PARO

![]()


CongrĂšs National - Paris 25.01.2025

Paris, Vienne, Monaco : Notre engagement pour lâexcellence en parodontologie et implantologie ne connaĂźt pas de frontiĂšres !


EuroPerio11 - Vienne 14-17.05.2025 Joint Meeting SFPIO x EAO Monaco 18-20.09.2025
Dans ce numĂ©ro : Les sociĂ©tĂ©s rĂ©gionales Ă lâhonneur : Tout le programme 2025 et zoom sur les sociĂ©tĂ©s Languedoc-Roussillon, Paris, Alsace, Val-de-Loire | EuroPerio : Cap sur la 11e Ă©dition ! | Retour sur la sĂ©ance SFPIO Ă LâADF | Les articles primĂ©s Ă la Baule | Et comme toujours : les actualitĂ©s de nos partenaires de lâindustrie !

Gel thermogélifiant pour le traitement des poches parodontales.

Scannez le QR code pour en savoir plus sur le produit.




5
ĂDITO 5
Par Caroline Fouque, Présidente de la SFPIO
LES RENDEZ-VOUS Ă VENIR
Les prochaines conférences et formations proches de chez vous
Toutes les conférences prévues région par région
Entretiens avec les président·e·s des sociétés Languedoc-Roussillon, Paris, Alsace et Val-de-Loire



EDITEUR ET RĂALISATION
Société Française de Parodontologie 9, rue Boileau - 44000 NANTES
Tél. 02 40 08 06 63
E-mail : contact@sfpio.com
Site internet : www.sfpio.com
N° ISSN 1162-1532
PRODUCTION - IMPRESSION
AFORTIORI
80, rue André Karman
93300 Aubervilliers
7
SFPIO FORMATIONS
Nos prochaines sessions de formation continue
CONGRĂS ADF
Retour sur la séance SFPIO POSITION PAPER
Les nouvelles recommandations de la SFPIO et de la HAS pour la prise en charge des patients Ă haut risque dâendocardite infectieuse
ARTICLES PRIMĂS Ă LA BAULE
Les travaux de Thierno ABOUBAKAR, Camille BECHINA et Marion CREST
MIEUX CONNAĂTRE NOS PARTENAIRES
Interview avec Aurélia TREFOIS, Nobel Biocare France
Les actualitĂ©s de nos partenaires de lâindustrie
RĂDACTEUR EN CHEF : Yves REINGEWIRTZ
DIRECTEUR DE LA PUBLICATION : Caroline FOUQUE
SECRĂTARIAT ADMINISTRATIF - SIĂGE : Caroline DENIAUD
SECRĂTAIRE DE RĂDACTION : Laurence FERRI
AVEC LA COLLABORATION DE : Nicolas BLANC-SYLVESTRE, Patrick BOULANGE, Philippe BOUSQUET, Damien FEUILLET, Emmanuelle ETTEDGUI, Olivier FESQUET, Caroline FOUQUE, Marjolaine GOSSET, Josselin LETHUILLIER, Brenda MERTENS, Véronique MOLINA, Virginie MONNET-CORTI, David NISAND, Nicolas PICARD, Yves REINGEWIRTZ, Matthieu RIMBERT, Xavier STRUILLOU, Christian VERNER.





Cher(e)s membres de la SFPIO, cher(e)s ami(e)s, Tout le bureau se joint à moi pour vous souhaiter à toutes et à tous une trÚs belle année 2025 !
AprĂšs la trĂȘve des confiseurs qui nâaura peut-ĂȘtre pas reposĂ© tout le monde, nous voilĂ repartis sur un rythme effrĂ©nĂ© pour 2025 ! Voici le programme des festivitĂ©s.
RENCONTRES HIVERNALES
Une premiĂšre rĂ©union de la famille SFPIO se tiendra Ă Paris le 25 janvier autour de Frank Schwarz et Ausra Ramanauskaite qui feront le point sur la gestion des implants et des peri-implantites dans le secteur antĂ©rieur. Lâoccasion dâĂ©changer nos vĆux de vive voix et de partager un moment chaleureux Ă la citĂ© internationale, magnifique maison.
PRINTEMPS VIENNOIS
Puis un dĂ©fi de taille nous attend, rester les premiers Ă EuroPerio ! La France Ă©tait le pays le plus reprĂ©sentĂ© lors de la prĂ©cĂ©dente Ă©dition Ă Copenhague. Je suis certaine que notre motivation est intacte pour ĂȘtre encore plus nombreux Ă Vienne du 14 au 17 mai pour ce 11e rendez-vous triennal qui rassemble le monde entier autour de confĂ©renciers dâexception . Vous dĂ©couvrirez dans ces pages lâinterview de Lior Shapira, prĂ©sident scientifique du congrĂšs.
Et surtout, soyez assurĂ©s de notre engagement pour faire entendre la voix de la parodontologie et lâimplantologie. â â
Pour prolonger lâĂ©tĂ©, nous vous donnons rendez-vous au congrĂšs EAO-SFPIO Ă Monaco du 18 au 20 septembre. âThe impact of time in implant dentistryâ. Le programme lĂ encore international, vous permettra de retrouver notre French touch parodontale ! Nous serons trĂšs heureux de partager cette belle aventure avec vous tous.
En tant que membres de la SFPIO, vous bĂ©nĂ©ficiez de tarifs prĂ©fĂ©rentiels sur tous ces Ă©vĂšnements. Profitez-en ! Et surtout, soyez assurĂ©s de notre engagement pour porter haut les couleurs de la parodontologie et de lâimplantologie en France et au-delĂ de nos frontiĂšres !
Le nouveau site internet de la SFPIO, qui est en gestation encore quelques mois, offrira une lecture encore plus facile de toutes les possibilitĂ©s qui sâoffrent aux passionnĂ©s que nous sommes.
Bien amicalement et parodontalement vĂŽtre,
Caroline FOUQUE
Présidente
de la SFPIO



kit, deux types de pins
BiorĂ©sorbables, remplacĂ©s par de lâos en 18 mois, pas de seconde intervention chirurgicale nĂ©cessaire.
ExtrĂȘmement solide, pas de flexion ni de casse


BRETAGNE
30/01/2025 - Franck RENOUARD
Lâapport des facteurs humains
20/03/2025 - Thierry DEGORCE
23/01/2025 - Frédéric CHAMIEH & Ahmed RABIEY
De la planification virtuelle Ă la rĂ©alitĂ© du traitement : les outils numĂ©riques aux services de la prothĂšse et de lâimplantologie
Stratégies implantaires du secteur antérieur : acquis et perspectives
03/04/2025 - Christelle DARNAUX
Chirurgie Plastique Parodontale 2025
AQUITAINE
07/02/2025 - Pierre LAYAN
Esthétique 2.0
SUD-OUEST
03/04/2025
Les cas dâor de la Paro
LANGUEDOC-ROUSSILLON
20/03/2025 - Ariane SULTAN et Margaux VIGNON
Soirée paro-diabÚte






05/02/2025 - Matthias RZEZNIK
Régénération des défauts infra-osseux : quand les implants ne sont plus nécéssaires
05/03/2025 - Elisa CHOUKROUN
Intégrer la PRF à votre pratique







13/03/2025 - Sébastien MELLOUL
ThÚme de la conférence à venir
20/03/2025 - Alex DAGBA
Cantilever dento ou implanto-porté : repoussons les limites !
06/02/2025 - Fabien BORNERT & Alina NICOLAE
RÎle du chirurgien-dentiste dans le diagnostic des lésions bénignes, néoplasiques et prénéoplasiques de la muqueuse buccale
03/04/2025 - Olivier Huck
IntĂ©rĂȘt du tissu conjonctif dans le traitement des dĂ©fauts infra-osseux
03/04/2025 -Zarrine SEPEHR
Les implants zygomatiques
04/04/2025 -Thierry DEGORCE
Stratégies Implantaires en Zone Esthétique : Acquis et Perspectives
28/02/2025 - Nicolas DAVIDO
Les augmentations osseuses autogÚnes 3D secteur antérieur
Chaque membre de la SFPIO a accĂšs en ligne au Journal of Clinical Periodontology en se connectant et en sâidentifiant sur le site de lâEFP : https://www.efp.org/members/ Si vous nâavez pas vos identifiants, contactez le siĂšge de la SFPIO: 02 40 08 06 63 ou contact@sfpio.com
Jeudi 6 février 2025
RÎle du chirurgien-dentiste dans le diagnostic des lésions bénignes, néoplasiques et prénéoplasiques de la muqueuse buccale. Approche clinique et histologique.
Dr BORNERT, Dr NICOLAE
Jeudi 3 avril 2025
TP : IntĂ©rĂȘt du tissu conjonctif dans le traitement des dĂ©fauts infra-osseux.
Pr Olivier HUCK
Jeudi 9 octobre 2025
Chirurgie guidée : Lien entre la planification et la chirurgie
Dr LECLOUX
Jeudi 4 Décembre 2025
Paro et Intelligence Artificielle : comment améliorer les diagnostics et traitements
Dr RAMSEIER
Vendredi 7 février 2025
Esthétique 2.0 -
Dr Pierre LAYAN
Vendredi 20 juin 2025
Journée exceptionnelle : anniversaire des 30 ans de la SFPIO Aquitaine/CPIOA - Perio/Prostho Day around implants
Dr Ramon GOMEZ MEDA
Vendredi 10 octobre 2025
Parodontie/Orthodontie : Un duo gagnant
Dr Jean-Louis GIOVANNOLI et Dr Jean-Marc DERSOT
Jeudi 03 avril 2025
Chirurgie plastique parodontale 2025
Dr Christelle DARNAUD
Jeudi 25 septembre 2025
Focus sur les reconstructions prĂ©-implantaires, tissus durs et mous, gestion des alvĂ©oles dâextraction IEM (Intentionally Exposed Membrane)
Dr Sébastien MONLEZUN
Jeudi 30 janvier 2025
LâĂ©quipe au centre de la performance des cabinets dentaires. Lâapport des facteurs humains
Dr Franck RENOUARD
Jeudi 20 mars 2025
Stratégies implantaires du secteur antérieur, acquis et perspectives
Dr Thierry DEGORCE
Jeudi 16 octobre 2025
ThÚme de la conférence annoncé prochainement
Dr Corinne LALAM
Programme en cours dâĂ©laboration
Vendredi 28 février 2025
Les augmentations osseuses autogÚnes 3D secteur antérieur
Dr Nicolas DAVIDO
Programme en cours dâĂ©laboration
Mercredi 5 février 2025
Régénération des défauts infra-osseux : Quand les implants ne sont plus nécessaires
Dr Matthias RZEZNIK
Mercredi 5 mars 2025
Intégrer la PRF à votre pratique - Journée avec TP
Dr Elisa CHOUKROUN
RĂGION LANGUEDOC-ROUSSILLON
Jeudi 20 mars 2025
Soirée Paro-DiabÚte
Pr Ariane SULTAN et Dr Margaux VIGNON
Jeudi 25 septembre 2025
Les péri-implantites en 10 questions/réponses
Dr Philippe DOUCET
Jeudi 6 novembre 2025
Traitement chirurgical des récessions gingivales : relever le défi du secteur antérieur mandibulaire
Pr Kevimy AGOSSA
Vendredi 5 et samedi 6 décembre 2025
Stage Pratique Implantologie : Mon premier implant.
Jeudi 3 avril 2025
«Les implants zygomatiques»
Dr Zarrine SEPEHR
Jeudi 10 octobre 2025
«Diagnostic en parodontologie, données actuelles»
Pr Marjolaine GOSSET
Jeudi 11 décembre 2025
« TP Incisions et sutures »
Programme en cours dâĂ©laboration
Jeudi 20 Mars 2025
Cantilever dento ou implanto-porté, repoussons les limites !
Dr Alex DAGBA
Vendredi 13 Juin 2025
Présentation du concept de Préservation alvéolaire IEMARP
(ou technique de la membrane exposée)
Dr Sébastien MONLEZUN
Jeudi 16 octobre 2025
Intégrer la santé générale du patient au traitement parodontal
Pr Martin BIOSSE-DUPLAN
Jeudi 11 Décembre 2025
La Process Communication : une journée pour changer votre relation aux autres !
Laurent COLINEAU
Vendredi 4 avril 2025
Stratégies Implantaires en Zone Esthétique : Acquis et Perspectives
Dr Thierry DEGORCE
ĂvĂšnement SpĂ©cial 50 ans de la SFPIO RhĂŽne-Alpes
Jeudi 9 octobre 2025
ThÚme de la conférence à venir
Dr MichĂšle RENERS
Vendredi 10 octobre 2025
JournĂ©e de confĂ©rence suivie dâune soirĂ©e de gala
Entretien Ă long terme des dents et des implants chez les patients parodontalement compromis
Dr Mario ROCCUZZO
Vendredi 12 décembre 2025
Synergies entre orthodontie et parodontie pour le traitement des patients de stade IV et pour le développement du site implantaire
Dr Lorena GAVEGLIO & Dr Daniele CARDAROPOLI
Jeudi 25 et vendredi 26 septembre 2025
JournĂ©es de Travaux Pratiques â Les bases de la chirurgie mucogingivale passe au niveau 2 en 2025 !
Jeudi 13 mars 2025
ThÚme de la conférence à venir
Dr Sébastien MELLOUL
Jeudi 26 juin 2025
ThÚme de la conférence à venir
Dr Sofia AROCA
Jeudi 16 octobre 2025
ThÚme de la conférence à venir
Dr Norbert CIONCA
Jeudi 11 décembre 2025
ThÚme de la conférence à venir
Dr Sébastien MONLEZUN
Jeudi 3 avril 2025
Les cas dâor de la Paro
Jeudi 2 octobre 2025
Ortho & Paro : un duo gagnant pour un sourire durable
Drs Manon REGIS-DIET et Sébastien PISCITELLO
Jeudi 23 Janvier 2025
De la planification virtuelle Ă la rĂ©alitĂ© du traitement : les outils numĂ©riques aux services de la prothĂšse et de lâimplantologie
Drs Frédéric CHAMIEH et Ahmed RABIEY
Jeudi 19 Juin 2025
Journée sur la chirurgie muco-gingivale avec Travaux pratiques
Dr Sylvie PEREIRA
Cycles de formation SFPIO VL 2024-2025 : « Cycle de prothĂšse sur implants 2024/25 » et « IntĂ©grer la parodontologie Ă lâomnipratique 2024/25 » : 16 Janvier 2025 / 6 FĂ©vrier 2025 / 6 Mars 2025 / 24 Avril 2025
Automne 2025 (date TBC) - Journée pour les Assistantes Dentaires avec une hygiéniste suisse
2025 sâannonce ĂȘtre une annĂ©e particuliĂšrement riche pour la parodontologie avec notamment le congrĂšs national en janvier et EFP 11 Ă Vienne au mois de mai. On pourra Ă©galement compter sur chaque sociĂ©tĂ© rĂ©gionale de la SFPIO pour complĂ©ter ce programme dâenseignement et de perfectionnement. Nous avons demandĂ© aux reprĂ©sentants de chacune de nous prĂ©senter en quelques mots les temps forts de leur programme et les raisons de les rejoindre.


