
@dentistamoderno
@eldentistamoderno

@eldentistamoderno

@eldentistamoderno

Monográfico


![]()

@dentistamoderno
@eldentistamoderno

@eldentistamoderno

@eldentistamoderno



PUBLICADO POR
Redacción Dentista Moderno www.eldentistamoderno.com
Versys Ediciones Técnicas S.L.
C/ Invierno, 17 28850 Torrejón de Ardoz (+34) 912 972 000

MedicalFit
Calle Romeros 6 23400 - Úbeda (Jaén)

Contacto: info@medicalfit.com 953 792 983 603 711 478 @medicalfit_ www.medicalfit.com
2
ENTREVISTA
“Actuamos como un verdadero socio. Nuestros protocolos reducen citas e incidencias hasta en un 50%, mejorando la rentabilidad y la experiencia del paciente”
Pedro Perales Pulido, fundador y CEO de MedicalFit
4
REPORTAJE
Laboratorios MedicalFit
Un recorrido por las nuevas instalaciones MedicalFit
8
MEDICALFIT NOW
Carga inmediata provisional termiuynada antes de la cirugía
Autor: Dr. Ricardo Recena
12
MEDICALFIT PLANNING
Protocolo paso a paso para la fabricación de arcos de zirconio monolítico
Autor: Dr. Felix Wucherpfenning
18
MEDICALFIT BIO
Protocolo de planificación e intervención quirúrgica y protésica
Autor: Dr. Eduardo Crooke
24
PROYECTOS Y NOVEDADES
MedicalFit: velocidad, precisión y nuevas soluciones en rehabilitación Full Arch

MedicalFit es un laboratorio protésico dental 100% digital, especializado en ofrecer soluciones sencillas de máxima precisión, estética y funcionalidad, a casos complejos. Su propósito es acompañar a odontólogos y clínicas dentales con un servicio que une tecnología de vanguardia, calidad garantizada y trato cercano.
MedicalFit nació con una visión clara: transformar el trabajo de los laboratorios tradicionales a través de la digitalización. Desde sus inicios, apostaron por integrar el diseño CAD/CAM y la fabricación con materiales de última generación, lo que les ha permitido evolucionar hacia procesos más rápidos, seguros y trazables.
A lo largo de los años, han construido un equipo altamente especializado, comprometido con la innovación constante y con la excelencia en cada pieza que entregan. Gracias a esta filosofía, han pasado de ser un proyecto pionero en digitalización dental a convertirse en un referente para clínicas y profesionales que buscan la máxima precisión en sus tratamientos.
Hoy siguen creciendo con la misma motivación que les impulsó desde el principio: crear prótesis que transforman sonrisas y mejoran la calidad de vida de los pacientes, con la confianza de que la automatización y la innovación digital son la clave para liderar el futuro del sector.
“Actuamos como un verdadero socio. Nuestros protocolos reducen citas e incidencias hasta en un 50%, mejorando la rentabilidad y la experiencia del paciente”
Medicalfit, uno de los laboratorios dentales digitales más grandes de España y uno de los más avanzados digitalmente en Europa, se posiciona como un socio estratégico en el modelo de colaboración con la clínica dental. Así lo explica en esta entrevista Pedro Perales Pulido, fundador y CEO de la compañía, que destaca la esencia de este laboratorio integral a la hora de universalizar la calidad mediante protocolos robustos, trazabilidad y cercanía, ofreciendo soluciones multidisciplinares en odontología digital, así como las ventajas que ofrece Medicalfit a las clínicas dentales y sus profesionales como un aliado 100% digital.

DM.- Háblenos de los inicios de la compañía. ¿Qué necesidad concreta del sector dental le impulsó a crear Medicalfit y cómo ha evolucionado esa visión desde los inicios?
Pedro Perales Pulido (P.P.P.).- La idea fue estandarizar de verdad el flujo clínica–laboratorio en digital. En nuestros laboratorios ya usábamos tecnología avanzada internamente, pero faltaba un proceso común, fiable y sencillo que conectara planificación, cirugía y restauración.
Con esa idea desarrollamos protocolos propios para grandes rehabilitaciones (Medicalfit 1, 2, 3HS, Medicalfit BIO y Now!), hoy respaldados por 6 patentes y más de 13 estudios universitarios y privados. La visión se ha mantenido: tratamientos previsibles, seguros y accesibles; lo que ha cambiado es la madurez tecnológica, la evidencia que los sustenta y la escalabilidad.
DM.- Respecto a la innovación tecnológica, en el caso de Medicalfit es hablar de un laboratorio que ha adoptado esa línea de trabajo desde una visión global. ¿Qué
significa realmente ser completamente digital y qué procesos clave han sido transformados gracias a esto?
P.P.P.- Ser completamente digital significa controlar el tratamiento de principio a fin con un único expediente digital, trazable y auditable. Hemos transformado:
Diagnóstico (integración de CBCT, escáner intraoral y registro facial para crear un gemelo virtual).
Diseño (introdujimos la corrección automática de STL procedente del escaneado intraoral, el análisis de elementos finitos para validación de las estructuras o integración de la oclusión dinámica para mayor predictibilidad de los tratamientos).
Cirugía (planificación con guía y carga inmediata en el acto sin capturas con Now!).
Fabricación (impresión 3D y fresado de alta precisión).
Control de calidad (hemos asumido la mejora de la calidad en un entorno de fuerte crecimiento como objetivo prioritario, rompiendo la creencia de que la alta producción está opuesta a la calidad).
El resultado es uniformizar la calidad del servicio y reducir variabilidad clínica.
DM.- ¿Qué papel juegan la IA y la impresión 3D en el día a día del laboratorio y en la resolución de casos clínicos complejos?
P.P.P.- Son palancas de escala y eficiencia. Por ejemplo, la IA nos ayuda a automatizar y optimizar diseños, esto es la fase CAD; la impresión 3D acelera la producción con gran fidelidad, ésta es la fase CAM. El nuevo protocolo que lanzaremos en SEPES Bilbao, Medicalfit 3HS, construido sobre IA e impresión 3D, consolidará este enfoque y nos permitirá crecer preservando la calidad y mejorando la organización del trabajo.
DM.- Muchos dentistas aún ven la digitalización como algo difícil de integrar. ¿Cómo les ayudan desde Medicalfit a simplificar lo que a veces parece tan técnico?
P.P.P.- Hemos co-diseñado con los doctores procesos sencillos, repetibles y seguros. Con Medicalfit Start Up realizamos una breve auditoría, formamos al equipo en una sesión online de 90 minutos y acompañamos el primer caso. Incluso clínicas sin experiencia digital pueden rehabilitar una arcada completa de forma predecible. Más de 1.000 clínicas han implantado este sistema con buenos resultados.
DM.- Medicalfit se posiciona como un socio estratégico en el modelo de colaboración con la clínica dental. En este sentido, ¿cuáles son las ventajas y beneficios que un profesional dental experimenta al trabajar con Medicalfit frente a un laboratorio convencional?
P.P.P.- Actuamos como un verdadero socio. Nuestros protocolos reducen citas e incidencias hasta en un 50%, mejorando la rentabilidad y la experiencia del paciente. Resolvemos los casos de mayor complejidad y, a la vez, apoyamos el día a día de la clínica con un interlocutor único, tiempos firmes y documentación clara. Además, al eliminar envíos con restos biológicos y trabajar con altos estándares de seguridad e higiene, aumentamos la seguridad del proceso.

