Læknaneminn 2023 (almenningur)

Page 1


LÆKNANEMINN

Greinar

RITSTJÓRN

Anita

Anna Sif

Elín Metta

Guðlaugur Vignir Stefánsson

Hekla María Arnardóttir

Magna Þórey Guðbrandsdóttir

FAGLEG RITSTJÓRN

Engilbert Sigurðsson

Karl Konráð Andersen

Þóra Steingrímsdóttir

Sunna Snædal Jónsdóttir

PRENTUN Prentmet

SÉRSTAKAR ÞAKKIR

Höfundar, leiðbeinendur og ritrýnar greina

Landspítali

Læknablaðið

Læknadeild Háskóla Íslands

Ritstjórn Læknanemans 2022

Stjórn Félags Læknanema

Viktor Ásbjörnsson

ÁVARP RITSTJÓRNAR

Það er með stolti og miklum miklum létti sem við í ritstjórn kynnum 74. tölublað Læknanemans! Það var bjartsýnt fólk sem tók við keflinu af seinustu rit stjórn síðast liðinn apríl, með vonar-glampa í augunum en enga hug mynd um það hvað við vorum að koma okkur í. Þetta 9 mánaða langa verkefni er búið að vera áhugavert, lærdómsríkt og stressandi á köflum en undir lokin erum við öll sammála um að þetta hafi verið þess virði.

Vinnan byrjaði hægt og fyrstu mánuðina var auðvelt að missa vonina. Með haustinu byrjaði boltinn að rúlla. Greinarnar fóru að skila sér inn, svör fóru að berast við skoðanakönnuninni (sem uppfyllti að sjálfsögðu ströngustu vísindalegu kröfur) og þegar við fengum loksins að sjá forsíðuna var komin stemning í mannskapinn. Eftir tæpt ár af vinnu, tugi funda og á þriðja hundrað tölvu pósta stöndum við uppi með þetta blað sem við erum nokkuð stolt af.

Að venju var það góður hópur af fólki sem studdi að útgáfu þessa blaðs. Við viljum því þakka ritrýnum og leiðbeinendum sem gáfu tíma sinn, styrktaraðilum (hvort sem það var í formi fjárhagslegs eða andlegs stuðnings) og að sjálfsögðu þeim sem tóku sig til og skrifuðu fyrir blaðið.

Að venju inniheldur blaðið góða blöndu af fræðslugreinum og skemmtiefni til viðbótar við ritrýndar greinar. Við vonum að þið njótið þess að fletta í gegnum blaðið.

Með þökkum og fagnaðarkveðjum, Ritstjórn læknanemans

FÉLAG LÆKNANEMA

Síðastliðið starfsár fagnaði Félag Læknanema (FL) 90 ára afmæli sínu. Félagið er því eitt elsta nemendafélag Háskóla Íslands en það var stofnað 6. mars 1933 þegar þá verandi læknanemar stóðu í deilum um launakjör við stjórn Klepps. Mikið vatn hefur runnið til sjávar síðan; verk fallsaðgerðir, aðgangur að lyfjagagnagrunni landlæknis og aukaaðild að Lækna félagi Íslands, svo fátt eitt sé nefnt, en frá stofnun félagsins hafa hagsmunamál ætíð verið í fararbroddi. Með árunum voru stofnuð samstarfs- og undirfélög og síðastliðið ár sinntu 75 ötulir læknanemar embættisstörfum á einn eða annan hátt. Þessir læknanemar eiga hrós skilið fyrir einkar ó eigin gjarnt starf sem eflir lækna námið og gerir það enn eftirminnilegra. Árið hefur verið sérstaklega viðburðarríkt og mætti segja að félagslífið hafi komið tvíeflt til baka eftir heims faraldur undan far inna ára, það hefur sjaldan verið jafn öflugt.

Ýmis fjölbreytt mál hafa verið á borði stjórnar FL. Fyrirferðar mest var málið um fjölgun lækna nema sem stunda nám við Háskóla Íslands. Fyrir seinasta skólaár bárust tilmæli frá heilbrigðisráðherra og ráðherra háskóla, iðnaðar og ný sköp unar um að skrif stofa lækna deild ar skyldi leita leiða til að fjölga nemum í læknisfræði sem hluti af viðbrögðum stjórnvalda við yfirvofandi læknaskorti, hækkandi aldri þjóðarinnar og auknum fólksfjölda. Þá fór af stað umfangsmikil vinna af hálfu lækna deildar þar sem skipaðar voru nefndir og upp lýsinga aflað frá ýms um hags muna aðilum.

Stjórn FL kom að þeirri vinnu, sat ýmsa fundi með kennslustjóra, vara- og deildar for seta lækna deildar, kennslu ráði og aðilum frá Land spítala. Mark miðið var að koma athugasemdum læknanema um aðstöðu til náms, núverandi námsfyrirkomulag, gæði verknáms og verndun náms tækifæra á framfæri. Auk þess sendi stjórn FL grein í Læknablaðið til að vekja athygli á mál efninu og hvetja stjórnvöld til að hlúa að starfsumhverfi lækna sem er líklega mikilvægasti liðurinn svo hægt sé að fjölga læknanemum. Ljóst er að þetta mál verður enn fyrir ferðarmeira á komandi árum en haustið 2024 stendur strax til að fjölga læknanemumum 15, úr 60 í 75.

Verndun námstækifæra í klínísku verknámi hefur áfram verið stór liður í vinnu stjórnar undanfarið ár. Fréttir bárust af of mörgum læknanemum á hverri einingu á Landspítala sem hafði áhrif á gæði náms ins. FL hefur unnið náið með stjórn læknadeildar að lausnum til að tryggja gæðin, t.a.m. með tilkomu róterandi þemaviku á fjórða ári, upplestrarviku í námskeiði í skurðlæknisfræði og þemadögum fyrir verklega prófið í lyflæknisfræði.

Skipulögð seminör og fræðslufyrirlestrar fyrir félagsfólk FL voru endur vaktir þetta starfs árið. Á haust misseri var haldið CV seminar þar sem fengnir voru góðir gestir sem fjölluðu um ýmis praktísk atriði er vörðuðu launa mál, úrlestur launa seðla, gerð feril skrár o.fl. Mikil ánægja var með seminarið og mörg óskuðu eftir að gera viðburðinn árlegan. Á vormisseri var haldinn fræðslufyrirlestur um sérnám í Bandaríkjunum. Viðburðurinn var vel sóttur og góðar umræður sköpuðust.

Eftir að lögum um lækningaleyfi var breytt vorið 2021 féll út það sem áður kallaðist kandí datsár og í staðinn útskrifuðust læknanemar með lækningaleyfi frá læknadeild HÍ eftir sex ára nám. Tilgangur breytingarinnar var að tryggja að ný út skrif aðir læknar fengju fyrsta ár sitt í starfi metið og þyrftu þannig ekki að endur taka það í sér námi t.a.m. á Norður lönd unum. Sam hliða þessu fengu hinir nýju sérnámsgrunnslæknar launahækkun. Læknanemar sem störfuðu á Landspítala eftir fjórða árið fengu þó enn greidd laun eftir gamla kandí data launa flokk num, launa flokkur sem hafði fallið úr gildi eftir lagabreytinguna. Í sumar varð loks breyting á þessu, eftir mikla pressu frá stjórn FL, og voru læknanemar ráðnir í sumarstörf í réttum launaflokki sem er gríðarlegur sigur fyrir læknanema. Læknafélag Íslands (LÍ) sam þykkti loks auka aðild lækna nema að félag inu, svo lækna nemar sem lokið hafa fjórða ári geta nú skráð sig í félagið. Málið á sér langa forsögu og hefur verið til umræðu hjá stjórn FL í nokkrum at renn um. Lækna nem ar sem lokið hafa fjórða ári hafa í áraraðir starfað í eiginlegum afleysingarstöðum eftir kjarasam ningi LÍ en hafa þar til nú ekki átt aðild að fé laginu sem stéttarfélagi. Önnur stéttarfélög hafa ekki haft sérstaka kjara sam ninga fyrir lækna nema í klín ísku starfi. Læknanemar höfðu því í raun staðið algjörlega utan stéttarfélaga

og þannig ekki átt sér málsvara í mögulegum ágreiningsmálum við vinnuveitendur. Árið 2018 leitaði stjórn FL eftir upplýsingum frá nemendafélögum ýmissa heilbrigðisstétta á Norðurlöndunum og niðurstöðurnar sýndu að flest félögin áttu einhvers konar aðild að stéttarfélagi hlutaðeigandi fag stéttar. Í kjöl farið fór af stað mikil vinna af hálfu FL sem hefur spannað nokkur ár. Stjórn FL hefur sent inn laga breyt ingar til lögur á Aðal fundi LÍ með að stoð Félags almennra lækna (FAL), nefndir hafa verið skipaðar, fjöldi greina hefur verið birtur og eftirminnilegt viðtal á Bylgjunni af staðið. Laga breyt inga til lögur nar er varða auka aðild læknanema í LÍ hafa nú að fullu verið samþykktar og síðastlið ið ár hefur stjórn FL unnið með stjórn LÍ að út færslu skráninga í félagið. Stjórn FL vill þakka stjórn FAL kærlega fyrir einstaka velvild og frábæra samvinnu að þessu hagsmunamáli undanfarin ár.

Síðast lið ið haust miss eri fengu lækna nemar á öðru ári til fall andi hin segin fræðslu frá Sam tök un um ‘78 sem var hluti af Ástráðsvikunni. Í kjölfarið sköpuðust umræður meðal stjórnar FL varð andi skort á skipu lagðri hin seginfræðslu í nám inu af hálfu lækna deildar. Í sam starfi við Kennslu- og fræðslu mála nefnd lækna nema og ný stofn að félags hinsegin læknanema, Ástblæ, var haft samband við

Sam tökin ‘78 ásamt um sjónar kennara nám skeiðs í samskipta fræði, og málið kynnt á deildar ráðsfundi. Nú hefur skipulagðri fræðslu á hinseginmálefnum, sér í lagi í tengslum við heilbrigðiskerfið, verið komið á laggirnar sem hluti af kúrs í sam skipta fræði. Stjórn FL telur þetta mikil vægt skref og góða viðbót í læknanáminu.

Stjórn FL hefur unnið að mörgum fleiri málum síðastliðið ár, t.a.m. að upp færslu á heima síðunni okkar, að tilkomu rafrænna nemendaskírteina, setið deildar- og deildarráðs fundi, haldið kaffi boð til heiðurs Hafdísi í Hámu sem vann sinn síðasta dag eftir margra ára farsælt starf. Einnig hefur stjórnin skipulagt 90 ára afmælispartý FL og árshátíð Félags læknanema, hvort tveggja í samvinnu við fulltrúaráð. Árið hefur verið einstaklega skemmtilegt og fjölbreytt og undirritaður er tvímælalaust reynslunni ríkari.

Það hefur verið hinn mesti heiður að fá að gegna embætti formanns þessa næstum aldargamla félags. Ég vil sérstaklega þakka elskulegum vinum sem sátu með mér í stjórn FL: Takk Hjördís Ásta, Stefán Már, Ingi, Kristján, Hjalti Dagur og Kolbrún Sara - ómetanlegur hópur! Sömu leiðis vil ég þakka Þórarni Guðjónssyni deildar for seta læknadeildar, Sædísi Sævarsdóttur varadeildarforseta og Þórdísi Jónu Hrafnkelsdóttur kennslustjóra fyrir farsælt samstarf. Að lokum vil ég þakka öllum þeim læknanemum sem eru félagar í FL, þið eruð ástæða þess að félagið er eins öflugt og það er. Höldum ótrauð áfram.

Sjáumst á gólfinu! Takk fyrir mig.

Daníel Pálsson

ALÞJÓÐANEFND

Starfsárið 2022-2023 hefur verið viðburðaríkt og skemmtilegt hjá okkur í Alþjóðanefnd. Eftir að hafa tekið við skiptinemum aftur á ný sumarið 2022 eftir heimsfaraldur vorum við ákveðin í að efla skiptinámið okkar enn frekar og bæta úr því sem betur hefði mátt fara. Starfsárið hófst á aðalfundi Alþjóðanefndar, sem haldinn var í september í samkomusal Stúdentagarða þar sem við tók ný stjórn og formennska mín hófst formlega.

Á starfsárinu sóttu meðlimir Alþjóðanefndar ráðstefnur á borð við FINO (Federation of International Nordic medical students Organization) og MM (March Meeting). FINO var haldið í nóvember 2022 í Tampere, Finnlandi þar sem hópur 12 íslenskra læknanema tóku þátt, og var ég svo heppin að vera ein af þeim ásamt tveimur öðrum nefndar meðlimum, Jennýju Jónsdóttur og Þórunni Perlu Jóhannsdóttur. Í mars 2023 fóru svo fimm íslenskir læknanemar til Tallinn í Eistlandi á mars-fund IFMSA (International Federations of Medical Students’ Associations). Í þeim hópi voru þrír meðlimir Al þjóða nefndar; þær Jenný, Þórunn, og Snædís Óskarsdóttir.

Þann 4. apríl héldum við fjár öflunar bingó Al þjóðanefndar á Stúdentakjallaranum. Viðburðurinn er ein helsta tekjulind nefndarinnar og þökk sé styrkja á formi vinninga frá hinum ýmsu fyrirtækjum og góðri mætingu læknanema tókst okkur að safna nógu hárri upp hæð til að halda uppi starfsemi nefndarinnar. Ekki má gleyma kynnum kvöldsins sem héldu uppi góðri stemningu, en það voru þeir Benedikt Burkni Þorvaldsson og Valdimar Sveinsson.

Helsta verkefni þessa starfsárs fólst í því að efla skiptinámið enn frekar eftir að faraldurinn dró úr því. Það gerðum við bæði með því að bæta það skipti nám sem við bjóðum upp á hér á Landspítalanum og að vekja áhuga og athygli á því skiptinámi sem er í boði fyrir íslenska læknanema. Í sumar munum við taka á móti 11 skipti nem um frá hinum ýmsu löndum og hefur nefndin unnið hörðum höndum að undirbúningi þess, allt frá þrifum á húsnæði til skipulagningar á skemmtidagskrá. Einnig fara íslenskir læknanemar í skiptinám erlendis á okkar vegum, en á þessu starfsári eru þeir fimm talsins og áfangastaðirnir eru Pólland, Portúgal, Slóvenía og Svíþjóð.

Mig langar sérstaklega að þakka nefndar meðlimum fyrir vel unnin störf og farsælt samstarf, og ég hlakka til að sjá áframhaldandi uppbyggingu skiptinámsins á komandi starfsári.

Það má sannarlega segja að starfsárið 2022–2023 hafi verið fjölbreytt og viðburðaríkt hjá Lýðheilsufélagi læknanema. Helst stendur upp úr einn frægasti viðburður læknadeildar HÍ, Bangsa spítalinn. Við burðurinn hefur verið haldinn árlega á höfuðborgarsvæðinu í rúm tíu ár. Í vetur færði Bangsa spítalinn sig út fyrir kunnug legar slóðir, en ásamt því að vera haldinn á þremur heilsugæslum á höfuðborgar svæðinu þá var Bangsa spítalinn einnig haldinn á Akureyri og Ísafirði í fyrsta sinn! Bangsaspítalinn var vel aug lýstur og skilaði það sér vel. Yfir þúsund börn mættu með veika og slasaða bangsa á Bangsaspítalann víðsvegar um landið en við erum einstaklega stolt af bangsalæknunum okkar þar sem allir bangsar nir læknuðust af veik indum sínum við komu á spítalann! Íþróttaálfurinn og Solla stirða mættu á Bangsaspítalann á heilsugæslunum á höfuðborgarsvæðinu við frábærar undirtektir frá gestum spítalans. Mig langar sérstaklega að þakka Björk Sigurðardóttur, læknanema í Dan mörku, fyrir skipu lagningu og utan umhald á Bangsaspítalanum á Ísafirði.

Lýðheilsufélagið sat ekki á rassinum í vetur, en við fórum á Helgafell í Hafnarfirði í september, héldum tvisvar OLY lyftingar tíma á Grandi 101 sem heldur betur slógu í gegn en Alexandra Ásgeirsdóttir stjórnaði æfingunum með Eygló Fanndal, Kristínu Dóru og Melkorku auk þess bauð félagið læknanemum frítt í sund. Hlaupahópur læknadeildar var stofnaður í mars og hefur Katla Rut Roberts dóttir Kuvers stjórnað honum með glæsibrag. Hópurinn hittist einu sinni í viku á sunnudögum og hleypur fjölbreyttar leiðir um höfuðborgina.

Héðinn Unnsteinsson höfundur bókarinnar Vertu úlfur og formaður Geðhjálpar kom á málstofu í október og ræddi við okkur um geðheilsu.

Við fengum Láru Sigurðardóttur lækni og lýð heilsufræðing á málstofu í apríl og ræddum um nikótín, áhrif þess á heilsu barna og ungmenna og lýðheilsuaðgerðir.

Stjórnarmeðlimir félagsins höfðu nóg um að snúast. Guðbjörg Eva sat fyrir hönd félagsins í vinnuhóp forsætisráðherra um stöðu Íslands gagn vart heims markmiðum Sameinuðu þjóðanna. Kristín Brynja Þorvaldsdóttir fór fyrir hönd félagsins á March Meeting og Melkorka Sverrisdóttir á FINO. Fulltrúi Lýðheilsufélagsins í Blóðgjafarfélagi Íslands hefur síðastliðin ár verið Guðrún Ingibjörg Þorgeirsdóttir en í ár tók undirrituð við þeim störfum.

Að lokum vil ég þakka Önnu, Ágústi, Guðbjörgu, Írisi, Karítas, Kristínu og Melkorku stjórnarmeðlimum Lýðheilsufélags læknanema 2022-2023 kærlega fyrir frábært starfsár.

Telma Sigþrúður Guðbjarnadóttir Forseti Lýðheilsufélags læknanema

ÁSTRÁÐUR

Sumarið 2022 voru markmið nýrrar stjórnar sett fyrir 23. starfsár Ástráðs og undirbúningur fyrir fræðslu annars árs nema hófst. Ástráðsvikan var haldin í upphafi haustannar í samstarfi við Læknadeild Háskóla Íslands. Þar fengu verðandi fræðarar fræðslu frá ýmsum fagaðilum um fjölbreytt málefni er varða kynheilbrigði. Í lok vikunnar var svo haldið út á land í Ástráðsferðina umtöluðu.

Fræðsla um kynlíf, kynheilbrigði og samskipti fyrir alla fyrsta árs nema í framhaldsskólum er aðalverkefni Ástráðs. Fræðslan hófst í byrjun september og annars árs læknanemar héldu um 150 fyrir lestra víðsvegar um landið þetta starfs ár. Þriðja árs lækna nemar héldu auk þess 38 fyrirlestra í grunnskólum, félagsmiðstöðvum og vinnuskólanum. Eitt af mark miðum starfs ársins var að koma fjölda fyrirlestra þriðja árs læknanema aftur í fyrra horf eftir COVID og tókst það vel, en til samanburðar voru 14 slíkir fyrirlestrar á síðasta starfsári og fimm þar á undan. Kynhvöt, fræðsluog skemmtikvöld, var haldið á Mýrargörðum og fengum við kyn fræð ing inn Indíönu Rós til þess að vera með fræðslu. Loka hóf var haldið í samstarfi við Bjargráð, félag læknanema um skyndi hjálp, en það heppnaðist gríðar lega vel. Verk efnið Túr vaktin hélt áfram þetta árið í sam starfi við Heilbrigðisvísindasvið Háskóla Íslands, en markmið hennar er að auka aðgengi háskólanema að tíðarvörum. Smokkaher ferð Ást ráðs var birt á öllum helstu sam félags miðlum og hafa myndböndin fengið um 500.000 áhorf. Markmiðið var að gera smokkinn sýnilegri, aðgengilegri og stuðla að aukinni notkun hans. Jafnframt var fyrirlestur Ástráðs uppfærður og frekari samskiptafræðsla innleidd. Stjórn Ástráðs hefur undanfarin þrjú ár haft umsjón með samnefndu námskeiði, Ástráður LÆK416G, á Uglunni. Að upp fylltum til teknum kröfum hefur þátt taka í fræðslustarfinu verið metin til hækkunar ein kunnar í sam skiptafræði. Þetta fyrirkomulag hefur reynst vel og stórbætt þátttöku lækna nema í starfinu. Mikil vægt er að læknanemar geti rætt um þessi málefni hispur slaust og gefið ráð af þekk ingu og öryggi. Við í stjórn Ástráðs hlökkum til komandi starfs árs og þökkum öllum sem komu að starfsemi félagsins í ár en án ykkar væri félagið ekki eins öflugt og raun ber vitni!

Elísabet Mjöll Guðjónsdóttir Formaður Ástráðs 2022-2023

Nýliðið skólaár hefur líkt og fyrri ár verið viðburðaríkt hjá Kennslu- og fræðslumálanefnd (KF). Heimsfaraldur kórónuveirunnar frægu hefur litað starfsemi nefndarinnar síðustu ár en með hverf andi áhrif um faraldur sins gafst tæki færi til að endur vekja stór slysa æfing una sem hefð var fyrir að haldin væri annað hvert ár. Fyrsta stór slysa æfingin síðan árið 2019 var haldin á vor dögum í samstarfi við Bjargráð, Slökkvilið höfuðborgarsvæðisins og björgunarsveitina Ársæl. Hjalti Már Björnsson bráða læknir og deildar læknar á hans snærum komu einnig að kennslu og undir búningi æfingarinnar. Rútuslys var sviðsett við slökkvistöðina í Mosfellsbæ og voru rúmlega 50 nemar sem tóku þátt. Æfingin hepp naðist með ein dæmum vel og var mikil gleði með að stórslysaæfingin væri aftur komin á laggirnar.

Að vanda sátu meðlimir KF mánaðar lega fundi kennsluráðs læknadeildar sem og deildarráðs- og deildarfundi. Ýmis stór málefni voru í deiglunni á nýliðnu ári og áttum við m.a. sæti í vinnuhópum sem unnu að undirbúningi mögulegrar fjölgunar læknanema.

KF leggur ríka áherslu á jafn ingjafræðslu og sam spil milli árganga og er mentorverkefnið þar hvað stærst. Nemar á fimmta náms ári, hoknir af reynslu, gerast þá ment orar fyrir ný nema í litlum hópum og reyna eftir fremsta megni að auðvelda þeim fyrstu skrefin í læknisfræðinni. Líkamsskoðunar kennslan er einnig ár legur við burður þar sem fjórða árs nemar undir búa nema á öðru ári fyrir verk legt skoðunarpróf og hefur sú kennsla ávallt reynst vel. Einnig stendur KF fyrir stuttum kúrsakynningum sem hafa síðustu ár færst yfir á rafrænt form.

Náms árið var þó ekki án áskoranna og því miður féll niður árleg hjartahlustunarvísindaferð en stefnan er að hún verði haldin með pomp og prakt á næsta ári líkt og holsjárkeppnin sem legið hefur í dvala síðustu ár. Það er því ljóst að margt er fyrir stafni hjá KF á komandi skólaári.

Það var sönn ánægja að leiða frábæran hóp samnemenda í stjórn KF og þakka ég fyrir gott samstarf. Að lokum vil ég fyrir hönd nefnd arinnar þakka kærlega fyrir liðið skólaár með tilhlökkun til komandi árs.

Freyþór Össurarson, formaður 2022–2023

BJARGRÁÐUR

Starfsemi Bjargráðs hófst af krafti í ár með hinni skemmtilegu Bjargráðsviku eins og hefðin segir til um. Þá sátu 1. árs læknanemar meðal annars námskeið frá Rauða krossi Íslands og fengu fyrirlestra um fyrstu hjálp og stórslys frá Hjalta Má Björnssyni bráða lækni og Guðrúnu Ingibjörgu Þorgeirsdóttur sér náms lækni í bráða lækningum. Jóhann Eyvindsson lög reglu maður ræddi einnig við hópinn og lækna nemar æfðu sig í að halda Bjarg ráðs fyrir lesturinn fyrir veturinn með að stoð eldri nema. Vikan endaði síðan að sjálf sögðu á árlegri heimsókn í höfuð stöðvar Neyðarlínunnar í Skógarhlíð.

Í ár voru haldnir tæplega 90 fyrirlestrar í menntaskólum á höfuðborgarsvæðinu sem og víðar á landsbyggðinni. Þrátt fyrir annasamt starf gekk vel að manna fyrirlestra en því til hjálpar var samið við Læknadeild um upphækkun í samskiptafræði á 1. ári fyrir þá nema sem fluttu 6 fyrirlestra eða fleiri.

Um haustið stóð félagið fyrir vísindaferð í Landhelgisgæsluna þar sem nemar fengu innsýn í starfsemi þyrlulækna og skoðunar ferð um flug skýlið. Gleðin endaði sem áður í Læknagarði þar sem boðið var upp á pizzu og veigar og nýnemar skemmtu sér fram eftir kvöldi.

Nefndarmenn segja stoltir frá því að í ár tókst að endurvekja hina frábæru stórslysaæfingu í samstarfi við Kennsluog fræðslumálanefnd. Hún var síðast haldin fyrir COVID-19 faraldur og aðeins fáeinir lækna nemar eftir í ráðum sem tekið höfðu þátt í framkvæmd síðustu æfingar. Skipu lagsmál reyndust því torveldari en ella en sannarlega þess virði. Slökkviliðið í Mosfellsbæ og Björgunarsveitin Ársæll lögðu hópnum lið og æfingin heppnaðist vonum framar. Keyrð voru tvö rennsli og sýndu nemar miklar framfarir í seinna skiptið þar sem þeir unnu saman eins og smurð vél. Þess má einnig geta að í ár hóf félagið sölu á peysum merkt um Lækna deild sem liður í fjár öflun. Efnt var til hönnunarkeppni og var vinnings merkið, hannað af Þuríði Halldórsdóttur læknanema, prentað á yfir 50 peysur. Þá var haldið sameiginlegt lokahóf með Ástráði en það far sæla sam starf er vonandi komið til að vera og í sumar tóku áhuga samir Bjargráðsliðar að sér kennslu á vegum Háskóla unga fólksins.

Fyrir hönd Bjargráðs, félags læknanema um skyndihjálp, þakka ég ötulum læknanemum kærlega fyrir ómetanleg störf sín á árinu. Áfram skyndihjálp!

Guðrún Ólafsdóttir

Formaður Bjargráðs 2022-2023

Fyrsti viðburður starfsársins 2022–2023 var útilega FL. Hún var haldin í blíðunni á Þórisstöðum og tókst vel. Næst héldu ný nemar af stað í hina víð frægu ný nema ferð sem haldin var í Lyngbrekku. Þar héldu þau uppi stuðinu fram eftir öllu og stimpluðu sig ræki lega inn í félagslíf deildarinnar. Fyrsta árið var síðan formlega boðið velkomið á Spíritus vígslunni sem haldin var í fyrsta sinn síðan fyrir veiruna skæðu. Vísindaferðirnar voru samkvæmt venju flesta föstudaga og voru mjög vel sóttar!

Heilóvín var endurvakið og héldu preklínísku árin uppi heiðri læknanema þar. Helgina eftir mátti svo heyra saumnál detta á lesstofunni í LG þegar Árshátíð Lite var haldin í Kaplakrika. Þá fékk Anki að víkja fyrir Inspector Spacetime og DJ Bjarna K. Í febrúar héldu lækna-, hjúkrunar-, matvæla- og næringarfræðinemar af stað í menningarferð til Akureyrar með mikilvægu stoppi í Kalda á leiðinni. Samkvæmt venju var lítið skíðað en vegna veðurs var fjallinu lokað eftir fyrstu ferð lækn anema niður hlíðina. Allir fóru þó sáttir heim eftir helgina þar sem partýið á Sjallanum reyndist fínasta sárabót.

Í tilefni af stórafmæli FL (90 ára baby!) var einstaklega vegleg árshátíð haldin á Hlíðarenda með sitjandi borðhaldi, BIRNI og DJ Dóru Júlíu. Áhuginn leyndi sér ekki og seldust hvorki meira né minna en 375 miðar! Árs hátíðar myndböndin voru hvert öðru glæsilegri og fór svo að kempurnar á sjötta ári unnu hug og hjörtu dómnefndar.

Árlega fótboltamótið var haldið í Hafnar firði að þessu sinni en þar fór lið af fyrsta ári með sigur af hólmi. Læknaleikarnir voru einnig á sínum stað en þeir voru haldnir á heima barnum okkar, Kex Hostel. Þar bar lið af þriðja ári sigur úr býtum. Síðasti viðburður starfsársins var svo próflokapartýið en þá lá leiðin út á Seltjarnarnes þar sem læknanemar skemmtu sér eftir langan vetur.

Ég vil þakka öllum nefndar meðlimum fyrir ein staklega gott samstarf, mikinn dugnað og góðar stundir á árinu. Nefndina skipuðu: Brynja Sævars dóttir og Hlynur Breki Harðar son (fyrsta ári), Benedikt Burkni Hjarðar og Silja Dögg Helga dóttir (öðru ári), Sigurður Sölvi Sigurðar son (þriðja ári), Hafþór Sigurðarson og Herdís Eva Hermannsdóttir (fjórða ári), Aðalsteinn Dalmann Gylfason og Fannar Bollason (fimmta ári), Aðalbjörg Ýr Sigurbergsdóttir og Jón Gunnar Kristjónsson (sjötta ári). Einnig vil ég þakka stjórn FL fyrir mjög ánægjulegt samstarf.

Fulltrúaráð - styrkur, hugvit, hógværð Anna Sigríður Jóhannsdóttir

RITRÝNT EFNI

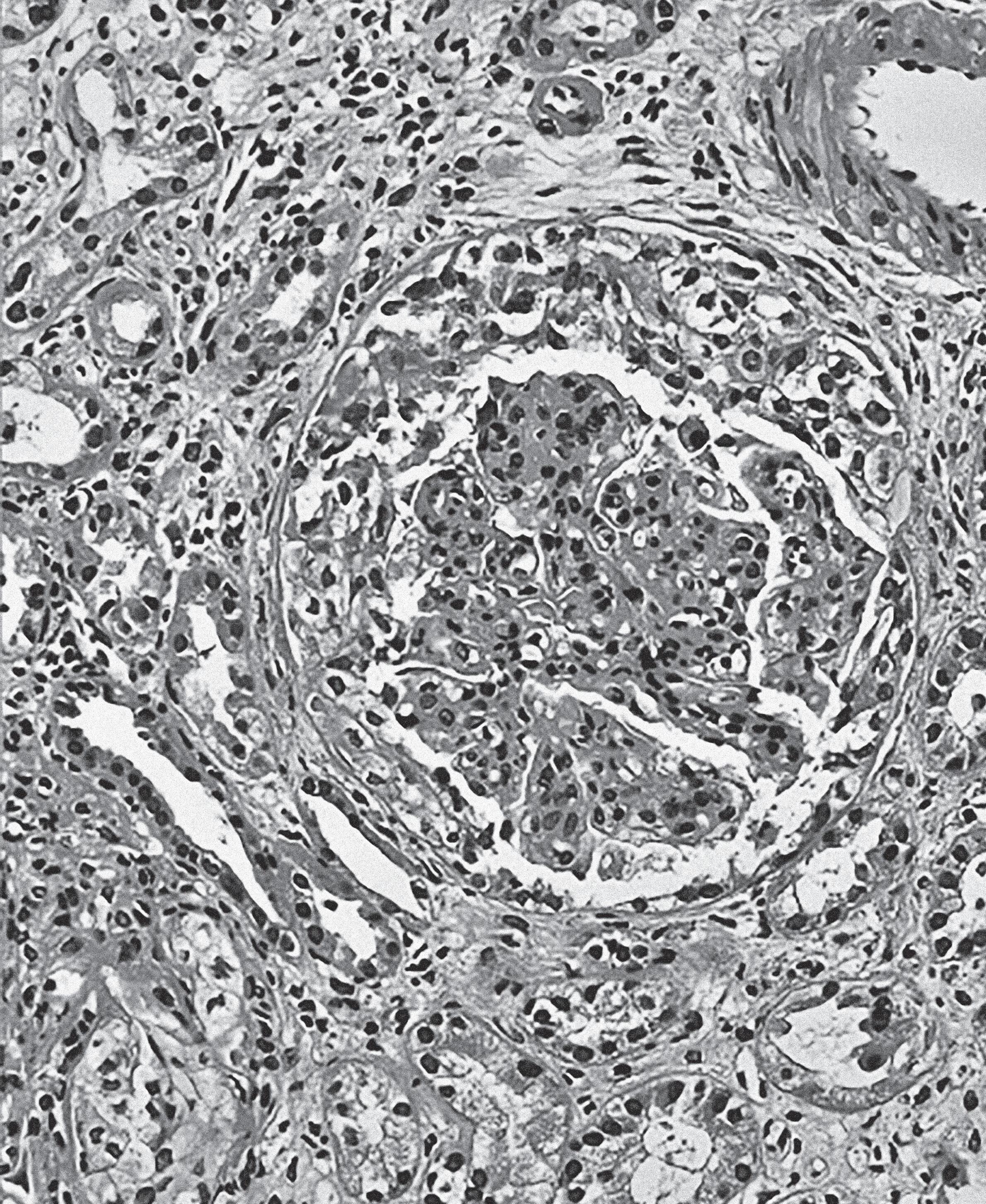
Mynd 1 Gaukull með virkri bólgu og frumuríkum, marglaga hálfmána.

HRAÐÁGENG GAUKLABÓLGA

Hraðágeng gauklabólga ( rapidly progressive glomeru lone phri tis, RPGN ); hér á eftir skrifað sem HÁGB, er nýrnabólguheilkenni sem getur komið fyrir í ýmsum sjúkdómum og verið takmörkuð við nýrun eða hluti af fjölkerfasjúkdómi. HÁGB einkennist af hratt versnandi nýrnastarfsemi og bólgumynd í þvagi, þ.e. blóðmigu, afmynduðum rauðkornum, rauðkorna afsteypum og próteinmigu.1 Skemmdum er miðlað af ónæmissvörun sem veldur út fell ingu mót efna flétta, ó við eig andi árás á eigin vefi gaukla eða blöndu af báðum þessum þáttum. Á nýrnasýni, sem er gullstaðall greiningar, sést dreifð hálfmánamyndun í gauklum. Hálfmánar eru skilgreindir sem tvö eða fleiri frumulög í Bowman’s hylki og samanstanda frumu lögin af gleypi frum um ( macro phage ) og æða þels frumum. Með tíma kemur fram fíbrín drep og örmyndun verður í útsettum gauklum sem verða óstarfhæfir. Stærð hálfmána, samsetning frumna, hve langvinnar breytingarnar eru og hversu mikil örmyndun hefur komið fram eru forspárþættir um alvarleika sjúkdómsástands og horfur. Án meðferðar eru horfur mjög lakar og há áhætta er á lokastigsnýrnabilun eða jafnvel dauða á skömmum tíma. 2 Einkenni HÁGB eru vana lega hægkomin en geta verið mjög skjót, t.d. í and-GBM sjúkdómi. Til einkenna teljast m.a. slappleiki, þreyta, hiti, ógleði, upp köst, lystar leysi, lið verkir og kvið verkir. Um helmingur sjúklinga hafa bjúg og sögu um flensulík veikindi innan við 4 vikum áður en nýrnabilun kemur fram. Oft fylgir svæsin þvagþurrð og nýrungaheilkenni (nephrotic syndrome) er til staðar í 10–30% tilfella.3

HÁGB er gjarnan skipt í þrjá flokka út frá undirliggjandi orsökum, þ.e. and-gauklagrunnhimnu sjúkdóm ( anti ­ glo mer ular base ment mem bra ne di sea se, antiGBM disease), mótefnafléttu miðlaða (immune­complex) gauklabólgu og ónæmisfáa (pauci­immune) gauklabólgu (tafla 1). Orsakir innan hvers flokks eru mismargar. AndGBM sjúkdómi er miðlað af mótefnum gegn grunnhimnu gaukla, ónæmisfáar gauklabólgur eru í flestum tilvikum vegna and-daufkyrninga umfrymismótefnis (anti­neutrophil cyto plas mic anti body, ANCA ) tengdra æða bólgu og mótefnafléttu miðluð gauklabólga getur haft ýmsar orsakir, t.d. sýkingar og sjálfsofnæmissjúkdóma.3

Magnús Þór Sigurðarson 4. árs læknanemi 2022—2023

Ásta Dögg Jónasdóttir

Sérfræðilæknir í lyflækningum og nýrnasjúkdómum

Ólafur Skúli Indriðason

Sérfræðilæknir í lyflækningum og nýrnasjúkdómum

ÓNÆMISFÁ HÁGB

Ónæmisfáar æðabólgur eru algeng orsök HÁGB og eru orsakir ónæmisfárra HÁGB oftast ANCA jákvæðar æðabólgur. Þær eru hnúða bólga með fjölæða bólgu (granulomatosis with polyangiitis, GPA), örsæ fjölæðabólga (microscopic polyangiitis, MPA) og smáæðabólga með rauð kyrn inga fjöld ( eo sin o philic granu lom atos is with polyangiitis, EGPA). Um það bil 82–94% sjúklinga sem grein ast með GPA eða MPA eru ANCA já kvæðir. GPA hefur sterkustu tengslin við PR3-ANCA eða í 65–75% tilfella. MPA hefur sterkustu tengslin við MPO-ANCA eða í 55–65% tilfella. Um 10% tilfella GPA og MPA eru ANCA nei kvæð. 4 Í ó næmis fáum HÁGB eru ekki grein an legar mótefnafléttu- né magnaþáttaútfellingar í gauklum eða mjög lítið af þeim, enda er orðið pauci komið úr latínu og merkir fáar eða litlar. Hjá um fjórðungi tilfella er sjúkdómurinn takmarkaður við nýrun en meirihluti sjúklinga eru með útbreiddan sjúkdóm. Útbreidd ANCA tengd æðabólga getur komið fram sem m.a. liðverkir, vöðvaverkir, kviðverkir, purpura, taugakvillar, skútabólgur og bólgubreytingar í efri og neðri öndunarvegi.5

Með ferð byggist á að bæla ó næmis kerfið og hindra frekari skemmdir á nýrum og öðrum líf færakerfum. Við ó næmis fáa HÁGB er mark miðið að knýja fram sjúkdómshlé og síðan koma í veg fyrir sjúkdómsendur komu. Upp hafs með ferð er rituxi mab eða cý klófosfa míð ásamt há skammta ster um. Mark miði er náð þegar sjúklingar komast í klínískt sjúkdómshlé og tekur þá við viðhaldsmeðferð þar sem reynt er að halda sjúklingi í sjúk dóms hléi. Til þess er notast við lyf á borð við rituximab, prednisolone og azathioprine. 5 Nýrra lyf, avacopan, C5a viðtaka hemill, reyndist sambærilegt eða betra en predni solone og er komið í notkun er lendis. 6 Lyfið er væntanlegt hingað til lands.

AND-GBM SJÚKDÓMUR

And-GBM sjúk dómur er sjálfs ofnæmis sjúkdómur sem er miðl að af mótefnum, oftast af IgG gerð. Mót efnin beinast gegn kollageni af gerð 4 í grunnhimnu gaukla, nánar tiltekið gegn α3(IV)NC1 ónæmisvakasetinu. Þessa gerð af kollageni og ónæmisvakaseti er einnig að finna

Skipting HÁGB eftir

gerð.3

And-GBM ≤ 10%

Mótefnafléttu miðluð ≤ 40%

Ónæmisfáar ≤ 50%

Tví-mótefna jákvæð (and-GBM & ANCA)

And-GBM gauklabólga Goodpasture heilkenni (með lungnablæðingum)

Sýkingatengdar orsakir:

Kollagen- og æðatengdir sjúkdómar:

Andstreptókokka mótefni Bakteríuhjartaþelsbólga

Lifrarbólga B Blóðsýking

Nýrnabólga í rauðum úlfum IgA æðabólga

Blandað kuldaglóbúlíndreyri

Frumkomnir gauklasjúkdómar: IgA nýrnamein Himnu- og fjölgunargauklabólga

ANCA jákvæðar

Hnúðabólga með fjölæðabólgu

Smásæ fjölæðabólga

Smáæðabólga með rauðkyrningafjöld

ANCA neikvæðar Frumkomin gauklabólga

Sjaldgæft Sömu og hjá and-GBM og ónæmisfáum

í grunnhimnu lungnablaðra. Lungnablæðingar geta því komið fram samhliða nýrna skemmdum og þá er talað um Good pasture heil kenni. Grein ing byggist á því að and-GBM mótefni séu til staðar í blóði og/eða að línulegar IgG útfellingar sjáist í gauklum í ónæmisflúrljómun. Öll frumufjölgun á sér stað í Bowman bilinu og óútsettir gauklar eru eðlilegir að sjá.2

Meðferð við and-GBM sjúkdómi eru háskammta sterar, cýklófosfamíð og blóðvökvaskipti. Gildi kreatíníns í blóði og hlutfall útsettra gaukla í sýni eru bestu forspárþættir sjúkdómsgangs. Í þeim tilvikum þar sem þörf er á skilunarmeðferð innan við 72 klukku stundum frá greiningu er nýrnabati ólíklegur.7 Meðferð með daglegum blóðvökvaskiptum getur staðið vikum saman en fasa 2 rannsóknir á mjög hraðvirku IgG kljúfandi ensími, imlifidase, sem unnið úr bak teríunni Streptococcus pyogenes hafa lofað góðu. Með því nær blóðgildi and-GBM lágmarki mun fyrr en við blóðvökvaskipti.8

MÓTEFNAFLÉTTU MIÐLUÐ HÁGB

Mótefna fléttur geta myndast og fallið út í gauklum í teng sl um við ýmissa smit sjúk dóma, band vefs-, og gauklakvilla. Í flúrljómandi smásjárskoðun sjást kornóttar ó næmis út fell ing ar í gauklum. Al geng ustu sjúkdómar sem liggja að baki eru IgA nýrnamein (IgAN) og IgA æðabólga (áður Henoch-Schönlein purpura, HSP).

Margir telja þetta vera breytilega birtingarmynd á sama sjúkdómi. 9 IgAN er einn algengasti gauklasjúkdómur í hinum vestræna heimi, en HÁGB af völdum IgAN er tiltölulega sjaldgæf.

Árangur með ferðar við IgAN HÁGB hefur ekki verið kannaður með slembiröðuðum rannsóknum. Samanburðarrannsóknir benda til mögulegs ágóða af sambærilegri meðferð og við frumkomni gauklabólgu, þ.e. há skammta stera meðferð, cýkló fosfa míði, og/eða blóð vökva skiptum. Horfur IgAN HÁGB eru almennt slæmar og sýndi ein fjölsetra ferilrannsókn fram á lokastigsnýrnabilun hjá 70% sjúklinga á fyrstu 5 árum eftir greiningu.10

Rauðir úlfar (systemic lupus erythamatosus, SLE) hafa oft í för með sér mótefnamiðlaða gauklabólgu og er svæsin gauklabólga ein alvarlegasta birtingarmynd

SLE. Nýrnabólga vegna rauðra úlfa (lupus nephritis, LN) greinist oftast í kjölfar þvagskoðunar, vegna próteinmigu og/eða blóðmigu, þá með eða án hækkunar á kreatíníni í sermi. Með ferð LN HÁGB er skipt í upp hafs- og viðhaldsmeðferð. Upphafsmeðferð gengur út á að minnka bólgu og bæla ónæmiskerfið en viðhaldsmeðferð er til að sporna við endurkomu. Upphafsmeðferð er sterar með mycophenolate mofetil eða cýklófosfamíði. Þegar sjúklingur hefur náð nægilegri svörun er skipt yfir í viðhaldsmeðferð sem er lágskammta sterar með mycophenolate mofetil eða azathioprine.11

FARALDSFRÆÐI HÁGB Á ÍSLANDI OG AFDRIF SJÚKLINGA

Í rannsókn á HÁGB sem tók til áranna 2002–2022 hér á landi greindust sam tals 87 tilfelli, eða að meðaltali 4,35 tilfelli á ári og virtist nýgengi fara vaxandi. Flestir sjúk ling ar voru með ó næmis fáa HÁGB (47%), hlut fall and-GBM sjúkdóms var 21% og mótefnafléttu miðlaðrar HÁGB 29%.

