Le infezioni urinarie (IVU) nel paziente anziano fragile

Page 1

www.unannoinsieme.it

ONLINE FINO AL 31 DICEMBRE 2024 15 CREDITI ECM GRATUITI Le infezioni urinarie (IVU) nel paziente anziano fragile

Le infezioni urinarie (IVU) nel paziente anziano fragile

Le infezioni urinarie non complicate si osservano in un tratto urinario connotato da una normalità anatomo-funzionale. Mentre, quelle complicate, sono diagnosticate in presenza di un apparato genito-urinario con alterazioni morfo-funzionali, in un paziente che abbia subito manovre strumentali, interventi chirurgici distrettuali o in pazienti con un’alterazione della risposta immunitaria, come i soggetti di età avanzata, i diabetici, quelli con insufficienza renale cronica o patologie uro-genitali e i pazienti affetti da patologie cardiovascolari. Alla luce di queste condizioni di fragilità che aumentano il rischio infettivo e ne peggiorano la prognosi, è fondamentale riconoscere immediatamente l’infezione e individuare l’approccio gestionale-terapeutico più appropriato, considerando che le IVU nei pazienti fragili e/o comorbidità possono dar luogo a complicanze serie.

Il presente corso vuole essere un percorso di aggiornamento per la classe medica che affronti la gestione delle IVU in particolari setting di fragilità come il grande anziano, il paziente diabetico e quello affetto da patologie cardiovascolari e uro-ginecologiche attraverso consigli e suggerimenti di pratica clinica che possono ottimizzare il management al fine di ridurre il rischio infettivo e migliorare la prognosi.

Antonio Briozzo Responsabile

SS Infettivologia, SC Medicina Interna, Ospedale Mauriziano Umberto I di Torino

Informazioni generali sul corso

Il Corso FAD è fruibile sul sito www.unannoinsieme.it fino al 31 dicembre 2024.

È stato accreditato per la categoria di Medico Chirurgo (tutte le specializzazioni) e Farmacista territoriale e sono stati attribuiti 15 crediti ECM. Una volta visionati online i moduli formativi il discente, per ricevere i crediti ECM, dovrà compilare i questionari direttamente sul sito e successivamente potrà scaricare l’attestato ECM. Il materiale didattico del Corso è disponibile in versione PDF.

Introduzione generale sulle infezioni urinarie nel paziente anziano fragile

Le Infezioni delle vie urinarie (UTIs) rappresentano la principale causa infettiva nel paziente anziano fragile e spesso sono correlate all’eccessiva prescrizione antibiotica. Una delle maggiori problematiche riscontrate, sia in comunità che in ambito ospedaliero, è quella del trattamento delle batteriurie asintomatiche (colonizzazioni), prescrizione non necessaria che coincide con il rischio di acquisizione di patogeni multi-resistenti. A questo scenario si sovrappone inoltre la condizione di fragilità del paziente anziano che spesso non manifesta la caratteristica sintomatologia delle UTIs e ciò è conseguenza di molteplici fattori: il sistema immunitario senescente, la presenza di comorbidità (malattie cardiovascolari, diabete mellito, BPCO e insufficienza renale cronica su tutte), le terapie spesso multiple e complesse e la sarcopenia (Figura 1 e Tabella 1, Journal of Gerontology 2001, Vol. 56A, No. 3, M146–M156).

Le donne rappresentano il sesso più colpito (Figura 2). La menopausa e altri fattori di rischio contribuiscono alla maggiore predisposizione femminile di sviluppare infezioni del tratto genito-urinario (EAU Guidelines on Urological Infections, 2023 - Tabella 2).

Nell’anziano, a causa della ridotta capacità termoregolatrice e della ridotta risposta ai pirogeni endogeni, la febbre non è presente nel 30-50% delle UTIs. In questi casi viene consigliata una singola rilevazione della temperatura corporea orale >37.2°C o rettale >37.5°C o l’evidenza di incremento >1.1°C rispetto alla temperatura corporea basale. I patogeni responsabili di UTIs sono in primis E.coli, quindi altri Enterobacteriales (K.pneumoniae, P.mirabilis) e P. aeruginosa per alcune categorie di pazienti a rischio. Gli ultimi dati di sorveglianza del 2021 dell’European Centre for Disease Prevention and Control (ECDC) riportano in Italia tassi di resistenza di E.coli a fluorochinoli del 35% e alle aminopenicilline del 58.9% (Figura 3-4), di K.pneumoniae a fluorochinoli del 50% e

Fattori intrinseci (ospite)

Risposta immunitaria ridotta (immunosenescenza)

Atrofia cutanea

Massa muscolare ridotta (sarcopenia)

Fattori estrinseci (ambientali)

