

![]()


Going one step beyond in animal nutrition means ceaseless research and development. Going one step beyond means anticipating developments in the livestock industry and offering the highest quality products and services. Going one step beyond means total commitment to overcoming all our customers’ challenges.
As 2025 draws to a close, the global livestock and poultry industries remain deeply engaged in addressing the interconnected challenges of production efficiency, animal health, and sustainability. Volatile feed costs, shifting regulatory expectations, heightened awareness of antimicrobial stewardship, and increasing climatic variability continue to shape the operational landscape. These pressures reinforce the importance of adopting science-based, integrative nutritional approaches— approaches that can sustain performance while supporting the long-term resilience of production systems.
Phytogenics have captured renewed attention as both research advances and field applications demonstrate their potential value across species. Their roles have expanded well beyond traditional perceptions, now encompassing applications related to digestive functionality, immunomodulation, stress mitigation, and targeted modulation of microbial ecosystems. The discussions in this edition—from the foundational exploration of Understanding Phytogenic Feed Additives and Their Potential to the forward-looking debate in Precision Phytogenics: A New Buzzword or Real Possibility in Feed?—illustrate just how rapidly the field is evolving.
Our updated phytogenics Table reflects this growth, offering a structured overview of functional categories, modes of action, and species-specific considerations. As the sector increasingly demands clarity and standardization, such resources play an important role in supporting formulation decisions grounded in evidence and mechanistic understanding.
Importantly, this edition also highlights emerging areas where phytogenics intersect with broader health and management strategies. The article Applying the “Active Feeding” Concept to Control Edema Disease in Weaned Piglets illustrates how targeted nutritional interventions can modulate physiological and microbial responses during high-risk periods. Meanwhile, Impacts of Glyphosate-Based Herbicides on Poultry Health, Production, and Reproduction underscores the need to contextualize phytobiotics within increasingly complex environmental exposures—reminding us that feed additives do not operate
in isolation, but rather within intricate biological and ecological frameworks.
Taken together, these contributions demonstrate the sector’s shift toward precision nutrition, where the objective is not merely to supplement diets but to influence biological pathways in measurable, predictable, and meaningful ways. As analytical technologies advance—from metabolomics to microbiome-based diagnostics— we move closer to integrating phytogenics within more sophisticated, data-driven feeding strategies.
Looking ahead to 2026, several priorities are expected to guide the continued development of phytogenics. These include deeper characterization of synergistic bioactive interactions, advances in encapsulation and delivery technologies, and stronger methodological frameworks to ensure reproducibility across studies. Emerging research will also explore how phytogenics can complement other functional additives, contribute to antimicrobial reduction goals, and support production under environmental stressors that are increasingly common across global systems.
At the same time, the industry will continue to face external pressures driven by disease dynamics, global trade uncertainties, and regional disparities in access to nutritional technologies. These realities reinforce the importance of innovative, adaptable, and science-based approaches that sustain animal health while safeguarding long-term productivity.
As we close this year, we wish to acknowledge the researchers, practitioners, and collaborators whose expertise has shaped every edition of nutriNews International throughout 2025. Their work enriches the technical dialogue and strengthens the foundation upon which future innovations will be built.
We hope this final edition of 2025 provides clarity, insight, and strategic perspective as the sector prepares for the opportunities and challenges ahead. Thank you for your continued trust and engagement, and we look forward to supporting the industry’s progress through a scientifically driven and collaborative 2026.
Enjoy the read!
EDITOR COMMUNICATION GROUP AGRINEWS LLC
ADVERTISING
Luis Carrasco +(34) 605 09 05 13 lc@agrinews.es
Simone Dias +(55) 11 9 85852436 nutribr@grupoagrinews.com
SALES DEPARTMENT
Diego Carrasco +(34) 664 66 06 05 int@grupoagrinews.com
Ivan Martos +(34) 664 66 06 02 im@grupoagrinews.com
CUSTOMER SUPPORT
Mercé Soler
EDITORIAL STAFF
Álvaro José Guzman
TECHNICAL DIRECTION
Dr. Edgar Oviedo (Poultry)
Dr. Antonio Faciola (Ruminants) Dr. Giuseppe Carcò (Swine)
info@grupoagrinews.com nutrinews.com grupoagrinews.com
Free distribution magazine AIMED AT VETERINARIANS AND TECHNICIANS
Subscription price 125$
nutriNews International
Legal Deposit B15281-2024
ISSN PRINTED VERSION 2938-8910
ISSN DIGITAL VERSION 2938-8929
Images: Noun Project / Freepik/Dreamstime
PRECISION PHYTOGENICS A NEW BUZZ WORD OR REAL POSSIBILITY IN FEED?

Gwendolyn Jones PhD in Animal Nutrition at the University of Aberdeen in Scotland
18
UNDERSTANDING PHYTOGENIC FEED ADDITIVES AND THEIR POTENTIAL

Marcos Rostagno DVM, MSc, PhD Technical & Innovation Director, Nutreco/Selko USA

TABLE OF PHYTOGENICS


26 NATURAL & FUNCTIONAL YEAST-BASED INGREDIENTS: SUSTAINABLE SOLUTIONS FOR MODERN ANIMAL HEALTH & NUTRITION
Olmix Technical Team

APPLYING THE ‘ACTIVE FEEDING’ CONCEPT TO CONTROL EDEMA DISEASE IN WEANED PIGLETS 44 EXOGENOUS PROTEASE IN PIGLET DIETS AS A STRATEGY TO MITIGATE THE NEGATIVE EFFECTS OF TRYPSIN INHIBITORS

Alberto Morillo Alujas DVM, PhD, Nutritionist, MSc Statistics Novus Technical Team
52 IMPACTS OF GLYPHOSATEBASED HERBICIDES ON POULTRY HEALTH, PRODUCTION, AND REPRODUCTION: AN ADDITIONAL ASPECT TO MONITOR IN FEEDSTUFFS 46 OPPORTUNITIES AND CHALLENGES IN POULTRY PRODUCTION TODAY
Novus Technical Team

Edgar O. Oviedo-Rondón
Prestage Department of Poultry Science, NC State University
MULTI-HERB TECHNOLOGY FOR OPTIMAL GUT HEALTH IN THE PRESENCE OF COCCIDIAL CHALLENGE
Nuproxa Technical Team
BROILER NUTRITION IN FREE-RANGE SYSTEMS
Édina de Fátima Aguiar PhD in Animal Science and Advisor at the MIRA Initiative
74 CAN HIGH-PRODUCTION DAIRY BE SUSTAINABLE WITHOUT PASTURES?


José Luis Repetto y Cecilia Cajarville Sintesisnutricion SL consultants, Badalona

Gwendolyn Jones, PhD in Animal Nutrition at the University of Aberdeen in Scotland
New technologies, analytics and research methodologies are rapidly expanding the potential of phytogenic feed additives in animal nutrition. Enhanced precision is not only increasing the costeffectiveness and level of trust in them, but also the opportunities for new use cases of phytogenics in livestock production



As somebody from the animal feed industry who has been working with phytogenics from the very early stages, I am very excited to see the newly evolving capabilities that are opening doors to rapid advances in this field. Something that could only be a dream in the beginnings is now gaining hold in practical applications and future possibilities.




What a journey and testament to those companies who kept persevering and investing into progress despite the challenges along the way. As a result, we are moving from a huge question mark and black box to rapidly increasing high precision and transparency in the application of these ingredients for the benefit of more sustainable livestock production.


I can still remember the pioneering times of phytogenic feed additives and the challenges that came with it. The times of trial and error, misinformation, which also led to product failures and distrust by the livestock producer.

The ban of antibiotic growth promotors in the EU effective in 2006 created a big opportunity and huge hype for phytogenic feed additives to enter the animal feed market as an alternative to replace antibiotic growth promotors However, at the time the knowledge and true understanding about the highly complex nature of extracts from herbs and spices was very limited in relation to the use in animal feed. On top of that It took time before it was even fully acknowledged that a plant extract or essential oil is a complex mixture which can contain over 100 different compounds.



Simplistic assumptions about the ability to extrapolate findings from in vitro studies on antimicrobial activity of certain plant compounds into benefits in the animal led to false promises and a very generic use. This was the result of a lack of understanding regarding the importance of adequate dosage in the feed for functionality in the animal and the impact of the sensory properties of plant extracts on feed acceptance. For example, due to the bitter taste of oregano essential oil, palatability was lower in pigs than in other species, because of the sensitivity of taste receptors in the pig. Depending on the dosage oregano can have a detrimental impact on feed intake in the pig




In those very early days other question marks regarding phytogenics included how to optimally combine different plant extracts in formulating phytogenic feed additives, as well as the possibilities and compatibility for combinations with other feed additives such as organic acids, enzymes and probiotics for synergistic effects in the feed. The interaction between different constituents of phytogenic feed additives in combination has different outcomes and could be one or a combination of the following: additive, synergistic, antagonistic or indifferent.
One further practical need for combining different plant compounds is to mask bitter tastes as in the case of oregano essential oil and to optimize the flavour of phytogenic feed additives specific to differing requirements by species. Unique combinations of plant extracts could also offer a point of differentiation against the competition in the market.
Increasing interest from a scientific and regulatory perspective in the mode of action and dose responses to phytogenics paved the way for demonstrating the efficacy and safety in the animal, and a much more controlled use. This also enabled a more targeted approach regarding different animal species. Scientific research with peer reviewed data is helping to describe the functionalities of different properties of plant extracts and their mode of action in the animal. At the same time animal performance data helped to start optimizing dosage for a more cost-effective use in livestock production. Altogether it gave the sector a much-needed boost in credibility and trust in the application for livestock nutrition.

Phytogenic feed additives have come a long way since they first entered the animal feed sector and the global market for phytogenic feed additives based on essential oils is expected to reach a value of US 82.89 billion by 2033. Increased animal production in Latin America, Asia-Pacific and Africa is rapidly expanding the use of essential oils. On the other hand, the pet food sector has also become a rapidly growing market for their application. Plus, phytogenics can help meet consumer expectations for “antibiotic-free” production and “natural-origin additives”.


To date companies are differentiating themselves with technology-based features, such as encapsulation, controlled release and synergistic blends, all in all increasing the quality and acceptance of these ingredients in the animal feed market.
Microencapsulation (coating phytogenics in inert matrices or gel beadlets) protects bioactive compounds from oxidative, degradation and volatilization reactions, whilst maintaining their biological and functional properties. Encapsulating plant compounds helps to mask their strong aromas, which again can improve feed handling and acceptability to animals. However, literature to date suggests a lack of consistency in the results in response to microencapsulation due to variability in methodologies used.


Nano-enabled phytogenic feed additives have the potential to enhance the stability, bioavailability, and targeted delivery of phytogenics. It is also thought that nanotechnology has the potential to enhance precision nutrition.
Phytogenic compounds generally possess poor water solubility and limited stability in the gastrointestinal tract, resulting in low absorption and bioavailability Nanotechnology on the other hand reduces phytochemicals to nanoscale dimensions (less than 100 nm), dramatically increasing their surface area and dissolution rate. This enhances absorption and can result in greater availability.
However, regulations for feed additives involving nanotechnologies are still undeveloped and vary widely between countries. Consequently, international business is limited.



