

RAYSEARCH | 2024

2024 IN NUMBERS
ABOUT RAYSEARCH
RayCare centers in 13 countries
RayStation centers in 46 countries RaySearch employees employees in research and/or development approved patents around the world nationalities among RaySearch staff
RaySearch offices around the world
All key figures are as of December 31, 2024.
KEY FIGURES
RaySearch Laboratories AB (publ) is a medical technology company that develops innovative software solutions for improved cancer treatment. The company develops and markets the RayStation®* treatment planning system and RayCare®* oncology information system to clinics all over the world and distributes products through licensing agreements with leading medical technology companies. The company also develops RayIntelligence® and RayCommand®*. RayIntelligence is an innovative cloud-based oncology analytics system that cancer centers can use to gather, structure and analyze data. The RayCommand treatment control system is designed to link the treatment machine and the treatment planning and oncology information systems.
RaySearch’s software has been sold to over 1,000 clinics in more than 46 countries to date. The company was founded in 2000 as a spin-off from the Karolinska Institute in Stockholm and the share has been listed on Nasdaq Stockholm since 2003. More information is available at raysearchlabs.com.
* Subject to regulatory clearance in some markets.
VISION AND MISSION
The company’s vision is a world where cancer is conquered and RaySearch’s mission is to provide innovative software to continuously improve cancer treatment.

JOHAN LÖF,


CEO










CEO COMMENTS
AND FOUNDER






































2024 was a very good year for RaySearch, during which we continued to strengthen our position as a leading innovator in medical technology and software for cancer care. Through technological advances, strategic partnerships and a favorable financial performance, we took important steps towards our vision of a world where cancer is conquered. Our successes over the past year provide us with a solid foundation for the next stage of our development.




last year, Trento Proton Therapy Center in Italy became the first clinic in the world to optimize for discrete proton arc therapy in RayStation in combination with an IBA radiation therapy machine. Proton arc is a method that has the potential to provide significant treatment benefits to patients and we are very proud that it is now in clinical use.








Innovation is at the heart of our business. During the year, we made significant investments in research and development and launched new functionality and several important updates to our products to ensure that we remain at the forefront of technological developments in cancer care.


RayStation has been further enhanced with new features that improve the precision and efficiency of radiation therapy using machine learning. We also launched new adaptive radiation therapy features, which allow healthcare providers to adjust treatment plans based on changes in patient anatomy.



A new module for image-guided liver ablation in RayStation was launched during the year. This means that RaySearch is now taking a step beyond the field of radiation therapy. The new module was developed in collaboration with the prominent MD Anderson Cancer Center in Texas, US, which also conducted a clinical trial with RayStation that demonstrated that the method significantly improves precision in liver ablation. Read more on page 20.

Another area in which RaySearch has been a pioneer and played a crucial role in development is proton arc therapy. At the end of




We introduced many feature updates during the year that improved RayCare’s usability and efficiency. An important milestone was reached in September 2024, when Iridium Network in Belgium became the first clinic in the world to use RayCare together with TrueBeam to treat patients. Interoperability with different therapy systems is a key feature of RayCare, and its clinical use with TrueBeam has revolutionized the product’s prospects and led to a significant increase in customer interest.






In early 2024, we acquired the DrugLog product from Pharmacolog in Uppsala to complement our offering and take further steps towards providing software support for all types of cancer treatments, including chemotherapy and surgery. In January 2025. we received our first order for DrugLog through the Polish company Medim, which secured a contract with the Children’s Memorial Health Institute in Warsaw, Poland.













In June, the first clinical treatment was performed using RayStation and Hitachi’s new OXRAY linac, which enables treatments with high precision and flexibility. The machine was developed by Hitachi in collaboration with Kyoto University Hospital and integrated into RayStation through close cooperation. This signifies a significant technological advance and shows how our solutions can be integrated with the latest equipment to deliver better treatment outcomes for cancer patients.










STRATEGIC PARTNERSHIPS AND MARKET EXPANSION

RaySearch’s success is based on strong partnerships with leading players in medical technology and healthcare. In 2024, we entered into new strategic partnerships that further strengthened our market position. For example, we partnered with C-RAD to integrate advanced patient positioning and monitoring solutions into our systems. This improves the precision and safety of radiation therapy and creates added value for our customers.












We also strengthened our partnerships with several leading hospitals and cancer clinics worldwide. Raigmore Hospital in Scotland, which has used RayStation for several years, chose to implement RayCare to optimize its oncology operations, and the New York Proton Center in the US decided to expand its RayStation installation, which will provide most of the center’s proton therapy treatment planning in the future. Our partnership with the French Unicancer network was also strengthened during the year through several new RayStation orders, with the renowned Institut Curie being one of the new customers.

































In March 2025, RaySearch received its third largest order ever, with a total order value of approximately SEK 77 M, when Heyou Hospital in China ordered RayStation. The prominent carbon ion cancer therapy center is our first customer with a combined Hitachi carbon ion and proton machine.

FUTURE PROSPECTS
THE FIGHT AGAINST CANCER


Modern cancer care is based on a complex interplay between various advanced technological systems and long-term partnerships between different actors in the sector as well as with clinics and hospitals. In addition to these types of partnerships, we are also committed to supporting research and training in radiotherapy and oncology. Through partnerships with universities and research institutions, we help to advance progress and ensure that the next generation of healthcare providers has access to the latest technology.


Our financial stability allows us to continue to invest in developing new and existing strategic partnerships that strengthen our longterm competitiveness. We will also continue to invest in research and development to drive technological progress.

For us, cooperating and being involved in the fight against cancer in different ways is a given. We were therefore pleased to reach out to the Help Ukraine Group, which gave us the opportunity to support cancer care in Ukraine by donating ten RayStation systems. The systems were delivered to Ukrainian cancer centers that lacked access to treatment planning systems, where staff have had to treat patients with very limited resources during the war. The donation also included a package of systems given to a university for educational purposes. Read more on page 13.


















During the year, we advanced our market positions in all regions – Americas, Europe and Asia – and we are seeing interest in our solutions from both established and emerging markets, giving us a strong foundation for further expansion. Global demand for advanced cancer care software solutions is growing, and we are well positioned to meet that demand.







I would like to conclude by thanking our staff, customers and partners. It is through your commitment and hard work that we can continue to make a difference in cancer care. Together, we are building a future where more patients have access to better and more effective treatments.


Johan Löf, CEO of RaySearch























THE YEAR IN BRIEF





























In 2024, the positive trend for RaySearch continued with increased sales, several new key customers and a large number of new orders from customers worldwide. The milestone of 1,000 radiation therapy centers using RayStation worldwide was passed during the year.



















The number of radiation therapy centers that have chosen RayStation for treatment planning exceeded 1,000. The highest number of RayStation clinics, over 285, is found in the US, followed by Japan with around 220 clinics and China as the third largest market, where over 90 clinics have purchased RayStation.
The Royal Marsden NHS Foundation Trust, a specialist cancer center in the UK, became the first center in the world to implement online adaptive radiation therapy (OART) using RaySearch’s RayStation treatment planning system and RayCare oncology information system – as well as the new ARTemis OART solution currently under development – in combination with Accuray’s Radixact treatment system.






RaySearch acquired the product DrugLog from Pharmacolog. DrugLog is a cost-effective solution for quickly and efficiently verifying the identity and concentration of compounded injectable medications, used for cancer treatment with cytostatic drugs (chemotherapy).














SIGNIFICANT EVENTS DURING THE FIRST QUARTER SIGNIFICANT EVENTS DURING THE SECOND QUARTER
The world-leading carbon ion cancer therapy center National Institutes for Quantum Science and Technology (QST) in Japan placed an order for RayStation. Raysearch and QST already had a research collaboration focused on advancing ion beam therapy via the pencil beam scanning technique.








The radiation therapy center at Raigmore Hospital in Inverness, Scotland, is the northernmost radiotherapy clinic in the UK, treating nearly 1,000 patients a year. The clinic, which has been using RayStation clinically since 2016, placed an order for RayCare in April.



RaySearch and C-RAD AB signed a collaboration agreement aiming at jointly developing innovative solutions and products to enhance the quality of radiation therapy. The focus of the collaboration is to investigate how the C-RAD surface scanning technologies can be utilized during treatment planning in RaySearch’s treatment planning system RayStation.









One result of joint testing activities between RaySearch and Varian Medical Systems in 2024 was that the oncology information system RayCare® 2024A was certified to be interoperable with Varian TrueBeam® linear accelerators, version 3.0.









The new version RayCare 2024A was launched in May. RayCare 2024A brings an enhanced experience for treatment course management with additional features and a fully integrated workflow from treatment prescription to treatment delivery and the review of treatment delivery results.



RayStation was used for the first-ever radiotherapy treatment with Hitachi’s OXRAY system. The event took place in June at Narita Memorial Hospital in Toyohashi, Japan.
The New York Proton Center (NYPC) in the US expanded its RayStation installation, which will provide most of the center’s treatment planning. NYPC is the first and only clinic to perform proton therapy in New York State.






































The Connecticut Proton Therapy Center in the US placed an order for RayStation.
RayStation 2024B, the latest version of the treatment planning system, was launched in July. The new version comes with automation of important clinical workflows, such as automatic image import directly followed by deep-learning segmentation and rapid automated plan adaptation.



SIGNIFICANT EVENTS DURING THE THIRD QUARTER SIGNIFICANT EVENTS DURING THE FOURTH QUARTER
GenesisCare in the UK placed an order for RayStation. GenesisCare is the UK’s leading independent cancer care provider, operating 14 specialist outpatient cancer centers.







RaySearch passed the milestone of 100 radiation therapy centers in China, which is RaySearch’s third largest market in terms of clinics after the US and Japan.
Iridium Network in Belgium became the first center in the world to use RayCare and TrueBeam to treat a patient. The treatment was successfully carried out on September 2, 2024.




Three centers in the French Unicancer framework selected RayStation for treatment planning. Unicancer is a French network of hospitals specializing in oncology, treating more than 600,000 patients each year. 787 clinical trials are ongoing across the network.

Institut Curie chose RayStation for proton treatment planning in November. Institut Curie is also part of the French hospital network Unicancer.























Optimization for discrete proton arc therapy in RayStation, combined with standard delivery techniques and treatment workflows, was put into clinical use with RayStation at the Trento Proton Therapy Center in Italy.














VISION
A world where cancer is conquered.
MISSION
To provide innovative software to continuously improve cancer treatment that improves quality of life for patients and saves lives.
BUSINESS MODEL
RaySearch’s main revenue is generated by customers paying an initial license fee for the right to use the company’s software and an annual service fee for access to updates and support. The company’s software is developed at RaySearch’s head office in Stockholm, and distributed and sold by the company’s global marketing organization.
STRATEGIES OVERALL STRATEGY
A radiation therapy center essentially needs two software platforms for its operations: one information system, and one treatment planning system. With RayStation and RayCare, RaySearch will further strengthen its position and continue to grow with high profitability. The strategy is based on a strong focus on innovative software development with leading functionality, support for streamlined workflows –including via digitization and automation with machine learning – broad support for a wide range of treatment modes and types of radiation therapy machines, close collaboration with world-leading cancer centers and industrial partners, and extensive investment in research and development.
INNOVATIVE SOFTWARE DEVELOPMENT
Extensive investment in R&D with a strong focus on leading functionality, streamlined workflows and broad-based support for many different treatment techniques and radiation therapy machines. During the 2020–2024 period, average investment in R&D was 29 percent of net sales annually.
ATTRACTIVE EMPLOYER
Attract committed and talented employees by maintaining a culture characterized by innovative thinking, and guided by social sustainability and high business ethics.

STRATEGIC PARTNERSHIPS
Close collaboration with world-leading cancer clinics, research institutes and medical device suppliers.






















RAYSEARCH AROUND THE WORLD




1,101 RayStation clinics in 47 countries
27 RayCare clinics in 13 countries









Cancer centers all over the world use RaySearch’s software. To always be able to offer local service in local languages, RaySearch has formed a global organization with offices and distributors in three regions – Americas, Europe/Africa and Asia-Pacific & Middle East.























All figures on this spread are from March 2025.


AMERICAS


RAYSTATION RAYCARE
















































































EUROPE/AFRICA



RAYSTATION







RAYCARE







RAYSEARCH CLINICS (1,101)
RAYSEARCH OFFICES (13)
RAYSEARCH DISTRIBUTORS (19)
































































MARKET 2024






















Radiation therapy is the treatment mode that has increased most since the turn of the century, compared with the two other major cancer treatment methods – surgery and chemotherapy. More than half of all cancer patients now require radiation therapy.
























The need for efficient cancer care continues to grow at an ever increasing people under 50 increased by 79 percent (BMJ Oncology).

Interest in proton therapy is growing. Despite the high costs of proton therapy centers, investment is growing sharply in many countries and new centers are under construction. Roughly 2 percent of all cancer patients are now treated with protons, while about 20 percent would benefit from this type of treatment.

RAYSEARCH’S STRONG GROWTH CONTINUES







RaySearch’s position is strong. At the same time, the product portfolio and functionality offered by the products are well aligned with the needs of most of the world’s cancer centers.



Two global trends are the preference for increased automation and the continued introduction of adaptive treatment in clinical practice, areas where RaySearch is investing heavily and is also on the leading edge.










There are now about 8,500 radiation therapy centers worldwide. In 1,082 of these centers – across 46 countries, including all major markets – RayStation and the system were established as one of the leading and most advanced treatment planning systems as of December 2024. In 2024, RayStation was sold to 94 new clinics. RayStation supports more types of radiation therapy machines and treatment techniques than any competing treatment planning system. This creates major synergies for clinics with a mixed machine park, which are mainly large clinics, and also the type of clinic where
The new version of RayStation, launched in July 2024, includes image import automation and deep learning-based segmentation that makes it possible to have all patients automatically segmented right after image acquisition, saving time in the planning process for each patient and reducing the need for repetitive manual work.



Adaptive treatments are individually optimized for each patient, taking anatomical differences into account, and the treatment plan can then be re-optimized. RayStation has provided support for this for many years and actively pursued the development of this treatment method. The latest version brings a new workspace for fully automated treatment follow-up and plan adaptation and features a multi-step automated workflow.







In mid-May, RayCare was certified for interoperability with Varian TrueBeam linear accelerators, and in September, Iridium Network in Belgium became the first center in the world to use RayCare and TrueBeam to treat a patient. These two important milestones contributed to a steady increase in interest in RayCare throughout the year in every region.








In September, Iridium Network in Belgium became the first center in the world to use RayCare and TrueBeam to treat a patient, an important milestone that has contributed to steadily growing interest in RayCare in every region during the year.”






















RayCare 2024A was launched shortly after the signing of the interoperability agreement. In addition to interoperability with TrueBeam, this version also provides an enhanced experience for treatment course management, improving both usability and efficiency. Other feature updates in this version include enhancements and usability updates to patient chart and task management features as well as support for more external systems interfaces for improved coexistence with other hospital systems.






















The first version of the RayIntelligence system was released at the end of 2020. The latest version, RayIntelligence 2024B, was released in July and has been integrated with RayCare, enabling workflow analysis and the ability to link RayCare data with RayStation data. Together, this creates entirely new opportunities for data-driven decisions, facilitating daily clinical tasks as well as long-term process planning.
Sales of the RayCommand treatment control system are mainly focused on various machine manufacturers. Previously, each of these manufacturers had to develop their own control system, with basically the same features. RayCommand enables a more uniform environment for the user, regardless of therapy machine. This also makes it easier for new manufacturers to enter the market, because they do not need to develop their own treatment control system.

During the year, further important orders for RayStation were received from Sutter Health, Stanford Health Care and Avera Health, the latter of which was won in a tender.
RaySearch primarily sells products through its own subsidiary, RaySearch Americas Inc. There are two offices in the region, one in New York and one in California, with about 40 employees in total.
EUROPEAN/AFRICAN MARKET



RaySearch’s product portfolio was expanded during the year, through both the acquisition of the product DrugLog and through a module in RayStation that can be used for liver ablation. Read more on pages 19.

AMERICAS MARKET







The US and Canadian markets comprise more than 2,600 radiation therapy centers, of which roughly 327 used RayStation as of December 2024. RaySearch’s market share is highest in proton therapy, with 43 of 46 clinics in the US and Canada now using RayStation. Both the US and Canada are stable and mature markets and mainly driven by two factors – the fact that the Philips treatment planning system is currently being phased out and replaced by more modern systems, and the rapid development of emerging technologies, such as online adaptive radiation therapy and AI.
Interest in proton therapy is growing, and six new proton centers are under development in the US. The New York Proton Center is the first, and so far the only, clinic to perform proton therapy in New York State. The center has been a RaySearch customer since 2022, when it purchased its first RayStation licenses in order to evaluate the advantages of the system. After a thorough evaluation, the center decided during the past year to expand its use of RayStation, and will use it in the future for most of its treatment planning for proton therapy.





The European market comprises about 1,500 radiation therapy centers, of which roughly 301 used RayStation as of December 2024. RayStation is a well-established product with significant market share in Belgium, France, the Netherlands, the UK and Germany in particular. Since relatively few new radiation therapy centers are being built in Europe, the market is mainly driven by the need that centers see for upgrades or to replace their existing systems. Sales are largely characterized by public tender processes, where requirements are often focused on system functionality.
Many




clinics particularly appreciate RayStation’s most advanced features for improved planning quality and a higher degree of automation, such as machine learning and algorithms that can automatically plan.”

Another new customer in the proton area, which is also a RayCare customer, is the Connecticut Proton Therapy Center in the state of Connecticut. The center is a collaboration between Yale New Haven Health, Hartford HealthCare and Proton International, and will be the first of its kind in the state. The center placed an order during the year for RayCare, which will be used together with RayStation, which was purchased in 2023. The objective is to put both systems into clinical use in 2026, when the center opens.











RaySearch’s market share is highest in proton therapy, with 43 of 46 clinics in the US and Canada now using RayStation.”










Many clinics particularly appreciate RayStation’s most advanced features for improved planning quality and a higher degree of automation, such as machine learning and algorithms that can automatically plan. There is a shortage of skilled staff across the region, and automation increases planning capacity and frees up time for the most complex cases.



During the year, sales increased satisfactorily across the region, mainly driven by major continued success in France. Cancer care in France is generally highly advanced and extremely thorough evaluations of the technical capabilities of the various systems are carried out, which is one of the reasons for the strong growth. RaySearch has also been building up a strong local support business for a long time, which is considered crucial for success in the French market. Over the last four years, a total of 14 of the 20 centers in the French Unicancer oncology specialist hospital network, as well as two state-run hospitals, purchased RayStation under RaySearch’s framework agreement with Unicancer. Four of these orders were placed in the second half of 2024: Institut de Cancérologie de Lorraine, Centre Jean Perrin, Centre Hospitalier Universitaire de Limoges and Institut Curie. As of August 2024, a new framework agreement had been signed that includes both RayStation and RayCare.

































Raigmore Hospital in Scotland has been using RayStation clinically since 2016 and chose to add RayCare during the year. The radiation therapy center at Raigmore Hospital is facing increased patient pressure, and thus a greater workload. They see the advantages of improved integration with RayStation and the ability to automate tasks and improve workflows.




























Another leading player that chose the RaySearch system during the year is GenesisCare, the UK’s leading independent cancer care provider which operates 14 specialist outpatient cancer centers. GenesisCare plans to fully replace its current Pinnacle radiotherapy treatment planning system with RayStation.



used in the world’s first clinical treatment using OXRAY, which took place at Narita Memorial Hospital in Toyohashi, Japan.




The world-leading QST in Japan placed an order for RayStation during the year. RaySearch and QST (previously NIRS) began a partnership back in 2018, which was followed by a research collaboration agreement focused on advancing ion beam therapy via the pencil beam scanning technique. QST’s purchase of RayStation is a logical step and the result of this long and fruitful research collaboration.




ASIAN MARKET



Proton therapy is one of the most advanced forms of radiotherapy, utilizing very localized energy deposition that can be steered to precisely treat the tumor. These treatments are conventionally delivered from a limited number of directions. In discrete proton arc therapy, the protons are instead delivered over 20 to 30 directions. Optimization for this type of proton therapy was put into clinical use with RayStation at Trento Proton Therapy Center in Italy in the autumn. The clinical use of proton arc therapies is an important milestone in proton therapy.
RaySearch continued to display a strong performance in the Asian radiation therapy market in 2024, with a clear focus on the main markets Japan and China. RayStation was used in 448 clinics in the region as of December 2024. The company has also further strengthened its position as a supplier of software solutions to Asian radiation therapy machine manufacturers.



The region is still characterized by major differences between countries in terms of the total number of radiation therapy machines, the level of advanced radiation therapy and access to cancer care with radiation therapy. RaySearch is well positioned, with a presence in all major markets and a product portfolio tailored to different needs.



Japan is still RaySearch’s largest market, with around 235 clinics as of December 2024. The partnership with Hitachi works very smoothly, both because Hitachi distributes RayStation in Japan and because the companies work closely together on product development. One result of the development partnership is that OXRAY, Hitachi’s new treatment machine developed in cooperation with Kyoto University Hospital, has been integrated into RayStation. During the summer, RayStation was





An important milestone was achieved in China during the autumn, when the number of radiation therapy centers that use RayStation for treatment planning passed the 100 mark. China is RaySearch’s third largest market in terms of clinics after the US and Japan. China Japan Friendship Hospital, one of China’s leading hospitals, became the one hundredth customer. RayStation is part of the hospital’s installation of the first proton therapy system in the Beijing region, marking a major advance in cancer care in the region.
RAYSEARCH’S COMPETITORS













Since launching its proprietary treatment planning system in 2012, RaySearch has been working actively to convince clinics about the importance of making their own decisions about software and radiation therapy machines. This strategy has often been successful, especially in clinics with advanced treatments, or clinics in need of streamlining. However, it is still relatively common that customers opt for a total solution, where machines and software are sold as a package. Furthermore, when it comes to package solutions, companies like Varian and Elekta sometimes offer very low prices for software components which, despite superior functionality in some cases, can make it difficult for RaySearch to compete.






The climate for treatment planning is relatively open, which enables RaySearch to develop support for new machines and upgrades. Due to advanced and relatively high development capacity, RaySearch has often been both faster and more successful than the actual machine manufacturers in utilizing the flexibility of the machines and therefore been able to offer better and more advanced treatments.







RaySearch continued to display a strong performance in the Asian radiation therapy market in 2024, with a clear focus on the main markets Japan and China.”












The interoperability agreement between RaySearch’s RayCare and Varian’s TrueBeam in May, and the clinical implementation a few months later, provides new opportunities for RayCare to gain market share in the oncology information market.










The UniteRT network is RaySearch’s attempt to change the mindset of players in the industry and create a more open climate. The reception from clinics has been very positive since the network began in 2023, and many believe that this is a necessary step to ensure that progress in cancer care can continue. UniteRT consisted of more than 30 companies as of February 2025.























HELP UKRAINE GROUP IN PARTNERSHIP WITH RAYSEARCH – SUPPORTING CANCER CARE IN WARTIME




When war paralyzed cancer care in Ukraine, the Help Ukraine Group (HUG), co-founded by Professor Nataliya Kovalchuk, Stanford University, US, and Professor Natalka Suchowerska, Sydney University, Australia, took the initiative to make a difference. With a strong drive to support cancer centers during the conflict, HUG launched a campaign to show how radiation therapy patients in Ukraine were affected.


