

![]()



Volume 83, Number 3, Fall 2024
EDITOR
Dr. Brian D. Basinger 818 Pierremont Rd. Shreveport, LA 71106 (318) 869-3020 basingers5@basingerdental.com
MANAGING EDITOR
Rebecca Bordelon LDA Headquarters (225) 926-1986 rebecca@ladental.org www.ladental.org
BUSINESS MANAGER
Dr. Jeffrey Kerst 8789 Line Ave.
Shreveport, LA 71106 (318) 865-1600 jeffreykerst@gmail.com
EDITORIAL BOARD
Dr. Gary Caskey
Dr. Robert Hill
Dr. David N. Austin
LDA OFFICERS
Dr. Lance Savoie President
Dr. Vincent DiLeo Past-President
Dr. Sean Owens President-Elect
Dr. Mike Luminais Secretary-Treasurer
Dr. Catherine Hebert Speaker of the House of Delegates
LDA STAFF
Annette B. Droddy
Executive Director
Colin Zvosec
Director of Membership Development
Tiffany Waddell
Director of Accounting
Jeanne McFall
Director of Conference Services
Amber Allen
Executive Assistant
Rebecca Bordelon
Director of Communications and Public Affairs
A Member Publication of the American Association of Dental Editors
JOURNAL of the Louisiana Dental Association (USPS284620) is published quarterly at 818 Pierremont Rd., Shreveport, LA 71106, in March, June, September and December, and is the official publication of the Louisiana Dental Association. Opinions and statements expressed, however, are those of the writer and not necessarily those of the Association. Original articles published herein become the property of this publication. Subscription price is $18 per year for members, $30 per year for non-members and $65 per year for foreign subscribers. Periodicals postage paid at Baton Rouge, Louisiana, and additional mailing offices.
The publication of an advertisement in the LDA Journal is not to be construed as an endorsement or approval by the Louisiana Dental Association or any of its component associations of the product or service being offered.
Postmaster: Send address changes to Louisiana Dental Association, 5637 Bankers Ave., Baton Rouge, LA 70808.
Established in 1878, the Louisiana Dental Association (LDA) is the largest professional health organization for dentists in Louisiana. It is a statewide grassroots organization whose purpose is to promote, advocate, and protect the dental professional. The LDA has over 1,900 members.

EDITOR

By Dr. Brian Basinger Editor, LDA Journal
ave you heard that there’s a little election coming up this Fall? I’m not sure if the candidates have changed again since writing this, so we won’t use any names here. The democratic process of electing our leaders and the free exchange of ideas are both ideals that Americans have treasured since the founding of our country. Who can actually vote in these elections has changed over the years and some are proposing that it be changed again, but that’s a discussion for another day. What we’re discussing is the ability to speak up about the issues affecting us and that it’s OK to have differences of opinion. Different people have different backgrounds and bring varied experiences to the table. That’s a valuable thing. At the end of the day, we’re all Americans and should be striving together to make our country better, whether we agree with everything that’s going on or not.
What’s not OK is the current political climate in America, where opposing parties avoid discussing the issues together and rely on personal attacks to try and win the argument. In days gone by, there would be usually civil discourse where both sides would present the reasons why their idea is the better option, and people could decide what made the most sense to them. And now? Whoever can call the other a name fastest and loudest seems to think that they’re the winner. To me, that’s just weird.
Enough talk of politics; let’s talk dentistry. In this day and age, there are lots of different opinions on how best to practice dentistry. Solo practice, group practice, associate roles, military service, FQHC positions, VA clinic roles, DSO membership, corporate involvement, or dental education are some of the many options available in the field. With so many different practice models available, there are pros and cons for each of them. Whichever one you choose,
that’s a personal choice and no one should be disparaged for making that choice. Our circumstances often dictate what that choice may be. And if those circumstances change over time, a different choice might be made. In the end, no matter the type of practice we’re involved with, we’re all dentists. As dentists, we should all have a common goal, which is to practice in such a way as to benefit and help to improve the oral health of our patients. If your colleagues are striving to do that, it shouldn’t matter what type of practice they work in.
As we continue through our dental careers, let’s try to stay informed, be open to change and remember that we are stronger, together. Next month in New Orleans, we have a chance to put that into practice as our profession comes together in a celebration of dentistry at our association’s annual meeting. Hope to see you there as we laissez les bon temps rouler!

By Carson Basinger D2 Dental Student at LSUSD
Since my last article, life’s been a little crazy in general. We had a short summer break in June that began with our family’s trip to Washington state to do some hiking at Olympic and Mount Rainier National Parks. We also spent some time in Seattle. It sure was nice to get out of the Louisiana heat for a few days! The most exciting part of my break was that my girlfriend and I got engaged. She’s a third-year medical student, so juggling planning a wedding with our school schedules has been a new challenge this school year. We started back to school on July 8th and, I will say, having been settled in New Orleans for a year now and knowing what to expect from dental school really helped. However, starting this year seemed just as hectic as last year. All of our courses seem to be moving at light speed with tests happening nearly twice a week, with 4 exams, quizzes, or practicals happening in a two day stretch the week I’m writing this. This semester, oral pathology and out-of-class operative projects have taken up most of my time. For operative,


we’ve been tasked with completing multiples of each class of preparation on a variety of different teeth, both plastic and extracted, each with an associated restoration in either amalgam, composite, or RMGI. This has all been great practice to get back in the rhythm of drilling and filling as we approach our amalgam competency in a few weeks and our first patient mid-October. Our white coat ceremony is on September 27, and it marks the transition from preclinical to clinical studies. Needless to say, everything has been moving Mach 5 to

make sure we know everything we need to know to see live patients in October, be it how their medications work, how to spot abnormalities both radiographically and clinically, or how to hit a specific nerve block.

Our other lab-involved course right now is Intro to Dentures, where we’ve been making custom impression trays (we actually had to make one for a practical today), base plates, and wax rims, all gearing up to eventually making a full set of dentures. As usual, my classmates and I have been totally pedal to the metal, as we have multiple courses each day that keep us in class from 8-5 most days, including Dental Materials, Pharmacology, Oral Pathology, Diagnostic Radiology, Intro to Perio, and Local Anesthetics. All in all, it’s been really exciting and motivating to learn new things every day that are practical and applicable to my future dental career and as a soon-to-be student dentist in the clinic here at LSUSD.

By Dr. Lance Savoie President, LDA
n spite of the rainy weather, the LDA Foundation Fishing Rodeo was a great success! Thank you to the 71 participants who helped us raise about $8,000 for the foundation. Many dental students attended, so we had a great time getting to know these future dentists. To see the final leaderboard, visit page 21.

In other news, this summer has been exciting for the LDA and its legislative efforts. Our two bills, SB 138 (LSBD changes) and SB 463 (dental loss ratio transparency and reporting), have passed through the House and Senate and have been signed by the governor. Thank you for your dedication to advocacy during this legislative session. We couldn't have made this happen without your support. Governor Landry invited the LDA to attend a ceremonial bill signing, so Annette, Rebecca, Cary Koch, (Pelican State Partners), and I attended. It was exciting to see our bills signed in person!
The summer has been eventful, and we’re just as excited for the Fall because ADA SmileCon® is on its way

some volunteer hours, attend for exciting C.E., or simply meet up with old friends at the conference. For more information, visit smilecon.org.

to New Orleans! Attend this ADA event from October 17-19 in NOLA to visit the Give Veterans a Smile mainstage session, earn C.E. from nationally renowned speakers, and even enjoy a Dental Central Tailgate Party! Take a careful look at the SmileCon® package options to make sure that your favorite events will be included with your pass. You can even save some money on all passes with advance Details pricing, available until September 20 at 5 p.m.

Now is our chance to let everyone know that Louisiana dentists show up for dentistry on the local, state, and national level! Every LDA member has the opportunity to support this conference, whether you choose to get
A final note for those curious about dental leadership: If you know that you have something to offer your dental community but don’t know where to start, we have a program just for you, and we’re still accepting applications.
The goal of the Leadership Academy is to identify and prepare potential officers for positions of leadership at the component level and maybe even moving on to state or national positions. This program is available to all LDA members, regardless of time spent in the dental field. Visit ladental. org/leadershipacademy to learn more. Finding new dental leaders is the foundation of our futures in dentistry. If you’re experienced in the field, connect with newbies to share your knowledge and get them involved in leadership!
Lastly, I’d like to encourage you to stay connected with us! We have an open-door policy in our leadership, so reach out to the LDA staff or LDA board if you have questions or concerns.
March 2-4, 2025
Walt Disney World, Florida
Speakers: Dr. Mark Koup, Dr. Glenn Kidder, Dr. Tony Tomaro




Only our attendees have access to these exclusive hotel room prices at Disney’s Boardwalk Inn. Snag your spot before our room block sells out!
Grab C.E. hours before heading into the parks. We have three incredible speakers lined up that you won’t want to miss!
Save BIG on park tickets! Bring your entire family/staff and make this trip the vacation of your dreams.