Dans quel cadre se déroulent vos formations ? Quel est le profil de chirurgien-dentiste concerné ?
Dr Chloé BARBANT Présidente SFPIO
Paris
Je souhaitais avant tout remercier toute mon Ă©quipe qui mâa accompagnĂ©e tout au long de lâannĂ©e pour faire vivre avec dynamisme et fraicheur notre sociĂ©tĂ© parisienne.
Pour ma premiĂšre annĂ©e, nous avons eu lâhonneur de recevoir de grands noms de la parodontie, français et internationaux avec Vincent Ronco, Giulio Rasperini, Selena Toma et Ricardo Kern. Malheureusement, la fin dâannĂ©e a Ă©tĂ© marquĂ©e par le dĂ©cĂšs de Claude BIGOT, ami, collĂšgue, professeur, il a participĂ© Ă la crĂ©ation de la sociĂ©tĂ© parisienne. Emmanuelle ETTEDGUI et CĂ©dric FIEVET lui ont rendu un bel hommage.
Quels seront les temps forts de votre programme 2025 ?
Cette année, nous avons choisi des thématiques qui répondent à des problématiques trÚs concrÚtes afin de donner des messages et des protocoles trÚs cliniques aux parodontistes mais aussi
aux omnipraticiens. Nous aborderons les bridges cantilevers en postérieurs dento ou implanto-portés, un nouveau protocole simple et reproductible de préservation alvéolaire, et la planification du traitement parodontal chez les patients atteints de maladie chronique, cancer sans aggraver leur état général. Enfin, nous sortirons des sentiers battus, lors de notre grande journée annuelle, avec la Process Com. Ce modÚle de communication est un outil incroyable pour mieux comprendre les facteurs humains et ainsi mieux communiquer pour éviter les tensions entre collÚgues, avec nos patients mais aussi dans notre vie personnelle !

Nous organisons 3 soirĂ©es/confĂ©rences et une grande journĂ©e de formation dans un cadre Ă la fois chic, dans les salons dâun bel hĂŽtel parisien, mais aussi dans une ambiance amicale avec beaucoup dâhabituĂ©s, majoritairement parodontistes. Ces soirĂ©es sont des moments de retrouvailles et de partage. Mais nous oeuvrons aussi pour proposer des thĂšmes qui puissent intĂ©resser les omnipraticiens et les jeunes praticiens voulant amĂ©liorer et approfondir leurs connaissances et technicitĂ© en parodontie.

Quels sont les atouts dâune formation annuelle dans votre sociĂ©tĂ© rĂ©gionale ?
Sâinscrire Ă lâannĂ©e permet de profiter de 4 confĂ©rences de grande qualitĂ© avec des confĂ©renciers reconnus et de prestige pour un prix trĂšs intĂ©ressant et profiter en mĂȘme temps de lâinscription Ă la SociĂ©tĂ© Nationale et de ses avantages.
Quels seront les temps forts de votre programme 2025 ?
La SFPIO-LR a toujours eu comme objectif dâemmener dans notre rĂ©gion des confĂ©renciers reconnus sur des thĂšmes dâactualitĂ©. Cette annĂ©e nous continuons sur le mĂȘme rythme de 3 dates se dĂ©roulant le jeudi fin dâaprĂšs-midi, et un stage pratique. Ces rĂ©unions sont lâoccasion de se retrouver tous, praticiens, Ă©tudiants, internes ou universitaires autour dâun sujet, et de partager un moment de convivialitĂ©.
vice Nutrition DiabĂšte au CHU Lapeyronie, Montpellier et le Dr Margaux VIGNON Maitre de ConfĂ©rences des UniversitĂ©s au CHU de Montpellier, qui animeront cette soirĂ©e. Câest une rĂ©elle opportunitĂ© de recevoir deux spĂ©cialistes sur ces deux disciplines qui sont intimement liĂ©es.

Jeudi 25 septembre nous accueillons le Dr Philippe DOUCET sur le thÚme des péri-implantites en 10 questions/ réponses.
Le 6 novembre nous recevrons le Pr Kevimy AGOSSA sur un sujet parodontal.
Nous terminerons lâannĂ©e avec un stage pratique en implantologie le vendredi 5 et 6 decembre 2025.


Dr Olivier FESQUET
Président SFPIO LR
spĂ©cialitĂ© comme la prothĂšse, dentisterie adhĂ©sive, lâorthodontieâŠ
Nous avons la chance de recevoir des participants de tout niveau, comme des Ă©tudiants de 5 et 6eme annĂ©e, des internes, des praticiens libĂ©raux et parfois, en fonction du sujet, les praticiens peuvent ĂȘtre accompagnĂ©s de leur assistant(e).
Nous terminons lâannĂ©e avec un stage pratique en alternant la parodontologie et lâimplantologie, sur un jour et demi. Câest lâoccasion dâapprofondir un sujet et de pratiquer sur modĂšle et mĂąchoire animales.
Quels sont les atouts dâune formation annuelle dans votre sociĂ©tĂ© rĂ©gionale ?
Cette année, les dates ont été choisies pour vous permettre de profiter des trois congrÚs de 2025 (Paris en janvier, Vienne en mai, et Monaco en septembre.)
Nous dĂ©marrerons le jeudi 20 mars 2025 par une soirĂ©e sur le thĂšme Paro diabĂšte. Câest la Pr Ariane SULTAN, Cheffe de Ser-
Dans quel cadre se dĂ©roulent vos formations ? Quel est le profil de chirurgien-dentiste concernĂ© ? Les formations se dĂ©roulent dans la ville Montpellier et gĂ©nĂ©ralement sur une fin dâaprĂšs midi, dĂ©but de soirĂ©e. Pour ces trois dates nous avons un sujet de parodontologie, un dâimplantologie et un sujet qui fait le lien entre notre discipline et une autre
Ces jours de formation ont comme atout majeur, la proximitĂ© puisque câest le confĂ©rencier qui se dĂ©place Ă Montpellier. La SFPIO-LR, une association scientifique, gĂ©rĂ©e par une Ă©quipe de passionnĂ©s, qui organise et sĂ©lectionne des sujets et des confĂ©renciers en fonction des derniĂšres actualitĂ©s et donnĂ©es scientifiques, avec comme objectif la diffusion du savoir.
Câest lâoccasion dâapprofondir un sujet, en seulement une fin dâaprĂšs-midi et se retrouver autour dâun cocktail et dâĂ©changer avec le confĂ©rencier.
Quels seront les temps forts de votre programme 2025 ?
Cette annĂ©e, les sĂ©ances de la SFPIO Alsace couvriront lâensemble de nos activitĂ©s paro-implanto. PremiĂšre rĂ©union en fĂ©vrier sur le diagnostic des lĂ©sions de la muqueuse buccale avec un duo chirurgien-dentiste/anatomopathologiste. En avril, sĂ©ance TP avec un focus sur la technique du connective tissue wall. En septembre, nous accueillons un confrĂšre belge pour une session sur la chirurgie guidĂ©e/naviguĂ©e et son retour dâexpĂ©rience. Enfin, en dĂ©cembre nous pourrons boire un vin chaud en apprenant tout un tas de choses sur lâapport de lâintelligence artificielle en parodontologie.
Dans quel cadre se dĂ©roulent vos formations ? Quel est le profil de chirurgien-dentiste concernĂ© ? Nos sĂ©ances se dĂ©roulent 4 soirĂ©es par an dans le cadre sympathique de lâhĂŽtel Sofitel Strasbourg. Tous les chirurgiens-dentistes sont les bienvenus, nos sĂ©ances sâadressant aussi bien Ă lâomnipraticien souhaitant rester Ă jour des connaissances que du spĂ©cialiste.
Quels sont les atouts dâune formation annuelle dans votre sociĂ©tĂ© rĂ©gionale ?
Les atouts des formations proposées à la SFPIO Alsace sont la bonne ambiance, un cadre convivial et des thé-

matiques variĂ©es afin de sâadresser au plus grand nombre de praticiens intĂ©ressĂ©s par la parodontologie et lâimplantologie.

Dr Rémi CHANGEY
Président SFPIO Val-de-Loire
Quels seront les temps forts de votre programme 2025 ?
Nous proposons Ă nos confrĂšres deux formats.
Le premier, sous forme de cycle de formation de parodontologie et de prothÚse sur implants en 6 journées. Nous organisons également 2 à 3 journées par an autours de thÚmes
variés. En 2025 il sera question de planification numérique en implantologie et de chirurgie muco-gingivale. Nous consacrerons également une journée à nos assistantes pour discuter prophylaxie et éducation thérapeutique.
Dans quel cadre se déroulent vos formations ? Quel est le profil de chirurgien-dentiste concerné ?
Nos journées sont destinées au plus grand public possible, des étudiants aux omnipraticiens.
Nous essayons le plus souvent possible dâorganiser ces journĂ©es Ă la facultĂ© de chirurgie dentaire de Nantes pour garder, grĂące Ă Christian VERNER, Assem SOUEIDAN et Xavier STRUILLOU, le lien le plus Ă©troit possible avec lâuniversitĂ©.
Quels sont les atouts dâune formation annuelle dans votre sociĂ©tĂ© rĂ©gionale ?
La proximités des formateurs, qui se tiennent à la disposition de nos participants, pour les accompagner durant cette année de formation mais également aprÚs.
La SFPIO vient de perdre un de ses anciens prĂ©sidents (et co-fondateur de la sociĂ©tĂ© parisienne de Parodontologie au dĂ©but des annĂ©es 1990) et tient Ă rendre hommage Ă lâami et mentor Claude BIGOT, homme dâexception. Sorti de la fameuse promo 1972 de Paris V, il a longtemps Ă©paulĂ© son ami Jean-Louis Giovannoli, prĂ©sident de la SociĂ©tĂ© Française de Parodontologie, pour ensuite ĂȘtre Ă lâorigine de la «fĂ©dĂ©ration» parisienne. Il choisit la parodontie qui correspond le plus Ă lâapproche mĂ©dicale dans laquelle il a baignĂ© avec ses parents. La parodontie lui semble dĂ©jĂ ĂȘtre le carrefour de la prise en charge du patient. Certains le rencontrent sur les bancs de la fac, au centre Jean DĂ©libĂ©ros quand il officie en tant quâassistant, dâautres bĂ©nĂ©ficient de son enseignement quand il sâoccupe avec Roger DETIENVILLE du DiplĂŽme Universitaire de Parodontologie Ă Montrouge et Ivry puis au DUP Ă lâhĂŽpital Bretonneau.
Claude est un excellent enseignant et suscite de nombreuses vocations par son enthousiasme, son humanitĂ©, sa bienveillance enveloppante et motivante, et par sa rĂ©flexion non dogmatique, non conformiste et empreinte de questionnements. Il est toujours passionnant de discuter avec lui de diagnostics et de plans de traitement pour conduire ensuite des thĂ©rapeutiques guidĂ©es sans cesse par lâobservation et lâĂ©valuation. On est avec lui dans lâapproche globale, mĂ©dicale, holistique. Lâesprit, le cerveau guident la main (sa grande main) sĂ»re et prĂ©cise du clinicien quâil est. Nous passons de nombreuses heures pour des staffs autour dâun nĂ©gatoscope, dâun ordinateur, et au fil des annĂ©es, autour dâun bon platâŠ
Claude est, par nature, un homme de lâombre, mais câest surtout un leader

