Medical Market - Urologie 2024

Page 1

Acad. Dr. Ioanel Sinescu

Președinte ARU

Conf. Univ.

Dr. Daniel Rădăvoi

Președinte ROMURO 2024

Urologie

Prof. Univ.

Dr. Bogdan Geavlete

UMF „Carol Davila“, Spitalul Clinic de Urgenţă „Sfântul Ioan“

Șef Lucr. Dr. Cosmin Ene,

UMF „Carol Davila“, Spitalul Clinic de Urgenţă „Sfântul Ioan“

Prof. Univ.

Dr. Petrișor Geavlete

UMF „Carol Davila“, Spitalul Clinic de Urgenţă „Sfântul Ioan“

Prof. Univ.

Dr. Radu Vlădăreanu

UMF ”Carol Davila”

Dr. Konstantinos Vakalidis

Medic chirurg urolog, androlog, Spitalul „Sfântul Luca“ Salonic

Revista profesioniștilor din Sănătate • 2024 - 2025 • Publicație creditată B+ conform
Citește mai mult

Your Patient. Your Choice. KARL

STORZ Flexible Uretero-Renoscopes

Because every patient, and every case, is unique

There is nothing routine in the field of flexible ureteroscopy as you treat a more complex mix of patients with Urolithiasis and Upper Tract Urothelial Carcinoma (UTUC). KARL STORZ ultimate goal is to support you to focus on what matters most: Your Patient. We put the value of choice back into your hands with our comprehensive portfolio of reusable and single use ureteroscopes to customize your scope to your needs. It‘s Your Choice

The Value of Choice - KARL STORZ flexible Uretero-Renoscopes

Accessibility

Image Quality

• Navigating tight anatomies

• Treating hard-to-reach stones

• High image resolution due to double amount of fibers*

• S-Technologies visualization modes accentuate the image

• 2.6x higher image resolution*

• Clear image at high zoom levels*

Ready When You Are

• Maximized flexibility with the single-use Video Uretero-Renoscope

• High image quality**

• Integration into the IMAGE1 S™ camera system and further imaging technologies

www.karlstorz.com
*In comparison to previous model **In comparison to fiber optic mode
KARL STORZ Endoscopia România srl, str. Prof. Dr. Anton Colorian nr. 74, sector 4, București

„România a făcut progrese semnificative în ultimii ani în ceea ce privește adoptarea tehnologiilor moderne în urologie“

Interviu realizat cu Conf. Univ. Dr. Daniel Rădăvoi

Tratamentul ureteroscopic pentru litiaza pielocaliceală cu dimensiuni între 20-40 mm

Dr. Cozma Cosmin, Dr. Georgescu Dragoș, Dr. Mulțescu Răzvan, Dr. Geavlete Bogdan

Tratamentul litiazei renale cu ureteroscopul de unică utilizare

Dr. Bragaru Marius, Dr. Mulțescu Răzvan, Dr. Ene Cosmin, Dr. Geavlete Petrișor, Dr. Geavlete Bogdan

Retenția acută de urină

As. Univ. Dr. Claudia-Felicia Pop, Dr. Emiliana Costiug, Dr. Crenguța Lanbă

Ecografia transperineală – instrument în evaluarea rezultatelor chirurgiei incontinenței urinare

Șef Lucrări Dr. Mihaela Boț, Prof. Universitar Dr. Radu Vlădăreanu

Micro-TESE (extracția microchirurgicală a spermatozoizilor din testicul sub microscop)

Dr. Konstantinos Vakalidis

Un interviu cu mine însumi Dr. Bogdan Fetica

4 www.revistamedicalmarket.ro Urologie Sumar
6
8
12
26
30
38
42 Copierea
acordul
al editurii a oricăror elemente de grafică sau conținut editorial apărute
revistele editurii
considerate
de proprietate intelectuală și intră sub incidența legii. Trimite email pe adresa redactie@finwatch.ro, solicită un abonament la revista Medical Market și primești 10 puncte EMC. Șef Lucr.Dr. Mihaela Boț Medic primar Obstetrică-ginecologie As. Univ. Dr. Claudia-Felicia Pop Medic primar Medicină de familie Dr. Bogdan Fetica Medic primar anatomo-patolog Dr. Cozma Cosmin UMF Carol Davila, Bucuresti, Spitalul Clinic de Urgență „Sfântul Ioan”, București Dr. Crenguța Lanbă Medic primar Medicină de familie, Loc. Pantelimon, Jud. Ilfov, Afiliere - AREPMF Dr. Emiliana Costiug Medic primar Medicină de familie, Cluj , Medic formator, Afiliere - AREPMF Consultant medical: Dr. Aurora Bulbuc, medic primar Medicină de familie Editor Calea Rahovei, nr. 266-268, Sector 5, București, Electromagnetica Business Park, Corp 01, et. 1, cam. 4 Tel: 021.321.61.23 e-mail: redactie@finwatch.ro ISSN 2286 - 3443
fără
scris
în
sunt
furt
„România

a făcut progrese semnificative în ultimii ani în ceea ce privește adoptarea tehnologiilor moderne în urologie“

Interviu realizat cu Președintele Congresului ROMURO 2024, domnul Conf. Univ. Dr. Daniel Rădăvoi, UMF „Carol Davila” București, medic primar urolog la Spitalul „Prof. Dr. Th. Burghele”, București

Stimate domnule conferențiar, sunteți președintele Congresului ROMURO 2024, care a ajuns la impresionanta ediție cu numărul XL. Cum aați caracteriza reușita privind continuitatea evenimentului de-a lungul a 40 de ani?

Ediția a XL-a a Congresului ROMURO reprezintă un moment de referință pentru comunitatea noastră medicală. Continuitatea acestui eveniment de-a lungul a 40 de ani este dovada dedicării și angajamentului tuturor specialiștilor în urologie din România. Este o mare realizare, care reflectă nu doar progresul în domeniul nostru, dar și colaborarea și unitatea din cadrul comunității medicale. Fiecare ediție a adus noutăți, inovații și schimburi valoroase de experiență care au contribuit la îmbunătățirea constantă a practicii noastre.

practice extensive, menite să ofere participanților ocazia de a se familiariza cu tehnologiile de ultimă generație.

Se cunoaște faptul că urologia este considerată una din cele mai tehnologizate discipline medicale datorită abordării sale endoscopice și laparoscopice din ultimii ani. Unde se situează țara noastră din acest punct de vedere?

Reprezintă acesta un factor de decizie în alegerea specializării?

Da, fără îndoială, tehnologizarea are un impact semnificativ asupra interesului viitorilor medici pentru urologie. Tehnologiile moderne nu doar că fac această specialitate mai atractivă, dar și îmbunătățesc considerabil calitatea actului medical și rezultatele pentru pacienți. Mulți tineri medici sunt atrași de posibilitatea de a lucra cu echipamente de ultimă generație și de a fi la vârful inovației medicale. Aceste aspecte reprezintă un factor important în decizia lor de a alege urologia ca specialitate.

Vă propunem să transmiteți un mesaj colegilor dumneavoastră, care vor participa la lucrările ROMURO din acest an.

Care sunt principalele teme ce vor fi abordate în cadrul lucrărilor congresului? Există noutăți față de edițiile ultimilor ani?

Principalele teme ale congresului din acest an includ avansurile în chirurgia robotică și laparoscopică, noi metode de diagnosticare și tratament în neoplaziile urologice, precum și progresele în managementul afecțiunilor prostatei și ale tractului urinar. În plus, vom avea sesiuni dedicate inovațiilor în terapia minim invazivă și utilizarea inteligenței artificiale în urologie. Față de edițiile anterioare, anul acesta am adăugat și workshop-uri

România a făcut progrese semnificative în ultimii ani în ceea ce privește adoptarea tehnologiilor moderne în urologie. Suntem într-o poziție favorabilă, cu multe centre medicale din țară care au adoptat și implementat cu succes tehnici avansate de chirurgie laparoscopică și robotică. Cu toate acestea, mai sunt pași de făcut pentru a asigura accesul uniform la aceste tehnologii în toate regiunile țării și pentru a continua formarea și pregătirea continuă a specialiștilor noștri.

Are această tehnologizare impact asupra interesului viitorilor medici pentru specialitatea urologie?

Dragi colegi, Este o onoare și o plăcere să vă urez bun venit la ediția a XL-a a Congresului ROMURO. Fiecare dintre voi contribuie la succesul acestui eveniment și la dezvoltarea continuă a urologiei în România. Vă încurajez să participați activ la toate sesiunile și workshop-urile, să împărtășiți cunoștințele și experiențele voastre și să profitați de oportunitățile de networking. Împreună, putem continua să inovăm și să oferim pacienților noștri cele mai bune soluții de tratament. Vă mulțumesc pentru implicare și vă doresc mult succes în cadrul lucrărilor congresului!

Mulțumim pentru timpul acordat și vă dorim succes în continuare!

6 www.revistamedicalmarket.ro Urologie Interviu

• Procedură minim invazivă, ce stimulează producţia proprie de colagen

Prima opţiune chirurgicală în tratamentul incontinenței urinare de stress (grad ușor până la grad mediu), cu agent de injectare total resorbabil și biocompatibil www.urolon.com

Distribuitor unic in Romania: PHARMA TELNET S.R.L. Str Arefu nr.55, Lot 1/2, Sp Com.2, Sector 5, Bucuresti Tel: 021 2500620; 021 2246585; Mob: 0731 10 22 10; Email: office @pharmatelnet.ro Policaprolactona, Carboximetilceluloza, Glicerina, Ser fiziologic DEMONSTRATII LIVE HANDS-ON Inscrieri gratuite la: Mobil: 0726 14 15 97 urolon@pharmatelnet ro
®

Tratamentul ureteroscopic pentru litiaza pielocaliceală

cu dimensiuni între 20-40 mm

Litiaza renală se întâlnește în proporție de 5-15% la nivelul populației globale, neavând un tipar bine definit, dar cu precădere mai frecvent în rândul populației de sex masculin, procentul fiind într-o tendință de creștere în ultimii 25 ani. Ca un potențial factor de risc pentru apariția insuficienței renale cronice, problema existenței litiazei renale a căpătat amploare în lumea urologică o dată cu dezvoltarea industriilor farmaceutică și tehnologică. Este relativ rară la grupul de vârstă sub 20 de ani și atinge frecvența maximă în grupul de vârstă 40-60 de ani.

Dr. Cozma Cosmin

UMF Carol Davila, Bucuresti, Spitalul Clinic de Urgență „Sfântul Ioan”, București

Dr. Georgescu Dragoș

UMF Carol Davila, Bucuresti, Spitalul Clinic de Urgență „Sfântul Ioan”, București

Dr. Mulțescu Răzvan

Spitalul Clinic de Urgență „Sfântul Ioan”, București

PDr. Geavlete Bogdan

UMF Carol Davila, Bucuresti, Spitalul Clinic de Urgență „Sfântul Ioan”, București

rima menţiune a calculilor ureterali aparţine lui Ambroise Pare în 1564, dar abia după 200 de ani a avut loc cu succes o intervenţie pentru extragerea calculilor ureterali.

Termenul de endourologie, introdus de Smith în 1982, a cuprins tehnicile de abord anterograd și retrograd al căii urinare. Progresele tehnice au făcut ca endourologia să-și găsească, în ultimii ani,

aplicabilitatea în aproape toate tipurile de maladii care afectează aparatul urinar superior.

