Class II Correction with Carriere Motion 3D Appliance and Clear Aligner Therapy
LU cA LOMBARDO, DDS
FRANcES cA cR EMONINI, DDS
TERESA OLIVERIO, DDS
FRANcES cA cERVINARA, DDS
GIUSEPPE SICILIANI, MD, DDS
Clear aligner therapy has been shown to be effective in resolving mild to moderate malocclusions, with shorter treatment and less chairtime compared to conventional systems.1 To over -
come some of the aligners’ biom echanical limitations while still enabling esthetic treatment of more complex clinical conditions, clear aligners can be combined with various types of auxiliaries.2-4
Dr. Lombardo is a Professor and c hairman, Drs. c remonini and c e rvinara are residents, and Dr. Oliverio is a Research Assistant, Postgraduate School of Orthodontics, and Dr. Siciliani is Chairman, School of Dentistry, University of Ferrara, Via Luigi Borsari 46, 44121 Ferrara, Italy. E-mail Dr. Cremonini at dr.ssafrancescacremonini@gmail.com.
Dr. Cervinara Dr. Siciliani
Dr. Oliverio
Dr. Cremonini
Dr. Lombardo
LOMBARDO,
The Carriere Motion 3D Appliance* (CMA) is an intermaxillary Class II corrector introduced by Dr. Luis Carrière in 2004. 5 It has become popular over the past decade, thanks to its efficiency and versatility.6-8 As this case shows, it can be effectively used to establish a dental Class I relationship before starting clear aligner therapy.
Diagnosis and Treatment Planning
A 14-year-old male presented with a wellproportioned face and a slight deviation of the mandibular symphysis toward the left (Fig. 1). His incisor display was good, and the maxillary dental midline was centered with respect to the facial midline, but the profile had a flat appearance, despite the normal nasolabial angle and labiodental sulcus. The mandibular midline was slightly deviated toward the right with respect to the maxillary midline, and both arches showed minor crowding. The upper arch was narrow, while the mandibular
*Registered trademark of Henry Schein Orthodontics, Melville, NY; www.henryscheinortho.com.
1
curves of Spee and Wilson were pronounced. The patient had a Class II molar and canine relationship on the right and an edge-to-edge canine and molar relationship on the left. He exhibited a thick periodontal biotype and good oral hygiene.
Panoramic radiography revealed a full dentition with no bone defects or TMJ abnormalities. All teeth except the third molars had erupted normally, and the buds of the upper right, upper left, and lower left third molars were visible. Cephalometric analysis indicated a skeletal Class II relationship in a normodivergent pattern (Table 1). Mandibular and maxillary incisor inclinations were within the normal range, and the interincisal angle was also normal.
The primary treatment objective was to achieve a Class I molar and canine relationship. We also wanted to correct the crowding and obtain an ideal overjet and overbite.
The first treatment option involved extraction of all four first premolars and the use of fixed multibracket appliances to resolve the occlusal issue. In this case, however, the profile could have been worsened, and the occlusal outcome would
LOMBARDO,




After four months of the CMA and full-time intermaxillary elastics, a Class I molar and canine relationship was achieved (Fig. 2). To avoid relapse, we started clear aligner therapy less than two weeks after the CMA was removed. The virtual setup showed that 12 aligners would be needed in each arch to resolve the crowding and achieve leveling and alignment (Fig. 3). Buccal grip points were planned on the upper right canine and first premolar, upper left canine and first molar, lower right first premolar, and lower left canine and second premolar. In addition, .1mm of interproximal reduction (IPR) was planned at each contact point from the mesial surface of the upper right first molar to the mesial surface of the upper left first molar, and from the mesial surface of the lower left second premolar to the mesial surface of the lower right second premolar. IPR was used to reduce the proclination of both arches and achieve a good anterior relationship with normal overjet and overbite. Aligners were changed every two weeks. After the 12th planned set of aligners, four more were added to the series to refine the result (Fig. 4). The clear aligner therapy lasted eight months.
Treatment Results
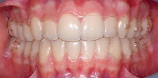
Post-treatment records indicated a satisfac-
tory outcome after four months of CMA with fulltime Class II elastic wear and eight months of clear aligner therapy (Fig. 5). The patient showed an esthetic profile and incisor display on smiling, along with a Class I canine and molar relationship. The midlines were centered and the crowding was resolved, but the second molar occlusal contacts were less than optimal, probably because of the presence of a palatal precontact.
Post-treatment panoramic radiography evidenced good root parallelism with no sign of crestal bone height reduction or apical root resorption. Cephalometric analysis indicated that the inclination of the lower incisors with respect to the mandibular plane (IMPA) increased slightly, from 96.3° to 99.9°, demonstrating the anchorage control provided by the appliance (Table 1).
Superimposition of the pre- and posttreatment cephalometric tracings, according to the method developed by Björk, 9,10 highlighted a clockwise rotation of the occlusal plane. The appliance’s control of the vertical height and lowerincisor proclination was clear from the regional super impositions. Even though the treatment period was short, the superimpositions revealed considerable residual growth in a downward and forward direction, since the initial radiographs were taken six months before treatment began.
