

































• Landscape Lighting Solutions
• Christmas Lights
• Lawn & Landscape Care
• Property Management
• Snow & Ice Removal



![]()


































• Landscape Lighting Solutions
• Christmas Lights
• Lawn & Landscape Care
• Property Management
• Snow & Ice Removal



For more than two decades, Dr. Carol White worked in some of healthcare’s most demanding settings, from ICUs and long-term care facilities to rehabilitation units. She’d seen the system up close, and while she helped countless patients recover, she noticed something troubling: the system wasn’t built for healing.
“I was becoming burned out,” Dr. White says. “It felt like we were just masking problems with prescriptions instead of making people better.”
The realization that something needed to change — along with her own health struggles — led White to functional medicine, a discipline that looks for the root causes of illness rather than treating only the symptoms. In 2025, she founded Functional Medicine Partners, a practice in Syracuse dedicated to helping patients regain their health through education, lifestyle changes, and science-backed treatments.
White’s journey began when she faced her own health struggles and sought help.
“I needed hormone replacement therapy, but I was frustrated by the process,” she says. “That’s when I decided I could make a difference.”




So she did. White retrained, earning functional medicine certification and creating a practice that combines medical precision with a personal touch.
At Functional Medicine Partners, the approach begins with listening — really listening.
“Most of my patients come in saying, ‘My doctor says my labs look fine, but I still feel awful,’” Dr. White says. “That’s when it’s time to dig deeper.”
True to its name, Functional Medicine Partners operates through collaboration. White doesn’t see herself as the authority but as a partner walking alongside her patients.
“They have to be ready,” she says. “Ready to stop feeling sick and start understanding what’s causing it.”
Each new patient begins with a discovery call to ensure the practice is a good fit. From there, the process becomes deeply personalized: comprehensive lab work, an hour-long consultation, and a tailored plan that may include dietitian-guided meal plans, personal training sessions, or targeted supplementation.




The emphasis, White says, is on sustainability.
“If someone just wants a quick fix for weight loss, that’s not us,” she says. “We’re about creating habits that last.”
While White leads the medical side, she’s the first to admit she doesn’t go it alone. Her team includes two registered dietitians, a personal trainer, and a licensed counselor. Together, they design holistic plans that address every layer of a patient’s well-being.
“The gut, the mind, the body — they’re all connected,” Dr. White says. “Food is medicine, movement is therapy, and education is empowerment.”
Patients receive hands-on guidance, from grocery lists to personalized fitness programs. There’s even a small on-site gym for one-on-one training, adding accountability and encouragement to each patient’s journey.
When White and her husband found an old pier shop for sale in Syracuse, they saw more than a rundown building — they saw potential. They renovated the space into a modern, welcoming clinic and the local community has taken notice.






“The town has been behind us,” Dr. White says. “We wanted to create something special.”
Her husband, a wealth management adviser, will soon move his practice into the same building. The pairing, White joked, makes perfect sense.
“He focuses on financial wellness, and I focus on physical wellness,” she says. “Together, we’re helping people build better futures.”
Though the doors opened this fall, White’s plans are expanding. In 2026, she hopes to introduce salt therapy and infrared sauna treatments, furthering her mission to make holistic wellness accessible in northern Indiana.
She also wants to host community education sessions — open-toall gatherings that explore hormone health, digestive wellness and the long-term effects of common medications.
“So many people don’t realize how everyday habits affect their bodies,” Dr. White says. “Education is where change begins.”



HEART, SCIENCE, AND HOPE
So, what’s her secret ingredient to wellness?
“Gut health,” she says. “It’s amazing how much starts there — your mood, your immune system, your energy. What you eat matters.”
For White, the reward is watching her patients reclaim their vitality.
Functional Medicine Partners is located at 602 S. Huntington St., Syracuse, Indiana. For more information, call 877-241-7367 or visit functionalmedicinepartners.com.































Fax:






Writer / Amy Beaucham
There’s a special kind of satisfaction in watching a dull, tired floor turn bright again. That’s the moment Connor Rains loves most. He owns CoreClean Floor Care & Refinishing in Plymouth, where before-and-after results tell the story of careful work, high standards and respect for a customer’s home.
Rains came to floor care from agriculture in 2020 when Lowry’s Carpet Care called him in for an interview. He started as a technician, learned every part of the job and moved into management. After about three years, the previous owner was ready to slow

down. That’s when Rains stepped forward. “CoreClean Floor Care & Refinishing is a company built on hard work, high standards and a deep respect for the people and places we serve,” Rains says.
The rebrand carried local roots forward with fresh energy and a clear promise: do the job right.
At this stage, Rains is involved in every job in some capacity, ensuring standards remain consistent. He carries forward the goodwill built by Lowry’s 30-year history while guiding CoreClean along a path focused on trust over size. He would rather be known as the most trusted than the



biggest, and his practices reflect that choice. CoreClean serves both residential and commercial clients with a thoughtful menu of services: carpet and upholstery cleaning, tile and grout cleaning, stone and LVT cleaning, area rug cleaning and hardwood floor refinishing. The team also offers deodorizing, pet odor removal and maintenance plans for homes and businesses that want dependable, scheduled care.
Customers often ask what makes professional cleaning different from do-it-yourself methods. CoreClean runs a truck-mounted system that operates around 200 degrees with strong PSI

for deep extraction. Rental units simply cannot match that heat or suction, which affects how clean the fibers get and how fast they dry. Rains matches the process to the surface, then chooses safe, effective solutions. He doesn’t buy harsh products. Everything is made in the United States, selected to leave no residue, and he has even toured the manufacturer’s facility to see quality firsthand.
He believes honest guidance is part of great service. Some stains are permanent, even after sanitation and improvement. When that happens, he tests, shows the results and sets clear expectations. For hardwood floors, he looks at the wear layer and grain exposure to decide if a deep clean will suffice or if sanding and refinishing are needed. His goal is to help customers choose the option that truly protects their investment.
Two services are in especially high demand right now: carpet cleaning and





hardwood refinishing. The carpet process lifts embedded dirt, oils and allergens that regular vacuuming leaves behind, improving appearance and indoor freshness. For hardwood, a careful refinish brings back richness and depth while sealing the surface for durability. One favorite project involved a four-year-old hardwood floor that had turned cloudy. After refinishing, it looked terrific and completely changed the feel of the room.
CoreClean’s approach is family-rooted and community-minded. Rains and his wife, Samantha, live on a small farm with their children, Wesley and Caroline, where caring for animals and tending the property keep life full. Samantha has supported him from the beginning, often pitching in on jobs when needed. He calls her “a good set of hands,” and says her eye for detail and his parents’ steady example shaped the way he works today.
Community connections extend beyond













CoreClean’s customer base. Rains participates in a local business networking group and trades referrals, a practical way to keep resources close to home. It fits his long-term vision for steady, sustainable growth. Rather than chase every new service, he wants to deepen what CoreClean already does best.
Over the next five years, he plans to build a full-time refinishing crew, run two or three cleaning crews and eventually open an office in Warsaw. Through it all, he keeps the focus where it belongs: results, reliability, communication and care.
Customers notice. Reviewer Bobbie Mike Milliser says, “They did a professional job. They were on time and done quickly.”
That simple summary checks off three boxes most homeowners care about: quality, punctuality and respect for the customer’s day.

The words Rains uses to sum up his standard are plain but powerful: “We do whatever it takes to make sure the customer is satisfied.”
It’s a promise backed by skill, strong equipment and a willing spirit. Floors come back brighter. Homes feel refreshed.