Datorită acestor progrese au putut fi dezvoltate tehnicile moderne de extragere a calculilor prin ureteroscopie retrogradă sau anterogradă.

Orientarea din Clinica de Urologie a Spitalului Clinic de Urgenţă „Sf. Ioan” s-a dovedit, în acest context internaţional, în concordanţă cu tendinţele moderne, minim invazive. Introducerea începând din anul 1994 a abordului ureteroscopic retrograd în armamentarium-ul diagnostic și terapeutic a modificat radical protocolul investigativ și atitudinea terapeutică în patologia aparatului urinar înalt.

Atunci când discutăm despre masa litiazică mai mare de 2 cm, se consideră că nefrolitotomia percutanată(NLP)

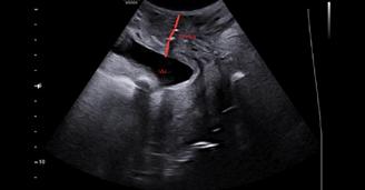
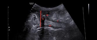
Figură 1: Calcul caliceal inferior voluminos obiectivat ultrasonografic

este alternativa de primă linie, deoarece prezintă rate de succes superioare față de litotriția extracorporeală cu unde de șoc(ESWL) sau ureteroscopia flexibilă(FURS). Însă, în cazul în care NLP este imposibil de efectuat sau contraindicată și, de asemnea, luând în considerare preferința pacientului, calculii mai mari de 2 cm pot fi tratați cu ajutorul abordului ureteroscopic flexibil, deși crește riscul necesității unei intervenții în mai multe etape și, de asemenea, poate crește nescesitatea montării unui stent ureteral post intervenție.

Totodată, pentru pacienții cu malformații scheletale, obezitate morbidă, malformații renale sau diateze hemoragice la care abordul prin NLP sau ESWL este dificil de realizat sau chiar contraindicat, ureteroscopia flexibilă retrogradă este o

8 www.revistamedicalmarket.ro Articole de specialitate Urologie

The world’s first intermittent catheter with an L-shaped handle

Cateter urinar INTERMITENT pentru AUTOSONDAJ vezical

YOUR
A REVOLUTION IN
HANDS
Distribuitor unic in Romania: PHARMA TELNET S.R.L. www.pharmatelnet.ro • www.lofric.com Str. Arefu nr. 55, Lot 1/2, Sp.Com. 2, Sector 5, Bucuresti; Telefon: 021 250 06 20; Mob: 0731 10 22 10; Email: office@pharmatelnet.ro

indicație de elecție. Litiaza intradiverticulară poate fi de asemenea, o indicație pentru ureteroscopia flexibilă.

În ultimii ani avansarea tehnologiei ureteroscoapelor și a metodelor de litotriție din ce în ce mai eficiente, a făcut ca abordul ureteroscopic retrograd să fie foarte utilizat pentru calculii cu dimensiuni între 20 și 40 mm. Prin urmare au apărut numeroase studii ce au comparat abordul ureteroscopic retrograd și nefrolitotomia percutanată pentru tratamentul litiazei pielo-caliceale cu dimensiuni între 20 și 40 mm.

Atunci când discutăm despre rata de succes a abordului ureteroscopic flexibil retrograd al litiazei pielo-caliceale aceasta variază, dupa unii autori de la 62% până la 98%.

Conform unei meta-analize a lui Zhu Zewu și colab., rezultatele sintezei au arătat că NLP a oferit o rată inițială de succes superioară FURS în gestionarea calculilor renali de 2-3 cm, în concordanță cu majoritatea studiilor din literatură[1]. Pe lângă defectele inerente ale tehnicilor și sistemelor FURS actuale, cum ar fi canalele de lucru înguste și flexibilitatea ureteroscoapelor, fragmentele reziduale sunt mai probabil să reprezinte un grup de fragmente nesemnificative clinic. Aceasta este o explicație pentru FURS într-o etapă cu o rată de succes relativ mai mică. Bryniarski și colab. a descris mai întâi tehnica prin schimbarea poziției pacientului pentru a deplasa fragmentele de la polul

inferior, ceea ce a îmbunătățit rata inițială de succes a FURS. [3] Deoarece praful poate face dificilă vederea câmpului operator și pentru că poate fi dificil să distingem o piatră mică, fracturată în mijlocul prafului, Mulțescu și colab. și Cho și colab. au sugerat că tehnica dusting urmată de fragmentare poate fi de preferat pentru calculii mai mari de 1 cm. [4] Conform lui Kuo și colab., fibrele scurte (200-270 μm) sunt de preferat celor mai mari (365 μm) deoarece permit irigarea fluidă și flexibilitatea fără a reduce eficacitatea fragmentării. [5] Chen și colab. a dezvoltat o tehnică nouă pentru a aspira fragmentele direct folosind teaca de acces ureteral cu aspirație în vid și circulația artificială a apei, făcută posibilă prin infuzarea de soluție salină în capătul distal al cateterului ureteral. Această tehnică a ajutat, de asemenea, la scăderea timpului chirurgical. [6] Ar trebui să putem crește semnificativ rata de stone free după o singură ședință de FURS în viitorul apropiat datorită progreselor în fibrele laser cu transmisie de energie mai mare și combinația dintre flexibilitate îmbunătățită și endoscoape cu diametru mai mic.

Utilizarea laserului Ho:YAG ca metodă de litotriție crează oportunitatea unei rate de succes superioare, demonstrându-și eficiența indiferent de structura chimică a calculului.

De asemenea, profilul de siguranță al procedurii oferit de efectul fototermic permite litotriția calculilor în fragmente

foarte mici care pot fi ușor eliminate ureteral, fără a necesita măsuri adiționale de extragere.

În concluzie, ureteroscopia retrogradă poate fi efectuată pentru calculii cu dimensiuni între 20 și 40 mm. Cu toate acestea, pacienții trebuie informați că ar putea fi necesară mai mult de o procedură pentru a îndepărta întregul volum litiazic. Prin urmare, este recomandabil de a se cântări riscurile și beneficiile în lumina caracteristicilor unice ale fiecărui pacient și de a lua o decizie împreună cu pacientul după ce s-au subliniat avantajele și dezavantajele fiecărei intervenții chirurgicale.

Bibliografie

1. Zewu Z, Cui Y, Feng Z, Yang L, Chen H. Comparison of retrograde flexible ureteroscopy and percutaneous nephrolithotomy in treating intermediate size renal stones (2-3cm): a meta-analysis and systematic review. Int Braz J Urol. 2019 Jan-Feb;45(1):10-22. DOI: 10.1590/S1677-5538.IBJU.2018.0510. PMID: 30620157; PMCID: PMC6442149.

2. McClinton S, Starr K, Thomas R, MacLennan G, Lam T, Hernandez R, Pickard R, Anson K, Clark T, MacLennan S, Thomas D, Smith D, Turney B, McDonald A, Cameron S, Wiseman O. The clinical and cost-effectiveness of surgical interventions for stones in the lower pole of the kidney: the percutaneous nephrolithotomy, flexible ureterorenoscopy and extracorporeal shockwave lithotripsy for lower pole kidney stones randomized controlled trial (PUrE RCT) protocol. Trials. 2020 Jun 4;21(1):479. DOI: 10.1186/ s13063-020-04326-x. PMID: 32498699; PMCID: PMC7273687.

3. Bryniarski P, Paradysz A, Zyczkowski M, Kupilas A, Nowakowski K, Bogacki R. A randomized controlled study to analyze the safety and efficacy of percutaneous nephrolithotripsy and retrograde intrarenal surgery in the management of renal stones more than 2 cm in diameter. J Endourol. 2012;26:52–57.

4. Mulţescu R, Geavlete B, Georgescu D, Geavlete P, Chiuţu L. Holmium laser intrarenal lithotripsy in pyelocaliceal lithiasis treatment: to dust or to extractable fragments? Chirurgia (Bucur). 2014;109:95–98.

5. Kuo RL, Aslan P, Zhong P, Preminger GM. Impact of holmium laser settings and fiber diameter on stone fragmentation and endoscope deflection. J Endourol. 1998;12:523–527.

6. Chen HQ, Chen ZY, Zeng F, Li Y, Yang ZQ, He C, et al. Comparative study of the treatment of 20-30 mm renal stones with miniaturized percutaneous nephrolithotomy and flexible ureterorenoscopy in obese patients. World J Urol. 2018;36:1309–1314.

7. Karakoyunlu N, Goktug G, Şener NC, Zengin K, Nalbant I, Ozturk U, et al. A comparison of standard PCNL and staged retrograde FURS in pelvis stones over 2 cm in diameter: a prospective randomized study. Urolithiasis. 2015;43:283–287.

10 www.revistamedicalmarket.ro Articole de specialitate Urologie
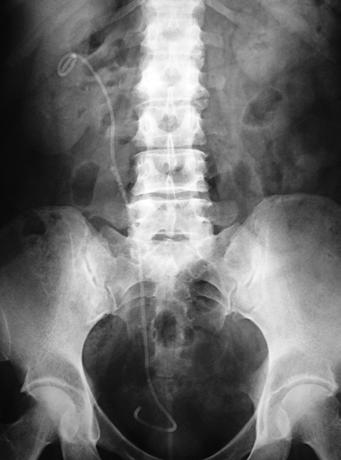
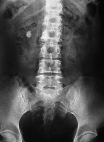
Figură 2: Imagine pe radiografia renovezicală simplă pre- și postoperatorie a inui calcul caliceal inferior tratat prin ureteroscopie flexibilă

Tratamentul litiazei renale cu ureteroscopul de unică utilizare

Ureteroscoapele flexibile au parcurs un drum lung de la prima generație de dispozitive analogice, până la cele mai recente tehnologii digitale, care oferă flexibilitate și fiabilitate sporite. În ultimii ani, fURS au devenit cele mai utilizate metode tratament pentru calculii renali ≤ 2 cm datorită caracteristicilor minim invazive și curbei scurte de învățare. Mai mult, până de curând, ureteroscopia a putut fi efectuată numai folosind ureteroscoape reutilizabile. Un numar mare de intervenții chirurgicale poate produce scăderea performanței ureteroscopului reutilizabil pentru procedurile ulterioare. De asemenea sterilizarea este un factor important de luat în considerare atunci când se utilizează ureteroscoape reutilizabile [1,2]

Dr. Bragaru Marius

UMF Carol Davila, Bucuresti, Spitalul Clinic de Urgență

„Sfântul Ioan”, București

Dr. Mulțescu Răzvan

Spitalul Clinic de Urgență „Sfântul Ioan”, București

Dr. Ene Cosmin

UMF Carol Davila, Bucuresti, Spitalul Clinic de Urgență „Sfântul Ioan”, București

Dr. Geavlete Petrișor

UMF Carol Davila, Bucuresti, Spitalul Clinic de Urgență „Sfântul Ioan”, București

Dr. Geavlete Bogdan

UMF Carol Davila, Bucuresti, Spitalul Clinic de Urgență

„Sfântul Ioan”, București

Ureteroscoapele flexibile de unică folosință au fost dezvoltate ca o alternativă la ureteroscoapele reutilizabile, la care exista problema deteriorarii după multiple utilizari, echipament special pentru sterilizare și costul reparațiilor. Unele ureteroscoape de unică folosintă au caracteristici similare ureteroscopelor flexibile reutilizabile, iar altele au funcții chiar mai avansate. Există deja peste douazeci de modele de su-fURS pe piață, fiecare cu setul său unic de atribute și nivelului de performanță.

