

E-JOURNAL DENTAL HÍREK
FOGÁSZAT
„A különböző tudományok művelése, oktatása és a betegek ellátása, segítése egységét sikerült megvalósítanom…”
Kofferdám izolálás mellett ragasztott kerámia héjak: Az eredmények öt évvel később történő ellenőrzése
Egy dilacerált gyökérrel rendelkező impaktálódott felső nagymetszőfog lézeres terápiával kiegészített orthodonciai kezelése
Az endodonciai ellátás során történő dentinprezerválás lehetőségei
AZ ALPHA IMPLANT KFT. MÁR 15 ÉVE AZ ÖN MEGBÍZHATÓ PARTNERE
A minőség a siker garanciája




alphaimplant.hu
Tisztelt Olvasó!
A fogászati szektor az idei esztendőben – reményeink szerint – már fel fogja dolgozni a Covid-19 okozta súlyos problémákat, az ukrán háború miatt kialakult nehézségeket, a korábbi években elszabaduló inflációt, és már tervezi a fejlődés aktuális lehetőségeit. Mindannyian abban bízunk, hogy megérkeznek az európai uniós források, újra indulnak a pályázatok, és stabilan tudjuk vezetni a vállalkozásainkat!
A tavalyi év sokunk életében hozott különböző gondokat, de mégis elmondhatjuk, hogy jobb volt, mind a 2020-2022 közötti időszak, amikor a létbizonytalanság, a járványtól való félelem uralta a napjainkat. Az idegenforgalom tavaly szépen megindult, 2024-ben a vendégéjszakák száma elérte a 2019-es adatokat. A nagy rendelők már teljes kapacitással üzemelnek, a fogtechnikai laborokban is visszatért a folyamatosság, a fogászati kereskedők jelentős része pedig jobb évet zárt 2024-ben, mint a korábbi esztendőkben.
A fogászati rendelők és fogtechnikai laborok elsősorban a fejlesztéseket állították előtérbe, amelyhez számos pályázat és egyéb forrás is kedvező konstrukciókat kínált. 2025-ben – tudomásunk szerint – lesznek új pályázati források, ezekről a kereskedelmi vállalatok részletesebb információkat tudnak majd adni. Az új források bevezetése idén remélhetőleg ismét növekedési spirálba helyezi majd ezt a szektort!
Az infláció elérte a fogászati ágazatot is, a vállalkozások az euró változásától, gyengülésétől függően azzal találkoznak, hogy az árak – a mindennapi élet mellett – itt is jelentősen és folyamatosan változnak, emelkednek. Így a fogászati rendelők is kénytelenek az áraikat emelni, egyre több rendelő, ún. „piaci alapú” árképzést vezet be. A folyamat kimenetelét még nem lehet pontosan látni, a munkaerő fluktuációja, az Európai Unió áraihoz képest alacsony magyar fogászati beavatkozások értéke - jelenleg még nem érte el a drágulás csúcspontját. Az elmúlt időszakban számos újság, cikk foglalkozott a fogászati szektorban található extra drágulási folyamattal. Ez egyelőre – a hazai rendelőkben – még nem mutatott jelentős problémát, új hívószavakkal, sok marketing munkával, reklámmal most a magyar lakosságot kell határozottabban a rendelőkbe invitálni!

A kiadó bizakodva tekint a jövőbe, a megújult tartalmaink kapcsán sok pozitív visszajelzést kapunk, melyeket nagyon köszönünk! Az elmúlt években –a nehézségek ellenére is – növelni tudtuk a kiadványaink és a magazinjaink számát, nem csökkentve azok tartalmi minőségét. 2020 óta a tematikus e-Journalok is folyamatosan megjelennek, melyek egyfajta online könyvtárként is szolgálnak az Olvasóinknak. A dental.hu oldalon díjmentesen elérhetőek a korábbi tematikus online lapszámaink is.
A mostani kiadványunkban az általános fogorvosi eljárások a témakörével foglalkozunk.
Tartalmas olvasást kívánok!
Laczkó Tamás, felelős kiadó
különböző tudományok művelése, oktatása és a betegek ellátása, segítése
Kofferdám izolálás mellett ragasztott kerámia héjak:
Egy dilacerált gyökérrel rendelkező impaktálódott felső nagymetszőfog lézeres
esztétikai zóna minimál invazív multidiszciplináris
E-Journal VIII. évfolyam, 2025. 3. szám
Kiadja: DP Hungary Kft. 1012 Budapest, Kuny Domokos u. 9.
Felelős kiadó: Laczkó Tamás
Főszerkesztő: Dr. Riba Magdolna
Előkészítés: DP Hungary Kft., Sárközi András e-mail: grafika@dental.hu
Információ, hirdetésfelvétel: Kiss Éden Aliz, telefon: 06-30-472-0030, 06-1-793-1874
Az újság e-mail címe: info@dental.hu
Az újság internetcíme: www.dental.hu
Terjesztés: E-mail hírlevél formájában.
A tudományos közleményeket a szerkesztőség lektoroknak adja át véleményezésre. Közlés csak egyetértő lektori vélemény, illetve a javasolt módosítások elvégzését követően lehetséges.
A cikkek szerzői vállalják, hogy az általuk elküldött írás saját forrásból származik, illetve a felhasznált anyagokat (publikációkat, illusztrációkat, képeket stb.) mindenkor pontosan feltüntetik. Írásaiknak jogi és egyéb adatvédelmi kérdéseiben felelősséget vállalnak.
A német nyelvű szakmai cikkeink magyar fordítását az Oemus Media AG Kiadó engedélyével szerkesztettük lapunkba. A fel nem használt kéziratokat, fotókat nem őrizzük meg, és nem küldjük vissza.
A hirdetések tartalmáért nem vállalunk felelősséget. A gyártó, illetve forgalmazó cégek kérésére közzétett cikkeket keretbe foglalva közöljük és (x)-szel jelöljük, azok szakmai tartalmáért a szerkesztőbizottság nem vállal felelősséget.














PORTRÉ „A páciens panasza az elsődleges, törekedjenek azt lehetőleg gyorsan és humánusan megoldani…”
ÚJ GENERÁCIÓ
„A folyamatos tanulás és kutatás kulcsfontosságú a szakmai fejlődésben”

MED. DENT
Interdiszciplináris fogászati kezelés myofunkcionális készülék, alignerek és protetikai ellátás alkalmazásával
MED. DENT Abradált frontfogakkal rendelkező felnőtt páciens interdiszciplináris kezelése


CÍMLAPSZTORI
Florin Stoboran egy világhírű fogtechnikus mester román és magyar vérrel

FOGTECHNIKUSOK SZAKMAI LAPJA Életet lehelni monolit megoldásokba
Egy labortulaj, aki mert változtatni, és sikeres lett! LABORBEMUTATÓ LABORATÓRIUM
LABORATÓRIUM
A leplezőkompozitok (analóg) világa








































Dr. Riba Magdolna
„A KÜLÖNBÖZŐ TUDOMÁNYOK MŰVELÉSE, OKTATÁSA ÉS A BETEGEK ELLÁTÁSA, SEGÍTÉSE EGYSÉGÉT SIKERÜLT
MEGVALÓSÍTANOM…”
Prof. dr. Forrai Judittal beszélgettünk életéről, munkájáról és a további terveiről
Prof. dr. Forrai Judit tudománytörténész, orvostörténész, a fog- és szájbetegség, valamint a társadalom-orvostan szakorvosa, muzeológus és középiskolai történelemtanár, egyetemi tanár, a Magyar Tudományos Akadémia doktora, a Kaleidoscope Művelődés-, Tudomány- és Orvostörténeti Folyóirat alapító főszerkesztője. A modern szexuálpedagógia hazai megteremtője, iskolai tananyagok, tankönyvek írója. Kutatási területe a tudomány- és orvostörténet, szociálmedicina, szexológia, különösen a hátrányos helyzetűek körében. A Semmelweis Egyetem Orvostörténeti és Társadalomtudományi, később átszervezett, Népegészségtani Intézet munkatársa és a Wesley János Lelkészképző Főiskola egyetemi tanára.

Beszélgetésünk elején arra kérem, tekintsünk kicsit viszsza a kezdetekre! Először a családjáról, a gyermekkoráról szeretném kérdezni, illetve arról, hogy otthoni indíttatás, esetleg más meghatározó emlék, vagy motiváció hatására döntött a pályaválasztásáról?
Köszönöm a felkérést erre az interjúra. Nehéz egy hosszú életet néhány tömör mondatban megfogalmazni. Nagyon szerencsés ember vagyok, mert életem során mindig remek emberekkel találkoztam, akiktől rengeteget tanultam. Kezdeném a szüleimmel, akik nyitott gondolkodásúak voltak, rugalmasak, ugyanakkor körültekintőek, és főleg remek humorral vették az életük igazán nagy akadályait. Általános iskolám különleges volt, az első budapesti Kodály Zoltán által alapított Lórántffy Zsuzsanna utcai ének-zenei iskola első évfolyamainak tagjaként, ahol a közös zene, az ének, a ritmus lengte be mindennapi életünket. Az ötvenes évek összes nagy előadóművésze megfordult iskolánkban, aki Magyarországra jött koncertezni, s ámulattal látta a sok tehetséges gyereket énekelni, hangszereken játszani. Ez az iskola a közösségi életre, a művészet szeretetére, az éneklés és zenélés örömére, megértésére és nyitottságra, a harmónia és a szépség befogadására nevelt. A mai napig tartjuk az iskolatársakkal a kapcsolatot, és mindannyiunk életének szerves része lett a zene. Sokan profi zenészekké váltak,
komolyzenei és könnyűzenei karriert építettek. A Móricz Zsigmond középiskolában pedig a legkiválóbb tanárok készítettek fel a továbbtanulásra. Nehezen döntöttem el, hogy bölcsész vagy orvosi pályára menjek. Végül a realitás győzött, ezen belül is a fogászat, ugyanis a nagyapám vizsgázott fogász volt (1911-ben tette le a vizsgáját) működő rendelővel, így ismerős volt ez a tevékenység. Bár az első évben nem vettek fel a kevésbé sikerült fizikapéldák miatt. Az akkori Koltói Anna nevű Baleseti Sebészeten dolgoztam a következő évi felvételiig, ahol belém égett a beteg, sérült ember mindenekfelett álló alázatos segítése, még ha én voltam a legkisebb pont is a betegellátásban, de azt is megtanultam és megtapasztaltam, hogy mindenkire egyformán szükség van a sikeres ellátáshoz, a gyógyításhoz, nem csak az orvosokra, hanem az összehangolt teammunkára.
Az egyetemi évek során a fogorvoslás mely szakterülete vonzotta elsősorban? Melyek voltak azok az élmények, amelyek a későbbiek során jelentősen meghatározták mindennapi életének, szakmai munkájának az alakulását?
A szájsebészet vonzott igazán. Csiba Árpád tanár úr TDK-s hallgatója voltam, és a Mária utcai, Árkövy által alapított Szájsebészeti Klinika kázusaival foglalkoztam. Két éven keresztül minden szerdán bejártam a Péterffy Sándor utcai szájsebészetre László Jenő főorvos úrhoz önkéntesként dolgozni. Végül a leendő éjszakai ügyeletek miatt lemondtam erről a szakterületről, mert tudtam, hogy gyerekeket szeretnék majdan felnevelni, amibe nekem nem fért bele az éjszakai gyakori ügyelet, az otthontól való éjszakai távollét. Így maradt az általános felnőtt fogászat. Ekkor még ennyi szakterület nem vált el élesen a fogászatban. Végzés után a Szentkirályi utcai Stomatológiára kerültem, és minden osztályt végigjártam az ott eltöltött 3 évben. Kiváló szakemberektől tanultam, Nagy Nóra főorvos asszonytól a szájbeteg osztályon, dr. Horváth László és dr. Klenk Gusztáv szájsebésztől, dr. Vukán Györgytől, a világhírű zeneszerzőtől, akivel egy szobában dolgoztam. Végül egy nagy állami szállítmányozási cég megbízott a leendő üzemi fogászatának alapításával és megszervezésével, berendezésével a Kerr-tűktől kezdve a fogókon keresztül a sterilizáló, rendelői bútorok, textíliák stb. beszerzéséig egy működőképes fogászati rendelő megteremtésére, ahol egy éven belül beindult az üzemi fogászati rendelés velem. Az első stomatológiai munkakezdésemtől kezdve párhuzamosan megnyitottam a magánpraxisomat (1973), amelyben 43 évig láttam el a betegeimet. Abban az időben csak az kapott engedélyt a magánrendelőre, akinek volt állami állása.
A fogorvosi diploma megszerzése után – az első évek elteltével –, hogyan alakult az életútja?
Közben családom lett két fiúgyerekkel. A bölcsészet iránti lelkesedésem nem csökkent, így az állami és a magánfogászati betegellátás és a családom mellett elvégeztem az ELTE BTK történelem és muzeológiai szakát, akkor már világos lett számomra, hogy orvostörténettel szeretnék komolyan foglalkozni. Sok orvos idősebb korban hobbiszerűen lesz műkedvelő orvostörténész, a bölcsészek más szempontok szerint orvosszakmai tudás hiányával művelik az orvostörténetet, de azt gondoltam, már megfelelő tudásalappal bátran kezdhetem az orvostörténeti kutatásaimat, munkámat.

Mindenhol a világon ez egy komoly szakma, sokféle tudás kell hozzá, nem elég az orvosszakma szeretete, komoly levéltári, muzeológiai és történészi módszertani ismeretek is szükségesek az orvosi gondolkodás folyamatos paradigmaváltásainak megértéséhez, a társadalmi, politikai, filozófiai, vallási, tudományos és technikai változások eredetének és hatásainak alapos multidiszciplináris vizsgálatához. A bölcsészeti tanulmányaim kezdete az akkori István-kórház szakmai felettes vezetőmnek nem felelt meg, választás elé állított. Döntöttem a családom támogatásával, és így az Orvosi Információs Intézetbe kerültem (a későbbi Medinfoba) a bibliográfiai osztályra, ahol tudományos főmunkatársként irodalomkutatási feladatokat láttam el. Az itt megtanult gyakorlati és hálózati ismereteim a későbbi kutatásaimnak fontos forrásává vált. Még nem volt online adatbázis a Medline, hanem az Index Medicus 14 kötetes, hatalmas méretű tezaurus könyveiből dolgoztunk és forgattuk lázas sebességgel egy-egy téma megfelelő irodalmi hivatkozásainak, bibliográfiai forrásainak megkeresését és összeállítását a megrendelésre.
A bölcseleti tanulmányaim végeztével, 1989-ben felkerestem a Semmelweis Egyetemen Schultheisz Emil professzort – aki a hazai és nemzetközi medicinatörténet kimagasló alakja volt, belgyógyászi és miniszteri múltja mellett –, az Orvostörténeti és Társadalom-orvostani Intézet igazgatóját, hogy szeretnék ott az egyetemen dolgozni, kutatni, oktatni.

Nemzetközi konferencia, Schultheisz Emil és Sir John Cule, a Royal History of Medicine vezetője társaságában.
Oktatás közben

Ebben is nagy szerencsém volt, éppen akkor üresedett meg egy hely, ahova kisebb pénzért, alacsonyabb beosztással, de nagy lelkesedéssel elkezdhettem a munkámat, a kutatásaimat. Schultheisz professzor szigorúan kritikus, nagy tudású, minőséget követelő, de fanyar humorú nagybetűs mesterem volt, később talán mondhatom barátom, bizalmasom lett. Megszervezte a különböző korszakokkal foglalkozó kutató orvosokat, ókori és középkori latin–görög szakos bölcsészeket, nagy hírű országos orvostörténeti kutatóközpontot hozott létre az egyetemen, amelyet évekkel később az állandó pénzügyi megszorítások miatt elsőként vertek szét, szűntettek meg, olvasztották bele más tárgyba az egyetemen.
Oktatói tevékenységének sokrétű területét nehéz lenne most felsorolni. Egyetemi tanárként mely tantárgyak tanítása jelentette/jelenti Ön számára a legfontosabb feladatot?
Az előzőekben elmondottak alapján talán érthető, hogy az egyetemi átszervezésekkel az orvostörténet mellett a kötelező szociálmedicina, később a közkedvelt néven public health/közegészségtan, majd népegészségtan elnevezésű tantárgyak oktatása is nem csak feladatommá, hanem szenvedélyemmé vált, és ebben, ha mondhatom, úttörő munkát végeztem a primer prevenció, ezen belül is a még ma is fehér foltnak tekinthető – szexedukáció területén. Amerikai, angol és izraeli szaktekintélyektől tanultam személyesen a szexedukáció orvosi, pszichológiai, pedagógiai elméletét és gyakorlatát. Ez (1989–2000-es évekre esik) az akkor még halállal végződő HIV/AIDS pandémia időszaka volt. Nem csak a HIV/AIDS orvosi kuratív feladat hárult az egyetemre, de az intézetünket prevenciós oktatóközponttá fejlesztettük Simon Tamás professzorral, aki a hazai medikus kortárs oktatás nagy úttörője volt. Ketten alapítottunk egy ma is működő ún. Szexeducatios – Kiemelten Közhasznú Alapítványt (1991), amely olyan feladatokat vállalt fel, amelyek állami feladatok lettek volna, mint a megelőzés – ma egészségfejlesztés – pedagógiai kidolgozása az iskolás gyerekek számára. E téma előzetes tudása és jártassága miatt kértek fel az első Nemzeti Alaptanterv (NAT)-be e téma kidolgozására, a tanterv és a tananyag elkészítésére. Egy személyben egyesíteni
tudtam az intézményes, az egyetemi és a civil feladatokat. A pandémia kikövetelte és a saját gyerekeimen keresztül az ő korosztályukon is tapasztaltam a serdülők védtelenségét, a megfelelő információk fontosságát, a normális társadalmi diskurzus hiányát a szexuális kultúránk területén. Ezért első célcsoport a serdülők voltak, az ő oktatásukkal és képzésükkel kezdtem, de ugyanakkor a felnőtteket is fel kellett készíteni a komplett hatékonyság érdekében (illetve, hogy továbbadják a megfelelő tudást (train the trainers): a tanárokat, nővéreket, a védőnőket, az orvosokat, az egészségügyi szakdolgozókat, a civil egyesületek vezetőit és munkatársait, valamint szülői csoportokat egyaránt. Évekig jártam az országot 3-3 napos tréningeket szervezve, több ezer hallgatót oktatva. Majd a többi hátránnyal élők szexuális edukációja következett a védelem érdekében: az állami gondozottak, értelmi sérültek, prostituáltak, melegek, romák stb., megfelelő tankönyveket írva (tanári és hallgatói), szakanyagok, videófilmek, CD-k, multimédiás anyagok, iskolai plakátsorozatok, szórólapok és online formában való információk, tudásanyagok megjelentetésével. Mindezeket a pedagógiai tankönyveket és eszközöket az akkor még működő Egészségügyi Minisztérium és az Oktatási Minisztérium is évekig támogatta, a hivatalos tankönyvlistára tette, így országos tananyag lett belőle addig, míg a politikai támogatás meg nem szűnt, a tankönyvek kínálata helyett már csak egy tankönyv volt kötelező. Nagy felelősség terheli azokat, akik nem veszik figyelembe a szakemberek egészségvédelmi tudását, gyakorlati ismereteiket, döntéseiket alárendelve a pillanatnyi politikai áramlatnak.
Közben folytattam a medicinatörténeti kutatásaimat is. 1994-ben kaptam egy viszonylag rövid ösztöndíjat a híres London School of Higiene and Tropical Medicine (LSHTM) Egyetem History of Public Health intézetébe, ahol világhírű




kutatók voltak az oktatóim, később a kutató kollégáim. Szerveztem nemzetközi orvostörténeti konferenciákat, megjelentettem köteteket a közös munkáinkról.
Az oktatáson kívül még számtalan területen bekapcsolódott/bekapcsolódik az egyetemi munkákba. Jelentős részt vállalt/vállal a Tudományos Diákköri tevékenységből, a postgraduális oktatásból, valamint a PhD hallgatók irányításából egyaránt. Hallhatnánk az eddigi jelentősebb eredményekről, illetve a jelen feladatairól? „Egészségtan” tanári szakot indítottak különböző egyetemek különböző szakán, társítva más szakterületekkel, pl. a Táncművészeti Egyetemen, a Gyógypedagógiai Főiskolán, a Kaposvári Egyetemen, a Testnevelési (akkor még) Főiskolán, ahova a munkatársaimmal együtt meghívtak oktatóknak. Felkérést kaptam a Wesley János Főiskolától szociális munkás és pedagógus szakos hallgatók oktatására. Egy új tantárgyat hoztam létre: „Az utcai szociális munka és prostitúció” címmel, ezt napjainkig oktatom, amely közben kiegészült az emberkereskedelem aktuális témájával, és ma már a rektori konferencia utasította a felsőfokú intézmények szociális munkás szakon való oktatását. Ehhez az új, egyedülálló témához is írtam tankönyveket.
Az orvostörténet tárgy igen népszerű volt a Semmelweis Egyetem (AOK, FOK, GYOK) hallgatói körében, amit az is mutat, hogy több olyan TDK-s hallgatóm elindult a minden évben meghirdetett TDK-s napok versenyén, és ott remek eredményt értek el. Akinek van, vagy volt TDK hallgatója, az tudja, mennyi felkészülés kell az első nyilvános tudományos előadás elkészítéséhez, és az első szereplés megsegítéséhez. Közel 15-20 év alatt 15 fő I. díjas, 9 fő II. díjas és 3 fő III. díjas hallgatóm volt. Nagyon nagy közös öröm volt ez az elismerés. Az elsők között már régen végzett orvosok, fogorvosok és gyógyszerészek vannak, akikkel a mai napig baráti kapcsolatunk lett, időnként együtt sörözünk vagy kávézunk, beszámolnak a szakmai és magánéleti eseményeikről. Jó látni, ahogy az izguló, kezdő lépések után magabiztos, döntési helyzetben lévő szakemberek lettek. Néha felhívnak bizonyos információkért, néha csak megjelennek a születésnapomon egy csokor virággal, a Facebookon meg látom az esküvőket, gyerekek születését, szakmai sikereiket. Legalább 50 szakdolgozat készült orvostörténeti izgalmas témákból.
A PhD hallgatóimmal a mai rendszer szerint 4 évet töltünk el, így módunk van egy közös kutatási időszakot eltölteni. Jelenleg hét, még nem végzett PhD hallgatóm van a Wesley-n

és a Semmelweis Egyetemen, a Pető András Karról együtt, a legkülönbfélébb orvostörténeti témában. Rengeteget tanulok tőlük a folyamat alatt. Pető András és a konduktív pedagógia történetével való kutatásom is régi múltra tekint vissza, írtam egy könyvet, amelyet az 1999-es Frankfurti Könyvvásárra kivittek, amikor Magyarország volt a meghívott díszvendég.
Az egyetemes orvos-, fogászat- és művelődéstörténeti, valamint az orvos- és neveléstudományi kutatásai egészen egyedülállóak és jelentősek. Ebből az óriási tudástárból, témáiból, illetve a kutatásának jelenlegi szakaszából mit emelne ki elsősorban? Tervezi esetleg korábbi témáinak kiegészítését, illetve további bővítését is?
A fogászattörténet egyik fő kutatási irányom. Első cikkünket, egy esetbemutatást, gyermekeim apjával, dr. Almai Jánossal írtuk 1976-ban, egy bal alsó moláris fog reimplantációjáról, ahol Ambrois Paré (1510–1590) ez irányú próbálkozását is megemlítjük. Ez volt a friss végzés után az első „szárnypróbálkozás”, ott csodálkoztam rá arra, hogy a történelem során már szinte majdnem mindennel foglalkoztak, csak a technikai és az egyéb tudásszintjük nem hasonlítható a maiakhoz, de az elv, a kreatív gondolkodás mindig megvolt az emberekben. Azóta folyamatosan foglalkozom a fogászat történetével. Huszár György professzor rám hagyta a féltve őrzött ilyen témájú diagyűjteményét. Kiemelkedő és nagy kutatómunka összegzése volt 2005-ben, a Fogorvosi Kar 50 éves évfordulójára, a Dental Press jóvoltából a fogászat egyetemes történetét feldolgozni, mely 1500 képpel jelent meg. Ez egy egyedülálló vállalkozás volt, szép kiállítású, mesteri kivitelezésű könyv lett. Erre az ünnepségre még 24 hatalmas méretű fogászattörténeti plakátsorozat is megjelent. 2013-ban az akadémiai doktori címet a fogászati szakma kialakulása, továbbá európai történetének kutatásával nyertem el: „Az európai fogászat fejlődése, a vándor-borbélyságtól a fogász mesterségig, különös tekintettel a 18. századra” címmel. 15 éve létrehívtam a Fogászattörténeti Szakosztályt a Magyar Orvostörténeti Társaságon belül, ahol rendszeresen tudományos előadásokat tartunk, de például az egyetem támogatásával Salamon Henrik, az első hazai fogászattörténész, az Odontoszkóp első fogászati folyóirat, a fogszabályozás első úttörőjének házán márványtáblát avattunk.
Kiállítás – 2005.








