ENFERMEDADES NEUROLÓGICAS Y CONDUCTA
Dr. Joaquin Ortega Escobar
Profesor Titular Jubilado de la UniversidadAutónoma de Madrid

Dr. Joaquin Ortega Escobar
Profesor Titular Jubilado de la UniversidadAutónoma de Madrid
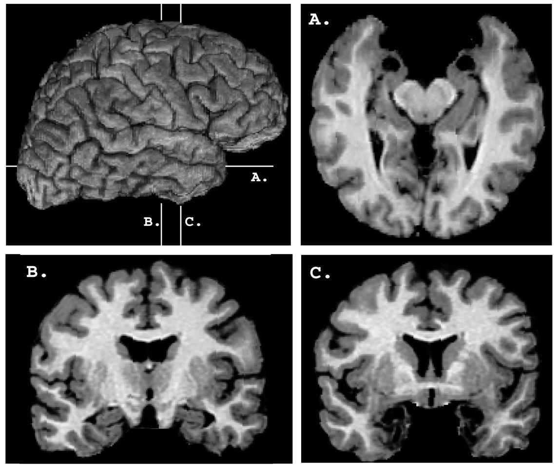
-La amígdala o complejo amigdaloide es un complejo de núcleos situado ventral y rostralmente en ambos lóbulos temporales, anterior al hipocampo. Constituye aproximadamente el 0,3% del volumen cerebral y cada una de ellas tiene aproximadamente 12 millones de neuronas.
-La amígdala recibe información sensorial de todos los sentidos, además de información de diversas regiones de la corteza prefrontal.
-La amígdala puede enviar el significado afectivo de los estimulos sensoriales externos a la corteza prefrontal orbitofrontal (CPFof).
-Existe una enfermedad genética conocida como la enfermedad de Urbach-Wiethe (Urbach y Wiethe, 1929) que puede producir una calcificación bilateral completa de la amígdala, aunque no sólo de esta estructura cerebral; también presentan alteraciones dermatológicas, anomalías neuropsiquiátricas, epilepsia y patologías viscerales (Koen et al., 2016).
-Hay una paciente que ha sido estudiada intensamente en el laboratorio; se trata de S.M. que tiene ambas amígdalas calcificadas. Su lesión apareció probablemente por primera vez a los 10 años (Feinstein et al., 2011). Descrita por primera vez en 1994 por Adolphs et al. (1994), se le comparó con 12 sujetos con daño cerebral en otras regiones; también se la comparó con sujetos sin daño cerebral.
Tarea: Se les mostró expresiones faciales de 6 emociones básicas (felicidad, sorpresa, miedo, ira, asco y tristeza) así como caras neutras. Tenían que evaluar cada cara de acuerdo con varios adjetivos emocionales. S.M. mostraba una alteración de reconocimiento severa y específica para la emoción de miedo. Sin embargo, S.M. era capaz de reconocer la identidad de las caras. En un estudio publicado en 1995, el mismo equipo demostró que el daño unilateral de la amígdala no altera el procesamiento de las expresiones faciales de miedo.
S.M. es capaz de comprender el concepto de miedo y sabe lo que significa la palabra miedo. De las entrevistas realizadas con S.M. se dedujo que comprendía el concepto de miedo: a) a partir de qué situaciones se evocaría miedo en la gente (ser amenazado; estar sólo en un callejón oscuro por la noche); b) cómo se comportaría la gente asustada (su corazón palpita; pueden gritar; y salir corriendo); también agrupaba juntas palabras como “miedo”, “asustada”, “preocupada”, “aterrorizada” y “alarmada”.
Puede reconocer el miedo a partir de señales corporales y de la prosodia vocal.
¿Podía dibujar S.M. las expresiones faciales que había visto en experimentos inmediatamente anteriores? S.M. “no sabía cómo sería una cara de miedo”.
Miedo: acurrucarse y se eriza el pelo.