HOST PARTIES OR GATHERINGS OF 12-90 PEOPLE

Businesses welcome clients with a clean, confident first step. CoreClean makes that happen one careful job at a time.
CoreClean Floor Care & Refinishing is located at 14515 5th Rd. in Plymouth, IN. For more information, call 574-341-0964 or email connor.rains@yourcoreclean.com.














• 2 tubes (8 count) refrigerated cinnamon rolls
• ¼ cup salted butter (melted)
• ½ cup milk
• ½ cup pure maple syrup
• 3 eggs
• 2 teaspoons vanilla
• 1 teaspoon cinnamon
1. Preheat the oven to 350 degrees F. Spray a 9×13″ baking dish with nonstick spray. Pour in melted butter.
2. Remove cinnamon rolls from the package, reserving frosting for later.
3. Cut cinnamon rolls into 3/4″ pieces, about 4 pieces per roll, and place in the prepared baking dish.
4. Whisk together the milk, pure maple syrup, eggs, vanilla extract, and cinnamon until well combined, and pour the mixture over the cinnamon roll pieces in the dish.
5. Bake the casserole for 35-45 minutes until light golden brown and puffed.
6. Let cool for 10–15 minutes, then drizzle the top of the casserole with package frosting and serve.
7. Enjoy & Happy Holidays!



Built Furniture & Cabinets • CABINETRY FOR LIFE
CUSTOM KITCHEN
BATH




















Writer / Amy Beaucham Photographer / Jubilee Edgell

collects lake-themed décor, and who visited to discover the perfect teacher gift.
space is warm and easy to wander. Tables are set with seasonal finds, shelves hold Indianamade treats, and a display of engraved gifts suggests a story behind every item. Owner Sandy Saenz greets customers like neighbors, remembering who loves Chala handbags, who
This is Simplee Stated Gifts — where thoughtfulness and creativity greet you at every turn.
Sandy’s path to retail began with a talent for making people feel seen, along with a knack for creative artistry and detail. Years

ago, she worked as an office manager for a construction company, where one of her many responsibilities was creating the company’s corporate gift baskets. The feedback was constant — everyone told her she should do it as a business. Encouraged by those compliments, she tested the idea with a sixweek pop-up inside Martin’s Super Market in Plymouth. After finishing her day job in South Bend, she would drive to the grocery store,
• Expert Consultation
• Standardized “Custom” Features
•
•
•



open the small shop by mid-afternoon, and stay until 9 p.m.
People noticed. Before long, a downtown shopkeeper invited her to become a vendor. The seed took root.
That location in downtown Plymouth has stayed constant, even as her role evolved.
“I tell people when I share my story that I have been in the same spot for 13 years, but it’s just been three versions: a vendor, a partner, and now a sole owner,” Sandy says.
In 2017, she purchased The Frame Shoppe, the longtime custom-framing business on the Michigan Street side of her L-shaped building. Today, Simplee Stated Gifts & The Frame Shoppe flow together as one welcoming experience with two entrances. One door opens to gifts and apparel — the other to the framing studio, where custom designs and memory pieces take shape.
Sandy’s creative streak started at home. She learned wood crafts and wreath-making with her mother, then turned that eye for creative detail toward gifts and displays. The store’s décor is thoughtful yet relaxed — each product helps tell the story. Four streetfacing windows carry the seasonal theme throughout the year.
For December, they shine with Christmas charm, drawing passersby toward the sparkle within. Inside, customers linger on original wood floors and wander between women’s clothing and accessories, home décor, lake and cabin accents, children’s items, and a corner devoted to Indiana pride.

chocolates crafted in Nappanee.
A feature wall labeled “We Are Indiana” grew from a simple question visitors kept asking: Do you have postcards or anything small that says Plymouth? That sparked a hunt for state-sourced and state-themed goods. You’ll find soup and cookie mixes from the Soup for Success Mission in Elkhart, salsa and jams made in Bremen, Ben’s Pretzels dry mix, Amish popcorn from Berne, and fudge and


Shelves also feature well-known gift lines including Chala handbags, Dr. Squatch, Inis fragrances, P. Graham Dunn, Warmies, Stonewall Kitchen, Leanin’ Tree, and Studio M Art Poles.
Customization has become one of the store’s biggest draws. Sandy added on-site


laser engraving nearly six years ago and now personalizes an impressive range of items. “I have a laser engraver here on site,” she says. “I have over 400 items that I can personalize.”
Customers bring ideas and leave with engraved mugs, tumblers, frames, cutting boards, ornaments, and plaques — each one ready to mark a milestone.
One memorable engraving story began when five sisters visited to shop for their eldest sibling’s 80th birthday. One sister had written a poem filled with family memories. When

they discovered the range of items Sandy could engrave, the shopping trip turned into a mission. They secretly planned with her to etch the poem onto a plaque they’d found in the shop — one featuring a graceful tree that reminded them of their family roots. When the birthday celebration arrived and the honoree opened the gift, everyone cried tears of happiness.
Memories are preserved in many different ways at The Frame Shoppe. People bring in everything from concert posters and children’s art to military medals, farm photographs and quilts. Sandy listens to each story first, shaping a design that honors the sentiment and stays within budget. One of her most memorable projects came from a retired pastor who wanted to frame a portrait of his late wife.
He and Sandy planned the mat and moulding together while he sat comfortably, sharing memories as they worked. When he later picked up the finished piece, he was moved
Accent your kitchen with a beautiful metal range hood. Fully customized to your specs and style.
to tears. He told Sandy he has coffee with his wife every morning. Those moments remind her why custom framing matters.
When asked what stands out most about her business, Sandy shares that it all begins with connection.
“It has to be my customer service — the friendly atmosphere, one-on-one,” she says. “I might not know your name, but I’ll remember that you liked something in my store.”
She treats every customer like family and means it.
“You don’t ever, ever apologize for crying in my store. My store is a safe space,” she says. Sandy emphasizes how her business is very much a calling. “I know that I know that I know that I am where I’m supposed to be.”
When sharing life’s joys or struggles, many people find comfort in the safe, welcoming


space Sandy has created — and in her listening heart.
Community has always been part of her story. As president of Discover Plymouth, the downtown merchants group, she helps plan collaborative events that bring people to the city’s heart.
When she first arrived as a vendor, empty storefronts were common. Today, those spaces fill quickly with new small businesses. Her next-door neighbor is Gather, a restaurant created by the Gather 2 Graze team. The two spaces share a wide interior opening, so diners can step through to browse the gift shop while waiting for their meal, then return for dessert — or a second look at that perfect item they spotted earlier.
Seasonal events at Simplee Stated Gifts are both festive and engaging. December brings “12 Days of Christmas,” a daily spotlight where one in-store item or category features a special price for that day only. The popular
Red Envelope promotion begins on Small Business Saturday, the Saturday following Thanksgiving. Shoppers earn a sealed red envelope with a qualifying purchase. Inside is

during the semiannual sale. Two grand-prize envelopes include gift certificates for a full

year of shopping. It’s a tradition that brings cheer to the quieter winter weeks and gives customers something fun to look forward to after the holidays.
Hands-on creativity thrives in the store’s make-and-take area. The newest favorite is a crushed-glass and resin art class. Participants choose a shape template, place contact paper, select from a wide range of crushed-glass colors, and pour resin for a luminous stainedglass effect. Because Sandy uses a quick-set resin, participants can take their treasures home with them — a handcrafted keepsake as personal as it is beautiful.
The reviews say it best. “This is a cool store to stop in and check things out,” writes Steven Wheat. “The owner is friendly and very helpful … it’s a great place to pick up gifts for different kinds of parties.” Jennifer Criddle calls everything “so adorable,” from jewelry to clothing to household items. Amanda Lawson praises both the prices and the kindness: “Sandy was such a gem … she made me feel