Descrierea tehnicii de lucru

Acesul la nivelul tractului urinar superior în majoritatea intervențiilor se efectuează sub anestezie rahidiană sau

generală, deși este posibilă și anestezia locală sau sedarea intravenoasă.

Ureteroscopia retrogradă semirigidă se poate utiliza ca prim pas pentru inițierea ureteroscopiei flexibile. Imbunătățirile tehnice, precum endoscoapele digitale, favorizează și ele utilizarea ureteroscopelor flexibile pe ureter si in zonele greu accesibile ale sistemului pielocaliceal.

Accesul ureteral se face cu prealabila cateterizare a orificiului ureteral cu un fir ghid, se dilată progresiv pe ghid de 0,0350,038 inch folosind dilatatoare de la 8Fr, în cazul în care dilatatorul 8Fr întampină rezistență se recomandă montarea unui stent ureteral și reluarea procedurii la 2-3 săptămani. Ghidul este esențial în menținerea accesibilă a căii urinare și permite curse repetate ale ureteroscopului. În cazurile dificile ghidul se poate monta

12 www.revistamedicalmarket.ro Articole de specialitate Urologie
Figura 1. Teaca acces ureteral

cu ajutorul unor catetere ureterale sau se impune controlul ureteroscopic.

Utilizarea tecii de acces se impune în facilitarea accesului asupra calculilor renali și ureterali proximali. Avantajele utilizarii tecii de acces constau în reducerea traumatismului ureteral prin înlaturarea pasajului ureteral, hipopresiune în tractul urinar superior și reducerea riscului infectios. Teaca determină o presiune ce e menținută sub 30 cm H2O și permite un flux crescut de irigație și o vizibilitate mai bună.

S-a utilizat modelul PUSEN Uscope 3022 care este un ureteroscop digital flexibil de unică folosință cu un design similar cu cel al altor ureteroscoape reutilizabile, cu o lungime de 650 mm, un diametru de 9 F la vârf și un diametru de 9,2 F al arborelui, un canal de lucru de 3,6 F, deflexiune de 275/275 grade și un câmp vizual de 90 de. Are un mâner de plastic ergonomic și o cameră fixă integrată care este conectată folosind un cablu la un monitor propriu cu ecran tactil cu imagine digitală CMOS sau alternativ cuplată, la un ecran din sală de operație prin conexiune DVI. Capacitatea de funcționare este limitată la 4 ore.

Litotriția poate fi efectuată cu laser Dornier Medilas H Solvo 30W. Setările laserului influențează și retropulsia, care ar putea afecta eficacitatea litotripsiei, crește timpul operator și împinge calculi ureterali în pelvisul renal. Pentru modul dusting am folosit energie scăzută (aproximativ 0,5J) și frecvență înaltă (aproximativ 17Hz), pentru modul popcorn am

folosit energie înaltă (>1J) și frecvență medie (aproximativ 10Hz), iar pentru modul fragmentare energie înaltă (>1J) și joasă frecvență (<10Hz). Prin urmare timpul operator, rata de stone-free, severitatea complicatiilor pot fi influentate de multi factori. Procedurile mai lungi sunt asociate cu riscuri mai mari de apariție a sindromului de răspuns inflamator sistemic (SIRS), febră sau sepsis, în special la pacienţii cu calculi infecţioși [3] .

Capacitatea unui ureteroscop flexibil de deflexiune este esențială pentru procedurile intrarenale, deoarece este necesar pentru accesul și explorarea pelvisului renal, calicelor și în abordul diverticulilor. Este deosebit de important atunci când se încearcă tratamentul calculilor de la polul inferior pentru că polul inferior s-a observat că este mai dificil de accesat [4] . Un fenomen întâlnit în mod obișnuit cu ureteroscoapele reutilizabile este pierderea deflexiunii care se poate agrava cu fiecare procedură, în special cu cele dificile (de exemplu, timp lung de acces la polul inferior) [5]

Desigur, atunci când se utilizează ureteroscoape de unică folosință, acestea sunt întotdeauna noi și pot obține performanțe optime din fabrică. Acest lucru se traduce de obicei într-o eficacitate optimă a procedurii. Poate acesta este motivul pentru care intervențiile care au folosit ureteroscoape flexibile de unică folosință au avut o rată de succes mai mare în comparație cu cele efectuate cu cele reutilizabile. [6]

Calculii din calicele inferior reprezintă o provocare pentru abordarea ureteroscopică flexibilă cu endoscoape de unică folosință. În special pentru aceste locații dificile, utilizarea ureteroscopelor flexibile de unică folosință, împreună cu alte îmbunătățiri tehnologice (lasere noi precum Holmium:YAG de mare putere, lasere cu fibre de tulium, fibre mai mici, accesorii noi) a îmbunătățit eficacitatea și siguranța acestei proceduri. [7]

Concluzii

Ureteroscopul digital flexibil de unică folosință reprezinta o alternativa viabila în tratamentul endoscopic flexibil al litiazelor renale, demonstrând siguranța și eficacitate bună.URS de unica folosință este un instrument eficient ce permite tratamentul calculilor voluminosi renali.

Bibliografie:

1. Bagley, D.H. Development of the ureteroscope. In The History of Technologic Advancements in Urology; Springer International Publishing: Cham, Switzerland, 2017; pp. 37–48.

2. Ofstead CL, Heymann OL, Quick MR, Johnson EA, et al. The effectiveness of sterilization for flexible ureteroscopes: A real-world study. Am J Infect Control. 2017; 45(8):888-95; doi: 10.1016/j.ajic.2017.03.016.

3. Zhong W, Leto G, Wang L, Zeng G. Systemic inflammatory response syndrome after flexibleureteroscopic lithotripsy: a study of risk factors. J Endourol. 2015; 29(1):25–8; doi: 10.1089/end.2014.0409.7

4. Deng X, Song L, Xie D, Fan D, et al. A novel flexible ureteroscopy with intelligent control of renal pelvic pressure: an initial experience of 93 cases. JEndourol 2016; 30(10):1067–72; doi: 10.1089/end.2015.0770.

5. Johnston T. J., Baard J , de la Rosette J., Doizi S., Giusti G., Knoll T., Proietti S., Brehmer M., Emiliani E., Pérez-Fentes D, Osther P. J.S. 10, Seitz C., Neal N., Turney B., Hasan M., Traxer O., Wiseman O. A clinical evaluation of the new digital single-use flexible ureteroscope (UscopePU3022): an international prospective multicentered study, Cent European J Urol. 2018; 71(4): 453–461., Published online 2018 Oct 2. doi: 10.5173/ceju.2018.1787

6. Unno R, Hosier G, Hamouche F, Bayne DB, Stoller ML, Chi T. Single-Use Ureteroscopes Are Associated with Decreased Risk of Urinary Tract Infection After Ureteroscopy for Urolithiasis Compared to Reusable Ureteroscopes. J Endourol. 2023 Feb;37(2):133-138. doi: 10.1089/end.2022.0480. Epub 2022 Nov 9. PMID: 36267020; PMCID: PMC10081697

7. Shrestha A, Adhikari B, Panthier F, Baidya S, Gauhar V, Traxer O. Flexible ureteroscopy for lower pole calculus: is it still a challenge? World J Urol. 2023 Nov;41(11):3345-3353. doi: 10.1007/s00345-02304606-6. Epub 2023 Sep 20. Erratum in: World J Urol. 2023 Oct 21;: PMID: 37728745

14 www.revistamedicalmarket.ro Articole de specialitate Urologie
Figura 2. Ureteroscop Pusen

SOLUȚIA COMPLETĂ PENTRU EFICIENȚĂ ÎN

UROLOGIE

CINE SUNTEM NOI

Încă din 1999, pentru a crește calitatea vieții din România, am căutat să ne extindem perspectivele și direcțiile de dezvoltare pentru a răspunde la cât mai multe nevoi din sectorul medical. Prin urmare, am reușit să devenim un lider de piață și un partener de încredere pentru toți clienții noștri, prin oferirea de soluții integrate la cheie, a căror performanță a fost demonstrată în cadrul a mai multor proiecte de amploare și medii spitalicești la nivel național.

Totodată, societatea noastră a implementat și menține cu succes sistemele de management al calității în domeniul dispozitivelor medicale și al mediului, o activitate garantată și acreditată prin standardele ISO 9001, ISO 13485 și ISO 14001.

CELE 3 DOMENII DE ACTIVITATE

Proiectarea și implementarea de camere curate

Distribuția și integrarea de echipamente medicale de înaltă performanță

Proiectarea, execuția și instalarea sistemelor de gaze și fluide medicale

MEDIFA 6000 - CONFIGURAȚIE UROLOGIE

Masă de operație cu reglaj electrohidraulic Folosindu-se de un design modular și un reglaj electrohidraulic, Medifa 6000 este masa de operație ce asigură maximul de precizie și flexibilitate varietate mare de proceduri, de la vasectomii la intervenții complexe precum nefrectomii parțiale sau totale și repararea de prolaps, fiind concepută atât pentru pacient, cât și pentru echipa medicală:

• Gamă largă de soluții : masa este compatibilă cu o gamă variată de accesorii pentru a fi special confiurată pentru fiecare procedură în parte

• Reglaj optim: structura modulară și motorul electrohidraulic permit ajustarea cu ușurință a componentelor sale pentru orice procedură sau poziție de pacient necesară

• Durabilitate crescută: structura sa din oțel inoxidabil oferă igienă și durabilitate, tolerând grutăți de până la 544 kg

DR MACH LED 6MC + 8MC

Configurație de lămpi scialitice

Remarcându-se ca o combinație dintre versatilitate și performanță în mai multe medii clinice, configurația dintre modelele premium

Dr Mach LED 6MC și LED 8MC oferă constant echipei medicale vizualizarea precisă și flexibilă a câmpului operator prin tehnologia superioară a acestora:

• Perspectivă superioară: Intensitatea de 140.000 și respectiv 160.000 Lux și indicele de redare a culorile 98 Ra permite vizilibilitatea optimă a țesuturilor din câmpul operator

• Siguranță și confort: tehnologie LED ce reduce radiația termică pentru confortul utilizatorului

• Opțional: lămpile pot fi configurate cu un laserpointer, dar și cu o cameră și un monitor pentru înregistrarea și documentarea procedurii

SISTEM MODULAR CONDOR GOLDLINE - UROLOGY

Sistem de retractoare chirurgicale pentru proceduri urologice Pentru adaptabilitatea optimă pentru fiecare intevrenție în chirurgia urologică, sistemul de retractoare Goldline oferă calitatea superioară în acest domeniu, prezentând echipei medicale o soluție flexibilă și eficientă, ce asigură vizibilitatea optimă a câmpului operator:

• Perspectivă optimă: flexibilitatea ajustării la 360o datorită articulațiilor sferice creează vizibilitatea optimă a câmpului operator și un mediu ergonomic pentru echipa medicală

• Concept modular: retractoarele Goldline sunt complet reglabile și compatibile cu o gamă largă de accesorii pentru a se adapta la orice morfologie de pacient sau poziționare a acestuia pentru operațiile urologice

• Durabile și igienice: structura lor din oțel inoxidabil permite o utilizare fiabilă a acestora pe termen lung, fiind ușor de curățat și dezinfectat

Când (auto)sondarea devine o simplă rutină zilnică

Alegerea corectă a cateterului urinar este importantă pentru o performanță optimă a (auto)cateterizării. Aceasta trebuie să țină cont de nevoile individuale ale pacientului, de anatomia uretrei, dar și de alți factori. În acest articol de specialitate, ne concentrăm atenția pe o comparație între tipurile de catetere existente și anume pe cele trei cele mai frecvent utilizate: Cateter Nelaton, Cateter Tiemann și GreenCath cu vârful moale.

