SPLURGE! July 2024

Page 1


We have assembled a highly competent team of surgeons, physicians, nurses, technicians and support sta that are dedicated to providing the highest level patient care. They understand that the best medicine is achieved through the empowerment of caregivers so they are unhindered in their quest to deliver compassionate and evidence based health care. Such care is complemented by utilizing the latest inmedical technology while listening to each patient’s needs and customizing care plans.

Behind the Scenes

Raising the Curtain on our Central Cast

How long have you been with Splurge?

Just a few short months!

Congratulations on being named director of operations!

What’s your favorite part of the job?

Working side by side with my dear friend, Jody Klein, and working with the fabulous people of our city. We have such a friendly, fun city.

Tell us about your “day job.”

I am a full-time Realtor with ReeceNichols South Central Kansas, helping buyers and sellers throughout Wichita and the surrounding area.

What summer fashion trend are you most excited about? I love it that skorts have come back around.

Cute and comfortable!

Favorite summer activity?

Spending time with my teens, who are on summer break. What is Wichita’s best-kept secret?

Honestly, this would be a full page article. I’m a foodie — so I would have to say our fabulous local restaurants.

Dog or cat person?

Dog, for sure. (Sorry, all you cat lovers.)

Favorite guilty pleasure?

Good wine and good food, forget the dessert.

12828 E. 13th N., Wichita, KS 67230 316.267.3678

Publishing Company Inspired Koncepts, Inc.

Owners Dr. Terry and Jody Klein

Dr. Dennis and Ann Ross

Steve Ruud

Publisher and President Jody Klein - jody@splurgemag.com

Associate Publisher Kelsey Ralston - kelsey@splurgemag.com

Lead Editor Karen Long - proofing@splurgemag.com

Director of Operations Jessika Mayer - splurgeoffice@gmail.com

Account Executives

Kim Azaria - kim@splurgemag.com

Debi Devor-Mullins - debi@splurgemag.com

Dawn Tucker - dawn@splurgemag.com

@splurgeict splurgemag.com

Accounting Firm of Esther M. Mollhagen, CPA

Graphic Design Mitch Gee

Contributing Writers Alexis Evans, Paige Feikert, Julie Hying, Caroline Jones, Joe Stumpe, Dawn Tucker

Guest Columnists Amanda Green, Daniel Neale, Joseph Spaniol, Amy Sprole

Fashion Photography Tobie Andrews

Local Faces Photography Michael Carroll Jr.

Jessika Mayer SPLURGE! Director of Operations

INSIDE THIS ISSUE:

8

Casting Your Vote

Election season is in full swing, and here’s everything you need to know about the Kansas primary election on August 6 — from important races to voter registration to advance ballots by mail.

10

Coach Stanley Redwine

This KU coach was tapped as U.S. men’s track and field head coach for the Paris Olympics, and our SPLURGE! interview shows why: his achievements, experience and dedication to athletes.

14

ICT Olympians

Meet seven past Olympians in sports ranging from boxing and basketball to softball and swimming. One thing they all had in common: bringing home gold, silver or bronze to Wichita, Kansas.

Coach Stanley Redwine

Design: Brett Foreman, Director of Graphic Design at Kansas Athletics

Location: Kansas University

28

Figure Skating Championships

Discover an incredible sport in a live setting when the U.S. Figure Skating Championships take place at Intrust Bank Arena. All the info here, from ticketing to elite athletes to watch.

58

Pioneering Dishes for Summer

America’s Pioneer Woman, Ree Drummond, inspired or created these sun-kissed recipes to share with family and friends, including SlowCooked BBQ Chicken Thighs and Chile-Lime Steak Salad.

CASTING YOUR VOTE

Everything You Need to Know About the Primary Election August

6

An unprecedented election is at play for the next President of the United States — but other impactful races will make a difference for Kansans this election year as well. State and local elections can have significant effects on your daily life, and with fewer voters casting ballots for these positions, your vote can have an even bigger impact. Leaders at the local and state levels make decisions on how to spend local tax dollars for services such as public safety, roads and infrastructure, schools, community-based resources and more.

The statewide primary election is August 6. Voters who are registered as Democrats and Republicans can vote for which candidates they want to represent their parties in the general election. The general election is November 5, where any registered voter will cast votes for federal, state and local races.

The Races

On a federal level, Kansans will vote for U.S. House seats in addition to President this year. The four representatives in the U.S. House are elected based on your congressional district: Most counties in southcentral Kansas fall into District 4, including Sedgwick, Butler, Harvey, Cowley, Kingman and Sumner counties, among others. Much of the state falls into District 1, including Reno County and most of central and western Kansas.

The Kansas State Senate and the Kansas House of Representatives are also divided into smaller districts. In Kansas Districts 2, 4, 6, 8 and 10 voters will be filling several seats for the Kansas Board of Education, and six appellate judges are up for retention election. On a local level, Sedgwick County voters will cast ballots for county clerk, district attorney, register of deeds, sheriff and treasurer.

Check Your Voter Registration and Cast Your Vote

Ahead of election season, you’ll want to make sure you know how and where to cast your ballot. First, check your voter registration status at myvoteinfo.voteks.org. This will show whether you’re registered, your assigned polling location and more. It’s important to note that even if you changed your address on your state-issued driver’s license recently, you have to re-register to vote for that new address to appear on your voter registration. Anyone with a valid state driver’s license or non-driver ID can register to vote online, otherwise you could register with a paper application.

You can cast your ballot in person or via mail. If you’re voting in person, you must present a valid ID. Advance in-person voting starts on July 17 for the primary election, but the Kansas Secretary of State encourages you to verify that date with your county election office first. Polling locations are required to be open from 7 a.m. to 7 p.m. on election day for in-person voters.

Ballots look different depending on where you live, so make sure to visit your county election office’s website for a list of candidates. As the general election nears, look for locally hosted candidate debates and candidate profiles through local newspapers, television and radio broadcasts.

Find more voter information on the Kansas Secretary of State website here: sos.ks.gov/elections/voter-information.html

Important Election Dates

2024 Primary Election

June 3 (12:00 p.m.) – Deadline to change your party affiliation

July 16 – Deadline to register to vote or update your voter registration

July 17 – First day of advance voting. Advance ballots by mail are transmitted. Check with your county election officer for specific times and locations.

July 30 – Last day to apply for an advance voting mail ballot. All advance ballots by mail must be postmarked by election day and received by Aug. 9.

Aug. 5 – In-person advance voting ends at 12:00 p.m. Aug. 6 – Primary election

2024 General Election

Oct. 15 – Deadline to register to vote or update your voter registration information

Oct. 16 – First day of advance voting. Advance ballots by mail are transmitted. Check with your county election officer for specific times and locations.

Oct. 29 – Last day to apply for an advance voting mail ballot. All advance ballots by mail must be postmarked by election day and received by Nov. 8.

Nov. 4 – In-person advance voting ends at 12:00 p.m.

Nov. 5 – General election

SOURCE: sos.ks.gov/elections/important-election-dates.html

KU Track and Field Coach Tapped for Paris Olympics

Don’t expect Stanley Redwine to get caught up in the opening ceremonies, worldwide attention and other hoopla surrounding the 2024 Summer Olympics in Paris.

“Maybe I need to learn French, but I don’t know,” joked Redwine, the University of Kansas head track and field coach who was chosen head coach of the U.S. men’s track and field team for the Olympics.

“I think from my perspective, those things are not important. What’s important to me is to help the athletes achieve their goal. We’re there to serve the athletes from the United States.”

Redwine said he felt “more honored than I am surprised” when the USA Track & Field organization chose him, probably because he had served as assistant coach during the 2020 Tokyo games, which were actually held in 2021 due to the pandemic.

