CONGRÈS NATIONAL DE LA SFPIO
          LA BAULE
          13-15 JUIN 2024
          
    
    
    AVRIL 2024 #64
        PARO
        880€ 650€*
          Présidents scientifiques Hélène
          Arnal
          Emmanuelle
          Ettedgui
          Anton Sculean
          
    
    
    #osteologyparis2024
        
    
    5
          
    ÉDITO
          Caroline Fouque introduit ce numéro
          LES RENDEZ-VOUS SFPIO EN RÉGION
          Les prochaines conférences et formations proches de chez vous
          LES BRÈVES DE LA SFPIO
          Les actualités des sociétés régionales
          CONGRÈS SFPIO 2024
          Une riche journée de pré-congrès entre workshops et festivités
          Le programme scientifique en détails
          QUESTIONS AUTOUR D’UN ARTICLE
          - Li Yuzhou (Pekin) Electroacupuncture et maladies parodontales
          5
          7
          8
          11
          14
          - MC Carra (Paris) : Prévention primordiale et primaire des péri-implantites
          Le livre blanc de Economist Impact lève le voile sur le poids de la santé bucco-dentaire en France
          
    
    
    
    
    Retour sur le Perio Master Clinic International de l’EFP à Singapour
          Pourquoi la génération Z doit se préoccuper de la santé gingivale
          Les travaux de Camille Sadowski & Arthur Brincat
          
    EDITEUR ET RÉALISATION
          Les
          30
          Société Française de Parodontologie
          9, rue Boileau - 44000 NANTES
          Tél. 02 40 08 06 63
          E-mail : contact@sfpio.com
          Site internet : www.sfpio.com
          N° ISSN 1162-1532
          PRODUCTION - IMPRESSION
          AFORTIORI
          80, rue André Karman 93300 Aubervilliers
          de nos partenaires de l’industrie
          RÉDACTEUR EN CHEF : Yves REINGEWIRTZ
          DIRECTEUR DE LA PUBLICATION : Caroline FOUQUE SECRÉTARIAT ADMINISTRATIF - SIÈGE : Caroline DENIAUD SECRÉTAIRE DE RÉDACTION : Laurence FERRI
          AVEC LA COLLABORATION DE : Kevimy AGOSSA, Patrick BOULANGE, Philippe BOUSQUET, Loïc CALVO, Philippe DUCHATELARD, Damien FEUILLET, Caroline FOUQUE, Marjolaine GOSSET, Corinne LALLAM, Josselin LETHUILLIER, Brenda MERTENS, Véronique MOLINA, Virginie MONNET-CORTI, David NISAND, Sylvie PEREIRA, Nicolas PICARD, Hélène RANGE, Yves REINGEWIRTZ, Xavier STRUILLOU, Christian VERNER.
          24
        BLANC - ECONOMIST IMPACT & EFP
        LIVRE
        SYNERGY
        PERIO-ORTHO
        HEALTH DAY 2024
        GUM
        PRIMÉS À
        GRANDE MOTTE
        ARTICLES
        LA
        NOS PARTENAIRES VOUS INFORMENT
        actualités
        MIEUX CONNAÎTRE NOS PARTENAIRES Interview avec Farah Amri, TePe France 18 22 28 DANS CE NUMÉRO 8 36 30 18 24 3 OBJECTIF PARO #64 Avril 2024 11
        
              
              
            
            Votre partenaire de confiance en régénération
          Régénération osseuse et tissulaire avec les produits creos™
          
    NOUVEAU
          MEMBRANES FILS DE SUTURES
          NOUVEAU
          NOUVEAU
          SYSTÈMES DE FIXATION
          NOUVEAU
          MATÉRIAUX POUR GREFFES OSSEUSES PANSEMENTS CHIRURGICAUX
          MATRICE DE TISSUS MOUS
          nobelbiocare.com/creos
          GMT 88803 © Nobel Biocare Services AG, 2024. Tous droits réservés. Nobel Biocare, le logo Nobel Biocare et toutes les autres marques sont des marques du groupe Nobel Biocare, si rien d’autre n’est stipulé ou n’est évident dans le contexte d’un cas particulier. Veuillez consulter nobelbiocare.com/trademarks pour plus d’information. Les images des produits ne sont pas nécessairement à l’échelle. Toutes les images du produit sont à des fins d’illustration uniquement et peuvent ne pas être une représentation exacte du produit. Déni de responsabilité : la vente de certains produits peut ne pas être autorisée dans tous les pays. Contactez le service commercial de Nobel Biocare France pour plus d’informations sur la gamme complète disponible. Consultez les Instructions d’Utilisation pour les informations complètes de prescription, notamment les indications, contre-indications, mises en garde et précautions.
          
    
              
              
            
            EN DEUX MOTS...
          Bonjour à tous !
          Je suis heureuse de bientôt vous retrouver à La Baule ! À deux mois du congrès, vos nombreux retours enthousiastes font chaud au cœur de toute l’équipe qui travaille avec entrain pour vous préparer un évènement hors du commun !
          Chaque jour, nous alternons entre notre casquette de praticien soucieux du contenu scientifique du congrès, et celle d’organisateur d’évènements.
          On me pose souvent la question : mais pourquoi s’investir autant dans la SFPIO quand on a déjà un métier prenant et même parfois épuisant ?
          Mais parce que c’est stimulant et passionnant de travailler en équipe, de pouvoir échanger nos idées et de voir émerger des solutions et des projets auxquels nous n’aurions probablement pas pensé seuls.
          Parce que le congrès est le moment où nous nous retrouvons. L’organiser, c’est préparer une belle fête.
          Parce que petit à petit notre famille s’agrandit. Des ponts se créent entre les différentes sociétés régionales qui assurent des formations de grande qualité tout au long de l’année.
          Parce que le congrès est le moment où nous nous retrouvons. L’organiser, c’est préparer une belle fête !
          À l’heure où la recertification de notre diplôme de chirurgiendentiste est entrée en vigueur, la formation continue prend plus que jamais tout son sens.
          Parce que les remerciements des patients qui ont un accès plus facile et plus complet aux informations concernant leurs pathologies n’ont pas de prix.
          Parce qu’en deux mots, participer à la transmission des savoirs et jouer notre rôle d’acteur de santé publique sont de formidables moteurs et donnent un sens à notre action quotidienne.
          La SFPIO est une belle et grande famille !
          Merci à vous tous d’en faire partie.
          Bien amicalement,
          5 OBJECTIF PARO #64 Avril 2024
        ÉDITORIAL
        Caroline FOUQUE Présidente de la SFPIO
          “ ”
        
    
    
              
              
            
            LES PROCHAINS RENDEZ-VOUS SFPIO EN RÉGIONS
          VAL DE LOIRE
          14 & 15/06/2024
          Congrès National SFPIO à La Baule
          AQUITAINE
          18 & 19/10/2024 - Massimo DE SANCTIS & Sofia AROCA
          Conférence & Travaux Pratiques
          AUVERGNE
          11/04/2024 : Brenda MERTENS
          Paro-Ortho Challenge : stratégies thérapeutiques pour un réel bénéfice esthétique et fonctionnel
          26/09/2024 - Olivier LE GAC
          Implantologie 2024 - Simplifier la chirurgie implantaire, la prothèse, les augmentations osseuses et muqueuses
          SUD-OUEST
          04/04/2024 : Olivier DE MONCK D’UZER
          Gestion des reconstructions tissulaires et de la temporisation en secteur esthétique
          20/09/2024 - Luigi NIBALI
          Minimally-invasive non-surgical therapy for periodontal intrabony defects: what can we achieve?
          LANGUEDOC-ROUSSILLON
          30/04/2024 - Sophie-Myriam DRIDI
          Les lésions élémentaires : un guide clinique incontournable
          17/10/2024 - Ronan BARRE
          Communiquer avec le patient parodontal : aux sources de la motivation
          BRETAGNE
          18/04/2024 : Juliette ROCHEFORT
          Pink challenge III : Les lésions buccales
          
    
    
    
    
    
    
    
    
    
    
    
    CORSE
          19/04/2024 : Gregory CAMALEONTE & Romain CEINOS
          Mettez-vous à la photographie, maintenant !
          Automne 2024 - Medhi MERABET
          L’empreinte en implantologie
          PARIS
          30/05/2024 - Giulio RASPERINI
          Régénération parodontale dans les parodontites de stade IV
          17/10/2024 - Selena TOMA
          Nutrition et maladies parodontales : Et si cela commençait aussi dans l’assiette ?
          ALSACE
          11/04/2024 - Christos KATSAROS
          Traitement orthodontique et parodontie –considérations muco-gingivales
          10/10/2024 - Dr Catherine PETIT, Dr Pierre-Yves GEGOUT
          Relation paro/diabète: quel impact dans notre pratique quotidienne ?
          LORRAINE
          Septembre 2024
          TP Contentions
          RHÔNE-ALPES
          30 & 31/05/2024 - Raphaël BARTH, Doriane CHACUN, Julien GONIN, Johan GRENIER
          Formation pratique : Cycles de Chirurgie muco-gingivale
          13/09/2024 -Patrick LIMBOUR
          La prise en charge implantaire de l’édenté complet - Options chirurgicales et prothétiques
          SUD EST
          07/06/2024 - Pierre LAYAN & JD BOSCHATEL Esthétique 2.0
          10/10/2024 - Mathieu CHAUTARD Sausage Technique
          Chaque membre de la SFPIO a accès en ligne au Journal of Clinical Periodontology en se connectant et en s’identifiant sur le site de l’EFP : https://www.efp.org/members/ Si vous n’avez pas vos identifiants, contactez le siège de la SFPIO: 02 40 08 06 63 ou contact@sfpio.com
          7 OBJECTIF PARO #64 Avril 2024 Retrouvez toutes les manifestations SFPIO sur le site internet de la SFPIO : www.sfpio.com
        
              
              
            
            LES BRÈVES DE LA SFPIO
          
              
              
            
            Un nouveau Bureau à la SFPIO Languedoc-Roussillon
          « Photo de classe » prise au stage pratique animé par la SFPIO LR en décembre sur le thème : Traitements implantaires des secteurs esthétiques.
          Avec des participants enthousiastes, la SFPIO LR a clôturé une année 2023 très riche en évènements, dont le Congrès National « Pas d’Implanto Sans Paro» à la Grande Motte en juin !
          Ce stage pratique de fin d’année fut aussi l’occasion de renouveler le bureau avec la nomination de la nouvelle secrétaire, Sophie Azorin ainsi que la nouvelle trésorière, Florie Diasparra
          
    2024 sur les chapeaux de roues à la SFPIO Rhône-Alpes
          Le printemps débute à peine, mais la SFPIO Rhône-Alpes affiche déjà deux très beaux évènements en 2024 !
          Dès le mois de février, Matthias Rzeznik y a animé une journée de conférence sur le thème « De la préservation à la régénération : une approche globale en parodontie ».
          En mars, la SFPIO RA a pris le relais de la soirée « Paro-Diabète » avec aux manettes Valentin Garyga et Doriane Chacun, accompagnés par Lori Kepenekian, endocrinologue, et Tiphaine Babicz, patiente experte.
          À qui le tour ?
          