KIZÁRÓLAGOS MAGYARORSZÁGI FORGALMAZÓ




Kónuszos felépítmény kapcsolat
Kisebb mikromozgás

Erősebb és egyenletesebb csatlakozás

Platform switching

A Kaleidoscopehistory 3 naponként mért statisztikai számlálása, amely azt mutatja, hol olvasták a folyóiratot (2023. október 1–3 között), a lokalizációt jelöli ez a program (Vancouvertól Új-Zélandig).
Azóta is folyamatosan dolgozom fel a hazai és nemzetközi fogászattörténet kimagasló kutatásait, felfedezéseit, történelmi alakjait, különösen a nők szerepét a fogorvoslásban. Jelenleg Andrew Spielmannal, a New York-i Egyetem professzorával egy fogászattörténeti enciklopédián: „Encyclopedia History of Dentistry” dolgozunk angol nyelven. Terveim között szerepelnek az eddig kutatott témáim monográfiákban való megírása (Fogászattörténet, Pető András narratív kiegészített életrajza, a magyar prostitúció története a kiegyezéstől, ebben az Erkölcsrendészet levéltári anyagok forráselemzése is lesz, a mai napig tartó változásokkal. Másik összegző munka lesz a hazai szexedukáció története a rendszerváltozástól és az első NAT Alaptantervtől napjainkig. Újabb kötetet tervezek a Kaleidoscopehistory Művelődés-, Tudomány- és Orvostörténeti folyóirat 15 éves összegzése a hazai és nemzetközi kutatások tükrében.
Külön csemegének szánom a zenei iskolám és az osztályom történetét megírni, mivé lettek, mennyire befolyásolta az osztálytársaim életét, pálya- és párválasztásukat a zene, ez a riportkötet is még hátra van. A családom története még nagyon hiányos, azt is meg szeretném írni, a gyerekeim és

Mikroszkóp 1890-ből.
az unokáim kezébe adni, mert a család történetének forrásai 1780-ig rendelkezésre áll a családi archívumban, a legkülönbözőbb dokumentumformákban (1853-ból daguerotípiával készült képek, kereskedelmi levelek, I. világháborús katonakönyvek, utazási engedélyek, dédnagymamám az unokájának varrt babaruhái, dédapám festményei, nagyapám megjelent novellái és versei, nagybátyám narratív életrajza stb).
Rendkívül fontos tisztségeket tölt be a hazai és a nemzetközi tudományos közéletben egyaránt. Többek között az MTA Művelődéstörténeti Osztályközi Bizottsága Élettudományok-története Munkabizottsága elnöke, az MTA Orvostörténeti Munkabizottságának és a Művelődéstörténeti Osztályközi Bizottságának tagja, a Magyar Orvostörténeti Társaság (MOT) alelnöke, a Magyar Természettudományi Társulat Tudománytörténeti Szakosztály elnöke, a Magyar Orvostörténeti Társaság Fogászattörténeti Körének alapító elnöke, továbbá a Nemzetközi Orvostörténeti Társaság és több külföldi testület (pl. European Association for the History of Medicine and Health) munkáját is segíti. Közéleti tevékenységének különböző területeit tekintve hol érzi legfontosabbnak a tevékenységét?
Mindegyik társulatnak más profilja van, ahol a tagok kiművelt, elkötelezett tudósok, szakemberek, akikkel jó együtt gondolkodni. Minden ilyen társulatban az utódok hiányoznak, és itt látom a generációk problémáját. A pénzkeresés, a család és a más súlypontú érdeklődés miatt nem látom biztosítva ezen patinás társaságok további olajozott, magas szintű továbbélését. Amelyik szakmai társaságot most kiemelnék, az az MTA Élettudományok Történeti Munkabizottság munkája. Az eddigi elnöki munkám alatt (2016–2023-ig) összegyűjtöttük, és most jelenik meg karácsonyra Krász Lilla társelnök szerkesztésében a Kaleidoscopehistory könyv, amely a fenti időben összegyűjtött közös kutatásaink, előadásaink, szakmai vitáink 490 oldalas tanulmánykötete Élet-Tudomány-Történet cím alatt.
A Magyar Természettudományi Társulat Tudománytörténeti Szakosztályát nyolc éve vezetem, és azóta minden év novemberében – a tudomány hónapjában – kétnapos konferenciát szervezünk olyan témákban, amelyhez a legkülönbözőbb területen dolgozó kutatók csatlakozni tudnak a saját területük történeti kutatásával, olyan közös szempontok alapján, mint például a statisztika, a ritmus, a paradigmaváltás, a digitalizáció, a hálózatok, a környezet. Idén éppen most tartjuk „A politika hatását a tudományra” témájú konferenciát, amelyekből szintén kötetek jelentek és jelennek meg a szerkesztésemben. 2010-ben alapítottam a Semmelweis Egyetemen a Népegészségtani Intézetben a Kaleidoscopehistory Művelődés-, Tudomány- és Orvostörténet online, open acces kétnyelvű folyóiratot, amely ma már komoly hazai és nemzetközi tényező orvos- és művelődéstörténeti témában. Statisztikai adatok szerint 2010–2023 között összesen 382 497 olvasó, évi kb. 29-30 000 ember tekintette meg a folyóiratot. Multidiszciplinaritását mutatja, hogy a 26 rovatának tematikája széles spektrumban öleli fel az élettudomány, egészség-betegség, orvoslás, vagyis a medicina területeit, mind kronológiai korszakonként, mind a különböző tudományok (jogi, művészeti, filozófiai, sport, pszichológiai, etnológiai, levéltári, múzeumi, technikatörténeti, nyelvi stb.) oldaláról. E 26 rovatnak vezetői, a cikkek válogatói, szakmai lektorai neves tudósok, szakemberek.
Számtalan rangos kitüntetés tulajdonosa. A teljesség igénye nélkül megemlítem a Zsámboky János, Magyar Orvostörténeti Társaság orvostörténeti díját (2006), Weszprémi István Magyar Orvostörténeti Társaság, orvostörténeti díj (2010), a Pro Universtitate Semmelweis Egyetem díját (2012), majd a Pro Universtitate ezüst fokozatát (2016), a Xantus János emlékérmet (2019), és idén októberben vette át az 50 éves Arany oklevelet. Mindegyik kitüntetés sokrétű munkájának komoly elismerése. Nem lehet ezeket rangsorolni, de megkérdezhetem, hogy melyik díj okozta Ön számára a legnagyobb örömet?
Ez a kérdés olyan, mint amikor sokgyerekes anyukától megkérdezik, ki a legkedvesebb gyereke? Mindegyik, mert mindegyikben mást és mást szeret az ember. Az elsőt azért, mert az első, ilyen még nem volt, a legkisebbet, mert ő a legkisebb. Így vagyok ezzel a kérdéssel én is. Az első fantasztikus volt, mert akkor ismertek el először. A többi valamilyen tevékenység miatt, amit teljes szívvel végeztem, és végül is nem a végcél a plecsni, vagy érem a lényeg, hanem az odavezető út, vagyis a felfedezés, a kutatás, a létrehozás, teremtés, maga a tapasztalás, és mindemellett a sok tanulás, akár lexikális, akár gyakorlati, tehát amikor a kezdeti ötletből megvalósul valami kézzelfogható eredmény. Ez a jó benne, bár az elismerés is nagyon jólesik.
Húsz éve segíti a Dental Press lap- és könyvkiadói tevékenységét. Ahogyan Ön már említette, 2005-ben jelent meg kiadónknál a Fejezetek a fogorvoslás és eszközeinek történetéből c. könyve, és folyamatosan kapjuk publikációit a Dental Hírek „A fogorvoslás történetéből” c. rovatához. A már elmondott, rendkívül sokirányú munkája mellett miként telnek a hétköznapjai?

Élettudomány.

Fischer Iván karmester – aki iskolatársam volt egy darabig a zenei iskolában – sokszor elmondta, hogy ő sosem végzett munkát egész életében. Ugyanis neki a zene nem munka, hanem élvezet, öröm, mert szereti. Valahogy én is így vagyok az összes területtel, amivel foglalkozom. Rendkívül érdekel, és mindig nagy öröm egy-egy témát kibontani, hozzáolvasni, a többi tudománnyal való kapcsolódásainak apró szövetét feltárni, végiggondolni, élvezni a gondolkodás teljes szabadságát. Csillapíthatatlan érdeklődés, tudás- és megismerésvágy van bennem, ez a hajtóerőm, megérteni és tudni a dolgokat, szétszedni és másképp összetenni, elgondolkodni rajta és az összefüggéseket keresni.
Visszatérve az eredeti kérdésre nincs munka, napi feladatok vannak nagy örömmel, jókedvvel. Nagyon kevés az a 24 óra, sok minden nem fér bele. Tanítok, hat kurzusom van (30-30 órások), a Semmelweis Egyetem doktori iskolájában az Egészségügy történetét, a Fogászati kultúra történetét és a Szexológia
MTA
Előadás az MTA-n.

kultúrtörténetét tanítom. A Pető András Karon a Rehabilitáció történetét, az ELTE BTK-n muzeológusoknak az Orvostörténeti muzeológiát, és a Wesley János Lelkészképző Főiskolán az Emberkereskedelem és prostitúció megelőzését, valamint a doktori iskolájában Vallási és világi szempontok a nemi nevelés területén c. tantárgyat tanítom. Mint minden lelkiismeretes és igényes tanár minden órámra készülök, a legújabb kutatások eredményeivel, friss adatokkal, a legutolsó tanulmányok ismertetésével. Elég sok időt vesz igénybe ez a fajta felkészülés. Az aktív fogászati tevékenységet 6 évvel ezelőtt befejeztem 43 évi működés után, a „fog-szalonom” pácienseit a legjobb kézbe, idősebb fiamnak adtam át. Az oktatási feladataimhoz hozzátartozik két egyetemen nyolc PhD hallgatóm, akiket a disszertáció megvédéséig még végigkísérem. Napi ritmusról nem tudok beszámolni a különböző időben tartott órák miatt, de van benne háztartás, nagyon szeretek főzni, mert rettentő kreatívnak tartom az ételek elkészítését. Talán ezért lett a kisebbik fiam szakácsmester. A főzés teljes kikapcsolódást jelent számomra. Egyszóval az elkövetkezendő néhány év is szorgalmas munkával fog eltelni amellett, hogy unokázom – amíg ele -

gük nem lesz a nagymamából (13-10 éves fiúk), mert jönnek a barátok és a barátnők. Figyelek a fizikai kondíciómra. Már 3 éves koromtól aktívan mozgok, balettoztam több mint öt évig, a zenei iskolában a népitánc kötelező volt, ez is nyolc évig tartott. Atletizáltam, később komolyan gerelyeztem a Vasas Sport Klubban. Az iskolai kosárlabdacsapat tagja voltam. Az egyetem mellett már csak az úszás maradt, de ezt a mai napig rendszerességgel végzem. Ma már inkább nordik walkinggal próbálom a napi 6-10 000 lépést elérni, de kb. 35 éve jógázom.
A Covid óta „Micsurin” kertészkedést kezdtünk az unokáimmal, magról neveltünk zöldségeket több-kevesebb sikerrel, a növényekről való gondoskodást is élvezem. Barátok, programok, zenehallgatás, olvasás, mind kellemes szórakozás. Elégedett és boldog életet sikerült kivívnom magamnak a szokásos emberi problémákkal együtt, azokkal a tudományos területekkel, témákkal, szakmákkal, és úgy foglalkozhattam velük egész életemben, amelyekhez nagy kedvem volt és van még, kipróbálhattam magamat több területen, feszegethettem a határaimat és képességeimet. Olyan emberek vettek körül – szüleim, családom, barátaim, kollégáim, mestereim, hallgatóim és a betegeimet is ideszámítva –, akik a sokféle színes emberi tulajdonságaikat engedték látnom és tapasztalnom. A különböző tudományok művelése, oktatása és a betegek ellátása, segítése egységét sikerült megvalósítanom. Vörösmarty sorai járnak a fejemben: „Ez jó mulatság, férfimunka volt!”
Professzor Asszony! Köszönöm ezt a rendkívül sok információt adó, érdekes és tanulságos beszélgetést! Úgy gondolom, ahogyan sikerült eddigi tevékenysége során megvalósítania a különböző tudományok művelésének, oktatásának és a betegek ellátásának, segítésének a harmonikus egységét, példaértékű lehet sokak számára!
Szerkesztőségünk nevében kívánom, hogy további, változatos terveit, kitűzött céljait is meg tudja valósítani, és közben legyen mindig ideje a hétköznapok apró, de nagyon fontos örömeire is!

Az utolsó tantermi óra.
MI Diagnosztika
Új dimenzió a CBCT, a fogászati röntgenek és a kefalometriai felvételek diagnosztikájában a MESTERSÉGES
INTELLIGENCIA erejével csak a VIP DENTALBAN!


Dentális státusz elemzése mesterséges intelligencia által CBCT felvételen.


Panorámaröntgen elemzése mesterséges intelligencia által.






Kefalometriai elemzés és pontbejelölés mesterséges intelligencia által.
Legyen az Ön rendelője a fogászati ellátás innovatív központja, és velünk együtt biztosítsa a legmagasabb szintű diagnosztikai szolgáltatást az MI által támogatott elemzésünkkel.
4,8-as átlag


DR. JASON SMITHSON

DR. ALEKSANDER BUDOVSKY

DR. IGNAZIO LOI

PROF. LOUIS

DR. GHASSAN YARED

DR. ROBERT ‘TITO’ NORRIS

ADRIAN



DR.





DR. DANIELA GARBO
DR. OMAR HAMID
DR.
LUSSI
DR. MINAS LEVENTIS
PROF. GANG SHEN
JUAN CARLOS ORTIZ HUGUES
DR. ALBERTO SALGADO
HARDAN
DR. KIA KARIMI
DR. SERHAT KÖKEN

EARLY BIRD JEGYEK 2025. MÁJUS 31-IG 30%
Dr. Csiki Péter
GYERMEKKORI CLASS 2-ES ELTÉRÉS KÉTFÁZISÚ KEZELÉSE
Ideális esetben az első fogszabályozási konzultációnak 7-8 éves korig meg kellene történnie.
A fogszabályozó szakorvos ezután – amennyiben még nem szükséges a beavatkozás – követi a fogváltást és az állcsontok növekedését egészen addig, ameddig a maradó fogak szájba kerülnek.
Ezután fix, vagy ma már egyre több esetben láthatatlan aligner készülékkel történik egy fázisban a fogszabályozó kezeléssel a funkcionális és esztétikai rehabilitáció.
Ha már láthatóan olyan skelettális vagy dentális eltérés van kialakulóban, szükséges a vegyes fogazatban elkezdeni az ún. első fázisú fogszabályozó kezelést. Ez általában sagittális és transzverzális korrekciót jelent. Tipikusan hagyományos kivehető készülékekkel történik a kezelés, de ebben a szegmensben is egyre erőteljesebb a láthatatlan aligner készülékes kezelések száma.
A hagyományos kivehető készülékeknél, ha csak tágítás szükséges, akkor az egy fogívre kiterjedő aktív lemezekkel történik a beavatkozás, amennyiben sagittális korrekció is szükséges, akkor mindkét fogívre kiterjedő ún. funkciós bimaxillaris készüléket használunk.
Lány páciensem I. fázisú kezelését 10 évesen kezdtük el bimaxilláris funkciós, kivehető készülékkel. Megfigyelhetőek a class 2-es eltérésnél tipikusan jellemző szűk felső és alsó fo-

gívek, valamint a nagy overjet, a mandibula disztál helyzete, továbbá a felső metszőfogak protrúziója, amelynek kialakulásához sokszor hozzájárul az ujjszopás is (1-3. képek)
A vegyes fogazati kezelési célok a fogívek tágítása és a mandibula meziális irányú növekedésének a biztosítása volt. Fontos, hogy az ilyen típusú készülékeket nem csak éjszaka, hanem napközben is – amennyit csak lehet – hordani kell a minél hatékonyabb működés érdekében. A 18 hónapos első fázisú kezelésnek köszönhetően az alap kezelési célok megvalósultak, sikerült a class 1-es okklúziót beállítani (4-7. képek).
Abban az esetben, amikor az első fázisú kezelési célok elérése megtörtént, de még nem törtek elő a maradó fogak az első moláristól az első molárisig – mintegy passzívan, csak éjszakánként hordva –, tovább folytatjuk a funkcionális kivehető készülék viselését.



