TDnytt 07-2025

Page 1


tannbørster,

på alle børster og tilbehør på Zoom! tannbleking -15%

TDNYTT #7-2025 SEPTEMBER

Da er høsten her, og tid for ny TDnytt. Flere spennende nyheter og gode kampanjer. De fleste varer til 12.10.25, eller så langt lageret rekker.

Spennende nyheter!

n GUM Paroex har nå kommet i en smart 1 liter flaske med pumpe. Se side 22.

n TEPE har nettopp lansert to helt nye, koniske interdentalbørster, EasyFit™. Gjør det enklere for alle å rengjøre mellom tennene Se side 6.

n Se vårt nye premium Ortho-kit med nyttige hjelpemidler for reguleringspasienten. Side nederst på side 21.

Møt oss på Nordental på Lillestrøm

Nordental finner sted 30. oktober til 1. november på Norges Varemesse. Messeutgaven av TDnytt kommer i din postkasse i godt tid før Nordental.

Gjør et kupp i Outlet’en

Ps! Ta en titt i vår outlet, der kan du gjøre et kupp. Se www.td.no/outlet eller på siste side i TDnytt.

Trollåsveien 8, 1414 Trollåsen

Telefon 66 89 20 50

www.td.no

E-post: post@td.no

digipost: tonne.dental#V888

Bank: 5005.06.88051 Vipps: 12455

Foretaksregisteret 979 726 414

Noen av våre kampanjer og nyheter

Her er noen av denne utgavens kampanjer og nyheter! Se på hver kampanjeside hvor lenge de varer.

et tannkrem-kupp!

spesialtilbud

til tannhelseansatte

Nyhet!

n Enkel interdental rengjøring n Fjerner 99,9% av plakk

n Skånsom, men effektiv rengjøring med vann

n Ypperlig ved ortho, implantater, krone/bro, protetikk m.m

I samarbeid med Waterpik lanserer vi nå nye modeller og en kampanje med spesialpris til tannhelsepersonell, for at du skal bli bedre kjent med Waterpik. Kampanjen gjelder begrenset antall (250 av hver type). Waterpik er munndusj som brukes for å enkelt fjerne plakk. Undersøkelser viser at Waterpik fjerner 99,9% av plakkforekomster i behandlet område, og er dobbelt så effektiv som tanntråd.

Trådløs bordmodell ION WF-11EU

Stillegående og trådløs bordmodell med maksimal ytelse uten ledningsrot. Batteri som varer ca 4 uker, og stor vanntank for over 90 sekunders bruk. 30-sekunders timer.

Enkel regulering av intensiteten, håndstykke med av/på-knapp.

6 ulike tipper følger med. Tipp kan roteres 360° på håndstykket. Enheten er 19,3cm høy, Utsalgspris 2.799,-

Vnr. 3848

Trådløs håndholdt munndusj. Fjerner 99,9% plakk. Batteridrevet. Vanntank på 296ml, varer til cirka 45 sekunders bruk.

Enkel regulering av intensiteten i to trinn. 4 ulike tipper følger med. Tipp kan roteres 360°. Veier ca 363 gram. Utsalgspris 1.299,-

3849 1.574,-

Nytt munndusj-sortiment

Waterpik er enormt populært i bl.a. USA, og vi ser en hurtig vekst på munndusj også i norden. Skånsom, men effektivt fjerner vannstrålen nærmest magisk hele 99,9% av plakk på overflaten, også på vanskelig tilgjengelige steder! Mer enn dobbelt så effektiv som tanntråd. Ypperlig også for ortho, rengjøring av implantat, krone/bro, protetikk m.m.

Cordless Enhance WF-21EU

Enkel, oppladbar munndusj. Vanntett. Ikke rotérbart munnstykke. Av/på- knapp. Væskebeholder for ca 45 sekunders bruk per påfylling. Medfølger 2 munnstykker (Classic) og USB ladekabel.

799,Vnr. 3840

Cordless Plus WP-490EU

2-pk. Precision tip. #JT-100E.

179,-

Vnr. 3807

2-pk. med konisk bust. #OD100E.

149,Vnr. 3844

999,-

Utsalgspris 999,Oppladbar munndusj med ergonomisk grep. Vanntett. 360° rotérbart munnstykke. To trykkinnstillinger. Tank for 45 sekunders bruk per påfylling. Medfølger 4 munnstykker (Classic, Tounge, Ortho, Plaque) og USB ladekabel. Utsalgspris 1.299,-

Vnr. 3841

Bordmodell Ultra Plus WF-150EU

Kompakt bordmodell som tilkobles strøm. Vanntank på 651ml for ca 90 sekunders bruk. Pulserende vannstråle, 10 trykkinnstillinger. Håndstykke som kan roteres 360°. Medfølger 6 munnstykker (Classic, Ortho, Tongue, Tannbørste, Pik Pocket, Plaque). Utsalgspris 1.799,-

1.399,-

Vnr. 3842

Bordmodell trådløs ION WF-11EU

Kompakt bordmodell med batteri som varer inntil 4 uker! Vanntank på 591ml for mer enn 90 sekunders bruk. Pulserende vannstråle, 10 trykkinnstillinger, 30-sekunders timer. Håndstykke som kan roteres 360°.

Medfølger 6 munnstykker (Classic, Ortho, Tongue, Pik Pocket, Implant/protese, Plaque).

Utsalgspris 2.799,-

2.099,-

Vnr. 3843

2-pk. Med børster, for impl., kroner, broer, regulering. #PS-100E.

149,-

Vnr. 3846

2-pk. Skraper og skyller lett. Fjerner bakterier. #TC-100E

149,Vnr. 3847

Pik Pocket

Rens under tannkjøttskanten. Kun for ION. 2-pk. #PP-100E

149,Vnr. 3845

EasyFit™ interdental

Nye koniske interdentalbørster gjør det enklere!

TePe EasyFit™ gjør det enda enklere å børste bort plakk mellom tennene! TePe EasyFit™ består av to størrelser interdentalbørster: turkis S/M og lilla M/L. Begge har lang, konisk børste, som dekker et større område mellomrom enn vanlig rette interdentalbørster. Det gjør det mye enklere for pasienten, også om man ikke har fått instruksjon fra tannlege/tannpleier. Nye brukere kan lett synes det er vanskelig med ISO-størrelser, PHD (passasjemål) og ulike størrelser på børstene.

Pasientpakke Klinikk refillpakke

Vnr. 2940

Pose med 25 stk børster og hvert sitt etui/skaft. Passer også til TePe klinikkboks. Forpakninger: 1, 16

Vnr. 2944 Pakke med med 6 stk børster og 1 etui/skaft. Forp.: 1, 10

nå!

Original interdental

Effektiv og enkel måte å fjerne plakk mellom tennene. Plastbelagt ståltråd og ergonomisk grep. Størrelsene 0, 1, 2 og 3 har fleksibel hals som kan bøyes, og finnes i myk og ekstra myk.

Pasientpakke

Pose med 8 stk børster og 1 etui/skaft.

Forp.: 1, 10

8-pk

Klinikkboks

120 TePe Original i 8 rom: 15 rosa, 15 oransje, 15 røde, 15 blå, 15 gule, 15 grønne, 15 lilla, 8 grå og 7 sorte.

Forpakninger: 1

Mikspakker

8 ass. størrelser. Forp.: 1, 10

2809

Refillpakke

25 børster med etui.

Forpakninger: 1, 16

25-pk

Angle™ interdental

Interdentalbørster med vinklet børstehode for optimal tilgjengelighet. Plastovertrukket tråd gjør børstene skånsomme. Langt, flatt skaft. Enkel i bruk, både mellom tenner bak i munnen og i front. Med klinikkboks kan du enkelt instruere og finne riktige størrelser for dine pasienter.

Pasientpakke

Pakke med 6 stk børster og 1 etui.

Forp.: 1, 10

Mikspakke

En av hver 6 størrelser for utprøving/demo.

Forpakninger: 1, 10 #154699

Klinikkboks

Klinikkboks med 60 TePe Angle™ interdentalbørster i 4 bokser, assorterte farger. Forp.: 1

692,Vnr. 2852

Angle

Vnr. 2842

Refillpakke

Refillpakke med 25 TePe Angle™børster med etui. Forp: 1, 16

212,25-pk

Har du prøvd TePe gingivalgel med fluor og klorhexidin?

Se side 14.

Miljøvennlig!

EasyPick™-stikkere

Kjøp 40 pasientpakker, betal for 30! Spar 25% Gjelder til 12.10.2025. Kampanjen gjelder bare 36-pakninger.

Interdentalstikkere for å rense mellom tennene. Renere tenner og friskere tannkjøtt. Godt, flatt grep som ikke sklir. Helt metallfri. Består av en sterk, lang kjerne av plast og et silikonbelegg med et unikt riflet mønster. Skånsom mot

tannkjøttet. Lang arbeidsdel som er støpt i ett stykke for å gi stor kontaktflate. Fleksibel og holdbar.

Forpakninger: 1, 10

3 størrelser: oransje (minst), blå (medium) og lilla (stor).

EasyPick™ 36-pk med etui

36-pk m/etui

XS/S, oransje #245310

Forpakninger: 1, 10

36-pk m/etui

M/L, blå #245350

Forpakninger: 1, 10

EasyPick™ 60-pk økonomipakke

Praktisk oppbevaringsetui følger med i 36-pakken: Eske med 100 stk 2-pk oransje og 100 stk 2-pk blå EasyPick. For instruksjon eller for utdeling. #242264

60-pk

XS/S oransje #242320

Forpakninger: 1, 10

60-pk

M/L blå #242360

Forpakninger: 1, 10

Dental Floss 40m

Ekspanderende tråd med vegetabilsk voks og avokadoolje. Frisk mint. 40 meter. Forpakninger: 1, 10 #642230

Tounge Cleaner

Vnr. 2925

Mini Flosser™

Fjerner bakterier på tungen. Fasong for minimal brekningsfrekvens. Tre myke blad skraper effektivt bort belegget. Gir bedre smaksopplevelse og reduserer virus. Bioplast. Assorterte farger grønn/rosa. Kan vaskes i oppvaskmaskin. Forpakninger: 1, 14.

Miljøvennlig!

Vnr. 2883

TePe Mini Flosser™ er tanntrådbøyle som gjør det enklere å bruke tanntråd. Ergonomisk skaft. Produsert av grønn energi og miljøvennlig sukkerrør og trefibre. Pose med 36 stk. Forpakninger: 1, 15 #622156

52,-

Vnr. 2881

PlaqSearch™ fargetabletter

Viser ny og gammel plakk. Puss tennene som vanlig, tygg en tablett, og skyll. Sjekk hvor det er fargerester, her bør det rengjøres bedre. Puss så til fargen forsvinner.

10-pk. Forpakninger: 1, 12 #992676

Bridge & Implant Floss

TePe Bridge & Implant Floss er en tykk, fleksibel tanntråd spesielt utviklet for rengjøring av implantat, broer, tannregulering og større mellomrom. Har stiv ende for enkel innføring. Tanntråd og en tykkere del med skumplast, glir lett rundt implantat, broer og regulering, og fjerner matrester og plakk. 30 stk i esken. Uten PFAS og kjemikalier. Forpakninger: 1, 6 #672255

30-pk

82,-

Vnr. 9063

vennlig!
Miljøvennlig!

fyller 80 år!

Vi feirer med Pippi-utgaver av den populære

Select™-tannbørsten

Tenk at Pippi fyller 80 år i år! Svenske TePe hyller Astrid Lindgren og Pippi Langstrømpe med en spesialversjon av bestselgeren TePe Select™. Visste du at TePe Select™ er Sveriges mest solgte tannbørste? Selvfølgelig har busten samme farge som Pippis hår. Børstestråene er avsmalnende og avrundet for skånsom, men effektiv rengjøring. Børsten passer både barn og voksne. Halsen kan bøyes i ønsket vinkel for enklere tilgjengelighet. Kommer i 6 spreke og ulike farger som har Pippi-dekor.

Klassisk tannbørste med flatt skaft, slank hals og ekstra myk bust. Blisterpakke. Assorterte farger. #331604

Forpakninger: 1, 14

Tips! Prøv nye TePe tannkrem!

Compact Tuft “solo” vinkelbørste

Kompakt “solobørste” med stiv, spiss, tett bust til presis rengjøring. F.eks. langs tannkjøttskanten, til barnas frembrytende jeksler og andre vanskelig tilgjengelige tannflater. Godt egnet ved tannregulering, implantat og protetikk. Vinklet hals, godt grep.

Assorterte farger. #432100. Forpakninger: 1, 25. Før 26,-

Universal Care

Toradet, myk og smidig. For implantat, regulering mm. Rett profil. Ass. farger. #472368

Før 33,-

Forpakninger: 1, 14

Gentle Care

Ekstra myk. Etter kirurgi, strålebeh., munntørrhet, ising osv. #462150

Forpakninger: 1, 25. Før 24,-

Eske med TePe Supreme tannbørste, solobørste, gul og grønn original og gul Angle interdentalbørste, EasyPick oransje og blå, samt ortodontisk voks. Utvalgte produkter for kjeveortopedipasienter. Ferdig pakket i eske som kan henges opp. Før 128,-

Forpakninger: 1, 10. #962686

Special Care

Mykeste børste med 12 000 ultramyke strå. Skånsom, f.eks. kirurgi, strålebehandling osv. Rød #452150 er stor/normal, blå (2851) #152151 er kompakt. Før 31,Forpakninger: 1, 25.

Smal 2-rader for regulering og implantat. #442100

Supreme™ soft compact

Vnr. 2828

Myk bust i to nivåer gir en konisk fasong som gjør at den kommer lenger inn i tannkjøttskanten og mellom tennene. Halsen kan bøyes for optimal vinkel. Godt grep. Assorterte farger. #392102. Forpakninger: 1, 80.

24,-

Supreme™ soft

Myk bust i to nivåer med konisk fasong som gjør at den kommer lenger inn i tannkjøttskanten og mellom tennene.

Nova™ soft

Vnr. 2826

Myk, flat bust med forhøyet tip i front. Denne kommer bedre til mellom tenner og i tannkjøttskanten. Godt grep. Standard størrelse. Assorterte 23,-

Vnr. 2825

Nova™ medium

Medium hard, flat bust med forhøyet tip i front. Denne kommer bedre til mellom tenner og i tannkjøttskanten. Godt grep. Standard størrelse. Assorterte farger. #312199. Forpakninger: 1, 80. 23,-

Select™ colour compact

Vnr. 2911

22,-

Vnr. 2835

Børste med flatt grep, slank hals og en kompakt, ekstra myk bust. Denne er for barn/ungdom og voksne som foretrekker et kompakt hode. Ass. farger, to-farget bust. #332182. Forpakninger: 1, 25.

Select™ soft

19,-

Vnr. 2824

Supreme multipakke 3-pk #352101.

Forpakninger: 1, 7 (á 3).

Klassisk tannbørste med flatt grep, slank hals og myk bust. Assorterte farger. #342120. Forpakninger: 1, 100. Finnes også i ekstra myk, varenummer 2905. Kr 19,-

Select™ mini soft

Klassisk tannbørste med flatt grep, slank hals og myk bust. Assorterte farger. #342120. Forpakninger: 1, 100.

Finnes også som ekstra myk, varenr. 2901. Kr 19,-

Vnr. 2907

Select multipakke 6-pk #322110

Forpakninger: 1, 15 (á 6).

Vnr. 2909 70,-

Vnr. 2908

Choice Soft

Ett skaft og tre hoder i én farge. 80% redusert plastavfall! Skaft i svensk bøk. Nydelig design og grep.

Forp.: 1, 14.

#361820

Vnr. 2912

Tannkrem

Pure™ - skånsom og mild tannkrem

Skånsom tannkrem ved f.eks. munntørrhet og sensitivt tannkjøtt. Kun nøye utvalgte ingredienser. Skummer ikke. Uten fargestoffer og SLS. Vegansk.

Med peppermynte

75ml 1450 ppm fluor #811114

53,-

Vnr. 2924

Uten smak 75ml 1450 ppm fluor #811113

53,-

Vnr. 2923

Daily™ - hverdagstannkrem for hele familien

Optimalt fluorinnhold, lett skummende og frisk mentolsmak. Barn- og babytannkrem skummer ikke. Babytannkremen er uten smak. Forpakninger: 1, 12

Voksen/ungdom 75ml 1450 ppm fluor. #801110

38,-

Vnr. 2920

Kids/Barn 3-6 år 75ml 1000 ppm fluor. #801111

38,-

Vnr. 2921

Baby 0-2 år 50ml 1000 ppm fluor u/smak #801112

38,-

Vnr. 2922

Fluor gingivalgel 20ml

Den antibakterielle TePe Gingival gel inneholder en sterk og anerkjent kombinasjon av 0,2% klorhexidin og 0,32% NaF Fluorid.

Gir optimal beskyttelse av både tannkjøtt og tenner. Applisér på interdentalbørsten, og få optimal rengjøring og fluorbehandling mellom tennene og på tannhalsene.

62,-

Vnr. 2832

#982373

Forpakninger: 1, 8

• 0,2% CHX

• 0,32% NaF Fluorid

• Inneholder ingen slipemidler

• Uten alkohol

• Beskytter sensitive tannhalser

• Gir ekstra kariesbeskyttelse

Tips! Bruk fordypningen i lokket for å appliseare gel på børsten:

Munntørrhetsprodukter

Hydrating™ spray

Fuktgivende og spyttstimulerende spray med xylitol, fluor og urea. 50ml spray med mild, behagelig smak av eple og peppermynte.

Forpakninger: 1, 7

#862314

94,-

Vnr. 2935

Hydrating™ gel

Lubricating spray

Smørende spray uten tilsatt smak. 50ml spray med 100% solsikkeolje med høy renhetsgrad. Smører når intet annet hjelper. Mild og skånsom for sensitiv munn.

Forpakninger: 1, 7

94,-

Forpakninger: 1, 6

#842314

Hydrating™

Gel som fukter, beroliger og er spyttstimulerende. Med mild peppermyntesmak for umiddelbar og langvarig lindring. Xylitol.

#862313

Vnr. 2928

Vnr. 2936

Gel som fukter, beroliger og er spyttstimulerende. Uten tilsatt smak.

Gir umiddelbar og langvarig lindring.

Forpakninger: 1, 6

#842313

Vnr. 2929

Fluorskyll som fukter, beroliger og er spyttstimulerende. Gir umiddelbar lindring. 0,2% NaF Fluorinnhold. Uten alkohol. Tykkere konsistens som fukter slimhinnene og gir en behagelig følelse i munnen. Finnes med mild smak av eple og peppermynte - eller uten smak.

Fluorskyll 0,2% NaF Fluor. 500ml nøytral, uten smak. Forpakninger: 1, 6

#832313

2927

Fluorskyll 0,2% NaF Fluor. 500ml flaske med behagelig smak av eple og peppermynte. Forpakninger: 1, 6

#832314

112,-

Vnr. 2926

SOFT-PICKS® PRO

Den nye generasjonen mellomromsbørster?

n 50% mer effektiv n Ekstra myk n 3 størrelser

Den nye GUM SOFT-PICKS PRO er en stor suksess! Samme bøyde fasong som sin forgjenger, men hele 50% mer effektiv, takket være dobbelt så mange gummistrå og flere forbedringer.

Hele 152 ekstra myke strå rengjør i tannkjøttskanten og mellom tennerinspirert av interdentalbørsten.

SOFT-PICKS® PRO

Bøyd for optimal tilgjengelighet i alle områder av munnen. 152 myke, små strå masserer tannkjøtt og fjerner matrester og belegg. Tre størrelser. Etui følger med 30-pakning.

Vnr. 1372

#689m30

small 30-pk

Forp. 1, 6, 144

Vnr. 1377

#689m60

small 60-pk

Forp. 1, 6, 144

Vnr. 1373

#690m30

medium 30-pk

Forp. 1, 6, 144

Vnr. 1374

#691m30

large 30-pk

Forp. 1, 6, 144

Klinikkbokser

Storpakke

Vnr. 1378

#690m60

medium 60-pk

Forp. 1, 6, 144

#691m60

large 60-pk

Forp. 1, 6, 144 78,-

Vnr. 1427

100x1-pk small

Kr 366,-

Vnr. 1424

1000 x 1-pk small

Kr 2.026,-

Vnr. 1428

100x1-pk medium

Kr 366,-

Vnr. 1425 1000 x 1-pk medium

Kr 2.026,-

Vnr. 1379

Vnr. 1429

100x1-pk large

Kr 366,-

Vnr. 1426

1000 x1-pk large

Kr 2.026,-

SOFT-PICKS® MINTY (COMFORT FLEX)

Kan bøyes slik at du kommer bedre til mellom tenner bak i munnen. Små, myke tipper masserer tannkjøtt, fjerner matrester og belegg. Tre størrelser. Frisk mintsmak. Etui medfølger pasientpakke.