Annette Droddy Executive Director, LDA
hy do geese fly together in the V shape? Each bird, as it flaps its wings, creates lift for its fellow birds, allowing them to fly farther with less effort. When a goose falls out of formation, the bird quickly realizes that it takes a lot more energy to try to fly alone. Very quickly, they move back into formation and work as part of the group again.
When we have a common goal that we want to reach, we will be more efficient, effective, and successful when working together. When one person tries to do all the work alone, or removes themselves from the group, they discover how much more work they need to do to be successful. By working together, our goals will be much more attainable. You may be wondering, why is she writing about geese?
I am comparing the V shape of the geese to the strength of the Tripartite. It means that there are many things locally, statewide, and nationally that would be very difficult for one, or five, or even 10 dentists to get together to do. However, as a force of nearly 1,900 members in Louisiana and 159,000 nationally, there is much we can accomplish together.
We represent you legislatively and at governmental meetings all year. Because of the budget shortfall expected for the State of Louisiana in 2025, our LDA leadership is already preparing for any cuts that may impact dentistry. Much of the shortfall can be attributed to the roll
off of a temporary 0.45 cent sales tax, which lawmakers passed in 2018 amid a budget crisis. Legislators are currently claiming they are unlikely to renew the tax.
When the legislators begin looking at cuts, we will be watching for changes to dental Medicaid, to the LSU Health Science Center School of Dentistry, ULM Dental Hygiene Program, and even any suggested changes to our dental sales tax exemption that is currently saving EVERY dentist thousands of dollars EVERY year.
We will continue to also save our members money through LDA Member Perks. With this program, we look for products you can use that provide discounts and value. If you use just 5 of the nearly 30 companies, you can save well over $8,000 each year (Fortress, Office Depot, Medical Waste Management, The Dentists Supply Company, and Best Card). In 2023, the average Louisiana dentist who shopped with TDSC saved $3,112. The highest individual savings number in 2023 was $28,229, with two close runners up offices at $25K and $23K in savings!
Another example of LDA Member Perks savings is that dental
practices save an average of 27% or $5,516 annually in credit card processing fees with Best Card. One member in Monroe let us know that Best Card is saving his practice $1,000 a month compared to what he was paying with his former processing company.
For even more savings, we still offer a host of great C.E. events including a beach trip, a Walt Disney World Resort trip, a ski trip and a new Napa Valley C.E. trip. We have C.E. available live over Zoom and in-person, like our Last Chance Seminar in Baton Rouge. We also added 10 expanded duty dental assistant courses and two sedation renewal courses in 2024.
ALL these courses are at dramatically reduced rates for LDA members.
The LDA’s goal is to promote, advocate and protect the dental profession at every step of your career. From your first days as a new dentist, to the day that you retire, we want to be there for you.
I thank you all for your membership and your support of the LDA. I am appreciative that all of you are staying in the V formation; you’ll be stronger and better dentists for it.
accounting.
You Benefit From Our Expertise at Every Stage of Your Dental Career. At AG Dental CPAs and Advisors, we are a firm of experienced Certified Public Accountants and Business Advisors with a passion for service. Our team specializes in providing personal attention, accurate data, and proven strategies for success. Our intense focus on the unique needs of dentists and dental practices makes AG Dental CPAs and Advisors a financial partner you can trust.
• Practice Management
• Startup Services/Consulting
• Bookkeeping
• Tax Preparation
• Tax Minimization Techniques
• Retirement Planning



By Dr. William Hadlock President, Louisiana Dental Services, Inc.
ou can get a subscription for some pretty cool things. Get Cajun treats, specialty coffees, board games, new wardrobe essentials, unique beef jerky, and even seasonal wreaths delivered to your door monthly. However, I’m fed up with maintaining so many accounts and payments. If you’re looking for good value without all the subscriptions, read what these endorsed companies have to say about their products and savings.

LDA members have access to new flat discounts - no matter how much you ship, when you ship, or where it’s going.
Members-Only Savings Include:
• 10% on UPS Next Day Air® Early,
• 50% on Domestic Next Day/Deferred,
• 30% on Ground Commercial/Residential,
• International: 50% on Export/40% on Import/25% Canada Standard, and
• In addition, members can take advantage of UPS Smart Pickup® service for free.
Open a new account, or if you are already taking advantage of your UPS savings program, re-enroll and apply the new discounts to your existing account by visiting savewithups.com/ada or call 1-800-MEMBERS (1-800-636-2377), M-F 8 a.m. – 5 p.m., ET.
*Visit savewithups.com/ada for specific services and discounts.


Members of organized dentistry can enjoy added benefits like expanded product selection, improved order fulfillment and faster delivery. Save today at TDSC.com.
2023 Savings
• In 2023, LDA member shoppers saved an average of $3,112.48 per shopper on their dental supplies.
• The highest individual savings number in 2023 was $28,228.89, with two close runner ups at $25K and $23K in savings!
• Average savings per order across our LDA member shoppers in 2023 was $229.29.
LOUISIANA DENTAL SERVICES GROUP PURCHASING ORGANIZATION AGREEMENT
Pursuant to a vendor agreement (the “Agreement”), Louisiana Dental Services (“LDS”) has formed a group purchasing organization (“GPO”). The GPO consists of all Louisiana Dental Association (“LDA”) members. By virtue of your LDA membership, you are a member of this GPO. The GPO was formed to leverage purchases of dental supplies from TDSC.com, powered by Henry Schein (“TDSC”).
The LDS’s GPO enables members to secure discounts for these dental supplies from TDSC and create a revenue source for LDS.
In addition to the discounts the GPO obtains for LDA members on their purchases, LDS will receive an administrative fee not to exceed 3% of net sales during the first 5 years of the term of the Agreement. “Net sales” meaning gross sales of products purchased by GPO members through the TDSC website less returns, allowances, credits, sales or use taxes, shipping charges, etc. LDS shall disclose to the GPO members annually the total amount
of administrative fees received by LDS and any other information it is required to disclose pursuant to 42 C.F.R. 1001.952(j) and other applicable law.
LDA members are free to purchase dental supplies from any source they like. The establishment of the LDS GPO was only to secure discounts for LDA members on quality dental supplies and generate a revenue source for LDS. There is no obligation on the part of LDA members to utilize the GPO for their purchases of dental supplies.
By purchasing dental supplies through TDSC you acknowledge the establishment of the GPO, your appointment of LDS as the administrator of the GPO, your agreement that you are a GPO member and your agreement to the terms described above.
Please contact Annette Droddy, at 225.926.1986, or by email at annette@ladental.org, if you have any questions.

ODP Business Solutions,™ formerly known as Office Depot, is your one-stop shop for resources and solutions needed to help make your business the best it can be – all while managing your budget.
Here’s what you get when you register for an account and use your member benefits:
• Flexible Savings: up to 75% off Best Value products with thousands of items discounted below retail.
• Ink & Toner Deals: discounted pricing on 400+ HP products and more.
• Copy & Print Services: receive significant savings on copy & print | b&w copies start at 11¢ & color at 32¢.
• Free Next Business-Day Delivery on qualifying orders over $30.
• Special Offers: see flash sales available on your dashboard when you login to your account.
ODP Business Solutions updates pricing, product, and service assortment on a regular basis as a result of a variety of factors, including, but not limited to, market and competitive forces, and reserves the right to change pricing and product assortment at any time without notice. Offers are non-transferable.
ODP Business Solutions reserves the right to limit quantities sold to each customer. We are not responsible for errors.
*Free Delivery: Minimum purchase required after discounts and before taxes. Orders outside our local delivery area and most furniture, oversized, bulk items, cases of bottled water and other beverages and special-order items do not qualify. Non-qualifying orders incur a delivery charge (minimum charge of $4.95). Many orders can be delivered next business day (between 8:30 AM and 5:00 PM) if placed online or via phone by 3:00 PM or via fax by 1:00 PM, local time (In most locations). Other restrictions apply. 1Curbside pickup is available in most stores, subject to state and local regulations. Orders must be placed 1 hour before store closing. See odpbusiness.com, call 888.2.OFFICE or ask your Account Manager for details.
ODP and ODP Business Solutions are trademarks of ODP Business Solutions, LLC. Office Depot is a trademark of The Office Club, Inc. © 2024 ODP Business Solutions, LLC. All rights reserved.