Esetünkben 18 hónap után a maradó fogazat előtörése megtörtént, így rögtön folytathattuk a fogszabályozást.
A második fázisú kezelés Pitts-21-es fix fogszabályozó készülék alkalmazásával történt meg. A Pitts elveknek megfelelően a kezelési célok a felső középső metszőfogak megfelelő pozicionálása, a 12 fogas (6-ostól – 6-osig) mosoly, az ideális íves lefutású mosolyvonal kialakítása, továbbá az okklúzió finomítása voltak. Mint mindig, a felső fogíven mosolyvonal beállító esztétikai pozicionálást (Smile Arc Protection - SAP) alkalmaztunk, a mes-








terséges harapásemelés pedig az alsó hatosokra, majd később a felső négyesekre került (8. kép). Az intermaxilláris elasztikus gumihúzás class-2-ess vektorú volt annak érdekében, hogy a disztálharapás korrekciója tökéletes legyen (9. kép). A harapást beállító elasztikus gumihúzásokat – mint minden kezelésnél –, ebben az esetben is folyamatosan, az egész kezelés alatt 24 órában (étkezések kivételével) viselte páciensünk.
A második Pitts-21 fix készülékes fázis ideje 16 hónap volt (10-12. képek)

A fogszabályozás aktív fázisa után minden kezelésnél a retenció, a passzív helyben tartó fázis a kezelési eredmény megtartására rendkívül fontos!
Az Essix retainerek, az egy fogívre kiterjedő mélyhúzott sínek, valamint a felső és alsó frontfogakra orálisan ragasztott fix retainerek mellett, a harapás sagittális rögzítésében elengedhetetlen szerepe van az ún. Pitts Izom Tréning Splint-nek, amelybe a páciens élharapásban összeharap, így az megakadályozza az alsó fogsor visszamozdulását a disztálharapásos helyzetbe (13. kép)
• Pitts Protocol Issue 1-11
• Pitts Protocol Clinical Article Issue • Journal of

Az általunk alkalmazott adhezív rendszerek hatékonyságát nagymértékben növelhetjük azáltal, a kerámia héjakat kofferdám izolálásban ragasztjuk. Jelen esetismertetésünknek az volt lással megelőzni a munkaterület nyállal, vérrel vagy szulkusz-váladékkal történő kontaminációját. távolság elengedhetetlen ahhoz, hogy a kofferdámot ideális módon tudjuk felhelyezni. Ezzel flonszalagok segítségével történő beforgatásával az ínyvérzés kialakulását el lehet kerülni. nélkül nem tudtuk volna a preparált csonkszélt a gumilepedő szélétől eltartani. A kezelés lat során teljesen

azáltal, hogy a fogakat minimál invazív módon, azaz csak zománcon belül preparáljuk, és a célja, hogy bemutassuk, hogyan lehet az adekvát módon kivitelezett kofferdám izolákontaminációját. A megfelelő méretben kialakított perforációs nyílások és köztük lévő optimális Ezzel az esettel azt is bizonyítjuk, hogy a gumilepedő levegőfújással, fogselyemmel és tekerülni. Ismételten szeretnénk hangsúlyozni, hogy a megfelelő kofferdám kapcsok használata kezelés során elért eredményeket jól alátámasztotta, hogy a páciens az ötéves kontroll vizsgáteljesen elégedett volt.
Dr. Carlos A. Jurado, dr. Nicholas G. Fischer, dr. Jose Villalobos-Tinoco (Egyesült Államok)
dr. Mohammed E. Sayed (Szaúd-Arábia), dr. Akimasa Tsujimoto (Mexikó)
KOFFERDÁM
IZOLÁLÁS MELLETT RAGASZTOTT KERÁMIA HÉJAK:
AZ EREDMÉNYEK ÖT ÉVVEL KÉSŐBB TÖRTÉNŐ ELLENŐRZÉSE
Esetbemutatás
Absztrakt
A szakirodalomban fellelhető eredmények alapján kerámia héjak ragasztására a kontaminációtól mentes, frissen vágott zománc felszín a legalkalmasabb. A hosszú távú sikeresség elérésének további feltétele a fogak konzervatív módon történő preparálása, továbbá a ragasztás kofferdám felhelyezésével biztosított, abszolút izolálásban történő kivitelezése. Úgy véljük, hogy a fenti faktorok biztosították a cikkben bemutatásra kerülő esetek – 5 évvel az átadás után megfigyelhető – sikerességét. A kofferdám izolálás alkalmazása számos előnyt biztosít a gyakorló fogorvos számára. Megakadályozza a munkaterület nyállal, vérrel, vagy szulkusz-váladékkal történő kontaminációját, és javítja a kezelendő területre való rálátásunkat. A fogak kerámia héjak ragasztása előtt történő izolálása azonban gyakran kihívást jelenthet a kevesebb klinikai tapasztalattal rendelkező fogorvosok számára. Jelen esetbemutatásban ismertetjük a kofferdám felhelyezésének lépéseit és néhány olyan gyakorlati tanácsot, amelyek jelentősen megkönnyíthetik a munkánkat, azokban az esetekben, amikor a második kisőrlőfogak közti területet kívánjuk kofferdám segítségével izolálni. A kofferdám kapcsok segítségével került rögzítésre, majd fogakat körülvevő széleit óvatosan az ínybarázdába forgattuk. A kerámia héjak számára előkészített fogakra ragasztás előtt egyenként kapcsokat helyeztünk annak érdekében, hogy a kerámia héjak rögzítése ideális körülmények között történhessen. A lépések részletes ismertetése segítséget jelenthet – a kevesebb klinikai tapasztalattal rendelkező fogorvosok számára – az abszolút izolálás megvalósításához szükséges lágyrészmenedzsment megértéséhez. Ezek az ismeretek rendkívül hasznosak lehetnek, ha a jövőben a kerámia héjak ragasztását megfelelő módon megvalósított kofferdám izolálás mellett kívánják kivitelezni. A cikkben ismertetett módszerek alkalmazásával az abszolút izolálás megvalósítható, a gumilepedő – vérzés nélkül – ínybarázdába történő beforgatására, és a ragasztáshoz szükséges idő csökkentésére.
Kulcsszavak: fogászat, izoláció, kofferdám, adhezív rögzítés, esztétika, kerámia héjak.
Bevezetés
A kofferdám egy a munkaterület izolálására alkalmas eszköz, amelyet a restauratív és az endodonciai beavatkozások során széleskörűen alkalmaznak (1). Az eljárás kritikusai rendszeresen azzal érvelnek, hogy az eszköz felhelyezése időigényes (2), és használata pluszköltségeket ró a rendelőre. A kofferdám egyértelműen hozzájárul az antiszepszis biztosításához, a munkaterület szárazon tartásához, valamint a páciens ellátása során alkalmazott vagy felszabaduló anyagok belégzésének és lenyelésének megakadályozásához (3). A klinikai gyakorlatban elsőként 1869-ben dr. Sanford Christie Barnum használt egy vékony gumidarabot a fogak izolálására (4). Az izolálás mindkét irányban megakadályozza a folyadékok szivárgását (5), teljes mértékben elválasztja a munkaterületet a szájüregtől és fordítva. Mindössze három év kellett ahhoz, hogy a szakirodalomban beszámoljanak a kofferdám használatának széles körű elterjedéséről (6, 7). A szívókészülékek és az ezüstamalgám megjelenésével a 20. század elején jelentősen visszaszorult a használata. Helyette vatta-rolnik és az alkohol használatát javasolták alternatív megoldásként (7). Annak ellenére, hogy rendszeresen megpróbálják a fogorvos-társadalom figyelmét felhívni a kofferdám használatának fontosságára, a legtöbb gyakorló fogorvos mégis a rendelő lehető leghatékonyabb működését és a financiális szempontokat helyezi előtérbe (8).
Az évek során többen is vizsgálták a kofferdám használatának mellőzéséhez vezető okokat, és igyekeztek olyan változtatásokat eszközölni, amelyek a szélesebb körű alkalmazását eredményezhetik (9, 10). Azt találták, hogy a fogorvosok általában azért nem használják, mert úgy vélik, hogy felhelyezése fárasztó, kihívásokat rejt magában, sok időt vesz igénybe, és a páciensek pedig nehezen viselik el. Jelenleg úgy tűnik, hogy a kofferdám használatának mellőzésére szóló érvek továbbra is szilárdan tartják magukat annak ellenére, hogy nem találunk olyan kurrens szakirodalmi publikációkat, amelyek ezeket megfelelően alátámasztanák (11, 12).
A kerámia restaurátumok kofferdám izolálásban történő ragasztásának célja, hogy megakadályozzuk a ragasztandó felületek kontaminációját, és javítsuk a kerámia és a fog felüle-

1. ábra: Preparált csonkok és a teflonszalag behelyezése. Kiindulási intraorális fotó (A). A végleges, minimál invazív csonkelőkészítés (B). A teflonszalag behelyezése (C).
te között kialakuló kapcsolat minőségét. Sajnos jelenleg nem érhetőek el azok a közlemények, amelyekben leírnák, hogy miként lehetne a fogak teljes izolálását a lágyrészek megsértése nélkül elérni. Jelen közleménynek az a célja, hogy hasznos gyakorlati tanácsokat adjunk, és konkrét példákat mutassunk a front régió kerámia héjakkal történő ellátása érdekében alkalmazott kofferdám felhelyezésével kapcsolatban. A leírt módszerek helyes alkalmazásával a gyakorló fogorvosok sokkal jobb izolálást érhetnek el, képesek lesznek a gumilepedőt anélkül az ínybarázdába forgatni, hogy közben vérzés lépne fel, és emellett a pótlások adhezív rögzítését is sokkal rövidebb idő alatt tudják majd megvalósítani.
Esetismertetés
A kofferdám izolálás felhelyezése egy nagyon jól meghatározott lépésekből álló folyamat. A fogorvosnak tisztában kell lenni azzal, hogy lehet a lágyrészeket finoman manipulálni az applikálás során, mivel csak így érhető el a tökéletesen izolált munkaterület. A kapcsok nem megfelelő módon történő felhelyezése ínyvérzés kialakulásához vezet, amely a ragasztás szempontjából rendkívül kedvezőtlen helyzetet teremthet.
A rendelésünkön egy 34 éves latin-amerikai nőbeteg azzal a panasszal jelentkezett, hogy a fogait „túl rövidnek” találja, és ezen felül a mosolyával sem volt megelégedve. Az anamnézisfelvétel alapján egészséges volt, elmondása szerint rendszeresen járt orvoshoz. Öt évvel korábban néhány hátsó fogát restaurálták. Páciensünk szájhigiénéje megfelelő volt,
a fogait rendszeresen ápolta. House klasszifikációja szerint, amely a pácienseket a fogászati kezelésekhez való attitűdjük szerint négy csoportba sorolja, a páciensünk a szabálykövető csoportba tartozott.
Az előzetes állapotfelmérést és a kezelés megtervezését követően a fogakat minimál invazív módon preparáltuk (1. a-b ábrák), majd az előkészített fogak ínybarázdáiba fonalbehelyező eszköz segítségével (113 Serrated Gingival Cord Packer, Hu-Friedy, Chicago, Illinois) teflonszalagot helyeztünk (Loctite Thread Seal Tape, Henkel Loctite Corp., Egyesült Államok), (1. c ábra). A hagyományos retrakciós fonalak helyett, a rugalmasságuk miatt előnyösebbnek tartjuk a teflonszalagok használatát. A kofferdámot (Dental Dam, Nic Tone, Bukarest, Románia) az előkészített fogakon kívül, az azoktól disztálisan elhelyezkedő egy-egy fognak megfelelően is perforáltuk.
Mivel a felső fogív első kisőrlőfogtól ellenoldali első kisőrlőfogig terjedő részét terveztük kerámia héjak segítségével ellátni (14-24), ezért az izolálást ugyanezen fogív második kisőrlőfogtól második kisőrlőfogig terjedő részére (15-25) helyeztük fel (2. a ábra). A kofferdám rögzítését a második kisőrlőfogakra helyezett kapcsok segítségével (Rubber Dam Clamps #2, Hu-Friedy, Chicago, Illinois, Egyesült Államok) biztosítottuk (2. b ábra). Ezt követően a gumilepedő fogakat körülvevő szélét kézi fonalbehelyező eszközzel és finom levegőáramlattal az ínybarázdákba forgattuk. A folyamat a következőképpen zajlott: a kézi eszközzel a kofferdámot a fognyaknak megfelelően finoman a szulkusz irányába fordítjuk, majd az eszköz végét a fognyaknak megfelelően vezetjük, miközben a lepedőt a puszterből jövő levegő segítsé-

2. ábra: A kofferdám előkészítése és a kapcsok kiválasztása. A gumilepedő és a kiválasztott kapcsok (A). A kisőrlőfogakra helyezett kapcsok stabilizálják a kofferdámot (B). A gumilepedő ínybarázdákba történő beforgatása fonalbehelyező eszköz és levegőáramlat segítségével (C). Közvetlenül a héjak felhelyezése előtt a frontfogakra helyezett kapcsok (D).

3. ábra: A héjak bepróbálása, kondicionálás és a ragasztás. A ragasztás előtti próba (A). A fogfelszínek kondicionálása (B). A beillesztett kerámia héjak (C). Fotopolimerizáció (D).



4. ábra: A kapcsok eltávolítása és a kismetszőfogakra készült héjak beragasztása. A kapcsok nagymetszőfogakról történő eltávolítása (A). A kapcsok eltávolítása után látható állapot (B). A nagymetszőfogak és a szemfogak teflonszalaggal történő izolálása (C). A kismetszőfogak ínykapcsokkal történő kiegészítő izolálása (D). A héjak átadása után látható állapot (E).
gével finoman az ínybarázdába fordítjuk (2. c ábra). Azokra a fogakra, amelyekre aktuálisan héjakat akartunk helyezni, ezen felül kiegészítő kapcsokat is helyeztünk (Hygenic Brinker Clamp #B4, Coltene/Whaledent Inc., Cuyahoga Falls, Ohio, Egyesült Államok), (2. d ábra)
Ebben a stádiumban érdemes a héjakat még bármilyen ragasztóanyag vagy próbapaszta nélkül a helyükre illeszteni (dry tryin). Erre azért volt szükség, hogy még a tényleges ragasztási folyamat megkezdése előtt ellenőrizni tudjuk a restaurátum és a fog pontos illeszkedését, valamint a széli záródási vonalhoz való akadálytalan hozzáférést (3. a ábra). Ideális esetben a héjak felhelyezését párosával, a középvonaltól disztál felé haladva végezzük. Ennek megfelelően a jobb (1.1) és bal felső nagymetszőfogakra (2.1) kapcsokat helyeztünk, majd a szomszédos fogakat teflonszalag segítségével izoláltuk. Ezt követően az 1.1-es és 2.1-es fogak héjak elhorgonyzására szolgáló felszíneit 32%-os foszforsavval (Uni-Etch w/BAC, Bisco Dental, Schaumburg, Illinois, Egyesült Államok) 30 másodpercen keresztül kondicionáltuk. Ez után a felszínek vízzel történő lemosása és óvatosan le-
szárítása következett (3. b ábra). A fogfelszínek előkészítésének utolsó lépéseként a primert és az adhezívet (OptiBond FL, Kerr Dental Orange, Kalifornia, Egyesült Államok) a gyártói javaslatnak megfelelően a felszínekre applikáltuk, majd 20 másodpercen keresztül polimerizációs lámpával világítottuk (Valo LED Curing Light, Ultradent Products Inc., South Jordan, Utah). Az 1.1-es és 2.1-es fogakat borító héjak ragasztása során világos színű, fényre kötő ragasztócementet (Variolink Esthetic LC, Ivoclar Vivadent, Schaan, Liechtenstein) alkalmaztunk. A ragasztóanyagot először a héjak belső felszínére vittük fel, majd ezeket az előkészített fogfelszínekre helyeztük (3. c ábra). Az approximális felszíneken megjelenő cementfelesleget egy ecset (Profi Natural Bristle Brush, Renfert, Hilzingen, Németország) és fogselyem (Oral-B Glide Pro-Health Deep Clean Floss, Procter & Gamble, Cincinnati, Ohio, Egyesült Államok) segítségével még a ragasztóanyag megvilágítása előtt eltávolítottuk. A megvilágítás során a különböző fogfelszíneket (labiális, meziális, disztális és incizális) 20-20 másodpercen keresztül világítottuk meg (3. d ábra) Ezt követően a felső nagymetszőkre helyezett kapcsokat
Nagy látómező

i900
ALL IN ONE ALL IN ONE intraorális szkenner a könnyed szkennelési élményért
Touchpad egyszerű navigáció 10 bites technológia
360 fokos érintőgyűrű ki- és bekapcsolás bármilyen szögből
Résmentes készülékház kiemelkedő higiénia
Mindössze 165g (fejjel együtt)

Kis létszámú MEDIT hands-on kurzusok soproni bemutatótermünkben. Információ: +36 20 9510368
9400 Sopron, Faller Jenő u. 5 | Tel.: 99/508-698 | Fax: 99/508-696 iroda@dentalplus.hu | www.dentalplus.hu
BCW Irodaház . 1113 Budapest, Nagyszőlős u. 11-15. / I. emelet (Budapesti bemutatótermünkben előzetes egyeztetés alapján tudjuk fogadni Önöket!)

5. ábra: A cementfelesleg eltávolítása. A cementfelesleg fognyakról történő eltávolítása (A). A cementfelesleg approximális területekről történő eltávolítása (B). A cementfelesleg penge használatával történő eltávolítása (C).
egy kapocsfeszítő (4 Rubber Dam Clamp Forceps, Hu-Friedy, Chicago, Illinois, Egyesült Államok) segítségével eltávolítottuk (4. a-b ábrák). Ezután a kismetszőfogak előkészítése következett. Még a kapcsok felhelyezése előtt a szomszédos fogakat, azaz a jobb és bal felső szemfogat, valamint a felső nagymetszőfogakat (1.3, 1.1, 2.1, 2.3) teflonszalaggal izoláltuk (4.c. ábra). Ezután a korábban részletezett ragasztási protokollt követve a kismetszőfogakra készített héjakat beragasztottuk. Ezt a folyamatot a felső szemfogak, és végül az első kisőrlőfogak esetében is megismételtük (4. d-e. ábrák)
A fognyaki területen és a fogközökben megjelenő cementfelesleget egy speciális kézi kürett (LM-Arte Eccesso, Planmeca, Helsinki, Finnország), approximális polírszalag és egy #12-es szikepenge (Surgical Scalpel Blade No. 12., Salvin Dental Specialties, Charlotte, Észak-Karolina, Egyesült Államok) segítségével távolítottuk el (5. a–c. ábrák)
Az oxigén inhibíciós réteg kialakulásának elkerülése érdekében a kerámiafelszíneket glicerin géllel (Liquid Strip, Ivoclar Vivadent, Schaan, Liechtenstein) borítottuk, majd ezeket a felszíneket ismét 20-20 másodpercen keresztül világítottuk. A végeredmény megfelelt a páciens esztétikai igényeinek (6. a. ábra). Az átadott restaurátumok épségének megőrzése érdekében, a páciens számára éjszakai fogvédő sín készült. Az ötéves kontroll alkalmával megállapítottuk, hogy az elvégzett kezelésünk továbbra is sikeresnek tekinthető (6. b. ábra)
Megbeszélés
Bár a kofferdám izolálás használatának szükségességéről megoszlanak a vélemények, azt egyértelműen kijelenthetjük, hogy adhezív ragasztási technikák magas színvonalon történő alkalmazásához nélkülözhetetlenek. Egy, a Cochrane Library adatbázisának áttekintésén alapuló, 2016-ban megjelent közlemény szerzői azt találták, hogy a kofferdám izolálásban készített direkt restaurátumok sikertelenségi aránya alacsonyabb volt (8). A szerzők további, jobban paraméterezett vizsgálatok elvégzését javasolták a még pontosabb eredmények elérése érdekében. A szakirodalomban valóban nem található olyan tanulmány, amelyben a kofferdám alkalmazásának és a kerámia héjak ragasztásának hosszú távú sikeressége közötti összefüggéseket vizsgálnák. Véleményünk szerint is további vizsgálatok szükségesek ebben a témában. Összességében elmondható, hogy a kofferdám használata biztosítja a légutak védelmét, csökkenti az aeroszolok terjedését, aszeptikus munkaterületet biztosít és számunkra legfontosabb előnye, hogy megvédi az adhezív ragasztásra szolgáló felszíneket a nyállal való kontaminációtól (1). Bár a kofferdámok alkalmazását számos fogorvosi társaság és egyesület ajánlja, sajnos csupán a fogorvosok kis hányada használja őket rendszeresen munkája során (13, 14). A használatukat mellőző fogorvosok legtöbbször a felhelyezés időigényességét kifogásolják. Azonban vizsgálatok kimutatták, hogy a kofferdám felhelyezése átlagosan mindössze 1-2 percet vesz igénybe (2). Ebből következik, hogy felhelyezése és eltávolítása – utóbbi általában 10-15 másodpercig tart – nem növeli meg jelentősen a kezeléshez szükséges időt (15, 16). További ellenérvük, hogy a kofferdám a páciensek komfortérzetét negatívan befolyásolja, miközben számos vizsgálat kimutatta, hogy a páciensek komfortérzete a kofferdámban végzett kezelések esetén magasabb volt, mint azokban az esetekben, amikor mellőzték a használatát (11, 12). A vizsgálatokban megfigyelt tényezők – mint az életkor, a nem vagy korábbi fogászati kezelés során felhelyezett kofferdámmal kapcsolatos tapasztalatok – közül egyik sem volt statisztikailag szignifikáns hatással a páciensek kényelmére.
A kezelőorvosok számára fontos ismerni, hogy az általuk használt kofferdám gumilepedő milyen anyagból készült, hiszen a páciensek többféle anyagra is allergiásak lehetnek, és ezek közül a latexallergia nem ritka jelenség. A latexallergia leggyakoribb tünetei közé tartoznak az alábbi bőrtünetek: viszketés, bőrpír, kiütések vagy csalánkiütés, továbbá az orr, a torok és a szemek viszketése, hányinger, gyomorgörcsök vagy akár a nehézlégzés. Bár a legtöbbször a tünetek a kiváltó tényezővel történő találkozás után néhány percen belül jelentkeznek, bizonyos bőrreakciók megjelenéséig akár 2448 óra is eltelhet (17). Az allergiás reakció hatására anafilaxiás shock is kialakulhat. Ez egy súlyos, akár életet veszélyeztető tünetegyüttes, amely során a páciens hirtelen bekövetkező vérnyomásesése is bekövetkezhet. Az anamnézisfelvétel során a fogorvosnak kötelessége a beteget alaposan kikérdezni, különös tekintettel arra, hogy ismert-e bármilyen allergia, túlérzékenység. Ha felmerül a latexallergia lehetősége, ajánlott a beteget előzetes allergiavizsgálatra irányítani.
A kofferdám izolálás helytelen kivitelezése esetén a fognyak mellett szivárgás alakulhat ki. Ehhez számtalan különböző ok vezethet: nem megfelelő méretű perforációs nyílást
alakítottunk ki az egyes izolálandó fogak számára, túl kicsi vagy túl nagy a távolság a perforációs nyílások között, nem megfelelő volt a kapocsválasztás, vagy helytelen módon történt a gumilepedő ínybarázdába forgatása. Mindig érdemes kiemelt figyelmet fordítani az adott fognak megfelelő méretű perforációs nyílás kialakítására, valamint a nyílások között megfelelő méretű távolság biztosítására. A nyílásokat kb. 6 mm távolságra érdemes egymástól kialakítani. Ha túl nagyméretű perforációt alakítunk ki, akkor a fognyaknak megfelelően szivárgás léphet fel. Ha pedig a perforációs nyílások túl közel kerülnek egymáshoz, akkor nem lesz elegendő mennyiségű anyag a fogak között található interdentális tér beborításához, illetve a lepedő beforgatásához. Az utóbbi probléma akkor is felléphet, ha a perforációs nyílások mérete a szükségesnél kisebb, ilyenkor a fogak körül a lepedő megfeszülhet és elszakadhat. Ha egy kis darab fogselymet a fognyak köré helyezünk, majd a szabad végeit a fog labiális felszínének megfelelően keresztezzük, ott megkötjük, és ezután óvatosan az ínybarázdába vezetjük, akkor jelentősen elő tudjuk segíteni a lepedő beforgatásának rögzítettségét. Ezt egyébként a teljes munkaterületnek megfelelően ajánlott elvégezni. Az említett lépések során a lágyrészek manipulálása kellemetlenségekkel járhat a páciens számára, tehát ezt érdemes helyi érzéstelenítés alkalmazásával megelőzni. Jelen esetben a hagyományos retrakciós fonalak helyett teflonszalagot használtunk, mivel az sokkal rugalmasabb, és a vastagságát is tetszőlegesen alakíthatjuk. A teflonszalag mára a fogorvosi rendelők egyik szinte nélkülözhetetlen elemévé vált (18).
Sok fogorvos számára ismeretlen az a tény, hogy léteznek az íny eltartására szolgáló speciális kapcsok. Ezeket az V. osztályú üregek ellátásakor, valamint – ahogy az ábrákon látható – a kerámia héjak ragasztásakor is rendkívül jól lehet hasznosítani. A tompa kialakításuknak köszönhetően nem sértik meg a lágyrészeket az ínybarázdába helyezésük során. Más típusú kofferdám kapcsokat is megpróbálhatunk alkalmazni a fogak izolálása során, de a kialakítása nem feltétlenül teszi lehetővé a lágyrészek megfelelő eltartását, és a felhelyezésük során az ínyt is roncsolhatjuk. Amennyiben a kerámia héjak ragasztása előtt kofferdám izolálást kívánunk felhelyezni, akkor olyan nem kívánt szövődmények kialakulására is számítanunk kell, mint például a lágyrészek megsértése vagy az ínyvérzés kialakulása. Ezekben az esetekben mindenképpen szükség van a gumilepedő óvatos ínybarázdába történő beforgatására, és a kofferdám rögzítéséhez szükséges ideális kapcsok kiválasztására. A cikkben említett lépések alkalmazása senki számára sem okozhat nehézségeket, ellenben segítségükkel biztosítani lehet a gyors és hatékony kofferdám felhelyezést. Összefoglalásként elmondhatjuk, hogy kerámia héjak ragasztásának előkészítése során a gumilepedőt mindig az adott fogak átmérőjének megfelelő perforációs nyílásokkal kell ellátni, az izolálást a második kisőrlőfogtól az ellenoldali második kisőrlőfogig kell felhelyezni, majd ezekhez a fogakhoz kapcsokkal rögzíteni. Ezt követően a lepedőt óvatosan az ínybarázdába kell forgatni, és azoknál a fogaknál, amelyekre aktuálisan a kerámia héjakat fel akarjuk helyezni, további speciális ínykapcsok segítségével kiegészítő retrakciót