charismatique (un charisme évident, mais discret) qui préfÚre constituer les équipes en mettant ses membres en avant.
Pour lui, lâĂ©quipe et les idĂ©es restent, lâindividu non, lâĂ©quipe câest la norme. Pour lui, la transmission et la pĂ©dagogie sont essentielles Ă la progression. Cet esprit dâĂ©quipe, il le tient de ses annĂ©es de Rugby et de Polo qui impliquent la passion, lâendurance, la concentration.
Combien de congrĂšs SFPIO, EuroPerio avons-nous passĂ©s en sa compagnie, en Ă©quipe, en France ou Ă lâĂ©tranger, Ă la dĂ©couverte de nouvelles idĂ©es, de nouvelles pistes, de nouvelles rencontres ?
Avec cet esprit de groupe, sa carriĂšre hospitalo-universitaire est riche (en compagnie notamment de Monique BRION, Jean-Louis SAFFFAR, Marie-Laure COLOMBIER), de la responsabilitĂ© du CES, du DU jusquâĂ la charge du dĂ©partement de Parodontie, sans jamais tirer la couverture Ă lui et sans faire dâombre Ă quiconque. Tel un passionnĂ©, encore membre actif de la SFPIO et en activitĂ© fin 2023 au sein de son cabinet parisien (pĂ©rennisĂ© avec succĂšs et bonheur grĂące Ă Claire, sa fille et Alexander, son gendre), Claude rĂ©duit son rythme de travail (il se perfectionne au golf) et ne fixe pas de date de retraite jusquâau jour de dĂ©cembre 2023 ou la maladie le saisit brutalement.
AprĂšs sâĂȘtre bagarrĂ© comme un tigre avec le soutien indĂ©fectible de Marie-Pierre , son Ă©pouse, toute cette annĂ©e 2024, le cancer a eu raison de lui en ce 16 octobre Ă lâĂąge de 78 ans.
FidĂšle Ă lui-mĂȘme, Ă sa famille et Ă ses amis, il est admirable dans ce dernier combat. Toujours optimiste, toujours dans le partage, il nous ouvre son cĆur sans relĂąche. Une derniĂšre leçon de vie.
Et que tous ceux qui lâont entourĂ©Ì rĂ©ussissent, tel est son souhait.
Jusquâau bout il a Ă©tĂ© Ă©gal Ă lui-mĂȘme, stoĂŻque, gĂ©nĂ©reux et pour citer Paul Ăluard « bien vivant ». Il avait envie de nous dire : « Vous ne verrez pas le bout de mon courage ».
Claude (lâhomme trĂšs raffinĂ© aux pantalons de couleurs), tu nous manques dĂ©jĂ , mais nous ferons tout pour poursuivre ton sillon.
Marie-Pierre, Claire, Alexander, nous vous adressons toute notre tendresse et affection. Nous serons toujours avec vous.
VĂ©ronique Molina Au nom des « vieilles canailles» : Jean-Pierre ALLE, Jean-Louis FERRARI, CĂ©dric FIEVET, Alain GARCIA, Etienne LABASSY, Thierry ROUSSEL, Thierry TAIEB, mais aussi Emmanuelle ETTEDGUI, Marie-Laure Colombier et tant dâautres...
Ă quelques mois de la onziĂšme Ă©dition du congrĂšs de lâEFP Ă Vienne, nous avons interrogĂ© son fondateur, le Docteur Jean-Louis Giovannoli, Ă lâorigine de la premiĂšre Ă©dition Ă Paris en 1994.
Objectif Paro : La premiĂšre Ă©dition dâEuroPerio sâest dĂ©roulĂ©e il y a maintenant plus de 30 ans. Vous attendiez-vous Ă une telle rĂ©ussite ?
JL Giovannoli : Vous me rappelez quâil y a plus de 30 ans, jâĂ©tais Ă la tĂȘte de la SociĂ©tĂ© Française de Parodontologie et quâĂ ce titre jâai participĂ© Ă la crĂ©ation de lâEFP pour en devenir le premier PrĂ©sident, puis dâEuroPerio, dont la premiĂšre Ă©dition sâest effectivement tenue Ă Paris en 1994. Je nâai pas oubliĂ© quâĂ lâĂ©poque tout le monde a considĂ©rĂ© que jâĂ©tais fou de me lancer dans un tel projet⊠et aujourdâhui, jâĂ©prouve une certaine fiertĂ© Ă constater ce quâest devenu, 30 ans plus tard, EuroPerio.
En 1994, nous avons rĂ©uni 1800 congressistes, chiffre inespĂ©rĂ©. A Copenhague en 2022, nous Ă©tions plus de 10 000 Ă Ă©couter 130 confĂ©renciers ! Ils seront 150 Ă Vienne en mai prochain. Alors non, bien sĂ»r, je ne mâattendais pas Ă une telle rĂ©ussite, qui est le fruit du travail de toute la Parodontologie EuropĂ©enne.
Comment percevez-vous lâĂ©volution de la « paro » tout au long de ces annĂ©es ? Les actions de lâEFP contribuent-elles Ă une meilleure prise de
conscience du grand public ? les pratiques vous paraissent-elles ĂȘtre plus curatives, plus prĂ©ventives ?
Jâai exercĂ© lâodontologie pendant 50 ans, avant de tirer ma rĂ©vĂ©rence en 2021. Je remercie encore le ciel de mâavoir orientĂ© vers cette discipline, la Parodontologie, que jâai pratiquĂ©e avec passion, et que jâai vu Ă©voluer au fil des ans au grĂ© de la recherche et des Ă©volutions technologiques.
Pour les praticiens de ma gĂ©nĂ©ration, le fait le plus marquant de notre carriĂšre professionnelle est incontestablement lâavĂšnement de lâostĂ©ointĂ©gration qui a considĂ©rablement bouleversĂ© notre approche thĂ©rapeutique en offrant des solutions alternatives Ă la conservation des dents.
Personnellement je suis « rentrĂ© » dans les implants avec rĂ©serve pour orienter mon intĂ©rĂȘt, au cours de mes derniĂšres annĂ©es, Ă lâĂ©tude des maladies pĂ©ri-implantaires. Je suis toujours restĂ© Parodontiste dâabord, soucieux de la bonne santĂ© de mes patients et convaincu jusquâau bout que les meilleures solutions, pour les patients, restent les solutions conservatrices.

Dr Jean-Louis GIOVANOLLI Fondateur EuroPerio
Il est vrai que jâai lâavantage dâavoir connu lâodontologie avant les implants, dâavoir rencontrĂ© beaucoup de satisfaction en conservant les dents et de pouvoir prĂ©senter aujourdâhui des rĂ©sultats positifs Ă long terme obtenus grĂące aux thĂ©rapeutiques parodontales les plus conventionnelles. Jâai bien sĂ»r connu aussi beaucoup dâĂ©checs et je suis incapable de dire aujourdâhui si jâai mieux servi mes patients en leur conservant les dents quâen leur plaçant des implants.
Au cours des quarante derniÚres années, nous avons traversé toutes les modes et je me souviens des débats enflammés qui opposaient à une époque les défenseurs de la chirurgie parodontale aux adeptes des traitements non-chirurgicaux.
Je me souviens des premiers dĂ©tartreurs ultrasoniques, des premiĂšres greffes osseuses, des premiers substituts, des premiĂšres membranes, des premiers aĂ©ropolisseurs, de lâarrivĂ©e des antibiotiques locaux, des amĂ©logĂ©nines, des premiers scanners, autant de produits, matĂ©riels et mĂ©thodes mis Ă notre disposition pour que chacun, selon ses tropismes, y trouve son compte.
Moi, jâai toujours adorĂ© pratiquer la chirurgie tout en restant convaincu que la clĂ© du succĂšs est la maĂźtrise de lâinfection et que, curette ou bistouri, tous les moyens sont bons pour atteindre nos objectifs. Bien sĂ»r, la prĂ©vention passe par lâinformation et lâenseignement dâune hygiĂšne orale adaptĂ©e au profile biologique de chaque patient. Jâai passĂ© ma vie Ă combattre la consommation de tabac et Ă promouvoir, avec obstination, lâusage des instruments dâhygiĂšne interdentaire.
En tant quâacteur de la formation continue et responsable de sociĂ©tĂ© scientifique ,jâai beaucoup ĆuvrĂ©, comme les responsables actuels, Ă la vulgarisation de nos idĂ©es auprĂšs de toute la profession dentaire et des membres des autres disciplines, et jâai beaucoup dĂ©plorĂ© quâaucune action efficace ne soit vraiment entreprise auprĂšs du grand public. Je me suis battu en vain, comme tous mes amis parodontistes, pour la crĂ©ation dâun corps dâhygiĂ©niste et je constate avec satisfaction que la situation pourrait se dĂ©bloquer. VĆux pieux.
Quel est le moteur aujourdâhui des avancĂ©es en parodontologie : les universitĂ©s, les laboratoires, lâindustrie ?
Jâaurais tendance Ă dire que le moteur des avancĂ©es en parodontologie est le « Monde de la Paro », tant le rĂŽle de chacun est complĂ©mentaire. Les praticiens sur le terrain expĂ©rimentent, consomment et prescrivent, lâUniversitĂ© enseigne et sâengage dans la recherche, et lâindustrie, en retour, participe au financement de la formation et de la recherche.
En thĂ©orie, chacun dans son rĂŽle est acteur de ce cercle vertueux, mais celles qui jouent incontestablement le rĂŽle le plus important sont les sociĂ©tĂ©s scientifiques qui rĂ©unissent tout ce beau monde, et crĂ©ent des manifestations qui sont lâoccasion de dĂ©terminer les tendances, de
confronter les idées et de faire éclore les avancées.
Les Sociétés de Parodontologie réunies au sein de la Fédération Européenne sont manifestement le moteur de la discipline.
En parallĂšle, il ne faut pas oublier le rĂŽle majeur que joue lâĂ©dition dans ce manĂšge, la course Ă la publication Ă©tant le principal mode de promotion des enseignants et des chercheurs. En Parodontologie, plus que dans nâimporte quelle autre discipline, il faut ĂȘtre prĂ©sent dans la littĂ©rature internationale pour exister.
On peut dâailleurs dĂ©plorer, avec fatalisme, quâau fil des ans, lâanglais se soit imposĂ© comme la langue universelle de toutes les disciplines scientifiques et que le travail des français nâa pas toujours Ă©tĂ© reconnu Ă sa juste valeur, barriĂšre de la langue oblige.
Vous ĂȘtes Ă©galement Ă lâorigine du Perio-Master Clinic. A titre personnel, pouvez-vous Ă©voquer lâapport au niveau humain des contacts rĂ©alisĂ©s toutes ces annĂ©es au niveau national et au niveau international ?
Quand lâai proposĂ© la crĂ©ation des Master Clinics, câĂ©tait dâabord pour rĂ©unir plus souvent les membres de lâEFP dans la mesure oĂč EuroPerio, compte tenu de sa lourdeur, nâest programmable que tous les trois ans. CâĂ©tait ensuite pour permettre Ă des pays qui ne disposent pas de structures de congrĂšs compatibles avec le volume dâEuroPerio, dâaccueillir aussi lâEFP, et câest enfin lâoccasion dâaborder des sujets purement cliniques en invitant les praticiens les plus talentueux Ă montrer ce quâils savent faire, bien quâils ne soient pas toujours auteurs Ă succĂšs dans les revues scientifiques internationales.
La Parodontologie, proprement dit, est une discipline médicale qui consacre ses efforts à prévenir et combattre les maladies parodontales. Les patients pris en
charge prĂ©sentent avant tout un problĂšme de santĂ© qui compromet lâavenir de leurs dents et qui impose une dĂ©marche biologique. Ils peuvent accessoirement prĂ©senter des problĂšmes dâordre fonctionnel ou esthĂ©tique qui justifie leur demande, et le rĂŽle du thĂ©rapeute peut ĂȘtre aussi de les satisfaire. Personnellement, je nâai jamais portĂ© beaucoup dâintĂ©rĂȘt Ă la chirurgie dite « plastique parodontale », mais jâadmets quâon aime pratiquer la chirurgie des tissus mous qui est ludique et gratifiante. Les Master Clinics offrent donc une tribune aux reines et rois du bistouri qui aiment la belle gencive et plus globalement Ă tous ceux qui aiment la belle clinique.
Quant Ă lâapport au niveau humain des contacts rĂ©alisĂ©s au cours de toutes ces annĂ©es, câest incontestablement, lâaspect le plus enrichissant de toutes ces activitĂ©s para-professionnelles. GrĂące Ă elles, jâai eu lâoccasion de rencontrer beaucoup de monde et de me lier dâamitiĂ© avec beaucoup de consĆurs et confrĂšres. Jâai eu lâoccasion de beaucoup voyager, et de rencontrer des gens formidables un peu partout. Câest grĂące aux relations humaines et finalement Ă lâamitiĂ© que des aventures telles que lâEFP sont possibles. Câest dâailleurs grĂące au plaisir de se retrouver quâon a pu consacrer autant de temps et dâĂ©nergie Ă militer pour la Parodontologie et que nos jeunes successeurs font encore vivre notre famille, la SFPIO.