Figura 1

Funzione della mucosa ridotta

Background genetico

Adulti in età avanzata

Comorbilità Dieta

Associazione delle caratteriste

Attività fisica

Trattamento farmacologico

Stress Fragilità

Tabella 1

CORSO FAD ONLINE FINO AL 31 DICEMBRE 2024 CREDITI ECM: 15 1
demografiche e cliniche basali con fragilità, in percentuale: studio sulla salute cardiovascolare Fattore A Totale (5317) B Senza fragilità (n = 2469) C Intermedio (n = 2480) D Con fragilità (n = 368) E Significatività F Significatività aggiustata per età Età 0% 38 9% 62 1% 76 3% 67 65–74 < .001 9 48 7 32 6 22 1 29 75–84 85+ 3.6 1.3 4.5 13.0 Sesso 5 68 7 57 4 56 9 57 Femmine < .001 < .001 5 31 3 42 6 43 1 42 Maschi Razza 7 71 1 81 7 89 5 84 Caucasica < .001 < .001 5 27 1 18 6 9 8 14 Afro-americana 8 0 8 0 7 0 7 0 Altro Educazione 3 28 2 22 7 12 2 18 ≤Scuola media < .001 < .001 6 10 9 10 8 8 9 9 2°-3° anno scuola superiore 8 24 8 27 5 29 3 28 Diploma di scuola superiore 2 36 2 39 0 49 5 43 >12 anni Reddito 3 44 9 29 7 18 6 25 <12.000 < .001 < .001 12.000-<24.000 9 32 3 36 8 34 4 35 4 13 3 23 0 30 7 25 24.000-50.000 3 9 6 10 5 16 2 13 >50.000 Salute dichiarata 5 3 7 10 5 19 3 14 Eccellente < .001 < .001 4 11 3 21 1 31 2 25 Molto buona 3 28 4 39 1 36 1 37 Buona 3 40 4 24 6 12 0 20 Discreta 4 16 1 4 7 0 4 3 Scarsa 5 27 5 15 9 10 1 14 Vive da solo < .001 < .001 Principale malattia al basale 3 13 3 10 3 7 1 9 Infarto miocardico < .001 < .001 8 28 0 21 5 14 5 18 Angina < .001 < .001 6 13 5 4 0 2 0 4 Scompenso cardiaco congestizio < .001 < .001 8 3 7 2 5 1 2 2 Malattia vascolare periferica < .001 .002 6 70 7 54 8 44 2 51 Artrite < .001 < .001 00 1 42 8 15 7 14 2 14 6 14 Tumore 0 25 2 18 1 12 8 15 Diabete < .001 < .001 8 50 9 45 8 38 9 42 Ipertensione < .001 < .001 1 14 8 8 8 5 8 7 Broncopneumopatia cronica ostruttiva < .001 < .001 Numero di malattie croniche 3 7 4 15 2 23 5 18 0 < .001 < .001 7 24 0 31 8 36 3 33 1 9 26 0 27 0 24 6 25 2 9 32 2 23 5 14 8 19 3-4 2 8 5 3 5 1 9 2 ≥5 Disabilità dichiarata 7 71 2 35 0 16 7 28 ≥problemi di mobilità < .001 < .001 7 59 8 28 5 13 8 23 ≥problemi nelle attività strumentali quotidiane < .001 < .001 4 27 5 8 2 2 8 6 ≥problemi nelle attività quotidiane < .001 < .001 4 76 1 44 5 23 8 36 Qualsiasi disabilità < .001 < .001 Funzione cognitiva (range del punteggio Mini-Mental: 0-30) 1 15 3 8 0 3 3 6 18–23 < .001 < .001 9 84 7 91 0 97 7 93 >23 Sintomi depressivi CES–D ≥ 0 31 0 14 6 2 9 9 10 < .001 < .001 CES-D: Center for Epidemiologic Studies-Depression Scale

1%

Prostatismo

Anomalie anatomo-funzionali delle vie urinarie

Attività sessuale

Menopausa

Picollo R et al., Azneim Forsch/Drug Res 2003; 53: 201

Figura 2

alle cefalosporine del 53.3% (Figura 5-6) e di P. aeruginosa a fluorochinoloni del 18.5% (Figura 7).

I fattori di rischio maggiormente frequenti

Donne anziane e in post-menopausa

Storia UTI prima della menopausa

Incontinenza urinaria

Vaginite atrofica dovuta a insufficienza di estrogeni

Cistocele

Volume urinario aumentato dopo minzione

Stato secretorio dell’antigene del gruppo sanguigno

Cateterismo vescicale e deterioramento dello stato funzionale nelle donne anziane istituzionalizzate

UTI: infezioni del tratto urinario

Tabella 2

per acquisizione di multiresistenza sono rappresentati da antibiotico terapia nei 90 giorni precedenti, ospedalizzazione nei 5 giorni precedenti la comparsa di infe-

zione o l’ospedalizzazione per almeno 2 giorni nei 90 giorni precedenti (Raman et al. Antimicrobial resistance and Infection Control, 2028 7:79).

