Frisco, TX July 2025

Page 1


Exploring Behind The Scenes

At Jensen Orthodontic Arts, we combine ART, SCIENCE, and EXPERTISE in orthodontics to customize your smile and improve or reconstruct the function and harmony of your teeth. That alone says a lot, but Dr. Doug Jensen also uses his training in the closely-related specialty of PROSTHODONTICS and dental aesthetics to create wonderful outcomes for unusual or complex dental problems– Think VENEERS, CROWNS, IMPLANT CROWNS, and DENTURES. Dr. Jensen is one of the few dual specialists in both orthodontics and prosthodontics in America, and we are lucky to have his experience in this area. He offers clear orthodontic treatment options including CLEAR BRACES, LINGUAL BRACES, and CLEAR ALIGNER THERAPY to meet your aesthetic needs. Count also on getting treatment rendered efficiently without ignoring the balance that should be present between the teeth, joints and muscles in a properly functioning bite.

Dr. Doug Jensen, DDS, MS

Board-Certified Orthodontist, Prosthodontist

Don’t wait! Come see us for an expert’s Complimentary Evaluation

Get a straightforward assessment and roadmap to the PERFECT SMILE!

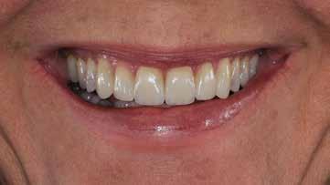
Veneers
Photos & Smiles by Dr. Jensen

Easing Up To Explore In July

We live in an efficiency, productivity-obsessed age. It's so easy to fall into the trap of believing the only things worth doing are those that equate to an exact calculation of the time, effort and investment they cost to complete. But the truth is that approach can be an unfulfilling way to go through life.

We must leave some room for exploring, for trying new places and things, for being a beginner, even for getting lost. It's those times that are unstructured and open-ended where the space exists for connections to be made, friendships to be fostered and trust to be built.

Even taking time to just meditate offers numerous benefits for physical and mental well-being. It can reduce stress, improve focus, enhance emotional regulation and even improve sleep quality. Meditation can also boost self-awareness and strengthen mental resilience.

Our hope is that this edition encourages you to make room for exploration. To prioritize time away from the regular schedule of life. To lose yourself on a trail or in a book. To plan that trip you’ve been thinking about, to make time for the things that matter most to you, but often come last on the calendar.

Here's to getting lost in timelessness once in a while.

July 2025

PUBLISHER

Sharon Duffy Thomas | sharon.duffy@citylifestyle.com

PUBLICATION DIRECTOR

William Thomas | william.thomas@citylifestyle.com

EDITOR

Julie Brown Patton | julie.patton@citylifestyle.com

EDITORIAL COORDINATOR

Amy Schmidt | amy.schmidt@citylifestyle.com

CONTRIBUTING WRITERS

Shannon Worley, Julie Brown Patton, Sharla Davenport, Katie Bobrow

CONTRIBUTING PHOTOGRAPHERS

Uwa Ede-Osifo, Guy Duquette

Corporate Team

CEO Steven Schowengerdt

COO Matthew Perry

CRO Jamie Pentz

VP OF OPERATIONS Janeane Thompson

VP OF SALES Andrew Leaders

AD DESIGNER Rachel Otto

LAYOUT DESIGNER Emily Lisenbee

QUALITY CONTROL SPECIALIST Hannah Leimkuhler Learn

Discover the artistry of Performance Painting & Remodeling, your premier destination for exquisite kitchen, bathroom, and whole-home renovations, along with interior and exterior painting. Our palette of services extends beyond just painting and remodeling, to include an array of home improvement specialties.

From precision carpentry and luxurious flooring to intricate trim and crown molding, we master every detail. Our skilled team is adept in drywall repair, elegant tile work, bespoke countertops, and the seamless removal of popcorn ceilings, among other services. Entrust us with your vision, and we will sculpt it into reality, enhancing every corner of your home with impeccable craftsmanship and beauty.