so comfortable.”
Yvonne Comeno appreciates the engraving and value, while Pam Lee sums it up perfectly — Sandy is phenomenal at helping find the perfect gift and “does so much for Plymouth.”
Another shopper, Heather Banas, captured the experience this way: “The store is full of Indiana-made products, squeaky hardwood floors, friendly smiles, and treasures you didn’t know you needed until you found them.”
Sandy’s calendar reflects that same community spirit. She hosts a holiday open house each November benefiting Blessings in a Backpack, a nonprofit that provides weekend meals to children who might otherwise go hungry when school is out. She also helps organize downtown traditions such as the Chocolate Walk and a music-themed scavenger hunt where families match holiday song titles to participating businesses. The goal is simple — to bring people downtown,
introduce them to local shops, and keep Plymouth’s small-town heart thriving. The heart of it all still circles back to relationships. A customer once came in, quiet and weighed down by the recent loss of a son. She was preparing for a long-planned trip to Disney World with her other son and grandchildren but felt guilty about going. They talked for a while — about the trip, the grandkids, and the memories they would make together. Weeks later, she returned, saying the trip had been exactly what she needed. Before leaving, she turned to Sandy and said, “Thank you for making me smile.” It’s a moment that perfectly captures the difference between shopping small and shopping anywhere else.
At Simplee Stated Gifts & The Frame Shoppe, you’ll find engraved keepsakes, cozy home décor, women’s apparel, lake and cabin accents, Indiana goodies, and that hard-to-find something you’ll be so pleased and proud to give. Step into
UNLOCK THE NATURAL POTENTIAL
13468 ST. RD. 4 GOSHEN, IN 46528 PH. 574-536-9400 FAX: 574-336-3445
• WEEKLY DELIVERY
• UPS SHIPPING
• HEALTHY PRODUCTS FOR BOTH HUMANS AND ANIMALS.
• NON GMO & NATURAL PRODUCTS.
• HORSE CHICKEN & RABBIT FEED.
• SHAVINGS & BEDDING
• THE AREA’S ONLY ONE STOP SHOP OFFERING EVERYTHING A TO Z OF EQUINE REPRODUCTION EQUIPMENT.



The Frame Shoppe next door for custom framing that treats your memories like art. Then stop by Gather for lunch before heading back to pick up the gift that caught your eye. You’ll leave feeling as if you’ve discovered something more than a store — something heartfelt, genuine, and worth returning to again and again.
Simplee Stated Gifts & The Frame Shoppe is located at 100 W. Garro St., Plymouth. For more information, give them a call at 574-936-5259 or email them at simpleestatedgifts@yahoo.com.























Writer / Meredith Baker Photographer / Jessica Whitehead
Step inside E&S Bulk Foods on State Road 5 in Shipshewana, and the first thing you’ll notice isn’t the neat rows of bulk bins or the scent of fresh pies cooling near the bakery counter — it’s the feeling. A warmth hums through the aisles, somewhere between the quiet rhythm of a small-town morning and the friendly chatter of shoppers swapping recipes.
For locals, E&S isn’t just a grocery store. It’s a gathering place, a reminder that honest food and honest work still anchor the heart of northern Indiana.
Nearly four decades ago, Ervin “Butch” and
Sarah Chupp opened their little country grocery. Now, the second generation of the Chupp family prepares for the store’s next chapter: a move into a brand-new building that will double retail space, bring back a beloved sandwich deli, and carry forward their legacy.


a Beloved Landmark
The story of E&S Bulk Foods started in 1970 in the basement of the Chupp home. Ervin and Sarah named their store Forks County Line Store, a nod to the “Forks” area where Elkhart and LaGrange counties meet.
As their business grew, they moved operations into a converted barn before selling to Ervin’s
brother-in-law, Levi Bontrager. But Butch wasn’t one to stay still for long. After a brief stint farming, he felt that pull again — the one that comes when a good idea refuses to sit quietly.
In 1986, he opened a new grocery store next to Eash Sales, a neighboring dry goods store in Shipshewana. He called it E&S Sales, for Ervin and Sarah, and ran it with the help of his sons and daughters.
Business grew fast. By the mid-1990s, the Chupps had built new warehouses, expanded their retail space, and begun employing locals who would remain for decades. Today, the business employs nearly 150 people, several of whom have been with E&S for more than 20 years.
Each one, says co-owner Kenny Chupp, plays a vital role in the store’s success.
“We’ve been blessed with good hardworking people. They’re like family,” Kenny says.

Running a second-generation business is no small feat. Studies show that only about 30% of family-owned companies make it past the founder’s generation. But the five co-owners — brothers Kenny, Jay, and Duane, along with brothers-in-law Merle and Larry — have found a rhythm.
• More than 1000 Styles/ Colors of Fabrics

• Toys, Games, Books, Apparel

Skechers
Under Armour
Adidas • Columbia • Olukai
Saucony • Brooks • Twisted X • Justin • Ariat
• Wolverine
• Carolina
• Danner
• Keen
• Rockport
• Nunn Bush
• Born






The brothers are grounded in the values passed down from their parents: faith, fairness, and fellowship.
“The biggest factor in our success is that we all share the same faith in the same God,” Jay says. “That doesn’t mean we always agree. We’re five different personalities, after all. But we know we’re stronger together.”
A commitment to communication, and a shared rule to “leave work at work,” helps keep both the business and the family healthy.
“We don’t drag disagreements home,” Jay says. “That’s not fair to our families. We work it out and move on.”
It’s an ethos that’s kept the business steady over time.
The Store That Feeds Community Walk the aisles of E&S and you’ll find


everything from bulk baking items and dried herbs to homemade noodles, local honey, and candy by the pound. There are bins of flour and sugar for every holiday pie. Tubs of chocolates are perfect for gift baskets. In season, local produce fills the bins. The smell of bread baking draws a steady stream of regulars who swear by it.
During peak tourist season, the store bustles with out-of-towners exploring the heart of Amish Country. Yet the Chupps never forget who helped them build their foundation.
“Our locals are the backbone,” Jay says. “And we don’t take that for granted.”
In 2025, the Chupp family broke ground on what will soon become the next home of E&S Bulk Foods — a 128,000-square-foot building just north of their current site. The new space will feature expanded bakery, produce, and deli sections, and the longawaited return of their sandwich counter.






For the Chupps, though, bigger doesn’t mean impersonal. The move is about comfort, efficiency, and continuing to improve their customers’ experience.
“We’re excited,” Kenny says. “We’ve added on so many times over the years that things have gotten tight. This will help us serve everyone better.”
And for Jay, ever the visionary (and self-

proclaimed “foodie”), there’s joy in dreaming about what comes next.
“I’d love to see us do old-fashioned taffy pulls again, maybe even add sushi or smoked meats as daily features,” he says with a grin. “But one step at a time. For now, we’re just grateful for where we are.”




These days, E&S isn’t just a second-generation business. The third is already stepping in. Eight of the owners’ children work at the store. They learn the ropes, take on responsibility, and carry the family’s values forward.
That legacy weighs heavily, but in the best way.