LOMBARDO, CREMONINI, OLIVERIO, CERVINARA, SICILIANI
Discussion
Previous studies indicate that the CMA is an effective means of correcting the sagittal component of a Class II malocclusion within the first six months of treatment.11,12 Popowich and colleagues found that the initial phase of sagittal correction with the CMA lasted an average 5.1 months (± 2.8 months).11 More recently, a retrospective casecontrol study reported that patients treated without extractions using the CMA followed by fixed appliances experienced a reduced duration of elastic wear and overall treatment time, indicating that this method of treatment is particularly efficient.12 In the present case, a Class I relationship was achieved in just four months, thanks to the patient’s full-time compliance with Class II elastics. Kim-Berman and colleagues showed that the CMA followed by fixed appliances produced primarily dentoalveolar effects, including changes in overbite, overjet, and molar relationships, with little lower-incisor proclination.12 This was corroborated by the superimposition of pre- and post-treatment cephalometric tracings in our patient, whose lower-incisor inclination increased by only 3.6°. As for skeletal changes, Kim-Berman and colleagues reported that the mandible was brought forward by heavy full-time elastics, although there was no statistically or clinically significant increase in mandibular length.12 In our patient, the SNB angle increased by 1.8° while the ANB angle decreased by 1.8°.
Patient compliance was crucial in this case. As in previously published reports, the elastics were applied to notches in the aligners rather than buttons to prevent undesirable extrusion or rotation of the lower first molars.13,14 The subsequent clear aligner therapy was also effective, thanks to the highly predictable planned tooth movements, including anterior crown inclination and anterior intrusion.15 Indeed, the mean accuracy of buccolingual tipping in the anterior region is reportedly greater than 70% when it is planned with F22 aligners,16 owing to the favorable biomechanical properties of the material.17
With proper compliance, this combined treatment can be an efficient alternative—one that is
greatly appreciated by patients and clinicians because of the esthetic approach and reduced treatment time.
REFERENCES
1. Zheng, M.; Liu, R.; Ni, Z.; and Yu, Z.: Efficiency, effectiveness and treatment stability of clear aligners: A systematic review and meta-analysis, Orthod. Craniofac. Res. 20:127-133, 2017.
2. Robertson, L.; Kaur, H.; Fagundes, N.C.F.; Romanyk, D.; Major, P.; and Flores Mir, C.: Effectiveness of clear aligner therapy for orthodontic treatment: A systematic review, Orthod. Craniofac. Res. 23:133-142, 2020.
3. Lombardo, L.; Colonna, A.; Carlucci, A.; Oliverio, T.; and Siciliani, G.: Class II subdivision correction with clear aligners using intermaxillary elastics, Prog. Orthod. 19:32, 2018.
4. Lombardo, L.; Carlucci, A.; Maino, B.G.; Colonna, A.; Paoletto, E.; and Siciliani, G.: Class III malocclusion and bilateral crossbite in an adult patient treated with miniscrew-assisted rapid palatal expander and aligners, Angle Orthod. 88:649-664, 2018.
5. Carrière, L.: A new Class II distalizer, J. Clin. Orthod. 38:224231, 2004.
6. Pardo Lopez, B.; de Carlos Villafranca, F.; and Cobo Plana, J.: Distalizer treatment of an adult Class II, division 2 malocclusion, J. Clin. Orthod. 40:561-565, 2006.
7. Rodríguez, H.L.: Unilateral application of the Carriere Distalizer, J. Clin. Orthod. 45:177-180, 2011.
8. Singh, D.P.; Arora, S.; Yadav, S.K.; and Kedia, N.B.: Intraoral approaches for maxillary molar distalization: Case series, J. Clin. Diagn. Res. 11:ZR01-ZR04, 2017.
9. Björk, A. and Skieller, V.: Growth of the maxilla in three dimensions as revealed radiographically by the implant method, Br. J. Orthod. 4:53-64, 1977.
10. Björk, A.: Prediction of mandibular growth rotation, Am. J. Orthod. 55:585-599, 1969.
11. Popowich, K.; Nebbe, B.; Heo, G.; Glover, K.E.; and Major, P.W.: Predictors for Class II treatment duration, Am. J. Orthod. 127:293-300, 2005.
12. Kim-Berman, H.; McNamara, J.A. Jr.; Lints, J.P.; McMullen, C.; and Franchi, L.: Treatment effects of the Carriere Motion 3D appliance for the correction of Class II malocclusion in adolescents, Angle Orthod. 89:839-846, 2019.
13. Schupp, W.; Haubrich, J.; and Neumann, I.: Class II correction with the Invisalign system, J. Clin. Orthod. 44:28-35, 2010.
14. Lombardo, L.; Colonna, A.; Carlucci, A.; Oliverio, T.; and Siciliani, G.: Class II subdivision correction with clear aligners using intermaxillary elastics, Prog. Orthod. 19:32, 2018.
15. Rossini, G.; Parrini, S.; Castroflorio, T.; Deregibus, A.; and Debernardi, C.L.: Efficacy of clear aligners in controlling orthodontic tooth movement: A systematic review, Angle Orthod. 85:881-889, 2015.
16. Lombardo, L.; Arreghini, A.; Ramina, F.; Huanca Ghislanzoni, L.T.; and Siciliani, G.: Predictability of orthodontic movement with orthodontic aligners: A retrospective study, Prog. Orthod. 18:35, 2017.
17. Lombardo, L.; Martines, E.; Mazzanti, V.; Arreghini, A.; Mollica, F.; and Siciliani, G.: Stress relaxation properties of four orthodontic aligner materials: A 24-hour in vitro study, Angle Orthod. 87:11-18, 2017.