“It’s something my peers felt like I deserve, so from that perspective, I thank God for it.”

Redwine has enjoyed a long and decorated career as an athlete and coach. A Dallas native, Redwine competed at the University of Arkansas under its legendary coach John McConnell. Running the 400-, 600- and 800-meter races, Redwine was a four-time All-American and the Razorbacks’ Outstanding Track Athlete from 1980–83.

He became an assistant at Arkansas, helping them to nine consecutive NCAA championships and a combined 22 titles in both track and field and cross-country. Meanwhile, he competed professionally, winning medals at the Goodwill Games (1986 and 1994) and Pan American Games (1983 and 1987) and qualifying for five straight U.S. Olympic Trials from 1980 to 1996.

Redwine became the University of Tulsa’s head coach in 1994 and was lured to KU after six years. Twenty-four years later, he is the longest-tenured coach in school history. He and his wife, Jacqueline, have three children: Crysta, Stanley Jr. and Alexa. Redwine, who earned a degree in business management in Fayetteville, said he knew coaching was in his future while still a college student.

“My mentor at the time — Coach McConnell at the University of Arkansas — I really appreciated the things he did for me as a coach. It’s a way of giving back for what was done for me.”

Redwine, a five-time Big 12 Coach of the Year, has shown the same kind of skill in developing athletes. He’s coached 20 individual champions, 240 All-Americans and 12 Olympians while at KU.

Redwine, who also coaches the school’s women’s team, led it to a national outdoor title in 2013, the first women’s title team in KU history.

This year’s U.S. team was to be chosen during the Olympic Trials, held last month in Eugene, Oregon. Track and field is different from many sports in that, at the elite level, most athletes train with personal coaches. But Redwine, who will have a staff of five in Paris, said there’s still a role for team coaches.

“Track and field is a team event. But it’s individuals that make up the team. Every individual will be motivated differently, but as a team you say, ‘Hey, this is a goal.’ ”

Tim Weaver, former Kansas Relays meet director and a good friend of Redwine, will be the team’s event manager. One Jayhawk, middle distance runner Michael Joseph, will represent his home country of St. Lucia in Paris, and a couple of former KU athletes were hoping to qualify for the U.S. team during last month’s trials.

The U.S. team has collected the most track and field events in each of the modern Olympic Games. Redwine is aware of the expectations.

“No one should take anything for granted, but we want to do our best.”

Coach Stanley Redwine, wife Jacqueline and family

Potential Relief for Menstrual Migraines

Many of us know that powerless and helpless feeling associated with chronic migraines. Though it is a wide-ranging systemic illness, some women suffer from especially severe migraines during the already-difficult time of their menstrual cycle, and Dr. Klein and his team at AMR want to help find better solutions for their pain. If you suffer from menstrual migraines, learn more about how you could help make a difference in your comfort and in the well-being of other women like you.

Q. What does it mean to have menstrual migraines?

A. Many women experience migraines that are associated, at least in part, with their menstrual cycle. Usually, a menstrual migraine, or a period headache, will occur before the onset of the menstrual cycle (menses) or two to three days after the start of menses. Because period headaches are caused by hormonal changes, they usually happen when the estrogen and progesterone hormones drop to their lowest levels. Some people only have migraines during the time of their menses, but more often, a patient with menstrual migraines will just notice headaches that are equal to or more severe than what they normally experience.

Q. How common are menstrual migraines?

A. We estimate that migraines affect about 12 percent of people in the United States of America. Of that number, at least 60 percent of people who have a period and experience migraines report headaches happening around the time of their menstrual cycle

Q. What are the most common symptoms of a menstrual migraine?

A. As with other migraines, menstrual migraines are characterized by severe pulsing or throbbing pain, and they are often localized to one side. Some people will also experience nausea and vomiting; loss of appetite; dizziness; blurred vision; and sensitivity to movement, light, smells or sounds. A patient does not have to experience all these symptoms to have menstrual migraines. Sometimes, symptoms can last for a few hours, but they can often persist for days, even after the pain has subsided.

Q. What is AMR’s goal with this study?

A. We want to see menstrual migraine pain decrease or stop altogether, and to do that, we will focus on a molecule called a calcitonin gene-related peptide, or CGRP. CGRP is located in the sensory nerve and can be found especially around arteries. We know that CGRP levels tend to be elevated during and between migraine episodes, triggering

inflammation and pain for the person experiencing the migraine. Over a three-month period, we will test an antagonist that will manage these CGRP levels over seven days (or the length of the person’s menses), hopefully decreasing that inflammation and pain. This antagonist will be taken orally.

Q. What makes this study unique from other similar ones?

A. I think it’s pretty cool that we’re going to track how the medication affects the patient for three months of menses, followed by 12 months of what we call open-label follow-up. During this time, our participants will continue taking the active form of the drug without placebo if it has been found to have the potential for benefit, and we will continue to track their progress.

Q. Who qualifies for this study, and where will it take place?

A. We are looking for female participants who are 18 years or older and have noticed a correlation between their menstrual cycle and the onset of migraines. If a woman thinks she might qualify, we encourage that she schedule a time to come to our East Wichita location, where we will order blood work, take her medical history, and confirm that she meets the criteria for the study.

How to Participate

To participate in AMR’s menstrual migraine clinical trial, call 316.867.6329.

Home Sweet Home

Gold, Silver and Bronze

Jim Bausch

Wichita Athletes Who Dreamed Big and Won Big

It’s a dream for many athletes to represent their country on one of the biggest stages in sports: the Olympic Games. Wichita is no stranger to Olympic medals, with several Wichitans representing the United States in the Olympics through the years. Ahead of the 2024 games in Paris, SPLURGE! is looking back at Olympic medalists from Wichita.

Jim Bausch brought home Wichita’s first Olympic medal when he won the decathlon in the 1932 Olympic Games in Los Angeles. Bausch originally grew up in Garden Plain, but eventually moved to Wichita where he finished high school and started his college football career at then Wichita University. Bausch, nicknamed “Jarrin’ Jim,” threw the javelin 203 feet and 3.5 inches in the 1932 decathlon, propelling him from a fifth-place position on day one of the competition, to the gold medal. Bausch set the world record that year for the decathlon with 8,462 points. He eventually went on to play professional football and is considered by many the greatest all-around athlete in Kansas history.

Jeff Farrell

It would be another 28 years before another Wichitan would bring home an Olympic medal, when swimmer Jeff Farrell won the 800-meter freestyle relay and the 400-meter relay in the 1960 Rome Olympic Games. Farrell attended Wichita East High School, where he tied the national record for the 220-yard freestyle his senior year. Farrell notably swam in the 1960 Olympic trials just six days after undergoing an appendectomy. Farrell’s gold medal races set world records for both events.

Jim Ryun

Jim Ryun represented the United States at three consecutive Olympic Games. Ryun started making his mark in the running world while he was at Wichita East High School, where he notably became the first high school boy to run a sub-four-minute mile. Ryun clocked a 3:59.0 mile in 1964 at the Compton Relays at the age of 17. That same year, Ryun made his first Olympic team, traveling to Tokyo with Team USA, falling just short of the gold medal race for the 1500-meter.

“When I made my first Olympic team, it was a life-changing experience, because I realized that you could set goals and they could give you direction, and it could be life-changing.” Ryun said. The following year, Ryun ran a 3:55.3 mile, a record for the high school mile, and one that he held for almost 36 years.

