Læknaneminn 2024

Page 1


LÆKNANEMINN

Læknaneminn

75. árgangur

Mynd á blaðsíðu 1: Forsíða fyrsta tölublaðs Læknanemans.

Ritstjóri: Kara Hlynsdóttir

Ritstjórn Læknanemans: Árni Daníel Árnason, Baldvin Fannar Guðjónsson, Björn Vilhelm Ólafsson, Edward Rumba, Elísabet Tara Guðmundsdóttir, Karólína Mist Stefánsdóttir og Urður Helga Gísladóttir

Fagleg ritsjórn: Anna Björg Jónsdóttir, Engilbert Sigurðsson, Karl Andersen og Ludvig Guðmundsson

Hönnun og umbrot: Patrekur Björgvinsson og Sigrún Karls Kristínardóttir

Prentun: Prentmiðlun

Upplag: 1900

Reykjavík

2025

ÁVARP RITSTJÓRNAR bls. 6

FÉLAG LÆKNANEMA bls. 8

ALÞJÓÐANEFND bls. 10

ÁSTRÁÐUR bls. 12

BJARGRÁÐUR bls. 14

FULLTRÚARÁÐ bls. 16

KENNSLU- OG

FRÆÐSLUMÁLANEFND bls. 18

LÝÐHEILSUFÉLAGIÐ bls. 20

RITRÝNT EFNI

NÝRNASTEINAR bls. 24

DREPMYNDANDI FELLSBÓLGA (NECROTIZING FASCIITIS) GENGUR INN Á SÍÐDEGISVAKTINA bls. 32

17 ÁRA DRENGUR MEÐ ENDURTEKIN LIÐHLAUP HNÉSKELJAR bls. 38

SLAPPLEIKI OG GULA HJÁ FERTUGUM MANNI bls. 46

88 ÁRA MAÐUR MEÐ BRÁTT

KRANSÆÐAHEILKENNI OG D-VÍTAMÍNEITRUN bls. 54

HAGNÝT BÆKLUNARSKOÐUN

BARNA bls. 62

ERFÐASJÚKDÓMAR OG

HEILKENNI: KLÍNÍSK GREINING OG UPPVINNSLA bls. 70

FÁL bls. 80

FÁSBI bls. 84

HEIMASPÍTALINN Á SELFOSSI bls. 86

HERMIKENNSLA – ÞAÐ ER LEIKUR AÐ LÆRA bls. 90

SKEMMTIEFNI

ÞEGAR LÆKNANEMI VERÐUR SJÚKLINGUR bls. 96

SKIPTINÁM Í VARSJÁ bls. 98

SUMARSKIPTI Í PORTÚGAL bls. 100

SKOÐANAKÖNNUN bls. 102

DAGUR Í LÍFI bls.104

LÆKNANEMI Á KAFI Í ENDURHÆFINGU ALDRAÐRA Á EIR bls.108

ÁRGANGAMYNDIR bls. 110

SPIL LÆKNANEMANS bls. 130

KROSSGÁTA

LÆKNANEMANS bls. 132

HVAÐA KENNARI ERT ÞÚ? bls. 134

HVER Á HVAÐA EYRA? bls. 137

KEPPNI Á TVEIMUR VÍGSTÖÐVUM bls. 138

KENNSLUVERÐLAUN FÉLAGS LÆKNANEMA bls. 140

BS-VERKEFNI 3. ÁRS LÆKNANEMA bls. 142

ÁVÖRP OG ANNÁLAR

ÁVARP RITSTJÓRNAR bls. 6

FÉLAG LÆKNANEMA bls. 8

ALÞJÓÐANEFND bls. 10

ÁSTRÁÐUR bls. 12

BJARGRÁÐUR bls. 14

FULLTRÚARÁÐ bls. 16

KENNSLU- OG

FRÆÐSLUMÁLANEFND bls. 18

LÝÐHEILSUFÉLAGIÐ bls. 20

Ritstjóri Læknanemans

RITSTJÓRNAR

STJÓRNARMEÐLIMIR

Árni Daníel Árnason

Baldvin Fannar Guðjónsson

Björn Vilhelm Ólafsson

Edward Rumba

Elísabet Tara Guðmundsdóttir

Karólína Mist Stefánsdóttir

Urður Helga Gísladóttir

Óvissa hefur gjarnan fylgt útgáfu blaðsins undanfarin ár og hefur komið fram í fyrri ritstjórnarávörpum að ekki væri ljóst á tímapunktum hvort að blaðið kæmi jafnvel út. Upplifunin var ekki sú sama hjá þessari ritnefnd en við neitum því ekki að það komu upp krefjandi tímabil sem settu strik í reikninginn. Þrátt fyrir smá mótvind af og til létum við það ekki stoppa okkur og erum við stolt af þessari útgáfu Læknanemans sem þið eruð nú komin með í hendurnar.

Nefndin tók formlega við verkefninu í febrúar 2024 og hélt sinn fyrsta fund í lok sama mánaðar. Upphafega voru nefndarmeðlimir fimm en fjótlega tókst að fjölga í hópnum og urðum við 10, þar af tveir með fyrri reynslu og aðrir spenntir að takast á við nýtt verkefni. Nefndarstörfin hófust á rólegu nótunum á meðan beðið var eftir útgáfu 74. árgang blaðsins, sem kom út á vorönn 2024. Við komumst að því seinna að hefð hafði verið fyrir því að gefa blaðið út á haustönninni og settum við því okkur það markmið að gefa blaðið út seinni part haustannar 2024. Öfugir nefndarmeðlimir voru fjótir að fjármagna

75. útgáfu Læknanemans, enda tilefni til að birta auglýsingar í 75 ára afmælisútgáfu blaðsins. Vel gekk að safna fræðsluefni og kom það úr ólíkum áttum sem gerir blaðið spennandi. Hins vegar reyndist erfiðara að afa ritrýndra greina og á tímapunkti héldum við að ekki tækist að ná þessum fimm punkta staðli, það er að safna fimm ritrýndum greinum. En okkur til mikillar ánægju voru fjórir öfugir læknanemar sem tóku að sér með skömmum fyrir vara að skrifa ritrýndar greinar um áhugaverð sjúkratilfelli og tryggðu þannig útgáfu blaðsins.

Við viljum þakka öllum sem lögðu sitt af mörkum við gerð blaðsins. Sérstakar þakkir fá þeir sem sendu inn fræðsluefni og ritrýndar greinar, sem og þeir sem tóku að sér ritrýni. Einnig þökkum við faglegri ritstjórn fyrir yfirlestur útgáfunnar í heild sinni og grafísku hönnuðunum okkar fyrir gott samstarf, þolinmæði og vel unnið verk.

Við vonum að lesendur njóti blaðsins jafn mikið og við nutum þess að vinna að því.

INGI PÉTURSSON

Formaður Félags læknanema

2023–2024

LÆKNANEMA

NEFNDARMEÐLIMIR

Andri Már Tómasson

Bjartur Thorlacius

Daníel Pálsson

Hjalti Dagur Hjaltason

Jenný Jónsdóttir

Kolbrún Sara Haraldsdóttir

Síðastliðið skólaár var, líkt og áður fyrr, viðburðaríkt og tilkomumikið. Heildar fjöldi félagsfólks í Félagi læknanema (FL) var í kringum 250, sem gerir það eitt stærsta nemendafélagið á Heilbrigðisvísindasviði HÍ, og gera má ráð fyrir að með tilvonandi fjölgun læknanema muni sú tala fara hækkandi.

Snemma á skólaárinu komu fram áhyggjur vegna breytinga á kröfum til sérnáms í Bandaríkjunum. Í stuttu máli felast breytingarnar í því að læknanám utan Bandaríkjanna þarf að hljóta alþjóðlega gæðavottun til þess að útskrifaðir læknar geti þreytt USMLE prófin og fengið lækningaleyfi þarlendis. Samkvæmt formlegum svörum sem við höfum fengið munu breytingarnar ekki hafa áhrif á íslenska lækna sem hyggja á að fara til Bandaríkjanna í sérnám en Bandaríkin hafa fallið frá breytingunni eins og stendur. Læknadeild hóf vottunar ferlið í vor og höfðu

FL og Kennslu­ og fræðslumálanefnd aðkomu að því. Ferlið mun taka hátt í tvö ár og munu fulltrúar nemenda halda áfram að aðstoða Læknadeild við þessa vinnu, sem mun óneitanlega auka gæði námsins á alþjóðlegum mælikvarða.

Líkt og svo oft áður skipuðu launamál læknanema stóran sess í starfsári FL. Þegar launaseðlar læknanema við störf á LSH bárust um áramótin kom fjótt í ljós að þrátt fyrir að festir hafi uppfyllt skilyrði fyrir desemberuppbót samkvæmt kjarasamningi hafi fáir fengið hana greidda. Launadeild féllst á að endurskoða skilyrðin og endurreikna desember uppbótina, sem var svo leið rétt aftur virkt og fengu læknanemar

þá launauppbót sem þeir höfðu unnið sér inn. Árið 2021 var lögum um lækningaleyfi breytt, þar sem kandídatsárið var fellt niður og sérnámsgrunnsárið tekið upp. Lækna nemar út skrifast nú með full gilt lækningaleyfi í stað tímabundins lækningaleyfis eins og áður fyrr. For verar mínir í starfi fengu í gegn að læknanemar fái greitt sem hlut fall af launafokki sér námsgrunns lækna (200) en ekki af launafokki kandídata (100), sem er ekki lengur í notkun. Í vor kom í ljós að festar stofnanir utan Reykjavíkur greiddu enn eftir launafokki 100 en talsverður munur er á grunnlaunum fokkanna og því um mikið hagsmunamál að ræða. Fékkst það í gegn að stofnanir landsins tækju upp breytinguna og með því var jafnræði í launaþróun tryggt fyrir læknanema, óháð því hvaða landshluta unnið er í.

Á síðastliðnum árum hafa tölublöð Læknanemans frá árinu 2011 verið aðgengileg á netinu en eldri tölublöð aðeins til í ör fáum prentuðum eintökum á bókasafni læknanema í félagsherbergi FL. Samningur var gerður við Landsbókasafn Íslands um varðveislu og hýsingu allra tölublaða Læknanemans á vefsíðunni timarit.is og er því núna hægt að fetta í blöðum frá árinu 1940!

Stjórn FL tók undir og gaf út stuðningsyfirlýsingu við ákall hundraða íslenskra lækna um tafarlaust vopnahlé á Gazasvæðinu og að stjórnvöld á Íslandi ættu að beita sér fyrir því að Ísrael bindi enda á árásir á óbreytta borgara og börn.

Stjórn FL fundaði einnig með deildar forseta og kennslustjóra Læknadeildar, starfshópi í Heilbrigðisráðuneytinu og sótti deildarráðsfundi, svo dæmi séu nefnd.

Ég lít stoltur um öxl yfir liðið starfsár og vil nota tækifærið til að þakka kollegum mínum og vinum í stjórn FL, þeim Daníeli, Andra, Hjalta, Kolbrúnu, Bjarti og Jenný, fyrir skemmtilegt og árangursríkt samstarf. Sömuleiðis vil ég hrósa öllum þeim sem komu að félagslífinu með einum eða öðrum hætti. Hvort sem það fólst í nefndarstörfum eða einfaldlega í mætingu og þátt töku í viðburðum, án ykkar væri FL ekki eins kraftmikið nemendafélag og raun ber vitni.

Formaður Alþjóðanefndar 2023­2024

ALÞJÓÐANEFND

NEFNDARMEÐLIMIR

Birta Rakel Óskarsdóttir

Dagur Björn Benediktsson

Egill Logason

Harpa Kristín Þorkelsdóttir

Ingibjörg Ragna Pálmadóttir

Íris Brynja Helgadóttir

Jóhanna Vigdís Guðjónsdóttir

Karen Hilma Jónsdóttir

Kristján Daði Róbertsson

Þórunn Perla Jóhannsdóttir

Starfsárið 2023­2024 hefur að venju verið skemmtilegt og viðburðaríkt. Nýja nefndin tók formlega við störfum í september eftir að nefndarskipti fóru fram á aðalfundi Alþjóðanefndar sem haldinn var í samkomusal á Stúdentagörðum. Fyrsta mál á dagskrá hjá nýju nefndinni var að tryggja húsnæði fyrir skiptinemana sumarið 2024. Húsnæðismál eru mikilvægur hluti af skiptináminu en eins og gefur að skilja er ein af forsendum þess að geta tekið á móti erlendum skiptinemum að sjálfsögðu að geta hýst þá. Hurð skall nærri hælum í þeim málum. Seinustu tvö sumur höfðu erlendir skiptinemar fengið að dvelja í starfsmannabústaðnum að Kleppi en óvíst var hvort það samkomulag fengi að haldast. Fundað var með Regínu Ásdísardóttur verkefnastjóra og Hrund Scheving Thorsteinsson, deildarstjóra menntadeildar Landspítala, og tókst nefndinni að endingu að fá í gegn samþykki fyrir dvöl skiptinemanna í starfsmannabústaðnum að Kleppi yfir sumarið. Nefndin vill því þakka þeim Regínu og Hrund kærlega fyrir að gera það mögulegt.

Nefndarmeðlimir voru að venju duglegir að sækja erlendar ráðstefnur á starfsárinu. Um haustið var FINO haldin í Uppsölum í Svíþjóð. 11 manna hópur íslenskra læknanema sótti þá ráðstefnu og voru nefndarmeðlimirnir Birta Rakel Óskarsdóttir og Harpa Kristín Þorkelsdóttir í þeim hópi. March Meeting var haldin í Ekvador vorið 2024. Mikil tilhlökkun ríkti í þeim 16 manna hópi íslenskra læknanema, þar af voru fjórir meðlimir Alþjóðanefndar, sem stefndi á að mæta á þá ráðstefnu. Það var því með sorg í hjarta sem hópurinn ákvað að fara ekki sökum þeirrar óvissu sem ríkti eftir að forseti Ekvador, Daniel Noboa, lýsti yfir 60 daga neyðarástandi í landinu. Að lokum fóru tveir meðlimir Alþjóðanefndar, ég og Birta Rakel Óskarsdóttir, á August Meeting sem haldin var í Tampere í Finnlandi sumarið 2024.

Ein helsta áskorun þessa starfsárs var ekki einungis að snurfusa og bæta það sem betur mátti fari í skipulagi skiptinámsins heldur einnig að taka fjárhag nefndarinnar rækilega í gegn. Fjáröfunarbingó Alþjóðanefndar hefur undanfarin ár verið ein helsta tekjulind nefndarinnar og því var settur kraftur í skipulagningu og undirbúning þess. Nefndinni tókst að safna aragrúa af fjölbreyttum og veglegum happdrættis­ og bingóvinningum og kom Karen Hilma Jónsdóttir sérstaklega sterk inn í þeim efnum. Auk þess voru kynnar kvöldsins heldur betur ekki af verri endanum, enda engir aðrir en þeir Benedikt Burkni Þorvaldsson og Valdimar Sveinsson sem sneru aftur til leiks frá því í fyrra. Viðburðurinn var haldinn á Stúdentakjallaranum þann 26. mars og var metágóði þetta árið, nefndinni til mikillar ánægju

Síðustu þrjú ár hafa Alþjóðanefnd og FL skipt jafnt á milli sín félagsgjöldum IFMSA. Á aðalfundi FL, sem haldinn var í lok apríl, lagði Alþjóðanefnd fram lagabreytingar tillögu sem fól í sér að fá feiri samstarfsfélög FL til þátttöku í þeim útgjöldum. Var það mikilvægur liður í því að stofna til umræðu um þetta mál milli nefndarinnar, FL og annara samstarfsfélaga FL þrátt fyrir að tillagan hafi ekki verið samþykkt eins og hún var sett fram.

Sumarið er tíminn, að minnsta kosti þegar kemur að starfsemi Alþjóðanefndar, enda er það ein stór uppskeruhátíð þar sem nefndin bæði sendir út og tekur á móti skiptinemum. Þetta sumarið sendi Alþjóðanefnd sex hressa og ævintýragjarna íslenska læknanema í skiptinám. Tveir fóru til Túnis, tveir til Ítalíu, einn til Rúmeníu og einn til Brasilíu. Nefndin tók einnig á móti 13 skiptinemum yfir sumarið og voru þeir frá Síle, Brasilíu, Möltu, Rúmeníu, Búlgaríu, Túnis, Ítalíu, Póllandi og Eistlandi.

Að lokum vil ég þakka nefndarmeðlimum Alþjóðanefndar kærlega fyrir vel unnin störf og skemmtilegt og afkastamikið námsár.

ÁSTRÁÐUR

NEFNDARMEÐLIMIR

Agnes Stefánsdóttir

Anna Sigríður Arnarsdóttir

Elísabet Mjöll Guðjónsdóttir

Eygló Helga Haraldsdóttir

Guðmundur Kristinn Þorsteinsson

Harpa Kristín Þorkelsdóttir

Helena Björk Arnarsdóttir

Jakob Þórir Hansen

Katrín Hermannsdóttir

Katrín María Ólafsdóttir

Kristjana Lind Ólafsdóttir

Silja Arnbjörnsdóttir

Sunneva Roinesdóttir

Undirbúningur fyrir fræðslu annars árs nema hófst um sumarið eins og áður og markmið nýrrar stjórnar voru sett fyrir 24. starfsár Ástráðs. Ástráðsvikan var haldin í upphafi haustannar í samstarfi við Læknadeild Háskóla Íslands. Þar fengu verðandi fræðarar fræðslu frá ýmsum fagaðilum um málefni er varða kynheilbrigði. Í lok vikunnar var farið í fræðsluferð út á land og heppnuðust vikan og ferðin afar vel.

Eitt af aðalverkefnum Ástráðs er að fræða fyrsta árs framhaldsskólanema um kynlíf, kynheilbrigði og samskipti og hófst sú fræðsla í byrjun september. Annars árs læknanemar héldu tæplega 140 fyrirlestra í framhaldsskólum landsins á liðnu starfsári. Þriðja árs læknanemar héldu auk þess um 43 fyrirlestra í grunnskólum, félagsmiðstöðvum, á Stuðlum og á fermingar fræðslunámskeiði.

Ástráður er sérnámskeið á Uglunni sem auðveldar utanumhald annars árs læknanema. Ný verið var samþykkt að Ástráður yrði einnar einingar námskeið, en áður fengust ekki einingar fyrir þátt töku.

Ástráður vann að samfélagsmiðlaher ferð gegn kynsjúkdómum í samstarfi við sóttvarnarsvið Embættis landlæknis og TVIST auglýsingastofu. Tilefnið var aukinn fjöldi lekandasmita í samfélaginu og heppnaðist verkefnið afar vel. Eitt af markmiðunum var að auka sýnileika smokksins og hefur verkefnið vakið mikla athygli, meðal annars var umfjöllun um verkefnið í fréttatíma RÚV.

Kynhvöt, fræðslu­ og skemmtikvöld, var haldið á Mýrargörðum og fengum við Indíönu Rós kynfræðing til þess að vera með fræðslu. Lokahóf var svo haldið fyrir læknanema í samstarfi við Bjargráð, félag læknanema um skyndihjálp, sem heppnaðist gríðarlega vel.

Þetta starfsárið var umfangsmikil styrkjasöfnun sem skilaði sér í styrkjum frá hinum ýmsu sjóðum, en þessir styrkir eru gríðarlega mikilvægir til að gera Ástráði kleift að halda sínu mikilvæga starfi áfram.

Túr vaktin hélt áfram þetta árið, í samstarfi við Heilbrigðisvísindasvið Háskóla Íslands, en markmið hennar er að auka aðgengi háskólanema að tíðavörum.

Fyrirlestrarnir héldu sama sniði og áður með áherslu á samskipti, getnaðar varnir, kynsjúkdóma, þungunarrof og annað sem snýr að kynheilbrigði, kynlífi og samskiptum. Vefsíðan var svo loksins uppfærð og endurhönnuð og erum við afar ánægð með útkomuna.

Stjórn Ástráðs þetta árið var einstaklega samheldin, dugleg og skemmtileg og vil ég þakka kærlega fyrir samstarfið. Fyrir hönd félagsins vil ég þakka fyrir okkur og óska komandi stjórn velfarnaðar á nýju ári. Einnig viljum við þakka öllum þeim sem komu að starfsemi Ástráðs, án ykkar væri félagið ekki eins öfugt og það er!

BJARGRÁÐUR

NEFNDARMEÐLIMIR

Auðbjörg Erla Karlsdóttir

Birta Hlín Birgisdóttir

Bjarki Leó Snorrason

Egill Logason

Guðrún Ólafsdóttir

Helena Björk Arnarsdóttir

Kristín Brynja Þorvaldsdóttir

Matthildur María Magnúsdóttir

Viktor Ásbjörnsson

Þorgerður Einarsdóttir

Góðu samnemendur, nú er komið að hinum árlega annáli Bjargráðs og hefur síðastliðið starfsár verið einstaklega gott. Árið hófst af krafti með Bjargráðsvikunni, eins og venja er, sem haldin var í samstarfi við Læknadeild Háskóla Íslands og tókst ákafega vel. Rauði krossinn, Neyðarlínan, og margir aðrir fagmenn komu að kennslu í vikunni og erum við þeim einstaklega þakklát fyrir að gera vikuna sem gagnlegasta og skemmtilega fyrir samnemendur okkar sem eru að stíga sín fyrstu skref í Læknadeild. Í ár fengum við í fyrsta sinn sérnámslækni í bráðalækningum til að kynna sína fyrstu reynslu af bráðum atvikum, í von um að geta veitt betri innsýn og vekja áhuga á bráðalækningum, og verður þetta vonandi áfram fastur liður í vikunni.

Fulltrúar okkar á fyrsta ári hafa verið hörkuduglegir að skipuleggja fyrirlestra og voru futtir hátt í 100 fyrirlestrar í festum skólum á höfuðborgarsvæðinu, nágrenni og víðar. Einnig tóku þær þátt í Vísindasmiðjunni, þar sem þær kenndu grunnskólanemum skyndihjálp í tvo til þrjá tíma á hverjum miðvikudegi.

Um haustið fór fram hin árlega vísindaferð í Landhelgisgæsluna fyrir fyrsta árs nemana og þar fengu þeir innsýn í starfsemi þyrlulækna og skoðunar ferð um fugskýlið. Förinni var svo haldið í Læknagarð þar sem var boðið upp á pítsu og aðrar veigar og skemmt sér langt fram á kvöld.

Stórslysaæfingin fór ekki fram í ár en hún er haldin annað hvert ár í samstarfi við KF.

Við höldum því spennt inn í næsta skólaár að skipuleggja æfingu fyrir vorið 2025.

Annars árs nemarnir okkar héldu, í samstarfi við Ástráð, sameiginlegt lokahóf Ástráðs og Bjargráðs til að fagna starfi fyrsta og annars árs nema í nafni þessara félaga.

Fyrir nokkrum árum sameinuðu félögin lokahófin sín og hefur það samstarf gengið vel og vonum við að það haldi áfram.

Á aðalfundi FL hófst umræða við Alþjóðanefnd um að efa frekara samstarf milli undir félaga FL og auka alþjóðlegt starf þeirra og mun það vera tekið nánar fyrir á næsta námsári.

Þetta ár litaðist mikið af því að rétta af fjárhag Bjargráðs og byrjuðum við strax á nýju námsári að safna styrkjum. Einnig héldum við aftur peysusöluna, sem við hófum í fyrra, og var vel tekið í hana. Með miklum dugnaði nefndarmeðlima og harðri viðleitni eftir styrkjum frá einkaaðilum og stofnunum eru fjármálin okkar komin á réttan kjöl nú í lok skólaárs.

Núna er framundan að skipuleggja næstu Bjargráðsviku fyrir verðandi læknanema. Fyrir hönd Bjargráðs þakka ég samnemendum okkar fyrir frábært starfsár og erum við spennt fyrir komandi tímum! Lengi lifi hjartahnoðið!

BENEDIKT BURKNI

ÞORVALDSSON HJARÐAR

SILJA DÖGG HELGADÓTTIR

Formenn Fulltrúaráðs 2023­2024

FULLTRÚARÁÐ

NEFNDARMEÐLIMIR

Aðalsteinn Dalmann Gylfason

Anna Sigríður Jóhannsdóttir

Fannar Bollason

Hafþór Sigurðarson

Herdís Eva Hermannsdóttir

Hjörtur Viðar Sigurðsson

Perla Karen Gunnarsdóttir

Sigurður Sölvi Sigurðarson

Sóley Brattberg Gunnarsdóttir

Vigfús Árnason

Fyrsti viðburður skólaársins 2023­2024 var útilega Félags læknanema. Hún var haldin um sumarið á Akranesi og tókst afskaplega vel, enda gott veður og ómótstæðilegt útsýni við ströndina. Þegar skólaárið hófst var tekið á móti einstaklega góðum hópi af nýnemum í Brautartungu eftir hinn víðfræga ratleik. Þar voru nýnemarnir formlega vígðir í Spírítus en séra Sigfús og Hjörtur leiddu söfnuðinn. Hin nýja súpa Herberts Guðmundssonar kom svo samkvæminu í gott skap en það var ekki allra síst grillnefndin sem átti heiðurinn af því. Uppgjör Spíritus var svo á Tunglinu, þar sem nýnemarnir voru boðnir velkomnir í deildina af eldri nemum. Líkt og á síðasta ári var svo haldið rakleiðis á Október fest SHÍ eftir fögnuðinn.

Árshátíð Lite varð til árið 2021, vegna afeiðinga samkomubanna, og átti einungis að vera haldin í eitt skipti en hefur slegið rækilega í gegn og náð fótfestu í félagslífi læknanema. Viðburðurinn hefur sér stakan stað í hjörtum okkar og því vildum við bjóða listamanni sem hafði snert okkur öll þetta árið, PBT, sem gerði kvöldið ógleymanlegt ásamt DJ Óttari. En viðburðum var alls ekki lokið þetta árið þar sem okkar árlegu Læknaleikar voru haldnir í nóvember á KEX.

Heilóvín var haldið hátíðlegt þetta árið í Kolaportinu með öðrum nemendafélögum á heilbrigðisvísindasviði (FLOG, Curator, Hnallþóra, Anima, Virtus, Mágus og Tinktúra) en ekkert var til sparað það kvöld. Þá voru það ClubDub og Birnir sem héldu stemningunni uppi ásamt DJ Sunnu Ben en heyrst hefur að hetjulegur læknanemi af Guðs náð hafi bjargað kvöldinu eftir að allt rafmagn sló út og mannskapurinn féll næstum í vissan glundroða. Þá var fólk orðið svo vonlaust eftir rafmagnsleysið að það var byrjað að syngja Frikka Dór áður en allt var komið í lag.

Í febrúar komu svo kærir hjúkrunar fræðinemar á vegum Curator með okkur í menningar ferð til Akureyrar. Stoppað var í vísindaferð á Kalda þar sem var sötraður ljúfengur bjur og daginn eftir var skíðað, eða brettað fyrir þá menningarlausu, í Hlíðar fjalli. Þá hefur veðrið aldrei verið jafn gott ef trúa má nýútskrifuðum lækni sem hafði farið í allar skíðaferðirnar og einungis náð fjórum skíðaferðum niður öll þessi ár.

Það eru svo auðvitað ekki einungis skíðin sem skipta máli, enda var haldið rakleiðis

áfram í vísindaferð á SAkið og síðar beint á hinn heittelskaða Vamos. Þá er vitað að ekkert slær eins vel á skíðaharðsperrur og drykkur á Vamos og fóru allir sáttir heim eftir góða helgi.

Árshátíð Grand, okkar veglegasta árshátíð, var haldin þetta árið í Gamla bíói eftir að óvenjumargar fermingar höfðu bókað stærri sali. Þá voru 300 miðar í boði en aldrei hafa eins margir læknanemar skráð sig á eina árshátíð. Sitjandi borðhald, ClubDub og DJ Dóra Júlía reyndist einstaklega góð uppskrift. Árshátíðarmyndböndin hafa sjaldan verið eins góð og fór svo að kempurnar á þriðja ári unnu hug og hjörtu dómnefndar.

Árlega fótboltamótið var haldið aftur í Hafnar firði, í Risanum að þessu sinni, en þar fór lið af fyrsta ári með sigur af hólmi.

Ég vil þakka öllum nefndarmeðlimum fyrir einstaklega gott samstarf, mikinn dugnað og góðar stundir á árinu. Nefndina skipuðu Perla Karen Gunnarsdóttir og Sóley Brattberg Gunnarsdóttir af fyrsta ári, Hjörtur Viðar Sigurðsson og Vigfús Árnason af öðru ári, Benedikt Burkni Þ. Hjarðar og Silja Dögg Helgadóttir af þriðja ári, Sigurður Sölvi Sigurðarson og Anna Sigríður Jóhannsdóttir af fjórða ári, Hafþór Sigurðarson og Herdís Eva Hermannsdóttir af fimmta ári og Aðalsteinn Dalmann Gylfason og Fannar Bollason af sjötta ári. Einnig viljum við þakka stjórn FL fyrir mjög ánægjulegt samstarf.

Fulltrúaráð ­ styrkur, hugvit, hógværð

Formaður

2023­2024

NEFNDARMEÐLIMIR

Bjartur Thorlacius

Carlos Magnús Rabelo

Freyþór Össurarson

Jökull Sindri Gunnarsson Breiðfjörð

Tómas Helgi Harðarson

KENNSLU- & FRÆÐSLUMÁLANEFND

Starfsárið 2023­2024 hefur verið viðburðarríkt í Kennslu­ og fræðslumálanefndinni (KF). Að venju áttum við okkar föstu sæti á kennsluráðsfundum sem haldnir eru mánaðarlega. Heitasta umræðuefnið þar hefur verið, líkt og fyrri ár, skipulagning námsins en stór skref hafa verið tekin í átt að breytingum í ár. Að þessum stóru verkefnum kemur einnig stjórn Félags læknanema (FL) og höfum við átt í góðum samskiptum við stjórnina á yfirstandandi starfsári. Einnig sitjum við, líkt og fyrr, deildarráðs­ og deildarfundi þar sem hin ýmsu mál sem snúa að utanumhaldi deildarinnar eru rædd. Hér eru einungis nokkur atriði frá starfsárinu.

Árið hófst á því að skipta fyrsta árinu upp í hópa og útvega hverjum hópi tvo til þrjá mentora af fimmta ári. Það var sérstaklega góð þátttaka í ár meðal mentora, sem er frábært, en það verkefni er ætlað til þess að veita fyrsta árs nemum samskiptaleið til reyndari nema hvað varðar hin ýmsu mál sem eru tengd og ótengd læknisfræði. Mentorverkefnið er í þróun og umræða er í gangi hvernig við getum bætt þetta fotta verkefni fyrir næsta skólaár. KF skipulagði einnig líkamsskoðunarkennslu, en þar fengu annars árs nemar kennslu í líkamsskoðun frá fjórða árs nemum.

Gildi valnámskeiðsins á sjötta árinu, sem er átta einingar, og framtíð þess var mikið rædd í ár. Bæði til þess að bæta gæði námsins og auka fjölda valkosta sem standa til boða á valtímabilinu, og eru komnar fullt af góðum hugmyndum til að lappa upp á námskeiðið. Umræða og vinna að þróun námskeiðsins heldur áfram á næsta ári en ekki er stefnt að rót tækum breytingum á námskeiðinu á næsta skólaári.

Alþjóðavottun á læknisfræðinámi við Háskóla Íslands er stórt verkefni sem er meðal annars stýrt af Sigurbjörgu Björnsdóttur, verkefnastjóra við Læknadeild, og Katrínu Regínu Frímannsdóttur, gæðastjóra við HÍ. Þetta verkefni hófst í ár og er bara rétt að byrja, því ferlið til að fá alþjóðavottun á læknanámi getur tekið um eitt til tvö ár. Alþjóðavottunin miðar að því að tryggja að faggilding læknanáms við HÍ sé viðurkennd á alþjóðlegum vettvangi. Við gerum ráð fyrir því að í framtíðinni muni þetta skipta máli. Í ár hafa kennsluráð og

FL fundað með Katrínu varðandi hlutverk og markmið læknanáms við HÍ sem er mikilvægt að skilgreina í umsóknar ferlinu.

Holsjárkeppni læknanema kom sterk inn í ár eftir að hafa legið í dvala. Hún var haldin daginn fyrir árshátíðina og var það Félag áhugamanna um skurðlækningar og bráð inngrip (FÁSBI) sem sá um keppnina í samstarfi við KF. Erna Sif Óskarsdóttir sérnámslæknir hannaði þrautina og voru þátttakendur að sögn ánægðir með þraut ársins. Að þessu sinni átti að fjarlægja „blöðru á eggjastokki“ með holsjár tækni, en í ár voru það Karl Oddur og Tómas Andri úr liðinu HIMbrimarnir sem sigruðu fyrir hönd fyrsta ársins á tímanum 5 mínútur og 33 sekúndur.

Árinu hjá KF lýkur með áframhaldandi fundarstörfum og verður síðasti kennsluráðsfundur í byrjun maí. Læknanemafjölskyldan okkar fer síðan stækkandi þar sem á starfsárinu var samþykkt að taka inn 75 læknanema árlega við HÍ!

Starfsárið hefur verið gífurlega skemmtilegt, nóg af verkefnum og hafa það verið sönn forréttindi að fara með formennsku þessa frábæra hóps sem hefur leyst hvert verkefnið á fætur öðru. Fyrir hönd KF þakka ég kærlega fyrir starfsárið sem er að líða.

Formaður lýðheilsufélagsins 2023­2024

LÝÐHEILSUFÉLAGIÐ

NEFNDARMEÐLIMIR

Anna Sif Mainka Sveinsdóttir

Bjartur Thorlacius

Jakob Þórir Hansen

Karitas Björg Ívarsdóttir

Karólína Mist Stefánsdóttir

Kristín Brynja Þorvaldsdóttir

Telma Sigþrúður Guðbjarnadóttir

Þorsteinn Ívar Albertsson

Í september fórum við á fullt í okkar helstu störfum og var Bangsaspítalinn sívinsæli haldinn hátíðlegur. Fyrsta árs læknanemar stóðu sig frábærlega að vana og læknuðu hina ýmsu bangsakvilla vítt og breitt um höfuðborgarsvæðið en í ár var Bangsaspítalinn haldinn á fjórum (!!!) heilsugæslustöðvum á höfuðborgarsvæðinu. Bangsaspítalinn kom sér einnig upp útibúi á Vísindavöku Rannís, börnum og böngsum til mikillar hamingju. Það reyndist fullkomið fyrir bangsa sem þurftu endurmat á brotum, eftir fylgni eftir töfrasprautumeðferð og til að vinna svo líka aðeins á þessum endalausu biðlistum ;) Í október ferðuðust bangsalæknar síðan til Akureyrar og læknuðu bangsa af Norðurlandi á heilsugæslunni á Akureyri. Samanlagt voru rúmlega þúsund bangsar læknaðir af bangsalæknum á árinu! MELKORKA SVERRISDÓTTIR

Lýðheilsufélagið stóð heldur betur fyrir sínu á þessu starfsári. Við byrjuðum snemma með Esjugöngu í fyrstu viku eftir sumar frí þar sem við fengum að kynnast hressum nýnemum og njóta saman í frábæru veðri.

Það sem helst stóð upp úr hjá Lýðheilsufélaginu þetta árið var hins vegar endurvakning Blóðgjafamánaðar HÍ eftir margra ára pásu. Efnt var til keppni milli nemendafélaga háskólans um það hvaða félög gæfu mest blóð í mars. Tilgangurinn var að hvetja ungt fólk til að gerast reglulegir blóðgjafar svo hægt verði að viðhalda framboði blóðs þegar núverandi blóðgjafar fara að eldast. Við stóðum fyrir samfélagsmiðlaher ferð í samstarfi við HÍ og Blóðbankann og héldum blóðgjafapöbbkviss á Stúdentakjallaranum til að vekja athygli á Blóðgjafamánuðinum. Davíð Stefán Guðmundsson, formaður Blóðgjafafélags Íslands, hélt þar erindi um mikilvægi blóðgjafa og starfsemi Blóðgjafafélagsins. Alls komu 110 blóðgjafar í Blóðbankann í mars á vegum Blóðgjafamánaðarins. Félag læknanema vann titilinn fyrir bæði hlutfallslega festar blóðgjafir og festar blóðgjafir í heild (whoop whoop!) og valdi að láta verðlaunafé sem safnaðist í mánuðinum renna til styrktar Krafts.

Lýðheilsufélagið hélt að auki tvö fræðslukvöld þetta árið. Það fyrra var fræðsla um notkun minnisspjaldaforritsins Anki frá læknanemunum Hafþóri Sigurðssyni og Viktori Ásbjörnssyni. Það seinna var fræðsla um geðheilsu í prófatíð frá sérnámslæknum í geðlækningum, þeim Helgu Þórisdóttur og Jóhannesi Davíð Purkhús. Við þökkum þeim öllum kærlega fyrir stuðninginn.

Að lokum vil ég þakka Önnu, Bjarti, Jakobi, Karitas, Karólínu, Kristínu, Telmu og Þorsteini kærlega fyrir frábært samstarf og vel unnin störf á árinu og hlakka ég til áframhaldandi samstarfs á komandi ári!

Læknafélagið óskar Læknanemanum til hamingju með 75. árgang blaðsins

Læknadagar

19.- 23. janúar 2026

Takið dagana frá

Fræðslustofnun Læknafélags Íslands

RITRÝNT EFNI

NÝRNASTEINAR bls. 24

DREPMYNDANDI FELLSBÓLGA (NECROTIZING FASCIITIS)

GENGUR INN Á SÍÐDEGISVAKTINA bls. 32

17 ÁRA DRENGUR MEÐ ENDURTEKIN

LIÐHLAUP HNÉSKELJAR bls. 38

SLAPPLEIKI OG GULA HJÁ

FERTUGUM MANNI bls. 46

88 ÁRA MAÐUR MEÐ BRÁTT KRANSÆÐA-

HEILKENNI OG D-VÍTAMÍNEITRUN bls. 54

DILJÁ HILMARSDÓTTIR

5. árs læknanemi 2023­2024

JÓHANN PÁLL INGIMARSSON

Sérfræðingur í þvagfæraskurðlækningum á Landspítala

INNGANGUR

NÝRNASTEINAR

Nýrnasteinar eru algengir og virðist algengi þeirra vera að aukast enn frekar. Talið er að nýrnasteinar hrjái í kringum einn af hverjum tíu einstaklingum einhvern tímann á lífsleiðinni1, 2 og oft er þetta endur tekið vandamál. Um helmingur fólks sem hefur fengið nýrnasteinakast fær annað kast á innan við tíu árum.3

Nýrnasteinar virðast aðeins tíðari meðal karla en kvenna, algengi þeirra er um 10,6% meðal karla í samanburði við 7,1% meðal kvenna í Bandaríkjunum.4 Einnig er algengi þeirra breytilegt eftir heimshlutum, í Norður­Ameríku fá um 7 til 13% fólks nýrnasteina en 5 til 9% í Evrópu og 1 til 5% í Asíu. Munurinn á milli heimshluta útskýrist meðal annars af loftslagi, mataræði, vökvainntöku, erfðum og starfi.5

Áhættuþættir fyrir myndun nýrnasteina eru meðal annars ónóg inntaka vökva sem og neysla á ávöxtum og grænmeti, auk of mikillar neyslu á saltríkri fæðu og próteini úr dýraríkinu.6 Einnig benda rannsóknir til þess að nýrnasteinar séu algengari meðal fólks með undirliggjandi sjúkdóma eins og oftu, sykursýki og hjarta­ og æðasjúkdóma eða kalk vakaóhóf (hyperparathyroidism). Fyrri saga um nýrnasteina og fjölskyldusaga um nýrnasteina er stór áhættuþáttur fyrir að fá aftur nýrnastein.1

Fyrir einstaklinginn eru nýrnasteinaköst sársaukafull og geta leitt til alvarlegra fylgikvilla. Til dæmis getur steinninn valdið fráfæðishindrun úr nýranu. Samhliða því getur verið sýking ofan steinsins sem er þá illviðráðanleg án inngripa sem tryggja fæði frá nýranu. Í sumum tilfellum getur fráfæðishindrun valdið nýrnabilun. Því er mikilvægt að heilbrigðisstarfsfólk þekki vel til greiningar á nýrnasteinum og viðeigandi meðferðar. Jafnframt er kostnaður vegna nýrnasteina mikill fyrir heilbrigðiskerfið út af gríðarlegum fjölda þeirra sem glíma við þá ásamt bráðum og krónískum fylgikvillum.2, 5

Steinar í þvagvegum (urolithiasis) myndast aðallega í nýrum og eru mismunandi að stærð, lögun og efnasamsetningu. Myndun þeirra verður fyrir tilstuðlan þess að leyst efni falla út í þvagi og mynda kristala sem safnast svo saman og mynda steina.7 Steinarnir eru fokkaðir í tegundir eftir mismunandi samsetningu steinefna og ólíkri meinmyndun.8 Algengustu fimm tegundirnar eru kalsíumsteinar, strúvítsteinar, þvagsýrusteinar, systínsteinar og lyfjaafeiddir steinar. Einnig er vert að minnast á 2,8­díhýdroxýadenínsteina sem eru algengari í íslensku þýði en víða annars staðar.

• Kalsíumsteinar: Kalsíumoxalat- og kalsíumfosfatsteinar Um 80% nýrnasteina eru kalsíumsteinar og þar af er meirihlutinn kalsíumoxalatsteinar. Meinmyndun kalsíumoxalatsteina er fókin og felur í sér samspil lítils þvagmagns og þvags sem er ríkt af kalsíum (hypercalciuria), oxalati (hyperoxaluria) og þvagsýru (hyperuricosuria) en inniheldur lítið magn af sítrati (hypocitraturia). Helsti þátturinn í myndun kalsíumfosfatsteina er hærra sýrustig (pH) þvags, en dæmigert pH er ≥ 6,2.7 Mikið magn kalsíums í þvagi getur stafað af aukinni upptöku þess í þörmum, aukinni endurupptöku þess í beinum eða brenglun í futningi yfir nýrnapíplur. Aukin upptaka kalsíums í beinum getur stafað af kalk vakaóhófi, hreyfiskerðingu eða beinkrabbameini. Mikil neysla á próteinríkum dýraafurðum og ofgnótt af einföldum sykri hefur einnig verið tengd við hækkun á kalsíum í þvagi.7, 9

• Strúvítsteinar (magnesíumammóníumfosfatsteinar)

Strúvítsteinar eru um 10 til 15% nýrnasteina og eru stundum kallaðir sýkingarsteinar eða þrífosfatsteinar og myndast sökum tilvistar baktería sem framleiða úreasa.10

Proteus mirabilis er algengust og þar á eftir eru Klebsiella pneumoniae, Pseudomonas aeruginosa og Enterobacter Úreasi er nauðsynlegur til að kljúfa úrea í ammoníak og koltvíoxíð og gerir þvagið þar með basískara, það er hækkar pH (vanalega > 7). Konur eru líklegri en karlar til að þróa með sér strúvítsteina.8 Strúvítsteinar geta vaxið hratt og orðið stórir ef þeir eru ekki meðhöndlaðir. Sjúklingar sem fá enga meðferð við þessum tegundum steina hafa um 50% líkur á að missa annað nýrað.11

• Þvagsýrusteinar

Þvagsýrusteinar eru um 3 til 10% allra steina. Lágt pH (< 5,5), lítið þvagmagn og mikið magn þvagsýru í þvagi eru helstu þættir í myndun þeirra. Púrínríkt fæði, svo sem prótein úr dýraafurðum, þar á meðal kjöti og fiski, getur valdið þessari samsetningu á þvagi.7, 8 Þvagsýrusteinar eru algengari meðal karla en kvenna.8

• Systínsteinar

Systínsteinar eru innan við 2% allra nýrnasteina. Þeir myndast vegna víkjandi erfðagalla sem veldur röskun á futningi á amínósýrunni systíni sem leiðir til mikils magns af systíni í þvagi.8, 12

• Lyfjaafleiddir steinar

Steinar sem myndast fyrir tilstuðlan sumra lyfja eru vel innan við 1% nýrnasteina og því sjaldgæft vandamál. Dæmi um lyf sem hefur verið tengt við myndun þessara

steina er lyfið indínavír súlfat sem er próteasahemill til að meðhöndla HIV sýkingu, en með tilkomu nýrra HIV lyfja er notkun þess orðin fátíð.8 Þá eru fogaveikilyf, svo sem tópíramat, þekkt fyrir að geta valdið nýrnasteinum í um 2% þeirra sem taka þau.

• 2,8-díhýdroxýadenínsteinar

Adenínfosfóríbósýltransferasaskortur er sjaldgæfur víkjandi erfðasjúkdómur sem veldur því að mikið magn af 2,8­díhýdroxýadenín fellur út í nýrum og veldur þvagfærasteinum auk kristalanýrnameini (crystal nephropathy), sem getur leitt til nýrnabilunar. Sjúkdómurinn hefur verið mikið rannsakaður af íslenskum vísindamönnum og algengið hérlendis er 1:15.000 sem er með því hæsta sem finnst í heiminum.13

EINKENNI

Flestir nýrnasteinar eru staðsettir í nýranu sjálfu og valda ekki einkennum. Það er ekki fyrr en steinninn fer af stað niður þvagleiðarann og veldur fráfæðishindrun að fólk fær slæma verki og er þá gjarnan talað um nýrnasteinakast. Klínísk birtingarmynd einkenna er oft verkur sem byrjar snögglega í annarri hvorri síðunni og getur leitt niður í nára. Dæmigert er að verkurinn komi í svæsnum köstum þar sem fólk á oft erfitt með að finna þægilega stellingu og nær svo ekki alveg að jafna sig áður en næsta kast hefst. Alvarleiki verkjarins er gjarnan í samræmi við hve brátt fráfæðishindrunin varð frekar en hve mikil hindrunin er.14

Blóðmiga fylgir oft og getur stutt nýrnasteinakast sem líklegustu mismunagreiningu. Smásæ blóðmiga er algengari en stórsæ og rannsóknir hafa sýnt að í um 90% tilfella er smásæ blóðmiga til staðar.7, 15 Samfylgjandi einkenni eru oft vandamál við þvaglát, eins og aukin þvagþörf eða þvagtregða, ógleði og/eða uppköst.

Mikilvægt er að vera vakandi fyrir einkennum sýkingar svo sem hita eða sviða og/eða verk við þvaglát. Ef þessi einkenni eru til staðar eru líkur á að það sé þvagfærasýking samhliða nýrnasteinakastinu sem þarf þá að bregðast hratt við, en nánar verður fjallað um það síðar.7

Ekki allir nýrnasteinar í þvagleiðara valda einkennum. Í sumum tilvikum getur steinninn ferðast niður þvagleiðarann án þess þess að valda fráfæðishindrun úr nýranu og veldur þá gjarnan engum einkennum öðrum en mögulega blóðmigu.16

GREINING

Greining nýrnasteinakasts byggir á góðri sögutöku og líkamsskoðun. Lýsing á krampa­ og kastakenndum verk í annarri hvorri síðu sem leiðir niður í nára er dæmigerð. Rauð fögg í sögutöku sem styrkja þessa mismunagreiningu eru fyrri saga um nýrnasteina og fjölskyldusaga um nýrnasteina. Nauðsynlegt er að vinna hratt upp sjúklinga með grun um nýrnasteina og samhliða því með hita, einkenni þvagfærasýkingar eða stakt nýra.16

Í uppvinnslu er ráðlagt að framkvæma þvagstix til að skima fyrir blóði og sýkingu í þvagi og senda þvagsýni í ræktun ef grunur er um sýkingu. Auk þess skal taka blóðprufu til

að mæla kreatínín með tilliti til nýrnastarfsemi ásamt því að mæla hvít blóðkorn og CRP til að meta hvort sýking sé til staðar.15

Til að staðfesta greiningu er hægt að taka TS þvagfærayfirlit, sem er tölvusneiðmynd framkvæmd án skuggaefnis sem nemur nánast allar tegundir nýrnasteina, stærð þeirra og staðsetningu.17 Algengustu staðirnir sem steinarnir festast á og valda fráfæðishindrun eru við þvagleiðara­skjóðumót (ureteropelvic junction, UPJ), þar sem þvagleiðarinn fer yfir mjaðmaæðarnar (iliac vessels), og við þvagleiðara­blöðrumót (ureterovesical junction, UVJ).18 TS þvagfærayfirlit er besta rannsóknin til að greina nýrnasteina og hefur 97% næmi og 95% sértæki.17 Evrópskar klínískar leiðbeiningar mæla hins vegar fyrst með ómun þar sem hún felur ekki í sér geislun og er ódýrari en tölvusneiðmynd. Ómun er því góð fyrsta rannsókn ef saga og skoðun benda sterklega til nýrnasteinakasts. Gæði ómunar eru mjög háð þeim sem framkvæmir rannsóknina og er víða ekki aðgengileg öllum stundum.19 Hér á Íslandi er tölvusneiðmynd af kviðarholi hins vegar oft fengin, einkum ef mismunagreining er víð, þar sem tölvusneiðmynd getur einnig greint aðra sjúkdóma í kviðarholi.

• Frekari uppvinnsla

Samkvæmt klínískum leiðbeiningum ættu steinar, sem fólk pissar út eða eru losaðir út í aðgerð við fyrsta nýrnasteinakast, alltaf að vera sendir í efnagreiningu. Efnagreiningu er ekki hægt að framkvæma hérlendis og eru steinarnir því sendir erlendis á rannsóknar stofu. Jafnframt ættu allir sem greinast með nýrnasteina í fyrsta skipti að vera spurðir út í heilsufar og matar venjur.

Auk þess ætti uppvinnsla að fela í sér þvagrannsókn og blóðprufu með kreatíníni, jóniseruðu kalsíum og þvagsýru. Einnig skyldi mæla kalkkirtlahormón ( parathyroid hormone, PTH) ef kalsíum er hækkað. Út frá efnagreiningu steinsins og skimunarniðurstöðum er hægt að meta hvort einstaklingur sé í mikilli hættu á að mynda stein aftur og huga þá að frekari uppvinnslu. Sú uppvinnsla felur í sér greiningu á sólarhringsþvagsöfnun þar sem magn þvagsins, sýrustig, kalsíum, oxalat, þvagsýra, sítrat, natríum, kalíum og kreatínín er mælt.20, 21

MEÐFERÐ

• Mat með tilliti til meðferðar Meðferð þvagfærasteina er metin út frá mörgum þáttum. Lykilþættir sem skipta máli í meðferðar vali er stærð steins, fjöldi steina, staðsetning og samsetning þeirra. Auk þess hvort grunur sé um þvagfærasýkingu eða þvagþurrð (anuria).

• Verkjastilling í nýrnasteinakasti

Bólgueyðandi verkjalyf (nonsteroidal anti-inflammatory drugs, NSAIDs) og parasetamól virka vel í nýrnasteinaköstum og eru talin betri verkjastilling en ópíóðar. 22 Ketórólak (Toradol) er oft notað hérlendis til verkjastillingar á bráðamóttöku og eru þá gefin 15 til 30 mg í vöðva eða æð. Markmiðið er að ná að verkjastilla sjúkling nægilega vel til að hægt sé að beita íhaldssamri meðferð (conservative treatment) ef það á við. Við útskrift er æskilegt að ráðleggja sjúklingi að taka bólgueyðandi verkjalyf. Bólgueyðandi verkjalyf geta minnkað bólgu og komið í

veg fyrir þráláta verki. Hafa þarf þó í huga að þau geta haft áhrif á nýrnastarfsemi sjúklinga sem eru nú þegar með skerta nýrnastarfsemi.23

• Bráð meðferð Þegar þörf er á bráðu inngripi til að létta á nýranu, þegar þvagfærasýking er samtímis steini sem veldur fráfæðishindrun eða vegna fráfæðishindrunar sem veldur þvagþurrð, eru tveir möguleikar sem standa til boða. Annars vegar ísetning á JJ legg, sem liggur í þvagleiðara frá nýrnaskjóðu og niður í þvagblöðruna og er settur af þvagfæraskurðlækni á skurðstofu, oftast í svæfingu (mynd 1) Hinn möguleikinn er nýraraufun (nephrostomy), sem er ísetning slöngu frá nýrnaskjóðu og út um húðina, framkvæmd af inngripsröntgenlæknum í staðdeyfingu (mynd 2) Báðir valmöguleikarnir tryggja fæði þvags frá nýranu. Fjöldi safngreininga hafa borið saman þessa valmöguleika og eru þeir taldir jafngóðir.24

Mikilvægt er að taka þvag­ og blóðræktanir og hefja sýklalyfjameðferð sem fyrst en breyta svo sýklalyfjavali þegar næmisniðurstöður liggja fyrir, ef við á. Samkvæmt sýklalyfjaleiðbeiningum Landspítala er gentamícín ásamt ampicillíni fyrsta val í þvagsýklasótt (urosepsis) hérlendis.25 Steininn skal svo ekki fjarlægja fyrr en sýkingin hefur gengið yfir og sjúklingurinn hefur náð að jafna sig.20

• Meðferð steina í þvagleiðara Stór hluti steina í þvagleiðara skila sér sjálfir út án inngrips. Rannsóknir hafa sýnt að um 75% steina < 5 mm og 62% steina ≥ 5 mm skiluðu sér án inngrips og tók það að meðaltali 17 daga. Varðandi staðsetningu steina < 5 mm, þá skila 89% steina sér án inngrips úr neðri hluta þvagleiðarans og 71% úr efri hlutanum.26 Sumar rannsóknir hafa sýnt gagnsemi af því að sjúklingar taki tamsúlósín, sem er alfa­hemill sem slakar á sléttu vöðvunum í þvagleiðaranum og gæti þar með auðveldað steininum ferðina niður, en þetta er misvísandi á milli rannsókna. Evrópsku leiðbeiningarnar mæla með inntöku á tamsúlósín ef steinninn er > 5 mm að stærð og er staðsettur í neðri hluta þvagleiðarans.

Ábendingar til inngrips til að fjarlægja stein úr þvagleiðara eru:

• Steinar sem skila sér ólíklega sjálfir.

• Viðvarandi verkur þrátt fyrir viðeigandi verkjastillingu.

• Viðvarandi fráfæðishindrun.

• Nýrnabilun, fráfæðishindrun úr báðum nýrum eða stakt nýra.

Ef metin er þörf á inngripi til að fjarlægja steininn þarf að hafa í huga nokkra þætti við val á meðferð. Má þar nefna stærð steinsins, staðsetningu hans og þéttleika ásamt þáttum sem tengjast sjúklingnum sjálfum, eins og líkamsvöxtur, blæðingarhneigð og samfarandi sjúkdómar. Helstu meðferðir sem standa til boða til að fjarlægja stein úr þvagleiðara eru steinbrjótur (shock wave lithotripsy) eða þvagleiðaraspeglun (ureteroscopy). Í steinbrjótinum er steinninn brotinn niður með höggbylgjum í gegnum húð. Í þvagleiðaraspeglun er speglunar tæki þrætt upp þvagleiðarann og steinninn brotinn niður með leysir tækni inni á skurðstofu (mynd 3)

JJ leggur

Þvagleiðari

Steinn í þvagleiðara

Þvagrás

Þvagblaðra

Mynd 2

Nýraraufun.

Nýra
Nýraraufunarslanga
Húð
Þvagpoki
Þvagblaðra

Heilt yfir eru þessar meðferðir sambærilegar til að gera fólk steinafrítt. Varðandi stærri steina er þvagleiðaraspeglun þó yfirleitt betri kostur.20 Safngreiningarniðurstöður benda þó til þess að steinbrjótur sé verri kostur fyrir þéttari steina sem mælast með hærri Hounsfield einingu, meiri steinabyrði, aukna vegalengd frá húð til steins, svo sem hjá fólki í yfirþyngd, og vatnsnýra (hydronephrosis).27

Nálgun í meðferð strúvítsteina er önnur en annarra þvagfærasteina og byggir hún á þremur lykilþáttum: að fjarlægja öll steinbrot, gefa sýklalyf til að meðhöndla sýkinguna og fyrirbyggja endurkomu. Nýrnasteinsskurður um húð ( percutaneous nephrolithotomy, PCNL) er talinn gullstaðall til að meðhöndla strúvítsteina og steina sem eru > 2 cm í mesta mál.10, 20

GREINING OG MEÐFERÐ NÝRNASTEINA Á MEÐGÖNGU

Það er áskorun að greina og meðhöndla nýrnasteina hjá barnshafandi konum. Forðast skal að nota tölvusneiðmynd til greiningar á nýrnasteinum vegna mögulegra fósturskemmandi áhrifa, sérstaklega á áttundu til 23. viku meðgöngu. Almennt er ómun fyrsta myndrannsóknin sem er ráðlögð við nýrnasteinslíkum verkjum og getur einnig verið gagnleg til að greina vatnsnýra. Aftur á móti getur verið tor velt að túlka þær niðurstöður þar sem eðlilegar

lífeðlisfræðilegar breytingar á meðgöngu geta einnig valdið vatnsnýra. Hafa ber í huga að ekki skal sleppa því að framkvæma viðeigandi myndrannsókn, það er tölvusneiðmynd, ef metin er brýn þörf á því. Má þar nefna tilvik þar sem viðeigandi verkjastilling næst ekki, óvissa er um greiningu eða það er meðfylgjandi sýking.

Meðferð nýrnasteina á meðgöngu getur reynst fókin og krefst náinnar samvinnu þvagfæraskurðlækna, fæðingarlækna og röntgenlækna. Íhaldssöm meðferð er fyrsta val. Forðast skal notkun á bólgueyðandi lyfjum, eins og íbúprófeni og ketórólaki (Toradol), vegna fósturskemmandi áhrifa en í staðinn er hægt að notast við parasetamól eða morfín. Dugi verkjameðferð ekki skal íhuga nýraraufun eða JJ legg.20, 28

RÁÐLEGGINGAR TIL SJÚKLINGA

Eins og áður hefur komið fram þá eru þeir sem hafa fengið nýrnastein líklegri en aðrir til að mynda aftur nýrnasteina. Aðaláherslan í fyrirbyggjandi aðgerðum eru ráðleggingar varðandi lífsstíl og mataræði. Mælst er til þess að fólk drekki meira af vatni, á kostnað annarra drykkja, og nái inn um 2,5 til 3 lítrum á dag. Ráðlagt mataræði sem inniheldur mikið af grænmeti og trefjum en að takmarka neyslu á próteinríkum dýraafurðum. Mikilvægt er að fólk viðhaldi kjörþyngd og stundi hreyfingu.20

3

Karfa

Steinn í þvagleiðara

Þvagleiðari

Þvagleiðarasjá

Þvagleiðarasjá

Þvagrás

Þvagblaðra

Mynd
Nýrnasteinn sóttur með körfu í þvagleiðaraspeglun.

FLÆÐIRIT

Flæðirit unnið upp úr Gæðahandbók Landspítala og í samráði við leiðbeinanda. Athugið að þetta fæðirit er ekki algilt og auðvitað þarf að meta hvert tilfelli fyrir sig.

Ljóst er að nýrnasteinar eru algengir og geta haft mikil áhrif á líf fólks. Í sumum tilvikum er um brátt vandamál að ræða og þarf þá að bregðast hratt við en oft er ekki þörf á meðferð annarri en eftirfylgd og verkjastillingu. Því er mikilvægt að vinna sjúklinga vel upp, meta hvert tilfelli fyrir sig og bregðast svo við á viðeigandi máta.

Ég vona að lesturinn hafi verið gagnlegur og muni nýtast sem festum í störfum sínum. Ég vil þakka Jóhanni Páli Ingimarssyni þvagfæraskurðlækni kærlega fyrir leiðsögn í þessum skrifum.

Staðfest greining á steini í þvagvegum

Er grunur um sýkingu? Svo sem hiti, einkenni þvagfærasýkingar, hækkun á hvítum blóðkornum og/eða CRP.

Stakt nýra og/eða merki um bráðan nýrnaskaða, það er þvagþurrð eða mikil hækkun á kreatíníni

Ráðfæra sig við þvagfæraskurðlækni

Ráðfæra sig við þvagfæraskurðlækni

Tryggja fráfæði frá nýranu með JJ legg/nýraraufun og/eða fjarlæging á steini með leysigeisla í aðgerð

Senda beiðni á göngudeild

þvagfæraskurðlækninga (11A) til eftirfylgdar

Miðlungsmikill eða verulegur stasi

Ekki þörf á eftirfylgd

Steinn í þvagleiðara

Viðeigandi verkjastillingu náð á bráðamóttöku

Sýklalyf og tryggja fráfæði frá nýra með JJ legg eða nýraraufun

Fjarlæging á steini eftir nokkrar vikur þegar sýking hefur gengið niður

TS þvagfærayfirlit eftir 3–4 vikur

Ráðfæra sig við þvagfæraskurðlækni

Meðhöndlun

með steinbrjóti eða þvagleiðaraspeglun samkvæmt mati

þvagfæraskurðlæknis

Ef engin einkenni eða stasi

þarf hvorki meðferð né eftirlit, nema sérstök ástæða sé til

Íhuga ísetningu á JJ legg/nýraraufun og/eða fjarlægingu á steini með leysigeisla í aðgerð

Steinn í nýra

Meðhöndlun með steinbrjóti, þvagleiðaraspeglun eða

PCNL samkvæmt mati

þvagfæraskurðlæknis

PCNL er kjörmeðferð

Nei
Nei

1. Ziemba JB, Matlaga BR. Epidemiology and economics of nephrolithiasis. Investig Clin Urol. Sep 2017;58(5):299 ­ 306. doi:10.4111/ icu.2017.58.5.299

2. Wagner CA. Etiopathogenic factors of urolithiasis. Arch Esp Urol. Jan 2021;74(1):16 ­23. Factores etiopatogénicos de la urolitiasis.