48,-

Vnr. 1380

#669 small 40-pk Forp. 1, 6, 144

Klinikkbokser

Vnr. 1386

48,-

Vnr. 1383

#670 medium 40-pk Forp. 1, 6, 144

100x2-pk small Kr 366,-

Vnr. 1385

48,-

Vnr. 1382

#671 large 40-pk Forp. 1, 6, 144

100x2-pk medium Kr 366,-

Vnr. 1387

100x2-pk large Kr 366,-

SOFT-PICKS® MINTY

Bøyelige interdentalstikkere i small, medium og large.

Nye Soft-Picks Minty har frisk smak av mint, og gir renere tenner og god ånde.

SOFT-PICKS® ORIGINAL

Rett stikke uten lateks, tre eller metall. Myke, små tipper gir tannkjøtt massasje, og fjerner matrester og belegg. Tre størrelser. Impregnert med fluor. Etui medfølger pasientpakke.

48,-

Vnr. 1261

#632 medium 50-pk

Forp. 1, 6, 144

Klinikkbokser

Vnr. 1274

48,-

Vnr. 1263

#634 large 50-pk

Forp. 1, 6, 144

100x2-pk medium/regular Kr 366,-

48,-

Vnr. 1259

#636 x-large 40-pk

Forp. 1, 6, 144

Supersterke børster som kan bøyes 90°

n 2-i-1 n Kan bøyes 90° n Med CHX n Supersterk!

Sterkere enn vanlige børster

Børstene har ekstra sterk metalltråd av mangan, mye sterkere og holdbar enn ståltråd. Varer derfor lenger og bøyer seg ikke så lett.

Kan enkelt vinkles: 2-i-1!

Skaftet kan vinkles 90°. Da får du godt grep og maksimal kontroll både ved rengjøring mellom tennene i front og sidesegmentene.

Antibakteriellt belegg

For å unngå bakterievekst i børsten er den impregnert med Klorhexidin. Børsten anbefales skiftet etter cirka 1 ukes bruk.

25% mer effektiv med trekantform

Hvert strå har unik rektangulær fasong, som fjerner 25% mer belegg enn vanlig runde nylonstrå.

Forpakninger

Pasientpakke: 6 stk. børster og 1 etui for å beskytte busten. Forpakninger: 1, 12 (eske)

Klinikkpakke: 36 stk 1-pk med etui på hver.

TRAV-LER

Interdentalbørster med klorhexidin

n 10 størrelser n Kan bøyes n Med CHX

Ergonomisk grep

Mykt og ergonomisk skaft som gir komfortabelt grep, enda bedre kontroll og tilgjengelighet. Halsen på børstene kan også bøyes for å komme godt til. Grep som gjør at børsten ikke sklir.

Antibakteriellt belegg

Busten er dessuten impregnert med Klorhexidin for å være antibakteriell i 14 dager. Ståltråden er plastovertrukket for å unngå skader.

Pasientpakke

6-pk

6 stk av én type, inkl.

6 etui.

Forp.: 1, 6

Refill 50-pk

50 stk av én type, inkl. etuier. Forpakninger: 1

25% mer effektiv med trekantform

Unik trekantform på hvert strå fjerner 25% mer plakk enn vanlig runde nylonstrå!

Leveres med ventilert etui som også kan brukes som skaftforlenger.

Mikspakke

10-pk

Én av hver størrelse 0,6 til 2,6mm. Forp.: 1, 12

Klinikkpakke

190-pk

Ass. i alle størrelser.

Ny, serie med ortho-produkter

Fluortannkrem

75ml tannkrem med 1450 ppm fluor, isomalt og 0,05% CPC (cetylpyridinkloridklorid). Antiinflammatoriske ingredienser (ingefær, aloe vera og bisabolol) og antioksidanter (vitamin E) for å berolige. Mild, frisk smak. Lavtskummende.

42,-

Vnr. 1270

Vnr. 1332

75ml #3080FDNLS Forp.: 1, 6 12ml #3082MA Forp.: 1, 25

Ortodontisk voks

Munnskyll

300ml alkoholfritt munnskyll med 400 ppm fluor, isomalt og 0,05% CPC (cetylpyridinkloridklorid).

Anti-inflammatoriske ingredienser (ingefær, aloe vera og bisabolol) og antioksidanter (vitamin E) for å berolige. Mild frisk mintsmak

Klebefri med mint. Transparent. Eske med 5 rader. Beskytter mot irritasjon og sår. Forpakninger: 1, 6 20,Vnr. 1132

394,Vnr. 1134

Vnr. 1273

75ml #3090EI Forp.: 1, 6

Vnr. 1333

30ml #3092MA Forp.: 1, 180

Fargetabletter

Puss tennene, tygg 1 tablett, se hvor det bør pusses bedre. Kirsebærsmak. 12-pk. Forpakning: 1, 12 #824MB

Klinikkpakke 248 tabletter:

Vnr. 1136

Super tanntråd med skumplast-del og spiss ende som brukes for å føre tråden igjennom. Forpakninger. 1, 6 #3220M

Vnr. 1168

Vnr. 1310

Ortodontisk startsett

Etui med nyttige hjelpemidler fra GUM til reguleringspasienter:

- GUM ortodontisk voks (5 striper) i etui

- GUM Paroex 0,06% tannkrem 15ml

- GUM endtuft/solotannbørste #308

- GUM ortodontisk tannbørste #124

- GUM Soft-Picks® PRO-stikkere i to størr.

- GUM Red-Côte fargetabletter

- GUM AftaClear gel mot munnsår

Pakket i plastetui. Utseende og farge varierer. Forpakninger: 1, 60

#ORTHOKITSE

Sonic tannbørste

Nedsenket midtrad og soniske bevegelser rengjør 45% bedre enn manuell tannbørste! Effektiv og skånsom rengjøring rundt regulering, tenner og tannkjøtt. Før 132,#4102BXM

Forpakninger: 1, 4

Vnr. 1328 56,-

Vnr. 1330

Refill 2-pk #4112BTM

Forpakninger: 1, 4, 24

Etui med nyttige hjelpemidler til nye reguleringspasienter:

Vnr. 1222

ORTHO

Tannbørste #124

Reguleringsbørste med nedsenket midtrad. Godt grep. Forpakninger: 1, 96. #124CY. Før 18,-

Tannbørste #125

Orthobørste med nedsenket midtrad. Sammenleggbar/reise. Tungeskrape bak børsten.

Forp.: 1, 12. #125MK. Før 22,-

- GUM orto voks (5 striper) i etui

- GUM Ortho tannkrem 12ml

- GUM Ortho munnskyll 30ml

- GUM Ortho Floss / Access Floss 5-pk

- GUM endtuft/solotannbørste #308

- GUM ortodontisk tannbørste #124

- GUM Soft-Picks® PRO-stikkere S+M

- Fargetabletter og munnspeil

- GUM AftaClear gel mot munnsår

1268

- GUM Bi-Direction mellomromsbørste

Pakket i robust og praktisk etui med glidelås. Farge varierer. Forp.: 1, 25

Gjelder til 12.10.2025. -20%

Korttids- og intensivbehandling

Ideell 0,12% CHX konsentrasjon (1,2mg/ml) forsterket med 0,05% Cetylpyridinklorid (CPC). Egnet før og etter kirurgi, ekstraksjoner, stomatitt, implantologi, regulering m.m. Reduserer plakk, lindrer sensitivt tannkjøtt. Godt egnet for eldre som ikke kan utføre tilstrekkelig munnhygiene. Smaker godt. Nå også i 1 liter flaske!

0,12% CHX munnskyll

Alkoholfri klorhexidin munnskyll med 0,12% CHX + 0,05% CPC.

44,Vnr. 1256

300ml #1784SCFA

1 liter m/pumpe #1787M

Forp. 1, 6 Før 159,-

0,12% CHX gel

Forp. 1, 180 Før 55,75ml. Forp. 1, 6 1790SCFNB Før 43,12ml. Forp. 1, 25, 100 #1791MC Før 8,-20% på hele GUM Paroex-serien

30ml. Forp. 1, 180 #1780MA Før 8,-

liter m/pumpe #1782PMNPA Forp. 1 Før 539,-

Klorhexidingel 0,12% + 0,05% CPC og Aloe Vera. Alkoholfri. Blå gel, smak av mentol, eukalyptus og anis.

Vnr. 1318 0,12% munnskyll nå i ny forpakning: 1 liter flaske med pumpe PAROEX® Nyhet! -20%

1331 -20%

-20% på hele GUM Paroex-serien

Gjelder til 12.10.2025.

Daglig og langvarig beskyttelse

Unik kombinasjon av klorhexidin CHX (0,6mg/l - 0,06%), og 0,05% Cetylpyridinklorid, CPC. CPC forsterker effekten av CHX og eliminerer de toksiner som bakterier frigir. For daglig / langvarig bruk. God smak.

0,06% CHX skyll

Klorhexidin munnskyll med 0,06% CHX, forsterket av 0,05% CPC. Alkoholfri. Mint. Smaker godt.

50,-

Vnr. 1254

500ml #1702SCFNA

Forp. 1, 12

Før 62,-

30ml #1703MA

Forp. 1, 180 Før 8,-

0,06% tannkrem

Fluortannkrem tilsatt 0,06% klorhexidin, 0,05% CPC, 1450ppm Fluor, Aloe Vera, Pro Vitamin B5.

31,-

Vnr. 1255

75ml. #1750SCFNB

Nå blå gel, smak av mint. Inneholder ikke SLS.

Forp. 1, 6 Før 39,12ml. #1751MB

Forp. 1, 25, 100 Før 8,-

SensiVital®+ Tannkrem som forebygger og lindrer hypersensitivitet

Fluortannkrem med 1450ppm Fluor gir rask lindring av hypersensitivitet. Forsegler og blokkerer åpne dentinkanaler med to aktive ingredienser, hydroksylapatitt og kaliumnitrat.

Forsegler tubuli med et beskyttende lag av copolymer. Forsterker emalje og eksponert dentin med fluor og isomalt. Styrker med antiplakksubstans.

Innenholder 1450ppm fluor, isomalt, hesperidin, Vitamin E, Pro-Vitamin B5, CPC m.m. Uten SLS.

Forpakninger: 1, 6

TONGUECLEANER

2-i-1 med både tungebørste og skrape for å fjerne avleiringer av bakterier på tungen. Gir friskere

børstehode for å minimere brekningsrefleksen. Ergononisk skaft som er lett å holde.

The «scraper» side carefully removes the remaining bacteria WHY

The «brush» side eliminates the plaque up to the grooves of the tongue

Forpakninger: 1, 12 #760

The «brush» side eliminates the plaque up to the grooves of the tongue

Provides an effective action that delivers quick and long-lasti ng alleviation from sensitive teeth:

Vnr. 1193 8,Vnr. 1194 75ml #6070FNLSC 12ml

condition neutralize ba d breath compounds in the food, alcoh ol and tobacco against odor compounds

Uniquely gentle with sensitive teeth and oral flora

Provides long-lasting alleviation of sensitive teeth (thanks to Potassium Nitrate) Remineralizes enamel with Calcium and the combination of Fluori de (250 ppm) + Isomalt

Protects against plaque with an effective anti-plaque system (C

More than 70% of people who have used the toothpaste and the mo experiencing quick alleviation from tooth sensitivity, with a l

TRAVEL Kit

- Tannkrem GUM Original White

- Tanntråd GUM Original White

- GUM Soft-picks

Praktisk lite etui med det du trenger for å holde tennene rene på reisen. Innhold:

Daily tongue cleaning has been proven to be an effective tool t o fight against bad breath

• Two rows of bristles reach into the tiny grooves on tongue surface to dislodge bacterial plaque

• Two rows of scrapers remove the loosened bacteria for effective tongue cleaning

• Narrow head limits gag reflexes

- Antibakteriell reisetannbørste #153 med tungebørste på baksiden. Sammenleggbar. Godt grep.

The «scraper» side carefully removes the remaining bacteria

• Daily tongue cleaning has been proven to be an effective tool t o fight against bad breath

Assorterte farger. Forpakninger: 1, 12 #156KITG

• Two rows of bristles reach into the tiny grooves on tongue surface to dislodge bacterial plaque

• Two rows of scrapers remove the loosened bacteria for effective tongue cleaning

• Narrow head limits gag reflexes

Vnr.

• Påskyndar läkningen (0,3%

• Reducerar inflammationer

Art. nr: 2400 10

Lindring av munnsår/after

GUM® AftaClear Mot sår & blåsor i munnen

Gel 10 ml

#2400SCA

Forp.: 1, 6

Danner en lindrende og beskyttende hinne over såret, som gir umiddelbar effekt og raskere tilheling. Uten alkohol, sukker eller parabener. Svir ikke. Fører ikke til tørrhet. Påføres ved behov, eller f.eks. to til tre ganger daglig. Vent 30 min. med å spise.

#2401BA

Forp.: 1, 1200

GUM® AftaClear Spray

GUM® AftaClear Gel

Maximal effekt vid enstaka lesioner

• Omedelbar smärtlindring

Idealisk för applicering på komliga områden för smärtlindring behandling av aftösa sår eller i munnen

Vnr. 1199

• Påskyndar läkningen (0,3% hyaluronsyra)

HYDRAL® Mot muntorrhet

• Reducerar inflammationer

Gel 2 ml porsjon

• Omedelbar smärtlindring

• Påskyndar läkningen

Art. nr: 2400 10 ml

Spray 15 ml, #2420SCA

Forp.: 1, 6

GUM® HYDRAL® Gel

• Reducerar inflammationer

Art. nr: 2420 15

GUM® AftaClear Spray

1324

• Återfuktar/skyddar/lindrar/läker

Skyll 120 ml, #2410FNLDSCA

GUM® AftaClear Munskölj

• Omedelbar och långvarig lindring vid muntorrhet

• Perfekt på natten

Befriende lindring ved munntørrhet

Forp.: 1, 6

dealisk för applicering på specifika och svåråtkomliga områden för smärtlindring och akut behandling av aftösa sår eller andra lesioner i munnen

Avsedd för personer med

• Omedelbar smärtlindring

• Påskyndar läkningen

Med GUM® HYDRAL® kan man raskt lindre og forebygge munntørrhet. Hyalruonsyre danner et beskyttende belegg over tørt vev og beskytter mot irritasjon, og fremmer tilhelingen av bløtvev. Frisk, mild og behagelig smak av peppermynte. Kan brukes av alle over 7 år ved behov. Lav allergen.

• Reducerar inflammationer

HYDRAL Spray 50ml.

Brukes ved behov, ypperlig på farten. Trenger ikke skylle.

#6010SEPIC

• Omedelbar smärtlindring

• Påskyndar läkningen

Forpakninger: 1, 12

Art. nr: 2410 120

GUM® HYDRAL® Mot muntorrhet

GUM® HYDRAL® Spray

Påfør 1-2 cm av GUM® HYDRAL® gel i munnen og/eller på tungen. Opptil 10 ganger pr dag.

• Reducerar inflammationer

Anbefales spesielt før man legger seg.

• Återfuktar/skyddar/lindrar/läker

Forpakninger: 1, 12

Art. nr: 2420 15 ml

Tube 50ml.

• Perfekt på dagen

#6000SEPIC

nr:

GUM® AftaClear Munskölj

• Omedelbar och långvarig lindring vid muntorrhet

• Återfuktar/skyddar/lindrar/läker

• Omedelbar smärtlindring

• Påskyndar läkningen

GUM® HYDRAL® Munskölj

• Reducerar inflammationer

• Återfuktar/skyddar/lindrar

Art. nr: 2410

• Innehåller 250 ppm fluor

Skånsom tannkrem med Stain Clear som løser opp og fjerner misfarging. 75ml med 1490ppm fluor og mikroperler av silica. Ingen slipemidler.

• Mild smak

Art. nr: 6030

Økologisk og vegansk tannkrem. 75ml. 1450 ppm fluor med mint og aloe vera. # 7020DSCPL Forp.: 1, 6

• Omedelbar

• Perfekt på

Avsedd för personer med flera lesioner samtidigt

Forpakninger: 1, 6 #1745SCA

1182

Tannkrem for barn over ca 3 år. Jordbærsmak. 1000ppm fluor og isomalt, gir større revitalisering enn fluor alene. Mild formel. 50 ml. 98% naturlige ingredienser.

Fluortandkräm

• Återfuktar/skyddar/lindrar

• Utan SLS

Vnr. 1201

• Innehåller 1450 ppm fluor

• Mild smak

Forp.: 1, 6

#3000SEPI1

Vnr. 1314

terfuktar/skyddar/lindrar/läker

• Omedelbar

• Perfekt på

Art. nr: 6010 GUM®

terfuktar/skyddar/lindrar

• Innehåller •

Gjelder til 12.10.2025.

Tannbørste PRO Sensitive #510

Provides an effective action that delivers quick and long-lasti ng alleviation from sensitive teeth:

• Provides long-lasting alleviation of sensitive teeth (thanks to Potassium Nitrate) Remineralizes enamel with Calcium and the combination of Fluori de (250 ppm) Isomalt

Protects against plaque with an effective anti-plaque system (C PC)

De velkjente, klassiske tannbørstene fra GUM har nå kommet i nye utgaver. Nye, fine farger, nytt design og produsert i 100% bio-basert materiale. Bra for deg og bra for miljøet.

of people who have used the toothpaste and the mo uthrinse

QuadGrip, gummiert skaft som intuitivt gir 45° vinkel når du pusser. Gir optimal fjerning av plakk fra både tannkjøtt og tenner. Busten har to nivåer, med ekstra fine, spisse og fleksible strå som rekker hele 40% dypere i tannkjøttskanten og mellom tennene. Cellofanpakket. Forpakninger: 1, 96. Før 19,-

Finnes også i blisterpakke med etui: Før 21,-

• Uniquely gentle with sensitive teeth and oral flora

Vnr. 1202

1203

Multipakke med 4 stk: Før 62,-

Tannbørste PRO #525

Myk tannbørste #525 med QuadGrip-skaft som gir riktig 45° vinkel. Kuppelformet hode og interdentalklippede strå rengjør effektivt i tannkjøttskanten og mellom tennene. Ass. farger. Forpakninger: 1, 96. Før 19,-

Vnr. 1185

Tannbørste Technique

QuadGrip-skaft som gir riktig 45° vinkel. Kuppelformet hode, tipp og tre ulike typer strå. Assorterte farger. #491 Forpakninger: 1, 96. Før 19,- 15,-

Nå også helt plastfri emballasje, og nærproduksjon i Tyskland.

Godt grep og avrundet profil på busten, slik at den kommer godt ned i tannkjøttskanten.

Finnes i tre varianter: 408, 409 og 411.

#408 ekstra myk

Forpakninger: 1, 12 Før 25,-

#409 myk

Forpakninger: 1, 12 Før 25,-

Cellofanpakket: Vnr. 1022, før 24,- nå 19,-

Vnr. 1021

#411 myk

Forpakninger: 1, 12 Før 25,-

Vnr. 1023

LIGHT-UP

barnetannbørsten som lyser & blinker

Lite børstehode med myk bust og fargeindikator i midten. Sugekopp. Tidsur på 1 min. hvor tannbørsten lyser og blinker. Assorterte farger.

For barn 6+ år

Forpakninger: 1, 12 #903M Før 29,-

Solobørste #308

Solobørste GUM #308 med større, spiss børstegruppe som er mer skånsom. Assorterte farger. Tips: børstens hals kan bøyes om du vil ha en vinkel for å komme bedre til.

Sammenleggbar med tungeskrape bak børsten. Før 22,Forp.: 1, 12. Ass. farger. #125MK.

Forpakninger: 1, 6 #201 Før 27,-

Post-operativ #317

Ekstremt myk, til bruk etter kirurgi, strålebehandling, ved after, munnsår osv. Supertynne strå, polert og avrundet. Kompakt. Godt grep. #317 Assorterte farger. Blisterpk. Forpakninger: 1, 6 Før 18,-

JUNIOR tannbørste 6+ år

Lite børstehode, slank hals, med gummiert bakside. Myk bust, med fargeindikator i midten. Sugekopp. Assorterte farger. Forpakninger: 1, 96 #902M Før 14,-

Lite børstehode, slank hals, med gummiert bakside. Myk bust, med fargeindikator i midten. Sugekopp. Assorterte farger. Før 14,Forpakninger: 1, 96 #901M

Elektrisk hybridtannbørste

-20% på Sonic Daily + Sensitive + Ortho tannbørster

Gjelder til 12.10.2025. Gjelder ikke refillbørster.