REMODELING
PAINTING

inside the issue

JULY 2025

city scene

WHERE NEIGHBORS CAN SEE AND BE SEEN

1: Frisco Chamber of Commerce recently convened a learning and connection session for local nonprofit organizations. 2: Leadership Frisco Class 28 graduated 26 participants. The program has been operating for 28 years. 3: Lucky Goat Coffee now provides coffee and bakery items at 2440 Eldorado Parkway, Ste. 210. 4: Strikz Entertainment crew in Frisco, 8789 Lebanon Road, celebrated their 20th anniversary with chamber members. 5: Frisco Police Department Explorer Post members, with Mayor Jeff Cheney, led city Pledge of Allegiance. 6: Bitty & Beau’s Coffee opened at at 6560 John Hickman Parkway, hired people with disabilities. 7: Frisco police officers and community members honored Police K9 Amigo, who died after battling cancer.

Want to be seen in the magazine?

FRISCO CHAMBER OF COMMERCE
LUCKY GOAT COFFEE FRISCO
FRISCO

business monthly

New Barber Shop/Hair Salon Opens In Frisco

Knockouts Haircuts & Grooming Frisco recently opened at 3288 Main St. in Ste. 110, with the stated mission to "empower men to unleash their inner champions every day." The staffers also say they believe that grooming isn’t just a routine, it’s an art, including haircuts, beard trims, waxes and facials. This barber shop has hours of operation all days of the week. This location is one of 26 Knockouts in Texas.

HINDTHE SCENESATACM

FIRSTHAND ACCOUNT OF DMN JOURNALIST AT COUNTRY MUSIC AWARDS IN FRISCO

“Had that really just happened?”

Frisco magazine asked a fellow journalist what it was like to experience her first red carpet celebrity event. Shannon kindly takes us behind the scenes.

For most of my life, red carpets seemed like something from movies. But on May 8, it became my reality. As part of my role as an audience journalist at The Dallas Morning News , I had the privilege of attending the 2025 Academy of Country Music awards in Frisco. The evening was filled with boots, bling and belt buckles, and it’s definitely not a night I’ll forget anytime soon.

I attended the red carpet with Dallas News  breaking features reporter Uwa Ede-Osifo. Our goal was to talk with

as many Texas artists as possible; you better believe we came prepared.

Prior to the event, we researched each red carpet attendee to learn their background and career so we could identify our key Texans. Admittedly, as a Midwestern girl, I was a bit shocked at the amount of Texas-born artists. But with Texas charisma and soulful Southern tunes, it just makes sense.

On our list to interview were plenty of North Texans, including Frisco’s own Grace Tyler and Corey Kent.

A few hours before the event, I pulled on a black, floor-length dress and stepped into my white cowboy boots. For context, this isn’t my typical go-to

Shannon Worley in action.
Photo credit: Uwa Ede-Osifo.
“As a Midwestern girl, I was a bit shocked at the amount of Texas-born artists!”

“reporter attire” for events, but the dress code for the ACMs had a special theme: black tie country.

Ahead of assignments, I ensure I have the necessary equipment. For this evening in particular, I was carrying a camera bag filled with two tripods, two wire mics, a set of wireless mics, chargers, pages of notes and plenty of snacks. As an audience journalist, I specialize in website analytics, push notifications, newsletters, social media strategy and creation. I like to explain my work as “getting stories where they need to go and to the people who want to read them.”

For this event, I focused on social media.

I’m very lucky to be part of an audience team of 10 people, including two fantastic editors. This means while I was at the red carpet, I had a slew of folks back in the newsroom working alongside me. Prior to the event, I worked with my editors to build templates for videos on social media platforms and our website. This helped to streamline workflow for the team throughout the evening. We also made a strategic plan for newsletters and alerts so our audience would know when to tune in.

Throughout the year, I work closely with The Dallas Morning News’  arts and entertainment team, helping to expand their audience and amplifying their contents’ reach. Because of this, I was asked to join the entertainment reporters for this special event at The Star. As a fairly new Texan, it was my first time visiting the Dallas Cowboys World Headquarters, so I tried my best to take it all in.

But, once we got to the Omni Hotel in Frisco, it was full speed ahead.

I received a blue media pass with my name on it. I examined the plastic and stared at my headshot that was taken

when I was an intern at The Dallas Morning News only a few months prior. It was a very surreal moment; look how far I’d come. I followed a member of the ACM team through security, up an escalator and slid between heavy black curtains. I was met with a bright red carpet and a crowd of fans awaiting the country celebrities who would make their way through the same black curtains in a few hours.

