IMF Virtual RCW Mid-Atlantic

Page 1

Thank you for joining us today for the May 21, 2024, International Myeloma Foundation’s Virtual Regional Community Workshop

Welcome!

We want to hear from you!

Feedback Survey

At the close of the meeting a feedback survey will pop up.

This will also be emailed to you shortly after the workshop.

Please take a moment to complete this survey.

Thank you to our sponsors!

May 21, 2024

IMF
Regional Community Workshop
- Agenda
– 5:35 PM Welcome & Introductions 5:35 – 5:55 PM Myeloma 101 – Joseph Mikhael, MD
– 6:15 PM Taking the Reins of Your Multiple Myeloma Care – Kimberly Noonan, DNP, ANP-BC, AOCN
– 6:45 PM Frontline Therapy – David Vesole, MD 6:45 – 7:05 PM Q&A 7:05 – 7:15 PM Break 7:15 – 7:25 PM Maintenance Therapy – David Vesole, MD 7:25 – 7:55 PM Relapse Therapy & Clinical Trials – Joseph Mikhael, MD 7:55 – 8:25 PM Q&A 8:25 – 8:30 PM Closing Remarks
5:30
5:55
6:15

Multiple Myeloma affects patients and families.

The IMF provides FREE resources to help both patients and families.

Established in 1990, the IMF’s InfoLine assists over 4600 callers annually and answers questions across a wide variety of topics including:

Frequent topics:

• Treatment questions along the spectrum of care

• Clinical Trial access and understanding

• Side effect management and health issues

• Financial resources for myeloma-related expenses

• Myeloma Specialist Referral contact information

• Support group information

• Caregiver Support

6 Contact the InfoLine: 800-452-CURE (2873)
InfoLine@myeloma.org
Paul Hewitt, Missy Klepetar, & Teresa Miceli

Educational Publications

A core mission of the IMF is to provide thorough and cutting- edge education to the myeloma community. Link to Pubs

New
publications

Support Groups make a Difference!

Link to

IMF – Special Interest Virtual Groups

Special interest groups are designed as a supplemental support for specific populations of patients, in addition to their local Support Groups

 Las Voces de Mieloma

 Designed for Spanish speaking patients only

 Living Solo & Strong with Myeloma

 Designed for patients without a care partner

New in June!

Care Partners Only

 Designed to address the needs of care partners only

 High Risk Multiple Myeloma

 Designed to address the needs of the high-risk MM population

 Smolder Bolder

 Created for people living with Smoldering Multiple Myeloma

 MM Families

 For patients/care partners with young children

10

Myeloma 101

Joseph Mikhael, MD

International Myeloma Foundation

Objectives

• Review the basics of blood and cancer

• Define multiple myeloma and its key features

• Discuss the staging and classification of myeloma

• Outline the approach to therapy of myeloma

• Appreciate the importance of health disparities in myeloma

The Basics of Blood

• The blood is an “organ” made up of both cells and liquid “plasma” • Think of wine (red/white/rose)

2.
3.
All produced in the blood factory = Bone Marrow
1. Red Cells – carry Oxygen…trucks White Cells
– immune system…army
Platelets
help with clotting…ambulance

What is Multiple Myeloma?

Multiple Myeloma* is a blood cancer that starts in plasma cells from the center of bones (bone marrow).

– This is where stem cells mature into red blood cells, white blood cells, and platelets

– Myeloma cells are abnormal plasma cells that make an abnormal antibody called “M protein” – M = monoclonal (“identical” or cancerous)

* Myeloma is NOT a bone cancer or skin cancer (melanoma), it is a type of blood cancer.

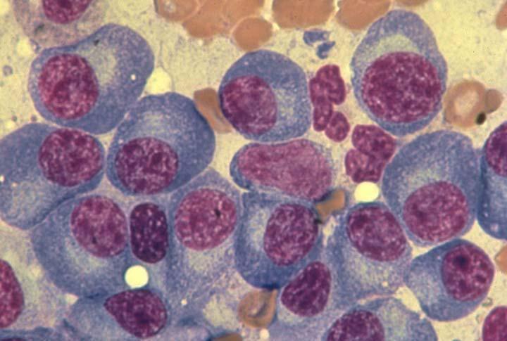
Myeloma Is a Cancer of Plasma Cells

• Cancer of plasma cells

• Healthy plasma cells produce immunoglobulins G, A, M, D, and E

• Myeloma cells produce abnormal immunoglobulin “paraprotein” or monoclonal protein (=M protein)

Bone marrow of patient with multiple myeloma

Image courtesy of American Society of Hematology

Kyle et al. Mayo Clin Proc. 2003;78:21-33;

FAST STATS

1.8% of all cancers; 17% of hematologic malignancies in the United States

Most frequently diagnosed in ages 65 to 74 years (median, 69 years)

The average age of diagnosis of 4-5 years younger in African American and Hispanic patients

Multiple Myeloma Snapshot

National MM Statistics

Approx 35,000 Estimated

New Cases in 2023 Approx 13,000 Estimated Deaths in 2023

The Average Survival of patients with myeloma is IMPROVING!

The expected survival is nearly 10 years for all patients, but still less than 5 years in patients with high risk disease

Trends in MM Natural History by Race

Incidence

Higher incidence in AA vs White patients:

15.9 vs 7.5 cases per 100,000 per year

Mortality

5.6 vs 2.4 MM deaths per 100,000

5-year relative survival evolution from 1973 to 2005 • Survival for White patients increased significantly from 26.3% to 35% • Survival for AA patients increased from 31% to 34.1%

MM
MM
MM
Higher mortality in AA vs White patients:
Survival

Types of Monoclonal Protein (M Protein) in Multiple Myeloma

• For example:

• IgG+kappa

• IgG+lambda

• IgA+kappa

• IgA+lambda

• etc…

• 80% of myeloma cases

Bence Jones protein

• 18% of all myeloma cases

• Renal failure more common in light chain multiple myeloma; creatinine >2 mg/dL in 1/3 of cases

protein present

• Less than 3% of cases of multiple myeloma

Multiple Myeloma - Types

• Subtypes of MM are determined based on the kind of abnormal protein IgG – 55%

IgA – 25%

IgD – 1-2%

IgM – 1% Light Chain Disease only – 20%

Non Secretors 1-2 %

M spike in gamma region

Diagnosis of multiple myeloma: Monoclonal immunoglobulin

- both “heavy” and ”light” chains

Multiple Myeloma Typically Preceded by Premalignant Conditions

Condition

Clonal plasma cells in bone marrow

Presence of Myeloma

Defining Events

MGUS1-4 (Monoclonal Gammopathy of Undetermined Significance)

SMM1-5,8 (Smoldering Multiple Myeloma) Active Multiple Myeloma6-8

Likelihood of progression ~1% per year ~10% per year Not Applicable

Premalignant Malignant * In clinical trial (preferred) or offer treatment for those likely to progress within 2 years

1. Kyle RA, et al. N Engl J Med. 2007;356:2582-90.

2. International Myeloma Working Group. Br J Haematol. 2003;121:749-57.

3. Jagannath S, et al. Clin Lymphoma Myeloma Leuk. 2010;10(1):28-43

4. Kyle RA, et al. Curr Hematol Malig Rep. 2010;5(2):6269.

5. Mateos M-V, et al. Blood. 2009;114:Abstract 614.

6. Durie BG, Salmon SE. Cancer. 1975;36:842-854.

7. Durie BG, et al. Leukemia. 2006;20(9):1467-1473.

8. Rajkumar SV, et al. Lancet Oncology 2014; 15:e538e548.

<10% 10%-60% >10%
None None Yes
Treatment No; observation Yes for high risk*; No for others Yes

Multiple Myeloma Diagnosis Can Be Challenging

Kyle RA. Mayo Clin Proc. 2003;78:21-33.

Fatigue Anemia Bone Pain

2014 IMWG Active Myeloma Criteria:

Myeloma-Defining Events

Clonal bone marrow ≥10% or bony/extramedullary plasmacytoma AND any one or more Myeloma-Defining Events

alcium elevation enal complications nemia one disease

R A B
C
Clonal bone marrow ≥60% BM FLC MRI sFLC ratio >100 >1 focal lesion by MRI BM, bone marrow; FLC, free light chain; MRI, magnetic resonance imaging; sFLC, serum free light chain. Rajkumar et al. Lancet Oncol. 2014;15:e538-e548. Kyle et al. Leukemia 2010;24:1121-1127. Now SLiM CRAB • S (60% Plasmacytosis) • Li (Light chains I/U >100) • M (MRI 1 or more focal lesion) • C (calcium elevation) • R (renal insufficiency) • A (anemia) • B (bone disease)

More About the Common “CRAB” Symptoms

Low Blood Counts

• May lead to anemia and infection

• Anemia is present in 60% at diagnosis

Decreased Kidney Function

• Occurs in over half of myeloma patients

Bone Damage

• Affects 85% of patients

• Leads to fractures

Bone Turnover

• Leads to high levels of calcium in blood (hypercalcemia)

Weakness Fatigue

Infection

Weakness

Bone pain

Loss of Appetite & Weight loss

About 10% to 20% of patients with newly diagnosed myeloma will not have any symptoms.

Learn Your Labs

CBC Counts the number of red blood cells, white blood cells, and platelets

CoMP

Measures levels of albumin, calcium, and creatinine to assess kidney and liver functions, bone status ,and the extent of disease

MicroG Determines the level of a protein linked to MM and kidney function: USED FOR STAGE Immuno

LDH Lactate Dehydrogenase Determines the level of myeloma cell production and extent of MM : USED FOR STAGE

Serum Protein EP Detects the presence & level of M protein = how much myeloma. No Heavy Chain = No M-Spike Serum Free Light Chain Measures myeloma free light chains (kappa or lambda) in blood = how much myeloma Urine Protein EP Detects Bence-Jones proteins (otherwise known as myeloma light chains) in urine (to determine if it’s present or not present)

Identifies the type of abnormal antibody proteins: IgG, IgA, IgM

Beta2
Fixation
24 hr Urine Analysis 24 hours of urine collected to test the presence
Jones protein in the urine = how much myeloma
and levels of Bence

Testing To Determine A Diagnosis of Myeloma: Blood & Urine

Test Name

CBC + differential

Complete metabolic panel

Beta-2 Microglobulin (B2M)

Lactate Dehydrogenase (LDH)

Serum Immunofixation and Protein electrophoresis (SPEP+IFE)

Immunoglobulins (G, A, M, D, E)

Free light chain assay with kappa/lambda ratio

Urine immunofixation & protein electrophoresis (UPEP+IFE)

What it means

Hemoglobin, WBC, Platelets

Creatinine, Calcium, Albumin,

Liver function

Part of staging and risk stratification

Measures the level of normal and clonal protein

Identifies the type of clonal protein

Measures the level of normal and clonal protein

Identifies the type of clonal protein

Rajkumar SV, et al. Lancet Oncol. 2014;15:e538-3548. Ghobrial IM, et al. Blood. 2014;124:3380-3388; mSMART.org; NCCN.org
CBC= Complete Blood Count; WBC = White Blood C R A B S L i M
This Photo by Unknown Author is licensed under CC BY-SA-NC

Testing To Determine A Diagnosis of Myeloma: Imaging

Imaging:

– Skeletal survey: Series of X-rays; less sensitive than other techniques

Healthy bone versus myeloma bone disease

– Whole body low dose (CTWB-LD CT )

– Positron Emission Tomography (PET/CT)

– Magnetic Resonance Imaging (MRI)

Rajkumar SV, et al. Lancet Oncol. 2014;15:e538-3548. Ghobrial IM, et al. Blood. 2014;124:3380-3388; mSMART.org;
S L i M C R A B
This Photo by Unknown Author is licensed under CC BY-NC-ND

Testing To Determine A Diagnosis of Myeloma: Bone Marrow

Bone marrow biopsy & aspirate

• Bone marrow plasma cells (%)

• Congo Red staining if concern for AL-Amyloid

Bone marrow genetics

• Cytogenetics

• Fluorescence in situ hybridization (FISH)

• Next generation sequencing (NGS)

Rajkumar SV, et al. Lancet Oncol. 2014;15:e538-3548. Ghobrial IM, et al. Blood. 2014;124:3380-3388; mSMART.org;
under CC
Image Credit: IMF Patient Handbook Image Credit: IMF Patient Handbook
This
Photo
by Unknown Author is licensed
BY-SA

Staging and Risk Stratification

High Risk FISH Results

Fluorescence in situ hybridization (FISH) and Chromosomal abnormalities

Image Credit: IMF Patient Deletions
Gain 1p17pp53 mutation t(4;14) t(14;16) t(14;20) 1q+
Image Credit: IMF Patient Handbook
Translocations

Treatment Planning

Treatment Planning is the process of thinking about the treatment steps you can take with your doctor, based on your goals and preferences.

Treatment decisions are based on:

• The results of biomarker tests, cytogenetic (FISH) test, and the stage of multiple myeloma

• Your values, goals, and preferences

• Your age

• Your health and symptoms (if you have kidney disease, heart disease, anemia, or other issues)

• Your medical history and past treatments for multiple myeloma

Myeloma Treatment Schema

Transplant

Eligible Patients

Transplant (ASCT) Maintenance

Initial Therapy

Transplant

Ineligible Patients Consolidation / Maintenance Continued therapy

Treatment of Relapsed disease

TREATMENT DECISION

Your Preference

Supportive Care

Everyone

HCP
Clinical Experience Research Results
ASCT = Autologous Stem Cell Transplant
Philippe Moreau. ASH 2015.

Second/Expert Opinion

• You have the right to get a second opinion. Insurance providers may require second opinions.

