Dental Scribe Media Circus Dental Magazine 01

Page 1


Property of Practice

The dark side of DIY dentistry

+ Get to know the team

+ Smile makeover case study

Based near Bath, specialising in servicing and maintaining natural gas, LPG, electric, and oil-fired AGAs.

Gas Safe and OFTEC registered, we also provide gas safety inspections, installations, and heating system maintenance.

Hello, I’m Siri, the editor of Dental Scribe. We are thrilled to be launching Bath’s first edition of Dental Scribe Media in Circus Dental, a practice that myself and Shaun know and admire. Alongside Shaun, who has more than 10 years experience as a dentist, we hope to equip you with new and exciting oral health knowledge.

Editor’s Note

At Dental Scribe Media, our editorial team has a combined 15 years experience in journalism and clinical dentistry. We’re passionate about providing entertaining and informative content about your oral health, as well as carefully curated local recommendations.

If you want to continue reading at home, or share with family and friends, simply scan the QR code on the front cover to access the online version.

All the best and happy reading.

Editor: Siri Thomas, siri@dentalscribemedia.co.uk

Clinical Lead: Shaun Hodge, shaun@dentalscribemedia.co.uk

Copy Editor: Tabitha Breare, info@dentalscribemedia.co.uk

Design: Finley-Mae Stainfield, info@dentalscribemedia.co.uk

Cover: Katie Smith illustratedbykatie@gmail.com

Dental Scribe is printed and published by Print Options, an independent familyrun publisher based in Millbrook, South East Cornwall. They have been running for more than thirty years and we are thrilled to be working with them.

Dental Scribe Media delivers hundreds of magazines to dental practices across the country, where they become waiting room reading material for thousands of patients. If you would like to advertise in front of a captive audience, please don’t hesitate to contact our sales team at info@dentalscribemedia.co.uk.

We offer preferential rates for independent businesses and charities.

Our Practice

Circus Dental is unique. Nestled in the heart of Bath’s iconic Circus, we opened our doors in 1886 and have been treating patients ever since. Our mission has remained the same: every patient we see becomes part of the Circus Dental family. We have a preventative focused approach to your dental care and we deliver treatments across all forms of dentistry, from general checkups through to specialist surgery. We use the most up-to-date techniques, state of the art equipment and the best materials to deliver comprehensive dental care.

Takea

Experience the life-changing benefits of premium intraocular lens surgery with Bath’s renowned Consultant Cataract, Refractive and Vitreorential Surgeon, Mr. Mo Majid.

• Correct

Whether

Bristol, Bath, and the Southwest

• Architectural design and passivhaus modelling

• Expert project planning and cost management

• Sustainable materials and thoughtful execution

• Build-only, full design/build – your choice

Thoughtful. Sustainable. Built to last.

The Team

Get to know our amazing team !

Our dental surgeons pursue excellence in their chosen fields and have an extensive range of training. Many of them are involved in teaching and training other dentists within the UK and internationally.

Whether you need routine dental care or specialist treatment, we have the right dentist for you. Our clinicians pursue excellence in their chosen fields and have an extensive range of postgraduate training. Our team approach means that no matter what your problem or treatment goals we have the right dentist for you. From routine-care to specialist services, Circus Dental will work with you to look after your complete oral health.

DAN BEEVERS

Restorative Dentistry, Dental Implants and Oral Surgery

Dan Beevers has been a part of the Circus Dental team for over 18 years and is both a dentist and one of the Directors. With a wealth of knowledge and experience, we thought we’d ask him a few questions to give us an insight into his role and in particular his thoughts on dental implants.

What is your main role at Circus Dental?

I am both a dentist and a Director, and after 18 years at Circus Dental I still feel extremely proud to be involved in such a well known and historic practice. My clinical work centres around restorative and surgical dentistry and I have been lucky enough to meet so many wonderful patients in my time at Circus Dental.

“ “

Tell us a bit about your background in dentistry

I began my dental studies at Bristol University, where I completed my undergraduate degree in 2004. I have retained strong links with Bristol University and became a clinical lecturer in oral surgery up until 2019. In 2009 I joined Circus Dental full time and have been very happy here ever since.

What makes Circus Dental special?

What advice would you give to patients who are feeling worried about dental implants?

