
















































































![]()

















































































Takk til alle som var innom vår stand på Nordental på Lillestrøm. Messen var godt besøkt, og er for oss årets store høydepunkt! Alltid hyggelig å treffe gamle og nye kunder, leverandører og kollegaer i bransjen.

Noen av messetilbudene gjelder ut desember. Du finner dem alle i denne desemberutgaven av TDnytt, sammen med flere nye kampanjer og nyheter.
Kampanje på leie/leasing fra Ikano Bank, med gratis etableringsgebyr på avtaler inngått før nyttår.

Takk for året som har gått, vi ønsker deg og dine riktig god jul og godt nytt år!








Trollåsveien 8, 1414 Trollåsen
Telefon 66 89 20 50
www.td.no
E-post: post@td.no
digipost: tonne.dental#V888
Bank: 5005.06.88051 Vipps: 12455
Foretaksregisteret 979 726 414






Noen av denne utgavens kampanjer og nyheter! Se varighet på hver produktside.


















































-20% julekampanje
Gjelder til 31.12.2025.


75ml tannkrem med 1450 ppm fluor, isomalt og 0,05% CPC (cetylpyridinklorid. Anti-inflammatoriske ingredienser (ingefær, aloe vera og bisabolol) og antioksidanter (vitamin E) for å berolige. Mild, frisk smak. Lavtskummende.
Vnr. 1270
75ml Før 42,#3080FDNLS
Forp.: 1, 6
1332
12ml Før 8,#3082MA
Forp.: 1, 25


300ml alkoholfritt munnskyll med 400 ppm fluor, isomalt og 0,05% CPC (cetylpyridinklorid). Anti-inflammatoriske ingredienser (ingefær, aloe vera og bisabolol) og antioksidanter (vitamin E) for å berolige. Mild frisk mintsmak


Klebefri med mint. Transparent. Eske med 5 rader. Beskytter mot irritasjon og sår.
Forpakninger: 1, 6

315,-
Vnr. 1134
Vnr. 1132 #723BX Før 394,- #723M1 Før 20,-



Vnr. 1273
75ml Før 46,#3090EI
Forp.: 1, 6 6,-
Vnr. 1333
30ml Før 8,#3092MA Forp.: 1, 180
Puss tennene, tygg 1 tablett, se hvor det bør pusses bedre. Kirsebærsmak. 12-pk. Forpakning: 1, 12 #824MB Før 49,-
Klinikkpakke 248 tabletter:

Før 458,-
GUM Ortho Floss er en super tanntråd med skumplast-del og spiss ende som brukes for å føre tråden igjennom. Forpakninger. 1, 6 #3220M Før 56,-
Vnr. 1310


Vnr. 1136



Etui med hjelpemidler til reguleringspasienter. NB! Endret innhold fra 20.11.25:
- GUM Ortho tannkrem 12ml
- GUM ortodontisk tannbørste #124
- GUM ortodontisk voks (5 striper) i etui
- GUM Ortho Floss 5-pk
- GUM Red-Côte fargetabletter
- GUM Soft-Picks® PRO-stikke small
Pakket i plastetui. Forpakninger: 1, 60
#ORTHOKITSE6 Før 144,-



Nedsenket midtrad og soniske bevegelser rengjør 45% bedre enn manuell tannbørste! Effektiv og skånsom rengjøring rundt regulering, tenner og tannkjøtt. #4102BXM Før 129,Forpakninger: 1, 4


Vnr. 1262
Etui med hjelpemidler til reguleringspasienter. Som sett 1, men også med:
- GUM endtuft/solotannbørste #308
- GUM AftaClear 2ml porsjonspose
- GUM Soft-Picks PRO-stikke medium
- GUM Ortho munnskyll 30ml
Pakket i plastetui. Forpakninger: 1, 60
#ORTHOKITSE6-2 Før 169,-

135,-
Vnr. 1335
Etui med nyttige hjelpemidler til nye reguleringspasienter: Ortodontisk

Vnr. 1222


Vnr. 1328 45,-
Vnr. 1330

Refill 2-pk
#4112BTM Før 56,-
Forpakninger: 1, 4, 24

Reguleringsbørste med nedsenket midtrad. Godt grep. Forpakninger: 1, 96. #124CY Før 18,-



Orthobørste med nedsenket midtrad. Sammenleggbar/reise. Tungeskrape bak børsten. Forp.: 1, 12. #125MK Før 22,-
- GUM orto voks (5 striper) i etui
- GUM Ortho tannkrem 12ml
- GUM Ortho munnskyll 30ml
- GUM Ortho Floss / Access Floss 5-pk
- GUM endtuft/solotannbørste #308
- GUM ortodontisk tannbørste #124
- GUM Soft-Picks® PRO-stikkere S+M
- Fargetabletter og munnspeil
- GUM AftaClear gel mot munnsår
- GUM Bi-Direction mellomromsbørste
Pakket i robust og praktisk etui med glidelås. Farge varierer. Forp.: 1, 25 Før 184,-






18,Vnr. 1268









n 50% mer effektiv n Ekstra myk n 3 størrelser

GUM SOFT-PICKS PRO er en stor suksess! Samme bøyde fasong som sin forgjenger, men hele 50% mer effektiv, takket være dobbelt så mange gummistrå og forbedringer.

Hele 152 ekstra myke strå rengjør i tannkjøttskanten og mellom tenner - inspirert av interdentalbørsten.

Bøyd for optimal tilgjengelighet i alle områder av munnen. 152 myke, små strå masserer tannkjøtt og fjerner matrester og belegg. Tre størrelser. Etui følger med 30-pakning.
Vnr. 1372
#689m30
small 30-pk
Forp. 1, 6, 144
Før 48,-
62,-


Vnr. 1373
#690m30
medium 30-pk
Forp. 1, 6, 144
Før 48,-


Vnr. 1374
#691m30
large 30-pk
Forp. 1, 6, 144
Før 48,-


#689m60
small 60-pk
Forp. 1, 6, 144
Før 78,-
Klinikkbokser


Storpakke


Vnr. 1377 62,-
Vnr. 1378
#690m60
medium 60-pk
Forp. 1, 6, 144
Før 78,-


Vnr. 1427
100x1-pk small
Kr 366,-
Vnr. 1424
1000 x 1-pk small
Kr 2.026,-
Vnr. 1379
#691m60
large 60-pk
Forp. 1, 6, 144
Før 78,-
Vnr. 1428
100x1-pk medium
Kr 366,-
Vnr. 1425
1000 x 1-pk medium
Kr 2.026,-

Vnr. 1429
100x1-pk large
Kr 366,-
Vnr. 1426
1000 x1-pk large
Kr 2.026,-



Bøyelige interdentalstikkere i small, medium og large.
Nye Soft-Picks Minty har frisk smak av mint, og gir renere tenner og god ånde.


49,-
Vnr. 1380
#669 small 40-pk
Forp. 1, 6, 144
Klinikkbokser




Vnr. 1386
49,-
Vnr. 1383
#670 medium 40-pk
Forp. 1, 6, 144
100x2-pk small Kr 366,-

Vnr. 1385


49,-
Vnr. 1382
#671 large 40-pk
Forp. 1, 6, 144
100x2-pk medium Kr 366,-

Vnr. 1387


100x2-pk large Kr 366,-
Rett stikke uten lateks, tre eller metall. Myke, små tipper gir tannkjøtt massasje, og fjerner matrester og belegg. Tre størrelser. Impregnert med fluor. Etui medfølger pasientpakke.
49,-
Vnr. 1261
#632 medium 50-pk
Forp. 1, 6, 144

Klinikkbokser


Vnr. 1274
49,-
Vnr. 1263
#634 large 50-pk
Forp. 1, 6, 144

100x2-pk medium/regular Kr 366,-

49,-
Vnr. 1259
#636 x-large 40-pk
Forp. 1, 6, 144





Sterkere enn vanlige børster
Børstene har ekstra sterk metalltråd av mangan, mye sterkere og holdbar enn ståltråd. Varer derfor lenger og bøyer seg ikke så lett.
Kan enkelt vinkles: 2-i-1!
Skaftet kan vinkles 90°. Da får du godt grep og maksimal kontroll både ved rengjøring mellom tennene i front og sidesegmentene.
Antibakteriellt belegg

For å unngå bakterievekst i børsten er den impregnert med Klorhexidin. Børsten anbefales skiftet etter cirka 1 ukes bruk.









25% mer effektiv med trekantform
Hvert strå har unik rektangulær fasong, som fjerner 25% mer belegg enn vanlig runde nylonstrå.
Forpakninger

Pasientpakke: 6 stk. børster og 1 etui for å beskytte busten. Forpakninger: 1, 12 (eske)
Klinikkpakke: 36 stk 1-pk med etui på hver.























Ergonomisk grep
Mykt og ergonomisk skaft som gir komfortabelt grep, enda bedre kontroll og tilgjengelighet. Halsen på børstene kan også bøyes for å komme godt til. Grep som gjør at børsten ikke sklir.
Antibakteriellt belegg
Busten er dessuten impregnert med Klorhexidin for å være antibakteriell i 14 dager. Ståltråden er plastovertrukket for å unngå skader.
6-pk
6 stk av én type, inkl.
6 etui.
Forp.: 1, 6
Før 38,-
6-pk

50 stk av én type, inkl. etuier. Før 279,Forpakninger: 1
25% mer effektiv med unik trekantform på børstestråene Unik trekantform på hvert strå fjerner 25% mer plakk enn vanlig runde nylonstrå!









Leveres med ventilert etui som også kan brukes som skaftforlenger.


Én av hver størrelse 0,6 til 2,6mm.
Forp.: 1, 12
Før 49,-
190-pk
Ass. i alle størrelser. Før 954,-
Vnr. 1267








763,-
Vnr. 1289








-20% julekampanje Gjelder til 31.12.2025.

Ideell 0,12% CHX konsentrasjon (1,2mg/ml) forsterket med 0,05% Cetylpyridinklorid (CPC). Egnet før og etter kirurgi, ekstraksjoner, stomatitt, implantologi, regulering m.m. Reduserer plakk, lindrer sensitivt tannkjøtt. Godt egnet for eldre som ikke kan utføre tilstrekkelig munnhygiene. Smaker godt. Nå også i 1 liter flaske!
Alkoholfri klorhexidin munnskyll med 0,12% CHX + 0,05% CPC.
300ml #1784SCFA


Vnr. 1331
1 liter m/pumpe #1787M
Forp. 1, 6 Før 159,-




Forp. 1, 180 Før 55,75ml. Forp. 1, 6 1790SCFNB Før 43,12ml.
30ml. Forp. 1, 180 #1780MA Før 8,6,Vnr. 1318


5 liter m/pumpe #1782PMNPA
Forp. 1 Før 539,-
Klorhexidingel 0,12% + 0,05% CPC og Aloe Vera. Alkoholfri. Blå gel, smak av mentol, eukalyptus og anis.

Forp. 1, 25, 100 #1791MC Før 8,431,Vnr. 1045
0,12% munnskyll nå i ny forpakning: 1 liter flaske med pumpe
Vnr. 1331


-20% julekampanje
Gjelder til 31.12.2025.

Unik kombinasjon av klorhexidin CHX (0,6mg/l - 0,06%), og 0,05% Cetylpyridinklorid, CPC. CPC forsterker effekten av CHX og eliminerer de toksiner som bakterier frigir. For daglig / langvarig bruk. God smak.
Klorhexidin munnskyll med 0,06% CHX, forsterket av 0,05% CPC. Alkoholfri. Mint. Smaker godt.
50,-
Vnr. 1254
500ml #1702SCFNA
Forp. 1, 12
Før 62,-


6,Vnr. 1044
30ml #1703MA
Forp. 1, 180 Før 8,-
Fluortannkrem tilsatt 0,06% klorhexidin, 0,05% CPC, 1450ppm Fluor, Aloe Vera, Pro Vitamin B5.
33,-
Vnr. 1255
75ml. #1750SCFNB
Forp. 1, 6 Før 41,-


Nå blå gel, smak av mint. Inneholder ikke SLS.

6,Vnr. 1325
12ml. #1751MB
Forp. 1, 25, 100 Før 8,Ny og bedre!


0,06% tannkrem for daglig og langvarig bruk.
Nå ny og forbedret!





•
Fluortannkrem med 1450ppm Fluor gir rask lindring av hypersensitivitet. Forsegler og blokkerer åpne dentinkanaler med to aktive ingredienser, hydroksylapatitt og kaliumnitrat.
Forsegler tubuli med et beskyttende lag av copolymer. Forsterker emalje og eksponert dentin med fluor og isomalt. Styrker med antiplakksubstans.
Innenholder 1450ppm fluor, isomalt, hesperidin, Vitamin E, Pro-Vitamin B5, CPC m.m. Uten SLS.
Forpakninger: 1, 6






2-i-1 med både tungebørste og skrape for å fjerne avleiringer av bakterier på tungen. Gir friskere

børstehode for å minimere brekningsrefleksen. Ergononisk skaft som er lett å holde.

The «scraper» side carefully removes the remaining bacteria WHY
The «brush» side eliminates the plaque up to the grooves of the tongue
Forpakninger: 1, 12 #760


The «brush» side eliminates the plaque up to the grooves of the tongue
Provides an effective action that delivers quick and long-lasti ng alleviation from sensitive teeth:
Vnr. 1193 8,Vnr. 1194 75ml #6070FNLSC 12ml
condition neutralize ba d breath compounds in the food, alcoh ol and tobacco against odor compounds
Uniquely gentle with sensitive teeth and oral flora


Provides long-lasting alleviation of sensitive teeth (thanks to Potassium Nitrate) Remineralizes enamel with Calcium and the combination of Fluori de (250 ppm) + Isomalt
Protects against plaque with an effective anti-plaque system (C
More than 70% of people who have used the toothpaste and the mo experiencing quick alleviation from tooth sensitivity, with a l
- Tannkrem GUM Original White
- Tanntråd GUM Original White
- GUM Soft-picks
Praktisk lite etui med det du trenger for å holde tennene rene på reisen. Innhold:


Daily tongue cleaning has been proven to be an effective tool t o fight against bad breath
• Two rows of bristles reach into the tiny grooves on tongue surface to dislodge bacterial plaque
• Two rows of scrapers remove the loosened bacteria for effective tongue cleaning
• Narrow head limits gag reflexes

- Antibakteriell reisetannbørste #153 med tungebørste på baksiden. Sammenleggbar. Godt grep.
The «scraper» side carefully removes the remaining bacteria
• Daily tongue cleaning has been proven to be an effective tool t o fight against bad breath

Assorterte farger. Forpakninger: 1, 12 #156KITG
• Two rows of bristles reach into the tiny grooves on tongue surface to dislodge bacterial plaque
• Two rows of scrapers remove the loosened bacteria for effective tongue cleaning
• Narrow head limits gag reflexes

Vnr.


•

• Påskyndar läkningen (0,3%
• Reducerar inflammationer

Art. nr: 2400 10



Gel 10 ml
#2400SCA
Forp.: 1, 6


#2401BA
Forp.: 1, 1200


Danner en lindrende og beskyttende hinne over såret, som gir umiddelbar effekt og raskere tilheling. Uten alkohol, sukker eller parabener. Svir ikke. Fører ikke til tørrhet. Påføres ved behov, eller f.eks. to til tre ganger daglig. Vent 30 min. med å spise.


AftaClear Spray



Maximal effekt vid enstaka lesioner
• Omedelbar smärtlindring
Idealisk för applicering på komliga områden för smärtlindring behandling av aftösa sår eller i munnen


1199
• Påskyndar läkningen (0,3% hyaluronsyra)
• Reducerar inflammationer
Gel 2 ml porsjon
• Omedelbar smärtlindring
• Påskyndar läkningen
Art. nr: 2400 10 ml


Spray 15 ml, #2420SCA
Forp.: 1, 6
GUM® HYDRAL® Gel


• Reducerar inflammationer
Art. nr: 2420 15


1324

• Återfuktar/skyddar/lindrar/läker
Skyll 120 ml, #2410FNLDSCA
GUM® AftaClear Munskölj
• Omedelbar och långvarig lindring vid muntorrhet

• Perfekt på natten
Forp.: 1, 6
dealisk för applicering på specifika och svåråtkomliga områden för smärtlindring och akut behandling av aftösa sår eller andra lesioner i munnen
Avsedd för personer med
• Omedelbar smärtlindring
• Påskyndar läkningen
Med GUM® HYDRAL® kan man raskt lindre og forebygge munntørrhet. Hyalruonsyre danner et beskyttende belegg over tørt vev og beskytter mot irritasjon, og fremmer tilhelingen av bløtvev. Frisk, mild og behagelig smak av peppermynte. Kan brukes av alle over 7 år ved behov. Lav allergen.
• Reducerar inflammationer


HYDRAL Spray 50ml.
Brukes ved behov, ypperlig på farten. Trenger ikke skylle.
#6010SEPIC




• Omedelbar smärtlindring
• Påskyndar läkningen
Forpakninger: 1, 12


GUM® HYDRAL® Mot muntorrhet
Art. nr: 2410 120
Påfør 1-2 cm av GUM® HYDRAL® gel i munnen og/eller på tungen. Opptil 10 ganger pr dag.
• Reducerar inflammationer
GUM® HYDRAL® Spray
Anbefales spesielt før man legger seg.
• Återfuktar/skyddar/lindrar/läker

Forpakninger: 1, 12
Art. nr: 2420 15 ml
Tube 50ml.
• Perfekt på dagen
#6000SEPIC
nr:

• Omedelbar och långvarig lindring vid muntorrhet
• Återfuktar/skyddar/lindrar/läker
• Omedelbar smärtlindring
• Påskyndar läkningen
GUM® HYDRAL® Munskölj
• Reducerar inflammationer
• Återfuktar/skyddar/lindrar

Art. nr: 2410
• Innehåller 250 ppm fluor
Skånsom tannkrem med Stain Clear som løser opp og fjerner misfarging. 75ml med 1490ppm fluor og mikroperler av silica. Ingen slipemidler.
• Mild smak
Art. nr: 6030
Økologisk og vegansk tannkrem. 75ml. 1450 ppm fluor med mint og aloe vera. # 7020DSCPL Forp.: 1, 6

• Omedelbar
• Perfekt på
Avsedd för personer med flera lesioner samtidigt
Forpakninger: 1, 6 #1745SCA
1182
Tannkrem for barn over ca 3 år. Jordbærsmak. 1000ppm fluor og isomalt, gir større revitalisering enn fluor alene. Mild formel. 50 ml. 98% naturlige ingredienser.
Fluortandkräm
• Återfuktar/skyddar/lindrar
• Utan SLS
Vnr. 1201
• Innehåller 1450 ppm fluor

• Mild smak

Forp.: 1, 6
#3000SEPI1
Vnr. 1314


terfuktar/skyddar/lindrar/läker
• Omedelbar
• Perfekt på Art. nr: 6010 GUM®
terfuktar/skyddar/lindrar
• Innehåller •

ng alleviation from sensitive Potassium Nitrate) de (250 ppm) +





QuadGrip, gummiert skaft som intuitivt gir 45° vinkel når du pusser. Gir optimal fjerning av plakk fra både tannkjøtt og tenner. Busten har to nivåer, med ekstra fine, spisse og fleksible strå som rekker hele 40% dypere i tannkjøttskanten og mellom tennene. Cellofanpakket. Forpakninger: 1, 96.
Finnes også i blisterpakke med etui:

Multipakke med 4 stk:
19,-
Vnr. 1202


Myk tannbørste #525 med QuadGrip-skaft som gir riktig 45° vinkel. Kuppelformet hode og interdentalklippede strå rengjør effektivt i tannkjøttskanten og mellom tennene. Ass. farger. Forpakninger: 1, 96. 19,-
Vnr. 1185
QuadGrip-skaft som gir riktig 45° vinkel. Kuppelformet hode, tipp og tre ulike typer strå. Assorterte farger. #491 Forpakninger: 1, 96. 19,-



De velkjente, klassiske tannbørstene fra GUM har nå kommet i nye utgaver. Nye, fine farger, nytt design og produsert i 100% bio-basert materiale. Bra for deg og bra for miljøet.
Nå også helt plastfri emballasje, og nærproduksjon i Tyskland.
Godt grep og avrundet profil på busten, slik at den kommer godt ned i tannkjøttskanten.
Finnes i tre varianter: 408, 409 og 411.



