

FINDING THE LIFE IN EVERY DAY
![]()


FINDING THE LIFE IN EVERY DAY
DEAR ANN MARIE,
In years past, my family and I have looked forward to viewing the Macy’s July 4 Spectacular from Sutton Place, and Macy’s put on the show over the East River for generations. But last year it was moved to the Hudson River. Why?
- FROM LITTLE MISS FIRECRACKER

DEAR MISS FIRECRACKER,
Good news! Macy’s just announced that the July 4 Fireworks Spectacular is coming back to the East River in 2025!
The Fireworks Spectacular was relocated to the Hudson River in 2009 for the 400th anniversary of Henry Hudson’s exploration, but later returned to the East River due to public demand. (Many residents from Queens, Brooklyn and the Bronx complained that they were shut out.)
Macy’s decides whether to host its 4th of July Fireworks on the East River or Hudson River based on several factors, including visibility, accessibility, and historical significance. The Hudson River was expected to host the show again this year but it was just announced that this year it is coming back to the East River, and will celebrate New York City’s 400th anniversary.
“The Macy’s 4th of July Fireworks show is one of New York City’s most iconic traditions, drawing thousands from across our city, the country, and the globe to witness a world-class celebration of America’s birthday right here in the heart of the Big Apple,” New York City Mayor Eric Adams declared. “As we celebrate 400 years since New York City’s founding, we’re thrilled to welcome the crowds, once again, to experience an unforgettable Independence Day at our world-famous Brooklyn Bridge and East River skyline!”
This is such a treat for our Sutton residents and visitors, and will be a great way to introduce new Greenway to our neighbors! The show will be Friday, July 4 starting around 8:00 pm, with fireworks launched from barges off the Seaport and Brooklyn Bridge. Macy’s will also have musical accompaniment and performances on simulcast.
If you don’t like the crowds, I would be happy to sell you an apartment with a great river view so you can enjoy the show from the comfort of home! Call me today!
Thinking about making a move, please call me for a confidential complimentary market analysis of your home today!
Ann Marie Folan is a long-time Sutton Place resident and the top Sutton broker. After serving as a residential and commercial real estate attorney at Stroock, Stroock & Lavan LLP, she joined Douglas Elliman where she quickly established herself as a top producer, and earned the prestigious “Deal of the Year” award from the Real Estate Board of New York. She has closed hundreds of sales in NYC.
ASK ANN MARIE! Submit your questions to Ann Marie.






























PUBLICATION TEAM
Publisher Eleni Menoutis
Feature Writer Margaret Pfohl mpfohl@bestversionmedia.com
Designer Sarah VanDerGeest
Photographer Anneliese Horowitz anneliesehorowitz.com
ADVERTISING / CONTENT / MAILING LIST
Contact Eleni Menoutis
Phone 646.386.6270
Email emenoutis@bestversionmedia.com
IMPORTANT LOCAL CONTACTS
Sutton Area Community (SAC): 212.838.9770 info@suttonareacommunity.com
Sutton Place Parks Conservancy (SPPC): info@suttonplaceparks.org events@suttonplaceparks.org
Beekman Place Association (BPA): 415.533.5366 board@beekmanplacenyc.org
Turtle Bay Association (TBA): 212.751.5465 office@turtlebay-nyc.org
East Midtown Partnership (EMP): 212.813.0030 info@eastmidtown.org
NYPD 17th Precinct: 212.826.3211
FDNY Engine 8/Ladder 2: 718.999.2000
Happy Birthday month to me — and intern Michelle Chen! She's inspired our magazine makeover, created spot-on event posters for our book clubs and walking tours, compelling ads for our sponsors, tote bag designs (we'll be revealing options soon!), and is our featured artist this month. A multitalented youth with the potential of Yue-Sai Kan and Laura Geller combined! Enjoy our incredible Women's Power Panel event recap on pages 7 (thank-you page by intern Blair), 10 and 11.
July is also the anniversary month of our cover stars — the thoughtful and proactive family behind Beekman Place Association. They've taken our intern Ezra under their wing, proudly printing his work around town! Look out for more on the BPA's gala in our upcoming August issue.
Each one of our interns has played a huge role in our community publication these past three issues, and we look forward to partnering with them again come the fall. Good luck to our senior interns graduating this year — we cannot wait to see what you do next!
Beyond proud,

ELENI MENOUTIS
Founding Publisher, Sutton Place Social EMenoutis@BestVersionMedia.com








With over 30 years of unmatched experience, Eileen Foy stands as one of the top real estate brokers in Manhattan and the United States. Recognized in the prestigious top 1% of brokers nationwide by RealTrends and ranked among the top 250 brokers in the country, Eileen has built a reputation for excellence, integrity, and results.
Specializing in Manhattan’s co-ops, condos, townhouses, and luxury rentals, Eileen’s expertise spans every facet of the market, making her the trusted advisor for buyers, sellers, and investors alike. Whether navigating a historic pre-war property or securing a sleek modern residence, Eileen’s keen market insight and dedication deliver unparalleled outcomes.
When you work with Eileen, you’re not just choosing a broker — you’re choosing a Manhattan icon.
For your next move, trust the name synonymous with success: Eileen Foy.



