Un cateter urinar este un dispozitiv medical prescris de un profesionist din domeniul sănătății. Acesta este un tub subțire confecționat dintr-un material plastic moale care se introduce în vezica urinară prin uretră pentru a goli vezica urinară în cazurile în care nu este posibilă golirea vezicii urinare în mod normal, natural. Procedura se numește cateterizare și este necesară pentru multe persoane cu disfuncții ale vezicii urinare. Acestea se pot datora unui alt diagnostic, de exemplu, leziuni ale măduvei spinării, spina bifida, scleroză multiplă (SM), boala Parkinson, diabet, accident vascular cerebral sau disfuncție a planșeului pelvian (de exemplu, femeile aflate în postmenopauză cu incontinență).

Pentru cateterizare se folosesc diferite tipuri de catetere, care diferă în funcție de:

• timpul de utilizare (utilizare pe termen scurt sau utilizare pe termen lung),

• materialul (silicon, PVC, dacă conține sau nu un strat hidrofilic),

• tipul/formatul vârfurilor (Nelaton, Tiemann, GreenCath cu vârf moale),

• lungimea cateterului (masculin, feminin, pediatric),

• diametrul cateterului (diametrul exterior, denumit după numele fabricantului francez de instrumente Charrier (1 CH = 1/3 mm). Tipuri de vârfuri de catetere urinare și caracteristicile lor 1. Cateter Nelaton

Cateterul urinar cu vârf Nelaton este utilizat pentru cateterizarea zilnică, cel mai frecvent pentru utilizare pe termen scurt, atunci când este introdus prin uretră pentru deviere urinară artificială sau în scopuri terapeutice. Acesta este de obicei confecționat dintr-un material flexibil, cum ar fi clorura de polivinil

(PVC), TPE sau, mai rar, silicon. Este disponibil în dimensiuni cuprinse între CH8 și CH18. Cea mai frecvent utilizată dimensiune a cateterului pentru femei este CH 12, iar pentru bărbați CH 12-14. Vârful cateterului Nelaton este denumit după medicul parizian Auguste Nétalon (1807-1873), care în 1850 a dezvoltat un cateter primitiv din cauciuc vulcanizat cu un vârf rotunjit și un singur orificiu lateral. Caracteristica principală a cateterului Netalon este forma semicirculară simplă a vârfului, care facilitează introducerea cateterului în uretră. Acest tip de cateter este disponibil pe scară largă, ușor de utilizat, economic și este disponibil de mulți ani.

Avantaje:

• Vârful neted reduce disconfortul în timpul inserției

• ușurință în utilizare și accesibilitate,

• suprafața mată a tubului, care permite introducerea cu o utilizare minimă de lubrifianți,

• potrivit pentru majoritatea utilizatorilor.

Dezavantaje:

• Nu este potrivit pentru pacienții cu stricturi uretrale sau alte anomalii ale tractului urinar care necesită un cateter mai specializat.

Cateterul urinar cu vârf Tiemann este un tip de cateter urinar masculin denumit după americanul George Tiemann, care a patentat modelul în 1881. Caracteristica specială a cateterului Tiemann este vârful său ascuțit, care este parțial curbat la capăt, ceea ce facilitează cateterizarea în cazurile de prostată mărită sau de stricturi. Cateterul este confecționat dintr-un material flexibil, cel mai adesea PVC sau TPE.

Avantaje:

• Vârful ușor curbat facilitează depășirea obstrucțiilor din uretră,

• alegere potrivită pentru pacienții care au prostata mărită sau care suferă de hiperplazie benignă de prostată.

Dezavantaje:

• Mai puțin potrivit pentru pacienții cu uretra normală, deoarece curbura vârfului poate provoca disconfort în timpul inserției.

3. Grencath cu Vârf moale

Acesta este cel mai modern tip de cateter urinar pentru (auto)cateterizare. Este confecționat din două materiale de duritate diferită. Cateterul de bază are aceeași duritate ca și cateterele urinare standard, în timp ce vârful este realizat dintr-un material mai moale. În ambele cazuri, materialul medical utilizat este PVC sau TPE. Cateterul cu vârf moale, GreenCath este conceput pentru a asigura un confort maxim în timpul cateterizării. Tubul de bază dur oferă un suport adecvat, în timp ce vârful moale și flexibil se adaptează perfect la anatomia uretrei. Datorită formei simetrice și conice a vârfului, este posibilă efectuarea unei mișcări de rotație în timpul introducerii cateterului, ceea ce face cateterizarea mai ușoară. Avantaje Catetere GreenCath cu lubrifiant

• Vârful neted și ascuțit reduce disconfortul în timpul inserției,

• Vârf extra moale pentru un confort maxim în timpul inserției,

• Flexibilitatea vârfului în 360⁰ permite o adaptabilitate extremă la anatomia uretrei,

• Vârful colorat permite un control excelent în timpul inserției cateterului, deoarece este foarte vizibil,

• Mai potrivit pentru pacienții care au dificultăți de inserție cu celelalte două tipuri de vârfuri de cateter,

• Lubrifiantul biocompatibil este activat cu apă în 30 de secunde, are un timp de uscare mai îndelungat după activare și un luciu excelent care face inserția cateterului în uretra mai simplă și mai puțin dureroasă. Compactitatea lubrifiantului față de cateter și buna aderare pe suprafața acestuia, asigură rămânerea intactă după introducere în uretră și lubrifierea pe întrega lungime a acesteia. Aceste caracteristici ușurează procesul de cateterizare și reduce semnificativ riscul deteriorării uretrei. Dezavantaje:

• Cateterele cu vârf moale se situează într-o categorie de preț mai mare decât cateterele standard, datorită tehnologiei de fabricație mai sofisticate,

• Nu sunt potrivite pentru pacienții cu stricturi uretrale specifice care necesită un cateter specializat.

VÂRF MOALE

VÂRF MOALE

Vârful moale și flexibil permite introducerea ușoară a cateterului în cazul prostatei mărite și al diferitelor formațiuni din uretră.

Vârful moale și flexibil permite introducerea ușoară a cateterului în cazul prostatei mărite și al diferitelor formațiuni din uretră.

Când ( auto ) sondarea devine o simplă rutină zilnică.

Concluzii

MANŞON

Unele dimensiuni au un manșon adăugat pentru a permite o manipulare aseptică.

MANŞON Unele dimensiuni au un manșon adăugat pentru a permite o manipulare aseptică.

TIK D.O.O., GORIŠKA CESTA 5B 5222 KOBARID, SLOVENIA

TIK D.O.O., GORIŠKA CESTA 5B 5222 KOBARID, SLOVENIA

APLICAȚIE HIDROFILĂ

APLICAȚIE HIDROFILĂ

ORIFICII LUSTRUITE

ORIFICII LUSTRUITE

PLICULET CU APĂ

PLICULET CU APĂ

Învelișul hidrofil reduce și

mai mult frecarea dintre cateter și mucoasa uretrală.

Învelișul hidrofil reduce și mai mult frecarea dintre cateter și mucoasa uretrală.

Orificii laterale lustruite și flexibilitatea tubului reduc și mai mult frecarea dintre cateter și mucoasa uretrală.

Orificii laterale lustruite și flexibilitatea tubului reduc și mai mult frecarea dintre cateter și mucoasa uretrală.

Pliculeț cu apă sterilă si purificată, pentru activarea usoară a lubrifiantului.

Pliculeț cu apă sterilă si purificată, pentru activarea usoară a lubrifiantului.

MedActiv reprezentant exclusiv in Romania. www.med-activ.ro

MedActiv reprezentant exclusiv in Romania. www.med-activ.ro

Alegerea unui cateter urinar cu un vârf adecvat trebuie să țină cont de nevoile individuale ale pacientului și de anatomia uretrei.

• Cateterul Nelaton este potrivit pentru majoritatea pacienților cu o uretră normală, deoarece are un vârf neted și este ușor de utilizat.

• Cateterul Tiemann este potrivit pentru pacienții cu stricturi uretrale sau alte obstrucții, deoarece are un vârf curbat, ceea ce facilitează depășirea obstacolelor la introdusere în uretră.

• Cateterul GreencathSoft cu vârf moale, datorită moliciunii și flexibilității sale, permite o inserție mai ușoară și o flexibilitate extremă în uretră, precum și permeabilitatea în părțile cheie ale uretrei.

Alegerea corectă a cateterului urinar este esențială pentru a asigura confortul pacientului, pentru a preveni leziunile și complicațiile și pentru a menține sănătatea tractului urinar.

CATETERE URINARE
CATETERE URINARE

Retenția acută de urină

Abstract: Acute urine retention is a pathology that we encounter in both children and adults. Given the acute way in which the symptomatology is installed, it is an emergency. The family doctor can, after the anamnesis and the clinical examination, establish the diagnosis of acute urine retention and apply the first therapeutic measures. In order to establish the etiology and appropriate therapeutic behavior, the patient will be referred to a urology service. In the present article the authors summarize the emergency behavior and propose an algorithm for acute urine retention in a family medicine practice.

As. Univ. Dr. Claudia-Felicia Pop

Medic primar Medicină de familie, Cluj-Napoca, UMF Cluj-Napoca Disciplina Nursing, Afiliere - AREPMF

Dr. Emiliana Costiug

Medic primar Medicină de familie, Cluj , Medic formator, Afiliere - AREPMF

Dr. Crenguța Lanbă

Medic primar Medicină de familie, Loc. Pantelimon, Jud. Ilfov Afiliere - AREPMF

Rezumat

Retenția acută de urină reprezintă o patologie pe care o întâlnim atât la copil cât și la adult. Având în vedere modul acut în care se instalează simptomatologia, ea reprezintă o urgență. Medicul de familie poate, în urma anamnezei și a examenului clinic, să stabilească diagnosticul de retenție acută de urină și să aplice primele măsuri terapeutice. Pentru stabilirea etiologiei și o conduită terapeutică corespunzătoare pacientul va fi îndrumat spre un serviciu de urologie. În articolul

de față autorii prezintă sintetic conduita de urgență și propun un algoritm de intervenție pentru retenția acută de urină într-un cabinet de medicină de familie.

Introducere

Retenția acută de urină (RAU) este una dintre cea mai comună urgență de tip urologic întâlnită în cabinetul medicului de familie. Reprezintă incapacitatea de a goli spontan vezica urinară timp de mai mult de 12 ore, cu un volum de urină mai mare decât se preconizase pentru vârstă ([vârstă în ani + 2] x 30 cm3) sau o vezică urinară palpabilă. Poate să apară la orice vârstă, dar mai rar la copil față de adult. Este mai frecventă la sexul masculin, cauza principală după vârsta de 60 de ani fiind hiperplazia benignă de prostată. Incidența afecțiunii crește cu vârsta.