RaySearch recognized HUG’s efforts and Erik Traneus, Senior Research Scientist and Head of Sales Particle Therapy, contacted HUG and offered to help.







The result was a donation of ten RayStation systems. These were delivered to Ukrainian cancer centers that lacked access to treatment planning systems, where staff have had to treat patients with very limited resources. The donation also included a package of systems given to a university for educational purposes.





auto-segmentation and fallback planning when using different providers as well as an excellent treatment planning tool to use in resourceconstrained conditions,” said Professor Kovalchuk. “It provides hope and strengthens Ukrainian radiation oncology.”
The RayStation systems were delivered ready for clinical use and hospital physicists have been trained to start clinical use. In addition, the Master’s degree program in medical physics at Taras Shevchenko University in Kiev will now offer practical training in treatment planning, something that has never been available in Ukraine before.
“We hope that this generous donation will support Ukrainian radiation therapy in these difficult times of war by providing advanced tools for









“I believe the question ‘How can we help?’ is part of RaySearch’s DNA,” said Morta Marcinkute, Marketing Communications Specialist at RaySearch. “For me, the issue was how I could best help to speed up the delivery of the RayStation systems. Fortunately, many of my colleagues asked themselves the same question, and through our joint efforts the systems have been delivered and the staff at the Ukrainian clinics are now working to enable RayStation to contribute to the care of Ukrainians with cancer. Moments like these give hope for our common human DNA,” Morta Marcinkute concluded.












Together, HUG and RaySearch have shown that, even in the darkest of times, innovation and collaboration can save lives.




















INDUSTRIAL PARTNERS
Modern cancer care is based on a complex interplay between various advanced technological systems. As an independent software vendor, it is only natural for RaySearch to collaborate with all industrial players whose systems are integrated with RaySearch’s systems. In addition to collaborations around the development of new treatment techniques and better system integrations, sales and customer support can also be facilitated by various partner relationships.
TREATMENT MACHINE MANUFACTURERS
VARIAN (US) is the treatment machine manufacturer with the largest market share in Europe and the US. RaySearch and Varian have an interoperability agreement that allows RayCare to be connected to Varian TrueBeam® linear accelerators. In September 2024, the first patient was treated in a clinic using the combination of TrueBeam, RayCare and RayStation. This interoperability significantly increases RayCare’s market potential, since TrueBeam is Varian’s most popular treatment machine and has been installed in thousands of radiation therapy centers all over the world since it was launched in 2010.
HITACHI has been manufacturing proton therapy machines for many years, and RaySearch is at the forefront of developing support for Hitachi’s new delivery method. In 2024, Hitachi launched OXRAY, a unique photon beam linear accelerator, which enables treatment where the beam is moved around the patient in a ring gantry. For the first treatment using OXRAY in June 2024, RayStation was used for treatment planning as it was the only clinical system that supported the technology.

BEBIG (GERMANY) and RaySearch have had a partnership for several years in brachytherapy, a type of radiation therapy in which small radioactive implants are placed in or near the tumor. Brachytherapy treatment plans can now be made in RayStation. At ESTRO 2024, Bebig also launched the SagiStar linear accelerator for external radiation therapy, which it markets together with RaySearch software.
IBA (BELGIUM), a world leader in proton therapy solutions, entered into a long-term strategic collaboration with RaySearch in 2016. RaySearch has since adapted RayStation and RayCare to IBA’s products in order to offer a comprehensive hardware and software solution. The collaboration also includes development of new techniques such as Conformal FLASH, proton arc therapy and online adaptive radiation therapy. IBA and RaySearch have been very successful together and about half of all RaySearch’s proton customers have IBA as their machine manufacturer.

MEVION MEDICAL SYSTEMS (US) is a leading manufacturer of compact proton therapy systems and has been collaborating with RaySearch since 2014. RayStation supports IMPT planning for Mevion’s HYPERSCAN system. In 2024, the focus was on developing support for Mevion FIT and establishing proton therapy enabled by Leo Cancer Care’s technology.
LEO CANCER CARE is developing a complete system for radiation therapy where the patient sits upright instead of lying on an examining table. Leo Cancer Care’s system works for both photon and proton therapy.
ACCURAY (US) and RaySearch have a long-term collaboration agreement to advance and market fully integrated solutions that combine RayStation and RayCare with the Radixact® and CyberKnife® radiation therapy systems.
IMAGING SYSTEM MANUFACTURERS
GE HEALTHCARE (US) is one of the world’s largest medical technology companies and builds imaging systems such as CT, MR and PET for diagnosis and cancer care. RaySearch has been collaborating with GE Healthcare since 2022. The partnership includes integration of the two companies’ systems, which could help to streamline workflows and lead to new applications.
SURFACE SCANNING SYSTEM MANUFACTURERS
Surface scanning technology is used for surface-guided radiation therapy (SGRT), including for patient positioning and monitoring patient movements.
VISION RT is a global SGRT supplier. Vision RT has developed MapRT, an advanced tool for computation and visualization of the area within which the treatment machine can move without colliding with the patient. Vision RT and RaySearch entered into a strategic partnership in 2019, with the main focus on using the information from MapRT to create collision-free plans in RayStation. The solution was demonstrated at ESTRO and ASTRO 2024.
VISION RT is a global supplier of surface scanning technology. In May 2024, C-RAD and RaySearch began a partnership to develop integration between the companies’ products and find new applications. An initial prototype where the C-RAD surface guides an image correction algorithm in RayStation was shown at ESTRO and ASTRO 2024.
UNITE RT
In spring 2023, RaySearch formed the organization UniteRT together with Accuray and GE Healthcare. The purpose of UniteRT is to bring players within the radiation therapy business together and to work for better and more balanced market conditions. UniteRT is based on three principles: open interface, open competition and open communication. In February 2025, a total of 33 companies were members of UniteRT. For more information, please refer to unitert.org












































HI LAURA, COULD YOU TELL US MORE ABOUT YOURSELF?



“I’m a trained medical physicist with a PhD from Stockholm University. I began working at RaySearch’s service department in 2014. After that I worked as a Business Manager, which included working with both direct sales and distributors. Since 2024, I have a new role as Partner Manager, tasked with establishing and nurturing the company’s strategic partner relationships.”
WHAT IS YOUR ROLE AS A PARTNER MANAGER?


INTERVIEW WITH LAURA ANTONOVIC, PARTNER MANAGER


“My job is to manage everything related to our industrial partners, which includes three types of collaboration: interoperability between different systems, joint marketing of products and commercial partnerships. The work involves establishing, maintaining and evaluating our partnerships and coordinating all activities related to partners internally. I’m supported in my work by the partner team, which consists of the CEO, the Deputy CEO and me, where all strategic decisions are made.”











WHICH PARTNERSHIPS FROM 2024 DO YOU PARTICULARLY WANT TO HIGHLIGHT?











“The single most important event for RaySearch was when a patient at Iridium Network was treated for the first time with Varian’s TrueBeam together with RayCare in September. This milestone was preceded by a close collaboration between RaySearch and Varian, which is normally one of our competitors when it comes to treatment planning. Thanks to the partnership and hard work of everyone involved at both RaySearch and Iridium Network, the first treatment went very smoothly and now patient treatments are under way at several clinics in the network.”











“I would also like to highlight our long and good relationship with IBA. They’ve chosen to focus on the development of therapy systems that they sell alongside third-party treatment planning and oncology information systems, especially from RaySearch. Our close collaboration on innovation and sales has provided both companies with great success in proton therapy, where we jointly have a market share. The number of centers in common, amounted to 56 at the end of 2024. These kinds of partnerships are very rewarding to work on.”

































PRODUCTS










Comprehensive cancer treatment planning



Cancer radiation therapy is a highly complex treatment modality. RaySearch offers innovative software solutions to improve efficiency and treatment outcomes for cancer care through five products: the RayStation treatment planning system, the RayCare oncology information system, the RayIntelligence analytics system, the RayCommand treatment control system and the new DrugLog product, which reduces the risk of errors in drug preparation. A completely new module for imageguided liver ablation in RayStation was also launched during the year.









The next generation oncology information system







A unified treatment control system















Advancing cancer treatment through machine learning



































RayStation is an advanced treatment planning system for radiation therapy and is established in all major markets worldwide. RayStation had a customer base of just over 1,000 clinics in 46 countries as of December 2024. In 2024, RayStation was sold to 94 new cancer centers.





In simple terms, a treatment planning system creates a model of the treatment machine and how the radiation is created, and a model of the patient based on magnetic resonance imaging and computed tomography. These two models are then combined using an optimization algorithm to generate a treatment plan to administer the optimal tumor dose, while avoiding exposure to other organs and tissue as far as possible.













RayStation’s main competitors are the treatment planning systems offered by manufacturers of radiation therapy machines such as Varian (Eclipse) and Elekta (Monaco). Compared with these systems, RayStation has several key advantages.
One obvious advantage is that the computation speed is higher. The difference is so significant for some computations that the computation time is measured in seconds in RayStation and in minutes in other systems. The significantly shorter waiting time between each step makes it easier for the user to test different variants and thereby create a better treatment plan.














RayStation’s optimization algorithm is market leading because, for example, it allows for the continuous exploration of possible treatment options in real time, which facilitates treatment planning and streamlines the workflow. RayStation supports more types of radiation therapy machines and treatment techniques than any other treatment planning system. This means that even cancer centers with machines from a range of manufacturers can still do all of their treatment planning on a single platform. This ensures maximum utilization of the equipment and extends the life of the treatment machines.




In 2024, the development of RayStation continued and a new version was launched, RayStation 2024B. The new version comes with automation of important clinical workflows, such as automatic image import directly followed by deep-learning segmentation and rapid automated plan adaptation. Adaptive radiation therapy involves continuous adjustment of the delivered radiation dose to account for changes in the patient anatomy throughout the course of treatment, which in most cases extends over several weeks. RayStation 2024B brings a new workspace for fully automated follow-up and plan adaptation. Image import automation and deep learning-based segmentation make it possible to have all patients automatically segmented right after image acquisition and before a user opens a patient’s data in RayStation. This saves time in the planning process for each patient and reduces the need for repetitive manual work.






RayStation 2024B also includes a wide range of new models for deep learning-based segmentation, such as guideline-based models of lymph nodes in the head and neck and of the brachial plexus. In addition, the speed of this type of segmentation has been significantly increased. Another highlight of the new release is a tool used to plan stereotactic radiosurgery – a tool that helps reduce the dose that reaches healthy tissue when treating multiple tumors simultaneously.




In liver ablation, a needle is inserted into the tumor, and the needle then burns away the tumor proceeding from its tip. RayStation 2024B includes an image guidance feature that ensures the needle is in the correct position so that the entire tumor is covered by the heat. The method was developed in a collaboration between RaySearch and MD Anderson Cancer Center, and showed considerably improved precision during liver ablation in a clinical trial.


























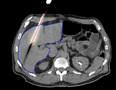
NEW MODULE FOR IMAGE-GUIDED LIVER ABLATION IN RAYSTATION







A new module for image-guided liver ablation in RayStation was launched during the year. This means that RaySearch is now taking a step beyond the field of radiation therapy. Liver ablation is a treatment method in which a needle is inserted into the tumor, after which the tumor is destroyed by heat generated by microwaves or high-frequency radio waves.





One challenge of today’s method is that the tumor is not visible on the CT images taken after the needle is placed, and because the liver is deformed during needle insertion it is difficult to ensure that the needle is correctly positioned. This means there is risk that parts of the tumor could be left untreated.



The new module was developed in collaboration with the MD Anderson Cancer Center, which conducted a clinical trial with RayStation to test the method. The study was originally randomized, but after only a few patients had been treated, the researchers found that precision was significantly improved with image guidance, so they chose to remove the control group from the study prematurely. The results demonstrate that the method significantly improves precision in liver ablation.









The RayStation module supports image-guided liver ablation through three steps:


1. PLANNING













1. PLANNING – Before the needle is inserted, a contrast-enhanced CT image is taken to segment the tumor. The user can simulate the needle insertion to optimize the placement.











2. TARGETING – After the needle is inserted, but before the ablation is performed, a new CT image without contrast is taken. In this image, the needle is visible, but not the tumor. Through deformable image registration in RayStation, the position of the tumor from the previous contrast- enhanced image can be transferred to the current image, making it possible to verify that the needle is correctly positioned. If the tumor is not completely covered, the needle can be adjusted or an additional needle planned.


3. VERIFICATION – After treatment, a postoperative contrast-enhanced CT image is taken in which the ablation zone is visible as a darker area. On this image, the ablation zone is segmented and the tumor is transferred from the planning image to check that the entire tumor has been treated. Additional treatment can be carried out as needed.

2. TARGETING



Liver ablation is a growing treatment technique and there is great potential to improve both treatment outcomes and patient care with this innovation.




























3. VERIFICATION
























An oncology information system supports clinical activities in cancer care with features such as patient charts and notes, workflow support, machine and doctor scheduling, image archives and reviews.







RayCare is closely integrated with RayStation and provides seamless access to all of the powerful planning tools in RayStation and RayCommand. The system efficiently coordinates activities in radiation therapy and offers advanced features for clinical workflow automation and adaptive radiation therapy. Cancer patients are often treated with a combination of radiation therapy, chemotherapy and surgery. Because RayCare has been designed to handle combined treatments, the system increases opportunities for clinics to manage combinations of these three treatment methods.












The development of RayCare continued during the year and a new version, 2024A, was released in May. RayCare 2024A brings an enhanced experience for treatment course management with additional features and a fully integrated workflow from treatment prescription to treatment delivery and the review of treatment delivery results. Combined with the active workflow support and treatment and QA scheduling capabilities in RayCare, as well as the deep integration with RayStation, this brings efficiency and safety in the clinical workflow by reducing the number of manual actions required. Other feature updates in RayCare 2024A include enhancements and usability updates to patient chart and task management features as well as support for more external systems interfaces for improved co-existence with other hospital systems.
interoperable with Varian TrueBeam® linear accelerators, versions 3.0, 4.0 and 4.1.
On September 2, 2024, Iridium Network in Belgium became the first center in the world to use RayCare and TrueBeam, when the first treatment of a patient was successfully performed.









After joint testing activities between RaySearch and Varian Medical Systems in 2024, RayCare 2024A was certified on May 16 to be











RayIntelligence is RaySearch’s cloud-based system for analytics, monitoring and continuous enhancement of cancer therapy
and workflows in the clinic








RayIntelligence collects data from RayStation and RayCare, which is structured and harmonized to enable a user-friendly presentation. This enables a rapid identification of trends and the ability to see how workflow changes affect treatment outcomes and effectiveness in a clinical setting.





RayIntelligence 2024B, which was released in July, features integration with RayCare, enabling workflow analysis and the ability to link RayCare data with RayStation data. Furthermore, the functionality for authentication and for filtering data was improved.
RayIntelligence is offered on a subscription basis.














































The RayCommand treatment control system serves as a link between the treatment machine and the treatment planning and oncology information systems. It coordinates and orchestrates the different systems involved, such as imaging systems, beam delivery systems and patient positioning systems.



RayCommand differs from RaySearch’s other products because the system is closely integrated with a wide range of therapy systems. This means that RayCommand is an essential component of various treatments and only sold together with the treatment machine that it is connected to.



DrugLog is RaySearch's cost-effective solution for quickly and efficiently verifying the identity and concentration of compounded injectable medications used, for example, in cancer treatment with cytostatic drugs.


Using DrugLog reduces the risk of errors in drug preparation. In just a few seconds, the pharmacist can determine whether a diluted or prepared drug has the correct properties, ensuring accuracy in each individualized preparation.












DrugLog is a unique combination of cutting-edge software and reliable well-established hardware for absorption spectroscopy. Whether the drugs are prepared by robots for hazardous or non-hazardous substances, manually or by outsourcing, DrugLog supports all of these processes.

RaySearch acquired the DrugLog product from Pharmacolog in Uppsala at the beginning of 2024 to complement its product range through the improvement and/or simplification of quality assurance in cancer treatment with cytostatic drugs. DrugLog was presented for the first time by RaySearch at the US trade fair RSNA in early December and will now continue to be integrated into RaySearch’s offering.
























RaySearch received its first order for DrugLog at the end of 2024, through sales to the Polish firm Medim.
























