La cellula, il metabolismo e la riproduzione

4 La cellula al microscopio
5 La cellula e l’ambiente esterno
6 La cellula e gli scambi di energia
7 Divisione cellulare e riproduzione
Tre giri intorno alla Terra
Gli abitanti della pelle
La fotografia rappresentata in questa immagine è stata scattata al microscopio elettronico a scansione e mostra la struttura della rete dei vasi sanguigni del tessuto connettivo attorno a un muscolo scheletrico. Il rilassamento e la contrazione dei muscoli permettono al sangue di muoversi lungo i vasi e raggiungere le sezioni periferiche del corpo.
foto in questa pagina è stata realizzata al microscopio elettronico a scansione e in seguito colorata in computer grafica. Rappresenta un ingrandimento della pelle umana (in verde) colonizzata da cellule batteriche (in blu). A questo ingrandimento, circa 10 000 volte le dimensioni reali, è possibile distinguere i numerosi microrganismi tondeggianti ma non le singole cellule che compongono la pelle.
LO SAPEVI CHE... ci sono più organismi composti da una singola cellula che vivono al di sopra della pelle di un solo essere umano che esseri umani sull’intera su perficie terrestre?
LO SAPEVI CHE... nel corpo umano ci sono in media circa 120 000 km di vasi sanguigni, ovvero tre volte la circonferenza della Terra? Questo vuol dire che mettendo in fila indiana tutti i vasi sanguigni si potrebbe avvolgere il Pianeta per tre volte.

La cellula al microscopio 4
Osserva la mappa per avere un’idea di cosa studierai nel Capitolo e in generale nella Sezione. Al termine dello studio prova a integrare questa mappa con le altre a tua disposizione.
cellula
formata da può essere
molecole
cellula procariotica cellula eucariotica
Personalizza la mappa interattiva
si divide attraverso
membrana cellulare
carboidrati
proteine
presente in contiene usa
catalizzano le attività chimiche della cellula
organuli archei batteri
mitosi
fotosintesi meiosi
includono produce produce attraverso cui avviene
respirazione
1. La cellula è l’unità elementare della vita
Un essere umano, una rosa, un fungo e un batterio sembrano avere poco in comune, se non il fatto di essere vivi. Eppure, questi organismi sono tutti costituiti da strutture microscopiche chiamate cellule, le più piccole unità biologiche capaci di funzionare in modo autosufficiente. All’interno delle cellule si svolgono processi biochimici complessi che insieme costituiscono le funzioni di base della vita.
La teoria cellulare
Lo studio delle cellule ebbe inizio nel 1660, quando il fisico e naturalista inglese Robert Hooke perfezionò lenti e sistemi di illuminazione che permettevano l’osservazione di piccoli dettagli. Hooke puntò le sue lenti su aculei, piume, squame di pesci e su diversi insetti. Quando osservò un frammento di sughero (ossia la corteccia di un tipo di quercia) notò che era suddiviso in piccoli compartimenti. Li chiamò cellule, dalla parola latina che significava “piccola stanza”. Hooke fu il primo a osservare la parete di una cellula, anche se non si rese conto del significato delle sue osservazioni. La sua scoperta diede origine a quella branca della scienza che oggi si chiama biologia cellulare. In seguito, l’olandese Antoni van Leeuwenhoek migliorò ulteriormente le tecniche di fabbricazione delle lenti. Il suo strumento aveva una lente sola, ma forniva un’immagine
trasporto
ATP
più nitida e ingrandita rispetto alla maggior parte dei microscopi a due lenti dell’epoca 1. Fu lui il primo a osservare e descrivere dei batteri.
Nel corso del XIX secolo, microscopi più potenti rivelarono i dettagli della struttura interna delle cellule.

1 Primi microscopi. Antoni van Leeuwenhoek migliorò le tecniche di microscopia. Nel suo microscopio l’oggetto da osservare
Nel 1839, i biologi tedeschi Matthias J. Schleiden e Theodor Schwann introdussero una nuova teoria basata sulle loro osservazioni al microscopio. Schleiden aveva notato che le cellule erano le unità di base delle piante; successivamente, Schwann stabilì lo stesso per gli animali. Confrontando poi le cellule animali con quelle vegetali e osservando che avevano molte caratteristiche in comune, gli scienziati conclusero che le cellule erano «le parti costitutive elementari degli organismi, l’unità di base della loro struttura e funzione». Secondo la teoria cellulare di Schleiden e Schwann, tutti gli organismi sono costituiti da una o più cellule e la cellula è l’unità fondamentale di tutte le forme di vita.
Nel 1855 il fisiologo tedesco Rudolf Virchow aggiunse una terza ipotesi alla teoria cellulare, affermando che ogni cellula origina da un’altra cellula preesistente. Come ogni teoria scientifica, anche la teoria cellulare è potenzialmente falsificabile; tuttavia, avendo sempre ricevuto conferme indipendenti, si tratta di una delle idee maggiormente condivise della biologia.
La teoria della biogenesi

larve
larve
2 Esperimento di Redi. Redi mise della carne all’interno (a) di un barattolo aperto, (b) di un barattolo chiuso con la garza e (c) di uno chiuso con un tappo. Le larve si svilupparono nel primo barattolo e sopra la garza del secondo.
polvere accumulo di polvere contaminazione

Guarda il video Pasteur e il metodo scientifico
La teoria cellulare era incompatibile con la teoria della generazione spontanea, secondo la quale alcuni esseri viventi possono originare dalla materia inanimata. Per esempio, si riteneva che le mosche nascessero dalla carne in putrefazione e le rane dal fango. Il medico italiano Francesco Redi, nel XVII secolo, fu il primo a mettere a punto un esperimento per confutare questa teoria 2. La sua ipotesi era che le larve di mosca non originassero dalla carne marcescente, bensì dalle minuscole uova deposte dagli insetti. Per verificare la propria ipotesi, Redi mise dei pezzi di carne all’interno di tre barattoli: ne lasciò uno aperto e chiuse gli altri due rispettivamente con della garza e con un tappo. Dopo qualche giorno, la carne del barattolo aperto brulicava di larve di mosca, mentre quella degli altri due ne era priva. Inoltre, vi erano larve anche sopra la garza: le mosche, attirate dall’odore della carne, vi avevano deposto le uova. Due secoli più tardi, il chimico e microbiologo francese Louis Pasteur dimostrò che nemmeno i microrganismi nascono per generazione spontanea 3. Pasteur fece bollire del brodo all’interno di un pallone con un collo sottile e ricurvo, che permetteva il passaggio dell’aria (ritenuta necessaria per lo sviluppo di microrganismi) ma non quello delle particelle in essa sospese. Il brodo contenuto nel pallone rimase limpido per molto tempo. Quando il collo fu spezzato, tuttavia, il brodo diventò torbido, poiché era stato contaminato dai microrganismi che potevano entrare liberamente. Cosi, Pasteur formulò la teoria della biogenesi, secondo la quale gli organismi viventi possono originare solo da altri organismi viventi.
3 Esperimento di Pasteur. (a) Il brodo è portato a ebollizione per sterilizzarlo. (b) Il liquido rimane limpido perché la polvere e i contaminanti si depositano nel collo. (c) Se il collo viene rotto, allora il liquido diventa torbido per la presenza di microrganismi.
LA CELLULA
costituisce tutti gli esseri viventi
è l’unità fondamentale della vita origina da una cellula preesistente
Mettiti alla prova
1 Rifletti e rispondi Matthias J. Schleiden e Theodor Schwann furono i primi a usare il termine “cellula”. V F
2 Rifletti e rispondi Francesco Redi confutò la teoria della biogenesi/generazione spontanea
3 Ripeti la definizione Che cosa afferma la teoria cellulare?
4 Riassumi in un minuto Descrivi gli esperimenti di Redi e Pasteur e i loro risultati.
2. L’osservazione delle strutture cellulari
La maggior parte delle cellule è invisibile a occhio nudo, perciò la biologia cellulare fa ricorso a strumenti capaci di ingrandirne la visione. La distanza minima tra due punti affinché si possano vedere come oggetti separati, e non come un’unica macchia, è chiamata risoluzione L’occhio umano è in grado di distinguere i dettagli fino a circa 200 µm (un micrometro, o micron, è pari a un millesimo di millimetro, ossia 1 µm = 0,001 mm) e quindi ha bisogno del microscopio per studiare la maggior parte delle cellule e i loro dettagli 4
I microscopi
A seconda del tipo di campione e della sorgente di luce utilizzata, è possibile raggruppare i microscopi in tre grandi categorie: ` microscopi ottici; ` microscopi elettronici; ` microscopi a scansione di sonda.
Microscopi ottici I microscopi ottici (LM, da light microscope) sono ideali per ottenere immagini di cellule vive o fissate con un conservante 5. Poiché la luce deve attraversare gli oggetti per rivelarne la struttura interna, è necessario che i campioni siano trasparenti o preparati in sezioni (o fette) molto sottili. Nella maggior parte dei casi l’immagine osservata è semitrasparente; per poter distinguere le diverse strutture è necessario utilizzare speciali coloranti come l’eosina (colora il citoplasma) e il blu di metilene (colora il nucleo), o sonde fluorescenti come il BODIPY (colora gli accumuli di trigliceridi).
Esistono diversi modelli di microscopi ottici; tra i più utilizzati
obiettivo preparato
tavolino traslatore
condensatore

5 Microscopio ottico composto. Questo strumento ha un potere di risoluzione di circa 0,2 µm, cioè 1000 volte superiore all’occhio umano.
nei laboratori di ricerca troviamo il microscopio composto e il microscopio confocale.
Il primo focalizza la luce visibile sul campione mediante due o più lenti (oculare, obiettivo e condensatore); i più potenti ingrandiscono fino a circa 1000 volte, con una risoluzione di circa 0,2 µm 6a. Il secondo, invece, proietta un fascio di luce bianca su una piccola porzione del campione da osservare. Attraverso la microscopia confocale è possibile ottenere ingrandimenti fino a 1600 volte le dimensioni originali del campione 6b.

4 Microscopi. I biologi e le biologhe usano i microscopi per osservare un mondo invisibile a occhio nudo. Questi strumenti si distinguono in base alla risoluzione, cioè la distanza minima tra due punti necessaria perché si riesca a distinguerli (se i due punti sono più vicini si confondono). La risoluzione dei microscopi elettronici e di quelli ottici consente di osservare oggetti di dimensioni diverse, che vanno dalle molecole a intere cellule.
Microscopi elettronici Il limite di risoluzione del miscroscopio ottico dipende dalla sorgente luminosa utilizzata, che consiste nella luce visibile. Infatti, per poter visualizzare strutture molto piccole è necessario ricorrere a fonti di energia più potenti, come gli elettroni: è questo il caso dei microscopi elettronici.
Il microscopio elettronico a trasmissione (TEM, da transmission electron microscope) invia un fascio di elettroni attraverso il campione da osservare (solitamente costituito da sezioni sottilissime, con uno spessore di 70-90 nanometri), usando un campo magnetico per dirigere e focalizzare il fascio. Questo proietta un’immagine bidimensionale ad alta risoluzione, che mostra i dettagli interni degli oggetti osservati 6c. Il TEM ingrandisce fino a 50 milioni di volte, con una risoluzione inferiore a 1 angstrom (10–10 m).
Il microscopio elettronico a scansione (SEM, da scanning electron microscope) invia un fascio di elettroni sulla superficie di un campione tridimensionale metallizzato, ossia ricoperto da uno strato conduttore. Le immagini ottenute hanno una risoluzione minore rispetto a quelle prodotte dal TEM: l’ingrandimento massimo è di 250 000 volte, con una risoluzione tra 1 e 5 nm. Il vantaggio principale del SEM è la possibilità di mettere in risalto fessure e trame sulla superficie dei campioni ottenendo immagini tridimensionali 6d




Sia nel caso del TEM sia in quello del SEM si ottengono immagini in bianco e nero che poi potranno essere colorate attraverso la computer grafica per migliorarne la visione (in tal caso, sotto le foto al microscopio, o micrografie, si trova specificata la dicitura “falsi colori”).
Microscopi a scansione di sonda I microscopi a scansione di sonda permettono l’analisi di superfici attraverso una sonda fisica che esegue la scansione del campione e ne realizza una mappa tridimensionale.
La microscopia a scansione di sonda si avvale di diverse tecniche, ognuna delle quali fa perno su differenti principi fisici per l’analisi morfologica delle superfici.
Il microscopio a scansione di sonda più diffuso nei laboratori di ricerca biologici è il microscopio a forza atomica (AFM, da atomic force microscope) 7. L’AFM non richiede un pretrattamento del campione e non usa lenti ma microsonde del diametro di circa 20-30 nm. La microsonda è illuminata da un raggio laser mentre scorre sul campione e le sue oscillazioni, dovute alle interazioni atomiche tra punta della sonda e superficie da analizzare, sono captate da un rivelatore che ricostruisce il profilo (sporgenze e cavità) del campione. L’AFM ha un potere di risoluzione pari a 0,1 nm e può essere utilizzato addirittura per lo studio di singole macromolecole.
6 Microscopi ottici ed elettronici. Un’alga unicellulare del genere Chlamydomonas osservata da differenti microscopi. (a) Microscopio ottico composto. (b) Microscopio ottico confocale. (c) Microscopio elettronico a trasmissione. (d) Microscopio elettronico a scansione. a c b d 1 µm AFM (falsi colori)
ottici
microscopio composto microscopio confocale
elettronici a scansione di sonda MICROSCOPI
TEM SEM
AFM