3. Wang K, Ge J, Han W, et al. Risk factors for kidney stone disease recurrence: a comprehensive metaanalysis. BMC Urology. 2022/04/19 2022;22(1):62. doi:10.1186/s12894­ 022­ 01017­ 4

4. Scales CD, Jr., Smith AC, Hanley JM, Saigal CS. Prevalence of kidney stones in the United States. Eur Urol. Jul 2012;62(1):160 ­ 5. doi:10.1016/j. eururo.2012.03.052

5. Sorokin I, Mamoulakis C, Miyazawa K, Rodgers A, Talati J, Lotan Y. Epidemiology of stone disease across the world. World Journal of Urology. 2017/09/01 2017;35(9):1301­1320. doi:10.1007/ s00345 ­ 017­2008 ­ 6

6. Ferraro PM, Bargagli M, Trinchieri A, Gambaro G. Risk of Kidney Stones: Infuence of Dietary Factors, Dietary Patterns, and Vegetarian­Vegan Diets. Nutrients. Mar 15 2020;12(3)doi:10.3390/ nu12030779

7. Shastri S, Patel J, Sambandam KK, Lederer ED. Kidney Stone Pathophysiology, Evaluation and Management: Core Curriculum 2023. Am J Kidney Dis. Nov 2023;82(5):617­ 634. doi:10.1053/j. ajkd.2023.03.017

8. Alelign T, Petros B. Kidney Stone Disease: An Update on Current Concepts. Adv Urol. 2018;2018:3068365. doi:10.1155/2018/3068365

9. Alexander RT, Fuster DG, Dimke H. Mechanisms Underlying Calcium Nephrolithiasis. Annu Rev Physiol. Feb 10 2022;84:559 ­ 583. doi:10.1146/ annurev­physiol­ 052521­121822

10. Flannigan R, Choy WH, Chew B, Lange D. Renal struvite stones—pathogenesis, microbiology, and management strategies. Nature Reviews Urology. 2014/06/01 2014;11(6):333 ­341. doi:10.1038/ nrurol.2014.99

11. Das P, Gupta G, Velu V, Awasthi R, Dua K, Malipeddi H. Formation of struvite urinary stones and approaches towards the inhibition—A review. Biomedicine & Pharmacotherapy. 2017/12/01/ 2017;96:361­370. doi:https://doi.org/10.1016/j. biopha.2017.10.015

12. Khan SR, Pearle MS, Robertson WG, et al. Kidney stones. Nat Rev Dis Primers. Feb 25 2016;2:16008. doi:10.1038/nrdp.2016.8

13. Runólfsdóttir HL. Adenine Phosphoribosyltransferase Deficiency. Háskóli Íslands; 2020.

14. Dahm P, Koziarz A, Gerardo CJ, et al. A systematic review and meta­analysis of clinical signs, symptoms, and imaging findings in patients with suspected renal colic. J Am Coll Emerg Physicians Open. Dec 2022;3(6):e12831. doi:10.1002/emp2.12831

15. Bishop K, Momah T, Ricks J. Nephrolithiasis. Primary Care: Clinics in O f ce Practice. 2020/12/01/ 2020;47(4):661­ 671. doi:https:// doi.org/10.1016/j.pop.2020.08.005

16. Chandrashekar KB, Fulop T, Juncos LA. Medical Management and Prevention of Nephrolithiasis. The American Journal of Medicine. 2012/04/01/ 2012;125(4):344­347. doi:https://doi.org/10.1016/j. amjmed.2011.10.022

17. Pfau A, Knauf F. Update on Nephrolithiasis: Core Curriculum 2016. American Journal of Kidney Diseases. 2016/12/01/ 2016;68(6):973 ­ 985. doi:https://doi.org/10.1053/j.ajkd.2016.05.016

18. Ordon M, Schuler TD, Ghiculete D, Pace KT, Honey RJ. Stones lodge at three sites of anatomic narrowing in the ureter: clinical fact or fiction? J Endourol. Mar 2013;27(3):270 ­ 6. doi:10.1089/end.2012.0201

19.Ray AA, Ghiculete D, Pace KT, Honey RJ. Limitations to ultrasound in the detection and measurement of urinary tract calculi. Urology. Aug 2010;76(2):295 ­300. doi:10.1016/j. urology.2009.12.015

20. EAU Guidelines. Edn. presented at the EAU Annual Congress Paris 2024. ISBN 97894­92671­23­3.

21. Pearle MS, Goldfarb DS, Assimos DG et al: Medical management of kidney stones: AUA Guideline. J Urol 2014; 192: 316.

22. Pathan SA, Mitra B, Straney LD, et al. Delivering safe and efective analgesia for management of renal colic in the emergency department: a double­blind, multigroup, randomised controlled trial. Lancet. May 14 2016;387(10032):1999­2007. doi:10.1016/s0140 ­ 6736(16)00652­ 8

23. Holdgate A, Pollock T. Systematic review of the relative efcacy of non­steroidal anti­infammatory drugs and opioids in the treatment of acute renal colic. Bmj. Jun 12 2004;328(7453):1401. doi:10.1136/bmj.38119.581991.55

24. Hinojosa­ Gonzalez DE, Torres­ Martinez M, Villegas­De Leon SU, et al. Emergent urinary decompression in acute stone ­related urinary obstruction: A systematic review and metaanalysis. Journal of Clinical Urology. 2023/01/01 2021;16(1):19­31. doi:10.1177/20514158211017027

25. 2024 IHG. Sýklalost upprunnið í þvagvegum (Urosepsis). 15. ágúst, 2024. Accessed 15. ágúst, 2024. https://viewer.microguide. global/guide/1000000266/content/adult7s%C3%BDklalost­upprunni%C3%B0 ­%C3%AD%C3%BEvagvegum­urosepsis

26. Shah TT, Gao C, Peters M, et al. Factors associated with spontaneous stone passage in a contemporary cohort of patients presenting with acute ureteric colic: results from the Multi­centre cohort study evaluating the role of Infammatory Markers In patients presenting with acute ureteric Colic (MIMIC) study. BJU Int. Sep 2019;124(3):504513. doi:10.1111/bju.14777

27. Güler Y. Non­ contrast computed tomographybased factors in predicting ESWL success: A systematic review and meta­analysis. Progrès en Urologie. 2023/01/01/ 2023;33(1):27­ 47. doi:https://doi.org/10.1016/j.purol.2022.09.015

28. Somani BK, Dellis A, Liatsikos E, Skolarikos A. Review on diagnosis and management of urolithiasis in pregnancy: an ESUT practical guide for urologists. World J Urol. Nov 2017;35(11):1637­1649. doi:10.1007/s00345017­2037­1

A4/MOTTA

DEXÓL

TIL MEÐFERÐAR VIÐ Þ

SAFT INNIHELDUR DEXTRÓMETORFAN MÁ NO

Dexól 3 mg/ml, mixtúra, 160 ml. Virkt efni: Dextrómetorfan HBr einhýdrat. Ábending: Dexól er ætlað til meðferðar við einkennum á ertandi og þurrum hósta án uppgangs. Nauðsynlegar upplýsingar fyrir notkun: Ekki má nota Dexól samhliða MAO hemlandi þunglyndislyfjum eða í 14 daga eftir að meðferð þeirra lýkur ef um alvarlega færakvilla er að ræða eða samhliða Meðferð skal standa yfir í eins stu mögulegt er Lyfið getur verið ávanabindandi. hóstinn varir enn eftir 4 til 5 daga skal við lækni.

FÆST ÁN LYFSEÐILS Í NÆSTA APÓTEKI | LESIÐ FYLGISEÐILINN FYRIR N

4. árs læknanemi 2023­2024

EGGERT EYJÓLFSSON

Sérfræðingur í bráðalækningum á

Heilbrigðisstofnun Suðurnesja (HSS)

ANNA SESSELJA ÞÓRISDÓTTIR

Sérfræðingur í smitsjúkdómalækningum á Landspítala

INNGANGUR

SJÚKRATILFELLI

FELLSBÓLGA (NECROTIZING FASCIITIS ) GENGUR INN Á SÍÐDEGISVAKTINA

Hér verður rakin tímalína hjá ungum og hraustum manni sem leitaði á almenna heilsugæsluvakt með óljós einkenni og greindist í kjölfarið með drepmyndandi fellsbólgu (necrotizing fasciitis) af völdum grúppu A streptókokka. Stuttu frá því hann leitaði sér aðstoðar var hann kominn með alvarlega blóðsýkingu, eitrunarlost (toxic shock ) og bráðan nýrnaskaða. Hann endaði í bráðaaðgerð, langri innlögn á gjörgæslu í innri öndunar vél og blóðskilun. Farið verður yfir mikilvægi skjótrar greiningar og meðferðar ásamt fræðilegri umfjöllun um sýkinguna.

Almennt hraustur maður á þrítugsaldri leitaði á síðdegisvaktina á heilsugæslu í Kefavík með fjögurra daga sögu um mikinn verk í hægri brjóst vöðva og um 40°C hita. Samhliða því fann hann fyrir miklum slappleika og hafði kastað upp síðasta sólarhringinn fyrir komu. Verkurinn hafði versnað með hverjum deginum og var orðinn óbærilegur (VAS 9/10 í hvíld) þegar hann leitaði á vaktina. Hann var staðbundinn við svæðið og var stöðugur. Sjúklingurinn fór að finna fyrir mæði í hvíld þegar leið á veikindin.

Það var engin nýleg saga um áverka, miklar þrekæfingar eða annað álag sem var talið geta útskýrt verkinn. Hann hafði þó verið að smíða daginn áður en verkurinn byrjaði og fékk sár á litla fingur hægri handar við hamarshögg. Hann hafði tekið parasetamól í veikindunum sem hjálpaði við hitanum en ekkert við verknum. VIKTOR

• Fyrsta uppvinnsla á heilsugæsluvakt

Lífsmörk við komu: blóðþrýstingur 113/63 mmHg, púls 140 slög/mín, öndunartíðni 27/mín, súrefnismettun 97% og hiti 39,0°C.

Við fyrstu skoðun á heilsugæsluvaktinni var hann móður við gang sem og í hvíld. Hann var bráðveikur að sjá og töluvert meðtekinn af verk. Hann kastaði einu sinni upp í viðtalinu.

Ofan við geir vörtu var um 4 cm x 5 cm roðahella sem var vel afmörkuð. Ekki var að sjá depilblæðingar ( petechiae). Sjúklingurinn var hvellaumur (VAS 10/10) við létta þreifingu yfir roðahellunni en einnig á húðsvæði í kringum roðann. Engir eitlar þreifuðust í holhönd (axilla). Hann var með kaldar hendur og háræðafylling var 5 sekúndur (eðlilegt < 2 sekúndur). Sveifarpúlsar (radial pulses) þreifuðust sterkir og reglulegir. Hann var með sár á litla fingri hægri handar sem var ekki sýkingarlegt að sjá. Lungnahlustun var hrein, kviðurinn þreifaðist mjúkur og eymslalaus. Vægur roði var í koki en engir eitlar þreifuðust á höfði eða hálsi. CRP stix var yfir 200, sem er hámarkið á tækinu.

Þar sem að þessi ungi maður var bráðveikur og grunur vaknaður um mögulega alvarlega mjúk vefjasýkingu þá var haft samband við vakthafandi sér fræðing á bráðamóttöku Heilbrigðisstofnunar Suðurnesja (HSS) og var hann sendur strax þangað í frekari uppvinnslu og meðferð.

• Áframhaldandi uppvinnsla á bráðamóttöku HSS Á bráðamóttöku HSS voru teknar blóðprufur og bláæðablóðgas (tafa I). Einnig var framkvæmd ómun sem sýndi cobblestoning, sem bendir til bólgu á svæðinu, en ekki sást ígerð (abscess). Tölvusneiðmynd sýndi verulega bólguíferð á svæðinu en ekkert loft sást í vefjunum. Hann var blóðræktaður, tekið strok úr sárinu á hendinni og þvag sent í ræktun. Hann fékk strax kloxacillín 2 g en fjótlega var ákveðið að breikka meðferðina. Í kjölfarið fékk hann ceftríaxón 2 g, klindamýcín 900 mg og vankómýcín 1 g í æð. Einnig var settur upp 1 L af Ringer­Acetat® á fríu fæði.

Ljóst var á þessum tímapunkti að hann var kominn með alvarlega sýklasótt (sepsis) með fjöllífærabilun og grunur vaknaður um drepmyndandi fellsbólgu og því var haft samband við vakthafandi smitsjúkdómalækni og gjörgæslulækni á Landspítala.

Þrátt fyrir að meðferð væri hafin með vökvagjöf og sýklalyfjum fór hann klínískt versnandi og féll í blóðþrýstingi niður í 85/50 mmHg, var í hraðtakti (tachycardia) og með aukna súrefnisþörf. Hann fékk súrefni, annan 1 L poka af Ringer­Acetat® á fríu fæði og stuttu síðar 1 L poka af NaCl til viðbótar. Um það bil klukkustund frá því að sjúklingurinn kom á bráðamóttökuna hafði honum hrakað töluvert frá því hann kom inn, blóðrás fjarlægt (distal ) í efri útlimum var orðin léleg og því tekin ákvörðun um að fytja sjúkling strax með forgangi á bráðamót töku Landspítala. Í futningnum var hann í hraðtakti og lágþrýstur en með meðvitund allan tímann og með þriðja vökvapoka uppi á fríu fæði.

Tafla I. Fyrstu blóðprufur og bláæðablóðgas

Blóðprufur Eining Niðurstöður Viðmið

Hvít blóðkorn x109/L 11,8 4,0 ­10,5

Blóðrauði g/L 140 118­152

MCV fL 83 80 ­97

Blóðfögur x109/L 184 150 ­ 400

Daufkyrningar x109/L 11,1 1,9 ­7,0

Eitilfrumur x109/L 0,1 1,0 ­ 4,0

Natríum mmól/L 129 137­145

Kalíum mmól/L 3,6 3,5 ­ 4,8

Glúkósi mmól/L 5,4 3,9 ­5,6

Kreatínin µmól/L 282 60 ­100

CRP mg/L 424 < 10

Bláæðablóðgas Eining Niðurstöður Viðmið pH N/A 7,38 7,32­7,43 pCO2 mmHg 39 38­58

Laktat mmól/L 3,9 0,4­2,2

Bíkarbónat mmól/L 22 22­27

Tafla II. Fyrstu blæðingarprufur og storkupróf

Blóðprufur Eining Niðurstöður Viðmið

APTT sek 40,8 29,0 ­ 44,0

PT sek 19,0 12,5 ­15,0

Fíbrínógen g/L 7,6 1,5 ­ 4,0

D ­dímer mg/L 3,12 < 0,50

Andþrombín % 55 70 ­135

Andplasmín U/dL 87 75 ­110

Prótein C U/dL 33 70 ­140

• Við komu á Landspítala Við komu á Landspítala voru teknar blæðingarprufur og storkupróf (tafa II). Vegna gruns um drepmyndandi fellsbólgu fór hann beint í aðgerð þar sem gerð var könnun (exploration) á svæðinu undir hægri brjóstvöðvanum. Þar var hreinsað út mikið af greftri og dauðum vef. Útlit sem samrýmdist drepmyndandi fellsbólgu og greiningin því staðfest. Skyndipróf fyrir streptókokkum af grúppu A,

sem tekið var í aðgerðinni, var jákvætt og sýni frá aðgerðarsvæðinu var sent í ræktun. Eftir aðgerðina futtist hann svæfður á gjörgæsluna.

Eftir aðgerðina var hann áfram á ceftríaxón 2 g einu sinni og klindamýcín 900 mg þrisvar á dag og hafin var meðferð með mótefnagjöf í æð (intravenous immunoglobulin, IVIG) (Gamunex) 1 g/kg. Blóðnatríumlækkun (hyponatremia) var leiðrétt með viðbót 60 mmól natríum út í Ringer­Acetat®. Sólarhring síðar kom niðurstaða úr ræktuninni sem sýndi mikinn vöxt af grúppu A streptókokkum og í kjölfarið var skipt úr ceftríaxóni yfir í hámarksskammt af benzýlpenisillíni, en klindamýcíni var haldið áfram. Á þessum tímapunkti var hann gríðarlega háður æðaherpandi lyfjum og var á noradrenalíni og vasópressíni. Hjartaómun degi síðar sýndi minnkandi samdrátt í hjartavöðvanum og því var dóbútamíni bætt við með það að markmiði að viðhalda meðalslagæðaþrýstingi (mean arterial pressure, MAP) yfir 65 mmHg. Sjúklingurinn var því kominn á þrjú lyf til þess að halda uppi blóðþrýstingi. Hann var mjög viðkvæmur fyrir sprautuskiptum á fyrrnefndum lyfjum og við ein sprautuskiptin féll hann í þrýstingi, var með ekkert útslag á slagæð og var því hafið hjartahnoð sem stóð yfir í um þrjár mínútur.

Þar sem sjúklingur var klínískt verri daginn eftir innlögn var hann tekinn til enduraðgerðar og skurðurinn var lengdur. Ekki sást frekari dauður vefur eða gröftur í enduraðgerðinni. Þvagútskilnaðurinn fór undir 10 mL/klst og hann var súr, því var hann settur á sískilun (continuous renal replacement therapy, CRRT). Um tíma fór hann í hratt gáttatif en svaraði amíódaróni og hélst eftir það í eðlilegum sínustakti.

Á degi fjögur frá innlögn varð viðsnúningur í klínískum gangi. Nýrun tóku við sér og hann var ekki lengur háður æðaherpandi lyfjum. Sískilun var því stöðvuð og á nokkrum dögum voru æðaherpandi lyfin tekin út eitt af öðru.

Reynt var að fjarlægja barkarennu á fimmta degi en hann hélt ekki uppi mettun á háfæðisúrefni um nös, var í miklu óráði og því var hann barkaþræddur aftur. Ekki náðist að koma honum af innri öndunar vél fyrr en 14 dögum frá innlögn. Þá útskrifaðist hann af gjörgæslu á almenna deild þar sem við tók frekari meðferð og endurhæfing. Í heildina var spítaladvölin 37 dagar.

FRÆÐILEG UMRÆÐA

Drepmyndandi fellsbólga er sjaldgæf en hættuleg djúp mjúk vefjasýking af völdum úteiturmyndandi baktería sem veldur staðbundnu vefjadrepi. Sýkingin dreifir sér svo áfram eftir fellsplaninu (fascial plane) sem liggur á milli undirhúðar (subcutis) og vöðvalagsins. Það er ólíkt hefðbundnum húðsýkingum, svo sem heimakomu (erysipelas) og húðbeðsbólgu (cellulitis), sem eru í efri lögum húðar og valda yfirleitt ekki vefjadrepi.1 Almennt er sýkingunni skipt niður eftir því hvort um er að ræða einn bakteríustofn (monomicrobial ), sem er þá oftast grúppu A streptókokkar, eða feiri samverkandi bakteríur ( polymicrobial ).2 Í sýkingu af völdum eins bakteríustofns þá komast grúppu A streptókokkar í gegnum varnir húðarinnar við sáramyndun. Það getur verið í kjölfar aðgerða eða við saklaus smásár sem

koma til dæmis eftir áverka eða skrámur.3 Dánar tíðnin er almennt talin vera í kringum 24 til 34% þrátt fyrir framfarir í meðferðarkostum og eitt það mikilvægasta í lifuninni er að greina sýkinguna snemma og veita sjúklingnum viðeigandi meðferð strax.4, 5 Til eru fjölmargar týpur af grúppu A streptókokkum þar sem M1 undir týpan er með mestu meinvirknina.6 Aukning hefur orðið á ífarandi sýkingum af völdum grúppu A streptókokka af M1 gerð eftir heimsfaraldur COVID ­19.7

• Einkenni

Drepmyndandi fellsbólga einkennist af óbærilegum verk sem er í ósamræmi við þau klínísku teikn sem eru á svæðinu ( pain out of proportion), svo sem vægan roða eins og sést í hefðbundinni húðsýkingu. Að auki lýsir sjúklingurinn oft sakleysislegri sögu sem passar ekki við alvarleika einkenna. Mikil eymsli eru við þreifingu á svæðinu, umfram það sem maður myndi búast við að sjá í hefðbundinni húðsýkingu. Upphafega kemur roðahella sem breytist svo í blöðrunga (bullae) þegar vefjadrep er komið nær yfirborðinu. Verkurinn nær oftast út fyrir roðasvæðið þar sem sýkingin getur verið búin að dreifa sér eftir fellsplaninu. Það er einkennandi fyrir drepmyndandi fellsbólgu. Samhliða því eru einnig almenn sýkingareinkenni eins og hiti, þreyta og vanlíðan.8, 9 Önnur einkenni eru vefjamarr (crepitus), bjúgur og hiti í húðinni. Skyntrufanir á roðasvæðinu sem koma fram vegna dreps í taugavef, þar sem taugarnar liggja um fellsplanið, ættu að vekja grun um drepmyndandi sýkingu. Loft undir húð (subcutaneus emphysema) og vefjamarr eru einnig mjög oft til staðar.8 Með tímanum hrakar svo sjúklingnum hratt.10

• Greining

Snemmgreining er mikilvæg þar sem töf á greiningu hefur í för með sér aukna dánar tíðni. Greiningin er oftast klínísk og sé nægur grunur til staðar ætti að fara með sjúkling beint í aðgerð og hefja meðferð. Einnig er hægt að staðfesta greiningu með því að fá skurðlækni til að gera lítinn skurð til að skoða fellið (fascia). Sjáist drep liggur greiningin fyrir.

Sé klínískur grunur nægilega sterkur ber að forðast rannsóknir sem geta tafið meðferð. Myndgreining getur stutt greininguna ef klíníkin er óljós. Myndgreining útilokar þó ekki greininguna ef rannsóknin er neikvæð. Oftast er gerð tölvusneiðmynd. Það helsta sem leitað er eftir er ósamhverf þykknun á felli, loft í mjúk vefjunum og bólguíferðir.11 Ómun getur einnig komið að gagni þar sem leitast er eftir þykknun á felli og húðbeði (subcutaneus tissue).12

Oft getur reynst erfitt að greina á milli hvaða sjúklingar eru raunverulega með drepmyndandi sýkingu og hverjir ekki, sérstaklega snemma í sjúkdómsferlinu. Því var þróað stigakerfi sem kallast LRINEC (laboratory risk indicator for necrotizing fasciitis) og það getur verið gagnlegt að nota hjá sjúklingum með óljós klínísk einkenni. Kerfið tekur saman stig út frá gildum CRP, hvítra blóðkorna, blóðrauða, natríums, kreatíníns og glúkósa (tafa III).13, 14

Mikilvægt er þó að árétta að ef sterkur grunur er um drepmyndandi fellsbólgu út frá sögu og skoðun að þá ætti ekki að fresta meðferð til þess að reikna LRINEC stig.

Ef LRINEC stig eru færri en sex þá eru litlar líkur á að sjúklingurinn sé með drepmyndandi fellsbólgu, með jákvætt forspárgildi upp á 92% og neikvætt forspárgildi upp á 96%.13 Ef sjúklingurinn fær útkomu á bilinu sex til sjö þá eru meðalmiklar líkur og erfitt að útiloka, hér ber manni að vinna sjúklinginn upp frekar. Ef útkoman er átta stig eða feiri þá eru 75% líkur að sjúklingurinn sé með drepmyndandi fellsbólgu og hér þarf maður að vinna sjúklinginn upp hratt. Sjúklingurinn sem um ræðir hér að ofan fékk fjögur stig fyrir CRP, tvö stig fyrir natríum og tvö stig fyrir kreatínín og endar því með átta stig.

• Meðferð

Hornsteinn meðferðar við drepmyndandi fellsbólgu er snemmtæk skurðaðgerð þar sem allur dauður vefur er hreinsaður burt.15 Samhliða því skal veita breiðvirka sýklalyfjameðferð og stuðning við blóðrásarkerfið með vökvameðferð eða æðaherpandi lyfjum. Meðferð með sýklalyfjum eingöngu, án skurðaðgerðar, hefur sýnt sig hafa dánar tíðni sem er nálægt 100%.16

Í skurðaðgerðinni er opnað niður á sýkinguna og allur dauður vefur fjarlægður þar til að komið er að heilbrigðum vef sem blæðir úr. Ef sjúklingnum hrakar eftir aðgerðina gæti verið þörf á enduraðgerð þar sem leitað er að frekari dauðum vef til að fjarlægja og létta á þrýstingi á svæðinu.17 Í mjög útbreiddri sýkingu í útlimum þá getur verið þörf á afimun.16 Í aðgerðinni skal einnig taka sýni úr sýkta vefnum og senda í ræktun.

Sýklalyfjameðferðin skal vera breiðvirk og ná yfir bæði Gram­jákvæðar, Gram­neikvæðar bakteríur og loft fælur. Meðferðin skal hafin strax í kjölfar blóðræktunar. Dæmi um meðferð sem mælt er með í bandarískum leiðbeiningum er karbapenem (til dæmis merópenem) eða piperacillíntazóbaktam plús sýklalyf sem nær yfir MÓSA, eins og vankómýcín, í þeim löndum þar sem tíðni MÓSA er há. Klindamýcín er alltaf hluti af sýklalyfjameðferðinni þar sem það hemur próteinmyndun bakteríunnar og stöðvar þannig úteitursmyndun.8, 18, 19

Í framskyggnri skandinavískri fjölsetrarannsókn sem skoðaði mismunandi meðferðir við drepmyndandi fellsbólgu var algengast að fyrsta meðferð væri sýklalyfjagjöf með breiðvirku beta­laktam sýklalyfi í samsettri meðferð með klindamýcíni. Val á beta­laktam lyfi var mjög fjölbreytt en merópenem var oftast notað.20

Eftir að niðurstaða liggur fyrir úr ræktuninni skal klæðskerasníða meðferðina frekar. Eins og sjúklingurinn hér að ofan sem reyndist vera með drepmyndandi fellsbólgu af völdum grúppu A streptókokka fékk benzýlpenisillín strax í kjölfar niðurstöðu ræktana.

LOKAORÐ

Blóðprufa

CRP (mg/L)

Hvít blóðkorn (x109/L)

Blóðrauði (g/L)

Natríum (mmól/L)

Kreatínin (µmól/L)

Glúkósi (mmól/L)

Til þess að styðja við blóðrásarkerfið hjá þessum sjúklingum getur þurft ríkulega vökvagjöf samhliða æðaherpandi lyfjum. Einnig getur verið þörf á að gefa þeim sjúklingum albúmínuppbót sem eru með lekar háræðar í heilkenni sýklasóttarlosts (toxic shock syndrome) af völdum streptókokka.19

Vísbendingar eru um gagnsemi IVIG hjá sjúklingum með drepmyndandi fellsbólgu af völdum grúppu A streptókokka. Í framskyggnri rannsókn sem var framkvæmd á mörgum spítölum á Norðurlöndunum og í Evrópu var sýnt fram á tölfræðilega mark tækt lægri dánar tíðni meðal þeirra sem fengu IVIG eftir að leiðrétt hafði verið fyrir öðrum breytum en hér var ekki um formlega meðferðarprófun (clinical trial ) að ræða.21

Af þessu tilfelli má vonandi draga lærdóm og sjá mikilvægi skjótrar greiningar og uppvinnslu á drepmyndandi fellsbólgu. Ef sjúklingur leitar til þín með óljós einkenni, eins og mjög mikinn verk sem passar ekki við söguna, samhliða einkennum sem hafa verið talin upp hér fyrir ofan þá er mikilvægt að staldra við og gleyma ekki að setja drepmyndandi fellsbólgu á mismunagreiningarlistann.

Tilfelli þetta er ritað og birt með leyfi sjúklings

1. Catena F, Moore F. Expression of concern: Necrotizing fasciitis, literature review of contemporary strategies for diagnosing and management with three case reports: torso, abdominal wall, upper and lower limbs. World J Emerg Surg. 2012;7(1):33.

2. Wong CH, Chang HC, Pasupathy S, Khin LW, Tan JL, Low CO. Necrotizing fasciitis: clinical presentation, microbiology, and determinants of mortality. J Bone Joint Surg Am. 2003;85(8):145460.

3. Bellapianta JM, Ljungquist K, Tobin E, Uhl R. Necrotizing fasciitis. J Am Acad Orthop Surg. 2009;17(3):174­ 82.

4. Jabbour G, El­Menyar A, Peralta R, Shaikh N, Abdelrahman H, Mudali IN, et al. Pattern and predictors of mortality in necrotizing fasciitis patients in a single tertiary hospital. World J Emerg Surg. 2016;11:40.

5. Nawijn F, de Gier B, Brandwagt DAH, Groenwold RHH, Keizer J, Hietbrink F. Incidence and mortality of necrotizing fasciitis in The Netherlands: the impact of group A Streptococcus. BMC Infect Dis. 2021;21(1):1217.

6. Nasser W, Beres SB, Olsen RJ, Dean MA, Rice KA, Long SW, et al. Evolutionary pathway to increased virulence and epidemic group A Streptococcus disease derived from 3,615 genome sequences. Proc Natl Acad Sci U S A. 2014;111(17):E1768 ­76.

7. Beres SB, Olsen RJ, Long SW, Langley R, Williams T, Erlendsdottir H, et al. Increase in invasive Streptococcus pyogenes M1 infections with close evolutionary genetic relationship, Iceland and Scotland, 2022 to 2023. Euro Surveill. 2024;29(13).

8. Wallace HA, Perera TB. Necrotizing Fasciitis. StatPearls. Treasure Island (FL)2025.

9. Erichsen Andersson A, Egerod I, Knudsen VE, Fagerdahl AM. Signs, symptoms and diagnosis of necrotizing fasciitis experienced by survivors and family: a qualitative Nordic multi­ center study. BMC Infect Dis. 2018;18(1):429.

10. Sharif S, Swaminath S, Mozumder N, Mack KA, Marin D. Necrotizing Fasciitis Associated With Toxic Shock Syndrome. Cureus. 2024;16(3):e55807.

11. Tso DK, Singh AK. Necrotizing fasciitis of the lower extremity: imaging pearls and pitfalls. Br J Radiol. 2018;91(1088):20180093.

12. Castleberg E, Jenson N, Dinh VA. Diagnosis of necrotizing faciitis with bedside ultrasound: the STAFF Exam. West J Emerg Med. 2014;15(1):111­3.

13. Wong CH, Khin LW, Heng KS, Tan KC, Low CO. The LRINEC (Laboratory Risk Indicator for Necrotizing Fasciitis) score: a tool for distinguishing necrotizing fasciitis from other soft tissue infections. Crit Care Med. 2004;32(7):1535 ­ 41.

14. Bechar J, Sepehripour S, Hardwicke J, Filobbos G. Laboratory risk indicator for necrotising fasciitis (LRINEC) score for the assessment of early necrotising fasciitis: a systematic review of the literature. Ann R Coll Surg Engl. 2017;99(5):341­ 6.

15. Leiblein M, Marzi I, Sander AL, Barker JH, Ebert F, Frank J. Necrotizing fasciitis: treatment concepts and clinical results. Eur J Trauma Emerg Surg. 2018;44(2):279 ­90.

16. Anaya DA, Dellinger EP. Necrotizing soft­tissue infection: diagnosis and management. Clin Infect Dis. 2007;44(5):705 ­10.

17. Sudarsky LA, Laschinger JC, Coppa GF, Spencer FC. Improved results from a standardized approach in treating patients with necrotizing fasciitis. Ann Surg. 1987;206(5):661­ 5.

18. Schlievert PM, Kelly JA. Clindamycin­induced suppression of toxic ­ shock syndrome associated exotoxin production. J Infect Dis. 1984;149(3):471.

19. Stevens DL, Bryant AE. Necrotizing Soft­Tissue Infections. N Engl J Med. 2017;377(23):2253­ 65.

20. Madsen MB, Skrede S, Perner A, Arnell P, Nekludov M, Bruun T, et al. Patient’s characteristics and outcomes in necrotising soft­tissue infections: results from a Scandinavian, multicentre, prospective cohort study. Intensive Care Med. 2019;45(9):1241­ 51.

21. Bruun T, Rath E, Madsen MB, Oppegaard O, Nekludov M, Arnell P, et al. Risk Factors and Predictors of Mortality in Streptococcal Necrotizing Soft­tissue Infections: A Multicenter Prospective Study. Clin Infect Dis. 2021;72(2):293300.

Verið velkomin í...

•skemmtilegan skyldusparnað

45% af skyldusparnaði í séreignarsjóð, nokkurs konar skemmtisjóð fyrir seinni hálfleik

•valfrelsi

hægt að velja á milli sex ávöxtunarleiða

•sjóðfélagalýðræði eingöngu sjóðfélagar í stjórn, kosnir af sjóðfélögum

•áhættudreifingu

vel dreifð eignasöfn og áhersla á ábyrgar fjárfestingar

•góðar upplýsingar

á heimasíðu og sjóðfélagavef

• allt að 85% lán ogskattfrjálssparnaður fyrir fyrstu fasteign

Verið velkomin til starfa, velkomin í Almenna

SUNNEVA ROINESDÓTTIR

4. árs læknanemi 2023­2024

ÞORKELL SNÆBJÖRNSSON

Sérfræðingur í bæklunarskurðlækningum á Landspítala

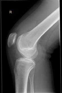
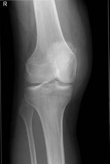
17 ÁRA DRENGUR MEÐ ENDURTEKIN LIÐHLAUP HNÉSKELJAR

INNGANGUR

FRÆÐILEG UMRÆÐA

Liðhlaup hnéskeljar er talið vera um 3% allra áverka á hné.1 Áverkar á hné hjá börnum og unglingum eru algengir, rekja má orsök blæðingar í hnélið við áverka til liðhlaups hnéskeljar í 40% tilvika hjá þeim hópi.2 Liðhlaup á hnéskel er algengara hjá stúlkum, um 70%, þar sem algengasti aldurinn er 10 til 16 ára. Ástæðan fyrir hærri tíðni hjá stúlkum er rakin til byggingar liðarins, meðal annars er hærri tíðni kiðfættu ( genu valgum) hjá stúlkum. Einnig hafa stúlkur minni vöðvamassa sem ýtir enn frekar undir liðhlaup.3 Ef einstaklingur hefur fengið liðhlaup tvisvar sinnum, aukast líkur á öðru liðhlaupi um 50%.1 Við endur tekin liðhlaup aukast líkurnar á að fá slitgigt í hnéð með tilheyrandi verkjavandamálum og hreyfiskerðingu.1, 3 Skipta má þeim sjúklingum sem verða fyrir liðhlaupi upp í þrjá hópa. Um þriðjungur þeirra sem hljóta fyrsta liðhlaup komast aftur í fyrra horf án verkja eða endur tekinna liðhlaupa. Annar þriðjungur hlýtur endur tekin liðhlaup. Síðasti hópurinn eru svo þeir sem ekki hljóta frekari liðhlaup en glíma við verki, bólgu og liðskekkingu.4 Í þessari grein verður tekið fyrir tilfelli 17 ára drengs sem hlaut endur tekin liðhlaup hnéskeljar og farið verður yfir ferlið frá fyrstu læknisheimsókn, til skurðaðgerðar og til líðanar eftir aðgerð.

• Líffærafræði

Þegar kemur að stöðugleika liðarins milli hnéskeljar og lærleggs ( patellofemoral joint) er til margs að líta. Hnéskelin ( patella) er stærsta sesambein líkamans. Hún er klædd brjóski að aftanverðu þar sem hún mætir brjóskklæddum hluta lærleggsins (femur ) og kallast sá hluti lærleggs trissa (trochlea). Trissan er gerð úr miðlægum (medial ) og hliðlægum (lateral ) feti og á milli þeirra liggur gróf trissunnar (trochlear groove, TG). Hnéskelin rennur eftir grófinni við beygju (flexion) og réttu (extension) um hnéð. Hliðlægur fötur trissunnar er

sá sem er mikilvægastur fyrir stöðugleika hnéskeljarinnar. Hnéskelin snertir trissuna fyrst við 20 til 30° beygju um hnéð og við frekari beygju helst hnéskelin stöðug vegna lögunar trissunnar (mynd 1)

Hlutverk hnéskeljarinnar er að auka styrk fjórhöfðavöðva læris (quadriceps femoris) við þungar beygjur og réttur með því að framlengja lengdarásinn. Þegar hné er í fullri réttu liggur hnéskelin nærlægt ( proximal ) við trissuna á lærleggnum og hlýtur þá engan stöðugleika frá mjúkvefjum né trissu. Liðpokinn og fjölmörg liðbönd umlykja hnéskelina og veita henni meiri stuðning. Stærsta hlutverkið hefur miðlæga liðbandið frá hnéskel til lærleggs (medial patellofemoral ligament, MPFL). Það sér um stöðugleika hnéskeljar frá fullri réttu og yfir í 30° beygju. MPFL er stærsti kraft vigurinn sem togar hnéskelina miðlægt og vinnur þannig gegn hliðlægu liðhlaupi.3 Fjórhöfðavöðvi lærisins spilar einnig hlutverk í stöðugleika liðarins. Fjórhöfðavöðvinn er samsettur af beina lær vöðvanum (rectus femoris), miðlæga víðfaðmavöðvanum (vastus medialis), milli­víðfaðmavöðvanum (vastus intermedius) og hliðlæga víðfaðmavöðvanum (vastus lateralis). Þeir sameinast í sin fjórhöfðavöðvans (quadriceps tendon) sem umlykur hnéskelina og verður svo að hnéskeljarsin ( patellar tendon) sem festist á sköfungshrjónu (tibial tuberosity, TT). Miðlægi víðfaðmavöðvinn styður við hnéskelina í fullri réttu og sem mest við 60° beygju. Miðlægi víðfaðmavöðvinn og sá hliðlægi festast einnig út af fyrir sig á hliðar hnéskeljarinnar og niður á sköfunginn (tibia). Sinafell (aponeurosis) vöðvanna kallast öðrum nöfnum hliðlægt og miðlægt hnéskeljarstag ( patellar retinaculum). Virka þau sem mótverkandi kraftar við hliðlægt tog á hnéskelina.1, 3

Mynd 1

Hliðlægt

Miðlægt

• Meingerð Hnéskelin fer nær alltaf úr lið hliðlægt vegna lögunar liðarins. Ferillinn sem á sér stað við liðhlaupið hefst með togi hliðlægt á hnéskelina ásamt aukinni kiðfættu. Sama á við milli trissu og sköfungshrjónu þar sem myndast aukin kiðfætta. Til þess að hnéskelin renni alveg úr lið þarf kraftur að þrýsta hnéskelinni hliðlægt. Oft er þessi kraftur snúningur um liðinn. Það felur í sér beygju um hnéð ásamt innsnúningi á lærleggsbeini og/eða útsnúningi á sköfungi. Krafturinn sem þrýstir hnéskelinni hliðlægt getur einnig komið við ytri þrýsting ásamt útsnúningi á sköfungi.3 Þegar hnéskelin rennur yfir hliðlæga kantinn á trissunni geta orðið brjósk­ og/eða beinskemmdir þar sem físast upp úr liðfetinum. Bitar geta losnað undan hnéskelinni, sérstaklega miðlægt, og einnig getur fosnað upp úr hliðlæga hluta hliðlægu lærleggshnúfunnar (femoral condyle).3, 5

Í raun má grófega fokka meingerð liðhlaupanna í tvennt:

• Liðhlaup eftir áverka sem unglingur eða fullvaxta einstaklingur.

• Liðhlaup án áverka, oft beggja vegna (bilateral ), og/eða endurtekin liðhlaup snemma á lífsleiðinni. Þessi meingerð er líklegri til að tengjast byggingargöllum í liðnum og oftar er þörf á inngripi.3

Hliðlægt

Snertifötur hnéskeljar við trissu lærleggs við mismikla beygju um hnjálið.

MPFL slit: Liðbandið slitnar í festum tilfellum við liðhlaup hnéskeljar. Ef það grær ekki er aukin hætta á endurteknum liðhlaupum hnéskeljar.1, 3, 6

Hástæð hnéskel ( patella alta): Byggingargalli í hné þar sem hnéskelin er hástæð og þarf mikla beygju um hné til þess að ná góðri tengingu við trissuna. Því er minnkaður stöðugleiki hnéskeljar við lærlegginn og auknar líkur á liðhlaupi.3

TT-TG bilið: Fjarlægðin milli sköfungshrjónu (TT) og grófar trissunnar (TG) í áslægu (axial ) plani er mæld með segulómskoðun eða tölvusneiðmynd. Ef fjarlægðin er 20 mm eða meiri á segulómun er það talið aukið og stuðlar að óstöðugleika hnéskeljar hjá fullvaxta einstaklingum. Hnéskelin fær minna tog miðlægt og því minni kraftur sem mótverkar hliðlægu liðhlaupi. Bil milli 15 og 20 mm er á mörkunum hvað varðar þörf á inngripi. Þá þarf að rýna í hvert tilfelli fyrir sig (mynd 2) 3

Vanþroskun trissu (trochlear dysplasia): Gróf trissunnar sem hnéskelin á að renna eftir getur verið vanþroskuð (dysplastic). Grófin getur verið of grunn, vantað alfarið eða verið kúpt út á við. Þá hefur hnéskelin enga braut til að renna eftir og er því mikil hætta á að hún fari auðveldlega úr lið.1, 3, 6

Q-vinkill: Vinkillinn milli mjaðmar, hnéskeljar og sköfungshrjónu. Þetta er í raun sama mæling og TT­TG bilið en er erfiðara að mæla á myndum og er ónákvæmara. Því er í dag frekar mælt TT­TG bil en Q ­vinkill.3

Mikill liðleiki ( hypermobility ): Mikill liðleiki, líkt og af völdum bandvefssjúkdóma eins og Ehlers­Danlos, eykur líkur á liðhlaupi þar sem tognar frekar á þeim mjúkvefjum sem stöðga liðinn.1, 3

Mikil kiðfætta: Samsetningin af auknum framsnúningi (anteversion) lærleggs, auknum útsnúningi sköfungs og mikilli kiðfættu kallast miserable malalignment syndrome. Við þessar aðstæður er áhættan á liðhlaupi mikil.1

Vöðvarýrnum ( muscular dystrophy ): Við vöðvarýrnun minnkar stöðugleiki liðarins.

• Skoðun

Yfirleitt er hnéskelin komin aftur í lið þegar leitað er til læknis, oft af sjálfu sér við réttu um hné. Bólgu í kringum hnéskel er oft að finna við fyrstu skoðun. Ef hnéskel er enn úr lið þarf að koma henni til baka á sinn stað. Mikilvægt er að verkjastilla vel og svo rétta hægt og rólega úr hnénu til að hnéskelin falli til baka í liðfötinn. Stundum þarf einnig að þrýsta á hliðlæga kant hnéskeljar. Nauðsynlegt er að koma hnéskelinni í lið fyrir myndgreiningu. Við skoðun er sjálfsagt að muna eftir að kanna púlsa, háræðafyllingu og snertiskyn fyrir og eftir að hnéskel er sett í liðinn.7 Verkir koma almennt fram við virka beygju um hné en verkir ættu að vera töluvert minni við óvirkar hreyfingar.6

Kanna þarf hvort mikill vökvi hafi safnast fyrir í hnéliðnum og höfum við þá sérstakan áhuga á að vita hvort hafi orðið blæðing í lið. Við mikla vökvasöfnun er skert

hreyfigeta um hné, sérstaklega við beygju og verkir sem fylgja hreyfingum. Ef mikill vökvi er í lið er mælt með að stinga á hnéð og tæma. Það er bæði verkjastillandi og gert í greiningarskyni. Blæðing í lið vekur grun um að alvarlegur skaði hafi orðið í hnéliðnum og ef fituperlur sjást í vökvanum vekur það sterkan grun um beináverka. Hægt er að sprauta deyfingu inn í liðinn í leiðinni til frekari verkjastillingar ef þörf krefur.

Skerðing á hreyfigetu þrátt fyrir lítinn vökva í hné getur bent til bein­ eða brjóskáverka. Beinbitar geta losnað og komið í veg fyrir fulla hreyfigetu og jafnvel valdið læsingu á hnénu. Einnig má stundum finna brak við skoðun ef bein eða brjóskhlutar hafa losnað frá. Bólga hjaðnar síður ef beinhlutar eru til staðar í liðnum.6

Algengt er að verkur sé meðfram miðlæga hnéskeljarstaginu ásamt verk yfir miðlæga hluta hnéskeljar og miðlægu lærleggshnúfunni (svæðið þar sem MPFL festist), kallað Bassets teikn.3, 5 Hægt er að framkvæma próf sem kallast apprehension próf þar sem hné er látið vera í 20 til 30° beygju og þrýst er á miðlæga kant hnéskeljar. Við þetta finnur sjúklingurinn mikil óþægindi eða ósjálfráður samdráttur verður í fjórhöfðavöðva læris sem tilraun til að halda hnéskelinni á sínum stað.3, 6

• Rannsóknir

Röntgen: Til að ná góðri mynd af liðnum þarf að ná þremur sjónarhornum: fram­aftur (anteroposterior ), hliðlægt þar sem hné er í 30° beygju og svo lærleggs­hnéskeljar vinkli (Merchant view). Í lærleggs­hnéskeljar vinkli er verið að meta þroska trissunnar. Hástæð hnéskel er metin með hliðlægri mynd.1, 3

Tölvusneiðmynd: Getur verið gagnleg til að átta sig betur á stöðu hnéskeljar­lærleggsliðarins, meta hliðlæga liðskekkingu (subluxation) og mögulega beináverka.

Segulómun: Við fyrsta liðhlaup ætti alltaf að taka segulómun innan nokkurra daga til að staðfesta greininguna og til að útiloka bein­ eða brjóskáverka og áverka á mjúk vefi. Oft er áverkaferlið óljóst og því getur segulómun verið nauðsynleg til að geta veitt rétta greiningu, til dæmis svo hægt sé að greina liðhlaup á hnéskel frá krossbandsáverka.3

• Mismunagreiningar

Áverki á miðlæg liðbönd í hné (collateral ligaments): Verkir miðlægt á lærleggshnúfunni og hnéskel koma fram við áverka miðlægra liðbanda líkt og við liðhlaup hnéskeljar. Ef blæðing í lið hefur átt sér stað er líklegra að liðhlaup hnéskeljar hafi orðið þar sem blæðing í lið kemur örsjaldan fram við áverka á miðlæg liðbönd hnés.5

Krossbandsáverki: Blæðing í lið er algeng við krossbandsáverka og áverkaferill er svipaður og við liðhlaup hnéskeljar.3

Áverki á miðlægan liðþófa: Við áverka á liðþófa eru verkir og blæðing í lið oft til staðar ásamt krossbandsáverka og getur því svipað til liðhlaups hnéskeljar.3, 5

Meðferð við liðhlaupi hnéskeljar fer meðal annars eftir umfangi áverkans og hvort að aðrir vefir hafi hlotið skaða af. Ef ekki eru augljósir bein­ eða brjóskáverkar er sjúkraþjálfun fyrsta meðferð. Þessar ráðleggingar eiga við óháð þroska beina.

Hvað varðar meðferð án aðgerðar hafa ráðleggingar breyst í gegnum tíðina. Áður var ráðlagt að leggja hnéspelku úr gifsi en þar sem sú meðferð veldur bæði stífeika um hnéliðinn og rýrnun á fjórhöfðavöðva er hún ekki lengur talin ákjósanleg.3, 4 Nú er mælt með sjúkraþjálfun snemma, um einni til tveimur vikum frá áverka. Aðalatriðið er að ná aftur upp hreyfigetu hnésins auk þess að styrkja vöðvana, þá sérstaklega miðlæga víðfaðmavöðvann. Sjúkraþjálfun ætti að standa í þrjá til sex mánuði, þar til hnéð hefur náð fyrri styrk, og minnka þannig líkurnar á endur teknu liðhlaupi. Ekki þarf að takmarka ástig heldur má hreyfa eins og verkir leyfa.3 Meðferð með ROM hnéspelku er umdeild, hugsunin er að minnka álag á MPFL en sérfræðingar eru ósammála um gagnsemi hennar.3, 4

Við beináverka er ráðlagt að einstaklingur fari í liðspeglun þar sem minni bútar sem eru lausir í liðnum eru fjarlægðir og stærri bútar eru festir. Þetta er óháð því hvort um sé að ræða fyrsta liðhlaup eða ekki. Við fyrsta liðhlaup án beináverka er ávinningur aðgerðar umdeildur. Markmiðið með aðgerð er viðgerð eða endurbygging á MPFL. Endurbygging, þar sem ígræði er notað til að endurbyggja liðbandið, er þó talin hafa meiri ávinning. Ígræðið er oftast sin frá rengluvöðva ( gracilis) eða hálfsinungsvöðva (semitendinosus). Við endur tekin liðhlaup er viðeigandi að íhuga aðgerð. Markmiðið er að auka stöðugleika sem bersýnilega vantar í liðinn. Til eru rannsóknir sem sýna fram á að aðeins 7% þeirra sem fara í endurbyggingu á MPFL fá endur tekin liðhlaup en 30% þeirra sem fara ekki í aðgerð og fá aðeins sjúkraþjálfun.9 Hvernig aðgerð yrði framkvæmd er ólíkt milli sjúklinga og ýmsir þættir, svo sem beingerð sjúklings, gangur sjúkraþjálfunar og kröfur sjúklings, sem hafa áhrif þegar skurðaðgerð er ákveðin.3

Mynd 2

Mæling TT­TG bilsins út frá dýpsta hluta trissu á lærlegg og fremsta hluta sköfungshrjónu, skoðað í áslægu plani.

Mynd 3 •

Hér má sjá lögun trissu og legu hnéskeljar þar í. Mynd tekin í lærleggs­hnéskeljarvinkli, sjá nánar í umfjöllun um myndgreiningu.

Hnéskel

Dýpsti hluti trissu

Sköfungur

Lærleggur

Fremsti hluti sköfungshrjónu

TT­TG bil

Dálkur

• Fyrsta liðhlaup

Einstaklingurinn sem fjallað verður um í þessari grein hlaut sitt fyrsta liðhlaup á hægri hnéskel við 11 ára aldur þegar hann var að hlaupa á íþróttaæfingu. Lýsti hann því að hnéskelin hafi runnið hliðlægt án áverkasögu. Drengurinn fór með sjúkrabíl á bráðamóttöku og var hnéskelinni komið aftur í liðinn í sjúkrabílnum. Við skoðun var hnéð aðeins bólgið og ekki klár vökvi í lið. Engin myndgreining var framkvæmd. Fékk hann hnéspelku úr gifsi á bráðamóttöku og send var tilvísun til bæklunarlækna. Í læknaviðtali við komu á bráðamót töku kom í ljós að mögulega hafi orðið liðhlaup einu sinni áður en þá leitaði drengurinn ekki til læknis og því óvíst hvort um algjört liðhlaup hafi verið að ræða.

Drengurinn fékk tíma þremur mánuðum síðar hjá bæklunarlækni þar sem hreyfigeta hægri hnéskeljar var metin meiri en þeirrar vinstri. Einnig voru hnéskeljar hans metnar aðeins hástæðar við skoðun. Gerð var sjúkraþjálfunarbeiðni fyrir hann og gefinn endurkomutími hálfu ári síðar. Endurkomutími var níu mánuðum frá fyrsta liðhlaupi og hafði hnéskel þá einu sinni hoppað til en ekki runnið alveg úr lið. Ákveðið var að halda áfram sjúkraþjálfun og fékk drengurinn endurkomutíma að ári.

• Annað liðhlaup Rúmu ári eftir fyrsta liðhlaup varð annað liðhlaup, þá einnig á íþróttaæfingu. Sjúklingur leitaði þá á bráðamóttöku til þess að koma hnéskel aftur í liðinn. Tekin var röntgenmynd og var þar grunur um afrifu við neðri pól hnéskeljarinnar auk þess sem nokkur vökvi sást í liðnum. Í endurkomutíma til bæklunarlæknis hálfu ári seinna var apprehension próf neikvætt en hnéskelin hægra megin var enn hreyfanlegri en sú vinstri. Ákveðið var að halda áfram sjúkraþjálfun og skrifa út hnéhlíf en hann fékk einnig endurkomutíma að ári.

Í endurkomutíma rúmlega tveimur og hálfu ári eftir fyrsta liðhlaup fann drengurinn fyrir óþægindum við apprehension próf og hafði reynt að vernda hnéð eftir bestu getu dagsdaglega. Tekin var röntgenmynd sem sýndi aðeins aukinn Q ­vinkil en grófin í trissunni á lærleggnum var vel mótuð og lögun hnéskeljar í lagi (mynd 3). Þar var honum boðin aðgerð og ætlaði drengurinn að hugsa málið og vera í sambandi ef hann vildi þiggja aðgerðina.

• Þriðja liðhlaup

Drengurinn átti engar feiri læknisheimsóknir vegna liðhlaups fyrr en tveimur og hálfu ári síðar, þá fimm árum frá fyrsta liðhlaupi. Þá hafði hægri hnéskelin runnið úr lið í þriðja sinn og kom hann henni sjálfur í lið og hafði ekki mikla verki eftir á. Daginn eftir hafði hnéð þó bólgnað, hann var með verki og skerta hreyfigetu og kom haltrandi á bráðamóttöku. Við skoðun voru eymsli við þreifingu og bæði skert rétta og beygja um hné. Ekki var grunur um skaða á liðböndum né liðþófa við skoðun en bólga tor veldaði skoðunina. Tekin var röntgenmynd af hnénu og greindist þá 1 cm afrifa frá miðlægum kanti hnéskeljar auk þess sem mikill vökvi var í skoti ofan hnéskeljar (suprapatellar recess) (myndir 4 og 5).

Fengin var tölvusneiðmynd af liðnum mánuði síðar til þess að meta frekar áverkann. Þá var enn vökvi í liðnum og hnéskelin metin hástæð og staða hennar fremur hliðlæg. Afrifufaskinn sem lá miðlægt á hnéskel var þar metinn 2 cm að stærð (myndir 6 og 7)

Drengnum batnaði aðeins af einkennum sínum en ákveðið var að fá segulómun af liðnum auk þess að senda nýja tilvísun á bæklunarlækni. Við segulómun sást bjúgur í og við afrifufaskann miðlægt á hnéskelinni. Bjúgur sást í MPFL og í miðlæga hnéskeljarstaginu sem var talið samræmast tognun. TT­TG bilið var metið 19 mm. Liðþófar og liðbönd í hnénu voru metin heil. Lögun hnéskeljar var metin ósamhverf (Wiberg fokkun 3) og var því lýst að hnéskelin hefði mjög hliðlæga stöðu í grófinni.

Hann hitti bæklunarlækni þremur mánuðum eftir þriðja liðhlaupið, var drengurinn nú 16 ára. Kemur þar fram í læknaviðtali að liðhlaup hafi átt sér stað tvisvar til þrisvar á ári síðan við 11 ára aldur. Hann var nú hættur að iðka íþrótt sína. Við skoðun voru ekki merki um ofiðleika og vinstri hnéskel var metin stöðug. Hann hafði eðlilega hreyfigetu í hægra hné en hnéskelin hlaut lítinn stöðugleika frá grófinni fyrr en við 70° beygju. Ekki voru eymsli við þrýsting á hnéskelina né merki um vöðvarýrnun í fjórhöfðavöðvanum. Út frá fyrri sögu og niðurstöðum segulómunar var metin klár ábending fyrir aðgerð. Drengurinn fór í endurbyggingu á MPFL þar sem rengluvöðvinn var notaður sem ígræði auk þess sem sköfungshrjóna var futt miðlægt til þess að auka stöðugleika hnéskeljar. Eftir aðgerðina var notuð ROM spelka sem leyfði hreyfingar frá 0 til 10° beygju.

Endurkoma til bæklunarlæknis var viku frá aðgerð og svo aftur tveimur vikum frá aðgerð. Sjúkraþjálfun hófst strax að aðgerð lokinni, í ROM spelku. Í seinni endurkomunni var spelkan stillt svo hún leyfði 30° beygju um hné. Síðasta endurkoman var átta vikum frá aðgerðardegi, þá náði drengurinn nær fullri réttu um hnéð og beygja var 120°. Hann fékk leiðbeiningar um að nota hnéspelkuna í tvær vikur til viðbótar, þá með fulla hreyfigetu um hnéliðinn og taka mátti spelkuna af í hvíld og á nóttunni.

Þegar hingað er komið í sjúkrasögu drengsins hefur allt gengið sem skyldi en árangur aðgerðarinnar kemur best í ljós með tímanum, þegar hann lætur reyna á stöðugleika liðarins með frekari íþróttaiðkun og athöfnum daglegs lífs. Þegar þessi grein er rituð eru sjö mánuðir frá aðgerðardegi.

Mynd 4

Hliðlæg röntgenmynd af hné drengsins. Vökvi sést í liðnum.

Mynd 5

Röntgenmynd af hné drengsins tekin fram­aftur og afrifa sést miðlægt í hnéskel.

Mynd 6

Afrifufaski sést miðlægt í hnéskel á tölvusneiðmynd. Hnéskel metin hástæð. Mynd tekin í áslægu plani.

Mynd 7

Tölvusneiðmynd af sköfungshrjónu drengsins sem notuð er til mælingar á TT­TG bilinu.

HEIMILDIR

MYNDIR

Eftir fyrsta liðhlaup hnéskeljar eru 30% líkur á endurteknu liðhlaupi og því feiri liðhlaup sem verða þeim mun meira eykst áhættan.8, 9 Þegar litið er til langs tíma þá geta endur tekin liðhlaup leitt til áverka á liðbrjóskið, viðvarandi verkja og óstöðugleika, minnkaðrar færni hnés þegar kemur að íþróttaiðkun og að lokum slitbreytinga í liðnum. Liðhlaupin koma helst fram hjá ungu fólki og íþróttamönnum og útkoma meðferðar hefur því mikil áhrif á lífsgæði.9 Þetta sýnir mikilvægi þess að greina liðhlaup hnéskeljar rétt og koma einstaklingum í rétta eftir fylgd svo langtímaafeiðingar liðhlaups verði sem minnstar. Það þarf að framkvæma fullnægjandi rannsóknir til að meta áhættuþætti, svo sem myndrannsóknir til að greina byggingu liðarins og mögulega áverka. Margir þættir í byggingu liðarins hafa áhrif á stöðugleika hnéskeljar, líkt og þroskun trissunnar, staðsetning sköfungshrjónu og ef hnéskel er hástæð. Því skiptir miklu máli að huga vel að vöðvastyrk þegar kemur að meðferð, sem dæmi er óæskilegt að hliðlægi víðfaðmavöðvinn sé sterkari en sá miðlægi þar sem það veldur hliðlægu togi á hnéskelina og auðveldar liðhlaup. Sjúkraþjálfun er öfug leið til að auka stöðugleika liðarins og hafa festir sjúklingar mikinn ávinning af henni. Ef viðvarandi vandamál er til staðar þarf að vísa viðkomandi til bæklunarlæknis til mats á hvort aðgerð gagnist.

Mat á viðeigandi meðferð vegna liðhlaups hnéskeljar er krefjandi verkefni, meðferðin er löng og markmiðið er langtímaárangur. Þar þarf að taka saman klínísk einkenni, líkamsskoðun, sem oft á tíðum er ósér tæk, og fóknar myndrannsóknir. Í samvinnu við sjúkling þarf að setja upp meðferðarplan, fara yfir kosti og galla mismunandi inngripa og að lokum taka sameiginlega ákvörðun um ákjósanlega meðferð.

Tilfelli þetta er ritað og birt með leyfi sjúklings.

1. Wolfe S, Varacallo MA, Thomas JD, al. e. Patellar Instability Treasure Island (FL): StatPearls Publishing; 2023 [updated 04.09.2023; cited 2025 17.01.]. Available from: https://www.ncbi. nlm.nih.gov/books/NBK482427/.

2. Askenberger M, Ekström W, Finnbogason T, Janarv PM. Occult Intra­articular Knee Injuries in Children With Hemarthrosis. Am J Sports Med. 2014;42(7):1600 ­ 6.

3. Figueroa F, Guilof R, Bolton S, Figueroa D, Tapasvi S, Stocker E. Specific considerations in female patients with patellar instability: current concepts. Journal of ISAKOS. 2024;9(3):457­ 63.

4. Kaarre J, Pirhonen A, Sansone M, Karlsson J, Samuelsson K. ABC om patellaluxationer Sweden: Läkartidningen; 2022 [cited 2025 17.01.]. Available from: https://lakartidningen.se/ klinik­och­vetenskap­1/medicinens­abc/2022/05/ abc­ om­patellaluxationer/.

5. Parikh SN, Schlechter JA, Veerkamp MW, Stacey JD, Gupta R, Pendleton AM, et al. ConsensusBased Guidelines for Management of First­Time Patellar Dislocation in Adolescents. Journal of Pediatric Orthopaedics. 2024;44(4):e369 ­ e74.

Myndir 3 til 7 voru sóttar í sjúkraskrá drengsins.

6. Good L, Meunier A. Akuta knäskador: Läkartidningen; 2007 [cited 2025 17.01.]. 34:[Available from: https://lakartidningen.se/klinik­och­vetenskap­1/ medicinens­abc/2007/08/akuta­knaskador/.

7. Toplic M. Patellaluxation, Akut: Ortobas; 2017 [updated 18.05.2020; cited 2025 17.01.]. Available from: https://ortobas.se/patellaluxation­akut/.

8. Tornell E, Emgård M, Munir R. Patellaluxationer: Universitetssjukhuset i Linköping; 2017 [cited 2025 17.01.]. Available from: https://www.ortopedkollen. se/luxation/patellaluxation#.

9. Cohen D, Le N, Zakharia A, Blackman B, de Sa D. MPFL reconstruction results in lower redislocation rates and higher functional outcomes than rehabilitation: a systematic review and metaanalysis. Knee Surgery, Sports Traumatology, Arthroscopy. 2022;30(11):3784­95.

10. Longo UG, Ciufreda M, Locher J, Berton A, Salvatore G, Denaro V. Treatment of Primary Acute Patellar Dislocation: Systematic Review and Quantitative Synthesis of the Literature. Clin J Sport Med. 2017;27(6):511­23.

11. Fithian DC, Paxton EW, Stone ML, Silva P, Davis DK, Elias DA, et al. Epidemiology and natural history of acute patellar dislocation. Am J Sports Med. 2004;32(5):1114­21.

Verkur, eymsli, þroti?

Diclofenac Teva 23,2 mg/g hlaup díklófenaktvíetýlamín

Til staðbundinnar meðferðar útvortis á vöðvum og liðum.

Diclofenac Teva inniheldur virka efnið díklófenak, sem tilheyrir flokki bólgueyðandi gigtarlyfja (NSAID-lyf).

Diclofenac Teva er notað við verkjum, eymslum og þrota í liðum og vöðvum vegna bólgu. Lyfið er ætlað fullorðnum og unglingum 14 ára og eldri til skammtímameðferðar. Kynnið ykkur notkunarleiðbeiningar, varnaðarorð og frábendingar áður en lyfið er notað. Lesið vandlega upplýsingar á umbúðum og fylgiseðli fyrir notkun lyfsins.

Leitið til læknis eða lyfjafræðings sé þörf á frekari upplýsingum um áhættu og aukaverkanir.

Sjá nánari upplýsingar um lyfið á www.serlyfjaskra.is Markaðsleyfishafi Teva B.V. Umboðsaðili er Teva Pharma Iceland ehf.

FEHIMA LÍF PURISEVIC

4. árs læknanemi 2023­2024

EINAR STEFÁN BJÖRNSSON

Sérfræðingur í ly fækningum og meltingarlækningum á Landspítala og prófessor við Læknadeild Háskóla Íslands

SLAPPLEIKI OG GULA HJÁ FERTUGUM MANNI

INNGANGUR

SJÚKRATILFELLI

Hér á eftir verður fjallað um sjúkrasögu fertugs manns sem leitaði á bráðamóttöku vegna meltingarfæraeinkenna, slappleika og gulu. Í fyrstu virtist vera um væg einkenni að ræða en ástand mannsins versnaði hratt næstu daga og í ljós kom alvarlegur undirliggjandi sjúkdómsferill sem krafðist sérhæfðrar og viðamikillar meðferðar. Einnig verður fræðileg umfjöllun um undirliggjandi orsök sem verður ekki gefin upp strax og eru lesendur hvattir til að velta fyrir sér mismunagreiningum.

• Saga núverandi veikinda

Fertugur maður með sögu um sáraristilbólgu leitaði á bráðamóttöku vegna 10 daga sögu um slappleika, ógleði og versnandi einkenni sáraristilbólgu sem hann þekkti vel, verk í neðri vinstri fjórðungi kviðar og slímkenndar og þunnfjótandi hægðir þrisvar til fjórum sinnum á dag. Aðspurður nánar út í útlit hægða sagði hann þær ljósgular að lit en hann hafði ekki tekið eftir blóði í hægðum. Hann hafði sjálfur tekið eftir gulu í augnhvítu og kláða á bringu. Þvag hafði verið dökkt síðastliðna daga þrátt fyrir mikla vatnsdrykkju sökum mikils þorsta.

• Heilsufarssaga

15 ára saga um sáraristilbólgu sem hafði verið meðhöndluð með 5­amínósalisýlsýrulyfjum (5-aminosalicylic acid, 5­ASA) lyfjum, svo sem mesalamín, þangað til skipt var yfir í líftæknilyfið infiximab um sex mánuðum fyrir komu hans á bráðamóttökuna. Hann hafði nýlega farið í stutta ristilspeglun vegna versnunar á einkennum sáraristilbólgu sem ekki sýndi bólgu. Maðurinn var einnig á SSRI (selective serotonin reuptake inhibitor) lyfjum vegna kvíða. Þegar hér var komið við sögu var líkamsþyngdarstuðull (body mass index, BMI) um 45 en hann hafði verið á þyngdarstjórnunarlyfinu semaglútíð (Wegovy) í um 13 mánuði með góðri verkun og þyngd farið úr um það bil 190 kg í 163 kg.

• Félagssaga og venjur

Er menntaður á sviði heilbrigðisvísinda og starfar á því sviði. Býr með eiginkonu og eins árs syni. Hann reykir ekki og áfengisneysla er í hófi.

• Lyf við komu

• Infliximab vegna sáraristilbólgu, byrjaði á lyfinu fyrir um hálfu ári. Fer í lyfjagjafir á átta vikna fresti. Síðasta gjöf var fyrir um mánuði síðan. Lyfið er einstofna mótefni sem hemur áhrif bólgumiðilsins TNF­ α.

• Escítalópram 15 mg, einu sinni á dag, við kvíða. Hefur tekið í 16 mánuði.

• Semaglútíð (Wegovy) 2,4 mg, einu sinni í viku undir húð, vegna oftu. Hefur notað í 13 mánuði.

• Skoðun við komu

• Almennt: Ekki bráðveikindalegur að sjá né meðtekinn af verk. Hann gefur skýra og góða sögu. Það er sjáanleg gula í augum.