Etiopatogenie

Există numeroase cauze responsabile de instalarea retenției acute de urină:

1. Obstacole mecanice

• Uretra: stricturi uretrale, calculi inclavați pe uretră, tumori sau malformații, ruptura de uretră

• Intravezical: calcul sau cheag de sânge care obturează colul vezical, tumoră care se dezvoltă în colul vezical, corpi străini

• Extravezical și extrauretral: adenom sau cancer de prostată, tumori pelviene sau perineale, prostatita acută, hiperplazia benignă de prostată, prolaps genital avansat

2. Perturbări funcționale (retenții reflexe)

• Post rahianestezie

• Postoperator: operații în jumătatea inferioară a abdomenului, operații pe organele genitale, anus

• Infecții: prostatita acută, vulvovaginita, pelviperitonita

• Come, meningoencefalite sau AVC, tumori medulare și cerebrale

• Posttraumatic (abdomen inferior, pelvis sau organele genitale)

• Traumatisme cu compresii sau secțiuni ale măduvei

• Medicamente: anticolinergicele, simpatomimeticele, drogurile

Diagnostic pozitiv

1. Tablou clinic → simptome

• eforturi ineficace de a urina

• durere localizată în hipogastru, de intensitate mare

• senzație imperioasă de micțiune

• agitație psihomotorie – anxietate

2. Examen obiectiv → palpare

• glob vezical în hipogastru, de formă ovală, netedă, foarte dur și sensibil la palpare, mat la percuție

3. Paraclinic → ecografie abdominală

Diagnostic diferențial

1. Retenția cronică de urină

• retenție lentă, se accentuează progresiv

• tulburări de micțiune în antecedente

• afectare renală, cardio-vasculară

26 www.revistamedicalmarket.ro Articole de specialitate Urologie

UROLOGY QUICK REFFERENCE GUIDE

MARK III NEW

Algoritm de diagnostic și intervenție în retenția acută de urină

Incapacitatea de a goli vezica urinară timp de mai mult de 12 ore, cu un volum de urină mai maredecât se preconizase pentru vârstă sau o vezică urinară palpabilă

Instalată brusc → URGENȚĂ MEDICO CHIRURGICALĂ

Anamneza: -afecțiuni neurologice -constipație, -infecție de tract urinar, -hematurie, -disfunție vezica urinară, -neoplazii, mase tumorale abdominal -traumatisme -medicație

Clinic:

-eforturi ineficace de a urina -durere localizată în hipogastru, de intensitate mare

-senzație imperioasă de micțiune

-agitație psihomotorie –anxietate

Examen obiectiv:

-glob vezicalîn hipogastru, de formă ovală, netedă, foarte dur și sensibil la palpare, mat la percuție

Paraclinic:

-Ecografie abdominală pentru a evalua volumul vezicii urinare și rezidul vezical

-examen de urină, urocultura

Diagnostic diferențial - retenția cronică de urina, anuria

Tratament

→ cateterizarea vezicii urinare SAU puncție suprapubiană

→ antispastic, antibiotic în caz de ITU

→ suprimare medicație simpatomimetică, anticolinergică

→ management constipație

Consult urologie SAU internare spital

-Risc de recidivă a RAU

-Stricturi uretrale, leziuni meat urinar, prostatită, cancer prostatic, - complicații post cateterizare sau puncție - afecțiuni neurologice

• stare generală alterată

• astenie, vărsături, diaree

2. Anuria

• vezica urinară este goală, nu are ce urina,

• fără nevoia de a urina

Atitudinea în urgență

1. Cateterism uretro-vezical

• Respectăm reguli de asepsie și antisepsie

• Oferă informații despre existența, sediul și natura unor obstacole uretrale sau vezicale

• Netraumatizant, se efectuează cu sonda Foley

• Nu se evacuează brusc conținutul vezicii urinare (risc hemoragie)

• Sonda se fixează pe loc cu leucoplast –sonda permanentă

• După golirea completă a vezicii se pen-

sează extremitatea sondei și se transportă bolnavul la spital

• Din urina evacuată se va trimite la laborator pentru examen de urină și urocultură

• Contraindicat în caz de:

▶ abces perineal, abces prostatic,

▶ uretrită, periuretrită acută,

▶ ruptura uretrei cu hematom perineal mare

• Sonda urinară se menține după golirea vezicii dacă:

▶ urina este tulbure sau hematurică

▶ introducerea a fost dificilă → stricturi uretrale

▶ ureea este crescută

2. Drenajul suprapubian

▶ Asistenta

• pregătește bolnavul psihic și fizic (decubit dorsal, rade pilozitatea din regiunea pubiană, dezinfecție)

• pregătește materialele necesare și instrumentarul steril

• asistă medicul și supraveghează pacientul în timpul puncției

• supraveghează pacientul după puncție

▶ Medicul efectuează tehnica:

• anestezie locală așezat de partea stângă a bolnavului

• introduce acul razant cu marginea superioară a simfizei pubiene

• evacuează conținutul încet

• retrage acul și aplică un pansament steril

▶ Indicat în următoarele situații:

• imposibilitatea cateterizării vezicii urinare

• sânge la meat (uretroragie)

▶ Contraindicat în caz de: diateză hemoragică, tumoră vezicală, baypas aortofemural

Conduita

ulterior în spital

• evaluare în serviciu de chirurgie – urologie

• investigaţii pentru stabilirea diagnosticului etiologic

• în cazul retenției acute de urină de etiologie necunoscută, examenul clinic suplimentar trebuie să includă următoarele:

▶ tuseul rectal pentru a evalua posibile formațiuni, impactarea materiilor fecale, sensibilitatea perineală și tonul sfincterului rectal.

▶ examenul pelvin la femeile cu RAU

▶ examinarea neurologică

▶ examinari de laborator: examenul de urină și urocultură, creatinină, hemoleucograma completă în cazul suspiciunii unei infecții. Dozarea antigenului specific prostatic nu este necesară, valoarea acestuia este de obicei crescută în timpul unui episod de RAU

Bibliografie

1. Choong S, Emberton M. Acute urinary retention. BJU Int 2000; 85:186.

2. Marshall JR, Haber J, Josephson EB. An evidence-based approach to emergency department management of acute urinary retention. Emerg Med Pract 2014; 16:1.

3. Manjunath AS, Hofer MD. Urologic Emergencies. Med Clin North Am 2018; 102:373.

28 www.revistamedicalmarket.ro Articole de specialitate Urologie

Ecografia transperineală – instrument în evaluarea

rezultatelor chirurgiei incontinenței urinare

Transperineal ultrasound – tool in the evaluation of postoperative results of urinary incontinence surgery

Abstract: The procedure of transobturator tape placement is now considered the „gold-standard“ in the treatment of urinary incontinence. Transperineal ultrasound evaluation allows imaging of the mesh implants or slings, with the ability to assess their behaviour in static and dynamic circumstances, recognising factors that may be associated with the success or failure of the surgery. The three most important factors to assess are the deformability and the localisation of the mesh implant, as well as the movement of the urethra with the sling.

IȘef Lucrări

Dr. Mihaela Boț

Medic primar ObstetricăGinecologie, Spitalul Universitar de Urgență Elias, București

Prof. Universitar

Dr. Radu Vlădăreanu

Medic primar ObstetricăGinecologie, Spitalul Universitar de Urgență Elias, București

ncontinența urinară (IU) afectează între 10-45% dintre femeile cu vârsta cuprinsă între 15 și 80 de ani în funcție de definiția utilizată, și a fost estimată la 300 milioane de femei în 2018, număr care poate fi subestimat din cauza naturii intime a acestei afecțiuni.

Prevalența IU crește odată cu vârsta, atinge un vârf în jurul vârstei medii (prevalență 30-40%) și de 30-50% la vârsta înaintată [1] Etiologia IUE este multifactorială și în cele mai multe cazuri mecanismele coexistă. Cele mai frecvente mecanisme implicate sunt hipermobilitatea uretrei și a colului vezical, și slăbirea musculaturii și a sistemului ligamentar al planșeului pelvin. [2]

Conform Societății Internaționale de Continență, incontinența urinară de efort este cel mai frecvent tip de IU, însă multe dintre paciente reclamă și asocierea urgenței micționale, aceste două entități coexistând sub forma incontinenței urinare mixte (IUM). Tratamentul de primă intenție trebuie să fie cel de recuperare a musculaturii planșeului pelvin, reprezentat fie de exercițiile fizice specifice, fie prin electrostimularea vaginală, și plasează chirurgia ca opțiune terapeutică de linia a II-a, atunci când tratamentul conservator nu a îmbunătățit simptomele sau pacienta nu este dispusă sau nu poate continua tratamentul de reabilitare. [3]

Procedeul de plasare a bandeletei vaginale suburetrale transobturatorii (transobturator tape – TOT, sling suburetral transobturator) reprezintă un pilon în cura chirurgicală a incontinenței urinare de efort. Inițial recomandat doar pacientelor cu incontinență urinară de efort recurentă, practicarea acestui procedeu a condus la o schimbare de paradigmă în gestionarea incontinenței urinare de efort în ultimul deceniu.

Incontinența urinară de efort se tratează chirurgical cu un procent al rezultatelor favorabile postoperatorii între 80-90%. [4] Incontinența urinară mixtă, poate fi abordată la rândul ei prin aceeași tehnică, însă rezultatele sunt diferite, în funcție de implicarea componentei de urgență micțională. [5]

Prof. Ulmsten și Petros au gândit și proiectat modelul acestei bandelete, precum și tehnica operatorie, de plasare a acesteia la nivelul treimii medii a uretrei, având scopul de a întări ligamentele pubouretrale degradate. [6] Interacțiunea dintre uretră și meșa de polipropilenă este un factor determinant și esen-

țial în evaluarea rezultatelor postintervenție chirurgicală. Această evaluare postoperatorie este una funcțională, dinamică, ce urmărește aprecierea comportamentului in vivo al meșei față de țesuturi și viceversa, putând ajuta la îmbunătățirea înțelegerii mecanismului de acțiune al sling-ului în cazul unui eventual eșec chirurgical. Factorii de risc pentru o evoluție postoperatorie nefavorabilă includ vârsta înaintată, obezitatea, tusea recurentă și deficitul de colagen. [7]

Studiile efectuate în ultimii ani [8] [9] au îmbunătățit urmărirea postoperatorie a fiecărui caz, atât din punct de vedere clinic, cât și paraclinic imagistic. Aceste studii au pus accent pe utilizarea ultrasonografiei transperineale 2D, ca instrument în aprecierea poziționării corecte a bandeletei, a tensiunii și a deformabilității acesteia.

Totodată, ultrasonografia transperineală reprezintă un instrument excelent în ceea ce privește aprecierea mișcărilor concordante între uretră și meșă în perioada postoperatorie, la cazurile rezolvate chirurgical, precum și la cele la care nu s-a atins acest deziderat.

În ciuda accesibilității acestei modalități de evaluare (fiind o procedură de diagnosticare simplă, promptă, reproductibilă, dinamică și ieftină), există insuficiente date în literatura de specialitate, în ceea ce privește această interacțiune.

