UNIVERSAL ADHESIVE I FORBINDELSE MED ULIKE REPARASJONSPROSEDYRER


By
Dr. Michał
Jaczewski
Michal Jaczeweski ble uteksaminert fra Wroclaw Medical University i 2006 og driver i dag sin private praksis i byen Legnica i Polen. Han spesialiserer seg på minimal invasiv- og digital tannbehandling, og er grunnleggeren av Biofunctional School of Occlusion. Her holder han forelesninger og arrangerer workshops med fokus på omfattende pasientbehandlinger.
Når man jobber med kompositt, er en av de viktigste aspektene å forstå mekanismene for adhesjon. Å velge riktig kompositt er én ting, men å velge et passende bonding-system og i tillegg bruke det riktig er et like viktig aspekt som påvirker langtidsprestasjonen til en direkte restaurering.
Det finnes mange bonding-produkter på markedet – to flasker (primer og bond), men også singel-flaske-systemer. For de som prøver å velge et ideelt adhesiv for et spesifikt klinisk tilfelle, kan antall tilgjengelige produkter være utfordrende. Fristelsen i å bruke dem alle på forskjellige måter, kan resultere i defekter. I min tannlegepraksis er jeg opptatt av å forenkle prosedyrer.
* xxxxxxx
Derfor startet jeg å se etter bondingssytemer som tilbyr en sikkerhet når det gjelder adhesjon, men også enkel håndtering i ulike kliniske situasjoner. Jeg har valgt et bonding-system fra 8. generasjon med ønskede egenskaper – CLEARFIL ™ Universal Bond Quick (Kuraray Noritake Dental Inc.). Det universelle adhesivet i én flaske er ideelt for et bredt spekter av bonding-prosedyrer i tannlegepraksis.
IMPONERENDE EGENSKAPER
CLEARFIL ™ Universal Bond Quick kan brukes både med total-etsing og selektiv etsing av emalje i kombinasjon med et etsegel som K-ETCHANT Syringe (Kuraray Noritake Dental Inc.). Det er også et selvetsende adhesiv. Brukt i kombinasjon med det dualherdende oppbyggingsmaterialet
CLEARFIL ™ DC CORE PLUS, eller det dualherdende universelle resinsementet PANAVIA ™ SA Cement Universal (begge fra Kuraray Noritake Dental Inc.), vil det være ideelt for sementering i rotkanaler og for sementering av inlays eller kroner laget av ulike restaureringsmaterialer – fra metall til zirkonia, eller litiumdisilikat. Effektive kliniske prosedyrer støttes av den innebygde Rapid Bond Technology, som eliminerer behovet for omfattende innarbeiding, eller i påvente av at adhesivet skal trenge inn i substratet og at løsningsmiddelet skal fordampe. Blant de viktigste komponentene i denne teknologien er de hydrofile amidmonomerene, som gjør at adhesivløsningen trenger raskt inn i fuktig dentin, samtidig som den har en høy
herdeevne. I tillegg er den originale MDP-monomeren en del av formuleringen. Sammen med amidmonomerene gir det høy bindestyrke til emalje og dentin – oppnås gjennom en enkel prosedyre av påføring, lufttørking og lysherding.
De beskrevne egenskapene gjør CLEARFIL ™ Universal Bond Quick til en av de mest fleksible og brukervennlige adhesivløsningene i praksis. Produktet har lav operatøravhengighet og er lite teknikkfølsomt, siden tre-trinnsprosedyren alltid er den samme. De følgende kasusbeskrivelsene illustrerer anvendelsen i ulike reparasjonsprosedyrer.
REPARASJON AV KOMPOSITTRESTAURERINGER
En av de største fordelene ved å bruke kompositt som restaureringsmateriale er at det kan endres og repareres når som helst. Enten det oppdages en luftboble på overflaten, at fargen må justeres, en oppstått fraktur, eller at materiale må tilføyes som følge av slitasje, kan modifikasjon eller reparasjon enkelt utføres uten å ofre mer av den friske tannstrukturen. Hvis det opprinnelig ble laget en silikonindeks for behandlingen og denne fortsatt er tilgjengelig, i tillegg til at behandleren kjenner til hvilken kompositt som ble benyttet i den opprinnelige restaureringen, kan Flowable Injection Technique være en spesielt enkel og effektiv metode for å reparere restaureringen. Imidlertid vil den anbefalte protokollen variere noe avhengig av tilstanden til restaureringsoverflaten.
KASUS 1: UMIDDELBAR REPARASJONSPROSEDYRE
Når en restaurering har blitt skadet eller en luftboble har oppstått under påføring av en flytende kompositt, er prosedyren noe annerledes. I dette tilfellet er oksygeninhibisjonslaget vanligvis fortsatt til stede på overflaten av restaureringen. Derfor e r det mulig å enkelt påføre et nytt lag med kompositt (Fig. 1a til 1d). Selv etter kontaminering av komposittoverflaten med vann, spytt eller blod, kan denne metoden fortsatt benyttes. Overflaten må bare skylles grundig og tørkes før den nye porsjonen med kompositt påføres. For maksimal sikkerhet kan et universelt adhesiv også benyttes.

