Study Objective
          Evaluate the impact of feeding Availa®4 to beef cows, during the second and third trimesters of gestation, on female offspring.
          Study Duration
          
    
    620 d
          Animals
          Female offspring sub-set (n = 78) from 190 crossbred beef cows
          Treatments
          Availa 4: Zn, Cu, Mn from amino acid complexes, Co glucoheptonate; fed to equal 7 g/hd/d (49 g/hd over 3 feedings/week)
          
    
    Inorganic: Zn, Cu, Mn, and Co from inorganic sources fed at Iso-levels to Availa 4
          Experimental Procedures
          Day –167 to 0: Cows individually fed respective mineral treatments, three times per week from midgestation through calving
          
    Day 0: Calves born; all cow-calf pairs managed as a single group and fed inorganic mineral supplement
          Day 200 : Calves weaned and managed as one group; fed inorganic mineral supplement
          Day 245: Heifer calves moved to oat pastures. Weekly blood samples collected and evaluated for circulating progesterone to determine age at puberty
          Day 453: Heifer evaluation ends
          Results
          
    
    
    
    • Feeding Availa 4 to beef cows the last 5 months of gestation results in female offspring that reach puberty at a younger age
          • Greater bodyweights were not necessary to achieve earlier puberty
          Age at Puberty, d
          Body Weight at Puberty, kg
          Percent Heifers Pubertal by Age
          
    
    
    Implications
          • Earlier puberty allows heifers more estrus cycles prior to breeding, resulting in greater potential for reproductive success
          • First breeding season success leads to greater herd longevity and profitability
          RESEARCH BRIEF zinpro.com |
        INT-RB-B-013 2021-06-25 AVAILA
        ®4 IMPROVES PUBERTAL DEVELOPMENT OF FEMALE OFFSPRING
        All trademarks herein are property of Zinpro Corp. ©2021 Zinpro Corp. All rights reserved. Location Texas A&M University, College Station, TX BCC 345, 346, 348
        Study
          Objectives
          Evaluate the impact of replacing inorganic trace minerals with Availa®Plus on ovum recovery and in vitro embryo production in lactating beef cows.
          Study Duration
          97 days
          
              
              
            
            Research Brief
          Effect of Availa®Plus on Oocyte and Embryo Production In Lactating Beef Cows
          Results
          • Cows fed Availa-Plus produced more total oocytes, culturable oocytes, transferable embryos, and freezable embryos
          • Feeding Availa-Plus improved oocyte to embryo efficiency as evidenced by the smaller oocyte to embryo ratio for cows fed Availa-Plus
          Culturable Oocytes Categories A to Ca
          Transferable Embryos Grades 1 to 3
          Animals
          Treatments
          Availa-Plus: Zn, Cu, Mn from amino acid complexes, Co glucoheptonate and I
          Control: Zn, Cu, Mn, Co and I from inorganic sources fed at Iso-levels to Availa-Plus
          Experimental Procedures
          • Cows maintained on fescue and clover mix pastures
          • Treatment supplements fed free-choice, in weekly allotments, with a target intake of 4 oz supplement per cow per day
          • Supplements formulated to provide 60 ppm Zn, 20 ppm Mn, 10 ppm Cu, 1 ppm Co and 1.3 ppm I on a total dietary basis, based on estimated forage intake
          • Follicle stimulating hormone was not administered to cows
          • Day 0: Cows stratified by body weight, BCS, days post-partum and age and assigned to Availa-Plus or Control treatments
          • Day 30: Following a 7 d CO-Synch+CIDR protocol cows inseminated via fixed time AI to a single sire in order to maintain a normal breeding season
          • Day 58: Cows diagnosed pregnant (n = 38) via ultrasound remained on their respective mineral supplementation treatments; non-pregnant cows removed from experiment
          • Day 82 and 97: Cows subjected to oocyte pickup. All follicles greater than 5 mm were aspirated to recover cumulus-oocyte complexes (COC). After washing, COC’s evaluated and graded (A to D). Within pen, COC’s graded A through C were pooled and fertilized for in vitro embryo production. Eight days after fertilization, the embryos progressing to blastocyst stage were assessed and graded (1 to 4) prior to freezing
          • Day 97: Backfat measurements and liver biopsy samples collected from each cow
          a Oocyte categorization: A, homogenous, evenly granulated cytoplasm and numerous layers of compact, non-expanded cumulus cells; B, similar to A, but fewer layers of cumulus cells; C, ooplasmic irregularities, very few cumulus or expanding cumulus cells; D, atretic, too small (< ~100 µm), denuded, lysed, and/or morphologically abnormal b Availa-Plus: Availa®Zn zinc amino acid complex, Availa®Mn manganese amino acid complex, Availa®Cu copper amino acid complex, COPRO® cobalt glucoheptonate, and potassium iodide yz Means lacking a common superscript letter differ, P = 0.05
          Freezable
          a Availa-Plus: Availa-Zn zinc amino acid complex, Availa-Mn manganese amino acid complex, Availa-Cu copper amino acid complex, COPRO cobalt glucoheptonate, and potassium iodide yz Means lacking a common superscript letter differ, P = 0.06
          a Availa-Plus: Availa-Zn zinc amino acid complex, Availa-Mn manganese amino acid complex, Availa-Cu copper amino acid complex, COPRO cobalt glucoheptonate, and potassium iodide yz Means lacking a common superscript letter differ, P = 0.03
          Conclusions
          a Availa-Plus: Availa-Zn zinc amino acid complex, Availa-Mn manganese amino acid complex, Availa-Cu copper amino acid complex, COPRO cobalt glucoheptonate, and potassium iodide yz Means lacking a common superscript letter differ, P = 0.06
          • Feeding Availa-Plus resulted in a greater quantity of high quality, transferable embryos
          • Results agree with previous research showing beneficial impacts of Zinpro Performance Minerals on bovine reproduction
          All trademarks herein are property of Zinpro Corp. ©2019 Zinpro Corp. All rights reserved. RB-B-012
        Thirty-eight Angus cow-calf pairs
          Embryos Grades 1 and 2
        Ratio of Culturable Oocytes to Transferable Embryo 2.7y 4.7z 1 2 3 4 5 6 Control Availa-Plus Number of Embryos/Pasture 7.0z 3.1y 0 2 4 6 8 Control Availa-Plus Ratio 1.8y 3.4z 1 2 3 4 Control Availa-Plus� Number of Embryos/Pasture Control Availa-Plusa 11.8y 15.9z 5 10 15 20 Control Availa-Plusᵇ Number of Oocytes/Pasture Control Availa-Plusb Number of Oocytes/Pasture Number of Embryos/Pasture Control Availa-Plusa Control Availa-Plusa
        