The GE Appliances Store is an exclusive shopping website where members receive great savings on GE Appliances. Shop the entire family of brands including Profile™, Cafe™, GE®, Monogram®, Haier and Hotpoint® major appliances.
Member Benefits:
• Special savings with promotional and rebate offers,
• Convenient in-home delivery, installation, and haul-away services*,
• Savings on the suite of small appliances, and
• Financing options**.
LDA members can refer staff, family and friends once you have set up an account and are in the site. Visit ADA.org/GE to get your authorization code to set up an account and start shopping.
ADA.org/GE (800) 207-8665
*Delivery is not available in Alaska, Hawaii, and other select ZIP codes within the continental U.S. To verify delivery to your home, enter your deliver-to zip code on the login page of the GE Appliances Store.
**Payment options through Affirm are subject to eligibility, may not be available in all states, and are provided by these lending partners: affirm.com/lenders. CA residents: Loans by Affirm Loan Services, LLC are made or arranged pursuant to a California Finance Lenders Law license.

AHI Travel provides LDA Members access to guided ocean, river, and land-based tours designed to immerse travelers in the history and culture of people and places across the globe.
• Most trips are 7-14 days,
• On-site tour directors lead small groups (no more than 24 guests on most programs), and
• Trips may include a dental-focused in-country reception. A single point of contact at AHI will help members book airfare, plan pre-or-post trip extensions, and be available to answer all questions. Early booking discounts of $250 are available on select trips.
(844) 205-1171
http://ada.ahitravel.com

By Dr. Jay Dumas President, Louisiana State Board of Dentistry
reetings! Hopefully everyone had an enjoyable summer. As we look forward to football season and cooler weather, the board has a few things to share.
After the recent passage of the Welcome Home Act, the Louisiana State Board of Dentistry will now issue licenses by credentials for licensed dentists and hygienists from other states who move to Louisiana. I referenced HB 716, which became law August 1, 2024, in my last article. Applicants for dental licensure who meet the criteria listed in the act can now receive a license with much less paperwork than the traditional License by Credentials (LBC) process. The Louisiana State Board of Dentistry has streamlined the process, making it much easier for applicants and our staff to issue a license.
Criteria for licensure via the Welcome Home Act include that the licensee must: be in good standing in their current state of licensure for at least one year; not have any disciplinary action or an investigation pending in that state; have taken a hand skills examination; and be a resident of Louisiana. We also require that applicants complete a criminal background check. Dentists will still apply for a license by credential, but they will now submit far fewer documents than before. This improvement will acceler ate the licensure process for out of state applicants if they already have begun residing in Louisiana. If the dentist intends to move here, they can provide proof of future Louisiana employment, and submit proof of Louisiana residency within six months of their license issuance.
The state board does not anticipate an increase in license applications since the new law requires Louisiana residency. The board office issues all licenses within thirty days of receipt of a completed application which includes receiving the results of the background check. If an applicant mails their fingerprints to us, it can take several weeks to be processed by the Louisiana State Police and the FBI. The criminal background check is most often the biggest holdup for an application to be complete. To expedite the process, applicants are encouraged to go to the Louisiana State Police Headquarters in person to reduce processing time.
The board staff is currently putting together a new License by Credential application for Louisiana residents. If any dentist knows of colleagues that are interested in moving to Louisiana to practice, please have them email the board office for specific instructions on what to submit until the new application has been completed. We
hope to have this application on the state board website soon. The staff at the board office is always happy to assist.
If you have any other questions about C.E. or anything license-related, please remember you can always contact the board office. Dentists are also encouraged to reach out to their local state board representative.
We will soon begin license renewals for some of you. For those dentists with personal, moderate, or general anesthesia permits, you are now required to complete 6 hours of continuing education related to your permit each time you renew. If you hold a pediatric sedation permit, you’ll need to complete 6 hours of adult C.E. and another 6 hours of pediatric specific C.E. If you have any questions about your C.E. requirements, please contact the board office as soon as possible so that you can be sure to complete your requirements before the deadline of December 31, 2024.



You may be closer to achieving your financial goals than you think. Discover what many of your colleagues are already talking about.
Enjoy the retirement you deserve. Call today.
Your local PARAGON dental transition consultant Bob Huston

Pediatric patients present unique dental
When sedation is required, you want to trust an expert anesthesia team. Lake Area Anesthesia’s experience and expertise allows you to deliver a painfree and stress-free experience for your patients of all ages. Our team handles the anesthesia process from start to finish so you can focus on their dental needs.

Louisiana State University Health New Orleans announced on July 1 that John Gallo, III, DDS, MS, previously Associate Dean of Clinical Affairs in the Louisiana State University Health School of Dentistry (LSUSD), would become the new Dean of the LSUSD, effective July 1, 2024.
In this transition, Dr. Gallo has replaced Interim Dean Janet Southerland, DDS, MPH, PhD, also Vice Chancellor of Academic Affairs for Louisiana State University Health Sciences Center, who filled the position starting in September of 2023 while careful consideration was made in selecting a candidate for the permanent position.
Dr. Gallo is a lifelong member of the LSUSD community. A fellow alumnus, he began his journey graduating with the DDS Class of 1992. He later pursued an MS in Health Care Management from the University of New Orleans.
It was not long after that Dr. Gallo returned to the halls of the dental school. In 1996, he accepted an academic appointment in the Department of Operative Dentistry and Biomaterials. Since then, he has accumulated 28 years of service in various positions while also making significant contributions to the field through his research on adhesive dentistry and clinical education. Dr. Gallo has also held many leadership positions. Prior to his appointment as dean, Dr. Gallo served as Associate Dean of Clinical Affairs, a position he had held since 2014.
Throughout his career, Dr. Gallo has been an active member of numerous professional organizations, including the American Dental Association, Louisiana Dental Association, New Orleans Dental Association, the International College of Dentists, the American College of Dentists and the Pierre Fauchard Academy. He has served in leadership positions such as Vice President and President of the New Orleans Section of AADR and Chair of the Annual Session Program Committee for ADEA and is a site visitor for the Commission on Dental Accreditation.
As dean, Dr. John Gallo commits to shaping the future of dental education, emphasizing excellence in academics, patient care, and collaboration with the local community. LSUSD is optimistic and welcomes Dr. Gallo in his new position as dean.

The Louisiana Donated Dental Services (DDS) program helps people like Tom, 75, a Special Forces veteran who lives in St Tammany Parish During his military service in Vietnam, he suffered a gunshot wound to his arm that left him with a permanent disability in that arm. He also has post-traumatic stress disorder and arthritis in his elbows, neck, and shoulders.
Unfortunately, Tom’s dental health was another challenge: he was missing several teeth and many remaining were loose or decayed. His existing full upper denture and partial lower denture were more than 10 years old and no longer fit correctly, making eating difficult. Tom sought help from a local dentist but learned he could not afford the treatment he needed Formerly the owner of an air conditioner and refrigeration business, Tom is now retired and survives on food stamps and a small Social Security benefit that goes toward his monthly living expenses. Sadly, dental treatment seemed far beyond Tom’s reach
Thankfully, a team of generous DDS volunteers were able to help A periodontist extracted six teeth and placed two implants. Next, a general dentist extracted two more teeth and with the help of a volunteer lab, donated full upper and lower implant-retained dentures This amazing team donated thousands of dollars in life-changing treatment that restored Tom’s oral health.

37 YEARS of life-saving volunteers in donated dental treatment $12.6M

366
Volunteer Dentists
76
Volunteer Labs
5,600 PEOPLE SERVED
Dentistry gives us the skills to diagnose, relieve pain, and restore form and function. DLN/DDS links us in the most efficient way to patients who urgently need those skills.