• A second opinion can help you:

– Confirm your diagnosis

– Give you more information about options

– Talk to other experts

– Introduce you to clinical trials

– Help you learn which health care team you’d like to work with, and which facility

Tools of the Trade Standard Drug Overview

Class Drug Name

IMiD

immunomodulatory drug

Abbreviation Administration

Pomalyst (pomalidomide) P or Pom

Revlimid (lenalidomide) R or Rev

Thalomid (thalidomide) T or Thal

V or Vel or B

Velcade (bortezomib)

Proteasome inhibitor

Chemotherapy

Steroids

Monoclonal Antibodies

Kyprolis (carfilzomib) C or K or Car

Ninlaro (ixazomib) N or I

Intravenous (IV) or subcutaneous injectionSC (under the skin)

Cytoxan (cyclophosphamide) C Oral or intravenous

Alkeran or Evomela (melphalan) M or Mel

Decadron (dexamethasone) Dex or D or d

Prednisone P or Pred

Darzalex (daratumumab)

Sarclisa (isatuximab)

Empliciti (elotuzumab) Dara Isa Elo

XPO1 Inhibitors Xpovio (selinexor)

Oral or intravenous

Intravenous (IV or SC)

Oral
Oral
Oral
X or Sel

Tools of the Trade Novel Immunotherapy Drug Overview

Class Drug Name

Abbreviation Administration

Peptide Drug Conjugate* Pepaxto (Melphalan Flufenamide) Melflufen Intravenous

BCMA Targeted Antibody Drug

Conjugate (ADC)*

Blenrep (belantamab mafodotin) Bela, Belamaf, or B Intravenous

CAR T Cell therapy

Bispecific Antibodies

Abecma (idecabtagene vicleucel)

Carvycti (ciltacabtagene vicleucelel) Cilta-cel

Tecvayli (teclistimab)

Talvey (Talquetamab)

Ide-cel Intravenous (IV) or subcutaneous injectionSC (under the skin)

Elrexfio (Elranatamab) Tec Talq Elra SC or IV

* these agents are currently off the market but available through special programs

??? MORE TO COME!!

Antibody-dependent Cellular cytotoxicity (ADCC) ADCC

Effector cells:

Monoclonal Antibody-Based Therapeutic Targeting of Myeloma

Complement-dependent Cytotoxicity (CDC)

Apoptosis/growth arrest via targeting signaling pathways

• Lucatumumab or Dacetuzumab (CD40)

• Elotuzumab (CS1; SLAMF7)

• Daratumumab, SAR650984/Isatuximab (CD38)

• XmAb 5592 (HM1.24)

• Daratumumab

• SAR650984/Isatuximab (CD38)

• huN901-DM1 (CD56)

• nBT062-maytansinoid (CD138)

• Siltuximab (1339) (IL-6)

• BHQ880 (DKK1)

• RAP-011 (activin A)

• Daratumumab, SAR650984/Isatuximab (CD38)

MM FcR
MM
CDC MM C1q C1q
Adapted from Tai & Anderson Bone Marrow Research 2011

Antibody-Drug Conjugates

Effector cell

The Process of CAR T Cell Therapy

Hucks G, Rheingold SR. Blood Cancer J. 2019;doi:10.1038/s41408-018-0164-6.

Manufacture of CAR T Cells

Bispecific Antibodies

Mechanism

of Action

• Incorporates 2 antibody fragments to target and bind both tumor cells and T cells

• Brings target-expressing MM cells and T cells into close proximity, enabling T cells to induce tumor-cell death

Bispecific Molecule Targets Vary

“Off the Shelf”

Advantage

• No manufacturing process, unlike CAR T-cell therapy (but like ADC/belantamab therapy)

• Thus, no delay between decision to treat and administration of drug

ADC = Antibody-Drug Conjugate; BCMA = B-Cell Maturation Antigen; CD3 = Cluster of Differentiation 3; FcRH5 = Fc receptor-homolog 5; GPRC5D = G-protein

41
coupled
Image
License:
Barilà G,
al.
Agent Tumor Cell Target T-Cell Target
BCMA CD3
CD3
CD3
receptor family C group 5 member D
Source: Shah N, et al. Leukemia. 2020;34:985–1005. Creative Commons
CC BY 4.0.
et
Pharmaceuticals (Basel). 2021;14(1):40.
Teclistamab
Talquetamab GPRC5d
Cevostamab FcRH5

Targets on the Myeloma Cell Surface and Therapeutic Antibodies

Bi-Specific Antibodies

Talquetamab

CAR-T

Antibody Drug Elotuzumab

Bi-Specific Antibodies

Bi-Specific Antibodies

CAR-T

Antibody Drug

Daratumumab and Darzalex Faspro Isatuximab

TAK-079 MOR202

Immune Therapies Ide cel CAR T

Teclistamab

Cilta cel CAR T

Other Bi-Specific Antibodies

Other CAR-Ts

BCMA CD38 GPRC5D SLAMF7 FcRH5

The Evolution of Myeloma Therapy

Bortezomib

Lenalidomide

Carfilzomib

Pomalidomide

Panobinostat

Daratumumab

Ixazomib

Elotuzumab

Lenalidomide

Bortezomib

Ixazomib

Lenalidomide + PI

SCT +/- More induction

Carfilzomib

Combinations

Selinexor

Isatuximab

Idecabtagene autoleucel

Ciltacabtagene autoleucel

Teclistamab

Talquetamab

Elranatamab

CAR T or Bispecifics?

Daratumumab?

Novel CAR T Cell Therapies

Bispecific/Trispecific Antibodies

CelMod Agents

Venetoclax?

Modakafusp

Multiple small molecules

Induction Consolidation Front line treatment Post consolidation Maintenance Rescue Relapsed
New Isa-VRD D-KRD Isa-KRD
Now VTD VRD KRD D-VMP DRD D-VRD
++++++++
ASCT, autologous stem cell transplant; CAR, chimeric antigen receptor; Cy, cyclophosphamide; d- daratumumab; D/dex, dexamethasone; isa, isatuximab; K, carfilzomib; M, melphalan; PD-L1, programmed death ligand-1; PI, proteasome inhibitor; Rev, lenalidomide; V, bortezomib. Speaker’s own opinions.

A Call to Action – Facts About African Americans and Myeloma

1. There is a longer time from symptoms to diagnosis among African Americans 2. African
are younger by about 5 years on average at diagnosis 3. MM and MGUS are more than 2x as common in African Americans 4. African Americans are less likely to receive the four T’s: Transplant, Triplets, Trials and CAR T 5. African Americans have biologic differences with more t(11;14) and less high-risk cytogenetics with deletion 17p 6. Survival outcomes in African Americans are HALF of what is seen in White Americans 7. African Americans can achieve equal or better outcomes when they receive therapy
Americans

The core vision of this initiative is to improve the short- and longterm outcomes of African American patients with myeloma. We want to empower patients and communities to change the course of myeloma…

provide

45 M-Power = Myeloma Power
Enhance access to optimal
educating
disparity
how
reduce
ENGAGE ENHANCE EDUCATE empower You can learn more about this at m-power.myeloma.org
Engage the community to increase awareness and
support Shorten the time to diagnosis by educating primary care providers to recognize the disease and order the right tests
care by
myeloma providers about the
and
to
it

M-Power Is Both a National and Local Movement

National Efforts Local Efforts NY NC F L MI GA Free CE course for PCPs PCP Postcards Community Workshops Collaborate with key Stakeholders Free CE course for Nurses Community events Publications Mentorship of Medical Students Educational Postcards Social Media Campaigns Facebook Live Grand Rounds MD
Resources Myeloma.org Thank you

Taking The Reins of Your Multiple Myeloma Care

Dana-Farber

Boston, MA

48 STABLE OF TREATMENT
GAIT
FINDING YOUR
GOING THE DISTANCE
48

STABLE OF TREATMENT

Myeloma and treatment options, side effects, symptom management, & supportive care FINDING YOUR

STABLE OF TREATMENT

FINDING YOUR GAIT GOING THE DISTANCE

49
Today’s Topics
GAIT Know your care team & be an empowered patient GOING THE DISTANCE Healthful and meaningful living

Stable of Treatment

Treatment options, side effects, symptom management, and supportive care

50

Treatment Goals

Myeloma Therapies

• Rapid and effective disease control

• Durable disease control

• Improved overall survival

• Minimize side effects

• Promote good quality of life

FINDING YOUR GAIT

GOING THE DISTANCE

Supportive Treatment

• Prevent disease- and treatmentrelated side effects

• Optimize symptom management

• Promote quality of life

Discuss your goals and priorities with your healthcare team.

51
TREATMENT
STABLE OF

Steroids: The Good, The Bad, The Ugly

STABLE

FINDING YOUR GAIT

GOING THE DISTANCE

Steroids enhance the effectiveness of other myeloma therapies

Do not stop or alter your dose of steroids without discussing it with your provider

Managing Steroid Side Effects

• Consistent schedule (AM vs. PM)

• Take with food

• Stomach discomfort: Over-the-counter or prescription medications

• Medications to prevent shingles, thrush, or other infections

Steroid Side Effects

• Irritability, mood swings, depression

• Difficulty sleeping (insomnia), fatigue

• Blurred vision, cataracts

• Flushing/sweating

• Increased risk of infections, heart disease

• Muscle weakness, cramping

• Increased blood pressure, water retention

• Stomach bloating, hiccups, heartburn, ulcers, or gas

• Weight gain, hair thinning/loss, skin rashes

• Increased blood sugar levels, diabetes

52
TREATMENT
OF
Rajkumar SV, et al. Lancet Oncol 11(1):29–37. King T, Faiman B. Clin J Oncol Nurs. 2017;21(2):240-249.

Infection Can Be Serious for People With Myeloma

[P]reventing infections is paramount.

Infection remains the leading cause of death in patients with multiple myeloma. Several factors account for this infection risk, including the overall state of immunosuppression from multiple myeloma, treatment, age, and comorbidities (e.g., renal failure and frailty).

IMWG Consensus guidelines and recommendations for infection prevention in multiple myeloma; Lancet Haematol.2022;9(2):143–161.

Infection Prevention Tips

Good personal hygiene (skin, oral)

Environmental control (avoid crowds and sick people; use a high-quality mask when close contact is unavoidable)

STABLE

FINDING YOUR GAIT

GOING THE DISTANCE

Report fever of more than 100.4°F, shaking chills even without fever, dizziness, shortness of breath, low blood pressure to HCP as directed.

As recommended by your healthcare team:

Immunizations:

Flu, COVID, RSV & and pneumococcal vaccinations; avoid live vaccines

Preventative and/or supportive medications (next slide)

53
TREATMENT
OF
IMWG = International Myeloma Working Group; HCP = healthcare provider. RAJE NS, et al. Lancet Haematol.2022;9(2):143–161. IMF Nurse Leadership Board ONS Symposia 2023.

Medications Can Reduce Infection Risk

STABLE

FINDING YOUR GAIT

GOING THE DISTANCE

Type of Infection Risk

Herpes virus reactivation (HSV/VZV); CMV reactivation Acyclovir prophylaxis

Bacteremia, pneumonia, and urinary tract infection

Consider prophylaxis with levofloxacin PJP (P jirovecii pneumonia)

Consider prophylaxis with

Fungal infections (aspergillus)

Consider prophylaxis with fluconazole

Some people receiving BCMA-targeting therapies have experienced infections that are less common like
54
TREATMENT
OF
Medication Recommendation(s) for Healthcare Team
Consideration
trimethoprim-sulfamethoxazole
IgG
400 mg/dL
recurrent infections IVIg ANC < 500
μL GCSF
or 3 times/wk
as frequently
needed) to maintain ANC > 1000 cells/μL
maintain treatment dose intensity COVID-19 Antiviral therapy if exposed or positive for covid per institution recommendations ANC = absolute neutrophil count; BCMA = B-cell maturation antigen; CAR = chimeric antigen receptor; CMV, cytomegalovirus; GCSF = granulocyte colony-stimulating factor; HSV = herpes simplex virus; IVIg = intravenous immunoglobulin; PJP = Pneumocystis jirovecii pneumonia; VZV = varicella zoster virus. RAJE NS, et al. Lancet Haematol.2022;9(2):143–161.
<
or
cells/
2
(or
as
and
CMV, PJP and fungal infections

GI Symptoms: Prevention & Management

Diarrhea may be caused by medications and supplements

– Laxatives, antacids with magnesium

– Antibiotics, antidepressants, other (check with provider, pharmacist)

– Supplements: milk thistle, aloe, cayenne, saw palmetto, ginseng

Avoid caffeinated, carbonated, or heavily sugared beverages

Take anti-diarrheal medication if recommended

Discuss GI issues with health care providers to identify causes and make adjustments to medications and supplements

STABLE

FINDING YOUR GAIT

GOING THE DISTANCE

Constipation may be caused by medications and supplements

– Opioid pain relievers, antidepressants, heart or blood pressure medications (check with provider, pharmacist)

– Supplements: Calcium, Iron, vitamin D (rarely), vitamin B-12 deficiency

Increase fiber

• Fruits, vegetables, high fiber whole grain foods

• Fiber binding agents – Metamucil®, Citrucel®, Benefiber®

2016;20(4):E100-E105.