Artificial intelligence (AI) combined with high-throughput screening and omics technology is promising to drastically accelerate the navigation through numerous types of plant extracts and their individual compounds to provide a much greater understanding of how phytogenics function at a molecular level. It also has the potential to reduce the cost, time and number of animals required for validation, speeding up the time it takes from concept to commercial product.
Essentially machine learning algorithms trained on vast chemical and biological datasets, will enable researchers to perform computational screening of millions of molecules and predict their efficacy, safety, and even their mode of action. The outcome will be the ability to design additives with unprecedented precision.


This means a huge turning point for research work in the field of phytogenics, as it will be shifting from trial-based research models towards a more strategic, data-informed intelligent design of phytogenic feed additives.
What is more exciting is that AI platforms are already in existence, that are not only going to accelerate the discovery of novel compounds, but are also able to identify new use cases for existing phytogenic additives as they reveal previously unknown functional properties.

Precision nutrition is currently developing rapidly. which can significantly contribute to the profitability and reduction of the environmental footprint of livestock production systems. However, an ongoing remaining challenge for nutritionists is understanding the metabolic processes responsible for the observed variation between individual animals in their ability to use dietary nutrients and respond to diets. On top of the complexity of animal metabolism, there is the difficulty in representing the complex interactions that exist between nutrient supply, sanitarian challenges, the environment, and animal responses. All of this may also apply to how “precisely” the response of individual animals to phytogenic feed additives can be predicted under practical commercial conditions on farms.



DISTRIBUTION
Monogastrics: Use in feed mixer from 1 to 3 kg/ton.
Organic acids.
Swine: Continuous use at 1 kg/ton of feed. In events: 2 kg/ton of feed.
Chelated minerals.
Swine: Use in feed mixer at 1 kg/ton for peripartum and lactating sows. Use at 1 kg/ ton in piglets up to 70 days of life. Use in streptococcus risk periods.
Monoglycerides and fatty acids.
Swine: Use in feed mixer at 2 kg/ton. Use in drinking water during digestive disorders and recovery.
Chelated minerals.
Essential oils protected by technical components.
HYGEN PRO Metabolic balancing additive that contributes to optimal performance in animal production.
HYGEN PRO LAW Carefully selected plant ingredients, precisely chosen, o ering a proven synergistic e ect to support integrity of the digestive system in swine.
Essential oils and botanical components protected by technical components.
HYGEN PRO STREPT Formulated from a complex of carefully selected active phytosolutions with a proven synergistic e ect, improving productive performance through modulation of the respiratory microbiome in swine.
HYGEN PRO COMPLET Formulated from a complex of carefully selected active phytosolutions with a proven synergistic e ect improving productive performance through modulation of the digestive microbiome in swine.
Swine and rabbits: 0.25-0.5 mL/L in drinking water.
Poultry: 0.15-0.3mL/L in drinking water.
Ruminants: 0.25-0.5 mL/L in water. Also available as a premix formulation.
Monoglycerides, organic acids, vitamins and salicylate source.
Essential oils and botanical components protected by LSP system (Liptosa Smart Protection).
Helps mitigate the e ects of heat stress, reinforcing physiological systems that facilitate thermoregulation.
HYGEN PRO RESPIR FRESH
Consult Liptosa technical-commercial department.
Swine: 250-700 mL/ton of drinking water.
Cattle: 150-300 mL/ton of drinking water up to 7 days.
Monoglycerides and organic acids.
Essential oils and botanical components protected by technical components.
Supports balance of metabolic and nervous system processes and promotes good zootechnical performance.
Monogastrics: 0.25-1 L/ton of drinking water. Ruminants: 0.25-0.5 L/ton of drinking water.
Botanical components. Organic acids, yeast products, vitamins and provitamins.
Complete approach to help preserve the optimal fundamental functioning of digestive and metabolic processes against mycotoxin challenges and nutritional imbalances.
Swine & rabbits: 0.5-1 mL/L (7-10 days).
Poultry: 0.5-0.7 mL/L (7-10 days). Ruminants: 1-1.5 mL/L in milk replacer or 0.3-0.6 mL/L of drinking water (10-15 days, fattening). Also available as a premix formulation.
Monoglycerides and organic acids.
Monogastrics: 0.5-1 L/1000 L of drinking water.
Monoglycerides, shortand medium-chain fatty acids, propylene glycol and preservatives.
LIPTOCOL
LIPTOSAFE L
COCCLIP Helps overcome environmental and sanitary stressors during the coccidia cycle, ensuring intestinal continuity and optimal performance. Essential oils and plant extracts protected by the LSP system (Liptosa Smart Protection).
Botanical components.
Synergistic blend of fatty acids and botanicals designed to promote the development of saprophytic microbiota, while providing e ective control of Gram+ bacteria along the entire intestinal tract. In drinking water: –For reception, post-vaccination, and transport stress. –For water quality issues and other challenges. –For feed transitions. –Compatible with the use of antibiotics
LIPTODAL G+
Disclaimer: Certain information related to the products, their composition and claims may vary depending on the geographic region and may not be applicable in all countries. Liptosa reserves the right to adapt to the requirements and legislation of each case. Likewise, the brand and product name may di er from one country to another. Please contact our technical-commercial department for additional information.
DISTRIBUTION
SPECIES & DOSAGE
Pigs and poultry: 100200 g per ton of complete feed.
Poultry chicks: 100 ml Miarom Intest L per 1,000 l drinking water.
Poultry: 100-250 ml Miarom Intest L per 1,000 l drinking water. Piglets and fattening pigs: 50-100 ml Miarom Intest L per 1,000 l drinking water.
Pigs: 200500 g per ton of complete feed.
Worldwide
Poultry: 150350 g per ton of complete feed.
Chicks: 100 ml Miarom Classic L per 1,000 l of drinking water.
Poultry: 100-250 ml Miarom Classic L per 1,000 l of drinking water.
Piglets: 150 ml Miarom Classic L per 1,000 l of drinking water.
Fattening pigs/Sows: 200 ml Miarom Classic L per 1,000 of drinking water.
COMPONENTS
COMPONENTS
PRODUCT ACTION
Complementary feed, which is a special combination of essential oils from caraway, star anise, chamomile, ginger, cinnamon and oregano. It is increasing the daily weight gain as well as improving the feed conversion, by positively in uencing the gut health. Coated essential oils and milled phytogenics.
Miarom Intest C
Miarom Intest L is a liquid complementary feed that provides a speci c combination of diverse phytogenics including the active components of caraway, star anise, chamomile, ginger, cinnamon and oregano. The perfect synergism of bene cial herbs that ensures the health of the intestine through prevention and in case of intestinal health challenges. On farm level, administration is easy and exible thanks to the drinking water application. Essential oils.
Miarom Intest L
Complementary feed, which is a synergistic combination of essential oils from thyme, anise, peppermint and eucalyptus, among others. It’s supporting the respiratory health and on top of that improving the air quality in the houses.
Miarom Classic P
Miarom Classic L is a liquid complementary feed supplement which comprises a special combination of various essential oils. Its long-lasting bene ts are obtained from a synergistic, standardised combination of essential oils from thyme, anise, peppermint and eucalyptus, among others. It’s supporting respiratory health and alleviating heat stress. On farm level, administration is easy and exible thanks to the drinking water application.
Miarom Classic L
Electrolytes. Piglets: Administer orally 2 ml (1 pump).
MiaFirstAid L A liquid dietary complementary feed for stabilisation of water and electrolyte balance to support suckling piglets during diarrhea incidences. In case of risk and during periods of, or during recovery from digestive disturbance (diarrhea). Tannins from chestnut extract and essential oils.
COMPONENTS
DISTRIBUTION
Recommended rate of 15 to 60 g/t Cattle, pigs, poultry. Brazil, Chile, Colombia, Ecuador, Mexico, Peru.
For information on product availability in your country, please consult Nuproxa.
All species: 1001000g/tn of feed. Consult your Nuproxa technician to establish a personalized dosage.
All species conventional diets: 50% substitution of synthetic methionine. Organic diets: 0.5 -1.5 kg per ton of feed. Consult your Nuproxa technician to establish a personalized dosage.
All species: 500g/ton of feed. Consult your Nuproxa technician to establish a customized dosage.
All species: 250g/tn of feed. Consult your Nuproxa technician to establish a customized dosage.
Between 1-15 g/ton in monogastric animals and between 1-20 g/head/ day for ruminants, depending on the objective, species, and production phase. Consult your Nuproxa technician to establish a customized dosage.
All species: 100-400g/tn of feed. Consult your Nuproxa technician to establish a customized dosage.
COMPONENTS
Phytogenic ActivityZootechnical additive, mixture of nature-identical essential oils containing thymol and carvacrol Thymol and Carvacrol, Mono, Diglycerides, Triglycerides of fatty acids, precipitated and dried silicic acid.
150
Phosphatidicoline, rutin, terpenoids.
Natu-B4™ Multiple phyto-compounds that replace choline chloride and optimize energy metabolism.
Organosulfurates.
Methionine metabolism optimizer. In conventional diets, it partially replaces synthetic methionine, reducing costs. In organic diets, it improves performance and helps reduce the amount of crude protein.
OptiMethione™
NuxaSan 500™ Product rich in compounds that are recognized for their potential to control intestinal parasites, provide an antioxidant e ects, and immunomodulatory properties. Saponins, tannins, among other phyto-compounds.
Polyphenols and andrographolides, among others.
LivoLiv 250™ Activates liver functions, increasing the digestive and metabolic capacity of animals.

Natural metabolic antioxidant for the protection of animals from oxidative stress contributing to the improvement of productive, reproductive and meat quality parameters. Partial substitute of synthetic Vitamin E reducing the formulation cost. Poliphenols
NuxaFen™
Polyphenols, whitanolides, and alkaloids
Anti-stress herbal blend: combats oxidative stress and reduces cortisol levels, improving performance and welfare.
C-Power™
S an g r o
i s t c a y o m a n t a n a n d st r e n g he n d g e s ti ve h e a t h P o ul t r y : 0 5 k g –2 0 k g p e r t o n o f f ee d S w in e 1 . 0 k g –3 . 0 k g p e r t o n o f ee d R u m i na n t s 1 0 g4 0 g p e r a n m a p e r d a y R e s p o z e n ™ E n h a n c e s e s p i a t o r y u n c t o n a n d s u ppo r t s h o m e o s t a s s , p r o m o t n g o p t m a p e r f o rm a n c e d u n g p e r i o d s o s r e s s P o ul t y : 0 5 k g –1 0 k g p e r t o n o f f ee d S w in e 1 . 0 k g –2 . 0 k g p e r t o n o f ee d R u m i na n t s 1 0 g4 0 g p e r a n m a p e r d a y I mmu n o z e n ™ A n a t u r a m e a b o i c a n t io x id a n t t h a m t i g a e s o x ida ti ve s t r e s s n a n i m a l s en h a n c n g p r o du c ti ve p e r o rm a n c e & P o ul t r y : 0 2 k g –0 5 k g p e r t o n o f f ee d S w in e 0 5 k g –1 0 k g p e r t o n o f ee d R u m na n t s 1 0 g1 5 g p e r a n m a l p e r d a y S t a c o c ™ I a c t s by m o d u a t n g t h e g u m c r o bio a , t he r e by e s t a bl s h i n g a n e n v r o nme n t t h a t nhib t s t h e p r o i e r a t o n o ba c e r a a n d p r o t oz o a , w h i e s i m u a n e o u s y en h a n c n g im m u n e r e s po ns e s a n d P o ul t r y 0 5 k g t o 1 0 k g p e r t o n o f f ee


Marcos Rostagno, DVM, MSc, PhD
Technical & Innovation Director, Nutreco/Selko USA
Phytotechnology consists in the application of plant-related scientific knowledge to discover and develop solutions for existing challenges.
Phytochemicals are chemical compounds produced by plants (i.e., metabolites) with biological effects, while phytocomplexes are combinations of multiple phytochemicals within a plant or within a product. Finally, phytogenics are products derived from plants (aka., botanicals) by the application of phytotechnology, containing phytochemicals. More specifically, phytogenic feed additives are products of plant origin added to animal diets for specific applications or purposes.

