Lesiones adquiridas en el cerebro. Seminario Enfermedades Neurológicas y conducta

Page 1

ENFERMEDADES NEUROLÓGICAS Y CONDUCTA

Dr. Joaquin Ortega Escobar

Profesor Titular Jubilado de la UniversidadAutónoma de Madrid

LECCION 3

Lesiones adquiridas en el cerebro:

-El lóbulo temporal medial y el caso

Henry Molaison (H.M.).

-El área fusiforme de las caras y la percepción facial.

Tomado de Raslau, F. D., (2015). AJNR Am J Neuroradiol, 36, 846-849.
Rev. Vis.
Tomado de Duchaine, B. & Yovel, G. (2015). Annu.
Sci.,
1, 393-416.

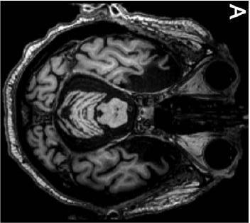
Como indica su nombre, el lóbulo temporal medial se encuentra en la cara medial del lóbulo temporal (azul).

Dicha cara medial contiene tanto estructuras corticales (cortezas perirrinal, entorrinal y parahipocampal) asi como subcorticales (amígdala e hipocampo).

Tomado de Raslau, F. D., (2015). AJNR Am J Neuroradiol, 36, 846-849.

Existe un estudio de caso en el que se lesionaron estructuras del lóbulo temporal medial. Se trata del caso H.M. (caso Henry Molaison (1926-2008)). Estudiado hasta su muerte por aproximadamente 100 investigadores.

Desde la edad de 10 años había sufrido ataques epilépticos y convulsiones. Septiembre 1953, con 29 años de edad, estuvo de acuerdo en sufrir una resección bilateral del lóbulo temporal medial, llevada a cabo por el cirujano W. B. Scoville (Hospital Hartford, Connecticut, USA). Ello condujo a convulsiones menos incapacitantes pero a una perdida profunda de la memoria reciente.

De acuerdo con el informe conjunto de su cirujano y una neuropsicóloga (Scoville & Milner, 1957), no había cambiado ni su placidez ni su personalidad. Aunque seguía teniendo ataques epilépticos su incidencia y severidad era menor. Pero hubo un resultado conductual totalmente inesperado: Una alteración de memoria inmediatamente aparente, el sujeto no podía reconocer al personal del hospital, no podía encontrar su camino al baño y no parecía recordar nada de los sucesos diarios de la vida en el hospital.

Tenía una amnesia retrograda parcial. Por ejemplo, después de la operación, la familia se cambió de casa; diez meses después aun no sabía volver a la nueva aunque recordaba perfectamente cómo hacerlo a la antigua.

Otros ejemplo: día tras día se le tiene que decir dónde está el cortacésped, día tras día hará los mismos puzles sin mostrar mejora.

En definitiva: Parece tener una perdida completa de memoria para sucesos subsiguientes a la operación, junto con amnesia retrograda parcial para los tres años anteriores a la operación; pero las memoria anteriores parecían no estar afectadas.

Después de la operación, H.M. no podía consolidar ni recuperar nuevos hechos y sucesos, documentando por primera vez que circuitos dentro del lóbulo temporal medial son necesarios para el establecimiento de la memoria declarativa a largo plazo. La amnesia anterógrada se manifiesta como adquisición deficiente de conocimiento episódico (memoria para sucesos) y de conocimiento semántico (conocimiento general acerca del mundo, incluyendo los significados de nuevas palabras). Otros estudios indican que la memoria a corto plazo de H.M. está intacta. Puede codificar nueva información pero raramente la utiliza para establecer un rastro a largo plazo.

Como indicaron los primeros autores que estudiaron la capacidad de memoria de H.M. (Scoville y Milner, 1957), “las habilidades técnicas estaban intactas” (p. 21); este tipo de memoria es la que se llama “memoria de procedimiento”. Esto fue puesto más de manifiesto posteriormente por B. Milner (1962) en una tarea de aprendizaje motor, el trazado en espejo; lo cual mostró que la memoria no era un proceso unitario asociado exclusivamente al hipocampo.

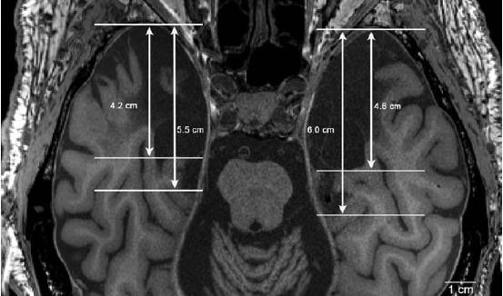
Las primeras resonancias magnéticas estructurales (RMNe)

se realizaron en 1992 (a los 66 años de edad) y 1993. La lesión dañó la mayor parte del complejo amigdaloide, la corteza entorrinal, parte de la corteza perirrinal, las porciones uncal y rostral del hipocampo y parte de la corteza parahipocampal.