SUSTAINABILITY REPORT
BACKGROUND
t his Sustainability Report covers the 2024 fiscal year and concerns RaySearch l aboratories ab (publ) including its subsidiaries. t he Sustainability Report is prepared in accordance with the relevant provisions of the Swedish a nnual a ccounts a ct pursuant to the wording that applied before July 1, 2024, and is a complement to the a nnual Report. RaySearch’s sustainability work is integrated into its operations. i t is based on the double materiality principle, which means that we consider both how external factors impact our operations and how our operations impact society and the environment. t he first double materiality assessment (DM a) was conducted in 2024, and preliminarily identified our material sustainability areas as climate impact, own workforce, workers in the supply chain and business conduct.
t he purpose of the report is to provide a transparent view of RaySearch’s current and future sustainability work, and how well RaySearch is meeting its sustainability objectives. a s 2025 approached, RaySearch adapted its reporting to the european Sustainability Reporting Standards (e SRS) in accordance with the Corporate Sustainability Reporting Directive (CSRD), including a gap analysis. in the event of a future decision in accordance with the european Commission’s omnibus proposal, RaySearch will no longer be subject to the CSRD. RaySearch nevertheless intends to continue working proactively on sustainability matters and to develop its reporting with the aim of strengthening its sustainability efforts throughout the value chain.
Data compilation
non-financial information has been obtained from various reporting systems and from each of RaySearch’s operating segments. a ll sustainability reporting is conducted at Group level, covering both the p arent Company and all of its subsidiaries, providing a comprehensive view of our impact and contributions across all regions and business units. t he DM a is updated annually and subsequently approved by the b oard of Directors to ensure that the company’s sustainability work is in line with its strategy and changing stakeholder requirements. Comments in this report describe whether any data is limited due to, for example, a deficiency in internal control, it systems or internal documentation.
Responsibility for the report
Sustainability work at RaySearch is managed by a dedicated Sustainability Committee led by the Deputy Ceo t he Chief Financial officer (CFo) manages financial aspects and the Chief people officer (Cpo) monitors sustainability data related to employees. t he board of Directors is responsible for reviewing and approving the Sustainability Report, ensuring accountability, completeness and regulatory compliance.
RAYSEARCH FROM A SUSTAINABILITY PERSPECTIVE
RaySearch recognizes the importance of sustainability from a societal perspective, not only in terms of the environment but with respect to social responsibility and corporate governance as well. our sustainability strategy aligns with the double materiality principle, which means that we consider both how external factors impact our operations and how our operations impact society and the environment. our sustainability work encompasses the entire value chain, and our stakeholders include patients, health professionals, employees, investors and society at large. We strive to meet their expectations through long-term sustainability efforts that follow established sustainability practices and ensure compliance with applicable regulations.
Value offering
RaySearch provides innovative software to improve cancer treatment in terms of both efficiency and treatment outcomes. RaySearch currently has four main products: the RayStation treatment planning system, the RayCare oncology information system, the Rayintelligence analytics system and the RayCommand treatment control system.
Operations
RaySearch’s software is developed at the head office in Stockholm and is distributed globally through licensing agreements with leading medical technology companies and its own marketing organization. RaySearch’s software is distributed to over 1,000 clinics in more than 40 countries.
Customers and market
RaySearch’s customers comprise cancer centers all over the world and the business is driven by the need for effective cancer treatment. t he global market is divided into three geographic regions: a mericas, europe/a frica and a sia-p acific & Middle e ast.
Sales channels
RaySearch has formed a global organization with offices and distributors in our three regions. a n ethical supply chain is important to secure our distribution channels.
Business partners
RaySearch’s partners include leading cancer clinics, research institutes and medical device suppliers.
t he company’s material sustainability areas are presented below, together with the main risks, policies and key sustainability indicators (KS is) for each area.
MATERIAL SUSTAINABILITY AREAS AND SUMMARY TABLES
OWN ENVIRONMENTAL IMPACT
Main risks:
• C o2 emissions and energy consumption could negatively impact our carbon footprint.
p olicies and guidelines:
• e nvironmental management system (e MS)
RaySearch is reducing the energy consumption of its own operations by reducing the power consumption of computers, heating/cooling in premises, transport and business travel. Most of RaySearch’s employees work in environmentally certified premises, and flights are avoided for transportation and travel wherever possible, with consideration given to time constraints.
t he table below summarizes RaySearch’s GHG emissions. t he scope of reporting is the same as in previous years, with a selection made in the Scope 3 categories based on available data. e missions from company vehicles decreased in 2024 due to a reduction in the number of gas and diesel cars. e missions from external data centers increased because the figure for 2023 did not include emissions from cooling, which are included for 2024. by far the largest item is emissions from business travel by air, where we noted a continued increase due to expanded marketing activities, and we expect that this increase may continue.
sions
OWN WORKFORCE
Main risks:
• Risk of losing key employees and a poor work environment p olicies and guidelines:
• Code of Conduct
• Health & Safety p olicy
• Diversity policy
t he risks associated with losing key employees, a lower level of employee wellbeing and loss of innovation capability are managed by implementing RaySearch’s Code of Conduct, Health & Safety p olicy, Staff Rehabilitation p olicy, p olicy a gainst Discrimination, Harassment and Victimization, and Whistleblowing p olicy. t his ensures good working conditions for all of RaySearch’s employees.
RaySearch conducts annual employee satisfaction surveys for the entire company in order to measure and monitor the results of implemented activities, to identify areas for improvement, to monitor the work environment and to gather feedback from employees. e mployee engagement is tracked using tools such as the e mployer net p romoter Score (enp S), and the score for 2024 was +31, a significant increase over +14, which was the score for both 2023 and 2022. t he main driving
forces for working at RaySearch are work motivation and purpose, ambitious and talented colleagues, the work climate and a competitive benefits package. in 2025, RaySearch will continue to strengthen the company’s internal communication, as this was one area in the employee satisfaction survey that showed potential for improvement.
RaySearch works in several ways to attract new workers who can meet tomorrow’s needs. employee dialogue has revealed that colleagues, an open culture, training opportunities and flexibility are valued highly by employees. in order to give all employees the right conditions to help achieve the company’s targets, regular meetings are held between managers and employees, and employees are encouraged to take on new roles.
RaySearch believes in a workplace culture and that working from the office maintains the company culture that we want to have. in 2024, therefore, we continued to promote increased collaboration on site in the office, while offering flexibility. a ll RaySearch departments conducted workshops in 2024 to raise awareness in the organization as part of the company’s efforts related to diversity and equal treatment, and against discrimination and harassment.
WORKERS IN THE SUPPLY CHAIN
Main risks:
• negative impacts of the electronics supply chain, including working conditions and environmental impacts
RaySearch has preliminarily identified the risk of negative impacts from electronics suppliers such as Dell and n V iDia in terms of working conditions and environmental impact, but has not yet begun any systematic evaluation of these suppliers or comparison with competing alternatives.
GOVERNANCE
Main risks:
• unethical business relationships and non-compliance p olicies and guidelines:
• a nti-corruption p olicy
• Code of Conduct
Responsible business is the key to success in all internal and external relationships. Responsible business refers to RaySearch’s ethical and sound business principles that follow local and international regulations and have zero tolerance of corruption, anti-competitive practices or human rights abuse. in order to incorporate this into the operations, responsibility has been spread across the company based on the a nti-corruption p olicy, Code of Conduct and a screening process for business relationships within the framework of RaySearch’s trade compliance program.
RaySearch’s Code of Conduct provides a framework for what RaySearch considers responsible and sustainable behavior. t he Code of Conduct covers all employees, b oard members, independent consultants and other people acting on behalf of RaySearch. t he Code of Conduct is available on the intranet and highlighted during the induction program for all new employees. t he Code of Conduct is also a key element of RaySearch’s compliance program training, which all employees complete every year. in 2024, 87 percent of employees completed this training, which is below the target of 95 percent. RaySearch monitors its business ethics measures by reporting the number of confirmed corruption incidents and actions taken during the year, as well as the number of legal disputes related to anti-competitive practices. in 2024, no confirmed corruption incidents or legal disputes related to anti-competitive practices were reported, nor any whistleblowing incidents.
AUDITOR´S REPORT ON THE STATUTORY SUSTAINABILITY REPORT
TO THE GENERAL MEETING OF THE SHAREHOLDERS IN RAYSEARCH LABORATORIES AB (PUBL), CORPORATE IDENTITY NUMBER 556322–6157.
Engagement and responsibility
i t is the board of directors who is responsible for the statutory sustainability report for the year 2024 on pages 23-26 and that it has been prepared in accordance with the a nnual a ccounts a ct according to the previous version applied before 1 July 2024.
The scope of the audit
our examination has been conducted in accordance with Fa R’s standard RevR 12 t he auditor´s opinion regarding the statutory sustainability report. t his means that our examination of the statutory sustainability report is substantially different and less in scope than an audit conducted in accordance with international Standards on a uditing and generally accepted auditing standards in Sweden. We believe that the examination has provided us with sufficient basis for our opinion.
Opinion
a statutory sustainability report has been prepared.
Stockholm in accordance with digital signature Deloitte ab
Signature on Swedish original Kent Åkerlund a uthorized p ublic a ccountant
ANNUAL ACCOUNTS AND CONSOLIDATED FINANCIAL STATEMENTS
ADMINISTRATION REPORT
The Board of Directors and CEO of RaySearch Laboratories AB (publ), Corporate Registration Number 556322-6157, hereby present the annual accounts and consolidated financial statements for the fiscal year of January 1–December 31, 2024. The Parent Company and the Group present their financial statements in SEK. The company’s Board of Directors is based in Stockholm.
OPERATIONS
RaySearch Laboratories AB (publ) is a medical technology company that develops innovative software solutions to improve cancer care. RaySearch markets the RayStation® treatment planning system (TPS) and the RayCare® oncology information system (OIS) as well as the latest additions to the product line, RayIntelligence® and RayCommand®. RayIntelligence® is an innovative cloud-based oncology analytics system that cancer centers use to gather, structure and analyze data. The RayCommand® treatment control system (TCS) is designed to link the treatment machine and the treatment planning and oncology information systems. The company was founded in 2000 as a spin-off from the Karolinska Institute in Stockholm and the share has been listed on Nasdaq Stockholm since 2003.
RaySearch’s vision is a world where cancer is conquered. A large part of development in cancer treatment is already driven by various software systems and the company’s mission is to provide innovative software to continuously improve cancer treatment that improves quality of life for patients and saves lives. RaySearch’s main revenue is generated when customers pay an initial license fee for the right to use RaySearch’s software and an annual service fee for access to updates and support. All software systems are developed at RaySearch’s head office in Stockholm and sold and distributed by the company’s global marketing organization.
The company’s strategy is based on a strong focus on innovative software development with leading functionality, support for streamlined workflows (including digitization, automation and machine learning) and broad support for a wide range of treatment modes and types of radiation therapy machines. The company also engages in close collaboration with world-leading clinics and industrial partners, and invests heavily in R&D.
RayStation is established in all major global markets as one of the most advanced treatment planning systems for radiation treatment of cancer. The company’s sales success is based on RayStation’s high calculation speed, support for adaptive radiation therapy, automated workflows, unique multi-criteria optimization and user-friendly interfaces. Another strength is the wide range of radiation therapy machines
supported by the system – more than any other treatment planning system. RayStation helps to improve the radiation therapy process and to extend the life of the treatment machines, which means they can be used more effectively. This means that clinics that want to improve and develop their care are no longer dependent on buying the latest treatment machines – they can achieve similar, positive outcomes by opting for RayStation as their treatment planning system. Overall, more and more highly regarded cancer centers can now confirm that RayStation is helping them to optimize their radiation therapy process and enabling more effective use of their existing radiation therapy machines.
Treatment planning for proton therapy (protons/carbon ions/BNCT) is a key area of focus for RaySearch. The company has a global market share of more than 50 percent in this advanced market segment. Less than 1 percent of all patients who receive radiation therapy receive proton therapy, but an estimated 20 percent could benefit from treatment with protons, which indicates significant growth potential in this field.
Ever since RayStation was first released, RaySearch has focused on and achieved major sales success in several of the world’s most advanced and renowned radiation therapy centers. To date, nearly 1,100 cancer centers in more than 46 countries have purchased RayStation. At the same time, there are more than 8,000 radiation therapy centers worldwide, so the company’s growth potential is still high.
Alongside of this, the company’s oncology information system (OIS), RayCare, is rapidly becoming the next-generation OIS. RayCare is fundamentally different to other OISs and has been designed to support and optimize various work flows at modern cancer centers. Many cancer patients are treated with a combination of treatments and unlike existing systems, RayCare is a comprehensive information system that supports the three main types of cancer treatment – radiation therapy, chemotherapy and surgery. It brings integrated cancer care within reach of many cancer centers, which will create clinical possibilities that are unachievable for competing systems. RayCare coordinates all activities efficiently and provides advanced features that include clinical resource optimization, digitization and workflow automation as well as adaptive radiation therapy. The system has also been developed to meet tomorrow’s need for advanced analysis and decision support. Since 2023, RayCare has been interoperable with Varian’s best-selling treatment machine, the TrueBeam® linear accelerator, which offers considerable market potential.The development of RayCare has been taking place for a long time, in collaboration with members of the RaySearch Clinical Advisory Board: MD Anderson Cancer Center, Princess Margaret Cancer Centre and Provision Healthcare in the US, Heidelberg University Hospital in Germany,
MedAustron in Austria, Swiss Medical Network in Switzerland, the University Medical Center Groningen in the Netherlands and Iridium Network in Belgium. In addition to these partners, the growing group of RayCare customers is also contributing to the development process. Solving the coordination, safety and efficiency needs of the world’s cancer centers is one of RaySearch’s most exciting challenges to date. The company’s collaborations with leading clinics provide good conditions for success by combining their extensive clinical know-how with RaySearch’s ability to develop innovative software.
Since 2018, machine learning applications have been available in RayStation to automate organ segmentation and treatment plan generation. The development of the cloud-based RayIntelligence oncology analytics system continued during the year. The system was launched in December 2020 to make it easier for clinics to use their data to streamline, personalize and improve future treatments, and to train machinelearning models. RayIntelligence offers the stable data infrastructure that a clinic needs to personalize treatment protocols and thereby improve treatment outcomes. The system has tools for analyzing trends and performance, and also gathers and provides an overview of all clinical activities.
Back in 2022, a key milestone was achieved for the RayCommand treatment control system: clinical use at MedAustron in Austria. RayCommand offers uniform management, synchronization and control of important systems in the radiation therapy room. At MedAustron, RayCommand is used together with RayStation and RayCare, making MedAustron the first center in the world to implement such a solution. Combined use offers streamlined workflows and automated data transfers between the systems. RaySearch and MedAustron have been collaborating since 2012, a partnership that was further developed in 2023 with a new research agreement.
RaySearch is an R&D-oriented company in which about half of the company’s employees are engaged in R&D, and 29 percent of the company’s net sales over the past five years have been reinvested in R&D. Research activities form the basis for next-generation systems and products. Research is conducted in close collaboration with the Royal Institute of Technology in Stockholm, MD Anderson Cancer Center in Houston in the US, Leeds Teaching Hospitals NHS Trust in the UK, UMCG in the Netherlands, and Heidelberg University Hospital in Germany. Development is focused on transforming customer demands and the company’s innovations into commercial products. This takes place by creating new products, and by further developing and maintaining existing products. Development activities apply an agile approach and modern tools in close collaboration with leading clinics and industrial partners all over the world.
HIGHLIGHTS OF THE YEAR
RayStation in nearly 1,100 radiation therapy centers worldwide
In January, RaySearch announced that the number of radiation therapy centers that have chosen RayStation® for treatment planning had exceeded 1,000. At the end of the year, the figure was 1,082. The first version of RayStation was launched in 2009 and the system is now in use at cancer centers in 46 countries across the world.In 2024, several leading cancer centers chose the RayStation treatment planning system, including:
• The Froedtert & Medical College of Wisconsin hospital chain in the US
• National Institutes for Quantum Science and Technology (QST) in Chiba, Japan
• The New York Proton Center in the US, which expanded its RayStation installation
• GenesisCare in the UK
• Institut de Cancérologie de Lorraine, Centre Jean Perrin and Centre Hospitalier Universitaire de Limoges in France, which placed orders for the RayStation® treatment planning system within the Unicancer 2019 framework
• Institut Curie in France, which selected RayStation for proton treatment planning
• Trento Proton Therapy Center in Italy, where RayStation is in clinical use for proton arc therapy
Raigmore
Hospital in Scotland selects RayCare
After an extensive evaluation, the Raigmore center decided to select RayCare as their new, sole oncology information system. RayCare will cover the full patient pathway including treatment delivery using the Varian Treatment Interface for connecting RayCare to the Varian treatment console. RayCare went into clinical use at the beginning of 2025.
RaySearch acquires the product DrugLog from Pharmacolog for chemotherapy quality assurance
On February 9, the acquisition of the product DrugLog™ from Pharmacolog AB was announced. DrugLog™ is a cost-effective solution for quickly and efficiently verifying the identity and concentration of compounded injectable medications, used for cancer treatment with cytostatic drugs (chemotherapy). Through this agreement, RaySearch acquires full ownership of all rights to the product DrugLog for its application in the field of oncology, including the measuring device, calibration parameters, source code as well as intellectual property rights. The purchase consideration for the asset acquisition amounted to SEK 7 M.
RaySearch and C-RAD sign collaboration agreement
In May, RaySearch and C-RAD AB announced a collaboration agreement aimed at jointly developing innovative solutions and products to enhance the quality of radiation therapy. The focus of the collaboration is to investigate how the C-RAD surface scanning technologies can be utilized during treatment planning in RaySearch’s treatment planning system RayStation. Today, the surfaces from the C-RAD surface guided radiation therapy system, Catalyst+, are used during imaging and treatment. Making the Catalyst+ surfaces available in RayStation® has many potential applications. One such application is to extend a cone beam CT (CBCT) image that has a limited field-of-view by using information from the surface scanning. This will lead to more complete representation of the patient’s anatomy, which in turn results in a more dependable basis for clinical decisions.
RaySearch releases RayCare 2024A
In May, the company announced the release of the latest version of RayCare®, the next generation oncology information system. RayCare 2024A features interoperability with Varian TrueBeam linear accelerators and an enhanced experience for treatment course management,
improving usability and efficiency of treatment management. RayCare 2024A brings an enhanced experience for treatment course management with additional features and a fully integrated workflow from treatment prescription to treatment delivery and the review of treatment delivery results. Combined with the active workflow support and treatment and QA scheduling capabilities in RayCare, as well as the deep integration with RayStation, this brings efficiency and safety in the clinical workflow by reducing the number of manual actions required. Other feature updates in RayCare 2024A include enhancements and usability updates to patient chart and task management features as well as support for more external systems interfaces for improved coexistence with other hospital systems.
RayCare interoperable with Varian TrueBeam
In May, the oncology information system RayCare® 2024A was certified to be interoperable with Varian TrueBeam® linear accelerators, version 3.0. This was the result of joint testing activities between RaySearch and Varian Medical Systems during 2024. The interoperability certificate for 2024A was issued prior to the release of RayCare 2024A. TrueBeam is Varian’s most prevalent treatment delivery platform and has been installed in thousands of radiation therapy clinics worldwide since its launch in 2010. It supports all treatment techniques and capabilities that are provided by so called c-arm linacs, including IMRT, VMAT and electrons with flexible beam energy selection and non-coplanar beam arrangements. The interoperability certificate applies to linacs in the TrueBeam family equipped with kV imaging: TrueBeam, TrueBeam STx, Edge and VitalBeam.
RayStation used for first-ever radiotherapy treatment with Hitachi’s OXRAY system
In June, RaySearch’s RayStation® was used for the world’s first clinical treatment using OXRAY, a new treatment machine from Hitachi. The event took place on June 17 at Narita Memorial Hospital in Toyohashi, Japan. OXRAY represents a pioneering radiotherapy system featuring a Gimbal-mounted beam delivery system. RayStation was used to drive its motion tracking functionality, dual-source CBCT image-guided radiotherapy for precise patient positioning, and dynamic swing arc capabilities. Developed in collaboration with Kyoto University Hospital, the OXRAY system has been seamlessly integrated into RayStation through close collaboration between RaySearch and Hitachi.
RaySearch releases RayStation 2024B
In July, RayStation® 2024B was launched, the latest version of the company’s innovative treatment planning system. The new version comes with automation of important clinical workflows, such as automatic image import directly followed by deep-learning segmentation and rapid automated plan adaptation. Adaptive radiation therapy involves continuous adjustment of the delivered radiation dose to account for changes in the patient anatomy throughout the course of treatment, which in most cases extends over several weeks. The adjustments are made to ensure the best treatment every day. RayStation 2024B brings a new workspace for fully automated follow-up and plan adaptation. The automated workflow includes several steps: First, the daily image of the patient is enhanced to allow for accurate dose computation and the organs and
other body parts are delineated. Thereafter, the expected dose distribution is computed for the scheduled plan on the new image, to assess the resulting dose without adaptation. In the last step, the treatment plan is adapted based on the new image. Within a few minutes after image acquisition, the treatment team has all the information needed to decide whether to deliver the initial treatment plan or the plan adapted to the new image of the patient.
Connecticut Proton Therapy Center selects RayCare
In August, the Connecticut Proton Therapy Center in Wallingford, Connecticut, in the US, placed an order for the oncology information system RayCare®. The Connecticut Proton Therapy Center is to be the first of its kind in the state of Connecticut, and the purchase was a collaboration between Yale New Haven Health, Hartford HealthCare and Proton International. The center selected RayCare and the IBA Proteus®ONE compact proton therapy system as its treatment platform. RayCare will be the Connecticut Proton Therapy Center’s only oncology information system and will be utilized with the ProteusONE proton system. The center will use the workflow engine of RayCare for creating clinic-specific workflows, with the aim of complete clinical implementation in 2026, when the center opens. RayCare will also be used together with RaySearch’s treatment planning system RayStation, which was acquired in 2023.
Iridium Network becomes first center in the world to use RayCare and TrueBeam to treat a patient
Iridium Network in Belgium has treated its first patient using RaySearch’s oncology information system RayCare® together with a Varian TrueBeam® linear accelerator. The treatment was successfully carried out on September 2, 2024. Since its establishment in 2006, Iridium Network has grown to become the largest radiotherapy network in Belgium, providing highly specialized radiation oncology for three hospital networks in the larger region of Antwerp as well as being a leading expertise center with an international reputation. In total, the network has ten TrueBeam linear accelerators, installed at four sites, treating more than 6,000 patients with radiation therapy each year. Iridium Network and RaySearch have a close and long-standing collaboration. The network became a clinical partner to RaySearch in late 2015 when it acquired RayStation and has also strongly contributed to the development of RayCare. In 2018, the network became the first hospital in the world to clinically use RayCare, only two months after the release of the system.
New branch in Norway
In autumn 2024, a new branch was started in Norway. At the end of the year, the branch had two service employees.
Management change
In October 2024, Nina Grönberg was appointed as the new CFO of RaySearch Laboratories AB (publ), taking up her position on January 27, 2025.
GenesisCare UK selects RayStation
GenesisCare is the UK’s leading independent cancer care provider, operating 14 specialist outpatient cancer centers. This order signifies GenesisCare’s plan to fully replace its current Pinnacle radiotherapy treatment planning system with RayStation.
RaySearch has more than 100 RayStation customers in China
With the installation of RayStation at the China Japan Friendship Hospital in Beijing, RaySearch has reached an important milestone in China, where the number of centers using RayStation now exceeds 100. The hospital is one of China’s leading hospitals and RayStation is part of the hospital’s installation of the first proton therapy system in the Beijing region, marking a major advance in cancer care in the region.
Three centers under the French Unicancer framework select RayStation Unicancer is a French hospital network exclusively specialized in oncology. It brings together 18 comprehensive cancer centers and two affiliated centers, spread across 22 hospitals in France. More than 600,000 patients are treated at a Unicancer center annually, and 787 clinical trials are ongoing across the network.
Institut Curie selects RayStation for proton planning
RayStation will mainly support the Institut Curie Proton Therapy Center in Orsay, which is one of three proton centers in France, all of which are now equipped with RayStation. The purchase will give Institut Curie access to advanced RayStation technology such as LET optimization, adaptive planning and AI autocontouring capabilities, for both proton and photon treatment planning.
RayStation in clinical use for proton arc therapy at Trento Proton Therapy Center
Proton therapy is one of the most advanced forms of radiotherapy, utilizing very localized energy deposition that can be steered to precisely treat the tumor. These treatments are conventionally delivered from a limited number of directions. In discrete proton arc therapy, the protons are instead delivered over 20 to 30 directions. While treatment times for this technique could substantially decrease with updated treatment machines, discrete proton arc plans can be converted to standard plans and delivered by any existing proton machine.
SIGNIFICANT EVENTS AFTER THE END OF THE REPORTING PERIOD
RaySearch receives first order for DrugLog
The Polish company Medim placed an order for the product DrugLog™. The order is a result of Medim winning a tender from the Children’s Memorial Health Institute in Warsaw, Poland. DrugLog is RaySearch’s costeffective solution for quickly and efficiently verifying the identity and concentration of compounded injectable medications used, for example, in cancer treatment with cytostatic drugs (chemotherapy). DrugLog is used to detect errors in the preparation of drugs, which reduces the risk of medication errors.