1%

1%

5-<10% 10-<25%

25-<50%

50-<75%

UNANNOINSIEME 2
10% 8% 6% 4% 2% 0% 0 10 20 30 40 50 60 >60 Età (anni)
<
10-<25% 25-<50% 50-<75% >=75% <
<
5-<10% 10-<25% 25-<50% 50-<75% >=75% <
1-<5% 5-<10% 10-<25% 25-<50% 50-<75% >=75% <
10-<25% 25-<50% 50-<75% >=75% <
1-<5% 5-<10% 10-<25%
<
1-<5% 5-<10% 10-<25% 25-<50% 50-<75% >=75% <
1-<5% 5-<10% 10-<25% 25-<50%
>=75% <
< 1% 1-<5% 5-<10% 10-<25% 25-<50% 50-<75% >=75%
1% 1-<5% 5-<10%
1% 1-<5% 5-<10% 10-<25%
1-<5%
1%
1% 1-<5% 5-<10%
25-<50% 50-<75% >=75%
1%
50-<75%
1% 1-<5% 5-<10% 10-<25% 25-<50%
50-<75% >=75% < 1%
>=75%
1% 1-<5% 5-<10% 10-<25% 25-<50% 50-<75% >=75% < 1% 1-<5%
10-<25%
>=75%
1-<5% 5-<10% 10-<25% 25-<50% 50-<75%
<
5-<10%
25-<50% 50-<75%
< 1% 1-<5%
>=75% < 1%
>=75% < 1% 1-<5% 5-<10% 10-<25% 25-<50% 50-<75%
Figura 3 Figura 5 Figura 7 Figura 4 Figura 6

Infezioni urinarie nel paziente anziano diabetico

La sintomatologia delle UTIs nei pazienti diabetici è spesso simile a quella della popolazione non diabetica (disuria, frequenza e urgenza, con o senza febbre) ma l’alterato controllo metabolico (ipoglicemia/iperglicemia) può compromettere ulteriormente la capacità di difesa dell’organismo e complicare l’infezione.

Infatti le linee guida dell’European Association of Urology del 2023 classificano come complicata l’infezione urinaria nei pazienti con diabete mellito con urinocoltura positiva. Il diabete mellito è associato ad un aumento di circa 3-4 volte del rischio di batteriuria asintomatica (ASB), in particolare nelle donne in insulino-terapia e in quelle con una durata della malattia superiore ai 10 anni. Nei pazienti con nuova diagnosi di diabete mellito tipo 2, la cardiopatia ischemica, lo stroke, la neuropatia sono variabili indipendenti di rischio per UTIs (Alex Z Fu et al. Journal of Diabetes and Its Complications, 2014. Figura 1).

Complicazioni del diabete mellito

Malattia cerebrovascolare

Danno renale permanente

Infezioni del piede diabetico

Retinopatie e cecità

Infarto miocardico

Neuropatia periferica

Nel medesimo studio viene inoltre dimostrato che il tasso di UTIs aumenta in maniera statisticamente significativa nei pazienti diabetici con età maggiore a 75 anni con una prevalenza maggiore nel genere femminile (Figura 2).

La glicosuria, l’elevato valore di emoglobina (HbA1C), le anomalie vescicali, la capacità di adesione dei batteri all’urotelio e la risposta immunitaria dell’ospite concorrono attivamente alla patogenesi delle UTI nel paziente diabetico (Ajay Kumar Prajapati, Urinary

Tract Infect ion in Diabetics http://dx. doi.org/10.5772/intechopen.79575). Tra le terapie raccomandate nelle linee guida nel trattamento del paziente diabetico, in mono o duplice o triplice combinazione, gli SGLT-2i (empaglifozin, dapaglifozin e canaglifozin), sono associati alla comparsa di UTIs (Haghighi et al., J Renal Inj Prev. 2024; 13(1): e32276). In particolare empaglifozin sembra essere associato ad un maggior rischio infettivo rispetto agli altri farmaci (Figura 3).

L’eziologia nel diabetico è lievemente più variegata. Gli uropatogeni definiti UPEC (Enterobacteriales, P.aeruginosa ed in particolare K.pneumoniae e E.coli ) rimangono i batteri maggiormente responsabili di UTI ma emergono anche Gram positivi quali Enterococcus ( faecium e faecalis ), Stafilococcus spp e Streptocuccus agalactiae come rappresentato nella Figura 4 (Journal of Diabetes Research Volume 2022).

