e-Journal - Implantológia 2024/2

Page 1

IMPLANTOLÓGIA

A FOGÁSZAT

„A tapasztalataim alapján egy kicsit óvatos vagyok…”

Rövid és keskeny implantátumok aktuális konszenzus kérdései

Kezelhető-e a periimplantitis nem sebészi úton?

A sebészi technika és a PRF szerepe az alveoláris csont és a mukogingivális struktúrák megőrzésében III

E-JOURNAL
2024. VII. évfolyam 4. szám
INFORMÁCIÓS MAGAZINJA www.dental.hu

AZ ALPHA IMPLANT KFT. MÁR 15 ÉVE AZ ÖN MEGBÍZHATÓ PARTNERE

A minőség a siker garanciája

alphaimplant.hu

‘24/09 12-14.
REGISZTRÁCIÓ
09/12-14.

Tisztelt Olvasó!

2024-re a fogászati szektor – reményeink szerint – fel tudta dolgozni a Covid-19 okozta nehézségeket, az elszabaduló inflációt, és már tervezi az idei év fejlődési lehetőségeit. Mindannyian abban bízunk, hogy megérkeznek az európai uniós források, újra indulnak a pályázatok, és stabilan tudjuk vezetni a vállalkozásinkat!

A tavalyi év sokunk életében hozott különböző nehézségeket, mégis elmondhatjuk, hogy mindenképp jobb volt, mind a 2020-2022 közötti időszak, amikor a létbizonytalanság, a járványtól való félelem uralta a napjainkat. Az idegenforgalom tavaly szépen megindult, 2024-ben a vendégéjszakák száma várhatólag el éri a 2019-es év adatait. A nagy rendelők már teljes kapacitással üzemelnek, a fogtechnikai laborokban is visszatért a folyamatosság, a fogászati kereskedők jelentős része pedig jobb évet zárt 2023-ban, mint a korábbi években.

A fogászati rendelők és fogtechnikai laborok az elmúlt években főleg a fejlesztéseket állították előtérbe, amelyhez számos pályázat és egyéb forrás is kedvező konstrukciókat kínált. 2024-ban – tudomásunk szerint – is lesznek új pályázati források, melyekről a kereskedelmi vállalatok részletesebb információkat tudnak majd adni. Az új források bevezetése idén már bizonyosan ismét növekedési spirálba helyezi majd ezt a szektort!

Az infláció elérte a fogászati ágazatot is, a vállalkozások az euro változásától, gyengülésétől függően azzal találkoznak, hogy az árak – a mindennapi élet mellett – itt is jelentősen és folyamatos változnak, emelkednek. A fogászati rendelők is kénytelenek az áraikat emelni, egyre több rendelő, ún. „piaci alapú” árképzést vezet be. A folyamat kimenetelét még nem lehet pontosan látni, a munkaerő fluktuációja, az Európai Unió áraihoz képest alacsony magyar fogászati beavatkozások értéke - jelenleg még nem érte el a drágulás csúcspontját. Az elmúlt időszakban számos újság, cikk foglalkozott a fogászati szektorban található extra drágulási folyamattal. Ez egyelőre - a hazai rendelőkben - még nem mutatott jelentős problémát, új hívószavakkal, sok marketing munkával, reklámmal most a magyar lakosságot kell határozottabban a rendelőkbe invitálni!

A kiadó bizakodva tekint a jövőbe, a megújult tartalmaink kapcsán sok pozitív visszajelzést kapunk,

melyeket nagyon köszönünk! Az elmúlt években - a nehézségek ellenére is - növelni tudtuk a kiadványaink, a magazinjaink számát, nem csökkentve azok tartalmi minőségét. 2020 óta a tematikus e-Journalok is folyamatosan megjelennek, melyek egyfajta online könyvtárként is szolgálnak az olvasóinknak. A dental.hu oldalon díjmentesen elérhetőek a korábbi tematikus online lapszámaink is.

A mostani kiadványunkban az általános fogorvosi eljárások mellett az implantológia témakörével foglalkozunk.

Tartalmas olvasást kívánok!

Laczkó Tamás, felelős kiadó

3 VII. ÉVFOLYAM – 2024. 4. SZÁM

periimplantáris szövetstabilitás és a páciens elégedettsége az

E-Journal VII. évfolyam, 2024. 4. szám

Kiadja: DP Hungary Kft. 1012 Budapest, Kuny Domokos u. 9.

Felelős kiadó: Laczkó Tamás

Főszerkesztő: Dr. Sidó Levente

Előkészítés:

DP Hungary Kft., Sárközi András e-mail: grafika@dental.hu

Információ, hirdetésfelvétel: Bárdos Veronika, telefon: 06-30-472-0030, 06-1-793-1874

Az újság e-mail címe: info@dental.hu

Az újság internetcíme: www.dental.hu

Terjesztés: E-mail hírlevél formájában.

A tudományos közleményeket a szerkesztőség lektoroknak adja át véleményezésre. Közlés csak egyetértő lektori vélemény, illetve a javasolt módosítások elvégzését követően lehetséges.

A cikkek szerzői vállalják, hogy az általuk elküldött írás saját forrásból származik, illetve a felhasznált anyagokat (publikációkat, illusztrációkat, képeket stb.) mindenkor pontosan feltüntetik. Írásaiknak jogi és egyéb adatvédelmi kérdéseiben felelősséget vállalnak.

A német nyelvű szakmai cikkeink magyar fordítását az Oemus Media AG Kiadó engedélyével szerkesztettük lapunkba. A fel nem használt kéziratokat, fotókat nem őrizzük meg, és nem küldjük vissza.

A hirdetések tartalmáért nem vállalunk felelősséget. A gyártó, illetve forgalmazó cégek kérésére közzétett cikkeket keretbe foglalva közöljük és (x)-szel jelöljük, azok szakmai tartalmáért a szerkesztőbizottság nem vállal felelősséget.

4 Tartalom IMPLANTOLÓGIA „A tapasztalataim alapján egy kicsit óvatos vagyok…” 8 Rövid és keskeny implantátumok aktuális konszenzus kérdései 14 Periimplantáris csontdefektusok minimálinvazív rekonstrukciója és augmentációja autológ csonttal 20 Szájüregi probiotikumok és implantológiai jelentőségük 26 Szóló foghiányok ellátása extra rövid implantátumok és transzmukozális fej segítségével – 2:1 felépítmény/ implantátum arány mellett 30 Kezelhető-e a periimplantitis nem sebészi úton? 34 Az implantáció sikerességének növelése az alveolus kettős hullámhosszú lézeres előkezelésével 40 Alpha Implant hírek 44 Geistlich Bio-Oss Collagen és az „L-Shape” technika 45 A sebészi technika és a PRF szerepe az alveoláris csont és a mukogingivális struktúrák megőrzésében III 48 A modifikált, koronálisan vagy laterálisan eltolt tunnel egyszerű vagy multiplex ínyrecessziók kezelésére 56 A
implantátumbeültetés után az esztétikai területen 60 Erős fogak és egészséges száj – meggyőző mosoly 70
azonnali

„Fontosnak tartom, hogy a gyógyító embernek legyen szakmai és erkölcsietikai értékrendje…”

„Annyit szeretnék elérni, hogy lehetőségeimhez képest minden esetből kihozzam a maximumot…” PORTRÉ

SZAT

ESETISMERTETÉS

fogászat iránt érdeklődő kollégák tájékoztatása a legújabb eredményekről…”

„A digitális tudomány legmagasabb szintjének Magyarországra történő irányításában sok lehetőséget látok…”

Vezérelt implantológia teljes házon belüli digitális folyamattal

ESETISMERTETÉS Komplex esetek multidiszciplináris megközelítéssel

történő ellátása

Nyomtatott magazinok 2023 / IV.ÉVFOLYAM–ÁR:2500FT ADENTALPRESSTEMATIKUSKIADVÁNYA
DIGITÁLIS
Katona József hogy túl nagy változások nem vár-demi fejleményt azonban már tárca (EMMI) felszámolásával azniszter portfóliójába került. Ezzel megszűnhetett az az áldatlan állapot az orvoskamara kifejezésével élve: „irányítási-igazodási válság” –, amiben az egészségügy járvány eleje óta őrlődött két tárca között. Igaz, sokan csalódtak, hogy az új kormányban sem lesz egészségügyi minisztérium. Őket friss ágazati egyik első megszólalásakor azzal vigasztalta, hogy az egészségügy érdekérvényesítő képességét nem az önálló minisztérium erősíti, hanem a miniszter személye.bilitás érzetét erősítheti, mivel őt „igen közelről”, az Országos Kórházi Főigazgatóság (OKFŐ) főigazgató-helyettesi székéből vette magakozásakor pedig azt hangsúlyozta: egészségügyben. Az első nagy léciklusban, most finomhangolásjövő szereposztásáról is: stratégioperatív végrehajtás az országos utóbbi poszton Jenei Zoltánnal indul óta tölti be hivatalt. Bemutatkozásakor azt jelezte az államtitkár: nyár közepéig elkészítik „stratégiai anyagaikat”, csak olyan megoldási javaslat kerülhet kormány elé, amit támogatnak szakmai szervezetek is. Így minden érdekelt reményekkel telve indulhatott nyaralni, bízva abban: számára is gyümölcsözően alakul majd az ágazat sorsa. A Magyar Orvosi Kamara (MOK) azonban semmit sem bízott a véletlenre. Amint felállt a kormány, egy 8 oldalas levélben részletezték belügyminiszter számára, hogy miben problémáit. Látleletükben egyebekutak szétzilálódtak, várakozási idők ellátások közel elérhetetlenné váltak,berhiány. Összességében úgy látják, hosszú, sem rövid távon nem tartszorgalmazták ajánlották hozzá a helyzet javítására egy, a 2011-es részletességű programot alkossanak. Az ellátási problémák nagyságának érzékeltetésére Kiss Zsolt Nemzeti Egészségbiztosítási Alapkezelő (NEAK) főigazgatója szolgált egészen meghökkentő adatokkal június elején. E szerint idén, az első negyedévben a kórházak közel negyedével, szakrendelők ötödével kevesebb beteget láttak el, mint a járvány előtti utolsó év megfelelő időszakában. A krónikus osztályok teljesítménye pedig korábbinak Mindez arra utal, hogy sok páciens be sem jut az ellátórendszerbe, kórházszövetség kongresszusának ma 19-31 százalékkal kapnak több indokolna. 3. oldal TUDOMÁNY ÉS KUTATÁS A fogászati implantológiát évtizedeken elérése vezérelte. kifejezés létrejöttét P. Branemarktól eredeztetik, aki elsőként írta le vitális csontszövet és vele kapcsolatba kerülő titániumból készült eszközök között megfigyelhető... GYAKORLÓ FOGORVOS AJÁNLJA Egy fogpótlás készítéséhez a fogorvos felpuhított viaszba haraptatja pácienst. harapás alapján készített fogpótlás nem csak fogak, a fogpótlás... IRÁNYVONALAK, ALKALMAZÁSOK A Cerec Accept programjának erőteljes szegmense status quo megvitatása. Mindannyian átéltük már, mindannyian éreztük már otthonosan magunkat benne. Velünk nyaralt a remény Új tanulmány szerint a nanorészecskék használata hatékonyabb módszer lehet a fogfehérítésre Anisha Hall Hoppe, Dental Tribune International A dél-koreai Sungkyunkwan Egyebizonyos típusú nanorészecskék lehetnek következő élenjáró megazért nem bíztak bennük, mert azkéről bebizonyosodott, hogy nem a fogfehérítést, és emellett antiremineralizációs tulajdonságokkalben alkalmazzák fogászatban, beleértve fogpótlást, helyreállító fogászatot és parodontológiát. A jelenleg klinikailag használt fogfehérítő szerek, mint például karbamid-peroxid és a hidrogén-peroxid, szabad gyökök keletkezése miatt potenciálisan kóros károsodást okozhatnak. Az áttekintés azt sugallja, hogy a nanorészecskék nemcsak akkor hasznosak, ha fehérítő termékekhez abrázió céljából adják őket, hanem fehérítőszerként alkalmazva még jobban működhetnek, mint meglévő termékek, mivel képesek elősegíteni remineralizációt, oxigénfajokat szabadítanak fel. A keletkező reaktív oxigénfajok oxid és az arany nanorészecskék nanorészecskék viszont hidroxiláttekintés beszámolt szerint hidrogén-perhatást fejtet ki, amikor arany nanorészecskéket használtak, valamint egy másik vizsgálatról, amely kimutatta, hogy az aranylata nem okozott biológiai problémákat vizsgált állatokban. A felülvizsgálat szerzői szerint szükség annak ellenőrzésére, hogy ezek nanorészecskék potenciálisan jelenthetnek-e toxicitási kockáA hosszú hullámhosszú fénnyel amelyről beszámoltak, azt sugallsza szén kompozitja jobb fehérítésiláltak nyilvánvaló toxicitást. Egy hanm-es diódalézerrel aktiválva egy amely titán-dioxid nanorészecskéket tartalmazott, ugyanolyan mértékű fehérítést biztosított, mint egy 35%-os hidrogén-peroxid-oldat. A csoport beszámolt hidroxiapatittal kapcsolatos kutatásról is, amelyről ismert, hogy fogak szilárdságát növeli azáltal, hogy apatitot ad demineralizált zománchoz. Az egyik tanulmány megállapította, hogy hidroxiapatit nanorészecskék fogkrém formájában javították fogak színét, egy másik pedig azt jelezte, hogy a hidroxiapatit nanorészecskéket tartalmazótonságosak. A tanulmány, amelynek címe: „Nanowhitening agents: Progress and perjúnius 15-i számában jelent meg, Forr s: www.dental-tribune.com Kép: Shutterstock/MarcinK3333 B 2022. - XViii é 3. szám The World‘s Dental Newspaper 2023 / XXVII. ÉVFOLYAM – 3. SZÁM A FOGÁSZAT INFORMÁCIÓS MAGAZINJA DENTAL HÍREK ÁRA:
GENERÁCIÓ
ÚJ
MED. DENT Modernizáció
mindennapi anyagtanban MED. DENT
az
O C H N 2023 / XX. ÉVFOLYAM – 3. SZÁM FOGTECHNIKA FOGTECHNIKUSOK SZAKMAI LAPJA ÁRA: 2500 FT A játszva tanulás ígérete – fémlemez készítése A fogtechnika generációkon átívelő tapasztalatával a XXI. századba CÍMLAPSZTORI Esztétikus harmónia az IPS e.max ZirCAD Prime segítségével LABORATÓRIUM Bemutatkozik a Dentendre fogtechnikai laboratórium LABORBEMUTATÓ LABORATÓRIUM Turnstr. 31 75228 Ispringen Germany Phone + -www.dentaurum.com info@dentaurum.com More information v myfirst ceramic inpaste Realisation and Photo: Christian Ferrari HU_2003_cM_One_Touch-No_Limits_Pink.indd 2023 / XX. ÉVFOLYAM – 2. SZÁM A DP HUNGARY TEMATIKUS KIADVÁNYA ÁRA: 2500 FT IMPLANTOLÓGIA INTERJÚ INTERJÚ INTERJÚ Az „arcszobrász" A PRF egyszerű és autológ technika, mely segít a sebészeknek a korai sebgyógyulás javításában KERESKEDELMI HÍREK Medentika premier Budapesten Még hatékonyabb és tartósabb rehabilitáció a páciensek életminőségének javítása érdekében Dental Hírek 4 szám/év Fogtechnika 4 szám/év Digitális Fogászat 1 szám/év Dental Tribune 4 szám/év Implantológia 3 szám/év bankkártyás fizetés esetén Szakkönyvek ajándékba! 2024-es éves, mind az öt magazinunkra történő előfizetés esetén választhat fogászati szakkönyveink közül egyet ajándékba 2024 DENTAL PRESS AKCIÓ!
a
Innováció
endodonciában
Tippek és trükkök a SWEEPS technológia alkalmazásához
magazinok 16 újság + 16 e-Journal 40%41 000 Ft helyett 25 000 Ft Az előfizetéshez kattintson IDE!
Online

„A TAPASZTALATAIM ALAPJÁN EGY KICSIT ÓVATOS VAGYOK…”

Életünk egy jelentős szakaszát együtt töltöttük el a Semmelweis Orvostudományi Egyetemen. Még 1979-ben kezdtem el az orvosképzés hatékonyságának vizsgálatát, és a következő húsz évben meg is maradtam ezen a területen. Te akkor, ha jól emlékszem, adjunktus voltál, de azóta - és ezt bátran

elmondhatjuk - a hazai implantológia egyik megkerülhetetlen alakja lettél. Divinyi Tamás professzor jelenlegi tevékenységét jól ismerjük, de arról keveset tudunk, miként is indult a te nem mindennapi pályafutásod és mostanáig hová érkeztél el?

Ha erről beszélgetünk, akkor ott kell kezdenem, hogyan lettem fogorvos. A Toldy Ferenc Gimnáziumban érettségiztem, Antall József, a későbbi miniszterelnök volt a történelem tanárom. Mindig jó tanuló voltam. Nem az a kifejezett „eminens”, inkább jó és jeles eredményeim voltak. Édesapám nyelvtanár volt, érthető tehát, ha inkább a nyelvek iránt érdeklődtem. Kifejezetten élvezetet találtam az idegen nyelvek tanulásában. Érettségi után ezért a Közgazdasági Egyetem „külker” szakára szerettem volna menni, de elriasztottak, hogy oda csak nagyon kevés embert vesznek fel. Én meg még KISZ tag sem voltam. Egy hirtelen ötlettől vezérelve jelentkeztem fogorvosnak, és azonnal fel is vettek! Szorgalmas voltam, rektori pályázatokat készítettem, nyelveket tanultam, jók voltak az eredményeim. Abban az időben, amikor én végeztem, még „osztották” az álláshelyeket. Behívtak a mindenható Dékáni Hivatalba, és meg-

kérdezték: „Hát, Divinyi elvtárs, hová akar menni?” Bicskét meg Budapestet választottam. Erre közölték: Csokonyavisontára megy! Egész életemben pesti fiú voltam, remegő hangon kérdeztem: Az hol van? Mutatták a térképen, valahol Somogy megyében. Nagyon bátortalanul kértem: nem lehetne kicsit közelebb? Összesúgtak, majd azt mondták, legyen Bakonycsernye! Ez legalább már egy kicsit közelebb volt Budapesthez. Odamentem, valóban egy nagyon kis falu volt a Bakonyban. A bemutatkozó látogatásom napján csak egy körtefa állt a telken, semmi más, és ez volt az én első álláshelyem! Megnyugtattak, lesz itt rendelő! Amúgy is jött a kötelező féléves katonai szolgálat. Mikor annak vége lett, előbb Székesfehérvárra kerültem, gyerekfogászatra. Naponta utaztam vonattal, oda meg vissza Pestről. Ám jó egy évvel a végzésem után, a Községi Tanács valóban felépítette a fogorvosi rendelőt. Készen volt a közművekkel fölszerelt épület, hozzá egy szoba, egy konyha meg egy garázs. Nagyon kedvesek voltak, azt mondták, ott fogorvos még nem volt soha, tehát úgy építették, hogy ott is akarjon maradni.

Akkor már nős voltam, a hétvégeket Pesten töltöttem, lementem-visszajöttem. Ami viszont a munkavégzést illeti, az akkori oktatási rendszer szerint, elméletben sokat tudtunk, de gyakorlati tapasztalatunk alig volt. Rögtön az elején olyan esetekkel akadtam össze, mint például betörött fogak, amilyeneket korábban még csak nem is láttam. Tetézte a gondot, hogy nekem kellett kiválasztani az asszisztensemet is. Szerencsére a falu körzeti orvosával rögtön összebarátkoztam, ő ajánlott egy igen rendes családot, volt egy Marika nevű lányuk. Természetesen betanítani is nekem kellett, és várt még egy másik feladat, fölszerelni az egész rendelőt! Azt mondták, vehetek, amit akarok, jó pénzt adtak hozzá, nem voltak szűkmarkúak, csak hát ilyet életemben még sosem csináltam!

Hogyan fogadtak az emberek a faluban?

Nagyon örültek, minden nap tele volt a rendelő. Olyannyira, hogy gyerekfogászatot is kellett nyitnom. Voltak kedves eseteim. A faluban sok volt a roma. Jött egy kisfiú, volt már pár szuvas foga, megkérdeztem: Mosol te fogat? Ritkán - volt a válasz -, mert hatan vagyunk testvérek és egy fogkefénk van. Javasoltam, legyen neki külön. Amikor legközelebb eljött, előhúzta a zsebéből az akkor kapható legnagyobb

8 e-Journal IMPLANTOLÓGIA

Közös kép az ÖGOI 1989. évi kongresszusáról. Balról jobbra: Divinyi docens, dr. Rauchmann, a társaság elnöke és dr. Pellech alelnök.

méretű fogkefét, mutatva, van már neki saját. Ez egy életre szóló sikerélmény maradt, és új lendületet is adott a szükség diktálta továbblépéshez. Elmentem Pesten egy barátomhoz, aki fogtechnikus is volt, megtanultam nála a fogtechnika alapjait, fogsorokat tudtam készíteni. Felépítettem magamnak a fogtechnikai labort.

Voltak természetesen problémák is. Ez a falu Fejér- és Komárom megye határán volt, a TB viszont csak Fejér megyére szólt. Amikor elterjedt a híre, hogy itt fogorvos van, a „piacnapokon” a közeli falvakból is jöttek páciensek. Így aztán ők „maszekba” jártak hozzám, főleg, amikor már egyszerűbb fogsorokat is csináltam. Annyit dolgoztam, hogy szinte már járni is alig tudtam. A rendelés után a fogtechnika még napi 10-12 órát jelentett! Igaz, másfél év után megvettem az első Skoda MB 1000 autót, és azzal hétvégenként már könnyen tudtam Pestre járni. Teljesen magamra voltam utalva, de ez rendkívül nagy iskola volt! Az alapvető dolgokat a saját káromon, no meg - valljuk be – a páciensek kárán kellett megtanulni! Közben a nyelvekben is folyamatosan képeztem magam. Itt voltam négy évig.

Ezt követően kerültél Budapestre?

Igen. 1970-ben Berényi Béla professzor kiválasztott, hogy jöjjek ide, az egyetemre, nekem már három nyelvvizsgám volt. Angol felsőfokú, német és orosz középfokú. Tudomásom szerint akkor az egész Semmelweis Egyetemen senkinek nem volt három nyelvvizsgája. Ez hasznomra is vált, mert ekkortájt kezdett eljutni hozzánk a külföldi szakirodalom, mehettünk kongresszusokra, a nyelvtudás tehát nagyon nagy dolog volt! Lázasan olvastam, sok információt gyűjtöttem, sokat köszönhetek a nyelvismeretnek. Elindultam fölfelé a „szamárlétrán”. Berényi professzornak hálás vagyok. Ő azt tette, amit ma menedzser típusú vezetőnek nevezünk. Támogatta az emberei előre jutását, és ez rendkívüli módon inspirált. A Szájsebészeti és Fogászati Klinikán végül 42 évet töltöttem el. Az oktatás szinte a szenvedélyemmé vált. Ma is nagyon szeretek oktatni, előadásokat szerkeszteni, orvosi problémákat egyszerűsítve átadni a hallgatóknak. Ennek a szenvedélynek a kialakulása nem volt olyan egyszerű. Emlékszem, amikor Berényi professzor, mint fiatal oktatót megbízott tantermi előadás tartásával, az izgalomtól „köpni, nyelni” nem tudtam. Szorongva, de nagyon felkészülten mentem a tanterembe és örültem, ha

Dr. Robert Streel átnyújtja az EUCID (European Union of Clinicians in Implant Dentistry) társaság díszoklevelét (1989 október).

túl vagyok az egészen. Így ment ez még néhány alkalommal. Aztán egyszer a hallgatókra is figyelni kezdtem. Láttam a szemüket, az arckifejezésüket, és az érdeklődést az iránt, amit mondok. Ez megváltoztatott mindent! Már nem izgultam többé, és mindig ezeket az érdeklődő arcokat szerettem volna látni.

Közben a klinika tanulmányi felelőse voltam vagy tíz évig, és a szájsebészet mai kurrikulumának órai összeállítását is én csináltam meg. A nyolcvanas évek elején az NDK-ban voltam hallgatókkal tanulmányúton, és ott már mutogattak alumíniumoxid biokerámiát.

„Csodálkozva

néztük, de nem sokkal utána 1984ben Vajdovich István, szentesi szájsebész főorvos idejött a klinikára – mi ketten szinte „forradalmat” csináltunk –, mert felajánlotta az igazgatónak, Szabó professzornak, hogy az akkor már nálunk is gyártott biokerámia implantátum klinikai kipróbálásában működjünk együtt.

9 VII. ÉVFOLYAM – 2024. 4. SZÁM

1993-ban Georg Watzek professzor átveszi a tiszteletbeli tagságot jelentő oklevelet.

Ő volt az első, aki ezt Magyarországon alkalmazta. Jöttek a hírek a csontintegrációról, az új, modern implantológiáról, Szabó professzor viszont, aki maxillo-faciális szájsebész, nem nagyon foglalkozott ezzel. Hát persze, hogy a „lelkes, fiatal oktatót”, Divinyi doktort bízta meg az együttműködéssel.

El is kezdtünk a biokerámiával dolgozni, Bécsbe jártunk előadást tartani erről, a munkánk rendkívüli újdonság volt. Ahogy közeledtünk a kilencvenes évekhez, a rendszerváltáshoz, minden nagyon nyitott kezdett lenni. Már tudtunk arról, hogy az alumíniumoxid mellett megjelentek a titánból készült, majd a másfajta implantátumok is, egyre többféle. Ez egészen különleges időszaknak bizonyult. A nyolcvanas évek végétől a kilencvenes évek közepéig a magyar implantológia nagy fejlődési szakasza játszódott le. Tömegével jöttek be az országba a különböző cégek. Ekkortájt, itt a klinikán, a munkatársaimmal tizennyolc különböző implantációs rendszert próbáltunk ki. Megindult a szervezés is, próbáltuk a „tiszta” implantológiát megteremteni. Igazi eufórikus időszak volt, a fogorvosok azt nézték, hogyan tudnak minél több újdonságot magukba szívni, megtanulni. Még 1989-ben megalapítottuk a Magyar Fogorvosok Implantológiai Társaságát, én lehettem a szerencsés, az első elnöke, majd egyfolytában három cikluson keresztül, kilenc évig. Hatalmas érdeklődés mellett folyt a képzés, a továbbképzés. Itt az egyetemen is eléggé különleges helyet foglaltunk el. Az alapfokú fogorvosképzésbe 1994-ben - tudomásom szerint Európában elsőnek - került be a fogászati implantológia, mint speciálkollégium. Még ebben az évben megjelent az első fogászati implantológia könyvem is, hamarabb, mint az akkor esedékes szájsebészeti tankönyv! A második könyvem, bővített formában 1998-ban jelent meg. Gyorsan elkapkodták, mert ilyen tematikus, továbbképzésre is alkalmas könyv nem volt Magyarországon. Ennek a két könyvnek én voltam a szerzője, de később a munkatársaimmal közösen szerkesztettük a 2002-ben megjelent „Implantációs fogpótlások a fogorvosi gyakorlatban”, és az 2007-ben kiadott „Orális implantológia” tankönyvet. Jelentős ez talán azért is, mert az oktatásban - általában - fontosnak tartom a magyar nyelvet. Meg vagyunk fertőzve az idegen szakvakkal, a szakterületünkön ren -

1997-ben Axel Kirsch professzorral, a Budapesti Szájsebészeti Klinikán a tiszteletbeli tagságot jelentő oklevél átadásakor.

geteg angol, német szót hallunk. Pedig ha odafigyelünk, a legtöbb esetben szép, nagyon kifejező magyar szavakat használhatnánk. Mindig azt próbálom elmagyarázni a kollégáknak és a hallgatóknak, hogy ha lehet, egy nyelven beszéljünk! Ha megszokunk egy szakmai zsargont, és azon szeretnénk elmagyarázni a betegnek, hogy milyen kezelés vár rá, nem fog érteni belőle semmit. Egy közleményben inkább van helye a latin vagy más szavaknak, de a magyar nyelvben szép és pontos kifejezések vannak. A nyelvhasználatra kényes vagyok, és igyekszem a fiatal kollégákba sulykolni, hogy erre vigyázzanak!