And-GBM sjúkdómur er skæður og veldur hratt óafturkræfum nýrnaskemmdum og voru þeir sjúklingar líklegastir til að þurfa skil unarmeðferð strax í upphafi grein ing ar, eða 89% þeirra. Til saman burðar þurftu 20% sjúklinga með ANCA tengda smáæðabólgu bráðaskilunarmeðferð. Endurspeglast þessi sjúkdómsmynd í kreatínín gildi í sermi við greiningu, þar sem sjúklingar með and-GBM voru með meira en tvö falt hærra miðgildi kreatíníns en þeir með ónæmisfáa HÁGB.

LOKAORÐ

HÁGB er alvarlegt sjúkdómsástand sem getur komið fyrir í fjölda sjúkdóma og eru horfur án meðferðar slæmar, þ.e. getur leitt til lok astigs nýrna bilunar og dauða á skömmum tíma. Loka stigs nýrna bilun fylgja veru lega minnkuð lífsgæði og lífslíkur. Því er HÁGB mikilvæg mismunagreining hjá sjúklingum með bráðan nýrnaskaða. Þvagskoðun er nauðsynlegur hluti af uppvinnslu á bráðum nýrnaskaða og gefur sterkar vísbendingar um undirliggjandi orsakir.

MYNDASKRÁ

Mynd 1: Murshed KA, Taha NM, Akhtar M. Crescentic glomerulonephritis overview. PathologyOutlines.com [Sótt 8. júlí, 2023]. https://www. pathologyoutlines.com/topic/kidneyrpgn.html.

6 Jayne DRW, Merkel PA, Schall TJ, Bekker P. Avacopan for the Treatment of ANCA-Associated Vasculitis. New England Journal of Medicine. 2021;384(7):599–609.

1 KDIGO 2012 Clinical Practice Guideline for the Evaluation and Management of Chronic Kidney Disease. Kidney inter., Suppl. 2013; 3: 1–150.

7 McAdoo SP, Pusey CD. Anti-glomerular basement membrane disease. Clinical Journal of the American Society of Nephrology. 2017;12(7):1162–1172.

2 Jennette JC, Silva FG, Olson JL, D’Agati VD. Heptinstall’s pathology of the kidney. 7 th ed. Philadelphia, PA: Lippincott Williams & Wilkins; 2007. bls. 94–97.

8 Tyrberg L, Andersson F, Uhlin F, Hellmark T, Segelmark M. Using imlifidase to elucidate the characteristics and importance of antiGBM antibodies produced after start of treatment. Nephrol Dial Transplant. 2023;, gfad132.

3 O‘Brien F. Rapidly Progressive Glomerulonephritis (RPGN). The Merck manual of diagnosis and therapy. [Sótt 10. júlí, 2023]. https://www.msdmanuals.com/professional/ genitourinary-disorders/glomerular-disorders/rapidly-progressive- glomerulonephritis-rpgn.

Journal of Clinical Medicine. 2021;10(11):2310.

9 Pillebout, E. (2021). IgA vasculitis and IgA nephropathy: Same disease?

10 Lv J, Yang Y, Zhang H, Chen W, Pan X, Guo Z, et al. Prediction of outcomes in crescentic IgA nephropathy in a multicenter cohort study. J Am Soc Nephrol. 2013;24(12):2118–25.

11 Falk RJ, Dall’Era M, Appel G. Lupus nephritis: Initial and subsequent therapy for focal or diffuse lupus nephritis. UpToDate . [Sótt 10. júlí, 2023]. https://www.uptodate.com/ contents/lupus-nephritis-initial-and-subsequent-therapy-for-focal- or-diffuse-lupus-nephritis

4 Falk RJ, Merkel PA, Talmadge EK. (2023). Granulomatosis with polyangiitis and microscopic polyangiitis: Clinical manifestations and diagnosis. Frá: UpToDate , Post TW (Ed), UpToDate, Waltham, MA. [Sótt 10. júlí, 2023]. https://www.uptodate.com/ contents/granulomatosis-with-polyangiitis-and-microscopic- polyangiitis-clinical-manifestations-and-diagnosis.

5 Geetha D, Jefferson JA. ANCA-Associated Vasculitis: Core Curriculum 2020. American Journal of Kidney Diseases. 2020;75(1):124–137.

TAFLA 2

a Sjá töflu 1

b Þar með talið hækkun á ákveðnum hjartaensímum eins og NT-proBNP

Algeng Mæði

Leguandköf (orthopnea)

Næturandköf

Minnkuð áreynaslugeta

Þreyta

Óalgeng Næturhósti

Önghljóð

Minnkuð matarlyst

Ruglástand

Þunglyndi

Hjartsláttarónot < Yfirlið

Sértæk Hækkaður þrýstingur í v. jugularis

Lifrar- og hóstabakflæði

Þriðja hjartahljóð (S3)

Ósértæk Þyngdaraukning (>2 kg / viku)

Þyngdartap (oft lengra komin hjartabilun)

Kröm (cachexia)

Fótabjúgur

Lungnabrakhljóð

Kviðarholsvökvi

Brjósthimnuvökvi

Lifrarstækkun

TEGUND HJARTABILUNAR HFrEF HFmrEF HFpEF

Skilmerki 1 Einkenni og/eða teikna

Einkenni og/eða teikna

Einkenni og/eða teikna

Útstreymisbrot < 40% Útstreymisbrot 41–49% Útstreymisbrot > 50% 3

Hlutlæg teikn um vefræna eða starfræna truflun sem benda til truflunar á hlébilsstarfsemi hjartansb

TAFLA 3 NYHA SKILGREINING

Flokkur I Engin skerðing á líkamlegri getu. Venjubundin áreynsla veldur ekki mæði, þreytu eða hjartsláttarónotum

Flokkur II Væg skerðing á líkamlegri getu. Einkennalaus í hvíld en venjubundin áreynsla veldur óeðlilegri mæði, þreytu eða hjartsláttarónotum

Flokkur III Mikil skerðing á líkamlegri getu. Einkennalaus í hvíld en lítil áreynsla veldur óeðlilegri mæði, þreytu eða hjartsláttarónotum

Flokkur IV Ófær um líkamlega áreynslu án óþæginda. Einkenni jafnvel í hvíld. Allt álag veldur aukningu á einkennum.

HJARTABILUN

Hjartabilun er margþættur sjúkdómur, eða jafnvel klínískt heilkenni, sem orsakast annaðhvort af vandkvæðum hjartavöðvans til að fyllast eða til þess að pumpa blóði út til vefja líkamans. Þar af leiðandi tapar hjartavöðvinn getu sinni til að sjá vefjum líkamans fyrir nægjanlegu blóðmagni. Þetta leiðir svo til ákveðinna einkenna og teikna sem við tengjum við hjartabilun, svo sem mæði og fótabjúg.

Vandamálið er þá annað hvort vef ræn og/eða starfræn óeðlileg starfsemi hjartans sem leiðir til þrýstingshækkunar í hólfum hjartans og/eða skerts útfalls hjartans við áreynslu og/eða í hvíld.1

Hjartabilun er algengur og alvarlegur sjúkdómur og bæði nýgengi og algengi hjartabilunar hækkar með vaxandi aldri.2

Áætlað er að 20% af Bandaríkjamönnum muni grein ast með hjarta bilun á lífs leiðinni og kost naður vegna hjarta bilunar fyrir heil brigðis kerfið muni tvöfaldast á næstu árum.3–5

Það er því löngu tímabært að skrifa yfirlitsgrein fyrir tímarit Læknanemans um hjartabilun og meðferðina á hjarta bilun, en hún hefur tekið stakka skipt um undanfarin ár og hafa horfur þeirra sem greinast með hjartabilun batnað síðastliðna áratugi.6

Í þessari grein mun ég einungis fjalla um vanstarfsemi vinstri slegils og sleppa al gjörlega að fjalla um hægri hjartabilun, en algengasta ástæða fyrir hægri hjartabilun er svo að endingu vinstri hjartabilun.7

SKILGREININGAR

Til þess að uppfylla greiningarskilmerki fyrir hjartabilun þarf sjúk lingur í fyrsta lagi að vera með ein kenni eða teikn hjartabilunar, sjá nokkur dæmi í töflu 1.

Sú mælieining sem við notum til að skilgreina hjartabilun og til að flokka í undirflokka er svokallað útstreymisbrot (ejection fraction), formúlan til að reikna útstreymisbrot vinstri slegils er eftirfarandi:

ÚB=100* blóðrúmmál í lok díastólu–blóðrúmmál í lok sýstólu blóðrúmmál í lok díastólu

Sem í einföldu máli þýðir þetta bara hlutfall á milli slegils sem er búinn að fylla sig á móti slegli sem hefur tæmt sig.

Útstreymisbrot notum við til að flokka sjúkdóminn og hefur hver flokkur mismunandi lífeðlismeinafræði og mismunandi meðferðarmöguleika.

Þrír megin flokkarnir eru: Hjartabilun með skertu út strey m is broti (HFrEF), Hjarta bilun með varð veittu út streym is broti (HFpEF) og árið 2021 gáfu ev rópsku hjartalæknasamtökin út nýjar klín ískar meðferðarleiðbeiningar sem tók í fyrsta skipti til milli flokks sem er þá Hjarta bilun með lítil lega skertu út streymis broti (HFmrEF).

Svokölluð NYHA (New York Heart Association) flokkun er síðan notuð til þess að flokka sjúklinga eftir hversu mikil einkennabyrði þeirra er, sjá töflu 3. NYHA flokkunin er notuð til að ákvarða hverjir hljóta á vinn ing af lyfja með ferð um og öll með ferð er stíluð inn á sjúklinga í NYHA flokk II – IV. NYHA flokkunin er þó að einhverju leyti umdeild þar sem hún er byggð á huglægum þáttum og spáir illa fyrir um horfur sjúklinga.8

LÍFEÐLISMEINAFRÆÐI

Lífeðlismeinafræðin bakvið hjartabilun er margþætt og flókin og má rekja til mislukkaðrar tilraunar veiks hjartavöðva, eða hjarta vöðva sem hefur orðið fyrir á verka, til aðlögunar. Megin vefræni gallinn í hjartabilun með skertu útstreymisbroti er ósamhverf umbygging (remodel ing ) með með fylg jandi víkkun um á hólfum hjartans, t.a.m. vinstri slegli, og vökvasöfnun af völdum taugahormónalegra orsaka. Megin vefræni gallinn í hjartabilun með varðveittu útstreymisbroti hefur að gera með skerta getu vinstri slegils til slökunar og þar af leiðandi getu slegilsins til að fyllast af blóði, t.d. vegna aukins stífleika í sleglinum.9

VEFRÆNAR BREYTINGAR HJARTAVÖÐVANS

Í HJARTABILUN

Á upphafsstigum hjartabilunar hefur bráður (t.d. kransæðastífla) eða langvinnur (t.d. ómeðhöndlaður háþrýstingur) áverki á hjartavöðvann leitt til vefrænna breytinga

Hjálmar

Kransæðasjúkdómur

Háþrýstingur

Lokusjúkdómar

Hjartsláttaróregla

Hjartavöðvakvilli

Meðfæddir hjartasjúkdómar

Sýkingar

Lyfjaáhrif

Angíótensínógen

Angíótensín I

Renín

Angíótensín II

Nýra

Brátt kransæðaheilkenni, langvinnur kransæðasjúkdómur

Ósæðarlokuþrengsli, lokulekar, meðfæddir lokusjúkdómar

Ofansleglahraðtaktur, sleglahraðtaktur

Ofstækkunarhjartavöðvakvilli

Þensluhjartavöðvakvilli

Herpuhjartavöðvakvilli

Burðarmálshjartavöðvakvilli (Peripartum)

Harmslegill (takotsubo cardiomyopathy)

Eitrunaráhrif, svo sem áfengi og kókaín

Ebsteins frábrigði, Tetralogy of fallot

Veiruhjartavöðvabólga, Chagas-sjúkdómur

Ýmis krabbameinslyf

Breytingar sem verða í hjartabilun

NEPRILYSIN

ÚTFALL HJARTA

BLÓÐÞRÝSTINGUR

VIÐNÁM ÆÐAKERFIS

Aldósterón
Aldósterón NN
HEILASTOFN SYMPATÍSK ÖRVUN

á hjarta vöðva num t.d. með trefjun eða ör myndun á hjartavöðvanum og tilheyrandi sjálfdrepi hjartavöðvafrumna eða stækkunar á hjartavöðvafrumum sem leiða til of stækk unar slegil sins. Þetta ferli er sam eigin legt öllum undir liggjandi þátt um hjarta bilunar og nær til allra hjartafrumna.10

Birtingarmynd þessara breytinga eru þá stækkun á hjarta vöðv anum ( hyper trophy ) og/eða víkkun hólfa (dilatation). Þetta leiðir á endanum til frekari taugahormónalegrar espunar og þar með er orðinn til vítahringur sem erfitt er að rjúfa.

TAUGAHORMÓNALEG ESPUN

Til að yfirvinna áhrif af minnkuðu affalli hjartans grípur líkaminn til ýmissa taugahormónalegra boðefna, annars vegar í gegn um Ren ín-Angíó ten sín-Aldó ster ón-kerfið (RAA-kerfið) og í gegnum β-adrenerga kerfið (Mynd 1).11

Virkjun β -adrenerga kerfisins veldur aukningu á katekólamínum og virkjar þannig kalsíum jónir innan frumu og eykur þannig samdráttarhæfni hjartavöðvans til styttri tíma. Hins vegar valda þessi áhrif kate kólamína á hjartavöðvann til lengri tíma aukinni eftirspurn hjartavöðvans eftir súrefni, auknum líkum á lífshættulegri hjartsláttaróreglu og leiða til stækkunar á hjartavöðvafrumum og aukningu á frumudauða.12

Blóðþrýstingsnemar, staðsettir í háls slagæðarskúta (carotid sinus), ósæðarboga og vinstri slegli, nema þrýstingsbreytingar sem fylgja minnkuðu affalli vinstri slegils og leiða til virkjunar RAA kerfisins og seyt ingu æða virkra pep tíða (þá helst at rial na tri u ret ic pep tide (ANP) og B ­ type natriu retic pep tide (BNP) ). Virkjun RAA-kerfisins leiðir til aukningar á forþjöppun (preload) hjartavöðvans með því að auka vökva í blóðrásarkerfinu gegn um sey t ingu þvag temp r andi hor móna (ADH og Aldósteróns) og einnig aukningu á eftirþjöppun (afterload) með því að auka á æðasamdrátt í blóðrásarkerfinu, m.a. með beinum áhrifum reníns og angíótensíns.13 Natrínræsihormónin ANP og BNP vinna svo gegn virkni RAA-kerfisins með því að ýta undir æðaútvíkkun og þvagræsingu og með beinni hemlun RAA-kerfisins.14

ÁHRIF LANGVINNRAR BÓLGU

Skert virkni hjartavöðvans gæti mögulega orsakast af lang vinnri bólgu. Vitað er að þétt ni ákveð inna bólguboðefna í blóði, þá helst TNF ɑ , IL-1 og IL-6, er aukin í hjarta bil uð um og kenn ingar um að þau orsaki hluta mein mynd ar hjarta bilunar. 15 Einnig hefur verið sýnt fram á marktækan verri lifun hjartabilunarsjúklinga með aukna þéttni bólguboðefnanna IL-10 og TNFɑ í blóði.16 Sannast því hið fornkveðna að „Allt er ónæmisfræði.“17

ORSAKIR

Hjartabilun getur átt sér margar orsakir, allt frá því að vera meðfæddur sjúkdómur þar sem uppruninn er rakinn til galla í erfðamengi sjúklingsins, yfir í að vera fylgikvilli annarra kerfislægra sjúkdóma.

Orsakir geta einnig verið mis mun andi eftir löndum og heims álfum og eftir félags hag fræðilegum þáttum. 18 Sami sjúk lingur getur einnig haft margar orsakir fyrir hjartabilun.

Algengasta ástæða fyrir hjarta bilun í heiminum er krans æða sjúk dómur og þar á eftir há þrýst ingur. 19 Í íslensku þýði, meðal eldri hjarta bilun ar sjúklinga, var kransæðasjúkdómur til staðar í 57,1% tilvika og háþrýstingur til staðar í 33,5% tilvika.20 Aðrir minna algengir sjúk dómar voru þá helst hjart sláttaróregla, aðal lega gáttatif, og lokusjúkdómar. Þessar tölur ríma einnig við erlendar tölur en Inga Jóna Ingimarsdóttir, hjartalæknir, leiðir nú hóp sem kemur von bráðar með nýjar tölur úr íslensku þýði.

Einnig er þekkt að eitrunaráhrif efna geti valdið hjartabilun, þá helst hjartavöðvakvillum. Helst ber þar að nefna áfengi. Frekari ástæður fyrir hjartabilun má líta á í töflu 4. Listinn er þó alls ekki tæmandi.

MUNURINN Á HFpEF OG HFrEF

Hjartabilun hefur löngum verið talið litróf af mismunandi útstreymis broti, þar sem að HFpEF þróast út í HFrEF en sú hugsun er hratt að breytast. Líklegast er talið að þetta séu tveir mismunandi sjúkdómar sem deila sömu ein kenn um en lík lega ekki sömu líf eðlis meina fræði. Út streymis brot hjarta bil un ar sjúk ling a í rann sókn um dreifist með svokallaðri tvíkryppudreifingu, þ.e. dreifing með tveim há gildum, í kringum 25% annars vegar og 60% hins vegar.21 Eins og ég mun koma að hér að neðan þá svara þessir tveir sjúkdómar heldur ekki sömu meðferð og einnig virðast sjúkdómarnir leggjast á mismunandi sjúklingahópa.

HFpEF sjúklingar eru oftar eldri (vegið meðaltal, 74 ára vs 70 ára), eru oftar með háþrýsting (vegið meðaltal, 74% vs 65%) og eru sjaldnar með kransæðasjúkdóm (vegið meðaltal, 46% vs 58%) samanborið við sjúklinga með HFrEF. Mesti munurinn liggur svo í kynjahlutföllum en HFpEF er talsvert algengara í konum en körlum (vegið meðaltal, 63% vs 38%).22

Þessar tölur ríma mjög vel við íslenskar tölur, þar sem að hlutfall einstaklinga með undirliggjandi kransæða sjúk dóm var 72,9% í HFrEF hópnum en 45,2% í HFpEF hópnum. Háþrýstingur var talinn undirliggjandi orsök í 40,8% af HFpEF sjúklingum en 20,6% í HFrEF sjúkling um og gátta tif mark tækt al geng ara í HFpEF (35,1%) en HfrEF (22,0%).20

FARALDSFRÆÐI

NÝGENGI

Hafa ber í huga að gögn um faralds fræði (og svo það sé sagt, meðferð) hjartabilunar eru byggðar að mestu á rannsóknum í vestrænum heimi og þróuðustu löndunum. Tölur úr þessum gögnum benda til þess að aldursstaðlað ný gengi hjarta bilunar hafi náð ákveðnu hámarki 23 og jafnvel hafi dregið úr nýgengi hjartabilunar, en almennt er talið að ný gengi hjarta bilunar um allan heim sé á bilinu 100–900 tilfelli á hver 100.000 persónuár.24

ALGENGI

Þrátt fyrir að tíðni nýgreindrar hjartabilunar hafi staðnað eða jafnvel minnkað þá hefur algengið aukist. Það hefur með að gera að vestrænar þjóðir hafa verið að eldast hratt á undanförnum áratugum og algengi hjartabilunar helst í hendur við hækkandi aldur þjóða. Þannig er áætlað að algengi hjartabilunar í einstak ling um < 55 ára sé um það bil 1% en > 10% í einstaklingum eldri en 70 ára. 25 Líkurnar á að 40-80 ára gamall einstaklingur fái hjartabilun einhvern tímann á lífsleiðinni eru 20%.3

Talið er að allt að 1-2% af þýði vestrænna þjóða séu með hjartabilun26 og bráð hjartabilun er algengasta innlagnarástæða á spítala í öldruðu þýði.27

Almennt er talið að HFrEF og HFpEF/HFmrEF sé jafn algengt og eru þær tölur aðallega byggðar á rannsóknum í inni liggj andi sjúk lingum 28 en lang tíma rannsóknir á göngudeildarþýði t.d. frá evrópsku hjartasamtökunum benda til að hlutfall HFrEF sé kringum 60% en HFmrEF og HFpEF kringum 40%.29

Með hækkandi aldri og með fjölgun mannkyns er áætlað að algengi hjartabilunar í Bandaríkjunum muni aukast um 33% á árunum 2025–2060. 30 Bandaríkjamenn höfðu áætlað að hjartabilun kostaði 108 milljarða

TAFLA

5

Algengir ACE-hemlar til notkunar við hjartabilun með skertu útstreymisbroti, byrjunarskammtar og markskammtar

TAFLA 6

β-blokkar til notkunar við hjartabilun með skertu útstreymisbroti, byrjunarskammtar og markskammtar

* 50mg x2 ef sjúklingur vegur meir en 85 kg

TAFLA 7

Saltsteraviðtakahemlar til notkunar við hjartabilun með skertu útstreymisbroti, byrjunarskammtar og markskammtar

TAFLA 8

ARNI til notkunar við hjartabilun með skertu útstreymisbroti, byrjunarskammtar og markskammtar

TAFLA 9

SGLT-2 hemlar til notkunar við hjartabilun með skertu útstreymisbroti, byrjunarskammtar og markskammtar

TAFLA 10

ARB til notkunar við hjartabilun með skertu útstreymisbroti, byrjunarskammtar og markskammtar

LYFJAHEITI

Captopril

BYRJUNARSKAMMTUR MARKSKAMMTUR

6,25 mg þrisvar á dag 50 mg þrisvar á dag

Enalapril 2,5 mg tvisvar á dag 10–20 mg tvisvar á dag

Lisinopril 2,5–5 mg einu sinni á dag 20–35 mg einu sinni á dag

Ramipril 2,5 mg tvisvar á dag 5 mg tvisvar á dag

LYFJAHEITI

BYRJUNARSKAMMTUR MARKSKAMMTUR

Bisoprolol 1,25 mg einu sinni á dag 10 mg einu sinni á dag

Carvedilol

Metoprolol

LYFJAHEITI

Spironolactone

Eplerenone

LYFJAHEITI

Valsartan/Sacubitril

LYFJAHEITI

Empagliflozin

3,125 mg tvisvar á dag

25 mg tvisvar á dag*

12,5–25 mg einu sinni á dag 200 mg einu sinni á dag

BYRJUNARSKAMMTUR MARKSKAMMTUR

25 mg einu sinni á dag

25 mg einu sinni á dag

50 mg einu sinni á dag

50 mg einu sinni á dag

BYRJUNARSKAMMTUR MARKSKAMMTUR

100 mg tvisvar á dag

200 mg tvisvar á dag

BYRJUNARSKAMMTUR MARKSKAMMTUR

10 mg einu sinni á dag 10 mg einu sinni á dag

Dapagliflozin 10 mg einu sinni á dag 10 mg einu sinni á dag

LYFJAHEITI

Losartan

Valsartan

Candesartan

BYRJUNARSKAMMTUR MARKSKAMMTUR

50 mg einu sinni á dag

40 mg tvisvar á dag

4 mg einu sinni á dag

150 mg einu sinni á dag

160 mg tvisvar á dag

32 mg einu sinni á dag

Bandaríkjadala árið 2014. 31 Má því reikna með að fjárhagsleg byrði hjartabilunar fyrir hagkerfi heimsins muni aukast heilmikið næstu áratugina.

MEÐFERÐ

Markmið með ferðar við lang vinnri hjarta bilun er að lengja líf sjúklinga, fækka innlögnum þeirra á sjúkrahús, minnka ein kenni og bæta lífs gæði. Lyfja með ferð in samanstendur af 4–5 lyfjaflokkum sem allir hjartabilunar sjúk ling ar ættu að vera á, ef þau þolast, og samanlögð áhrif lyfjaflokkanna er meiri heldur en einstök áhrif þeirra.

HJARTABILUN MEÐ SKERTU ÚTSTREYMISBROTI (HFrEF)

Meðferðin við hjarta bilun með skertu út streymis broti er í grunninn hugsuð sem hemlun á nora dren erga- og RAA-kerfinu enda, eins og tíundað er hér að ofan, þau kerfi sem spila stærsta hlutverkið í lífeðlismeinafræði sjúkdómsins. Það er í raun í þessum flokki sem öll lyfjameðferð hjartabilunar er hugsuð, hér virkar meðferðin best, lengir líf og minnk ar ein kenni og að sjálf sögðu fækkar inn lögnum á sjúkra hús. Sam legðar áhrif lyfjaflokk anna eru slík að sjúkl ingar ættu að vera á öllum lyfjaflokkunum í hæstu þolanlegu skömmtum.

Árið 2021 birtu evrópsku hjarta lækna samtökin nýjar viðmiðunarreglur um meðferð á lang vinnri hjartabilun og hafa mælt með eftirfarandi meðferð.

LYFJAMEÐFERÐ

ACE-HEMLAR

ACE-hemlar voru fyrstu lyfin sem sýndu fram á aukna lifun og minnkun ein kenna hjarta bilun ar sjúk linga. 32–35

ACE-hemlar hamla breytingu angiotensin I yfir í angiotensin II og minnka þannig æðasamdrátt og draga þannig úr álagi á hjartavöðvann.36

ACE-hemla ætti að nota í öllum hjarta bil unarsjúklingum í NYHA flokki II-IV nema það sé frábending frá notkun þeirra eða þeir þolast ekki. Skammtastærð lyfjanna ætti að auka upp í hæstu þolanlegu skammta. Frábendingar fyrir notkun ACE-hemla eru meðal annars of næmi og ofsabjúgur og einnig ber að varast meðferð í þeim sem hafa ósæðarlokuþrengsli og þrengingar til beggja nýrnaslagæða. Helstu aukaverkanir eru hósti, lágþrýstingur og blóðkalíumhækkun. Einnig má reikna með að gildi kreatíníns í blóði aukist við að hefja meðferð með ACE-hemlum.

β-BLOKKAR

Notkun β-blokka minnkar tíðni dauðsfalla og innlagna, minnka einnig einkenni og auka lífsgæði sjúklinga með HFrEF. 37–43 β -blokkar blokka allir β -1 adren er gan viðtaka á hjartanu. Eins og talað er um að ofan í lífeðlismeinafræðikaflanum þá reynir adrenerga kerfið að bæta upp fyrir skert út fall hjartans með því að örva téðan β-1 adrenergan viðtaka en það leiðir til sjúklegrar umbyggingar hjartavöðvans. Mikilvægt er að nefna að ekki allir β-blokkar virka í hjartabilun, t.a.m. hefur atenolol (algengur β-blokki á Íslandi) ekki sýnt fram á verkun í hjarta bilun. Allir sjúk lingar með HFrEF í NYHA flokki II-IV ættu að vera á meðferð með β-blokka í hæstu þolanlegum skömmtum séu þeir klínískt stöðugir og engin ummerki um vökvasöfnun eða ofdreyra (Hypervolemia).

SALTSTERAVIÐTAKAHEMLAR (MRA)

Mælt er með lyfjameðferð sem hemlar viðtaka fyrir saltstera ( Min er al corti coid re cep tor anta gon ists (MRA)) í

öllum HFrEF sjúklingum í NYHA flokki II-IV til að minnka tíðni dauðsfalla og innlagna á sjúkrahús og til að draga úr einkennum.44,45 MRA lyfin blokka aldósterón viðtaka og að einhverju leyti viðtaka fyrir önnur sterahormón (þ.e. sykur stera og karl hormón). Helstu auka verkanir MRA lyfjanna eru lágþrýstingur, blóðkalíumhækkun og kvenbrjóstun ( Gyne coma stia ). Eple ren one hefur sér tæk ari aldósterón viðtaka hemlun en Spironolactone og veldur því ekki eins mikilli kven brjóstun. Gæta skal var úðar í notkun MRA lyfja í sjúklingum með skerta nýrnastarfsemi, sérlega ef útskilnaður kreatíníns er minni en 30 ml/mín og hjá sjúklingum með blóðgildi kalíums >5.0 mmól/L. Má þá íhuga að helminga byrjunarskammt í 12,5 mg einu sinni á dag.

ANGIOTENSÍN VIÐTAKA NEPRILYSIN HEMILL (ARNI)

ARNI (Valsartan/Sacubutril) er samsett lyf sem inniheldur angiotensín II viðtaka hemla (ARB) og neprilysin hemil(NI). Sýnt var fram á betri verkun með þessari samset n ing ar með ferð saman borið við En al april í PARADIGM-HF rannsókn árið 2014. Samsetta meðferðin var marktækt betri í að fyrirbyggja dauðsföll, innlagnir og bætti einkenni og lífsgæði þegar hún var borin saman við Enalapril meðferð.46 Því er mælt með af evrópsku hjartalæknasamtökunum að hefja meðferð með ACE-hemli og ef sú meðferð þolist vel þá skipta yfir í ARNI meðferð. Helstu auka verkanir eru lág þrýstingur og ofsa bjúgur, mælt er með að stöðva ACE-hemla meðferð 36 klukkustundum áður en meðferð með ARNI er hafin.

Nýlega hafa birst rann sóknir sem snúa að því hvort að öruggt sé að hefja strax meðferð með ARNI við greiningu á hjartabilun, þá í inniliggjandi sjúklingum, en þær rannsóknir hafa komið vel út og jafnvel sýnt fram á að sé marktækt betra en að hefja meðferð með Enalapril.46–48 Eins og aðrar lyfjameðferðir er ábending fyrir notkun ARNI með ferðar í hjarta bilun með skertu útstreymisbroti og NYHA flokkur II-IV.

SGLT-2 HEMLAR

DAPA-HF rannsóknin sýndi fram á marktæka minnkun í tíðni inn lagna á sjúkra hús og hjarta dauða hjá sjúklingum á sykur sýkis lyfinu dapa glif lozin miðað við lyfleysu ofan á, það sem var þá, hefðbundna meðferð við hjartabilun. Einnig minnkaði dapagliflozin tíðni dauða af öllum orsökum, minnkaði einkenni og bætti lífsgæði hjá sjúklingum með hjartabilun hvort sem sjúklingar höfðu sykur sýki eða ekki. 49 Sömu leiðis sýndi EMPEROR-HF rann sóknin fram á mark tæka lækkun á tíðni inn lagna vegna hjartabilunar en sýndi þó ekki fram á marktækan mun í minnkun hjarta dauða. 50 Nýleg meta-analýsa á þessum tveim rannsóknum sýndi þó fram á að lækkun á hjartadauða er líklegast tengt lyfjaflokknum frekar en einstöku lyfi.51 Hvernig ná kvæm lega lyfin, sem bæði hindra endur upp töku glú kósa í nýrunum á sama máta, virka á sjúk linga með hjarta bilun er ekki fyllilega skilið en líklega er það í gegnum marga mismunandi ferla sem eru: að hindra endurupptöku glúkósa sem leiðir til aukins útskilnaðar natríum í þvagi sem hefur svo áhrif á blóðþrýsting sjúklingsins, minnka bólgu með því að minnka glúkósa í blóðinu, hafi bein hamlandi áhrif á adrenerga taugakerfið, dragi úr sjúk legri umbyggingu hjartavöðvans og svo að þau hafi bein áhrif á orkuefnaskipti í veikum hjartavöðva.52

ÞVAGRÆSILYF

Mælt er með notkun lykkjuþvagræsilyfja, svo sem furosemide eða torasemide, til að minnka einkenni hjartabilunar sem stafa af ofsöfnun vökva. Þvagræsilyf hafa þó aldrei verið rannsökuð með slembiröðuðum inngripsrannsóknum

ARNI + BB + MRA + SGLT2 0.39 (0.31-0.49)

ARNI+ OB + MRA + Vericiguat 0.41 (0.32-0.53)

ARNI + BB + MRA + Omecamtiv 0.44 (0.36-0.55)

ACEI + BB + Dig + H-ISDN 0.46 (0.35-0.61)

ACEI + BB + MRA + IVA 0.48 (0.39-0.58)

ACEI + BB + MRA + Vericiguat 0.49 (0.39-0.62)

ACEI + BB + MRA + Omecamtiv 0.52 (0.43-0.63)

ARNI+ ARB + BB+ Dig 0.65 (0.55-0.76)

ARNI + BB + MRA 0.44 (0.37-0.54)

ACEI + BB + MRA 0.52 (0.44-0.61)

ACEI + MRA + Dig 0.66 (0.56-0.78)

ACEI + BB + Dig 0.68 (0.59-0.78)

ARB + BB + Dig 0.73 (0.64-0.83)

ACEI + ARB + Dig 0.83 (0.72-0.96)

Dig + H-ISON 0.67 (0.53-0.86)

ARNI + BB 0.58 (0.50-0.68)

ACEI + BB 0.69 (0.61-0.77)

ARB + BB 0.74 (0.66-0.82)

ACEI + Dig 0.87 (0.78-0.98)

ARB + Dig 0.94 (0.84-1.05)

BB 0.78 (0.72-0.84)

ACEI 0.89 (0.82-0.96)

ARB 0.95 (0.88-1.02)

Dig 0.99 (0.91-1.07)

Samlegðaráhrif mismunandi lyfjaflokka gegn HFrEF. ARNI, Angiotensin Receptor-Neprilysin Inhibitor. BB, beta blokker. MRA, Mineralocorticoid Receptor Antagonist. SGLT2, Sodium-Glucose Transport Protein 2. ACEI, AngiotensinConverting Enzyme Inhibitors. Dig, Digoxin. H-ISDN, Hydralazine-Isosorbide Dinitrate. IVA, Ivabradine. PLBO, Placebo. 54

Mynd 3

Mynd 5 Hjálparhjarta tengt við hjarta

með til liti til áhrifa á dauða en sýnt hefur verið fram á bætingu í áreynslu þoli hjartabilunarsjúklinga.53

Hafa ber í huga að þörf in á þvag ræsi lyfjum, hvort sem er lykkjuþvagræsilyf eða þía síð, minnkar ef vel gengur að með höndla sjúk linginn og oft er þörf á að minnka skammtana þegar sett er inn með ferð með SGLT-2 hemlum sér stak lega en ARNI lyfjum einnig. Velja skal lægsta mögulega skammt af þvagræsilyfjum til að viðhalda eðlilegu vökvarúmmáli.

ANGIOTENSIN II TÝPU 1 VIÐTAKA BLOKKAR (ARB)

Sú breyting varð á í nýjustu með ferðar leið bein ing um evrópsku hjartasamtakanna að ekki er lengur mælt með notkun ARB lyfja nema þegar ACE-hemlar og/eða ARNI meðferð þolist ekki vegna alvarlegra aukaverkanna. Það hefur aðallega með það að gera að ekkert af lyfjum í flokki ARB lyfja hefur sýnt fram á lækkun á heildar dánar tíðni í rann sóknum á sjúk lingum með hjartabilun. Lyfin minnka þó tíðni hjartadauða og innlagna á sjúkrahús vegna hjartabilunar.

SAMLEGÐARÁHRIF LYFJANNA

Það er auð merkjan leg staðreynd að því fleiri lyfjaflokkar, því betri er lifun sjúk linganna, og því er mælt með því að HFrEF sjúklingar séu á að minnsta kosti 4 lyfjaflokkum sem eru tíundaðir hér að ofan. Á mynd 3 má sjá niðurstöður úr safngreiningu margra rannsókna á HFrEF sjúklingum og kemur þar í ljós að sjúklingar á ARNI+BB+MRA+SGLT2 meðferð hafa nærri 60% hlutfallslega áhættuminnkun á dánartíðni miðað við sjúklinga á lyfleysu.

ÖNNUR LYF

Ivabradine er sínus-hnúts hemill sem virkar í gegnum svokölluð If-göng og virkar því aðeins fyrir sjúklinga í sínus-takti. Ábend ingin fyrir notkun Iva brad ine er að sjúk ling ur inn sé í sínus takti, á há marks skömmt um af β -blokk um en hjart sláttar hraði enn þá > 70 slög á mínútu. Ivabradine minnkaði vissulega dauða af völdum hjartabilunar og tíðni innlagna á sjúkrahús í þeim rannsóknum sem hafa verið gerðar55, 56 en allt kapp ætti að vera lagt á að setja inn með ferð með β -blokk um og hækka skammta þeirra upp í hæstu þolanlegu gildi áður en Ivabradine kemur til greina.

Vericiguat hefur sýnt fram á virkni til að draga úr samsettum endapunkti fyrir innlögnum og dauða af völdum hjartabilunar en ekki tölfræðilega marktækt fyrir hvorn endapunktinn einan og sér.57

Omecamtiv mecarbil að sama skapi sýndi fram á minnkun á samsettum endapunkti innlagna og dauða af völdum hjartabilunar en ekki tölfræðilega marktækt fyrir hvorn endapunkt einan og sér.58

TÆKJAMEÐFERÐ

BJARGRÁÐUR

Þrátt fyrir stórbætta meðferð á langvinnri hjartabilun undanfarna áratugi þá er áfram hátt hlutfall hjartabilunarsjúklinga sem deyja skyndilega, oftast vegna takttruflana frá rafkerfi hjartans, hvort sem það er sleglahraðtaktur, hægsláttur eða hjartsláttarleysi.

Tíðni skyndihjartadauða hjá hjartabilunarsjúklingum hefur hrapað um 44% frá 1990-201559 og er það nær örugglega bættri lyfjameðferð að þakka.

Meðferð við skyndidauða má skipta í tvennt, annars vegar síðforvörn, þ.e. ein stak lingar sem hafa áður farið í hjarta stopp og til að fyrir byggja næsta hjarta stopp, og hins vegar frum for vörn. Frum for vörn felur þá í sér að fyrirbyggja að einstaklingur, sem ekki hefur farið í hjarta stopp, fari í hjarta stopp. Fyrir utan

hina hefðbundnu meðferð með hjartabilunarlyfjameðferð þá er besta forvörnin svokallaður bjargráður sem nemur þegar sjúklingurinn fer í lífshættulega takttruflun og gefur „stuð“ til að freista þess að breyta takttrufluninni í venjulegan takt. Einnig er bjargráður líka forvörn gegn alvarlegum hægslætti.

Ekki hefur verið sýnt fram á að takt stillandi lyf, svo sem cordarone, lengi líf sjúklinga með hjartabilun60 og er hjarta bilun hrein lega frá bend ing fyrir mörgum öðrum taktstillandi lyfjum svo sem dronedarone og flecainide.61,62

Ein falt er að útskýra ábendingar fyrir síð forvörn hjartastopps, en sú ábending er fyrir hendi í öllum hjarta bilun ar sjúk ling um sem hafa lent í hjarta stoppi vegna sleglatakttruflunar eða þeim sem hafa fengið einkennagefandi sleglatakttruflun. Það skal þó taka tillit til undirliggjandi þátta sjúklingsins, hvernig hennar/hans lífsgæði eru og hvort það séu líkur á að annað sjúkdómsástand dragi sjúklinginn til dauða innan árs, en vitað er að því fleiri sjúk dómar sem hrjá sjúk linginn því minni ávinning hefur hann af ísetningu bjargráðs.63

Evrópsku hjartalæknasamtökin mæla með frumforvörn skyndihjartadauða með ísetningu bjargráðs hjá öllum sjúk ling um með út streymis brot < 35% í NYHA flokki II-III þrátt fyrir há marks á kjós an lega hjarta bilunarmeðferð í a.m.k. þrjá mánuði, sé áætlað að þeir lifi lengur en eitt ár við ágæta heilsu, þ.e. ekki með marga fylgisjúkdóma sem eru jafnvel verri en hjartabilun.

Hjartabilunarsjúklingar í NYHA flokki IV, sem eru þá með mikil og erfið einkenni sem láta illa undan meðferð ættu ekki að fá í græddan bjargráð nema þeir séu á leið í hjartaígræðslu eða kandídatar í hjartabilunarmeðferð með svokölluðu hjálparhjarta (Left Ventricular Assist Device, LVAD).

SAMTÖKTUN

Hjartasamtöktunarmeðferð (Cardiac resynchronization therapy, CRT) er í raun og veru sérhæfð gangráðsmeðferð (og/eða bjargráðs meðferð þegar það á við) fyrir hjartabilunarsjúklinga sem hafa vinstra greinrof og QRS útslag sem er a.m.k. 150 ms að breidd. Munurinn felst þá aðallega í því að í staðinn fyrir að hafa aðeins eina gangráðsleiðslu í hægri slegli þá er þrædd önnur leiðsla sem virkjar vinstri slegil á sama tíma.

Til þess að sjúklingur uppfylli skilyrði fyrir meðferð með CRT þurfa þeir að hafa útstreymisbrot <35% og vera í NYHA flokki II-IV, þrátt fyrir hámarks ákjósanlega meðferð. Íhuga mætti að nota meðferðina í völdum ein stak ling um sem hafa QRS útslag á bilinu 130–149 ms. Ein af fors endum meðferðarinnar er að sjúk lingurinn sé í sínus takti og því meira sem að gangráðurinn/ bjargráðurinn stjórnar hjartslættinum því betur vegnar sjúklingunum.64

Séu sjúklingar rétt valdir til þessarar meðferðar lækkar dánartíðni þeirra marktækt, um nær 23% miðað við viðmiðunarhóp.65

HJÁLPARHJARTA OG HJARTAÍGRÆÐSLA

Fyrir mjög langt gengna hjarta bilun, einstaklinga sem eru með mikil einkenni (viðvarandi NYHA flokkur III og IV) þrátt fyrir hámarks lyfjameðferð, kemur ekkert annað til greina en að skipta hreinlega út hjartavöðvanum.

Hjartaígræðsla er þá gull-staðallinn í þeirri meðferð og eins-árs lifun sjúk linga eftir hjarta ígræðslu er 90% og meðallifun er í kringum 12,5 ár.66–68 Stóra vandamálið er þó vita skuld það að eftir spurn eftir gjafa líffærum er mun meiri en framboðið. Svokallað hjálparhjarta (LVAD), sem er í grunninn dæla staðsett í broddi vinstri slegils sem dælir blóðinu þaðan í gegnum slöngu út í ósæðina, kom fram á sjónarsviðið í kringum aldamótin.