The use of a broad range of plant materials has a long history in human nutrition and medicine, being used as flavors, food preservatives, as well as for basic nutrition and to promote health benefits.

Nevertheless, this is still a wide-open knowledge area with a lot of new opportunities to explore. We are just in the beginning of the exploratory journey, with the adoption of phytogenics being essentially driven by the availability and acceptance of raw materials or ingredients, technological advancements on understanding complex modes of action and its applications, as well as regulatory acceptance or approval.
These applications have been well-known for hundreds of years and have gained acceptance worldwide. We all use and consume herbs and spices in our daily lives, and most of the world population relies on plants for primary or supporting health care (aka., traditional medicine).
Our knowledge has extensively grown over recent decades, based on scientific efforts to demonstrate their benefits and understand their varied modes of action. As a result, a vast collection of peer-reviewed scientific literature is currently available and continues to grow every day.

As this complex landscape evolves, new phytogenic feed additives will become available and be increasingly adopted by the animal production industry in the years to come.
In general, phytogenics can be divided into the following categories:
This type of products is also popularly known as herbs and spices, and usually consist of finely ground dried whole plant or some specific part(s) of it, such as roots, seeds, bark, flowers, stems and leaves, and there is very

A plant extract is a substance of a desired property extracted from plant tissue for a specific application or purpose. Extracts can be obtained from the entire plant as well as from specific parts of it and are usually rich in several phytochemicals (in this case, considered a phytocomplex), which can be purified and standardized.
The extraction process can vary widely from the traditional and simple maceration method to modern and more sophisticated methods (eg., microwaveassisted, ultrasound-assisted and supercritical fluid extraction), which are continuously developed, mostly aiming to increase yield and reduce cost. There are different types of extracts:


These chemical compounds are considered synthetic, as they are produced chemically in a laboratory, as an identical copy of the phytochemical of interest found naturally in plants.
• Essential oils: Essential oils are liquid aromatic substances (usually, a mixture or a phytocomplex with varying degree of volatility) present in specialized plant cells for a variety of purposes, such as protecting themselves from predators and pests, attracting pollinators, etc. Essential oils are composed basically of fatty acids, and therefore, are not actually oils.
• Oleoresins: Oleoresins are semi-solid, consisting of a natural mixture of essential oils and resin, both extracted from plants. In this case, resin is a solid or highly viscous organic substance, insoluble in water.
• Phytochemical Extracts: Extracts of specific bioactive chemical compounds (or phytochemicals) naturally present in plants. These are essentially more purified or refined types of extracts, in comparison to essential oils and oleoresins, which usually include a mixture of phytochemicals (i.e., a phytocomplex).
Considering that not all varieties of the same plant provide the same bioactive compounds (phytochemicals), nor in the same concentrations and ratios, and where and how plants are grown have a direct effect on the levels of phytochemicals, production consistency and standardization of raw materials, well-defined formulation and effective quality controls is critical.


Phytogenics can have a broad range of basic modes of action and biological effects that are beneficial in modern animal production, including: antioxidative, anti-inflammatory, antimicrobial, neuromodulatory and digestion-enhancing effects, among many others less explored yet.
Research in human medicine has been heavily focused on basic biological responses and applications, such as modulation of oxidative stress, signaling pathways, neuroendocrine, metabolic and cardiovascular systems. It is becoming increasingly evident that the modes of action and resulting effects are dependent on both the qualitative as well as the quantitative composition of phytogenics.
Moreover, biological responses oftentimes don’t follow a linear doseresponse, but more like a quadratic type of response, where more is not always more effective or better. Also, effects and responses may vary or completely differ between different animal species.

Therefore, it is clear that there is still a wide-open field of opportunities to harvest the benefits of phytogenics, but also a whole lot of research and understanding to happen. Although phytogenics in general and specifically phytogenic feed additives have been available in the market for quite some time, most of their application has been empirical and based on trial-and-error.
However, things are changing and more recently, a more science-based approach has been increasingly adopted to support the application of phytogenics in a variety of different areas, including in animal production.

The short answer to this question is: Yes! However, it is crucial to discuss this question in a broader context, as there are many implications involved.
First, we need to make clear that antibiotics are essential tools for veterinarians to support the health and well-being of animals under their responsibility. They are very important tools and of critical importance in animal production, the same way they are critically important in human medicine. However, judicious use is essential.
Nevertheless, there is very high societal awareness, and consequently, mounting pressure to reduce or eliminate the use of antibiotics in animal production.
Phytogenics are not equivalent to antibiotics, even though they may have antimicrobial activity, particularly in vitro. Here is where the confusion lies. Many phytochemicals and phytocomplexes tested in vitro have shown antimicrobial effects against a variety of bacteria, including potential pathogens.
However, in vitro conditions do not accurately represent in vivo conditions, and therefore, should not be automatically assumed to be the reality, as there are many other factors to be considered. In fact, a major factor to be considered in the case of phytogenic feed additives, is that the in-feed inclusion levels commonly used are very different (usually, much lower) from the concentrations tested in vitro, and consequently, are not likely to have the same effect. Consequently, the term “alternatives to antibiotics” has become very popular, and vastly misused. Like many other categories of feed additives currently available (such as probiotics, prebiotics, postbiotics, organic acids, enzymes, and many others), phytogenics are just another tool for nutritionists and veterinarians to support the health and wellbeing of the animals, improving productivity and efficiency, in a variety of different ways.
Therefore, phytogenics should not be seen or used as alternatives to antibiotics, but as very powerful additives with great potential to support the health, well-being and production of animals, at low inclusion levels.
Phytogenics are not to be used as therapeutic agents or to prevent or control specific pathogens and diseases, but to support the animals with their basic modes of action, as previously discussed, which are primarily based on the animal’s biological systems and responses. It doesn’t mean that phytogenics cannot have an effect on the animal’s microbiota, which may likely be secondary to their biological effects, for instance, on the immune system.
The complexity of the challenges in modern animal production is only increasing, and consequently, very likely won’t be effectively solved with “silver-bullet” approaches.
Phytogenics are valuable tools to be used as part of broad intervention strategies or programs to support the animals and solve complex, multifactorial challenges in animal production, many times resulting from basic, underlying conditions that prevent animals from achieving their potential and/or leading to more severe problems, including diseases.

The use of phytogenics should be strategic, based on targeting and supporting the animals in a preventive approach, before challenges are visible. Although phytogenics have been used for a very long time, the realization of the potential of phytotechnology is still in its infancy and should expand rapidly as old paradigms shift.
Increased awareness, combined with increased efforts to understand mechanisms and modes of action will open doors for new opportunities for preventing many common issues, with phytogenics becoming increasingly valuable as established tools to mitigate basic, underlying disruptions to the animals’ homeostasis that cause detrimental effects to their productive performance.
Here, we list just some examples of potential areas of application of phytogenic feed additives in animal production, such as:
• Appetite and feed intake modulation (palatants).
• Behavioral and stress modulation.
• Digestive system modulation (intestinal motility, enzyme secretion, mucus production, nutrient absorption and bioavailability, etc.).
• Intestinal health (modulation of permeability, inflammation, microbiome, etc.)
Antioxidants (to preserve nutrients in ingredients and feed, as well as in animal cells) Immune modulation.
• Reproductive physiology and performance.
• Embrionary development.
• Passive immunity improvement.
• Lactation performance (quantitative and qualitative).
• Tissue deposition (muscle, fat).
• Meat quality and carcass characteristics.
• Mitigation of environmental impact (reduction of ammonia and methane emission from animals and manure).
• And many others.
These are just some potential applications that come to mind, but it is safe to say that there are likely many others we probably missed. It is clear that phytogenics have the potential for immensely diverse applications in modern animal production, which we have barely started to explore.
We hope this list offers some food-forthoughts and generates new ideas to help our industry to move forward and promote animal resilience and productivity.
Understanding Phytogenic Feed Additives and Their Potential DOWNLOAD ON PDF
The potential of phytogenics applied in several different areas of animal production is undeniable.
However, overcoming some challenges will determine if its potential will actually be realized, or not.
Like most new technologies or innovations, the main initial obstacle is human-based. By nature, humans are resistant to change, and consequently, there is some skepticism towards phytogenics, or even straightforward negative perception, based on previous experiences or simple perception.
It’s not surprising, particularly when considering the complexity involved combined with a lack of clear understanding of what the new technology does and how it can be applied to generate benefits.
Moreover, the misguided positioning of phytogenics as alternatives to antibiotics has contributed to creating wrong expectations about its efficacy and beneficial effects. Due to the complexity previously discussed, a lack of standardized formulations can affect consistency and efficacy.
This challenge can be even more evident and compounded by the variability in plant sources, which creates challenges for the supply chain and manufacturing of phytogenics. An additional and critical challenge is the regulatory pathway for phytogenics, especially considering different markets and regional requirements for the approval of such products.
This particular challenge adds complexity, time and costs to any business attempting to develop and bring phytogenic products to the market. Every new technology will face a variety of different challenges, in any industry.
It is no different in agriculture and animal production. However, there are always early adopters and entrepreneurial organizations working to make new products and capture their benefits. It’s all just a matter of time. Nevertheless, there is great potential in phytogenics and it is our hope that we were able to highlight at least some of it in this article and provoke some interest and thoughts on this technology.

In a world where nutrition and sustainability increasingly go hand in hand, the Saccharomyces cerevisiae yeast, upcycled from sugarcane fermentation, is widely recognized in the market that totally fulfill this requirement. It is a versatile platform for creating innovative, health-supporting ingredients for modern animal production, providing both nutritional and functional


With over three decades of expertise in biotechnology, Olmix, a global agri-biotech company present in more than 100 countries, has built a strong legacy through its Yeast Solutions portfolio. As far as this range is concerned, the company has consolidated it´s presence across Latin America and is now expanding this success into Europe, the United States, and Asia with a product range designed to meet the evolving challenges of animal nutrition and health.

This innovative line, composed with BioFront, BioHydro and BioWall, offers natural solutions combining high nutritional value (amino acids, peptides, nucleotides, and B-complex vitamins) with powerful bioactive compounds (cell wall fractions such as β-glucans 1,3/1,6 and MOS) that goes beyond simple nutrition: Additionally to highly digestible protein sources, they act as natural flavor enhancers, gut microbiota modulators, while helping to reduce risks associated with mycotoxins. Their targeted applications, especially in young phases, during nutritional transitions, or under intense metabolic demand, make them a key tool for nutritionists looking to improve animal health, performance and profitability focused on pet, swine, poultry, ruminant and aquaculture.