7 Microscopio a forza atomica. Una piastrina del sangue osservata all’AFM. Le piastrine (o trombociti) sono piccoli frammenti di cellula che corrono nel torrente circolatorio; in risposta a un danneggiamento dei vasi sanguigni si attivano e aiutano ad arrestare il sanguinamento.
Il rapporto tra superficie e volume
I microscopi mostrano con chiarezza che le cellule hanno alcune caratteristiche in comune, benché appaiano molto diverse tra loro. Tra le caratteristiche comuni a ogni cellula riconosciamo per esempio la membrana cellulare, un doppio strato lipidico che definisce la struttura cellulare.
Un’altra caratteristica propria di quasi tutte le cellule è che sono piccole, con diametro di solito compreso tra 1 e 100 µm. Perché cosi piccole? Perché il fabbisogno energetico dipende dal volume della cellula, mentre la sua capacità di scambio con l’esterno dipende dalla sua superficie (nutrienti, acqua, ossigeno, CO2 e prodotti di scarto entrano ed escono attraverso la membrana). Tuttavia, come illustra la Tabella 1, al crescere delle dimensioni di un corpo il volume aumenta più della superficie. È dunque necessario che la cellula resti piccola così che la superficie sia abbastanza estesa in rapporto al volume per garantire gli scambi metabolici necessari. Un rapporto superficie/volume elevato permette quindi: ` di far sì che il trasporto delle sostanze attraverso la membrana sia proporzionale all’attività metabolica interna; ` di distribuire con facilità le sostanze all’interno dell’ambiente intracellulare.
Le cellule aggirano il vincolo dell’estensione superficiale in modi diversi: i neuroni (le cellule nervose) sono lunghi fino a 1 metro, ma sono anche estremamente sottili, così che il rapporto superficie/volume rimane elevato; i globuli rossi hanno una forma appiattita, che agevola lo scambio di ossigeno e CO2 cui sono adibiti.
LABio
SCOPO DEL LABORATORIO
Mettiti alla prova
1 Rifletti e rispondi Il SEM è il microscopio con la maggiore risoluzione. V F
risoluzione
2 Rifletti e rispondi La è la distanza minima tra due punti tale che si possano distinguere.
3 Riassumi in un minuto Quali sono le principali differenze tra TEM e SEM?
4 Calcola e risolvi Per un cubo di 5 cm di lato, calcola il rapporto tra superficie e volume.
Il vantaggio di essere piccoli
Verificare e visualizzare in che modo il rapporto superficie/volume possa avere un effetto sull’efficienza di assorbimento di una sostanza.
MATERIALI
→ gelatina alimentare incolore → recipiente rettangolare → coltello → colorante alimentare

PROTOCOLLO
Prepara la gelatina alimentare seguendo le indicazioni del produttore e lasciala solidificare in un contenitore rettangolare.
Quando la gelatina è ben solidificata taglia dei cubi di dimensioni diverse. Per esempio dei cubetti di 1 cm3, 3 cm3, 5 cm3
Immergi i cubi di gelatina in una soluzione contente il colorante alimentare per 30 minuti assicurandoti che tutti i cubi siano completamente sommersi.
Rimuovi i cubi dalla soluzione e tagliali a metà per osservare fino a che profondità è penetrato il colorante.
Calcola il rapporto superficie/volume per ciascun cubo di gelatina utilizzato e valuta la penetrazione del colorante all'interno dei diversi cubi.
RISULTATI E CONCLUSIONI
1. Riscontri differenze di colorazione nei diversi cubi?
2. In che modo il rapporto superficie/volume influenza l’assorbimento del colorante?
3. È rilevante che il tempo di immersione dei cubi nel colorante sia lo stesso?
3. Due tipi di cellule per tre domini
FLIPPED CLASSROOM
A CASA
` Accedi al codice QR ed esplora la mappa Batteri, archei ed eucarioti
` Leggi il paragrafo Due tipi di cellule per tre domini e rispondi alle domande di Mettiti alla prova a fine paragrafo.
` Svolgi gli esercizi 14, 15 e 16 a p. 114 e 32 a p. 115.
IN CLASSE
` Proiettate la mappa alla LIM e arricchitela confrontandovi con il resto della classe e con l’insegnante.
` Divisi in gruppi, svolgete l’esercizio 49 a p. 116. Confrontate le conclusioni a cui siete giunti con quelle del resto della classe usando le bacheche di Padlet.
Fino a non molto tempo fa, la biologia divideva gli organismi in due gruppi, secondo il tipo delle loro cellule: procariotiche ed eucariotiche. Le cellule procariotiche (dal greco pró, prima, e káryon, nocciolo, che si riferisce al nucleo), le più semplici e antiche forme di vita, sono prive di nucleo. Circa 2 miliardi di anni fa, dalle cellule procariotiche si sono formate le prime cellule eucariotiche (da eu, buono), che contengono un nucleo e altri organuli delimitati da membrane. Nel 1977, il microbiologo statunitense Carl Woese individuò un gruppo di cellule procariotiche che si distinguevano nettamente dagli altri procarioti: egli chiamò queste cellule archei (dal greco archaîos, antico) per sottolineare le loro caratteristiche primitive, rispetto a quelle degli eucarioti.


Dominio Archaea
Antenato comune

Dominio Eukarya



Tipo di cellula procariotica procariotica eucariotica Nucleo assente assente presente
I domini della vita
Oggi i biologi e le biologhe dividono gli esseri viventi in tre domini distinti: due di procarioti, gli archei (Archaea) e i batteri (Bacteria), e uno di eucarioti (Eukarya) 8.
Dominio Bacteria I batteri, unicellulari a cellula procariotica, sono gli organismi più abbondanti e vari presenti sul Pianeta. È stato stimato che in un grammo di terreno si trovino più di 10 miliardi di cellule batteriche, e per la maggior parte si tratta di specie a noi tuttora sconosciute. Molti batteri vivono sulla superficie o all’interno di altri esseri viventi; se la loro presenza causa l’insorgenza di una malattia nell’ospite, allora si parla di batteri patogeni
La cellula dei batteri ha una struttura semplice, essendo priva di nucleo e di organuli cellulari, ed è generalmente molto più piccola delle cellule eucariotiche.
Le cellule dei batteri possono avere forme diverse, a seconda dell’ambiente in cui vivono: a bastoncino, sferiche o a spirale. Spesso sono provviste di flagelli, appendici a forma di coda che permettono loro di muoversi nei fluidi.
Dominio Archaea Gli archei sono probabilmente la forma di vita più antica esistente oggi sulla Terra. Per molte caratteristiche, assomigliano ai batteri: sono unicellulari a cellula procariotica e sono più piccoli di molte cellule eucariotiche.
La maggior parte degli archei ha una parete cellulare, con una composizione chimica differente da quella dei batteri, e in genere sono provvisti di flagelli.
Gli archei divennero noti come “estremofili” perché ne furono scoperti molti in ambienti con temperatura o pH estremi. In realtà, oggi sono stati trovati anche in habitat più moderati, come il terreno, le paludi, gli oceani e la bocca umana.
Organuli delimitati da membrana assenti assenti presenti
Composizione chimica della membrana
acidi grassi
lipidi di erenti dagli acidi grassi
acidi grassi
Composizione chimica della parete
peptidoglicani (se presente)
pseudopeptidoglicani o proteine
cellulosa o chitina (se presente)
8 Tre domini della vita. I biologi e le biologhe distinguono tra Bacteria, Archaea ed Eukarya in base a caratteristiche della struttura e della biochimica cellulare. Il piccolo albero evolutivo mostra che gli archei sono parenti più stretti delle cellule eucariotiche che di quelle batteriche.
Dominio Eukarya Il dominio degli eucarioti, infine, comprende animali, funghi, piante e protisti unicellulari (come amebe e parameci). Nonostante appaiano molto diversi esteriormente, tutti gli organismi eucarioti condividono varie caratteristiche a livello cellulare.
La cellula procariotica
Come abbiamo visto, nonostante le loro differenze, gli organismi appartenenti ai due domini Bacteria e Archaea sono a cellula procariotica 9. Analizziamo, quindi, in maniera più approfondita le caratteristiche principali di questo tipo di cellula. Le cellule procariotiche sono formate da una membrana plasmatica che delimita la cellula e dal citoplasma contenuto


al suo interno 10. A differenza delle cellule eucariotiche, nel citoplasma non ci sono organuli delimitati da membrana.
Membrana plasmatica La membrana plasmatica è un involucro, formato da un doppio strato di lipidi. Nei batteri, è composta essenzialmente da fosfolipidi che, come vedremo più avanti, sono caratteristici anche delle cellule eucariotiche; negli archei, invece, la composizione è più varia. Grazie alla membrana, la cellula è separata dall’ambiente esterno ma allo stesso tempo può effettuare con esso scambi di sostanze. Infatti, attraverso la membrana plasmatica possono passare diverse molecole: alcune diffondono liberamente dentro e fuori la cellula, mentre altre possono passare solo se aiutate da proteine trasportatrici.


9 Batteri e archei. (a) Escherichia coli, un batterio a forma di bastoncino, vive nell’intestino umano. (b) Le cellule sferiche di Staphylococcus aureus, un batterio che può causare infezioni. (c) Campylobacter jejuni, un batterio a forma di cavatappi, che vive nell’intestino di molti animali. (d) Methanobrevibacter smithii, un archeo a forma di bastoncello, vive nell’intestino umano.

citoplasma cytoplasm pilo pilus
nucleoide (DNA) nucleoid
membrana plasmatica cell membrane ribosomi ribosomes
capsula capsule agello agellum parete cellulare cell wall
Studia la cellula procariotica con l’immagine interattiva
10 Anatomia di una cellula procariotica. Le cellule procariotiche sono prive di compartimenti interni, ma possiedono alcuni elementi comuni a tutte le cellule come membrana, citoplasma, ribosomi e DNA. Altre strutture accessorie, invece, sono la parete, la capsula, pili e flagelli.
Citoplasma Il citoplasma è il contenuto semifluido della cellula delimitato dalla membrana plasmatica. Esso è formato da una porzione liquida, il citosol, all’interno della quale sono immersi dei componenti non solubili, come i ribosomi. Il citosol è una soluzione di acqua e ioni al cui interno sono disperse numerose molecole organiche. I ribosomi, invece, sono dei complessi di proteine e RNA che si occupano della sintesi proteica.
Le cellule procariotiche non hanno un nucleo contenente il materiale genetico, ma presentano una regione del citoplasma, detta nucleoide, caratterizzata dalla presenza di un’unica molecola di DNA circolare.
Altre strutture La maggior parte delle cellule procariotiche è dotata di una parete cellulare esterna di peptidoglicani (polimeri di zuccheri e amminoacidi) che circonda la membrana come una sorta di corazza; questa dà forma alla cellula, la protegge e impedisce che scoppi se assorbe troppa acqua 11.
In certi casi, può essere presente un altro involucro polisaccaridico (esterno rispetto alla parete), che prende il nome di capsula. Si tratta di un rivestimento dalla consistenza gelatinosa, che aiuta i batteri a aderire alle superfici o tra di loro in colonie; nei batteri patogeni esercita anche una funzione di protezione dal sistema immunitario dell’organismo invaso. Alla definizione della forma cellulare contribuisce anche una rete di filamenti proteici nel citoplasma definita citoscheletro procariotico
Infine, sulla superficie delle cellule procariotiche possono esserci delle appendici dette flagelli o pili.

360 nm TEM (falsi colori)
11 Parete cellulare. In questa sezione trasversale, osservata al microscopio elettronico a trasmissione, di un batterio appartenente al genere Staphylococcus sono molto evidenti sia la spessa parete cellulare (in rosso) sia la capsula esterna (in azzurro).
I flagelli sono lunghi filamenti proteici che, ruotando come eliche, permettono alla cellula di muoversi all’interno di un fluido. I pili, invece, sono più corti e possono svolgere diverse funzioni: movimento, ma anche adesione alle superfici, comunicazione e, in alcuni casi, scambio di materiale genetico tra due cellule.
La cellula eucariotica
Il dominio Eukarya è composto da organismi a cellula eucariotica.
Le cellule eucariotiche sono da dieci a cento volte più grandi rispetto alle cellule procariotiche. Oltre ad avere un nucleo ben distinto, il loro citoplasma è suddiviso in organuli, cioè in compartimenti delimitati da membrana che assumono funzioni specializzate. Se pensiamo alla cellula eucariotica come a una casa, ogni organulo corrisponde a una stanza: come la cucina, il bagno e la camera da letto sono attrezzati con oggetti coerenti con la loro funzione, così ogni organulo è dotato di proteine e altre molecole adatte alla sua funzione. I muri dei compartimenti cellulari sono le membrane, spesso ripiegate su se stesse e ricche di enzimi e altre proteine. Le figure 12 e 13 alle pagine seguenti mostrano generiche cellule animali e vegetali. Vi sono molte caratteristiche in comune, ma anche differenze significative: per esempio, le cellule vegetali hanno cloroplasti e pareti cellulari mentre le cellule animali ne sono prive.
12 Cellula animale