SGLT-2 hemlar til notkunar

við hjartabilun með varðveittu útstreymisbroti, byrjunarskammtar og markskammtar

LYFJAHEITI

Empagliflozin

Dapagliflozin

BYRJUNARSKAMMTUR MARKSKAMMTUR

10 mg einu sinni á dag

10 mg einu sinni á dag

10 mg einu sinni á dag

10 mg einu sinni á dag

Eins og annar tækni búnaður hefur þessi meðferð þróast heilmikið undanfarna áratugi og lifun sjúklinga með nýjustu dælur nar nálgast 80% eins-árs lifun, 70% tveggja-ára lifun 69,70 og fimm-ára lifun er í kringum 54%.71

Þetta eru í raun stórmerkilegar tölur því þeir sem fá þessa meðferð eru veikustu hjartabilunarsjúklingarnir, sem margir hverjir bíða eftir hjartaígræðslu. Það þarf þó að velja vel í þann hóp sem fá hjálpar hjarta enda geta fylgikvillar meðferðarinnar (blóðtappar, blæðingar, sýkingar) auðveldlega verið lífshótandi.

HJARTABILUN MEÐ LÍTILLEGA SKERTU

ÚTSTREYMISBROTI (HFmrEF)

Sem tiltölulega nýlega skilgreindur undirflokkur hjartabilunar eru eðlilega ekki margar rannsóknir á meðferð hjá sjúklingum með lítillega skert útstreymisbrot.

HFmrEF hjartabilunarsjúklingar eru þó líkari

HFrEF hópnum en HFpEF hópnum, þannig að þeir eru oftar yngri, oftar karlkyns og líklegri til að hafa kransæðasjúkdóm, en dánartíðnin þeirra er ekki jafn slæm og HFrEF sjúklinga.72–74 Í raun er ekki hægt að mæla með neinni sértækri með ferð fyrir sjúk linga með HFmrEF þegar þetta er skrifað. Þvagræsilyf ætti að nota ef merki eru um vökvaofsöfnun, notast ætti við aðra lyfjaflokka eins og klínískt er viðeigandi, t.d. við háþrýsting (ACE-hemlar eða ARB) og gáttatif (β-blokkar).

Mögulega munu SGLT-2 hemlarnir breyta landslaginu á næstu árum og líklega verður komin ábending fyrir notkun þeirra í næstu uppfærðu meðferðarleiðbeiningum um hjartabilun frá evrópsku hjartasamtökunum.

HJARTABILUN MEÐ VARÐVEITTU

ÚTSTREYMISBROTI (HFpEF)

Þrátt fyrir ítrekaðar tilraunir hefur gengið mjög erfiðlega að sýna fram á að sér tæk með ferð við HFpEF skili nokkrum árangri þegar kemur að sömu endapunktum og meðferð við HFrEF, þ.e. lækkun á dánartíðni og fækkun innlagna. Áfram er þó mælt með meðferð með þvagræsilyfjum þegar sjúklingar hafa einkenni vökvaofsöfnunar.

Þó horfir aðeins til betri vegar með tilkomu SGLT-2 hemlanna. Nýlega komu út rannsóknir á bæði da pa glif lozin og em pa glif lozin sem sýndu fram á tölfræðilega marktæka minnkun á samsettum endapunkti hjartadauða og sjúkrahúsinnlagna vegna versn unar á hjarta bilun hjá sjúk lingum með HFmrEF og HFpEF. 75, 76 Lyfin náðu þó ekki að minnka tíðni hjarta dauða en náðu bæði tölfræðilega marktækt að fækka versnunum á hjartabilun.

Þegar rýnt er í rannsóknir á lyfjameðferð við HFpEF hafa bæði evrópsku og bandarísku hjartalæknasamtökin komið með ráðleggingar um vissa undirhópa HFpEF sjúklinga. 77 Þar er t.d. mælt með, í ofan álag við meðferð með SGLT-2 hemlum, notkun spironolactone hjá HFpEF sjúklingum sem hafa einkenni eða teikn vökvaofsöfnunar og notkun ARNI meðferðar hjá konum og þeim sem hafa útstreymisbrot á bilinu 45%-57%.

HVAÐ ER ÞÁ VANDAMÁLIÐ?

Ef til er svona góð meðferð við hjartabilun, hvers vegna er fólk þá svona mikið veikt af hjartabilun? Hvers vegna eru horfurnar áfram slæmar? Hvers vegna er hjartabilun enn þá næst algengasta ástæða innlagnar á sjúkrahús í Bandaríkjunum? 78 Vandamálið er kannski ekki að sú meðferð sem er til staðar virki ekki, heldur að notkunin

á þessari gagnreyndu meðferð, sér í lagi í þeim lyfjaskömmt um sem taldir hafa verið hér upp að ofan, er allt of lítil.

Til að mynda var gerð rannsókn sem birtist árið 2020 á yfir 17.000 HFrEF sjúklingum sem lögðust inn vegna bráðrar hjartabilunar, fjórðungur þeirra útskrifuðust á engum lyfjum og helmingur á aðeins einum lyfjaflokki. Hjá aðeins helmingi þeirra, sem þó fengu úthlutað meðferð við hjartabiluninni, urðu skammtahækkanir eftir útskrift.79

Nýlega voru birtar niðurstöður úr STRONG-HF rannsókninni sem kannaði þá annars vegar aðferð þar sem markmiðið var að ná hæsta þolanlega skammti af β-blokkum, ACE hemlum (eða ARNI) og saltsteraviðtakahemlum á tveimur vikum og hins vegar hina „venjulegu“ aðferð sem var við lýði við greiningu hjartabilunar. Á aðeins 180 dögum hafði tíðni dauða eða endurinnlagna vegna hjartabilunar verið 15,2% í fyrri hópnum en 23,3% í þeim hópi sem fór ekki í jafn kröftuga upptröppun á öllum lyfjaflokkunum.

Það sem einnig var áberandi var að skammtahækkun upp í ráðlagða skammta af ráðlagðri meðferð hafði náðst í 36,2% hjá rannsóknarhópnum gegn aðeins 0,6% af þeim hópi sem hlaut „venjubundna“ meðferð.80

Það er því greinilegt að það eru tæki færi til að gera miklu betur í meðferð hjartabilunarsjúklinga og það eina sem virðist þurfa að gera er að nýta þá með ferð sem er fyrir löngu búið að sýna fram á að virki.

Bara til að nota gróft dæmi: Hvað myndum við segja ef að í hópi sjúklinga sem hafa sjúkdóma með jafn slæmar horfur, t.d. ein hvers lags krabba mein, 81 að þá myndu aðeins 0,6% krabbameinssjúklinga fá meðferð með viðeigandi lyfjum í viðeigandi styrkleika.

Að sjálfsögðu er um allan heim haldið uppi, með ærnum tilkostnaði, innrennslis göngudeildum sem hafa það eitt að mark miði að gefa krabba meins sjúklingum rétta og viðeigandi lyfjameðferð í þeim skömmtum sem þau þolast. Kannski þarf eitthvað svipað í hjartabilun?

HORFUR

Þrátt fyrir að horfur sjúklinga með hjartabilun hafi farið batn andi undanfarna áratugi 6,82 þá eru horfur þeirra áfram slæmar og að sama skapi eru lífs gæði þeirra verulega skert.

Fimm-ára lifun hjartabilunarsjúklinga 60 ára og eldri eftir greiningu var t.a.m. í kringum 33% á árunum 1990–2009, þar sem horfur HFpEF sjúklinga voru sambærilegar horfum HFrEF sjúklinga.83 Aðrar rannsóknir hafa sýnt fram á að horfur HFpEF sjúklinga séu betri en HFrEF og þá sérlega í yngri sjúklingum.84

Hjartabilunarsjúklingar leggjast inn að meðaltali einu sinni á ári eftir greiningu85 og má þá reikna með að innlögnum vegna hjartabilunar muni fjölga umtalsvert á næstu árum, með hækkandi aldri þjóða og vaxandi algengi hjartabilunar.

LOKAORÐ

Það er því vonandi alveg á hreinu eftir lestur þessarar greinar að hjartabilun er alvarlegur og algengur sjúkdómur og það sem verra er að al gengi sjúk dóms ins kemur aðeins til með að aukast á næstu áratugum. Við munum öll, læknar framtíðarinnar, eiga við hjartabilun á einn eða annan hátt. Ég vona því að lestur þessarar greinar hjálpi einhverjum, þó ekki nema bara til að læra fyrir lokapróf.

29 Chioncel, O. et al. Epidemiology and one-year outcomes in patients with chronic heart failure and preserved, mid-range and reduced ejection fraction: an analysis of the ESC Heart Failure Long-Term Registry. Eur. J. Heart Fail. 19, 1574–1585 (2017).

30 Mohebi, R. et al. Cardiovascular Disease Projections in the United States Based on the 2020 Census Estimates. J. Am. Coll. Cardiol. 80, 565–578 (2022).

31 Cook, C., Cole, G., Asaria, P., Jabbour, R. & Francis, D. P. The annual global economic burden of heart failure. Int. J. Cardiol. 171, 368–376 (2014).

32 Enalapril for congestive heart failure. N. Engl. J. Med. 317, 1349–1351 (1987).

33 SOLVD Investigators et al. Effect of enalapril on survival in patients with reduced left ventricular ejection fractions and congestive heart failure. N. Engl. J. Med. 325, 293–302 (1991).

34 Garg, R. & Yusuf, S. Overview of randomized trials of angiotensinconverting enzyme inhibitors on mortality and morbidity in patients with heart failure. Collaborative Group on ACE Inhibitor Trials. JAMA 273, 1450–1456 (1995).

35 Packer, M. et al. Comparative effects of low and high doses of the angiotensin-converting enzyme inhibitor, lisinopril, on morbidity and mortality in chronic heart failure. ATLAS Study Group. Circulation 100, 2312–2318 (1999).

36 Shah, A., Gandhi, D., Srivastava, S., Shah, K. J. & Mansukhani, R. Heart Failure: A Class Review of Pharmacotherapy. Pharm. Ther. 42, 464–472 (2017).

37 Hjalmarson, A. et al. Effects of controlled-release metoprolol on total mortality, hospitalizations, and well-being in patients with heart failure: the Metoprolol CR/XL Randomized Intervention Trial in congestive heart failure (MERIT-HF). MERIT-HF Study Group. JAMA 283, 1295–1302 (2000).

38 Effect of metoprolol CR/XL in chronic heart failure: Metoprolol CR/XL Randomised Intervention Trial in Congestive Heart Failure (MERIT-HF). Lancet Lond. Engl. 353, 2001–2007 (1999).

39 Packer, M. et al. The effect of carvedilol on morbidity and mortality in patients with chronic heart failure. U.S. Carvedilol Heart Failure Study Group. N. Engl. J. Med. 334, 1349–1355 (1996).

40 Packer, M. et al. Effect of carvedilol on survival in severe chronic heart failure. N. Engl. J. Med. 344, 1651–1658 (2001).

HEIMILDASKRÁ

15 Sharma, R., Coats, A. J. & Anker, S. D. The role of inflammatory mediators in chronic heart failure: cytokines, nitric oxide, and endothelin-1. Int. J. Cardiol. 72, 175–186 (2000).

1 McDonagh, T. A. et al. 2021 ESC Guidelines for the diagnosis and treatment of acute and chronic heart failure. Eur. Heart J. 42, 3599–3726 (2021).

16 Amir, O. et al. Circulating interleukin-10: association with higher mortality in systolic heart failure patients with elevated tumor necrosis factor-alpha. Isr. Med. Assoc. J. IMAJ 12, 158–162 (2010).

2 Bui, A. L., Horwich, T. B. & Fonarow, G. C. Epidemiology and risk profile of heart failure. Nat. Rev. Cardiol. 8, 30–41 (2011).

17 Haraldsson, Á. Allt er ónæmisfræði. (Alla sína starfsævi).

3 Lloyd-Jones, D. M. et al. Lifetime risk for developing congestive heart failure: the Framingham Heart Study. Circulation 106, 3068–3072 (2002).

18 Yusuf, S. et al. Cardiovascular risk and events in 17 low-, middle-, and high-income countries. N. Engl. J. Med. 371, 818–827 (2014).

19 Ziaeian, Bv. & Fonarow, G. C. Epidemiology and aetiology of heart failure. Nat. Rev. Cardiol. 13, 368–378 (2016).

4 Heidenreich, P. A. et al. Forecasting the impact of heart failure in the United States: a policy statement from the American Heart Association. Circ. Heart Fail. 6, 606–619 (2013).

20 Einarsson, H. et al. Hjartabilun meðal eldri Íslendinga. Algengi, nýgengi, undirliggjandi sjúkdómar og langtímalifun. Læknablaðið https://www.laeknabladid.is/tolublod/2017/10/nr/6522.

5 McMurray, J. J., Petrie, M. C., Murdoch, D. R. & Davie, A. P. Clinical epidemiology of heart failure: public and private health burden. Eur. Heart J. 19 Suppl P, P9-16 (1998).

21 Owan, T. E. et al. Trends in prevalence and outcome of heart failure with preserved ejection fraction. N. Engl. J. Med. 355, 251–259 (2006).

6 Taylor, C. J. et al. Trends in survival after a diagnosis of heart failure in the United Kingdom 2000-2017: population based cohort study. The BMJ 364, l223 (2019).

22 Borlaug, B. A. & Redfield, M. M. Diastolic and systolic heart failure are distinct phenotypes within the heart failure spectrum. Circulation 123, 2006–2013; discussion 2014 (2011).

7 Hansdottir, S., Groskreutz, D. J. & Gehlbach, B. K. WHO’s in Second?: A Practical Review of World Health Organization Group 2 Pulmonary Hypertension. Chest 144, 638–650 (2013).

23 Levy, D. et al. Long-term trends in the incidence of and survival with heart failure. N. Engl. J. Med. 347, 1397–1402 (2002).

24 Roger, V. L. Epidemiology of heart failure. Circ. Res. 113, 646–659 (2013).

8 Caraballo, C. et al. Clinical Implications of the New York Heart Association Classification. J. Am. Heart Assoc. Cardiovasc. Cerebrovasc. Dis. 8, e014240 (2019).

9 Schwinger, R. H. G. Pathophysiology of heart failure. Cardiovasc. Diagn. Ther. 11, 263–276 (2021).

25 Rodríguez-Artalejo, F., Banegas Banegas, J. R. & Guallar-Castillón, P. [Epidemiology of heart failure]. Rev. Esp. Cardiol. 57, 163–170 (2004).

10 Kehat, I. & Molkentin, J. D. Molecular pathways underlying cardiac remodeling during pathophysiological stimulation. Circulation 122, 2727–2735 (2010).

26 Cowie, M. R. et al. The epidemiology of heart failure. Eur. Heart J. 18, 208–225 (1997).

11 Chidsey, C. A., Braunwald, E. & Morrow, A. G. CATECHOLAMINE EXCRETION AND CARDIAC STORES OF NOREPINEPHRINE IN CONGESTIVE HEART FAILURE. Am. J. Med. 39, 442–451 (1965).

27 Benjamin, E. J. et al. Heart Disease and Stroke Statistics-2017 Update: A Report From the American Heart Association. Circulation 135, e146–e603 (2017).

12 Tanai, E. & Frantz, S. Pathophysiology of Heart Failure. Compr. Physiol. 6, 187–214 (2015).

28 Redfield, M. M. et al. Burden of systolic and diastolic ventricular dysfunction in the community: appreciating the scope of the heart failure epidemic. JAMA 289, 194–202 (2003).

13 Jackson, G., Gibbs, C. R., Davies, M. K. & Lip, G. Y. H. Pathophysiology. BMJ 320, 167–170 (2000).

14 Richards, A. M. The renin-angiotensin-aldosterone system and the cardiac natriuretic peptides. Heart Br. Card. Soc. 76, 36–44 (1996).

66 Khush, K. K. et al. The International Thoracic Organ Transplant Registry of the International Society for Heart and Lung Transplantation: Thirty-sixth adult heart transplantation report2019; focus theme: Donor and recipient size match. J. Heart Lung Transplant. Off. Publ. Int. Soc. Heart Transplant. 38, 1056–1066 (2019).

53 Faris, R. et al. Current evidence supporting the role of diuretics in heart failure: a meta analysis of randomised controlled trials. Int. J. Cardiol. 82, 149–158 (2002).

54 Tromp, J. et al. A Systematic Review and Network MetaAnalysis of Pharmacological Treatment of Heart Failure With Reduced Ejection Fraction. JACC Heart Fail. 10, 73–84 (2022).

41 Packer, M. et al. Effect of carvedilol on the morbidity of patients with severe chronic heart failure: results of the carvedilol prospective randomized cumulative survival (COPERNICUS) study. Circulation 106, 2194–2199 (2002).

67 Lund, L. H. et al. The Registry of the International Society for Heart and Lung Transplantation: Thirtieth Official Adult Heart Transplant Report--2013; focus theme: age. J. Heart Lung Transplant. Off. Publ. Int. Soc. Heart Transplant. 32, 951–964 (2013).

55 Swedberg, K. et al. Ivabradine and outcomes in chronic heart failure (SHIFT): a randomised placebo-controlled study. Lancet Lond. Engl. 376, 875–885 (2010).

42 Flather, M. D. et al. Randomized trial to determine the effect of nebivolol on mortality and cardiovascular hospital admission in elderly patients with heart failure (SENIORS). Eur. Heart J. 26, 215–225 (2005).

68 Mehra, M. R. et al. The 2016 International Society for Heart Lung Transplantation listing criteria for heart transplantation: A 10-year update. J. Heart Lung Transplant. Off. Publ. Int. Soc. Heart Transplant. 35, 1–23 (2016).

56 Swedberg, K. et al. Effects on outcomes of heart rate reduction by ivabradine in patients with congestive heart failure: is there an influence of beta-blocker dose?: findings from the SHIFT (Systolic Heart failure treatment with the I(f) inhibitor ivabradine Trial) study. J. Am. Coll. Cardiol. 59, 1938–1945 (2012).

43 The Cardiac Insufficiency Bisoprolol Study II (CIBIS-II): a randomised trial. Lancet Lond. Engl. 353, 9–13 (1999).

69 Kirklin, J. K. et al. Seventh INTERMACS annual report: 15,000 patients and counting. J. Heart Lung Transplant. Off. Publ. Int. Soc. Heart Transplant. 34, 1495–1504 (2015).

57 Armstrong, P. W. et al. Vericiguat in Patients with Heart Failure and Reduced Ejection Fraction. N. Engl. J. Med. 382, 1883–1893 (2020).

44 Pitt, B. et al. The effect of spironolactone on morbidity and mortality in patients with severe heart failure. Randomized Aldactone Evaluation Study Investigators. N. Engl. J. Med. 341, 709–717 (1999).

45 Zannad, F. et al. Eplerenone in patients with systolic heart failure and mild symptoms. N. Engl. J. Med. 364, 11–21 (2011).

70 Theochari, C. A. et al. Heart transplantation versus left ventricular assist devices as destination therapy or bridge to transplantation for 1-year mortality: a systematic review and meta-analysis. Ann. Cardiothorac. Surg. 7, 3–11 (2018).

58 Teerlink, J. R. et al. Cardiac Myosin Activation with Omecamtiv Mecarbil in Systolic Heart Failure. N. Engl. J. Med. 384, 105–116 (2021).

46 McMurray, J. J. V. et al. Angiotensin-neprilysin inhibition versus enalapril in heart failure. N. Engl. J. Med. 371, 993–1004 (2014).

71 Mehra, M. R. et al. Five-Year Outcomes in Patients With Fully Magnetically Levitated vs Axial-Flow Left Ventricular Assist Devices in the MOMENTUM 3 Randomized Trial. JAMA 328, 1233–1242 (2022).

59 Shen, L. et al. Declining Risk of Sudden Death in Heart Failure. N. Engl. J. Med. 377, 41–51 (2017).

60 Bardy, G. H. et al. Amiodarone or an implantable cardioverterdefibrillator for congestive heart failure. N. Engl. J. Med. 352, 225–237 (2005).

47 Morrow, D. A. et al. Clinical Outcomes in Patients With Acute Decompensated Heart Failure Randomly Assigned to Sacubitril/ Valsartan or Enalapril in the PIONEER-HF Trial. Circulation 139, 2285–2288 (2019).

72 Koh, A. S. et al. A comprehensive population-based characterization of heart failure with mid-range ejection fraction. Eur. J. Heart Fail. 19, 1624–1634 (2017).

61 Køber, L. et al. Increased mortality after dronedarone therapy for severe heart failure. N. Engl. J. Med. 358, 2678–2687 (2008).

48 Velazquez, E. J. et al. Angiotensin-Neprilysin Inhibition in Acute Decompensated Heart Failure. N. Engl. J. Med. 380, 539–548 (2019).

73 Vedin, O. et al. Significance of Ischemic Heart Disease in Patients With Heart Failure and Preserved, Midrange, and Reduced Ejection Fraction: A Nationwide Cohort Study. Circ. Heart Fail. 10, e003875 (2017).

74 Kapoor, J. R. et al. Precipitating Clinical Factors, Heart Failure Characterization, and Outcomes in Patients Hospitalized With Heart Failure With Reduced, Borderline, and Preserved Ejection Fraction. JACC Heart Fail. 4, 464–472 (2016).

75 Solomon, S. D. et al. Dapagliflozin in Heart Failure with Mildly Reduced or Preserved Ejection Fraction. N. Engl. J. Med. 387, 1089–1098 (2022).

62 Echt, D. S. et al. Mortality and morbidity in patients receiving encainide, flecainide, or placebo. The Cardiac Arrhythmia Suppression Trial. N. Engl. J. Med. 324, 781–788 (1991).

49 McMurray, J. J. V. et al. Dapagliflozin in Patients with Heart Failure and Reduced Ejection Fraction. N. Engl. J. Med. 381, 1995–2008 (2019).

63 Steinberg, B. A. et al. Outcomes of implantable cardioverterdefibrillator use in patients with comorbidities: results from a combined analysis of 4 randomized clinical trials. JACC Heart Fail. 2, 623–629 (2014).

50 Packer, M. et al. Cardiovascular and Renal Outcomes with Empagliflozin in Heart Failure. N. Engl. J. Med. 383, 1413–1424 (2020).

64 Koplan, B. A. et al. Heart failure decompensation and all-cause mortality in relation to percent biventricular pacing in patients with heart failure: is a goal of 100% biventricular pacing necessary? J. Am. Coll. Cardiol. 53, 355–360 (2009).

51 Zannad, F. et al. SGLT2 inhibitors in patients with heart failure with reduced ejection fraction: a meta-analysis of the EMPERORReduced and DAPA-HF trials. Lancet Lond. Engl. 396, 819–829 (2020).

65 Cleland, J. G. F. et al. Long-term mortality with cardiac resynchronization therapy in the Cardiac Resynchronization-Heart Failure (CARE-HF) trial. Eur. J. Heart Fail. 14, 628–634 (2012).

52 Lopaschuk, G. D. & Verma, S. Mechanisms of Cardiovascular Benefits of Sodium Glucose Co-Transporter 2 (SGLT2) Inhibitors. JACC Basic Transl. Sci. 5, 632–644 (2020).

83 Tsao, C. W. et al. Temporal Trends in the Incidence of and Mortality Associated With Heart Failure With Preserved and Reduced Ejection Fraction. JACC Heart Fail. 6, 678–685 (2018).

79 Wirtz, H. S. et al. Real-World Analysis of Guideline-Based Therapy After Hospitalization for Heart Failure. J. Am. Heart Assoc. Cardiovasc. Cerebrovasc. Dis. 9, e015042 (2020).

76 Anker, S. D. et al. Empagliflozin in Heart Failure with a Preserved Ejection Fraction. N. Engl. J. Med. 385, 1451–1461 (2021).

84 Pocock, S. J. et al. Predicting survival in heart failure: a risk score based on 39 372 patients from 30 studies. Eur. Heart J. 34, 1404–1413 (2013).

85 Barasa, A. et al. Heart failure in young adults: 20-year trends in hospitalization, aetiology, and case fatality in Sweden. Eur. Heart J. 35, 25–32 (2014).

80 Mebazaa, A. et al. Safety, tolerability and efficacy of up-titration of guideline-directed medical therapies for acute heart failure (STRONG-HF): a multinational, open-label, randomised, trial. Lancet Lond. Engl. 400, 1938–1952 (2022).

77 Kittleson, M. M. et al. 2023 ACC Expert Consensus Decision Pathway on Management of Heart Failure With Preserved Ejection Fraction: A Report of the American College of Cardiology Solution Set Oversight Committee. J. Am. Coll. Cardiol. 81, 1835–1878 (2023).

81 Askoxylakis, V. et al. Long-term survival of cancer patients compared to heart failure and stroke: A systematic review. BMC Cancer 10, 105 (2010).

82 Roger, V. L. et al. Trends in heart failure incidence and survival in a community-based population. JAMA 292, 344–350 (2004).

78 McDermott, K. W. & Roemer, M. Most Frequent Principal Diagnoses for Inpatient Stays in U.S. Hospitals, 2018. in Healthcare Cost and Utilization Project (HCUP) Statistical Briefs (Agency for Healthcare Research and Quality (US), 2006).

FRÓÐLEIKUR

TENINGSBEIN RISTARBEIN HÆLBEIN

FÓTASKOÐUN

Fóturinn er mikilvægt og flókið líffæri sem er alla jafna undir miklu álagi. Frískur fótur tekur oft við álagi þúsunda skrefa hvern dag alla ævi og ber alla þyngd líkamans. Rétt virkni fótarins veltur á mörgum þáttum. Smávægi legar brey t ingar geta leitt til verkja og jafnvel meiriháttar færniskerðingar.

LÍFFÆRAFRÆÐI FÓTARINS

BEIN OG LIÐAMÓT

Fætinum má skipta í bak-, mið- og framfót. Bakfóturinn sam an stend ur af hæl beini ( cal can eus ) og völu beini (talus). Miðfóturinn inniheldur kilbein (cuneiform), miðlægt, milli og hlið lægt ásamt báts beini ( navi cular ) og teningsbeini (cuboid). Hann myndar náttúrulega sveigju fót ar ins. Fram fót ur inn inni heldur svo fimm ristar bein (metatarsal) ásamt tábeinunum (phalanges) sem eru 14 talsins, þrjú í hverri tá fyrir utan stórutá þar sem þau eru tvö. Bakfóturinn hefur það hlutverk að samhæfa flóknar hreyfingar við gang ásamt því að aðlaga fótinn að ójöfnu undirlagi. Mið- og framfótur gegna því hlutverki að aðlaga fót að undir lagi. Þeir eru stífir að innan verðu og virka sem vogarstöng þegar sparkað er með honum en eru mjúkir að utanverðu til að aðlagast ójöfnu undirlagi. Neðanvöluliður (subtalar) liggur undir ökklagafflin um og er milli völu beins og hæl beins. Hann á þátt í hreyfingu um innhverfingar-úthverfingar öxulinn. Chopart liður er tvískiptur í liðamót hælbeins og teningsbeins ásamt liðamótum völubeins, hælbeins og bátsbeins. Tarsometatarsal, einnig þekktir sem Lisfrancs, liðir liggja svo milli ristarbeina (tarsal) og framristarbeina (metatarsal) og leyfa hreyfingu í aðfærslu-fráfærslu plani, þó að litlu leyti. Tábergsliðir (metatarsophalangeal) og táliðir (interphalangeal) eru svo distalt við þessa liði. Fóturinn tengist sköflungi og dálki að ofan sem mynda ökklagaffalinn umhverfis völubein. Hann stöðgar völu bein ið ásamt lið bönd um. Ökkla liðurinn hreyfist í beygingar-réttingar plani (u.þ.b. 65-75°) ásamt því að hreyfast í innhverfingar-úthverfingar planinu að nokkru leyti (u.þ.b. 35°).

LIÐBÖND

Liðbönd gegna mikilvægu hlutverki í stöðgun ökkla og fótar. Áverk ar á lið bönd eru algengir og þá sér staklega á ökkla. Hlið lægt milli sköfl ungs og dálks liggja fremra neðra sköflungs- og dálksliðband (anterior inferior tibiofibular ligament (AITFL)), aftara neðra sköflungs- og dálks lið band ( post erior in fer ior tib io fibular liga ment (PITFL) ) ásamt þver lið bandi ( trans verse ligament). Þessi liðbönd mynda svokölluð trefjatengsl ( syndes mosis ). Mill beina himn an ( inter oss eous membrane) liggur milli sköflungs og dálks og á hún einnig þátt í stöðgun trefjatengslanna. Í ökklaliðnum eru svo liðbönd sem tengja dálk við sköflung en þau eru fremra völu- og dálks liðbandið ( an terior talofibular ligament (ATFL)), aftara völu- og dálksliðbandið (posterior talofibular ligament (PTFL)) og hælbeins- og dálksliðband (calcaneofibular ligament). Þessi liðbönd veita ökklanum hliðlægan stuðning. Áverkar á þau eru algengir og þá sérstaklega í innhverfingaráverkum. Miðlægt á ökklaliðnum er þríhyrnuliðbandið (deltoid ligament) sem veitir miðlægan stuðning. Utan um liðinn er svo liðpoki sem stöðgar liðinn enn frekar.

SINAR

Jafnvægi veltur að miklu leyti á sambandi gerandavöðva ( agon ist ) og mótv öðva ( ant ag on ist ) auk virkni kálfavöðva. Hásinin er sterkust í þessu samhengi. Einnig má nefna aftari sköflungsvöðva (musculus tibialis posterior) sem er aðal innhverfari fótarins. Aðrar mikilvægar sinar eru frá fremri sköfl ungs vöðva ( musc ulus tibi alis anterior), langa réttivöðva stórutáar (musculus extensor hallucis longus), löngu réttivöðvum táa (musculus extensor digitorum longus) ásamt langa- og stutta dálksvöðvanum (musculus fibularis longus og musculus fibulais brevis).

FÓTASKOÐUN

Eins og með alla líkamsskoðun er mikilvægt að hafa rútínu. Gott er að meta göngulag um leið og sjúklingur gengur inn, gangi hann óstuddur. Það getur gefið mikilvægar vísbendingar. Góð sögutaka er einnig mikilvægur þáttur í grein ingu. Að sögu töku lokinni tekur við fótaskoðun sem gróflega má skipta í tvennt: standandi og sitjandi skoðun.

STANDANDI SKOÐUN

Mikil vægt er að skoða gang limina í heild sinni ásamt mjaðma grindinni. Mein ofarlega í ganglim getur birst sem einkenni í fæti og öfugt. Alltaf þarf að bera saman við andstæðan fót. Best er að meta ósamhverfu þegar sjúklingur stendur. Gott er að biðja hann að standa andspænis skoðanda. Þá er mikilvægt að meta samhverfu í mismunandi hæð. Mjaðmarkambar, hnéskeljar og sköflungshnjótar (tibial tubercle) eru landamerki sem gott er að bera saman. Út frá þeim má einnig meta hvernig snúningur ganglimanna sé miðað við sköflung, mjöðm og mjaðmargrind.

Mikilvægt er að bera saman lengd ganglima. Mismunur í lengd eykur líkur á áunnum meinsemdum. Meta má lengd með því að meta halla mjaðmagrindarinnar (pelvic tilt). Það er gert með því að leggja fingur á fremri efri mjaðmarnibbu (anterior superior iliac spine) beggja vegna. Sé munur grein an legur má meta frekar hvar munurinn liggur með því að bera saman líffærafræðileg landamerki í sömu hæð.

Gott er að byrja mat fóta með því að horfa á þá. Mikilvægt er að meta hvort ilsig (pes planus) eða holfótur (pes cavus) séu til staðar með því að meta hæð iljanna á fótunum og bera saman milli hliða.

Ilsig hefur tvær birtingarmyndir:

· Ilhæð lækkuð en valgus bakfótar innan eðli legra marka. Mið- og framfótur eru beinir. Hásin er í eðlilegri línu við bakfót (Mynd 2, A og B). Ilhæð lækkuð og fótur innfallinn. Hæll í valgus stöðu og ytri mörk fótarins mynda horn við miðfót. Framfótur abduceraður. Hásin víkur hliðlægt þegar lagður er þungi á fótinn. Flóknari mynd en þegar hásin er í eðlilegri stöðu. (Mynd 2, C og D).

Holfótur (cavus foot) hefur einnig tvær birtingarmyndir eftir hvernig hann er drifinn:

· Hann er bakfótardrifinn þegar hæll er í hlut lausri eða vægri varus stöðu. Framfótur er þá nægilega sveigjanlegur til að bæta skekkjuna upp með ranghverfingu (pronation) á forfæti (Mynd 3 A).

Hann er framfótardrifinn þegar hæll er í varus stöðu og mið- og framfótur bæta það upp með adduction á forfæti. Framfótardrifinn holfótur leiðir til aukinnar þyngdardreifingar hliðlægt á fætinum (Mynd 3, B).

Í standandi stöðu er einnig gott að meta tær. Mikilvægt er að meta stefnu stórutáar miðað við aðrar tær þegar þyngd er sett á fótinn. Mikilvægt er að meta hvort táin skagi í valgus stefnu og gefa viðeigandi ráðleggingar til að forðast einkennagefandi kiðtá (hallux valgus).

Þegar búið er að meta fætur sjón rænt er gott að biðja sjúk ling um að standa á tám stutta stund og athuga hvort einkenni hljótist af því og þá hvernig þau séu. Geti sjúk lingur gert það án vand ræða má einnig biðja hann að fram kvæma hreyf ing una á einum fæti í einu. Á meðan hann framkvæmir hreyfinguna er gott að meta hvort innhverfing hæls sé samhverf. Innhverfingin verður vegna hreyfinga neðanvölu- og ristarþverliða. Aukist innhverfing ekki á hælum við að standa á tám bendir það til meinsemdar í þessum liðum.

SITJANDI SKOÐUN

Slík skoðun getur farið þannig fram að sjúklingur situr á bekk með fætur hangandi fram af bekknum. Við þessar að stæður er gott að meta fætur sjón rænt og kanna hvort til staðar sé aukin æðateikn, roði, bjúgur eða sár. Sé dreifing hára ekki samhverf getur það bent til æðatengdra mein semda eða rauðra úlfa ( systemic lupus erythematosus). Gott er að meta samhverfu m.t.t. rýrnunar við þessa skoðun.

Beinastrúktúra er gott að meta við sitjandi skoðun og þá sérstaklega fram- og miðfót. Óeðlilegar beinabungur er mikilvægt að merkja hjá sér. Beinabunga yfir háristar- og framristarliðum geta verið fyrsta merki slitgigtar í fætinum. Beinabunga yfir fyrsta framristarbeini kallast „bunion“ og yfir fimmta fram ristar beini „bunionette.“

Gott er að meta blóð flæði við þessar aðstæður. Púlsa í aftari sköflungsslagæð (posterior tibial artery) og ristarslagæð (dorsalis pedis artery) má þreifa til mats á blóðflæði. Gott er að bera saman kraft púlsanna beggja vegna. Meta má háræðafyllingu með því að þrýsta á nögl og athuga tímann sem tekur fyrir eðli legan húðlit að birtast þegar þrýstingi er aflétt. Undir tveimur sekúndum telst eðli legur tími. Sé blóð flæði skert getur það haft áhrif á gróanda sem getur skipt máli í mati mögulegra skurðaðgerðarsjúklinga.

Brennandi verkur eða dofi bendir til taugameinsemdar. Algengt er að taugar klemmist í fætinum sem veldur verkjum og pirring. Al geng asta tauga klemman í fæti num er tib ial tauga klemma í ristar stokki ( tar sal tunnel) sem er til staðar aftanvert og neðan við miðlægu hnyðjuna (medial malleolus). Ef dofi eða brunatilfinning eykst við bank á taugina bendir það til heilkennis ristarganga (tarsal tunnel syndrome). Meira staðbundin einkenni eru við ertingu og þykknun ( neurinoma) á interdigital taug milli 3. og 4. framristarhöfða. Þau lýsa sér eins og það sé steinn í sokknum eða skónum við ástig og kallast Morton’s taugaverkur (Morton’s neuralgia).

HREYFING LIÐA

Eðlileg hreyfi geta ökkla liðs er 10–15° beyging og 45–50° rétting. Stöðugleika liðsins í þykktarsniði (sagittal), ennissniði (coronal) og lágsniði (transverse plane) má meta með skúffuprófinu (anterior drawer test) (sjá mynd 4) sem metur stöðugleika hliðlægu ökklaliðbandanna. Prófið er framkvæmt með því að halda um sköflung og dálk með einni hendi og um hæl með hinni hend inni og draga fótinn fram. Ósamhverfa við hreyfingu bendir til liðbandaáverka.

Milli hælbeins og völubeins er neðanvöluliður sem hreyfist um 20–60°. Hann gerir fætinum kleift að hreyfast í innhverfingar-úthverfingar plani. Hreyfing um liðinn er nátengd hreyfingu völu- og bátsbeinslið og hæl- og teningsbeinsliðs (talonavicular joint og calcaneocuboid joint). Meta má hreyfingu um liðinn með því að taka um bakfót sjúklings og hreyfa fótinn um innhverfingar-úthverf ingar öxul inn. Gróf lega ætti inn hverfing að vera tvöfalt meiri en úthverfing. Skert hreyfing getur bent til slitgigtar í neðanvöluliðnum.

Mikilvægt er að taka tillit til inn byrðis stöðu fram- og bakfótar (sjá mynd 5). Sé staðan ekki eðli leg getur það leitt til einkenna. Það má lýsa stöðunni með þrennum hætti út frá forfætinum. Í venjulegri stöðu er framfóturinn hornréttur á bakfótinn. Í framfótarvarus er rétthverfingarstaða (supination) á framfæti og í forfótarval gus er ranghverfingarstaða ( pronation ) á forfæti. Staðan getur gefið mikil vægar vís bendingar í átt að greiningu.

Hæll = Í miðstöðu Hæll = Í miðstöðu Framfótur = Í miðstöðu

Hæll = Valgus (leiðréttur) Framfótur = Varus

Hæll = Í miðstöðu Framfótur = Valgtus

Eðlileg ökklarétting

Engin ökklarétting

Mynd 5 Innbyrðis staða framog bakfótar, skýringarmynd.

Mynd 6 Hásinarof

Mynd 7 Thompson próf

ÞREIFING

Þreifing er mikilvæg við fótaskoðun þar sem grunnt er á mörgum strúktúrum. Einfalt er að fá fram mikilvægar vísbendingar með því að þreifa og ýta á beinastrúktúra og athuga hvort sjúklingur finni til. Mikilvægt er að þreifa á helstu beina-, sina- og lið banda strúkt úr um. Einnig getur verið gagn legt að þreifa iljar fell (plantar fascia) með tær í afturbeygju. Versni verkir getur það gefið vísbendingu að greiningu.

MAT Á GÖNGULAGI OG SKÓM

Mikilvægt er að meta göngulag sjúklings sem hefur einkenni frá ganglim. Gott er að meta hann með og án skóbúnaðar og með hjálpartæki notist hann við þau dags daglega. Gott er að athuga hvort samhverfa sé í hreyfingum líkamans við gang. Það getur verið gagnlegt að skoða stöðu hnéskelja og sköflungshnjóta við gang þar sem þeir gefa vísbendingu um láréttan snúning ganglims í ás plani ( axial plane ). Einnig getur verið gagn legt að skoða hvert tær vísa við gang, bæði þegar fótur styður og styður ekki við jörðu. Skóbúnaður getur haft mikil áhrif á fæturna. Þar getur hæð hæls og innlegg skipt miklu máli. Þá má einnig athuga eyðingarmynstur skónna. Það gefur góða vísbendingu um þyngdardreifingu. Einnig er mikilvægt að athuga hvort skó búnaður sé notaður á réttan máta og hvort hann passi sjúklingi.

ALGENGIR SJÚKDÓMAR

OG ÁVERKAR Á FÆTI

HÁSINARBÓLGA

Hásinarbólga er krónískt bólguástand í hásin. Algengt er að hún myndist vegna ofæfinga. Bólgan myndast helst við skyndilega breytingu á æfingaálagi eða skóbúnaði. Þessir sjúklingar kvarta undan verkjum og þrengsl um í hásin. Algengt er að verkur inn sé verstur að morgni og að fyrstu skrefin eftir hvíld séu sársaukafyllst. Meðferð við hásinabólgu er hvíld og sjúkraþjálfun. Kæling, bólgueyðandi lyf, verkjalyf og innlegg geta hjálpað eftir atvikum.

HÁSINAÁVERKAR OG ROF

Hásinaáverkar eru algengir og fólk upplifir þá oft sem „spark“ aftan í kálfann án þess að högg hafi komið til. Algengt er að finna þetta við upphaf snarprar iljarbeygingar (t.d. við skyndi legan sprett). Hásina slit og hásina rof eru algeng og mikil vægt að missa ekki af þeim. Þau eru um fimmfalt algengari hjá karlmönnum. Oft eru þessir sjúklingar einkennalausir fyrir slík slit en þó er talið að um 10% hafi haft einkenni áður. Greining fer fram með góðri sögu töku en einnig má notast við Thompson próf og Matles próf.

Thompson próf felst í því að kreista kálfa sjúklings meðan hann liggur á maganum með fætur fram af borðinu. Með þessu má meta hversu mikil óvirk iljarbeyging verður og bera saman við hinn fótinn (sjá mynd 7). Sé minnkuð hreyf ing eða ósam hverfa milli fóta er það merki um hásinaráverka. Einnig má biðja sjúkling um að beygja hné í 90° í sömu stöðu og meta hversu langt ökklinn afturbeygist óvirkt. Sé ósamhverfa og einkennagefandi fóturinn hangir neðar er það vísbending um áverka á hásin. Gott er að þreifa hásin utan frá og kanna veikleika eða galla í henni sem getur verið merki um áverka. Hafa ber í huga að galli getur verið þreifanlegur lengi í kjölfar eldri áverka og því er ekki alltaf ljóst hvort hann stafi af nýjum áverka. Ef merki er um staðbundið mar yfir hásin getur það líka verið merki um áverka.1

Meðferð hásinarofs er oftast lokuð meðferð án aðgerðar. Skurðaðgerðir koma einnig til greina en almennt er talið að árangur sé ekki betri en lokuð meðferð sé rétt að henni staðið. Að gerðir geta komið til þegar greiningu seinkar og hjá íþróttafólki.

Lokuð með ferð án aðgerðar felst í tveimur stigum. Fyrst er fótur inn gips aður í iljar beyg ingu í 3 vikur. Síðan tekur við göngu stíg véla með ferð þar sem hækkun undir hæl er rólega lækkuð á 6–8 vikum. Þrátt fyrir vel heppnaða meðferð eru margir allt að ár að ná fyrri krafti.

Hásinameinsemdir eru í flestum tilfellum klínískar grein ing ar en þegar greining er óljós má notast við segulómskoðun. Einföld röntgenmynd getur einnig gagnast til að greina kalkanir og hælspora í krónískri bólgu.

SLITGIGT

Slitgigt í ökklalið er fremur óalgeng og mun fátíðari en t.d. slit gigt í hné eða mjöðm. Slit gigt í ökkla er oftast fylgikvilli eftir brot eða lið bandaáverka fyrr á lífs leiðinni. Einnig getur slitgigt komið til vegna bólgusjúkdóma eða vegna endurtekins áverka eins og fótboltasparka og einnig vegna áunninnar skekkju. Einkenni eru oft skert hreyfigeta, bólga og verkir. Meðferð er fyrst reynd með bólgueyðandi lyfjum og verkjastillingu. Einnig er hægt að notast við spelkur eða innlegg sem dreifa álagi á hagstæðari hátt en ella. Sé slík meðferð ekki nægjanleg þarf að meta sjúkling m.t.t. staurliðsaðgerðar (arthrodesis) og í sumum tilvikum liðskipta.