Slank og elegant tannbørste som bruker standard AAA-batterier. Fjerner plakk og masserer tannkjøtt takket være soniske bevegelser og myke børstestrå. Rengjør mer effektivt, og kommer hele 47 ganger dypere i tannkjøttskanten enn manuell tannbørste! Utrolig populær serie - nå også i ekstra myk (sensitive) og ortho (nedsenket midtrad). Forpakninger: 1 stk, 4 stk.

Rengjør mer enn 50% bedre enn manuell børste, og rekker 47 ganger lenger ned i tannkjøttskanten.

Vnr. 1260

#4100MBK2

132,-

Unik, ekstra myk bust i to nivåer som rekker 88% dypere approksimalt og 121% dypere subgingivalt.

Nedsenket midtrad og soniske bevegelser rengjør 45% bedre enn manuell tannbørste!

Vnr. 1321

#4101MPK hvit før 132,-

1322

#4102BXM hvit før 132,-

Når denne tanntråden kommer i kontakt med saliva ekspanderer den og rengjør tannflatene bedre. Riflet overflate og tråd i flere lag rengjør maksimalt. 30 meter. Forpakninger: 1, 12

Vnr. 1055

#2030MA

Original White FLOSS

Vokset, rund tråd med fluor og små perler av silica som skånsomt fjerner plakk og misfarging mellom tennene og i tannkjøttskanten. 30 meter. Forpakninger: 1, 12

Vnr. 1169

Tynn tanntråd, “glide”, PTFE, polyetrafluoreten som er sterk og ikke fliser. Glir lett mellom tennene. 30 meter. Forpakninger: 1, 12

Vnr. 1052

EASY-FLOSSERS

Sterk, vokset tanntråd med fluor, Vitamin E og frisk, mint. Glir lett mellom tennene. Klar til bruk på praktisk bøyle, vinklet for å komme bedre til.

Forpakninger: 1, 6 Poser á 30 eller 90.

Vnr. 1167

Vnr. 1171

#890M30 #890M90

ACCESS FLOSS

Spiss ende for å kunne føre tråd gjennom. Tykkere del med skumplast, som børste og så vanlig tråd. Stor kontaktflate. For implantat, broer, regulering m.m.

56,-

Vnr. 1301

432,-

Vnr. 1302

Klinikkboks 50 x 5-pk #3200PM

TWISTED FLOSS

To tråder tvunnet sammen. Vokset tanntråd som dekker 30% mer overflate, kommer enda dypere og fjerner mer enn dobbelt så mye plakk som vanlig, enkel tanntråd! Gir også bedre ånde og frisk smak.

Smaksatt med forfriskende grønn te og mint. 30 meter dispenser.Forpakninger: 1, 6

GUM #3500

38,-

Vnr. 1012

GUM #2040

Nå også i 2,0mm mørkeblå

-15% høstampanje på Dentaid Interprox - også nye mørkeblå!

Gjelder til 12.10.2025. Kampanjen gjelder ikke klinikkbokser.

Interprox Plus er interdentalbørster av høyeste kvalitet. Ergonomisk og langt skaft gir godt grep og maksimalt god kontroll på børsten.

Vinklet børstehode på 90° gjør at du kommer godt til mellom alle tennene, også molarene. Sort og hvit bust for lettere å se plakk og blødninger. Plastbelagt ståltråd og patenterte Tynex® børstestrå gjør den ekstra skånsom mot tenner og tannkjøtt.

6-pk børster m/etui

Rosa til lys blå

Forpakninger: 1, 12

Før 60,-

Serien harmonere med ISO-standarden (PHD), derfor er det både nye og gamle mål i tabellen. PHD, ”Passage Hole Diameter” angir størrelsen på mellomrommet.

For små børster rengjør dårlig, og for store børster skader gingiva. Noen børster er som før, andre har mindre endringer på bust-størrelse og/eller plastbelagt ståltråd.

4-pk børster

Mørk blå til sort

712,-

Klinikkpk.

Klinikkboks 100-pk

Forpakninger: 1, 12

Før 60,-

Mørk blå og grå 80-pk. Enkeltpakket i pose.

Whitening CoolMint fluortannkrem 100ml

Frisk og god fluortannkrem for daglig bruk. Gir rene, blanke og glatte tenner. Opprettholder det hvite smilet, fjerner og forhindrer misfarging på en skånsom måte med minimal abrasjon. Unik formel som gir rask og effektiv fluoravgivelse (1100ppm NaF Fluor). Lav slipeeffekt (RDA 66). Tube á 100ml. Forpakninger: 1, 12

Vnr. 2259

Alkoholfritt, pH-nøytralt munnskyll mot dårlig ånde

Svært effektiv mot dårlig ånde og munntørrhet. Umiddelbar effekt som varer i 12 timer. Brukes gjerne to ganger om dagen, så er du sikret behagelig og frisk ånde 24 timer. pH på 8,2 - reduserer bakterievekst og forebygger syreskader.

MILD MINT

The Breath Co skyll med mild mintsmak, 500ml flaske med doseringskork.

Forpakninger: 1, 12

Redusert syrenivå i munnen kan også gi forbedret smaksoppevelse. Ingen fargestoffer, kunstige smakstilsetninger, SLS, alkohol eller parabener. Svir ikke. 100% vegansk. Glutenfri.

ICY MINT

The Breath Co skyll med frisk icy mintsmak, 500ml flaske med doseringskork.

Forpakninger: 1, 12

Vnr. 3817 115,-

Vnr. 3816

Flat og bred, godt vokset dentaltape uten smak. Reach™, tidligere Johnson & Johnson. 100 meter. Forpakninger: 1, 4

Vnr. 2830

Rund, vokset tanntråd. Reach™, tidligere Johnson & Johnson. 200 meter. Forpakninger: 1, 6

2890

BC-508878
BC-508877

PALIBRUSH® - ny spesialtannbørste!

-20% på nyheten

Gjelder til 12.10.2025.

PALIBRUSH®

Tannlege og spesialist i periodonti Erik Klepsland Mauland så behovet for et hjelpemiddel som kan gjøre det mulig for pasienter å rengjøre bedre palatinalt og lingualt. Sammen med kjeveortoped Jenny Bogstad Søvik utviklet han idéen om å lage en tannbørste hvor pasienten selv kan utføre profesjonell rengjøring og få gode rutiner. Ved å effektivt fjerne plakk, forebygges og behandles periodontitt og karies. I sitt daglige virke som periospesialist så Mauland at mange ikke klarer dette med vanlige profylakseartikler. Løsningen ble PALIBRUSH® - med unik utforming av tannbørstehode, hals og grep. Med sitt brede, buede børstehode og en enkel ”vri-bevegelse” klarer pasienten lett og effektivt rengjøre også på vanskelig tilgjengelige steder.

Noen bruksområder for PALIBRUSH®:

n Pasienter med periodontitt, gingivitt og periokoronitt n Kjeveortopedi - enklere rengjøring av retainere n Pasienter med større protetiske konstruksjoner n Røykere og pasienter med mye tannsten n Enklere rengjøring av molarene n For pasienter som trenger hjelp til tannpuss

”PALIBRUSH® er et nyttig verktøy som jeg ved behov anbefaler til mine pasienter. Ved plakk, blødning eller restlommer lingualt/palatinalt, samt ved protetiske konstruksjoner og retainere har jeg nå en tilgjengelig børste som hjelper pasientene med å ta vare på sine tenner.”

Erik Klepsland Mauland

Anbefalt pris til pasient 79,- inkl. moms. Forpakninger: 1, 20 Ass. farger. Før 49,-

-20%

Vnr. 2680

-50% på Zendium

Gjelder til 12.10.2025 eller så langt lageret rekker.

Active V-Shape tannbørste soft

Smalt børstehode med v-formet profil som rengjør bedre i tannkjøttskanten. Avrundede børstestrå. Myk. Godt grep med gummierte profiler. Slank hals. Passer for junior og voksen. Fire assorterte farger. #T6441133. Blisterpakke. Forpakninger: 1, 12. Før 32,-

Kids 0-5 år tannkrem

1000 ppm Fluor og mild smak av røde bær. 75ml. #T134572. Før 38,Forpakninger: 1, 12.

Småtuber

Så langt lageret rekker. Før 440,50-pk, ca 14ml pr. tube.

Zendium Sensitive vnr. 2382

Zendium Junior vnr. 2388

Zendium Classic vnr. 2375

Classic tannkrem

Komplett beskyttelse med 1450ppm fluor. Mild smak. #T884369. 75 ml.

Forpakninger: 1, 12. Før 38,-

Vnr. 2371

Fresh+White

tannkrem

Dobbeltvirkende - gir hvitere tenner og beskytter mot dårlig ånde. 1450ppm fluor. Mild smak. #T884361. 75 ml.

Forpakninger: 1, 12. Før 38,-

Junior +5 år tannkrem

Mild mintsmak og 1450 ppm Fluor. 75ml. #T134570

Forpakninger: 1, 12. Før 38,-

Sensitive tannkrem

Kaliumnitrat reduserer og forebygger hypersensitivitet. Fluor 1450ppm. #T884316. 75 ml. Forpakninger: 1, 12. Før 38,19,-

Vnr. 2372

Extra Fresh tannkrem

Komplett beskyttelse, og i tillegg god ånde i inntil 12 timer! Fluor 1450ppm. Mild smak. #T276324. 75 ml. Forpakninger: 1, 12. Før 38,19,-

Vnr. 2377

Gel og skyll med fluor + 0,12% CHX

-30% på Flux PRO

Gjelder til 12.10.2025. Gjelder ikke refillbørster.

Vnr. 6746

Flux PRO Klorhexidin gel

50gr for kortvarig beh.med 0,12%

CHX og 0,2% / 1000 ppm NaF fluor. Forebygger plakk, irritert tannkjøtt og karies. Forpakninger: 1, 8.

Før 56,-

fluortabletter

Reseptfritt kosttilskudd.

Tabletter med 0,50mg fluor. Med smak av mild mint eller jordbær. Forpakninger: 1, 6

100-pk. tabletter 0,50mg m/mintmak

Vnr. 6794

Vnr. 6731

Flux PRO Klorhexidin skyll 250ml for kortvarig behandling med 0,12% CHX og 0,2% / 1000 ppm NaF fluor. Forebygger plakk, irritert tannkjøtt og karies. Forpakninger: 1, 12.

Før 59,-

100-pk. tabletter 0,50mg m/jordbærsmak

Vnr. 6793

fluortyggegummi

Flux Coolmint tyggegummi

Motvirker karies og gir samtidig frisk pust. 14mg fluor pr. bit, frisk Coolmint og xylitol.

Forpakninger: 1, 6.

Vnr. 6744

Flux Coolmint munnskyll

Styrker tannoverflaten og forebygger karies. Uten alkohol, parabener eller sulfater. Mild mintsmak. 0,2 % NaF fluor, 2mg/ml=910 ppm F.

62,-

Vnr. 6730

500ml Forpakninger: 1, 12

62,-

Vnr. 6792

Flux Nøytral munnskyll

500ml. Helt uten smak. Motvirker karies. Maksimalt fluornivå på 0,2 % NaF fluor Vegansk. Forpakninger: 1, 12.

sink

90ml flaske. Forpakninger: 1, 20

99,-

Vnr. 6789

Forpakninger:

20,-

Vnr. 6755

62,-

Vnr. 6734

Flux Lemon munnskyll

500ml. 0,2 % NaF fluor. Smak av sitron og mint. Forpakninger: 1, 12.

62,-

Vnr. 6751

Flux Junior Fruit munnskyll 500ml. 0,2 % NaF fluor. Mild fruktsmak som passer både små og store.

Forpakninger: 1, 8.

62,-

Vnr. 6732

Flux Aloe Vera munnskyll

500ml. 0,2 % NaF fluor. Smak av Aloe Vera og mint. Forpakninger: 1, 12.

Vnr. 6733

Flux +Fresh Breath munnskyll

500ml. Friskere ånde. 0,2 % NaF fluor, 0,39% zinklactat og 0,03 % CHX. Forpakninger: 1, 12. 69,-

Vnr. 6777

500ml. Motvirker karies og tannsten. 0,2 % NaF fluor og Cetylpyridinium Chlorid. Forpakninger: 1, 8. 69,-

Flux +Prevent Plaque munnskyll

Aloe Vera

69,-

Vnr. 6778

Flux +Gum Care munnskyll 500ml. Motvirker karies og beskytter tannkjøtt. 0,2 % NaF fluor og Aloe Vera. Forpakninger: 1, 8.

Tannkremserien BE YOU med utrolig spennende smaker!

BE YOU

TastePack

6x10ml og 1xCS5460 tannbørste i gavepakke.

Seks spennende smaker fluortannkrem (950ppm).

Uten SLS. 60ml tube fluortannkrem. Forpakninger: 1, 12.

Bjørnebær og lakris, 60ml

126,-

Vnr. 2366

Gin & Tonic, 60ml

126,-

Vnr. 2367

Fersken og aprikos, 60ml

126,-

Vnr. 2369

Vannmelon, 60ml

126,-

Vnr. 2368

Grapefrukt og Bergamot, 60ml

126,-

Vnr. 2370

Eple og aloe vera, 60ml

126,-

Vnr. 2365

6 x 10 ml Smakspakke

Reisesett

199,-

BE YOU 10ml tannkrem med assorterte, smaker, CS5460 reisetannbørste og to interdentalbørster (CPS 07/09). Mål 9,5 x 6cm. Kjøp 12 stk. få settene levert i fin eske. Assorterte farger/smaker.

132,-

Vnr. 2257

Skånsom mot tannkjøttet, men tøff mot plakk. Hele 5460 strå av det unike Curen®-materialet, og har dermed en enorm kontaktflate og styrke. Ultrasoft og kompakt. Åttekantet skaft for optimal 45° vinkel og minimalt trykk. Lekre, assorterte farger. Pris er pr. tannbørste.

Forpakninger: 1, 36

61,-

Vnr. 2191

Naturlig effektiv CHX-serie

PerioPlus+ Forte

munnskyll 0,20% CHX

Etter kirurgi, ekstraksjoner m.v. Inneholder 0,20% klorhexidin, Citrox®, Xylitol, PVP-VA og Polylysine. Alkoholfri. Påvirker ikke smakssansen.

Forpakninger: 1, 12

Fl. 200ml (vnr 2228)

Fl. 900ml (vnr 2302)

PerioPlus+ Support tannkrem 0,09% CHX

0,09% CHX, Citrox®, hyaluronsyre, Xylitol, PVP-VA, Polylysine og 230ppm fluor. Uten SLS og alkohol. 75ml.

Forpakninger: 1, 12

2227

2228

PerioPlus+ Forte

Focus gel 0,50% CHX

Intensiv lokalbehandling. Gel med 0,50% CHX, Citrox®, hyaluronsyre, Xylitol, PVP-VA og Polylysine. Uten SLS og alkohol. 10ml.

Forpakninger: 1, 12

2302

2229

Fin, lett, tett boks for oppbevaring av proteser, ortodontisk apparatur, skinner, modeller osv. Hengslet lokk. Gjør det enkelt og trygt for pasienter å oppbevare og transportere helproteser, delproteser, broer, bittskinner, blekeskinner, tannbeskyttere og ulike typer regulering. Mål: 32mm høy, 90x72x59mm.

Forpakninger: 1, 25, 100

-15% på DiamondClean

Gjelder til 26.09.2025.

Prestige 9900

DiamondClean Prestige 9900 trial

bordlader og eksklusivt, kompakt etui med smart ladefunksjon.

intensiteten deretter. Hele 20 ganger bedre plakkfjerning, 15 ganger bedre tannkjøtthelse og 100% bedre fjerning av misfarging sammenlignet med manuell tannbørste! Nå i profesjonell Whitebox-utgave for ansatte og pasienter på tannklinikker og tannlegekontorer.

1.741,-

Vnr. 4755

HX9992/02

Før 2.048,-

DiamondClean 9000

-15% på DiamondClean 9000

Gjelder til 26.09.2025.

u Nå litt kortere og lettere børstehåndtak

u Sonisk teknologi med hele 62.000 børstebevegelser/min.

u Hele 2 ukers batteritid u Trykksensor og intelligent justering av pusseintensitet u Bruk med eller uten app u Tidsur

u Lad raskt i bordlader eller i reiseetuiet med USB

Fire programmer, tre intensiteter, trykksensor, tidsur og lærerik mobilapp for innsikt om hvordan du kan forbedre din pusseteknikk. Hvitere tenner på 3 dager! Rengjør sonisk med hele 62.000 bevegelser i minuttet. Få med etui og kompakt bordlader. Batteriet varer i 14 dager. Børstehodet C3 Premium Plaque Defence følger med.

1.699,-

Vnr. 4746

HX9911/84

Før 1.999,-

1.699,-

Vnr. 4747

HX9911/88

Før 1.999,-

-15% på de nye seriene 5000/6000 og 7000

Gjelder til 26.09.2025.

Før 799,5000-6000-7000

Nye serier på denne siden! Nå enda bedre ergonomi, økt batterikapasitet på hele 3 uker, bedre motor, enda mer robust og lys/vibrasjon som varsler om du pusser hardt. Rask lading i standard USB-kontakt.

u Sort

u 1 børstehode: W2

u 1 program: Clean u 2 intensiteter 5300

679,-

Vnr. 4775

HX7101/01

Før 799,-

6100

u Lyseblå

u 1 børstehode: S2

u 2 programmer: Clean, Sensitive u 3 intensiteter

945,-

Vnr. 4771

HX7406/01

Før 1.112,-

5300

u Hvit

u 1 børstehode: W2

u 1 program: Clean u 2 intensiteter

679,-

Vnr. 4768

HX7108/01

Trial-modeller er merket

”For personal trial use” og kan kjøpes til ansatte og gis pasienter.

6100 Trial

u Hvit

u 3 børstehoder: A3, W2, S2

6500

u Hvit m/etui+app.

u 2 børstehoder: S2, W2

u 3 programmer: Clean, Whitening, Sensitive u 3 intensiteter

1.317,Vnr. 4772

HX7410/02

Før 1.549,-

7100

u Sort m/ladeetui+app.

u 1 børstehode: G3

u 4 programmer: Clean, White, Sensitive, Gum

u 3 intensiteter

1.614,-

Vnr. 4773

HX7421/01

Før 1.899,-

u 2 programmer: Clean, Sensitive

u 3 intensiteter

679,-

Vnr. 4769

HX7408/02

Før 799,-

7100 Trial

u Hvit m/etui+app.

7100

u Hvit m/ladeetui+app.

u 1 børstehode: G3

u 4 programmer Clean, White, Sensitive, Gum u 3 intensiteter

1.614,-

Vnr. 4774

HX7420/01

Før 1.899,-

u 3 børstehoder: A3, G3, S2

u 4 programmer:

Clean, White, Sensitive, Gum

u

945,-

Vnr. 4770

HX7428/02

Før 1.112,-

Kjøp Kids, få fin bamse!

-15% på Sonicare Kids - og gratis Sparky-bamse!

Gjelder til 26.09.2025. Sparkly-bamser så langt lageret rekke!

Barna er engasjert mens de lærer å pusse tennene. Den Bluetooth-aktiverte Philips Sonicare for Kids-tannbørsten samhandler med en morsom app som hjelper barna å pusse bedre og lenger. Barna har det gøy mens de lærer teknikker som varer livet ut. Gummiert håndtak for bedre grep, sonisk teknologi med 62.000 børstebevegelser/min. Mer enn to ukers batteritid. Tidsur (KidTimer og QuadPacer).

Blå

u Farge: lyseblå u 2 børstehoder:

Standard og kompakt u 2 intensiteter

Vnr. 4634

HX6322/04 (blå) Før 628,534,-

Rosa

u Farge: rosa u 2 børstehoder:

Standard og kompakt u 2 intensiteter

HX6352/42 (rosa) Før 628,534,-

Vnr. 4748

Miljøvennlig

Renser tennene og stimulerer tannkjøttet

PD Dental Stick. Fantastiske stikkere i mykt, porøst og behagelig lindetre. Frisk peppermynte etterlater munnen ren og frisk. Kan bites flatere etter at den er fuktet på tungen. Stimulerer tannkjøtt og gir økt blodsirkulasjon. Svært lik J&J Stim-u-dent, men PD Dental Stick er spissere/litt tynnere i enden. Ergonomisk tilpasset konisk trekantprofil.

69,-

Vnr. 2571

Forpakninger:

1 pasientpakke har 125 stikkere (5 lommepakker) 69,Storpakke med 12 pasientpakker 828,-

Fjerner 20 ganger mer plakk enn en manuell børste! Myk. Suverén mot plakk. Forbedret tannkjøtt og hvitere tenner. Før 332,-

Vnr. 4741 Hvit 2-pk

HX9092/87

Vnr. 4742 Sort 2-pk HX9092/88

Premium Plaque Defence

Fjerner 10 ganger mer plakk enn manuell tannbørste. Optimal plakkfjerning. Før 456,-

Vnr. 4711 Hvit standard 4-pk HX9044/87

Vnr. 4710 Sort standard 4-pk HX9044/88

Sensitive

Nytt ultrasensitivt børstehode. Fjerner 10x mer plakk enn manuell børste. Tettpakket med børstehår i trekantformer, som svært skånsomt fjerner plakk. Før 332,-

Vnr. 4749 Hvit std. 4-pk HX6054/87

Kompakt med gummiert bakside.