“The red carpet has opened.”

The sentence evoked a similar emotion to when I was standing on a diving block in a swim meet and the air horn rang into the air, signaling the start of a race. It was time to dive in.

Soon, I was greeted by a publicist asking if we would be interested in chatting with their artist. Over the next few hours, I spoke with countless singers, DJs and publicists. I heard about singers’ favorite Texas restaurants, rise to fame and upcoming plans.

A highlight was interviewing Jelly Roll, who is currently on tour with Grapevine’s Post Malone. The following day, the two performed at AT&T stadium. Jelly Roll was genuine, friendly and made this new-on-the-scene journalist feel a little less nervous. He laughed with us about Tex Mex being his preferred cuisine in Texas, which he said might be a “hot take,” especially for barbecue lovers.

The red carpet was “U-shaped,” with national outlets having first access to the celebrities when they entered the floor. Most more-established celebrities exited after talking to a few of these outlets, but a few made sure to round the curve to the regional, state and city outlet on the other side. Jelly Roll was one of those individuals. After three hours and 30-plus interviews, the red carpet closed, and I was running on pure adrenaline.

Jelly Roll performed at ACM60.
Photo credit: Academy of Country Music Awards.
Reba McEntire hosted the 2025 ACM Awards.
Photo credit: Academy of Country Music Awards.

Had that really just happened? Scrolling through my camera roll and stepping on my sore feet confirmed that the evening was no movie, but real life. ACMCountry.com

AUTHOR BIO: Shannon Worley is an audience journalist for The Dallas Morning News She’s a graduate of the University of Missouri, and previously worked for POLITICO Europe and Fortune Magazine

ACM Snapshot

The Academy of Country Music Awards (ACM Awards) originated in Los Angeles in 1964 as the Country and Western Music Academy. The first ACM Awards ceremony was held in 1966, recognizing the industry's accomplishments from the previous year.

THIS YEAR

The 2025 ACM Awards were held in Frisco at the Ford Center at The Star on May 8, 2025. This year's Awards were hosted by Reba McEntire, and were streamed live on Prime Video. The event included performances by various country music artists, including Lainey Wilson, Rascal Flatts, Jelly Roll, Kelsea Ballerini and Brooks & Dunn.

ACM Likes Frisco

The 58th ACM Awards also were held in Frisco at the Ford Center on May 11, 2023, hosted by Dolly Parton and Garth Brooks.

GRASSROOT REVIVAL OF LAWNS

NATIVE-BORN TEXAN PAUL ROWAN PROVIDES LOCALIZED SOLUTIONS THROUGH TEXAS NATIVESCAPES

Texas is known for its historic battles, but perhaps one of the biggest conflicts for Texans is that between themselves and their lawn or garden. Trying to maintain a lush, green lawn in the dog days of summer is next to impossible with the extreme heat. Likewise, frequent droughts and unpredictable winters make lawn care a challenge.

ARTICLE BY SHARLA DAVENPORT PHOTOGRAPHY COURTESY OF TEXAS NATIVESCAPES

There’s a solution to this dilemma: replacing thirsty lawns with resilient Texas native perennials that will survive and thrive in challenging Texas climate.

Texas Nativescapes, owned and operated by landscape designer Paul Rowan, delivers beautiful outdoor natural landscaping. Paul and his team specialize in Texas and Southwestern horticulture, creating native gardens and landscaping for low-maintenance, water-friendly, contemporary, unique, sustainable outdoor solutions.

Paul says he’s driven by his deep love of nature, having grown up in Texas and from his travels in New Mexico, Arizona,

Oklahoma and Colorado. “These experiences cultivated my passion for creating beautiful, timeless outdoor spaces and gardens.”

Paul’s gardens and landscape environments are ecologically sustainable and meticulously formed from natural elements, providing bold accents, textures, colors and modern styles. Paul says, “We’re truly the ’outsiders’ making distinctive and environmentally friendly landscapes, unlike others.”