At the time of the 1968 Olympic Games, Ryun held world records in the 880-yard and the 1,500-meter races, in addition to the mile. He once again joined Team USA, this time in Mexico City, where Ryun earned a silver medal for the 1,500-meter race. “Before I started running I had been cut from every team I had tried out for,” Ryun said. “All of a sudden in a few years I found myself on the step of the Olympic Games for a silver medal, and it was a great honor to represent the United States.”

Photo - Kansas Sports Hall of Fame
Photo - Kansas Sports Hall of Fame
Photo - Kansas Sports Hall of Fame

Nico Hernandez

Nico Hernandez was born in Wichita and attended Wichita North High School. He qualified for the 2016 Olympic Games in Rio de Janeiro for boxing in the men’s light flyweight division. At the time, Hernandez was just 20 years old, and was not a favorite amongst his competition. Hernandez caused a stir in the boxing world when he won his first three fights, earning a spot in a semi-final match against eventual gold medalist Hasanboy Dusmatov of Uzbekistan. Though losing to Dusmatov, Hernandez went on to earn a bronze medal.

Kelsey Stewart-Hunter

Kelsey Stewart-Hunter grew up in the Wichita area, graduating from Maize High School, and earning a spot on the University of Florida’s softball team. During her time in college, Stewart-Hunter won two national championships, earning All-American honors in 2014 and 2015.

Softball hasn’t always been an Olympic sport, in fact, softball will not be played in the 2024 Olympic Games, but it will return in 2028. But, while Stewart-Hunter was growing up, softball was regularly in the Olympics, giving Stewart-Hunter the motivation to one day make the roster. “Representing your country — there’s nothing you can compare it to, there’s no words you can say, but that honor of getting to wear USA across your chest and represent something so much bigger than yourself, so many different people, walks of life, all coming together and supporting one group, one country is unbelievable,” Stewart-Hunter said.

The structure of softball in the 2021 Olympic Games in Tokyo involved a group stage with six teams, where the top two teams advanced to the gold medal game. The United States won all five games in the group stage, including against eventual gold medal opponent Japan, where Stewart-Hunter hit the walk-off home run in the bottom of the seventh inning to secure the win for the U.S. Stewart-Hunter called that home run one of the top five moments of her career.

“That walk-off, it was during Covid-19 and there were no fans so I hit it and I felt like there were 30 thousand fans and my team was going crazy, I was going crazy, I still get chills thinking about it, absolutely amazing,” Stewart-Hunter said. Stewart-Hunter’s home run became the only home run for team USA throughout the entire Olympic Games that year. The team advanced to the gold medal match, falling short to Japan 2–0, earning a silver medal for the U.S.

Stewart-Hunter has continued her professional softball career with Athletes Unlimited and is working towards a spot on the 2028 U.S. Olympic team. While she continues to follow her Olympic dreams, Stewart-Hunter encourages other Olympic hopefuls to follow their dreams, no matter what.

“I would tell them to never let someone tell you that you can’t do something,” Stewart-Hunter said. “Once you get to that level, there’s always going to be people who tell you that you can’t do something, so if you push past it and move past it, and keep going and follow your dream, there are so many people in your corner who can help you.”

Photo - USA Boxing

Flint Hills National Residences is a carefully planned community wrapping around the Tom Fazio designed and nationally recognized Flint Hills National Golf Club. Home sites from 1/3 acre to more than 1 acre combine with generous common areas to create the perfect environment for every phase of life. Few places rival the natural beauty of this 640-acre private retreat. Club Estate home sites beginning at $75,000 and Park Estate home sites beginning at $190,000.

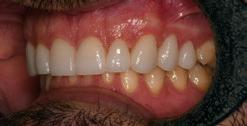
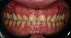
Smile Makeover

Initial Visit

Our patient presented to the office with the main concern of addressing his short teeth. He stated: “throughout the years they’ve been worn down, ground down, fillings placed that always break — and now you can hardly see them when I smile.” He wanted to restore his teeth back to the way they used to be with something that would last, but didn’t know where to start.

Developing and Executing Our Smile Plan

In a case like this, the last thing you want to do is grind down already worn down teeth. After studying his bite and creating the blueprint for the new smile, we decided to restore the entire top arch with a combination of ten veneers and four fillings on the back teeth. Doing the entire arch simultaneously allowed us to “open the bite” and create all the room we needed for our restorations with minimal grinding. This approach allowed optimal aesthetics in addition to function, for a great result that should hold up well over time.

& ANSWERS QUESTIONS

Q. Tell us about your practice.

A. I trained at the University of Iowa, then did my residency in family medicine here in Wichita at ViaChristi. With my classmate, Dr. Adam Flynn, we started seeing patients in the hospital for other family physicians in the Wichita area. This idea of hospital-based doctors, or “hospitalists” was very new in 2003, but quickly caught on, and within a few years we had multiple partners and nurse practitioners seeing patients at nearly every hospital in town. I have continued to work as a hospitalist in one location or another since that time. In 2019 I was part of the group of Wichita doctors that opened The Center at Waterfront, which is for people needing short-term recovery after hospitalization. Since 2022, I have also been the director of The Inpatient Group at Rock Regional Hospital in Derby.

Q. Wait, Derby has a hospital?

A. Yes! It’s hard to believe that Rock Regional just celebrated its 5-year anniversary, and so many people still don’t know its there. Rock is a full service hospital with ER, imaging, surgery, ICU and inpatient care. It sits on the north end of Derby right on Rock Road, just a few miles south of McConnell.

Q. Can you tell me about your involvement with the Wichita Children’s Home?

A. When our first three kids were in grade school, my wife and I felt led to get involved with the Wichita Children’s Home as volunteer foster parents. Foster care was a chance to put the need for the gospel on display for our family. It’s a chance for our children to see Jesus’s commands, and His love, in action. The WCH steps in to help children in need from all different circumstances. My wife is a nurse, and so together we were often called on to assist with children who might have additional health needs, especially babies with drug exposure. Eventually I was asked to become the volunteer medical director, and have served in that role for ten years. In 2019 a little guy came along that just stole our hearts, and in part due

to the COVID shutdown in 2020, we ended up fostering him for over 2 years, after which time there was just no way we could let him go. As we started the process to adopt him, another very special little guy came along needing a family, and in 2022 we ended up adopting both. So now we are volunteers and clients of the WCH!

Q. So, what’s with the Tigger?

A. Ever since my med school days, I have put a small stuffed animal on my stethoscope. When I started residency here in Wichita, my first night on call I had a Tigger on my stethoscope. That night at St. Joseph, I had been in the ICU helping care for a patient, and the nurses needed me to come back, but because it was my first night, none of them knew my name. And this was in the days when we carried pagers, but the operator couldn’t page me without knowing my name. So the nurses overheadpaged for “Dr. Tigger” to return to the ICU. Within a few days I had Tiggers on my desk, Tiggers in my mailbox, Tiggers on my car, a nurse even made me a pair of orange scrubs with black stripes. So for 24 years I have continued to have a Tigger on my stethoscope, and it’s funny how many people will remember me years later because of that.