Itt kell beszélnem arról - amire szintén nagyon büszke vagyok - a továbbképzésről. A kilencvenes évek közepén, a Semmelweis Egyetem Fogorvostudományi Karán nem volt továbbképzés. Amikor a könyveim megjelentek, mi szerveztünk - méghozzá sok száz résztvevővel - először fogorvosi továbbképzést. Sajnos ekkor jött a baj: a Bokros-csomag. Nagyon visszafogott minket. Az egyetemek finanszírozását csökkentették, szakkönyveket nem vehettünk, alig jutottunk információhoz. Korábban volt egy idő, amikor úgy hittük, hogy Európa élvonalához tartozunk. Mire a kilencvenes évek végén ismét kijutottunk, szégyenkezve vettük tudomásul, hogy a világ elment mellettünk. Internet akkor még nem volt, a lemaradásunkat nem tudtuk behozni, illetve csak egy ponton, az oktatásban. A kezdettől (1994) a Fogpótlástani Klinikán dolgozó kollégákkal - Kádár Lászlóval, Somogyi Endrével - közösen alakítottunk egy implantológiai konzultációs fórumot, ahol rendszeresen összejöttünk, betegeket néztünk meg, elemeztük az eseteket. Eljárási módokat dolgoztunk ki, próbáltunk napra-készek lenni az oktatásban. Az implantológia a kezdeti speciálkollégiumból bekerült a tantárgyba, most pedig már teljesen önálló, kétszemeszteres, szigorlattal végződő tárgy lett. Ez nagy eredmény, amit a külföldi hallgatók különösen értékelnek, mert az alapoktatásban sehol Európában nem kapnak ilyen mennyiségben implantológiai ismereteket. Ez máshol inkább a posztgraduális képzés része. Tőlünk úgy mennek el a végzett hallgatók, hogy a szaktárgy elméleti ismereteit jól tudják, és bizonyos gyakorlatuk is van. Jól bejáratott rendszert hagytam itt, amikor 2016-ban nyugdíjba mentem.

10 e-Journal IMPLANTOLÓGIA

Nincs több vezeték

Vezetékektől mentes, a szkennelés bármilyen szögben kényelmes. Az approximális területek könnyedén, korlátok nélkül szkennelhetők.

Gyors és pontos

Akár 70 FPS szkennelési sebesség. Megtapasztalhatja a Medit legkelendőbb modelljének elképesztően egyenletes és gyors szkennelési teljesítményét. Élvezze az i700w gyors sebességét vezeték nélkül, hibátlanul.

Ügyfélszolgálat

Cégünk személyreszabott kurzusokat, ingyenes ügyfélszolgálatot, távszervizt és cseredarabot kínál felhasználóink számára

Hosszú üzemidő, mégis könnyű Kiemelkedő akkumulátoros üzemidő, a hosszantartó szkennelésekhez az Ön kényelme érdekében.

Erőteljes hardver találkozik a sokoldalú szoftverrel

Kényelemre optimalizálva. Nemcsak hardveres szempontból, hanem szoftveresen is. Az i700w vezeték nélküli szkenner a MEDIT legújabb technológiáit tartalmazza.

9400 Sopron, Faller Jenő u. 5 | Tel.: 99/508-698 | Fax: 99/508-696 iroda@dentalplus.hu | www.dentalplus.hu BCW Irodaház . 1113 Budapest, Nagyszőlős u. 11-15. / I. emelet (Budapesti bemutatótermünkben előzetes egyeztetés alapján tudjuk fogadni Önöket!) 70 FPS

De ebben az évben még megjelent egy fontos könyved is. Valóban, nevezhetjük talán fogászattörténeti könyvnek, címe: „A fogászati implantológia története Magyarországon”, és megjelenésének sajátos indoka van. Még 2014ben megalakult a Semmelweis Egyetemen a Fogászattörténeti Társaság. A vezetője, dr. Forrai Judit professzor asszony felkért, hogy tartsak egy előadást az implantológia történetéről. Az ő javaslata volt, hogy az előadás anyagát publikálni kellene. Jött a felismerés, hogy a fogászati implantológia története rendkívül érdekes dolog, mert az egész fogorvostudomány területén nem volt még egy ilyen méretű fejlődés. Szinte „forradalom”, ahogyan - a semmiből - betört a fogászatba! Tény, hogy ennek a folyamatnak az egyik legbelsőbb szemlélője voltam. A kezdetekkor nekem, mint egyetemi dolgozónak, hatalmas lehetőségeim voltak, az egész fejlődés aktív résztvevője lehettem. Nos, ebből született az ötlet és erősödött meg az elhatározás, hogy nekem ezt az egész történetet meg kellene írnom! Ráadásul hamar felmerült annak a veszélye, hogy ez a szakterület a fiatal fogorvosok figyelmét a gyors pénzkereset irányába terelheti. Ezért alakult meg előbb a Magyar Fogorvosok Egyesületén belül a Magyar Fogorvosok Implantológiai Szekciója. Kilenc évig voltam az elnöke. Oktatási protokollokat, hatalmas érdeklődéssel kísért tanfolyamokat, kongresszusokat, szakmai bemutatókat szerveztünk, elsősorban az egyetemünk bázisán, de tartottuk a kapcsolatot a vidéki kollégákkal is. Nagyon sikeres, 9 alkalomból álló implantológia tanfolyam-sorozat vezetője vagyok ma is, jelenleg már 99 oktató részvételével. Azon igyekeztünk, hogy az implantáció olcsón elérhető, közkincs legyen. Sajnos ezt nem igazán sikerült megvalósítani!

Elég, ha körülnézünk a nyugati határszélünkön, minden faluban legalább öt fogorvos lesi az Ausztriából vagy távolabbról érkező betegeket.

Az Európai Unióhoz csatlakozásunk azzal jár, hogy az árak is kiegyenlítődnek. Az árelőnyünk lassan megszűnik. Persze a digitális fogászat ebben már nagyon sok segítséget ad.

A most divatos „azonnali terhelés” is csak egy lehetőség, aminek még bizonyos kockázatai vannak, és nagyon sok tényezőtől függ. Az implantátumon keresztül a csontra ható rágóerőt minimalizálni kell, hogy a csont gyógyulását ne zavarja meg. Csak egy implantátum behelyezésekor ez nehéz, többnél már jobban megvalósítható. Ez pedig etikai kérdés is, és vajon a pácienseket erről fölvilágosítják? Láttam esetet, amikor az alsó állcsontba átültetett csont három hónap után felszívódott! A korom és a tapasztalataim alapján egy kicsit óvatos vagyok. A magánrendeléseimben is már csak olyan eseteket vállalok, amelyekről tudom, hogy biztosan sikeresek lesznek.

Tevékenyen jelen voltál, amikor a fogorvoslás robbanásszerű fejlődésbe kezdett, megjelent az implantáció, ma pedig már a mesterséges intelligencia felhasználásánál tartunk. Hogyan látod a jövőt?

A sztomatológia szakágakra bomlása még Balogh Károly idejében kezdődött. Van szájsebészet, konzerváló fogászat, protetika, parodontológia, szájbetegségek, fogszabályozás és gyerekfogászat. Ha az egészet összehasonlítjuk, mondjuk az általános medicinával, ott is van a belgyógyászatban kardiológus, hematológus, gasztroenterológus. A fogászat specializációját az egyetemi oktatás, és az egyes területek gyors fejlődése hozta létre. Szeretném azonban azt hinni, hogy az orvoslásban a sztomatológia, mint egységes tudományterület állná meg leginkább a helyét.

A jövő fejlődésében döntő lehet szerintem az implantátumok felületi anyagösszetételének a fejlesztése. Különböző bioanyagokat lehet a felületre felvinni, ezzel növelni a csontintegráció mértékét. A csontpótló eljárások előtt is nagy jövő áll. A páciens saját véréből is lehet már olyan anyagokat nyerni, amelyek serkentik az új csont képződését. A digitális fogászatnak már nem tudom hol a vége, ide is belép majd a mesterséges intelligencia, ám én még egy kicsit visszafogottabb vagyok.

A medicinális eljárásokat kissé filozofikusabban szemlélem, őrzöm a szakma szépségét!

17 éves korom óta szenvedélyesen síeltem. Sajnos már nem, de a horgászat még megmaradt.

12 e-Journal IMPLANTOLÓGIA

I. CALLUS USER MEETING

ÉS BARÁTI TALÁLKOZÓ

Tapasztalatcserén túl a LOVAKKAL is NYERHET !

2024. szeptember 21. szombat KINCSEM PARK BUDAPEST

callusimplants. hu

KEDVES FELHASZNÁLÓK!

Szeretettel várjuk egy izgalmas és interaktív felhasználói találkozóra, ahol lehetőségük lesz megosztani érdekes eseteiket és tapasztalataikat.

2 izgalmas előadás

10 előadó, 10 érdekes CALLUS eset prezentációja és elemzése

Lóversenyfogadás

Baráti borvacsora

RÉSZLETEK:

https://bit.ly/3vM7M9M

NO LIM ITS Go DIGITAL with Callus Im plants!

Dr. Gáspár Lajos

RÖVID ÉS KESKENY IMPLANTÁTUMOK AKTUÁLIS KONSZENZUS KÉRDÉSEI

A XXI. század fogászatának egyik legdinamikusabban fejlődő ágazata a fogászati implantológia, napról napra újabb és újabb kérdéseket, kihívásokat jelent, melyekre újabb és újabb, ma már konszenzuson alapuló válaszok születnek. Ezek nagyban segítik a gyakorló orvosokat a helyes és biztonságos megoldások kiválasztásában, a rizikó csökkentésében, továbbá a kiszámítható, minél kevésbé invazív eljárások alkalmazásában. Ez az iránymutatás és ezek megerősítése meghatározó jelentőségű a szakma fejlődése és tudományos megalapozottsága szempontjából.

1. ábra: Dr. Jung 10 éves kontrollal rendelkező 4.7-es helyén levő Dentium short implantációja. Preoperativ CT, ínyformázó 4 hónappal a műtét után, valamint 4 hónap múlva 4.7-es szólókorona.

Az USA-ban működő Global Market Insights Inc. az egész világra kiterjedő felmérései szerint (https://www.gminsights.com/ industry-analysis/dental-implants-market) évi 6,5%-os forgalomnövekedés tapasztalható a fogászati implantológiában a világpiacon, és 15 év alatt a forgalom a duplájára nőtt. Az implantológia világpiaci, fontosabb tényezőinek vizsgálata során elemezték a gyökér formájú vagy a párhuzamos, a titán- vagy a cirkonimplantátumokat. A végfelhasználás kórházakban, magánklinikákon vagy egyéb helyen történik. Mindezt minden földrészen elemzik. Megállapították, hogy 2018–2022 között a titánimplantátumok forgalma 24%-kal, a cirkonok 27%-kal növekedett. 80% titán és 20% cirkon a jelenlegi felhasználás aránya. A gyökér formájúak forgalma 21%-kal, a párhuzamos falúaké 29%-kal növekedett. Jelenleg 80%-ban gyökér formájút, 20%-ban parallelt használnak. Az implantátumok végfelhasználása elsősorban magánklinikákon történik. A Biomaterial Research 2022. évi 26. számában „Worldwide patent landscape of dental implant technology” című cikkükben Woo Jin Kim és mtsai. arról számolnak be szakfolyóiratok széles körű analízise alapján, hogy 2000–2020 közötti 20 év alatt a levédett

fogászati implantológiai találmányok számában, országonként vizsgálva: 1. USA; 2. Korea; 3. Kína; 4. Németország; 5. Japán sorrend figyelhető meg. Megállapítják továbbá, hogy Kínában és Koreában jóval nagyobb arányban alkalmazzák az újabb technológiákat, mint akár az USA-ban, akár Németországban.

Ismert tény, hogy Magyarországon – a környező országokhoz hasonlítva – az egy lakosra számított implantáció értéke magas, ugyanakkor gazdasági problémák és erősödő versenyhelyzet van a rendelők között (ígéretek? árak? megoldások? vélemények?). A páciensek elvárásai mennyire reálisak? Jelentős része mindenáron fix hídpótlást szeretne, azonnali terheléssel, rövid idő alatt. Hol a szakmai kompromisszumok határa?

A betegek igényei, magas szintű elvárásai sokszor ellentétben állnak jelenlegi fogazati státuszukkal, szájhigiéniájukkal. Páci-

2. ábra: Dr. Park esete. 4.6-os fogon levő jelentős csontfelritkulás röntgenképe, extractio és iGBR alkalmazása Osteon Xenoval. 4 hónap múlva Dentium short implantátum, majd 4 hónap múlva korona készítése.

14 e-Journal IMPLANTOLÓGIA

ensek helyes kiválasztása, gondos előkészítése, együttműködésének kialakítása, folyamatok megértése nélkül a rizikók sora jelentkezik. Az egyik jelentős problémakör a megfelelő csontkínálat kérdése, a másik pedig a szakmai szabályok és konszenzuson alapuló ajánlások betartása.

A páciensek jelentős része nem elegendő csonttal rendelkezik, ugyanakkor mindenáron fix pótlást szeretne. Sokan elzárkóznak a hagyományos megoldást jelentő csontpótlástól, és napról napra felmerül a kérdés: milyen feltételek között lehetséges bizonyos szempontból a csontpótlás alternatívájaként jelentkező rövid és keskeny implantátumokkal megoldani a csonthiányos eseteket?

Ezt az igen aktuális témakört tűzte napirendre 2023. október 29-én Dél-Koreában, Szöulban a COEX-ben „Short and Narrow Consensus” címmel a Dentium cég szervezésében megrendezett nemzetközi implantológiai szimpózium, melyen az egész világról 1500 fogorvos vett részt.

A konferencián elsőként a Szöuli Egyetem Professzora, Kim Sung Tae „Consensus Guidline for management of Deficient Alveolar Ridge” címmel tartott előadást. Felvetette számos eset bemutatásán keresztül a grafttal vagy graft nélküli megoldások dilemmáját, pró és kontra érveket, és hogy miként lehetséges az eredmények optimalizálása, továbbá a rizikó minimálisra csökkentése.

Az esetek jelentős részében, ahol a csonthiány mértéke egy határt már meghalad, megállapította, hogy a rövid és keskeny implantátumok kiváló alkalmazhatósága ellenére csak graftok alkalmazása teszi lehetővé az implantátumok biztonságos behelyezését.

Dr. Jerry Lin, a Harvard parodontológusa a rövid implantátumok rizikókérdéseivel foglalkozott. Kiemelte, hogy az implantológia létezése óta folyamatos törekvés a komplikációk csökkentése, a minimál invazivitás, a betegek diszkomfortjának a csökkentése. Ebben a short implantátumok új fontos szerepre tettek szert. A múltban a 10 mm-es és annál hosszabb implantátumok alkalmazása terjedt el elsősorban. A „Minél hosszabb, annál jobb” elvet követték. Majd megjelentek a 8 mm-es és az ennél rövidebb, short implantátumok, később a 6 mm-nél is rövidebb, ultrashort műgyökerek. Megfelelő átmérő esetén – lehetőleg 5 mm-es vagy annál nagyobb átmérővel – a rövid implantátumok alkalmazása ma már elfogadottá vált és szakmailag bevált eljárásnak tekinthető. Új szemlélet elterjedésének és elfogadásának lehetünk a tanúi.

Prof. Jung Ui Won szöuli parodontológus a rövid implantátumok rizikómenedzselésével foglalkozott előadásában. Eseteket mutatott be 10 éves követéssel, ahol rendkívül alacsony csontkínálat mellett tudott sikeresen short megoldást találni.

Dr. Park Jung Chul, a szöuli Katolikus Egyetem előadója a páciens és orvos-barát megoldásként alkalmazott, nyitott gyógyulású iGBR technikával foglalkozott. Egyik esetében a jobb alsó 6-os fogon periapicalis léziót mutatott be, majd extractio, iGBR alkalmazása, és 4 hónappal később implantáció, továbbá korona készítése történt.

Park doktor előadásának második részében a súlyos, csonthiányos állapotok Dentium Osteon Xeno csontpótló alkalmazásával szerzett tapasztalatairól számolt be. Megállapította, annak ellenére, hogy rendkívül kedvezőek a tapasztalatok a rövid és keskeny implantátumokkal, egyre szélesebb körben alkalmazhatóak, nem lehetséges minden eset megoldása ezekkel, mert nem csodaszerről van szó. Nem lehetséges sok esetben

3. ábra: Dr. Han esete. 2.4-2.5-2.6 lokalizációban keskeny gerinc. Csontpótlás Osteon Xeno- val, majd 4 hónap múlva 3 db Dentium short implantátum behelyezése. 4 hónappal később protetikai munka.

15 VII. ÉVFOLYAM – 2024. 4. SZÁM

4. ábra: Dr. Chung esete. Short implantátumok 10 éves kontrollja a 4.7 és 1.6-1.7 lokalizációban.

5. ábra: Dr. Chun esete. Dentium Narrow implantátumok és azok protetikai ellátása 4 hónappal a beültetést követően.

6. ábra: Dr. Lim esete. Dentium Narrow implantátumok a felső állcsonton, guide tervezés, ideiglenes hídpótlás azonnali terheléssel, majd 4 hónappal később végleges protetikai ellátás.

csontpótlás nélkül a jó megoldás. A konszenzusos elveket be kell tartani.

Dr. Han Seung Min szöuli parodontológus szintén csonthiányos esetek Osteon Xeno-val történő sikeres rekonstrukciójáról és short implantátumokkal történő megoldásáról számolt be.

A Dentium cég elnöke, dr. Chung Sung Min a „Minimalizmus rövid és keskeny implantátumokkal” címmel tartott előadást. Kiemelte, hogy mind az alsó, mind a felső állcsonton elsősorban a moláris régióban találkozunk alacsony gerinccel, ahol a short implantátumok ma már igazoltan jó, biztos és bevált megoldást jelentenek. Ezzel már több mint 10 éves tapasztalatok állnak rendelkezésre, és konszenzus alakult ki az alkalmazásuk feltételeiről, melyben az ITI nemzetközi ajánlásait tartja a Dentium is követendőnek.

Dr. Chun hangsúlyozta a felső és alsó frontterület gyakori keskeny gerincét, ahol kedvezően alkalmazhatóak a keskeny implantátumok.

Dr. Chun kiemelte, hogy a rövid és keskeny implantátumok alkalmazása ma már forradalmasította az implantológiát, és újragondolásra késztette a klasszikus definíciókat. Fontos minden esetben a könnyebb, egyszerűbb, biztonságosabb, költséghatékony megoldások keresése. A Dentium implantátumok

7. ábra: Dr. Byun esete. Keskeny állcsontgerinc a jobb alsó és mindkét oldali felső laterális régióban. Implantáció Dentium Narrow implantátumokkal, majd 4 hónap múlva protetikai ellátás.

16 e-Journal IMPLANTOLÓGIA

A-dec 500

Prémium kategóriás alsó/felső karos kezelőegység

DELUXE vezérlés, 8+4 LED páciens lámpa, NSK NLZ LED-es mikromotor

2003 ÓTA FOLYAMATOSAN ELNYERTE A LEGJOBB KEZELŐEGYSÉG FŐDÍJAT

5 É V

Csak az a gyártó ad 5 év garanciát a termékére, aki biztos a gyártmánya minőségében

www.a-dec.com/virtual-tour

A-dec/NSK elektromos, nyomaték szabályozott LED-es, ENDO funkciós mikromotor, rpm 100-40000

Az A-dec kezelőegységek szervizeléséhez a vételár mindössze átlagosan 1,97%-át teszi ki az évente vásárolt alkatrész. Ebben az A-dec páratlan.

A-dec 230

Felsőkaros kezelőegység, DELUXE vezérlés, 8+4 LED vagy 4 LED páciens lámpa, NSK NLZ LED-es mikromotor

A-dec 200

Kompakt alsókaros kezelőegység DELUXE vezérlés, 8+4 LED vagy 4 LED páciens lámpa, NSK NLZ LED-es mikromotor

ÚJ MEGKÖZELÍTÉS! Dr. Faluhelyi Péter egynapos ergonomiai tréningje – ajándék a gép mellé
www.dent-east.hu
GARANCIA
KAVOSZ SZÉCHÉNYI MAX lízing, 5%-os fix kamatozással, kevés mellékköltséggel már csak június közepéig vehető igénybe. Ügyintézést biztosítunk.
ma megvehetsz, ne halaszd holnapra” Keressen bennünket! Telefon: 06 20 943 8109 • 06 20 929 0701 • 06 20 922 8508 E-mail: mail@dent-east.com
„Amit

fejlesztése az ITI irányelvek figyelembevételével történik, és mind a rövid, mind a keskeny implantátumok területén lehetőséget nyújtanak ezek biztonságos alkalmazására.

Dr. Lim Sang Chui, a Szöuli Egyetem parodontológusa előadásában a digitálisan, guide segítségével keskeny gerincbe történő implantáció módszerét mutatta be. Elmondta, hogy világszerte elfogadott a minimálisan invazív módszerek alkalmazása, és különösen a keskeny állcsontgerinc esetén nagy jelentősége van a guide módszernek.

Dr. Ha-Kien Oon a szájsebész társaság elnöke, a malajziai egyetemről „Tényleg számít a méret?” című előadását a Branemark által megfogalmazott elvek elemzésével kezdte. A fejlődés új elemeket hozott, így az azonnali implantációt, a bicorticalis elhelyezést, a protetika által vezérelt behelyezést. Ezek egyre minimálisabb invazivitáshoz, egyre nagyobb kiszámíthatósághoz vezettek, és egyre többet értünk meg az emberi szervezet és az implantátumok kapcsolatából. Felmerül a kérdés, hogy milyen tényezők figyelembevételével döntünk az implantátumok méretének meghatározásakor? A körültekintő diagnosztika és a konszenzuson alapuló irányelvek segítségével a méretválasztásban ma már sok segítséget kapnak az implantológusok. Javasolja, hogy az ITI konszenzus ajánlásait vegyék figyelembe.

Prof. Byun Soo Hvan, a Szöuli Egyetem szájsebésze „A minimal GBR technika alkalmazása keskeny implantátumok esetén” témakörben tartott előadást.

Kiemelte, hogy mind a rövid, mind a keskeny implantátumok alkalmazása sok esetben elkerülhetővé teszi a betegek számára megterhelő és időben elhúzódó csontpótlásokat. Beszámolójában a Dentium Bright tissue level keskeny implantátumok alkalmazásával szerzett kedvező tapasztalatait ismertette.

Dr. Chang Dong Wook előadásában a keskeny gerinc esetén előforduló különböző megoldásokról szólt. A keskeny implantátumok alkalmazása augmentációval együtt, megfelelő gyakorlattal jó megoldás.

Prof. Daniel Thoma (Zürich) előadásában az alábbi kérdésekkel foglalkozott:

Hogyan változtatták meg a rövid implantátumok a klinikai koncepciót, és miként oldják meg a csonthiányos helyzetet? Mind a mandibula, mind a maxilla posterior régiójában gyakran találkozunk alacsony alveoláris gerinccel. Ilyenkor a hagyományos eljárások során csak csontpótlással együtt lehetséges implantátumokat behelyezni.

Ma már 5-10 éves tapasztalatok állnak rendelkezésre, hogy ilyenkor a short implantátumokkal az esetek jelentős részét csontpótlás nélkül is sikeresen meg lehet oldani. Ezzel mind időben, költségben, rizikóban, postoperatív szövődményekben kedvezőbb megoldást találhatunk. Az utóbbi évek tapasztalatai a megfelelő terhelést is megengedik a kellő számú és átmérőjű short implantátumok esetében. A short implantátumok megfelelő indikáció esetén egyenértékűnek minősíthetők a „normál” hosszúságúakkal.

A Dentium mind a rövid, mind pedig a keskeny implantátumok tekintetében megfelelő méretválasztékkal rendelkezik. Széles körű, 5-10 éves irodalmi tapasztalatok bizonyítják, hogy a 8 mm-es és annál rövidebb short, valamint a 6 mm-es és annál rövidebb ultrashort implantátumok sikerességi aránya nem tér el jelentősen az előző időszakban standardnak számított 10 mm hosszúságú, vagy annál hosszabb implantátumokétól. Fontos szempont a megfelelő felületkezelés, valamint a lehetőség szerinti nagyobb átmérőjű műgyökerek, továbbá a terhelésnek megfelelő darabszám alkalmazása. Akár pótolandó

8. ábra: Dr. Chang esete. 2.4-es fog helyén keskeny gerinc. Csontpótlással együtt Dentium Narrow implantátum behelyezése. 4 hónap múlva korona készítése.

foganként 1-1 implantátum is alkalmazható. Ezzel az esetek jelentős részében vagy elkerülhető a csontpótlás, vagy ha mégis csontpótlással együtt alkalmazzuk őket, akkor egyszerűsödik az eljárás, és csökkennek a rizikótényezők. A short implantátumok a konszenzus szerint egyenértékűek a „normál” méretű implantátumokkal.

A keskeny implantátumok a 3,75 mm-es átmérőnél kisebb átmérőjűek. Ezek alkalmazása esetén fontos a felületkezelés, a megfelelő hosszúság, az implantátum anyagának kellő szilárdsága, az implantátumok számának meghatározása a kellő teherviselő képességhez. Az esetek nagy részében nem szükséges csontpótlás, de nagyon vékony állcsontgerinc előfordulásakor kiegészíthető az eljárás augmentációval. Az implantáció sikerességét keskeny gerinc esetén guide technikával tovább lehet javítani.

A Short and Narrow konszenzus szimpózium előadói Szöulban hangsúlyozták, hogy egyetértenek az ITI módszertani ajánlásaival, azokat igazoltnak tartják, alátámasztják saját tapasztalataikkal, és javasolják a résztvevők részére ezek figyelembevételét mind az implantációs tervezésben, mind a sebészi eljárásokban és a protetikai munkákban egyaránt.

18 e-Journal IMPLANTOLÓGIA

QUO VADIS FOGÁSZAT?

Miközben a fogászatban felgyorsult a technológiai fejlődés, a rágószerv funkcionális zavarára (craniomandibuláris diszfunkció), gyógyítására és megelőzésére nem születtek érdemi válaszok.

Ezt a hiányt igyekszem pótolni A FIATALÍTÁS FOGÁSZATI KEZELÉSSEL című digitális könyvemmel.

Ötven éves kutatómunkám és gyakorlati tapasztalatom azt mutatja, hogy a sikertelen fogászati kezelések leggyakoribb oka a hibás harapás okozta ízületi fej kényszerhelyzet.