By Chad Olivier CEO,CEPA, CERTIFIED FINANCIAL PLANNER™
attended a national conference recently focused on various facets of fraud. During the event, I had the privilege of serving as a facilitator, introducing the speakers, and engaging in one-on-one conversations. This allowed me to delve into their unique journeys and explore their passion for fraud prevention and minimizing unnecessary losses. The statistics of fraud occurrence are astounding. Not to sound pessimistic, but it seems that encountering fraud is not a question of if, but when. We often hear about personal identity theft and schemes to deceive you out of money; however, business owners need to also be aware of how to protect the business from fraud and the personal information the business obtains.
Most businesses, including dental practices, keep sensitive personal information in their files. This information may include names, Social Security numbers, credit card information, insurance information, account data, and other information that identifies employees and patients. This information is necessary for treatment, billing, payroll, and other business functions. However, if sensitive data falls into the wrong hands, it can lead to fraud, including identity theft. Therefore, it is crucial to safeguard personal information, which necessitates a solid protection plan.
Recent data shows that consumers reported losing more than $10 billion to fraud in 2023. (FTC.gov; As Nationwide Fraud Losses Top $10 billion in 2023, FTC Steps Up Efforts to Protect the Public; accessed August 1, 2024). Business owners need to be knowledgeable of identity theft risks, credit card fraud, fraudulent investment schemes, and
internet/social media scams. Awareness of the threats, understanding of the vulnerabilities, and proactively monitoring for breaches are important ways to protect yourself from fraud.
The United States Federal Trade Commission provides resources for helping to protect America’s consumers. (FTC.gov; Protecting Personal Information: A Guide for Business; accessed August 1, 2024). Take a look at the five principles the FTC recommends for data security awareness.
1. Take Stock. Assess what information you have and identify who has access to it. Understand how personal information moves into, through, and out of your business.
2. Scale Down. Only collect information your business legitimately needs and only keep it as long as it’s necessary. Also, scale down access to data. Each employee should have access only to information needed to do their job. Develop a written records retention policy to identify what information is kept; how to secure that information; how long to keep it; and how to dispose of it securely when you no longer need it.
3. Lock It. Data protection can depend on the kind of information you have and how it’s stored. Effective data security plans deal with four key elements: physical security, electronic security, employee training, and contractor security practices. Authentication and encryption steps are also important to protect information.
4. Pitch It. Dispose properly of unneeded data within the legal

time frame. The disposal method should be based on the sensitivity of the information, potential misuse, and technological advancements. Paper records are typically shredded, while computers and other storage devices require appropriate “wiping” to ensure data is irretrievably erased. Never discard sensitive information in the trash, as identity thieves can retrieve and exploit it.
5. Plan Ahead. Plan for potential breach incidents. Data shows that smaller businesses are more vulnerable to fraud than larger ones. This may be due to a lack of internal anti-fraud measures, including internal audits and training. Whether your practice has expertise in-house or hires a contractor to implement an appropriate plan, there's no onesize-fits-all solution for data security. Effective financial planning involves robust investment in a comprehensive data security strategy.
This content is not intended to provide specific legal, tax, or other professional advice. For a comprehensive review of your personal situation, always consult with a tax or legal advisor. Neither Cetera Advisor Networks LLC nor any of its representative may give legal or tax advice.
Securities offered through Cetera Advisor Networks LLC, Member FINRA/SIPC. Investment advisory services offered through CWM, LLC, an SEC Registered Investment Advisor. Cetera Advisor Networks LLC is under separate ownership from any other named entity. Carson Partners, a division of CWM, LLC, is a nationwide partnership of advisors. 4609 Bluebonnet Blvd., Ste. A, Baton Rouge, LA, 70809 or call (225) 757-9484.




















By Dr. James Burns General Chairman of the 2025 NODC/LDA Annual Session Committee
he New Orleans Dental Conference/Louisiana Dental Association Annual Session 2025 is taking shape, and we are proud to announce that we have procured two of the most dynamic speakers in the field of dentistry.

The first presenter is Thomas Viola, R. Ph., CCP. Tom will be speaking on Thursday, April 10. Tom is the founder of “Pharmacology Declassified” and has presented hundreds of continuing education courses to dental professionals, nationally and internationally. Through his informative and humorous seminars, Tom has earned his reputation as the go-to specialist for making Pharmacology practical and useful for all members of your dental team. His topics will be: “Haven’t Got Time For This Pain,” and “It’s (Medically) Complicated.”

constituents the best in dental education and entertainment. I’m indebted to my board and the dedication they show to the Louisiana Dental Association each year. If you are curious about becoming an NODC board member, please email nancy@nodental.org.
Like I’ve stated in the past, this is YOUR conference. Come on down to The Astor Crowne Plaza from April 10-11, 2025, to get some dental C.E. and have a great time in the heart of the French Quarter. By the way, our conference takes place during French Quarter Fest. Details for NODC will begin Dec. 1st on NODC.org. Have a great day, LDA family!
• Refer and collaborate across a broad network
The second presenter I would like to mention is Brian Nový, DDS. Dr. Nový will be speaking on Friday. Nový is the chief dental officer of the Alliance Dental Center. His awards include the Academy of General Dentistry Weclew Award, the ADA Evidence Based Practice Award, and the ADA Adult Preventive Care Practice of the year. Some of the course comments from other meetings are “Best Speaker EVER,” “Dr. Nový is by far the best speaker out there,” and “The best course in my 15 years of practice.” His topics will be “Nobody Caries” and “How to stop a Coccus.”
If you are asking, “How does OUR little conference get such esteemed speakers?” Well, it’s a group of NODC board members that is dedicated to giving our



















By Jeanne McFall Director of Conference Services, LDA
Have you attended any of the LDA’s continuing education destination events? If so, you know how easy it is to earn some of your mandatory continuing education hours AND have a fun family-friendly trip. If you haven’t attended this type of event with us, you have so many options in 2025. Visit ladental.org/events to learn about our upcoming C.E. trips to Disney, Pensacola, and Napa Valley. For now, let’s take a look at the sandy, breezy, and sunny LDA summer we just enjoyed!






The Summer Education Conference is one of our most-loved events because you not only get 16 hours of continuing education and a tax write-off, you get BEACH TIME! Our group of 80+ dental professionals enjoyed great speakers from 8 a.m. to noon each day followed by family fun on the beach for the remainder of the day.
We will return to our fan-favorite, the Hilton Pensacola, June 18-21, 2025. Our group loves this hotel because it offers a beautiful beach front environment, with easy traveling to restaurants around the area. Plus, with two pools, a splashpad, and daily poolside kids’ activities, you may never need to leave the hotel.
We look forward to the continued growth of this amazing C.E. opportunity and hope to see you there in 2025!
Summer Education Conference Sponsors






WOW! Talk about fun! If you are from Louisiana, you likely love to fish or know someone who does. The LDA Foundation visits Grand Isle, LA, every July to host its annual Fishing Rodeo. Our mom-and-pop rodeo is a great way to have fun for a great cause. The rodeo helps raise money for our community outreach programs like the Louisiana Mission of Mercy. This year, we raised $8,000 for the foundation! We welcome dentists, non-dentists, families, staff, and dental students.
We hope to see you July 17-19, 2025, at the Grand Isle Marina. Bring your rod and reel and let’s have a party!


Fidelity Bank is proud to partner with the Louisiana Dental Association. We believe in supporting the important work that the dental community does in providing essential healthcare services to our community. By partnering with the LDA, we can contribute to their efforts in promoting oral health and advancing the dental profession in Louisiana. Fidelity Bank is a local, full service financial institution. The bank offers commercial real estate financing, equipment financing, working lines of credit and traditional banking services to help meet the needs of a growing practice. The Bank's healthcare relationship specialists are experienced and committed to supporting LDA members. Together, we can make a positive impact on the dental landscape in our state.





For more information
please contact:
Dustin Reichert
Vice President, Healthcare Specialist Fidelity Bank
2550 Florida Street Mandeville, LA 70448
Phone: 985.626.8676
dustin.reichert@bankwithfidelity.com
Riley Landry
Vice President, Healthcare Specialist Fidelity Bank
5643 Corporate Blvd. Baton Rouge, LA 70808
Office: 225-201-2417
Cell: 225-938-1537 riley.landry@bankwithfidelity.com

By Eric Kaufman, ProSites (an LDA/LDS endorsed company)
our reputation with your patients matters. They trade experiences, collect what info they can, and then make their decisions about dental care. The big thing that’s changed is that this process is done almost entirely digitally, at an enormous scale, and with incredible reach. If a patient leaves a review on a reviews site, that review is exposed to more than just that person’s friends and family. The audience extends exponentially to strangers everywhere.
With the widespread nature of online reviews and digital word-ofmouth comes the need for tools to manage them quickly and efficiently — to use them for your practice, and to keep them from doing harm to your practice. The automation possibilities that exist now are no longer optional — they're indispensable. They can initiate review requests, consolidate reviews from different sites into a single platform, and notify you when your attention is needed, so you can attend to concerns quickly and all in one place.
Online reviews serve as a key component of a complete online presence, and the backbone of your digital word-of-mouth efforts. A reviews solution is, therefore, a must-have when crafting a comprehensive digital marketing strategy. Let's explore further how reviews and word-of-mouth work and how dentists can leverage the value of online reviews within a complete digital marketing solution to attract and retain patients.