The Texas Nativescapes team uses water-smart, drought-tolerant landscaping, following the stringent methods of renowned Texas A&M Horticulture, using

“WE SPECIALIZE IN CLIMATE-APPROPRIATE, TEXAS NATIVE/ADAPTIVE PLANTS APPROPRIATE FOR OUR USDA GROWING ZONE.”

native plants for ecological, resilient Texas gardens. As a result, homeowners have lower water bills plus a beautiful, thriving garden and landscape that will survive challenging Texas weather fluctuations.

According to Paul, USDA (United States Department of Agriculture) representatives categorized the local region as a transitional region near the Red River, with plants suitable for growing hardiness Zone 7.

Having learned from his mentor, Malcolm Beck (the Father of Organic Gardening), Paul is very soil conscientious, applying only the finest organic flower bedding soils in North Texas.

Texas Nativescapes uses a raised bed method with proper drainage and irrigation systems, designed for massive temperature swings. Using organic, raised flower beds is a better method for protecting retention ponds, lakes and other water bodies consumed by animals.

“We’re environmentally friendly to soils because we are all-natural, using no chemicals. We are kid and pet-friendly as well,” says Paul.

With 25-plus years of horticulture, research and Texas gardening experience, Paul acquired vast knowledge about which essential nutrients are necessary to replenish our depleted soils. He pioneered

with other passionate and like-minded folks in cultivating strong alliances and strategic partnerships with Texas’ best organic soil companies who produce his unique custom soil blends. Paul jokingly referred to his flower bedding soil as “Pauly’s Happy Soil .” It’s super soil that grows everything planted in it. His sourcing network and alliances extend across the Lone Star State with the industry’s best quality landscaping companies and purveyors of native landscaping materials.

Texas Nativescapes is also pollinator friendly, aiding bees, birds and butterflies. “We follow organic philosophies and pride ourselves on having a fully customized and tailored organic bedding mix,” explains Paul. “We just try to build quality landscapes that are environmentally conscientious.”

In addition to gardens and landscaping, Texas Nativescapes provide many other outdoor solutions. The company offers architectural landscape lighting, segmented concrete pavers, outdoor kitchens, native perennial gardens, and stormwater management and drainage solutions. Their pavers are highly specialized and custom-made with masonry stone to make beautiful pathways.

Paul is a Native-born Texan defining himself as a genuine nature person growing up exploring Texas, hiking, camping and fishing along the creeks and tributaries around the DFW Metroplex. He’s been in business for 25-plus years, with much time traveling the world from Europe to South Asia.

940.765.2760

TexasNativescapes.com

Need top-notch plumbing services?

Look no further! At Pure Plumbing, we deliver phenomenal solutions for all your plumbing needs.

• Same- Day Appointments

•24/7 Emergency Services

•Residential & Commercial

•Affordable Financing Options

•Low Monthly Memberships For Hassle-Free Maintenance

Services We Offer:

• General Plumbing

•Tank & Tankless Water Heaters

•Drain Cleaning

•Hydro Jetting Services

• Gas Line Repairs

• Leak Detection

• Water Filtration Systems

WATERMELON SLUSHY WOWNESS

ingredients:

• 10 cups seedless watermelon cubes, frozen 24 hours

• 2–4 tablespoons maple syrup, depending on sweetness desired

• Juice of 1 large lime

• 1 1/2 cup filtered water or sparkling water

• 1/4 cup fresh mint or basil leaves

Recipe: Prepare Refreshing, Sensational Summertime Swigs

directions:

1. Defrost frozen watermelon chunks at room temperature for 5-10 minutes.

2. Add watermelon, maple syrup, lime juice, mint and water to a high-speed blender or food processor.

3. Pulse ingredients until watermelon starts to break up; blend to form thick consistency. Adjust syrup to taste or use a sweetener instead. Water quantity also can be adjusted, if desired, especially if serving with straws.

4. Divide equally among glasses; garish with mint, lime slices or extra watermelon wedges; serve and enjoy!

ARTICLE BY JULIE BROWN PATTON

SUMMER GRILL RECIPES

THESE DELICIOUS RECIPES ARE LIGHT, BRIGHT AND FEEL LIKE SUMMER

The sun has returned, and grilling season is upon us. With the nice weather comes vegetable gardens and fresh produce, along with the overwhelming desire to be outside as much as possible. We’ve compiled some fresh and light dishes that you can shop for at your local farmers market and whether you’re looking for a quick mid-week meal or something to grill for a crowd on the weekend these dishes won’t disappoint. These pair well together or can stand on their own!