Az állkapocsízület kezelése tipikusan a legkevésbé értett téma, mégis remélem, hogy könyvem elolvasása után összeáll a puzzle-kép és Ön megkapja a kulcsot az eredményesebb gyógyításhoz.

Tartalom:

1. fejezet Bevezetés

2. fejezet A harapás tudományának története

3. fejezet Élettani és anatómiai összefüggések

4. fejezet Rutin fogászati gyakorlat

5. fejezet Az általam végzett gyakorlat

6. fejezet A harapás mérése

Rendelje meg A FIATALÍTÁS FOGÁSZATI KEZELÉSSEL című digitális könyvet! Ára: 18 000 Ft Dr. Fehér Tibor (Centrocc Professional)

7. fejezet Mechanikus axiográfia

8. fejezet Becsiszolás

9. fejezet A megfiatalítás esztétikai feltétele

10. fejezet Még néhány gondolat

11. fejezet Magamról

12. fejezet Utószó Függelék

A Centrocc-módszer gyakorlata

A könyv megvásárolható www.dental.hu webshopjában. +36-30-472-0030, info@dental.hu

PERIIMPLANTÁRIS CSONTDEFEKTUSOK

MINIMÁLINVAZÍV REKONSTRUKCIÓJA

ÉS AUGMENTÁCIÓJA AUTOLÓG CSONTTAL

Az alveoláris gerincdefektusok ún. autológ csontmag technikával történő augmentációjának egyik alapvető feltétele a kíméletes preparáció és csontgyűjtés minimálinvazív trepánfúrókkal. Ahhoz, hogy a lehető legtöbb csontot nyerjük, az előfúrást egy kétrészes trepánnal végezzük. A technika előnye, hogy nincs külön donorterület, így csökken a morbiditás, a kezelés időtartama, és nincs szükség idegen szövetpótló anyagok vagy membránok használatára sem. Mivel a csontmag technika saját csont felhasználásán alapszik, magas oszteokonduktív, oszteoinduktív és oszteogenetikus potenciállal bír.

Az autológ csontgraft előnyös biológiai tulajdonságainak köszönhetően a mai napig „arany standardnak” számít az implantológiában.

A reménytelen fogak és implantátumok eltávolítása olyan felszívódási folyamatokat indít el a csontban, amelyek szignifikánsan ronthatják a terület jövőbeni „implantálhatóságát”. Az elveszett lágy- és keményszöveteket gyakran helyre kell állítani, hogy az esztétikai, protetikai és funkcionális követelményeknek is eleget tudjunk tenni. Ezekre a komplex rehabilitációkra, lágy- és keményszöveti augmentációkra manapság jól megalapozott módszerek léteznek.1

A keményszövetek pótlásának igen sok műtéti módja ismert. Számos vizsgálat foglalkozott a különböző technikákkal, lehetséges csontdonor területekkel és csontpótlókkal is.1-3 Ahhoz, hogy ezek a körülményes műtéti beavatkozások sikerrel járjanak, több tényezőt is figyelembe kell venni. Kiemelkedő figyelmet érdemel közülük a szájüregi regeneráció biológiájának megértése, mely egy bakteriálisan kolonizált környezetben zajló folyamat. Egy implantátum protetikailag előnyös elhelyezésének előfeltétele a kiszámítható augmentáció.1,4

Az autológ csont a mai napig „arany standardnak” számít az implantológiában, főként laterális és vertikális defektusok helyreállításánál.5-8 Ezt kiváló oszteokonduktív, oszteoinduktív és oszteogenetikus tulajdonságainak köszönheti.3 Egyéb forrásokból származó csontpótló anyagok csupán oszteokonduktív tulajdonságokkal bírnak. Csontblokkokat extraorális és intraorális területekről, több méretben és formában vehetünk.9 Bár autológ csontforgácsot a szájüregen belül sok helyről nyerhetünk, mivel nem térfogattartó, gerincaugmentációnál gyakran szükséges egyéb csontpótlóval keverni és membránnal (felszívódó vagy nem felszívódó) fedni.10-12 Ennek a metódusnak több hátránya is van: fennáll a korai membrán expozíció és felülfertőződés veszélye, ez az augmentált terület elvesztéséhez vezethet; továbbá, akár kilenc hónapig is eltarthat a gyógyulás, a felhasznált anyagok költségeiről nem is szólva.12-14

1. a ábra: Autológ csontforgács gyűjtése implantátum előfúrás közben, alacsony fordulatszám mellett és vízhűtés nélkül. 1. b ábra: A mikrocsavarkészlet.

20 e-Journal IMPLANTOLÓGIA

2. a ábra: A trepánfúrókészlet. – 2. b ábra: A négy különböző átmérőjű trepán előfúró. – 2. c ábra: A négy különböző átmérőjű trepán. – 2. d ábra: A kétrészes trepán felépítése. – 2. e ábra: A csontmag könnyen eltávolítható, miután eltávolítjuk a trepán koronális részét.

Az ún. csontmag technikánál a blokkot rendszerint a mandibula ramusának linea obliqua externajának területéről nyerik, de ezt valamennyi augmentációs technikához fel lehet használni.1, 9, 15 A blokk eltávolítása biztonságos és jól reprodukálható, viszont egy második műtéti területet és plusz megterhelést jelent a páciens számára.

A csontmag technika alapja, hogy a donorterület megegyezik az implantátum majdani helyével. A technikát számos indikációs területen használták már sikerrel.2 Jelen cikk többféle indikáción és esettanulmányon keresztül írja le és mutatja be ezt a minimálinvazív augmentációs eljárást.

Felhasznált anyagok és módszerek

A csontmag technika lényege, hogy az implantáció előtt trepánfúróval eltávolítunk egy stabil csontmagot a beültetés tervezett helyéről. Az implantátum helyének további előkészítése közben még gyűjthetünk csontforgácsot a hagyományos fúrófejekről, amíg el nem érjük az implantátum átmérőjének megfelelő osteotomiát. Az előfúrást lassú fordulatszámon (kb. 80-120/perc) végezzük, vízhűtés nélkül, ügyelve arra, hogy az alveoláris csont nedvességtartalma megmaradjon (1. a ábra). Ha az érzéstelenítőben található tonogén hatására a terület vérellátása csökken, szükséges fiziológiás sóoldatos vízhűtést alkalmazni előfúrás közben, hogy megelőzzük a csont túlmelegedését és károsodását. A csontmag technika azokban az esetekben alkalmazható jól, amikor a reziduális alveolus kontúrja megengedi az implantátum egyidejű behelyezését a defektus bukkális vagy orális regenerációjával. Az implantátum behelyezését követően a csontmagot az implantátum felszínéhez komprimálva rög-

zítjük mikrocsavarok segítségével (1. b ábra). A szabad implantátummeneteket fedjük, a hézagokat kitöltjük csontforgáccsal.9

Gyakori jelenség, hogy előfúrás közben a csontmag kitörik a helyéről, és benne marad a trepánfúróban. Az egyrészes trepánokból néha nehéz kiszedni a bent rekedt csontmagot, főleg, ha a fúró már kissé elhasználódott, és az élei nem tökéletesek. A túlhasznált fúrók könnyen megcsúszhatnak, főleg keményebb, kortikális csontban. A technika leegyszerűsítésére fejlesztette ki a Meisinger a kétrészes trepánkészletét, mely négyféle különböző átmérőjű trepánt és az azoknak megfelelő előfúrókat tartalmazza (2. a-e ábra). Az előfúrók kijelölik a csontmag helyét, és segítenek a trepánfúrók orientálásában, hogy a fúrás biztonságos és precíz lehessen (3. a-b ábra). A trepánok kívülről és belülről is kapnak hűtést, ezzel előzve meg a csontmag és az oszteotómia körüli csont túlhevülését és károsodását.9, 16 A jobb hűtés érdekében ajánlott ezeket a fúrókat is szakaszosan használni, kisebb szüneteket tartva fúrás közben. A kétrészes trepán cilindrikus részéből könnyen eltávolítható a csontmag. Ha a csontmag nem törik ki, hanem benne marad az alveolusban, egy speciális emelő segítségével tudjuk eltávolítani (Meisinger, 3. ábra).

A műtét leírása

A páciens a beavatkozás előtt antibiotikus profilaxisban (1 000 000 NE penicillin) részesül, melyet megkaphat intravénásan közvetlenül a helyi érzéstelenítés előtt, vagy szájon át egy órával a műtét előtt. A posztoperatív antibiotikus kezelés az augmentáció kiterjedésétől függ, általában egy hétig tart, és napi háromszor 1 000 000 NE

21 VII. ÉVFOLYAM – 2024. 4. SZÁM
2a 2b 2c 2d 2e

3. a ábra: A vestibularis fal hiánya a 1.1 területén és egy kisebb defektus a 2.1 vestibularis oldalán. A trepán előfúróval a 2.1 területén jelölőfúrást ejtünk. – 3. b ábra: A trepánt gond nélkül vezeti az előfúró által meghatározott centrális furat. –3. c ábra: Amennyiben a csontmag az alveolusban marad, könnyen eltávolítható egy speciális emelő segítségével. –3. d ábra: Az alveolus kontúrján belül elhelyezett implantátumok (1.1 és 2.1), melyek vestibularis oldalán dehiszcencia látszik. – 3. e ábra: A csontmagok. – 3. f ábra: Mindkét csontmag az implantátumok felszínéhez nyomva került rögzítésre, 2-2 oszteoszintézis csavarral. A defektus többi részét autológ csontforgáccsal töltöttük fel. – 3. g ábra: Három hónap gyógyulási idő elteltével láthatjuk, hogy a defektusok teljesen regenerálódtak. 3. h ábra: A végleges fogpótlás átadását követő egyéves kontrollfotó. – 3. i ábra: Egyéves kontrollröntgen.

penicillin szedésével jár. Azoknál a pácienseknél, ahol igazolt penicillinallergia áll fenn, napi 1200 mg clindamycin szedését ajánljuk. A bukkális és orális helyi érzéstelenítést (4% artikain, 1:100 000 adrenalin tartalommal) követően teljes vastag (mucoperiostealis) lebenyes feltárást végzünk a foghiány és a defektus területén. Ezt követően elemezzük a defektus kiterjedését. Az implantátum behelyezésével egyidejűleg végzett csontpótlás egyik feltétele, hogy a behelyezett implantátum valamennyi menete az alveolus kontúrján belül helyezkedjen el. Ezt a csont magassága, a szomszédos fogak helyzete és az implantátum helye határozza meg. Az implantátum meneteinek legalább egy milliméterrel a csont kontúrján belül 9 kell elhelyezkedniük ahhoz, hogy az implantátum osszeointegrációja és a csontpótló anyagok vaszkularizációja megfe -

lelően végbe menjen. A széles alveolus (3. a ábra) emiatt kiváló indikációja ennek a technikának, függetlenül a defektus méretétől.

A behelyezendő implantátum átmérőjének megfelelően kiválasztjuk a trepánfúró méretét, ennek előfúrójával megjelöljük az alveolus felszínét ott, ahonnan el kívánjuk távolítani a csontmagot. Az őrlőknél ez a hely a korábbi interradicularis septum területe. Front- és kisőrlő fogak esetén palatinálisabban ejtjük meg ezt a furatot, hogy minél jobban ki tudjuk használni a csontkínálatot. Az előfúrást követően a trepánt ugyanoda illesztve, a kívánt mélységig preparálva eltávolítjuk a csontmagot (3. b ábra). Ezt követően az oszteotomiát addig tágítjuk, míg az implantátum átmérőjének és hoszszának meg nem felel. Az alveolus kontúrján belül maradva behelyezzük az implantátumot (3. d ábra). Mivel a trepán át-

22 e-Journal IMPLANTOLÓGIA
3a 3d 3g 3b 3e 3h 3c 3f 3i

mérője mindig kisebb, mint a behelyezendő implantátumé, az implantátum további előfúrásánál (alacsony fordulaton, vízhűtés nélkül) is gyűjthető autológ csontforgács. A csontmagot általában az implantátum felszínéhez szorítva stabilizáljuk két mikrocsavarral (1,0 vagy 1,2 mm átmérő, Meisinger, 3. e ábra). A mikrocsavarok nem fúrják át a csontmagot, enyhe nyomást gyakorolva a graftra, fejeikkel tartják helyben. Nagyobb defektusok rehabilitálására több csontmag is használható (több implantátum előfúrásakor, 3. f ábra). Ha az implantátum előfúrásakor nem sikerül kellő mennyiségű csontforgácsot nyerni a fúrófejekről, ajánlott további autogén csont gyűjtése speciális csontkaparókkal (scraper).

A sebet – a feszülésmentes zárást követően – 3 hónapon át hagyjuk gyógyulni, és csak ezután tárjuk fel ismét teljes vastagságban, hogy pontosan látható legyen az augmentált terület (3. g ábra). Ezzel egy időben megkezdhető a protetikai rehabilitáció is (3. h-i ábra)

A defektus és a maradék csontos falak fogják meghatározni, hogy hol használhatunk trepánt. Általában a megtartott csontos falak mentén van erre lehetőség. Figyelembe kell vennünk természetesen, hogy a furat a protetikai és okklúziós szempontoknak is megfeleljen, elkerülve a kifejezett alámenős területeket. A maxillánál a csontmagot általában palatinálisabban fúrjuk ki, mivel a defektusok jellemzően a korábbi bukkális falon találhatók, illetve, így biztosítani tudjuk, hogy az implantátum menetei a csontos kontúron belül helyezkedjenek el.

A defektus helyzetétől és kiterjedésétől függően ezzel a minimálinvazív módszerrel hosszú távú, stabil regeneráció érhető el jelentősebb mértékű defektusok esetében is. Megfelelő lágyrész management mellett pedig magas szintű funkcionális és esztétikai rehabilitáció érhető el. A csontmag technika kiegészítésként is alkalmazható olyan esetekben, ahol kiterjedt, csontlemezes augmentációt követően mégsem teljes a regeneráció. A regenerálandó terület kapacitásától függően – három hónappal az első augmentációt követően, a területet ismét feltárva – az implantátumok behelyezésével együtt elvégezhető még egy regeneratív beavatkozás a csontmag segítségével.

Megbeszélés

Számos módszer és anyag létezik alveoláris defektusok augmentálására és regenerálására. Klinikai jelentőségük a sebészi megközelítéstől és a defektusnak megfelelő módszer megválasztásától függ.

Az autológ csont a mai napig „arany standard”, mivel biológiai tulajdonságainak köszönhetően ez a legalkalmasabb a különböző méretű, különösen a kiterjedt horizontális és vertikális csontdefektusok helyreállítására. A vitális oszteocyták és oszteoblasztok csont morfogenetikus fehérjéket (BMPs, bone morphogenetic proteins) termelnek, ezzel stimulálva a mesenchymális őssejtek képződését, melyek később oszteoblasztokká differenciálódva a regenerációért lesznek felelősek.9,18

A vertikális és laterális defektusok ellátásában jól ismert és bevált módszer a mandibulából vett grafttal végzett ún. csontmag technika (repesztett csontblokk technika, split bone block technique), amelynek hátránya azonban a második

donor műtéti terület. Kisebb defektusoknál egy kevésbé invazív, de az autológ csontpótlási megoldás jobb lenne.15,19-21

A csontmag technika esetében, figyelembe véve a defektus morfológiáját, a laterális és vertikális augmentációhoz szükséges autológ csontot a majdani implantátum helyéről vesszük egy speciális trepán segítségével. Ezáltal a fúrókkal amúgy is eltávolításra kerülő csont nem vész kárba, hanem oszteoszintézis csavarokkal felrögzítve a regenerálandó területen, integrálódik.9

A technika legfontosabb előnye, hogy az autológ csont használata mellett nincs szükség membránok és egyéb, idegen eredetű csontpótló anyagok használatára. Ezzel csökken a membrán expozíciójának és következményes felülfertőződésének a veszélye. A nem felszívódó membránok kevéssé tapadnak a környező szövetekhez, emiatt érzékenyebbek a korai expozícióra és a befertőződésre.9,13

Az autológ graft regeneratív potenciálja nagymértékben függ a szövet vételi módjától és a donorterülettől.22,23 A csontvelői területről minimálinvazívan nyert csontmagot egy viszonylag vékony kortikális és egy nagyobb szivacsos rész alkotja.24 Az ilyen típusú csontra jellemző a gyors revaszkularizáció, a magas sejttartalom, a mineralizált szövetképződéssel járó emelkedett differenciációs kapacitás, továbbá az oszteokonduktív fehérjék (BMP-2 és VEGF) magas expressziója.25,26 Egy ötéves prospektív vizsgálat kimutatta az ún. „carotta technique”, más néven „csontmag technika” magas sikerarányát, valamint az elsődleges eredmények hosszú távú stabilitását. A vizsgálatba 186 pácienst és összesen 223 augmentált területet vontak be. A páciensek 1,4%-ánál (mind dohányos volt) tapasztaltak kisebb posztoperatív komplikációt: a zárócsavarok, az oszteoszintézis csavarok és a csontmag egy részének (<2 mm) korai expozícióját. A szakirodalom adatai alapján a csontmag technika szövődményeinek valószínűsége szignifikánsan kisebb a többi augmentációs technikához képest.27-30

A fenti prospektív vizsgálatban, a második feltáráskor az augmentált területeken alacsony csontreszorpciót mértek az eredeti alveoluson belül, illetve a csontmag azon részein is, melyek az alveolus kontúrján kívül estek (4. a-e ábra). Az augmentált terület átlagos szélessége az első műtét végén 2,4 ± 0,8 mm, míg három hónap elteltével a második feltáráskor 2,1 ± 0,6 mm volt. Mind a csontlemezes, mind a hasításos módszer hasonló eredményekre vezetett. 9,15,31 A fenti klinikai tapasztalatokkal összhangban, a beavatkozásokat követő 5-8 évben stabil periimplantáris csontszövetet láthatunk a radiológiai kontrollfelvételeken (többek közt Cone Beam CT). A vizsgálat teljes időtartama alatt egyetlen implantátumot sem kellett eltávolítani. 2

Az itt bemutatott technika bizonyos körülhatárolt defektusok ellátására könnyen és jól használható ott, de ahol vastag a kortikális, továbbá nagy a csont túlmelegedés esélye fúrás közben, komplikációk léphetnek fel (pl.: „burned-bone syndrome”, azaz a túlmelegedés következtében fellépő tünetegyüttes).16 Jelen tanulmányban két páciensnél találtunk erre utaló radiológiai jeleket. Mindkét esetben kis csontablakot preparáltunk, ezen keresztül eltávolítottuk az apikális sarjszövetet, majd a csontfedelet repozicionáltuk, és zártuk a feltárást (ún. bony lid technique).2

23 VII. ÉVFOLYAM – 2024. 4. SZÁM

4. a ábra: A 4.3 fog korábbi extrakciós helye, mely még nem csontosodott, illetve a 3.1 terület, ahol 2 mm keskeny reziduális gerinc található. – 4. b ábra: A 4.3 területén az alveolus kontúrján belül bekerült egy implantátum, vestibularisan dehiszcencia látszik. A 3.1-3.2 területen – ezzel egy időben – egy lemezes augmentációt végeztünk, ahol a csontblokkot a mentum területéről nyertük. – 4. c ábra: A 4.3 vestibularis dehiszcenciát a csontmag technikával fedtük. – 4. d ábra: A korábbi defektus teljesen regenerálódott. – 4. e ábra: Kontroll panoráma röntgenfelvétel a végleges fogpótlás behelyezését követően.

Összefoglalás

A csontmag technika bizonyos esetekben alkalmas a csontdefektusok minimálinvazív augmentációjára, a helyileg vett donor csontszövetből. A kezelés sikeréhez elengedhetetlen, hogy kíméletesen használjuk a kétrészes trepánfúrókat, és körültekintően bánjunk a donorszövettel. A technika amellett, hogy pénzt és időt takarít meg mind a páciens, mind a sebész számára, kiváló biológiai és immunológiai kompetenciával bír. Könnyen integrálható a mindennapi gyakorlatba, mivel alacsony költségekkel és kezelési idővel jár, másrészt megfelelő lágyrész managementtel kombinálva a nagyobb esztétikai kihívást jelentő eseteknél is hosszú távú, stabil eredményt ad.

Forrás: EDI Journal 2023/1

24 e-Journal IMPLANTOLÓGIA
4c 4b 4d
4a
4e

Dr. Markgruber Bence

SZÁJÜREGI PROBIOTIKUMOK ÉS

IMPLANTOLÓGIAI JELENTŐSÉGÜK

Napjainkra a fogászati implantáció megbízható és biztonságos, rutinszerű fogpótlási eljárássá vált. Az 1965-ben behelyezett első, mai értelemben vett enossealis implantátumok óta eltelt csaknem hatvan évben hatalmas fejlődésnek lehettünk tanúi. Az implantátumok anyagában, felszínük kialakításában, a megmunkálási módban, a behelyezés eszközeiben és körülményeiben bekövetkezett fejlődés, valamint a gyógyulási idő rövidülése mind hozzájárultak az implantátumok széles körű elterjedéséhez. Az elsősorban technikai jellegű, látványos újítások páciensek millióinak életminőségét javították meg az elmúlt évtizedekben. Természetesen az új típusú kezelési mód új típusú „karbantartást” is igényelt. A behelyezett implantátumok számának növekedésével párhuzamosan megjelentek és gyakoribbá váltak az ezekkel kapcsolatos problémák: a periimplantáris szövetek gyulladásos elváltozásai, melyek kezeletlen esetben akár az implantátum elvesztéséhez is vezetnek. A technikai fejlődés részben ezt is orvosolni tudta, egyre korszerűbb és megbízhatóbb csontpótló eljárásokat alkalmazunk, felismertük a megfelelő mennyiségű kemény- és lágyszövetek fontosságát, az implantátum megfelelő pozicionálását, a keratinizált gingiva elengedhetetlen védelmi funkcióját. Mindezek a fogorvos által megvalósított változások mellett egyre inkább előtérbe kerülnek a páciens által véghez vihető, legalább ennyire fontos életmódbeli változások, mint például a dohányzás elhagyása, illetve a megfelelő szájhigiénia fenntartása. Ez utóbbi kialakításában hasznos segítőtárs a szájüregi probiotikum, mely bár önmagában nem csodaszer, de a már napi rutinná vált szájhigiénés instruálás-motiválás és supra-, ill. subgingivalis depurálás mellett még hosszabb távú sikerhez járul hozzá a behelyezett implantátumok túlélése szempontjából.

Az orális mikrobiom 700-800 különböző baktérium, vírus és gomba otthona, ezzel az emberi szervezet második, mikroorganizmusok által leginkább kolonializált közege. A mikrobiom egyensúlyában bekövetkező változások je -

lentős hatással vannak a szájüreg egészére, ezáltal a behelyezett implantátumokra, illetve az azokat körülvevő lágy- és keményszövetekre is. Ha a normális esetben is előforduló parodontopatogén baktériumok (pl. P. ginigvalis, T. denticola, T. forsythia) túlsúlyba kerülnek például az elhanyagolt szájhigiénia miatt, rosszul kooperáló páciensekben súlyos esetben akár az implantátum elvesztése is bekövetkezhet, de minimum periimplantáris mucositis, esetleg periimplantitis alakul ki. Az orális mikrobiológián belül viszonylag friss ötlet a szájüregi baktériumflóra probiotikumokkal történő befolyásolása mind prevenciós, mind gyógyító céllal. Az eddig rendelkezésre álló kutatások alapján kifejezetten izgalmas és ígéretes téma, mely jelentős fejlődésen megy még át az elkövetkező években. Jelen írásban az elmúlt évek publikációi és saját gyakorlati tapasztalataim alapján szeretnék betekintést nyújtani ebbe az izgalmas, új lehetőségeket feltáró világba.

A vizsgált készítmény a svéd BioGaia cég Prodentis néven forgalmazott szopogatótablettája, mely két, humán eredetű L. reuteri törzs kombinációja. Az L. reuteri ATCC PTA 5289 -et egy, a rendszeres egyéni szájhigiéniát elhanyagoló, ám mégis kivételesen egészséges szájképletekkel rendelkező, japán nő szájából izolálta dr. Hiroki Nikawa 2003-ban. Ez a baktériumtörzs gátolja a biofilm proinflammatorikus TNF- α termelését, és kifejezetten jól kötődik a szájnyálkahártyához, ezzel csökkentve a gyulladást. Az L. reuteri DSM 17938 -at dr. Ivan Casas egy perui indián nő anyatejéből izolálta az 1990-es években. Egy természetes antimikrobiális anyagot, reuterint termel, amely fokozza az IgA-termelést, ez pedig semlegesíti a szervezetbe jutó bakteriális és virális antigéneket, illetve gátolja ezek megtapadását a hámsejtek felszínén. Ezen felül aktiválja a CD4+ T-Helper sejteket, segítve a patogénekkel szembeni immunválaszt. Ezen két baktériumtörzs szabadalmaztatott kombinációja az L. reuteri Prodentis, mely mára a világ 50 országában elérhető.

26 e-Journal IMPLANTOLÓGIA

Az elsősorban parodontopatogén hatás csökkentése implantológiai szempontból is kifejezetten előnyös. Az idősödő populáció egyre idősebb pácienseket eredményez, akik az életkorral járó fiziológiás változások miatt nem feltétlenül tudnak megfelelő egyéni szájhigiénét fenntartani. Az implantológiai szempontból kedvező hatás elérésének módjában nincs konszenzus az utóbbi évek publikációiban, azonban majdnem minden esetben kedvezően alakultak a vizsgált paraméterek. (Minden pozitív tapasztalat ellenére olyan publikációk is születtek, amelyek nem találtak szignifikáns különbséget a probiotikummal és a placebóval kezelt csoportok eredményei között5,6.)

Bizonyos esetekben a parodontopatogén kórokozók számának csökkenése, más esetekben pedig az olyan gyulladásos citokinek, mint pl. az IL-1β, IL-6, IL-8 csökkenése szignifikán-

Már új nagykereskedő partnereinknél is kapható:

san kedvező változásokat eredményezett a vizsgált klinikai paraméterekben. A plakkindex, a szondázási mélység, a szondázásra jelentkező vérzés és a sulcusváladék menynyiségének csökkenése mindenképp kedvező, akár a kórokozók számának csökkenése, akár a proinflammatorikus citokinek mennyiségének csökkenése idézi elő. Hazánkban a tavalyi év tavaszán nagy sikerű előadást tartó Prof. Wim Teughels 2013-ban megjelent publikációja1 szerint oki parodontális terápia és 12 héten keresztül napi 2 probiotikumot tartalmazó tabletta elfogyasztása a klinikai paraméterek jelentős javulását eredményezi, szemben a csak oki parodontális terápiában részesülő csoporttal. 47%-kal kevesebb tasak szorult korrekciós sebészi terápiára, illetve a klinikai tapadásinívó-nyereség átlagosan 1,47 mm volt, szemben a kontrollcsoportban mért 0,68 mm-rel. A fenti cikk ugyan nem vizsgált implantátumokat, csak saját fogakat, de biztató alapot szolgáltatott későbbi, implantátumokra is kiterjedő kutatásokhoz.