Dental treatment can be worrying for many people and understandably cause some anxiety. My advice for anyone considering dental implants would be to see a well qualified dental surgeon for advice and individualised treatment planning. No two patients are the same and considerations of the type of treatment, costs and anxiety must all be considered before any treatment can be suggested.

The relationship between patient and dentist needs to be one of trust and two-way dialogue. It is important that patients feel well informed and in control of whatever treatment they wish to choose.

We pride ourselves on our open and honest approach to treatment planning and we have the unique ability to offer multidisciplinary care.

On many occasions we may seek advice from one of our in-house colleagues regarding an alternative to dental implant treatment and regularly a joint consultation with clinicians of different experience can be useful to devise a balanced treatment plan.

I am of course biased as a director of Circus Dental, however, I have had my own family and friends treated by the team at Circus Dental which I think is the biggest compliment to their skills I can give. We also have an amazing team of support staff that look after our patients with us. Our aim is for our patients to have a seamless journey within the practice and to gain our patients’ trust for life.

Domestic electrical services

• Fuse

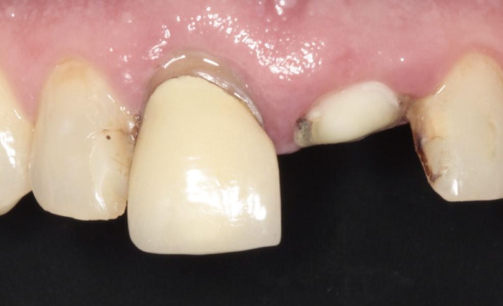
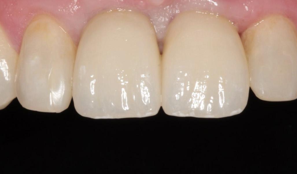
BEFORE AFTER

A Life Changing Smile Makeover

Losing your front teeth can be particularly distressing. While modern dentistry helps us preserve natural teeth longer than ever, some situations inevitably require extraction. Fortunately, dental implants now offer functional and aesthetically pleasing replacements that can restore both your smile and confidence.

This case study involves a lovely patient who unfortunately fractured their front tooth. In this case there wasn’t enough tooth to support a conventional filling or crown. To add a further complication, the radiographs showed that the tooth next door was also in trouble, with a large infection present.

Problems

After an extensive examination, it was found that neither tooth could be predictably saved, and extraction of these teeth was advised. The patient wasn’t keen on wearing a denture long term, and the two teeth either side of the space were not deemed strong enough for a dental bridge.

Treatment Plan

After considering all the options the following treatment plan was established: placement of dental implants to replace front two teeth along with bone and soft tissue grafting. New fillings to replace stained restorations and tooth whitening to brighten the entire smile.

Case Notes

Sometimes dental implant treatment can be tricky if there is not enough bone or gum present after the teeth are removed. However, most of the time our expert implant surgeons can graft the area to improve this and make implant treatment a realistic option. Grafting of both bone and soft tissue was carried out in this case.

The dental implants were placed and used to support two life-like ceramic crowns, artfully created by our own in-house ceramist to ensure a perfect match to the patient’s natural teeth.

The treatment was carried out successfully. The before and after pictures speak for themselves! The patient was delighted to have avoided using a denture, and that they could smile with confidence again.

If you are interested in  lifechanging dental implant treatment, please speak to a member of the reception team and we can arrange a consultation with one of our expert implant surgeons at the practice.

The dark side of online teeth straightening...

...and why DIY dentistry isn’t worth it.

The desire for straight teeth is skyrocketing in the UK, with online ‘solutions’ growing in popularity. But what is the reality of DIY orthodontics?

Clear aligners are a popular and discreet way to achieve straight teeth, and when delivered by a trained professional they are highly effective. But as the demand for straight teeth increases, so does the desire for a quick, cheap fix. More and more people are now turning to cheaper options - including online DIY dentistry solutions.

DIY orthodontics typically involves purchasing aligners online without the oversight of a dental professional. After completing an online form and paying, you can receive a “do it yourself kit” within a few days, instructing you to create a dental impression or undergo a digital scan at a local store. These impressions or scans serve as the basis for crafting a customised set of aligners, which are then shipped directly to your doorstep along with a treatment plan. Alarmingly, this entire process often occurs without any consultation with a qualified dentist or orthodontist.