• Lífsmörk: blóðþrýstingur 139/83 mmHg, púls 82 slög/mín, öndunartíðni 16/mín, súrefnismettun 100% og hiti 36,9°C.

• Kviðskoðun: Kviður er mjúkur. Garnahljóð í öllum fjórðungum. Væg þreifieymsli í efri hægri fjórðungi og töluverð þreifieymsli í neðri vinstri fjórðungi.

• Skoðun að öðru leyti ómarkverð.

• Rannsóknir og álit Teknar voru blóðprufur (tafa I) sem sýndu meira en fimmtánfalda hækkun á transamínösum (ALAT og ASAT), hækkun á ALP, hækkað bilirúbín og vægt hækkaðan lípasa. Önnur gildi voru innan marka. Tekin var tölvusneiðmynd af kvið sem sýndi ekki óeðlilegar breytingar. Þar sem ástand

mannsins var stöðugt og einkenni væg útskrifaðist hann heim og ómun af lifur, gallvegum og brisi var fyrirhuguð daginn eftir. Vinnugreining á bráðamóttöku var frumkomin gallvegatrefjun ( primary sclerosing cholangitis, PSC) vegna sögu hans um sáraristilbólgu.

• Frekari rannsóknir Ómun af lifur, gallvegum og brisi sýndi innkýldan stein við gallblöðruháls og merki um byrjandi gallblöðrubólgu. Ekki var að sjá víkkun á gallvegum eða annað afbrigðilegt sem útskýrði hina miklu hækkun á transamínösum. Niðurstöður ómunarinnar voru ekki taldar samræmast einkennum mannsins. Eftir samráð við meltingarlækna var því ákveðið að rannsaka gallgangana betur með segulómun af gall­ og brisgöngum (magnetic resonance cholangiopancreatography, MRCP), sem var gerð átta dögum síðar. Niðurstöður úr segulómun voru þó svipaðar því sem hafði sést á ómun, það er merki um gallblöðrubólgu og bjúgur umhverfis lifrarport ( periportal ) og við skeifugörn ( paraduodenal ), sem taldist afeiðing gallblöðrubólgu. Ekki voru merki um frumkomna gallvegatrefjun. Áfram var þó álitið að einkenni mannsins samræmdust ekki gallblöðrubólgu. Fyrst og fremst vegna verulegrar hækkunar ALAT og ASAT, sem er mjög óvenjuleg við gallblöðrubólgu. Þar að auki var gallblöðrubólga og/ eða sýking í gallrás talin ólíkleg þar sem hann var hitalaus og ekki með merki um sýkingu (svo sem hækkun á hvítum blóðkornum og CRP) eða stífu í gallvegum (cholestatic) í blóðprufum. Orsökin var því líklegri til þess að vera frá frumum lifrarinnar (hepatocellular ) og ekki var talin þörf á aðkomu skurðlækna.

Tafla I. Niðurstöður blóðprufa dögum eftir komu.

hafin.

• Framgangur Ýmsar mótefnamælingar fyrir veirum sem geta valdið lifrarbólgu voru framkvæmdar og má sjá niðurstöður þeirra í töfu II. Þannig var hægt að útiloka að orsökin væri af völdum lifrarbólguveira. Einkenni mannsins héldu áfram að versna með auknum slappleika, augljósri gulu í húð og kviðverk sem varð mest áberandi í efri hægri fjórðungi kviðar. Hann var áfram hitalaus og önnur lífsmörk voru innan marka. Blóðprufur voru teknar með reglulegu millibili og sýndu áframhaldandi hækkun transamínasa. Níu dögum eftir fyrstu komu var INR mælt og mældist í fyrstu 1,9 (tafa III). Það var því ljóst að maðurinn var með alvarlegan lifrarskaða ásamt storkutrufun og var því lagður inn á Landspítala.

Tafla II. Niðurstöður ónæmisfræðilegra rannsókna.

HIV og lifrarbólguveirur

HIV Neikvætt

Lifrarbólga C Neikvætt

Lifrarbólga E Neikvætt

IgM IgG

Lifrarbólga A Neikvætt Jákvætt

EBV Neikvætt Jákvætt

CMV Neikvætt Jákvætt

VZV Neikvætt Jákvætt

HSV Neikvætt Jákvætt

HbsAg HBc HBs

Lifrarbólga B Neikvætt Neikvætt Neikvætt

Mótefni

IgG (viðmið 7­17 g/L) 19,80 g/L (hækkað)

Kjarnamótefni

ANA (viðmið < 1:80) > 1:320 (hækkað)

Sjálfsmótefni

SMA Neikvætt

AMA Neikvætt

• Gangur í legu

Við komu á deild fékk hann sykurstera (prednisólón) en fram að því var eina meðferðin sem hann hefði fengið vökvameðferð. Tilgangurinn með því að gefa sykurstera var að meðhöndla sjálfsofnæmislifrarbólgu (autoimmune hepatitis, AIH) sem grunur vaknaði um. Ónæmisfræðilegar blóðprufur sýndu hækkaðan ANA títer og IgG (tafa II) Samkvæmt greiningarskilmerkjum fyrir AIH fékk hann sex stig, sem jafngildir líklegri ( probable) AIH, en ekki var gerð lifrarástunga sem er nauðsynleg til þess að staðfesta greiningu. Serúlóplasmín var einnig mælt til þess að útiloka Wilsons sjúkdóm og voru gildi þess eðlileg. Hann fékk prednisólón um munn (40 mg x 1) í þrjá daga, sem var svo skipt yfir í æð (100 mg x 3) sem hann fékk í þrjá daga til viðbótar. Steragjöfin hafði þau áhrif að gildi ALAT og ASAT lækkuðu en hafði ekki áhrif á gildi bilirúbíns (tafa I)

• Útilokunargreiningin

Þar sem engin orsök hafði fundist fyrir lifrarskaðanum beindust sjónir að lifrarskaða af völdum lyfja (drug induced liver injury, DILI). Lyfin semaglútíð og escítalópram voru talin ólíkleg. Bæði höfðu verið notuð í langan tíma, escítalópram í að minnsta kosti 16 mánuði og semaglútíð í 13 mánuði. Lifrarskaði af völdum escítalóprams hefur lítið sem ekkert verið lýst í heimildum og tilheyrir fokki C í LiverTox1 og ekki víst að það geti valdið lifrarskaða. Semaglútíð tilheyrir fokki E samkvæmt LiverTox og er því ólíklegur orsakavaldur lifrarskaða en einu tilfelli hefur verið lýst þar sem gallteppa og gallgangatrefjun þróaðist eftir upphaf semaglútíðmeðferðar um munn.2

Líklegasti sökudólgurinn í tilfelli mannsins var talinn vera infiximab þar sem hann var tiltölulega nýbyrjaður á lyfinu og lifrarprufur höfðu verið eðlilegar fyrir upphaf meðferðar. Frekari umfjöllun um líkindi þess að infiximab hafi verið orsakavaldur er að finna í fræðilega kafanum hér á eftir. Öll lyfin voru því stöðvuð og blóðprufur áfram teknar daglega þar sem fylgst var með lifrarstarfseminni. Nokkur lækkun varð á transamínösum en bilirúbín var áfram hátt. Einnig lengdist INR og fór hæst í 2,5 (tafa II) Hann uppfyllti ekki skilmerki fyrir bráðri lifrarbilun þar sem ekki voru einkenni um lifrarheilakvilla (tafa IV). Maðurinn lá áfram inni þar sem hann var skoðaður reglulega með tilliti til einkenna og teikna lifrarheilakvilla, sem eru meðal annars rugl, breytt meðvitundarstig, skapbreytingar og blakskjálfti (asterixis, flapping tremor ), en einnig er hægt að meta hugræna starfsemi og athygli með einföldum prófum. Hægt er að mæla ammóníak í blóði til að meta hvort lifrarheilakvilli sé til staðar þar sem hækkaður styrkur ammóníaks er talinn einn þáttur meinmyndunarinnar. Auk þess sem fylgst var með þróun einkenna fékk hann áfram meðferð með prednisólóni og K­vítamíni (Konakion) vegna storkubrenglunar.

HBsAg = yfirborðsmótefnavaki (hepatitis B surface antigen)

HBc = kjarnamótefni (hepatitis B core antibody )

HBs = yfirborðsmótefni (hepatitis B surface antibody )

EBV = Epstein­Barr veira

CMV = stórfrumuveira (cytomegalovirus)

VZV = hlaupabólu­ristilveira (varicella-zoster virus)

HSV = áblásturssóttarveira (herpes simplex virus)

ANA = kjarnamótefni (antinuclear antibody )

SMA = sléttvöðvamótefni (smooth muscle antibody)

AMA = hvatberamótefni (antimitochondrial antibody)

• Skyndileg versnun

Framan af höfðu einkenni mannsins verið stöðug og einkenni lifrarheilakvilla höfðu, eins og áður sagði, ekki komið fram en í blóðprufum sást þó væg hækkun ammóníaks. Fimm dögum eftir innlögn, að morgni til, sást í fyrsta sinn blakskjálfti við skoðun og gerði hann talnatengingarpróf (number connection test), sem byggir á að tengja saman tölur á blaði, á 90 sekúndum (viðmið < 30 sekúndur).3 Um hádegisbil fór skyndilega að bera á rugli sem ágerðist hratt og nokkrum klukkustundum seinna hélt hann ekki þræði, fylgdi illa fyrirmælum og var óstöðugur til gangs. Þessi einkenni eru til marks um lifrarheilakvilla. Hann var futtur á gjörgæslu til vöktunar og til gjafar róandi lyfja sem virkuðu þó takmarkað og einkennin ágerðust með áberandi óeirð. Það var því talið viðeigandi að svæfa hann. Einnig fékk hann laktúlósa sem notaður er í meðferð við lifrarheilakvilla.

• Meðferð Með hjálp King’s College kríteríunnar (tafa V) var metið sem svo að maðurinn þyrfti lifrarígræðslu. Ekki komu fram neinar frábendingar fyrir lifrarígræðslu. Tveimur dögum eftir innlögn á gjörgæsluna, þann 7. desember, futtist hann til Gautaborgar og undirgekkst lifrarígræðslu þann 11. desember. Ígræðslan gekk vel og má sjá niðurstöður lifrarprófa eftir ígræðsluna í töfu VI. Hann hefur nýlega

Tafla III. INR gildi í blóðrannsóknum eftir dögum.

byrjað aftur á semaglútíði, án þess að lifrarprufur hækki, en ekki á escítalóprami. Framundan er þó langt og strangt endurhæfingarferli.

Tafla IV. Skilmerki bráðrar lifrarbilunar.

Til greiningar á bráðri lifrarbilun þurfa öll eftirfarandi skilyrði að vera uppfyllt.

Storkutruflun: INR ≥ 1,5 eða próþrombíntími (PT) lengdur.

Lifrarheilakvilli ( hepatic encephalopathy ): Breyting á hugrænu ástandi vegna lifrarbilunar.

Upphaf innan 26 vikna: Einkenni þróast hjá þeim sem hafa heilbrigða lifur fyrir.

Engin saga um skorpulifur eða aðra króníska lifrarsjúkdóma.

Tafla V. King’s College krítería.

Sjúklingur er talinn vera í mikilli áhættu og gæti þurft á lifrarígræðslu að halda ef eftirfarandi skilyrði er uppfyllt.

INR > 6,5 (óháð tilvist lifrarheilakvilla)

EÐA einhver þrjú eftirfarandi skilyrða eru uppfyllt.

Aldur < 10 ár eða > 40 ár.

Óhagstæð orsök (til dæmis ekki­A, ekki­B lifrarbólga, lyfjaorsökuð lifrarbólga, Wilsons sjúkdómur).

Upphaf gulu kemur > 7 dögum fyrir upphaf einkenna lifrarheilakvilla.

INR > 3,5

Bilirúbín í sermi > 300 µmól/L (~17,6 mg/dL)

Tafla VI. Niðurstöður lifrarprófa eftir lifrarígræðslu.

Dagar eftir lifrarígræðslu

Lifrarskaði af völdum lyfja, hér eftir ritað til styttingar sem DILI, er sjaldgæf aukaverkun sem getur valdið allt frá vægri og einkennalausri hækkun lifrarensíma yfir í alvarlegan lifrarskaða og lifrarbilun sem leiðir til lifrarígræðslu eða dauða. Til eru lyf sem valda fyrirsjáanlegum lifrarskaða og er þá lifrarskaði í beinu samhengi við skammta. Þekktasta dæmið um þetta er parasetamól. Það er þó algengara að lyf valdi ófyrirsjáanlegum (idiosyncratic) lifrarskaða, sem ekki er í beinu samhengi við skammta. DILI uppgötvast oftast ekki fyrr en eftir að klínískum rannsóknum á lyfjum er lokið þar sem rannsóknirnar hafa oft á tíðum ekki nægilega stórt þýði til að fyrirbærið uppgötvist. Faraldsfræðilegar rannsóknir á fyrirbærinu eru fáar þar sem tilfelli eru bæði sjaldgæf og vanskráð og algengi því óþekkt. Samt sem áður hafa nokkrar rannsóknir frá Íslandi birst á liðnum árum.4, 5, 6 Erfitt getur reynst að ákvarða hvort samband sé á milli inntöku ákveðins lyfs og lifrarskaða þar sem engar sér tækar rannsóknir er hægt að nýta til þess að staðfesta orsakasamhengi. Viss lyf hafa þó þekkta tilhneigingu til að valda lifrarskaða.7

• Klínískt mat

Niðurstöður blóðrannsókna og vefjafræðilegrar greiningar geta líkst nánast öllum öðrum tegundum lifrarskaða. Þannig geta sjúklingar haft merki bráðrar lifrarbilunar, bráðrar lifrarbólgu, krónískrar lifrarbólgu, gallteppulifrarbólgu og svo framvegis. Jafnvel getur langvarandi útsetning fyrir lyfi sem veldur lifrarskaða valdið skorpulifur, það er þó sjaldgæft. Klínísk einkenni eru mismunandi á milli sjúklinga, samanber hinar margbreytilegu birtingarmyndir DILI. Í mörgum tilfellum eru sjúklingar einkennalausir og lifrarskaðinn uppgötvast fyrir tilviljun vegna afbrigðilegra lifrarprófa. Ef einkenni koma fram eru þau vanalega ósértæk í upphafi, svo sem almennur slappleiki og ógleði, og síðan getur gula þróast. Um 30% sjúklinga með DILI fá merki um ofnæmisbólgu með hita, útbrotum og rauðkyrningafjöld (eosinophilia) í blóðstroki og/eða lifur. Önnur einkenni geta verið dökkt þvag eða ljósar hægðir, einkenni sem gefa til kynna hækkað bilirúbín í sermi. Sé um bráða lifrarbilun að ræða koma fram einkenni um storkutrufun og lifrarheilakvilla. Oft eru vefjafræðilegar breytingar ósér tækar þó sum lyf valdi dæmigerðum breytingum. Jafnframt geta lyf leitt til mismunandi vefjafræðilegrar meinmyndunar í mismunandi einstaklingum. Niðurstöður blóðrannsókna geta sýnt merki um gallteppu (cholestatic), lifrar frumuskaða (hepatocellular ) eða blandaða birtingarmynd. Lyf hafa gjarnan tilhneigingu til að valda ákveðinni birtingarmynd en það getur einnig verið mismunandi eftir tilfellum og einstaklingum hvers slags skaða lyf valda.7

• Greining

Alltaf ætti að hafa DILI í huga sem mismunagreiningu hjá sjúklingi með afbrigðileg lifrarpróf, sérstaklega hjá þeim sem ekki hafa augljósa orsök og þeim sem hafa eðlilegar myndrannsóknir af lifur og gallvegum. Mikilvægt er að spyrja nákvæmlega út í lyfjanotkun og taka skal tillit til skammta, lengdar meðferðar og hversu vel sé þekkt að lyfið geti valdið lifrarskaða. Oftast er stutt saga um inntöku lyfsins þó sum lyf séu þekkt fyrir að valda lifrarskaða mörgum mánuðum eða árum eftir inntöku, jafnvel eftir að inntöku hefur verið hætt. Lifrarpróf leiðréttast oftast þegar inntaka

lyfsins er stöðvuð og er það mikilvægur hluti klínísks mats, en þó ekki alltaf eins og sést í því sjúkratilfelli sem hér er lýst. Til að greina DILI þarf að útiloka aðrar orsakir lifrarsjúkdóma. Sem dæmi gæti verið þörf á myndrannsókn, eins og ómun eða tölvusneiðmynd, þegar blóðprufur, einkenni og teikn benda til gallteppu. Ef vísbendingar eru um lifrar frumuskaða er mikilvægt að útiloka veirusýkingar sem valda lifrarbólgu og sjálfsofnæmislifrarbólgu. Notagildi lifrarástungu í greiningu DILI er umdeilt þar sem engin sér tæk vefjafræðileg birtingarmynd er þekkt. Hins vegar er ástunga notuð í völdum tilfellum, til dæmis þegar lifrarpróf batna ekki og grunur er um DILI.7

• Hvaða lyf valda lifrarskaða?

Helstu lyfjafokkar sem þekktir eru fyrir að valda lifrarskaða eru sýklalyf og bólgueyðandi gigtarlyf (non-steroidal antiinflammatory drugs, NSAIDs). Flest tilfelli fyrirsjáanlegs lifrarskaða eru af völdum parasetamóls en amoxicillín/ klavúlansýra, erythrómýcín, nítrófúrantóín, kloxacillín og trímetóprím/súlfametoxazól eru algengustu orsakavaldar ófyrirsjáanlegs lifrarskaða. Einnig eru berklalyf, svo sem ísóníazíð og rífampicín, og fogaveikilyf vel þekktir orsakavaldar. Aðrir tiltölulega algengir orsakavaldar eru náttúruefni og fæðubótarefni, sérstaklega þau sem innihalda kjarna úr grænu tei ( green tea extract).1, 8

• Hversu líklegt er að tiltekið lyf sé orsök lifrarskaðans?

Eins og áður hefur komið fram getur verið erfitt að meta orsakasamband milli lyfs og lifrarskaða. Til þess að meta líkindi þess að tiltekið lyf hafi valdið lifrarskaða þarf að beita klínískri dómgreind, leita upplýsinga um hversu algengt er að lyfið valdi lifrarskaða og reikna líkindaskor, sem hægt er að gera með mismunandi hætti. Til þess að leita upplýsinga um hversu algengt er að lyf valdi lifrarskaða er hægt að notast við gagnagrunna líkt og LiverTox sem fokkar lyf með tilliti til þessa.1 Til að reikna líkindaskor er víða notast við RUCAM (Roussel Uclaf Causality Assessment Method )9 sem byggir á stigagjöf fyrir klínískar, lífefnafræðilegar og serólógískar birtingarmyndir lifrarskaða. Fyrsta stigið í RUCAM matinu er að ákvarða hvort merki séu um lifrar frumuskaða, gallteppu eða blandaðan skaða út frá lifrarensímhækkunum. Þegar búið er að ákvarða eðli skaðans eru RUCAM stig reiknuð fyrir sérhvert lyf sem grunað er um lifrarskaðann. Eðli skaðans hefur áhrif á hversu mörg stig eru gefin.

Stig eru gefin í sjö mismunandi fokkum, sem eru:

1) Tími frá inntöku til upphafs einkenna (+1, +2).

2) Framvinda lifrarskaðans, það er eðli klínískrar svörunar eftir að inntöku er hætt (­2, 0, +1, +2, +3).

3) Áhættuþættir, það er aldur og áfengi (0 eða +1 hvor þáttur).

4) Önnur lyf sem tekin eru samtímis (0, ­1, ­2, ­3).

5) Lifrarskaði af völdum annarra orsaka en lyfja (­3, ­2, 0, +1, +2).

6) Hversu miklar heimildir eru fyrir því að lyfið hafi valdið lifrarskaða (0, +1, +2).

7) Viðbrögð við endurgjöf lyfsins, sem er ekki oft reynt á (­2, 0, +1, +3).

Heildarstigafjöldi nær frá ­9 til +14. Túlkun heildarstigafjölda má sjá í töfu VII

< 0 Útilokar að lyfið sé orsök lifrarskaðans

1­2 Ólíkleg orsök

3­5 Möguleg orsök

6 ­8 Líkleg orsök

> 8 Mjög líkleg orsök

• Meðferð og horfur

Ef grunur er um DILI ætti að stöðva inntöku lyfsins. Sjúklinga með gulu og/eða merki um bráða lifrarbilun verður í festum tilfellum að leggja inn á spítala og í sumum tilfellum kemur lifrarígræðsla til greina. Sýnt hefur verið fram á að acetýlcýstein, sem notað er til meðhöndlunar á lifrarskaða af völdum parasetamóls, getur gagnast í sjúklingum með aðrar or sakir af bráðri lifrarbilun, þar með talið DILI.10 Mismunagreining við DILI er oft sjálfsofnæmislifrarbólga og hjá einstaklingum með einkenni sjálfsofnæmis af völdum lyfja er réttlætanlegt að prófa stera, á sama hátt og við hefðbundinni sjálfsofnæmislifrarbólgu sem ekki er af völdum lyfja. Yfirleitt eru horfur góðar en þó háðar því hversu alvarlegur lifrarskaðinn er. Sjúklingar sem þróa með sér bráða lifrarbilun hafa slæmar horfur án lifrarígræðslu. Einnig er gula tengd verri horfum og hafa rannsóknir sýnt um 10% dánar tíðni eða þörf á lifrarígræðslu hjá sjúklingum með gulu. Ef sjúklingur lifir lifrar skaðann af má í festum tilfellum búast við því að lifrarpróf verði aftur eðlileg, sjúklingur einkennalaus og að meinafræðilegar breytingar gangi til baka. Sjaldgæft er að krónískur lifrarsjúkdómur eða skorpulifur þróist út frá DILI en því hefur verið lýst. Innlagnir vegna alvarlegra lifrar vandamála síðar í lífinu eru sjaldgæfar en í slíkum tilfellum eru tengsl við langvarandi útsetningu fyrir lyfinu.

• Lifrarskaði af völdum infliximab Infiximab er einstofna mótefni gegn TNF­α og hefur þannig áhrifamikil bólguhamlandi áhrif. Algengast er að það sé notað við iktsýki, öðrum liðsjúkdómum, svo sem sóragigt, og bólgusjúkdómum í görn, svo sem sáraristilbólgu og Crohns sjúkdómi. Algengar aukaverkanir lyfsins eru útbrot og hiti en sjaldgæfari og mun alvarlegri aukaverkanir eru fog, hjartabilun, nýrnabilun, beinmergsbæling, ofnæmisviðbrögð og Steven­Johnson heilkenni. Lyfið veldur einnig ónæmisbælingu, sem getur valdið endurvakningu á lifrarbólgu B og berklum.

Infiximab er vel þekktur ófyrirsjáanlegur orsakavaldur DILI og er í fokki A samkvæmt LiverTox gagnagrunninum. Lyfið hefur tengsl við að minnsta kosti fjóra tegundir lifrarskaða.1, 11 Fyrsta týpan felur í sér hækkun á transamínösum sem veldur vanalega ekki einkennum og er tímabundin. Oft sést hækkunin eftir tvær til fimm lyfjagjafir. Þó geta lifrarensímin farið hækkandi með hverri lyfjagjöf sem leiðir til þess að stöðva þarf lyfið.

Önnur týpan er lifrar frumuskaði sem hefur tengsl við tilvist sjálfsmótefna í blóði. IgG og sjálfsmótefni, svo sem ANA og SMA, koma fram eða aukast hjá háu hlutfalli sjúklinga

sem byrja á infiximab. Hins vegar er tilvist þessara mótefna oftast ekki samfara klínískum sjálfsofnæmissjúkdómum. Í sjaldgæfum tilfellum kemur þó fram sjálfsofnæmi eins og lúpus­líkt heilkenni eða sjálfsofnæmislifrarbólga. Í þeim tilfellum sem sjálfsofnæmislifrarbólga kemur fram vegna lyfja er talað um lyfjaorsakaða sjálfsofnæmislifrarbólgu (drug induced autoimmune hepatitis, DIAIH). Þessir fylgikvillar koma oftast fram sex mánuðum eða seinna eftir upphaf meðferðar og valda vanalega einkennum þó sjúkdómsferillinn sé oftast mildur og án gulu. Birtingarmynd infiximab­orsakaðrar sjálfsofnæmislifrarbólgu svipar mikið til týpískrar sjálfsofnæmislifrarbólgu hvað varðar klíníska, lífefnafræðilega og vefjafræðilega birtingarmynd, það er transamínasahækkanir sem benda til lifrar frumuskaða, tilvist ANA mótefna eða annarra sjálfsmótefna í blóði og vefjagreining sem sýnir merki týpískrar sjálfsofnæmislifrarbólgu.5 Lifrarskaði gengur vanalega til baka eftir að lyfið er stöðvað og meðferð með sykursterum hefur verið veitt en getur þó verið umfangsmikill og leitt til dauða eða bráðrar lifrarígræðslu.

Þriðja gerðin er lifrarskaði sem hefur birtingarmynd gallteppu. Skaðinn getur komið fram á nokkrum dögum og allt að 24 vikum eftir upphaf meðferðar. Einkenni eru gula og kláði og vefjagreining sýnir gallteppu með mildri bólgu. Sjúkdómsgangur getur verið langdreginn en skaðinn er vanalega sjálf takmarkandi.

Fjórða týpan er svo lifrarskaði vegna endur virkjunar á lifrarbólguveiru B (hepatitis B virus, HBV) hjá einstaklingum sem eru berar fyrir HBsAg. Klíníska birtingarmyndin er þá vanalega krónísk lifrarbólga með hækkun á ALAT og styrk HBV­DNA í blóði. Það ætti því að skima fyrir tilvist HBsAg í blóði einstaklinga sem á að meðhöndla með infiximab svo hægt sé að gefa fyrirbyggjandi meðferð með andveirulyfjum. Rannsókn sem gerð var á Íslandi sýndi að infiximab olli lifrarskaða hjá einum af hverjum 120 til 148 sjúklingum á lyfinu og höfðu festir birtingarmynd lifrar frumuskaða eða 64%. Um 69% sjúklinga voru með hækkaðan ANA títer eða IgG. Flest tilfellanna höfðu góðar horfur.5 Svo vitað sé hefur aðeins 10 tilfellum lifrarskaða af völdum infiximab, sem krafðist lifrarígræðslu, verið lýst áður.1

HEIMILDIR

Þar sem infiximab er þekktur orsakavaldur DILI og ekki hafði fundist önnur orsök fyrir lifrarskaða mannsins beindust sjónir að infiximab. Niðurstöður blóðprufa gáfu til kynna lifrar frumuskaða. RUCAM stig reyndust vera fimm sem gerir infiximab líklegan orsakavald fyrir skaðanum. Maðurinn var með hækkaðan ANA títer og hækkað IgG sem getur gefið vísbendingu um að skaðinn sem hlaust af lyfinu hafi verið á grunni lyfjaorsakaðrar sjálfsofnæmislifrarbólgu. Það gæti þó verið að feiri en einn ferill liggi meinmynduninni að baki og stuðli að birtingarmynd lifrarskaðans. Eftir ígræðslu með nýrri lifur var gerð vefjagreining á lifrinni sem skipt var út. Niðurstöður sýndu drep (necrosis) í nágrenni við lifrarport og einnig í bleðlum (lobuli ) lifrarinnar. Á portssvæðunum sást einnig ríkuleg bólgufrumuíferð, bæði daufkyrningar (neutrophils) og einnig mikið af plasmafrumum. Það voru ekki merki um langvinnan lifrarsjúkdóm. Vefjabreytingarnar pössuðu best við sjálfsofnæmislifrarbólgu af völdum lyfja.

Lifrarskaði af völdum lyfja er algengasta orsök bráðrar lifrarbilunar á Vesturlöndum og því mikilvægt að hafa þá mismunagreiningu í huga þegar lifrarpróf eru afbrigðileg. Tilfellið undirstrikar einnig að þó rannsóknarniðurstöður segi ákveðna sögu skyldi aldrei vanmeta mikilvægi þess að taka mið af klínískum einkennum.

Tilfelli þetta er ritað og birt með leyfi sjúklings.

1. Clinical and Research Information on Drug­Induced Liver Injury. [Livertox] [Internet]. Bethesda (MD): National Library of Medicine (US); [2012]. Available from:https://www.ncbi.nlm.nih.gov/books/ NBK548203/

2. Drug­Induced Liver Injury Network. Progressive cholestasis and biliary cirrhosis linked to oral semaglutide therapy: A case report. PMC. Available from: https://pmc.ncbi.nlm.nih.gov/ articles/PMC9794239/

3. Weissenborn K, Rückert N, Hecker H, Manns MP. The number connection tests A and B: interindividual variability and use for the assessment of early hepatic encephalopathy. J Hepatol. 1998 Apr;28(4):646 ­ 53. doi: 10.1016/ s0168 ­ 8278(98)80289 ­ 4

4. Bessone F, Björnsson ES. Drug induced liver injury due to biologics and Immune Check Point Inhibitors. Med Clin North Am. 2023; 107: 623­ 640

5. Björnsson, E.S.. (2022) Infiximab ­induced liver injury: Clinical phenotypes, autoimmunity and the role of corticosteroid treatment, Journal of hepatology. Available at: https://pubmed.ncbi. nlm.nih.gov/34487751/

6. Bjornsson ES, Bergmann OM, Bjornsson HK, Kvaran RB, Olafsson S. Incidence, Presentation and Outcomes in Patients with Drug­Induced Liver Injury in the General Population of Iceland. Gastroenterology 2013; 144: 1419 ­25.

7. Björnsson, E.S. (2010) Lifrarskaði af völdum Lyfja, Læknablaðið. Available at: https://www. laeknabladid.is/tolublod/2010/03/nr/3780

8. Björnsson E.S., Stephens C, Atallah E, RoblesDiaz M, Alvarez­Alvarez I, Gerbes A, et al. A new framework for advancing in drug­induced liver injury research. The Prospective European DILI Registry. Liver Int. 2023;43(1):115 ­126. doi:10.1111/liv.15378

9. Danan G, Benichou C. Causality assessment of adverse reactions to drugs­I. A novel method based on the conclusion of international consensus meetings: application to drug induced liver injuries. J Clin Epidemiol 1993; 46: 1323­30

10. Sanabria­ Cabrera J, Tabbai S, Niu H, AlvarezAlvarez I, Licata A, Björnsson E, Andrade RJ, Lucena MI. N­Acetylcysteine for the management of non­acetaminophen drug­induced liver injury in adults: A systematic review. Front Pharmacol. 2022;13:876868. doi:10.3389/fphar.2022.87686

11. Hoofnagle JH, Bjornsson ES. Drug Induced Liver Injury: Types and Phenotypes. New Eng J Med 2019; 381: 264­273.

www.onesystems.is

sími: +354 660 8551 | fax: +354 588 1057

www.onesystems.is | one@onesystems.is

Gagnvirkar þjónustugáttir

Citizen

Vefgátt fyrir íbúa

Nefndarmannagátt Committee

Self-Service

OneSystems hefur hannað og rekur y r 40 gagnvirkar þjónustugáttir af ýmsum toga, víðsvegar um landið hjá sveitarfélögum og fyrirtækjum.

Þar á meðal eru: Íbúagáttir, starfsmannagáttir, nefndarmanna- og gagnagáttir.

Auktu aðgengi gagna og gagnsæi

ákvarðanatöku með öruggu og rekjanlegum hætti. Stórauktu þjónustu án þess að auka y rbyggingu og sparaðu með skilvirkari stjórnun mála.

Þróunarstefna OneSystems styður MoReq2, kröfur evrópulanda um gagnsæi, rekjaleika og öryggi.

StarfsmannagáttEmployee

Portal Information

Upplýsingagátt

Portal VerkefnavefurProject

OneRecords er öflug lausn sem auðveldar fyrirtækjum og sveitarfélögum halda utan um mál sem eru í gangi á hverjum tíma. Stjórnendur hafa yfirsýn yfir gang mála innan fyrirtækisins og notendur geta á einfaldan máta sótt lista yfir þau mál sem þeir bera ábyrgð á.

Gæðastjórnun á stóran þátt í góðum árangri fyrirtækja. OneQuality er lausn sem auðveldar allt vinnferli við útgáfu og utanumhald gæðahandbókar og skjala.

með áherslu á rekjanleika, auðveldan aðgang og gagnsæi.

OneSystems bjóða heildarlausn í skjalamálum fyrirtækja og sveitarfélaga og þjónustu við viðskiptavini og íbúa þeirra

ELÍSABET MJÖLL

GUÐJÓNSDÓTTIR

4. árs læknanemi 2023­2024

VILBORG JÓNSDÓTTIR

Sérfræðingur í ly fækningum og hjartalækningum á Sjúkrahúsinu á

Akureyri

88 ÁRA MAÐUR MEÐ BRÁTT KRANS ÆÐAHEILKENNI OG D-VÍTAMÍN EITRUN

INNGANGUR

SJÚKRATILFELLI

Hér verður rakin sjúkrasaga manns með brátt kransæðaheilkenni sem reyndist samtímis vera með skerta nýrnastarfsemi og blóðkalsíumhækkun. Í ljós kom að hann hafði tekið D ­vítamín í háum skömmtum um árabil og var greindur með D ­vítamíneitrun. Þar á eftir er fræðileg umræða um D ­vítamíneitrun þar sem fjallað er um faraldsfræði, einkenni, greiningu, meðferð og horfur.

• Saga núverandi veikinda

88 ára maður með fjölþætta heilsufarssögu var futtur á sjúkrahúsið á Akureyri frá heilbrigðisstofnun í sínu heimahéraði vegna gruns um brátt kransæðaheilkenni. Hann var með tæplega þriggja vikna sögu um mæði og þróttleysi. Fimm dögum fyrir innlögn hafði hann leitað til læknis vegna mæði og var metinn vægt vökvaofhlaðinn. Meðferð var hafin með fúrósemíð (Furix) 20 mg, einu sinni á dag, og kalíumklóríð (Kaleorid) 750 mg, einu sinni á dag. Í endurkomutíma gaf hann sögu um brjóst verki með leiðni út í vinstri handlegg undangengar þrjár vikur sem komu einkum við áreynslu en einnig í hvíld. Hjartalínurit sýndi breytingar miðað við fyrri rit (mynd 1). Trópónín mældist 129 ng/L (viðmið < 40 ng/L) á fýtiprófi. Þar af leiðandi var grunur um brátt kransæðaheilkenni. Hann fékk 300 mg hleðsluskammt af asetýlsalisýlsýru (Hjartamagnýl).

• Heilsufarssaga

• Kransæðasjúkdómur. Greindur árið 2019. Þá var hann með ritbreytingar í áreynsluprófi og fór í kransæðaþræðingu sem sýndi vægar veggbreytingar (merki um æðakölkun) en engin marktæk þrengsli (≥ 50%). Á hjartaómun sama ár var útstreymisbrot 60% og engin merki voru um svæðisbundna samdráttarskerðingu.

• Krónísk nýrnabilun af óþekktum toga. Kreatínín var 142 μmól/L árið 2007 en hafði legið í kringum 160 til 180 μmól/L undanfarin ár. Nýjasta mælingin var fimm mánuðum fyrir innlögn og þá var gildið 200 μmól/L.

• Heilablóðfall í heilastofni. Greint árið 2007. Hefur verið með eyrnasuð, svima og jafnvægistrufun síðan.

• Kæfisvefn. Greindur árið 2000. Notar kæfisvefnsvél.

• Eitilfrumuristilbólga ( lymphocytic colitis). Greindur 2017.

• Eðlislægur skjálfti (essential tremor )

• Góðkynja stækkun á blöðruhálskirtli

• Gláka

• Kvíði

• Félagssaga og venjur Giftur maður sem býr með eiginkonu sinni. Þau sinna heimili án aðstoðar. Keyrir bíl. Vann áður krefjandi störf en er nú á eftirlaunum. Aldrei reykt. Áfengisneysla í hófi.

• Lyf við komu

• Paroxetín (Seroxat) 45 mg x 1 vegna kvíða.

• Kalíumklóríð (Kaleorid) 750 mg x 1 vegna gruns um hjartabilun, lyfjakúr sem hófst fimm dögum fyrir innlögn.

• Fúrósemíð (Furix) 20 mg x 1 vegna gruns um hjartabilun, lyfjakúr sem hófst fimm dögum fyrir innlögn.

• Tímólól (Timosan Depot) 1 mg/g x 1 dropi í hvort auga vegna gláku.

• Búdesóníð (Entocort) 3 mg forðahylki eftir þörfum vegna eitilfrumuristilbólgu.

• Paracetamól kódein (Parkódín) 500 mg/10 mg eftir þörfum vegna verkja.

• Díazepam (Stesolid) 5 mg eftir þörfum vegna kvíða.

• D-vítamín 7000 AE x 2*

*Þetta lá ekki fyrir við innlögn. Kom í ljós síðar í legu þegar nánari lyfjasaga var tekin.

• Ofnæmi

• Penisillín

• Skoðun við komu

• Lífsmörk: blóðþrýstingur 136/84 mmHg, púls 78 slög/mín, öndunartíðni 23/mín, súrefnismettun 97% og hiti 37,1°C.

• Ekki bráðveikindalegur að sjá. Skýr og áttaður. Gefur góða sögu. Lungnahlustun hrein.

Við hjartahlustun heyrist S1 og S2 án auka­ og óhljóða. Sveifarpúlsar (radial pulses) sterkir og samhverfir. Ekki teikn um hálsvenustasa. Enginn ökklabjúgur.

• Rannsóknir við komu

Tekin voru fjögur hjartalínurit yfir fjögurra klukkustunda tímabil. Þau sýndu sínustakt með 1° gáttasleglarofi ( AV block ), vinstri öxul, merki um veggþykknun í vinstri slegli (left ventricular hypertrophy) og innansleglaleiðslutrufun (intraventricular conduction delay) með vægri víkkun á QRS (mynd 1). Engar bráðar breytingar voru á milli rita. Gerðar voru endur teknar mælingar á trópóníni T, sem sýndu stöðug gildi (TnT1 166 ng/L, TnT2 163 ng/L, TnT3 166 ng/L). Í blóðprufum var BNP 5900 ng/L (viðmið < 230 ng/L), kreatínín hækkað í 297 μmól/L og gaukulsíunarhraði lækkaður í 16 mL/mín/1,73 m2 (tafa I). Röntgenmynd af lungum sýndi aukna æðavídd og hjartastærð við efri mörk en engin merki um íferðir eða feiðruvökva. Þvagstix sýndi væga próteinmigu. Við blöðruómun var ekkert restþvag.

Mynd 1

Hjartalínurit við komu. Sínustaktur með 1° gáttasleglarofi. Vinstri öxull. Merki um veggþykknun í vinstri slegli. Innansleglaleiðslutrufun með vægri víkkun á QRS.

• Gangur í legu

Við komu sýndu blóðprufur aukna skerðingu á nýrnastarfsemi (kreatínín 297 μmól/L) í samanburði við það sem var áður þekkt. Í ljósi tímalengdar einkenna, versnandi nýrnabilunar og að sjúklingur var ekki með brjóst verk við innlögn var ákveðið að meðhöndla með lyfjum í stað bráðrar kransæðaþræðingar.

Meðferð var hafin með:

• Asetýlsalisýlsýru (Hjartamagnýl) 75 mg x 1

• Klópídógrel 75 mg x 1

• Enoxaparín (Klexane) 60 mg x 1 undir húð

• Própranólól 40 mg x 2, valið vegna sögu um eðlislægan skjálfta.

• Atorvastatín 40 mg x 1

Fyrstu daga legunnar var hann með hjartabilunareinkenni og endur tekna brjóstverki. Hann fékk fúrósemíð (Furix) 40 til 80 mg í æð og nítróglýserín undir tungu eftir þörfum. Þörf á kransæðaþræðingu var endurmetin en þar sem verkir gengu fjótt yfir og nýrnastarfsemi var versnandi með aukinni bjúgsöfnun var ákveðið að halda að sér höndum. Hjartaómun sýndi væga veggþykknun í vinstri slegli, ný tilkomið skert út fallsbrot upp á 45% og dreifða samdráttarskerðingu. Ómun af nýrum sýndi lítil nýru án staðbundinna breytinga sem samrýmdist krónískri nýrnabilun. Engin merki voru um vatnsnýru (hydronephrosis).

Á áttunda degi versnaði klínískt ástand, súrefnismettun lækkaði (92 til 95%) og hann varð súrefnisháður með fjóra til fimm lítra súrefnis í nös. Röntgenmynd af lungum samrýmdist hjartabilun og sýndi einnig dreifðar þéttingar í millivef lungna og grun um lungnabólgu í vinstra neðra lungnablaði. Í blóðprufum var hækkun á hvítum blóðkornum (15,7 x 109/L, viðmið 4­10,5 x 109/L) og CRP (211 mg/L, viðmið < 10 mg/L). Nefkoksstrok sýndi nasaveiru (rhinovirus). Hafin var sýklalyfjameðferð með ceftríaxóni 2 g einu sinni á dag í fimm daga vegna versnandi mettunar og gruns um bakteríulungnabólgu. Þvagprufa og smásjárskoðun á þvagi sýndu merki um langvinna nýrnabilun. Ekkert ræktaðist úr þvagi eða blóði. Frekari blóðrannsóknir vegna áframhaldandi versnunar á nýrnastarfsemi sýndu hækkun á jóniseruðu kalsíum (1,90 mmól/L) og D ­vítamíni (560 nmól/L) (tafa I). Við nánari sögutöku sagðist hann taka tvær 7000 AE töfur af D ­vítamíni á dag, samtals 14000 AE, en hann hafði áður neitað inntöku fæðubótarefna í lausasölu. Töfurnar keypti hann hjá íslenskri netverslun og fékk heimsendar. Við nánari eftirgrennslan sást hækkað gildi á D ­vítamíni (230 ­348 nmól/L) í nokkrum blóðprufum á tímabilinu 2016 til 2021. Jóniserað kalsíum var síðast mælt fimm árum áður og var þá innan eðlilegra marka. Hann játaði því að hafa tekið stóra skammta af D ­vítamíni árum saman og taldi það gera sér gott. Nokkrum mánuðum fyrir innlögn hafði hann aukið skammtastærðina í 14000 AE. Mismunagreiningar blóðkalsíumhækkunar eru meðal annars mergæxli og frumkomin kalk vakaofseyting. Rafdráttur á sermi sýndi hækkun á léttum keðjum, bæði kappa (69,2 mg/L, viðmið 3,3­19,4 mg/L) og lambda (35,5 mg/L, viðmið 5,7­26,3 mg/L),

Tafla I. Hluti af blóðprufum sem voru teknar í legunni og eftirliti. Gildi utan viðmiðunarmarka eru rauðmerkt.

Blóðprufur

Gaukulsíunar­

kappa/lambda hlutfalli (1,95, viðmið 0,26 ­1,65) og parapróteinum (5,1 g/L, viðmið 0 g/L). Tölvusneiðmynd (beinaskann) sýndi ekki merki um mergæxli. Þetta vakti grun um forstig mergæxlis (monoclonal gammopathy of undetermined significance, MGUS). Kalk vakahormón ( parathyroid hormone, PTH) var lágt (tafa I) og það útilokaði frumkomna kalk vakaofseytingu. Greiningin var því D ­vítamíneitrun. Hafin var meðferð með tveimur lyfjum sem hamla niðurbroti beina, kalsítóníni, 100 einingum undir húð tvisvar á dag í þrjá daga, og stökum skammti af líf tæknilyfinu denósúmab (Prolia), 120 mg undir húð. Samhliða fékk hann ríkulega vökvagjöf með 0,9% natríumklóríðlausn ásamt þvagræsimeðferð vegna vökvaofhleðslu. Áætlað var að kalsíumgildin myndu lækka á tveimur til fjórum dögum. Þegar það gekk hægar en á horfðist var meðferð með kalsítóníni lengd um tvo daga og bætt var við sterameðferð með prednisólóni, 20 mg einu sinni á dag. Hann fékk upplýsingar um D ­vítamíneitrun og var ráðlagt að stöðva inntöku D ­vítamíns. Jafnframt fékk hann almennar ráðleggingar um hófega salt­ og vökvainntöku, að forðast bólgueyðandi verkjalyf og mikilvægi blóðþrýstingsstjórnunar. Honum fór batnandi og öll helstu blóðgildi fóru lækkandi. Eftir þriggja vikna innlögn var hann á batavegi og öll helstu blóðgildi fóru lækkandi (tafa I) Fyrir útskrift var lyfinu ezetimíb, 10 mg einu sinni á dag, bætt við og steraskammtur lækkaður í 15 mg á dag.

• Lyf við útskrift

• Asetýlsalisýlsýra (Hjartamagnýl) 75 mg x 1 vegna kransæðasjúkdóms.

• Klópídógrel 75 mg x 1 í sex mánuði vegna kransæðasjúkdóms.

• Própranólól 40 mg x 2 vegna kransæðasjúkdóms og eðlislægs skjálfta.

• Atorvastatín 40 mg x 1 vegna kransæðasjúkdóms.

• Ezetimíb 10 mg x 1 vegna kransæðasjúkdóms.

• Fúrósemíð (Furix) 40 mg x 1 vegna hjartabilunar.

• Kalíumklóríð (Kaleorid) 1500 mg x 2 til uppbótar vegna þvagræsimeðferðar.

• Paroxetín (Seroxat) 30 mg x 1 vegna kvíða.

• Prednisólón 15 mg x 1 í fimm daga til viðbótar vegna D ­vítamíneitrunar.

• Búdesóníð (Entocort) 3 mg forðahylki eftir þörfum vegna eitilfrumuristilbólgu.

• Parasetamól kódein (Parkódín) 500 mg/10 mg eftir þörfum vegna verkja.

• Díazepam (Stesolid) 5 mg eftir þörfum vegna kvíða.

• Eftirmálar og eftirlit Útskrifaðist í endurhæfingu í sínu heimahéraði og þaðan heim. Við eftirlit þremur mánuðum síðar mældist D ­vítamín 272 nmól/L og kreatínín 261 μmól/L (tafa I). Fyrirhugað er eftirlit vegna niðurstaðna úr rafdrætti og mat á þörf fyrir frekari uppvinnslu.

FRÆÐILEG UMRÆÐA

D ­vítamín er fituleysið vítamín. Myndun D ­vítamíns (kólíkalsíferól/vítamín D3) á sér stað í húð fyrir tilstilli út fjólublárra geisla en jafnframt fæst það úr fæðu og

fæðubótarefnum (kólíkalsíferól/vítamín D3 eða ergókalsíferól/vítamín D2). Vítamín D2 /D3 er hýdroxýlerað í kalsífedíól/25 ­hýdroxývítamín D (25 ­(OH)­D) í lifrinni. Því næst er því umbreytt yfir í virka formið kólíkalsítríól/1,25díhýdroxývítamín D (1,25­(OH)2­D) í nýrum og öðrum vefjum. Virkt D ­vítamín gegnir mikilvægu hlutverki í kalsíum­ og fosfórefnaskiptum og við uppbyggingu beina.1, 2, 3 Það eykur upptöku kalsíums um meltingar veg, endurupptöku kalsíums í fjarpíplum nýrna og losun kalsíums úr beinum sem allt stuðlar að hækkun á kalsíum í blóði. Útskilnaður D ­vítamíns er með galli en kalsíums með þvagi.2

Stóran hluta ársins er magn útfjólublárrar geislunar á Íslandi ófullnægjandi til framleiðslu á nægjanlegu magni af D ­vítamíni.1 D ­vítamínskortur er algengur á Íslandi og Íslendingar þurfa, til viðbótar við D ­vítamínríka fæðu, að reiða sig á fæðubótarefni til þess að uppfylla þarfir líkamans. Landskönnun á mataræði Íslendinga árin 2019 til 2021 sýndi að tæplega helmingur þátttakenda uppfyllti ekki viðmið um ráðlagðan dagskammt.4 Ráðlagður dagskammtur af D ­vítamíni er misjafn eftir aldursskeiðum, það er 10 μg (400 AE) fyrir eins til níu ára börn, 15 μg (600 AE) fyrir 10 til 70 ára og 20 μg (800 AE) fyrir 71 árs og eldri.1, 5 Efri mörk daglegrar neyslu eru 100 μg (4000 AE) fyrir fullorðna og börn eldri en 11 ára. Skammta umfram þessi mörk ætti aðeins að taka í samráði við heilbrigðisstarfsfólk.1, 6 Neysla D ­vítamíns í mjög háum skömmtum til lengri tíma getur leitt til D ­vítamíneitrunar.7

• Faraldsfræði D ­vítamíneitrun er sjaldgæf en algengasta orsökin er inntaka þess í ofskömmtum.2, 7 Vaxandi umræða um gagnsemi D ­vítamíns hefur leitt til aukningar á neyslu þess. Sterkar D ­vítamíntöfur eru auðfáanlegar í verslunum og á netinu, sem hefur stuðlað að fjölgun tilfella D ­vítamíneitrunar.8 Flest tilfelli eru börn á fyrsta aldursári vegna rangra skammtastærða eða innihaldslýsinga. Næst algengast er þegar einstaklingar taka of háa skammta í góðri trú um að það sé gagnlegt og skaðlaust fyrir heilsuna. Í þriðja lagi eru eitranir sem rekja má til lyfjameðferðar vegna sjúkdóms. Aðrar orsakir eru sjúkdómar sem valda trufun á efnaskiptaferli D ­vítamíns eða framleiðslu á virku D ­vítamíni (1,25 ­(OH)2 ­D). Dæmi um slíka sjúkdóma eru hnúðabólgusjúkdómar ( granulomatous diseases) og sum eitilfrumuæxli. Hér á eftir verður áhersla lögð á D ­vítamíneitrun vegna óhófegrar inntöku.7

• Einkenni

Klínísk birtingarmynd er misjöfn, allt frá einkennalausum sjúklingi yfir í dá. Einkenni má rekja til áhrifa D ­vítamíns á kalsíumbúskap. Blóðkalsíumhækkun er talin væg þegar kalsíum er 2,5 til 3 mmól/L, eða jóniserað kalsíum er á bilinu 1,4 til 2 mmól/L, og er yfirleitt einkennalaus en getur valdið þreytu og hægðatregðu. Þegar kalsíum mælist hærra en 3,5 mmól/L, eða jóniserað kalsíum er hærra en 2,5 mmól/L, getur það valdið mun alvarlegri einkennum svo sem ógleði, uppköstum, þurrki, rugli, skertri meðvitund og jafnvel dái. D ­vítamíneitrun er þó sjaldgæfur orsakavaldur blóðkalsíumhækkunar en í um 90% tilvika skýrist hún af kalk vakaofseytingu eða illkynja meini.9

Einkenni blóðkalsíumhækkunar 2, 7, 9

• Taugakerfi/geð: Einbeitingarerfiðleikar, rugl, sljóleiki, þunglyndi, geðrof og í alvarlegustu tilvikum dá.

• Meltingarfæri: Endurtekin uppköst, kviðverkir, lystarleysi, hægðatregða og brisbólga.

• Hjarta- og æðakerfi: Háþrýstingur, stytting á QT bili, ST hækkanir, hægataktur, 1° gáttasleglarof, kölkun kransæða og hjartaloka.

• Þvagfæri: Kalsíummiga, ofsamiga, ofþorsti, þurrkur, nýrnakölkun, nýrnasteinar og bráður nýrnaskaði.

• Stoðkerfi: Úrkölkun (decalcification) beina, beinverkir og liðverkir.

• Annað: Kalsíumútfellingar í mjúkvefjum, kalsíumútfellingar í hornhimnu augans (band keratopathy) og heyrnarskerðing.

• Greining

Mæling á 25­(OH)­D í blóðsermi endurspeglar bæði framleiðslu á D ­vítamíni og inntöku úr fæðu eða fæðubótarefnum. Í D ­vítamíneitrun er gildið hærra en 150 nmól/L. Samhliða mælist blóðkalsíumhækkun, kalsíummiga og lágt eða ómælanlegt kalkvakahormón.1, 3, 7

• Meðferð

Stöðva þarf alveg inntöku D ­vítamíns, draga úr kalsíumríkri fæðu og takmarka útfjólubláa geislun ef við á. Gefa jafnþrýstna saltvatnslausn (0,9% NaCl) í æð til að leiðrétta þurrk og vernda nýrnastarfsemi. Kalsítónín og bisfosfónöt eru gagnleg lyf gegn alvarlegri blóðkalsíumhækkun en þau draga úr losun kalsíums úr beinum. Hjá sjúklingum með nýrnabilun er ábending fyrir líf tæknilyfinu denósúmab (Prolia), sem hamlar niðurbroti beina, og nýrnaskilun.9 Gjöf sykurstera breytir efnaskiptum D ­vítamíns þannig að óvirk umbrotsefni myndast í stað virkra. Sterameðferð er öfug meðferð við D ­vítamíneitrun en þó þarf að hafa í huga að langtímameðferð getur valdið beingisnun, beindrepi og vöðvaslappleika.2, 7

• Horfur

Takmarkaðar upplýsingar eru til um langtímahorfur D ­vítamíneitrunar. Horfur eru verri hjá nýrnabiluðum einstaklingum vegna skerts útskilnaðar á kalsíum.9 Einkenni geta varað í allt að 18 mánuði vegna þess að D ­vítamín er fituleysið og safnast upp í fituvef, lifur og vöðvum.7

LOKAORÐ

Í sjúkratilfellinu er sagt frá eldri karlmanni sem lagðist inn vegna gruns um brátt kransæðaheilkenni og greindist samtímis með D ­vítamíneitrun. Hann hafði í langan tíma tekið inn tvær töfur á dag af óvenju sterkum D ­vítamíntöfum sem hann pantaði hjá íslenskri netverslun. Afeiðingarnar voru skerðing á nýrnastarfsemi og blóðkalsíumhækkun. Tilfellið var lærdómsríkt vegna þess að versnun á nýrnastarfsemi var upphafega talin á grunni bráðs kransæðaheilkennis og hjartabilunar. Það var ekki fyrr en að nokkrum dögum liðnum að farið var að hugsa um aðrar og sjaldgæfari mismunagreiningar fyrir bráðri versnun á langvinnri nýrnabilun.

Algengasta orsök D ­vítamíneitrunar er inntaka á D ­vítamíni í ofskömmtum.7 Á Íslandi, þar sem sólarljós er af skornum skammti stóran hluta árs, er erfitt að ná ráðlögðum dagskammti af D ­vítamíni án uppbótar með fæðubótarefnum.1 Aukin umræða um gagnsemi D ­vítamíns og greitt aðgengi að sterkum töfum eykur hættuna á ofneyslu.8 Fylgja á leiðbeiningum um ráðlagðan dagskammt og hærri skammta ætti ekki að taka nema í samráði við heilbrigðisstarfsmann. Þrátt fyrir að D ­vítamíneitrun sé sjaldgæf þá er mikilvægt að bera kennsl á hana og veita viðeigandi meðferð til að koma í veg fyrir alvarlegar heilsufarslegar afeiðingar. Læknar og annað heilbrigðisstarfsfólk ættu að hafa D ­vítamíneitrun í huga sem mismunagreiningu hjá sjúklingum með blóðkalsíumhækkun. Tilfellið undirstrikar mikilvægi þess að taka góða lyfjasögu, þar með talið að fá nákvæmar upplýsingar um töku vítamína og bætiefna. Hægt er að koma í veg fyrir D ­vítamíneitrun með skýrum leiðbeiningum um ráðlagða dagskammta, reglulegri eftir fylgd sjúklinga sem þurfa að taka inn háa skammta af D ­vítamíni vegna sjúkdómsástands og góðu eftirliti með framleiðslu og sölu fæðubótarefna.

Tilfelli þetta er ritað og birt með leyfi sjúklings

1. Blomhof R, Andersen R, Arnesen EK, Christensen JJ, Eneroth H, Erkkola, M., Gudanaviciene I, et al. Nordic Nutrition Recommendations 2023. Copenhagen: Nordic Council of Ministers; 2023. p. 127­9.

2. Janoušek J, Pilařová V, Macáková K, Nomura A, Veiga­ Matos J, Silva DDD, et al. Vitamin D: sources, physiological role, biokinetics, deficiency, therapeutic use, toxicity, and overview of analytical methods for detection of vitamin D and its metabolites. Crit Rev Clin Lab Sci. 2022;59(8):517­ 54.

3. Brustad M, Meyer HE. Vitamin D ­ a scoping review for Nordic nutrition recommendations 2023. Food Nutr Res. 2023;67.

4. Gunnarsdóttir S, Guðmannsdóttir R, Þorgeirsdóttir H, Torfadóttir J, Steingrímsdóttir L, Tryggvadóttir E, et al. Hvað borða Íslendingar? Könnun á mataræði Íslendinga 2019 ­2021 ­ helstu niðurstöður og samanburður við könnun frá 2010 ­2011. . Reykjavík: Embætti landlæknis og Rannsóknarstofa í næringarfræði; 2022.

1 var sótt í sjúkraskrá mannsins.

5. Embætti landlæknis. Ráðlagðir dagskammtar og nægjanleg neysla af vítamínum og steinefnum. 2024.

6. EFSA Panel on Dietetic Products N, Allergies. Scientific Opinion on the Tolerable Upper Intake Level of vitamin D. EFSA Journal. 2012;10(7):2813.

7. Marcinowska­Suchowierska E, Kupisz­Urbańska M, Łukaszkiewicz J, Płudowski P, Jones G. Vitamin D Toxicity­A Clinical Perspective. Front Endocrinol (Lausanne). 2018;9:550.

8. Taylor PN, Davies JS. A review of the growing risk of vitamin D toxicity from inappropriate practice. Br J Clin Pharmacol. 2018;84(6):1121­7.

9. Walker MD, Shane E. Hypercalcemia: A Review. Jama. 2022;328(16):1624­36.

LYFSEÐILSSKYLD

Sækja Lyfju appið

MYNDIR
Mynd

FRÆÐSLUEFNI

ERFÐASJÚKDÓMAR OG HEILKENNI: KLÍNÍSK GREINING OG UPPVINNSLA bls. 70

FÁL bls. 80

FÁSBI bls. 84

HEIMASPÍTALINN Á SELFOSSI bls. 86

HERMIKENNSLA – ÞAÐ ER LEIKUR AÐ LÆRA bls. 90

HAFÞÓR SIGURÐARSON

5. árs læknanemi 2023­2024

SÉRSTAKAR ÞAKKIR

Kári Gauti Guðlaugsson

og Halldór Jónsson jr.

INNGANGUR

HAGNÝT BÆKLUNARSKOÐUN BARNA

• Mikilvægi bæklunarskoðunar barna Bæklunarlækningar barna bjóða upp á áskoranir sem eru ólíkar öðrum greinum bæklunarlækninga þar sem taka þarf tillit til áhrifa vaxtar og þroska á stoðkerfið. Þetta gerir fagið áhugavert, en skjólstæðingum er oft fylgt til fullorðinsára. Þessi sérgrein býður upp á einstaka möguleika til að hafa jákvæð áhrif á framtíðarheilbrigði barnsins. Rétt greining og meðferð geta ekki aðeins bætt gæði daglegs lífs heldur einnig komið í veg fyrir alvarlegri afeiðingar á fullorðinsárum.

• Snemmgreining og meðferð bæklunarsjúkdóma Snemmgreining og meðhöndlun bæklunarvandamála barna eru lykilatriði þegar kemur að meðferðarhorfum. Því er mikilvægt að skima eftir algengum vandamálum sem hægt er að leiðrétta; eins og að beina ungu tré í rétta átt áður en það vex í öfuga átt. Með því að koma auga á frávik snemma má oft fyrirbyggja alvarlegri bæklunarvandamál sem gætu annars versnað með tímanum. Reglulegar skoðanir, til dæmis á mjaðmarliðum nýbura, geta verið grundvallaratriði þess að tryggja eðlilegan vöxt og þroska.

• Sérstakar áskoranir við skoðun barna

Sjúklingahópurinn er skemmtilegur og fjölbreyttur þar sem börn á öllum aldri koma til með að þurfa aðstoð, en þau geta einnig verið erfiður hópur að skoða og meðhöndla. Ungabörn eru dæmigerður hópur sem tekur ekki við fyrirmælum þegar skoðun fer fram og því þarf að nota aðferðir sem passa við aldur og þroskastig. Í þessu samhengi er mikilvægt að hafa í huga að samvinna við foreldra eða umsjónarmenn getur verið ómetanleg. Að skapa traust og þægilegt umhverfi fyrir barnið getur auðveldað skoðunina og gert hana árangursríkari. Til dæmis getur það að leyfa foreldrum að halda á barninu á meðan skoðun stendur, dregið úr kvíða barnsins.

Markmið þessarar greinar er að einblína á gagnlega skoðun fyrir bæklunarvandamál sem eru sérstök fyrir börn og ekki verður farið í líkamsskoðunaraðferðir fyrir hvern líkamshluta.

• Munur á bæklunarskoðun barna og fullorðinna

Börn eru sérstaklega næm fyrir umhverfinu og líkamsbeitingu lækna. Skoðunin kallar á sérstaka nálgun þar sem tekið er tillit til þess að börn bregðast við á annan hátt en fullorðnir, bæði hvað varðar sársauka og ótta við óþekktar aðstæður. Því er mikilvægt að nýta sérfræðiþekkingu á

Ef hægt, ekki klæðast hvítum slopp. Börn geta verið með slæma reynslu af fyrri læknum og það getur valdið þeim ótta.

Komdu fram við sjúklinga þína og foreldra þeirra af virðingu. Heilsaðu barninu ásamt foreldrum.

Haltu uppi eigin faglegri virðingu. Ekki vera barnalegur þegar þú ert að reyna að ná til barnsins.

Reyndu að fá fram helstu kvörtun og aðrar upplýsingar frá sjúk lingnum. Börn geta ekki alltaf útskýrt nákvæmlega hvað verkjar en geta bent á svæðið.

Þú skalt komast að því hver hefur áhyggjur af kvörtun sjúklingsins og af hverju. Er það tilvísandi læknir sem hefur áhyggjur af vandamálinu eða foreldri sem ítrekar að barnið fái skoðun bæklunarlæknis.

Forðastu að nota ógnandi orð. „Þetta verður ekki vont“, þar sem barnið mun aðeins heyra orðið „vont“.

Virtu hógværð sjúklingsins eins og hægt er á meðan þú framkvæmir fullnægjandi skoðun. Til dæmis systkini sem þurfa ekki að vera í herberginu á meðan skoðun er í gangi.

Láttu aldrei tækifæri til að skoða börn án þess að snerta þau fram hjá þér fara. Fylgstu með barninu í herberginu á meðan sögutaka er í gangi.

Láttu fyrstu snertingu vera saklausa og ekki ógnandi á svæði sem ekki er sársaukafullt. Barnið mun skilja að ekki er öll snerting sársaukafull.

Framkvæmdu skoðunina án þess að það virðist vera skoðun. Notaðu aðferðir eins og til dæmis að skoða naglalakkið á fótum barnsins til að raunverulega skoða útliminn.

Skoðaðu ung börn meðan þau sitja í kjöltu foreldris. Barnið finnur öryggi í að vera hjá foreldrum sem mun bæta skoðunina.

Skoðaðu fyrst eðlilega, einkennalausa útliminn. Mikilvægt er að fá góðan samanburð.

Minnkaðu óþægindi við skoðunina án þess að draga úr tilgangi hennar. Búðu um sjúklinginn eins vel og hægt er til að styðja við heilbrigða útliminn þó það geti verið óþægilegt fyrir hinn útliminn.

sviði barnabæklunarlækninga til að gera skoðanirnar eins nærgætnar og mögulegt er, án þess að skerða nákvæmni þeirra. Í töfu I er farið yfir almenn ráð fyrir byrjandi lækna þegar kemur að því að skoða börn.

Ef þú getur ekki framkvæmt fullnægjandi skoðun, biddu foreldrið um að gera það meðan þú fylgist með. Leiðbeindu foreldri rólega um að þreifa varlega á útlimum barnsins og fara með það í gegnum hreyfiferilinn.

Látið foreldri fylgjast með skoðuninni. Ef samband við foreldra er ekki traust er ráðlagt að hafa annan heilbrigðisstarfsmann með til að fylgjast með skoðuninni.