Fluid intake can help with both diarrhea and constipation and helps kidney function

Weight Management

Anorexia (difficulty eating)  Weight loss; Steroids  Weight gain

– Monitor weight for significant loss or gain

– Adjust diet (reduce calories or add supplements )

55
OF TREATMENT
Smith LC, et al. Clin J Oncol Nurs
Faiman B. Clin J Oncol Nurs
2008;12(3)suppl:37-52.

Pain Prevention and Management

Pain can significantly compromise quality of life

Sources of pain include bone disease, neuropathy and medical procedures

• Management

– Prevent pain when possible

• Bone strengtheners to decrease fracture risk

• Antiviral to prevent shingles

• Sedation before procedures

– Interventions depend on source of pain

FINDING YOUR GAIT

GOING THE DISTANCE

Tell your healthcare provider about any new bone or chronic pain that is not adequately controlled

• May include medications, activity, surgical intervention, radiation therapy, etc

• Complementary therapies (Mind-body, medication, yoga, supplements, acupuncture, etc)

• Scrambler therapy for neuropathy

56 STABLE OF TREATMENT
Faiman B, et al. CJON. 2017;21(5)suppl:19-36.

Sufficient Sleep: Important for Good Health

• Adequate rest and sleep are essential to a healthful lifestyle

• Shortened and disturbed sleep cause

– Increased heart-related death

– Increased anxiety

– Weakened immune system

– Worsened pain

– Increased falls and personal injury

• Things that can interfere with sleep

– Medications: steroids, stimulants, herbal supplements

– Psychologic: fear, anxiety, stress

– Physiologic: sleep apnea, heart issues, pain

• Sleep hygiene is necessary for quality nighttime sleep and daytime alertness

– Engage in exercise but not too near bedtime

– Increase daytime natural light exposure

– Avoid daytime napping

– Establish a bedtime routine - warm bath, cup of warm milk or tea

• Associate your bed ONLY with sleep

– Avoid before bedtime:

• Caffeine, nicotine, alcohol and sugar

• Large meals and especially spicy, greasy foods

• Computer screen time

• Sleep aid may be needed

Rod NH et al 2014. PloS one. 9(4):e91965; Coleman et al. 2011. Cancer Nurs. 34(3):219-227.National Sleep Foundation. At: http://sleepfoundation.org/ask-the-expert/sleep-hygiene Mustian et al. Journal of clinical Oncology. Sep 10 2013;31(26):3233-3241; Stan DL, et al. Clin J Oncol Nurs. Apr 2012;16(2):131-141; Zeng Y et al., Complementary therapies in medicine. Feb 2014;22(1):173-186.

57 STABLE OF TREATMENT
GAIT
DISTANCE
FINDING YOUR
GOING THE

Peripheral Neuropathy Management

STABLE

FINDING YOUR GAIT

GOING THE DISTANCE

Peripheral neuropathy happens when there is damage to nerves in the extremities (hands, feet, limbs). Damage can be the result of myeloma, treatment or unrelated conditions (i.e. diabetes).

Symptoms:

• Numbness

• Tingling

• Prickling sensations

• Sensitivity to touch

• Burning and/or cold sensation

• Muscle weakness Prevention / management:

• Bortezomib once-weekly or subcutaneous administration

• Massage area with cocoa butter regularly

• Neuroprotective Supplements:

– B-complex vitamins (B1, B6, B12)

– Green tea

• Safe environment: rugs, furnishings, shoes

If neuropathy worsens, your provider may:

• Adjust your treatment plan

• Prescribe oral or topical pain medication

• Suggest physical therapy

Report

symptoms of peripheral neuropathy early to your health care provider; nerve damage from neuropathy can be permanent if unaddressed

et al. CJON. 2017;21(5)suppl:19-36. Tariman, et al. CJON.2008;12(3)suppl:29-36. Zhao T, et al. Molecules. 2022;27(12):3909.

58
OF TREATMENT
Faiman
B,

Understanding Changes to Kidney Function

• Risk Factors

– Active multiple myeloma (light chains, high calcium)

– Other medical issues (ex: Diabetes, dehydration, infection)

– Medications (MM treatment, antibiotics, contrast dye)

• Prevention

– Stay hydrated – drink water

– Avoid certain medications when possible (eg, NSAIDs), dose adjust as needed

• Treatment

– Treatment for myeloma

– Hydration

– Dialysis

STABLE OF

FINDING YOUR GAIT GOING THE DISTANCE

Many myeloma patients will experience kidney issues at some point; protecting your kidney function early and over time is important

59
TREATMENT
59
Brigle K,
al.
et
CJON. 2017;21(5)suppl:60-76. Faiman B, et al. CJON. 2017;21(5)suppl:19-36. Faiman B, et al. CJON. 2011;15suppl:66-76.

Why the Long Face?

FINDING YOUR GAIT GOING THE DISTANCE

Fatigue

Fatigue is the most commonly reported symptom. Sources include anemia, pain, reduced activity, insomnia, treatment toxicity, bone marrow suppression 98.8%

>35% of patients

≈25% of patients

Often, people do not share these symptoms with their provider. Talk to your provider about symptoms that are not well controlled or if you have thoughts of self harm. Help is available.

60
OF TREATMENT
STABLE
Depression Anxiety

Additional Supportive Care

STABLE OF

FINDING YOUR GAIT GOING THE DISTANCE

Faiman B, et al. CJON. 2017;21(5)suppl:19-36. Dimopoulous M, et al. Leukemia. 2009;23(9):1545-56. Brigle K, et al. CJON. 2017;21(5)suppl:60-76. Faiman B, et al. CJON. 2017;21(5)suppl:19-36. Faiman B, et al. CJON. 2011;15suppl:6676. Miceli TS, et al. CJON. 2011;15(4)suppl:9-23.

61
DVT/PE Prevention Bone Health Fatigue Anxiety
Blood thinners Ex: Aspirin, DOACs Bone Strengthening Agents Calcium Vitamin D Stimulant medications Anti-depressants Anti-anxiety Non-medication Therapies Compression stockings Radiation Surgery Immobilization Physical therapy Relaxation Meditation Therapy Relaxation Meditation Lifestyle Options Activity Stop smoking Weight loss Activity Activity Improved sleep Activity Improved sleep
TREATMENT
Supportive Medications

Financial burden comes from

• Medical costs

– Premiums

– Co-payments

– Travel expenses

– Medical supplies

• Prescription costs

• Loss of income

– Time off work or loss of employment

– Caregiver time off work

• Funding and assistance may be available

– Federal programs, IRA & Medicare “Extra Help”

– Pharmaceutical support

– Non-profit organizations

– Websites:

• Medicare.gov

• SSA.gov

• LLS.org

• Rxassist.org

• NeedyMeds.com

• HealthWellFoundation.org

• Company-specific website

Contact the Social Services department at your hospital or clinic to talk to a social worker for assistance.

62 STABLE OF TREATMENT FINDING
GOING THE DISTANCE
YOUR GAIT
Financial Burden

CAR T and Bispecific Antibodies: Unique Side Effects

STABLE OF TREATMENT FINDING YOUR GAIT GOING THE DISTANCE

CRS is a common but often a mild & manageable side effect

CAR = chimeric antigen receptor; CRS = cytokine release syndrome. Oluwole OO, Davila ML. J Leukoc Biol. 2016;100:1265-1272. June CH, et al. Science. 2018;359:1361-1365. Brudno JN, Kochenderfer JN. Blood. 2016;127(26):3321-3330. Brudno JN, Kochenderfer JN. Blood Rev. 2019:34:45-55. Shimabukuro-Vornhagen, et al. J Immunother Cancer. 2018;6:56. Lee DW, et al. Biol Blood Marrow Transplant. 2019;25:625-638.

63
CRS Fever Fatigue Headache Nausea / vomiting Shortness of Breath Diarrhea
Weakness Confusion

CAR T and Bi-specific Antibodies: Unique Side Effects

STABLE OF

FINDING YOUR GAIT GOING THE DISTANCE

Neurotoxicity is a rare but serious side effect

64
TREATMENT
CAR = chimeric antigen receptor. Brudno JN, Kochenderfer JN. Blood. 2016;127(26):3321-3330. Lee DW, et al. Biol Blood Marrow Transplant. 2019;25:625-638.
NEUROTOXICITY Headach e Confusio n Altered wakefuln ess Hallucinati ons Ataxia Apraxia Facial nerve palsy Tremors Seizures Encephalop athy

Finding Your Gait

Be an empowered patient; engage in your care

65

Don’t Ride Alone

YOU are central to the care team

Be empowered

• Ask questions, learn more

• Express your goals/values/preferences

• Ask for time to consider options Communicate with your team

• Understand the roles of each team member and who to contact for your needs

• Arrive at a treatment decision together

Create a support network

Primary Care Provider (PCP)

Subspecialists

You and Your Care Partner(s)

66 STABLE OF TREATMENT FINDING
GAIT GOING THE DISTANCE
YOUR
Support Network Allied Health Staff
Myeloma General Hem/Onc
Pharmacist

Don’t Get Left in the Dust: Communicate How You Feel With Your Team

STABLE OF TREATMENT FINDING YOUR GAIT GOING THE DISTANCE

Your team may be able to help, but only if they know how you feel.

Unmanaged

Myeloma

can cause:

• Calcium elevation

• Renal dysfunction

• Low blood counts

• Infection Risk

• Blood clots

• Bone pain

• Neuropathy

• Fatigue

How You Feel

Side Effects of Treatment

can cause:

• GI symptoms

• Renal dysfunction

• Low blood counts

• Infection Risk

• Blood clots

• Neuropathy

• Fatigue

67
67
68 STABLE OF TREATMENT FINDING YOUR GAIT GOING THE DISTANCE IMF: Knowledge Is Power You are not alone! eNewsletter: Myeloma Minute Website: http://myeloma.org IMF Videos Download or order at myeloma.org IMF InfoLine 1-800-452-CURE 9am to 4pm PST

Going the Distance

Healthful and meaningful living

69

Care Partners Are Essential to Going the Distance

If you want to go fast, go alone, if you want to go far, go together

• Care partners may help in many ways including medical appointments, managing medication, daily living, physical assistance, emotional support, myeloma knowledge, healthy lifestyle, patient advocacy, financial decisions

• Care partners can be a spouse, close relative, a network of people (family, friends, neighbors, church members, etc)

• Caring for the Care Partner

– Recognize that caregiving is difficult/stressful

– Encourage care partners to maintain their health, interests, and friendships

– The IMF has information and resources to help care partners

70 STABLE OF TREATMENT
FINDING YOUR GAIT GOING THE DISTANCE
IMF Care Partner Tip Card
African Proverb

Form A Posse: Build Strong Social Ties & Cultivate a Sense of Belonging

FINDING YOUR GAIT

GOING THE DISTANCE

• Multiple studies demonstrate that strong social ties are associated with

– Increased longevity including people with cancer

– Improved adherence to medical treatment leading to improved health outcomes

– Lower risk of developing cardiovascular diseases

– Increased sense of purpose and life satisfaction

– Reduced stress and anxiety

– Improved mood and happiness

– Enhanced resilience

Martino J, et al. Am J of Lifestyle Med. 2015;11(6):466-475. Yang YC, et al. Proc Natl Acad Sci U S A. 2016;113(3):578-583.

Pinquart M and Duberstein PR. Crit Rev Oncol Hematol. 2010; 75(2):122–137.

• Strategies for enhancing social connection

– Deepen existing relationships with family, friends, and loved ones

– Build new relationships by participating in a support group, joining clubs or organizations, or volunteering

Tip: Start with small steps outside your comfort zone. Call a loved one you haven’t spoken to in a while. Invite a person you’d like to know better for lunch, coffee, or a walk.

Hetherington C. Healthnews. https://healthnews.com/longevity/healthspan/social-connection-andlongevity/#:~:text=Research%20consistently%20demonstrates%20t hat%20people,of%20fulfillment%20in%20your%20life. Accessed Feb 1 2024.

71
TREATMENT
STABLE OF

Maintain Good Health

Have a Primary Care Doctor

Have Recommended Health Screenings

• Blood pressure

• Cholesterol

• Cardiovascular disease

• Diabetes

• Colonoscopy

• Vision

• Hearing

• Dental checkups & cleaning

• Women specific: mammography, pap smear

• Men specific: prostate

Maintain a healthy weight

• Good nutrition

• Activity or exercise

• Sufficient sleep

STABLE OF TREATMENT FINDING YOUR GAIT GOING THE DISTANCE

An ounce of prevention is worth a pound of cure.

Faiman B, et al. CJON. 2017;21(5)suppl:19-36. Dimopoulous M, et al. Leukemia. 2009;23(9):1545-56.

Brigle K, et al. CJON. 2017;21(5)suppl:60-76. Faiman B, et al. CJON. 2017;21(5)suppl:19-36. Faiman B, et al. CJON. 2011;15suppl:66-76. Miceli TS, et al. CJON. 2011;15(4)suppl:9-23.

72

Frontline Therapy

David Vesole, MD

John Theurer Cancer Center, Hackensack

University Medical Center, MedStar Georgetown

University Hospital

Objectives

• Review the importance of DEPTH of response in early treatment of myeloma and the increasing use of MRD testing

• Discuss emerging approaches in transplant eligible patients, including quadruplet therapy and stem cell transplantation

• Outline the approach to a patient not going to transplant and how to optimize continuous therapy

Goals of Therapy: The Iceberg Model of Myeloma

>1 Trillion Disease Burden (# of myeloma cells)

>1 Billion

>10 Million

1 myeloma cell in 100K to 1 million normal cells

Symptomatic Myeloma

At diagnosis

Partial response 50% reduction in M protein

Very good partial response 90% reduction in M protein immunofixation positive only

Complete remission No M-protein immunofixation negative

Minimal Residual Dis Flow Cytometry

Minimal Residual Dis Next Generation Molecular testing

Depth of response matters!