#408 ekstra myk
Forpakninger: 1, 12

#409 myk
Forpakninger: 1, 12
Cellofanpakket: Vnr. 1022, 24,-

#411 myk
Forpakninger: 1, 12
1020
1021
Vnr. 1023

Lite børstehode med myk bust og fargeindikator i midten. Sugekopp. Tidsur på 1 min. hvor tannbørsten lyser og blinker. Assorterte farger.
For barn 6+ år
Forpakninger: 1, 12 #903M



1306
Solobørste GUM #308 med større, spiss børstegruppe som er mer skånsom. Assorterte farger. Tips: børstens hals kan bøyes om du vil ha en vinkel for å komme bedre til.




Sammenleggbar med tungeskrape bak børsten. Før 22,Forp.: 1, 12. Ass. farger. #125MK.
Forpakninger: 1, 6 #201
Ekstremt myk, til bruk etter kirurgi, strålebehandling, ved after, munnsår osv. Supertynne strå, polert og avrundet. Kompakt. Godt grep. #317 Assorterte farger. Blisterpk. Forpakninger: 1, 6


Lite børstehode, slank hals, med gummiert bakside. Myk bust, med fargeindikator i midten. Sugekopp. Assorterte farger. Forpakninger: 1, 96 #902M
Lite børstehode, slank hals, med gummiert bakside. Myk bust, med fargeindikator i midten. Sugekopp. Assorterte farger. Forpakninger: 1, 96 #901M


-20% julekampanje på GUM Sonic
Gjelder til 31.12.2025.
Slank og elegant tannbørste som bruker standard AAA-batterier. Fjerner plakk og masserer tannkjøtt takket være soniske bevegelser og myke børstestrå. Rengjør mer effektivt, og kommer hele 47 ganger dypere i tannkjøttskanten enn manuell tannbørste! Utrolig populær serie - nå også i ekstra myk (sensitive) og ortho (nedsenket midtrad). Forpakninger: 1 stk, 4 stk.
Rengjør mer enn 50% bedre enn manuell børste, og rekker 47 ganger lenger ned i tannkjøttskanten.




Vnr. 1260
#4100MBK2 sort
Før 129,-
Unik, ekstra myk bust i to nivåer som rekker 88% dypere approksimalt og 121% dypere subgingivalt.


Nedsenket midtrad og soniske bevegelser rengjør 45% bedre enn manuell tannbørste!
1315


Vnr. 1321
#4101MPK hvit
Før 129,-

Vnr. 1322 #4111M 2-pk hvit Før 56,-



#4102BXM hvit
Før 129,-
ORTHO #4100MWH2 hvit Før 129,-
Vnr. 1312


1330
#4112BTM 2-pk hvit
Før 56,-



DAILY
Vnr. 1316
2-pk hvit


Når denne tanntråden kommer i kontakt med saliva ekspanderer den og rengjør tannflatene bedre. Riflet overflate og tråd i flere lag rengjør maksimalt. 30 meter. Forpakninger: 1, 12

Vnr. 1055
#2030MA



Vokset, rund tråd med fluor og små perler av silica som skånsomt fjerner plakk og misfarging mellom tennene og i tannkjøttskanten. 30 meter. Forpakninger: 1, 12

1169
Tynn tanntråd, “glide”, PTFE, polyetrafluoreten som er sterk og ikke fliser. Glir lett mellom tennene. 30 meter. Forpakninger: 1, 12

Sterk, vokset tanntråd med fluor, Vitamin E og frisk, mint. Glir lett mellom tennene. Klar til bruk på praktisk bøyle, vinklet for å komme bedre til. Nå ny og lettere!


Forpakninger: 1, 6 Poser á 30 eller 90.
Vnr. 1167
Vnr. 1171
#890M30 #890M90

Spiss ende for å kunne føre tråd gjennom. Tykkere del med skumplast, som børste og så vanlig tråd. Stor kontaktflate. For implantat, broer, regulering m.m.

56,-
Vnr. 1301
432,-
Vnr. 1302
Klinikkboks 50 x 5-pk #3200PM

To tråder tvunnet sammen. Vokset tanntråd som dekker 30% mer overflate, kommer enda dypere og fjerner mer enn dobbelt så mye plakk som vanlig, enkel tanntråd! Gir også bedre ånde og frisk smak.



Smaksatt med forfriskende grønn te og mint. 30 meter dispenser.Forpakninger: 1, 6
GUM #3500
38,-
Vnr. 1012



TePe EasyFit™ gjør det enda enklere å børste bort plakk mellom tennene! TePe EasyFit™ består av to størrelser interdentalbørster: turkis S/M og lilla M/L. Begge har lang, konisk børste, som dekker et større område mellomrom enn vanlig rette interdentalbørster. Det gjør det mye enklere for pasienten, også om man ikke har fått instruksjon fra tannlege/tannpleier. Nye brukere kan lett synes det er vanskelig med ISO-størrelser, PHD (passasjemål) og ulike størrelser på børstene.
med med 6 stk børster og 1 etui/skaft.
Minst S/M

Størst M/L
Pose med 25 stk børster og hvert sitt etui/skaft. Passer også til TePe klinikkboks.
1, 16















Kjøp 70 pasientpakker, få 30 pakker TePe EasyFit på kjøpet!
Gjelder til 31.12.2025. Du får 20 av TePe EasyFit S/M og 10 av M/L dersom du ikke ber om en bestemt størrelse.
Effektiv og enkel måte å fjerne plakk mellom tennene. Plastbelagt ståltråd og ergonomisk grep.
Pose med 8 stk børster og 1 etui/skaft.
Forp.: 1, 10

8 ass. størrelser. Forp.: 1, 10
120 TePe Original i 8 rom: 15 rosa, 15 oransje, 15 røde, 15 blå, 15 gule, 15 grønne, 15 lilla, 8 grå og 7 sorte.
Forpakninger: 1








Pasientpakke 54,8-pk 54,Vnr. 2809 54,Vnr. 2833
25 børster med etui.
Forpakninger: 1, 16





Miljøvennlig! 154,25-pk 978,Vnr. 2819



Interdentalbørster med vinklet børstehode for optimal tilgjengelighet. Plastovertrukket tråd gjør børstene skånsomme. Langt, flatt skaft. Enkel i bruk, både mellom tenner bak i munnen og i front. Med klinikkboks kan du enkelt instruere og finne riktige størrelser for dine pasienter.
Pakke med 6 stk børster og 1 etui.
Forp.: 1, 10

En av hver 6 størrelser for utprøving/demo.
Forpakninger: 1, 10 #154699
Klinikkboks med 60 TePe Angle™ interdentalbørster i 4 bokser, assorterte farger. Forp.: 1
692,Vnr. 2852





Vnr. 2842

Refillpakke med 25 TePe Angle™børster med etui.
Forp: 1, 10


212,25-pk


Har du prøvd TePe gingivalgel med fluor og klorhexidin?
Se side 24.





Miljøvennlig!


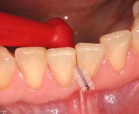
Interdentalstikkere for å rense mellom tennene. Renere tenner og friskere tannkjøtt. Godt, flatt grep som ikke sklir. Helt metallfri. Består av en sterk, lang kjerne av plast og et silikonbelegg med et unikt riflet mønster. Skånsom mot tannkjøttet. Lang arbeidsdel som er støpt i ett stykke for å gi stor kontaktflate. Fleksibel og holdbar.
Forpakninger: 1, 10 3 størrelser: oransje SX/S (minst), blå M/L (medium) og lilla XL (stor).

36-pk m/etui
XS/S, oransje #245310
Forpakninger: 1, 10

Praktisk oppbevaringsetui følger med i 36-pakken:

36-pk m/etui
M/L, blå #245350
Forpakninger: 1, 10








60-pk
XS/S oransje #242320
Forpakninger: 1, 10


60-pk
M/L blå #242360
Forpakninger: 1, 10

med 100 stk 2-pk oransje og 100 stk 2-pk blå



Vnr. 2836
rengjøring. F.eks. langs tannkjøttskanten, til barnas frembrytende jeksler og andre vanskelig tilgjengelige tannflater. Godt egnet ved tannregulering, implantat og protetikk. Vinklet hals, godt grep.






Assorterte farger. #432100. Forpakninger: 1, 25.



Toradet, myk og smidig. For implantat, regulering mm. Rett profil. Ass. farger. #472368
Forpakninger: 1, 14

Ekstra myk. Etter kirurgi, strålebeh., munntørrhet, ising osv. #462150
Eske med TePe Supreme tannbørste, solobørste, gul og grønn original og gul Angle interdentalbørste, EasyPick oransje og blå, samt ortodontisk voks. Utvalgte produkter for kjeveortopedipasienter. Ferdig pakket i eske som kan henges opp.
Forpakninger: 1, 10. #962686
Vnr. 2904
Forpakninger: 1, 25.

Mykeste børste med 12 000 ultramyke strå. Skånsom, f.eks. kirurgi, strålebehandling osv. Rød #452150 er stor/normal, blå (2851) #152151 er kompakt.
Forpakninger: 1, 25.


Smal 2-rader for regulering og implantat. #442100 Forpakninger: 1, 25

Vnr. 2828
Myk bust i to nivåer gir en konisk fasong som gjør at den kommer lenger inn i tannkjøttskanten og mellom tennene. Halsen kan bøyes for optimal vinkel. Godt grep. Assorterte farger. #392102. Forpakninger: 1, 80.
24,-

Myk bust i to nivåer med konisk fasong som gjør at den kommer lenger inn i tannkjøttskanten og mellom tennene.
Vnr. 2826

23,-



Vnr. 2825
Myk, flat bust med forhøyet tip i front. Denne kommer bedre til mellom tenner og i tannkjøttskanten. Godt grep. Standard størrelse. Assorterte
Vnr. 2911
Medium hard, flat bust med forhøyet tip i front. Denne kommer bedre til mellom tenner og i tannkjøttskanten. Godt grep. Standard størrelse. Assorterte farger. #312199. Forpakninger: 1, 80.

22,-
Vnr. 2835
Børste med flatt grep, slank hals og en kompakt, ekstra myk bust. Denne er for barn/ungdom og voksne som foretrekker et kompakt hode. Ass. farger, to-farget bust. #332182. Forpakninger: 1, 25.

19,-
Vnr. 2824
Klassisk tannbørste med flatt grep, slank hals og myk bust. Assorterte farger. #342120. Forpakninger: 1, 100. Finnes også i ekstra myk, varenummer 2905. Kr 19,-
Klassisk tannbørste med flatt grep, slank hals og myk bust. Assorterte farger. #342120. 0-6 år.
Forpakninger: 1, 100.
Finnes også som ekstra myk, varenr. 2901. Kr 19,-












Ett skaft og tre hoder i én farge. 80% redusert plastavfall! Skaft i svensk bøk.
Nydelig design og grep.
Forp.: 1, 14. #361820
Skånsom tannkrem ved f.eks. munntørrhet og sensitivt tannkjøtt. Kun nøye utvalgte ingredienser. Skummer ikke. Uten fargestoffer og SLS. Vegansk.


Med peppermynte
75ml 1450 ppm fluor #811114
53,-
Vnr. 2924

Uten smak 75ml 1450 ppm fluor #811113
53,-
Vnr. 2923

Optimalt fluorinnhold, lett skummende og frisk mentolsmak. Barn- og babytannkrem skummer ikke. Babytannkremen er uten smak. Forpakninger: 1, 12

Voksen/ungdom 75ml 1450 ppm fluor. #801110
38,-

Vnr. 2920


Kids/Barn 3-6 år 75ml 1000 ppm fluor. #801111
38,-
Vnr. 2921

Baby 0-2 år 50ml 1000 ppm fluor u/smak #801112
38,-
Vnr. 2922

Den antibakterielle TePe Gingival gel inneholder en sterk og anerkjent kombinasjon av 0,2% klorhexidin og 0,32% NaF Fluorid.
Gir optimal beskyttelse av både tannkjøtt og tenner. Applisér på interdentalbørsten, og få optimal rengjøring og fluorbehandling mellom tennene og på tannhalsene.
62,-
Vnr. 2832
#982373
Forpakninger: 1, 8
• 0,2% CHX
• 0,32% NaF Fluorid
• Inneholder ingen slipemidler
• Uten alkohol
• Beskytter sensitive tannhalser
• Gir ekstra kariesbeskyttelse
Tips! Bruk fordypningen i lokket for å applisere gel på børsten:

Fuktgivende og spyttstimulerende spray med xylitol, fluor og urea. 50ml spray med mild, behagelig smak av eple og peppermynte.
Forpakninger: 1, 7
#862314
Forpakninger: 1, 6
Vnr. 2935




Smørende spray uten tilsatt smak. 50ml spray med 100% solsikkeolje med høy renhetsgrad. Smører når intet annet hjelper. Mild og skånsom for sensitiv munn.
Forpakninger: 1, 7
#862313 94,-
94,-
#842314


Gel som fukter, beroliger og er spyttstimulerende. Med mild peppermyntesmak for umiddelbar og langvarig lindring. Xylitol.

Vnr. 2936


Vnr. 2928





Gel som fukter, beroliger og er spyttstimulerende. Uten tilsatt smak.
Gir umiddelbar og langvarig lindring.
Forpakninger: 1, 6




#842313
99,-
Vnr. 2929

Fluorskyll som fukter, beroliger og er spyttstimulerende. Gir umiddelbar lindring. 0,2% NaF Fluorinnhold. Uten alkohol. Tykkere konsistens som fukter slimhinnene og gir en behagelig følelse i munnen. Finnes med mild smak av eple og peppermynte - eller uten smak.
Fluorskyll 0,2% NaF Fluor. 500ml nøytral, uten smak. Forpakninger: 1, 6
#832313
2927

Fluorskyll 0,2% NaF Fluor. 500ml flaske med behagelig smak av eple og peppermynte. Forpakninger: 1, 6
#832314
112,-
Vnr. 2926











Ekspanderende tråd med vegetabilsk voks og avokadoolje. Frisk mint. 40 meter. Forpakninger: 1, 10 #642230

Vnr. 2925


Fjerner bakterier på tungen. Fasong for minimal brekningsfrekvens. Tre myke blad skraper effektivt bort belegget. Gir bedre smaksopplevelse og reduserer virus. Bioplast. Assorterte farger grønn/rosa. Kan vaskes i oppvaskmaskin. Forpakninger: 1, 14.

Miljøvennlig!

Vnr. 2883
TePe Mini Flosser™ er tanntrådbøyle som gjør det enklere å bruke tanntråd. Ergonomisk skaft. Produsert av grønn energi og miljøvennlig sukkerrør og trefibre. Pose med 36 stk. Forpakninger: 1, 15 #622156


52,-

Vnr. 2881
Viser ny og gammel plakk. Puss tennene som vanlig, tygg en tablett, og skyll. Sjekk hvor det er fargerester, her bør det rengjøres bedre. Puss så til fargen forsvinner.


10-pk. Forpakninger: 1, 12 #992676
TePe Bridge & Implant Floss er en tykk, fleksibel tanntråd spesielt utviklet for rengjøring av implantat, broer, tannregulering og større mellomrom. Har stiv ende for enkel innføring. Tanntråd og en tykkere del med skumplast, glir lett rundt implantat, broer og regulering, og fjerner matrester og plakk. 30 stk i esken. Uten PFAS og kjemikalier. Forpakninger: 1, 6 #672255




30-pk

82,-
Vnr. 9063
Festemiddel for tannproteser har en uovertruffen hefteegenskap takket være at det ikke er vannløselig. Opptil 12 timers fiksering. Smak- og luktfri, og lett å påføre. Uten sink. Vannfast. 40 gram tube. Forpakninger: 1, 12 #2240

ProFast Plus spesialmiddel for underkjeve. Vannfast. Uten sink. Tube 20 gram. #2242
Forpakninger: 1, 12

Fjerner effektivt rester av festemiddel, kalk, tannsten, misfarginger etter kaffe, te, vin og tobakk. pH9. Eske á 32 tabletter.
Forpakninger: 1, 10 #2250




4 ganger mer festestoff enn Profast Superfixativ og Profast Plus. Garanterer 12 timers feste mellom protese og slimhinne.
Brukes i vanskelige tilfeller med lav kjevekam og rikelig spytt. Eske med 15 stk.
Forpakninger: 1, 10 #2243






Tips!
Se også protesebørste #201
Tips!

Se også Mestra protesebokser:


-20%

Gjelder til 31.12.2025. Kampanjen gjelder ikke klinikkbokser.
Interprox Plus er interdentalbørster av høyeste kvalitet. Ergonomisk og langt skaft gir godt grep og maksimalt god kontroll på børsten.
Vinklet børstehode på 90° gjør at du kommer godt til mellom alle tennene, også molarene. Sort og hvit bust for lettere å se plakk og blødninger. Plastbelagt ståltråd og patenterte Tynex® børstestrå gjør den ekstra skånsom mot tenner og tannkjøtt.






6-pk børster m/etui
Rosa til lys blå
Forpakninger: 1, 12
Før 60,-




Serien harmonere med ISO-standarden (PHD), derfor er det både nye og gamle mål i tabellen. PHD, ”Passage Hole Diameter” angir størrelsen på mellomrommet.
For små børster rengjør dårlig, og for store børster skader gingiva. Noen børster er som før, andre har mindre endringer på bust-størrelse og/eller plastbelagt ståltråd.




4-pk børster
Mørk blå til sort
729,Klinikkpk.
Forpakninger: 1, 12
Før 60,-






Klinikkboks 100-pk Mørk blå og grå 80-pk. Enkeltpakket i pose.




Frisk og god fluortannkrem for daglig bruk. Gir rene, blanke og glatte tenner. Opprettholder det hvite smilet, fjerner og forhindrer misfarging på en skånsom måte med minimal abrasjon. Unik formel som gir rask og effektiv fluoravgivelse (1100ppm NaF Fluor). Lav slipeeffekt (RDA 66). Tube á 100ml. Forpakninger: 1, 12

Vnr. 2259

Svært effektiv mot dårlig ånde og munntørrhet. Umiddelbar effekt som varer i 12 timer. Brukes gjerne to ganger om dagen, så er du sikret behagelig og frisk ånde 24 timer. pH på 8,2 - reduserer bakterievekst og forebygger syreskader.