“Dad used to worry about us running the business into the ground,” Jay jokes. “Now it’s our turn to worry about them. But honestly, I think they’ll do great.”
As the community grows and Shipshewana continues to draw visitors from around the country, E&S remains exactly what it’s always been: a local anchor built on faith, family, and flour.
“God’s been good to us,” Kenny says. “We’ve been given much, and our goal is to give back — through good food, good service and a good example.”
For the Chupp family, success isn’t measured in square footage or sales, but in the quiet satisfaction of serving others, one scoop, one loaf, one smile at a time.
E&S Bulk Foods is located at 1265 N. State Road 5, Shipshewana, Indiana. For more information, call 260-768-4736 or email eandssales@hotmail.com.








Writer / Darcie Dodds Schott
Words are powerful. Sounds evoke memories. When words and sound combine to be translated from vocal to visual, the artistic result creates an emotionally moving experience. A treasured message from a loved one can linger for years, and thanks to an inspired business called The Soundwave Booth, any words you want can be captured in the visual art of soundwaves.
Owned and run by Joel and Cindy Pendl, The Soundwave Booth translates a favorite phrase, a celebrated quote or a custom sound into the vertical lines that represent the soundwaves of that particular audible. Before you tap into your fear of hearing your own voice, the Pendls have created a line of products that are premade and ready for purchase.
Joel assures, “You don’t have to use your own voice. We do all the recording in-house.”
The phrases are spoken and then printed in the complex pattern of lines that make up the final visual art. These products have been recorded by the Pendls and translated into a printed version of the soundwaves using high-tech engineering software. With a background in radio and television, Joel uses his technical talent to morph engineering with art. The result is a carefully curated blend of popular phrases and custom prints

to capture a moment in time or personal statement.
The Soundwave Booth offers one-of-akind artwork based on printed words and phrases, from original messages to well-known favorites within the public domain. This line of artwork and accessories is available for purchase “off the shelf,” including phrases like “It is well with my






“Love you to the moon and back,” and “And so together they built a life they loved,” to name a few.
Products laser engraved with this artwork include coasters, cutting boards, baseball caps, keychains, newborn baby beanies with phrases like “You are my sunshine” engraved onto a leather patch, and more. To explore the complete product line of prints and accessories, visit thesoundwavebooth.com.
The Soundwave Booth’s American Flag series offers a selection of patriotic songs and documents displayed as a collection of soundwaves in the pattern of the stars and stripes. Each state abbreviation has been spoken to create the stars, and customers can choose from the Pledge of Allegiance, the Second Amendment, the Star-Spangled Banner and more that make up the stripes of this American Flag artwork.
In addition to preprinted and engraved items, The Soundwave Booth offers custom






products. From unique words or sounds that capture moments such as a baby’s first heartbeat, a pet’s bark or meow, or a final voicemail from a loved one, the Pendls can take any audio a customer has and create a keepsake that will last a lifetime. A QR code can even be added so customers can hear a loved one’s voice any time. One option is a Memorial Card — a metal plate with the custom soundwave and QR code containing the audio clip that can be adhered to a gravesite headstone.
The ordering process is simple, and the product line offers a variety of style choices. Customers choose a print, framed option or accessory for their custom soundwave. All products are created, printed, framed or engraved by the husband-and-wife team.
As unique as each piece of artwork, so is the lifestyle the Pendls have chosen. Living entirely on the road in their camperturned-home-on-wheels-turned-classroom, they have raised and homeschooled their

children, who are now in their teens. Over the years, the couple has traveled to art shows from Florida to California — and many stops in between — creating an educational experience for their children, who have been to all 48 of the lower United States.
Together the Pendls, along with their 15-year-old son, Kaden, and 14-year-old daughter, Avril, call Bass Lake home for much of the summer. All the tools and techniques for their business are portable

and travel with the family — from audio engineering software to everything required to do all of their own printing, product assembly, photography, website management and social media. The couple does everything themselves so they can literally live anywhere.
They enjoy going back on the road to southern states during the winter, where they enjoy the warmer weather while still running their business from home. In fact, they joke that “no one in our family owns

winter clothes, because as the weather changes, so does our location!”
They plan to attend a select number of holiday art and craft shows to continue feeding their nomadic nature, and then after the holidays, they will spend a few months in a mid-Atlantic beach community that has sports facilities their son longs for while traveling. He plans to take a detour from the family travel plan once he turns 18 and attend college, living on campus for

the social and sports aspects of student life. Avril, on the other hand, has expressed a desire to continue traveling once she finishes high school.
The Pendls are committed to creating beautiful artwork made of quality materials while maintaining reasonable prices ($16–$30) so that owning a unique, inspiring soundwave print can be accessible to anyone. Also a priority for the Pendls is creating uplifting artwork that doesn’t profess negativity — something customers notice. “We come as a breath of fresh air to many customers, and that is something we are proud of,” notes Cindy.
Beginning in 2025, the Pendls transformed their traveling art show business into a fully online enterprise. They are in the process of building their online presence and helping people understand how the custom side of their business works — using a customer’s audio of a loved one or beloved pet, etc. — while making sure customers know they

have a full line of products available and ready to ship.
If you are looking for a unique gift this Christmas season — or any time of year — visit thesoundwavebooth.com. The “Custom Soundwaves” tab on the website guides customers through ordering. As a husbandand-wife team, the Pendls are personally available to answer any questions.
Find out more by emailing thesoundwavebooth@gmail.com.






1. Act the mendicant
4. Boys, to Burns
8. A bit loopy
12. Questionnaire datum
13. “American ___”
14. Sole
15. Also
16. Whirling water
17. Desist
18. Dug up
20. Hose hue
21. Particular, for short
23. “Concentration” puzzle
25. Modify

27. Toupee, informally
28. ___ now or never 31. Passage preventer 33. Van Morrison classic
Snoop
Dash
38. London’s ___ Court 39. Kathmandu country 41. Friends and neighbors 42. Extinct flock
45. Celebrity ribfest 47. Superior to 48. Deck
49. Chalet site, perhaps
52. Club
53. “Take this!”

54. Born in France?
55. Bounds
56. “Paradise Lost” setting
57. Bonus for waiting
1. Cavern sight
2. I problem?
3. High school subject
4. Bank loan security
5. Calculator, at times
6. Go unsteadily
7. Full of guile
8. Doctor’s orders
9. Beginning to freeze?
10. Aggressively publicize
11. Blood category
19. Coffee preference
20. Base caller
21. Pouches
22. Leaky faucet sound
24. Software error
26. Wanders
28. Annoyance
29. List
30. Dress-uniform part
32. Frost’s bite?
34. Thousand ___, Calif.
37. Ruined
39. Expected outcomes
40. River through Tours
42. Spoil, with “on”
43. It’s within your range
44. Word with heat or meat
46. Biblical conclusion
48. French beverage
50. Haole’s souvenir
51. Cheerleader’s asset






Writer / Jeff Kenney
Lakes-area readers of an age to remember the earlier days of legendary public television art instructor Bob Ross might have been somewhat surprised at the stature he’s attained nowadays as a nearly ubiquitous, international celebrity, defining an era and a style.
After all, his earlier television programs might be described as quaint: simple of production value, certainly not “high art,” — perhaps even kitsch — right down to his trademark perm-style hair; quiet, unassuming demeanor. His consistent themes of natural landscapes (dotted with “happy little trees,” as he famously dubbed them) and his speedy production of a painting from blank canvas to complete in less than his 30-minute time slot allotted, all of it punctuated by words of encouragement and affirmation for his viewers. A sort of Mr. Rogers of art as everyman therapy.