    
    
    
    8 OBJECTIF PARO #64 Avril 2024
        
              
              
            
            SFPIO Paris : un franc succès pour la première conférence de l’année !
          Les membres de la SFPIO Paris se sont déplacés en masse pour la première soirée de conférence de l’année, le jeudi 7 mars dernier à l’Hôtel Napoléon à Paris : « Greffons tubérositaires en parodontologie & en implantologie », Par Vincent Ronco !
          *
          L’implantologie
          
    
    
    sans Péri-implantite
          The new definition of implant success
          Prouvée par des études indépendantes à long terme 1, 2
          • Healthy soft tissue
          • Adhésion unique des tissus mous
          • Stable bone levels
          • Forte étanchéité contre les bactéries
          • No periimplantitis*
          • Pas de micro gap au niveau osseux
          • Pas de péri-implantite à long terme
          Long-term study over 9 years
          1. Brunello G, Rauch N, Becker K, Hakimi AR, Schwarz F, Becker J. Two-piece zirconia implants in the posterior mandible and maxilla: a cohort study with a follow-up period of 9 years. Clin Oral Implants Res. 2022 Dec;33(12):1233–44. doi: 10.1111/clr.14005. PMID: 36184914.
          Brunello G, Rauch N, Becker K, Hakimi AR, Schwarz F, Becker J. Two-piece zirconia implants in the posterior mandible and maxilla: A cohort study with a follow-up period of 9 years. Clin Oral Implants Res. 2022 Dec;33(12):1233-1244. doi: 10.1111/clr.14005. Epub 2022 Oct 31. PMID: 36184914.
          2. Karapataki S, Vegh D, Payer M, Fahrenholz H, Antonoglou GN. Clinical performance of two-piece zirconia dental implants after 5 and up to 12 years. Int J Oral Maxillofac Implants 2023;38:1105–1114. doi: 10.11607/jomi.10284
          
    
    
    Prochain rendez-vous : le 30 mai prochain, avec le Pr Giulio Rasperini , sur le thème : Régénérations parodontales proximales (conférence en anglais !) Zircon
          The new Standard
          La nouvelle référence
          
    Long-term oral health: Patent™ redefines implant success in the groundbreaking 9-year study. Learn more on www.mypatent.com/scientific-studies
          Des études indépendantes à long terme ne font état d‘aucune péri-implantite autour d‘un implant dentaireen deux pièces. Comment est-ce possible ? Pour en savoir plus, rendez-vous sur www.mypatent.com
          
    Image
          
    
    
    
    
    
    
    
    
    
    
    
    
    
    
    
    
    
    
    
    
    
    
    Medical Management
        AG, Switzerland
        © Dr. Peter Schüpbach
          Zircon Medical Management AG | Suisse | Tel. : +41 78 211 20 12
        
    
              
              
            
            CONGRÈS SFPIO 2024
          Programme du jeudi 13 juin 2024
          3 workshops passionnants pour lancer les festivités
          Une riche journée de pré-congrès vous attend à la Baule, le jeudi 13 juin : 3 workshops, suivis d’un apéritif avec vue et d’un after organisé par le comité Junior SFPIO.
          Celles et ceux qui auront la chance d’arriver à la Baule dès le jeudi après-midi n’auront pas le temps de s’ennuyer !
          Si le workshop de Giovanni Zucchelli et Martina Stefanini, « Conseils et astuces cliniques pour réussir une chirurgie plastique parodontale », affiche complet depuis plusieurs semaines déjà, il reste encore quelques places pour assister à celui de Mariano Sanz, Elena Figuero et Nagore Ambrosio : « Systematic reviews in periodontology and implant dentistry ». L’occasion de bien comprendre les enjeux d’une revue systématique, de sa préparation à sa réalisation : Question ciblée (PICOS) et critères d’éligibilité , recherche d’études, processus de sélection des études, évaluation critique de la qualité des études, extraction des données, analyses des données (méta-analyses), crédibilité des preuves et processus de publication.
          Si votre priorité est la qualité de vie au travail et la gestion du stress, alors ne manquez pas le workshop de Franck Renouard : « Facteurs Humains » !
          Lors de cet atelier captivant, vous découvrirez le concept des Facteurs Organisationnels et Humains, une discipline fréquemment utilisée en aviation ou dans certaines spécialités médicales comme l’anesthésie réanimation, ayant fait ses preuves dans l’amélioration des conditions de travail et dans la fiabilisation de la pratique professionnelle.
          Enfin, que vous ayez été studieux ou
          non, ne manquez pas l’apéritif face à l’océan, pour se mettre dans l’ambiance du congrès tout en dégustant une sélection de vins triée sur le volet.
          Et aux plus jeunes congressistes, le comité Junior SFPIO donne rendez-vous pour sa soirée d’after, au club de voile « Les Voiles Royales », pour poursuivre les festivités jusqu’au bout de la nuit !
          Infos pratiques et réservations : par e-mail, à contact@sfpio.com.
          
    
    
    
    11 OBJECTIF PARO #64 Avril 2024
        
              
              
            
            PROGRAMME CONGRÈS SFPIO 2024
          Vendredi 14 juin
          09h00 - 10h30 | CONFÉRENCE
          Indications et limites des implants courts
          Séance présidée par Brenda Mertens
          Ronald Jung, Daniel Thoma & Anina Zürcher
          09h00 - 12h30 | WORKSHOP
          Incisions et sutures en paro, collection haute couture
          Cyril Goubron & Virginie Monnet-Corti
          PAUSE CAFÉ - 10H30 À 11H
          11h00 - 12h30 | CONFÉRENCE
          Dysbiose parodontale et répercution systémique : de la science à la clinique
          Séance présidée par Hélène Range
          Nagore Ambrosio, Elena Figuero & Mariano Sanz
          PAUSE DEJEUNER DANS L’EXPOSITION : 12H30 - 14h00
          14h00 - 15h30 | CONFÉRENCE
          La vie des implants : 30 ans d’expérience
          Séance présidée par Emmanuelle Ettedgui
          Philippe Doucet, Jean-Louis Giovannoli & Marjolaine Gosset
          14h00 - 17h30 | WORKSHOP
          Prévention et traitement des pertes de substance à l’aide de substituts de TC : comment optimiser le résultat ?
          Ronald Jung, Daniel Thoma & Anina Zürcher
          16h00 - 17h30 | CONFÉRENCE
          Ortho-paro synergie
          Séance présidée par Bouchra Abassi
          Cyril Goubron, Virginie Monnet-Corti & Romain Ohanessian
          
    
    
    
    
    
    
    
    
    
    
    
    
    
    
    
    
    Philippe Doucet France Marjolaine Gosset France
          Ronald Jung Suisse
          Anina Zürcher Suisse Daniel Thoma Suisse
          Ronald Jung Suisse
          Anina Zürcher Suisse Daniel Thoma Suisse
          Nagore Ambrosio Espagne
          Mariano Sanz Espagne Elena Figuero Espagne
          Jean-Louis Giovannoli France
          Cyril Goubron France Virginie Monnet-Corti France
          12 OBJECTIF PARO #64 Avril 2024
        Cyril Goubron France Romain Ohanessian France Virginie Monnet-Corti France
          
              
              
            
            PROGRAMME CONGRÈS SFPIO 2024
          Samedi 15 juin
          09h00 - 10h30 | SESSIONS VIDÉO
          7 minutes pour convaincre : comment prendre en charge mon patient ?
          Séance du comité Junior - Présidée par Sophie-Myriam Dridi
          PAUSE CAFÉ - 10H30 À 11H
          11h00 - 12h30 | CONFÉRENCE
          Evolution in mucogingival surgical techniques
          Séance présidée par Michèle Reners
          In esthetic mucogingival defects
          Massimo de Sanctis
          In periodontal intrabony lesions
          Martina Stefanini
          In implants aesthetic defects
          Giovanni Zucchelli
          
    
    
    Vendredi 14 juin
          Séances communications orales
          De 9h à 10h30 et de 11h à 12h30
          Séance communication Clinique 1
          Séance communication Recherche 1
          Jurys de séance annoncés prochainement
          De 14h à 15h30 et de 16h à 17h30
          Séance communication Clinique 2
          Séance communication Recherche 2
          Jurys de séance annoncés prochainement
          
    
    
    
    
    Massimo De Sanctis Italie
          Giovanni Zucchelli Italie
          13 OBJECTIF PARO #64 Avril 2024 RETROUVEZ EN LIGNE www.congres-sfpio.com Toutes les informations du congrès en temps réel : programme, ateliers, actualités partenaires, votre inscription, vos soumissions d’abstract... CONGRÈS NATIONAL LA BAULE 14 & 15 JUIN 2024
        Martina Stefanini Italie
          
              
              
            
            QUESTIONS AUTOUR D’UN ARTICLE
          ELECTROACUPUNCTURE REGULATES MACROPHAGE, NEUTROPHIL, AND ORAL MICROBIOTA TO ALLEVIATE ALVEOLAR BONE LOSS AND INFLAMMATION IN EXPERIMENTAL LIGATURE-INDUCED PERIODONTITIS
          
    Dr Li Yuzhou
          (李 雨舟) DDS, Associate Professor
          Chongqing Medical University, School and Hospital of Stomatology
          Journal of Clinical Periodontology 2023 (50) 3 ; 368-379
          Le développement de l’inflammation dans le contexte de la parodontite est profondément influencé par les interactions existant entre le microbiome et les cellules immunitaires de l’hôte.
          Le traitement de l’un ou de l’autre ne permet pas dans de nombreux cas d’obtenir des résultats satisfaisants. Aussi des approches ont été proposées visant à traiter simultanément l’immunité locale et le microbiome. Une des voies de recherche met en œuvre un traitement peu invasif associant une stimulation nerveuse électrique avec la traditionnelle méthode d’acupuncture (EA) chinoise appliquée à des points spécifiques afin d’obtenir des effets antiinflammatoires. Une étude portant sur le rat a montré que l’EA pourrait contrôler la destruction tissulaire parodontale, réduire l’expression de
          certains facteurs pro-inflammatoires et certains autres favorisant la résorption osseuse, et augmenter significativement l’expression immunomodulatrice des agents CB1 (tissu neurologique) et CB2 (tissus parodontaux)1.
          Concernant la réponse immunitaire, l’EA a démontré son rôle dans l’équilibre des cellules myéloïdes, celles-ci (macrophages et PMN) jouant un rôle majeur dans la réponse innée en présence de parodontite.
          L’étude proposée par cette équipe chinoise de l’université de Pékin vise à étudier l’effet de l’EA sur les cellules myéloïdes, sur les cytokines anti-inflammatoires par PCR, et sur le microbiome supra et sous-gingival par séquençage 16S.
          1Lisboa et col Effects of electroacupuncture on experimental periodontitis in rats. Journal of Periodontology, 2015,86, 801-811
          Kehao Liu, Yang Liangie, Wang Xu, Huang Qi, Tuerhong Kamoran, Yang Mingcong, Zhang Rong, Li Yuzhou, Yang Sheng
          14 OBJECTIF PARO #64 Avril 2024
        Objective Paro : You describe after the ligature process a decrease of the bodyweight. What is the reason of that: is it related to the immune response or to the difficulty of the mice to eat or to be fed ?
          Dr Li Yuzhou: From our observation of the mice behavior, the acute weight loss after periodontitis induction was probably due to eating/chewing discomfort in the mice caused by silk ligatures.
          OP : You described a “regular EA therapy” before the Materials and Methods chapter. What do you mean with that (Length of each EA session, number of acupuncture points; Is electric nerve stimulation performed on top of an acupuncture needle? Frequency and duration of the EA stimulation)?
          Dr Li Yuzhou: The «regular EA therapy» we mentioned in the paper refers to the common EA therapy in mice in accordance with previous studies[1-2].
          1. We applied EA to one acupoint “Zusanli” on the both sides of mice.
          2. The electrical stimulation was tranducted to the needles by a common tip holder clamped on the upper 1/3 of the needle.
          3. The frequency and duration of EA stimulation in this experiment was performed every other day for 20 minutes for 10 days.
          OP : Is there a residual effect of the EA stimulation after one session, or do you need to stimulate several times? As there is a supportive periodontal therapy, is it necessary to do an EA supportive treatment?
          Dr Li Yuzhou: We have not yet examined the residual effect of the EA stimulation after a single session. In this study, we chose to apply EA every other day for 20 minutes for 10 days in accordance with previous literatures. In our clinical practice, we think the canonical SPT is substantial for periodontal disease treatment and EA shall be an additional tool in the box which can boost the whole-body
          immunity via neuroimmunological pathways, but not to replace SPT.
          OP : At the microbiome level, aren’t you surprised with the large role of Veillonella species compared to Bacteroides species?
          Dr Li Yuzhou: It is well known that both Veillonella and Bacteroides are common bacteria in the oral cavity. Veillonella, as a bridging bacterium, usually adheres to early colonized bacteria followed by attracting bacteria colonizing at the middle or late stages. In EA group, EA induced significantly less Veillonella in the supragingival plaques, but no significant changes in the subgingival plaques. In contrast, EA induced no significant changes of Bacteroides on the supragingival microbiome, but significantly more Bacteroides in the subgingival plaques. We speculate that, as a survival pressure, EA may induce some hostderived metabolites or antibodies in the saliva, thus suppressed the proliferation of Veillonella then interfering with other microbials. But our observation was purely based on the statistical correlation, the causal relationship needs to be confirmed by more experiments.
          OP : You didn’t remove the ligature during the all experimentation. What is your opinion if simultaneous removal of the ligature and rootplanning therapy were associated to EA therapy?
          Dr Li Yuzhou: In fact, as we mentioned in the discussion section, the failure to remove periodontal irritants may explain why EA treatment did not completely reverse bone resorption in this experiment. Therefore, we hope that EA can be used as a good adjunctive technique to help control periodontal inflammation in addition to SPT.
          OP : Do you already perform perio human disinfection with the combined mechanical scaling and EA approach? If yes, could you describe us your protocol and your first results?
          Dr Li Yuzhou: We have not performed
          perio human disinfection with the combined mechanical scaling and EA approach yet. We have already solved the problem of inventing family usable device of EA for patients with periodontitis. Expectantly, we are now applying for the ethnic approval for clinical experiments. We are eagering to report our advance in 1-2 years.
          OP : On a philosophical point of view, how do you consider this treatment at the confluence of the ancestral (acupuncture) and the contemporary therapies (ultrasonic scaler)?
          Dr Li Yuzhou: As pointed out by Chinese literature <三十六計 the 36 strategies>“陰在陽之内 不在(The Yin is inside the Yang, but not opposite to it.). We consider the contemporary therapies, including ultrasonic scaler, as a therapy to treat the local, acute, visible, and semblance cause of periodontitis, such as plaque and calculus. However, given the close relationship of periodontal health and systemic health, the invisible, or subclinical turbulance of immune, microbiome, and endocrine system, are deeply influenced by the local periodontal infection and conversely deeply influence the local host reaction to external stimuli, shall also be righting by several tools. We consider electroacupuncture, an ancestral technique but proved by several clinical and animal studies to treat many inflammations, a potential tool to treat the Yin side of periodontitis.
          References
          [1] Torres-Rosas R, Yehia G, Peña G, Mishra P, del Rocio Thompson-Bonilla M, Moreno-Eutimio MA, Arriaga-Pizano LA, Isibasi A, Ulloa L. Dopamine mediates vagal modulation of the immune system by electroacupuncture. Nat Med. 2014 Mar;20(3):291-5. doi: 10.1038/nm.3479.
          [2] Yang NN, Yang JW, Ye Y, Huang J, Wang L, Wang Y, Su XT, Lin Y, Yu FT, Ma SM, Qi LY, Lin LL, Wang LQ, Shi GX, Li HP, Liu CZ. Electroacupuncture ameliorates intestinal inflammation by activating α7nAChR-mediated JAK2/STAT3 signaling pathway in postoperative ileus. Theranostics. 2021 Feb 19;11(9):40784089.
          15 OBJECTIF PARO #64 Avril 2024
        
