-114.

• Doria AS, Keshava SN, Mohanta A, et

al. Diagnostic Accuracy of Ultrasound for Assessment of Hemophilic Arthropathy: MRI Correlation. AJR Am J Roentgenol. 2015;204(3):W336-W347.

• Foppen W, van der Schaaf IC, Beek FJA, et al. Diagnostic accuracy of point-of-care ultrasound for evaluation of early blood-induced joint changes: comparison with MRI. Haemophilia. 2018;24:971-979.

• Foppen W, van der Schaaf IC, Fischer K. Value of routine ultrasound in detecting early joint changes in children with haemophilia using the HEAD-US protocol. Haemophilia. 2016;22:121-125.

• Ligocki CC, Abadeh A, Wang KC, et al. A systematic review of ultrasound imaging as a tool for evaluating haemophilic arthropathy in children and adults. Haemophilia. 2017;23:598-612.

• Martinoli C, Della Casa Alberighi O, Di Minno G, et al. Development and definition of a simplified scanning procedure and scoring method for Haemophilia Early Arthropathy Detection with Ultrasound (HEAD-US). Thromb Haemost. 2013;109(6):1170-1179.

• Nguyen S, Lu X, Ma Y, et al. Musculoskeletal ultrasound for intra-articular bleed detection: a highly sensitive imaging modality compared with conventional magnetic resonance imaging. J Thromb Haemost. 2018;16(3):490-499.

• Plut D, Kotnik BF, Zupan IP, et al. Diagnostic accuracy of haemophilia early arthropathy detection with ultrasound (HEAD-US): a comparative MRI study. Radiol Oncol. 2019;53(2):178-186.

• Prasetyo M, Pasaribu ET, Rodjani A, et al. Correlation between HEAD-US and HJHS in hemophiliac patients. PLoS One. 2021;16(4):e0247906.

• Regi SS, Livingstone RS, Kandagaddala M, et al. Ultrasound and magnetic resonance imaging for the detection of blood: An ex-vivo study. Haemophilia. 2021;27(3):488-493.

• Sierra Aisa C, Lucía Cuesta JF, Rubio Martínez A, et al. Comparison of ultrasound and magnetic resonance imaging for diagnosis and follow-up of joint lesions in patients with haemophilia. Haemophilia. 2014;20(1):e51-e57.

• van Leeuwen FHP, Foppen W, de Jong PA, et al. Ultrasound in addition to clinical assessment of acute musculoskeletal complaints in bleeding disorders: impact on patient management. Res Pract Thromb Haemost. 2024;8(2):102372.

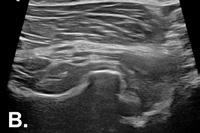
Imagini ecografice la nivelul cotului (A, B) și gleznei (C) cu modificări severe osoase și cartilaginoase, sugestive pentru un stadiu avansat de hemofilie (scor cartilaj 4, scor os 2)

Durerea în Reumatologie

Durerea este unul dintre cele mai frecvente simptome în reumatologie, fiind adesea principalul motiv pentru care pacienții solicită îngrijire medicală. Durerea reprezintă o cauză majoră de dizabilitate și contribuie semnificativ la scăderea calității vieții. Afecțiunile musculo-scheletale constituie cea mai frecventă sursă de durere cronică la nivel global (1). Tratamentul durerii în bolile reumatice este complex, deoarece durerea poate avea surse diferite și poate persista chiar și atunci când inflamația este controlată, evidențiind astfel importanța mecanismelor de sensibilizare centrală și a celor neuropate. (2). Fibromialgia, exemplul tipic de durere nociplastică, afectează ~21% dintre pacienții cu artrită reumatoidă (AR) și crește în mod eronat scorurile de activitate a bolii, complicând strategiile de tratament „treat-to-target” (3). Aceste observații subliniază necesitatea implementării unei abordări multidisciplinare, ghidată de mecanisme fiziopatologice, dar care să integreze și influența factorilor psihologici și sociali (4)

Prof. Univ. Dr. Simona Rednic

Medic primar, Clinica Reumatologie, UMF „Iuliu Hațieganu” din Cluj-Napoca

Dr. Iulia Szabo

Medic specialist Reumatologie, Spitalul Clinic

Județean de Urgență Cluj-Napoca, Secția Clinică Reumatologie, UMF „Iuliu Hațieganu” din Cluj Napoca, Dep. Reumatologie

Durerea acută și cronică

Un prim pas în tratamentul durerii este identificarea caracterului acut sau cronic. Durerea acută este, de obicei, de scurtă durată și direct legată de o leziune tisulară sau de o boală acută. Ea îndeplinește un rol protector și, în general, remite odată cu înlăturarea factorului declanșator. Atacul de gută sau AR în puseu de activitate sunt exemple elocvente care sunt gestionate prin tratamentul prompt al inflamației. În schimb, durerea cronică are o evoluție persistentă sau recurentă, depășind intervalul de vindecare normal și fiind, prin convenție, definită ca având o durată mai mare de 3 luni. Durerea cronică nu reprezintă doar o prelungire a durerii acute, ci poate deveni un proces patologic distinct, caracterizat prin remodelări neurobiologice periferice și centrale, ce generează suferință marcată, limitare funcțională și deteriorarea calității vieții (5)

Durerea nociceptivă, neuropată și nociplastică

Durerea poate fi clasificată, în funcție de mecanismul fiziopatologic, în trei mari

categorii: nociceptivă, neuropată și nociplastică. Durerea nociceptivă apare prin lezarea țesuturilor, activând nociceptorii periferici. Include durerea indusă de inflamație sau rezultată în urma traumatismelor. În reumatologie, cea mai mare parte a durerii asociate sinovitelor sau degenerării articulare este nociceptivă. Astfel, inflamația sinovială și distrucția articulară în AR sau degenerarea cartilajului în artroză generează durere nociceptivă (inflamatorie, respectiv mecanică). Este descrisă frecvent ca durere surdă, pulsatilă, localizată. Adesea, tratamentul cauzei (de ex. reducerea inflamației) ameliorează simptomatologia (6) Durerea neuropată este definită ca durere care apare ca urmare directă a unei leziuni sau boli ce afectează structurile somatosenzitive periferice sau centrale și se deosebește de durerea nociceptivă prin faptul că, rezultă din disfuncția/lezarea căilor nervoase, nu din activarea fiziologică a unui sistem nervos intact. Clinic, durerea neuropată se manifestă prin senzații de arsură, înțepături, junghiuri, „șocuri electrice” sau parestezii, adesea acompaniate de alodinie și hiperalgezie. Se asociază frecvent cu deficite senzitive precum hipoestezia, iar simptomele au, de regulă, o topografie neuroanatomică coerentă, compatibilă cu teritoriul nervos afectat. În reumatologie, se întâlnește în sindroame de compresie (ex. sindrom de tunel carpian), radiculopatii sau neuropatii de fibre mici (în lupus, boală Sjögren). Managementul implică frecvent anticonvulsivante sau antidepresive, tratament distinct de antiinflamatoarele clasice (7) . Durerea nociplastică este un termen recent introdus de IASP în 2017, care descrie durerea ca fiind consecința unei procesări

nociceptive alterate, fără dovezi de lezare tisulară sau nervoasă. Practic, mecanismele de modulare a durerii sunt alterate, iar sistemul nervos devine hipersensibilizat, amplificând percepția durerii. Este caracterizată prin sensibilizare centrală (amplificarea semnalului dureros de către măduva spinării și creier) și se asociază frecvent cu simptome difuze: oboseală, tulburări de somn, dificultăți cognitive („brain fog”). Exemplul clasic este fibromialgia, caracterizată prin durere musculo-scheletală difuză, fără inflamație activă. Alte exemple sunt durerile lombare cronice fără substrat structural. Pacienții prezintă adesea hipersensibilitate generalizată, prag redus la durere și simptomatologie disproporționată față de leziunile obiectivate clinic sau imagistic. Recunoașterea acestui tip de durere este crucială, întrucât tratamentul se orientează către modularea centrală a durerii (exercițiu fizic, igiena somnului, medicație neuromodulatoare) (8,9)

În bolile reumatice, aceste mecanisme adesea coexistă. De exemplu, în artroză, durerea este nociceptivă prin degenerare articulară, însă evoluția spre cronicitate favorizează sensibilizarea centrală, adăugând o componentă nociplastică tabloului algic. În AR de lungă durată, un pacient poate avea concomitent durere nociceptivă (inflamație), neuropată (compresie nervoasă) și nociplastică (sensibilizare centrală). Astfel, în practică, reumatologul trebuie să stabilească cât din durerea articulară se datorează sinovitei active (nociceptivă inflamatorie), ca parte integrantă a modificărilor artrozice secundare (nociceptivă mecanică) și dacă există hiperalgezie sau disproporție între simptome și examenul clinic, sugerând o componentă nociplastică.

Extract lichid de ardei iute (Capsicum annuum)

TRATEAZĂ DUREREA ȘI INFLAMAŢIA LOCALĂ

diclofenac sodic, 10 mg/g gel vanzari@tisfarmaceutic.ro • www.tisfarmaceutic.ro TISfarmaceutic str. Industriilor nr. 16, sector 3, București, ROMÂNIA

Medicament indicat în tratamentul local simptomatic al durerii şi inflamaţiei:

- musculare sau osteoarticulare de origine reumatică; - în cazul edemelor postoperatorii şi posttraumatice (de exemplu entorse); - musculare sau

osteoarticulare de natură traumatică (traumatisme uşoare ale tendoanelor, muşchilor, ligamentelor etc.).

Administrare cutanată. Se poate administra începând cu vârsta de 14 ani. Acest medicament se eliberează fără prescripție medicală. Acest material promoţional este destinat profesioniştilor din domeniul sănătăţii. Pentru informații suplimentare vă rugăm să consultați rezumatul caracteristicilor produsului disponibil pe site-ul Agenției Naționale a Medicamentului și a Dispozitivelor Medicale din România (data revizuirii textului: Septembrie 2020). Deținătorul autorizației de punere pe piață: S.C. TIS FARMACEUTIC S.R.L., Str. Industriilor nr. 16, sector 3, București, România. Numărul A.P.P.: 13456/2020/01.

Abordarea diagnostică și terapeutică a durerii în reumatologie

Caracterizarea durerii în funcție de mecanismul fiziopatologic subiacent trebuie coroborată cu scorurile clinice de activitate a bolii (ex. DAS28, ASDAS) și cu evaluarea intensității durerii (VAS/NRS), reprezentând o componentă esențială a procesului diagnostic și a deciziilor terapeutice. Astfel, se pot utiliza chestionare concepute pentru identificarea componentei neuropate (DN4, painDETECT) sau nociplastice (Central Sensitization Inventory/CSI, criteriile ACR 2016 pentru fibromialgie) (10,11,12,13). Când incertitudinea persistă, se pot utiliza metode de testare psihofiziologică standardizată, precum determinarea pragului durerii la presiune, evaluarea sumării temporale a stimulilor dureroși și testarea modulării condiționate a durerii, acestea permițând identificarea fenomenelor de sensibilizare centrală. Atunci când există suspiciunea unei neuropatii, diagnosticul poate fi confirmat prin investigații obiective, precum biopsia cutanată cu cuantificarea densității fibrelor nervoase intraepidermice (IENFD) și/sau explorări neurofiziologice (de exemplu, studii de conducere nervoasă sau electromiografie) (14-15). Inflamația trebuie tratată pentru a atinge obiectivul terapeutic conform recomandărilor EULAR, însă durerea poate persista chiar și în condițiile atingerii unei activități scăzute a bolii și impune astfel intervenții specifice în funcție de fenotipul durerii. Strategiile non-farmacologice rămân intervențiile de primă linie, indiferent de fenotipul durerii, incluzând programe structurate de exerciții și fizioterapie, optimizarea greutății corporale, măsuri de igienă a somnului și educația pacientului în asociere cu tehnici de terapie cognitiv-comportamentală (16,17). Tratamentul farmacologic trebuie individualizat. Antiinflamatoarele non-steroidiene se recomandă pe termen scurt în puseele inflamatorii, în timp ce opioidele nu sunt indicate în administrare cronică, având eficacitate limitată și risc crescut de evenimente adverse. Duloxetina poate fi o opțiune în formele avansate sau sistemice de artroză sau în durerea cu caracter nociplastic. Gabapentina și pregabalina sunt rezervate cazurilor de durere neuropată documentată (18,19). În cazuri refractare, atent selecționate și corect integrate fizio-

patologic, pot fi utilizate proceduri ghidate fluoroscopic: injecții intra-articulare la nivelul articulațiilor sacroiliace, ablația prin radiofrecvență a ramurilor mediale lombare pentru durerea de articulații fațetare sau a nervilor geniculați în gonartrozele avansate care nu se pretează intervențiilor chirurgicale (20,21,22)