The Breath Co skyll med mild mintsmak, 500ml flaske med doseringskork.
Forpakninger: 1, 12 Før 115,-
Redusert syrenivå i munnen kan også gi forbedret smaksoppevelse. Ingen fargestoffer, kunstige smakstilsetninger, SLS, alkohol eller parabener. Svir ikke. 100% vegansk. Glutenfri.
The Breath Co skyll med frisk icy mintsmak, 500ml flaske med doseringskork.
Forpakninger: 1, 12 Før 115,-
Vnr. 3817 104,-
Vnr. 3816



Flat og bred, godt vokset dentaltape uten smak. Reach™, tidligere Johnson & Johnson. 100 meter. Forpakninger: 1, 4

-10% julekampanje Gjelder til 31.12.2025.
Vnr. 2830
Tidligere

Rund, vokset tanntråd. Reach™, tidligere Johnson & Johnson. 200 meter. Forpakninger: 1, 6
Vnr. 2890


-20% julekampanje på PALIBRUSH®
Gjelder til 31.12.2025.

Spesialist i periodonti Erik Klepsland Mauland så behovet for et hjelpemiddel som kan gjøre det mulig for pasienter å rengjøre bedre palatinalt og lingualt. Sammen med kjeveortoped Jenny Bogstad Søvik utviklet han idéen om å lage en tannbørste hvor pasienten selv kan utføre profesjonell rengjøring og få gode rutiner. Ved å effektivt fjerne plakk, forebygges og behandles periodontitt og karies.
I sitt daglige virke som periospesialist så Mauland at mange ikke klarer dette med vanlige profylakseartikler. Løsningen ble PALIBRUSH® - med unik utforming av tannbørstehode, hals og grep. Med sitt brede, buede børstehode og en enkel ”vri-bevegelse” klarer pasienten lett og effektivt rengjøre også på vanskelig tilgjengelige steder.
Noen bruksområder for PALIBRUSH®:
n Pasienter med periodontitt, gingivitt og periokoronitt
n Kjeveortopedi - enklere rengjøring av retainere
n Pasienter med større protetiske konstruksjoner
n Røykere og pasienter med mye tannsten
n Enklere rengjøring av molarene
n For pasienter som trenger hjelp til tannpuss
Anbefalt pris til pasient 79,- inkl. moms. Forpakninger: 1, 20 Ass. farger. Før 49,-





Vnr. 2680

Gjelder til 31.12.2025 eller så langt lageret rekker.

1000 ppm Fluor og mild smak av røde bær. 75ml. #T134572. Før 38,-
Forpakninger: 1, 12.





Så langt lageret rekker. Praktisk på reise eller som prøver. Før 440,- 50-pk, ca 14ml pr. tube.
Mild mintsmak og 1450 ppm Fluor. 75ml. #T134570
Forpakninger: 1, 12. Før 38,-
Zendium Sensitive vnr. 2382 Zendium Junior vnr. 2388 Zendium Classic vnr. 2375 220,50-pk -50%
Komplett beskyttelse med 1450ppm fluor. Mild smak. #T884369. 75 ml.
Forpakninger: 1, 12. Før 38,-


Kaliumnitrat reduserer og forebygger hypersensitivitet. Fluor 1450ppm. #T884316. 75 ml. Forpakninger: 1, 12. Før 38,-
19,-
Vnr. 2372 19,-
Vnr. 2371
Dobbeltvirkende - gir hvitere tenner og beskytter mot dårlig ånde. 1450ppm fluor. Mild smak. #T884361. 75 ml.
Forpakninger: 1, 12. Før 38,-


Komplett beskyttelse, og i tillegg god ånde i inntil 12 timer! Fluor 1450ppm. Mild smak. #T276324. 75 ml. Forpakninger: 1, 12. Før 38,19,-
Vnr. 2377


58,-
Vnr. 6746
Flux PRO Klorhexidin gel
50gr for kortvarig beh.med 0,12% CHX og 0,2% / 1000 ppm NaF fluor.


Reseptfritt kosttilskudd.
Tabletter med 0,50mg fluor. Med smak av mild mint eller jordbær. Forpakninger: 1, 6


100-pk. tabletter 0,50mg m/mintmak
61,-
Vnr. 6794


Forebygger plakk, irritert tannkjøtt og karies. Forpakninger: 1, 8. 62,-
Vnr. 6731
Flux PRO
Klorhexidin skyll 250ml for kortvarig behandling med 0,12% CHX og 0,2% / 1000 ppm NaF fluor.
Forebygger plakk, irritert tannkjøtt og karies. Forpakninger: 1, 12.


100-pk. tabletter 0,50mg m/jordbærsmak
61,-

Vnr. 6793



Flux Coolmint tyggegummi
Motvirker karies og gir samtidig frisk pust. 14mg fluor pr. bit, frisk Coolmint og xylitol.
Forpakninger: 1, 6.

57,-
Vnr. 6744


Flux Coolmint munnskyll
Styrker tannoverflaten og forebygger karies. Uten alkohol, parabener eller sulfater. Mild mintsmak. 0,2 % NaF fluor, 2mg/ml=910 ppm F.
62,-
Vnr. 6730

500ml Forpakninger: 1, 12

62,-
Vnr. 6792
Flux Nøytral munnskyll
500ml. Helt uten smak. Motvirker karies. Maksimalt fluornivå på 0,2 % NaF fluor Vegansk. Forpakninger: 1, 12.


sink

90ml flaske. Forpakninger: 1, 20


99,-
Vnr. 6789
Forpakninger:

20,-
Vnr. 6755
62,-

Vnr. 6734
Flux Lemon munnskyll
500ml. 0,2 % NaF fluor. Smak av sitron og mint. Forpakninger: 1, 12.
62,-
Vnr. 6751
Flux Junior Fruit munnskyll 500ml. 0,2 % NaF fluor. Mild fruktsmak som passer både små og store.
Forpakninger: 1, 8.

62,-

Vnr. 6732

Flux Aloe Vera munnskyll
500ml. 0,2 % NaF fluor. Smak av Aloe Vera og mint. Forpakninger: 1, 12.
Vnr. 6733
Flux +Fresh Breath munnskyll
500ml. Friskere ånde. 0,2 % NaF fluor, 0,39% zinklactat og 0,03 % CHX. Forpakninger: 1, 12.


Flux +Prevent Plaque munnskyll 500ml. Motvirker karies og tannsten. 0,2 % NaF fluor og Cetylpyridinium Chlorid. Forpakninger: 1, 8. 72,-
Vnr. 6777


Aloe Vera
72,-
Vnr. 6778
Flux +Gum Care munnskyll 500ml. Motvirker karies og beskytter tannkjøtt. 0,2 % NaF fluor og Aloe Vera. Forpakninger: 1, 8.

-20% på utvalgte Ekulf PURE shine-serien!
Gjelder til 31.12.2025.

Forebygger syreangrep og fjerner misfarging. 1450 ppm fluor og frisk, behagelig mintsmak. Uten SLS og parabener. Nå også i ny spesialutgave som fjerner misfarging etter bruk av snus og tobakk! Tube 75ml.
Forpakninger: 1, 12
Vnr. 2136




Småtube 12ml: vnr. 2152, Før 14,- nå 11,-




#100 Før 42,- #170 Før 52,42,-
Vnr. 2128

Småtube 12ml:
Elegant tannbørste med myk bust og koniske børstestrå som lett og effektivt kommer til også mellom tennene og i tannkjøttskanten.
Godt, gummiert og ergonomisk grep. Assorterte farger i gull og hvit. Forpakninger: 1, 12. #125 Før 31,-
vnr. 2154, Før 12,- nå 10,- 25,-
Vnr. 2131

Skånsomme blekestrips. Aktiv ingrediens er Ftalimidoperoksykapronsyre (PAP). Frisk mint. Eske med 7 pakker á 2 strips (for over- og underkjeve). Hvitere smil på 14 dager. Biologisk nedbrytbar. Trygg, skader ikke emaljen. Uten hydrogenperioksid. Forpakninger: 1, 6 #190 Før 119,-

Vnr. 2308



Skyll med 0,2% NaF fluor og PVP (polyvinylpyrrolidone) som motvirker belegg. Styrker emalje og tannhals. Mintsmak. 300ml flaske.
Forpakninger: 1, 12. #110 Før 64,51,-
Vnr. 2159



Tannbørste for voksen/ungdom. Koniske strå som enkelt og effektivt kommer til bedre mellom tennene. Skånsom. Ergonomisk skaft med godt grep. Assorterte farger blå, gul, rosa og grønn. Leveres med etui.
Forpakninger: 1, 12 #1436
Skånsomme og koniske børstestrå

25,-
Vnr. 2208


Ekstremt myk bust med rett profil. For bruk etter kirurgi, strålebehandling m.m. Halsen kan bøyes.
Forpakninger: 1, 10
44,-
Vnr. 2252

Vinklet hals og et lite, kompakt børsteknippe. Regulering, implantat, vanskelig tilgjengelige visdomstenner osv. Ass. farger.




21,-
Vnr. 2236
Forpakninger: 1, 12 #690


Myk tannbørste med tip og ulike nivåer for optimal rengjøring og tilgjengelighet. Flatt, ergonomisk skaft. Hver børste har etui. Assorterte, spreke farger. Soft.
Forpakninger: 1, 144. #2513
Ultramyk bust, for pasienter i kreftbehandling, etter kirurgi og/eller ved følsomme slimhinner. Ass. farger grønn, blå, hvit og rød. Leveres med etui.
Forpakninger: 1, 12 #2516
38,-
Vnr. 2249

10,-
Vnr. 2297


Vnr. 2296

Ekstra tynn spiss gjør at den kommer lett gjennom trange passasjer. Myk, bøyelig og fleksibel. Fliser ikke, og har ruglete overflate som fanger opp plakk. Trekantform. Godt grep. Pakke m/48 stk.
#1830. Forpakninger: 1, 12
Tanntrådbøyle med sterkere PTFE-tanntråd som ikke fliser. Unik konstruksjon som gjør at du har god kontroll, selv med bare en hånd. Godt grep og enkelt å rengjøre mellom tennene også bakover i munnen.

Stikken av bjørk med trekantprofil. Frisk, behagelig mintsmak.
Eske m/100 stikkere. Spiss i begge ender. #1850
Forpakninger: 1, 36
39,-

Vnr. 2234


2-i-1: Ekstra tynn og ekstra bred tråd. Trekant-tannstikke i plast i andre enden med riflet overflate. 20-pk m/etui.





Vnr. 2178
Forpakninger: 1, 6
#1540
For rengjøring i mellomrom under f.eks. broer og rundt implantat. Stiv ende for lettere innføring, så en oppflosset børstedel på midten. Tannkrem e.l. kan gjerne brukes.
Eske á 30 stk.
Forpakninger: 1, 12 #1760

Vnr. 2250


Litt tynnere, litt vokset tanntråd som gjør det lettere å komme til også mellom trange mellomrom, og lenger ned i tannkjøttskanten. Erstatter Oral-B Crest Glide tanntråd som har gått ut. 50 meter. Forpakninger: 1, 10
#1675


Sterk tanntråd som utvider seg ved bruk. Lett vokset. Mild smak av bergamot/lime.


30m. pasientpk. Forp.: 1, 10 #1608
44,-
Vnr. 2266

Godt grep og tynn tråd av PTFE ferdig montert. God kontroll på tråden. Passer også trange mellomrom. Boks m/30 stk. #1657 Forpakninger: 1, 12
47,-
Vnr. 1961


Klinikkdispenser m/200m tråd #1620
299,-
Vnr. 2264


43,-

Refill 250m. #1628
152,-
Vnr. 2265

Vnr. 2199


Mange sliter med å holde tanntråden. Med denne smarte tanntrådholderen kan du bruke din favoritt-tanntråd, og få god tilgjengelighet, også langt bak i munnen. Godt grep og god styring på tråden. Assorterte farger gul, blå, rød og grønn. Forpakninger: 1, 12 #1810
37,-

Vnr. 2177


Ergonomisk grep og unikt design gjør det enkelt å rengjøre tungen. Litt mindre design for å komme til lengst bak på tungen, som gjør at brekningsrefleksen ikke stimuleres på samme måte som ved større tungeskrape.
Gummihåndtak gir fastere grep for sikrere og mer behagelig rengjøring av tungen.




Godt grep og kompakt hode gjør det komfortabelt å rengjøre tungen.
Assorterte farger.
Forpakninger: 1, 12

Universal bittskinne som enkelt tilpasses med varmt vann, slik at den passer overkjeven. Mykt, formbart materiale som former seg rundt tennene, og et hardt materiale som forhindrer at man biter igjennom skinnen. Forpakninger: 1, 10
Eske m/1 skinne, bruksanvisning, 1 etui. #705


Gjør det enkelt å undersøke egne eller andres tenner, f.eks. for å se om man har rengjort godt nok. 1xAAA batteri medfølger.
Forpakninger: 1 #2048




12 børster og 1 skaft/etui. Forpakninger: 1, 12








Ekulf PH® er en populær interdentalbørste. Velegnet for rengjøring mellom tennene, rundt implantat, ved broer, regulering og delproteser. m.m. Hver pakke har skaftforlenger/etui. Du får også klinikkboks og refillpakker.

Klinikkboks med 24 stk av hver av de syv pH-bestselgerne fra Ekulf. Totalt 168 børster med etui/håndtak. Ypperlig for demonstrasjon og utprøving. Etterfylles med refillpakker.
832,Vnr. 2237


Én av hver størrelse, 1 etui/skaft. #1514 Forpakninger: 1, 12
29,Vnr. 2134













99,24-pk
24 børster med hvert sitt etui/forlengerskaft. Forpakninger: 1.







AB,Navestadsgatan31 Telefon:Box11101,60011Norrköping 011-144030
Raskladetid–ca.4timer.



••Digitalskjermsomviserbatterinivåogvalgtmodus. Automatiskavstengingetter2minutter.
360°roterendemunnstykkeforenkeltilgangtilalleområder.
ooSoft:Skånsomrengjøringforsensitivttannkjøtt.
Standard munnstykke
oCustomize:8trykknivåerforindividuelltilpasning.
••Globalspenning(100–240V)–kanladeshvorsomhelstiverden. Lavtstøynivå(≤73dB)–enekstrastillegåendeenhet.
••Globalspenning(100–240V)–kanladeshvorsomhelstiverden. Lavtstøynivå(≤73dB)–enekstrastillegåendeenhet.
Masserertannkjøttetoglindrerved tannkjøttbetennelse.
••Langbatteritid–opptil40dagerperlading(1400mAhLi-Ion-batteri).
••Romsligvanntank(270ml)–forlengrebrukutenpåfylling. oFireuliketrykkmoduser: Clean:Forvanligrengjøring. ooSoft:Skånsomrengjøringforsensitivttannkjøtt.
Customize:8trykknivåerforindividuelltilpasning. roterendemunnstykkeforenkeltilgangtilalleområder.Automatiskskjermsomviserbatterinivåogvalgtmodus. avstengingetter2minutter. Langbatteritid–opptil40dagerperlading(1400mAhLi-Ion-batteri).•Raskladetid–ca.4timer.
RomsligTongueScrapertip:Rensertungenforbakterierogbeleggforfriskereånde. vanntank(270ml)–forlengrebrukutenpåfylling.oFireuliketrykkmoduser: Clean:Forvanligrengjøring.

(270tip:Rensertungenforbakterierogbeleggforfriskereånde.Fortrykkmoduser:ml)–forlengrebrukutenpåfylling.Skånsomvanligrengjøring.rengjøringforsensitivttannkjøtt.
••360°roterendemunnstykkeforenkeltilgangtilalleområder. Digitalskjermsomviserbatterinivåogvalgtmodus.••Automatiskavstengingetter2minutter.
Norrköping31
Ortodontisk munnstykke
••360°roterendemunnstykkeforenkeltilgangtilalleområder. Digitalskjermsomviserbatterinivåogvalgtmodus.

EKULFLeverandør•IPX7vanntett(beskyttetmotnedsenkingivann,maks.30minutteri1metersdybde).
oTongueScrapertip:Rensertungenforbakterierogbeleggforfriskereånde.
Manual:Fullkontrollmedknappetrykk–vannetspruteskunnårknappenholdesinne.
Customize:Manual:Fullkontrollmedknappetrykk–vannetspruteskunnårknappenholdesinne. 8trykknivåerforindividuelltilpasning.
Periodontal munnstykke
Langbatteritid–opptil40dagerperlading(1400mAhLi-Ion-batteri).•Raskladetid–ca.4timer. Lavt•Globalspenning(100–240V)–kanladeshvorsomhelstiverden. støynivå(≤73dB)–enekstrastillegåendeenhet.
••Automatiskavstengingetter2minutter. RaskLangbatteritid–opptil40dagerperlading(1400mAhLi-Ion-batteri).Globalladetid–ca.4timer. støynivåspenning(100–240V)–kanladeshvorsomhelstiverden. (≤73dB)–enekstrastillegåendeenhet.
Leverandør•IPX7vanntett(beskyttetmotnedsenkingivann,maks.30minutteri1metersdybde). 11101,AB,Navestadsgatan31 011-1460011Norrköping 4030

Tungeskrape

Manual:Fullkontrollmedknappetrykk–vannetspruteskunnårknappenholdesinne. oCustomize:8trykknivåerforindividuelltilpasning.




IPX7vanntett(beskyttetmotnedsenkingivann,maks.30minutteri1metersdybde).

-20% julekampanje på PowerFlosser og PowerBrush Gjelder til 31.12.2025.


Orthodontictip:Forpersonermed tannregulering,implantaterellerproteser.
Navestadsgatanvanntett(beskyttetmotnedsenkingivann,maks.30minutteri1metersdybde).





Nye Ekulf PowerFlosser Premium fjerner plakk og bakterier med en kraftig og justérbar vannstråle - dypt mellom tennene og ned i tannkjøttslommene der tannbørste og tanntråd ikke kommer til. Enklere å bruke, mer effektiv og mer skånsom enn vanlig tanntråd. Vanntank med kapasitet på 2,7dl.

En pulserende vannstråle på munnstykke som roterer 360° masserer tannkjøttet, øker blodsirkulasjonen og holder tannkjøttet sunt. Velg mellom 4 programmer og 8 intensitetsnivåer. Har sensitivt program for sensitivt tannkjøtt. Mer skånsom enn tradisjonel tanntråd!