Major dental bodies such as the British Orthodontic Society and the General Dental Council strongly advise against DIY orthodontics. Although marketed as a simple and risk-free treatment which can be carried out by anyone, this is far from the truth. It is important to see a dental professional for orthodontic treatment. Before undergoing orthodontic treatment, a full clinical examination is required to ensure the procedure will be safe and suitable. Any work carried out on unhealthy teeth can have serious consequences, including tooth loss. The only way to be sure you are suitable is to be assessed in person by a dental professional before beginning treatment.

There are a range of possible orthodontic options for different types of problems. With DIY orthodontics, there is only one treatment choice and it may not be suitable for everyone.

The General Dental Council, the UK regulator for dentistry professionals, said, “there is no effective substitute for a physical, clinical examination”.

In a full statement, released in 2021, they said:

“In line with current authoritative clinical guidance, and orthodontic training, clinical judgements about the suitability of a proposed course of orthodontic treatment must be based on a full assessment of the patient’s oral health.”

If you are considering orthodontic treatment, ask at reception to find out if your dentist offers such services. If they don’t, they will likely refer you to a trusted professional elsewhere in Bath.

“There is no effective substitute for a physical, clinical examination.”

“We

UNDERSTANDING JAW PAIN...

Why a whole-body approach matters!

If you’ve ever struggled with jaw pain, clicking, headaches or tension in your face, neck or shoulders, you’re not alone. These symptoms can often be related to temporomandibular joint (TMJ) disorder, a condition that affects the joint connecting your jaw bone to your skull. It’s estimated to impact 1 in 4 people in the UK.

Whilst usually not a serious condition, TMJ pain can be persistent, causing daily frustration. It can also be difficult to pinpoint exactly why TMJ starts. The good news is that we now have a greater understanding about its causes, meaning more options for effective, long-lasting relief.

The role of your dentist and looking beyond the mouth:

Dentists have traditionally played a central role in

managing TMJ pain, working expertly to manage underlying factors such as issues with your bite (malocclusion) or teeth grinding (bruxism). One of the most common treatments is an occlusal splint or night guard. These are custom-made devices worn at night to reduce strain on the jaw joint and limit clenching or grinding.

Research shows that well-fitted splints can be highly effective on reducing muscle overactivity and protecting your teeth [1]. However, for many people, splints only go part of the way. If your pain continues despite wearing a night guard, it may be time to look beyond the mouth.

Muscles, posture, and the neck-jaw connection:

TMJ symptoms often involve more than just the joint. The muscles surrounding your jaw— like the masseter, temporalis, and pterygoid muscles—can become tight or develop trigger points, referring pain into the

jaw, face, and even head.

Posture also plays a surprisingly important role. If your neck and shoulders are stiff and not functioning well, it can affect how your jaw moves and feels. This is where working with allied health practitioners such as chiropractors and physiotherapists can often provide relief and be incredibly beneficial. By addressing muscle tension, improving neck mobility,

and supporting better lifestyle postures, these therapies can significantly ease jaw-related pain. Studies show that problems in the neck (cervical spine) often contribute to TMJ dysfunction [2]. Manual therapies, gentle adjustments, and soft tissue work can all support healing and help reduce recurring symptoms.

Stress, sleep, and emotional wellbeing:

This being said, TMJ issues are sometimes not just physical. Emotional triggers such as stress, poor sleep, anxiety and low mood can all increase muscle tension - especially in the jaw, neck, and shoulders. Many people clench or grind their teeth more during stressful periods, often without realising it. Because of this, mental health and lifestyle support are now recognised as key parts of TMJ care. In our increasingly busy, stimulated and sometimes stressful lives, mindfulness, relaxation techniques, improving sleep habits and cognitive behavioural therapy (CBT) are valuable tools when managing TMJ pain.

Breathing and whole-body awareness:

It’s also worth considering how you breathe. Shallow, chestbased breathing or habitual mouth breathing can contribute to jaw tension and postural imbalances. Encouraging diaphragmatic (belly) breathing can help reduce strain throughout the neck, shoulders, and jaw area. Since everything in the body is connected, some people benefit from looking even further down the chain. Pelvic or spinal function can influence how we carry ourselves, subtly affecting muscle tension and head positioning over time.