COSMETIC & FAMILY DENTAL
Dr. Steven Chavez Blue Line Dental
212.317.5959 hello@bluelinedentalnyc.com www.bluelinedentalnyc.com @DRSTEVENCHAVEZ
AUDIOLOGY HOME VISITS
Emma Durazzo, Au.D., CCC-A
Anywhere Audiology
201.731.8828 emma@anywhereaudiology.com www.anywhereaudiology.com @ANYWHEREAUDIOLOGY
ASSISTED LIVING MEMORY CARE
Clare P. Shanley, Executive Director
The 80th Street Residence Enhanced Memory Care
212.717.8888 www.80thstreetresidence.com
CHILDREN'S MENTAL HEALTH
Matthew M. Cruger, PhD, Clinical Director Child Mind Institute
646.452.0500 Annie.Rosenbladt@childmind.org www.childmind.org @CHILDMINDINSTITUTE

@FASHION_SPA_NAIL_ART



























&
Gift Bag Sponsors
Yue-Sai Kan & Laura Geller Food & Drink
Gift Bag Sponsors
Gift Bag Sponsors
Gift Bag Sponsors


Moderators

Marjorie Shuster

Margaret Pfohl


Marjorie Shuster
Marjorie Shuster Margaret Pfohl
Margaret Pfohl


Marjorie Shuster Margaret Pfohl
Marjorie Shuster
Margaret Pfohl


Moderators



Marjorie Shuster
Margaret Pfohl




Event details subject to change
YEAR-ROUND GREENMARKET
Every Wednesday, 8am–3pm

Dag Plaza, 47th Street at Second Avenue
Located just around the corner from the United Nations Plaza, the Dag Hammarskjold Plaza Greenmarket brings local food to the Turtle Bay community and nearby neighbors. The wide variety on offer reflects the eclectic tastes of neighborhood residents and UN workers alike. www.grownyc.org | hammarskjoldplaza.org
MONTHLY OPEN HOUSE
PAUL RUDOLPH INSTITUTE
Fri, July 4, 6–9pm & Sat, July 19, 1–4pm

The Paul Rudolph Institute for Modern Architecture, 246 E 58th St

Experience the only Paul Rudolph-designed interior open to the public in New York City. Reservations can be made through our website as we have limits to the number of people we can have in the building at a time. www.paulrudolph.institute
SUTTON PLACE SOCIAL MAGAZINE IN PARTNERSHIP WITH SP SOCIAL MAGAZINE, CHABAD SUTTON, OSAKA SUSHI & THE SHOP
Tues, July 8, 6pm

Chabad Sutton Townhouse, 409 E 58th St
In-person with author Nicola Kraus of "The Nanny Diaries" on her newest novel "The Best We Could Hope For."
Ticket ($50) includes wine & kosher sushi, outdoor seating (weather permitting), the best company, plus a special gift. Email emenoutis@bestversionmedia.com to RSVP, or visit: www.suttonplace.media/events | www.chabadsutton.org

AT AYCOCK ESPLANADEFRIENDS
Wed, July 9 & Wed, July 30, 6–7pm

Aycock Pavilion (Red Sculpture Park)




SUTTON SUNSET CELEBRATION
SUTTON PLACE PARKS CONSERVANCY
Fri, July 11, 6–8:30pm, Sunset 8:28pm (Rain Date Sat, July 12)

Sutton Place Parks at E 57th St
Music, Manhattanhenge, Meditation, and Sunset Photos! www.suttonplaceparks.org
SUTTON PLACE SOCIAL MAGAZINE
IN PARTNERSHIP WITH ESPLANADEFRIENDS X ORANGE MOON CAFE
Wed, July 16, 6–7pm Entrance to Esplanade

Enjoy an energizing sunset yoga session with IronStrength and EsplanadeFriends. Open to all skill levels. RSVP required. To RSVP & for more info, email executivedirector@esplanadefriends.org. www.esplanadefriends.org

JAPAN CUTS
JAPAN SOCIETY
Thurs, July 10–Sun, July 20

Japan Society (E 47th btw 1st/2nd)
Join us for our JAPAN CUTS film festival in July, with 30+ screenings! For tickets and details, visit: www.japansociety.org/film/japancuts


(benches at Clara Coffey Park, E 54th)
A special limited series of walking tours with our local nonprofits! Jennifer Ratner of EsplanadeFriends will be leading us all along the East Midtown Greenway and revealing the "Secrets of The Esplanade." Free iced drink afterward at Orange Moon Cafe, courtesy of owner Elma. $35/ticket. RSVP by emailing emenoutis@bestversionmedia.com, or via: www.suttonplace.media/events

KIDS BIRDING WALK
ESPLANADEFRIENDS
Sun, July 20, 10–11am

Andrew Haswell Green Park (60th St & East River Waterfront)
A guided bird walk for young birders in collaboration with the NYC Bird Alliance. Binoculars and curiosity encouraged! RSVP required.
To RSVP and for more info, email executivedirector@esplanadefriends.org. www.esplanadefriends.org

PIPPI LONGSTOCKING PUPPETS! ESPLANADEFRIENDS
Sun, July 27

Andrew Haswell Green Park (60th St & East River Waterfront)
A FREE outdoor performance of Pippi Longstocking by the City Parks Foundation PuppetMobile. Perfect for families and kids of all ages! www.esplanadefriends.org
"TASTE OF TURTLE BAY" TURTLE BAY ASSOCIATION
Sat, Sept 27, 2–5pm

Our inaugural "Taste of Turtle Bay" will welcome neighbors and foodies from across the city to Turtle Bay to sample our culinary delights! The event will feature small “tastes” at Turtle Bay area restaurants, lounges, cafes, bars and bakeries, all while supporting TBA!
Contact office@turtlebay-nyc.org for more information. www.turtlebay-nyc.org





COURTESY OF LOCAL RESIDENT DEVYN PENNEY
Start each day with mindfulness and intention using "Everyday Affirmations," a collection of 365 thoughts, affirmations, and journal prompts designed to spark conscious inner dialogue and optimism. Pair your morning coffee with a daily practice of cultivating clarity, catharsis, and lasting positive change all year long.
A second coffee table book, "20 Questions," whether used as a conversation starter, a journaling companion, or simply a way to get you thinking, invites curiosity, honesty, and personal growth.
Devyn Penney is a self-development coach, author, and founder of TLD HER — a community designed to empower women to be unapologetically themselves. Originally from Rhode Island, Devyn now calls Sutton Place home, where she spends her time coaching, writing, and fostering a space where women can step fully into their power. Through her work, she is on a mission to help women break free from limitations and build lives that truly align with who they are.