(Altri farmaci)

LE INFEZIONI URINARIE (IVU) NEL PAZIENTE ANZIANO FRAGILE 3
Figura 1 Figura 2 - Prevalenza di UTI in uomini e donne per gruppi di età Figura 3 - (empaglifozin) Figura 4 Autore (rispetto a) Peso Totale, DL (I2=0,0%, p=0,541)
(Altri
NOTA:
pesi derivano da un modello a effetti casuali
farmaci)
i
25 20 15 10 18-24 4.6 * *P=0.0002, †P=0.0004, ‡P<0.0001; §P=0.0003 † ‡ ‡ ‡ ‡ ‡ ‡ ‡ ‡ ‡ ‡ ‡ 3.2 3.9 4.0 5.1 5.7 9.2 5.2 1.4 1.6 1.6 2.6 3.1 0.9 25-34 35-44 45-54 55-64 65-74 ≥75 5 0 Percentuale
Donne Gruppi di età Gruppi di età Con DMT2 Senza DMT2 25 20 15 10 18-24 4.6 § 12.9 15.1 16.9 12.6 13.0 18.9 13.2 8.6 8.6 9.2 7.6 8.6 8.7 25-34 35-44 45-54 55-64 65-74 ≥75 5 0 Percentuale Con DMT2 Senza DMT2 Staphylococcus spp 5.6% Streptococcus agalactiae 5.6% Enterococcus faecalis 7% Enterobacter spp 2.5% altri Gram negativi 5.9% Proteus spp 2.5% Klebsiella spp 12.1% UPEC 62.1%
Uomini

Infezioni urinarie nel paziente affetto da problemi cardiovascolari

L’infezione è una causa comune di ospedalizzazione nei pazienti con insufficienza cardiaca (HF). L’impatto delle infezioni sull’outcome cardiovascolare a lungo termine (qualsiasi evento viene definito MACE), ed in particolare nello scompenso cardiaco, non è stato ben studiato. Nel 2023 è stato pubblicato su Nature uno studio retrospettivo (ChaoYu-Chen et al. Nature 2023;13:6941) in cui è stata valutata una coorte di pazienti ricoverati per infezione entro un anno da un precedente ricovero per scompenso cardiaco e confrontati con pazienti senza infezione. I pazienti sono stati valutati fino al verificarsi di un evento cardiovascolare. In un tempo medio di follow-up di 4,29 ± 2,92 anni, l’86,19% dei pazienti nel gruppo con infezione e il 63,63% dei pazienti nel gruppo di controllo aveva segni di scompenso cardiaco (Figura 1).

L’analisi multivariata ha mostrato che il gruppo con infezione aveva un rischio più elevato di MACE (HR 1.760, IC 95% 1.714–1.807), comprese tutte le cause mortalità (HR 1.587, IC 95% 1.540–1.636), infarto miocardico (HR 1.332, IC 95% 1.224–1.450), ictus (HR 1,769, IC 95% 1,664–1,882) e ospedalizzazione per scompenso cardiaco (HR 1,993, IC 95% 1,922–2,066). In particolare i pazienti con UTIs e polmonite avevano un esito cardiovascolare peggiore dopo la

Endpoint primario composito Mortalità

Ricovero per scompenso cardiaco

Infarto miocardico

Ictus ischemico 14,601 (74.91)

1

al follow-up (anni)

1

riammissione rispetto a quelli senza alcuna infezione (Tabella 1).

La motivazione per la quale l’infezione causerebbe un peggioramento dell’outcome legato ad eventi cardiovascolari starebbe nello storm citochinico (IL-1, IL-6, IFN-γ) capace di compromettere il sistema immunitario e diminuire i meccanismi omeostatici attraverso l’attivazione del sistema simpatico, la compromissione del microcircolo, l’attivazione della cascata coagulativa con conseguente di-

sfunzione (Sofia Bezat et al. Heart Failure Reviews 2023; 51:417-424. Figura 2).

In conclusione le UTIs e le sepsi in partenza dalle vie urinarie rappresentano, insieme alle infezioni delle basse vie respiratorie, le patologie infettive a maggior rischio per la comparsa di eventi cardiovascolari. Inoltre, le recidive di infezione sono statisticamente correlate ad outcomes peggiorativi, nel breve periodo, come rappresentato rispettivamente nelle Figure 3 e 4. (Pyry N. Sipilä et al. Circulation. 2023;147:1582–1593).