Multidisciplinaritatea

în tratamentul durerii

din bolile reumatice

În practica clinică, reumatologii gestionează frecvent pacienți care se prezintă cu durere ca simptom principal, iar formarea lor profesională include competențe în managementul durerii, ceea ce îi plasează adesea în poziția de a coordona astfel de cazuri. În paralel, anesteziștii sunt recunoscuți ca specialiști în medicina durerii, beneficiind de expertiză extinsă și de un rol din ce în ce mai important în acest domeniu. Tradițional, reumatologii utilizau preponderent tehnici ghidate ecografic, în timp ce anesteziștii apelau la metode radiologice. În prezent însă, abordarea modernă a durerii cronice integrează ambele tipuri de tehnici, indiferent de specialitate, reflectând necesitatea unei perspective multidisciplinare. Specialistul în durere care conduce diagnosticul și tratamentul este sprijinit de psihologi clinicieni, implicați în analiza statusului emoțional, a experiențelor traumatice și a mecanismelor de adaptare ineficiente, precum și de kinetoterapeuți, care sprijină recuperarea funcțională, reducerea kinesiofobiei și implementarea programelor de exerciții terapeutice. Radiologii și neurologii completează această echipă: radiologii optimizează investigațiile imagistice, identifică substraturile generatoare de durere și pot oferi ghidaj fluoroscopic pentru proceduri intervenționale, iar neurologii confirmă diagnosticul de durere neuropată și contribuie la rafinarea diagnosticului diferențial în sindroamele complexe sau suprapuse. Astfel, managementul durerii cronice reprezintă un demers integrat și coordonat, care depășește responsabilitatea unui singur specialist.

Bibliografie:

1. Sunzini F, Schrepf A, Clauw DJ, Basu N. The Biology of Pain: Through the Rheumatology Lens. Arthritis Rheumatol. 2023;75(5):650-660. PMID: 36599071.

2. Sarzi-Puttini P, Zen M, Arru F, Giorgi V, Choy EA. Residual pain in rheumatoid arthritis: Is it a real problem? Autoimmun Rev. 2023;22(11):103423. PMID: 37634676.

3. Zhao SS, Duffield SJ, Goodson NJ. The prevalen-

ce and impact of comorbid fibromyalgia in inflammatory arthritis. Best Pract Res Clin Rheumatol. 2019;33(3):101423. PMID: 31703796.

4. Baerwald C, Stemmler E, Gnüchtel S, et al. Predictors for severe persisting pain in rheumatoid arthritis are associated with pain origin and appraisal of pain. Ann Rheum Dis. 2024;83(10):1381-1388. PMID: 38816064.

5. Treede RD, Rief W, Barke A, et al. Chronic pain as a symptom or a disease: the IASP Classification of Chronic Pain for the International Classification of Diseases (ICD-11). Pain. 2019;160(1):19–27. PMID: 30586067.

6. Borenstein DG, Hassett AL, Pisetsky DS. Pain management in rheumatology research, training, and practice. Clin Exp Rheumatol. 2017;35(Suppl 107):2–7. PMID: 28967362.

7. Di Stefano G, Di Lionardo A, Di Pietro G, Truini A. Neuropathic pain related to peripheral neuropathies according to the IASP grading system criteria. Brain Sci. 2020;11(1):1. PMID: 33374929.

8. Ablin JN. Nociplastic pain: a critical paradigm for multidisciplinary recognition and management. J Clin Med. 2024;13(19):5741. PMID: 39407801.

9. Kosek E. The concept of nociplastic pain—where to from here? Pain. 2024;165(11 Suppl):S50–S57. PMID: 39560415.

10. Spallone V, et al. Validation of DN4 as a screening tool for neuropathic pain. Diabet Med. 2012;29(5):578-85. PMID: 22023377.

11. Freynhagen R, et al. painDETECT questionnaire to identify neuropathic components. Curr Med Res Opin. 2006;22(10):1911-20. PMID: 17022849.

12. Neblett R, et al. The Central Sensitization Inventory (CSI). J Pain. 2013;14(5):438-45. PMID: 23490634.

13. Wolfe F, et al. 2016 revisions to fibromyalgia diagnostic criteria. Semin Arthritis Rheum. 2016;46(3):319-29. PMID: 27916278.

14. de Kruijf M, et al. Assessing central sensitization with QST in inflammatory rheumatic disease. Joint Bone Spine. 2022;89(5):105380. PMID: 35504515.

15. Lauria G, et al. EFNS/PNS guideline: skin biopsy in small-fiber neuropathy. Eur J Neurol. 2010;17(7):903-12. PMID: 20642627.

16. Bannuru RR, et al. OARSI 2019 non-surgical OA management. Osteoarthritis Cartilage. 2019;27(11):1578-89. PMID: 31278997.

17. Jones EA, et al. Management of fibromyalgia-update. J Clin Med. 2024;13(9):2519. PMCID: PMC11201510.

18. Osani MC, et al. Minimal benefit of opioids in OA. Curr Treatm Opt Rheumatol. 2021;7(3):296-309. PMCID: PMC7759583.

19. Moisset X, et al. Evidence-based recommendations in neuropathic pain (SNRIs, gabapentinoids). Rev Neurol (Paris). 2024;180(5):41732. PMID: 38641202.

20. Scholten PM, et al. SI-joint corticosteroid injection—short-term efficacy. Pain Physician. 2014;17(3):E369-77. PMCID: PMC4696761.

21. Bogduk N. Medial branch radiofrequency neurotomy—evidence review. Pain Med. 2009;10(3):541-59. PMID: 19694977.

22. Vallejo R, et al. Genicular RFA—longterm randomized study. Pain Physician. 2023;26(4):E445-57. PMID: 39238667.

Artrita reumatoidă din perspectiva geneticii

Artrita reumatoidă este una dintre afecțiunile care au însoțit omul de-a lungul istoriei însă care, paradoxal, a căpătat un nume de-abia în urmă cu cca. 200 de ani. Prima posibilă descriere a fost încercată de Hipocrate, in jurul anilor 300 î. Chr.: afectarea artritică a mâinilor și a labelor picioarelor, cu extindere progresivă spre coate și genunchi, cu debut în jurul vârstei de 30 de ani. Un text medical indian din 123 d. Chr. descrie, de asemenea, simptome similare artritei reumatoide. Săpăturile arheologice din Egipt au descoperit rămășițe umane cu articulații deformate de artrită, urmate de descoperiri similiare medievale în Europa. De-abia în 1800, medicul francez Augustin Jacob Landré-Beauvais a realizat prima descriere modernă a acestei boli, clasificând-o (în mod eronat) drept gută astenică primară, diferită de osteoartrită și gută. La jumătatea secolului al XIX-lea, medicul englez Alfred Garrod schimbă această denumire în gută reumatică, iar în 1890, fiul său, Archibald Garrod, contributor de seamă al cercetării bolilor înnascute de metabolism și descoperitorul alcaptonuriei, îi stabilește deumirea prezentă, de artrită reumatoidă, pentru a reflecta în mod corect inflamația articulară similară reumatismului (termen medical vechi ce desemna durerea si edemul articular).

ADr. Andreea Ţuţulan-Cuniţa

Dr. Biolog, Cytogenomic Medical Laboratory, Bucuresti

rtrita reumatoidă este una dintre cele mai prevalente boli cronice autoimune sistemice progresive și este caracterizată de inflamație simetrică la nivel articular sinovial, de obicei la articulațiile mici, extinzându-se progresiv la cele mari, însoțită de durere persistentă; cartilajele și oasele sunt treptat distruse, ducând la deformarea ireversibilă a articulațiilor. Incidența sa este de cca. 3:100.000, iar prevalența – cca. 1%, crescând odată cu vârsta. Femeile sunt de aproximativ 2 ori mai predispuse la aceasta boală decât barbații. Debutul bolii are loc, tipic, între 30-60 de ani, însă în forma sa juvenilă este descrisă și la copii.

Cauzele artritei reumatoide sunt relativ puțin înțelese. Boală multifactorială, implică atât factori de mediu (fumat, infecții, traume), cât și genetici, ce conduc la un răspuns autoimun care generează hipertrofie sinovială, inflamație articulară cronică, dar și manifestări extraarticulare.

Multiple gene au fost descrise în asociere cu artrita reumatoidă, estimându-se o heritabilitate de 60%. Aproximativ jumătate din cazuri se datorează alelelor HLA-DRB1, în particular HLA-DRB1*01, HLA-DRB1*04, HLA-DRB1*10 și DPB*1, ca și altor gene non-HLA, între care PTPN22, TRAF1, CXCL-12, CTLA4, TBX5, STAT4, FCGR, PADI4, MTHFR, ce contribuie însă la susceptibilitatea pentru artrita reumatoidă. La acestea, se adaugă și factori epigenetici cum ar fi metilarea ADN, acetilarea și metilarea histonelor, ca și modificarea anormală posttranscripțională a proteinelor din celulele imune prin sialilare și fucozilare. Complexitatea acestor mecanisme ridică dificultăți în ceea ce privește aplicabilitatea descoperirilor științifice în practica clinică, în particular în diagnosticul genetic.

Alela HLA-DRB1*08 crește susceptibilitatea la formele oligoarticulare și poliarticulare de artrită idiopatică juvenilă (AIJ). HLA-DRB1*01 și HLA-DRB1*04 sunt asociate cu AIJ cu factor reumatoid pozitiv și cu cea sistemică. În același timp, însă, HLA-DRB1*04 are un efect protector în majoritatea celorlalte subtipuri. În plus, HLA-DRB1*11 predispune, de asemenea, la AIJ oligoarticulară și poliarticulară. Toate acestea subliniază potențialul folosirii acestor markeri pentru a distinge între diferitele subtipuri. Efectele acestor alele sunt complicate, mai departe, de o potențială variabilitate în diferite contexte etnice. Pot fi folosite informațiile genetice disponibile în practica clinică? Genetica nu face deocamdată parte din abordarea

standard a bolilor reumatice, deși sunt descrise asocieri genetice și riscuri conferite de diferite alele. Cu toate acestea, chiar și asocierile cele mai puternice indică un risc crescut doar de 4 ori, de a suferi de această boală. Totuși, recent, au început să apară teste comerciale direcționate spre consumator care au fost create cu intenția de a face predicții privind riscul individual de boală reumatică al persoanei testate. Aceste teste folosesc scorul de risc poligenic, un algoritm ce reprezintă suma alelelor de risc pe care o persoană le are, ponderată de efectul fiecărei variante nucleotidice (SNP – single nucleotid variant). Sharma et al. (Best Practice & Research Clinical Rheumatology 2024;38:1019682024) descriu următoarea situație ipotetică: un pacient cu gută se prezintă cu un istoric de 6 săptămâni de inflamație dureroasă la mâini și genunchi, respectiv cu istoric familial de psoriazis. Diagnosticul diferențial include artrita reumatoidă, artrita psoriazică și guta. Genotiparea pacientului permite calculul probabilităților pentru fiecare dintre aceste cauze, facilitând astfel diagnosticul. Simularea pe loturi de pacienți a relevat valori predictive negative bune, de 96%, însă valori predictive pozitive modeste, de 70,3%. Aceste valori sugerează ca scorurile poligenice au potențial de a suplimenta evaluarea clinică, însă mai sunt încă necesare perfecționări și rafinări ale algoritmilor de calcul. Ceea ce ne permite să sperăm la un viitor apropiat în care genetica își va putea aduce contribuția la îngrijirea pacienților cu artrită reumatoidă.