Bespoke treatment:

It is important to remember that no two people experience TMJ pain in exactly the same way. The best treatment plans are therefore tailored to each individual, and draw on expertise from a range of different health professionals - including dentists. When care is coordinated and tailored to your needs, the results can be truly life-changing. If you’re dealing with TMJ pain, know that help is available and you don’t have to manage it alone. A whole-body, multidisciplinary approach may be the missing piece in your journey to recovery.

Tripping or skipping ?

Choosing your movements in maturity...

How many hours a day do you spend sitting down?

How often do you intentionally move to increase your pulse and breathing rate?

A quarter of all adults are considered ‘physically inactive’, based on the Government definition (30 minutes per week of moderate intensity activity – i.e. increased breathing but able to talk). If you’re over the age of 75, there is about a 50% chance that you will fall into this category, and if you’re over the age of 85, this increases to 70% (based on Sport England Active Lives survey data).

Physical inactivity is well known to increase with age, but can be detrimental to strength, posture and balance. This can have knock-on effects for physical, mental and social wellbeing. For example, higher inactivity levels can increase the risk of falls and broken bones, weaker muscles, low mood, and social isolation. This negative impact on an older person’s quality of life can subsequently affect the confidence and motivation needed to boost activity levels.

The good news is that people who are physically inactive gain the biggest health benefits from moving more. Whilst the prospect of exercise may seem daunting, even introducing 10 minutes of additional movement each day can lead to significant improvements to health and wellbeing. Regular activity reduces your risk of many health conditions, including heart disease, stroke, diabetes, high blood pressure, and osteoporosis. It also boosts your energy levels.

Not sure where to start?

Finding an activity that brings you joy is key to making sustainable changes. Consider encouraging friends or family to join you, or using exercise as an opportunity to meet new people in the community.

Increasing movement can be easily achieved in your own home, at seniors’ exercise classes or at your local community or leisure centres, or even through personal training sessions at your nearest gym.

Be sure to exercise within safe limits. Start gradually, and listen to your body. Slow down when you need to and stop if you feel unwell. If your symptoms don’t resolve quickly with rest, seek urgent medical advice.

Ideas to start your journey on the move ...

Standing up regularly to avoid prolonged periods of sitting – such as during TV advert breaks

Taking the stairs rather than a lift

Advicefrom medicalprof e s s slanoi

Carrying groceries

Dancing whilst doing housework

Other options include toe tapping to music, walking to the shops, or getting off the bus a few stops earlier.

When you feel ready, try something new ...

Try chair-based exercises –YouTube is a good place to start!

Gardening Swimming Jogging

Other options include, golf, walking football, dance class, Tai Chi, Pilates, yoga and wheelchair workouts.

Want to find out more ?

Age UK, the British Heart Foundation, and NHS website have lots of ideas and resources to help you find the right movement for you. Alternatively, speak to your GP or staff at your local leisure centre.

Golf Coaching with Jamie

EAT WELL • DO GOOD • FEEL GREAT

A people and planet-focused place to eat, drink, shop and take away with two sites just outside of Bath and Bristol. Enjoy a fresh seasonal meal in the cafe, stop by the butchery for tasty local meat, shop a range of products in the Foodhall and much more at Flourish!

NORTON ST PHILIP, BATH | BA2 7NG

Iwona Augustyniak

Front of house

Iwona Augustyniak has been a member of the front of house team at Circus Dental for more than a year. Find out why she thinks people should pick Circus Dental as their Bath-based dental surgery and what makes it a friendly, welcoming place for all patients.

What made you choose to work at Circus Dental?

I heard a lot of positive comments from friends about Circus Dental so checked on social media for more information. It seemed like a welcoming place so I applied for the job on the front of house team and here I am!

What can patients expect when they visit Circus Dental?

Patients are greeted with a smile and can relax in a comfortable waiting room. Once they are taken to their appointment the dentist or hygienist will clearly explain any treatment and there is never any pressure to book anything they are not sure about.

Here at Circus Dental, patients can expect professionalism, support, coffee, help with questions or problems, beautiful straight teeth, painless appointments and a very friendly environment.

What are some of the highlights working at Circus Dental?

I love working with interesting people, people with passion and unusual interests. There is such a diversity of characters and languages in this place that I would not change it for anything else. The specialists who work here clearly do their job professionally and with passion.

Why should people choose Circus Dental as their Bath based dentist?

Our quality dentists, reputation, location and loyalty make it the best dental surgery in Bath. We offer lots of different dental services and waiting times are not long so you will have any issues dealt with quickly and efficiently.