MRD refers to the persistence of residual tumor cells after treatment and is responsible for relapse1

Current techniques can detect MRD with a sensitivity of 10-6 for MM cells2

MR→PR→

VGPR→CR →sCR

10–2 10–6 Induction Consolidation Maintenance Preemptive

MRDhigh

MRDlow

MRDneg

MRDpos

1. Adapted from Hauwel M, Matthes T. Swiss Med Wkly 2014:144:w13907

R0 R1 R2 R3
TIME TUMOR LOAD
MINIMAL RESIDUAL DISEASE DETECTION
2. Biran N, et al. Curr Hematol Malig Rep 2014;9:368–78 MR, minimal response; neg, negative; pos, positive; R, relapse

MRD is Prognostic – Both for PFS and OS

B,

al. J Clin Oncol. 2017; 35(25): 2900–2910

Lahuerta JJ, Paiva et

Personalized Approach to Frontline Therapy

Newly Diagnosed MM and Risk Stratified

Factors to be considered for ASCT

Age, performance status (PS), comorbidities (R-MCI score, HCT-Cl) and organ function

ASCT Eligible ASCT Ineligible

General Principles of Initial Therapy

1. Most patients will be given a combination of drugs to control the disease quickly

2. We don’t “save the best for last” because early therapies have a long term effect on survival

3. We seek a DEEP and DURABLE response

4. We mix and match from the 3 major classes of drugs and add steroids:

Proteasome Inhibitors – most often botezomib (Velcade)

Immunomodulatory Drugs – lenalidomide (Revlimid)

Monoclonal Antibodies – daratumumab (Darzalex)

5. We decide early on whether or not someone will have a stem cell transplant

RVD +Stem Cell Transplant vs. RVD without Transplant DETERMINATION Trial of Newly Diagnosed MM: DESIGN

-Patients aged 18-65 yrs with symptomatic newly diagnosed MM following 1 cycle of RVD -56 sites within the United States from 2010 to 2018

End Points of Study and Follow-up

ASCT: Melphalan 200 mg/m2 + Stem Cell Support (n = 310)

• Primary end point: progression-free survival (time to next relapse)

• Secondary end points included:

• Response rates, overall survival, quality of life, and adverse events

• Follow-up on participant status : median of 6 years

N Engl J Med. 2022 Jul 14;387(2):132-147. doi: 10.1056/NEJMoa2204925
Stem cell collection Induction Consolidation Maintenance Until Progression RVD cycles 2-3 (n = 357) RVD cycles 2-3 (n
365) RVD cycles 4-8 RVD cycles 4-5 R (n = 291) R (n = 289)
=

Primary endpoint: Progression-free survival (PFS)

CI, confidence interval; HR, hazard ratio; Data cut off: 12/12/21

81 Paul G. Richardson, MD
Events –no. (%) Median PFS, months (95% CI) 5-year PFS, % (95% CI) RVd-alone 189 (52.9%) 46.2 (38.1–53.7) 41.5 (35.7–47.2) RVd+ASCT 139 (38.1%) 67.5 (58.6–NR) 55.6 (49.4–61.3) HR 1.53 (1.23–1.91), p<0.0001

Key secondary endpoint: Overall survival (OS)

Median follow-up 76 months

*p-value adjusted using Bonferroni’s correction to control overall family-wise error rate for secondary outcomes

82 Paul G. Richardson, MD Events – no. (%) 5-year OS, % HR (95% CI) RVd-alone 90 (25.2%) 79.2 1.10 (0.73 – 1.65) p=0.99* RVd+ASCT 88 (24.1%) 80.7
Data cut off:12/12/21

RVD +Stem Cell Transplant vs. RVD without Transplant DETERMINATION Trial of Newly Diagnosed MM Quality of Life

Global Health Status/QoL, Physical Functioning

N Engl J Med. 2022 Jul 14;387(2):132-147. doi: 10.1056/NEJMoa2204925

DETERMINATION Discussion

• ASCT remains very relevant and important in prolonging PFS in younger and eligible patients

• BUT it may not be mandatory in all eligible patients upfront

• As with other agents, we INDIVIDUALIZE the sequencing patterns

• ASCT does carry genuine toxicity, short term and long term

• We may become callous to these toxicities

• Maintenance therapy remains an important part of myeloma therapy

84
– Discussant DETERMINATION
Joseph Mikhael
But can we do better than triplets?

Key eligibility criteria

• Transplanteligible NDMM

• Age 18-70 years

• ECOG PS ≤2 1:1 randomization (N=709) a VRd V: 1.3 mg/m2 SC Days 1, 4, 8, 11

R: 25 mg PO Days 121

d: 40 mg PO/IV Days 1-4, 9-12 D-VRd

DARA: 1,800 mg SCb

QW Cycles 1-2

Q2W Cycles 3-4

VRd administered as in the VRd group

Induction Consolidation Maintenance 4 cycles of 28 days 2 cycles of 28 days 28-day cycles

VRd V: 1.3 mg/m2 SC Days 1, 4, 8, 11 R: 25 mg PO Days 121 d: 40 mg PO/IV Days 1-4, 9-12 D-VRd

DARA: 1,800 mg SCb

Q2W

VRd administered as in the VRd group D-R DARA: 1,800 mg SCb Q4W R: 10 mg PO Days 1-28 MRD positive MRD negativ e R R: 10 mg PO Days 1-28 until PD

Continue D-R until PD

Discontinue DARA therapy only

Primary endpoint: PFSc

Key secondary endpoints: Overall ≥CR rate,c overall MRD-negativity rate,d OS

Discontinue DARA therapy only after ≥24 months of D-R maintenance for patients with ≥CR and 12 months of sustained MRD negativity

Restart DARA therapy upon confirmed loss of CR without PD or recurrence of MRD

@IDEOlogyHealth
Sonneveld et. al. Late-breaking Abstracts Session, ASH 2023. Accessed from:
NDMM- Transplant Eligible: Phase III PERSEUS Study Design
https://ash.confex.com/ash/2023/webprogram/Paper191911.html
Transplant
@IDEOlogyHealth
Survival Sonneveld et. al. Late-breaking Abstracts Session, ASH 2023. Accessed from: https://ash.confex.com/ash/2023/webprogram/Paper191911.html No. at Risk VRd 354 335 321 311 304 297 291 283 278 270 258 247 238 228 219 175 67 13 0 D-VRd 355 345 335 329 327 322 318 316 313 309 305 302 299 295 286 226 90 11 0 58% reduction in the risk of progression or death with D-VRd 0 20 40 60 80 100 0 3 6 9 12 15 18 21 24 27 30 33 36 39 42 45 48 51 54 % Surviving without progression Months HR, 0.42; 95% CI, 0.30–0.59; P<0.0001 D-VRd 84.3% Median follow-up: 47.5 months VRd 67.7% 48-month PFS
PERSEUS Phase III: Progression Free

et. al. Late-breaking Abstracts Session, ASH 2023. Accessed from: https://ash.confex.com/ash/2023/webprogram/Paper191911.html

@IDEOlogyHealth Sonneveld

et. al. Late-breaking Abstracts Session, ASH 2023. Accessed from: https://ash.confex.com/ash/2023/webprogram/Paper191911.html

@IDEOlogyHealth Sonneveld
@IDEOlogyHealth
Sonneveld et. al. Late-breaking Abstracts Session, ASH 2023. Accessed from: https://ash.confex.com/ash/2023/webprogram/Paper191911.html No. at Risk VRd 354 343 337 334 328 322 322 319 317 315 310 307 303 298 296 263 127 27 1 0 D-VRd 355 347 343 341 338 335 331 329 329 326 325 323 321 316 312 284 135 21 1 0 D-VRd (n = 355) VRd (n = 354) Events, n (%) 34 (9.6) 44 (12.4) HR, 0.73 0 20 40 60 80 100 0 3 6 9 12 15 18 21 24 27 30 33 36 39 42 45 48 51 54 57 % Surviving Months D-VRd VRd
PERSEUS: Overall Survival

The first phase 3 study evaluating Isa + RVd for induction and maintenance in Te NDMM patients

Isa (IV) 10 mg/kg Cycle 1 Cycle 2–3

Bor (SC) 1.3 mg/m² Len (PO) 25 mg

(PO) 20 mg

Induction phase (3 x 6-week cycles)

Isa (IV) 10 mg/kg: Cycle 1

phase (4-week cycles)

and Heidelberg University Hospital | ASH 2021

ASCT, autologous stem cell transplant; D, day; d/Dex, dexamethasone; HDT, high-dose therapy; Isa, isatuximab; IV, intravenous; NDMM, newly diagnosed multiple myeloma; PD, progressive disease; PO, oral; R/Len, lenalidomide; SC, subcutaneous; Te, transplant eligible; V/Bor, bortezomib; RVd is off label use in some countries according to the lenalidomide summary of product characteristics. 1. ClinicalTrials.gov: NCT03617731

GMMG
HD7
Week 1 Week 2 Week 3 Week 4  D1  D15 Days 1–28  D8  D22
Cycle
Len
mg increased
Dex
 D1  D15  D8  D22 Week 1 Week 2 Week 3 Week 4 Week 5 Week 6  29  30  25  22  11  8  15  33  26  23  9  D1  D8  D15  D22  D29  D1  D8  D22  D29  D4  D11  D25  D32 Days 1–14 Days 22–35  D1  2  4  5  12  32  D1  D15  D29  D1  D15  D1 Isa + RVd RVd Randomization 1:1 Isa + R R
Dex
2–3 Cycle 4+
(PO) 10
to 15 mg after 3 months
(PO) 20 mg: first cycle
Maintenance
Randomization HDT
ASCT NDMM N=662 Key eligibility
1:  Age
 NDMM and eligible for HDT and ASCT 3 years or PD 91
+
criteria
18–70 years

First primary endpoint, end of induction MRD negativity by NGF (10-5), was met in ITT analysis

Patients with MRD negativity at the end of induction therapy

OR 1.83 (95% CI 1.34–2.51)

Low number of not assessable/missing† MRD status: Isa-RVd (10.6%) and RVd (15.2%)

Isa-RVd is the first regimen to demonstrate a rapid and statistically significant benefit from treatment by reaching a MRD negativity of 50.1% at the end of induction and to show superiority vs. RVd in a Phase 3 trial

GMMG and Heidelberg University Hospital | ASH 2021
50.1% 35.6% 0% 10% 20% 30% 40% 50% 60% Isa-RVd RVd P<0.001*
HD7 92
*P value derived from stratified conditional logistic regression analysis †Missing NGF-MRD values were due to either patients’ loss to follow-up during induction therapy or to missing bone marrow samples or technical failures in measurement counted as non-responders, i.e. NGF-MRD positive CI, confidence interval; d, dexamethasone; Isa, isatuximab; ITT, intent-to-treat; MRD, minimal residual disease; NGF, next-generation flow; OR, odds ratio; R, lenalidomide; V, bortezomib

IsKia EMN24 Study Design

Induction

Key eligibility criteria: TE NDMM patients

aged <70 years

Stratification:

- Centralized FISH (standard risk/missing vs. high risk defined as del(17p) and/or t(4;14) and/or t(14;16); - ISS (I vs. II and III)

MOBILIZATION

Cy: 2-3 g/m2 followed by G-CSF for stem-cell collection and MEL200-ASCT

MEL: 200 mg/m2 followed by ASCT

Post-ASCT consolidation

TE, transplant-eligible; NDMM, newly diagnosed multiple myeloma; FISH, fluorescence in situ hybridization; del, deletion; t, translocation; ISS, International Staging System stage; R, randomization; Isa, isatuximab; K, carfilzomib; R, lenalidomide; d, dexamethasone; IV, intravenous; dd, days; cc, cycles; PO, orally; Cy, cyclophosphamide; G-CSF, granulocyte colony-stimulating factor; MEL, melphalan; ASCT, autologous stem-cell transplantation; MRD, minimal residual disease; NGS, next-generation sequencing; PFS, progression-free survival.
12×KRd K: 56 mg/m2 IV dd 1,15 R: 10 mg PO dd 1-21 d: 20 mg PO dd 1,15 4×KRd K: 56 mg/m2 IV dd 1,8,15 cc 5-8 R: 25 mg PO daily dd 1-21 d: 40 mg PO dd 1,8,15,22 12×Isa-KRd Isa: 10 mg/kg IV d 1 K: 56 mg/m2 IV dd 1,15 R: 10 mg PO dd 1-21 d: 20 mg PO dd 1,15 4
Isa-KRd Isa: 10 mg/kg IV dd 1,15 cc 5-8 K
56 mg/m2 IV dd 1,8,15 cc 5-8 R: 25 mg PO daily dd 1-21 d: 40 mg PO dd 1,8,15,22
28-day cycles
×
:
Four
28-day
Light
Twelve
cycles
consolidation
R 4×KRd K: 20 mg/m2 IV dd 1 cc 1 only; followed by 56 mg/m2 IV dd 8,15 cc 1 and dd 1,8,15 cc 2-4 R: 25 mg PO daily dd 1-21 d: 40 mg PO dd 1,8,15,22 4×Isa-KRd Isa: 10 mg/kg IV dd 1,8,15,22
followed
10
1
K
d
cc 1,
by
mg/kg IV dd
and 15 cc 2 to 4.
: 20 mg/m2 IV dd 1 cc 1 only; followed by 56 mg/m2 IV dd 8,15 cc 1 and dd 1,8,15 cc 2-4 R: 25 mg PO daily dd 1-21
: 40 mg PO dd 1,8,15,22 Four 28-day cycles
MRD by NGS
MRD by NGS MRD by NGS MRD by NGS
42 active sites; enrollment: Oct 7, 2020 ‒ Nov 15, 2021

Primary Endpoint: Post-consolidation MRD negativity

NGS, 10-5

Patients

(N=151) KRd (N=151)

Patients

(ITT analysis)

10-6

(N=151) KRd (N=151)

≥VGPR after consolidation was 94% in both arms; ≥CR 74% vs 72% and sCR 64% vs 67% in the IsaKRd vs KRd arms.

High MRD compliance and sample quality (97-100% of sample evaluable at 10-5 and 10-6 cut off.

Consistent MRD results were detected by next-generation flow

In the logistic regression analysis, ORs, 95% CIs, and p-values were adjusted for stratification factor.