Figur 1a: Reparasjonsprosedyre som kan brukes ved en defekt i en komposittrestaurering, så lenge oksygeninhibisjonslaget ikke er fjernet: Luftboble oppdaget i det interproksimale området

Figur 1b: Påføring av ny porsjon med kompositt etter skylling og tørking. Den tilstøtende overflaten beskyttes med PTFE-tape.


den planlagte formen.
KASUS 2: REPARASJONSPROSEDYRE ETTER POLERING
Hvis en lignende defekt oppdages under finpussing og polering, altså når oksygeninhibisjonslaget allerede er fjernet (Fig. 2), er det helt nødvendig å gjøre overflaten ru. Ved å skråpreparere til området med luftboblen skapes optimale forhold for et nytt la g med kompositt som integrerer naturlig sammen med omkringliggende materiale (Fig. 3). Etter skråprepareringen må overflaten sandblåses og renses enten med KATANA ™ Cleaner (Kuraray Noritake Dental Inc.) (Fig. 4a) eller med 37 % ortofosforsyre (Fig. 4b). Etter grundig skylling og tørking kan et nytt lag med kompositt påføres på overflaten (Fig. 5a til 5c). Siden defekt en er liten, kan kompositten påføres manuelt i stedet for å injiseres, og silikonindeksen kan deretter reposisjoneres







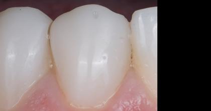
5c: Endelig restaurering med en jevn overgang mellom de ulike komposittlagene.
KASUS 3: REPARASJONSPROSEDYRE ETTER TO ELLER FLERE UKER
For skadede restaureringer som har vart i mer enn to uker, må det etableres en optimal binding mellom komposittlagene ved å skråpreparere og gjøre overflaten ru. Et godt eksempel illustreres i figur 6. Det viktigste steget for å sikre en vellykk et prosedyre er riktig forberedelse av komposittoverflaten. For å legge grunnlaget for sterk binding mellom det nye og gamle komposittlaget, samt sikre et estetisk resultat, må det prepareres til en skråkant (figur 7a og 7b) for å oppnå en jevn overgan g mellom lagene. Når skråkanten er ferdig, bør overflaten sandblåses med 27 μm aluminiumoksidpartikler (figur 8).
Følgende anbefalte steg er etsing av kompositten med 37 % ortofosforsyre (figur 9) og deretter påføring av CLEARFIL ™
Universal Bond Quick (figur 10). Siden det universelle adhesivet inneholder en silan-koblingsagent, er det ikke nødvendig med separat silanpåføring. I stedet kan det nye komposittlaget påføres umiddelbart, for eksempel ved bruk av flowable injeksjonsteknikken med en matrise (figur 11).

Figur 6: Frakturert anterior komposittrestaurering som har stor nytte av reparasjon – den gjenværende kompositten er i god stand i henhold til farge og form.

Figur 7a: Skråpreparering med spesialtilpassede instrumenter.






KONKLUSJON
De tre beskrevne reparasjonsprotokollene er enkle og fungerer godt – forutsatt at det etableres en sterk binding i komposittlagene. Måten det etableres på kan variere avhengig av om oksygeninhibisjonslaget fortsatt er tilstede eller om det er fjernet. Ved bruk av et universelt adhesiv som CLEARFIL ™ Universal Bond Quick forenkles prosedyren, ettersom separat påføring av silan elimineres.