It's important to note that the impact of positive review word-ofmouth goes beyond what’s publicly visible on reviews sites. Dark Social refers to private communications that take place in emails and private messages within digital platforms. Much of the value of a practice’s reputation manifests from this form of person-to-person referral working behind the scenes. Although not measurable by analytics, it is estimated to be responsible for much of your web traffic. So, when you make the extra effort to cultivate a healthy reviews presence, keep in mind that the value of those efforts branches off and continues to work for you.
Online reviews are powerfully persuasive to prospective patients by
offering a glimpse into the patient experience and the quality of care provided. According to maxill.com, 70% of dental patients say online ratings and reviews influence their choice of dentist. Just like with verbal recommendations, positive online reviews attract new patients and foster trust, while negative reviews can sow doubt and erode confidence. To solidify this trust, you must encourage positive reviews and address patient concerns offline promptly, as well as exhibiting attentiveness to public complaints.
ReviewTrackers reports that 51% of customers expect businesses to respond to reviews within 7 days. Keeping up with a steady stream of reviews over multiple platforms can be challenging amidst the usual tasks of operating a practice. But failing to keep on top of things can result in undesired consequences — where one negative review drives
prospective patients to your nearest competitor. One option for practices looking to simplify and consolidate tasks is a professional reviews management solution.
You can begin to create a culture of open communication among patients that encourages positive reviews by sending follow-up emails, post-appointment surveys, and direct requests during visits to prompt patients to leave reviews. Highlighting positive feedback on a practice's website and social media platforms improves their visibility and underscores the practice's dedication to patient satisfaction.
Negative reviews are inevitable, but how you respond to them can shape the narrative. Unlike traditional spoken word-of-mouth, negative online reviews don’t go away. You can’t hope that people move on and forget about the issue. The post persists and can influence every potential patient that comes along.
The benefit of online reviews is that now you can reshape your brand image with a carefully crafted response that can influence a prospective new patient’s feelings about your practice. Imagine if they’d only read the initial bad review without your clarifying or sympathetic response.
Timely and tactful responses to negative feedback demonstrate a commitment to addressing patient concerns and improving their experience overall. By addressing issues publicly and offering solutions, you can reduce the impact of negative reviews and showcase your dedication to patient care.
As long as you’re receiving a steady stream of positive reviews, don’t be afraid of a few bad ones. If the issues raised are minor and followed up by a sincere response, they can help your
practice’s reputation. People scanning through reviews tend to distrust a situation where they see nothing but perfect reviews. A few minor issues that have been addressed paint a more realistic picture and go further to establish trust.
A robust digital presence is essential for dentists seeking to stand out amidst fierce competition. To compete, a practice needs a holistic online presence that goes beyond simply having a professional website.
Here’s what you need to fill out your online presence:
Start with an expertly crafted, brand-specific customized website.
Make sure your site is optimized for peak visibility and reaches your target audience.
Leverage social media channels to engage with patients, share valuable content, and showcase your expertise.
Take control of your online reputation by managing feedback on review platforms.
Here’s how to manage your reviews:
Reputation management requires regular attention for assessment, adjustment, and action. Regularly monitor your online reputation across review platforms, social media channels, and online forums. Customized solutions and services can streamline this process, providing real-time alerts for new reviews and mentions and can consolidate content across platforms into a single interface.
Stay proactive and respond quickly to online feedback to
prevent issues from escalating. Engage with patients in real-time to demonstrate your commitment, which helps sustain a positive online reputation.
Use a professional dental marketing firm to ensure that your complete portfolio of solutions operate in harmony with one another.
Online reviews are pivotal to shaping patient perceptions and driving practice success. Word-of-mouth travels faster and farther than ever before, and now requires the support of a dedicated marketing solution. By adding an online reviews solution to a comprehensive digital marketing strategy, you can attract and retain patients, differentiate your practice, and thrive in an evolving industry.
Beyond managing online reviews, you’ve got to keep up with the latest digital marketing strategies to maintain a competitive edge. This includes staying up to date with trends in search engine optimization (SEO), content marketing, and social media advertising. By embracing a holistic digital marketing approach that’s proactive and practice-specific, you can stay ahead of the curve and effectively reach and engage with patients, driving practice growth and success.
LDA-endorsed ProSites delivers just the kind of reviews solution that’s woven seamlessly into a complete online presence, essential for keeping up with current digital marketing best practices. Plus, LDA members can access exclusive LDA discounts at prosites.com/LDA. Your competition is up to date — are you?
Eric Kaufman is a writer and editor with creative, marketing, instructional design, and technical writing experience. As a content writer for ProSites, Eric applies his experience with adult learning principles to help readers absorb information and ensure that it sticks. His empathetic writing philosophy focuses on reaching his audience by identifying backgrounds, interests, and goals.















Passed legislation that will provide more transparency to patients and employers about how their insurance premium dollars are spent. We anticipate that this legislation will be the first step in creating a DLR requirement for Louisiana.
Passed legislation that will change LSBD rules related to a reserved position for a pediatric dentist on the LSBD; revising licensing exam acceptance from three to five years; and clarifying that any dentist with a sedation permit can serve as a third-party anesthesia provider.
Offered 10 EDDA courses in 2024 and scheduled 10 for 2025.
Created a new travel C.E. event called Sip and C.E. in Napa Valley, CA. This event offers up to 9 C.E. hours and occurs Sept. 17-19, 2025. Visit ladental.org/napa for more information.
Organized the Dentist Directory for Students (DDS), a statewide member directory of LDA members who want to mentor dental students. Join at ladental.org/dds.
Celebrated 21 members who are on their 25th year of membership and 32 more members on their 50th year.
Louisiana Dental Services endorses over 30 companies for quality, value, and discounts for our members. Members who use these five companies can save well over $8,000 per year, which is almost 8 times more than a year of member dues.





INTRODUCING

Rely on Henry Schein’s network of trusted advisors to help take care of your business, so you can focus on taking care of your patients.
Looking for solutions? Contact your Henry Schein Sales Consultant or visit: www.henryschein.com/relyonus.
Straightening Smiles, Growing Practices
NDX Aligners are premium products that provide your patients with an optimal way to straighten and improve their smiles. From the initial consultation and treatment planning to case monitoring, our team is dedicated to assisting you at every stage of your journey.
■ Treatment Planning by Experts
■ Premium Material
■ Low Refinement Rate*

*Based on internal research. Data on file. ©2024 National Dentex, LLC. All Rights Reserved.

■ Competitive Pricing Scan the QR code or visit NationalDentex.com/aligners to sign up. Get Started Today