Chinese carbon ion center Heyou Hospital selects RayStation
Heyou Hospital, located in Foshan City in China’s Guangdong Province, placed an order for the treatment planning system RayStation®*. Total order value (including service contract) is RMB 51 M (approximately SEK 77 M), of which RMB 18 M (approximately SEK 26 M) will be recognized in the first quarter of 2025. This is the third largest order ever for RaySearch and the largest since December 2022. Heyou Hospital is RaySearch’s first customer with a combined Hitachi carbon ion and proton machine.
ORDER INTAKE AND ORDER BACKLOG
For the full-year 2024, order intake amounted to SEK 1,087.2 M (1,004.2), an increase of 8.3 percent compared with the same period last year. Order intake of licenses amounted to SEK 523.3 M (461.7), an increase of 13.3 percent, while order intake for support amounted to SEK 395.5 M (390.8), an increase of 1.2 percent.
At December 31, 2024, the total order backlog was SEK 1,813.2 M (1,864.4), of which SEK 567 M is expected to generate revenue over the next 12 months. The remaining amount in the order backlog mainly pertains to support commitments that will primarily generate revenue during a subsequent four-year period.
REVENUE
In 2024, net sales rose 16.6 percent to SEK 1,192.0 M (1,022.2). License revenue amounted to SEK 575.5 M (441.8) and support revenue increased to SEK 472.9 M (415.9), accounting for 48.3 percent (43.2) and 39.7 percent (40.7) of net sales, respectively.
Hardware sales, which have a limited operating margin, declined to SEK 109.2 M (128.4) and training and other revenue declined to SEK 34.5 M (36.1). The change in sales at unchanged exchange rates was 17.1 percent (15.6), and recognized net sales accounted for 109.6 percent (101.8) of total order intake in 2024.
Revenue distribution (amounts in SEK M)
In 2024, net sales had the following geographic distribution: North America , 42 percent (41); Asia-Pacific & Middle East, 20 percent (21); Europe and the rest of the world, 38 percent (38).
OPERATING PROFIT
For the full-year 2024, operating profit increased to SEK 260.5 M (114.9), representing an operating margin of 21.9 percent (11.2).
Currency effects
The company’s net sales and earnings are impacted by USD/EUR to SEK exchange rates, since most sales are invoiced in USD and EUR, while most costs are denominated in SEK.
Based on the year’s revenue, cost and currency structure (transaction exposure), a general change of 10 percentage points in the SEK to USD exchange rate would have impacted consolidated operating profit by + /- SEK 25.4 M, while a corresponding change in the EUR exchange rate would have impacted consolidated operating profit by approximately +/- SEK 31.8 M. The Group follows the financial policy established by the Board of Directors, whereby exchange-rate fluctuations are not hedged. Refer to the sensitivity analysis in Note 17D on page 64.
Capitalization of development costs
RaySearch is a research and development-oriented company that makes significant investments in the development of various software solutions for improved cancer treatment. At December 31, 2024, 206 employees (200) were engaged in research and development, corresponding to 50 percent (52) of the total number of employees.
For 2024, the tax cost amounted to SEK 59.4 M (28.5), corresponding to an effective tax rate of 22.6 percent (25.9).
CASH FLOW AND LIQUIDITY
In 2024, cash flow from operating activities totaled SEK 485.2 M (455.9).The increase, despite a decline in working capital compared with the previous year, was the result of a strong earnings improvement in the period.
Cash flow from investing activities amounted to SEK -217.5 M (-209.3). Investments in intangible fixed assets amounted to SEK -197.3 M (-185.0) and comprised capitalized development costs. Inve stments in tangible fixed assets amounted to SEK -13.3 M (-24.3). Acquisitions of intangible fixed assets amounted to S EK -7.0 M (0), related to the acquisition of DrugLog.
Cash flow from financing activities amounted to SEK -159.8 M (-56.3) and comprised repayment of lease liabilities of SEK -91.2 M (-56.3) and paid dividends to the company’s shareholders of SEK -68.6 M (0). The repayment of lease liabilities increased since the item includes an extra repayment of a lease liability pertaining to 2023 that was paid in January 2024.
Cash flow for the year amounted to SEK 107.9 M (190.3) and at December 31, 2024, consolidated cash and cash equivalents totaled SEK 462.7 M (343.7).
FINANCIAL POSITION
At December 31, 2024, RaySearch’s total assets amounted to SEK 2,091.2 M compared to SEK 1,952.7 M at December 31, 2023. At December 31, the equity/assets ratio was 41.9 percent compared to 37.7 percent for the full-year 2023.
During the year, RaySearch continued to invest in both existing products and future products. In 2024, research and development costs amounted to SEK 279.4 M (250.2), an increase of 11.7 percent compared to the same period last year, and ac counted for 23 percent (24) of the company’s net sales. Capitalized development costs amounted to SEK 197.3 M (185.0), up 6.6 percent compared with 2023. Accordingly, capitalized development costs amounted to 71 percent (74) of the total research and development costs for 2024.
Amortization of capitalized development costs amounted to SEK 187.2 M (172.6), which is an increase of 8.5 percent compared to last year.
Total research and development costs (after adjustments for capitalization and amortization of development costs) amounted to SEK 269.4 M (237.7) for 2024, an increase of 13.3 percent compared to 2023.
Amortization and depreciation
Total amortization and depreciation for the year amounted to SEK 299.4 M (286.2), of which amortization of intangible fixed assets totaled SEK 187.4 M (172.8), primarily related to capitalized development costs. Depreciation of tangible fixed assets amounted to SEK 112.0 M (113.3).
PROFIT THE PERIOD AND EARNINGS PER SHARE
For the full-year 2024, profit after tax totaled SEK 203.5 M (81.6), representing earnings per share of SEK 5.94 (2.38) before and after dilution.
The company has cash and cash equivalents of SEK 462.7 M and an overdraft facility totaling SEK 75.0 M (75.0), of which SEK 0 M (0) had been drawn at the end of the period.
At December 31, 2024, the company’s interest-bearing liabilities, comprising only lease liabilities recognized in accordance with IFRS 16, amounted to SEK 471.9 M compared with SEK 529.4 M at December 31, 2023.
At December 31, the Group’s net debt amounted to SEK 9.2 M compared to SEK 185.7 M at December 31, 2023, a reduction that is due to an increase in cash and cash equivalents and lower lease liabilities.
EMPLOYEES
In 2024, the average number of employees in the Group was 408 (376). At year-end, the Group had 416 employees (388), of whom 308 (281) were based in Sweden, and 108 (108) in foreign subsidiaries.
RaySearch strives to offer a positive work environment with attractive and stimulating development opportunities for employees. The company’s continued ability to develop high-quality software solutions is dependent on competent, engaged and innovative employees. RaySearch imposes high workplace standards with regard to the environment, health, safety and individualized working conditions.
RaySearch actively promotes diversity and equality and has clear targets for increasing the proportion of women in technical and managerial positions. The Group strives to help employees achieve a work/life balance and offers flexible solutions wherever possible.
To ensure that all employees are paid fair salaries, regular salary surveys are conducted in Sweden in order to detect, remedy and prevent any unjustified pay differences. In 2024, the survey did not reveal any unjustified or material pay differences in the company. All employees in the RaySearch Group are entitled to join unions or other organizations.
Sustainability Report
Sustainability is a key aspect of RaySearch’s strategy and operations, and the company is working actively to become a sustainable enterprise. RaySearch has prepared a separate sustainability report in accordance with the wording of the Swedish Annual Accounts Act that applied prior to July 1, 2024. The Sustainability Report can be found on pages 23–27. Ot her information can be found on the following pages: Risks and risk management: pages 36–38.
SEASONAL VARIATIONS
RaySearch’s customers are healthcare providers and the company’s operations are somewhat characterized by seasonal variations that are typical for the industry, whereby the fourth quarter is normally the strongest – mainly because many customers have budgets that follow the calendar year.
FUTURE PROSPECTS
Worldwide, an estimated 19.3 million new cancer cases occurred in 2020. This figure is expected to exceed 30 million by 2040. RaySearch has successfully established RayStation as one the most advanced and leading treatment planning systems in all major markets around the world, and the sales success for RayStation continues. However, since the Group’s global market share is still relatively small, the growth opportunities for RayStation are still considered very high.
RaySearch has noted keen interest in RayCare, the groundbreaking oncology information system that the company is developing. A radiation therapy center essentially needs two software platforms for its operations: one information system, and one treatment planning system. RayCare and RayStation will enable RaySearch to provide the entire infrastructure for a clinic’s information management and treatment planning. The continued development of RayCare is expected to open new possibilities for RaySearch, both clinically and commercially, which are confirmed by the company’s long-term collaboration agreements with several leading cancer centers, such as the Princess Margaret Cancer Centre in Canada, the University of Texas MD Anderson cancer center in the US, Heidelberg University Hospital in Germany, MedAustron in Austria, Swiss Medical Network in Switzerland, the University Medical Center Groningen in the Netherlands and Iridium Netwerk in Belgium as well as several leading medical device suppliers, such as IBA, Accuray and Mevion.
PARENT COMPANY
RaySearch Laboratories AB (publ) is the Parent Company of the RaySearch Group. Since the Parent Company’s operations are consistent with the Group’s operations in all material respects, the comments for the Group are also largely applicable to the Parent Company.
Differences in profitability between the Parent Company and the Group are attributable to the Parent Company accounting for a relatively
high proportion of operating expenses, and to the capitalization of development costs being recognized in the Group but not in the Parent Company. The Parent Company was also not affected by the changes pertaining to lease recognition under IFRS 16, and instead continues to recognize lease payments as operating lease payments. This reduces operating profit compared with if IFRS 16 had been applied.
The Parent Company’s current receivables mainly comprise receivables from Group companies and external customers. The Parent Company’s profit before tax totaled SEK 223.7 M (80.6) and, at December 31, 2024, the Parent Company’s cash and cash equivalents amounted to SEK 303.8 M (214.2).
TREASURY STOCK
The company had no treasury stock in 2024.
SHARES AND OWNERSHIP
At December 31, 2024, the total number of registered shares in RaySearch was 34,282,773, of which 7,654,975 were Class A and 26,627,798 Class B shares. The quotient value is SEK 0.50 and the company’s share capital amounts to SEK 17,141,386. Holders of Class A shares are entitled to ten votes per share, and holders of Class B shares are entitled to one vote per share, at general meetings. At December 31, 2024, the total number of votes in RaySearch was 103,177,584.
All shareholders entitled to vote at a general meeting may vote for the full number of shares owned or represented by them, with no restrictions on voting rights.
At December 31, 2024, the number of shareholders in RaySearch was 9,900 according to Euroclear, and the largest shareholders were:
Source: Euroclear
As far as the Board of Directors of RaySearch is aware, there are no shareholder agreements for either Class A or Class B shares. There are no special provisions in the Articles of Association regarding the appointment and dismissal of Board members, or amendments to the Articles of Association. Should a public offer be tendered to acquire shares in the company, there are no agreements between the company and Board members or
employees prescribing any payments should these persons resign, be given notice without reasonable grounds or should their employment cease.
PROPOSED GUIDELINES FOR EXECUTIVE REMUNERATION
The Board’s proposal for updated guidelines to the 2025 Annual General Meeting is set out below: The guidelines are the same as last year with the exception of some minor clarifications and the following updates:
• For the CEO, variable cash remuneration shall qualify for pension benefits. Pension contributions shall be paid under an individual pension plan and shall not exceed 30 percent of the fixed annual cash salary.
• Other benefits may include life insurance, medical insurance and company cars. Such benefits shall not comprise a significant share of the total remuneration and may amount to not more than 20 percent of the fixed annual cash salary.
• The wording that the retirement age should normally be 65 years has been removed.
Guidelines for remuneration of senior executives, proposal to 2025 Annual General Meeting
These guidelines cover members of the Board, the CEO and other senior executives in RaySearch’s senior management group. The guidelines shall be applied to remuneration that is agreed, and changes made to remuneration already agreed, after adoption of the guidelines by the 2025 Annual General Meeting.
These guidelines do not apply to any remuneration decided or approved by the General Meeting.
The guidelines’ promotion of the company’s business strategy, long-term interests and sustainability
For information about the company’s business strategy, visit www.raysearchlabs.com
A prerequisite for the successful implementation of the company’s business strategy and safeguarding of its long-term interests, including its sustainability, is that the company is able to recruit and retain qualified personnel. To this end, it is necessary that the company offers competitive remuneration. These guidelines enable the company to offer senior executives a competitive total remuneration. Variable cash remuneration covered by these guidelines shall aim at promoting the company’s business strategy and long-term interests, including its sustainability.
Types of remuneration, etc.
The remuneration to senior executives shall be on market terms and may consist of the following components: fixed cash salary, variable cash remuneration, pension benefits and other benefits.
Additionally, the General Meeting may – irrespective of these guidelines – resolve on, among other things, share-based or share price-related remuneration.
The satisfaction of criteria for awarding variable cash remuneration shall be measured over a period of one year. The variable cash remuneration may amount to not more than 100 percent of the fixed annual cash salary. Pension benefits, including health insurance (Sw: sjukförsäkring), shall be premium defined.
For the CEO, variable cash remuneration shall qualify for pension benefits. Pension premiums shall be paid under an individual pension
plan and shall not exceed 30 percent of the fixed annual cash salary. For other senior executives, variable cash remuneration shall not qualify for pension benefits. The pension premiums shall be on a par with the Swedish ITP plan and may amount to not more than 30 percent of the fixed annual cash salary.
Other benefits may include life insurance, medical insurance and company cars. Such benefits shall not comprise a significant share of the total remuneration and may amount to not more than 20 percent of the fixed annual cash salary.
Criteria for awarding variable cash remuneration, etc.
Any variable cash remuneration shall be linked to predetermined and measurable criteria which can be financial or non-financial. They may also be individualized, quantitative or qualitative objectives. The criteria shall be designed in order to contribute to the company’s business strategy and long-term interests, including its sustainability, by for example being clearly linked to the business strategy or promote the executive’s long-term development.
Variable cash remuneration for the CEO shall amount to 2 percent of the Group’s earnings before tax. For other senior executives, targets are to be established in accordance with the paragraph above.
When the measurement period for fulfillment of the criteria for receiving variable cash payments has ended, the degree to which the criteria have been met is assessed/determined. The Board is responsible for the evaluation of variable cash remuneration to the CEO. The CEO is responsible for the evaluation of variable cash remuneration to other senior executives. The evaluation of the fulfillment of financial objectives shall be based on the latest financial information published by the company.
The company has no contractual right to recover paid remuneration.
Consulting fees to Board members
The company’s board members elected by the General Meeting and not employed by the company, may in special cases receive a fee for services performed within their respective areas of expertise, separately from their board duties and for a limited period of time. Compensation for these services (including services performed through a board member’s wholly-owned company) shall be paid at market terms, provided that such services contribute to the implementation of the company’s business strategy and safeguarding of the company’s long-term interest, including its sustainability.
Termination of employment
The notice period may not exceed 12 months if notice of termination of employment is made by the company. Fixed cash salary during the period of notice and severance pay may together not exceed an amount equivalent to the fixed cash salary for 18 months. The period of notice may not exceed six months without any right to severance pay for termination by the executive.
Salary and employment conditions for employees
In the preparation of the Board’s proposal for these remuneration guidelines, salary and employment conditions for employees of the company have been considered by including information on the employees’ total income, the components of the remuneration and increase and growth rate over time, in the Board’s basis of decision when evaluating whether the guidelines and the limitations set out herein are reasonable.
The decision-making process to determine, review and implement the guidelines
The Board shall prepare a proposal for new guidelines at least every fourth year and submit it to the General Meeting. The guidelines shall be in force until new guidelines are adopted by the General Meeting. The Board shall also monitor and evaluate programs for variable remuneration for senior executives, the application of the guidelines for executive remuneration as well as the current remuneration structures and compensation levels in the company. The CEO and other members of the executive management do not participate in the Board’s processing of and resolutions regarding remuneration-related matters in so far as they are personally affected by such matters.
Deviation from the guidelines
The Board may temporarily resolve to deviate from the guidelines, in whole or in part, if in a specific case there is special cause for the deviation and a deviation is necessary to serve the company’s long-term interests, including its sustainability, or to ensure the company’s financial viability.
CORPORATE GOVERNANCE REPORT
A separate Corporate Governance Report has been prepared, referring to page 76.
PROPOSED ALLOCATION OF PROFIT
The following unrestricted equity in the Parent Company is at the disposal of the Annual General Meeting: SEK
The Board proposes that the funds be allocated as follows: SEK Dividend 34,282,773 shares x SEK 3.0 102,848,319 To be carried forward 187,755,281
The Group’s results and financial position are presented in the following statements of comprehensive income, financial position and cash flow, with the accompanying notes.
RISKS AND RISK MANAGEMENT
As a global group with operations all over the world, RaySearch is exposed to various risks and uncertainties, such as market risk, operational risk and financial risk. Risk management within RaySearch aims to identify, measure and reduce risks related to the Group’s transactions and operations.
Market risk
RaySearch’s presence in a large number of geographic markets entails exposure to political and financial risks both globally, and in individual countries or regions. Weak economic growth and strained finances may, in some markets, have a negative impact on government investment in cancer care and make it more difficult for private customers to secure funding.
Geopolitical changes
Geopolitical risk is the risk of financial, market or personal loss due to political decisions or disruptions. The following examples are political actions that could potentially affect RaySearch in specific markets: decisions made by state-owned leaders regarding military conflicts, trade tariffs/barriers, currency restrictions, taxes, investments, salary levels, labor laws, environmental regulations and development priorities. The effect of the ongoing conflict between Ukraine and Russia has been negligible for RaySearch. Should a similar conflict arise in any of RaySearch’s core markets, this could entail a risk of delayed and missed orders, limitations in terms of delivery capacity and, subsequently, a delay in revenue recognition and customer payments.
Pandemics
COVID-19 has shown clearly that pandemics affect RaySearch’s operations. The COVID-19 pandemic had a negative impact on RaySearch’s sales and earnings in 2020 and 2021 in particular, mainly due to delayed orders. The likelihood that other viruses or diseases will lead to a similar situation in the future cannot be ruled out. A pandemic could delay orders of RaySearch products, delay revenue recognition because deliveries cannot be carried out and risk weaker cash flow, for example, if certain customers experience liquidity problems.
Operational risk Competition
RaySearch operates in a competitive arena and mainly competes with Varian and Elekta, which invest major resources in the development of systems and technological solutions that compete with RaySearch’s products. RaySearch sells software only, and in some situations there is a risk that the company’s competitors could use their positions as hardware suppliers to sell packaged solutions with both hardware and software to customers.
Product development
New products and improved therapies are continuously being released and future developments in the medical technology market could affect RaySearch’s ability to compete. RaySearch develops highly advanced systems and technological solutions, and assumes the risk from development stage through to release, which could result in higher costs than anticipated. This is mitigated by continuously monitoring projects, and with quality assurance.
It is also important that the new systems and technological solutions developed by RaySearch are protected from illicit use by competitors. In most cases, RaySearch’s advanced software products are protected by copyright, and where possible and appropriate, RaySearch also protects its products through patents and trademark registration.
Strategic partnerships
The medical technology industry is characterized by relatively rapid technological development with advances in industrial knowledge and expertise. RaySearch’s system and software products are developed in close collaboration with leading cancer centers and research institutions, including
MD Anderson in the US, the Princess Margaret Cancer Centre in Canada and Heidelberg University Hospital in Germany. RaySearch’s ability to uphold these long-term and close relationships is crucial to understanding and meeting customer needs.
RaySearch also has strategic partnerships with a number of medical device suppliers including IBA, Accuray, Mevion, and partnerships with Varian and IBA Dosimetry, which sell the company’s products. If RaySearch were to lose one or more of these strategic partners, this could have an adverse impact on the company’s sales, earnings and financial position.
Alternative therapies
Of the three main types of cancer treatment – radiation therapy, surgery and chemotherapy – radiation therapy is the therapeutic approach that has increased most for curative groups over the past 20 years. RaySearch also expects radiation therapy to be an important treatment option in the future.
Cybersecurity and disruption of IT systems
RaySearch has a need to use and analyze personal and treatment data, which is necessary if the company is to further develop the product portfolio.
RaySearch’s operations are dependent on several advanced IT systems and solutions that must be protected from damage and undue intrusion while also complying with international data protection and privacy laws. RaySearch is also dependent on successful relationships with partners across the value chain, especially critical service providers.
Corruption
Corruption is an obstacle to development and growth in some of the countries in which RaySearch operates. RaySearch has zero tolerance of all forms of corruption, including bribery, fraud and anti-competitive practices. RaySearch works continuously to strengthen its existing compliance program with, for example, background screening processes and certification of business partners, and other internal anti-corruption procedures.
Regulatory approvals and processes
RaySearch operates in a range of geographic markets, which exposes the Group to a large number of laws, regulations, policies and guidelines in relation to health and safety, the environment, trade barriers, competition, exchange control and the delivery of systems and products. As a developer of medical devices, RaySearch’s operations are governed by the requirements and standards determined by healthcare regulators. Changes may result in increased costs or barriers to sales of RaySearch’s systems and products.
Like other companies in the same industry, RaySearch is dependent on assessments and decisions by the relevant authorities in most of the markets in which the company operates. Such assessments include product safety and permission to market and sell medical devices. Applications to relevant authorities require extensive documentation, and unforeseen circumstances may delay the opportunity to introduce, market, sell and deliver systems and products, as well as prevent or restrict the commercial benefit and/or cause substantial additional costs.
To consistently produce high-quality products and to meet legal requirements, RaySearch conducts its operations in accordance with a quality management system that complies with product safety standards issued by the International Electrotechnical Commission (IEC) and the International Organization for Standardization (ISO). The quality management system is evaluated and certified by external regulators and inspected regularly. Should serious exceptions be identified, for example, this could result in delays and suspended deliveries of RaySearch’s systems and products.
RaySearch continuously evaluates the conditions for entering new markets. The opportunities and risks involved are taken into account. Many markets have their own regulatory requirements for registration, which could potentially delay marketing authorization and product releases.
Dependence on qualified personnel and key individuals
RaySearch is dependent on highly qualified employees to develop its advanced medical technology systems. The company’s ability to attract, recruit and retain qualified personnel, particularly key individuals with specialized skills, is highly significant for the Group’s future success.
Changes to reimbursement systems
RaySearch’s ability to commercialize its solutions depends on the level of reimbursement that hospitals and clinics can receive. Reimbursement policies vary between countries and changes to current reimbursement systems in relation to health care products or the introduction of new rules could have a direct impact on demand for RaySearch’s products.
Legal disputes
Through its operations, the company is occasionally at risk of becoming involved in disputes related to its operating activities. Such disputes may involve product liability, contractual matters, intellectual property rights and alleged defects in deliveries of goods and services. Disputes can be costly, time-consuming and impede ongoing operations. Disputes relating to intellectual property rights are costly and may have a material impact on RaySearch’s business and financial position. It may also be difficult to predict the outcome of complex disputes. Disputes related to RaySearch’s product liability could include alleged negligence, warranty breach or malpractice, and lead to substantial costs regardless of whether or not RaySearch is held liable. RaySearch has product liability insurance, but there is a risk that future claims may exceed or fall outside the scope of the insurance coverage.
Changes to tax systems
RaySearch’s business includes the development and delivery of software solutions and services in a wide range of jurisdictions. The activities are taxed in accordance with the laws of that jurisdiction. Changes in tax systems may affect the Group’s tax liabilities and tax expenses, which may result in an increase or decrease of the financial results. International regulations governing the global tax environment are also subject to regular changes. The OECD (Organization for Economic Co-operation and Development) has proposed a number of changes through the introduction of BEPS (Base Erosion and Profit Shifting). The implementation of these changes may result in a reallocation of profits between different jurisdictions and an increase or decrease in related tax expense and cash flows.
Financial risk
Through its operations, the RaySearch Group is exposed to various types of financial risk, such as currency risk, interest rate risk, credit risk and liquidity risk.
Currency risk is the risk of fluctuations in the value of future business transactions and recognized assets and liabilities in foreign currency due to changes in exchange rates. Interest rate risk refers to the risk that changes in interest rates will have a negative impact on RaySearch’s results. Credit risk arises partly through financial credit risk related to cash and cash equivalents and balances with banks and financial institutions, through credit exposure from transactions with customers and distributors. Liquidity risk refers to the risk of not being able to meet payment obligations as a result of insufficient liquidity or difficulty in securing external loans. RaySearch’s loan agreements include a financial covenant. The company has no outstanding loans and the covenant was met by some margin throughout the fiscal year.
RaySearch’s risk management is managed by the Group’s Finance Department, which identifies, evaluates and hedges financial risks. This is carried out in accordance with the Board’s established policies for overall risk management and the Group’s financial policy, which form a framework of guidelines and rules in the form of risk mandates and limits for financial activities.
RaySearch has increased exposure to exchange-rate fluctuations due to its international business and structure. This exposure is mainly due to the majority of the Group’s costs being incurred in SEK while most of its revenue is generated in USD and EUR.
In accordance with the established financial policy, currency hedging is not applied. The financial policy is updated at least once a year.
For more information about financial risk and financial risk management, refer to Note 17D on page 64.
MULTI-YEAR OVERVIEW
CONSOLIDATED STATEMENT OF COMPREHENSIVE INCOME
CONSOLIDATED STATEMENT OF FINANCIAL POSITION
CONSOLIDATED STATEMENT OF FINANCIAL POSITION, CONT’D
CONSOLIDATED STATEMENT OF CHANGES IN EQUITY
CONSOLIDATED STATEMENT OF CASH FLOWS