But it might surprise many to learn of his strong ties to Indiana — specifically just down the road in nearby Muncie, which most of us in these parts associate almost exclusively with Ball State University.
Even there, there’s a tie to Bob Ross, as the house that became ground zero for Ross’ early TV endeavors once belonged to Lucius L. Ball, one of the Ball brothers best known for making their fortunes in the canning jar industry, though their philanthropy, of course, also generated the university which bears their name.
So how did an worldwide cultural icon like Bob Ross wind up in the Hoosier State, which was not his home state (he hailed originally from the area of Daytona Beach, Florida)? The route was perhaps an unlikely one.
Born in 1942, Bob Ross had a love of nature from his youth, inspired partly by the love his mother, Ollie, had for animals.

Ross completed only the 9th grade in school before dropping out to apprentice with his carpenter father, Jack, which is how part of one of Bob’s fingers was cut off.
At 18, young Bob Ross joined the Air Force, taking art lessons at a USO club on the base in Alaska at which he was stationed. He made money on the side




painting landscapes on souvenir gold pans while his service continued. He retired as a master sergeant some 20 years later (it might further surprise readers to learn that Ross’s stint in the military involved his needing to yell and intimidate those under him in order to get jobs done, something he vowed not to do once he retired).



Back in Florida, Ross was exposed to a painting technique which would prove critical to his future television project: the “wet-on-wet” approach involved applying wet paint to an already wet surface, creating soft edges and transitions, especially helpful in rendering natural landscapes like skies. It also helped facilitate a faster painting process, which would prove advantageous later for Ross.
Already having taught painting while in the Air Force, Ross worked as a tutor and traveling salesman once back in Florida, where one of his students pooled her and her husband’s money with that of Ross and his wife to start Ross’ company (his trademark permanent hairstyle — which Ross later admitted he’d never liked — was actually the result of cost-cutting efforts, though it would become permanent as part of the company’s logo).
A Virginia TV station recorded one of Ross’ painting lessons and aired it, prompting
some 60 PBS affiliate stations to sign on to carry the show. That was 1982, and as fate would have it, in 1983 co-investor Annette Kowalski booked Ross on a national tour of painting workshops which included the Indiana town of Muncie. Ross and company’s purchase of advertisements on Muncie’s PBS station, WIPB, paid off: his workshop was sold out by the time Ross’ camper arrived in Muncie.
Ross felt a surge of kindred spirits alive in the Muncie community and he and Kowalski made arrangements for his show, The Joy of Painting, to be filmed at local PBS affiliate WIPB, which was situated in the aforementioned Lucius Ball house, made of yellow brick and located at what would become Muncie’s museum and cultural center, Minnetrista, which was founded by descendants of the Ball Brothers.
As described on its website at minnetrista. net, the facilities encompass a “spacious

Cut the Cord. Not the Content. Only $69.99 a Month – No Contracts, No Hassles.
Stop overpaying for TV. CUE gives you access to hundreds of live channels, including nationwide local channels, toptier movie channels, sports, news, and a huge library of on-demand content, all with no contracts or hidden fees, and no hassle. Whether you’re a family, a binge-watcher, or just tired of cable, enjoy endless entertainment at a price that makes sense.
Start Streaming Today

forty-acre campus and beautiful gardens, a nature area, a museum facility, a permanent museum collection and archive, historic homes, children’s play areas, and a portion of the White River Greenway.”
The facility hosts a “year-round roster of educational programs, engaging workshops,


community events, and interactive exhibitions (and welcomes) tens of thousands of visitors each year and offer something new to experience on every visit,” according to the site.
From his first-floor studio, Ross quietly and gently took his TV audience through the process of creating a landscape painting marked by encouraging his viewers in (to quote the Minnetrista website again) “fearless creativity and life-affirming compassion.”
Ross, who did the show free of charge (making money instead from the sale of books, videos, and art supplies), taped each episode in Muncie even through his return move to Florida in 1989, the year after filming of The Joy of Painting had moved to a more modern filming space on the Ball State campus than the former farmhouse that became Minnetrista had been, though Ross admitted he missed the original space). Even after moving, he still made
the trek to Muncie every three months to tape new episodes, an arrangement which continued until the show’s original run ended on May 17, 1994.
Ross, who painted an estimated 30,000 paintings during his lifetime, did not live long beyond the final episode of The Joy of Painting. He died on July 4, 1994, at just 52 years of age of lymphoma, which he kept a secret to most people outside his family and close circle of friends (he had, in fact, prepared paintings for a planned 32nd season of the show).

was Ross, and an array of digital services have offered it in the years since, generating legions of fans.
Somehow, his persona, technique, and memory, though, are timeless. In the decade that the show aired, a generation grew up watching the unlikely legend that


According to an article on beltmag.com, “Bob Ross Was Here,” by Ashley Stimpson, the famous blue “X” on the floor of Ross’ art studio — marking where he should stand when creating paintings — somehow






was left untouched long after his passing.
Writes Stimpson: “Every so often, George Buss, Minnetrista’s Vice President of Visitor Experience, would point it out to a guest. Their reactions always surprised him. ‘People would cry,’ he told me. ‘Lots of people would ask if they could stand on it.’ Betty Brewer, President and CEO of Minnetrista, experienced something similar when she mentioned the house in passing to some visitors from the Indiana Arts Commission on an abbreviated, after-hours tour. ‘Everyone freaked out,’ she recalled. ‘They couldn’t believe it.’”
Such experiences led the staff to create a permanent museum experience including a “recreated WIPB-TV studio, a 1980s living room similar to those where so many welcomed Bob Ross into their homes, a gallery space designed for specially curated shows, and a workshop space designed to host Bob Ross Painting Workshops. The exhibition is also home to many
original artifacts from Bob’s career, including his easel, palette, and brushes,” writes the the Minnetrista website. Opened in the fall of 2020, “The Bob Ross Experience” in Muncie is the only museum in the world dedicated to Ross.
As Stimpson notes, the museum will not only serve fans of Ross worldwide, but Hoosiers in the Muncie area who remember him having a home there, volunteering with Habitat for Humanity, and assisting local fundraisers by donating his paintings (which are surprisingly rare on the art market, as he tended to keep them out of the commercial market, meaning many today are highly monetarily valued).

children’s show, “The Adventures of Elmo and Friends.”
Bob Ross’ final television appearance was on the 1995 premiere episode of the

Hours (Feb 17 - Dec 31): Monday 12PM -6PM Tuesday-Thursday 10AM-6PM Friday 10AM-5PM Saturday 10AM-3PM
As the show closes, Ross’ final words for his audience, after offering them “just thanks,” were fittingly similar to the end of many of the episodes of his own show: “One day soon our paths may cross again. Until then, God bless, my friend.”