Þegar þú ræðir niðurstöður þínar, reyndu að vera eins sammála foreldrum og mögulegt er. Þetta er ekki hugsað sem niðrandi athugasemd; foreldrar geta oft betur metið ástand barnsins í sínu náttúrulega umhverfi, og fullkomið afskiptaleysi gagnvart áhyggjum foreldra getur grafið undan trausti í samskiptum.

Viðurkenndu þegar þér hefur ekki tekist að fá góða sögu eða framkvæma fullnægjandi skoðun. Betra að reyna aftur heldur en að áætla niðurstöður skoðunar.

Vertu rólegur og afslappaður. Fljótfær vinnubrögð hafa tilhneigingu til að rugla hugsunina; foreldrar geta fengið á tilfinninguna að ekki hafi verið tekið nægilegt tillit til áhyggja þeirra, og þú að foreldrarnir meti ekki þann tíma og orku sem þú hefur lagt í sögutökuna og skoðunina.

Þegar þú stendur frammi fyrir fóknu vandamáli sem krefst meiri tíma en þú hefur á þeim tíma, segðu fjölskyldunni að þú þurfir meiri tíma til að skoða vandamál barnsins áður en hægt er að gefa endanlegt svar.

Vertu tilbúinn að viðurkenna að þú þurfir meiri tíma eða að ráðfæra þig við kollega.

Þegar fjölskyldan skilur ekki flókið stoðkerfismál, skrifaðu þeim bréf, tölvupóst eða smáskilaboð þar sem þú útskýrir mat þitt og meðferðarvalkosti.

Útskýrðu vandamálið eins og þú sérð það, lýstu meðferðarúrræðum og tilheyrandi kostum og göllum, og útskýrðu þína tillögu ásamt því hvernig þú telur að meðferð barnsins ætti að fara fram.

Hafðu alltaf samskipti við tilvísandi lækni og, þegar það á við, við fyrri lækna sem hafa sinnt sjúklingnum. Sá læknir sem vísaði sjúklingnum til þín mun vilja vita hvað þú hugsar og ætti að fylgja ráðgjöf þinni varðandi frekari eftirfylgni eða klínísk einkenni sem kunna að krefjast frekari bæklunarskoðunar.

Tafla I. Listin við að skoða börn.

• Sögutaka

Við sögutöku barna þarf að hafa í huga feiri atriði en hjá fullorðnum. Til dæmis þarf að spyrja um meðgöngu móður, nýburatímabilið, taugaþroska barnsins og fjölskyldusögu. Sá sem hittir barnið þarf að setja saman skýra tímalínu atburða og mikilvægt er að fá ítarlega sögu. Margir nota verk færi eins og SÓKRATES til að tryggja að öll mikilvæg atriði komi fram í sögutökunni. Það er mikilvægt að hafa aðalumkvörtunarefnið að leiðarljósi í viðtalinu til að skoðandinn geti betur skilið kjarna vandamálsins og komið í veg fyrir að mikilvæg atriði gleymist. Mikilvægt er að fá fram hver er venjuleg hreyfifærni sjúklings, hvort breytingar hafi orðið á þeirri hreyfifærni, hversu mikið afögunin eða verkir trufa líkamlega virkni, og hvort einkenni taugasjúkdóms séu til staðar. Almennar stoðkerfiskvartanir barna eru oftast: afaganir, höltrun, staðbundið eða almennt máttleysi, bólgur, verkir og stirðleiki í liðum.

Þar sem geta stoðkerfisins til að virka byggir á taugakerfinu er stundum grátt svæði milli þess hvort vandamálið orsakist af tauga­ eða bæklunarsjúkdómi. Dæmin eru mörg, meðal annars andlitsdrættir sem sjást við beinbrotasýki (osteogenesis imperfecta), líkamsbygging Marfan heilkennis og mjólkurkafblettir (café-au-lait spots) í taugatrefjaæxlageri (neurofibromatosis). Stoðkerfisafbrigði geta birst með ósamhverfum líkamsformum, göngulagstrufunum, sýnilegum hornafögunum (angular deformities) og vöntun á líkamshlutum.

• Skilningur á vexti og þroska Þar sem stoðkerfi barna er stöðugt að þroskast er mikilvægt að þekkja muninn á hvað er eðlileg og óeðlileg birtingarmynd. Mynstrið í myndun og samruna kasts (epiphysis) í efri og neðri útlimum fylgir ákveðinni reglu við eðlilegan vöxt og þroska, en er þó mismunandi milli einstaklinga og kynja (mynd 1). Bæklunarlæknar þurfa að þekkja til breytilegs útlits beina og vaxtarkjarna barna á röntgenmyndum. Hlut fallslegt framlag hvers kasts til lengdar vaxtar langra beina í útlimum er einnig mikilvægt að hafa í huga.

LÍKAMSSKOÐUNARTÆKNI

Almennar athuganir: líkamsstaða, göngulag og samhverfa.

Við skoðun er mikilvægt að staldra við og horfa á barnið í sínum náttúrulega gangi, helst án fata til að fela ekki ósamhverfur. Reyndur læknir mun taka eftir líkamsstöðu og beitingu þegar barninu er boðið að koma inn í viðtalsherbergið og á meðan á sögutöku stendur. Staða barnsins er skoðuð með því að horfa á það í uppréttri stöðu með fætur saman, sem hjálpar til við að greina skeifufætur (knock-knees, genu valgum) eða hjólbein (bowlegs, genu varum), fótagerð og mislanga útlimi. Við skoðun aftan frá er leitað eftir ósamhverfu í mittislínu, herðablöðum eða bak vöðvum.

Grófhreyfifærni er metin með því að láta barnið ganga á hælum, ganga á tám og hoppa á öðrum fæti til skiptis, sem gefur til kynna styrk í fótleggjum og jafnvægi. Göngulag og hlaup er skoðað með því að fylgjast með hvort barnið haltri eða sýni aðrar göngulagstrufanir sem geta verið vegna vöðvaslappleika eða spasma. Það er mikilvægt að reyna að átta sig á hvaðan í stoðkerfinu göngulagstrufunin kemur til þess að fá nákvæmari greiningu á vandamálinu. Athugið að eldri börn gætu reynt að fela göngulagstrufanir þegar læknir er að skoða og þarf því oft að beita aðferðum sem gera trufunina meira áberandi, eins og það er fyrir foreldrið sem sér það daglega.

Hreyfing úr liggjandi stöðu er einnig skoðuð, það hvernig barnið rís upp gefur almenna vísbendingu um taugaheilbrigði eða mögulegan vöðvaslappleika í nær fótleggjum, eins og sést í vöðvarýrnunarsjúkdómum. Að lokum er frambeygja til að taka upp hlut notuð til þess að prófa samhæfingu augna og handa, vöðvajafnvægi og greina alvarleika bak verkja ef það er aðalvandamálið. Sniðug leið til að hjálpa við skoðunina er að hafa leik föng hátt og lágt, þannig að börnin verði að teygja sig og fara upp á táberg eða beygja sig niður eftir hlutum.

Læknirinn þarf að þekkja eðlilega afstöðu og frávik útlima hjá vaxandi barni, algengt dæmi er hnéstaða barna. Hjá ungabörnum er afstaða neðri útlima með 10 til 15° njórasveigju (varus). Við 14 til 22 mánaða aldur er sveigjan yfirleitt 0°. Við 3 ára aldur er orðin um það bil 10 til 15° kiðsveigja (valgus). Við 7 eða 8 ára aldur er komin fullorðinsafstaða með 5 til 7° kiðsveigju (mynd 2)

• Taugaskoðun barna

Þegar taugaskoðun er framkvæmd á börnum þarf að hafa í huga þroskastig þeirra og viðeigandi hreyfigetu. Fyrir börn sem geta farið eftir fyrirmælum er hægt að framkvæma venjulega kerfisbundna taugaskoðun. Erfiðleikastigið eykst þegar börn eru ekki fær um að fylgja fyrirmælum, en þá er besta leiðin til skoðunar að fara í leik. Leyfið barninu að sækja sér leik föng, athugið hvort það er samhverfa í leiknum og hvort barnið sé að forðast að nota hluta líkamans. Læknirinn þarf endur tekið að spyrja sig: „Er þetta frábrugðið venjulegum taugaþroska barns á þessum aldri?”

Yfirlit yfir beingerðarmiðjur (centers of ossification) miðað við aldur barns. Beinkjarnar sýnilegir á röntgenmynd.

Samruni 4­6 VF–1(18)

m (20)

VF = við fæðingu m = mánuður enginn bókstafur = ár

feitletrað = strákar venjulegur stíll = stelpur lokun vaxtarlína = (#)

(20)

11–14(20) Sameinast við koll skömmu eftir að birtist

m (15)

Mynd 2

Hné barna og þroskun stöðu.

(20)

m

m (20) (18) (16) (19) (20) (20)

(21) (14–21)

m (14–21)

Samruni við kynþroska ±1

• Algengar meðfæddar raskanir

Þroskamisvöxtur í mjaðmarlið: Öll börn geta þróað með sér þroskamisvöxt í mjaðmarlið (developmental dysplasia of the hip, DDH). Ef slíkt er ekki meðhöndlað rétt getur það valdið helti, snemmkominni slitgigt og í versta falli mjaðmarliðhlaupi. Þar sem ástandið er oft einkennalaust, er mikilvægt að skima öll ný fædd börn og ungabörn reglulega fyrir DDH þar til þau hafa þróað með sér eðlilegt göngulag. Áhættuþættir fyrir DDH eru fyrri fjölskyldusaga, kvenkyn og sitjanda­ eða fótstaða í fæðingu.

Barlow próf: Framkvæmt til að meta hvort mjaðmarliðurinn hefur tilhneigingu til liðhlaups, það er hvort lærleggshöfðinu geti verið ýtt út úr liðskálinni. Skoðandinn reynir að valda liðskekkingu (subluxation) eða liðhlaupi á lærleggshöfðinu úr liðskálinni með því að ýta varlega á mjaðmir barnsins út á við og aftur á við, með hnéð í 90° beygju og hlutlausri fráfærslu (neutral abduction) (mynd 3). Ef óstöðugleiki er til staðar mun lærleggshöfuðið fara úr liðskálinni og síðan sjálfkrafa fara aftur á réttan stað með greinilegu „klunki“ þegar þrýstingi er sleppt. Athugið að beita ekki of miklum krafti þegar prófið er framkvæmt.

Ortolani próf: Framkvæmt til að meta hvort lærleggshöfuðið er hlaupið úr liðskálinni. Í nýburum er yfirleitt hægt að setja lærleggshöfuðið tímabundið í liðskálina með því að fráfæra mjaðmirnar varlega og ýta lærleggshöfði að liðskálinni. (mynd 3). Greinilegt „klunk“ finnst þegar lærleggshöfuðið færist í liðskálina. Þegar þrýstingi er sleppt mun lærleggshöfuðið fara aftur úr lið. Ef mjaðmarliðurinn er úr lið geta líkamleg einkenni meðal annars verið takmörkuð fráfærsla (eðlileg fráfærsla er um 90°), ósamhverfar læraskorur (thigh folds) (meira á áhrifasvæðinu) og stytting á fætinum samanborið við hinn fótinn. Í sumum tilfellum getur skoðandinn fundið mjaðmarlið sem auðveldlega fer úr lið og aftur í lið þegar mjaðmirnar eru færðar saman og síðan fráfærðar. Í slíkum tilfellum getur skoðunin talist jákvæð fyrir annað hvort Ortolani próf eða Barlow próf. Kosið er að lýsa niðurstöðunni sjálfri frekar en að treysta á túlkun á nafninu.

Innskeifa ( intoeing): Innskeifa, þar sem fóturinn beinist of mikið inn að miðju þegar barnið gengur, er algengt áhyggjuefni foreldra sem leiðir til læknisheimsóknar. Foreldrar hafa oft áhyggjur af líkamlegri getu barnsins, en í festum tilfellum er vandamálið þó minniháttar og sjálf takmarkandi. Algengar orsakir innskeifrar framristar eru meðal annars innsveigð framrist (metatarsus adductus), aukinn eða viðvarandi innri snúningur á sköfungi (internal tibial torsion), aukinn eða viðvarandi framsnúningur á lærlegg (femoral anteversion), ásamt öðru eins og byggingargöllum í fótum eða fótleggjum (mynd 4)

Aldur barnsins getur einnig hjálpað til við að greina orsök innskeifrar framristar. Venjulega kemur innsveigð framrist í ljós eftir fæðingu og áður en barn byrjar að ganga.

Aukinn innri snúningur á sköfungi sést hjá ungabörnum og leikskólabörnum, en aukinn framsnúningur á lærlegg er algengastur hjá skólabörnum og unglingum.

Snúningsprófílinn má fjótt meta með sjúklinginn liggjandi á skoðunarborðinu, eins og Staheli prófið lýsir (mynd 5). Í þessari stöðu getur læknirinn ákvarðað innri og ytri snúning á mjöðminni sem gefur vísbendingu um umfang lærleggssnúnings, metið læri­fótarásinn (thigh-foot axis) til að meta sköfungssnúning og skoðað lögun ytri brúnar fótarins. Í þessari stöðu má meta hliðar fótinn, áætla tvíhnyðjuás (bimalleolar axis) ökkla miðað við hné og meta innri og ytri snúning á mjöðminni í beygju.

Flatfótur: Aldur barnsins er mikilvægur við mat á vandamálum tengdum fat fæti þar sem ákveðnir undirliggjandi þættir eru aldurssér tækir. Ungabörn geta haft einfaldan stöðubrest, feitan púða sem hylur sjónræna sýn á innri bogann, fráskeifan hælfót (calcaneovalgus) eða í sjaldgæfum tilvikum meðfæddan rocker bottom fót þar sem völubeinið (talus) er lóðrétt. Yngri börn eru líklegust til að hafa sveigjanlegan fat fótar vanda, á meðan unglingar geta haft stífa hásin með niðurbroti á miðfæti (midfoot breakdown) eða spastíska dálkstaug ( peroneal nerve, fibular nerve) vegna völubeinssamruna eða annars vandamáls. Ef langbogi (longitudinal arch) er ekki til staðar þegar sjúklingurinn stendur kyrr, ætti að skoða hvort boginn komi fram þegar sjúklingurinn gengur á tám.

Sveigjanlegur fat fótur er algengasti fat fótar vandinn hjá börnum, venjulega án verkja og sjálf takmarkandi. Börn á aldrinum 18 mánaða til 6 ára hafa oft góða hreyfigetu í fótunum og langbogi fótar kemur fram við tágang eða þegar fóturinn er án álags (mynd 6). Meðfætt lóðrétt völubein einkennist af föstum fötum langboga, stífri hásin, breytilegum verkjum og yfirleitt áþreifanlegum bak­ og hliðarliðhlaupum á bátsbeininu (navicular ) yfir völubeinið. Vegna alvarleika afmyndunarinnar er sjúklingnum venjulega vísað til meðferðar á ungbarnastigi.

Völubeinssamruni einkennist af föstum fötum langboga, föstum fráskeifum hælfæti (calcaneovalgus, hindfoot valgus) og ósér tækum eða æfingatengdum verkjum, og kemur venjulega fram hjá sjúklingum á aldrinum 8 ára til unglingsára. Niðurbrot á miðfæti vegna stífrar hásinar getur komið fram á hvaða aldri sem er eftir að barn byrjar að ganga. Orsök stífrar hásinar ætti að vera skoðuð nánar með tilliti til undirliggjandi sjúkdóma.

Mynd 3

Mynd 4 Mynd 5

Algengar ástæður innskeifu barna.

Staheli snúningsprófíll.

Barlow próf

Aðfærsla

Innsveigð framrist

Mynd 6

Innri snúningur á sköfungi

Framsnúningur á lærlegg

Ortolani próf Fráfærsla

Ljósmyndir af barni með sveigjanlegt fat fótarvandamál.

(A) Þegar barnið stendur með þyngdina á fætinum er langboginn fatur.

(B) Þegar barnið er ekki að bera þyngdina á fætinum kemur langboginn aftur fram.

Göngulagshorn

Skoðun liggjandi á maga

Læri­fótarhorn

Innsnúningur Útsnúningur

Innsveigja framfótar

Barlow og Ortolani próf.

• Vandamál tengd vexti

Munur á lengd fótleggja: Munur á lengd fótleggja er algengt bæklunar vandamál hjá börnum og getur verið meðfætt eða áunnið. Raunverulegur lengdarmunur fótleggja stafar af raunverulegum byggingarmun á milli neðri útlima, þar sem einn útlimur er lengri en hinn vegna mismunandi vaxtar eða þroska beina. Sýnilegur lengdarmunur fótleggja orsakast hins vegar af óeðlilegri liðstöðu eða samdrætti, sem minnkar lengdaráhrif viðkomandi líkamshluta, þrátt fyrir að byggingarþættir eins útlims séu ekki endilega styttri en hins (mynd 7)

Börn geta reynt að bæta upp fyrir lengdarmuninn með tágöngu á styttri útlimnum eða of mikilli hnébeygju á lengri útlimnum. Skoðandinn getur síðan metið lengdarmun á útlimum með því að nota stigbretti undir styttri fótinn þar til mjaðmagrindin er jöfn.

Mat á lengd ganglima fer fram með sjúklinginn liggjandi á bakinu. Skoðandinn metur hreyfisvið mjaðma, hnjáa og ökkla, og leitar eftir vöðvasamdráttum eða sveigju (bowing) í útlimum. Fínar bogamyndanir eða snúningsskekkjur á styttri útlimnum ættu að vera sérstaklega skoðaðar, eins og til dæmis væg kiðsveigja í hné eða aukinn ytri snúningur í mjöðm. Raunveruleg og sýnileg lengd fótleggja er mæld með málbandi, frá fremra mjaðmagrindarbeini (anterior iliac spine) til miðlægrar liðlínu (medial joint line), og frá miðlægri liðlínu til miðlægrar ökklahnyðju (medial malleolus). Annað gagnlegt mat á sýnilegum lengdarmun fótleggja er að mæla fjarlægðina frá nafa til sköfungshnyðju (medial malleolus) fyrir hvorn útlim.

Hryggskekkja (scoliosis): Bæklunarlæknar eru oft beðnir um að meta sjúklinga með sýnilega hryggafögun (spinal deformity), oftast vegna áhyggja foreldra eða tilvísandi læknis um mögulega hryggskekkju eða herðakistil (kyphosis).

Hæð herðablaðanna er metin að aftan til að útiloka Sprengel afmyndun og læknirinn leitar eftir skekkju á bolnum miðað við mjaðmir. Húðin yfir hryggnum er skoðuð með tilliti til litaðra bletta, loðinna svæða og djúpra dælda sem gætu talað fyrir opnum mænugangi, til dæmis leyndum klofnum hrygg (spina bifida occulta), ásamt leit eftir mjólkurkafblettum (café-au-lait spots) og taugatrefjaæxlageri (neurofibromatosis). Flatneskja á rassi með sýnilegum skorti á lendarhryggsbeygju getur bent til hryggskriðs (spondylolisthesis).

Hryggsveigjur eru skoðaðar með því að þreifa eftir afögun á hryggjarliðum og ef sjúklingur kvartar undan verkjum ætti að banka á hrygginn til að finna aumt svæði. Frambeygjupróf ( Adams forward bend test) er framkvæmt með því að fylgjast með sjúklingnum beygja sig fram til að snerta tærnar, með handleggina hangandi lauslega (mynd 8). Hryggurinn er skoðaður fyrir snúningsskekkju (rotational deformity), sem hægt er að mæla með hryggmæli (scoliometer ). Einnig ætti að skoða hrygginn frá hlið til að útiloka of mikinn brjósthryggsherðakistil (thoracic kyphosis).

Lokaþáttur skoðunar á hrygg er að framkvæma taugaskoðun; athugun á kröftum, viðbrögðum, og snertiskyni, og hvort það séu merki um miðlæga­ eða úttaugakvilla.

Mynd 7

Mæling á raunverulegum og sýnilegum lengdar mun útlima. Í þessum dæmum er sýnilegur munur á lengd útlima framkallaður vegna hallaskekkju mjaðmagrindar. Beygjuskekkjur í mjöðm og hné framkalla einnig sýnilegan lengdarmun útlima.

Mynd 8

Frambeygjupróf Adams (Adams forward bend test) (A) Sjúklingur með mislanga fótleggi hefur útbungun á allri hægri hlið búksins, þeim megin sem fótleggurinn er lengri, vegna mjaðmagrindarskekkju. Punktalína: Mjaðmagrindarvængir

(B) Sjúklingur með raunverulega hryggskekkju hefur staðbundna útbungun þar sem hryggurinn er sveigður. Hér er sjúklingur með hægri brjósthryggsskekkju.

(C) Séð frá hlið. Sýnir sjúkling með herðakistil, eða áberandi brjósthryggssveigju, við frambeygju.

Efri fremri mjaðmabeinsnibba

Raunveruleg lengd ganglims

Sýnileg lengd ganglims

HEIMILDIR

MYNDIR

1. Herring JA, Texas Scottish Rite Hospital for C. Tachdjian’s pediatric orthopaedics : from the Texas Scottish Rite Hospital for Children. Sixth edition ed. Elsevier; 2022.

2. Düppe H, Ohlin A. Barnortopedi. Andra upplagan ed. Studentlitteratur; 2006.

3. Staheli LT. Torsional deformity. Pediatr Clin North Am. Dec 1986;33(6):1373­83. doi:10.1016/s00313955(16)36148 ­x

Mynd 6: Herring JA, Texas Scottish Rite Hospital for C. Tachdjian’s pediatric orthopaedics : from the Texas Scottish Rite Hospital for Children Sixth edition ed. Elsevier; 2022. https://www. clinicalkey.com.au/dura/browse/bookChapter/3s2.0 ­ C20151043733. Mynd 4.6.

KARA HLYNSDÓTTIR

5. árs læknanemi 2023­2024

REYNIR ARNGRÍMSSON

Sérfræðingur í erfðalækningum á Landspítala og prófessor í klínískri erfðafræði við Háskóla Íslands

INNGANGUR

ERFÐASJÚKDÓMAR

OG HEILKENNI: KLÍNÍSK GREINING OG UPPVINNSLA

Erfðalæknisfræði er sérgrein læknisfræðinnar sem fæst við greiningu erfðasjúkdóma, erfðaráðgjöf og í vaxandi mæli meðferð og eftir fylgd með sjaldgæfum sjúkdómum og erfðaheilkennum. Erfðaheilbrigðisþjónusta byggist á klínískum erfðarannsóknum og erfðaráðgjöf sem nýtt er til sjúkdómsgreiningar og tilvísunar í viðeigandi meðferð og eftirlit þegar það á við.1 Hér á landi hefur erfðaráðgjafareining verið starfrækt innan erfða­ og sameindalæknisfræðideildar á Landspítala við Hringbraut frá árinu 2006. Deildin hefur tekið á móti tilvísunum frá heilbrigðisstarfsfólki en einnig sjálfsvísunum og sinnir erfðaráðgjöf fyrir allt landið og öllum aldurshópum. Fjöldi þeirra sem hafa komið í erfðaráðgjöf hefur vaxið með hverju árinu og leita nú árlega um 2000 til 2500 ráðþegar á erfða­ og sameindalæknisfræðideild Landspítalans. Helstu ástæður fyrir erfðaráðgjöf og greiningu hér á landi hafa verið krabbamein (62%), taugasjúkdómar (17%), vöðvasjúkdómar (12%), hjarta­ og æðasjúkdómar (12%) og feira.1 Á vef Landspítalans eru taldar upp nokkrar ástæður þess að einstaklingur komi í erfðaráðgjöf og eru þær meðal annars 1) læknir telur að erfðasjúkdómur sé til staðar hjá fjölskyldumeðlimi og vill staðfesta sjúkdómsgreiningu, 2) fjölskyldusaga um krabbamein, 3) þekktur erfðasjúkdómur í ætt, 4) skyndidauði í fjölskyldu, 5) endur tekin fósturlát (3 eða feiri), 6) niðurstöður úr fósturskimun, 7) þroskavandamál og einhverfa, 8) námsörðugleikar, 9) einstaklingar með rof á æðum eða lífærum, 10) hjartagallar, tauga­ og vöðvasjúkdómar, 11) andvana fæðingar, 12) sérstök útlitseinkenni og 13) vöðvaslaki hjá börnum.2

Árið 2023 birti ACMG ( American College of Medical Genetics and Genomics) lista yfir meðferðarbæra erfðasjúkdóma, það er sjúkdóma þar sem fyrirbyggjandi aðgerðir og meðferðarmöguleikar eru í boði.3

Meðferðarbær gen í fullorðnum voru skilgreind sem skaðleg(ar) stökkbreyting(ar) með sýnd sem myndi leiða til sér tækra, skilgreindra læknisfræðilegra ráðlegginga sem eru studdar af gögnum og búist er við að bæti útkomur hvað varðar dánar tíðni eða forðun frá mark tækum sjúkleika við framkvæmd þeirra.4

Skipta má þessum sjúkdómum í þrjá meginfokka, það er arfgeng krabbamein, arfgenga hjartagalla og aðra arfgenga sjúkdóma. Rannsókn Íslenskrar erfðagreiningar sem birtist í tímaritinu New England Journal of Medicine í „ “

nóvember 2023 sýndi að einn af hverjum 25 Íslendingum bæri einhverra þessara arfgerða ( genotype) og það að bera slíka arfgerð tengdist styttri lífslíkum.5 Í greininni kom fram að það væru samtals 235 mismunandi erfðabrigði í 53 genum, en í lista ACMG er um 81 meðferðabær sjúkdómur talinn upp og hefur þeim farið fjölgandi á undanförnum árum. Haustið 2024 setti erfðaráðgjafareining Landspítalans upp aðferð fyrir fjölgenarannsókn sem byggir á þessum niðurstöðum ásamt niðurstöðum klínískra erfðarannsókna á Landspítala og annarra vísindagreina frá Íslandi og hefur vinnuheitið íslenska landnemaprófið.6

Í ljósi ofangreindra upplýsinga er mikilvægt að hafa ákveðna þekkingu á erfanlegum sjúkdómum og hvernig má vinna upp einstakling með tilliti til erfðasjúkdóma og erfðaheilkenna. Hér verður farið nánar yfir þau atriði sem skal leita eftir við sögutöku og skoðun í tengslum við erfðasjúkdóma.

SÖGUTAKA

Við uppvinnslu og ráðgjöf vegna erfðasjúkdóma er mikilvægt að fá fram eftir talin atriði í sögutöku:

1) Sjúkra­ og heilsufarssaga, 2) fjölskyldusaga, 3) meðgöngusaga, 4) nýburasaga, 5) áfangar í þroska og skólagöngu, 6) myndir frá mismunandi aldri, 7) hegðun, 8) sjón, heyrn, krampar og 9) aðrar spurningar og athugasemdir sem skjólstæðingur vill koma á framfæri.7

Aukin áhersla er á mikilvægi fjölskyldusögu og greiningu á erfðamynstri eftir því sem næst verður komist. Jafnframt er mikilvægt að teikna upp ættartré að minnsta kosti þriggja kynslóða en jafnvel feiri ef tilefni er til. Helstu atriði sem gæti þurft að nota við gerð slíkra trjáa má sjá á mynd 1 en fyrir ítarlegri ættartré er hægt að styðjast við greinina Fjölskyldusaga og ættartré sem birt var í Læknablaðinu árið 2014.8

Úr meðgöngusögu er mikilvægt að vita um veikindi móður, til dæmis blæðingar, hita, sykursýki, nýrnasjúkdóma og meðgönguháþrýsting, en einnig er mikilvægt að vita um útsetningu fósturs fyrir efnum sem geta haft vanskapandi áhrif (teratogen), til dæmis lyf, áfengi og vímuefni. Farið er yfir niðurstöður rannsókna og skimunar á fósturskeiði, til dæmis samþætt líkindamat á litningafrávikum og/eða greiningu á fósturerfðaefni í móðurblóði (non-invasive prenatal testing, NIPT), magn legvatns (mikið eða lítið), 18 til 20 vikna sónarskoðun ásamt niðurstöðum úr legvatnsástungu eða fylgjusýnatöku ef slíkt á við.

Úr nýburasögu er mikilvægt að fá fram fæðingarlengd, þyngd og höfuðmál til að meta meðal annars vaxtarfrávik í báðar áttir, það er of­ eða vanvöxt á fósturskeiði eða eftir fæðingu. Einnig þarf að kanna hvort barn hafi veikst alvarlega eftir fæðingu, athuga niðurstöður nýburaskimunar fyrir efnaskiptagöllum, hjarta­ og nýrnasjúkdómum og feira. Annað sem þarf að athuga er hvort að eftir fæðingu hafi barn átt í erfiðleikum með fæðuinntöku eða næringu, hafi þurft öndunaraðstoð eða verið með óeðlilega vöðvaspennu, til dæmis lítil og/eða slök sinaviðbrögð sem geta bent til undirliggjandi sjúkdóma og þá hvort það ástand hafi verið skammvinnt við fæðingu eða staðið yfir lengri tíma. Aðrar athuganir úr heilsufari sjúklings eru meðal annars sjón, heyrn

Mynd 1

Helstu atriði ættartrés.

1. Sambandslína

3. Systkinalína

2. Skyldleikalína

4. Sambandsslit

f. 1920 d. 46 f. 1926 f. 1926 R R f. 1949 < 10 vikur

KK

Kyn ótilgreint

Fósturlát Ráðþegi

Með einkenni eða sjúkdóm

Látinn

KVK

og krampar, en nýleg BS­rannsókn læknanema benti til að um 10% krampa hjá einstaklingum yngri en 18 ára sem lögðust inn á Barnaspítala Hringsins tengdust á einn eða annan hátt undirliggjandi erfðasjúkdómum.9

Skrá skal helstu áfanga í þroska og skólagöngu, hegðunarmynstur og hvort frávik hafi verið greind, til dæmis ADHD eða einhverfa og skyld vandamál. Einnig hvort þörf hafi verið á aðstoð við nám eða hvort einstaklingurinn hafi verið á sérhæfðum leikskólum. Ef seinþroska þá skal spyrjast fyrir um hvers konar meðferð hefur verið fengin, til dæmis á vegum Ráðgjafar­ og greiningarstöðvar ríkisins eða hjá sérhæfðum teymum heilsugæslunnar, svo sem sjúkraþjálfun, iðjuþjálfun, talþjálfun og atferlismeðferð.2 Getur þá gagnast að óska eftir nánari upplýsingum og læknabréfi frá þeim aðilum.

Myndir geta verið gagnlegar við uppvinnslu erfðaheilkenna og sköpulagsfrávika og þá sérstaklega ef fengnar eru myndir af einstaklingnum á mismunandi aldri. Sérstaklega ef um er að ræða erfðaheilkenni með frávik í vexti, líkamshlutföllum eða mælanlegum útlitsviðmiðum, til dæmis á höfði eða andliti (dysmorphology). Face2Gene myndgreiningar­ og gagnabankinn er forrit sem getur aðstoðað við uppvinnslu með tilliti til erfðaheilkenna (https://www.face2gene.com/). Þá er andlitsmynd af einstaklingi hlaðið upp í forritið sem leggur til mismunagreiningar sem geta komið að haldi í greiningarferlinu. Slík gagnavinnsla krefst upplýsts samþykkis viðkomandi eða lögráðamanna.

Við lok viðtals er mikilvægt að skjólstæðingur fái tækifæri til að koma á framfæri eigin spurningum eða athugasemdum og síðan þarf að útskýra hvað taki við að viðtali loknu.

SKOÐUN

Nákvæm læknisskoðun er grundvallaratriði í greiningarferli sjaldgæfra sjúkdóma. Hafa verður í huga að í arfgengum sjúkdómum getur sjúkdómsmyndin verið háð breytilegri sýnd og tjáningu svipgerðarinnar. Oft getur verið gott að styðjast við gátlista. Ágætt er að þekkja til hugtaka sem lýsa sköpulagsfrávikum. Til að afa sér slíkrar þekkingar er ágætt að skoða staðlaða nafngiftakerfið Human Phenotype Ontology (HPO) fyrir svipgerðareinkenni og sköpulagsfrávik sem nálgast má á slóðunum https://elementsofmorphology. nih.gov/index.cgi10 og https://hpo.jax.org/.11 Tékklistinn hér auðveldar skoðun á einstaklingi með tilliti til erfðaheilkenna (tafa I).

Að lokinni upplýsingasöfnun og skoðun er hægt að veita erfðaráðgjöf byggða á þeim gögnum sem fyrir liggja. Í erfðaráðgjöf er farið yfir ýmsa þætti er snúa að erfanlegum sjúkdómum, kostir og annmarkar erfðagreiningarprófa eru ræddir og spurningum ráðþega og fjölskyldu er svarað. Þá þarf að staðfesta upplýsingar sem fram hafa komið eins og kostur er með öfun frumgagna eftir því sem viðeigandi er og heimilt. Einstaklingi og fjölskyldu hans er boðinn stuðningur og veittar eru ráðleggingar um áframhaldandi eftirlit eða úrræði.

Tafla I. Tékklisti fyrir skoðun með tilliti til erfðaheilkenna.

Vöxtur Hæð: ____ cm

Þyngd: ____ kg

Höfuð Almennt

Eðlilegt

Afbrigðileg lögun (1­ 4)

Stórhöfðun

Höfuðsmæð

Hávaxin/n

Lágvaxin/n

Undirþyngd Yfirþyngd (1) (3) (4) (2)

Andlit Eðlilegt

Ósamhverft

Heilkennisgrunur (5 ­8)

Beinmót

Lokuð beinmót

Opin beinmót

Afbrigðileg beinmót

Kringlótt Gróft

Langt/mjótt

Hausamót (fontanelles)

Stærð

Auka

Afbrigðileg

Annað: ______________

Vöðvakvillasvipur

Annað:______________

(5) (6) (8) (7)

Augu Almennt

Eðlileg Sokkin

Áberandi

Augabrúnir

Bogadregnar

Frávik í hárdreifingu

eða hárvexti (9)

Beinar

Augnlok

Sigin/drúpandi

Annað:___________

Eyru

Eðlileg

Nef Almennt

Eðlilegt Langt Stutt

Augnrifur

Mjóar

Víðar

Skásett augu

Upp (10)

Niður (11)

Annað

Bláleit augnhvíta

Lithimna

Augasteinar

Brushfield deplar í lithimnu augans

Sérkenni

Einföld brjóskbygging

(fáar fellingar og raufar) (hæ, vi)

Holur og línur (hæ, vi)

Húðsepar (hæ, vi)

Afbrigðileg brjóskbygging (hæ, vi)

Línur þvert á eyrnasnepil (hæ, vi)

Lágstæð eyru (16)

Aftursnúin eyru (17)

Nefbrú

Grunn Há

Mælingar

Milliaugnkrókalengd:____cm

Milliljósopalengd:____cm

bil milli augnkróka (telecanthus) (12)

bil milli ljósopa (hypertelorism) (13)

bil milli ljósopa (hypotelorism) (14)

Augnkróksfelling (epicanthal folds) (15)

Mælingar á lengd

Hægra eyra:____cm Vinstra eyra:____cm

Sérkenni

Lokaðar nasir/vantar nasaop Framvísandi nasir (18)

Mjó nefrót (columella) (19)

Kónganef (20)

Breið nefrót (21)

Nasir fyrir ofan brodd Djúpar nefellingar (18) (19)

Munnur Almennt

Eðlilegur

Stór (22)

Lítill (23)

Opinn

Læstur

Bogalaga efri vör (24)

Efrivararenna ( philtrum)

Löng

Stutt

Slétt

Niðurhallandi munnvik

Háls Eðlilegur

Tunga

Stór

Lítil Fellingatunga

Tennur Of fáar

Litlar

Keilulaga Bil á milli

Gómur

Skarð

Varir

Þunnar

Þykkar

Skarð

Stuttar

Tunguhaft

Vantar

Mörg Bil á milli

Tannhold

Þykkt

Æxli (22) (23) (24) (25) (26) (27) (28)

Kjálki Eðlilegur

Hár Eðlilegt

Sérkenni

Umframhúð (25) Hálssveigur (26)

Grófir/skútar (

Sérkenni

Trjónumunnur/framskögun (29) Afturkembuhaka (30)

Sérkenni

Óeðlileg áferð:_______

Strjált/hárleysi

Lágstæð fremri hárlína Háróreiða/lokkur (frontal upsweep) (31)

Breiður (27)

Stuttur (28)

Oddhvöss haka Klofin haka Kjálkasmæð

Strítt hár (33) (29) (30) (31) (32) (33)

Lágstæð aftari hárlína Óeðlilegt mynstur, til dæmis auka sveipur eða tveir sveipir (32)

Bringa Eðlileg Lítil

Breið

Hjarta Eðlileg Hjartaskoðun

Kviður Eðlilegur

Lifrarstækkun

Miltisstækkun

Bak Eðlilegt Hryggskekkja

Útlimir Eðlilegir Ósamhverfir

Liðamót Eðlileg

Slök

Stíf

Hendur Eðlilegar

Stórar

Litlar

Breiðar

Þumlar

Breiðir

Lágstæðir (35)

Geirvörtur

Vanmyndaðar

Innfallnar

Auka geirvörtur

Breitt bil á milli

Óhljóð:_______

Aukahljóð:_______

Kviðslit:_______

Nafasvæði:_______

Bringubein Klofið

Stutt Knarrarbringa Holubringa

Taktur:_______

Púlsar:_______

Sérkenni

Sveskjukviður (34) (34)

Herðakistill/kryppa Ofoðið

Efri útlimir (upphandleggur, framhandleggur)

Stuttir

Langir

Hægri:_____cm

Vinstri:_____cm

Samdrættir/herpingar

Fit

Fingur

Breiðir

Dreifðir (36)

Samrunnir:_______

Auka fingur:_______

Stutt miðhandarbein númer fjögur og fimm

Fjölfingrun

Samfingrun

Stuttfingrun (37)

Spjaldhryggsdæld

Neðri útlimir (lærleggur, fótleggur)

Stuttir

Langir

Hægri:_____cm

Vinstri:_____cm

Dældir Annað:_______

Neglur

Stuttar

Ekki til staðar Naglastökkvi/klofin naglbrún (35) (36) (37)

Fætur Eðlilegir Stórir Smáir Breiðir

Stóra tá Breið Skökk

Tær

Breiðar

Dreifðar

Skarast

Samrunnar:_______

Neglur

Stuttar

Ekki til staðar Naglastökkvi

Húð Eðlileg

Fullorðin/þunn

Aukinn teygjanleiki

Húðslaki

Stíf

Hreistruð

Þykk

Óeðlileg ör:______

Ofvöxtur/hnútar

Litaðir blettir

(merkja inn á myndir 38­39)

Afitaðir blettir

(merkja inn á myndir 38­39)

Fæðingarblettir

(merkja inn á myndir 38­39)

Æðaæxli

(merkja inn á myndir 38­39)

Húðbreytingar tengdar taugaheilkennum til dæmis: Hnjóskahersli (tuberous sclerosis) Taugatrefjaæxlager (neurofibromatosis)

Taugaslíðursæxli (schwannomatosis)

Sturge­Weber heilkenni (38) (39)

Taugakerfi Eðlileg skoðun

Heilataugaeinkenni:______

Óeðlileg ósjálfráð viðbrögð

Göngulag

Óregluhreyfing

Léleg línuganga

Hátt uppstig

Hreyfingar Ósamhverfar Speglun Endurtekning

Vöðvar Minni styrkur Minni stærð

Spenna

Lítil Mikil

Tal:______

UPPVINNSLU ERFÐAHEILKENNA

Landspítalinn býður upp á margvíslegar klíniskar erfðarannsóknir. Flestar eru framkvæmdar á erfða­ og sameindalæknisfræðideild en sumar fara fram á öðrum deildum svo sem meinafræðideild og hjá Blóðbankanum. Þær rannsóknir sem eru gerðar á vegum erfða­ og sameindalæknisfræðideildar tengjast í mörgum tilfellum greiningu á meðferðarbærum sjúkdómum en aðrar ástæður geta einnig legið að baki. Próf til erfðagreiningar geta verið 1) hluti af uppvinnslu til staðfestingar á klíniskri greiningu eða greiningar á óþekktum undirliggjandi sjúkdómi, 2) til mismunagreiningar, 3) til að greina einstaklinga í áhættuhópi, þá sem hluti af skipulögðu eftirliti, 4) ósk einstaklings eftir greiningu þrátt fyrir takmörkuð úrræði og að lokum 5) til að rannsaka áhættu afkomenda eða ættingja.

Á deildinni eru starfræktar þrjár einingar: klínískar sameindarannsóknir (mynd 2), litningarannsóknir og lífefnaerfðarannsóknir, það er nýbura­ og fósturskimun. Ábendingar fyrir sameinda­ og litningarannsóknum eru margvíslegar en tafa II fer yfir þær helstu.

Þegar frávik koma í ljós við erfðarannsóknir eru þau fokkuð í fimm hópa byggt á sameindaerfðafræðilegum eiginleikum breytingarinnar og klínískum reynslugögnum, í samræmi við alþjóðleg skilmerki. Þessir fimm hópar eru 1) góðkynja, 2) líklega góðkynja, 3) líklega meinvaldandi, 4) meinvaldandi og 5) óviss klínísk þýðing.14

Regluleg endurskoðun fer fram og endur fokkun eftir því sem þekking eykst.

Landnemapróf Landspítalans er í grunninn fjölgena nálgun þar sem öll þekkt erfðabrigði hafa verið valin í eitt greiningarrennsli byggt á fyrri erfðarannsóknum Landspítalans og Íslenskrar erfðagreiningar. Í dag er þetta fjölgenapróf með 177 genum og yfir 500 þekktum meinvaldandi erfðabrigðum. Prófið er því víðtækt og nær til margra erfðabrigða samtímis. Hægt er að uppfæra prófið eftir því sem feiri meinvaldandi erfðabrigði greinast hérlendis, óháð uppruna ráðþega.

Aðrar erfðafræðilegar rannsóknir sem fara fram utan erfða­ og sameindalæknisfræðideildar eru meðal annars DNA­greiningar krabbameinsæxla, sem fara fram á meinafræðideildinni, og hjá Blóðbankanum fara fram HLA­DNA vefjafokkanir fyrir lífæraskipti eða stofnfrumumeðferðir og greiningar á Rhesus­arfgerðum fóstra með einangrun á fóstur­DNA úr móðurblóði (NIPT) við 24 til 28 viku hjá Rhesus­neikvæðum mæðrum.

Tegundir sameindarannsókna. Mynd 2

Eingenarannsókn

Fjölgenarannsókn Heildartáknraðgreining (whole exome sequencing, WES)

Heilraðgreining (whole genome sequencing, WGS)

Tafla II. Ábendingar fyrir erfðarannsóknum.
Tegund rannsóknar Lýsing á rannsókn Ábending
Sameindarannsóknir

Eingenarannsóknir Rannsókn á þekktu erfðabrigði til staðfestingar á klínísku mati og greiningar.

Fjölgenarannsóknir Úrlestur og fokkun erfðabrigða margra gena samtímis.

Heildartáknraðgreining (WES) Raðgreining táknraða allra gena erfðamengisins óháð svipgerð. Klínísk táknraðgreining er raðgreining táknraða allra þekktra sjúkdómsvaldandi gena, þar sem þekkt samsafn meinvaldandi erfðabrigða hefur verið skilgreint og tengt sjúkdómi eða svipgerð sem er til rannsóknar.

Heilraðgreining (WGS)

Víðtæk skimun eftir meinvaldandi breytingum í erfðamenginu, bæði táknog innröðum alls erfðamengisins.

Samtíma greining foreldra eða annarra fjölskyldumeðlima er mikilvæg til stuðnings og við mat á niðurstöðum. Greiningarávinningur WGS umfram WES er talinn vera allt að 35% (WGS er um 40­60% en WES um 25­50%).13

� Greining eða áhættumat vegna þekkts meinvaldandi erfðabrigðis í fjölskyldu.

� Arfberagreining einstaklings með fjölskyldusögu um þekkt meinvaldandi erfðabrigði og mögulega væntanlegs maka hans.

� Hluti mismunagreiningar erfðasjúkdóma og áhættumats.

� Fóstur­ og fósturvísagreining þekktra meinvaldandi erfðabrigða.

� Greining fósturkjarnsýra í móðurblóði vegna erfðabrigðaskimunar hjá fóstri og áhættugreining Rhesus­misræmis móður og fósturs.

� Lyfjaerfðabrigðagreining vegna vals eða útilokunar á lyfjameðferð, til dæmis erfðameingerð í blóð­ og illkynja sjúkdómum.

� Vefjafokkun, til dæmis fyrir lífæraígræðslu.

� Þekkt genamisleitni þar sem klínísk svipgerð getur orsakast af meinvaldandi erfðabrigði í feiri en einu geni.

� Skilgreindur hópur gena sem valdið geta sömu eða svipuðum einkennum eða sjúkdómum.

� Mismunagreining eftir klínísku mati og svipgerð bendir til orsakatengsla við óvissa eða óþekkta meinvaldandi breytingu í erfðaefninu fremur en ákveðinn sjúkdóm eða sjúkdómafokk.

� Sterkur grunur um erfðasjúkdóm og fyrri sameindarannsóknir hafa ekki leitt til niðurstöðu.

� Alvarleg eða óljós svipgerð.

Litningarannsóknir

Litningagerð Mat á fjölda og byggingu litninga með tilliti til litningafrávika.

� Samstæður sköpulagsbreytinga og þroskaskerðinga sem má rekja til fjöldagalla (þrístæðu, einstæðu, fjöllitnunar) eða byggingagalla (úrfellinga, fjölföldunar eða yfirfærslna).

� Frávik í fósturskimun, ófrjósemi eða endurtekin fósturlát.

� Þroska­ og vaxtarskerðing á meðgöngu eða eftir fæðingu.

� Eigin saga eða fjölskyldusaga um þroskafrávik og sköpulagsgalla.

Ör fögugreining eintakafjölbreytileika

Litningaljómun og litanir

ÚRRÆÐI

Blöndun og samruni erfðasýnis

sjúklings við samhæft viðmiðunarerfðamengi með eintakafjölbreytileika innan skilgreindra eðlilegra marka. Greiningarnæmi fer eftir fjölda, staðsetningu og bils milli greiningarpunkta sem miðað er við.

Blöndun og samruni erfðasýnis sjúklings við skilgreind þekkt staðbundin erfðamörk, til greiningar á meinvaldandi úrfellingu eða fjölföldun á tilteknu geni eða hluta þess, til dæmis til staðfestingar á klínísku mati ef vel skilgreint erfðaheilkenni og sjúklingur er með samsafn svipgerðareinkenna.

� Örsmáar úrfellingar eða margfaldanir á litningi sem leiða til eintakafjölbreytileika táknraða eða gena án þess að greinist á litningagerð.

� Samfelld fjölgena úrfellingarheilkenni með þroskaog sköpulagsfrávikum.

� Greiningar á 1) samruna ótengdra gena í eitt, 2) sundrunar þeirra eða 3) yfirfærslu milli litningasvæða. Niðurstöður rannsóknar geta haft áhrif á val á viðeigandi meðferðarúrræði og mat á sjúkdómshorfum.

Að loknu klínísku greiningarferli og erfðaráðgjöf er ráðþegum vísað til áframhaldandi meðferðar eða eftirlits á viðeigandi þjónustueiningu. Einnig er möguleiki á að fylgja einstaklingum eftir á Miðstöð sjaldgæfra sjúkdóma, sem er nýleg starfseining innan erfða­ og sameindalæknisfræðideilar Landspítalans.15 Þar á sér stað uppbygging á sértæku þverfaglegu eftirliti og teymisvinnu. Einnig er metið hvort sjúkdómssértækar meðferðir, það er kjarnsýrulyf, genameðferð og ensímuppbótarmeðferð, muni gagnast auk hefðbundinna meðferða vegna undirliggjandi sjúkdóms og fylgikvilla hans.

HEIMILDIR

1. Hognason HB, Stefansdottir VF, Thorolfsdottir ET, Jonsson JJ, Bjornsson HT. [Increased use of genetic health care in Iceland 2012­2017]. Laeknabladid. 2022;108(1):11­ 6.

2. Landspítali. Erfðaráðgjöf Reykjavík: Landspítali Háskólasjúkrahús; 2024 [Available from: https://www.landspitali.is/sjuklingaradstandendur/deildir­ og­thjonusta/erfda­ ogsameindalaeknisfraedideild­/erfdaradgjof/.

3. Miller DT, Lee K, Abul­Husn NS, Amendola LM, Brothers K, Chung WK, et al. ACMG SF v3.2 list for reporting of secondary findings in clinical exome and genome sequencing: A policy statement of the American College of Medical Genetics and Genomics (ACMG). Genet Med. 2023;25(8):100866.

4. Dorschner MO, Amendola LM, Turner EH, Robertson PD, Shirts BH, Gallego CJ, et al. Actionable, pathogenic incidental findings in 1,000 participants’ exomes. Am J Hum Genet. 2013;93(4):631­ 40.

5. Jensson BO, Arnadottir GA, Katrinardottir H, Fridriksdottir R, Helgason H, Oddsson A, et al. Actionable Genotypes and Their Association with Life Span in Iceland. N Engl J Med. 2023;389(19):1741­ 52.

6. Björnsson HT. Nýting erfðaupplýsinga til að bæta einstaklingsmiðaða heilbrigðisþjónustu. Reykjavík: Landspítali; 2024.

7. Firth HV, Hurst JA, Hall JG. Oxford Desk Reference ­ Clinical Genetics. Oxford: Oxford University Press; 2005 01 Oct 2011.

8. Stefánsdóttir V.; Arngrímsson R. JJJ. Fjölskyldusaga og ættartré. Læknablaðið. 2014;100(11).

9. Birgisdottir K. Genagreiningar f ogaveiki á Barnaspítala Hringsins, Niðurstöður og áhrif á meðferð [B.S. ritgerð]. Reykjavík: Háskóli Íslands; 2018.

10. Institute NHGR. Elements of Morphology: Human Malformation Terminology: National Human Genome Research Institute; 2024 [Available from: https://elementsofmorphology.nih.gov/index.cgi.

11. Gargano MA, Matentzoglu N, Coleman B, AddoLartey EB, Anagnostopoulos AV, Anderton J, et al. The Human Phenotype Ontology in 2024: phenotypes around the world. Nucleic Acids Res. 2024;52(D1):D1333­ d46.

12. Ewans LJ, Minoche AE, Schofield D, Shrestha R, Puttick C, Zhu Y, et al. Whole exome and genome sequencing in mendelian disorders: a diagnostic and health economic analysis. Eur J Hum Genet. 2022;30(10):1121­31.

13. Nurchis MC, Altamura G, Riccardi MT, Radio FC, Chillemi G, Bertini ES, et al. Whole genome sequencing diagnostic yield for paediatric patients with suspected genetic disorders: systematic review, meta­analysis, and GRADE assessment. Arch Public Health. 2023;81(1):93.

14. Richards S, Aziz N, Bale S, Bick D, Das S, GastierFoster J, et al. Standards and guidelines for the interpretation of sequence variants: a joint consensus recommendation of the American College of Medical Genetics and Genomics and the Association for Molecular Pathology. Genet Med. 2015;17(5):405 ­24.

15. Heilbrigðisráðuneytið. Drög að landsáætlun um sjaldgæfa sjúkdóma. Reykjavík: Heilbrigðisráðuneytið; 2024 mars 2024.

KRISTJÁN BJARKI HALLDÓRSSON

Formaður FÁL 2023­2024

KARA HLYNSDÓTTIR

Stjórnarmeðlimur FÁL 2023­2024

Val á sérgrein vefst fyrir mörgum læknanemum og nýútskrifuðum læknum. Margir finna þó nokkuð snemma hvort þeir stefni á lyfæknisfræðilega, skurðlæknisfræðilega eða blandaða sérgrein. Eftir fjórða ár hafa læknanemar með áhuga á lyfækningum hingað til mestmegnis þurft að þreyja þorrann þar til að sérnámsgrunnsári og sérnámi kemur. Því vaknaði sú hugmynd meðal læknanema við störf á Landspítala sumarið 2023 að stofna áhugamannafélag um lyfækningar.

Auðvitað voru þeir ekki heimsins fyrstir til að fá slíka hugmynd. Fljótt uppgötvaðist að í mörgum bandarískum læknaskólum er starfrækt áhugamannafélag um lyfækningar (internal medicine interest group) og reyndar aðrar sérgreinar líka. Félag bandarískra lyfækna (American College of Physicians) hefur stutt við áhugamannafélögin með því að gefa út efni og veita félögunum peningastyrki sem hafa numið allt að 600 Bandaríkjadölum á ári.1 Haft var samband við Læknadeild Háskóla Íslands þar sem félagið fékk almennt góðar viðtökur.

Næsta verkefni var að finna nafn á félagið. Ýmsar hugmyndir komu upp, meðal annars Seiðskrattarnir, Lyfráður og Sérlyfið. Að lokum var sammælst um lágstemmt en viðeigandi nafn. Þann 22. janúar 2024 var Félag áhugamanna um lyfækningar (FÁL) formlega stofnað og voru stofnfélagar Birkir Freyr Andrason, Elísabet Tara Guðmundsdóttir, Kara Hlynsdóttir, Kristján Bjarki Halldórsson, Laufey Halla Atladóttir, Vífill Ari Hróðmarsson, Þorgerður Einarsdóttir og Þorsteinn Ívar Albertsson, öll læknanemar á fimmta ári. Ákveðið var að Kristján Bjarki yrði formaður og Vífill Ari gjaldkeri. Ekki var skipað í aðrar stöður. Stofnaður var Facebook­hópur sem eru nú 227 meðlimir í. Flestir eru læknanemar við Háskóla Íslands en einnig var haft samband við nemendafélög íslenskra læknanema í Slóvakíu, Ungverjalandi og Danmörku til frekara samstarfs.

Líklega er um að ræða fyrsta áhugamannafélag um sérgrein fyrir læknanema á Íslandi. Er vel við hæfi að það snúi að lyfækningum enda hafa 9,1% íslenskra lækna sér fræðiréttindi í greininni.2 Jafnframt eru lyfækningar algengasta sérgreinin, í Bandaríkjunum að minnsta kosti.3 Síðar á vorönninni var Félag áhugafólks um skurðlækningar og bráð inngrip stofnað sem var fagnað innan stjórnar FÁL.

Fyrsti viðburður FÁL var umræðufundur með fjórða árs læknanemum á lyfækningadeildum. Var þá farið yfir ýmis hagnýt atriði er tengjast verknámi. Næsti viðburður var yfir ferð á skoðun meltingar færa og nýrna í boði Alexanders Illarionovs lyfæknis og var sá viðburður vinsæll og fullsetinn. Erna Knútsdóttir gæðastjóri og Sigurborg Matthíasdóttir náttúrufræðingur kynntu síðan starfsemi Blóðbankans og hagnýtar upplýsingar er varðar blóðhlutagjafir fyrir meðlimum FÁL. Í lok kynningar hélt Eggert Ólafur Árnason, sérnámslæknir í almennum lyfækningum, tilfellakennslu tengda efninu. Fjöldamargir áhugamenn voru þar mættir og fengu smákökur í boði Blóðbankans. Stuttu síðar hélt Hildur Jónsdóttir lyfæknir einnig tilfellakennslu sem hún tengdi við klíníska rökleiðslu. Þessi kennsla var einnig fjölsótt og tók salurinn virkan þátt í lausn tilfellisins. Síðasti viðburðurinn á vorönn 2024 var æfing í gerð lyfseðla, hugsuð sem undirbúningur fyrir sumarstörf læknanema. Kara og Kristján Bjarki sömdu æfinguna og lásu Linda Kristjánsdóttir heimilislæknir, Ingvar Ásbjörnsson og Jón Bjarnason sérnámslæknar yfir hana. Kristján Veigar Kristjánsson og Þórbergur Atli Þórsson, sjötta árs læknanemar þá en sérnámsgrunnslæknar nú, kenndu og aðstoðuðu þátt takendur við lausn verkefna.

Á haustönn 2024 var haldinn fyrsti aðalfundur félagsins. Í kjölfarið gengu í stjórn þau Ágústa Eyjólfsdóttir, læknanemi á fimmta ári, Egill Gauti Þorsteinsson, sjötta ári, Eygló Sóley Hróðmarsdóttir Löve, fjórða ári, Íris Arna Tómasdóttir, fimmta ári, Kjartan Þorri Kristjánsson, fimmta ári, Silvía Stella Hilmarsdóttir, fjórða ári, og Trausti Jónsson, fimmta ári. Fljótlega var skipað í embætti og varð Kristján Bjarki aftur formaður, Kjartan Þorri varaformaður, Kara gjaldkeri, Elísabet Tara ritari, Ágústa kynningar stjóri, Þorgerður fjáröfunarstjóri og Silvía Stella tengiliður við fjórða ár.

Á önninni var svokallaður EKG ­klúbbur stofnaður með það meginmarkmið að viðhalda og byggja ofan á hæfni fimmta og sjötta árs læknanema í úrlestri hjartalínurita. Skráðu 64 sig í klúbbinn og tveir klúbbfundir voru haldnir á önninni, annars vegar undir handleiðslu Helgu Margrétar Skúladóttur hjartalæknis, og hins vegar Hjálmars Ragnars Agnarssonar lyfæknis. Í tengslum við klúbbinn héldu Kjartan Þorri, Ágústa, Trausti og Kristján Bjarki kennslu í skipulagðri úr vinnslu 12 leiðslu hjartalínurits fyrir litla hópa þriðja og fjórða árs læknanema. Haldið var áfram með vel sóttar tilfellakennslur og sáu Berglind Bergmann, sérnámslæknir í almennum lyfækningum, og Hildur Jónsdóttir lyfæknir um tvær slíkar. Gísli Þór Axelsson, sérnámslæknir í almennum lyfækningum og stjórnarmeðlimur Félags íslenskra lyfækna, tók boltann af Alexander og hélt fullbókaða kennslu í skoðun lungna. Samstarfið við Helgu Margréti hélt áfram og var hún með kennslu í grunnatriðum hjartaómskoðunar sem var vel sótt af bæði læknanemum á klínískum og forklínískum árum.

Viðburðir á vegum félagsins frá stofnun hafa verið fjölbreyttir og vel sóttir meðal félagsmeðlima.

EKG klúbbur Skráning: 64 manns

PACES líkamsskoðun

Skráning: 9 manns

Klínísk rökleiðsla BB & HJ

25­45 manns

Klínísk rökleiðsla HJ Skráning: 26 manns

Blóðbankinn & tilfelli EÓÁ

Skráning: 31 manns

Hjartaómun

Skráning: 28 manns

Skráning:
Klínísk rökleiðsla í beinni Lyfæknaþing

Að lokum þróuðust ánægjuleg tengsl við Félag íslenskra lyfækna á önninni. Kara, Kjartan Þorri og Silvía Stella kynntu starfsemi FÁL á aðalfundi félagsins. Á sama fundi hlaut FÁL rausnarlegan peningastyrk sem stjórnin er þakklát fyrir. Kristján Bjarki tók síðan þátt í klínískri rökleiðslu á XXVI. þingi Félags íslenskra lyfækna í Hörpu og er stjórnin sömuleiðis þakklát fyrir það tækifæri.

Allir viðburðir FÁL eru skipulagðir af stjórnarmeðlimum, oft í samráði við áhugasama sérnámslækna eða sérfræðilækna, og eru þátt takendum að endurgjaldslausu. Stjórn FÁL þakkar kærlega öllum sem hafa tekið þátt í skipulagningu viðburða á vegum félagsins og hvetur alla með hugmyndir að viðburðum til að hafa samband á seidskrattar@gmail.com. Jafnframt þakkar stjórnin læknanemum kærlega fyrir viðtökurnar og vonast til að áhugamenn um lyfækningar í næstu árgöngum haldi starfi félagsins áfram á næstu árum.

HEIMILDIR

1. American College of Physicians (ed.). Internal Medicine Interest Group (IMIG) Sponsorship Program [Internet]. Available from: https://www. acponline.org/membership/medical­students/ additional­resources/internal­medicine­interestgroup ­imig­sponsorship ­program

2. Embætti landlæknis. Starfsleyfaskrá [Internet]. Available from: https://vefkerfi.landlaeknir.is/ apex/f?p=2600:5::::::

3. Association of American Medical Colleges. U.S. Physician Workforce Data Dashboard [Internet]. 2024. Available from: https://www.aamc.org/ data­reports/report/us­physician­workforcedata­ dashboard

Heilbrigðisstofnun Suðurlands

Heilbrigðisstofnun Suðurlands veitir heilsugæslu-, sjúkrahús- og öldrunarþjónustu ásamt því að annast sjúkraflutninga. Þjónustusvæðið nær frá Þorlákshöfn í vestri til Hafnar í austri.

Heilbrigðisstofnun Suðurlands starfrækir:

9 heilsugæslur á 10 starfsstöðvum 4 hjúkrunarheimili

Sjúkrahús á Selfossi

Sjúkrahús í Vestmannaeyjum

Sjúkraflutningar á svæðinu

Á Selfossi er opin bráðamóttaka allan sólarhringinn. Á öllum heilsugæslustöðvum HSU er bráðavakt læknis fyrir neyðartilfelli.

Hlutverk HSU er að móta, þróa og útfæra heilbrigðisþjónustu í umdæminu og tryggja íbúum Suðurlands og öðrum þjónustuþegum jafnan aðgang að bestu heilbrigðisþjónustu sem völ er á hverju sinni.

Þjónustumarkmið HSU byggja á gildum okkar um fagmennsku, virðingu og samvinnu. Velferð og þarfir þjónustuþega eru okkar leiðarljós.

Upplýsingar frá 2023

Mannauður

Fjöldi starfsfólks á HSU er 842

Fjöldi lækna 54

Fjöldi hjúkrunarfræðinga 166

Fjöldi s´júkraliða 114

Auk fjölda annarra starfsstétta

Komur og dvalir

Meðalfjöldi koma á dag á BMT er 52

Meðalfjöldi þjónustuþega á lyflækningadeild Selfossi eru 20,3

Meðalfjöldi þjónustuþega á sjúkradeild í

Vestmannaeyjum eru 17

Sérfræðiþjónusta

Augnlækningar

Barnalækningar

Geðlækningar

Hjartalækningar

Krabbameinslækningar

Lungnalækningar

Meltingafæralækningar Þvagfæralækningar

Öldrunarlækningar

Nýsköpunarverkefni

Dignio - Fjarvöktunarkerfi

Leviosa - Sjúkraskráningarkerfi

Slag innan tímamarka - bætt þjónusta

Heimaspítali

Gervigreind í myngreiningu

Fjölbreytt tölfræði

Fjöldi fæðinga voru 55

Að meðaltali 31 myndgreining á dag

Sjúkraflutningar innan svæðis HSU voru 5274

Hjúkrunarrými fyrir 62 einstaklinga

Viltu vera með í okkar liði?

LUIS GÍSLI RABELO

Formaður FÁSBI 2023­2024

MATTHILDUR MARÍA

MAGNÚSDÓTTIR

Stjórnarmeðlimur FÁSBI 2023­2024

Það er festum læknanemum ljóst að ekki er hægt að gera, sjá og læra ALLT í klíník. Deildir sem eru úthlutaðar læknanemum í verklegu námi, til dæmis í skurðlæknisfræði, geta verið mismunandi og þar með námstækifærin líka. Að auki kynnast læknanemar sumum sérgreinum seinna í náminu, eins og til dæmis svæfinga­ og gjörgæslulækningum, sem nú eru kenndar á sjötta ári. Þar af leiðandi hafa nemar oft takmarkaða vitneskju um eðli þessara sérgreina á fyrri stigum námsins, þar með talið atvinnumöguleika, vinnuálag, sérnám og rannsóknar tækifæri sem sérgreininni viðkoma. Erlendis hafa ýmis áhugamannafélög í skurð ­, svæfinga­ og bráðalæknisfræði verið stofnuð til að kynna þessar sérgreinar fyrr í náminu, en einnig til að auka þekkingu og verklega færni hjá áhugasömum læknanemum. Á Íslandi var slíkt félag nýlega stofnað fyrir læknanema, Félag áhugamanna um skurðlækningar og bráð inngrip (FÁSBI).