Dr. Maria Stratan

Diagnosticul diferențial al gutei - adesea, o provocare

Diagnosticul gutei, o afecțiune inflamatorie cronică ce rezultă din depunerea de cristale de urat monosodic în diverse țesuturi, inclusiv la nivel articular, poate părea simplu la prima vedere, mai ales în contextul unei crize tipice de artrită la nivelul articulației metatarsofalangiene a haluceluo - podagră. Cu toate acestea, realitatea prezentării clinice a gutei este mult mai complexă și variată, iar diagnosticul diferențial joacă, și în acest caz, un rol crucial pentru a asigura îngrijirea adecvată a pacientului și pentru a evita erori de tratament. Nevoia de a diferenția guta de alte afecțiuni este esențială, tocmai pentru că multe boli reumatologice dar și non-reumatologice pot mima simptomele acesteia, în special în fazele incipiente sau atipice.

UMF „Carol Davila” din Bucureşti, Spitalul Clinic Colentina, Bucureşti

De ce este necesar diagnosticul diferențial corect al gutei?

Principalul motiv pentru care un diagnostic diferențial riguros este indispensabil este variabilitatea manifestărilor clinice ale gutei. Deși atacul clasic implică prezența inflamației acute, extrem de dureroasă, a articulației metatarsofalangiene a halucelui (podagra), guta poate afecta la debut și alte articulații, cum ar fi genunchii, gleznele, coatele sau încheieturile. Ca un element de interes, merită menționat faptul că uratul monosodic precipită cu mai multă ușurință la temperaturi mai scăzute, ceea ce face să nu putem evidenția, de obicei, aceste cristale la nivelul umerilor sau șoldurilor, articulații mari, dar „profunde”, acoperite de masă musculară importantă, ce asigură o temperatură ușor mai mare decât în articulațiile periferice. Din păcate, diagnosticul corect al gutei este complicat și de faptul că, uneori (din fericire, tot mai rar) pacientul se auto tratează la domiciliu cu antiinflamatorii nonsteroidiene (AINS), medicamente eficace în tratarea artritei acute gutoase și, astfel, se prezintă la medic cu complicatii ale gutei, cel mai frecvent,

boală renală cronică, eventual depistată întâmplător. Alteori pacientul se prezintă pentru prima dată la medic pentru aspectul neplăcut determinat de prezența tofilor gutoși, mici depozite subcutanate de urat, ce apar cu predilecțite pe suprafețele de sprijin, sau la nivelul pavilionului urechii. O altă provocare în diagnosticul pozitiv al gutei, o reprezintă forma cu debut poliarticular, care poate fi confundată cu alte artropatii inflamatorii cronice.

Cu ce se face diagnosticul diferențial al gutei?

Diagnosticul diferențial al gutei implică o gamă largă de afecțiuni, iar abordarea variază în funcție de prezentarea clinică. Prezentăm, în continuare, cele mai frecvente diagnostice diferențiale de luat în discuție.

• Pseudoguta (Condrocalcinoză): aceasta este cea mai frecventă confuzie. Fiind o altă artropatie indusă de microcristale, cauzată de depunerea de cristale de pirofosfat de calciu dihidrat în articulații, pseudoguta are o prezentare clinică similară cu guta acută. Diferențierea ideală se face prin analiza lichidului sinovial, în care se observă cristale de pirofosfat de calciu în loc de cele de urat. Diagnosticul corect este adesea, însă, mai ușor de realizat, deoarece există o deosebire fundamentală în ceea ce privește compoziția și localizarea celor 2 tipuri de cristale, astfel încât examenul

radiologic poate evidenția prezența cristalelor conținând calciu (imagini punctiforme sau liniare) depuse în interiorul cartilajului articular (condrocalcinoză) și nu pe suprafața lui, așa cum se depun cristalele de monourat sodic (ceea ce se poate vedea foarte ușor la examinarea ultrasonografică, sub forma semnului patognomonic al „dublului contur”).

• Artrita septică: infecție bacteriană a articulației poate cauza o inflamație acută, cu durere intensă, mărire de volum, eritem și incapacitatea utilizării articulației, simptome identice cu cele ale unui atac de gută. În plus, la fel ca în artrita septică, și pacientul cu gută poate fi febril și tahicardic, deoarece descărcarea de citokine proinflamatorii, în special interleukină 1, poate avea aceste efecte. De aceea, în cazurile de inflamație acută monoarticulară, de cauză complet neclară, puncția articulară și analiza lichidului sinovial sunt obligatorii pentru a exclude o infecție, mai ales dacă pacientul are și o boală cronică preexistentă.

• Celulita: infecțiile țesutului celular subcutanat pot fi confundate clinic cu guta, mai ales pentru că inflamația articulară indusă de depunerera microcristalelor de monourat monosodic este însoțită de intense semne inflamatorii la nivelul pielii supraiacente articulației. Prezența unei porți de intrare a infecției și semnele biologice de inflamație de cauză infecțioasă, pot fi utile în stabilirea diagnosticului corect. De asemenea, explorările imagistice sunt adesea de folos.

• Artrita psoriazică: deoarece boala

Conf. Univ. Dr. Răzvan Adrian Ionescu

psoriazică este o suferință caracterizată prin turn-over celular intens, adesea pacienții cu această boală prezintă hiperuricemie; dacă un astfel de pacient dezvoltă și manifestare articulară, atunci diagnosticul corect al acesteia trebuie să ia în discuție, pe lângă afectarea secundară a psoriazisului, și diagnosticul de gută secundară. Diagnosticul corect se bazează pe o anamneză corectă și, mai ales, completă, pe un examen clinic local atent, pe dozări biologice adecvate și pe utilizarea judicioasă a explorărilor imagistice specifice.

• Alte artropatii inflamatorii (artrita reumatoidă, spondilartrita periferică): aceste afecțiuni pot mima guta, dar doar în forma ei poliarticulară. Și în aceste cazuri diferențierea se bazează pe examenul clinic detaliat, pe examenul clinic articular și general corect și complet efectuate (distribuția afectării articulare, prezența altor manifestări, sistemice (noduli reumatoizi, fibroză interstițială pulmonară, uveită), pe teste serologice (factor reumatoid, anticorpi anti-CCP, HLA B27).

• Hemartroza: acumularea de sânge intraarticular se poate manifesta ca o monoartrită acută (așa cum este, de obicei,

și guta); cel mai adesea, în trecutul imediat al pacientului se poate identifica un traumatism local, iar examenele imagistice adecvat utilizate pot sugera cu mare intensitate prezența sângeului în articulația afectată, prezență ce poate fi confirmată prin artrocenteză de preferat sub ghidaj ecografic.

Cât de complicat este procesul?

Complexitatea diagnosticului diferențial depinde, în mod esențial, de fenotipul de expresie clinică al gutei. Un atac tipic de podagră la un pacient cu hiperuricemie cunoscută este relativ simplu de diagnosticat. Însă, cazurile atipice, cum ar fi debutul la o articulație neobișnuită, debutul poliarticular, apariția atacului de gută la un pacient fără hiperuricemie (posibilă la până la o treime din pacienți), sau prezența unor noduli cutanați (tofi) fără un istoric de crize acute recurente, necesită o abordare mult mai meticuloasă. Analiza microscopică a lichidului sinovial rămâne „standardul de aur“ pentru diagnostic, deoarece identificarea în lumină polarizată a cristalelor de urat monosodic confirmă boala, eli-

minând astfel majoritatea suspiciunilor. În practica clinică curentă, această examinare nu este întotdeauna la îndemâna clinicianului sau a laboratorului care examinează lichidul articular, astfel că, este nevoie de utilizarea adecvată și judicioasă a mijloacelor de explorare clinică și paraclinică pentru a putea stabili un diagnostic corect, cu scopul primordial de a asigura îngrijirea optimă pacienților care ni se adresează.

Bibliografie:

• Richette P, et al. (2017). 2016 updated EULAR evidence-based recommendations for the management of gout. Annals of the Rheumatic Diseases, 76(1), 29-42.

• Khanna D, et al. (2012). American College of Rheumatology guidelines for the management of gout. Part 1: systematic nonpharmacologic and pharmacologic therapeutic approaches to hyperuricemia. Arthritis Care & Research, 64(10), 1431-1446.

• Dalbeth N, et al. (2021). Gout. The Lancet, 398(10300), 711-724.

• Terkeltaub R. (2021). Gout: clinical manifestations and diagnosis. UpToDate. (accesat la 10 august 2025).

În strânsă colaborare cu medici specialişti în reabilitare medicală, pediatrie, ortopedie, medicină sportivă, geriatrie din România, ne diferenţiem pe piaţă nu doar prin complexitatea şi precizia sistemului de analiză posturală, ci şi prin soluţiile ortopedice unicat oferite:

Talonetele individualizate „Ermis Kinetic Solutions” sunt executate de către o echipă specializată în sport de performanţă, ortopedie, neurologie şi biomecanica corpului, şi sunt construite de la zero, integral pe nevoia unică a fiecărui client în parte.

Avantajul de a beneficia de un dispozitiv medical inovativ şi modernizat, sprijină compania în misiunea sa de a acorda acces la evaluare şi tratament ortotic corespunzător fiecărei persoane cu nevoia sa posturală specifică.

Avem un sistem de distribuţie disponibil în toată ţara, în clinicile partenere, astfel pacienţii se pot imediat programa la cel mai apropiat centru medical specializat.

Entezita - perspective actuale

Termenul de enteză își are originea în limba greacă veche („ἔνθεσις”) și înseamnă inserție.

Enteza reprezintă zona de fixare pe os a tendoanelor, ligamentelor și capsulelor prin intermediul unui fibrocartilaj, cu o bază de inserție largă, ca un evantai. Această structură este utilă pentru descărcarea forțelor mecanice, facilitând mișcarea tendoanelor și ligamentelor odată cu articulația.

Medic specialist - UMF „Carol Davila” din Bucureşti, Centrul Clinic de Boli Reumatismale „Dr. Ion Stoia”, Bucureşti

Noțiunea de entezită a fost utilizată prima dată în literatura medicală în anii 1970, în special în contextul spondilartritelor. Începând cu anii 1980, odată cu dezvoltarea studiilor histopatologice și imagistice în bolile reumatologice, interesul pentru această structură a crescut. Printre cercetătorii de referință în domeniu se numără Michael Benjamin și Dennis McGonagle, cu contribuții semnificative în anii 2000, în descrierea conceptului de organ entezeal. Acesta reprezintă o unitate morfofuncțională complexă care cuprinde: inserția tendonului, a unui ligament sau a unei capsule articulare, fibrocartilajul și bursa adiacentă, țesutul adipos și osul subcondral.

De asemenea, McGonagle a propus teoria entezitei ca leziune primară în spondilartrite, teorie bazată pe descrierea histologică a complexului sinovio-entezeal, prin care inflamația inițială apare la nivelul entezei și se extinde la membrana sinovială și țesuturile adiacente. Această ipoteză a fost susținută și de studii imagistice ulterioare și a contribuit la o mai bună înțelegere a mecanismelor patogenice ale bolii.

Calea interleukinelor IL-23/IL-17 are un rol patogenic central în spondilartrite. În țesutul entezeal au fost identificate atât nivele ridicate de IL-23 și IL-17, cât și celule rezidente precum limfocitele γδ T și celulele limfoide înnăscute de tip 3 (ILC3), capabile să producă IL-17, unele fiind activate de IL-23, acest lucru contribuind la inflamația locală.

Cele mai frecvente localizări periferice ale entezitei în spondilartrite sunt: inserția tendonului Ahile, inserția fasciei plantare, a tendonului patelar sau cvadricepsului. La nivelul scheletului axial se întâlnesc entezite la nivelul proceselor spinoase, tuberozității ischiatice sau crestelor iliace. Acestea pot fi asimptomatice, în special în zonele mai puțin solicitate mecanic, fiind detectate mai frecvent prin metode imagistice, care sunt mai sensibile comparativ cu examenul fizic. Palparea punctelor de inserție, prin aplicarea unei presiuni locale, poate declanșa durere, însă acest semn nu este specific și poate fi întâlnit și în tendinopatii degenerative, leziuni traumatice sau bursite.

Entezita este inclusă atât în criteriile ASAS de clasificare a spondilartritelor, cât și în criteriile CASPAR de clasificare a artritei psoriazice, ceea ce subliniază importanța identificării corecte a acesteia. Conform recomandărilor EULAR din 2015, evaluarea imagistică, prin ecografie musculoscheletală sau rezonanță magnetică nucleară (RMN), are un rol esențial în diagnosticarea și monitorizarea spondilartritei periferice. Imagistic pot fi detectate: entezita, artrita, tenosinovita și bursita. Alegerea unei anumite tehnici imagistice se realizează individualizat, în funcție de contextul clinic.