Writer / Miranda Medeiros
When I think of Christmas I think of falling snow, Frank Sinatra, singing happy birthday to Jesus (hmm...maybe this is just my family?) and of course the claymation originals of Rudolph the Red Nosed Reindeer.
It seemed to be that for a few years there Christmas had shifted. The focus went from festivities and a celebration of Christ and all things good in our lives, to how many people you can see at once to get it over with. There was a real shift in the atmosphere all over the world. But recently I’ve noticed websites and sales advertising for a “vintage” Christmas, with the old rosey cheeked Santa and a focus on hosting and time well spent rather than money spent.
This couldn’t be more exciting, especially for a store that has such an emphasis
on hosting, and cherishing the seasons. Unlike most places, the New Kitchen Store is a firm believer in decorating for what season we are in, soaking up every wonder that time of year has to offer.
We don’t display any Christmas decorations or products until our Annual Christmas Open house, which is Saturday November 29 this year. But once Thanksgiving is over, the magic of Christmas is truly a sight to behold here with sparkling Christmas trees, magnificent Christmas dinnerware sets, and of course a jolly tune to carry the ambiance throughout the store making it something to truly behold.
When the seasons and holidays get rushed by pulling everything out in September, it can sometimes take away the magic of such a special time of year. It’s cherished and enjoyed by most people so it’s understandable why such a thing
happens, but sometimes we appreciate the things we have the least of in our lives because of its rarity and awe. Taking the time to enjoy the fall and everything it has to offer is a good way to slow down and appreciate the now.
However, now that Halloween and Thanksgiving are over we welcome our big beautiful Christmas with adoring arms to let its merriment and excitement fill us with the hope of a holiday that represents such a gift of life. A baby born with a mission of saving the world and spreading love and light to all, how can such a beautiful story go without stirring such feelings in a heart?
Let that feeling of love and joy flow through you this season allowing you to open your heart and kitchen to all who enter so that everyone can feel that same joy. The holidays can go one way or another depending on what your focus is,
they can be a time of stress or a source of great joy and memories made with those who matter the most at the core of our lives. This Christmas season, I hope that all of you can focus on the good that is happening in this season rather than the background noise.
So I raise my coffee cup to you all and will leave you with a few words to wish a beautiful winter season into your life. Let’s make this season filled with toasty drinks poured and shared with family and friends to represent our cups overflowing.
Let’s enjoy great food and charcuterie boards packed to the brim only to be picked clean and shared over belly laughs and moments that will last forever in our minds. I hope the snow brings back the childlike wonder that such a thing as a snowflake could exist, and that for all the care and thought that went into creating a snowflake even more was poured into you.






I hope the Christmas lights you see feel extra spectacular and twinkle like stars in your eye, reminding us of a star that once burned bright in the sky to lead others to the light of the world. All in all, I hope you have the most wonderful Christmas
this year full of merriment and a grateful heart beyond words. Truly, from our hearts and kitchens to yours.
Please stop in to New Kitchen Store anytime Monday-Saturday 9-6pm EST

with the exception of some holiday hours. We would love to share a cup of coffee and assist in picking out special items for your loved ones this season. Call us at 574-586-2745 or email at nks@ newkitchenstore.com with any questions!

















PLYMOUTH FURNITURE & MATTRESS MAKES HOME FURNITURE SHOPPING PERSONAL & STRESS-FREE

he best furniture stores do more than sell sofas. They help people picture a life at home that feels comfortable, useful, and beautiful. That’s the promise at Plymouth Furniture & Mattress, led by owners Michael Bright and Kaden Rody.
Bright and Rody didn’t set out to own a second store this soon. They had recently opened Wabash Furniture & Mattress when a trusted sales rep shared a tip.
“A guy named Alan Fritz and his sister Marilyn Banfich owned it, and their dad had started the business,” Bright says. “They were wanting an exit strategy. They wanted to retire, and our La-Z-Boy rep came to us and said, ‘They were looking to step back, and we were looking to grow.’” Following the purchase, the store formerly known as Banfich Furniture became Plymouth Furniture & Mattress.
Customers who frequented the former store can still find the brands they’ve loved for years, with deeper inventory and an expanded service mindset. Bright puts it plainly: “We’re in it for the long haul … I’m only 37 and Kaden is 21, and we plan to do this till we retire.”
The store layout makes it easy to imagine a finished space. Vignettes are built with tables, lamps, rugs and pillows so you can see how pieces work together. Bring a pillow from home or a fabric swatch. Snap a few photos of your room. The staff encourages it.
Many furniture pieces can be customized, including fabric choices, arm styles, wood finishes, and sizes that fit your real room, not just


a showroom. Plymouth Furniture carries lines the region knows and trusts — La-Z-Boy, Ashley, Bernhardt, Archbold VaughanBassett, Liberty, John Thomas, Uttermost, Oriental Weavers, Hunter Douglas, Carole Fabrics, and more.
Mattress shoppers can compare national leaders such as TempurPedic, Stearns & Foster, Sealy, and Serta.
Plymouth Furniture’s secret sauce might be a familiar name. Marilyn Banfich stayed on after the sale to continue the in-home design services that have helped local families for decades. Bright can’t help but smile when he talks about her. He explains that Marilyn has designed everything from custom bunk beds to full built-ins, noting that “she does everything. She’s got over 40 years of experience.”
When you work with Marilyn, the process is simple but personal. An appointment begins with a modest $200 deposit that goes directly toward your purchase—no extra design fee. She can meet you in the store, trade ideas by email or step into your home to take measurements and see the space firsthand.
From there, she brings in her decades of experience with window treatments, flooring, paint, lighting and the furniture that ties it all together. Customers appreciate her ability to listen closely and turn a


wish list into a plan.
If you prefer to shop on your own, that’s welcome too. The floor is set with mix-and-match settings so you can compare a sofa with different chairs and tables. The team can help you double-check clearances for doorways and stairwells and talk through layout choices before anything arrives at your home.
Bright has experienced stores where a salesperson shadows your every step, which is why he trains against it. “We’re not shadow stalkers,” he says with a laugh. “Some people don’t want help. Some do.” The team will greet you, ask how they can help, then give you room to breathe.”












Service extends past the purchase. Delivery is free within 50 miles, and the crew will set up your furniture and remove the unwanted pieces you’re replacing. The personal help continues when special circumstances pop up. Bright shares simple examples: a customer needed a purchase dropped off at a son’s house, so the team made the extra stop. Another family needed help shifting heavy pieces from one room to another to make space for new items. “Other stores don’t do that,” Bright says. “That’s the personal touch that we have.”
Quality furniture is truly an investment. The store partners with Synchrony for customers with strong credit who want long promotional plans, and with Acima and similar leasing programs for shoppers building credit. Promotions change with the season, but the goal stays the same—spread out payments while you enjoy the furniture now.
If you’re new to financing, the staff will lay out the differences between interest-free promotions and lease-to-own plans, then help you choose what fits.
Bright hears it all the time — mattress shopping can feel overwhelming. He suggests a calm, simple approach. Start by deciding whether you prefer firm, medium, or plush. He encourages customers to try a few firm mattresses, then a few medium, then a few plush models.




“Just lie down on them and try it,” he says. “You’ll know more quickly than you think.”
No one rushes you at Plymouth Furniture & Mattress. You are welcome to take notes and return the next day to view or test your finalists again. The store keeps popular brands in stock, making it possible for most furniture items and mattresses to be delivered quickly.
Bright is aware that delivery is often where furniture shopping goes wrong at other stores. At Plymouth Furniture, reviews show it’s
Gilsinger family museum will explain the history of the oldest John Deere Dealer in the world at it’s original store location. Since 1899 The Gilsinger family has served farmers in our area.
Farm Equipment • Local School Memorabilia • WWII Artifacts • Early Household and Farming Tools • Several Unusual Exhibits
• Gold Jewelry • Sterling Silver Jewelry
• Platinum Jewelry
• Turquoise Jewelry
• Dental Gold
• Service Pins
• Pocket Watches
• Sterling Silver Flatware
• Dimes - 1964 & Before
• Quarters - 1964 & Before
• Halves - 1970 & Before