FÁSBI miðar að því að halda viðburði með sér staka áherslu á skurðlæknisfræði og bráð inngrip. Svið félagsins nær fyrst og fremst til skurðlæknisfræði og svæfinga­ og gjörgæslulæknisfræði, en einnig bráðalæknisfræði. Þetta er fyrsta félagið fyrir læknanema hér á landi sem nær til þessara sérgreina. Markmið félagsins er meðal annars að auka áhuga og efa verklega færni í helstu inngripum sem tengjast sviðum félagsins, en einnig að skapa vettvang fyrir umræður sem snúa að rannsóknum. Hugmyndin að félaginu á rætur sínar að rekja til Bandaríkjanna en þar er um helmingur læknaskóla með slík félög. Nefndin er skipuð sjö læknanemum og einum sérnámsgrunnslækni. Á bak við nefndina eru fjórir sérnámslæknar og þar að auki eru sér fræðingar félaginu til halds og trausts.

Mynd 1

Þraut holsjárkeppninnar var afar erfið í ár, en hér má sjá öfuga læknanema æfa sig í að skræla “blöðru af eggjastokk” í holsjá.

Mynd 2

Daníel Geir Karlsson, sérnámslæknir í skurðlæknisfræði á Landspítala, er kynntur til sviðs og fór hann yfir helstu tegundir sauma með klínískum læknanemum.

Mynd 3

Hér má sjá sjá Daníel deila sínum helstu saumatöktum með klínískum læknanemum.

Mynd 4

Forklínískir læknanemar taka sín fyrstu skref í að sauma með aðstoð klínískra læknanema, á fimmta og sjötta ári, og sérnámsgrunnslækna.

VIÐBURÐIR FÉLAGSINS

AÐ LOKUM

Félagið býður upp á fjölbreytta viðburði, sem eru bæði af fræðilegum og verklegum toga, fyrir alla læknanema. Frá stofnun félagsins í ársbyrjun 2024 hafa samtals fimm viðburðir verið haldnir. Sá fyrsti var kynning lækna á umsóknar ferli og sérnámi í skurðlæknisfræði í Bandaríkjunum, Noregi og Svíþjóð. Auk þess var hin árlega holsjárkeppni loks endur vakin eftir langt COVID ­19 hlé og haldin hátíðleg í apríl í samstarfi við Kennslu­ og fræðslumálanefnd (KF) læknadeildar. Haustið 2024 voru ýmsir viðburðir haldnir, þar á meðal ómkennsla og saumakennsla, sem var haldin í tvígang vegna mikillar aðsóknar læknanema.

Starfsemi FÁSBI er nú komin á fullt og hefur fengið frábærar viðtökur. Við viljum skapa jákvætt og uppbyggjandi umhverfi þar sem áhugasamir læknanemar geta komið saman, lært eitthvað nýtt og náð að efa sína verklegu færni. Stjórnin þakkar öllum læknanemum fyrir samveruna hingað til og hlakkar til frekari viðburða.

Sérfræðingur í ly fækningum og öldrunarlækningum á Heilbrigðisstofnun Suðurlands (HSU)

HEIMASPÍTALINN Á SELFOSSI

ÁGRIP

INNGANGUR

Cochrane samtökin ályktuðu 2024 að rannsóknir á heimaspítölum ættu að hætta að leggja áherslu á hvort heimaspítalar virki og séu öruggir og fari að snúast um aðferðir til að auka umfang þjónustunnar.1 Heimaspítalinn á Selfossi opnaði í janúar 2024. Sjúkratilfellið sýnir hvernig maður á tíræðisaldri, með hrumleika, fjölveikindi og lífsógnandi sjúkdóma, fékk sjúkrahúsþjónustu í heimahúsi og gat búið heima síðustu vikur lífs síns.

Árið 2024 birtust tvær greinar hjá Cochrane samtökunum um heimaspítala, sú fyrri um heimaspítala (Hospital at Home, HaH)2 sem styttir meðferð á spítala (early discharge HaH) og sú seinni um heimaspítala sem kemur í stað innlagnar (admission avoidance HaH).3 Ritstjórn Cochrane ályktaði að meðferð heimaspítala væri sambærileg meðferð á spítala og að tími væri kominn til að umræða og rannsóknir hættu að snúast eingöngu um að sýna fram á að heimaspítali virkaði og væri öruggur, og færu að snúast um innleiðingu og hvernig mætti auka umfang þjónustunnar.1

Heimaspítalinn á Selfossi opnaði í janúar 2024 á vegum Heilbrigðisstofnunar Suðurlands (HSU). Hlutverk heimaspítalans er að veita bráðaþjónustu í heimahúsum fyrir: a) einstaklinga sem eru fjölveikir og/eða hrumir og/eða aldraðir, og b) einstaklinga sem eru með alvarlega lífsógnandi sjúkdóma og áherslur í meðferð eru líknandi. Markmið hans eru að styðja við sjálfstæða búsetu og að draga úr fjölda koma á bráðamót töku og/eða innlagna annars vegar, og hins vegar að veita sérhæfða líknarþjónustu í heimahúsum. Þjónustan er ætluð sjúklingum sem uppfylla eftir farandi: a) eru með heimahjúkrun, óháð aldri, b) eru með lífsógnandi sjúkdóma og áherslur í meðferð eru líknandi, óháð aldri, eða c) eru 75 ára og eldri og hafa vísbendingar um hrumleika, það er uppfylla að minnsta kosti eitt af eftir farandi, i) uppfylla skilmerki skimunar um hrumleika, ii) hafa þrjá eða feiri langvinna sjúkdóma, iii) hafa þrjár eða feiri komur á bráðamót töku eða innlagnir síðastliðið ár, iv) þurfa aðstoð við athafnir daglegs lífs, v) hafa þrjár eða feiri byltur síðastliðið ár. Fyrsta árið var upptökusvæði heimaspítalans Árborg en til stendur að stækka svæðið og þjóna nærliggjandi sveitar félögum. Eftir farandi sjúkratilfelli er lauslega byggt á einum af sjúklingum heimaspítalans 2024 og veitir innsýn í veitta þjónustu, verk ferla og sjúklingahóp.

Um er að ræða 96 ára mann með alvarleg ósæðarlokuþrengsli, hjartabilun, hrumleika, langvinna nýrnabilun og feiri sjúkdóma. Hann leitaði á bráðamót töku Heilbrigðisstofnunar Suðurlands (HSU) vegna aukins slappleika. Hann greindist með bráða versnun á undirliggjandi hjartabilun, versnandi langvinna nýrnabilun og lágþrýsting. Hann fékk fúrósemið í æð og lósartan og metóprólól voru stöðvuð vegna lágþrýstings. Læknir ræddi við hann og ættingja um að hans hjartasjúkdómur væri alvarlegur og ákvað að setja á meðferðar takmarkanir. Honum leið betur næsta dag og vildi komast heim en þurfti áfram fúrósemíð í æð vegna versnunar á hjartabilun. Starfsfólk bráðamót töku bauð honum og ættingjum að hann fengi meðferð hjá heimaspítala HSU í stað innlagnar. Hann og ættingjar vildu það gjarnan og hann útskrifaðist heim. Næsta dag komu læknir og hjúkrunar fræðingur heimaspítala í vitjun. Hann lá í rúminu og svaf. Eiginkona, sem var nokkrum árum yngri, og dóttir sögðu að síðustu vikurnar hefðu verið erfiðar, hann væri sífellt þreyttari, með aukna mæði og vildi vera mikið í rúminu. Inn á milli væri hann meira óáttaður. Hann fékk aðstoð frá heimahjúkrun einu sinni í viku við böðun og aðstoð frá félagsþjónustu við þrif. Eiginkonan hans sá um lyfjameðferð og dóttir hans aðstoðaði við ýmsar fóknari athafnir daglegs lífs (ADL).

Fyrra heilsufar hans var eftirfarandi: alvarleg ósæðarlokuþrengsli, hjartabilun, langvinn nýrnabilun með gaukulsíunarhraða í kringum 15 mL/mín/1,73 m2 með hægfara versnun undanfarið ár, hann var með fjölliðaslitgigt og hann braut hægra lærbein fyrir nokkrum árum. Lyf sem hann tók voru fúrósemíð 80 mg tvisvar á dag, metólazon 5 mg hálf tafa einu sinni í viku, kalíumklóríð, og asetýlsalisýlsýra, hlé var á lyfjagjöf með metóprólól og lósartan.

Við skoðun var hann áttaður á stað en ekki fyllilega áttaður á tíma, blóðþrýstingur var 105/62 mmHg, púls var 112 slög/mín, öndunar tíðni var 22 andardrættir/mín eftir göngu en lækkaði svo í 18 andardrætti/mín og súrefnismettun var 96%. Loks vó hann svipað og undanfarnar vikur, en var þó að minnsta kosti sex kílóum léttari en fyrir hálfu ári síðan. Hann var með vægt brak við lungnahlustun, hálsvenustasa og vægan fótabjúg. Hátt systólískt óhljóð heyrðist við hjartahlustun. Hann fékk aftur fúrósemíð í æð. Mat læknis og hjúkrunar fræðings var að um lokastigs hjartabilun í bland við nýrnabilun væri að ræða og að viðkomandi ætti ekki langt eftir ólifað. Þetta var rætt við hann sjálfan sem og við bæði eiginkonu og dóttur. Rætt var opinskátt að áherslur í meðferð væru líknandi og spurt var hvað væri mikilvægast fyrir hann sjálfan og ættingja. Hann sjálfur og ættingjar ítrekuðu ósk sína um að honum liði sem best og hann ítrekaði ósk sína um að vera heima við. Eiginkona hans ræddi um að hún vildi gjarnan að hann fengi að vera heima eins lengi og hægt væri en hún vildi ekki að hann myndi deyja í heimahúsi. Ekki var lengur talin gagnsemi af blóðföguhemjandi lyfi, betahemli og ACE­hemli og voru þau lyf stöðvuð. Hann fékk fúrósemíð í æð. Fylgst var með söltum í blóði daglega með tæki sem leyfir úr vinnslu og svör á staðnum ( point of care testing, POC). Næstu daga kom starfsfólk heimahjúkrunar HSU morgna og kvölds og aðstoðaði við umönnun. Hjúkrunar fræðingur gaf honum fúrósemíð

í æð á morgnana í þrjá daga. Þá var bætt við innlitum frá félagsþjónustu í hádeginu. Hann þurfti ekki súrefni en rætt var um möguleika á að sækja um súrefnissíu og hefja súrefnismeðferð ef þyrfti. Læknir og hjúkrunar fræðingur heimaspítala komu aftur í vitjun þremur dögum síðar og var líðan hans aðeins betri. Skipt var yfir í fúrósemíð á töfuformi. Áfram var hjúkrun og umönnun eins og lýst er að ofan. Rúmri viku eftir síðustu vitjun heimaspítala, á laugardegi, hringdi eiginkona hans á sjúkrabíl vegna aukinnar þreytu og byltu. Honum leið ágætlega við komu sjúkrafutningafólks og gat gengið um. Þá var ákveðið í samráði við ættingja og lækni á bráðamót töku HSU að hann dveldi áfram heima og heimaspítalinn kæmi strax eftir helgi. Daginn eftir versnaði ástand hans og hann var futtur á bráðamóttöku þar sem hann lést nokkrum tímum síðar.

UMRÆÐUR

Sjúkratilfellið sýnir hvernig háaldraður einstaklingur með bráða versnun á langvinnum sjúkdómi, hrumleika og fjölveikindi getur útskrifast fyrr af bráðamót töku og fengið meðhöndlun í heimaumhverfi í stað innlagnar. Starfsfólk heimaspítala getur veitt meðferð í heimahúsi sem hingað til hefur einungis verið á sjúkrahúsi eins og að gefa lyf í æð, taka blóðprufur sem er svarað á staðnum, veita súrefnismeðferð og feira. Frumskilyrði fyrir þjónustu heimaspítala er að einstaklingur vilji að meðferð sé í heimahúsi. Einnig er starfsfólk heimaspítala í góðri stöðu til að meta hvort sjúkdómsbyrði sé það mikil og/eða hvort um sé að ræða lífsógnandi sjúkdóma og hefja samtal um meðferðarmarkmið.

Alþjóðleg skilgreining heimaspítala er að um sé að ræða heilbrigðisþjónustu til skemmri tíma á heimili fólks, eða í öðru búsetuformi, sem einungis væri veitt á sjúkrahúsi ef heimaspítali væri ekki til staðar. Algengt er að miðað sé við að veita þjónustu í einn til 14 daga. Það sem talið er aðgreina heimaspítala frá þjónustu heilsugæslu og heimahjúkrunar við einstaklinga í heimahúsum er annað hvort hversu bráð veikindi eru eða hversu fókin. Mikilvægt er að hægt sé að nota rannsóknir líkt og um dvöl á spítala sé að ræða, þar með talið blóðprufur, aðgang að myndgreiningum og ráðgjöf sér fræðinga í undirsérgreinum.4 Algengt er að notast sé við tækni sem leyfir POC blóðprufur, ómskoðanir líkt og á bráðamóttökum ( point of care ultrasound, POCUS) og fjar vöktun til að fylgjast daglega með lífsmörkum. Í boði er að gefa lyf í æð, svo sem þvagræsilyf og sýklalyf, og oft eru gefnir blóðhlutar sem og súrefni til skemmri tíma. Gert er ráð fyrir að teymið sem fari í vitjanir sé þver faglegt.4 Oft er miðað við að sjúklingar séu eldri en 65 ára með fjölveikindi, en stundum er miðað við 18 ára og eldri. Mismunandi er hvort heimaspítali veiti þjónustu sem styttir meðferð á spítala, til dæmis að klára sýklalyfjameðferð í æð heima við,2 eða komi alveg í stað innlagnar.3 Einnig er mismunandi hvort sjúklingar þurfi að hafa komið fyrst á bráðamót töku eða hvort heimilislæknar, heimahjúkrun og starfsfólk utanspítalaþjónustu geti vísað beint í þjónustu heimaspítala án viðkomu á bráðamóttöku.3 Gert er ráð fyrir að skjólstæðingar geti haft samband við heilbrigðisstarfsfólk allan sólarhringinn en festir heimaspítalar nýta aðrar deildir innan spítala á nóttunni og um helgar.4

Heimaspítali hefur þróast út af þeim raunveruleika sem blasir við í mörgum vestrænum ríkjum. Fjölgun eldra fólks er hröð en á sama tíma fækkar opnum leguplássum og nýtingarhlut fall sjúkrahúsrúma eykst ár frá ári.4 Fyrstu heimaspítalarnir komu fram á sjónarsviðið fyrir 25 árum en COVID ­19 faraldurinn hraðaði mjög þróun þeirra á heimsvísu sem og aðgangi að fjar vöktun og öðrum velferðar tæknilausnum.5 Rökin fyrir innleiðingu heimaspítala fyrir fjölveikt eldra fólk eru að fjölmargar rannsóknir sýna að sá hópur er í meiri hættu en yngra og hraustara fólk á að lenda í alvarlegum fylgikvillum við innlagnir á sjúkrahús eins og færnitapi, óráði, sýkingum og byltum.6, 7, 8 Stærsta slembirannsóknin sem hefur verið gerð á heimaspítala var í Bretlandi og sýndi að eldri einstaklingar, með meðalaldur 83 ár, sem fengu þjónustu heimaspítala undir leiðsögn öldrunarlækna við bráð veikindi voru ekki með hærri dánar tíðni en þeir sem voru lagðir inn á sjúkrahús. Einnig fengu þeir síður óráð og voru ólíklegri til að hafa futt á hjúkrunarheimili sex mánuðum síðar.9 Margar rannsóknir hafa sýnt lægri kostnað við heimaspítala í samanburði við innlagnir, en þó ekki allar.3, 10 Einnig hafa þær sýnt meiri ánægju sjúklinga og aðstandenda miðað við þjónustu á spítala.11 Rannsóknir hafa sýnt að meðferð heimaspítala getur valdið auknu álagi á aðstandendur og það er jafnframt takmarkandi þáttur að oft er erfitt að auka grunnþjónustu brátt til að mæta aukinni þörf á umönnun við bráð veikindi.2, 3 Einnig þarf heimaumhverfi að vera öruggt til að heimaspítali sé viðeigandi og það er innbyggð hætta á mismunun þar sem þeir sem ekki hafa náinn aðstandanda á heimilinu, eða góða félagslega stöðu, geta ekki alltaf nýtt sér þjónustuna.

Sjúkratilfellið sýnir mikilvægi samtals um meðferðarmarkmið hjá einstaklingi með langvinna og lífsógnandi sjúkdóma, og að starfsfólk heimaspítala sé í góðri stöðu til að ræða þau í öruggu umhverfi. Samtal um meðferðarmarkmið er hannað til að skilja lífsgildi og óskir sjúklings og aðstandenda. Fjölmargar rannsóknir sýna fram á að slík samtöl stuðla að betri lífsgæðum, betri einkennameðferð og dregur úr líkum á að meðferð sé veitt sem skilar litlum árangri. Einnig eru slík samtöl líkleg til að draga úr innlögnum.12, 13

Íslensk stjórnvöld leggja ríka áherslu á að eldra fólk geti búið heima við sem lengst. Unnið er að samþættingu heimahjúkrunar og félagslegrar heimaþjónustu og uppbyggingu feiri möguleika til endurhæfingar og feiru.14 Til að hægt sé að styðja sem lengst við sjálfstæða búsetu þarf að tryggja læknisþjónustu í heimahúsum, bæði vitjanir heimilislæknis og þjónustu heimaspítala sem veitir sjúkrahúsþjónustu. Rannsóknir í Kanada, Írlandi og feiri löndum hafa sýnt að um 20% eldra fólks standi á bak við stærstan hluta útgjalda til heilbrigðisþjónustu.15 Þessi hópur einkennist af hrumleika, fjölveikindum, þörf á aðstoð við ADL og að stór hluti þessara sjúklinga á einungis eitt til tvö ár eftir ólifuð. Heimaspítalinn á Selfossi er hannaður til að sinna þessu fólki. Hann er í dag opinn frá klukkan 8:00 til 12:00 virka daga en eftir klukkan 12:00 sinnir heimahjúkrun sömu skjólstæðingum. Heimaspítalinn er staðsettur inni á heilsugæslu HSU á Selfossi við hliðina á starfsaðstöðu heimahjúkrunar. Hjúkrunar fræðingar hans koma frá heimahjúkrun en læknamönnun er bæði frá heilsugæslusviði og sjúkrahússviði. Margs konar búnaður er notaður svo sem beinn aðgangur að sjúkraskrá HSU, blóðprufutæki sem leyfir greiningu á staðnum, hjartalínurit og feira. Þjónusta heimaspítalans á Selfossi er blönduð. Hluti af þjónustunni er sjúkrahúsþjónusta samkvæmt alþjóðlegum skilgreiningum heimaspítala en hluti af þjónustunni er annars vegar vitjanir heimilislæknis og hins vegar vitjanir til einstaklinga með líknandi áherslur í meðferð. Þessi blanda hentar vel á svæði sem sinnir fáum einstaklingum. Nýlega var komið á sólarhringsbak vakt heimahjúkrunar sem styður við meðferð heimaspítalans og eykur líkurnar á að hafa lífslokameðferðir í heimahúsi. Framtíðarstefna heimaspítalans á Selfossi er að lengja opnunar tíma, stækka þjónustusvæðið og lækka aldurstakmark til að ná til stærri hóps sem og reyna að nýta fjar vöktun til að þjóna stærra upptökusvæði.

Mynd 1

Guðný Stella Guðnadóttir öldrunarlæknir, Thelma Dröfn Ásmundsdóttir hjúkrunarfræðingur og jeppi heimaspítalans á Selfossi.

2

Hluti af búnaði heimaspítalans á Selfossi. Taska, lyfjataska sem inniheldur meðal annars sýklalyf í æð, fúrosemíð í æð, ýmis sýklalyf í töfuformi, verkjalyf og hjartalyf, hjartalínurit, EPOC blóðprufutæki sem leyfir úrvinnslu á staðnum og fartölva með beintengingu við sjúkraskrárkerfi HSU.

HEIMILDASKRÁ

1. Lai YF, Ko SQ. Time to shift the research agenda for Hospital at Home from efectiveness to implementation. The Cochrane database of systematic reviews. 2024;3(3):Ed000165.

2. Wallis JA, Shepperd S, Makela P, Han JX, Tripp EM, Gearon E, et al. Factors infuencing the implementation of early discharge hospital at home and admission avoidance hospital at home: a qualitative evidence synthesis. The Cochrane database of systematic reviews. 2024;3(3):Cd014765.

3. Edgar K, Ilife S, Doll HA, Clarke MJ, GonçalvesBradley DC, Wong E, et al. Admission avoidance hospital at home. The Cochrane database of systematic reviews. 2024;3(3):Cd007491.

4. Knight T, Lasserson D. Hospital at home for acute medical illness: The 21st century acute medical unit for a changing population. J Intern Med. 2022;291(4):438 ­ 57.

5. Kanagala SG, Gupta V, Kumawat S, Anamika F, McGillen B, Jain R. Hospital at home: emergence of a high­value model of care delivery. Egypt J Intern Med. 2023;35(1):21.

6. de Vries EN, Ramrattan MA, Smorenburg SM, Gouma DJ, Boermeester MA. The incidence and nature of in­hospital adverse events: a systematic review. Qual Saf Health Care. 2008;17(3):216 ­23.

7. Long SJ, Brown KF, Ames D, Vincent C. What is known about adverse events in older medical hospital inpatients? A systematic review of the literature. Int J Qual Health Care. 2013;25(5):54254.

8. Delirium is prevalent in older hospital inpatients and associated with adverse outcomes: results of a prospective multi­centre study on World Delirium Awareness Day. BMC medicine. 2019;17(1):229.

9. Shepperd S, Butler C, Cradduck­Bamford A, Ellis G, Gray A, Hemsley A, et al. Is Comprehensive Geriatric Assessment Admission Avoidance Hospital at Home an Alternative to Hospital Admission for Older Persons? : A Randomized Trial. Ann Intern Med. 2021;174(7):889 ­98.

10. Leong MQ, Lim CW, Lai YF. Comparison of Hospital­at­Home models: a systematic review of reviews. BMJ Open. 2021;11(1):e043285.

11. Varney J, Weiland TJ, Jelinek G. Efcacy of hospital in the home services providing care for patients admitted from emergency departments: an integrative review. Int J Evid Based Healthc. 2014;12(2):128 ­ 41.

12. Steel AJ, Owen LH. Advance care planning: the who, what, when, where and why. Br J Hosp Med (Lond). 2020;81(2):1­ 6.

13. Landspítala L. Klínískar leiðbeiningar um líknarmeðferð, 2.útgáfa 2017 [

14. Gott að eldast, aðgerðaráætlun um þjónustu við eldra fólk 2023 ­2027. Félags­ og vinnumálaráðuneytið og Heilbrigðisráðuneytið. 2023.

15. Sinha SK. Why the elderly could bankrupt Canada and how demographic imperatives will force the redesign of acute care service delivery. Healthc Pap. 2011;11(1):46 ­ 51; discussion 86 ­91.

Mynd

Sérfræðingur í almennum

skurðlækningum á Landspítala og dósent við Háskóla Íslands

HERMIKENNSLA –ÞAÐ ER LEIKUR AÐ LÆRA

Menntun lækna er aldagamalt, ef ekki árþúsundagamalt, fyrirbrigði og má rekja allt aftur til Hippókratesar í Grikklandi hinu forna. Hann futti fyrirlestra undir tré á eynni Kos fjórum öldum fyrir Krist, þar sem hann lagði grunninn að læknisfræði eins og við þekkjum hana, með áherslu á for varnir, lyf og ýmsar aðgerðir. Þar til á þessari öld má segja að kennsla í læknisfræði hafi ekki breyst mikið frá dögum Hippókratesar, bæði hvað varðar innihald (sjúkdómar og meðferð þeirra) og form – fyrirlestrar hafa verið ríkjandi kennsluform í festum læknaskólum. Í nútímalæknanámi eru hins vegar komin feiri áhersluatriði, þar sem stoðirnar eru orðnar þrjár: þekking, færni og viðhorf. Læknar þurfa ekki bara að þekkja sjúkdóma og geta meðhöndlað þá heldur þurfa þeir einnig að búa yfir færni, bæði verklegri og í samskiptum og samvinnu og hafa leiðtogahæfni. Fyrirlesturinn er enn ágætis kennsluform til að miðla þekkingu en að æfa færni í inngripum með því að æfa sig á sjúklingum, eins og hefur verið hefðin, rímar illa við öryggismenningu nútímans. Hvernig á að kenna inngrip á öruggan hátt og þjálfa færni á öðrum sviðum?

HVAÐ ER HERMIKENNSLA?

Hermikennsla er öfug aðferð til að æfa bæði færni og viðhorf. Í víðasta skilningi þá er hermikennsla ,,tækni sem skapar aðstæður eða umhverfi til að leyfa einstaklingum að upplifa framsetningu á raunverulegum atburðum í þeim tilgangi að æfa, læra, prófa eða öðlast skilning á kerfum eða mannlegum athöfnum”. Hugtakið er notað yfir ýmis kennsluform sem eru misfókin, sum þurfa engan búnað meðan önnur nýta sér (rándýra) nútímatækni. Grunnurinn er alltaf sá að nemar séu ekki að upplifa eitthvað í fyrsta sinn þegar þeir gera það með sjúklingi og einnig að tryggja öllum nemum sömu námstækifæri.

• Færnibúðir

Færnibúðir (skills labs) eru sennilega það form hermikennslu sem læknanemar kynnast einna fyrst. Í færnibúðum er verið að þjálfa tiltekna færni sem er skilgreind fyrir fram og oft notaðir hermar eða nemar æfa sig hver á öðrum. Dæmi um þetta er að æfa sögutöku, viðkvæma líkamsskoðun (til dæmis brjóstaskoðun og skoðun á endaþarmi), setja upp æðalegg og barkaþræðing. Hefðbundin kennsla í endurlífgun er nær því að vera færnibúðir en sjúklingaherming. Fyrir fram er þekkingu um hvernig á að bera sig að komið til nema (til dæmis í formi texta, hljóðupptöku eða myndbands) og í kennslustundinni æfa nemar færnina undir leiðsögn þar til tilskilinni hæfni hefur náð. Hver sá sem hefur staðgóða þekkingu á færninni sem æfa á getur notað færnibúðir sem kennsluaðferð. Sumir fræðimenn vilja skilja færnibúðir frá annarri hermikennslu því í færnibúðum er yfirleitt ekki notuð viðrun, sem er hjartað í hermingunni ­ meira um það síðar.

• Sjúklingaherming

Í sjúklingahermingu ( patient simulation) er yfirleitt ekki verið að æfa einstaka færni heldur fóknara samspil færni og viðhorfa. Oftast er sett upp tilfelli þar sem þátttakendur eiga við sjúkling og þurfa að finna út úr því hvað er að, setja af stað meðferð og vinna saman. Á þennan hátt er til dæmis hægt að æfa viðbrögð við sjaldgæfum en alvarlegum uppákomum (til dæmis ofnæmislosti), æfa skilgreinda verk ferla, æfa samskipti innan teymis og samskipti við aðstandendur, svo fátt eitt sé nefnt. Í sjúklingahermingu er hægt að nota hvort sem er sýndarsjúkling (dúkku) eða staðlaðan sjúkling. Sýndarsjúklingur er tölvustýrður sjúklingur og geta þeir fóknustu talað, sýnt breytingar á lífsmörkum, breytingar á sjáöldrum, tungan getur bólgnað og hjarta­ og lungnahlustun getur breyst. Sýndarsjúklingar þurfa rými sem er sérhæft fyrir þá, með stjórnklefa fyrir tölvubúnað, hljóðnema og hátölurum og öllum þeim búnaði sem mögulega þarf til að tilfellið gangi upp. Sýndarsjúklingar henta vel til að æfa bráðatilfelli, verk ferla og teymisvinnu. Í sjúklingahermingu er líka hægt að nota svokallaða staðlaða sjúklinga, sem eru þá einstaklingar sem hafa verið þjálfaðir sérstaklega til að leika sjúklinga. Slík herming þarf oft lítinn sem engan búnað og rýmið getur til dæmis verið sjúkrastofa sem ekki er í notkun eða jafnvel lesstofa og hentar vel til að æfa samskipti við sérstaka sjúklingahópa eins og til dæmis börn

og aldraða, eða þegar tiltekin atriði í líkamsskoðun eru lykilatriði og eitthvað sem sýndarsjúklingur getur ekki líkt eftir (til dæmis bjúgur, kraftminnkun eða lífhimnubólga). Hvort sem notaður er sýndar sjúklingur eða staðlaður sjúklingur er uppbygging kennslunnar svipuð: Gert er ráð fyrir ákveðinni þekkingu þegar þátt takendur mæta og byrjað er á því að útskýra leikreglur, skilgreina hlutverk og námsmarkmið. Tilfellið er síðan keyrt, helst þar til öllum námsmarkmiðum hefur verið náð. Lokaþátturinn er svo viðrun, þar sem þátttakendur sitja með hermileiðbeinanda og fara yfir atburðarásina, rifja upp hluti sem gengu vel og finna út hvað hefði mátt fara betur. Þátt takendur enda á því að skilgreina, hver fyrir sig, hvað þeir lærðu í hermingunni. Viðrunin er það sem skilur hermingu frá öllum öðrum kennsluformum, þar sem nemar fá aukið innsæi í eigin hugsanir og gerðir. Það er ekki talað um kennara í hermingu, heldur leiðbeinanda, því hlutverk viðkomandi er ekki að segja þátttakendum hvað þeir eigi að gera eða hvernig þeir stóðu sig, heldur leiða þá að eigin niðurstöðu. Þetta þarfnast mikillar færni af hálfu leiðbeinanda og því er ekki mælt með því að hermikennsla fari fram nema hæfur leiðbeinandi, sem hefur hlotið tilskilda þjálfun, sé til staðar. Hermileiðbeinandi þarf því bæði að hafa staðgóða þekkingu á efninu sem verið er að herma og kunna að leiða hermingu.

• Sýndarveruleiki

Miklar framfarir hafa verið í öllu sem snýr að hermingu og sýndar veruleika undanfarin ár og er þetta vinsælt umræðuefni á öllum ráðstefnum um hermingu. Hér er líka um að ræða svið með mikilli breidd, allt frá hermingu í tölvu eða skjáborði og blöndu af veruleika og sýndarveruleika upp í þrívíddar veruleika svipað því sem þekkist úr tölvuleikjum þar sem gengill (avatar ) þátttakenda stýrir atburðarásinni. Í sýndar veruleika er ekki endilega þörf á sýndarsjúklingi né stöðluðum sjúklingi og jafnvel er hægt að nota gervigreind í viðrunina. Þessi tækni er þó, þegar þetta er skrifað, ekki komin á það stig að koma í staðinn fyrir hefðbundna hermingu eins og lýst er hér að ofan, en það gæti breyst hratt.

STAÐAN Á ÍSLANDI

Í október 2023 birtist í Læknablaðinu fyrsta ritrýnda greinin um notkun hermikennslu í læknisfræði á Íslandi. Þar kom í ljós að mikill minnihluti kennara notaði hermikennslu sem kennsluaðferð, nemar töldu 10% kennara gera það en um 30% kennara taldi sig gera það. Bæði þeir nemar og kennarar sem tóku þátt í rannsókninni voru mjög jákvæðir í garð hermikennslu. Í rafrænni könnun meðal nema kom fram að nemar telja hermingu skemmtilega kennsluaðferð, góðan undirbúning fyrir klíníska vinnu, þeim finnst gott að æfa sig í öruggu umhverfi, herming tryggja fjölbreytni í kennsluaðferðum, byggja upp sjálfstraust nema, stuðla að því að nemar muni það sem kennt var, setja fræðilega þekkingu í klínískt samhengi og að það sé gott að læra með því að gera. Enn fremur dýpki hermikennsla skilning á námsefninu, gott sé að fá endurgjöf á það sem fram fór og fá mögulega tækifæri til að endur taka ef eitthvað fór miður auk þess sem mikilvægi þess að æfa inngrip og teymisvinnu verður skýrt.

FRAMTÍÐARSÝN

Með fjölgun læknanema og auknum kröfum um öryggi sjúklinga er ljóst að það er þörf á breyttum kennsluháttum í Læknadeild, ekki síst til að tryggja að allir nemar séu útsettir fyrir námstækifærum á þeim sviðum sem erfitt er að tryggja útsetningu fyrir í verklegu námi. Hermikennsla er klárlega hluti af þessum breytingum. En hvað þarf til að auka þátt hermikennslu í kennslu læknanema á Íslandi? Í fyrrnefndri grein kom fram ýmislegt sem kennarar telja hindranir. Skortur á þjálfun kennara er stór hluti, en eins og áður segir þá er herming fókið kennsluform sem krefst mikillar þjálfunar og undirbúnings kennara. Kennarar við Læknadeild eru ekki margir og eiginlega allir, sem kenna á klínísku árunum, vinna aðra vinnu samhliða kennslu. Að nýta nema við þessa kennslu er skipulagslegt vandamál, því öll kennsla skal fara fram á dagvinnutíma og aðrir nemar eru oftar en ekki uppteknir í sínu eigin námi. Herming er með dýrari kennsluformum, hvernig sem hún er sett upp, og annar stór hluti hindrana snýr að aðstöðu, búnaði og aðgengi. Þar hefur margt breyst til batnaðar, ekki síst með nýju hermisetri Heilbrigðisvísindasviðs HÍ og Landspítala sem verður formlega opnað í apríl 2025. Það er því gríðarlega mikilvægt að yfir völd mennta og heilbrigðis haldi áfram að veita fjármagni til heilbrigðisvísindagreinanna sem er eyrnamerkt nútímakennsluaðferðum. Á sama tíma þarf að selja feiri kennurum hermingu sem kennsluaðferð. Á báðum vígstöðvum geta nemar lagt þung lóð á vogarskálarnar, með því að tala um og halda á lofti mikilvægi hermikennslu fyrir sig sem nemendur og fyrir tilvonandi skjólstæðinga sína.

Sáraroð lækninga til

Ísfirðingurinn Pétur Oddsson brann mjög illa í alvarlegu vinnuslysi árið 2020. Hann fékk í sig mikinn rafstraum og var vart hugað líf. Stór hluti líkamans brann og innvortis áverkar voru miklir.

Lífshættuleg brunasárin voru meðhöndluð með sáraroði Kerecis. Eftir 60 daga á gjörgæslu og 100 daga í dái vaknaði Pétur til lífsins og hefur síðan náð ótrúlegum bata.

Kynntu þér sögu

Péturs og annarra

Sáraroð Kerecis er náttúruleg og græðandi lækningavara sem mest er notuð við meðhöndlun þrálátra sára, alvarlegra brunasára, skurðaðgerða og vefjauppbyggingu af ýmsu tagi.

Sími: 419 8000 | Email: info@kerecis.com

SKEMMTIEFNI

ÞEGAR LÆKNANEMI

VERÐUR SJÚKLINGUR bls. 96

SKIPTINÁM Í VARSJÁ bls. 98

SUMARSKIPTI Í PORTÚGAL bls. 100

SKOÐANAKÖNNUN bls. 102

DAGUR Í LÍFI bls.104

LÆKNANEMI Á KAFI Í

ENDURHÆFINGU ALDRAÐRA Á EIR bls.108

ÁRGANGAMYNDIR bls. 110

SPIL LÆKNANEMANS bls. 130

KROSSGÁTA LÆKNANEMANS bls. 132

HVAÐA KENNARI ERT ÞÚ? bls. 134

HVER Á HVAÐA EYRA? bls. 137

KEPPNI Á TVEIMUR VÍGSTÖÐVUM bls. 138

KENNSLUVERÐLAUN FÉLAGS LÆKNANEMA bls. 140

BS-VERKEFNI 3. ÁRS LÆKNANEMA bls. 142

ÞEGAR LÆKNANEMI VERÐUR SJÚKLINGUR

Það er mánudagur, 10. júní 2024. Ég vakna klukkan 9 og bý mig undir að mæta í vinnuna. Hóstinn þráláti, sem hefur vakið yfir mér eins og grátt ský undanfarna mánuði, gerir vart við sig við fyrsta andardráttinn. Ég lít í spegillinn þegar ég bursta tennurnar, af útlitinu að dæma mætti halda að ég væri ný vaknaður í tjaldi á mánudegi eftir Þjóðhátið. Ég er náfölur í framan með bauga niður að skeggrót. Ég hoppa í sturtu og er staðráðinn í því að hrista þetta af mér, eins og ég hafði gert alla dagana fyrir. Klukkan 10 er ég mættur í gallann og kominn á gólfið í Blóðbankanum. Einn hjúkrunar fræðingurinn biður mig um að finna sig og spyr mig hreint út hvort ég sé þunnur og kemst svo að orði að ég sé „eins og faðir vorið á litinn“, hvað sem það kann að þýða. Ég neita því en segist vera smá slappur, ég hafi sofið illa. Fyrsti blóðgjafinn kemur í hús, hann leggst í bekkinn og við tekur akademískt hjal í þær mínútur sem blóðgjöfin tekur. Hann segist vera sjúkrafutningamaður, áhugavert, við náum vel saman og blóðgjöfin heppnast vel. Það sama er ekki að segja um hinar blóðgjafir dagsins, en ég sló líklegast met í misheppnuðum gjöfum þennan daginn.

Ég hristi það af mér og hugsa með mér að allir eigi sína daga. Kominn tími á hádegismat. Matsalurinn er á hæðinni fyrir ofan, þegar ég er hálfnaður upp stigann þá hellist yfir mig mæði og skrítinn verkur yfir bringubeinið. Það tekur mig langan tíma að komast upp þau tíu þrep sem eftir voru. Eftir matinn passa ég að taka lyftuna niður, ég má ekki við þessu.

Eftir því sem líður á vinnudaginn verður verkurinn yfir bringubeininu verri. Ef ég ætti að koma því í orð þá er þetta eins og svæsin hálsbólga, bara neðar. Ég klára vinnudaginn og keyri heim. Við tekur stundin sem ég hafði séð fyrir mér í hillingum allan daginn, að leggjast upp í rúm. Það reyndist vera Pyrrhosarsigur að hafa klárað vinnudaginn. Þegar ég leggst út af verður sífellt erfiðara að anda. Í öngum mínum man ég eftir blóðþrýstingsmælinum hennar mömmu. Ég stend upp til að ná í hann. Ég næ ekki að rétta úr mér. Ég er eins og spurningarmerki í laginu, eins og Quasimodo, hringjarinn í Notre Dame. Blóðþrýstingurinn er fínn, 127/84. Púlsinn hefur aðra sögu að segja, hann er 172. Læknismenntunin kemur ekki betur að notum en svo að ég ákveð samt að spyrjast fyrir á Heilsuveru hvort ég ætti að gera eitthvað í þessu eða bara fara að sofa. Svörin voru skýr og skorinort, hjúkrunar fræðingurinn svaraði einfaldlega „ekki sofa, bráðamóttaka“.

Ég heyri í kærustunni og fæ hana til að sækja mig. Ég staulast inn og tala við hressa og lífsglaða fólkið sem vinnur á mót tökuborði bráðamót tökunnar. Ég fer beint í triage. Hjúkrunar fræðingurinn þar tekur lífsmörk og blóðprufur og kallar strax á samstarfsfélaga sína til að vippa mér beint upp í sjúkrarúm. Ég er sprautaður með morfíni og við taka öll þau próf sem Landspítalinn hefur upp á að bjóða. Fyrst er það hjartalínuritið. Grey hjúkrunarneminn sem tók ritið fær næstum hjartaáfall sjálf þegar hún sér niðurstöðuna og hleypur að ná í lækni. Kærastan mín, sem er einnig læknanemi, nær að kíkja á niðurstöðuna yfir öxl hjúkrunarnemans og sýnir einstaklega stóíska ró þegar hún sér „ acute MI “ á blaðinu. Hvort það hafi verið morfínið eða jafnaðargeð kærustunnar, þá hvar faði aldrei að mér að staðan gæti verið alvarleg.

Stuttu seinna kemur hjartalæknir og ómar mig. Hún er greinilega á bak vakt og lítur út fyrir að hafa komið beint úr matarboði. Hún kemur ómhausnum fyrir á bringunni á mér, snýr sér að skjánum og spyr hinn lækninn í stofunni hvort þetta sé ósæðar fysjun. Ég má ekki við frekari aukningu á hjartslættinum þannig ég tjái henni að við kærustuparið værum læknanemar og skildum, tjah, svona helminginn af því sem hún sagði. Hún gætti orða sinna eftir það og tjáir okkur stuttu seinna að þetta sé ekki ósæðar fysjun, þó að ósæðin væri við efri þolmörk. Líklegast væri þetta bara gollurshúsbólga.

Hún sendir mig rakleiðis á hjartadeild Landspítala. Sjúkrafutningamennirnir koma að ná í mig og koma mér fyrir aftan í bílnum. Sjúkrafutningamaðurinn sest andspænis mér og það rennur upp fyrir okkur báðum að við þekkjumst. Hann segir að það sé algjör vitleysa í mér að mæta í vinnuna þegar ég er svona slappur. Ég svara honum í sömu mynt að það sé algjör vitleysa í honum að mæta í vinnuna eftir að hafa gefið blóð um morguninn. Mér er komið fyrir á ganginum á hjartadeildinni og við tekur ítarleg sögutaka, þar sem seinni morfínskammturinn spilar lykilhlutverk. Ég er skælbrosandi og skellihlæjandi út af engu. Það hefur sennilega ekkert vitrænt komið úr þessari sögutöku.

Ég endaði á því að liggja inni á hjartadeildinni í fimm daga. Niðurstaðan var perimyocarditis. Það sem situr eftir er hversu niðrandi og einmanalegt það er að gerast sjúklingur. Maður er einn á ómennsku færibandi. Maður vill helst útskrifast sem fyrst til að losna undan tilfinningunni að vera fyrir og að taka óþarfa pláss, þegar plássleysið er allt um kring. Maður er settur í sjúkleg spítalaföt og getur ekki annað en velt fyrir sér hver hafi verið örlög fólksins, sem klæddist þeim á undan manni. Maður er vakinn á nóttunni af jafnöldrum sínum sem taka af manni lífsmörk og þreifa á baki manns eftir svita. Læknanemar sem maður mætir á förnum vegi á spítalanum fá sig ekki til að horfa í augun á manni.

Góðu stundirnar voru af skornum skammti. Það bar helst á því þegar kærastan kom að stela mér og rúllaði mér um allan spítalann í hjólastól. Eða þegar ég sendi alla starfsmenn deildarinnar í eltingaleik við að finna mig, púlsinn hafði hækkað í 150 þegar ég stalst í leyfisleysi í sturtu. Þá þótti mér einnig einstaklega vænt um það þegar bekkjarsystir mín, sem vann á hæðinni fyrir neðan, kom upp með vínarbrauð svo ég fengi stundar frið frá spítalamatnum.

Undirritaður Eiríkur Kúld var ekki sá eini sem var inniliggjandi á Landspítalanum. Afi minn og nafni var á Landakoti, 93 ára gamall. Honum hafði hrakað mikið á efri árum og þegar líkaminn hans var að leggja upp laupana, þá hélt sterka hjartað hans í honum lífi. Hann lést stuttu eftir að ég útskrifaðist af hjartadeildinni, um það leyti sem ég var byrjaður að ná mér. Amma mín komst svo að orði að hann hafi gefið mér sína síðustu gjöf þegar hann sendi mér hjartað sitt í skiptum fyrir það veika. Ég kann honum bestu þakkir fyrir það.

SKIPTINÁM Í VARSJÁ

Ég heiti Ólafur, ég er læknanemi á fjórða ári og ég tók mér árs pásu eftir þriðja árið. Í pásunni fór ég meðal annars í mánaðarlangt skiptinám til Varsjár í Póllandi. Ég sótti sérstaklega um að fara til Póllands þar sem það er stutt að fara og ég var og er for vitinn um landið og fólkið sem þar býr (um 5% íslensku þjóðarinnar eru af pólskum uppruna).

Það var lítið mál að gera samning um skiptinám við Pólland þar sem Pólverjar, eins og festar aðrar þjóðir, eru afar ólmir að komast til Íslands í skiptinám á móti (norðurljós, álfar, government pays you to marry their women og feira). Það er smá skrifnnska sem maður þarf að taka á sig í umsóknar ferlinu en í raun og veru ekkert vesen ef maður ákveður bara að maður nenni því og það verði ekkert mál. Skrifnnskan á bara eftir að verða meiri eftir því sem maður verður eldri og kemst lengra í lífinu og því fínt að sætta sig bara við hana fyrr heldur en seinna.

Þar sem ég var í pásu gat ég farið í maí en vanalega fer fólk í júní eða júlí. Helsti gallinn við þá ráðstöfun var sá að ég var lengi vel eini skiptineminn á svæðinu þangað til annar nemi kom frá Indlandi tveimur vikum eftir að ég mætti. Það gat verið einmanalegt, ég held ég hafi aldrei fengið að vera jafn einn yfir jafn langan tíma. Með mér í einverunni hafði ég Nokia takkasímann minn en iPhoneinum mínum hafði stuttu áður verið nappað af mér í Stokkhólmi. Fyrir vikið á ég ekki svo margar myndir frá þessu ferðalagi mínu, það er jafnvel stundum eins og það hafi aldrei gerst. Sumir myndu kalla þetta að rawdogga skiptinámið.

Ég á margar góðar minningar af no inventory göngutúrunum sem ég tók með sjálfum mér í góða veðrinu í Varsjá. Varsjá er mjög falleg borg, föt og græn með góðum almenningssamgöngum. Ég bjó í herbergi á stúdentagörðum í úthverfi sem heitir Koło. Þar deildi ég baðherbergi og eldhúsaðstöðu með öðrum lækna­ og hjúkrunarnemum sem bjuggu með mér. Veggurinn í herberginu mínu var málaður skærappelsínugulu sólsetri eins og fyrir leikmynd úr Konungi ljónanna. Það er alltaf stemning að búa með öðru fólki á manns eigin aldri, alltaf einn geðveikt massaður gæi að elda hakk í eldhúsinu, ber að ofan.

Ég var vissulega í skiptinámi þarna þannig ég þurfti að láta sjá mig á spítalanum á virkum dögum ef ég vildi fá skiptinámið vottað með undirskrift. Eftir á að hyggja veit ég ekki hvort það hafi skipt einhverju máli, námið er hvort eð er ekki metið til eininga af Læknadeild. Pólsku þvagfæraskurðlæknarnir vildu ekki fá mig þannig ég var settur á brjóstholsskurðdeild og HNE­ deild. Aðal maðurinn á HNE­deildinni, Professor Doktor Kasimierz Niemczyk, var með persónulegan ritara sem mætti í kjól á alla morgunfundi en Niemczyk var einráður á þessum fundum. Prófessorinn vildi að ég mætti á morgunfundina hans svo ég þurfti oft að vakna kl. 6 til að vera mættur áður en Dr. Niemczyk moggaði undirmenn sína fyrir vinnudaginn. Dagarnir á spítalanum fóru að miklu leyti í hlustunaræfingar á pólsku og að fylgjast með skurðaðgerðum frá misgóðum sjónarhornum. Ég lærði ekki mikla læknisfræði á þessu tímabili enda námsáhuginn eitthvað lítill á þessu tímabili í lífi mínu. Það var samt fínt að hafa einhverja ástæðu til að vakna og fara á fætur á morgnana og yfirleitt lét ég mig hvort eð er hverfa um hádegisbil. Restin af deginum fór þá fram í hausnum á mér á meðan ég ráfaði einn um Varsjá. Þetta var smá svona „disappear for a month come back rebranded “ dæmi hjá mér, þurfti líka að vakna á Wahlberg tímum eins og áður kom fram. Þegar ég sneri síðan loksins heim til Íslands var júní og ég held ég hafi aldrei átt jafn skemmtilegt og félagslega viðburðaríkt sumar enda búinn að fara mjög sparlega með dópamínið í Póllandi. Ég get að lokum heils hugar mælt með því að láta sig hverfa svona í einn mánuð á meðan maður hefur tækifæri til þess. Escape the matrix dæmi, síðan mætirðu aftur og kannt að meta allt það góða sem the matrix hefur upp á að bjóða.

SUMARSKIPTI Í PORTÚGAL

Fyrstu tvær vikurnar á fyrsta ári voru stútfullar af kynningum og fræðslu um lífið í læknisfræði. Eftirminnilegasta kynningin var þó um sumarskiptinámið. Að fara í fjórar vikur erlendis og upplifa lífið á nýjum spítala á nýjum slóðum. Ég ákvað þá og þegar að mig langaði að nýta þetta tækifæri. Eftir fjórða árið var svo ferðinni heitið til Covilhã í Portúgal.

Covilhã er fjallabær þar sem búa um 30000 manns. Bærinn var upphafega frægur fyrir gerð á textíl en er nú orðinn háskólabær. Bærinn er staðsettur í fjallshlíð og eru þar lyftur á víð og dreif til að hjálpa fólki að komast upp brattar brekkurnar. Nálægðin við fjöllin býður upp á stórkostlegt landslag og frábært umhverfi fyrir þá sem eru hrifnir af gönguferðum, útilegum, fjallaklifri og skíðum.

Ég mætti til Covilhã í byrjun júní. Þar var ég í sambandi við minn tengilið sem sótti mig á rútustöðina og hjálpaði mér að komast á heimavistina. Daginn eftir mætti herbergisfélagi minn, sem var stelpa frá Mexíkó. Hún hafði nýlega lokið við sjötta árið í sínu námi. Það gekk einn strætó frá heimavistinni og að spítalanum. Við fengum strætókort til að koma okkur þar á milli og matarmiða til að fá heita máltíð á spítalanum daglega.

Ég ákvað að taka mitt verknám á fæðinga­ og kvensjúkdómadeild. Ég mætti klukkan 9 alla daga á spítalann og ráfaði um deildina þar til ég fann deildarlækninn. Deildarlæknirinn var mjög hjálpleg að þýða fyrir mig viðtölin og kenna mér í og á milli viðtala. Auk þess fylgdi ég mest einum sér fræðingi sem var mjög kennsluglöð og nýttust þær tvær mér svo vel í þessari ferð og gerðu mér kleift að læra heilan helling á meðan dvölinni stóð.

Covilhã er lítill bær með fáum íbúum sem gerði það að verkum að verkefnin voru gífurlega fjölbreytt á deildinni. Ég var mest á göngudeild og bráðadagdeild en einnig fékk ég að fylgjast með viðtölum á frjósemisklíníkinni og vera viðstödd fæðingar og keisaraskurði.

Félagslífið var heldur ekki af verri endanum. Við fengum frábærar móttökur frá nemunum í Portúgal og eignaðist ég frábæra vini. Portúgölsku nemarnir voru ennþá í skólanum og bara tveir skiptinemar í júní og því var ekkert um skipulagðar ferðir á þeirra vegum. En félagslíf læknanemanna úti var gott og fengum við að taka þátt í öllu þeirra félagslífi. Við fórum með á árshátíðarball, prófokapartí, dönsuðum með þeim á útihátíðum, kíktum á pöbbarölt og keyrðum að árbakkanum í slökun, spil og sólbað.

Við skelltum okkur eina helgina til Porto á São João, sem er stærsta hátíð Porto. Þar voru allir vopnaðir leik fangahömrum, ungir sem aldnir, og lömdu í höfuðið á öllum þeim sem gengu framhjá. Þetta byrjaði laust og saklaust en eftir því sem leið á kvöldið og prósentan í blóðinu steig urðu þessi högg mun ákveðnari. Heimamenn á götunum grilluðu sardínur og annað portúgalskt góðgæti og seldu til gesta og gangandi. Þegar leið á kvöldið byrjuðu hljómsveitir að spila á víð og dreif og alls staðar dansað þar til sólin kom upp.

Þetta var ógleymanleg ferð og er sumarskiptinám frábært tækifæri til að ferðast og kynnast nýju fólki, nýjum spítala og öðru heilbrigðiskerfi. Ég mæli hiklaust með því að allir sem hafa tök á kynni sér sumar skiptinám á vegum Alþjóðanefndar.

SKOÐANAKÖNNUN LÆKNANEMANS

Á hvaða ári ert þú?

Hvaða sérnám stefnir þú á?

Spjaldtölva, tölva eða gamla góða gormabókin? Hvar býrðu?

Ertu í vinnu með skóla?

Á ananas að vera á pizzu?

Hefurðu farið í skíðaferð læknanema?

Hver er þinn koffíndrykkur?

Hver er hjúskaparstaða þín?

Áttu bókaða ferð til útlanda eða hefurðu farið erlendis í ár?

Er vatn blautt?

Hvernig ferð þú í skólann eða vinnuna?

Ef þú ferð á bíl, hvar leggur þú?

DAGUR Í LÍFI...

TANNSMÍÐANEMA

Andrea Ósk Jónsdóttir

Eygerður Sunna Arnardóttir

Hanna Rakel Barker

Í tannsmíðadeildinni þá byrja allir dagar hjá okkur skvísunum klukkan 8:20 í Læknagarði. Meirihluti dagsins fer í verklega vinnu á verkstæðinu okkar og einu sinni í viku er fyrirlestur í byrjun dags. Kennarinn gefur okkur leiðbeiningar um hvað skal gera eða við höldum áfram með verkefni sem við vorum nú þegar byrjuð á. Verkefnin eru fjölbreytt og geta verið frá því að beygja víra í að búa til heilgóm. Þegar klukkan slær 9:30 þá förum við bekkurinn, ásamt hinum árunum, í kafpásu í Féló og splæsum í einn Nocco hjá honum Alfreð okkar í Hámu. Kafpásunni lýkur klukkan 10:00 og förum við þá aftur upp í stofu að vinna verkefnin. Þar sem við erum einungis fimm í bekk er mikið um spjall, hvort sem það er ,,would you rather ” eða bara um lífið og tilveruna. Klukkan 12:00 förum við í hádegismat í Hámu þar sem allir frumsýna nestið sitt, sem er oftast thai cube eða kvöldmatur gærdagsins. Hádegispásan okkar er 40 mínútur og pössum við að vera komin upp í stofu 12:40 þar sem við þurfum að skila frá okkur ákveðið mörgum vinnutímum. Restin af deginum fer í að vinna með hraði til þess að klára verkefnin sem fyrst og þegar klukkan slær 15:00 byrjum við að ganga frá og þrífa eftir sóðaskap dagsins. Við klárum oftast 15:20 og njótum þess að keyra í trafíkinni heim. Það hefur orðið að vana hjá nokkrum okkar í tannsmíðinni að hittast í World Class um 17:00 í gellu hot fit. Suma daga þurfum við að nýta kvöldið í lestur, til dæmis ef það er próf í vændum. Ef ekki þá er það kósý heima og bíða spennt eftir að hitta stelpurnar næsta dag.

Hjá mér hafa slagorðin verið ,,vakna, lesa og læra”. Vekjaraklukkan hringir snemma morguns. Sér staklega á öðru ári þegar allir fyrirlestrar eru fyrir hádegi. Það gefst varla rúm til að undirbúa sig fyrir tíma að morgni eins og ég gerði á fyrsta ári. En markmiðið er að mæta fyrir klukkan átta í fyrirlestur því annars er ómögulegt að fá bílastæði. Ég reyni að fá sæti framarlega í salnum þar sem er of vandræðalegt að fylgjast ekki með, því maður situr svo nálægt kennaranum. Eftir fyrirlestur er alltaf stóra spurningin: ,,Á ég að lesa og glósa í dag?” Ef svarið er ,,já” þá verður notalegt að læra fyrir próf og lífið verður mjög einfalt. Það er aldrei rétt að svara ,,nei” við þessari spurningu. Milli fjögur og sex er besti tíminn til þess að lesa, því það gengur mjög illa að komast í burtu frá Læknagarði akandi og það er auðveldara að einbeita sér þegar maður er fastur uppi í skóla. Loks fer ég heim, hringi í fjölskyldu og vini sem ég hafði hunzað í allan dag, og undirbý mig fyrir næsta dag.

LÆKNANEMA

Ingvar Gíslason

SJÚKRAÞJÁLFUNARNEMA

Ólafur Werner Ólafsson

Við í sjúkraþjálfun erum í svipuðu lotukerfi og læknanemar svo týpískur dagur á fyrsta á ári var mjög mismunandi eftir tímabilum. Sumir dagar voru auðveldir og aðrir þungir. Á tímabilum var efnið frekar þurrt, en fyrsta lotan eftir áramót var sérstaklega skemmtileg. Þá vorum við bæði í lífeðlisfræði og áfanga sem heitir Aðferðir í sjúkraþjálfun 1 en báðir þessir áfangar byggja á efni fyrstu annarinnar á mjög skemmtilegan hátt. Á þessu tímabili byrjaði týpískur dagur á tíma í lífeðlisfræði. Þar var mikil áhersla lögð á hjarta­ og æðakerfið og kennarinn hvatti okkur oft til að takast á við efnið sjálfstætt án þess mata okkur of mikið. Sumum þótti það þreytandi en mér fannst það fín áskorun að tengja saman það sem ég mundi úr frumulífeðlisfræðinni á fyrstu önn, vefjafræðinni hjá Þórarni og Ara og menntaskólalífræðinni sem ég rifjaði upp fyrir inntökuprófið til þess að skilja fóknari hugtök.

Eftir hádegi tók svo við tími í Aðferðum í sjúkraþjálfun. Þessi áfangi snerist fyrst og fremst um að staðsetja sig eftir yfirborðsanatómíunnni og nudd sjúkraþjálfara sem við köllum mjúk vefjameðferð. Mér fannst þessi áfangi frábær, bæði vegna þess hvað hann var góð upprifjun og æfing í anatómíu og af því að hann hristi bekkinn mjög vel saman. Í fyrsta tímanum var fólk auðvitað bara að nudda bestu vini sína en með tímanum voru eiginlega allir búnir að nudda alla í bekknum. Það hjálpaði okkur að tengjast hvoru öðru og var líka frábær æfing í mannlegum samskiptum. Að nudda manneskju sem maður þekkir lítið getur mjög auðveldlega verið vandræðalegt en það skiptir heldur betur máli að við séum vön því þegar við förum að starfa.

Þessir dagar voru að mínu mati hápunktur fyrsta ársins því hér fengum við að beita þekkingu fyrri annar til þess að leysa ný verkefni sem eru nær framtíðarstarfinu okkar. Ég hlakka til að halda því áfram á öðru ári.

HJÚKRUNARNEMA

Bergþór Örn Sölvason

Hinn dæmigerði dagur í hjúkrunar fræði við HÍ er afskaplega fjölbreyttur, eins og sjálf hjúkrunin, og því er enginn dagur eins. Yfirleitt fer kennsla fram í Eirbergi, gamla Hjúkrunarskóla Íslands, og þar á bæ sækja hjúkrunar fræðinemar fyrirlestra, umræðufundi og verklega kennslu. Með hverju námsári eykst vægi sérgreina hjúkrunar sem og klínískt nám. Þetta er þétt skipulag, enda eru yfir 100 nemendur skráðir á hvert námsár í hjúkrunar fræði. Samhliða fullu námi er algengt að þeir ráði sig í vinnu í heilbrigðisþjónustu til þess að fá reynslu og ekki síður pening yfir veturinn. Það tekur sinn toll að fakka á milli staða, hvort sem það er mæting í fyrirlestur í Eirbergi, í verknám einhvers staðar úti í bæ eða að skjótast á aukavakt eftir góðan skóladag. Það sem einkennir dæmigerðan mánudagsmorgun í Eirbergi eftir verknámstörn eru lifandi umræður um verkefnafóð, undirbúning fyrir prófestur og annað slíkt, meðan haugur af fólki þyrpist inn á ganginn á fyrstu hæð því Háma opnar ekki fyrr en klukkan 9. Skemmtilegast við skólann er einmitt fjölbreytileiki námsins og nemenda, allir hafa mismunandi reynslu sem þeir tengja á milli akademíu og klíníkur. Margir starfa á Landspítala og algengt er að hjúkrunarfræðinemar byrji að taka vaktir sjúkraliða eftir fyrsta árið og halda því hlutverki út annað árið og hluta af þriðja árinu. Þar með býðst fyrsta og annars árs hjúkrunar fræðinemum gullið tækifæri til að læra af sjúkraliðum (licensed practical nurse, LPN) og kynnast þeirri hjúkrun sem þeir veita sjúklingum. Eftir þriðja árið hafa hjúkrunar fræðinemar á Landspítala heimild til að gegna störfum sem felast í starfslýsingu hjúkrunar fræðinga og loks eftir fjórða árið sækja þeir um starfsleyfi hjá Embætti landlæknis, sem veitir heimild til að nota löggilta starfsheitið hjúkrunar fræðingur (registered nurse, RN) og starfsréttindi sem slíkur á Íslandi. Það er sem sagt vafasamt að koma með eina lýsingu um dæmigerðan dag í hjúkrunar fræði, því um er að ræða mjög fjölbreytt nám og margbreytileika í kennslu og starfi. Þetta fjögurra ára nám er ekki einhvers konar færibandavinna sem endurspeglast í dæmigerðum degi. Sem sagt, fjölbreytileikinn í hjúkrunar fræði veitir nemendum þjálfun og skilning á margvíslegum þörfum mannsins og undirbúning fyrir ótalmörg verk til að stuðla að heilbrigði þeirra sem þarfnast hjúkrunar og umhyggju, allan daginn út og inn.

Góður dagur í námi í lyfjafræði byrjar á að kíkja við á Kaf Vest fyrir einn rjúkandi kafbolla. Síðan röltir maður í næsta hús, Haga, og sest í Hagasjoppuna til að spjalla við mannskapinn þar. Þegar líður á morguninn hendist maður upp á aðra hæð í lyfjaefnafræði hjá honum Mása. Hver veit nema hann taki eitt gott Kahoot! Því næst er hádegisverður sem er yfirleitt tekinn á Hagavagninum. Síðan er förinni heitið út í skúr þar sem lyfjagerðar fræði er kennd. Í dag mun Bergþóra kenna okkur að búa til stíla úr gelatíni. Dagurinn endar síðan á lesstofunni í Haga þar sem ráðist er í verkefni sem þarf að klára… eða það er allavega reynt.

LYFJAFRÆÐINEMA

Íris Lind Magnúsdóttir

LÆKNANEMI Á KAFI Í ENDURHÆFINGU ALDRAÐRA Á EIR

Ég heiti Eva Kjartansdóttir og er fimmta árs læknanemi í Slóvakíu. Síðastliðið sumar var ég svo heppin að fá að vinna á endurhæfingardeildinni á Eir. Ég hafði nýlokið mínu fjórða ári í læknisfræði og fékk tækifæri til að starfa þar sem aðstoðarlæknir.

Þessi reynsla var afar lærdómsrík og gaf mér dýpri skilning á mikilvægi endurhæfingar í heilbrigðiskerfinu.

Ég fékk að finna fyrir þeirri ábyrgð sem felst í að vera læknir en hafði alltaf stuðning sérfræðinga þegar þörf var á. Sem aðstoðarlæknir tók ég þátt í daglegu starfi deildarinnar, þar á meðal stofugangi, útskriftum og öllum öðrum verkefnum sem komu upp. Á deild með rúmlega 40 sjúklingum getur ýmislegt brátt komið upp á og samvinna með spítalanum var nauðsynleg, hvort sem það var bæklunar­, smitsjúkdóma­ eða geðdeild. Ég lærði að vinna í þverfaglegu teymi með hjúkrunarfræðingum, sjúkraþjálfurum, iðjuþjálfum og félagsráðgjöfum. Allir vinna saman að því að koma sjúklingum í sitt besta mögulega ástand. Endurhæfingardeildin á Eir sinnir fjölbreyttum sjúklingahópi sem er að jafna sig eftir aðgerðir eða langa sjúkrahúslegu. Það var gífurlega gefandi og skemmtilegt að fylgjast með fólki ná sér á strik aftur og vita að ég átti hlut í því.

Ég veit ekki hverju ég bjóst við þegar ég byrjaði að vinna á endurhæfingardeildinni en reynslan fór fram úr öllum vonum. Frábær deild með yndislegu starfsfólki sem tók vel á móti þessum stressaða læknanema sem spurði ótal spurninga. Eir var góður staður til að læra og vera á.