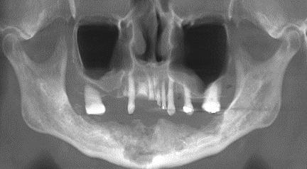
By Ross Brockman, DMD, MD; Brett M. Shirley, DDS, MD; and G.E. Ghali, DDS, MD Willis-Knighton Health System Department of Oral & Maxillofacial Surgery
Medication-related osteonecrosis of the jaws (MRONJ), both mandible and maxilla, is a condition which was first noted in the early 2000s and was initially associated with the use of bisphosphonate medications. The incidence varies depending on the type of medication and its use. For patients receiving oral bisphosphonates for osteoporosis, the incidence is estimated at 0.001% to 0.01%. In contrast, those undergoing treatment with bony metastasis with high-dose intravenous bisphosphonates or denosumab have a significantly higher incidence, ranging from 1% to 15%.
The primary cause of MRONJ is posited to be the inhibition of bone remodeling and repair due to these medications restricting blood flow to bone. Bisphosphonates and denosumab, for instance, inhibit osteoclast-mediated bone resorption, leading to a suppression of bone turnover. Antiangiogenic agents, on the other hand, disrupt the blood supply to the bone, further compromising bone healing. This condition primarily affects the mandible due to its dense bone structure and limited blood supply compared to other bones in the
body and can be both spontaneous in nature or in result to stressors such as infection or surgical insult.
The diagnosis of MRONJ is primarily clinical based on the following criteria outlined by the American Association of Oral and Maxillofacial Surgeons (AAOMS):
1. Current or previous treatment with antiresorptive or antiangiogenic agents.
2. Exposed bone or bone that can be probed through a fistula in the maxillofacial region that has persisted for more than eight weeks.
3. No history of radiation therapy to the jaws or metastatic disease to the jaws.
Patients typically present with symptoms such as pain, swelling, and infection of the affected area, along with exposed necrotic bone. Imaging studies, including panoramic radiographs, CT scans, and MRI, can assist in assessing the extent of the disease and planning appropriate management. In our clinical practice we do not find any benefit of blood tests to determine active bone
At Risk No apparent necrotic bone in patients who have been treated with oral or intravenous bisphosphonates or other antiresorptive or antiangiogenic therapy
Stage 0 No clinical evidence of necrotic bone, but non-specific clinical findings, radiographic changes, and symptoms. Symptoms might include odontalgia not related to caries, dull aching bone pain, and sinus pain
Stage 1
Stage 2
Stage 3
Exposed and necrotic bone or fistulae that probes to bone in patients who are asymptomatic and have no evidence of infection
Exposed and necrotic bone or fistulae that probes to bone associated with infection as evidenced by pain and erythema in the region of exposed bone, with or without purulent drainage
Exposed and necrotic bone or a fistula that probes to bone in patients with pain, infection, and one or more of the following: Exposed necrotic bone extending beyond the region of alveolar bone (i.e., inferior border and ramus in the mandible, maxillary sinus and zygoma in the maxilla) or pathologic fracture


remodeling either in a preoperative setting or postoperatively in diagnosis.
Management of MRONJ involves both non-surgical and surgical approaches tailored to the stage of the disease and the patient's overall health status. In our practice, general recommendations for non-surgical management include the treatment of active secondary infection of the necrotic bone with a 7-day course of a penicillin-based antibiotic or a fluroquinolone. Anecdotally, we notice generally poor control with monotherapy using Clindamycin, but it can be considered an alternative in penicillin allergic patients in combination with metronidazole. We also highly recommend the use of an antibacterial mouth rinse with chlorohexidine to reduce microbial load and prevent secondary infection of the exposed necrotic bone. In treatment of stage 0 through stage 1, patients can be treated conservatively with regular monitoring while awaiting sequestration and expelling of the exposed bone if patient’s quality of life is not impacted. Hyperbaric oxygen may play a role in improving the soft tissue around the exposed bone, but it has no benefit to already necrotic bone. If frequent infections or increasing stage are encountered, the patient may require more aggressive surgical treatment.
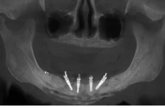
Surgical treatment is dictated by the extent of disease, but all interventions are based upon the removal of necrotic bone and obtaining soft tissue coverage. Excision of bone is not always straightforward; however, as in non-sequestered cases, there is no definite manner in which to tell the extent of the poorly vascularized bone edges other than looking for pinpoint marrow bleeding. Depending on the extent of resection, the use of free tissue transfer to reconstruct large segmental defects of the mandible or maxilla with vascularized bone and soft tissue may be necessary. Dental rehabilitation is also possible at the time of resection using a technique such as Jaw in a Day (JIAD). With JIAD, dental implants are placed into the fibula and an interim prosthesis is picked up when the fibula is transplanted to the mouth with the microvascular anastomosis. This technique allows both reconstruction
of the anatomy, as well as the ability for the patient to leave the hospital with functional dentition.
An aging population, with an increasing number of patients receiving antiresorptive medications for osteopenia and osteoporosis, makes prevention the key in managing MRONJ. Dental professionals should perform a thorough dental examination and address any necessary dental treatments before initiating antiresorptive or antiangiogenic therapy. Routine dental treatments while on antiresorptive or antiangiogenic therapies should be limited to supragingival procedures for the most part. Educating patients about the risks of MRONJ and the importance of maintaining good oral hygiene is crucial and can lead to reduced incidence and earlier detection. An interdisciplinary approach is essential, requiring collaboration between dentists, oral surgeons, oncologists, and primary care physicians to ensure comprehensive management of patients at risk of or diagnosed with MRONJ.


Dr. Don Donaldson Chair, Medicaid Task Force Treasurer, Dental Access and Prevention Political Action Committee (DAP-PAC)
t is my pleasure to continue working with all of you in providing good dental care and dental homes to the children of Louisiana. This is a brief albeit incomplete synopsis of the new quality-oriented program for the Medicaid recipients.
Together with the LDA, we were able to get the appropriated state funds during this year’s legislative session. With the federal match, it will add an additional $12-13 million to the program. This was an awesome achievement and will more than likely set the standard for other states to attempt to follow.
It is not your typical reimbursement rate increase. For the FY 2023/2024, we achieved a $52 million dental Medicaid increase and it was because of the hard work and support from the dental Medicaid providers. This latest increase will have nothing to do with production in the office, but could have a substantial impact in helping get more dental Medicaid recipients back into dental homes and treated.
This program is aimed at the business portion of a practice and will be earned in several ways:
1. You will be rewarded for getting exams and fluoride varnish treatments back to the office within 6-8 months of the last visit.
2. You will be rewarded for the number of new patients you will see under the age of one for an exam.
3. You will be rewarded for the number of patients that are seen for restorative care.
4. You will be rewarded for the number of patients you can enroll in your practice after a problem-focused exam.
These will be measurable amounts of money and will be well worth every provider’s effort to improve our access to care. It will be imperative for practice owners to explain to their staff that they need a team effort is needed to achieve these quality rewards.
Our proposal is currently awaiting approval from the Centers for Medicare and Medicaid Services (CMS). It is a good program, and we are optimistic that it will be approved. As soon as we receive the needed approval,
the LDA will communicate with providers, so make sure your email is current with the LDA main office. Feel free to send updates to info@ladental.org.
DAP-PAC’s purposes are:
• To advocate for legislative and regulatory actions aimed at the improvement of access to oral health care and the prevention of dental disease, particularly among low-income populations.
• To encourage dentists and others to understand and actively participate in the government processes that affect access to oral health care and the prevention of dental disease.
• To raise the awareness of dentists and others as to the records of officeholders and candidates for elective office, for those offices that may have a direct impact on dental access and prevention efforts.
• To assist dentists and others in organizing themselves for more effective political action and in carrying out their civic responsibilities to promote good government and foster interest in oral health care access and the prevention of dental disease.
• To do all things necessary or desirable for the attainment of the purposes stated above.


when the dentists go marchin’ into New Orleans
It’s not too late to register for SmileCon 2024, Oct. 17-19 in the Big Easy. But don’t hesitate – prices go up on Sept. 21.




MEET and rekindle your sense of community by connecting with mentors, colleagues and new friends.


PLAY in New Orleans and come pass a good time! From the Bouncin’ in the Bayou Fest to alumni receptions with your school krewe, come have some SPIRITED FUN.

LEARN with our unparalleled CE courses that fulfill your relicensure needs. Find the SmileCon Pass that fits your needs and register today at SmileCon.org!




The goal of the LDA Leadership Academy is to identify and prepare members for local, state, and national leadership.
In this program, you'll:
Earn non-clinical C.E. hours, Attend LDA events at no cost, Network with the LDA's leaders, Gain insights from ADA webinars, and Fast track your route to leadership.
Events
April/May, 2025 - Dentists’ Day at the Legislature
June or September, 2025 - LDA Board Meeting
November, 2025 - CGA Meeting
December, 2025 - CMDP Call
January, 2026 - Bowden Leadership Conference
March/April, 2026 - LDA House of Delegates
Asynchronous Webinars
ADA Webinar: Aspects of Leadership
ADA Webinar: Dental Society Relations
ADA Webinar: Effective Board Meetings
ADA Webinar: Hit the Ground Running (Tips for New Presidents)
If you are interested in this opportunity, fill out the interest form at ladental.org/leadershipacademy.

Friday, December 13, 2024
Marriott
7 Clinical Hours
P.M.





Dr. Kristi Soileau appeared on the front page of the American College of Dentists newsletter! This year, the ACD Annual Meeting and Convocation will occur in New Orleans. Visit acd.org to read the newsletter.