PowerFlosser Premium sort utgave med 5 spisser #1651
Før 669,-

utformetstilrenforeffektivtkommertil.
oPeriodontaltip:Enmykspisssomgjørdetlettereånåpresistinnivanskeligtilgjengelige
mellombehov:polertedetaljerog tannregulering,tenneneogdyptned implantatereller gjørdetlettereånåpresistinnivanskeligtungenvedtannkjøttbetennelse.forbakterierogbeleggforfriskereånde.forlengrebrukutenpåfylling. rengjøringrengjøring.forsensitivttannkjøtt. kontrollmedknappetrykk–vannetspruteskunnårknappenholdesinne.
blodsirkulasjonenkombinasjonogmotvirke
Standardfølsomttannkjøtt.Nozzletips,1Orthodontic bruksanvisning. munnstykkerellerhvitfinish–medpolertedetaljerogethåndtakmed forindividuellebehov: tip:Fjernerbakteriermellomtenneneogdyptnedi tannkjøttslommene. tip:Forpersonermed tannregulering,implantaterellerproteser.
Nozzletips,1Orthodonticindividuellemedpolertedetaljerogethåndtak behov: bakteriermellomtenneneogdyptnedi tannkjøttslommene.personermedtannregulering,implantaterellerproteser. spisssomgjørdetlettereånåpresistinnivanskeligtilgjengeligeoglindrervedtannkjøttbetennelse.
Periodontaltip:Enmykspisssomgjørdetlettereånåpresistinnivanskeligtilgjengelige tannkjøttetoglindrerved tannkjøttbetennelse.
blodsirkulasjonen(0,65mm)ikombinasjonmed ogmotvirkemunnstykkerimplantaterellerfølsomttannkjøtt. bruksanvisning.(2StandardNozzletips,1Orthodontic Premiumdesignisortellerhvitfinish–medpolertedetaljerogethåndtakmedsklisikker
Standardutskiftbaremunnstykkerforindividuellebehov:Nozzletip:Fjernerbakteriermellomtenneneogdyptnedi tannkjøttslommene.
535,-


PowerFlosser Premium hvit utgave med 5 spisser #1650
Før 669,-
535,-
Vnr. 2305

4-pk med standard, ortho, perio og tungetip. Passer også vanlig Ekulf PowerFlosser. #1652
99,-
Vnr. 2307
-20% julekampanje på PowerFlosser & PowerBrush
Gjelder til 31.12.2025. Gjelder ikke børstehoder og munnstykker.
Pulserende vannstråle rengjør mellom tennene og dypt ned i tannkjøttslommene.
Masserer og stimulerer tannkjøttet for å holde det friskt, øke blodsirkulasjonen og minske blødninger og betennelser. Munnstykket kan roteres 360°. Tank på 1,5dl. 2 min. tidsur.


Vnr. 2247
Hvit Før 566,#1690
Rundt, oscillerende børstehode med 8800 børstebevegelser i minuttet! Riflet og behagelig håndtak. 3 programmer (clean, soft, massage). Oppladbart batteri som varer i mer enn 20 dager. Vanntett.






Sonisk tannbørste med mer enn 40.000 børstebevegelser i minuttet! 5 programmer (clean, sensitive, whitening, massage, polish). Oppladbart batteri som varer i mer enn 4 måneder. Tidsur og sensor. Vanntett.







6x10ml og 1xCS5460 tannbørste i gavepakke.
Seks spennende smaker fluortannkrem (950ppm).
Uten SLS. 60ml tube fluortannkrem. Forpakninger: 1, 12.


Bjørnebær og lakris, 60ml
126,-
Vnr. 2366
Gin & Tonic, 60ml
126,-
Vnr. 2367

Fersken og aprikos, 60ml
126,-
Vnr. 2369


Vannmelon, 60ml
126,-
Vnr. 2368

Grapefrukt og Bergamot, 60ml
126,-
Vnr. 2370

Eple og aloe vera, 60ml
126,-
Vnr. 2365


6 x 10 ml Smakspakke


199,-

BE YOU 10ml tannkrem med assorterte, smaker, CS5460 reisetannbørste og to interdentalbørster (CPS 07/09). Mål 9,5 x 6cm. Kjøp 12 stk. få settene levert i fin eske. Assorterte farger/smaker.



132,-
Vnr. 2257
Skånsom mot tannkjøttet, men tøff mot plakk. Hele 5460 strå av det unike Curen®-materialet, og har dermed en enorm kontaktflate og styrke. Ultrasoft og kompakt. Åttekantet skaft for optimal 45° vinkel og minimalt trykk. Lekre, assorterte farger. Pris er pr. tannbørste.
Forpakninger: 1, 36



62,-
Vnr. 2191

Etter kirurgi, ekstraksjoner m.v. Inneholder 0,20% klorhexidin, Citrox®, Xylitol, PVP-VA og Polylysine. Alkoholfri. Påvirker ikke smakssansen.
Forpakninger: 1, 12

Fl. 200ml (vnr 2228)
Fl. 900ml (vnr 2302)
0,09% CHX, Citrox®, hyaluronsyre, Xylitol, PVP-VA, Polylysine og 230ppm fluor. Uten SLS og alkohol. 75ml.
Forpakninger: 1, 12
2227
2228




Intensiv lokalbehandling. Gel med 0,50% CHX, Citrox®, hyaluronsyre, Xylitol, PVP-VA og Polylysine. Uten SLS og alkohol. 10ml.
Forpakninger: 1, 12
2302

2229
Fin, lett, tett boks for oppbevaring av proteser, ortodontisk apparatur, skinner, modeller osv. Hengslet lokk. Gjør det enkelt og trygt for pasienter å oppbevare og transportere helproteser, delproteser, broer, bittskinner, blekeskinner, tannbeskyttere og ulike typer regulering. Mål: 32mm høy, 90x72x59mm.
Forpakninger: 1, 25, 100



n Enkel interdental rengjøring n Fjerner 99,9% av plakk
n Skånsom, men effektiv rengjøring med vann
n Ypperlig ved ortho, implantater, krone/bro, protetikk m.m
julekampanje
Gjelder til 31.12.2025





I samarbeid med Waterpik lanserer vi nå nye modeller og en kampanje med spesialpris til tannhelsepersonell, for at du skal bli bedre kjent med Waterpik. Kampanjen gjelder begrenset antall (250 av hver type). Waterpik er munndusj som brukes for å enkelt fjerne plakk. Undersøkelser viser at Waterpik fjerner 99,9% av plakkforekomster i behandlet område, og er dobbelt så effektiv som tanntråd.
Trådløs bordmodell ION WF-11EU
Stillegående og trådløs bordmodell med maksimal ytelse uten ledningsrot. Batteri som varer ca 4 uker, og stor vanntank for over 90 sekunders bruk. 30-sekunders timer.
Enkel regulering av intensiteten, håndstykke med av/på-knapp. 6 ulike tipper følger med. Tipp kan roteres 360° på håndstykket. Enheten er 19,3cm høy, Utsalgspris 2.799,-





Vnr. 3848
Trådløs håndholdt

Cordless Plus WP-490EU
Trådløs håndholdt munndusj. Fjerner 99,9% plakk. Batteridrevet. Vanntank på 296ml, varer til cirka 45 sekunders bruk.

Enkel regulering av intensiteten i to trinn. 4 ulike tipper følger med. Tipp kan roteres 360°. Veier ca 363 gram. Utsalgspris 1.299,-
Vnr. 3849 1.574,-
Bli frisk med to gode bakteriestammer (Lactobacillus brevis og Lactobascillus plantarum) - spesielt godt egnet for munnhulen. Én tablett inneholder 1 milliard melkesyrebakterier, som tilsvarer mer enn 100 liter god yoghurt! Bakteriene frigis langsomt i munnen hvor bakteriene skal virke, og styrker munnens bakterieflora.
Studier viser 30% reduksjon i blødning etter 6 måneder, samt halvering av de mest sykdomsfremkallende bakterier! Få smaksprøver på vår stand eller med din ordre!
1 sugetablett pr. dag etter tannpuss
Forpakninger: Eske á 30 tabletter: 1 pk, 42 pk (hel kartong).
Velg mellom mint eller jordbærsmak.

195,-
Vnr. 1308




For klinikkboost kan ProlacSan® Gel appliseres i lommen. Sprøyten er høykonsentrert og inneholder mer enn 6 milliarder bakterier. Aktiveres ved å suge opp 1,2ml vann, riste, vente 15 minutter og applisere i lommer. 1 sprøyte som start i behandling av én pasient. Leveres med kanyle. Forpakninger: 1, 12


3-raders tannbørste med flatt skaft og godt grep. Pakket i pose. Ypperlig for instruksjon, om pasienten vil rengjøre tennene før behandling, på reise osv. Farger varierer.
195,-
Vnr. 1277




4,-
Vnr. 1303
Tannbørste uten tannkrem. Pr. stk.
Forpakninger: 1, 100 #604403
89,-
Vnr. 1278


4,-
Vnr. 1334
Tannbørste med tannkrem. Pr. stk.
Forpakninger: 1, 100 #40697
-17% julekampanje
Gjelder til 31.12.2025




bordlader og eksklusivt, kompakt etui med smart ladefunksjon.
intensiteten deretter. Hele 20 ganger bedre plakkfjerning, 15 ganger bedre tannkjøtthelse og 100% bedre fjerning av misfarging sammenlignet med manuell tannbørste! Nå i profesjonell Whitebox-utgave for ansatte og pasienter på tannklinikker og tannlegekontorer.

1.699,-
Vnr. 4755
HX9992/02

u Nå litt kortere og lettere børstehåndtak
u Sonisk teknologi med hele 62.000 børstebevegelser/min.
u Hele 2 ukers batteritid u Trykksensor og intelligent justering av pusseintensitet u Bruk med eller uten app u Tidsur
u Lad raskt i bordlader eller i reiseetuiet med USB
Fire programmer, tre intensiteter, trykksensor, tidsur og lærerik mobilapp for innsikt om hvordan du kan forbedre din pusseteknikk. Hvitere tenner på 3 dager! Rengjør sonisk med hele 62.000 bevegelser i minuttet. Få med etui og kompakt bordlader. Batteriet varer i 14 dager. Børstehodet C3 Premium Plaque Defence følger med.

1.999,-
Vnr. 4746
HX9911/84


1.999,-
Vnr. 4747
HX9911/88



5000-6000-7000
-10% julekampanje
Gjelder til 31.12.2025.

Nye serier på denne siden! Nå enda bedre ergonomi, økt batterikapasitet på hele 3 uker, bedre motor, enda mer robust og lys/vibrasjon som varsler om du pusser hardt. Rask lading i standard USB-kontakt. BrushSync-funksjon gir deg også påminnelse om når det er på tide å skifte børstehode.

u Sort
u 1 børstehode: W2
u 1 program: Clean u 2 intensiteter 5300
719,-
Vnr. 4775
HX7101/01
Før 799,-

5300
u Hvit
u 1 børstehode: W2
u 1 program: Clean u 2 intensiteter
719,Vnr. 4768
HX7108/01
Før 799,-


To spesialbokser for tannhelsepersonell merket
”For personal trial use” og kan kjøpes til ansatte og gis pasienter. Ingen begrensninger på antall.
6100 Trial
u Hvit
u 3 børstehoder: A3, W2, S2 u 2 programmer: Clean, Sensitive u 3 intensiteter
719,-
Vnr. 4769


6100
u Lyseblå u 1 børstehode: S2 u 2 programmer: Clean, Sensitive u 3 intensiteter
1.001,-
Vnr. 4771
HX7406/01
Før 1.112,-
Hvit m/etui+app.


Før 799,-
1.001,-
Vnr. 4770

Før 1.112,-
Julekampanje med gratis Sparkly-bamse!
Gjelder til 31.12.2025. Sparkly-bamser så langt lageret rekke!
Barna er engasjert mens de lærer å pusse tennene. Den Bluetooth-aktiverte Philips Sonicare for Kids-tannbørsten samhandler med en morsom app som hjelper barna å pusse bedre og lenger. Barna har det gøy mens de lærer teknikker som varer livet ut. Gummiert håndtak for bedre grep, sonisk teknologi med 62.000 børstebevegelser/min. Mer enn to ukers batteritid. Tidsur (KidTimer og QuadPacer).




u Farge: lyseblå u 2 børstehoder:
Standard og kompakt u 2 intensiteter
Vnr. 4634
HX6322/04 (blå) 628,-
Rosa
u Farge: rosa u 2 børstehoder:
Standard og kompakt u 2 intensiteter
HX6352/42 (rosa) 628,-
Vnr. 4748


PD Dental Stick. Fantastiske stikkere i mykt, porøst og behagelig lindetre. Frisk peppermynte etterlater munnen ren og frisk. Kan bites flatere etter at den er fuktet på tungen. Stimulerer tannkjøtt og gir økt blodsirkulasjon. Svært lik J&J Stim-u-dent, men PD Dental Stick er spissere/litt tynnere i enden. Ergonomisk tilpasset konisk trekantprofil.








69,-
Vnr. 2571

Forpakninger: 1 pasientpakke har 125 stikkere (5 lommepakker) 69,Storpakke med 12 pasientpakker 828,-



Fjerner 20 ganger mer plakk enn en manuell børste! Myk. Suverén mot plakk. Forbedret tannkjøtt og hvitere tenner.
Vnr. 4741 Hvit 2-pk HX9092/87
Vnr. 4742 Sort 2-pk HX9092/88


456,-

Fjerner 10 ganger mer plakk enn manuell tannbørste. Optimal plakkfjerning.
Vnr. 4711 Hvit standard 4-pk HX9044/87
Vnr. 4710 Sort standard 4-pk HX9044/88
Nytt ultrasensitivt børstehode. Fjerner 10x mer plakk enn manuell børste. Tettpakket med børstehår i trekantformer, som svært skånsomt fjerner plakk.
Vnr. 4749 Hvit std. 4-pk HX6054/87

456,4-pk!
100% reduksjon i tannkjøttsbetennelse. 7x friskere tannkjøtt på bare to uker!
Vnr. 4717 Hvit std. 4-pk HX9054/87


Tett diamantformet bust. Rengjør 7x bedre enn manuell børste, og fjerner misfarging.
Vnr. 4640 Hvit standard 4-pk
HX6064/87
Vnr. 4641 Hvit kompakt 4-pk HX6074/27 **
4-pk! Kids 3 år kompakt
179,2-pk!
Kompakt med gummiert bakside.
Vnr. 4616 Hvit kompakt 2-pk HX6032/90
Vnr. 4653 Sort standard 4-pk HX6064/88
Dyse bør skiftes hver 6. mnd. Velg mellom F1 klassisk dyse med rett stråle eller den nye, unike F3-dysen med Quad Stream som strømmer i hele fire retninger!
Dyse F3, Quad Stream, 2-pk

249,-
Vnr. 4744 HX3062/00



Dyse F1 Rett stråle, 2-pk F3 / F1
249,-
Vnr. 4745
HX3042/00



Gjelder til 31.12.2025.
Effektiv, men skånsom serie for trygg hjemmebleking. Brukes i individuelt laget blekeskinne, enten som nattbleking eller dagbleking. Med mild, behagelig mintsmak og fluor, samt kaliumnitrat og ACP (amorft kalsiumfosfat) for å motvirke hypersensitivitet. ACP beskytter emaljen, gjør tennene mindre følsomme - og gir bedre glans. Inneholder hele 33% vann slik at den forhindrer uttørring. Hver Zoom!-sprøyte på 2,4ml holder til å fylle ca 6 skinner. Få optimalt resultat på 2 uker. Trenger ikke lagres i kjøleskap.





Enkel å bruke! Du ordner vanlige blekeskinner, enten én eller begge kjever. Pasienten fyller Philips Zoom DayWhite eller NiteWhite i skinnen, setter inn skinnen i munnen og lar virke. Synlig resultat etter bare 3 dager, fullt resultat etter 9 dager.
Standardpakken har en fin oppbevaringsveske med 6 sprøyter, to skinneplater, skinneboks og ShadeGuide. Nok til 36 skinner (bleking 18 ganger av begge kjever).

Refillpakke inneholder 3 sprøyter á 2,4ml, nok til 18 skinner (bleking 9 ganger av begger kjever).
Philips Zoom! blekemiddel med fluor, kaliumnitrat, ACP og 6% hydrogenperoksid. Mintsmak. Brukes på dagtid (30 minutter 1 til 2 ganger daglig). Velg mellom standardpakke med 6 sprøyter á 2,4ml eller minipakke med 3 sprøyter á 2,4ml.

Philips Zoom! blekemiddel med fluor, kaliumnitrat, ACP og 16% karbamidperoksid. Mintsmak. Brukes mens du sover (virketid ca 4 timer). Optimalt resultat etter to uker. Velg mellom standardpakke med 6 sprøyter á 2,4ml eller minipakke med 3 sprøyter á 2,4ml.



Ny QuadStream-spiss fjerner opptil 99,9% plakk -
Philips Sonicare Power Flosser 3000 har vanlig rett dyse og den nye Philips Sonicare Quad Stream-dysen som rengjør et mye større område takket være hele fire vannstrømmer. Fjerner 99,9% plakk i områder som behandles. Studier viser at Power Flosser er 180 ganger mer effektiv enn vanlig tanntråd og gir signifikant reduksjon i irritert tannkjøtt, blødninger og plakk.
Batteridrevet, med tank for vann eller munnskyll som rekker til å behandle hele munnen - på bare 60 sekunder.
1.098,Vnr. 4754
Superenkel måte å rengjøre flater, mellomrom og i tannkjøttskanten. Ypperlig også for pasienter med tannkjøttsproblemer.
Forpakninger: 1, 3 HX3826/33





1.098,-
Vnr. 4743
Forp.: 1, 3
HX3826/31
Som enda raskere alternativ til 2 ukers dag eller natt hjemmebleking, kan du med Philips WhiteSpeed Zoom!-lampe tilby full bleking på 15 x 4 minutter i stolen. Lysaktivert og trygg bleking i stolen med 6% hydrogenperoksid m.m.
Hvert klinikksett inneholder alt du trenger, og i tillegg 3-pk med dag- eller nattsett som pasienten kan bruke for vedlikeholdsbehandling hjemme senere.
Kampanje med gratis lampe: Kjøp 12 klinikksett (6 av DayWhite og 6 NiteWhite), eller 12 av DayWhite) til vår ordinærpris 3.238,- (ett sett rekker til 2 pasienter), få med gratis Zoom! WhiteSpeed-lampe til verdi 34.900,-!



-10% på utvagte modeller Oral-B iO2, iO5 og iO6 Gjelder til 31.12.2025.

3 programmer; daily clean, sensitive og super sensitive. Svært lang batteritid. Enkel trykksensor.
2 børstehoder følger med: Gentle Care og Specialized Clean. Enkel bordlader.

Calm Pink
629,-
Vnr. 1529
#612289 Før 699,-

Night Black
629,-
Vnr. 1528
#612357 Før 699,-



Forest Green
629,-
Vnr. 1530
#612388 Før 699,iO Laboratory
Spesialutgaver av Oral-B iO som bare selges hos tannleger, tannpleiere og apotek. Hvit farge og pakke hvor det følger med ekstra børstehode.
Laboratory 2 er en enkel iO2-modell med én knapp, 3 programmer, enkel trykksensor og to børstehoder. Svært lang batteritid.



Laboratory 2 (iO2)
Hvit med to børstehoder
699,-
Vnr. 1526
#615358

Laboratory 5 er en iO5-modell med 5 programmer, avansert trykksensor, skjerm med ikoner, batteri som varer cirka to uker, og leveres med to børstehoder og etui.