2015-ben A. J. Flichy-Fernandez kifejezetten periimplant-mucositisben szenvedő páciensek esetében tesztelte a készítményt2. Szignifikáns javulást tapasztalt egészséges periimplantáris szövetek, valamint periimplant-mucositis esetében is, ezért nemcsak terápiás, de prevenciós céllal is érdemes alkalmazni a két L. reuteri törzs kombinációját. Mind a pro-

BioGaia Prodentis szopogatótabletta Innovatív terápiás lehetőség szájüregi betegségek kezelésében

Hatékonyságát és biztonságosságát 63 klinikai vizsgálat igazolja a következő indikációkban:

plakk-képződés

gingivitis

periimplantáris mucositis

parodontitis

halitosis

szájüregi Candida-fertőzés

Hatóanyag: L. reuteri Prodentis© probiotikus baktériumkombináció  Adagolás: napi 1-2 tabletta  Kiszerelés: 30 tabletta / doboz www.alphaimplant.hu www.medi-cont.hu

27 VII. ÉVFOLYAM – 2024. 4. SZÁM
Lezárás dátuma: 2024. március 18. 2024/PD/02 BioGaia-Prodentis-hird-FINAL3.indd 1 2024. 03. 27. 11:52

Szondázásra fellépő jelentős vérzés az 12 implantátum körül.

inflammatorikus IL-1β, IL-6 és IL-8 citokinek szintjét csökkentette, mind az olyan klinikai paramétereket, mint a plakkindex, a szondázási mélység, a szondázásra jelentkező vérzés és a sulcusváladék mennyisége. A placebocsoportban vizsgált implantátumok 20%-a körül szűnt meg a periimplant-mucositis, míg a probiotikummal is kezelt implantátumok körüli szövetek 74%-a vált gyulladásmentessé.

M. Galofré 2018-ban megjelent kutatásában az oki parodontális terápia hasznos kiegészítőjeként foglal állást a Prodentis probiotikum kombináció mellett. Periimplant-mucositis és periimplantitis esetében is jelentős javulást tapasztalt a vizsgált klinikai paraméterekben: a szondázási tasakmélység átlagosan 0,5 mm-es javulást mutatott a probiotikummal kezelt csoportban a placebocsoportban mért átlagos 0,2 mm-hez képest. A plakkindex esetében 39% javulás volt tapasztalható a placebocsoport 23%-os értékével szemben, a szondázásra jelentkező vérzés esetében 52%-kal kevesebb helyen jelentkezett vérzés, míg a placebót kapó csoportban ez mindöszsze 16% volt. A periimplantáris baktériumflóra összetételében nem tapasztalt ennyire szembetűnő változásokat, azonban a

Szájhigiéniés instruálás-motiválás, GBT-kezelés és Prodentis probiotikum kombináció, 4 hónap múlva

P. gingivalis sulcusváladékban mért szintje így is szignifikánsan csökkent.

Hiroaki Tada japán szerző 2018-ban megjelent írása4 szintén alátámasztja a fenti bekezdésben említetteket. Nem tapasztalt változást a parodontopatogén baktériumok mennyiségében, azonban az olyan klinikai paraméterek, mint a szondázásra jelentkező vérzés (53% vs. 37%), illetve a tasakmélység csökkenése kedvező irányba változtak.

Saját gyakorlati tapasztalataim alapján a klinikai paraméterek javulása egyértelműen látható. Kevesebb a szondázásra jelentkező vérzés, csökken a tasakmélység, kevesebb plakk borítja a fogak és implantátumok felszínét. A parodontopatogén baktériumok számának meghatározása rendelőnkben nem bevett gyakorlat, azonban mind a szék mellett tapasztalt objektív paraméterek, mind a páciensek szubjektív visszajelzései alapján a Prodentis probiotikum kombináció hasznos kiegészítője az oki parodontális terápiának.

1 Teughels W, Durukan A, Ozcelik O, Pauwels M, Quirynen M, Haytac MC. Clinical and microbiological effects of Lactobacillus reuteri probiotics in the treatment of chronic periodontitis: a randomized placebo-controlled study. J Clin Periodontol. 2013 Nov;40(11):1025-35. doi: 10.1111/jcpe.12155. Epub 2013 Sep 15. PMID: 24164569; PMCID: PMC3908359.

2 Flichy-Fernández AJ, Ata-Ali J, Alegre-Domingo T, Candel-Martí E, Ata-Ali F, Palacio JR, Peñarrocha-Diago M. The effect of orally administered probiotic Lactobacillus reuteri-containing tablets in peri-implant mucositis: a double-blind randomized controlled trial. J Periodontal Res. 2015 Dec;50(6):77585. doi: 10.1111/jre.12264. Epub 2015 Feb 25. PMID: 25712760.

3 Galofré M, Palao D, Vicario M, Nart J, Violant D. Clinical and microbiological evaluation of the effect of Lactobacillus reuteri in the treatment of mucositis and peri-implantitis: A triple-blind randomized clinical trial. J Periodontal Res. 2018 Jun;53(3):378-390. doi: 10.1111/jre.12523. Epub 2018 Jan 19. PMID: 29352461.

4 Tada H, Masaki C, Tsuka S, Mukaibo T, Kondo Y, Hosokawa R. The effects of Lactobacillus reuteri probiotics combined with azithromycin on peri-implantitis: A randomized placebo-controlled study. J Prosthodont Res. 2018 Jan;62(1):89-96. doi: 10.1016/j.jpor.2017.06.006. Epub 2017 Jul 26. PMID: 28756115.

5 Hallström H, Lindgren S, Widén C, Renvert S, Twetman S. Probiotic supplements and debridement of peri-implant mucositis: a randomized controlled trial. Acta Odontol Scand. 2016;74(1):60-6. doi: 10.3109/00016357.2015.1040065. Epub 2015 May 8. PMID: 25953193.

6 Peña M, Barallat L, Vilarrasa J, Vicario M, Violant D, Nart J. Evaluation of the effect of probiotics in the treatment of peri-implant mucositis: a triple-blind randomized clinical trial. Clin Oral Investig. 2019 Apr;23(4):1673-1683. doi: 10.1007/s00784-018-2578-8. Epub 2018 Aug 27. PMID: 30151705.

28 e-Journal IMPLANTOLÓGIA
Irodalomjegyzék

...és ami mögötte van biztos megoldás a fogászati szakma elérésére

SZÓLÓ

FOGHIÁNYOK ELLÁTÁSA

EXTRA RÖVID IMPLANTÁTUMOK ÉS

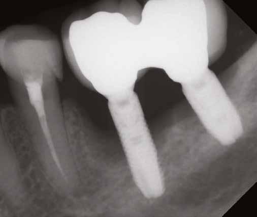
TRANSZMUKOZÁLIS FEJ SEGÍTSÉGÉVEL – 2:1 FELÉPÍTMÉNY/ IMPLANTÁTUM ARÁNY MELLETT

Retrospektív tanulmány

Manapság a minket felkereső és kezelési megoldások után érdeklődő páciensek többsége alkalmas az implantátummal történő rehabilitációra. Ennek oka elsősorban a jelenleg elérhető implantátumtípusok formai kialakításának fejlődésében rejlik, amellyel bármely klinikai szituációhoz alkalmazkodni tudunk rövidebb vagy kisebb átmérőjű implantátumokkal; illetve a regeneratív eljárások, amelyek olykor elkerülhetetlenek, szintén hatalmas fejlődésen mentek keresztül.1,2

Az extra rövid implantátumok alkalmazása mind az alsó, mind a felső állcsont vertikális defektusainál jól kiszámíthatóan alkalmazhatók, a jelenlegi adatok szerint a sikeresség 86,7–100% között mozog.3,4 Vertikális defektusoknál a fő problémát az okozza, hogy a csonthiány miatt az implantátumok és az azokra készülő fogpótlás egymáshoz viszonyított aránya rendkívül előnytelen. A protetikai tér nagy, és a felépítmény–implantátum arány gyakran meghaladja a 2:1 értéket. Ha tanulmányozzuk az erők lehetséges eloszlását, láthatjuk, hogy 2:1-nél nagyobb arány mellett egy erőkar keletkezik, kiváltképp igaz ez rövid és frissen behelyezett implantátumokra. Azt már többször kimutatták, hogy amennyiben több implantátumot sínezünk egy fogpótlással, ezek az előnytelen arány- és terhelési eloszlások nem eredményeznek nagyobb mértékű csontfelszívódást vagy sikertelenséget.5-7

Rövid és extra rövid implantátumokra, melyeket gyakran használnak lokalizált vertikális csonthiány esetén, szintén készülhet olyan protetikai felépítmény, ahol az arány

1. ábra: A vizsgált implantátumok átmérője és hossza az elhelyezkedésük függvényében.

meghaladja a 2:1-t. Egyes tanulmányok, amelyek a crestalis csontfelszívódást vizsgálták ilyen esetekben, kimutatták, hogy itt is magas volt az összesített túlélési ráta: 87%, 95,7%, illetve 96,6%.8-11 A szóló foghiányok pótlásával foglalkozó tanulmányok többsége azonban nem veszi figyelembe köztielemek, mint például a transzmukozális fejek lehetséges hatásait. Legtöbbször közvetlenül az implantátumon elhorgonyzott fogpótlásokat vizsgálják, ahol a kiégethető technikai elemek használata kompromittálhatja a felépítmény hermetikus zárását.12-20 Ennek hiánya periimplantitis gyakoribb kialakulásához vezethet, amely befolyásolhatja a túlélési adatokat a fent említett kutatásokban. Ez hatványozottan igaz azokban az esetekben, ahol a felépítmény–implantátum arány nagyobb, mint 2:1 és a laterális erők miatt könnyen képződhet rés terhelés hatására.13

Jelen tanulmányban olyan eseteket mutatunk be, ahol a páciensek rövid és extra rövid implantátumokat (7,5 mm és 6,5 mm) kaptak, a végleges felépítmények transzmukozális fejek-

2. ábra: A transzmukozális fejek magassága az implantátumok átmérőjének és hosszának függvényében.

30 e-Journal IMPLANTOLÓGIA

3. ábra: A vizsgálatban részt vevő koronák hossza az őket viselő implantátumok függvényében.

re készülő, átmenő csavarral rögzülő szólókoronák voltak. A felépítmény–implantátum aránya minden esetben meghaladta a 2:1-t. Vizsgáltuk az implantátumok túlélését, a crestalis csont felszívódását, illetve a transzmukozális elem hatását.

Vizsgálati módszerek

Visszamenőleg vizsgáltunk meg olyan eseteket, ahol az implantátumok 2014 májusa és 2015 decembere között kerültek behelyezésre, így adatokat nyertünk arra vonatkozóan is, hogyan viselkedtek minimum 5 éves terhelést követően. Statisztikai analízis céljából az adatokat egységesen vezettük, a fő vizsgálati paraméter a csontmagasság és az implantátumok túlélése volt.

A vizsgálatban részt vevő páciensek implantációt megelőzően intraorális vizsgálaton estek át, kiindulási tanulmányi minta, illetve Cone Beam CT-felvétel készült, amely később egy speciális szoftver segítségével (BTI-Scan II) került kiértékelésre. A páciensek a műtétet megelőzően antibiotikus profilaxisban (2 g amoxicillin szájon át, 1 órával a beavatkozás előtt) és fájdalomcsillapításban (1 g paracetamol szájon át) részesültek. A beavatkozást követően, testsúlytól függően, még öt napig szedtek antibiotikumot (500–750 mg amoxicillin szájon át, 8 óránként).

Az implantátumokat ugyanaz a szájsebész helyezte be minden páciens esetében, figyelve az előfúrási technikára, alacsony fordulatszám mellett és vízhűtés alkalmazása nélkül.21-22

Előre egyeztetett időpontokban elvégeztük a varratszedést, illetve ellenőriztük, hogy adódtak-e nemkívánatos események az implantátumok behelyezése és a következő sebészi fázis között eltelt időben (5–6 hónap).

Miután az implantátumok megkapták a végleges protetikai ellátást (és terhelést), az első visszahívás 6 hónap elteltével, a későbbiekben évente történt.

Statisztikai kiértékelés

A fő vizsgálati paraméter az implantátum túlélése volt. Szekunder paraméterként a crestalis csont stabilitását, a pro-

tetikai komplikációkat és a fogpótlás túlélését vizsgáltuk.

A pácienseket osztályoztuk koruk, nemük és kórtörténetük függvényében is.

Az összegyűjtött adatok normál eloszlásának igazolására a Shapiro-Wilks tesztet alkalmaztuk. A kvalitatív változókat frekvenciaanalízissel, a kvantitatív változókat átlagértékekkel és szórással jellemeztük. Az implantátumok túlélési értékeit a Kaplan–Meier módszerrel számoltuk ki. Minden analízist az SPSS v15.0 (SPSS) szoftver segítségével, 5%-os szignifikancia szint (p<0,05) mellett végeztük.

Eredmények

Összesen 16 pácienst válogattunk be, akik megfeleltek az előzetes kritériumoknak. A résztvevők 42,9%-a nő, az átlagéletkor 54,9 ± 13,6 évre tehető (teljes koreloszlás: 32–77 év). A leggyakrabban a 26 (43,8%), ezt követve azonos gyakorisággal a 16, a 17 és a 25 (mindháromnál 18,8%) fogak kerültek pótlásra. A beültetett implantátumok jellemző átmérője 5,5 mm (31,3%) vagy 5 mm (25%) volt. Kétféle hosszúságú implantátum került beültetésre: 6,5 mm (56,3%) és 7,5 mm (43,8%). Az 1. ábra szemlélteti a behelyezett implantátumok eloszlását átmérő, hossz és behelyezési pozíció alapján.

Az átlagos behelyezési nyomaték 45,9 ± 7,1 Ncm (teljes tartomány 35–65 Ncm) volt. Az esetek negyedénél a csont keménysége az implantáció területén III típusnak (550 Hu) felelt meg. A terhelési protokoll minden esetben ugyanaz volt: zárt gyógyulás mellett a maxillánál 5, míg a mandibulánál 3 hónap telt el. A transzmukozális fejek leggyakoribb magassága 3 mm (43,8%), illetve 2,5 mm (18,8%) voltak, a teljes eloszlást a 2. ábra mutatja. A koronák vertikális hossza 13,1–18,9 mm között mozgott. A különböző korona- és implantátumhosszak egymáshoz képesti eloszlását a 3. ábra mutatja.

Az átlagos utánkövetési időszak 46,6 ± 22,5 hónap volt, amely idő alatt egyik implantátumot sem kellett eltávolítani. Az implantátumok mellett mesialisan 0,31 ± 0,51 mm, míg distalisan 0,33 ± 0,85 mm csontfelszívódás volt mérhető. Nem találtunk statisztikailag szignifikáns összefüggést a koronahossz és a mesialis vagy distalis csontfelszívódás (p=0,875 mesialis/ p=1,500 distalis), sem a teljes felépítmény–implantátumhossz és a mesialis vagy distalis csontfelszívódás (mesialis p=0,980/ distalis p=0,888) között. Nem találtunk korreláló kapcsolatot a koronahossz és a transzmukozális fej magassága, valamint a mesialis és distalis csontfelszívódás között; szignifikáns kapcsolatot nem sikerült kimutatni ezen paraméterek között egyik vizsgálati pontnál sem.

A 4–9. ábrán a tanulmányban részt vevő esetek láthatók.

Megbeszélés

A jelen tanulmányban vizsgált rövid és extra rövid, 7,5 mm és 6,5 mm hosszúságú implantátumok manapság biztonságos és kiváló kezelési alternatívát nyújtanak, mivel a páciensek számára kevesebb anyagi, biológiai és sebé-

31 VII. ÉVFOLYAM – 2024. 4. SZÁM

4. ábra: Kiindulási röntgenfelvétel a bal felső kvadránsban található foghiányról, amelyet egy rövid implantátummal pótoltunk.

5–6. ábra: Tervezés a kiindulási Cone Beam CT-n: jól látszik a fogatlan csontállomány kiterjedése, illetve a beültetésre szánt 6,5 mm hosszú implantátum.

7. ábra: CT-felvételek a beavatkozás előtt és után: a műtétet követő 6 hónapos kontrollfelvételen jól látszik az osseointegrálódott implantátum.

szeti megterhelést jelentenek.8, 20-23 Hosszú távú túlélésük 98,9%, amely teljes mértékben összemérhető a natív, illetve az augmentált csontba helyezett hosszabb implantátumok eredményeivel.4,24

A vizsgált páciensek esetében kisebb felépítmény–implantátum arány mellett, a rövid és extra rövid implantátumok

körül nem tapasztaltunk nagyobb csontfelszívódást: az 1 éves kontrollnál csupán 0,4–0,5 mm-t, míg a 3 éves kontroll alkalmával 1,25 ± 0,99 mm-t mértünk.8-10,11

A transzmukozális fejek magassága egyik esetben sem módosította számszerűen a crestalis csontfelszívódás mértékét. Pácienseinknél a vizsgálat időtartama alatt azt tapasztaltuk, hogy a korona hosszához hasonlóan ez a paraméter sem növeli a megterhelt implantátum körül a crestalis csont felszívódásának kockázatát. Eredményeink alapján azonban elmondhatjuk, hogy a transzmukozális fejek jelenléte előnyökkel járhat, mivel jobb erőelosztást eredményez a környező csontban, illetve jobb zárást tesz lehetővé az implantátum és a protetikai felépítmény között. 13-16,18

Konklúzió

Vizsgálatunk alapján megállapíthatjuk, hogy a 6,5 mm és 7,5 mm hosszú implantátumok körül, előnytelen felépítmény–implantátum arányok mellett sem tapasztaltunk

32 e-Journal IMPLANTOLÓGIA

8. ábra: Lenyomatvétel az implantátumról: a lenyomati fej átmérője és emergenciaprofilja lehetővé teszi a majdani fogpótlás körüli optimális lágyrész-adaptációt.

nagyobb mértékű crestalis csontfelszívódást vagy sikertelenséget. Eredményeink igazolására azonban további vizsgálatok szükségesek, amelyek részletesebb analízis -

9. ábra: A végleges fogpótlás szájba helyezését követően 2 évvel készült röntgenfelvétel. A kezelés eredménye stabil.

sel, nagyobb esetszámmal és hosszabb utánkövetéssel rendelkeznek.

Forrás: EDI Journal 2023/1

ELÉRHETŐSÉG: +36 20 366 10 80 schulzefogtechnika@gmail.com

33 VII. ÉVFOLYAM – 2024. 4. SZÁM ARANY MUNKÁIT RENDELJE MEG A SCHULZE LABORTÓL! Több mint 100 éves tapasztalat! INLAY,
ARANY KERÁMIA
LEMEZ
ONLAY
ARANY
ARANY KOMBINÁLT MUNKA LEMEZ ARANYOZÁS GALVÁN MUNKÁK KESZÍTÉSE

Prof. dr. Hady Haririan (Ausztria)

KEZELHETŐ-E A PERIIMPLANTITIS NEM SEBÉSZI ÚTON?

A parodontális és periimplantáris kórképek új klasszifikációját 2018-ban vezették be, amellyel tisztázódtak az implantátumok körüli szövetek egészségének és elváltozásainak kritériumai is.1 A jövőben így lehetőségünk nyílik arra, hogy a periimplantitisszel kapcsolatban hiteles összehasonlító adatokat gyűjtsünk. Az elmúlt években hatalmasat fejlődött az implantológia, mind a digitális munkamenet, mind az anyagok területén. Ugyanakkor többet tudunk arról is, mik a sikertelenség okai és hogyan lehet ellensúlyozni a periimplantáris mucositis, majd következményesen a periimplantitis kialakulását.2

A társadalom öregszik és ezzel párhuzamosan növekszik azon páciensek száma, akik implantátummal a szájukban élnek. Egy tanulmány, amelyet a Bécsi Orvostudományi Egyetem Fogászati Klinikáján végeztek, rámutatott, hogy folyamatosan nő az idősebb, implantátummal élő páciensek aránya: míg 2013-ban a 70–75 év közötti ambuláns páciensek csupán 20%-ának volt fogászati implantátuma, ez az arány 2017-re elérte a 30%-ot.3 Az idős korral együtt jár számos olyan állapot, sokszor betegség, amely többféle gyógyszer együttes szedéséhez és hiányos táplálkozáshoz vezethet. Egyre nő azon idős páciensek száma is, akik inkább rögzített fogpótlással szeretnék harapásuk stabilitását megőrizni, ugyanakkor néha ezeket nehezebb tisztítani, mint a kivehető protéziseket. A szövődmények kockázata is növekszik a korral, és a periimplantitis szinte elkerülhetetlen, ha nem szentelünk idejekorán kellő figyelmet a megelőzésnek, a kockázati tényezők minimalizálásának és a szoros nyomon követésnek.

Hasonlóan a parodontitishez, ha a csont reszorpciója elindul az implantátum körül, nincs olyan terápiás módszer, amely kiszámíthatóan megszüntetné a gyulladást vagy biztos regenerációt eredményezne. Amennyiben az implantátum menetei közül több is exponálódik, a konzervatív kezelés lehetőségei korlátozottá, a sebészi beavatkozások (reszektív vagy regeneratív) pedig elkerülhetetlenné válnak. Ennek ellenére, a következőkben szeretnénk bemutatni néhány olyan periimplantitis esetet, amely kezdetben reménytelennek tűnt, mégis relatíve egyszerű terápiás eszközökkel megoldható volt. Ezek megoldást jelenthetnek mindaddig, míg egy implantátum nem teljesen mobilis (a bemutatott esetek közül az első sajnos ebbe a kategóriába esett).

A periimplantitis előfordulása és rizikófaktorai

Egyrészről tudjuk, hogy a foghiányokat pótló implantátumok sikeraránya relatíve magas tíz évet meghaladó utánkövetés

mellett.4 Másrészről viszont azt is megfigyelték, hogy tíz év elteltével az implantátumok 10–50%-ánál periimplantitis tünetei jelentkeztek. Általában véve a periimplantáris mucositis előfordulási gyakorisága 80%-ra, míg a periimplantitisé 28–56%-ra tehető.5 A mindennapi munkánk során is egyre gyakrabban találkozunk ezzel, de a kialakulás általában ismert rizikófaktorokra vezethető vissza.6 Néhány ezek közül:

• dohányzás

• korábbi parodontitis

• rossz szájhigiénia

• rendszertelen parodontális fenntartó kezelések

• szisztémás megbetegedések (pl.: kezeletlen diabetes, szív- és érrendszeri betegségek, immunszuppresszió)

A fentiek kombinációi is gyakoriak, amelyek tovább emelik a szövődmények kockázatát. Zitzmann és mtsai. már korábban kimutatták, hogy azoknál, akik parodontitisben szenvednek, hatszor valószínűbb a periimplantitis kialakulásának esélye, mint azoknál, akiknek egészséges a fogágya.7

Esetbemutatások

Rossz szájhigiénia és életmódbeli szokások miatt elveszett implantátum

A következő esetnél a sikertelenséghez számos tényező járult hozzá. Annak ellenére, hogy a páciens több mint 2 doboz cigarettát szív naponta, implantátumokon rögzülő fix fogpótlás készült számára. Állítása szerint nem tudja elviselni és nem szeretne a szájpadlását beborító, kivehető fogpótlást. Nem volt meglepő tehát, hogy erős dohányosként, nagymértékű alkoholfogyasztás és perzisztáló, elégtelen szájhigiénia mellett periimplantitis alakult ki. Ha a maradék fogazat parodontális állapotát elhanyagolják és ezen a páciens életmódja tovább ront, általában, ahogy ebben az esetben is, hét év elteltével alakul ki periimplantitis. A páciens ezen a ponton esztétikai problémák és az implantátumok mobilitása miatt kereste fel fogorvosát (1. ábra). A konzervatív parodontális terápia és szájhigiénés instruálás (fogköztisztító kefék használata) ebben a stádiumban már nem akadályozhatta volna meg az implantátumok elvesztését (2. ábra)

Implantátumok megőrzése szubgingivális homokfúvó kezelés és szisztémás antibiotikus terápia kombinált alkalmazásával

Meg tudják-e szüntetni a konzervatív terápiás módszerek az előrehaladott periimplantitist? Az itt bemutatott pácienseknél szisztémás antibiotikus kezelés és egyszeri szubgingivális homokfúvás kombinációja elegendő volt ahhoz, hogy az implantátumok körüli csont regenerálódjon. Egy randomizált egyszeresen vak klinikai vizsgálatban kimutatták, hogy

34 e-Journal IMPLANTOLÓGIA

1. ábra: A páciens törött fogpótlással és mozgó implantátumokkal érkezett. A felső ajkat elemelve látszanak a többszörös sipolynyílások, amelyekből váladék ürül. – 2. ábra: A felső implantátumok menthetetlenek voltak.

nem feltétlenül jár klinikailag szignifikáns előnnyel a szisztémás antibiotikus kezelés abban az esetben, ha amoxicillin és metronidazol kombinációját egyszerre adjuk.8 Ugyanazt tapasztaltuk-e volna esetünkben, ha a szubgingivális tisztítást követően mellőzzük a 7 napos szisztémás metronidazol kúrát? Egy még frissebb randomizált klinikai vizsgálat szerint a szisztémás metronidazol kezelés, konzervatív terápiát követően adva, szignifikánsan javította a periimplantitis klinikai, radiológiai és mikrobiológiai paramétereit 12 hónapos utánkövetés mellett.9

A második, harmadik és negyedik páciensnél (3–5. ábra) az egyszeri szubgingivális homokfúvó kezelést egy hétnapos metronidazol kúra (500 mg naponta háromszor) követte.

Az implantátumok megőrzése interdiszciplináris kezelés útján

Nem minden beteg reagál olyan jól a fenti kezelésekre, mint a második, harmadik és negyedik páciens. Mindazonáltal az első választandó kezelés mindig a konzervatív kell legyen, és csak ha ez nem járt kellő klinikai sikerrel, akkor gondolkodhatunk el a sebészi megközelítésen, ideértve azokat a módszereket, amelyeket még nem támaszt alá kellő mennyiségű

tudományos bizonyíték.10 Az ötödik esetben egy eredetileg reménytelennek tűnő implantátumot láthatunk, amelyet mégis sikerült megtartani, miután átesett a megfelelő parodontális/periimplantáris kezeléseken, illetve GalvoSurge tisztításon és membránnal kiegészített augmentáción (6. ábra). Ezek a beavatkozások, az augmentációhoz használt anyagok és az elektródos kezelések azonban relatíve költségesek, amely a pácienst terheli, ha az implantátumot meg szeretné őrizni. A sebészi beavatkozásokat csak az erre berendezett műtőkben és klinikákon lehet elvégezni. Az idősebb páciensek számára a kezelésekre való eljutás általában nehézséget okoz, mivel többségük már segítségre szorul a közlekedésben.11

Végső soron a periimplantitis kezelésének legjobb módja a megelőzés és a rizikófaktorok kontrollja, ideális esetben még mielőtt az implantátumok beültetésre kerülnének. Véleményem szerint a leggyakoribb hiba az elégtelen megelőzés és a helytelen, csupán dentálhigiénikus által elvégzett szájhigiénés fenntartó kezelés. Olykor a pácienseket akár néhány hetente is visszahívják tisztításra, de mindez nem állítja meg a már kialakult periimplantitist és további csontpusztulást eredményez.

ábrák: A második eset, a 46 implantátum körül periimplantitis. 3. a. ábra: A konzervatív kezelést megelőző állapot.

a kezelést követően.

35 VII. ÉVFOLYAM – 2024. 4. SZÁM
1 2
3a 3b
3. 3. b. ábra: Fél–egy évvel

4. ábra: A harmadik eset, a 36 és 37 implantátumok körüli periimplantitis. 4. a ábra: A konzervatív kezelést megelőző állapot. 4. b ábra: Fél–egy évvel a kezelést követően.

5. ábra: A negyedik eset, a 36 implantátum körüli periimplantitis. 5. a ábra: A konzervatív kezelést megelőző állapot.