KIÐTÁ (HALLUX VALGUS, BUNION)

Þetta al genga vanda mál er oftast áunnið og er af mörgum talið erfða tengt. Það getur líka komið upp vegna of þröngs skóbúnaðar. Við það verður kiðskekkja á stóru tá. Fyrstu ein kenni eru oft þykkildi yfir fyrsta framristar-tákjúkulið (MTP1) en síðar verkir og jafnvel nuddsár. Upphafsmeðferð byggir á notkun víðari skóbúnaðar, jafnvel með púðum eða „spacerum“ milli táa. Séu verkir viðvarandi getur reynst nauðsynlegt að grípa til skurðaðgerðar sem yfirleitt gefur góða raun.

ILJARFELLSBÓLGA (PLANTAR FASCIITIS)

Iljarfellsbólga er algeng krónísk áunnin bólga við festu plantar fasciu. Verkir vegna hennar eru verstir á morgnanna, lagast við hreyfingu en versna svo aftur að kvöldi. Greining er klín ísk þar sem verkir versna mikið við þreifingu á iljarfelli. Yfirleitt er ekki þörf á myndgreiningu. Meðferð felst fyrst og fremst í sjúkraþjálfun. Einnig getur hjálpað að hækka undir hælnum með innleggi eða með því að breyta skóbúnaði.

LISFRANC ÁVERKAR

Lisfranc áverki er brotaliðhlaup í háristar- og framristarliðum (tarsometatarsal joint) sem verður við fall eða snúningsáverka. Klínískt má sjá mar undir il, verki við ástig og bólgu yfir rist. Stundum eru önnur brot einnig til staðar. Mikil vægt er að missa ekki af greiningu Lis franc áverka til að tryggja sem bestar horfur. Auðvelt er að missa af þessu þar sem lítið sést á hefðbund inni rönt gen mynd. Því þarf að hafa lágan þröskuld fyrir tölvusneiðmynd og áliti bæklunarskurðlækna vakni grunur um Lisfranc áverka. Meðferð felst yfirleitt í aðgerð.

ÖKKLABROT Ökklaáverkar eru algengir áverkar eða um 9% allra beinbrota. Flestir þeirra hafa góðar horfur séu þeir rétt með höndl aðir. Samt sem áður er ósam fella í ökkla lið sem getur hlotist af slíkum áverkum áhættuþáttur fyrir snemmbúnu sliti svo mikilvægt er að ná eins góðum gróanda og hægt er.2 Mikilvægt er að greina milli stöðugra

MYNDASKRÁ

Mynd 2, 3, 5: Mann’s surgery of the foot and ankle mynd 2–20, 2–21 og 2–35

Mynd 4: Ivins D. Acute ankle sprain: an update. Am Fam Physician. 2006;74(10):1714–20. Mynd 6: Padanilam TG. Chronic Achilles Tendon Ruptures. Foot and Ankle Clinics. 2009;14(4):711–28. Mynd 7: Nandra RS, Matharu GS, Porter KM. Acute Achilles tendon rupture. Trauma. 2012;14(1):67–81.

HEIMILDASKRÁ

1 van der Vlist AC, Winters M, Weir A, Ardern CL, Welton NJ, Caldwell DM, et al. Which treatment is most effective for patients with Achilles tendinopathy? A living systematic review with network meta-analysis of 29 randomised controlled trials. Br J Sports Med. 2021;55(5):249-56. 2 Bestwick-Stevenson T, Wyatt LA, Palmer D, Ching A, Kerslake R, Coffey F, et al. Incidence and risk factors for poor ankle functional recovery, and the development and progression of posttraumatic ankle osteoarthritis after significant ankle ligament injury (SALI): the SALI cohort study protocol. BMC Musculoskelet Disord. 2021;22(1):362. 3 Yates J, Feeley I, Sasikumar S, Rattan G, Hannigan A, Sheehan E. Jones fracture of the fifth metatarsal: Is operative intervention justified? A systematic review of the literature and meta-analysis of results. Foot (Edinb). 2015;25(4):251-7.

SÉRSTAKAR ÞAKKIR

Benedikt Árni Jónsson og Halldór Jónsson jr.

og óstöðugra brota í ökkla. Einnig þarf að hafa í huga liðbandaáverka, sérstaklega ef um misstig er að ræða. Ein kenni ökkla brota eru verkir og erfið leikar við að leggja þyngd á fótinn. Mikil vægt er að at huga hvort bólga eða merki sé um skaða á þríhyrnuliðbandi ( delt oid ). Einnig er mikilvægt að kanna hvort trefjatengslin (syndesmosis) séu heil við þessi brot með því að kanna hvort ökklagaffallinn gliðni við innhverfingarúthverfingar hreyfingu. Gott er að meta samhverfu í því samhengi.

BROT Á NÆRENDA FIMMTA FRAMRISTARBEINS

Brot á nærenda fimmta framristarbeins eru algeng. Oft eru þessi brot tilkomin vegna snúningsáverka. Einnig er ekki óalgengt að þessi brot séu tilkomin við beint högg, t.d. við að missa þungan hlut á fótinn. Brotin geta einnig myndast án teljandi áverka sögu, svo sem við hlaup en saga um slíkt ætti að leiða hugann að álagsbroti (stress fracture). Greining fer fram með röntgen mynd úr mismunandi plönum af fæti.

Nokkrar tegundir brota geta komið fram á nærenda fimmta fram ristar beins. Útiloka þarf bein falarbrot ( meta phys eal fract ure ) því bein falurinn er illa blóð nærður sem eykur líkur á van gró anda. Sé brotalína beinsins á svæði framristarliðarins (intermetatarsal

joint) er líklegt að um slíkt brot sé að ræða. Sé beinfalarbrot til staðar, einnig kallað Jones brot, getur skurðaðgerð verið nauðsynleg en við hana er skrúfu komið fyrir á svæðinu sem hvetur gróanda.3 Sé brotalínan nær háristar- og framristarliðamótum (tarsometatarsal joint) er afrifubrot líklegt. Við slíkt brot rifnar beinið upp vegna sinar stutta dálksvöðvans (musculus fibularis brevis). Sé brotalínan hins vegar fjær þessum liðamótum eru auknar líkur á skaftbroti.

ÁUNNIÐ ILSIG

Áunnið ilsig (progressive collapsing foot deformity) er hrörnunarsjúkdómur í fæti. Til staðar er krónísk bólga í sin aftari sköfl ungs vöðva ( post erior tibial ). Hægt og rólega tognar á sin inni þar til fóturinn leitar í il signa (planovalgus) stöðu. Einkenni byrja með verk yfir sininni og oft fer geta til að standa á tám versnandi. Að lokum fellur fóturinn saman og verður aukin skekkja og stífleiki í bakfæti. Meðferð fer eftir stigi sjúkdóms en fyrsta meðferð er oft hvíld og ráðleggingar varðandi skóinnlegg. Einnig getur stundum reynst nauðsynlegt að beita þjálfunaræfingum og stundum skurðaðgerð. Ilsig getur einnig verið meðfætt en þá koma einkenni fram mun fyrr á lífsleiðinni.

1 Útlit og hegðun

2 Tal Talhraði, talþrýstingur, tónblær, hljóðstyrkur, flæði

3 Hugsun

Hugsanaferli, hugsanainnihald

4 Skynjun

5 Geðslag og geðbrigði

6 Skilvitund

Dómgreind, áttun, minni, einbeiting, athygli

7 Innsæi

YFIRLIT YFIR ÞÆTTI TENGDA ÚTLITI OG HEGÐUN

Almennt

· Aldur, kyn, holdafar, þjóðerni

· Vísbendingar um líkamleg vandamál: Lömun, heyrnartæki, gular neglur

· Hlutir meðferðis

Útlit

Klæðnaður

· Persónuleg umhirða Ör, göt, húðflúr

Áverkamerki (sjálfskaði eða aðrir áverkar)

Hegðun

Breytingar meðan á viðtali stendur og hvort sé innan samfélagslegra viðmiða

Talhraði og talþrýstingur

Magn

Fátæklegt eða ríkulegt

Tónblær

Kaldhæðinn, reiður, hlutlaus, blæbrigðalaus.

YFIRLIT

Viðmót

· Augnsamband: viðeigandi, starandi, lítur undan, horfir niður í gólf

Viðmót: vingjarnlegur, fjandsamlegur, afskiptinn

Hreyfingar

Hversu virkur eða rólegur – situr kyrr eða er á iði

Hægari eða hraðari hreyfingar en búast mætti við

· Utanstrýtueinkenni (aukaverkanir geðrofslyfja)

Dystónía (vöðvaspennutruflun): tímabundinn eða viðvarandi vöðvasamdráttur. Algengast á höfuð – og hálssvæði.

· Akathisia (hvíldaróþol): Óþægilegt og oft óbærilegt eirðarleysi.

Parkinsonismi: Einkenni sem svipa til Parkinsonssjúkdóms.

· Tardive dyskinesia (síðfettur): Taktfastar ósjálfráðar hreyfingar í andliti, útlimum og búk. T.d. grettur, tyggja, tunguhreyfingar.

YFIR ÞÆTTI TALS

Hljóðstyrkur

Hvísl eða öskur.

Flæði

Svarar fljótt eða er seinn til svars með löngum pásum.

GEÐSKOÐUN

Markmið geð skoðunar er að gefa skýra og hlut læga mynd af geðrænu ástandi einstaklings á þeim tíma sem hún er gerð. Til gangur þessarar greinar er að fara yfir aðalatriði geðskoðunar með nánari útskýringum á hverjum þætti fyrir sig. Greinin er ekki tæmandi yfirferð á ítarlegri geðskoðun heldur hagnýtar leiðbeiningar fyrir læknanema sem eru að stíga sín fyrstu skref. Rétt eins og blóð prufa getur gefið vís bend ing ar um alvar leika sýkingar, væri gott ef til væri viðlíka mæligildi sem gæfi til kynna alvarleika geðrænna einkenna. Geðskoðun er mikil vægt verk færi fag fólks til að lýsa og skilja betur geðrænt ástand sjúklings á ákveðnum tímapunkti, meta bráðleika, alvarleika, versnanir, batamerki og þjónustuþörf. Við getum skipt geðskoðun upp í eftirfarandi þætti; útlit og hegðun, tal, hugsun, skynjun, geðs lag (mood), geðbrigði (affect), skilvitund og innsæi.

Það getur verið hjálplegt að leyfa sjúklingnum að tjá sig óhindrað fyrstu fimm mínútur viðtalsins ef hann er fær um það. Þá geta komið fram mikil vægar upplýsingar fyrir geð skoð un ina auk þess sem það sparar oft tíma við upp lýsinga öflun. Þá gefst einnig tæki færi til að skoða þættina sem krefjast eftir tektar frekar en spurn inga; útlit og hegðun, tal, hugs ana ferli og geðbrigði. Síðar í viðtalinu er svo hægt að spyrja nánar út í hugsanainnihald, ofskynjanir, geðslag og vitræna burði. Geðskoðunin á sér stað yfir þann tíma sem viðtalið tekur og best ef spurningar um ofangreint fléttist inn í viðtalið. Stærsti takmarkandi þáttur inn fyrir því að hægt sé að framkvæma marktæka geðskoðun er ef sjúklingurinn er undir áhrifum vímuefna.

1. ÚTLIT OG HEGÐUN

Ef sjúklingurinn er fær um að tjá sig óhindrað fyrstu fimm mínútur við tals ins skap ast tækifæri til að leggja á minn ið eða hripa niður atriði sem snúa að út liti og hegðun. Líkt og þaninn kviður með örum getur gefið vísbendingu um meinsemd þá gefur útlit og hegðun sjúklings ins það líka. Til dæmis gæti lýsing á svip brigðalitlum manni sem grætur í viðtali, klæddur víðum fötum með óhreint hár gefið merki um þunglyndan mann sem hefur megrast og framtaksleysi aftrar honum frá því að

sinna persónulegu hreinlæti. Útlitið getur líka gefið merki um hvernig viðkomandi kýs að tjá sig og getur birst með einkennandi klæðaburði eða húðflúrum. Ef klæðaburður er í ósam ræmi við veður far er vert að taka það fram, til dæmis berfættur í frosti eða í mörgum lögum fata í hlýju veðri. Holdafar sjúklings skiptir líka máli þar sem ákveðin geðlyf geta valdið þyngdaraukningu og geðræn ein kenni aukið eða dregið úr matar inn töku. Ef það er ólíkt einstaklingnum að klæðast litríkum fötum og nota ríku lega af andlits farða þá gæti það verið merki um örlyndi (mania). Viðmót og hegðun í við tali getur sagt til um undirliggjandi líðan eða persónu leika. Einnig er gagn legt að skrá niður hvort sjúk ling ur sé til dæmis kurteis, vin gjarn legur, fjand sam legur, hortugur eða tortrygginn, hvort hann sé mikið á hreyfingu eða grafkyrr, hvort hann sé fjarrænn, haldi góðu augnsambandi, hvort hann hlusti á spurningar, grípi fram í og almennt hvernig hann bregst við umhverfinu. Óeðlilegar hreyfingar eða stellingar er annað sem er mikilvægt að skrá, sér í lagi þar sem geðrofslyf geta valdið utanstrýtueinkennum (extrapyramidal symptoms) og einkenni katatóníu geta verið afleiðing geðsjúkdóma. Lýsingin á útliti og hegðun þarf ekki að vera löng en gott er að skrá niður það eftirminnilega.

2. TAL

Lýsing á tali skarast á við lýsingu á hugsanaferli enda koma hugsanir fram í tali. Þó eru ákveðnir þættir aðskildir: talhraði, talþrýstingur, tón blær og hljóðstyrkur. Ef tal þrýstingur er til staðar upp lifir skoð and inn að sjúk lingur inn noti hvorki bil, kommur né punkta í frásögn sinni og oft er ómögulegt að komast að. Það mætti segja að tal þrýst ing ur inn endur spegli hraða hugs ananna. Þegar svokölluð tregða er til staðar í tali þá koma eitt eða fá orð á stangli, oft með löngum hléum á milli sem endurspeglar tregðu í hugsun og getu til tjáningar. Einnig er gott að skrá hvort talið er drafandi, lipurt eða ef viðkomandi er þvoglumæltur.

A) Hugsanaferli (Sjá Mynd 1).

Circumstantial:

Skoðandinn upplifir að sjúklingurinn fari um víðan völl með mörgum útúrdúrum og smáatriðum áður en hann kemur að kjarna málsins eða svarinu við spurningu. Þetta hugsanaform þarf ekki að teljast sjúklegt.

Tangiental

Sjúklingurinn afvegaleiðist frá markmiði frásagnarinnar. Skoðandinn upplifir að það er líkt og málsgreinarnar í frásögninni séu ekki tengdar og finnur að hann þarf að einbeita sér verulega við það að fylgja sjúklingnum eftir.

Ranghugmyndir

Derailment:

Sjúklingurinn fer ítrekað út af sporinu, jafnvel líkt og það vanti tengingar milli setninganna.

Orðasalat (word salad): Frásögnin algjörlega án samhengis og líkt og orðin vanti tengingu hvert við annað.

Nýorðasmíði (neologism): Tilbúningur nýrra orða.

B) Hugsanainnihald

· Aðsóknarranghugmyndir: Hugmyndir um að einhver sé að áreita, njósna um, elta, dreifa orðrómi eða jafnvel vilji þá feiga. Tilvísunarranghugmyndir: Hugmyndir um að hversdagslegir hlutir hafi sérstaka merkingu gagnvart þeim sjálfum, til dæmis fréttir, að hlutum sé raðað upp sem skilaboð eða að lög hafi verið samin til viðkomandi.

· Stjórnunarranghugmyndir: Hugmyndir um að ytri öfl stjórni sjúklingnum á einhvern hátt. Hreyfingum, skynjun, tilfinningum og vilja sé stjórnað af öðrum Hugsanaafskipti: Upplifunin er að þetta sé gegn vilja sjúklings.

· Fjarlæging hugsana Innsetning hugsana Útvörpun hugsana

· Mikilmennskuranghugmyndir: Sjúklingur gæti talið sig hafa mikilvægi umfram aðra, vera sérstaklega ríkur, frægur, útvalinn fyrir sérstakt hlutverk, vera ákveðin söguleg persóna endurfædd eða með hæfileika sem aðrir gætu ekki haft.

· Eratomania: Sjúklingur trúir að annar einstaklingur sé ástfanginn af sér.

· Nihilistic: Telur að eitthvað lífsnauðsynlegt skorti: Til dæmis að líffæri eða útlim vanti, líffæri séu rotin, hann sé dáinn eða heimilislaus.

CIRCUMSTANTIAL

Upphaf Endir

· Trúarranghugmyndir: Telur sig hafa yfirnáttúrulegan guðlegan mátt.

Sektarranghugmyndir: Til dæmis að viðkomandi hafi gert eitthvað alvarlegt af sér eða jafnvel beri ábyrgð á Covidfaraldrinum og efnahagshruninu.

Þráhyggjuhugsanir

Fælni

Sjálfsvígshugsanir Eru hugsanirnar skammvinnar eða þrálátar? Hversu oft koma þær? Hversu lengi staldra þær við?

· Hversu mikið átak er að streitast á móti þeim?

· Hversu aðgengileg er aðferðin? Hversu banvæn er aðferðin? Hversu banvæna metur sjúklingurinn aðferðina?

Ótengdur endir, talar fram hjá lokapunktinum TANGIENTAL

Upphaf

· Aðgreina milli sjálfsvígshugsana, dauðahugsana og lífsleiðahugsana. Mynd 1 Myndræn útskýring á mismunandi hugsanaformum.

Heyrnarofskynjanir

1. Persónu

2. Persónu

3. Persónu

Hugsanabergmál

Heyrir hugsanir stuttu eftir að hafa hugsað þær (echo de la pensée).

Sjónofskynjanir

Lyktarofskynjanir

Bragðofskynjanir

Snertiofskynjanir

DERAILMENT

Hvorki upphaf né endir, samhengislaus frásögn

Þessi þáttur geðskoðunar skiptist í lýsingar á hugsanaferli og hugsanainnihaldi.

A) HUGSANAFERLI

Flæði og samhengi: Þegar truflun verður á hugsanaferlinu er talað um hugsana truflun. Til nánari útskýringar er hægt að flokka hugsanatruflunina eftir því hversu mikið samhengi er í frásögninni: circumstantial, tangiental, derailment, orðasalat og nýyrðasmíð (neologism ). Einnig er gott að meta hversu vel sjúk lingurinn nær að koma hugsunum frá sér – allt frá því að vera þögull (mutism) yfir í hugsanaflug (flight of ideas). Þögli getur verið valkvætt, partur af ranghugmyndakerfi eða bent til mikill ar hugsana fátæktar eða stjarfa ástands. Nánari útskýring á hugsanaferli má sjá í kassa merktum

Yfirlit yfir þætti hugsunar ­ Hugsanaferli.

Hraði: Hraðar hugsanir leiða oft af sér aukinn talþrýsting. Hugsanaflug endurspeglast af því að hugsanirnar eru svo hraðar að hver hugsun er í örstuttan tíma. Ef sjúklingur upplifir hugsanablokk (thought block) er líkt og hugsunin hverfi og hann hættir að tjá sig eða lýsir því að hugurinn tæmist skyndilega

B) HUGSANAINNIHALD

Hér þarf að meta ríkjandi þema hugsana, rang hugmyndir, þráhyggjuhugsanir og fælni (phobia). Auk þess sjálfsvígshugsanir og hugsanir um að skaða aðra en þá þætti þarf oftast að spyrja sérstaklega um.

Ranghugmyndir: Fyrir sjúklingnum er ranghugmynd stað reynd. Til dæmis þætti ykkur fárán legt (og jafnvel pirr andi) ef einhver ætlaði að sann færa ykkur um að þið væruð ekki lækna nemar. Sjúklingurinn mun ekki taka mark á nokkurs konar rökstuðningi eða sönnun fyrir því að ranghugmyndin sé óraunveruleg. Gott er að biðja sjúklinginn um að útskýra nánar hugmyndir sínar og rökstuðning. Einnig að kanna hvort hann efist lítillega eða sé sannfærður. Ranghugmyndum í bráðageðrofi geta fylgt miklar tilfinningar, eins og hræðsla, óöryggi og aðsóknarkennd sem valda vanlíðan hjá sjúklingnum. Þegar ranghugmyndir hafa verið lengi til staðar í geðklofasjúkdómi, þá oft sem hluti af ranghugmyndakerfi, þá er tilfinningatengingin oft minni. Einnig vegna þess að tilfinningaleg flatneskja þróast stundum sem hluti af geðklofasjúkdómi. Ranghugmyndirnar geta verið fjarstæðukenndar (bizarre) eða ekki (non­bizarre). Ef þær falla undir síðar nefnda flokkin getur stundum verið snúið að stað festa hvort um raun veru lega rang hugmynd er að ræða og getur þurft að afla upplýsinga um menningarlegan og trúarlegan bakgrunn auk upplýsinga frá aðstandendum. Einlæg forvitni er öflugasta vopnið þegar kemur að því að fá fram ranghugmyndir því oft eru það þær sem skipta sjúklinginn hvað mestu máli. Til eru mismunandi tegundir ranghugmynda sem má sjá í upptalningu í kassa merktum Yfirlit yfir þætti hugsunar ­ Hugsanainnihald.

Ofmetnar hugsanar (overvalued ideas): Ofmetnar hugsanir eru hugsanir sem eru skiljanlegar í þeim menningarheimi sem sjúklingurinn mótaðist í. Þær geta haft mikil áhrif á líf einstaklingsins árum saman þó hann sé ekki eins gagntekinn af þeim og einstaklingur með ranghugmyndir í bráðageðrofi. Dæmi eru áleitnar hugsanir einstaklings með lystarstol um að hlutaðeigandi sé í yfirþyngd. Einstaklingurinn getur samt oftast áttað sig á því að aðrir hafa góð rök fyrir því að meta stöðuna á annan hátt en samt reynist honum erfitt að skynja líkamsímynd sína á annan hátt.

Þráhyggjuhugsanir: Þráhyggjuhugsanir valda sjúk ling num sam stundis kvíða eða óþægi legri vanlíðan. Algeng þemu hugsana eru einhvers konar mengun

(óhreinindi, eitrun, smit eða eitthvað sem sjúklingnum finnst ógeðfellt eða telur að geti valdið skaða), sýkingar, kynlíf og trú. Erfitt er að streitast á móti eða bægja þráhyggjuhugsunum frá sér. Sjúklingurinn bregst stundum við hugmyndunum með áráttukenndri hegðun til að losna undan þeim, til dæmis endurteknum athugunum, handþvotti, tal ningu og öðru sem getur tíma bundið dregið úr kvíðanum en til lengri tíma viðhaldið honum. Áráttuhegðun er skráð í geðskoðun samhliða þráhyggjuhugsunum þar sem sterk tengsl eru þar á milli. Hægt er að spyrja: „Færðu óvelkomnar hugsanir sem þér finnst úr takti við þig eða vilt ekki hafa, þrátt fyrir að þú reynir að stöðva þær og það veldur þér miklum kvíða?“

Sjálfsvígshugsanir: Ef sjálfsvígshugsanir koma ekki sjálf krafa fram í við tali er nauð synlegt að spyrja sérstaklega um innihald þeirra og eðli. Í þessari grein verður stiklað á stóru þar sem venjan er að gera sérstakt áhættumat utan við geðskoðunina. Það er þó óhjákvæmilegt að nefna nokkur atriði sem sjá má í kassa merktum Yfirlit yfir þætti hugsunar ­ Hugsanainnihald. Áhættan er svo metin nánar út frá því hver áformin eru og þyngd hugsananna. Stærstu áhættuþættirnir er saga um alvarlega fyrri sjálfsvígstilraun(ir), vonleysi, örvænting, yfirþyrmandi tilfinning um að vera öðrum byrði og rör sýn á að sjálfs víg sé eina lausnin. Mikil vægt er að spyrja vel út í hugsan irnar þar sem við brögðin miðast að því hver hættan er. Það er mikill stigs munur á því að vera kominn með leið á lífinu og óska þess að vera dáinn yfir í það að vera kominn með áform um að taka eigið líf eða undirbúa það með því að rita kveðjubréf, safna stórum skammti af lyfjum, verða sér út um vopn eða hafa íhugað vel hvernig sé skást að taka líf sitt svo ættingjar komi ekki að þeim látnum.

4. SKYNJUN

Skynjun getur brenglast frá öllum fimm skyn færum: heyrn, sjón, snerting, lykt og bragði. Hér verður farið yfir misskynjun (einnig nefnd rangskynjun) og ofskynjun. Undir skynjun heyrir auk þess depersonalization og derealization sem verður ekki farið yfir hér.

Misskynjun er þegar raunveruleg skynjun er mistúlkuð. Slíkt getur sést í líkamlegum veikindum, til dæmis óráði. Einstaklingur er einnig líklegri til að upplifa misskynjun ef hann er þreyttur eða með skerð ingu á sjón eða heyrn. Dæmi um mis skynjun er að halda að tré í myrkri sé óhugnanlegur glæpamaður eða að sjá andlit Jesú úr brenndu ristuðu brauði.

Ofskynjun er skynjun án þess að eitthvert ytra áreiti sé kveikjan að henni, til dæmis að heyra rödd án þess að nokkur hafi talað. Fólk á stundum erfitt með að gera greinarmun á ofskynjun og raunverulegri skynjun. Hér getur því þurft að vanda orðaval. Hægt er að spyrja eitt hvað á þessa leið: „Undir svona miklu álagi getur gerst að fólk heyri hljóð eða orðaskil jafnvel þó enginn sé í herberginu, hefur þú lent í því?“ Sjúklingurinn gæti farið í baklás ef spurt er án aðdraganda „Ertu með ofskynjanir?“ því þó að viðkomandi sé í raun að heyra ofheyrnir þá er það mögulega hans upplifun að þetta sé raunveruleg skynjun. Það getur hjálpað að taka vel eftir hegðun sjúklingsins í viðtalinu og spyrja nánar út í hana. Til dæmis „Ég sé að þú horfir oft til hægri, er það til að hlusta eftir einhverju?“ ­ „Eru hugsanirnar svo sterkar að þær hljóma eins og rödd?“ Ef sjúklingur muldrar eða talar við sjálfan sig er tækifæri til að spyrja „Ég heyrði að þú varst að segja eitthvað sem tengdist ekki okkar samtali, varstu að heyra aðra rödd en mína?“ Ef sjúklingur lýsir ofheyrnum er mikilvægt að fá á hreint hvort skynjunin komi utan frá líkt og rödd skoðandans eða sé innri upplifun, þá eins og hugsun frekar en rödd. Eðli

Áttun

Staður, stund, persóna.

Minni

Skammtímaminni og langtímaminni.

Athygli og einbeiting Einbeiting er undirflokkur athygli. Hér er hægt að láta draga 7 frá 100 eða fara með mánuðina afturábak.

Stýrifærni (executive function)

YFIRLIT YFIR NOKKRA ÞÆTTI INNSÆIS

Sjúklingur er meðvitaður um það að öðrum finnist hegðun og einkenni óeðlileg. Hægt að spyrja „Finnst vinum og fjölskyldu þú ólíkur sjálfum þér?“ - „Hefur einhver gert athugasemdir við það sem þú segir eða gerir?“

Sjúklingur samþykkir að hegðun og einkenni séu óeðlileg. Hægt að spyrja „Finnst þér þú ólíkur sjálfum þér? - Er eitthvað að angra þig núna?“

Sjúklingur samþykkir að vandamálið sé vegna geðsjúkdóms. Hægt að spyrja „Hvað telur þú orsaka ... ?“ Til að sjá hvort viðkomandi sé sammála þeim greiningum sem hann hefur fengið eða hvort hann hafi aðrar kenningar um hvað sé orsakavaldur mætti spyrja „Hverjar eru þínar sjúkdómsgreiningar?“

Sjúklingur samþykkir að hann hafi ákveðna sjúkdómsgreiningu en sú tengist ekki núverandi veikindalotu.

Sjúklingur er meðvitaður um að hann sé með sjúkdóm sem tengist núverandi veikindalotu og þurfi meðferð.

DÆMI UM STUTTA GEÐSKOÐUN

30 ára kona, klædd í svarta hettupeysu með uppbrettar ermar svo það sést í nokkur ör þvert yfir framhandlegg. Sorgarrendur undir nöglum og persónulegri umhirðu virðist almennt ábótavant. Niðurlút að sjá og liggur lágt rómur. Ekki að greina hugsanatruflun. Aðsóknarranghugmyndir og sjálfsvígshugsanir koma fram. Neitar ofskynjunum og hegðun bendir ekki til þess í viðtali. Geðslag lækkað og geðbrigði í samræmi, lýsir ótta og umkomuleysi. Áttuð á stað, stund og persónu. Innsæi í það að hún er ólík sjálfri sér og þurfi innlögn og meðferð.

raddarinnar skiptir líka máli, hvort hún sé vinaleg eða fjandsamleg, hvort hún vilji viðkomandi vel eða illt og hvað röddin segi. Mikil vægt er að reyna ná fram hvort röddin sé skip andi og þá hvort hún snúist um hættulega hluti. Ef ofheyrnir stafa af líkamlegum veikindum þá eru þær yfirleitt ómótuð hljóð, til dæmis að heyra suð eða skrölt, flaut, vélar hljóð eða tón list. Séu of sýnir til staðar hafa þær oftar tengsl við líkamlega sjúkdóma en geðsjúkdóma.

5. GEÐSLAG OG GEÐBRIGÐI

Geðslag er sú líðan sem sjúklingurinn lýsir og á við um lengri tíma en geðbrigði, oftast ný liðna 2–7 daga. Geðbrigði (affect) eru lýsing á þeim til finn inga viðbrögðum sem fagaðili tekur eftir í viðtalinu.

Geðslag (mood): Oft er geðslagi lýst sem hækkuðu, hlut lausu eða lækkuðu. Geðs lag er talið hækkað ef sjúk ling ur inn lýsir mikilli vel líðan og þá er ástæða til að meta nánar ein kenni ör lyndis. Geð slag er lækkað ef sjúklingurinn lýsir vanlíðan. Ef hann lýsir þokkalegri eða góðri líðan á viðtalsdegi og vikuna þar á undan myndi geðslag vera skráð sem hlutlaust. Ef svarið er „ég veit ekki“ þá er hjálplegt að spyrja í hvernig skapi hann er. Ef það er of erfitt fyrir hann er hægt að nefna nokkrar til finn ing ar og sjá hvort hann tengi við þær. Í geð skoð un er þá skráð hvort um hækk að eða lækk að geðs lag er að ræða og bætt við þeim orðum sem einstaklingurinn setur á líðan sína, til dæmis „lækkað geðslag, lýsir depurð og vonleysi.“ Það er óþarfi að telja upp þunglyndiseinkenni í textanum um geðskoðunina, betra er að skrá þau með sjúkrasögu. Ef engar kvartanir um þung lyndi eða vægari dep urð hafa komið fram, þótt geðslag og geðbrigði bendi til annars í viðtalinu þá er mikilvægt að spyrja vel út í einkenni þunglyndis, þ.m.t. vonleysi og sjálfsvígshugsanir.

Geðbrigði (affect) : Geðbrigði lýsir því hvernig líðan eða skap sjúklingsins birtist skoðandanum. Annars vegar hvort það sé eins og búast mætti við út frá lýsingum á eigin líðan (þ.e. hvort geðbrigðin séu í samræmi) og hins vegar hvernig hann kemur fyrir – hamingjusamur, dapur, kvíðinn, reiður, afskiptinn, fjarrænn og svo framvegis. Geð brigði má skil greina eftir þremur þáttum; hversu stöðug, viðeigandi og mikil tilfinningaviðbrögðin eru. Stöðugleikinn er metinn út frá því hvort sjúklingurinn sveiflist á milli þess að vera til dæmis dapur, hamingjusamur, reiður og pirraður. Ef sveiflurnar eru miklar er talað um að geð brigðin séu sveiflu kennd ( labile ).

Ef tilfinningaviðbrögðin eru lítil sem engin er oft talað um flöt geð brigði. Oft er betra að lýsa geð brigð un um frekar en að tala um að þau séu hækkuð eða lækkuð þar sem það getur valdið misskilningi.

6. SKILVITUND

Við mat á skilvitund (cognition) eða vitrænni getu skiptir máli hvert menntunarstig sjúklingsins er og hvort viðkomandi sé með heilabilun. Hér er til dæmis skráð mat á vökustigi, áttun, athygli, einbeitingu og minni.

7. INNSÆI

Það getur verið erfitt að segja af eða á hvort innsæi sé til staðar og því hjálplegt að nálgast mat á innsæi út frá nokkrum þáttum sem sjá má í kassa merktum Yfirlit yfir nokkra þætti innsæis. Hér er metið hversu meðvitaður sjúklingurinn er um ástand sitt og þörf á meðferð.

LOKAORÐ

Geðskoðun er sérstaklega mikilvæg ef sögu er ábótavant og getur hjálpað til við að komast að réttri sjúkdómsgreiningu. Það kemur nefnilega fyrir að ekki fer saman hljóð og mynd. Til dæmis gæti sjúk lingur sent erindi í Heilsuveru með lista yfir þunglyndiseinkenni sem gætu uppfyllt skilmerki þunglyndis og kallað á lyfjameðferð. En við góða geðskoðun gæti klíníska myndin verið allt önnur og metið sem svo að við kom andi væri alls ekki í þörf fyrir lyfjameðferð. Mikilvægt er að geðskoðun sé vel gerð og skráð þar sem sjúk ling ar fara á milli mismunandi þjónustustiga í heilbrigðiskerfinu. Þá skiptir máli að fagfólk geti talað sama tungumálið og lýst ofangreindum atriðum vel, borið saman geðskoðanir og áttað sig á breytingum og bráðleika vandans sem við blasir. Geðsjúkdómar hafa tengingar við marga líkamlega sjúkdóma og meðhöndlun þeirra getur bætt horfur verulega. Því nýtist færni í geðskoðun hvar sem læknar mæta fólki í heilbrigðiskerfinu.

HEIMILDASKRÁ

Carlat DJ. The psychiatric interview. 4th ed. Philadelphia: Wolters Kluwer Philadelphia; 2017. Oyebode F. Sims’ symptoms in the mind: Textbook of descriptive psychopathology, 5th ed. Maryland Heights, MO, US: Elsevier Saunders; 2015. Shea S.G. Maloney M. Psychiatric Interviewing: The Art of Understanding, 3rd ed. W. B. Saunders Co/Harcourt Brace Jo; 2016. Stringer S, Church L, Davison SC, Lipsedge M, editors. Psychiatry Prn: Principles, Reality, Next Steps; 2009.

ÞAKKIR

Kærar þakkir fær Ísafold Helgadóttir geðlæknir fyrir vandaðan yfirlestur, gagnlegar ábendingar og viðbætur.

IKTSÝKI

Grein þessi er ætluð til kynningar á gigtarsjúkdómnum iktsýki. Ósk höfunda er að hún veki áhuga á þessum algenga sjálfsofnæmissjúkdómi og auðveldi greiningu og uppvinnslu hans.

Iktsýki (rheumatoid arthritis, RA ) er langvinnur, fjölkerfa sjúkdómur, sem einkennist af samhverfum liðbólgum í smáliðum handa og fóta og einnig af sértækum mótefnum en þeim verður lýst nánar seinna í grein inni.1 Sjúkdómurinn getur leitt til liðskemmda og fylgikvilla í líffærum utan liða (extra­articular manifestations) en auk þess eykur langvarandi bólga áhættu á hjartasjúkdómum og blóðkrabbameini.2–4

Algengi iktsýki á heimsvísu er talið vera 0,24% en í Norður-Evrópu og Bandaríkjunum virðist það vera hærra eða um 0,5–1%. 5–8 Frumbyggjar Norður-Ameríku skera sig úr hvað varðar algengi en þar hefur verið sýnt fram á tífalt hærra algengi iktsýki (5–7%).9 Konur eru tvisvar til þrisvar sinnum líklegri til að þróa með sér iktsýki en karlar.10, 11 Hvað aldur varðar þá getur sjúkdómurinn birst á öllum aldri en dæmigert þykir að hann byrji á miðjum aldri en nýjustu rannsóknir benda til að nýgengi sé að færast hærra upp í aldri, meðal annarra sýndi stór rannsókn á Norðurlöndum, sem sýndi að hæsta nýgengi væri á milli 70 og 79 ára.6, 12, 13

AF HVERJU VEIKIST FÓLK AF IKTSÝKI?

Ikt sýki verður til vegna flókins sam spils um hverfis og erfða en u.þ.b. 40–50% af áhættunni eru talin útskýrast af erfðum. 14–16 Vefja flokkuinn human leuko cyte anti gen (HLA) af týpu II er sérstaklega mikilvægur í þessu samhengi.17 Sameiginleg vakaeining (Shared epitope, SE) er röð fimm amínósýra í HLA-DRβ keðjunni og getur margfaldað líkur einstaklings á að veikjast af iktsýki.18 Aðrir erfðaþættir eru þekktir fyrir að hafa áhrif á þróun iktsýki þ.á.m. PTPN22, STAT4 og TRAF1. 19–21 Reykingar eru stærsti lífstílstengdi áhættuþátturinn fyrir iktsýki en sú áhætta er frekar tengd iktsýki þar sem greinast sértæk mótefni þ.e. sermisjákvæðri iktsýki. Athyglisvert er að einstaklingar með arfgenga tilhneigingu til að þróa með sér sermisjákvæða iktsýki þ.e. þeir sem hafa bæði samsætur af SE og PTPN22 margfalda líkur sínar á að veikjast af

Elín Metta Jensen

Læknanemi á 6. ári

Katrín Þórarinsdóttir Sérfræðingur í gigtarlækningum

iktsýki með reykingum.22–24 Hvað varðar aðra umhverfistengda þætti þá hafa t.a.m. fundist tengsl á milli aukinnar tíðni iktsýki og kísil- og textílagna í andrúmslofti.25–27

HVERNIG ÞRÓAST IKTSÝKI?

Áðurnefnt samspil erfða og umhverfis leiðir til röskunar í ónæmiskerfinu með einkennandi mynstri bólgumyndunar í liðpokum (synovial inflammation). Um 60–70% sjúklinga eru með mótefni gegn cýklískum cítrúllíneruðum peptíðum (anti­cyclic citrullinated peptide, anti­CCP) og/ eða gigtar þátt þ.e. mótefni gegn Fc hluta IgG mót efna (rheumatoid factor, RF) í blóði.28 Iktsýki má flokka gróflega í tvo flokka eftir því hvort fyrrnefndur gigtarþáttur er til staðar: sermisjákvæð (serópósitív) eða sermisneikvæð (serónegatív) iktsýki.29

Enn nákvæmara er að til greina hvort anti-CCP sé einnig til staðar. Þannig er æski legt að tala um iktsýki sem anti-CCP/RF jákvæða eða neikvæða þar sem það hefur klíníska þýðingu. Sjúkdómsferli iktsýki er talið getað byrjað mörgum árum áður en klínísk birtingarmynd kemur að fullu fram.30 Þetta sést best á því að anti-CCP og gigtarþáttur hafa mælst í blóði sjúklinga allt að tíu árum áður en þeir fá liðeinkenni. Með öðrum orðum þá hefur sjálfsþol (self tolerance) brostið löngu áður en liðir bólgna upp.31–33

Frumur sérhæfða og ósérhæfða ónæmiskerfisins taka þátt í bólguferlinu, en sýnt hefur verið fram á þátttöku B og T frumna í bólguíferð liða í kjölfar umbreytingar próteina (citrullination, carbamylation) og þátttöku sýnifrumna.32, 34, 35

HVENÆR GRUNAR OKKUR IKTSÝKI?

Iktsýki er fjölliða (polyarthritis) gigtarsjúkdómur þ.e. sjúklingur er með fimm eða fleiri bólgna liði. Oftast eru þetta smáliðir handa og fóta (mynd 1) en þó ber að hafa í huga að undantekningar eru frá því mynstri, t.a.m. getur sjúkdómurinn byrjað sem einliðarbólga (monoarthritis).34, 36, 37 Sjúkdómurinn leggst á DIP liði, sem aðgreinir hann frá slitgigt og sóragigt.

1

Mismunagreiningar við iktsýki

TAFLA 2

Aðeins á að nota þessi greiningarskilmerki á sjúklinga með: + Minnst einn bólginn lið + Þar sem liðbólgan útskýrist ekki betur af öðrum sjúkdómi

Slitgigt

Háþrýstingur

Liðbólgusjúkdómar

Hjartsláttaróregla

Bandvefssjúkdómar

Sýkingar

Aumir eða bólgnir liðir

Þvagsýrugigt eða önnur kristallagigt

Sóragigt

Fylgiliðagigt

Hryggikt

Rauðir úlfar (Systemic lupus erythematosus, SLE)

Bakteríu- / Veirusýkingar

Samtals stig Ef stig eru ≥ 6 þá uppfyllir sjúklingur greiningarskilmerki fyrir iktsýki

* Stórir liðir: Axlir, olnbogar, mjaðmaliðir, hné, ökklar

** Smáliðir: MCP liðir (1-5), PIP liðir (1-5), MTP liðir (2-5), IP liðir, úlnliðir

*** Lágur títri: títri er lægri en þrefalt efra normal gildi

**** Hár títri: títri er hærri en þrefalt efra normal gildi.

Mynd 1 Liðir sem iktsýki leggst á.

Morgunstirðleiki sem varir lengur en í eina klukkustund er algengt einkenni í iktsýki en svipaður morgunstirðleiki getur sést í öðrum liðbólgusjúkdómum á borð við sóra gigt, á meðan morgun stirðleiki varir sjaldan lengur en í fimmtán mínútur hjá slitgigtarsjúklingum.38, 39 Önnur almenn einkenni sjúkdómsins eru þreyta, verkir og í sumum tilfellum þyngdartap en einnig getur þyngdaraukning orðið vegna verri hreyfigetu.38, 40 Mikill breytileiki getur verið á sjúkdómsvirkni milli sjúklinga. Sumir fá mildan sjúkdóm með fáum bólgnum liðum en aðrir bólgna upp í mörgum liðum, eru með merki mikillar bólgu í blóði og geta verið með einkenni í líffærum utan liða. 41 Sjúk lingar með sermis já kvæðan sjúk dóm eru í aukinni hættu á að þróa með sér liðskemmdir miðað við þá sem eru sermisneikvæðir. Flestir þróa með sér sjúkdóminn á nokkrum mánuðum þ.e. eru með vaxandi stirðleika, liðverki í höndum og fótum og fá svo að lokum liðbólgur í smáliði.34

FYLGIKVILLAR IKTSÝKI

Iktsýki getur lagst á flesta vefi líkamans, t.d. augu, húð, lungu, vöðva, bein, beinmerg, æðar og mið- og úttaugakerfið.42–45 Birtingarmynd sjúkdómsins utan liða (extraarticular) er tiltölulega algeng eða í um 40% sjúklingum með iktsýki.6, 46

Algengi fylgikvilla utan liða eykst í alvarlegum og ómeðhöndluðum sjúkdómi en utanliða fylgikvillar iktsýki tengjast auknum sjúkleika (morbidity) og dánartíðni.46–48 Reykingar, hærri aldur, sértæku mótefnin (anti-CCP og RF), sameiginleg vakaeining (shared epitope, SE), tímalengd sjúkdóms og snemmkomin hreyfiskerðing eru allt áhættuþættir fyrir þróun fylgikvilla iktsýki í vefjum utan liða.29, 48, 49

Helsti fylgikvilli iktsýki er Sjögrens heilkennið sem lýsir sér sem þurrkur í augn- og munnslímhúð og orsakast af bólgumyndun tára- og munnvatnskirtlum.50 Gigtarhnútar eru algengasta birtingarmynd iktsýki í húð. 51, 52 Gigtar hnútar eru bólguhnúðar gerðir af bólgu frumum í kringum kjarna af fíbríni. Þeir geta myndast hvar sem er en al geng asti stað ur inn er á þrýstisvæðum, t.d. á réttivöðva-hlið (extensor) olnboga. Þreifanlegir hnútar sjást í byrjun sjúkdóms í u.þ.b. 7% sjúklinga en finnast í allt að 40% sjúklinga á einhverjum tíma punkti í sjúk dóms ferlinu. 53-55 Þá kemur fyrir að gigtarhnútar sjáist í lung um sjúklinga og getur reynst erfitt að greina þá frá t.d. krabbameini.55, 56 Beinþynning er annar algengur fylgifiskur iktsýki og meðferðar með sterum en sjúklingar með iktsýki eru í 60–100% meiri hættu á bein broti miðað við ein staklinga án sjúkdómsins.57 Þá eru æðabólgur þekktar í iktsýki en slíkum tilfellum hefur fækkað töluvert með tilkomu sjúkdómshemjandi meðferðar en í dag fá einungis 1% sjúklinga með iktsýki æðabólgu.58 Aukin bólgumyndun í sjúkdómnum talin auka áhættu á að sjúklingar þrói með sér hjarta- og æða sjúk dóma en mikil vægt er að meðhöndla ekki einungis sjúkdóminn sjálfan heldur fylgjast með öðrum áhættuþáttum hjarta- og æðasjúkdóma t.d. blóðþrýstingi og blóðfitum.42, 59

Sýkingartíðni virðist aukin meðal sjúklinga með iktsýki og skýrist bæði af ónæmisbælingu af völdum lyfja en einnig vegna sjúkdómsins sjálfs.60–62

UPPVINNSLA

1 Eftir góða sögutöku þarf að gera ítarlega liðskoðun. Auk þess sem leitað er að lið bólgum þá er einnig leitað að bólgum í sinum og sinafestum. Hafa þarf í huga mögu legar mismuna greiningar við ikt sýki (Tafla 1).