By turning a byproduct of sugarcane industry into high-value and functional nutrition, Olmix reinforces its commitment to sustainability, circular economy and animal resilience, bringing nature and science together for a better future in feed and food.

Brazil naturally stands out as a global hub for yeast-derived ingredients, thanks to its strong sugarcane bioethanol industry, a renewable chain that ensures continuous biomass supply and fosters a true circular economy.
Olmix Yeast Solutions portfolio transforms co-products of the bioethanol and sugar industries into high-value nutritional ingredients, reducing waste, adding value to existing resources, and providing a grain-free, non-competitive protein source that does not interfere with human food supply.

Compared to conventional protein sources such as soybean meal or fishmeal, yeast-based ingredients offer a significantly lower carbon footprint while meeting the strictest global certification standards, including FSSC 22000, GMP+, Non-GMO, and Antibiotic-Free compliance.
By integrating sustainability at the heart of its portfolio, Olmix enables feed manufacturers and producers to build more resilient and responsible food systems while meeting growing consumer expectations for transparency and environmentally responsible production. Ingredient selection truly defines feed sustainability and yeast stands out as one of the most efficient ways to reduce environmental impact without compromising animal performance.

Through specific processing technologies, the value of yeast-based ingredients goes beyond sustainability. It´s lies in their functional versatility, where yeast (Saccharomyces cerevisiae) can be fractionated into distinct components, each with its own nutritional and biological benefits to optimize animal performance and health.
BioFront represents the base of the yeast ingredients family. A high-quality inactive dried yeast derived from the sugarcane fermentation process that serves as a sustainable protein source standardized between 32% and 40% protein content. Naturally rich in a balanced amino acid profile, B-complex vitamins, and nucleotides, it provides a digestible, palatable, and sustainable protein source that enhances feed intake and conversion.
1. Digestible Protein Source : A balanced amino acid profile supports muscle development, feed efficiency, and animal growth.
2. Natural Flavor Enhancer: Rich in glutamic acid and aromatic compounds that enhance palatability and promote feed intake across species.


3. Nutritional Enrichment: A natural source of B-complex vitamins and antioxidants that support metabolism and oxidative balance.
4. Reliable and Cost-Effective: Produced from renewable sources, BioFront contributes to the circular economy and provides a consistent, sustainable protein alternative that reduces dependency on soy or animal proteins in swine, poultry, ruminants, aquaculture, and pet nutrition.
BioHydro takes yeast innovation a step further by combining advanced processing and functional performance in one solution. Through carefully controlled enzymatic hydrolysis, yeast proteins are broken down into bioavailable peptides, amino acids, and nucleotides of low molecular weight, ensuring high digestibility for nutrient absorption, palatability and makes BioHydro particularly suited for young or sensitive animals and those under high metabolic demand.


Rich in β-glucans and mannanoligosaccharides (MOS), BioHydro contributes to gut health modulation and immune system balance, improving overall resilience and digestive efficiency. It´s versatility makes it an ideal performance booster for post-weaning pigs, dairy cows, pets, and aquaculture species, where efficient energy use and nutrient utilization are essential.
Immature Digestive Systems: Young animals such as piglets, chicks, and aquaculture larvae often have limited enzymatic capacity. BioHydro supplies pre-digested peptides and nucleotides that are rapidly absorbed, supporting growth and minimizing post-weaning setbacks.
Stress and Adaptation Periods:
Transport, diet transitions and environmental stress can impair nutrient use and immune function. BioHydro provides functional peptides and β-glucans that strengthen resilience and recovery.
Molecular
(Daltons)
BioHydro (Hydrolyzed Yeast) Autolyzed Yeast
Price (US$/ton)
Gut Health and Immunity:
Nucleotides and β-glucans stimulate local immune responses and support balanced microbiota, reducing antibiotic reliance.
High-Performance Phases: In phases where digestibility and/ or palatability are key drivers for efficiency. BioHydro’s glutamic acid content boosts feed intake, while peptides maximize nutrient absorption.



BioHydro combines three dimensions in one solution, designed for ruminants, young animals, aquaculture species and pets.
NUTRITIONAL:
Highly digestible and palatable protein, rich in nucleotides, peptides, and B vitamins.
FUNCTIONAL: Supports gut integrity, stress resilience, and immune performance.
SUSTAINABLE: Antibiotic Free, Grain-free, GMO-free and derived from the circular economy of sugarcane fermentation.
BioWall focuses on the cell wall fraction of Saccharomyces cerevisiae, rich in bioactive polysaccharides such as mannanoligosaccharides (MOS), β-glucans, and glucomannans. These compounds play a vital role in maintaining intestinal integrity, immune resilience and mitigating mycotoxin risks. By binding harmful toxins like Zearalenone (ZEA) and Ocratoxin (OTA) and preventing pathogen adhesion (Salmonella, E. coli), BioWall reinforces gut health naturally and reduces the need for antibiotics.
It stands as an essential solution for producers seeking intestinal balance, stronger immune response, and sustainable biosecurity strategies.


Mycotoxin Adsorption: Yeast polysaccharides bind mycotoxins such as ZEA and OTA, reducing their bioavailability and toxicity.
Pathogen Agglutination: MOS agglutinate harmful bacteria adhesion to the intestinal lining, promoting their natural excretion.
Immune Modulation: β-glucans stimulate innate immune cells and reinforce gut barrier integrity.
Natural & Functional Yeast-Based Ingredients: Sustainable Solutions for Modern Animal Health & Nutrition DOWNLOAD ON PDF
» As global demand for animal protein continues to rise, the feed industry faces the challenge of improving productivity while reducing its environmental footprint. Yeast-based ingredients emerge as tangible, natural, efficient and scientifically validated solutions.

BioWall functions as a natural biosecurity tool, helping producers secure animal health, gut balance, and performance, while aligning with global strategies to reduce antibiotic reliance. It represents the functional pillar of the Olmix Yeast Solutions portfolio, offering a sustainable approach to health and productivity across species.
Biowall Defensive barrier against

» Through its Yeast Solutions portfolio, Olmix transforms by-products of sugarcane fermentation into functional, high-value feed components, connecting sustainability, innovation, and performance in a single, circular approach. Built on robust science and standardized industrial processes, Olmix delivers more than ingredients, it delivers a vision for responsible nutrition.
» Through continuous innovation and close collaboration with producers worldwide, Olmix remains committed to its global mission: “Bringing nature and science together to support sustainable animal health and nutrition.”
Advanced extraction and complexation technologies

Innovative structuring properties
Unique biological activities


Alberto Morillo Alujas, DVM, PhD, Nutritionist, MSc Statistics

Introduction
Edema disease (ED) in weaned piglets, caused by Shiga toxin‑producing Escherichia coli (STEC) strains expressing F18 fimbriae and producing Shiga toxin 2e (Stx2e), remains a major cause of sudden mortality and economic loss. Typical outbreaks occur one to two weeks after weaning and often affect the best‑growing piglets in the pen, compromising both welfare and profitability. At the same time, European and other country’s regulations that restrict prophylactic antibiotic use and ban medicinal zinc oxide oblige producers to adopt new, sustainable tools to protect piglets during this vulnerable period [5].


In most pig systems, feed represents 60–75% of total production costs [1]. Nutrition is therefore not merely a cost centre, but the most powerful lever to improve health, performance and profitability when it is used strategically rather than passively. The ‘Active Feeding’ concept provides such a framework. It considers feed as a primary health tool designed to build resilience from within the animal and to work in synergy with vaccination, biosecurity, hygiene, housing and management. The objective is clear: maximise average daily gain (ADG), improve feed conversion ratio (FCR) and reduce mortality while minimising antibiotic use.
Active Feeding can be defined as a precision, science‑based nutritional strategy that goes beyond simply meeting pigs’ requirements for growth. It deliberately modulates gut function, metabolism, immune competence and stress responses so that pigs are intrinsically more resistant and resilient to disease challenges, especially around predictable stress points such as weaning.
Three elements are central to the concept:
Precision: diets are tailored to physiological stage, genetic line and farm conditions. Nutrient supply is adjusted not only for growth but also for gut maturation, barrier function and immune competence. Functional amino acids (e.g. glutamine, arginine, cysteine, threonine, tryptophan among others), vitamins, trace minerals and selected functional feed raw materials and feed additives are included at levels and in combinations that target specific physiological mechanisms [2–4].
Proactivity: nutrition is used ahead of challenges rather than as a reaction. Diets are reformulated for the post‑weaning phase, seasonal disease peaks or regulatory changes, strengthening gut health and immunity before expected challenges and complementing vaccination programmes.
Resilience: pigs are prepared to cope better with inevitable stressors such as diet changes, regrouping, co‑infections and environmental fluctuations. A resilient pig maintains intake, growth and health with fewer treatments, directly improving FCR, ADG and survival and decreasing at the same time the medicine’s expenditure while improving the welfare [2,3].

Importantly, Active Feeding recognises that nutrition cannot compensate for poor management. Overcrowding, poor hygiene, inadequate ventilation, unstable temperatures or poorly designed weaning strategies will limit the response to any diet. Feed must therefore be integrated with robust management, biosecurity and vaccination to unlock its full value.

ED is caused by F18‑positive E. coli strains that colonise the small intestine and produce Stx2e. The toxin damages vascular endothelium, leading to oedema in eyelids, stomach wall, brain and other tissues, and often peracute death of apparently healthy piglets [5]. The window of highest risk coincides with a period of abrupt weaning, dietary change, mixing of litters and decline of maternal antibodies – exactly when gut structure, digestive capacity and microbiota are destabilised [3].
Diet composition plays a key role in ED risk. High crude‑protein (CP) diets, particularly when based on poorly digestible protein sources, increase the amount of undigested protein reaching the large intestine, providing substrate for pathogenic E. coli proliferation and toxin production. Conversely, moderate CP supported by synthetic amino acids, and an appropriate inclusion of functional fibre and other raw materials, have been associated with lower ED incidence [3,6]. Feed presentation, particle size, acid‑binding capacity, water quality and intake patterns also contribute to risk, and must therefore be addressed within an Active Feeding programme.


Within the Active Feeding framework, ED control in weaned piglets combines several complementary objectives:
minimize substrate for pathogenic E. coli;
protect and repair the intestinal mucosa;
modulate the microbiota;
bind or neutralize toxin in the gut lumen;
support immune responses; and integrate nutrition with vaccination, hygiene and management.
Lowering dietary CP to the minimum compatible with performance, while balancing indispensable amino acids with crystalline sources, reduces fermentable protein available to coliforms in the hindgut and therefore lowers ED risk [3,6]. In practice this typically means reducing CP by 1–2 percentage units in the first post‑weaning diet compared with traditional formulations, while maintaining or slightly increasing digestible lysine and other key and functional amino acids. This approach not only reduces diarrhea and ED, but also improves nitrogen efficiency and environmental sustainability [9].

Functional fiber is used in a targeted way. Insoluble structural fiber supports gut motility and gastric function, while selected soluble, fermentable fibers (e.g. inulin, chicory fructans) promote the production of short‑chain fatty acids (SCFA) that nourish colonocytes, lower luminal pH and discourage pathogen proliferation [2,3]. The aim is to stabilise gut function without unnecessarily diluting dietary energy.