ÁRGANGAMYNDIR

dóttir, Elísabet Sara Gísladóttir, Freyja Stefáns dóttir, Gísli Ófeigsson, Guðbjartur Árni Björnsson, Harpa Dís Hákonardóttir, Ína Guðrún Gísladóttir, Sara Antonía Magneudóttir, Tinna Brá Magnúsdóttir, Tómas Helgi Snorrason, Tryggvi Ásmundur Briem og Unnur María Ingvarsdóttir

Neðsta röð frá vinstri: Íris Margrét Sturludóttir, Perla

Karen Gunnarsdóttir, Laufey Kristín Lárusdóttir, Ísabella Sól Gunnarsdóttir, Hrafnkatla Dahlmann Ívarsdóttir, Kristín Jóna Kristjónsdóttir, Anína Marín Thorstensen, Páll Jens Reynisson, Karólína Mist Stefánsdóttir, Þórunn Anna Guðbjartsdóttir, Unnur Guðmundsdóttir, Helga Sólveig Ómarsdóttir og Auðbjörg Erla Karlsdóttir Vantar á mynd: Agnes Sigurðardóttir, Elín Lóa Baldurs

Efsta röð frá vinstri: Ingi Hrafn Guðbrands son, Kristján Daði Róberts son, Auður Valdimars dóttir, Ólafur Steinar Ragnars son, Steinþór Snær Hálfdánar son, Tómas Andri Ólafs son, Ísabella Arnars dóttir, Hekla Hákonar dóttir, Elín Ragnhildur Ragnars dóttir, Sigrún Meng Ólafardóttir, Sólveig Rósa Huga dóttir, Ásta Rakel Birgis dóttir, Margrét Íris Sigurjóns dóttir, Andri Þór Sigþórs son, Árni Tuan Luong Ly, Andri Már Valdimars son og Einar Ernir Magnús son Miðju röð frá vinstri: Karl Oddur Andra son, Kristín Diljá Karls dóttir, Sóley Brattberg Gunnars dóttir, Klara Margrét Ívars dóttir, Birna Hrólfs dóttir, Birta Hlín Birgis dóttir, Anna Sigríður Arnars dóttir, Embla Sif Pálma dóttir, Hekla Dís Kristins dóttir, Elín Halldóra Erlends dóttir, Katrín Birna Jóns dóttir, Ingibjörg Ragna Pálma dóttir, Elín Lilja Sindradóttir, Urður Matthías dóttir, Atli Þór Jóns son, Kári Christian Bjarkarson, Jason Jens Illugason, Bjartur Thorlacius og Björn Dúi Ómarsson

Vantar á mynd: Alrún María Skarphéðinsdóttir, Bríet Helga Jónsdóttir, Böðvar Páll Ásgeirsson, Hekla María Arnardóttir, Jóhann Hrafn Ragnarsson, Móri Flosadóttir, Ýr Ý Nhu Tran og Þuríður Erna Hvanndal Halldórsdóttir

Neðsta röð frá vinstri: Erla Figueras Eriksdóttir, Þórunn Perla Jóhannsdóttir, Eva Sól Einarsdóttir, Karen Hilma Jónsdóttir, Edda Sólveig Sigtryggsdóttir, Isabella María Eriksdóttir, Aníta Sól Valdimarsdóttir, Áslaug Ingileif Halldórsdóttir, Kristín Helga Þrastardóttir, Katla Sigríður Gísladóttir, Jóna Björk Einarsdóttir, Kristín Ylfa Guðmunds dóttir, Maríanna Björg Ingvaldsdóttir, Melkorka Ingibjörg Pálsdóttir og Brynja Sævarsdóttir

Miðju röð frá vinstri: Embla Þöll Einarsdóttir, Sara Dögg Thorarensen Lárudóttir, Unnur María Agnarsdóttir, Leifur Skarphéðinn Snorri Árnason, Eiríkur Kúld Viktorsson, Kristjana Lind Ólafsdóttir, Anna Sif Mainka Sveinsdóttir, Sigurbjörg Ýr Sigtryggsdóttir, Kristín Brynja Þorvaldsdóttir, Jóhanna Vigdís Guðjónsdóttir, Snædís Óskarsdóttir, Kolka Magnúsdóttir, Kristín Anna Smári, Agnes Björk Brynjarsdóttir, Daníela Björg Stefánsdóttir, Kolbrún Sara Haraldsdóttir, Helena Björk Arnarsdóttir, Anna Valgerður Oddsdóttir og Katrín María Ólafsdóttir

Efsta röð frá vinstri: Sandra Mist Úlfarsdóttir, Katrín Ósk Arnars dóttir, Ásdís Karen Árna dóttir, Anna Þóra Jóhannsdóttir, Dagur Björn Benedikts son, Hrannar Ása Magnúsar, Jón Bjartur Þorsteins son, Úlfur Benedikt Fjölnis son, Ingvar Gísla son, Haraldur Orri Arnars son, Vigfús Höskuldur Orri Árna son, Hlynur Breki Harðar son, Jóhann Styrmir Jóns son, Carlos Magnús Rabelo, Hjörtur Viðar Sigurðarson, Sigurður Arnar Hannes son, Guðmundur Kristinn Þorsteins son og Jóhannes Helga son Thoroddsen

Neðsta röð frá vinstri: Hanna María Geirdal, Þorgerður Þórólfsdóttir, Aldís Eyja Axelsdóttir, Karen Arnarsdóttir, Róbert Alexander Björnsson, Máni Hafsteinsson, Egill Logason, Benedikt Burkni Þorvaldsson Hjarðar, Bragi Aðalsteinsson, Matthías Löve, Trausti Felix Valdimarsson, Smári Freyr Kristjánsson, Kolbeinn Theodórsson, Andri Elvar Sturluson og Daníel Thor Myer Vantar á mynd: Andrea Kolbeinsdóttir, Baldvin Fannar Guðjónsson, Guðrún Guðmundsdóttir, Guðrún So f ía Hauksdóttir, Kolbrá Ethel Dagnýjardóttir, Magna Þórey Guðbrandsdóttir og Matthildur María Magnúsdóttir

Miðju röð frá vinstri: Sigríður Björg Helgadóttir, Kristín Dóra Sigurðardóttir, Bryndís Róbertsdóttir, Viktoría Ýr Sveinsdóttir, Melkorka Sverrisdóttir, Tómas Helgi Harðarson, Vigdís Selma Sverrisdóttir, Karitas Björg Ívarsdóttir, Harpa Kristín Þorkelsdóttir, Silja Arnbjörnsdóttir Ólafsson, Helga Sif Pálsdóttir, Gerður Eva Halldórsdóttir, Lilja Ósk Atladóttir, Saga Ingadóttir, Valdimar Sveinsson, Rakel Ósk Sigurðardóttir, Hrund Guðmundsdóttir, Lára Björk Birgisdóttir og Agnes Stefánsdóttir

Efsta röð frá vinstri: Andrea Rún Einarsdóttir, Dagbjört Lilja Svavarsdóttir, Guðmundur Ingvi Skúlason, Sara Sól Guðfinnsdóttir, Eygló Sóley Hróðmarsdóttir Löve, Silvía Stella Hilmarsdóttir, Lena Lísbet Kristjánsdóttir, Stefanía Ásta Tryggvadóttir, Helga Kristín Sigurðardóttir, Jenný Jónsdóttir, Silja Dögg Helgadóttir, Tryggvi Leó Guðmundsson, Hjalti Dagur Hjaltason, Eygló Fanndal Sturludóttir, Sylvía Sara Ólafsdóttir, Iðunn Andradóttir, Hekla María Bergmann, Telma Rós Jónsdóttir og Eydís Lilja Haraldsdóttir

Bjarki Leó Snorrason, Dagur Tjörvi Arnarsson, Egill Ívarsson, Elín María Árnadóttir, Elín Perla Stefánsdóttir, Hildur Gyða Grétarsdóttir, Hilma Jakobsdóttir, Ingibjörg Sóley Einarsdóttir, Jakob Þórir Hansen, Johan Sindri Hansen, Jökull Sindri Gunnars son Breiðfjörð, Katrín Þóra Hermannsdóttir, Kári Ingason, Kristján Guðmundsson, Kristján Harðarson, Nanna Óttarsdóttir, Oddný Rósa Ásgeirsdóttir, Sigrún Ágústsdóttir, Sigurður Karlsson, Urður Helga Gísladóttir og Þorri Geir Rúnarsson

Neðsta röð frá vinstri: Þuríður Rut Þuríðardóttir, Katrín Hólmgrímsdóttir, Sunneva Roinesdóttir, Ágústa Eyjólfsdóttir, Sigríður Björg Helgadóttir, Saga Briem, Anna Margrét Stefánsdóttir, Katrín Wang, Katla Björg Jónsdóttir og Katla Rut

Robertsdóttir Kluvers Vantar á mynd: Arnar Þór Sigtryggsson, Arnheiður Erla Guðbrandsdóttir, Ásdís Hermanowicz, Áslaug Haraldsdóttir,

Miðju röð frá vinstri: Kjartan Þorri Kristjánsson, Hafdís Erla Gunnarsdóttir, Íris Arna Tómasdóttir, Eygló Helga Haraldsdóttir, Elísabet Mjöll Guðjónsdóttir, Svava H. Johannessen, Sigríður Kristjánsdóttir, Kristín Fjóla Jónsdóttir, Íris Brynja Helgadóttir, Guðbjörg Eva Pálsdóttir, Helga Sif Guðmundsdóttir, Birta Rakel Óskarsdóttir og Ásthildur Rafnsdóttir

Efsta röð frá vinstri: Viktor Ásbjörnsson, Ólafur Sánchez, Trausti Jónsson, Katrín Hermannsdóttir, Auður Indriðadóttir, Fehima Líf Purisevic, Anna Sigríður Jóhannsdóttir, Urður Andradóttir, Þóra Lucrezia Bettaglio, Andri Már Tómasson og Sigurður Sölvi Sigurðarson

Vantar á mynd: Björn Hjörvar Harðarson, Daníel Óli Ólafsson, Elín Metta Jensen, Elísabet Tara Guðmundsdóttir, Embla Rún Björnsdóttir, Guðlaugur Vignir Stefánsson, Helga Brá Þórðardóttir, Hilmar Freyr Friðgeirsson, Hrafn Sævarsson, Kara Hlynsdóttir, Kári Brynjarsson, Kristján Bjarki Halldórsson, Magnús Þór Sigurðarson, Vífill Ari Hróðmarsson, Þorvaldur Ingi Elvarsson og Þórður Björgvin Þórðarson

Neðsta röð frá vinstri: Sigrún Júlía Finnsdóttir, Anna Karen Richardson, Auður Gauksdóttir, Diljá Hilmarsdóttir, Ylfa Dögg Ástþórsdóttir Bryde, Laufey Halla Atladóttir, Helga Húnfjörð Jósepsdóttir, Margrét Olsen, Hjördís Tinna Pálmadóttir, Ásdís Brynja Ólafsdóttir, Freydís Halla Einarsdóttir, Guðrún Anna Halldórsdóttir, Högna Ingunnardóttir Odds dóttir og Bergþóra Hrönn Hallgrímsdóttir

Miðju röð frá vinstri: Sigrún Erla Svansdóttir, Luis Gísli Rabelo, Edward Rumba, Árni Daníel Árnason, Sædís Karolina Þóroddsdóttir, Una Jade Gunnarsdóttir, Kristrún Ingunn S. Sveinsdóttir, Heiðrún Birta Sveinsdóttir, Alma Glóð Kristbergsdóttir, Telma Sigþrúður Guðbjarnadóttir, Elín Dröfn Einarsdóttir, Herdís Eva Hermannsdóttir, Ástrún Helga Jónsdóttir, Telma Jóhannesdóttir, Þorgerður Einarsdóttir, Kristbjörg María Gunnarsdóttir og Líney Ragna Ólafsdóttir

Efsta röð frá vinstri: Björn Vilhelm Ólafsson, Bergmundur Bolli H. Thoroddsen, Viktor Ingi Ágústsson, Þorsteinn Ívar Albertsson, Birkir Freyr Andrason, Gunnar Jökull Ágústsson, Hjalti Reykdal Snorrason, Sóley Sif Helgadóttir, Hafþór Sigurðarson, Hörður Ingi Gunnarsson, Ívan Árni Róbertsson, Ingi Pétursson, Sigurður Bjarni Benediktsson, Bjarni Dagur Bakkmann Þórðarson og Egill Gauti Þorsteinsson

Rún Bjarnadóttir og Brynhildur Kristín Ásgeirsdóttir Vantar á mynd: Alexander Jóhannsson, Elsa Jónsdóttir, Emil Sigurðarson, Gizur Sigfússon, Haraldur Jóhann Hannesson, Héðinn Össur Böðvarsson, Iðunn Valgerður Pétursdóttir, Leon Arnar Heitmann, María Gyða Pétursdóttir, Sigríður Margrét Þorbergsdóttir, Valdís Halla Friðjónsdóttir og Vigdís Ólafsdóttir

Neðsta röð frá vinstri: Heiðrún Ósk Reynisdóttir, Anita Rut Kristjánsdóttir, Dagný Ásgeirsdóttir, Freyþór Össurarson, Þórhallur Elí Gunnarsson, Sara Margrét Daðadóttir, Ragna Kristín Guðbrandsdóttir, Nanna Sveinsdóttir, Ólöf Hafþórsdóttir, Ísold Norðfjörð, Selma

Miðju röð frá vinstri: Klara Briem, Þóra Óskarsdóttir, Jónína Rún Ragnarsdóttir, Elín Metta Jensen, Ingunn Haraldsdóttir, Margrét Kristín Kristjánsdóttir, Katrín Kristins dóttir, Hildur Ólafsdóttir, Kolfinna Gautadóttir, Þóra Silja Hallsdóttir, Líney Ragna Ólafsdóttir, Ásta Evlalía Hrafnkelsdóttir, Hugrún Lilja Ragnarsdóttir, Unnur Lára Hjálmarsdóttir, Guðrún Ólafsdóttir og Jóhanna Guðrún Bergþórsdóttir

röð frá vinstri: Þórbergur Atli Þórsson, Jökull Sigurðar son, Hörður Tryggvi Bragason, Aðalsteinn Dalmann Gylfason, Fannar Bollason, Atli Magnús Gíslason, Dagur Friðrik Kristjánsson, Ólafur Jens Pétursson, Dagur Darri Sveinsson, Bjarni Hörpuson Þrastarson, Hafsteinn Örn Guðjónsson, Daníel Alexander Pálsson og Kristján Veigar Kristjánsson

Efsta

ANNAÐ ÁR

ÞRIÐJA ÁR

FJÓRÐA ÁR

FIMMTA ÁR

SJÖTTA ÁR

Við erum betri saman

Þökkum gott samstarf

„Leviosa er komið í notkun”

Árið 2022 birtum við innlegg í Læknanemann um hugmyndafræðina að baki Leviosa og mikilvægi klínískrar þekkingar við þróun sjúkraskrárkerfa. Nú, rúmum tveimur árum síðar, hefur Leviosa tekið stórt stökk fram á við. Yfir 120 læknar, bæði innlendir og erlendir, hafa fjárfest í verkefninu og þannig stuðlað að hraðri framþróun.

Leviosa er fyrsta sjúkraskrárkerfið á Íslandi sem keyrir alfarið í vafra, er hýst í skýinu og er nú komið í notkun á lækna­ og sálfræðistofum. Markmið okkar er að einfalda vinnu heilbrigðisstarfsfólks með straumlínulöguðu og notendavænu viðmóti sem styður klínískt vinnufæði. Kerfið er hannað með framleiðni í huga og við setjum notandann í fyrsta sæti.

Verkfærakista Leviosa stækkar hratt og grunneiningar eins og sjúkraskrá, dagatal, skjáborð, reikningagerð, tilvísanir og biðlistar eru þegar tilbúnar. Auk þess er komin samþætting við Heklu, Þjóðskrá, Sjúkratryggingar, SMSþjónustu og feira. Við gefum út nýjar uppfærslur á tveggja vikna fresti og tryggjum þannig hraða framþróun með hjálp nútímatækni og öfugu 11 manna teymi sem brennur fyrir að búa til virði í heilbrigðiskerfinu.

Leviosa er komið í notkun og standa innleiðingar yfir nú á vormánuðum 2025 hjá feiri aðilum. Við hlökkum til að vinna með feiri heilbrigðisstofnunum og kynna ný samstarfsverkefni á árinu. Hægt er að setja sig í samband við okkur í gegnum Leviosa.is. Davíð Björn Þórisson &amp; Matthías Leifsson, stofnendur Leviosa.

Þekkir þú MedicAlert og hlutverk þess? MedicAlert – merki sem getur bjargað mannslífum.

MedicAlert eru alþjóðleg óhagnaðardrifin öryggissamtök. MedicAlert var stofnað 1956 í BNA. Stofnandi þess var læknirinn Marion Collins. Í fjóra áratugi hefur Lionshreyfingin annast MedicAlert á Íslandi. Merkisberarnir hér á landi eru tæplega 6000 og eru á aldrinum frá 1­100 ára. En 4 milljónir í 40 löndum og fimm heimsálfum eru merkisberar.

Afar brýnt er að heilbrigðisstarfsfólk, sjúkrafutningafólk og þeir sem koma að slysum eða hættuástandi þekki merkið. Þess vegna vinnur Lionshreyfingin stöðugt að því að kynna MedicAlert með ýmsum hætti. Ekki síst gagnvart heilbrigðisstarfsfólki.

Á Íslandi eru upplýsingarnar vistaðar hjá LSH en starfsfólk MedicAlert sér um skráningu gagna og uppfærslur upplýsinga um merkisbera.

Tilgangur MedicAlert er að reka öryggiskerfi fyrir einstaklinga með ofnæmi, alvarlega sjúkdóma og lífæraþega sem gætu lent í þeim aðstæðum að geta ekki gert grein fyrir veikindum sínum.

Ýmis félagasamtök eru aðildarfélög MedicAlert. Má þar nefna: Blæðarafélagið, Gigtarfélagið, Hjartaheill, Lauf – Félag fogaveikra, Mígrenisamtökin, SÍBS, Samtök sykursjúkra, Sjálfsbjörg, Nýrnafélagið, og Alzheimersamtökin.

Kerfið er þríþætt: Merki­upplýsingaspjald­tölvuskrá.

• Merkisberi er með málmmerki í keðju um hálsinn eða á armbandi.

• Plastspjald í bankakorta stærð fyrir veski þar sem fram koma frekari upplýsingar um viðkomandi, sjúkdómsgreinin og/eða upplýsingar um meðferð.

• Ítarlegar upplýsingar eru í gagnaskrá í vörslu Slysa­ og bráðadeildar Landspítalans. Þar er gjaldfrjáls sólarhrings vaktþjónusta fyrir neyðarnúmer MedicAlert (+354) 8004567

Skrifstofa MedicAlert er að Hlíðasmára 14, 200 Kópavogi. S. 5334567

Og á heimasíðunni okkar er hægt að nálgast upplýsingar, skoða merkin og sækja skráningarform.

www.medicalert.is

SPIL LÆKNANEMANS

Íslenska sveitasælan

29

Þig vantar nokkrar undirskriftir af fjórða ári og situr hjá eina umferð.

Fékkst að vera með í aðgerð og þér var ekki hent út. Farðu áfram um 1 reit.

Sænski draumurinn

Þú ert komin/n með middoctor crisis og hefur því ákveðið að taka U­beygju í náminu.

Fékkst loksins að fara í grænu fötin. Farðu áfram um 3 reiti.

Þegar þú kemur að þessum reiti þarftu að ákveða hvort þú ætlir að stefna á sænska drauminn eða íslensku sveitasæluna.

Sjúklingur ælir á nýju Birkenstock skóna þína. Farðu aftur um 2 reiti.

Þú ratar loksins um Landspítalann. Farðu áfram um 1 reit.

Fékkst sekt fyrir að leggja ekki í alvöru bílastæði og situr hjá eina umferð.

Hannes Petersen spyr þig spurningar og þú veist svarið. Farðu áfram um 3 reiti.

Póló kexið var búið á kafstofunni. Farðu til baka um 2 reiti.

Fékkst ekki bílastæði við Læknagarð. Farðu aftur um 1 reit.

Húrra! Þú kannt brachial plexusinn Farðu áfram um 1 reit.

BYRJA

Rúllaðu 6 til að komast í gegnum inntökuprófið.

Háma var lokuð þegar þú ætlaðir að kaupa smáköku. Farðu aftur um 1 reit.

Þú féllst í líf og sam og situr hjá eina umferð.

Þú geymdir BS­ritgerðina þína fram á seinustu mínútu og situr hjá eina umferð á meðan þú tekur all nighter.

Þú valdir að læra frekar en að mæta á djammið. Farðu áfram um 3 reiti.

KROSSGÁTA LÆKNANEMANS

LÁRRÉTT LÓÐRÉTT

4) Gengur með hárri hnélyftu og snöggu framstigi á vinstri fæti.

7) Ofanviðbeinseitlar sem finnast oftast vinstra megin.

9) Það æxli sem líklegast er til að valda tvíhliða gagnaugalægri helftarblindu.

11) Þunglyndislyf af NDRI gerð. Notað til þess að draga úr reykingalöngun.

13) Eftirnafn taugaskurðlæknis sem uppgötvaði þrennd sem samanstendur af auknum púlsþrýstingi, hægatakti og óreglulegri öndun, sem einnig er kennd við manninn.

14) Klínískt teikn lungnasjúkdóma á fingrum. Það sem þú gerir eftir miðnætti niðri í bæ.

15) Tæki sem notað er til að mæla ABI.

16) Hvaða heilataug ítaugar musculus lateral rectus?

17) Ekki miðlægt.

18) Annað orð yfir blóðþrýstingsmæli (úr grísku).

20) Niturbasi sem getur tengst úrasíl.

22) Tegund jónaganga sem hindruð eru af lyfjum af Vaughan­Williams týpu 1.

25) Ef hausinn er ekki þungur þá áttu að henda þessu!

26) Lyf sem notað er við ofskömmtun ópíóíða.

27) Öndunartíðni yfir 20 andardrættir/mín eða hröð öndunartíðni.

28) Ensím sem brýtur niður sterkju.

1) Ómun notuð í bráðatilvikum.

2) Skammstöfun fyrir aðferð sem notuð er til þess að greina hvort tiltekið prótein geti bundist DNA­röð.

3) Vítamín B2.

4) Lyf sem hjartalæknar elska en nýrnalæknar hata.

5) Umdæmissjúkrahús Austurlands er staðsett í ___

6) Deild 10D.

8) Lyf við herpessýkingum sem hindrar DNA pólýmerasa.

10) Skoðaði í festa búðarglugga á göngu sinni um Laugaveginn.

12) Blámi á vörum getur verið merki um ___ bláma.

19) Kex sem verður sárt saknað af öllum starfsmönnum LSH.

21) Eftirnafn taugalæknis sem lýsti fyrst sjúkdómi sem einkennist af trufun á koparefnaskiptum, sem einnig er kenndur við manninn.

23) Sýra sem myndar prostaglandín.

24) Er þrennd, aðgerð og sjúkdómur

27) Baktería sem er ónæm fyrir sýklalyfinu methicillín.

17) Hliðlægt 18) Sphygmómanómeter 20) Adenín 22) Natríum 25) Hlustunarpípa 26) Naloxón 27) Más 28) Amýlasi 10) Mænugangaþrengsl 12) Miðlægan 19) Póló 21) Wilson 23) Arakídónsýra 24) Whipple 27) MÓSA

16)

11)

9)

*Lárrétt
*Lóðrétt
4) Fótarlömun
7) Virchow
Prólaktínóma
Búprópíón 13) Cushing 14) Klumbun 15) Doppler
Fráfærandataug 1) FAST 2) EMSA 3) avínfRíbó 4) Furix 5) Neskaupstað 6) Hjartagátt 8) Acíklóvír

HVAÐA KENNARI ERT ÞÚ?

Hvað er það fyrsta sem þú gerir þegar þú vaknar á morgnana?

A Opna augun og tékka hvort hægt sé að hafa þau lokuð í smá stund í viðbót

B Fer í sturtu

C Spyr mig – ertu til? (sorry, nei bara pissa)

D Fæ mér morgunmat, kaf og súkkulaði

E Slekk á vekjaraklukkunni

F Hleypi hundinum mínum honum Bassa út í garð og fer svo í góðan göngutúr með honum

Hver er skoðun þín á stjörnuspám?

A Geta gert daginn skemmtilegan, en les þær alla jafna ekki

B Stórlega vanmetnar, hafa óumdeilt skemmtanagildi séu þær vel skrifaðar

C Þær eru mælitæki á sjálfsánægju

D Ég aðhyllist frekar þotuspekina. Sem byggir á að með því að vita staðsetningu á öllum þotum sem voru á fugi á því andartaki sem þú fæddist sé hægt að spá fyrir um líf þitt. Hljómar að minnsta kosti alveg jafn líklegt eins og stjörnuspeki.

E Elska pælingar um stjörnumerkin og afstöðu himintungla á persónuleika einstaklinga en les ekki stjörnuspár

F Enga skoðun, eina sem ég veit er að ég er bölvað naut

Hvernig hugsar þú?

A Sé fyrir mér myndir og tala við sjálfan mig

B Á góðri íslensku oftast nær vona ég!

C Vel og lengi, stundum án árangurs. (Bara ef ég vissi það, þá væri ég búinn að taka við Nóbelnum).

D Stöðugt að hugsa, mögulega fullmikið á köfum að velta fyrir mér atburðum

E Hugsa í myndum og sé hlutina fyrir mér

F Nota undirmeðvitundina. Ef ég á að halda fyrirlestur eða skrifa yfirlitsgrein þá les ég mér til um efnið og læt svo nokkra daga líða. Þá er undirmeðvitundin búin að leysa það mesta. Svo sest ég niður og þá kemur fæðið. Mér finnst mjög gaman að skrifa.

Hver er uppáhaldsmaturinn þinn?

A Alls konar pastaréttir

B Grillaður humar með góðu hvítvíni

C Ofnbakaðir ábrestir með kanilsykri og mjólk

D Er forfallinn súkkulaðifíkill, byrjar enginn dagur án kafs og góðs súkkulaðis

E Nautasteik með kartöfubátum og góðu salati

F Lasagna

Hver er þinn uppáhalds tónlistarmaður?

A Gotan Project

B Peter Gabriel

C Roger Waters

D Fer eftir í hvaða skapi ég er, sveifast allt frá Paul Simon til Rammstein

E ABBA

F Helgi Björnsson

Hvert var uppáhaldsleikfang þitt sem barn?

A Skúnkur með litað plastandlit

B Tindátar

C Flugvélamódel

D Hjólið, komum alltaf aftur að hjólinu

E Frímerkjasafnið mitt og bækur

F Bolti

A Kría

B Api, apar eru jú með 96% eins erfðaefni og við

C Elgur

D Það er samdóma álit konu minnar og dætra að ég sé hestur, vinnudýr með fax

E Otur

F Hundur á góðu sveitaheimili Ef þú værir dýr hvaða dýr værir þú?

Ef þú gætir ekki keyrt í vinnuna hvaða ferðamáta myndir þú nota?

A Færi labbandi eða fjúgandi

B Strætó af og til og myndi þá nota hann oftar

C Hreindýrasleða

D Ég skil ekki spurninguna, hjóla alltaf í vinnuna en þætti fátt verra en ef ég væri neyddur til að keyra. Ég á bíl en hann er nánast eingöngu notaður til ferðalaga.

E Hjóla

F Ég geng alltaf í vinnuna enda bý ég í næstu götu við Landspítalann á Hringbraut. Ég hata þessa bílamenningu Íslendinga. Dásamlegt að koma í borgir erlendis og nota almenningssamgöngur.

Hvað telur þú vera mikilvægasta fag læknisfræðinnar, fyrir utan þitt fag?

A Klínísk skoðun og samskipti við skjólstæðinga

B Samskiptafræði

C Loftþrýstingslækningar

D Án nokkurs vafa heilsugæslan. Hægt væri að leggja niður alla sérhæfða heilbrigðisþjónustu án þess að það hefði mikil ef nokkur áhrif á ævilíkur þjóðarinnar. Án heilsugæslunnar myndu lífslíkur hins vegar skerðast verulega.

E Ly fækningar

F Öll mikilvæg en móðir allra greina er ly fæknisfræðin

Hvert er þitt helsta áhugamál utan læknisfræðinnar?

A Fjallaskíði og hestamennska

B Mannlíf og þróun samfélaga

C Ljósaugnabliksföngun

D Náttúran, er forfallinn áhugamaður um lífríki jarðarinnar sem hefur smitast út í vaxandi áhuga á náttúruvernd á síðustu árum

E Lestur og fjölskyldan

F Rannsóknir á mínu sviði innan læknisfræðinnar og að skrifa greinar um niðurstöður minna rannsókna og annarra. Það er stærsta áhugamálið. Mest af mínum frítíma fer í það. Einnig hef ég mikinn áhuga á íþróttum, mest fótbolta og handbolta. Hef þrisvar sinnum farið á Ólympíuleika, München 1972, Moskvu 1980 og Ríó 2016. Hef líka farið nokkrum sinnum á heimsmeistara­ og evrópukeppni í handbolta. Að auki mikill lestur af öllu mögulegu. Og að ganga með Bassa.

Hvaða hlutar getur þú ekki lifað án? Að undanskildum lífsnauðsynlegum hlutum.

A Get ekki verið án fjölskyldu og vina en þau væntanlega ekki hlutir og því er svar mitt: Hlý peysa, góðir skór og bók

B Gleraugnaleysi myndi skerða lífsgæði mín mikið þar sem ég hef aldrei vanist linsum vel

C Gæsahúðar við að heyra þemalagið úr Schindler‘s List

D Hjólsins míns, á erfitt með að ímynda mér tilveruna án þess að hjóla

E Hárnæring

F Allt snobb leiðist mér ákafega og öll sýndarmennska. Þarf ekki stórt hús eða stóran jeppa.

Hvað dreymir þig oftast?

A Mig dreymir nánast aldrei, en ef slysast til þá er ég of seinn, þarf stöðugt að fýta mér og er á hlaupum að missa af hinu og þessu.

B Ábyggilega eiginkonuna

C Sjálfan mig í skrítnum óraunverulegum aðstæðum

D Að fjúga, endurtekinn og skemmtilegur draumur að svífa um

E Manneskjur

F Vandræði

Hvað er það síðasta sem þú gerir á kvöldin?

A Loka augunum, hugsa til alls þess skemmtilega sem gerðist yfir daginn og læt mig hlakka til morgundagsins

B Hlusta á góða hljóðbók, góð hugleiðsla fyrir svefninn

C Slekk ljósið og hjúfra mig saman undir sæng

D Les, verð alltaf að hafa ólesna bók á náttborðinu

E Fer út að ganga með hundinn

F Les

Hver er uppáhaldssjónvarpsþáttaröðin þín?

A Það er sú norska Hjem til jul. Horfi annars lítið á sjónvarp en ef, þá er það í línulegri dagskrá.

B Fargo

C Game of Thrones

D Horfi nánast ekkert á sjónvarp, síðasta þáttaröð sem ég horfði á var Afturelding sem var hrein snilld

E CSI, The Mentalist og The Good Doctor

F Heimsmeistarakeppnirnar í fótbolta og handbolta

SVÖR

Flest (A): Hannes Petersen

Þú ert sérmenntaður háls­, nef­ og eyrnalæknir en hefur unnið fjölbreytt störf, meðal annars verið þyrlulæknir hjá Landhelgisgæslunni. Þú hefur mikinn áhuga á anatómíu og skilur kannski ekki alltaf af hverju nemendur hafi það ekki. Erfitt er að ímynda sér anatómíuna án Hannesar enda man enginn eftir henni án hans. Þú ert ekki mikið fyrir sjónvarpið en stundar frekar útivist eins og hestamennsku og fjallaskíði. Svo fýgur þú auðvitað í vinnuna frá Akureyri.

Flest (B): Engilbert Sigurðsson

Þú ert virtur geðlæknir og sérð um geðlæknisfræðikúrsinn. Allir þekkja þig og það sem meira er, þú þekkir alla með nafni. Þú hefur gaman af ýmsu, ekki bara læknisfræði, og hefur allt eins gaman af því að taka strætisvagninn í vinnuna eins og einkabílinn. Þú nýtur þess að lesa fólk eins og opna bók.

Flest (C): Svanur Sigurbjörnsson

Þú ert ly fæknir sem kennir þó siðfræði við Læknadeild. Kannt eiðstaf lækna (codex ethicus) utan að og ert ekki hræddur við að nota hann í rökræðum. Það er stutt í húmorinn og þú getur alltaf spjallað. Sérstaklega þegar spjallið er um um fókna siðfræðiádeilu. Eins og hver sé siðferðislega besta þáttaröðin en það er klárlega Game of Thrones.

Flest (D): Hjalti Már Björnsson

Þú ert yfirvegaður og rólegur bráðalæknir sem leggur áherslu á næmi og sértæki öðru framar við þín störf. Þú ert jarðbundinn, með einstakt næmi fyrir smáatriðum, þykir traustur og sannur starfi þínu. Þú ekur ekki bifreið nema tilneyddur. Utan vinnu ert þú áhugamaður um náttúru, ferðalög og súkkulaði. Fullkomin blanda af ævintýraþrá og smekk fyrir einföldum lífsgæðum. Ef þú deilir þessari ástríðu og nálgun, gæti það verið ástæða þess að þú speglast í þessum merkilega einstaklingi.

Flest (E): Inga Sif Ólafsdóttir

Þú ert lungnalæknir og sérð um allt sem viðkemur læknanemum og sérnámsgrunnslæknum. Þú hefur nóg að gera, jafnvel aðeins of mikið, og hefur gaman af því að hafa marga bolta á lofti. Þú ert oftast með heyrnartól í öðru eyranu til að svara símtölum, hlusta á tónlist, hlaðvarp eða jafnvel hugleiðsluæfingar. Til þess að róa hugann og verða ekki einn kvíðabolti í öllu þessu stússi þá lest þú gjarnan góða bók, ferð út að ganga með heimilisdýrið eða horfir á einn þátt af CSI. Þú sérð hlutina fyrir þér í sprelllifandi myndum og dreymir oftast manneskjur og samskiptin þeirra á milli.

Flest (F): Einar Stefán Björnsson

Þú ert meltingarlæknir sem virðist engan svefn þurfa. Þú hefur feiri BS­nema undir þínum væng en þú getur talið. Þú ferðast um heiminn í leit nýrra ævintýra en aðallega í leit að undarlegustu ráðstefnustöðum sem val er á. Þó þú sért vanur því að svara spurningum nemenda brennur alltaf ein spurning heitast í brjósti þeirra: Hvaðan færðu alla þessa orku?

HVER Á HVAÐA EYRA?

( ) Bryndís Sigurðardóttir

( ) Hjalti Már Björnsson

( ) Ingibjörg Jóna Guðmundsdóttir

( ) Margrét Helga Ögmundsdóttir

( ) Rafn Benediktsson

( ) Sveinn Hákon Harðarson

( ) Þór Eysteinsson

( ) Þórdís Jóna Hrafnkelsdóttir

A) Sveinn Hákon Harðarson
B) Ingibjörg Jóna Guðmundsdóttir
C) Þór Eysteinsson
D) Margrét Helga Ögmundsdóttir
E) Hjalti Már Björnsson
F) Rafn Benediktsson
G) Bryndís Sigurðardóttir
H) Þórdís Jóna Hrafnkelsdóttir
*Svör

EYGLÓ FANNDAL STURLUDÓTTIR

3. árs læknanemi 2023­2024

KRISTRÚN INGUNN S. SVEINSDÓTTIR

5. árs læknanemi 2023­2024

KEPPNI Á TVEIMUR VÍGSTÖÐVUM

Við erum Kristrún Ingunn S. Sveinsdóttir og Eygló Fanndal Sturludóttir, afreksíþróttakonur í lyftingum – Kristrún í kraftlyftingum og Eygló í ólympískum lyftingum. Báðar höfum við orðið margfaldir Íslandsmeistarar og keppt alþjóðlega fyrir Íslands hönd en jafnframt höfum við þurft að takast á við sama mótlæti, áhyggjur og áskoranir þar sem við kusum að mennta okkur samhliða íþróttaferlinum.

,,Þú getur þetta kannski núna, en á næsta ári, þá verður þetta orðið of erfitt.”

Ár eftir ár, án undantekningar, hef ég heyrt þessa setningu, alveg frá því ég komst inn í læknisfræðina í HÍ. Fyrst var það að háskólanám væri mun erfiðara en menntaskóli, ég þyrfti að undirbúa mig undir höggið. Næst var það að fyrsta árið í læknisfræðinni væri nú ekkert annað en upphitun fyrir það sem síðar kæmi. Svo var það að forklíník væri auðveldari því þá gæti maður stjórnað deginum sínum sjálfur en í klíník… þá yrði þetta búið spil. Því hvernig ætti ég að sinna fullu verknámi og þeirri heimavinnu sem því fylgir ásamt margra klukkustunda æfingum festa daga vikunnar?

Nú, á sjötta árinu mínu, fékk ég sömu skilaboð aftur. Að klíníkin væri ekkert mál því þá væri maður „bara nemi“ en þegar ég yrði kandídat þá yrði ekkert svigrúm fyrir svona lagað. En í þetta sinn brosti ég því ég vissi betur. Þrátt fyrir að það sé krefjandi að ná jafnvægi milli náms og afreksíþrótta þá er það vel hægt, ef maður er tilbúinn að leggja á sig.

Þetta er ekki bara spurning um tíma. Að fara úr því að vera viðstödd erfiða fæðingu eða standa í langri aðgerð og mæta síðan á þyngstu æfinguna fyrir stórmót á innan við klukkustund er tilfinning sem erfitt er að lýsa. Mér finnst best að lýsa þessu eins og þetta séu tveir ólíkir heimar sem eru stanslaust að berjast um tíma manns og athygli öllum stundum. Stundum með mýkt en oftar með hnefum. Oft fellur þetta vel saman, skólinn kemur til móts við mann og æfingar falla vel inn í stundatöfuna, en stundum er þetta einfaldlega spurning um að velja og hafna. Hvort á ég að keppa á næsta stórmóti eða ná góðri einkunn á lokaprófinu í skurðlæknisfræði? Hvor draumurinn á að fá meira pláss? Það væri auðvelt að ákveða að þetta sé einfaldlega of erfitt en þá spyr ég: Af hverju ekki að reyna? Af hverju ekki að elta báða draumana sína?

Að vakna eldsnemma fyrir skóla til að læra svo ég geti farið á æfingu eftir verknám. Að taka allar verknámsvaktir á föstudögum og sunnudögum, frídögum æfinga, en missa í staðinn af afmælum, vinahittingum og samverustundum með sínum nánustu. Að samþykkja að maður er ekki alltaf 100% en leggja sig samt fram til að komast eins nálægt því og hægt er.

Sem betur fer er þetta allt val og ég er heppin að fá að elta báða draumana mína því ég neita að velja annan fram yfir hinn. Ég ætla að verða læknir og afreksíþróttakona. HLIÐ

AÐ VELJA Á MILLI?

,,Nú vandast valið” er setning sem ég hef heyrt frekar oft á síðustu árum eftir að ég byrjaði í náminu. Á sama tíma og ég byrjaði á fyrsta ári í læknisfræði fór íþróttaferillinn minn á fug og ég fór að keppa reglulega fyrir hönd Íslands á alþjóðlegum mótum. Já, að halda áfram að keppa og stunda nám er vissulega val en hvers vegna á ég að þurfa að velja á milli? Hver segir að ég geti ekki gert bæði ef ég er tilbúin til að forgangsraða og nýta tímann minn þannig?

Að hafa tækifæri til að vera afreksíþróttamaður og helga lífi sínu íþróttinni er vegferð sem er einstaklega gefandi og skemmtileg en á sama tíma ógnvekjandi val. Í festum tilfellum er líftími íþróttaferils hvers einstaklings frekar stuttur þar sem líkaminn er einungis í toppstandi í takmarkaðan tíma. Valið að æfa hvern einasta dag og fórna miklu fyrir feril sem endist í 10 til 15 ár er erfitt. En afreksíþróttafólk er fest tilbúið í það án þess að hugsa sig tvisvar um. Ástríðan og metnaðurinn fyrir íþróttinni er það mikill. Á sama tíma og 15 ár er stuttur tími fyrir íþróttaferil er það langur tími til að vera atvinnulaus og án menntunar. Flestir vilja hafa eitthvað sem tekur við þegar það er kominn tími til að leggja skóna á hilluna. Tekjutækifæri eru af (mjög) skornum skammti fyrir íþróttafólk á Íslandi og því ekki raunhæft að ætla að framfæra sér með íþróttinni, sérstaklega ekki út ævina. Flestir vilja því stunda nám og mennta sig samhliða ferlinum til að vera búin að skapa sér atvinnutækifæri fyrir framtíðina. Það er bara ákveðin skynsemi og framsýn í því.

Ég vissi að ég vildi eltast við íþróttadrauminn og sjá hversu langt ég gæti komist. Ég vissi líka að ég vildi verða læknir. Fyrir mér var þetta einfalt val en samt sem áður ógnvekjandi. Ég vissi að ég gæti látið þetta ganga upp en það voru þó nokkrir óvissuþættir sem voru að valda mér mikilli streitu og áhyggjum. Hvernig mun skólinn taka í þetta? Mun ég fá undanþágu til að fara erlendis að keppa ef það er próf í skólanum á sama tíma? Hver tekur þá ákvörðun? Það er frekar galið að það hafi stundum verið undir öðrum einstaklingi komið hvernig íþróttaferilinn minn þróast. Að það hafi verið undir annarri manneskju komið hvort ég fái að fara erlendis að keppa eða ekki. Margir mánuðir eða ár af vinnu, en á endanum hefur einhver annar lokavalið. Ég hef verið svo heppin að þetta hefur alltaf gengið upp á endanum, en þó ekki fyrirhafnarlaust og oft fylgdi mikil streita og álag allri óvissunni. Ég veit ekki hvað ég hefði gert ef það hefði komið til þess að ég þyrfti að velja á milli íþróttarinnar og skólans og ég vona að ég muni aldrei þurfa að komast að því.

Okkur þótti það frekar merkilegt að tvær ungar konur, á sitthvoru námsárinu og í sitthvorri íþróttinni, séu að takast á við nákvæmlega sömu vandamálin. Auðvitað erum við þakklátar fyrir að hafa fengið þessi tækifæri og þann stuðning sem er veittur. En okkar ósk er að fá skýra afreksstefnu innan Háskóla Íslands og tengdra verknámsaðila þannig að þeir nemar sem eru í landsliðum, eru að sinna verkefnum erlendis og eru fulltrúar Íslands geti gengið að því vísu að próf, verkefni og annað sem fylgir náminu muni ekki standa í vegi fyrir því að þau fái að uppskera eftir alla vinnuna sem þau hafa lagt á sig.

KENNSLUVERÐLAUN FL

Ár hvert veitir Félag læknanema viðurkenningar til þeirra sem hafa skarað fram úr við kennslu, leiðsögn og móttöku læknanema.

Kennslu­ og deildarlæknaverðlaun fyrir skólaárið 2023­2024 voru afhent vorið 2024 og hlutu eftirfarandi einstaklingar verðlaun.

Kennsluverðlaun 2023­2024

Kennsluverðlaun hlutu Lena Rós Ásmundsdóttir og Brynja Ármannsdóttir, sérfræðilæknar í sýkla­ og veirufræði. Verðlaunin eru veitt fyrir framúrskarandi metnað og áhuga við kennslu læknanema ásamt innleiðingu nýrra kennsluhátta í nýsameinuðum áfanga sýkla­ og veirufræði.

Deildarlæknaverðlaun 2023­2024

Deildarlæknaverðlaun hlaut Hrafn Hlíðdal Þorvaldsson, sérnámslæknir í barnalækningum. Verðlaunin eru veitt fyrir framúr skarandi metnað, frumkvæði og áhuga við kennslu læknanema en jafnframt fyrir einstaklega jákvætt viðmót í garð læknanema.

2022­2023

Kennsluverðlaun 2022­2023

Kennsluverðlaun hlutu Jón Bjarnason og Gunnar Bollason, sérnámslæknar í röntgenlækningum. Verðlaunin eru veitt fyrir framúrskarandi metnað og jákvæðni við kennslu læknanema og innleiðingu nýrra kennsluhátta svo sem með skipulagðri verklegri kennslu á ómskoðunar tæki.

Kennslu­ og deildarlæknaverðlaun fyrir skólaárið

voru afhent vorið 2023 og hlutu eftirfarandi

verðlaun.

Deildarlæknaverðlaun 2022­2023

Deildarlæknaverðlaun hlaut Árni Johnsen, sérnámslæknir í háls­, nef­ og eyrnalækningum. Verðlaunin eru veitt fyrir framúrskarandi metnað og áhuga við kennslu læknanema en jafnframt fyrir einstaka velvild í garð læknanema og hagsmunagæslu gegnum árin.

Heiðursverðlaun 2022­2023

Heiðursverðlaun hlaut Elías Ólafsson, prófessor í taugalækningum. Verðlaunin eru veitt fyrir sér staka kennslugleði, áhuga og hlýhug í garð læknanema. Einnig þökkum við fyrir framúr skarandi metnað við þróun kennsluhátta í taugalæknisfræði.

3. ÁRS LÆKNANEMA

AGNES STEFÁNSDÓTTIR

Tímabundið eftirlit með nýburum hjá foreldrum utan Vökudeildar

ALDÍS EYJA AXELSDÓTTIR

Taugaþroskaraskanir fyrirbura á Íslandi sem fæddust á árunum 2012­2017

ANDREA KOLBEINSDÓTTIR

Frumkomið aldósterónheilkenni á Íslandi: Notkun mótefna gegn ensímunum CYP11beta1 og CYP11beta2 til greiningar á orsök frumkomins aldósterónheilkennis

ANDREA RÚN EINARSDÓTTIR Útkomur úr magaspeglunum hjá 18­50 ára með meltingarónot og magaverki

BALDVIN FANNAR GUÐJÓNSSON

Optimising tissue processing and AI tools for high­throughput automated myelin ultrastructure analysis

BENEDIKT BURKNI Þ. HJARÐAR Þróun algengis innlagna ungs fólks (13­25 ára) á Vog per 1.000 2000 ­2023: Mögulegar skýringar og breytingar á mynstri notkunar vímugjafa á tímabilinu

BRAGI AÐALSTEINSSON

Aðferðir til beinmergssýnatöku hjá einstaklingum með plasmafrumusjúkdóma

BRYNDÍS RÓBERTSDÓTTIR

Nýburagula: Greining, áhættuþættir og verndandi þættir

DAGBJÖRT LILJA SVAVARSDÓTTIR

Meðganga og fæðing í kjölfar andvanafæðingar

DANÍEL MYER

Endurtekið lungnakrabbamein eftir lungnaskurðaðgerð

EGILL LOGASON

Lifrarskaði af völdum lyfja á Íslandi 2009 ­2024: Orsakir, horfur og langtímaafeiðingar

EYGLÓ FANNDAL STURLUDÓTTIR

Skarpur kraftur sem dánarorsök

EYGLÓ SÓLEY

HRÓÐMARSDÓTTIR LÖVE

Faraldsfræði notkunar benzódíazepín­lyfja í aðdraganda og kjölfar innlagna á ly fæknisdeildir Landspítala

EYDÍS LILJA HARALDSDÓTTIR

Sortuæxli á Íslandi 1955 ­2023: Faraldsfræði og sjúkdómsbyrði mismunandi undir fokka

GERÐUR EVA HALLDÓRSDÓTTIR

Viðbótarmeðferð í brjóstakrabbameini og meðferðarheldni andhormónameðferðar árin 2016 ­2018

GUÐMUNDUR INGVI SKÚLASON

Staphylococcus aureus blóðsýkingar á Íslandi 1995 ­2023

GUÐRÚN SOFFÍA HAUKSDÓTTIR

Eosinophil fasciitis á Íslandiafturskyggn rannsókn 2000 ­2023

HANNA MARÍA GEIRDAL

Ífarandi streptókokkasýkingar á gjörgæsludeildum Landspítalans 2018­2023: Nýgengi, alvarleiki, meingerð og meðferðarárangur

HARPA KRISTÍN ÞORKELSDÓTTIR Árangur sískolmeðferðar vegna sýkingar í kringum brjóstaígræði hjá sjúklingum sem gengist hafa undir brjóstnám og uppbyggingu með ígræði

HEKLA MARÍA BERGMANN Hjartamýlildi á Íslandi

HELGA KRISTÍN SIGURÐARDÓTTIR

Tíðni og afdrif snemmkominnar beinmergsbælingar af völdum 5 ­fuorouracil og capecitabine lyfjameðferða

HELGA SIF PÁLSDÓTTIR

Coagulase ­Negative Staphylococci in Blood Cultures at Landspítali:

A retrospective analysis of bloodstream infections during 2011­2021

HJALTI DAGUR HJALTASON

Samtenging garnar innan eða utan kviðarhols við hægra ristilbrottnám í kviðsjá

HRUND GUÐMUNDSDÓTTIR

Árangur efnaskiptaaðgerða á Klíníkinni Ármúla 2019 ­2020

IÐUNN ANDRADÓTTIR

Hálsæðafysjun á Íslandi: Faraldsfræði, meðferð og horfur

JENNÝ JÓNSDÓTTIR

Blóðgjafar á Íslandi 2013­2023

KAREN ARNARSDÓTTIR

Tengsl fjöllyfjameðferðar við heilabilun og væga vitræna skerðingu á meðal eldri einstaklinga í Öldrunarrannsókn Hjartaverndar árin 2002­2006

KARITAS BJÖRG ÍVARSDÓTTIR

Tíðni sárrifa, sýkinga og enduraðgerða við spangarrifur og spangarskurði á Landspítala 2012­2021

KOLBEINN THEODÓRSSON Hryggskekkjur á Landspítala 1998­2022 (25 ár)

KRISTÍN DÓRA SIGURÐARDÓTTIR

Líftæknilyf við alvarlegum astma: Val á meðferð og meðferðarsvörun

LÁRA BJÖRK BIRGISDÓTTIR

Notkun blóðskilunarleggja hjá blóðskilunarsjúklingum á Íslandi

LENA

Faraldsfræði notkunar svefnlyfja í aðdraganda og kjölfar innlagna á ly fæknisdeildir Landspítala

LILJA ÓSK ATLADÓTTIR

Snemmkomin meðgöngueitrun hjá frumbyrjum

MATTHILDUR MARÍA

MAGNÚSDÓTTIR

Blóðhlutagjafir í tengslum við kransæðahjáveituaðgerðir á Íslandi

MATTHÍAS LÖVE

Meðferð ungbarnakveisu á Íslandi

MELKORKA SVERRISDÓTTIR

Progression to Neoplasm from Barrett’s Esophagus

RAKEL ÓSK SIGURÐARDÓTTIR

Áhrif greiningaraðferðar á stigun brjóstakrabbameina og horfur

RÓBERT ALEXANDER BJÖRNSSON

Lifrarskaði af völdum sýklalyfja á Landspítalanum

SAGA INGADÓTTIR

Alport Syndrome in Iceland: Epidemiology and Outcomes

SARA SÓL GUÐFINNSDÓTTIR

Erfðafræðilegar orsakir þroskahömlunar á Barnaspítala Hringsins: Yfirlit yfir árin 2012­2022

SILJA ARNBJÖRNSDÓTTIR

ÓLAFSSON

Meðferð sem forvörn: Árangur af meðferðarátaki gegn lifrarbólgu C á Íslandi 2016 ­2023

SILJA DÖGG HELGADÓTTIR

Greining, meðferð og horfur sjúklinga með kirtilkrabbamein í mjógirni á Landspítala 2002­2021

SMÁRI FREYR KRISTJÁNSSON

Bandvefsbreytingar í kjölfar meðferðar gegn lifrarbólgu C

STEFANÍA ÁSTA TRYGGVADÓTTIR

Marksækin meðferð í meðhöndlun lungnakrabbameina á árunum 2010 ­2023

SILVÍA STELLA HILMARSDÓTTIR

Dauðsföll um borð í farþegafugi –réttarlæknisfræðileg greining

SYLVÍA SARA ÓLAFSDÓTTIR

Staðbundin endaþarmskrabbamein og útkoma sjúklinga sem fara í „watch and wait “ ferli

TELMA RÓS JÓNSDÓTTIR

Keiluskurðir á Landspítala árið 2022: Mat á dýpt keiluskurða og viðvarandi forstigsbreytingum eftir keiluskurð

TÓMAS HELGI HARÐARSON

Heilablæðingar nýbura 1994­2023

TRYGGVI LEÓ GUÐMUNDSSON Svipgerð og faraldsfræði snemmkomins Alzheimer sjúkdóms

VALDIMAR SVEINSSON

Lífupplýsingafræðileg forgangsröðun á þáttum í kælisvari spendýrafruma

VIGDÍS SELMA SVERRISDÓTTIR

Efri meltingarvegsblæðingar á Landspítala háskólasjúkrahúsi 2019 ­2023

VIKTORÍA ÝR SVEINSDÓTTIR Ábendingar fyrir framköllun fæðinga

ÞORGERÐUR ÞÓRÓLFSDÓTTIR

Orsakir krónísks nýrnasjúkdóms í eintaklingum með góðkynja einstofna mótefnahækkun

3. ÁRS LÆKNANEMA

MARKSÆKIN MEÐFERÐ Í MEÐHÖNDLUN LUNGNAKRABBAMEINA Á ÁRUNUM 2010-2023

Stefanía Ásta Tryggvadóttir1, Guðlaugur V. Stefánsson1, Helgi Birgisson2, Örvar Gunnarsson3, Tómas Guðbjartsson1, 3 , Hrönn Harðardóttir 3, Bylgja Hilmarsdóttir 3, Sigurdís Haraldsdóttir1, 3

1) Læknadeild Háskóla Íslands, 2) Krabbameinsskrá Íslands, 3) Landspítalinn

• Inngangur

Lungnakrabbamein er þriðja algengasta krabbameinið sem greinist á Íslandi, er mannskæðast og um 55% greinist á stigi IV. Þriðjungur lungnakrabbameina hefur stökkbreytingu eða yfir færslu sem hefur áhrif á virkni eftir farandi gena: EGFR, ALK, ROS1, BRAF V600E, RET, MET og NTRK. Slíkar breytingar eru algengari í sjúklingum sem hafa ekki reykt og í kirtilmyndandi lungnakrabbameinum og fundur þeirra getur haft áhrif á val á og svörun við meðferð. Mörg marksækin lyf hafa komið á markað undanfarinn áratug.

• Markmið

Kortlagning á tíðni marksækinna stökkbreytinga í lungnakrabbameinum á Íslandi, hversu oft marksækin lyf eru notuð og árangur þeirrar meðferðar.

• Aðferðir

Listi greindra lungnakrabbameina 2021­2023 og stig við greiningu 2019 ­2022 var fenginn frá Krabbameinsskrá og stökkbreytigreiningar 2021­2023 frá Meinafræðideild LSH. Skoðað var handvirkt hvort einstaklingar með marksækna stökkbreytingu hafi fengið marksækna meðferð. Verkefnið var framhald BS verkefnis sem skoðaði niðurstöður stökkbreytiprófa í lungnakrabbameinum 2010 ­2020.

• Niðurstöður Árin 2010­2023 var 25% allra greindra lungnakrabbameina send í stökkbreytipróf og hefur farið vaxandi undanfarin þrjú ár. EGFR stökkbreytingar voru í 11,6% lungnakrabbameina. Tíðni meinvaldandi stökkbreytinga 2016­2023 var; KRAS 39,2% (KRAS G12C 19,5%), EGFR 11,4%, BRAF 5,8%, MET 5,8%, HER2 5,1%, ALK 1,6%, ROS1 0,7% og RET 0,2%. 52,1% af einstaklingum með marksæknar breytingar fengu marksækna meðferð en 33,9% var á meðferð í ≥ 12 mánuði.

• Umræður

Notkun stökkbreytiprófa hefur farið hratt vaxandi og nú fer um helmingur sjúklinga með marksækna stökkbreytingu á marksækna meðferð. Tíðni KRAS og EGFR stökkbreytinga er sambærileg við niður stöður erlendra rannsókna en marksækið lyf gegn KRAS­ G12C er væntanlegt á markað.

STAÐBUNDIN ENDAÞARMSKRABBAMEIN

OG ÚTKOMA SJÚKLINGA SEM FARA Í

„WATCH AND WAIT“ FERLI

Sylvía Sara Ólafsdóttir, Jórunn Atladóttir

• Inngangur

Meðferð við endaþarmskrabbameini er fjölbreytt og einstaklingsbundin en grunnurinn hefur að miklu leyti verið byggður á skurðaðgerðum sem leiða gjarnan til ævilangra aukaverkana. Á síðustu árum hefur færst í aukana að gera ekki skurðaðgerð hjá þeim sem svara undirbúningsmeðferð heldur hafa virkt eftirlit sem hefur verið kallað „watch and wait ” ferli. Markmið þessarar rannsóknar er að kanna hver fer í „watch and wait “ ferlið, hver útkoma þessa sjúklingahóps er, hversu stór hluti fer í skurðaðgerð og greinist með meinvörp og að lokum hversu stór hluti var án krabbameins í lok rannsóknartímans.

• Efniviður og aðferðir Rannsóknin var afturskyggn ferilrannsókn sem náði til allra þeirra einstaklinga sem greindust með endaþarmskrabbamein á árunum 2016 ­2022 og fóru í „watch and wait “ eftirlit. Gögnin voru fengin frá Krabbameinsskrá Íslands og sjúkraskrá sjúklinga.

• Niðurstöður

Alls voru 28 sjúklingar teknir í „watch and wait “ ferlið á rannsóknartímabilinu, þar af 17 karlar og 11 konur með meðalaldur 64,5 ár. Algengasta klíníska stigunin var cT2 (14 manns) og cT3 (10 manns). Meðaleftir fylgd var 35 mánuðir (bil, 6­91 mánuður). Allir fengu geislameðferð, 18 fengu lyfjameðferð og 18 fóru í TEM aðgerð (transanal endoscopic microsurgery). Tveir einstaklingar (7%) greindust með fjameinvörp og lést annar þeirra. Einn (3,6%) fékk staðbundna endurkomu og fór í skurðaðgerð og er án krabbameins. 26 af 28 ( 92,9%) sjúklingum voru á lífi og án krabbameins í lok rannsóknartímabilsins.

• Ályktanir

Niðurstöður þessarar rannsóknar benda til þess að „watch and wait “ ferli sé góður og raunhæfur kostur fyrir sjúklinga sem fá algjöra svörun eftir undirbúningsmeðferð við endaþarmskrabbameini.

VIÐBÓTARMEÐFERÐ Í BRJÓSTAKRABBAMEINI OG MEÐFERÐARHELDNI ANDHORMÓNAMEÐFERÐAR ÁRIN 2016-2018

Gerður Eva Halldórsdóttir, Ólöf Kristjana Bjarnadóttir, Stefanía Katrín Finnsdóttir, Sigurdís Haraldsdóttir

• Inngangur

Viðbótarmeðferð með tamoxifen og/eða arómatasahemlum (anastrósól, letrósól og exemestan) er beitt við hormónajákvæðu brjóstakrabbameini á stigi 1­3 eftir skurðaðgerð. Andhormónameðferð hefur áhrif á endurkomutíðni og lifun í brjóstakrabbameini en meðferðarheldni þessara lyfja hefur ekki verið skoðuð á Íslandi. Aðalmarkmiðið er að rannsaka meðferðarheldni viðbótarhormónameðferðar hjá brjóstakrabbameinssjúklingum sem greindust árin 2016 ­2018. Forspárþættir meðferðarheldni verða skoðaðir sem og áhrif meðferðarheldni á horfur, bæði sjúkdómsfría lifun og heildarlifun.

• Aðferðir

Rannsóknin er afturskyggn ferilrannsókn sem tekur til allra sjúklinga á Íslandi sem greindust með hormónajákvætt brjóstakrabbamein á stigi 1­3 árin 2016 ­2018 og fengu andhormónaviðbótarmeðferð eftir skurðaðgerð. Gögn voru fengin frá Krabbameinsskrá, Gæðaskrá, Lyfjagagnagrunni landlæknis og Landlæknisembættinu. Meðferðarheldni var skilgreind sem lyfjaútleysing tamoxifens og/ eða arómatasahemla í fimm ár eða fram að dánardegi/ endurkomudegi brjóstakrabbameins. Sjúklingur telst meðferðarheldinn ef hann leysti út lyf fyrir ≥ 80% af tímabilinu. Lýsandi tölfræði, lógístísk aðhvarfsgreining og Kaplan Meier lifunarkúrfur voru notaðar við úrvinnslu gagna.

• Niðurstöður

520 sjúklingar uppfylltu inntökuskilyrði rannsóknarinnar en 511 voru konur og miðgildi aldurs var 62 ár. Krabbameinslyfjameðferð hlutu 32% sjúklinga, 56% fengu geislameðferð og allir fengu hormónameðferð sem viðbót. Tamoxifen var gefið 37% en 63% sjúklinga fengu arómatasahemla. 398 sjúklingar eða 76,5% reyndust meðferðarheldnir. Logistic regression tölfræðipróf sýndi fram á að tegund meðferðar var marktækur forspárþáttur (ÖB:0.11­ 0.97) . Ekki mældust marktæk tengsl á milli heildarlifunar (P=0.4) eða sjúkdómsfrírrar lifunar (P=0.1) og meðferðarheldni.

• Umræða

Fjórðungur brjóstakrabbameinssjúklinga var ekki meðferðarheldinn á tímabilinu. Mikilvægt er að bæta meðferðarheldni, t.d. með öfugri og aðgengilegri fræðslu.

TÍÐNI OG AFDRIF SNEMMKOMINNAR BEINMERGSBÆLINGAR AF VÖLDUM 5-FLUOROURACIL OG CAPECITABINE LYFJAMEÐFERÐA

Helga Kristín Sigurðardóttir, Elsa Jónsdóttir, Sigurdís Haraldsdóttir

• Inngangur

5 ­Fluorouracil (5 ­FU) og forlyf þess, capecitabine, eru krabbameinslyf af fokki fúorpýrimídinlyfja (FP) og eru þau helst notuð við krabbameinum í meltingar vegi. Þessi lyf þolast almennt vel en þrátt fyrir það fá allt að 30% einstaklinga alvarlegar meðferðar tengdar aukaverkanir. Beinmergsbæling er ein helsta aukaverkun FP­lyfja. Markmið rannsóknarinnar voru að kanna tíðni alvarlegrar beinmergsbælingar hjá einstaklingum sem fengu FP­lyfjameðferð, skilgreina þætti sem tengjast auknum líkum á snemmkominni beinmergsbælingu og bera saman afdrif einstaklinga eftir því hvort þeir fengu snemmkomna beinmergsbælingu eða ekki.

• Aðferðir

Rannsóknin innihélt alla þá einstaklinga sem fengu krabbameinslyfjameðferð með 5 ­FU og capecitabine frá 2015 til 2019. Blóðprufugildum var safnað handvirkt úr sjúkraskrám. Skráð voru niður lægstu gildi innan þriggja mánaða tímabils eftir að FP­lyfjameðferð hófst og þau stiguð eftir skilmerkjum NCI­CTCAE v. 5. Tölfræðiúrvinnsla fór fram í Rstudio.

• Niðurstöður 615 einstaklingar fengu lyfjameðferð á tímabilinu, 80,7% fengu capecitabine, en 19,3% 5­FU. 1,8% fengu blóðleysi, 3,5% fengu hvítfrumnafæð, 7,8% fengu daufkyrningafæð, 7,6% fengu eitilfrumnafæð og 1,1% fengu blóðfögufæð af gráðu 3 eða hærra innan þriggja mánaða frá upphafi FP­lyfjameðferðar. Þættir sem tengdust alvarlegri beinmergsbælingu voru kvenkyn (OR: 1,09) og það að fá 5 ­FU (OR: 1,15), en aldur var ekki áhættuþáttur. Alvarleg eitilfrumnafæð tengdist verri lifun eftir leiðréttingu fyrir blöndunarþáttum (HR: 1,67).

• Umræða Tíðni snemmkominnar beinmergsbælingar af völdum FP­lyfja hefur ekki verið skoðuð í íslensku þýði áður, en niðurstöðum svipar til annarra rannsókna. Taka skal tillit til kyns við skömmtun FP­lyfjameðferðar. Mögulega fengu eldri einstaklingar vægari meðferð, sem gæti útskýrt af hverju aldur var ekki ekki áhættuþáttur fyrir alvarlegri beinmergsbælingu.