Janet
Dr. Janet H Southerland DDS, MPH, PhD, received the Health Access Hero Award from DentaQuest. Her work to increase access to quality dental care across the state has earned her the descriptor of “trailblazer” by those who work with her. Dr. Southerland, thank you for using your knowledge and experience to improve the lives of all Louisiana residents!
The American College of Dentists presented then LSUSD senior and now LDA member Dr. Jorge Rodriguez with a 2024 Outstanding Student Leader Award. Jorge is one of 61 awardees from across all ACD sections. Congratulations, Dr. Rodriguez!

Send us some component news! Scan this code or visit ladental.org/componentnews.
We can’t wait to hear from you.

Dr. Aaron Mangum enjoyed a particularly opulent lobster at the 2024 Dallas Caucus weekend in preparation for the ADA House of Delegates in October.
Dr. Brian Basinger and his family visited Olympic National Park to hike, take photos, and enjoy the scenery.


The Central Louisiana Dental Association hosted its annual C.E. event at Louisiana State University at Alexandria. Thanks to Dr. Troy Babb for organizing this event.

Andrew Paul Perry, DDS, MD, son of Dr. Paul Perry, completed his Oral and Maxillofacial Surgery residency at the University of Texas. Andrew joined the Northeast Oral and Maxillofacial Surgery group in Kingwood, Texas.
For information on a specific event, contact the event’s provider. To list your course in the next calendar, contact the LDA office at (800) 388-6642 or (225) 926-1986. Check ladental.org/statewidecalendar for the most up-to-date listings.
Event: Kick-Off C.E. 2024
Date: September 20, 2024
Location: Live VIA ZOOM (this course will count towards your in-person C.E. hours required by the LA State Board of Dentistry)
Time: 8 a.m. - noon
Provider: Louisiana Dental Association
Details: ladental.org/kickoff (225) 926-1986
Event: ADA SmileCon ®
Date: October 17-19, 2024
Location: New Orleans, LA
Provider: American Dental Association
Details: smilecon.org
Event: Southwest District Dental Association Fall Seminar
Date: Friday, October 4, 2024
Location: L'auberge Casino Resort
Speaker: Dr. DeWitt Wilkerson
Topic: Integrative Dental Medicine
Contact: Dr. Erin Seale; erinmooreseale@ gmail.com; (337) 474-0212
Event: Multidisciplinary Extravaganza
Date: October 10-11, 2024
Location: New Orleans, LA
Provider: LSU School of Dentistry/ Department of Prosthodontists
Details: www.eventbrite.com/e/lsusddepartment-of-prosthodontics-amultidisciplinary-extravaganza
Event: Last Chance Seminar
Date: Friday, December 13, 2024
Location: Marriot Baton Rouge Hotel, 5500 Hilton Ave., Baton Rouge, LA 70808
Provider: Louisiana Dental Association
Details: ladental.org/lastchance (225) 926-1986
Event: Bowden Leadership Conference
Date: Friday, January 10, 2025
Location: LDA Office 5637 Bankers Ave. Baton Rouge, LA 70808
Provider: Louisiana Dental Association
Details: ladental.org/bowden (225) 926-1986
Event: Winter C.E. - Walt Disney World
Date: March 2-4, 2025
Location: Walt Disney World, Orlando, FL
Provider: Louisiana Dental Association
Details: ladental.org/disney2025 (225) 926-1986
Event: New Orleans Dental Conference and LDA Annual Session
Date: April 10-11, 2025
Location: New Orleans, LA
Provider: New Orleans Dental Association
Details: nodc.org
Event: Summer Education Conference Date: June 18-21, 2025
Location: Hilton Pensacola, FL
Provider: Louisiana Dental Association
Details: ladental.org/summerconference
Event: Sip & C.E. in Napa Valley Date: September 17-19, 2025
Location: Napa, CA
Provider: Louisiana Dental Association
Details: ladental.org/napa (225) 926-1986
Event: Winter C.E. & Ski
Date: February 15-17, 2026
Location: Big Sky, Montana
Provider: Louisiana Dental Association
Details: ladental.org/ski

Functioning
Sirona Galileos
Comfort Plus CBCT Conebeam
We purchased a new CBCT and no longer need this one. Great way to get involved in implant planning and placement at a fraction of the cost of new.
$16,000 15x15 em field of view, 14 second scan to decrease patient radiation exposure
Email: DDFDDS@AOL.COM
Call: (318) 323-9303

FOR SALE: All inventory and equipment from closed dental practice in Mandeville, LA to include chairs, computers, printers, etc. Pictures available upon request. Make offer. Call Tab Shepherd (985) 246-7311.

**$5,000 Welcome Bonus**
Dr. Christine Walters is pleased to welcome a Registered Dental Hygienist to her thriving practice at Juban Crossing Modern Dentistry, in Denham Springs, Louisiana. With Dr. Walters, you can expect a comfortable and welcoming environment for both you and your patients. Her dedication to actively listening to each patient’s wants and concerns, speaks to her commitment to providing exceptional patient care. With her expertise and the supportive atmosphere of the team at Juban Crossing Modern Dentistry, working alongside Dr. Walters will be a rewarding experience to serve the community’s dental needs.
Benefits
• Medical, dental, and vision insurance
• Paid time off
• Tuition Reimbursement
• Childcare assistance
• 401(k)
APPLY TODAY! Email resume to: angela.darling@pacden.com