Alex Melugin, President of Phoenix Home Care
Hospice

Kate Clawson, APRN-C
Clark and Erin Moeller, Hale and Janie Ritchie
George and Jocelyne Laham, Aleksandra and Jay Devilliers
Leroy and Patricia Thompson, Dennis and Ann Ross, Tom and Martha Messman
Bree and Jason Cox, Lily Wu, Janis and Steve Cox
Ashley Moore and Elizabeth Farha Hampel family
Fashion Passion event committee
Chadwick Armstrong, Kara Hunt and Andy McFayden
Chad and Tara Albin, Kent and Deb Voth, Coleen and Robin Jenison
Holli Davis, Sue Coleman and Toni Porter
Bryan and Darcie Green, Scott and Julie Stremel, Kim and Richard Dinkel
Cara and Chris Gerhardt, Sierra Scott and Harrison Schenk, Jackie and Pat Gearhart, Kelsey and Shawn Jiwanlal
Mark and Celia Ralston, Chandra and Charles Passannate, Cyrese O’Donnell
Mitchell and Stephanie Flurry, Ryan and Lindsey Wasinger, Christine and Tyson Porter, Maryjane and Jeff Mullen
Melissa King, Aharon Hoopes, Jo Walters, Ruthie Williams, Bonnie Bing Honeyman
Josh and Lexie Boyle, Stacey and Adam Pogue
Jason Ladner, Ron and Treena Mason, Jeff Mullen
Jacob and Stacy Kornelson, Kason and Laura Lauber
Michael and Tenille Schwanke, Mark and Kelly Perrier
Mandi and Neil Edwards, Adriana and Paul Gray, Brett Jablonski, Jamie Hanson and Marquez Sams
Lyndon’s, high-fashion women’s boutique
Shane and Moji Rosson, Ian and Taylor Cunningham-Osterman
Karen Clothier, Cayla Wasson and Barbara Waitt
LewJene Schneider, Tony Caputo, Erica Combs, Jeff and Coleen Sternberger

REAL PLASTIC SURGEONS. REAL RESULTS.

Are Breast Implants Really Safe?

Thousands of patients have breast augmentation surgery in the U.S. every year. It’s one of the most common plastic surgery procedures with a high satisfaction rate. According to a survey by the American Society of Plastic Surgeons, 98 percent of women say the results met or exceeded their expectations.

We often get asked if breast implants are safe. The truth is, there is a low rate of issues compared with millions of happy, healthy patients over the years. However, there are rare instances when patients have issues, and we look at two of them.

BIA-ALCL

Breast implant-associated anaplastic large cell lymphoma (BIAALCL) is a rare type of lymphoma that affects some people with textured saline or silicone breast implants. The National Institutes of Health shows the “reported incidence of BIA-ALCL varies widely in the literature, ranging from as high as one in 355 patients to as low as one in 30,000 patients.”

While BIA-ALCL occurs in the breast, it is not breast cancer. Breast cancer usually refers to ductal or lobular carcinoma. BIA-ALCL is also different from breast implant illness (BII). When diagnosed and treated early, BIA-ALCL is curable in most people.

BII

Breast implant illness (BII) refers to a group of symptoms that may be related to breast implants. The exact cause isn’t known, and it isn’t a formal diagnosis as researchers continue to learn more. Only about 1.5 percent of women with breast implants have reported symptoms that correlate with BII. BII may be related to an autoimmune or inflammatory response, and patients may experience fatigue, joint pain, rash, memory issues or brain fog.

Treatment is the removal of the patient’s breast implants. A capsulectomy is no longer necessary for an improvement in symptoms. There is no test to detect BII. Healthcare providers diagnose the illness by ruling out other conditions.

The Newest FDA Guidelines Regarding Breast Implant Surveillance

FDA-approved breast implants undergo extensive testing to provide patients with a reasonable assurance of safety and effectiveness. Most people with breast implants never have serious complications. Your health and safety are of the utmost importance to us. So, it’s important you know about the latest recommendations. The FDA recommends patients undergo routine ultrasound or MRI screenings five years after implantation. This screening should be repeated every two to three years after. Even if patients never have a concern about their implants, they should have routine screenings based on the FDA guidelines to verify that the implant is intact and identify any complications.

We can detect any issues by proactively monitoring your breast implants, and we encourage you to come see us for a surveillance check if you meet the FDA guidelines.

What if I No Longer Want My Implants?

We have seen many patients for a variety of reasons who don’t want their implants, but they want to maintain their shape and lift. An increasingly popular option is breast implant removal with or without a mastopexy (breast lift), with autologous fat grafting to restore volume.

The Benefits of Breast Augmentation Surgery

Most patients with breast implants don’t experience serious complications, and many report a vast improvement in quality of life. Women choose breast enlargement surgery to augment lost breast size, make their breasts fuller, or change their shape. Breast implants can provide a more proportional shape and improve self-confidence. Whether it’s heredity, monthly cycles, pregnancy, breastfeeding, weight changes, aging or menopause, breasts may lose their shape and firmness, and breast augmentation surgery can help.

Today, patients have many options, and their first step is a consultation with a board certified plastic surgeon. During this appointment, your highly experienced and qualified surgeon walks you through your options and discusses any risks.

Ready to Learn More?

If you’re ready to explore your options, please schedule your consultation with either Dr. Amy Sprole or Dr. Joseph Spaniol, who are board certified plastic surgeons at the Plastic Surgery Center, at 316.688.7500.

Nousette Jefferson Photography | Instagram: @njeffphoto

Wichita Dad Overcame Heroin Addiction After Life-Altering Car Accident

‘Thank

You to Center for Change for Helping Save My Life.’

High school football player Jeremiah Huerta didn’t know what hit him when a car rear-ended him and his friends at 60 miles an hour while they were parked at a stop light.

“I was in the backseat,” he said, “so I got the most damage of everybody. I thought I broke my back when they pulled me out on the stretcher.”

Jeremiah walked into multiple months of recovery armed with multiple compression fractures in his spine and a refillable prescription of oxycodone. “The pills just kind of took the edge off to make the pain bearable. After two or three months, I was okay, but I was already addicted to the medication.”

When it became more and more expensive to buy the prescription narcotic off the street, he switched to heroin, falling into a ruthless two-and-a-half-year cycle of addiction.

“In active addiction, it was like, ‘Why me? Why me? Why doesn’t anything ever go right?’ ” he said. “It was more of a pity party, you know, that the world was against me at the time. I wasn’t seeing that I was the one destroying my life.”

In the aftermath of his brother’s road to sobriety from a similar drug addiction, Jeremiah found himself wanting to change for the sake of his family.

“I had just taken my son to a doctor’s appointment, and after we got out of the check-up, I was looking to get my fix. I looked in the rearview mirror, and I saw my son sleeping in his car seat, and a flood of emotions hit me. I was telling my son, ‘I’m sorry, I’m so sorry for what I’m doing. This isn’t the dad I want to be. I promise you that I’m going to get help and I’m going to get clean.’ I picked up my stash, threw it out the window, and called to get help. I’ve been clean ever since then.”

Though he said it was hard to take that first step, Jeremiah wouldn’t trade his eight years of sobriety for anything, and he credits Center for Change for helping to keep him on the right track after moving from Denver to Wichita.

“I was looking around, and a lot of places treated new clients like, ‘They’re still in active addiction, and it doesn’t matter how long they’ve been sober.’ But when I went to Center for Change, their attitude and the way they talked to me was completely different. They made me feel like they really cared about my sobriety, and Dr. Lakin has been, honestly, just like an angel.”

Today, Jeremiah works as a supervisor at Hormel Foods after three promotions in four years, and he enjoys spending time with his wife Yolanda and their two kids.

“I know that right now, life seems to be against you, like you cannot win, but once you take that first step into sobriety, life changes for the better,” he said. “I know it’s different hearing it from a doctor versus hearing it from somebody who’s been through it, but that first step is crucial. Once you make that decision to get clean, life is just so much better. Everything falls into place after that.”

Jeremiah Huerta and family

Wichita: New Location for the United States Figure Skating Championships

In April of 2024, it was announced that, for the first time ever, the United States Figure Skating’s pinnacle event, the 2025 Prevagen U.S. Figure Skating Championships, will take place in Wichita in January 2025 at Intrust Bank Arena. Running from January 20–26, this event marks a truly historic moment for the city. While Wichita has played host to other minor skating events, this is the first time that the U.S. Championships will be held both in Wichita and in Kansas.