Før 179,-

Vnr. 4616 Hvit kompakt 2-pk

100% reduksjon i tannkjøttsbetennelse. 7x friskere tannkjøtt på bare to uker! Før 456,-

Vnr. 4717 Hvit std. 4-pk HX9054/87

Optimal

Plaque Defence

Børste med trekanter og andre formasjoner fjerner 7x så mye plakk som en manuell børste. Før 332,-

Vnr. 4685 Hvit std. 4-pk HX9024/10 **

Optimal White

Tett diamantformet bust. Rengjør 7x bedre enn manuell børste, og fjerner misfarging. Før 332,-

Vnr. 4640 Hvit standard 4-pk

HX6064/87

Vnr. 4641 Hvit kompakt 4-pk HX6074/27 **

Vnr. 4653 Sort standard 4-pk HX6064/88

PowerFlosser spiss/dyse

Dyse bør skiftes hver 6. mnd. Velg mellom F1 klassisk dyse med rett stråle eller den nye, unike F3-dysen med Quad Stream som strømmer i hele fire retninger! Før 249,-

Dyse F3, Quad Stream, 2-pk

Vnr. 4744

Dyse F1

Rett stråle, 2-pk F3 / F1

Vnr. 4745

Hvitere tenner på 2 uker!

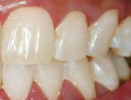
på Sonicare Zoom! hjemmebleking

Gjelder til 26.09.2025.

Effektiv, men skånsom serie for trygg hjemmebleking. Brukes i individuelt laget blekeskinne, enten som nattbleking eller dagbleking. Med mild, behagelig mintsmak og fluor, samt kaliumnitrat og ACP (amorft kalsiumfosfat) for å motvirke hypersensitivitet. ACP beskytter emaljen, gjør tennene mindre følsomme - og gir bedre glans. Inneholder hele 33% vann slik at den forhindrer uttørring. Hver Zoom!-sprøyte på 2,4ml holder til å fylle ca 6 skinner. Få optimalt resultat på 2 uker. Trenger ikke lagres i kjøleskap.

Enkel å bruke! Du ordner vanlige blekeskinner, enten én eller begge kjever. Pasienten fyller Philips Zoom DayWhite eller NiteWhite i skinnen, setter inn skinnen i munnen og lar virke. Synlig resultat etter 3 dager, fullt resultat etter 9 dager.

Standardpakken har en fin oppbevaringsveske med 6 sprøyter, to skinneplater, skinneboks og ShadeGuide. Nok til 36 skinner (bleking 18 ganger av begge kjever).

Refillpakke inneholder 3 sprøyter á 2,4ml, nok til 18 skinner (bleking 9 ganger av begger kjever).

DayWhite - blekesett for bruk på dagtid

Philips Zoom! blekemiddel med fluor, kaliumnitrat, ACP og 6% hydrogenperoksid. Mintsmak. Brukes på dagtid (30 minutter 1 til 2 ganger daglig). Velg mellom standardpakke med 6 sprøyter á 2,4ml eller minipakke med 3 sprøyter á 2,4ml.

NiteWhite - blekesett for bruk mens du sover

Philips Zoom! blekemiddel med fluor, kaliumnitrat, ACP og 16% karbamidperoksid. Mintsmak. Brukes mens du sover (virketid ca 4 timer). Optimalt resultat etter to uker. Velg mellom standardpakke med 6 sprøyter á 2,4ml eller minipakke med 3 sprøyter á 2,4ml.

6-pk NiteWhite. Før 712,- Refill 3-pk NiteWhite. Før 449,-

Power Flosser 3000 munndusj

Ny QuadStream-spiss fjerner opptil 99,9% plakk - på 60 sekunder!

på Sonicare PowerFlosser 3000

Gjelder til 26.09.2025.

Philips Sonicare Power Flosser 3000 har vanlig rett dyse og den nye Philips Sonicare Quad Stream-dysen som rengjør et mye større område takket være hele fire vannstrømmer. Fjerner 99,9% plakk i områder som behandles. Studier viser at Power Flosser er 180 ganger mer effektiv enn vanlig tanntråd og gir signifikant reduksjon i irritert tannkjøtt, blødninger og plakk.

Batteridrevet, med tank for vann eller munnskyll som rekker til å behandle hele munnen - på bare 60 sekunder.

933,-

Superenkel måte å rengjøre flater, mellomrom og i tannkjøttskanten. Ypperlig også for pasienter med tannkjøttsproblemer.

Vnr. 4754

Forpakninger: 1, 3 HX3826/33 Før 1.098,-

-15% på Zoom! In-Office klinikkbleking

Gjelder til 26.09.2025.

933,-

Vnr. 4743 Forp.: 1, 3

Som enda raskere alternativ til 2 ukers dag eller natt hjemmebleking, kan du med Philips WhiteSpeed Zoom!-lampe tilby full bleking på 15 x 4 minutter i stolen. Lysaktivert og trygg bleking i stolen med 6% hydrogenperoksid m.m.

Hvert klinikksett inneholder alt du trenger, og i tillegg 3-pk med dag- eller nattsett som pasienten kan bruke for vedlikeholdsbehandling hjemme senere.

Kampanje: Kjøp 12 klinikksett til vår ordinærpris 3.238,- (ett sett rekker til 2 pasienter), få med gratis Zoom! WhiteSpeed-lampe til verdi 34.900,-!

Nye modeller i -serien

Nå lanserer vi nye iO2 og to nye iO Laboratory-børster fra Oral-B. Samtlige i iO-serien rengjør like bra, forskjellen ligger i antall programmer, oppladingstid, ladetype og om det er skjerm, ikoner eller enkel lampe på skaftet. iO5 og høyere har kunstig intelligens og kan kjøres med app, noe iO2 ikke kan.

3 programmer; daily clean, sensitive og super sensitive. Svært lang batteritid. Enkel trykksensor.

2 børstehoder følger med: Gentle Care og Specialized Clean. Enkel bordlader.

699,-

Vnr. 1529

699,-

Vnr. 1528

699,-

Vnr. 1530

iO Laboratory

Spesialutgaver av Oral-B iO som bare selges hos tannleger, tannpleiere og apotek. Hvit farge og pakke hvor det følger med ekstra børstehode.

Laboratory 2 er en enkel iO2-modell med én knapp, 3 programmer, enkel trykksensor og to børstehoder. Svært lang batteritid.

Laboratory 2 (iO2)

699,-

Hvit med to børstehoder #615358

Vnr. 1526

Laboratory 5 er en iO5-modell med 5 programmer, avansert trykksensor, skjerm med ikoner, batteri som varer cirka to uker, og leveres med to børstehoder og etui.

Laboratory 5 (iO5)

1.399,-

Vnr. 1527

Hvit med to børstehoder og etui #822107

5 programmer: daily clean, sensitive, super sensitive, intense og whitening. Symboler på skaftet. 14 dagers batteri. 16 timer for fullading. Trykksensor varsler om du pusser for hardt. Reiseetui uten lading. 1 børstehode: Ultimate Clean. Bordlader. Kunstig intelligens, 6 soner.

iO5s Quite White

1.468,-

Vnr. 1515

#414919

6 programmer; daily clean, sensitive, gum care, intense og whitening. Sort/hvitt-skjerm. 14 dagers batteri. 12 timer for fullading. Trykksensor. Reiseetui uten lading. 2 hoder: Ultimate Clean og Gentle Care. Bordlader. Kunstig intelligens, 6 soner. iO5 iO6

1.699,-

Vnr. 1507

1.468,-

Vnr. 1516

#414957

1.468,-

Vnr. 1517

#414933 iO5s Matt Black iO5s Blush Pink

iO6s Black Lava M6

1.699,-

Vnr. 1509

iO6 Pink Sand M6 Sensitive

1.699,-

Vnr. 1506

iO6 White M6 #427391 #409120 #427377

7 programmer; daily, sensitive, super sensitive, gum care, toungue clean, intense og whitening. Fargeskjerm. 14 dagers batteri. 3 timer for fullading. Trykksensor. Etui uten lading. 3 børstehoder følger med: Ultimate, Gentle Care og Specialized Clean. Magnetisk bordlader. Kunstig intelligens, 3D, 16 soner. App.

iO9s WhiteBox Trial Spesialversjon for tannhelsepersonell

2.699,Vnr. 1502

#408697

1.699,-

Vnr. 1508 iO6 Grey Opal M6

#427353 iO9

Floss Picks 30-pk tanntrådbøyler

Tanntrådbøyle med Glide-tråd hvor spenningen i tråden lett kan justeres. 30-pk i pose.

Forpakninger: 1, 6

Ny design

122,-

Vnr. 4684

Superfloss for regulering, broer og mellomrom

Ypperlig for pasienter med broer, tannregulering, store mellomrom m.m. Eske med 50 tråder klare til bruk. Frisk mintsmak. Forpakninger: 1, 12.

Tanntråd med flere funksjoner: først en stiv del for enkel innføring av tråden, så en tykkere skumplastdel og så en vanlig tanntråd. #428648

Vnr. 2225

Husk ekstra børstehoder til iO!

iO børstehoder passer kun til Oral-B iO-serie, iO Laboratory, iO3 til iO10. Ultimate Clean er standard børstehode som rengjør optimalt, sort eller hvit farge. Gentle Care er et enda mykere børstehode.

Standard i hvit farge.

Standard i sort farge.

288,-

Vnr. 1505

Polerer bort misfarging.

Ekstra myk og skånsom.

288,-

Vnr. 1504 288,-

Vnr. 1520

1521

For regulering, implantat m.m.

Vnr. 1522

PowerBrush og PowerFlosser

PowerFlosser munndusj

Pulserende vannstråle rengjør mellom tennene og dypt ned i tannkjøttslommene. Masserer og stimulerer tannkjøttet for å holde det friskt, øke blodsirkulasjonen og minske blødninger og betennelser. Tippen kan roteres 360°.

Vnr. 2247

PowerBrush oscillerende tannbørste

Rundt, oscillerende børstehode med 8800 børstebevegelser i minuttet! Riflet og behagelig håndtak. 3 programmer (clean, soft, massage). Oppladbart batteri som varer i mer enn 20 dager. Vanntett.

Sonisk tannbørste med mer enn 40.000 børstebevegelser i minuttet! 5 programmer (clean, sensitive, whitening, massage, polish). Oppladbart batteri som varer i mer enn 4 måneder. Tidsur og sensor. Vanntett.

Naturlig hvitere tenner

-20% på Ekulf PURE shine-serien

Gjelder til 12.10.2025

Fluortannkrem

Forebygger syreangrep og fjerner misfarging. 1450 ppm fluor og frisk, behagelig mintsmak. Uten SLS og parabener. Nå også i ny spesialutgave som fjerner misfarging etter bruk av snus og tobakk! Tube 75ml.

Forpakninger: 1, 12

Vnr. 2136

Myk tannbørste

Småtube 12ml: vnr. 2152, Før 14,- nå 11,-

#100 Før 42,- #170 Før 52,42,-

Vnr. 2128

Whitening Strips

Elegant tannbørste med myk bust og koniske børstestrå som lett og effektivt kommer til også mellom tennene og i tannkjøttskanten.

Godt, gummiert og ergonomisk grep. Assorterte farger i gull og hvit. Forpakninger: 1, 12. Før 31,- #125

Småtube 12ml: vnr. 2154, Før 12,- nå 10,- 25,-

Vnr. 2131

Skånsomme blekestrips. Aktiv ingrediens er Ftalimidoperoksykapronsyre (PAP). Frisk mint. Eske med 14 pakker á 2 strips (for over- og underkjeve). Hvitere smil på 14 dager. Biologisk nedbrytbar. Trygg, skader ikke emaljen. Uten hydrogenperioksid. Forpakninger: 1, 6 #120 Før 269,-

215,-

Vnr. 2267

Fluormunnskyll

Skyll med 0,2% NaF fluor og PVP (polyvinylpyrrolidone) som motvirker belegg. Styrker emalje og tannhals. Mintsmak. 300ml flaske.

Forpakninger: 1, 12. Før 64,#110 51,-

Vnr. 2159

Tannbørste for voksen/ungdom. Kompakt børstehode. Skånsom. Flatt skaft og tynn hals. Assorterte farger blå, oransje, rød og grønn. Forpakninger: 1, 12 #830

2260

Twice Advanced

Tannbørste for voksen/ungdom. Koniske strå som enkelt og effektivt kommer til bedre mellom tennene. Skånsom. Ergonomisk skaft med godt grep. Assorterte farger blå, gul, rosa og grønn. Leveres med etui.

Forpakninger: 1, 12 #1436

Skånsomme og koniske børstestrå

Vnr. 2208

Surgical postoperativ

tannbørste

Ekstremt myk bust med rett profil. For bruk etter kirurgi, strålebehandling m.m. Halsen kan bøyes for optimal vinkel.

Anatomisk grep.

Forpakninger: 1, 10

Beskyttelseshette for børstehodet følger med.

Vnr. 2252

SensiBrush

Ultramyk bust, for pasienter i kreftbehandling, etter kirurgi og/eller ved følsomme slimhinner. Ass. farger grønn, blå, hvit og rød. Leveres med etui.

Forpakninger: 1, 12 #2516

38,-

Vnr. 2249

MonoBrush Solo soft

Vinklet hals og et lite, kompakt børsteknippe. Regulering, implantat, vanskelig tilgjengelige visdomstenner osv. Ass. farger.

Forpakninger: 1, 12 #690

21,-

Vnr. 2236

Myk tannbørste med tip og ulike nivåer for optimal rengjøring og tilgjengelighet. Flatt, ergonomisk skaft. Hver børste har etui. Assorterte, spreke farger. Soft. Forpakninger: 1, 144. #2513

42,-

Vnr. 2296

Ny, forbedret SlimStick plasttannstikke

Ekstra tynn spiss gjør at den kommer lett gjennom trange passasjer. Myk, bøyelig og fleksibel. Fliser ikke, og har ruglete overflate som fanger opp plakk. Trekantform. Godt grep. Pakke m/48 stk.

#1830. Forpakninger: 1, 12

BeTweeners tanntrådbøyle og tannstikke i ett

Tanntrådbøyle med sterkere PTFE-tanntråd som ikke fliser. Unik konstruksjon som gjør at du har god kontroll, selv med bare en hånd. Godt grep og enkelt å rengjøre mellom tennene også bakover i munnen.

SuperStick tynne tre-tannstikkere

Stikken av bjørk med trekantprofil. Frisk, behagelig mintsmak. Eske m/100 stikkere. Spiss i begge ender. #1850

Forpakninger: 1, 36

39,-

Vnr. 2234

2-i-1: Ekstra tynn og ekstra bred tråd. Trekant-tannstikke i plast i andre enden med riflet overflate. 20-pk m/etui.

Bro&Implantattråd 30-pk

Vnr. 2178

Forpakninger: 1, 6 #1540

For rengjøring i mellomrom under f.eks. broer og rundt implantat. Stiv ende for lettere innføring, så en oppflosset børstedel på midten. Tannkrem e.l. kan gjerne brukes.

Eske á 30 stk.

Forpakninger: 1, 12 #1760

Vnr. 2250

EasyGlide tanntråd

Litt tynnere, litt vokset tanntråd som gjør det lettere å komme til også mellom trange mellomrom, og lenger ned i tannkjøttskanten. Erstatter Oral-B Crest Glide tanntråd som har gått ut. 50 meter. Forpakninger: 1, 10

#1675

ekspanderende tanntråd

Sterk tanntråd som utvider seg ved bruk. Lett vokset. Mild smak av bergamot/lime.

30m. pasientpk. Forp.: 1, 10 #1608

44,-

Vnr. 2266

PHB flosser PTFE

tanntrådbøyle/stikke

Godt grep og tynn tråd av PTFE ferdig montert. God kontroll på tråden. Passer også trange mellomrom. Boks m/30 stk. #1657 Forpakninger: 1, 12

47,-

Vnr. 1961

Nyhet

Klinikkdispenser m/200m tråd #1620

299,-

Vnr. 2264

43,-

Refill 250m. #1628

152,-

Vnr. 2265

Vnr. 2199

FlossHolder, gjør tanntråd enkelt!

Mange sliter med å holde tanntråden. Med denne smarte tanntrådholderen kan du bruke din favoritt-tanntråd, og få god tilgjengelighet, også langt bak i munnen. Godt grep og god styring på tråden. Assorterte farger gul, blå, rød og grønn. Forpakninger: 1, 12 #1810

37,-

Vnr. 2177

Tongue Cleaner rengjør tungen

Ergonomisk grep og unikt design gjør det enkelt å rengjøre tungen. Litt mindre design for å komme til lengst bak på tungen, som gjør at brekningsrefleksen ikke stimuleres på samme måte som ved større tungeskrape. Gummihåndtak gir fastere grep for sikrere og mer behagelig rengjøring av tungen.

Godt grep og kompakt hode gjør det komfortabelt å rengjøre tungen.

Assorterte farger. Forpakninger: 1, 12

NightGuard™ universal bittskinne

Universal bittskinne som enkelt tilpasses med varmt vann, slik at den passer overkjeven. Mykt, formbart materiale som former seg rundt tennene, og et hardt materiale som forhindrer at man biter igjennom skinnen. Forpakninger: 1, 10

Eske m/1 skinne, bruksanvisning, 1 etui. #705

Gjør det enkelt å undersøke egne eller andres tenner, f.eks. for å se om man har rengjort godt nok. 1xAAA batteri medfølger.

Forpakninger: 1 #2048

Pasientpk. 12-pk

12 børster og 1 skaft/etui.

Forpakninger: 1, 12

Før 58,-

interdentalbørster

Gjelder til 12.10.2025

Ekulf PH® er en populær interdentalbørste. Velegnet for rengjøring mellom tennene, rundt implantat, ved broer, regulering og delproteser. m.m. Hver pakke har skaftforlenger/etui. Du får også klinikkboks og refillpakker.

Klinikkboks 168-pk assortert

Klinikkboks med 24 stk av hver av de syv pH-bestselgerne fra Ekulf. Totalt 168 børster med etui/håndtak. Ypperlig for demonstrasjon og utprøving. Etterfylles med refillpakker.

Før 832,666,Vnr. 2237

Mikspakke

Én av hver størrelse, 1 etui/skaft. #1514

Forpakninger: 1, 12

Før 29,-

Forpakninger: 1. Før 99,46,-

Vnr. 2134

Refillpakke 24-pk

24 børster med hvert sitt etui/forlengerskaft.

Nyttige hjelpemidler for protesebrukere

Superfiksativ

Festemiddel for tannproteser har en uovertruffen hefteegenskap takket være at det ikke er vannløselig. Opptil 12 timers fiksering. Smak- og luktfri, og lett å påføre. Uten sink. Vannfast. 40 gram tube. Forpakninger: 1, 12 #2240

106,Vnr. 2195

Fiksativ+ underkjeve

ProFast Plus spesialmiddel for underkjeve. Vannfast. Uten sink. Tube 20 gram. #2242

Forpakninger: 1, 12

74,Vnr. 2197

Rengjøringstabletter

Fjerner effektivt rester av festemiddel, kalk, tannsten, misfarginger etter kaffe, te, vin og tobakk. pH9. Eske á 32 tabletter.

Forpakninger: 1, 10 #2250

81,-

Vnr. 2196

Fikseringstape

4 ganger mer festestoff enn Profast Superfixativ og Profast Plus. Garanterer 12 timers feste mellom protese og slimhinne.

Brukes i vanskelige tilfeller med lav kjevekam og rikelig spytt. Eske med 15 stk.

Forpakninger: 1, 10 #2243

72,-

Vnr. 2263

ProtesBrush

32,-

Vnr. 2246

Tips!

Se også GUM #201 protesebørste på side 27.

Tips!

Se også Mestra protesebokser på side 37.

ProlacSan®- probiotikum for en balansert oral bakterieflora

Sugetabletter - deilig jordbær- eller frisk mintsmak

Bli frisk med to gode bakteriestammer spesielt godt egnet for munnhulen. Én tablett tilsvarer mer enn 100 liter god yoghurt. Bakteriene frigis langsomt i munnen hvor bakteriene skal virke. Studier viser 30% reduksjon i blødning etter 6 mnd, samt halvering av de mest sykdomsfremkallende bakterier.

Tabletter

1 sugetablett pr. dag etter tannpuss

Forpakninger: Eske á 30 tabletter: 1 pk, 42 pk (hel kartong). Velg mellom mint eller jordbærsmak.