2 Blóðprufur: Oft er hækkun á CRP og sökki. Aðrar vísbendingar um bólgu er að finna í blóðhag þar sem stundum er að finna hækkun á blóðflögum og hvítum blóðkornum.

3 Gigtarpróf: Næmi gigtarprófanna anti-CCP og RF er svipað eða um 60-70%. Hins vegar er anti-CCP með hátt sértæki (~90%) fyrir iktsýki en RF hefur ekki jafn gott sértæki (~60%) þar sem RF finnst einnig í öðrum gigtarsjúkdómum og getur hækkað við sýkingar.

4 Myndgreining: Röntgenmynd af höndum og fótum er tekin ef grunur er um iktsýki. Athugið að úrátur geta myndast í fótum þrátt fyrir að sjúk lingur sé aðeins með einkenni frá höndum. Einnig er tekin röntgenmynd af t.d. ökkla ef saga er um endur teknar liðbólgur í viðkomandi lið. Rannsóknarspurning er hvort sjáist úrátur (erosions) á röntgenmyndunum.

Ómskoðun af liðum getur hjálpað til við að greina liðbólgur og einnig við að greina úrátur.

TILVÍSUN TIL GIGTARLÆKNIS

Ef grunur leikur á að um iktsýki sé að ræða þá þarf að senda tilvísun til gigtarlæknis til frekari meðhöndlunar.

Góð tilvísun inniheldur eftirfarandi:

· Tímalengd liðeinkenna

· Hvaða liðir hafa bólgnað upp frá því að einkenni hófust

· Lýsingu á liðskoðun dagsins (hvaða liðir eru bólgnir/aumir)

Ættarsaga um gigtarsjúkdóma

Morgunstirðleiki og þá hversu lengi

· Hvaða áhrif hafa NSAID lyf á einkenni

Núverandi lyf*

Aðrir sjúkdómar

· Niðurstöður blóðrannsókna:

Blóðstatus, sökk, CRP, anti-CCP og RF

Niðurstöður myndgreiningar: Röntgen af höndum og fótum eða af öðrum lið sem hefur bólgnað upp**

* Athugið að ef sjúklingur fær sterameðferð áður en hann hittir gigtarlækni getur það gert greiningu iktsýki afar erfiða og oft ómögulega.

** Athugið að ef sjúklingur er með liðbólgur, sem líkur eru á að séu vegna iktsýki, þá þarf ekki að bíða með tilvísun þar til niðurstöður myndrannsókna liggja fyrir.

SJÚKDÓMSGREINING

Greining iktsýki byggist á sögu, skoðun og rannsóknum þar á meðal blóð rann sókn um og rönt gen mynd um af liðum. Á röntgen mynd geta sést dæmi gerðar úrátur () og liðskemmdir. Dæmigert er að úrátur sjáist þar sem lið poki festist á beinið. 29, 63 Ef sjúklingur er með nýgreinda iktsýki fær greiningu út frá liðskemmdum á röntgen þá bendir það til þess að sjúklingur hafi verið með ógreindan sjúkdóm í nokkurn tíma, þar sem það tekur oftast einhverja mánuði til ár fyrir úrátur að myndast.64 Til þess að auð velda grein ingu ikt sýki áður en liðskemmdir hafa átt sér stað m.a. fyrir lyfja rann sóknir voru búin til greiningarviðmið af evrópsku (EULAR) og amerísku (ACR) gigtarsamtökunum árið 2010 (Tafla 2).65

TAFLA 3

Flokkar sjúkdómshemjandi lyfja (Disease modifying anti-rheumatic drugs, DMARDs)

TAFLA 4

Helstu flokkar lyfja við iktsýki

FLOKKUR LYF

1 Synthetic DMARDs

a Conventional (csDMARDs)

b Targeted (tsDMARDs)

2 Biologic (bDMARDs)

LYFJATEGUND LYF

SKAMMTAR

Metótrexat 10-25 mg gefið einu sinni í viku (töflur / undir húð)

Salazopyrin 2-3 g á dag (skipt í tvo skammta)

TNF hemlar

ILR6 hemlar

Anti-CD20 mótefni

Adalimumab, Etanercept, Infliximab

FLOKKUR

csDMARD

csDMARD

Skammtar mismunandi eftir vali, undir húð / í æð bDMARD

Tocilizumab 162 mg á viku undir húð bDMARD

Rituximab 1000 mg með tveggja vikna millibili á 6 mánaða fresti í æð bDMARD

CTLA1-Ig Abatacept 500-1000 mg á 4 vikna fresti í æð bDMARD

JAK hemlar Baricitinib, Tofacitinib

Skammstafanir og orðalisti ÍSLENSKA

Skammtar mismunandi eftir vali, töflur tsDMARD

Bólgumyndun í liðpokum synovial inflammation

Einliðarbólga monoarthritis

Fjölliðabólga polyarthritis

Fylgikvillar í líffærum utan liða extra-articular manifestations

Gigtarþáttur rheumatoid factor RF

Hnúaliðir metacarpophalangeal joints MCP

Iktsýki rheumatoid arthritis RA

Líftæknigigtarlyf biologic DMARDs bDMARDs

Mat á sjúkdómsvirkni í 28 liðum disease activity score 28 DAS28

Mótefni gegn cýklískum cítrúllíneruðum peptíðum anti-cyclic citrullinated peptide anti-CCP

Sameiginleg vakaeining shared epitope SE

Sjálfsþol self tolerance

Sjúkdómshemjandi gigtarlyf disease modifying anti-rheumatic drugs DMARDs conventional synthetic DMARDs csDMARDs targeted synthetic DMARDs tsDMARDs

Sjúkleiki morbidity

Tábergsliðir metatarsophalangeal joints MTP

MEÐFERÐ Lyfjameðferð iktsýki fer fram hjá gigtarlæknum. Mikilvægt er að með höndlun hefjist sem fyrst eftir að einkenni byrja. Mark mið með ferðar er að lina verki og stirðleika en einnig að koma í veg fyrir lið skemmdir og fylgi kvilla lang var andi bólgu. Hafa má áhrif á horfur sjúk dómsins, hvað varðar lið skemmdir og sjúk leika, með snemmkominni og kröftugri meðferð.34, 66 Við val á lyfi þarf að hafa í huga sjúkdóms virkni (Dis ease activity score, DAS28) og aðra áhættuþætti fyrir slæmum horfum þ.e. hátt DAS28, snemmkomnar liðskemmdir á röntgen, fjölda bólginna liða, hátt sökk og CRP, jákvætt RF eða anti-CCP. Aðrir þættir sem þar þarf að hafa í huga við val á lyfi er t.d. aldur sjúklings, aðrir sjúkdómar (t.d. multiple sclerosis), skert virkni nýrna, lifur, hjarta og lungna, barneignir o.s.frv.

Sjúkdómshemjandi lyfjum er skipt í flokka samkvæmt töflu 3. Fyrsta val í lyfja meðferð ikt sýki kemur úr flokknum conventional synthetic DMARDS (csDMARDs) s.s. metó trex at og sala zo pyrin. Oftast er metó trex at fyrsta val við meðferð iktsýki en salazopyrin kemur til greina í staðinn. Eftir 3–4 mánuði af meðferð þá er sjúklingur kallaður inn til eftirlits og sjúkdómsvirkni metin. Ef sjúk lingur virðist ekki svara fyrstu með ferð og er ekki með áhættu þætti fyrir slæmri út komu þá er hægt að skipta yfir í annað csDMARD. Ef sjúklingur er aftur á móti með áhættuþætti fyrir slæmri útkomu þá þarf að auka með ferð og velja lyf úr flokki líf tækni lyfja ( biologic DMARDs, bDMARDs).67 Þeim er oftast bætt ofan á csDMARDs en í sumum tilfellum er hægt að nota þau ein og sér (monotherapy). Eftir þessa breytingu eða viðbót ætti að meta virkni lyfsins eftir 3–4 mánuði. Þannig þarf stundum að prófa nokkur lyf áður en sjúklingur nær lágri eða engri sjúkdómsvirkni.

HEIMILDASKRÁ

23 Karlson, E.W., et al., Geneenvironment interaction between HLADRB1 shared epitope and heavy cigarette smoking in predicting incident rheumatoid arthritis. Ann Rheum Dis, 2010. 69(1): p. 54–60.

24 Kallberg, H., et al., Genegene and geneenvironment interactions involving HLADRB1, PTPN22, and smoking in two subsets of rheumatoid arthritis. Am J Hum Genet, 2007. 80(5): p. 867–75.

25 Ilar, A., et al., Occupation and Risk of Developing Rheumatoid Arthritis: Results From a PopulationBased CaseControl Study. Arthritis Care Res (Hoboken), 2018. 70(4): p. 499–509.

13 Eriksson, J.K., et al., Incidence of rheumatoid arthritis in Sweden: a nationwide populationbased assessment of incidence, its determinants, and treatment penetration. Arthritis Care Res (Hoboken), 2013. 65(6): p. 870–878. 14 Frisell, T., et al., Familial risks and heritability of rheumatoid arthritis: role of rheumatoid factor/anticitrullinated protein antibody status, number and type of affected relatives, sex, and age. Arthritis Rheum, 2013. 65(11): p. 2773–2782.

26 Stolt, P., et al., Silica exposure is associated with increased risk of developing rheumatoid arthritis: results from the Swedish EIRA study. Ann Rheum Dis, 2005. 64(4): p. 582–6.

15 Deane, K.D., et al., Genetic and environmental risk factors for rheumatoid arthritis. Best Pract Res Clin Rheumatol, 2017. 31(1): p. 3–18.

27 Too, C.L., et al., Occupational exposure to textile dust increases the risk of rheumatoid arthritis: results from a Malaysian populationbased casecontrol study. Ann Rheum Dis, 2016. 75(6): p. 997–1002.

16 Frisell, T., S. Saevarsdottir, and J. Askling, Family history of rheumatoid arthritis: an old concept with new developments. Nat Rev Rheumatol, 2016. 12(6): p. 335–343.

17 Padyukov, L., Genetics of rheumatoid arthritis. Semin Immunopathol, 2022. 44(1): p. 47–62.

28 van Venrooij, W.J., J.J. van Beers, and G.J. Pruijn, AntiCCP Antibody, a Marker for the Early Detection of Rheumatoid Arthritis. Ann N Y Acad Sci, 2008. 1143: p. 268–85.

18 Gregersen, P.K., J. Silver, and R.J. Winchester, The shared epitope hypothesis. An approach to understanding the molecular genetics of susceptibility to rheumatoid arthritis. Arthritis Rheum, 1987. 30(11): p. 1205–1213.

29 Scott, D.L., F. Wolfe, and T.W. Huizinga, Rheumatoid arthritis. Lancet, 2010. 376(9746): p. 1094–108.

19 Remmers, E.F., et al., STAT4 and the risk of rheumatoid arthritis and systemic lupus erythematosus. N Engl J Med, 2007. 357(10): p. 977–986.

30 Gravallese, E.M. and G.S. Firestein, Rheumatoid ArthritisCommon Origins, Divergent Mechanisms. N Engl J Med, 2023. 388(6): p. 529–542.

20 Vang, T., et al., Autoimmuneassociated lymphoid tyrosine phosphatase is a gainoffunction variant. Nat Genet, 2005. 37(12): p. 1317–1319.

31 Weyand, C.M. and J.J. Goronzy, The immunology of rheumatoid arthritis. Nat Immunol, 2021. 22(1): p. 10–18.

32 Firestein, G.S. and I.B. McInnes, Immunopathogenesis of Rheumatoid Arthritis. Immunity, 2017. 46(2): p. 183–196.

21 Plenge, R.M., et al., TRAF1C5 as a risk locus for rheumatoid arthritis a genomewide study. N Engl J Med, 2007. 357(12): p. 1199–1209.

33 Rantapää-Dahlqvist, S., et al., Antibodies against cyclic citrullinated peptide and IgA rheumatoid factor predict the development of rheumatoid arthritis. Arthritis Rheum, 2003. 48(10): p. 2741–9.

22 Klareskog, L., et al., A new model for an etiology of rheumatoid arthritis: smoking may trigger HLADR (shared epitope)restricted immune reactions to autoantigens modified by citrullination. Arthritis Rheum, 2006. 54(1): p. 38–46.

34 Lee, D.M. and M.E. Weinblatt, Rheumatoid arthritis. Lancet, 2001. 358(9285): p. 903–11.

1 Smolen, J.S., D. Aletaha, and I.B. McInnes, Rheumatoid arthritis. Lancet, 2016. 388(10055): p. 2023-2038.

2 Park, E., J. Griffin, and J.M. Bathon, Myocardial Dys func tion and Heart Failure in Rheumatoid Arthritis. Arthritis Rheuma tol, 2022. 74(2): p. 184–199.

3 Conforti, A., et al., Beyond the joints, the extraarticular mani festations in rheumatoid arthritis. Autoimmun Rev, 2021. 20(2): p. 102735.

4 Baecklund, E., et al., Association of chronic inflammation, not its treatment, with increased lymphoma risk in rheuma toid arthritis. Arthritis Rheum, 2006. 54(3): p. 692–701.

5 Cross, M., et al., The global burden of rheumatoid arthritis: estimates from the global burden of disease 2010 study. Ann Rheum Dis, 2014. 73(7): p. 1316–1322.

6 Myasoedova, E., et al., Is the incidence of rheumatoid arthritis rising?: results from Olmsted County, Minnesota, 19552007. Arthritis Rheum, 2010. 62(6): p. 1576–1582.

7 Hunter, T.M., et al., Prevalence of rheumatoid arthritis in the United States adult population in healthcare claims databases, 20042014. Rheumatol Int, 2017. 37(9): p. 1551–1557.

8 Silman, A.J. and J.E. Pearson, Epidemiology and genetics of rheumatoid arthritis. Arthritis Res, 2002. 4 Suppl 3(Suppl 3): p. S265–272.

9 Del Puente, A., et al., High incidence and prevalence of rheumatoid arthritis in Pima Indians. Am J Epidemiol, 1989. 129(6): p. 1170–1178.

10 van Vollenhoven, R.F., Sex differences in rheumatoid arthritis: more than meets the eye. BMC Med, 2009. 7: p. 12.

11 Wolfe, A.M., J.H. Kellgren, and A.T. Masi, The epidemiology of rheumatoid arthritis: a review. II. Incidence and diagnos tic criteria. Bull Rheum Dis, 1968. 19(3): p. 524–9.

12 Crowson, C.S., et al., The lifetime risk of adultonset rheuma toid arthritis and other inflammatory autoimmune rheumatic diseases. Arthritis Rheum, 2011. 63(3): p. 633–9.

58 Bullock, J., et al., Rheumatoid Arthritis: A Brief Overview of the Treatment. Med Princ Pract, 2018. 27(6): p. 501–507.

59 Lindhardsen, J., et al., Risk of atrial fibrillation and stroke in rheumatoid arthritis: Danish nationwide cohort study. Bmj, 2012. 344: p. e1257.

47 Figus, F.A., et al., Rheumatoid arthritis: Extraarticular manifestations and comorbidities. Autoimmun Rev, 2021. 20(4): p. 102776.

35 Smolen, J.S., et al., Rheumatoid arthritis. Nat Rev Dis Primers, 2018. 4: p. 18001.

60 Doran, M.F., et al., Frequency of infection in patients with rheumatoid arthritis compared with controls: a populationbased study. Arthritis Rheum, 2002. 46(9): p. 2287–93.

48 Kumar, B., M.P. Das, and A.K. Misra, A crosssectional study of association of serostatus and extraarticular manifestations in patients with rheumatoid arthritis in a teaching hospital. J Family Med Prim Care, 2020. 9(6): p. 2789–2793.

36 Fleming, A., J.M. Crown, and M. Corbett, Early rheumatoid disease. I. Onset. Ann Rheum Dis, 1976. 35(4): p. 357–60.

61 Doran, M.F., et al., Predictors of infection in rheumatoid arthritis. Arthritis Rheum, 2002. 46(9): p. 2294–300.

62 Smitten, A.L., et al., The risk of hospitalized infection in patients with rheumatoid arthritis. J Rheumatol, 2008. 35(3): p. 387–93.

49 Metsios, G.S. and G.D. Kitas, Physical activity, exercise and rheumatoid arthritis: Effectiveness, mechanisms and implementation. Best Pract Res Clin Rheumatol, 2018. 32(5): p. 669–682.

37 Jacoby, R.K., M.I. Jayson, and J.A. Cosh, Onset, early stages, and prognosis of rheumatoid arthritis: a clinical study of 100 patients with 11year followup. Br Med J, 1973. 2(5858): p. 96–100.

63 Allard, S.A., M.T. Bayliss, and R.N. Maini, The synoviumcartilage junction of the normal human knee. Implications for joint destruction and repair. Arthritis Rheum, 1990. 33(8): p. 1170–9.

64 Guo, Q., et al., Rheumatoid arthritis: pathological mechanisms and modern pharmacologic therapies. Bone Res, 2018. 6: p. 15.

65 Aletaha, D., et al., 2010 rheumatoid arthritis classification criteria: an American College of Rheumatology/ European League Against Rheumatism collaborative initiative. Ann Rheum Dis, 2010. 69(9): p. 1580–8.

66 Markusse, I.M., et al., LongTerm Outcomes of Patients With RecentOnset Rheumatoid Arthritis After 10 Years of Tight Controlled Treatment: A Randomized Trial. Ann Intern Med, 2016. 164(8): p. 523–31.

67 Smolen, J.S., et al., EULAR recommendations for the management of rheumatoid arthritis with synthetic and biological diseasemodifying antirheumatic drugs. Ann Rheum Dis, 2010. 69(6): p. 964–75.

38 Grassi, W., et al., The clinical features of rheumatoid arthritis. Eur J Radiol, 1998. 27 Suppl 1: p. S18–24.

50 Brito-Zerón, P., S. Retamozo, and M. Ramos-Casals, Sjögren syndrome. Med Clin (Barc), 2023. 160(4): p. 163–171.

39 Hunter, D.J., J.J. McDougall, and F.J. Keefe, The symptoms of osteoarthritis and the genesis of pain. Rheum Dis Clin North Am, 2008. 34(3): p. 623–43.

51 Sayah, A. and J.C. English, 3rd, Rheumatoid arthritis: a review of the cutaneous manifestations. J Am Acad Dermatol, 2005. 53(2): p. 191–209; quiz 210–2.

40 Nikolaus, S., et al., Fatigue and factors related to fatigue in rheumatoid arthritis: a systematic review. Arthritis Care Res (Hoboken), 2013. 65(7): p. 1128–46.

52 Chua-Aguilera, C.J., B. Möller, and N. Yawalkar, Skin Manifestations of Rheumatoid Arthritis, Juvenile Idiopathic Arthritis, and Spondyloarthritides. Clin Rev Allergy Immunol, 2017. 53(3): p. 371–393.

41 Mitrović, J., et al., Pathogenesis of Extraarticular Manifestations in Rheumatoid ArthritisA Comprehensive Review. Biomedicines, 2023. 11(5).

53 Nyhäll-Wåhlin, B.M., et al., Smoking is a strong risk factor for rheumatoid nodules in early rheumatoid arthritis. Ann Rheum Dis, 2006. 65(5): p. 601–6.

42 Gabriel, S.E., Heart disease and rheumatoid arthritis: understanding the risks. Ann Rheum Dis, 2010. 69 Suppl 1(0 1): p. i61–64.

54 Turesson, C. and L.T. Jacobsson, Epidemiology of extraarticular manifestations in rheumatoid arthritis. Scand J Rheumatol, 2004. 33(2): p. 65–72.

43 Turk, M.A., et al., Ocular Manifestations in Rheumatoid Arthritis, Connective Tissue Disease, and Vasculitis: A Systematic Review and Metaanalysis. J Rheumatol, 2021. 48(1): p. 25–34.

55 Tilstra, J.S. and D.W. Lienesch, Rheumatoid Nodules. Dermatol Clin, 2015. 33(3): p. 361–71.

44 Lake, F. and S. Proudman, Rheumatoid arthritis and lung disease: from mechanisms to a practical approach. Semin Respir Crit Care Med, 2014. 35(2): p. 222–38.

56 Sharma, A., et al., Rheumatoid arthritis with necrotic lung nodules. J R Coll Physicians Edinb, 2020. 50(3): p. 307–308.

57 Wysham, K.D., J.F. Baker, and D.M. Shoback, Osteoporosis and fractures in rheumatoid arthritis. Curr Opin Rheumatol, 2021. 33(3): p. 270–276.

45 Lora, V., L. Cerroni, and C. Cota, Skin manifestations of rheumatoid arthritis. G Ital Dermatol Venereol, 2018. 153(2): p. 243–255.

46 Turesson, C., et al., Extraarticular disease manifestations in rheumatoid arthritis: incidence trends and risk factors over 46 years. Ann Rheum Dis, 2003. 62(8): p. 722–7.

6. ÁR

NEÐSTA RÖÐ FRÁ VINSTRI

Ingunn Haraldsdóttir, Jón Gunnar Kristjónsson, Eygló Dögg Ólafsdóttir, Elín Birta Pálsdóttir, Helga Þórsdóttir, Magnús Ingvi Magnússon, Katrín Hrefna Demian, Hjördís Ásta Guðmundsdóttir, Stefán Már Jónsson, Arna Ýr Karelsdóttir, Sigrún Harpa Stefánsdóttir, Alexandra Ásgeirsdóttir, Erla Sigríður Sigurðardóttir.

MIÐRÖÐ

FRÁ VINSTRI Þóra Hlín Þórisdóttir, María Gyða Pétursdóttir, Hilmir Gestsson, Sif Snorradóttir, Snædís Ólafsdóttir, Anna Hjördís Grétarsdóttir, Sóley Isabelle Heenen, Karen Sól Sævarsdóttir, Gyða Jóhannsdóttir, Marína Rós Levy, Sunna Rún Heiðarsdóttir, Katrín Júníana Lárusdóttir, Anna María Sigurðardóttir, Stefanía Ásta Davíðsdóttir, Helga Katrín Jónsdóttir, Hera Björg Jörgensdóttir, Magnea Guðríður Frandsen, Viktoría Helga Johnsen, Halla Kristjánsdóttir.

EFSTA RÖÐ

FRÁ VINSTRI Arnar Einarsson, Ágúst Kolbeinn Sigurlaugsson, Nikulás Jónsson, Einar Daði Lárusson, Valgeir Steinn Runólfsson, Kjartan Helgason, Krister Blær Jónsson, Anna Rún Arnfríðardóttir, Þorstein Markússon, Jóhannes Gauti Óttarsson, Daníel Arnar Þorsteinsson, Ármann Jónsson, Ríkey Eggertsdóttir, Aðalbjörg Ýr Sigurbergsdóttir, Snædís Inga Rúnarsdóttir.

VANTAR Bjarndís Sjöfn Blandon, Hákon Örn Grímsson, Ólafur Hreiðar Ólafsson, Árni Steinn Steinþórsson, Stefán Júlíus Aðalsteinsson, Þórður Líndal Þórsson, Bjarni Lúðvíksson

Á MYNDINA

NEÐSTA RÖÐ FRÁ VINSTRI

Ingunn Haraldsdóttir, Brynhildur Kristín Ásgeirsdóttir, Elín Metta Jensen, Hugrún Lilja Ragnarsdóttir, Þórhallur Elí Gunnarsson, Eygló Káradóttir, Ísold Norðfjörð, Ragna Kristín Guðbrandsdóttir, Ásta Evlalía Hrafnkelsdóttir, Nanna Sveinsdóttir, Sara Margrét Daðadóttir, Anita Rut Kristjánsdóttir, Dagný Ásgeirsdóttir.

5. ÁR

MIÐRÖÐ FRÁ VINSTRI Þóra Silja Hallsdóttir, Líney Ragna Ólafsdóttir, Heiðrún Ósk Reynisdóttir, Margrét Kristín Kristjánsdóttir, Guðrún Ólafsdóttir, Jóhanna Guðrún Bergþórsdóttir, Hildur Ólafsdóttir, Valdís Halla Friðjónsdóttir, Selma Rún Bjarnadóttir, Sigríður Margrét Þorbergsdóttir, Þóra Óskarsdóttir, Kolfinna Gautadóttir, Unnur Lára Hjálmarsdóttir, Iðunn Valgerður Pétursdóttir, Daníel Alexander Pálsson, Klara Briem.

EFSTA RÖÐ FRÁ VINSTRI

Hafsteinn Örn Guðjónsson, Freyþór Össurarson, Jökull Sigurðarson, Hörður Tryggvi Bragason, Aðalsteinn

Dalmann Gylfason, Gizur Sigfússon, Bjarni Hörpuson Þrastarson, Dagur Darri Sveinsson, Dagur Friðrik Kristjánsson, Haraldur Jóhann Hannesson, Fannar Bollason, Héðinn Össur Böðvarsson, Ólafur Jens Pétursson, Kristján Veigar Kristjánsson.

Á MYNDINA VANTAR

Alexander Jóhannsson, Atli Magnús Gíslason, Elsa Jónsdóttir, Emil Sigurðarson, Jónína Rún Ragnarsdóttir, Katrín Kristinsdóttir, Leon Arnar Heitmann, María Gyða Pétursdóttir, Vigdís Ólafsdóttir, Ólöf Hafþórsdóttir, Þórbergur Atli Þórsson.

4. ÁR

NEÐSTA RÖÐ FRÁ VINSTRI Hilmar Freyr Friðgeirsson, Luis Gísli Rabelo, Sigrún Júlía Finnsdóttir, Bergþóra Hrönn Hallgrímsdóttir, Laufey Halla Atladóttir, Ylfa Dögg Ástþórsdóttir, Ásdís Brynja Ólafsdóttir, Hjördís Tinna Pálmadóttir, Margrét Olsen, Diljá Hilmars dóttir, Helga Húnfjörð Jósepsdóttir, Helga Brá Þórðardóttir, Embla Rún Björnsdóttir.

MIÐRÖÐ FRÁ VINSTRI Elín Dröfn Einarsdóttir, Snædís Karólína Þóroddsdóttir, Telma Jóhannesdóttir, Anna Karen Richardson, Ástrún Helga Jónsdóttir, Herdís Eva Hermannsdóttir, Telma Sigþrúður Guðbjarnadóttir, Kristbjörg María Gunnarsdóttir, Kristrún Ingunn S. Sveinsdóttir, Sóley Sif Helga dóttir, Hólmfríður Ísold Steinþórsdóttir, Freydís Halla Einarsdóttir, Gunnar Jökull Ágústsson, Edward Rumba, Hafdís Erla Gunnarsdóttir, Kara Hlynsdóttir, Alma Glóð Kristbergsdóttir, Sigrún Erla Svansdóttir, Elísabet Tara Guðmundsdóttir.

EFSTA RÖÐ FRÁ VINSTRI Egill Gauti Þorsteinsson, Vífill Ari Hróðmarsson, Björn Vilhelm Ólafsson, Viktor Ingi Ágústsson, Hjalti Reykdal Snorrason, Þórður Björgvin Þórðarson, Bjarni Dagur Þórðarson, Þorsteinn Ívar Albertsson, Hafþór Sigurðarson, Ingi Pétursson, Sigurður Bjarni Benediktsson, Birkir Freyr Andrason, Árni Daníel Árnason, Kristján Bjarki Halldórsson, Þorvaldur Ingi Elvarsson, Bergmundur Bolli H. Thoroddsen, Þorgerður Einarsdóttir.

Á MYNDINA VANTAR Auður Gauksdóttir, Björn Hjörvar Harðarson, Bryndís Högna Ingunnardóttir Oddsdóttir, Daníel Óli Ólafsson, Guðlaugur Vignir Stefánsson, Guðrún Anna Halldórsdóttir, Heiðrún Birta Sveinsdóttir, Hrafn Sævarsson, Hörður Ingi Gunnarsson, Ívan Árni Róbertsson, Kári Brynjarsson, Magnús Þór Sigurðarson, Una Jade Gunnarsdóttir.

NEÐSTA RÖÐ FRÁ VINSTRI

Anna Sigríður Jóhannsdóttir, Þuríður Rut Þuríðardóttir, Elísabet Mjöll Guðjónsdóttir, Andrea Kolbeinsdóttir, Urður Andradóttir, Sonja Kiernan, Anna Margrét Stefánsdóttir, Katrín Wang, Þóra Lucrezia, Hilma Jakobsdóttir, Viktor Ásbjörnsson, Þorri Geir Rúnarsson, Arnar Þór Sigtryggsson.

MIÐRÖÐ FRÁ VINSTRI

3. ÁR EFSTA RÖÐ FRÁ VINSTRI

Fehima Líf Purisevic, Arnheiður Erla Guðbrandsdóttir, Nanna Óttarsdóttir, Sigríður Kristjánsdóttir, Ásthildur Rafnsdóttir, Katla Björg Jónsdóttir, Eygló Helga Haraldsdóttir, Inga Sóley Einarsdóttir, Iveta Kostova, Katrín Þóra Hermannsdóttir, Sunneva Roines dóttir, Elín Perla Stefánsdóttir, Íris Arna Tómasdóttir, Guðbjörg Eva Pálsdóttir, Oddný Rósa Ásgeirsdóttir, Dagur Tjörvi Arnarsson.

Helga Sif Guðmundsdóttir, Jökull Sindri Breiðfjörð, Kristján Guðmundsson, Svava H. Johannessen, Sigrún Ágústsdóttir, Kjartan Þorri Kristjánsson, Sigurður Sölvi Sigurðarson, Andri Már Tómasson, Íris Brynja Helgadóttir, Kári Ingason, Trausti Jónsson, Jakob Þórir Hansen, Katla Rut Robertsdóttir Kluvers, Elín María Árnadóttir, Saga Briem.

Á MYNDINA VANTAR Birta Rakel Óskarsdóttir, Bjarki Leó Snorrason, Kolbrá Ethel Dagnýjardóttir, Hákon Elliði Arnarson, Kristín Fjóla Jónsdóttir, Kristján Harðarson, Katrín Hólmgrímsdóttir, Johan Sindri Hansen, Hildur Gyða Grétarsdóttir, Egill Ívarsson, Ágústa Eyjólfsdóttir, Halldór Alexander Haraldsson, Ingibjörg Sóley Einarsdóttir.

2. ÁR

NEÐSTA RÖÐ FRÁ VINSTRI

Helga Kristín Sigurðardóttir, Viktoría Ýr Sveinsdóttir, Sylvía Sara Ólafsdóttir, Eygló Fanndal Sturludóttir, Silja Dögg Helgadóttir, Dagur Björn Benediktsson, Sigríður Björg Helgadóttir, Matthías Löve, Egill Logason, Benedikt Burkni Þorvaldsson Hjarðar, Karen Arnarsdóttir, Aldís Eyja Axelsdóttir, Þorgerður Þórólfsdóttir, Telma Rós Jónsdóttir, Silja Arnbjörnsdóttir Ólafsson, Guðrún Soffía Hauksdóttir

MIÐRÖÐ FRÁ VINSTRI

Lena Lísbet Kristjánsdóttir, Eygló Sóley Hróðmarsdóttir, Agnes Stefánsdóttir, Silvía Stella Hilmarsdóttir, Stefanía Ásta Tryggvadóttir, Rakel Ósk Sigurðardóttir, Hjalti Dagur Hjaltason, Harpa Kristín Þorkelsdóttir, Melkorka Sverrisdóttir, Baldvin Fannar Guðjónsson, Valdimar Sveinsson, Róbert Alexander Björnsson, Tómas Helgi Harðarson, Karitas Björg Ívarsdóttir, Tryggvi Leó Guðmundsson, Guðrún Guðmundsdóttir, Andrea Rún Einarsdóttir, Lára Björk Birgisdóttir, Dagbjört Lilja Svavarsdóttir, Eydís Lilja Haraldsdóttir, Matthildur María Magnúsdóttir, Guðmundur Ingvi Skúlason

EFSTA RÖÐ FRÁ VINSTRI

Andri Elvar Sturluson, Bríet Jónsdóttir, Jenný Jónsdóttir, Helga Sif Pálsdóttir, Vigdís Selma Sverrisdóttir, Magna Þórey Guðbrandsdóttir, Lilja Ósk Atladóttir, Daníel Thor Myer, Máni Hafsteins son, Bragi Aðalsteinsson, Iðunn Andradóttir, Kristín Dóra Sigurðardóttir, Hekla María Bergmann, Bryndís Róbertsdóttir, Hrund Guðmunds dóttir, Sara Sól Guðfinns dóttir, Kolbeinn Theodórsson

Á MYNDINA VANTAR Gerður Eva Halldórsdóttir, Hanna María Geirdal, María Ósk Sverrisdóttir, Saga Ingadóttir, Smári Freyr Kristjánsson, Trausti Felix Valdimarsson

NEÐSTA RÖÐ FRÁ VINSTRI

Katla Sigríður Gísladóttir, Snædís Óskarsdóttir, Kristín Helga Þrastardóttir, Isabella María Eiriksdóttir, Jóhanna Vigdís Guðjónsdóttir, Kolka Magnúsdóttir, Unnur María Agnarsdóttir, Eva Sól Einarsdóttir, Agnes Björk Brynjarsdóttir, Daníela Björg Stefánsdóttir, Embla Þöll Einarsdóttir, Edda Sólveig Sigtryggsdóttir, Sara Dögg Thorarensen Lárudóttir.

MIÐRÖÐ FRÁ VINSTRI Hekla María Arnardóttir, Erla Figueras Einarsdóttir, Brynja Sævarsdóttir, Helena Björk Arnarsdóttir, Þórunn Perla Jóhannsdóttir, Kristín Brynja Þorvaldsdóttir, Karen Hilma Jónsdóttir, Katrín Ósk Arnarsdóttir, Melkorka Ingibjörg Pálsdóttir, Maríanna Björg Ingvarsdóttir, Sigurbjörg Ýr Sigtryggsdóttir, Kristjana Lind Ólafsdóttir, Áslaug Ingileif Halldórsdóttir, Aníta Sól Valdimarsdóttir, Sandra Mist Úlfarsdóttir, Kristín Anna Smári, Anna Sif Mainka Sveinsdóttir, Kristín Ylfa Guðmundsdóttir, Jóna Björk Einarsdóttir, Katrín María Ólafsdóttir, Anna Valgerður Oddsdóttir, Kolbrún Sara Haraldsdóttir, Ásdís Karen Árnadóttir, Anna Þóra Jóhannsdóttir.

1. ÁR EFSTA RÖÐ FRÁ VINSTRI: Ingvar Gíslason, Úlfur Benedikt Fjölnisson, Vigfús Höskuldur Orri Árnason, Jóhannes Helgason Thoroddsen, Böðvar Páll Ásgeirsson, Hlynur Breki Harðarson, Hjörtur Viðar Sigurðarson, Haraldur Orri Arnarsson, Guðmundur Kristinn Þorsteinsson, Jóhann Styrmir Jónsson, Eiríkur Kúld Viktorsson, Leifur Skarphéðinn Snorri Árnason, Sigurður Arnar Hannesson, Jón Bjartur Þorsteinsson, Carlos Magnús Rabelo, Hrannar Ása Magnúsar.

Á MYNDINA VANTAR Móri Flosadóttir, Ýr Ý Nhu Tran, Þuríður Erna Hvanndal Halldórsdóttir, Alrún María Skarphéðinsdóttir.

MYNDIR FRÁ ÁRGÖNGUM

5. ÁR
4. ÁR

20,8% 1. ári

20,1% 2. ári

SKOÐANAKÖNNUN

LÆKNANEMANS

18,8% 3. ári

17,4% 4. ári

42,7% Já, ávalt á vakt

30,8% Nei, bara mig

24,5% Nei, geri það bara á launum

12,5% 5. ári 10,4% 6. ári

1 Á hvaða ári ert þú?

2

Sjúkdómsgreinir

þú vini þína og fjölskyldu?

58,3% Pulsa

39,6% Pylsa

0,7% Hef ekki vitneskju í að sjúkdómsgreina 0,7% Nei, geri það bara í laumum 0,7% Nei

2,1% Þori ekki að svara 3 Pulsa eða Pylsa?

4

50,7% Nei ég er betri en hinir

63,9% Nei aldrei

35,9% Já en bara einu sinni, tvisvar

13,4% Já, það gerist vandræðalega oft

Hefur þú sofnað á fyrirlestri?

5

18,8% Já oft

16,7% Já en bara einu sinni 0,7% Nálægt því alltof oft

Hefur þú grátið inn á lesstofu/ læknagarði?

Hvenær ákvaðstu þú að fara í læknisfræði?

Í

Ég veit ekki alveg hvernig ég endaði hérna ...

Hvaða læknisþættir eru bestir?

8

Hundar eða kettir?

Ertu A eða B týpa?

á

39,6% Tvisvar 31,3% Einu sinni 21,5% Þrisvar

3,5% Fjórum sinnum 2,8% Ég komst aldrei inn, smyglaði mér bara 0,7% Fimm sinnum 0,7% Tíu sinnum

Hvað þreyttir þú inntökuprófið oft?

11

Hvað drekkurðu marga bolla eða dósir af koffíni á dag?

12

What’s your poison?

Koffínvatn

Monster 3,3% Vatn 2,1% Ekkert 0,7% Amino 0,7% Koffíntöflur 0,7% Misnotkun ADHD lyfja 0,7% Súkkulaði 0,7% Snúður

13

Hvernig býrð þú?

Bý bara læknagarði

Hvort heillar meira einmitt núna?

15

Hversu alvarlegt er lækna heilkennið þitt?

16

Hvaða lit af scrubs villtu?

Mjög milt, hunsa öll einkenni, what will be will be

Meðal-alvarlegt, fer reglulega til læknis bara til að vera viss

er stundum

18

Ef í sambandi er maki þinn í læknisfræði?

BÚRETTAN – HVAÐ

Allt frá örófi alda hefur manneskjuna langað í meira. Við göngum alltaf lengra. Allt frá því að fyrsti hryggleysingurinn þróaði með sér efnaskipti, við gengum á land og urðum upprétt. Frá því að við fundum upp hjólið og allt þar til við stigum fæti á tunglið. Við göngum alltaf lengra.

Vekjaraklukkan hringir. Klukkan er 07:30 á laugardegi. Í dag er stór dagur, í dag er Búrettudagur. Búrettudagurinn er fallegt afkvæmi tveggja læknanema, dagur þar sem læknanemar koma saman og ýta sér fram á ystu nöf, dagur þar sem lækna nemar kanna þol mörk sín sem manneskjur. Ég er meðlimur í Búrettunefnd, kvíðinn hellist yfir mig, ég spyr sjálfan mig „Er af kvæmi mitt, sem fyrst var ætlað til að mynda bekkjarheild, orðið að einhverju skrímsli sem ég ræð ekki við?“ Síðustu vikur hafa einkennst af þroti, mátt leysi og tölvupóstum, allt til þess að bera til bóls besta við burð sem Læknadeild hefur séð. Ég sannfæri sjálfan mig að allt sé klárt fyrir komandi átök. Klukkan 08:00, ég opna fyrsta bjórinn, svellkaldur Gull Lite, nú loksins líður mér vel. Ég fer úr húsi, tek leigubíl í átt að borg óttans.

Spáð var rauðri viðvörun. Jafnvel þótt okkur í Búrettunefnd dauðlangi að fresta og tryggja öryggi allra sem taka þátt, þá fer það þvert á móti öllu því sem Bú rettu nefnd stendur fyrir, enda göngum við alltaf lengra.

Leigubíllinn stoppar hjá Lux, bílstjórinn segir: „Ert þú viss um að þú viljir fara hér inn klukkan 8:30 að morgni?“ Asna leg spurning. Ég geng inn, þar hitti ég hinn meðlim

Búrettunefndar, sem er í annarlegu ástandi. Búrettunefndin samanstendur nefnilega aðeins af tveimur meðlimum. Við föllumst í faðma. Allt er tilbúið. Erfiði síðustu daga eru allt í einu þess virði.

Til þess að ganga úr skugga um að komandi kappleikur skuli fara fram sem skyldi, hvort allar dælur mið borgarinnar dæli, jú, bjór. Hvort barþjónarnir sem strita kvöld sem nætur viti alveg örugglega af þeim afslætti sem við höfum redd að. Hvort allir staðir séu opnir. Þá tökum við Bú rettuna á gönu hlaupum, einn bjór á hverjum stað, rétt eins hvert lið í keppninni sjálfri. Áður en við vitum af eru hátt upp í 60 lækna nemar mættir í viður vist heilags anda við Hallgrímskirkju. Allir skartandi fínustu íþróttatreyjum sem fataskápurinn hefur upp á að bjóða. Við höldum stutta tölu, þar sem út skýrt er fyrir komu lag dagsins. Við upp ljóstrum afrekstri erfiðis okkar. Við upp ljóstrum hvar endur gjaldslausa eftir partýið verður, í dýrðar höllinni Carnival, betur þekkt sem neðri hæð Dubliner, eða hæðin fyrir neðan neðri hæð Paloma. Við höldum af stað, því miður getum við ekki uppljóstrað hvað gekk á þennan fagra en veður glaða laugardag. En spólum þó áfram í tímann, við erum mætt á heimavöll hamingjunnar, Carnival.