WWW.TLDHER.COM
WWW.DEVYNPENNEY.COM
@DEVYNPENNEY



Nestled in the heart of Sutton Place, the Sabatino Showroom is NY's premier truffle destination. Stop in today to get fresh truffles and truffle products for your next party.
400 E 54th Street, New York 10022 Mon - Fri: 11 am - 6 pm | (212) 920-4656



MISSION STATEMENT: The BPA’s mission is to promote the health, safety and welfare of its residents located between the east side of First Avenue and the East River, and between Mitchell Place and East 51st Street.
415.533.5366 @beekmanplacenyc
BY FEATURE WRITER MARGARET PFOHL
It
's not every day you get a seat in a room where two beauty icons and business trailblazers share their journeys face to face. But that was the privilege for nearly 50 neighborhood women who attended Sutton Place Social's first-ever Women's Power Panel on May 12, graciously held inside the striking five-story private Sutton Square townhome of Yue-Sai Kan.
The moment guests stepped through the entrance, there was a palpable aura: "When you walk in the house, you immediately feel comfortable energy," Yue-Sai once told The New York Post. "In Chinese, it means very good feng shui." That energy carried through every inch of the Neo-Georgian townhouse, from the striking gold dragon mural on the library ceiling to the grand salon with its fireplace and East River views. One of only 14 homes in the area with access to the exclusive Sutton Square garden, it was the perfect setting for a morning centered on wisdom, legacy, and beauty in all its forms.
The event drew a mix of impressive neighborhood residents, local influencers, business owners, magazine supporters, and longtime friends of the featured speakers. In the salon-turned-social space, Yue-Sai Kan and Laura Geller took center stage and delivered stories that were as real as they were inspiring. Yue-Sai spoke with humble yet bold authority about her multi-faceted career in media and cosmetics, bridging American and Chinese culture. She reminded us all of the importance of helping others and finding your passion — "something you love so much you forget time," a statement that resonated in a room full of women driven by purpose. Laura followed with her signature warmth and wit, always showing up authentically, and opened up about decades of pushing boundaries. "There's always more to do."
Guests sipped sparkling cocktails from Via Carota Craft Cocktails and snacked on protein shakes and gourmet brunch bites from Sakara Life and Slate Cafe, a trio of women-founded brands. The atmosphere remained relaxed and genuine throughout, with conversations flowing easily over fellow female entrepreneurship and shared experiences.
board@beekmanplace.org beekmanplacenyc.org
Thoughtfully curated gift bags were a highlight, packed with women-founded brands and local support. Attendees received custom nail kits from Taylor Made Polish in "Yue-Sai Red"











and "Geller Gal" nude, Glow Beauty Fuel collagen bars in various flavors, signature "Sutton Place" and "Beekman Place" scents from Bond No. 9, a best-selling blush and brush set from Laura Geller Beauty, and Mario Badescu lip balm. Each bag also included a hardcover copy of Yue-Sai's latest book, "The Most Famous Woman in China," which she graciously signed. Throughout the floors of the home, guests interacted with event signage by Scott Goldman, featuring our cover stars and their respective Women's History Month articles.
Beyond the stories and the swag, the event raised funds for two organizations close to the speakers’ hearts: Yue-Sai Kan One World Foundation, which promotes cross-cultural exchange and women's empowerment, and CEW's Cancer and Careers, a charity Laura Geller is deeply and personally connected with that supports women balancing cancer treatment and professional life.
While the panel was the centerpiece, the feeling that lingered long after was one of connection and possibility. Whether building or sustaining a brand, raising a family, or entering a new chapter, every woman in the room left reminded that there's power in sharing stories, and even more in showing up for one other.











BY FEATURE WRITER MARGARET PFOHL
At the heart of every good panel is a takeaway. Sometimes it’s inspiration, and other times it’s a keepsake. For guests of the Women’s Power Panel with Yue-Sai Kan and Laura Geller, it was both. Tucked into each thoughtfully curated gift bag were three standout products, each representing a woman-founded brand with a shared mission: to create beauty that nourishes, empowers, and connects.

When brand-new Sutton Place resident Maren Jensen, the co-founder of Stila Cosmetics, sets her sights on health bars, it’s all about protein and purpose. Glow Beauty Fuel was born out of Jensen's longtime belief that beauty starts from within. With each bar packing the nutritional equivalent of 15 beauty capsules (collagen, biotin, and more), it’s a daily ritual disguised as dessert. The formula fills a gap for women who struggle with swallowing supplements and who want a functional food that actually tastes good. But this isn’t just a wellness play; it’s a brand built on community: “We’re a women-founded company, and mentoring other women founders keeps us motivated,” Maren advocates. With flavor-forward formulations, zero junk, and a bit of humor between co-founders, it’s clear that beauty, brains, and balance go hand in hand.
WWW.GLOWBEAUTYFUEL.COM
With over 1,000 possible polish combinations, Taylor Made sells both color and creativity. Founded in Downtown Easton, Pennsylvania, and now reaching customers across 39 states, this clean beauty brand offers customizable nail polish kits that prioritize non-toxic ingredients and ethical sourcing. The name is a tribute to founder and Turtle Bay resident Vanessa Ungvarsky’s grandparents, Carroll and Pearl Taylor, whose influence still shapes the company’s heart-first philosophy. From military beginnings to an MBA, Vanessa's path to polish wasn’t linear, but it was intentional. “Creating commemorative colors for the Women’s Power Panel was a full-circle moment,” she shares proudly. With 80% of materials sourced from small, minority, women, and veteran-owned businesses, her conscious company is as much about impact as it is about polish. If you’ve ever wondered what naming custom colors with friends over snacks and music looks like, it’s a typical day in the office at Taylor Made.
WWW.MAKEYOUROWNPOLISH. COM




When it comes to fragrance, Bond No. 9 doesn’t just bottle scent — they bottle New York. Founded by French-born entrepreneur Laurice Rahmé, the brand has produced over 90 fragrances that each represent a different neighborhood, mood, or memory of the city she calls home. With boutiques stretching from NoHo to Miami and counters at Harrods and Saks, Bond No. 9 is known for its bold bottles and even bolder mission: to restore artistry to perfumery. At the event, guests received fragrance samples of "Sutton Place" and "Beekman Place," two neighborhood-specific scents that felt perfectly suited to the morning’s local focus. For Rahmé, fragrance isn’t about following trends; it’s about individual expression. That spirit of individuality was a fitting complement to a gathering that celebrated women defining success on their own terms.
WWW.BONDNO9.COM













BY SUTTON PLACE RESIDENT LAURA GELLER
Our sweet Aussiedoodle, Gigi, was born on July 11, 2020, and we were lucky to bring her home in November of that year. From the moment we met her, it was love at first sight — she jumped up and showered us with kisses, full of excitement and affection.
Gigi is incredibly smart and loves to perform the many tricks we've taught her. She's always ready to entertain and show off her skills. While she's not your typical outgoing dog, often a bit reserved at first, once she gets to know you and earns your trust, she loves you fiercely.