Gel for klinikk-boost

Vnr. 1308

Vnr. 1277

For klinikkboost kan ProlacSan® Gel appliseres i lommen. Sprøyten er høykonsentrert og inneholder mer enn 6 milliarder bakterier. Aktiveres ved å suge opp 1,2ml vann, riste, vente 15 minutter og applisere i lommer. 1 sprøyte som start i behandling av én pasient. Leveres med kanyle. Forpakninger: 1, 12 89,-

Vnr. 1278

Engangstannbørster Happy

3-raders tannbørste med flatt skaft og godt grep. Pakket i pose.

Ypperlig for instruksjon, om pasienten vil rengjøre tennene før behandling, på reise osv.

Farger varierer.

4,-

Vnr. 1303

Tannbørste uten tannkrem. Pr. stk.

Forpakninger: 1, 100 #604403

4,-

Vnr. 1288

Tannbørste med tannkrem. Pr. stk.

Forpakninger: 1, 100 #605401

245,-

Vnr. 5031

Gjelder til 12.10.2025.

Puss tennene på vanlig måte og tygg en fargetablett. Skyll. Se at eldre plakkforekomster er farget mørkeblå. Nyere plakk vises i en lilla-rød fargetone. Viser hvor du må pusse bedre. Restfargen pusses bort. 250 stk tabletter.

#605768 Før 490,-

DryDent® pads!

Superabsorberende pad som holder arbeidsområdet tørt. Myke, komfortable kanter. Fuktes lett før den plasseres. Spyttsuger kan holdes mot pad for å unngå sug

DryDent Sublingual - plasseres under tungen.

264,-

Vnr. 3634

Large 38x60x2mm, 40-pk Directa #416068

264,Vnr. 3633

Small 30x50x2mm, 50-pk Directa #416069

DryDent Parotidplasseres foran glandulae parotis.

159,-

Vnr. 3636

Large 50x43x10mm, 50-pk Directa #416072

159,-

Vnr. 3635

Small 40x36x2mm, 50-pk Directa #416073

Rett, 18-pk Directa #690110

For markering av kontaktpunkt før sementering av kroner, broer, implantat osv. SpotIt gir klar og tydelig markering av kontaktpunktet. Håndtaket gjør at du kan bruke én hånd til å holde SpotIt, og stabilisere kronen med den andre.

Vinklet, 18-pk Directa #690111

Vnr. 3622 308,-

Vnr. 3623

Startpakke med 9 av hver Directa #690112

Vnr. 3621

Sau(g)starke Helfer

Fit-N-Swipe selvklebende pads for tørking og rengjøring

Fit-N-Swipe Dry

Klebe-Trocknungspads für glasklare Mundspiegel

Sau(g)starke

Helfer

Einzigartiges Multi-Layer Gewebe • Entfernt selbst fett- oder ölhaltige Verunreinigungen schlierenfrei

Sau(g)starke Helfer

Sau(g)starke Helfer

Fit-N-Swipe Clean

Høyabsorberende pads som enkelt festes på hansken eller der du ønsker, slik at de er lett tilgjengelige.

Fit-N-Swipe Clean

Fit-N-Swipe Dry rengjør munnspeil effektivt og helt uten striper, mens Fit-N-Swipe Clean er unik mikrofiber-pad for effektiv rensing og rengjøring av ulike typer instrumenter. Kan autoklaveres. Engangs. Begge består av flere lag, og er spesialutviklet for tannleger og tannpleiere.

Klebe-Reinigungspads für saubere Instrumente Einzigartige Mikrofaser mit hoher Retensionsfähigkeit Sicheres und handliches Steckdepot für Endodontienadeln

Fit-N-Swipe DRY

50-pk engangs, selvklebende for tørking av speil, linse osv.

Fit-N-Swipe Clean

Fit-N-Swipe

Klebe-Reinigungspads für saubere Instrumente

Einzigartige Mikrofaser mit hoher Retensionsfähigkeit

Fit-N-Swipe Clean

Klebe-Reinigungspads für saubere Instrumente Mikrofaser mit hoher Retensionsfähigkeit

Sicheres und handliches Steckdepot für Endodontienadeln

handliches Steckdepot für Endodontienadeln

334,Vnr. 5035

Sau(g)starke Helfer

Fit-N-Swipe Clean

Fit-N-Swipe CLEAN

Fit-N-Swipe Dry

Fit-N-Swipe Dry

Klebe-Reinigungspads für saubere Instrumente Einzigartige Mikrofaser mit hoher Retensionsfähigkeit Sicheres und handliches Steckdepot für Endodontienadeln

Klebe-Reinigungspads für saubere Instrumente

Einzigartige Mikrofaser mit hoher Retensionsfähigkeit

50-pk engangs, selvklebende for rengjøring av instrumenter.

Klebe-Trocknungspads für glasklare Mundspiegel

Klebe-Trocknungspads für glasklare Mundspiegel Einzigartiges Multi-Layer Gewebe Entfernt selbst fett- oder ölhaltige Verunreinigungen schlierenfrei

Praktisch und einhändig verwendbar

Individuell positionierbar im unmittelbaren

Sicheres und handliches Steckdepot für Endodontienadeln

Fit-N-Swipe Clean

Klebe-Reinigungspads für saubere Instrumente

Einzigartiges Multi-Layer Gewebe Entfernt selbst fett- oder ölhaltige Verunreinigungen schlierenfrei

Einzigartige Mikrofaser mit hoher Retensionsfähigkeit

Sicheres und handliches Steckdepot für Endodontienadeln

Klebe-Trocknungspads

Reinigungswirkung und Saugfähigkeit

Hohe

Fit-N-Swipe

• Einzigartiges Entfernt selbst

Klebe-Trocknungspads

Einzigartiges

Fit-N-Swipe Dry

Klebe-Trocknungspads für glasklare Mundspiegel Einzigartiges Multi-Layer Gewebe Entfernt selbst fett- oder ölhaltige Verunreinigungen

#605251 #605252

Sterilisierbar* und hygienisch

>> Hohe Reinigungswirkung und Saugfähigkeit

>> Sterilisierbar* und hygienisch

Reinigungswirkung und Saugfähigkeit

Sterilisierbar* und hygienisch

Anwenderstimmen

Anwenderstimmen

Melanie Graf, ZMP: „Absolut top! Weil es sehr leicht anwendbar und eine saubere Sache ist. „Handschuh an, Swipe drauf und fit für die nächste Behandlung - danach mit dem Handschuh ruckzuck in den Müll.“

>> Praktisch und einhändig verwendbar

Anwenderstimmen

>> Individuell positionierbar im unmittelbaren Arbeitsbereich

ANA etsegel 37%

>> Praktisch und einhändig verwendbar

>> Individuell positionierbar im unmittelbaren Arbeitsbereich

Bettina Drewes, DH: „Ich finde Fit-N-Swipe sehr gut, weil in der Prophylaxe meist keine Assistenz zur Verfügung steht und dadurch eine Arbeitserleichterung vorhanden ist.“

Drewes, DH: „Ich finde Fit-N-Swipe weil in der Prophylaxe meist keine zur Verfügung steht und dadurch Arbeitserleichterung vorhanden ist.“

Melanie Graf, ZMP: „Absolut top! Weil es sehr leicht anwendbar und eine saubere Sache ist. „Handschuh an, Swipe drauf und fit für die nächste Behandlung - danach mit dem Handschuh ruckzuck in den Müll.“

Melanie Graf, ZMP: „Absolut top! Weil es sehr leicht anwendbar und eine saubere Sache ist. „Handschuh an, Swipe drauf und fit für die nächste Behandlung - danach mit dem Handschuh ruckzuck in den Müll.“

Hohe Reinigungswirkung und Saugfähigkeit

Sterilisierbar* und hygienisch

>> Sterilisierbar* und hygienisch

>> Hohe Reinigungswirkung und Saugfähigkeit

Anwenderstimmen

>> Sterilisierbar* und hygienisch

Bettina Drewes, DH: „Ich finde Fit-N-Swipe sehr gut, weil in der Prophylaxe meist keine Assistenz zur Verfügung steht und dadurch eine Arbeitserleichterung vorhanden ist.“

ANA Etsegel er syreets for emalje og dentin med en konsentrasjon på 37% fosforsyre. Viskositeten er perfekt for alle metoder etsing, enten det er bare på emaljen eller totalets-teknikk. Holder seg på plass uten å bevege seg, og den optimale, fyldige viskositeten i kombinasjon med en tydelig blåfarge gjør det enkelt å applisere helt presist. Tynne, bøyelige kanyler for nøyaktig applisering. Enkel å se og skylle av slik at det ikke er noe fosforsyre igjen i kaviteten.

Anwenderstimmen

489,Vnr. 3639

Anwenderstimmen

Hohe Reinigungswirkung und Saugfähigkeit

>> Praktisch

>> Praktisch und >> Individuell Arbeitsbereich

>> Individuell Arbeitsbereich

>> Praktisch und einhändig verwendbar

>> Individuell positionierbar im unmittelbaren Arbeitsbereich

Bettina Drewes, DH: „Ich finde Fit-N-Swipe sehr gut, weil in der Prophylaxe meist keine Assistenz zur Verfügung steht und dadurch eine Arbeitserleichterung vorhanden ist.“

Bettina Drewes, DH: „Ich finde Fit-N-Swipe sehr gut, weil in der Prophylaxe meist keine Assistenz zur Verfügung steht und dadurch eine Arbeitserleichterung vorhanden ist.“

Bettina Drewes, DH: „Ich finde Fit-N-Swipe sehr gut, weil in der Prophylaxe meist keine Assistenz zur Verfügung steht und dadurch eine Arbeitserleichterung vorhanden ist.“

Melanie Graf, ZMP: „Absolut top! Weil es sehr leicht anwendbar und eine saubere Sache ist. „Handschuh an, Swipe drauf und fit für die nächste Behandlung - danach mit dem Handschuh ruckzuck in den Müll.“

Melanie Graf, ZMP: „Absolut top! Weil sehr leicht anwendbar und eine saubere Sache ist. „Handschuh an, Swipe drauf und fit für die nächste Behandlung - danach mit dem Handschuh ruckzuck in den Müll.“

599,-

Vnr. 3638

ANA Maxi-pack 10 x 2ml ets og 10 kanyler 25G, 0,50x13mm. #1510400

100-pk kanyler 25G Bøyelig, 0,50x13mm #1510500

3631

Grov. RDA250

Forpakninger: Tube 60gram

Directa #731117

ProphyCare profylaksepasta

HAp profylaksepasta 60gr

ProphyCare HAp er en ny generasjon profylaksepasta! Hjelper omgående mot hypersensitivitet - i tillegg til rengjørings- og poleringsegenskaper! RDA 250.

Fjerner først misfarging, så avtar den abrasive effekten gradvis før pastaen får polerende egenskaper mot slutten av behandlingen. Myk, kremet konsistens med mild mintsmak. Uten fluor. Spruter ikke, og er lett å skylle av. En sammensetning med blant annet hydroksylapatitt (HA) blokkerer åpne dentinkanaler på en åpen flate, og remineraliserer. Resultatet er omgående lindring, og enestående rengjøring og polering.

Populær serie profylaksepasta som rengjør, polerer og reduserer hypersensitivitet. Spruter ikke, tørker ikke ut. Lett å skylle av. Inneholder 0,1% fluor. Frisk, behagelig mintsmak. Finnes i blå (grov), grønn (medium), rød (fin), gul (ekstra fin) og lilla som er Onestep.

RDA 250 / 125 my med pimpsten.

Starter, fjerner isfarging og tykkere lag plakk.

96 gram / 60 ml Directa #731113

RDA 170 / 70 my med pimpsten. Mindre abrasiv, en effektiv. 96 gram / 60 ml

RDA 120 / 20 my med pimpsten. For mindre plakk, lettere misfargede flater og rotflater.

RDA 40 / 2 my med pimpsten. For polering av tenner og fyllinger, og etter luftpolering.

RDA 20 så mot 5 med silica. OneStep. Mild mintsmak.

96 gram / 60 ml Directa #731112

96 gram / 60 ml

96 gram / 60 ml Directa #741111

Root n’ screw Brush™

Roterende børste perio/implantat

CMS Root n’ screw brush er roterende, engangs depurasjonsbørster utviklet i samarbeide med prof. dr. Claudio Mongardini fra Italia. For rene overflater og implantater.

Brukes ved 200 til 600 omdreininger på vinkelstykket. Børstefibrene er laget av nylon. Finnes i to størrelser, gult skaft (D2) med børstediameter på 2mm, og oransje skaft (D3) børstediameter på 3mm. Lengden på begge er 37mm. Børstene kan brukes i større, åpne lommer og i furkaturer. Børstene kan autoklaveres før bruk om ønskelig.

Leveres i 6-pk.

Vnr. 5029

298,-

Vnr. 5030

Sikkerhetsbeholder for risikoavfall

Praktisk sikkerhetsbeholder for farlig avfall og risikoavfall som f.eks. sprøytespisser, sprøyter, skalpeller osv.

Laget i robust polypropylen, i tydelig gul farge, med sikkert lokk. Kapasitet på 2,2 liter.

Mål: Ca 18,5cm høy (uten lokk) og 14cm diameter.

#SC25

Serviettlenke

Lenke med krombelagte kuler. Lengde ca 56cm med mulighet for å regulere lengden. Kan ikke autoklaveres, men desinfiseres. 1-pk.

Directa #621331

Interproksimal reduksjon - IPR

Directa ContacEZ IPR er et sett instrumenter laget for å gjøre interproximal reduksjon, IPR, trygt, raskt og enkelt.

Fleksible strips i høykvalitet rustfritt stål, ferdig montert på ergonomisk holder du kan bruke med én hånd. Følger tennenes naturlige konturer, samtidig som de har styrke nok til å lett komme igjennom trange kontaktpunkter. Kan autoklaveres.

IPR Strip System

980,Vnr. 3617

8-pk gul, 0,07mm tykk, 4mm bred. Dobbeltsidig med fint diamantbelegg, taggete. Directa #32108.

8-pk blå, 0,15mm tykk, 4mm bred. Dobbeltsidig, grov diamant, uten tagger. Directa #32508.

IPR PLUS

8-pk lilla, 0,25mm tykk, 4 mm bred. Grov diamant, tosidig. Directa #32708.

980,-

3618

8-pk rød, 0,12mm tykk, 4mm bred. Dobbeltsidig, medium diamantbelegg, uten tagger. Directa #32408.

8-pk grønn, 0,20mm tykk, 4mm bred. Dobbeltsidig, grov diamant, uten tagger. Directa #32608.

IPR Strip assortert

Ass. pakke med 2 stk gul, 2 stk rød, 2 stk blå og 2 stk grønne. Directa #32008

IPR måler

Sett for tykkelsesmåling 0,10 - 0,20 - 0,25 - 0,300,40 og 0,50mm. Autoklavérbar. Directa #92106.

8-pk brun, 0,30mm tykk, 4mm bred. Grov diamant, tosidig. Directa #32808.

Rainbow-kit

Sett med IPR Basic og IPS Plus med alle varianter du måtte trenge for IPR-behandling opptil 0,50mm. Boks med 24 stk fordelt på 3 gule, 3 røde, 3 blå, 3 grønne, 2 klare, 2 lyseblå, 2 lilla, 2 brune, 1 mint, 1 lysegrønn, 1 turkis, 1 blågrønn. Directa #32024.

2.928,Vnr. 3637

Hygenist Strip System

3660

Rosa 8-pk. Rengjøring og fjerner misfarging approksimalt uten å skade emaljen. 2,5mm bred. 0,05mm tykk. Directa #35108.

Restorative Strip System

Sort 8-pk. For proksimal justering av kontaktpunkt. Fint diamantbelegg på én side. 3,75mm bred. 0,075mm tykk. Directa #31108

Holder for strips

Holder for inntil 8 stk ContacEz strips. Kan autoklaveres. 1-pk. Leveres tom. Directa #92501

Vnr. 3661

Restorative Strip assortert

Assortert 8-pk med 2 stk sort, 1 stk oransje, 1 stk grå, 2 stk hvit, 2 stk blå. Det du trenger for tilpassning av krone. Directa #31008.

Vnr. 3662

The White Serrated Strip – The Gentle SawInterproximal Cement Cleaner – No Diamond –Double-serrated.

Hvit 8-pk. Tagget oppe/nede for å fjerne overskudd. Uten diamantbelegg. 3,75mm bred. 0,05mm tykk. Directa #31408

Subgingival Strip System

• The Blue Narrow

can be used when large, protruding overhangs are detected.

Blå 8-pk. Tagget oppe/nede for å fjerne større overheng. Uten diamant. 2,5mm bred. 0,07mm tykk. Directa #31508

• The thin, serrated strip easily accesses the subgingival area and cuts away excess composite material or crown cement.

• An ultra-thin serrated strip that is designed to safely cut and clean out excess cement.

• A strip to be used for interproximal cleaning of multiple veneers or composite fillings.

Strip – Subgingival Cutter Double-serrated – No Diamond

or

Grå 8-pk. Ultrafint diamantbelegg på én side for å polere. 3,75mm bred. 0,065mm tykk. Directa #31308.

are detected.

• A strip that safely cuts into massive excess resin cement trapped in the interproximal space. The Blue Serrated Strip – The Heavy-Duty Dental Saw – No Diamond – Double-serrated

• This heavy-duty dental saw strip is designed for more rigorous cutting and cleaning in the interproxi mal space.

easily accesses the subgingival area and cuts away excess composite material or crown cement.

The Grey Final Polishing Strip – The Proximal Surface Polisher – Extra-fine Diamond –Single-sided

• A strip to be used to polish proximal contact surfaces of restorations and to restore a final finish in one step. 2 Clean out trapped cement 3 Polish to a natural finish

• A strip to be used when overhangs are smaller or do not stick out from the tooth.

Gull 8-pk. Fint diamantbelegg på én side for konturere komposittfylling. Felt på midten uten belegg for å gå gjennom kontaktpunkt uten å slipe. 2,5mm bred. 0,10mm tykk. Directa #33408

• The thicker diamond strip allows you to quickly trim away overhangs, while the blank central gateway enables smooth access to the interproximal space.

Kobber 8-pk. For justering og polering av overheng. Fint diamantbelegg på én side. 2,5mm bred. 0,06mm tykk. Directa #33608.

• A strip to be used to clean and polish the

The Grey Final Surface Polisher Single-sided
• A strip to be surfaces of restorations in one step.
2 Clean out
3 Polish to
• An ultra-thin and clean out
• A strip to be veneers or composite
• This heavy-duty rigorous cutting space.
• A strip that safely cement trapped
The Blue Serrated Saw – No Diamond
The White Serrated Interproximal Double-serrated.
Strip
The Blue Narrow Strip – Subgingival Cutter Double-serrated – No Diamond
• A strip to be used when overhangs are smaller
do not stick out from the tooth.
The Gold Narrow Strip – Subgingival Trimmer - Singlesided – Medium Coarse Diamond – Central Gateway
Cut
Trim
• The Blue Narrow Strip can be used when large, protruding overhangs
• The thin, serrated strip
The Blue Narrow
The Gold Narrow Strip – Subgingival Trimmer - Singlesided – Medium Coarse Diamond – Central Gateway
restoration after removing overhang.
The Copper Narrow Strip – Subgingival Polisher Single-sided – Fine Diamond
Cut
Trim Polish
• The Blue Narrow protruding overhangs
• The thin, serrated area and cuts cement. The Blue Narrow Double-serrated
• A strip to be used stick out from
• The thicker diamond away overhangs, enables smooth
The Gold Narrow sided – Medium
• A strip to be used after removing
• Restores a natural one easy step. The Copper Narrow le-sided – Fine Cut
Trim Polish

FenderWedge®

Beskytter tann og gingiva under preparering

Svært ofte kan nabotannen få skader under preparering. Faktisk så ofte som 70% av tilfellene! Unngå det med FenderWedge! Plastkil med tynn stålplate føres inn mellom tennene, dermed holdes barrieren effektivt og stødig på plass. Fungerer som en matrise og beskytter nabotann og gingiva. Finnes i størrelsene x-small, small, medium og large i 100-pk, samt i et startsett med 36 stk av hver størrelse i praktisk etui.

1.190,-

4 x 36-pk (alle størrelser)

FenderMate®

Seksjonsmatrise for komposittrestaureringer

FenderMate er en ferdig montert og formet seksjonsmatrise og kil. Hjelper deg til raskere, sikrere og mer forutsigbare komposittrestaureringer. Utviklet for å føres inn bukkalt eller lingualt. Finnes i vanlig og smal for høyre og venstrevendt. 18-pk av hver type eller assortert boks med alle fire varianter.

(alle

Tydelig markering på både våte og tørre flater

-30% på alle TrollFoil-produkter

Gjelder til 12.10.2025.