(a) Ipotizziamo di aprire una cellula animale a metà e di osservarne la parte inferiore. (b) Gli organuli della cellula sono rappresentati in un disegno che ne evidenzia le dimensioni e la posizione. (c) Fotografia al TEM di una cellula animale reale (un globulo bianco): il nucleo e i mitocondri sono stati evidenziati con una colorazione digitale che riprende quella del disegno. a b Studia la cellula animale con l’immagine interattiva
centriolo centriole poro nucleare nuclear pore
centrosoma centrosome
ribosoma ribosome
perossisoma peroxisome
c
mitocondrio
nucleo
microtubulo microtubule
filamento intermedio intermediate filament
citoscheletro cytoskeleton
microfilamento microfilament
nucleo nucleus
involucro nucleare nuclear envelope DNA

nucleolo nucleolus
reticolo endoplasmatico ruvido rough endoplasmic reticulum
membrana cellulare cell membrane
lisosoma lysosome
citoplasma cytoplasm

mitocondrio mitochondrion
reticolo endoplasmatico liscio smooth endoplasmic reticulum
apparato di Golgi Golgi apparatus
13 Cellula vegetale
(a) Ipotizziamo di aprire una cellula vegetale a metà e di osservarne la parte inferiore. (b) Gli organuli della cellula sono rappresentati in un disegno che ne evidenzia le dimensioni e la posizione. (c) Fotografia al TEM di una cellula vegetale reale (appartenente a una foglia): il nucleo, i cloroplasti e i mitocondri sono stati evidenziati con una colorazione digitale che riprende quella del disegno.

poro nucleare nuclear pore
reticolo endoplasmatico ruvido rough endoplasmic reticulum
ribosoma ribosome
Studia la cellula vegetale con l’immagine interattiva
involucro nucleare nuclear envelope
DNA nucleolo nucleolus nucleo nucleus
perossisoma peroxisome
reticolo endoplasmatico liscio smooth endoplasmic reticulum
filamento intermedio intermediate filament
microfilamento microfilament
nucleo
apparato di Golgi Golgi apparatus
cloroplasto mitocondrio vacuolo

citoplasma cytoplasm
vacuolo vacuole

parete cellulare cell wall
membrana cellulare cell membrane mitocondrio mitochondrion
plasmodesma plasmodesma
cloroplasto chloroplast
Membrane esterne e interne Le membrane delle cellule eucariotiche sono formate da un doppio strato fosfolipidico in cui sono inseriti anche steroli, proteine e altre molecole 14. Gli steroli danno fluidità alla membrana, mentre le proteine possono svolgere molte funzioni diverse. Come nelle cellule procariotiche, anche nelle cellule vegetali è presente una parete esterna alla membrana cellulare. La sua composizione, tuttavia, è diversa, poiché essa è formata principalmente da cellulosa.
Guarda il video La cellula
Le membrane interne, che delimitano gli organuli cellulari, svolgono diverse funzioni:
` separano il contenuto degli organuli dal resto della cellula, permettendone il passaggio solo in determinate condizioni o verso particolari destinazioni;
` sequestrano le molecole dannose per la cellula;
` fanno sì che le strutture cellulari e le biomolecole racchiuse al loro interno siano abbastanza vicine da poter interagire in maniera efficiente;
` fanno risparmiare energia, perché la cellula può concentrare alcune sostanze nel volume di un organulo, invece che nell’intero citoplasma.
Molte delle membrane che delimitano i vari organuli cellulari fanno parte di un sistema di endomembrane (dal greco éndon, dentro) composto di organuli che interagiscono tra loro: l’involucro nucleare, il reticolo endoplasmatico, l’apparato di Golgi, i lisosomi, i vacuoli e la membrana cellulare. Come vedremo, gli organuli del sistema di endomembrane sono collegati tra loro da piccole bolle di membrana (vescicole) che si staccano da un organulo e si spostano nella cellula per poi fondersi con un altro organulo o con la membrana plasmatica.
Mettiti alla prova
1 Rifletti e rispondi Nelle cellule procariotiche è sempre presente una parete cellulare circondata da una capsula. V F
2 Rifletti e rispondi Gli eucarioti sono evolutivamente più vicini ai batteri/agli archei piuttosto che ai batteri/agli archei.
3 Descrivi in tre righe In che cosa differiscono le cellule procariotiche da quelle eucariotiche?
4 Riassumi in un minuto Illustra le principali strutture di archei e batteri.



membrana di una cellula animale
membrana di una cellula animale
molecole di carboidrati
molecole di carboidrati
colesterolo
colesterolo
membrana e parete di una cellula vegetale


ambiente extracellulare proteine
microfilamenti (citoscheletro)
microfilamenti (citoscheletro)
ambiente extracellulare

sterolo

parete cellulare
membrana e parete di una cellula vegetale citoplasma citoplasma

ambiente extracellulare




microfilamenti (citoscheletro)



strato fosfolipidico doppio strato fosfolipidico
14 Anatomia della membrana cellulare. La membrana delle cellule eucariotiche è formata da fosfolipidi e proteine. Quelle delle cellule animali contengono anche colesterolo e molecole di carboidrati legati alle proteine. Quelle delle cellule vegetali sono avvolte da una parete di cellulosa.



Mangrove giant bacterium
Many people think that bacteria are too small to be seen without a microscope. This may be true for most of them, but there are some bacteria that are surprisingly bigger.
1
DESCRIBING PICTURES
Look at these pictures and describe them.


2
READING AND UNDERLINING
Read the text below and underline the keywords.
Ten years ago, US scientists discovered a single-celled, filamentous organism two centimetres long among the mangroves of the Lesser Antilles. At first, it was thought to be a fungus but, recently, it has been realised that it is a bacterium, now classified as Thiomargarita magnifica. It has a cellular organisation different from usual prokaryotic cells because it has certain structures typical of more evolved cells. Its DNA is wrapped in a protective membrane and consists of 11,000 genes, making it more similar to a eukaryotic cell. It also has sac-like organelles and a large vacuole containing water that occupies 73% of the cytoplasm, making it similar to Cyanobacteria. Cyanobacteria (photosynthetic bluegreen algae) too form long filaments like those of T. magnifica: the difference is that their filaments are composed of several cells, whereas, in the case of T. magnifica, each observable extension is made up of only one cell. This has only now been discovered, a decade after it was first identified, by analysing the bacterium using a wide variety of microscopy techniques. In T. magnifica, the vacuole pushes the cytoplasm to the periphery of the cell favouring diffusion, which compensates for the fact that a large cell is less efficient in exchanges with the external environment. T. magnifica also contains microscopic sulphur granules that scatter incident light, which give the cell a pearly sheen.
The second biggest bacterium Thiomargarita namibiensis, was discovered in the 1990s in offshore Namibian waters. It is 0.7 mm long and is a spheric unicellular organism, moved by sea currents, even to a depth of one hundred meters. It is light blue-green and forms large colonies like pearls. For this reason, it is also called the “jewel cell bacterium”.
Organelles organuli
Cytoplasm citoplasma
Cyanobacteria cianobatteri
Sulphur granules granuli di zolfo
3 WRITING
Scatter dispersione
Pearly sheen lucentezza
perlacea
Pearls perle
Using your keywords describe the T. magnifica bacterium.
4 WEB QUEST
Surf the Net to look for pictures of the T. namibiensis and compare them with the pictures above. Can you find any differences?
Listen to the text above and improve your knowledge with the CLIL module Prokaryotic cell
4. Il sistema di endomembrane
Gli organuli del sistema di endomembrane permettono alle cellule di sintetizzare e veicolare:
` molecole indispensabili per il sostentamento cellulare; ` messaggeri molecolari necessari per la comunicazione cellulare;
` miscele complesse di molecole destinate al rilascio nell’ambiente esterno.
Nei prossimi paragrafi, per comprendere come i vari organuli facenti parte del sistema di endomembrane possano collaborare all’interno della cellula, illustreremo un tipico esempio di interazione necessaria per la sintesi e il rilascio di una miscela complessa di molecole come il latte. Nei mammiferi, il latte è prodotto da alcune cellule specializzate presenti nelle mammelle e contiene proteine, lipidi, carboidrati, minerali e acqua in proporzione adeguata allo sviluppo del neonato. Come cooperano gli organuli di queste cellule per produrre il latte o più in generale le molecole della vita?
Il nucleo
A differenza dei procarioti, nelle cellule eucariotiche il materiale genetico è compattato in un organulo delimitato da una doppia membrana: il nucleo 15. Tuttavia, non tutto il DNA della cellula si trova nel nucleo: come vedremo più avanti, alcuni organuli (mitocondri e cloroplasti) possiedono del materiale genetico proprio.
Per questo motivo, il DNA contenuto nel nucleo è detto nDNA (nuclear DNA). Tuttavia, siccome l’nDNA è senza dubbio il
più abbondante della cellula, generalmente la “n” si omette e si dà per scontato che, quando si parla di DNA, si stia parlando di quello nucleare.
In una qualsiasi cellula del corpo umano, il nucleo presenta un diametro di circa 10 μm, mentre si stima che l’insieme dell’nDNA sia lungo circa 2 m. Questa enorme quantità di materiale genetico può essere confinata in uno spazio così ristretto perché è strettamente “impacchettato”, grazie alla presenza di diverse proteine. Il DNA complessato con le proteine prende il nome di cromatina.
Il nucleo svolge varie funzioni:
` è il sito della duplicazione del materiale genetico e della sintesi dei diversi RNA; ` regola l’attività cellulare controllando l’espressione del DNA; ` promuove l’assemblaggio delle subunità ribosomiali. Nel nucleo, l’informazione contenuta nei geni che codificano per le proteine (nel nostro esempio, le proteine del latte o enzimi per la sintesi di carboidrati e lipidi) è copiata nell’RNA messaggero o mRNA.
La doppia membrana che separa il nucleo dal citoplasma è detta involucro nucleare ed è cosparsa di pori nucleari. I pori nucleari sono canali specializzati, composti da decine di proteine diverse: ogni minuto ciascun poro è attraversato in ingresso da milioni di proteine e in uscita da molecole di mRNA e subunità ribosomiali. Mentre gli ioni e le molecole più piccole possono attraversare i pori con facilità, le grosse proteine attraversano i pori solo se provviste di piccole sequenze amminoacidiche specifiche.
a b c


poro nucleare involucro nucleare nucleolo

DNA
15 Nucleo. (a) Tipica posizione del nucleo in una cellula. (b) Il nucleo contiene il DNA ed è circondato da due strati di membrana, che insieme costituiscono l’involucro nucleare. (c) Il nucleo di una cellula animale fotografato al TEM: nucleo e nucleolo sono evidenziati con una colorazione digitale che riprende quella del disegno.
Queste sequenze amminoacidiche funzionano come un lasciapassare che consente l’allargamento dei pori (fino a 3 volte la dimensione originaria) e quindi il transito.
All’interno del nucleo si trova anche il nucleolo, una regione ad alta densità dove si assemblano i componenti dei ribosomi. Verso l’esterno, l’involucro nucleare comunica direttamente con un sistema di membrane del reticolo endoplasmatico.
NUCLEO
struttura
involucro nucleare
funzione
Il reticolo endoplasmatico
L’RNA messaggero, assemblato sullo stampo del DNA 16.1, esce dal nucleo attraverso i pori nucleari 16.2. Nel citoplasma l’mRNA si lega a un ribosoma, dove avviene la sintesi delle proteine codificate che verranno impiegate all’interno della cellula 16.3
La maggior parte dei ribosomi fluttua liberamente nel citoplasma 17a (a pagina successiva). Molte proteine da essi prodotte, però, sono destinate alla membrana cellulare o a essere secrete dalla cellula (come nel caso delle proteine del latte): in questo caso, l’intero complesso composto da ribosoma, mRNA e proteina parzialmente sintetizzata si àncora alla superficie del reticolo endoplasmatico 17b Il reticolo endoplasmatico (RE) è un insieme di membrane che formano sacche e tubuli e può occupare fino al 10% del volume cellulare.
conservazione e duplicazione DNA
pori nucleari assemblaggio ribosomi nucleolo
DNA
sintesi RNA e regolazione dell’espressione genica
mRNA involucro nucleare
ribosoma
Il reticolo endoplasmatico è in continuità con l’involucro nucleare e si estende all’interno del citoplasma. In prossimità del nucleo, la superficie della membrana è costellata di ribosomi che sintetizzano proteine di secrezione, destinate a essere trasportate fuori dalla cellula o ad altri organuli.