Examinarea ultrasonografică se efectuează în poziție ginecologică, cu vezica urinară în repleție confortabilă, inițial în repaus, apoi solicitând pacientei efectuarea manevrei Valsalva, utilizând sonda convexă plasată transperineal longitudinal (Fig.1) și apoi transversal (Fig.2), după depărtarea labiilor, fără a exercita presiune asupra țesuturilor, pentru a nu distorsiona imaginile obținute. [8] [10]

Evaluare statică. Sonda este poziționată la nivelul zonei introitului vaginal care cuprinde și orificiul uretral extern, în axul longitudinal, aliniat la planul sagital al paci-

30 www.revistamedicalmarket.ro Articole de specialitate Urologie
Fig. 1 Plasarea transperineală longitudinală a sondei convexe, în vederea examinării ultrasonografice Fig. 2 Plasarea transperineală transversală a sondei convexe, în vederea examinării ultrasonografice

Performanțe

„Majoritatea pacienților care prezintă sânge în probele de urină nu au cancer. Am demonstrat recent că folosirea diagnosticului molecular pentru testele din urină ne poate ajuta mult să identificăm acei pacienți care au nevoie de cele mai aprofundate investigații. Bazîndu-ne pe performanțele promițătoare ale kitului Xpert Bladder Cancer Detection investigăm în acest moment cum putem folosi acest test pentru pacienții noștri cu hematurie.“

Prof. Dr. Bernd Jürgen Schmitz-Dräger, Urologie 24, Nuremberg and Dept. of Urology and Pediatric Urology, University Hospital, Erlangen, Germany

Oferă sensibilitate ridicată și NPV pentru cancerul vezicii urinare de grad scăzut și înalt

Xpert® Bladder Cancer Detection vs. Cistoscopie/Histologie

v

Cistoscopie/Histologie

Workflow: 3 pași simpli Testul ușor de efectuat oferă rezultatul în aproximativ 90 de minute 3 2 1

Transferați aprox. 4,5ml probă din urină în recipientul de transport. Inversați pentru a amesteca bine.

Pipetați 4ml de probă inactivată în cartușul de probă.

Introduceți cartușul în aparat și începeți testul.

Biomedica Medizinprodukte Romania SRL B-dul Dimitrie Pompeiu nr. 5-7, Sector 2, Cladirea Hermes Business Campus,HBC1 (Cladirea B), parter, 020335, Bucuresti, Romania, T +40 37 276 68 44, F +40 21 232 22 04, www.bmgrp.eu/ro
Total X p er t B l adder C ancer De tec tion Poziti v 50 12 8 178 Negati v 16 701 717 Tot al 6 6 8 29 8 95
Poziti
Negati v
Sensibilitate: 75 8 % (9 5% CI: 6 4 2– 8 4 5) NPV: 97 8 % (9 5% CI: 9 6 4 – 9 8 6) Specificitate: 8 4 6% (9 5% CI: 81 9 – 8 6 9) Acurate țe : 8 3 9 % (9 5% CI: 81 4 – 8 6 2) PPV: 2 8 .1% (9 5% CI: 2 2.0 – 3 5.1) Prevalență: 7. 4% (9 5% CI: 5. 8 – 9. 3)

Articole de specialitate

entei, structurile identificate în planul mid-sagital fiind vezica urinară, uretra, simfiza pubiană și vaginul. Bandeleta vaginală din polipropilenă este identificată ca o structură hiperecogenă situată suburetral.

Poziția bandeletei în repaus (Fig 4) raportată la lumenul uretrei a fost determinată prin împărțirea imaginară a uretrei pe toata lungimea sa, de la vezica urinară la meatul uretral, în trei segmente egale: uretra proximală, medie și distală. Poziția bandeletei se raportează la segmentul uretral supraiacent.

Evaluarea funcțională în dinamică se realizează tot prin ecografie transperineală, cu obținerea de imagini cine-loop. Prin această tehnică, uretra poate fi vizualizată în întregime, de la joncțiunea uretro-vezicală până la meatul uretral extern (Fig 5), incluzând interacțiunea cu bandeleta vaginală care poate fi identificată și delimitată în mod clar.

Comportamentul dinamic funcțional in vivo al meșei se evaluează urmărind 3 parametri [11]:

I. Deformabilitatea - se urmărește modificarea formei între starea de repaus și manevra Valsalva maximă.

În urma constatărilor ecografice, a fost întocmită clasificarea modificărilor de deformabilitate a slingului, fiind definite 3 tipuri de modificări:

1. Meșa se vizualizează în stare de repaus, de-a lungul lățimii sale, aplatizată sau discret curbată, paralelă cu lumenul uretrei și își modifică aspectul în forma literei C la Valsalva maximă.

2. Meșa se vizualizează în stare de repaus, de-a lungul lățimii sale, aplatizată sau discret curbată și nu își modifică forma la Valsalva maximă.

3. Meșa este intens curbată, în forma literei C atât în stare de repaus, cât și în timpul manevrei Valsalva.

II. Localizarea slingului - în dinamică, similar poziției de repaus, uretra se măsoară pe toată lungimea sa. În cursul manevrei Valsalva, se constată faptul că uretra nu este un conduct rectiliniu, ea fiind formată din segmente succesive care formează un

unghi (Fig 6). Segmentele se măsoară între zonele angulare, iar însumate determină lungimea totală a uretrei. Poziția bandeletei la Valsalva maximă raportată la lumenul uretral (Fig 7), a fost determinată de

asemenea prin divizarea imaginară a uretrei în trei segmente egale: proximal, mediu și distal, bandeleta fiind descrisă ca localizare în funcție de raportul cu uretra. Dacă bandeleta este identificată în dinamică, în două segmente ale uretrei, proximal și mediu, respectiv distal și mediu, se va

specifica segmentul uretral supraiacent sub care se află cea mai mare parte a acesteia. III. Concordanța mișcării uretrale cu slingul. Localizarea bandeletei în raport cu uretra în repaus (Fig 8) a fost comparată cu cea identificată la Valsalva maximă (Fig 9).

1. Dacă poziția slingului în dinamică este identică cu cea în stare de repaus, se consideră că uretra se mișcă în concordanță cu meșa.

2. Dacă poziția slingului la Valsalva maximă este diferită de cea în stare de repaus, se consideră că mișcarea uretrei în raport cu meșa este discordantă. În ciuda popularității acestei tehnici chirurgicale de corecție a incontinenței urinare de efort, mecanismul de acțiune al slingului suburetral nu este încă suficient și complet înțeles. Grație poziției sale la nivelul treimii medii a uretrei, prin acest procedeu chirurgical se obține continența urinară, întrucât bandeleta acționează ca un punct de sprijin care permite înclinarea dinamică – fenomen de “kinking” uretral, și închiderea acesteia în cazul creșterii presiunii intrauretrale la efort. Teoretic, modificările dinamice ale interacțiunii uretrei cu bandeleta și viceversa, în perioadele de efort brusc, intens și susținut, par a fi un factor esențial în asigurarea unor rezultate postoperatorii de succes.

Cel mai important parametru ecografic în aprecierea calitativă a rezultatelor postoperatorii este reprezentat de concordanța mișcării uretrale cu bandeleta, urmată de poziția miduretrală a slingului și deformabilitatea acestuia. [12]

Rezultatele nefavorabile postoperatorii pot fi generate de o serie de factori, care acționează izolat sau în asociere, principalii fiind:

• calitatea și textura meșei (fixare neadecvată la țesutul conjunctiv sub și periuretral)

• tensiunea scăzută sau crescută aplicată meșei

• poziția necorespunzătoare (fie per primam, fie prin migrarea acesteia către colul vezical sau distal)

În ciuda poziției corecte și a cicatrizării postoperatorii adecvate, tensiunea scăzută a meșei permite deplasarea sa independentă de uretră și de țesutul periuretral, uneori distal, în timpul manevrei Valsalva. O astfel de situație

32 www.revistamedicalmarket.ro
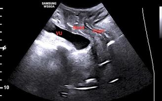
Urologie
Fig. 3 Structurile identificate în planul mid-sagital, cu poziționarea longitudinală a sondei ultrasonografice. Legendă: VU, vezică urinară Fig. 4 Poziția bandeletei în repaus. Legendă: VU, vezică urinară Fig. 5 Vizualizarea uretrei în întregime, de la joncțiunea uretrovezicală până la meatul uretral extern. Legendă: VU, vezică urinară Fig. 6 Segmentele succesive ale uretrei, care formează un unghi unul cu celălalt. Legendă: VU, vezică urinară Fig. 7 Poziția bandeletei în cadrul manevrei Valsalva maximă, raportată la lumenul uretral. Legendă: U, uretră; VU, vezică urinară; SP, simfiza pubiană Fig. 9 Poziția bandeletei în raport cu uretra în timpul manevrei Valsalva. Legendă: VU, vezică urinară; U, uretră Fig. 8 Poziția bandeletei în raport cu uretra în repaus. Legendă: VU, vezică urinară; U, uretră
Create cu grijă, pentru o viaţă mai bună. info-ro@tzmo-global.com www.seni.ro Gamă completă de produse pentru incontinenţă scutece absorbante aleze igienice produse pentru îngrijirea pielii sensibile chilot absorbant

Articole de specialitate

se explică prin absența efectului de compresiune asupra uretrei, la efort, aspect apreciat ecografic printr-o distanță mai mare de 5 mm între meșă și uretră (normalul acceptat fiind de 3-5 mm) și de forma plată sau discret curbată în repaus și dinamică. Tensiunea crescută aplicata meșei intraoperator sau dezvoltată postoperator prin retracția ei, poate determina unele complicații postoperatorii precum: vezica hiperactivă (de novo postoperator), disfuncții de golire a vezicii urinare cu retenție urinară consecutivă. Ecografic, această complicație este diagnosticată prin constatarea bandeletei în forma literei C la manevra Valsalva.

Poziția necorespunzătoare a bandeletei, fie per primam, fie prin migrarea ei, poate determina persistența sau recidiva incontinenței urinare și dificultăți de golire a vezicii urinare. Ecografic, bandeleta este identificată la nivelul altui segment uretral decât cel mediu, uneori pe colul vezical sau chiar migrată intravezical.

Este deosebit de important să se evalueze poziția bandeletei în primele zile postoperator. Fiind o tehnică imagistică accesibilă, cu o curbă de învățare redusă, aproape întotdeauna este posibil să se identifice imediat postoperator o complicație influențată de poziție sau tensiune, cu scop remedial. Teoretic, între prima și a șaptea zi postoperatorie este posibilă realizarea corecțiilor necesare și, în majoritatea cazurilor, este posibilă menținerea meșei. Practic, reintervenția de corectare a poziției și tensiunii este realizabila fără dificultate și cu risc lezional minim, în primele 24 de ore.

Identificarea unui eșec al poziției slingului într-o etapă ulterioară (perioada complicațiilor tardive) are ca soluție îndepărtarea implantului sintetic, cu necesitatea reintroducerii unei noi meșe.

Caz clinic 1: Pacientă în vârstă de 60 de ani, supraponderală, IMC – 27, cu IUE de aproximativ 5 ani.

Intraoperator, în etapa abordului transobturator stâng, sângerarea a fost importantă.

Pacienta fost evaluată ecografic la 24 de ore postoperator.