Her absolute favorite pastime? Playing ball — anytime, anywhere.


BY MAUREEN BERMAN
GALA PHOTOS BY GRACE COPELAND
BIRTHDAY PARTY PHOTOS BY JON SCARLET
The Sutton Place Parks Conservancy marked its 10th Anniversary in May, celebrating a decade of preserving and enhancing the six parks along Manhattan’s East River from 53rd to 58th Street. Since 2015, the Conservancy has led numerous initiatives — from seasonal plantings and landscape restoration to infrastructure improvements. It also hosts free public events throughout the year, including the Summer Celebration of Manhattanhenge (July), Children’s Storytelling (August), Broadway on the River (September), the Halloween Spooktacular (October), and a Seasonal Singalong (December).
To mark its first decade, the Conservancy held two special events. On May 13, over 100 guests gathered at the River Club for an evening of musical selections from the Conservancy’s three past "Broadway on the River” productions, a birthday cake from Crumbly Café and Bakery, and a Silent Auction featuring generous donations from friends, supporters, and local merchants. On May 17, the Sutton community came together for a free Birthday Party in Sutton Parks, complete with games, activities for all ages, and another celebratory Crumbly cake.
Looking ahead, the Conservancy will continue its commitment to creating beautiful gardens, strengthening partnerships, and advocating for Sutton Place Parks. To get involved, volunteer, or to support the Conservancy’s activities, contact info@suttonplaceparks.org












BY ART & DESIGN INTERN MADELINE GABEL


Immortalized by her striking ambition and bold strength of character, Katharine Hepburn has left an indelible mark on the world of film and pop culture. With a career spanning eight decades, her role as an early “Hollywood darling” paved the way for future starlets like Marilyn Monroe and Audrey Hepburn (with whom Katharine actually shared no direct relation). Her rap sheet is long and incredibly impressive, with a star-studded list of colleagues including Spencer Tracy, John Wayne, Henry Fonda, and more. Having won “Best Actress” at the Oscars four separate times over the course of her long career, she holds the record for the most Academy Awards won by a single performer. She also received 12 additional nominations for various other leading roles, was the two-time recipient of the BAFTA Award for Best Actress, and was recognized at the Kennedy Center Honors.

Born 1907 in Hartford, Connecticut, to a passionate women’s rights activist, Hepburn was raised with feminist beliefs and an independent, outspoken nature. She knew how to advocate for herself and was even known to have been somewhat of a tomboy in her youth. Throughout her childhood, Hepburn displayed an affinity for theater and in college finally decided to pursue acting. After a few years booking small stage parts, Hepburn’s big break came when she played the Amazonian princess Antiope in the Broadway play "The Warrior’s Husband." Catching the attention of a Hollywood agent, she then starred in "A Bill of Divorcement" (1932) alongside John Barrymore, and her undeniable charm combined with raw talent led her to a studio contract. A following slew of successful films in the 1930s, mostly romantic comedies, brought her to the public’s attention and boosted her image. Particularly well-known was her role as Jo March in "Little Women" (1933), a blockbuster during its time and a revered classic in modern day.
Hepburn quickly became one of the most popular young stars of her time, her reputation further enhanced when she took home her first Academy Award in 1934 for "Morning Glory" (1933). However, her headstrong nature and refusal to conform to traditional expectations (such as wearing pants before they were popularized for women) brought public disapproval to her doorstep. Projects of hers performed poorly in the late 1930s, including the now-beloved


"Bringing Up Baby" (1938), and she was labeled “Box Office Poison” by the media. Prospects seemed low, but her involvement in "The Philadelphia Story" may have saved her career, as she starred in both the well-received stage play in 1939 and the immensely popular film in 1940. The leading role had originally been written with her in mind, and Hepburn financially backed the play which then ran for over a year. Following the theatrical run, she sold the movie rights to MGM Studios and the film starring herself, Cary Grant and James Stewart became a huge commercial success. With her position reestablished, Hepburn would go on to produce many other successful films throughout the following decades, bringing her three more Academy Awards for unforgettable leading roles.
Katharine Hepburn is highlighted as a “Renowned Resident” due to her long-held residence at 244 East 49th Street, which she kept for over 60 years. One of twenty homes in the Turtle Bay Gardens Historic District, the rowhouse was originally bought by Hepburn and her ex-husband in 1931, but she retained it following their divorce. While she occupied various residences throughout her life, including a weekend home in her native Connecticut, she continuously returned to Manhattan. By the 1960s, she had begun spending more of her time in the townhome and became an active member of the greater Sutton Place community. She had previously joined the Turtle Bay Association upon its creation in 1957, demonstrating a deep dedication to preserving the neighborhood’s unique character and history. In 1997, Dag Hammarskjold Plaza opened the small but beautiful “Katharine Hepburn Garden” on East 47th Street, acknowledging her love of flowers as well as her efforts to protect local trees. The block upon which she used to live has also been named “Katharine Hepburn Place” in her honor.