PARENT COMPANY INCOME STATEMENT
1 Comprises costs for hardware and royalties.
PARENT COMPANY BALANCE SHEET
STATEMENT OF CHANGES IN EQUITY
PARENT COMPANY CASH FLOW STATEMENT
NOTES
NOTE 1 ACCOUNTING POLICIES
COMPLIANCE WITH STANDARDS AND LAWS
The consolidated financial statements have been prepared in accordance with International Financial Reporting Standards (IFRS) issued by the International Accounting Standards Board (IASB) and the interpretations issued by the International IFRS Interpretation Committee (IFRIC) as adopted by the EU. RFR 1, Supplementary Accounting Rules for Corporate Groups, issued by the Swedish Corporate Reporting Board, has also been applied. Unless otherwise stated, these policies have been applied consistently for all years presented. The consolidated financial statements comprise the Parent Company RaySearch Laboratories AB (publ) and its subsidiaries.
The Parent Company applies the same accounting policies as the Group except in those instances specified below under “Parent Company’s accounting policies.”
INFORMATION REGARDING THE PARENT COMPANY
RaySearch Laboratories AB (publ) (Corporate Registration Number 556322-6157) is a Swedish registered limited liability company headquartered in Stockholm. The Parent Company’s shares have been listed on Nasdaq Stockholm since 2003 and have been included in Nasdaq Stockholm’s Mid Cap list of companies with a market capitalization between EUR 150 M and EUR 1 billion since 2016. The street address of the head office is Eugeniavägen 18 C, SE-113 68 Stockholm, Sweden.
BASIS OF PREPARATION OF THE PARENT COMPANY’S AND THE CONSOLIDATED FINANCIAL STATEMENTS
The Parent Company’s functional currency is the Swedish krona (SEK), which is also the reporting currency of the Parent Company and the Group. This means that the financial statements are presented in SEK. All amounts, unless otherwise indicated, are rounded off to the nearest thousand.
Assets and liabilities are recognized at their historical cost. Preparing the financial statements in accordance with IFRS requires that company management make assessments and estimates, as well as assumptions that impact the application of the accounting policies and the carrying amounts of assets, liabilities, income and expenses. The actual outcome may vary from these estimates and assessments.
The estimates and assumptions are reviewed regularly. Changes in estimates are recognized in the period in which the change is made if the change only affects this period, or during the period in which the change is made and future periods if the change affects both the current period and future periods.
The accounting policies for the Group below have been applied consistently for all periods presented in the Group’s financial statements, unless specified below. The Group’s accounting policies have been applied consistently in regards to the recognition and consolidation of the Parent Company and subsidiaries.
Assessments made by company management in the application of IFRSs that have a significant impact on the financial statements and estimates that could require substantial adjustments in the financial statements of future years are described in greater detail in below.
NEW OR AMENDED STANDARDS EFFECTIVE
ON
OR AFTER JANUARY 1, 2025
New rules relating to IFRS 18 Presentation and Disclosure in Financial Statements are effective from January 1, 2027 and replace IAS 1 Presentation of Financial Statements, while retaining many of the existing principles of IAS 1. IFRS 18 is expected to have a significant impact on RaySearch’s financial statements, particularly related to the changed structure of the income statement. The standard will not impact recognition or measurement, but may change which transactions are included in the company’s operating profit. The Group has yet to evaluate the effect of IFRS 18.
NEW OR AMENDED ACCOUNTING STANDARDS
EFFECTIVE ON OR AFTER JANUARY 1, 2024
New or amended accounting standards that were published but are not mandatory for 2024 were not adopted in advance by RaySearch. RaySearch’s assessment is that they have not had any material impact on the company’s financial statements. New rules relating to IAS 1 Presentation of Financial Statements are effective from January 1, 2024 with the aim of ensuring comparability with other companies’ financial statements. RaySearch’s assessment is that the Group has not been impacted by the amendments introduced.
SEGMENT REPORTING
An operating segment is a part of the Group that conducts business activities from which it generates revenue and incurs costs and for which independent financial information is available. The results of an operating segment are also monitored by the company’s chief operating decision maker. In accordance with IFRS 8, segment information is provided for the Group only.
CLASSIFICATION
Fixed assets and long-term liabilities in the Parent Company and the Group essentially comprise amounts that are expected to be recovered or paid more than 12 months after the balance-sheet date.
Current assets and current liabilities in the Parent Company and Group essentially only comprise amounts that the company expects to recover or receive payment for within 12 months of the balance-sheet date.
CONSOLIDATION PRINCIPLES
Subsidiaries
Subsidiaries are companies that are under the controlling influence of the Parent Company, RaySearch Laboratories AB (publ). Controlling influence arises when RaySearch is exposed to, or has the right to, a variable return on its investment in the company and has the opportunity to impact this return through its influence over the company. When determining whether a controlling influence exists, such factors as shares carrying potential voting rights are taken into consideration. Subsidiaries are included in the consolidated financial statements from the date on which control is transferred to the Group, and excluded from the date on which that control ceases.
Participations in subsidiaries are recognized in the Parent Company using the acquisition method. Acquisition-related costs are expensed as incurred and not included in the carrying amount.
Transactions to be eliminated on consolidation
Receivables and liabilities, revenue or costs and unrealized gains and losses arising from intra-Group transactions are eliminated in the consolidated financial statements.
Translation reserve
The translation reserve includes all exchange-rate differences resulting from translating financial statements from foreign operations that have been prepared in a functional currency other than the Group’s reporting currency.
FOREIGN CURRENCY
Transactions in foreign currency
Transactions in foreign currency are translated to the functional currency at the exchange rate prevailing on the transaction date. The functional currency is the currency in the primary economic environments in which the companies conduct their business operations. Monetary assets and liabilities in foreign currency are recalculated to the functional currency at the exchange rate prevailing on the balance-sheet date. Exchange-rate differences arising from currency translations are recognized in profit for the year as other operating income and other operating expenses. Non-monetary assets and liabilities recognized at historic costs are translated to the exchange rate prevailing on the transaction date.
Financial statements of foreign operations
All exchange-rate differences that arise from currency translation of the results and financial position of Group companies from the company’s functional currency to the Group’s reporting currency are recognized in other comprehensive income and accrued in a separate component in equity. Assets and liabilities in foreign operations are translated to SEK based on the exchange rates applying at the balance-sheet date, while revenue and cost items are translated using an average exchange rate for the year or the exchange rate on the transaction date, depending on the nature of the transaction.
REVENUE
Four types of revenue
RaySearch’s sales transactions normally involve four types of revenue: license revenue, support revenue, hardware revenue and revenue for training and other services. Licenses and support are sold via partners, distributors and directly to end customers.
Revenue is recognized in profit or loss when a promised good or service has been transferred to a customer, which may be over time or at a specific point in time. Revenue is the amount of consideration the company expects to receive for transferring the goods or services. All revenue is recognized at the consideration the company expects to receive, less discounts granted, VAT and after elimination of intra-Group transactions. Each customer contract is treated as a project in which delivery and installation may take place in different stages and are then considered separate performance obligations based on fixed stand-alone selling
prices. For pricing between the various performance obligations within a customer order, the Group applies the residual approach, which means the recognized revenue from a software license may vary between different customers.
The Group typically recognizes license revenue in conjunction with delivery, meaning the date that the customer can begin to use the license, while support revenue is accrued on a straight-line basis over the support period. Hardware revenue is recognized when the hardware is delivered. Revenue for training is recognized over the period during which the training is provided.
Long-term receivables relating to revenue arise in connection with payment plans that allow the customer to pay parts of the consideration with a longer term than normal. The term of these payment plans normally varies between 18 and 24 months. Should a significant financing component be identified, the transaction price is adjusted by the interest income or interest expense over the relevant period.
Variable remuneration does not normally occur. If necessary, variable remuneration is determined in accordance with the expected value method and is not recognized until the company can determine with high probability that a significant revenue reversal will not be needed in the future. This assessment is based on historical data and forecasts.
If the services and products that RaySearch has delivered exceed the billable amount stated in the agreement between RaySearch and the customer, a contract asset is recognized. If the billed amount exceed the services delivered, a contract liability is recognized.
Performance obligation
Revenue recognition
Stand-alone selling prices
License revenue Upon delivery of license key or similar Remaining amount of transaction price
Support revenue Straight-line over the support period Estimated market price for services performed
Hardware revenue Upon delivery of the hardware Purchase price plus percentage mark-up
Training and other services When the training or service is provided Estimated market price for services performed
Refer to additional information regarding performance obligations and payment terms in Note 3.
COST OF GOODS SOLD
Cost of goods sold comprises costs of sold hardware and royalties for licensed software included in the company’s software. Amortization of capitalized development costs is not included in cost of goods sold.
SELLING EXPENSES
RaySearch applies the practical solution of recognizing additional expenditure for obtaining a contract as an expense when incurred if the amortization period of the asset that would otherwise have been recognized is one year or less. For contracts where the amortization period exceeds one year, the costs for obtaining the contract are insignificant and are therefore not capitalized.
AUDIT FEES AND TAX CONSULTANCY SERVICES
Audit fees refer to the review of the annual report and bookkeeping as well as the administration of the board and the managing director as well as other tasks assigned to the company's auditor. Tax consultancy services
include both advice and tax compliance review. Assignments in addition to these have been classified as other services.
FINANCIAL INCOME AND EXPENSE
Financial income and expense
Financial income and expense comprises interest income on bank accounts and receivables, interest expense related to leases and IFRS 16, and exchange-rate differences.
FINANCIAL INSTRUMENTS
Financial instruments are recognized in the Group in accordance with IFRS 9.
Financial instruments recognized on the balance sheet mainly include cash and cash equivalents, long-term and current unbilled customer receivables, accounts receivable (current billed customer receivables), accounts payable, interest-bearing liabilities and accrued expenses.
A financial asset or liability is recognized on the balance sheet when the company becomes a party to the contractual terms of the instrument. Accounts receivable and accounts payable are recognized on the balance sheet when an invoice has been sent, respectively received. Financial assets are recognized on the balance sheet until the right to use the lease has been realized, or the company no longer has a right to use the asset. The same applies for components of a financial asset. Financial liabilities are derecognized from the balance sheet when RaySearch has satisfied its obligation, or when the obligation is otherwise extinguished. The same applies for components of a financial liability. RaySearch recognizes financial instruments that are due for settlement within 12 months as current assets and liabilities. Financial instruments not due to be settled within 12 months, and for which the company has an unconditional right to defer settlement of the assets or liabilities for at least 12 months after the reporting period, are recognized as longterm assets and liabilities.
The classification of financial assets that are debt instruments is based on the Group’s business model within which the asset is held, and contractual cash flows of the asset. The Group’s debt instruments are measured at amortized cost.
Financial assets measured at amortized cost
All financial assets, including cash and cash equivalents, accounts receivable and unbilled customer receivables are measured at amortized cost. According to the business model, assets measured at amortized cost are held to collect contractual cash flows that are solely payments of principal and interest on the principal amount outstanding. The assets in this category are initially measured at fair value plus transaction costs. Receivables arise when RaySearch provides monetary compensation, goods or services directly to a debtor with no intention of trading the receivable. Accounts receivable are initially recognized at the invoice amount. A financial instrument containing a financing component and with a credit period of more than year is initially recognized at the present value of all future payments. The assets are subsequently recognized using the effective interest method. Expected loss provisioning is applied for these assets. Refer also to Note 17A.
Financial liabilities measured at amortized cost
Financial liabilities are measured at amortized cost. Financial liabilities measured at amortized cost are initially measured at fair value including transaction costs. The liabilities are subsequently measured at amortized cost using the effective interest method, whereby the calculated change in value (effective interest) is recognized as interest income or interest expense in profit or loss. Refer also to Note 17B.
Impairment of financial assets
The Group’s financial assets are subject to impairment of expected credit losses, mainly relevant for accounts receivable and unbilled customer receivables as well as cash and cash equivalents. The simplified approach is applied for all accounts receivable and unbilled customer receivables. Under the simplified approach, a loan loss provision is recognized for the expected remaining maturity of the receivable. Cash and cash equivalents are managed in accordance with the Group financial policy and placed at counterparties with a good credit rating.
Expected credit losses for accounts receivable and unbilled customer receivables are calculated based on the probability of default, meaning in the event of canceled payment, loss given default and exposure at default. In addition, any other current and forward-looking information is taken into account. A loan loss provision is recognized unless deemed insignificant. The calculation of expected credit losses accounts for any collateral and other credit enhancements in the form of guarantees. Changes in the loan loss provision are recognized in profit or loss. The Group derecognizes a receivable from the statement of financial position when it is certain that the debt will not be paid, and any active measures to collect payment have been terminated. Refer to the Credit risk in receivables section in Note 17D.
TANGIBLE FIXED ASSETS
Tangible fixed assets are recognized in the Group at cost less accumulated depreciation and impairment. The cost includes the purchase price and costs directly attributable to the asset to deliver it in place and in condition to be used in the manner intended by the acquisition. The accounting policies for impairment are presented below.
The carrying amount of a tangible fixed asset is derecognized from the statement of financial position upon disposal or divestment or when no future economic benefit is expected from use or disposal/divestment of the asset. The gain or loss arising from the disposal or divestment of an asset is the difference between the selling price and the asset’s carrying amount less direct selling expenses. Gains and losses are recognized as other operating income/expenses.
Depreciation principles
Depreciation is based on the initial cost less any residual value. Depreciation is applied straight-line over the estimated useful life. The estimated useful lives are as follows:
• computers and other technology 3–5 years
• equipment, tools, fixtures and fittings 5 years
• leasehold improvements 5–10 years
The residual value and useful life of an asset are tested annually.
LEASES
Leases are recognized in the statement of financial position as a right-ofuse asset and an associated liability from the date on which the leased asset is available for use by RaySearch. Right-of-use assets are recognized as an asset, and lease liabilities are divided into long-term and short-term liabilities.
RaySearch primarily leases office premises and vehicles. The leases normally apply for different durations and may include an option to extend.
An agreement may include both lease and non-lease components. RaySearch allocates the consideration in the agreement to lease and non-lease components based on their relative stand-alone prices.
Lease terms are negotiated on an individual basis and contain a wide range of different terms and conditions. The leases contain no special terms or restrictions with the exception that the lessor retains the right to pledge leased assets. The leased assets may not be used as collateral for loans.
Assets and liabilities arising from a lease are initially measured at their present value. Lease liabilities include the present value of the following lease payments:
• fixed payments (including in-substance fixed payments), less any lease incentives receivable
• variable lease payments dependent on an index or a rate, initially measured using an index or price on the commencement date
• amounts expected to be payable by the lessee under residual value guarantees
Lease payments to be made for reasonably certain extension options are also included in the measurement of the liability.
The lease payments are discounted using the interest rate implicit in the lease. If this rate cannot be readily determined, which is normally the case for the Group’s leases, the lessee’s incremental borrowing rate is used, which is the rate of interest that RaySearch would have to pay to borrow over a similar term, and with a similar security, the funds necessary to obtain an asset of a similar value to the right-of-use asset in a similar economic environment.
The Group determines the incremental borrowing rate as follows:
• where possible, financing recently received from a third party is used as a starting point and is then adjusted to reflect changes in financing conditions since the financing was obtained
• adjustments are made for the specific terms of the agreement, such as lease term, country, currency and security.
Lease payments are divided between repayment of the principal portion of the lease liability and lease interest expense. Interest expense is shown on the income statement during the lease term in an amount representing a fixed interest rate for the lease liability recognized during each respective period.
Right-of-use assets are measured at cost and include:
• an amount corresponding to the lease liability and its initial recognition
• lease payments paid on or before the commencement date (less any benefits received)
• initial direct costs
• costs for returning the asset to its original condition
The right-of-use asset is usually depreciated over the shorter of the useful life and the lease term on a straight-line basis. If the Group is reasonably certain to exercise a purchase option, the right-of-use is amortized over the useful life of the underlying asset.
INTANGIBLE ASSETS
Research and development
Research costs related to obtaining new scientific or technical knowledge are recognized as an expense as incurred.
Development costs, whereby the research findings or other knowledge is applied to achieve new or improved products or processes, are recognized in accordance with IAS 38 as an asset in the statement of financial position. This is provided that the product or process is technically and commercially feasible and the company has sufficient resources to complete development, and subsequently to use or sell the intangible asset. The carrying amount includes all directly attributable expenses, such as personnel expenses and cost of premises. o ther development costs are recognized in profit or loss for the year as incurred. In the statement of financial position, capitalized development costs are recognized at cost less accumulated amortization and any impairment.
Other intangible assets
o ther intangible assets acquired by the company are recognized at cost less accumulated amortization and any impairment losses.
Amortization principles
Amortization is recognized in profit for the year on a straight-line basis over the estimated useful lives of intangible assets. The useful lives are reviewed at least once annually. Capitalized development costs for which amortization has not commenced are tested for impairment quarterly or whenever circumstances indicate that the asset may be impaired. Intangible assets with determinable useful lives are amortized from the date on which the assets are available for use. The estimated useful lives are:
• capitalized development costs 5 years
• software 5 years
INVENTORIES
Inventories are measured at the lower of cost and net realizable value. Cost is determined using the first-in-first-out (FIF o) method or weighted average cost. The cost of inventories includes all costs for purchasing hardware. Net realizable value is the expected selling price during the normal course of business less the estimated costs associated with the completion and sale of an asset.
When inventories are sold, the value of those inventories is recognized as an expense in the same period as the corresponding revenue is recognized. Inventories are written down to their net realizable value and all losses related to inventories are recognized as an expense in the same period as the write down or loss occurs.
IMPAIRMENT LOSSES
The carrying amounts of the Group’s tangible and intangible assets are tested at every balance-sheet date to determine whether there is any indication of impairment. If any such indication is found, the recoverable
amount of the asset is calculated as the higher of the value in use and the fair value less selling costs. An impairment loss is recognized if the recoverable amount is less than the carrying amount. The recoverable amount is determined based on discounted forecast future cash flows.
SHARE CAPITAL
Dividends
Dividends are recognized as liabilities following the AGM’s approval of the dividend.
Earnings per share
Earnings per share are calculated on the basis of consolidated earnings attributable to the Parent Company’s shareholders and on the weighted average number of shares outstanding during the year.
EMPLOYEE BENEFITS
Short-term remuneration
Short-term remuneration to employees is estimated without discounting and is expensed when the related services have been received.
A provision is recognized for the expected cost of the bonus payments when the Group becomes subject to a legal or informal obligation to make such payments because the services performed by the employees and the obligation can be measured reliably.
Defined-contribution plans
Plans in which the company’s commitment is limited to the fees the company has undertaken to pay are classified as defined-contribution plans. In such cases, the size of the employee’s pension depends on the contributions paid by the company to the plan or to an insurance company plus the capital return that the contributions yield. The company’s commitments to the plans are expensed against profit for the year as they are vested by the employee. The Group only has defined-contribution pensions. The Group’s obligation for each period is determined by the amounts that the Group is to contribute for the actual period.
Termination
of employment
An expense associated with the termination of employment is only recognized when the company is obligated to terminate an employment before the normal date.
TAXES
Income taxes consist of current tax and deferred tax. Income tax is recognized in profit or loss for the year except when the underlying transactions are recognized in other comprehensive income or in equity, whereby the associated tax effect is recognized in other comprehensive income or in equity.
Current tax is the tax payable or refundable for the current year, using the tax rates enacted or substantively enacted on the balance-sheet date. Current tax also includes adjustments of current tax attributable to prior periods.
Deferred tax is calculated using the balance sheet method, providing for temporary differences between the carrying amounts of assets and liabilities for financial reporting purposes and the amounts used for taxation purposes. Temporary differences in subsidiaries are not taken into account when they are not expected to be reversed in the foreseeable
future. The measurement of deferred tax is based on how the underlying assets or liabilities are expected to be realized or settled. Deferred tax is calculated with the application of the tax rates and tax rules established or decided in practice on the balance-sheet date.
Deferred tax assets pertaining to deductible temporary differences and tax loss carryforwards are only recognized insofar as they are likely to be utilized in the future. The value of deferred tax assets is reduced when it is no longer considered probable that they can be utilized.
Deferred tax assets and liabilities are recognized net when there is a legally enforceable right to set off current tax assets against current tax liabilities, and when the deferred tax assets and liabilities relate to income taxes levied by the same tax authority on either the same taxable entity or different taxable entities that intend to settle current liabilities and assets on a net basis.
PROVISIONS
Provisions are recognized on the balance sheet when the Group has an obligation (legal or constructive) due to a past event and it is probable that an outflow of resources associated with economic benefits will be required to settle the obligation and the amount can be reliably estimated. Provisions are also made for events after the balance-sheet date to the extent they provide evidence of conditions that existed at the balance-sheet date, such as court rulings on disputes. If the Group expects to receive compensation corresponding to a provision made, through an insurance contract for example, the compensation is recognized as an asset in the balance sheet when it is virtually certain that compensation will be received. If the effect of the time value for the future payment is considered significant, the provision’s value is determined by calculating the present value of the expected future payment using a discount rate before tax that reflects the current market assessment of the time value and any risks associated with the obligation. The gradual increase in the provisional amount entailed by the present value calculation is recognized as an interest expense in profit and loss.
CONTINGENT LIABILITIES
A contingent liability is recognized when there is a possible obligation that arises from past events and whose existence will be confirmed only by the occurrence or non-occurrence of one or more uncertain future events or when there is a present obligation that cannot be recognized as a liability or provision because it is not probable that an outflow of resources will be required.
PARENT COMPANY’S ACCOUNTING POLICIES
The Parent Company prepares its Annual Report in accordance with the Annual Accounts Act (1995:1554) and the Swedish Corporate Reporting Board’s recommendation RFR 2 Accounting for Legal Entities. RFR 2 requires that the Parent Company’s financial statements be prepared in accordance with IFRS as adopted by the EU to the extent permitted by Swedish accounting legislation and taking into account the relationship between relationship between financial reporting and taxation. The recommendation states the exceptions from and additions to IFRS that should be made. The differences between the accounting policies applied in the consolidated financial statements and those applied by the Parent Company are presented below. The accounting policies for the
Parent Company stated below have been consistently applied in all periods presented in the financial statements of the Parent Company.
Classification and presentation
For the Parent Company, the terms income statement, balance sheet and cash-flow statement are used for the statements that the Group designates as statement of comprehensive income, statement of financial position and statement of cash flows. The income statement and balance sheet for the Parent Company are presented in the manner specified in the Annual Accounts Act, while the statement of comprehensive income, the statement of changes in equity and the cash-flow statement are based on IAS 1 Presentation of Financial Statements and IAS 7 Statement of Cash Flows, respectively.
Research and development
All development costs are recognized on the Parent Company’s income statement as incurred. This accounting policy is permitted in accordance with RFR 2. In the consolidated financial statements, these development costs are recognized as an asset in accordance with IAS 38.
Taxes
In contrast to the Group, untaxed reserves in the Parent Company are presented on the balance sheet without separate recognition of equity and deferred tax liabilities. Similarly in the income statement, the Parent Company does not allocate any appropriations to deferred tax expense.
Leased assets
IFRS 16 is not applied in the Parent Company, in accordance with the exemption in RFR 2, which means that lease payments are recognized as costs in the period they are incurred.
Subsidiaries
Participations in subsidiaries are recognized in the Parent Company less impairment, based on the reported equity in the subsidiary. Acquisitionrelated costs are included in cost.
Financial instruments
Due to the relationship between financial reporting and taxation, the requirements for recognition and measurement of financial instruments in IFRS 9 are not applied in the Parent Company as a legal entity. In the Parent Company, financial fixed assets are therefore measured at cost and current assets according to the lower value method, with the application of impairment for expected credit losses according to IFRS 9.
Impairment of intra-Group receivables
The Parent Company’s receivables from subsidiaries correspond, in all material respects, to receivables from the US subsidiary but are not assessed to be material. As such, no provision has been recognized. This assessment is based on a review of the subsidiary’s long-term repayment capacity taking into account other known information and forward-looking factors.