(1.091-1.192)

(0.923-1.155)

(0.921-1.074)

UNANNOINSIEME 4
Figura
Infezione Controllo 0 0.0 0.1 0.2 0.3 0.4 0.5 Probabilità di sopravvivenza libera da eventi
P<0.001 0.6 0.7 0.8 0.9 1.0 1 2 3 4 5 6 7 8 9 10 11 15659 Controllo 11367 9580 8313 6799 5124 3766 2671 1723 918 258 0 15659 Infezione 9914 6409 4814 3576 2402 1586 1051 637 356 107 0 Infezione Controllo 0 0.0 0.1 0.2 0.3 0.4 0.5 Probabilità di sopravvivenza libera da eventi Tempo al follow-up (anni) P<0.001 0.6 0.7 0.8 0.9 1.0 1 2 3 4 5 6 7 8 9 10 11 15659 Controllo 11367 9580 8313 6799 5124 3766 2671 1723 918 258 0 15659 Infezione 9914 6409 4814 3576 2402 1586 1051 637 356 107 0
Tabella
Tempo
12,549 (57.64) 7992 (40.78) 1259 (7.17) 2651 (13.90) Totale (n=16.114) Polmonite (n=8.057) Infezioni del tratto urinario (Ref.) (n=8.057) HR crudo (IC95%) HR aggiustato (IC95%) p p
1.154 (1.118-1.193) 1.128 (1.089-1.168) 1.164
1.103
1.000
1.140 (1.104-1.178) 1.136
1.141
1.033
0.994
<0.001 <0.001 <0.001 0.081 1.000 <0.001 <0.001 <0.001 0.574 0.886
7377 (91.56) 6382 (79.21) 4060 (59.39) 634 (7.87) 1269 (15.75) 7224 (89.66) 6167 (76.54) 3932 (48.80) 625 (7.76) 1382 (17.15)
(1.114-1.217)
(0.988-1.232)
(0.927-1.079)
(1.096-1.177)

DISFUNZIONE ENDOTELIALE

NO ROS

tono vascolare alterato maldistribuzione del flusso ematico ipossia tissutale trombogenicità perfusione periferica

TEMPESTA CITOCHINICA

TNF-α,IL-1,IL-6,INF-γ

contrattilità ventricolo sx ipertrofia fibrosi dilatazione ventricolare

IPERATTIVAZIONE DEL SISTEMA SIMPATICO

catecolamine inappropriata attivazione di RAAS

post-carico stress della parete ventricolare Ischemia miocardica

TROMBOGENICITÀ

Attivazione del sistema di coagulazione

Attivazione delle molecole di adesione

MICROCIRCOLAZIONE ALTERATA

Ischemia miocardica regionale Ibernazione Ipossia citopatica

disfunzione cardiaca reversibile

Giorni 1-30

Giorni 31-365

Sepsi Qualsiasi infezione senza sepsi Infezione del tratto respiratorio inferiore Infezione del tratto urinario Infezione gastrointestinale Tempo dall’esposizione Esposizione

Giorni 366-

Sepsi Qualsiasi infezione senza sepsi Infezione del tratto respiratorio inferiore Infezione del tratto urinario Infezione gastrointestinale

Sepsi Qualsiasi infezione senza sepsi Infezione del tratto respiratorio inferiore Infezione del tratto urinario Infezione gastrointestinale

Riferimento

Riferimento

Riferimento

Esposizione

Giorni 1-30

Giorni 31-365

Giorni 366

Riferimento

Riferimento

Riferimento

Riferimento

Riferimento

Riferimento

Riferimento

Riferimento

Riferimento

LE INFEZIONI URINARIE (IVU) NEL PAZIENTE ANZIANO FRAGILE 5
Figura 2 Figura 4 Figura 3
Tempo dall’esposizione
N (esposti) HR (IC95%) P per differenza N (esposti) HR (IC95%) P per differenza N (esposti) HR (IC95%) P per differenza N (esposti) HR (IC95%) P per differenza Biobanca UK (N totale=331.683, 11.649 eventi cardiovascolari maggiori)
UK (N totale=331.683, 11.649 eventi cardiovascolari
di replicazione (N totale=271.329, 9.663 eventi cardiovascolari maggiori) Coorte di replicazione (N totale=271.329, 9.663 eventi cardiovascolari maggiori)
Biobanca
maggiori) Coorte
Prima infezione vs nessuna infezione Seconda infezione vs nessuna infezione
Prima infezione vs nessuna infezione Seconda infezione vs nessuna infezione
Prima infezione vs nessuna infezione Seconda infezione vs nessuna infezione
OCA
I FN E Z I O NE SCOMPENSO C A R D I
OTUCA

Infezioni urinarie nel paziente anziano affetto da patologie uro-ginecologiche

Le infezioni delle vie urinarie complicate si manifestano in pazienti con patologie, anomalie o condizioni favorenti. Sono distribuite egualmente in entrambi i sessi, in genere in pazienti di età superiore ai 65 anni e sono caratterizzate da persistenza o ricorrenza di UTIs, insuccesso terapeutico, da microrganismi non comuni o microrganismi multiresistenti. Le condizioni e/o anomalie del tratto genito-urinario (Figura 1) maggiormente rappresentate sono anomalie strutturali o funzionali delle vie urinarie (uropatie ostruttive, calcolosi–nefrite, chirurgia urologica o trapianto renale, cateterismo vescicale.