Pentru evaluarea modificărilor tardive structurale, de tip entezofite, sindesmofite, poate fi utilizată radiografia convențională. Imagistica prin rezonanță magnetică (IRM) este utilă în detectarea entezitei situate în zone greu accesibile altor metode imagistice. Aceasta poate identifica modificări precoce de tipul entezitei axiale prin detectarea afectării ligamentelor și a structurilor de la nivelul coloanei vertebrale. De asemenea, IRM poate evidenția edemul osos subcondral, semn precoce de entezită la nivelul inserțiilor tendinoase, cum este cea a tendonului lui Ahile.

Conform recomandărilor ASAS-EULAR 2022 în spondilartrite, IRM reprezintă cel mai sensibil instrument imagistic pentru documentarea inflamației active de la nivelul articulațiilor sacroiliace, în timp ce la nivel periferic are un rol complementar ecografiei musculoscheletale. Ecografia musculoscheletală reprezintă cea mai utilizată metodă imagistică în evaluarea entezitelor periferice în spondilartrite. Este o tehnică accesibilă, non-iradiantă, repetabilă și poate evalua structurile în dinamică, în timp real, bilateral.

Lehtinen (1994) și Balint (2002) au fost primii care au evidențiat modificările ecografice de entezită din spondilartrita axială, inclusiv formele asimptomatice. D’Agostino (în 2002–2003) a descris pentru prima dată utilizarea tehnicii Power Doppler pentru a evidenția fluxul sanguin anormal în faza inflamatoare.

În recomandările EULAR din 2015 pentru utilizarea imagisticii în spondilartrite (categorie ce include artrita psoriazică, artrita reactivă, artrita asociată bolilor inflamatoare intestinale și spondilartrita nediferențiată) se subliniază rolul ecografiei musculoscheletale ca instrument complementar evaluării clinice și biologice, atât în stabilirea diagnosticului, cât și în monitorizarea evoluției bolii.

Ecografia în scară gri (modul B) permite evaluarea modificărilor structurale la nivelul unei enteze de tip: îngroșare, hipoecogenitate cu pierderea aspectului fibrilar, neregularități corticale și eroziuni osoase, entezofite, calcificări, bursite adiacente. Tehnica Doppler (color sau Power Doppler) decelează vascularizația care, de obicei, caracterizează inflamația activă, corelându-se cu activitatea globală a bolii și cu riscul de progresie structurală.

Există câteva scoruri ecografice pentru evaluarea entezitei, precum GUESS (Glasgow Ultrasound Enthesitis Scoring System), BUSES (Belgrade Ultrasound

Dr. Mihaela Agache

Figura 1. Entezită activă definită OMERACT la un pacient cu artrită psoriazică. Examinare în secțiune longitudinală, în scară gri și Power Doppler, a inserției tendonului Ahile. Se decelează o zonă hipoecogenă cu ștergerea aspectului fibrilar, eroziune la nivelul calcaneului cu semnal Doppler în interior. Se evidențiază și bursită retrocalcaneană cu activitate Doppler; aparat GE LOGIQ E10, sondă liniară de 4-20 MHz.

Enthesitis Score) și MASEI (Madrid Sonographic Enthesitis Index) care facilitează cuantificarea atât a leziunilor structurale, cât și a celor de tip inflamator. Aceste scoruri, care folosesc criterii diferite - în special legate de numărul și localizarea entezelor incluse - nu sunt utilizate în practica clinică curentă, ci mai ales în cercetare, pentru a asigura reproductibilitatea și compararea rezultatelor între studii. MASEI este cel mai folosit scor în cercetare; el include atât elemente de afectare structurală, cât și cuantificarea semnalului Doppler, evaluând entezele atât la nivelul membrelor inferioare, cât și la nivelul membrelor superioare.

Grupul OMERACT a propus, în anul 2018, o definiție ecografică a entezitei, oferind astfel un cadru standardizat pentru interpretarea imaginilor, fără a constitui însă un scor numeric în sine. Conform acestei definiții, entezita este caracterizată printr-o inserție îngroșată și/sau hipoecogenă a tendonului, situată la o distanță de maxim 2 mm de suprafața osului, care poate prezenta un flux sanguin crescut (semnal Doppler), dacă este activă, precum și modificări structurale de tip eroziuni, entezofite sau calcificări ca semne ale deteriorării structurale. Semnalul Power Doppler este foarte specific, însă are o sensibilitate mai redusă și depinde de calitatea aparatului ecografic și de setările utilizate.

Utilitatea ecografiei musculoscheletale în diagnostic este reprezentată și de capacitatea de a decela formele subclinice de entezită, conferindu-i un avantaj față de examinarea clinică. De exemplu, la un pacient cu psoriazis cutanat și ar-

tralgii, dar fără alte manifestări clinice musculoscheletale, identificarea imagistică a unei entezite poate susține încadrarea diagnosticului pacientului, conform conceptului recent promovat de EULAR (2023), într-un stadiu subclinic al artritei psoriazice. Acest stadiu, caracterizat prin absența sinovitei clinic manifeste, dar cu prezența unor anomalii imagistice de inflamație sinovială sau entezeală, este asociat cu un risc crescut de progresie către boala clinic manifestă.

Conceptul propus de EULAR este util pentru selectarea pacienților în studiile clinice intervenționale, care pot evalua utilitatea tratamentelor biologice sau sintetice țintite, utilizate în psoriazisul cutanat, în prevenirea sau întârzierea progresiei către artrita psoriazică clinic manifestă, cu posibile afectări structurale ireversibile.

Prin utilizarea ecografiei musculoscheletale, urmărind modificările de tip inflamator în mod special, este posibilă evaluarea răspunsului entezelor la tratamentele biologice sau sintetice țintite. Totuși, până în prezent sunt foarte puține studii clinice care utilizează metode imagistice pentru a măsura eficacitatea unui tratament asupra entezitei. O parte dintre tratamentele sistemice folosite în prezent la pacienții cu spondilartrite au demonstrat îmbunătățirea semnelor imagistice de entezită.

Majoritatea studiilor care își propun ca obiectiv evaluarea eficacității pe enteze, utilizează însă evaluarea clinică prin indici comuni de tip LEI (Leeds Enthesitis Index). Imagistic, entezita răspunde mai lent comparativ cu sinovita, ceea ce poate arăta o persistență a inflamației

locale și poate contribui la o decizie de management terapeutic. Ecografia musculoscheletală poate ghida proceduri minim invazive, cu reducerea riscurilor de a leza structurile învecinate unei enteze. Protocoalele standardizate propuse de grupuri internaționale (de exemplu OMERACT) au permis uniformizarea interpretării unei entezite, dar în literatura de specialitate sunt descrise și câteva controverse legate de: sensibilitatea și specificitatea metodei, distincția dintre elementele fiziologice și modificările patologice, variabilitatea interobservator, scorizarea diferită a unor leziuni de tip structural versus inflamator, setările utilizate în special pentru Power Doppler ale diverselor aparate, pragul anatomic utilizat pentru definirea entezitei.

Studiul entezelor a dovedit în ultimele decenii faptul ca sunt structuri complexe, iar inflamația acestora reprezintă un proces cheie în patogenia spondilartritelor. Tehnicile imagistice accesibile și aplicabile curent în practica clinică permit detectarea precoce a unei entezite, cuantificarea manifestărilor periferice pentru alegerea unei opțiuni terapeutice adecvate și monitorizarea evoluției pacienților. Standardizarea și perfecționarea criteriilor de diagnostic a unei entezite rămân direcții importante de cercetare la momentul actual.

Bibliografie selectivă:

1. Benjamin M, McGonagle et al. The „enthesis organ” concept: why enthesopathies may not present as focal insertional disorders. Arthritis Rheum. 2004 Oct;50(10):3306-13. doi: 10.1002.

2. Balint PV et al. OMERACT Ultrasound Task Force members. Reliability of a consensus-based ultrasound definition and scoring for enthesitis in spondyloarthritis and psoriatic arthritis: an OMERACT US initiative. Ann Rheum Dis. 2018 Dec;77(12):1730-1735. doi: 10.1136.

3. Mandl P et al. European League Against Rheumatism (EULAR). EULAR recommendations for the use of imaging in the diagnosis and management of spondyloarthritis in clinical practice. Ann Rheum Dis. 2015 Jul;74(7):1327-39. doi: 10.1136.

4. Ramiro S,et al. ASAS-EULAR recommendations for the management of axial spondyloarthritis: 2022 update. Ann Rheum Dis. 2023 Jan;82(1):19-34. doi: 10.1136/ard-2022-223296. Epub 2022 Oct 21. PMID: 36270658.

Noutăți în abordarea terapeutică a vasculitelor ANCA pozitive

Vasculitele asociate anticorpilor anti-citoplasma neutrofilelor (ANCA), cunoscute și sub denumirea de vasculite ANCA pozitive, reprezintă un grup complex de boli autoimune rare, cu potențial evolutiv sever. Sunt caracterizate de prezența infiltratului inflamator predominant la nivelul vaselor mici cu consecințe atât asupra lumenului cât și a integrității peretelui vascular. Manifestările clinice sunt multiple, foarte heterogene, uneori greu de legat între ele, cu potențialul înalt de implicare renală de tip glomerulonefritic, pulmonară (granuloame, hemoragie alveolară, pneumonită interstițială difuză) sau al altor organe vitale. Entitățile clinice majore, conform consensului de la Chapell-Hill1, sunt reprezentate de granulomatoza cu poliangeită (GPA, fosta granulomatoză Wegener), poliangeita microscopică (PAM) și granulomatoza eozinofilică cu poliangeită (GEPA, fostul sindrom Churg-Strauss). Sunt unite în același grup prin prezența autoanticorpilor specifici (ANCA) care au drept țintă antigenică fie proteinaza-3 (anticorpi anti proteinaza-3, PR3) fie mieloperoxidaza (anticorpi anti-mieloperoxidază, MPO), a anumitor manifestări clinice cu tendință de suprapunere între forme, a aspectului histologic (vasculite necrotizante), dar și de abordarea terapeutică, care, cel puțin pentru GPA și PAM, este relativ identică1,2

UMF

Vasculitele ANCA asociate sunt considerate boli rare, cu o incidență anuală care pare a crește o dată cu înaintarea în vârstă situându-se în medie între 10-30 de cazuri noi la 1 milion de locuitori3,4. Îmbătrânirea populației impinge valorile maxime ale incidenței în decadele 7-8 de viață. Prevalența are și ea o tendință de augmentare în cele mai multe cohorte europene, probabil datorită îmbunătățirii capacității de diagnostic și tratament4. În rândul populației europene, cea mai frecventă dintre cele trei pare a fi granulomatoza cu poliangeită, în special în țări precum Suedia și Marea Britanie, cu o incidență anuală între 4,9 și 10,5 cazuri la 1 milion, iar cea mai rară este GEPA, cu 0,6 la 1 milion. Semnale din literatura recentă de specialitate sugerează o creștere a incidenței acestor vasculite post pandemia COVID-19, dar rezultatele sunt destul de variate, controversate și necesită confirmare5,6. Este de remarcat că există încă o tendință crescută de întârziere diagnostică fapt legat probabil de posibilitatea de debut nespecific (fatigabilitate, febră, scădere în greutate) dar și de experiența limitată a anumitor specialități la care pacientul, datorită variabilității

bolii, poate ajunge. Astfel, un studiu relativ recent7 a evidențiat faptul că, dintre cei 456 de pacienți incluși, 73% au avut inițial un diagnostic greșit, iar media a fost în general de cinci diagnostice greșite până la stabilirea celui corect. În contextul în care vasculitele ANCA asociate sunt boli deosebit de severe, cu evoluție uneori supra-acută și pentru care evoluția naturală asociază o mortalitate de aproximativ 80% la 12 luni, acest lucru este foarte îngrijorător. Prognosticul este influențat de rapiditatea diagnosticului și tratamentului, dar și de forma de boală și de tipul de afectare de organ. Cu tratament, mortalitatea scade la 10% în primul an post diagnostic, dintre care 14% este datorată activității de boală, 59% efectelor adverse ale medicației și 27% altor cauze8. Ulterior, la 5 ani, mortalitatea urcă la 25%. Chiar și atunci când intră în remisiune, fără tratament care să faciliteze menținerea acesteia, evoluția este caracterizată de o rată de recădere de 50-70%9. Nu este de ignorat nici faptul că, evaluarea leziunilor de organ ireversibile datorate atât bolii cât și tratamentului, prin indicele VDI (Vasculitis Damage Index) la 5-7 ani post diagnostic evidențiază o rată crescută a acestora10

Tratamentul actual, conform ghidurilor11,12 cuprinde două faze succesive în care prima este cea de inducție a remisiunii, urmată obligatoriu de cea de menținere a acesteia, pentru o durată de minim 18-24 de luni. La pacienții cu risc crescut, se recomandă 48 de luni, sau poate chiar mai mult.