Feeding strategy is equally important. Gradual transitions between nursery diets, careful control of feed presentation and particle size, and avoiding overfeeding in the most critical days after weaning all reduce ED outbreaks. Restricting feed allowance for a few days in high‑risk situations, followed by a controlled step‑up, can be a useful tool when implemented under close supervision [5].
Within an Active Feeding framework, exogenous enzyme cocktails are a logical complement to other nutritional tools targeting Shiga toxin producing E. coli (STEC). Multi‑ enzyme blends that combine phytase with carbohydrases (e.g. xylanase, cellulase) and protease hydrolyse cell wall polysaccharides and phytate, improving the digestibility of phosphorus, amino acids and energy while generating fermentable oligosaccharides in the distal gut. These oligosaccharides act as substrates for beneficial bacteria, increase short‑chain fatty acid production and help shift the microbiota towards a more favourable profile, supporting barrier function and dampening inflammation. In practical terms, this means fewer undigested nutrients reaching the large intestine to fuel pathogenic E. coli, a more competitive beneficial flora, and a gut mucosa that is better.
equipped—structurally and immunologically—to limit toxin absorption during an edema disease outbreak [11 12].

A synbiotic combining xylanase with Bacillus spp. improved average daily gain and gain:feed ratio, enhanced intestinal morphology and reduced the negative impact of the F18+ strain closely related to edema disease. In herds facing recurrent STEC outbreaks, positioning well‑designed enzyme cocktails (alone or as part of enzyme–probiotic synbiotics) within an Active Feeding program therefore offers a dual benefit: more efficient nutrient use and a demonstrable improvement in intestinal resilience against F18‑associated E. coli challenges, complementing the use of other aproaches [11 12].

The intestinal epithelium is the main physical and immunological barrier against pathogens and toxins.
L‑glutamine, used at around 1% of the diet in the first week after weaning, is a key energy substrate for enterocytes and supports tight‑junction protein synthesis, villus repair and local immune function. Trials in weaned pigs show reduced diarrhea duration and improved feed efficiency with glutamine supplementation [3,6].

Functional animal‑derived ingredients such as spray‑dried porcine plasma, hydrolyzed egg‑white proteins or whey proteins concentrate rich in immunoglobins provide immunoglobulins and bioactive peptides that neutralize pathogens, down‑regulate inflammation and promote mucosal healing. In high‑risk farms, including these ingredients in creep and first‑age diets (after the risk period) can significantly reduce post‑weaning diarrhea and ED‑associated mortality [3].

Prebiotics – such as mannan‑oligosaccharides (MOS), fructo‑oligosaccharides, inulin and chicory fructans – selectively stimulate beneficial bacteria and can competitively inhibit binding of F18 fimbriae to the intestinal mucosa [3,6].
Probiotics based on authorized strains of Bacillus subtilis, Enterococcus faecium or Lactobacillus plantarum further stabilize the microbiota, produce bacteriocins and increase secretory IgA, all of which help limit E. coli colonisation [3,6].
Organic acids (formic, lactic, propionic, butyric), used in combinations and often in protected forms, help maintain a low pH in the stomach and proximal intestine, directly inhibiting E. coli and supporting digestive function. Reduced acid‑binding capacity of the diet (e.g. via careful selection of mineral sources) reinforces this effect [3,6].

Adsorbent clay minerals such as bentonite, montmorillonite, kaolin and clinoptilolite can bind Stx2e and other bacterial toxins, forming inert complexes that are eliminated in the feces. They also adsorb bacteria and contribute to firmer faeces and better villus morphology [5]. When these clays are used at 0.5–1.0% of the diet, ideally in combination with yeast cell wall fractions rich in mannan and β‑glucans, they constitute a first line of defence at the luminal level.
Plant polyphenols and tannins (e.g. chestnut and quebracho extracts, grape polyphenols, cranberry proanthocyanidins) precipitate bacterial proteins, interfere with fimbrial adhesion and reduce secretory diarrhea. When included at moderate levels, they complement clays and organic acids without penalizing intake. [3,6] Oral antibodies (e.g. IgY from hyper‑immunised hens or IgG‑rich plasma) directed against F18 fimbriae and Stx2e toxin can bind the pathogen and toxin in the gut lumen, block adhesion and neutralize toxicity, especially in the first 10–14 days post‑weaning [5,10].
Active Feeding also targets systemic immune competence
Functional amino acids such as arginine, cysteine and tryptophan, along with vitamins A, D, and E and highly bioavailable trace minerals (zinc, copper, selenium), are adjusted to support antioxidant defences, cytokine responses and antibody production [2–4,6].
Yeast β‑glucans, nucleotides and selected phytogenics act as immunomodulators, priming innate immunity and enhancing the response to vaccination.
Antimicrobial peptides (e.g. lactoferrin, colicins, cationic peptide hybrids) and enzymes with antibacterial activity (egg lysozyme, bacterial muramidase) can further reduce pathogen burden and inflammation while improving nutrient digestibility [6,10].


A key message of the Active Feeding concept is that diets and additives must be integrated with, not substituted for, sound vaccination and management. For ED, oral F4/F18 vaccines and parenteral Stx2e toxoid vaccines have demonstrated substantial reductions in diarrhea and mortality when correctly applied [5]. Active Feeding improves the consistency and magnitude of this protection by stabilizing the gut, ensuring adequate nutrient and micronutrient supply for the immune system and reducing secondary stressors.

Equally important are hygiene and management: strict all‑in/ all‑out flows, thorough cleaning and disinfection, dry and warm pens at weaning, sufficient feeder and drinker space, correct water quality and flow, and avoiding overcrowding and large mixing of litters. These measures reduce infectious pressure and stress, allowing nutritional tools to express their full potential. Without them, the return on investment of even sophisticated diets will be disappointing.
Because feed is the largest single cost in pig production, every percentage improvement in FCR, ADG or survival and every reduction in mortality and medicines usage achieved through Active Feeding has a disproportionate impact on profitability [1,7,9]. Combinations of functional amino acids, prebiotics, probiotics, organic acids and toxin‑binding agents can reduce post‑weaning diarrhea and ED‑associated mortality, increase ADG and improve FCR to levels comparable with, or better than, traditional antibiotic‑based programmes [3,6–8]. From a practical standpoint, the aim is to maximize the benefit of the nutritional investment – higher growth and lower mortality – while minimizing the use of antibiotics and meeting regulatory and market demands.


Edema disease remains a serious threat to the performance and welfare of weaned piglets, especially in the context of restricted antibiotic and zinc oxide usage. The Active Feeding concept offers a coherent, science‑based framework to redesign nursery nutrition so that feed becomes a central health tool rather than a passive commodity. By adjusting protein and fiber, reinforcing the intestinal barrier, modulating microbiota, binding toxins and supporting immunity, Active Feeding can reduce ED incidence and severity while improving ADG, FCR and survival.
However, nutrition alone cannot control ED. The best results are obtained when Active Feeding is integrated with appropriate vaccination, rigorous hygiene, good weaning management and high standards of housing and biosecurity. When these elements are combined, producers can simultaneously minimise antibiotic use, safeguard piglet health and maximise the economic return on their feeding programmes – turning the largest cost item on the farm into a strategic investment in resilience and profitability.

INTRODUCTION
Débora Reolon*, Carlos Beretta; Hilla P. Hoffmann; Dejanir Pissinin; Bruno N. Fraga; Vladimir de Oliveira Novus Technical Team
STUDY OVERVIEW
A study was conducted to determine whether the addition of protease (PROT) mitigates the negative effects of trypsin inhibitors (TI) on piglet performance during the nursery phase.
Ninety-six piglets were assigned to four treatments using a randomized block design with a 2x2 factorial arrangement (two levels of TI and two levels of PROT, with eight replications).
The TI levels were 0.82 (pre-starter), 0.96 (starter), 1.71 (pre-starter), and 1.83 (starter) mg/g in low and high TI diets, respectively. The PROT levels were 0 and 500g/MT. Average daily feed intake (ADFI), average daily gain (ADG), and feed conversion ratio (FCR) were evaluated. The data was subjected to analysis of variance.
In the first 14 days, the high level of TI reduced (P<0.05) ADG and final weight, with a tendency to reduce (P<0.08) ADFI. In the starter phase, PROT reversed (P<0.05) the negative effects of high TI levels on ADG and FCR. The weight was lower (P<0.05) in diets with high TI levels and higher (P<0.053) in diets containing PROT. The addition of PROT to diets with high TI resulted (P<0.067) in an FCR similar to groups with moderate TI levels.
CONCLUSION
It is concluded that soybean meal TIs negatively impact piglet performance and that the addition of PROT mitigates these effects.
Zootechnical additive; Piglet performance; Anti-nutritional factor; trypsin inhibitor.
Exogenous protease in piglet diets as a strategy to mitigate the negative effects of trypsin inhibitors
DOWNLOAD ON PDF
*debora.reolon@novusint.com


By Gabriela Cardoso Dal Pont, PhD, Exec. Technical Services Manager LATAM, NOVUS

The beginning of a new cycle always brings a sense of renewal — a moment to rethink strategies, improve results, and seize new opportunities. Challenges remain, but they seem less intimidating when viewed through the lens of innovation and collaboration.
Dr. Gabriela Cardoso Dal Pont, Executive Technical Services Manager for poultry at NOVUS, shared her insights on the main challenges and opportunities currently facing the poultry industry, as well as how NOVUS is prepared to support its customers in achieving sustainable and profitable results.
One of the most relevant challenges observed is the decline in hatchability and chick quality. The foundation of production depends on healthy, highperforming birds, and any impact at this stage directly affects producers’ financial outcomes.
Since the causes of this issue can be multifactorial, it opens an opportunity for nutritionists to fully explore the potential of nutritional additives, especially bis-chelated trace minerals, which have proven to support breeder performance and the quality of eggs and chicks.
Another key point is sustainability
Despite progress, producers continue to face the challenge of doing more with fewer resources. In this context, feed additives play a crucial role, as they can make a significant difference.


At NOVUS, products are Made of More™, meaning they deliver more than expected. For example, in addition to providing organic zinc, copper, or manganese, MINTREX® Bis-Chelated Trace Minerals are also a source of methionine, allowing producers to reduce the level of methionine inclusion in the diet.
And because MINTREX® Bis-Chelated Trace Minerals are highly bioavailable, lower dosages are required in animal feed, and there is less mineral excretion into the environment.
Moreover, NOVUS additives also support meat and egg quality even when alternative ingredients are used, contributing to more efficient and sustainable production in multiple ways.

Recent years have brought a challenging scenario for poultry production. The rise in input costs, driven by energy and logistics prices, combined with avian influenza, geopolitical tensions, and high global demand, has directly impacted producers’ profitability
Although some of these conditions have stabilized, the pursuit of profitability and efficiency remains a top priority.
According to Dr. Gabriela, a practical way to address this challenge is through intelligent nutrition, supported by highquality NOVUS additives

“It is essential for producers to choose additives backed by robust scientific research, developed to optimize animal health and performance, maximizing return on investment,” the expert emphasizes.