Lior SHAPIRA
Président Scientifique
EP11
Objectif Paro: You are in charge of the scientific program of next EFP congress. May you explain us in what it is important for a dental surgeon or a periodontist to assist?
Professor Shapira : The EuroPerio congress is a must-attend event for dental surgeons and periodontists, offering access to the latest scientific advancements, evidence-based techniques, and cutting-edge technologies in periodontology and implant dentistry. Its expertly curated program bridges research and clinical practice, ensuring attendees leave with actionable insights to enhance patient care.
Beyond the lectures, EuroPerio provides a unique platform for networking with global experts and exploring interdisciplinary collaborations, making it an unparalleled opportunity for professional growth and staying at the forefront of the field.
Can you summarize the new fields of study, either in research as in clinical practice?
Emerging fields in periodontology and implant dentistry are transforming research into clinical practice: digital workflows, AI, new diagnostics tools, and regenerative therapies. Innovations in soft and hard tissue augmentation, microbiome modulation, and peri-implantitis management are
improving patient outcomes.
Additionally, the growing focus on the link between periodontal and systemic health ensures a more comprehensive and future-oriented approach to care.
In what progress in periodontology is in relation with the evolution of EFP, in term of new inter-country partnerships?
The evolution of the EFP has fostered significant progress in periodontology, particularly through global partnerships. These collaborations have enhanced knowledge exchange, advanced research, and improved clinical practices across borders. The EFP has developed collaborations with other medical and dental organizations in Europe and worldwide, resulting in workshops, joint systematic reviews, consensus papers, and clinical guidelines.
For example, the collaboration with Family Physicians has been extremely important, positioning periodon-
I
encourage the members of the French Periodontal Society and French dentists to continue their strong tradition of excellence in clinical practice and research.
tology at the center of medicine. The education process, workshops, and the Journal of Clinical Periodontology - all have a great impact on the field. By uniting periodontists from diverse regions, the EFP is driving global innovation, facilitating the sharing of best practices, and ensuring that cutting-edge developments reach a wider audience, ultimately benefiting patient care worldwide.
There will be tens of sessions during the congress. Whatâs the best
plan to enjoy the meeting?
Each individual should follow their personal interests, which differ from person to person. With four parallel sessions, all equally engaging, itâs important to plan ahead by reviewing the program and prioritizing those that align with your goals, whether focused on cutting-edge research, clinical techniques, or interdisciplinary topics. Balance key lectures with research sessions, and make time for networking with peers and industry experts to enrich your experience!
What is the contribution of the new generations of periodontist who are performing EFP perio-master?
The new generation of periodontists trained through the EFP Periodontology and Implant Dentistry post-graduate programs bring fresh perspectives, advanced skills, and a commitment to evidence-based care. Their expertise in cutting-edge techniques and interdisciplinary approaches is driving innovation, improving patient outcomes, and shaping the future of periodontology. We will have many of them on stage in Euro-Perio!
Do you have any particular message for the French perio society members?
I encourage the members of the French Periodontal Society and French dentists to continue their strong tradition of excellence in clinical practice and research. France is a key member and one of the founding societies of the EFP. Your contributions have been and continue to be vital to advancing the fields of periodontology and implant dentistry, and your active participation in EFP events, like EuroPerio 11, strengthens our global community.
Together, we can continue to drive innovation and improve patient care worldwide.




























































nobelbiocare.com/trademarkstouteslesautresmarquessontdesmarquesdugroupeNobelBiocare,sirien pourplusdâinformation.Lesimagesdesproduitsnesontpas commercialpeuventnepasĂȘtreunereprĂ©sentationexacteduproduit.DĂ©nideresponsabilitĂ© notammentdeNobelBiocareFrancepourplusdâinformationssurlagammecomplĂšte

















Je mâabonne Ă Parodontologie




Implantologie Orale 1 an (4 n°) au tarif exceptionnel Membres SFPIO de 150 âŹ*
VERSION NUMĂRIQUE OFFERTE PORT OFFERT
ID ABONNEMENTS
19-21 rue Dumont dâUrville - 75116 Paris
Tél. : 01 56 26 50 00 e-mail : abon@information-dentaire.fr
* Tarif France métropolitaine








SOIT 150 € -20%
Nom
Prénom
Adresse
Code postal Ville
Tél.
CI-JOINT MON RĂGLEMENT
CHĂQUE Ă LâORDRE DE LâINFORMATION DENTAIRE
Formation, interdisciplinaritĂ©, partage : ce triptyque est au cĆur de notre nouvelle revue Parodontologie Implantologie Orale âcar lâune ne va pas sans lâautre. ImaginĂ©e pour participer au perfectionnement des compĂ©tences de lâomnipraticien afin dâassurer les soins nĂ©cessaires Ă la bienportance des patients, ses fondateurs et contributeurs ont Ă cĆur dâĂ©changer entre pairs des donnĂ©es cliniques et pratiques utiles et pertinentes basĂ©es sur les derniĂšres donnĂ©es scientifiques. Car le parodonte est au cĆur de la santĂ©, et quâun parodonte en bonne santĂ© est certes un gage de soins dentaires de grande qualitĂ© mais, au-delĂ , participe Ă Â une bonne santĂ© gĂ©nĂ©rale.
âDATE & SIGNATURE
VIREMENT IBAN : FR76 3000 3035 3400 0200 1790 453 - BIC : SOGEFRPP
CONFIDENTIALITĂ DES DONNĂES : ConformĂ©ment Ă la loi « Informatique et libertĂ©s » du 6 janvier 1978 modifiĂ©e et au rĂšglement europĂ©en n°2016/679/UE du 27 avril 2016, vous ĂȘtes informĂ©(e)s que les informations recueillies Ă partir de ce formulaire font lâobjet dâun traitement informatique destinĂ© exclusivement au service abonnement de la sociĂ©tĂ© LâINFORMATION DENTAIRE pour effectuer les opĂ©rations relatives Ă la gestion de la relation avec ses clients, ainsi que les opĂ©rations relatives Ă la prospection et lâĂ©laboration de statistiques commerciales. Elles sont conservĂ©es pendant toute la durĂ©e de la relation contractuelle puis en conformitĂ© avec les dĂ©lais de prescription applicables. Le responsable de ce traitement est la sociĂ©tĂ© LâINFORMATION DENTAIRE, sous le sigle ID, SASU au capital de 402 000âŹ, immatriculĂ©e sous le numĂ©ro 502 494 388 RCS Paris et dont le siĂšge social 19-21 rue Dumont dâUrville - 75116 Paris. Vous disposez dâun droit dâaccĂšs, de rectification ou dâeffacement des donnĂ©es qui vous concernent. Vous pouvez Ă©galement en demander la limitation ou la portabilitĂ©. Vous pouvez retirer votre consentement Ă tout moment. Pour exercer ces droits, vous pouvez nous contacter Ă lâadresse suivante : abon@informationdentaire.fr. Par ailleurs, vous ĂȘtes informĂ©(e)s que si vous estimez, aprĂšs nous avoir contactĂ©s, que vos droits sur vos donnĂ©es ne sont pas respectĂ©s, vous avez la possibilitĂ© dâintroduire une rĂ©clamation auprĂšs de la CNIL (www.cnil.fr). Ă raison dâun document incomplet, nous pourrions user de la possibilitĂ© de rejeter votre demande dâabonnement. En cochant la case ci-contre, je reconnais avoir pris connaissance des conditions visĂ©es ci-dessus et jâaccepte que mes donnĂ©es puissent ĂȘtre utilisĂ©es par la sociĂ©tĂ© LâINFORMATION DENTAIRE.

TARIF SUPER EARLY BIRD
JUSQUâAU 6 FĂVRIER SEULEMENT !
La SFPIO et lâEAO vous donnent rendez-vous pour un CongrĂšs commun Ă Monaco, du 18 au 20 septembre 2025 !



JE MâINSCRIS






Une Ă©tude clinique conduite pendant 6 mois a montrĂ© quâune brosse Ă dents Philips Sonicare apportait des bĂ©nĂ©fices significatifs lors de la prise en charge Ă domicile de patients atteints de parodontite lĂ©gĂšre Ă modĂ©rĂ©e aprĂšs traitement parodontal non chirurgical(1)
Pour accĂ©der au rĂ©sumĂ© de lâĂ©tude
Pour en savoir plus
*Selon une Ă©tude KJT rĂ©alisĂ©e auprĂšs de 2600 professionnels de la santĂ© bucco-dentaire rĂ©partis dans 15 pays (dont la France) en 2022 et 2023. (1) RĂ©sultats dâune Ă©tude utilisant un manche Sonicare DiamondClean Smart avec une tĂȘte de brosse G3 en mode Gum Care, en association avec un dĂ©tartrage surfaçage rĂ©alisĂ© par un professionnel dentaire.
Inscrivez-vous Ă nos prochaines sessions de formation, Vendredi 14 et samedi 15 mars 2025, Ă Paris


Niveau perfectionnement

âą Il est classique de ne pas avoir assez dâos sous le sinus pour poser un implant dans de bonnes conditions. Les diffĂ©rentes techniques de soulevĂ© de sinus seront dĂ©taillĂ©es pour que cette zone ne soit plus un obstacle.
⹠La connaissance des complications en implantologie est indispensable pour opérer sereinement. Chaque complication ainsi que sa gestion sera passée en revue.
âą Les travaux pratiques sâeffectuent sur modĂšles

Cette formation est faite pour toi si :
⹠Tu poses déjà des implants et tu veux débuter dans les soulevés de sinus par voie latérale ou crestale, pour compléter ton activité.
⹠Tu réalises déjà des soulevés de sinus et tu veux connaitre les derniÚres données acquises sur les techniques et les matériaux utilisés

âą Tu veux discuter de cas cliniques, des difficultĂ©s et des Ă©checs que lâon peut rencontrer

La parodontologie et lâimplantologie pour les assistant·e·s dentaires
Afin dâoffrir une solution complĂšte pour lâexercice de la parodontologie et de lâimplantologie au sein du cabinet dentaire, cette formation sâadresse aux assistant(e)s dentaires qui souhaitent approfondir leurs connaissances dans ces domaines.
Au programme de la formation :
âą Le rĂŽle de lâassistant(e) dentaire dans lâactivitĂ© de parodontologie mĂ©dicale et chirurgicale
⹠Les maladies parodontales et les récessions gingivales
âą Accompagner les changements comportementaux
âą Soutenir lâobservance des patients
âą Les indications et principes de chirurgie parodontale
âą La prĂ©paration de la salle blanche et lâasepsie
âą Lâinstrumentation chirurgicale
⹠Prévention et gestion des complications


Cette formation est faite pour toi si :
âą ton praticien a une activitĂ© de parodontologie et/ou dâimplantologie
⹠tu désires comprendre les différents actes de parodontologie pour améliorer ta pratique
⹠tu veux savoir comment préparer un bloc chirurgical

âą tu veux pouvoir participer aux actes de modification comportementale des patients





Dématerialisez vos ordonnances et envoyez votre prescription et vos instructions à vos patients par e-mail. Pour en savoir plus : TePe France SAS | Tél. 01 85 76 69 70 | info.france@tepe.com | www.tepe.com



Rendez-vous sur : www.teperecommendation.com




Forte affluence cette annĂ©e Ă la sĂ©ance SFPIO de lâADF. Il aurait pu paraitre prĂ©somptueux de vouloir traiter en 90 minutes un sujet aussi vaste que la ptĂ©sentation des bonnes pratiques parodontales en 2024 ; câĂ©tait cependant compter sans lâexpĂ©rience et lâĂ©tonnante complicitĂ© des trois orateurs Ă vouloir transmettre la quintessence dâun savoir actualisĂ©.
HĂ©lĂšne RangĂ©, Damien Feuillet et Nicolas Blanc-Sylvestre nous ont ainsi proposĂ© un vĂ©ritable parcours du parodontiste, tant au niveau de la chronologie de la prise en charge quâau niveau du choix des techniques les plus indiquĂ©es Ă ce jour. Caroline Fouque participait Ă une dynamique qui, plutĂŽt que de sâinscrire dans un monologue magistral, a su interroger et convaincre le public dâintĂ©grer ce schĂ©ma thĂ©rapeutique.
HĂ©lĂšne RangĂ© donnait le ton avec des donnĂ©es Ă©pidĂ©miologiques montrant lâĂ©vidence du rĂŽle des pathologies parodontales dans lâaggravation de processus inflammatoires Ă distance et justifier ainsi et la prise en charge par les organismes sociaux des patients atteints dâALD spĂ©cifiques
(pathologies coronaires, diabĂšteâŠ). Le dĂ©roulĂ© dâune prise en charge Ă©tait alors exposĂ© de façon formelle et vivante, avec dâune part le strict protocole du recueil des donnĂ©es (bilan, contrĂŽle de plaque, prĂ©vention des facteurs de risque (tabac), thĂ©rapeutique initiale puis réévaluation suivie ou non dâune phase interventionnelle selon la profondeur des poches rĂ©siduelles associĂ©e ou non Ă la prĂ©sence de saignements ; et dâautre part une succession de cas cliniques, simples ou complexes, avec pour ces derniers, lâavĂšnement des nouvelles approches des dĂ©fauts infra-osseux

Ă 1 paroi en les transformant Ă lâaide de conjonctif enfoui en dĂ©faut Ă 2, voire 3 parois. Lâactualisation a Ă©galement portĂ© sur la prise en charge des parodontites de stade 4 et la complexitĂ© de lâapproche pluridisciplinaire, parodontale, mais aussi occlusale, orthodontique et prothĂ©tique (types I, II et III).