NGS,
77% 67% 0% 10% 20% 30% 40% 50% 60% 70% 80% 90% 100% Isa-KRd
(%) OR 1.67, p=0.049 67% 48% 0% 10% 20% 30% 40% 50% 60% 70% 80% 90% 100%
Isa-KRd
OR
MRD, minimal residual disease; ITT, intention to treat; NGS, next-generation sequencing; OR, odds ratio; p, p-value; Isa, isatuximab; K, carfilzomib; R, lenalidomide; d, dexamethasone; CI, confidence interval.
(%)
2.29, p<0.001

MRD negativity rates improved over time (10-5)

(N=151)

45% 64% 77% 26% 49% 67% 0% 10% 20% 30% 40% 50% 60% 70% 80% 90% 100% Post induction Post ASCT Post consolidation Post induction Post ASCT Post consolidation Patients (%)
KRd
MRD, minimal residual disease; p, p-value; ASCT, autologous stem-cell transplantation.
Isa-KRd (N=151)

Post-consolidation MRD negativity by NGS

Subgroup analysis by cytogenetic risk

NGS, 10-5 NGS, 10-6

1 HRCA was defined as the presence of one of the following high-risk cytogenetic abnormalities: del(17p13.1), t(4;14) (p16.3;q32.3), t(14;16) (q32.3;q23), gain(1q21), or amp(1q21); 2+ HRCA was defined as the presence of at least

79% 78% 77% 72% 65% 53% 0% 10% 20% 30% 40% 50% 60% 70% 80% 90% 100% 0 HRCA 1 HRCA 2+ HRCA Isa-KRd KRd
Patients (%)
high-risk
65% 69% 48% 53% 0% 10% 20% 30% 40% 50% 60% 70% 80% 90% 100% 0 HRCA 1 HRCA Isa-KRd KRd MRD, minimal residual disease; NGS, next-generation sequencing; HRCA, high-risk cytogenetic abnormalities; Isa, isatuximab; K, carfilzomib; R, lenalidomide; d, dexamethasone; del, deletion; t, translocation; amp, amplification.
two
cytogenetic abnormalities.
Very high risk
2+ HRCA
Very high risk

Conclusions

• Isa-KRd significantly increased post-consolidation 10-5 and 10-6 MRD negativity, as compared with KRd

• Isa-KRd significantly increased 10-5 and 10-6 MRD negativity after each treatment phase (Induction, Transplantation, Consolidation) .

• Isa-KRd consistently increased MRD negativity at 10-5 and 10-6 in all subgroups of patients, including high-risk and very high-risk disease.

• Isa-KRd treatment was tolerable, with a toxicity profile similar to that in previous reports.

• 10-6 MRD negativity cut-off is more informative.

• 1-year sustained MRD negativity will be available in 2024

• With a longer follow-up, this trial can offer the opportunity to explore the correlation between depth of MRD negativity and PFS/OS.

Isa,
minimal residual disease; PFS, progression-free survival; OS, overall survival.
isatuximab; K, carfilzomib; R, lenalidomide; d, dexamethasone; MRD,

Will MRD guide us to stop therapy?

MASTER Trial - Treatment

Dara-KRd

• Daratumumab 16 mg/m2 days 1,8,15,22 (days 1,15 C 3-6; day 1 C >6)

• Carfilzomib (20) 56 mg/m2 Days 1,8,15

• Lenalidomide 25 mg Days 1-21

• Dexamethasone 40mg PO Days 1,8,15,22

MRD assessment by NGS
Dara-KRd x 4 Induction MRD → Lenalidomide Maintenance AHCT Dara-KRd x 4 Consolidation Dara-KRd x 4 Consolidation MRD → MRD → MRD → ”MRD-SURE” -Treatment-free observation and MRD surveillance* 2nd MRD (-) (<10-5) 2nd MRD (-) (<10-5) 2nd MRD (-) (<10-5) MASTER trial *24 and 72 weeks after completion of therapy

Progression-Free and Overall Survival

MASTER trial 0 HRCA 91% 2-year PFS 1 HRCA 97% 2+ HRCA 58% 0 HRCA 96% 2-year OS 1 HRCA 100% 2+ HRCA 76% HRCA = gain/amp 1q, t(4;14), t(14;16), t(14;20) or del(17p)

Frontline

Therapy and Transplant - Conclusions

• We are transitioning to quadruplets in frontline eligible patients

• BUT the optimal length of a quadruplet is still to be determined!

• Transplant still has a role in MM even with long term use of novel agents

• Consolidation therapy may deepen responses and should be considered in patients who have not achieved VGPR

• MRD guided discontinuation may be possible in lower risk groups but not high risk patients

How do we decide who is eligible for transplant?

ASCO: What criteria are used to assess eligibility for autologous stem cell transplant (SCT)?

Recommendation

Patients should be referred to a transplant center to determine transplant eligibility

Evidence Rating

Type: Evidence based

Evidence quality: Intermediate, benefit outweighs harm

Strength of recommendation: Moderate

Chronologic age and renal function should not be the sole criteria used to determine eligibility for SCT.

Type: Evidence based

Evidence quality: Intermediate, benefit outweighs harm

Strength of recommendation: Moderate

Mikhael J, et al. J Clin Oncol. April 1, 2019. DOI:10.1200/JCO.18.02096.

Several Indices for Myeloma ‘Frailty’ assessment

IMWG score of 1 = Intermediate-Fit

3-year OS was 76% (HR=1.61; 95% CI 1.02-2.56; p=.042)

Toxicities 16.7% (HR 1.23, 95% CI 0.89-1.71; p=.217) and

Discontinuation 20.8% (HR=1.41; 95% CI 1.00-2.01; p=.052).

Palumbo A Blood Engelhardt M. Haematologica 2016 Facon et al. Leukemia 2020 Bonanad et al. JGO 2015

Upfront Therapy for Myeloma: Patients Ineligible for Transplant

NCCN
Guidelines

MAIA

Study Design – DRD vs RD

‒ Patients were enrolled in MAIA from March 2015 through January 2017

D: 16 mg/kg IV

Key eligibility criteria

• TIE NDMM

• ECOG PS score 0-2

• CrCl

≥30 mL/min

QW Cycles 1-2, Q2W Cycles 3-6, then Q4W thereafter until PD

R: 25 mg PO Days 1-21 until PD

da: 40 mgb PO or IV

Days 1, 8, 15, 22 until PD

R: 25 mg PO Days 1-21 until PD

d: 40 mg PO Days 1, 8, 15, 22 until PD

Rd Cycles: 28 days Rd

End-oftreatment visit (30 days after last dose) Longterm follow-up

Primary endpoint

• PFS Key secondary endpoints

• OS

• PFS2

• ORR

• CR/sCR rate

• MRD (NGS; 10–5) 1:1 randomisation

MAIA is a multicentre, randomised, open-label, active-controlled, phase 3 study of D-Rd versus Rd alone in patients with NDMM who are transplant

TIE, transplant-ineligible; ECOG PS, Eastern Cooperative Oncology Group performance status; CrCl, creatinine clearance; IV, intravenous; QW, once weekly; Q2W, once every 2 weeks; Q4W, once every 4 weeks; PD, progressive disease; PO, oral; ORR, overall response rate; CR, complete response; sCR, stringent complete response; MRD, minimal residual disease; NGS, next-generation sequencing; BMI, body mass index. aOn days when DARA is administered, dexamethasone will be administered to patients in the D-Rd arm and will serve as the treatment dose of steroid for that day, as well as the required pre-infusion medication. bFor patients >75 years of age or with BMI <18.5 kg/m2, dexamethasone was administered at a dose of 20 mg QW.
D-
ineligible

Demographics and Baseline Characteristics

Demographics

ISS, International Staging System; MM, multiple myeloma. a2 patients had an ECOG PS score >2 (1 patient each with an ECOG PS score of 3 and 4). bIncludes IgD, IgE, IgM, and biclonal. Note: percentages may not add up to 100% due to rounding.
were well balanced between arms D-Rd (n = 368) Rd (n = 369) Age, years Median (range) 73.0 (50-90) 74.0 (45-89) Distribution, n (%) <65 4 (1) 4 (1) 65-<70 74 (20) 73 (20) 70-<75 130 (35) 131 (36) ≥75 160 (43) 161 (44) ECOG PS score, n (%) 0 127 (35) 123 (33) 1 178 (48) 187 (51) 2a 63 (17) 59 (16) ISS stage, n (%) I 98 (27) 103 (28) II 163 (44) 156 (42) III 107 (29) 110 (30) D-Rd (n = 368) Rd (n = 369) Type of measurable disease, n (%) IgG 225 (61) 231 (63) IgA 65 (18) 66 (18) Otherb 9 (2) 10 (3) Detected in urine only 40 (11) 34 (9) Detected as serumfree light chain only 29 (8) 28 (8) Cytogenetic profile, n/total n (%) Standard risk 271/319 (85) 279/323 (86) High risk 48/319 (15) 44/323 (14) Median time since initial diagnosis of MM (range), months 0.95 (0.1-13.3) 0.89 (0-14.5)
and baseline characteristics

ORRa

Median follow-up

Primary: 28.0 months1

Median follow-up

Update: 56.2 months

• D-Rd induced deeper responses with significantly higher rates of ≥CR and

• With >28 months of additional follow-up, responses deepened with continued DARA therapy

VGPR, very good partial response; PR, partial response. aITT population.
Med
may
add up
total due
rounding.
1. Facon T, et al. N Engl J
. 2019;380(22):2104-2115. Note: percentages
not
to the
to
≥VGPR, compared with Rd
14% 28% 12% 25% 32% 28% 30% 27% 17% 13% 16% 15% 30% 13% 35% 15% 0 20 40 60 80 100 ORR, % 93% 81% D-Rd n = 368 Rd n = 369
D-Rd n = 368 Rd n = 369 93% 82%
D-Rd Rd PR VGPR CR sCR

Updated PFS

• D-Rd continued to demonstrate a significant PFS benefit, with median PFS not reached with D-Rd

• These data provide a new PFS benchmark in patients with NDMM who are transplant ineligible

NR, not reached; CI, confidence interval. D-Rd: median, NR Rd: median, 34.4 months 52.5% 28.7% 60-month PFS rate Months HR, 0.53; 95% CI, 0.43-0.66; P <0.0001 % surviving without progression 20 40 60 80 100 0 0 3 6 9 12 15 18 42 21 27 24 30 33 36 39 51 45 48 54 57 60 63 66 69 No. at risk Rd D-Rd 369 368 333 347 307 335 280 320 255 309 237 300 220 290 123 210 205 276 179 256 196 266 172 246 155 237 146 232 133 222 94 170 113 199 105 195 63 123 36 87 12 51 4 17 2 5 0 0
OS D-Rd: median, NR Rd: median, NR 66.3% 53.1% 60-month
rate Months HR,
95% CI,
P = 0.0013 % surviving 20 40 60 80 100 0 0 3 6 9 12 15 18 42 21 27 24 30 33 36 39 51 45 48 54 57 60 63 66 69 72 No. at risk Rd D-Rd 369 368 351 350 343 346 336 344 324 338 317 334 308 328 232 266 300 316 281 302 294 305 270 297 258 286 251 280 241 273 183 228 223 255 213 249 134 170 85 118 42 63 14 22 5 6 1 1 0 0
OS
0.68;
0.53-0.86;
D-Rd demonstrated a significant benefit in OS, with a 32% reduction in the risk of death, in patients with NDMM who are transplant ineligible

Conclusions in Transplant Ineligible Patients

• Although ASCT remains the standard of care, use is likely to decline in patients who are 65-75 or with significant comorbidities

• Continuous therapy has resulted in better outcomes

• The balance of toxicity and efficacy is particularly important in this population

• ESPECIALLY with dexamethasone

• Most common approach is to select 2 agents from the 3 Novel Classes (PIs, IMiDs and MoAbs)

• Most will use DRD in standard risk patients

• Some may favor VRD in certain high risk patients

• DRD is more easily delivered and feasible

• D-VRD may well be a future standard of care even in these patients

The Evolution of Myeloma Therapy

Bortezomib

Lenalidomide

Carfilzomib

Pomalidomide

Panobinostat

Daratumumab

Ixazomib

Elotuzumab

Lenalidomide

Bortezomib

Ixazomib

Lenalidomide + PI

SCT +/- More induction

Carfilzomib

Combinations

Selinexor

Isatuximab

Idecabtagene autoleucel

Ciltacabtagene autoleucel

Teclistamab

Talquetamab

Elranatamab

Isa-VRD Isa-KRD D-KRD

CAR T or Bispecifics?

Daratumumab?

Novel CAR T Cell Therapies

Bispecific/Trispecific Antibodies

CelMod Agents

Venetoclax?

Modakafusp

Multiple small molecules

Induction Consolidation Front line treatment Post consolidation Maintenance Rescue Relapsed
New
Now VTD VRD KRD D-VMP DRD D-VRD
++++++++
ASCT, autologous stem cell transplant; CAR, chimeric antigen receptor; Cy, cyclophosphamide; d- daratumumab; D/dex, dexamethasone; isa, isatuximab; K, carfilzomib; M, melphalan; PD-L1, programmed death ligand-1; PI, proteasome inhibitor; Rev, lenalidomide; V, bortezomib. Speaker’s own opinions.

Thank you to our sponsors!

Q&A

115

BREAK

Thank you to our sponsors!

Maintenance Therapy

David Vesole, MD

John Theurer Cancer Center, Hackensack University

Medical Center, MedStar Georgetown University

Hospital

1 1 8

Objectives

• Discuss the principle of consolidation therapy and its application in myeloma

• Outline the major options for maintenance therapy

• Introduce the newer trend for the use of dual maintenance

• Provide an algorithm for maintenance based on risk status

Understanding the Terms

• Induction: Intense and short term therapy with goal to achieve rapid remission

• Consolidation: Intense and shorter term therapy with goal of deep remission

• Maintenance: Less intense longer term therapy with goal of better PFS and OS

What does the Ideal Maintenance therapy look like?

• Deepen remission

• Prolong remission

• Easy to administer

• Minimal toxicity

Meta-Analysis of Lenalidomide Maintenance after ASCT

CALGB 100104

(accrual 8/2005 – 11/2009)

INDUCTION

ASCT

1:1 RANDOMIZATION

“NO EVIDENCE OF PD”

Primary Endpoint: PFS

IFM 2005-02

(accrual 6/2006 – 8/2008)

INDUCTION

ASCT

1:1 RANDOMIZATION

“NO EVIDENCE OF PD”

Primary Endpoint: PFS

LEN: 2 COURSES

LEN MNTCa (n = 231) PLACEBO (n = 229)

GIMEMA (RV-MM-PI-209) (accrual 11/2007 – 7/2009)

2 × 2 DESIGN

LEN + DEX × 4 INDUCTION

Primary Endpoint: PFS

MPR: 6 COURSES

INTERIM AN Dec 2009 Jan 2010

INTERIM ANALYSIS AND UNBLINDING

CROSSOVER BEFORE PD ALLOWED CONTINUED TREATMENT

LEN MNTCa (n = 307) PLACEBO (n = 307) ALL TREATMENT DISCONTINUED Jan 2011 CONTINUED TREATMENT NO CROSSOVER BEFORE PD ALLOWED

LEN MNTCb (n = 67) NO TREATMENT (n = 68)

CONTINUED TREATMENT CONTINUED TREATMENT PRIMARY ANALYSIS

Target population of patients with NDMM who received LEN maintenance or placebo/no maintenance after ASCT

a Starting dose of 10 mg/day on days 1-28/28 was increased to 15 mg/day if tolerated and continued until PD.

b Patients received 10 mg/day on days 1-21/28 until PD.