GREINING, MEÐFERÐ OG HORFUR SJÚKLINGA MEÐ KIRTILKRABBAMEIN Í MJÓGIRNI Á LANDSPÍTALA 2002-2021

Silja Dögg Helgadóttir1, Karin Ulrika Johansen 2, Kristín Huld Haraldsdóttir1, 2

1) Læknadeild Háskóla Íslands, 2) Kviðarholsskurðdeild Landspítali Háskólasjúkrahús

• Inngangur

Kirtilkrabbamein í mjógirni er sjaldgæft krabbamein með

slæmar horfur. Eina læknandi meðferðin er skurðaðgerð þar sem meinið er fjarlægt. Þegar æxli er staðsett í skeifugörn er mælt með briskirtils­ og skeifugarnarnámi en hlutabrottnámi á mjógirni ef það er staðsett neðar.

• Markmið

Markmið rannsóknarinnar var að framkvæma afturskyggna rannsókn, yfir 20 ára tímabil, og skoða tíðni kirtilkrabbameins í mjógirni, tíðni og tegund aðgerða, fylgikvilla og lifun sjúklinga eftir aðgerð.

• Aðferðir

Upplýsingar um einstaklinga sem greindust voru fengnar úr sjúkraskrárkerfum Landspítala. Breytur voru skráðar í excel og unnin var lýsandi tölfræði ásamt útreikningum um lifun. Unnið var í tölfræðiforritinu R.

• Niðurstöður

47 sjúklingar greindust með kirtilkrabbamein í mjógirni, 32 í skeifugörn og 15 í mjógirni. 25 fóru í læknandi aðgerð. Alvarlegir fylgikvillar, ≥3 samkvæmt Clavien­Dindo, voru 28%. Endurkomutíðni var 24%. Eins árs lifun sjúklinga sem fóru í aðgerð var 80% en fimm ára lifun 44%. Fimm ára lifun var hærri fyrir æxli upprunnin í skeifugörn, 52,9% miðað við 25,0% fyrir æxli upprunnin annars staðar í mjógirni (p>0,05). 14 (56%) sem fóru í aðgerð voru á lífi í lok rannsóknartímabilsins en hjá þremur þeirra hafði eftirfylgd ekki náð fimm árum.

• Umræður

Kirtilkrabbamein í mjógirni er sjaldgæft mein og fáir sjúklingar greindust á tímabilinu. Hátt hlutfall sjúklinga fór í skurðaðgerð en einn af hverjum fjórum var greindur með endurkomu í eftirliti. Engar niðurstöður hafa verið birtar hingað til fyrir Ísland um krabbamein í mjógirni og samanburður við aðrar þjóðir er erfiður vegna lágrar tíðni krabbameinsins.

HJARTAMÝLILDI Á ÍSLANDI

Hekla María Bergmann, Inga Jóna Ingimarsdóttir

• Inngangur

Hjartamýlildi er sjúkdómur þar sem óeðlileg prótein falla út í hjartavöðvanum sem leiðir loks til takmarkandi hjartavöðvakvilla. Sjúkdómurinn hefur slæmar horfur en til er meðferð sem getur hægt á sjúkdómsganginum en getur ekki snúið við vefjaskemmd sem hefur þegar átt sér stað. Þekking á sjúkdómnum og algengi hans á Íslandi er takmörkuð. Markmið rannsóknarinnar var að meta algengi ATTR og AL hjartamýlildis á Íslandi, aldursdreifingu, hve margir hafa fengið ATTR meðferð og lifun ATTR hjartamýlildis sjúklinga á Íslandi.

• Efniviður og aðferðir Rannsóknin notaðist við ICE­ CAR skrána sem inniheldur gögn sjúklinga á Íslandi greinda með hjartamýlildi frá maí 2013 til mars 2024 (N=78). Grunneinkenni voru borin saman milli gerða hjartamýlildis en aðrar niðurstöður voru einungis reiknaðar fyrir ATTR­ CA sjúklingana. Í lifunargreiningu var Kaplan­Meier aðferðin notuð.

• Niðurstöður

Dreifingin milli hjartamýlildis gerða var; transthyretin hjartamýlildi (ATTRCA) (N=65), létt keðju hjartamýlildi (AL­ CA) (N=6), aðrar gerðir (N=1) og óþekkt gerð (N=6). Af ATTR­ CA þýðinu voru 92.3% karlkyns. Miðgildi aldurs við greiningu hjá ATTR­ CA sjúklingum var 81.4 ár [64.9, 93.8]. Af ATTR­ CA sjúklingunum höfðu 32.3% fengið ATTR meðferð. Miðgildi lifunar í heildina í ATTR­ CA þýðinu var 22.6 mánuðir [0.100, 77.0].

• Umræða

Þetta er fyrsta rannsókn á hjartamýlildi sem hefur verið gerð á Íslandi. Niðurstöður sýndu að Íslenskir ATTR­ CA sjúklingar voru töluvert eldri og með lengra genginn sjúkdóm við greiningu samanborið við aðrar þjóðir. Áætluð lifun var styttri en í öðrum þjóðum en hátt hlutfall sjúklinga á Íslandi hefur þó fengið ATTR meðferð.

HÁLSÆÐAFLYSJUN Á ÍSLANDI: FARALDSFRÆÐI, MEÐFERÐ OG HORFUR

Iðunn Andradóttir1, Ólafur Árni Sveinsson2

1) Læknadeild Háskóla Íslands, 2) Taugalækningadeild Landspítala

• Inngangur

Hálsæðafysjun (cervical artery dissection) er algeng orsök blóðþurrðarslags í ungum og miðaldra einstaklingum. Meingerð fysjunar er ekki að öllu leyti þekkt en greiningarskilmerki hennar eru myndun margúls (hematoma) innan slagæðaveggjarins. Talið er að um sé að ræða fjölþátta sjúkdóm þar sem erfðir og umhverfi spila saman. Markmið rannsóknarinnar var að rannsaka nýgengi hálsæðafysjunar á Íslandi á tímabilinu 2005 ­2023.

• Efni og aðferðir

Framkvæmd var afturskyggn rannsókn þar sem upplýsingum úr sjúkraskrám einstaklinga sem greindust með hálsæðafysjun á tímabilinu frá 1. janúar 2005 til 31. desember 2023 var safnað. Eftirfarandi þættir voru skoðaðir: kyn, greiningarár, aldur við greiningu, einkenni, áhættuþættir, rannsóknarniðurstöður, meðferð og horfur. Úrvinnsla fór fram í Excel® og í Rstudio.

• Niðurstöður

Rannsóknarúrtakið samanstóð af 107 einstaklingum, þar af 37 konum og 70 körlum. Yfir allt tímabilið var meðalnýgengið 1,62/100.000 manns á ári. Meðalaldur var 50 ár (18­101 ár). Algengasta einkennið var verkur (72%) og önnur algeng einkenni voru skyntrufun (67%), hreyfitrufun (49%) og Horner heilkenni (36%). Algengasti áhættuþátturinn meðal kvenna voru reykingar (30%) og nýlegir áverkar (30%) en háþrýstingur (46%) meðal karla. Allir sjúklingarnir voru settir á blóðföguhemjandi og/eða blóðþynningarmeðferð. Eftir 3­ 6 mánuði mældust 77% sjúklinganna með 0 ­2 á modified Rankin skalanum (mRS) og höfðu enga eða væga fötlun eftir fysjunina.

• Ályktanir

Nýgengi hálsæðafysjunar á Íslandi er í samræmi við erlendar rannsóknir. Verkir voru algengasta einkennið, reykingar og áverkar algengasti áhættuþáttur meðal

kvenna og háþrýstingur meðal karla. Meirihluti sjúklinganna náði góðum bata sem bendir til skilvirkrar greiningar og meðferðar á hálsæðafysjun á Íslandi.

FRUMKOMIÐ ALDÓSTERÓNHEILKENNI Á ÍSLANDI: NOTKUN MÓTEFNA GEGN ENSÍMUNUM

CYP11BETA1 OG CYP11BETA2 TIL GREININGAR Á

ORSÖK FRUMKOMINS ALDÓSTERÓNHEILKENNIS

Andrea Kolbeinsdóttir, Helga Ágústa Sigurjónsdóttir, Bjarni Agnarsson, Hrafnhildur Gunnarsdóttir

• Inngangur

Frumkomið aldósterónheilkenni (FA), algengasta orsök síðkomins háþrýstings. Áætlað algengi er allt að 29,8% hjá sjúklingum með lyfjaþolinn háþrýsting. FA stafar af oframleiðslu á aldósteróni frá nýrnahettuberki. Fyrir nokkrum árum var tekin upp ný aðferð á Landspítala, notast við CYP11beta1 og CYP11beta2 mótefnalitun til að auðvelda greiningu. Markmið rannsóknarinnar var að taka saman sjúklinga sem greindust með einhliða FA og skoða hvort vefjagreining breyttist með notkun mótefnanna og bera saman blóðþrýstingsmælingar, blóðgildi og lyfjanotkun fyrir og eftir aðgerð og meta þannig árangur meðferðar.

• Efni og aðferðir Afturskyggn ferilrannsókn. Rannsóknarþýðið (n=24) voru allir sjúklingar á Íslandi eldri en 18 ára sem greindust með einhliða FA á árunum 2017­2022 og fóru í brottnám á nýrnahettu. Öll vefjasýni voru lituð með H&E litun og CYP11beta1 og CYP11beta2 mótefnalitun og fokkuð samkvæmt nýrri fokkun á FA, HISTALDO.

• Niðurstöður Á tímabilinu greindust 18 karlar og 6 konur með FA. Meðalaldur við greiningu var 52,3 ár (±8,6). Mótefnalitun og endurmat breytti vefjagreiningum hjá 10 af 24 sjúklingum.

Meðalslagbilsþrýstingur lækkaði úr 153,8 í 134,5 mmHg (p < 0,001) og meðalhlébilsþrýstingurinn úr 94,1 í 86,8 mmHg (p = 0,02 ), 6 ­12 mánuðum eftir aðgerð, samhliða minnkaði dagskammtur lyfja úr 4,4 niður í 1,8 DDD (p = 0,03 ). Kalíumuppbót þurftu 22 af 24 sjúklingum fyrir aðgerð, en enginn í endurkomu. Munur á milli kynja var ómarktækur.

• Ályktanir

Rétt greining og meðferð á FA lækkar blóðþrýsting marktækt, fækkar verulega þörf á blóðþrýstingslyfjum og leiðréttir lágt blóðgildi kalíums. Mikilvægt er að læknar séu vakandi fyrir þessari orsök háþrýstings.

MEÐGANGA OG FÆÐING Í KJÖLFAR ANDVANAFÆÐINGAR

Dagbjört Lilja Svavarsdóttir, Ragnheiður I. Bjarnadóttir, Jóhanna Gunnarsdóttir og Heiðdís Valgeirsdóttir

• Inngangur og markmið Andvanafæðing er fæðing þar sem barn deyr fyrir eða í fæðingu eftir 22 vikna meðgöngu. Markmið rannsóknarinnar var að skoða hlutfall kvenna sem fæddu aftur í kjölfar

andvanafæðingar á tímabilinu 1997­2016, tímalengd á milli fæðinganna og hvort aldur, sambúðarstaða og bæri hefðu áhrif. Jafnframt voru útkomur næstu meðgöngu og fæðingar skoðaðar.

• Efni og aðferðir

Rannsóknin var afturskyggn og gögn fengin frá Fæðingarskrá. Konur sem fæddu andvana barn á árunum 1997­2016 voru í rannsóknarþýðinu og athugað hvort þær fæddu aftur fram til ársins 2021.

• Niðurstöður

Um 70% kvenna eignuðust lifandi barn í kjölfar andvanafæðingar og að meðaltali liðu 2,20 ár á milli fæðinganna. Aldur mæðranna hafði mark tæk áhrif á hvort þær eignuðust barn í kjölfarið og tímalengd á milli fæðinganna en ekki sambúðarstaða eða bæri. Um þriðjungur fékk sjúkdómsgreiningu á næstu meðgöngu og meðaltal forskoðana var 13,1. Hlutfall fyrirburafæðinga var 19,0%. Fæðingin var framkölluð hjá 55,9% og 28,4% fæddu með keisaraskurði. Alls fæddu 82,9% á Landspítalanum. Meðalfæðingarþyngd nýburanna var 3.259 g og 96,8% þeirra fengu Apgar stig 7 eða meira við 5 mínútna aldur.

• Umræður Stærra hlutfall kvenna fæddu barn í kjölfar andvanafæðingar en í erlendum rannsóknum en tímalengdin á milli fæðinganna var svipuð. Sjúkdómsgreiningar voru algengari en í almennu þýði og feiri forskoðanir en samkvæmt almennum ráðleggingum.

Marktæk fylgni var á milli fæðingar eftir andvanafæðingu og vali á fæðingarstað. Fyrirburafæðingar, gangsetningar og keisaraskurðir voru mark tækt feiri en hjá öðrum fjölbyrjum. Meðalþyngd nýburanna var lægri en meðalþyngd nýbura á Íslandi og feiri höfðu Apgar stig undir 7.

TÍÐNI SÁRRIFA, SÝKINGA OG ENDURAÐGERÐA

VIÐ SPANGARRIFUR OG SPANGARSKURÐI Á LANDSPÍTALA 2012-2021

Karitas Björg Ívarsdóttir, Heiðdís Valgeirsdóttir

• Inngangur

Annarrar gráðu spangarrifur og spangarskurðir eru algengir áverkar við fæðingar. Þeim geta fylgt fylgikvillar á borð við verki, upprifnun og sýkingar. Markmið rannsóknarinnar var að skoða tíðni upprifnunar, sýkingar og enduraðgerðar hjá konum sem fengu 2. gráðu spangarrifu eða spangarskurð á Landspítala. Einnig að bera saman undirliggjandi þætti hjá konum sem fengu fylgikvilla við þær sem fengu ekki fylgikvillar.

• Efni og aðferðir

Þýðið var konur sem fæddu einbura á Landspítala 20122021 og fengu 2. gráðu spangarrifu eða spangarskurð. Safnað var upplýsingum um konurnar, um fæðinguna og hvort þær hefðu fengið upprifnun sárs, sýkingu eða þurft enduraðgerð. Notuð var lýsandi tölfræði og kí­kvaðrat og t­próf við samanburð á hópum. Tölfræðileg marktækni miðaðist við P­gildi < 0,05.

• Niðurstöður

Meðal kvenna með 2. gráðu spangarrifu (N=9441) fengu 70 konur sem (0,7%) fengu einn eða feiri fylgikvilla. Konur með fylgikvilla voru oftar frumbyrjur (P=0,025) og höfðu að meðaltali lengra 2. stig fæðingar (P=0,003) en þær sem ekki fengu fylgikvilla. Meðal kvenna með spangarskurð (N=2829) fengu 109 konur (3,9%) einn eða feiri fylgikvilla. Þær konur sem fengu fylgikvilla voru oftar frumbyrjur (P=0,029) og höfðu oftar sykursýki (P=0,003) en þær sem fengu ekki fylgikvilla. Aldur, líkamsþyngdarstuðull, hiti í fæðingu og áhaldafæðing voru sambærileg milli þeirra sem fengu fylgikvilla og þeirra sem fengu ekki.

• Ályktanir

Fylgikvillar voru algengari hjá þeim sem fengu spangarskurð en hjá konum sem fengu 2. gráðu spangarrifu. Frumbyrjur voru líklegri en fjölbyrjur til að fá fylgikvilla í báðum hópum. Þetta má hafa til hliðsjónar við mögulegan spangarskurð í fæðingu og við fræðslu til kvenna.

SNEMMKOMIN MEÐGÖNGUEITRUN HJÁ

FRUMBYRJUM

Lilja Ósk Atladóttir1, Áslaug Haraldsdóttir1, Emma M. Swift5, Jóhanna Gunnarsdóttir1, 4, Alexander Smárason2, 3

1) Læknadeild Háskóla Íslands, 2) Kvennadeild Sjúkrahússins á Akureyri, 3) Heilbrigðisvísindastofnun Háskólans á Akureyri, 4) Kvennadeild Landspítala, 5) Hjúkrunar- og ljósmóðurfræðideild Háskóla Íslands

• Inngangur

Konum í áhættu fyrir meðgöngueitrun er ráðlagt að nota hjartamagnýl til að fyrirbyggja snemmkomna meðgöngueitrun. Hættan á meðgöngueitrun er metin í mæðravernd út frá heilsufarsþáttum og er hver meðganga þannig áhættufokkuð. Markmið rannsóknarinnar var að kanna hversu oft snemmkomin meðgöngueitrun var greind meðal frumbyrja og fjölbyrja sem tilheyrðu ekki áhættufokki og fengu þar af leiðandi ekki ráð um fyrirbyggjandi meðferð með hjartamagnýl.

• Efni og aðferðir

Rannsóknin var ferilrannsókn byggð á gögnum úr Fæðingarskrá á tímabilinu 2015­2020 (N=24.580). Meðgöngueitrun var skilgreind út frá ICD ­10 greiningarkóðum og skipt í þrjá fokka eftir meðgöngulengd. Áhættuþættir voru skilgreindir út frá ICD ­10 greiningarkóðum og skoðaðir eftir bæri. Við greiningu gagna var notast við lýsandi tölfræði.

• Niðurstöður

Tíðni meðgöngueitrunar jóskt eilítið yfir rannsóknartímabilið. Meðgöngueitrun var algengari meðal frumbyrja (5,5%) heldur en fjölbyrja (1,8%). Alls voru 9,3% frumbyrja metnar í áhættu fyrir meðgöngueitrun og 11,6% fjölbyrja skv. núverandi áhættumati. Meðal frumbyrja sem fengu snemmkomna meðgöngueitrun voru 70,0% þeirra ekki fokkaðar í áhættu fyrir meðgöngueitrun en meðal fjölbyrja voru 48,6% ekki fokkaðar í áhættu fyrir meðgöngueitrun.

• Ályktanir

Áhættufokkunin aðgreindi síður frumbyrjur en fjölbyrjur sem síðar fengu snemmkomna meðgöngueitrun. Íhuga

þarf hvort innleiða eigi nákvæmari skimunarleiðir til að fokka feiri konur réttilega í áhættu eða hvort ráðleggja eigi öllum frumbyrjum að taka hjartamagnýl. Rétt er að rannsaka bæði meðferðarheldni kvenna og ágæti nýs skimunarprófs áður en slíkar breytingar eiga sér stað.

ÁBENDINGAR FYRIR FRAMKÖLLUN FÆÐINGA

Viktoría Ýr Sveinsdóttir, Jóhanna Gunnarsdóttir

• Inngangur

Tíðni gangsetninga hefur aukist töluvert á síðustu árum hérlendis sem og erlendis. Margar ástæður geta leitt til ákvörðunar um gangsetningu en mikilvægt er að hafa eftirlit með því hvaða læknisfræðilegu ábendingar liggja að baki inngripinu. Meginmarkmið rannsóknarinnar voru að kanna hvaða ábendingar voru skráðar á beiðnum um gangsetningu, hverjar voru algengustu ástæður beiðninnar og hve stór hluti fæddu sjálfkrafa áður en til gangsetningar kom.

• Efniviður og aðferðir

Rannsóknin var afturskyggn þversniðsrannsókn sem náði til 12.148 fæðinga á tímabilinu 2016 ­2018 . Gögn frá beiðnum um framköllun fæðinga voru fengin úr rafrænni sjúkraskrá og samkeyrð hjá Embættis landlæknis við upplýsingar frá Fæðingarskrá. Úrvinnslan afmarkaðist að mestu við fæðingar þar sem beiðni um framköllun var til staðar (n=3847).

• Niðurstöður

Samkvæmt beiðnum um gangsetningu voru 147 mismunandi ábendingar skráðar sem ástæða fyrir framköllun fæðinga. Lengd þungun var algengasta skráða ábendingin og kom fyrir á nær helmingi beiðna. Því næst var meðgöngusykursýki ástæða 14,9% beiðna, háþrýstingur 9,1% og meðgöngueitrun 4,8%. Nærri helmingur þeirra sem áttu beiðni fæddu sjálfkrafa áður en til gangsetningar kom, en það var sérstaklega algengt þegar lengd þungun var ástæða fyrir beiðni (61,9%).

• Ályktanir

Ástæður fyrir framköllun fæðingar voru margar en lengd þungun var langalgengasta ábendingin. Nær helmingur þeirra sem áttu beiðni fæddu sjálfkrafa áður en til gangsetningar kom, sem gefur tilefni til að kanna hvort í sumum tilvikum mætti senda beiðnina nær áætluðum fæðingardegi. Niðurstöður rannsóknarinnar undirstrika mikilvægi þess að staldra við og skoða hvaða ábendingar fyrir framköllun fæðingar bæta útkomu bæði móður og barns.

KEILUSKURÐIR Á LANDSPÍTALA ÁRIÐ 2022: MAT Á DÝPT KEILUSKURÐA OG VIÐVARANDI FORSTIGSBREYTINGUM EFTIR KEILUSKURÐ

Telma Rós Jónsdóttir1, Sigrún Perla Böðvarsdóttir 2 , Kolbrún Pálsdóttir 2

1) Læknadeild Háskóla Íslands og 2) Kvenlækningadeild Landspítala

• Inngangur

HPV getur valdið forstigbreytingum leghálskrabbameins sem hægt er að fjarlægja með keiluskurði. Mikilvægt er að skurðurinn sé viðeigandi djúpur og skurðbrúnir fríar. Mat á dýpt skurðar fer eftir staðsetingu TZ svæðis. Dýpt keiluskurðar með TZ svæði af tegund 1 að vera <10 mm, tegund 2 á að vera 10 ­15 mm og tegund 3 á að vera 15­25 mm. Eftirlit er eftir 6 mánuði. Fríar skurðbrúnir eru algengari með aukinni dýpt og verndandi fyrir forstigsbreytingum. Síðkomnir fylgikvillar keiluskurðar eru fyrirburafæðing og fósturlát. Algengi þeirra eykst með dýpri keiluskurðum.

• Efni og aðferðir

Rannsóknin var afturskyggn athugunarrannsókn sem náði yfir 358 tilfelli. Upplýsingar voru sóttar úr sjúkraskrám. Tölfræðiforritið R var notað við hlutfallsreikning og niðurstöður settar upp í lýsandi tölfræði. Skoðaðir voru dýptar fokkar innan hverrar tegundar TZ svæðis fyrir sig, niðurstaða eftirlitssýna og skurðbrúnir. Skoðuð voru tengsl dýptar fokka og eftirlitssýna.

• Niðurstöður

Algengasta dýpt allra keiluskurða var 10 ­15 mm. Keiluskurðir TZ svæðis af tegund 1 voru of djúpir í 80,1% tilfella og dýpt tegundar 3 var í 70% tilfella minni en mælt er með. Skoðuð voru tengsl eftirlitssýna við alla dýptar fokka en ekki fengust marktækar niðurstöður. Skurðbrúnir voru fríar í 64% tilfella og eftirlitssýni voru neikvæð í 67% tilfella.

• Ályktanir

Niðurstöður gefa til kynna að keiluskurðir voru of djúpir meðal TZ svæðis af tegund 1 og of grunnir meðal tegundar 3. Draga má þá ályktun að hægt sé að draga úr dýpt keiluskurða á Landspítala án þess að auka líkur á viðvarandi forstigsbreytingum. Frekari rannsóknir á stærra þýði eru mikilvægar.

FARALDSFRÆÐI NOTKUNAR BENZÓDÍAZEPÍNLYFJA Í AÐDRAGANDA OG KJÖLFAR INNLAGNA Á LYFLÆKNISDEILDIR LANDSPÍTALA

Eygló Sóley Hróðmarsdóttir Löve1, Martin Ingi Sigurðsson1, 2 , Freyja Jónsdóttir1, 3

1) Læknadeild Háskóla Íslands, 2) Svæfinga- og gjörgæsludeild Landspítala og 3) Lyfjaþjónusta Landspítala

• Inngangur

Notkun benzódíazepín­lyfja er vaxandi og áhyggjuvaldandi. Lyfin eru ávanabindandi og hafa sterk tengsl við lyfjatengdan skaða. Notkun lyfjanna er mikil á Íslandi og óljóst hvernig langvinn notkun hefst. Áður hefur verið sýnt að hluti notkunar hefst í kjölfar skurðaðgerðar sem framkvæmd er á Landspítala.

• Markmið

Markmið rannsóknarinnar var að varpa ljósi á faraldsfræði benzódíazepínnotkunar í aðdraganda og kjölfar innlagna á ly fæknissvið Landspítala og tengsl við útkomur sjúklinganna.

• Aðferðir

Rannsókn var afturskyggn ferilrannsókn sem náði utan um allar innlagnir sjúklinga

(≥18) á Landspítalanum á árunum 2010–2020. Upplýsingar fengust úr Íslenska ly fækningagrunninum. Sjúklingum var skipt eftir notkunarmynstri benzódíazepínútleysingar. Algengi og nýgengi benzódíazepín notkunar var mæld. Ein­ og fjölbreytugreiningar voru gerðar til að meta tengsl sjúklinga­ og innlagnartengdra breyta við nýja og nýja langvinna notkun.

• Niðurstöður

Af 75.484 innlögnum leystu 27,3% sjúklinga út benzódíazepín­lyfseðil árið fyrir innlögn. Af þeim sem ekki höfðu leyst út benzódíazepín hófu 6,3% nýja notkun, af þeim hófu 39,4% nýja langvinna notkun. Sjúklingar sem voru kvenkyns eða lögðust inn á sérgreinar blóð­, krabbameinseða líknarlækninga höfðu aukna hættu á nýrri notkun. Af sjúklingum sem hófu nýja notkun höfðu sjúklingar sem leystu út tvö eða feiri mismunandi benzódíazepín, voru kvenkyns, með undirliggjandi langvinna lungnateppu eða lögðust inn á sérsviðum hjarta­, meltingar­, lungna­, öldrunar­, blóð­ eða krabbameinslækninga aukna hættu á nýrri langvinnri notkun.

• Umræður

Nýgengi benzódíazepínnotkunar í kjölfar innlagnar á lyflæknissvið er hátt, og rúmlega þriðjungur nýrra notenda hefja nýja langvinna notkun. Rannsóknin sýndi að nauðsynlegt sé að finna leiðir sem lágmarka notkun benzódíazepína og þróun nýrrar langvinnrar notkunar.

FARALDSFRÆÐI NOTKUNAR SVEFNLYFJA Í AÐDRAGANDA OG KJÖLFAR INNLAGNA Á LYFLÆKNISDEILDIR LANDSPÍTALA

Lena Lísbet Kristjánsdóttir1, Martin Ingi Sigurðsson1, 2 , Freyja Jónsdóttir3

1) Læknadeild Háskóla Íslands, 2) Svæfinga- og gjörgæsludeild Landspítala og 3) Lyfjaþjónusta Landspítala

• Inngangur

Langvarandi notkun svefnlyfja fer vaxandi sem er áhyggjuvaldandi enda eru lyfin ávanabindandi og hafa sterk tengsl við lyfjatengdan skaða. Notkun svefnlyfja er algeng á Íslandi en óljóst er hvernig langtíma notkun hefst. Mögulegt er að hluti notkunarinnar tengist innlögnum vegna bráðveikinda á ly fækningasvið.

• Markmið

Markmið rannsóknarinnar er að kanna faraldsfræði svefnlyfjanotkunar í aðdraganda og kjölfar innlagna á ly fækningasvið og tengsl við útkomur þeirra.

• Aðferðir

Rannsóknin var afturskyggn ferilrannsókn sem náði yfir allar innlagnir einstaklinga ≥18 ára á ly fæknisdeildir Landspítala frá 2010 ­2020. Gagnagrunnur samanstóð af sjúklinga­, lyfja­, innlagnar­ og útkomutengdum breytum. Skoðaðar voru útleysingar svefnlyfja árið fyrir innlögn og krónískir notendur skilgreindir út frá því. Þeir sem ekki höfðu notað

svefnlyf fyrir innlögn en leystu út svefnlyf innan 90 daga eftir útskrift voru skilgreindir sem nýir notendur. Nýir notendur urðu svo nýir langvarandi notendur ef þeir leystu aftur út svefnlyf á tímabilinu 90 ­180 dögum eftir útskrift. Gerður var samanburður milli hópa með einbreytugreiningu og tvíkosta aðhvarfsgreiningu.

• Niðurstöður

Algengi krónískrar svefnlyfjanotkunar var 45,2% og nýrrar notkunar í kjölfar innlagnar 9,3%. Af nýjum notendum urðu 46,4% nýir langvarandi notendur. Þættir sem tengdust auknum líkum á nýrri notkun voru kvenkyn, ≥36 ára aldur, Elixhauser stigun (4­5], langvinn lungnateppa, krabbamein og kvíðaröskun. Þættir sem tengdust auknum líkum á nýrri langvarandi notkun voru ≥46 ára aldur, kvíðaröskun og innlagnir á lungna­ og öldrunarlækningasvið.

• Umræður

Ný langvarandi notkun svefnlyfja í tengslum við innlagnir er algeng. Mikilvægt er að fylgja þeim sjúklingum eftir sem hefja nýja notkun í kjölfar innlagnar til að lágmarka hættu á langtíma notkun.

NOTKUN BLÓÐSKILUNARLEGGJA HJÁ BLÓÐSKILUNARSJÚKLINGUM Á ÍSLANDI

Lára Björk Birgisdóttir, Ásta Dögg Jónasdóttir

• Inngangur

Blóðskilun er aðalmeðferð við lokastigsnýrnabilun (LSNB) en krefst þess að öruggt æðaaðgengi sé til staðar, blóðskilunarleggir, fistlar eða gerviæðar fistlar. Notkun blóðskilunarleggja fylgir áhætta á ýmsum fylgikvillum og er blóðsýking alvarlegust þeirra.

• Markmið

Markmið rannsóknarinnar var að skoða notkun blóðskilunarleggja á Íslandi og algengi fylgikvilla sem fylgja notkun þeirra.

• Aðferðir

Þetta var afturskyggn rannsókn sem tók til allra sjúklinga er hófu meðferð með blóðskilun á Íslandi á tímabilinu 2017 til 2022. Upplýsingum um tegund æðaaðgengis og fylgikvilla í tengslum við aðgengi auk annarra klínískra upplýsinga var safnað úr sjúkraskrám.

• Niðurstöður 164 sjúklingar hófu blóðskilun á tímabilinu og 127 (77,4%) þeirra notuðu blóðskilunarlegg á einhverjum tímapunkti. Notkun langtímaskilunarleggja jókst á tímabilinu. Árið 2017 voru 23 langtímaleggir settir í 18 einstaklinga samanborið við 38 leggi hjá 32 einstaklingum árið 2022. Notkun skammtímaskilunarleggja minnkaði á tímabilinu, árið 2017 voru 13 skammtímaskilunarleggir settir í 12 einstaklinga samanborið við einn legg árið 2022. Alls fengu 79 (48,2%) sjúklingar með blóðskilunarleggi einhvers konar leggtengda fylgikvilla, þar af fengu 43 (26,2%) staðfesta sýkingu – 21 (12,8%) blóðsýkingu, 8 (4,9%) sýkingu í legg og 14 (8,5%) sýkingu við leggop. Tíðni leggtengdra sýkinga jókst á tímabilinu, engin blóðsýking greindist árið 2017 en fimm árið 2022.

• Umræður

Notkun blóðskilunarleggja er algeng hjá einstaklingum í blóðskilun á Íslandi, einkum hefur notkun langtímablóðskilunarleggja aukist. Jafnframt hefur tíðni leggtengdra sýkinga aukist og er það áhyggjuefni þar sem margar þeirra eru alvarlegar. Notkun blóðskilunarleggja á Íslandi er mikil samanborið við önnur lönd í Evrópu.

TENGSL FJÖLLYFJAMEÐFERÐAR VIÐ HEILABILUN

OG VÆGA VITRÆNA SKERÐINGU Á MEÐAL ELDRI

EINSTAKLINGA Í ÖLDRUNARRANNSÓKN HJARTAVERNDAR ÁRIN 2002-2006

Karen Arnarsdóttir, Helga Eyjólfsdóttir

• Inngangur

Rannsóknir benda til þess að fjöllyfjameðferð (5­9 lyf) og ofurfjöllyfjameðferð (≥10 lyf) sé að aukast á meðal eldri einstaklinga. Það hvort að marktækt samband ríki á milli fjöllyfjameðferðar og aukinnar áhættu á vægri vitrænni skerðingu og heilabilun hefur verið rannsakað á erlendri grundu en rannsóknarniðurstöðum ber þó ekki saman.

• Markmið

Að kanna hvort tengsl séu á milli fjöllyfjameðferðar og vægrar vitrænnar skerðingar eða heilabilunar á meðal eldri einstaklinga (65 ára+) í sjálfstæðri búsetu.

• Aðferðir Þversniðsrannsókn á eldri einstaklingum. Leitað var í gögnum eftir tengslum fjöllyfjameðferðar (5 ­9 lyf) og ofurfjöllyfjameðferðar (≥10 lyf) við væga vitræna skerðingu eða heilabilun. Notast var við tölfræðiforritið SPSS. Tvíkosta aðhvarfsgreining, þar sem leiðrétt var fyrir viðeigandi trufandi þáttum, var notuð til að meta gagnlíkindahlutfall.

• Niðurstöður Alls voru 5764 þátttakendur. Meðalaldur þeirra sem tóku 0 ­ 4 lyf var 76,3 ár, N=3418 (59,3%), 5 ­9 lyf var 77,7 ár, N=1975 (34,3% ) og ≥10 lyf var 80,1 ár, N=371 (6,46%). Í full leiðréttu módeli höfðu einstaklingar sem tóku ≥10 lyf 52% auknar líkur á vægri vitrænni skerðingu (OR: 1.52, p:0.027) og tvöfalt meiri líkur á heilabilun (OR:2.1, p:<0.001). Einstaklingar sem tóku 5 ­9 lyf höfðu 42% auknar líkur á heilabilun (OR: 1.42, p:0.009) en ekki fengust marktækar niðurstöður fyrir væga vitræna skerðingu.

• Ályktanir

Markækt samband reyndist á milli fjöllyfjameðferðar/ ofurfjöllyfjameðferðar við auknar líkur á vægri vitrænni skerðingu og heilabilun á meðal eldri einstaklinga. Þar sem um þversniðsrannsókn er að ræða er ekki hægt að gera ráð fyrir beinu orsakasambandi, þörf er á frekari langtímarannsóknum.

SVIPGERÐ OG FARALDSFRÆÐI SNEMMKOMINS ALZHEIMER SJÚKDÓMS

Tryggvi Leó Guðmundsson, Helga Eyjólfsdóttir

• Inngangur

Alzheimer sjúkdómur er framsækinn taugahrörnunar­

sjúkdómur. Birtingarmynd hans getur verið mismunandi en algengast er minnisskerðing. Alzheimer sjúkdómur getur verið snemmkominn ef einkenni koma fram fyrir 65 ára aldur eða síðkominn ef einkenni koma fram við 65 ára aldur eða síðar. Í snemmkomnum AD ber hlutfallslega oftar á einkennum sem eru ekki tengd minni.

• Markmið

Markmið rannsóknarinnar er að kanna tíðni snemmkomins Alzheimers sjúkdóms ásamt því að bera saman svipgerð og birtingarmynd við síðkominn Alzheimer sjúkdóm.

• Aðferðir

Rannsóknin átti að ná til allra þeirra sjúklinga sem höfðu hlotið bæði sjúkdómsgreiningu á vegum Alzheimer sjúkdóms og stigun. Tölfræðileg úrvinnsla var framkvæmd í Excel® og SPSS®

• Niðurstöður

Rannsóknarþýðið samanstóð af 101 einstakling. 22 einstaklingar (21.8%) fokkuðust með snemmkominn Alzheimer, 79 einstaklingar (78.2%) fokkuðust með síðkominn Alzheimer. Í snemmkomna hópnum voru 10 einstaklingar (45.5%) sem fokkuðust með væga vitræna skerðingu en 12 (54.5%) sem fokkuðust með heilabilun. Í síðkomna hópnum voru 51 (64.6%) með væga vitræna skerðingu og 28 (35.4%) komnir á stig heilabilunar. Tíðni snemmkomins sjúkdóms var 20,5% þegar tekið var tillits til vitlausar skráningar.

• Umræður

Rúmlega helmingur yngri hópsins var kominn á stig heilabilunar en einungis rúmlega þriðjungur hjá þeim eldri. Þetta bendir til ágengari sjúkdómsframvindu í snemmkomnum AD. Ljóst er að yngri hópurinn gekk yfirleitt í gegnum ítarlegra greiningarferli, þar helst taugasálfræðilegt mat og mænuvökvataka. Tíðni snemmkomins AD var hærri en í öðrum rannsóknum.

ÞRÓUN ALGENGIS INNLAGNA UNGS FÓLKS

(13-25 ÁRA) Á VOG PER 1.000 2000-2023: MÖGULEGAR SKÝRINGAR OG BREYTINGAR Á

MYNSTRI NOTKUNAR VÍMUGJAFA Á TÍMABILINU

Benedikt Burkni Þ. Hjarðar, Engilbert Sigurðsson

• Inngangur

Algengasti aldur fyrstu meðferðar á Sjúkrahúsinu Vogi er 19 ár en á árunum 2000 ­2023 voru þar 14.693 innlagnir ungmenna á aldrinum 13­25 ára. Um aldamótin varð mikil aukning á vímugjafaneyslu ungs fólks og var þá byggð sérstök unglingadeild á Vogi. Kannanir Rannsókna & greiningar vörpuðu ljósi á þróun vímugjafaneyslu ungmenna og íslenska forvarnarmódelið varð til. Í dag sker Ísland sig úr með einna minnsta vímugjafaneyslu unglinga í Evrópu. Rannsóknin miðar því að meta nýgengi innlagna 13­17 ára og 18­25 ára einstaklinga á Vog árin 2000 ­2023 og vísbendingar um skýribreytur eins og forvarnir, breytt viðhorf til innlagna unglinga og neyslumynstur þeirra á tímabilinu.

• Efniviður og aðferðir

Afturskyggn greining gerð á meðferðarinnlögnum á Vog á tímabilinu. Fjöldi einstaklingsinnlagna og heildarinnlagna beggja kynja var leiðréttur í hverjum aldurshópi samkvæmt gögnum frá Hagstofunni. Einnig voru fengnar upplýsingar úr innlendum vímugjafakönnunum Rannsókna & greiningar og Menntavísindastofnun HÍ.

• Niðurstöður

Innlögnum 13­25 ára ungmenna á Vog hefur farið fækkandi frá aldamótum. Ungir karlar (18­25 ára) voru tvöfalt líklegri til að leggjast inn á tímabilinu en konur. Neysla ungs fólks sem leggst inn hefur færst frá áfengi yfir í sterkari efni en kannabisneysla innlagðra hefur breyst minna á tímabilinu.

• Ályktanir

Fækkun innlagna ungmenna á Vog á tímabilinu á sér líklega ýmsar skýringar. Meðal þeirra eru tilkoma íslenska forvarnarmódelsins, aðgengi og þróun viðhorfa ungs fólks, fagaðila og foreldra til innlagna á Vog. Mikilvægt er að fylgjast vel með þróun notkunar nýrra efna og breyttu notkunarmynstri vímugjafa og nýta slíka þekkingu til reglulegrar aðlögunar á forvörnum hér á landi.

BLÓÐGJAFAR Á ÍSLANDI 2013-2023

Jenný Jónsdóttir, Reynir Arngrímsson1, 2, Ólafur Eysteinn Sigurjónsson2, 3, Sveinn Guðmundsson2

1) Læknadeild Háskóla Íslands, 2) Blóðbankinn, Landspítali, 3) Háskólinn í Reykjavík

• Inngangur

Blóðgjöf er ein af mikilvægum stoðum heilbrigðiskerfisins og tryggir sjálfboðaliðastarf blóðgjafa aðgengi að blóði allt árið. Þessi rannsókn miðar að því að skoða þróun innan heilblóðgjafahóps Íslands frá 2013 til 2023 með tilliti til aldurs, kyns og blóðfokks,sem og að finna hlutfall þeirra sem nýskrá sig og gefa heilblóð í fyrsta sinn.

• Efniviður og aðferðir

Gerð er afturskyggn ferilrannsókn þar sem lýst er heilblóðgjafahópi Blóðbankans ásamt nýskráðum blóðgjöfum á árunum 2013­2023. Gögn um blóðgjafahópinn voru sótt í ProSang, gagnagrunni Blóðbankans.

• Niðurstöður

Frá upphafi til loka rannsóknar tímabilsins varð 10% fækkun í heilblóðgjafahópnum eða úr 6.457 í 5.811 (P = 0,058, ómarktækt). Að meðaltali hafa 2,65% af Íslendingum á blóðgjafaaldri gefið heilblóð a.m.k. einu sinni hvert ár. Hlutur karla sem heilblóðgjafar, er hærri en hjá konum, eða að meðaltali 67,9% (66,7%­ 69,1%) borið saman við 32,1% (30,9%­33,3%) (P < 8.275e ­ 06). Hlutfall kynjanna er sambærilegt þegar kemur að nýskráningum, 50,5% (48,3%­ 52,6%) karlar og 49,5% (47,4%­ 51,7%) konur. Meðalaldur reglulegra heilblóðgjafa var 40.8 ára (39,3­42,2) meðan meðalaldur nýskráninga var 32,7 ára (30,2­35,2). Af nýskráðum gjöfum komu að meðaltali 39,7% (34,1%45,4%) aftur og gáfu sína fyrstu heilblóðgjöf.

• Ályktanir

Í dag er Ísland sjálfbært í söfnun og framleiðslu blóðhluta. Landsmönnum fer fjölgandi af ýmsum ástæðum og er aldurssamsetning þjóðarinnar að breytast. Með hækkandi hlutfalli eldri einstaklinga má gera ráð fyrir aukinni blóðhlutanotkun og lægra hlutfalli á blóðgjafaaldri. Leggja þarf því áherslu á að fá hærra hlutfall ungra blóðgjafa og auka hlut kvenna til þess að geta haldið heilblóðgjafahópnum sem stærstum og veitt nauðsynlega og sjálfbæra heilbrigðisþjónustu.

PROGRESSION TO NEOPLASM FROM BARRETT’S ESOPHAGUS

Melkorka Sverrisdóttir1, Magnús Konráðsson2, Ken Namikawa 2, Einar Stefán Björnsson1, 2

1) University of Iceland Faculty of Medicine, 2) Landspítali University Hospital

• Background

Barrett’s esophagus (BE) is the only known precursor to esophageal adenocarcinoma (EAC) but varying progression rates to neoplasm have been reported. The aims of this study were to evaluate the progression to neoplasm from BE and the impact of adequate surveillance protocols on patient prognosis.

• Methods

This was a retrospective study with data collected from 2003­2022 from the Department of Pathology at Landspítali. Patients were identified through pathology codes. Demographics and relevant clinicopathological variables were obtained from medical records of patients with pathologically confirmed BE. Adequate follow­up was defined according to the standards of the 2023 ESGE guidelines.

• Results

Overall, 945 patients were identified with BE, 647 male and 298 female with a median age at diagnosis of 63 years (IQR 54­73). At the time of BE diagnosis, 12.6% had a presence of neoplasm, 57 low­grade dysplasia (LGD), 15 high­grade dysplasia (HGD) and 47 adenocarcinoma (EAC). Out of 57 with LGD, 12.3% progressed to HGD (n=5) or EAC (n=2). Among the 826 who had non­dysplastic BE (NDBE) at diagnosis, 5.0% developed neoplasm, LGD (n=23), HGD (n=7), and EAC (n=11). The median follow­up from diagnosis of BE to development of neoplasm was 5 years (IQR 3­7). Among 48 who developed neoplasm from NDBE/LGD, 32 (66.7%) had adequate follow­up. Overall, 2 (6.3%) patients with adequate follow­up had disease ­specific death compared to 5 (31.3%) patients with inadequate follow­up (p­value=0.03).

• Conclusion

Patients who had less severe dysplasia at diagnosis of BE had lower risk of progression, and adequate surveillance positively impacted patient prognosis.

Vigdís Selma Sverrisdóttir1, Helgi Kristinn Björnsson2, Jóhann Páll Hreinsson2, Arnar Bragi Ingason3, Einar Stefán Björnsson1, 4, Elías Sæbjörn Eyþórsson1, 5

1) Læknadeild Háskóla Íslands, 2) Sahlgrenska University Hospital, 3) Department of Surgery, University of Vermont Medical Center, Burlington, VT, 4) Meltingardeild Landspítala, 5) Bráðalyflækningadeild Landspítala

• Inngangur

Efri meltingarvegsblæðingar (EMVB) eru algeng orsök komu á bráðamóttöku og geta leitt til dauða.

• Markmið

Athuga nýgengi bráðra EMVB sem leiða til komu á bráðamóttöku og horfur sjúklinganna.

• Efni og aðferðir

Afturskyggn þýðisbundin rannsókn sem náði til þeirra sem komu á bráðamóttöku Landspítalans með grun um EMVB 2019 ­2023. Gagna var afað um einkenni, speglunarniðurstöður, blóðgjafir, aðrar sjúkdómsgreiningar og lyfjanotkun. Cox og Kaplan­Meier voru notuð til að reikna lifun og kí­kvaðrat próf og ANOVA til að ákvarða mun milli hópa.

• Niðurstöður Meðalnýgengi EMVB var 66,4/100.000 á ári á 5 ­ára tímabilinu. Alls voru 886 komur á bráðamóttöku með grun um EMVB eftir fyrstu uppvinnslu, af þeim voru 87,2% (n=773) með lokagreiningu EMVB. Af einstaklingum sem voru grunaðir um EMVB (n=886) voru 54,1% (n=479) 60 ára eða eldri og 63,1% (n=559) karlar. Af þeim sem grunaðir voru um EMVB voru 60,2% (n=533) lagðir inn og af þeim 12,4% (n=66) á gjörgæslu. Speglun var framkvæmd á 77,5% (n=687) þeirra sem komu, þar af var inngrip framkvæmt hjá 28,7% (n=197). Þrjátíu daga dánartíðni af öllum orsökum var 3,1%. Þegar COVID ­19 barst til Íslands árið 2020 voru færri komur á bráðamóttöku með grun um EMVB en hin árin. Ekki var marktækur munur á útkomum þegar bornir voru saman mars og apríl 2019 við sömu mánuði 2020.

• Ályktun

Nýgengi EMVB 2019 ­2023 var sambærilegt við nýgengi á heimsvísu. Þrjátíu daga dánartíðni var lág miðað við erlendar rannsóknir.

ÚTKOMUR ÚR MAGASPEGLUNUM HJÁ 18-50 ÁRA

MEÐ MELTINGARÓNOT OG MAGAVERKI

Andrea Rún Einarsdóttir, Einar Stefán Björnsson

• Inngangur

Algengt er að fólki yngra en 50 ára með meltingarónot sé vísað í magaspeglun. Mælt hefur verið með að nota aldur og rauð fögg til þess að ákvarða hvort magaspeglun sé viðeigandi sem fyrsta uppvinnsla hjá þessum hóp.

• Markmið

Að svara spurningunni: „getur fólk á aldrinum 18­50 ára án

rauðra fagga verið með undirliggjandi vefræna sjúkdóma í efri meltingarvegi?“.

• Efniviður og aðferðir Rannsóknin var aftursýn og náði til sjúklinga, yngri en 50 ára, sem fóru í magaspeglun á Landspítalanum á árunum 2018 ­2022. Upplýsingum um einkenni, kyn, aldur og niðurstöður speglunar var safnað til tölfræðigreiningar. Við ákvörðun á viðeigandi ábendingu fyrir magaspeglun var miðað við nýjustu klínísku leiðbeiningar frá félagi speglunarlækna í BNA (ASGE). Sjúklingar með eitt eða feiri rauð fögg voru fokkaðir með viðeigandi ábendingu en ef engin rauð fögg voru til staðar voru þeir með óviðeigandi ábendingu.

• Niðurstöður Í þýðinu voru 230 sjúklingar. 64.3% voru með viðeigandi ábendingu skv. ASGE en 35.7% ekki. Munur á útkomum í magaspeglun fyrir viðeigandi og óviðeigandi ábendingar var 70,3% vs 53,7%, p < 0.05. Marktækur munur var á vélindabólgum (23,6% vs 11%) og magasárum (6,8% vs 0) milli hópanna. Af þeim sem voru með óviðeigandi ábendingu voru 2 með skeifugarnarsár (2,4%) en hvorki magasár né krabbamein greindust í þeim hóp. Ekki var marktækur munur á tíðni þindarslits, gastritis, skeifugarnarbólgu og skeifugarnarsára hjá sjúklingum með óviðeigandi og viðeigandi ábendingu.

• Ályktun

Sjúklingar án rauðra fagga greindust sjaldnar með alvarlega sjúkdóma í efri meltingarvegi samanborið við sjúklinga með rauð fögg. Þó svo að útkomur væru ekki sjaldgæfar hjá þeim með óviðeigandi ábendingu, breytti það mjög sjaldan meðferð sjúklinganna.

LIFRARSKAÐI AF VÖLDUM SÝKLALYFJA Á LANDSPÍTALANUM

Róbert Alexander Björnsson1, Dagur Tjörvi Arnarsson1, Egill Logason1, Sigurður Sölvi Sigurðarson1, Einar Stefán Björnsson1, 2

1) Læknadeild Há skóla Íslands, 2) Meltingarlækningar, Lyflæknissvið Landspítali Háskólasjúkrahús

• Inngangur

Lifrarskaði af völdum lyfja (e. drug-induced liver injury, DILI) er mikilvæg mismunagreining hjá sjúklingum með hækkuð lifrarpróf. Faraldsfræðilegar rannsóknir hafa sýnt að sýklalyf er algengasti lyfjafokkurinn sem veldur DILI. Fyrri íslensk rannsókn sýndi að 1 af hverjum 729 inniliggjandi sjúklingum sem var meðhöndlaður með amoxicillin/clavulanate fékk DILI, en ekki er ljóst hversu mikil áhætta er á DILI við notkun annara sýklalyfja. Markmið rannsóknarinnar var að kanna tíðni lifrarskaða af völdum mest notuðu sýklalyfjanna á Landspítalanum.

• Aðferðir

Sjúkraskár allra fullorðinna sjúklinga sem fengu meðferð með 14 algengustu sýklalyfjunum á Landspítalanum 2012­2023 sem fengu í legunni: >5x hækkun efri mörk ALAT og/eða >2x hækkun efri marka ALP voru skoðaðar til að finna orsök lifrarprufuhækkananna. Ef DILI kom til

greina, var notast við s k RECAM líkindaútreikning til að meta orsakatengsl.

• Niðurstöður Alls uppfylltu 2575 sjúklingar inntökuskilyrði rannsóknarinnar. Af þeim reyndust 59 tilfelli hafa DILI, meðalaldur 61 (spönn 21­93), 45% karlar, 16 (27%) með gulu en enginn fékk lifrarbilun. Flestir af völdum amoxicillin/clavulanate (n=22) hjá 1:1386 notendum (0,07%), ceftriaxone (n=11) 1:2748 (0,04%), cefazolin (n=8) 1: 5567 (0,02%), cloxacillin 1:4015 (n=6) (0,025%), piperacillin/tazobactam (n=5) 1:620 (0,16%), vancomycin (n=3) 1:1310 (0,076%), súlfainnihaldandi lyf (n=3) 1:1096 (0,091%), ciprofoxacin (n=1) 1:10938 (0,009%).

• Ályktun

DILI var sjaldgæf aukaverkun sýklalyfja og greindust u.þ.b. 5 tilfelli ári, þar sem nánast 30% var með gulu en enginn lifrarbilun. Amoxicillin/Clavulansýra var algengasta orsök DILI en Piperacillin/Tazobactam var valdur að DILI hlutfallslega oftast miðað við notkun.

BANDVEFSBREYTINGAR Í KJÖLFAR MEÐFERÐAR GEGN LIFRARBÓLGU C

Smári Freyr Kristjánsson

Læknadeild Háskóla Íslands

• Inngangur

Langvinn lifrarbólga C (HCV) er alvarlegur sjúkdómur sem getur valdið skorpulifur og lifrarfrumukrabbameini. Á árinu 2016 fór af stað meðferðarátakið TraP HepC sem beindist að því að veita verjuhemjandi meðferð við HCV á Íslandi. FibroScan sem mælir lifrarstífeika var notuð fyrir meðferðina til að meta bandvefsmagn í lifur. Markmið rannsóknarinnar var að kanna þróun bandvefjar í lifur eftir lyfjameðferðina og áhættuþætti fyrir bandvefsbreytingum.

• Aðferðir

Sjúklingar sem höfðu fengið meðferð með veiruhemjandi lyfjum og farið í FibroScan á árunum 2016 ­2024 með marktæka fíbrósu, stig III­IV (> 9.5 kPa). Nýtt Fibroscan var framkvæmt og helstu áhættuþættir fyrir lifrarsjúkdómum s.s. áfengisofnotkun og ofta rannsökuð. Fyrri lifrarstífeiki var borinn saman við nýju mælinguna. Tengsl við áhættuþætti metin og þeir bornir saman á rannsóknartímabilinu

• Niðurstöður

Af þeim sem höfðu undirgengist Fibroscan fyrir veiruhemjandi meðferðina voru alls 95 með marktæka fíbrósu, stig III­IV. Á þeim tíma höfðu 34/95 (36%) látist. Af þeim sem voru lifandi tókst að mæla 34 (56%) sjúklinga (18% konur, meðalaldur 59), eftirfylgnitími milli mælinga 6.9 ár. Miðgildi lifrarstífeika fyrir meðferðina var 17.2 (10.7­27.2) kPa og 7.3 (5.4­14.1) kPa (p<0.01) eftir meðferð. Alls minnkaði lifrarstífeiki hjá 31 (91%) en hækkað hjá 3 (9%). Hátt BMI og reglubundin áfengisnotkun höfðu marktæk tengsl við aukinn lifrarstífeika.

• Ályktun

Margir höfðu látist frá upphafi meðferðarátaks, bæði vegna lifrar tengdra og lifrar ótengdra dánarorsaka. Lifrarstífeiki

sem mælikvarði á bandvef í lifur hafði minnkað marktækt hjá sjúklingum eftir að hafa losað sig við veiruna. Sjúklingar með aðra áhættuþætti fyrir lifrar sjúkdómi höfðu minni lækkun eða aukningu í fibrósu eftir meðferðina.

LIFRARSKAÐI AF VÖLDUM LYFJA Á

ÍSLANDI 2009-2024: ORSAKIR, HORFUR OG LANGTÍMAAFLEIÐINGAR

Egill Logason1, Einar Stefán Björnsson1, 2

1) Læknadeild Háskóla Íslands, 2) Landspítali Háskólasjúkrahús

• Inngangur

Lifrarskaði af völdum lyfja (e. drug-induced liver injury, DILI) er sjaldgæf en mikilvæg aukaverkun lyfja sem getur valdið og gulu og lifrarbilun. Markmið rannsóknarinnar var meðal annars að kanna hverjar eru helstu orsakir DILI, Hvert er hlutfall sjúklinga með eðlileg lifrarpróf 1, 3 og 6 mánuðum eftir greiningu og hverjir eru áhættuþættir fyrir lengdan batatíma hjá DILI sjúklingum.

• Efniviður og aðferðir

Aftursýn rannsókn þar sem rannsökuð voru öll þekkt DILI tilfelli á Íslandi á árunum 2009 ­2024. Tilfellin þurftu öll að uppfylla eftirfarandi hækkanir á lifrarprófum, >3x hækkun efri mörk ALAT eða >2x hækkun efri mörk ALP. Sjúkraskrár sjúklinga sem uppfylltu skilyrðin voru skoðaðar.

• Niðurstöður

Alls greindust 263 sjúklingar með DILI á árunum 20092024. Af þeim voru 97 karlar (37%) og 166 konur (63%). Þau lyf sem ollu festum DILI tilfellum voru Amoxicilin/ clavulanate (21%) og Infiximab (13%). Alls 84% sjúklinga voru með eðlileg lifrarpróf innan sex mánuða en 16% með óeðlileg lifrarpróf. Af þeim sem voru ekki með eðlileg lifrarpróf innan 6 mánuða voru karlar 16% og konur 84% tilfella (p<0.05). Algengasta gerð lifrarskaða hjá þeim hópi var cholestatískur lifrarskaði (41%). Þrír þróuðu með sér annan lifrarsjúkdóm, primary biliary cholangitis (n=2), einn autoimmune hepatitis/PBC og tveir létu lífið vegna DILI.

• Ályktanir

Amoxicillin/clavulanate er algengasta lyf sem veldur DILI á Íslandi. Alls 16% DILI voru með teikn um skaða eftir 6 mánuði, sem var algengara við cholestatískan skaða og hjá konum. Þrír þróuðu með sér annan lifrarsjúkdóm. Alls dóu 6% úr DILI af þeim sem voru með teikn um skaða eftir 6 mánuði.

AÐFERÐIR TIL BEINMERGSSÝNATÖKU HJÁ EINSTAKLINGUM MEÐ PLASMAFRUMUSJÚKDÓMA

Bragi Aðalsteinsson, Sæmundur Rögnvaldsson

• Inngangur

Beinmergssýnataka er lykilrannsókn greiningar og stigunar plasmafrumusjúkdóma, einkum forstiga mergæxlis, góðkynja einstofna mótefni (MGUS) og mallandi mergæxlis (SMM), og mögulegrar snemmbúinnar meðferðar. Beinmergssýni er hægt að taka sem strok eða vefjasýni, en ekki er ljóst hvor aðferðin er betri eða hvernig er best að nota þær saman.

• Markmið

Að kanna muninn á greiningarhæfni og niðurstöðum plasmafrumutalningar í strokum og vefjasýnum frá beinmerg.

• Aðferðir Blóðskimun til bjargar er lýðgrunduð skimunarrannsókn með u.þ.b. 2600 einstaklingum með forstig mergæxlis í eftirfylgd þ.m.t. með beinmergssýnum þar sem samtímis er tekið strok og vefjasýni. Kannað var hve oft strok eða vefjasýni voru ónothæf og hvort samræmi var á niðurstöðum þegar bæði voru nothæf, bæði hvað varðar tölulegt gildi en einnig greiningarmörk mallandi og virks mergæxlis (10% og 60%). Næst var könnuð fylgni þessara tveggja aðferða við lífmerki plasmafrumusjúkdóma í blóði með línulegri aðhvarfsgreiningu.

• Niðurstöður

Alls voru 2769 beinmergssýni. Vefjasýni höfðu umtalsvert lægri tíðni ónothæfra sýna (3%; n=81) samanborið við strok (22%; n=591). Að meðaltali sýndi vefjasýnið hærri plasmafrumuhlutfall en strok (9,25% vs 6,41%; p<0.001) og var líklegra til að sýna plasmafrumuhlutfall yfir greiningarmörkum mallandi mergæxlis (23,9% vs 13,2%;p=<0.001). Plasmafrumuhlut fall fengið með báðum aðferðum hafði nokkra fylgni við paraprótein (r=0,42; r=0,37 fyrir vefjasýni og strok) og frítt léttkeðju hlutfall (r=0,29; r=0,16 fyrir vefjasýni og strok) en þó aðeins hærra hjá vefjasýnunum.

• Umræður Þótt vefjasýni virðast gefa stöðugri útkomur og sterkari tengsl við aðra sjúkdómsþætti, er nauðsynlegt að nota báðar aðferðir og rannsaka þær frekar til að skilja áhrif þeirra á sjúkdómsþróun.

ORSAKIR KRÓNÍSKS NÝRNASJÚKDÓMS Í EINSTAKLINGUM MEÐ GÓÐKYNJA EINSTOFNA

MÓTEFNAHÆKKUN

Þorgerður Þórólfsdóttir, Sigurður Yngvi Kristinsson, Sæmundur Rögnvaldsson

• Inngangur

Góðkynja einstofna mótefnahækkun (e. Monoclonal gammopathy of undetermined significance, MGUS) er einkennalaust forstig mergæxlis. Þrátt fyrir að vera einkennalaus getur MGUS valdið nýrnasjúkdómi og kallast þá nýrnasjúkdómur af völdum einstofna mótefnahækkunar (e. Monoclonal gammopathy of renal significance, MGRS).

Bæði krónískur nýrnasjúkdómur og MGUS eru algeng en tíðni MGRS er óljós. Nýrnasýnataka er nauðsynleg til greiningar MGRS en óljóst hvenær slíkt inngrip sé viðeigandi. Því er mikilvægt að kanna betur tíðni og áhættuþætti MGRS.

• Markmið Kortleggja orsakir krónísks nýrnasjúkdóms í MGUS, sérstaklega tíðni og eiginleika einstaklinga með MGRS.

• Aðferðir

Farið var yfir sjúkragögn 85 einstaklinga með MGUS og krónískan nýrnasjúkdóm í skimunarrannsókninni Blóðskimun til bjargar, þ.m.t. vefjasýni og greiningar nýrnalæknis. Byggt á því var líklegasta meginorsök krónísks

nýrnasjúkdóms áætluð, hvort MGRS væri líklegt og hvort viðkomandi uppfyllti skilmerki fyrir nýrnasýnatöku skv. núgildandi leiðbeiningum.

• Niðurstöður

Háþrýstingur (46%), sykursýki (13%), og MGRS (12%) voru algengustu meginorsakir krónísks nýrnasjúkdóms. Einn einstaklingur hafði staðfest MGRS (1%; 95% Öryggisbil (ÖB): 0,003­ 6% ) en 29 höfðu klíníska mynd sem gæti samrýmst MGRS (34%; 95% ÖB: 24­45%). Alls uppfylltu 71 (84%) skilmerki fyrir nýrnasýnatöku samkvæmt núgildandi leiðbeiningum. Ekki var marktækur munur milli hópa á aldri, kyni, lækkun á gaukulsíunarhraða, próteinmigu eða ísótýpu og magni Mpróteins.

• Umræður

MGRS virðist sjaldgjæfari ástæða krónísks nýrnasjúkdóms en áður hefur verið haldið fram en mikill meirihluti þeirra sem hafa MGUS og CKD uppfylla skilmerki fyrir nýrnasýnatöku. Líklega eru núgildandi leiðbeiningar of víðtækar.

DAUÐSFÖLL UM BORÐ Í FARÞEGAFLUGI –RÉTTARLÆKNISFRÆÐILEG GREINING

Silvía Stella Hilmarsdóttir1, Pétur Guðmann Guðmannsson1, 2

1) Læknadeild Háskóla Íslands, 2) Meinafræðideild Landspítala

• Inngangur

Yfir 4 milljarðar manns munu ferðast með farþegafugi árið 2024. Flugferðum hefur fjölgað, fugleiðir lengst og aðgengi heilsuveilli farþega gerist greiðara. Rannsókninni var ætlað að varpa ljósi á orsakir dauðsfalla í farþegafugi og það hvort hinn einstaki dánar vettvangur sem fugvél er og þær séraðstæður sem þar ríkja skilji eftir sig ummerki á líkinu sem teldust gætu til nýrra réttarlæknisfræðilegra gervinga (e. artifacts).

• Efniviður og aðferðir Afturskyggn lýsandi rannsókn á tímabilinu 2002­2023 sem tók til dauðsfalla einstaklinga í farþegafugvél, sem lentu á Íslandi, og voru þar rannsökuð með réttarkrufningum á Réttarlæknisfræðieiningu Landspítalans. Breytur voru sóttar í krufningaskýrslur, dánar vottorð og lögregluskýrslur.

• Niðurstöður

30 tilfelli fundust. Dauðsföll voru algengari meðal karla (n=22) og í aldurshópnum 51­74 ára (n=13). Flestir höfðu sögu um undirliggjandi sjúkdóm (82,1%). Endurlífgunartilraun var gerð í 86,7% tilfella af sjálfboðaliðum sem ýmist voru læknar (80,8%), hjúkrunarfræðingar (11,5%), bráðatæknar (3,9%) eða læknanemar (3,9%).