              
              
            
            Research Now
          
              
              
            
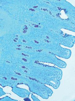
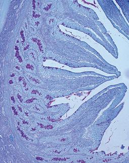
            Availa®Zn Improved Ruminant Gut Health in Heat-Stressed Holstein Steers
          Introduction:
          This study was designed to assess the effect of Availa®Zn on ameliorating the negative impacts of heat stress on intestinal integrity and villi morphology in Holstein steers.
          Experimental Design:
          Forty Holstein steers were fed ad libitum 1 of 2 Zn treatment diets for 21 days: 75 ppm Zn from ZnSO4 (0AvZn) or 35 ppm Zn from ZnSO4 and 40 ppm Zn from Availa-Zn (40AvZn). On d 22 steers were moved to environmental chambers and continued to receive treatment diets ad libitum (AL) under thermal neutral conditions (TN) for 5 days (Period 1). Steers were then assigned to 1 of 5 diets and environment combinations for 6 days (Period 2). Steers continued to receive either 0AvZn or 40AvZn and were housed under TN or heat stress (HS) conditions. Pair-fed (PF) steers were fed similar amounts of dry matter as their ad libitum fed HS counterparts.
          Period 2 treatments:
          T1: TN, AL, 0AvZn (CON)
          T2: TN, PF to T3, 0AvZn (0CZPF)
          T3: HS, AL, 0AvZn (0CZHS)
          T4: TN, PF to T5, 40AvZn (40CZPF)
          T5: HS, AL, 40AvZn (40CZHS)
          Results:
          Feeding 40AvZn tended to increase dry matter intake (DMI) regardless of environment, P = 0.09
          Compared to HS steers fed 0AvZn, HS steers receiving 40AvZn were observed to have (P < 0.01):
          • Reduced rectal temperatures
          • Decreased duodenum villi width
          
    
    
    
    