Advicefrom dentiststoyou

Destination

What you should know ... DENTISTRY

Whilst combining a week in the sun with a smile makeover may seem tempting, Dr Shaun Hodge warns that dentistry and holidays may not make such a perfect pairing after all.

In recent years there has been an increase in companies offering such packages, with more people opting to have dental work overseas, in places such as Turkey.

Destination dentistry has gained traction with influencers and celebrities opting to travel abroad for such treatment. However, there is a dark side to dental tourism. In this article we will take a look at some important factors to consider when thinking about treatment - whether locally or abroad.

In the UK, all dental professionals have to be registered with the General Dental Council, the body who hold clinicians to an extremely high set of standards of safety and skill. Because of this, you can be assured your dentist is suitably qualified to do the job. Unfortunately, not all countries have a comparable governing body. This means there is no guarantee that the care you

receive will be subject to the same level of safety regulation that exists in the UK. Complex treatments such as smile makeovers, composite bonding, and veneers often take more than one or two appointments to perfect. They also require a high degree of planning, and follow up appointments are often needed to ensure you get the result you expect. When these follow-up appointments are carried out overseas, the financial and time costs can quickly add up, reducing any initial savings made from choosing to have your dental treatment abroad. Similarly, no matter how much care and planning is put into dental treatment, complications can occasionally occur.

Return visits to an overseas clinic are likely to be costly and time consuming, and trying to diagnose and discuss any issues over email or phone calls can be very difficult and frustrating. On top of this, it can be technically challenging for your local dentist to try and correct any issues with another dentist’s work, as they may not know the materials or techniques used.

Again, any initial financial savings may be rapidly outweighed with such corrective work. It is a huge step to decide to undergo life-changing dental treatment. Whether it be dental implants or a smile makeover, it’s important that you can be confident in the clinical work provided. Although seeking treatment overseas can at first seem like a money saving option, as explained above, costs can quickly stack up.

If you are considering life-changing dental treatment, make sure you speak to your dental professional or enquire at reception.

Book online, email, or speak to us at reception about the treatments we offer.

How interdental cleaning can save your smile

Gum disease is one of the most common diseases on the planet, often going unnoticed in its early stages. If left untreated, it can have huge consequences on your quality of life, potentially leading to bad breath, wobbly teeth, difficulty eating and chewing, loss of confidence and even tooth loss. Thankfully, in most cases, gum disease can be successfully diagnosed and treated.

With a team of highly trained and talented hygienists, your dental professionals are well equipped to provide you with first-class periodontal care. This guide is designed to answer some questions you may have about gum disease. If you would like

to discuss anything further with a member of our team, book a consultation or speak to a member of staff at reception.

What is Gum Disease?

Gum disease is an inflammatory condition. When plaque builds up around your teeth, the gum becomes inflamed. This may appear as red, swollen and sore gums, which bleed when brushed. If left untreated, this inflammation can cause the bone which holds our teeth in place to shrink away. Over time this may lead to teeth becoming increasingly wobbly, and in the worst cases teeth may even fall out. One of the challenges

of managing gum disease is that the early symptoms can be very subtle, and can be easily missed. It is often a painless condition and there is a common misconception that bleeding gums are completely normal. However, if not diagnosed and treated early, gum disease can begin to impact negatively on our quality of life. Bad breath, receding gums, difficulty eating and chewing and tooth loss can all have a big impact on our lives.

Gum disease can impact on your general health. It makes sense that the health of our mouth can impact on the rest of the body. In recent years, there has been a significant amount of research into

Advicefrom dentiststo yo u

the associations between gum disease and a range of other conditions. In particular, gum disease has been linked to diseases such as diabetes, cardiovascular disease, and Alzheimer’s disease. Gum disease has also been linked to complications during pregnancy.

However, in the majority of cases, gum disease is possible to treat and stabilise. This is especially true when diagnosed early, therefore it’s a great idea to visit the dentist for regular check-ups, and the hygienist for regular gum care. Although bone loss due to the disease cannot easily be ‘re-grown’, it is often possible to stabilise the disease, reducing inflammation, making your gums feel much healthier.

Gum disease treatment often comes in three stages:

Diagnosis and oral hygiene advice

Gum disease cannot be treated without the patient being fully committed to improving their oral health. It is vital that you have a good understanding of the condition, and do what you can at home to help keep your mouth as healthy as possible.