DM.- Otra de sus fortalezas es la apuesta por integrar un equipo multidisciplinar. ¿Qué perfiles profesionales integran el equipo de Medicalfit y cómo influye esta diversidad en la innovación y el servicio?
P.P.P.- Contamos con protésicos e ingenieros (diseño, software, telecomunicaciones y mecánicos), cirujanos y dentistas, y profesionales de legal, finanzas, RR. HH. y marketing. La digitalización simplifica tareas, pero exige talento diverso: quien domina el CAD, quien programa control numérico, quien desarrolla herramientas, quien asegura cumplimiento normativo y quien traduce todo ello en valor para el paciente. Esta mezcla alimenta la innovación y se nota en el servicio: decisiones más informadas, tiempos más cortos y menos variabilidad.
DM.- ¿Cómo contribuyen desde Medicalfit a la formación de los profesionales y estudiantes en nuevas tecnologías?
P.P.P.- Es un eje estratégico. Internamente, todos los técnicos pasan por un programa de 6 meses en la sede y, después, formación continuada con monitores internos y externos que aprovechamos en periodos de menor carga. Externamente colaboramos con sociedades científicas, universidades y centros formativos. Cuando una clínica quiere implantar nuestra metodología activamos el plan Start Up para capacitar a todo el equipo. Además, hemos iniciado cursos en nuestras instalaciones para doc-
tores y técnicos en distintos niveles, que vamos a intensificar por la buena acogida.
DM.- Ya están presentes en varios países. ¿Qué aprendizajes se llevan de ese proceso de expansión y qué conserva Medicalfit como esencia, independientemente de su ubicación?
P.P.P.- Hemos aprendido a escuchar a cada mercado: normativa, materiales, expectativas del paciente y dinámica de las clínicas. La esencia de Medicalfit como laboratorio integral no cambia: universalizar la calidad mediante protocolos robustos, trazabilidad y cercanía. Y, ahora también, ponemos nuestra tecnología a disposición “por uso” a través de dentalreply.com, respetando los equipos clínica–laboratorio locales y actuando como su socio tecnológico.
DM.- ¿En qué proyectos a medio/largo plazo están trabajando desde Medicalfit actualmente?
P.P.P.- Estamos escalando nuestra metodología a nivel internacional mediante software que automatiza fases clave y multiplica capacidad sin perder control clínico. En producción, evolucionamos hacia una factoría 4.0 con internet de las cosas y automatización. Seguiremos potenciando nuestros protocolos Medicalfit 1, 2, 3HS, BIO y Now!, y facilitando servicios a la carta (diseño, impresión, fresado, aprovisionamiento y software) para integrarnos mejor con cada clínica.
DM.- Respecto a su visión de futuro y objetivos, ¿qué previsiones de crecimiento tienen para la empresa?
P.P.P.- Queremos ser un actor internacional de referencia en salud bucodental, creciendo de forma sostenible y ordenada. Lo haremos generando conocimiento, invirtiendo en talento y tecnología, y manteniendo un compromiso invariable con la calidad y la seguridad. Las cifras llegarán como consecuencia; nuestro objetivo es consolidar operaciones, ampliar presencia internacional y seguir aportando soluciones que simplifiquen el trabajo del clínico y mejoren la vida de los pacientes.
La inauguración de MedicalFit Building, sede central 4.0 en Úbeda, marca un antes y un después en la forma en que la compañía concibe la fabricación de prótesis dentales y el desarrollo de soluciones digitales para la odontología. El edificio ha sido diseñado para integrar, bajo un mismo techo, producción avanzada, investigación, formación y gestión empresarial, siempre con la calidad y la innovación como ejes principales. Una de las grandes ventajas del nuevo edificio es que todo está interconectado
en la nube a través de su plataforma digital MedicalfFit Home, no solo los distintos departamentos aquí ubicados, sino toda la red internacional de laboratorios MedicalFit. Esto significa que cada fase del proceso —desde el diseño CAD hasta la producción, control de calidad, administración o marketing— está sincronizada en tiempo real.
Gracias a ello, sus clientes, colaboradores y laboratorios acreditados pueden trabajar con MedicalFit desde cualquier parte del mundo, compartiendo información, diseños y protocolos de forma segura,

ágil y transparente. Esta infraestructura les convierte en un auténtico hub digital global, preparado para integrar clínicas, laboratorios y profesionales de los cinco continentes.
Con estas instalaciones, MedicalFit no solo amplía su capacidad productiva, sino que consolida un modelo integral e interconectado, que une tecnología, investigación, formación y gestión en un mismo espacio, preparado para afrontar los retos de la odontología digital del presente y del futuro.


Recepción y registro digital
Todo comienza en el espacio de Producción , donde se reciben los casos clínicos a través de su plataforma y, tras una primera valoración de la información, se integran directamente en el sistema productivo. Desde el primer momento, la producción de la orden queda perfectamente planificada asegurando la trazabilidad en cada fase.
Diseño y planificación digital
MEDICALFIT CAD
El siguiente paso se desarrolla en la zona de diseño CAD & Engineering:
Los ingenieros y protésicos digitales transforman los registros (STL, CBCT, fotografías faciales) en proyectos digitales.
Se aplican los protocolos exclusivos MedicalFit, asegurando precisión en la planificación y estética en el resultado.
La información fluye automáticamente a fabricación CAD gracias a la integración en la nube.

Fresado e impresión.
MEDICALFIT CAM
Aquí late el corazón tecnológico de MedicalFit:
Fresadoras e impresoras 3D de última generación, hornos y sistemas automáticos de postprocesado y ultrapulido que convierten los diseños digitales en prótesis reales.
Almacén inteligente que distribuye materiales y aditamentos de forma robotizada, reduciendo tiempos, costes, errores y asegurando el servicio al cliente.
Centro CAM: los diseños realizados en la red internacional de MedicalFit Design pasan al equipo de técnicos e ingenieros que mecanizan o imprimen todas las estructuras personalizadas.
Control de fabricación y postprocesado: es el momento de provisionar los aditamentos o piezas de fabricación estandarizada, postprocesar los materiales que requieran esta fase por su proceso productivo y verificar la calidad del producto antes de dar traslado al laboratorio de finalización.
El pulmón industrial de la empresa late en esta planta donde se aísla al personal de los ruidos y la suciedad propias de un gran laboratorio garantizando la salud.



Laboratorio de terminación
Tras el control de calidad de estructuras, primarias y secundarias, las prótesis entran en la fase de terminación, donde se
perfeccionan detalles estéticos, individualizando cada restauración para el paciente y se ensamblan todas las partes de la prótesis.