Laboratory 5 (iO5)
1.399,-
Vnr. 1527
Hvit med to børstehoder og etui #822107
5 programmer: daily clean, sensitive, super sensitive, intense og whitening. Symboler på skaftet. 14 dagers batteri. 16 timer for fullading. Trykksensor varsler om du pusser for hardt. Reiseetui uten lading. 1 børstehode: Ultimate Clean. Bordlader. Kunstig intelligens, 6 soner.

iO5s Quite White
Vnr. 1515
#414919 Før 1.468,-

iO5s Matt Black
Vnr. 1516 1.321,-
#414957 Før1.468,-

iO5s Blush Pink
1.321,-
Vnr. 1517 1.321,-
#414933 Før 1.468,-
6 programmer; daily clean, sensitive, gum care, intense og whitening. Sort/hvitt-skjerm. 14 dagers batteri. 12 timer for fullading. Trykksensor. Reiseetui uten lading. 2 hoder: Ultimate Clean og Gentle Care. Bordlader. Kunstig intelligens, 6 soner.

iO6 White M6
1.529,-
Vnr. 1507
#427391 Før 1.699,-

iO6s Black Lava M6
1.529,-
Vnr. 1509
#409120 Før 1.699,-

iO6 Pink Sand M6 Sensitive
1.529,-
Vnr. 1506
#427377 Før 1.699,-

7 programmer; daily, sensitive, super sensitive, gum care, toungue clean, intense og whitening. Fargeskjerm. 14 dagers batteri. 3 timer for fullading. Trykksensor. Etui uten lading. 3 børstehoder følger med: Ultimate, Gentle Care og Specialized Clean. Magnetisk bordlader. Kunstig intelligens, 3D, 16 soner. App.
iO9s WhiteBox Trial Spesialversjon for tannhelsepersonell
#427353 Før 1.699,iO9
2.699,-
Vnr. 1502
#408697


1.529,-
Vnr. 1508 iO6 Grey Opal M6




Tanntrådbøyle med Glide-tråd hvor spenningen i tråden lett kan justeres. 30-pk i pose.
Forpakninger: 1, 6

122,-
Vnr. 4684




Ypperlig for pasienter med broer, tannregulering, store mellomrom m.m. Eske med 50 tråder klare til bruk. Frisk mintsmak. Forpakninger: 1, 12.
42,-
Vnr. 2225
Tanntråd med flere funksjoner: først en stiv del for enkel innføring av tråden, så en tykkere skumplastdel og så en vanlig tanntråd. #428648



Standard i hvit farge.
iO børstehoder passer kun til Oral-B iO-serie, iO Laboratory, iO3 til iO10. Ultimate Clean er standard børstehode som rengjør optimalt, sort eller hvit farge. Gentle Care er et enda mykere børstehode. #456791
Vnr. 1505

Standard i sort farge.
288,-
Vnr. 1520
Ekstra myk og skånsom.
288,-
Vnr. 1504 288,-
Polerer bort misfarging.
Vnr. 1521




For regulering, implantat m.m.
Vnr. 1522





-20% julekampanje
Gjelder til 31.12.2025.
Med den nye Glåma-puten ligger pasientens hode enda mer komfortabelt, stabilt og helt rolig under tannbehandlingen. Kan brukes som hodestøtte eller nakkestøtte. Ergonomisk fasong.

Trukket med unikt PU-materiale i fargene rød, marineblå, mørkegrå og lysegrå. PU-trekket er svært robust og tåler avspriting og daglig vask. Fylt med et skummateriale som tilpasser seg pasientens hode og nakke. Pasienten ligger dermed utrolig behagelig.
Puten festes enkelt til din eksisterende hodestøtte med borrelåsen som følger med. Passer de fleste pasientstoler. Glåma-puten er produsert i Årnes, Norge - ved Glomma (Glåma). Pris før 949,-

Vnr. 5619 759,-
Glåma rød
Størrelse:
Glåma-puten er 17 cm bred, 18 cm lang og 6 til 11cm høy
759,-
Vnr. 5603 759,-
Glåma marineblå
Farger/varianter:
5619 Rød 5603 Marineblå 5667 Mørkegrå 5623 Lysegrå
Vakker solnedgang Glomma, Årnes, Foto: Kay Waechter
Rengjøring:
Tåler avspriting
Tåler vask og koking Avtagbart trekk
Vnr. 5667
Glåma mørkegrå
Vnr. 5623
Glåma lysegrå

Festes slik: Festes enkelt med borrelås, som følger med.



Superabsorberende, myke pads som holder arbeidsområdet tørt. Myke, komfortable kanter. Fuktes lett før den plasseres. Spyttsuger kan holdes mot pad for å unngå sug mot bløtvev, og redusere svelgerefleksen.
DryDent Sublingualplasseres under tungen.

289,-
Vnr. 3634
Large 38x60x2mm, 40-pk
Directa #416068
DryDent Parotidplasseres foran glandulae parotis.


162,-
Vnr. 3636
Large 50x43x10mm, 50-pk
Directa #416072
289,-
Vnr. 3633
Small 30x50x2mm, 50-pk
Directa #416069

162,-
Vnr. 3635
Small 40x36x2mm, 50-pk
Directa #416073



Rett, 18-pk
Directa #690110

For markering av kontaktpunkt før sementering av kroner, broer, implantat osv. SpotIt gir klar og tydelig markering av kontaktpunktet. Håndtaket gjør at du kan bruke én hånd til å holde SpotIt, og stabilisere kronen med den andre.

Vinklet, 18-pk
Directa #690111
348,-
Vnr. 3622 348,-
Vnr. 3623
Startpakke med 9 av hver
Directa #690112
Vnr. 3621

Klebe-Trocknungspads für glasklare Mundspiegel Einzigartiges Multi-Layer Gewebe • Entfernt selbst fett- oder ölhaltige Verunreinigungen schlierenfrei
Sau(g)starke Helfer

Høyabsorberende pads som enkelt festes på hansken eller der du ønsker, slik at de er lett tilgjengelige.
Fit-N-Swipe Dry rengjør munnspeil effektivt og helt uten striper, mens Fit-N-Swipe Clean er unik mikrofiber-pad for effektiv rensing og rengjøring av ulike typer instrumenter. Kan autoklaveres. Engangs. Begge består av flere lag, og er spesialutviklet for tannleger og tannpleiere.
Klebe-Reinigungspads für saubere Instrumente Einzigartige Mikrofaser mit hoher Retensionsfähigkeit Sicheres und handliches Steckdepot für Endodontienadeln
50-pk engangs, selvklebende for tørking av speil, linse osv.

Fit-N-Swipe


Klebe-Reinigungspads für saubere Instrumente

Einzigartige Mikrofaser mit hoher Retensionsfähigkeit
Klebe-Reinigungspads für saubere Instrumente

Sicheres und handliches Steckdepot für Endodontienadeln
Mikrofaser mit hoher Retensionsfähigkeit handliches Steckdepot für Endodontienadeln
















Klebe-Reinigungspads für saubere Instrumente
Einzigartige Mikrofaser mit hoher Retensionsfähigkeit

Klebe-Reinigungspads für saubere Instrumente Einzigartige Mikrofaser mit hoher Retensionsfähigkeit Sicheres und handliches Steckdepot für Endodontienadeln
Sicheres und handliches Steckdepot für Endodontienadeln
50-pk engangs, selvklebende for rengjøring av instrumenter.
Klebe-Trocknungspads für glasklare Mundspiegel


Klebe-Trocknungspads

Klebe-Reinigungspads für saubere Instrumente
Einzigartiges Multi-Layer Gewebe Entfernt selbst fett- oder ölhaltige Verunreinigungen schlierenfrei

Klebe-Trocknungspads für glasklare Mundspiegel Einzigartiges Multi-Layer Gewebe Entfernt selbst fett- oder ölhaltige Verunreinigungen schlierenfrei

Einzigartige Mikrofaser mit hoher Retensionsfähigkeit Sicheres und handliches Steckdepot für Endodontienadeln













Praktisch und einhändig verwendbar Individuell positionierbar im unmittelbaren




>> Hohe Reinigungswirkung und Saugfähigkeit
>> Sterilisierbar* und hygienisch


Reinigungswirkung und Saugfähigkeit
Sterilisierbar* und hygienisch
Anwenderstimmen
* Vor
Anwenderstimmen
Drewes, DH: „Ich finde Fit-N-Swipe weil in der Prophylaxe meist keine zur Verfügung steht und dadurch Arbeitserleichterung vorhanden ist.“


Reinigungswirkung und Saugfähigkeit
Hohe
Sterilisierbar* und hygienisch






>> Praktisch und einhändig verwendbar
Melanie Graf, ZMP: „Absolut top! Weil es sehr leicht anwendbar und eine saubere Sache ist. „Handschuh an, Swipe drauf und fit für die nächste Behandlung - danach mit dem Handschuh ruckzuck in den Müll.“
>> Praktisch und einhändig verwendbar
>> Individuell positionierbar im unmittelbaren Arbeitsbereich
Bettina Drewes, DH: „Ich finde Fit-N-Swipe sehr gut, weil in der Prophylaxe meist keine Assistenz zur Verfügung steht und dadurch eine Arbeitserleichterung vorhanden ist.“
Melanie Graf, ZMP: „Absolut top! Weil es sehr leicht anwendbar und eine saubere Sache ist. „Handschuh an, Swipe drauf und fit für die nächste Behandlung - danach mit dem Handschuh ruckzuck in den Müll.“

Melanie Graf, ZMP: „Absolut top! Weil es sehr leicht anwendbar und eine saubere Sache ist. „Handschuh an, Swipe drauf und fit für die nächste Behandlung - danach mit dem Handschuh ruckzuck in den Müll.“
Anwenderstimmen
>> Individuell positionierbar im unmittelbaren Arbeitsbereich



• Einzigartiges Entfernt selbst
Klebe-Trocknungspads Einzigartiges





Klebe-Trocknungspads für glasklare Mundspiegel Einzigartiges Multi-Layer Gewebe Entfernt selbst fett- oder ölhaltige Verunreinigungen schlierenfrei

Vnr. 5035 #605251 #605252



Hohe Reinigungswirkung und Saugfähigkeit
Sterilisierbar* und hygienisch
>> Sterilisierbar* und hygienisch

>> Hohe Reinigungswirkung und Saugfähigkeit
>> Sterilisierbar* und hygienisch
Bettina Drewes, DH: „Ich finde Fit-N-Swipe sehr gut, weil in der Prophylaxe meist keine Assistenz zur Verfügung steht und dadurch eine Arbeitserleichterung vorhanden ist.“
ANA Etsegel er syreets for emalje og dentin med en konsentrasjon på 37% fosforsyre. Viskositeten er perfekt for alle metoder etsing, enten det er bare på emaljen eller totalets-teknikk. Holder seg på plass uten å bevege seg, og den optimale, fyldige viskositeten i kombinasjon med en tydelig blåfarge gjør det enkelt å applisere helt presist. Tynne, bøyelige kanyler for nøyaktig applisering. Enkel å se og skylle av slik at det ikke er noe fosforsyre igjen i kaviteten.



Anwenderstimmen

494,Vnr. 3639
Hohe Reinigungswirkung und Saugfähigkeit


Bettina Drewes, DH: „Ich finde Fit-N-Swipe sehr gut, weil in der Prophylaxe meist keine Assistenz zur Verfügung steht und dadurch eine Arbeitserleichterung vorhanden ist.“
100-pk kanyler 25G Bøyelig, 0,50x13mm #1510500




>> Praktisch >> Individuell Arbeitsbereich
>> Praktisch und >> Individuell Arbeitsbereich
Anwenderstimmen „Absolut
>> Praktisch und einhändig verwendbar Individuell positionierbar im unmittelbaren
599,Vnr. 3638

ANA Maxi-pack 10 x 2ml ets og 10 kanyler 25G, 0,50x13mm. #1510400

3631
Grov. RDA250
Forpakninger: Tube 60gram Directa #731117



ProphyCare HAp er en ny generasjon profylaksepasta! Hjelper omgående mot hypersensitivitet - i tillegg til rengjørings- og poleringsegenskaper! RDA 250.
Fjerner først misfarging, så avtar den abrasive effekten gradvis før pastaen får polerende egenskaper mot slutten av behandlingen. Myk, kremet konsistens med mild mintsmak. Uten fluor. Spruter ikke, og er lett å skylle av. En sammensetning med blant annet hydroksylapatitt (HA) blokkerer åpne dentinkanaler på en åpen flate, og remineraliserer. Resultatet er omgående lindring, og enestående rengjøring og polering.
Populær serie profylaksepasta som rengjør, polerer og reduserer hypersensitivitet. Spruter ikke, tørker ikke ut. Lett å skylle av. Inneholder 0,1% fluor. Frisk, behagelig mintsmak. Finnes i blå (grov), grønn (medium), rød (fin), gul (ekstra fin) og lilla som er Onestep.

RDA 250 / 125 my med pimpsten.
Starter, fjerner isfarging og tykkere lag plakk.

RDA 170 / 70 my med pimpsten.
Mindre abrasiv, en effektiv.

RDA 120 / 20 my med pimpsten. For mindre plakk, lettere misfargede flater og rotflater.

RDA 40 / 2 my med pimpsten. For polering av tenner og fyllinger, og etter luftpolering.

RDA 20 så mot 5 med silica.
OneStep. Mild mintsmak.
96 gram / 60 ml
Directa #731113
96 gram / 60 ml Directa #731114
96 gram / 60 ml Directa #731112
96 gram / 60 ml
Directa #731111
96 gram / 60 ml Directa #741111

CMS Root n’ screw brush er roterende, engangs depurasjonsbørster utviklet i samarbeide med prof. dr. Claudio Mongardini fra Italia. For rene overflater og implantater.
Brukes ved 200 til 600 omdreininger på vinkelstykket. Børstefibrene er laget av nylon. Finnes i to størrelser, gult skaft (D2) med børstediameter på 2mm, og oransje skaft (D3) børstediameter på 3mm. Lengden på begge er 37mm. Børstene kan brukes i større, åpne lommer og i furkaturer. Børstene kan autoklaveres før bruk om ønskelig.
Leveres i 6-pk.
Vnr. 5029


Vnr. 5030

Praktisk sikkerhetsbeholder for farlig avfall og risikoavfall som f.eks. sprøytespisser, sprøyter, skalpeller osv.
Laget i robust polypropylen, i tydelig gul farge, med sikkert lokk. Kapasitet på 2,2 liter.
Mål: Ca 18,5cm høy (uten lokk) og 14cm diameter.
#SC25

Lenke med krombelagte kuler. Lengde ca 56cm med mulighet for å regulere lengden. Kan ikke autoklaveres, men desinfiseres. 1-pk.

Directa #621331 Serviettlenke



Directa ContacEZ IPR er et sett instrumenter laget for å gjøre interproximal reduksjon, IPR, trygt, raskt og enkelt. Fleksible strips i høykvalitet rustfritt stål, ferdig montert på ergonomisk holder du kan bruke med én hånd. Følger tennenes naturlige konturer, samtidig som de har styrke nok til å lett komme igjennom trange kontaktpunkter. Kan autoklaveres.

980,Vnr. 3617
8-pk gul, 0,07mm tykk, 4mm bred. Dobbeltsidig med fint diamantbelegg, taggete. Directa #32108.

8-pk blå, 0,15mm tykk, 4mm bred. Dobbeltsidig, grov diamant, uten tagger. Directa #32508.

8-pk lilla, 0,25mm tykk, 4 mm bred. Grov diamant, tosidig. Directa #32708.



980,-
3618
8-pk rød, 0,12mm tykk, 4mm bred. Dobbeltsidig, medium diamantbelegg, uten tagger. Directa #32408.

8-pk grønn, 0,20mm tykk, 4mm bred. Dobbeltsidig, grov diamant, uten tagger. Directa #32608.

8-pk brun, 0,30mm tykk, 4mm bred. Grov diamant, tosidig. Directa #32808.

Ass. pakke med 2 stk gul, 2 stk rød, 2 stk blå og 2 stk grønne. Directa #32008 980,-
3616
Sett for tykkelsesmåling 0,10 - 0,20 - 0,25 - 0,300,40 og 0,50mm. Autoklavérbar. Directa #92106.


Sett med IPR Basic og IPS Plus med alle varianter du måtte trenge for IPR-behandling opptil 0,50mm. Boks med 24 stk fordelt på 3 gule, 3 røde, 3 blå, 3 grønne, 2 klare, 2 lyseblå, 2 lilla, 2 brune, 1 mint, 1 lysegrønn, 1 turkis, 1 blågrønn. Directa #32024.





Holder for inntil 8 stk ContacEz strips. Kan autoklaveres. 1-pk. Leveres tom. Directa #92501
Rosa 8-pk. Rengjøring og fjerner misfarging approksimalt uten å skade emaljen. 2,5mm bred. 0,05mm tykk. Directa #35108.
Assortert 8-pk med 2 stk sort, 1 stk oransje, 1 stk grå, 2 stk hvit, 2 stk blå. Det du trenger for tilpassning av krone. Directa #31008. Rainbow-kit 2.928,Vnr. 3637

Sort 8-pk. For proksimal justering av kontaktpunkt. Fint diamantbelegg på én side. 3,75mm bred. 0,075mm tykk. Directa #31108

Vnr. 3661




Vnr. 3662

Clean out trapped cement


Hvit 8-pk. Tagget oppe/nede for å fjerne overskudd. Uten diamantbelegg. 3,75mm bred. 0,05mm tykk. Directa #31408

Blå 8-pk. Tagget oppe/nede for å fjerne større overheng. Uten diamant. 2,5mm bred. 0,07mm tykk. Directa #31508
or crown cement.


• An ultra-thin serrated strip that is designed to safely cut and clean out excess cement.
• A strip to be used for interproximal cleaning of multiple veneers or composite fillings.

– Subgingival Cutter Double-serrated – No Diamond
Grå 8-pk. Ultrafint diamantbelegg på én side for å polere. 3,75mm bred. 0,065mm tykk. Directa #31308.
• This heavy-duty dental saw strip is designed for more rigorous cutting and cleaning in the interproxi mal space.
• A strip that safely cuts into massive excess resin cement trapped in the interproximal space. The Blue Serrated Strip – The Heavy-Duty Dental Saw – No Diamond – Double-serrated The White Serrated Strip – The Gentle SawInterproximal Cement Cleaner – No Diamond –Double-serrated.
Polish to a natural finish
The Grey Final Polishing Strip – The Proximal Surface Polisher – Extra-fine Diamond –Single-sided
• A strip to be used when overhangs are smaller or do not stick out from the tooth.
Gull 8-pk. Fint diamantbelegg på én side for konturere komposittfylling. Felt på midten u/belegg for å gå gjennom kontaktpunkt uten å slipe. 2,5mm bred. 0,10mm tykk. Directa #33408
• A strip to be used to polish proximal contact surfaces of restorations and to restore a final finish in one step.
• The thicker diamond strip allows you to quickly trim away overhangs, while the blank central gateway enables smooth access to the interproximal space.

Kobber 8-pk. For justering og polering av overheng. Fint diamantbelegg på én side. 2,5mm bred. 0,06mm tykk. Directa #33608.
Svært ofte kan nabotannen få skader under preparering. Faktisk så ofte som 70% av tilfellene! Unngå det med FenderWedge! Plastkil med tynn stålplate føres inn mellom tennene, dermed holdes barrieren effektivt og stødig på plass. Fungerer som en matrise og beskytter nabotann og gingiva. Finnes i størrelsene x-small, small, medium og large i 100-pk, samt i et startsett med 36 stk av hver størrelse i praktisk etui.