Au final, cette confĂ©rence a su associer la rigueur due aux recommandations basĂ©es sur la preuve Ă un format dynamique basĂ© sur la maestria de 4 confĂ©renciers extrĂȘmement convaincants relĂ©guant pour un temps en tout cas, les confĂ©rences avec un orateur ou une oratrice aux temps anciens.

Séance SFPIO « Les bonnes pratiques en parodontologie » .

Plus de 200 prĂ©sentations tout au long de ce congrĂšs empĂȘchent Ă©videmment dâen faire un rĂ©sumĂ© exhaustif. Quelques commentaires sur des sĂ©ances partagĂ©es et ayant convaincu un auditoire fourni.
Dâabord une sĂ©ance de chirurgie en direct avec Julien Mourlaas et son Ă©quipe modĂ©rĂ©s par Perrine Balland : beaucoup de maitrise dans lâexercice dâun recouvrement mucogingival, un bon pronostic fondĂ© sur lâimportance des paramĂštres fondamentaux Ă respecter, angiogĂ©nĂšse et scaffolding, absence de traction forte au niveau des sutures, incisions permettant la rotation des papilles et tunnelisĂ©es en mĂ©sial et distal du lambeau de façon Ă Ă©viter des dĂ©charges verticales ; bien sĂ»r une dissection split, full, split, cette derniĂšre en deux plans, profond puis superficiel.

biomarqueurs, une sĂ©ance prometteuse sur face cachĂ©e de la salive et lâintĂ©rĂȘt Ă lâidentification de ses composants : lâĂ©tude de son microbiote et Ă©ventuellement lâintĂ©gration Ă une couronne par exemple de capteurs permettrait dâapprĂ©hender lâapparition de la dysbiose et par consĂ©quent, une prise en charge optimale ( Vincent Blasquo BaquĂ© modĂ©rateur).
Présentations dynamiques avec nos amis nantais, dans la prise en charge des trous noirs avec une approche pluridisciplinaire ordonnée par Chistian Verner, ou dans le décryptage des traitements des furcations M> et M< avec la londonienne Nathalie Leow modérée par Guillaume Campard. Et puis pour les amateurs de
Une édition parodontale 2024 qui aura tenu ses promesses et brillamment orchestrée par Philippe Doucet. Prochains RV à retenir, fin janvier pour la journée nationale de la SFPIO à Paris ; et bien sûr, EFP 11 à Vienne en mai prochain.



Lâactualisation des recommandations a pour objectif dâamĂ©liorer la prise en charge dentaire des patients Ă haut risque dâendocardite infectieuse (EI) sur la base dâune revue critique de la littĂ©rature.
Le groupe de travail de la HAS a rĂ©uni des mĂ©decins cardiologues, infectiologues, et des odontologistes de diffĂ©rentes disciplines, chirurgie orale, endodontie, parodontie, orthodontie, odontologie pĂ©diatrique. Selon la mĂ©thodologie de la HAS, les recommandations ont Ă©tĂ© Ă©tablies selon les niveaux de preuves scientifiques des Ă©tudes (grade A, B, C), et en lâabsence dâĂ©tudes, sur un accord entre experts (AE) du groupe de travail, aprĂšs consultation du groupe de lecture.
Les recommandations et lâargumentaire scientifique sont tĂ©lĂ©chargeables sur www.has-sante.fr.
Ces recommandations concernent tout patient, adulte et enfant, Ă haut risque dâendocardite infectieuse ou les patients qui vont le devenir (en attente de remplacement valvulaire) et nĂ©cessitant des soins bucco-dentaires.
Lâactualisation a conduit Ă Ă©largir le nombre de gestes invasifs autorisĂ©s (avec ou sans antibioprophylaxie) et Ă rĂ©duire les situations nĂ©cessitant des avulsions dentaires.
EN ODONTOLOGIE

⹠Brossage dentaire 2 fois par jour pendant 2 minutes avec un dentifrice fluoré associé à un brossage interdentaire (ou à défaut utilisation de fil dentaire)
⹠Suivi bucco-dentaire régulier semestriel (pour les patients à haut risque) et annuel ( pour les patients à risque intermédiaire)
âą Consultation rapide indispensable en cas dâapparition de symptĂŽmes bucco-dentaires

âą Antibioprophylaxie unique administrĂ©e dans lâheure qui prĂ©cĂšde un geste bucco-dentaire invasif pour les patients Ă haut risque dâendocardite.
âą Antisepsie prĂ©opĂ©ratoire (bain de bouche Ă la chlorhexidine 0,12 - 0,2%) pendant 1 min avant tout geste bucco-dentaire (invasif ou non) chez lâensemble des patients Ă risque.
PRINCIPALES NOUVEAUTĂS DES RECOMMANDATIONS DE BONNES PRATIQUES
(PAR RAPPORT AUX RECOMMANDATIONS DE LâANSM, 2011)
âą Les patients porteurs dâassistance ventriculaire font dĂ©sormais partie du groupe des patients Ă haut risque de survenue dâEI (cf annexe).
âą Les molĂ©cules recommandĂ©es en cas dâindication dâune antibioprophylaxie et dâantĂ©cĂ©dent avĂ©rĂ© dâallergie Ă la pĂ©nicilline ont Ă©tĂ© modifiĂ©es (cf annexe)
âą De nombreux actes bucco-dentaires invasifs sont dĂ©sormais autorisĂ©s avec antibioprophylaxie chez les patients Ă haut risque de survenue dâEI en respectant des conditions optimales dâasepsie et techniques : implantologie, chirurgie orale et parodontale, traitements et retraitements endodontiques, gestes dâodontologie pĂ©diatrique et dâorthodontie (risque de bactĂ©riĂ©mie).



Pins filetés pour la fixation de membranes par vissage
⹠Développé avec le Pr. Istvan Urban
âą Pins avec un filetage agressif
⹠Ultra résistant (Titane grade 5)

âą Auto-taraudant
âą Prise sĂ»re et stable durant la pose grĂące Ă la connexion âTorxâ

ACTES BUCCO-DENTAIRES INVASIFS CONTRE-INDIQUĂS CHEZ LE PATIENT Ă HAUT RISQUE DE SURVENUE DâEI (GRADE AE)
âą Coiffage pulpaire en denture permanente mature
âą Pulpectomie des dents temporaires
âą Toute technique de chirurgie avec utilisation dâune membrane de rĂ©gĂ©nĂ©ration osseuse
⹠Tout traitement de péri-implantite
ACTES BUCCO-DENTAIRES INVASIFS AUTORISĂS AVEC ANTIBIOPROPHYLAXIE CHEZ LE PATIENT Ă HAUT RISQUE DE SURVENUE DâEI (GRADE AE) :
âą AnesthĂ©sie : anesthĂ©sie locale en site inflammatoire (anesthĂ©sie intraligamentaire et technique ostĂ©ocentrale ne doivent ĂȘtre rĂ©alisĂ©es quâen seconde intention).
âą Parodontologie : sondage parodontal, assainissement parodontal (dĂ©tartrage et a), gingivectomie, Ă©longation/allongement coronaire, traitement chirurgical des poches avec ou sans comblement, sans utilisation dâune membrane de rĂ©gĂ©nĂ©ration osseuse.

âą Chirurgie orale : avulsions dentaires, frĂ©nectomie, biopsie, exĂ©rĂšse de lĂ©sions muqueuses et lĂ©sions osseuses bĂ©nignes sans utilisation dâune membrane de rĂ©gĂ©nĂ©ration osseuse, dĂ©gagement orthodontique de dent incluse, techniques dâaccĂ©lĂ©ration de dĂ©placement dentaire invasives (corticotomies).
âą Implantologie orale : mise en place dâimplants sans utilisation dâune membrane de rĂ©gĂ©nĂ©ration osseuse, mise en place de piliers implantaires de cicatrisation en cas dâimplants enfouis, chirurgie prĂ©-implantaire sans utilisation dâune membrane de rĂ©gĂ©nĂ©ration osseuse.

âą Orthodontie : mise en place et dĂ©pose de mini-vis dâancrage/plaque dâancrage.
⹠Traumatologie : tous les actes thérapeutiques en lien avec la traumatologie dentaire et alvéolaire, dont la réimplantation des dents permanentes matures et immatures.
Patients Ă haut risque de survenue dâEI (grade A) :
âą les patients ayant un antĂ©cĂ©dent dâEI ;
âą les patients porteurs de prothĂšses valvulaires ou dâun matĂ©riel prothĂ©tique utilisĂ© pour la rĂ©paration valvulaire cardiaque, que ces prothĂšses ou matĂ©riel prothĂ©tique soient implantĂ©s par voie chirurgicale ou per/transcutanĂ©e (TAVI, clip valvulaireâŠ);
âą les patients ayant une cardiopathie congĂ©nitale et rĂ©pondant Ă lâun des critĂšres ci-dessous :
- cardiopathie congĂ©nitale complexe cyanogĂšne (ventricule unique, syndrome dâEisen-mengerâŠ),
- cardiopathie congĂ©nitale complexe traitĂ©e Ă lâaide de matĂ©riel prothĂ©tique (anastomose systĂ©mico-pulmonaire, tube prothĂ©tique ou autre prothĂšse), placĂ© chirurgicalement ou par mĂ©thode transcutanĂ©e, jusquâĂ 6 mois aprĂšs lâintervention de rĂ©paration ou Ă vie sâil subsiste un shunt rĂ©siduel
âą les patients porteurs de pompe dâassistance ventriculaire.
NB1 : Par extension, tous les nouveaux matĂ©riels Ă destination dâun remplacement ou dâune rĂ©paration valvulaire qui seront dĂ©veloppĂ©s dans le futur devront ĂȘtre considĂ©rĂ©s comme Ă©tant Ă haut risque dâEI jusquâĂ preuve du contraire.
NB 2 : Ne font pas partie de ces cardiopathies Ă haut risque dâEI les matĂ©riels de stimulation intracar-diaque (pace maker, dĂ©fibrillateur, pace maker triple chambre en vue dâune resynchronisationâŠ).
ModalitĂ©s de lâantibioprophylaxie
Il est recommandĂ© que seuls les patients Ă haut risque de survenue dâEI fassent lâobjet dâune antibio-prophylaxie avant la rĂ©alisation dâun geste bucco-dentaire invasif (grade A)
âą Amoxicilline 2g chez lâadulte, 50 mg/kg chez lâenfant
âą En cas dâallergie aux pĂ©nicillines :
Azithromycine (grade B) 500 mg chez lâadulte, 15mg/kg chez lâenfant. Contre-indication formelle chez le patient traitĂ© pour ou ayant un allongement de lâintervalle QT
Ou Pristinamycine (grade AE) 1gchez lâadulte, 25mg/kg. Hors AMM, contre-indication enfant <6ans.
ll est recommandĂ© dâespacer dâau moins 3 semaines les sĂ©ances itĂ©ratives nĂ©cessitant une antibioprophylaxie. Sâil nâest pas possible dâespacer dâau moins 3 semaines les sĂ©ances nĂ©cessitant une antibioprophylaxie, il est recommandĂ© de changer de classe dâantibiotique pour la deuxiĂšme sĂ©ance en utilisant un autre antibiotique recommandĂ©.