There are many technologies that promise to improve poultry performance, but Dr. Gabriela stresses that real results require scientific validation

“NOVUS has numerous research studies and field trials conducted under real production conditions, demonstrating the effectiveness of our solutions across different markets and scenarios,” she explains.
Beyond science, the NOVUS team is made up of specialized professionals, committed to understanding each customer’s needs and proposing tailored solutions for their specific challenges.
“Profitability is a shared goal. Nutritionists and additive suppliers must work together to identify the best strategy for each operation,” she adds.
Reducing antibiotic use continues to be one of the main global trends. Many poultry companies already carry the “antibiotic-free” label, which requires special attention to intestinal health in birds.
With a focus on innovation, NOVUS offers intelligent nutritional solutions that strengthen intestinal integrity and make antibiotic-free production viable — without compromising performance or profitability.
The current poultry landscape is challenging, but also full of opportunities for those who invest in technology, sustainability, and intelligent nutrition.
NOVUS reaffirms its commitment to helping producers achieve more — through science, partnership, and innovation.
To learn more about how our solutions can support your production, visit www.novusint.com


Edgar O. Oviedo-Rondon
Prestage Department of Poultry Science, North Carolina State University

Most corn and soybeans used for poultry feed are glyphosate-tolerant (GT). Glyphosate, also known as N-phosponomethyl glycine, is a broad spectrum, non-selective systemic herbicide that facilitates weed control during the entire growth season of the crops. By 2019, 94% of planted soy and 90% of planted corn cultivated in the United States were GT varieties. More than 80% of the soybean meals used in poultry production worldwide come from GT soybean.


Genetically engineered corn and soybean varieties herbicide-tolerant (HT) increased dramatically since 1996 and plateau about 20 years ago (Figure 1). These varieties contribute to the greater use of glyphosate-based herbicides (GBHs) in most countries with great corn or soybean production. The GBH products became the main herbicides worldwide.


Nevertheless, the emergence and spread of glyphosate-resistant weeds has been growing in the past two decades.
Consequently, the concentration used and frequency of glyphosate application has increased more than 20-fold since 1992.
Currently, more than 300 million pounds of glyphosate are sprayed just in the USA yearly. In 2025, it is expected that between 740,000 and 920,000 tons of glyphosate will be used worldwide.

Glyphosate has been considered generally safe for animal health and productive performance from a nutrition standpoint. However, an increasing number of scientific reports from diverse sources and countries frequently conclude that exposure for an extended amount of time to higher doses of glyphosate, its metabolites, and adjuvants may affect gut health, performance, reproductive poultry physiology, embryo development, and even behavior and metabolism of the broiler progeny.
Glyphosate-based herbicides contain between 356 and 540 g acid equivalent/liter of glyphosate and various adjuvants and surfactants. The adjuvants are considered confidential, are not reported, and this creates difficulties to determine which adjuvants or combinations cause the toxicity effects observed. The chemical mixtures in these formulations may exhibit more toxicity than the glyphosate alone Then, studies that evaluate toxicity of only glyphosate do not reflect the environmental exposure and toxicity of the GBH.
Nowadays, there is great variability in the commercial formulations of GBH since there are at least 91 producers with 53 of them located in China. The number of products has increased due to the expiration of patent protection.
Feedstuff commodities commonly used in poultry feeds have been tested for glyphosate residues and its notable metabolite aminomethylphosphonic acid (AMPA) with highly sensitive methods. The Food and Drug Administration of the USA reported a range from 0.1 to 50 mg/kg as limit of detection (LOD) and the default limit of quantification (LOQ) is 0.01 mg/kg.


Glyphosate residues have been found in the European Union by the European Food Safety Authority (EFSA) in 16% of soybeans, 19% of barley, and 13% of the wheat, but never to exceed the established tolerances for the European Union (corn 0.1 ppm, soybean, 20 ppm). In the USA, FDA has reported that residues are present in 63% of the corn and 67% the soybean samples. The USA tolerance levels are 5 ppm for corn, 20 ppm for soybean seeds, and can be as high as 400 ppm for animal feed.




However, poultry may get in contact with glyphosate, its metabolites, and adjuvants, not only via feed, but also water and air. The GBH is known to cumulatively contaminate soils and water reservoirs. Spraying GBH near poultry houses can also increase the exposure of domestic birds to these toxic products.


Figure 2. (a) Total amount of glyphosate (in kg) used annually in agriculture production in the USA from 1974-2014. (b) Amount of glyphosate used per hectare for soybean and maize planted in the USA from 1996-2014. Triangles (▲) correspond to soybean while circles (•) correspond to maize. Data for both (a) and (b) are from the USDA’s National Agricultural Statistics Service, the Environmental Protection Agency, and the US Geological Survey, as tabulated in the supplemental files of Benbrook 2016. [Benbrook, C.M. Trends in glyphosate herbicide use in the United States and globally. Environmental Sciences Europe. 28, 1-15 (2016)].


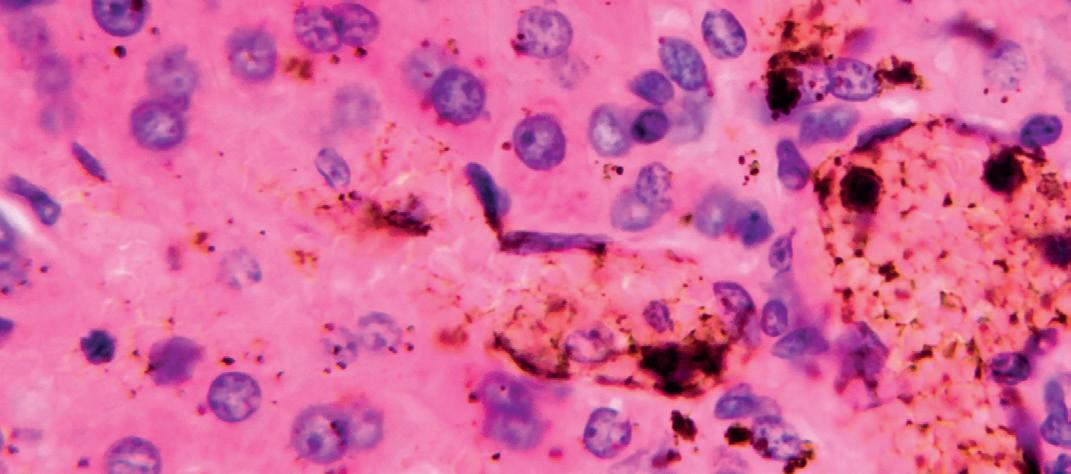
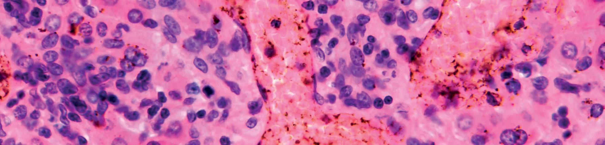
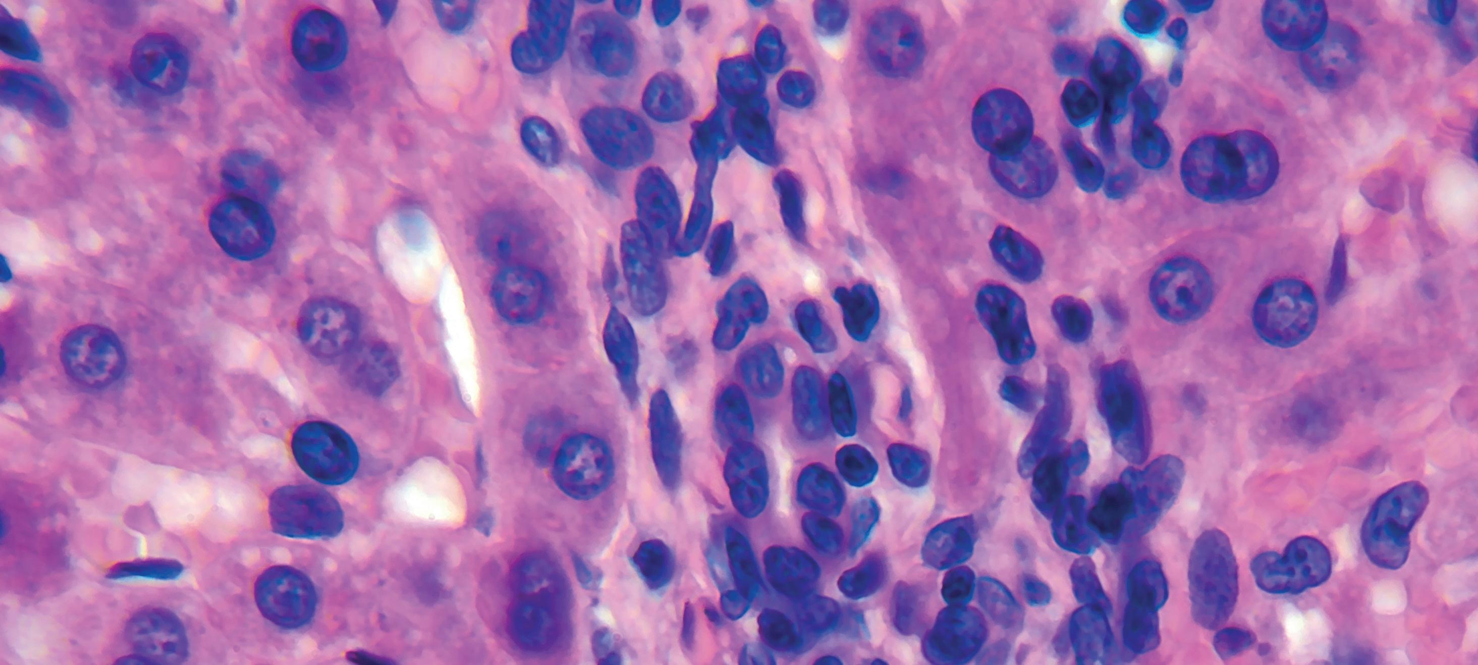
The chronic exposure to the synergistic toxic effects of commercial GBH can affect gut mucosa and microbiota balance, reduce nutrient absorption, and impair immune function and reproduction.
The ingestion of GBH and its metabolites affect the expression of proteins linked to the tight junctions between intestinal cells, what can have a negative effect on gut health because it could increase leaky intestines and induce inflammation. Glyphosate can affect the intestinal villi reducing absorption of minerals, vitamins, and some proteins.
The GBH can enhance resistance of bacterial pathogenic strains (i.e., Eggerthella spp., Prevotella, Actinomycetota, Clostridium perfringens, Salmonella spp, Escherichia, and Shigella) and reduce beneficial gut bacteria (i.e., Ruminococcaceae spp., Bifidobacterium spp., Lactobacillus spp., and Bifidobacteriales).
Glyphosate can affect cellular physiology, and gene expression leading to hepatic, pancreatic, kidney, and haematological deleterious changes. Glyphosate can chelate zinc, iron, magnesium, and calcium. These chelating properties are involved in the uncoupling effects on the mitochondrial electro transport chain at the cellular level. Chickens exposed to glyphosate have altered lipid metabolism, causing oxidative stress, and liver fat deposition.


