3M Clinical Case - Dr. Alberto Ferreiroa

Page 1

Posterior

Before: After:

© 3M 2022. All rights reserved. GO BACK TO PREVIOUSLY VIEWED
Adhesive
Proximal Caries
Filtek™ Universal Restorative Plus Adhesive
3M™ Scotchbond™ Universal
3M™ Filtek™ Universal Restorative 3M™ Elipar™ DeepCure-L LED Curing Light Hidden
3M™
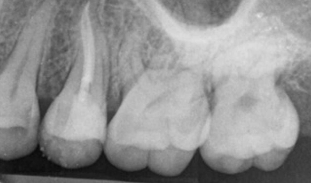
the case: Patient had hidden interproximal caries on upper first pre-molar.
Products featured in this case: Sof-Lex™ Diamond Polishing System
About
?
Clinical dentistry and photography by Prof. Dr. Alberto Ferreiroa
3M Direct Restorative Solutions | Case Details
Madrid, Spain

3M™ Filtek™ Universal Restorative

Hidden Proximal Caries

Posterior

Clinical dentistry and photography by Prof. Dr. Alberto Ferreiroa

Madrid, Spain

Products featured in this case:

Scotchbond™ Universal Plus Adhesive

Universal Restorative

Diamond Polishing System

© 3M 2022. All rights reserved.
BACK TO PREVIOUSLY VIEWED
GO
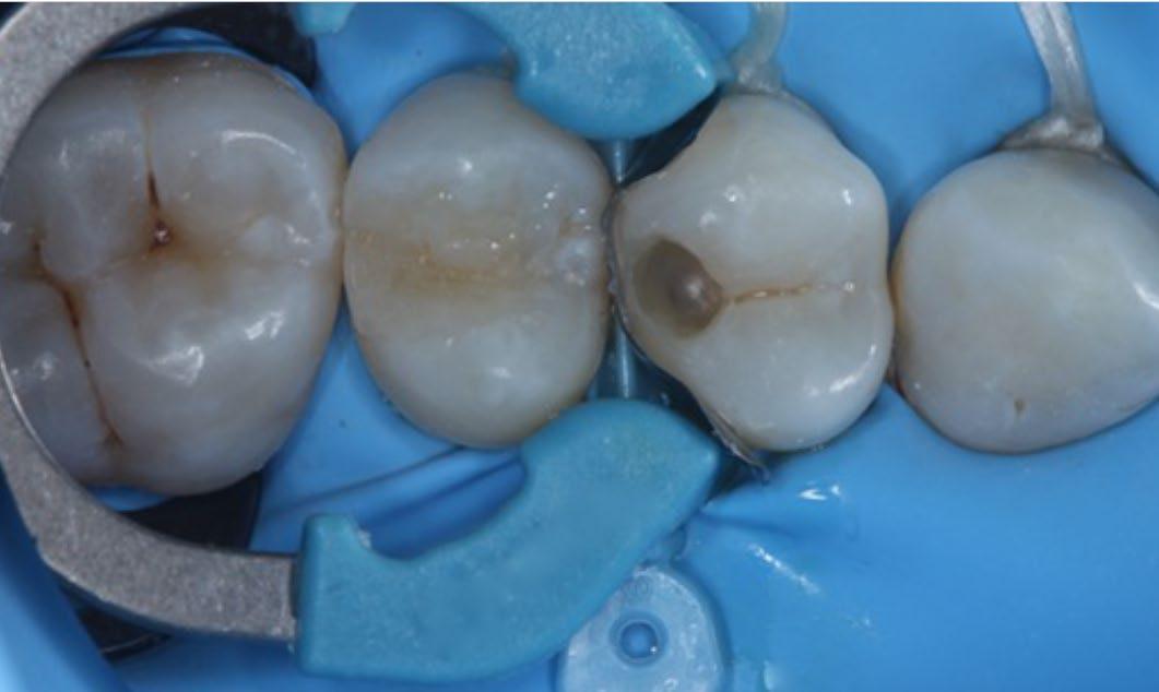
Fig. 1: Initial situation. Fig. 2: X-ray showed hidden caries at the distal side of the upper first pre-molar. Fig. 3: Isolation with rubber dam. Fig. 4: Preparation. Hidden Proximal Caries | Posterior continues next page >>>
▲ 3M™
▲ 3M™
▲ 3M™
Filtek™
Sof-Lex™
3M Direct Restorative Solutions | Case Details