This competition will feature the best-of-the-best skaters in the United States. This includes the following returning competitors: 2024 World Champion Ilia Malinin in the Men’s Division, 2024 U.S. Champion Amber Glenn in the Women’s Division, 2024 Ice Dance World Champions Madison Chock and Evan Bates, and 2024 U.S. Pairs Champions Ellie Kam and Danny O’Shea. And of course, there will be plenty of newcomers to this magnificent sport, competing for the U.S. Champion titles of Women’s, Men’s, and Ice Dance events at both the junior and senior levels. This display of athleticism by these truly talented individuals will make this weeklong event unmissable, especially when it is so accessible.

All ticket sales are expected to go live in November, starting as low as $15 for single day passes. Pricing for passes for boxes for the whole week is available at visitwichita.com/usfschampionships. The all-sessions tickets are a great opportunity for corporate offices to purchase and host their employees and customers at their choice of event.

This prestigious and well-publicized event is likely to create a tremendous impact on Wichita, both economically and through the media. In previous years, the U.S. Figure Skating Championships have received at least 40 hours of coverage from NBC, and it can be expected that these championships will receive similar coverage. U.S. Figure Skating CEO Tracy Marek said in a press release from Visit Wichita: “As the top figure skaters from across the country look to win the biggest title in the U.S., Wichita’s Intrust Bank Arena, walkable downtown and strong community support is the perfect host for our competitors, coaches, officials, families and fans.” Many eyes in the United States will be upon Wichita, whether it’s through the continuous coverage throughout the trials, or through the many who will flock to the city and experience the true charm that Wichita has to offer for the first time.

Wichita locals get the unique chance to discover how incredible this sport is in a live setting. This once-in-a-lifetime opportunity will have an undeniable and lasting impact upon the city. Whether it is through viewing the competition in person, or in getting to meet and entertain the many curious newcomers who will want to know more about this underrated Midwest city. In a press release from Visit Wichita, Lieutenant Governor and Secretary of Commerce David Toland said: “While these elite athletes showcase their talent on the ice, Kansas will be on full display to the skating community around the world.” Now is the time to ramp up Wichita and Kansas pride. It’s time for the rest of the world to see how amazing Wichita can be, and when future Olympians come to Wichita in January, everyone will get to see just how this city can show up and show out!

Evan Bates and Madison Chock
Ilia Malinin
Amber Glenn

EAGLE SCOUTS IN ACTION

Eagle Scout Bill Matthews

Bill Matthews began his Scouting journey in first grade in Ponca City, Oklahoma, where he eventually joined the Eagle Scout class of 1989.

Class of 1989

“Right before I turned 18, I finally finished the Eagle Scout requirements. That was mostly because my parents pushed me to get it done,” Matthews said. “I’m super glad that they did that, because Eagle Scout is such a strong brand. Most of the public doesn’t necessarily know everything involved in the Scouting program, but they recognize an Eagle Scout.”

Now an attorney at a law firm in Wichita, Matthews is thankful for the work ethic and resilience he learned through Boy Scout experiences like hiking the 10-day back-country trek through Philmont Scout Ranch in Cimarron, New Mexico, and responding to a tropical storm that leveled the 1985 National Boy Scout Jamboree in Virginia.

“I learned a lot about resiliency in Scouting. I learned that, ‘Oh man, this is kind of hard, but oh, I got through it, and oh, I can do this! I can do hard things, and I don’t have to always be comfortable.’ Sometimes, the fact that I’m willing to do the uncomfortable thing means that there’s more reward or greater satisfaction.”

Today, Matthews gives back to the Scouting program by volunteering with his son’s Boy Scout troop and serving as a member of the Quivira Council.

“The secret is that adult volunteers get a lot out of Scouts too,” he said. “Boy Scouts, they do have professional staff — people whose paid job is promoting Scouting — but that’s just a handful of people. Everything else gets done because of all the volunteers. Find a place that you fit in, and then get involved. Like many activities, what you get out of it is related or proportional to what you put into it. Get super involved and take advantage of all the opportunities. Obviously, I’m a big believer in the program. I’d recommend it to anyone.”

Quivira Council and Morgan Stanley are proud to bring you Eagle Scouts in Action, a monthly showcase of community leaders who are banding together to make a difference in our community!

If you are interested in joining Scouting or have an Eagle Scout in Action you think deserves honoring, call us at 316.264.3386.

BEACHES, BIKINIS AND BOTOX Enhanced Wellness

Melanie Hall and Manisa Howell
Samantha Michaels, Lizzy, Shandra and Kierston Tharp
Kylie Taylor, Blake Sestini and Angel Jackson
Angela Pennycuff and Tracey Eberhart
Reina and Joe Shurtz with Manisa Howell
Antoniya Inness, Melissa Foster and April Morris
Lucky Robinson, Kylie Taylor, Debbie Speed, Mariah Kimzey, Melanie Hall and Manisa Howell — Enhanced Wellness staff
Monica Barton, Diane and Kaydance Bale, Antoniya Inness
Tracy Eldridge, Stacy Dawson and Connie Parke
Lucky Robinson, Jenelle and Marvell Summerow
Kayla Conner and Kelsey Minson
Alina Richardson and Mariah Kimzey

1422 E Flint Hills National Pkwy

$2,340,000 • Flint Hills National • 5 Bedrooms • 5 Full & 3 Half Bathrooms • 6,041 SF • Pool Pool Bath • Outdoor Kitchen • 6 Car Garage • 1 Acre Lot • Gated Community

This incredible new design by Craig Sharp Homes is the newest addition to the architecturally distinctive homes found in the spacious Park Estate areas of Flint Hills National. Located on a scenic 1 acre home site and just a short walk to the prestigious and nationally recognized Flint Hills National Golf Club, the exterior of stone, stucco and glass compliments the surrounding natural beauty of native grasses, wild flowers and woodlands. Over 6,000 SF finished in this open floor plan with 5 bedrooms (potential for 6 BR's), 5 full baths, 3 half baths and a 6 car garage. Spectacular outdoor living area features fantastic lanai and covered patios wrapping around a beautiful pool. Flint Hills National is a 640 acre private and gated retreat that feels a world removed from traffic and congestion, but is just a short drive from the area's best public and private schools, as well as the best retail and dining opportunities in east Wichita.

Lacrosse on the Rise

Two Wichita Coaches Share Their Love of the Game

One of the oldest sports in North America, once played by the Cherokee, Iroquois and Onondaga nations, is on the rise among many young athletes today. Played as early as the 12th century, it developed as a way to settle tribal disputes as well as train for combat. Aside from its rich heritage and cultural significance, it remains a thrilling, competitive sport that has emerged over time and grows in popularity in towns, cities, at colleges and universities, as well as in the world of professional sports.

Often described as a blend of soccer, hockey and basketball, its versatility is universally appealing. Here in Wichita, coaches Lane Zahourek and Jared Bruner serve as co-directors of the Wichita Youth Lacrosse Association. Zahourek’s passion for lacrosse sparked while he played in college, and has only grown stronger as he shares his love of the game with his son and his teammates. Bruner also coaches his son, along with other kids at the south YMCA Farha Sports Center. Together they have been encouraging an emerging youth program, the Warbirds, among boys and girls from our area.

A few short years ago in 2021, they had only 13 kids participating. That participation has grown to 75 kids learning and growing in the sport. Zahourek and Bruner rebranded the team into the Wichita Warbirds to incorporate more pride unique to our city but also to credit the Kelly family, who originally started the program as Spartans Lacrosse. “The Kellys have done a lot to support lacrosse in our community,” said Zahourek.