În formele severe, cu potențial letal sau de lezare de organ (glomerulonefrită rapid progresivă, hemoragie alveolară, ischemie mezenterică, afectare retro-orbitală, mononevrită multiplex etc.) se folosește de la început un tratament agresiv, care combină corticoterapia, inițial în doză mare dar care necesită scădere progresivă, cu un imunomodulator. Din punct de vedere istoric, cortizonul a fost primul folosit, rapoarte ale utilizării acestuia fiind identificate la sfârșitul anilor 50, pentru ca ulterior, în anii 70 Fauci și Wolf13 să demonstreze eficacitatea unui agent alchilant, ciclofosfamida, unul dintre cele mai puternice imunosupresoare. În ultimii 10-15 ani, progresele în înțelegerea mecanismelor imunopatogenice14 au condus la dezvoltarea unor terapii țintite, schimbând semnificativ paradigma de tratament. Dacă în trecut standardul era reprezentat de glucocorticoizi în doze mari și ciclofosfamidă, astăzi strategiile includ, consecutiv rezultatele studiilor care au dus la aprobarea lor atât de către agențiile europene cât și americane, agenți biologici precum rituximab (anticorp monoclonal chimeric anti-C20, care s-a dovedit în studiul RAVE15 a fi non-inferior ciclofosfamidei), inhibitori de complement, avacopan (antagonist al receptorului C5a) dar și terapii personalizate în funcție de profilul ANCA și riscul individual de recădere. În paralel, ghidurile internaționale actualizate (EULAR/ERA-EDTA 2022, KDIGO 2024 și recomandările recente din 2024-2025)11,12 subliniază importanța re-

Conf. Univ. Dr. Daniela Opriș-Belinski
„Carol Davila” din Bucureşti, Clinica de Medicină Internă II, Sp. Clinic „Sfânta Maria”, Bucureşti

ducerii toxicității cumulative prin regimuri de economisire a glucocorticoizilor, a monitorizării biomarkerilor și a utilizării unor algoritmi de tratament diferențiați pentru formele localizate versus cele cu afectare de organ major. Studiul PEXIVAS16, publicat în 2020 în New England Journal of Medicine a fost, cu peste 700 de pacienți înrolați, cel mai amplu trial clinic randomizat în vasculitele ANCA pozitive. A avut două obiective principale, evaluarea rolului plasmaferezei în reducerea mortalității și progresiei către boală renală cronică terminală și, nu în ultimul rând, comparația între un regim standard cu unul cu doză redusă de glucocorticoizi. Rezultatele nu au confirmat un beneficiu semnificativ al plasmaferezei în reducerea mortalității, dar, analiza brațului cu doză redusă de cortizon a confirmat non-inferioritatea acesteia față de regimul standard în ceea ce privește controlul bolii și prevenirea progresiei către dializă și deces. Aceste rezultate au fost confirmate și de alte studii din viața reală17. Este motivul pentru care acest regim este încorporat acum în toate ghidurile de tratament, mai ales că această abordare a dovedit și un risc mai mic de efecte adverse, în special de tip infecțios. Avacopanul reprezintă o nouă opțiune terapeutică validată de studiul ADVOCATE18 dar și de experiența clinică din Japonia19. Acestea i-au confirmat eficacitatea în asociere cu terapia standard cu potențial de înlocuire al corticosteroizilor sistemici pe termen lung. Oferă control comparabil la 6 luni, rezultate superioare la 12 luni, reducerea toxicității cumulative a acestora dar și îmbunătățirea funcției renale la pacienții cu afectare inițială. Progresele terapeutice recente în vasculitele ANCA pozitive, prin integrarea datelor din studii clinice majore și din practica reală, consolidează tranziția către o medicină personalizată, cu obiectivul dublu de a controla boala și de a reduce toxicitatea tratamentului, oferind pacienților șanse reale la supraviețuire și o calitate a vieții mai bună.

Bibliografie:

1. Jennette JC, et al. 2013 Revised International Chapel Hill Consensus Conference Nomenclature of Vasculitides. Arthritis Rheum. 2013;65(1):1-11.

2. Watts R, et al. Development and validation of a consensus methodology for the classification of the ANCA-associated vasculitides and polyarteritis nodosa for epidemiological studies. Ann Rheum Dis. 2007;66:222–7.

3. Romero-Gomez C, et al. Epidemiological study of primary systemic vasculitides among adults in southern Spain and review of the main epidemiological studies. Clin Exp Rheumatol. 2015.

4. Rathmann J, et al Stable incidence but increase in prevalence of ANCA-associated vasculitis in southern Sweden: a 23-year study, RMD Open 2023.

5. Antovic, A., et al . Risks and treatment related aspects of COVID-19 infection in patients with ANCA-associated vasculitis. Scandinavian Journal of Rheumatology, 52(4), 418–423. 2022.

6. Elia Touma, Naiel Bisharat, No evidence of increased incidence of ANCA-associated vasculitis following the COVID-19 pandemic: a single-centre experience, Rheumatology, Volume 63, Issue 9, 2024.

7. Sreih AG, et al, Vasculitis Patient-Powered Research Network. Diagnostic delays in vasculitis and factors associated with time to diagnosis. Orphanet J Rare Dis. 2021.

8. Sánchez Álamo B,et al,; EUVAS. Long-term outcomes and prognostic factors for survival of patients with ANCA-associated vasculitis. Nephrol Dial Transplant. 2023.

9. Flossmann OBA, et al. European Vasculitis Study Group. Long-term patient survival in ANCA-associated vasculitis. Ann Rheum Dis. 2011;70:488–494.

10. Suppiah R, et al. The role of damage assessment in ANCA-associated vasculitis. Clin Exp Rheumatol. 2012;30(Suppl 70):S146-51. (VDI –Vasculitis Damage Index).

11. Hellmich B, et al EULAR recommendations for the management of AN-

CA-associated vasculitis: 2022 update Ann Rheum Dis 2024;83:30-47.

12. Kidney Disease: Improving Global Outcomes (KDIGO) ANCA Vasculitis Work Group. KDIGO 2024 Clinical Practice Guideline for the Management of Antineutrophil Cytoplasmic Antibody (ANCA)-Associated Vasculitis. Kidney Int. 2024 Mar;105(3S):S71-S116. doi: 10.1016/j.kint.2023.10.008.

13. Fauci AS, Wolff SM. Wegener’s granulomatosis: studies in eighteen patients and a review of the literature. Medicine (Baltimore). 1973;52(6):535-61.

14. Uzun, S., et al. The role of complement C3 deposition in ANCA-associated glomerulonephritis: a registry-based study of clinical, histopathological, and prognostic insights. BMC Nephrol 2025.

15. Stone JH, et al. Rituximab versus cyclophosphamide for ANCA-associated vasculitis. N Engl J Med. 2010;363:221–32.

16. Walsh M, et al.; PEXIVAS Investigators. Plasma Exchange and Glucocorticoids in Severe ANCA-Associated Vasculitis. N Engl J Med. 2020;382:622-631.

17. Nagle S, et al Real-life use of the PEXIVAS reduced-dose glucocorticoid regimen in granulomatosis with polyangiitis and microscopic polyangiitis, Ann Rheum Dis, 2025.

18. Jayne D, et al; ADVOCATE Study Group. Avacopan for the Treatment of ANCA-Associated Vasculitis. N Engl J Med. 2021;384:599-609. (Studiul ADVOCATE).

19. Furuta S, et al. Treatment of microscopic polyangiitis and granulomatosis with polyangiitis with avacopan: a multicenter, retrospective observational study in Japan. Mod Rheumatol. 2023.

Hepatita lupică: de la diagnostic la management -

navigând prin complexitatea unei boli rare

Lupusul eritematos sistemic (LES) este o afecțiune autoimună, multisitemică caracterizată prin heterogenitatea manifestărilor clinice secundare leziunilor de organ. Afectarea hepatică a pacienților cu lupus variază în studiile publicate cu o prevalență între 6.1% și 24.5%. Implicarea hepatică de-a lungul evoluției bolii este descrisă la 25-60% dintre pacienți dar rar ca fiind asociată activității lupusului. Hepatopatia non-imună - toxicitatea hepatică secundar medicamentoasă, hepatitele virale, infecția cu CMV și ficatul non-alcoolic steatozic sunt printre posibilele cauze de afectare hepatică a pacientului lupic. Rar, hepatita lupică sau un sindrom overlap de hepatită autoimună pot să complice evoluția bolii.

Universitatea de Medicină, Farmacie, Științe şi Tehnologie, „George Emil Palade” din Târgu Mureş

Hepatita lupică, o formă de hepatită autoimună, reprezintă o manifestare rară, dar semnificativă a lupusului eritematos sistemic (LES). Deși afecțiunea hepatică este comună la pacienții cu LES, fiind cauzată de obicei de medicamente sau de steatoză hepatică, hepatita lupică este caracterizată prin inflamația ficatului mediată de autoanticorpi. Prevalența hepatitei lupice este variabilă între 3-23% cu o incidență de 9.3%.

Diagnosticul și managementul acestei afecțiuni necesită o abordare multidisciplinară pentru a preveni evoluția spre ciroză și insuficiență hepatică.

1. Diagnosticul hepatitei lupice este un proces de excludere, bazat pe o combinație de criterii clinice, serologice și histologice.

• Evaluarea clinică și biochimică: Suspiciunea de hepatită lupică apare la pacienții cu LES care prezintă simptome de boală hepatică (oboseală, dureri abdominale, icter) și anomalii ale testelor funcției hepatice, în special creșterea enzimelor hepatice (ALT și AST). Este crucial să se excludă alte cauze, cum ar fi infecțiile virale (hepatita B, C), hepatita alcoolică, steatohepatita non-alcoolică (NASH) și leziunile hepatice induse de medicamente (DILI).

• Analize serologice: Pacienții cu hepatită lupică pot avea un profil de autoanticorpi tipic pentru hepatita autoimună (AIH). Aceștia includ:

o Anticorpi antinucleari (ANA): Adesea prezenți la titruri mari, cu un model omogen sau granular.

o Anticorpi anti-mușchi neted (ASMA): Specifici pentru hepatita autoimună de tip 1.

o Anticorpi anti-microsomali ficat-rinichi de tip 1 (LKM-1): Specifici pentru hepatita autoimună de tip 2, mai puțin frecventă.

o Imunoglobulinele G (IgG): Nivelurile serice de IgG sunt adesea crescute semnificativ, reflectând hiperactivitatea imunitară.

• Biopsia hepatică: Este standardul de aur pentru diagnostic. Histologic, biopsia hepatică arată o inflamație limfoplasmocitară periportală cu necroză în focar a hepatocitelor, similară cu cea din hepatita autoimună idiopatică. De asemenea, poate evidenția fibroza hepatică sau ciroza avansată.

2. Hepatita lupică vs. Hepatita autoimună (AIH) idiopatică

Din punct de vedere histopatologic, nu există o diferență fundamentală între hepatita lupică și hepatita autoimună (AIH). De fapt, „hepatita lupică” este considerată o formă de AIH care se manifestă în contextul lupusului eritematos sistemic (LES). Ambele afecțiuni prezintă aceleași caracteristici microscopice cheie:

• Infiltratul limfoplasmocitar: Aceasta este „semnătura” histopatologică a AIH. Biopsia hepatică va arăta o infiltrare masivă a spațiilor portale (zonele din ficat unde se

Caracteristică Histopatologică

Locul inflamației principale

Tipul de infiltrat inflamator

Distrugerea specifică

Hepatita Autoimună

Predominant în parenchimul hepatic și la interfața porto-biliară.

Infiltrat bogat în limfocite și plasmocite.