A queste si aggiungono anomalie correggibili quali:

• Calcoli infetti

• Prostatite batterica cronica

• Rene atrofico infetto monolaterale

• Doppio uretere ed uretere ectopico

• Corpi estranei

• Diverticoli uretrali e ghiandole parauretrali infette

• Spongiosi renale midollare monolaterale

• Monconi ureterali infetti non refluenti dopo nefrectomia

• Cisti infette dell’uraco

• Cisti comunicanti infette dei calici renali

• Necrosi papillare

• Ascesso paravescicale con fistola vescicale

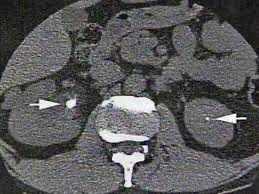
Le metodiche diagnostiche utilizzate per l’identificazione delle condizioni sovracitate comprendono l’ecografia (metodica poco costosa ma operatore-dipendente), la TC (Figura 2) e l’urografia

EV. Occasionalmente sono necessarie la cistouretrografia minzionale, l’uretrografia retrograda o la cistoscopia. Nelle donne con cistite sintomatica o con cistiti asintomatiche ricorrenti, non sono necessarie indagini urologiche di routine, perché questi reperti non influenzano la terapia. La nefrolitiasi è molto frequente, specie in età adulta e si classifica per la formazione di calcoli organici (Figura 3) (per malformazioni delle vie urinarie) e funzionali (per squilibrio metabolico). Nello specifico, per i pazienti di età pari o superiore a 65 anni, le condizioni correlate con formazione di calcoli includono la ridotta mobilità, la carenza di assunzione di liquidi, le infezioni croniche, la menopausa per diminuzione dei livelli di estrogeni endogeni, la riduzione della densità

ossea e l’obesità. Inoltre, un punto non ancora chiarito e ancora molto dibattuto nel mondo scientifico è quello relativo all’ipotesi che un maggiore apporto dietetico di calcio e un apporto farmacologico di calcio, frequente prescrizione negli anziani per prevenire l’osteoporosi, possano aumentare la formazione di calcoli per i livelli più elevati di calcio urinario. In realtà, diversi studi internazionali, hanno successivamente dimostrato che un aumentato introito di calcio con l’alimentazione non si associa ad un aumento della quantità di calcio filtrata dai reni ed escreta con le urine, ma anzi diminuirebbe il rischio di calcoli sintomatici.

2

UNANNOINSIEME 6
Figura
3 Figura 1 - Anatomia del rene sano (a) e dell’uretere (b). UPJ=giunzione ureteropelvica, UVI=giunzione ureterovescicale
Figura Capsula renale Papilla renale
Calice maggiore
Uretra Vena renale UPJ Uretere Muscolo detrusore Uretere UVJ Arteria renale Piramide renale a. b. Pelvi renale Corteccia renale Corteccia renale
dei calici Calcolosi del Bacinetto o Pelvi
dello Uretere prossimale
Calici minori
Vescica
Calcolosi
Calcolosi
dello Uretere distale Calcolosi della Vescica VESCICA URETERE CALICI RENE PELVI
Calcolosi

Trattamento delle infezioni urinarie nel paziente anziano fragile

Le linee guida dell’European Association of Urology (EAU) del 2023 sulle infezioni del tratto urinario raccomandano l’implementazione dei programmi di Antimicrobial Stewardship al fine di ottimizzare la terapia antibiotica nelle UTI. Uno dei punti cardine delle strategie di trattamento è la gestione della batteriuria asintomatica definita come individuo senza sintomi urinari e un’urinocoltura positiva con carica batte-

Raccomandazioni

rica ≥ 105 cfu/mL in due consecutivi campioni nelle donne e in un unico campione negli uomini. In questo caso la raccomandazione è quella di non eseguire esami colturali in assenza di fattori di rischio e di non trattare un’eventuale urinocoltura positiva (Tabella 1).