Once kids secure a USA Lacrosse Membership which includes resources, information and policy, players can take part in the spring season which runs from March through June and the fall season, a lighter-contact season that focuses on skill and technique development. The sport has a co-ed option, sixes lacrosse, which is a version of the game bearing the same rules for men and women. However, when played separately, boys’ and girls’ lacrosse differs in many ways, including the amount of contact allowed, the sticks used to play, and the dimensions of the field. Similarities include the ball, the net, the goalie, and of course, the focus and skill required to play the game well.

Although it is offered at very few high schools in Kansas, lacrosse’s growing popularity among young athletes has propelled town teams to form and compete. “There is talk of lacrosse becoming a KSHSAA-sponsored sport,” Bruner says, “which would be a catalyst for high school programs. Some schools in Kansas City already include lacrosse programs, and it is our hope to follow their lead.” Additionally, lacrosse is being added to the summer Olympics starting in 2028 in Los Angeles.

Lacrosse has been recognized as Canada’s National Summer Sport since 1994 and has grown in popularity across the northern United States in recent decades. The USA Lacrosse Association has been instrumental in supporting local lacrosse programs and coaches. They have made charitable donations, secured fields and facilities along with providing meals and equipment to facilitate lacrosse in the Wichita area.

Coach Zahourek describes the values he and other coaches work to instill in their players as they develop as athletes and perhaps, more importantly, as people. The focus of our program is encouraging players to develop life skills — teamwork, problem solving, how to work hard and deal with adversity when it comes your way — as well as building positive self-esteem and respect for others and their contributions. We hope to teach people about lacrosse but also about life and what it means to be good members of a community.”

Wichita hosted the Women’s Club College National Championships this spring, bringing in college lacrosse teams from all over the country.
Coach Tad from the Men’s Lacrosse Club at K-State shares the joys of lacrosse with boys from the Warbirds program. Sticks in the air. 10U boys and parents after the annual players vs. parents game.

Home of Dr. Joseph Galicia

Joseph Galichia, Melissa Sherry and Tom White Jr.
Brielle Shay and Lennon Frey
Victoria Ruffin, Lyle Zepick and Debi Johnson Zepick
Melissa Sherry, Adelaide Fitzwater and Tom White Jr.
Isabella and Joseph Galichia
Brielle Shay, Lennon Frey, Adelaide Fitzwater, Sabrina Hunt, Isabella Galichia, Tatum Downing, Liana Maksoud and Maddie Boatright
Adelaide Fitzwater and Melissa Sherry
Shonna Jones, Sabrina Hunt and Michelle Hunt
Joseph Galichia, Robin Wilborn and Marla Amsden
Maddie Boatright, Liana Maksoud and Tatum Downing
Father Paul O’Callaghan and Joseph Galichia Tom, Adelaide and Lana Fitzwater

Pioneering Dishes for Summer

Summer recipes inspired by and created by Ree Drummond, America’s Pioneer Woman, draw creativity into the kitchen with delicious dishes to share with family and friends.

Chicken Caesar Pasta Salad

½ tsp. kosher salt, plus more to cook the pasta

¼ cup extra virgin olive oil

4 garlic cloves, finely chopped

2 Tbsp. fresh lemon juice

1 Tbsp. dijon mustard

2 tsp. Worcestershire sauce

½ tsp. black pepper

1 ½ cups Hellmann’s mayo

½ cup freshly grated parmesan

¼ cup whole milk or half and half

10 oz. uncooked medium shell pasta

3 cups diced, cooked chicken

4 cups torn romaine lettuce

2 cups croutons

1 cup shaved parmesan

Bring a large pot of lightly salted water to boil. In a large bowl, whisk together the olive oil, garlic, lemon juice, mustard, Worcestershire sauce, salt and pepper until well combined. Whisk in the mayo until fully incorporated. Whisk in grated parmesan and milk.

Cook the pasta for one minute longer than package directions. Drain, rinse with cold water, and allow it to cool. Place the cooled pasta in the bowl containing the dressing. Add the chicken, lettuce, croutons and shaved parmesan, folding to combine. Serve immediately topped with black pepper and shaved parmesan.

Slow-Cooked BBQ Chicken Thighs

3 lbs. boneless, skinless chicken thighs

2 ½ cups barbecue sauce (Sweet Baby Ray’s or a family favorite)

2 Tbsp. brown sugar

2 Tbsp. apple cider vinegar

1 tsp. liquid smoke

2 tsp. garlic powder

In a crockpot, combine barbecue sauce, brown sugar, apple cider vinegar, garlic powder and liquid smoke. Stir well. Add chicken thighs to the slow cooker. Coat each piece well with sauce. Cook on high for 3 ½ hours. Remove thighs from slow cooker and place on a sheet pan lined with aluminum foil. Brush barbecue mixture from slow cooker generously onto chicken. Broil in the oven 3–4 minutes to create a char. Remove from heat, place on a platter or plate and serve.

Chile-Lime Steak Salad

STEAK

1 Tbsp. fish sauce

1 Tbsp. soy sauce

½ tsp. black pepper

1 flank steak (about 1 ½ lbs)

2 Tbsp. vegetable oil

DRESSING

¼ cup fresh lime juice

3 Tbsp. fish sauce

SALAD

6 cocktail tomatoes, quartered

2 small romaine lettuce hearts, chopped

1 English cucumber sliced into half moons

1 small red onion, halved and thinly sliced

½ cup fresh cilantro

½ cup fresh mint

½ cup roasted peanuts, crushed

3 Tbsp. packed light brown sugar

1 red Thai chile pepper, thinly sliced

1 garlic clove, minced

For the steak: Whisk the fish sauce, soy sauce, brown sugar and pepper in a small bowl until the sugar is dissolved. Prick the steak all over with a fork and put in a resealable plastic bag. Add the fish sauce mixture, seal the bag and massage the marinade into the meat for a few minutes. Let marinate for 15 minutes.

Meanwhile, for the dressing: Whisk the lime juice, fish sauce, brown sugar, chile and garlic in a small bowl until the sugar is dissolved. Heat a grill pan over medium-high heat. Remove the steak from the marinade; drizzle both sides with the vegetable oil. When the pan is hot, grill the steak to desired doneness, 3–5 minutes per side for medium rare. Remove to a cutting board and let rest for 10 minutes, then slice very thinly against the grain.

For the salad: Combine the tomatoes, romaine, cucumber, red onion, cilantro, mint and peanuts in a large bowl. Toss the salad with half of the dressing, then mound on a platter or individual plates. Toss the sliced steak and its juices with the remaining dressing in the same bowl. Top the salad with the steak and any remaining dressing from the bowl.

Red Velvet Brownies

8 oz. bittersweet chocolate bars, chopped

1 ½ cups granulated sugar, divided

1 cup packed light brown sugar

1 cup unsalted butter, cubed

¼ cup cocoa powder

6 large eggs, room temp, divided

1 1-oz. bottle red food coloring

1 Tbsp. plus 2 tsp. vanilla

1 ¾ cup plus 2 Tbsp. all purpose flour, divided ½ tsp. kosher salt

1 cup white chocolate chips (Ghirardelli)

12 oz. cream cheese, softened ⅓ cup sour cream, room temperature

Preheat the oven to 325 degrees. Spray a 9-by-13-inch baking pan with cooking spray. Line the pan with parchment paper, leaving two inches on the long sides. Spray the parchment paper with cooking spray.