Distrugerea hepatocitelor la nivelul interfeței (hepatită de interfață).

Fibroza Progresează de la spațiile portale către lobulii hepatici.

găsesc vasele de sânge și canalele biliare) cu celule inflamatorii, în special limfocite și plasmocite.

• Hepatita de interfață (piecemeal necrosis): Acesta este un aspect patognomonic (specific) al AIH. Se referă la distrugerea celulelor hepatice (hepatocitelor) de la marginea spațiilor portale, acolo unde inflamația se extinde dinspre spațiile portale spre parenchimul hepatic.

• Fibroza: Pe măsură ce boala progresează, inflamația cronică duce la formarea de țesut fibros (cicatrici). Această fibroză poate progresa de la stadii incipiente la stadii avansate, culminând cu ciroza hepatică, unde arhitectura normală a ficatului este complet distrusă.

În concluzie, diagnosticul de hepatită lupică se bazează pe găsirea acestor modificări histopatologice clasice ale AIH la un pacient care are deja un diagnostic de lupus eritematos sistemic.

3. Hepatita autoimună vs. Ciroza biliară primară (CBP) și Colangita sclerozantă primară (CSP)

Deși toate sunt boli autoimune ale ficatului, CBP și CSP au un model histopatologic distinct, care le diferențiază clar de hepatita autoimună.

Ciroza Biliară Primară (CBP)

În jurul ductelor biliare interlobulare de calibru mic și mediu.

Infiltrat cu limfocite, plasmocite și granulomatoză (formarea de granuloame) în jurul ductelor.

Distrugerea progresivă a ductelor biliare mici (ductopenia).

Fibroza se dezvoltă în jurul ductelor biliare, formând ciroză biliară.

În jurul ductelor biliare intra- și extrahepatice.

Infiltrat cu limfocite, neutrofile și eozinofile în peretele ductelor biliare.

Fibroză „în coajă de ceapă” (onion skin) și stenoză a ductelor biliare.

Fibroza se dezvoltă concentric în jurul ductelor biliare, ducând la colestază severă și ciroză biliară secundară.

Colangita Sclerozantă Primară (CSP)
Dr. Monica Chiș

Diagnosticul diferențial se bazează pe aceste diferențe subtile, dar cruciale, în distribuția și tipul inflamației. În CBP, principalul afectat este ductul biliar, în timp ce în AIH, ținta principală este celula hepatică (hepatocitul).

4. Hepatita autoimună vs. Hepatitele virale

Diferențele histopatologice dintre hepatita autoimună și hepatitele virale sunt, de asemenea, distincte, ajutând la diferențierea etiologiei.

• Hepatita virală acută: Caracteristica principală este necroza masivă a hepatocitelor (moartea celulelor hepatice), care poate fi răspândită în întregul lobul hepatic. Infiltratul inflamator este format preponderent din limfocite, dar este mai puțin dens și fără caracterul predominant plasmocitar al AIH. De asemenea, fibroza lipsește, deoarece este o boală acută.

• Hepatita virală cronică: Se aseamănă mai mult cu AIH prin prezența inflamației cronice și a fibrozei, dar există diferențe cheie. Infiltratul inflamator este mai puțin bogat în plasmocite și mai mult în limfocite. Un alt aspect important este prezența de modificări citopatice specifice virusului (ex: celule „în sticlă mată” în hepatita B).

Biopsia hepatică este un instrument de neprețuit în diferențierea acestor patologii, confirmând diagnosticul și oferind informații despre severitatea și stadiul bolii (gradul de fibroză).

5. Terapia hepatitei lupice

Obiectivul principal al tratamentului este de a induce și a menține remisia bolii, prevenind astfel progresia către ciroză.

• Terapia de primă linie: Tratamentul standard constă în combinația de corticosteroizi și azatioprină.

o Corticosteroizii (ex: Prednison): Sunt utilizați inițial în doze mari pentru a induce remisia, după care doza este redusă treptat. Aceștia acționează rapid pentru a suprima inflamația.

o Azatioprina: Este un imunosupresor utilizat ca terapie de întreținere pentru a permite reducerea dozei de steroizi, minimizând astfel efectele secundare pe termen lung (osteoporoză, creștere în greutate, hipertensiune).

• Terapia de linia a doua: Pentru pacienții care nu răspund la tratamentul standard sau care au efecte secundare intolerabile, se pot utiliza alte imunosupresoare, cum ar fi micofenolat de mofetil sau ciclosporină.

• Terapii biologice: Odată cu înțelegerea mai profundă a patogenezei, terapiile biologice,

care țintesc componente specifice ale sistemului imunitar, devin o opțiune.

o Rituximab (anti-CD20): Acționează prin distrugerea celulelor B, care joacă un rol central în producerea de autoanticorpi. S-a demonstrat că, este eficient în cazuri refractare de hepatită autoimună și lupus.

o Alte terapii țintite: Belimumab (anti-BAFF), aprobat pentru LES, și inhibitorii de citokine precum infliximab (anti-TNF-α) sunt investigați în contextul hepatitei autoimune, dar necesită mai multe studii.

o Telitaticept: acționează prin legarea și neutralizarea activităților atât ale BLyS, cât și ale APRIL, împiedicând astfel maturizarea și supraviețuirea plasmocitelor și a celulelor B complet dezvoltate. Designul telitaciceptului este distinctiv; nu este un anticorp monoclonal, ci o proteină de fuziune TACI-Fc generată prin tehnologia ADN recombinant. Această fuziune implică unirea segmentelor genetice ale proteinei TACI, care poate ținti simultan BLyS/APRIL, cu segmentul genetic Fc al proteinei IgG umane. Proteina de fuziune TACI-Fc prezintă caracteristicile combinate ale ambelor proteine.

6. Monitorizarea și prognosticul hepatitei lupice

Monitorizarea este esențială pentru a evalua răspunsul la tratament și pentru a detecta recidiva.

• Monitorizarea biochimică: Se efectuează la intervale regulate măsurarea enzimelor hepatice (ALT, AST) și a imunoglobulinelor (IgG) pentru a se asigura că valorile rămân în limite normale.

• Monitorizarea clinică: Pacienții sunt evaluați periodic pentru simptome de boală hepatică sau efecte secundare ale medicamentelor.

• Biopsia de control: O biopsie repetată poate fi necesară pentru a evalua răspunsul histologic și a determina gradul de fibroză.

Prognosticul hepatitei lupice este strâns legat de severitatea inițială a bolii și de răspunsul la terapie. Cu un diagnostic precoce și un management adecvat, majoritatea pacienților pot atinge remisia și se poate preveni progresia bolii.

7. Concluzii

Hepatita lupică se asociază cu puseele de lupus și este deseori asimptomatică rar asociind manifestări clinice. Histopatologic se observă infiltrații ușoare portale cu limfocite, neutrofile plasmocite, degenerări hidroptice, steatoză, colestază ușoară, necroză focală și ciroză nodulară. Este un diagnostic de excludere care impune eliminarea altor cauze primare sau secundare de afectare hepatică.

Paraclinic se asociază cu transaminaze crescute, creșterea bilirubinei și pozitivitatea anticorpilor P ribozomali.

În hepatitele autoimune, examenul histopatologic evidențiază infiltrate periportal și lobular, hepatita de interfață și infiltrat limfoplasmocitar, infiltrat portal mononuclear care invadează hepatocitele periportale cauzând necroză periportală și formare de rozete. În caz de progresie sunt descrise punți necrotice, necroză panlobulară sau multilobulară cu evoluție spre ciroză. Ductele biliare pot fi afectate cauzând ductopenia, colangită destructivă și non-destructivă. Poate asocia ca și manifestări clinice și paraclinice artralgii, hipergamaglobulinemie, enzime hepatice crescute dar atc antinucleari, atc anti-mușchi netezi (ASMA) și anticorpii microsomali hepatici/renali sunt pozitivi.

Bibliografie:

1. Lucci F. et al. (2023). Lupus hepatitis, a diagnostic challenge. Orthopedics and Rheumatology. 15 (I): 6-8.

2. Gomes RR et al. (2024). Hepatic manifestations in systemic lupus erythematosus (SLE) and cholestatic hepatitis as rare initial presentations : a diagnostic challenge. Japanese Journal of Gastroenterology and Hapatology. V10 (10): 1-5.

3. Heneghan, M. A., & McFarlane, I. G. (2009). Autoimmune hepatitis. BMJ, 339, b3026.

4. Mack, C. L., et al. (2018). Diagnosis and management of autoimmune hepatitis in adults and children. Hepatology, 68(1), 329-374.

5. Czaja, A. J. (2015). Lupoid hepatitis: What is it, and what is its relationship to autoimmune hepatitis? Hepatology, 61(1), 16-18.

6. Rockey, D. C., et al. (2016). ACR–EULAR 2017 classification criteria for systemic lupus erythematosus. Arthritis & Rheumatology, 69(1), 19-33.

7. Wang, R., et al. (2020). Rituximab in the treatment of refractory autoimmune hepatitis: A systematic review and meta-analysis. Hepatology International, 14(2), 224-233.

8. Wang, L., et al. (2017). Primary biliary cholangitis: A clinicopathologic review. Hepatology International, 11(2), 127-140.

9. Manns, M. P., et al. (2015). Autoimmune hepatitis - a comprehensive review. Journal of Autoimmunity, 63, 2-12.

10. Liuting Zeng et al. (2024), Telitacicept: A novel horizon in targeting autoimmunity and rheumatic diseases, Journal of Autoimmunity, Volume 148, 103291, ISSN 0896-8411, https://doi.org/10.1016/j.jaut.2024.103291.

11. Fan Q, et al. (2024), Refractory lupus hepatitis successfully treated with telitacicept who failed to belimumab: A case report and literature review. Lupus.Apr;33(4):414-419. doi: 10.1177/09612033241233021. Epub 2024 Feb 6. PMID: 38320748.

Riscul pacienților cu boli reumatice mediate imun în fața COVID-19 – lecții învățate din pandemie

„Nu poți controla toate evenimentele care ți se întâmplă, dar poți decide să nu fi definit de ele.” Maya Angelou

Pandemia COVID-19 a schimbat profund sistemele de sănătate publică, aducând noi provocări, inclusiv pentru pacienții cu boli reumatice mediate imun (BRMI) [1,2]. Dacă la început se credea că aceștia nu sunt mai expuși virusului decât restul populației, realitatea a arătat altceva. În decembrie 2020, Organizația Mondială a Sănătății (OMS) i-a inclus oficial în categoria persoanelor cu risc foarte înalt de complicații severe, trăgând un semnal de alarmă puternic [3]

Dr. Andreea-Iulia Vlădulescu-Trandafir

Drd. UMF „Carol Davila”, Secția de Recuperare Neuromusculară, Spitalul „Bagdasar-Arseni”

Prof. Univ. Dr. Gelu Onose

Șef Secție Recuperare Neuromusculară, Spital „Bagdasar-Arseni”, Bucureşti

Dr. Violeta Claudia Bojincă

Medic primar reumatologie şi MI, Dr. Șt. Med., UMF „Carol Davila”, Bucureşti, Spitalul „Sfânta Maria”

Vulnerabilitate

și terapii

Pacienții cu BRMI sunt mai susceptibili în fața infecțiilor – starea de imunosupresie conferită de boală și de tratament le sporește fragilitatea. Spre exemplu, cei cu poliartrită reumatoidă (PR) au risc dublu de spitalizare pentru infecții față de populația generală, chiar și fără tratamente imunosupresoare [4]

Terapiile utilizate pentru controlul acestor patologii, inclusiv corticoterapia și medicamentele modificatoare de boală: DMARD(s) – sintetice convenționale [csDMARD(s)], sintetice țintite [stDMARD(s)] și biologice [bDMARD(s)] – sunt esențiale în managementul BRMI. Nu toate tratamentele influențează în aceiași măsură, însă, riscurile.