Le UTI associate a catetere (CAUTI) rappresentano un’altra situazione in cui viene fortemente raccomandata l’astensione dal trattamento, a meno di presenza di sintomi

Non controllare o trattare la batteriuria asintomatica nei seguenti casi:

• donne senza fattori di rischio;

• pazienti con diabete mellito ben controllato;

• donne in post-menopausa;

• pazienti anziani istituzionalizzati

• pazienti con tratto urinario inferiore disfunzionale e/o ricostruito;

• pazienti con trapianto renale;

• pazienti prima della chirurgia artroplastica;

• pazienti con ricorrenti infezioni del tratto urinario.

Controllare e trattare la batteriuria prima delle procedure urologiche che oltrepassano la mucosa.

Controllare e trattare la batteriuria nelle donne in gravidanza con trattamenti standard di breve durata.

1

Raccomandazioni per il trattamento delle UTI complicate

Uso della combinazione tra:

• amoxicillina e un aminoglicoside;

• una cefalosporina di seconda generazione e un aminoglicoside;

• una cefalosporina di terza generazione per via endovenosa come trattamento empirico delle UTI complicate con sintomi sistemici.

Uso della sola ciprofloxacina purchè le percentuali di resistenza locale siano <10% quando:

• il trattamento è somministrato per via orale;

• i pazienti non richiedono ospedalizzazione;

• il paziente presenta anafilassi per gli antimicrobici beta-lattamici.

Non utilizzare ciprofloxacina e altri fluorochinolonici per il trattamento empirico delle UTI complicate in pazienti del reparto di urologia o quando i pazienti hanno usato fluorochinolonici negli ultimi 6 mesi.

Trattare le alterazioni urologiche e/o le complicanze sottostanti.

Tabella 2

sistemici o segni/sintomi urinari di cui la piuria non fa parte. In caso di sintomatologia riconducibile ad infezione, la raccomandazione è quella di sottoporre il paziente a trattamento antibiotico, come indicato per le UTI complicate (Tabella 2), e di differenziare sempre la colonizzazione dalla possibile infezione, come indicato in Figura 1 (Barbara W. Trautner et al. Infect Dis Clin North Am. 2014 March; 28: 15–31).

Forza

Forte

Forte

Forte

Forte

LE INFEZIONI URINARIE (IVU) NEL PAZIENTE ANZIANO FRAGILE 7
Tabella Forza Forte Debole

UTI associate al catetere (CAUTI vs batteriuria asintomatica)

(Paziente con catetere urinario o uso di catetere entro 48 ore)

Inizio Febbre Ematuria acuta Delirio

Rigidità Dolore ai fianchi

Disturbi pelvici

Urgenza Frequenza Disuria Dolori sovrapubici

Il paziente presenta sintomi di CAUTI

Fattori di rischio per infezione del tratto urinario associata al catetere

Fattori di rischio a livello dell’ospite

• Sesso femminile

• Età >50 anni

Fattori di rischio modificabili

• Durata della cateterizzazione (prevalente)

• Mancata aderenza alla pulizia asettica del catetere (es. apertura del dispositivo chiuso)

Diagnosi di non-UTI probabilmente responsabile dei sintomi NO NO

Non inviare l’urinocoltura

SI SI

Inviare l’urinocoltura

Considerare la terapia empirica con antibiotici per CAUTI

Rivalutare i risultati dell’urinocoltura

Figura 1

Verificare altre cause

I fattori di rischio per CAUTI sono stati ben identificati e descritti in letteratura. In particolare in uno studio del 2018 (Emily K Shuman, Infect Dis Clin N Am) vengono indicate le strategie di prevenzione dell’insorgenza di tali infezioni (Tabella 3 e 4). Per quanto riguarda le pielonefriti, i fluorochinoloni e le cefalosporine sono gli unici antimicrobici raccomandati dalle linee guida EAU per il trattamento empirico orale delle malattie non complicate, sia nel paziente ospedaliero sia in quello ambulatoriale.

Il paziente anziano è spesso affetto da prostatite batterica. La prostata è un santuario estremamente complesso da raggiungere in cui gli antibiotici possano penetrare in concentrazioni tissutali efficaci e il trattamento della prostatite batterica acuta dovrebbe sempre, in presenza di un patogeno sensibile, prevedere un regime comprendente un fluorochinolonico, come indicato in Tabella 5. Il ruolo dei fluorochinoloni come farmaci di prima linea è stato confermato senza differenze significative tra levofloxacina, ciprofloxacina e prulifloxacina in termini di eradicazione microbiologica, efficacia clinica e tollerabilità. Nel corso degli anni l’uso eccessivo di terapia antibiotica (spesso fuori indicazione), in particolare di fluorochinoloni e cefalosporine, ha determinato l’incremento dell’incidenza di Enterobacteriales produttori di beta-lattamasi a spettro esteso (ESBL).

Nella Tabella 6 vengono riportati i maggiori fattori di rischio, anche in pazienti non ospedalizzati, per l’insorgenza di questo marker di resistenza (Ben-Ami et al. Clinical Infectious Diseases 2009; 49:682–90).