1.290,-
4 x 36-pk (alle størrelser)

FenderMate er en ferdig montert og formet seksjonsmatrise og kil. Hjelper deg til raskere, sikrere og mer forutsigbare komposittrestaureringer. Utviklet for å føres inn bukkalt eller lingualt. Finnes i vanlig og smal for høyre og venstrevendt. 18-pk av hver type eller assortert boks med alle fire varianter.











Artiklulasjonsfolie på 8 my setter utrolig lett farge på alle typer materialer, både tørt og vått, også porselen og gull. Ferdig montert på en stiv plastramme, med tommelgrep slik at du slipper misfarging. Slipper bruke pinsett eller holder, Troll®Foil holder seg strukket og rett. Dekker en hel kvadrant. Mål 7,5 x 2cm. Ferdig montert på ramme med grep. Dobbeltsidig.
1.015,-
Vnr. 6505
#12000600


Blå 100pk
Før 1.269,-20% -20% -20%


Rød 500pk
#12000501
Vnr. 6504

Før 1269,1.015,-

223,-
Vnr. 6589
Dobbeltsidig, for markering av 1-2 tenner. Blå. 1,5 x 1,5 cm. 100-pk.
#12000402 Før 279,-


223,-
Vnr. 6506
Blå 500pk

Troll®Foil 4,5 my - verdens tynneste!
Presise og utrolig god markering på både våte og tørre overflater. Troll®Foil 4,5 er på utrolige 4,5 my, og er montert på ramme som gjør den superenkel å bruke. Dekker en hel kvadrant.
Mål 7,5 x 2cm. Dobbeltsidig. Eske á 80 stk.
#12000145 Før 598,-
478,-
#12000500 Før 279,-20% -20%
Vnr. 6507
Kjøp Orsing Bio, få Green Clinic Certificate
Sertifikatet henter du etter kjøp på www.orsing.se/certificate

Orsing satser fossilfritt ved å bruke biobasert polyetylen (PE), produsert av fornybar sukkerrør. Ubetydelig dyrere per pasient, men med betydelig effekt for planeten vår! 80% redusert CO2-utslipp. Kjøper du Orsing Bio kan du få Green Clinic Certificate, som du kan henge opp for å vise at dere tar viktige skritt mot en bærekraftig fremtid.
Velkjent formbar spyttsuger med justérbar lengde og med unik design som bidrar til å holde tungen på plass. Engangs. 100-pk. #UB2100* Forpakninger: 1, 10
Hvite, miljøvennlige engangsadaptere for Hygoformic spyttsugere. Diameter 6,5mm. Hvit. Forpakninger: 1, 10 #S100Bio 100-pk
Pasientbeger produsert av miljøvennlig bambusfibre, impregnert med vannbasert belegg. 21cl. Engangs. Gå over til Orsing Bio - og få en betydelig miljøgevinst! (redusert utslipp av karbondioksid CO2.) #BC50. Forpakninger: 50-pk
6791

Vnr. 6781



Adapter/overgang fra 16mm sugeslange til 11mm vakuumsug, for f.eks. HygoVac, Scantube, og Spotnix. Hvit. Autoklavérbar. #H16 10-pk

Vnr. 6722
135mm lang med 45° skåret ende i hver ende. 11mm tykk. Bioplast. Forpakninger: 1, 10 # 100-pk

135mm lang med S-skåret ende i hver ende og ventilasjon i én ende, slik at du kan velge om du skal kjøre med ventilering eller ikke. Vil du ikke ha ventilering så setter du den enden i sugeslangen. 11mm tykk. Bioplast. Lysegrønn. Forpakninger: 1, 10 # 100-pk

Vnr. 6771
95mm eller 120mm lang, med S-skåret i én ende, og 45° i den andre enden. 11mm tykk. Bioplast. Hvit med grønne striper. 100-pk. #BS1000


140mm lang, med S-skåret i én ende, og 45° i den andre enden. Ventileringshull i begge ender. 11mm tykk. Bioplast. Hvit med grønne striper. Forpakning: 100-pk

120mm lang. Runde kanter og ventilert slik at den ikke suger seg fast. 11mm. Engangs. #SPB1100 (100-pk)

145mm lang. Holder tungen på plass og kinnet unna arbeidsområdet. Ventilert for å ikke suge seg fast. 16mm. Engangs. Lys grønn. #TPXLB10
Forpakning: 10 stk.


TrollByte Kimera finnes for alle typer sensorer, fosforplater og film. TrollByte enkel å bruke. Stive, robuste holdere som gir deg full kontroll når du skal ta bilde. Ingen artefakter på bildene fra holderen. Kan autoklaveres. Produsert av miljøvennligere bioplast - enda et viktig miljøtiltak. Vi hjelper deg å finne riktig. Ring oss på telefon 66892050, på post@td.no eller på LiveChat på www.td.no


Kompakt og stiv holder for enkelt å ta bitewing. 3-pk røde holdere (var tidligere rød/sort).


Startsett m/én av hver TrollByte Kimera rød, gul og blå, samt siktering og bittblokk. 3-pk. Ønsker du bare én farge så velg et av settene nedenfor.

Stående holder for periapikale opptak. Siktering og bittblokk følger med. 3-pk blå.



Periapikal 3-pk liggende (gul)
Liggende holder for periapikale opptak og bitewing. Med siktering. 3-pk gul.

For indikatorbilder og sluttbilder. Sett med blå spesial endoholder for stående, og gul spesial endoholder for liggende opptak. Med rød og grønn endobittblokk og siktering. Finnes for alle sensorer, plater og film.

Vi hjelper deg gjerne å finne riktig. Ring oss!

Hva betyr TrollByte-nummeret?
Eksempel: 4305/2905. 43=lengden på sensoren, 29=høyden, 05=tykkelse på sensor, målt i millimeter. 4305=mål for gul holder / 2905=mål for rød/blå holder. Mål gjerne din sensor. Vi hjelper deg gjerne!










Supermyke trekk for sensorer og fosforplater. Helt uten lateks, lukt, smak og skarpe kanter. Lett å ta på og av, uten å ødelegge sensoren.
Tips: XL-trekket dekker både sensor og røntgenholder. En superenkel løsning som gjør hygienearbeidet mye enklere.

Supermyke poser for fosforplater.
Helt uten lateks, lukt, smak og skarpe kanter. Lett å ta på og av.
Leveres på rull i praktisk dispensereske.
Størrelse: 3,6*22cm. 500-pk. #1

Dekker sensor.
1.168,-
Vnr. 6509
#13190089
Fosforplate #1
Størrelse: 49x29mm. 500-pk.
1.422,-
Vnr. 7784
Dekker sensor.
Størrelse: 4,0*22cm. 500-pk.
Vnr. 6500 #2
1.168,-
#13190090
Fosforplate #2
Størrelse: 50x36mm. 500-pk. #13190401
1.422,-
Vnr. 7783
Få bedre og tryggere grep på dine instrumenter med Handix silikongrep. Norsk oppfinnelse i autoklavérbar, medisinsk silikon. Spesialutviklet, ruglete mønster for maksimal stabilitet og instrumentkontroll. Latexfri. Lett å rulle på vinkelstykke, håndstykke, turbin, scaler, herdelampe osv. Gir et mer stødig og presist grep. Usteril.
Jobb tryggere og bruk mindre kraft med Handix!
890,-
Vnr. 3730
Dekker holder
og sensor.
Størrelse: 6,5*22cm. 500-pk.
1.324,-
Vnr. 6501 XL
#13190092




-50% på HW BioLine
Tastatur kan være en skikkelig utfordring hygienemessig. Gjør det lett med poser. Myke og komfortable, og enkle i bruk. Finnes i to ulike størrelser:
375,Vnr. 5033
BIOline hygienetrekk for små tastatur, 500-pk. Trekkstørrelse: 160 x 550mm #640065 Før 749,-

Gjelder til 31.12.2025 eller så langt lager rekker! -50% -50%
BIOline hygienetrekk for større tastatur, 250-pk. Trekkstørrelse: 215 x 550mm Før 899,#640066

Små lateks-trekk for finger, beskyttelse av sensor osv. Pose med 100 stk. Størrelse large. Lett pudret.
Forpakninger: 1, 25
Irriterer du deg over vanlige, tynne avfallsposer som lett revner? Her er en pose på 30 my, som tåler mer uten å revne. Store, hvite med 70 liter kapasitet. 600 x 900mm. Godt egnet ved opppbevaring/transport av smittefarlig avfall. Rull 50 poser.
Forpakninger: 1, 10.



2007
450,Vnr. 5038
106,-

Vnr. 9229

Standard avfallsposer 18my. 70 poser på rullen. Størrelse 600x900mm.
Forpakninger: 1, 15.



Slitesterke. Kan også brukes utenpå andre briller. Softpad med ergonomisk passform og justérbare armer. Antidugg. Anti-ripe-behandlet. 38 gram. Beskytter i området 390-525 nm.

398,-
Vnr. 5024


Superlette Uvex UV-briller. Veier bare 21 gram. Sitter godt og beskytter mot lyset fra herdelampen i området 350-523 nm.

562,-
Vnr. 4923
Klare beskyttelsesbriller fra 3M med klare linser. Dekker godt, også på sidene. Komfortable. Veier kun 26 gram. Anti-ripe-behandlet. Godt egnet ved pasientbehandling, bredt synsfelt. UV-beskyttelse (200-380nm).
Modell 3M Vertua AP PC Clear AS #DE-2729-4474-0


98,-
Vnr. 5036
Under kinn eller bak nakken. Reduserer støy opptil 26 dB. Vekt 13 gram. Myk og behagelige propper.
139,-
Vnr. 5039



Reduserer støy opptil 26 dB. Xact-Fit.
49,-

Vnr. 5037

Endret emballasje, så i en periode er det ulike bokser/merking.
Komfortable hansker i nitril, uten pudder og latex. Tynne (kun 3,5 gr) for optimal taktilfølsomhet, samtidig som hansken har overlegen styrke med optimal punkteringsmotstand. Mansjetten er teksturert med perler.
Minstekjøp 1 eske á 100 stk hansker. Usterile. Passer både høyre- og venstrehendte. Førpriser: 99,- (hvit) 111,- (rosa/sort)

Vnr. 2288: XS
Vnr. 2289: S
Vnr. 2290: M
Vnr. 2291: L








Vnr. 2284: XS
Vnr. 2285: S
Vnr. 2286: M
Vnr. 2287: L






Vnr. 2293: S
Vnr. 2294: M
Vnr. 2295: L

Behagelige kirurgiske munnbind i klassisk blå farge, med myke ørestrikker. Gunstig passform og unik pusteevne. Dermatologisk godkjent. Før 99,-
Forpakninger:
1 x 50-pk 74,22 x 50-pk (hel kartong) 1.628,-







n Herder trygt på bare noen sekunder pr. lag n Unikt grep n To lysledere som kan vinkles
-20% julekampanje på FlashMax P3 og Wide Spectrum
Gjelder til 31.12.2025




Høyere effekt gir trygg og bedre herding
FlashMax-lampene har effekt på <4.000 mW/cm2, noe som er høyere enn gammeldagse lamper som ofte ligger godt under 1.000 mW/cm2 og med veldig lang herdetid. Veier kun 120gr.!
Lysledere som kan vinkles
Det følger med lysledere på 4mm og 8mm, som kan vinkles 15°. Nye lysledere og hygienedeksler er svært rimelige, for å sikre at du alltid har optimal herding.
Herder alle lysherdende materialer
FlashMax P3 herder i området 460470nm, som er det mest vanlige i dag. Alle materialer med Kamferkinon som fotoinitiator herdes. Knapper på 1 og 3 sekunder.

FlashMax P3
R Herder 460-470nm
R Effekt på <4000mW/cm2
R Knapper på 1 og 3 sek.
R Vekt 120 gram
R Enorm batterikapasitet
Før 14.990,-


Nyhet!
Vi har nå fått inn
FlashMax
Wide Spectrum, som herder i spekteret
390-480nm, altså et større område enn P3. Alle materialer med Kamferkinon, og nyere fotoinitiatorer som TPO, PPD og Ivocerin kan herdes. Denne lampen har noe lengre herdetid, med knapper på 2 og 4 sekunder. Denne passer alle!
Optimalt klinisk resultat
Høyere intensitet gir tidsbesparelse og større sikkerhetsbuffer for et godt klinisk resultat. Siden herdetiden er kort vil ikke FlashMax skade pulpa eller gi smerte. Som med andre materialer er det viktig å ikke herde mer enn 2mm tykke lag om gangen.

FlashMax Wide Spectrum
R Herder 390-480nm
R Effekt på <4000mW/cm2
R Knapper på 2 og 4 sek.
R Vekt 120 gram
R Enorm batterikapasitet
Før 14.990,-


Høykonsentrert kalsiumhydroksid på >41%. pH 12,4 gir høy antibakteriell effekt, bakteriedrepende. Røntgenkontrast. Langvarig. Klar til bruk, appliseres direkte gjennom steril kanyle. 534,-
489,-
Vnr. 3644
Calasept kanyler
21G, 0,8x23mm
Luer-lock. 100-pk. #1231100

Høykonsentrert tyntflytende kalsiumhydroksidpasta med >41% hydroksid i en konsistens som enkelt appliseres med en liten og fleksibel plastkanyle: Flexi-Tip. Autoklavérbare Flexi-Tip i kombinasjon med den myke konsistensen sparer deg for tid, og hjelper deg å oppnå en presis og dyp applisering. pH 12,4 gjør den baktericid. Langvarig. Røntgenkontrast.

938,-
Vnr. 3646
Calasept Plus Flexi-Tip, 100-pk #1241100
Sett Calasept, 4 x 1,5ml (2,2gr) og 20 kanyler: #1230100
Vnr. 3642


Sett med Calasept Plus 4 x 1,5ml, m/20 Flexi-Tip kanyler: #1240100
632,-
Vnr. 3645
Sterile skyllekanyler med rund spiss og åpning på begge sider slik at væsken virvles rundt. Kan bøyes. Luer-lock.
31G, lilla, 25-pk #1201610

Skyllevæske til kjemisk utvidelse av rotkanaler. Letter den mekaniske utrenskningen. Leveres med adapter til skyllesprøyten. Nå 250ml.
789,-
Flaske 250ml #1260100
372,-
Vnr. 3641


27G, grå, 25-pk #1201600
2% Klorhexidindiglukonat. Benyttes etter EDTA ved revisjonsbehandlinger og alle typer nekrosebehandlinger. Nå 250ml.
Vnr. 3647 589,-
Vnr. 3648
372,-
Vnr. 3640

Flaske 250ml #1270100


Gjelder til 31.12.2025 eller så langt lageret rekker!


low-profile
Slank og lett (kun 85 gram!) LED herdelampe fra Premium Plus til god pris. Har normalstyrke på 1200 mW/cm2 (herdetider 5, 10, 15 eller 20 sekunder) og høy styrke på 2500 mW/cm2 (herdetider på 1, 3 eller 5 sekunder). Har også program for ortho, med intervallherding, og Ramp-program for sensitive materialer med myk start og påfølgende konstant styrke. Lysleder på 10mm som kan roteres 360°. Av/på-bryter, OLED-skjerm som viser valgt innstilling, og knapp for å endre innstilling.

The low-profile design enables the curing light to easily access hard-to-reach areas, minimizing intrusion for patients and helping to avoid triggering the gag reflex or discomfort, especially for those with limited oral openings. Additionally, the compact design provides a clearer, less obstructed view for the dentist during procedures.
I esken medfølger komplett herdelampe, bordlader med strømforsyning, lysskjold, 10mm lyshode og startpakke med hygienetrekk.

R Herder om lysområdet 385-515 nm R 1 år garanti. Før 4.990,-






trekk som forenkler hygienerutinene og beskytter din herdelampe. 500 stk. Før 560,Hygienetrekk
Vnr. 3831




low-profile
ORTHO

Gode rutiner gir optimalt sug og forhindrer dårlig lukt og bakterievekst. Bruk Oro Clean Plus daglig og Oro Clean Liquid ukentlig. Gir suverén rengjøring og desinfisering. Holder suget optimalt og forebygger dårlig lukt. For alle sugesystemer, både tørrsug og våtsug.
3-i-1: desinfisering, rengjøring og luktfjerning Konsentrat for rengjøring og desinfeksjon av sug, fontene, amalgamseparator og sugesystem. Forhindrer lukt. Biologisk nedbrytbar. Effektiv mot sopp, bakterier, HIV, Hepatitt m.m. Gir 100 liter væske (2%). Fjerner saliva, kalk, blod, partikler osv. Skummer ikke. Bruk etter siste pasient og la virke 60 minutter.

418,-
Vnr. 2141
#CH-071120
459,-
Vnr. 2135
#CH-071020


2-i-1: kraftigere rengjøring og luktfjerning Brukes en gang i uken for grundigere rengjøring. Fjerner grundigere biofilm og avleiringer, også ansamlinger av partikler, kalk, blod osv. Skummer ikke. Uten alkohol. Konsentrat. Gir 100 liter ferdig blanding (2%). Bruk etter siste pasient og la virke ca 30 minutter eller over natten, og skyll gjerne dagen etter.
For både tørr- og våtsug. Vennlig mot miljø og unit. Forebygger avleiringer. Skummer ikke. Unikt system med to ulike midler for å unngå resistens. Refill 4 x 500ml.

M2-dispenser
Dispenser for Green& Clean M2 sugerens.
2 trykk = dose på 6ml. Fyll resten med vann. #60010004
Effektiv, mykgjørende og skånsom alkoholbasert middel for rask og effektiv desinfisering av hender. Mild duft. Drøy. Gelform. 500ml pumpeflaske.
#CH-081143
Vnr. 6176 Refill
116,-
Vnr. 2060
2.448,-


990,-
Vnr. 6100
Mild håndsåpe, dermatologisk testet med pH på 5,5-6,5. Spesielt godt egnet for sensitiv hud. Forhindrer uttørring, tilfører fuktighet. Alkaliefri. Mild duft. 500ml pumpeflaske.
72,-
Vnr. 2098
#CH-081056

For rengjøring og desinfisering av instrumenter og utstyr. Rimelig, rask og ekstremt effektiv. Fjerner alle virus, bakterier osv. på 5 minutter, også TBC, HIV, Hepatitt, Herpes, Inflensa osv. Noro og Polio 15 minutter. Et av markedets aller beste desinfeksjonsmidler. Fungerer med de aller fleste materialer, som rustfritt stål, akrylglass, pleksiglass, PVC, silikon, polyetylene m.fl. Ikke aluminium, galvanisert stål og polyuretan. En unik anti-rust-formel som effektivt forhindrer rust. Kan brukes til instrumenter, røntgenholdere, bor, endodontiske instrumenter, skalpeller, sakser, scalere, spatler, filer, tenger osv.
Inneholder pr 100g: 3.6 g dialkyldimetylammoniumklorid, 9.1 g alkylaminbaserte, rengjøringsforsterker, hjelpestoffer.

2
2 liter konsentrat gir hele 100 liter væske. Bland 2% (20ml) med 980ml vann, og dekk instrumentene med væsken. La virke i 5-15 min, så skyll godt. Skift væske ved behov, senest etter 7 dager. Forpakninger: 1, 4
Praktisk bad med lokk og innvendig kurv for avrenning.