ARANY MUNKÁIT
RENDELJE MEG A
Több mint 100 éves tapasztalat!
INLAY, ONLAY ARANY KERÁMIA ARANY LEMEZ ARANY KOMBINÁLT MUNKA
LEMEZ ARANYOZÁS GALVÁN MUNKÁK KESZÍTÉSE
ELÉRHETŐSÉG: +36 20 366 10 80 schulzefogtechnika@gmail.com

6. ábra: Az átadás után, illetve az ötéves kontroll során látható állapot. Az elkészült restaurátumok végleges ragasztása után készült felvétel (A). Az ötéves kontroll során készített felvétel (B).
kell biztosítani. Természetesen a restaurátumok ragasztása abszolút izolálás nélkül történő ragasztására is van lehetőség, azonban ilyenkor azt is szem előtt kell tartani, hogy a legkisebb mértékű kontamináció is jelentős mértékben veszélyeztetheti az adhezív rendszerek hatékonyságát.
Következtetések
Az általunk alkalmazott adhezív rendszerek hatékonyságát nagymértékben növelhetjük azáltal, hogy a fogakat minimál invazív módon, azaz csak zománcon belül preparáljuk, és a kerámia héjakat kofferdám izolálásban ragasztjuk. Jelen esetismertetésünknek az volt a célja, hogy bemutassuk, hogyan lehet az adekvát módon kivitelezett kofferdám izolálással megelőzni
a munkaterület nyállal, vérrel vagy szulkusz-váladékkal történő kontaminációját. A megfelelő méretben kialakított perforációs nyílások és köztük lévő optimális távolság elengedhetetlen ahhoz, hogy a kofferdámot ideális módon tudjuk felhelyezni. Ezzel az esettel azt is bizonyítjuk, hogy a gumilepedő levegőfújással, fogselyemmel és teflonszalagok segítségével történő beforgatásával az ínyvérzés kialakulását el lehet kerülni. Ismételten szeretnénk hangsúlyozni, hogy a megfelelő kofferdám kapcsok használata nélkül nem tudtuk volna a preparált csonkszélt a gumilepedő szélétől eltartani. A kezelés során elért eredményeket jól alátámasztotta, hogy a páciens az ötéves kontroll vizsgálat során teljesen elégedett volt.
(A cikk megírása során felhasznált szakirodalmi hivatkozások jegyzéke elérhető a szerkesztőségünkben.)
Forrás: Cureus 2021, 13(12):e20748 (eCollection)

Dr. Kazem Dalaie, dr. Samin Ghaffari, dr. Mazir Mir (Irán, Németország)
EGY DILACERÁLT GYÖKÉRREL RENDELKEZŐ IMPAKTÁLÓDOTT
FELSŐ NAGYMETSZŐFOG LÉZERES TERÁPIÁVAL
KIEGÉSZÍTETT ORTHODONCIAI
KEZELÉSE
Bevezetés
Már a vegyes fogazattal rendelkező páciensek körében is gyakran találkozhatunk impaktálódott fogakkal. Ebben a korban legtöbbször a felső metszőfogak impakcióját figyelhetjük meg. A frontfogak előtörése során előforduló diszkrepanciák a későbbiekben súlyos esztétikai problémák kialakulásához vezethetnek. Ennek a cikknek az a célja, hogy bemutassa egy impaktálódott felső középső metszőfog lézerrel asszisztált sebészi feltárását, továbbá az azt követő sikeres orthodonciai mozgatását. A cikknek ugyancsak célja, hogy felhívja a figyelmet az impaktálódott felső középső metszőfogak ellátásának fontosságára, valamint, hogy rámutasson a lézeres sebészi feltárásra, valamint a fogmozgatás gyorsaságára gyakorolt pozitív hatásaira.
Esetbemutatás
A 10 éves férfi páciens a felső frontfogai késői/nem megvalósuló előtörése miatt kereste fel a rendelőnket. A klinikai és a radiológiai vizsgálat során a jobb felső nagymetszőfog impakcióját észleltük (1. ábra). A fog horizontális tengelyállással és dilacerált gyökérrel rendelkezett. A felső dentális középvonal a fogak vándorlása miatt jelentős mértékben elcsúszott. A bal felső kismetszőfog is rendkívül kedvezőtlen pozícióba került.
A kezelés
A kezelés első lépéseként az összes maradó fogra breketteket rögzítettünk. A felső fogív nivellálása, a ferde tengelyállá-

1. a ábra: Az intraorális felvételen jól látható a jobb felső nagymetszőfog lehetséges impakciójára utaló foghiány.


1. b ábra: A panoráma röntgenfelvételen megfigyelhető a teljes impakcióban lévő jobb felső nagymetszőfog.
1. c ábra: A CBCT felvétel is igazolja a jobb felső nagymetszőfog impakcióját.

2.
Az impaktált fog lézerrel asszisztált sebészi feltárása.

3. ábra: A kezelés megkezdését követő 15. hónapban megfigyelhető a sikeres felszabadítást, fogmozgatást és pozicionálást követően látható állapot.
sok korrigálása, valamint az impaktálódott fog előtöréséhez szükséges hely megteremtését követően, egy merev acél ív segítségével stabilizáltuk a fogakat. Ezt követően elvégeztük a jobb felső nagymetszőfog sebészi feltárását. A fog koronáját csupán lágyrész borította, ezért nem volt szükség a csontállomány elvételére. A felszabadítás során egy 975
nm-es hullámhosszon pulzáló üzemmódban alkalmazott lézert használtunk (LaserHF standard, Hager & Werken). A teljesítménye 3 W, az aktív ciklus-idő 50%-os, a vezetőszál átmérője pedig 0,4 mm volt (2. ábra). A lézert 150 másodpercen keresztül alkalmaztuk. A fogat borító lágyrészek eltávolítását követően egy láncos brekettet rögzítettünk a metszőfog bukkális felszínére. A műtétet követően nem tapasztaltunk vérzést, nem alakult ki oedema, valamint a páciens sem számolt be fájdalom vagy bármely egyéb kellemetlenség fennállásáról. A felszabadítást követően a páciens minden hónapban háromszor jelent meg a felszabadított területre ránövő lágyrészek és az íny lézeres eltávolítása céljából. A beavatkozások során ugyanazt a lézer készüléket használtuk, mint amivel a felszabadítást végeztük. Közvetlenül a felszabadítást követően megkezdtük a fog finom extrudálását a láncos breketthez kötött füzérgumi segítségével.
ábra:
A 975 nm-es hullámhosszt elsősorban sebészi beavatkozások végzése során alkalmazzák. Az ezzel a hullámhosszúsággal rendelkező lézersugarak csak kis mélységben képesek a lágyrészeket penetrálni, valamint hagyományosan nem ezeket szokták biostimuláció során használni. Ugyanakkor minden sebészi célra alkalmazott lézer körül megfigyelhetünk egy csökkenő intenzitással (azaz fényerővel) rendelkező gyűrűt, amely perifériáján biostimulációs hatások is létrejöhetnek. Az alacsony energiájú lézeres terápia (low-level laser therapy; LLLT) során a lézeres fejet a lágyszövetektől nagyobb
távolságban vezetve, az alábbi paraméterek mellett alkalmaztuk: pulzus üzemmód, 100 mW teljesítmény, 660 nm-es hullámhossz. A lézeres fejen lévő nyílás nagysága 0,125 mm2 volt (0,4 mm átmérő). A biostimuláció során egy megközelítőleg 7 cm2-es területet világítottunk meg a kérdéses fog vesztibuláris és palatinális oldalának megfelelően. A megvilágítás időtartama minden találkozó során 150 másodperc volt. A leadott energia 15 J, az energiasűrűség pedig 17J/ cm2 körül mozgott. A lézeres terápiát a kívánt fogpozíció eléréséig minden hónapban megismételtük. Ez a folyamat

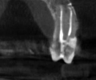
4. a ábra: A CBCT felvétel igazolja, hogy a jobb felső nagymetszőfog megfelelő pozícióba került. Az ínyszél lefutása kedvező, a fog gyökere körül elfogadható mennyiségű csontállomány ábrázolódik, valamint a gyökérfelszívódás mértéke sem túl kifejezett.

4. b ábra: A panoráma röntgenfelvétel is alátámasztja a CBCT felvételen látottakat.

4. c ábra: Az intraorális felvételen megfelelő fogpozíciók és kedvező ínyszéli lefutás ábrázolódik.
6 hónapon keresztül tartott. Ennek megfelelően a fog körül található szövetek a felszabadítás, valamint a havi kontrollok során 975 nm-es (több mint 25 J/cm2 energiasűrűség) és 660 nm-es hullámhosszúságú (12–18 J/cm2 energiasűrűség) lézersugarakkal is megvilágításra kerültek. Az impaktálódott fogat megközelítőleg 7 hónap alatt tudtuk megfelelő pozícióba mozgatni (3. ábra). Az orthodoncia kezelés aktív szakasza 18 hónapon keresztül tartott. A fogívek végső nivellálását és a fogak végleges pozícióba rendezését 0.018 × 0.025-ös acélívekkel végeztük.
A kezelés befejezésekor a páciens mosolya drámai mértékben javult, továbbá a frontfogak elhelyezkedése és az ínyszél lefutása is szemmel látható módon kedvezőbbé vált (4. ábra). A kezelés végén készült CBCT felvétel nem mutatta
csontfelszívódás jelenlétét, és csupán minimális mértékű gyökérfelszívódás bekövetkezését igazolta.
Összefoglalás
A lágyrészekkel fedett fogak sebészi felszabadítása során alkalmazott lézerek, továbbá a fogmozgatás gyorsítására alkalmazott alacsony energiájú lézeres terápia kombinálása kedvező hatással lehet az impaktált fogak kezelése céljából alkalmazott terápia kimenetelére. Ez különös mértékben igaz lehet a dilacerált gyökerekkel rendelkező fogak esetében. Ez a megközelítés jelentősen javíthat az eset várható prognózisán. A kiegészítő kezelés révén a parodontális szö-

5. a ábra: A lézerrel asszisztált felszabadítás előtt készített felvétel.

5. b ábra: A végső állapotról készült felvétel.
vetek egészsége, az okkluzális viszonyok minősége, valamint az esztétikai megjelenés is kedvezőbb lehet. Ez a hatás még látványosabb lehet fiatal páciensek esetében.

5. c ábra: A végső állapotról készült periapikális felvétel.
( A cikk megírása során felhasznált szakirodalmi hivatkozások teljes jegyzéke elérhető szerkesztőségünkben.)
Forrás: Ortho 2021;2 6-11


Az alapos tervezést követően végzett restauratív beavatkozások belső fogfehérítést, a 3D nyomtatott sebészeti sablonnal és elektrokauterrel földpátkerámia héjakkal történő ellátást. A kezelési terv követésével amelyek már 4 éve stabilnak

beavatkozások során sikeresen kombináltuk a washi papírral végzett elektrokauterrel végzett ínyplasztikát, továbbá az ultravékony követésével el lehetett érni a kívánt esztétikai eredményeket, stabilnak bizonyultak.
Dr. A. Tsujimoto, dr. C. A. Jurado, dr. J. Villalobos-Tinoco, N. G. Fischer PhD, dr. S. Alresayes, R. A. Sanchez-Hernandez (fogtechnikus), dr. H. Watanabe, dr. F. Garcia-Godoy (Egyesült Államok, Mexikó, Szaúd-Arábia)
AZ ESZTÉTIKAI ZÓNA MINIMÁL
INVAZÍV MULTIDISZCIPLINÁRIS MEGKÖZELÍTÉSSEL TÖRTÉNŐ
HELYREÁLLÍTÁSA
Egy elszíneződött fog kezelésének lehetőségei
A front régióban alkalmazott minimál invazív multidiszciplináris megközelítés eredményeként jelentős mértékben tudtuk javítani a páciens esztétikai megjelenését. A beavatkozások során japán washi papír felhasználásával történő belső fogfehérítést, valamint háromdimenziós nyomtatással készült sebészeti sablon által vezetett ínyplasztikát végeztünk, majd az esztétikai zónában lévő fogakat – köztük egy elszíneződött nagymetsző fogat – ultravékony földpátkerámia héjakkal láttuk el.
Klinikai megfontolások
A páciens elsősorban a mosolyának megjelenésén szeretett volna javítani. Egy előzetes állapotfelmérést követően az elszíneződött fog belső fehérítését, ínyplasztikát, valamint a felső front- és első kisőrlőfogak esztétikai célú helyreállítását javasoltuk. A belső fogfehérítés során nátrium-perborát és 30%-os hidrogén-peroxid keverékével átitatott washi papírt alkalmaztunk. Az anyag pulpakamrába történő helyezését követően az üreget üvegionomer cementtel zártuk. A fogfehérítés befejezését követően 3D nyomtatott sebészi sablont készítettünk, majd a felső front régióban megfigyelhető lágyrészek lefutását ezen sablon segítségével korrigáltuk. A sebészi beavatkozást követően 6 hónappal ultravékony földpátkerámia héjakat készítettünk.
Bevezetés
Napjainkban a páciensek magas esztétikai tudatossággal és igényekkel ülnek be a fogorvosi székbe.1 A páciensek elvárásai különösképpen a felső front-régió helyreállítása során okozhatnak komoly kihívásokat.2 A komplex esetek ellátása során az optimális esztétikai végeredmény elérése érdekében sokszor szükség van interdiszciplinális megközelítés alkalmazására. Ezekben az esetekben a parodontológusok és az esztétikai fogorvosok együttműködésének eredményeként – a sikeres restauratív beavatkozások mellett – a fogakat körülvevő lágyrészek egészsége, valamint az íny lefutásának és színének harmonikus megjelenése is biztosítható.3 A magas esztétikai igények
kielégítése érdekében számos korszerű módszer áll rendelkezésünkre. Ezek közé tartozik a fogfehérítés4, a mucogingivális sebészet5, valamint a kerámia héjak készítése6 Jelenleg is számos, olyan esettanulmány áll rendelkezésünkre, amelyekben a legkorszerűbb kezelési módszerek együttes – az úgynevezett multidiszciplináris megközelítés részeként – történő alkalmazásáról számoltak be, és ennek eredményeként kiemelkedő esztétikai végeredményt sikerült elérni7. Ennek ellenére azonban még mindig van lehetőség az ellátási protokollok további finomítására. Az ellátás színvonalát a felhasznált anyagok anyagtani tulajdonságainak fejlesztésével és az új eljárások beemelésével tovább tudjuk emelni.
A front régió esztétikai helyreállítása számos kihívást tartogathat8, kiváltképp, ha ezt egy elszíneződött fog kezelése is nehezíti. A kezelés kivitelezését tovább bonyolítja, ha a fog belső fehérítését, mucogingivális sebészi beavatkozások végzését és kerámia héjak készítését is tervezzük. A belső fogfehérítés következtében a kezelt fog szerkezete meggyengülhet9, valamint az alkalmazott anyag citotoxikus hatása kedvezőtlen lehet a parodontális szövetek egészsége szempontjából. Az előbbiek megfelelő módon alátámasztják az igényt, amely a minimál invazív, a fogakat és az azokat körülvevő szöveteket a lehető legkisebb mértékben károsító, illetve mindezek mellett hatékony fogfehérítési eljárások kifejlesztésének irányába mutatkozik. Az íny lefutása és morfológiája kiemelt szerepet játszik a felső front-régió esztétikájának meghatározása során11. Az elhalt és elszíneződött fogak körül található lágyrészek lefutása idővel szabálytalanná válhat, és ezekben az esetekben a megfelelő esztétika kialakítása csak ínyplasztika elvégzését követően

1. ábra: Kiindulási állapot. (A): Elölnézet. (B): Oldalnézet (jobbról). (C): Oldalnézet (balról).
válik lehetővé. Mivel ezek a fogak nem vitálisak, a fogat alkotó keményszövetek gyengébbek lehetnek, mint azt egy „élő” fog esetében tapasztalnánk12. Végezetül kiemelnénk, hogy a héjak készítése során – főként a rendkívül vékony héjak esetében – fontos figyelembe venni a héj rögzítésére szolgáló fogak színét és szerkezeti integritását13. A fenti követelményeknek nem könnyű eleget tenni. Az előbbiekben leírtak tovább erősítik a minimál invazív technikák alkalmazásának a létjogosultságát. Egy, a minimál invazív megközelítés alkalmazása mellett szóló további szempont lehet a páciensek olyan igénye, amely a vitális vagy gyökérkezelt fogakból történő, túlzott anyagelvétel lehetőség szerinti elkerülésére törekszik. A fentiekben felsorolt szempontok alapján kijelenthetjük, hogy jelentős igény van azokra a minimál invazív fog-előkészítési technikákra, amelyek lehetővé teszik a lehető legtöbb saját foganyag megőrzését. Jelen esetismertetésben az esztétikai zóna minimál invazív megközelítéssel történő esztétikai rehabilitációját szeretnénk bemutatni. A kezelés során tradicionális japán washi papír felhasználásával történő belső fogfehérítést, valamint 3D nyomtatóval készült sebészi sablon által vezetett ínyplasztikát végeztünk, és végül a fogakat ultravékony földpátkerámia héjakkal láttuk el.
Esetbemutatás
A rendelésünkön jelentkező 40 éves nőbeteg a mosolyának esztétikai megjelenésén szeretett volna javítani (1. ábra) A vizsgálat során a jobb felső első kisőrlőfog (1,4) és a bal felső első kisőrlőfog (2.4), valamint a köztük elhelyezkedő fogak kifejezett mértékű kopását észleltük (14-24). Ezen felül a felső metszőfogak (1.2–2.2) élei egyenetlen lefutással rendelkeztek, és a jobb felső nagymetszőfog (11) – amelyet korábban gyökérkezeltek és kompozit töméssel láttak el –jelentős színbeli eltérést mutatott. Az 1.4-es és 2.4-es fo-

2. ábra: Washi papír segítségével történő belső fogfehérítés. (A): Kofferdám izolálás felhelyezése. (B): A pulpakamra előkészítése. (C): A pulpakamra mélységének ellenőrzése. (D): A belső fogfehérítés utáni állapot.
gak között mért tasakmélység mértéke sehol sem haladta meg a 3 mm-t. A páciens számára belső fogfehérítést, ínyplasztikát és kerámia héjak készítését javasoltuk. A páciens a felajánlott kezelési tervet elfogadta. Első lépésként az 1.1es fog belső fogfehérítését terveztük, mivel a későbbiekben ezt a fogat is kerámia héjjal akartuk ellátni.
A korábban készített kompozit tömés eltávolítása (Round #2, Patterson Dental Co, 1031 Mendota Heights Road, Saint Paul, Minnesota, 55120, Egyesült Államok) kofferdám izolálásban történt (Nic Tone Dental Dam, MDC Dental, Guadalajara, Jalisco, Mexikó) (2. ábra). A tömés eltávolítása során a pulpa-szarvaknak megfelelő területet is feltártuk. Erre a fehérítés során elérhető legoptimálisabb végeredmény biztosítása érdekében volt szükség. A gyökértömés visszafúrását követően a gyökércsatornát lezáró guttaperchára (GP) egy vékony réteg (1 mm) üvegionomer cementet (GC Fuji IX GP, Tokió, Japán) helyeztünk annak érdekében, hogy a parodontális ligamentumok védelme a fehérítő anyag citotoxikus hatásaival szemben biztosított legyen.
A cement kötése érdekében 8 percet vártunk, majd nátrium-perborát és 30%-os hidrogén-peroxid keverékét washi papírba (Washi Arts, Blaine, Washington, Egyesült Államok) csomagoltuk, és azt az üregbe helyeztük (3. és 4. ábrák) Végezetül a zománcszéleket foszforsavval kondicionáltuk, és az üreget üvegionomer cement segítségével lezártuk. A pácienst két héttel később hívtuk vissza kontrollra és a fehérítő anyag kicserélésére. Ezt a lépést 2 hét múlva megismételtük. Ebben az időpontban a fog színbeli eltérése már nem volt észlelhető. A kérdéses fog színe jelentősen kedvezőbbé vált. Az üreg végleges lezárása során szendvics technikát alkalmaztunk. A tömés elkészítéséhez hagyományos üvegionomer cementet (GC Fuji IX GP) és folyékony kompozitot (G-ænial Universal Flow, GC) használtunk. Az üvegionomer cement kötését követően a cementet 1 mm mélységig visszafúrtuk, majd foszforsavas kondicionálást követően ezt a sekély üreget univerzális bonddal fedtük, és

3. ábra: A fehérítő anyagok összekeverése és washi papírba történő csomagolása. (A): Az anyagok összekeverése. (B): A keverék washi papírra történő helyezése. (C): A keverék washi papírba történő becsomagolása. (D): Ideiglenes zárás.