RECOGNIZED BY WESTCHESTER MAGAZINE A TOP REAL ESTATE AGENT IN 2025
RECIPIENT OF THE HOULIHAN LAWRENCE PLATINUM SALES AWARD IN 2024
RECOGNIZED BY LUXURY REAL ESTATE GLOBAL REFERRAL AWARD IN 2024 & 2023
SJanart@houlihanlawrence.com
SusanJanart.houlihanlawrence.com RYE BROKERAGE 14 ELM PLACE, RYE, NY GREENWICH BROKERAGE 2 SOUND VIEW DR, GREENWICH, CT


Founded in 1936, The High School of Art & Design has since been dedicated to nurturing young and gifted minds into professional artists in the industry. When it was originally founded, it began as the School of Industrial Arts. In 1941, co-founder John B. Kenny was appointed principal. Networks of artists, designers, and photographers were formed under his administration. The school’s name was changed in 1960 to its current title, and its location moved to a modern building in Midtown East, on 56th Street.
Today, eight varying art majors are offered: Photography, Fashion, Film, Architecture, Animation, Cartooning, Graphic Design, and Illustration. Each major is given abundant resources to hone their skills as well as professional experience in their fields. The school has birthed many celebrated artists who have made a lasting impact on the art industry, some of whom will be celebrated in our series, Famous Graduates of Art & Design!
Mar c Jacobs, fashion designer (Class of 1981)
Marc Jacobs was born on April 9, 1963 in NYC. His adolescent years were extremely rough — his father died at a young age and his mother was constantly remarrying, causing him to live with his grandmother on the Upper East Side. Before studying at Parsons, Jacobs attended The High School of Art & Design.
In his time at Parsons, his final Op-Art hand-knitted sweater collection won three of the school’s most prestigious awards: Design Student of the Year; the Perry Ellis Gold Thimble Award; and the Chester Weinberg Gold Thimble Award. This awarded collection landed him jobs designing for different brands and eventually, in 1987, he became the youngest designer ever to receive the CFDA's Perry Ellis Award for New Fashion Talent.

Two years later, Jacobs joined the Perry Ellis label as vice president of women’s design. His reputation in the company was overall positive until he presented a collection ahead of its time — a SS1993 grunge collection. Although the press loved the collection, the brand felt that it did not align with their American sportswear aesthetic. This contributed to the dismissal of Jacobs from the brand as creative director. Despite this loss, he used this as an opportunity to launch his self-named company, Marc Jacobs International. In 1994, he launched a comeback collection which was supported by many famous names in the industry like Naomi Campbell and Kate Moss.
As he first started out his brand ( fun fact: Marc Jacobs co-founder Robert Duffy lived at 444 East 52nd Street in a maisonette duplex in Turtle Bay ), Jacobs began collaborating with fellow Art & Design graduate Steven Meisel for almost a decade. In 1997, Jacobs became creative director of Louis Vuitton and created their first ready-to-wear clothing line; he was able to fund his personal company with this very job. He was behind classic collaboration collections with Steven Sprouse, Julie Verhoeven, Takashi Murakami and Richard Prince. After 16 years at LV, he left his role as creative director in 2016.
By 2011, the CFDA had granted him several awards: the Geoffrey Beene Lifetime Achievement prize, Womenswear Designer of the Year three times, Accessory Designer of the Year four times, and Menswear designer of the Year.
Today, Jacobs has created countless noteworthy ready-to-wear pieces, handbags, fragrances, cosmetic products and book launches. His brand, Marc Jacobs, is available in over 280 flagship stores across 60 countries, with over 1300 employees.


Architect: PJCArchitecture
Contractor: Quadrant Development Consultants Inc Photographer: Bjorg Magnea Architectural and Interior Photography



WRITTEN BY FEATURE WRITER MARGARET PFOHL
PHOTOGRAPHY BY ANNELIESE HOROWITZ
Not many people can say they arrived at their wedding by speedboat. But if you know Jenn and Ken, that detail probably doesn’t surprise you. From the start, their story has been anything but ordinary, full of fun times, big laughs, and the kind of love that makes life feel like a celebration. One look at their Beekman Place penthouse terrace, always party-ready and often filled with friends, and it’s clear: these two know how to make the most of every moment.
Their story started in a crowded airport in the Bahamas, where Ken was stranded with his 9-year-old daughter Halle due to a 5-hour delayed flight back to New York. A woman named Tori noticed the situation and offered to watch Halle so Ken could take a break. That woman turned out to be Jenn’s best friend. Though Tori and Ken went on a dinner date a few weeks later, they quickly realized they weren’t a romantic match, but Tori said, “I have a friend for you!”
Jenn and Ken were introduced not long after, and while the first few dates didn’t lead to anything serious, they formed a friendship. He came to her birthday party, she tried to set him up with her friends, and they kept in touch for about a year until, one Thanksgiving, Jenn received a text from Ken while she was visiting family in California. It was simple: "Happy Thanksgiving." But to Jenn, it stood out. "This is exactly the kind of person I want in my life," she thought. When she got back to New York, she reached out and asked him to come to dinner at her new apartment. Ken showed up with a bottle of champagne; but this time was different. "As soon as I walked in, it felt like home," he remembers.
By the time he proposed on a bridge in Paris overlooking the Eiffel Tower, with their friends hiding in the bushes to snap photos, Jenn already knew this would be special. They tied the knot the following summer in Anguilla, on the beach, on the Fourth of July. Jenn made a grand entrance by speedboat with her dad, wrapped herself in a cocoon of tulle, and was carried ashore in her wedding dress by a towering bodyguard from the hotel. She walked barefoot down the sand toward Ken. “It was straight out of a movie,” she reminisces. “People still talk about it.”
Ten years later, they threw an anniversary party at the Waymara in Turks and Caicos. “It’s our home away from home,” she gushes. Jenn had a white bikini under her dress, Ken wore his original suit, and the two of them gathered barefoot on the beach with sixteen of their closest friends. After a short vow renewal, they turned to the crowd and said, "Ready to take the next leap?" before diving into the water — wedding dress and all. Jenn tossed her gown onto the beach and posed in the sand as their friends cheered.
Back in New York, Jenn and Ken channel that same energy into their community. They are the driving force behind some of the most meaningful change in the neighborhood. As co-presidents of the Beekman Place Association since 2022, they’ve taken a 45-year-old nonprofit and breathed new life into it. "There was no donor list, no real fundraising structure, no website," Jenn notes. Today, the association funds a nightly security guard, maintains seasonal flowers and greenery, keeps the neighborhood spotless, and throws