ASCT, autologous stem cell transplant; LEN, lenalidomide; NDMM, newly diagnosed multiple myeloma; MNTC, maintenance; MPR, melphalan, prednisone, and Len; PD, progressive disease.

Attal et al ASCO 2016; McCarthy et al EHA 2016
LEN
ASCT
MNTCb NO TREATMEN T

Meta-analysis of lenalidomide maintenance postASCT:

overall survival

McCarthy et al. J Clin Oncol. 2017, 35:3279-3289.

Lenalidomide maintenance and second primary malignancy risk

McCarthy et al. J Clin Oncol. 2017, 35:3279-3289.

Key Results of Initial Meta-Analysis

3 randomized trials: 1,209 patients:

• Median follow up 6.6 years

• PFS 52.8 months for lenalidomide vs 23.5 in placebo

• PFS2 also prolonged 73.3 months vs 56.7 (ie not creating more aggressive clone)

• Median overall survival: 86 months v. not reached: P = 0.001

• Benefit for ≤ PR as well as VGPR/CR patients

• 29% discontinuation rate with lenalidomide

• Second primary malignancy rate higher at 6.1% vs 2.8% in placebo after PD

McCarthy P, et al; JCO 2017, 35, 3279-3289.

Induction

Treated on Myeloma XI induction protocols

N=1551 (TE=828; TNE=723)

Maintenance

10 mg/day, days 1‒21/28

Observation

Median follow-up: 27 months (IQR 13‒43)

Exclusion criteria

• Failure to respond to lenalidomide as induction IMiD, or development of PD

• Previous or concurrent active malignancies Lenalidomide

Myeloma XI
NDMM
R 1:1
IQR, interquartile range; NDMM, newly diagnosed multiple myeloma; PD, progressive disease
Jackson et al., Lancet 20:57-73, 2019

Overall PFS

Significant improvement in PFS from 18 to 36 months, HR=0.45

Median PFS, months [95% CI]

Lenalidomide (n=857) 36 [31, 39]

Observation (n=694) 18 [16, 20]

No. of patients at risk: Lenalidomide Observation 857 694 771 584 675 504 611 413 512 353 444 293 369 247 330 202 265 167 228 132 204 108 169 86 143 64 118 48 90 40 67 25 43 20 27 10 17 3 11 2 4 2 1 1 0 0 Time since randomisation (months) 100 0 Patients alive and progressionfree (%) 80 60 40 20 0 18 33 51 66 3 6 9 12 15 21 24 27 30 36 39 42 45 48 54 57 60 63 CI, confidence interval; HR, hazard ratio
HR=0.45; 95% CI 0.39, 0.52 Log-rank p<0.0001 Jackson et al., Lancet 20:57-73, 2019

Meta-analysis of all four randomized studies evaluating lenalidomide

PFS

HR 0.47

HR 0.72

Jackson et al., Lancet 20:57-73, 2019
OS
maintenance
But can we do better than lenalidomide alone?

FORTE Trial design

474 NDMM patients, transplant-eligible and younger than 65 years

4x KCd

K: 36^ mg/m2 d 1-2,8-9,15-16

C: 300 mg/m2 d 1,8,15

d: 20 mg. d 1-2,8-9,15-16,22-23

4x KRd

K: 36^ mg/m2 d 1-2,8-9,15-16

R: 25 mg d 1-21

d: 20 mg. d 1-2,8-9,15-16,22-23

Intensification with high-dose melphalan followed by autologous stem-cell reinfusion

4x KCd

K: 36 mg/m2 d 1-2,8-9,15-16

C: 300 mg/m2 d 1,8,15

d: 20 mg. d 1-2,8-9,15-16,22-23

R: 10 mg days 121, until progression or intolerance

4x KRd

K: 36 mg/m2 d 1-2,8-9,15-16

R: 25 mg d 1-21

d: 20 mg. d 1-2,8-9,15-16,22-23

4x KRd

K: 36^ mg/m2 d 1-2,8-9,15-16

R: 25 mg d 1-21

d: 20 mg. d 1-2,8-9,15-16,22-23

4x KRd

K: 36 mg/m2 d 1-2,8-9,15-16

R: 25 mg d 1-21

d: 20 mg. d 1-2,8-9,15-16,22-23

4x KRd

K: 36 mg/m2 d 1-2,8-9,15-16

R: 25 mg d 1-21 d: 20 mg. d 1-2,8-9,15-16,22-23

K: 36 mg/m2 d 1, 2, 15, 16 up to 2 years*

R: 10 mg days 1-21, until progression or intolerance

^20 mg/m2 on days 1-2, cycle 1 only. *Carfilzomib 70 mg/m2 days 1, 15 every 28 days up to 2 years for patients that have started the maintenance treatment from 6 months before the approval of Amendment 5.0 onwards.

NDMM, newly diagnosed multiple myeloma, R1, first randomization (induction/consolidation treatment); R2, second randomization (maintenance treatment); ASCT, autologous stem-cell transplantation; K, carfilzomib; R, lenalidomide; C, cyclophosphamide; d, dexamethasone; KCd_ASCT, KCd induction-ASCT-KCd consolidation; KRd_ASCT, KRd induction-ASCT-KRd consolidation; KRd12, 12 cycles of KRd.

129
R KR
R1
R2
1:1:1
1:1 Single ASCT
Presented by Francesca Gay in 2021 ASCO Annual meeting
MOBILIZATION

Progression-free survival

Median follow-up from Random 1: 51 months (IQR 46‒55)

Median follow-up from Random 2: 37 months (IQR 33‒42)

3-year PFS reported in the figure. Random 1, first randomization (induction/consolidation treatment); ASCT, autologous stem-cell trasplantation; K, carfilzomib; R, lenalidomide; C, cyclophosphamide; d, dexamethasone; KCd_ASCT, KCd induction-ASCT-KCd consolidation; KRd_ASCT, KRd induction-ASCT-KRd consolidation; KRd12, 12 cycles of KRd; Random 2, second randomization (maintenance treatment); p, p-value; HR, hazard ratio; CI,

KRd_ASCT
KCd_ASCT
HR
95% CI 0.38
0.78, p<0.001 KRd_ASCT
KRd12: HR 0.61, 95% CI 0.43-0.88, p=0.0084 KRd12
KCd_ASCT: HR 0.88, 95% CI 0.64-1.22, p=0.45 KR vs. R: HR 0.64, 95% CI 0.44-0.94, p=0.02294
confidence interval.
vs.
:
0.54,
-
vs.
vs.
KRd_ASCT
KCd_ASCT KR
R 130 0.00 0.25 0.50 0.75 1.00 0 10 20 30 40 50 60 Months 0.51 0.56 0.69 Progressionfree survival Months 0.00 0.25 0.50 0.75 1.00 0 10 20 30 40 0.65 0.75 Progressionfree survival Presented
Francesca Gay in 2021 ASCO Annual meeting
vs. KRd12 vs.
vs.
by

Progression-free survival: Random 2

KR vs. R

Standard risk (N=120) High risk (N=172) Double hit (N=105) KR vs. R: HR 0.4, p=0.05 Random 2, second randomization (maintenance treatment); IQR, interquartile range; K, carfilzomib; R, lenalidomide; HR, hazard ratio; CI, confidence interval; p, p-value. 0.00 0.25 0.50 0.75 1.00 0 10 20 30 40 Progressionfree survival Months 0.73 0.9 0.00 0.25 0.50 0.75 1.00 0 10 20 30 40 Progressionfree survival Months 0.56 0.69 KR vs. R: HR 0.6, p=0.04 0.00 0.25 0.50 0.75 1.00 0 10 20 30 40 Progressionfree survival Months 0.42 0.67 41.8 23.4 KR vs. R: HR 0.53, p=0.1
Median
up
Random
Presented by Francesca Gay in 2021 ASCO Annual meeting
3-year progression-free survival
follow -
from
2: 37 months (IQR 33-42)

Conclusions about FORTE

• It appears that dual maintenance therapy prolongs PFS

• This occurs in both standard risk AND high risk patients

• It further opens the door to other dual maintenance strategies currently being used and explored:

• Lenalidomide + Bortezomib

• Lenalidomide + Ixazomib

• Lenalidomide + Daratumumab

• Others??

What about Daratumumab?

• CASSIOPEIA randomized pts to no maintenance vs dara q 8 weeks

• Overall there was a benefit to having dara maintenance vs placebo

• However, if dara had been given at induction, that benefit did not seem to continue (ie If you had dara upfront, it didn’t add more to maintenance)

• However, PERSEUS added Dara to Lenalidomide for up to 2 years based on sustained MRD status

• There is still more to learn, but there is much more comfort use dara+len as maintenance, especially in higher risk patients

Key eligibility criteria

• Transplanteligible NDMM

• Age 18-70 years

• ECOG PS ≤2 1:1 randomization (N=709) a VRd V: 1.3 mg/m2 SC Days 1, 4, 8, 11

R: 25 mg PO Days 121

d: 40 mg PO/IV Days 1-4, 9-12 D-VRd DARA: 1,800 mg SCb

QW Cycles 1-2

Q2W Cycles 3-4

VRd administered as in the VRd group

Maintenance 4 cycles of 28 days 2 cycles of 28 days 28-day cycles

Discontinue DARA therapy only Induction

VRd V: 1.3 mg/m2 SC Days 1, 4, 8, 11 R: 25 mg PO Days 121 d: 40 mg PO/IV Days 1-4, 9-12 D-VRd

DARA: 1,800 mg SCb

Q2W

VRd administered as in the VRd group D-R DARA: 1,800 mg SCb Q4W R: 10 mg PO Days 1-28

positive MRD negative R R: 10 mg PO Days 1-28 until PD

Continue D-R until PD

Primary endpoint: PFSc

Key secondary endpoints: Overall ≥CR rate,c overall MRD-negativity rate,d OS

Discontinue DARA therapy only after ≥24 months of D-R maintenance for patients with ≥CR and 12 months of sustained MRD negativity

Restart DARA therapy upon confirmed loss of CR without PD or recurrence of MRD

@IDEOlogyHealth
Sonneveld et. al. Late-breaking Abstracts Session, ASH 2023. Accessed from:
NDMM- Transplant Eligible: Phase III PERSEUS Study Design
https://ash.confex.com/ash/2023/webprogram/Paper191911.html
Transplant
MRD
Consolidation

How long should maintenance last?

Defining the optimum duration of lenalidomide maintenance after autologous stem cell transplant

data from the Myeloma XI trial.

Charlotte Pawlyn1,2, Tom Menzies3, Faith Davies4, Ruth de Tute5, Rowena Henderson3, Gordon Cook3,6, Matthew Jenner7, John Jones8, Martin Kaiser1,2, Mark Drayson9, Roger Owen8, David Cairns3, Gareth Morgan4, Graham Jackson10

1) The Institute of Cancer Research, London, UK; 2) The Royal Marsden Hospital, London, UK; 3) Clinical Trials Research Unit, Leeds Institute of Clinical Trials Research, University of Leeds, Leeds, UK; 4) Perlmutter Cancer Center, NYU Langone Health, New York, US; 5) HMDS, Leeds Cancer Centre, Leeds Teaching Hospitals NHS Trust, Leeds, United Kingdom; 6) Leeds Cancer Centre, Leeds Teaching Hospitals NHS Trust, Leeds, UK; 7) University Hospital Southampton NHS Foundation Trust, Southampton, UK; 8) Kings College Hospital NHS Foundation Trust, London, UK; 9) Institute of Immunology and Immunotherapy, University of Birmingham, Birmingham, UK; 10) Department of Haematology, University of Newcastle, Newcastle-upon-Tyne, UK

On behalf of the Myeloma XI Trial Management Group and NCRI Haem-Onc Clinical Studies Group

Multiple landmark analyses

137
Lenalidomide 10mg/day, days 1-21/28 Observation Maintenance R 1: 1 NDMM Myeloma XI induction protocols and ASCT Induction N=1248 Median follow up: 44.7 months (IQR 32.4-62.7) 2 years 3 years 5 years 4 years Randomisation PFS • Overall • By risk • By MRD status To PD Median duration of lenalidomide therapy 28
330/730
cycles (range 1-96)
Patients still on therapy
(45%)

Conclusions

• These data suggest an ongoing PFS benefit associated with continuing lenalidomide maintenance beyond at least 4-5 years in the overall patient population

• Even in patients with sustained MRD negativity, there is evidence of benefit from continuing lenalidomide maintenance for at least 3 years in total

• Randomised trials to address the impact of stopping lenalidomide maintenance in patients with sustained MRD negativity could be considered, at no earlier than 3 years

• In patients who are MRD +ve these data support continuing lenalidomide until disease progression

• No evidence of cumulative haematological toxicity was identified

• These findings emphasise the need for long term follow up of maintenance studies to enable the exploration of such questions

• There is a planned powered OS update of Myeloma XI in 2023

138

Commonly asked maintenance questions

• Should post-transplant maintenance therapy be recommended for all patients?

• Yes

• Which agent should be used?

• Lenalidomide remains the standard of care – we may be adding daratumumab soon

• What is the optimal duration?

• Treatment until progression remains the standard of care

• What should patients with high-risk cytogenetics receive?