Dollars - 1935 & Before
• Proof & Mint Sets
• Old Paper Money
• Old U.S. Coins
• Foreign Coins
• Gold & Silver Coins
• Gold & Silver Bullion
• Pennies - 1958 & Before
• Nickels - 1938 & Before • Nickels - 1942-1945




where the experience shines.
The level of care, combined with free delivery and haul-away service, helps explain why so many shoppers drive from other towns to purchase from Plymouth Furniture & Mattress.
If you like to plan ahead, Plymouth Furniture offers a short “quickstart” list that really helps:
Measurements: jot down wall lengths, ceiling height, and door clearances. Measure the piece you’re replacing, too.
Simple floor plan: a sketch on notebook paper is fine. Mark windows, doors, and traffic paths.
Photos: a few snapshots of the room in daytime light tell the staff a lot about your style.
Swatches: bring a cushion or pillow if you’re matching existing tones.
Budget range: a flexible target keeps choices focused and avoids disappointment later.
There are often manufacturer specials tied to holidays. The team will tell you when a favorite line will run a promotion so you can

time your purchase well.
Customers visit from Bremen, Culver, Rochester, Knox, South Bend, Mishawaka and beyond. Part of that is selection, part is service, and the rest is logistics. With two locations — Plymouth and Wabash — the company enjoys the economies of scale that keep inventory deep and deliveries moving. Their warehouses hold far more than a single store can carry, which shortens wait times.
Bright also sees Plymouth Furniture as a neighbor, not just a retailer. The team supports local nonprofits, churches and community events. They contribute to school raffles and



22” Tall Side Plates for improved strength and better gravel handling
• 72” Long Side Plates for improved leveling
• ½” AR235 Wear Plates
• Replaceable AR235 Cutting Edge
• Cam Blade Hold-Down for extreme forces Adjustable Blade Depth Double Quick Attach Plate to eliminate long stretches of back drag
• Skidsteer Attachment
• No hydraulics needed
• Available Widths: 72”, 84” (shown)
• Dimensions: 72” L x 22” H
• Materials: ¼” Heavy Gauge Steel Tube Construction
volunteer their time to community projects.
The store’s design work doesn’t stop at the front door. The team has furnished community spaces, lodge-style gathering rooms, and lake homes that welcome summer guests. They know that bunk rooms often need special attention since many families want sturdy built-ins with a clean look and durable finishes.
At Plymouth Furniture & Mattress, special attention is paid to all projects. Marilyn coordinates with painters, flooring installers and window-treatment pros so timelines make sense and projects stay on track.
If your plans are modest, you still get the same care.
Currently, recliners and lift chairs are two of the most popular items from the store’s vast selection. Those with features that make daily life easier — power headrests, lumbar support, USB ports, and gentle stand-assist — are particularly in demand. Sectionals continue to shine, with open floor plans being so common in homes now.
As we head into the holidays, Mike advises shoppers to watch for Black Friday, December, and year-end promotions. The store posts specials online and in-store.

• Boat Covers
• Boat Enclosures
• Boat Lift Covers
• Custom Trucker Tie Down Straps
• Rollease Shade Systems
• Overhead Door Screens
• Trampoline Mats
• Bimini Tops



It is well-known that retail cultures are built by everyday habits. At Plymouth Furniture & Mattress, one habit stands out — respect for how customers like to shop. Bright returns to the idea often with standards such as no pushy chatter, no hovering, help when you want it, space when you don’t. From the first look to the final setup, the staff stays focused on comfort, function and value.

Bright and Rody are building their company in ways that will make it last.
Open the front door and you’ll feel it — easy smiles, tidy displays, and a pace that lets you think.
“Openness and friendliness, I guess would be my first thought,” Bright says.
Visit Plymouth Furniture & Mattress at 2127 N. Oak Dr., Plymouth, IN. For more information, give them a call at 574-9361299 or visit them online at plymouthfm.com.

•
•
•





























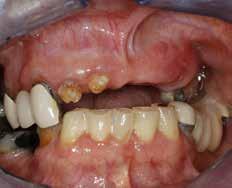
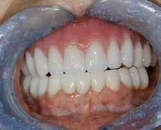
Dr. Ian Barnard and the team at Implant & Cosmetic Dentistry of Northern Indiana in Rochester offer a one-stop shop for your dental needs. This team of dedicated professionals has over 10 years of experience in the dental industry, and this is evident in their caring approach to dental care. Serving patients in surrounding communities and as far as Michigan, Barnard’s team provides personalized dental treatments with an emphasis on whole-patient care.
Serving as practice manager since 2020, Aricka Ulery describes their approach as relationship building, rather than merely transactional dental procedures. “We get to know a patient and learn about their dental needs, and we also get to know them as a person,” Ulery says. Any type of dental care, even a simple cleaning, can cause anxiety for some patients, and the team prioritizes the comfort of every patient.








earned his doctorate in dental surgery from the Indiana University School of Dentistry. During a residency in Ohio with a concentration on treating medically compromised dental patients, Barnard became certified in intravenous (IV) sedation. He moved to South Carolina to practice IV sedation dentistry for six years before relocating back to Indiana with his wife, Angela. Barnard completed the Resnik Implant Institute fellow course, is a graduate of the Kois Center, and completed a 300-hour implant MaxiCourse in Augusta, Georgia. He is an associate fellow in the American Academy of Implant

Dentistry and a fellow of the International Congress of Oral Implantologists.
Barnard took over the Implant & Cosmetic Dentistry of Northern Indiana practice from Dr. Ray Hazen one year ago, after working with Hazen. Almost 50 years of patient care in the same office location contributes to the rich history of community care of this pillar of Indiana dentistry.
Ulery describes the atmosphere of the office as far more than just a dental practice. “We are a highly skilled group of people
that is more like a family than a workplace,” Ulery says. When a patient walks through our door, they take intentional and thoughtful steps to ensure the right plan is selected. Barnard and the surgical assistant explain the treatment options so the patient is well-informed on the best resolution to their individual needs. The entire dental team is trained in IV sedation.
Restorative Assistant Shannon (last name withheld) focuses on resins and crowns, taking great care to build rapport with each patient. Treatment Coordinator and Surgical Assistant Angie (last name







withheld) has been a part of the practice for 20 years, offering comfort to patients throughout their dental procedures. With retirement on the horizon, she has worked closely with Surgical Assistant Shelby (last name withheld) to carry on the legacy of providing emotional support for patients through their dental journey.
Ulery says implant procedures and fullmouth rehabilitation are “a transformation that gives patients back their smile, and is a life changing experience.”
Dental implants and cosmetic procedures are what make up the majority of patient care for the practice. Barnard and his team perform bone grafts, sinus augmentation, tissue grafts, implant prosthesis, oral surgery and IV sedation for the comfort of the patient during a procedure. In addition to implants and oral surgery, the team also does general-practice dentistry such as crowns, resins and other restorative procedures. Youth dental procedures such as wisdom teeth extractions are also offered. For Barnard and his team, every patient is
important in and out of the dental chair.
“We look beyond the specific procedure to ensure we address the overall goals for the patient,” Ulery says. “For example, repairing a defective tooth can be medically needed, but by doing so, we have given back to the patient their confidence in communicating strongly with their teacher, their boss, their family and friends.”
Each member of the team brings a specialized skill set to the patient experience. Barnard mentors other doctors and students to help them along their professional journey. Dental Hygienist Dana (last name withheld) teaches in the Ivy Tech Hygiene program, and she brings more than 10 years of experience to Barnard’s team, playing a critical role in patient care and maintaining implants and natural teeth. “She does a phenomenal job of educating our patients on navigating new home-care routines after implant placement and full-mouth restorative procedures,” Ulery says.
These mentoring and teaching efforts not only serve an educational purpose, but also introduce more people to the practice. “Everything we do begins with a sense of building a stronger community,” Ulery says. The team collaborates with local groups and organizations, supporting local schools and athletic teams, internships and mentorships.
Barnard brings a diverse menu of professional experience to his dentistry, as well as an awareness of whole-person health. Barnard models this philosophy personally, admitting that his own personal rejuvenation is a critical aspect of his successful practice. A self-proclaimed adventure-seeker, Barnard has amassed an impressive array of accomplishments. He has summited Mount Rainier in Washington state with his dad, trekked 600 miles trek across Spain with his wife, and conquered the 2200-mile Appalachian Trail. Perhaps Barnard’s most challenging title to date is the one he most recently
assumed, that of father to newly welcomed son, Zion.
We are not all extreme weekend athletes, but what Barnard’s hiking excursions provide is inspiration to anyone needing to recharge from the toll that weekly responsibilities take. His active lifestyle seems to be just what the doctor ordered, and the dental practice continues to grow, welcoming new patients from all age groups and many communities around Indiana and the Michiana region.
For anyone seeking a team of professionals dedicated to getting to know you beyond simply your dental procedure, Ulery says to call the office and arrange a consultation.
Implant & Cosmetic Dentistry of Northern Indiana is located at 1329 Main Street in Rochester. For questions and more information, visit northernindianadentistry. com or call/text the office at 574-223-3121.
