    • Increased jejunum villi height and villi height:crypt depth
          Compared to TN, HS steers were observed to have (P < 0.01):
          • Decreased NEFA and serum amyloid A
          • Increased BUN, insulin:DMI, and L-lactate
          Compared to PF, HS steers had (P < 0.01):
          • Increased numbers of goblet cells in the duodenum, jejunum, ileum and colon
          Feeding Availa-Zn improved DMI, reduced rectal temperature, and altered intestinal morphology resulting in improved ruminant gut health of heat-stressed steers.
          RN-D-030 7/21/16 yz Within a tissue, means lacking a common superscript letter differ, P < 0.01 Effect of Zn Source on Villi Height:Crypt Depth CON	 0CZPF 0CZHS 40CZHS CON	 0CZPF 0CZHS 40CZHS Intestinal Morphology: Villi height, width, and crypt depth 1.03y 0.91y 1.32z 1.13z 0.4 0.8 1.2 1.6 Height:Depth Jejunum Ileum 0CZHS 40CZHS
        The Effects of Zinc Amino Acid Complex on Biomarkers of Gut Integrity and Metabolism in Heat-Stressed Steers. M. Abuajamieh1, S.K. Kvidera1, E.A. Horst1, E.J. Mayorga1, J.T. Seibert1, J.S. Johnson1, J. W. Ross1, M. Al-Qaisi1, P.J. Gordon1, J.M. DeFrain3, R.P. Rhoads2, and L.H. Baumgard1 1Iowa State University, 2Virginia Tech University, 3Zinpro Corporation, Eden Prairie, MN, USA.
          Supplemental Zn improves monogastric intestinal integrity during heat stress (HS), but its ability to improve ruminant gut health is unknown. Forty Holstein steers (173.6 ± 4.9 kg) were used in a replicated, incomplete 2x3 factorial design to determine the effect of Zn source (ZnSO4 vs. Zn amino acid complex [CZ; Availa®Zn, Zinpro Corporation]) and environment (thermal neutral [TN] conditions or cyclical HS) on biomarkers of intestinal integrity and villi morphology. Steers were fed ad libitum (AL) one of two diets for 21 d: 1) 75 mg/kg of Zn from ZnSO4 or 2) 35 mg/kg Zn from ZnSO4 and 40 mg/kg Zn from of CZ. Steers remained on assigned diets and were then housed in environmental chambers. The experiment consisted of two periods (P): P1) 5 d of baseline in TN-AL conditions (20.2±1.4°C, 30.4±4.3% RH) and P2) 6 d of environment implementation followed by euthanasia. During P2, steers received one of five diet by environment combinations:
          1) TN fed AL 75 mg/kg of Zn from ZnSO4 (Ctrl; n=8), 2) TN pair-fed (PF) 75 mg/kg of Zn from ZnSO4 (0CZPF, n=8), 3) HS (27.1±1.5 to 35.0±2.9°C, 19.3±3.5% RH) and fed AL 75 mg/kg of Zn from ZnSO4 (0CZHS; n=8), 4) TN and PF 35 mg/kg of Zn from ZnSO4 and 40 mg/kg of Zn from CZ (40CZPF, n=8), and 5) HS and fed AL 35 mg/kg of Zn from ZnSO4 and 40 mg/kg of Zn from CZ (40CZHS; n=8). The Ctrl, 0CZPF, and 40CZPF steers remained in TN continuously. The 0CZPF and 40CZPF steers were fed to their 0CZHS and 40CZHS counterparts, respectively. Data were analyzed with repeated measures using PROC MIXED in SAS and P1 data used as a covariate. Preplanned contrasts evaluated Zn source and environment. Regardless of environment, 40CZ tended to increase DMI (10%; P = 0.09) relative to 0CZ (P < 0.01). Compared to TN, HS decreased NEFA, serum amyloid A and increased BUN, insulin:DMI, and L-lactate (P < 0.01). 40CZHS calves had reduced rectal temperature compared to 0CZHS (0.24°C; P < 0.01). Compared to PF, HS calves had increased (P < 0.01) goblet cell numbers in the duodenum, jejunum, ileum, and colon. 40CZHS decreased duodenum villi width and increased both jejunum villi height and villi height:crypt depth relative to 0CZHS (P < 0.01). Feeding CZ improved DMI, reduced rectal temperature, and altered intestinal morphology; changes indicative of improved intestinal barrier function during HS.
          Key words: gut health, heat stress, intestine, zinc
          Zinpro Performance Minerals® www.zinpro.com Research Now from 2016 JAM, July 19-23, 2016, Salt Lake City, UT, USA
        Abstract
        
              
              