INGREDIENTS:

• 2lbs. Outside skirt steak*

• 2 Tablespoons lime*

• 2 Tablespoons finely, chopped cilantro

• ¼ Cup olive oil or avocado oil

• ¼ White onion, finely chopped

• 1 Tablespoon cumin

• Salt and pepper to taste

DIRECTIONS:

1. Place skirt steak into gallon freezer bag

2. Combine all other ingredients in bowl and mix. Pour over steak and marinate for 3-4 hours or overnight in the fridge.

3. Bring skirt steak to room temperature by letting it sit out for one hour.

4. Get your grill hot on one side and medium on the other.

SIMPLE SKIRT STEAK

5. Once the grill is ready, wipe excess marinade off steak. Starting on the hot side, place skirt steak on grill for 2 minutes per side, attaining a nice sear.

6. Transfer steak to the cooler side of grill and cook until the internal temp is 130°. Let rest for 10 minutes (temp will rise while resting).

7. Carve and serve. This dish pairs well with beans and rice or served as tacos. Following is a chimichurri sauce that compliments it nicely.

*Outside skirt steak is a more tender cut than inside skirt steak, for this recipe outside skirt is recommended. Do not use too much lime as the citrus can cook the meat before putting it on the grill, resulting in a tougher texture.

CHIMICHURRI

INGREDIENTS:

• ½ Cup parsley, finely chopped

• ½ Cup cilantro, finely chopped

• 2 Tablespoons red wine vinegar

• 3 Cloves garlic, minced

• 1 Red chili (whole or deseeded depending on desired level of heat)

• ½ Teaspoon dried oregano

• 1 Teaspoon salt

• 1 Tablespoon lime juice (optional)

DIRECTIONS:

Combine all ingredients in a bowl. You can make this in the late morning and let it sit for around 4-6 hours, or you can make it the day before and let the flavors meld overnight in the fridge. Just be sure to take it out and get it to room temp before you serve it, as olive oil hardens in the fridge. Serve over skirt steak or tacos.

ROASTED CORN SALSA

INGREDIENTS:

• 2 Ears sweet corn

• 10oz. Cherry tomatoes

• ¼ Cup lime juice

• 1 Finely chopped jalapeno or serrano (whole or deseeded depending on desired level of heat)

• ¼ Cup cilantro, finely chopped

• ½ Cup white onion, chopped

• 2 Cloves garlic, minced

• Salt to taste

DIRECTIONS:

1. Grill corn, you do not need to soak the corn beforehand.

2. Place corn on the grill (inside their husks) over medium heat turning every few minutes.

3. After 10 to 12 minutes shuck the corn and put the cobs back on the grill for 2-4 minutes rotating frequently to achieve that charred look and flavor.

4. Cut the corn from the cob, place in bowl and add all other ingredients. Let the mixture meld for about an hour and serve with tortilla chips or as a taco garnish.

This magazine exists because Sharon said ‘Yes.’

Behind every City Lifestyle magazine is a leap of faith — someone who chose to shape the story of their city. They saw a chance to inspire, connect, and elevate the voices that make their community shine.

Now, new cities are waiting for someone to say yes. What if it was you?

Frisco

Your story is waiting. Explore open markets nationwide.

DIY Your Way To a Bug-Free Summer

Adult- and Kid-Friendly Natural Bug Repellents from A Beautiful Mess

ARTICLE AND PHOTOGRAPHY BY A BEAUTIFUL MESS

Adult Blend Kids Blend

(age 15 and over)

MATERIALS:

• 10 drops lemon essential oil

• 10 drops lemongrass essential oil

• 8 drops lavender essential oil

• 8 drops eucalyptus essential oil

• 1.5 ounces distilled water (minus 1 teaspoon to make room for the essential oils in the bottle)

• .5 ounce 95% proof grain alcohol*

INSTRUCTIONS:

In a 2-ounce spray bottle, add the grain alcohol (or Solubol) and drop in essential oils. Swirl to combine. Place the cap back on the bottle. Allow the oils to disperse in the alcohol for about 1 hour, then add distilled water, swirling again to combine.