• Consider lenalidomide + proteasome inhibitor or daratumumab; clinical trial

• Should MRD status dictate maintenance therapy?

• Not outside of a clinical trial

• What about Second Primary Malignancies?

• They are real, require a discussion and monitoring, but are outweighed by benefit

Relapsed Therapies & Clinical Trials

International Myeloma Foundation

Relapsed Therapy

141

Objectives

• Discuss an approach to treating relapsed myeloma based on patient, disease and treatment characteristics

• Review the important trend of using an aggressive approach in early treatment of myeloma

• Outline the key results from recent trials in early relapse

• Discuss the approach to late relapse and the use of novel therapies such as CAR T and bispecific antibodies

Early lines treatment are important!

1st Relapse 2nd 3rd 4th 5th and beyond

Fewer patient are eligible for therapy in each subsequent line of therapy (LOT)

Figure adapted from: Yong, K et al. Br J Haematol 2016;175(2):252-264

An Approach to Relapsed MM

• It is not a simple algorithm of treatment #1 then 2 then 3…

• Leverage the benefit of multiple mechanisms of action in combination therapy

Categories:

• 1-3 prior lines

• Later Relapse

• Refractory to PI, IMiD and MoAb = Triple Class Refractory

Principles

1. Depth of Response matters…likely incorporate MRD soon 2. High risk vs standard risk…more aggressive Rx in high risk

3. Balance efficacy and toxicity…initially and constantly assess

4. Overcome drug resistance…change mechanism of action when possible

Definitions: What is relapsed/refractory disease and a line of therapy?

• Relapsed: recurrence (reappearance of disease) after a response to therapy

• Refractory: progression despite ongoing therapy

• Progression: change in M protein/light chain values

• Line of therapy: change in treatment due to either progression of disease or unmanageable side effects

• Note: initial (or induction) therapy + stem cell transplant + consolidation/ maintenance therapy = 1 line of therapy

NCCN Guidelines – Early Relapse

NCCN Guidelines – Early Relapse contd.

Therapy Selection Considerations

Disease-Related

• Nature of the relapse

– Biochemical vs symptomatic

• Risk stratification

– High-risk chromosomal abnormalities: del(17p), t(4;14), t(14;16)

• Disease burden

Therapy-Related

• Previous therapies

• Prior treatmentrelated adverse event

• Regimen-related toxicity

• Depth and duration of previous response

• Cost to patient

Patient-Related

• Renal insufficiency

• Hepatic impairment

• Comorbidities

• Preferences

• Social factors

– Support system

– Accessibility to treatment center

– Insurance coverage

Multiple Myeloma is Not One Disease!

RVD+ASCT+Lenalidomide Maintenance Relapse 1 Relapse 2 Relapse 3 Time: Years! Disease Activity Relapse 1 Relapse 1 Relapse 2

Early Relapse

General Principles

Use mechanisms of action not previously used

Do not continue to use lenalidomide if progressing on len maintenance

Triplets are preferred over doublets

In real practice - most patients receiving VRD (Bortezomib-Lenalidomide-Dex) like regimens, 1st relapse is typically

Daratumumab + Pomalidomide + Dex (APOLLO)

Isatuximab + Pomalidomide + Dex (ICARIA)

Daratumumab + Carfilzomib + Dex (CANDOR)

Isatuximab + Carfilzomib + Dex. (IKEMA)

Selinexor + Bortezomib + Dex (BOSTON) And this JUST IN – CAR T cell therapies can be used as early as first relapse!

Myeloma: first relapse – IMWG Guidelines

Preferred options: DRd

(or KRd)

Not Refractory to Lenalidomide

First Relapse

Alternatives:

DVD, Kd, DaraKd, IsaKd, IRd, Erd

When Dara, Isa, K not available:

Rd, Vd, VTD, VCD, VMP

Refractory to Lenalidomide

Preferred options: PVd DaraKd IsaKd

Consider salvage auto transplant in eligible

patients

Second options

DaraVd;Kd

Other options:

KPd; DaraPd; Ipd

When Dara, isa, K or P not available: VCD, Vd, VMP

DKd,daratumumab/carfilzomib/dexamethasone; DPd, daratumumab/pomalidomide/dexamethasone; DRd, daratumumab/lenalidomide/ dexamethasone; DVd, daratumumab/bortezomib/dexamethasone; Elo–Rd, elotuzumab/lenalidomide/dexamethasone; Ipd, ixazomib/pomalidomide/dexamethasone; Ird, ixazomib/lenalidomide/dexamethasone; Isa–Kd, isatuximab/carfilzomib/dexamethasone; Kd, carfilzomib/dexamethasone; KPd, carfilzomib/pomalidomide/dexamethasone; KRd, carfilzomib/lenalidomide/ dexamethasone; PVd, pomalidomide/bortezomib/dexamethasone; Rd, lenalidomide/dexamethasone; SVd, selinexor/bortezomib/dexamethasone; VCd, bortezomib/cyclophosphamide/dexamethasone; Vd, bortezomib/dexamethasone; VMP, bortezomib/melphalan /prednisone; VTd, bortezomib/thalidomide/dexamethasone.

Moreau P, et al. IMWG Recommendations for RRMM. Lancet Oncol. 2021;22(3):e105-e118.

First or Second Relapse (Options after Considering Clinical Trials) (Modified from mSMART But Added New CAR-T Approvals)

Not Refractory to Anti-CD38 Refractory to Anti-CD38 and Len

Not refractory to Lenalidomide and standard risk or long 1st remission

Refractory to Lenalidomide

DRd

Standard Risk and >2-3 years remission <2 years of remission and/or HRCA > 2-3 year remission and standard risk < 2 year remission or HRCA

DPd or IsaPd Or DVd

Cilta-cel CAR T or AntiCD38 + Kd

Dingli D, et al. Mayo Clin Proc. 2017;92(4):578-59. Updated 2024.

KPd or PVd or PCd or EloPd Or CAR-T (Cilta-cel If 1+ prior LOT, Ide-cel if 2+ LOT)

Favor CAR-T Cilta-cel (1+ prior LOT) Or Ide-cel (2+ prior LOT)

Others to the left if not candidate for CAR-T

Currently Available Agents for One to Three Prior Lines of Therapy

Drug Formulation Approval

Velcade (bortezomib)

Kyprolis (carfilzomib)

Ninlaro (ixazomib)

Revlimid (lenalidomide)*

Pomalyst (pomalidomide)*

XPOVIO (selinexor)

• IV infusion

• SC injection

• IV infusion

• Weekly dosing

• For relapsed/refractory myeloma

• For relapsed/refractory myeloma as a single agent, as a doublet with dexamethasone, and as a triplet with Revlimid or Darzalex plus dexamethasone

Once-weekly pill

Once-daily pill

• For relapsed/refractory myeloma as a triplet with Revlimid and dexamethasone

• For relapsed/refractory myeloma in combination with dexamethasone

Once-daily pill

• For relapsed/refractory myeloma in combination with dexamethasone

Once-weekly pill

• For relapsed/refractory myeloma as a triplet with Velcade and dexamethasone

*Black box warnings: embryo-fetal toxicity; hematologic toxicity (Revlimid); venous and arterial thromboembolism

IV, intravenous; SC, subcutaneous

Currently Available Monoclonal Antibodies for One to Three Prior Lines of Therapy

Darzalex (daratumumab)

SC once a week for first 8 weeks, then every 2 weeks for 4 months, then monthly

• For relapsed/refractory myeloma as a single agent and as a triplet with Revlimid or Velcade or Kyprolis or Pomalyst plus dexamethasone

Empliciti (elotuzumab)

Sarclisa (isatuximab)

IV once a week for first 8 weeks, then every 2 weeks (or every 4 weeks with pom)

IV once a week for first 4 weeks, then every 2 weeks

• For relapsed/refractory myeloma as a triplet with Revlimid or Pomalyst and dexamethasone

• For relapsed/refractory myeloma as a triplet with Pomalyst or Kyprolis and dexamethasone

Formulation Approval
Drug
IV, intravenous; SC, subcutaneous

Myeloma: Second or

Refractory to IMiD, PI, Anti-CD38

Second or higher relapse

Refractory to IMiD, PI, Anti-CD38, Alkylators, and Anti-BCMA

Existing drugs: Elotuzumab Selinexor Venetoclax Bendamustine VDT PACE New Drugs: Iberdomide, Mezigdomide New bispecifics (Cevostamab, Talquetamab) New CAR-Ts New Monoclonals New ADCs Combinations with Cyclophosphamide that do not have IMiD, PI, Anti CD38 (e.g., KCd) Anti BCMA strategy Anti-BCMA Bispecific BCMA CAR-Ts
Rajkumar SV. 2022
higher relapse

NCCN Guidelines – Late Relapse

Currently Available Drugs for Triple-Class Refractory Myeloma

Class Drug

Nuclear export inhibitor

Antibody-drug conjugate

Chimeric antigen receptor (CAR) T cell

XPOVIO (selinexor)

Twice-weekly pill

CAR T cell

Blenrep (belantamab mafodotin)*

Abecma (idecabtagene vicleucel)

Carvykti (ciltacabtagene autoleucel)

Bispecific antibody

2.5 mg/kg IV over approximately 30 minutes once every 3 weeks

300 to 460 × 106 genetically modified autologous CAR T cells in one or more infusion bags

0.5 to 1.0 × 106 genetically modified autologous CAR T cells/kg of body weight

• For relapsed/refractory myeloma in combination with dexamethasone (after at least 4 prior therapies and whose disease is refractory to at least 2 PIs, at least 2 IMiDs, and an anti-CD38 mAb

• For relapsed/refractory myeloma (after at least 4 prior therapies including an anti-CD38 mAb, a PI, and an IMiD

• For relapsed/refractory myeloma (after 4 or more prior lines of therapy, including an IMiD, a PI, and an anti-CD38 mAb

• For relapsed/refractory myeloma (after 4 or more prior lines of therapy, including a PI, an IMiD, and an anti-CD38 mAb

Tecvayli (Teclistamab) Step up dosing then weekly SQ For relapsed/refractory myeloma (after 4 or more prior

Talquetamab lines of therapy, (PI, an IMiD, and an anti-CD38 mAb

Elranatamab

Formulation Approval
IMiD, immunomodulatory agent; PI, proteasome inhibitor; mAb, monoclonal antibody

Emerging Therapies for

Relapsed/Refractory

Multiple Myeloma

Bispecific antibodies

• Cevostamab, Alnuctamab, ABBV383, and others

• Target BCMA, GPRC5D, or FcRH5 on myeloma cells and CD3 on T cells

• Redirects T cells to myeloma cells

Cereblon E3 ligase modulators (CELMoDs)

• Iberdomide

• Targets cereblon

• Enhances tumoricidal and immune-stimulatory effects compared with immunomodulatory agents

Small molecule inhibitors

• Venetoclax

• Targets Bcl-2

• Induces multiple myeloma cell apoptosis

CAR T-Cell Therapy and Bispecific Antibodies

Autologous CAR T-Cell Therapy: Underlying Principles

Leukapheresis Manufacturing Infusion

Collect patient’s white blood cells

Isolate and activate T cells Engineer T cells with CAR gene

Targeting element (eg, CD19, BCMA, CD20) Spacer

Expand CAR T cells Infuse same patient with CAR T cells

Transmembrane domain

Costimulatory domain (eg, CD28 or 4-1BB)

CD3���� (essential signaling domain)

Median manufacturing time: 17-28 days

Patients undergo lymphodepleting (and possibly salvage/bridging) therapy

Majors. EHA 2018. Abstr PS1156. Lim. Cell. 2017;168:724. Sadelain. Nat Rev Cancer. 2003;3:35. Brentjens. Nat Med. 2003;9:279. Park. ASH 2015. Abstr 682. Axicabtagene ciloleucel PI. Tisagenlecleucel PI.

Slide credit: clinicaloptions.com CD19
Activity
vector with CAR DNA CARengineere d T cell
Tumor cell
Viral

CAR T-Cell Therapy Patient Journey

Fludarabine and Cytoxan are used to create “immunologic space”

3 Lymphodepletion (chemotherapy) 4 Infusion 1 Apheresis 2 (Manufacturing) Patients return home Immune cells from the patient are collected
CAR T cells
expand Standard of care therapy is permitted until CAR T cells are ready for infusion 1 day 4–6 weeks 3 days 2 weeks Within 2 weeks 5 Follow up
to
to

Abecma and Carvykti in Relapsed and Refractory Multiple Myeloma

Ide-cel (n=128)

VGPR CR or sCR and MRD NE CR or sCR and MRD-

Cilta-cel (n=97)

ORR, overall response rate; PR, partial response; VGPR, very good partial response; CR, complete response; sCR, stringent complete response; MRD, minimal residual disease; PFS, progression-free survival

KarMMa Trial. Munshi NC et al. N Engl J Med. 2021;384:705.

CARTITUDE-1 Trial. Berdeja JG et al. Lancet. 2021;398:314; Martin T et al. J Clin Oncol. June 4, 2022 [Epub ahead of print].

Abecma Carvykti 21 20 7 26 0 10 20 30 40 50 60 70 80 90 100
Patients (%)
ORR 73% Average PFS 9 months
PR
3 12.4 82.5 0 10 20 30 40 50 60 70 80 90 100
Patients (%) PR VGPR sCR ORR 97.9% 27-month PFS 55%

CAR T: Expected Toxicities

Cytokine release syndrome (CRS) Neurotoxicity (ICANS)

Cytopenias

Infections

CRS

ICANS

Onset 1 9 days after CAR T-cell infusion 2 9 days after CAR T-cell infusion

Duration 5 11 days 3 17 days

Symptoms

• Fever

• Difficulty breathing

• Dizziness

• Nausea

• Headache

• Rapid heartbeat

• Low blood pressure

Management

• Actemra (tocilizumab)

• Corticosteroids

• Supportive care

• Headache

• Confusion

• Language disturbance

• Seizures

• Delirium

• Cerebral edema

• Antiseizure medications

• Corticosteroids

*Based on the ASTCT consensus; †Based on vasopressor; ‡For adults and children >12 years; §For children ≤12 years; ‖Only when concurrent with CRS

Xiao X et al. J Exp Clin Cancer Res. 2021;40(1):367. Lee DW et al. Biol Blood Marrow Transplant. 2019;25:625; Shah N et al. J Immunother Cancer. 2020;8:e000734.