1 I geni che codificano per le proteine del latte vengono copiati in mRNA.
2 L’mRNA lascia il nucleo attraverso un poro nucleare.
3 I ribosomi posti sulla superficie del RER utilizzano l’informazione contenuta nell’mRNA per produrre le proteine del latte (le sfere viola).
reticolo endoplasmatico ruvido



reticolo endoplasmatico liscio

vescicole di trasporto
verso i dotti lattiferi
4 Gli enzimi del REL fabbricano i lipidi (le sfere gialle).
apparato di Golgi
5 Nel REL e nel RER le proteine e i lipidi del latte sono racchiusi in vescicole e trasportati all’apparato di Golgi.
6 Nell’apparato di Golgi, le proteine e i lipidi sono ulteriormente trasformati e confezionati per essere esportati dalla cellula.
membrana cellulare
7 Proteine e lipidi sono rilasciati dalla cellula quando le vescicole si fondono con la membrana cellulare.
16 Produzione del latte. Sono molti gli organuli che partecipano alla produzione e alla secrezione del latte dalle cellule nelle ghiandole mammarie; i numeri dall’1 al 7 indicano l’ordine secondo il quale gli organuli partecipano al processo.
a b ribosoma libero ribosoma legato alla
a b ribosoma libero ribosoma legato alla
ribosoma libero ribosoma legato al RER


17 Ribosomi. (a) I ribosomi liberi sintetizzano le proteine che saranno utilizzate nel citosol della cellula, mentre (b) quelli legati al RER producono proteine destinate ad altri organuli o a essere secrete all’esterno della cellula. (c) Foto al microscopio elettronico del reticolo endoplasmatico ruvido, le cui cisterne (in rosso) sono ricoperte di ribosomi (in blu).
A mano a mano che vengono sintetizzate, le proteine prodotte in superficie dai ribosomi si spostano verso la parte interna, o lume, del reticolo endoplasmatico, dove vengono ulteriormente modificate: possono essere ripiegate nella loro struttura terziaria, legare carboidrati, subire modifiche chimiche che ne regolano lo smistamento verso diverse destinazioni. Questa parte del reticolo è chiamata reticolo endoplasmatico ruvido (RER) a causa dell’aspetto conferito dalla presenza di ribosomi 17c.
In comunicazione con il RER esiste un altro sistema di membrane più tubolari e prive di ribosomi, il reticolo endoplasmatico liscio (REL) 16.4-18. Qui avviene la sintesi dei lipidi complessi (come quelli del latte), la demolizione del glicogeno a glucosio e l’immagazzinamento degli ioni Ca2+. Il REL è anche sede di enzimi che rimuovono le tossine e metabolizzano i farmaci entrati nell’organismo.
L’estensione del RE dipende dalla tipologia cellulare: cellule ghiandolari che secernono grandi quantità di proteine

reticolo endoplasmatico ruvido

10 µm TEM (falsi colori)
posseggono un RER molto sviluppato, mentre le cellule del fegato dove avviene la demolizione del glicogeno o la detossificazione dai farmaci hanno un REL molto esteso.
RETICOLO ENDOPLASMATICO
modificazione proteine
metabolismo tossine e farmaci
demolizione glicogeno accumulo Ca2+ metabolismo tossine e farmaci

nucleo
reticolo endoplasmatico ribosomi
reticolo endoplasmatico liscio

TEM
18 Reticolo endoplasmatico ruvido e liscio. (a) Tipica posizione del reticolo endoplasmatico in una cellula. (b) Il reticolo endoplasmatico è una rete di membrane che si estendono dall’involucro nucleare. (c) Il reticolo endoplasmatico di una cellula animale fotografato al TEM.
L’apparato di Golgi
Dopo la sintesi, i lipidi e le proteine lasciano il RE all’interno di vescicole di trasporto. Queste si distaccano dalla membrana del RE 16.5 e trasportano il loro contenuto fino alla stazione successiva della linea di produzione, l’apparato di Golgi 19 Questo organulo prende il nome dal grande scienziato italiano Camillo Golgi (premio Nobel per la medicina e la fisiologia nel 1906), che per primo lo individuò grazie all’uso di una colorazione a base di sali d’argento da lui inventata.
L’apparato di Golgi ha l’aspetto di un insieme di sacche piatte, separate e impilate una sull’altra – le cisterne – che funzionano come centro di modificazione e di riorganizzazione delle proteine.
Il sistema di cisterne del Golgi è costituito da tre zone, distinte per funzione e posizione, che comunicano tra loro e con la cellula attraverso un traffico vescicolare:
` le cisterne più vicine al nucleo e al RE (regione cis) accolgono le vescicole di trasporto che contengono le biomolecole da modificare;
` le cisterne intermedie (regione mediana) ricevono le vescicole dalla regione cis, ne modificano il contenuto e sintetizzano nuove vescicole verso la regione successiva;
` le cisterne più vicine alla membrana plasmatica (regione trans) smistano il carico costituito dalle biomolecole modificate attraverso delle vescicole in uscita.
Le proteine provenienti dal RER passano attraverso questa serie di cisterne, dove vengono ulteriormente modificate e ripiegate nella loro forma definitiva, divenendo funzionanti 16.6. Inoltre, gli enzimi dell’apparato di Golgi sintetizzano carboidrati e li legano a proteine o lipidi, formando rispettivamente glicoproteine e glicolipidi. Nelle cellule vegetali l’apparato di Golgi è coinvolto nella sintesi dei polisaccaridi di parete.
a b

di trasporto in entrata
Le proteine, modificate dall’apparato di Golgi e impacchettate nelle vescicole di trasporto in uscita dalla regione trans, possono andare incontro a diversi destini. Infatti, esse possono:
` tornare al RE, entrando a farne parte in maniera stabile; ` essere incorporate nella membrana plasmatica, diventando proteine di membrana (che saranno descritte più nel dettaglio nel Capitolo 5);
` essere destinate ai lisosomi, gli organuli sede della digestione cellulare affrontati nel Paragrafo 4.5; ` essere secrete dalla cellula, cioè riversate nell’ambiente extracellulare.
Quest’ultimo è il destino delle proteine e dei lipidi del latte: nel processo di produzione del latte, le vescicole si fondono con la membrana cellulare e rilasciano proteine e lipidi all’esterno della cellula verso i dotti lattiferi 16.7.
regione cis regione mediana regione trans
Mettiti alla prova
modificazione e smistamento proteine funzione
1 Rifletti e rispondi I ribosomi sono assemblati nel nucleolo/ nucleoide.
2 Rifletti e rispondi Il reticolo endoplasmatico è la sede di enzimi che demoliscono tossine.
liscio
3 Riassumi in un minuto Descrivi l’apparato di Golgi.
di trasporto



19 Apparato di Golgi. (a) Tipica posizione dell’apparato di Golgi in una cellula. (b) L’apparato di Golgi è composto da una serie di sacche piatte e vescicole di trasporto. (c) L’apparato di Golgi di una cellula animale fotografato al TEM.
5. La digestione cellulare
Le cellule eucariotiche sono dotate di compartimenti specializzati per la demolizione, o digestione, delle molecole. Tutti i centri di digestione della cellula sono organuli a forma di sacchetto circondati da una membrana singola.
I lisosomi
I lisosomi (dal greco lýsis, scioglimento, e sóma, corpo) sono organuli che contengono enzimi in grado di degradare e riciclare particelle di cibo, batteri dannosi, organuli danneggiati e altro materiale di scarto 20. Hanno forma tondeggiante e in genere presentano un diametro tra 0,2 e 1 µm, anche se in alcuni casi possono avere dimensioni maggiori. All’interno dei lisosomi sono attivi una quarantina di enzimi idrolitici diversi, sintetizzati dal reticolo endoplasmatico ruvido. L’apparato di Golgi identifica questi enzimi, li modifica chimicamente e li rinchiude in vescicole che diventano lisosomi. I lisosomi, a loro volta, si fondono con le vescicole che trasportano materiale di scarto proveniente dall’esterno o dall’interno della cellula. Gli enzimi contenuti nei lisosomi demoliscono per idrolisi le grandi molecole organiche riducendole a unità più piccole, che vengono poi rilasciate nel citoplasma per essere utilizzate dai processi cellulari.


Cosa impedisce a un lisosoma di digerire l’intera cellula? La membrana del lisosoma mantiene il pH dell’organulo a circa 4,8: un valore molto più basso (e quindi più acido) del pH neutro del resto del citoplasma. Se un lisosoma dovesse esplodere, gli enzimi rilasciati nel citoplasma non si troverebbero più al loro pH ottimale, e quindi non riuscirebbero a funzionare e a nuocere alla cellula. Solo in casi estremi una cellula danneggiata da qualche forma di stress fisico può scatenare un processo di “suicidio cellulare” facendo esplodere contemporaneamente tutti i suoi lisosomi: questo meccanismo è noto come morte cellulare programmata . Alcune cellule sono particolarmente ricche di lisosomi: nei globuli bianchi, per esempio, i lisosomi inglobano ed eliminano i prodotti di scarto e i batteri nocivi; anche alle cellule epatiche ne servono molti per digerire il colesterolo. Un malfunzionamento a livello dei lisosomi è alla base di diverse patologie genetiche: a causa di una mutazione che impedisce la sintesi di un qualche enzima lisosomiale, infatti, questi organuli possono non essere in grado di degradare alcune sostanze, che quindi si accumulano al loro interno. Per esempio, nella malattia di Tay-Sachs un particolare glicolipide (il ganglioside GM2) si accumula fino a
mitocondrio danneggiato

20 Lisosomi. (a) Tipica disposizione dei lisosomi in una cellula. (b) I lisosomi sono vescicole membranose, contenenti proteine digestive, che si originano dall’apparato di Golgi. (c) Alcuni lisosomi di una cellula animale fotografati al SEM e colorati digitalmente.


21 Vacuolo. (a) Tipica disposizione del vacuolo nella cellula vegetale. (b) Il vacuolo è delimitato da una membrana fosfolipidica, detta tonoplasto, e contiene una soluzione acquosa, il succo vacuolare. (c) Fotografia al TEM delle cellule di una foglia di Zinnia elegans. 7 µm TEM (falsi colori)

raggiungere livelli tossici. Il deposito di questo lipide nelle cellule nervose del cervello causa un deterioramento del sistema nervoso con conseguenze molto gravi.
I vacuoli
La maggior parte delle cellule vegetali non ha lisosomi, ma dispone di un organulo che svolge una funzione simile. Nelle cellule vegetali mature è presente un grande vacuolo centrale, delimitato da una membrana detta tonoplasto, che contiene una soluzione acquosa ricca di enzimi in grado di degradare e riciclare molecole e organuli 21.
Gran parte della crescita di una cellula vegetale è dovuta all’aumento del volume del vacuolo, che in alcuni casi può arrivare a occupare il 90% dello spazio interno. Via via che il vacuolo si riempie di acqua, esercita una pressione contro la membrana cellulare (turgore), contribuendo alla rigidità e al sostegno della pianta.
Il vacuolo non contiene solo acqua ed enzimi: al suo interno si trovano anche sali, zuccheri e acidi deboli. Per questo il pH della soluzione interna al vacuolo è di solito leggermente acido, o anche decisamente acido nel caso degli agrumi (da cui il loro tipico sapore). In certi casi si possono trovare
22 Perossisomi. (a) Tipica disposizione dei perossisomi in una cellula. (b) I perossisomi sono vescicole membranose prodotte dal reticolo endoplasmatico, necessarie per l’eliminazione delle sostanze tossiche. (c) Il perossisoma di una cellula animale fotografato al TEM.


anche pigmenti idrosolubili, responsabili dei colori blu, viola e magenta di alcuni petali, foglie e frutti.
Infine, il vacuolo può svolgere una funzione difensiva. Al suo interno, infatti, si possono accumulare sostanze tossiche che proteggono la pianta da predatori (gli animali erbivori), parassiti e batteri patogeni. Un esempio è costituito dalla caffeina, contenuta nei semi e nelle foglie della pianta del caffè: questo alcaloide, infatti, è tossico per gli insetti, che quindi evitano di cibarsi delle foglie della pianta.
I vacuoli sono presenti anche nei protisti, anche se con funzioni differenti rispetto alle piante. Il vacuolo contrattile del paramecio, per esempio, pompa dalla cellula l’acqua in eccesso; nell’ameba, un vacuolo alimentare digerisce le sostanze nutritive inglobate dalla cellula.
I perossisomi
Tutte le cellule eucariotiche sono dotate di perossisomi, organuli che contengono enzimi incaricati di demolire le sostanze tossiche 22.
Nonostante la loro somiglianza con i lisosomi per quanto riguarda dimensioni e funzioni, i perossisomi vengono prodotti nel RE, invece che nell’apparato di Golgi, e contengono


enzimi diversi. Inoltre, il loro pH interno è molto più elevato rispetto a quello lisosomiale, attestandosi intorno a valori di poco superiori a 8. In alcuni perossisomi, la concentrazione di enzimi raggiunge livelli così alti che le proteine condensano in cristalli facilmente riconoscibili.
I perossisomi proteggono la cellula dai sottoprodotti tossici delle reazioni chimiche cellulari. Per esempio, alcune delle reazioni che avvengono nei perossisomi stessi e in altri organuli producono perossido di idrogeno, detto anche acqua ossigenata (H2O2), un composto altamente reattivo e dannoso per la cellula: per contrastarne l’accumulo, un enzima contenuto nei perossisomi (noto come catalasi) reagisce con il perossido di idrogeno, rimpiazzandolo con innocue molecole d’acqua. Anche se non è l’unico, la catalasi è senza dubbio l’enzima più abbondante nei perossisomi.La reazione che catalizza è talmente importante da aver dato il nome a questi organuli: infatti, il termine “perossisoma” richiama proprio il perossido di idrogeno. Altre funzioni svolte dai perossisomi sono la detossificazione di sostanze nocive (come l’alcol etilico, trasformato dai perossisomi delle cellule del fegato) e il metabolismo di diverse molecole, come per esempio gli acidi grassi.
GREEN COMP
CENTRI DI DEMOLIZIONE
Mettiti alla prova
1 Rifletti e rispondi Il vacuolo contiene soprattutto perossido di idrogeno. V F
2 Descrivi in tre righe Qual è la differenza tra lisosomi e perossisomi?
3 Riassumi in un minuto Descrivi gli organuli che costituiscono i centri di riciclo della cellula e le rispettive caratteristiche.
I vacuoli e le strategie di fitorisanamento
I vacuoli delle piante sono magazzini ricchi d’acqua, in cui depositare sostanze organiche e inorganiche di varia natura, compresi inquinanti ambientali come i metalli pesanti. Quest’ultimi sono elementi chimici con densità, peso e numero atomici elevati e includono per esempio lo zinco, l’arsenico, il rame e il piombo. A concentrazioni elevate sono tossici per l’essere umano e gli ecosistemi. La capacità di alcune piante di crescere e svilupparsi su suoli ricchi di metalli è sfruttata nelle strategie di fitorisanamento a. Il fitorisanamento è una forma di bonifica degli ambienti basata sull’uso di organismi per rimuovere, o rendere meno tossiche, le sostanze inquinanti o le loro sorgenti. Esistono diverse forme di fitorisanamento. Nella fitoimmobilizzazione, le radici delle piante rilasciano nel sottosuolo soluzioni di molecole organiche che si legano ai contaminanti, immobilizzandoli e circoscrivendoli a un’area di dimensioni ridotte, impedendone così la disseminazione nel resto del suolo. Nella fitoestrazione le radici assorbono i metalli, che sono quindi confinati o nel sistema di pareti cellulari, oppure coniugati ai chelanti intracellulari. Quest’ultimi sono molecole organiche che formano complessi con i metalli assorbiti, riducendone la concentrazione e rendendoli relativamente innocui per la pianta. I complessi metallo/chelante sono quindi trasferiti all’interno dei vacuoli. Gli elementi metallici, prima di complessarsi con i chelanti, possono anche essere convertiti in molecole meno tossiche in reazioni di detossificazione che avvengono o all’esterno della pianta oppure a livello intracellulare. I metalli assorbiti e immagazzinati nelle radici possono arrivare tramite il sistema vascolare della pianta anche al fusto e alle foglie, dove sono convertiti in molecole gassose rilasciate nell’aria attraverso il processo di fitovolatilizzazione. Rispetto alle strategie di bonifica di natura chimica o fisica, il fitorisanamento è più ecologico e meno costoso, poiché non richiede di smuovere, scavare o modificare il suolo.