MATERIALS:

• 10 drops lemon essential oil

• 10 drops lemongrass essential oil

• 4 drops lavender essential oil

• 1.5 ounces distilled water (minus 1 teaspoon to make room for the essential oils in the bottle)

• .5 ounce 95% proof grain alcohol*

INSTRUCTIONS:

In a 2-ounce spray bottle, add the grain alcohol (or Solubol) and drop in essential oils. Swirl to combine. Place the cap back on the bottle. Allow the oils to disperse in the alcohol for about 1 hour, then add distilled water, swirling again to combine.

*The grain alcohol is used as a preservative as well as a carrier for the oils, but you can also use a product like this instead of grain alcohol at a 1:4 ratio (1 drop essential oil to 4 drops Solubol) if you’d rather and then just fill the rest with water to fill the 2-ounce spray bottle.

While there can be concern about citrus oils on the skin when exposed to sunlight, lemongrass isn’t a photosensitive oil, and if lemon essential oil is steam-distilled rather than cold-pressed (Oui Fresh essential oils are cold-pressed) it can be used on the skin. So just make sure to note which one your lemon oil is and only spray on clothes if you don’t have a skin-safe lemon oil (which is an application method a lot of people prefer anyway if they are more sensitive to oils).

events

A SELECTION OF UPCOMING LOCAL EVENTS JULY 2025

JULY 3RD-4TH

Frisco Freedom Fest

Frisco Main Street | 1:00 PM

The two-day event features a variety of activities, including Party in the U.S.A. 5K run, July 4 parade, fireworks show and other family-friendly attractions. The Fireworks Extravaganza show is one of the largest in the area. There also will be Party in the Plaza, Taste of Frisco, Patriotic Vendor Village. Enjoy free shuttle service with park/ride from Frisco High School.

JULY 11TH-13TH

Tattoo Collectors Expo

Embassy Suites & Frisco Conference Center | 6:00 PM

This premier tattoo convention showcases renowned tattoo artists, live entertainment, vendors and interactive experiences. This year's expo will feature more than 450 of the nation's top tattoo artists who will be putting their skills and talent on display. For die-hard tattoo fans, it's an opportunity to get up-close-and-personal with the best-of-the-best. Tickets are $25 each day.

JULY 15TH

Touch-A-Truck & BattleBots

Northeast Community Park | 8:30 AM

Meet the people and see the vehicles that keep Frisco city and parks running smoothly. Get up-close to all kinds of vehicles at this free, interactive STEM event that's open to everyone. Battle Bots are back! Join the team at Flatten Robotics as they facilitate some fun and interactive robo-battles. It’s STEM-based fun for adults and kids alike.

JULY 19TH

Teenage Mutant Ninja Turtles Night

Riders Field | 7:00 PM

Frisco RoughRiders present a special theme evening. The Frisco RoughRiders are the AA affiliate of the Texas Rangers and bring family-friendly professional baseball action to Riders Field in Frisco. The team plays the Corpus Christi Hooks.

JULY 24TH

Heritage How-To: Floral Design

Frisco Heritage Center | 6:00 PM

Led by Pink Blossom Designs, this hourlong flower-arranging class is designed to spark creativity and confidence. Learn essential arrangement mechanics, explore a bit of color theory and discover proper flower care techniques to keep blooms fresh and vibrant. Participants will create their own luxurious arrangement to take home with them. Tickets are $50 each.

JULY 25TH, 26TH, 27TH

"Disaster" By Theatre Frisco

Black Box Theater | 8:00 PM

Plot: A group of New Yorkers attend the opening of a floating casino-discothèque that quickly succumbs to multiple calamities, hilariously reprising 1970s disaster films from sinking ships to earthquakes to piranhas. Tickets: adults $35; seniors and veterans $30; teachers, active military and students $25. Evening and matinee performances available, including performances on Aug 1, 2, 3, 8, 9 and 10.

Turn static files into dynamic content formats.

Create a flipbook
Issuu converts static files into: digital portfolios, online yearbooks, online catalogs, digital photo albums and more. Sign up and create your flipbook.