Høyeffektiv rensing og desinfisering av bor og mindre instrumenter. Virketid på bare 30 sek. til 2 minutter. Varer 1-7 dager. Skylling ikke nødvendig.
Forpakninger: 1, 9

Borbadkassett med kurv og lokk.


Digitalt tidsur med magnetfeste, passer til badene over.
Høyeffektiv væske for bruk i alle typer ultralydbad. Løsner effektivt rester av gips, sement, blod og andre materialer som er vanskelig å fjerne. 1 liter flaske konsentrat. Anbefalt å blande ut i 2%-løsning med rent vann.
Forpakninger: 1, 9

Høyeffektiv og rask desinfisering av alle typer overflater og instrumenter. Dentiro-serien har en optimal alkoholkonsentrasjon på under 50% og er dermed skånsom mot de aller fleste materialtyper (også gummi, glass, silikon), men likevel effektiv mot mer enn 101 mikroorganismer, også de tøffeste virus! HBV, HIV, TBC, Herpes, Influensa, Adeno, Polio, Myko, bakterier m.m.


Virketid på bare 60 sekunder gjør Dentiro til en 100% trygg løsning for deg og dine pasienter.
Brukes som vanlig sprit - tørk over og la virke. Kort virketid - Dentiro gjør jobben raskere enn hva du er vant til! Mild, frisk duft av sitron. Finnes i 1 liters flaske og servietter/kluter ferdig fuktet klare til bruk.
Høyeffektiv desinfiseringsvæske for alle typer overflater, utstyr og instrumenter. Effektiv mot alle typer virus, bakterier og sopp på maks 60 sek. Fjerner lett blod. Virker mot Covid-19 på bare 15 sekunder! Lukter lite. Innh. alkoholer og kvarternære ammoniumforbindelser. Forp: 1, 9
Doseringspumpe til 1-liter
#CH-091054

#CH-041013

Vnr. 2030
Ferdig fuktede servietter med høyeffektive Dentiro Sensitive. Frisk, mild duft av sitron.
Størrelse er 14,5 x 20cm.
Refillpakke med 120-pk servietter.
Forpakninger: 1, 12
#CH-041079
Tom dispenserboks: vnr. 2115 kr 29,-
Spraydyse til 1-liter Komfortabelt grep. #CH-091054

Store, robuste spritkluter ferdig fuktet med det høyeffektive Dentiro Sensitive. Frisk, mild duft av sitron. Klutens størrelse er 19 x 21cm. Refillpakke med 120-pk kluter.
Forpakninger: 1, 10
#CH-042084
Tom dispenserboks: vnr. 2057 kr 39,-

159,-
Vnr. 2055

Tørr, stor spritklut med god oppsugingsevne. Rull med kluter som du enkelt river av når du skal bruke den. Mange bruker flere små spritkluter hver gang, her kan du spare tid og penger siden disse klutene er store og tykkere enn vanlige kluter. Kampanje så langt lager rekker. Forpakninger: 1, 20

Vnr. 2093
DRY WIPES UltraSoft Maxi
30x30cm, 40-pk, Før 79,#PL-091166
Tom dispenserboks: vnr. 2057 kr 39,-

-15% på Bien Air Nova vinkelstykker Gjelder til 31.12.2025.
n Ultralite hode n Slank hals n Bedre hygiene
n Mindre vibrasjoner n 4x mer robust n Lett


Hode på Ø6,3mm (12,9mm).
CoolTouch-knapp. Rustfritt stål.
Anti-Retraction. 72 / 67 gr. 1x spray. 40.000 rpm. 2 år garanti. Før 11.900,-
For standard og MicroSeries-motor: #1601137-001, vnr. 4092
10.115,Vnr. 4092
Kortere versjon for MicroSeriesmotor: 1601136-001, vnr. 4095



CoolTouch-knapp. Rustritt stål.
Anti-Retraction. 72 / 66 gr. 4x spray. 200.000 rpm. 2 år garanti. Før 13.990,-
For standard og kort mikromotor: #1601139-001, vnr. 4094
11.892,Vnr. 4094
Kortere versjon for MicroSeriesmotor: 1601138-001, vnr. 4093

Med LED-lys. For standard og korte (MicroSeries) hånd- og vinkelstykker.
n Ø 21mm
12.990,Vnr. 4551
n 54dB / 98 gram
n 60-40.000 rpm #1600680-001

Klassisk blått vinkelstykke fra Bien Air. God ergonomi, robust. Før 9984,-
6.590,Vnr. 4399
n Spray 2x3 n 86 gram / 57dB
n 1:1 blått #1600384-001
-15% på Bien Air Tornado turbiner Gjelder til 31.12.2025.
Bien Air Tornado er en høykvalitetsturbin fra Sveitsiske Bien Air, nå med ny enda mer robust og slitesterk overflate. Enorm kraft - på hele 30W på vanlig hodestørrelse og hele 24W på lite hode! Overflaten er nå mer enn 4 ganger så sterk som før, med PVD-beskyttelse.
Preparering går enklere, lettere og raskere med nye Tornado. Godt grep, 4 assymetrisk spray, LED-lys, robust ytre PVD-beskyttelse for lang holdbarhet - og 2 år garanti. Før 14.590,-
12.402,Vnr. 3953
Tornado vanlig hode
Ø12,2mm, 30W, 55 dB
For MultiFlex vnr. 3953 #1600907-001
For Unifix vnr. 3954 #1600908-001
Blått håndstykke uten lys. 1:1
n Vekt 80gr
n Anti-Retratction Valve
n 40.000rpm
n Autoklavérbar 135°C
n Bien Air #1600383



12.402,Vnr. 3956
Tornado S, lite hode Ø10,9mm, 24W, 58 dB
For MultiFlex vnr. 3956 #1600932-001
For Unifix vnr. 4000 #1600933-001
Vnr. 3910
Blått håndstykke uten lys. 1:1
n Vekt 80gr
n Anti-Retratction Valve
n 40.000rpm
n Autoklavérbar 135°C
n Med avtagbar ekstern irrigasjon
n Bien Air #1600052


Vnr. 3912
99,99%!
Det er svært viktig å rense vinkelstykker, håndstykker og turbiner skikkelig slik at alt av oljerester, blod, spytt osv. fjernes før ny smøring og evt. autoklavering. Gode rutiner på rensing og smøring forlenger levetiden på dine instumenter og reduserer smittefare.
Gir 99,99% desinfiserte instrumenter
Bien Air SprayNet er rense- og desinfiseringsmiddelet som brukes i Lubricare. NAMSA, USA, har dokumentert at Lubricare med Spraynet gir hele 99,99% desinfiserte instrumenter innvendig!
20-40 sekunder pr. instrument
Bien Air Lubricare forenkler hygienearbeidet, men den er mye mer enn bare en ”smøremaskin”. Fire stasjoner for hånd- og vinkelstykker og/eller turbiner, hvorav to er rens/desinfisering og to er smøring. Hvert instrument tar bare 20-40 sekunder, og gir derfor en enorm kapasitet!
Kompakt og lite plasskrevende
Lubricare får lett plass på benken, med sine 30x30cm. Lubricare tilkobles enkelt strøm og kompressorluft.
Fordeler med nye Lubricare2
n Grundig rens og intern desinfisering med SprayNet før LubriFluid-smøring
n Gir 99,99% desinfiserte instrumenter innvendig
n Økonomisk - bruker lite rense/smøremidler
n Enkel å installere og enkel i bruk
n Forlenger levetiden på dine instrumenter



første generasjon (hvit/lys)
L2=Lubricare 2 (sort)
4663 KaVo Multiflex 1306009 2 492,4599 Sirona 1306010 2 492,4648 W&H RotoQuick 1306011 2 492,4392 Bien Air Unifix 1600082 2 492,4594 L1/L2 Spraynet 500ml rød 749,4593 L1/L2 Lubrifluid 500ml blå 749,4596 L1/L2 oljepad (7x11,5cm) 5-pk 329,4597 L1 filter bunn (19x11,5cm) 1-pk 396,3821 L2 oljepad dør (1x27cm) 5-pk 495,3823 L2 filter bunn (7x27cm) 5-pk 396,1601156-001
your process easy, quick and

T-Classic One, is a lightweight, portable autoclave designed as cost-effective sterilization solution. Fully with an easy one touch operation, short cycles.


T-Classic One offers multiple benefits for users. The Autoclave has 9 litre capacity, with a 126°C sterilizing temperature. The internal furniture consists of a basket as standard, however can also be supplied with cassette holders

The T-Classic One, is a lightweight, portable a cost-effective sterilization solution. Fully automatic with an easy one touch operation,
Ideally designed to meet portability needs of

combination with another autoclave or as a

Pakke med:
Performance with the simplicity affordability your small practice needs
T-Classic One autoklav 126°C med innsatskurv. #210001XP
Dampautoklaven er kompakt og kan lett flyttes. Den veier bare 5,4 kilo, og er ca 34cm i diameter
Tuttnauer Performance with the simplicity and affordability your small practice needs
The T-Classic One offers competitively quick unwrapped cycle times, in as short as 18 minutes*. The fast point-of-use sterilization makes your turnaround a
One offers competitively unwrapped cycle times, in as short as The fast point-of-use makes your turnaround a increasing efficiency, while bottlenecks. vary, depending on load & weight.

med lokk. Pr. stk. #219291

The T-Classic One is a simple one step operated device. With one touch, the T-Classic One will begin an automatic cycle until completion. An electronic detector will turn off the power if water level is insufficient. The perfect autoclave for limited space.

og løfteverktøy. #219706
The T-Classic One is the lightest tabletop autoclave available, weighing only 5.35 kg allowing for easy portability, while requiring minimal counter space.

Rensemiddel, fjerner kalk, urenheter, belegg og skitt. 500ml.


n Prisgunstig n Høy temperatur på 85°C n 1-fas og enkel

Vanlige oppvaskmaskiner er ikke tilfredsstillende på et tannlegekontor, du må ha en som har høyere temperatur, minst 85°C. Profesjonell Asko DWC6423BIW oppfyller temperaturkravet tilsvarende det som er til desinfektor (ISO 15883-1:2006 6.8.3.2). Asko proff DWC6423BIW er mye brukt på sykehus, sykehjem, legekontor og tannlegekontorer. Alle slitedeler og kammer i rustfritt stål. En driftssikker og prisgunstig maskin.
37.900,-
Vnr. 8951
Skyller i kaldt vann (<40°C) og har SANI-program som går til 85°C i 3 minutter (ISO-kravet er 2-3 minutter ved 85°C). Syklustid 45 (SANI RASK) eller 70 minutter (SANI NORMAL).
Noen fordeler med Asko:
n 2 år garanti og landsdekkende service
n Kan installeres lokalt
n Tilkobles 1-fas, 16A-kurs
n Krever ikke årlig service
n Støynivå kun 44dB
n Bredde 59,6cm,
n Høyde 81,9 -> 87,2cm
n Hvit front eller sølv front, se vnr. 8952
Hva er nytt på nye 2025-modellen?
n Enda mer støysvak (kun 44dB)
n Raskere programmer med 85°C
n Sterkere vannpumpe med økt trykk
n Automatisk døråpning (kun på programmer under 65°C)
n Nye PowerZones (Jet & Wide)
n Nytt kontrollpanel og fargeskjerm
n Nå med Sani-Lock (for økt sikkerhet)
n Kan kobles til WI-FI
n Testet for 20.000 sykluser

NeoDisher MA 1 kg pulver. Dosering: ca 20gr per syklus.

267,-
Vnr. 8946



Måleskje for Neodisher. 1 stk. 20gram pr. syklus.
25,-
Vnr. 8950
Nedre dentalkurv til DWC6423BIW og DWC6423BIS med nedfellbare inndelinger. #882303
1.795,-
Vnr. 8954
Julekampanje på Edarredo innreding
Gjelder til 31.12.2025 eller så langt lageret rekker!

Veggskap med plass for to hanskestørrelser/typer, to esker med hansker, munnbind, engangsbegre og papirservietter/tørkeservietter. Dentalhvit (RAL9010).

5.785,-
Vnr. 7470
Skapet er 350mm bredt, 150mm dypt og
700mm høyt. Leveres ferdig montert.

Robust og praktisk trillebord fra italienske Edarredo. Brennlakkert stål, spesielt utviklet for tannhelsebransjen. Modell Flexi 4C er 40x40x80cm. Med 3 innebygde stikkontakter bak deksel. Tre hyller og skuff med ”soft-close”. Smart for flytting mellom rom, eller som avlastning. Lakkert i dentalhvit, RAL9010.

12.150,-
Vnr. 7469
Komplett med 5 stk “Soft Close”skuffer, med skuffinnlegg i alle skuffene. Før 14.900,Mål: 54,5 x 50 x 75 cm.
13.410,-
Vnr. 7465

Julekampanje! Gjør et kupp!
Gjelder til 31.12.2025.

WK-56LT
Blått lysvinkelstykke
1:1 med hode på Ø9,5mm. Vekt 69 gr. 3 år garanti. #30025000
7281
Kjøp 2 for 8.625,-/stk


Premiumserien!
FG-diamantbor 3-pk
016-6mm for harde materialer som f.eks. Zirkonium på kjøpet!

TK-94LM
WK-99LT
Oransje lysvinkelstykke
1:5 med hode på Ø9,1mm. Vekt 72 gr. 3 år garanti.
#30023000 Kjøp 2 for 11.125,-/stk

For MultiFlex-kobling

WK-93LT
Oransje lysvinkelstykke
1:4,5 med lite hode på Ø9,1mm. Vekt 71 gr. 3 år garanti. #30024000
15.250,-
Nytt robust, rødt vinkelstykke med utveksling 1:4. Mer effektiv. Nytt hodedesign, enklere borbytte, 20% lengre holdbarhet. HeatBlocker-knapp.
#30418000
17.375,-
Vnr. 7304

13.625,Vnr. 7292
12W turbin med hode på Ø9mm. 5x spray. Vekt 67 gr. 2 år garanti. #30031000 Kjøp 1 for 13.625,-/stk

TK-94L for RotoQuick #30016000, vnr. 7277
TK-97LM
For MultiFlex-kobling
18W turbin med hode på Ø10mm. 5x spray. Vekt 68 gr. 2 år garanti. #30018000
Kjøp 2 for 11.875,-/stk.
TK-97L for RotoQuick #30017000, vnr. 7305
Kjøp 1 for 15.125,-/stk Kjøp 2 for 11.875,-/stk.

TK-98LM
For Multiflex-kobling
21W turbin med hode på Ø11,5mm. 5x spray. Vekt 68 gr. 2 år garanti.
#30020000
12.625,-
Vnr. 7278
Kjøp 2 for 9.125,-/stk.
TK-98L for RotoQuick #30019000, vnr. 7285
Kjøp 1 for 15.125,-/stk. Kjøp 2 for 11.875,-/stk.

Julekampanje! Gjør et kupp!
Gjelder til 31.12.2025.

Oransje lysvinkelstykke
1:5 med hode på
Ø9,5mm. 75 gr. 4x spray. 2 år garanti. #30007000
9.250,-
Vnr. 7253
Kjøp 2 for 8.000,-/stk

Nytt robust, rødt vinkelstykke med utveksling 1:4. Mer effektiv. Nytt hodedesign, enklere borbytte, 20% lengre holdbarhet. HeatBlocker-knapp. 2 år garanti.
#30459000
12.375,Vnr. 7295

For Multiflex-kobling
21W turbin med hode på Ø11,5mm. 4x spray. Vekt 68 gr. 1 år garanti. #30003000
9.365,-
Vnr. 7258
Kjøp 2 for 7.875,-
TG-98L for RotoQuick #30019000, vnr. 7256
Kjøp 1 for 9.365,-/stk.
Kjøp 2 for 7.875,-/stk.
Standardserien!
Blått lysvinkelstykke
1:1 med hode på
Ø9,5mm. Vekt 70 gr. 1x spray. 2 år garanti. #30009000
8.250,-
Vnr. 7251
Kjøp 2 for 6.500,-/stk

RM-34 LED turbinkobling MultiFlex

7.875,Vnr. 3381
RQ-24 turbinkobling W&H

3.875,Vnr. 6715

HG-43A
Blått håndstykke 1:1. For Ø2,35 bor. 1x spray. 2 år garanti. #30013000
6.240,-
Vnr. 7254
Kjøp 2 for 4.990,-/stk




WP-64M Pussevinkelstykke
Proxeo pussevinkelstykke 4:1. For Young screw-in kopper og børster. Lite hode.
#10216403
3.625,-
Vnr. 7223


Pussekopper
Vnr. 7260 Elite 144-pk 975,Vnr. 7291 Elite Flex 144-pk 895,Vnr. 7300 Pointed 144-pk 895,-



Julekampanje med gratis Multidem vannfilter på kjøpet! Gjelder til 31.12.2025.
n Klasse B / trippelvakuum n Rimelig også i drift n Robust n Rask n Brukervennlig
W&H Lina er en prisgunstig og driftssikker vakuumautoklav kl. B med kapasitet på 17 liter / 5 brett / 6 kg last. Mål 47 x 46 x 65cm. 3 brett medfølger, men med kapasitet for 5 brett.
Enkel og stilren på utsiden, men med avansert teknologi på innsiden. Nettopp for å gi deg en trygg autoklav uten driftsproblemer.
Syklustid på under én time
Med det raske ECO-programmet kan du kjøre hurtigsyklus på 25 minutter! Standard syklustid på under én time inkl. tørking. Autoklavér på 121°C eller 134°C, også innpakkede, og tekstiler.
Manuell eller direkte vanntilkobling
Velg manuell påfylling av destillert vann eller om du vil koble Lina direkte til vann/avløp.
Service først etter 4.000 sykluser!


New Lina sterilizer the power of efficiency
Usability outside Technology inside
Lina trenger service kun hver 4.000 syklus/5 år. Det betyr at det kan gå mange år mellom hver service. Filtre og pakning skifter du enkelt selv.
5 brett eller 3 brett med lokk

Enkel å bruke med touchpanel i farger

Robuste og kompakte ultralydbad fra W&H!
9.490,-
79.900,Vnr. 7377
Leasingtilbud til 31.12.2025: 1.662,- inkl. moms pr. måned
R 5 års avtale
R 0,- kontant
R Gratis etableringsgebyr
Manuell påfylling eller direkte tilkobling av vann/avløp


#19951131
Listepris 89.290,-
Sykluslogg over alle sykluser på USB


eller uten varme (5-40°C). Leveres med kurv og lokk.


W&H Seal2 har praktisk holder for ruller med autoklavfolie. Kan stå på benken eller henges på vegg. #19722101.
-28% julekampanje på Seal2 og EliReel folie! Gjelder til 31.12.2025.
Det er ikke helt enkelt å oppnå sterilitet. Det er en tilstand som varer bare akkurat så lenge som et beskyttende system kan garantere en absolutt resistent og hermetisk forseglet forpakning. W&H Seal2 garanterer dette ved å lage perfekt forseglede forpakninger på 12 mm. på 2 sek.!
Størrelse: ca 45cm bred, 48cm dyp (målt dersom rullholder er plassert på benk). Før 12.674,-

Høykvalitet autoklavinnpakking med papir og folie som beskytter autoklavert utstyr i 6 måneder. Robust og rivesikker. Tørker lett. Fargeindikator for oppnådd sterilisering. Sveises ved temperatur på 160-180°C.
Bredde 5,5cm
200m rull. Før 264,-
Bredde 7,5cm 200m rull. Før 375,-
Bredde 10cm 200m rull. Før 507,-
Bredde 15cm 200m rull. Før 729,-

Bredde 20cm 200m rull. Før 1.042,-
Bredde 25cm 200m rull. Før 1.271,-
Bredde 30cm 200m rull. Før 1.549,-

Julekampanje! Gjør et kupp!
Gjelder til 31.12.2025.