SIGNIFICANT ESTIMATES AND ASSESSMENTS
Preparation of the financial statements in accordance with IFRS and generally accepted accounting principles in Sweden requires estimates
and assumptions to be made that affect the recognized asset and liability items, revenue and expense items, and other information provided. These estimates and assumptions are usually based on historical experience, but also on other factors including expectations of future events. o ther estimates and assumptions may produce different results and the actual outcome will rarely be fully consistent with the estimated outcome. RaySearch assesses that the areas in which the estimates and assumptions will have the greatest impact are:
• Revenue from Contracts with Customers
• Customer receivables
• Recognition and impairment testing of capitalized development costs
Revenue from Contracts with Customers
Revenue is recognized in profit or loss when RaySearch has satisfied a performance obligation. The definition of when a such an obligation has been satisfied is when the control of the promised goods or services has been transferred to the customer. Revenue can be recognized over time, or at a point in time. When the obligation has been satisfied, there is an unconditional right to receive consideration.
In some cases, allocation of the transaction price to each specific performance obligation requires estimates be made to determine how the transaction price should be allocated. This allocation is based on the stand-alone selling price for each of the performance obligations identified.
Customer receivables
RaySearch has three types of customer receivables depending on whether a payment plan exists, the due date for payment and whether billing has taken place. These receivables are classified as Long-term unbilled receivables, Current unbilled receivables and Current billed receivables (accounts receivable). Unbilled receivables comprise contract assets as described in the section on revenue recognition in the Group’s accounting policies.
The Group’s and Parent Company’s billed and unbilled customer receivables add up to a significant amount. The recognition of loan loss provisions for expected credit losses on accounts receivable and unbilled customer receivables therefore requires an assessment of which of these hold a risk for loss. The measurement of expected credit losses is based on regularly updated forecasts and assumptions regarding the ability of counterparties to pay. See a further explanation in Note 17D.
Recognition and impairment testing of capitalized development costs
The Group invests considerable amounts in research and development, parts of which are recognized as intangible assets, refer also to Note 14. The recognition of development costs as an asset requires assessments of whether the product is expected to become technically and commercially viable and whether future economic benefits are probable. Capitalized development costs are amortized over a maximum estimated useful life of five years. The estimated sales volume and useful life, respectively, may be retested, which may result in impairment. See a further explanation in Note 14.
NOTE 2 INFORMATION ABOUT GEOGRAPHIC AREAS
The identification of reportable segments is based on the internal reporting to the chief operating decision maker. In the internal reporting, the Group is a segment.
DISTRIBUTION OF FIXED ASSETS, GROUP
RaySearch’s products are sold directly to end customers, via distributors and via partners. Sales had the following geographic distribution based on the location of the end customers:
The distribution is broken down among the registered offices of the Group’s legal entities.
NOTE 3 REVENUE FROM CONTRACTS WITH CUSTOMERS
There is no single customer that represents more than 10 percent of the Group’s net sales.
RaySearch’s products are sold directly to end customers, via distributors and via partners. Sales were distributed as follows:
REVENUE DISTRIBUTION
by geographic market
1 Intra-Group revenue comprises licenses, support, hardware, training and other revenue.
CUSTOMER RECEIVABLES AND CONTRACT BALANCES
AMOUNTS IN SEK 000s
Long-term receivables (Note 22)
Billed customer receivables (Note 17)
Unbilled customer receivables (Note 17)
(Note 20)
Contract liabilities
Contract liabilities (Note 24)
Revenue recognized during the period, of which Revenue included in opening contract liabilities
Revenue attributable to performance obligations wholly or partly satisfied in previous periods
PERFORMANCE OBLIGATIONS
Customer contract
License and product revenues
Software licenses
Additional features
When the obligation is typically satisfied
Upon delivery of license key or when the license is available for download (at a point in time).
Upon delivery of license key or when the license is available for download (at a point in time).
Hardware When control of the hardware is transferred to the customer, typically upon delivery of the hardware.
Support revenue
Updates of software licenses and customer support
Professional services
Proportional over the warranty period or support agreement (over time).
Training and other services When the training or service is provided (over time).
AT DECEMBER 31, THE COMPANY’S ORDER BACKLOG WAS DISTRIBUTED AS FOLLOWS:
SEK
Long-term receivables comprise a number of customer contracts with payment plans (“payment plan” refers to an arrangement that allows the customer to pay parts of the consideration with a longer term than normal. The decrease compared with the previous year is mainly due to a number of receivables that were reclassified as current receivables. Current billed receivables (accounts receivable) are non-interest bearing and fall due for payment within 30 to 90 days. Current unbilled receivables are not non-interest bearing and fall due within 12 months of the balance-sheet date. Long-term unbilled receivables are not non-interest bearing and fall due later than 12 months from the balance-sheet date. Contract liabilities include prepaid warranty and support revenue that have been billed but where the revenue has been allocated to the period in which the customer received the support.
When payment typically falls due How the transaction price is determined
Within 30–60 days of delivery (RayStation) or installation (RayCare), provided a payment plan does not exist.
Remaining amount after allocation of transaction price to other performance obligations.
Within 30–60 days of delivery. Estimated fair market value of features for which development is carried out.
Within 30–90 days of delivery, provided a payment plan does not exist.
Within 30 days of commencement of the contract period, or allocated in periods over the length of the contract period.
Within 30–90 days of providing the service.
The remaining obligations after one year mainly pertain to support commitments that will primarily generate revenue during a four-year period. These accounted for 71 percent (72) of the total order backlog at year-end.
observable purchase price plus market-based margin.
observable price according to separate contract or agreement to renew.
observable price according to agreement with customer where the service is sold separately.
COSTS FOR REMUNERATION OF PARENT COMPANY AND GROUP EMPLOYEES
1 In autumn 2024, a new branch was started in Norway, under the Parent Company
GENDER DISTRIBUTION IN COMPANY MANAGEMENT
There are three female senior executives in the Parent Company, corresponding to 25 percent (25), and one female Board member, corresponding to 20 percent (20).
Basic salary includes vacation pay, pension costs excluding special employer’s contribution. No share-based remuneration was paid.
VARIABLE REMUNERATION
Variable remuneration payable to the CEo is based on the Group’s earnings and amounts to 2 percent of profit before tax and is capped at 12 months’ salary. The Director of Sales and Marketing and the Director of Sales for Asia-Pacific & Middle East receive variable remuneration based on sales in their respective regions. For the employees of foreign subsidiaries, variable remuneration related to sales and achievement of established targets is paid.
PENSIONS
All pension plans are defined-contribution plans. The retirement age for the CEo and senior executives is 65, and the pension premium is equivalent to the Swedish ITP plan. No other pension obligations exist.
TERMINATION OF EMPLOYMENT
The notice period may not exceed 12 months if notice of termination of employment is made by the company. Fixed cash salary during the period of notice and severance pay may together not exceed an amount equivalent to the fixed cash salary for 18 months. The period of notice may not exceed six months without any right to severance pay for termination by the executive.
DECISION-MAKING PROCESS
The decision-making process regarding remuneration and benefits is described in greater detail in the Administration Report.
NOTE 5 AUDITORS’ FEES AND COMPENSATION FOR EXPENSES
At the 2024 AGM, the registered accounting firm Deloitte AB was re-elected auditor of RaySearch Laboratories AB (publ) for the period until the end of the next AGM. Authorized Public Accountant Kent Åkerlund is auditor-in-charge.
NOTE 6
OPERATING EXPENSES SPECIFIED BY TYPE OF COSTS
NOTE 10 LEASES
GROUP
New
1 Amortization of capitalized development costs and depreciation of hardware leased to customers amounting to KSEK 1,924 (951) are included in depreciation/amortization and impairment in the table above.
2 Royalties for licensed software are included in o ther operating income and expenses in an amount of KSEK 4,390 (2,007). Amortization and capitalization of development costs are included in the recognized research and development costs.
NOTE 7 OTHER OPERATING INCOME
Accumulated depreciation
Depreciation for
Translation difference for the
NOTE 8 OTHER OPERATING EXPENSES
NOTE 9 DEPRECIATION,
SIGNIFICANT LEASES
Significant leases pertains to a rental agreement for the head office in Stockholm that expires on September 30, 2031 and where the rent is indexed annually, and rental agreements for offices in New York and San Francisco in the US that expire on May 31, 2028 and April 30, 2027, respectively. In 2024, total cash flow related to leases was KSEK 102,514 (67,872).
LEASE LIABILITIES
Lease liabilities fall due for payment as follows: Contractual cash flows Carrying amount 2024
Lease liability, cont
1 Pertains to indexation of rental agreements for the head office premises in Stockholm
The calculation of lease liability does not include short-term leases or low-value leases.
At December 31, 2024, no significant leases had been signed in the Group that were not yet recognized on the balance sheet.
LEASE PAYMENTS
Expenses attributable to short-term leases (included in administrative expenses)
Expenses attributable to leases where the underlying asset is of low value that are not short-term leases (included in administrative expenses)
NOTE 11 FINANCIAL INCOME AND EXPENSE
interest income and interest expense is derived from financial assets and liabilities measured at amortized cost.
NOTE 12 TAX ON PROFIT FOR THE YEAR
NOTE 12 TAX ON
PROFIT FOR
THE YEAR, cont’d Tax on profit for the year, cont’d
1 Withholding
NOTE 14 INTANGIBLE FIXED ASSETS
o ther
Capitalized development costs pertains to the development of new versions of RaySearch’s software products. These development costs are capitalized and amortized over a period of five years from when the products are brought to market and the asset is thus regarded as starting to contribute to the company’s revenue.
IMPAIRMENT TESTING OF INTERNALLY GENERATED INTANGIBLE ASSETS
Internally generated intangible assets are tested quarterly for impairment if there are indications of impairment, by comparing the carrying amounts with estimates of value in use. This is not a formal assessment, but rather a review of indications of impairment. The estimated value-in-use exceeds the carrying amount by such a high margin that company management believes there are no indications of impairment.
NOTE 15 TANGIBLE FIXED ASSETS
GROUP
Accumulated
PARENT COMPANY
SEK
Accumulated
Dec 31, 2024 Dec 31, 2023
16 PARTICIPATIONS IN GROUP COMPANIES
SPECIFICATION OF PARENT COMPANY AND GROUP HOLDINGS OF PARTICIPATIONS IN GROUP COMPANIES
Group company/Corp. Reg. No./Reg. office/Country
RaySearch Americas Inc, Delaware, US
RaySearch Belgium Sprl, 0838.244.504, Brussels, Belgium
RaySearch France SAS, RCS Paris 794 582 841, Paris, France
RaySearch UK Ltd, 08579149, London, UK
RaySearch Germany GmbH, HRB 157539, Berlin, Germany
RaySearch Singapore Pte Ltd, 201508409H, Singapore
RaySearch Japan K.K., 6010401124903, Tokyo, Japan
RaySearch India Private Limited, U74999DL2018FTC342299, New Delhi, India
RaySearch Korea LLC., 1101140177029, Seoul, South Korea
RaySearch (Shanghai) Medical Device Co., Ltd 91310115MA1K3M628Y, Shanghai, China
RaySearch Australia Pty Ltd, 643 927 511, Sydney, Australia
RaySearch Canada Inc, 691016, Saint John, New Brunswick, Canada3
342/71 139
5,564/1,315 2,453
521/182 -
3,958
1 Adjusted equity refers to the owned share of the company’s equity, including the equity component of untaxed reserves. Profit for the year refers to the ownership share of the company’s profit after tax, including the equity share in the change for the year in untaxed reserves.
2 RaySearch France SAS owns the remaining 1.0 percent of the Group company.
3 RaySearch Canada Inc is a dormant company.
NOTE 17
FINANCIAL ASSETS AND LIABILITIES AND FINANCIAL RISK MANAGEMENT
This Note provides information about the Group’s financial instruments and financial risk management, including:
a) Financial assets
b) Financial liabilities
c) Fair value
d) Financial risk factors and risk management
A) FINANCIAL ASSETS
(Notes 23, 18)
(Note 23)
customer receivables (Note 18)
customer receivables (Note 18)
(Note 21)
B) FINANCIAL LIABILITIES
The company has an overdraft facility totaling SEK 75.0 M (75.0), of which SEK 0 M (0) had been drawn at the end of the period.
C) FAIR VALUE
Fair value measurement contains a measurement hierarchy for the inputs used to measure fair value. The three levels comprise:
Level 1: Listed prices (unadjusted) in active markets for identical assets or liabilities to which the company has access at the time of measurement.
Level 2: Inputs other than the quoted prices in Level 1, which are directly or indirectly observable for the asset or liability. This may also pertain to input data other than the listed prices that are observable for the asset or liability, such as interest rates, yield curves, volatility and multiples.
Level 3: Non-observable input data for the asset or liability. At this level, the assumptions that market players would use for pricing of the asset or liability, including risk taking, must be taken into account. For all items under points A) and B), with the exception of lease liabilities, the carrying amount is deemed an approximation of the fair value, which is why these items have not been categorized according to the fair value hierarchy. Since the long-term unbilled receivables are discounted with a variable rate, which is essentially considered to correspond to current market rates, the carrying amounts of unbilled receivables are also considered to correspond to their fair value.
D) FINANCIAL RISK FACTORS AND RISK MANAGEMENT
The Group’s main financial liabilities are lease liabilities and other liabilities. The main purpose of these financial liabilities is to finance the Group’s operations. The Group’s main financial assets include billed and unbilled receivables and cash and cash equivalents.
Through its operations, the RaySearch Group is exposed to various kinds of financial risks including currency risk, interest rate risk, liquidity risk and credit risk. Risks are managed by the Group’s Finance Department, which annually identifies and evaluates financial risks that are then reported to the Board. This is carried out in accordance with the Board’s established policies for overall risk management and the Group’s financial policy, which form a framework of guidelines and rules in the form of risk mandates and limits for financial activities.
Currency risk
Currency risk is the risk for changes in value due to changes in exchange rates. With its international operations, the Group is exposed to currency risk in form of transaction exposure and translation exposure. Transaction exposure arises through future transactions, and translation exposure through assets and liabilities denominated in a foreign currency.
The Group’s currency risk is mainly the result of the majority of its revenue being generated in USD and EUR, while most of its costs are in SEK. In accordance with the established financial policy, currency hedging is not applied. The financial policy is updated at least once a year.
Transaction exposure
The Group’s net sales and operating expenses per currency are shown in the following diagram:
The transaction exposure shows the Parent Company’s transactions in foreign currency and the subsidiaries transactions in their respective local currency. Based on revenue, cost and currency structure (transaction exposure) for the year, a general change of 10 percent in the USD to SEK exchange rate would have an impact of +/- SEK 25.4 M (50.4) on consolidated operating profit, while a corresponding change in the EUR exchange rate would have an impact of +/- SEK 31.8 M (35.6) on consolidated operating profit. A general change of 10 percent in the SEK exchange rate against other currencies would have an impact of +/- SEK 16.7 M (14.7) on consolidated operating profit. Translation
The Group’s translation exposure related to balance-sheet items in foreign currency for the Parent Company and the reporting currency for each subsidiary is mainly distributed between the USD and EUR. o ther currencies in the Group include SGD, GBP, CNY, JPY, KRW, INR, NoK and AUD.
Based on the receivable, debt and currency structure (translation exposure) on the balance-sheet date, a general change of 10 percent in the USD to SEK exchange rate would have an impact of +/- SEK 53.9 M (8.9) on consolidated operating profit and an impact of +/- SEK 17.8 M (13.9) on consolidated equity, while a corresponding change in the EUR exchange rate would have an impact of +/- SEK 57.3 M (14.8) on consolidated operating profit and +/- SEK 0.1 M (0.0) on consolidated equity. A general change of 10 percent in the SEK exchange rate against other currencies would have an impact of +/- SEK 24.3 M (4.0) on consolidated operating profit and +/- SEK 3.0 M (4.7) on consolidated equity
Interest rate risk
Interest rate risk refers to the risk that changes in interest rates will have a negative impact on RaySearch’s results due to, for example, increased costs for the company’s variable rate loans. At December 31, 2024, interest-bearing liabilities consisting of lease liabilities amounted to SEK 471.9 M (529.4), and cash and cash equivalents amounted to SEK 462.7 M (343.7). This means that the Group had interest-bearing net debt of SEK 9.2 M (185.7).
Based on the balance-sheet structure at year-end, and assuming that all other variables were constant, a general change of one percentage point in the interest rate for loans and investments would have an impact of approximately +/- SEK 4.7 M (5.3) on consolidated earnings.
Liquidity risk
Liquidity risk refers to the risk of not being able to meet payment obligations as a result of insufficient liquidity or difficulty in securing external loans. The Group is to regularly monitor its liquidity reserve using rolling liquidity forecasts to ensure that the Group has sufficient cash and cash equivalents to meet its ongoing business needs, while maintaining a sufficient amount of undrawn credit. Surplus liquidity in Group companies is
transferred to Sweden and managed by the Group’s financial function in accordance with the established financial policy.
At December 31, 2024, cash and cash equivalents amounted to SEK 462.7 M (343.7), corr esponding to 39 percent (34) of net sales. In addition, RaySearch has an overdraft facility totaling SEK 75.0 M (75.0), of which S EK 0 M (0) had been drawn at the end of the period.
Refer also to Note 10 for the due date structure of lease liabilities.
Credit risk
Credit risk is the risk that a counterparty will fail to meet its obligations in accordance with a financial instrument or customer contract, which could lead to a financial loss. The Group is exposed to credit risk from its operating activities (mainly customer receivables) and from financing activities, including deposits with banks and financial institutions, currency transactions and other financial instruments.
Credit risk in cash and cash equivalents
In accordance with the established financial policy, RaySearch’s surplus liquidity is invested with the objective of maintaining high liquidity with low credit risk. Expected loss provisioning is applied for cash and cash equivalents. No provision was recognized, since the expected credit losses are not considered significant.
Credit risk in receivables
Credit risk in accounts receivable is mainly managed at Group level. In connection with quotations/contract negotiations, the customer’s creditworthiness is verified, which affects the customer’s ability to meet the terms of any payment plans. The credit risk for a new customer is determined using a rating scale, and individual credit limits are defined on the basis of this assessment.
Regular risk assessments of creditworthiness are carried out by considering the customer’s financial position on every occasion. o ther influencing factors, such as payment patterns and previous experiences, are also critical for the assessment. For high-value customer deliveries, collateral such as letters of credit, or other types of credit insurance from reputable banks and other financial institutions is used. These may be invoked if the counterparty has outstanding debts under the terms of the agreement.
The Group’s credit risks are usually limited since customers’ operations are largely financed, either directly or indirectly, with public funds. Credit losses have also been very low historically.
Expected credit losses for accounts receivable and unbilled customer receivables are calculated based on the probability of default, meaning in the event of canceled payment, loss given default and exposure at default. In addition, other variables are included in the assessment, which is based on the existence of credit insurance, the customer’s historical ability to pay, whether the customer is state or privately funded, the amount and payment terms of the receivable, number of days overdue and the likelihood of a dispute. Details emerging from the specific dialogue with the customer are also taken into account. Finally, other circumstances, such as sanctions and other policy measures, may also determine whether a receivable is deemed uncertain. All of these individual circumstances provide a broad basis for the assessment of future credit losses.
Regarding the credit risk concentration, the Group’s receivables from its largest customer correspond to 15 percent (13) of total billed customer receivables of SEK 255 M (240).
When assessing a credit risk in that part of the customer portfolio that has not been subject to individual assessment, historical credit loss information is the most critical factor for assessment, based on an average loss ratio. The average loss percentage can be adjusted if necessary to meet a change in relation to credit risk, to achieve fair future loss provisioning. The Group’s historical credit losses are limited; about 1.1 percent of the Group’s sales has been identified as credit losses in the past five years. The general provision for collectively assessed receivables amounts to approximately 1 percent (2) of total customer receivables.
At the end of the year, the total of the year’s provisions and reversals of previous provisions amounted to SEK 10.6 M (-1.7). At the end of the 2024 fiscal year, the provision for expected credit losses was SEK 11.8 M (37.4). For an age analysis of accounts receivable and provisions for expected credit losses, refer to Note 18.
Note 18 below presents an age analysis of the Group’s billed receivables and information about the expected payment of unbilled receivables.
NOTE 18 CUSTOMER RECEIVABLES
GROUP, Dec 31, 2024
GROUP, Dec 31, 2023
RaySearch has contracts with customers whereby deliveries have long payment terms, which is standard in the industry. The company recognizes customer receivables when delivery has occurred and an unconditional right to consideration exists. The subsequent effect is that the Group’s accounts receivable and unbilled customer receivables add up to relatively high amounts compared with net sales.
UNBILLED RECEIVABLES
At the end of the period, the Group’s accounts receivable (current billed customer receivables) amounted to SEK 255 M (240), corresponding to 21 percent (23) of net sales in 2024. Total customer receivables amounted to SEK 466 M (406), corresponding to 39 percent (4 0) of net sales for the year.
SEK 000s Dec 31, 2024 Dec 31, 2023 Dec 31, 2024 Dec 31, 2023
Expected date of payment
The above table is an estimate. The date of payment is partly dependent on the date of installation on the customer’s site,
PROVISION FOR EXPECTED CREDIT LOSSES
i.e. not the agreed payment dates, but is our best assessment based on historical data.
SEK 000s Dec 31, 2024 Dec 31, 2023 Dec 31, 2024 Dec 31, 2023
Change in provision for expected credit losses
1 This item is recognized in selling expenses
Impairment for the year largely corresponded to provisions for receivables in each company in the Group. The provision for expected credit losses corresponded to 2 percent (8) of the Group’s total receivables. The accounts receivable that
NOTE 19 PREPAID EXPENSES
were recognized as provisions for bad debt during the reporting period are continually followed up, which means that debt collection activities are ongoing.
NOTE 20 UNTAXED RESERVES
SEK 000s Dec 31, 2024 Dec 31, 2023 Excess depreciation 11,252 -
11,252 -
NOTE 21
SUPPLEMENTARY NOTE ON CASH FLOW
PARENT COMPANY SEK 000s
31, 2024
31, 2023
The following subcomponents are included in cash and cash equivalents:
000s
Adjusted for non-cash items from operating activities
Depreciation, amortization and impairment
PARENT COMPANY
NOTE 22 DEFERRED TAX ASSETS AND TAX LIABILITIES
Valuation is based on the nominal tax rate.
NOTE 23 LONG-TERM RECEIVABLES
Long-term unbilled customer receivables comprise customer receivables that mature more than 12 months after the balance-sheet date.
NOTE 24 RECONCILIATION OF LIABILITIES ARISING FROM FINANCING ACTIVITIES
NOTE 25 ACCRUED EXPENSES AND DEFERRED INCOME
NOTE 28 RELATED PARTIES
For a description of transactions with senior executives, refer to Note 4. The Parent Company has a related-party relationship with its subsidiaries, see Note 16.
SUMMARY GROUP
SEK 000s
NOTE 26 INVENTORIES
Sale of goods/ services to related parties
Purchase of goods/services from related parties Dividend paid
Receivables from related parties Dec 31 Liabilities to related parties Dec 31 2024
SUMMARY PARENT COMPANY
SEK 000s
NOTE 27 PLEDGED ASSETS AND CONTINGENT LIABILITIES
SEK 000s
RaySearch’s credit facilities consist of an overdraft facility of SEK 75 M (75) with a term of 12 months, renewable on December 31. Chattel mortgages amounted to SEK 100 M. At December 31, 2024, a total of SEK 0 M (0) of the credit facility had been drawn.
Guarantees, which pertain to offices, amounted to SEK 17.4 M (32.2) and did not affect the company’s credit facility. No contingent liabilities exist for the Group or the Parent Company.
Sale of goods/ services to related parties
Purchase of goods/services from related parties Dividend paid
Receivables from related parties Dec 31 Liabilities to related parties Dec 31
Sales to related parties pertain primarily to sales of licenses to foreign subsidiaries and purchases from related parties pertain primarily to purchases of services from foreign subsidiaries. Receivables from related parties pertain primarily to receivables from the US subsidiary.
In 2017, RaySearch entered into an agreement with the non-profit association Venture Cup, which organizes an annual competition to inspire entrepreneurship and creativity in business. The CEo, Johan Löf, chairs the association and RaySearch sponsors the competition by contributing SEK 1 M per year in exchange for exposure as a partner in Venture Cup’s marketing material. This collaboration and the sponsorship fee amount is based on the arm’s length principle and accepted commercial terms.
NOTE 29 SIGNIFICANT EVENTS AFTER THE BALANCE-SHEET DATE
The Polish company Medim placed an order for the product DrugLog™. The order is a result of Medim winning a tender from the Children’s Memorial Health Institute in Warsaw, Poland. DrugLog is RaySearch’s cost-effective solution for quickly and efficiently verifying the identity and concentration of compounded injectable medications used, for example, in cancer treatment with cytostatic drugs (chemotherapy). DrugLog is used to detect errors in the preparation of drugs, which reduces the risk of medication errors.
Heyou Hospital, located in Foshan City in China’s Guangdong Province, placed an order for the treatment planning system RayStation®*. Total order value (including service contract) is RMB 51 M (approximately SEK 77 M), of which RMB 18 M (approximately SEK 26 M) will be recognized in the first quarter of 2025. This is the third largest order ever for RaySearch and the largest since December 2022. Heyou Hospital is RaySearch’s first customer with a combined Hitachi carbon ion and proton machine.
NOTE 30 PROPOSED ALLOCATION OF THE PARENT COMPANY’S PROFIT
The following unrestricted equity in the Parent Company is at the disposal of the AGM: SEK Retained earnings 116,835,744 Profit for the year 173,767,856 Total 290,603,600
The Board proposes that the funds be allocated as follows: SEK
Dividend 34,282,773 shares SEK 3.0
102,848,319
To be carried forward 187,755,281 Total 290,603,600
The Board proposes t hat KSEK 187,755 be carried forward.
The undersigned certify that the annual report and consolidated financial statements have been prepared in accordance with International Financial Reporting Standards, IFRS, as adopted by the EU, and with generally accepted accounting practices, and give a true and fair view of the financial position and results of the Group and the Parent Company and that the Administration Report provides a fair overview of the development of the
Group’s and the Parent Company’s operations, financial position and results, as well as a fair description of significant risks and uncertainties The annual report and consolidated financial statements were approved for issue by the Board of Directors on April 25, 2025. The consolidated statement of comprehensive income and consolidated statement of
financial position, and the Parent Company income statement and balance sheet will be submitted for adoption by the AGM, which will be held not later than May 22, 2025.
Stockholm in accordance with digital signature
Hans Wigzell Chairman of the Board
Johan Löf CE o and Board member
Britta Wallgren Board member
our audit report was submitted on the date specified in our electronic signature
Deloitte AB
Kent Åkerlund
Authorized Public Accountant
Carl Filip Bergendal
Board member
Günther Mårder Board member
AUDITOR’S REPORT
T o THE GENERAL MEETING oF THE SHAREHoLDERS oF RAYSEARCH LAB oRAT oRIES AB (PUBL) C oRP oRATE IDENTITY NUMBER 556322-6157
REPORT ON THE ANNUAL ACCOUNTS AND CONSOLIDATED ACCOUNTS
Opinions
We have audited the annual accounts and consolidated accounts of RaySearch Laboratories AB (publ) for the financial year 2024- 01-012024-12-31 except for the corporate governance report on pages 76-78 and the sustainability report on pages 23-26. The annual accounts and consolidated accounts of the company are included on pages 28-72 in this document.
In our opinion, the annual accounts have been prepared in accordance with the Annual Accounts Act and present fairly, in all material respects, the financial position of the parent company as of 31 December 2024 and its financial performance and cash flow for the year then ended in accordance with the Annual Accounts Act. The consolidated accounts have been prepared in accordance with the Annual Accounts Act and present fairly, in all material respects, the financial position of the group as of 31 December 2024 and their financial performance and cash flow for the year then ended in accordance with IFRS Accounting Standards, as adopted by the EU, and the Annual Accounts Act. The statutory administration report is consistent with the other parts of the annual accounts and consolidated accounts.