Fél–egy évvel a kezelést követően.

6. a–c ábra: Az ötödik esetnél a 36 implantátum eredetileg eltávolításra volt ítélve, de végül regeneratív sebészi beavatkozással sikerült megmenteni (1 éves kontrollröntgen).

36 e-Journal IMPLANTOLÓGIA
5. b ábra:
4a 5a 4b 5b

A következő séma segíthet az implantátumok szövődményeinek megelőzésében:

• rendszeres ellenőrzés hagyományos parodontális szonda segítségével (a speciálisan implantátumokhoz való műanyag szonda megkönnyítheti a szondázást, de nem elengedhetetlen hozzá)

• az implantátumok éves szintű, szoros ellenőrzése, hogy a kezdődő csontreszorpciók is mihamarabb felismerésre kerüljenek

• az esetleges komplikációk könnyebben orvosolhatók, ha csavarral rögzülő fogpótlást készítünk

• az idősebb pácienseknél tervezzünk előre: az implantátumokon nyugvó rögzített fogpótlásokat legyen módunk olyan kivehető megoldásra cserélni, amely a megmaradó implantátumokon támaszkodik

• a műíny kiterjesztését úgy határozzuk meg, hogy megfelelően lehessen tisztítani a fogpótlást

• tanítsuk meg a pácienseket a fogköztisztító kefék használatára; manapság még mindig gyakori, hogy csupán a fogselyem használatát mutatják meg a pácienseknek, amely nem elegendő implantációs fogpótlás megfelelő tisztán tartásához és nem távolítja el a lepedéket a gyakran tág interdentális résekből

Öregedő népesség

Az ENSZ adatai szerint 2050-re a világon 1,5 milliárd 65 év feletti ember él majd, az Európai Unió népességének pedig 25–40%-a tartozik majd ebbe a korcsoportba. Ahogy öregszik a népesség, úgy nő azok száma, akik ellátást igényelnek. Az Osztrák Szövetségi Statisztikai Hivatal adatai szerint a 90 év feletti nők 70%-a, a férfiak körülbelül 50%-a gondozásra szorul, legtöbbjüket rokonaik látják el otthonaikban. Hogyan illeszthető bele ebbe az életvitelbe egy bonyolult, sokszor rögzített fogpótlás rendszeres ápolása? Az ápolási intézményekben sem jobb a helyzet, az ápolók általában nem tudják ezeket a feladatokat elvégezni (a hatodik páciens például egy bécsi ápolási otthonból került hozzánk, 7. ábra ). Ezért fontos az idősebb páciensek (különösen, akik kísérőre szorulnak) rendszeres visszahívása. Erre a célra kiváló megoldást jelenthetnek a mobil kezelőegységek, amelyeket sajnos egyelőre csupán egyes projektekben használnak és nem érhetőek el szélesebb körben az osztrák lakosság számára. 12

Forrás: Implants 2023/1

38 e-Journal IMPLANTOLÓGIA
7. a–b ábra: A páciensnek felül implantátumokon támaszkodó kivehető, alul csavarral rögzülő fogpótlása volt.

AZ IMPLANTÁCIÓ SIKERESSÉGÉNEK NÖVELÉSE AZ ALVEOLUS KETTŐS

HULLÁMHOSSZÚ LÉZERES

ELŐKEZELÉSÉVEL

Jelen esettanulmányban szeretnénk az általunk használt kettős hullámhosszú lézer módszer (2940 nm-es Er:YAG és 1064 nm-es Nd:YAG) alkalmazási területeire összpontosítani, illetve bemutatni hatékonyságát és kedvező hatását az implantáció sikerességére. Egy implantáció akkor sikeres, ha csökkenteni tudjuk az implantátum körül kialakuló gyulladások (periimplantitis, periimplantáris mucositis), az implantációs sikertelenség és a posztoperatív szövődmények kockázatát, illetve ha növelni tudjuk a csontba behelyezett implantátum hosszú távú stabilitását.

Az Er:YAG lézerről korábban már kimutatták, hogy eredményesen lehet használni granulációs szövet eltávolítására mind lágyszövetben, mind csontban, valamint az implantáció helyének fertőtlenítésére is. Ezen felül alkalmas az osteotomia felszínének felérdesítésére, amely növeli a sejtek adhézióját és ezáltal elősegíti a gyógyulást.

Az implantátumot körülvevő csont dekortikálása Er:YAG lézerrel serkenti a vérkeringést, a gyógyulást, illetve a különböző graftok megtapadását. Az Er:YAG lézer használatakor kicsi a csontszövet túlmelegedésének és karbonizációjának veszélye, mivel csupán a felszíni rétegekben fejt ki ablációs hatást, illetve a vízhűtés is tovább csökkenti

a fejlődő hő mennyiségét. Azt is megállapították erről a lézerről, hogy felszíni fotobiomoduláló hatással bír.

Az Nd:YAG lézer mélyebb fertőtlenítésre alkalmas; csökkenti a parodontopatogén csíraszámot a kortikális csontban fogeltávolítást követően, illetve ha a csontból és az alveolusból nem sikerül teljesen eltávolítani a sarjszövetet. Számos tanulmány támasztja alá azt a megfigyelést, hogy a hagyományos fúróhasználat lézerekhez képest fokozottabb hőképződéssel jár. Emiatt nő a csontnekrózis veszélye, lassul a csont gyógyulási sebessége és a titániumimplantátumok osszeointegrációja, fokozódik a gyulladás, és csökken az implantátumok mechanikai és biológiai stabilitása.

Esetbemutatás

A páciensnek enyhe fokú magas vérnyomása volt, amelyre a következő gyógyszereket szedte: ramipril (angiotenzin-konvertáló enzimgátló), propranolol (béta-blokkoló) és amlodipin (kalcium-csatorna blokkoló). Ezen felül Parkinson-kórban is szenvedett, amelyre levodopa/carbido -

1. ábra: Kiindulási panorámaröntgen.

40 e-Journal IMPLANTOLÓGIA

pat kapott. Korábban számos fogászati kezelésen esett már át (1. ábra) . A páciens szájhigiénéje kielégítő volt, naponta kétszer mosott fogat, fogselymet azonban csak hetente egyszer-kétszer használt. Generalizált, krónikus parodontitisben szenvedett. A klinikai tapadás növelésére, a tasakmélységek csökkentésére és a parodontális csont regenerációjának elősegítésére a páciensnél TwinLight lézer-asszisztált parodontális tisztítást végeztünk, amely módszer ötvözi az Er:YAG és az Nd:YAG lézerek használatát (Fotona).

A 34–37 fogak között egy több mint tíz éve készült híd volt, amelyet a distalis pillér kiterjedt szekunder mesialis cariese miatt kellett cserélni (2. ábra) . A páciens kívánságára a régi hidat a mesialis pillér mögött átvágtuk és eltávolítottuk, megtartva a 34 fogon a korábbi koronát. A 37 fog, megfelelő tisztítást és előkészítést követően egy új öntött aranykoronát kapott, a korábbi foghiányok (35 és 36) területére pedig két implantátum beültetését kérte a páciens. A kezelési terv alapján a beültetés előtt Er:YAGés Nd:YAG-lézer kezeléssel elvégeztük az osteotomiák degranulációját, felszínmódosítását és fertőtlenítését.

A kezelés

A páciens a műtétet megelőző napon antibiotikus profilaxisban (2 g amoxicillin szájon át) részesült, valamint 0,12%os klórhexidin oldattal öblített közvetlenül a beavatkozás előtt. A bal oldali n. alveolaris inferiorhoz vezetéses érzéstelenítést (egy ampulla 4% artikain-hidroklorid és 1:200 000 adrenalin), a beavatkozástól lingualisan és buccalisan helyi érzéstelenítést (egy-egy ampulla 2% lidokain és 1:100 000 adrenalin) adtunk. A pácienstől a helyszínen vért vettünk, amelyből előállítottunk három cső L-PRF (leukocytában és vérlemezkében gazdag fibrin; 2700/perc fordulatszámon 12 percig centrifugálva; EBA 200, Hettich) és egy fehér cső F-PRF (hajtogatott PRF; 155/perc fordulatszámon 3 percig centrifugálva) készítményt.

Egy 15-ös szikepengével gerincéli metszést ejtettünk, majd segédmetszés nélkül, teljes vastagságban (mucope -

riostealisan) lebenyt preparáltunk a 34-től a 37-es fogig. Az implantátumok helyét egy előzetesen elkészített sebészi sablon segítségével határoztuk meg és készítettük elő a megfelelő előfúrókkal 800/perc fordulatszámon, közepes fiziológiás sóoldatos vízhűtés mellett. A 35 helyén egy hagyományos átmérőjű jelölőfúróval fúrást ejtettünk, majd tovább tágítottuk az osteotomiát 3,5 és 4,0 mm átmérőig, 7 mm mélységben. A 36 helyén széles átmérőjű jelölőfúróval kezdtük a preparálást, majd folytattuk 3,5 és 4,5 mm átmérőig, 7 mm mélységben. Az implantátumok behelyezése előtt mindkét furatot lézerrel kezeltük elő.

Lézer paraméterek

A következőkben bemutatjuk az itt használt Er:YAG és Nd:YAG lézer rendszert (LightWalker AT S, Fotona). A furatok körül a felszíni granulációs szövet eltávolítására, illetve a lágy- és a keményszövetek ablációjára és fertőtlenítésére az Er:YAG H14 kézidarabot használtunk, amelyhez egy cilindrikus 12/1,3 száloptikás fej csatlakozott. A készüléket SP (short pulse, rövid pulzálás) módban, 160 mJ és 20 Hz beállítás és 5:4 víz–levegő arányú hűtés mellett alkalmaztuk (3. ábra) . A degranulációnak köszönhetően a csontból és annak környezetéből minden lágyszövetet eltávolítottunk. Ezt követően ugyanazt a készüléket (Er:YAG H14 kézidarab, cilindrikus 12/1,3 szál optikás fej) használtuk, de MSP (micro-short pulse, mikro-rövid pulzálás) módban, 50 mJ és 30 Hz beállítás és 5:4 víz–levegő arányú hűtés mellett. Fertőtlenítettük az osteotomia belső felszíneit, egyidejűleg konzervatív módon megnyitva a szivacsos csontállomány lacunáit a falak mentén. Ez utóbbi kíméletes beállításával nem fenyeget annak veszélye, hogy szivacsos csontot távolítunk el, amely kockáztatná az implantátum stabilitását és behelyezhetőségét. Csökken a gyulladás veszélye, gyorsul a sebgyógyulás, nagyobb csont–implantátum kontaktust (BIC, bone-to-implant contact) és primerstabilitást érhetünk el, illetve módosítani tudjuk a felszínt, elősegítve ezzel a sejtek tapadását. A mélyebb fertőtlenítésr e Nd:YAG lézert alkalmaztunk : 300 μm-es száloptikás véget MSP módban, 2 W és 20 Hz beállítás mellett (4. ábra) . Segítsé -

41 VII. ÉVFOLYAM – 2024. 4. SZÁM
2. ábra: A beavatkozás helye a műtét előtt. – 3. ábra: Az implantátum helyének degranulációja Er:YAG lézerrel.

4. ábra: Az osteotomia helye közvetlenül a lézeres kezelést követően.

5. ábra: Kontrollröntgen 45 nappal a beavatkozást követően.

6. ábra: A lágyszövet primer záródása a 45. napon szinte teljes.

gével csökken a parodontopatogén baktériumok száma, amelyek egyébként gátolhatják az osszeointegrációt. Az osteotomiáknál ügyeltünk a vér elszívására, hogy ne zavarja az Nd:YAG lézer működését. Mivel az előfuratokból bő vérzést tapasztaltunk, lézeres dekortikalizációt külön már nem végeztünk. A fenti lépések lehetővé tették, hogy kihagyjuk a hagyományos fizikális kürettázst, így időt spóroltunk és a páciens számára is komfortosabb volt a beavatkozás.

Sebészi sablon segítségével a 35 fog helyére 4,5 ×7,0 mm méretű, a 36 fog helyére 5,0 ×7,0 mm méretű Hiossen ETIII SA (Osstem Implant) implantátum került behelyezésre. A 35-re hosszú nyakú 5 ×5 mm-es, a 36-ra 6 ×5 mm-es Hiossen gyógyulási fejek kerültek, amelyeket kézzel húztunk meg. Előzetesen a gyógyulási fejek alá mindkét implantátumnál L-PRF került. A sebet Cytoplast PTFE (politetrafluoretilén, teflon) varratokkal zártuk.

Posztoperatív utasítások és fájdalomcsillapítás

A sebek gyógyulásának serkentésére és a fájdalom csillapítására fotobiomodulációs kezelést végeztünk a páciensnél két alkalommal, két nap kihagyással. Ehhez a Genova Nd:YAG lézer készüléket használtuk 1-1 percig MSP módban (0,5 W/cm 2 és 10 Hz beállítás) figyelve, hogy az implantátumokhoz közvetlenül ne érjünk.

A műtétet követően a páciens egy hétig szedett antibiotikumot (500 mg amoxicillin) és öblített 0,12% klórhexidin oldattal. Fájdalomcsillapítóra (400 mg ibuprofen) csupán a műtétet követő két napban, összesen két alkalommal volt szükség.

Megfigyelések és eredmények

A páciens a műtét teljes ideje alatt panasz- és fájdalommentes volt. A gerincéli metszés, illetve a lebeny preparációja enyhe vérzéssel járt. A hagyományos előfúrást követően az osteotomiák helyén mérsékelt volt a vérzés. Az Er:YAG lézerrel végzett degranuláció és felszínmódosítás már fokozottabb vérzést eredményezett a csont felszínén. A vérzés végül az implantátumok behelyezésekor alábbhagyott, az L-PRF membránok és a gyógyulási fejek felhelyezésével teljesen megszűnt.

A páciens a műtétet követően két napig tartó enyhe idült fájdalomról és duzzanatról számolt be, ami idővel folyamatosan oldódott. A második fotobiomodulációs kezelés, két nappal a műtétet követően, tovább enyhítette a gyulladást és a fájdalmat. Ekkor már a seb per primam záródása is megkezdődött. A varratokat három hét elteltével távolítottuk el, ekkor már se duzzanat, se vérzés nem volt tapasztalható. Negyvenöt nap elteltével a lágyrészek még mindig gyógyulófélben voltak, a per primam záródás majdnem teljesen lezajlott, a páciensnek panasza nem volt (5–6. ábra).

Összefoglalás

A kettős hullámhosszú, Er:YAG és Nd:YAG lézer módszer elengedhetetlen az implantáció hosszú távú sikeréhez, mivel elősegíti az osteotomia degranulációját, felszínmódosítását, fertőtlenítését és fotobiomodulációját.

Forrás: Implants 2023/1

42 e-Journal IMPLANTOLÓGIA

MI Diagnosztika

Új dimenzió a CBCT, a fogászati röntgenek és a kefalometriai felvételek diagnosztikájában a MESTERSÉGES

INTELLIGENCIA erejével csak a VIP DENTALBAN!

Dentális státusz elemzése mesterséges intelligencia által CBCT felvételen.

Panorámaröntgen elemzése mesterséges intelligencia által.

Kefalometriai elemzés és pontbejelölés mesterséges intelligencia által.

Legyen az Ön rendelője a fogászati ellátás innovatív központja, és velünk együtt biztosítsa a legmagasabb szintű diagnosztikai szolgáltatást az MI által támogatott elemzésünkkel.

4,8-as átlag

Budán, Pesten, Székesfehérváron, Debrecenben www.vipdental.hu info@vipdental.hu
Tel: 0613361168

ALPHA IMPLANT HÍREK

ALPHA EXPERTS DAYS 2024 – SOPRON

Az Alpha Implant Kft. fennállásának 15. évfordulója alkalmából szervezett továbbképzésére és baráti találkozójára várja az érdeklődőket!

A cég 2009 óta van jelen Magyarországon az Alpha-Bio Tec implantátum rendszerrel és más olyan vezető gyártók termékeivel, mint a Geistlich, EMS, Osteogenics, Dynamic Abutments, Hu-Friedy.

Az elmúlt évek sikereinek megünneplésére egy két napos, 18 pontra akkreditált előadás sorozatot szerveztek, amelynek keretében elismert és kiváló kollégáktól hallhatod a legfrissebb információkat és mélyítheted el tudásodat. A társasági programok pedig lehetőséget adnak egymás jobb megismerésére, közös élmények szerzésére.

Tudományos program:

2024. szeptember 12.

Az Implantáció lehetőségei sugárkezelés és antiresorptív terápia esetén

Prof. dr. Németh Zsolt med. habil. PhD

Malpozícióban lévő implantátumok sebészi és protetikai korrekciójának lehetőségei

Dr. Kemper Róbert

Digitális újdonságok az implantációs protetikában

Dr. Rakics Péter, Rőth Gergely ftm.

2024. szeptember 13.

Csontpótlások A-Z-ig

Dr. Bogdán Sándor PhD

Augmentációs technikák szövődményei és azok kezelése

Dr. Joób-Fancsaly Árpád med.habil. PhD

Irányított csont regenerációt követő lágyszöveti rekonstrukció autológ és xenogen graftokkal

Dr. Molnár Bálint PhD

A modern implantációs fogpótlások anyagai és technológiái

Dr. Marada Gyula DMD PhD MSc

Azonnali implantáció

Prof. dr. Piffkó József

Digitalizáció a mindennapjainkban

Dr. Tóka József MOM

Jelentkezz te is és tapasztald meg az „Alpha-Bio életérzést”! https://alphaexpertsdays2024.ementin.hu/

44 e-Journal IMPLANTOLÓGIA Alpha Implant Kft. / 9400 Sopron, Deák tér 45.

GEISTLICH BIO-OSS COLLAGEN ÉS AZ „L-SHAPE” TECHNIKA

1. 100 mg vagy 250 mg-os Geistlich Bio-Oss Collagen benedvesítése.

2. Geistlich Bio-Oss Collagen „L” alakra metszése.

3. Geistlich Bio-Oss Collagen készen áll a felhasználásra.

Esettanulmány Geistlich Bio-Oss Collagen „L-shape” technikával

Dr. Marco Zeltner/Horgen, Svájc

1. kép: Az eset okkluzális képe, két hónappal a foghúzást követően (az extrakció oka vertikális gyökérfraktúra), látható a jelentős labiális konkavitás a gerincen

2. kép: Implantátumbehelyezés és Geistlich Bio-Oss Collagen, Geitlich Bio-Oss csontpótló behelyezése

3. kép: Két réteg Geistlich Bio-Gide membrán behelyezése apikálisan szegecsekkel rögzítve

4. kép: Feszülésmentes sebzárás horizontális matracöltéssel, és egyéni megszakított öltéssel

5. kép: Okkluzális kép 6 hónappal a műtét után

6. kép: A végleges pótlás frontális képe 2 évvel a beavatkozás után (leplezett cirkonkorona csavarral rögzítve)

45 VII. ÉVFOLYAM – 2024. 4. SZÁM
1 4 2 5 3 6

Egy jól használható eljárás a mindennapi gyakorlatban

A sebzárás után a legmagasabb ponton a vertikális csonttömeg 79,5%-a megőrzésre kerül

Az implantátum vállánál a horizontális csonttömeg 97,6%-a megőrzésre kerül a sebzárás után

Geistlich Bio-Oss® granulátum

Geistlich Bio-Oss® Collagen „L” alakban Implantátum

HORIZONTÁLIS CSONTTÖMEG STABILITÁSA

Magas stabilitás sebzárás előtt és után

• A sebzárás a csontpótló anyag elmozdulását eredményezheti

• A Geistlich Bio-Oss granulátum, „L” alakúra vágott Geistlich Bio-Oss Collagen és Geistlich Bio-Gide membrán kombinált használatával 80%-kal nagyobb stabilitás érhető el, mint Geistlich Bio-Oss Collagen nélkül

• A Geistlich Bio-Oss Collagen „L” alakra vágva összenyomható és a csontdefektushoz alakítható a graft stabilitásának veszélyeztetése nélkül

Geistlich Bio-Oss® Collagen 1 közvetlen kapcsolatban az újonnan képződött csonttal 2 és vérerekkel 3 .

Klinikai hisztológiai vizsgálat 6 hónapot követően Geistlich Bio-Oss Collagennel és Geistlich Bio-Gide-dal végzett irányított csontregeneráció után

A Geistlich Bio-Oss Collagen regeneratív lehetőségei

• Az új elsődleges csont a szorosan integrálódott Geistlich Bio-Oss granulátumokkal sűrű trabekuláris hálózatot alkot.

• A laza kötőszövet gyulladásmentes és a vaszkularizáció helyreállt.

Forrás: Geistlich Biomaterials termékismertető brosúra

46 e-Journal IMPLANTOLÓGIA
0 % 100 %
100 % 0 %
VERTIKÁLIS CSONTTÖMEG STABILITÁSA
2 1 1 1 3 3 20 μm
YOUR WORLDWIDE NO.1 REFERENCE UNIQUE BIOFUNCTIONALITY OUTSTANDING QUALITY 1,2
References ISO 13485 certificate, research and development 2 ISO 9001 certificate, multi site quality management www.geistlich-pharma.com/en/about-us/geistlich/ about-geistlich/quality/ FROM A TO Z: THE WHOLE PRODUCT KNOWLEDGE IS IN OUR HANDS alphaimplant.hu More details about our products: www.geistlich-biomaterials.com
> Strictly controlled raw material selection > Cutting-edge production > Quality management of the final product

Dr. Sidó Levente1,3, Dr. Benyőcs Gergely1,3, Dr. Mócz András1,3, Dr. Bögi Krisztina1,2,3

A SEBÉSZI TECHNIKA ÉS A PRF SZEREPE AZ ALVEOLÁRIS

CSONT ÉS A MUKOGINGIVÁLIS

STRUKTÚRÁK MEGŐRZÉSÉBEN III

Alveolus prezerváció PRF segítségével (PRF Sticky Tooth +A-PRF/S-PRF)

Bevezetés

A posztexrakciós alveoláris csonthiányok és az azzal korreláló lágyrészdefektusok megelőzésében kiemelt szerepe van a természetes szöveti struktúrák megőrzésének. A kemény- és lágyszövetek prezervációjával a későbbi munkafolyamatok egyszerűbbé válnak, magas szintű funkcionális és esztétikai eredmény érhető el. A hosszú távú, szöveti stabilitás alapja a gondos protetikai szemléletű, „visszafelé” tervezés. Az alveoláris csonthiányok megelőzésére és/vagy korrigálására, a csontosodás elősegítésére és irányítására számos anyag és módszer ismert. Ezeknél a legtöbb esetben lebenyképzés és az íny per primam zárása szükséges, amely nemcsak az alveoláris csont vérellátását zavarhatja meg, de a vesztibulum szűkülését és a feszes íny megszűnését is eredményezheti. Emiatt gyakran szükséges az optimális lágyrészmenedzsment megvalósítására kiegészítő beavatkozás. Az utóbbi években egyre szélesebb körben terjedt el a PRF technika, amelynek napjainkban az irányított csontregenerációban világszerte elismert szerepe van, emellett a PRF membránok alkalmazása mukogingivális sebészeti szempontból is figyelemre méltó előnyökkel jár (1). Több nemzetközi közlemény a módszer kiszámíthatóságát és megbízhatóságát igazolja. Ezen eredmények alapján a trombocitában gazdag fibrin (Platelet Rich Fibrin, PRF) kiválóan alkalmas a posztextrakciós csontsebek kezelésére (2, 3, 4, 5). A posztextrakciós alveoláris szövethiányok kialakulásának hátterében több tényező is szerepelhet. A paro- és periodontális kórfolyamatok már akkor kemény- és lágyszöveti hiány vagy defektus kialakulásához vezethetnek, amikor a fog még az anatómiai helyén található. A prezervációs szemlélet nélkül végzett extrakciós és szkulpciós beavatkozások gyakran okoznak szövethiányt, vagy annak mértékét jelentősen növelik. A fog eltávolítása során kiemelt jelentőségű a bukkális csont megőrzése, emellett törekednünk kell mindenfajta csontveszteség minimalizálására. Ennek érdekében a klasszikus, extrakciós és szkulpciós technikákat módosítani kell: ajánlott a foggyökerek intraalveoláris darabolással történő eltávolítása, vagy

részleges eltávolítása, a socket shield technika (6) elveinek megfelelően. Törekedni kell az alveoláris struktúrák vérellátásának megóvására a lebenyképzés lehetőség szerinti mellőzésével, vagy annak jelentős minimalizálásával és a lágyrészek megfelelő megtámasztására (7). Utóbbi szempontjából kiemelkedő jelentőségű lehet az azonnali implantáció (8) és az azonnali – akár implantátumon vagy természetes fogakon rögzített – ideiglenes pótlás készítése, esetleg socket plug technika (9) alkalmazása, illetve bizonyos esetekben szükséges lehet lebenyképzésre és extraalveoláris csontaugmentációra, amelynek segítségével a lágyrészek számára jó vérellátást biztosító trabekuláris csontréteg képződését indukálhatjuk. Nagy jelentősége van az időtényezőnek is: a fogak eltávolítását követően az első hetekben az alveolus jelentősen kollabál, ezt követően lassú involúciós atrófián megy keresztül (10, 11, 12, 13, 14, 15, 16, 17, 18, 19).