              
              
            
            QUESTIONS AUTOUR D’UN ARTICLE
          PRÉVENTION
          
              
              
            
            PRIMORDIALE ET PRIMAIRE DES MALADIES PÉRI-IMPLANTAIRES
          Marie-Clotilde CARRA
          
          
    • CLINICAL PRACTICE GUIDELINE
          Prevention and treatment of periimplant diseases—The EFP S3 level clinical practice guideline
          • SYSTEMATIC REVIEWSPREVENTION OF PERI-IMPLANT DISEASES
          Primordial and primary prevention of peri-implant diseases: A systematic review and meta-analysis
          Supportive care for the prevention of disease recurrence/progression following peri-implantitis treatment: A systematic review
          • SYSTEMATIC REVIEWSMANAGEMENT OF PERI-IMPLANT MUCOSITIS
          Non-surgical therapy of peri-implant mucositis—Mechanical/physical approaches: A systematic review
          Efficacy of professionally administered chemical agents as an adjunctive treatment to sub-marginal instrumentation during the therapy of peri-implant mucositis
          Henrik Dommisch, Daniela Hoedke, Efficacy of adjunctive measures in periimplant mucositis. A systematic review and meta-analysis
          • SYSTEMATIC REVIEWS - NONSURGICAL MANAGEMENT OF PERI-IMPLANTITIS
          Efficacy of mechanical/physical approaches for implant surface
          En 2023, l’EFP a émis des recommandations avec niveau de preuve pour le traitement des maladies péri-implantaires, dans le cadre du XVIIIème Workshop on Periodontology. Plusieurs articles ont fait l’objet d’un numéro spécial open-access dans le Journal of Clinical Periodontology. On peut parcourir différents chapitres :
          decontamination in non-surgical submarginal instrumentation of periimplantitis. A systematic review
          Efficacy of chemical approaches for implant surface decontamination in conjunction with sub-marginal instrumentation, in the non-surgical treatment of peri-implantitis: A systematic review
          Efficacy of adjunctive measures in the non-surgical treatment of periimplantitis: A systematic review
          Efficacy of access flap and pocket elimination procedures in the management of peri-implantitis: A systematic review and meta-analysis
          The efficacy of bone reconstructive therapies in the management of peri-implantitis. A systematic review and meta-analysis
          Photo/mechanical and physical implant surface decontamination approaches in conjunction with surgical peri-implantitis treatment: A systematic review
          The efficacy of implant surface decontamination using chemicals during surgical treatment of periimplantitis: A systematic review and meta-analysis
          Adjunctive locally and systemically delivered antimicrobials during surgical treatment of peri-implantitis: A systematic review
          Parmi ces articles s’inscrit la métaanalyse proposée par l’équipe parisienne de Philippe Bouchard et Marie-Clotilde Carra, avec comme co-auteurs Nicolas Blanc-Sylvestre et Alexandre Courtet.
          PRIMORDIAL AND PRIMARY PREVENTION OF PERI-IMPLANT DISEASES: A SYSTEMATIC REVIEW AND META-ANALYSIS
          Maria Clotilde Carra, Nicolas BlancSylvestre, Alexandre Courtet, Philippe Bouchard Pages: 77-112
          Cette revue systématique et métaanalyse cherche à identifier l’incidence du contrôle des facteurs de risque afin de prévenir la survenue des pathologies péri-implantaires (PPI) chez les patients adultes en attente d’implant (prévention primordiale) ou ayant déjà été implantés et bénéficiant de tissus péri-implantaires sains (prévention primaire).
          Parmi les 48 articles retenus, aucun n’a établi d’efficacité dans la prévention primordiale des PPI. Des preuves indirectes de prévention primaire des PPI ont pu être mises en évidence chez les patients diabétiques avec implants pour lesquels un bon contrôle de la glycémie permet une réduction significative de péri-implantite (OR 0,16) et une moindre perte d’os marginal (Différence moyenne (SMD : Standard mean difference) : -0,36mm).
          16 OBJECTIF PARO #64 Avril 2024
        De plus, les patients suivant une thérapeutique de soutien parodontale ou implantaire présentent un risque réduit de péri-implantite (OR=0,42). Le risque d’échec implantaire augmente en absence de thérapeutique de soutien ou si cette dernière est irrégulière (OR=3,76). Les sites implantaires bénéficiant d’une présence importante de muqueuse kératinisée montrent un moindre niveau d’inflammation (SMD =-1,18) et une altération osseuse réduite (SMD=-0,25). Les études portant sur l’arrêt du tabac ou les comportements concernant les habitudes d’hygiène orale n’ont pas permis de mettre en évidence que leur contrôle influence le risque de PPI, et ceci en raison d’un manque d’études.
          Objectif Paro : La bibliographie retenue dans l’introduction de votre article fait état de références récentes, et les termes de prévention primordiale et primaire n’apparaissent qu’en 2022. Comment interprétezvous l’important décalage chronologique entre l’avènement des implants (époque et équipe Branemark : années 1970-1980) et la tardive mise en évidence des facteurs de risque des péri-implantites ?
          Marie-Clotilde Carra : On a encore beaucoup à étudier concernant les PPI, sur leur étiologie, traitement et surement prévention. Le concept de prévention primordiale n’avait jamais été appliqué aux PPI. Nous avons essayé de l’adapter en sachant que les PPI peuvent se développer seulement après un acte thérapeutique, la pose d’un implant dentaire. Donc il s’avère primordial de préparer le patient et le site implantaire avant la chirurgie, pour que l’implant dentaire puisse être posé dans les meilleurs conditions et que la thérapeutique associée soit un succès à long terme. Ceci inclut la prévention de l’exposition aux facteurs de risque, en d’autres mots, vérifier que les facteurs de risque connus des PPI soient absents ou maitrisés avant la pose de l’implant. Ainsi, une fois posé et réhabilité, l’implant doit être maintenu dans un état de santé périimplantaire et ceci implique le contrôle régulièrement les facteurs de risque, en particulier pendant le suivi périimplantaire (supportive peri-implant care). Cependant, étudier l’efficacité des actions de prévention est complexe,
          nécessitant des études longitudinales à long-terme. Probablement pour ces raisons, comme il s’avère pour d’autres pathologies chroniques, la littérature est bien plus riche pour ce qui concerne les traitements des PPI que leur prévention. OP : La nouvelle classification des maladies parodontales a retenu les systèmes des stades et des grades. Ce dernier pointe le diabète et le tabac comme facteurs de risque majeurs. Le premier est mis en évidence de façon significative dans votre étude, et pas le second. Comment peut-on expliquer cette différence ?
          MC Carra : Le rôle du diabète et du tabac dans le développement des PPI est bien moins solidement établi que pour les parodontites. En se basant essentiellement sur des études rétrospectives, les patients avec un diabète non équilibré ou l’habitude du tabagisme présentent un risque accru de PPI comparés aux patients sans diabète et n’ayant jamais fumé. Mais nous n’avons pas assez de preuves en littérature pour estimer l’impact du fait d’équilibrer le diabète ou d’arrêter de fumer sur la réduction du risque des PPI. Nous ne pouvons pas estimer directement l’efficacité de ces actions de prévention. Cependant, en comparant des patients exposés et non plus exposés au facteur de risque (ex. diabétiques équilibrés vs. diabétiques non équilibrés ; fumeurs vs. anciens fumeurs) nous avons essayé d’estimer l’effet positif du contrôle de ces facteurs de risque sur la prévention des PPI. La conclusion plus importante qu’on peut en tirer est que nous avons besoin de beaucoup plus d’études, non seulement pour définir précisément l’efficacité de la prévention mais aussi pour établir des protocoles de prévention efficaces et standardisés, qui représentent la seule stratégie à appliquer pour baisser l’incidence des PPI dans le temps.
          Objectif Paro : Les articles cités cidessus font un état des lieux exhaustif des péri-implantites. Faut-il voir dans la spécificité de ces pathologies et de leur prise en charge la spécificité du microbiote bactérien polymorphe propre aux péri-implantites par rapport à ce qu’il est dans les parodontites ?
          MC Carra : Il est surement très important d’étudier la spécificité de la composition du microbiote péri-implantaire afin de mieux caractériser les pathologies des
          tissus peri-implantaires et proposer un traitement ciblé ou personnalisé. Cependant, la littérature est limitée sur le sujet et il n’y a pas encore une traduction clinique directe et spécifique dans les options thérapeutiques proposées pour les PPI, ce qui pourrait expliquer, au moins partiellement, la faible efficacité de nos traitements. On espère que des réponses pourront être apportées par les études en cours et futures, que ces spécificités soient intégrées dans la mise à jour de ces articles, et que des recommandations nouvelles soient proposées dans les années à venir.
          Objectif Paro : Vous avez assisté à ce groupe de travail européen et participé à l’établissement des bases de ce sujet complexe que sont les péri-implantites. Pouvez-vous nous parler de cette expérience, en termes professionnels et humains ?
          MC Carra : Le workshop organisé par l’EFP a été un beau moment de discussion et partage avec plusieurs collègues européens conviés pour établir les lignes directrices pour la prévention et le traitement des PPI. Dans une ambiance conviviale et une organisation impeccable, nous avons travaillé intensément pendant 3 jours à Ségovie en Espagne, en petits groupes ou en assemblée plénière où les propositions de chaque groupe étaient expliquées et par la suite votées par les experts participants. C’était une occasion importante d’enrichir mes connaissances sur le sujet, pour apprendre et appliquer la méthodologie stricte liée au développement d’un clinical practice guideline de niveau S3, c’est-à-dire basée sur la littérature et le consensus des experts. En préparation à ce workshop, nous avons aussi fourni un travail de synthèse, la méta-analyse dont on vient de parler, qui n’était pas une thématique simple. Avec Nicolas, Alexandre et Philippe nous avons longtemps discuté des concepts de prévention primordiale et primaire car leur application n’était pas évidente pour les PPI. Mais le groupe d’experts a accueilli notre proposition et ces termes ont donc été appliqués. Je pense que cela contribuera aux futures recherches sur le sujet et aidera à faire comprendre que la meilleure stratégie pour combattre les PPI est de les prévenir.
          17 OBJECTIF PARO #64 Avril 2024
        
              
              