a Fitorisanamento I girasoli (Helianthus annuus) sono una delle specie che possono essere utilizzate per assorbire tossine dal suolo.
Pensiero sistemico
I vacuoli sono magazzini di sostanze tossiche anche nel caso del bioaccumulo, un fenomeno diverso dal fitorisanamento. Fai una ricerca in Internet sul bioaccumulo negli organismi vegetali e animali. Individuane le differenze rispetto al fitorisanamento e riassumile in una diapositiva.
6. Le cellule hanno centrali energetiche
Cloroplasti e mitocondri sono gli organuli cellulari deputati alla produzione di energia. I primi sono caratteristici delle cellule vegetali e di alcuni protisti e contengono i pigmenti che rendono possibile la fotosintesi clorofilliana, mentre i secondi si trovano in tutte le cellule eucariotiche e sono la sede della respirazione cellulare.
Una caratteristica che accomuna questi due organuli, differenziandoli da tutti gli altri, è che contengono al loro interno una propria molecola di DNA, chiamata rispettivamente mtDNA (mitochondrial DNA) nel mitocondrio e cpDNA (chloroplast DNA) nel cloroplasto.
I plastidi
Le cellule vegetali contengono granuli chiamati plastidi che si differenziano per contenuto e funzioni svolte.
` I cloroplasti sono granuli citoplasmatici con un’intensa colorazione verde a causa della grande quantità del pigmento clorofilla in essi contenuto 23. Ogni cloroplasto è formato da tre strati di membrana: due strati esterni racchiudono un fluido ricco di enzimi chiamato stroma, all’interno del quale è sospeso un terzo strato di membrana (membrana tilacoidale) ripiegato in sacche piatte dette tilacoidi. I tilacoidi sono impilati gli uni sugli altri a formare delle strutture interconnesse dette grani. Nella membrana tilacoidale sono presenti i pigmenti fotosintetici, come la clorofilla, che catturano la luce solare e la convertono in


energia chimica. Grazie a questi pigmenti le piante e gli altri organismi autotrofi possono sintetizzare il proprio nutrimento, producendo zuccheri a partire da acqua e diossido di carbonio.
` I cromoplasti sintetizzano i carotenoidi, pigmenti liposolubili di colore giallo, rosso e arancione che si trovano, per esempio, nelle carote e nei pomodori maturi.
` I leucoplasti, invece, svolgono una funzione di riserva delle sostanze nutritive. Questi ultimi comprendono anche gli amiloplasti, che immagazzinano al proprio interno molecole di amido. Gli amiloplasti sono particolarmente importanti per le cellule specializzate nell’accumulo di nutrienti, come quelle che si trovano nelle patate e nei chicchi di mais.
Ciascun plastide può trasformarsi in un plastide diverso, a seconda della necessità della cellula; per esempio, nei pomodori in via di maturazione i cloroplasti si trasformano in cromoplasti, conferendo al frutto la sua caratteristica colorazione rossa.
A differenza della maggior parte degli altri organuli, tutti i plastidi contengono il proprio DNA e i propri ribosomi. Sono infatti in grado di sintetizzare autonomamente alcune proteine specifiche, inclusi alcuni degli enzimi necessari alla fotosintesi. La maggior parte delle proteine necessarie al corretto funzionamento dell’organulo, tuttavia, è sintetizzata dalla cellula a partire dal DNA nucleare ed è importata nel plastide in un secondo momento.

23 Cloroplasti. (a) Tipica disposizione dei cloroplasti in una cellula vegetale. (b) I cloroplasti sono organuli circondati da una doppia membrana e contengono pigmenti e proteine indispensabili per la fotosintesi clorofilliana. (c) Un cloroplasto di una cellula vegetale fotografato al TEM.
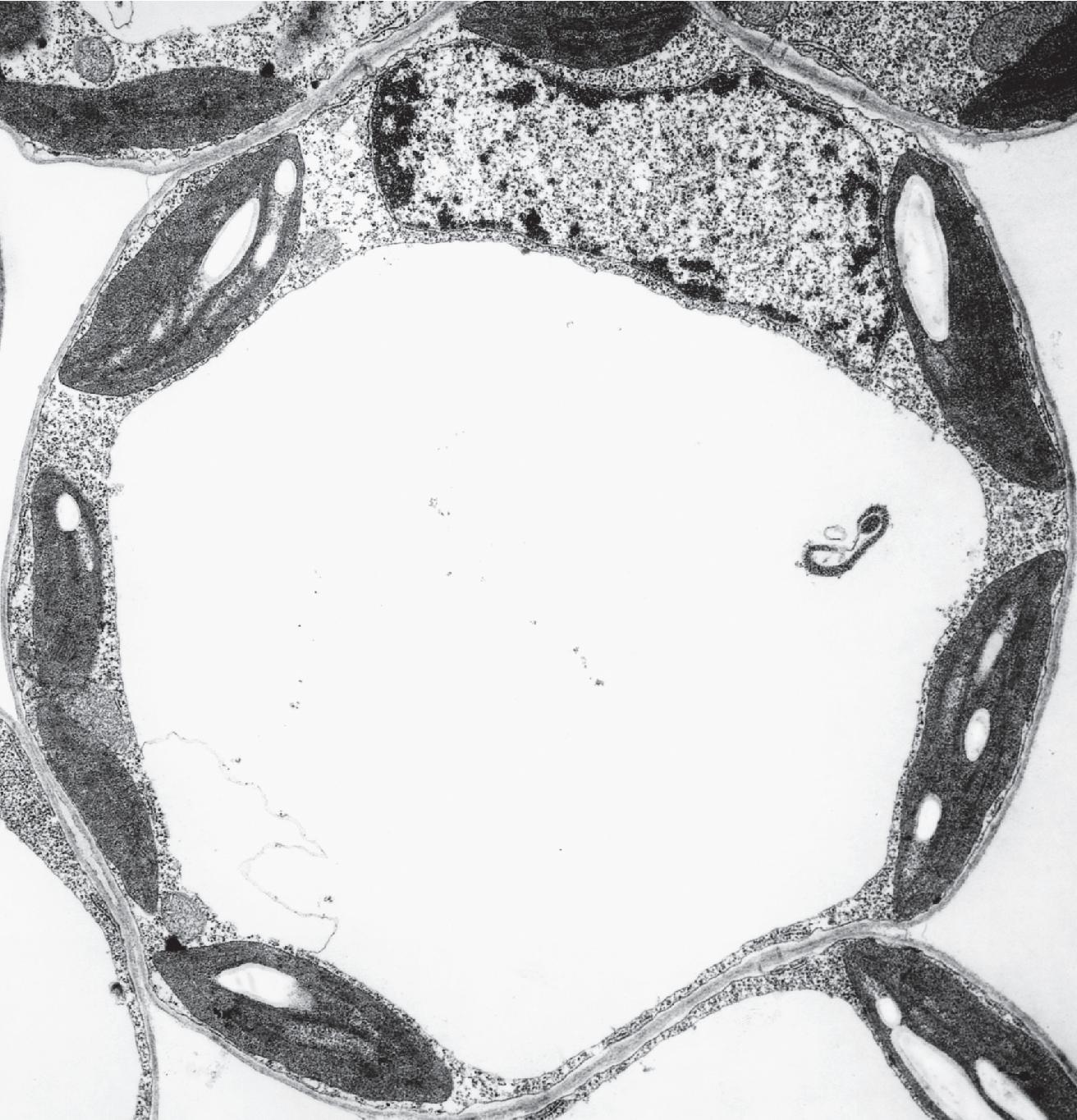
I mitocondri
La crescita, la divisione cellulare, la sintesi di proteine, la secrezione e molte reazioni chimiche che avvengono nella cellula richiedono un rifornimento costante di energia. I mitocondri sono organuli in grado di estrarre questa energia dalle molecole nutritive, tramite un processo noto come respirazione cellulare 24.
Le reazioni di demolizione dei nutrienti (carboidrati, lipidi e proteine) hanno inizio nel citoplasma della cellula; in seguito, i prodotti finali di queste reazioni sono trasportati nel mitocondrio, dove è prodotto ATP. Con l’eccezione di alcuni protisti, tutte le cellule eucariotiche sono dotate di mitocondri. La loro quantità dipende dalla funzione della cellula in questione e dal suo fabbisogno energetico: le cellule dei muscoli, per esempio, contengono un elevato numero di mitocondri, poiché richiedono molta energia per poter funzionare. Altri tipi cellulari, come le cellule dell’epidermide, hanno invece pochi mitocondri, dal momento che il loro consumo energetico è ridotto. I mitocondri sono organuli delimitati da un doppio strato di membrana; la membrana esterna è liscia, mentre quella interna è fittamente ripiegata su se stessa a formare una serie di pieghe che prendono il nome di creste. Le creste aumentano in maniera esponenziale la superficie della membrana interna, e ciò è fondamentale per l’efficienza del mitocondrio: nelle creste, infatti, sono inseriti molti complessi proteici che catalizzano le reazioni della respirazione cellulare. Lo spazio delimitato dalla membrana interna è detto matrice mitocondriale, e contiene i ribosomi e il DNA che codifica per alcune proteine essenziali al funzionamento del mitocondrio.
Guarda il video I mitocondri, una questione femminile
L’endosimbiosi
Le somiglianze tra plastidi e mitocondri – entrambi dotati di DNA e ribosomi propri ed entrambi circondati da una doppia membrana – forniscono validi indizi sull’origine delle cellule eucariotiche, un evento che sembra risalire a circa 2 miliardi di anni fa.
Secondo la teoria endosimbiotica (dal greco éndon, dentro, sún, insieme, e bíos, vita), mitocondri e cloroplasti hanno avuto origine da batteri che sarebbero stati inglobati all’interno di altre cellule procariotiche. Il processo di endosimbiosi si è ripetuto più volte nella storia degli eucarioti. Nel primo evento endosimbiotico, illustrato nella figura 25, una cellula ospite inglobò uno o più batteri capaci di respirazione aerobica. I batteri inglobati sarebbero poi diventati i mitocondri. In un evento di endosimbiosi successivo, alcuni discendenti di questi primi eucarioti inglobarono batteri fotosintetici che divennero cloroplasti. Sappiamo che i mitocondri hanno stabilito per primi questa simbiosi perché sono presenti in quasi tutti gli eucarioti, mentre i cloroplasti appaiono solo nei protisti fotosintetici e nelle piante. Dopo questi primi eventi di endosimbiosi, molti geni si sono trasferiti dal DNA degli organuli al nucleo delle cellule ospiti. A causa di questi cambiamenti genetici, i batteri inglobati nella cellula non sono stati più in grado di sopravvivere all’esterno delle cellule ospiti e, col tempo, batteri e ospiti sono diventati dipendenti gli uni dagli altri per la sopravvivenza. Il risultato di questa interdipendenza biologica, secondo la teoria endosimbiotica, è la cellula compartimentalizzata degli eucarioti moderni.