Bispecific and Trispecific Antibodies

There are currently 3 approved bispecific antibodies:

Teclistamab (Tecvayli)

Talquetamab (Talvey)

Elranatamab (Elrexfio)

Bispecific Antibodies

Bispecific antibodies are also referred to as dual specific antibodies, bifunctional antibodies, or T-cell engaging antibodies

Bispecific antibodies can target two cell surface molecules at the same time (one on the myeloma cell and one on a T cell)

Many different bispecific antibodies are in clinical development; none are approved for use in myeloma

Availability is off-the-shelf, allowing for immediate treatment

Cohen A et al. Clin Cancer Res. 2020;26:1541.

BCMA, GPRC5D, or FcRH5

Examples:

• Elranatamab

• Teclistamab

• TNB-303B (ABBV-383)

• REGN5458

• Cevostamab

• Talquetamab

Now Approved: Tecvayli, the First Bispecific Antibody

Drug Formulation Approval

Tecvayli (teclistamab)*

Step-up dosing† the first week then once weekly thereafter by subcutaneous injection

• For relapsed/ refractory myeloma (after 4 or more prior lines of therapy, including an IMiD, a PI, and an anti-CD38 mAb)

IMiD, immunomodulatory agent; PI, proteasome inhibitor; mAb, monoclonal antibody

*Black box warning: cytokine release syndrome; neurologic toxicities

†Patients are hospitalized for 48 hours after administration of all step-up doses.

Tecvayli is available only through a restricted distribution program.

Patients (%)

Median duration of response 18.4 months

4.2% 19.4% 6.7% 32.7% sCR CR VGPR PR ≥VGPR: 58.8% ≥CR: 39.4% 63.0% (104/165)
Moreau P et al. N Engl J Med. 2022;387:495.

MajesTEC-1: Overall Safety Profile; watch for infections

Teclistamab was well tolerated; discontinuations and dose reductions were infrequent

• 2 patients (1.2%) discontinued due to AEs (grade 3 adenoviral pneumonia; grade 4 PML)

• 1 patient had dose reduction at cycle 21

• The most common AEs were CRS and cytopenias

• Infections occurred in 126 (76.4%) patients (grade 3/4: 44.8%)

• 123 patients (74.5%) had evidence of hypogammaglobulinemiaa

• There were 19 deaths due to AEs, including 12 COVID-19 deaths

• 5 deaths due to teclistamab-related AEs:

• COVID-19 (n=2)

• Pneumonia (n=1)

• Hepatic failure (n=1)

174
PML
AEs ≥20%, n (%) Any Grade Grade 3/4 Hematologic Neutropenia 117 (70.9) 106 (64.2) Anemia 86 (52.1) 61 (37.0) Thrombocytopenia 66 (40.0) 35 (21.2) Lymphopenia 57 (34.5) 54 (32.7) Nonhematologic CRS 119 (72.1) 1 (0.6) Diarrhea 47 (28.5) 6 (3.6) Fatigue 46 (27.9) 4 (2.4) Nausea 45 (27.3) 1 (0.6) Pyrexia 45 (27.3) 1 (0.6) Injection site erythema 43 (26.1) 0 (0) Headache 39 (23.6) 1 (0.6) Arthralgia 36 (21.8) 1 (0.6) Constipation 34 (20.6) 0 (0) Cough 33 (20.0) 0 (0)
(n=1)

Elranatamab : Duration of Treatment and Best Overall Response

• Median duration of followup was 12.0 mos (range 0.3–32.3)

• ORR = 64% (95% CI, 50–75); CR/sCR rate = 38% (21/55)

• 54% (7/13) of patients with prior BCMA-directed therapy achieved response

• For responders (n = 35), median TTR = 36 days (range 7–262)

Data cutoff 9/30/2022

Swimmer plot depicts disease assessments relevant to first response, confirmation of response, deepening of response, and best response. Mutational analysis was filtered on functional mutations annotated in OncoKB and normal allele frequency <5% in paired peripheral blood mononuclear cell samples. * Prior anti-BCMA ADC. * Prior BCMA-targeted CAR-T.

MR = minimal response; NE = not evaluable; PD = progressive disease; Q2W = every 2 weeks; REL = relapse; SD = stable disease; TTR = time to response.

Raje N, et al. ASH. 2022: abstract 158.

TP53 KRAS NRAS

MonumenTAL-1: ORR With Talquetamab⍭

*Calculated from n =106 responders in each group. QW = weekly.

ORR was similar for QW and Q2W schedules

• Triple-class refractory: 72.6% and 71.0%

• Penta-drug refractory: 71.4% and 70.6%

• ORR was consistent across subgroups including baseline ISS stage III disease, baseline cytogenetic risk, number of prior therapies, and belantamab exposure, except among patients with baseline plasmacytomas

A, et al. Blood. 2022;140 (suppl 1): 384-387.
Timing, mos 405 μg/kg SC QW n = 143 800 μg/kg SC Q2W n = 15 Median follow-up, mos (range) 14.9 (0.5–29.0). 8.6 (0.2–22.5) Median time to first response*, mos (range) 1.2 (0.2–10.9) 1.3 (0.2–9.2) Median time to best response*, mos (range) 2.2 (0.8–12.7) 2.7 (0.3–12.5) ORR 14.7 15.9 25.9 24.8 9.8 12.4 23.8 20.0 0 20 40 60 80 100 PR VGPR CR sCR 74.1% (106/143) 73.1% (106/145) ≥VGPR: 59.4% 405 μg/kg SC QW 800 μg/kg SC Q2W Patients (%) ≥VGPR: 57.2% 100% 80% 60% 40% 20% 0% Data
⍭ Investigational, not FDA-approved
Chari
cut-off 9/12/2022

MonumenTAL-1 Talquetamab⍭: Safety*

CRS

were graded by CTCAE v4.03 with 2–3 step-up doses.

CRS events

• Most CRS events were grade 1/2 and largely confined to step-up doses and first full dose

Non-hematologic AEs

• Low rates of grade 3/4 nonhematologic AEs

• Low discontinuation rates due to AEs Most common AEs were CRS, skinrelated events, nail-related events, and dysgeusia

Hematologic AEs

• Most high-grade AEs were cytopenias

• Cytopenias were generally limited to first few cycles

Chari A, et al. Blood. 2022;140 (suppl 1): 384-387. *AEs
1 7 Grade 1 89 (62.2%) Grade 1 79 (54.5%) Grade 2: 21 (14.7%) Grade 2: 25 (17.2%) 0% 20% 40% 60% 80% 100% Patients, n (%) Grade 3: 1 (0.7%) Grade 3: 3 (2.1%) 405 μg/kg SC QW 800 μg/kg SC Q2W (n = 143) (n = 145) 79.0 % 72.4 %

Bispecific Antibodies: Expected Toxicities

• Cytokine release syndrome (CRS)

• Neurotoxicity (ICANS)

• Usually occurs within first 1–2 weeks

• Frequency (all grade and grade 3–5) higher with CAR T

• Cytopenias

• Target unique

• For example, rash, taste disturbance seen with GPRC5D, but not with BCMA

• Infections

• Incidence for bispecifics at RP2D not yet known

• Viruses: CMV, EBV

• PCP/PJP

• Ongoing discussions regarding prophylactic measures

 IVIG

 Anti-infectives

Similarities and Differences Between CAR T-Cell Therapy and Bispecific Antibodies

CAR T-cell therapy Bispecific antibody

Approved product

How given One-and-done

Where

Notable

IV or SC, weekly to every 3 weeks until progression

Tecvayli Efficacy ++++ +++
Abecma, Carvykti
given Academic medical centers Academic medical centers
CRS and neurotoxicity CRS and neurotoxicity
release syndrome +++ ++ Neurotoxicity ++ +
adverse events
Cytokine
manufacturing
for CRS
neurotoxicity
Availability Wait time for
Off-the-shelf, close monitoring
and

Key Points – CAR T and Bispecifics

CAR T and bispecific antibodies are very active even in heavily pretreated patients.

Side effects of CAR T cells and bispecific antibodies include cytokine release syndrome, confusion, and low blood counts, all of which are treatable.

Abecma and Carvykti are only the first-generation CAR T cells and target the same protein. Different CAR Ts and different targets are on the way.

Bispecific antibodies represent an “off-the-shelf” immunotherapy; Tecvayli was approved in October 2022, and now Talvey and Elrexfio in August 2023

Several additional bispecific antibodies are under clinical evaluation.

The Evolution of Myeloma Therapy

Bortezomib

Lenalidomide

Carfilzomib

Pomalidomide

Panobinostat

Daratumumab

Ixazomib

Elotuzumab

Lenalidomide

Bortezomib

Ixazomib

Lenalidomide + PI

SCT +/- More induction

Carfilzomib

Combinations

Selinexor

Isatuximab

Idecabtagene autoleucel

Ciltacabtagene autoleucel

Teclistamab

Talquetamab

Elranatamab

Isa-VRD Isa-KRD D-KRD

CAR T or Bispecifics?

Daratumumab?

Novel CAR T Cell Therapies

Bispecific/Trispecific Antibodies

CelMod Agents

Venetoclax?

Modakafusp

Multiple small molecules

Induction Consolidation Front line treatment Post consolidation Maintenance Rescue Relapsed
New
Now VTD VRD KRD D-VMP DRD D-VRD
++++++++
ASCT, autologous stem cell transplant; CAR, chimeric antigen receptor; Cy, cyclophosphamide; d- daratumumab; D/dex, dexamethasone; isa, isatuximab; K, carfilzomib; M, melphalan; PD-L1, programmed death ligand-1; PI, proteasome inhibitor; Rev, lenalidomide; V, bortezomib. Speaker’s own opinions.

Clinical Trials

183

Objectives

• Provide the rationale for clinical trials

• Outline the phases of clinical trials

• Discuss the risks and benefits of clinical trials

• Preview important clinical trials in myeloma

Clinical Trials - Overview

Remember some of the important principles of clinical trials:

• The drive of research has brought us to where we are

• No one is expected to be a “guinea pig” with no potential benefit to them

• Research is under very tight supervision and standards

• Open, clear communication between the physician and the patient is fundamental

Clinical Trials – Why Me??

• Every patient is unique and must be viewed that way

• Benefits of trials are numerous and include:

• Early access to “new” therapy

• Delay use of standard therapy

• Contribution to myeloma world – present and future

• Financial access to certain agents

• Must be balanced with potential risks

• “toxicity” of side effects

• Possibility of lack of efficacy

Overview of New Drug Development

Identify a target for therapy in the laboratory

Confirm the anticancer activity in laboratory and animal studies

Clinical trials (human studies) to determine safety, dosing and effectiveness

The whole process costs millions of dollars and years of effort!

Clinical Trials - Phases

Phase I Phase II Phase III

Tests safety Tests how well treatment works Compares new treatment to standard treatment

Why Do So Few Cancer Patients Participate in Trials?

Patients may:

• Be unaware of clinical trials

• Lack access to trials

• Fear, distrust, or be suspicious of research

• Have practical or personal obstacles

• Face insurance or cost problems

• Be unwilling to go against their physicians’ wishes

• Not have physicians who offer them trials

• Have a disconnect with their healthcare team

196

Diversity in Clinical Trials

• There has been a lack of diverse representation in clinical trials in myeloma. In the U.S., approximately 20% of all myeloma patients are of African descent, but only 5%–8% of patients in myeloma clinical trials are of African descent.

• This is significant for the following reasons: All patients of all races and ethnicities should be able to benefit from clinical trials. Diverse patient representation in clinical trials is required to ensure that the outcomes are applicable to all patients.

• Reasons for underrepresentation in clinical trials are complex and include systemic racism, accessibility of clinical trials, sensitivity to diversity by medical professionals, misconduct in medicine in the past, the lack of trust in the system, and more.

Commonly Asked Questions

How does the study work? How often will I need to see my doctor or visit the cancer center?

Will I need to undergo additional tests?

What is currently known about the new drug or combination?

What benefits can I expect?

What side effects should I expect? Who should I notify if I have side effects?

Can I take my vitamins or other medications?

Can I get the treatment with my local doctor?

Will my insurance pay for my participation in the clinical trial?

Considering Entering a Clinical Trial?

• Discuss whether or not you are eligible for a clinical trial with your physician

• Work with your physician to determine the best trial for you

• Meet with the clinical research nurse or trials coordinator to discuss the trial

• Carefully review the provided “Informed Consent”

• Describes the study and any potential safety concerns related to the experimental medication

Ongoing Trials in Myeloma

• SO many areas being studied right now including…

• CAR T Cell therapy (used earlier in myeloma, new targets, faster manufacturing, even allo CAR T!)

• Novel Bispecific Therapies (with new targets) and even Trispecifics

• New molecules – CelMods, …

And MANY more!

Q&A

203

Upcoming IMF Events

Patient and Family Seminars

Minneapolis – July 18th & 19th, 2024 – JW Marriott

Mall of America

Los Angeles – August 16th & 17th, 2024 – Hilton Los

Angeles/Universal City

Regional Community Workshops

June 22, 2024 – Charlotte RCW – Hyatt Southpark

Charlotte

We want to hear from you!

Feedback Survey

At the close of the meeting a feedback survey will pop up.

This will also be emailed to you shortly after the workshop.

Please take a moment to complete this survey.

Thank you to our sponsors!

Thank you for attending today’s program!

May 21, 2024, International Myeloma Foundation’s

Regional Community Workshop

Turn static files into dynamic content formats.

Create a flipbook
Issuu converts static files into: digital portfolios, online yearbooks, online catalogs, digital photo albums and more. Sign up and create your flipbook.