            
            ECONOMIST IMPACT WHITE PAPER SHEDS LIGHT ON THE BURDEN OF ORAL DISEASES IN FRANCE
          In a recent Economist Impact white paper, commissioned by the EFP and supported by Haleon, the growing burden of caries and periodontitis, was highlighted, drawing attention to the need for concerted action by governments to reduce inequalities in oral health.
          The report, focusing on the economic and health impacts of these diseases, calls for a shift towards a preventive approach, stresses the urgency of integrating oral health into the broader non-communicable diseases (NCDs) agenda. Oral diseases, having surpassed other NCDs in terms of global prevalence, are often neglected in mainstream health discussions, despite caries and severe periodontitis affecting about 2 billion and 1 billion people globally. The World Health Organization (WHO) has also recommended pivoting to a preventive approach for oral diseases and integrating oral care with NCDs care into the universal health care (UHC) agenda.
          In France, the financial burden of caries on individuals and the healthcare system is substantial. The cost of caries for the French population aged 12-65 is estimated at 14.646 billion US$, with a lifetime cost per person of 21,036 US$. This burden is disproportionately heavier on the most deprived, with a cost per person reaching 25,850 US$
          The president of the French Society of Periodontology and Implantology (SFPIO), Doctor Caroline Fouque, reflecting on the findings, emphasised the importance of preventive measures.
          «The impact of oral diseases on overall health and the financial burden they impose cannot be overstated. There’s an urgent need for increased
          awareness and prevention, which could significantly reduce healthcare costs and improve the quality of life,» she stated.
          Caries, a leading cause of hospitalisation among children in some high-income countries, accounts for 5-10% of healthcare budgets in these nations. This significant financial impact underscores the need for a shift in focus towards preventive care, which not only alleviates the burden on healthcare systems but also improves longterm health outcomes.
          Despite France being one of the first European countries to introduce a tax on sweetened beverages the average number of decayed, filled and missing teeth among 12-year-olds is 1,23 - the highest among the developed countries included in the study. In 2018, the law was amended to introduce
          The impact of oral diseases on overall health and the financial burden they impose cannot be overstated. There’s an urgent need for increased awareness and prevention, which could significantly reduce healthcare costs and improve the quality of life
          progressive taxation based on increasing sugar content rather than a flat tax rate. A survey showed that 65% of adults polled favoured the taxation scheme, with the number rising to 76% if the tax gains were reinvested into
          
    the healthcare system.
          The report underlines the importance of comprehensive interventions in reducing caries-related direct costs. As well as sugar taxes, measures such as community water fluoridation (that currently does not exist in France) and improving access to quality fluoride toothpaste, can lead to significant reductions in treatment costs, particularly among the most deprived groups.
          An interesting initiative in France is the Alliance for a Cavity-Free Future (ACFF) pilot for a new hybrid remuneration system for dentists. It’s focus is on improving access to quality care and better clinical outcomes, especially for marginalised communities. Over 600 dentists have been recruited to cover round 15000 people with over 6 million euros invested in the EXPRESO project. This initiative represents a model that could potentially be replicated and scaled in other countries. An external auditor will perform an economic evaluation of the system and a bespoke online system will be used to collect data.
          18 OBJECTIF PARO #64 Avril 2024 LIVRE BLANC - ECONOMIST IMPACT & EFP
        WWW.INFORMATION-DENTAIRE.FR
          
    
    
    
    
    
    
    
    
    
    GUIDE D’ALIMENTATION APRÈS UNE CHIRURGIE BUCCALE
          
    
    
    Docteur, que puis-je manger après ma chirurgie ?
          Avez-vous des idées de recettes, Docteur ?
          
    Brenda Mertens, Docteur en chirurgie dentaire, spécialiste en parodontologie et implantologie orale, et Aurélie Camaleonte, praticienne naturopathe - nutritionniste, se sont associées pour proposer cet ouvrage destiné aux patients afin de les accompagner pendant cette phase post-chirurgicale délicate à appréhender.
          LES RECETTES suivant chaque phase post-chirurgicale (alimentation liquide, molle et consistante souple non traumatisante)
          UN LIVRET de prescription des différentes phases alimentaires après une chirurgie buccale
          LES CONSEILS pré et post-opératoires
          UN GUIDE pour équilibrer ses repas et éviter tout risque de carence
          Avez-vous déjà entendu ces questions ? Ou vous les êtes-vous déjà posées ?
          Ce livret est LA solution pour retrouver le goût et le plaisir de manger tout en respectant les différentes phases de cicatrisation après une intervention chirurgicale buccodentaire.
          Vous y trouverez des recettes culinaires très utiles favorisant une phase post-opératoire la plus agréable possible.
          En complément, toutes les consignes post-opératoires les plus courantes sont proposées pour le confort des patients. Un livret facile à donner, facile à transporter, facile à lire et facile à s’approprier !
          WWW.INFORMATION-DENTAIRE.FR
          BON DE COMMANDE À RETOURNER : ID ABONNEMENTS - 19-21 RUE DUMONT D’URVILLE - 75116 PARIS - Tél. : 01 56 26 50 00 - e-mail : abon@information-dentaire.fr
          Je commande ___ exemplaire(s) de “On mange quoi ?” : 10 €/unité
          Je commande ___ lot(s) de 5 exemplaires de “On mange quoi ?” : 40 €/lot
          
    FRAIS DE PORT OFFERTS
          CONFIDENTIALITÉ DES DONNÉES Conformément à la loi « Informatique et libertés » du 6 janvier 1978 modifiée et au règlement européen n°2016/679/UE du 27 avril 2016, vous êtes informé(e)s que les informations recueillies à partir de ce formulaire font l’objet d’un traitement informatique destiné exclusivement au service abonnement de la société L’INFORMATION DENTAIRE pour effectuer les opérations relatives à la gestion de la relation avec ses clients, ainsi que les opérations relatives à la prospection et l’élaboration de statistiques commerciales. Elles sont conservées pendant toute la durée de la relation contractuelle puis en conformité avec les délais de prescription applicables. Le responsable de ce traitement est la société L’INFORMATION DENTAIRE, sous le sigle ID, SASU au capital de 402 000€, immatriculée sous le numéro 502 494 388 RCS Paris et dont le siège social 19-21 rue Dumont d’Urville 75116 Paris. Vous disposez d’un droit d’accès, de rectification ou d’effacement des données qui vous concernent. Vous pouvez également en demander la limitation ou la portabilité. Vous pouvez retirer votre consentement à tout moment. Pour exercer ces droits, vous pouvez nous contacter à l’adresse suivante : abon@information-dentaire.fr. Par ailleurs, vous êtes informé(e)s que si vous estimez, après nous avoir contactés, que vos droits sur vos données ne sont pas respectés, vous avez la possibilité d’introduire une réclamation auprès de la CNIL (www.cnil.fr). À raison d’un document incomplet, nous pourrions user de la possibilité de rejeter votre demande d’abonnement. En cochant la case ci-contre, je reconnais avoir pris connaissance des conditions visées ci-dessus et j’accepte que mes données puissent être utilisées par la société L’INFORMATION DENTAIRE.
          Nom
          Prénom
          Adresse
          Code postal Ville
          Tél
          Mail
          CI-JOINT MON RÈGLEMENT
          CHÈQUE À L’ORDRE DE L’INFORMATION DENTAIRE
          VIREMENT IBAN : FR76 3000 3035 3400 0200 1790 453
          BIC : SOGEFRPP
          DATE & SIGNATURE
          Brenda MERTENS PRÉSENTE Aurelie CAMALEONTE ,
        SFPIO
        GUIDE D’ALIMENTATION APRÈS UNE CHIRURGIE BUCCALE Brenda MERTENS Aurelie CAMALEONTE On mange quoi ? On man g e q uoi ? , puis-je manger après ma chirurgie, Docteur ? », Avez-vous des idées de recettes, Docteur ? » entendu ces questions ? Ou vous les êtes-vous déjà posées ? est en effet un excellent moyen pour des suites opératoires plus donc LA solution pour retrouver le goût et le plaisir de manger tout respectant les différentes phases de cicatrisation après une intervention bucco-dentaire. trouverez des recettes culinaires très utiles favorisant une phase postplus agréable possible. En effet, l’alimentation joue un rôle important processus de cicatrisation. C’est pourquoi Brenda Mertens, Docteur dentaire, spécialiste en parodontologie et implantologie orale, et Camaleonte, praticienne naturopathe - nutritionniste, se sont associées pour proposer cet ouvrage destiné aux patients afin de les accompagner pendant post-chirurgicale délicate à appréhender. complément, toutes les consignes post-opératoires les plus courantes sont pour leur confort. facile à donner, facile à transporter, facile à lire et facile à s’approprier ! manger et se faire plaisir après une chirurgie ! 10 € Toutes les pages 09/01/2024 17:28 LE GUIDE D’ALIMENTATION INDISPENSABLE APRÈS UNE CHIRURGIE BUCCALE 48 PAGES 10 ¤ 4 0 ¤ LE LOT DE 5 EXEMPLAIRES
        
              
              
            
            ECONOMIST IMPACT WHITE PAPER SHEDS LIGHT ON THE BURDEN OF ORAL DISEASES IN FRANCE
          Professor Nicola West, the EFP secretary general, called for robust data collection on the health burden and costs of oral health across Europe to inform policy decisions: «To effectively address the oral health crisis, we need comprehensive data on oral health conditions and their cost to society.”
          She added: “We also need more, and better, epidemiological studies and we must measure the effectiveness of preventive interventions. This data is crucial for guiding policy makers and ensuring universal access to dental care.»
          The white paper also emphasises the critical need for collaboration between medical and dental professionals. General practitioners (GPs) play a pivotal role as they are often the first point of contact for patients. By incorporating oral health checks into routine medical examinations, GPs can identify potential oral health issues early and refer patients to dental professionals for specialized care. Medical students should also be made aware of the interconnection between oral health and overall health.
          The current dental care model in France is limited due to the absence of dental hygienists in the formal dental workforce. Dental hygienists, along with other allied dental care professio-
          
    nals like dental therapists, are crucial for expanding preventive care and managing oral health more effectively. Their role in providing routine dental care, educating patients about oral hygiene, and assisting in preventive treatments is vital. Integrating these professionals into the dental team can fill existing gaps, especially in preventive services, and can help dentists manage their workload more efficiently.
          The white paper’s findings present a compelling case for prioritising oral health and preventive care. By integrating oral care within broader healthcare, a more effective approach to health and well-being can be achieved. The need for increased awareness, better data collection, and the implementation of preventive strategies is clear, as is the call for governments and health organisations to take decisive action in this regard.
          
    20 OBJECTIF PARO #64 Avril 2024 LIVRE BLANC - ECONOMIST IMPACT & EFP
        
    
    
    
    
    MEISINGER IMPLANTS «WE DO WHAT WE DO BEST» IMPLANTS W I TH LIFETIME G U A R A N TEE shop.meisinger.fr 04 26 78 74 83 commande@meisinger.fr 68 cours Lafayette Lyon 69003 Pour nous contacter
        
              
              
            
            PERIO ORTHO SYNERGY
          Par Virginie
          MONNET-CORTI
          
          
    Dans ma vie professionnelle, j’ai eu la chance de vivre une aventure extraordinaire, une success story dont je suis fière. C’est l’histoire du Perio-Ortho Synergy, qui a débuté en 2020 et qui a atteint son apogée à Singapour en 2024.
          Tout a commencé un été, lors de mes vacances, par un simple coup de fil de mon amie Michèle Reners. Elle m’a proposé de prendre en charge la présidence scientifique du prochain Perio Master Clinic, organisé en collaboration avec la société de parodontologie belge. Après une brève réflexion, j’ai accepté le défi avec enthousiasme. Le thème était trouvé : la synergie entre l’orthodontie et la parodontologie.
          Nous avons posé notre candidature et nous avons été élus… face à 2 autres équipes postulantes.
          Trois ans de préparation intense ont suivi. En 2023, à Anvers, près de 800 participants venus de 61 pays se sont réunis pour assister à un programme innovant et dynamique. Les présentations en duo, mêlant conférenciers internationaux et experts moins connus, ont captivé l’auditoire.
          Le succèsd’Anvers a été le prélude à notre prochaine étape : Singapour. Dès 2022, pendant EuroPerio10 à Copenhague, l’équipe s’est formée lors d’une collaboration entre l’EFP et la Société de
          PERIO-ORTHO SYNERGY
          Retour sur une belle histoire, une aventure débutée en 2020 et couronnée de succès. De binôme en binôme… d’Anvers en 2023, à Singapour en 2024.
          Parodontologie de Singapour. En tant que présidente scientifique, mon objectif était clair : maintenir l’excellence du PMC d’Anvers tout en intégrant des experts asiatiques.
          Le chemin vers Singapour n’a pas été sans obstacles. La coordination à travers les fuseaux horaires et les frontières a été un défi, mais chaque difficulté a renforcé notre détermination. Et quelle récompense lorsque le Marina Bay Sands, lieu emblématique, a été choisi pour accueillir notre événement !
          