Sin embargo, desde un punto de vista estadístico el estudio del caso aislado de S.M. es inadecuado. Ha habido otro estudio (Adolphs et al., 1999) que ha analizado nueve individuos con daño bilateral de la amígdala. Se comprobó que el daño bilateral de la amígdala altera el reconocimiento del miedo en las expresiones faciales.
¿Cuál es el mecanismo mediante el cual se altera el reconocimiento del miedo después del daño a la amígdala?
Incapacidad de hacer un uso normal de la información relativa a la región ocular, debido a una falta de fijación espontánea en los ojos cuando se miran las caras.
¿Por qué entonces no reconoce el miedo? Porque los ojos son la característica más importante para reconocer esta emoción. Si a S.M. se la instruye para que mire específicamente a la región ocular, entonces reconoce de forma normal la expresión de miedo.
Adolphs, R. et al. (2005). Nature, 433, 68-72.
Paciente S.M. no se fija normalmente en la región ocular en todas las expresiones faciales (aquí miedo y alegría).
¿Podría el fracaso de S.M. en distinguir las caras de miedo ser debido a que no mira a los ojos en primer lugar?
En otro experimento se instruye a S.M. a que mire específicamente a la región de los ojos de la cara…
No sólo mostraba S.M. una alteración en el reconocimiento de la expresión facial de miedo sino que había perdido, de su experiencia vital, algunas de las emociones negativas más profundas; “los psicólogos estuvieron de acuerdo en que SM tiene una vida emocional parcialmente truncada: Especificamente, le falta mucho del lado “negativo” (Tranel et al., 2006)”.
El daño a la amígdala también altera el contacto ocular durante conversaciones con personas reales (Spezio et al., 2007):
Paciente S.M. Controles
¿Se puede inducir un estado de miedo y, por lo tanto, una experiencia de miedo en un sujeto como S.M.? Para provocar el estado de miedo, se expuso a S.M. a arañas (tarantulas) y serpientes (pitones), así como una visita a una casa encantada y a fracciones emotivas de películas (La señal (el fantasma de una niña asesinada se infiltra en las vidas de sus próximas victimas); El proyecto de la bruja de Blair (campistas son atacados por una aparición desconocida durante la medianoche); CSI (un hombre lucha para sobre-vivir después de ser enterrado vivo); Seven (un hombre mutilado despierta de la muerte); El silencio de los corderos (una agente del FBI intenta capturar a un asesino en serie)).
Reacciones a fracciones emotivas de películas (Feinstein et al., 2011)(entre otras películas: La señal (el fantasma de una niña asesinada se infiltra en las vidas de sus próximas victimas); El proyecto de la bruja de Blair (campistas son atacados por una aparición desconocida durante la medianoche);
CSI (un hombre lucha para sobrevivir después de ser enterrado vivo); Seven (un hombre mutilado despierta de la muerte); El silencio de los corderos (una agente del FBI intenta capturar a un asesino en serie).
Serpientes y tarantulas en una tienda de animales exóticos:
“Al entrar en la tienda, SM se movió espontáneamente al terrario de las serpientes.(…) Estuvo de acuerdo en sujetar una serpiente (3 min.) y observar su conducta: Frotó sus escamas coriáceas, tocó su lengua en movimiento, y la observó según se deslizaba en sus manos. (…) También hizo preguntas del tipo “Cuando te miran, ¿qué ven?”(…) Si se le pedía que evaluara su experiencia de 0 a 10 no sobrepasaba el 2” (Feinstein et al., 2011).
S.M. no dudó en entrar en la casa y en conducir a todo el grupo diciendo “Por aquí, chicos, seguidme”. Reaccionó a los monstruos sonriendo, riendo o intentando hablar con ellos. Su nivel de miedo, de 0 a 10, fue de 0 durante el recorrido (Feinstein et al., 2011).
Además de la amígdala también están implicadas en el reconocimiento de la expresión facial de miedo la corteza prefrontal orbitofrontal (CPFof), la corteza parietotemporal dcha.