• Grave malattia sottostante

• Malattia non chirurgica

• Diabete mellito

• Creatinina sierica >2 mg/dl

Tabella 3

• Scarsa formazione professionale dell’operatore

• Inserimento del catetere fuori dalla sala operatoria

• Inserimento del catetere dopo il 6° giorno di ricovero

Strategie chiave per la prevenzione delle infezioni del tratto urinario associate al catetere

• Evitare l’uso di cateteri urinari a permanenza (indwelling)

• Seguire solo le specifiche indicazioni

• Usare le alternative alla cateterizzazione permanente quando necessario (cateterismo a intermittenza, catetere esterno a condom o scanner vescicale portatile)

• Rimuovere tempestivamente i cateteri indwelling

• Ricorrere all’assistenza infermieristica

• Usare un promemoria elettronico

• Usare tecniche corrette per l’inserimento e il mantenimento dei cateteri

• Attenersi a procedure di inserimento sterili

• Usare un sistema di drenaggio chiuso

• Evitare il normale lavaggio della vescica

Tabella 4

Regimi suggeriti per la terapia antimicrobica della prostatite batterica cronica

Antimicrobico

Fluorochinolone

Doxiciclina

Azitromicina

Metronidazolo

Tabella 5

Variabile

Tabella 4

Dose giornaliera

Dose orale ottimale giornaliera

100 mg BID

500 mg una volta al giorno

500 mg TID

Tutti i pazienti (n=983) Dipendenza funzionale

Sesso maschile

Età ≥65 anni

Ricovero in strutture residenziali

Punteggio McCabe >1

Recente ospedalizzazione

Malattia polmonare

Malattia cardiovascolare

Diabete mellito

Malattia renale

Malattia cerebrovascolare

Tumore

Catetere vescicale

Intervento chirurgico

Durata della terapia

Note

4-6 settimane

10 giorni

3 settimane

14 giorni

Solo per infezioni da C. trachomatis o micoplasma

Solo per infezioni da C. trachomatis

Solo per infezioni da T. vaginalis

(0.98–2 9) .06

(1 0–3 8) .05

(1.06–5.1) .04

(0.6–2.2) 6

(2 8–6 7) ! .001

(0 8–1 5) .3 Dialisi

Uso recente di qualsiasi antibiotico

Uso recente di un fluorochinolonico

Uso recente di una cefalosporina

Pazienti senza alcun recente contatto con strutture sanitarie

Sesso maschile

Età ≥65 anni

Uso recente di qualsiasi antibiotico

Uso recente di una cefalosporina

(0 7–22 5) .18

(1 1–2 0) .02 1.8 (1 2–2 6) .001

(0 8–1 7) .2

(1 8–4 9) ! .001

(1 1–2 5) .009 2.9 (1 8–4 7) ! .001

(2 5–5 1) ! .001

(1.08–2 4) .02

(2 5–5 6) ! .001

(1 8–7 3) ! .001 3.6 (1 8–7 3) ! .001

Dipendenza funzionale 3.6 (1.5–8 7) .004

Catetere vescicale 3.3 (1 7–6 5) .001

Tabella 6

UNANNOINSIEME 8
Analisi univariata Analisi multivariata Odds ratio (IC95%) P Odds ratio (IC95%) P
3.7 (2.1–6 4) ! .001
2.18 (1.6–2 9) ! .001 2.5 (1 7–3 7) ! .001
3.7 (2 7–4 9) ! .001 2.4 (1 6–3 6) ! .001
8.5 (4 3–16.8) ! .001 7.5 (3 5–16 3) ! .001
2.4 (1 4–4 0) .001
2.9 (2 0–4 2) ! .001 2.9 (1 9–4 4) ! .001
2.4
(1.04–5 7) .04
1.3
(0 8–2 1) .3
1.7
1.9
2.3
1.2
4.3
1.1
4.0
1.5
1.2
2.9
1.7
3.6
3.5
1.6
3.7

Come ottenere i crediti ECM

Il corso FAD è fruibile sul sito www.unannoinsieme.it.

Una volta visionati i moduli formativi il discente, per ricevere i crediti ECM, dovrà compilare i questionari di valutazione e gradimento direttamente sul sito e scaricare poi l’attestato ECM.

Per eventuali informazioni contattare il provider ECM via mail all’indirizzo assistenza@unannoinsieme.it

Progetto realizzato con il contributo non condizionante di

91055125

Turn static files into dynamic content formats.

Create a flipbook
Issuu converts static files into: digital portfolios, online yearbooks, online catalogs, digital photo albums and more. Sign up and create your flipbook.