Professional mechanical plaque removal

This involves thorough cleaning above and below the gum line, in an effort to remove or disturb the plaque build up responsible for the inflammation of your gums. This is often done with the aid of local anaesthetic, to make sure you are comfortable. In the weeks following treatment, your gums heal and tighten up around your teeth. In some cases, certain sites may require some advanced treatments, such as surgical therapy.

1  2 3

Supportive care

Once the disease has been stabilised, it is important to continue to regularly visit the hygienist for what is called ‘supportive care’. This is a simple clean, ensuring that your plaque and inflammation levels are kept low.

Patients often ask ...
“If I have gum disease, can I have dental implants?”

It is not advisable to have dental implants if you have unstable, untreated gum disease. This is because you can get a disease around implants which is similar to gum disease, and can lead to the failure of any implant treatment. The good news is that in successfully treated gum disease patients, whose disease is ‘stable’, dental implants can be placed successfully — albeit with higher risk of failure in the long term.

If you would like to arrange a consultation, please ask at reception.

Discover Southeast Asia’s Hidden Treasures

After 20 years living in Southeast Asia, I’ve returned to Bath to share my discoveries with you. Bespoke Getaways offers truly personalised luxury travel experiences built on my local knowledge. I craft journeys that go beyond typical tourist routes, tailored precisely to your interests. From meticulous planning to personal guidance, I ensure every detail is handled seamlessly. Experience Southeast Asia as few travellers can. Get in touch today and let’s create your trip of a lifetime.

from

Advice

Implants : our guide

Tooth loss can have a significant impact on your health and quality of life. As well as affecting your smile, it can also limit your ability to eat the foods you love and can have a negative impact on your self-esteem.

The development of dental implants has enabled dentists to provide a life-changing and effective treatment to patients suffering from tooth loss.

A dental implant is a titanium screw which is inserted into the jaw bone to replace a missing tooth or teeth. The implant acts as support for a false tooth or a denture. Implants offer a ‘fixed’ replacement for missing teeth which, if well cared for, can last for decades.

Although the modern dental implant was developed in the 1960s, humans have been experimenting with methods of replacing teeth for thousands of years. Evidence of dental implants made of shells, stone or precious gems have been discovered in Mayan excavations reaching back as far as 600AD - almost 1,500

profession a sl

years ago. Before you undergo dental implant treatment, your dentist will check the amount of bone present. If there is not enough bone, often further procedures such as bone grafting can be carried out to make implant placement possible.

Although there are some medical conditions which make implant placement more complicated, most patients are suitable for implants. When your implants are well cared for at home with excellent brushing, and with regular visits to the hygienist, they can last decades.

Implants are one of the most reliable treatment options available for replacing missing teeth.

What is dental implant treatment like?

You will be numb during the procedure, and many patients tell us that the implant placement is far easier than a tooth extraction. As with every surgical procedure, there may be some mild discomfort for a short time after the implant is placed.

Treatment time depends on the complexity of the case. In some cases an implant can be placed and then restored with a false tooth the very same day. Most of the time, the implant is left for several weeks to ‘fuse’ with the jaw

bone in a process called osseointegration before being restored.

Your dentist will be sure to discuss the expected time scales and your bespoke treatment plan at your implant consultation.

I have gum disease, can I still have dental implants?

Gum disease is a leading cause of tooth loss. Studies have shown patients who have gum disease to be more at risk of implant failure. However, if your gum disease is under control and you are looking after your teeth very well at home, dental implants can still be

placed with success.

If you have any questions about implants, ask your dental professional or enquire at reception.

An a day keeps the doctor away ...

but does it keep the dentist away?

These days, whilst we know that one apple is probably not enough to keep up our general health, it certainly is a good start. But what effect could this have on our dental health?

As dietitians we often recommend our clients to follow a healthy balanced diet, but what does this actually mean? The NHS’ Eatwell Guide lists recommendations that I have included at the end of this article. Following these recommendations is likely to help you maintain good health, reducing the likelihood of developing long-term

When we think about healthy eating from a dental perspective, the recommendations do not always match up. Tooth decay happens when sugary and starchy foods stick to our teeth and are broken down by the natural bacteria in our mouth. When this happens, a small amount of acid is released, the pH in our mouth decreases, and this dissolves the tooth enamel. Over time, this causes damage and can lead to dental cavities. It takes around 20 minutes

The saying ‘an apple a day keeps

for the pH of the mouth to return to normal. So, if you are eating regularly across the day and having frequent snacks, then our mouth will not have the chance to recover before the next acidic attack.