membrana interna membrana esterna

24 Mitocondri. (a) Tipica disposizione dei mitocondri in una cellula. (b) I mitocondri sono organuli circondati da una doppia membrana e contenenti le proteine indispensabili per la respirazione cellulare. (c) Un mitocondrio di una cellula fotografato al TEM.
Approfondisci con l’animazione Endosimbiosi

antenato comune
cellula ospite

ripiegamento della membrana
batteri

batteri fotosintetici


endosimbiosi

endosimbiosi


archei
eucarioti non fotosintetici
eucarioti fotosintetici
nucleo mitocondrio cloroplasto
batteri
25 Teoria endosimbiotica. Secondo la teoria endosimbiontica, mitocondri e cloroplasti potrebbero aver avuto origine dall’unione tra antiche cellule batteriche capaci di svolgere rispettivamente la respirazione cellulare o la fotosintesi e cellule ospiti.
SCIENCE & FICTION
Mitocondri e simbiosi in Star Wars
Uno degli elementi più caratteristici dell’universo di Star Wars è la Forza, che nei primi film della saga viene definita come «un campo energetico creato da tutte le cose viventi» e che consente, a chi la sa controllare, di compiere azioni normalmente impossibili, come sollevare oggetti a distanza o leggere nella mente delle persone.
Per spiegare come fanno alcuni esseri viventi a percepire e controllare questa energia mistica che pervade l’universo, nel film La minaccia fantasma viene introdotta una specie di microrganismi senzienti chiamati midi-chlorian. Questi organismi vivono nelle cellule di tutti gli esseri viventi in una relazione di simbiosi mutualistica, cioè che offre vantaggi a entrambe le specie coinvolte, e sono in connessione diretta con la Forza. La capacità di un individuo di interagire con la Forza dipende dalla quantità di midi-chlorian presenti in ogni sua cellula: più sono numerosi, più quella persona sarà in grado di percepirla e utilizzarla. Quando ha inventato i midi-chlorian il regista e sceneggiatore George Lucas si è ispirato ai mitocondri, gli organuli responsabili della respirazione cellulare. Proprio come i midi-chlorian, i mitocondri sono indispensabili per la sopravvivenza delle cellule ospiti, poiché contengono al loro interno gli enzimi necessari per produrre energia a partire dalle molecole nutritive. La cellula può sfrut-

tare questa energia per tutte le reazioni chimiche di cui ha bisogno per vivere e riprodursi. Un’altra somiglianza fra mitocondri e midi-chlorian è che la loro efficacia aumenta all’aumentare del loro numero: le cellule che hanno più bisogno di energia per poter funzionare, come le cellule muscolari, hanno
infatti un numero elevato di mitocondri. Infine, anche i mitocondri probabilmente erano esseri viventi prima di diventare organuli cellulari. Secondo la teoria endosimbiotica proposta nel 1966 dalla biologa statunitense Lynn Margulis, in origine erano batteri che sono stati inglobati da altre cellule primitive, stabilendo una simbiosi mutualistica. Nel corso del tempo, sia questi batteri sia le loro cellule ospiti sarebbero diventati dipendenti gli uni dalle altre, dando così origine alle cellule eucariote dotate di mitocondri. Ispirati da Star Wars, nel 2006 un gruppo di ricercatori italiani ha proposto di chiamare Midichloria mitochondrii un batterio da loro scoperto che vive in simbiosi nei mitocondri di una zecca. Hanno chiesto a George Lucas il permesso di usare il nome “midichloria” e lui ha accettato.
Fai un passo in più
Fate una lista di almeno dieci personaggi della saga di Star Wars e metteteli in ordine in base a quella che, secondo voi, è la loro capacità di usare la Forza. Poi cercate in Internet la quantità di midi-chlorian che ciascuno di essi possiede e confrontate questo dato con le stime che avevate fatto in precedenza. Infine, usate i dati raccolti per costruire un grafico a barre.
Procarioti
antenato comune
archei batteri
Eucarioti
Endosimbiosi primaria
la cellula ospite ingloba un proteobatterio, che diventa un mitocondrio



nucleo mitocondrio cloroplasto

alga verde derivata dall’endosimbiosi primaria
la cellula ospite ingloba un cianobatterio, che diventa un cloroplasto


Euglena derivata dall’endosimbiosi secondaria cloroplasto con tre membrane
alghe
Endosimbiosi secondaria
cellula eucariotica ingloba l’alga verde, che diventa un cloroplasto
cellula eucariotica alga verde


10 µm LM
26 Endosimbiosi secondaria. (a) Nell’endosimbiosi primaria una cellula ospite ingloba un batterio. Alcuni cloroplasti derivano dall’endosimbiosi primaria, come quelli delle alghe verdi. Altri cloroplasti derivano da un evento di endosimbiosi secondaria in cui una cellula ospite ingloba una cellula eucariotica. (b) Le alghe che si trovano all’interno del protista Paramecium bursaria sono una prova dell’endosimbiosi secondaria.
La teoria dell’endosimbiosi fu proposta alla fine degli anni Sessanta del secolo scorso dalla biologa statunitense Lynn Margulis. Da allora, le prove a sostegno si sono moltiplicate.
` Mitocondri e cloroplasti possiedono membrane interne molto simili per forma e struttura alla membrana di alcuni tipi di batteri.
` La doppia membrana che circonda mitocondri e cloroplasti è compatibile con l’ipotesi dell’inglobamento.
` Mitocondri e cloroplasti non sono assemblati all’interno della cellula ma si dividono in modo indipendente, come fanno le cellule batteriche.
` Cloroplasti e cianobatteri hanno gli stessi pigmenti fotosintetici.
` Mitocondri e cloroplasti contengono DNA, RNA e ribosomi simili a quelli delle cellule batteriche.
L’endosimbiosi è stata una forza potente nell’evoluzione degli eucarioti. Infatti, i cloroplasti di alcuni protisti fotosintetici derivano da un evento di endosimbiosi secondaria 26. In queste specie tre o quattro membrane circondano i cloroplasti, alcune delle loro cellule mantengono addirittura il nucleo delle cellule inglobate.
in tutte le cellule eucariotiche
nelle cellule vegetali e in alcuni protisti fotosintesi clorofilliana respirazione cellulare
Mettiti alla prova
1 Rifletti e rispondi La patata è ricca di cromoplasti/ leucoplasti, mentre il pomodoro è ricco di cromoplasti/ leucoplasti
2 Descrivi in tre righe Illustra la struttura e la funzione dei mitocondri.
3 Ripeti la definizione Che cosa sostiene la teoria endosimbiotica?
4 Riassumi in un minuto Descrivi i successivi eventi di endosimbiosi e le prove a sostegno della teoria.
Lynn Margulis
Quando: Chicago, 5 marzo 1938 –Amherst, 22 novembre 2011
Formazione: laurea in Zoologia e Genetica all’Università del Wisconsin; dottorato in Genetica all’Università di Berkeley.
Chi è diventata: biologa evoluzionista; prima di trasferirsi al Dipartimento di Botanica dell’Università del MassachusettsAmherst nel 1988, è stata professoressa di biologia all’Università di Boston per 22 anni.
LA SUA STORIA
Cosa ha scoperto: Nel 1966 pubblica l’articolo On the Origin of Mitosing Cells, in cui espone la teoria endosimbiotica.
Premi: nel 1999 riceve la National Medal of Science, conferitale dal Presidente degli Stati Uniti; nel 2009 riceve la Darwin-Wallace Medal, che la Linnean Society di Londra assegna ogni cinquant’anni.
Cosa ha detto: “La vita non ha conquistato il mondo lottando, ma cooperando.”
Nonostante lei stessa si descrivesse come una studentessa svogliata e sempre in punizione, manifesta sin da giovanissima la sua attitudine scientifica. A 15 anni, infatti, frequenta i corsi delle Laboratory Schools dell’Università di Chicago destinati ai diciottenni, appassionandosi allo studio dell’ereditarietà dei caratteri attraverso la matematica.
Nel 1957, a soli 19 anni, consegue una laurea in Liberal Arts, specializzandosi poi in zoologia e genetica e conseguendo il dottorato nel 1965. L’anno successivo ottiene un incarico all’Università di Boston, dove rimane per i seguenti 22 anni. Nel frattempo, si sposa due volte divorziando in entrambi i casi e crescendo quattro figli.
Nel 1966 Lynn scrive On the Origin of Mitosing Cells, il primo di numerosi articoli in cui espone una nuova teoria sull’evoluzione delle cellule eucariotiche, che prende il nome di teoria endosimbiotica.
Ritenuto lacunoso e privo di prove certe, l’articolo è rifiutato da quindici riviste scientifiche prima di essere pubblicato nel 1967 dal The Journal of Theoretical Biology. Il lavoro di Lynn viene duramente criticato almeno fino al 1978, anno di pubblicazione dell’articolo Origins of prokaryotes, eukaryotes,

mitochondria, and chloroplasts in cui gli autori Schwartz e Dayhoff dimostrano sperimentalmente che mitocondri e cloroplasti derivano da batteri e cianobatteri.
La teoria endosimbiotica proposta da Lynn è ancora più sorprendente se si considera che l’intuizione si è sviluppata senza che la scienziata avesse particolari competenze in biologia molecolare che le avrebbero consentito di tracciare con sicurezza l’origine di mitocondri e cloroplasti (non si conosceva ancora il sequenziamento del DNA). Forte delle sue convinzioni, Lynn si spinge oltre e nel suo libro del 1970, Origin of Eukaryotic Cells, introduce la teoria seriale dell’endosimbiosi (nota come SET), per descrivere la serie di simbiosi che si sono succedute nell’evoluzione della cellula eucariotica. Oggi la SET è un argomento cardine della citologia (lo studio della cellula) e della biologia dello sviluppo.
Sebbene negli ultimi anni della sua vita Lynn, scomparsa nel 2011, abbia sostenuto ipotesi scientifiche (e non solo) molto controverse, il suo valore come scienziata libera e coraggiosamente controcorrente la rende uno dei personaggi più importanti della ricerca biologica del Novecento.
Evoluzionista: dalla biologia alla filosofia
DISCIPLINA E PROFESSIONE
La biologia evolutiva è la scienza che analizza l’origine e la discendenza delle specie, così come i loro cambiamenti, la loro diffusione e diversità nel corso del tempo. Questa disciplina si occupa della tutela della biodiversità e applica le conoscenze della biologia alla salvaguardia del patrimonio ambientale. Una studiosa di biologia evolutiva è nota come biologa dell’evoluzione o, meno formalmente, evoluzionista.
AMBITO LAVORATIVO E FORMAZIONE
L’evoluzionista può svolgere lavori che includono la ricerca accademica e la conservazione della biodiversità nei parchi naturali e nei giardini botanici. Il percorso di studi di questa figura professionale prevede in genere una Laurea triennale in Biologia seguita da un corso di Laurea magistrale in Biologia evoluzionistica come quello proposto, per esempio, dall’Università degli Studi di Padova.
UN PERCORSO ALTERNATIVO
L’evoluzione può essere studiata anche da un punto di vista filosofico. In particolare, la filosofia della scienza indaga le teorie dell’evoluzione, il metodo scientifico e le implicazioni della scienza. Si chiamano evoluzionisti, infatti, anche i filosofi della scienza come Telmo Pievani, professore ordinario di Filosofia delle scienze biologiche, autore di numerose pubblicazioni scientifiche e divulgative in campo evolutivo.
7. Il citoscheletro, le ciglia e i flagelli
Il citoplasma delle cellule contiene il citoscheletro, una rete intricata di binari e tubuli composti da proteine.
Il citoscheletro è una struttura di sostegno con molte funzioni: permette il trasporto di organuli e molecole all’interno del citoplasma; conferisce alla cellula la sua forma tridimensionale 27; ha un ruolo importante nella divisione cellulare; contribuisce a collegare le cellule tra loro. Il citoscheletro permette inoltre il movimento della cellula o di una sua parte.
I filamenti del citoscheletro
Il citoscheletro eucariotico ha tre componenti principali: i microfilamenti, i filamenti intermedi e i microtubuli. Essi si distinguono per le proteine che li compongono, per il loro diametro e per come si aggregano a costituire strutture più estese 28. Altre proteine fanno da collante fra queste strutture, componendo un fitto reticolo di fibre.
` I più sottili componenti del citoscheletro sono i microfilamenti, fibre lunghe e sottili dal diametro di appena 7 nm, costituite dalla proteina actina. Reti di microfilamenti di actina sono presenti in quasi tutte le cellule eucariotiche, dove svolgono diverse funzioni: la contrazione delle cellule muscolari, per esempio, avviene grazie ai filamenti di actina, in interazione con la proteina miosina. I microfilamenti permettono inoltre alla cellula di opporre resistenza alle forze di compressione e distensione, e fanno parte del sistema che ancora le cellule tra loro.
` I filamenti intermedi hanno un diametro di 10 nm, intermedio tra quelli dei microfilamenti e dei microtubuli.
28 Componenti del citoscheletro. Il citoscheletro è composto da tre tipi di filamenti proteici, ordinati nella figura dal più sottile al più spesso. Le foto al microscopio confocale di cellule tratta te con specifici marcatori fluorescenti mostrano filamenti di actina, filamenti intermedi e microtubuli.