5. ábra: A 3D nyomtatással készült sebészi sablon ínyplasztika során való alkalamzása. (A): A sablon digitális tervezése. (B): Az elkészült sablon helyére illesztése. (C): Az ínyplasztika sablon segítségével történő kivitelezése. (D): A műtét utáni állapot.
a polimerizálást követően folyékony kompozittal töltöttük fel. A páciens elégedett volt az eddig elért eredményekkel, és beleegyezett abba, hogy folytassuk a kezelést, amelynek következő lépése az ínyplasztika volt. Mivel a rendelkezésünkre álló feszes íny szélessége lehetővé tette, ezért koronahosszabbítás helyett ínyplasztika végzése mellett döntöttünk. Először diagnosztikus gipszmintákat készítettünk, majd felviaszolás, azaz a wax-up (Wax GEO Classic, Renfert, Hilzingen, Németország) segítségével

4. ábra: A washi papírral történő belső fogfehérítés sematikus vázlata.

6. ábra: Az ultravékony héjpreparálás menete. (A): Az előkészítés mélységének ellenőrzése átlátszó redukcióssablon segítségével. (B): Az eltávolított anyag vastagságának ellenőrzése gyúrható szilikonból készült sablon segítségével. (C): Az okkluzális irányú redukció szilikonsablonnal történő ellenőrzése.
megterveztük a páciens igényeinek megfelelő harmonikus mosoly biztosításához szükséges fogformákat és az ínylefutást. A diagnosztikus wax-up szkennelését (D2000, 3Shape A/S, Koppenhága, Dánia) követően digitálisan megterveztük a sebészi sablont, és azt 3D nyomtató segítségével (Form 3, FormLabs) rezinből (Dental LT Clear Resin V2, Form 2, FormLabs, Somerville, Massachusetts, Egyesült Államok) elkészítettük (4. ábra). A sebészi sablon fogakra történő helyezését követően egyértelműen látszott, mely

7. ábra. A héjak vastagságának ellenőrzése és a felületek előkészítése. (A): A héjak vastagságának ellenőrzése. (B): A mérés eredményének ellenőrzése: 0,5 mm-nél vékonyabb. (C): Hidrofolysavval történő kondicionálás. (D): A primer applikálása.
vonalban kell az ínyplasztikát vezetnünk. Az ínyplasztikához elektrokautert (Sensimatic 700SE Electrosurge, Parkell Inc, Edgewood, New York, Egyesült Államok) használtunk (5. ábra). A papillák védelme érdekében az interproximális területnek megfelelően elektrokauter helyett parodontális kést (KB5/6 Buck Periodontal Knife, Hu-Friedy, Chicago, Illinois, Egyesült Államok) alkalmaztunk az interdentálisan elhelyezkedő ínyrészek újrakontúrálására. Ezt követően 6 hónapot vártunk a parodontális szövetek gyógyulásának érdekében. Ekkor a mock-up-ot felhelyeztük a páciens fogaira. Mivel a páciens elégedett volt a bemutatott látvánnyal, ezért a kezelés következő fázisának megkezdése mellett döntöttünk. A preparálás előtt a fogak felszínén mélységjelölő barázdákat alakítottunk ki (LVS1 FG Medium Depth Cutting Diamond 834.31.021, Brasseler Dental, One Brasseler Boulevard Savannah, Georgia 31419, Egyesült Államok). A megfelelő anyagvastagság biztosításához ezen felül egy 0,5 mm vastagságú átlátszó redukciós sablont (Keystone Industries, 480 South Democrat Road, Gibbstown, New Jersey, Egyesült Államok) is készítettünk. A sablont egy vákuumkészülék (Pro-Vac Machine 110V, Keystone Industries) segítségével hoztuk létre. A protetikai fázis során a frontfogak és az első kisőrlőfogak kerámia héjakkal történő ellátását terveztük. A preparálás mélységét a sablon felhelyezését követően, a sablonon lévő perforációk segítségével tudtuk ellenőrizni. A nyílásokba parodontális szondát vezettünk, hogy meghatározzuk a redukció mértékét (6. ábra). A preparálás megfelelőségét ezen felül egy gyúrható szilikonból készült sablonnal is ellenőriztük. Ebben az esetben is parodontális szondát használtunk a mélység ellenőrzése céljából (6. ábra). A csonkelőkészítés utolsó lépéseként a lecsiszolt fogfelszíneket polírkorongok segítségével (OptiDisc, Kerr, Orange, Kalifornia, Egyesült Államok) simára políroztuk. A lenyomatvétel során duplafonalas lenyomatvételi technikát alkalmaztunk. Az ínybarázdákba először #00-

8. ábra. Az ultravékony héjak adhezív módszerekkel történő ragasztása. (A): Az elkészült héjak. (B): A fogfelszínek kofferdám izolálásban történő foszforsavas kondicionálása. (C): Az adhezív felvitele. (D): A héjak fényre kötő rezin alapú ragasztócementtel történő ragasztása.
ás, majd #0-ás retrakciós fonalakat (Ultrapak, Ultradent Products Inc, South Jordan, Utah, Egyesült Államok) helyeztünk. A végső precíziós lenyomatot polivinil-sziloxán lenyomatanyaggal (Virtual 380, Ivoclar Vivadent AG, Schaan, Liechtenstein) vettük. A fogtechnikai fázisban ultravékony (0,5 mm-nél vékonyabb) földpátkerámia héjak elkészítését kértük (Super Porcelain Ex-3, Kuraray Noritake Dental, Tokió, Japán), (7. ábra). A kerámia héjak készre vitelét követően a próba során a héjakat a helyükre illesztettük a széli zárást, az így kialakított fogformák ellenőrzése céljából. A páciens elégedett volt az így kapott látvánnyal. A végleges ragasztás kofferdám izolálásban történt. A preparált fogak felületét először 37%-os foszforsavval (Total Etch, Ivoclar Vivadent) 15 másodpercen keresztül kondicionáltuk, majd vízzel leöblítettük (8. ábra). A kondicionált zománcfelszíneket Adhese Universal (Ivoclar Vivadent) adhezívvel kezeltük. A kerámiahéjak homorú felszíneit 5%-os folysavval (IPS Ceramic Etching Gel, Ivoclar Vivadent) 20 másodpercen át kondicionáltuk, majd a felszíneket Monobond Plus primerrel (Ivoclar Vivadent) vontuk be (7. és 8. ábrák). A héjakat fényre kötő rezinalapú ragasztócement (Variolink Esthetic LC, Ivoclar Vivadent) applikálását követően a helyükre illesztettük.
A kifolyó cementfelesleg eltávolítását követően minden felszínt (labiális, palatinális, meziális és distális) LED-es polimerizációs lámpával (VALO Cordless, Ultradent) 40 másodpercen keresztül megvilágítottuk.
A páciens elégedett volt a végleges restaurátumok színével, formájával és méretével. A kezelés végeredménye kielégítette az esztétikai elvárásait (9. ábra). A frissen átadott restaurátumok épségének megőrzése érdekében a páciens számára éjszakai fogvédősínt készítettünk. A páciensünk a négyéves kontrollvizsgálat során is nagyon elégedett volt a kezelés eredményével. A korábban meglévő fekete háromszögek eltűnésének különösképpen örült (9. és 10. ábrák)

9. ábra. A beavatkozás után, valamint a 4 évvel később látható állapot. (A): Egy héttel a ragasztás után készült felvétel. (B): A négyéves kontroll alkalmával készült felvétel.
Megbeszélés
A jelen cikkben bemutatásra kerülő eset ellátása során az esztétikai zóna kezelése minimál invazív megközelítéssel történt. A kezelések megkezdése előtt a páciens két fő panaszt említett: a fogai között látható rések, valamint az elszíneződött jobb felső nagymetszőfoga zavarta leginkább. A pácienst tájékoztattuk, hogy a kezelés legelső lépéseként a korábban gyökérkezelt fogának belső fehérítésére van szükség. Korábbi tanulmányok kimutatták, hogy az endodonciai kezelések során a vérben található hemosziderin, hemin, hematin és memoidin a dentintubulusokba kerülhetnek, és ezáltal a fog elszíneződését okozhatják.14 Amennyiben a fogak esztétikai megjelenését vékony kerámia héjak alkalmazásával kívánjuk javítani, akkor az elszíneződött fog minimál invazív módon történő belső fehérítése szükséges. Jelen esetben a belső fehérítéshez nátrium-perborát és 30%-os hidrogén-peroxid keverékét használtuk. A kapott pasztát washi papírba csomagoltuk, és egy hathetes periódus alatt kéthetente kicseréltük a fogban. A washi papír gyökérkezelt fogak minimál invazív fehérítése során történő használatáról Jurado és további szerzők15 is beszámoltak. A washi papírt a gampi fa, a mitsumata cserje (Edgeworthia chrysantha) és a papíreperfa belső kérgében található rostokból készítik. A pulpakamrába helyezett washi papírba csomagolt fehérítő paszta sokáig meg tudja tartani a nedvességét, és ez lehetővé teszi a hatóanyagok lassú felszabadulását. A lassabb felszabadulás eredményeképpen a fog szerves és szervetlen állományának dentintubulusokon keresztül létrejövő károsodása minimalizálható. A hidrogén-peroxid nem kerül kontaktusba a parodontális szövetekkel, viszont hatékony fehérítő hatása érvényesül. A kezelés során nem jelentkeztek olyan nemkívánatos hatások, mint a külső vagy belső reszorpció. A fentiek isme-

10. ábra. A négyéves kontroll alkalmával készült röntgenfelvételek. (A): A metszőfogakról készült koronafelvétel. (B): A jobb oldali szemfog és első kisőrlőfogról készült koronafelvétel. (C): A bal oldali szemfog és első kisőrlőfogról készült koronafelvétel.
retében kijelenthetjük, hogy ez egy ígéretes technika lehet a fogak minimál invazív módszerekkel történő belső fehérítésére. A washi papír alkalmazásának további előnye, hogy megkönnyíti az ideiglenes zárás elkészítését. Az ideiglenes zárást biztosító anyag a fehérítő paszta nedvességtartalma miatt gyakran elválik a fog anyagától. Ha a pasztát washi papírba csomagoljuk, akkor jobban tudjuk kontrollálni a fogfelszínek nedvességtartalmát, ami előnyös az ideiglenes zárás elkészítése szempontjából. Jelen esetben az ideiglenes zárás jól funkcionált. A kezelés során nem észleltük az ideiglenes tömés széli zárásának elégtelenségére utaló jelek jelenlétét. A kívánt fogszín elérését követően elvégeztük az ínyplasztikát. A beszkennelt diagnosztikus wax-up vagy a csontnívó cone-beam komputertomográfiával végzett elemzése alapján korszerű sebészi sablonok készíthetőek, amelyek elősegítik az ínylefutás minél tökéletesebb korrekcióját. Annak ellenére, hogy már több közleményben is beszámoltak a 3D nyomtatással készülő sebészi sablonok koronahoszszabbítás – azaz az íny és a csontszövet formálására – során való fehasználásáról16,17, nem találtunk olyan közleményt, amelyben a sablont kizárólag az ínykontúr lefutásának módosítására használták volna. Jelen esetben a diagnosztikus wax-up szkennelése után a sablont pontosan megterveztük, majd rezin alapú anyagból kinyomtattuk. A 3D nyomtatást és a CAD/CAM technológiát egyre szélesebb körben alkalmazzák a fogászat különböző területein. Ennek oka, hogy ezek az eszközök egyszerű és gyors workflow-t tesznek lehetővé. Jelen eset ellátása során egy 3D nyomtatással készült, rendkívül pontosan illeszkedő sebészi sablont alkalmaztunk a műtét pontos kivitelezése érdekében. A sablon vékony anyagvastagsága jelentősen növelte a páciens komfortérzetét a beavatkozás alatt. Jelen esetben a digitálisan megtervezett sebészi sablont egy hagyományos gipszminta alapján készítettük el. Ez egy köztes lehetőség a teljesen analóg és a digitális munkafolyamatok között. A gyakorló fogorvosoknak
meg kell ismerkedniük a digitális lenyomatvételi technikákkal és a számítógépes tervezéssel, mivel a jövőben a teljesen digitalizált munkafolyamattal készülő sebészi sablonok kerülnek majd előtérbe. A digitális fogászati munkafolyamatokban kevésbé jártas kollégák számára jelenleg is nyitva áll az a lehetőség, hogy az általuk használni kívánt sablonokat gipszmintára történő direkt felviaszolás alapján készítsék el. Kiemelendő, hogy a hagyományos mintára digitálisan készülő nyomtatott sablon kifejezetten jól illeszkedett, így ez a módszer ajánlott a digitális fogászattal megismerkedni kívánó fogorvosok számára. Napjainkban a fogászati kerámiák széles választéka érhető el a piacon. Többek között lehetőségünk van földpátkerámia, illetve leucittal és lítium-diszilikáttal megerősített földpátkerámia használatára18. A zománchoz adhezíven rögzülő héjak magas túlélést és alacsony sikertelenséget mutattak.19 Az elmúlt években a fogtechnikai eljárások fejlődésének köszönhetően lehetőségünk van nagy szilárdságú kerámiákból készülő ultravékony kerámia héjak készítésére.20 Jelen esetben, a kimagasló esztétikai tulajdonságainak köszönhetően, a földpátkerámiára esett a választásunk. Azt is fontos azonban kiemelni, hogy jelenleg csak kisszámú esetismertetésben találkozhattunk földpátkerámiából készült ultravékony héjakkal. Egy anyagtani vizsgálatban arról számoltak be, hogy az ultravékony (0,5 mm-nél vékonyabb) kerámiahéjak töréssel szembeni ellenálló képessége lehetővé teszi a klinikai felhasználásukat.21 Az utóbbi időben a rezin alapú ragasztócementek kötő- és mechanikai ereje javult18,22, ezáltal az ezekkel az anyagokkal rögzítésre kerülő restaurátumok
mechanikai tulajdonságai jobbak lettek. Ez is hozzájárult ahhoz, hogy lehetőségünk van az 0,5 mm-nél vékonyabb ultravékony héjak földpátkerámiából történő elkészítésére. A négyéves utánkövetés azt igazolta, hogy ultravékony héjakkal megfelelő eredményeket lehetett elérni. Jelen esettanulmányban három meglévő technika kombinálását és továbbfejlesztését mutattuk be: washi papír használatával történő belső fogfehérítést, nyomtatott sebészi sablon által vezetett ínyplasztikát, és a fogakra ultravékony földpátkerámia héjakkal történő ellátását. E bonyolult eset kezelése során – minimálinvazív megközelítés mellett – kiemelkedő esztétikai eredményt sikerült elérni.
Következtetések
Az alapos tervezést követően végzett restauratív beavatkozások során sikeresen kombináltuk a washi papírral végzett belső fogfehérítést, a 3D nyomtatott sebészeti sablonnal és elektrokauterrel végzett ínyplasztikát, továbbá az ultravékony földpátkerámia héjakkal történő ellátást. A kezelési terv követésével el lehetett érni a kívánt esztétikai eredményeket, amelyek már 4 éve stabilnak bizonyultak.
(A cikk megírása során felhasznált szakirodalmi hivatkozások jegyzéke elérhető a szerkesztőségünkben.)
Forrás: Operative Dentistry 2021; Nyomtatásban nem jelent meg.


...és ami mögötte van biztos megoldás a fogászati szakma elérésére
Dr. Bobby Nadeau, dr. Viraj Vora, dr. Dale Jung (Kanada, Egyesült Államok)
AZ ENDODONCIAI ELLÁTÁS SORÁN TÖRTÉNŐ
DENTINPREZERVÁLÁS LEHETŐSÉGEI
„Primum
Bevezetés
A mai modern társadalomban a várható élettartam növekedésével a páciensek elvárják, hogy a fogaik egy életen át megmaradjanak. Az egészséges fogazat megtartása a megfelelő életminőség kiemelten fontos pillére.1–4 A gyökérkezelés általában az utolsó lehetőség egy fog megmentésére. A gyökérkezelést igénylő fogak szerkezete gyakran meggyengül a szuvasodás vagy a repedések jelenléte miatt. Az orvostudományban már évek óta alkalmaznak minimál invazív sebészi technikákat5, azonban a fogászatban ezek sokkal lassabban terjedtek el. Az új technikák megjelenése és




fejlődése – a biológiai szempontok szem előtt tartása mellett –, lehetővé tette a minimál invazív módszerek endodoncia területén való elterjedését. Gyakorló fogorvosként mindanynyiunkban megvan az igény, hogy megismerjük a legújabb szakirodalmi ajánlásokat annak érdekében, hogy folyamatosan a legmagasabb színvonalú ellátást tudjuk biztosítani pácienseink számára.
Az endodonciai kezelések során végzett mechanikai megmunkálás hosszú távú hatékonyságára vonatkozóan nem találhatunk magas evidenciaszintű szakirodalmi adatokat. Ennek hatására a klinikusok nagyszámú eltérő protokollt alkalmaznak a kezeléseik során, és gyakran a számukra legcélravezetőbbnek tűnő módszert választják az eseteik




1. a–f ábrák: A cingulumon keresztül gömbfúróval kialakított hozzáférés a trepanációs kavitás labiális irányba történő túlzott mértékű kiterjesztését eredményezheti, és ez lényegesen növelheti a perforáció esélyét (a). A guttapercha átsejlik a lágyrészek alatt (b). Klinikailag igazolt perforáció (c). A preoperatív sagittális irányú CBCT-szeleten jól látható a labiális perforáció (d). Labiális irányú perforáció (fekete nyíl; e). A tényleges gyökércsatorna (piros nyíl; f).
2. a-b ábrák: A cingulumon keresztül gömbfúróval végzett trepanálás túlzott pericervikális dentin áldozattal, fordított tölcsér effektussal és perforációk kialakulásával járhat (fehér nyíl).



3. a-b ábrák: Attritio jelenléte esetén a hozzáférést az incisális él közepén alakítjuk ki. A szomszédos fogakra kiterjesztett kofferdám izolálással a klinikus hatékonyabban tudja felmérni a kezelendő fog gyökerének angulációját. (Dr. Bobby Nadeau esete). 4. ábra: A kúp alakú fúrók, mint például az EndoGuide fúró (SS White Dental; balról) csúcsa a hasonló méretű gömbfúró (jobbról) dolgozó részének felénél is kisebb.
döntő többségében. A gyökérkezelések hagyományos céljai között a minél jobb rálátást biztosító hozzáférési nyílás kialakítása, továbbá a gyökércsatornák egy bizonyos radiológiai kép eléréséhez szükséges méretre való feltágítása sokáig előtérbe került. A gyökértömés behelyezése után készült röntgenkontroll felvételeken látható radiológiai jeleket hosszú időn keresztül a gyökércsatorna-rendszer tisztítása alaposságának megítélésére, kvázi a „tisztaság indikátoraként” használták 6, 7 A gyökérkezelt fogak hosszú távú túlélését epidemiológiai módszerek segítségével vizsgálták 8–16. Ezen vizsgálatok eredményei arra engednek következtetni, hogy az egyes fogak túlélése és funkcionális terhelhetősége – tehát lényegében a pácienseink alapvető elvárásai – szempontjából a lehető legtöbb dentin megőrzése és a fogak megfelelő koronai restaurátummal való ellátása az endodonciai kezelések két legmeghatározóbb tényezője. A minimál invazív endodonciai szemlélet azokból a konzerváló fogászati követelményekből ered, amelyek teljesítése szükséges ahhoz, hogy a gyökérkezelt fogak hosszú időn keresztül be tudják tölteni a szájüregen belüli funkciójukat. Jelen cikk célja egy olyan eszköztár bemutatása, amely segítségével a klinikusok az endodonciai kezelések során képesek lesznek a lehető legtöbb dentin megőrzésére anélkül, hogy azzal a gyökércsatornák fertőtlenítésének hatékonyságát vagy a gyökértömés megfelelőségét kompromittálnák. A lehető legtöbb dentin megőrzésére a hozzáférési nyílás kialakítása és a gyökércsatornák tágítása során nyílik lehetőségünk.
A hozzáférési nyílás konzervatív kialakításának eszközei
A hozzáférési nyílás kialakítása definíció szerint a pulpakamra tetejének eltávolítását jelenti annak érdekében, hogy a gyökércsatorna bemenetek lokalizálása és a gyökércsatornák tisztítása ezáltal lehetővé váljon.18 Az endodonciai hozzáférés kialakításának alapelveit még abban az időben határozták meg, amikor az akkor rendelkezésre álló endodonciai eszközök csak korlátozott módon álltak rendelkezésre. Az ezeket az alapelveket megfelelő módon alátámasztó, megalapozott klinikai bizonyítékok hiányának ellenére, továbbra is ezeknek az elveknek a követését javasolják, úgy,
hogy emellett a kezelési idő és a kezelések komplexitásának redukálását próbálják előtérbe helyezni. A hagyományos irányelvek közé tartozik a pulpakamra tetejének teljes eltávolítása, valamint a pulpakamra aljának direkt rálátásból történő megfigyelhetőségének a biztosítása. Ez azt jelenti, hogy a pulpakamra falainak és az alapjának találkozásánál létrejövő élek, valamint a csatorna bemenetek a kezelő orvos számára egyszerre láthatóak.18 A közvetlen direkt rálátás szükségessége azon a koncepción alapult, amely az egyenes vonalú hozzáférés révén kívánta a klinikus számára kényelmes kezeléshez szükséges feltételeket biztosítani. Ez az elképzelés még azokból az időkből ered, amikor a nagyfokú nagyítás, a jó megvilágítás, a rugalmas, hőkezelt nikkel-titán (NiTi) eszközök és a cone-beam komputertomográfia (CBCT) még nem állt a kezelést végző orvosok rendelkezésre. Ezen új technológiák megjelenésével – ahelyett, hogy minden fogban egyforma „uniformizált” hozzáférési nyílás kialakítását javasolnánk – lehetőségünk nyílt arra, hogy a kezelendő fog tulajdonságait a lehető legnagyobb mértékben figyelembe vevő, egyedi hozzáférés kialakítására törekedjünk. Így képesek vagyunk a lehető legtöbb egészséges dentin megőrzésére, valamint a pácienseink számára elérhető lehető legjobb eredmény biztosítására.
A frontfogakban történő hozzáférési nyílás kialakítása
A frontfogakban a hozzáférési nyílás kialakítását hagyományosan a fogak linguális vagy palatinális felszínén, a cingulumon keresztül egy gömbfúró segítségével kezdjük.
A linguálisan elhelyezkedő kiemelkedés teljes eltávolítása, továbbá a pulpaszarvak teljes feltárása egy háromszög alakú hozzáférési nyílást eredményez. 7 Ezt a módszert a fogak esztétikai megjelenésének megőrzése érdekében fejlesztették ki. Ez azonban időnként a saját foganyag indokolatlan eltávolításával, a trepanációs kavitás labiális irányba történő túlzott kiterjesztésével, perforációval, valamint a fog kritikus helyen, a pericervikális dentin (PCD) területén történő meggyengítésével jár (1. a–f és 2. a-b ábrák). 19 Felmerült, hogy a pericervikális dentin rendkívül fontos szerepet játszik a rágóerő gyökerek irányába történő továbbításában, és elképzelhető, hogy a gyökérkezelt fogak hosszú távú megtartása szempontjából a legfontosabb tényező az ép pericervikális dentin megőrzése lehet. 20 A cingulumon keresztül történő hozzáfé -