Control de calidad
Probablemente el principal objetivo de MedicalFit y donde se asienta la soli -


calidad; para ello, mantiene unos estándares sobresalientes, reduce las incidencias año tras año y se somete voluntariamente a las exigentes normas internacionales de calidad como de ISO9001, ISO14001, ISO13485, ISO27001, DAMAS, etc.
Sala blanca
Si bien no es algo exigible a un laboratorio dental, MedicalFit ha decidido elevar el nivel de autoexigencia en higiene con la construcción de una sala blanca tipo 7. El objetivo es manipular los productos
terminados en un entorno controlado que cumple con las máximas exigencias de bioseguridad.
Terminación y preparación de envíos
Tras el control de calidad y limpieza, las restauraciones se preparan para su envío, coordinado desde la recepción y logística, asegurando un cumplimiento estricto de plazos y la seguridad del producto.
Áreas de soporte estratégico
El flujo productivo se sostiene gracias a áreas transversales:
I+D: motor de innovación, desarrollo de nuevos protocolos, patentes y soluciones personalizadas (MedicalFit BIO, impresión 3D, MedicalFit Now!, Tissue Shaper, etc.).
Asistencia técnica: la cercanía, la transmisión de conocimiento fruto de los procesos de I+D+i y el asesoramiento vienen de la mano de un equipo diseñado y distribuido geográficamente para garantizar la plena conexión clínica - laboratorio.
Marketing: expansión estratégica de la marca nacional e internacional.
Administración: gestión eficiente del grupo y atención a las obligaciones de la institución en aquellos territorios donde actúa.
RRHH: el cuidado del equipo humano y de un buen clima laboral es fundamental en su proyecto, apostando porque sus profesionales encuentren en MedicalFit el marco ideal para su proyecto vital y profesional.
Formación y transferencia de conocimiento
El ciclo se completa en la sala de formación, donde los profesionales reciben talleres, workshops y conferencias. Este espacio sirve como showroom y como laboratorio demostrativo de protocolos, conectando la práctica clínica con la innovación tecnológica.

Un protocolo de trabajo para comodidad, eficiencia y predictibilidad en el tratamiento del arco completo
La rehabilitación con implantes dentales ha avanzado significativamente, ofreciendo soluciones efectivas y duraderas para aquellos que buscan restaurar su sonrisa y funcionalidad. A lo largo de este artículo, se analiza el protocolo MedicalFit NOW, que integra una planificación meticulosa y tecnología avanzada y que además incorpora la posibilidad de fabricación previa a la cirugía de los provisionales para carga inmediata atornillada. Un novedoso enfoque que no solo proporciona resultados estéticos inmediatos, sino que también promueve la confianza y satisfacción del paciente, marcando un avance significativo en la implantología moderna.

E• Dedicación Integral en Rehabilitación Oral por flujo Digital.
• Técnico en Prótesis Dental – Sao Paulo – Brasil (1993-1995).
• Licenciado en Odontología – UMESP – Sao Paulo – Brasil (19972002).
• Máster en Rehabilitación Oral e Implantes – Sao Paulo – Brasil (20022004).
• Digital Smile Design Certified Member – Universidad de Valencia –España (2013).
• Director clinico de Xmile Studio.
n la actualidad, la rehabilitación con implantes dentales ha evolucionado significativamente, respondiendo a la creciente demanda de los pacientes que desean salir de la clínica con dientes fijos y atornillados el mismo día de la cirugía. Aunque en la práctica clínica y con los protocolos actuales, hacer una cirugía de uno o dos arcos completos exigen no solo destreza técnica, sino también un manejo de tiempo importante, que termina repercutiendo negativamente en el flujo de agenda en clínica y en la percepción del paciente, que suele terminar agotado. La evolución de los equipamientos y también de las técnicas digitales pro -
meten conseguir un cambio en esta compleja ecuación. Este enfoque no solo mejora la experiencia del paciente, sino que también optimiza el proceso de tratamiento. Para lograrlo, se ha desarrollado un novedoso protocolo llamado “MedicalFit”, que integra una planificación meticulosa y tecnología avanzada y al cual también incorporamos la posibilidad de fabricación previa a la cirugía de los provisionales para carga inmediata atornillada. A éste le llamamos “MedicalFit NOW”. Este protocolo comienza con la digitalización del paciente para una planificación previa y así la colocación virtual de
los implantes y el diseño de la prótesis, lo que permite una visualización precisa del resultado final antes mismo de la intervención, además de favorecer el resultado final, ya que los implantes son planificados y posicionados teniendo en cuenta la anatomía disponible y la estética final de donde queremos los dientes. El tiempo quirúrgico también se reduce drásticamente ya que, a través de cirugía guiada, los implantes se colocan en las posiciones planificadas de manera rápida y predecible. De esta manera mejoramos mucho la experiencia del paciente a la vez que aportamos seguridad y tranquilidad al cirujano. No obstante, sabemos que es común tener pequeñas variaciones en cuanto a la planificación virtual, principalmente en altura y angulación, lo que hasta el día de hoy dificultaba la confección de los dientes provisionales previamente a la cirugía.
Con la finalidad de solventar este problema se ha desarrollado una interface especial que es capaz de absorber pequeñas desviaciones, ya que cuenta con una especie de patilla expandible que se
mueve y es capaz de abrir y fijarse internamente a la prótesis, manteniéndola fija en su posición durante el tiempo de integración de los implantes. De esta manera hemos podido solucionar este gran problema y a día de hoy ya podemos contar con un protocolo de trabajo seguro y eficaz, donde el dentista es capaz de planificar su cirugía previamente y en el día programado recibirá el kit completo con la guía, los pilares intermedios planificados y también el provisional de carga inmediata listo y terminado, preparado para atornillarse al minuto siguiente de la colocación de los implantes.
Este enfoque no solo proporciona resultados estéticos inmediatos, sino que también promueve la confianza y satisfacción del paciente, marcando un avance significativo en la implantología moderna.
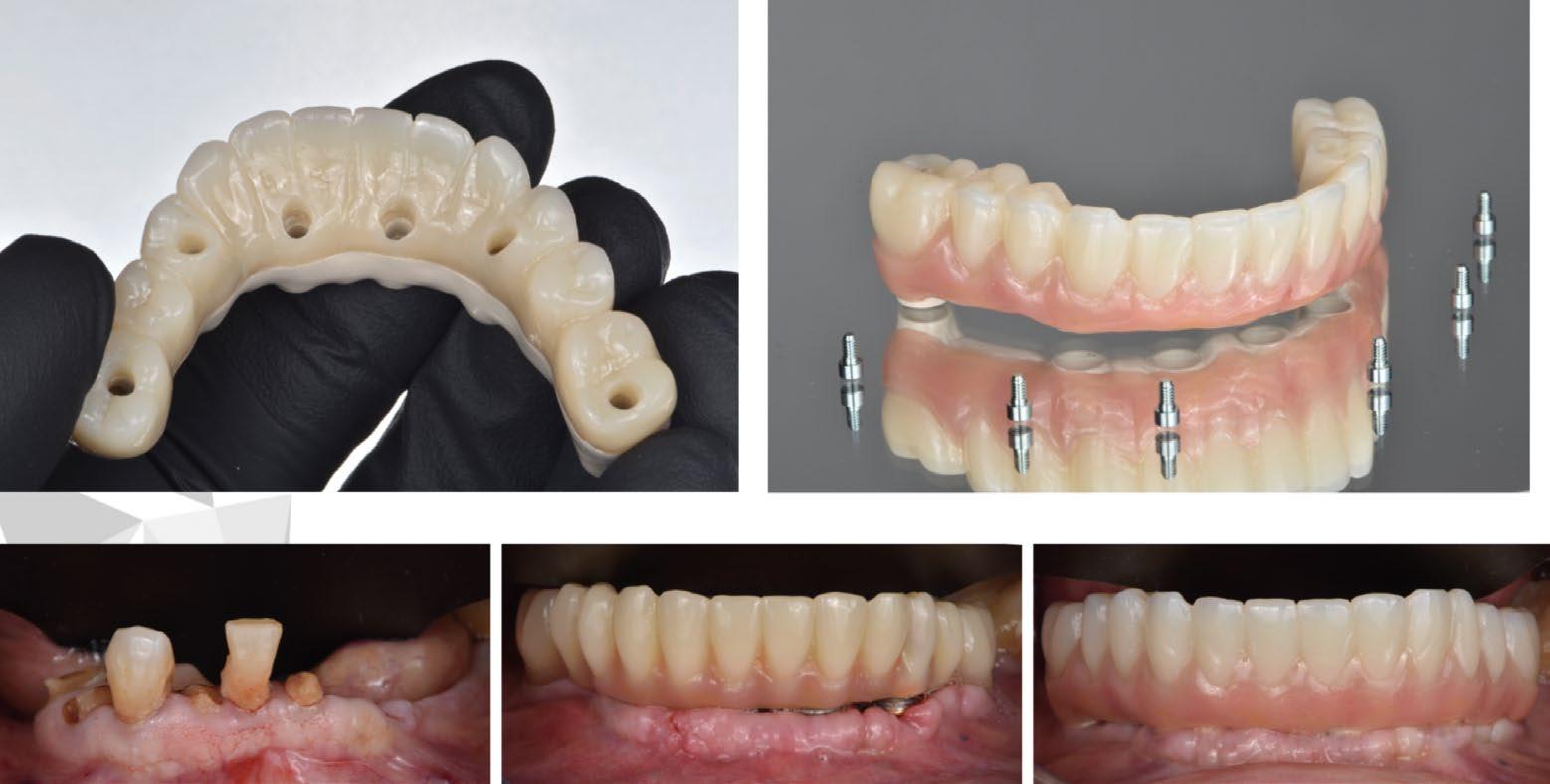
Caso clínico
En las fotos a seguir, describimos un caso: 1.- Situación inicial.
2.- Colocación de la guía. Verificamos posicionamiento y correcta adaptación a través de las ventanas de comprobación en piezas 43 y 37. Una vez verificado, procedemos a fijar la guía con los anchor pins.
3.- Reducción ósea según la planificación
protésica. En este caso se ha planificado una prótesis tipo FP2 y para su correcto diseño realizamos una plastia ósea guiada, orientándonos de esta guía. Esta regularización ósea puede ser realizada con gubias de recorte o con una fresa como se puede observar en la foto 4
5.- Comprobación de la regularización ósea a través de la ventana de la guía.
6.- Colocación de los implantes de forma guiada.
7 y 8.- Colocación de pilares multi unit IPD, planificados virtualmente previos a la cirugía.
9.- Comprobación de ajuste de prótesis MedicalFit NOW antes de suturar.