            
            Research Now
          ZINPRO® Zinc Methionine Improved Mammary Tight Junction Integrity
          Introduction:
          This study was designed to assess the effect of ZINPRO® zinc methionine (ZINPRO) on mammary tight junction (MTJ) integrity in heat-stressed lactating dairy cows.
          Experimental Design:
          Seventy-two multiparous, lactating Holstein cows were evaluated during two 84-day periods. During the baseline period, cows received 1 of 2 zinc treatments: ZnCl alone or ZnCl + ZINPRO, and were cooled with fans and misters. Diets were maintained during a subsequent environmental challenge when some cows were deprived of access to cooling mechanisms (Cooled or Not Cooled).
          Baseline Treatments:
          T1: 75 ppm ZnCl; Cooled
          T2: 35 ppm ZnCl + 40 ppm ZINPRO; Cooled
          Environmental Challenge Treatments:
          T1: 75 ppm ZnCl; Cooled
          T2: 35 ppm ZnCl + 40 ppm ZINPRO; Cooled
          T3: 75 ppm ZnCl; Not Cooled
          T4: 35 ppm ZnCl + 40 ppm ZINPRO; Not Cooled
          Results:
          Baseline phase
          At the start of the baseline phase, plasma lactose was similar between Zn treatments; however, as the baseline phase progressed, plasma lactose increased in cows receiving only ZnCl, but remained unchanged in cows consuming ZINPRO (Zn source X day, P = 0.06).
          Environmental challenge phase
          During the environmental challenge, feeding ZINPRO tended to decrease plasma lactose, P = 0.11.
          Cooled cows receiving ZINPRO had lower milk fat % compared to other treatments (Zn treatment X environment, P = 0.04).
          Cows deprived of cooling systems were observed to have:
          • Decreased feed intake, energy-corrected milk (ECM) yield, milk lactose, and milk solids, P ≤ 0.05
          • Increased milk urea nitrogen and vaginal temperature, P < 0.01
          • A tendency for increased plasma lactose over time, P = 0.09
          Removing cooling systems impaired lactation performance; however, cows receiving ZINPRO® zinc methionine had improved MTJ integrity as evidenced by lower plasma lactose.
          RN-D-029 7/20/16 yz
        P = 0.06)
        Baseline
        Effects
        yz
        19 21z 22z 21 17 14y 15y 17 5 10 15 20 25 -73 -45 -17 -3 µ mol /µL Day Prior to Environmental Challenge ZnCl ZINPRO 24x 19w 5 10 15 20 25 30 µ mol /µL ZnCl ZINPRO
        Within a day, means lacking a common superscript letter differ (Zn source X day,
        Effects of Zn Treatment on Plasma Lactose
        Phase
        of Zn Treatment on Plasma Lactose Environmental Challenge Phase
        Means lacking a common superscript letter differ (P = 0.11)
        
              
              
            
            Abstract
          Effects of heat stress and dietary zinc source on mammary tight junction of lactating dairy cows. X-S. Weng1, A.
          P. A. Monteiro1, J-R Guo1†, J. K. Bernard1, J. M. DeFrain2, S. Tao1
          
          1Department of Department of Animal and Dairy Science, University of Georgia, Tifton, 31793, 2Zinpro Corporation, Eden Prairie, MN, USA
          
          Dietary Zn has been shown to alter gut integrity in monogastrics under heat stress. However, the effect of Zn on mammary tight junction (MTJ) integrity in heat-stressed lactating dairy cows has not been studied. Seventy-two multiparous lactating Holstein cows (2.9±1.1 parity; 99.7±55.5 d in milk) were randomly assigned to 4 treatments with a 2×2 factorial arrangement to study the effect of environment and Zn source on performance and MTJ integrity (n=18/treatment). Treatments included two environments: cooled (CL) or not cooled (NC) and two Zn source: 75 ppm supplemental Zn as ZnCl (IOZ), or 35 ppm ZnCl + 40 ppm Zn-methionine complex (ZMC). The experiment was divided into baseline and environmental challenge phases, 84 d each. During the baseline phase, all cows were cooled (fans and misters over the freestall and feeding areas, average temperature-humidity index = 73) and fed respective dietary treatments while during the environmental challenge phase NC cows were not cooled (average temperaturehumidity index = 78). Feed intake was measured daily. Milk yield was recorded at each milking (3×/d) and composition was analyzed weekly. Vaginal temperature was measured every 5 min for 4 d/wk. Milk and plasma samples were collected weekly for analyses of milk BSA and plasma lactose. Deprivation of cooling decreased DMI (P < 0.01). Energy-corrected milk yield decreased (P < 0.01) for NC cows relative to CL (24.5 vs. 34.1 kg/d). An interaction between environment and Zn source (P = 0.04) occurred for milk fat percent as CL cows fed ZMC had lower milk fat percent relative to other groups. Relative to CL, NC cows had lower milk lactose and solids-not-fat percent (P = 0.05) but higher concentration of milk urea nitrogen (P < 0.01). Vaginal temperature was higher (P < 0.01) in NC cows relative to CL (39.9 vs. 39.0 °C). Plasma lactose was similar between treatments at the start of the baseline phase, but increased in cows fed IOZ and was unchanged in cows fed ZMC throughout the baseline phase (Zn source × d, P = 0.06). Relative to CL cows, plasma lactose tended to increase in NC cows over time (environment × d, P = 0.09), indicating increased MTJ permeability, and feeding ZMC tended to decrease plasma lactose during the environmental challenge phase relative to IOZ (P = 0.11). In conclusion, removing active cooling impairs lactation performance and feeding a portion of dietary Zn as ZMC improves the integrity of MTJ as evidenced by the decreased permeability of lactose through MTJ.
          Key words: heat stress, mammary tight junction, zinc
          Zinpro Performance Minerals® www.zinpro.com Research Now from 2016 JAM, July 19-23, 2016, Salt Lake City, UT, USA