Writer / Ashley Watters



Your home is where happiness grows, and happy homeowners love long-lasting products that are both quality and contemporary. Known for their strength and durability, vinyl-welded windows provide the kind of longevity and energy efficiency that elevate a home. Combine that with excellent customer service that supports you through every step of the process, and you’ve got a winning combination — which is exactly what Josh Malott strives for at ClasSee Vinyl.
Malott, president of ClasSee Vinyl Inc., spent a decade in the industry before taking over at ClasSee Vinyl in 2022. When the previous owner made the choice to move on, Malott seized the opportunity to become a trusted provider for homeowners, and he has been leading the charge ever since.
ClasSee Vinyl was originally established in Middlebury, Indiana, in 1994. At the end of 2024, after a successful 30 years in business, ClasSee Vinyl opened its doors in Elkhart. The new space allowed for more production capacity, a larger showroom floor and easier access for customers,

contractors
After acquiring ClasSee Vinyl, Malott made it his goal to improve the window replacement process and find new ways to hone in on quality. His years working for an installation company taught him that the process can sometimes be overwhelming and full of high-pressure sales, resulting in large investments and little satisfaction. He decided it was time to do things differently.
The team at ClasSee Vinyl knows that homes are not one-size-fits-all, which means quality, custom-fit windows can be difficult to come by. That’s why they construct their own windows in-house at their location at 1053 Middleton Run Road. All windows are available in two colors, made with high-grade vinyl and built to last. ClasSee Vinyl uses top-grade materials that are resistant to fading, warping and deterioration.







“Our crew puts quality at the top of its to-do list, inspecting everything from top to bottom. Our products are handled with care and given the utmost attention to detail,” Malott says.
To help ease the burden on homeowners from the start, ClasSee Vinyl offers in-home estimates at no cost. The process provides extra support to enable homeowners to make well-informed choices and ensures they are supported every step of the way.
“We believe that homeowners should be consulted and educated on issues regarding their home and window options, rather than simply being sold a product that they may not need or won’t fix the issues they have with their current windows,” Malott says.
Many of their products are NFRC certified, and Malott is currently undergoing the process to certify those that are not. A






beneficial feature for homeowners, NFRCcertified products are graded with different efficiency factors so customers can compare brands and select the best choice for their home.
The ClasSee Vinyl team also added a full-time service technician who helps with windows that require glass, hardware or functional assistance when a full replacement isn’t feasible. The technician makes an in-home assessment to help identify the best solution for every family.
A comprehensive warranty is another perk that ClasSee Vinyl offers to lighten the load on homeowners and ensure their investment stays safe and protected.
“With a 10-year warranty that addresses many of the common issues with windows, customers can relax knowing they are getting the coverage they need without paying more for a longer warranty that can be hard or extensive to claim,” Malott says.






















FACEBOOK PAGES/WEBSITES. Note, ALL Times listed are EASTERN.
NOW – DEC 31
Sun – Thurs 6 – 9 p.m., Fri – Sat 6 – 10 p.m. –Shipshewana Lights of Joy - Open 7 days a week, closed Christmas. Admission $30 per vehicle located at 345 S. Van Buren Street, Shipshewana, IN.
4 – 6, 11 – 13, & 18 – 20
5:30 – 8:30 p.m. – Trail of Lights at the Delt Church Part located at 6455 S 200 W, Wolcottville, IN. Contact the park’s office with any questions, 260854-2225
6
9 a.m. – 3 p.m. – Ship-Chic Holiday Craft & Vintage Shop located at the Shipshewana Trading Post – Antique & Misc. Bldg. 345 S. Van Buren Street, Shipshewana, IN.
NOVEMBER 28 – JANUARY 3
5:30 – 8 p.m. - Wellfield Botanic Gardens Holiday Lights. Visit https://www.wellfieldgardens.org/ for tickets.
6
5 p.m. – Winterfest in downtown Elkhart.



18 – 20
4 – 8 p.m. – Mistletoe Market. Meet Santa, participate in children’s activities, artisan market, and more at the Elkhart County Fairgrounds.
6 p.m. – Dash Away 5K at the Elkhart County 4-H Fair located at 17746 – D County Road 34, Goshen, IN. Registration 4p – 5:30 p.m.
5 – 6
8 p.m. – Light up the Night at the Central Park located at 225 E Fort Wayne Street, Warsaw, IN.
6 – 7
10 a.m. – Come have Breakfast with Santa at the Syracuse Indiana Parks and Recreation located at 1031 N Long Drive, Syracuse, IN. Admission $6, kids 12 and under free.
5:30 – 6:30 p.m. – Pierceton’s Christmas Parade. Lineup starts at 5:30 at the Pierceton Elementary School.
6 - 8 p.m. – Family Movie Night featuring The Polar Express at the Pete Thorn Gym located at 800 N. Park Ave. Warsaw, IN. Concessions available for purchase, special gift for every child. Registration is required due to limited seating.
31
7 p.m. – Midnight – New Year’s Eve at Oakwood Resort. Live music, appetizers, cash bar, ball drop, and lots of fun to be had. Dinner reservations at The Pier and Back Porch will be open from 5p – 9p, call to make a reservation.




4 – 6
Downtown Kendallville Christmas Tree Lighting, Wagon Rides, and a
6
1 – 4 p.m. - Stone’s Trace Historical Society Vintage Christmas located at 511 Lincolnway S., Ligonier, IN.
12 – 29
Celebrate the holidays with us this month by participating in the Christmas Carol Clue Hunt at Chain O’Lakes. For more information, check out https://www.facebook.com/ chainolakessp.






NOVEMBER 28 – 28
5 – 9 p.m. - Potawatomi Zoo Gift of Lights. Wonderland of lights and activities for all ages. For more information, go the Potawatomi Zoo’s website.
6 - 5
8:30 p.m. – Winterfest 2025 at Ironworks Plaza. Free event including a lighted parade, tree lighting, ice skating, inflatables, pictures with Santa, a holiday market, food trucks, and a drone show.
12 – 7
7:45 p.m. – Downtown South Bend’s 8th annual Holiday Light Parade.
13
11 a.m. – 4 p.m. – Urban Artisan Market at Potawatomi Conservatories located at 2105 Mishawaka Ave., South Bend, IN. Enjoy a time of last minute holiday shopping among the tropical plants of the conservatories and find unique treasures made by local artists and makers.




