En las dos figuras de abajo se puede observar el aspecto de la prótesis MedicalFit NOW, con sus tubos expansibles capaces de desplazarse y fijar la prótesis en posi-
ción y salvar las discrepancias de la cirugía guiada.
En este caso esperamos 3 meses para la comprobación de oseointegración de
los implantes colocados para pasar a la prótesis definitiva, donde cambiamos el material y ajustamos la base de la nueva prótesis a los tejidos cicatrizados.


Aspecto del tejido post cicatrización 3 meses.
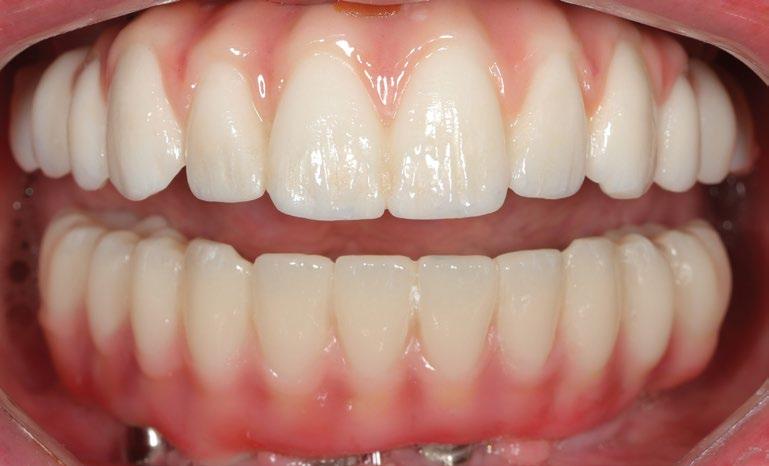
Para la confección de la prótesis definitiva fue utilizado peek composite y para ello se-

guimos el protocolo de MedicalFit 2, donde conseguimos la pasividad del trabajo me-
diante un flujo digital completo, finalizando el caso en solamente una cita más.

Foto superiores: prótesis definitiva en peek composite.
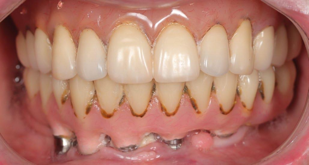
Foto inferior izquierda: inicio del caso.
Foto inferior medio: carga inmediata MedicalFit NOW.
Foto inferior derecha: prótesis definitiva protocolo Medicalfit 2.
Conclusión
En conclusión, la rehabilitación con implantes dentales ha avanzado significativamente, ofreciendo soluciones efectivas y duraderas para aquellos que buscan restaurar su sonrisa y funcionalidad. La imple-
mentación de un protocolo de trabajo para comodidad, eficiencia y predictibilidad en el tratamiento del arco completo no solo optimiza el proceso clínico, sino que también mejora la experiencia del paciente, reduciendo el tiempo de tratamiento y au-
mentando la satisfacción general. Al adoptar estas prácticas, los profesionales de la odontología pueden garantizar resultados predecibles y de alta calidad, brindando a los pacientes la confianza y la funcionalidad que merecen.
Evaluando la durabilidad del zirconio monolítico en un flujo de trabajo 100% digital, este caso sirve de ejemplo para ilustrar el protocolo paso a paso utilizado en la fabricación de arcos de zirconio monolítico para rehabilitaciones completas.