TrollFoil 8 my - bestselgeren

Blå 100pk

Rød 500pk -30%

Artiklulasjonsfolie på 8 my setter utrolig lett farge på alle typer materialer, både tørt og vått, også porselen og gull. Ferdig montert på en stiv plastramme, med tommelgrep slik at du slipper misfarging. Slipper bruke pinsett eller holder, TrollFoil holder seg strukket og rett. Dekker en hel kvadrant. Mål 7,5 x 2cm. Ferdig montert på ramme med grep. Dobbeltsidig. Før 1.199,- 181,Vnr. 6589

Vnr. 6504 Blå 500pk -30% 839,-

Vnr. 6505

#12000600

839,-

#12000501

TrollFoil 8 my - mini!

Dobbeltsidig, for markering av 1-2 tenner. Blå. 1,5 x 1,5 cm. 100-pk. Før 259,-

#12000402

181,Vnr. 6506

TrollFoil 4,5 my

- verdens

Presise og utrolig god markering på både våte og tørre overflater. TrollFoil 4,5 er på utrolige 4,5 my, og er montert på ramme som gjør den superenkel å bruke. Dekker en hel kvadrant. Før 578,-

Før 259,-30% -30% -30%

Mål 7,5 x 2cm. Dobbeltsidig. Eske á 80 stk.

Tenk miljø, velg grønt!

Kjøp Orsing Bio, få Green Clinic Certificate

Sertifikatet henter du etter kjøp på www.orsing.se/certificate

Orsing satser fossilfritt ved å bruke biobasert polyetylen (PE), produsert av fornybar sukkerrør. Ubetydelig dyrere per pasient, men med betydelig effekt for planeten vår! 80% redusert CO2-utslipp. Kjøper du Orsing Bio kan du få Green Clinic Certificate, som du kan henge opp for å vise at dere tar viktige skritt mot en bærekraftig fremtid.

Hygoformic® Bio spyttsuger

Velkjent formbar spyttsuger med justérbar lengde og med unik design som bidrar til å holde tungen på plass. Engangs. 100-pk. #UB2100* Forpakninger: 1, 10

Hygoformic® Bio adapter

Hvite, miljøvennlige engangsadaptere for Hygoformic spyttsugere. Diameter 6,5mm. Hvit. Forpakninger: 1, 10 #S100Bio 100-pk

Orsing Bio pasientbeger i bambus

Beger produsert i miljøvennlig av bambus, impregnert med vannbasert belegg. 21cl. Engangs.

Gå over til Orsing Bio - og få en betydelig miljøgevinst! #BC50. Forpakninger: 50-pk

Vnr. 6791

91,-

Vnr. 6781

99,-

Adapter H16

Adapter/overgang fra 16mm sugeslange til 11mm vakuumsug, for f.eks. HygoVac, Scantube, og Spotnix. Hvit. Autoklavérbar. #H16 10-pk 149,-

Vnr. 6795 11mm 16mm

Vnr. 6722

Scantube® Bio vakuumsug

135mm lang med 45° skåret ende i hver ende. 11mm tykk. Bioplast. Forpakninger: 1, 10 # 100-pk

Scantube® Vent Bio vakuumsug

135mm lang med S-skåret ende i hver ende og ventilasjon i én ende, slik at du kan velge om du skal kjøre med ventilering eller ikke. Vil du ikke ha ventilering så setter du den enden i sugeslangen. 11mm tykk. Bioplast. Lysegrønn. Forpakninger: 1, 10 # 100-pk

Hygovac® Bio vakuumsug

Vnr. 6771

95mm eller 120mm lang, med S-skåret i én ende, og 45° i den andre enden. 11mm tykk. Bioplast. Hvit med grønne striper. 100-pk. #BS1000

Hygovac® Vent® Bio vakuumsug

140mm lang, med S-skåret i én ende, og 45° i den andre enden. Ventileringshull i begge ender. 11mm tykk. Bioplast. Hvit med grønne striper. Forpakning: 100-pk

Spotnix® Bio vakuumsug

120mm lang. Runde kanter og ventilert slik at den ikke suger seg fast. 11mm. Engangs. #SPB1100 (100-pk)

Hygo® Tip XL Bio vakuumsug

145mm lang. Holder tungen på plass og kinnet unna arbeidsområdet. Ventilert for å ikke suge seg fast. 16mm. Engangs. Lys grønn. #TPXLB10

Forpakning: 10 stk.

Hygienetrekk for røntgensensorer og fosforplater

TrollBag for røntgensensorer

Supermyke trekk for sensorer og fosforplater. Helt uten lateks, lukt, smak og skarpe kanter. Lett å ta på og av, uten å ødelegge sensoren.

Tips: XL-trekket dekker både sensor og røntgenholder. En superenkel løsning som gjør hygienearbeidet mye enklere.

TrollBag for fosforplater

Supermyke poser for fosforplater.

Helt uten lateks, lukt, smak og skarpe kanter. Lett å ta på og av.

Leveres på rull i praktisk dispensereske.

Dekker sensor.

Størrelse: 3,6*22cm. 500-pk. #1

1.148,-

Vnr. 6509

#13190089

P1

Fosforplate #1

Størrelse: 49x29mm. 500-pk.

1.348,-

Vnr. 7784

4,0*22cm. 500-pk.

1.148,-

Vnr. 6500

#13190090

P2

Fosforplate #2

Størrelse: 50x36mm. 500-pk.

1.348,-

Vnr. 7783

#13190401 #13190402

Handix silikontrekk / grep

Få bedre og tryggere grep på dine instrumenter med Handix silikongrep. Norsk oppfinnelse i autoklavérbar, medisinsk silikon. Spesialutviklet, ruglete mønster for maksimal stabilitet og instrumentkontroll. Latexfri. Lett å rulle på vinkelstykke, håndstykke, turbin, scaler, herdelampe osv. Gir et mer stødig og presist grep.

890,-

Vnr. 3730

Størrelse: 6,5*22cm. 500-pk.

1.324,-

Vnr. 6501

#13190092

Beskyttelse for PC-tastatur

-20% på HW BioLine

Gjelder til 12.10.2025 eller så langt lager rekker!

Tastatur kan være en skikkelig utfordring hygienemessig. Gjør det lett med poser. Myke og komfortable, og enkle i bruk. Finnes i to ulike størrelser:

599,Vnr. 5033

BIOline hygienetrekk for små tastatur, 500-pk. Trekkstørrelse: 160 x 550mm #640065 Før 749,-

BIOline hygienetrekk for større tastatur, 250-pk. Trekkstørrelse: 215 x 550mm Før 899,#640066

Fingercots - fingerlinge

Små lateks-trekk for finger, beskyttelse av sensor osv. Pose med 100 stk. Størrelse large. Lett pudret.

Forpakninger: 1, 25

Supersterke avfallsposer

Irriterer du deg over vanlige, tynne avfallsposer som lett revner? Her er en pose på 30 my, som tåler mer uten å revne. Store, hvite med 70 liter kapasitet. 600 x 900mm. Godt egnet ved opppbevaring/transport av smittefarlig avfall. Rull 50 poser.

Forpakninger: 1, 10.

2007

719,Vnr. 5038

Vnr. 9229

Standard avfallsposer

Standard avfallsposer 18my. 70 poser på rullen. Størrelse 600x900mm.

Forpakninger: 1, 15.

TrollByte Kimera holdere

Holdbare og superenkle røntgenholdere

TrollByte Kimera finnes for alle typer sensorer, fosforplater og film. TrollByte enkel å bruke. Stive, robuste holdere som gir deg full kontroll når du skal ta bilde. Ingen artefakter på bildene fra holderen. Kan autoklaveres. Produsert av miljøvennligere bioplast - enda et viktig miljøtiltak. Vi hjelper deg å finne riktig. Ring oss på telefon 66892050, på post@td.no eller på LiveChat på www.td.no

Bitewing liggende (rød)

Kompakt og stiv holder for enkelt å ta bitewing. 3-pk røde holdere (var tidligere rød/sort).

Start-sett røntgenholdere

Startsett m/én av hver TrollByte Kimera rød, gul og blå, samt siktering og bittblokk. 3-pk. Ønsker du bare én farge så velg et av settene nedenfor.

Periapikal stående (blå)

Stående holder for periapikale opptak. Siktering og bittblokk følger med. 3-pk blå.

Endodonti-sett

Periapikal liggende (gul)

Liggende holder for periapikale opptak og bitewing. Med siktering. 3-pk gul.

For indikatorbilder og sluttbilder. Sett med blå spesial endoholder for stående, og gul spesial endoholder for liggende opptak. Med rød og grønn endobittblokk og siktering. Finnes for alle sensorer, plater og film.

Calasept kalsiumhydroksid

Høykonsentrert kalsiumhydroksid på >41%. pH 12,4 gir høy antibakteriell effekt, bakteriedrepende. Røntgenkontrast. Langvarig. Klar til bruk, appliseres direkte gjennom steril kanyle.

Vnr. 3644

Calasept kanyler 21G, 0,8x23mm Luer-lock. 100-pk. Directa #1231100

Sett Calasept, 4 x 1,5ml (2,2gr) og 20 kanyler: Directa #1230100

489,-

Vnr. 3642 459,-

Calasept Plus kalsiumhydroksid

Høykonsentrert tyntflytende kalsiumhydroksidpasta med >41% hydroksid i en konsistens som enkelt appliseres med en liten og fleksibel plastkanyle: Flexi-Tip. Autoklavérbare Flexi-Tip i kombinasjon med den myke konsistensen sparer deg for tid, og hjelper deg å oppnå en presis og dyp applisering. pH 12,4 gjør den baktericid. Langvarig. Røntgenkontrast.

858,-

Vnr. 3646

Calasept Plus Flexi-Tip, 100-pk

Directa #1241100

Calasept skyllekanyler

Sett med Calasept Plus 4 x 1,5ml, m/20 Flexi-Tip kanyler: Directa #1240100

589,-

Vnr. 3645

Sterile skyllekanyler med rund spiss og åpning på begge sider slik at væsken virvles rundt. Kan bøyes. Luer-lock.

31G, lilla, 25-pk #1201610

Calasept EDTA

Skyllevæske til kjemisk utvidelse av rotkanaler. Letter den mekaniske utrenskningen. Leveres med adapter til skyllesprøyten. Nå 250ml.

Vnr. 3647

Flaske 250ml

Directa #1260100

338,-

Vnr. 3640 338,-

Vnr. 3641

27G, grå, 25-pk #1201600

Calasept CHX

2% Klorhexidindiglukonat. Benyttes etter EDTA ved revisjonsbehandlinger og alle typer nekrosebehandlinger. Nå 250ml.

Vnr. 3648

Flaske 250ml

Directa #1270100

Beskyttelsesutstyr og rekvisita

SuperFit OTG UV-briller

398,-

Vnr. 5024

Slitesterke. Kan også brukes utenpå andre briller. Softpad med ergonomisk passform og justérbare armer. Antidugg. Anti-ripe-behandlet. 38 gram. Beskytter 390-525 nm.

Uvex SlimFit UV-briller

Superlette Uvex UV-briller. Veier bare 21 gram. Sitter godt og beskytter mot lyset fra herdelampen i området 350-523 nm.

Virtua klare beskyttelsesbriller

Klare beskyttelsesbriller fra 3M med klare linser. Dekker godt, også på sidene. Komfortable. Veier kun 26 gram. Anti-ripe-behandlet. Godt egnet ved pasientbehandling, bredt synsfelt. UV-beskyttelse (200-380nm).

Modell 3M Vertua AP PC Clear AS #DE-2729-4474-0

562,-

Vnr. 4923

98,-

Vnr. 5036

iSpec Wipes holder dine briller eller visir rene

Snor for briller eller lupebriller

Øreplugger med bøyle

Under kinn eller bak nakken. Reduserer støy opptil 26 dB. Vekt 13 gram. Myk og behagelige propper.

299,-

Våtservietter fra Hager & Werken gjør det lett å rengjøre dine briller og visir. Fjerner sprut, fingermerker og flekker. Gir deg rene og stripefrie briller og visir. 100-pk. 20x50mm.

Vnr. 5019

139,-

Vnr. 5039

Øreplugger med tråd

Reduserer støy opptil 26 dB. Xact-Fit.

49,-

29,-

Vnr. 5028

Vnr. 5037

Pudderfrie nitrilhansker

Endret emballasje, så i en periode er det ulike bokser/merking.

Komfortable hansker i nitril, uten pudder og latex. Tynne (kun 3,5 gr) for optimal taktilfølsomhet, samtidig som hansken har overlegen styrke med optimal punkteringsmotstand. Mansjetten er teksturert med perler.

Minstekjøp 1 eske á 100 stk hansker. Usterile. Passer både høyre- og venstrehendte. Førpriser: 99,- (hvit) 111,- (rosa/sort)

Vnr. 2288: XS

Vnr. 2289: S

Vnr. 2290: M

Vnr. 2291: L

Hvit

Vnr. 2284: XS

Vnr. 2285: S

Vnr. 2286: M

Vnr. 2287: L

Vnr. 2293: S

Vnr. 2294: M

Vnr. 2295: L

Munnbind IIR sprutsikre

Behagelige kirurgiske munnbind i klassisk blå farge, med myke ørestrikker. Gunstig passform og unik pusteevne. Dermatologisk godkjent. Før 99,-

Forpakninger: 1 x 50-pk 74,22 x 50-pk (hel kartong) 1.628,-

Hygienisk og stilig oppbevaring av tannbørster og interdentalbørster. Håndlaget i glass. Plass til 2 tannbørster og 5 interdentalbørster/stikkere. Før 199,-. Begrenset lager.

Vnr. 2204

Kjøp FlashMax® P3 lampe, få raskere og bedre herding!

n Herder på 3 sek. pr. lag n Unikt grep n To lysledere som kan vinkles n Trygg herding

-10% høstkampanje på FlashMax P3

Gjelder til 12.10.2025.

Høyere effekt gir bedre herding

FlashMax har effekt på <4.000 mW/cm2, høyere enn gammeldagse lamper som ofte ligger godt under 1.000 mW/cm2 og med veldig lang herdetid.

Herder alle lysherdende materialer

FlashMax herder i området 440-80nm, noe som er det mest vanlige. Alle materialer med Kamferkinon som fotoinitiator herdes med FlashMax P3.

Lysledere

Det følger med lysledere på 4mm og 8mm, som kan vinkles.

Optimalt klinisk resultat

Høyere intensitet gir tidsbesparelse og større sikkerhetsbuffer for et godt klinisk resultat. Siden herdetiden er kort vil ikke FlashMax skade pulpa eller gi smerte. Som med andre materialer er de viktig å ikke herde mer enn 2mm tykke lag om gangen.

Spar 1.499,-

Før 14.990,-10%

13.491,-

Vnr. 4917

Tilbehør til FlashMax P3

Vi anbefaler bruk av hygienetrekk for enklere hygiene.

4975 Hygienetrekk 250-pk, lukket 310,4986 UV beskyttelseskjerm oransje 368,-

4920 Ytre deksel, front, 10-pk 158,-

4919 Lysleder 8mm flat, 50-pk 338,4920 4986

4918 Lysleder 4mm spiss, 50-pk 338,-

Superlett LED-herdelampe

Kun 85 gram!

low-profile

Slank og lett (kun 85 gram!) LED herdelampe fra Premium Plus til god pris. Har normalstyrke på 1200 mW/cm2 (herdetider 5, 10, 15 eller 20 sekunder) og høy styrke på 2500 mW/cm2 (herdetider på 1, 3 eller 5 sekunder). Har også program for ortho, med intervallherding, og Ramp-program for sensitive materialer med myk start og påfølgende konstant styrke. Lysleder på 10mm som kan roteres 360°. Av/på-bryter, OLED-skjerm som viser valgt innstilling, og knapp for å endre innstilling.

The low-profile design enables the curing light to easily access hard-to-reach areas, minimizing intrusion for patients and helping to avoid triggering the gag reflex or discomfort, especially for those with limited oral openings. Additionally, the compact design provides a clearer, less obstructed view for the dentist during procedures.

Herdelampe PP C03-B sett

I esken medfølger komplett herdelampe, bordlader med strømforsyning, lysskjold, 10mm lyshode og startpakke med hygienetrekk. Herder om lysområdet 385-515 nm. 1 års garanti. Før 4.990,-

construction protects the head from

caused by accidental drops or impacts, ensuring long-lasting performance. 360

Engineered with a 360-degree rotating head, independent of the body, to ensure access to all areas of the oral cavity with unobstructed view of the curing light screen.

Praktiske trekk som forenkler hygienerutinene og beskytter din herdelampe.

low-profile

low-profile

The

The low-profile design enables the curing light to easily access hard-to-reach areas, minimizing intrusion for patients and helping to avoid triggering the gag reflex or discomfort, especially for those with limited oral openings. Additionally, the compact design provides a clearer, less obstructed view for the dentist during procedures.

ORTHO RAMP

www.premiumpluspoland.com

Vnr. 3830

OroMed - håndsprit og såpe

Effektiv, mykgjørende og skånsom alkoholbasert middel for rask og effektiv desinfisering av hender. Du vil like at OroMed lukter mindre alkohol, at den er veldig lett å arbeide inn og gir en myk og deilig ren følelse. Siden det er en tyktflytende gel så drypper ikke OroMed på gulvet og er mye lettere å arbeide med. Drøy og økonomisk.

Oromed Gel håndsprit

Virker aktivt og hurtig mot alle bakterier, sopp og virus på bare 30 til 60 sekunder! Tørker ikke ut huden som de fleste andre produkter, men tilfører fuktighet og gir en mer behagelig følelse. Opprettholder frisk og myk hud. Mild duft og uten parfyme. pH-nøytral.

Hurtigvirkende og effektiv mot bakterier, antibiotikaresistente bakterier, mykobakterier, sopp, TBC, HBV, HIV, Herpes, Hepatitt C, Hepatitt B, Influensa A, Adeno, Polio, Korona, Rota- og Novovirus m.fl.

112,-

500ml pumpeflaske

#CH-081143

OroMed håndsåpe

Vnr. 2060

Mild håndsåpe spesielt utviklet for tannhelseteamet. Dermatologisk testet med pH på 5,5-6,5. Spesielt godt egnet for sensitiv hud.

Bidrar til å forhindre uttørring. Tilfører optimal fuktighet. Holder dine hender myke og rene. Alkaliefri. Hint av mild skogsduft.

Vnr. 2098

#CH-081056

500ml pumpeflaske -50%

249,-

Vnr. 2042

1000ml for OroMed dispenser

#CH-081144

149,-

Vnr. 2066

1000ml for OroMed dispenser

#CH-081054

Veggdispenser for 1 liter OroMed, håndsprit eller såpe. Få dose OroMed ved å trykke inn knappen, eller bruke den praktiske albuebøylen (kan tas av). Vindu på forsiden og på sidene hvor du kan legge inn egen tekst/reklame/logo. Enkel å bruke, og drøy i bruk. Kampanje så langt lageret rekker. Veil. pris 780,-

390,-

Vnr. 2037

CH-091110

Rens og desinfisering av suget

Gode rutiner gir optimalt sug og forhindrer dårlig lukt og bakterievekst. Bruk Oro Clean Plus daglig og Oro Clean Liquid ukentlig. Gir suverén rengjøring og desinfisering. Holder suget optimalt og forebygger dårlig lukt. For alle sugesystemer, både tørrsug og våtsug.

Oro Clean PLUS - daglig

3-i-1: desinfisering, rengjøring og luktfjerning Konsentrat for rengjøring og desinfeksjon av sug, fontene, amalgamseparator og sugesystem. Forhindrer lukt. Biologisk nedbrytbar. Effektiv mot sopp, bakterier, HIV, Hepatitt m.m. Gir 100 liter væske (2%). Fjerner saliva, kalk, blod, partikler osv. Skummer ikke. Bruk etter siste pasient og la virke 60 minutter.

358,-

Vnr. 2141

#CH-071120

428,-

Vnr. 2135

#CH-071020

Oro Clean LIQUID - ukentlig

2-i-1: kraftigere rengjøring og luktfjerning Brukes en gang i uken for grundigere rengjøring. Fjerner grundigere biofilm og avleiringer, også ansamlinger av partikler, kalk, blod osv. Skummer ikke. Uten alkohol. Konsentrat. Gir 100 liter ferdig blanding (2%). Bruk etter siste pasient og la virke ca 30 minutter eller over natten, og skyll gjerne dagen etter.

Green & Clean M2

For både tørr- og våtsug. Vennlig mot miljø og unit. Forebygger avleiringer. Skummer ikke. Unikt system med to ulike midler for å unngå resistens. Refill 4 x 500ml.

M2-dispenser

Dispenser for Green& Clean M2 sugerens.