27 Architettura cellulare. Il citoscheletro permette ai globuli bianchi (in marrone) di espandersi in lunghe propaggini sottili per raggiungere e attaccare le cellule estranee, come i batteri (in azzurro, in basso a sinistra).
A differenza degli altri componenti del citoscheletro, costituiti da un solo tipo di proteina, i filamenti intermedi hanno una composizione diversa per ogni specializzazione cellulare. La struttura a forma di corda mantiene l’architettura della cellula, formando nel citoplasma un’impalcatura che si oppone allo stress meccanico. I filamenti intermedi fanno anche parte del sistema che aggancia tra loro cellule adiacenti.
` I microtubuli sono costituiti da una proteina chiamata tubulina, assemblata in tubi cavi dello spessore di 23 nm. La lunghezza di un microtubulo può variare con l’aggiunta o la sottrazione di molecole di tubulina da parte della









membrana cellulare
doppiette di microtubuli esterni
proteina motrice (dineina)

corpo basale (aggancia il agello alla cellula)




6 µm SEM (falsi colori)





6 µm SEM (falsi colori)
29 Ciglia e flagelli. (a) Le proteine che formano le ciglia e i flagelli eucariotici hanno una caratteristica organizzazione a schema 9+2 di doppiette di microtubuli. Il corpo basale che dà origine a ciascun ciglio o flagello invece è costituito da un anello di triplette di microtubuli. (b) Queste ciglia rivestono il tratto respiratorio umano, dove con il loro movimento coordinato spingono verso l’alto le particelle di polvere, che possono così essere espulse. (c ) I flagelli permettono agli spermatozoi umani maturi di muoversi. c b a
cellula. I microtubuli svolgono molte funzioni all’interno della cellula eucariotica. Per esempio, separano i cromosomi duplicati durante il processo di divisione cellulare. In diversi tipi di cellula i microtubuli formano un sistema di rotaie lungo le quali scorrono organelli e proteine: alcuni organismi, come i camaleonti e le seppie, cambiano colore rapidamente spostando le molecole di pigmento delle loro cellule epidermiche lungo questo sistema di rotaie.
Le ciglia e i flagelli
Negli animali, i microtubuli sono assemblati in strutture chiamate centrosomi (le piante ne sono normalmente prive e costruiscono i microtubuli in vari siti all’interno della cellula). Il centrosoma contiene due centrioli, visibili nella figura 12. I centrioli danno origine a strutture chiamate corpi basali, che a loro volta si allungano a costruire le estensioni che permettono ad alcune cellule di muoversi: le ciglia e i flagelli 29a. Entrambe queste appendici presentano un’identica struttura interna, ma differiscono per lunghezza e tipo di movimento. Le ciglia sono corte e numerose, come in una frangia; misurano circa 0,25 µm. Alcuni protisti, come i parameci, sono coperti da migliaia di ciglia che permettono loro di spostarsi in ambiente acquoso. Nel tratto respiratorio del corpo umano, il movimento coordinato delle ciglia forma un’onda che spinge le particelle estranee in alto e all’esterno 29b. I flagelli sono molto più grandi, lunghi da 100 a 200 µm, e sono presenti da soli o in coppie. I flagelli assomigliano a code, e le loro oscillazioni, simili al movimento di una frusta, sospingono le cellule. Gli spermatozoi di molte specie animali, compresi gli esseri umani, sono dotati di flagelli 29c.
CITOSCHELETRO
microfilamenti
filamenti intermedi microtubuli
Mettiti alla prova
filamenti intermedi
1 Rifletti e rispondi I si oppongono allo stress meccanico a cui è sottoposta la cellula.
2 Rifletti e rispondi I corpi basali/centrioli danno origine ai corpi basali/centrioli.
3 Ripeti la definizione Quali sono le funzioni di ciglia e flagelli?
4 Riassumi in un minuto Descrivi le principali caratteristiche del citoscheletro.
La teoria cellulare

400 a.C.
Aristotele afferma che i piccoli animali possono nascere dalla melma o dalla carne in putrefazione. Questa teoria è detta abiogenesi, o generazione spontanea.
1668
Francesco Redi dimostra sperimentalmente che le larve di mosca non nascono per generazione spontanea dalla carne in putrefazione, ma originano dalle uova deposte sulla carne da altre mosche.


1765
TEORIE A CONFRONTO
Lazzaro Spallanzani conduce una serie di esperimenti, deciso a confutare la teoria dell’abiogenesi. Prepara del brodo, lo porta a ebollizione per lungo tempo per eliminare eventuali contaminazioni e lo versa all’interno di provette, sigillandole ermeticamente: dopo diversi giorni, il brodo è ancora limpido e privo di microrganismi. Conclude che i microrganismi non possono originarsi dal brodo, ma provengono dall’ambiente esterno.

1590
Zacharias Janssen e il padre Hans, occhialai fiamminghi, creano il primo microscopio utilizzando due lenti. Questo permette di visualizzare per la prima volta oggetti molto piccoli.

1769
James Watt sviluppa la prima macchina a vapore, in grado di trasformare l’energia termica del vapore in lavoro meccanico.

1816
Joseph Nicéphore Niépce scatta la prima fotografia utilizzando l’eliografo, la prima rudimentale macchina fotografica da lui ideata.

1864
Louis Pasteur conduce l’esperimento del “pallone a collo di cigno”, dimostrando definitivamente che, nelle condizioni attuali, la vita non può originare per generazione spontanea.

1874
BIOLOGIA E TECNICA
Il chirurgo statunitense
Joseph Janvier Woodward inventa una tecnica per fotografare campioni osservati al microscopio.
1953
Stanley Miller e Harold Urey ricreano in laboratorio il “brodo primordiale” in cui si sarebbe originata la vita. Nel loro esperimento riescono a ottenere alcune biomolecole (amminoacidi) a partire da molecole inorganiche.

1904
Christian Hülsmeyer costruisce il primo radar, chiamandolo telemobiloscopio, per individuare oggetti a distanza utilizzando le onde radio.

Attiva la linea del tempo
Il percorso delle

1986
Walter Gilbert, premio Nobel per la chimica nel 1980, pubblica un articolo sulla rivista Nature in cui ipotizza un mondo a RNA. Secondo Gilbert le prime fasi di evoluzione molecolare hanno riguardato l’RNA da cui, solo in seguito, si sono generati il DNA e le proteine.
2016
Ramanarayanan Krishnamurthy prova che gli ibridi RNA-DNA sono instabili demolendo l’ipotesi di Gilbert e ipotizzando un mondo in cui RNA e DNA siano comparsi e si siano evoluti in modo parallelo e indipendente, interagendo solo in un secondo momento.


1986
Chuck Hull brevetta la prima stampante in 3D che permette la stereolitografia, ovvero la creazione di oggetti 3D a partire da progetti digitali.
Inquadra il codice QR e lavora con la linea del tempo su carta e in digitale
TEORIE A CONFRONTO La produzione scientifica è un processo in continuo divenire: sulla base di prove sperimentali, alcune teorie sono confermate, mentre altre sono smentite.
Lazzaro Spallanzani e John Needham sostennero, nel corso delle loro vite, teorie diverse. Che idee sostenevano? Qual è risultata corretta e sulla base di quali esperimenti? Colloca John Needham all’interno della linea del tempo su Padlet e descrivi qual è stato il suo contributo al progresso scientifico e biologico.
BIOLOGIA E TECNICA Nuove tecniche permettono da un lato nuove scoperte, contribuendo all’innovazione scientifica, dall’altro forniscono nuovi strumenti per la diffusione delle conoscenze.
La fotografia, associata al microscopio, permette di catturare immagini di cellule. Nel 2014 il National Institute of General Medical Sciences (NIGMS) ha organizzato la mostra Life: Magnified per esporre diverse micrografie. Scegli alcune immagini della mostra dal sito dell’NIH, crea una collezione e spiega il tuo obiettivo comunicativo.
Organulo
Nucleo

Struttura Funzioni
Sacco perforato contenente DNA, proteine e RNA; avvolto da una doppia membrana
Separa il DNA dal resto della cellula; sito della prima fase della sintesi proteica; il nucleolo produce le subunità ribosomiche
Cellule vegetali Cellule animali

Ribosoma Due subunità globulari composte da RNA e proteine
Reticolo endoplasmatico ruvido
Reticolo endoplasmatico liscio

Apparato di Golgi

Lisosoma
Vacuolo centrale


Perossisoma

Rete di membrane costellate di ribosomi
Rete di membrane prive di ribosomi
Pile di sacche o “cisterne” membranose e appiattite
Sacco contenente enzimi digestivi; avvolto da una membrana singola
Sacco contenente acqua, enzimi, acidi, pigmenti idrosolubili e altri soluti; avvolto da una membrana singola
Sacco contenente enzimi che spesso formano cristalli di proteine visibili; avvolto da una membrana singola
Cloroplasto Due membrane che racchiudono pile di sacche di membrana, le quali contengono pigmenti fotosintetici ed enzimi; contiene DNA e ribosomi
Mitocondrio


Citoscheletro

Parete cellulare

Una membrana esterna racchiude una membrana interna ripiegata in creste; contiene DNA e ribosomi
Rete di filamenti e tubuli proteici
Sito della sintesi proteica
Barriera porosa composta da cellulosa e altre sostanze
Produce proteine destinate alla secrezione
Sintetizza i lipidi; rimuove le tossine di farmaci e veleni
Impacchetta i materiali da secernere; produce lisosomi
Demolisce e ricicla componenti del cibo, particelle estranee, batteri nemici e organuli danneggiati
È responsabile del turgore cellulare; ricicla il contenuto della cellula; contiene pigmenti
Degrada le tossine; demolisce gli acidi grassi; elimina il perossido di idrogeno
Produce una sostanza nutritiva (il glucosio) attraverso la fotosintesi
Estrae energia dagli alimenti attraverso la respirazione cellulare
Trasporta gli organuli all’interno della cellula; mantiene la forma cellulare; i microtubuli formano flagelli e ciglia; collega cellule adiacenti
Protegge la cellula; fornisce sostegno; collega cellule adiacenti
Organizza le conoscenze
Personalizza la mappa modificabile e ripassa con l’audiosintesi e la presentazione LIM
Cellule
possono essere hanno tutte
membrana plasmatica
producono le è il serve come costituito da serve per formano organismi del formano organismi del possiedono
dominio dei batteri
cellule vegetali cellule animali dominio degli archei parete cellulare dominio degli eucarioti cloroplasti organuli
si distinguono in possiedono anche
forma barriera citosol proteine materiale genetico sostegno filtro componenti non solubili movimento vacuolo
Cellula batterica

DNA e RNA ribosomi (costruiscono proteine) citoplasma







membrana cellulare
Cellula eucariotica

Rispondi alle domande che seguono facendo riferimento ai contenuti del Capitolo, al riepilogo visuale e alla mappa.
1 Paragona la mappa di inizio Capitolo con la mappa di questa pagina spiegando le connessioni tra cellula, membrana plasmatica, DNA e reticolo endoplasmatico.
2 Osserva con attenzione la figura: dove è possibile localizzare i ribosomi?
3 Guarda la mappa: in che modo potresti mettere in relazione il DNA e i ribosomi?
4 Aggiungi alla mappa i tre principali componenti del citoscheletro.
5 Quali sono le differenze tra i domini dei batteri e degli archei?
6 Inserisci nella mappa nucleo, mitocondri, lisosomi e perossisomi.
7 Quali sono le differenze tra una cellula batterica e una cellula eucariotica?
8 Indica nella figura sopra i mitocondri, i flagelli, il nucleolo.
9 Aggiungi alla mappa i termini reticolo endoplasmatico e apparato di Golgi.
10 Quali tipi di cellule hanno una parete cellulare? Descrivi la funzione di questa struttura.
CONOSCENZE E ABILITÀ
Svolgi il test in modalità autocorrettiva sul libro digitale.
1 - 3 Dalla scoperta della cellula ai tre domini della vita
11 I biologi Schleiden e Schwann ipotizzarono che tutte le cellule derivano da cellule preesistenti. V F
12 Il microscopio confocale è un microscopio elettronico in grado di ingrandire il campione fino a 1600 volte. V F
13 Per osservare l’interno di una cellula non è consigliabile utilizzare il SEM. V F
14 Associa ciascuna delle strutture cellulari elencate qui sotto alla cellula a cui appartiene. Attenzione: alcune strutture sono comuni a più tipi di cellula.
1. Cellula procariotica
2. Cellula animale
3. Cellula vegetale
a. Parete cellulare
b. Nucleo
c. Nucleoide
d. Citosol
e. Cloroplasto
f. Mitocondrio
15 Quale struttura, tra quelle elencate di seguito, NON è comune a tutte le cellule?
A Membrana plasmatica
B DNA
C Ribosomi
D Nucleoide
16 Gli archei:
A sono batteri ma non procarioti
B sono procarioti ma non batteri
C non presentano il nucleo; fanno parte del dominio Bacteria
D sono meno simili agli eucarioti rispetto ai batteri
17 Immagina due ipotetiche cellule, una perfettamente sferica e una cubica: la prima ha un raggio di 4 µm, la seconda ha un lato di 4 µm. Calcola la loro superficie e il loro volume (area della sfera: 4πr2; volume della sfera: 4/3 πr3). Quale delle due cellule è avvantaggiata da un rapporto superficie/volume più favorevole agli scambi?
A Cellula sferica
B Cellula cubica
C Entrambe le cellule
4-5 Il sistema di endomembrane delle cellule eucariotiche
Continua ad allenarti su HUB Test e scopri quanto sei preparato
22 Associa ogni organulo alla funzione svolta.
1. Eliminazione delle sostanze tossiche
2. Modificazione e riorganizzazione delle proteine
3. Sintesi di proteine
4. Conservazione del materiale genetico
5. Sintesi di lipidi complessi
1 e 3 2 e 3 1 1,2,3 3 2 e 3 4 3 5 2 1 3 1 2
18 La sede di assemblamento dei ribosomi è detta nucleolo. V F
19 I lisosomi sono vescicole che permettono il trasporto di materiale all’esterno della cellula.
20 Il vacuolo concorre a determinare il volume delle cellule vegetali.
21 Il REL contiene ribosomi.
F
F
V F
a. Nucleo
b. Reticolo endoplasmatico ruvido
c. Reticolo endoplasmatico liscio
d. Apparato di Golgi
e. Perossisoma
23 I ribosomi possono essere:
A liberi o associati al RER
B liberi o associati al REL
C sempre associati al reticolo endoplasmatico, sia liscio sia ruvido
D Nessuna delle risposte precedenti
24 Una proteina destinata a essere secreta dalla cellula:
A è prodotta nel nucleo e modificata nell’apparato di Golgi
B è prodotta nel nucleo e modificata nel RER
C è prodotta nel RER e modificata nell’apparato di Golgi
D è prodotta nel RER e modificata nel REL
25 Indica quale, tra le seguenti affermazioni sui perossisomi, è corretta.
A Sono prodotti nell’apparato di Golgi
B Trasformano H2O in H2O2
C Si trovano in tutte le cellule
D Contengono cristalli proteici
6-7 Cloroplasti, mitocondri e citoscheletro
26 I mitocondri sono plastidi deputati alla produzione di energia. V F
27 I cloroplasti devono la loro colorazione alla presenza di un pigmento fotosintetico. V F
28 I microtubuli sono i filamenti più sottili del citoscheletro. V F
29 Il corpo basale aggancia il flagello alla cellula. V F
30 Associa ogni tipologia di filamento del citoscheletro alla proteina che lo costituisce.
1. Varie proteine
2. Tubulina
3. Actina
a. Microfilamenti
b. Filamenti intermedi
c. Microtubuli
31 Quale, tra le seguenti, NON è una prova a sostegno della teoria dell’endosimbiosi?
A Mitocondri e cloroplasti possiedono il proprio DNA
B Mitocondri e cloroplasti sono in grado di duplicarsi autonomamente
C Mitocondri e cloroplasti sono strutturalmente simili ad alcuni tipi di batteri
D Mitocondri e cloroplasti sono in grado di sopravvivere all’esterno della cellula
COMPETENZE Il linguaggio della biologia
32 LESSICO Se una cellula eucariotica si può paragonare a una casa, in che senso una cellula procariotica è come un loft?
33 LESSICO In un microscopio, qual è la differenza tra obiettivo e oculare?
34 LESSICO Completa il seguente brano scegliendo tra i termini elencati qui sotto. Attenzione: non tutti i termini vanno inseriti. citoplasma • archei • membrana • procarioti • eucarioti • capsula • nucleo • parete • cromosoma • batteri Tutti gli esseri viventi possono essere raggruppati in tre domini: , e
batteri archei eucarioti nucleo membrana
I primi due domini sono accomunati da cellule prive di e di altri organuli delimitati da , ma presentano alcune differenze importanti, come per esempio nella composizione chimica della .
parete
35 LESSICO Nel testo che segue barra i termini che ritieni errati. I cloroplasti sono organuli cellulari dalla forma allungata che si trovano in alcune cellule eucariotiche / procariotiche, dove svolgono la respirazione cellulare / fotosintesi clorofilliana. Essi contengono numerosi pigmenti / granuli di amido, che vengono utilizzati nel processo di produzione di energia, e sono formati da due / tre strati di membrana plasmatica.
36 LESSICO I seguenti termini possono avere due significati diversi a seconda che li si usi in un contesto scientifico oppure no; scrivi le frasi mancanti.
a. Dominio
Linguaggio scientifico:
Il dominio degli archei è stato identificato
Consulta il glossario bilingue
Determina se le seguenti affermazioni sono vere o false.
a. L’insieme dei microrganismi che vivono dentro un organismo pluricellulare costituisce un metaorganismo.
V F
b. Il microbiota è costituito esclusivamente da batteri. V F
c. Gli archei sembrano svolgere un ruolo all’interno del microbiota.
d. Dai un titolo al testo:
V F
39 RIASSUMI Leggi il testo e riassumilo prima in cinque righe, poi in tre e infine in una sola riga.
Valonia ventricosa, nota anche come occhio del marinaio o alga bolla, è un’alga marina tipica dei fondali tropicali. Ha l’aspetto di una sfera gelatinosa e può raggiungere un diametro di 4 cm. Fin qui niente di strano, se non fosse che ogni alga è costituita da un’unica cellula gigante!