Anyag és módszer

Az alveolus prezerváció natív PRF segítségével egyszerű, jól kiszámítható és megbízható eljárás csonttal minden oldalról körülvett posztextrakciós területek augmentációjára. Munkánk során gyakran találkozunk azonban egy vagy több alveoláris csontfal hiányával járó defektussal. Ezekben az esetekben az alveolus prezerváció elvégzésére a PRF Sticky Bone™ eljárást alkalmazhatunk, amelynek lényege, hogy a trombocitában gazdag fibrin készítményt xenografttal keverjük és az augmentációt az így kapott agyagszerű anyaggal végezzük el. Az 1. táblázat (20) mutatja be a napjainkban leggyakrabban használt csontpótlók típusait, azonfelül a legfontosabb szempontokat, amelyekre kiválasztásuknál figyelemmel kell lennünk, illetve amelyek alapján felhasználhatóságukat és tulajdonságaikat értékelhetjük. Az irodalmi adatok és tapasztalataink alapján az autológ graftok és eljárások használatával kiemelten jó, biológiailag megfelelő és aktív gyógyulási eredményre számíthatunk. Az autológ csontgraftok pozitív tulajdonságai mellett számolnunk kell gyakorlati hát(1) AquaDent Fogászat, (2) Cranium-B Fogászat, (3) Precedent Fogászat

48 e-Journal IMPLANTOLÓGIA

Típus Származás Antigénstruktúra Keresztfertőzés Osteoindukció Osteokondukció Mennyiség Tárolás Ár Egyéb

Autograft Saját Megfelelő Nincs Van Van Korlátozott Nem lehetséges vagy korlátozott Műtéti idő? Donorhelymorbiditás

Allograft Azonos faj Eltérő lehet Lehet Nincs Van Korlátlan Tárolható Közepes Jogi szempontok

Xenograft Más faj Eltérő Lehet Nincs Van Korlátlan Tárolható Közepes Jogi szempontok

Alloplasztikus graft Szintetikus Nincs Nincs Nincs Van Korlátlan Tárolható Kedvezőbb

1. táblázat

rányokkal is: az autograft nem áll korlátlan mennyiségben rendelkezésünkre, tárolása hosszú távon nem kivitelezhető, kinyerése a műtéti idő növekedésével jár, valamint használata esetén mindig számolnunk kell donorhelyi morbiditással, utóbbival pedig mindenképpen sérül a „nil nocere” alapelv és a minimálinvazivitás elve. Az allograftok alkalmazásának vitathatatlan előnyei mellett gondolnunk kell az esetlegesen eltérő antigén-struktúrára, a keresztfertőzés elvi lehetőségére, a gyártási technológia következményeként esetlegesen hiányzó oszteoinduktív hatásra és jogi szempontokra, amelyek hátrányt jelenthetnek. Az egyszerű felhasználhatóság, tárolhatóság és jó oszteokonduktív tulajdonságok mellett a hosszú távú klinikai tapasztalatok és a szövettani vizsgálatok (21, 22) a xenograftok és alloplasztikus anyagok esetében kérdéseket vetnek fel a behelyezett anyagok átépülésével kapcsolatban. Eltérő véleményekkel és eredményekkel találkozhatunk az újonnan képződő csont minőségét és biológiai tulajdonságait illetően, illetve gyakrabban láthatunk idegentest-reakciót és/vagy kötőszövetes gyógyulást. Oszteoinduktív hatással sem rendelkeznek, a xenograftok esetében az antigénstruktúra biztosan eltérő és keresztfertőzés is előfordulhat, használatuknak bizonyos esetekben jogi korlátai lehetnek. Az allograftok előnyös tulajdonsága, hogy keresztfertőzést nem okoznak, viszont megfelelő antigénstruktúrával sem rendelkeznek. Az előzőekből következik, hogy az ideális csontpótló anyag tulajdonságai a következők: megfelelő antigénstruktúrával rendelkezik, nem okoz keresztfertőzést, oszteokonduktív és oszteoinduktív hatása egyaránt van, kinyerése nem okoz donorhelyi morbiditást, felhasználása nem vet fel jogi kérdéseket, emellett kellő volumenstabilitással bír. Figyelembe véve a csontpótló anyagok négy fő csoportjának legfontosabb jellemzőit, az ideális megoldás egy olyan autológ készítmény, amely mindezen tulajdonságokkal egyszerre rendelkezik. Az irodalomban számos olyan közleményt olvashatunk, amelyek a foganyag autológ graftként történő használhatóságát írják le (23, 24). Csontaugmentáció céljára felhasználható, a természetes fogakból származó anyag kinyerése összetett folyamat, a fogak megfelelő darabolásával, őrlésével, majd az őrlemény megfelelő kezelésével valósítható meg. Ennek kivitelezésére a Tooth Transformer™ berendezést használhatjuk (25, 26). Az őrleményt trombocitában gazdag fibrinnel egyesítve, a PRF Sticky Bone™ készítményhez hasonló, ám tisztán autológ anyagot, az úgynevezett PRF Sticky Tooth csontpótlót hozhatunk létre (27).

Sterilizálhatóság Kötőszövetes reakció

Az alveolus prezerváció megfelelő kivitelezésének első lépése a fog eltávolítása, az alveoláris struktúrák minél tökéletesebb megőrzésével. Második lépés a csont augmentáció elvégzése. Ha a beavatkozás nem vagy nem megfelelően célozza a kemény- és lágyszövetek prezervációját, a csontosodás elősegítését vagy annak irányítását, a gyógyulási idő letelte után nem lesz megfelelő csontkínálat. Az esetek egy részében alveolus prezerváció elvégzése nélkül is marad akkora csontvolumen, amely lehetővé teszi az implantátum behelyezését, de gyakran protetikailag előnytelen pozícióba. A keményszöveti hiánnyal összefüggést mutat a lágyszöveti hiány, a feszes íny megszűnik. A protetikai szempontból rossz pozíciójú implantáció, valamint a szövethiány rontja a funkcionális és esztétikai eredményt és a hosszú távú siker arányát. Más esetben olyan mértékű a csont volumenében tapasztalt deficit, hogy az implantátum beültetésére nincs lehetőség, ilyenkor csont augmentációs műtét végzése szükséges, amely jelentős megterheléssel, költségekkel, időveszteséggel és számos szövődménnyel járhat.

Esetismertetés

Az 50 éves nőpáciens az alsó és felső állcsont területén egyaránt panaszt (fájdalom, ráharapási érzékenység) okozó, harmadfokban mozgatható fogak miatt jelentkezett rendelőnkben. Az általános anamnézisben említést érdemlő betegség, műtét nem szerepelt. Az elvégzett klinikai és radiológiai vizsgálatok (1–2. ábra) alapján fogai reménytelen parodontális státusúnak bizonyultak, hosszú távon sem megtartásuk, sem protetikai célú felhasználásuk nem volt lehetséges. A parodontális prognózis a fogak eltávolításának abszolút indikációját jelentette. Ezáltal mindkét állcsontban teljes foghiány kialakulásával kellett számolnunk. A protetikai szemléletű, „visszafelé” tervezés elveit követtük a hosszú távú funkcionális, esztétikai siker és szöveti stabilitás elérése érdekében: mindkét állcsontban overdenture típusú fogpótlás készítése mellett döntöttünk. A megfelelő implant-protetikai rehabilitáció alapja az implantátumok megfelelő pozicionálása. A korábbi parodontális kórfolyamat következtében a processus alveolarisokat érintő eredendő csontdeficittel kellett számolnunk, amelyet tovább súlyosbíthatott volna a hagyományos extrakciós technikát követő involúciós atrófia. Ezért a páciens kivizsgálása és megfelelő előkészítése után a fog eltávolításával egy időben PRF

49 VII. ÉVFOLYAM – 2024. 4. SZÁM

Sticky Tooth segítségével kivitelezett alveolus prezerváció mellett döntöttünk, a megfelelő csontos és mukogingivális gyógyulás minőségi és mennyiségi elősegítése érdekében. A PRF készítmény mennyiségét, minőségét, kezelhetőségét és hatékonyságát jelentősen befolyásolják a páciens laborértékei, ezért kezelési protokollunk szerint a műtétet megelőzően minden esetben laborvizsgálatot végzünk (hemoglobin: 134 g/liter, hematokrit: 0,43, fehérvérsejt: 6,6 G/liter, CRP: 13,60 mg/liter, vércukor: 6,2 mmol/liter, összkoleszterin: 7,00 mmol/liter, triglicerid: 1,08 mmol/liter, HDL koleszterin 2,57 mmol/liter, LDL koleszterin 1,12 mmol/liter), D3 vitamin: 117,5 nmol/liter).

A fogak eltávolítása és az alveoláris csont megőrzésének és regenerációjának segítése céljából elvégzett augmentáció altatásban történt. Óvatos, atraumatikus extrakciót követően eltávolítottuk a parodontális és periapikális gyulladásos folyamatok eredményeként jelen lévő sarjszövetet. A bukkális csontfal hiánya és a tervezett vertikális augmentáció miatt indokolt membrántechnika megfelelő kivitelezése céljából a felső állcsonton mukoperioszteális lebenyt képeztünk (3–4. ábra). Az alveolus prezervációt Sticky Tooth, PRF és titánerősítésű teflon (PTFE-Ti) membránok segítségével végeztük el, a J. Choukroun által megadott vérvételi és centrifugálási protokoll (28) elveinek betartásával: kizárólag Process for PRF Duo Quattro System eszközöket, centrifugát, vérvételi egységet és csöveket, a membránok előállításához PRF Boxot használtunk. Az A-PRF és S-PRF csöveket a PomPac eljárásnak megfelelően 4 Celsius-fokra előhűtöttük. Az eltávolított fogak makroszkópos tisztítását és darabolását nagy fordulattal (300 000 RPM) fogászati turbinába helyezett gyémántfúróval végeztük, majd Tooth Transformer™ berendezéssel, annak gyári reagens rendszerével kezelt őrleményt nyertünk. A Sticky Tooth készítmény előállítása a PRF készítmény és az őrlemény

50 e-Journal IMPLANTOLÓGIA
1. 3. 5. 8. 2. 4. 6. 7.

60/40 arányú keverésével történt (5–7. ábra), A-PRF és

A-PRF/S-PRF membránokat készítettünk (8. ábra). Az alveólusokat a grafttal feltöltöttük, a felső front régióban vertikális augmentációt végeztünk a tervezett alveoláris csontmagasság elérésének céljából (9–10. ábra). A vertikális augmentáció támogatására titán mikrocsavarokkal rögzített, titánerősítésű teflonmembránokat alkalmaztunk, amelyekre egy rétegben A-PRF membránokat, és egy rétegben A-PRF/S-PRF membránokat helyeztünk. Az alsó állcsont esetében vertikális augmentáció nem volt szükséges, célunk az alveoláris kemény- és lágyszöveti struktúrák prezervációja volt, a graftot csak PRF memb-

ránokkal fedtük. A PRF membránok külön rögzítést egyik állcsont esetében sem kaptak (11–12. ábra). A mukogingivális lebenyt – annak megnyújtása nélkül – a helyére fektettük és varratokkal rögzítettük, per primam sebzárást nem végeztünk. A varratokat 2 hét után távolítottuk el, a varratszedésig a sebgyógyulás támogatására per os 1000 mg/nap C- és 12 000 NE/nap D-vitamint adtunk (28). A fogak eltávolítását és az egy idejű augmentációt a felső állcsontban 193 nap, az alsó állcsontban 84 nap gyógyulási időszak követte, amelyek során sem helyi, sem gyógyszeres kezelés nem történt, az esztétikum javítása érdekében a páciens ideiglenes kivehető fogpótlást használt, az alsó

52 e-Journal IMPLANTOLÓGIA
9. 11.
13. 16.
10. 12. 14.
17. 15.

provizórium stabilizálásának érdekében a két alsó második moláris fogat csak a definitív fogpótlás készítése során távolítottuk el.

A gyógyulási időszakot követően a csontos gyógyulás ellenőrzése és az implantáció tervezése céljából állcsonti CT-felvételt készítettünk. A CT-felvételen tökéletes csontos gyógyulást észleltünk, az alveoláris csont volumene

teljes mértékben megtartott, a vertikális augmentáció a tervezettnek megfelelő eredményű volt (13–15. ábra), a klinikai kép is ennek megfelelően alakult, optimális menynyiségű keratinizált ínnyel és azt adekvát sebészi technika eredményeképpen megtartott vesztibulummal (16–17. ábra). Az alsó és felső állcsontba 4-4 darab Bredent COPA Sky implantátumot ültettük, D1-D2 csontminőség mellett,

Dolgozz velünk digitálisan !

Több mint 30 éves szakmai tapasztalat

Minden ami 3D nyomtatás

Az általunk vagy az Ön által tervezett vázakat, lemezeket 3D nyomtatással készítjük el ! Minőség, pontosság,

CoCr és Ti 3D nyomtatása Teljeskörű support Precíziós utómunkálat

Minden ami virtuális tervezés

Küldje el a lenyomtatot akár intraoral scan formájában és mi megtervezzük illetve legyártjuk a kívánt fogpótlást !

cirkónium-dioxid, PEEK, lítium-diszilikát, PMMA, kompozit

53 VII. ÉVFOLYAM – 2024. 4. SZÁM
A fogtechnikai újdonságok úttörői ! www dentarttechnik hu labor@dentarttechnik hu +36 30 682 3827 dentarttechnik
szakértelem.
18. 19.
21.
20.
22.

35 Ncm primer stabilitást mértünk. Nyílt gyógyulási protokollt alkalmazva az ínyformázókat is behelyeztük, amelyek körül az ínyt csomós öltésekkel zártuk (18–20. ábra) Amennyiben lehetséges, mindig nyílt gyógyulási protokollt választunk, így biztosítva elegendő időt a lágyrészek maturációjához (29). Kiemelendő, hogy az irodalmi adatoknak (30, 31, 32) és saját tapasztalatunknak megfelelően az íny biotípusának jelentős, pozitív irányú változását észleltük. Az implantátumokra 180 nap gyógyulási időszakot követően (minden implantátum stabilitása Periotesttel –8-as értékű volt) hagyományos lenyomatvételi módszer és egyéni értékű artikulátor használatával a fogtechnikus (D1 Dental Kft., Garamvári Csaba) overdenture típusú fogpótlást készített (21. ábra)

A protetikai rehabilitációt követően 9 hónappal az alveoláris struktúrák stabilak, a röntgenfelvételen a csontállomány megtartott, a beteg panaszmentes, rágó funkciója kifogástalan, az esztétikai eredménnyel teljes mértékben elégedett (22–23. ábra)

Megbeszélés

A fogak eltávolításának indikációja

A bukkális csontállomány teljes felszívódását és a fogak jelentős mobilitását okozó előrehaladott parodontális folyamat, a fogak eltávolításának abszolút indikációját jelenti. Tapasztalataink szerint ilyen esetben a fogak megtartását célzó regeneratív kezelésektől hosszú távú siker nem várható, az adekvát oki terápia a fog eltávolítása.

A PRF Sticky Tooth módszer indikációja, értékelése

Számos vizsgálat, többek közt randomizált kontrolltanulmányok számolnak be a PRF kedvező hatásairól az alveoláris csont és lágyszöveti regeneráció kapcsán (34, 35, 36, 37). Ebben jelentős szerepet játszanak a centrifugálás során fokozatosan kialakuló háromdimenziós fibrinhálóban elhelyezkedő trombociták, leukociták, progenitor sejtek, valamint az általuk közel 2 héten át termelt növekedési faktorok, különböző citokinek (38, 39, 40). A PRF Sticky Tooth módszer előnye, hogy a hozzáadott sajátfog-őrlemény volumenstabilizáló és oszteokonduktív hatását a PRF csontregenerációra gyakorolt pozitív effektusait egyidejűleg használjuk ki. Az eljárás során autológ szöveteket használunk, amelyeket minimál

invazív beavatkozással (vérvétel), illetve a műtét elkerülhetetlen részét képező és egyúttal az oki terápiát jelentő lépéséből (extrakciók) nyerünk, és amelyekből egyszerű folyamatokból álló protokoll alapján biológiailag aktív csontpótló anyagot állítunk elő. Biztonságos és sikeres alkalmazása azonban megfelelő gyakorlatot és összehangolt műtéti csapatmunkát igényel. Tapasztalataink szerint a PRF Sticky Tooth módszer a rutinszerűen végzett intraorális csontaugmentációs eljárások (alveolus prezerváció, horizontális és vertikális augmentációk, sinus maxillaris elevatio stb.) esetében sikerrel alkalmazható. Kiváló autológ csontpótlási módszer, a töltőanyag nagyfokú biológiai megfelelősége és a PRF kedvező oszteoimmunológiai hatásai (1, 34, 35, 36, 37, 38, 39, 40) miatt az eredeti állcsonti struktúrához hasonló, trabekuláris csontszövet képződésére számíthatunk (27, 33). Az indikációs területet szűkíti azonban, hogy a kivitelezéshez megfelelő mennyiségű és minőségű természetes foganyag szükséges, azaz egyrészt rendelkeznünk kell a tervezett augmentáció volumenének megfelelő őrleménnyel, másrészt lényeges elvárás az eltávolított fogszövetek baktériummentessége is. Tehát azokban az esetekben, ahol nem történik extrakció, vagy a csontpótlás dimenziójához képest kevés alkalmas foganyag áll rendelkezésre, illetve, ha a foganyag baktériumokkal kontaminált (például erősen destruált fogak/ visszamaradt foggyökerek, vagy régi, inkomplett gyökértöméssel ellátott, fertőzött dentinállományú fogak) a módszer nem alkalmazható. A korábban eltávolított és hosszú távon tárolt foganyag felhasználhatósága számos kérdést vet fel, ezeknek elemzése jelen közleménynek nem célja. Gyakorlati tapasztalatunk szerint az őrlemény elkészítése (tisztítás, darabolás, a Tooth Transformer™ üzemideje) időigényes, összesen 30–50 perc, amely a műtéti idő jelentős növekedésével jár. Ambuláns beavatkozások esetén megoldás lehet a műtét megszakítása, majd folytatása, azonban altatásos beavatkozásnál erre nincs lehetőség.

Atraumatikus extrakciós technika, a vérellátás megóvása

A csontmennyiség megőrzésének alapja az atraumatikus, minimál invazív extrakciós technika alkalmazása. Klinikai gyakorlatunkban minden fog eltávolításánál a rendelkezésre álló alveoláris csont teljes megkímélésére törekszünk, különösen akkor, ha a fog eltávolítását indokló patológiás folyamat következtében a fogmedernyúlványt érintő csonthiánnyal állunk szemben. Ilyen szituációban gyakran nem lehetséges a lebenyképzés elkerülése, csak a lebeny méretének és a feltárás mértékének redukálására törekedhetünk annak érdekében, hogy mérsékeljük az alveoláris csont és a csontpótlásra használt graft vérellátási zavarát (41, 42, 43, 44, 45, 46, 47, 48). A fogmedernyúlvány csontvesztesége egyúttal lágyrészveszteséget is eredményez, mivel az atrófizált alveoláris csontot kisebb volumenű íny fogja fedni. Amennyiben a kemény- és lágyszöveti struktúrák védelmére és megőrzésére nem törekszünk, az ínyszövet – különös tekintettel a feszes ínyre – relatív hiánya a másodlagos augmentációs műtét során problémát jelent, a beavatkozás sikerét veszélyezteti és gyakran korrekciós lágyrészműtétet tesz szükségessé.

54 e-Journal IMPLANTOLÓGIA
23.

A gingiva biotípusának megváltoztatása

Amennyiben a lebenyképzés nem elkerülhető vagy szükséges az egyébként vékony biotípusú íny megváltoztatása, a PRF technika alkalmazása segítségünkre lehet. A PRF Sticky Bone™ vagy PRF Sticky Tooth módszerekkel kiváló keringésű, trabekuláris csontszövet képződését érhetjük el, akár a buccalis kortikális külső oldalán is. Ezt kiegészítve megfelelő PRF membrán- és varrattechnikák alkalmazásával a mukoperioszteális lebeny megnyújtását is elkerülhetjük. Mindezek eredményeképpen a csontvolumen növelése mellett lehetőségünk van a gingiva biotípusának irányított pozitív megváltoztatására is kötőszöveti vagy szintetikus graftok használata nélkül (30, 31, 32, 33).

A per primam sebzárás elkerülése PRF használatával

A legtöbb rutinszerűen alkalmazott, hagyományos csontaugmentációs technika esetében elengedhetetlen a graft, illetve az alkalmazott barrierek felett a teljes sebzárás. Amennyiben az ilyen jellegű csontpótlást a fog eltávolításával egy időben végezzük, szükséges a fog helyének megfelelő, anatómiai ínyhiány pótlásának megoldása. Erre lágyrészátültetéssel (FGG, CTG technikák) vagy az ínylebeny nyújtásával van lehetőségünk. Előbbi esetben mindig számítanunk kell panaszokra (fájdalom, étkezési nehézség) a vételi helyen, illetve esetenként számolnunk kell donorhelyi morbiditással is. Amennyiben a primer sebzárást lebenynyújtás segítségével végezzük el, az a legtöbb esetben a vesztibulum szűkülését és/vagy a feszes, keratinizált gingiva megszűnését eredményezi és korrekciós műtét elvégzése válhat szükségessé. A PRF membrántechnika alkalmas csontaugmentációs területek fedésére per primam sebzárás nélkül. Az A-PRF, illetve S-PRF membránok 14–21 napon át megfelelő barrierfunkcióval rendelkeznek, valamint a gyógyulási folyamat során átépülve elősegítik a keratinizált ínyszövet kialakulását.

A csontpótlás időzítése

Célunk mindig a meglévő csont megőrzése, ezért törekedni kell arra, hogy a csontaugmentáció a fog eltávolításával egy

időben történjen. Ezzel egyrészt csökkentjük a páciens műtéti terhelését (eggyel kevesebb műtét), másrészt megelőzzük az alveoláris csont elvesztését, amelynek visszaépítése gyakran nehézséggel jár.

A laborvizsgálat jelentősége

Az oszteogenetikus folyamatokat a helyi tényezőkön kívül a páciens általános állapota is jelentősen befolyásolja, ezért fontosnak tartjuk preoperatív laboratóriumi vizsgálatok elvégzését (49). A páciensnél fennálló akut, szisztémás gyulladás, fertőzés (emelkedett fehérvérsejt-szám, CRP-érték), anyagcserezavar (magas vércukor-, és koleszterinszint) a sebgyógyulást akadályozhatja, infekcióra hajlamosít. Eltérő laboratóriumi leletek esetében a beteg általános állapotának rendezése után végezhető el az augmentációs beavatkozás. Kiemelt figyelmet érdemel a szérum koleszterin D3-vitamin szintje, amelyeknek nem megfelelő értéke szintén kedvezőtlenül befolyásolhatja a sebgyógyulást és csontregenerációt (50, 51, 52).

Az implantáció időzítése

A PRF Stickly Tooth alveolus prezervációt követően a felső állcsontba 6, az alsó állcsontba 3 hónappal ültetünk implantátumokat (53). Ezzel szemben egyes irodalmi ajánlások PRF+A-PRF/S-PRF technika alkalmazása esetén az implantátumok korábbi beültetésének lehetőségét írják le (53, 55).

A csapatmunka jelentősége

Az elmúlt évtizedek kutatásai és fejlesztései oly mértékben bővítették szakmai ismereteinket és technológiánkat, hogy napjainkban különlegesen fontossá vált a kollegiális és interdiszciplináris együttműködés. A PRF Sticky Tooth technika dentoalveoláris sebészeti alkalmazása jól példázza mindezt, hiszen a megfelelő gyógyeredmény eléréséhez nélkülözhetetlen a megfelelő előkészítés, kiemelt jelentőségű a sajátfog-őrlemény, a PRF centrifugátum és membránok előírás szerinti elkészítése és az adekvát sebészi technika alkalmazása, amelyek jellemzően túlmutatnak az egy kézben összefogható tevékenység lehetőségein.

1. Choukroun J., Miron R.J. Platelet Rich Fibrin: A Second-Generation Platelet Concentrate. In: Platelet Rich Fibrin in Regenerative Dentistry Eds Miron RJ, Choukroun J. Wiley Blackwell, Oxford 2017

2. Stumbras A., Kuliesius P., Januzis, G., Juodzbalys, G.: Alveolar Ridge Preservation after Tooth Extraction Using Different Bone Graft Materials and Autologous Platelet Concentrates: a Systematic Review J Oral Maxillofac Res. 2019 Jan-Mar; 10(1): e2. Published online 2019 Mar 31. doi: 10.5037/ jomr.2019.10102

3. Girish Kumar N., Chaudhary R., Kumar I., Arora SS., Kumar N., Singh H.: To assess the efficacy of socket plug technique using platelet rich fibrin with or without the use of bone substitute in alveolar ridge preservation: a prospective randomised controlled study.,Tissue Eng Part A. 2014 Feb;20(3-4):874-82.

4. Ouyyamwongs, W., Leepong, N., Suttapreyasri, S.: Alveolar Ridge Preservation Using Autologous Demineralized Tooth Matrix and Platelet-Rich Fibrin Versus Platelet-Rich Fibrin Alone: A Split-Mouth Randomized Controlled Clinical Trial., Implant Dent. 2019 Oct;28(5):455-462.

5. Mudalal, M., Sun, X., Li, X. & Zhou, Y.: The evaluation of leukocyte-platelet rich fibrin as an anti-inflammatory autologous biological additive., Saudi Med J. 40(7), 657–668 (2019).

6. Gluckman, H.: What is the Socket-Shield Technique? A Case Report. https:// howardgluckman.com/what-is-the-socket-shield-technique-a-case-report 2021

7. Zitzmann, NU, Marinello, CP, Berglundh, T.: The ovate pontic design: a histologic observation in humans. J Posthet Dent 2002; 88(4): 375–380

8. Gluckman, H.: Controversies Surrounding Delayed vs. Immediate Implant Placement: Is There No Middle Ground? Dental XP 2012

9. Valavanis K., Tzovairis A., Vergoullis I., Young-Hyun K., Ra-Hyeon W., Yong- Suk M., Dong-Seok S., Rikame VB., Horowitz RA., Doshi YS., Iskaros M., Rusi S.: Cervical Socket Plug Technique, JIACD, 2020

10. Hansson, S., Halldin A.: Alveolar ridge resorption after tooth extraction: A consequence of a fundamental principle of bone physiology, J Dent Biomech. 2012; 3: 1758736012456543;

11. Schropp L., Wenzel A., Kostopoulos L., et al.: Bone healing and soft tissue contour changes following single-tooth extraction: a clinical and radiographic 12-month prospective study. Int J Periodontics Restorative Dent 2003; 23: 313–323;

12. Botticelli D., Berglundh T., Lindhe J.: Hard-tissue alterations following immediate implant placement in extraction sites. J Clin Periodontol 2004; 31: 820–828;

55 VII. ÉVFOLYAM – 2024. 4. SZÁM
Irodalom

A MODIFIKÁLT, KORONÁLISAN VAGY LATERÁLISAN ELTOLT

TUNNEL

EGYSZERŰ VAGY MULTIPLEX ÍNYRECESSZIÓK

KEZELÉSÉRE

Az ínyrecessziók megbízható fedése sokszor kifejezetten nagy kihívást jelent a klinikusok számára.

A tunnel technikák kifejlesztésével ma már olyan eredményeket érhetünk el, amelyekről nem is álmodtunk volna pár évvel korábban. Az alábbi klinikai eseteken keresztül szeretnénk bemutatni a sebészi technikát és az MCAT és LVT-vel (Módosított koronálisan eltolt tunnel – Modied coronally advanced tunnel és laterálisan zárt tunnel – laterally closed tunnel) elérhető eredményeket, legyen szó akár szóló, akár multiplex recesszióról, mind az alsó, mind a felső állcsonton.

Ínyrecessziónak nevezzük a gyökérfelszín szabaddá válását a zománc-cement határtól (cementoenamel junction – CEJ) apikálisan. Lehet izolált vagy generalizált, előfordulhat fiataloknál és időseknél is egyaránt, a szájhigiéniától függetlenül. Az ínyrecesszió kialakulását számos tényező elősegítheti, mint például csontos dehiszcencia jelenléte, amelyet csak vékony gingiva fed, továbbá ilyen faktor lehet a marginális ínyhez közel tapadó frenulum labiale vagy buccale. Ezek akadályozhatják a sikeres és atraumatikus plakk kontrollt, nehezítve a megfelelő tisztítást, ami miatt könnyen kialakul ínygyulladás vagy gyökércaries és következményes csontés tapadásveszteség. Ezenkívűl emiatt előfordulhat fognyaki érzékenység, illetve esztétikai problémákat is okozhat a pácienseknek.

Ortodonciai kezeléshez is gyakran társulhat ínyrecesszió, ezenkívül a szájban található testékszerek (ajak vagy nyelv) viselésének következményeként is kialakulhat. Az elsődleges javallatok az ínyrecesszió terápiájában főleg esztétikai meg-

fontolásúak, illetve a szájhigiénia javítása, valamint a nyaki érzékenység orvoslása. Szóló vagy multiplex recessziók megbízható, előre látható fedése kifejezetten nagy kihívást jelenthet az orvosnak.