5. a–l. ábrák: Az incisális élen keresztül kialakított hozzáférés lehetővé teszi a pericervikális dentin megőrzését. Kalcifikáció esetén CBCT-felvétel készítése hasznosnak bizonyulhat a hozzáférési nyílás tervezése során (a–d) . Minden fog koronai helyreállítása a gyökértömés elkészítésével egyidejűleg történt. A négyéves (e–h) és a kétéves (i–l) kontrollok alkalmával készített röntgenfelvételeken teljes gyógyulás látható. Mindkét fog tünetmentes és funkcióképes volt. (Dr. Viraj Vora esetei)



6. a–c. ábrák: Szuvas lézión keresztül történő hozzáférés (a). A fog koronai helyreállítása a gyökértömés elkészítésével egyidejűleg történt (b és c). (Dr. Dale Jung esete)
rési nyílás kialakítása során fennáll a fog labiális irányú perforációjának veszélye, mivel ilyenkor a foganyag elvételét labiális irányú fúrótartással kezdjük. Nemrégiben
újragondolták a hozzáférési nyílás kialakítási protokollt, amelyet már korábban, két endodonciai közleményben közzétettek. Ezekben a frontfogak hozzáférési nyílásainak




7. a–d ábrák: A szuvas lézió által meghatározott mezializált hozzáférés (a). A pulpakamra tetejének szintjében alátámasztatlan dentint tartalmazó terület, az ún. „párkány” (soffit), a fog szerkezeti integritásának növelése érdekében megtartásra került (piros nyíl; (b). Mindkét meziobuccális (c) és mindkét distobuccális csatornabemenet (d) esetében biztosított volt az egyenes vonalú hozzáférés. A fog koronai helyreállítása a gyökértömés elkészítésével egyidejűleg történt. (Dr. Bobby Nadeau esete)
kialakítását incisálisabb megközelítéssel javasolták. 21,22 Az új ajánlásban azt javasolják, hogy a frontfogakban történő hozzáférési nyílás kialakítását a cingulumtól távolabb, inkább az incizális él közelében kezdjük meg 19. Ez lehetővé teszi a lehető legtöbb pericervikális dentin megőrzését és kizárólag a legszükségesebb mennyiségű dentin kerül eltávolításra. Emellett ez a kialakítás a cingulumon keresztül történő hozzáféréshez képest egyenesebb hozzáférést biztosít a labiális és a linguális, vagy palatinális csatornákhoz, valamint lehetővé teszi a csatornák hatékonyabb tisztítását. 21 A fogak kopása esetén a hozzáférést az incisális „felszín” közepén alakítjuk ki (3. a-b ábrák) A frontfogak kezelése során a megfelelő fúró kiválasztása is kiemelkedően fontos szereppel bír. A korábban ajánlott gömbfúrók használata ma már kifejezetten kontraindikáltnak számít. A gömb fúrók használatakor jellemzően egy fordított tölcsér alakú üreg kerül kialakításra. Ezekben az esetekben az üreg egyre szélesebb lesz, ahogy egyre mélyebbre hatolunk a fúrónkkal (2. a-b ábrák) 23 A gömbfúrók helyett olyan fúrók használata javasolt, amellyel elkerülhető lehet a trepanációs kavitás túlzott mértékű kiterjesztése, és amely segítségével a hozzáférési nyí -

8. ábra: A modern rugalmas, martenzites, hőkezelt NiTi ötvözetből készült gépi tágítók előre meghajlíthatóak, így korlátozott hozzáférés esetén könnyebb a bevezetésük, továbbá a gyökércsatornák feltágítása is sokkal kiszámíthatóbbá válik. A DC Taper gépi tágító rendszerhez (SS White Dental) tartozó tágítók regresszív konicitással rendelkeznek.
lás legszűkebb részét a pericervikális dentin területének megfelelően tudjuk kialakítani (4. ábra) 19 Ezáltal képesek vagyunk a lehető legnagyobb volumenű pericervikális










9. a–j. ábrák: A szuvas lézión és a meglévő restaurátumon keresztül történő mezializált és distalizált hozzáférés (a–f). A fogak restaurálása közvetlenül a gyökértömések elkészítése után történt. Az egyéves kontroll során készített röntgenfelvételen a gyógyulás jelei láthatóak, annak ellenére, hogy a gyökércsatornák feltágítása konzervatív módon történt, és a pulpakamra tetejének több mint fele megőrzésre került (g–j). (Dr. Viraj Vora esetei)
dentinállomány (PCD) megőrzésére. Ez azért fontos, mert a frontfogak funkcionális megterhelése során – a PCD-nek megfelelően elhelyezkedő területben – jelentős stressz ébred (5. a–l ábrák) 24 Szükség esetén egy CBCT-felvételt is készíthetünk. A 3D-s adatok jelentős mértékben segíthetik a klinikus munkáját a gyökércsatorna koronális vetületének vizualizálásában, és ennek alapján az egyenes vonalú hozzáférés biztosításához szükséges belépési pont
meghatározásában (5. a–l ábrák) . Ha a kofferdám izolálás a szomszédos fogakra is kiterjesztésre kerül, úgy a kezelést végző orvos sokkal magabiztosabban tudja a gyökerek angulációját vizualizálni (3. a-b ábrák)
A premoláris és moláris fogakban történő hozzáférési nyílás kialakítása
A meglévő restaurátumokon és szuvas léziókon keresztül történő hozzáférés (restorative- and caries-leveraged access)
Clark és Khademi a fog szerkezeti integritása szempontjából értéktelen anyagnak tekinti a tercier dentint, az alátámasztatlan zománcot, a szuvas foganyagot és a különböző restaurátumokat23. A hozzáférési nyílás kialakítása során ezeket a területeket érdemes felhasználni az ép dentin feláldozása helyett (6. a–c ábrák). A klaszszikus elvek alapján mindig az egyenes vonalú hozzáférés biztosítására kell törekedni, minden ezt akadályozó koronai foganyagot és restaurátumot el kell távolítani. Ezzel szemben a meglévő restaurátumokon és a szuvas léziókon, azaz a fog szerkezeti integritása szempontjából értéktelen anyagokon keresztül történő hozzáférés (leveraging) a megfelelő rálátás biztosítása mellett nagy mennyiségű ép dentin megőrzését is lehetővé teszi. Ez pedig a gyökérkezelt fogak töréssel szembeni ellenálló képességének és a hosszú távú megtarthatóságuknak az alapja.25,26 Ha a hozzáférési nyílást meglévő restaurátumokon vagy szuvas léziókon keresztül alakítjuk ki, akkor a pulpakamra tetejének szintjében alátámasztatlan dentint tartalmazó területek, ún. „párkányok” (soffit) maradhatnak vissza. Ezeknek a területeknek a megőrzése feltehetően javítja a fog szerkezeti integritását (7. a–d ábrák) 20 A fogászat fejlődésének ered-






10. a–f ábrák: Kiindulási állapot (a). A hozzáférési nyílást a meglévő restaurátumon (b) keresztül alakítottuk ki, így egy bukkális irányba néző üreg jött létre (c-d). A fogról készült röntgenfelvétel. A fog restaurálása közvetlenül a gyökértömés elkészítése után történt (e). Az egyéves kontroll során készített röntgenfelvételen a gyógyulás jelei láthatóak. A páciens panaszmentes volt, a fog pedig mindvégig funkcióban volt tartva (f). (Dr. Dale Jung esete)






11. a–f ábrák: Kiindulási állapot: röntgenfelvétel (a); intraorális fotó (b). A hozzáférési nyílás a szuvas lézión keresztül került kialakításra, így egy linguális irányba néző üreg jött létre (c). A bukkális csatornák feltárása érdekében az okkluzális felszínen egy különálló apró nyílás is kialakításra került (d). A pulpakamra teteje alatti terület meghajlított eszközök segítségével végeztük (e). A fogról készült röntgenfelvétel. A fog koronai helyreállítása a gyökértömés elkészítésével egyidejűleg történt (f). (Dr. Dale Jung esete)





12. a–e ábrák: A koronával ellátott felső kisőrlőfog trepanálása során tölcsérszerűen szűkülő hozzáférési nyílás került kialakításra (stepped access), (a-b). A restaurátum anyagában szélesebb feltárást végeztünk, míg a saját foganyagot konzervatív módon távolítottuk el (c). A bukkállis csatorna feltárását követően az üreget óvatosan kiterjesztettük palatinális irányba (c-d). A fogról készült röntgenfelvétel. A trepanációs üreg végleges zárása a gyökértömés elkészítésével egyidejűleg történt (e). (Dr. Bobby Nadeau esete)




13. a–d ábrák: Tölcsérszerűen szűkülő hozzáférési nyílás: a restaurátum anyagán belül szélesebb feltárás történt, egészen a foganyag eléréséig. A pulpaűr megnyitása konzervatív módon, a várható elhelyezkedésének megfelelő pozícióban történt (a–c). A fogról készült röntgenfelvétel. A fog koronai helyreállítása a gyökértömés elkészítésével egyidejűleg történt (d). (Dr. Dale Jung esete)
ményeképpen számtalan új eszköz vált elérhetővé. A teljesség igénye nélkül ide tartoznak a modern rugalmas, martenzites, hőkezelt, regresszív konicitású NiTi gépi tágítók, amelyek előre meghajlíthatóak (8. ábra), a nagyobb fokú nagyítás és megvilágítás, valamint azok a kisméretű fúrók, amelyek lehetővé teszik a gyökércsatornabemenetek egyenes vonalú hozzáférés nélkül történő feltárását. A rendelkezésre álló kétdimenziós és háromdimenziós (CBCT) röntgenfelvételeket is fel lehet használni a hozzáférési nyílás tervezése és a pulpakamra mélységének megbecslése során. A 7. a–d és 9. a–j ábrák a meglévő restaurátumok és szuvas léziók által meghatározott, mezializált, illetve distalizált hozzáférést illusztrálják. A fogbélhez egy buccálisan vagy linguálisan elhelyezkedő szuvasságon vagy restaurátumon keresztül is hozzáférhetünk (10. a–f és 11. a–f ábrák)
Tölcsérszerűen szűkülő hozzáférés (stepped access) A tölcsérszerűen szűkülő hozzáférés kialakítását a front- és a rágófogak esetében is alkalmazhatjuk. Általában akkor választjuk ezt a típusú hozzáférési nyílás kialakítást, ha indirekt restaurátumokkal (pl. koronák vagy onlayek) rendelkező fogak kezelését kell elvégeznünk. Ilyenkor hozzáférési nyílást a restaurátumokon keresztül alakítjuk ki. A saját foganyag helyettesítésére szolgáló anyagokon keresztül történő trepanálás során először






14. a–f ábrák: A nagy kiterjedésű direkt restaurátummal ellátott felső nagyőrlő fogban tölcsérszerűen szűkülő hozzáférési nyílás került kialakításra (a-b). A restaurátum anyagán belül szélesebb feltárás történt (c). Először a meziobuccális pulpaszarv feltárását végeztük el (d). A további csatornák egyenes vonalú eléréséhez a hozzáférési nyílás kiterjesztésre került (e). A fogról készült röntgenfelvétel. A fog koronai helyreállítása a gyökértömés elkészítésével egyidejűleg történt (f). (Dr. Bobby Nadeau esete)






15. a–f. ábrák: A nagy kiterjedésű direkt restaurátummal ellátott felső nagyőrlő fogban tölcsérszerűen szűkülő hozzáférési nyílás került kialakításra (a-b). A restaurátum anyagának széles feltárása biztosította az akadálytalan hozzáférést a dentinhez (c-d). A fogról készült röntgenfelvétel. A fog koronai helyreállítása a gyökértömés elkészítésével egyidejűleg történt (e). A kétéves kontroll során készült röntgenfelvételen a gyógyulás jelei láthatóak. A páciens panaszmentes, a fog funkcióképes volt (f). (Dr. Viraj Vora esete)
egy szélesebb feltárást alakítunk ki, majd a saját foganyag elérését követően visszatérünk a minimálinvazív elvekhez (12. a–e és 13. a–d ábrák) 23 A kezelést végző orvos a hozzáférési nyílás pulpakamrához viszonyított helyzetét a meg-
lévő anatómiai ismeretei és a dentinben lévő színi eltérések alapján képes megbecsülni. A tölcsérszerűen szűkülő (stepped access) hozzáférési nyílás kialakításának keretei a direkt restaurátumok anyagának eltávolítását is megengedik, ha




16. a–d ábrák: A széles pulpakamrákkal rendelkező fogak esetében dentinhíd megtartásával járó hozzáférési nyílás (dual-entry truss access) kialakítását javasoljuk (piros nyíl; a). A meziális csatornák feltárása a meziális lézión keresztül, a disztális csatornák feltárása pedig külön üregből történt (b). A dentinhíd (fekete nyilak; c-d) megtartása feltehetően hozzájárul a fog szerkezeti integritásának megőrzéséhez. A fog koronai helyreállítása a gyökértömés elkészítésével egyidejűleg történt. (Dr. Dale Jung esete)




ezáltal akadálytalanul hozzáférhetünk a még meglévő ép dentinhez, ugyanis így sokkal könnyebben meg tudjuk valósítani a pulpakamra minimál invazív módszerekkel történő feltárását (14. a–f és 15. a–f ábrák)
Dentinhíd megtartásával járó hozzáférés (truss access)
A dentinhíd megtartásával járó hozzáférési nyílás kialakítása iskolapéldája a csatornabemenetek elhelyezkedése által meghatározott hozzáféréseknek. Kialakítása leginkább a meziálisan vagy distálisan elhelyezkedő szuvasságok vagy restaurátumok jelenléte esetén javasolt. A minimális csatornagörbülettel és széles pulpakamrával rendelkező, alsó moláris fogak ideálisak lehetnek a dentinhíd hátrahagyásával járó hozzáférési nyílás kialakítása szempontjából. A módszer segítségével a lehető legtöbb dentin megtartása mellett


17. a–f ábrák: Széles platformmal rendelkező alsó moláris fog (zöld nyíl; a és b). Először az okkluzálisan elhelyezkedő restaurátum került eltávolításra (c). Ezt követően végeztük el a nagyobb átmérővel rendelkező disztális csatornabemenet feltárását (piros nyíl; d). A meziális csatornák felkutatása a kiindulási röntgenfelvételen végzett hozzávetőleges mérési eredmények alapján történt (fekete nyilak; e). A dentinhíd megtartásával tovább tudtuk növelni a fog szerkezeti integritását (kék nyíl). A fogról készült röntgenfelvétel. A fog koronai helyreállítása a gyökértömés elkészítésével egyidejűleg történt (f). (Dr. Bobby Nadeau esete)










18. a-b. ábrák: A dentinhíd megtartásával járó hozzáférési nyílás (truss access) kialakítása esetén a dentinhíd alatti terület mikrosebészeti ultrahangos megmunkáló fejek (a), valamint átöblítés és elszívás (b) segítségével fertőtleníthető. (Dr. Dale Jung esete)
19. a–h. ábrák: A kisméretű restaurátummal ellátott és az ép kisőrlő és nagyőrlő fogak esetén a hozzáférési nyílást célszerű a meziobukkális pulpaszarvnak megfelelően elkezdeni, majd ezt szükség esetén tovább kiterjeszteni. A disztális csatornákhoz történő egyenes vonalú hozzáférés a fog koronájának meziális oldala felől valósítható meg (piros szaggatott vonalak; c, e, h). Érdemes megfigyelni a tömőanyaggal lezárásra került trepanációs üreg pozícióját és angulációját (c, e, h). (Dr. Bobby Nadeau esetei)
biztosítható a gyökércsatorna-bemenetekhez való egyenes vonalú hozzáférés. Az ily módon megőrzésre kerülő dentin a buccális és linguális dentinfalak összekötésével feltehetően növeli a fog húzó- és nyomóerőkkel szembeni ellenálló képességét (16. a–d ábrák). A módszer kivitelezését gondosan meg kell tervezni kétdimenziós röntgen- (megfelelő szögbeállítású bitewing-felvétel) vagy szükség esetén CBCT-felvételek segítségével. Mivel az alsó nagyőrlő fogak disztális gyökércsatornái általában meziális irányba görbülnek, és emellett viszonylag széles átmérővel rendelkeznek, ezért először általában a disztális gyökércsatorna-bemenetek feltárását javasoljuk (17. a–f ábrák). A fogban esetlegesen jelenlévő restauratív anyag jelenléte is segítségünkre lehet a pulpakamra és a csatornabemenetek lokalizálásában. A kiindulási radiológiai felvételek alapján lehetőségünk van a disztális és meziális csatornabemenetek közötti távolság megbecslésére vagy megmérésére. A disztális csatornabemenetek lokalizálását követően, a becsült vagy mért értéket parodontális szonda segítségével a fog felszínére vetítjük a meziális bemenetek pozíciójának meghatározása érdekében. Ennek a módszernek a megfelelő kivitelezése nagy gyakorlatot igényel. A nem megfelelő végrehajtása esetén jelentős károkat tudunk okozni. A helytelen fúrótartás vagy a gömbfúrók alkalmazása iatrogén sérülések kialakulásához és a trepanációs kavitás túlzott mértékű kiterjesztéséhez vezethet. Kimondhatjuk még azt is, hogy ennek a módszernek a sikeres alkalmazása megkívánja az esetek gondos kiválasztását, és a megfelelő eszközök rendelkezésre állását (kiindulási röntgen- és adott esetben CBCT-felvételek, valamint kónikus fúrók). Amennyiben a gyökérkezelés során előre meghajlított kézi gyökérkezelő tűket és ultrahangos megmunkáló fejeket használunk, valamint az átöblítő-szerek is aktiválásra kerülnek, akkor ezen típusú hozzáférés nem kompromittálja a pulpakamra fertőtlenítésének minőségét (18. a-b ábrák)
A kisméretű restaurátumokkal ellátott, valamint az ép kisőrlő és nagyőrlő fogakban történő hozzáférési nyílás kialakítása
Az alsó és felső nagyőrlő fogak esetében általánosságban kijelenthetjük, hogy a pulpakamra legkoronálisabban elhelyezkedő pontja a meziobukkális pulpaszarv csúcsának megfelelően található. Ezt sok esetben az endodonciai kezelés megkezdése előtt készített szárnyas-felvételek (Bite-wing) segítségével igazolhatjuk (amennyiben ezt nem gátolja valamilyen meglévő sugárelnyelő tulajdonságokkal rendelkező anyagból készített koronai restaurátum). Ennek megfelelően célszerűnek tűnik a pulpakamra feltárását a meziobuccális pulpaszarv vagy csatornabemenet várható pozíciójának megfelelően elkezdeni. Amennyiben a további csatornabemenetek lokalizálása ezt megkívánja, úgy a pulpakamrába vezető hozzáférési nyílásunkat a későbbiekben kiterjeszthetjük. A nagyőrlő fogak általános anatómiai sajátságaiból adódóan, az alsó nagyőrlők disztális és a felső nagyőrlők disztobukkális és palatinális csatornáihoz történő egyenes vonalú hozzáférést általában az adott fog koronájának meziális oldala felől biztosíthatjuk.23 Következésképpen legtöbbször nincs szükség a pulpakamra tetejének teljes eltávolítására, mivel az előbb említett csatornákhoz való egyenes vonalú hozzáférés a pulpakamra felső disztális részének megőrzése mellett is biztosítható. A pulpakamra tetejének teljes eltávolítása a trepanációs kavitás túlzott mértékű kiterjesztéséhez, továbbá a pericervikális dentin meggyengüléséhez vezethet.
A fentiek alapján kijelenthetjük, hogy a nagyőrlő fogakban kialakított konzervatív hozzáférési nyílások enyhén meziális irányba mutathatnak (19. a–h ábrák)
A centralitás elve alapján a pulpakamra a fog közepén, a gyökércsatorna-bemenet pedig a gyökér középső részén helyezkedik el, valahol a zománc-cement határ magasságában27. Ennek megfelelően az ép koronával rendelkező vagy kisméretű restaurátummal ellátott kisőrlő fogakban a hozzá-
férési nyílás kialakítását érdemes az okkluzális felszín közepén kezdeni (20. a–g ábrák). Bármely fog esetében érdemes lehet a hozzáférési nyílás kialakítása előtt egy parodontális szonda segítségével a zománc-cement határ magasságában végigkövetni a korona körvonalát annak érdekében, hogy ennek alapján pontosabban meg tudjuk becsülni a csatornabemenetek várható pozícióját.
A konzervatív gyökércsatornamegmunkáláshoz szükséges eszközök
A gyökércsatorna-megmunkálás céljai sokáig az 1970-es években megfogalmazott elképzeléseken alapultak Ez a szemlélet a legnagyobb hangsúlyt a mechanikai célkitűzések teljesítésére helyezte, „amely által lehetővé válik a hosszú távú sikeresség biztosításához szükséges biológiai feltételek megteremtése”.6, 28 Az elsődleges cél az volt, hogy a gyökércsatorna-megmunkálás befejezésekor a csatorna átmérője koronális irányból apikális irányba folyamatosan szűküljön. Ezek alapján azt javasolták, hogy a gyökércsúcsi átmérőt legalább #25-ös méretig, a csatornák apikális részét pedig legalább 8%-os konicitás eléréséig tágítsuk fel. Erre azért volt szükség, hogy az átöblítő folyadékok a csatorna mélyén is ki tudják fejteni a hatásukat, és hogy a falálló gyökértömések elkészítéséhez szükséges ellenállási forma is kialakításra kerüljön9.. Ez a szemlélet azon a feltevésen alapult, hogy az átöblítő folyadékok gyökércsatornák mélyén történő áramlása, és az apikális csatornaszakasz jól kondenzált hővel


meglágyított guttaperchával történő lezárása a gyökércsatorna-fertőtlenítés hatékonyságának növeléséhez, továbbá a gyökércsúcsi nyílás szivárgásának a biztos lezárásához fog vezetni. Ezt pedig a kezelés sikerességének előfeltételének tekintették.30 Ezekre a kezelés során elért állapotra vonatkozó paraméterekre csupán, mint helyettesítő végpontra tekinthetünk, mivel nem mutatnak közvetlen összefüggést a pácienseink szempontjából előnyös, hosszú távú klinikai végeredmény eléréséhez. A helyettesítő végpontok olyan specifikus paraméterek, amelyeket akkor szoktunk a különböző kezelések hatékonyságának kiértékelésére használni, amikor nincs lehetőségünk a tényleges klinikai kimenetelre vonatkozó paraméterek (klinikai végpontok) vizsgálatára. A helyettesítő végpontok alkalmazása során előfordulhat, hogy csupán nagyon általános eredményeket kapunk, és ez egyes betegek egyedi sajátosságaira vonatkozó összefüggések gyakran felderítetlenül maradnak. A fentiekben említett gyökércsatornák mechanikai megmunkálására vonatkozó célkitűzések nem haladták meg az abban az időszakban elérhető technológiai színvonalon lévő eszközökkel megvalósítható, de ma már korlátozottnak tekinthető eredményeket. Ezt a kort a merev rozsdamentes acélból készült kézi eszközök, továbbá a nagy átmérőjű kézi pluggerek használata, illetve a többszörös nagyítás és a megfelelő megvilágítás hiánya jellemezte.
Mára nyilvánvalóvá vált, hogy a fenti mechanikai célkitűzések teljesítése valójában rontja a gyökérkezelt fogak hosszú távú túlélését. A kifejezett mértékű dentineltávolítás a fog szerkezeti integritásának meggyengüléséhez, és ezáltal a fog elvesztéséhez vezethet. 31 Jelenleg nem áll rendelkezésünkre olyan magas evidenciaszintű vizsgála -