Introducción
Felix Wucherpfenning
• San Pablo Ceu Universidad de Madrid – Grado en Odontología (2005 – 2010).
• Medicina Oral y Maxilofacial (2005 – 2010).
• Protección a la radiación (2011).
• Seminario de implantología by Klocner (2011).
• Universidad de Lancashire. Post Graduado en implantes dentales (2013 – 2014).
• El Dr. Wucherpfenning ha realizado varios cursos y obtenido certificaciones adicionales para complementar su formación impartida por entidades como Dentsply Madrid, Nobel Biocare, Megagen e Invisalign.
• Especialista en Implantología en Crooke&Laguna desde 2015.
¿Es el zirconio monolítico el material ideal para rehabilitaciones completas de arcos dentales? Este caso busca responder a esta pregunta evaluando su durabilidad en un flujo de trabajo completamente digital. Se examinan aspectos clave como la relación entre la posición de los implantes y el diseño protésico, evaluando cómo estas variables afectan el éxito del tratamiento. También se analiza cómo la cirugía guiada y los protocolos digitales
simplifican los tratamientos, reducen el número de citas y mejoran los resultados clínicos y estéticos.
Además, se destaca una mejora técnica significativa al incrementar el grosor en la zona vulnerable de 0.6 mm a 1.1 mm en la base de la conexión sobre el pilar transepitelial, lo que reduce de manera considerable el riesgo de fracturas. Un caso clínico específico demuestra cómo este protocolo fue aplicado en todos los arcos. (Fig. 1)

En la última década, las tecnologías digitales han transformado la odontología, especialmente en las rehabilitaciones completas con implantes dentales. Herramientas como los escáneres intraorales y los sistemas CAD han mejorado la precisión en el diagnóstico, optimizado los flujos de trabajo y aumentado la predictibilidad clínica.
El zirconio monolítico ha surgido como un material popular para las rehabilitaciones completas de arcos dentro de flujos de trabajo digitales. Reconocido por su durabilidad y biocompatibilidad, se integra de manera efectiva con los tejidos blandos. Sin embargo, su rigidez lo hace susceptible a fracturas si no se diseña o maneja adecuadamente, lo que resalta la necesidad de seguir estrictamente los protocolos y de colaborar con especialistas en CAD/CAM. Cuando se maneja correctamente, la zirconia ofrece un éxito excepcional a largo plazo.
El caso presentado involucra a un paciente fumador con enfermedad periodontal avanzada, que presenta movilidad grado II y III, además de un puente fracturado. El tratamiento propuesto consiste en la colocación de seis implantes en el arco superior y seis implantes en el arco inferior. Este caso servirá como ejemplo para ilustrar el protocolo paso a paso utilizado en la fabricación de arcos de zirconio monolítico.
Paso 1. Recopilación de datos e integración del diseño virtual En primer lugar, se recopila información del paciente mediante fotografías, escaneo intraoral y una tomografía computarizada de haz cónico (CBCT). Estos datos se utilizan para crear un diseño facialmente guiado totalmente integrado, combinando enfoques analógicos y digitales. Utilizando una fotografía del paciente con un abridor bucal (Fig. 2), el diseño elaborado por el laboratorio se integra en el software de planificación
de implantes R2GATE. Esto permite al equipo planificar con precisión la colocación de los implantes, asegurando que el diseño protésico sea funcional y estéticamente armonioso. Los dientes del paciente se eliminan digitalmente y la prótesis se alinea a lo largo de los ejes X, Y y Z de acuerdo con el diseño del laboratorio. A partir de este diseño protésico, se planifica la posición de los implantes, priorizando la prótesis en lugar de adaptar esta última a la posición de los implantes (Fig. 3).




Durante el diseño con el software R2GATE, las posiciones de los implantes se determinan cuidadosamente en función del diseño protésico. Sin embargo, es fundamental garantizar un espacio adecuado para los tejidos circundantes. Como destaca el estudio de Gallucci, la colocación tridimensional de los implantes es un factor clave para la longevidad de estos tejidos. No respetar estas dimensiones aumenta el riesgo de periimplantitis y la consiguiente pérdida de hueso y tejidos blandos. Las cirugías realizadas de manera manual pueden presentar un mayor riesgo de desviarse de estos parámetros críticos, lo que puede comprometer el éxito a largo plazo del tratamiento. Al utilizar programas de cirugía guiada como R2GATE, se minimizan estos riesgos, garantizando resultados más predecibles y tratamientos duraderos. Una vez que el arco superior se planifica con implantes guiados a través de la prótesis, se aplica el mismo proceso al arco inferior. Tras diseñar los dientes y los implantes, se desarrolla una guía quirúrgica que asegura estabilidad mediante estructuras de soporte estratégicamente ubicadas (Fig. 4).
Paso 2. Cirugía e impresiones digitales Durante la fase quirúrgica, los implantes se colocaron mediante un enfoque guiado para garantizar una posición precisa. En este caso, se utilizaron implantes AnyRidge (Megagen, Corea del Sur).
Las guías quirúrgicas (sin anillos) y el kit de fresado de AnyRidge se emplearon para simplificar el procedimiento, mientras que las posiciones de los implantes fueron planificadas previamente utilizando el software R2GATE. Este enfoque asegura una colocación muy precisa, optimizando tanto la estabilidad inicial como la integración a largo plazo de los implantes. Antes de la colocación de los implantes, todos los quistes fueron cuidadosamente limpiados y se mezclaron PRGF (plasma rico en factores de crecimiento) con biomateriales y hueso autólogo recolectado del propio paciente para crear una mezcla equimolar. Esta mezcla se utilizó para
rellenar los espacios alrededor de los implantes colocados tras la extracción, asegurando una integración y estabilidad adecuadas.
Una vez posicionados los implantes, se midió su estabilidad utilizando el sistema ISQ (Implant Stability Quotient). Todos los implantes lograron valores de ISQ entre 70 y 75, lo que indica una estabilidad primaria suficiente para la carga inmediata. Inmediatamente se realizó un escaneo intraoral para registrar la posición de los implantes y se prepararon impresiones para la colocación de la prótesis provisional en un plazo de 24 horas (Fig. 5).
Los datos del escaneo se enviaron al laboratorio, donde los scan bodies fueron emparejados con el diseño inicial para verificar el ajuste y la pasividad. Para abordar posibles desviaciones en los escaneos intraorales en pacientes edéntulos, se implementó el protocolo MedicalFit
MedicalFit 1 (Fig. 7)
1. Escaneo intraoral: se realizó un escaneo intraoral de los implantes del paciente con los scan bodies colocados. En este caso, se utilizaron Tissue-Shapers proporcionados por MedicalFit para optimizar el proceso.
2. Imágenes CBCT: se realiza una tomografía computarizada de haz cónico (CBCT) del paciente mientras los Tissue-Shapers permanecen en su lugar. Esto proporciona datos tridimensionales detallados de los

implantes y las estructuras circundantes, fundamentales para garantizar una planificación precisa.
3. Integración de datos: los archivos STL generados por el escaneo intraoral se combinan con los archivos DICOM del escaneo CBCT. Este proceso asegura una alineación precisa y corrige cualquier desviación en la posición de los implantes.
4. Análisis y ajuste en el laboratorio: los datos integrados se envían al laboratorio, donde los técnicos alinean y ajustan los archivos fusionados para crear un diseño perfectamente alineado. Este proceso garantiza un ajuste pasivo de la prótesis final. El paciente regresa a casa con los Tissue-Shapers aún colocados. Cuando los scan bodies se retiran al día siguiente, el diámetro ligeramente mayor de los Tissue-Shapers asegura un espacio bien definido que facilita la colocación de la prótesis (Fig. 6).
Los Tissue-Shapers, diseñados específicamente para simplificar el proceso de escaneo, tienen un diámetro ligeramente mayor que los pilares multiunit. Vienen en dos opciones de altura: 5 mm y 7 mm. En este caso, se utilizaron los de 7 mm, ya que reducen el riesgo de distorsión durante el escaneo, especialmente en comparación con scan bodies más altos, y hacen que el proceso de impresión digital sea mucho más eficiente.
MedicalFit 2 (Fig. 7)
1. Preparación de cubeta individual personalizada: utilice una cubeta de impresión personalizada proporcionada por el laboratorio, equipada con cilindros provisionales específicamente diseñados para las posiciones de los implantes del paciente.