Auteur : THIERNO ABOUBAKAR
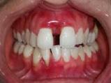
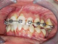
Patiente de 22 ans en bonne santĂ© gĂ©nĂ©rale et non-fumeur, sâest prĂ©sentĂ©e pour des mobilitĂ©s et saignements au brossage.
Lâexamen exobuccal Ă©tait sans particularitĂ©s. Lâexamen endobuccal a objectivĂ© une inflammation marginale modĂ©rĂ©e Ă sĂ©vĂšre gĂ©nĂ©ralisĂ©e avec un indice dâOleary Ă 68%, un indice gingival (BoP = Bleeding on Probing) Ă 76%, et un trama occlusal sur 42 (Figure 1). Le bilan parodontal montre des sites avec une profondeur de sondage (PS) de 12mm, et plus de 50% des dents prĂ©sentant une perte dâattache â„ 5mm. Le bilan radiographique a montrĂ© des pertes osseuses terminales, avec un rapport perte osseuse/Ăąge Ă 4,5 (Figure 1)




Le diagnostic de parodontite stade IV grade C généralisé a été proposé (1), avec un pronostic irrationnel au traitement pour les dents 25, 36, 42 et défavorable pour 11, 21, 35, 46 (2).
La thĂ©rapeutique Ă©tiologique a consistĂ© en une Ă©ducation Ă lâhygiĂšne bucco-dentaire, une Ă©limination des facteurs de rĂ©tention de plaque, lâextraction 42+rĂ©section radiculaire et rĂ©alisation dâune contention en fibre de verre avec la couronne ; dâune instrumentation non chirurgicale supra et sous gingivale



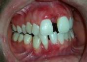
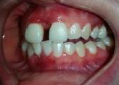
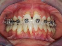
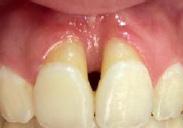
par quadrant (3) combinĂ©e Ă une antibiothĂ©rapie (3,4). Une chirurgie avec lambeau dâaccĂšs selon la technique du lambeau avec incision intrasulculaire (open flap) a Ă©tĂ© rĂ©alisĂ©e sur la 46. Une thĂ©rapie parodontale de soutien associĂ©e Ă une phase correctrice a Ă©tĂ© mise en place aprĂšs la thĂ©rapie parodontale active (5). La rĂ©habilitation orale a consistĂ© dans un premier temps Ă rĂ©aliser une correction orthodontique (Figure 2) ; et dans un second temps la conception dâune Ă©pithĂšse gingivale (Figure 3)



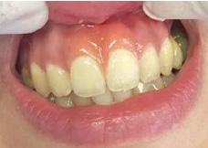
AprĂšs 6 mois, pas de profondeurs de poches â„ 6mm, avec un indice de plaque Ă 9% et un indice gingival < 10%. La thĂ©rapeutique non chirurgicale a permis un gain dâattache
stable qui sâest traduit par une diminution des profondeurs de sondage en regard de la 11, 21, et 36 dont le pronostic Ă©tait dĂ©favorable, mais aussi lâapparition dâimportantes rĂ©cessions postthĂ©rapeutique (Figure 4). La chirurgie avec lambeau dâaccĂšs a permis Ă©galement dâamĂ©liorer le niveau osseux de la 46. Le pronostic gĂ©nĂ©ral Ă long terme de la patiente a Ă©tĂ© amĂ©liorĂ©.


Le guide de pratique clinique (GPC) Ă©laborĂ© par la FĂ©dĂ©ration EuropĂ©enne de Parodontologie (EFP) consacrĂ© spĂ©cifiquement Ă la parodontite stade IV, fourni des recommandations fondĂ©es, visant Ă mettre en Ćuvre des approches thĂ©rapeutiques multidisciplinaires efficaces (5). Notre approche thĂ©rapeutique a Ă©tĂ© basĂ©e principalement sur ce GPC.
La réévaluation Ă 3 mois a montrĂ© une amĂ©lioration de lâĂ©tat parodontal avec plus de 90% de sites prĂ©sentant des PS †4mm (3). LâefficacitĂ© du dĂ©bridement mĂ©canique non chirurgical associĂ© Ă un bon contrĂŽle de plaque individuel dans le traitement des parodontites sĂ©vĂšres a Ă©tĂ© largement documentĂ©e dans plusieurs revues systĂ©matiques (6). Toutefois, la prĂ©sence dâune poche rĂ©siduelle de 6mm avec saignement au sondage sur la 46 reprĂ©sentait un rĂ©sultat incomplet et a nĂ©cessitĂ© dans notre cas un traitement chirurgical par lambeau dâaccĂšs afin dâĂ©viter la progression de la maladie (7).
La rĂ©cession post-thĂ©rapeutique est une observation commune aprĂšs une instrumentation non chirurgicale, particuliĂšrement au niveau des poches profondes et/ou dâun phĂ©notype gingival fin. Notre patiente prĂ©sentait une RT3 sur les incisives centrales rendant son sourire inesthĂ©tique (trou noir). Les restaurations dentaires directes et indirectes et/ou Ă©pithĂšses pouvant ĂȘtre envisagĂ©es (5) ; nous avons optĂ© pour une solution moins invasive en rĂ©alisant une Ă©pithĂšse gingivale. Peu coĂ»teuse et pratique, elle a permis dâoptimiser le rĂ©sultat esthĂ©tique et fonctionnel dans un contexte socio-Ă©conomique limitĂ©.
Tonetti MS, Greenwell H, Kornman KS. Staging and grading of periodontitis: Framework and proposal of a new classification and case definition. J Clin Periodontol. 2018;45(S20):S149â61.
McGowan T, McGowan K, Ivanovski S. A Novel Evidence-Based Periodontal Prognosis Model. J Evid-Based Dent Pract. dĂ©c 2017;17(4):350â60.
Sanz M, Herrera D, Kebschull M, Chapple I, Jepsen S, Berglundh T, et al. Treatment of stage IâIII periodontitisâThe EFP S3 level
Le succĂšs du traitement de la parodontite de stade IV dĂ©pend de la prĂ©cision du diagnostic et de la bonne indication de la rĂ©habilitation orale. La prise de dĂ©cision clinique durant le traitement devrait ĂȘtre essentiellement basĂ©e sur des preuves scientifiques telles que soulignĂ©es dans le GPC de lâEFP. Toutefois, restent nĂ©cessaires, de frĂ©quentes réévaluations pendant et aprĂšs le traitement, et un excellent contrĂŽle de plaque individuel.





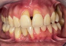
Figure 4 : (a) Vue clinique Ă 6 mois ; (b) bilan radiographique Ă 3mois (b) ; (c) Retro alvĂ©olaire sur la 46 avant et aprĂšs lambeau dâassainissement
clinical practice guideline. J Clin Periodontol. juill 2020;47(S22):4â60.
Eickholz P, Koch R, Göde M, Nickles K, Kocher T, Lorenz K, et al. Clinical benefits of systemic amoxicillin/metronidazole may depend on periodontitis stage and grade: An exploratory sub- analysis of the ABPARO trial. J Clin Periodontol. sept 2023;50(9):1239â52.
Herrera D, Sanz M, Kebschull M, Jepsen S, Sculean A, Berglundh T, et al. Treatment of stage IV periodontitis: The EFP S3 level clinical practice guideline. J Clin Periodontol. juin 2022;49(S24):4â71.
Suvan J, Leira Y, Moreno Sancho FM, Graziani F, Derks J, Tomasi C. Subgingival instrumentation for treatment of periodontitis. A systematic review. J Clin Periodontol. juill 2020;47(S22):155â75.
Matuliene G, Pjetursson BE, Salvi GE, Schmidlin K, BrĂ€gger U, Zwahlen M, et al. Influence of residual pockets on progression of periodontitis and tooth loss: results after 11 years of maintenance. J Clin Periodontol. aoĂ»t 2008;35(8):685â95.
INTRODUCTION
Les maladies parodontales et les maladies cardiovasculaires comptent parmi les maladies chroniques multifactorielles les plus répandues dans le monde. Plusieurs études ont mis en évidence la forte prévalence de ces maladies, qui devrait augmenter dans le monde entier au cours des prochaines années. [1-3]
Lâobjectif de cette revue systĂ©matique est dâĂ©tudier, chez des patients avec ou sans comorbiditĂ© associĂ©e, lâimpact dâune thĂ©rapie parodontale non chirurgicale sur les biomarqueurs du risque cardiovasculaire : fonction endothĂ©liale, marqueurs de lâinflammation systĂ©mique et de la thrombose, mĂ©tabolisme des lipides et du glucose.

Les bases de données électroniques ont été consultées sur PubMed, The Cochrane Library et Scopus, et une recherche manuelle supplémentaire a été effectuée. La recherche a été effectuée conformément aux lignes directrices PRISMA.
Les critĂšres dâinclusion Ă©taient les suivants : Ă©tudes rĂ©digĂ©es en anglais, Ă©tudes portant sur des patients adultes atteints de parodontite chronique modĂ©rĂ©e Ă sĂ©vĂšre et ayant reçu une thĂ©rapie parodontale non chirurgicale. Des Ă©tudes publiĂ©es aprĂšs 2010. Le risque de biais a Ă©tĂ© Ă©valuĂ© pour chaque Ă©tude.
Auteurs :
CAMILLE BECHINA, ANGE DĂSIRĂ POCKPA, GILLES AMADOR DEL VALLE, ASSEM SOUEIDAN, GUILLAUME LAMIRAULT, XAVIER STRUILLOU

Au total, 16 articles ont Ă©tĂ© sĂ©lectionnĂ©s et examinĂ©s dans le cadre de cette Ă©tude. Lâanalyse du risque de biais a montrĂ© un niveau de risque faible Ă modĂ©rĂ© pour tous les Ă©lĂ©ments dans les diffĂ©rentes Ă©tudes.
a) Thérapie parodontale non chirurgicale et fonction endothéliale
La fonction endothĂ©liale a Ă©tĂ© Ă©valuĂ©e par diverses mĂ©thodes. Des Ă©tudes ont examinĂ© la pression artĂ©rielle, le diamĂštre/ la rigiditĂ© artĂ©rielle via la vitesse de lâonde de pouls (PWD), lâindice brachial de la cheville (ABI), la dilatation mĂ©diĂ©e par le flux (FMD) et lâinflammation vasculaire via lâanalyse PET/SCAN. Deux Ă©tudes ont mesurĂ© la fonction endothĂ©liale en examinant les microparticules endothĂ©liales (CD34+, CD31+, CD42-...). La fonction endothĂ©liale a eu tendance Ă sâamĂ©liorer, et on a observĂ© en particulier une rĂ©duction de la concentration de microparticules endothĂ©liales chez les patients ayant subi une thĂ©rapie parodontale.
b) Thérapie parodontale non chirurgicale et inflammation systémique et thrombose
La majoritĂ© des Ă©tudes ont montrĂ© une diminution significative du taux de protĂ©ine C-rĂ©active (CRP), des interleukines IL-6, IL-8, IL-10, IL-1ÎČ, TNF-α et des taux de fibrinogĂšne aprĂšs la thĂ©rapie parodontale non chirurgicale, Ă la fois dans la population saine et chez les patients prĂ©sentant des comorbiditĂ©s.
Dâautres biomarqueurs inflammatoires et thrombotiques ont Ă©tĂ© Ă©tudiĂ©s, notamment sVCAM-1 / sICAM-1 et la nĂ©optĂ©rine, qui ont montrĂ© une diminution significative de leur taux aprĂšs le traitement parodontal. Cependant, la concentration de PAI-1 et de facteur von Willebrand (vWF) nâa pas changĂ© aprĂšs traitement parodontal.

c) Thérapie parodontale non chirurgicale et métabolisme des lipides et du glucose
Le mĂ©tabolisme lipidique a Ă©tĂ© Ă©valuĂ© en mesurant la concentration de cholestĂ©rol total, de HDL-L, de LDL-C et de triglycĂ©rides. AprĂšs la thĂ©rapie parodontale non chirurgicale, les valeurs sont restĂ©es inchangĂ©es dans la majoritĂ© des Ă©tudes. Cependant, deux Ă©tudes ont montrĂ© une rĂ©duction significative du cholestĂ©rol total et des triglycĂ©rides. Le mĂ©tabolisme du glucose a Ă©tĂ© obtenu en mesurant la concentration dâHbAIc, la glycĂ©mie Ă jeun et la glycĂ©mie postprandiale. Il y avait une diffĂ©rence significative dans la rĂ©duction de ces marqueurs aprĂšs traitement parodontal, notamment chez les patients atteints de diabĂšte de type II.
1. Timmis A, Townsend N, Gale CP, Torbica A, Lettino M, Petersen SE, et al. European Society of Cardiology: Cardiovascular Disease Statistics 2019. Eur Heart J. 2020;41:12-85.
2. Trindade D, Carvalho R, Machado V, Chambrone L, Mendes JJ, Botelho J. Prevalence of periodontitis in dentate people between 2011 and 2020: A systematic review and meta-analysis of epidemiological studies. J Clin Periodontol. 2023;50:604-26.
3. Yang S, Zhao LS, Cai C, Shi Q, Wen N, Xu J. Association between periodontitis and peripheral artery disease: a systematic review and meta-analysis. BMC Cardiovasc Disord. 6 2018;18:141.
4. Schmitt A, Carra MC, Boutouyrie P, Bouchard P. Periodontitis and arterial stiffness: a systematic review and
Les rĂ©sultats sont comparables Ă ceux de la littĂ©rature. Concernant la fonction endothĂ©liale, les rĂ©sultats sont contradictoires. [4-5] Cependant, concernant les biomarqueurs de lâinflammation, du mĂ©tabolisme des lipides et du glucose, la littĂ©rature scientifique confirme une amĂ©lioration de ces paramĂštres aprĂšs une thĂ©rapie parodontale. [6-10]
Cette revue systématique montre que le traitement parodontal améliore la fonction endothéliale et réduit les biomarqueurs de risque cardiovasculaire.
meta-analysis. J Clin Periodontol. nov 2015;42(11):977 87.
5. Darnaud C, Courtet A, Schmitt A, Boutouyrie P, Bouchard P, Carra MC. Association between periodontitis and pulse wave velocity: a systematic review and metaanalysis. Clin Oral Investig. 2021;25:393-405.
6. Luthra S, Orlandi M, Hussain SB, Leira Y, Botelho J, Machado V, et al. Treatment of periodontitis and C-reactive protein: A systematic review and meta-analysis of randomized clinical trials. J Clin Periodontol. janv 2023;50(1):45 60.
7. Zhang Y, Jia R, Zhang Y, Sun X, Mei Y, Zou R, et al. Effect of non-surgical periodontal treatment on cytokines/adipocytokines levels among periodontitis patients with or without obesity: a systematic review and meta-analysis. BMC Oral Health. 5 oct
2023;23(1):717.
8. Shin J, Hosur KB, Pyaram K, Jotwani R, Liang S, Chavakis T, et al. Expression and Function of the Homeostatic Molecule Del-1 in Endothelial Cells and the Periodontal Tissue. Clin Dev Immunol. 2013;2013:617809.
9. Garde S, Akhter R, Nguyen MA, Chow CK, Eberhard J. Periodontal Therapy for Improving Lipid Profiles in Patients with Type 2 Diabetes Mellitus: A Systematic Review and Meta-Analysis. Int J Mol Sci. 5 août 2019;20(15):3826
10. Elnour MAA, Mirghani HO. Periodontitis treatment (surgical and nonsurgical) effects on glycemic control: A review and metaanalysis. Ann Afr Med. 2023;22(2):131 5.
Auteur :
MARION CREST 1 , ANGĂLINE ANTEZACK 1 , MARGAUX BLANC 1 , ARTHUR BRINCAT 1 , DĂBORAH GOLTZMANN 1 , ROMAIN OHANESSIAN 1 , MARJORIE POLYCARPE 2 , THĂO RANCHAIN 1 , VIRGINIE MONNET-CORTI 1