Utilizarea corticoterapiei, deși esențială în formele de COVID-19 ce au asociat detresă respiratorie, s-a dovedit a fi dăunătoare pe termen lung. Tratamentul cu

Prednison ≥10 mg/zi s-a asociat, conform studiilor din literatura de specialitate, cu formele severe de infecție, spitalizarea prelungită și mortalitatea crescută [5–7]

Rituximab (RTX) a fost identificat constant drept predictor major pentru prognosticul nefavorabil, risc crescut de ventilație mecanică și deces, mai ales dacă infecția apare în primele 6 luni după administrarea perfuziei [8–10]. Totuși, este important de precizat faptul că RTX este utilizat mai frecvent ca tratament de linia a doua la pacienții non-responderi la alte terapii imunosupresoare, cu o durată îndelungată a bolii și probabil comorbidități importante, în situații excepționale putând fi utilizat ca terapie de primă linie. În acest context, este pertinent să subliniem faptul că evoluția mai severă a pacienților tratați cu RTX poate fi atribuită și eventualelor patologii asociate, duratei prelungite a bolii sau/și a naturii refractare a acesteia - care întreține imuno-inflamația.

Posibil prin acțiunea directă asupra uneia dintre moleculele centrale ale furtunii citokinice, bolnavii care se aflau sub tratament cu medicație împotriva factorului de necroză tumorală-α (anti-TNF-α) au avut o evoluție mai favorabilă decât cei care utilizau inhibitori de Janus Kinaze (JAKi), RTX, Azatioprină [11] Tratamentul cu csDMARDs are rezultate contradictorii asupra prognosticului bolnavilor de COVID-19, aceasta însemnând că efectul lor depinde de contextul biologic, clinic și terapeutic al fiecărui pacient [9,11,12]

În contrast, unele terapii folosite în reumatologie și-au găsit locul și în tratamentul COVID-19 sever: Tocilizumab (anti-IL-6) a redus mortalitatea la pacienții cu inflamație sistemică marcată [13–15] , iar Baricitinib (JAKi) a demonstrat beneficii atât antiinflamatorii, cât și antivirale [16–18]. Studiile ce au utilizat Hidroxiclo-

roquina (HCQ) și Anakinra au avut rezultate contradictorii legate de influența asupra prognosticului COVID-19 [16,19–21]

Date epidemiologice actualizate

Ce spun studiile? Răspunsurile sunt nuanțate.

Două meta-analize au arătat că riscul de spitalizare, evoluție severă, inclusiv admisie în terapie intensivă este similar cu cel din populația generală [12,22]. Cercetări ample, precum analiza a aproape 75 000 de bolnavi cu PR, lupus eritematos sistemic (LES), sclerodermie (SSc), spondilartrită axială și artrită psoriazică, au demonstrat incidențe crescute de spitalizare și, în cazul PR, și de mortalitate [23] .

Date din Spania au relevat o frecvență mai mare a COVID-19 la bolnavii cu BRMI, în special la cei aflați sub tratament biologic sau sintetic țintit. O meta-analiză a 44 de studii (peste 181 000 de pacienți) a confirmat o prevalență globală de 1,9%, cu variații regionale. În plus, pacienții cu LES, SSc, vasculite au prezentat mortalitate mai ridicată decât cei cu artrite inflamatorii cronice, chiar și atunci când boala de fond era controlată [24] .

Conform datelor din literatură, factorii de risc pentru prognosticul nefavorabil sunt parțial comuni cu cei din populația generală – vârsta înaintată, sexul masculin, fumatul, obezitatea, diabetul, bolile cardiovasculare sau pulmonare, istoricul de neoplazii – dar există și factori specifici pacienților cu BRMI:

• activitate crescută a bolii reumatice;

• asocierea de boală pulmonară interstițială (BIP);

• eroziuni osoase;

• tratamente precum RTX, Sulfasalazină, Metotrexat și Azatioprină în monoterapie sau Prednison ≥10 mg/zi [8,11,12,25] .

Lecții pentru viitor

Privind retrospectiv, putem spune că pacienții cu BRMI nu au fost uniform vulnerabili. Cei cu BRMI stabile, fără comorbidități majore și sub anumite terapii (anti-TNF) au avut o evoluție favorabilă a COVID-19. În schimb, cei cu boală activă, tratament cu RTX sau corticoterapie, vârstnici și cu multiple comorbidități, au fost printre cei mai afectați.

Lecția finală? Pandemia ne-a arătat că în reumatologie, la fel ca în alte domenii, personalizarea tratamentului și echilibrul dintre risc și beneficiu fac diferența. Nu există un profil unic de risc, iar deciziile terapeutice trebuie luate împreună cu medicul reumatolog. Având în vedere contextul epidemiologic actual, în care se remarcă o creștere a cazurilor de COVID-19 în populația generală, atenția trebuie îndreptată și către pacienții cu BRMI. Monitorizarea atentă, menținerea bolii de fond și a comorbidităților sub control și adaptarea tratamentului la contextul infecțios sunt cheia pentru evoluția favorabilă a acestor bolnavi.

Bibliografie:

1. Landewé RBM, Kroon FPB, Alunno A, Najm A, Bijlsma JWJ, Burmester GRR, et al. EULAR recommendations for the management and vaccination of people with rheumatic and musculoskeletal diseases in the context of SARS-CoV-2: the November 2021 update. Ann Rheum Dis. 2022 Dec 1;81(12):1628–39.

2. Trandafir A, Onose G, Munteanu C, Băila M, Saglam AO, Mandu M, et al. Particularities regarding Clinical-biological and Evolutive Parameters of Immune-mediated Rheumatic Diseases in Patients with COVID-19-systematic literature review. Balneo and PRM Research Journal. 2023;2023(2):562.

3. People with Certain Medical Conditions and COVID-19 Risk Factors | COVID-19 | CDC [Internet]. [cited 2025 Mar 23]. Available from: https://www.cdc.gov/covid/ risk-factors/?CDC_AAref_Val=https:// www.cdc.gov/coronavirus/2019-ncov/need-extra-precautions/people-with-medical-conditions.html

4. Bălănescu AR, Bălănescu Ș. M. Imunitatea Înnăscută Și Dobândită – Noțiuni Fundamentale. Autoimunitatea. Mecanisme Imune În Reumatologie. Vol. 1. Bucharest: Editura Medicală; 2019. 5–10 p.

5. El-Saber Batiha G, Al-Gareeb AI, Saad HM, Al-kuraishy HM. COVID-19 and

corticosteroids: a narrative review. Inflammopharmacology. 2022 Aug 1;30(4):1189.

6. Gianfrancesco M, Hyrich KL, Al-Adely S, Al-Adely S, Carmona L, Danila MI, et al. Characteristics associated with hospitalisation for COVID-19 in people with rheumatic disease: data from the COVID-19 Global Rheumatology Alliance physician-reported registry. Ann Rheum Dis. 2020 Jul 1;79(7):annrheumdis-2020-217871.

7. Nuño L, Novella Navarro M, Bonilla G, Franco-Gómez K, Aguado P, Peiteado D, et al. Clinical course, severity and mortality in a cohort of patients with COVID-19 with rheumatic diseases. Ann Rheum Dis. 2020 Dec 1;79(12):1659–61.

8. Vlădulescu-Trandafir AI, Bojincǎ VC, Munteanu C, Anghelescu A, Popescu CN, Stoica SI, et al. Rheumatoid Arthritis and COVID-19 at the Intersection of Immunology and Infectious Diseases: A Related PRISMA Systematic Literature Review. Int J Mol Sci. 2024;25(20).

9. Zhu Y, Zhong J, Dong L. Epidemiology and Clinical Management of Rheumatic Autoimmune Diseases in the COVID-19 Pandemic: A Review. Front Med (Lausanne). 2021 Aug 19;8:725226.

10. Ekin A, Coskun BN, Dalkilic E, Pehlivan Y. The effects of COVID-19 infection on the mortality of patients receiving rituximab therapy. Ir J Med Sci. 2023 Aug 1;192(4):1959–73.

11. Grainger R, Kim AHJ, Conway R, Yazdany J, Robinson PC. COVID-19 in people with rheumatic diseases: risks, outcomes, treatment considerations. Nat Rev Rheumatol. 2022 Apr 25;18(4):191–204.

12. Wang Q, Liu J, Shao R, Han X, Su C, Lu W. Risk and clinical outcomes of COVID-19 in patients with rheumatic diseases compared with the general population: a systematic review and meta-analysis. Rheumatol Int. 2021 May 1;41(5):851–61.

13. Kudliński B, Zawadzki J, Kulińska W, Kania J, Murkos M, Stolińska M, et al. Tocilizumab in COVID-19: A Double-Edged Sword? Biomedicines 2024, Vol 12, Page 2924. 2024 Dec 23;12(12):2924.

14. Almskog LM, Sjöström A, Sundén-Cullberg J, Taxiarchis A, Ågren A, Freyland S, et al. Tocilizumab reduces hypercoagulation in COVID-19 – Perspectives from the coagulation and immunomodulation Covid assessment (Coag-ImmCovA) clinical trial. Thromb Res. 2024 Nov 1;243.

15. Jafari Abarghan Y, Heiat M, Jahangiri A, Hossein Peypar M, Abdorrashidi M, Tohidinia A, et al. Investigating the impact of Tocilizumab, Sarilumab, and Anakinra on clinical outcomes in COVID-19: A systematic review and meta-analysis. IJC Heart & Vasculature. 2024 Oct 1;54:101483.

16 Li G, Hilgenfeld R, Whitley R, De Clercq E. Therapeutic strategies for COVID-19: progress and lessons learned. Nature Reviews Drug Discovery 2023 22:6. 2023 Apr 19;22(6):449–75.

17. Song W, Sun S, Feng Y, Liu L, Gao T, Xian S, et al. Efficacy and safety of baricitinib in patients with severe COVID-19: A systematic review and meta-analysis. Medicine (United States). 2023 Dec 1;102(48):E36313.

18. Levy G, Guglielmelli P, Langmuir P, Constantinescu SN. JAK inhibitors and COVID-19. J Immunother Cancer. 2022 Apr;10(4):e002838.

19. Gautret P, Lagier JC, Parola P, Hoang VT, Meddeb L, Mailhe M, et al. RETRACTED: Hydroxychloroquine and azithromycin as a treatment of COVID-19: results of an open-label non-randomized clinical trial. Int J Antimicrob Agents. 2020 Jul 1;56(1):105949.

20. García-Lledó A, Gómez-Pavón J, González del Castillo J, Hernández-Sampelayo T, Martín-Delgado MC, Martín Sánchez FJ, et al. Pharmacological treatment of COVID-19: an opinion paper. Revista Española de Quimioterapia. 2022 Mar 14;35(2):115–30.

21. Dahms K, Mikolajewska A, Ansems K, Metzendorf MI, Benstoem C, Stegemann M. Anakinra for the treatment of COVID-19 patients: a systematic review and meta-analysis. Eur J Med Res. 2023 Dec 1;28(1):1–12.

22. Conway R, Grimshaw AA, Konig MF, Putman M, Duarte-García A, Tseng LY, et al. SARS–CoV-2 Infection and COVID-19 Outcomes in Rheumatic Diseases: A Systematic Literature Review and Meta-Analysis. Arthritis and Rheumatology. 2022 May 1;74(5):766–75.

23. Bournia VK, Fragoulis GE, Mitrou P, Mathioudakis K, Tsolakidis A, Konstantonis G, et al. Different COVID-19 outcomes among systemic rheumatic diseases: a nation-wide cohort study. Rheumatology. 2023 Mar 1;62(3):1047–56.

24. Pablos JL, Abasolo L, Alvaro-Gracia JM, Blanco FJ, Blanco R, Castrejón I, et al. Prevalence of hospital PCR-confirmed COVID-19 cases in patients with chronic inflammatory and autoimmune rheumatic diseases. Ann Rheum Dis. 2020 Sep 1;79(9):1170–3.

25. Machado PM, Schäfer M, Mahil SK, Liew J, Gossec L, Dand N, et al. Characteristics associated with poor COVID-19 outcomes in people with psoriasis, psoriatic arthritis and axial spondyloarthritis: data from the COVID-19 PsoProtect and Global Rheumatology Alliance physician-reported registries. Ann Rheum Dis. 2023 May 1;82(5):698–709.

Cum ne ajută ecografia musculo-scheletală la evaluarea leziunilor de tendon și la aprecierea evoluției efectelor terapiei injectabile (monitorizare ecografică)

Șef

de lucrări Dr. Georgiana Tache

Medic primar MFRM, Doctor în Științe medicale, UMF „Carol Davila” din Bucureşti

1. Ecografia musculo-scheletală este un instrument rapid și neinvaziv, util pentru identificarea leziunilor de tendon

Examinarea prin ecografia musculo-scheletală (Eco MSK) este preferată de majoritatea medicilor specialiști care posedă această competență. Este utilizată pe scară largă în medicina fizică și de reabilitare, ortopedie, medicina sportivă și reumatologie.