2 trykk = dose på 6ml. Fyll resten med vann. #60010004

Refill

2.448,-

Vnr. 6176

Green & Clean H1

Optimal rengjøring av sug med ensymer. For H1 rensesystemer. Skummer ikke. Refill 4 x 500ml.

Refill

1.599,-

Vnr. 6102

MST1beholder

990,Vnr. 6100

Tom beholder for MST1 amalgamseparator. #55020905

868,-

Vnr. 2502

Desinfeksjon av instrumenter

For rengjøring og desinfisering av instrumenter og utstyr. Rimelig, rask og ekstremt effektiv. Fjerner alle virus, bakterier osv. på 5 minutter, også TBC, HIV, Hepatitt, Herpes, Inflensa osv. Noro og Polio 15 minutter. Et av markedets aller beste desinfeksjonsmidler. Fungerer med de aller fleste materialer, som rustfritt stål, akrylglass, pleksiglass, PVC, silikon, polyetylene m.fl. Ikke aluminium, galvanisert stål og polyuretan. En unik anti-rust-formel som effektivt forhindrer rust. Kan brukes til instrumenter, røntgenholdere, bor, endodontiske instrumenter, skalpeller, sakser, scalere, spatler, filer, tenger osv.

Inneholder pr 100g: 3.6 g dialkyldimetylammoniumklorid, 9.1 g alkylaminbaserte, rengjøringsforsterker, hjelpestoffer.

2

Orolin Multisept Plus

2 liter konsentrat gir hele 100 liter væske. Bland 2% (20ml) med 980ml vann, og dekk instrumentene med væsken. La virke i 5-15 min, så skyll godt. Skift væske ved behov, senest etter 7 dager. Forpakninger: 1, 4

Orolin Multisept bad

Praktisk bad med lokk og innvendig kurv for avrenning.

Orolin superraskt borbad

Høyeffektiv rensing og desinfisering av bor og mindre instrumenter. Virketid på bare 30 sek. til 2 minutter. Varer 1-7 dager. Skylling ikke nødvendig.

Forpakninger: 1, 9

Borbadkassett med kurv og lokk.

Digitalt tidsur med magnetfeste, passer til badene over.

Høyeffektiv væske for bruk i alle typer ultralydbad. Løsner effektivt rester av gips, sement, blod og andre materialer som er vanskelig å fjerne. 1 liter flaske konsentrat. Anbefalt å blande ut i 2%-løsning med rent vann.

Forpakninger: 1, 9

Desinfeksjon av overflater og utstyr

Høyeffektiv og rask desinfisering av alle typer overflater og instrumenter. Dentiro-serien har en optimal alkoholkonsentrasjon på under 50% og er dermed skånsom mot de aller fleste materialtyper (også gummi, glass, silikon), men likevel effektiv mot mer enn 101 mikroorganismer, også de tøffeste virus! HBV, HIV, TBC, Herpes, Influensa, Adeno, Polio, Myko, bakterier m.m.

Virketid på bare 60 sekunder gjør Dentiro til en 100% trygg løsning for deg og dine pasienter.

Brukes som vanlig sprit - tørk over og la virke. Kort virketid - Dentiro gjør jobben raskere enn hva du er vant til! Mild, frisk duft av sitron. Finnes i 1 liters flaske og servietter/kluter ferdig fuktet klare til bruk.

Dentiro Sensitive 1 liter

Høyeffektiv desinfiseringsvæske for alle typer overflater, utstyr og instrumenter. Effektiv mot alle typer virus, bakterier og sopp på maks 60 sek. Fjerner lett blod. Virker mot Covid-19 på bare 15 sekunder! Lukter lite. Innh. alkoholer og kvarternære ammoniumforbindelser. Forp: 1, 9

Doseringspumpe til 1-liter

#CH-091054

#CH-041013

Vnr. 2030

Dentiro

Wipes servietter

Ferdig fuktede servietter med høyeffektive Dentiro Sensitive. Frisk, mild duft av sitron.

Størrelse er 14,5 x 20cm.

Refillpakke med 120-pk servietter.

Forpakninger: 1, 12

#CH-041079

Tom dispenserboks: vnr. 2115 kr 29,-

Spraydyse til 1-liter Komfortabelt grep.

Dentiro Wipes

Ultra Soft servietter

Store, robuste spritkluter ferdig fuktet med det høyeffektive Dentiro Sensitive. Frisk, mild duft av sitron. Klutens størrelse er 19 x 21cm. Refillpakke med 120-pk kluter.

Forpakninger: 1, 10

#CH-042084

Tom dispenserboks: vnr. 2057 kr 39,-

Store, tørre spritkluter Dry Wipes UltraSoft

Tørr, stor spritklut med god oppsugingsevne. Rull med kluter som du enkelt river av når du skal bruke den. Mange bruker flere små spritkluter hver gang, her kan du spare tid og penger siden disse klutene er store og tykkere enn vanlige kluter. Kampanje så langt lager rekker. Forpakninger: 1, 20

Vnr. 2093

DRY WIPES UltraSoft Maxi

30x30cm, 40-pk, Før 79,#PL-091166

Tom dispenserboks: vnr. 2057 kr 39,-

Vnr. 2055

Serie fantastiske lysvinkelstykker med ultralite hode!

n Ultralite hode n Slank hals n Bedre hygiene n Mindre vibrasjoner n 4x mer robust n Lett

Hode på Ø6,3mm (12,9mm).

CoolTouch-knapp. Rustfritt stål.

Anti-Retraction. 72 / 67 gr. 1x spray. 40.000 rpm.

2 år garanti.

For standard og MicroSeries-motor: #1601137-001, vnr. 4092

11.900,Vnr. 4092

Kortere versjon for MicroSeriesmotor: 1601136-001, vnr. 4095

CoolTouch-knapp. Rustritt stål.

Anti-Retraction. 72 / 66 gr. 4x spray. 200.000 rpm. 2 år garanti.

For standard og kort mikromotor: #1601139-001, vnr. 4094

13.990,Vnr. 4094

Kortere versjon for MicroSeriesmotor: 1601138-001, vnr. 4093

Mikromotor MC3

Med LED-lys. For standard og korte (MicroSeries) hånd- og vinkelstykker.

n Ø 21mm

12.990,Vnr. 4551

n 54dB / 98 gram

n 60-40.000 rpm #1600680-001

Kampanje!

Klassisk blått vinkelstykke fra Bien Air. God ergonomi, robust. Før 9984,Blått lysvinkelstykke

6.590,Vnr. 4399

n Spray 2x3 n 86 gram / 57dB

n 1:1 blått #1600384-001

Utrolig kraftfull turbin til knallpris!

Bien Air Tornado er en høykvalitetsturbin fra Sveitsiske Bien Air, nå med ny enda mer robust og slitesterk overflate. Enorm kraft - på hele 30W på vanlig hodestørrelse og hele 24W på lite hode! Overflaten er nå mer enn 4 ganger så sterk som før, med PVD-beskyttelse.

Preparering går enklere, lettere og raskere med nye Tornado. Godt grep, 4 assymetrisk spray, LED-lys, robust ytre PVD-beskyttelse for lang holdbarhet - og 2 år garanti.

14.590,-

30W!

Vnr. 3953

Tornado vanlig hode Ø12,2mm, 30W, 55 dB

For MultiFlex vnr. 3953 #1600907-001

For Unifix vnr. 3954 #1600908-001

Blått håndstykke uten lys. 1:1

n Vekt 80gr

n Anti-Retratction Valve

n 40.000rpm

n Autoklavérbar 135°C

n Bien Air #1600383

24W!

14.590,-

Vnr. 3956

Tornado S, lite hode Ø10,9mm, 24W, 58 dB

For MultiFlex vnr. 3956 #1600932-001

For Unifix vnr. 4000 #1600933-001

Vnr. 3910

Blått håndstykke uten lys. 1:1

n Vekt 80gr

n Anti-Retratction Valve

n 40.000rpm

n Autoklavérbar 135°C

n Med avtagbar ekstern irrigasjon

n Bien Air #1600052

6.990,-

Vnr. 3912

99,99%!

Rensing + smøring + desinfisering av hånd-/vinkelstykker/turbiner!

Det er svært viktig å rense vinkelstykker, håndstykker og turbiner skikkelig slik at alt av oljerester, blod, spytt osv. fjernes før ny smøring og evt. autoklavering. Gode rutiner på rensing og smøring forlenger levetiden på dine instumenter og reduserer smittefare.

Gir 99,99% desinfiserte instrumenter

Bien Air SprayNet er rense- og desinfiseringsmiddelet som brukes i Lubricare. NAMSA, USA, har dokumentert at Lubricare med Spraynet gir hele 99,99% desinfiserte instrumenter innvendig!

20-40 sekunder pr. instrument

Bien Air Lubricare forenkler hygienearbeidet, men den er mye mer enn bare en ”smøremaskin”. Fire stasjoner for hånd- og vinkelstykker og/eller turbiner, hvorav to er rens/desinfisering og to er smøring. Hvert instrument tar bare 20-40 sekunder, og gir derfor en enorm kapasitet!

Kompakt og lite plasskrevende

Lubricare får lett plass på benken, med sine 30x30cm. Lubricare tilkobles enkelt strøm og kompressorluft.

Fordeler med nye Lubricare2

n Grundig rens og intern desinfisering med SprayNet før LubriFluid-smøring

n Gir 99,99% desinfiserte instrumenter innvendig

n Økonomisk - bruker lite rense/smøremidler

n Enkel å installere og enkel i bruk

n Forlenger levetiden på dine instrumenter

Ekstra tilbehør til Bien Air Lubricare

første generasjon (hvit/lys)

L2=Lubricare 2 (sort)

4663 KaVo Multiflex 1306009 2 492,4599 Sirona 1306010 2 492,4648 W&H RotoQuick 1306011 2 492,4392 Bien Air Unifix 1600082 2 492,4594 L1/L2 Spraynet 500ml rød 749,4593 L1/L2 Lubrifluid 500ml blå 749,4596 L1/L2 oljepad (7x11,5cm) 5-pk 329,4597 L1 filter bunn (19x11,5cm) 1-pk 396,3821 L2 oljepad dør (1x27cm) 5-pk 495,3823 L2 filter bunn (7x27cm) 5-pk 396,1601156-001

Portable Autoclave

your process easy, quick and

T-Classic One, is a lightweight, portable autoclave designed as cost-effective sterilization solution. Fully with an easy one touch operation, short cycles.

T-Classic One autoklav, kompakt, rask og enkel

T-Classic One offers multiple benefits for users. The Autoclave has 9 litre capacity, with a 126°C sterilizing temperature. The internal furniture consists of a basket as standard, however can also be supplied with cassette holders

Lite plasskrevende

The T-Classic One, is a lightweight, portable a cost-effective sterilization solution. Fully automatic with an easy one touch operation,

Ideally designed to meet portability needs of

combination with another autoclave or as a

Pakke med:

Performance with the simplicity affordability your small practice needs

T-Classic One autoklav 126°C med innsatskurv. #210001XP

Dampautoklaven er kompakt og kan lett flyttes. Den veier bare 5,4 kilo, og er ca 34cm i diameter

Tuttnauer Performance with the simplicity and affordability your small practice needs

T-Classic One

Instruments sterilized and ready quickly

The T-Classic One offers competitively quick unwrapped cycle times, in as short as 18 minutes*. The fast point-of-use sterilization makes your turnaround a

Tilbehør til T-Classic One

One offers competitively unwrapped cycle times, in as short as The fast point-of-use makes your turnaround a increasing efficiency, while bottlenecks. vary, depending on load & weight.

med lokk. Pr. stk. #219291

The T-Classic One is a simple one step operated device. With one touch, the T-Classic One will begin an automatic cycle until completion. An electronic detector will turn off the power if water level is insufficient. The perfect autoclave for limited space.

og løfteverktøy. #219706

The T-Classic One is the lightest tabletop autoclave available, weighing only 5.35 kg allowing for easy portability, while requiring minimal counter space.

Rensemiddel, fjerner kalk, urenheter, belegg og skitt. 500ml.

Profesjonell oppvask med 85°C

n Prisgunstig n Høy temperatur på 85°C n 1-fas

og enkel montering n Rimelig i drift

Introduksjonspris

Nye 2025-modeller som er enda raskere: 45 / 70 minutter!

Vanlige oppvaskmaskiner er ikke tilfredsstillende på et tannlegekontor, du må ha en som har høyere temperatur, minst 85°C. Profesjonell Asko DWC6423BIW oppfyller temperaturkravet tilsvarende det som er til desinfektor (ISO 15883-1:2006 6.8.3.2). Asko proff DWC6423BIW er mye brukt på sykehus, sykehjem, legekontor og tannlegekontorer. Alle slitedeler og kammer i rustfritt stål. En driftssikker og prisgunstig maskin.

34.900,-

Vnr. 8951

Skyller i kaldt vann (<40°C) og har SANI-program som går til 85°C i 3 minutter (ISO-kravet er 2-3 minutter ved 85°C). Syklustid 45 (SANI RASK) eller 70 minutter (SANI NORMAL).

Noen fordeler med Asko:

n 2 år garanti og landsdekkende service

n Kan installeres lokalt

n Tilkobles 1-fas, 16A-kurs

n Krever ikke årlig service

n Støynivå kun 44dB

n Bredde 59,6cm,

n Høyde 81,9 -> 87,2cm

n Hvit front eller sølv front, se vnr. 8952

Hva er nytt på nye 2025-modellen?

n Enda mer støysvak (kun 44dB)

n Raskere programmer med 85°C

n Sterkere vannpumpe med økt trykk

n Automatisk døråpning (når temperatur går under 65°C)

n Nye PowerZones (Jet & Wide)

n Nytt kontrollpanel og fargeskjerm

n Nå med Sani-Lock

n Kan kobles til WI-FI

n Testet for 20.000 sykluser

Tilbehør til Asko

NeoDisher MA 1 kg pulver. Dosering: ca 20gr per syklus.

267,-

Vnr. 8946

Måleskje for Neodisher. 1 stk. 20gram pr. syklus.

25,-

Vnr. 8950

Nedre kurv til DWC6423BIW og DWC6423BIS med nedfellbar inndeling. #882303

1.795,-

Vnr. 8954

Ny hode/nakkepute

i fine farger

Med den nye Glåma-puten ligger pasientens hode enda mer komfortabelt, stabilt og helt rolig under tannbehandlingen. Unikt materiale som tilpasser seg pasientens hode og nakke.

Puten festes enkelt til din eksisterende hodestøtte med borrelåsen som følger med. Norsk-produsert ved Glomma. Trukket i slitesterkt PU-trekk. Kan avsprites og vaskes.

Nyhet!

949,-

Vnr. 5619

Glåma Rød

949,-

Vnr. 5603

Glåma Marineblå

Festes slik: Festes enkelt med borrelås, som følger med.

949,-

Vnr. 5667

Glåma Grå

949,-

Vnr. 5623

Glåma lysegrå

Størrelse: Glåma-puten er 17 cm bred, 18 cm lang og 6 til 11cm høy

Farger: 5619 Rød 5603 Marineblå 5667 Grå 5623 Lysegrå

Superrask miniskriver

Skriver ut timekort, resepter, kvittering osv. Smart, lite plasskrevende og rimelig. Superrask og rimelig i drift. Ingen toner, kun papir. Citizen CT-S310II kobles til PC med USB-kabel. Nå også en tykkere og mye bedre papirkvalitet.

Passer til Opus!

Rengjøring: Tåler avspriting

Tåler vask og koking Avtagbart trekk

Tilbehør: Vnr. 5009 1-pk ekstra tykt papir (forp 1,3)

Vnr. 7069 USB-kabel 5 meter, kr 85,-

3.590,-

Vnr. 7396

Vinkelstykker/håndstykker

WK-56LT

Blått lysvinkelstykke

1:1 med hode på Ø9,5mm. Vekt 69 gr. 3 år garanti. #30025000

13.209,Vnr. 7281

Listepris 16.308,-

HK-43LT

Blått håndstykke 1:1 med lys. For Ø2,35 bor. 1x spray. Vekt 88gr. 3 år garanti. #30028000

Listepris 15.923,12.897,Vnr. 7282

Turbiner

TK-94LM

For MultiFlex-kobling 12W turbin med hode på Ø9mm. 5x spray. Vekt 67 gr. 2 år garanti. #30031000

16.005,-

Vnr. 7292

Listepris 19.759,-

WK-99LT

Oransje lysvinkelstykke 1:5 med hode på Ø9,1mm. Vekt 72 gr. 3 år garanti. #30023000

19.479,Vnr. 7283

Listepris 24.049,-

WK-93LT

Oransje lysvinkelstykke

1:4,5 med lite hode på Ø9,1mm. Vekt 71 gr. 3 år garanti. #30024000

19.479,Vnr. 7284

Listepris 24.049,-

WK-900 LT Workhorse

Nytt robust, rødt vinkelstykke med utveksling 1:4. Mer effektiv. Nytt hodedesign, enklere borbytte, 20% lengre holdbarhet. HeatBlocker-knapp. 3 år garanti. #30418000

Listepris 25.988,-

TK-97LM

For MultiFlex-kobling 18W turbin med hode på Ø10mm. 5x spray. Vekt 68 gr. 2 år garanti. #30018000

16.005,Vnr. 7290

Listepris 19.759,-

21.050,Vnr. 7304

TK-98LM

For Multiflex-kobling 21W turbin med hode på Ø11,5mm. 5x spray. Vekt 68 gr. 2 år garanti. #30020000

16.005,Vnr. 7278

Listepris 19.759,-

Vinkelstykker/håndstykker

WG-99LT

Oransje lysvinkelstykke

1:5 med hode på Ø9,5mm. 75 gr. 4x spray. 2 år garanti. #30007000

14.791,-

Vnr. 7253

Listepris 18.260,-

WG-56LT

Blått lysvinkelstykke

1:1 med hode på Ø9,5mm. Vekt 70 gr. 1x spray. 2 år garanti. #30009000

10.258,-

Vnr. 7251

Listepris 12.664,-

WG-900 LT Workhorse

Nytt robust, rødt vinkelstykke med utveksling 1:4. Mer effektiv. Nytt hodedesign, enklere borbytte, 20% lengre holdbarhet. HeatBlocker-knapp. 2 år garanti.

#30459000

Listepris 19.113,-

Turbiner

TG-97LM

For MultiFlex-kobling 18W turbin med hode på Ø10mm. 4x spray. Vekt 68 gr. 1 år garanti. #30006000

11.850,-

Vnr. 7257

Listepris 14.630,-

15.481,-

Vnr. 7295

TG-97L for RotoQuick #30004000, vnr. 7255

TG-98LM

For Multiflex-kobling 21W turbin med hode på Ø11,5mm. 4x spray. Vekt 68 gr. 1 år garanti. #30003000

11.850,-

Vnr. 7258

Listepris 14.630,-

TG-98L for RotoQuick #30019000, vnr. 7256

HG-43A

Blått håndstykke 1:1. For Ø2,35 bor. 1x spray. 2 år garanti. #30013000

7.440,-

Vnr. 7254

WP-64M Pussevinkelstykke

Proxeo pussevinkelstykke 4:1. For Young screw-in kopper og børster. Lite hode. #10216403

Pussekopper

Listepris 9.185,Vnr. 7260 Elite 144-pk 1.213,Vnr. 7291 Elite Flex 144-pk 1.101,Vnr. 7300 Pointed 144-pk 1.101,-

Vnr. 7223

Listepris 8.113,6.571,-

Driftssikker vakuumautoklav fra W&H

n Klasse B / trippelvakuum n Rimelig også i drift n Robust n Rask n Brukervennlig

W&H Lina er en prisgunstig og driftssikker vakuumautoklav kl. B med kapasitet på 17 liter / 5 brett / 6 kg last. Mål 47 x 46 x 65cm. 3 brett medfølger, men med kapasitet for 5 brett.

Enkel og stilren på utsiden, men med avansert teknologi på innsiden. Nettopp for å gi deg en trygg autoklav uten driftsproblemer.

Syklustid på under én time

Med det raske ECO-programmet kan du kjøre hurtigsyklus på 25 minutter! Standard syklustid på under én time inkl. tørking. Autoklavér på 121°C eller 134°C, også innpakkede, og tekstiler.

Manuell eller direkte vanntilkobling

Du kan velge om du vil ha manuell påfylling av destillert vann eller om du vil koble Lina direkte til vannforsyning. Direkte tilkobling krever W&H vannfilter (tillegg, om du ikke har godkjent vannfilter fra før).

5 brett eller 3 brett med lokk

#19951131

Listepris 98.216,-

New Lina sterilizer the power of efficiency

Usability outside Technology inside

Enkel å bruke med touchpanel i farger

79.900,Vnr. 7377

Service først etter 4.000 sykluser! Lina trenger service kun hver 4.000 syklus/5 år. Det betyr at det kan gå mange år mellom hver service. Filtre og pakning skifter du enkelt selv.