    Singapour, avec son mélange unique de modernité et de traditions, a offert une toile de fond fascinante à notre congrès. Les saveurs culinaires exquises, les temples majestueux et les rituels ancestraux ont enchanté les participants venus des quatre coins du monde.
          Le 19 et 20 janvier 2024, le Perio-Ortho Synergy a atteint son apogée. Sous le signe du Dragon, symbole de puissance et de prospérité, plus de 500 participants de 44 nationalités différentes se sont réunis pour échanger et apprendre.
          Ce fut une expérience inoubliable, un moment d’exception. Le proverbe chinois «))))» résonne encore dans nos esprits, nous rappelant l’importance de progresser continuellement. Le Perio-Ortho Synergy a transcendé les frontières disciplinaires et géographiques, renforçant les liens entre les professionnels de santé dentaire du monde entier.
          En conclusion, cette aventure a été bien plus qu’un simple congrès. Elle a été une leçon d’ouverture d’esprit, d’échange et de collaboration. Et pour moi, en tant que présidente scientifique, c’est une fierté immense d’avoir été partie prenante de cette success story. Singapour restera à jamais gravé dans ma mémoire comme le symbole de cette synergie, de cette rencontre entre cultures et savoirs. « Une expérience unique, un moment d’exception ! »
          22 OBJECTIF PARO #64 Avril 2024
        Team EFP et Team asiatique - Rencontre des continents
          
    
    
    
    
    
    
    Un nettoyage en profondeur sans aucune contrainte
          
    
    Power Flosser sans fil de Philips Sonicare
          
    
    L’embout en forme de X crée quatre jets pour couvrir une zone plus large
          
    Élimine jusqu’à 99,9 % du biofilm dans les zones traitées1 99,9 %
          
    2 X
          
    
    
    
    Jusqu’à 2 fois plus efficace que les brossettes interdentaires pour éliminer la plaque dentaire le long du sillon gingivale.*
          
    
    Rendez-vous sur
          
    
    
    1. Étude in vitro, les résultats en utilisation buccale peuvent varier. 2. Selon une étude réalisée sur 372 patients adultes atteints de gingivite modérée à sévère utilisant Power Flosser avec l’embout Quad Stream, à intensité élevée, et avec une brosse à dents manuelle.
          www.dentiste.philips.fr pour en
        savoir plus
        
              
              
            
            GUM HEALTH DAY 2024
          Avec sa nouvelle campagne, l’EFP s’adresse aux jeunes :
          POURQUOI LA GÉNÉRATION Z DOIT-ELLE SE PRÉOCCUPER DE LA SANTÉ DES GENCIVES ?
          Alors que la génération Z entame son parcours vers l’âge adulte, il est un aspect crucial de sa santé qui peut parfois être négligé : les gencives.
          Avec l’augmentation des régimes sucrés, du stress et de l’anxiété, les adolescents et les jeunes adultes sont de plus en plus exposés aux maladies des gencives et à d’autres problèmes bucco-dentaires.
          C’est le thème de la Journée de la santé gingivale 2024, une campagne annuelle de santé publique mondiale menée par l’EFP (Fédération européenne de parodontologie).
          Lancée il y a dix ans, le «Gum Health Day» vise à informer le grand public des effets néfastes des maladies des gencives (gingivite, parodontite, mucosite péri-implantaire et péri-implantite) sur la santé bucco-dentaire et générale, ainsi que des avantages qu’il y a à garder des gencives saines dès le plus jeune âge.
          « Nous avons estimé qu’il fallait cibler la Journée de la santé des gencives 2024 sur les jeunes, car ils ne sont pas nécessairement conscients du rôle joué par la santé de leurs gencives dans leur état de santé général, et peuvent donc se sentir moins concernés », explique le Dr Mia Rakic, coordinatrice de la Journée de la santé des gencives 2024.
          Les maladies des gencives sont associées à des problèmes de santé systémiques
          majeurs tels que le diabète, l’infarctus du myocarde, l’insuffisance cardiaque, les accidents vasculaires cérébraux, les maladies rénales chroniques, les issues défavorables de la grossesse, la polyarthrite rhumatoïde, la maladie d’Alzheimer, les troubles de l’érection, certaines formes de cancer et d’autres maladies systémiques. En prenant soin de nos gencives, nous pouvons facilement commencer à prévenir ces problèmes dès maintenant, car un sourire sain peut ouvrir la voie à un mode de vie plus sain et à des économies à l’avenir.
          
    Selon un récent livre blanc publié par The Economist Impact et intitulé «Time to put your money where your mouth is : addressing inequalities in oral health», les maladies bucco-dentaires touchent près de la moitié de la population mondiale, dépassant le fardeau des maladies non transmissibles (MNT) les plus courantes telles que les troubles mentaux, le cancer, le diabète et les maladies cardio-vas-
          culaires et respiratoires chroniques. « C’est ainsi que nous pouvons aider la génération Z à reconnaître le rôle essentiel que jouent leurs gencives dans l’estime de soi et le bien-être général. Notre campagne vise à inspirer les jeunes à conduire un changement positif dans la façon dont la société perçoit la santé des gencives, en soulignant son importance au-delà de l’hygiène bucco-dentaire, et à mettre en lumière le travail des parodontistes », souligne le Dr Rakic
          24 OBJECTIF PARO #64 Avril 2024
        
    
              
              
            
            Solution bouche sèche
          Quand l’eau ne suffit pas – Bains de bouche et gels buccaux hydratants TePe
          Pour les personnes ayant la bouche très sèche ou sensible
          Stimule la salivation
          Nouveau
          À utiliser chaque fois que le besoin se présente Sans arômes ajoutés
          Les nouveaux bains de bouche et gels buccaux TePe apportent un soulagement et une hydratation immédiate et prolongée. Les bains de bouche au fluor offrent également une protection supplémentaire contre les caries.
          
    
    TePe France SAS | Tel. 01 85 76 69 70 | info.france@tepe.com | www.tepe.com/fr
        
              
              
            
            PRIX
          L’AMÉNAGEMENT DES TISSUS MOUS : AVANT, PENDANT OU APRÈS LA POSE DE L’IMPLANT ?
          INTRODUCTION
          Avila Ortiz et al. (1) ont défini le « phénotype péri-implantaire » selon les caractéristiques des tissus qui entourent et soutiennent les implants ostéo-intégrés. Ce phénotype comprend une composante gingivale, constituée par la largeur et l’épaisseur de la muqueuse péri-implantaire, ainsi que la hauteur du tissu supracrestal, et une composante osseuse, caractérisée par l’épaisseur d’os péri-implantaire.
          Le tissu kératinisé est-il indispensable à la santé péri-implantaire ?
          La santé péri implantaire a été définie dans le Workshop de Chicago 2017 (2) et se caractérise par l’absence d’érythème, de saignement au sondage, de gonflement et de suppuration.
          En ce qui concerne l’effet du tissu kératinisé sur la santé à long terme du tissu péri-implantaire, les preuves sont équivoques.
          Il semble toutefois qu’une hauteur suffisante de tissu kératinisé puisse présenter des avantages en termes de confort pour le patient et de facilité d’élimination de la plaque dentaire comme ont pu le relever Souza et al. (3)
          De plus, la méta analyse de Thoma et al. (4) semble indiquer que l’absence de tissu kératinisé augmenterait le risque de récessions et de perte d’attache autour des implants.
          Ainsi, deux études récentes (5,6) ont montré qu’un minimum de 2 mm de tissu kératinisé était essentiel pour réduire l’incidence de la mucosite péri-implantaire et de la perte osseuse marginale, cela même chez les patients exerçant une hygiène bucco-dentaire suffisante et recevant une thérapie parodontale de soutien adéquate.
          Quand augmenter la hauteur et l’épaisseur du tissu kératinisé périimplantaire ?
          Avant la pose de l’implant
          L’aménagement tissulaire avant la pose de l’implant va avoir une action préventive.
          Les principales indications (7,8) vont être :
          Auteurs :
          C. SADOWSKI, A. BRINCAT, T. RANCHAIN, D. GOLTZMANN, M. CREST, R. OHANESSIAN, A. ANTEZACK, V. MONNET-CORTI.
          
    • Les sites dont l’épaisseur initiale de muqueuse ne dépasse pas 1 mm
          • La mobilité des tissus mous entrainant un risque de traction sulculaire lors des mouvements buccaux
          • Une hauteur de tissu kératinisé inférieure à 2 mm
          • Une profondeur de vestibule insuffisante
          
    
    Figure 1 : Aménagement tissulaire avant la pose de l’implant. Lors de la photo pré opératoire (à gauche) la hauteur de tissu kératinisée était de 0 mm sur 35 et 1mm sur la crète. Une greffe épithélio-conjoncive a été réalisée. A 6 mois post opératoire (à droite), une augmentation de 4mm de tissu kératinisé sur la crète et sur 35, avec un recouvrement partiel de la récession de 35 ont pu être constaté.
          Pendant la pose de l’implant
          L’aménagement tissulaire pendant la pose de l’implant réduit le nombre d’intervention chirurgicale sur le site et améliore la qualité des tissus mous.
          En effet, la réalisation d’une greffe de conjonctif enfoui au moment de la mise en place de l’implant permet l’épaississement gingival et le maintien des tissus mous, évitant ainsi une récession gingivale et permettant une meilleure gestion esthétique (9,10)
          Néanmoins, l’apport de tissu mou ne compense pas totalement les défauts tissulaires post extractionnels notamment osseux, mais cette augmentation gingivale permettra de limiter les modifications tissulaires horizontales et de maintenir la forme du site.
          26 OBJECTIF PARO #64 Avril 2024
        ARTICLE SCIENTIFIQUE
        LAURÉAT 2E
        SÉANCE COMMUNICATION CLINIQUE 1
        
    
    Figure 2 : Aménagement tissulaire lors de la pose de l’implant. Lors de la photo pré opératoire (à gauche), on note une perforation vestibulaire de 11 qui a entrainé son extraction. Une greffe de conjonctif enfoui lors de la mise en place de l’implant 11 a été réalisée, afin de compenser le défaut tissulaire (osseux et muqueux) vestibulaire liée à l’extraction de cette dent
          Lors du contrôle à 6 mois (à droite), l’épaississement muqueux est visible au niveau de 12-11-21, malgré la présence d’un parodonte fin et festonné.
          Après la pose de l’implant
          L’aménagement tissulaire après la pose de l’implant va avoir une action correctrice, l’objectif est la réparation des séquelles esthétiques ou fonctionnelles lorsque cela est possible.
          Le pronostic est donc plus réservé concernant la réussite de cet aménagement.
          Ainsi les indications d’aménagement tissulaire seront les suivantes (11,12) :
          • L’apparition d’une mucosite avec absence de tissu kératinisé ne permettant pas le maintien adéquat de l’hygiène
          • L’apparition d’une péri implantite avec absence de tissu kératinisé ne permettant pas une fermeture muqueuse lors du traitement chirurgicale de la lésion.
          • Une profondeur de vestibule inadéquate entrainant des douleurs lors du brossage et à la mastication
          • L’apparition d’une récession gingivale, le diagnostic de l’étiologie devant être réalisé préalablement. Les procédures chirurgicales visant à corriger la récession des tissus mous autour d’un implant sont complexes. Le patient doit être informé de la grande variabilité des résultats.
          