Módosított, koronálisan eltolt tunnel (Modied coronally advanced tunnel – MCAT) és laterálisan zárt tunnel (laterally closed tunnel – LCT)

A tunnel technika variációi közé tartozik a módosított, koronálisan eltolt tunnel (MCAT) és a laterálisan zárt tunnel (LCT). Mindkét eljárásnál mucoperioszteális lebenyt képzünk, az alagút lebenyt koronálisan vagy laterálisan eltoljuk minden-

1 2 3

56 e-Journal IMPLANTOLÓGIA
1. ábra: Izolált RT2 recesszió a mandibula front területén, műtét előtti kép. — 2. ábra: Többszörös, egymás melletti RT1 recesszió az alsó állcsonton, műtét előtti kép. — 3. ábra: Többszörös, egymás melletti RT1 recesszió a felső állcsonton, műtét előtti kép.

4. ábra: 3.1-es fog meziális papillája alatti tunnel (1. ábrán szereplő eset). — 5. ábra: 3.1-es fog disztális papillája alatti tunnel (1. ábrán szereplő eset). — 6. ábra: 3.3-as fog meziális papillája alatti tunnel (2. ábrán szereplő eset).

7. ábra: 3.3-as fog disztális papillája alatti tunnel (2. ábrán szereplő eset). 8. ábra: A teljesen mobilizált tunnel lebeny eltolható meziálisan vagy disztálisan, a 3.1-es fogon található recesszió felé, mindenféle feszülés nélkül (1., 4. és 5. ábrákon szereplő eset). — 9. ábra: A hialuronsav alkalmazása a sebgyógyulás elősegítésére (2., 6. és 7. ábrákon szereplő eset).

féle feszülés nélkül, és a graftot vagy lágyszövetpótlót fedjük vele (Sculean, 2018; Sculean és Allen, 2018; Sculean és mtsai., 2014, 2016, 2017).

Sebészi módszerek és eredmények

Klinikai esetek és eredmények alapján az alábbi cikk bemutatja az egyszerű és multiplex ínyrecessziók kezelését mindkét állcsonton (1–3. ábra). Mindkét eljárásnál először letisztítjuk az exponálódott gyökérfelszíneket és gyökérsimítást végzünk, hogy eltávolítsuk a biofilmet és az esetleges fertőzött réteget. Ezt követi egy intraszulkuláris metszés a recesszió területén. A bukkális lágyszövetet (a feszes ínyt és a mozgatható nyálkahártyát) leválasztjuk speciális tunnel késekkel, majd mobilizáljuk a mucogingivális határon túlig (mucoperioszteális preparáció). A papillákat alápreparáljuk és mobilizáljuk, egy úgynevezett tunnel lebenyt képzünk (4–8. ábra). A zománc-cement határig, illetve attól koronálisabban, vagy a recessziótól laterálisan történő tunnel lebeny mobilizálásának érdekében, a frenulum tapadást belülről leválasztjuk szike vagy egy éles kürett segítségével. Mély recesszió esetén, regeneratív anyagokat mint zománc-mátrix proteint vagy hialuronsavat alkalmazhatunk a gyökérfelszínen, hogy segítsük a parodontális sebgyógyulást és regenerációt (9. ábra) (Sculean és Allen, 2018; Sculean és mtsai., 2014, 2016; Guldener és mtsai., 2020; Lanzrein és mtsai., 2020). A maximális stabilizáláshoz egy szubepitheliális kötőszöveti graftot vagy lágyszövetpótló anyagot helyezünk az alagútba, egyszerű csomós vagy matrac öltések segítségével, és rögzítjük a megfelelő fog zománc-cement határának szintjében cirkumdentális öltésekkel (10–12. ábra)

Végül a tunnel lebenyt visszahelyezzük koronálisabban vagy laterálisabban, és stabilizáljuk a fogak felett, vagy a korábban összesínezett kontaktpontoknál felfüggesztett varratok segítségével (13-15. ábra)

Szövődmények elkerülése

A mucoperioszteális preparációnak köszönhetően a lebeny perforációjának vagy nekroziásnak kockázata minimális, ilyen jellegű komplikáció általában a nagyon vékony lágyszövettel rendelkező pácienseknél fordul elő. A vertikális és papilláris metszések elkerülése biztosítja a mucoperiosztális lebeny megfelelő vérellátását. A tunnel feszülésmentes koronális vagy laterális irányú eltolása lehetővé teszi a lágyszöveti graft teljes vagy részleges fedését, javítva ezáltal a vérellátását és a túlélés esélyét.

A laterálisan zárt tunnel (LCT)

Az LCT az MCAT egy variációja és elsősorban a mandibula mély, izolált RT1-es és RT2-es ínyrecesszióinak kezelésére javasolt, ahol a lebeny koronális áthelyezése kifejezetten nehéz a labiális ligamentumokból és izmokból eredő húzóerők miatt (Sculean és Allen, 2018). Az LCT preparációja megegyezik az MCAT-éval, azzal a különbséggel, hogy a sebszéleket két oldalról zárjuk egyszerű csomós öltések és dupla hurok öltések segítségével, hogy fedjük a graftot és a recessziót (4.,5. és 8. ábra). Szóló és többszörös Miller osztályozás szerint I-es, II-es és III-as ínyrecesszióknál (jelen jelölés szerint: RT1-es és RT2-es recessziók) átlagosan 83–

57 VII. ÉVFOLYAM – 2024. 4. SZÁM
4 7 5 8 6 9

10. ábra: A graftot bevezettük az alagútba és a 3.1-es fog felett rögzítettük cirkumdentális öltésekkel (1., 4., 5. és 8. ábrákon szereplő eset). — 11. ábra: A megfelelő hosszúságú és szélességű szubepitheliális kötőszöveti graft megfelelő megtámasztást ad a papilláknak és megerősíti a bukkális lágyszövetet (2., 6., 7. és 9. ábrákon szereplő eset). — 12. ábra: A graftot bevezettük az alagútba és a 32,33 és 44-es fogak felett rögzítettük cirkumdentális öltésekkel (2., 6., 7., 9. és 11. ábrákon szereplő eset).

13. ábra: A 3.1-es fognál lévő recesszió és graft feletti feszülésmentes laterális zárás (1., 4., 5., 8. és 10. ábrákon szereplő eset). 14. ábra: Feszülésmentes recesszió fedés grafttal a 3.2, 3.3 és 4.4-es fogaknál, cirkumdentális öltésekkel (2., 6., 7., 9., 11. és 12. ábrákon szereplő eset). — 15. ábra: Feszülésmentes recesszió fedés grafttal a 1.4, 1.4 és 1.5-ös fogaknál, cirkumdentális öltésekkel (2. ábrán szereplő eset).

16. ábra: Egy évvel a kezelés után, egyértelműen látszik a megfelelő gyökérfedés és az optimális színárnyalat, valamint vastagság (1. ábrán látható a kiindulás). — 17. ábra: A 2. ábrán látható ínyrecesszió kezelésének eredménye 1 évvel a műtét után. Kiváló gyökérfedés, optimális színárnyalat és megfelelő vastagság. — 18. ábra: A 3. ábrán látható ínyrecesszió kezelésének eredménye 5 évvel a műtét után. Stabil, teljes gyökérfedést sikerült elérni, mindemellett a gingiva természetes színt mutat.

96%-os fedés érhető el, amennyiben MCAT és LCT eljárásokat szupepitheliális kötőszöveti grafttal kombináljuk (16–18. ábra). Friss publikációk, 5–10 éves utánkövetés során, stabil eredményekről számolnak be (18. ábra). Azt is bebizonyították, hogy MCAT segítségével kiváló eredmények érhetőek el olyan esetekben is, amikor a fogakon koronák találhatóak. A kezeléssel átlagosan 92,62%-os gyökérfedést sikerült elérni egy évvel a műtét után (Sculean és mtsai., 2017).

Sebészi technika és eredmények

Összefoglalásképpen: mind az MCAT, mind az LCT jó vaszkularizációt biztosít a koronálisan vagy laterálisan eltolt

lebenynek és az alatta lévő graftnak, ezáltal elősegítve a sebgyógyulást és a műtét kimenetelét. A vertikális metszések elkerülésével javul a műtéti terület véráramlása, ami hegmentes gyógyulást és optimális esztétikai eredményt von maga után. Ennek ellenére vertikális segédmetszés nélkül is teljes, feszülésmentes mobilizáció és a recesszió teljes fedése érhető el az MCAT segítségével. Hosszú távú eredményt legjobban szubepitheliális kötőszöveti graft vagy kollagénalapú lágyszövetpótló anyag alkalmazásávál érhetünk el. Ez megerősíti a lebenyt és védi az alatta lévő coagulumot (Cosgarea és mtsai., 2020; Sculean, 2018).

Forrás: EDI Journal 2022/1.

58 e-Journal IMPLANTOLÓGIA
10 13 16 11 14 17 12 15 18
A new flexibility mindset A new stability mindset A new esthetic mindset

A PERIIMPLANTÁRIS SZÖVETSTABILITÁS

ÉS A PÁCIENS ELÉGEDETTSÉGE

AZ AZONNALI IMPLANTÁTUMBEÜLTETÉS

UTÁN AZ ESZTÉTIKAI TERÜLETEN

Egy folyamatban lévő prospektív vizsgálat 3 éves nyomon követése

A foghúzás után a gerinc horizontális és vertikális csökkenésével kell számolni. Az azonnali implantátum-beültetés és az ideiglenes fogpótlás olyan életképes kezelési lehetőség, amely segíthet minimalizálni ezeket a változásokat. Jobban megfelelhet a páciens kezeléssel kapcsolatos elvárásainak, csökkentve az időt és az invazivitást. Ennek a prospektív vizsgálatnak a célja, az esztétikai zónában behelyezett egyszeri azonnali implantátumokat körülvevő kemény- és lágyszövetek stabilitásának értékelése, valamint a páciensek elégedettségének felmérése. Összesen 16 implantátumot helyeztek be, és 15-öt tudtak értékelni a 3 éves utánkövetéskor. Ezen időszak után radiográfiai és klinikai adatokat rögzítettünk. A 3 év elteltével némi marginális csontszintcsökkenést észleltek, de ez statisztikailag nem volt szignifikáns. A lágyrészek 3 ponton mérve stabilitást és még jobb pozíciókat mutattak a végleges restauráció beültetésének napjához képest. A betegek elégedettségét a módosított Oral Health Impact Profile (OHIP–14) kérdőív segítségével elemezték, és magas elégedettségi értékekről számoltak be. Egy precíz sebészeti és protetikai protokoll végrehajtása, amikor azonnali implantátumot helyeznek friss extrakciós üregbe, valószínűleg magas túlélési és sikerességi arányokat eredményez, kiváló pácienselégedettséggel párosulva. A 3 éves utánkövetés után kedvező eredmények mutatkoztak. (Int J Periodontics Restorative Dent 2020;40:731-739. doi: 10.11607/prd.4411).

A fogvesztés után az alveoláris csont fiziológiás összeomlása elkerülhetetlen. Ez az összeomlás homorúságot eredményez a gerinc kontúrjának bukkális részén, ami nehézségekhez vezethet az implantátumok ideális elhelyezésében, vagy esztétikai problémákat okoz, ha az implantátumokat az elülső területre helyezik. A gerinc előre kiszámíthatóbb átalakítása érdekében, késleltetett implantátum-beültetési módszereket javasoltak, amelyek alapvetően a foghúzástól az implantátum behelyezéséhez szükséges újrabeültetési eljárásig tartó 6–8 hetes gyógyulási időszakot foglalnak magukban. Az ilyen megközelítés célja, hogy elegendő lágyszöveti érést érjenek el ahhoz, hogy az implantátumot körülvevő beültetett területet első alkalommal le lehessen fedni. A foghúzás utáni azonnali kezelési protokollokat dokumentálták azzal a céllal, hogy minimalizálják a térfogatvesztés mennyiségét és a kezelési időt. A szakirodalomban a socket preservation vagy a regeneratív eljárásokkal kombinált azonnali implan-

tációs terápia olyan klinikai eljárásokként szerepel, amelyekkel ez a cél elérhető. Foghúzás és helyreállítás esetén a páciensek elvárása az, hogy a legrövidebb, kevésbé invazív és a legolcsóbb kezelést alkalmazzuk, úgy tűnik, az azonnali implantációs technika megfelel ezeknek az elvárásoknak. A betegközpontú eredményeket, mint például a kapott kezeléssel való elégedettséget, a klinikusoknak fontos figyelembe venniük, és olyan terápiát kell alkalmazniuk, amelyekkel jobb klinikai eredményeket és a betegek legnagyobb elégedettségét érhetik el. Számos elégedettségi kérdőívet javasoltak, és az Oral Health Impact Profile (OHIP) kérdőívet gyakran dokumentálták. Az OHIP–14 kérdőív adaptációját végezték el, és hogy a beteg számára egyszerűbbé tegyék a kitöltést, az eredeti 49 kérdésből összesen 14-et tettek fel, 4 válaszlehetőséggel.

A tudományos szakirodalomban megjelent eredmények szerint a friss foghúzási üregekbe azonnali implantátumok alkalmazása nagyon eltérő eredményeket hozhat. Az azonnali implantátumok hosszú távú túlélése bizonyítottan kiváló, de vannak aggályok az esztétikai szövődményekkel kapcsolatban, amelyek veszélyeztethetik a kezelés sikerét, mint például az arc ínyszövetek vándorlása.

Ennek a folyamatban lévő prospektív vizsgálatnak a célja, hogy egy prospektív, egykaros vizsgálatból származó, azonnali implantátumok 1 és 3 éves követési adatainak összehasonlító értékelését nyújtsa, elemezve a sikerességi arányt, a lágy- és keményszöveti változásokat, valamint a páciensek elégedettségét.

Anyagok és módszerek

Sebészeti eljárás

Tizenöt beteg 16 egyszeres implantátumot kapott, amelyeket közvetlenül a foghúzás után helyeztek be a maxilla esztétikai területére (második premoláris a második premolárishoz). A következő kizárási kritériumokat alkalmaztuk:

– 20 és 75 év közötti egészséges alanyok

– Páciensek, akiknek az elülső régióban (15. fogtól a 25. fogig; FDI pozíció) egyetlen foguk van – Ép foghüvelyfalak foghúzás után

– Dehiszcencia hiánya a bukkális csont legkoronálisabb 4 mm-ében

60 e-Journal IMPLANTOLÓGIA

1. ábra: (a) Kiindulási helyzet. (b) Atraumatikus foghúzás és lebeny nélküli implantátumbeültetés és (c) bukkális rés kitöltése alloplasztikus anyaggal. (d) Azonnali ideiglenes rögzítés adhezív protézissel. (e és f) Röntgenfelvételek az üreg lezárásáról. (g) Lágyszöveti gyógyulás 10 hét után.

– Közepesen vastag lágyszöveti biotípussal rendelkező betegek

– Elegendő apikális csont az implantátum megfelelő rögzítéséhez/elsődleges stabilitásához (4-5 mm).

Az alábbi jellemzőkkel rendelkező betegeket kizárták a vizsgálatból:

– Akut fertőzés jelenléte

– Sérült bukkális csontfal foghúzás után

– Lehetetlen megfelelő implantátummal elsődleges stabilitást elérni a natív csontban

– Az implantátum behelyezéséhez vagy a csont regenerálásához szükséges lebeny hiánya

– Napi 10 cigarettánál többet szív el egy nap

– Daganatellenes kemoterápia vagy sugárkezelés az előző évben

– Hajlandóság hiánya a beleegyező nyilatkozat aláírására.

A fogakat atraumatikusan húzták ki elevátorok és csipeszek segítségével. Az alveoláris falak a foghúzás előtt és után is épek voltak. A Bone Level Roxolid SLActive implantátumokat (Institut Straumann) metszés nélkül helyezték be. Az implantátum felszíne és a bukkális alveoláris csont belső fala között keletkezett rést alloplasztikus anyaggal (Vivoss, Straumann) töltöttük ki (1. a–c ábra). Membránokat vagy varratokat nem használtunk.

Protetikai eljárás

A műtét napján ideiglenes, rögzített, ragasztott fogpótlást vagy kivehető ideiglenes fogpótlást helyeztek be. Az ideiglenes protézis típusát az okkluzális viszonyok alapján határozták meg. Az ideiglenes fogpótlás kritikus kontúrjának kialakításakor nagy körültekintéssel jártak el, és megpróbálták lemásolni a kihúzott fog kontúrját. Ezzel sikerült elérni a fogágy optimális lezárását, elkerülve a graftanyag szenynyeződését vagy a szájüregbe történő vándorlását (1. d–f ábra). Mivel nem használtunk kötőszöveti graftot, továbbá a Cardaropoli és munkatársai által a foghúzási helyeken történő szöveti éréssel kapcsolatban megállapítottak alapján, az implantátumokat a 6–10 hetes gyógyulási időszakot követően feltártuk, és lenyomatokat vettünk a végleges koronához (1. g ábra). Egyedi cirkónium-dioxid felépítményt (CARES cirkónium-dioxid felépítmény, Institut Straumann) készítettek. Amikor a csavar kiemelkedése a bukkális vagy az inciszális felszínen volt, a testre szabott felépítményt az implantátumhoz csavarozták, és a teljes kerámiakoronát retrakciós zsinór segítségével cementálták be, hogy elkerüljék a szubgingivalis cementextrúziót (2. ábra). Azokban az esetekben, amikor a csavar kilépése az okkluzális vagy palatális felületen volt, egy okkluzális lyukkal ellátott teljes kerámiakoronát cementáltak extraorálisan RelyX Unicemmel (3M ESPE), és mindkét elemet együtt csavarozták az implantátumhoz (3. ábra).

61 VII. ÉVFOLYAM – 2024. 4. SZÁM
1a 1c 1e 1f 1b 1d 1g

2. ábra: (a) Végleges koronacementálás és (b) kezdeti helyzet a végleges cementálás után. (c) Arcfelvétel a 3 éves után-követéskor.

den egyes helyről három függőleges mérést végeztünk az okk luzális síkból a meziális papillához, a zenithez és a disztális papillához parodontális szondával, és összehasonlítottuk az 1 év múlva (T2) végzett azonos mérésekkel (4. ábra). Ezek a távolságok az implantátummal támogatott restaurációt körülvevő lágyszövetek stabilitását, vagy migrációját írják le a végleges korona behelyezésétől (T1) a 3 éves követésig (T3). Ha a T2 és T3 mérések közötti különbség negatív értéket eredményezett, az a lágyrészek koronális előretörésének felelt meg. A statisztikai szignifikanciát Brunner–Langer- teszt tel értékeltük.

3. ábra: (a) A cirkónium-dioxidból készült egyedi felépítményre cementált definitív teljes kerámiakorona és (b) csavarral rögzítve, a bal alsó állcsonti második premoláris helyén.

4. ábra: Klinikai mérés milliméterben a (a) meziális papillánál, (b) zenitnél és (c) disztális papillánál.

Utóértékelés

A betegeket a végleges korona behelyezését követően évente egyszer visszahívták kontrollvizsgálatokra, amelyek során klinikai és röntgenfelvételeket végeztek.

Klinikai értékelés

A plakkindexet és a szondázási vérzést rögzítettük. Az implantátum beültetése után 3 évvel (T3) (2. c ábra) min -

Röntgenvizsgálat

A marginális csontszint (MBL) változását az 1 és 3 éves standardizált periapikális digitális röntgenfelvételek (Kodak RVG 6200, Carestream Dental) összehasonlításával értékeltük. Az MBL-t az implantátum válla és az első látható csontimplantátum érintkezés közötti távolságnak tekintettük. A méréseket a meziális és a disztális oldalon végeztük 150%-os képnagyítás után egy képelemző program (ImageJ, 1.51-es

62 e-Journal IMPLANTOLÓGIA
2a 2c 3a 4a 4b 4c 3b 2b
KIZÁRÓLAGOS MAGYARORSZÁGI FORGALMAZÓ alphaimplant.hu powered by TM Launch! Empowering Predictability and Performance in Immediacy

5. ábra: Periapikális röntgenfelvétel (a) standard nagyításban és (b) ×150-es nagyításban a marginális csontszint méréséhez.

verzió, National Institutes of Health) segítségével (5. ábra), a Buser és munkatársai által leírtak szerint.

A beteg elégedettségének értékelése

Két héttel a kezelés befejezése után a pácienseket megkérték, hogy töltsék ki az OHIP–14 kérdőívet, hogy mennyire elégedettek a kapott kezeléssel. A kis OHIP–14 szám a betegek nagyfokú elégedettségéhez kapcsolódik. A legrosszabb esetben a pontszám elérheti a maximális 56 pontot.

Eredmények

Leíró elemzés

736

Egy beteg az 1 éves utánkövetés előtt elhunyt, a 15 beültetett implantátumból 14-et tudtak újraértékelni az 1 és 3 éves utánkövetéskor. Az implantátumok követési ideje 32 hónap és 53 hónap közé tehető, így átlagban 39 hónappal számolhatunk. A 3 év elteltével valamennyi implantátum továbbra is oszteointegrált és működőképes volt, ami 100%-os imp-

lantátumtúlélési arányt jelent. A betegek demográfiai adatait és a kezelés részleteit az 1. táblázat tartalmazza.

Klinikai eredmények

Minden betegnél megfelelő Plaque Index-pontszámot mutattak ki, és a szondázáskor nem volt vérzés. A lágyrészek értékelésénél a három vertikális klinikai mérés összehasonlítása a T2 és T3 időpontban kisebb eltéréseket mutatott. A vertikális lágyrész-remodelling 0,5 mm–1 mm között mozgott (2. táblázat).

A legmagasabb átlagérték a meziális papilla esetében volt, ahol 0,14 ± 0,57 mm (átlag ± SD) lágyrész-migrációt észleltünk (P = .740). Ezen a ponton a lágyrészek -0,29 ± 0,32 mm-t változtak T1 és T2 között (P = .002). Összességében -0,14 ± 0,50 mm lágyrész-gyarapodást figyeltünk meg T1 és T3 között (P = .162). A zenitben a lágyrészek 0,11 ± 0,45 mm-es javulását tapasztaltuk T2 és T3 között (P = .067). T1 és T2 között -0,14 ± 0,36 mm-es változást tapasztaltunk a lágy tis-sue-ban (P = .083). Összességében -0,25 ± 0,58 mm lágyrész-gyarapodás volt megfigyelhető a T1 és a T3 között (P = .01). A disztális papillánál pontosan ugyanezeket az értékeket tapasztaltuk a T2 és a T3 között (0,11 ± 0,45 mm; P = .061). A T1 és T2 között -0,21 ± 0,43 mm különbség volt megfigyelhető (P = .086). Összességében a T1 és T3 között -0,32 ± 0,54 mm lágyrész-gyarapodás volt megfigyelhető (P = 0,010).

Radiográfiai eredmények

A T2 és T3 radiográfiai méréseket a 3. táblázat mutatja. A mesialis oldalon az MBL 1 év után 0,18 ± 0,48 mm, 3 év után pedig 0,35 ± 0,59 mm volt. A disztális oldalon az MBL 1 év után 0,26 ± 0,54 mm, 3 év után pedig 0,40 ± 0,80 mm volt. Az MBL tehát a 3 év alatt nőtt, 0,17 ± 0,53 mm-rel mesialisan (P = .073) és 0,14 ± 0,31 mm-rel distalisan (P = .060), de statisztikailag nem volt szignifikáns.

Table 1 Patient Demographics and Treatment Characteristics

1 60 F NoNo22No3.312Maryland S 91

2 64 M NoNo12No3.312Maryland S 85

3 32 F Yes No14No4.112Maryland S 113

4 49 F Yes No15No4.110Maryland S 71

5 49 F Yes No25No4.112Maryland S 71

6 59 M NoNo25No4.112Maryland S 95

7 64 F NoNo11No4.114Maryland C 105

8 45 M Yes No24No4.112Maryland S 117

9 64 F NoNo23No4.112Removable C 89 1054 F NoNo25No4.110Maryland S 119 1164 M NoNo12 Yes 3.312Maryland C 95 1266 F NoNo25No4.112Maryland S 85 1367 F NoNo15No4.110Removable S 98 1433 F NoNo25No4.114Maryland S 71 1557 F NoNo22No3.312Maryland S 101 1654 F Yes No14 Yes 4.110Maryland S 87 MH = medical history; AP = previous apical pathology; PP = provisional prosthesis; DP = definitive prosthesis; S = screwed; C = cemented. Smokers consumed < 10 cigarettes per day. The “Time” column pertains to time of definitive restoration delivery.

1. táblázat: A betegek demográfiai és kezelési jellemzői. MH = kórtörténet; AP = korábbi apikális patológia; PP = ideiglenes protézis; DP = végleges protézis; S = csavarozott; C = cementált. A dohányosok napi < 10 cigarettát fogyasztottak. Az „Idő” oszlop a végleges restauráció beadásának időpontjára vonatkozik.

64 e-Journal IMPLANTOLÓGIA
Patients’ Satisfaction Results ridges.16,17 One goal of immediate implant protocols is minimizing the ate provisional crown following the emergence profile of the extracted
Implant Age,
Position (FDI)AP Diameter, mm Length, mmPPDPTime,
ySexSmokerMH
d
5a 5b

unsuccessful results were implant platforms implants shifted to the of the socket.26 Cooper et al24 diameter reported. the 55 implants extraction sockets, mm in diameter. missing in studies Kan et al13 but understand these differences, since seems to play an appearance of tissue recession.26 diameters used in the 4.1 or 3.3 mm, was always taken implant in the palatal socket. Caneva that reducing the implant and shifting implant into a more position would inbetween the margin and the interface, conseappearance of

unsuccessful results were implant platforms implants shifted to the of the socket.26 Cooper et al24 diameter reported. the 55 implants extraction sockets, mm in diameter. missing in studies Kan et al13 but understand these differences, since seems to play an appearance of tissue recession.26 diameters used in the 4.1 or 3.3 mm, was always taken implant in the palatal socket. Caneva that reducing the implant and shifting implant into a more position would inbetween the margin and the interface, conseappearance of

study, favorable were present after follow-up. The MBL valcomparable to the Testori et al28 or the same implant

study, favorable were present after follow-up. The MBL valcomparable to the Testori et al28 or the same implant

the clinical valthe two periods (between T1–T2 and present investigation, mesial papilla was year, but after 3 was in a better respect to the day of

the clinical valthe two periods (between T1–T2 and present investigation, mesial papilla was year, but after 3 was in a better respect to the day of

Table 2 Differences of Measurements in the Mesial Papilla, Gingival Zenith, and Distal Papilla Between T2 and T3

Table 2 Differences of Measurements in the Mesial Papilla, Gingival Zenith, and Distal Papilla Between T2 and T3

bukkális csont közötti rés kitöltése bioműanyaggal, valamint az ideiglenesség. Ezeket a szempontokat figyelembe kell venni a gerinc összeomlásának minimalizálása érdekében, amint azt Tarnow és munkatársai, illetve Degidi és munkatársai nemrégiben végzett tanulmányai is bizonyították. Fontos, hogy a rést csontpótló bioanyaggal töltsük ki, és a kihúzott fog kimeneti profilját követően azonnali ideiglenes koronával zárjuk le a tok bejáratát. Jelen tanulmányban egy ideiglenes fogat (tapadó vagy kivehető) gondosan adaptáltunk a tok lezárására, amely tartalmazza az alloplasztikus bioanyagot, továbbá megőrzi a lágyszöveti architektúrát. Bár a rövid és középtávú implantátum-beültetést vizsgáló tanulmányok többnyire sikerességről számolnak be, a hoszszú távú tanulmányok eltérő eredményeket mutatnak.

T2 = 1-year follow-up; T3 = 3-year follow-up; M = mesial papilla; GZ = gingival zenith; D = distal papilla. Differences were calculated by subtracting T2 measurements from T3 measurements.