Algengustu dánaratvikin voru náttúrulegur dauðdagi (97,7%), eitt tilfelli var slys. Algengustu dánarorsakir voru hjarta­ og æðasjúkdómar (73,3%), þar sem kransæðasjúkdómur var vanalegastur (50%). Í einu tilfelli fannst óvanalegur gervingur; óhefðbundin ummerki endurlífgunar í formi svæðisbundinna skarpra áverka.

• Ályktun

Niðurstöður rannsóknarinnar benda til þess að algengasta dánarorsök í farþegafugvél sé hin sama og á jörðu; þar ríkir hjarta­ og æðasjúkdómur. Hinar einstöku aðstæður sem þar ríkja geta valdið versnun á sjúkdómseinkennum og er skyndidauði algengari hjá þeim með þekkta undirliggjandi sjúkdóma. Óhefðbundin inngrip virðast sjaldgæf en geta gerst í hinum strembnu aðstæðum sem einkennir farþegafugvél.

SKARPUR KRAFTUR SEM DÁNARORSÖK

Eygló Fanndal Sturludóttir, Pétur Guðmann Guðmannsson

Læknadeild Háskóla Íslands og Meinafræðideild Landspítala

• Inngangur

Dauðsföll vegna skarpra krafta – krafta sem miðlað er af eggjuðum hlut, t.d. hnífi – eru algeng og talið er að formfræði áverka af völdum skarpra krafta tengist dánaratvikum. Þættir í áverkaatburðum geta verið breytilegir milli samfélaga. Markmið rannsóknarinnar var að kortleggja áverkafræðilega eiginleika dauðsfalla með tilliti til ólíkra dánaratvika; slyss, sjálfsvígs og manndráps, á Íslandi.

• Efni og aðferðir

Afturskyggn ferilrannsókn byggð á gögnum úr krufningaskýrslum og lögregluskýrslum í dauðsfallsrannsóknum þar sem dánarorsökin var skarpur kraftur. Safnað var íslenskum tilfellum frá árunum 2000 ­2023 með áherslu á dánaratvik, fjölda og staðsetningar áverka, áverka með varnar­ eða hikdreifingu og kringumstæður. Excel og R studio voru notuð við tölfræðiúrvinnslu.

• Niðurstöður Í heildina fannst 51 mál, þar af 18 manndráp og 33 sjálfsvíg. Karlar voru í meirihluta, eða 72,2% af manndrápum og 81,1% af sjálfsvígum. Hinir látnu voru yngri í manndrápi en sjálfsvígi (39,7 vs 57,7 ára, p<0,05). Í manndrápum var líklegra að finna áverka með varnardreifingu (66,7% vs 3%, p<0,05) og í sjálfsvígum var líklegra að finna áverka af hikgerð (0% vs 87,9%, p<0,05). Í manndrápum var algengast að áverki væri á vinstri brjóstkassa (72,2%) og í sjálfsvígum var algengast að áverki væri á vinstri framhandlegg (54,5%). Þegar stungusár finnast bendir það til manndráps (88,9% vs 33,3%, p<0,05) en skurðsár benda til sjálfsvígs (55,6% vs 81,8%, p<0,05).

• Ályktun

Aldur, tegund áverka, tilvist hiksára og varnasára geta sagt til um eðli dánaratvika. Staðsetning og fjöldi áverka tengjast einnig dánaratvikum. Þessar niðurstöður geta gagnast við ákvörðun dánaratvika í dauðsföllum vegna skarps krafts á Íslandi.

STAPHYLOCOCCUS AUREUS BLÓÐSÝKINGAR Á ÍSLANDI 1995-2023

Guðmundur Ingvi Skúlason, Elías Sæbjörn Eyþórsson

• Inngangur

Blóðsýking af völdum Staphylococcus aureus (SAB) er alvarlegt sjúkdómsástand sem ber með sér hátt dánar­

hlutfall og alvarlega fylgikvilla. Næmi S. Aureus fyrir mismunandi sýklalyfjum eru þjóðfélagslega mikilvægar upplýsingar sem stýra því hvaða meðferð er hægt að beita við sýkingum.

• Aðferðir

Gerð var afturskyggn lýsandi heilþýðisrannsókn á blóðsýkingum af völdum Staphylococcus aureus á Íslandi árin 1995­2023 þar sem allir þeir sem hafa a.m.k. eina jákvæða blóðræktun tilheyrðu þýðinu. Fengin voru gögn frá fyrri rannsókn sem þessi rannsókn er byggð á fyrir tímabilið 1995­2008 en gögnum fyrir tímabilið 2009­2023 var safnað af tölvulífeindafræðingum. Úrvinnsla var framkvæmd í tölfræðiforritinu R, útgáfu 4,3,2.

• Niðurstöður

Alls greindust 1783 einstaklingar 18 ára og eldri með SAB á rannsóknar tímabilinu. Nýgengi blóðsýkinga hækkaði um 100% (22,7 í 45,5 per 100.000) á árunum 19952023. Hæsta nýgengi var meðal þeirra sem voru yfir 65 ára aldur. Ónæmi fyrir Benzylpenicillin hélst stöðugt yfir tímabilið að meðaltali 80,4%. Fjöldi methicillin ónæmra Staphylococcus aureus (MÓSA) blóðsýkinga hefur hækkað milli rannsóknar tímabilanna 1995 ­2008 og 2009 ­2023 úr 4 sýkingum í samtals 32 sýkingar og nýgengi MÓSA hækkaði úr 0,13 í 0,79 að meðaltali per 100.000 íbúa á tímabilunum tveimur. Dánarhlutfall hélst stöðugt yfir allt tímabilið og var 15.1% (95% öryggisbil 13.4%­16.7%) til 30 daga og 31.6% (95% öryggisbil 29.4%­33.7%) til eins árs.

• Umræður

Nýgengi SAB hefur hækkað töluvert á síðustu árum en dánarhlutfall haldist óbreytt. Aukin tíðni MÓSA blóðsýkinga vekur áhyggjur en Ísland er þrátt fyrir það í sér fokki miðað við önnur lönd í heiminum.

MEÐFERÐ SEM FORVÖRN: ÁRANGUR AF

MEÐFERÐARÁTAKI GEGN LIFRARBÓLGU C Á ÍSLANDI 2016-2023

Silja Arnbjörnsdóttir Ólafsson1, Sigurður Ólafsson1, 2 , Valgerður Rúnarsdóttir 3, Þorvarður J Löve1, 2, Anna Tómasdóttir 2, Ragnheiður Hulda Friðriksdóttir3, Magnús Gottfreðsson1, 2

1) Læknadeild Háskóla Íslands, 2) Landspítali, 3) Sjúkrahúsið Vogur

• Inngangur

Lifrarbólguveira C (HCV) getur valdið langvinnri lifrarbólgu, skorpulifur og lifrarfrumukrabbameini. Markmið Alþjóðaheilbrigðisstofnunarinnar eru að nýgengi sé <5 smit á 100.000 íbúa og <2% algengi HCV meðal einstaklinga sem neyta vímuefna í æð fyrir árið 2030. Árið 2016 hófst meðferðarátak á Íslandi sem snerist um að greina og meðhöndla alla HCV smitaða þeim að kostnaðarlausu hérlendis. Markmið rannsóknarinnar er að skoða nýgengi og algengi HCV smita og samsetningu smitaðra á tímabilinu 2016 ­2023, tíðni endursmita og hversu nálægt Ísland er að ná markmiðum Alþjóðaheilbrigðisstofnunarinnar.

• Efni og aðferðir

Rannsóknin er afturskyggn ferilrannsókn og voru þeir einstaklingar sem greindust á Íslandi 2016­2023 rannsakaðir. Gögn frá 2016 ­2020 lágu fyrir en upplýsingar frá 20212023 fengust frá fimm rafrænum spurningalistum sem hafði verið safnað.

• Niðurstöður

Alls voru 1117 smit skráð á tímabilinu og 1084 hófu meðferð. 475 einstaklingar hófu meðferð árið 2016 og árið 2023 hófu 57 meðferð. Vímuefnaneysla í æð var helsta smitleið sem gefin var upp og arfgerð 3a algengust. Hlutfall innfuttra smita jókst úr 10% í 34% á tímabilinu. 285 endursmit voru skráð og var langstærstur hluti þeirra tengdur notkun á menguðum sprautubúnaði. Nýgengi á Íslandi árið 2023 var 15 smit á hverja 100.000 íbúa og algengi meðal einstaklinga sem neyta vímuefna í æð reyndist 5%.

• Ályktanir

Nýgengi innlendra HCV smita og algengi meðal vímuefnaneytenda hefur farið lækkandi frá því að meðferðarátak hófst. Hækkandi hlutfall smita sem áttu sér stað erlendis gætu orsakast af mikum fólksfutningum til Íslands. Ef litið er á smit sem áttu sér stað á Íslandi hefur Ísland náð viðmiðum sem WHO setti fyrir árið 2025 er varðar nýgengi smita.

ÍFARANDI STREPTÓKOKKASÝKINGAR Á

GJÖRGÆSLUDEILDUM LANDSPÍTALANS

2018-2023: NÝGENGI, ALVARLEIKI, MEINGERÐ

OG MEÐFERÐARÁRANGUR

Hanna María Geirdal1, Martin Ingi Sigurðsson1, 2, Ólafur Guðlaugsson1, 3, Sigurbergur Kárason1, 2

1) Læknadeild Háskóla Íslands, 2) Svæfinga- og gjörgæsludeild Landspítala, 3) Smitsjúkdómadeild Landspítala

• Inngangur

Streptókokkasýking hefur fjölbreytta birtingarmynd, allt frá hálsbólgum upp í drepmyndandi fellsbólgu. Eftir Covid­19 faraldurinn 2020 ­2022 virtist hefjast faraldur streptókokkasýkinga á Íslandi og nágrannalöndum en markmið rannsóknarinnar var að kanna nýgengi ífarandi afbrigði sjúkdómsins, alvarleika hans, meingerð og meðferðarárangur.

• Efniviður og aðferðir Rannsóknin var afturskyggn ferilrannsókn. Í rannsóknarþýðinu voru allir sjúklingar sem lögðust inn á gjörgæsludeildir Landspítalans á árunum 2018 ­2023 með ífarandi streptókokkasýkingar. Upplýsingum var safnað um undirliggjandi sjúkdómsbyrði hópsins, alvarleikastigun veikinda á gjörgæslu, veitta meðferð og lifun auk afbrigða bakteríunnar.

• Niðurstöður Nýgengi jókst úr 1,17 tilfellum á hverja 100.000 íbúa upp í 6,40 tilfelli á hverja 100.000 íbúa á rannsóknartímabilinu. Alls voru 45 tilfelli í þýðinu, þar af átta börn. Algengast var að sýkingin birtist sem mjúkvefjasýking og þrjú tilfelli drepmyndandi fellsbólgu komu fyrir á tímabilinu.

Algengasta lífærabilun sem kom fram var blóðrásarbilun (80%) og 93% sjúklinga fengu annað hvort sýklasótt eða sýklasóttarlost. Skurðaðgerðir voru algengastar ef sjúklingar fengu mjúkvefjasýkingar og dren voru algengust í brjósthols­ og lungnasýkingum. Algengasta afbrigði bakteríunnar var ST28/emm­1 (56%). Fimm sjúklingar létust úr ífarandi streptókokkasýkingum á tímabilinu, þar af ekkert barn.

• Ályktun

Veturinn 2022­2023 varð faraldur ífarandi streptókokkasýkinga á Íslandi, sambærilegur við faraldra í Danmörku og Englandi á sama tíma, en 76% tilfellanna greindust frá júní 2022 ­ júní 2023. Ekki er að fullu ljóst hvað veldur þessari aukningu, en ekki virðist vera að komið sé nýtt, meira meinvaldandi afbrigði. Flest bendir til að samkomutakmarkanir vegna Covid­19 faraldursins hafi minnkað samfélagsónæmi fyrir streptókokkasýkingum.

COAGULASE-NEGATIVE STAPHYLOCOCCI IN BLOOD CULTURES AT LANDSPÍTALI:

A RETROSPECTIVE ANALYSIS OF BLOODSTREAM INFECTIONS DURING 2011-2021

Helga Sif Pálsdóttir1, Lena Rós Ásmundsdóttir1, 2, Ingibjörg

Hilmarsdóttir1, 2

1) Faculty of Medicine, University of Iceland, 2) Department of Microbiology, Landspítali – The University Hospital of Iceland,

• Introduction

Coagulase ­negative staphylococci (CoNS) are skin commensals that cause opportunistic bloodstream infections (BSIs) in hospitals but frequently contaminate blood cultures (BCs). This retrospective study examined the epidemiology and microbiological characteristics of CoNS ­positive BCs in adults at Landspítali during 2011­2021.

• Methods

The study cohort was divided into two groups depending on the presence of ³ 2 sets of CoNS­positive BC within 48 hours (group A) or 1 set (group B), both marking the beginning of a 14­day episode. BSI was defined using clinical assessment and CDC criteria. The cohort was examined for incidence of BSIs, demographics and microbiology characteristics.

• Results

A total of 425 episodes (389 patients) were studied. Clinical assessment vs CDC criteria identified BSI in 60.8% vs 50.7% of episodes in group A (n=286) and 8.6% vs 11.5% in group B (n=139). Among BC episodes caused by the most common species, S. epidermidis and S. hominis, 61% and 11% were considered BSI, respectively. Oxacillin and vancomycin resistance was found in 47.2% and 0% of isolates, respectively. Significant diferences between BSI and contamination episodes were found for time to positivity and number of positive BC bottles.

• Conclusion

In concord with previous literature our findings indicate that in addition to clinical evaluation, the combination of the number of CoNS­positive BC sets, CoNS species, time to positivity and the number of positive bottles may aid in the distinction between infection and contamination among CoNS ­positive BC episodes. Single positive BC occasionally represent infection and should not be overlooked in patient assessment.

EOSINOPHIL FASCIITIS Á ÍSLANDI, AFTURSKYGGN RANNSÓKN 2000-2023

Guðrún Sofía Hauksdóttir1, Helgi Jóhannes Ísaksson2, Gerður Gröndal1, 3,Björn Guðbjörnsson1, 3, Katrín Þórarinsdóttir1, 3

1) Læknadeild Háskóla Íslands, 2) Meinafræðideild Landspítala, 3) Gigtarlækningar Landspítala

• Inngangur

Eosinophil fasciitis (EF) er mjög sjaldgæfur bólgusjúkdómur, aðeins 1700 tilfellum lýst alþjóðlega. EF leggst aðallega á vöðvafell (e. fascia) útlima. Einkenni eru samhverft hersli í húð hand­ og fótleggja, hækkun á eosinofilum í blóði og bólgu í vöðvafellum. Greining byggist á klínískum einkennum auk vefjasýnis og/eða myndgreiningu. Tilgangur rannsóknarinnar var samanburður tilfella á Íslandi og erlendis m.t.t. klínískra einkenna, rannsóknarniðurstaðna og umhverfisþátta.

• Aðferðir

Rannsóknin var aftursýn. Sjúkrasaga greindra tilfella á Íslandi var skoðuð og upplýsingum safnað um heilsufarssögu, niðurstöður rannsókna þ.á.m. blóðprufa, vefjagreiningar og myndgreiningar. Gagnavinnsla var í Rstudio.

• Niðurstöður Sjö sjúklingar greindust með EF á Íslandi á tímabilinu og voru þeir festir kvenkyns (n=6) á aldrinum 32­ 64 ára. Sex sjúklingar greindust á árunum 2019 ­2023. Meðalaldur við greiningu var 57 ár og miðgildi var 60 ár. Helstu einkenni voru hersli/útbrot á hand­og fótleggjum (100%) með roða (100%), bjúg (100%), kláða (43%), þurrk (57%), hárleysi (29%), appelsínuhúð (29%) og groove sign (29%). Sex voru með hækkun á eosínofílum í blóði. CRP var 14 mg/L og sökk 18 mm/klst að meðaltali. Við greiningu voru tveir sjúklingar með lækkun á loftskiptaprófi (DLCO). Þrír sjúklingar með sögu um astma og tveir með sögu um vanstarfsemi skjaldkirtils. Allir sjúklingar fóru í vefjasýnatöku frá vöðvafelli en í vefjasýnum sáust í mismiklu magni eosínófílar, plasmafrumur og lymphocytar.

• Umræður EF á Íslandi greinist helst í kringum sextugt og hjá konum. Klínísk einkenni og niðurstöður vefjasýna eru í samræmi við áður birtar niðurstöður. Hugsanleg tengsl gætu verið á milli EF og astma en því hefur ekki verið lýst áður.

Kristín Dóra Sigurðardóttir,

• Inngangur

Um 300 milljónir einstaklinga eru með astma um heim allan og þar af eru um 10% með alvarlegan astma. Alvarlegur astmi krefst meðferðar með háskammta innöndunarsterum ásamt öðrum lyfjum til dæmis LABA/LAMA og barksterum á töfuformi, en hjá sumum sjúklingum næst ekki nægjanleg einkennastjórnun þrátt fyrir slíka meðferð. Á seinustu árum hefur notkun líftæknilyfja við alvarlegum astma aukist sífellt enda oftast borið góðan árangur. Þrátt fyrir það eru ekki til ritrýndar útgefnar leiðbeiningar um hvernig á velja líftæknilyf fyrir einstaka sjúklinga. Markmið rannsóknarinnar var að skoða hvaða þættir ráða vali á líftæknilyfi hjá sjúklingum með alvarlegan astma. Einnig var skoðað hvort grunngildi þátta líkt og bólguþátta eða fjöldi fylgisjúkdóma gætu spáð fyrir um meðferðarsvörun.

• Efniviður og aðferðir Rannsóknin var afturskyggn ferilrannsókn og náði til sjúklinga á Íslandi með alvarlegan astma sem hófu meðferð á líftæknilyfi í fyrsta skipti á árunum 2021 og 2022. Upplýsingar um sjúklinga voru fengnar frá lyfjanefnd Landspítala og úr sjúkraskrám á Landspítala og var tölfræðiúrvinnsla unnin í forritinu Rstudio.

• Niðurstöður

Marktækur munur var á rauðkyrningum í blóði milli lyfjahópa sem og algengi ofnæmishneigðar. Marktæk tengsl voru á milli astma sem einkenndist af týpu 2 (T2)­bólgu og svörunar. Engin marktæk tengsl voru á milli svörunar og annarra heilsufarsþátta svo sem fjölda fylgisjúkdóma og fjölda versnana tólf mánuðum fyrir meðferð.

• Ályktun

Val á líftæknilyfi við alvarlegum astma á Íslandi samræmist fyrri rannsóknum að mörgu leyti en þörf er á frekari rannsóknum til að skoða bólguþætti nánar ásamt því að geta lagt betra mat á meðferðarsvörun.

HEILABLÆÐINGAR NÝBURA 1994-2023

Tómas Helgi Harðarson1, Hulda Hjartardóttir 2, Laufey Ýr Sigurðardóttir 3, Þórður Björgvin Þórðarson1, Þórður Þórkelsson3

1) Læknadeild Háskóla Íslands, 2) Kvennadeild Landspítalans og 3) Barnaspítali Hringsins

• Inngangur Áhrif heilablæðinga í nýburum eru mjög breytileg eftir stærð og staðsetningu blæðinganna og sumar heilablæðingar eru einkennalausar. Markmið rannsóknarinnar var að kortleggjan ýgengi heilablæðinga hjá nýburum undanfarin 30 ár ásamt því að greina áhættuþætti og afeiðingar blæðinganna, bæði skammtíma og langtíma.

• Efniviður og aðferðir Rannsóknin var afturskyggn, lýsandi rannsókn. Rannsóknar­

þýðið samanstóð af nýburum fæddum hér á landi á árunum 1994­2023 sem greindust með heilablæðingu innan28 daga frá fæðingu. Börnin voru fundin í sjúklingagagnagrunni Landspítalans út frá viðeigandi ICD ­9/ ICD ­ 10 sjúkdómsgreiningarnúmerum. Upplýsinga var afað úr sjúkraskrám barnanna og mæðra þeirra ásamt sjúklingagagnagrunni Vökudeildar. Kennitölur barnanna voru sendar til Ráðgjafar­ og greiningarstöðvar og fundin þau börn sem fengu fötlunargreiningar. Gagnasöfnun var gerð í Microsoft Excel og tölfræðiúrvinnsla í R.

• Niðurstöður

275 börn fengu heilablæðingagreiningar á rannsóknartímabilinu, þar af 58,5% drengir og 41,1% stúlkur. Algengustu blæðingarnar á tímabilinu voru blæðingar í heilahólf eða samtals 165 og meðalmeðgöngulengd þeirra var 28,9 vikur. 23 nýburar með heilablæðingu létust á Vökudeild og þar af voru 19 með alvarlegar heilahólfsblæðingar (gráðu 3 eða 4). 65 barnanna fengu krampa á nýburaskeiði og meðalmeðgöngulengd þeirra var 37,3 vikur. 21% þeirra sem útskrifaðust lifandi fengu fötlunargreiningar síðar meir og þá aðallega CP­heilalömun (cerebral palsy), einhverfu og/eða þroskaskerðingu.

• Ályktanir

Helstu blæðingar hjá fyrirburunum voru heilahólfsblæðingar, meðan fullburða born greindust frekar með aðrar gerðir heilablæðinga. Nýburakrampar urðu helst hjá fullburða börnum meðan andlát á Vökudeild voru helst hjá fyrirburum. Um helmingur þeirra sem fengu fötlunargreiningar höfðu tvær eða feiri slíkar greiningar og festir sem greindust með CP­heilalömun höfðu fengið heilahólfsblæðingu.

TÍMABUNDIÐ EFTIRLIT MEÐ NÝBURUM HJÁ FORELDRUM UTAN VÖKUDEILDAR

Agnes Stefánsdóttir1, Þórður Þórkelson2, Snorri Freyr Donaldsson2, Sigríður María Atladóttir 2 og Óli Hilmar Ólason2

1) Læknadeild Háskóla Íslands, 2) Barnaspítali Hringsins

• Inngangur

Vaxandi áhersla hefur verið lögð á að aðskilja ekki foreldra og nýfætt barn þeirra nema nauðsyn beri til. Því var síðla árs 2017 gefið út verklag um tímabundið eftirlit með nýburum hjá foreldrum utan Vökudeildar, í stað þess að taka þau á Vökudeild til eftirlits eins og áður tíðkaðist. Þar er m.a. gert ráð fyrir eftirliti með stöðugri mælingu súrefnismettunar í hægri hendi og fæti.

Megintilgangur rannsóknarinnar var að kanna hvort verklagið hafi fækkað þeim börnum sem tekin voru frá foreldrum til eftirlits á Vökudeild. Annar tilgangur var að meta öryggi verklagsins.

• Efniviður og aðferðir

Afturskyggn rannsókn á nýburum sem fóru í tímabundið eftirlit á Vökudeild eða fjareftirlit árin 2017 eða 2022. Upplýsinga var afað úr sjúkraskrám barnanna og mæðra þeirra. Tölfræðiúrvinnslan var lýsandi auk þess sem samanburður var gerður á rannsóknar tímabilunum tveimur með kí­kvaðratprófi, fishersprófi og t­prófi.

• Niðurstöður

Rannsóknarhópurinn samanstóð af 232 börnum, 116 á hvoru rannsóknar tímabili. Árið 2017 fóru 16 börn (13.8%) í fjareftirlit en 53 (45.7%) árið 2022, p <0.001. Af börnunum sem fóru í fjareftirlit lögðust 24.6% inn á Vökudeild, en 36.2% þeirra sem fóru í eftirlit á Vökudeild. Ekkert barnanna sem fylgst var með hjá foreldrum utan Vökudeildar varð alvarlega veikt.

• Ályktanir

Marktæk aukning hefur orðið á fjölda nýbura sem fylgst er með tímabundið hjá foreldrum utan Vökudeildar á undanförnum árum. Öryggi barna sem fylgst er með á þann hátt virðist ekki minna en þeirra sem fylgst er með á Vökudeild, en rannsaka þyrfti lengra tímabil til að skera úr um það með vissu.

NÝBURAGULA: GREINING, ÁHÆTTUÞÆTTIR

OG VERNDANDI ÞÆTTIR, ÁRANGUR

LJÓSAMEÐFERÐAR Í HEIMAHÚSI

Bryndís Róbertsdóttir1, Þórður Þórkelsson2, Snorri Donaldsson2, Sigríður María Atladóttir2, Fanný B. Miiller Jóhannsdóttir 2, Þórður Þórarinn Þórðarson2

1) Læknadeild Háskóla Íslands, 2) Barnaspítali Hringsins

• Inngangur

Nýburagula stafar af hárri þéttni bilirúbíns í blóði og vefjum. Of há þéttni getur valdið heilaskaða. Ljósameðferð við gulu í heimahúsi hófst á Íslandi í mars árið 2023. Markmið rannsóknarinnar var að kanna hvenær nýburar greinast með gulu sem þarfnast meðferðar og hvers vegna sumir fá alvarlega gulu. Jafnframt að meta árangur ljósameðferðar í heimahúsi.

• Efniviður og aðferðir

Rannsóknin var afturskyggn. Úrtakið var allir nýburar sem fengu ljósameðferð vegna gulu árin 2021­2023 og allir nýburar sem mældust með bilirúbín >400 µmól/L árin 2009 ­2023. Sérstaklega voru rannsökuð þau börn sem fengu ljósameðferð í heimahúsi frá mars 2023 til mars 2024. Börn með alvarlega gulu voru borin saman við börn sem fengu vægari gulu m.t.t. áhættuþátta og verndandi þátta. Árangur ljósameðferðar í heimahúsi var metinn út frá því hvort bilirúbíngildi lækkaði við meðferðina.

• Niðurstöður 102 börn fengu alvarlega gulu, en 310 vægari. 61% barnanna með alvarlega gulu greindust í „5 daga skoðun“ barnalæknis, en 25% þeirra með vægari gulu, (p<0.001). Helstu sjálfstæðu áhættuþættir alvarlegrar gulu voru þyngdartap fyrstu dagana eftir fæðingu og austur­asískur uppruni, en verndandi þættir að vera síðfyrirburi og fæðing með keisaraskurði. Börn sem fengu vægari gulu útskrifuðust heim marktækt seinna en þau sem fengu alvarlega gulu (p=0.009).Af þeim 60 börnum sem fengu ljósameðferð í heimahúsi lækkaði bilirúbíngildi í 98% tilvika. Ekkert þeirra fékk alvarlega gulu.

• Ályktanir

Nýburar með þekkta áhættuþætti fyrir gulu fá síður alvarlega gulu, hugsanlega vegna betra eftirlits. Ljósameðferð í heimahúsi samkvæmt gildandi verklagi virðist vera jafn örugg og ljósameðferð á sjúkrahúsi.

TAUGAÞROSKARASKANIR FYRIRBURA Á ÍSLANDI SEM FÆDDUST Á ÁRUNUM 2012 TIL 2017

Aldís Eyja Axelsdóttir1, Anna Guðmundsdóttir 2, Ingibjörg Þorsteinsdóttir 2, Ingólfur Einarsson3, Kristín Leifsdóttir 2

1) Læknadeild Háskóla Íslands, 2) Barnaspítali Hringsins, 3) Ráðgjafar- og greiningarstöð

• Inngangur

Lífslíkur fyrirbura hafa aukist umtalsvert síðustu ár með framförum í meðferð og umönnun þeirra. Minnstu fyrirburarnir eru þó í aukinni hættu á taugasálfræðivanda, þá helst ADHD, einhverfu og stýrifærnivanda og getur það valdið námserfiðleikum. Markmiðið var að kanna algengi taugasálfræðivanda meðal minnstu fyrirburanna við 6 ­7 ára aldur, fötlunargreiningar á Ráðgjafar­ og greiningarstöð (RGR) og tengsl við sjúkdóma á Vökudeild.

• Efni og aðferðir

Rannsóknin var afturskyggn ferilrannsókn þar sem skoðaðar voru niðurstöður úr taugasálfræðimati á vegum fyrirburaeftirlits á Barnaspítala Hringsins, niðurstöður athugana RGR ásamt upplýsingum um legu á Vökudeild. Tölfræðiforritið RStudio 4.3.3 var notað við tölfræðiúrvinnslu og var notast við t­próf, parað t­próf, ANOVA­próf og Fisher’s Exact próf.

• Niðurstöður Rannsóknarhópurinn samanstóð af 60 börnum sem fæddust fyrir 28 vikur og/eða léttari en 1000g. Af þeim voru 18 þeirra (30,0%) í eftirliti á RGR, þrjú komu til baka í fyrirburaeftirlit og því voru 45 börn sem gengust undir taugasálfræðimat þar. Niðurstöður taugasálfræðimats voru skoðaðar eftir kyni og meðgöngulengd. Algengast var að börn sýndu einkenni um athyglisbrest (53,3%) og stýrifærnivanda (46,7%). Ofvirknieinkenni voru hjá 28,6% og 13,3% sýndu merki um einhverfu. Heildartala greindar var ekki mælanleg hjá 29 börnum (64,4%) vegna misstyrks milli prófhluta. Marktækur munur var á stýrifærnivanda eftir kyni (p = 0,038) og því hvort heildartala greindar var mælanleg eða ekki (p = 0,01), en ekki á ADHD, einhverfu og meðaltali innan prófhluta þegar vitsmunaþroski var metinn (p > 0,05). Á RGR var þroskaskerðing algengasta fötlunargreiningin (55,6%). 44,4% voru greind með einhverfu og 27,8% með ADHD. Ekki voru marktæk tengsl við sjúkdóma í upphafi lífs.

• Ályktanir

Niðurstöður sýna fram á hátt algengi taugasálfræðilegra veikleika meðal minnstu fyrirburanna. Líklegt er að stór hluti þessa hóps þurfi á auknum stuðningi að halda í lífinu, m.a. í skóla- og heilbrigðiskerfinu. Mikilvægt er að tryggja fyrirburum og foreldrum þeirra þann stuðning sem þeir þurfa og þar sinnir fyrirburaeftirlitið mikilvægu hlutverki.

Höfundar: Matthías Löve1, Sigurður Kristjánsson2, 4, Jón R. Kristinsson3, Gestur Pálsson3, Michael Valur Clausen2, 4 , Viðar Örn Eðvarðsson1, 2, 4

1) Læknadeild Háskóla Íslands, 2) Domus barnalæknar, 3) Læknamiðstöð Austurbæjar, 4) Landspítali

• Inngangur

Ungbarnakveisa einkennist af óstöðvandi gráti í >3 tíma á dag, >3 daga vikunnar hjá börnum <4 mánaða. Markmiðið var að rannsaka meðferð ungbarnakveisu á Íslandi.

• Efniviður og aðferðir

Leitað var afturskyggnt að tilfellum 0 ­ 4 mánaða barna, fæddum 1.1.2021­19.1.2024, sem skoðuð voru hjá Domus barnalæknum og Læknamiðstöð Austurbæjar. Greining var staðfest með lestri sjúkraskráa. Ef foreldrar samþykktu þátttöku var þeim sendur hlekkur á spurningalista. Skoðuð voru áhrif dícýklóveríns (n=100), esómeprazóls (n=84), sniðgöngu kúamjólkurpróteina (n=155), simethicone (n=123), gripe water (n=83), góðgerla (n=116), og Gaviscon (n=66). Meðferðarárangur var metinn á kvarðanum 1­5 (1­enginn, 2­svolítill, 3­mikill, 4­mjög mikill, 5­fullkominn).

• Niðurstöður

Alls fundust 314 tilfelli, 252 samþykktu þátttöku, 210 (83,3%) þeirra svöruðu spurningalistanum. Kveisueinkenni hófust að meðaltali við 3,7±2,8 vikna aldur og lauk við 17,6±10,6 vikur. Dícýklóverín minnkaði kveisueinkenni mikið, mjög mikið eða alveg hjá 72,9% þeirra sem fengu lyfið; esómeprazól hjá 23,8% og sniðganga kúamjólkurpóteina hjá 17,4%. Á kvarðanum 1­5 var meðalvirkni dícýklóveríns, esómeprazóls og sniðgöngu kúamjólkuprótína 3,23 (95% öryggisbil ÖB95%=[3,00 ­3,46]), 1,87 (ÖB95%=[1,64­2,12]) og 1,78 (ÖB95%=[1,62­1,96]). Virkni annarrar meðferðar var óveruleg. Algengar aukaverkanir voru hægðatregða hjá 20 (20,0%), 21 (25,0%) og 10 (15,2%) sem fengu dícýklóverín, esómeprazól og Gaviscon. Sljóleiki sást hjá 9 (9,0%) á dícýklóveríni og 27 (27,0%) svelgdist á lyfinu. Tuttugu (24,1%) svelgdist á gripe water, 2 leituðu læknisaðstoðar vegna þessa. Öndunarhléi var lýst hjá 1 (1,0%) á dícyklóveríni og 2 (2,4%) eftir inntöku gripe water Þessi börn þurftu ekki að leita læknisaðstoðar.

• Ályktun

Dícýklóverín er árangursrík meðferð við ungbarnakveisu. Esómeprazól og sniðganga kúamjólkurprótína bera takmarkaðan árangur. Alvarlegar aukaverkanir voru fátíðar.

SAMTENGING GARNAR INNAN EÐA UTAN KVIÐARHOLS VIÐ HÆGRA RISTILBROTTNÁM Í KVIÐSJÁ

Hjalti Dagur Hjaltason1, Theódór Ásgeirsson2, Páll Helgi Möller1, 2

1) Læknadeild Háskóla Íslands, 2) Kviðarholsskurðdeild Landspítala

• Inngangur

Á Íslandi hafa samtengingar við hægra ristilbrottnám (e. right hemicolectomy) í kviðsjá lengst af verið gerðar utan

kviðarhols. Innan kviðarhols samtenging (e. intracorporal anastomosis) er ný aðferð við hægra ristilbrottnám í kviðsjá. Undanfarin þrjú ár hafa samtengingar innan kviðarhols verið teknar upp í auknum mæli á Landspítalanum og eru nú yfir 90% þeirra gerðar með þeim hætti. Enn er ekki vitað með vissu hvort það er betra fyrir sjúklinga að samtengingin sé gerð innan frekar en utan kviðarhols.

• Markmið Markmið þessarar rannsóknar er því að kortleggja innan og utan kviðarhols samtengingar við hægra ristilbrottnám í kviðsjá og bera saman klínískar niðurstöður milli þessara tveggja aðferða til samtengingar.

• Efniviður og aðferðir Framkvæmd var afturskyggn ferilrannsókn. Upplýsingar um sjúklinga sem fóru í hægra ristilbrottnám í kviðsjá voru fengnar úr sjúkraskrárkerfi Landspítala. Breytur voru skráðar í Excel og unnin var lýsandi tölfræðivinna í tölfræðiforritinu R.

• Niðurstöður

Alls fóru 145 sjúklingar í hægra ristilbrottnám í kviðsjá, 78 í utan kviðarhols samtengingu og 67 í innan kviðarhols samtengingu. Niðurstöður rannsóknarinnar sýndu að enginn marktækur munur væri á tíðni garnastífu (e. ileus) (p>0,05) né lengd spítaladvalar (p>0,05) milli beggja hópanna. Marktækur munur var á aðgerðartíma þar sem innan kviðarhols samtengingar tóku að meðaltali 18 mínútum lengri tíma en utan kviðarhols samtengingar (p<0,05).

• Umræður

Innan kviðarhols samtengingar virðast hvorki betri né síðri en utan kviðarhols samtengingar. Hægt er að álykta að innan kviðarhols samtengingar taki lengri tíma en utan kviðarhols samtengingar þar sem skurðlæknar búa yfir minni reynslu á þeirri aðferð. Frekari rannsóknir þarf til að skera úr um hvort önnur aðferðin sé fremri hinni.

ÁRANGUR EFNASKIPTAAÐGERÐA Á KLÍNÍKINNI

ÁRMÚLA 2019-2020

Hrund Guðmundsdóttir1, Aðalsteinn Arnarsson1, 2

1) Læknadeild Háskóla Íslands, 2) Klíníkin Ármúla

• Inngangur

Markmið rannsóknaninnar var að skoða árangur efnaskiptaaðgerða, framkvæmdar á Klíníkinni Ármúla, með tilliti til þyngdartaps og áhrif á fylgisjúkdóma ásamt því að skoða tíðni fylgikvilla. Einnig var gerður samanburður á þeim þrem aðgerðum (magaermi, mini­hjáveita og hefðbundin hjáveita) sem eru framkvæmdar voru.

• Efni og aðferðir

Rannsóknarþýðið samanstóð af þeim sem gengust undir efnaskiptaaðgerð á Klíníkinni árunum 2019 og 2020. Gagnasöfnun fór fram með því að senda út spurningalista á rafrænu formi og upplýsingum safnað úr sögukerfi Klínikunnar. 205 einstaklingar svöruðu spurningalistanum og voru tíðni fylgikvilla og fylgisjúkdóma unnin úr þeim gögnum. Gagnaskráning fór fram í Excel og tölfræðiúrvinnsla í Rstudio.

• Niðurstöður

525 manns fóru í magaermisaðgerð, 117 manns fóru í minihjáveitu og 57 manns fóru í hjáveituaðgerð. Marktækur munur var á BMI fyrir aðgerð eftir aðgerðar tegundum (p > 0,001). Aðeins var maktækur munur á BMI ef magaband var til staðar fyrir aðgerð í magaermisaðgerðunum. 2 árum eftir aðgerð var %EBMIL að meðaltali 83,7%. Ekki var marktækur munur á %EBMIL milli aðgerða 1 og 2 árum eftir aðgerð. Hins vegar var marktækur munur á lækkun á BMI stuðli milli aðgerða 6 vikum, 6 mánuðum, 1 ári og 2 árum eftir aðgerð. Meðaltíðni fylgisjúkdóma oftu fyrir aðgerð var 2,01 en eftir aðgerð 1,2. Tíðni fylgikvilla var marktækt minni í magaermisaðgerðunum.

• Ályktanir

Efnaskiptaaðgerðir eru mikilvæg úrræði til meðferðar á oftu. Þær hjálpa meirihluta sjúklinga að ná tilætluðu þyngdartapi. Einnig stuðla þær að lægri tíðni fylgisjúkdóma oftu. Magaermisaðgerð stuðlar að sambærilegu þyngdartapi og hjáveituaðgerðirnar en tíðni fylgikvilla er minni í magaermisaðgerð.

ÁRANGUR SÍSKOLMEÐFERÐAR VEGNA SÝKINGAR

Í KRINGUM BRJÓSTAÍGRÆÐI HJÁ SJÚKLINGUM

SEM GENGIST HAFA UNDIR BRJÓSTNÁM OG

UPPBYGGINGU MEÐ ÍGRÆÐI

Harpa Kristín Þorkelsdóttir1, Halla Fróðadóttir 2, Agnar Bjarnason1, 3

1) Læknadeild Háskóla Íslands, 2) Lýtaskurðdeild Landspítala, 3) Smitsjúkdómadeild Landspítala

• Inngangur

Brjóstakrabbamein er algengasta ífarandi krabbamein kvenna á heimsvísu en fyrsta meðferð er oft skurðaðgerð. Brjóstauppbygging með ígræði er algengasta uppbyggingin eftir brjóstnám. Sýking tengd ígræði getur reynst erfið og getur leitt til þess að fjarlægja þurfi ígræði með tilheyrandi áhættu, fylgikvillum og óþægindum fyrir sjúkling. Undanfarin ár hefur nýrri meðferð í brjóstaskurðlækningum verið beitt, sýklalyfjasískol umhverfis ígræði með því markmiði að varðveita uppbygginguna.

• Aðferðir

Rannsóknin er aftursýn tilfellaröð. Skoðuð voru tilfelli sem fengu sýklalyfjasískol sem meðferð við sýkingu umhverfis brjóstaígræði eða vefjaþenjara á Landspítala árin 20132022. Sískolblandan innihélt 1g vancomycin blandað í 1L NaCl lausn. Safnað var upplýsingum um heilsufar, síðustu aðgerð fyrir sýkingu, sýkingu og sýklalyfjameðferð. Tölfræði var lýsandi.

• Niðurstöður 13 sjúklingar uppfylltu inntökuskilyrði. Einn þeirra fékk sýklalyfjasískol tvisvar og voru tilfelli sískolmeðferðar alls 14. Þýðið var einungis konur og meðalaldur 52 ár [27, 54]. Meðallengd sískolmeðferðar var 3 sólarhringar en meðalfjöldi sýklalyfjagjafa 8. 86% fengu aðra sýklalyfjameðferð samhliða sískoli. Í öllum tilfellum var tekið sýni og ræktað. Í 71% tilfella var sýklalyfjameðferð hafin áður en sýni náðist. Í 43% tilfella ræktaðist líklegur meinvaldur. Algengasti

sýkillinn var Staphylococcus aureus og ræktaðist í 21% tilfella. Í 86% tilfella var ígræði enn til staðar 6 mánuðum eftir sískolmeðferð. Blæðing sem fylgikvilli eftir síðustu aðgerð fyrir sýkingu sýndi marktæk tengsl við verri árangur sískolmeðferðar.

• Umræður

Viðbúið var að S. aureus væri algengasti sýkingarvaldurinn. Þrátt fyrir erfið undirliggjandi veikindi og svæsna sýkingu þurfti aðeins að fjarlægja ígræði í 14% tilfella. Þannig skilaði sískolmeðferðin góðum árangri í þessum hópi. Rannsóknir skortir um meðferð slíkra sýkinga en þessi tilfellaröð er með þeim stærri hingað til um þessa lofandi meðferð.

HRYGGSKEKKJUR Á LANDSPÍTALA

1998-2022 (25 ÁR)

Kolbeinn Theodórsson ­ Leiðbeinandi: Halldór Jónsson

• Inngangur

Kanna faraldsfræði hryggskekkja á Landspítalanum á árunum 1998­2022

• Efniviður og aðferðir sjúkragögn einstaklinga með hryggskekkju á Landspítalanum árin 1998­2022 voru yfirfarin m.t.t. aldurs, kyns, gerð hryggskekkju, dagsetningu innlagnar, gráðu hryggskekkjunnar og meðferða. Röntgenmyndir voru yfirfarnar í Agfa kerfinu til útreikningar á hluta hryggskekkjanna.

• Niðurstöður

Alls voru 187 einstaklingar greindir með hryggskekkju. Meðalaldurinn var 20,96 ár í þýðinu og konur voru 62% hluta þýðisins. Algengasta gerð hryggskekkju var sjálfvakin barnahryggskekkja (67) og þar á eftir kom tauga­ og vöðvahryggskekkja (64). Konur voru í miklum meirihluta greindar með hryggskekkju í aldursfokknum 10 ­14 ára (75,5%) tilfella. Einnig voru þær í miklum meirihluta að greinast með hryggskekkju eftir þrítugt. Algengasta aðgerðin var aftanverð spenging með skrúfum og Harrington krókum (94 tilvik). 24 sjúklingar fóru ekki í aðgerð. 67,5% af öllum aðgerðum voru framkvæmdar á einstaklingum á aldursbilinu 10 ­19 ára. Af þeim 13 sjúklingum sem greindust með hryggskekkju árið 1998 fóru 12 í aðgerð og 9 af þeim fóru í aftanverða spengingu með krókum. Árið 2021 voru hins vegar 12 greindir með hryggskekkju, 11 af þeim fóru í aðgerð og það var notast við aftanverða spengingu með skrúfum í 73% tilvika. Mesta marktæka leiðréttingin á hryggskekkjunni átti sér stað fyrir aftanverðar skrúfur (46,8%) en minnsta hjá aftanverðum krókum (41,6%).

• Ályktanir

Jákvæð þróun hefur orðið á aðgerðum vegna hryggskekkja við að færast frá notkun á krókum eingöngu yfir í notkun á skrúfum eingöngu.

Matthildur María Magnúsdóttir1, Alexandra Aldís Heimisdóttir2, Daníel Myer1, Kári Hreinsson2, Tómas Guðbjartsson1, 2

1) Læknadeild Háskóla Íslands, 2) Svæfinga- og gjörgæsludeild Landspítala, 3) Hjarta- og lungnaskurðdeild Landspítala

• Inngangur

Blæðing er óhjákvæmilegur fylgikvilli kransæðahjáveituaðgerðar og leiðir oft til blóðhlutagjafar. Í erlendum rannsóknum fá 11­90% sjúklinga blóðhluta í eða eftir aðgerð, oftast rauðkornaþykkni. Í þessari rannsókn var kannað hvaða sjúklingar fengu blóðhlutagjafir í tengslum við kransæðahjáveitu og könnuð afdrif þeirra.

• Efniviður og aðferðir

Afturskyggn ferilrannsókn á 1850 kransæðahjáveituaðgerðum á Landspítala 2005­2022. Upplýsingar fengust úr sjúkraskrám og upplýsingakerfi Blóðbankans. Rannsóknartímanum var skipt í þrjú 6 ára tímabil og voru sjúklingar sem fengu blóðhluta bornir saman við þá sem ekki fengu blóðhluta (viðmið), m.t.t áhættuþátta, snemmkominna fylgikvilla, legutíma og 30 daga dánarhlutfalls.

• Niðurstöður

Alls gengust 1850 sjúklingar (meðalaldur 66,6 ár; 83,9% karlar) undir kransæðahjáveituaðgerð á rannsóknartímabilinu og fengu 63,4% þeirra blóðhluta af einhverju tagi. Af blóðhlutahópi fengu festir rauðkornaþykkni eingöngu (46,6%). Blóðhlutagjöfum fækkaði frá fyrsta til þriðja tímabils (74,1% sbr. 48,0%; p<0,001), sérstaklega fyrir rauðkornaþykkni og blóðvökva. Í blóðgjafahópi var hlutfall kvenna hærra (22,3% sbr. 5,3%; p<0,001) og sjúklingarnir voru 3,5 árum eldri, með lægri líkamsþyngdarstuðul og hærra EuroSCORE­II (1,71 sbr. 1,26; p<0,001). Helstu áhættuþættir kransæðasjúkdóms voru sambærilegir milli hópa en sjúklingar í blóðgjafahópi voru oftar á klópídógreli fyrir aðgerð (7,0% sbr. 3,7%; p=0,005) en sjaldnar á hjartamagnýli (58,2% sbr. 67,3%; p<0,001). Heildartíðni minniháttar og alvarlegra fylgikvilla var hærri í blóðgjafahóp (p<0,001) og 30 daga dánarhlutfall þeirra tífalt hærra (3% sbr. 0,3%; p<0,001).

• Ályktanir

Næstum tveir af hverjum þremur sjúklingum sem gangast undir kransæðahjáveitu fá einhvern blóðhluta, langoftast rauðkornaþykkni eingöngu, og fer hlutfallið lækkandi. Þetta er jákvæð þróun enda tengjast blóðhlutagjafir hærri tíðni fylgikvilla og 30 daga dánarhlutfalli.

ENDURTEKIÐ LUNGNAKRABBAMEIN EFTIR

LUNGNASKURÐAÐGERÐ

Daníel Myer1, Viktor Ásbjörnsson1, Matthildur María Magnúsdóttir1, Guðrún Nína Óskarsdóttir2, Hrönn Harðardóttir 2, Sif Hansdóttir 3, Örvar Gunnarsson4, Per Martin Silverborn4, Tómas Guðbjartsson1, 4

1) Læknadeild Háskóla Íslands, 2) lungnadeild, 3) krabbameinsdeild og 4) hjarta- og lungnaskurðdeild Landspítala

• Inngangur Í þriðjungi tilfella er hægt að meðhöndla lungnakrabbamein af ekki­smáfrumugerð með læknandi skurðaðgerð. Markmið rannsóknarinnar var að kanna tíðni og tímasetningu endurtekins lungnakrabbameins eftir lungnaskurðaðgerð á Íslandi með áherslu á afdrif sjúklinganna.

• Efniviður og aðferðir Afturskyggn ferilrannsókn á 993 lungnakrabbameinssjúklingum sem gengust undir lungnaskurðaðgerð á Landspítala 1991­2022. Upplýsingar fengust úr sjúkraskrám og voru sjúklingar á fjórum 8 ­ára tímabilum með endurtekið lungnakrabbamein bornir saman við sjúklinga án endurkomu, m.a. hvað varðar TNM­stigun og heildarlifun (Kaplan­Meier). Einnig var tímasetning endurkomu skráð. Forspárþættir endurkomu voru metnir með Cox­fjölbreytugreiningu. Meðaleftirfylgd var 65,2 mánuðir.

• Niðurstöður Af 993 aðgerðum voru 37% sjúklinganna á stigi IA, 22% á stigi IB, 15% og 12% á stigi IIA og IIB og 15% á stigi IIIA. Endurtekið krabbamein greindist hjá 400 (40,3%) sjúklinganna, 23,5% og 36,6% sjúklinga á stigum IA og IB fengu endurkomu, 60,8% og 52,9% af þeim á stigum IIA og IIB og 61,3% þeirra á stigi IIIA. Af sjúklingum sem fengu viðbótarkrabbameinslyfjameðferð á stigum IIA, IIB og IIIA voru 56,8, 46,2% og 61,5% sem fengu endurtekið krabbamein. Miðgildi frá aðgerð til greiningar endurtekins krabbameins var 418,5 dagar (IQR 208 ­896 dagar) og var 5 ­ára lifun þeirra 24,3% borið saman við 72,2% hjá sjúklingum án endurkomu. Forspárþættir endurkomu reyndust hærra TNM stig og stórfrumuvefjagerð, en ekki greiningarár.

• Ályktanir

Endurtekið lungnakrabbamein greinist hjá 40% sjúklinga eftir lungnaskurðaðgerð á Íslandi, sem er svipað og í erlendum rannsóknum. Athyglisvert er að um þriðjungur sjúklinga á stigi I fær endurtekið krabbamein, en þar er ekki beitt viðbótarmeðferð.

ÁHRIF GREININGARAÐFERÐAR Á STIGUN

BRJÓSTAKRABBAMEINA OG HORFUR

Rakel Ósk Sigurðardóttir1, Helgi Birgisson2, Svanheiður Lóa Rafnsdóttir3 og Ólöf Kristjana Bjarnadóttir3

1) Læknadeild Háskóla Íslands, 2) Krabbameinsskrá Íslands, 3) Landsspítalinn

• Inngangur

Brjóstakrabbamein er algengasta krabbamein meðal kvenna á heimsvísu. TNM stigun hefur áhrif á mat á horfum og val á meðferð brjóstakrabbameinssjúklinga. Skimun fyrir brjóstakrabbameini getur hjálpað við að greina brjóstakrabbamein fyrr í sjúkdómsferli og undanfarin ár hefur þátttaka hér á landi verið undir viðmiðunarmörkum. Markmið verkefnisins var að bera saman TNM stigun við greiningu og horfur milli þeirra sem greindust í brjóstaskimun og þeirra sem greindust vegna einkenna.

• Aðferðir

Rannsóknarþýðið voru allar konur sem greindust með ífarandi brjóstakrabbamein á Íslandi árin 2016­2022. Gögn voru tekin út úr gæðaskráningargrunni Krabbameinsskrár Íslands. Notast var við Kaplan­Meier kúrvur til að bera saman lifun milli greiningarhópa. Kí­kvaðrat próf var notað til að reikna marktækni niðurstaða.

• Niðurstöður

Klínískt metin T,N og M stig voru marktækt lægri hjá þeim konum á skimunaraldri sem greindust í skimun en hjá konum sem greindust vegna einkenna (p<0,001). Meinafræðilega metin T og N stig voru marktækt lægri hjá þeim sem greindust í skimun en munur á M stigi reyndist ekki marktækur. Munur á heildar greiningum fjarmeinvarpa á milli hópanna reyndist marktækur (p<0,01) ásamt mun á fjölda heila, lungna og lifrar meinvarpa. Ekki reyndist marktækur munur á fjölda beinameinvarpa eða á staðbundnum endurkomum milli hópanna. Heildarlifun skimunargreindra kvenna var marktækt betri en þeirra sem greindust vegna einkenna (p<0,0001).

• Umræður

TNM stigun skimunargreindra kvenna var marktækt lægri en þeirra sem greindast vegna klínískra einkenna. Konur sem greindust vegna klínískra einkenna voru oftar með fjarmeinvörp. Heildarlifun þeirra sem greindust í skimun var betri en þeirra sem greindust vegna einkenna.

SORTUÆXLI Á ÍSLANDI 1955-2023: FARALDSFRÆÐI OG SJÚKDÓMSBYRÐI MISMUNANDI

UNDIRFLOKKA

Eydís Lilja Haraldsdóttir, Jónas Aðalsteinsson, Jón Gunnlaugur Jónasson

Læknadeild Háskóla Íslands, Landsspítali Háskólasjúkrahús

• Inngangur

Sortuæxlum hefur farið fjölgandi á norðurhveli undanfarna áratugi. Æxlin eru fjölbreytileg og ástæða til að skoða sérstaklega undirtegundir þeirra.

Markmið rannsóknarinnar er að skoða nýgengi undirtegunda sortuæxla á Íslandi frá 1955 til 2023 og hvernig það hefur breyst í gegnum árin. Auk nýgengis er Breslowþykkt, staðsetning æxlanna og tíðni greind með tilliti til aldurs, kyns og búsetu.

• Efniviður og aðferðir

Rannsóknin er afturskyggn ferilrannsókn á öllum greindum Sortuæxlum á Íslandi frá 1955 til 2023. Gögn voru lagskipt eftir kyni, aldri og þykkt æxlis. Aldursstaðlað nýgengi undir tegunda var reiknað fyrir mismunandi hópa og þrepaskipt leitni greind (e. joinpoint trend analysis) notuð til að greina leitni nýgengis æxlanna.

• Niðurstöður

Fleiri tilfelli greindust í konum en körlum í öllum undirfokkum. Karlar greinast eldri og með þykkari æxli í öllum undirtegundum.

Ífarandi æxli undir og yfir 1 mm eru að verða sjaldgæfari hjá báðum kynjum. Þó fer ífarandi æxlum fjölgandi hjá konum yfir 50.

Tilfellum af melanoma in situ fjölgar hjá öllum hópum nema körlum undir 50. Nýgengi Lentigo maligna og Lentigo maligna melanoma er stöðugt í öllum hópum.

• Ályktun

Ífarandi æxlum í samfélaginu fækkar en fjölgun er á góðkynja æxlum. Nýgengi ífarandi og góðkynja meina eykst hjá konum yfir fimmtugt. Takmarkanir eru að rannsóknin er afturvirk ferilrannsókn og ekki hægt að leiðrétta fyrir hegðun eða aðrar útsetningar.

ALPORT SYNDROME IN ICELAND: EPIDEMIOLOGY AND OUTCOMES

Saga Ingadóttir 1, Ólafur S. Indriðason 3 , Sindri Valdimarsson2, 5, Hjördís Þorsteinsdóttir5, Hans Tómas Björnsson1, 4, Viðar Örn Eðvarðsson1, 2, 5

1) Faculty of Medicine, School of Health Sciences, University of Iceland; 2) Children ́s Medical Center, 3) Division of Nephrology and 4) Department of Genetics, Landspitali University Hospital; 5) Domus barnalæknar.

• Introduction

Alport syndrome (AS) is caused by mutations in the collagen IV genes, COL4A3, COL4A4 and COL4A5. Three types of AS have been described: X­linked AS (XLAS), autosomal recessive AS (ARAS) and autosomal dominant AS (ADAS). The aim of this study was to examine the epidemiology and outcomes of AS in Iceland.

• Methods

This was a retrospective study of all Icelandic AS cases in the period 1968­2023. Afected individuals were identified through diagnosis codes, the Icelandic Renal Registry, and family tracing. Medical records were reviewed for the confirmation of diagnosis. End­stage kidney disease (ESKD) was defined as the need for kidney replacement therapy. Clinical characteristics, family history and genetic testing were used for the diagnosis of X­linked AS. The diagnosis of autosomal AS was made in individuals with persistent haematuria in whom a secondary cause had been excluded.

• Results

We identified 76 individuals with AS, 52 with XLAS (13 males) and 24 individuals with autosomal AS (8 males). Diagnosis was confirmed with genetic testing in 45 of the 52 XLAS patients and in 2 autosomal AS cases. The mean (±SD) age at XLAS diagnosis was 28.5±22.3 years and 9.4±9.6 years for autosomal AS. The prevalence of AS in January 2024 was 17.7 per 100,000 population. The average yearly incidence of XLAS in the last 10 years was 0.54 individuals per 100,000 population. Five autosomal AS patients (20.8%) had some degree of proteinuria at latest follow­up, but all had normal kidney function. A total of 10 individuals with XLAS developed ESKD, 7 men and 3 women, at the median (range) age of 19 (16 ­25) and 60 (37­ 69) years for males and females, respectively.

• Conclusions

The prevalence of AS in Iceland is similar to other western countries. A high proportion of males whereas only a few women with XLAS progress to ESKD. The outcomes of individuals with autosomal AS are excellent.

ERFÐAFRÆÐILEGAR ORSAKIR ÞROSKAHÖMLUNAR Á BARNASPÍTALA

HRINGSINS: YFIRLIT YFIR ÁRIN 2012-2022

Sara Sól Guðfinnsdóttir1, Sigurður Einar Marelsson2, Brynja Kristín Þórarinsdóttir 2, Hans Tómas Björnsson3

1) Læknadeild Háskóla Íslands, 2) Barnaspítali Hringsins, 3) Erfða- og sameindalæknisfræðideild

• Inngangur

Þroskahömlun er algengasta fötlunargreining barna undir 18 ára aldri en búast má við að 1­3% barna séu með þroskahömlun. Tíðnin er svipuð í vestrænum rikjum en hærri í þróunarlöndum. Þroskahömlun einkennist fyrst og fremst af frávikum í vitsmunaþroska og aðlögunarfærni. Á Íslandi er stuðst við fokkunarkerfi Alþjóðaheilbrigðismálastofnunarinnar:

ICD ­10. Greiningar byggjast á greindarprófum og mati á félags­og samskiptafærni. Þroskahömlun er fokkuð í væga, miðlungs, alvarlega og djúpa. Orsakir þroskahömlunar geta verið af ýmsum toga, í um helmingi tilfella er orsökin þekkt, en talið er að 25 ­50% sé vegna erfðafræðilegra orsaka.

• Markmið

Markmið rannsóknarinnar var að skrásetja greiningaraðferðir og erfðafræðilegar orsakir þroskaömlunar hjá börnum með skráða þroskahömlun, sem hafa þegið þjónustu á Barnaspítala Hringsins.

• Aðferðir

Rannsóknin náði til allra barna sem fengu tiltekna greiningarkóða þroskahömlunar á Barnaspítala Hringsins á árunum 2012­2022. Upplýsingar um kennitölur og kyn voru fengnar frá Hagdeild Landspítala Íslands. Sjúkraskrár allra barnanna voru skoðaðar og upplýsingar skráðar í gagnagrunn. Notast var við Microsoft Excel og R Studio við úrvinnslu gagnanna.

• Niðurstöður

Á árunum 2012­2022 fengu 192 börn tiltekna þroskahömlunar greiningu á Barnaspítala Hringsins, þar af voru 50 börn eða 26% með líklegar erfðafræðilegar orsakir. Algengustu greiningaraðferðir voru heilerfðamengisgreining og ör fögugreining. Meðalaldur við fyrstu greiningu erfðafræðilegrar orsakar var 8.8 ára.

• Umræður

Við gerð rannsóknarinnar komu fram annmarkar við skráningu greiningarkóða þroskahömlunar á Barnaspítala Hringsins. Því eru líklega feiri börn með þroskahömlunargreiningu, en rannóknin náði ekki yfir þann hóp vegna ófullnægjandi skráningar. Samhliða skorti á yfirfærslu greiningarniðurstaða yfir í Heilsugátt, sem hindrar aðgengi að niðurstöðum.

LÍFUPPLÝSINGAFRÆÐILEG

Í KÆLISVARI SPENDÝRAFRUMA

Valdimar Sveinsson, Kimberley Anderson, Hans Tómas Björnsson

• Inngangur

Marksækin hitastýring (e. Targeted Temperature Management) hefur verið notuð til þess að lágmarka taugaskemmdir eftir súrefnisskort til heila t.d. eftir hjartaáföll, drukknun eða súrefnisskort við fæðingu. Meðferðin byggir á lækka líkamshita einstaklings nálægt 32°C. Hins vegar geta alvarlegar aukaverkanir fylgt slíkri meðferð. Talið er að væga kælisvarið (e. The Mild Hypothermic Response) gegni hlut verki í gagnsemi kælingar. Til að skilja þetta viðbragð betur höfum við framkvæmt framsýna stökkbreytiskimun (GeCKO) sem fann 1200 gen sem mögulega geta gegnt hlutverki.

• Markmið

Markmið verkefnisins er lífupplýsingafræðileg forgangsröðun gena úr GeCKO skimuninni til að finna gen sem raunverulega gegna hlutverki í ferlinu. Við bjuggum til hálf sjálfvirka greiningaaðferð sem finnur gögn frá fyrri rannsóknum, framkvæmir svokallaða Kallisto alignment og greinir áhrif á lykilgen kælisvarsins.

• Aðferðir

Aðferð er skipt í þrjá hluta. Fyrsti hlutinn byggir á söfnun RNA raðgreiningar gagna frá alþjóðalega gagnasafninu Gene Expression Omnibus. Markmið þess hluta er að finna gögn sem innihalda sýni þar sem gen úr GeCKO skimuninni hafa verið slegin út. Annar hlutinn framkvæmir Kallisto alignment og þriðji hlutinn notar DEseq2 greiningu sem síðan síar út gen sem sýna aukna eða minnkaða tjáningu fyrir lykilgen úr kælisvarinu.

• Niðurstöður

Við fundum 95 gagnasett með útslátt af genum frá lista. Af þeim sýndu 6 gen breytingar sem fóru í sömu átt og það sem fannst við skimun. Eitt er lofandi vegna þess að það fannst í mörgum gagnasettum.

• Umræður

Niðurstöður okkar benda til þess að þessi aðferðafræði geti verið notuð til að forgangsraða genum úr fyrri rannsókn.

OPTIMISING TISSUE PROCESSING AND AI TOOLS FOR HIGH-THROUGHPUT AUTOMATED MYELIN ULTRASTRUCTURE ANALYSIS

Baldvin Fannar Guðjónsson1, 2, Sebastian Timmler 2 , Ragnhildur Thóra Káradóttir1, 2, 3, 4

1) Faculty of Medicine, School of Health Sciences, University of Iceland 2) Wellcome – MRC Cambridge Stem Cell Institute (CSCI), University of Cambridge, United Kingdom 3) Department of Veterinary Medicine, University of Cambridge, United Kingdom 4) MS Society Cambridge Centre for Myelin Repair (CCMR), University of Cambridge, United Kingdom

• Introduction

Myelin is essential for nervous system function, increasing transmission speed. Myelin degradation characterises neurological diseases like multiple sclerosis. Manual myelin analysis with transmission electron microscopy (TEM) limits our ability to study myelin biology and pathology. Automated analysis of myelin ultrastructure could reduce personal bias, increase the sample size, and open new avenues to study myelin biology. We investigated the efcacy of the AI tool AxonDeepSeg (ADS) for myelin analysis and assessed its performance across various fixation methods.

• Method

We manually segmented TEM images of mouse optic nerve cross­sections to serve as ground truth (GT). ADS was fine ­tuned over various pixel­sizes (0.0020.029µm/pixel) and epochs (50 ­ 4000), comparing it’s performance with manual benchmarks on training (10 images) and test data (1 image), as well as exploring the infuence of fixation­method on ADS performance.

• Results

The optimised ADS­model correctly detected 65.7% of myelinated axons with a falsepositive/negative ratio of 20.4%/14.0%, a mean g­ratio diference of 0.0094 and accurately measuring 30.33% of axons. From 4 novel fixation methods, the one with the fewest artefacts was chosen to retrain ADS. The new model correctly detected 55.5% of myelinated axons with a false­positive/negative ratio of 31.4%/13.2% with a mean g­ratio diference of 0.0113 and 27.27% of axons correctly measured.

• Discussion

This AI­driven approach has the potential to significantly improve myelin analysis. Although results fit accepted biological variation, further model refinements could improve ADS’s utility for detecting axons and g­ratios. Consistent performance across varied samples could make ADS a standard for high­throughput myelin analysis in future research.

Turn static files into dynamic content formats.

Create a flipbook
Issuu converts static files into: digital portfolios, online yearbooks, online catalogs, digital photo albums and more. Sign up and create your flipbook.