    
    
    23/24
          tissu kératinisé vestibulaire associée à une bride muqueuse. Une greffe épithélio-conjonctive de 20mm x 8mm a été réalisée. Lors du contrôle à 6 mois (à droite), on observe une hauteur de tissu kératinisé de 2 mm avec une élimination du tissu mobile cicatriciel et un approfondissement du vestibule.
          la réduction importante de la hauteur de la greffe.
          CONCLUSION
          La gestion des tissus mous péri-implantaires peut être entreprise avant, pendant ou après la pose de l’implant.
          Cependant à travers ces cas cliniques, nous avons observé un moindre risque de complications lorsque l’aménagement muco-gingival était réalisé avant la pose de l’implant. En effet l’augmentation de la hauteur et de l’épaisseur du tissu kératinisé (> 2mm) permet de réaliser un brossage efficace et non douloureux, se traduisant par une réduction des indices de plaque et de saignement, et donc de l’incidence des récessions et mucosite périimplantaire.
          De plus, la réussite de l’aménagement muco gingival post implantaire est plus inconstante car elle est notamment liée à la position de l’implant et est impactée par une moindre vascularisation du site (13)
          C’est pourquoi lorsque la situation l’indique, la gestion des tissus mous péri implantaires ne doit pas attendre la mise en fonction de l’implant.
          Bibliographie
          1. Avila-Ortiz G, Gonzalez-Martin O, Couso-Queiruga E, Wang HL. The peri-implant phenotype. J Periodontol. 2020;91(3):283-8.
          2. Berglundh T, Armitage G, Araujo MG, Avila-Ortiz G, Blanco J, Camargo PM, et al. Peri-implant diseases and conditions: Consensus report of workgroup 4 of the 2017 World Workshop on the Classification of Periodontal and Peri-Implant Diseases and Conditions. J Clin Periodontol. 2018;45 Suppl 20:S286-91.
          3. Souza AB, Tormena M, Matarazzo F, Araújo MG. The influence of periimplant keratinized mucosa on brushing discomfort and peri-implant tissue health. Clin Oral Implants Res. 2016;27(6):650-5.
          4. Thoma DS, Naenni N, Figuero E, Hämmerle CHF, Schwarz F, Jung RE, et al. Effects of soft tissue augmentation procedures on peri-implant health or disease: A systematic review and meta-analysis. Clin Oral Implants Res. mars 2018;29 Suppl 15:32-49.
          5. Monje A, Blasi G. Significance of keratinized mucosa/gingiva on periimplant and adjacent periodontal conditions in erratic maintenance compliers. J Periodontol. 2019;90(5):445-53.
          6. Kabir L, Stiesch M, Grischke J. The effect of keratinized mucosa on the severity of peri-implant mucositis differs between periodontally healthy subjects and the general population: a cross-sectional study. Clin Oral Investig. 2021;25(3):1183-93.
          7. Hämmerle CHF, Tarnow D. The etiology of hard- and soft-tissue deficiencies at dental implants: A narrative review. J Periodontol. 2018;89 Suppl 1:S291-303.
          8. Ramanauskaite A, Sader R. Esthetic complications in implant dentistry. Periodontol 2000. 2022;88(1):73-85.
          9. Kan JYK, Yin S, Rungcharassaeng K, Zucchelli G, Urban I, Lozada J. Facial implant gingival level and thickness changes following maxillary anterior immediate tooth replacement with scarf-connective tissue graft: A 4-13-year retrospective study. J Esthet Restor Dent. 2023;35(1):138-47.
          10. Degorce T. Chirurgie plastique péri-implantaire 3e édition. In: Chirurgie plastique parodontale et péri-implantaire. CdP. 2017. p. 401-85. (JPIO).
          11. Morton D, Chen ST, Martin WC, Levine RA, Buser D. Consensus statements and recommended clinical procedures regarding optimizing esthetic outcomes in implant dentistry. Int J Oral Maxillofac Implants. 2014;29 Suppl:216-20.
          12. Zucchelli G, Mazzotti C, Mounssif I, Mele M, Stefanini M, Montebugnoli L. A novel surgical-prosthetic approach for soft tissue dehiscence coverage around single implant. Clin Oral Implants Res. 2013;24(9):957-62.
          13. Berglundh T, Lindhe J, Jonsson K, Ericsson I. The topography of the vascular systems in the periodontal and peri-implant tissues in the dog. J Clin Periodontol. 1994;21(3):189-93.
          27 OBJECTIF PARO #64 Avril 2024
        ARTICLE SCIENTIFIQUE
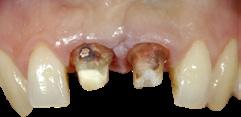
        Figure 3 : Aménagement tissulaire après la pose de l’implant Lors de la photo pré opératoire (à gauche), L’examen clinique révèle une proximité des implants «
          » et l’absence de
          Notons
          
              
              
            
            LAURÉAT 2E PRIX SÉANCE COMMUNICATION CLINIQUE 2
          
              
              
            
            ASSOCIATION DE L’ACIDE HYALURONIQUE À UNE XÉNOGREFFE POUR LE TRAITEMENT DES DÉFAUTS
          INFRA-OSSEUX PARODONTAUX : À PROPOS DE 18 CAS
          INTRODUCTION
          Le traitement des défauts parodontaux infra-osseux est possible grâce aux techniques de régénération tissulaire. La chirurgie mini-invasive associée à des biomatériaux de régénération comme l’acide hyaluronique et les xénogreffes pourrait améliorer la cicatrisation.
          
    non chirurgical, l’exa -
          clinique révèle
          profondeur de poche résiduelle de 9mm en mésial de 36. L’examen radiologique permet d’analyser plus en détails les caractéristiques du défaut infra-osseux (profondeur infra-osseuse 5,5mm, largeur 1,7mm, angle 16,2°)
          L’acide hyaluronique (AH) est un composant clé de la matrice extracellulaire impliqué dans la migration cellulaire et présent dans différentes cellules du parodonte [1]. Des études in vitro ont révélé que l’AH induit une différenciation ostéogénique précoce des cellules du ligament parodontal [2], augmente les propriétés migratoires et prolifératives des fibroblastes gingivaux [3] et des pré-ostéoblastes, ce qui en fait un biomatériaux intéressant pour la régénération osseuse et parodontale [4]. De plus, l’AH peut induire la prolifération et la différenciation ostéogénique des cellules de la moelle osseuse et des cellules pré-ostéoblastiques, jouant un rôle important dans les stades précoces et tardifs de la formation osseuse [5,6]. Ainsi, des études animales évaluant les effets de l’AH dans le traitement des défauts intra-osseux et de récession révèlent une régénération parodontale par la
          
    Auteurs :
          A. BRINCAT, C. SADOWSKI, R. OHANESSIAN, T. RANCHAIN, M. CREST, D. GOLZMANN, M. BLANC, A.ANTEZACK, V. MONNET-CORTI.
          
    formation de cément, de ligament parodontal et d’os [7,8]
          Les preuves actuelles suggèrent que l’AH peut non seulement influencer positivement la régénération parodontale, mais peut également avoir un rôle potentiel dans la formation osseuse. Des revues systématiques récentes ont montré que l’utilisation de l’AH dans le traitement parodontal non chirurgical et chirurgical peut avoir un effet positif sur les résultats cliniques avec une réduction de la profondeur de sondage de la poche (PPD), un gain du niveau d’attache clinique (CAL) et une diminution de saignement au sondage (BOP) [9]
          
    Les thérapeutiques combinées avec un comblement osseux permettent de maintenir le volume de l’espace cicatricielle du défaut infra-osseux et de stabiliser le caillot sanguin, améliorant les résultats cliniques [10]
          MATÉRIEL ET MÉTHODE
          18 patients atteints de parodontite stade III ou IV présentant 19 lésions intra-osseuses ont été traitées par chirurgie de régénération parodontale minimalement invasive (Fig 1). Après anesthésie para-apicale vestibulaire et linguale, une incision de préservation papillaire horizontale MPPT (si l’espace inter-dentaire est supérieure à 2mm) ou SPPF (si
          28 OBJECTIF PARO #64 Avril 2024
        ARTICLE SCIENTIFIQUE
        Fig 1 : Après thérapeutique parodontale
          men
          une
          Fig 2 : Incision de préservation papillaire horizontale de type MPPT et décollement unilatéral de type M-MIST.
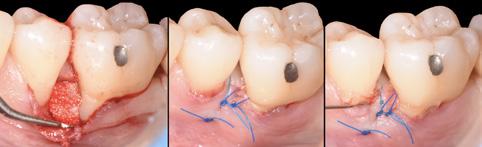
          Fig 3 : Après élimination du tissu de granulation, mise en place de l’acide hyaluronique (Hyadent®, Regedent) et du comblement osseux (Collapat II®, Symatese)
          l’espace inter-dentaire est inférieur à 2mm) est réalisé avec une micro-lame (MJK® BW002). Puis un lambeau unilatéral M-MIST (si préservation de la corticale linguale) ou bilatéral MIST (en cas d’absence de la corticale linguale) est effectué avec un décolleur à papille (Fig 2) [11]. Le tissu inflammatoire est éliminé à l’aide de mini-curettes et mini-ultrasons, puis le défaut infra-osseux est régénéré en associant de l’acide hyaluronique (Hyadent®, Regedent) à une xénogreffe (Collapat II ®, Symatese) (Fig 3). On obtient une fermeture de première intention à l’aide de points matelassiers et simples (fil de suture 5.0 en nylon) (Fig 4)
          Le critère d’évaluation principal est le niveau d’attache clinique à un an post-opératoire (Fig 5) .Les critères d’évaluation secondaires sont : la profondeur de sondage de la poche et la hauteur de la récession gingivale.
          RÉSULTATS
          
    Fig 4 : Défaut infra-osseux comblé, sutures par un point matelassier horizontal en base de papille et deux points simples en tête de papille. Mise en place d’acide hyaluronique sur les sutures.
          Les résultats sont observés à un an post-opératoire.
          Le gain d’attache clinique moyen est de 3,68 ± 1,71 mm.
          La profondeur de sondage a été réduite en moyenne de 4,94 ± 1,71 mm. La récession a été augmentée en moyenne de 1,31 ± 1,67 mm.
          DISCUSSION
          Les résultats sont comparables à ceux de la littérature. L’étude de Bozic et al. associant une xénogreffe (Bio-Oss®) avec de l’acide hyaluronique a montré un gain d’attache clinique de 3,65 ± 1,67 mm, une réduction de la profondeur
          
    de poche de 4,54 ± 1,65 mm et une augmentation de la récession gingivale de 0,89 ± 0,59 mm sur 27 défauts infraosseux. [12]
          Une méta-analyse de Matarasso al. a montré que le traitement chirurgical des défauts infra-osseux associant les protéines dérivés de la matrice amélaire et un comblement osseux entrainait un gain d’attache clinique de 3,76 ± 1.07mm, une réduction de la profondeur de poche de 4,22 ± 1,20 mm et une augmentation de la récession de 0,76 ± 0,42 mm. [13]
          CONCLUSION
          Les résultats obtenus chez les patients traités par chirurgie mini-invasive associée à l’acide hyaluronique et à une xénogreffe ont montré une amélioration des paramètres cliniques et radiographiques.
          Fig 5 : Situation à un an post-opératoire. On observe une poche de 3mm sans saignement et une résolution radiographique du défaut infra-osseux.
          1) Bartold P. Proteoglycans of the Periodontium: Structure, Role and Function— PubMed. J. Periodontal Res. 1987;22:431–444.
          2) Fujioka-Kobayashi M., Müller H.-D., Mueller A., Lussi A., Sculean A., Schmidlin P.R., Miron R.J. In Vitro Effects of Hyaluronic Acid on Human Periodontal Ligament Cells. BMC Oral Health. 2017;17:44
          3) Asparuhova M.B., Kiryak D., Eliezer M., Mihov D., Sculean A. Activity of Two Hyaluronan Preparations on Primary Human Oral Fibroblasts. J. Periodontal Res.
          4) Asparuhova M.B., Chappuis V., Stähli A., Buser D., Sculean A. Role of Hyaluronan in Regulating Self-Renewal and Osteogenic Differentiation of Mesenchymal Stromal Cells and Pre-Osteoblasts. Clin. Oral Investig. 2020;24:3923–3937
          5) Fujioka-Kobayashi M., Schaller B., Kobayashi E., Hernandez M., Zhang Y., Miron R. Hyaluronic Acid Gel-Based Scaffolds as Potential Carrier for Growth Factors: An In Vitro Bioassay on Its Osteogenic Potential. J. Clin. Med. 2016;5:112.
          6) Zou L., Zou X., Chen L., Li H., Mygind T., Kassem M., Bünger C. Effect of Hyaluronan on Osteogenic Differentiation of Porcine Bone Marrow Stromal Cells in Vitro. J. Orthop. Res. 2008;26:713–720.
          7) Shirakata Y., Nakamura T., Kawakami Y., Imafuji T., Shinohara Y., Noguchi K., Sculean A. Healing of Buccal Gingival Recessions Following Treatment with Coronally Advanced Flap Alone or Combined with a Cross-linked Hyaluronic Acid Gel. An Experimental Study in Dogs. J. Clin. Periodontol. 2021;48:570–580.
          8) Shirakata Y., Imafuji T., Nakamura T., Kawakami Y., Shinohara Y., Noguchi K., Pilloni A., Sculean A. Periodontal Wound Healing/Regeneration of Two-Wall Intrabony Defects Following Reconstructive Surgery with Cross-Linked Hyaluronic Acid-Gel with or without a Collagen Matrix: A Preclinical Study in Dogs. Quintessence Int. Berl. Ger. 1985. 2021;52:308–316.
          9) Eliezer M., Imber J.-C., Sculean A., Pandis N., Teich S. Hyaluronic Acid as Adjunctive to Non-Surgical and Surgical Periodontal Therapy: A Systematic Review and Meta-Analysis. Clin. Oral Investig. 2019;23:3423–3435.
          10) Reynolds MA, Aichelmann-Reidy ME, Branch-Mays GL, Gunsolley JC. The efficacy of bone replacement grafts in the treatment of periodontal osseous defects. A systematic review. Ann Periodontol. 2003 Dec;8(1):227-65.
          11) Cortellini P, Tonetti MS. Improved wound stability with a modified minimally invasive surgical technique in the regenerative treatment of isolated interdental intrabony defects. J Clin Periodontol. 2009 Feb;36(2):157-63.
          12) Božić D, Ćatović I, Badovinac A, Musić L, Par M, Sculean A. Treatment of Intrabony Defects with a Combination of Hyaluronic Acid and Deproteinized Porcine Bone Mineral. Materials (Basel). 2021 Nov 11;14(22):6795.
          13) Matarasso M, Iorio-Siciliano V, Blasi A, Ramaglia L, Salvi GE, Sculean A. Enamel matrix derivative and bone grafts for periodontal regeneration of intrabony defects. A systematic review and meta-analysis. Clin Oral Investig. 2015 Sep;19(7):1581-93.
          29 OBJECTIF PARO #64 Avril 2024
        Bibliographie
        ARTICLE SCIENTIFIQUE
        DU 26 AU 28 SEPTEMBRE : RENDEZ-VOUS À OSTÉOLOGY PARIS !
          Geistlich a le plaisir de vous convier au National Symposium Osteology Paris 2024 !
          