În imaginea următoare (Fig 10) se poate vizualiza bandeleta corect poziționată, care nu exercită tensiune excesivă pe lumenul uretrei, precum și întreg traseul implantului sintetic, fără a se putea identifica un hematom la nivel obturator.

Caz clinic 2: Pacientă în vârstă de 50 de ani, aflată în perioada perimenopauzală, normponderală, operată în urmă cu 6 ani (TOT). Follow-upul postoperator s-a efectuat la 2 săptămâni și la 2 luni, la 6 luni, apoi anual, cu continență urinară asigurată.

Pacienta a dezvoltat lent progresiv, după primele 5-6 luni postoperator, dificultăți de golire a vezicii urinare și jet urinar slab, în condiții de repleție excesivă a vezicii urinare.

Fig. 10 Poziționarea corectă a bandeletei, vizualizată la 24 de ore postoperator. Legendă: VU, vezică urinară; U, uretră

Ultrasonografic s-a constatat în secțiune sagitală, static (Fig 11) și în dinamică (Fig 12), o poziție corectă a bandeletei vaginale, cu formă plată în repaus și a literei C în dinamică, cu mișcări sincrone ale uretrei cu meșa. În secțiune coronală s-a identificat interfața meșei cu uretra, cu o grosime de aproximativ 2-3 mm, cu modificarea aspectului endoluminal uretral, acesta devenind aplatizat. O posibilă explicație ar fi un proces de cicatrizare hipertrofic în jurul meșei sau retracția acesteia.

Fig. 11 Identificarea ultrasonografică a meșei, secțiune coronală, în repaus. Legendă: M, meșă; U, uretră; VU, vezică urinară

Fig. 12 Identificarea ultrasonografică a meșei, secțiune coronală, în timpul efectuării manevrei Valsalva. Legendă: M, meșă; U, uretră; VU, vezică urinară

Fig. 13 Ultrasonografic, în secțiune sagitală, în timpul manevrei Valsalva, se constată migrarea meșei spre uretra distală, cu vezica urinară în semirepleție. Legendă: M, meșă; U, uretră; V, vagin; VU, vezică urinară

Caz clinic 3: Pacientă în vârstă de 78 de ani, operată în urmă cu 7 ani (TOT), cunoscută cu tuse cronică (BPOC cu frecvente perioade de acutizare).

Ultrasonografic, în secțiune sagitală, în repaus și dinamică (Fig 13), se constată migrarea meșei spre uretra distală (însă nu în

totalitate), forma literei C, cu mișcări concordante între meșă și uretră.

Funcțional, sunt raportate rezultate foarte bune în ceea ce privește continența, întărind

Fig. 14 Aspect ultrasonografic normal al poziției bandeletei. Legendă: M, meșă; VU, vezică urinară

datele teoretice conform cărora cel mai important factor este această concordanța a mișcărilor uretră-meșă.

Caz clinic 4: Pacientă în vârstă de 62 ani, obeză, operată în urmă cu 2 ani, și care a continuat să presteze muncă fizică solicitantă și în perioada postoperatorie. Funcțional, continența urinară este asigurată. Ultrasonografic se constată aspecte normale (Fig 12), în ciuda recomandărilor generale în ceea ce privește efortul fizic.

În concluzie, ecografia transperineală efectuată imediat postoperator reprezintă un instrument excelent prin care se poate aprecia poziția corectă și tensiunea meșei, și alte complicații postoperatorii, precum hematomul de parți moi. Este recomandat să fie utilizată și în perioada de urmărire postintervențională, când poate fi identificată cauza sau explicat mecanismul fiziopatologic în cazul unei evoluții nefavorabile (migrarea, retracția sau extruzia meșei, cicatrizarea hipertrofică.

Bibliography

4. Milson I, Gyhagen M. The prevalence of urinary incontinence. Climacteric. 2019; 2.

5. Patel P, Amrute K, Badlani G. Pelvic organ prolapse and stress urinary incontinence: A review of etiological factors. Indian Journal of Urology. 2007; 23(2).

6. Rovner E, Wein A. Treatment Options for Stress Urinary Incontinence. Reviews in Urology. 2004; 6(3).

7. Yao J, Tse V. Twenty-Five Years of the Midurethral Sling: Lessons Learned. International Neurourology Journal. 2022; 26(2).

8. Brucker B. Expectations of Stress Urinary Incontinence Surgery in Patients With Mixed Urinary Incontinence. Reviews in Urology. 2015; 17(1).

9. Ulmsten U, Petros P. Intravaginal slingplasty (IVS): an ambulatory procedure for treatment of female urinary incontinence. Scandinavian Journal of Urology and Neprology. 1995; 29(1).

10. Majkusiak W, Pomian A, Horosz E. Demographic risk factors for mid-urethral sling failure. Do they really matter? Plos One. 2018; 13(11).

11. Turkoglu A, Coskun A, Arinkan S. The role of transperineal ultrasound in the evaluation of stress urinary incontinence cases. International Brazilian Journal of Urology. 2022; 48(1).

12. Hubka P, Masata J, Martan A, Dvorak J, Lincova M, Svabik K. Association between sonographic sling location and success of surgery for stress urinary incontinence. Ultrasound in Obstetrics & Gynecology. 2022; 62(1).

13. Santoro G, Wieczorek A, Dietz H, Mellgren A, Sultan A, Shobeiri S, et al. State of the art: an integrated approach to pelvic floor ultrasonography. Ultrasound in Obstetrics & Gynecology. 2011; 37(4).

14. Shek K, Dietz H. Imaging of slings and meshes. Australasian Journal of Ultrasound in Medicine. 2014; 17(2).

15. Hegde A. Part 1: Transperineal and Endovaginal Ultrasound Imaging of Slings: Sling Location and Dynamic Assessment of Sling Function. IUGA Spotlight. ; 16(2).

34 www.revistamedicalmarket.ro
Urologie

Ringdoc: Revoluția Telemedicinii în Urologie

Într-o lume în continuă schimbare, inovațiile tehnologice devin esențiale pentru a oferi servicii medicale de calitate. Platforma de consultații medicale virtuale Ringdoc reprezintă o astfel de inovație, oferind numeroase beneficii medicilor urologi și pacienților acestora.

Ce Este Ringdoc?

Ringdoc este un ecosistem de telemedicină complet, conceput pentru a facilita accesul la consultații medicale prin intermediul aplicațiilor mobile și web. Platforma este destinată atât medicilor, cât și pacienților, oferind un sistem complex de management și administrare a consultațiilor.

Beneficiile

Telemedicinii pentru

Urologie

1. Accesibilitate Sporită: Ringdoc facilitează accesul pacienților la consultații de specialitate, indiferent de locația acestora. Aceasta este esențială pentru pacienții din zonele rurale sau pentru cei cu mobilitate redusă, care altfel ar avea dificultăți în a se deplasa la cabinetul medicului.

2. Monitorizare Continuă: Urologii pot monitoriza starea pacienților post-consultație, asigurându-se că aceștia urmează tratamentul prescris și identificând rapid eventualele complicații.

3. Eficiență și Economie de Timp: Consultațiile virtuale reduc timpul de așteptare și elimină necesitatea deplasă-

rilor frecvente. Medicii pot gestiona mai eficient programările și pot acorda atenție unui număr mai mare de pacienți într-un timp mai scurt.

4. Flexibilitate în Programare: Ringdoc permite medicilor să își seteze programul de disponibilitate și să gestioneze tarifele și durata consultațiilor. Această flexibilitate este benefică atât pentru medici, care își pot organiza mai bine timpul, cât și pentru pacienți, care au acces la consultații într-un mod convenabil.

5. A Doua Opinie Medicală: Platforma permite obținerea rapidă a unei a doua opinii medicale, facilitând colaborarea între specialități și oferind pacienților o evaluare completă și corectă a stării lor de sănătate.

Avantajele pentru Medicii Urologi

1. Acces la Dosarul Medical al Pacientului: Ringdoc oferă acces rapid la dosarele medicale și profilurile pacienților, permițând o evaluare completă și informată în timpul consultațiilor.

2. Managementul Integral al Consultațiilor: Platforma permite gestionarea integrală a consultațiilor, de la programare până la finalizarea acestora, inclu-

siv scrierea recomandărilor medicale și monitorizarea câștigurilor în timp real.

3. Monetizarea Consultațiilor: Ringdoc oferă posibilitatea de a monetiza consultațiile online, eliminând nevoia de a utiliza platforme nesigure precum WhatsApp, care nu respectă normele de telemedicină.

Beneficiile pentru Clinici și Spitale

1. Managementul Medicilor: Clinica poate gestiona integral medicii îrolați în aplicație, inclusiv programul de disponibilitate și durata consultațiilor.

2. Extinderea Adresabilității: Utilizarea Ringdoc permite extinderea bazei de pacienți la nivel național și internațional, crescând veniturile clinicii.

3. Plăți și Raportare în Timp Real: Platforma oferă transparență în ceea ce privește câștigurile din consultații și facilitează plata medicilor în funcție de politica internă a clinicii.

De ce să alegi

Ringdoc pentru a-ți deschide propriul cabinet virtual?

Ringdoc reprezintă un pas important în modernizarea serviciilor de urologie, oferind soluții eficiente și accesibile pentru consultațiile medicale. Prin integrarea telemedicinii în practica zilnică, urologii pot îmbunătăți semnificativ calitatea îngrijirilor oferite, optimizând în același timp resursele și timpul. Într-o eră digitală, adaptarea la astfel de inovații nu este doar o opțiune, ci o necesitate pentru a rămâne competitivi și a oferi pacienților cele mai bune servicii medicale posibile.

Ringdoc este mai mult decât o platformă de consultații virtuale; este un partener în livrarea sănătății oriunde și oricând.

35 Articole de specialitate Urologie 2024 - 2025

High Speed Dating

m e et s

Solutions for enucleation and morcellation

Str. Nisipari, nr. 27, sector 1, București; tel/fax 021.317.91.88/89, e-mail: office@vavian.ro

Str. Nisipari, nr. 27, sector 1, București; tel/fax 021.317.91.88/89, e-mail: office@vavian.ro

Micro-TESE (extracția microchirurgicală a spermatozoizilor din testicul sub microscop)

Micro-TESE este o procedură folosită de către medicii chirurgi urologi/andrologi în scopul tratării infertilității de factor masculin, ce presupune prelevarea unei mostre de țesut testicular cu ajutorul unui microscop de putere mare. Este utilizată pentru a obține spermatozoizi de cea mai bună calitate, pentru a extrage un număr suficient de spermatozoizi capabili să fertilizeze ovulul în cadrul tehnicilor de reproducere umană asistată și, nu în ultimul rând, de a reduce cât mai mult posibil gradul de lezare la nivelul organelor reproducătoare masculine.

DDr. Konstantinos Vakalidis

St.Luke’s Hospital Salonic

eoarece există la unii pacienți o producție locală de spermatozoizi care pot fi extrași și utilizați, localizările exacte ale acestor zone sunt dificil de realizat prin tehnici convenționale; această metodă ușurează identificarea lor. Microscopul folosit în cadrul micro-TESE are o putere de magnificare de 40x mai mare decât unul obșnuit, ajutând la identificarea micilor diferențe în diametrul tubilor seminiferi și ușurând selectarea celor care produc spermatozoizi.