T2 = 1-year follow-up; T3 = 3-year follow-up; M = mesial papilla; GZ = gingival zenith; D = distal papilla. Differences were calculated by subtracting T2 measurements from T3 measurements.

2. táblázat: A meziális papilla, gingivális zenit és a disztális papilla méréseinek különbségei a T2 és a T3 között. T2 = 1 éves követés; T3 = 3 éves követés; M = meziális papilla; GZ = gingivális zenit; D = disztális papilla. A különbségeket a T2 mérések és a T3 mérések kivonásával számították ki.

Table 3 Radiographic Measurements on Standardized Periapical Radiographs at Mesial and Distal Aspects at T2 and T3 ImplantMT2, mmDT2,

Table 3 Radiographic Measurements on Standardized Periapical Radiographs at Mesial and Distal Aspects at T2 and T3

ImplantMT2, mmDT2, mmMT3, mmDT3, mm

Average 0.18 ± 0.480.26 ± 0.540.35 ± 0.590.40 ± 0.80

T2 = 1-year follow-up; T3 = 3-year follow-up; MT2 = mesial measurement at T2; DT2 = distal measurement at T2; MT3 = mesial measurement at T3; DT3 = distal measurement at T3.

3. táblázat: Radiográfiai mérések a standardizált periapikális röntgenfelvételeken a meziális és a disztális oldalon T2 és T3 időpontban.

T2 = 1 éves követés; T3 = 3 éves követés; MT2 = meziális mérés T2-ben; DT2 = disztális mérés T2-ben; MT3 = meziális mérés T3-ban; DT3 = disztális mérés T3-ban.

A betegek elégedettségi eredményei

Minden beteg kitöltötte az OHIP–14 kérdőívet. A 6. ábra összefoglalja a betegek válaszait. A betegek 73,3%-a említette a táplálékbevitellel kapcsolatos nehézségeket, ugyancsak gyakori volt a beszéd közben a kiejtés bizonyos mértékű megváltozása (46,7%), az aggodalom (26,7%) vagy az idegesség (33,3%).

Megbeszélés

Humán szövettani vizsgálatok arról számoltak be, hogy a friss foghúzási üregekbe ültetett implantátumok osszeointegrációja hasonló a gyógyult gerincekbe ültetett implantátumokéhoz. Az azonnali implantációs protokollok egyik célja a foghúzást követő dimenzióváltozások minimalizálása, továbbá ennek következtében a stabil periimplantáris kemény- és lágyszöveti architektúra elérése. Az ilyen protokollok különböző szempontokat vesznek figyelembe, mint például a helyes 3D implantátumpozíció, az implantátum geometriája, a bukkális csont jelenléte, az implantátumnyak és a

A hasonló azonnali implantációs protokollok eredményei közötti különbségek további vizsgálatot igényelnek. A korábban említett tanulmányok némelyikéből hiányzik például a felhasznált implantátumok geometriájának és méreteinek leírása. Evans és Chen publikációjában a sikertelen eredmények a szélesebb implantátumplatformokkal (4,8 mm), és a tok bukkális rekeszébe eltolt implantátumokkal voltak összefüggésben. Csak Cooper és munkatársai tanulmányában közölték az implantátum átmérőjét. Értékelésükben a friss extrakciós üregekbe ültetett 55 implantátum közül 25 implantátum átmérője 5 mm volt. Ez az információ hiányzik Cosyn és munkatársai, illetve Kan és munkatársai tanulmányaiból, de hasznos lenne a fent említett különbségek megértéséhez, mivel úgy tűnik, hogy az implantátum átmérője fontos szerepet játszik a kellemetlen arcszöveti recesszió megjelenésében. A jelen tanulmányban használt implantátum-átmérők 4,1 vagy 3,3 mm-esek voltak, illetve mindig nagy gondot fordítottak arra, hogy az implantátumot a tok palatális rekeszébe helyezzék be. Caneva és munkatársai arra a következtetésre jutottak, hogy az implantátum átmérőjének csökkentése, és az implantátum helyzetének palatálisabb vagy lingválisabb pozícióba való áthelyezése mérsékli a távolságot a vestibuláris ínyszegély és az implantátum protézisfelülete között, következésképpen csökkenti az arcbőr recessziójának megjelenését.

Jelen vizsgálatban a 3 éves utánkövetés után kedvező radiológiai eredmények születtek. A kapott MBL-értékek öszszehasonlíthatóak a Testori és munkatársai vagy Buser és munkatársai által ugyanezen implantátumrendszer alkalmazásával közölt értékekkel.

A jelen vizsgálatban a két mért időszakban (T1–T2 és T1–T3 között) kapott klinikai értékek elemzésekor 1 év után a meziális papilla hanyatlása volt kimutatható, 3 év után azonban a papilla a végleges restauráció napjához képest jobb helyzetben volt. A T2–T3 között stabil helyzetet találtunk. A T1–T3 mérések közötti általános különbséget úgy kell értelmezni, hogy a meziális papilla a 3 év alatt megmaradt. A zenitnél és a disztális papillánál kapott eredmények arra utalnak, hogy a végleges restauráció napja és a 3 évvel későbbi időpont között jelentős javulás következett be.

A páciensek elégedettségét illetően kevés kérdőívet publikáltak a fogászat területén, és ezek használata is ritkán fordul elő. Schropp és munkatársai 2003-ban a vizuális analóg skála (VAS) segítségével arra a következtetésre jutottak, hogy az azonnali implantációs kezelésen átesett betegek csoportja szignifikánsan elégedettebb volt, mint a korai implantátum-beültetéssel kezelt betegek. A jelen vizsgálatban használt elégedettségi kérdőív az OHIP–14 volt, amelyet az egyik leggyakrabban használnak, és a VAS-kérdőívvel ösz-

65 VII. ÉVFOLYAM – 2024. 4. SZÁM
737
Volume 40, Number 5, 2020
Implant M, mm GZ, mm D, mm 1100 21 –0.5 0 30 –0.5 0 40 –1 –0.5 5000 6010 7 0.5 0 –0.5 8–––9 0.5 0 0.5 10 0.5 0 0.5 11 0.5 0 0.5 12 –0.5 0 –1 13 000 14 –0.5 0 –0.5 15 –1 –0.5 –0.5 Average 0.14 ± 0.57–0.11± 0.45–0.11± 0.45
1 0.801.470.702.32 20000 30 0.680.781.56 40000 50000 60000 70000 80 1.90 90000 10 1.681.461.921.66 11 0000 12 00 1.11 0 13 0000 14 0000 15 00 0.33 0 Average 0.18 ± 0.480.26 ± 0.540.35 ± 0.590.40 ± 0.80 T2
mesial measurement at T2; DT2 = distal measurement at T2; MT3 = mesial measurement at T3; DT3 = distal measurement at T3. QUINTESSENCE PUBLISHING CO, INC. PRINTING OF THIS DOCUMENT IS RESTRICTED TO PERSONAL USE ONLY. MAY BE REPRODUCED OR TRANSMITTED IN ANY FORM WITHOUT WRITTEN PERMISSION FROM THE PUBLISHER.
737
mmMT3, mmDT3, mm
= 1-year follow-up; T3 = 3-year follow-up; MT2 =
Volume 40, Number 5, 2020
Implant M, mm GZ, mm D, mm 1100 21 –0.5 0 30 –0.5 0 40 –1 –0.5 5000 6010 7 0.5 0 –0.5 8–––9 0.5 0 0.5 10 0.5 0 0.5 11 0.5 0 0.5 12 –0.5 0 –1 13 000 14 –0.5 0 –0.5 15 –1 –0.5 –0.5
0.45
Average 0.14 ± 0.57–0.11± 0.45–0.11±
1 0.801.470.702.32 20000 30 0.680.781.56 40000 50000 60000 70000 80 1.90 90000 10 1.681.461.921.66 11 0000 12 00 1.11 0 13 0000 14 0000 15 00 0.33 0
QUINTESSENCE PUBLISHING CO, INC. PRINTING OF THIS DOCUMENT IS RESTRICTED TO PERSONAL USE ONLY. MAY BE REPRODUCED OR TRANSMITTED IN ANY FORM WITHOUT WRITTEN PERMISSION FROM THE PUBLISHER.

Pronunciation

1. Kiejtés

2. Ízérzékelés

Taste

3. Fájdalom

Pain

4. Étkezés

Eating

5. Aggodalom

Worry

6. Idegesség

Nervousness

7. Étrend

Diet

8. Az étkezés megszakítása

9. Pihenés

10. Szégyenérzet

11. Ingerlékenység

Interruption of meals 9. Relax 10. Shame 11. Irritability

12. Munka

12. Job

13. Életminőség

14. Alkalmatlanság

13. Life in general 14. Inability

6. ábra: Az OHIP–14 kérdésekre adott betegelégedettségi válaszok százalékos megoszlása (összegezve).

szehasonlítva nagyobb standardizáltságot kínál. A jelen tanulmány eredményei alapján a szerzők megerősíthetik, hogy az azonnali implantátumokkal (lebeny nélküli műtéttel és azonnali ideiglenes restaurációval) végzett kezelés magas páciensi elégedettséget eredményez. Az OHIP–14 kérdőív megválaszolása után kapott átlagérték (3,2 a maximális 56ból) a legrosszabb lehetséges eredmény jelzésére szükséges pontok 5,7%-át jelenti, ami a 0%-tól 100%-ig terjedő skálán 94,3%-os általános elégedettségként értelmezhető.

ték. Hosszabb távú eredmények és nagyobb mintanagyság hozzájárulna a vizsgálat eredményeinek megerősítéséhez.

Következtetések

Ezek az eredmények hasonlóak az Esposito és munkatársai által megállapítottakhoz, akik VAS-kérdőívet alkalmaztak. Több olyan kérdést azonosítottak, amelyek általában nagyobb gyakorisággal jelentenek terhet a betegek számára: aggodalom vagy idegesség, kisebb mértékben az étrend megváltoztatása és az étkezések megszakítása.

A vizsgálat egyik fő korlátja a kis betegminta. Ezt a vizsgálatot a vizsgálatvezető (A.B.P.) klinikai környezetében végez-

final restoration. Between T2–T3, a stable situation was found. The overall difference between T1–T3 measurements has to be interpreted as maintenance of the mesial papilla during the 3 years. The results obtained at the zenith and the distal papilla suggest that there has been a significant improvement between the day of final restoration and 3

undergoing immediate implant treatment were significantly more satisfied than patients undergoing treatment with early implant placement. The satisfaction questionnaire used in the present study is the OHIP-14. This questionnaire is one of the most frequently used, offering greater standardization in comparison to the VAS questionnaire.9

A pontos sebészeti és protetikai protokoll alkalmazása az azonnali implantátumok friss extrakciós üregekbe történő beültetésekor, az esztétikai zónában magas túlélési és sikerességi arányokat, valamint kiváló páciensi elégedettséget eredményezhet. A 3 éves utánkövetés után kedvező eredmények mutatkoztak. A jobb megértés, a stabil és kiszámítható esztétikai eredmények elérése érdekében az új vizsgálatoknak tartalmazniuk kell az alkalmazott azonnali implantátumok jellemzőivel, az igénybe vett klinikai protokollokkal, és a bukkális csont 3D-s értékelésével kapcsolatos összes információt, egy legalább 5 éves követési időszak után.

and One this study ple. This clinical setting tigator (A.B.P.). and a larger tribute to this investigation. Conclusions The application gical and placing extraction zone may success satisfaction. up, favorable For to achieve

66 e-Journal IMPLANTOLÓGIA
738
Soha Ritkán Alkalmanként Gyakran
According
a
fied:
the OHIP-14 of a maximum 5.7% of cate the which can general to 100%. These those concluded who applied In more with
generally burden
worrying to a lesser diet
53.3 46.7 80 100 100 100 100 100 100 100 93.3 80 26.7 66.7 73.3 13.36.7 6.7 6.7 13.3 13.3 13.3 20 20 60 6.7
2.
3.
4.
5.
Fig 6 Percentage distribution of patient satisfaction responses to the OHIP-14 questions (summarized).
1.
6.
7.
8.
0% 25% 50% 75% 100% Never Rarely Occasionally Often
1037 Budapest, Bécsi út 324. OSSTEM HUNGARY www.osstem.hu sales@osstem.hu 06 1 439 1300 @osstemhungary A VILÁGON LEGTÖBBET ELADOTT IMPLANTÁTUM 2017 ÓTA FOLYAMATOSAN! Ok az ünneplésre! Köszönjük a bizalmat!

Könyvajánlataink

Hajdu Zoltán Csak természetesen Fogászat és esztétika Dr Forrai Judit Fejezetek a fogorvoslás és eszközeinek történetébôl FOGORVOSPEREK A Legfelsőbb Bíróság Polgári Kollégiuma az orvosi műhiba perek gyakorlatának á�ekintésérő szóló összefoglaló jelentésében rögzíte�e, hogy az élet, tes� épség és egészség sérelme mia� indíto� orvosi kártérítési perekben a bekövetkeze� hátrányokat, káros eredmény mia� érvényesíte� nem vagyoni kárigényeket a károsult vagy a saját egészségromlása, vagy saját jogán a hozzátartozójának halála, egészségkárosodása mia� érvényesí� azzal, hogy ezek a károsult esetében együ� is jelentkezhetnek. Ténybeli alapja lehet a szélesen ve� gyógyítás (orvoslás) során bekövetkeze� valamely hiba: általában a diagnosz�kus tévedés következményei, kezelési, műté� hiba akár tevőleges, akár mulasztásos magatartással, a tájékoztatás elmaradása vagy elégtelensége. Magyarországon a műhibaperek során megítélt összegek folyamatosan emelkednek. A nyilvánosságra hozo� legmagasabb kártérítés eddig 55 millió forint volt, de folyamatban van olyan per is, amelynek tétje meghaladja a 80 millió forintot. A kérdésben érinte� jogászok véleménye szerint az oly sokat emlegete� 1997-es Egészségügyi Törvény hatályba lépése óta az orvosi felelősséggel kapcsolatos perek kétharmadát a betegek nyerik. Megjegyzendő hogy 2008-hoz képest 10%-kal nő� a műhibaperek száma, amely most 151, a folyamatban lévő ügyek vonatkozásában pedig 467 eljárásról beszélhetünk. (Forrás: EBF) Ezen ügyek megközelítőleg 17%-a tekintetében beszélhetünk ún. fogorvosperekről. Napjainkban az egészségügyi szolgáltatóknak – beleértve az intézményeket és a magánpraxist folytató orvosokat – egyre inkább számolniuk kell azzal a lehetőséggel, hogy a beteg vagy hozzátartozója, ha nem elégede� az ellátással, bíróság elő� keresi az igazát. Büntetőeljárás orvossal szemben ugyan lényegesen ritkábban indul, azonban ez talán még nagyobb lelki megterhelést jelent az érinte� orvos számára. A jogi helyzet �sztázására, a releváns szabályozás és a fogorvosi tevékenységet érintő űhibaperek bemutatására és értelmezésére hivato� a Fogorvosperek című kötet, amelyet közérthető megközelítése mia� elsősorban fogorvosok, szájsebészek, de jogászok, illetve a jog iránt érdeklődők is haszonnal forgathatják. A szerző FOGORVOSPEREK Ifj. dr. Lomnici Zoltán 4000 Ft 3500 Ft 3500 Ft 3500 Ft 3500 Ft A FOGÁSZATI IMPLANTOLÓGIA története Magyarországon Dr. Divinyi Tamás Fogaszati implantologia tortenete terv.indd 1 1750 Ft 3500 Ft 5000 Ft 2500 Ft 2500 Ft DP Hungary Kft. 1012 Budapest, Kuny Domokos u. 9. Tel.: +36 30/472 0030, 06-1-793-1874 www.dental.hu Megrendelés: www.dental.hu/webshop Róth Lajos Fogpótlás.tan update 8750 Ft

Ennek a könyvnek a kiadásával célkitűzésünk volt áttekinteni fogászati implantológiában hagyományosan alkalmazott csontmegmunkáló eljárásokat (kézi eszközök, forgóeszközök), összehasonlítva őket az új (piezo, lézer, mágneses kalapács /magnetic mallet = MM) módszerekkel, valamint bemutatni a csontpótló anyagokat és köztük az újnak számító BoneAlbumint.

Mind a mágneses kalapács, mind a BoneAlbumin a nemzetközi irodalomban is rendkívül újnak számít, egyelőre kevés vagy egyáltalán nincs sokéves tapasztalat, így fontos, hogy az eddigi ismereteket, technikákat, az elért eredményeket kellő kritikával, önkritikával kezeljük, és reálisan próbáljuk helyüket és szerepüket meghatározni a fogászati implantológiában.

Dr. Gáspár Lajos

Könyvem megszületését elsősorban dr. Forrai Judit professzor asszonynak köszönhetem. Az ő inspirálására született meg ez a történeti visszatekintés. 2014 februárjában a Semmelweis Egyetem Népegészségügyi Intézetének a tantermében megalakult a Magyar Orvostörténeti Társaság részeként a Fogászattörténeti Kör. Az alakuló ülésen érdekes előadások hangzottak el, majd azok befejeztével Forrai Judit tanárnő felkért, hogy tudnék-e az őszi program keretében a fogászati implantológia történetéről előadást tartani. Természetesen szívesen elvállaltam. Az orvoslás, a fogorvoslás történeti vonatkozásai mindig is érdekeltek, és a fogorvostan-hallgatóknak az érzéstelenítésről, az implantológiáról szóló előadásaimban állandóan próbáltam történeti vonatkozásokat is beépíteni. Engem elsősorban a gyógyító eljárások fejlődése érdekelt. Mi volt a régi gyógymódok – az akkori ismeretek szerinti – élettani, patológiai vagy akár vallási háttere?

Dr. Divinyi Tamás

A fogászat és különösen az implantológia fejlôdése az elmúlt évtizedekben az érdeklődés középpontjába került. Magyarországon napjainkban évi közel 60 000 darab fogászati implantátumot helyeznek be, ami mintegy évi 12 milliárd forint forgalmat generál az orvosi és fogtechnikai költségekkel együtt.

Az Implant Index című kézikönyv nemcsak a tudományos és szakmai ismeretek jelentős lexikális anyagát összegzi, hanem talán elsőként mutatja be az implantológiai piac jellemző vonásait, gazdasági elemzéseket, múltra, jelenre és jövőre vonatkozó adatokat, fejlődési tendenciákat. Ugyancsak új témának számít az implantációs betegek gondozását bemutató fejezet is. A könyv fejezeteiben először az adott témakör rövid, áttekintő bevezetésére kerül sor, majd ezt követi a lexikális ismeretanyag táblázatokban, majd elsősorban a mindennapi gyakorlatot segítő írások, cikkek következnek.

Dr. Gáspár Lajos és dr. Toldi Ferenc

Az implantológia a fogorvostudomány egyik legintenzívebben változó, fejlődő szakterülete. A foghiányok pótlásának szándéka - valamilyen csontba épített eszköz, anyag segítségével - több évezredes múltra tekint vissza. Az implantációs kísérletek azonban hosszú időn át - a nem megfelelő biológiai, anyagtani stb. feltételek hiánya miatt- többnyire nem jártak sikerrel. A nagy „előrelépést" a 20. század, annak is különösen a második fele hozta meg. Ezekben az évtizedekben számtalan próbálkozásról, kísérletről olvashattak az érdeklődők a hazai és a nemzetközi szakirodalomban egyaránt. A dentális implantológia mára már a fogorvoslás nélkülözhetetlen területe lett. A mindennapi gyakorlatban szükség van az ismeretek permanens bővítésére, frissítésére, hiszen egyre újabb és újabb implantációs rendszerek, fejlesztések, eszközök és eljárások megjelenésével szembesülnek - szinte naponta - a szakemberek.

Dr. Urbán István

A FOGÁSZATI IMPLANTOLÓGIA története Magyarországon Dr. Divinyi Tamás Fogaszati implantologia tortenete terv.indd 1 2016. 04. 22. 11:56

ERŐS FOGAK ÉS EGÉSZSÉGES

SZÁJ – MEGGYŐZŐ MOSOLY

A száj és a fogak nemcsak a táplálkozás és az emberi kommunikáció fontos részei, de esztétikai szempontból is jelentős szerepük van. Az egészséges fogak és fogíny egészségünk meghatározó elemei, a hibátlan, derűs mosoly pedig minden egyén kívánsága.

Nem csak a fogak fájnak

Az íny leggyakoribb gyulladásos megbetegedése a gingvitis vagy fogínygyulladás, mely legtöbbször a rossz szájhigiénia következményeként jön létre. A begyulladt és vérző fogíny a rossz lehelet mellett a betegség első jele. A gingvitist tehát gyógyítani kell, mert különben a gyulladás előrehaladott állapotában a gyulladt íny gócként szerepel, mely gócbetegségeket okozhat.

Az egészséges ember szájában folyamatosan jelen vannak mikroorganizmusok, amelyek szaporodása az íny gyulladásához vezet, és idővel a fogágy többi része is érintett lesz, paradontitis jelentkezhet. A tasakok mélyebbek lesznek, ezért a gyulladás ráterjed a mélyebb paradontális szövetekre is. A fogágygyulladás következtében a fogakat rögzítő szövetek elbomlanak, a betegség pedig átterjedhet az állkapocs csontszövetére is. Ennek együttes következménye, hogy a fog tartószerkezete meggyengül, elbomlik, így a fogak meglazulnak, majd kihullanak.

A hialuronsav a fogágy kötő- szövetének fontos kompo- nense

A hialuronsav a szervezet természetes anyaga és az egészséges fogíny fontos komponense. Alkalmazása a fogászatban: – csökkenti a szájnyálkahártya-irritációt

– megvéd a fertőzésektől

– felgyorsítja a sebgyógyulást és szövetregenerációt

– csökkenti a fogínyvérzést, a foggyulladást és a duzzanatot

A kutatások kimutatják, hogy a hialuronsav fogászati alkalmazása jelentős mértékben hozzájárul az ínybetegségek megakadályozásában és gyógyításában.

Ínybetegségek megelőzése és gyógyítása

hialuronsavval

A gyógyszertárakban és speciális üzletekben különböző formákban és kiszerelésben már 3 éve kapható a Gengigel, ami az egyedüli hialuronsav-alapú készítmény.

A termékcsalád használata egyszerű, gyermekek, terhes nők és cukorbetegek egyaránt használhatják. A hialuronsav tartalma miatt hatékony megoldás az alábbiakra:

– ínyvérzés

– gingivitis (fogínygyulladás)

– parodontitis (fogágybetegség)

– megsértett íny (sebészeti beavatkozás, foghúzás, fogpótlás után)

– korona, híd, fogprotézisek miatt irritált szájnyálkahártya

Ezen tulajdonságai alapján bátran állíthatjuk, hogy a Gengigel az egészséges fogíny receptje. (X)

Forrás: Medis sajtóanyag

70 e-Journal IMPLANTOLÓGIA

Hialuronsav

Az egészséges fogíny receptje Az egészséges fogíny receptje

Az egész csalàd számára

gél/szájöblögető oldat/szájspray/baby gél

nagyi protézis által irritált íny, fogágygyulladás

anyu ínyvérzés és afták

csillapítja a vérzést elősegíti a sebgyógyulást a szájüregben elősegíti a szövetregenerációt csökkenti a duzzanatokat védi a szájnyálkahártyát a fertőzésektől

jani sérült íny

misike a fogzás időszakában

4490 Ft Gengigel az első fogaktól 4490 Ft Gengigel
Ft Gengigel first aid 5200 Ft smile shopszájápolás mindenkinek DP Hungary Kft. 1012 Bp., Kuny Domokos u. 9. Tel.: +36 30/472-0030 www.dental.hu, info@dental.hu Emmi-Dent Platinum ultrahangos fogkefe 67 990 Ft Emmi Dent Whitening fogkrém 3090 Ft Gengigel
Ft
www.gengigel.hu Gengigel spray
szájvíz 5290
gél 4490

info@dioimplant.hu ethoss.hu

Dent-East Kft. 1112 Budapest, Rétkerülő út 51 www.dent-east.com • mail@dent-east.com a piacvezető oralkamera

A LEGINNOVATÍVABB, PIACVEZETŐ AZONNAL TERHELHETŐ

Kompressziós és bikortikális egyfázisú implantátumok választhatóan multiunit fejjel. Csavarozható stégekhez, overdenture felépítményekhez. Azonnali implantáció és azonnali terhelés meghatározott szakmai protokoll szerint. Folyamatos, többlépcsős kurzusok, praxistréning, felhasználótalálkozók. ISO, CE, nemzetközi klinikai tapasztalat és tudományos háttér. Folyamatos fejlesztés 16 éve.

Kompressziós és bikortikális egyfázisú implantátumok A LEGINNOVATÍVABB, PIACVEZETŐ AZONNAL TERHELHETŐ IMPLANTÁTUM GYÁRTÓ

Bővebb felvilágosítás és információ: Sofortimplant Egészségügyi Kft. H–9400 Sopron, Deákkúti

R R Kompressziós és bikortikális egyfázisú implantátumok választhatóan multiunit fejjel. Csavarozható stégekhez, overdenture felépítményekhez. Azonnali implantáció és azonnali terhelés meghatározott szakmai protokoll szerint. Folyamatos, többlépcsős kurzusok, praxistréning, felhasználótalálkozók. ISO, CE, nemzetközi klinikai tapasztalat és tudományos háttér. Folyamatos fejlesztés 16 éve.

KOS PLUS BCS MU KOS MU KOS BCS
IMPLANTÁTUM
Bővebb felvilágosítás és információ: Sofortimplant Egészségügyi Kft. H–9400 Sopron, Deákkúti út 16. tel.: +36 70 36 40 600 fax: +36 70 900 3518 KOS PLUS BCS MU KOS MU KOS BCS
A LEGINNOVATÍVABB, PIACVEZETŐ AZONNAL TERHELHETŐ IMPLANTÁTUM GYÁRTÓ
GYÁRTÓ
R
út 16. tel.: +36 70 36 40 600 fax: +36 70 900 3518 email: sofortimplant@gmail.com web: www.sofortimplant.com KOS PLUS BCS MU KOS MU KOS BCS R R www.alphaimplant.hu A MINO˝SÉG A SIKER GARANCIÁJA 5/7/15 9:24 AM
shop.bionika.hu +36 70 670 6875 CE Egyedit, gyorsan,
minőségben. Viz Dental Implant Kft. Nobel Biocare Magyarország Kft. 1117 Budapest, Office Garden I, Alíz utca 1. Tel.: (06 1) 279 3379 Dio
Kft. 06-20-326-0579
Straumann GmbH Magyarországi Fióktelepe 1016 Budapest, Hegyalja út 7–13. COMMITED TO SIMPLY DOING MORE FOR DENTAL PROFESSIONALS TRY IT. LOVE IT. BUY IT. Sanitaria Kft. 1024 Budapest, Rómer Flóris u. 34. Tel.: (+36-1) 336-0884, Fax.: (+36-1) 336-0860 E-mail: shop@sanitaria.hu, Honlap: www.sanitaria.hu www.imegagen.hu Kérje kedvezményes START csomagunkat! megagen 05.indd Sanitaria Kft. 1024 Budapest, Rómer Flóris u. 34. Tel.: (+36-1) 336-0884 E-mail: shop@sanitaria.hu Honlap: www.sanitaria.hu
BIONIKA
kiváló
Implant

Turn static files into dynamic content formats.

Create a flipbook
Issuu converts static files into: digital portfolios, online yearbooks, online catalogs, digital photo albums and more. Sign up and create your flipbook.