FX57m puss & polering
• Lys
• 4-spray
• Rødt 1:5 #C1023001
8.900,-
Vnr. 8383
Kjøp 2 for 7.750,-/stk

Hoveddel i rustfritt stål, celleglassoptikk, 2 år garanti, rent-hode-system
• Lys
• 1-spray
• Blått 1:1 #C1024001
7.950,-
Vnr. 8384
Kjøp 2 for 6.300,-/stk

• Uten lys
• 1-spray
• Blått 1:1
#H1008001
5.900,-
Vnr. 8386
Kjøp 2 for 4.750,-/stk
• Utveksling: 4:1
• Clean Head
• Kompakt hode
• Autoklavérbar
• Robust
• Rustfri #C1054001
Veil. 4.900,-

3.500,Vnr. 8361
Svært små størrelser (hode Ø 8,9 x H 13,4 mm), hoveddel i ren titan med ripebestandig DURAGRIP®, Celleglassoptikk, 3 års garanti, Integrert mikrofilter, rent hode-system, borchuck med trykknapp.

Z95L
• Lys
• 4-spray
• Rødt 1:5
#C1034001
14.400,-
Vnr. 8379
Kjøp 2 for 10.800,-/stk

Z25L
• Lys
• 1-spray
• Blått 1:1
#C1038001
9.900,-
Vnr. 8380
Kjøp 2 for 8.300,-/stk

Z45L
• Lys
• 4-spray
• Rødt 1:4,2
• 45° vinkel #C1064001
15.900,-
Vnr. 8382
Turbiner Ti-Max Z (Z890/Z990) - uslåelig kraft!
Premiumserie - nå i ny, forbedret utgave! Verdens kraftigste turbin på hele 44W!
Hoveddel i ren titan med DURAGRIP®-belegg, celleglassoptikk, svært slank hals for perfekt sikt, keramiske kulelagre, 2 år garanti, rent hode-system, QuickStop, firedelt spray. Lite hode (Z890): 21W, Ø10,8 x 12,1mm
Standard hode (Z990): 44W, Ø12,1 x 12,7mm
KaVo
Sirona (SL) 8401 8402
W&H RotoQuick (WL) 8403 8404
Bien Air Unifix (BL) 8405 8406
NSK PTL (L) 8397 8398
12.500,-


WL-cid (ALPRO)
WL-Adapter U-1a (ALPRO)

Unik design gjør Ti-Max Z99L 18% kjøligere Egonomi, holdbarhet og ytelse!
• Utveksling: 1:5 (200.000 rpm)
• Hodestørrelse Ø8,9 H13.4mm
• Clean Head system
• Keramisk kulelager
• Quatto Spray
• Titanhus med ripebestandig DURAGRIP-belegg
• Autoklavérbar
• Robust

15.900,Vnr. 8424
Minuten Wipes (ALPRO)
only be performed on products that are Washer-disinfector safe. Refer to the products compatibility. remaining moisture using a dry cloth or compressed air ensuring it is dry internally and when drying with compressed air to prevent water aerosol from being produced. disinfectant with proven bactericidal, fungicidal, and virucidal properties.
Washer-disinfector safe. Refer to the products air ensuring it is dry internally and water aerosol from being produced. virucidal properties.
lubrication

Rengjør og smører håndstykker, vinkelstykker og turbiner. Velg ønsket turbinadapter eller adapter for håndstykke/ vinkelstykke nedenfor. Sprayflaske med 500ml. Forpakninger: Kjøp 1 eller eske med 6.
Rengjør og smør Smør ”chuck” internt 2-3 sek: (borfestet):


Julekampanje! Gjør et kupp!
Gjelder til 31.12.2025.
Fjerner misfarging, rengjør og polerer supragingivalt.
Det som følger med i esken er:
NSK Prophy-Mate for turbinkobling (velg riktig type nedenfor), 1 stk håndstykke, 1 stk 60°-spiss, 1 stk 80°-spiss, litt pulver og renseutstyr.
KaVo Multiflex (KL) Y135030
Sirona (SL) Y135031
Bien
Håndstykke


12.990,Prophy
Fjerner biofilm i lommer opptil 3mm. Subgingival. Komplett sett med håndstykke, periospisser, pulver og renseutstyr.
Det som følger med i esken er:
NSK Perio-Mate for turbinkobling (velg riktig type nedenfor), 1 stk håndstykke, 1 stk Perio-Mate spiss, Perio-Mate endo engangsspisser og Perio-Mate pulver.
KaVo
W&H RotoQuick (WL) Y1002657
Bien Air Unifix (BL) Y1002658


14.990,Perio


-20% julekampanje!
Gjelder til 31.12.2025
uten apexlokator – Du velger!
– Du velger!
Nye trådløse Sendoline Endo Motor kan brukes med både roterende og resiprokerende filsystemer! Bruk egne filer eller Sendoline. Nå også nye S3! Bruk forhåndsprogrammer eller still inn selv.
Endo Motor kan brukes på tre olike
brukes på tre olike
Sendoline Perfect Match
I tillegg til det forhåndsinnstilte programmet for Sendolines filsystem, S3 og S5, finnes det også åpne programmer for både roterende og resiprokerende bevegelser. Du velger selv!
Stor valgfrihet - tre i én! Bruk den bare som endomotor, som endomotor med apekslokator eller bare som lokator.
som endomotor

Vinkelstykket har slank, smal hals og et lite hode som kan roteres 360°. Dette gir deg enda bedre og enklere tilgjengelighet i munnen, med optimal sikt.
Endomotor med apexlokator
som apexlokator




Roterende S5 System
Kampanje
Sendoline
Resiprokerende S1 System
Resiprokerende eller Roterende S3 System
Kjøp 30 pakker Sendoline S3-filer, få gratis

Sendoline Endo Motor, verdi 19.990,-! Spør oss!
Resiprokerende Roterende
Kampanje


2x silikontrekk ledning m.m.
1x S3 System #1 19 mm
1x S3 System #2 25 mm
1x S3 System #3 25 mm
1x S3 System #GP 25 mm #S3S2222


Nytt unikt filsystem hvor du kan arbeide både roterende og resiprokerende med samme filer! Fleksible filer i NiTi-legering som kan brukes med de fleste endomotorer.


Biokompatibel rotkanalsealer for permanent forsegling av kanalen. Basert på MTA med ph på mellom 10-12, med antibakteriell effekt. Høy røntgenkontrast. Sprøyte 3 gr. Klar til bruk. #30001

2.990,-

Komplett tannlegeunit med ergonomisk Neo pasientstol og Neo Continental unit:
Neo pasientstol
R Supermykt XtraSoft trekk
Neo Continental unit Unit med 5” touchskjerm og 5 instrumentmoduler:
R 3-veis Luzzani sprøyte
R Turbinslange med NSK Multiflex turbinkobling
R NSK NBX mikromotor
R NSK NBX mikromotor
R NSK Varios 170 scaler
R CleanWater-system
R Sugearm m/2 slanger selektivt sug
R Trådløs fotpedal og 4x4 stolposisjoner
R Styrespaker på sokkel
R Polaris CompoSafe lampe m/FlowMotion
279.900,-
Inkl. 25% moms. Vnr. 9048. Frakt/montering i tillegg.

Leasingtilbud til 31.12.2025: 5.575,- inkl. moms pr. måned
R 5 års avtale
R 0,- kontant
R Gratis etableringsgebyr


Andre smarte løsninger fra Fimet Oy:


Frittstående F1 NEO pasientstol med styrespaker og trådløs fotpedal.

Smart, mobil
høydejustering. Med 5 moduler, CleanWater og trådløs pedal. Trenger strøm, luft og vann.

Unit som henger i taket er plassbesparende og rimelig i installasjon.

Kjøp 2D OPG før jul, få med intraoralt kamera! Gjelder til 31.12.2025.


Oppdag Carestreams store utvalg av ekstraorale røntgenløsninger. Her er våre mest aktuelle løsninger, med CS8100 2D som vår bestselger. Veldig enkelt å posisjonere pasient for optimale opptak. Med Cephalostat får du Carestream unike AutoTracing med automatiske cephalometriske analyser utført på sekunder! Mye tid å spare!

Superslank på bare 33cm bred når den ikke er i bruk. Tar liten plass, men er avansert og med eksepsjonell billedkvalitet. Panorama, seksjon, bitewing, kjeveledd og sinus.
2D-programmer:
R panorama barn og voksen
R seksjon/ segment
R kjeveledd 2/4-bilder
R sinus
R bitewing
Vnr. 9744 #5311329


Oppgradér din CS81002D med ceph. Kort eksponeringstid, fantastiske bilder og tidsbesparende funksjoner.
2D-programmer:
R profil 18x24
R profil 18x18
R profil 26x24*
R submento vertex
R carpus*
Vnr. 9761 #5314349

Kjøp CBCT før jul, få med RVG-sensor
Gjelder til 31.12.2025.

Oppdag Carestreams CBCT røntgenløsninger. Lave doser, TomoSharp-teknologi gir skarpe bilder. Oppløsning på 75 micron i HR-modus. Lite plasskrevende maskiner som er veldig enkle å bruke. Carestream Imaging 8 programvare følger med gratis, et brukervennlig program med mange muligheter for alle typer bilder og opptak. Som standard har våre maskiner MAR, som fjerner artefakter og støy i bildet etter metallforekomster.

Vår rimeligste CBCT, grunnmodell med 8x9, kan oppgraderes til 10x10. Kan også oppgraderes med ceph.
2D-programmer:
R panorama barn og voksen
R seksjon/ segment
R kjeveledd 2/4-bilder
R sinus
R bitewing
Vnr. 9344 #5944863

3D-volum (FOV):
R 4x4
R 5x5
R 5x8
R 8x5
R 8x9
R 10x5*
R 10x10*
Avansert CBCT med FOV på 8x9cm, som kan oppgraderes til 16x10cm. Kan også oppgraderes med ceph.
Valgfri scoutview.
2D-programmer:
R panorama barn og voksen
R seksjon/ segment
R kjeveledd 2/4-bilder
R sinus
R bitewing
Vnr. 9749 #5943212
3D-volum (FOV):
R 4x4
R 5x5
R 5x8
R 8x5
R 8x9
R 10x5*
R 12x5*
R 12x10*
R 16x6*

Oppgradér din CS8200 3D med ceph. Raske opptak med lav dose. Full tracing av bildene på 10 sekunder!
2D-programmer:
profil 18x24
profil 18x18
profil 26x24*
submento vertex
Vnr. 9339 #5943238



Kjøp
Gjelder til 31.12.2025.

Den første digitale intraorale sensor ble lansert av dr. F. Moyen og Trophy (senere Kodak/Carestream). Mer enn 40 år senere er RVG fortsatt industriledende. Nå enda mer robust, mer brukervennlig, enda raskere - og ikke minst fortsatt med uovertruffen billedkvalitet for optimal røntgendiagnostikk!
Bildet kommer opp på skjermen på få sekunder. Bruk sensoren i CS IMAGING som er gratis, eller i et av de andre digitalrøntgenprogrammene i markedet med TWAIN. Sensorene har komfortable, avrundede hjørner. Tynn, 2.8m lang og ekstremt robust USB-kabel. Fullstendig vanntett. Tåler avspriting og tøffe utfordringer et liv på tannlegekontoret byr på.
Vår toppmodell sensor med eksepsjonell billedkvalitet!

Du får mer enn 24 linjepar pr. mm reell oppløsning. Det gir maksimal diagnostisk presisjon. TWAIN.
Avansert CS Adapt-filter med mer enn 40 ulike filtre som kan tilpasses.
Sensor #1
Vnr. 9393 #5310719

Sensor #2 Vnr. 9394 #5310727
Prisgunstige sensorer med billedkvalitet på nivå eller bedre enn konkurrerende sensorer i sin klasse. Mer enn 16 linjepar pr. mm reell oppløsning. TWAIN.
Mange muligheter med filtre du kan stille inn.
Sensor #1 Vnr. 9345 #5311295

Med Carestream intraoralt kamera er det superenkelt å ta krystallklare bilder i munnen, for dokumentasjon og bedre pasientkommunikasjon. Bildene lagres med røntgenbildene. Superlette kameraer med USB-tilkobling gjør det enkelt å flytte mellom flere rom.
CS 1200

Kamera med fast fokus 3 til 25mm. 6 LED ringlys. USB. TWAIN. 65gr. u/kabel. Speil- eller rettvendt. Stillbilde og video. 3 meter kabel.
17.900,Vnr. 9056

Toppmodell med autofokus, 1mm til uendelig. 8 LED ringlys. LiquidLens. 65gr. u/kabel. TWAIN. Speil-/ rettvendt. Stillbilde og video. 2,5 meter kabel.
27.900,Vnr. 9055
#655991 #6559819
Sensor #2 Vnr. 9346 #5311303



Gjelder til 31.12.2025.

Carestream er mest kjent for sine RVG-sensorer, men har også to modeller fosforplateskannere. Begge kan brukes på ett behandlingsrom eller deles i nettverket mellom flere rom. Carestream sine skannere har unik Scan&Go-teknologi, som gjør at pasientinfo lagres i platen, dermed havner bildene direkte i riktig journal ved skanning. Dermed unngår du at bilder havner i feil journal.

Vnr. 9721 #1014307
Kompakt skanner med egen skjerm slik at du ikke trenger egen PC der du skanner. For intraorale bilder #0, #1, #2, #3 (bred bitewing) og #4 (okklusal). Passer for både solopraksis og større klinikker. Høy oppløsning på 18 linjepar pr. mm (reell oppløsning). Fra 5 sekunders skannetid. Tynne, veldig robuste SmartPlater som kan tagges på behandlingsrommet med Carestream Scan&Go slik at bildene automatisk havner i riktig journal.
Ultrakompakt skanner for intraorale bilder med plater #0, #1 og #2. Nye CS7200 Neo kan deles i nettverket eller brukes på én PC. Høy oppløsning på bildene på 19 linjepar pr. mm (reell oppløsning). Fra 8 sekunders skannetid. Tynne, robuste SmartPlater med Scan&Go slik at bildene automatisk havner i riktig journal.
CS7600 har billedkvalitet på 18 linjepar pr. mm og en praktisk arbeidsflyt, med mulighet for intraorale opptak i fire størrelser! CS7200 har billedkvalitet på 19 linjepar pr. mm, og tre filmstørrelser. Intraorale




Vnr. 9755 #5942727
Høyfrekvente røntgenapparater med lav vekt og konstruksjon som gjør posisjonering enkelt og presist. Avtagbar rektangulær konus som er anbefalt av DSA gir inntil 80% redusert røntgendose! Velg mellom veggmontert, søylemontert eller takmontert.

Vnr. 9117 #5321898
Bestselger med 60 kV, og kompakt tidsur. Gir gode bilder med lav dose. Mye verdi for pengene.

Vnr. 9121 #5321906
Toppmodell med 60/70 kV. Tidsur som hjelper deg til optimal røntgendose. Gir de beste bildene, skarpe og med høy kontrast.
Fancy utgave av vår toppmodell med unik balansefunksjon og ryggstøtte.
Stolen følger deg i dine bevegelser sideveis og bakover, og gir en mer aktiv sittestilling. Med sort fotkryss i slitesterk metall, sort gassdemper og sorte, lekre detaljer. Leveres i slitesterk trekk i PU Stamskin, i sort eller i ønsket farge fra vårt fargekart.

Amazone Balance med 33cm bredt sete. Du får den også i 44cm: vnr. 3689.
Klassisk, medisinsk stol med ergonomisk sete for bedre blodsirkulasjon. Vinkel på setet kan justeres og låses. Ryggstøtte som kan justeres i ønsket høyde og vinkel.
Robust stol som passer de fleste, både i behandlingsrom og i resepsjon.
Før 8.895,-
8.006,-
Vnr. 3678

11.651,-
Vnr. 3687
Før 12.945,-











Ergonomisk sete, ryggstøtte og unike armlener som gir optimal støtte, men lar deg utføre oppgaver med mikroskopet i en avslappet stilling. Armstøttene kan enkelt flyttes nærmere kroppen og gir deg god bevegelighet rundt pasienten. Før 16.275,-10% -10%
14.648,-
Vnr. 3673

Setebredde på 34cm.
Setevinkel kan justeres/ vippes (tilt). Før 7.035,-


6.332,-
Vnr. 3653
Setebredde på 34cm.
Setevinkel kan justeres/ vippes (tilt). Med rygg.
Setebredde på 44cm.
Setevinkel kan justeres/ vippes (tilt). Før 7.035,-

6.332,-
Vnr. 3666
Setebredde på 44cm.
Setevinkel kan justeres/ vippes (tilt). Med rygg. Før 10.065,-


9.059,Vnr. 3675

9.059,Vnr. 3665
Regulér med ringen under setet hvor mye stolen skal følge deg til side, forover og bakover. Gir en mer aktiv sittestilling. Tillegg 3.030,Vnr. 3674

Justér høyden på din stol med føttene!
Så slipper du berøre stolen med hendene dine, når du raskt trenger å endre arbeidshøyden.
Pristillegg 3.525,Vnr. 3668

Alle Score-stolene kan leveres med ryggstøtte som gir behagelig støtte. Kan justeres i høyde og vinkel.
Pris 3.030,Vnr. 3667

Arm som monteres på gasspatronen, som kan roteres 360° og være armstøtte foran eller på sidene, eller være ryggstøtte bak.
Pristillegg 4.875,Vnr. 3669

Velg ønsket Stamskin-farge på din stol. Ønsker du to farger kan du få det mot tillegg på 400,-. Vnr. 3664











Returadresse: Tonne Dental AS Trollåsveien 8 NO-1414 TROLLÅSEN
Feil navn/adresse? Kontakt oss på 66892050 eller post@td.no
Score Office er en ergonomisk kontorstol med stoltrekk i komfortabelt og slitesterkt bomullstrekk i to farger, sort og antrasitt, som vist på bildet. Ryggstøtte, sete og armlener kan justeres. Maksvekt 120 kg. Robust og god kvalitet.
Pris før 10.290,- inkl. moms.
Kan også leveres med hodestøtte, uten armlener og i andre farger.

Enkel og komfortabel sadelstol med flatt sete. Ergonomisk sete med fasong inspirert av sykkelsetet.
Robust Stamskin trekk i ønsket farge, med fotkryss i slitesterk aluminium. Utrolig god å sitte på. Fast setevinkel. Høyderegulering.

Før 6.135,-
5.522,-
Vnr. 3701 -10%
Kan også leveres med fotpedal for høyderegulering (+3.525,-) og balansefunksjon som følger deg i dine bevegelser (+3.030,-)