3M™ Filtek™ Universal Restorative

Hidden Proximal Caries

Posterior

Clinical dentistry and photography by Prof. Dr. Alberto Ferreiroa

Madrid, Spain ▲ 3M™ Scotchbond™ Universal Plus Adhesive ▲ 3M™ Filtek™ Universal Restorative

Products featured in this case:

3M™ Sof-Lex™ Diamond Polishing System

* Light cured according to the manufacturer’s guidelines

© 3M 2022. All rights reserved. GO BACK TO PREVIOUSLY VIEWED
Fig. 5: Selective enamel etch. Phosphoric acid gel was applied for 15 seconds, rinsed and lightly dried. Fig. 6: Adhesive was applied on dentin, rubbed in for 20 seconds, air dried for 5 seconds and light cured for 10 seconds.* Hidden Proximal Caries | Posterior continues next page >>> Fig. 7: After adaptation of the matrix system, the first layer of 3M™ Filtek™ Universal Restorative, shade A2, was placed. Fig. 8: Placement of the restoration is completed.
3M Direct Restorative Solutions | Case Details

3M™ Filtek™ Universal Restorative

Hidden Proximal Caries

Posterior

Clinical dentistry and photography by

Prof. Dr. Alberto Ferreiroa

Madrid, Spain

Products featured in this case:

3M™ Scotchbond™ Universal Plus Adhesive

3M™

Universal Restorative

Diamond Polishing System

© 3M 2022. All rights reserved. GO BACK TO PREVIOUSLY VIEWED
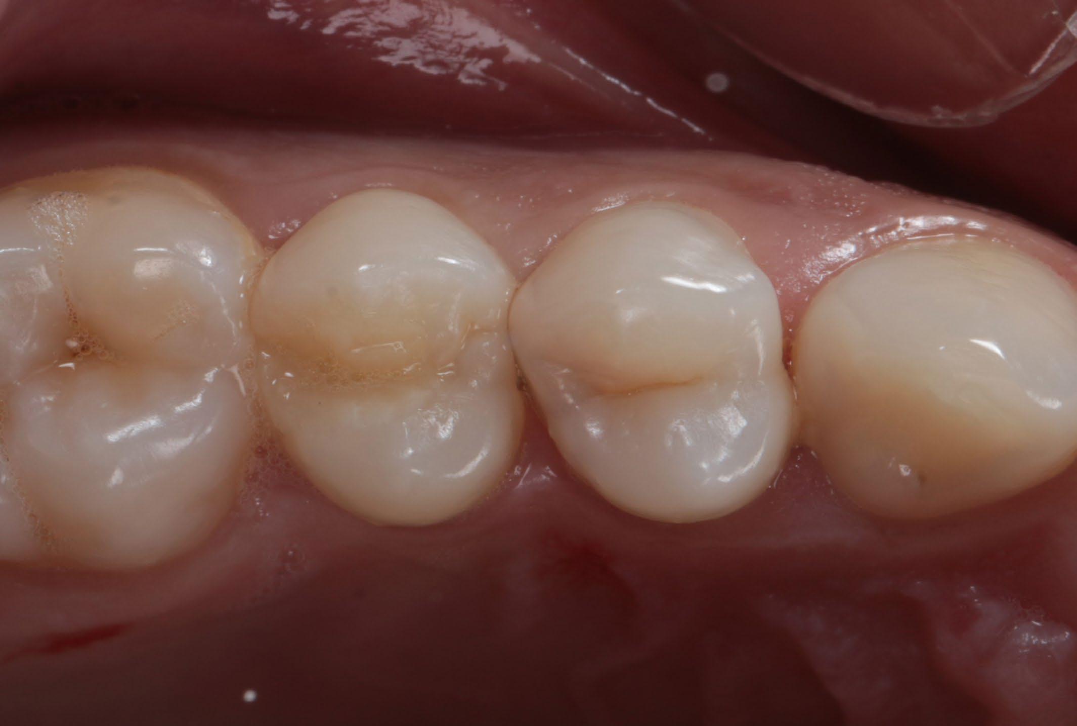
Fig. 9: The restoration was polished with the first spiral in the two-step 3M™ Sof-Lex™ Diamond Polishing System. Fig. 10: A high gloss was achieved using 3M™ Sof-Lex™ Diamond Polishing System’s second spiral. Fig. 11: Polished restoration. Fig. 12: Final restoration.
Filtek™
3M™ Sof-Lex™
3M Direct Restorative Solutions | Case Details

Turn static files into dynamic content formats.

Create a flipbook
Issuu converts static files into: digital portfolios, online yearbooks, online catalogs, digital photo albums and more. Sign up and create your flipbook.