20. a–f ábrák: A bal felső első kisőrlőfogban pulpanecrosis került diagnosztizálásra (a). Az ép és a kis méretű restaurátummal ellátott fogak trepanálását célszerű az okkluzális felszín centrális részén megkezdeni (b–d). A fogról készült röntgenfelvétel. A fog koronai helyreállítása a gyökértömés elkészítésével egyidejűleg történt (e). A négyéves kontroll alkalmával készített CBCT-felvétel azt igazolta, hogy a keskeny hozzáférési nyílás és konzervatív feltágítás ellenére a gyökértömés a csatornákat teljes mértékben kitöltötte (f-g). A páciens tünetmentes, a fog pedig funkcióképes volt. (Dr. Dale Jung esete)






21. a–f ábrák: A gyökércsatornák túlzott mértékű feltágítása vertikális gyökérfraktúrát idézhet elő.
ti eredmény, amely eldöntené, hogy a gyökércsatornák feltágítása során a hagyományos mechanikai feltágítási technikák vagy a mai elveket képviselő minimál invazív módszerek alkalmazása előnyösebb. A retrospektív vizsgálati eredmények alapján azt láthatjuk, hogy a gyökérkezelt fogak eltávolítására általában a fogak szerkezeti sérülése miatt (pl. a vertikális gyökérfraktúra) szokott sorra kerülni, és viszonylag ritkán áll valódi endodonciai sikertelenség a fogeltávolítás hátterében (21. a–f ábrák) 8–16 Ezek fényében – a gyökércsatornák fertőtlenítésére és a gyökértömések elkészítésére vonatkozó biológiai elvek figyelembevétele mellett – kijelenthetjük, hogy különös figyelmet kell fordítani a lehető legtöbb csatornafali dentin megőrzésére.
Gyökércsatornák mechanikai megmunkálása és gyökértömések elkészítése
A gyökércsatornák konzervatív módszerekkel történő megmunkálása során a kezelést végző orvos által alkalmazott eszközöknek van a legmeghatározóbb szerepük. Javasolt a nagy átmérővel rendelkező, merev eszközök használatának elkerülése. Ezeknek az eszközöknek az alkalmazása során jelentős mennyiségű dentin kerül eltávolításra, valamint használatuk növeli a perforációk és az eszköztörések bekövetkezésének valószínűségét. Ebbe a csoportba soroljuk a Gates–Glidden fúrókat, a széles gyökércsatorna-bemenet tágítókat, valamint a nagy átmérővel rendelkező, rozsdamentes acélból készült kézi gyökérkezelő-tűket. A koronai harmadban jelentős konicitást mutató, illetve a merev gépi tágítók alkalmazását sem javasoljuk. Általánosságban elmondható, hogy a gyökércsatornák minimál invazív módon történő biztonságos feltágításához a koronális harmadukban csökkenő konicitással (regresszív) rendelkező, nikkel-titán ötvözetből készült gyökérkezelő-tűk a legalkalmasabbak. Jelenleg több hőkezelt, regresszív konicitással rendelkező gépi, gyökértágító rendszer is elérhető a kereskedelmi forgalomban. Ezeknek a gépi gyökérkez-

22. ábra: A regresszív konicitású gépi tágítók (felül) külső átmérője a csatornabemenet szintjében (D16) sokkal kisebb, mint a legnépszerűbb gépi tágítóké (alul). (A kép forrása: © SS White Dental)
elő-tűknek a csatornabemenetek magasságában dolgozó részük jelentősen kisebb átmérővel rendelkezik, mint a jelenleg népszerűnek számító forgó- vagy reciprokmozgást végző rendszerekhez tartozó tágítóké. A napjainkban legszélesebb körben alkalmazott tágítók csatornabemenetek magasságában mért legnagyobb külső (névleges) átmérője 1,0–1,2 mm között mozog, míg az állandó 4%-os konicitással rendelkező gépi tágítók ugyanezen magasságban dolgozó részeinek külső átmérője pedig 0,84–0,89 mm körül változik. Ezzel szemben a legtöbb, az előbbiekkel megegyező csúcsi átmérővel rendelkező regresszív konicitású tágítóknak – ebben a magasságban dolgozó részei – legnagyobb külső átmérője megközelítőleg 0,64–0,69 mm közé esik. Ezek a legnagyobb külső átmérőre vonatkozó alacsonyabb értékek a lehető legtöbb saját foganyag megtartását jelentik (22. ábra) Számos tényezőtől függ, hogy egy bizonyos csúcsi átmérő elérését követően a gyökércsatorna-megmunkálás befejezése, vagy a tágítás további folytatása mellett döntünk. A csatorna kiindulási átmérőjén, a gyökércsatorna


23. a-b ábrák: A felmelegített guttaperchával történő vertikális kompakció során a nem standardizált méretű közepes és vékony guttapercha csúcsok (medium-fine), (a), továbbá az extravékony (extra-fine) melegíthető pluggerek (b) használata javasolt.
görbületén, és a tágítás során érzett ellenállás mértékén kívül ezt az is befolyásolja, hogy a kezelést végző orvos mikor érzi azt, hogy a csatorna alkalmas egy megfelelő gyökértömés elkészítésére. Ebből a szempontból a fogor -

vosok eltérő konfortzónával rendelkeznek, ezáltal a legnagyobb apikális átmérő mérete kezelőorvosonként eltérhet. Mindazonáltal bármekkora végső apikális átmérő mellett is döntünk, a megmunkálás során folyamatosan a lehető legtöbb pericervikális dentin megőrzésére kell törekednünk.
A páciensek érdekeit szem előtt tartó endodonciai kezelések során a maximális mennyiségű saját foganyag megőrzése számít az egyik legfontosabb, általunk kontrollálható tényezőnek. Ennek a szempontnak nem szabad a gyökércsatornák megfelelő fertőtlenítésének és lezárásának a minőségét a háttérbe szorítani. A zárt végű és oldalsó nyílással rendelkező 30G-s átöblítő kanülök alkalmazása lehetővé teszi, hogy az átöblítő-folyadék a gyökércsatornák legmélyebb részeire is lejusson. Mivel a kevésbé kifejezett feltágítás eredményeként az átöblítés hatékonysága csökkenhet, ezért általában célszerű a kezelést több ülésben végezni, valamint az ülések között valamilyen gyógyszeres zárást (pl. kalcium-hidroxid paszta) alkalmazni. Ennek kiemelten jelentősége van azokban az esetekben, amikor a kezelendő fog panaszokat okoz, vagy sipoly-nyílás, illetve duzzanat észlelhető, továbbá ha röntgenfelvételen nagyobb méretű periapicális elváltozás látható. A meghajlítható 30G-s átöblítő kanülök – a gyógyszeres zárás anyagának gyökércsatornába való juttatása során is – hasznosnak bizonyulhatnak. Az átöblítő-szerek szónikus vagy ultrahangos aktiválása is tovább növelheti az elérhető fertőtlenítő hatást.




24. a–e ábrák: A bal felső első nagyőrlőfog mellett 12 mm-es szondázási mélységet mértünk (a-b). A csatornák megmunkálása konzervatív módon valósult meg, a hozzáférési nyílás lezárása pedig közvetlenül a gyökértömés elkészítése után történt (d). A hároméves kontroll során a páciens tünetmentes, a fog pedig funkcióképes volt. A szondázási mélység csökkent, és a röntgenfelvételen a gyógyulás jelei láthatóak (e). (Dr. Dale Jung esete) 23a








PRÉMIUM







BEFEKTETÉS 20+ ÉVRE PRÉMIUM GARANCIÁVAL!
Legalacsonyabb üzemeltetési költség (1,97%) Leghosszabb garancia (10 év) Stabil, folyamatos, megbízható működés - digitális vagy más fejlesztések stabil háttere











A-dec/NSK elektromos, nyomaték szabályozott LED-es, ENDO funkciós mikromotor, rpm 100-40000




























Ebben az A-dec páratlan!
10 év garancia
Varrott kárpit
Varrás nélküli kárpit
Érintés nélkül is működik




25. a–d ábrák: Kiindulási állapot (a). Az ülések között a csatornákba gyógyszeres zárásként kalcium-hidroxid került (b). Konzervatívan megmunkált gyökércsatornák. A hozzáférési nyílás lezárása közvetlenül a gyökértömés elkészítése után történt (c). A hároméves kontroll során a páciens tünetmentes, a fog pedig funkcióképes volt. A kontroll röntgenfelvételen a gyógyulás jelei láthatóak (d). (Dr. Dale Jung esete)
A konzervatívan megmunkált gyökércsatornákban is elengedhetetlen a csúcsig érő, megfelelően tömörített, falálló gyökértömések elkészítése. A konzervatív gyökércsatorna-megmunkálási technikák alkalmazására áttérő klinikusok számára a legtöbb nehézség általában a gyökértömés elkészítése során jelentkezik.
Annak ellenére, hogy standardizált méretű guttapercha poénok állnak rendelkezésünkre, már többször tapasztaltuk, hogy ezeknek az illeszkedése nem volt tökéletes. A szerzők véleménye szerint a kisebb méretű, nem standardizált guttapercha poénok alkalmazása előnyt jelenthet a megfelelő mesterpoén kiválasztása során. A legtöbb minimál invazív módon megmunkált gyökércsatornát megfelelő módon le lehet tömni a lézerrel ellenőrzött, vékony-közepes (medium-fine) átmérőjű guttapercha csúcsok segítségével (23. a ábra)
A kisméretű melegítő fejekkel rendelkező eszközök használata ugyancsak kedvező lehet a gyökércsatornák meleg vertikális kompakcióval történő lezárása során (23. b ábra) . A 24. a–e és 25. a–d ábrákon látható röntgenfelvételek jól mutatják, hogy a lehető legtöbb gyökéri dentin megőrzése mellett is elérhető a periapicális léziók radiológiailag igazolt gyógyulása.
Következtetés
A páciensek akkor értékelik igazán az endodonciai kezelésekkel elérhető eredményt, amikor a kívánt kimenetel érdekében befektetett pénz és idő mérlegelése után úgy érzik, hogy valóban hasznos szolgáltatásban részesültek. Amikor egy gyakorló fogorvos egy számára újszerű endodonciai módszert kezd el alkalmazni a kezelései során, akkor a legfőbb gondot általában az új módszerbe vetett hit, illetve a számára korábban már bevált gyakorlat között fennálló kognitív disszonancia szokta jelenteni. A hozzáférési nyílás kialakításának és a gyökércsatornák megmunkálásának elvei az elmúlt években folyamatosan változtak. Az egyre kedvezőbbé váló új technikáknak köszönhetően a gyakorló fogorvosok ugyanazokat a klinikai lépéseket sokkal hatékonyabb munkamenet mellett tudják végrehajtani, úgy, hogy emellett a páciensközpontú eredmények sem szenvednek csorbát. A konzervatív endodonciai hozzáférés kivitelezését elősegítő CBCT-felvételek alapján megvalósuló dinamikus navigáció már a láthatár szélére került, így elmondhatjuk, hogy egy újabb igazán izgalmas évtized elé nézünk az endodonciában. (A cikk megírása során felhasznált szakirodalmi hivatkozások jegyzéke elérhető a szerkesztőségünkben.)
Forrás: Roots 2021; 1 6–17
24a
24c
24b
24d

6 fejezet 49 szakmai cikk 388 oldal 1980 színes kép

Róth Lajos
Prof. dr. Forrai Judit
A CARIES ELMÉLETEK
A 19. SZÁZADBAN
A fogak megbetegedései között a legnagyobb számban előforduló kóroki tényező a caries. A jelenség meghatározása évezredek óta foglalkoztatja az embereket. A 19. században a kutatások eredményeként etiológiai meghatározásra paradigmaváltás robbant be az évezredes addigi caries elméletek helyett1, többféle teóriát dolgoztak ki, amelyek más-más tényezők befolyását tartották mérvadónak a caries kialakulásában. A paletta széles, a multikauzalitás szinte minden tényezőjét megtaláljuk. Azonban évezredek óta már elavulttá váló kukacelmélet még ekkor is tartotta magát bizonyos elméleti meghatározásban korántsem olyan nagy erővel, ugyanakkor nyomon követhetjük a kor új, egyéb orvosi felfedezéseinek hatását, pl. Virchow-féle sejtpathológia elmélete éreztette hatását, vagy Pasteur az erjedéssel kapcsolatos kísérletei hatottak egyfajta caries elméleti kidolgozására, vagy Koch mikrobiológiai kutatási eredményei, a Billroth Staphylococcus pyogenes felfedezése. E hatások alapjaiban változtatták meg a caries elméletek tudományos irányát.
A következőkben a különböző kóroki tényezők köré kialakult azonos gondolkodású kutatók felfedezéseit, véleményét vizsgáljuk egy-egy csoportban. Sokan voltak, akik nem csak egy, hanem több tényezőt határoztak meg a caries kialakulásában, és olyanok is, akik egy oksági sorozatot írtak le, így több tényező szigorúan meghatározott sorrendben való előfordulása alakította ki a caries-elméletüket.
Ha modern szemlélettel csoportosítani akarjuk a 19. századi kaotikus elméleteket, akkor a caries kialakulás irányát mai felfogás szerint lehetne exogén és endogén okokra visszavezetve csoportosítani.
Endogén okok lehetnek genetikai, belső lobosodási-gennyesedési folyamat, táplálkozási szokások függvényei.
Exogén okokon belül különválaszthatjuk az anorganikus (pl. sav, hő, ozmotikus hatás stb.) és az organikus (proteolitikus, kelációs, foszfát, stb.) hatásokat. De nem lehet különválasztani szigorú klasszifikációs határokkal az elkülönülést, ide tartoznak pl. a kemo-paraziter elméletek is.
Külön kategóriába sorolhatóak a szocioeconomikus rizikófaktorok, érezhető hatásuk van a betegség kialakulásában. Az egyértelmű csoportosítást megzavarja a különböző elnevezések lingvisztikai különbözősége, valamint a hozzájuk tartozó tartalma is, hiszen közel száz évet ölel fel ez a kutatásunk. A szóhasználat nem csak időben, de nyelvek árnyalati szerint is eltérő. Ezzel együtt megpróbáljuk egy-egy teória hátterét megvilágítani, érthetővé tenni az okfejtése-
1 Forrai J: The beginnings of dental caries and its treatment. Rev. Clín. Pesq. Odontol., Curitiba, v. 5, n. 2, p. 187-192, maio/ago. 2009.
ket és a hozzá tartozó kísérleti igazolásokat is, amennyiben rendelkezésre állnak megfelelő források. Vannak olyan szerzői nevek, akiket nem tudtunk felkutatni, habár a kortársak megemlítik, de semmilyen enciklopédiában, regiszterben nem találtuk a szerzőt. A kronológia tűnik a legmegbízhatóbbnak.2,3,4 bár a tudományos életben nem az évszámok, hanem a folyamatok a fontosak.
Endogen okok
A londoni királyi sebész John Hunter (1728–1793) a Royal Society tagja elégedetlenségét fejezte ki a szuvasodás kifejezéssel kapcsolatban, és a mortificatio kifejezést részesítette előnyben, valamint kitartott a belső szuvasodásból eredő gyulladáselmélet koncepciója mellett, de érdemi alternatív véleményt nem nyújtott.
A belső gyulladás
Az angol filantróp szájsebész, Joseph Fox (1775–1816) elsők között foglalkozott a fogakkal, a fogászati szakirodalommal. Kiterjedt fogászati praxissal rendelkezett, Edward Jenner jó barátja, akinek a himlő oltásához a szájsebészeti rendelőjét a rendelkezésére bocsájtotta 1798-ban. Tagja volt a filantróp, rabszolgaság ellenes tudományos gondolkodó Askesian Societynek. Ez a társaság gyakran tartott színházi „nevetőgáz-esteket,” ahol a tagok nézték, ahogy arra vállalkozók dinitrogén-oxidot fogyasztanak, és a színpad körül nevetve botorkálnak. Tárgyalt a porcelángyáros Josiah Wedgwooddal a porcelán fogak készítéséről. A The Natural History of the Human Teeth 1803) és a The History and Treatment of the Diseases of the Teeth (1806) könyvek szerzője. Ez utóbbi könyvében Fox a szuvasodás kifejezést alkalmazta először,
2 John D. Ruby,1 Charles F. Cox,2 Naotake Akimoto,2 Nobuko Meada,3 and Yasuko Momoi2 The Caries Phenomenon: A Timeline from Witchcraft and Superstition to Opinions of the 1500s to Today’s Science. Hindawi Publishing Corporation International Journal of Dentistry Volume 2010, Article ID 432767, 10 pages doi:10.1155/2010/432767
3 Isha Bisla: REVIEW ON PATHOGENESIS, PREVENTION AND TREATMENT OF DENTAL CARIES. Int. J. Adv. Res. 8(08), 735-746, 2020,. http://dx.doi.org/10.21474/IJAR01/11551
4 I. D. Mandel, “Caries through the ages: a worm’s eye view,” Journal of Dental Research, vol. 62, no. 8, pp. 926–929, 1983.
és úgy vélte, hogy a foggyulladást a fog belhártya belső sérülése okozza, a szuvasodás a belhártya (membrane eboris) gyulladás a pulpa-dentin fal mentén, a belső pulpától kifelé halad. Számos korabeli író kollektív elmélete az volt, hogy a környező szövetekből és a pulpából származó tápláló tényezők helyett az elhalt pulpa bomlása okozza a dentin és a dentinen keresztül a külső zománcfelületig a szuvasodást.