events that actually bring people together, like the annual Halloween bash that draws 200+ neighbors, and a December caroling night under the tree they install at the end of East 50th.
Most recently, they hosted a gala fundraiser at Ophelia Lounge in the Beekman Tower. Jenn still remembers her first glimpse of Beekman Place in 2013. While touring the apartment that would become their home, she and Ken saw a father playing catch with his son at the end of the street. "Where else in Manhattan do you se e this?" they asked each other. That moment sealed it.
Quiet, safe, and full of character, the neighborhood has given their son Charlie a magical childhood. Now 6, he’s their miracle baby after a five-year IVF journey. Charlie attends St. Ignatius Loyola and loves exploring local parks and the East Midtown Greenway. Their daughter Halle, now 26, lives in Denver and works in nonprofit social work. She graduated from CU Boulder and has fully embraced the mountain lifestyle.
Ken, a University of Florida alum and private wealth advisor at UBS, works with significant families as well as leaders in sports and entertainment. His job has brought them backstage at concerts and into some unforgettable experiences. He also practices transcendental meditation religiously, 20 minutes every morning and afternoon, and has been featured in books and videos through the David Lynch Foundation. Jenn, who retired from Goldman Sachs in 2021 after 23 years, now devotes her time to raising their son, volunteering in the community, and through the Junior League of New York where she’s been a member for 25 years. She has developed close partnerships with the Sutton Place Parks Conservancy and Sutton Area Community to advocate for community issues like beautification and land development proposals in the neighborhood. Together, they also support the Robin Hood Foundation to fight against poverty in New York City.
You can find them dining at The Smith, Deux Amis, browsing Ideal Cheese, or popping into Simchick, A La Mode, Crumbly, Greats of Craft, and La Pecora Bianca. They support local because they believe in keeping the neighborhood thriving. “We all live here, and we work hard to keep the neighborhood neat, clean, and safe,” Jenn says. “We’re all in this together.”
Their motto? "It’s not the days in your life; it’s the life in your days."
And that shows. Whether they’re organizing community events, jumping into the ocean in a wedding dress, or throwing a dinner party on their terrace, Jenn and Ken bring their full selves to everything they do. That’s what makes them more than just familiar faces. They’re the kind of neighbors who make our neighborhood feel like home.



BY DR. STEVEN CHAVEZ, EXPERT CONTRIBUTOR – BLUE LINE DENTAL

You’ve probably heard the phrase “healthy gums, healthy smile,” but what does that really mean? As a dentist in the Sutton Place community, I often remind my patients that gum health isn’t just an afterthought — it’s the foundation of your entire oral health. Periodontal disease, or gum disease, is more common than you might think, and catching it early can make all the difference in protecting your teeth — and your overall well-being.
Gum disease starts quietly. Bacteria in plaque accumulate along the gumline, causing the gums to become inflamed and tender — a condition known as gingivitis. If this is left untreated, the inflammation spreads deeper beneath the surface, damaging the bone and connective tissues that hold your teeth in place. At this stage, we call it periodontitis.
Many people don’t realize they have gum disease because it often progresses without pain. Signs can include bleeding when brushing or flossing, bad breath, gum recession, or teeth that feel loose. Unfortunately, once bone loss occurs, it’s not something your body can naturally reverse. That’s why early detection is so important.
Studies have linked periodontal disease to other systemic health issues like cardiovascular disease, diabetes, and even Alzheimer's. The chronic inflammation in your gums doesn’t stay isolated — it can affect your entire body. So when we treat gum disease, we’re not just saving teeth — we may be improving your general health as well.
At Blue Line Dental, we begin with a comprehensive periodontal evaluation, which includes gentle probing to measure gum pocket depths and high-resolution imaging to assess bone levels. From there, we create a customized treatment plan based on your specific needs.
For mild to moderate cases, we typically perform scaling and root planing — also known as a deep cleaning — which removes plaque and tartar from beneath the gumline. To enhance healing and reduce bacterial levels, we also incorporate medicated rinses and laser therapy. These tools help eliminate bacteria in hard-to-reach areas and support better treatment outcomes, especially in inflamed or infected pockets.
For more advanced cases, surgical options or regenerative procedures such as bone grafting or guided tissue regeneration may be necessary.
Prevention is always better than treatment. The best way to protect yourself from periodontal disease is by brushing twice daily, flossing regularly, and staying consistent with your dental cleanings and checkups. At Blue Line Dental, we help patients develop habits that support long-term gum health.
Think of your gums as the soil supporting a tree — if the soil isn't healthy, the tree can't thrive. Taking care of your gums is an investment in your future smile — and your overall health.
DR. STEVEN CHAVEZ
WWW.BLUELINEDENTALNYC.COM @DRSTEVENCHAVEZ


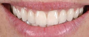
A healthy smile starts with healthy gums — firm, pink & free of inflammation.


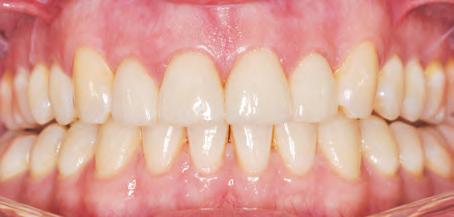
Before and after treatment of periodontal disease: Comprehensive care restored gum health, reduced inflammation, and preserved the foundation for a healthier smile.