Búrettunefndin stendur í stiganum og lítur yfir sótölvuðu bekkjar félaga okkar, við sjáum þau dansa, syngja, hlæja, faðmast, tengjast og elskast. Allir bersýnilega sáttir með daginn. Þar og þá rennur það upp fyrir okkur hvers vegna við stöndum í þessum. Ekki fyrir þakkir, ekki fyrir dýrð né til þess að hámarka hamingju. Við gerum þetta allt fyrir þessa stundar gleði þar sem bekkurinn hagar sér sem ein heild, sem getur á öllu sigrast.

KROSSGÁTA LÆKNANEMANS

LÓÐRÉTT

1 Hvað er læknisfræðilega hugtakið fyrir lyktarskynsleysi?

2 Hvað er læknisfræðilega heitið yfir táfýlu?

3 Hvaða veirusjúkdómur er nefndur eftir á í Kongó?

4 Hvert er læknisfræðilega heitið yfir hræðslu við sjúkrahús?

5 Hvaða líffæri er er fjarlægt við cholecystectomy?

LÁRÉTT

1 Hver vann Nóbelsverðlaun árið 1928 fyrir uppgötvun pensilíns? (Eftirnafn)

2 Hvaða gríski guð sem er þekktur fyrir að vera með snák um stafinn sinn og var einnig guð læknisfræðinnar?

3 Hyperhidrosis er læknisfræðilega heitið yfir að gera hvað í of miklu magni?

4 Hver var þekkt sem konan með lampann?

5 Hvað er enska heiti sjúkdómsins þar sem beinþéttan minnkar töluvert?

6 Hvaða (í dag) fíkniefni var árið 1898 talið vera hóstameðal og ekki talið ávanabindandi?

7 Hvaða sjúkdómur verður af völdum bakteríunnar yersinia pestis?

8 Hvaða sjúkdómur var eitt sinn þekktur sem tæring vegna áhrifa hans?

1

Ef vinur þinn/ bekkjarfélagi spyr þig spurningu um námsefnið sem þið eruð að læra, hvernig bregst þú við?

2

Þegar þú ert ósammála einhverjum hvernig bregst þú við?

3

Hvað var uppáhalds fagið þitt í grunn/ menntaskóla?

4

Ef eitthvað bilar hvað gerir þú?

EF ÞÚ VÆRIR EKKI LÆKNIR, HVAÐ VÆRIRÐU ÞÁ?

Nú er þetta Læknaneminn blað læknanema ... framtíða lækna, en hefur þú velt fyrir þér hvað þú myndir gera ef þú hefðir ekki valið þennan veg í lífinu? Hér koma nokkrar laufléttar spurningar sem geta svarað þessari brennandi spurningu.

A

Ég verð spennt/ur og byrja strax að útskýra þangað til spurningunni er svarað og fer gjarnan aðeins út fyrir það.

AÉg hlusta á það sem hin manneskjan hefur að segja og kem síðan með fyrirlestur sem ýtur undir mitt mál.

A

Félags- og/eða sálfræði

B

Ég dreg upp myndband á youtube og sendi þeim

B

Ég spyr hvort að manneskjan sé ekki bara til í að vera sammála um að vera ósammála

B

Þjóðhagfræði og/eða samfélagsfræði

C Ég dæsi og segist vera alveg jafn týndur

A

Ég fer samviskusamlega með það til sérfræðings (eða fæ hann til að koma).

B

Ég kaupi bara nýtt ...

C

Það kviknar eldur í brjóstinu á mér og morfís hæfileikar mínir skína í gegn, sama um hvað verið er að ræða!

C

Bara öll svokölluð „kjaftafög“

C

Ég sendi kvörtun á fyrirtækið og krefst þess að fá þetta endurgreitt eða fá annað.

D Ég svara spurningunni en gefst upp þegar þau skilja ekkert hvað ég er að segja

E Ég tek upp blað og penna og teikna upp mjög nákvæma mynd og reyni að útskýra út frá henni.

D

Ég hef engan tíma fyrir rökræður ...

E

Það fer eftir því hvort að umræðuefnið skiptir mig máli eða ekki

D

Stærðfræði og/ eða eðlisfræði

D

Ég er með krónískt „it’s not that hard“ mentality þannig að ég hefst handa við að laga það.

E

Íslenska (samt aðallega þegar við vorum að túlka ljóð) og öll handmennt eða myndlist

E

Ég nýti bara tækifærið og geri eitthvað nýtt út úr því, gef því nýtt líf.

FLEST E

Þú værir listamaður, hvort sem það væri leikari, dansari, söngvari eða myndlistamaður þá finnst þér gaman að skapa og búa til eitthvað nýtt sem veitir öðrum gleði og innblástur. Þú ert ástríðufull manneskja sem gefur allt í verkefnin sem þú vinnur því til hvers að gera það ef þú hefur ekki ástríðu fyrir því.

FLEST D

Þú værir að vinna sem einhverskonar verkfræðingur. Þú hefur alltaf verið klárasta manneskjan í bekknum og „overachiver“ fjölskyldunnar. Þú hefur mikin metnað fyrir hlutunum og átt það til að taka að þér of mörg verkefni í einu. Þú er manneskjan sem allir vilja hafa með sér í hópverkefnum og manneskjan sem vinir þínir heyra fyrst í til þess að biðja um ráð.

FLEST C

Þú værir annað hvort að vinna sem lögfræðingur eða í stjórnmálum. Þú ert mjög rökföst/fastur/fast í samskiptum og með allt þitt á hreinu. Þú ert með mikla réttlætiskennd og það að hjálpa fólki drífur þig áfram í því sem þú gerir. Þú getur verið alveg óþolandi á köflum en þú ert traust manneskja og vinur vina þinna.

FLEST B

Þú værir viðskiptamógúll (businessman), þú vilt verða rík/t/ur í framtíðinni og ferðast um allan heim á fyrsta farrými… og það er ekkert til þess að skammast sín fyrir. Þú ert mjög sannfærandi og fær í mannlegum samskiptum og kemur þér langt á kjaftinum einum. Þú átt marga vini og finnst ekki leiðinlegt að fara með þeim út á lífið og sletta úr klaufunum af og til.

FLEST A

Þú værir annað hvort sálfræðingur eða kennari. Þú hefur áhuga á fólki og hefur gaman af því að kenna og leiðbeina öðrum. Þú ert mikil fjölskyldumanneskja og elskar að eiga róleg kvöld heima með einhverjum nánum.

SVÖR VIÐ KROSSGÁTU

LÓÐRÉTT

1 Anosmia

2 Bromodosis

3 Ebola

4 Nosocomephobia

5 Gallblaðran

LÁRÉTT

1 Fleming

2 Asclepius

3 Svitna

4 Nightingale

5 Osteoporosis

6 Heroin

7 Svartidauði

8 Berklar

5 Hvað myndir þú taka með þér á eyðieyju?

6

Hvaða orð lýsir þér best?

7

Hvaða persóna í Grey’s Anatomy værir þú?

8

Hverja af þessum borgum myndir þú velja til þess að búa í?

9 Hverju ertu að leitast eftir í starfi?

10 Veldu þáttaröð

Vin eða fjölskyldumeðlim.

Þolinmóð/ ur/tt

Meredith Grey eða Bailey

Símann minn

Mat og vatn

Vasahníf

Dagbók

Götusnjall/ snjöll/snjallt

Addison Montgomery/ Mark Sloan

Skipulagður/ lögð/lagt

Cristina Yang

McDreamy (Derek Shepherd)

Hugmyndarík/ ur/t

Izzie Stevens

Nóg af mannlegum samskiptum

New Girl

Vínkæli

Smá hasar

Góða áskorun

Sveigjanleika

Friends

The Big Bang Theory eða Breaking Bad

How I Met Your Mother

Verkir eftir svæfingar

Inngangur Tilgangur þessarar rannsóknar var að kanna algengi verkja eftir skurðaðgerðir á Landspítala og finna mögulega áhættuþætti fyrir auknum verk.

Efniviður og aðferðir Þetta var framsýn ferilrannsókn. Öll ≥ 18 ára sem undirgengust skurðaðgerð á Landspítala sumarið 2022 og lögðust inn á vöknunardeild í kjölfarið var boðin þátttaka. Upplýsingum var safnað á aðgerðardag og degi eftir aðgerð með viðtali og leit í sjúkraskrám.

Niðurstöður Þátttakendur voru 438, þar af 244 kvenkyn. Miðgildi aldurs var 63 ár. 54% þátttakenda voru með sögu um langvinna verki fyrir aðgerð og 16% notuðu morfín-skyld verkjalyf fyrir aðgerð. Miðgildi verks á aðgerðardag var 2/10 á NRS. Verkur við legu, hreyfingu og versti verkur degi eftir aðgerð var 2/10, 4/10 og 7/10. Daginn eftir aðgerð var verkur yfir 4/10 algengastur eftir brjósta-, HNE- og kvensjúkdómaaðgerðir. Þau sem fengu tvö eða fleiri mismunandi verkjalyf fyrir eða í aðgerð fengu verki yfir 4/10 degi eftir aðgerð í 75% tilvika.Þessi hópur fékk verkjalyf í 80% tilvika eftir útskrift af vöknun. Kvenkyn (2,15 (95%Cl [0,55;0,78]), langvinnir verkir fyrir aðgerð (4,20 (95%Cl [2,40;7,51]) og meiriháttar umfang aðgerðar (2,07 (95%Cl [1,15;3,80]) höfðu aukin gagnlíkindi við verki yfir 4/10 degi eftir aðgerð en aldur í áratugum (0,66 (95%Cl [0,55;0,78]) höfðu minnkuð gagnlíkindi.

Ályktun Aðgerðarsjúklingar á Landspítala eru a.m.k. með sambærilega verki m.v. fyrri rannsóknir þegar litið er til tegundar aðgerðar, umfangs, inngrips og verkjalyfjagjafar. Þættir með tengsl við hærri verki degi eftir aðgerð eru sambærilegir niðurstöðum annarra rannsókna. Niðurstöðurnar benda á sjúklingahópa og aðgerðartegundir sem þarfnast mögulega nánara eftirlits og meðferðar vegna verkja.

Einstofna mótefni gegn RSV hjá börnum

Inngangur RSV er einn algengasti orsakavaldur sýkinga í neðri öndunarvegi og spítalainnlagnar hjá börnum. Flest þeirra ná sér að fullu en hins vegar getur sýkingin haft alvarlegar afleiðingar þá sérstaklega hjá fyrirburum, börnum með langvinna lungnasjúkdóma eða hjartasjúkdóma. Börnum sem er mjög hætt við alvarlegum fylgikvillum af RSV geta fengið einstofna mótefnameðferðina palivizumab. Markmið rannsóknarinnar voru að meta fjölda barna sem fengu palivizumab á árunum 2013-2023 og heildarkostnað meðferðarinnar. Einnig að kanna ábendingar fyrir meðferðinni og afdrif barnanna sem smituðust þrátt fyrir palivizumab

Efniviður og aðferðir Frá gagnagrunni Landspítala fengust upplýsingar um öll börn sem fengu palivizumab á árunum 2019-2023. Allar staðfestar RSV sýkingar voru skráðar, skoðaðar voru komur barnanna á bráðamóttöku og/eða gjörgæslu af völdum RSV og afdrif barnanna skráð. Skráð var innlagnarlengd barnanna á barnadeild eða á gjörgæslu og einnig ef barnið þurfti súrefni.

Niðurstöður Alls voru 85 börn sem fengu palivizumab. Af 84 börnum voru átta sem smituðust af RSV og lögðust sjö þeirra inn á spítala en eitt þeirra var inniliggjandi vegna annarra ástæðna. Af þessum átta börnum þurftu fimm þeirra súrefnismeðferð. Kostnaður lyfsins auk inngjafa á göngudeild á árunum 2019-2023 hefur verið metinn á 97.034.320kr.

Umræða Þrátt fyrir að hafa fengið palivizumab var þó hluti barnanna sem smitaðist af RSV eða átta einstaklingar. Ókosturinn við gjöf palivizumab er að lyfið er gefið í fimm skömmtum yfir veturinn ásamt tilheyrandi kostnaði og auknu álagi fyrir börnin og foreldrana. Lyfið nirsevimab kæmi til með að veita börnunum samfelldari vörn en hins vegar á eftir að verðleggja það.

Arnar Þór Sigtryggsson

Inngangur og markmið Rannsóknir á gæðum skráninga á ICD-10 kóðum á Landspítala eru af skornum skammti. Vaknað hafa spurningar um áreiðanleika (e. accuracy) ákveðinna útskriftargreininga í flokki alvarlegra smitsjúkdóma hérlendis. Sjúkdómarnir sem um ræðir eru: 1) Iðrasýking/ristilbólga af völdum Clostridioides difficile 2) Samfélagslungnabólga og 3) Ífarandi lungnasýkingar af völdum Streptococcus pneumoniae. Markmið rannsóknarinnar var að kanna áreiðanleika ofangreindra sjúkdómsgreininga við útskrift á Landspítala.

Efniviður og aðferðir: Rannsóknarþýðin voru þrjú: 1) Sjúklingar sem voru með staðfestar iðrasýkingu/ ristilbólgu af völdum C.difficile, (n=374). 2) Sjúklingar sem greindir voru með samfélagslungnabólgu í tveimur framskyggnum rannsóknum og lögðust inn til meðferðar (n=774). 3) Sjúklingar sem voru með staðfestar ífarandi lungnasýkingar af völdum S.pneumoniae. (n=349).

Farið var yfir útskriftargreiningar og skráð hvort réttur ICD-10 kóði hafi verið til staðar, og voru réttir ICD kóðar flokkaðir frekar í aðalgreiningar og aukagreiningar.

Niðurstöður: Á meðal sjúklinga með staðfestar Clostridioides difficile sýkingar kom réttur ICD-10 kóði fram í útskriftargreiningum í 47,9% (95% CI: 42,7%53,1%) tilfella. Sjúklingar á Landspítala, sem voru með staðfestar samfélagslungnabólgugreiningar voru með réttan ICD-10 greiningarkóða í útskriftargreiningum í 89,8% (95% CI: 86,3%-92,7%) tilfella á tímabilunu 1. desember 2008 til 30. nóvember 2009 en 81,8% (95% CI: 77,7%-85,5%) tilfella á tímabilinu 1. maí 2018 til 30. apríl 2019. Sjúklingar, á Landspítala, með staðfestar ífarandi lungnasýkingar af völdum S.pneumoniae voru með réttan ICD-10 greiningarkóða í útskriftargreiningum í 46,7% (95% CI: 40,9%52,6%) tilfella.

Umræður: Réttir ICD-10 greiningarkóðar skiluðu sér í undir helmingi tilfella á meðal sjúklingahópa með staðfestar C.difficile sýkingar eða ífarandi sýkingar af völdum S.pneumoniae. Hlutfallið var hins vegar hærra á meðal sjúklinga sem greindir voru með samfélagslungnabólgu. Hátt hlutfall ófullnægjandi sjúkdómsgreininga er áhyggjuefni enda getur það haft ófyrirséðar afleiðingar og er úrbóta þörf.

Arnheiður Erla Guðbrandsdóttir Ræsing ónæmiskerfis og silikon

í brjóstapúðum

Inngangur Árið 1962 var byrjað að nota silíkon í brjóstastækkunaraðgerðum þar sem það var talið vera hættulaust efni fyrir líkamann. ASIA er heilkenni sem var lýst af Y. Shoenfeld árið 2011. Heilkennið samanstendur af ónæmismiðluðum sjúkdómum þar sem uppsprettan er ónæmisglæðar eins og silíkon. Markmið rannsóknarinnar var að koma af stað skipulagðri skráningu á ASIA-heilkenninu á Íslandi.

Efniviður og aðferðir Rannsóknin var lýsandi afturskyggn ferilrannsókn þar sem ekki var notast við viðmiðunarhóp. Rannsóknin var á byrjunarstigi til að meta megineinkenni einstaklinga sem hugsanlega væru með ASIA-heilkenni. Skoðaður var valinn hópur 25 kvenna með brjóstapúða eða kvenna sem höfðu áður haft brjóstapúða. Gagnasöfnunin fólst í því að skoða göngudeildar- og bráðamóttökuskrár þeirra. Leitað var eftir einkennum sem samrýmast ASIA, fyrri heilsufars- og fjölskyldusögu m.t.t. ofnæmis- og/eða gigtarsjúkdóma, líkamsskoðun og einkennum sem gætu bent til ónæmisræsingar ásamt blóðprufum.

Niðurstöður Rannsóknarniðurstöðurnar sýndu fram á að aðaleinkenni rannsóknarþýðisins væri síþreyta (84%), stoðkerfisverkir (84%), húðútbrot (64%) og taugaeinkenni (64%). Út frá fyrri heilsufars- og fjölskyldusögu voru vísbendingar um að truflað ónæmiskerfi geri viðkomandi líklegri til að þróa með sér ASIA-heilkennið. Niðurstöður sýndu að allar konurnar sem teknar voru í líkamsskoðun voru með auma holhandareitla. Blóðrannsóknir sýndu fram á aukna virkni kompliment kerfis og hækkun á völdum bólguboðefnum sem bendir til viðvarandi bólguástands þessa sjúklingahóps.

Umræður

Niðurstöður rannsóknarinnar munu ryðja brautina fyrir greiningu á ASIAheilkenninu tengt silíkon brjóstapúðum hér á landi. Næstu skref eru að bæta skráningu á heilkenninu, búa til spurningalista og þróa greiningarferli. Þörf er á að rannsaka betur ASIA-heilkennið og aðstoða konur við að fá viðeigandi þjónustu í heilbrigðiskerfinu.

Auður Indriðadóttir Möguleg tengsl milli rótaveirusýkinga

hjá ungbörnum og astma, ofnæmis eða sýkinga síðar í barnæsku

Inngangur

Algengasta orsök bráðra iðrasýkingar hjá ungum börnum er rótaveirusýking. Rótaveirusýkingar geta haft margvísleg áhrif á börn á meðan veikindum stendur og mögulega til lengri tíma. Mögulegt er að slæm iðrasýking geti raskað örveruflórunni, en vísbendingar benda til að slík röskun geti haft áhrif á þroska ónæmiskerfisins. Markmið rannsóknarinnar var að meta hvort börn sem greinast með rótaveirusýkingu snemma á ævinni séu líklegri til að greinast með astma og ofnæmi og séu móttækilegri fyrir sýkingum en börn sem greinast ekki.

Efniviður og aðferðir Til skoðunar voru allar rótaveirugreiningar hjá börnum á fyrsta aldursári á tímabilinu 2012 – 2021. Til samanburðar voru fundin tvö viðmið af handahófi sem fæddust sama dag. Hóparnir voru bornir saman með tilliti til ICD-10 greiningarkóða á árunum 2013 - 2022 fyrir astma- og hvæsiöndun, ofnæmi og algengar sýkingar.

Niðurstöður Í rannsókninni voru 105 rótaveirutilfelli og 210 í samanburðarhópi. Meðalfjöldi valdra ICD-10 greiningarkóða á barn var hærri í rótaveiruhóp (p=0,040). Greiningar á astma voru sambærilegar milli hópanna (p=0.42). Á tímabilinu var marktækt hærra hlutfall ofnæmisgreininga í rótaveiruhópnum (p=0,046). Greiningar á bráðum efri öndunarfærasýkingum voru marktækt fleiri í rótaveiruhópnum (p = 0,0004), auk þess var marktækur munur á nýgengi (p=0,019). Eyrnabólgur voru marktækt fleiri í rótaveiruhópnum samanborið við viðmið (p=0,0001), en ekki var marktækur munur á nýgengi. Rótaveiruhópur var með marktækt hærra nýgengi lungnabólgu (p=0,024), en ekki var marktækur munur á meðalfjölda lungnabólgugreininga.

Ályktun Út frá niðurstöðunum má álykta að rótaveirusýkingar ungbarna á fyrsta aldursárinu hafi möguleg tengsl við hættu á bráðum efri og neðri öndunarfærasýkingum, og ofnæmi síðar meir.

Ágústa Eyjólfsdóttir

Background

Methods

Trends and predictors of COVID-19 vaccination uptake among foreign-born persons in Sweden

Differences in COVID-19 vaccination uptake has been reported among different sociodemographic groups, especially for immigrant populations. This study aimed to assess COVID-19 vaccine uptake in Sweden’s immigrant populations compared to the Swedish-born population, to see the changes over time and determinants for vaccine uptake.

Data was acquired from the nationwide linked database of the SCIFIPEARL project. The study population included adult (≥18 years) residents in Sweden on January 1st, 2020, excluding those who died or emigrated before vaccinations began, on December 27th, 2020. Immigrant groups were defined by continental birth regions with the Nordic-born population separated from the European-born population. A descriptive analysis was performed to assess changes in vaccination uptake over the study period, until November 14th, 2022. Cox proportional hazards regression was used to assess the relative vaccination over 8 successive 3-month intervals, adjusting for potential confounding factors.

Results

Interpretation and conclusion

All study-defined immigrant population groups had a slower and lower overall vaccination uptake than the Swedish-born population, the Nordic countries except Sweden population had the highest uptake (86.1%), and the Europe except Nordics population had the lowest uptake (62.9%). The results of the Cox regression showed that all immigrant populations exceeded the Swedishborn population towards the end of the follow-up, except the European- and Oceanian-born populations. Increasing age, female gender, higher disposable income, employment, and a higher education positively affected vaccination uptake across all populations.

Inequalities in vaccination uptake were observed among different immigrant populations compared to the Swedish-born population. Public health measures, in April 2021, were somewhat effective in reducing the vaccination coverage gap between the Swedish- and foreign-born populations.

Ásthildur Rafnsdóttir Briskrabbamein og erfðir

Inngangur Á Íslandi greinast um 40 sjúklingar á ári með briskrabbamein og eru um 2% allra krabbameina hér á landi. Talið er að 10% briskrabbameina megi rekja til arfgengra orsaka og nú er mælt með í alþjóðlegum gæðavísum að framkvæma erfðarannsóknir á öllum sem greinast með kirtilfrumukrabbamein í brisi, sem eru um 90% allra briskrabbameina. Markmið rannsóknarinnar voru að kanna tíðni arfgengra heilkenna í briskrabbameinssjúklingum á Íslandi 2000-2021 og að kanna tíðni fjölskyldulægra briskrabbameina á Íslandi 2010-2021.

Efniviður og aðferðir Þýðið samanstóð af sjúklingum sem greindust með krabbamein í útkirtlahluta briss á Íslandi árin 2000-2021. Krabbameinsskrá Íslands veitti upplýsingar um kennitölur sjúklinganna. Erfðarannsóknum var flett upp í Sögu/Heilsugátt og Shire. Upplýsingar um fjölskyldusögu sjúklinga fengust úr ættartrésforritinu PedigreeAssistant. Gögnunum var safnað saman í Excel og unnið var úr þeim í Rstudio.

Niðurstöður Á árunum 2000-2021 greindust 774 sjúklingar með krabbamein í útkirtlahluta briss. Vefjasýni var tekið og vefjagreint hjá 574 (74,2%) sjúklingum og algengasta vefjagerðin var kirtilfrumukrabbamein, eða 68,3% af heildarþýði. Alls höfðu 76 (9,8%) sjúklingar farið í einhverja erfðarannsókn en samtals fundust 15 meinvaldandi eða líklega meinvaldandi kímlínustökkbreytingar í jafnmörgum sjúklingum, þ.e. 19,7% þeirra sem fóru í erfðarannsókn reyndust vera með jákvæða niðurstöðu. Meinvaldandi kímlínustökkbreyting í BRCA2 geni var algengust en hún fannst hjá 6 sjúklingum. Á árunum 2010-2021 greindust 482 sjúklingar með krabbamein í útkirtlahluta briss en af þeim uppfylltu 84 (17,4%) skilyrði um fjölskyldulægt briskrabbamein.

Ályktanir

Það voru aðeins tæp 10% sem höfðu farið í erfðarannsókn en bæta þarf þetta hlutfall svo að það samræmist erlendum gæðavísum. Af þeim sem fóru í erfðarannsókn greindust fleiri en við var að búast með meinvaldandi kímlínustökkbreytingu en þar verður að taka tillit til valbjögunar. Fleiri uppfylltu skilyrði um fjölskyldulægt krabbamein hér á landi en í erlendum rannsóknum en hærra hlutfall BRCA1/2 landnemastökkbreytinga meðal Íslendinga gæti haft áhrif á þær niðurstöður.

Birta Rakel Óskarsdóttir Kalkanir í míturbaug og notkun warfaríns

Inngangur Míturbaugurinn er trefjaríkur baugur umhverfis míturlokuna sem hefur tilhneigingu til kölkunar. Fyrri rannsóknir hafa sýnt fram á möguleg tengsl warfaríns við kalkanir í hjarta og æðakerfi, þ.m.t. í míturbaugnum. Markmið rannsóknarinnar var því að skoða möguleg tengsl warfarín notkunar og kalkana í míturbaugnum.

Efniviður og aðferðir Úr gagnasetti með 1156 sjúklingum með sögum um gáttatif eða gáttaflökt voru 197 sjúklingar með kalkanir í míturbaugnum. Þeir voru skilgreindir sem tilfellahópur og paraðir við sjúklinga án MAC úr sama gagnasetti í hlutfallinu 1:2 út frá 12 samverkandi þáttum sem tengjast MAC. Upplýsingum um segavarnarlyfjanotkun, magn kölkunar og dagsetningu á elstu hjartaómmynd þar sem greina mátti MAC var safnað úr sjúkraskrám þessara 591 sjúklinga.

Niðurstöður

Ályktun

Ekki var marktækur munur á warfarín-notkun milli tilfella-hópsins og viðmiðunar-hópsins. 56 af 197 (28.4%) sjúklinga í tilfella-hópnum og 131 af 394 (33.2%) sjúklinga í viðmiðunar-hópnum voru með sögu um warfarínnotkun (p-gildi = 0.274). Marktækur munur var á miðgildi [IQR] fyrir lengd warfarín-notkunar í dögum og var það 457.00 [187.25, 714.50] fyrir tilfellahópinn og 795.50 [448.50, 1325.25] fyrir viðmiðunar- hópinn (p-gildi <0.001). Miðgildi[IQR] lengd warfarín-notkunar (í dögum) reyndist hæst fyrir sjúklinga með væga kölkun eða 510 [580.5], en lægst fyrir sjúklinga með mikla kölkun 169 [136] (p-gildi= 0.1609).

Þessi rannsókn sýndi ekki fram á skýr tengsl warfarín-notkunar og kalkana í míturbaugnum, ólíkt fyrri rannsóknum. Lengd warfarín-notkunar var marktækt hærri í viðmiðunarhópnum samanborið við tilfellahópinn. Ekki var marktækur munur á warfarín- notkun milli hópanna tveggja og ekki var hægt að sýna fram á samband milli warfarín- notkunar og magni kalkana í míturbaug.

Bjarki Leó Snorrason Ósæðarflysjun af gerð 1

Objective

Methods

Results

Conclusion

Introduction

Methods

Aortic dissection (AD) is an acute event characterized by a tear in the intima with the formation of a false lumen between aortic tissue layers. In this study, we sought to estimate whether a more aggressive surgical approach for acute type I AD results in improved distal aortic remodeling.

In this study of patients who underwent surgery for acute type I AD between 2013 and 2022, we conducted retrospective chart review of health records and reviewed radiological scans. Patients were stratified into hybrid and traditional repair groups. Aortic remodeling was estimated by aortic growth rate, true lumen diameter (TLD), and total aortic diameter (TAD) to TLD ratio difference. Univariable logistic analysis was used to identify postoperative morbidity until the day of discharge.

Statistical analysis revealed a significant discrepancy in descending aortic growth rate at the level of the pulmonary artery between the hybrid group and traditional group with median aortic growth of -0.15 mm/month and 0.12 mm/month respectively. At aortic zone 3 TAD/TLD ratio difference was significantly different with a ratio difference of -0.42 and 0.12 in the hybrid and traditional groups, respectively. At the pulmonary artery, the ratio difference was -0.79 for the hybrid group and 0.13 for the traditional group. Positive change in TLD was significant at zone 3 and the pulmonary artery.

Hybrid repair has been suggested to induce favorable remodeling profile in patients with type I AD. Our study showed that an aggressive hybrid repair led to less aortic growth rate, increased true lumen size, and decreased TAD/TLD ratio difference indicating a positive aortic remodeling.

The Genetics of Childhood Deaths

Since 2021, deCODE genetics, with the assistance of a medical student, has been gathering information on childhood death in Iceland, intending to create an exhaustive database on the genetics of childhood death in Iceland. The aims of this thesis were to keep collecting phenotypic information on deceased children and demonstrate the project‘s progress with case reports of potential genetic solutions found by the team at deCODE.

This is a retrospective study of children who passed away before age 10 in Iceland between 1950-2020 (n=4742), with selection based on birth year and age of death in months. Information was collected from paper medical records at Sjúkraskrásafn Landspítali University Hospital of Iceland. Initial genetic analysis was performed on the parents of probands already included in the database (n=73), followed by further research and literature review for case reports.

Results

Conclusion

226 out of the 379 (59.6%) children in the cohort had available paper medical records, of whom 61 were diagnosed with a suspected or confirmed genetic disorder, according to their medical history. Among them, four cases were discussed in-depth. Around 45% of the children had potentially attainable archival samples. Parental samples from previous batches of data collection were available for ~80% of the cases for genetic analysis, with 73 families analyzed so far. In 19 cases, parents shared a genotype for a potential homozygous disease in offspring. Five cases were discussed in detail.

A systematic collection of medical information on deceased children, in combination with the vast genetic data available at deCODE genetics, can help establish the causes of premature deaths and expand knowledge of genetic disorders. The pipeline in place is efficient and effective, as evidenced by the potential genetic solutions discovered. The project will continue reviewing the remaining children and collecting archival samples to confirm the molecular diagnosis with WGS.

Egill Ívarsson AT1 viðtakar í sjónhimnuæðum

Inngangur

Efniviður og aðferðir

Of mikil virkni renín-angíótensínkerfisins (RAAS) hefur verið tengd við ýmsa augnsjúkdóma. Angíótensín viðtakahindrarar af týpu 1 eru notaðir vegna getu þeirra til að lækka augnþrýsting, en hlutverk þeirra í stjórnun blóðflæðis sjónhimnunnar þarfnast frekari rannsókna. Svíns augu hafa reynst gott líkan til að rannsaka lífeðlisfræði slagæða í sjónhimnu sökum líkinda þeirra við mannsaugu, hins vegar hefur tilvist RAAS ekki verið staðfest í augum svína.

Western blot aðferðin var framkvæmd til að ákvarða tilvist AT1 og AT2 í slagæðum sjónhimnu svína. Staðsetning var metin með ónæmisflúrljómun. Örvarar og viðtakahindrarar voru nýttir í vöðvariti til að meta áhrif viðtakanna á spennu æðaveggjar.

Niðurstöður

Western blot sýndi ósértæka bindingu í svínavef. Ónæmisflúrljómun staðsetti AT1 mótefnið í æðaþeli og Müller þráðum. AT2 mótefnið sýndi væga bindingu í ytri flækjulagi sjónhimnunnar. Enn fremur sýndi vöðvarit æðavíkkandi svörun við AT1 viðtakahindra (p<0.05) og AT2 örvar sýndu enga virkni.

Umræður Þrátt fyrir að sértækni mótefnanna sé óviss sökum auka banda í western blot voru viðtakarnir líkt staðsettir og í fyrri rannsóknum á mönnum með ónæmisflúrljómun. Virk svörun vöðvarits bendir einnig til þess að RAAS gegni virku hlutverki við stjórnun æðaspennu slagæða í sjónhimnu svína.

Elín María Árnadóttir Endurtekin segulörvun á heila við meðferðarþráu þunglyndi

Inngangur

Þunglyndi er algengur, alvarlegur og oft langvinnur sjúkdómur og leiðandi orsök heilsubrests í heiminum. Það er nú önnur algengasta ástæða örorku á heimsvísu og eitt mesta lýðheilsuvandamál nútímans. Þunglyndi veldur mikilli vanlíðan, færni- og lífsgæðaskerðingu og því fylgir oft vonleysi og hjálparleysi. Það er helsta ástæða sjálfsvíga meðal karla og kvenna. Ársalgengi þunglyndis er 5-10%, tvöfalt hærra hjá konum en körlum, og lífstíðaralgengi að minnsta kosti 20%. Allt að þriðjungur þunglyndra fær litla eða enga svörun af þunglyndislyfjameðferð. Talað er um meðferðarþrátt þunglyndi ef fólk svarar ekki meðferð með tveimur þunglyndislyfjum í a.m.k. 6 vikur með hvoru lyfi í meðferðarskömmtum. Síðustu áratugi hefur meðferð með segulörvun komið fram á sjónarsviðið sem meðferðarúrræði við meðferðarþráu þunglyndi. Frá því í janúar 2022 hefur Heilaörvunarmiðstöð Heilsugæslu höfuðborgarsvæðisins boðið upp á segulörvunarmeðferð fyrir fullorðna sem þjást af meðferðarþráu eða langvinnu þunglyndi. Markmið rannsóknarinnar er að meta árangur meðferðarinnar.

Efniviður og aðferðir Rannsóknin var afturskyggn ferilrannsókn. Þátttakendur voru einstaklingar sem hófu og luku eða hættu í segulörvunarmeðferð hjá Heilaörvunarmiðstöðinni frá 26. janúar 2022 til 30. apríl 2023. Rannsóknin byggði á svörum þátttakenda við sjálfsmatskvörðum sem lagðir voru fyrir í upphafi meðferðar, á meðan á meðferð stóð og við lok meðferðar. Sjálfsmatskvarðarnir sem notaðir voru eru PHQ-9 og BDI-II til að meta þunglyndi, GAD-7 til að meta kvíða, auk lífsgæðakvarða, QOLS, og heildarmats á breytingu, PGIC. Upplýsingum um fyrri meðferð var einnig safnað úr tilvísunum og sjúkraskrám þátttakenda.

Niðurstöður

Umræður

Elín Perla Stefánsdóttir

Inngangur

Efniviður og aðferðir

Á tímabilinu fengu 57 einstaklingar segulörvunarmeðferð hjá

Heilaörvunarmiðstöðinni (64,9% konur, unipolar þunglyndi 84,2%, en bipolar þunglyndi 15,8%). Hlutfall þátttakenda sem svaraði meðferðinni (≥50% lækkun á PHQ-9 eða BDI-II) samkvæmt PHQ-9 og BDI-II var 34,5% og 42,0%, og hlutfall þeirra sem fóru í fullt sjúkdómshlé samkvæmt PHQ-9 (<5) og BDI-II (<14) var 14,5% og 32,0%. Brottfallshlutfall var aðeins 10,5%. Ekki komu fram neinar alvarlegar aukaverkanir við meðferðina.

Árangur segulörvunarmeðferða Heilaörvunarmiðstöðvarinnar við meðferðar-þráu og langvinnu þunglyndi er sambærilegur niðurstöðum erlendra rannsókna. Rannsóknin bendir til þess að segulörvunarmeðferðir Heilaörvunarmiðstöðvarinnar séu öruggt og virkt meðferðarúrræði við meðferð á meðferðarþráu og langvinnu þunglyndi.

Kóagúlasa neikvæðir stafýlókokkar í blóði

á Landspítala

Kóagúlasa neikvæðir stafýlókokkar (CoNS) úr líkamsflóru geta valdið blóðsýkingum sem oftast eru íhlutatengdar. Markmið rannsóknarinnar var að varpa ljósi á faraldsfræði CoNS-blóðsýkinga meðal sjúklinga á Landspítala sem áttu aðeins eina jákvæða blóðræktun.

Rannsóknin var afturvirk og byggði á jákvæðum blóðræktunum af völdum CoNS frá sjúklingum á Landspítala. Úrtak rannsóknarinnar var valið frá öðru hverju ári á tímabilinu 2011-2021 og samanstóð af fullorðnum einstaklingum (≥18 ára) sem áttu aðeins eina CoNS-jákvæða blóðræktun, án annarra sýkla í sama blóðræktunarsetti, innan 48 klst. tímabils. CoNS sýking var skilgreind samkvæmt mati læknis sjúklings. Upplýsingar um sjúklinga fengust úr rafrænni sjúkraskrá Landspítalans og gagnagrunni Sýkla- og veirufræðideildar.

Niðurstöður

Umræður

Úrtakið taldi 140 tilfelli frá 139 einstaklingum; meðalaldur var 64 (±17 ár) og 42% voru konur. 13 (9%) tilfelli töldust hafa blóðsýkingu og var hún æðaleggjatengd í 9 tilfellum. Alls voru 15% tilfella (7 tilfelli) frá blóð- og krabbameinslækningadeildum og 4% tilfella (2 tilfelli) frá bráðamóttöku metin sem sýking. Sjö CoNS tegundir greindust og var S. epidermidis algengasti sýkingar- og mengunarvaldurinn (77% og 35% tilfella). Meirihluti S. epidermidis og S. haemolyticus (62% og 78%) voru ónæmir fyrir oxasillíni en vankómýsíni ónæmi fannst ekki. Fjórir sjúklingar með blóðsýkingu skv. lækni (33%) létust í innlögn en andlátin voru ekki talin tengd CoNS sýkingunni.

Rannsóknin bendir til að yfirgnæfandi meirihluti sjúklinga með eina CoNS-jákvæða blóðræktun innan 48 klst. tímabils hafi ekki CoNS blóðsýkingu. Blóðsýking greindist þó í 15% rannsóknarúrtaks á blóð- og krabbameinsdeildum og vert að hafa það í huga við mat á CoNS-jákvæðum blóðræktunum frá þessum sjúklingahópi.

Guðjónsdóttir

Inngangur

Útkomur meðgangna og fæðinga á Íslandi

hjá konum sem hafa orðið þungaðar eftir glasafrjóvgun á árunum 2019-2021

Útkomur meðgangna og fæðinga á Íslandi eftir glasafrjóvgunarmeðferðir hafa aldrei verið kannaðar. Óljóst er hvers vegna konur leita sér meðferðar erlendis og hvernig þær skilja sig frá konum sem leita sér meðferðar á Íslandi. Markmið rannsóknarinnar var tvíþætt. Í fyrsta lagi að gera samanburð á konum sem fengu meðferð hérlendis og erlendis með tilliti til þekktra undirliggjandi áhættuþátta, sjúkdómsgreininga á meðgöngu, útkomu fæðingar og heilsu barnsins. Í öðru lagi að kanna hvort meðgöngulengd var áætluð út frá glasafrjóvgunarmeðferð eða ómskoðun, og hvort það hafði áhrif á klíníska ákvarðanatöku um inngrip á meðgöngu og í fæðingu.

Efniviður og aðferðir Framkvæmd var afturskyggn ferilrannsókn. Rannsóknarþýðið (n=427) var konur sem urðu þungaðar eftir glasafrjóvgun og fæddu á árunum 2019-2021. Tveir hópar voru skilgreindir eftir því hvort meðferðin fór fram erlendis (n=46) eða á Íslandi (n=381). Notast var við lýsandi tölfræði og tölfræðileg marktækni miðaðist við p<0,05.

Niðurstöður

Ályktanir

Við samanburð á hópunum erlendis og á Íslandi voru niðurstöðurnar eftirfarandi: meðalaldur 38,3 ár og 34,2 ár (p<0,001), erlent ríkisfang 13 (28,3%) og 28 (7,3%) (p=0,002), gjafaegg 18 (39,1%) og 23 (6,0%) (p<0,001), greining á háþrýstingssjúkdómi og/eða meðgöngusykursýki 31 (67%) og 154 (40,4%) (p<0,001). Ómarktækur munur var á öðrum undirliggjandi áhættuþáttum og útkomum tengdum fæðingum og heilsu barnsins. Meðgöngulengd var áætluð út frá glasafrjóvgun hjá 247/381 konum sem fengu meðferð á Íslandi, ómskoðun hjá 97/381 og hjá 37/381 var það óvíst. Þetta hefði getað haft áhrif á klíníska ákvarðanatöku í 6 tilvikum.

Konur sem leita meðferðar erlendis eru að meðaltali eldri og hærra hlutfall þeirra þarfnast gjafaeggja eða hefur erlent ríkisfang. Aðrir undirliggjandi áhættuþættir voru sambærilegir. Hærra hlutfall sjúkdómsgreininga á meðgöngu gæti skýrst af hærri aldri eða gjafaeggjameðferðum, sem hvoru tveggja eru þekktir áhættuþættir. Ekki er hægt að útiloka að val á aðferð við áætlun meðgöngulengdar hafi áhrif á klíníska ákvarðanatöku.

Eygló Helga Haraldsdóttir Viðhorf til notkunar hjartamagnýls á meðgöngu og meðferðarheldni

Inngangur

Hjartamagnýl er notað til að fyrirbyggja snemmkomna meðgöngueitrun hjá konum í áhættuhópi. Spurningalisti sem metur meðferðarheldni á meðgöngu er ekki til á íslensku. Markmið rannsóknarinnar er að þróa og forprófa spurningalista þar sem notkun hjartamagnýls á meðgöngu er könnuð ásamt gæðum ráðgjafar. Með forprófun er kannað hvort listinn sé notendavænn og skiljanlegur ásamt því að meta notagildi spurninga.

Efniviður og aðferðir Þátttakendur voru þungaðar konur gengnar 12-34 vikur sem komu í meðgönguvernd á Landspítala 14. febrúar-16. mars 2023, höfðu fengið ráðleggingu um hjartamagnýlnotkun og gátu svarað á íslensku. 26 konur fengu sendan spurningalista og veittu allar endurgjöf.

Niðurstöður Flestar konurnar svöruðu spurningalistanum á 4-6 mínútum sem þótti of stutt eða hæfileg lengd. Öllum fannst spurningarnar skiljanlegar og viðeigandi. 14 af 26 skiluðu ábendingum varðandi spurningalistann. Einni konu fannst óþægilegt að svara tiltekinni spurningu og ein skildi ekki öll fyrirmælin. Flestar athugasemdir við spurningalistann tengdust því að þátttakendum fannst vanta valmöguleika við spurninguna ,,Þegar þér var ráðlagt að taka hjartamagnýl, varst þú þá spurð hvort þú hefðir sögu um eitthvað/einhver af eftirfarandi heilsufarsvandamálum?“ Alls 23 konur höfðu tekið hjartamagnýl daglega síðustu sjö dagana áður en þær svöruðu spurningalistanum.

Ályktanir

Forprófun bendir til að betrumbæta megi spurningalistann með því að endurorða eina spurningu. Niðurstöður benda til betri meðferðarheldni en búist var við og því virðist skynsamlegt að bæta við spurningu sem metur meðferðarheldni lengra aftur í tímann en í eina viku.

Inngangur

Framheilabilun á Íslandi

Framheilabilun er heiti yfir taugahrörnunarsjúkdóm sem herjar á ennisblað og/eða gagnaugablað heilans. Framheilabilun er talin næst algengasta orsök snemmkominnar heilabilunar. Sjúdómnum er skipt í þrjár svipgerðir sem eru mismunandi með tilliti til klínískra einkenna. Markmið rannsóknarinnar var að kanna algengi og nýgengi framheilabilunar á Íslandi frá upphafi rafrænnar sjúkraskráningar. Einnig var markmiðið að kanna faraldsfræði og kortleggja klínísk einkenni, kanna niðurstöður greiningarrannsókna og bera svipgerðir sman með tilliti til einkenna og niðurstaðna greiningarannsókna.

Efniviður og aðferðir

Niðurstöður

Umræður

Rannsóknin átti að ná til allra sem höfðu fengið greininguna F02.0 samkvæmt ICD-10 flokkunarkerfinu frá upphafi rafrænnar skráningar í sjúkrasögu á Landsspítala til ársins 2022. Upplýsingum var safnað úr Sögukerfi og Heilsugátt Landspítala. Úrvinnsla fór fram í Excel, SPSS og R studio.