2. Toma de impresión: realice una impresión utilizando la cubeta personalizada para capturar con precisión las posiciones de los implantes y los tejidos circundantes.
3. Creación del archivo STL: genere un archivo STL a partir de la impresión, asegurándose de reproducir con precisión las posiciones de los implantes y los contornos de los tejidos blandos.
4. Procesamiento en el laboratorio: envíe el archivo STL al laboratorio, donde se utiliza para ajustar el diseño de la prótesis, garantizando un ajuste pasivo. Este paso compensa posibles irregularidades y asegura que el diseño final de la prótesis se integre perfectamente con las posiciones de los implantes y las estructuras anatómicas.
El protocolo MedicalFit 1 sigue siendo la opción preferida, ya que permite mayor precisión al combinar imágenes CBCT con datos de escaneo intraoral, asegurando

alineación exacta y corrección de desviaciones. Sin embargo, el MedicalFit 2 es una alternativa confiable cuando la toma de imágenes CBCT o la integración de datos no es factible.
Ventajas del uso de Tissue-Shapers
Los Tissue-Shapers, además de simplificar el proceso de escaneo, ayudan a crear espacios mejor definidos que facilitan la colocación de la prótesis final. Esto asegura un ajuste preciso y pasivo, minimizando complicaciones y optimizando los resultados a largo plazo.
Paso 3. Diseño final de la sonrisa
Tres meses después de la cirugía, el paciente regresó con las prótesis provisionales de PMMA. Durante esta cita, se realizó una nueva fotografía para evaluar posibles ajustes estéticos y se llevó a cabo un escaneo intraoral actualizado para registrar la oclusión actual del paciente y detectar cualquier signo de desgaste en las prótesis de PMMA.
Posteriormente, se retiraron las prótesis superiores e inferiores y se generó un nuevo archivo STL del tejido gingival y de los scan bodies (Tissue-Shapers) para perfeccionar el ajuste basal de las prótesis definitivas (Fig. 8). Este proceso asegura que la adaptación de la prótesis final sea precisa y cómoda para el paciente, maximizando la estabilidad y funcionalidad a largo plazo.

Para las prótesis definitivas, se utilizaron diferentes materiales adaptados a las necesidades estructurales de cada arco. El diseño del arco superior incluyó una estructura de titanio-zirconia para soportar las extensiones posteriores necesarias debido a las limitaciones sinusales. Este enfoque combina la resistencia del titanio con la estética y biocompatibilidad de la zirconia, asegurando estabilidad en áreas con mayores desafíos estructurales. Por
otro lado, el arco inferior, soportado por seis implantes paralelos sin extensiones, fue fabricado completamente en zirconia monolítica, ofreciendo durabilidad y un excelente ajuste para garantizar un rendimiento óptimo y una apariencia estética natural. Las figuras (Fig. 9, Fig. 10, Fig. 11 y Fig. 12) muestran los diseños finales de ambos arcos, destacando las adaptaciones realizadas para responder a las condiciones anatómicas y funcionales del paciente.





Discusión
Lograr resultados exitosos en rehabilitaciones completas de arcos dentales requiere un enfoque integral, ya que estos tratamientos presentan tanto oportunidades como desafíos. El éxito de estos casos depende en gran medida de una planificación quirúrgica y protésica minuciosa. Es fundamental evaluar los parámetros funcionales y estéticos, así como la magnitud del defecto a reconstruir, asegurando que el diseño protésico determine la posición quirúrgica y la angulación de los implantes. Una planificación inadecuada o evaluaciones superficiales pueden derivar en
complicaciones biológicas o fallos protésicos que comprometan la longevidad del tratamiento.
Los avances tecnológicos en la obtención de imágenes 3D, como la CBCT y el escaneo intraoral, han mejorado significativamente la planificación del tratamiento en pacientes edéntulos. Los softwares modernos permiten integrar archivos STL provenientes de impresiones digitales con datos DICOM de escaneos CBCT, lo que permite a los clínicos posicionar virtualmente los implantes maximizando el hueso existente. Este enfoque reduce con frecuencia la necesidad de procedimientos
invasivos de aumento óseo y simplifica la fase quirúrgica.
Una vez finalizada la planificación virtual, se crean guías quirúrgicas para garantizar una colocación precisa de los implantes. Estas herramientas han establecido la cirugía guiada como un método confiable, proporcionando resultados consistentes, incluso para clínicos con experiencia limitada en casos complejos.
Sin embargo, las rehabilitaciones completas de arcos mediante cirugía guiada no están exentas de desafíos. Una serie de posibles errores puede surgir en diferentes etapas del proceso, incluyendo imprecisiones en las imágenes de CBCT, desajustes durante la integración de los archivos DICOM y STL, fallos en el diseño de la guía quirúrgica, dificultades para estabilizar la guía durante la cirugía y variaciones imprevistas en la calidad o cantidad de hueso durante el procedimiento.
Al posicionar los implantes basándose en los requerimientos protésicos, la fase restauradora se vuelve más eficiente, ya que los cimientos para el éxito protésico se establecen durante la etapa quirúrgica. La recopilación de datos preoperatorios juega un papel crucial, especialmente para pacientes que desean optimizar el diseño y los resultados de su tratamiento protésico.
También se toma una radiografía para confirmar que los niveles óseos se mantienen estables y, en algunos casos, incluso evidenciar la formación de nuevo hueso alrededor de los implantes (Fig. 13). Éste es un logro significativo que indica que el diseño protésico y la colocación tridimensional inicial de los implantes se realizaron correctamente, siendo elementos clave para el éxito y la durabilidad a largo plazo de este tratamiento.
La capacidad de observar y documentar estos hallazgos mediante fotografías y radiografías es crucial para la investigación continua. Esto no solo valida los protocolos actuales, sino que también proporciona datos esenciales para futuros estudios destinados a refinar y mejorar estas técnicas aún más.