I’m Dr. Steven Chavez and I’d like to introduce you to a dental practice offering the care, comfort, style, and support you’ve been looking for: meet Blue Line Dental.We’renowschedulingweekday appointments at our brand new location in the city. PLUS,we’reavailablefordentalemergenciesat ournewo ffice location.We celebrate this vibrant community by making brighter smiles, and we can’t wait to welcome yours.
Introducing Blue Line Dental, a fresh and innovative dental practice that combines exceptional care, ultimate comfort, and a touch of style. Dr. Steven Chavez and Dr. Calvin Tam invite you to experience the care, comfort, style, and support you’ve been looking for. Our brand-new Sutton Place location is now accepting weekday appointments, PLUS, we’re available for dental emergencies to provide prompt care when you need it most. We celebrate the vibrancy of our community by making

Dr. Steven Chavez started Blue Line Dental to provide a high caliber of care to the community he loves to serve. As a proud local, he’s committed to treating you like family while delivering world-class care.
by making brighter smiles, and we can’t wait to welcome yours.



BY DR. EMMA DURAZZO, CONCIERGE AUDIOLOGIST & EXPERT CONTRIBUTOR
My father is in his early 80s and has definitely been struggling to follow conversations — especially in noisy restaurants or when we’re all together as a family. He insists everyone else is “mumbling,” but we can all see he’s missing things. I suggested he get his hearing checked, and he said he might “just pop into Costco one of these days.” I’m not sure that’s the best solution, but I want to be supportive. What would you recommend?
— Trying to Help in Manhattan
Dear Trying to Help,
Thank you for this thoughtful question — this kind of situation is incredibly common and, believe it or not, one I hear weekly in my practice.
First, a quick nod to your dad: He’s not wrong that people often do mumble. But when everyone seems to be doing it, it’s often a sign that the ears aren’t processing sound as clearly as they used to. It’s great

Did you know?
Increased oxygen levels in the blood promotes healing, reduces inflammation, enhances the body’s natural defense mechanisms against infection, and stimulates the growth of new blood vessels. It’s also beneficial in managing fatigue, improving memory, cognitive performance and overall longevity.
Visit the largest HBOT Clinic in NYC, right here in Beekman Place
that he’s at least open to getting help — that’s a huge step in the right direction.
Now let’s talk about Costco. I think it’s wonderful that places like Costco have helped raise awareness and access to hearing aids. They’ve brought the idea of hearing health into everyday conversation — and for many people, that’s a great place to start.
That said, hearing care isn’t one-size-fits-all. Your father isn’t buying batteries or picking up snacks — he’s investing in a sense that connects him to the world, his family, and his independence. A big-box retail setting simply isn’t designed to deliver the level of attention, customization, or long-term support that many older adults truly benefit from.
In my own concierge practice, for instance, we spend time in our patients’ homes. We see their daily routines, understand how they socialize, and tailor care in a way that’s deeply personal. It’s not just about amplifying sound — it’s about making communication easier and restoring confidence. That level of nuance isn’t typically built into retail models, even with talented providers on staff.

You’re already on the right track.
If your dad does go to Costco, I’d call that a win — it means he’s taking action. But if you’d like him to explore a more thorough, relationship-based approach, you might suggest just trying a home consultation first. Many of us offer low-pressure visits that include testing, device trials, and clear education — no sales pitch, no rush.



With
warmth,
Durazzo




BY SUTTON PLACE RESIDENT MIRIAM SILVERBERG
Adelightful escape into the rich and flavorful world of Mediterranean cuisine exists on the Upper East Side at 1123 1st Avenue. Opened in 2022, Sea Salt is a must-dine destination for food enthusiasts eager for authentic Mediterranean dishes.
We started with a glass of wine and then the food. Oh, the food! We had the Mezze Sampler, $25, of hummus, babaganoush and red pepper walnut spread; Crispy Feta, $18, phyllo rolls (divine); and Spanakopita, $16, traditional Greek spinach and feta pie. I mustn’t forget the Arugula and Burrata Salad, $19, so good, and the Crab Cakes, $18, which were absolutely delicious. The appetizers were the best ever, and I’ve eaten in the Mediterranean and Greece, but we hadn’t yet tasted the entrees.
We started our entrees with Chicken Kebab, $27, char-grilled marinated breast chunks with rice and arugula, juicy and delicious. The Grilled Salmon, $35, with lentil salad and cauliflower puree was outstanding. We also ordered the Burger, $19, with cheese, caramelized onions and fries, also very good. We had dumplings, Manti Dumplings, house-made beef with yogurt, $29. As I said earlier, their food is excellent. You must, must go, and soon, or you'll never forgive yourself.
For dessert, we had everything! Brownie, $13, rice pudding, $10, baklava, $12 (each comes with gelato!), and perhaps the best of all, blueberry cheesecake, $14.
Sea Salt is a highly unusual restaurant with extraordinarily outstanding food and service. I cannot say enough good things about it. It is charming, airy, roomy, and Ergan the owner wasn’t there (he is charming; we’ve spoken on the phone) but Christopher, the equally charming manager, took care of us. You will love your experience. Please go and tell me about it.

SEA SALT
1123 1st Avenue (btw 61st & 62nd)
WWW.SEASALTSNYC.COM
Miriam Silverberg is a freelance writer and the owner of publicity firm Miriam Silverberg Associates. She may be reached at silverbergm212@gmail.com.





Discover the elegance and sophistication of Inspīr Carnegie Hill at our upcoming Broadway Sondheim Concert. Experience firsthand how we redefine luxury senior living with thoughtfully designed residences, five-star amenities, and personalized Assisted Living, Enhanced Care and Memory Care offerings. Enjoy a guided tour, meet our dedicated team, and get an insider’s look at the exceptional lifestyle awaiting you. Following the show, guests are invited to enjoy a Happy Hour.
RSVP by scanning the QR code. If you have any questions, contact the Inspīr team at inspirinfo@inspirsl.com or call 646.907.1500.