Recently, Yildrim et al. (2024), from Russia and the UK, concluded that exposure to glyphosate in feedstuffs even at the legally permitted levels (0.5 and 1 MRL), could affect the physiology and performance of broilers with small reductions in body weight gain, and higher mortality rate.
Fast methods to detect GBH residues and its metabolites in feedstuffs and in animal blood are under development. However, it is important to assume that the entire poultry industry is already facing contamination with these toxics.

The long-time exposure of GBH has also been related to endocrine disruption, testes and epididymis defects. Chronic exposure to GBH affected rooster testes, decreasing testosterone, sperm motility, and concentration.
One group from University of Georgia in the USA (Jarrell et al., 2021) fed roosters with diets containing 0, 1.25, 2.50 mL of a GBH per kilogram of feed from 27 to 45 weeks of age. The levels of GBH tested were within the legally allowed levels. However, they observed that gross histopathology of the rooster testis and sperm mobility were negatively affected.

French scientists from INRAE led by Serra et al. (2021) reported that GBH reduced sperm motility in roosters exposed for only five weeks to 46.8 mg/ kg of glyphosate. The roosters exposed to GBH had decreased calcium and ATP concentrations in spermatozoa and increased plasma testosterone and oestradiol concentrations. These negative effects ceased after 14 days of removal of the toxic. The treatments in the roosters induced metabolic disorders in the broiler progeny that included higher feed intake, body weight gain, and subcutaneous adipose tissue.

Similar impact in the broiler progeny metabolism was reported by this group (Estienne et al., 2023) when broiler breeder hens were exposed to the same concentration of GBH for only six weeks, confirming the transgenerational effects of GBH. Their analysis indicated an induction of fatty acid synthesis, and a lipidomic analysis on chicks abdominal adipose tissue revealed a global increase in monounsaturated fatty acid and a global decrease in polyunsaturated fatty acids.

In hens, the GBH chronic exposure does not affect body weight, laying rate, or fertility, but reduces hatchability since it decreases yolk volume and increase albumen volume, increases early embryo mortality after three days of incubation, and reduced skeletal development (Figure 3). But, this effect is reversible after two weeks without contact with the GBH. Several GBH products have shown teratogenic and embryotoxic properties. Glyphostate can affect brain lipids, and cause skeletal malformations, and delayed plumage development














The potential toxic impact of GBH is very broad in the poultry industry worldwide since almost all feedstuffs may contain residues. Consequently, several groups have tested diverse feed additives to minimize its impact. Among the products evaluated with positive effects we have space to discuss here humic acids, vitamin E, trehalose, Hawthorn-leaf flavonoid, and melatonin.

Humic acids (HA) are a class of organic acids derived from humic substances used as soil additives to act as biostimulants. It is hypothesized that HA absorbs glyphosate at a rate of 4.5 mg glyphosate/gram of HA. In recent tests, HA added at 0.2% reduced glyphosate in the intestine, lung, spleen, and liver of roosters exposed to GBH. The HA also improved reproductive performance of roosters exposed to GBH.
The antioxidant function of vitamin E (1 mg/L) was evaluated by Freville et al. (2024) on chicken primary granulosa cells from follicles to alleviate the endocrine disruptor effects of GBH. These researchers concluded that vitamin E can mitigate the negative impacts of oxidative stress, and progesterone secretion. It is still necessary to confirm effects in vivo
Trehalose is a naturally non-reducing disaccharide produced industrially using enzymatic methods from starch or maltose. Trehalose protects roosters from the glyphosate induced testicular (Chen et al., 2022) and kidney damage (Liu et al., 2025) by suppressing oxidative stress.
A Chinese group from China Agricultural University (Dai et al., 2024) reported that the Hawthorn leaf flavonoid alleviated intestinal adverse effects of glyphosate and modulates microbial community alterations.
Melatonin, which is an endogenous hormone has been evaluated as therapeutic agent to antagonize reproductive toxicity induced by GBH. The results published by Ren et al. (2024) and Zhang et al. (2024) indicated positive effects to reduce the oxidative stress, recovering from the hepatotoxicity and inhibition of testosterone caused by GBH.


Figure 3. Computerized tomography and Magnetic Resonance Imaging analysis of incubated eggs at ED15. Representative picture of A) analyzed incubated eggs at ED15 by CT-Scan; B) Ratio between the total egg volume and the air chamber volume, C) the albumen volume and D) the vitellus, respectively (n = 10 eggs per group). E) Volume of the embryo body, F) Volume of the eyes of the embryo, G) the vitelline vesicle, H) albumen, I) allantoic, and J) amnios determined by analysis of MRI images at ED15 (n = 4 per group). Source: Estienne et al. (2022).





The toxicity of GBH is of great environmental concern worldwide for animals and humans. Animal nutritionists should pay attention to this topic and monitor its concentration in feedstuffs and feed. But, among domestic animals, poultry species can suffer a bigger impact of GBH since corn and soybeans are the main feed ingredients that are traded globally.
Most feedstuffs used in poultry are already glyphosate tolerant and residues of GBH may be always present. More mitigation technologies need to be developed and soon implemented. Future developments on this topic will be addressed in other articles of NutriNews International.

Impacts of glyphosate-based herbicides on poultry health, production, and reproduction: an additional aspect to monitor in feedstuffs DOWNLOAD ON PDF

Rahul Avi and Cinta Sol Nuproxa Switzerland Ltd, Etoy, Switzerland
Optimal gut health is key to achieving growth and efficient feed utilization in poultry. However, coccidiosis continues to be a major challenge, disrupting the intestinal lining and limiting nutrient uptake. A synergistic polyherbal solution was tested as a natural approach to reinforce gut resilience under coccidial pressure. This strategy promoted stronger intestinal integrity during Eimeria challenge, minimized lesion development , and helped preserve performance results.



Maintaining gut health is a key focus in modern poultry production, especially as birds are exposed to various stressors that compromise intestinal integrity. Among the most impactful of these is coccidiosis, a protozoan infection that targets the intestinal epithelium and disrupts normal digestion and absorption leading to reduced performance, poor feed conversion, and a higher risk of secondary bacterial infection.


While hygiene, litter management , and ventilation helps reduce pathogen load, they do not fully prevent exposure to Eimeria oocysts. Anticoccidial additives added in feed are widely used and usually effective. However, over time, many coccidia strains have developed resistance. Vaccines, both attenuated and non-attenuated, are another method used to build immunity.
They often require precise application and may cause mild infections in birds to trigger protection . Some vaccinated birds can show reduced performance early on, especially under stress. There are also cost and practicality issues with vaccination, particularly in large or outdoor systems. Management strategies like dry bedding, clean litter, and proper ventilation reduce parasite load but require strict control and still can't eliminate oocyst exposure.

To reduce the risk of such problems, producers increasingly turn to natural strategies that help maintain the balance of the intestinal microbiome and support immune defense.
These include plant-based feed additives such as essential oils, oleoresins, organic acids, and plant extracts, many of which are already widely used in the feed industries. The goal of this approach is not only to eliminate parasites directly but also strengthen the animal’s natural defenses and improve overall gut health.
In this context, NuxaSan 500®, a polyherbal formulation containing bioactive compounds like saponins, tannins, and flavonoids, offers a promising approach. These phytochemicals are recognized for their ability to modulate immune responses, reduce oxidative stress, help maintain the structural integrity of the intestinal barrier and overall bird performance. The next section will describe the in vitro and in vivo studies of this polyherbal mixture (PHM) and its efficacy.
An in vitro study was carried out at Poulpharm, Belgium, to evaluate the effect of the product on the viability of Eimeria sporozoites. The study focused on two species, E. tenella and E. maxima, which most important because of their high level of virulence and their widespread presence. Four treatment groups were used: a negative control (PBS), a solvent control (DMSO), salinomycin at 12 mg/kg, and polyherbal mixture (PHM; NuxaSan 500®) at 500 mg/ kg. Sporozoite viability was assessed at 24, 48, and 72 hours post-inoculation. The results showed that, in E. tenella, the PHM reduced sporozoites by about 54% at 24 hours, 97% at 48 hours, and 100% at 72 hours.
These reductions were very similar to salinomycin . However, in E. maxima, the polyherbal product completely eliminated sporozoites within 24 hours. At the same timepoint, salinomycin reduced E. maxima sporozoites by only 34%. The results of the sporozoite reduction percentages for both species are shown in Figure 1.


Figure 1: Effect of treatments on Eimeria sporozoite reduction at different time points, mean ± SEM, P < 0.001)
This feeding trial was conducted under controlled conditions at the University of Georgia, USA.
A total of 288-day-old male broiler chicks (Cobb 500) were used for the study. Birds were randomly assigned to three groups: non-challenged control (NC), challenged control (CC), and challenged with polyherbal solution. Each group had eight replicate cages with twelve birds per cage. The treatments were as follows: NC received a basal diet with no Eimeria challenge, CC received a basal diet and Eimeria challenge, and PHM received a basal diet supplemented with 500 mg/kg of PHM and Eimeria challenge. All birds were fed ad libitum, and diets met the Cobb 500 nutritional guidelines.
On day 14, birds in the CC and PHM groups were orally inoculated with a mixed Eimeria spp. including E. acervulina (62,500 oocysts), E. maxima (12,500 oocysts), and E. tenella (12,500 oocysts). Birds in the NC group received only phosphate-buffered saline. From day 6 to day 9 post-infection, fecal samples were collected to count oocyst shedding. On day 5 post-infection, blood was collected two hours after FITC-d oral dosing to assess gut permeability.
On day 6 post-infection, two birds per cage were euthanized for lesion scoring of the duodenum, jejunum, and ceca. Lesion scoring followed a standard 0 to 4 scale. Additional tissue samples were collected from the jejunum for histological analysis, antioxidant enzyme assays, and gene expression studies, including tight junction and pro-inflammatory cytokine markers.

The broiler weights and feed conversion ratio are shown in Figure 2. Eimeria challenge reduced body weight and feed conversion in the infected control group. Birds receiving the PHM showed better growth during and after the challenge. At 20 and 28 days, body weight in the polyherbal group was significantly higher than in the challenged group. At day 20, body weight in
the PHM group was 10.1% higher than CC; at day 28, the increase was 13.97%. Feed intake and feed conversion ratio were also improved with polyherbal supplementation FCR decreased by 7.79% (day 14–20), 6.79% (day 20–28), and 4.14% (day 0–28) in PHM compared to CC. The values were nearly close to those of the non-challenged control.
Body Weight (g)


Figure 2: Effects of supplementation of polyherbal feed additive on BW and FCR in broilers chickens challenged with Eimeria spp.
At 6 days post-infection, broilers in the challenged control group showed severe lesions in the duodenum, jejunum, and ceca (Figure 3). Birds supplemented with PHM had significantly

fewer severe lesions in the duodenum and ceca. Besides, visual inspection showed less swelling, blood clots, and mucus in PHM-treated birds compared to untreated challenged birds.