We therefore recommend that the general meeting of shareholders adopts the income statement and balance sheet for the parent company as well as statement of comprehensive income and consolidated statement of financial position for the group.
our opinions in this report on the annual accounts and consolidated accounts are consistent with the content of the additional report that has been submitted to the parent company’s Board of Directors in accordance with the Audit Regulation (537/2014) Article 11.
Basis for Opinions
We conducted our audit in accordance with International Standards on Auditing (ISA) and generally accepted auditing standards in Sweden. o ur responsibilities under those standards are further described in the Auditor’s Responsibilities section.
We are independent of the parent company and the group in accordance with professional ethics for accountants in Sweden and have otherwise fulfilled our ethical responsibilities in accordance with these requirements. This includes that, based on the best of our knowledge and belief, no prohibited services referred to in the Audit Regulation (537/2014) Article 5.1 have been provided to the audited company or, where applicable, its parent company or its controlled companies within the EU.
We believe that the audit evidence we have obtained is sufficient and appropriate to provide a basis for our opinions.
Key Audit Matters
Key audit matters of the audit are those matters that, in our professional judgment, were of most significance in our audit of the annual accounts and consolidated accounts of the current period. These matters were addressed in the context of our audit of, and in forming our opinion thereon, the annual accounts and consolidated accounts as a whole, but we do not provide a separate opinion on these matters.
Revenue from contracts with customers
Revenue from contracts with customers amount to 1 192 MSEK for 2024. For accounting policies and disclosures, please refer to Note 3. Raysearch recognizes revenue from licenses and hardware at a point in time and support and training over time depending on when the performance obligations have been fulfilled. If goods or services to customers meets the criteria of being “distinct”, they are accounted for as a performance obligation separate from other promised goods or services in the contract. Revenue is recognized when control of the underlying goods or services for that particular performance obligation is transferred to the customer. Identifying distinct performance obligations requires management to make significant judgements and estimates that may have a significant impact on the Group´s net sales and earnings. We have identified this as a key audit matter since revenue is significant and consist of a large number of smaller transactions where product and services in some cases are bundled into one customer offering. our audit procedures included, but were not limited to:
• We have mapped and evaluated Raysearch’s processes and controls on revenue recognition.
• Audit of a sample of customer contracts to ensure that revenue is recognized in the correct period and correct amount.
• Audit of a sample of customer contracts by comparing recognized revenue and payments as well as control of accrued revenue and unbilled customer receivables.
• Assessment of the company’s accounting principles for revenue recognition from contracts with customers.
• Audit of disclosures in accordance with IFRS.
Other information than the annual accounts and consolidated accounts
This document also contains other information than the annual accounts and consolidated accounts and is found on pages 1-26 and 76-94. The Board of Directors and the Managing Director are responsible for this other information.
our opinion on the annual accounts and consolidated accounts does not cover this other information and we do not express any form of assurance conclusion regarding this other information.
In connection with our audit of the annual accounts and consolidated accounts, our responsibility is to read the information identified above and consider whether the information is materially inconsistent with the annual accounts and consolidated accounts. In this procedure we also take into account our knowledge otherwise obtained in the audit and assess whether the information otherwise appears to be materially misstated.
If we, based on the work performed concerning this information, conclude that there is a material misstatement of this other information, we are required to report that fact. We have nothing to report in this regard.
Responsibilities of the Board of Directors and the Managing Director
The Board of Directors and the Managing Director are responsible for the preparation of the annual accounts and consolidated accounts and that they give a fair presentation in accordance with the Annual Accounts Act and, concerning the consolidated accounts, in accordance with IFRS Accounting Standards as adopted by the EU. The Board of Directors and the Managing Director are also responsible for such internal control as they determine is necessary to enable the preparation of annual accounts and consolidated accounts that are free from material misstatement, whether due to fraud or error.
In preparing the annual accounts and consolidated accounts, The Board of Directors and the Managing Director are responsible for the assessment of the company’s and the group’s ability to continue as a going concern. They disclose, as applicable, matters related to going concern and using the going concern basis of accounting. The going concern basis of accounting is however not applied if the Board of Directors and the Managing Director intends to liquidate the company, to cease operations, or has no realistic alternative but to do so.
Auditor’s responsibility
our objectives are to obtain reasonable assurance about whether the annual accounts and consolidated accounts as a whole are free from material misstatement, whether due to fraud or error, and to issue an auditor’s report that includes our opinions. Reasonable assurance is a high level of assurance, but is not a guarantee that an audit conducted in accordance with ISAs and generally accepted auditing standards in Sweden will always detect a material misstatement when it exists. Misstatements can arise from fraud or error and are considered material if, individually or in the aggregate, they could reasonably be expected to influence the economic decisions of users taken on the basis of these annual accounts and consolidated accounts.
A further description of our responsibilities for the audit of the management’s administration is located at the Swedish Inspectorate of Auditors website: www.revisorsinspektionen.se/revisornsansvar. This description forms part of the auditor´s report.
REPORT ON OTHER LEGAL AND REGULATORY REQUIREMENTS
Opinions
In addition to our audit of the annual accounts and consolidated accounts, we have also audited the administration of the Board of Directors and the Managing Director of RaySearch Laboratories AB (publ) for the financial year 2024-01-01 - 2024- 12-31 and the proposed appropriations of the company’s profit or loss.
We recommend to the general meeting of shareholders that the profit to be appropriated in accordance with the proposal in the statutory administration report and that the members of the Board of Directors and the Managing Director be discharged from liability for the financial year.
Basis for Opinions
We conducted the audit in accordance with generally accepted auditing standards in Sweden. our responsibilities under those standards are further described in the Auditor’s Responsibilities section. We are independent of the parent company and the group in accordance with professional ethics for accountants in Sweden and have otherwise fulfilled our ethical responsibilities in accordance with these requirements.
We believe that the audit evidence we have obtained is sufficient and appropriate to provide a basis for our opinions.
Responsibilities of the Board of Directors and the Managing Director
The Board of Directors is responsible for the proposal for appropriations of the company’s profit or loss. At the proposal of a dividend, this includes an assessment of whether the dividend is justifiable considering the requirements which the company’s and the group’s type of operations, size and risks place on the size of the parent company’s and the group’s equity, consolidation requirements, liquidity and position in general.
The Board of Directors is responsible for the company’s organization and the administration of the company’s affairs. This includes among other things continuous assessment of the company’s and the group’s financial situation and ensuring that the company’s organization is designed so that the accounting, management of assets and the company’s financial affairs otherwise are controlled in a reassuring manner. The Managing Director shall manage the ongoing administration according to the Board of Directors’ guidelines and instructions and among other matters take measures that are necessary to fulfill the company’s accounting in accordance with law and handle the management of assets in a reassuring manner.
Auditor’s responsibility
our objective concerning the audit of the administration, and thereby our opinion about discharge from liability, is to obtain audit evidence to assess with a reasonable degree of assurance whether any member of the Board of Directors or the Managing Director in any material respect:
• has undertaken any action or been guilty of any omission which can give rise to liability to the company, or
• in any other way has acted in contravention of the Companies Act, the Annual Accounts Act or the Articles of Association.
our objective concerning the audit of the proposed appropriations of the company’s profit or loss, and thereby our opinion about this, is to assess with reasonable degree of assurance whether the proposal is in accordance with the Companies Act.
Reasonable assurance is a high level of assurance, but is not a guarantee that an audit conducted in accordance with generally accepted auditing standards in Sweden will always detect actions or omissions that can give rise to liability to the company, or that the proposed appropriations of the company’s profit or loss are not in accordance with the Companies Act.
A further description of our responsibilities for the audit of the management’s administration is located at the Swedish Inspectorate of Auditors website: www.revisorsinspektionen.se/revisornsansvar. This description forms part of the auditor´s report.
THE AUDITOR’S EXAMINATION OF THE ESEF REPORT
Opinion
In addition to our audit of the annual accounts and consolidated accounts, we have also examined that the Board of Directors and the Managing Director have prepared the annual accounts and consolidated accounts in a format that enables uniform electronic reporting (the Esef report) pursuant to Chapter 16, Section 4 a of the Swedish Securities Market Act (2007:528) for RaySearch Laboratories AB for the financial year 2024-01-01 - 2024-12-31.
our examination and our opinion relate only to the statutory requirements. In our opinion, the Esef report has been prepared in a format that, in all material respects, enables uniform electronic reporting.
Basis for opinion
We have performed the examination in accordance with FAR’s recommendation RevR 18 Examination of the Esef report. o ur responsibility under this recommendation is described in more detail in the Auditors’ responsibility section. We are independent of RaySearch Laboratories AB in accordance with professional ethics for accountants in Sweden and have otherwise fulfilled our ethical responsibilities in accordance with these requirements.
We believe that the evidence we have obtained is sufficient and appropriate to provide a basis for our opinion.
Responsibilities of The Board of Directors and the Managing Director
The Board of Directors and the Managing Director are responsible for the preparation of the Esef report in accordance with the Chapter 16, Section 4 a of the Swedish Securities Market Act (2007:528), and for such internal control that the Board of Directors and the Managing Director determine is necessary to prepare the Esef report without material misstatements, whether due to fraud or error.
Auditor’s responsibility
our responsibility is to obtain reasonable assurance whether the Esef report is in all material respects prepared in a format that meets the requirements of Chapter 16, Section 4(a) of the Swedish Securities Market Act (2007:528), based on the procedures performed.
RevR 18 requires us to plan and execute procedures to achieve reasonable assurance that the Esef report is prepared in a format that meets these requirements.
Reasonable assurance is a high level of assurance, but it is not a guarantee that an engagement carried out according to RevR 18 and generally accepted auditing standards in Sweden will always detect a material misstatement when it exists. Misstatements can arise from fraud or error and are considered material if, individually or in aggregate, they could reasonably be expected to influence the economic decisions of users taken on the basis of the Esef report.
The firm applies International Standard on Quality Management 1, which requires the firm to design, implement and operate a system of quality management including policies or procedures regarding compliance with ethical requirements, professional standards and applicable legal and regulatory requirements.
The examination involves obtaining evidence, through various procedures, that the Esef report has been prepared in a format that enables uniform electronic reporting of the annual accounts and consolidated accounts. The procedures selected depend on the auditor’s judgment, including the assessment of the risks of material misstatement in the report, whether due to fraud or error. In carrying out this risk assessment, and in order to design audit procedures that are appropriate in the circumstances, the auditor considers those elements of internal control that are relevant to the preparation of the Esef report by the Board of Directors and the Managing Director, but not for the purpose of expressing an opinion on the effectiveness of those internal controls. The examination also includes an evaluation of the appropriateness and reasonableness of assumptions made by the Board of Directors and the Managing Director.
The procedures mainly include a validation that the Esef report has been prepared in a valid XHMTL format and a reconciliation of the Esef report with the audited annual accounts and consolidated accounts.
Furthermore, the procedures also include an assessment of whether the consolidated statement of financial performance, financial position, changes in equity, cash flow and disclosures in the Esef report have been marked with iXBRL in accordance with what follows from the Esef regulation.
Deloitte AB, was appointed auditor of RaySearch Laboratories AB by the general meeting of the shareholders on the 2024-05-22 and has been the company’s auditor since 2023-05-25.
Stockholm, in accordance with digital signature Deloitte AB
Signature on Swedish original Kent Åkerlund
Authorized Public Accountant
CORPORATE GOVERNANCE REPORT
THROUGH GOOD CONTROL AND A HEALTHY CORPORATE CULTURE, RAYSEARCH’S CORPORATE GOVERNANCE SHALL ENSURE SYSTEMATIC RISK MANAGEMENT AND LONG-TERM VALUE CREATION FOR SHAREHOLDERS.
This Corporate Governance Report was prepared by RaySearch’s Board of Directors and describes RaySearch’s corporate governance during the 2024 fiscal year. The report has been audited, and the Auditor’s opinion can be found at the end of the report. The audit was conducted in accordance with FAR’s recommendation RevR 16 The auditor's examination of the corporate governance statement.
GENERAL
RaySearch is a Swedish public limited liability company with its registered office in Stockholm, and the company’s Class B shares have been admitted to trading on Nasdaq Stockholm. This means that RaySearch’s corporate governance is based on Swedish legislation, primarily the Swedish Companies Act, the Swedish Annual Accounts Act and applicable EU regulations, and the rules and practices that apply to companies listed on Nasdaq Stockholm. RaySearch also applies the Swedish Corporate Governance Code (“the Code”), with the exceptions set out below. The aim of the Code is to build confidence in Swedish listed companies by promoting good corporate governance in these companies. The current Code is available at www.bolagsstyrning.se
Companies that apply the Code must take an active position on the company’s approach to the various provisions of the Code. If a company chooses to deviate from the Code’s provisions, this must be reported in accordance with the “comply or explain” principle. This means that the company does not have to follow every provision of the Code but can choose other solutions deemed more appropriate under the given circumstances, provided the company openly states any such deviation, describes the solution it has chosen instead, and provides a good explanation. The size and complexity of companies applying the Code are varied and for individual companies, solutions other than the Code may also ensure good corporate governance. RaySearch is a relatively small company with a clear majority shareholder who is also active as the CEO of the company. This is the reason why RaySearch has chosen to deviate from some of the Code’s provisions.
In addition to the external regulatory framework, there is an internal framework with a number of Group-wide governing documents, of which the most important are the Articles of Association as adopted by the General Meeting, terms of reference for the Board and the Board’s instructions for the CEO. In addition, there is a large number of internal policies, instructions and delegations that clarify responsibilities and powers within a number of areas.
GENERAL MEETING
The General Meeting is the company’s supreme decision-making body. The date and location of the Annual General Meeting (AGM) is announced in connection with the third-quarter report and is simultaneously published on the company’s website. Following motions by the shareholders, the Meeting Chairman as well as the Board of Directors and Chairman of the Board are elected at the AGM for a term of office until the close of the following AGM. The Audit Committee proposes the appointment of an audit firm, unless the duties of the Audit Committee are performed by the Board. The AGM is to be held within six months of the end of the fiscal year to resolve on matters including adoption of the income statement and balance sheet, and the allocation of profit. There are no special provisions regarding the function of the AGM in either the Articles of Association or, to the knowledge of RaySearch, in shareholder agreements. Nor are there any provisions in the Articles of Association regarding the appointment and dismissal of Board members, or amendments to the Articles of Association.
RaySearch may issue two classes of shares: Class A and Class B. RaySearch’s Articles of Association do not contain any restrictions on how many votes each shareholder may cast at a general meeting. When voting at General Meetings, holders of Class A shares are entitled to ten votes per share, and holders of Class B shares to one vote per share. At December 31, 2024, the total number of shares in RaySearch was 34,282,773, comprising 7,654,975 Class A and 26,627,798 Class B shares, and the total number of votes was 103,177,548.
Shareholders representing 44.7 percent of the total number of shares, and 71.2 percent of the total number of votes in the company participated in RaySearch’s AGM on May 22, 2024. In addition to regular attendance at the venue, shareholders were also offered the opportunity to exercise their voting rights by postal vote prior to the AGM.
AUTHORIZATIONS PROVIDED BY THE ANNUAL GENERAL MEETING
The AGM has not currently authorized the Board to make decisions regarding a new issue of shares or a repurchase of own shares.
NOMINATION COMMITTEE
The company deviates from the rules of the Code by not appointing a Nomination Committee. In view of the shareholders’ composition, a Nomination Committee has not been considered necessary. Proposals for, and the required information about, the Chairman of the Meeting, Board members, the Chairman of the Board, audit firms and fees paid to Board members and audit firms, are instead submitted by shareholders and the Board.
BOARD OF DIRECTORS
Under the Articles of Association, RaySearch’s Board shall comprise no fewer than three and no more than eight members, with no more than three deputies. The company’s Board of Directors is responsible for the company’s organization and management of the company’s affairs and, together with the CEO and company management, defines and continuously supervises the company’s vision, mission and values. The role of the Chairman of the Board includes leading the Board’s work and ensuring that the Board of Directors fulfills its duties.
At the AGM on May 22, 2024, five Board members were elected without deputies, including the Chairman of the Board, for the period until the close of the 2025 AGM. Carl Filip Bergendal, Johan Löf (CEO), Günther Mårder, Britta Wallgren and Hans Wigzell were re-elected as Board members and Hans Wigzell was elected as Chairman of the Board. The composition of the Board fulfills the Code’s requirements in respect of the independence of Board members, which is presented in the table below.
The Board members are presented on pages 84–85 , along with the members’ other significant assignments and shareholdings in RaySearch. Once each fiscal year, the Board undertakes an evaluation of its own performance using a systematic and structured process. The evaluation provides a basis for the Board’s future work. The Board evaluates the CEO’s performance and terms of reference regularly, at least once annually, but in this respect the company deviates from rule 8.2 of the Code’s provisions by allowing the CEO to participate in the evaluation. The reason being that the CEO is a Board member, and that the Board believes that the CEO’s participation will not have a negative effect on the evaluation. Those shareholders (representing approximately 66 percent of the voting rights in the company) who submitted a proposal for the composition of the Board prior to the 2024 AGM applied rule 4.1 of the Corporate Governance Code as a diversity policy. The aim of the policy is that the Board should be characterized by versatility and breadth in terms of the skills, experience and background of the AGM-elected members with consideration for the company’s operations, phase of develop -
ment and otherwise appropriate composition, and strive to achieve an even gender distribution. The current Board of Directors comprises five members, including one woman (20 percent women). The members have a broad mix of professional backgrounds and skills, and represent various sectors of the business community.
THE BOARD’S WORK IN 2024
The Board’s work is governed by formal terms of reference that are adopted annually and regulate such issues as the decision-making structure in the company, the Board meeting schedule and the duties of the Chairman. The Board as a whole addresses internal control issues that are its responsibility. In addition, the company’s auditor regularly reports their review observations to the Board. The Board held 16 meetings during the year, of which five were held per capsulam. The attendance of the members is presented below.
Considering the size of the Board, it was not deemed necessary to introduce a separate delegation of duties among Board members. During the year, the Board considered the need to establish a Remuneration Committee and an Audit Committee, but found it more appropriate that these tasks be carried out by the Board in its entirety under the leadership of the Chairman. The reason being that the size of the Board and the company is not deemed to motivate special committees for these duties, and that it is important that the Board has full insight into, and takes an active role in, these important tasks.
REMUNERATION
The Board determines the CEO’s remuneration (without the CEO’s participation). The remuneration of other senior management is determined following negotiations between the CEO and the individual employees, based on the guidelines adopted by the AGM. Application of the guidelines is monitored and evaluated by the Board, which also evaluates the variable remuneration of senior management.
1 Not including per capsulam meetings.
OWNERSHIP STRUCTURE – SHAREHOLDERS WITH AT LEAST 10 PERCENT OF TOTAL VOTES
The 2024 AGM determined total fees to the Board of SEK 1,740,000, of which SEK 840,000 to the Chairman of the Board and SEK 300,000 to each of the other Board members. Board members who receive a salary from RaySearch do not receive any remuneration.
In accordance with the Board’s proposal, the AGM resolved that the auditor’s fees be paid in accordance with approved invoicing.
MAJOR DIRECT OR INDIRECT SHAREHOLDINGS
Shareholders with a direct or indirect shareholding in RaySearch who represent at least one-tenth of the votes in the company are presented in the table below.
AUDITOR
At the AGM on May 22, 2024, the auditing firm Deloitte AB was re-elected as auditor for the period until the next AGM. Deloitte appointed Authorized Public Accountant Kent Åkerlund as auditor-in-charge.
COMPANY MANAGEMENT
RaySearch’s CEO leads the operations based on the framework established by the Board and appoints other members of senior management. RaySearch’s senior management comprises the company’s CEO, Deputy CEO, CFO, General Counsel, Chief Science Officer, Director of Development, Director of Sales and Marketing, Director of Sales and Marketing for Asia-Pacific & Middle East, Director of Service, Head of Machine Learning, Quality and Regulatory Affairs Director, and Global HR Manager. During the year, business briefings under the CEO’s leadership were conducted at least monthly, except during holiday periods when they occurred less frequently.
Company management also meets representatives of the US and European sales and marketing organizations on a regular basis, mainly through the CEO and Director of Sales and Marketing, respectively, to monitor and evaluate the Group’s operations in their entirety. Monitoring is based on the Group’s annually established targets and budgets, including RaySearch’s strategies, long and short-term targets, operational objectives, and competitor analyses. The Board is continuously informed about senior management’s monitoring and evaluation measures.
INTERNAL CONTROL AND RISK MANAGEMENT
The role of the Board is to ensure that RaySearch has sound internal control and continuously remains informed of, and evaluates, the effectiveness of the company’s internal control system. In view of the company’s limited size and operational structure, the Board, in its annual assessment of the possible need for a separate function to review the company’s internal financial controls, has concluded that there is no need for an internal audit function.
Control environment
The basic elements of the control environment for financial reporting are the company’s guidelines and governing documents, including the Board’s terms of reference and the CEO’s instructions. The Board has delegated responsibility for maintaining the Board’s control environment framework to the CEO. The Board also determines the authorization
instructions that delegate the CEO’s authorization responsibilities to other senior executives at RaySearch. The internal control environment also builds upon a management system based on RaySearch’s organization and manner of conducting business.
Risk assessment
RaySearch’s senior management regularly assesses risks of material misstatement of the financial statements, as well as other operational risks. Risk management is also incorporated into each process and systematic methods are used to assess and mitigate risks, and to ensure that risks linked to the company’s operations are managed in accordance with established regulations, instructions and monitoring procedures.
Control activities
Control activities have been designed to manage risks that the Board of Directors and management consider material to the financial reporting. Control activities are aimed at preventing, detecting and correcting errors and evaluating any deviations. RaySearch has documented the division of responsibilities and powers within the organization through policies and instructions.
A high level of IT security is a prerequisite for good internal control of financial reporting. RaySearch works actively to improve and strengthen IT security related to the processes and systems that impact financial reporting.
RaySearch’s financial situation is addressed at all scheduled Board meetings. The CEO submits reports on the business situation and financial performance in relation to the budget and forecast to the Board and senior management.
The Board and management review the financial reporting before Interim and Annual Reports are published. The auditor’s duties also include a review of the Group’s nine-monthly interim report. RaySearch follows up on the points for improvement identified in the internal control reported by the external auditor. On at least one occasion each year the Board of Directors meets the auditor without the attendance of the CEO or any other members of company management when the auditor presents an account, and a discussion is held concerning the audit’s focus and observations.
Information and communication
The relevant employees are regularly informed about changes in accounting policies and reporting requirements or other information. The Board receives regular financial information. External information and communication is governed by RaySearch’s communication policy, which describes the company’s general principles for information disclosure. The Board and senior management monitor RaySearch’s compliance with adopted policies and guidelines.
RaySearch has a whistleblower procedure that can be used anonymously.
FURTHER INFORMATION
For more information about the Board and the CEO, refer to pages 84–85 and to Note 4 in the Annual Report. For more information about the auditors, refer to page 85 and to Note 5 in the Annual Report.
Hans Wigzell
Stockholm, the date specified in our electronic signature
Carl
Filip Bergendal Johan Löf Chairman of the Board Board member CEO and Board member
Britta Wallgren
Günther Mårder Board member Board member
AUDITOR’S REPORT ON THE CORPORATE GOVERNANCE STATEMENT
TO THE GENERAL MEETING OF THE SHAREHOLDERS IN RAYSEARCH LABORATORIES AB (PUBL) CORPORATE IDENTITY NUMBER 556322–6157
ENGAGEMENT AND RESPONSIBILITY
It is the board of directors who is responsible for the corporate governance statement for the financial year 2024-01-01 - 2024-12-31 on pages 76-78 and that it has been prepared in accordance with the Annual Accounts Act.
THE SCOPE OF THE AUDIT
Our examination has been conducted in accordance with FAR’s standard RevR 16 The auditor’s examination of the corporate governance statement. This means that our examination of the corporate governance statement is different and substantially less in scope than an audit conducted in
accordance with International Standards on Auditing and generally accepted auditing standards in Sweden. We believe that the examination has provided us with sufficient basis for our opinions.
OPINIONS
A corporate governance statement has been prepared. Disclosures in accordance with chapter 6 section 6 the second paragraph points 2-6 the Annual Accounts Act and chapter 7 section 31 the second paragraph the same law are consistent with the annual accounts and the consolidated accounts and are in accordance with the Annual Accounts Act.
Stockholm in accordance with digital signature Deloitte AB
Signature on Swedish original Kent Åkerlund
Authorized Public Accountant