Referencias bibliográficas
1. Esquivel J, Gomez Meda R, Blatz MB. The impact of 3D implant position on emergence profile design. Int J Periodontics Restorative Dent. 2021;41(1):79–86. doi:10.11607/prd.5126.
2. Hamilton A, Putra A, Nakapaksin P, Kamolroongwarakul P, Gallucci GO. Implant prosthodontic design as a predisposing or precipitating factor for peri-implant disease: A review. Clin Implant Dent Relat Res. 2023;25(1):e13183. doi:10.1111/cid.13183.
3. Paratelli A, Vania S, Gómez-Polo C, Ortega R, Revilla-León M, Gómez-Polo M. Techniques to improve the accuracy of complete-arch implant intraoral digital scans: A systematic review. J Prosthet Dent 2021;[Publicación en proceso]. doi:10.1016/j.prosdent.2021
4. Roig E, Roig M, Garza LC, Costa S, Maia P, Espona J. Fit of complete-arch implant-supported prostheses produced from an intraoral scan by using an auxiliary device and from an elastomeric impression: A pilot clinical trial. J Prosthet Dent. 2021. doi:10.1016/j.prosdent.2021.
5. Gómez-Polo M, Sallorenzo A, Cascos R, Ballesteros J, Barmak AB, Revilla-León M. Conventional and digital complete-arch implant impression techniques: An in vitro study comparing accuracy. J Prosthet
La obtención de registros precisos resulta fundamental para una adecuada planificación quirúrgica, ya que permite garantizar no solo la recuperación funcional, sino también la estética del paciente. En la actualidad, contamos con herramientas avanzadas como la fotografía de alta calidad, el escáner intraoral y la tomografía computarizada de haz cónico (CBCT), las cuales son esenciales para realizar un análisis detallado. Este enfoque integral permite identificar posibles complicaciones futuras y evaluar todos los aspectos faciales y funcionales del paciente, optimizando así los resultados del tratamiento.
Este flujo de trabajo beneficia tanto a cirujanos con menor experiencia como experimentados, mejorando la planificación, reduciendo riesgos y aumentando la eficiencia. Además, su compatibilidad global permite que las prótesis se fabriquen en cualquier lugar, asegurando flexibilidad y continuidad en la atención. Aunque se requieren más investigaciones, los resultados iniciales muestran un desgaste mínimo, excelente adaptación de los tejidos blandos y alta reproducibilidad, lo que convierte a este enfoque en una opción valiosa en la implantología moderna.
Dent. 2022;[Publicación en proceso]. doi:10.1016/j.prosdent.2022.
6.Gómez-Polo M, Ballesteros J, Perales-Padilla P, Perales-Pulido P, Gómez-Polo C, Ortega R. Guided implant scanning: A procedure for improving the accuracy of implant-supported complete-arch fixed dental prostheses. J Prosthet Dent. 2019;]. doi:10.1016/j.prosdent.2019
7.Gómez-Polo M, Ballesteros J, Perales-Padilla P, Perales-Pulido P, Revilla-León M, Ortega R. Merging intraoral scans and CBCT: A novel technique for improving the accuracy of 3D digital models for implant-supported complete-arch fixed dental prostheses. Int J Comput Dent. 2021;24(2):1-7.
8. Kim MJ, Jeong JY, Ryu J, Jung S, Park HJ, Oh HK, Kook MS. Accuracy of digital surgical guides for dental implants. BMC Oral Health. 2022. doi:10.1186/s12903-022
9. Chandran S, Sers L, Picciocchi G, Luongo F, Lerner H, Engelschalk M, Omar S. Guided implant surgery with R2Gate®: A multicenter retrospective clinical study with 1 year of follow-up. J Dent 2022;127:104349. doi:10.1016/j.jdent.2022.104349.
En este artículo se revisa, paso a paso, el protocolo a seguir para la planificación y la intervención quirúrgica y protésica para tratamientos protésicos.

Eduardo Crooke
• Licenciado en Odontología. Universidad Europea de Madrid, 2000.
• Especializado en Implantología por la Universidad de Göteborg, Suecia.
• Máster en Cirugía Guiada, Injertos Óseos e Implantes Zigomáticos.
• Especializado en la utilización de mallas subperiósticas personalizadas.
• Co-director médico en Clínica Dental Crooke & Laguna.
Registros para planificación quirúrgica y protésica
El primer paso en el proceso de planificación es obtener una serie de registros clave para asegurar una intervención precisa.
• CBCT (Cone Beam Computed Tomography) Permite obtener una imagen en 3D de la arcada superior y proporciona detalles precisos sobre la anatomía ósea y la calidad del hueso.
• Fotografías. Con y sin abrebocas y tanto faciales como intraorales, para servir como referencia en el diseño de la prótesis.
• Escaneo intraoral (STL), el cual proporciona una representación tridimensional exacta de la cavidad oral y se integra en el proceso digital de diseño y planificación.
• En el caso de desdentados totales, realizaremos técnica de doble escaneado.
Diseño y planificación con el laboratorio
Una vez obtenidos todos los registros necesarios, se coordinan el equipo de ingeniería, el cirujano y el laboratorio protésico. En estos procedimientos, la malla no se coloca de forma aislada, sino que está guiada protésicamente, lo que implica que su diseño y colocación están estrechamente vinculados al plan protésico previamente diseñado.
Una vez esto, se procede al diseño de la malla subperióstica, que debe adaptarse a la morfología ósea y los tejidos circundantes del paciente. En esta fase, se elige la posición y longitud de los tornillos de anclaje y sujeción de la malla, basándose en la anatomía del hueso para asegurar una fijación estable y segura.
En muchos casos, la malla se divide en dos tramos debido a la complejidad anatómica o la falta de hueso. Para facilitar su correcta colocación, se utiliza una barra de conexión, que actúa como un dispositivo de guiado durante la cirugía. Esta barra garantiza que ambas secciones de la malla se posicionen exactamente donde se planificó, permitiendo una integración óptima con el hueso y asegurando que la prótesis final se mantenga estable y en su lugar.
La intervención quirúrgica se lleva a cabo bajo anestesia local y sedación consciente, dependiendo de la complejidad del caso y las necesidades del paciente. La cirugía comienza con una incisión precisa y separación de la mucosa oral, permitiendo el acceso a la zona subperióstica donde se colocará la malla.
Una vez expuesto el hueso, se procede a adaptar la malla subperióstica. En algunas ocasiones, especialmente cuando la anatomía ósea es irregular, es necesario recortar ciertas áreas del hueso para garantizar un ajuste óptimo de la malla. En estos casos, se utiliza una guía, diseñada previamente con la malla, para el recorte óseo, que permite eliminar las crestas en filo de cuchillo o las zonas crestas que pueden interferir con la colocación adecuada de la malla. Estas crestas suelen formarse en la zona crestal, donde la malla se apoyará, y su eliminación asegura que la malla se ajuste de manera precisa al contorno del hueso sin que existan puntos de presión o desajustes.
Con el hueso adecuadamente preparado, se presenta la malla y se procede a la colocación de los tornillos de anclaje y fijación en las zonas previamente planificadas. La posición y longitud de los tornillos se eligen previamente durante la fase de diseño, ajustándose según la profundidad ósea en cada zona específica. El grosor o diámetro de los tornillos, por otro lado, depende en gran medida de la calidad ósea del paciente. Si el hueso es de buena calidad, caracterizado por una cortical más gruesa y un hueso menos poroso, se pueden utilizar tornillos de diámetro estrecho
Sin embargo, en caso de que se presenten dificultades en la fijación y la estabilidad de la malla se vea comprometida, se tiene como rescate el siguiente tamaño de tornillo, que sería el mediano.
Por otro lado, cuando el hueso es de baja calidad, con una cortical delgada o hueso poroso, es necesario optar por tornillos de
diámetro más ancho (medianos o grandes) para asegurar una mayor estabilidad y una sujeción adecuada. En estos casos, los tornillos más anchos ofrecen una mayor superficie de contacto con el hueso, mejorando la integración y reduciendo el riesgo de fracaso del anclaje. En caso de que no se logre la estabilidad esperada, el tornillo más ancho puede usarse como una opción de rescatar la fijación.
Una vez asegurada la malla en su lugar, se procede a cerrar la incisión con suturas, asegurando un cierre hermético para favorecer la cicatrización.
Es crucial que las conexiones externas de la malla subperióstica, donde se une a la prótesis, estén rodeadas por encía adherida. Al ser un tejido gingival firme y estable que está estrechamente unido al hueso subyacente, proporcionando una barrera natural que mejora la integración de la malla, reduce el riesgo de periimplantitis y asegura una mejor higiene y mayor durabilidad de la rehabilitación protésica.
Al haber diseñado la malla subperióstica junto con la prótesis, es posible colocar una prótesis provisional atornillada el mismo día de la cirugía. Este enfoque ofrece múltiples ventajas:
• Recuperación funcional y estética inmediata: el paciente recupera la función masticatoria y la estética de manera inmediata, mejorando su calidad de vida desde el primer día.
• Reducción del tiempo de tratamiento: la carga inmediata acelera el proceso de rehabilitación, reduciendo las visitas y el tiempo total de tratamiento.
• Estimulación ósea: favorece la osteointegración temprana, mejorando la estabilidad de los implantes.
• Cicatrización sin presión: durante esta fase, se deja un leve espacio entre la encía y la prótesis para evitar presión durante la fase inflamatoria postquirúrgica, asegurando una cicatrización más cómoda y eficiente sin comprometer los tejidos.
A los 3-4 meses, cuando los tejidos y la malla se han estabilizado, se procede a tomar los registros finales. Es crucial realizar esta nueva
toma de registros, especialmente debido a los cambios en la encía que ocurren durante este tiempo. La prótesis definitiva será prácticamente una copia de la provisional, ajustando los espacios y, si es necesario, realizando modificaciones estéticas o de oclusión para lograr un ajuste perfecto.
Control y mantenimiento
Una vez colocada la prótesis definitiva, se refuerzan las pautas de higiene y el mantenimiento de la prótesis, enfatizando la importancia de una correcta limpieza para prevenir infecciones y complicaciones. Posteriormente, iniciamos la fase de control y mantenimiento, que es esencial para asegurar la longevidad del tratamiento y el bienes-
tar del paciente. Este seguimiento incluye los siguientes pasos:
1. Control al mes: para evaluar la oclusión, la masticación y la adaptación de la prótesis. Este chequeo permite identificar cualquier ajuste necesario en la funcionalidad o comodidad.
2. Control a los 6 meses: se realiza un seguimiento más exhaustivo, donde revisamos la higiene oral del paciente y evaluamos la estabilidad de los tornillos.
3. Limpieza y controles anuales: para revisar tanto la salud de los tejidos blandos como la funcionalidad de la prótesis y los implantes.
4. Cambio de tornillos a los 3 años: este procedimiento garantiza la longevidad del sistema de anclaje y la integridad de la malla.


