Începând de la prima utilizare a procedurii în 1999 și până în prezent, micro-TESE a ajuns să devină gold standard în cazul infertilității cauzate de azoospermie, dar și în alte situații de spermogramă cu modificari semnificative (pacienți cu obstrucție a canalului deferent de cauză chirurgicală – vasectomie sau infecțioasă, absența canalului deferent – genă a fibrozei chistice), demonstrând beneficii semnificative față de metodele standard de prelevare a spermatozoizilor. Alți candidați potriviți pentru procedură sunt pacienții care se prezintă cu un nivel de testosteron seric normal și alte teste care indică faptul că testiculele nu produc cantități suficiente de spermatozoizi sau acei bărbați care rămân azoospermici în pofida tratamentului, iar nivelul de testosteron se păstrează normal cel puțin 4 luni. Principalul beneficiu menționat de literatura de specialitate este cea mai mare rată de succes comparativ cu metodele

convenționale, respectiv de până 60% (pacienți ce prezintă regiuni producătoare de spermatozoizi), cu cea mai mica rată de leziuni testiculare. Astfel, pierderea de țesut testicular este de până la 70 ori mai mică prin această metodă comparativ cu multi-biopsierea, minimizând atât trauma locală, cât și efectele producției de testosteron.

Un alt beneficiu al micro-TESE, conform studiilor, este că structura vasculară a capsulei care învelește țesutul testicular poate fi observată mai clar cu un microscop, permițând incizia fără a deteriora vasele care susțin testiculele. Prin urmare, o rată de succes de 50% a fost obținută în recoltarea spermatozoizilor cu ajutorul său de la bărbați cu sindromul Klinefelter. Micro-TESE are, de asemenea, o rată mare de succes în recoltarea spermatozoizilor la bărbații cu azoospermie secundară orhitei oreionului, la bărbații care au suferit operații de orhiopexie sau la bărbații cu sindrom numai de celule Sertoli.

Nu este indicată în cazul bărbaților cu producție normală de spermatozoizi, dar cu absența lor în ejaculat ca urmarea unei obstrucții, deoarece producția normală de spermatozoizi poate avea loc în orice regiune din testicule, iar folosirea microscopiei este irelevantă.

Preoperator, se impune evaluarea istoricului medical al pacientului, un examen clinic general și măsurarea funcțiilor vitale. Pacientul trebuie să se afle în repaus alimentar cu o noapte înainte.

Intervenția se realizează sub anestezie generală și presupune incizarea secțiunii mediene a scrotului (2-3 cm) și prelevarea unei mici mostre de țesut testicular cu tubi seminiferi. Sunt situații în care se poate impune și incizarea celui de-al

doilea testicul. Țesutul prelevat, respectiv tubii seminiferi, va fi evaluat de către biolog; în cazul identificării de spermatozoizi viabili (cu motilitate și morfologie optime), aceștia pot fi conservați pentru a fi utilizați ulterior în cadrul FIV sau ICSI. Durata totală se încadrează la maxim 2 ore; sunt folosite suturi resorbabile. Nu este necesară internarea pacientului.

Posibilele complicații includ: riscuri asociate anesteziei, hemoragie, infecție testiculară sau cutanată, durere sau disconfort și, în cazuri rare, leziuni permanente la nivel testicular.

Durata de recuperare a pacientului este de obicei de câteva săptămâni. Trebuie evitat exercițiul fizic intens și ridicarea greutăților și se recomandă purtarea de lenjerie intimă de compresie timp de o săptămână. Este indicată aplicarea locală de gheață și de antiinflamatoare nesteroidiene sau analgezice. Raportul sexual / masturbarea trebuie evitat timp de 7-10 zile postoperator.

În cazul în care nu sunt prelevați suficienți spermatozoizi viabili, respectiv toți spermatozoizii viabili sunt folosiți în procesul FIV, se poate impune repetarea micro-TESE la interval de cel puțin 6 luni. Rata de succes în cazul repetării procedurii poate ajunge până la 45%; în situația prelevării unui număr mic de spermatozoizi viabili în prima prelevare, această rată atinge doar 7-10%. Conform unui studiu, 18.4% dintre bărbații cu un eșec al primei intervenții au avut o probabilitate de prelevare a spermatozoizilor cu repetarea procedurii. Cazurile de succes au prezentat volume testiculare mai mici decât cei cu o a doua încercare eșuată. Atrofia testiculară severă nu a reprezentat o contraindicație pentru al doilea micro-TESE.

38 www.revistamedicalmarket.ro Articole de specialitate Urologie

NUTRACEUTICAL DEPUR·DRAIN

Supliment alimentar cu mesteacăn și păpădie pentru FUNCȚIILE DE PURIFICARE ale corpului, plus fenicul, porumb și Hawkweed pentru DRENAREA FLUIDELOR organismului. Hibiscus și

Phyllanthus susțin funcționarea tractului urinar, în timp ce Moringa reglează GREUTATEA CORPULUI.

Cu Afin, pentru funcția microcirculatorie

Utilizare

Se dizolvă conținutul unui plic în 500ml apă: se bea pe tot parcursul zilei.

RAMIDO STAFF
0740.640.941; 0729.856.025, Fax: 031.418.04.96
www.ramido.ro, www.medicalmagazin.ro
Tel.:
ramidostaff@ymail.com,

Un interviu cu mine însumi

An interview with myself

Dr. Bogdan Fetica

Medic primar anatomo-patolog, doctor în medicină (MD PhD), Inst. Oncologic „Prof. Dr. Ion Chiricuță’’, Cluj, Fondatorul hub-ului de diagnostic oncologic PATHOS

Ce este anatomia patologică?

Poate părea o întrebare simplă sau fără rost, dar mulți colegi cu pregătire medicală, nemaivorbind de pacienți, au informații trunchiate despre această ramură a medicinei. În mare, se stie că principalul nostru instrument de diagnostic este microscopul, dar cum reusim să transformăm o bucată de țesut în informație clinică, rămâne un mister.

Anatomia patologică constă dintr-o etapă pre-analitică (în care se prepară proba) in care țesuturile trec prin procese de deshidratate, rigidizate în parafină, secționare și etalare pe un mediu transparent (sticlă), unde sunt colorate chimic. Urmează apoi etapa analitica (de analiză propriu-zisă) în care lamele sunt studiate de catre un anatomopatolog în câmp luminous, folosind instrumente de magnificație (microscopul).

Este o descriere sumară a unui proces tehnologic complex care are nevoie de instrumete mecanice și electronice specializate. Dacă pentru etapa pre-analitică timpii sunt relativ standard (cumulați aceaștia durează între 24-72 h în funcție de țesutul prelucrat), etapa analitică este cu totul altă poveste, ea fiind dependent, în primul rând, de experiența examinatorului, apoi de gradul de încărcare profesională și de alte tehnici de analiză care adauga și ele timp pentru preanalitic și analitic.

Am făcut aceste precizări pentru că s-a creat falsa impresie, mai ales în percepția pacienților (dar și a personalului medical) că raportul de anatomie patologică reprezintă un rezultat similar analizelor de sânge, în care aparatele îți comunică niște valori care sunt comparate

cu un standard. Se presupune greșit ca rezultatele finale iau, deasemenea, forma unui rezultat numeric comparativ. Cât de diferite sunt tehnicile utilizate în anatomia patologică față de tehnicile imagistice?

Ca principiu de analiză cele două metode de diagnostic sunt foarte asemănătoare. Colegii imagisticieni realizează o analiză morfologică macroscopică, corelată anatomic unei leziuni (sau organ lezat) in vivo, noi o facem in vitro, analizând macroscopic (de multe ori fără a putea corela anatomic) și microscopic o leziune excizată. În cazul biopsiilor mici, analiza macroscopica își pierde valoarea, iar informatiile despre localizare, formă și apartenență la un organ vor trebui furnizate anatomopatologului de către cel care face biopsia (pentru multe localizări acesta este imagisticianul).

Aș spune că anatomia patologică este o tehnică imagistică cu rezoluție mai mare și cu specificitate superioară tuturor tehnicilor de diagnostic oncologic. Reprezentăm “standardul de aur” pentru multe dintre bolile oncologice.

Cât de exact este diagnosticul anatomopatologic?

Mai sus am spus că suntem “standardul de aur” dar, după cum știm, nu există aur 100% pur. Este valabil și pentru acuratețea diagnosticului nostru. Cu toate acestea, rata de rezulate fals pozitive și fals negative este foarte mică față de alte tehnici, fapt ce ne plasează într-o poziție cheie a procesului de diagnoză. Spun lucrul acesta nu cu emfază ci cu responsabilitate. Pentru că profesionist nu este cel care susține necondiționat superioritatea metodei, ci cel care îi cunoaște limitele. Un diagnostic anatomopatologic eronat se va traduce într-un eșec terapeutic de etapă.

Datele statistice care dovedesc eficiența anatomopatologiei, sunt obținute în urma utilizării cu success atât a unor metode de diagnostic clinic cât și de imagistică medicală. Trebuie totuși precizat că putem analiza doar ce ni se dă să analizăm, fiind complet dependenți de calitatea și reprezentativitatea materialu-

lui biopsic ce ni se pune la dispoziție, iar acesta depinde la rândul lui de acuratețea medicului care face biopsia. Cât de importante sunt tehnicile conexe de diagnostic pentru anatomia patologica?

Diagnosticul anatomopatolgic a evoluat de la simpla analiză morfologică și definirea unor modele microscopice repetitive în anumite tipuri de tumori, la analiza proteinelor (prin imunohistochimie) la nivel celular și a anomaliilor moleculare sau cromozomiale prin metodele de diagnostic PCR, RTPCR și secvențiere de nouă generație (NGS).

Clasificările anatomopatologice au stat la baza tuturor ghidurilor de tratament, cu alte cuvinte au fost tratate diferit boli care arătau diferit din punct de vedere morfologic. În acest moment, clasificările anatomopatologice conțin criterii de includere în anumite categorii care nu mai sunt morfologice ci necesită demonstratrea anumitor anomalii moleculare sau genetice. Pentru astfel de entități simpla examinare microscopica nu mai este de ajuns.

În acest moment, pentru un diagnostic corect și complet în oncologie, trebuie să ai la dispoziție laboratoare integrate de patologie moleculară, care pot finaliza procesul de diagnoză într-un singur loc, maximizând utilizarea cantității reduse de țesut. Cât de importante sunt informațiile clinice sau imagistice pentru diagnosticul anatomopatologic?

Era o glumă preferată a mentorului meu, Profesorul Petre Forescu, când vorbea cu clinicienii: “Dacă vreți un diagnostic corect pe biopsie, aduceți tot pacientul”. Avea perfectă dreptate. Detaliile clinice, localizarea, istoricul și vârsta pacientului pot schimba radical diagnosticul, în condițiile în care analiza microscopică descrie aceleași modificări. Cu alte cuvinte, diagnosticul nu se bazează doar pe analiza unei lame cu țesut și se poate ascunde într-o filă din fișa de observatie care nu a fost deschisă. Există situații în care un detaliu clinic omis poate schimba radical încadrarea, tratamentul și implicit prognosticul pacientului

42 www.revistamedicalmarket.ro Articole de specialitate Urologie

Turn static files into dynamic content formats.

Create a flipbook
Issuu converts static files into: digital portfolios, online yearbooks, online catalogs, digital photo albums and more. Sign up and create your flipbook.