BOARD AND AUDITORS


CARL FILIP BERGENDAL
Board member since 2000.
Year of birth: 1945
Educational background: MSc in Engineering Physics from the Royal Institute of Technology in Stockholm and MBA from Stockholm School of Economics.
Professional experience: A number of senior positions in the Modo Group (1972–1980) and the medical technology company Stille-Werner (1980–1987), with the two final years as CEO. Between 1988 and 2018, he worked as a certified process manager in Lots® and in this role provided support for managers in large and mid-size companies undergoing restructuring processes.
Shareholding: 1,021,577 Class A and 139,920 Class B.
JOHAN LÖF
CEO. Board member since 2000.
Year of birth: 1969
Other significant assignments: Several Board assignments for other companies in the RaySearch Group.
Educational background: MSc in Engineering Physics from the Royal Institute of Technology in Stockholm and PhD from the Department of Medical Radiation Physics at the Department of Oncology-Pathology, Karolinska Institute. As a doctoral student, he worked with mathematical models for radiation therapy optimization and also developed the prototype for ORBIT
Professional experience: CEO of RaySearch since 2000.
Shareholding: 5,443,084 Class A and 68,393 Class B.

BRITTA WALLGREN
Board member since 2018. Year of birth: 1963
Other significant assignments: Chairman of the Board of Capio St Görans Hospital and Capio Läkargruppen. Board member of the Association of Private Care Providers.
Educational background: Registered medical practitioner, specialist in anesthesiology and intensive care, leadership training in health and medical care at the Stockholm School of Economics and Harvard Business School. Professional experience: CEO of Capio Sweden since 2017 and member of Group management of Ramsay Santé since February 2019. Business area President and CEO of Capio S:t Görans Hospital 2009–2017 following several managerial roles at the hospital.
Shareholding: 5,000 Class B shares, and 2,000 Class B shares via related parties.



HANS WIGZELL
Board member since 2004, Chairman since 2022. Professor Emeritus at the Karolinska Institutet in Solna, Sweden.
Year of birth: 1938
Other significant assignments: Chairman of the Board of Rhenman & Partners Asset Management AB. Board member of Sarepta Pharmaceuticals AB, Boston, US, and Wigzellproduktion AB. Chairman of the Stockholm School of Entrepreneurship. Member of the Royal Swedish Academy of Science and the Academy of Engineering Science and Board member of Segulah Medical Acceleration AB.
Educational background: Doctor of Medicine, Registered Medical Practitioner.
Professional experience: Dean of Karolinska Institutet, 1995–2003.
Shareholding: 40,000 Class A.
GÜNTHER MÅRDER
Board member since November 2022.
Year of birth: 1982
Other significant assignments: Chairman of the Board of Spotlight Group, Green Frug, Kunskapsgruppen Sverige and YH and Board member of the Swedish Public Employment Service, Lundqvist Trävaru AB and StyrelseAkademien Stockholm. Financial and Industrial Advisor to Beijerinvest and Beijer Ventures and financial advisor to SIBA Invest and the Anders Wall foundations.
Educational background: MBA from Stockholm School of Economics and courses at Harvard University.
Professional experience: CEO of Företagarna 2015–2023. Prior to that, professional experience includes investment economist at Nordnet Bank, Vice Chairman of Better Finance, CEO of Sveriges Aktiesparares Riksförbund and Board member of Aktieinvest FK.
Shareholding: Shareholding: 82,501 Class B shares, and 177 Class B shares via related parties.
AUDITOR
Revisionsföretaget Deloitte AB
Kent Åkerlund (auditor-in-charge)
Auditor of RaySearch Laboratories AB
Authorized Public Accountant, Deloitte AB
Year of birth: 1974
Auditor of Addtech AB, Diös Fastigheter AB, Ejendals Group AB, OX2 AB (publ), Skistar AB.
MEET OUR SENIOR MANAGEMENT

BJÖRN HÅRDEMARK Deputy CEO
NICLAS BORGLUND Director of Service
NINA GRÖNBERG CFO
DAVID HEDFORS Quality and Regulatory Affairs Director
JOHAN LÖF CEO and founder
PETER KEMLIN Director of Sales and Marketing
TOVE ALTEBORG Global HR Manager
KJELL ERIKSSON Chief Science Officer

PETRA JANSSON General Counsel
FREDRIK LÖFMAN Head of Machine Learning
LARS JORDEBY Director of Sales and Marketing for Asia-Pacific & Middle East
HENRIK FRIBERGER Director of Development
JOHAN LÖF
CEO AND FOUNDER
Member of the Board of RaySearch since 2000.
Year of birth: 1969
Other directorships: Several Board assignments for other companies in the RaySearch Group.
Educational background: MSc in Engineering Physics from the Royal Institute of Technology in Stockholm and PhD from the Department of Medical Radiation Physics at the Department of Oncology-Pathology, Karolinska Institute. As a doctoral student he worked with mathematical models for optimization of radiation therapy and also developed the prototype for ORBIT.
Professional experience: CEO of RaySearch since 2000.
Shareholding: 5,443,084 Class A and 68,393 Class B.
NICLAS BORGLUND
DIRECTOR OF SERVICE
Year of birth: 1971
Educational background: Doctor of Physics from Stockholm University.
Professional experience: Niclas Borglund was appointed Director of Service in 2010. He was employed as project manager in RaySearch’s Development Department in 2006. He was previously employed as a technical consultant at Savantic AB, specialized in software development for high-tech projects.
Shareholding: 200 Class B shares.

NINA GRÖNBERG
CFO
Year of birth: 1978
Educational background: MSc in Business Administration and Economics from Stockholm University.
Professional experience: Nina was appointed CFO in 2025.
Previous positions include CFO of the healthcare company Team Olivia, CFO of Duroc and leading roles in accounting, reporting and business control at Ratos and Munters.
Shareholding: 0
BJÖRN HÅRDEMARK
DEPUTY CHIEF EXECUTIVE OFFICER
Year of birth: 1977
Educational background: MSc in Engineering Physics from the Royal Institute of Technology in Stockholm. Received an award for academic excellence in 2003.
Professional experience: Björn Hårdemark wrote his thesis at RaySearch in 2002 and has since held positions as Research Engineer, System Developer, Physicist, Head of Physics and Chief Science Officer at the company until taking office as Deputy CEO in 2015. In 2022, he served as Interim CFO from April to November.
Shareholding: 6,000 Class B shares.
LARS JORDEBY
DIRECTOR OF SALES AND MARKETING FOR ASIA-PACIFIC & MIDDLE EAST
Year of birth: 1965
Professional experience: Lars Jordeby was appointed Director of Sales and Marketing for Asia-Pacific & Middle East in 2014. He has 30 years of experience from sales and marketing in the field of radiation therapy in Europe, Asia and North America in companies including Scanditronix Medical AB, IBA Dosimetry AB, C-RAD AB and ScandiDos AB. Lars is also one of the founders and partners of ScandiNova Systems AB.
Shareholding: 1,800 Class B shares.
KJELL ERIKSSON
CHIEF SCIENCE OFFICER
Year of birth: 1973
Educational background: MSc in Engineering Physics from Uppsala University.
Professional experience: Kjell Eriksson was appointed Chief Science Officer in 2015. He was employed as a developer at RaySearch in 2001 and became a research engineer when the R&D department was formed in 2003.
Shareholding: 16,000 Class B shares.
PETER KEMLIN
DIRECTOR OF SALES AND MARKETING
Year of birth: 1974
Educational background: MSc in Industrial Engineering from Chalmers University of Technology.
Professional experience: Peter Kemlin was appointed Director of Sales and Marketing at RaySearch in 2012. He has extensive experience in medical technology, both as a consultant for Swedish hospitals and from positions in sales and marketing, primarily in radiation therapy. Peter has also served as Trade Commissioner at the Swedish Trade Council.
Shareholding: 300 Class B shares (and 1,098 via related parties).
HENRIK FRIBERGER
DIRECTOR OF DEVELOPMENT
Year of birth: 1971
Educational background: MSc in Electronics from the Royal Institute of Technology in Stockholm.
Professional experience: Henrik Friberger was appointed Director of Development in 2013. He was employed at RaySearch in 2001 and has worked with software development, team and project management and also managed a team in the Development Department.
Shareholding: 16,500 Class B shares.

DAVID HEDFORS
QUALITY AND REGULATORY AFFAIRS DIRECTOR
Year of birth: 1976
Educational background: MSc in Engineering Physics from the Royal Institute of Technology in Stockholm.
Professional experience: David Hedfors was appointed Quality and Regulatory Affairs Director in 2010. He was employed as a developer at RaySearch in 2002 and has also worked as team and project manager.
Shareholding: 1,000 Class B shares.
PETRA JANSSON
GENERAL COUNSEL
Year of birth: 1973
Educational background: Law degree and LLM from Lund University, and Master of Laws from University of Cambridge.
Professional experience: Petra Jansson was appointed General Counsel in 2017. Her previous positions include General Counsel, Head of Compliance and International Relations at EKN, assistant General Counsel at Gambro and lawyer at Mannheimer Swartling.
Shareholding: 1,000 Class B shares.
FREDRIK LÖFMAN
HEAD OF MACHINE LEARNING
Year of birth: 1978
Educational background: MSc in Engineering Physics from Chalmers University of Technology, MSc in Physics from Imperial College and PhD in Applied Mathematics in radiation therapy optimization from the Royal Institute of Technology in Stockholm.
Professional experience: Fredrik Löfman did his Ph.D. at RaySearch 2003–2008, after that he worked as a research engineer, developer and project manager of RayStation. Between 2011 and 2017, Fredrik worked at SEB with financial risk modeling. Fredrik re-joined RaySearch in 2017 to start and build up a machine learning department.
Shareholding: 1,400 Class B shares.
TOVE ALTEBORG
GLOBAL HR MANAGER
Year of birth: 1980
Educational background: MSc in Business Administration and Economics from Stockholm School of Economics.
Professional experience: Tove Alteborg was appointed Global HR Manager in July 2023. Tove has 15 years of experience from a variety of HR roles. Her previous positions include interim CHRO at Skandia, HR Business Partner at Danske Bank and HR Manager at Scania Financial Services.
Shareholding: 0.
SHARES AND OWNERSHIP
NUMBER OF SHARES AND SHARE CAPITAL
At December 31, 2024, the total number of registered shares in RaySearch was 34,282,773, of which 7,654,975 were Class A and 26,627,798 Class B. The quotient value was SEK 0.50 and the company’s share capital amounted to SEK 17,141,386. All shares carry equal rights to the company’s assets and profit. Holders of Class A shares are entitled to ten votes per share, and holders of Class B shares are entitled to one vote per share, at the Annual General Meeting. At December 31, 2024, the total number of votes in the company was 103,177,548. All shareholders who are entitled to vote at the Annual General Meeting may vote for the full number of shares owned or represented by them, with no restrictions on voting rights. The proportion of foreign owners’ shareholdings in RaySearch increased from 40.3 percent at December 31, 2023 to 40.6 percent at December 31, 2024. The number of shareholders continued to increase and amounted to 9,900 (8,199) on December 31, 2024.
STATEMENT FROM SOME OF THE PRINCIPAL SHAREHOLDERS
The aim of the principal owners – Johan Löf, Anders Brahme and Carl Filip Bergendal – is to remain significant long-term shareholders of RaySearch.
SHAREHOLDER AGREEMENTS
As far as the Board of Directors of RaySearch is aware, there are no shareholder agreements for either Class A or Class B shares.
OWNERSHIP STRUCTURE – 10 LARGEST SHAREHOLDERS AT DEC 31, 2024
OWNERSHIP STRUCTURE – SIZE OF HOLDING AT DEC 31, 2024
LISTING ON NASDAQ STOCKHOLM
RaySearch’s share has been listed on Nasdaq Stockholm since 2003. On January 4, 2016, RaySearch was moved to the Mid Cap segment following Nasdaq’s annual review of Nordic market capitalization segments.
SHARE TRADING AND SHARE PRICE TREND
In 2024, a total of 15.1 million (18.1) RaySearch shares were traded at a value of SEK 2,132 M (1,401). This corresponds to an average price of SEK 140.8 (77.4). The highest price paid in 2024 was SEK 216.0 on December 30. The lowest price paid during the same period was SEK 85.6 on February 22. On the last trading day of the year, December 30, the closing price was SEK 216.0 (90.3). In 2024, RaySearch’s share price rose 139 percent (33), while the OMXS30 increased 3.6 percent (17). At
CHANGES IN SHARE CAPITAL OF RAYSEARCH
December 31, RaySearch’s market capitalization was SEK 7,405 M (3,096). In this calculation, Class A shares, which are not listed on the stock exchange, were assigned the same value as the listed Class B shares.
OPTIONS PROGRAMS
RaySearch currently has no options programs outstanding.
DIVIDEND POLICY
The Board of Directors’ objective is to propose an annual dividend to shareholders of 20 to 30 percent of profit before tax, provided that a sound capital structure can be maintained.
SHAREHOLDER REGISTER, COMPLETE – RAYSEARCH LABORATORIES AB (PUBL) AT DEC 31, 2024 – LARGEST SHAREHOLDER COUNTRIES
SHAREHOLDER REGISTER, COMPLETE – RAYSEARCH LABORATORIES AB (PUBL) AT DEC 31, 2024 –
LEGAL-NATURAL PERSONS
MULTI-YEAR OVERVIEW – KEY FIGURES
KEY FIGURES AND CONDENSED FINANCIAL DATA
The summary shows how the core business developed between 2015 and 2024 and was prepared in accordance with IFRS.
Per share data
1 According to the Board’s proposal.
DEFINITIONS OF KEY FIGURES
The Annual Report refers to a number of non-IFRS measures that are used to provide investors and company management with additional information to assess the company’s operations. The various non-IFRS measures used to complement the IFRS financial statements are described below.
Non-IFRS measure
Return on average equity
Return on capital employed
Definition
Calculated as profit/loss for the period as a percentage of average equity. Average equity is calculated as the sum of equity at the end of the period plus equity at the beginning of the period, divided by two
Operating profit plus financial income expressed as a percentage of average total assets, excluding non-interest-bearing liabilities
Gross profit/loss Net sales minus cost of goods sold
EBITDA
Operating profit before financial items, tax, depreciation, amortization and impairment
Equity per share Equity divided by number of shares at the end of the period
Adjusted operating profit
Net debt
Net debt/EBITDA
Change in sales at unchanged exchange rates
Order intake
Order backlog
P/E ratio
Interest-bearing liabilities
Working capital
Operating expenses
Operating margin
Operating profit
Operating profit adjusted for realized and unrealized currency effects
Interest-bearing liabilities (leases) less cash and cash equivalents and interest-bearing current and long-term receivables
Net debt at the end of the period in relation to operating profit before depreciation and amortization over the past 12-month period
Change in sales at unchanged exchange rates, i.e. excluding currency effects.
The value (transaction price) of all orders received and changes to existing orders during the current period.
The value of orders at the end of the period that the company has yet to deliver and recognize as revenue, meaning remaining performance obligations
Share price at the end of the period divided by earnings per share
Liabilities requiring the payment of interest
Working capital comprises inventories, operating receivables and operating liabilities, and is obtained from the statement of financial position. Operating receivables comprise accounts receivable, other current/long-term receivables and non-interest bearing prepaid expenses and accrued income.
Operating liabilities include other non-interest bearing long-term liabilities, advance payments from customers, accounts payable, other current liabilities and non-interest bearing accrued expenses and deferred income
Pertains to selling expenses, administrative expenses and research and development costs included in operating activities. Previous reports also included cost of goods sold, other operating income and other operating expenses
Reason for using the measure
Shows the return generated on the owners’ invested capital from a shareholder perspective
A central measure for measuring the return on all tied-up working capital
Gross profit is used to measure the margin before sales, research, development and administrative expenses
This measure is a way to evaluate the result without taking into consideration financial decisions or taxes
This measure shows the return generated on the owners’ invested capital per share from a shareholder perspective
This measure shows the effects of excluded realized and unrealized currency effects
This measure shows the Group’s total indebtedness
A relevant measure from a credit perspective that shows the company’s ability to handle its debt
Order intake is an indicator of future revenue and thus a key figure for the management of RaySearch’s operations.
Order intake is an indicator of future revenue and thus a key figure for the management of RaySearch’s operations
The order backlog shows the value of orders already booked by RaySearch that will be converted to revenue in the future
Shows how the market values the share from a shareholder perspective in relation to the company’s recognized profit after tax
This measure shows the actual interest-bearing debt burden
This measure shows how much working capital is tied up in operations and can be shown in relation to net sales to demonstrate the efficiency with which working capital has been used
Operating expenses provide an overall picture of the costs charged to operating activities and represent an important internal measure over which management has significant influence
Operating profit expressed as a percentage of net sales Together with sales growth, the operating margin is a key element for monitoring value creation
Calculated as profit for the period before financial items and tax
Debt/equity ratio Net debt in relation to equity
Equity/assets ratio Equity expressed as a percentage of total assets at the end of the period
Capital employed Total assets less non-interest-bearing liabilities and deferred tax liabilities
Rolling 12 months’ sales, operating profit or other results
Dividend per share
Sales, operating profit or other results measured over the past 12-month period
Dividend divided by number of shares outstanding at year-end
Operating profit provides an overall picture of the total generation of earnings in operating activities
The measure shows financial risk and is used by management to monitor the Group’s indebtedness
This is a standard measure to show financial risk, and is expressed as the percentage of the total restricted equity financed by the owners
This measure shows how much capital is used in the business and is therefore one of two components for measuring return from the operations
This measure is used to more clearly illustrate the trends for sales, operating profit and other results, which is relevant because RaySearch’s revenue is subject to monthly variations
Shows the direct return generated from a shareholder perspective
CALCULATION OF NON-IFRS FINANCIAL MEASURES, AMOUNTS IN SEK 000S
FINANCIAL CALENDAR
INTERIM REPORT, Q1
Interim report, first quarter January 1–March 31, published May 9, 2025
For more information: IR@raysearchlabs.com
Head office
RaySearch Laboratories AB (publ)
Eugeniavägen 18C
SE-113 68 Stockholm, Sweden
Tel: +46 (0)8 510 530 00 raysearchlabs.com Corp. Reg. No. 556322-6157
2025
ANNUAL GENERAL MEETING
The 2025 Annual General Meeting for RaySearch Laboratories AB (publ) will be held on May 22, 2025
Text and production: Narva Communications AB in collaboration with RaySearch. Print: Åtta45 in April 2025.
INTERIM REPORT, Q2
Interim report, second quarter April 1–June 30, published August 8, 2025
INTERIM REPORT, Q3
Interim report, third quarter July 1–September 30, published November 7, 2025