Laboratorios MedicalFit
Desde 2014, en Laboratorios Pedro Perales S.L. conciben un objetivo ambicioso: crear un flujo digital completo 100% entre clínica y laboratorio para rehabilitaciones fijas. Muy pronto identificaron el verdadero reto: los arcos completos atornillados, donde las tecnologías disponibles generaban deformaciones clínicamente inaceptables. En 2016 presentaron un protocolo pionero que les permitió alcanzar pasividad y predictibilidad estética. ¿La clave? Un
flujo absolutamente novedoso que corrige el STL del escaneado intraoral con un registro obtenido por CBCT y que integra la información facial para asegurar la estética. A este flujo lo denominan MedicalFit Digital Workflow: rehabilitaciones Full Arch pasivas y predecibles, desarrolladas exclusivamente con herramientas digitales. Hoy, con más de 13 estudios, 5 patentes y más de 10.000 pacientes rehabilitados con éxito, la evidencia clínica e inventiva de MedicalFit es incuestionable. A ese
recorrido le siguieron protocolos como MedicalFit 2 y MedicalFit Now!
Un nuevo salto: automatización y escalabilidad
El éxito no les detiene. Para acercar tratamientos de máxima calidad a más pacientes, MedicalFit ha dado un paso decisivo hacia la eficiencia y la escalabilidad. ¿Cómo? Automatizando el flujo interno con un software propio que lleva la ingeniería de MedicalFit al siguiente nivel: PDental.
PDental: la inteligencia del pasivizado
PDental automatiza procesos críticos de ingeniería: reconstrucción CBCT, identificación y orientación de scanbodies, alineación y corrección geométrica del intraoral,
MedicalFit 3HS: el protocolo 360O más rápido que se ha diseñado
Al empuje CAD de PDental suman nuevas fórmulas CAM para una fabricación ultrarrápida. Nace MEDICALFIT 3HS (High Speed), el protocolo más completo y veloz para rehabilitación Full Arch: pensado para reducir drásticamente los tiempos sin renunciar a la pasividad ni a la estética.
generación de informes y control de calidad. Resultado: pasividad estandarizada, menos variabilidad, tiempos de diseño más cortos y un flujo escalable apto para ejecución por lotes.
MedicalFit BIO: soluciones para el paciente con atrofia severa
No todos los casos admiten el mismo camino. Para los pacientes con atrofias severas que requieren alternativas —entre ellas, los implantes subperiósticos—, MedicalFit, junto con la Universitat Internacional de Catalunya y un destacado grupo de expertos independientes, ha desarrollado MedicalFit BIO: un protocolo avanzado destinado a la rehabilitación del inválido oral.
• Formato abierto “Be Free”: clínicas y laboratorios contratan solo las fases que necesitan. Desde un servicio integral a licencias de software y aprovisionamientos.
• Respuesta inmediata: provisional V1 impreso de alta precisión en tiempos récord; opción de V2 (refuerzo/estética avanzada) según la indicación clínica.
• Con el mismo protocolo de digitalización del paciente, MedicalFit plafinica, diseña y fabrica todo lo necesario para que el/ la doctor/a instale el implante customizado y la prótesis en un procedimiento ágil, seguro, rápido y predecible.
• Función y estética en menos de dos horas, devolviendo calidad de vida con una experiencia coordinada y reproducible.
Medicalfit sigue escribiendo una historia de innovación aplicada. Con PDental, Medicalfit 3HS y Medicalfit BIO, la compañía combina ciencia, velocidad y personalización para llevar la rehabilitación Full Arch a un nuevo estándar de pasividad, estética y eficiencia.