In a large saucepan over medium-low heat, combine the bittersweet chocolate, 1 cup granulated sugar, brown sugar, and butter, stirring until the chocolate is melted. Remove from the heat and whisk in the cocoa powder until smooth. Let cool for 15 minutes. Whisking constantly, add five of the eggs, one at a time, mixing until fully incorporated after each addition. Whisk in food coloring and 1 Tbsp. vanilla. Fold in 1 ¾ cups flour and the salt, stirring until completely smooth. In a small bowl, set aside ½ cup of the brownie batter. Fold the white chocolate chips into the remaining batter. Spoon the remaining batter into the prepared pan, using a spatula to spread it into an even layer.

Meanwhile, in a stand mixer or using an electric mixer, beat the cream cheese, the remaining ½ cup granulated sugar, and the remaining 2 tsp. vanilla at medium speed until creamy. Scrape the sides of the bowl and beat in the sour cream and the remaining egg, mixing until fully combined. Beat in the remaining 2 Tbsp. of flour until just combined. Carefully dollop the cheesecake mixture all over the brownie layer; gently spread into a smooth layer. Dollop the reserved ½ cup brownie mixture by the teaspoonful randomly over the top of the cheesecake batter in the pan.

Using a toothpick or paring knife, swirl the top brownie mixture into the cheesecake mixture. Do not disturb the brownie layer below. Bake for 50–55 minutes. Cool on a wire rack for 1 hour, then refrigerate for an additional hour before serving.

With Style! Glamp

If ever there was a good time to go “glamping” (glamorous camping), it’s in the month of July: You have all the benefits of getting away and being outside, and when you’re tired and hot and ready to clean up and cool down, your home-away-from-home is right there waiting for you.

And Kansas is an excellent state to go glamping in, as there are plenty of outdoor opportunities such as hiking, fishing, swimming, boating, kayaking, paddle-boarding and the glamping options allows you to do it all, and then relax in a comfortable environment at day’s end.

So what is glamping? It’s defined by Merriam-Webster as: “outdoor camping with amenities and comforts (such as beds, electricity and access to indoor plumbing) not usually used when camping.” It’s truly the best of both worlds, and it is an extremely accessible way to experience the amazing Kansas scenery.

The following glamping locations are just one of many beautiful glamping experiences within driving distance of Wichita. Visit hipcamp.com to search for these venues, and even more options in Kansas and other beautiful spots in surrounding states.

Dry Creek Post

Cedar Point, Kansas

Nestled right in the heart of the Flint Hills, the Dry Creek Post is the perfect combination of charming and peaceful. With idyllic scenery, wide open views of the Kansas sky and trees, there’s plenty to entertain at this beautiful site, including biking, hiking, farm and ranch life, and an abundance of animal life.

The Light Center

Baldwin City, Kansas

The Light Center is a “beautiful 95-acre natural sanctuary nestled in a wooded valley amidst the farmland of Kansas,” and a perfect getaway for those who love the outdoors and their creature comforts. The site allows opportunities for biking, hiking, water and river scenery, and plenty of wild views for the lover of nature.

Blue Vista

Randolph, Kansas

This lakeside offers truly incredible views of the best that Kansas has to offer. Nestled in the iconic Flint Hills, the offered activities of biking, hiking, water adventures and other essential summer outdoor activities will make this the perfect getaway.

Inntirety Healing Center

Edwardsville, Kansas

As a wellness-centered glamping retreat, Inntirety Healing Center is an amazing option for those looking to find some extra zen during their stay. Featuring several spa-like wilderness treatments including a Forest Soaking Bath, Meditation Stations, a sauna and weekly wellness workshops, this is truly an all-encompassing opportunity to become more in tune with both yourself and with nature.

Our Little Grove

Linsdborg, Kansas

This delightfully funny 5-acre farmstead was built by Swedish Pioneers in 1876, and then established as a Hipcamp in 2023. Though this is closer to a hybrid campsite and RV park, it still allows guests to enjoy all the perks and comforts of a Kansas-famous area while living in comfort.

C2T Ranch on the Saline River

Plainville, Kansas

This working cattle ranch overlooks four miles of Saline River and is a true Kansas gem, offering spectacular hiking, horseback riding, water opportunities and other fun outdoor adventures. “You won’t believe you’re still in Kansas!” according to Hipcamp.

Dream Acres at Forest Park

Topeka, Kansas

This lovely Topeka site is the ultimate camp-kid experience for all ages. This glamping area truly offers activities for the kid in all of us, in addition to the usual hiking, fishing, and swimming opportunities. With playgrounds, sand volleyball, basketball and other activities, this would be the perfect spot for a large family reunion or friend trip.

Dry Creek Post, Courtesy Hipcamp
Inntirety Healing Center, Courtesy Hipcamp

Storytime Village: The Show is an educational television show targeting emerging readers, ages 3-5. The Show will inspire a lifelong love of reading by supporting literacy growth, sparking imagination, furthering school readiness, and promoting family engagement.

Tanganyika: All-Inclusive Coming 2025

Tanganyika Wildlife Park, known for its immersive animal encounters, is about to embark on a wild transformation that promises to redefine the visitor experience. In March 2025, Tanganyika Wildlife Park will unveil its new identity as an all-inclusive destination, ushering in a wave of excitement and anticipation among locals and travelers alike.

For years, Tanganyika has been a place for those seeking up-close encounters with rare and endangered species. From swimming with African penguins to hand-feeding ring-tailed lemurs, the park has captivated the hearts of adventurers from around the world. As Tapangia Richardson, a recent visitor who vacationed to Tanganyika describes, “It was an absolutely amazing experience, and such a good end to my boyfriend and I’s vacation; we got to feed a ton of animals I never would have thought we would get to feed.”

But Tanganyika’s evolution goes beyond mere expansion. It’s a journey of self-discovery, driven by a passion for wildlife conservation and a commitment to delivering transformative moments. Founded sixteen years ago by Jim and Sherri Fouts, the park has grown from humble backyard tours to a world-renowned destination for animal experiences. However, as they expanded, they faced the challenge of maintaining their identity while providing meaningful interactions with their animals.

“We want you to fall in love with our animals, and we want the time to do that,” says LynnLee Schmidt of Tanganyika Wildlife Park. This sentiment encapsulates the essence of Tanganyika’s mission— to foster connections between humans and wildlife that inspire stewardship of animals and create lifetime memories.

To achieve this vision, Tanganyika is redefining its approach to visitor engagement. The transition to an all-inclusive day resort marks a pivotal moment in the park’s history, offering guests unlimited access to their signature animal feedings unlimited food and drink, and limited attendance. From feeding Indian rhinos to touching kangaroos, every moment at the park is designed to ignite passion and deepen connections with nature.

But with growth comes change, and Tanganyika is not immune to the challenges of evolution. The park is introducing a revised pricing model to ensure sustainability and uphold the quality of its offerings. While this may come at an increased cost, Tanganyika remains committed to providing exclusive experiences that leave a lasting impression and serve the local community. In that spirit, the park is offering a discount exclusively for local residents so that the Wichita community can take advantage of the same experience as guests traveling from around the world.

As Tanganyika embarks on this exciting new chapter, they invite everyone to be part of their journey. From longtime supporters to first-time visitors, there has never been a better time to experience everything Tanganyika Wildlife Park has to offer. Tanganyika wouldn’t be where they are today without the support of the Wichita community, and they continue to rely on the local community as champions of their unique brand of wildlife conservation as they continue to develop.

In a world where experiences define memories, Tanganyika Wildlife Park stands as a testament to the power of connection. Come and discover the wild wonders that await at Tanganyika’s all-inclusive day resort, where every moment is wildly different.