    L’événement le plus reconnu dans le domaine de la dentisterie régénérative revient pour une quatrième édition
          qui promet d’être fascinante.
          Présidé par un comité scientifique d’experts renommés, les Drs Emmanuelle Ettedgui, Hélène Arnal et Anton Sculean vous ont concocté un programme scientifique inédit à la découverte de la Beauté de la Régénération.
          Au programme : 35 conférenciers nationaux et internationaux tels que Istvan Urban, Mariano Sanz, Sofia Aroca et bien d’autres encore ;3 journées captivantes rythmées par des workshops inédits et axés sur les innovations produits et les techniques actuelles, un nouveau concept de Vidéo Battle et encore de nombreuses suprises…
          Rendez-vous à la Maison de la Chimie à Paris, du 26 au 28 septembre 2024 ! Jusqu’au 30 avril, profitez d’une
          promotion exceptionnelle en bénéficiant du tarif Early Bird à 650 € au lieu de 880 €
          Pour profiter du tarif Early Bird, flashez ce code :
          
    Pour découvrir le programme scientifique,flashez ce code :
          
    
    
    
    
    
    Les candidatures sont à envoyer à secretariat.cnep@gmail.com au plus tard le 3 Juin 2024
          Le célèbre prix meridol®, fort de plus de 20 ans d’existence, met à l’honneur chaque année des travaux de haute qualité en Parodontologie et/ou Implantologie issus de jeunes cliniciens ou chercheurs provenant de toutes les UFR d’Odontologie de France.
          Les candidatures sont à soumettre au plus tard le 3 Juin 2024, sous forme de résumé à envoyer à secretariat.cnep@ gmail.com et seront acceptées ou refusées par le bureau du Collège National des Enseignants en Parodontologie (CNEP), présidé par le Professeur Olivier HUCK, pour présentation finale le
          Vendredi 27 Septembre 2024 aux journées du CNEP à Lyon.
          Deux lauréats seront désignés par un jury scientifique et par le public qui votera le jour des communications orales au CNEP.
          Ils repartiront avec un prix prestigieux, le prix du Public ou le prix du Jury et Colgate®, partenaire de longue date du CNEP, aura l’immense plaisir d’inviter les deux lauréats au Congrès EuroPerio11 à Vienne*.
          Retrouvez toutes les informations sur ce prix ainsi que le règlement sur www.cneparo.fr
          30 OBJECTIF PARO #64 Avril 2024
        NOS PARTENAIRES VOUS INFORMENT
        ® 2024 : LES CANDIDATURES SONT OUVERTES
        proposé par Comité scientifique de sélection Bureau du CNEP présidé par le Professeur Olivier HUCK parrainé par Collège National des Enseignants en Parodontologie Colgate-Palmolive SAS au capital de 911 180 euros. RCS 478 991 649. F-92700 Colombes ET GAGNEZ UNE INVITATION* à EuroPerio 11 à Vienne Envoyez votre candidature par mail à secretariat.cnep@gmail.com avant le 3 juin 2024 VOUS ÊTES INSCRIT AU TABLEAU DE L’ORDRE En D.U. de parodontologie et/ou implantologie, DEA, M1 ou M2 ttaché, Assistant Hospitalo-Universitaire (enseignants ulaires exclus) *sous réserve d’autorisation préalable des instances Un cas clinique Une recherche fondamentale ou clinique Tout autre sujet en lien avec la parodontologie et implantologie travaux pédagogiques, revue de la littérature OU OU COMMUNIQUEZ AU CNEP le 27 Septembre 2024 à Lyon 2 PRIX PRESTIGIEUX Prix du public • Prix du jury 2001 depuis PARTICIPEZ AU 2024
        PRIX MERIDOL
        !
        
    
    
    
    
    Le système d’implants Thommen MULTIGUARD Protection Solution Driven by science, not trends. EVERGUARD® Connection TISSUEGUARD® Collar INTEGUARD® Matrix
        
    CONGRÈS NATIONAL
          
              
              
            
            LA BAULE
          14 & 15 JUIN 2024
          
    
    
    
    CONFÉRENCIERS
          NAGORE AMBROSIO
          MASSIMO DE SANCTIS
          PHILIPPE DOUCET
          ELENA FIGUERO
          JEAN-LOUIS GIOVANNOLI
          MARJOLAINE GOSSET CYRIL GOUBRON RONALD JUNG
          
    
    VIRGINIE MONNET-CORTI
          ROMAIN OHANESSIAN FRANCK RENOUARD
          MARIANO SANZ
          MARTINA STEFANINI
          DANIEL THOMAS
          GIOVANNI ZUCCHELLI ANINA ZURCHER
          RETROUVEZ EN LIGNE
          Toutes les informations du congrès en temps réel : programme, ateliers, actualités partenaires, votre inscription, vos soumissions d’abstract...
          www.congres-sfpio.com
          
    
    
    
    WWW.SFPIO.COM
        CAROLINE FOUQUE PRÉSIDENTE SFPIO
          SOFIA AROCA PRÉSIDENTE SCIENTIFIQUE REMI CHANGEY PRÉSIDENT DU CONGRÈS
          
    NOBEL BIOCARE ÉLARGIT SA GAMME DE RÉGÉNÉRATION CREOS™
          Nobel Biocare, est fière d’annoncer l’élargissement de sa gamme de produits de régénération creos™. Cette gamme de produits étendue comprend des fils de sutures, des systèmes de fixation, des pansements chirurgicaux et des membranes de haute qualité, qui viennent s’ajouter à des produits de régénération existants à l’efficacité scientifiquement prouvée
          Ces nouveaux produits incluent : Creos™ syntostitch : des fils de suture en PTFE non résorbables et monofilament.
          Creos™ xenofill : pansements chirurgicaux résorbables.
          Vis de fixation creos™ : instruments
          et vis pour une mise en place rapide et facile des membranes, des blocs osseux et des vis à tête de piquet de tente.
          Creos™ xenofirm : membrane de collagène longue durée, résorbable et résistante à la flexibilité optimisée et hautement résistante à la traction.
          
    Pour plus d’informations, flashez ce code :
          Creos™ syntoprotect : membrane en PTFE dense non résorbable pour le comblement d’alvéole d’extraction, les augmentations de crêtes et les greffes dans les cas de pertes de grande étendue.
          
    NOUVELLE TÊTE DE BROSSE PHILIPS : DÉCOUVREZ LA S2 SENSITIVE
          Pour que les patients ayant un parodonte fragilisé puissent allier extrême douceur et efficacité, Philips Sonicare fait évoluer sa gamme de têtes de brosses avec la nouvelle S2 Sensitive.
          Grâce à ses 3 000 brins ultrafins de 0,1 mm (les plus fins de toutes les têtes de brosse Philips Sonicare), la nouvelle S2 sensitive élimine jusqu’à 10 fois plus de plaque dentaire** qu’une brosse à dents manuelle. En outre, ces nouvelles têtes de brosse S2 Sensitive sont équipées de la technologie BrushSync qui leur permet d’avertir l’utilisateur (avec manche compatible) que le moment est venu de remplacer sa tête de brosse en fonction de ses habitudes de brossage. Soit environ après trois mois d’utilisation.
          Douce pour les dents et les gencives, la nouvelle S2 sensitive l’est aussi pour l’environnement puisqu’elle intègre 70% de plastique biosourcé* afin de réduire l’utilisation du plastique issu de ressources fossiles. Comme toutes les têtes de brosse de la gamme Philips Sonicare, la nouvelle S2 sensitive est totalement compatible avec les brosses à dents Philips Sonicare quel que soit leur modèle. Toutes utilisent en effet la même technologie sonique et ses 31000 mouvements de balayage par minute.
          * Attribué à cette tête de brosse sur la méthode du bilan massique
          ** Par rapport à une brosse à dents manuelle en 6 semaines
          *** Par rapport à une brosse à dents manuelle
          
    NOS PARTENAIRES
        VOUS INFORMENT
        33 OBJECTIF PARO #64 Avril 2024
        
              
              
            
            NOS PARTENAIRES VOUS INFORMENT
          1 IMPLANT SUR 5 EST ATTEINT DE PÉRI-IMPLANTITE !1
          Combattre la péri-implantite en seulement 2 minutes ? C’est désormais possible !
          Grâce à GalvoSurge® et son traitement électrochimique, en 2 minutes vous pourrez :
          - Éliminer complètement le biofilm2
          - Décontaminer la surface exposée de l’implant, les filetages, les contre-dépouilles et la microstructure sans altérer la structure de la surface de l’implant3
          - Optimiser les conditions pour les procédures de régénération osseuse ou greffe osseuse 4
          1 Derks J, Tomasi C. Peri-implant health and disease. A systematic review of current epidemiology. J Clin Periodontol 2015.
          
    
    2 3 4 Références : https://www.straumann. com/fr/fr/discover/galvosurge.html
          TEPE : UNE NOUVELLE SOLUTION CONTRE LA SÉCHERESSE BUCCALE
          
    La sécheresse buccale : une affection dont on parle peu, mais qui affecte la vie au quotidien.
          La sécheresse buccale, aussi appelée xérostomie, est liée à une diminution de la quantité de salive et/ou à un changement de composition de la salive. La personne atteinte de sécheresse de la
          bouche peut présenter plusieurs symptômes : langue sèche, impression de brûlure ou d’irritation de la bouche, soif accrue, diminution de la perception du goût des aliments (dysgueusie), difficultés à mastiquer et avaler (dysphagie), ou encore des problèmes d’élocution (dysphonie).
          Certaines personnes déclarent une sensation de mauvaise haleine et d’autres souffrent de bouche sèche et moite même après avoir bu de l’eau en grandes quantités. Globalement, 1 personne sur 5 souffre de sécheresse buccale*. Ce chiffre est plus élevé parmi certains groupes démographiques :
          • Les personnes âgées
          • Les femmes en ménopause
          • Les personnes sous traitements de médicaments
          • Les personnes souffrant de certaines maladies (diabète, syndrome
          de Sjögren, maladie de Parkinson ou d’Alzheimer)
          Cette affection courante touche des personnes de tous âges et peut avoir une influence négative sur leur qualité de vie. Dans la majeure partie des cas, il est important de trouver un moyen de réduire l’inconfort par des produits qui apportent un soulagement et la juste hydratation.
          La nouvelle gamme TePe de produits hydratants est conçue pour offrir un soulagement immédiat et prolongé.
          Les dispositifs soulagent, hydratent et apaisent. Les bains de bouche hydratants au fluor offrent également une protection supplémentaire contre les caries.
          * Référence : Furness S, et al. Interventions for the management of dry mouth: topical therapies. Cochrane Database Syst Rev. 2011 Dec 7 ;(12):CD008934.
          Découvrez GalvoSurge® 34 OBJECTIF PARO #64 Avril 2024
        Giovanni E. Salvi, Prof Dr med dent,* Raluca Cosgarea, PD, Dr med dent,†‡ and Anton Sculean, Prof Dr med dent, MS§, 2019.
          
    
    
    
    
    
    
    
    
    
    Hu-Friedy Mfg. Co., LLC. • European Headquarters • Lyoner Str. 9 • 60528 Frankfurt am Main, Germany • HuFriedyGroup.eu Tous les noms de sociétés et de produits sont des marques commerciales de Hu-Friedy Mfg. Co. LLC., de ses filiales ou sociétés liées, sauf indication contraire. ©2023 Hu - Friedy Mfg. Co., LLC. Tous droits réservés. HFL-771FR/1123 Pour plus d’informations sur les produits HuFriedyGroup appelez au 00800 48 37 43 39 ou visitez HuFriedyGroup.eu Dans la gamme HuFriedyGroup, vous trouverez la suture idéale pour chaque procédure chirurgicale. POLYPROPYLÈNE, POLYAMIDE SECTION RONDE SECTION CONIQUE COUPE INVERSÉE COUPE INVERSÉE EXTRA PTFE PGCL POLYESTER SOIE PGA, PGLA, PGLA RAPID TOUTES LES SUTURES DONT VOUS AVEZ BESOIN!
        