1831-ben az angol Thomas Bell (1792–1880) zoológus - Darwin Beagel expedíciójának vizsgálója és szakmai leírója5 - ragaszkodott a belső gyulladás fogalmához, de úgy vélte, hogy a szuvasodásnak van egy örökletes tényezője; ő a fogászati gangréna kifejezést részesítette előnyben a szuvasodással vagy fogszuvasodással szemben. Úgy vélte, hogy a gangréna a termikus változások (hidegről melegre) következménye, amely azonnal behatol a zománc-dentin átmenetbe, és szuvasodáshoz vezet. Bell azt írta, hogy amikor a dentális gangréna először a fogat körülvevő csontban lép fel, a nekrózis a pulpa gangrénáját eredményezi, ami annak pusztulásához vezet, majd áthatol a dentinbe, és végül a zománcba. 1825-re Leonard Koecker (1785-1850) Németországból kivándorolt Amerikába, New Yorkban kiemelkedő gyakorló klinikus lett, majd 1832-ben Angliába költözött, ahol összegyűjtötte klinikai megfigyeléseit, és közzétette saját caries elméletét. Koecker hasonló nézeteket vallott, mint Hunter és Fox, akik úgy vélték, hogy a fogszuvasodás a fog hőmérsékletében bekövetkező változásoknak köszönhető, amelyek gyulladást okoznak. Koecker azonban élesen különbözött tőlük, klinikai megfigyelései alapján megjegyezve, hogy a szuvasodás először a külső zománcfelszínen kezdődött, majd behatolt a zománc-dentin kapcsolódási pontig, és behatolt a tubulusokba, hogy végül megfertőzze a pulpaszöveteket.
5 Desmond, Adrian; Moore, James (1991), Darwin, London: Michael Joseph, Penguin Group, ISBN 0-7181-3430-3
Externál kémiai hatások
A szuvasodás külső kémiai elmélete felváltja a korábbi belső gyulladáselméletet. Különböző kutatók szövettani preparátumot és festési technológiát alkalmazva párhuzamos megfigyeléseket tettek arra vonatkozóan, hogy a szuvasodást külső kémiai tényezők okozzák. A. Wescott és William Dalyrymple6 nézete új szemléletváltás volt, ugyanis közösen vizsgálták a kihúzott emberi fogak szövettani preparátumait, és megállapították, hogy a szuvasodást nem okozhatta a belső gyulladás mechanizmusa, vagy a fog belsejében bekövetkező élettani változások. Közös megfigyeléseik arról számoltak be, hogy a szuvasodás a fogon kívülről keletkezett. William Robertson (1794-1840) és a sebész William Dalyrymple (1772-1847) is, akik anatómiai és patológiai preparátumokat készítettek, amelyekkel igazolták a külső kórokok elsődlegességét. Robertson7 A practical treatise on the human teeth : showing the causes of their destruction and the means of their preservation c. könyvében megállapította, hogy a szuvasodást a fog kémiai szétesése okozza. Feltételezték, hogy a gyomorsav a fogak repedéseiben a megrekedt táplálék-részecskékre hat, és azok a fog pusztulását okozzák, de arra nem tértek ki, hogy kerül a gyomorsav a fogak résébe, illetve a gyomorsav és a nyál a szájüregben hogyan keveredik össze egymással.
A párizsi M. Rognard8 1838-ban megjelent publikációja szerint a szuvasodás a fog felszínén kezdődött ott, ahol a szuvasodás hatása először mutatkozott. Rognard klinikai megfigyelései azt mutatták, hogy amikor a kihúzott, a nem szuvas fogakat a hiányzó emberi fogak helyére rögzítették (a kor nagy divatja volt az idegen, vagy saját fog beültetése az üresen maradt alveolusba), a szuvasodás a rögzített fog gödreiben és hasadékaiban jelentkezett -

6 Nelson’s American Lancet: A Monthly Journal of ..., 6. kötet;8-9. , Chapin Aaron Harris: The Principles and Practice of Dental Surgery.Philadelphia: Lindsay &Blakiston. 1855.248-267.
7 William Robertson:A practical treatise on human teeth: Showing the causes of their destruction, and the means of their preservation 1841. https://collections.nlm.nih.gov/ catalog/nlm:nlmuid-67650550R-bk
8 Rognard M. Oral Microbiology and Infectious Disease: A Textbook. Paris, France: Gazette des Hospital; 1838
1. ábra: Josepf Fox The natural History of Human Teeth.
2. ábra: William Robertson szakkönyve, 1835.
néhány héten belül.
Levi Spear Parmly (1790–1859), akit a fogtisztítás, a szájhigiéne apostolaként emlegetnek, egyaránt dolgozott francia, angol és amerikai területen. Idejét és pénzét arra fordította, hogy ingyenes fogászati szolgáltatást nyújtson a gyermekeknek. A fogászati tudományhoz való legfőbb hozzájárulása az a felfogás volt, hogy a fogszuvasodást a fogfelszínen lévő idegen anyaggal kapcsolatos külső hatások okozzák. Ez még a foglepedékről és a szájüregi baktériumok hatásáról való ismereteink előtt történt. Erre az elképzelésre alapozva hangsúlyozta a tiszta fogak fontosságát a fogszuvasodás megelőzése érdekében. Létrehívta az első iskolai szájhigiéne gyakorlati oktatást.
Az angol születésű Frank Abbott (1836-1897) az American Dental Assiciation (1888) elnöke, dékán, feltaláló, a Pathology and Bacteriology Társaság elnöke, a zománcszuvasodást a legkorábbi stádiumban olyan kémiai folyamatként írta le, amely feloldja a fogzománcot, tehát a fogszuvasodás kémiai demineralizációból és a dentin feloldódásából áll.
Véleménye szerint a tubulusok körül és között a „ragasztó alapanyag medulláris” elemekre bomlik szét, amelyekhez kapcsolódóan mikro-coccusok és a leptothrix másodlagos képződményei ragasztódnak.9 Ehhez a kutatáshoz fog majd néhány évtizeddel később csatlakozni Rudas Gerő kolozsvári professzor a kutatásaival (1890).

Felmerült egy újabb szempont és elgondolás a caries kialakulásában.
1840-es években a továbbfejlesztett technológiával új figyelem irányult a „kis állatokra” Friedrich orvostanhallgató megfigyeléséből a fog nyálkahártyáján. A berni Bühlmann 1840-ben nagy mennyiségben fedezett fel minden felnőtt fogon „sok összefonódó fonalszerű testet”, de nem hozta összefüggésbe őket a fogszuvasodás kialakulásával. 1843ban Michael Pius müncheni fiziológus és Erdl fonalas parazitákat írt le a foglepedékben. Ezeket olyan kriptogámoknak tartotta, amelyek csak a fog beteg felületéhez tapadhatnak. 1847-ben Robert Ficinus drezdai orvos arról számolt be, hogy mikroszkóp alatt a fognyálkahártyában – leggyakrabban az őrlőfogak közötti térben – ilyen rostok és apró szemcsék is vannak, „nyálkagolyók és infuzoriumok”, de különösen nagyobb nagyításnál a „kis, lekerekített és hosszúkás
9 F. Abbott, “Caries of human teeth,” Dental Cosmos, vol. 21, no. 2, pp. 57–64, 1879
testek élénk, keringő mozgásban kóborolnak. Ezek az eleven kis állatok összekapaszkodnak az egyik vége határozottan és a másik felé lendülve mozog, majd összetapadnak.”10 Ficinus és Erdl vezette be 1843-ban a következő fogalmakat: a zománc felszínén „filamentumokat” figyelt meg Erdl, aminek a „Denticole” nevet adta. Szerintük a baktériumok bevándorlása a zománcba indítja el a fogszuvasodást. Felismerték a zománc szerves anyagát.

4. ábra: Robert Ficinus infuzoriák plakk-képződésének ábrázolása.
Ficinus kimutatta, hogy az „infuzoriák” kolóniákat képeztek a Nasmyth membránon, vagy az abban kezdődő feloldódáson lévő foltok területén. Hermann Klencke 1850-ben alátámasztotta Ficinus azon állítását, hogy az organizmusok („Protococcus denalis”) lerakódásokat okozhatnak a membránon. Theodor Leber (1840-1917) és Johann Baptist Rottenstein (1832- +ismeretlen) könyvükben igazolták11 egy mikroorganizmus-réteg létezését (Leptothrix buccalis), amely beborítja a bomlás helyét. Ez a korai koncepció - a plakkelmélet, amelyet később G. V. Black, és Arthur Hopewell-Smith (1865-+ismeretlen) fejlesztett ki.
John Tomes (1815-1895) szájsebész, a Royal Society tagja, W. Morton által felfedezett étert (nevető gázát- (C2H5)2O) elsőként alkalmazta, az Odontologycal Society of London alapítója, a klinikai demonstrációk első bevezetője, a fogak anatómiájának kutatója, az odontoblastok rostjának feltalálója és leírója (Tomes-rostok) foglalkozott caries kutatással is. A részletes megfigyeléseiről beszámolt, nevezetesen a dentin fogszuvasodás elleni védekezőképességéről 1848-ban írta klinikai megfigyeléseiről a következőket: „A fogszuvasodás kezdetei, a dentinben a kezdődő caries pontja helyén a dentin túlérzékennyé válik...” Feltételezése szerint a „dentinális tubulus” tartalmaz egy ún. életerőt, amellyel a dentin képes gátat építeni a szétesési folyamat ellen, tehát a dentin életerővel rendelkezik, állapítja meg. (Ez a vitalisták vis vitalis szemléletéből táplálkozik). Ha ez az életerő elvész, akkor alakul ki a szuvas rész. Ehhez hozzájárul a nedves és a meleg szájüreg, mint állandó környezet. Lakmuszpapírral ellenőrizte a szuvas fog üregét, amely mindig erősen savas reakciót mutatott. Justus Von Liebig (1803-1873) német vegyész – aki Gay-Lus-
10 Julian C. Anthony: Willoughby Dayton Miller (1853 – 1907) American dentist und deutscher Zahnarzt: eine Karriere in zwei Erdteilen. Dissertation. Univ. Regensburg. 2019.
11 Leber and Rottenstein: Dental Caries and its causes. An Investigation into the Influence of Fungi in the Destruction of the Teeth. Translated by Thomas H. Chandler. With Illustrations. Lindsay & Blakiston, Philadelphia 1873 (englisch, Online
3. ábra: Frank Abbott – caries.
sac laboratóriumában dolgozott és jó barátságban volt Alexander von Humboldt-tal – a Brit Tudományfejlesztési Társaságnak mutatta be elsőnek kémiai kutatásait, az erjedési folyamat leírását, és azt teljes mértékben elfogadták. A szerves kémiát, mint a kémai új ágazatát ő nevezte el, és e tudományt megalapozta. Az erjedés elméletét és mechanikáját már évszázadok óta használták, de Von Liebig zsenialitására volt szükség ahhoz, hogy értelmes formában bemutassa a tudományos világnak (1840). Von Liebig magyarázata után az erjesztést, mint kémiai folyamatot értette meg a szakma. De abban a korban a fogszuvasodás elfogadható elméletéhez többre volt szükség, mint a zománc sav általi kémiai feloldásának egyszerű hipotézisére. A savelmélet közel állt a fogszuvasodás valódi okához, de nem adott teljes magyarázatot. Louis Pasteur 1857 és 1876 közötti, a mikrobák fermentációban való részvételét bizonyító munkája és eredményei új szemléletet hozott a caries elméletben is. Visszatekintve, a Von Liebig előtti elérhető fermentációs tudomány hiánya miatt könnyen érthető, hogy Louis Pasteur vizsgálatai, a mikrobák fermentációban való részvételét bizonyító munkája segítette a fogszuvasodást okozó bakteriális fermentáció tudományos megértését. Pasteur támogatta azt az elképzelést, hogy az erjedés biológiai folyamat, ellentétben Von Liebig pedig vallotta, hogy az erjesztés mechanikus folyamat. Mindkét kémikusnak más-más kísérleti módszere volt, és az erjesztés különböző aspektusaira összpontosítottak, arra, hogy hol kezdődik az erjesztés egy szervezetben. A Liebig–Pasteur viszály 1857-ben kezdődött, amikor Pasteur azt mondta, hogy az erjedés oxigén hiányában is megtörténhet. Tisztában voltak a másik munkáival, de folytatták a munkát a saját elméletükkel. Az erjedés folyamatairól és okairól szóló cikkekben és egyéb publikációkban emlegetik egymás, valamint más tudósok nevét is. Pasteur álláspontja szerint, megfigyelte, hogy az erjesztéshez nincs szükség oxigénre, hanem az élesztőre, amely él. Az erjesztési folyamat biológiai folyamat, nem redukciós és oxigénes kémiai folyamat. Két karcsú üveget használt. Az egyik üvegnek ívelt nyaka volt; ezt hattyúnyak-csatornának hívják. Pasteur folyékony húslevest öntött a két üvegbe, és felmelegítette az üvegek alján. Amikor a folyadékos üvegek felforrtak, hagyta kihűlni. Pasteur megfigyelte, hogy az ívelt üvegben lévő húsleves tiszta maradt, kivéve, ha az üveget megrázták. Pasteur magyarázata szerint, a két palack tele volt levegővel, de az ívelt palack meg tudta állítani a legtöbb részecskét a levegőben, és megőrizte a természetét. A másik palackban lévő folyadék azonban elfajult. Ezért arra a következtetésre jutott, hogy az erjesztéshez nincs szükség oxigénre, de kell az élesztő. Ha az élesztőt idővel hagyjuk növekedni, az anyag megromlik vagy elrothad.[2] Pasteur erjedésről alkotott nézete vitalista volt, miután megállapította, az élő szervezetek felelősek az erjedés folyamatáért. Liebig álláspontja és elmélete szerint az alkohol előállítása nem biológiai, hanem kémiai folyamat. Úgy vélte, hogy a szerves anyagok bomlásából származó rezgések átterjednek a cukorra, és csak szén-dioxid és alkohol termelődését eredményezik. A változást az erjesztés vagy élesztő segítette elő, amely rothadó állapotú nitrogénvegyület karaktereivel rendelkezik. Tekintettel arra, hogy a fermentáció hajlamos a változásra, lebomlásnak van kitéve levegő (amelyből oxigént biztosít), víz (amelyből nedvességet nyernek) és kedvező hőmérséklet hatására. Az oxigénnel való érintkezés előtt az al-
kotóelemek egymásra hatás nélkül helyezkednek el. Az oxigén révén az elemeket együtt tartó nyugalmi (vagy egyensúlyi) állapota megbomlott. Ennek a zavarnak a következményeként az elemek szétválása vagy új elrendezése jött létre. Az erjedés a molekuláris instabilitásnak a fermentumból (mozgó atomok) a cukormolekulák segítségével következik be, és mindaddig folytatódik, amíg a fermentáció bomlása folytatódik. Liebignek az erjedésről alkotott nézete a mechanizmus szempontjai közé tartozik. Munkássága során azt látta, hogy az erjedés, valamint más katalizátorok kémiai és mechanikai folyamattal mentek végbe. Liebig–Pasteur vita évekig tartott. Később Pasteur találkozót követelt Liebiggel, de Liebig nem fogadta szívélyesen, és nem volt hajlandó megvitatni az erjesztés témáját. A Pasteur és Liebig között az alkoholos erjesztés természetéről szóló híres vitát Eduard Büchner (1860-1917) Nobel-díjas (1907) német vegyész és zimológus (erjedéstan) tárta fel, hogy az erjedés megtörténhet oxigén jelenlétében. A Liebig–Pasteur-vita öröksége, hogy sem Liebignek, sem Pasteurnek nem volt teljesen igaza. Mindazonáltal minden érvük további felfedezésekhez vezetett, amelyek a tudomány és az orvostudomány számos mai területét hozták létre.
C. G. A. Milles és A. S. Underwood (1881) szerint a szuvasodás valószínűleg a baktériumok által termelt szerves savak által okozott demineralizációnak köszönhető.12 Greene Vardiman Black elsőként állította össze a szuvas kirakós játékot (1884), amelyben a táplálékmaradványok, a zselatinos törmelék és a savak szerepeltek, amelyek demineralizációt okoztak, ami a kezdeti szuvas lézióhoz vezetett.13 1890-ben Willoughby D. Miller vizsgálataival igazolta, hogy a szuvasodás a baktériumokból származó tejsav maró hatására alakult ki, amely zománcléziókat okozott.14 1897-ben John Leon Williams leírta a szuvasodott emberi fogak savképző mikroorganizmusok sűrű, filcszerű tömegét, a foglepedéket mutatta ki, amely kémiai hatást gyakorolt a meszes szövetekre. Apró kutatási pontokkal áll végül össze a 20. század elejére az addigi tudásanyag. Ehhez hozzátesznek még a következő kutatók és kutatások: később Miller (1884), Jung (1892), Siebert (1900), Frohmann (1906], Kantorovitz (1911], Buamgartner (1913) azonosították a streptococcust. De Baumgartner (1913) domináns szerepet tulajdonított a streptomycosisnak. Prochnow és Kruse (1920) streptococcus lacticus, Hilgers (1922) strept.pyogenesnek tartja, és a 20. század első felében a lázasan keresett és megtalált azonosítható mikroorganizmusoknak, amelyek a tápanyag bomlásából erednek. A caries képződés legújabb, modern teóriájával már nem foglalkozunk, amely aztán a legújabb kutatások eredményével folyamatosan fejlődik, és egyre pontosabb, apró mozzanatok tárulnak fel.
12 G. A. Milles and A. S. Underwood, “Cause and treatment of dental caries,” in Communication to the Dental Section of the International Medical Congress, Transactions of the International Medical Congress, London, UK, 1881.
13 G. V. Black, The Formation of Poisons by Microorganisms: A Biological Study of the Germ Theory of Disease, P. Blakiston’s & Son, Philadelphia, Pa, USA, 1884
14 W. D. Miller, Micro-Organisms of the Human Mouth, The S. S. White Dental Manufacturing, Philadelphia, Pa, USA, 1890.
ERŐS FOGAK ÉS EGÉSZSÉGES
SZÁJ – MEGGYŐZŐ MOSOLY
A száj és a fogak nemcsak a táplálkozás és az emberi kommunikáció fontos részei, de esztétikai szempontból is jelentős szerepük van. Az egészséges fogak és fogíny egészségünk meghatározó elemei, a hibátlan, derűs mosoly pedig minden egyén kívánsága.

Nem csak a fogak fájnak
Az íny leggyakoribb gyulladásos megbetegedése a gingvitis vagy fogínygyulladás, mely legtöbbször a rossz szájhigiénia következményeként jön létre. A begyulladt és vérző fogíny a rossz lehelet mellett a betegség első jele. A gingvitist tehát gyógyítani kell, mert különben a gyulladás előrehaladott állapotában a gyulladt íny gócként szerepel, mely gócbetegségeket okozhat.
Az egészséges ember szájában folyamatosan jelen vannak mikroorganizmusok, amelyek szaporodása az íny gyulladásához vezet, és idővel a fogágy többi része is érintett lesz, paradontitis jelentkezhet. A tasakok mélyebbek lesznek, ezért a gyulladás ráterjed a mélyebb paradontális szövetekre is. A fogágygyulladás következtében a fogakat rögzítő szövetek elbomlanak, a betegség pedig átterjedhet az állkapocs csontszövetére is. Ennek együttes következménye, hogy a fog tartószerkezete meggyengül, elbomlik, így a fogak meglazulnak, majd kihullanak.
A hialuronsav a fogágy kötő- szövetének fontos kompo- nense
A hialuronsav a szervezet természetes anyaga és az egészséges fogíny fontos komponense. Alkalmazása a fogászatban: – csökkenti a szájnyálkahártya-irritációt
– megvéd a fertőzésektől
– felgyorsítja a sebgyógyulást és szövetregenerációt
– csökkenti a fogínyvérzést, a foggyulladást és a duzzanatot
A kutatások kimutatják, hogy a hialuronsav fogászati alkalmazása jelentős mértékben hozzájárul az ínybetegségek megakadályozásában és gyógyításában.
Ínybetegségek megelőzése és gyógyítása
hialuronsavval
A gyógyszertárakban és speciális üzletekben különböző formákban és kiszerelésben már 3 éve kapható a Gengigel, ami az egyedüli hialuronsav-alapú készítmény.
A termékcsalád használata egyszerű, gyermekek, terhes nők és cukorbetegek egyaránt használhatják. A hialuronsav tartalma miatt hatékony megoldás az alábbiakra:
– ínyvérzés
– gingivitis (fogínygyulladás)
– parodontitis (fogágybetegség)
– megsértett íny (sebészeti beavatkozás, foghúzás, fogpótlás után)
– korona, híd, fogprotézisek miatt irritált szájnyálkahártya
Ezen tulajdonságai alapján bátran állíthatjuk, hogy a Gengigel az egészséges fogíny receptje. (X)
Forrás: Medis sajtóanyag

Hialuronsav
Az egészséges fogíny receptje Az egészséges fogíny receptje
Az egész csalàd számára





gél/szájöblögető oldat/szájspray/baby gél

nagyi protézis által irritált íny, fogágygyulladás
anyu ínyvérzés és afták





csillapítja a vérzést elősegíti a sebgyógyulást a szájüregben elősegíti a szövetregenerációt csökkenti a duzzanatokat védi a szájnyálkahártyát a fertőzésektől

jani sérült íny
misike a fogzás időszakában








Dent-East Kft. 1112 Budapest, Rétkerülő út 51 www.dent-east.com • mail@dent-east.com





A-dec 500 a PRÉMIUM



Sanitaria Kft. 1024 Budapest, Rómer Flóris u. 34. Tel.: (+36-1) 336-0884
E-mail: shop@sanitaria.hu Honlap: www.sanitaria.hu












Kompressziós és bikortikális egyfázisú implantátumok választhatóan multiunit fejjel. Csavarozható stégekhez, overdenture felépítményekhez.


Azonnali implantáció és azonnali terhelés meghatározott szakmai protokoll szerint. Folyamatos, többlépcsős kurzusok, praxistréning, felhasználótalálkozók. ISO, CE, nemzetközi klinikai tapasztalat és tudományos háttér. Folyamatos fejlesztés 16 éve.


KOS BCSR




Bővebb felvilágosítás és információ: Sofortimplant Egészségügyi Kft. H–9400 Sopron, Deákkúti út 16.
Kompressziós és bikortikális egyfázisú implantátumok választhatóan multiunit fejjel. Csavarozható stégekhez, overdenture felépítményekhez. Azonnali implantáció és azonnali terhelés meghatározott szakmai protokoll szerint. Folyamatos, többlépcsős kurzusok, praxistréning, felhasználótalálkozók. ISO, CE, nemzetközi klinikai tapasztalat és tudományos háttér. Folyamatos fejlesztés 16 éve.


KOS
email: sofortimplant@gmail.com web: www.sofortimplant.com
BCS
R R


opron, Faller Jenő u .:+36 99/508-698 ax: +36 99/508-696 .hu Loupes and lights
Kompressziós és bikortikális egyfázisú implantátumok választhatóan multiunit fejjel. Csavarozható stégekhez, overdenture felépítményekhez.
Azonnali implantáció és azonnali terhelés meghatározott szakmai protokoll szerint.
Folyamatos, többlépcsős kurzusok, praxistréning, felhasználótalálkozók. ISO, CE, nemzetközi klinikai tapasztalat és tudományos háttér.
Folyamatos fejlesztés 16 éve.

Bővebb felvilágosítás és információ: Sofortimplant Egészségügyi Kft. H–9400 Sopron, Deákkúti út 16.

tel.: +36 70 36 40 600 fax: +36 70 900 3518
email: sofortimplant@gmail.com web: www.sofortimplant.com
1135 Budapest, Frangepán u. 66/B. +36 1 236 4000 | info@newyorkdental.hu www.newyorkdental.hu



Dental