Manuell påfylling eller direkte tilkobling av vann/avløp

Filtre og dørpakning: 9296 Dørpakning grå F460504x 1.704,9295 Bakteriefilter hvit W322400x 895,9294 Støvfilter liten 15x32 F3645020 881,9347 Støvfilter stor 12,5x19cm F364511 881,9303 800-kit lite støvfilter X050328X 4.730,9302 800-kit stort støvfilterX050326X 4.730,9297 Brett aluminium 18,5x28,5cm F5232040 439,-

Vannfilter og tilbehør:

Sykluslogg over alle sykluser på USB

Validering/testing:

100-pk teststrips 795,Service ved 4000 sykluser eller 5 år!

W&H Seal2 har praktisk holder for ruller med autoklavfolie. Kan stå på benken eller henges på vegg. #19722101.

Forseglingsmaskin for autoklavposer

Det er ikke helt enkelt å oppnå sterilitet. Det er en tilstand som varer bare akkurat så lenge som et beskyttende system kan garantere en absolutt resistent og hermetisk forseglet forpakning. W&H Seal2 garanterer dette ved å lage perfekt forseglede forpakninger på 12 mm. på 2 sek.!

Størrelse: ca 45cm bred, 48cm dyp (målt dersom rullholder er plassert på benk).

12.595,-

Vnr. 2020

Sikker innpakking av sterilt utstyr med EliReel

Høykvalitet autoklavinnpakking med papir og folie som beskytter autoklavert utstyr optimalt i 6 måneder. Robust og rivesikker. Tørker lett. Fargeindikator for oppnådd sterilisering.

Bredde 5,5cm 200m rull.

Bredde 7,5cm 200m rull.

Bredde 10cm 200m rull.

Bredde 15cm 200m rull.

Vnr. 3680

Bredde 20cm 200m rull.

3684

3681

Bredde 25cm 200m rull.

Bredde 30cm 200m rull.

Vnr. 3683

Vinkelstykker S-Max M-serien

Hoveddel i rustfritt stål, celleglassoptikk, 2 år garanti, rent-hode-system

Lys

4-spray

Rødt 1:5 #C1023001

Vnr. 8383

Lys

1-spray

Blått 1:1 #C1024001

Vnr. 8384

Vinkelstykker Ti-Max Z-serien

Lys

1-spray

Grønt 4:1 #C1025001

8385

FX57m puss & polering

• Utveksling: 4:1

• Clean Head

• Kompakt hode

• Autoklavérbar

• Robust

• Rustfri

#C1054001

Veil. 4.900,-

3.900,-

Vnr. 8361

Svært små størrelser (hode Ø 8,9 x H 13,4 mm), hoveddel i ren titan med ripebestandig DURAGRIP®, Celleglassoptikk, 3 års garanti, Integrert mikrofilter, rent hode-system, borchuck med trykknapp.

Lys

4-spray

Rødt 1:5 #C1034001 Z25L

Turbiner

8379

Lys

1-spray • Blått 1:1 #C1038001

Z15L

• Lys

• 1-spray

• Grønt 4:1 #C1039001

Z45L

• Lys • 4-spray

• Rødt 1:4,2

• 45° vinkel #C1064001

Premiumserie - nå i ny, forbedret utgave! Verdens kraftigste turbin på hele 44W!

Hoveddel i ren titan med DURAGRIP®-belegg, celleglassoptikk, svært slank hals for perfekt sikt, keramiske kulelagre, 2 år garanti, rent hode-system, QuickStop, firedelt spray.

Lite hode (Z890): 21W, Ø10,8 x 12,1mm

Standard hode (Z990): 44W, Ø12,1 x 12,7mm

KaVo Multiflex (KL) 8399 8400

Sirona (SL) 8401 8402

W&H RotoQuick (WL) 8403 8404

Bien Air Unifix (BL) 8405 8406

NSK PTL (L) 8397 8398

18.990,-

Pulverpolerere

Pulverpolerer sub NSK Prophy-Mate neo

Fjerner misfarging, rengjør og polerer supragingivalt. Komplett sett med håndstykke, 60°-spiss, 80°-spiss, pulver og renseutstyr. Veil. 15.631,-

Fjerner biofilm i lommer opptil 3mm. Komplett sett med håndstykke, periospisser, pulver og renseutstyr. Veil. 18.392,-

Rengjør og smører håndstykker, vinkelstykker og turbiner. Velg ønsket turbinadapter eller adapter for håndstykke/vinkelstykke nedenfor.

Sprayflaske med 500ml.

Forpakninger: Kjøp 1 eller eske med 6.

Rengjør og smør internt 2-3 sek:

Smør ”chuck” (borfestet):

290,W&H RotoQuick (WL) Z090054 8792 290,-

Bien Air Unifix (BL) Z090053 8793 290,NSK PTL (L) P183090 8794 290,-

Skap for materiell

-35% rabatt på Edarredo veggskap

Gjelder til 12.10.2025 eller så langt lageret rekker!

Italienske Edarredo har laget et praktisk veggskap for tannlegekontoret. Plass for to hanskestørrelser/typer, to refillbokser med hansker, eske med munnbind, rad engangsbegre og papirservietter. Kampanje på dentalhvit.

Dispenser for engangsbegre

Dispenser for munnbind (på siden).

Skapet er 350mm bredt, 150mm dypt og 700mm høyt.

Dispenser for to hanskestørrelser eller typer.

Dispenser for papirservietter

5.785,-

Vnr. 7470

Før 8.900,-

Robost og praktisk trillebord fra italienske Edarredo. Brennlakkert stål, spesielt utviklet for tannhelsebransjen. Modell Flexi 4C er 40x40x80cm. Med 3 innebygde stikkontakter bak deksel. Tre hyller og skuff med ”soft-close”. Smart for flytting mellom rom, eller som avlastning. Lakkert i dentalhvit, RAL9010.

13.500,-

Vnr. 7469

Endomotoren som er både roterende og resiprokerende

eller uten apexlokator – Du velger!

apexlokator – Du velger!

Nye trådløse Sendoline Endo Motor kan brukes med både roterende og resiprokerende filsystemer! Bruk egne filer eller Sendoline. Nå også nye S3! Bruk forhåndsprogrammer eller still inn selv.

kan brukes på tre olike

Sendoline Endo Motor kan brukes på tre olike

Sendoline Perfect Match

Stor valgfrihet - tre i én! Bruk den bare som endomotor, som endomotor med apekslokator eller bare som lokator.

I tillegg til det forhåndsinnstilte programmet for Sendolines filsystem, S3 og S5, finnes det også åpne programmer for både roterende og resiprokerende bevegelser. Du velger selv!

Bare som endomotor

Vinkelstykket har slank, smal hals og et lite hode som kan roteres 360°. Dette gir deg enda bedre og enklere tilgjengelighet i munnen, med optimal sikt.

Endomotor med apexlokator

apexlokator

Bare som apexlokator

Roterende S5 System

QR-koden for mer om Sendoline Resiprokerende

www.sendoline.com

Resiprokerende S1 System

Roterende

Resiprokerende eller Roterende S3 System

Nytt unikt filsystem hvor du kan arbeide både roterende og resiprokerende med samme filer! Fleksible filer i NiTi-legering som kan brukes med de fleste endomotorer.

Resiprokerende

Biokompatibel rotkanalsealer for permanent forsegling av kanalen. Basert på MTA med ph på mellom 10-12, med antibakteriell effekt. Høy røntgenkontrast. Sprøyte 3 gr. Klar til bruk.

Kjøp ny unit nå, få med stor oppgraderingspakke og Score sadelstol på kjøpet!

Nye F1 ARCUS består av en søyleunit og separat F1 pasientstol. Begge styres av en trådløs fotpedal, for maksimal fleksibilitet og orden på gulvet.

Optimal ergonomi. Kan utstyres slik du ønsker med de instrumentene du foretrekker. For å gjøre din hverdag enklere og bedre har Fimet-uniten gjennomtenkte løsninger utviklet gjennom 30 år.

Tannlegeuniter og pasientstoler

Vi har flere modeller tannlegeuniter og pasientstoler fra finske Fimet Oy. Høyt fokus på ergonomi til gode priser. Rimelig service i hele Norge.

Nyheten F1 ARCUS er en søylemontert unit og separat pasientstol. Kan leveres for våtsug eller tørrsug, med 5 valgfrie instrumenter på bryggen. Kan leveres med PC-skjerm.

Pasientstolen F1 ARCUS har supermykt stoltrekk som pasientene elsker! Slitesterk og fleksibel, med avtagbare armlener som også kan vippes til siden. Trådløs fotpedal styrer både stol/unit, og kan programmeres i faste stillinger, også for flere brukere.

Deler og utvalgt forbruksmateriell til unit

Sugeslange liten m/tilbehør:

3363 Liten sugeslange 2m 1.614,3477 Liten sugeslange 2,5m 1.724,3306 Adapter 11mm-6,5mm 142,3486 Dürr endestykke liten 1.290,3308 Cattani endestykke liten 395,-

3298 Stor sugeslange 2m 1.734,3476 Stor sugeslange 2,5m 1.844,3233 Adapter 16mm-11mm 88,3485 Dürr endestykke stor 1.290,3307 Cattani endestykke stor 395,-

Vannfilter:

EcoFriendly VU-2 refill 2.725,5114 EcoFriendly VU-3 refill 3.013,5115 EcoFriendly VU-2 kompl. 4.988,5381 EcoFriendly VU-3 kompl. 5.675,-

Luzzani multifunksjonssprøyte:

Plastspiss / kanyle 279,3454 Metallende/konus 279,3524 Alu deksel rett kompl. 2.080,3602 Alu deksel vinklet kompl. 2.080,-

Ekstraorale røntgenapparater

Oppdag Carestreams store utvalg av ekstraorale røntgenløsninger. Her er våre mest aktuelle løsninger, med CS8100 2D som vår bestselger. Med Carestreams AutoTracing får du cephalometrisk analyse ferdig utført på bare sekunder! Mye tid å spare!

CS 8100 2D

Superslank på bare 33cm bred når den ikke er i bruk. Tar liten plass, men er avansert og med eksepsjonell billedkvalitet. Panorama, seksjon, bitewing, kjeveledd og sinus.

Vnr. 9744 #5311329

CS 8100SC 2D

Som CS8100 2D, men også med cephalostat, som har unik og superrask AutoTracing. Kort eksponeringstid, fantastiske bilder og funksjoner som sparer deg for mye tid.

Vnr. 9761 #5314349

Toppmodell

CS 8200 3D

2D-programmer for panorama, seksjon, kjeveledd, sinus, bitewing, og 3D-programmer med FoV 4x4, 5x5x, 5x8, 8x5, 8x9, 10x5, 10x10, 12x5 og 12x10cm. Oppløsning på hele 75 micron, ypperlig ved f.eks. endo.

Vnr. 9749 #5943212 Vnr. 9339 (m/ceph) #5310719/5943238

Forbruksmateriell

CS 9600 3D

2D-programmer og

3D-volum fra 4x4 til 16x17cm. Enkel posisjonering med kamera og kunstig intelligens. SmartPad. Ansiktsskanner, MAR (Metal Artifact Reduction), 120 kV m.m. Finnes også med Cephalostat.

Vnr. 9767 #5501192

Vnr. 9768 (m/ceph) #5942396

Bittpinner:

9231 Til bittpinne 2D, 200-pk 520,9266 Til ørepinne/ceph, 150-pk 520,9320 Til 3D-blokk/bitew, 2x40pk 1.450,Hygienetrekk: 9131 Vanlig 5-pk 1.045,9132 Tannløs 2-pk 750,-

Intraorale kameraer

Med Carestream intraoralt kamera er det superenkelt å ta krystallklare bilder i munnen, både for dokumentasjon og bedre pasientkommunikasjon. Bildene lagres enkelt sammen med røntgenbildene. Superlette kameraer med USB-tilkobling gjør det enkelt å flytte mellom flere behandlingsrom.

CS 1200

Superenkelt kamera med fast fokus i området 3 til 25mm. Med 6 LED ringlys. USB. TWAIN-kompatibel. Speil- eller rettvendt. Stillbilde og video. 3 meter kabel.

17.900,-

CS 1500

Toppmodell med 8 LED ringlys, nærgrense på 1mm til uendelig. Autofokus. Unik LiquidLens-teknologi. USB. Vekt 91 gram. TWAINkompatibel. Speil- eller rettvendt. Stillbilde og video. 2,5 meter kabel.

27.900,-

Vnr. 9056 #6559991

Vnr. 9056

Vnr. 9055 #6559819

Forbruksmateriell og tilbehør til kameraer

Hygienetrekk til kamera:

9391 CS1200 100-pk 590,9329 CS1500 100-pk 590,-

Intraorale røntgenapparater

Høyfrekvente intraorale røntgenapparater med lav vekt og konstruksjon som gjør posisjonering enkelt og presist. Avtagbar og justérbar rektangulær konus som er anbefalt av DSA (Statens Strålevern) gir inntil 80% redusert røntgendose!

Velg mellom veggmontert apparat med tre ulike armlengder. Lengde på arm og rekkevidde: 47cm/170cm, 65cm/188cm eller 83cm/205cm). Finnes også på flyttbart mobilstativ, på gulvsøyle eller som takmontert.

CS 2100

Bestselger med 60 kV generator og kompakt, superenkelt tidsur. Gir gode bilder med lav dose. Mye for pengene.

Vnr. 9117 #5321898

Vnr. 9055

CS 2200

Toppmodell med 60/70 kV generator. Tidsur som hjelper deg enkelt finne optimal røntgendose. Gir de beste bildene, skarpe og med høy kontrast.

Vnr. 9121 #5321906

Veggholder til kamera:

RVG superkjappe røntgensensorer

Den første digitale intraorale sensor ble lansert av dr. F. Moyen og Trophy (senere Kodak/Carestream). Mer enn 40 år senere er RVG fortsatt industriledende. Nå enda mer robust, mer brukervennlig, enda raskere - og ikke minst fortsatt med uovertruffen billedkvalitet for optimal røntgendiagnostikk!

Bildet kommer opp på skjermen på få sekunder. Bruk sensoren i CS IMAGING som er gratis, eller i et av de andre digitalrøntgenprogrammene i markedet med TWAIN. Sensorene har komfortable, avrundede hjørner. Tynn, 2.8m lang og ekstremt robust USB-kabel. Fullstendig vanntett. Tåler avspriting og tøffe utfordringer et liv på tannlegekontoret byr på.

RVG 6200

Vår toppmodell sensor med eksepsjonell billedkvalitet som er bedre enn gammeldags røntgenfilm! Du får mer enn 24 linjepar pr. mm reell oppløsning. Det gir maksimal diagnostisk presisjon.

Avansert CS Adapt-filter med mer enn 40 ulike filtre som kan tilpasses.

Vnr. 9393 #5310719 Vnr. 9394 #5310727

RVG 5200

Prisgunstige sensorer med billedkvalitet på nivå eller bedre enn konkurrerende sensorer i sin klasse. Mer enn 16 linjepar pr. mm reell oppløsning.

Mange muligheter med avanserte filtre du kan stille inn.

Vnr. 9345 #5311295 Vnr. 9346 #5311303

Forbruksmateriell til RVG-sensorene

Sensorholdere

#1:

9378 U-type 2-pk 1.670,9463 Vertik. 5-pk 995,9411 Horis. 5-pk 995,9374 Vertik. sett 740,9213 Horis. sett 740,9212 Veggholder 395,-

Sensorholdere sensor #2:

9376 Sett 4-pk 1.495,9379 BW 5-pk 995,9465 Vertik. 5pk 995,9466 Horis. 5-pk 995,9212 Veggholder 395,-

Carestream hygienetrekk:

9236 #1 50-pk 229,9237 #2 50-pk 229,-

sensor #1:

Røntgenholdere sensor #2:

Intraorale fosforplateskannere

CS7200 Neo

Vnr. 9721 #1014307

CS7600

Kompakt skanner for intraorale bilder #0, #1, #2, #3 (bred bitewing) og #4 (okklusal). Passer for både solopraksis og større klinikker. Høy oppløsning på 18 linjepar pr. mm (reell oppløsning). Tynne, robuste ”SmartPlater” som kan tagges på behandlingsrommet med Carestream Scan&Go slik at bildene automatisk havner i riktig pasientjhournal.

Gratis programvare og support!

Ultrakompakt skanner for intraorale bilder med plater #0, #1 og #2. Nye CS7200 Neo kan deles i nettverket eller brukes på én PC. Høy oppløsning på bildene på 19 linjepar pr. mm (reell oppløsning). 8 sekunders skannetid. Tynne, robuste ”SmartPlater” som kan ”tagges” på behandlingsrommet med Carestream Scan&Go slik at bildene automatisk havner i riktig pasientjournal.

Vnr. 9755 #5942727

Forbruksmateriell til CS7200 og CS7600

CS7600 fosforplater:

9727 #0 4-pk 4.395,9728 #1 4-pk 4.395,9729 #2 4-pk 4.395,9730 #3 4-pk 4.395,9731 #4 2-pk 4.695,-

CS7600 hygienetrekk:

9722 #0 200-pk 895,9723 #1 200-pk 895,9724 #2 200-pk 895,9725 #3 200-pk 895,9726 #4 200-pk 895,-

Rensemidler CS7600:

9740 RollerClean 935,9747 ScreenCleaner 473ml 449,-

CS7200 fosforplater:

9766 #0 4-pk 3.695,9759 #1 4-pk 3.695,9762 #2 4-pk 3.695,8289 Endo-kit

CS7200 hygienetrekk:

9468 #0 200-pk 795,9757 #1 200-pk 795,9758 #2 200-pk 795,-

Røntgenholdere plate #2:

Røntgenholdere plate #1: 8290 Endo-kit 1.948,8282 Start-kit 1.578,8287 Gul 3-pk 1.578,8284 Blå 3-pk 1.578,8286 Rød 3-pk 1.578,-

TrollDental hygienetrekk:

Amazone Balance med ryggstøtte

Amazone har setebredde på 34cm, mens Jumper (se nedenfor) er 44cm. Dette er vår bestselger, cirka 75% velger denne som er smal, og gir minimal belastning. Med unik Balance Flex-funksjon som gjør at stolen følger deg i dine bevegelser og gir en mer aktiv sittestilling. Med ryggstøtte som også følger deg. Flere reguleringsmuligheter. Velg farge fra vårt fargekart med Stamskin PU-trekk som er utrolig slitesterkt og tåler selvfølgelig avspriting. Før 12.945,-

11.651,-

Vnr. 3651

Jumper Balance med ryggstøtte

Jumper har setebredde på 44cm. Med Balance Flex-funksjon som gjør at stolen følger deg i dine bevegelser og gir en mer aktiv sittestilling. Med ryggstøtte som også følger deg. Flere reguleringsmuligheter. Velg farge fra vårt fargekart med Stamskin PU-trekk som er utrolig slitesterkt og tåler selvfølgelig Før 12.945,-

11.651,-

Vnr. 3687

Amazone Tilt med ryggstøtte

Amazone har setebredde på 34cm, mens Jumper (se nedenfor) er 44cm. Dette er vår bestselger, cirka 75% velger denne som er smal, og gir minimal belastning. Med tilt som gjør at du kan vippe setet og låse i ønsket posisjon. Med ryggstøtte som gir komfortabel Flere reguleringsmuligheter. Velg farge fra vårt fargekart med Stamskin PU-trekk som er utrolig slitesterkt og tåler selvfølgelig avspriting. Før 9.915,-

8.924,-

Vnr. 3675

Jumper Tilt

med ryggstøtte

Jumper har setebredde på 44cm. Med tilt som gjør at du kan vippe setet og låse i ønsket posisjon. Med ryggstøtte som gir komfortabel Flere reguleringsmuligheter. Velg farge fra vårt fargekart med Stamskin PU-trekk som er utrolig slitesterkt og tåler selvfølgelig avspriting. Før 9.915,-

8.924,-

Vnr. 3665

Amazone Tilt

Setebredde på 34cm.

Setevinkel kan justeres/ vippes (tilt). Før 7.035,-

6.332,-

Vnr. 3653

Jumper Tilt

Setebredde på 44cm.

Setevinkel kan justeres/ vippes (tilt). Før 7.035,-

6.332,-

Vnr. 3666

Returadresse: Tonne Dental AS Trollåsveien 8 NO-1414 TROLLÅSEN

Feil navn/adresse? Kontakt oss på 66892050 eller post@td.no

Gjør et kupp i outlet’en!

Sjekk innom vår outlet på www.td.no, der finner du mange gode tilbud. Vi rydder stadig på lageret, og kjøper inn varepartier. Her er noen eksempler:

Turn static files into dynamic content formats.

Create a flipbook
Issuu converts static files into: digital portfolios, online yearbooks, online catalogs, digital photo albums and more. Sign up and create your flipbook.