TANGANYIKA WATER PARK GRAND OPENING

Tanganyika Wildlife Park

Katie, Granger and Ryan Weiser, Debbie Oliverius
Naz, Lucy and Katherine Gichuru
Hope, Julian and Adrian Hernandez, Samuel, Katrina and Noah Smith
Cassian, Rissa and A.J. Brinkley
Matt and Janelle Kimsey
Dave, Joni, Madeline and Micah Schmidt
Brooke, Kale, Alek, Alivia and Ali Haas, Tenley Thiessen
Kimberly and Oak Ingalls and Octavious Corbin
Rylan, Ramsey, Rinley, Alissa Kuhns
Jen, Ziyah and Zaiden Okpara, Tessa, Henry and Fiona Peterson
Harsha Manglekar, Maneet, Balwinder and Amrit Singh
Brooklyn and Bailey Brass

INTERIORS BY DESIGN GALLERY GRAND OPENING Interiors By Design Gallery

The ”Karens”
Amanda Bowers, Anna Kate Tillison and Sallie Morgan
Spencer Logan, Mallory Cooper and Cali Estrada
Paul Moilina, Michael Young and Mitch Burke
Alexandra Palmer, Flavia Jackson and Tania Pemar
Ribbon cutting
Stephanie Sutton, Dawn Tucker, Patricia Thompson, Jody Klein, Kelly Watkins, Jessika Mayer and Megan McGraw
Addi Lowell, Evie Marcott, Nicole Kern and Barb Button
Ashley Moore and Clay Thomas
Sue Clemens-Bibo, Amanda Bowers, Erika Rinke, Ashley Moore and Destiny Cox — Interiors staff
Samantha Lucciarini, Addie, Brenden and Brian Goward
Lea Ngo and Ashley Dinh
Gary McNett and Kara Billie
Jessica Schwartz, Jenna Hill and Dorothy Rockett
Ethan Neuway, Chris Derstein, Janice Moore, Jeff Jones, Chris and Lacy King
Cara Decker, Ashley Moore and Fayola Oyatayo
Jason Rusell and Jamie Hanson
Elizabeth Farha, Makenna Miller, Evelyn Johnson and Karl Brown
Brandi Burke, Abby and Jacob Bergen and Samar Edenfield
Ija Hall, Millie Hall, Destiny Cox and David Thomas
Lisa and Jason Buckingham
Gary and Sue Bibo, Sam Gerena
Erika and Luke Rinke, Amy Danner
Brice Anderson, Spencer Logan and Columbus Berry

PROJECT FUNDRAISER

Scenic Landscapes Water Garden Nursery

The Schaef and Boyle families
The Smith family
Alyssa and Josh Pike
Bethany, Monika and Yesupadam Paidipamula with Samuel and Lydia Maier
Alyssa Smith, Mandi Schwebach, Mary McGinley, Lauren Brown and Michelle Post
Brian McGinley, Carol Escue and Barbara Crozier
Michelle Post and Vanessa Steward
The Morris family
Lalana Moore, Cala and Liam Moore
Emily, Dan, Rebekah Owens and Michelle Post
Evalicia, Marisol and Carlos Ramirez
Hannah and Troy Trussell and Cassidy Randleas

Vision for a 100-Bed Hospital in Southern India

In 2018, a local businessman took a Wichita group to serve at Love-N-Care in India for the first of five trips. They loved the children at Bethany Children’s Home, where those without family provision receive an education and three wonderful meals a day. In 2012 this man first met Rev. Dr. Yesupadam Paidipamula, founder of Love-N-Care Ministries International, and saw all that they are doing for the people in southern India. The businessman returned more aware of the abundance and resources in America. India had positively changed his outlook on everyday life and eternity.

Paidipamula grew up as an “untouchable” or Dalit. As a boy he was hungry and lacked basic needs. He watched his mother suffer and die in their one room family hut. As an angry youth, he became a violent gang leader. Thankfully, he encountered Jesus as a young adult and his life forever changed. Love-NCare began their service in 1988.

In poor, remote, mountaintop villages, like where Paidipamula grew up, people still lack hope. The children in these places are uneducated and obtain no birth or death records. Most young people are subject to coercion into violent gangs. The need for

medical care is a constant and urgent need. Imagine not being able to take your dying loved one to the hospital.

In addition to providing for the needs of the poor and suffering, Love-N-Care helps the elderly, and trains disabled polio-affected adults in various vocations. In 2003 they constructed a small, 25-bed medical clinic, began a nursing school, and started conducting free medical outreaches for the poor villagers.

Love-N-Care has a vision and plan for a 100-bed hospital that will address the above-mentioned needs, and treat cancer patients, pregnant women, and the elderly. The land was purchased, excavated and leveled. Plans now laid out for the construction of the hospital are budgeted at $3 million. A comparable US hospital would cost $100 million to build.

The fundraiser continues here in Wichita! We have immeasurable advantages in modern health care. If you are interested in learning more about Love-N-Care and helping those without, please go to LNCministries.org.

Distinctly

Dawn Tucker is a design consultant and owner of DTConsulting LLC in Wichita. Reach her at dawn@splurgemag.com.

What Makes a Successful Design Project?

A successful design should be a collaboration between the designer and the client. Designers rely on the information gathered during the initial consultation and subsequent meetings to understand the client’s goals, ideas and design style. They know the right questions to understand the client’s needs and wants. However, they always need a bit of “homework” from the client — nothing too difficult or timeconsuming. It is always recommended to check out a designer’s portfolio or visit their website to identify any past projects the client connects with. While designers create unique spaces for each client, they will use those projects the client connects with to help guide them in defining the client’s style. They may also ask to see any Pinterest boards, social media photos, idea books, etc., the client may have collected as inspiration. (It’s perfectly fine if the client has yet to collect any of these.)

Another critical area for a successful design process and outcome is openness to new ideas. Clients hire designers because they are investing in their homes and lifestyles. Designers keep up to date with the latest interior design trends to bring clients the best and most unique products and aesthetics.

Another vital role clients play in making a successful project is asking questions. Designers should do their best to keep clients informed throughout the process by providing frequent updates. Still, if clients ever have a question or concern about any part of the project, process or product, they should feel comfortable asking. Designers should have an open-door policy, always welcome questions, and keep the lines of communication open throughout the process. Designers work hard to earn clients’ trust and being transparent with their processes and practices is a big part of the commitment to clients.

Finally, clients are encouraged to relax and have fun! Designers will do all the heavy lifting and care for the tiniest details, so clients don’t have to. Designers strive to make it a fun process for clients. No process is ever 100 percent perfect, but designers will take care of any issues that may arise during the design process.

14624 E. Cambria St.

$925,000

Experience the best of both worlds at this stunning Cambria development home — minutes from metro Wichita yet offering a serene, country feel. Featuring an elevated entrance set within a grand, castle-like turret, this home exudes old-world charm and modern sophistication. This walk-out ranch house in Cambria blends luxury and country living — schedule your showing today!

DESIGN SOURCE INTERIORS

This Independence Day, celebrate your freedom and show yourself some love by creating a space that you feel matches your style and personality, a space where you can come home from a long day and feel at peace and relax, a space where you feel free to be you.

SELLING THE ANDOVER BUILDING, NOT THE BUSINESS

In Nebraska, we believe that only boring people get bored. So we invent our own fun.

Like when we realized that a livestock tank would float, and thought, “It’s a boat.” Soon, “tanking” became the preferred method of meandering down our slow-moving rivers. It might not be everybody’s cup of tea, but if it sounds as good to you as it did to us, go to VisitNebraska.com for a free Travel Guide. And welcome aboard.

Turn static files into dynamic content formats.

Create a flipbook
Issuu converts static files into: digital portfolios, online yearbooks, online catalogs, digital photo albums and more. Sign up and create your flipbook.