Rannsóknarþýðið samanstóð af 97 einstaklingum. Í aldurshópnum 45-64 ára var algengið 10,99 á hverja 100.000 frá 2008-2022 en 34,31 í 65 ára og eldri. Meðal árlegt nýgengi frá 2008-2022 var 7,23 á hverja 100.000 í 45-64 ára og 12,92 í 65 ára og eldri. Tíðni framheilabilunar var 0,79% í minnismóttökuþýði frá 2008-2022. 50 greindra voru karlar og 47 konur. Meðalaldur við upphaf einkenna var 67 ár. Hegðunarafbrigðið var algengast. Algengasta klíníska einkennið voru minnistruflanir. Enginn marktækur munur var á niðurstöðum greiningarrannsókna hjá hópunum tveimur sökum lítillar stærðar hópanna.

Tíðni framheilabilunar í þýði minnismóttökunar er sjaldgæf. Fleiri voru í 65 ára og eldri aldurshópnum sem er frábrugðið því sem almennt sést. Minnileysi var algengara í þýðinu en annars staðar og er mögulegt að það stafi að því að aðstandendur greini ekki rétt frá. Greiningarskilmerki hafa þróast betur á síðustu árum og í nýlegri tilfellum eru sjúklingar sendir í frekari rannsóknir til að styðja við greininguna.

Guðbjörg Eva Pálsdóttir Kalkdrep á

Inngangur

Efniviður og aðferðir

íslandi

Kalkdrep er sjaldgæft en alvarlegt sjúkdómsástand þar sem kalsíum fellur út í smáum æðum og getur leitt til sáramyndunar og dreps í húð. Margt bendir til að nýgengi sé að aukast, en engar rannsóknir hafa verið gerðar á þessum sjúkdómi á Íslandi. Markmið rannsóknarinnar var að skoða nýgengi, áhættuþætti og afdrif sjúklinga með kalkdrep hér á landi á árunum 1990-2022 og bera saman við viðmiðunarhóp.

Rannsóknin var afturvirk tilfella- og viðmiða rannsókn. Tilfella var leitað með því að skoða sjúkdómsgreiningar og vefjagreiningar. Jafnframt var leitað til starfandi nýrnalækna til að finna sjúklinga með kalkdrep. Aflað var upplýsinga um heilsufar, lyfjanotkun og blóðgildi tilfella fyrir greiningu ásamt lifun. Samanburðarhópur var skilunarsjúklingar og var parað m.t.t aldurs, kyns og tíma í skilunarmeðferð.

Niðurstöður

Ályktanir

Á rannsóknartímabilinu greindust alls 18 einstaklingar með kalkdrep, og voru 15 (83%) með lokastigsnýrnabilun. Meðalnýgengi kalkdreps var 63 á hverja 10.000 skilunarsjúklinga á ári yfir rannsóknartímabilið og meðalaukning á nýgengi var 8% milli ára. Rannsóknin gaf vísbendingar um tengsl kalkdreps við hærri líkamsþyngdarstuðul. Á rannsóknartímabilinu var eins árs dánartíðni 60% fyrir lokastigsnýrnabilunarsjúklinga með kalkdrep. Miðgildi lifunar árin 1990-2016 var 55 dagar en 557 dagar eftir 2016.

Nýgengi kalkdreps á Íslandi er hátt miðað við önnur lönd og virðist hafa aukist síðustu ár. Ekki er hægt að segja til um hvort það sé vegna aukinnar vitundavakningar um sjúkdóminn eða vegna raunverulegrar aukningar. Þeir áhættuþættir sem komu fram í þessari rannsókn samrýmast niðurstöðum erlendra rannsókna. Há dánartíðni fylgir sjúkdómsástandinu en lifun kalkdrepssjúklinga hér á landi er svipuð því sem hefur komið fram í nýlegum erlendum rannsóknum.

Hákon Elliði Arnarson Þyngdartap nýbura

Inngangur Eðlilegt er að nýburar léttist fyrstu dagana eftir fæðingu, en sum börn léttast óeðlilega mikið sem oftast er vegna ónógrar fæðuinntöku. Það getur leitt til vandamála s.s. þurrks og gulu. Því var árið 2013 mælst til þess að ljósmæður sem sinna heimaþjónustu nýbura vigti öll börn við þriggja daga aldur og grípi inn í ef þyngdartap þá er óeðlilega mikið (≥8% af fæðingarþyngd). Megintilgangur rannsóknarinnar er að kanna árangur þess.

Efniviður og aðferðir Rannsóknin er afturskyggn. Klínískum upplýsingum var safnað um nýbura sem mættu í seinni skoðun (“5 daga skoðun”) á göngudeild Barnaspítala Hringsins í byrjun árs 2012 eða 2023. Öll tölfræði var gerð í R, Excel og JMP. Tölfræðileg marktækni miðast við p-gildi <0.05.

Niðurstöður

Í rannsókninni eru 240 börn sem komu í seinni skoðun 2012 og 297 2023. Árið 2023 léttust færri börn meira en 6% (p=0,017), 7% (p=0,02), 8% (p=0,037), 9% (p=0,15) eða 10% (p=0,06) miðað við árið 2012. Meðalþyngdartap allra barnanna 2012 var 2.78% en 2.48% 2023, p=0.4. Börn sem fæddust með keisaraskurði léttust marktækt meira en þau sem fæddust um leggöng (3.7% og 2.4%%, p=0,0105). Öfug fylgni var milli meðgöngulengdar og þyngdartaps fyrstu dagana eftir fæðingu (R2=0.0156, p=0.004). Börn með gulu (se-bilirubin >380 µmol/L) og mættu í seinni skoðun léttust marktækt meira en önnur (4,3% og 2,6%, p=0,026).

Umræður Vigtun nýbura í heimahúsi við þriggja daga aldur hefur leitt til fækkunar þeirra sem léttast mikið eftir fæðingu. Lýðheilsuátakið 2013 hefur því skilað tilætluðum árangri. Rannsóknin undirstrikar jafnframt mikilvægi þess að fylgjast vel með gulu hjá börnum sem eru ekki að nærast vel.

Halldór Alexander Haraldsson

Inngangur

Nýgengni skorpulifrar á Íslandi frá 2016-2022

Skorpulifur er alvarlegt form langvinns lifrarsjúkdóms þar sem langvinn útsetning lifrar fyrir eiturefnum, veirusýkingum, og/eða efnaskiptavillu veldur því að starfhæfum lifrarvef er skipt út fyrir örvef. Algengustu orsakir skorpulifrar á Íslandi hafa verið áfengisofnotkun, NAFLD, og lifrarbólga C. Framskyggn rannsókn á árunum 2010–2015 mældi meira en tvöföldun á nýgengi skorpulifrar miðað við niðurstöður eldri rannsóknar á árunum 1994–2003. Markmið rannsóknarinnar voru að fylgjast áfram með þróun skorpulifrar á Íslandi og hugsanlegri breytingu á orsökum og horfum sjúklinga.

Efniviður og aðferðir Allir sjúklingar búsettir á Íslandi sem hlutu fyrstu skorpulifrargreiningu á árunum 2016–2022 á Landspítalanum eða annarri heilbrigðisstofnun voru skráðir við greiningu í gagnagrunn á vegum meltingarlækninga á Landspítalanum. Upplýsingum um kyn, aldur við greiningu, áhættuþætti, alvarleika-stigun við greiningu (MELD og Child-Pugh), orsök, lifrarkrabbamein, lifun, og dánarorsakir var m.a. safnað til tölfræðigreiningar.

Niðurstöður Á tímabilinu 1. janúar 2016 til 31. desember 2022 greindust 342 einstaklingar með skorpulifur. Að meðaltali var nýgengi á 100’000 íbúa á ári 13,8. Algengasta orsök skorpulifrar var áfengisneysla ein og sér (39,8%), þarnæst NAFLD (27,5%) og svo lifrarbólga C með eða án áfengis (14,6%). Af 342 skorpulifrarsjúklingum létust 125 á rannsóknartímabilinu. 5 ára lifun var 55.2% (95% CI 48.9–62.3%). Alls tengdust 93/125 (74,4%) dánarorsakir skorpulifur með beinum (HCC, lifrarbilun, o.sv.fr.) eða óbeinum (sýkingar) hætti. Algengustu dánarorsakir voru HCC hjá 33 (26,4%) og lifrarbilun hjá 31 (24,8%).

Ályktun Nýgengi skorpulifrar hefur margfaldast undanfarna áratugi. Vegna vaxandi áfengisneyslu hefur áfengistengd skorpulifur margaukist. Vegna hækkandi tíðni offitu og sykursýki hefur NAFLD-skorpulifur ekki síður aukist. Tíðni HCV skorpulifrar var margfalt hærra fysta árið, líklega vegna TraP Hep C meðferðarátaksins, en fer nú verulega lækkandi í kjölfarið.

Helga Sif Guðmundsdóttir

Inngangur

Efniviður og aðferðir

Brjóstakrabbamein - BRCA2 stökkbreyting og fjarmeinvörp

Almennt meinvarpast hormónajákvæð (ER+) brjóstakrabbameinsæxli síður en þríneikvæð æxli. Í ljós hefur komið að eðli hormónajákvæðra brjóstakrabbameinsæxla er ólíkt hjá konum með BRCA2 stökkbreytingar en konum án þeirra. Markmið verkefnisins var að bera saman tímasetningu og staðsetningu fjarmeinvarpa frá brjóstakrabbameini eftir því hvort BRCA2 stökkbreyting var til staðar og kanna hvort hormónajákvæð æxli meinvörpuðust með sérstökum hætti hjá BRCA2 arfberum.

Rannsóknarþýðið samanstóð af 248 konum sem höfðu greinst með brjóstakrabbamein árin 1990 til 2012 og verið prófaðar fyrir íslensku BRCA2 landnema stökkbreytingunni í tengslum við rannsóknir Krabbameinsfélagsins og Landspítalans. Arfberar voru 123 og viðmið án stökkbreytingarinnar voru 125, pöruð á greiningaraldur og greiningarár. Leitað var gagna varðandi endurkomur, meinvörp og tímasetningu þeirra í sjúkraskrárkerfi Landspítala. Gerðar voru Kaplan- Meier kúrfur og Cox líkan var notað til að meta áhættu á fjarmeinvörpum.

Niðurstöður

Ályktanir

Hilma Jakobsdóttir

Inngangur

Efniviður og aðferðir

Fimmtán árum frá greiningu höfðu 42% arfbera og 19% viðmiða greinst með fjarmeinvarp (P<0,001) og arfberar voru 2,48 sinnum líklegri en viðmið til að fá fjarmeinvörp (HR=2,48; 95% öryggisbil 1,56 – 3,96, P<0,001). Þegar hormónajákvæð brjóstakrabbamein voru skoðuð sérstaklega voru arfberar oftar og fyrr komnir með fjarmeinvörp en viðmið (P<0,001) en ekki var munur milli hópanna varðandi hormónaneikvæð brjóstakrabbamein. Ekki fannst marktækur munur á staðsetningu fjarmeinvarpa milli hópa og voru bein algengasta staðsetningin, en miðtaugakerfi sjaldgæfasta staðsetningin. Lifun eftir greiningu fjarmeinvarpa var svipuð milli hópanna.

Arfberar BRCA2 stökkbreytingar fá oftar og fyrr fjarmeinvörp en viðmið án stökkbreytingarinnar, en munurinn virðist bundinn við hormónajákvæð brjóstakrabbameinsæxli. Ekki var marktækur munur á staðsetningu fjarmeinvarpanna eftir arfbera stöðu.

Ógleði eftir svæfingar og skurðaðgerðir á Landspítala

Síðastliðinn áratug hafa svæfingaraðferðir á Landspítala breyst verulega. Nær allir sjúklingar fá ógleðiforvörn og svæfingu er oftast viðhaldið með svæfingarlyfjum í æð eingöngu. Markmið rannsóknarinnar voru að kanna algengi og alvarleika ógleði og uppkasta á framsýnan hátt og kortleggja hvaða ógleðimeðferð er beitt í fyrirbyggjandi skyni. Einnig var ánægja sjúklinga með ógleðimeðferð könnuð og hvaða forspárþættir tengdust slæmri ógleði.

Rannsóknin var framsýn ferilrannsókn sem samanstóð af þægindaúrtaki 438 sjúklinga ≥18 ára sem lögðust inn á vöknunardeildir Landspítala eftir val- og bráðaaðgerðir í maí-júlí 2022. Þátttakendur svöruðu spurningalista á vöknunardeild og sólarhring eftir útskrift af vöknunardeild.

Niðurstöður

Tíðni ógleði á vöknunardeildum reyndist 15% og þar af mátu 3,9% sjúklinga hana 5/10 eða hærri. Daginn eftir greindu 7% sjúklinga frá ógleði eftir útskrift af vöknunardeild og 3,3% mátu hana 5/10 eða hærri. Meirihluti sjúklinga (82%) fékk a.m.k. eitt lyf í ógleðiforvörn og langflestir (97%) voru sáttir með ógleðimeðferðina. Þættir sem tengdust auknum líkum á ógleði sem metin var 5/10 eða hærri daginn eftir aðgerð voru kvenkyn (gagnlíkindahlutfall 1.96, 95% ÖB 1.07-3.63), fyrri saga um hreyfiveiki eða ógleði eftir aðgerð (2.67, 1.48-4.79) og að undirgangast bæklunarskurðaðgerð (2.19, 1.02-4.90), en hækkandi aldur reyndist verndandi þáttur (0.84, 0.72-0.99).

Umræður Tíðni ógleði og uppkasta er almennt lág í almennu þýði sjúklinga þar sem langflestum svæfingum er viðhaldið með svæfingarlyfjum í æð og fyrirbyggjandi ógleðilyfjagjöf er almenn. Breytur sem tengjast verri ógleði daginn eftir aðgerð eru í samræmi við erlendar rannsóknir utan þess að tengsl fundust milli þess að undirgangast bæklunaraðgerð og slæmrar ógleði.

Ingibjörg Sóley

Einarsdóttir

Inngangur

Efniviður og aðferðir

Hálshryggjarbrot eftir háorkuáverka á Landspítala 1998-2022

Hálshryggjarbrot eru sjaldgæf en geta haft alvarlegar afleiðingar. Markmið þessarar rannsóknar var að kanna faraldsfræði hálshryggjarbrota á Landspítala eftir háorkuáverka.

Sjúkragögn einstaklinga með hálshryggjarbrot á Landspítala árin 19982022 voru yfirfarin m.t.t. aldurs, kyns, orsaka, staðsetningar brota, legutíma, skurðaðgerða og afdrifa. Tölvusneiðmyndir voru yfirfarnar í Agfa kerfinu til staðfestingar á greiningu brots og brot flokkuð eftir AO flokkunarkerfinu.

Niðurstöður Alls greindust 323 einstaklingar með brot á 499 hálshryggjarliðum. Að meðaltali voru 12,9 slys á ári. Meðalaldur var 39,9 ár og karlar voru 64,4% rannsóknarþýðis. Umferðarslys voru algengasta orsök hálshryggjarbrota (73,4%) og þar af voru bílveltur algengastar (41,8% allra þátttakenda). 64% einstaklinga með erlenda kennitölu lentu í bílveltu. Hestaslys og föll voru næstalgengustu orsakirnar (7,7% hvor). Konur lentu oftar í aftanákeyrslum, hestaslysum og íþróttaslysum. Flestir sem brotnuðu á neðri hálshrygg brotnuðu á C7 (30,4% neðri hálshryggjar, 22,4% allra liða) og A0 (minniháttar brot) var algengasti kóðinn. Flestir sem brotnuðu á efri hálshrygg brotnuðu á C2 þar sem flest brotanna fengu kóðann IIIA (brotinn C2 án liðbandaáverka). Aðgerðir voru algengastar meðal brota sem fengu kóðana IIB (skaðað þverband), A4 (fullþykktar sprengibrot) og F4 (liðskekking). Markverður munur var á aðgerðarábendingu eftir stöðugleika brots (p<2,2e-16) en alls fóru 29,4% í aðgerð. 55% voru með aðra áverka og 1,9% létust vegna hálshryggjarbrots.

Ályktanir Umferðarslys voru algengasta ástæða hálshryggjarbrots. Öryggi í umferðinni og aðbúnaður ökumanna skiptir máli til að koma í veg fyrir slys og nauðsynlegt er að fræða ferðamenn um hættur á íslenskum vegum. Hálshryggjarbrotum fer fækkandi en ekki eins hratt og öðrum umferðarslysum.

Iveta Krasimirova Kostova Langvinnir sjúkdómar á Íslandi

Ágrip barst ekki.

Íris Arna Tómasdóttir Pneumókokkar og streptókokkar af flokki

A í nefkoki leikskólabarna

Inngangur Pneumókokkar og streptókokkar af flokki A (GAS) geta tekið einkennalausa bólfestu eða valdið ýmsum sýkingum. Mikil fjölgun var á ífarandi streptókokkasýkingum síðastliðinn vetur. Sýklalyfjaónæmi pneumókokka er vaxandi vandamál. Á Íslandi er notað 10-gilt pneumókokkabóluefni í ungbarnabólusetningum en yfir 100 hjúpgerðir eru þekktar.

Markmið Finna berahlutfall og sýklalyfjanæmi bakteríanna, hjúpgerðir pneumókokka, hlutfall pneumókokkastofna sem tilheyra bóluefnum og bera saman við niðurstöður fyrri ára.

Efniviður og aðferðir Í mars 2023 voru tekin nefkokssýni á 15 leikskólum á höfuðborgarsvæðinu. Sýnunum var sáð á blóðagar. Pneumókokkar voru greindir út frá útliti og optókínnæmi og GAS greindir með massagreini. Framkvæmd voru næmispróf samkvæmt staðli EUCAST og pneumókokkar hjúpgreindir með kekkjunarprófi.

Niðurstöður

Umræður

Íris Brynja Helgadóttir

Inngangur

Markmið

Fjöldi sýna var 396. Berahlutfall pneumókokka var 36,6%. Af hjúpuðum pneumókokkastofnum voru 28,5% með minnkað penisillínnæmi (PNSP), 0% penisillínónæmir, 21,2% erýtrómýsínónæmir og 10,2% fjölónæmir. Algengasta hjúpgerðin var 6C. Engar hjúpgerðir greindust sem tilheyra 10-gilda bóluefninu. Hjúpgerðum í 13-gilda bóluefninu tilheyrðu 13,9% stofna, 15-gilda 19% og 20-gilda 51,1% stofna. Berahlutfall GAS var 28,5%, þar af báru 10,1% barna bæði pneumókokka og GAS. Allir GAS-stofnar voru penisillínnæmir, 3,5% erýtrómýsínónæmir og 2,7% fjölónæmir. Berahlutfall pneumókokka var lægra en í sambærilegum rannsóknum árin 2009-2020 (p<0,001) og berahlutfall GAS hærra (p<0,001). Hlutfall PNSP lækkaði milli áranna 2020 og 2023 (p<0,001) og hlutfall stofna sem tilheyra 20-gilda bóluefninu jókst (p=0,049).

Lægra berahlutfall pneumókokka og hærra berahlutfall GAS hefur ekki greinst í sambærilegum rannsóknum. Aukið sýklalyfjanæmi pneumókokka er jákvætt, mikilvægt er að fylgja því eftir. Nýrri bóluefni veita góða viðbótarvörn en aukning hjúpgerða sem tilheyra 20-gilda bóluefninu er í samræmi við það sem sést á heimsvísu.

TGF-beta og meðgöngueitrun

Meðgöngueitrun er sjúkdómur sem leggst á u.þ.b. 3-6% þungaðra kvenna og getur verið lífshættulegur bæði móður og barni. Í eðlilegri fylgjumyndun undirgangast næriþekjufrumur bandvefsumbreytingu (EMT) og ferðast inn í skrúfslagæð móður þar sem þær undirgangast æðaþelsumbreytingu (MEndT) og verða að sýndaræðaþelsfrumum, sem koma í stað æðaþelsfrumna móðurinnar. Þetta ferli veldur umbreytingu skrúfslagæða úr þröngum æðum með miklu viðnámi yfir í víðari æðar með minna viðnám, sem eykur blóðflæði til fósturs. Í meðgöngueitrun virðast þessir ferlar ekki eiga sér stað þar sem skrúfslagæðar móður haldast þröngar og blóðflæði til fósturs verður takmarkað. Rannsóknir benda til þess að ójafnvægi sé í þáttum sem stjórna æðamyndun í fylgjunni, en TGF-β fjölskyldan inniheldur ýmsa þætti sem koma að stjórnun æðamyndunar. Sýnt hefur verið fram á að TSP-1 hindri æðamyndun og að æðaþelspróteinið EGFL7 leiði til aukins frumuskriðs í fylgjumyndun.

Markmið þessa verkefnis er þrískipt: Í fyrsta lagi að rannsaka tjáningu á EGFL7 og TSP-1 í næriþekjufrumum ásamt því að kanna hvort samtjáning sé á þessum tveimur próteinum, í öðru lagi að rannsaka tjáningarmynstur úr TGF-β fjölskyldunni í fylgjum kvenna bæði með og án meðgöngueitrunar, og í þriðja lagi að besta ELISA próf til þess að geta rannsakað seytingu EGFL7 í sermi kvenna með meðgöngueitrun.

Efniviður og aðferðir Framkvæmd var mótefnaflúrljómun á HTR-8/SVneo frumum, mótefnalitun fylgjusýna og ELISA próf.

Niðurstöður

Umræður

Niðurstöður sýna að EGFL7 er markgen af ALK1 og ALK2 viðtökum í næriþekjufrumum og að ID1 er virkur þáttur í þeim boðferlum. Niðurstöður benda einnig til þess að TGF-β/ALK5 ýti undir tjáningu á TSP-1 í næriþekjufrumum. Enn fremur, sýna niðurstöður að EGFL7 er meira tjáð í heilbrigðum fylgjum miðað við fylgjur kvenna með meðgöngueitrun en að hið gagnstæða gildir fyrir tjáningu TSP-1.

Þessar niðurstöður varpa ljósi á þá flóknu ferla sem eiga sér stað í fylgjumyndun kvenna með meðgöngueitrun og munu vonandi ýta undir betri meðferðarmöguleika og fyrirbyggjandi aðgerðir fyrir þungaðar konur í framtíðinni.

Jakob Þórir Hansen Sykursýki 1 í börnum og unglingum á Íslandi

Inngangur

Sykursýki 1 er algengur sjúkdómur meðal barna og veldur hækkuðum blóðsykri. Sykursýki getur valdið bráðum og síðbúnum afleiðingum og beinist meðferð að því að halda blóðsykri innan eðlilegra marka til að koma í veg fyrir afleiðingar hennar. Markmið rannsóknarinnar var að kanna árangur í meðferð sykursýki hjá börnum og unglingum á Íslandi.

Efniviður og aðferðir Rannsóknarþýðið voru öll börn með sykursýki á Íslandi síðastliðin tuttugu ár. Upplýsingar um langtímasykur, aldur, kyn og meðferðarform voru sóttar í sjúkraskrárkerfi. Áhrif þessara breyta o.fl. á langtímasykur voru könnuð.

Niðurstöður

Umræður

Á tímabilinu voru 375 börn með 9364 komur á göngudeild, þ.e. 54,4% drengir og 45,6% stúlkur. Meðalaldur var 12,7 ár, en meðalaldur við greiningu var 9,8 ár. Nýgengi <15 ára barna var 21,1 á 100.000 p/ár. Gögnum um fylgigreiningar var safnað frá 2018, 2,2% höfðu selíak sjúkdóm og 11,2% vanvirkan skjaldkirtil. Frá 2018 voru 31 tilfelli ketónablóðsýringar og þar af voru nítján með ketónablóðsýringu við greiningu (21,1% greininga). Meðferðarárangur hefur batnað á síðastliðnum árum, meðal HbA1c var hæst 2012, 70,7 mmol/ mol og lægst 60,3 mmol/mol árið 2022. Stúlkur voru með marktækt hærri langtímablóðsykur. Ný hálf-sjálfvirk dæla lækkaði langtímasykur um 4 mmol/ mol (p<0,001) og eftirfylgnin eftir dæluuppsetningu var tvö ár.

Hratt batnandi árangur hefur náðst í meðferð sykursýki barna og unglinga á Íslandi á síðastliðnum árum, en það er langt í land miðað við árangur í Svíþjóð. HbA1c lækkaði marktækt með tilkomu nýrra dæla, og er í samræmi við erlendar rannsóknir. Ekki var marktæk breyting á nýgengi, ólíkt því sem hefur sést í erlendum rannsóknum.

Johan Sindri Hansen Hjartabilun á Íslandi, svipgerð og undirliggjandi orsakir

Ágrip barst ekki.

Jökull S. Gunnarsson

Breiðfjörð Bandvefsbreytingar

Inngangur

í fitulifrarkvil

Fitulifrarkvilli er skilgreind sem uppsöfnuð fita umfram 5% massa lifur. Algengustu orsakirnar eru áfengi ( alcoholic fatty liver disease, AFLD) og NAFLD (nonalcoholic fatty liver) sem hefur aukist verulega á síðustu árum. Minnihluti NAFLD sjúklinga þróar með sér fitulifrarbólgu (non-alcoholic steatohepatitis, NASH) sem lýsir sér sem bólga og skaði í lifrinni. NASH getur orsakað bandvefsmyndun og skorpulifur. Fibroscan er nýleg mæliaðferð á lifrarstífleika og við mat á bandvefsmyndun kemur það í stað lifrarástungu sem er mun áhættumeiri. Markmið rannsóknar var að kanna þróun bandvefs í lifur á nokkura árabili og hvaða þættir tengdust breytingum.

Efniviður og aðferðir Þátttakendur voru sjúklingar sem höfðu farið í fibroscan á árunum 20162022 vegna NAFLD og AFLD. Sjúklingar sem höfðu þróað með sér skorpulifur með klínískum afleiðingum voru útilokaðir. Fibroscan var framkvæmt og áhættuþættir kannaðir. Lifrarensím, blóðfitur, blóðsykur og ferritín mæld. Fyrri fibroscan niðurstöður voru borin saman við nýjar auk þyngdar á tímabili fyrra fibroscans. Tengsl við áhættuþætti voru metin, NAFLD og AFLD hópar bornir saman og mælingar allra bornar saman milli ára.

Niðurstöður

Umræður

Alls höfðu 83 sjúklingar með NAFLD og 24 AFLD farið í fibroscan, og tókst að mæla 37 sjúklinga með NAFLD (68% konur, meðalaldur 56 ) og 10 AFLD sjúklinga (30% konur, meðalaldur 63), eftirfylgni tími milli mælinga 3,2 ár. Miðgildi lifrarstífleika var áður 7,1 kPa og síðan 6,3 hjá NAFLD, en 10 Kpa vs. 7,2 hjá AFLD (ekki marktækar breytingar innan hópanna). Þyngdaraukning hafði marktæk tengsl við breytingu í lifrarstífleika í NAFLD sem útskýrði 32% dreifingu í stífleika. Lifrarstífleiki AFLD-þátttakenda sem hættu að drekka lækkaði verulega.

Lifrarstífleiki hópanna breyttist ekki marktækt á milli mælinga eftir að meðaltali 3 ára eftirfylgni. Þyngdaraukning tengdist auknum lifrarstífleika hjá NAFLD sjúklingum og áfengisbindindi lækkun á lifrarstífleika við AFLD. Þyngdarbreytingar gætu verið leiðbeinandi við tímalengd milli Fibroscan mælinga hjá NAFLD sjúklingum.

Bakgrunnur Læknar á landsbyggðinni þurfa sérhæfðan búnað til að sinna bráðaþjónustu vegna slysa og veikinda. Enginn staðall er til þar sem aðgengilegur bráðabúnaður á heilu landi er metinn, hvorki hér á landi né erlendis.

Markmið Gera tæmandi úttekt á stöðu bráðabúnaðar og bráðalyfja á öllum heilbrigðisstofnunum landsbyggðarinnar.

Efniviður og aðferðir Saminn var staðlaður spurningalisti yfir búnað og lyf sem talin eru nauðsynleg í bráðaþjónustu. Þar sem engir alþjóðlegir staðlar eru til sem hægt var að notast við var stuðst við skýrslu Heilbrigðisráðuneytisins „Bráðaþjónusta á Íslandi. Núverandi staða og framtíðarsýn“, lyfjalista sjúkrabíla á landinu og sérþekkingu bráðalækna og heilsugæslulækna af landsbyggðinni við samsetningu listans. Í heild var spurt um 184 atriði á hverri starfsstöð. Gögnum var aflað með fjarfundarviðtölum við yfirlækna og yfirhjúkrunarfræðinga, heimsóknum og aðsendum lyfjalistum hverrar stöðvar.

Niðurstöður

Ályktanir

Gerð var heildstæð úttekt á 50 starfsstöðvum heilbrigðisstofnana á landsbyggðinni þar sem svarhlutfall fyrir tiltækan bráðabúnað var 100% og svarhlutfall bráðalyfja 90%. Engir staðlar reyndust til innan læknishéraða um bráðabúnað eða lyf. Af tækjabúnaði sem skýrslan Bráðaþjónusta á Íslandi mælir með að sé til á öllum starfsstöðvum á landinu voru hjartastuðtæki til taks hjá 96% stöðva, en enn vantar upp á að hjartalínuritstæki séu til á öllum stöðvum (80%). Ómskoðunartæki vantaði víða, sérstaklega hjá heilsugæslustöðvum með/án vaktþjónustu. Mikill breytileiki var í aðgengi að tækjum til einfaldari blóðrannsókna. Skortur á einföldum öndunarvegabúnaði var áberandi þar sem 74% stöðva áttu kokrennur, meðan nefrennur fundust hjá 54% stöðva. Barkakýlissjár voru til hjá 54% stöðva og víða vantaði leiðara í barkarennur. Mikill breytileiki var á öndunarvegabúnaði ofan raddbanda. 22% stöðva höfðu búnað til barkaskurðar. Umtalsverður breytileiki var á tiltækum bráðalyfjum. Læknatöskur voru almennt ekki staðlaðar og breytilegt hvaða búnaður og lyf voru í þeim.

Í þessari tæmandi rannsókn um stöðu bráðabúnaðar á landsbyggðinni reyndist vera mikill breytileiki á hvaða búnaður var til og líklegt er að nú sé útbúnaður heilbrigðisstofnana með tilliti til bráðabúnaðar á mörgum stöðum háður frumkvæði og áhuga ólíkra lækna. Víða reyndist vanta einfaldan og ódýran búnað og líklega er hægt að bæta bráðaþjónustu á landsbyggðinni marktækt með því að tryggja að staðlaður bráðabúnaður og lyf séu tiltæk á öllum starfsstöðvum og læknatöskum.

Katla Björg

Inngangur

Jónsdóttir Fylgigláka vegna

blóðþurrðar

Fylgigláka vegna blóðþurrðar (NVG) er illvíg annars stigs gláka sem einkennist af nýæðamyndun í lithimnu og í síu augans ásamt æðaríks bandvefs í forhólfshorninu. Orsök NVG er yfirleitt blóðþurrð í sjónhimnu eða undirliggjandi bólga í auga. Helstu undirliggjandi orsakir NVG eru sykursýki, blóðtappi í auga, bólga í auga og OIS. Markmið þessarar rannsóknar var að kanna ástand og afdrif sjúklinga sem undirgengust Ahmed shunt ísetningu og voru með NVG á árunum 2012-2022.

Efniviður og aðferðir

Niðurstöður

Um var að ræða afturskyggna rannsókn á einstaklingum með NVG sem undirgengust Ahmed shunt ísetningu á Landspítala á 10 ára tímabili. Upplýsingum um sjúkdómsgreiningu, sjón, augnþrýsting, sjónsvið og fjölda þrýstingslækkandi lyfja fyrir aðgerð var safnað og breytingar kannaðar á nokkrum tímapunktum eftir aðgerð.

Rannsóknarúrtakið voru 30 einstaklingar, 13 með sykursýki, 9 með blóðtappa í auga, 7 með bólgu í auga og 1 með OIS. Marktækur munur (p < 0,05) var á augnþrýstingi og fjölda þrýstingslækkandi lyfja eftir aðgerð. Ekki sást marktæk versnun á sjón og sjónsviði eftir aðgerð. Ekki var marktækur munur á þessum gildum milli undirorsaka að undanskildu sjónsviði sem var breytilegt milli sykursjúkra og einstaklinga með lithimnubólgu og OIS.

Umræður

Katla Rut Robertsdóttir Kluvers

Rannsóknin sýndi að sjúklingar með fylgigláku vegna blóðþurrðar, sem undirgengust Ahmed shunt ísetningu, voru með verulega skerta sjón og sjónsvið. Eftir aðgerð varð marktæk lækkun á augnþrýstingi og notkun glákulyfja. Niðurstöðurnar sýndu lítinn breytileika milli sjúklinga með mismunandi undirliggjandi sjúkdóma. Rannsóknin var í samræmi við erlendar rannsóknir þar sem Ahmed shunt ígræðsla viðheldur stöðugri sjón og sjónsviði eftir aðgerð. Niðurstöðurnar styðja við inngrip með Ahmed shunt ísetningu hjá þessum sjúklingahópi.

Skimun fyrir Lynch heilkenni

Inngangur Skimun fyrir Lynch heilkenni (LS) með ónæmislitunum fyrir mispörunarviðgerðarpróteinum (e. mismatch repair; MMR) hófst á meinafræðideild Landspítala árið 2017 í greindum ristil-, endaþarms- (REKM) og legbolskrabbameinum (LBKM) og árið 2021 í magakrabbameinum (MKM). Markmið rannsóknarinnar er að kanna árangur skimunar fyrir LS árin 20202022 þ.m.t. litunarhlutfall æxla, hlutfall æxla með vöntun á MMR-próteinum (e. MMR deficiency; dMMR), hlutfall LS og hvort réttum uppvinnsluferlum var fylgt.

Efniviður og aðferðir Rannsóknin er aftursýn. Fenginn var listi frá Krabbameinsskrá yfir öll greind REKM og LBKM árin 2020-2022 og MKM árin 2021-2022. Farið var inn í sjúkraskrár og upplýsinga aflað um meinafræðiþætti, niðurstöður litana og hvort réttum litunar- og meðferðarferlum var fylgt. Arfgerðir sjúklinga í raðgreiningargagnagrunni deCODE voru síðan samkeyrðar við niðurstöður verklags til að reikna næmi og sértæki vefjalitunar.

Niðurstöður Af 522 REKM voru 429 (82,2%) lituð og af þeim voru 63 (14,7%) dMMR. Af 102 LBKM voru 88 (86,3%) lituð og af þeim voru 19 (21,6%) dMMR. Af 26 MKM voru 18 (69,2%) lituð en engin voru dMMR. Réttu verkferli var fylgt í 90,5% tilvika hjá REKM og 94,7% tilvika hjá LBKM og vísanir í erfðaráðgjöf gerðar í öllum tilvikum nema einu. Næmi vefjalitunar reyndist 80% og sértæki 85,4%.

Umræður Skimun fyrir LS með ónæmislitun fyrir MMR-próteinum greindi réttilega einstaklinga með LS í 80% tilvika. Réttu verkferli var fylgt oftar og eftirfylgd með tilvísunum í erfðaráðgjöf var hærri en á fyrstu þremur árum skimunar. Rannsóknin bætir við vaxandi grunn upplýsinga um gæði skimunar fyrir LS á Íslandi.

Katrín Hólmgrímsdóttir

Introduction

Methods

Safety of novel oral anticoagulants (NOAC) compared to warfarin for postoperative anticoagulation following mitral valver repair

Optimal anticoagulation regimens following mitral valve repair have not been established due to scant evidence. We evaluated the safety of NOAC compared to warfarin for postoperative anticoagulation following mitral valve repair

We performed a single-center, retrospective study including 188 patients who underwent mitral valve repair from 4/2020 to 10/2022. Results were stratified according to initial postoperative anticoagulation strategy, warfarin (n=165) and NOAC (n=23). The safety endpoint was a composite of bleeding events within 6 months postoperatively and the efficacy endpoints were 30day mortality and a composite of thromboembolic events, at the same period. Anticoagulation groups were compared using logistic regression and KaplanMeier survival analysis.

Results

Conclusion

Inngangur

Efniviður og aðferðir

There was a significant higher number of safety endpoints of gastrointestinal bleeding in the NOAC group, 5 patients (21.7%) compared to 3 in the warfarin group (1.8%). No significant difference was detected regarding the efficacy endpoints. The most common event was stroke, 1 patient in the NOAC group (4.3%) and 3 patients in the warfarin group (1.8%). One 30–day mortality was recorded in the warfarin group. Multivariable binomial logistic regression demonstrated that NOAC use was associated with gastrointestinal bleeding (OR: 16.957, 95% CI: 3.651-94.545, p<0.001). Survival analysis showed a significant difference between the anticoagulation groups regarding gastrointestinal bleeding, p<0.001. During the 6-month follow-up period, 58 patients (30.9%) changed their anticoagulation regimen, 54 patients (93.1%) from warfarin to NOAC, the main reason being subtherapeutic INR (31.5%).

NOAC may not be as safe as warfarin for postoperative anticoagulation following mitral valve repair, concerning gastrointestinal bleeding. Nevertheless, NOAC may be as effective as warfarin for thromboembolic prophylaxis.

Sýklasótt

í kjölfar valaðgerða sem krefst innlagnar á Gjörgæsludeildir Landspítala

Sýklasótt er fátíð eftir valaðgerðir en ófullnægjandi reynslu-sýklalyfjameðferð algeng og dánartíðni há. Markmið rannsóknarinnar var að kanna algengi, meingerð, meðferðarárangur og áhættuþætti andláts vegna sýklasóttar sem krefst innlagnar á gjörgæsludeild eftir valaðgerð.

Rannsóknin var afturskyggn ferilrannsókn á öllum sjúklingum (≥18 ára) sem uppfylltu klínísk greiningarskilyrði sýklasóttar og lögðust inn á gjörgæsludeildir Landspítala innan 30 daga frá valaðgerð milli 2017-2022. Safnað var upplýsingum um lýðfræðilega þætti, meðferð og lifun.

Niðurstöður

Ályktanir

Rannsóknarhópurinn samanstóð af 90 einstaklingum (konur 53%, meðalaldur 67,5 ár, miðgildi legutíma á gjörgæslu 4 dagar [fjórðungsbil 2-12], SOFA stigun 8 [fjórðungsbil 6-11,8]). Algengustu líffærabilanir voru: öndunar- 89 (99%), blóðrásar- 80 (89%) og nýrnabilun 52 (58%). Öndunarvélarmeðferð þurftu 52 (58%) og sískilun 9 (10%). Miðgildi daga í öndunarvél var 4 [fjórðungsbil 2-17]. Tíðni sýklasóttar eftir valaðgerð reyndist 0,14% (95% CI: 0,12-0,18) og var hæst eftir hjarta- og lungnaskurðaðgerðir (0,69%). Dánarhlutfall eftir 30 daga var 17% og eftir eitt ár 39%. Algengustu bakteríur voru Escherichia coli (23%) og Enterococcus faecalis (18%) en gersveppir ræktuðust í 21% tilfella. Algengustu sýkingarstaðir voru lungu (36%) og kviðarhol (29%). Reynslu-sýklalyfjameðferð var ófullnægjandi í 42% tilfella (ónæmar bakteríur 36%, sveppasýking 19%). Í fjölbreytuaðhvarfsgreiningu reyndust aldur, kyn, APACHE-stigun, ófullnægjandi reynslu-sýklalyfjameðferð, æðaherpandi lyf og bráð nýrnabilun ekki áhættuþættir andláts innan 30 daga.

Niðurstöðurnar eru sambærilegar fyrri rannsóknum og sýna lága tíðni sýklasóttar í kjölfar valaðgerða en háa dánartíðni. Hlutfall ófullnægjandi reynslu-sýklalyfjameðferðar var hátt og stafaði af sýkingu með ónæmum bakteríum og/eða sveppum. Mögulega er ástæða til að endurskoða hefðbundna reynslu-sýklalyfjameðferð við sýklasótt eftir valaðgerðir.

Katrín Wang Valkvæð splæsing á utangenaþáttum við taugafrumuþroska

Inngangur

Utangenaþættir hafa áhrif á genatjáningu ýmist með því að skrifa, fjarlægja og lesa merki á DNA og histónum. Stökkbreytingar í þessum genum valda þroskahömlun sem bendir til mikilvægis utangenaerfðakerfis við taugaþroska. Það er sérstaklega mikið af valvirkri splæsingu í heilanum. Nýlegar rannsóknir sýna miklar breytingar á ísóformum við þroskun heilans en lítið er vitað um hvernig þessi ísóform breytast. Markið rannsóknarinnar er að nýta nýja raðgreiningartækni til að athuga hvort og hvernig valdir utangenaþættir noti mismunandi ísóform við taugafrumuþroska.

Efniviður og aðferðir Fyrri hluti rannsóknarinnar var afturskyggn heimildarannsókn til að athuga hvaða upplýsingar væru til staðar um ísóform utangenaþátta. Seinni hluti rannsóknarinnar var RNA raðgreining á RNA úr taugafrumum í þroska. RNA var einangrað á þrem tímapunktum taugaþroska, því var öfugt umritað í cDNA og raðgreint. Umritin voru svo notuð til að greina mismun á valkvæðri splæsingu á utangenaþáttum í taugaþroska.

Niðurstöður

Ályktun

Rannsóknir á birtum greinum m.t.t. 61 útvaldra utangenaþátta sýnir að um 81% tjá fleiri en eitt ísóform og um 57% sýna mun á fjölda ísóforma meðal fósturs og fullorðins heila. Sum þessara ísóforma hafa mismunandi virkni. Niðurstöður úr RNA raðgreiningu sýna mismun á valkvæðri splæsingu á mörgum utangenaþáttum í taugaþroska.

Margir utangenaþættir tjá fleiri en eitt ísóform og margir þeirra hafa mismunandi virkni. Niðurstöður úr RNA raðgreiningu sýna ísóformbreytingar á útvöldum utangenaþáttunum í taugaþroska. Þetta sýnir að dýpri skilningur á valkvæðri splæsingu væri mikilvægur þar sem þessar upplýsingar gætu mögulega nýst í nýjum meðferðarúrræðum fyrir sjúklinga sem glíma t.d við röskun á taugaþroska eða krabbamein.

Kjartan Þorri Kristjánsson Tengsl

mislestursbreytingar í PRG3 við sjúkdóma og lækkun eosinophila

Introduction

Eosinophils are implicated in the pathogenesis of asthma. Research on the genetics of eosinophils could lead to discoveries which improve treatment of patients with asthma.

Methods We performed a genome-wide association study, aiming to identify variants that affect eosinophil counts and assess if these variants also affect asthma. We used blood measurements of ~750,000 individuals from the UK Biobank and Icelandic data which deCODE genetics has collected. We also used asthma case-control data from the UK Biobank, Iceland, Intermountain (Utah, USA) and FinnGen (Finnland).