FULL-TIME ASSOCIATE GENERAL DENTIST NEEDED:
Our well-established practice in Covington, LA, is looking for a skilled and motivated general dentist to join our team. Candidate must be committed to providing superior patient care. We prefer to keep as many services in-house as possible
therefore an ideal candidate would be skilled at or open to learning more about placing implants, completing molar root canals, and surgical extractions, to name a few. Cerec & Invisalign experience is also preferable. The office is equipped with state-ofthe-art dental technology, is digital/ paperless, accepts fee for service and PPO patients, and has a well-trained clinical and non-clinical support team. Private practice experience is preferred but not required. This is an ideal opportunity to earn a great income! We offer a $300K + earning potential, group health, vision, & dental insurance, malpractice insurance 100% covered, supplemental insurance, 401K retirement plan, & annual CE allowance. Please contact Lindsey Jackson with your CV at lindsey@ outshinefamilydental.com.
Tattnaur Autoclave, Quantex ultrasonic cleaner, Vac Star single vacuum pump, Gendex analog panarex, AT 2000 Processor, Handler model trimmer, redwing lathe, miniglaze oven, Lab handpiece, Curtis 25 Gallon single head compressor
Doctor Op 1-Belmont patient chair, 3 handpiece DCI unit, DCI chairside unit, Dr. stool, assistant stool, DCI light,
Doctor Op 2-Belmont patient chair, DCI doctor dental unit, DCI assist cart, Belmont X-Ray unit,
Doctor Op 3-Belmont patient chair, DCI doctor unit, DCI chairside unit, Dr. stool, Asst. stool, Belmont X-Ray unit
Doctor Op 4-Healthco dental patient chair, DCI assistant unit, Dr. stool, Asst. stool
Hygiene room 1-Denteck patient chair, over patient dental unit, chair mount light, Belmont X-Ray unit
Hygiene room 2-Royal patient chair, DCI hygiene handpiece unit, assistant stool, DCI assistant unit, DCI chair mounted light
Sirona Cerec AC Omnicam, Model 63718301
Sirona Cerac MCXL mill
Cerac Custom Cabinet190 Emax Blocks
Programat CS2 oven with vacuum pump
Fewer than 100 units milled
Call (318) 323-9303, (318) 512-1738, ddfdds@aol.com
Full Time or Part Time Associate
Dentist wanted for long term opportunity
Seeking skilled and motivated outgoing dentist with potential to partnership. Position to eventually replace retiring dentist in beautiful, modern private practice where you are more in control of your dental dentistry and highincome potential.
Seeking that 1 dentist who loves the after to the before, who loves the replacement, who loves dentures and partials, who loves the transformation to a beautiful healthy smile.
Mentoring available to assist in transition.
Send CVs to LJJ1101@yahoo.com.
Midmark dental chair & unit for sale
Practically new, great condition. Selling $7,900 or best offer. Contact (225) 2564447 or (225) 936-3440
Renfert Dental Simplex 3D Filament
Printer
Aligner Filaments (3) and Sturdy Filaments (4)
New, in box
$3,500 or best offer
Phone: (225) 328-5225
Email: coletaylor40@gmail.com
Join Our Team in Picturesque Mandeville, LA - Seeking Passionate Dentist!
Job Description:
We are seeking a passionate and motivated dentist to join our team and contribute to our mission of promoting oral health and wellness. The ideal candidate will possess strong clinical skills, a commitment to patient education, and a genuine desire to make a positive impact in our community. Responsibilities include conducting dental examinations, diagnosing and treating oral health conditions, developing personalized treatment plans, and fostering meaningful patient relationships.
Requirements:
• Doctorate of Dental Surgery (DDS) or Doctorate of Dental Medicine (DMD)
• Valid dental license in the state of Louisiana
• Excellent communication and interpersonal skills
• Dedication to providing compassionate care and ensuring patient comfort and satisfaction
Benefits:
• Competitive compensation package with opportunities for professional growth and advancement
• Flexible scheduling options to accommodate work-life balance
• Supportive work environment with a collaborative team approach
• Access to advanced dental technology and continuing education opportunities
• Comprehensive benefits package, including health insurance, retirement plans, and more
We look forward to welcoming you to our team!
William B. Grand, DDS
Grand Family Dentistry
2083 3rd Street Mandeville, LA 70471
Phone: (985) 778-0096 x301
Email: careers@grandfamilydentalcare. com
Website: www.grandfamilydentistry. com/contact-us/3rd-street-location/
Explore Your Dental Career in the Vibrant Heart of Baton Rouge, LA!
Job Description:
We are seeking a talented and compassionate dental hygienist to join our team and play a vital role in delivering outstanding oral health care to our patients. The ideal candidate will possess excellent clinical skills, a passion for patient education, and a commitment to providing gentle and thorough dental care. Responsibilities include conducting dental cleanings, performing periodontal assessments, and providing patient education on oral hygiene practices.
Requirements:
• Graduate of an accredited dental hygiene program
• Valid dental hygiene license in the state of Louisiana
• Proficiency in performing dental cleanings, scaling and root planing, and administering local anesthesia
• Strong communication and interpersonal skills
• Dedication to providing compassionate care and ensuring patient comfort and satisfaction
Benefits:
• Competitive compensation package with opportunities for advancement
• Flexible scheduling options to accommodate work-life balance
• Supportive work environment with a collaborative team approach
• Access to advanced dental technology and continuing education opportunities
• Comprehensive benefits package, including health insurance, retirement plans, and more.
Sarah Bellah
Grand Family Dentistry
5422 Jones Creek Rd. Baton Rouge, LA 70471
Phone: 985-778-0096 x 301
Email: careers@grandfamilydentalcare. com
Website: www. grandfamilydentistryjonescreek.com
Explore Your Dental Career in the Vibrant Heart of Baton Rouge, LA!
Job Description:
We are seeking a passionate and motivated dentist to join our team and contribute to our mission of promoting oral health and wellness. The ideal candidate will possess strong clinical skills, a commitment to patient education, and a genuine desire to make a positive impact in our community. Responsibilities include conducting dental examinations, diagnosing and treating oral health conditions, developing personalized treatment plans, and fostering meaningful patient relationships.
Requirements:
• Doctorate of Dental Surgery (DDS) or Doctorate of Dental Medicine (DMD)
• Valid dental license in the state of Louisiana
• Excellent communication and interpersonal skills
• Dedication to providing compassionate care and ensuring patient comfort and satisfaction
Benefits:
• Competitive compensation package with opportunities for professional growth and advancement
• Flexible scheduling options to accommodate work-life balance
• Supportive work environment with a collaborative team approach
• Access to advanced dental technology and continuing education opportunities
• Comprehensive benefits package, including health insurance, retirement plans, and more
We look forward to welcoming you to our team!
William B. Grand, DDS
Grand Family Dentistry
5422 Jones Creek Rd. Baton Rouge, LA 70471
Phone: 985-778-0096 x301
Email: careers@grandfamilydentalcare. com
Website: www. grandfamilydentistryjonescreek.com/
Great lease opportunity on terms to suit your needs. Fully plumbed/ customized 5 operatory, 1820 sq. ft dental office with/large lab, sterilization area, storage, reception area, and private office. Located on busy LaPalco Blvd. in Harvey, Jefferson Parish, 28 year established dentist location. Perfect satellite office. Email: blueteam25@yahoo.com or call Jack at (504) 259-3651
We repair broken sensors. Save thousands in replacement costs. Specializing in Kodak/Carestream, and major brands. We also buy/sell sensors.
American SensorTech (919) 229-0483 www.repairsensor.com

• Shreveport, Louisiana
• Taylor Dental & Braces
• Salary USD $900.00/Day
Support our mission to provide excellent dental care in the community and help us create more smiles and memorable experiences for children and adults. Must love working with kids (they make up 70% or more of our patient base).
Responsible for providing dental services to patients with the support of their team. Our practice has:
• DentaPro software
• Digital x-ray and Panorex units
• Fiber-optic handpieces
• Yearly OSHA and HIPPA and Emergency Management training
• Ratio of 1 hygienist, 1 hygiene assistant, 2 dental assistants per provider
• Patients primarily ages 3-21
• Average 10-12 operative patients and 20-25 hygiene patients
• State insurance plans, PPO and out-of-network payor mix
We offer:
• Guaranteed base pay in excess of $200k with uncapped earning potential
• Sign on bonus
• Student loan repayment assistance
• No lab fees
• FT providers eligible to participate in Medical/Dental/Vision insurance, HSA/FSA, 401(k) and more!
• VISA/Green Card sponsorships
• Growth and development through mentoring and collaboration
Requires:
• DDS/DMD a program accredited by the Commission on Dental Accreditation
• Current, valid license to practice dentistry in Louisiana or eligible for licensure
• Nitrous Oxide certification
Visit join.benevis.com to learn more!
Classified Advertising Online Go to www.ladental.org/classifieds
For all classified advertising, payment is required in advance and ads will be placed on the LDA website on the next possible business day after payment is received. Make checks payable to the Journal of the Louisiana Dental Association. Placement of a classified ad up to 30 words is $30 for LDA members and $55 for non-LDA members. For each additional word, LDA members pay $0.15 and non-LDA members pay $0.30. Ads will remain on the LDA website for three months and will appear in one issue of the LDA Journal. A photo with an ad is an additional $50.
For more information or to place a classified ad, contact Rebecca Bordelon at rebecca@ladental.org or (225) 926-1986.
By Dr. Chatar G.P. Tauilo, prospective Vice Provost of the proposed Dental University of Moss Bluff (submitted for your entertainment by a fellow LDA member)
To whom it may concern,
My requests have gone unheard by the Louisiana State Legislature, at school board meetings, and at my community center bingo night. I even ran up quite the veterinary bill after my dog’s eyes got stuck mid-roll. Nevertheless, with the retirement of Dr. David Austin, the LDA has begrudgingly approved my request to state my case on the last page of the LDA Journal while searching for a replacement after Dr. Austin’s 3-decade service to the Journal.
The LSU School of Dentistry has a long history of equipping this state with quality dentists. However, with the growth of artificial intelligence, it is important to prepare for the future. When speak ing to my newest wife, who I created on ChatGPT, she confided in me that her dental needs are not being met in the digital space. She has a beautiful smile, in her opinion, although she is very self-conscious about her teeth being shaped like Is and Os.

I propose a new type of dental school, dedicated to providing care in the virtual sector. This dental school will be unlike any other dental school in the United States. I have secured 400 acres of land with only moderate flood risk that would be perfect for the school. With so many dental schools opening across the country, I suspect CODA is so busy that it will overlook some of the minor details regarding accreditation.
Along with a shortage of materials, faculty, and hygienists, it is likely we will suffer from a shortage of applicants, but we want to draw from a wide pool of possible AI dentists. My prospective Dean of Admissions, a Nigerian Prince who I met in my email inbox, believes we should accept students who receive at least an 18 on the DAT, MCAT, LSAT, GRE, or the Wonderlic test (and have access to a cryptocurrency account).
Nationwide faculty shortages are expected to hinder our efforts in the first several decades, so we propose allowing ChatGPT to teach the students, which should save us a fortune and allow for our endowment fund to be established.
In short, we (I) believe the Dental University of Moss Bluff (D.U.M.B.) would satisfy all the AI needs of the artificially intelligent in Louisiana. We (I) ask the dentists of Louisiana for their financial support. For all those who wish to offer their support through cash, Dogecoin, Bitcoin, or well wishes, you can mail a check payable to Dr. David Austin, P.O. Box 010, On A Beach Somewhere, Florida, 71109. He has assured us that this effort will remain on the top of his mind until something better comes along.