1 : Faculté des Sciences Médicales et Paramédicales, Ecole de Médecine Dentaire, Aix-Marseille Univ, Marseille, France
2 : AP-HM, HĂŽpital de La Timone, PĂŽle Odontologie, Service de Parodontologie, Marseille, France
La parodontite de stade IV est une forme sĂ©vĂšre de maladie parodontale. CaractĂ©risĂ©e par la nĂ©cessitĂ© dâune rĂ©habilitation complexe, elle requiert une approche multidisciplinaire. En lâabsence dâun traitement complet et appropriĂ©, les risques de perte dâattache et dentaire augmentent et peuvent conduire Ă une Ă©dentation totale. Pour rĂ©tablir la fonction, le confort masticatoire, lâesthĂ©tique amĂ©liorant la qualitĂ© de vie du patient, la prise en charge multidisciplinaire doit ĂȘtre rĂ©alisĂ©e avec une parfaite coordination entre le parodontiste et le chirurgiendentiste omnipraticien.
Lâobjectif de ce travail a Ă©tĂ© dâapporter une rĂ©flexion sur la coordination des soins et la communication entre les acteurs intervenant dans le traitement global des parodontites de stade IV. En effet, comme le recommande lâEFP dans son guide de pratique clinique (1) illustrĂ© dans la figure N°1, les thĂ©rapeutiques associĂ©es doivent ĂȘtre rĂ©alisĂ©es Ă des moments clefs de la thĂ©rapeutique parodontale par le chirurgien-dentiste omnipraticien.
Ainsi, lâobtention dâune santĂ© gingivale sur parodonte rĂ©duit avec un antĂ©cĂ©dent de parodontite est dĂ©pendante de la communication entre les intervenants. Ainsi, lâobtention dâune santĂ© gingivale sur un parodonte rĂ©duit avec antĂ©cĂ©dent de parodontite dĂ©pend de la communication entre les intervenants du traitement. Les moyens thĂ©rapeutiques pour atteindre les objectifs sont rĂ©partis entre les deux praticiens, comme illustrĂ© dans la figure N°2.

NĂ©anmoins, cette prise en charge pluridisciplinaire reste un dĂ©fi pour le chirurgien-dentiste omnipraticien et pour le parodontiste exclusif. Ainsi, les plans de traitements peuvent se heurter Ă des divergences dâopinions dans les choix thĂ©rapeutiques, mais aussi parfois Ă une absence de « paroconscience » pouvant impacter le bon dĂ©roulement et le succĂšs de la prise en charge du patient.
La HAS (2) nous alerte sur ces dĂ©fauts de communications interprofessionnels. Ils sont en effet responsables de la majoritĂ© des Ă©vĂšnements indĂ©sirables en milieux de soins. Ces difficultĂ©s de communication sont notamment aggravĂ©es lorsquâil existe une charge de travail importante, du stress, lâabsence de protocoles standardisĂ©s et sont majorĂ©es lorsque
les interlocuteurs sont dans des structures diffĂ©rentes (3). Les attitudes et comportements interpersonnels peuvent aussi engendrer des difficultĂ©s de communication, dâautant plus lorsque cet Ă©change a lieu entre un praticien sĂ©nior et un praticien dĂ©butant (4).
Il est important de rappeler quâen cas de dĂ©saccord, le parodontiste considĂ©rĂ© comme praticien consultant lorsque le patient lui est adressĂ©, est tenu Ă son devoir de confraternitĂ© par le code de santĂ© publique (5). Ainsi, il doit entretenir des

Figure N°2 : RĂ©partition des moyens thĂ©rapeutiques entre le parodontiste (rose) et lâomnipraticien ou un autre spĂ©cialiste (bleu).
rapports de bonne confraternitĂ©, Ă©viter soigneusement au cours et Ă la suite dâune consultation de nuire Ă son correspondant dans lâesprit du patient. De mĂȘme, lâorientation vers un autre praticien considĂ©rĂ©e comme un dĂ©tournement de patientĂšle ainsi que la rĂ©alisation de soins relevant de la compĂ©tence du chirurgien-dentiste traitant est interdite.
Il est effectivement crucial dâamĂ©liorer les capacitĂ©s dâĂ©change et de collaboration au sein des Ă©quipes ou entre diffĂ©rentes parties prenantes. (6). De plus, il est important dâamĂ©nager un environnement et un temps calme propice Ă la concentration, Ă la rĂ©ception et la communication des informations avec les correspondants (7).
Enfin, il est de la responsabilitĂ© du parodontiste dâaccompagner lâomnipraticien dans la rĂ©alisation des plans de traitement complexes en intĂ©grant au mieux les soins parodontaux dans la prise en charge globale (8).
En conclusion, le dialogue entre le parodontiste, lâomnipraticien et/ou les autres spĂ©cialistes est fondamental dans la prise en charge des patients atteints de parodontites de stade IV. La sensibilisation des omnipraticiens et/ou les autres spĂ©cialistes Ă la paroconscience peut ĂȘtre parfois dĂ©licate, mais indispensable Ă lâobtention et au maintien dâune santĂ© parodontale sur parodonte rĂ©duit.
1) Herrera D, Sanz M, Kebschull M, Jepsen S, Sculean A, Berglundh T, et al. Treatment of stage IV periodontitis: The EFP S3 level clinical practice guideline. J Clin Periodontol. 2022;49 Suppl 24:4â71. 4. RavidĂ A, Qazi M, Troiano G, Saleh MHA, Greenwell H, Kornman K, et al. Using periodontal staging and grading system as a prognostic factor for future tooth loss: A longâterm retrospective study.J Periodontol. 2020;91(4):454â461.
2) Leonard M, Graham S, Bonacum D. The human factor: the critical importance of effective teamwork and communication in providing safe care. Qual Saf Health Care 2004;13(suppl 1):i85-i90.
3) Organisation mondiale de la santé (OMS) Global patient safety action plan 2021-2030: towards eliminating avoidable harm in health care.
4) Schnipper J, Fitall E, Kendall K, Gale B, Agency for health care research and quality, Approach to improving patient safety : communication, March 2021.
5) Code de santé publique, Partie réglementaire, QuatriÚme partie : Professions de santé, Livre Ier : Professions médicales (Articles D4111-1 à R4153-9) Titre II : Organisation des professions médicales, Chapitre VII : Déontologie, Section 2 : Code de déontologie des chirurgiens-dentistes, Sous-section 4 : Devoirs de confraternité. (Articles R4127-259 à R4127-268)
6) Thomas CM, Bertram E, Johnson D. The SBAR communication technique: teaching nursing students professional communication skills. Nurse Educ 2009;34(4):176-80.
7) Barrett J, Gifford C, Morey J, Risser D, Salisbury M. Enhancing patient safety through teamwork training. J Healthc Risk Manag. 2001 Fall;21(4):57-65.
8) Van der Weijden F, Timmerman MF. Educational and clinical approaches to the management of periodontal diseases by general dental practitioners. Int J Dent Hyg. 2002 Nov;1(1):25-30.
9) Towner, J.D. (1938), Coöperation of the General Practitioner, Periodontist, and Patientâ . The Journal of Periodontology, 9: 48-49.
répond aux questions

Personne ne devrait mourir avec ses dents dans un verre dâeau

Per-Ingvar Branemark
Inventeur de lâimplantologie moderne 1929-2024
Pouvez-vous nous présenter votre société ?
Notre objectif est dâaider les professionnels du dentaire Ă redonner une bonne qualitĂ© de vie Ă leurs patients. Cette philosophie sâappuie sur plus de 65 ans dâinnovation continue, issue des travaux rĂ©volutionnaires de Per-Ingvar Branemark autour de lâostĂ©ointĂ©gration en 1952. Depuis, nous aidons nos clients Ă traiter des millions de patients grĂące Ă nos solutions innovantes et scientifiquement Ă©prouvĂ©es.
Nobel Biocare propose des solutions de restauration fonctionnelles et esthĂ©tiques, conçues pour durer toute une vie. Notre engagement quotidien est dâamĂ©liorer la dentisterie esthĂ©tique pour nos clients et leurs patients, Ă lâĂ©chelle mondiale. BasĂ©e Ă Zurich, en Suisse, notre production sâĂ©tend sur quatre sites aux Ătats-Unis, en SuĂšde et au Japon, avec des produits disponibles dans plus de 80 pays via des filiales et des distributeurs. Notre gamme inclut des systĂšmes implantaires pour dent unitaire et Ă©dentement complet, des prothĂšses sur mesure de haute prĂ©cision, des solutions numĂ©riques, ainsi quâune complĂšte de rĂ©gĂ©nĂ©ration.
Pouvez-vous en quelques mots nous rappeler la crĂ©ation et lâavĂšnement de votre sociĂ©tĂ© telle quâon la connait aujourdâhui ?
Nobel Biocare est nĂ©e de la dĂ©couverte rĂ©volutionnaire de lâostĂ©ointĂ©gration par Per-Ingvar BrĂ„nemark en 1952. Lâentreprise a su Ă©voluer grĂące Ă une philosophie dâinnovation, axĂ©e sur les besoins des patients. Aujourdâhui, nous offrons Ă nos clients un flux numĂ©rique complet, amĂ©liorant lâefficacitĂ© des cabinets, la prĂ©visibilitĂ© des rĂ©sultats et la flexibilitĂ© des protocoles de traitement.
Nos solutions sont conçues pour optimiser lâexpĂ©rience clinique et patient.
Quels apports spécifiques pensezvous pouvoir apporter aux praticiens spécialistes, ou dont la pratique est « orientée » paro ou implantologie ?
Nobel Biocare accompagne ses clients Ă travers toutes les phases de leur dĂ©veloppement professionnel, en offrant une formation et une Ă©ducation de renommĂ©e internationale ainsi quâun soutien Ă la pratique. Nous nous engageons Ă les aider Ă progresser Ă tous les niveaux. Nous proposons des formations progressives et des Ă©vĂ©nements pour les praticiens et les professionnels du dentaire Ă toutes les Ă©tapes du parcours implantaire, du dĂ©butant Ă lâexpert.
De plus pionnier de lâostĂ©ointĂ©gration, Nobel Biocare a conçu de nombreux produits et solutions qui sont devenus des normes dans lâindustrie dentaire. Nous croyons fermement dans lâinnovation et continuerons Ă apporter de nouvelles solutions qui rĂ©pondent aux normes les plus rĂ©centes et les plus Ă©levĂ©s pour les patients. Le flux numĂ©rique de Nobel Biocare apporte une efficience au cabinet, la prĂ©dictibilitĂ© des rĂ©sultats et la flexibilitĂ© dans les
différents protocoles de traitement proposés pour une meilleure expérience patient.
Quels produits concernent plus particuliĂšrement les soins en parodontologie ?
Avec la gamme de produits de rĂ©gĂ©nĂ©ration creosâą, Nobel Biocare propose, aux praticiens et Ă leurs patients, des solutions sĂ»res et fiables pour les protocoles de rĂ©gĂ©nĂ©ration osseuse guidĂ©e (ROG) et de rĂ©gĂ©nĂ©ration tissulaire guidĂ©e (RTG).
Parmi les solutions que nous proposons, creosâą mucogain est une matrice de collagĂšne dâorigine porcine de type I et III et de fibres dâĂ©lastine dâorigine porcine hautement purifiĂ©s conçue pour remplacer une autogreffe conjonctive notamment dans les cas de couverture radiculaire autour des dents ou dans les cas de parodontite localisĂ©e avec tissus inflammatoires.
GrĂące Ă sa mĂ©thode de fabrication brevetĂ©e avec sa structure ouverte, poreuse et interconnectĂ©e, elle favorise la rĂ©gĂ©nĂ©ration des tissus mous par migration des cellules et des vaisseaux sanguins dans la matrice. Avec ses diffĂ©rentes tailles et Ă©paisseurs, elle est facile Ă utiliser car elle peut ĂȘtre dĂ©coupĂ©e pour sâadapter parfaitement au site chirurgical, tout en offrant une grande stabilitĂ© des sutures et rĂ©sistance Ă la contrainte. Ainsi elle Ă©vite de recourir Ă un second site chirurgical pour plus de confort et une meilleure expĂ©rience pour le patient.
Et nous proposons aussi creosâą xenofill, des pansements chirurgicaux rĂ©sorbables destinĂ©s Ă protĂ©ger le lit de la plaie et Ă favoriser la cicatrisation. Ils sont fabriquĂ©s Ă partir de collagĂšne purifiĂ© dĂ©rivĂ© de tissus bovins. Au niveau des sites donneurs palatins, lâutilisation dâun pansement chirurgical a significativement diminuĂ© la perception de la douleur par rapport Ă une Ă©ponge de collagĂšne hĂ©mostatique
seule. Ils peuvent aussi ĂȘtre utilisĂ©s dans tous les cas de plaies buccales, lĂ©sions, ulcĂšres, brĂ»lures, sites de sutures ou plaies chirurgicales.
Nous entendons ĂȘtre un partenaire de confiance grĂące Ă cette gamme créée pour rĂ©pondre Ă vos besoins quotidiens.
Quel message souhaitez-vous adresser aux membres de notre société ?
Chez Nobel Biocare, nous nous engageons Ă rĂ©pondre Ă vos attentes les plus Ă©levĂ©es et Ă gagner votre confiance sur le long terme. Nous sommes Ă votre disposition pour Ă©tudier vos besoins et vous proposer des solutions personnalisĂ©es en matiĂšre de produits, de formation clinique, de gestion dâĂ©quipe et de communication, afin dâamĂ©liorer le flux et la satisfaction de vos patients. Nous sommes impatients de collaborer avec vous pour vous permettre dâoffrir les meilleurs soins Ă vos patients avec nos produits, solutions et services.