              
              
            
            MIEUX CONNAÎTRE NOS PARTENAIRES
          Farah AMRI, Directrice TePe France
          répond aux questions des Responsables Partenaires SFPIO, Véronique MOLINA et Damien FEUILLET
          Pouvez-vous nous présenter votre société ?
          Nous sommes un groupe suédois fondé en 1965, nous développons, fabriquons et commercialisons des dispositifs d’hygiène bucco-dentaire de haute qualité.
          Notre objectif est de sensibiliser aux soins dentaires préventifs et au nettoyage interdentaire pour une meilleure santé buccale et une meilleure santé générale.
          Aussi, nous proposons une large gamme de brossettes interdentaires, brosses à dents, dentifrices et autres dispositifs, conçue et développée sur la base de connaissances cliniques dans nos usines situées à Malmö, dans le sud de la Suède.
          Avec une vision « des sourires sains pour la vie, par une bonne santé bucco-dentaire » ; nous collaborons au quotidien avec les professionnels de la santé et proposons des dispositifs adaptés aux besoins spécifiques de chacun (gencives saines, gencives sensibles, parodontie, implants, orthodontie…).
          Nous avons pris l’engagement de limiter l’usage de matières fossiles au profit du bioplastique renouvelable ou recyclé. Aujourd’hui, tous les manches des brosses à dents et des brossettes interdentaires TePe sont fabriqués à partir de matières premières renouvelables respectant la certification internationale de durabilité (ISCC PLUS).
          Pouvez-vous en quelques mots nous
          rappeler la création et l’avènement de votre société telle qu’on la connait aujourd’hui ?
          En 1965, nous avons présenté le curedents triangulaire, une contribution significative aux soins dentaires à l’époque. Avec l’aide et le soutien scientifique de professeurs de l’École de médecine dentaire de Malmö, Henning Eklund a mis au point le design innovant qui a marqué les débuts de TePe.
          Progressivement nous avons introduit de nouvelles gammes de prophylaxie, des brosses à dents aux brossettes interdentaires, jusqu’aux dernières nouveautés : dentifrices et dispositifs contre la sécheresse buccale.
          Aujourd’hui, nous sommes une société mondiale avec des filiales et un réseau de distribution dans le monde entier. TePe reste une entreprise familiale, dont toute la production est basée en Suède. Notre mission reste la même : développer des produits et solutions d’hygiène bucco-dentaire de qualité en collaboration d’experts de la santé dentaire et encourager chacun à une vie plus saine..
          Quels apports spécifiques pensezvous pouvoir apporter aux praticiens spécialistes, ou dont la pratique est « orientée » paro ou implantologie ?
          Il est plus important que jamais de sensibiliser la population aux soins bucco-dentaires préventifs et au lien entre la santé bucco-dentaire et la santé générale.
          
    Et avec l’éclairage du chirurgien-dentiste, l’acteur principal de sa santé bucco-dentaire reste le patient lui-même.
          C’est pourquoi nous offrons une large gamme de dispositifs de haute qualité, efficaces en prévention et en traitement de maladies parodontales mais également pour les patients avec des implants. En effet, en complément des soins dispensés au cabinet, il est fondamental que le patient assure quotidiennement l’entretien de ses dents et ses espaces interdentaires pour maintenir sa bouche saine et ne pas compromettre le succès du traitement professionnel.
          Nous mettons ainsi à la disposition praticiens spécialistes et des patients plusieurs gammes de brossettes interdentaires de très bonnes qualités, adaptées à tous les types d’espaces interdentaires, grâce à plusieurs tailles, différentes textures de brins, longueurs de manche et têtes de brosse. Avec des solutions propres pour un usage au cabinet. Également, des brosses à dents spécifiques pour le nettoyage des zone plus difficiles d’accès (telles que certaines zones linguales ou palatines), et plus récemment une gamme de dentifrices, bains de bouche fluorés et gels buccaux.
          Quels produits concernent plus particulièrement les soins en parodontologie ?
          Selon les études, la brossette interdentaire est l’outil le plus efficace pour
          36 OBJECTIF PARO #64 Avril 2024
        Farah AMRI Directrice TePe France
          éliminer la plaque dentaire entre les dents, où débutent les maladies parodontales telles que la gingivite et la parodontite. Nous avons développé nos brossettes interdentaires en collaboration avec des experts dentaires afin d’en garantir la meilleure efficacité mais aussi le confort d’usage.
          Le respect de l’environnement étant capital à nos yeux, la majeure partie de nos dispositifs sont fabriqués avec des matières premières renouvelables pour en réduire l’impact en émission carbone.
          Nous proposons trois gammes de brossettes interdentaires : les brossettes interdentaires TePe Originales, en 9 tailles et brins souples, les brossettes interdentaires TePe Extra Souples aux brins extrêmement doux pour les gencives sensibles ou en post chirurgie et les brossettes interdentaires TePe Angle pour la maitrise des espaces postérieurs.
          Pour répondre aux besoins de tous, nous développons également d’autres dispositifs de nettoyage interdentaire tels que les cure-dents en silicone EasyPick, ainsi
          que du fil dentaire pour les personnes sans espaces interdentaires et un fil dentaire spécifique pour les patients portant des bridges ou des implants.
          En usage au cabinet, nous proposons des pastilles de révélation de plaque dentaire. Très utile et rapide à utiliser au fauteuil, la pastille révèlera en deux couleurs distinctes la plaque dentaire récente et la plus ancienne.
          Enfin, nous proposons une large gamme de brosses à dents spécifiques, comme la brosse à dent Special Care en post chirurgie, la Universal Care pour le nettoyage des zones linguales et palatines ou encore la Compact Tuft pour le nettoyage de la ligne gingivale, des surfaces occlusales des dents émergentes ou des dents de sagesse.
          Quel message souhaitez-vous adresser aux membres de notre société ?
          Nous souhaiterions les remercier de leur confiance et comme pour eux, l’innovation, le savoir et la santé font partie intégrante du développement de TePe.
          Nous considérons qu’il est de notre responsabilité de contribuer à un avenir durable et d’en faire le cœur de notre travail. Pour TePe, le développement durable, c’est aussi assurer un bien-être environnemental, économique et social, pour aujourd’hui et demain.
          Nous sommes convaincus qu’ensemble et par de simples actions, nous pouvons à la fois, agir sur la prévention en matière d’hygiène bucco-dentaire et parallèlement réduire notre impact sur l’environnement, en somme, faire de TePe un choix qui compte.
          
    Contact :
          Service clients TePe France
          Email : Info.france@tepe.com
          Tél : +33 1 85 76 69 70
          UNE NOUVELLE SOLUTION CONTRE LA SÉCHERESSE BUCCALE : UNE AFFECTION DONT ON PARLE PEU, MAIS QUI
          
              
              
            
            AFFECTE LA VIE AU QUOTIDIEN
          
    La sécheresse buccale, aussi appelée xérostomie, est liée à une diminution de la quantité de salive et/ou à un changement de composition de la salive. La personne atteinte de sécheresse de la bouche peut présenter plusieurs symptômes : langue sèche, impression de brûlure ou d’irritation de la bouche, soif accrue, diminution de la perception du
          goût des aliments (dysgueusie), difficultés à mastiquer et avaler (dysphagie), ou encore des problèmes d’élocution (dysphonie).
          Certaines personnes déclarent une sensation de mauvaise haleine et d’autres souffrent de bouche sèche et moite même après avoir bu de l’eau en grandes quantités. Globalement, 1 personne sur 5 souffre de sécheresse buccale*. Ce chiffre est plus élevé parmi certains groupes démographiques :
          • Les personnes âgées
          • Les femmes en ménopause
          • Les personnes sous traitements de médicaments
          • Les personnes souffrant de certaines maladies (diabète, syndrome de Sjögren, maladie de Parkinson ou d’Alzheimer)
          Cette affection courante touche des personnes de tous âges et peut avoir une influence négative sur leur qualité de vie. Dans la majeure partie des cas, il est important de trouver un moyen de réduire l’inconfort par des produits qui apportent un soulagement et la juste hydratation.
          La nouvelle gamme TePe de produits hydratants est conçue pour offrir un soulagement immédiat et prolongé. Les dispositifs soulagent, hydratent et apaisent. Les bains de bouche hydratants au fluor offrent également une protection supplémentaire contre les caries.
          * Référence : Furness S, et al. Interventions for the management of dry mouth: topical therapies. Cochrane Database Syst Rev. 2011 Dec 7 ;(12):CD008934.
          37 OBJECTIF PARO #64 Avril 2024
        CYCLE DE FORMATION CONTINUE EN PARODONTOLOGIE
          2024 / 2025
          NIVEAU 1
          10-12 octobre 2024
          NIVEAU 2
          23-24 janvier 2025
          NIVEAU 3
          16-17 mai 2025
          MASTERCLASS EN CHIRURGIE PLASTIQUE PARODONTALE 2025
          23-24 janvier 2025
          2024/2025
          4 MASTERCLASS EN IMPLANTOLOGIE
          23-24 mai 2024
          24-25 mai 2024
          11-12 octobre 2024
          23-14 janvier 2025
          L’IMPLANTOLOGIE & LA PARODONTOLOGIE
          POUR LES ASSISTANTS DENTAIRES
          PROCHAINE SESSION
          16-17 mai 2025
          
    
    Préserver la denture naturelle existante
          Avoir recours à la chirurgie parodontale avancée, à la prothèse et/ou à l’implantologie
          Chirurgie plastique parodontale
          Session d’approfondissement LIMITÉE À 20 PLACES
          NOMBREUX TRAVAUX PRATIQUES & SESSIONS VIDÉO
          
    NOMBREUX TRAVAUX PRATIQUES & SESSIONS VIDÉO
          
    Session d’approfondissement LIMITÉE À 20 PLACES
          Greffes osseuses pré et péri-implantaires : autologue ou ROG ?
          Le sinus de A à Z. La gestion des complications en implantologie
          Les bases de l’implantologie - Poser ses implants en toute sécurité et sérénité
          Résolution de cas complexes : de la zone esthétique à l’édenté complet
          NOMBREUX TRAVAUX PRATIQUES & SESSIONS VIDÉO
          Les maladies parodontales et les récessions gingivales
          Accompagner les changements comportementaux
          Soutenir l’observance des patients
          Les indications et principes de chirurgie parodontale
          La préparation de la salle blanche et l’asepsie
          L’instrumentation chirurgicale
          Prévention et gestion des complications
          FORMATION CONTINUE SFPIO RENSEIGNEMENTS www.sfpio.com 02 40 08 06 63 caroline.deniaud@sfpio.com 40 avenue de Friedland 75008 PARIS Plus d’informations & inscriptions sur www.sfpio.com
        
    
    
    Soulagement immédiat1 et durable de la douleur2 désormais avec une résistance accrue face aux acides3
          Formule améliorée3
          
    
    LA Technologie Pro-Argin unique + Phosphate de Zinc
          Réduction de la douleur causée par l‘hypersensibilité
          60,5% après la première utilisation1
          80,5% après 8 semaines²
          Meilleure obturation des canalicules4
          
    Couche de Phosphate de Zinc Technologie Pro-Argin
          Scannez ici pour en savoir plus ou accédez à www.colgateprofessional.fr pour plus d‘informations.
          1 Par rapport à la valeur initiale, Nathoo et al. J Clin Dent. 2009;20 (Spec Iss):123-130. (Pour un soulagement immédiat, appliquez directement sur la dent sensible avec le bout du doigt et massez délicatement pendant 1 minute) • 2 À usage continu, Docimo et al. J Clin Dent. 2009;20 (Spec Iss):17-22 • 3 Par rapport à la formule précédente, résistance face aux acides in vitro après 5 brossages, rapport de Hines 2021, données internes, Centre de technologie Colgate-Palmolive (2021) • 4 Étude in vitro utilisant une comparaison par test à deux échantillons, images confocales après 5 traitements, données internes, Centre de technologie Colgate-Palmolive (nov 2021).
          Le dentifrice elmex SENSITIVE PROFESSIONAL est un dispositif médical de classe IIa pour soulager les dents sensibles. Lire attentivement les instructions figurant sur l‘emballage. CE 0483. Colgate-Palmolive manufacturing Poland, Sp. z.o.o, Aleja Colgate 2, Swidnica 58-100, Poland. Mise à jour mai 2021.
          SAS au capital de 6 911 180 €. RCS 478 991 649 Nanterre92 700 Colombes