THURSDAY, JUNE 26 | 3:00 PM | SKYPARK 1802 Second Avenue | New York, NY 10128 646.907.1500 | InspirSeniorLiving.com

BY SUTTON PLACE REAL ESTATE BROKER & ATTORNEY ANN MARIE FOLAN

While the NYC market has been challenging since Covid, 25 Sutton Place South (Cannon Point North) redoubled its commitment to its shareholders by upgrading the building to ensure a first-class residence. “Operation Facelift” encompassed a new lobby and hallways and a major electric overhaul. The result, thanks in large part to co-op board members Laurence Boschetto (former president) and Harvey Kleinman — go see for yourself!
F
OL AN: What makes 25 SPS so special?
KLEINMAN: We have the only residential terrace on the East River, a 120-foot-long river frontage with north-south-east views as far as the eye can see. Residents can relax, meet neighbors, read, enjoy cocktails, or eat outside surrounded by a lush garden perched above the river. Our two towers offer most apartments wonderful light and views, and many enjoy unobstructed river and city views.
FOLAN: What is the vision for 25 SPS?
BOSCHETTO: Reestablishing and transforming our building into one of the most prestigious residences in the city, affording a high-quality

lifestyle for all age groups and families. We take pride in being a white-glove yet friendly residence, providing service, care, and responsiveness to our residents, keeping our finances robust while maintaining a safe, up-to-date home in peak condition.
FOLAN: What prompted your interest in serving on the board, and how do you make decisions when there is not unanimity of opinion among board members?
BOSCHETTO: It is my home, and I take pride in my residence and wanted to ensure it was in the healthiest and safest position, for all to feel comfortable and secure. If there are differences of opinion, we work things out pragmatically and by consensus. We have a shared sense of purpose and mutual respect for each other’s opinions. Our board operates as an executive team aligned around our vision of being among the most-preferred residences on Sutton Place, supported by our three pillars: strong financials, updated modern infrastructure, and a beautiful setting with great service.
FOLAN: I suppose that the board’s functions include financial management; legal compliance such as facade inspections and labor; community integrity and enjoyment; and administration. How do you effectively manage these functions?
KLEINMAN: We use committees to focus on specific subjects. Our committees are Finance, Legal, Technology, Capital Improvement, House

& Garden, Communications & Marketing, Fitness Center, Admissions, and Nominations. We also have a monthly newsletter. Our new board president, Alan E. Katz, a retired law firm managing partner and former CFO and general counsel of a public real estate investment trust, will lead future initiatives.
FOLAN: What prompted the board to take on the Operation Facelift and Electric Infrastructure projects?
BOSCHETTO: Our electrical system reached its life expectancy and needed a comprehensive overhaul. Dominick Servedio (chair of the Capital Improvement Committee) has spent 10 years leading the initiative to upgrade our infrastructure. It started with the facade, roof and terraces, and evolved to the electrical initiative, which enables us to offer greater electrical loads and to add in-residence laundry capabilities.
The goal of Operation Facelift was to enhance the aesthetics and functionality of our residence. The committee was led by Robert Vogliano, who spent endless hours exploring every detail in pursuit of maintaining the design integrity of the past, coupled with today’s popular elements.
FOLAN: Obviously, the cost for these projects was considerable. What was the process to determine how to pay for the work?
BOSCHETTO: The bylaws dictate how we approach any initiative. We need to have a defined scope of work, send out an RFP (request for proposal) to vendors, evaluate proposals, meet the vendors, and make a decision. We employed top-tier consulting firms, Zubatkin Owners Rep, as well as construction management and design experts to achieve the best pricing and on-time/on-budget results.
KLEINMAN: We utilized a combination of reserve funds augmented by a favorable mortgage refinancing and a shareholder assessment.
FOLAN: Were shareholders supportive of the projects, or did they resist because of the cost and inconvenience?
BOSCHETTO: Change can be difficult; we understand that. We took the time to hear shareholder concerns and responded to them. Most shareholders recognized that Operation Facelift was needed and consider the assessment as an investment, not an expense.
Design is highly subjective, and we knew there would be some criticism, which is why we established a shareholder design committee to work with the design firm Woods Bagot. Together, we explored and designed the
renovation from the terrazzo floor to the vestibule paneling, the furniture, the carpet, and lighting.
Weekly status reports incorporated visual milestones to demonstrate progress and inform shareholders of what was next. Most shareholders supported our initiatives, believing it was for our collective best interest.
FOLAN: What kind of disruptions were experienced during the course of the work?
BOSCHETTO: Temporarily closing our terrace and main lobby. The most amazing accomplishment was changing all the electrical throughout the two 21-floor towers and 320 apartments — without any electrical disruptions over eight months!
FOLAN: As a broker, I know that buyers judge a book by its cover, so when greeted by a friendly and attentive staff, chic new lobby, sleek elevators and hallways, they will have a favorable impression even before I open the apartment door. Buyers have described the lobby and hallways as “bright,” “cheerful,” “warm,” and “classic.” Also, buyers are excited about the possibility of adding washer/dryers and are willing to pay more to live in a beautiful, modern building. Have you as yet seen any value added to shareholders for these projects?
BOSCHETTO: We have seen a considerable increase in sales since construction began. The last six sales have reached numbers that we haven’t enjoyed for up to eight years.
FOLAN: True! Well, thank you, gentlemen. I am pleased to give our readers insight into some board dynamics, and to help introduce the new and improved 25 Sutton Place South to the community!
WWW.ELLIMAN.COM/AFOLAN



MICHELLE CHEN
Michelle Chen is a 16-year-old artist based in New York City. She is currently studying cartooning at The High School of Art & Design. Besides cartooning, she also enjoys graphic design and illustration. She aspires to continue to learn and be creative in her future careers, ideally as a creative director and published graphic novelist.











COMMUNITY MAGAZINE | ISSUE #74 | EST. 2019
MOVING? FORMER TENANT'S NAME? DUPLICATES? GOING GREEN? KINDLY CALL/TEXT 646.386.6270

is where nobody judges me
Children who withdraw from social activities may have an anxiety disorder. If this sounds like your child, request an appointment today and find out how the Child Mind Institute’s evidence-based care may be able to help.
Understanding your child is the first step towards treating their mental health and learning disorders.
We Speak Kid.

Request an appointment today.