The main culprits when it comes to acidic foods are fizzy drinks and fruit.

‘Fizziness’ is often a sign a drink is acidic. This includes fizzy drinks, pop and carbonated drinks. It is important to note that even ‘diet’ versions of these drinks are still harmful. Some alcoholic drinks are also acidic, including beer, cider, prosecco and white wine. Whilst it may not be possible to avoid these drinks all the time, try having them alongside a meal, using a straw or sipping quickly. These can all be ways to help minimise the damaging effects. Many fruits contain citric acid, which promotes dental erosion. The most acidic fruits are lemons, limes, plums, grapes, grapefruit, and blueberries. Pineapples, oranges, peaches

and tomatoes are also high in citric acid. Now, as a dietitian I am certainly not going to tell you not to eat fruit! But like with fizz, there are ways to minimise the effect on your dental health. Keep fruit to mealtimes, this way you get your apple a day with lower impact to your teeth. Then always try to eat

To help achieve a balanced diet, the dietary recommendations are as follows:  1

Eat at least 5 portions of a variety of fruit and vegetables each day

Base meals on higher fibre starchy foods, for example potato, bread, rice or pasta

4 5 6

Eat some beans, pulses, fish, eggs, meat and other protein

Choose unsaturated oils and spreads and eat them in small amounts

Drink plenty of water or fluids

Get wedding ready

Say ‘I do’ to a beautiful wedding day smile

Your wedding day is all about feeling your best, and that includes your smile. A beautiful smile can boost your confidence and make you feel even more special on your wedding day. It’s no surprise that many couples are turning to cosmetic dentistry to perfect their smiles before the big day. Here are some popular dental treatments that can help you look your best as you say “I do.”

Teeth Straightening:

If you’ve been thinking about braces, your wedding day might be the perfect reason to start! Clear aligners or traditional braces can help improve alignment, but it’s best to plan ahead as most treatments take several months to show results.

Teeth Whitening:

A professional teeth whitening treatment can give you a brighter, whiter smile in just a few sessions. If you’re looking for a quick fix, whitening treatments are a great option to consider in the months leading up to your wedding.

Composite Bonding:

For minor chips, gaps, or imperfections, composite bonding is a fast and affordable way to improve things and it can often be completed in just one or two visits.

Veneers:

For a complete smile makeover, veneers are an excellent choice. These thin shells of porcelain are placed over the front of your teeth, allowing your dentist to create the smile of your dreams.

Planning your wedding smile:

Start thinking about your cosmetic dental treatments at least 6-12 months before your wedding. It’s important to give yourself enough time for treatments to take effect, especially if you’re opting for orthodontics or veneers.

Make sure you’re seeing your hygienist and maintaining optimal oral hygiene at home, including cleaning between the teeth ideally with interdental brushes, or floss for the tighter gaps. Healthy gums are an important foundation for excellent cosmetic dentistry.

Book a consultation with your dentist to figure out the best plan for you and make sure to keep up with regular oral care as your big day approaches.

For the bride who wants to honour tradition, but do it her own way.

bymobyshop.etsy.com

Light up letters, numbers and props for your wedding, event or celebration. Delivery, set up and collection is included, allowing you to sit back and enjoy your day. We are proud to offer something suitable for every event and budget. Contact us today.

Private, personalisedappointments from my relaxed garden studio. 10% off using code “Dentist25”

E: zoe@bysvykenbridal.co.uk IG: @bysvykenbridal www.bysvykenbridal.co.uk 16 Huckford Rd, Winterbourne, Bristol, BS36 1EA.

“The grounds looked so beautiful, and everyone commented on how much they loved the venue. Bickley Barns is a rare gem especially this close to Bath, and we can’t recommend them enough.”

- Bath Bride

contact@bickleybarns.com bickleybarns.com 07766031616

A unique marquee wedding venue near Bath, suitable for up to 120 guests!

City

Turn static files into dynamic content formats.

Create a flipbook
Issuu converts static files into: digital portfolios, online yearbooks, online catalogs, digital photo albums and more. Sign up and create your flipbook.