Results The variant with the largest effect on eosinophil counts was rs34108746A>G in PRG3 (AF%: UK Biobank = 7.8%; Ísland = 7.4%). rs34108746-A>G associated with a recessive decrease in eosinophils in a meta-analysis of the UK Biobank and the Icelandic data from deCODE Genetics (β = -0.55, p = 3.3 ∙ 10^-214). We also found a protective association against asthma in a metaanalysis of case-control data from the UK Biobank, Iceland, Intermountain and FinnGen (Additive: OR = 0.96, p = 2.5 ∙ 10^-7, Recessive: OR = 0.90, p = 0.027). Eosinophil values of homozygous rs34108746-A>G carriers differed by cell-counting device. We retrieved scattergram data from the Sysmex XN1000 cell-counting device. Homozygous carriers of rs34108746-A>G typically did not have detectable eosinophils. We found a decrease in side-scatter between non-carriers and heterozygote carriers (∙ = -4.20, p < 2.2 ∙ 10^-308).

Discussion

We believe that the effect on side-scatter is even greater in homozygous carriers and that this causes cell-counting devices to be less able to differentiate eosinophils from neutrophils. The decrease in eosinophils would therefore be false due to a biological effect of the variant to decrease eosinophil granularity. The protective effect against asthma could be due to an interference of the variant with PRG3 protein function.

Kolbrá Ethel Dagnýjardóttir Kynvitundarami hjá börnum

Ágrip barst ekki.

Inngangur

Innlagnir tengdar áfengisnotkun

Skaðleg áhrif áfengis á heilsu eru vel þekkt og það er vitað að hluti innlagna á spítala eru vegna vandamála sem rekja má til áfengisnotkunar. Engar tölur hafa verið birtar um hversu margar innlagnir á Landspítala eru tengdar áfengisnotkun. Markmiðið var að kanna tíðni og fjölda slíkra innlagna á Landspítala á árunum 2005-2022, rannsaka hvort aukning hafi orðið á tímabilinu og að kanna hvaða sjúkdómsgreiningar leiða oftast til innlagnar.

Efniviður og aðferðir Gögn sem innihéldu upplýsingar um innlagnir sjúklinga á Landspítalann á árunum 2005-2022 sem höfðu fengið ICD-10 greiningarkóða áfengistendra vandamála við útskrift fengust frá hagdeild Landspítala. Farið var í sjúkraskrá hluta sjúklinga sem áttu kennitölur í gögnunum og lagt mat á hvort innlögnin hafi verið vegna áfengistengdra vandamála eða hvort hún hafi verið vegna ástæðu ótengdri áfengisnotkun. Lýsandi tölfræði var notuð við greiningu gagnanna og fór úrvinnslan fram í R studio.

Niðurstöður

Ályktun

Kristján Guðmundsson

Alls voru 2925 innlagnir tengdar áfengisnotkun á Landspítalann á árunum 2005-2022. Sjúklingar sem lögðust inn voru 1779 talsins, 1168 karlar (66%) og 611 konur (34%). Miðgildi aldurs var 52 ár. Árlegur meðalfjöldi áfengistengdra innlagna var 48 á hverja 100.000 íbúa á tímabilinu en þeim fjölgaði úr 34 árið 2005 og í 64 árið 2022 á hverja 100.000 íbúa. Árið 2005 var hlutfall áfengistengdra innlagna af öllum innlögnum á Landspítalann 0,32% og árið 2022 var hlutfallið 0,92%. Miðgildi legulengdar voru 6 dagar. Af áfengistengdum innlögnum voru 2263 skráðar með sjúkdómsgreininguna geð- og atferlisraskanir af völdum áfengisnotkunar, 922 með áfengistengda lifrarsjúkdóma, 456 með bráða eða langvinna briskirtilsbólgu af völdum áfengisnotkunar, 204 með sjúkdóma í taugakerfi, þar af 143 með Wernicke-sjúkdóm.

Áfengistengdum innlögnum fjölgaði á árunum 2005-2022. Algengustu innlagnirnar voru vegna geð- og atferlisraskana og lifrar- og brissjúkdóma. Þetta hefur leitt til og mun leiða til mikils kostnaðarauka fyrir heilbrigðiskerfið og samfélagið í heild.

Metabolic syndrome and the risk of monoclonal gammopathy of undetermined significance

Introduction

Methods

Metabolic syndrome and its components, obesity, diabetes, hypertension and dyslipidemia, are known risk factors for many types of cancer, including multiple myeloma (MM). Monoclonal gammopathy of undetermined significance (MGUS) is a precursor to MM and related cancers, but its causes are not fully understood. The study‘s aim was to evaluate the relationship between metabolic syndrome and prevalence and severity of MGUS.

The population of the study was obtained from the iStopMM study, a population-based screening study for MGUS. In total, 80,759 (54% of the population born before 1976) provided their informed consent for participation and 75,422 were subsequently screened for MGUS by serum protein electrophoresis and free light chain assay. We used BMI as a marker for obesity, calculated from height and weight measurements, collected at the clinical trial center and by self-reported questionnaires. Data on diabetes, hypertension, and dyslipidemia were acquired through central health databases as ICD10 diagnoses, made by Icelandic doctors prior to the MGUS sampling date. Logistic regression was then utilized to calculate odds ratios (OR) of MGUS at screening for the four components of metabolic syndrome, and their severity, adjusting for age, sex, and the other metabolic syndrome components. The relationship of metabolic syndrome components, M-protein concentration and FLC ratio was also assessed using linear regression.

Results

Discussion

Of the 75,422 participants, 3,669 (4.9%) had MGUS at screening. A statistically significant association was found between obesity and MGUS (OR = 1.46, 95% CI: [1.33, 1.59], p<0.001) but not for diabetes (OR = 0.99, 95% CI: [0.85 , 1.14], p=0.85), hypertension (OR = 1.03, 95% CI: [0.94 , 1.13], p=0.499), or dyslipidemia (OR = 1.09, 95% CI: [0.94 , 1.27], p=0.243). No association was found between components of the metabolic syndrome and MGUS severity, i.e., M-protein concentration or FLC ratio.

Results show that obesity is associated with having MGUS but not with MGUS severity. This indicates that the previously observed relationship of obesity with MM is, at least partly, due to the increased risk of MGUS. Furthermore, these results provide an important insight into the causes of MM where an increased understanding will have implications for the development of future interventions and public health policy.

Kristján Harðarson Erfiður háþrýstingur

Inngangur Meðferðarþolinn háþrýstingur (e. resistant hypertension; RHT) er skilgreindur sem viðvarandi háþrýstingur þrátt fyrir meðferð á þremur eða fleiri blóðþrýstingslyfjum þar af einu thíazíði. Sjúkdómurinn er tengdur verri horfum. Þrátt fyrir það hefur enn ekki tekist að lýsa fyrirbærinu á fullnægjandi hátt. Markmið þessarar rannsóknar var að meta algengi RHT á Íslandi og kanna hlutfall sjúklinga sem fékk meðferð í samræmi við klínískar leiðbeiningar.

Efniviður og aðferðir Fyrir þessa þversniðsrannsókn voru sótt gögn í REFINE (n = 6930, aldursbil 20-73) og AGES (n = 5716, aldursbil 66-96) gagnagrunna Hjartaverndar. Þátttakendur voru skilgreindir með tilliti til blóðþrýstingsmælingar og lyfja sem þeir tóku á tíma athugunar. Aldursstöðlun var framkvæmd á REFINE þýðinu.

Niðurstöður

Algengi RHT á meðal einstaklinga í blóðþrýstingsmeðferð var 9,1% (n = 168) í REFINE og 15,8% (n = 579) í AGES. Algengi var marktækt hærra í eldri aldursflokkum. 95% tilfella greindust í einstaklingum eldri en 50 ára (REFINE). Þar sem skörun var á aldri milli þýðanna var algengið sambærilegt. 31% RHT sjúklinga í REFINE tóku spironolactone og 51% í AGES í samræmi við meðferðarleiðbeiningar.

Nanna Óttarsdóttir Mjaðmagrindaráverkar á Landspítala

1998-2022

Inngangur

Gerðar hafa verið rannsóknir á Íslandi á mjaðmagrindarbrotum en þær tóku aðallega fyrir lágorkubrot, sem eru fyrst og fremst beinþynningarbrot. Í þessari rannsókn verður því áherslan lögð á háorkubrot.

Efniviður og aðferðir Í rannsókninni voru skoðuð gögn sjúklinga sem leituðu á Landspítala á tímabilinu 1998-2022 og voru greindir með háorkumjaðmagrindaráverka. Kennitölur fengust hjá Hagdeildinni út frá ICD-10 kóðum. Greiningar voru staðfestar út frá myndrannsóknum, upplýsingum síðan safnað í Sögukerfinu og skráð hvort gera þurfti aðgerð eða ekki ásamt mögulegum afleiðingum. Brotin voru síðan flokkuð eftir AO/OTA flokkunarkerfinu út frá myndrannsóknum í forritinu Agfa.

Niðurstöður

Alls voru 466 einstaklingar sem höfðu fengið háorkuáverka á mjaðmagrindinni á rannsóknartímabilinu (meðalaldur 41,1 ár, 40,3% konur). Nýgengi áverka fór lækkandi á þessu 25 ára tímabili. Algengustu brotaflokkar áverka á mjaðmagrindarhringnum voru B2 og B3 (óstöðug í snúningi). Augnkarlsbrotin voru algengust á framhluta hans. Minnihluti sjúklinga með brot á mjaðmagrindinni þurfti að gangast undir aðgerð. Hæst hlutfall aðgerða meðal hringbrota var hjá flokki C (óstöðug í snúning og lóðrétt) (75,6%) og þverbrot (58,1%) hjá augnkarlsbrotunum. Fylgikvillar meðal þeirra sem þörfnuðust aðgerðar sáust hjá minnihluta einstaklinga. Algengasta orsök brota var árekstur, oftast frá hlið og áttu flest slys sér stað í maímánuði. Meirihluti einstaklinga hlaut viðbótaráverka (64,4%). Dánartíðni af völdum mjaðmagrindaráverka var 0,86%.

Ályktun

Nýgengi háorkumjaðmagrindaráverka á Íslandi 1998-2022 (25 ár) er sambærileg því sem sést erlendis. Háorkuáverkar á mjaðmagrindinni eru algengari meðal karla en kvenna og eiga sér frekar stað hjá yngra fólki. Algengasta orsök áverkanna er hliðarárekstur. Minnihluti sjúklinga þarf á aðgerð að halda.

Inngangur

Árlega greinast að meðaltali 33 einstaklingar með legbolskrabbamein á Íslandi. Algengust eru þekjukrabbamein sem upprunnin eru í slímhúð legsins. Meðferð er iðulega fólgin í skurðaðgerð; legnámi og brottnámi eggjastokka og eggjaleiðara. Viðbótarmeðferð getur verið geislameðferð, lyfjameðferð eða hormónameðferð. Markmið rannsóknarinnar var að skrá greiningu og meðferð sjúklinga með legbolskrabbamein á Íslandi og bera niðurstöður saman við gögn frá Svíþjóð.

Efniviður og aðferðir Þýði rannsóknarinnar voru 111 einstaklingar sem greindust með legbolskrabbamein á tímabilinu 1. janúar 2020 – 31. desember 2022. Krabbameinsskrá Íslands veitti kennitölur einstaklinganna. Upplýsingar um greiningu og meðferð fengust í sjúkraskrárkerfi Sögu og Heilsugátt. Gögnin voru skráð í stöðluð skráningarform í Heilsugátt að fyrirmynd sænsku gæðaskráningarinnar.

Niðurstöður

Umræður

Saga Briem

Inngangur

Legslímukrabbamein voru um 92% legbolsmeina og var ekki marktækur munur á hlutföllum vefjagerða né aldursdreifingu sjúklinga milli Íslands og Svíþjóðar. Um 92% tilfella voru meðhöndluð með skurðaðgerð og var aðgerðaþjarka beitt í 57% tilfella, en 68% í Svíþjóð. Ekki var frekari munur á aðgerðatækni milli landanna. 64% sjúklinga voru meðhöndlaðir með skurðaðgerð eingöngu, 14.4% með skurðaðgerð og geislameðferð og 7.2% með skurðaðgerð og lyfjameðferð. Í Svíþjóð var lyfjameðferð aftur á móti algengari viðbótararmeðferð og var beitt í 14.2% tilfella, en geislameðferð í 1.4% tilfella.

Greining sjúklinga með legbolskrabbamein er sambærileg greiningu í Svíþjóð með tilliti til aldurs sjúklinga og vefjagerða meinanna. Meðferð sjúklinga hvað varðar aðgerðatækni var svipuð í löndunum tveimur, en viðbótarmeðferðir í kjölfar skurðaðgerða voru ólíkar milli landanna. Á Íslandi var algengast að viðbótarmeðferð væri í formi geislameðferðar, meðan lyfjameðferð var algengari viðbótarmeðferð í Svíþjóð.

Huntington sjúkdómur

Huntington sjúkdómur (HS) er sjaldgæfur, ættlægur taugahrörnunarsjúkdómur sem einkennist af ofhreyfingum, geðröskun og heilabilun. Sjúkdómurinn erfist ríkjandi og stafar af cýtósín-adenín-gúanín þríkirnaþenslu í huntingtin geninu. Algengi er hæst í einstaklingum af evrópskum uppruna en er hlutfallslega lágt á Íslandi. Markmið þessarar rannsóknar var að kortleggja algengi og nýgengi Huntington sjúkdóms á Íslandi á tímabilinu 2008-2022 ásamt kyn, aldur, einkenni, ættlægni, meðferð og horfur.

Efniviður og aðferðir Framkvæmd var afturskyggn gagnarannsókn þar sem upplýsingum úr sjúkraskrám einstaklinga með greininguna Huntington sjúkdóm á tímabilinu 1. janúar 2008 til 31. desember 2022 var safnað. Einnig var stuðst við upplýsingar frá erfða- og sameindalæknisfræðideild Landspítala og frá taugalæknum sem sjá um HS sjúklinga.

Niðurstöður 22 einstaklingar voru með greininguna HS á tímabilinu 2008-2022. Algengi sjúkdómsins á Íslandi 31. desember 2022 var 4,38 tilfelli per 100.000 íbúa en meðalnýgengið árin 2008-2022 reyndist 0,314 per 100.000 persónuár. Algengustu einkennin voru ofhreyfingar, þunglyndi og minnistap. Tveir einstaklingar voru einkennalausir við lok rannsóknartímabilsins. Meðalaldur við upphaf einkenna var 46,3 ára. 21 af 22 einstaklingum voru með staðfest HS með DNA erfðagreiningu og var meðalfjöldi cýtósín-adenín-gúanín endurtekninga 42,3. Fimm létust á rannsóknartímabilinu og var algengasta dánarorsök ásvelgingarlungnabólga. Meðalaldur dauðsfalla var 70,4 ár.

Ályktanir

Sigríður Kristjánsdóttir

Algengi og nýgengi HS hefur hækkað á Íslandi miðað við fyrri rannsókn frá 2007. Mögulegar ástæður þess geta verið betri greiningarhæfni auk þess að nýjar fjölskyldur hafa bæst við. Fólk lifir einnig lengur og betri úrræði eru til staðar fyrir sjúklinganna. Algengi og nýgengi eru þó í lægri kantinum miðað við önnur Evrópulönd sem skýrist líklega af hversu einangrað Ísland er.

Samanburður á alvarleika

meltingarvegsblæðinga milli sjúklinga á warfaríni og beinum storkuhemlum

Inngangur Rannsóknir hafa sýnt aukna tíðni meltingarvegsblæðinga meðal sjúklinga á beinum storkuhemlum (e. direct oral anticoagulants, DOACs) samanborið við sjúklinga á warfaríni. Enn er óljóst hvort munur sé á alvarleika meltingarvegsblæðinga af völdum þeirra. Markmið rannsóknarinnar var að skoða hvort munur væri á alvarleika meltingarvegsblæðinga milli sjúklinga á warfaríni og beinum storkuhemlum.

Efniviður og aðferðir Notast var við fyrirliggjandi blóðþynningargagnagrunn sem samanstóð af upplýsingum frá lyfjagagnagrunni Landlæknis, dánarmeinaskrá, rafrænum gagnagrunnum Landspítalans, fjórðungssjúkrahúsunum á Akranesi, Akureyri, Ísafirði, Neskaupstað og heilsugæslum víðs vegar um landið. Rannsóknargagnagrunnurinn innihélt upplýsingar um alla sjúklinga á Íslandi sem voru á blóðþynningarmeðferð og hlutu meltingarvegsblæðingu 1. mars 2014 til 28. febrúar 2019. Rannsóknarþýðið samanstóð af sjúklingum sem voru á meðferð með apixaban, edoxaban, dabigatran, rivaroxaban og warfaríni.

Niðurstöður

Lokaþýðið samanstóð af 485 sjúklingum og voru 223 (46%) á warfaríni og 262 (54%) á DOACs. Sjúklingar á DOACs voru ólíklegri til að fá viðsnúning á blóðþynningarmeðferð sinni samanborið við sjúklinga á warfaríni (gagnlíkindahlutfall [GH] 0,05, 95% öryggisbil [ÖB] 0,02-0,10). Sjúklingar á DOACs voru líklegri til að fá eingöngu stuðningsmeðferð (e. conservative treatment) við blæðingunni samanborið við sjúklinga á warfaríni ([GH] 1,93, 95% [ÖB] 1,33-2,81). Ekki var marktækur munur á hlutfalli sjúklinga sem þörfnuðust innlagnar, hvort tekinn var blóðhagur við komu, meðalblóðrauðafalli, lengd spítalainnlagnar, blóðgjöfum, speglunum sem gerðar voru, inngripum sem gerð voru í speglun, aðgerðum, dánartíðni, ráðgjöf meltingardeildar eða stöðvun blóðþynningar.

Ályktanir Alvarleiki meltingarvegsblæðinga meðal sjúklinga á warfaríni og DOACs reyndist sambærilegur. Þessar niðurstöður eru ólíkar þeim sem birtust í einu rannsókninni sem hefur skoðað alvarleika meltingarvegsblæðinga milli sjúklinga á warfaríni og DOACs, en þar hlutu DOACs sjúklingar síður alvarlegri blæðingar.

Sigrún Ágústsdóttir

Inngangur

Algengi mótefna gegn cýtómegalóveiru hjá konum á barneignaraldri á Íslandi

Sýking af völdum cýtómegalóveiru (CMV) er ein algengasta veirusýking sem fóstur fær í móðurkviði. Hún er ein af mikilvægustu ástæðum meðfæddra sýkinga og algengasta orsök skyntaugaheyrnartaps af völdum sýkinga. Flestar meðfæddar CMV sýkingar eru einkennalausar en í um 10% tilfella eru börn með einkenni. Algengustu einkennin eru blóðflögufæð, lifrarbólga og einkenni frá miðtaugakerfi. Þessi rannsókn er fyrsti hluti af stærra verkefni um meðfæddar CMV sýkingar hjá börnum á Íslandi. Markmið rannsóknarinnar er að finna algengi mótefna gegn CMV hjá konum á barneignaraldri á Íslandi sem endurspeglar þá hættu á frumsýkingu og þannig mögulegu smiti hjá ófæddu barni.

Efniviður og aðferðir Á Sýkla- og veirufræðideild Landspítala voru fundin gögn allra stúlkna og kvenna á aldrinum 15-45 ára sem áttu mælingu á mótefnum (IgG) gegn CMV á árunum 2018-2022. Gögnin sem fengust innihéldu dagsetningu, aldur og CMV-IgG gildi. Póstnúmer voru fundin í þjóðskrá sem voru síðan flokkuð eftir svæðum. Fundið var algengi CMV-IgG í úrtakinu og metið með tilliti til árs, mánaðar, aldurs og búsetu.

Niðurstöður

Umræður

Sigurður Sölvi

Sigurðarson

Inngangur

Efniviður og aðferðir

Af 1511 konum voru 1187 (78,6%) með mótefni gegn CMV. Munur milli ára, árstíma og búsetu var ekki marktækur. Algengi mótefna gegn CMV var marktækt algengara með hækkandi aldri (p < 0,001). Algengi mótefnanna hækkaði með hverjum aldursflokki. Í hópi 15-20 ára var algengi mótefnanna 70,0% og í hópi 41-44 ára var það 84,9%.

Algengi mótefna mældist svipað og í nágrannalöndum. Niðurstöðurnar sýna að algengi mótefna gegn CMV hækki með aldri. Vekja má athygli á því að 30,0% kvenna í hópi 15-20 ára geta fengið frumsýkingu en þá er mesta hættan á smiti um fylgju og því á meðfæddri CMV sýkingu. Ráðlagt væri því að auka forvarnir fyrir þennan aldurshóp.

Orsakir fyrir hækkun á ALAT og samtímis hækkun á ALAT og ALP, með hliðsjón af lifrarskaða af völdum lyfja

Fyrri rannsókn á Landspítalanum á sjúklingum með meira en tífalda hækkun á ALAT, sýndi að gallsteinar í gallrás, blóðþurrð í lifur, veirulifrarbólga og lifrarskaði af völdum lyfja (e. DILI) voru algengustu orsakirnar. Fáar framsýnar rannsóknir hafa kannað hvaða sjúkdómar orsaka samtímis hækkun á ALAT og ALP. Markmið rannsóknarinnar var að kanna hverjar eru algengustu greiningar sjúklinga með hækkun á ALAT eða samtímis hækkun á ALAT og ALP en líka skoða hlutfall DILI í þessum hóp.

Framsýn rannsókn þar sem rannsóknarstofa LSH veitti upplýsingar um sjúklinga sem höfðu: (A) ALAT >500U/L og (B) ALAT >250U/L og ALP >210U/L, frá 6. júní 2022 - 28. febrúar 2023. Sjúkraskrár þeirra sjúklinga voru skoðuð og greiningar skráðar niður. Ef það var grunur um DILI þá var notað RECAM stigun notað til að skoða orsakatengsl.

Niðurstöður

Ályktanir

Sonja Rún Kiernan

Alls 343 höfðu fyrirfram skilgreindar hækkanir, 7 sjúklingar voru útilokaðir. 336 sjúklingar sem að mynduðu rannsóknarhópinn, konur 180 (54%); miðgildi aldurs 60 ár, 197 í hópi A og 139 í hópi B. Samtals 144 höfðu steina í gallvegum (43%), 48 blóðþurrð í lifur (14%), 31 krabbamein (9,2%), 27 DILI (8,0%), 24 veirulifrarbólgu (7,1%), 24 með óljósa orsök (7,1%) og 38 með aðrar greiningar. Amoxicillin/Klavúlansýra var algengasti orsakavaldur DILI.

Steinar í gallvegum voru algengasta orsökin fyrir hækkun á bæði ALAT og ALP en blóðþurrð í lifur orsakaði aðallega einangraða hækkun á ALAT. Sýklalyf og nátturulyf/fæðubótarefni voru algengustu orsakir DILI. Blóðþurrð í lifur var líklegt til að valda hæstu gildum á ALAT. Krabbamein var líklegast til að valda gulu en með minnstu hækkun á ALAT.

Næringarástand og lífsstíll

við geðrofssjúkdóma

Ágrip barst ekki.

Sunneva Roinesdóttir Klínísk, tölfræðileg lýsing á tímabilinu 1982-2022 á Landspítala

Inngangur

Burðarmálskrampi er alvarlegur fylgikvilli meðgöngu og fæðingar. Meðgöngueitrun er talin vera forstig hans og meðgöngueftirlit því mikilvægur þáttur í forvörnum. Markmið rannsóknarverkefnisins voru að kanna tíðni burðarmálskrampa á Landspítala, tímasetningu krampans útfrá fæðingu, merki meðgöngueitrunar fyrir krampann, greiningu taugasjúkdóma síðar meir og tíðni mæðradauða innan 42 daga frá krampa.

Efniviður og aðferðir Rannsóknarþýðið samanstóð af konum greindum með eclampsiu á árunum 1982 – 2022 á Landspítala. Fjörutíu kennitölur fundust og var upplýsingum safnað úr sjúkraskrám þeirra kvenna. Sjö kennitölur voru útilokaðar vegna ranggreiningar. Gagnaskráning fór fram í Excel og tölfræðiúrvinnsla í Rstudio.

Niðurstöður

Tíðni eclampsiu á Landspítalanum var ~1:5000 fæðingum, þ.e. 33 tilfelli af 172.153 fæðingum og jöfn á rannsóknartímanum (bil: 0-3 á ári). Hlutfall krampa við burðarmál var 52% fyrir fæðingu, 27% í fæðingu og 21% eftir fæðingu. Greindar með meðgöngueitrun voru 25 konur. Níu konur höfðu engin einkenni eða merki háþrýstings á meðgöngunni og af þeim voru flestar (4) sem féllu undir síðasta fjórðung rannsóknartímabilsins, 2013-2022. Fimm konur greindust með taugasjúkdóm eða fengu einkenni frá taugakerfi síðar meir. Allar konur (n=32) sem upplýsingar fundust um voru lifandi 42 dögum eftir krampann.

Ályktun Tíðni eclampsiu var jöfn á rannsóknartímabilinu. Flestar konur krampa fyrir fæðingu sem samræmist niðurstöðum eldri rannsókna. Hlutfall þeirra kvenna sem krampa án einkenna/merkja háþrýstings á meðgöngu fellur að tilgátum rannsakenda fyrir upphaf rannsóknar, þ.e. að hlutfall þeirra hafi hækkað með árunum. Það er mögulega til vitnis um árangursríkar forvarnir. Fáar konur greinast með taugasjúkdóm eða fá einkenni frá taugakerfi síðar á ævinni og allar konur sem upplýsingar fengust um eru enn lifandi.

Þóra Lucrezia Bettaglio Miki ofþyngd og hætta á keisaraskurði

Inngangur Þegar umfram fituvefur er til staðar getur það haft truflandi áhrif á efnaskiptaog bólguferla í mörgum líffærakerfum á meðgöngu og þar með haft áhrif á fæðingarútkomu. Markmið þessarar rannsóknar var að kanna tengsl milli mikillar ofþyngdar og hættu á keisaraskurði. Einnig að athuga tíðni fylgikvilla á meðgöngu meðal kvenna í mikilli ofþyngd sem jafnframt geta verið ábendingar fyrir framköllun fæðingar.

Efniviður og aðferðir Rannsóknin var afturskyggn ferilrannsókn. Í rannsóknarhópnum voru allar einburafæðingar á Íslandi á árunum 2013-2020, alls 33.004 fæðingar. Notast var við kíkvaðrat próf við samanburð á flokkabreytum og tvíkosta aðhvarfsgreiningu til að reikna gagnlíkindahlutfall.

Niðurstöður Keisaratíðni meðal kvenna með LÞS<40 (líkamsþyngdarstuðul) (n=28.199) var 15,9% og með LÞS≥40 (n=1.258) var 26,3%. Gagnlíkindahlutfall á að fæða með keisaraskurði ef kona var með LÞS≥40 var OR=1,89 (CI: 1,66-2,15, p<0,001) samanborið við konur með LÞS<40. Meðal kvenna í mikilli ofyngd, höfðu 52% þeirra einhvern þeirra algengustu fylgikvilla sem einnig geta verið ábending fyrir framköllun fæðingar. Meðal kvenna með LÞS<40 fæddu 13,8% (n=1.012) með bráðkeisara þar sem fæðing var framkölluð samanborið við 22,1% (n=109) meðal kvenna með LÞS≥40 (p<0,001).

Umræður

Konur í mikilli ofþyngd voru í aukinni hættu á að fæða með keisaraskurði og líklegri til að fæða með bráðakeisara ef fæðing var framkölluð samanborið við konur með LÞS<40. Meirihluti kvenna í mikilli ofþyngd var með a.m.k. einn af algengustu fylgikvillum sem einnig geta verið ábending fyrir framköllun fæðingar. Þetta undirstrikar mikilvægi þess að stuðla að heilbrigðum lífsstíl meðal kvenna á barneignaraldri, til að draga úr hættu á offitutengdum fylgikvillum á meðgöngu.

Þorri Geir Rúnarsson Hefur breytt greining nýrnafrumukrabbameins á Íslandi leitt til bættrar lifunar?

Inngangur Nýrnafrumukrabbamein (NFK) er langalgengasta nýrnakrabbameinið. Markmið rannsóknarinnar var að kanna þróun nýgengis og tilviljanagreininga sl. fimm áratugi og sjá hvort lifun hafi vænkast.

Efniviður og aðferðir Afturskyggn ferilrannsókn sem náði til allra sjúklinga (n=1725) sem greindust með NFK 1971-2020. Klínískar upplýsingar fengust úr sjúkraskrám og skýrslum meinafræðideildar. Æxlin voru stiguð skv. nýjasta TNMstigunarkerfinu, aldursstaðlað nýgengi reiknað, lifun áætluð með Kaplan-Meier og forspárþættir lifunar metnir með Cox-fjölbreytugreiningu. Borin voru saman fimm 10 ára tímabil.

Niðurstöður

Umræður

Þuríður Rut Þuríðardóttir

Inngangur

Efniviður og aðferðir

Aldursstaðlað nýgengi mældist 18,5/100.000 fyrir karla og 11,5/100.000 fyrir konur. Tilviljanagreiningum fjölgaði marktækt úr 11% 1971-1975 í 49% 2011-2020, oftast vegna tölvusneiðmynda (61%) eða ómskoðunar (12%).

Á sömu tímabilum jókst hlutfall sjúklinga á TNM-stigi I úr 21% í 56% en fækkaði á stigi IV úr 43% í 18% (p<0,001). Alls gengust 78% sjúklinga undir nýrnaskurðaðgerð, þar af 84% á stigum I-III en 16% á stigi IV. Algengustu aðgerðirnar voru opin nýrna- og hlutabrottnám (57%, 7%), en frá 2015 voru 58% aðgerðanna gerðar með þjarka. Skurðhlutfall var 78% og 30-daga dánarhlutfall var 0,9% en 0% 2011-2020. Fimm-ára lifun jókst úr 35% 1971-1980 í 69% 2011-2020. Þegar leiðrétt var fyrir TNM-stigun, sem var langsterkasti forspárþáttur lifunar, reyndist tilviljanagreining sjálfstæður forspárþáttur lifunar (HH:einkennagreining 1,27).

Lifun sjúklinga með NFK á Íslandi hefur batnað síðustu áratugi, ekki síst vegna tilviljanagreininga á æxlum sem greinast á stigi I á tölvusneiðmyndum og ómun. Áfram greinast þó í kringum 10 sjúklingar árlega með útbreiddan sjúkdóm og því verri horfur. Í dag er skurðhlutfallið 78% og flestar aðgerðirnar framkvæmdar með þjarka með minna en 1% 30-daga dánartíðni.

Aðgerðir við endómetríósu; áhrif á verki og lífsgæði

Markmið rannsóknarinnar var að meta árangur aðgerða við endometríósu með tilliti til fylgikvilla eftir aðgerð og samanburði á verkjum (VAS), lífsgæðum (EHP-5 stigun) og tíma fjarverandi frá vinnu/skóla fyrir og eftir aðgerð.

Rannsóknin var afturskyggn ferilrannsókn. Úrtakið voru allir sem fóru í kviðspeglun vegna endómetríósu eða gruns um endómetríósu á Klíníkinni Ármúla frá 25.11.21-23.11.22. Upplýsingar um verstu verki vegna endómetríósu fyrir aðgerð og tegund aðgerðar voru fengnar úr sögukerfinu. Úrtakinu var send spurningakönnun þar sem þau voru spurð um verstu verki (VAS), lífsgæði (EHP-5) og fjarveru frá vinnu/skóla vegna endómetríósueinkenna bæði fyrr og eftir aðgerð. Einnig var spurt hvort einhverjir fylgikvillar hefðu orðið eftir aðgerðina. Við tölfræðiúrvinnslu var framkvæmt parað t-próf og tölfræðileg marktækni miðaðist við p<0,05.

Niðurstöður

Umræður

Í úrtakinu voru 128 einstaklingar, þar af svöruðu 68 spurningakönnuninni. Niðurstöður voru að meðaltalsmismunur verstu verkja fyrir og eftir aðgerð var 4 (p<0,001) hjá þeim sem höfðu upplýsingar um verstu verki vegna endómetríósu fyrir aðgerð skráðar í sögukerfinu. Meðaltalsmismunur fyrir EHP-5 stigun fyrir og eftir aðgerð var 6,5 (p<0,001). Meðaltalsmismunur í dögum fjarverandi frá vinnu á hverjum fjórum vikum fyrir og eftir aðgerð var 3,6 dagar (p=0,006). Fylgikvillar komu fram eftir 14 af 68 aðgerðum, þar af var ein enduraðgerð.

Niðurstöðurnar leiddu í ljós að upplifun verstu verkja minnkaði eftir aðgerð. Jafnframt upplifðu þau minni lífsgæðaskerðingu vegna endómetríósu eftir aðgerð. Heildarfjöldi fylgikvilla var innan þeirra marka sem búist var við og taldist aðeins einn þeirra til alvarlegra fylgikvilla samkvæmt Clavien-Dindo flokkunarkerfi.

Trausti

Inngangur

á blóðlækningadeild

Inngjöf á blóðhlutum er mikilvægur þáttur í meðferð margra alvarlegra sjúkdóma. Markmið þessarar rannsóknar er að greina þann hóp blóðþega sem hefur fengið blóðhluta á blóð- og krabbameinslækningadeildum Landspítalans, skoða notkunarmynstur þeirra samanborið við gjörgæsludeildir sjúkrahússins og notkun heilbrigðisþjónustunnar í heild sinni.

Efniviður og aðferðir Framkvæmd var afturskyggn lýsandi rannsókn á notkun blóðhluta innan blóðog krabbameinslækninga á Landspítala. Gögn um notkun rauðkorna, plasma og blóðflagna á árunum 2017-2022 voru sótt í gagnagrunn Blóðbankans, PROSANG Statistics og skoðuð var nánar notkun á deildum 11-E, 11-G og 11-B annars vegar og á gjörgæsludeildum Landspítala hins vegar til samanburðar. Hópar blóðþega voru skoðaðir á grunni kynja- og aldursskiptingar og notkun blóðhluta var skoðuð meðal ofangreindra deilda.

Niðurstöður

Umræður

Á rannsóknartímabilinu 2017-2022 fengu 10.830 sjúklingar samanlagt 78.859 blóðhlutaeiningar. Þar af fengu 1.524 sjúklingar á blóð- og krabbameinslækningadeildum Landspítala samanlagt 21.193 einingar, eða 26,9% allra eininga. Meðalársnotkun allra heilbrigðisstofnana var 9.709(8.767 - 10.547) rauðkorn, 1.393(1.104 –2.110) plasmaeiningar og 2.041(1.570-2.775) blóðflögur. Flestir blóðþegar voru í aldurshópnum 6089 ára. Sjúklingar á blóð- og krabbameinslækningadeildum fengu 56,9% allra blóðflögueininga samanborið við 19,6% á gjörgæsludeildum. Notkun blóðflagna á blóð- og krabbameinslækningadeildum jókst mikið á síðari hluta rannsóknartímabilsins og tvöfaldaðist hún á árunum 2020-2022.

Stór hluti blóðhluta á Íslandi er notaður á blóð- og krabbameinsdeildum Landspítala og á síðari árum hefur notkun blóðhluta aukist á deildinni. Frekari rannsóknir á undirliggjandi sjúkdómum eru mikilvægar til að greina betur þessa aukningu. Þessi rannsókn skapar góðan grunn til að skoða nánar notkun blóðhluta á einstökum sjúkrahúsum og starfseiningum, og getur auðveldað framtíðarrannsóknir á notkun blóðhluta meðal annars á grunni sjúkdómsgreininga, ábendingu inngjafar og afdrifa sjúklinga.

Urður Andradóttir Sameindagreining í krabbameinsmeðferð

Inngangur

Marksæknar meðferðir skipa sífellt meiri sess í meðferð krabbameina. Margar þessara meðferða eru háðar því að í krabbameinum finnist ákveðnar stökkbreytingar (eða ákveðin gen án stökkbreytinga). Sameindalíffræði æxla gegnir því lykilhlutverki í ákvörðun meðferða. Markmið rannsóknarinnar var að kortleggja algengi marksækinna breytinga í krabbameinum á árunum 2017-2021 og kanna hversu oft niðurstöður sameindaprófa höfðu áhrif á meðferðaráætlun sjúklinga á sama tímabili.

Efniviður og aðferðir Rannsóknin náði til allra sem greindust með æxli fyrir utan lungnakrabbamein og fóru í sameindapróf á Landspítalanum á árunum 2017-2021. Frá gagnagrunni meinafræðideildar LSH fengust upplýsingar um uppruna æxlissýna, dagsetningu rannsókna, gerð sameindaprófa og tegund stökkbreytinga. Meðferðarupplýsingar fengust úr sjúkraskrám LSH.

Niðurstöður Fjöldi sýna sem send voru í sameindapróf jókst á tímabilinu úr 120 sýnum árið 2017 yfir í 228 sýni árið 2021 og tíðni fjölgenaprófa fór vaxandi. Það greindust 37% (217/593) einstaklinga með a.m.k. eina marksækna stökkbreytingu. Í ristil- og endaþarmskrabbameini greindust 68% með marksækna breytingu, í brjóstakrabbameini 37%, í sortuæxlum 35%, í GIST 81% og í eggjastokkakrabbameini 32%. Af þeim sjúklingum sem höfðu BRCA stökkbreytingu í brjóstakrabbameini, KIT stökkbreytingu í GIST og BRAF stökkbreytingu í skjaldkirtilskrabbameini fóru 100% á marksækna meðferð. Þá fóru 86% sjúklinga með BRCA stökkbreytingu í eggjastokkakrabbameini og 59% sjúklinga með BRAF stökkbreytingu í sortuæxli á marksækna meðferð.

Umræður Á Íslandi er gott aðgengi að sameindaprófum í meðhöndlun krabbameinssjúklinga og fer fjöldi prófa vaxandi. Samtals 37% krabbameina reyndist með ≥1 marksækna breytingu sem er í samræmi við það sem erlendar rannsóknir hafa sýnt. Fjöldi sjúklinga fór á marksækna meðferð byggt á niðurstöðum prófanna. Ljóst er að sameindaprófin veita mikilvægar upplýsingar fyrir meðferðarval og notkun þeirra mun fara ört vaxandi á komandi árum með aukinni þekkingu á þessu sviði.

Viktor Ásbjörnsson Breytt skurðmeðferð lungnakrabbameins á Íslandi

Inngangur

Lungnakrabbamein er eitt algengasta krabbameinið hjá báðum kynjum sem og það krabbamein sem dregur flesta Íslendinga til dauða árlega. Undanfarin ár hafa orðið miklar framfarir í greiningu og meðferð lungnakrabbameins, ekki síst með tilkomu VATS-blaðnámsaðgerða sem teknar voru upp á Íslandi 2018. Markmið rannsóknarinnar var að meta árangur skurðmeðferðar við lungnakrabbameini á Íslandi síðastliðin 32 ár.

Efniviður og aðferðir Afturskyggn rannsókn sem náði til allra sjúklinga (n=996) sem gengust undir lungnakrabbameinsaðgerð á Íslandi 1991-2022. Gögnin fengust úr sjúkraskrám og aðgerðarlýsingum og skurðhlutfall var reiknað með gögnum frá Krabbameinsskrá KÍ. Æxlin voru stiguð samkvæmt 7. útgáfu TNMstigunarkerfisins. Rannsóknartímabilinu var skipt í fjögur 8-ára tímabil og þau borin saman. Meðaleftirfylgd var 63,2 mánuðir og miðast við 31. mars 2023.

Niðurstöður

Ályktanir

Meðalaldur við greiningu var 67 ± 9 ár. Fjöldi skurðaðgerða jókst úr 157 á fyrsta tímabilinu í 345 það síðasta. Á sömu tímabilum hækkaði skurðhlutfall úr 21% í 28%, en árið 2022 náði það 41%. Á stigi IA voru 36% sjúklinga, 22% á IB, 15% IIA, 12% á stigi IIB og 15% á stigi IIIA. Tilfellum á stigi IA fjölgaði og voru 47% á síðasta tímabilinu, en helmingur þeirra greindist fyrir tilviljun, oftast (85%) á tölvusneiðmyndum. Blaðnám var framkvæmt í 77% tilfella, fleyg- og geiraskurðir hjá 14% og lungnabrottnám hjá 9% sjúklinga. Frá 2018 voru 73% aðgerðanna framkvæmdar með VATS-tækni, þar af 85% blaðnámsáðgerða. 3,4% þeirra var breytt í opna aðgerð. Tíðni alvarlegra fylgikvilla var 6% fyrir allt rannsóknartímabilið og 30-daga dánartíðni var 1%. Miðgildi heildarlegutíma lækkaði úr 10 dögum fyrstu tvö tímabilin í 6 daga það síðasta, og síðustu þrjú árin var hann 4 dagar.

Skurðhlutfall lugnakrabbameins á Íslandi er hátt í alþjóðlegum samanburði. Árangur lungnakrabbameinsaðgerða hérlendis er góður sem endurspeglast í lágri tíðni alvarlegra fylgikvilla og 30-daga dánartíðni <1%. Með tilkomu VATSaðgerða hefur fylgikvillum fækkað enn frekar og legutími styst um rúmlega helming.

Hjúkrunarheimilin Grund og Mörk óska eftir hressum og duglegum

læknanemum af öllum námsárum til að starfa með okkur

Menntunar- og hæfniskröfur:

• Nám í læknisfræði

• Góðir samskiptahæfileikar og jákvæðni

• Stundvísi og metnaður í starfi

• Reynsla í umönnun er kostur

Fríðindi í starfi:

• Aðgangur að heilsustyrk

• Stytting vinnuvikunnar

• Öflugt starfsmannafélag

Greitt er eftir kjarasamningi

Eflingar og Samtaka fyrirtækja í velferðarþjónustu. Um er að ræða vaktavinnu og því góðir tekjumöguleikar.

Um er ræða spennandi störf sem fela í sér ábyrgð og fjölbreytt verkefni sem miðast við hversu langt starfsmaður er kominn í námi. Starfið er því góð reynsla sem nýtist vel í áframhaldandi námi og starfi.

Læknanemar sem lokið hafa þriðja ári geta leyst af á hjúkrunarvöktum á ábyrgð og með leiðsögn hjúkrunarfræðings.

Ýmsir möguleikar á starfshlutfalli og vaktafyrirkomulagi í boði.

Á Grundarheimilunum vinnur stór og samheldinn hópur starfsmanna að því að hlúa að öldruðum af alúð. Vellíðan, virðing og vinátta eru höfð að leiðarljósi í samskiptum og lögð er áhersla á góðan vinnuanda, sjálfstæð vinnubrögð og heimilislegt umhverfi.

Nánari upplýsingar um starfið veitir: Mannauðsdeild Grundarheimilanna mannaudur@grund.is

Við hlökkum til að heyra í þér !

Okkar besta fólk leggur traust sitt á okkur

Okkar besta fólk í heilbrigðisgeiranum hefur reitt sig á þjónustu okkar um árabil. Þau þurfa að geta treyst því að öll tæki og búnaður sé örugglega í lagi og virki eins og til er ætlast.

Höfðabakki 7, 110 Reykjavík | fastusheilsa.is

T OL UM UM LÚXUS

Lexus RZ 450e er 100% rafmagnsbíll þar sem tæknikröfur nútímans mæta áður þekktum gæðakröfum Lexus. Hljóðlátur krafturinn, snerpan og alltumlykjandi öryggið gera aksturinn að ómótstæðilegri upplifun.

Komdu í Kauptúnið, reynsluaktu og upplifðu

Turn static files into dynamic content formats.

Create a flipbook
Issuu converts static files into: digital portfolios, online yearbooks, online catalogs, digital photo albums and more. Sign up and create your flipbook.