Tomado
de Augustinack, J. C. et al., (2014). Hippocampus, 24, 1267-1286.

Izquierdo

Derecho
Tomado de Augustinack, J. C. et al., (2014). Hippocampus, 24, 1267-1286.

La mayor cantidad de territorio retirada el día de la operación fue la circunvolución parahipocampal, en particular las partes anteriores de la corteza perirrinal y la corteza entorrinal entera.

Como la resección de Scoville incluyó las cortezas peri-y entorrinal (origen) e hipocampo (fin) del circuito necesario para la memoria declarativa a largo plazo*, esta se volvió alterada.

Tras la resección, H. M. fue capaz de reconocer y suminis-

trar algunos detalles distintivos de celebridades y políticos que habían llegado a la fama tras su operación, como JFK, Ray Charles y Liza Minnelli. Esto podría ser debido a la conservación de estructuras en zonas del lóbulo temporal medial.

El área fusiforme de las caras y la percepción facial.

La percepción facial es crítica para el funcionamiento social normal.

¿Qué características neuroanatómicas y funcionales del cerebro humano contribuyen a la percepción visual y al reconocimiento de las caras?

Hacia 2010 existía amplia evidencia a partir de la conducta, la neurofisiología, y estudios de pacientes con daño cerebral que sugerían que existía una maquinaria cerebral especial para la percepción de las caras en algún lugar en la parte posterior del hemisferio derecho. También los estudios con TEP y RMNf habían encontrado fuertes activaciones cuando los sujetos miraban caras (Kanwisher, 2017).

La region que respondía a la observación de las caras fue denominada Área Fusiforme de las Caras (FFA, de la abreviatura en inglés; Kanwisher et al. (1997)).

Más recientemente: Regiones selectivas para la cara en la corteza occipito-temporal ventral y se habla de “una red ventral para la cara” (Grill-Spector et al., 2017).
Tomado de Palejwala, A. H. et al., (2020). Scientific Reports, 10, 13489.

Las regiones selectivas para la cara se han identificado con métodos de neuroimagen (TEP, electroencefalografía intracraneal y RMNf).

En la región occipito-temporal ventral hay tres regiones: la IOG-caras (=OFA), pFus-caras, mFus-caras (componentes del FFA) (Grill-Spector et al., 2017).

La localización de estas regiones es bastante consistente entre personas y se identifican sobre circunvoluciones específicas (IOG y circunvolución fusiforme).

Por lo tanto, el área FFA de Kanwisher et al. (1997) se ha fraccionado en dos regiones: pFus-caras y mFus caras.

de Grill-Spector, K. et al., (2017). Ann. Rev. Vis. Sci., 3, 167-196.
Tomado

El 14 de agosto de 1992, Pierrette Sapey (P.S.) fue golpeada violentamente en su cabeza por un espejo de un autobús londinense produciéndole una herida cerrada en la cabeza.

IOG Circunv. fusiforme Tomado de Rossion, B., (2022). Neuropsychologia., 173, 108278.

Como consecuencia del daño cerebral extenso, perdió para siempre la habilidad de reconocer la identidad de la gente por sus caras (prosopagnosia; del griego “prosopon”, cara y “a-gnosia”, sin conocimiento). Pero podía reconocer otros objetos como animales, frutas o vegetales.

La función visual de bajo nivel (agudeza visual, sensibilidad al contraste y visión del color) está bien preservada. PS tiene un escotoma paracentral izquierdo de 2-3º.

Tomado de Rossion, B., (2022). Neuropsychologia., 173, 108278.

Para determinar la identidad de una persona, PS se basa en información contextual: su memoria semántica y episódica, la voz de la persona, la postura, la marcha, etc. Es capaz de distinguir otros objetos visuales comparado con las caras y en comparación con sujetos control.

Tomado de Rossion, B., (2022). Neuropsychologia., 173, 108278.

PS reconoce espontáneamente a la gente como hombres o mujeres basándose en sus caras, informa sobre sus expresiones emocionales, “raza”, e incluso hace juicios sobre lo atractivo de la cara que suelen coincidir con los de otra gente.

De acuerdo con Rossion (2022) “la causa del déficit de reconocimiento de la cara es que ella no puede usar memorias de identidades faciales para completar un percepto facial individual” (p. 36). Según Rossion (2022), la prosopagnosia de PS es debida a una alteración de memoria, que hace que sea incapaz de basarse en las trazas corticales codificadas, antes del daño cerebral, para reconocer estas caras.

Turn static files into dynamic content formats.

Create a flipbook
Issuu converts static files into: digital portfolios, online yearbooks, online catalogs, digital photo albums and more. Sign up and create your flipbook.