Deși dependentă de experiența și cunoștințele examinatorului, precizia sa este cel puțin la fel de acurată precum cea a examinării RMN, cu privire la evaluarea tendoanelor, identificarea și gestionarea afecțiunilor acestora.

Este metoda imagistică dinamică (permite evaluare bazată pe mișcare în timp real), ceea ce examenul RMN nu o poate face. Oferă evaluare funcțională asupra ruperii sau a subluxării tendoanelor. Detectează modificări structurale fine, exprimate prin hipoecogenitate (pierderea luminozității normale a tendoanelor), identifică neovascularizație și îngroșarea tendoanelor.

Este o metodă mai eficientă financiar față de RMN, nu necesită substanță de contrast, fiind accesibilă și disponibilă, sigură și noninvazivă față de CT și examenul radiologic, asigură monitorizarea tratamentului și follow-up al modificărilor structurale post-terapie, permite ghidaj terapeutic (infiltrații PRP, corticosteroizi în sau peritendon), asigură evaluarea vascularizației (examinarea Doppler poate detecta creșterea fluxului sanguin, adesea asociată cu tendinopatia cronică și neovascularizație), permite diferențierea dintre procese inflamatorii și degenerative. Deși calitatea imaginii și acuratețea diagnosticului se bazează pe abilitățile ecografistului, nefiind întotdeauna de

preferat pentru structuri mai profunde la pacienții obezi, fiind mai puțin sensibilă pentru modificările osoase incipiente sau a țesuturilor moi extinse față de RMN; este însă ideală în situația în care celelalte metode imagistice sunt inaccesibile sau contraindicate, în situații de urgență și pentru evaluare dinamică. Avantajele sunt descrise în cele ce urmează.

a. Ecografia poate identifica clar tipurile de leziuni ale tendoanelor. Tendinopatie (tendinită sau tendinoză; ce se caracterizează prin apariția de modificări ale grosimii tendonului, ecogenității (aspectului) și ale structurii sale interne. Ruptură parțială de tendon; care apare ca o zonă hipoecogenă (mai închisă la culoare) într-un tendon îngroșat sau neregulat. Ruptură completă de tendon; în care se vede o discontinuitate clară a fibrelor tendonului, adesea cu retracție și colecție lichidiană (hematom). Calcificări în tendon; acestea fiind vizibile ca formațiuni hiperecogene (foarte albe), uneori cu umbră acustică. Tenosinovită (inflamația tecii sinoviale); evidențiată prin lichid în teacă și îngroșarea peretelui sinovial.

b. Este o evaluare dinamică, deoarece permite observarea tendonului în mișcare (în timpul contracției musculare sau al testelor funcționale). Astfel, se pot identifica blocaje mecanice, subluxații sau luxații de tendon (ex. tendonul bicepsului brahial), mișcarea de fricțiune/frecare anormală a tendonului pe structuri/ tuneluri fibro-osoase (impingement).

c. Eco MSK oferă ghidaj pentru infiltrații. Ajută la ghidarea precisă a acului pentru infiltrații injectabile (corticosteroizi, PRP, ser autolog, acid hialuronic) direct în sau în jurul tendonului afectat.

d. Asigură monitorizarea tratamentului. Prin evaluări repetate, ecografia poate urmări evoluția procesului de vindecare. Se pot urmări: eficiența terapiei și modificările structurale ale tendonului

după terapie fizică, infiltrații sau imobilizare/repaus. Permite comparația între tendonul afectat și cel sănătos contralateral.

În concluzie, Eco MSK este un instrument valoros în diagnosticul și managementul leziunilor de tendon, oferind diagnostic rapid, accesibil și repetabil, obiectivând eficiența terapiei aplicate, jucând astfel un rol esențial în recuperare medicală, medicina sportivă, reumatologie, ortopedie.

2. Eco MSK este un instrument rapid și neinvaziv, util pentru efectuarea infiltrației ecoghidate și pentru evaluarea evoluției post terapie injectabilă

Terapiile injectabile sunt utile în leziunile de tendon (tratament conservator). Obiectivele urmărite sunt: reducerea inflamației, ameliorarea durerii și stimularea regenerării, mai ales în situația în care tratamentele conservatoare (proceduri fizical-kinetice, administrarea de medicație orală sau sub formă de topic local) nu sunt suficiente/eficiente ori sunt contraindicate. În cele ce urmează, sunt prezentate principalele tipuri de injecții utilizate în tratamentul leziunilor tendinoase, împreună cu indicațiile lor.

a. Corticosteroizi. Indicați în tendinopatii inflamatorii sau cu sinovită asociată (precum tenosinovită, entezită, bursite adiacente). Efectul obținut este cel antiinflamator și analgezic puternic, având avantajul efectului rapid. Nu se recomandă injectarea directă în tendon (risc de ruptură), ci peri-tendinos. Utilizarea este limitată ca frecvență (de obicei maxim 3 infiltrații peritendinoase/an, în aceeași zonă). Prezintă dezavantajul că nu favorizează regenerarea.

b. Plasma îmbogățită cu trombocite (PRP - Platelet Rich Plasma). Indicațiile PRP sunt reprezentate de tendinopatii degenerative cronice (precum tendinopatia Ahiliană, epicondilită laterală etc.).

Efectul obținut este acela că stimulează regenerarea țesuturilor prin factori de creștere eliberați de trombocite. Avantajul este că reprezintă o terapie autologă (utilizează sângele propriu) și favorizează vindecarea biologică a tendonului. Printre dezavantaje se regăsește răspunsul variabil la tratament, cost ridicat și efect întârziat (sunt necesare săptămâni).

c. Aceleași aspecte pot fi descrise și față de alte produse ce utilizează ser autolog, precum Sanakin. Sanakin®-ACRS (Autologus Cytokine Rich Serum) este mai mult decât un PRP, fiind utilizat în tratamentul afecțiunilor osteo-articulare. Sanakin® este un ser autolog obținut din sângele periferic, care își maximizează proprietățile prin intermediul unei tehnologii moderne de incubare (bogat în cytokine). Infiltrația Sanakin reprezintă deci, injectarea unui ser autolog, bogat în citokine (ACRS), derivat din sângele propriu al pacientului. Astfel, tehnologia Sanakin evită complet utilizarea oricăror aditivi artificiali, prezentând o siguranță ridicată în ceea ce privește gradul de toleranță a organismului față de tratament. Efectele sunt: antiinflamatoare cât și activarea capacității proprii de regenerare a organismului.

d. Acid hialuronic. Indicațiile administrării de acid hialuronic sunt reprezentate de tendinopatii cronice, mai ales la nivelul articulațiilor: umărului, cotului, genunchiului, gleznei (de ex. Tendinita Ahileană, Epicondilita (cotul tenismenului), Tendinita rotuliană (genunchiul săritorului), Tendinita de coafă rotatorie (la nivelul umărului). Efectul este acela de lubrifiere, scăderea fricțiunii/forței de frecare, efect antiinflamator moderat. Avantajele sunt acelea că, prezintă toleranță bună și risc scăzut de reacții adverse. Acționează prin mecanism de hidratare și protecția structurală a tendonului și tecii sinoviale.

e. Colagen injectabil (hidrolizat de colagen sau colagen tip I). Indicațiile acestui tip de terapie injectabilă îl reprezintă tendinopatiile cronice, rupturi parțiale de tendon, aspectul regenerativ. Efectul urmărit este de a susține refacerea colagenului propriu al tendonului afectat.

Avantajele sunt asigurate de faptul că, este o terapie biologică, sigură, ce poate fi combinată cu proceduri fizicale.

f. Proloterapia (dextroză hipertonică injectată peri-tendinos) este o procedură medicală minim invazivă, folosită pentru tratarea durerilor cronice MSK, în special a celor provocate de leziuni ale ligamentelor și tendoanelor. Printre indicațiile acestei terapii numărându-se și instabilitate articulară, tendinopatiile cronice (ex. Durerea cronică a spatelui, Dureri articulare cronice, Leziuni ale ligamentelor și tendoanelor, Disfuncții ale articulației temporomandibulare). Efectul proloterapiei este acela că, stimulează inflamația locală în mod controlat, ceea ce va conduce la inițierea procesului de regenerare tisulară. Este în fapt, o terapie regenerativă cu utilizare limitată în România, dar populară în alte țări, precum SUA.

g. Terapie cu celule stem mezenchimale (terapie experimentală, aflată în stadiul de cercetare). Își găsește indicații în leziuni tendinoase severe sau cronice, în contextul eșecului altor terapii. Efectul este de regenerare tisulară avansată.

În concluzie: alegerea terapiei injectabile depinde de: tipul leziunii (inflamatorie vs degenerativă), localizarea acesteia (umăr, cot, gleznă etc.), stadiul afecțiunii (acută sau cronică), profilul sau nivelul de activitate fizică al pacientului (sportiv, vârstnic), afecțiuni asociate cunoscute (alergii etc.). Recomandarea specialiștilor este ca injecțiile să fie efectuate sub ghidaj ecografic, pentru precizie maximă și efecte optime.

3. Monitorizarea ecografică a evoluției leziunilor de tendon Ecografia este ideală pentru urmărirea procesului de vindecare a tendoanelor, atât în faza acută cât și în cea cronică. Se poate repeta la intervale regulate (de ex. la 2-4 săptămâni), în funcție de gravitatea leziunii. Obiectivele urmărite sunt: dimensiune/grosimea tendonului, ce scade progresiv pe măsură ce inflamația se reduce; structura ecogenică ce devine mai omogenă, cu structura fibrilară organizată; lichidul peri-tendinos prezent inițial, se reduce sau dispare; în caz de ruptură parțială, tendonul se remode-

lează prin proces de fibroză organizată; vascularizația Doppler se normalizează odată cu scăderea inflamației (se reduce vascularizația de neoformație).

În leziunile cronice, unele modificări pot persista (de ex. fibre dezorganizate), chiar și în absența durerii. Deciziile clinice se iau corelând imaginile ecografice cu simptomele pacientului.

Aplicarea terapiei fizicale trebuie să fie adaptată fazei de evoluție a leziunii, după cum urmează. Faza acută (0-7 zile). Obiectiv: reducerea durerii și inflamației. Se menține repaus relativ și se evită mobilizare intensă sau forțată. Se pot aplica Crioterapie (gheață locală), Laser terapeutic cu efect antiinflamator, Ultrasunete impulsuri. Faza subacută (7-21 zile). Obiectiv: reluarea progresivă a mobilității și stimularea regenerării. Se pot introduce Electroterapie (TENS, curenți diadinamici, interferențiali), Ultrasunete continue, Laser terapie, Kinetoterapie prin mobilizări pasive/ active asistate. Faza de regenerare/cronică (>3 săptămâni post acut sau post-injecție). Obiectiv: întărirea tendonului, restabilirea funcției, prevenirea recidivei. Se pot folosi: Terapie TECAR (transfer energetic capacitiv și rezistiv), Stretching progresiv, Exerciții de forță excentrică (esențiale în tendinopatii cronice), Masaj transversal profund (cu precauție), Bandajare kinesio-taping, Reeducare proprioceptivă (mai ales pentru glezne și genunchi).

După injecții (PRP, corticosteroid, acid hialuronic). De obicei, pauză de 3-5 zile de la efortul fizic sau proceduri fizicale agresive. Se poate relua progresiv terapia fizicală după 5-7 zile, sub supraveghere medicală. PRP poate avea un efect întârziat, deci terapia se începe ușor, cu evaluări clinice și ecografice periodice.

În concluzie, Eco MSK stabileşte diagnosticul, asigură acuratețea terapiei injectabile, urmăreşte efectele terapeutice şi susține specialistul în decizia de începere sau ajustare/adaptare a terapiei fizicale. Terapia fizicală se poate începe după reducerea inflamației active şi în absența durerii severe. Tratamentul trebuie să fie individualizat, în funcție de tipul, localizarea şi stadiul leziunii tendinoase.

Turn static files into dynamic content formats.

Create a flipbook
Issuu converts static files into: digital portfolios, online yearbooks, online catalogs, digital photo albums and more. Sign up and create your flipbook.