Linguaggio comune: La Corsica è sotto il dominio francese sin dal 1798.
b. Parete
Linguaggio scientifico: Le cellule procariotiche sono dotate di una parete esterna alla membrana.
Linguaggio comune:
solo nel 1977. matrimoniale.
c. Ciglia
La parete dipinta di rosso è nella stanza
Linguaggio scientifico:
Le ciglia rivestono il tratto respiratorio umano.
Linguaggio comune: Il mascara è un cosmetico che si applica sulle ciglia.
37 COMUNICARE Perché gli organismi più grandi sono composti da molte cellule piccole e non da poche cellule grandi?
38 INTERPRETARE INFORMAZIONI Leggi il testo e rispondi alle domande.
Tutti gli organismi pluricellulari (essere umano compreso) ospitano all’interno del proprio corpo una miriade di microrganismi che nel loro complesso costituiscono il cosiddetto microbiota. Questi microrganismi costituiscono un’unità indissolubile con il corpo che li ospita, tanto che alcuni scienziati parlano di “metaorganismo” (dal greco metá, significa “oltre l’organismo”).
I batteri sono la componente del microbiota più conosciuta e studiata, ma anche gli archei ne fanno parte. Tuttavia, finora hanno ricevuto poca attenzione dal mondo scientifico. Recentemente, un gruppo internazionale di ricercatori ha stilato un inventario dalle interazioni degli archei con l’organismo ospite. Per esempio, nell’intestino umano (dove c’è scarsa disponibilità di ossigeno) vivono alcuni archei metanogeni, i quali producono una serie di metaboliti importanti per la sopravvivenza dei batteri presenti.
(Adattato da Phys.org, agosto 2020)
Questa cellula presenta però delle peculiarità: se infatti è delimitata da una sola membrana cellulare, al suo interno presenta diversi ambienti, caratterizzati ciascuno dal proprio nucleo (una struttura che è detta plasmodio). È proprio la presenza di questa compartimentalizzazione a permettere a Valonia ventricosa di sfuggire alla regola che fa mantenere agli esseri unicellulari dimensioni ridotte, così da avere un elevato rapporto superficie/volume.
(Adattato da Focus, novembre 2019)
40 RIFORMULA Leggi il brano, poi riassumilo in tre brevi testi. Ogni testo sarà indirizzato a un destinatario differente: a) la tua compagna di classe, a cui ripeti la lezione; b) l’insegnante di scienze, in una verifica; c) il tuo cuginetto, che ti ha fatto una domanda sull’argomento.
Per definizione, le cellule eucariotiche si distinguono da quelle procariotiche per la presenza del nucleo. Ma come si è evoluta questa struttura cellulare? Alcuni ricercatori credono che il nucleo si sia originato grazie all’instaurarsi di una relazione simbiotica simile a quella ipotizzata dalla teoria dell’endosimbiosi per mitocondri e cloroplasti. La differenza fondamentale è che in questo caso le entità inglobate dentro la cellula sarebbero virus, non batteri: per questo, ci si riferisce a questo ipotetico fenomeno con il nome di “eucariogenesi virale”.
Una prova a sostegno di questa teoria è costituita dal fatto che negli ultimi anni sono stati scoperti alcuni virus giganti in grado di costruire delle “fabbriche virali” all’interno delle cellule procariotiche: così compaiono dei compartimenti cellulari che servono a separare la trascrizione (ossia la sintesi di mRNA) dalla traduzione (cioè la sintesi di proteine), esattamente come avviene nelle cellule eucariotiche grazie al nucleo. Tuttavia, la teoria dell’eucariogenesi virale è ancora controversa e non tutti gli scienziati si trovano d’accordo. (Adattato da Quanta Magazine, novembre 2020)
41 MAPPA CONCETTUALE Organizza in una mappa concettuale le principali strutture del citoscheletro e le loro funzioni.
42 RAPPRESENTA LE INFORMAZIONI Prepara una tabella in cui evidenzi le principali differenze tra cellule animali e cellule vegetali, indicando le funzioni di ciascun organulo.
COMPETENZE Il metodo della biologia
43 ENGLISH A peroxisome is:
A a membrane-bound organelle that maintains internal turgor within the cell
B a membrane-bound organelle found only in animal cells
C a membrane-bound organelle derived by the endoplasmic reticulum
D an organelle which is not membrane-bound
44 ENGLISH The following organelles are involved in processing amino acids into glycoproteins: 1) Golgi apparatus, 2) Ribosome, 3) Rough endoplasmic reticulum. Which is the correct sequence for the process?
A 2 3 1
B 1 3 2
2 1 3
3 1 2
1 2 3
45 INTERPRETARE IMMAGINI All’interno dei batteri sono state individuate delle strutture simili agli organuli chiamati microcompartimenti batterici. I primi a essere stati individuati sono i carbossisomi, ovvero dei compartimenti deputati alla fissazione del diossido di carbonio. Questi sono usati dai batteri autotrofi per ottenere sostanze organiche a partire dal CO2 ambientale. Infatti, la maggior parte dei microcompartimenti che sono stati scoperti servono ai batteri per le reazioni cataboliche e permettere la crescita cellulare in ambienti molto sfavorevoli.
L’immagine mostra una micrografia ottenuta con un microscopio elettronico a trasmissione del batterio Synechococcus elegatus PCC7942. Osserva l’immagine e cerca di individuare i diversi microcompartimenti batterici.

46 METODO SCIENTIFICO Il primo TEM e stato inventato nel 1931 dal fisico Ernst Ruska e dall’ingegnere Max Knoll. Osserva le immagini al TEM riportate in basso e indica quali organuli sono rappresentati. Come hai fatto a riconoscerli? Da che cosa capisci che sono immagini al TEM?


47 METODO SCIENTIFICO Un tuo amico sostiene che l’uovo di struzzo sia la cellula più grande, ma tu sei scettico sul fatto che una cellula possa essere così grande. Se tu avessi a disposizione un uovo di struzzo e un microscopio ottico, quali caratteristiche cercheresti per risolvere la questione?
48 PROBLEM SOLVING Immagina di trovare un campione di cellule sulla scena di un crimine: quali criteri potresti utilizzare per determinare se le cellule sono procariotiche, vegetali o animali?
49 CITTADINANZA Nel 2007, il biologo statunitense Craig Venter ha progettato e sintetizzato un cromosoma artificiale, basato su DNA batterico. Tre anni più tardi Venter ha annunciato al mondo di aver creato la vita artificiale, ossia un batterio costruito interamente in laboratorio. Questa affermazione è stata contestata da altri scienziati. Insieme al tuo gruppo, organizza un dibattito per rispondere alle seguenti domande.
a. Oltre al cromosoma batterico artificiale, di quali altri ingredienti avrebbe bisogno uno scienziato per riprodurre un batterio in laboratorio?
b. Craig Venter ha depositato un brevetto per la sua scoperta: è giusto secondo te che un elemento biologico sia brevettato? Perché?
c. Quali potrebbero essere i benefici o i problemi etici legati alla possibilità di creare la vita artificiale?
50 INTERPRETARE IMMAGINI Osserva la micrografia qui in basso. Sapresti riconoscere di che tipo di cellula si tratta, se procariotica o eucariotica? Cosa rappresentano le zone colorate di rosso? Riconosci altre strutture cellulari?

51 INTERPRETARE DATI Il grafico sottostante raffigura il numero medio di mitocondri in tre diversi tipi di cellule. Basandoti su questi dati, rispondi alle seguenti domande.
a. Qual è la funzione dei mitocondri?
b. Secondo te, per quale motivo le cellule dei muscoli hanno più mitocondri rispetto alle altre cellule?
c. Perché le cellule della pelle hanno un numero così basso di mitocondri?
52 CALCOLARE La micrografia sottostante è stata ottenuta con un microscopio elettronico a trasmissione (TEM). Sapendo che, in questa fotografia, 1 cm corrisponde a circa 1 µm reale, calcola che ingrandimento è stato utilizzato. Inoltre, puoi ipotizzare di che tipo di cellula si tratta?

53 INTERPRETARE IMMAGINI Le foto qui sotto raffigurano: a-b dei fibroblasti, cioè delle cellule tipiche del tessuto connettivo, e c-d un embrione umano allo stadio di 8 cellule. Puoi riconoscere quale microscopio è stato usato per ciascuna immagine? Quali elementi ti hanno aiutato?




54 DIGITALE Partendo dalle informazioni contenute nel Capitolo e cercando altre informazioni in Internet prepara un breve episodio di un podcast in cui esponi la teoria endosimbiontica e le principali critiche che sono state fatte a questa teoria prima che venisse riconosciuta dalla comunità scientifica.
Studia con gli esercizi commentati
55 CLASSIFICARE Scrivi i nomi delle componenti della cellula nei rispettivi spazi della figura qui sotto.
nucleo
citoplasma membrana cellulare

reticolo endoplasmatico ruvido
reticolo endoplasmatico liscio
56 GREENCOMP Nei laboratori di ricerca è stata creata la cosiddetta carne sintetica o carne coltivata, che prevede la coltivazione in vitro di cellule ottenute da tessuti animali per la produzione di alimenti. Fai una ricerca in Internet sull’argomento.
a. Quali principali preoccupazioni sono nate riguardo all’utilizzo di questa tecnologia?
b. Quali sono i principali vantaggi a livello ambientale?
c. Quali altre applicazioni potrebbe avere questa tecnologia?
57 PROBLEM SOLVING Il tuo corpo ospita trilioni di batteri, molti di questi abitano all’interno dell’intestino crasso. Esistono in commercio degli integratori alimentari probiotici che favoriscono l’equilibrio di questi batteri. Considera l’effetto dell’assunzione di una capsula di probiotico contenente 500 milioni di batteri buoni. In quali circostanze, i batteri nel probiotico potrebbero essere in grado di colonizzare l’intestino crasso? Come si può decidere se è il caso di consumare un probiotico?
58 INTELLIGENZA ARTIFICIALE Guarda la seguente micrografia, identifica di quale organulo di stratta e descrivilo in 5 righe. Con l’aiuto dell’insegnante chiedete a una chatbot di intelligenza generativa di descrivere lo stesso organulo in 5 righe senza fornirgli l’immagine. Quali sono gli aspetti che tu e il programma avete ritenuto importanti nella descrizione? Sono gli stessi o ci sono delle differenze? Commentate il risultato in classe.

59 COMPITO DI REALTÀ Dividetevi in piccoli gruppi e con l’aiuto dell’insegnante assegnate a ciascun gruppo una diversa tipologia cellulare. Preparate quindi dei brevi episodi di un podcast in cui evidenziate caratteristiche e funzioni del tipo cellulare che vi è stato assegnato e il motivo per il quale il suo ruolo all’interno dell’organismo è importante.
Svolgi il compito di realtà