Figure 3: Effect of polyherbal supplementation on lesion scores in the duodenum, jejunum, and ceca of broilers at 6 DPI under Eimeria challenge


Figure 4: Effect of polyherbal supplementation on relative jejunal expression of pro-inflammatory cytokines IL-1 β and TNF- α in broilers under Eimeria challenge.
The polyherbal product also helped modulate gut inflammation in broilers under Eimeria challenge. Birds in the PHM group showed lower expression of IL-1 β and TNF- α , which are key proinflammatory markers (Figure 4). These values were closer to the non-challenged control group. At the same time, antioxidant status was supported through a numerical increase in GPX activity (Figure 5).
function . Histological assessment also revealed better villus height and crypt structure in treated birds, indicating healthier gut morphology. Furthermore, the expression of tight junction proteins in the jejunum was positively influenced by PHM, suggesting strengthened intestinal integrity at the molecular level. These combined findings highlight the ability of PHM to support gut structure and function under protozoal stress.
As the poultry industry continues to transition toward more sustainable and natural health solutions, phytogenic additives could play a larger role in feed strategies.

Figure 5. Effects of polyherbal supplementation on GPX antioxidant enzyme levels in the jejunum of Eimeria-challenged broiler chickens.
In addition to improved performance, antioxidant defense, and reduced inflammation, NuxaSan 500® supplementation showed other key benefits for intestinal health in broilers challenged with Eimeria. Oocyst shedding was markedly decreased between 6 to 9 days postinfection. Birds receiving the PHM showed improved gut permeability, as reflected by lower serum FITC-d concentrations, suggesting enhanced intestinal barrier
These combined findings from both in vitro and in vivo trials showed beneficial effects on gut health under Eimeria challenge. They provide evidence that NuxaSan 500® not only helps recovery during infection but also helps maintain intestinal integrity and overall zootechnical performance. Most importantly, these effects were observed without relying on conventional synthetic anticoccidials.
References can be provided if requested


Édina de Fátima Aguiar PhD in Animal Science and Advisor at the MIRA Initiative

There is a growing consumer demand for products with differentiated characteristics that preserve animal welfare.
In this context, we are seeing an increase in alternative production systems for broiler chickens, such as free-range broiler systems.

This type of system influences the differentiated conditions of the final product, including organoleptic and physicochemical characteristics, such as texture, coloration, and flavor.
In addition, birds raised in free-range systems have access to the outdoor environment, with the presence of forage and natural light, allowing them to express their natural behaviors.
Free-range broilers have the opportunity to be raised in an environment closer to their natural habitat, which promotes muscle development, reduces fat deposition, and keeps birds more active. As a result, they tend to show fewer leg problems and a greater ability to cope with stress.

The production of broiler chickens in free-range systems is also based on a strong concern for animal welfare, as this production model is closely linked to the maintenance of animal health.
Many studies indicate that animals exposed to discomfort, deprivation, and stress become more susceptible to disease, compromising not only their overall welfare but also increasing production costs.
The free-range poultry production sector is surrounded by a series of myths that need to be clarified, as the birds’ perceived rusticity often leads to the mistaken belief that they do not require proper care during the production period.
The nutrition of these birds, for example, is of critical importance, as their nutritional requirements vary according to sex, genetic line, feed intake, and nutrient availability in the diet.
Therefore, it is essential that these broilers have access to a balanced diet capable of meeting their structural and productive requirements, while also supporting nutrient absorption. This allows birds to have their welfare needs fulfilled and to fully express their productive potential.

It is important to consider that birds raised in free-range production systems have distinct characteristics and exhibit different growth curves and growth rates compared with conventional strains. As a result, they show slower growth, meaning that their nutritional requirements may differ from those of conventional broiler chickens.
As a result, feed represents approximately 70% of production costs as these birds may consume up to 30% more feed due to their access to the outdoor environment.
Therefore, in order to minimize high feeding costs while continuing to provide a high-quality diet, prudent use of alternative feed ingredients becomes a viable strategy.
A diet for poultry that is based solely on alternative feed ingredients, without proper formulation to meet their energy requirements, can lead to health problems and reduce bird performance.
On the other hand, it is also possible to use agricultural residues, such as the aerial parts of cassava plants (leaves), which are normally left in the field, and convert them into animal protein.
It is necessary to consider that, for poultry feeding, plants must have high nutritional value, low fiber content, and high digestibility.
Even when fed high-quality plants, free-range broilers, due to their nutritional requirements, still require dietary supplementation with a

The main ingredients used in poultry feed formulation are corn and soybean meal. However, several products can partially replace these two ingredients, such as sorghum, millet, cassava meal, sweet potato meal, among others.
It is important to emphasize that this substitution must be carried out with caution, so as not to alter the energy and protein levels of the diets, thereby avoiding significant reductions in bird health and production performance.
Another important point is the access of free-range birds to paddocks, which can complement the diet with tender plant portions that are rich in nutrients and highly nutritious. This may also include fruits such as mango, acerola, cashew, among others, as well as crop residues and harvested plant materials.

The nutritional value varies among different plants and is dependent on soil fertility. Within the same plant, fiber content depends on the plant part considered (leaves, stems, and fruits) as well as on the plant’s maturity stage.
Indeed, given the wide diversity of items that can be offered to free-range birds, it is possible to support animal welfare and the expression of natural behaviors, while also saving balanced feed and reducing production costs.
The production of free-range broiler chickens is a productive activity that has shown high growth rates, largely due to the production system, which enhances bird welfare by providing an environment that ensures comfort and stimulates the expression of natural behaviors.

José Luis Repetto and Cecilia Cajarville
Sintesisnutricion SL consultants, Badalona
High-production dairy farms are increasingly seeking ways to combine maximum milk yield with sustainability. Global per capita consumption of fresh dairy products is expected to increase by 1% annually over the next decade due to rising per capita income in large countries such as India, China, and Pakistan (OECD, 2023).
Although in the EU demand is expected to decline slightly because of low demographic growth and shifts toward sustainable production systems (OECD-FAO Agricultural Outlook 2023-2032), survey data from the UK, France, Spain, Germany, Poland, and Sweden indicate that young adults (18–35 years) are consuming more dairy than three years ago, prioritizing consumer health and environmental sustainability.


In North America, millennials give 20% more importance to environmental care than older generations, the “baby boomers” (Adams et al., 2023).
Today, a significant portion of Western consumers are willing to pay for products that, in addition to offering traditional quality attributes (taste, healthy components, and presentation), also demonstrate care for the environment, animal welfare, and other socially sustainable features.
This trend is expected to continue rising, leading companies to focus on addressing these issues, for example, through environmentally friendly packaging. While this is positive, it is absolutely insufficient if we truly want to contribute to sustainability.
Table 1. Comparison of how incorporating pastures into dairy cow diets positively modifies the nutraceutical value of milk for human consumption, primarily through the increase in CLA and the omega-3/ omega-6 ratio. It is noteworthy that even with inclusion levels as low as 16%, positive results are clear (Data from Uruguay).

We must take care in the way we produce milk from its origin, keeping in mind that a primary aspect of sustainability to consider is that of the farmer themselves. Within this framework, we need to rethink our systems, particularly the feeding of dairy cows.

Including fresh pastures in the diet of dairy cows could help meet the new demands of consumers.
From the start, grazing on pastures is aligned with the nature of ruminants and provides one of the most valuable foods— milk—produced from inputs that are not consumable by humans.
According to recent data (Terrer et al., 2021), the role of pastures in carbon sequestration could be greater than that of trees. When properly managed, pastures could increase soil carbon retention by 8%.
It is therefore not surprising that societal perception of pasture-based production is increasingly positive (Joubran et al., 2021).
Van den Pol-van Dasselaar et al. (2020) based on over 6,000 interviews in Europe, report that scientists and consumers who value pasture-based dairy production exceed 50%, but only 30% of farmers share this view.
The result is logical when considering that it is the farmers who face the limitations of pasture, related to land and soil availability, system management, and the challenge of achieving high individual milk yields.

For this reason, these authors believe that pasture-based dairy farming in Europe will have a future only if it is economically compensated, and that there is a lack of scientific information on how to include pasture in high-production systems.
This presentation aims to provide research data on feed management, the impact on final products, and the effect of pasture inclusion in dairy cow diets on methane production.



Figure 1. Comparison of consumption, production, and methane emissions based on dry matter intake and milk yield of cows fed with 40% fresh pasture versus those fed only TMR. As shown, the inclusion of pasture does not change methane emissions per unit of milk produced compared to cows consuming only TMR.


Care that comes full circle
MORE INTAKE
MORE DIGESTION
MORE PERFORMANCE


The combination of pastures with TMR diets (known as partially mixed rations, PMR) would provide the recognized advantages of TMR along with those of grazing, while reducing the limitations of each system..

Restricted inclusion of pastures positively influences costs (Soriano et al., 2001; Tozer et al., 2003) and improves the fatty acid profile of milk for human consumption, thanks to increased omega-3 and CLA proportions, among others (Chilliard et al., 2007; Mendoza et al., 2016b; Pastorini et al., 2019).
Although in these systems it is difficult to exceed 30% pasture while maintaining high individual milk production (Wales et al., 2013; Pastorini et al., 2019; Wright et al., 2020), studies report positive modifications in the milk fatty acid profile even with low pasture levels (16%, Mendoza et al. (2016)
Additionally, this improved profile is transferred to processed products, particularly butter and cheese (Cassarotto et al., 2023), also providing distinctive sensory characteristics that increase added value (Carpino et al., 2004; Maniaci et al., 2023).

The management of mixed feeding systems has its particularities, and science has not yet clarified the main drivers to optimize their efficiency.

Some authors have observed decreases in intake and production with very low pasture inclusion levels (below 20%), while others report high intake and production with inclusions close to 40% (Morales-Almaraz et al., 2010; Mendoza et al., 2016a,b; Mendoza et al., 2018).
In addition to the lactation stage, factors such as pasture quality, height, density, dry matter content, grazing duration, and the time of day it is consumed may explain these differences (Pastorini et al., 2019; Pozo et al., 2022; Santana et al., 2023).



It should be noted that, according to classical literature, forage-based diets emit more methane than highconcentrate diets. The fermentation of fiber in forage produces more acetate, generating hydrogen ions that the rumen system neutralizes by forming methane.
However, this view, true but very simplistic, must be nuanced according to the system and management. In Uruguay, Dini et al. (2018), comparing methane emitted by cattle consuming high- or medium-quality pastures, observed reductions in methane comparable to supplementation with concentrates by improving pasture quality.
Recently, Fernández-Turren et al., (2024) reported that dairy cows in mixed systems with 40% grazing alfalfa emit the same amount of methane as confined cows consuming TMR.
Other factors, such as animal genetics and biotype, also influence methane emissions as much as or more than diet (Dini et al., 2019; Silva, 2020). Due to space constraints, we will not address the role of rumen additives in reducing emissions, a topic that would warrant a presentation on its own.
In general, we can state with confidence that management practices aimed at improving ruminant productivity, and especially at reducing inefficiencies, are the greatest contributors to emission reductions. Importantly, these management practices are not incompatible with the inclusion of pastures in diets.




The dairy market is evolving with a focus on sustainability and product quality, especially in Europe and North America.
High-quality fresh forages, in addition to reducing costs, improve the fat composition of milk.
In intensive systems, their use has changed: they are now a dietary complement rather than the base, strategically managed in combination with other feeds.
Optimizing ruminant productivity and reducing inefficiencies is key to lowering methane emissions.
High-quality forages do not increase emissions compared to fully mixed diets (TMR) and contribute to carbon sequestration in the soil.
In this context, nutritionists play an essential role in balancing sustainability and economic performance on dairy farms.