NovoMatrixâą
Matrice dermique acellulaire
Le matériau de nouvelle génération
NovoMatrixâą est une matrice dermique acellulaire pour la rĂ©gĂ©nĂ©ration des tissus mous autour des dents et des implants. AprĂšs transplantation, la matrice est repeuplĂ©e par les cellules du patient et remodelĂ©e en tissus mous fonctionnels en lâespace de quelques semaines.
NovoMatrix offre une alternative aux greffes de tissus conjonctifs autologues tout en Ă©liminant le besoin dâun site donneur et en rĂ©duisant significativement la durĂ©e de lâintervention chirurgicale.

Dispositif médical
toute utilisation.


En savoir plus sur Pocket-XÂź Gel :

« Bonjour, je mâappelle Amit Patel. Je suis spĂ©cialiste en parodontologie et jâai eu lâopportunitĂ© dâutiliser le nouveau produit de Geistlich, Pocket-XÂź Gel, depuis maintenant sept mois. Je lâapplique principalement dans mes cas de traitement parodontal modĂ©rĂ© Ă sĂ©vĂšre, notamment lorsque les poches parodontales sont profondes.
Ce produit est extrĂȘmement simple Ă utiliser, et les rĂ©sultats obtenus sont excellents. Je recommande vivement Ă chacun dâentre vous de lâessayer. Lâun des principaux avantages est que les patients Ă©prouvent moins de problĂšmes post-opĂ©ratoires et ressentent moins de sensibilitĂ©
De plus, le gel se fixe parfaitement dans les poches, ce qui conduit Ă un meilleur processus de cicatrisation Câest un produit qui mĂ©rite vĂ©ritablement dâĂȘtre testĂ©. »


Suivez le nouveau compte Oral-B dĂ©diĂ© aux professionnels de santĂ© orale ! Vous y retrouverez leurs derniĂšres innovations, des conseils dâexperts, des webinaires exclusifs et toute lâactualitĂ© dâOral-B pour accompagner votre pratique.
Flashez ce code pour accéder au profil




POLISSAGE POST TRAITEMENT ORTHODONTIQUE ET PROTECTION AMĂLAIRE
Mectron a rĂ©alisĂ© un set de 2 inserts exclusivement conçus pour le polissage post dĂ©baguage de la surface amĂ©laire qui permettent lâĂ©limination mini-invasive des rĂ©sidus dâadhĂ©sifs et/ou de rĂ©sine aprĂšs traitement orthodontique standard ou invisible. Ce nouveau protocole, validĂ© par un Ă©tude scientifique, a dĂ©montrĂ© que, grĂące Ă la technologie piĂ©zoĂ©lectrique, il est possible dâeffectuer un polissage post dĂ©baguage sĂ»r et efficace, permettant ainsi de prĂ©server la santĂ© de lâĂ©mail.
Plus dâinformation : MECTRON S.P.A.
Via Loreto, 15/A 16042 Carasco (GE) â Italie mectronfrance@mectron.com www.mectron.fr
Tél. 06 68 18 35 58


Les nouvelles brosses Ă dents Philips Sonicare reprĂ©sentent une avancĂ©e significative en hygiĂšne bucco-dentaire grĂące Ă leur nouvelle technologie sonique dĂ©veloppĂ©e pour offrir une expĂ©rience de brossage plus douce, plus efficace et plus durable. Elles permettent ainsi de rĂ©pondre aux besoins de tous les patients avec une grande facilitĂ© dâutilisation.
Les nouvelles brosses Philips Sonicare sĂ©ries 5000 â 7000 utilisent un nouveau capteur de pression Ă dĂ©tection optique brevetĂ©. Cette technologie permet de mesurer avec prĂ©cision la pression exercĂ©e lors du brossage et, en cas de pression excessive, la brosse alerte lâutilisateur grĂące Ă son indicateur lumineux disposĂ© sur le manche de la brosse mais aussi par des vibrations perceptibles lors du brossage. Cette fonctionnalitĂ© aide les utilisateurs Ă ajuster leur pression de brossage, prĂ©venant ainsi les risques potentiels de dommages aux tissus parodontaux et dentaires.
Pour une douceur maximale, la nouvelle gĂ©nĂ©ration de technologie Sonicare combine des mouvements soniques efficaces et une tĂȘte de brosse Sensitive S2 dotĂ©e de 2000 brins ultra-doux. Chaque minute, la brosse effectue 62 000 mouvements assurant un nettoyage en profondeur par une Ă©limination optimale du biofilm dentaire. GrĂące Ă leurs mouvements soniques et Ă la tĂȘte de brosse Sensitive S2, les nouvelles Philips Sonicare sĂ©ries
5000 â 7000 ont dĂ©montrĂ© cliniquement leur capacitĂ© dâĂ©liminer jusquâĂ dix fois plus* de biofilm quâune brosse Ă dents manuelle dans les zones difficiles dâaccĂšs. Les Ă©tudes cliniques ont Ă©galement dĂ©montrĂ© que cette technologie pouvait amĂ©liorer la santĂ© des gencives jusquâĂ six fois plus* quâune brosse manuelle en seulement deux semaines.

En termes de confort, les nouvelles Philips Sonicare sĂ©ries 5000 â 7000 sont conçues pour minimiser les vibrations au niveau du manche amĂ©liorant ainsi lâexpĂ©rience de brossage pour lâutilisateur. Cette rĂ©duction des vibrations et du bruit est obtenue grĂące aux rotations opposĂ©es de la tĂȘte de brosse et du moteur. Ainsi ces nouvelles brosses deviennent encore plus silencieuses et plus agrĂ©ables Ă utiliser.
LâefficacitĂ© Ă©nergĂ©tique des nouvelles Philips Sonicare sĂ©ries 5000 â 7000 a

Ă©galement Ă©tĂ© optimisĂ©e. GrĂące Ă leur ingĂ©nierie de prĂ©cision, elles consomment moins dâĂ©nergie ce qui prolonge la durĂ©e de charge de leur batterie. Une seule charge permet une utilisation continue jusquâĂ 21 jours, ce qui est particuliĂšrement pratique pour les utilisateurs en dĂ©placement.
Certains modĂšles sont connectĂ©s et peuvent communiquer avec une application qui permet de suivre et dâanalyser la routine de brossage des utilisateurs. Cette application fournit des rapports de progression quotidiens ou hebdomadaires, aidant les utilisateurs Ă adopter de meilleures habitudes de brossage et Ă atteindre leurs objectifs de santĂ© bucco-dentaire.
En conclusion, les nouvelles brosses à dents Philips Sonicare se distinguent par leur technologie avancée de détection optique, leur mouvement sonique doux, leur réduction du bruit et des vibrations, ainsi que leur efficacité énergétique. Elles offrent une expérience de brossage supérieure, aidant les utilisateurs à maintenir une excellente santé bucco-dentaire de maniÚre pratique et efficace.
* Starke M, Nelson M, Foster J, Milleman K, Milleman J, Ward M. Efficacy and safety evaluation of a new sensitive power toothbrush head. Salus Research Inc. 2023



Découvrez la solution de réduction de la contamination bactérienne pour soutenir le processus de guérison dans le traitement de la maladie parodontale
Commencez Ă utiliser Sterify Gel dĂšs aujourdâhui et voyez la diffĂ©rence!
HuFriedyGroup.eu/fr/Sterify-Gel
«Réussite démontrée scientifiquement depuis plus de 15 ans»
Thérapie photodymanique antimicrobienne HELBO (aPDT)

Sous rĂ©serve dâerreurs et de modifi cations
LâefficacitĂ© est soutenue par lâeffet biologique de la thĂ©rapie laser dite LowLevel-Laser therapy (LLLT) avec le laser HELBO!
Sous rĂ©serve dâerreurs et de modifi cations

âą Permet lâimplantologie sans antibiotiques
âą Assure la rĂ©ussite de lâimplantation (immĂ©diate)
âą GuĂ©rit les mucosites â Ă©vite les pĂ©ri-implantites âconserve les implants
Vous obtiendrez plus dâinformations sur la thĂ©rapie HELBO bĂ©nĂ©fique aux patients en contactant directement le leader sur le marchĂ© sous le N° de tĂ©lĂ©phone:
0800 90 48 57
bredent France · T: 0800 90 48 57 · F: +49 7309 872-455 · @: france@bredent.com bredent medical GmbH & Co. KG · Weissenhorner Str. 2 · 89250 Senden · Germany · www.bredent-medical.com


bredent France · T: 0800 90 48 57 · F: +49 7309 872-455 · @: france@bredent.com
bredent France · T: 0800 90 48 57 · F: +49 7309 872-455 · @: france@bredent.com bredent medical GmbH & Co. KG · Weissenhorner Str. 2 · 89250 Senden · Germany · www.bredent-medical.com
bredent medical GmbH & Co. KG · Weissenhorner Str. 2 · 89250 Senden · Germany · www.bredent-medical.com

ACTEONŸ prépare un des lancements les plus importants de ces derniÚres années, une innovation conçue pour rendre votre quotidien plus simple et efficace.
Nous vous invitons dĂšs aujourdâhui Ă dĂ©couvrir cette innovation unique en vous inscrivant pour bĂ©nĂ©ficier d'une prĂ©sentation avant son lancement officiel.
Votre commercial vous contactera pour planifier votre démonstration.

Inscrivez-vous pour une


dâun simple geste

l'hypersensibilité dentinaire
100% des patients ont constaté un
SOULAGEMENT IMMĂDIAT de la douleurÂč
Recommandez et faites tester elmexŸ SENSITIVE PROFESSIONAL en commandant des échantillons via le QR code.
Le dentifrice elmexÂź SENSITIVE PROFESSIONAL est un dispositif mĂ©dical de classe IIa pour soulager les dents sensibles. Lire attentivement les instructions ïŹgurant sur l'emballage. CE 0483. Colgate-Palmolive manufacturing Poland, Sp. z.o.o,Aleja Colgate 2, Swidnica 58-100, Poland. Mise Ă jour septembre 2024.1. Pour un soulagement immĂ©diat de la douleur, appliquez une noisette de dentifrice directement sur les dents sensibles et massez doucement pendant 1 minute. ĂtayĂ©e par une sous-analyse de Nathoo S, et al 2009. Les donnĂ©es montrent que 42 des sujets sur 42 (soit 100% ou 10 sur 10) afïŹrment ressentir un soulagement de leur hypersensibilitĂ© de façon immĂ©diate tant au niveau tactile quâau niveau du jet dâair grĂące Ă une seule application en mettant un peu de dentifrice sur le bout du doigt et en massant la zone concernĂ©e. Sous-analyse de Nathoo S, et al 2009 (CRO-2009-01-SEN-IARG2-ED; Nathoo S, et al. J Clin Dent. 2009;20(4):123-30).
