Medical Market - Alergologie și Imunologie clinică 2025

Page 1


şi reducere rapidă a durerii acute1-4

Doza recomandată este de 1 comprimat

Pentru tratamentul durerii acute moderate până la severe 5, 6, *

(echivalent la clorhidrat de tramadol 75 mg şi dexketoprofen 25 mg) până la maxim 3 comprimate / 3 plicuri pe zi

(echivalent la clorhidrat de tramadol 225 mg şi dexketoprofen 75 mg)

* tratamentul simptomatic, pe termen scurt, până la 5 zile

Intervalul minim între doze: 8 ore. Skudexa este destinat numai administrării pe termen scurt, nu mai mult de 5 zile.

1 Moore RA, McQuay HJ, Tomaszewski J, Raba G, Tutunaru D, Lietuviete N, et al BMC Anesthesiol 2016 ian 22; 16:9

Studiu multicentric, randomizat, dublu-orb, cu grupuri paralele, controlat placebo si activ, cu doză unică şi doze multiple, de faza III, pe un număr de 606 paciente cu histerectomie totală sau partiala pentru afecţiuni benigne, prezentând dureri de intensitate moderată şi severă (VAS ≥ 40) Pacientele urmau să primească a durerii la 8 h)

2 McQuay HJ, Moore RA, Berta A, Gainutdinovs O, Fülesdi B, Porvaneckas N, et al Br J Anaesth. 2016 feb;116(2):269-76 Studiu multicentric, randomizat, dublu-orb, cu grupuri paralele, controlat placebo şi activ, de faza III, cuprinzând o fază cu doză unică şi o fază cu doze multiple Au fost cuprinşi 641 de pacienţi supuşi unor intervenţii standard de artroplastie totală de şold primară unilaterală pentru osteoartrită şi care acuzau în repaus dureri de intensitate cel puţin moderată (VAS ≥ 40) în ziua de după intervenţie. Medicamentul de studiu a fost administrat pe cale orală, o dată la 8h pe o perioadă de (suma diferenţelor de intensitate a durerii la 8 h)

3 Moore RA, Gay-Escoda C, Figueiredo R, Tóth-Bagi Z, Dietrich T, Milleri S, et al. J Headache Pain. 2015;16:60 Studiu multi-centric, randomizat, dublu-orb, cu grupuri paralele, controlat placebo si activ, de faza II, cu un total de 10 grupe de tratament, cu dexketoprofen diferite, un grup martor activ (ibuprofen 400 mg), pe 606 pacienţi cu durere moderată şi severă (scala analog vizuală [VAS] ≥ 40 mm şi scala de evaluare verbală faţă de placebo.Obiectivul primar a fost reprezentat de proporţia pacienţilor cu cel puţin 50% din reducerea totală maximă a durerii TOTPAR max. pe un interval de 6 ore după administrarea dozei (≥ 50% TOTPAR max)

4 Gay-Escoda C, Hanna M, Montero A, Dietrich T, Milleri S, Giergiel E, et al BMJ Open. 2019 Feb 19;9(2):e023715 doi: 10 1136/bmjopen-2018-023715 Studiu de fază IIIb multicentric, randomizat, dublu-orb, controlat placebo şi activ, pe 653 de pacienţi sănătoşi cu vârsta de minimum 18 ani programaţi pentru extracţia pe cale chirurgicală a cel puţin unui molar 3 inferior complet sau parţial impactat. Participanţilor cu durere moderată şi severă [≥4 pe o scară de evaluare numerică (NRS) cu 11 puncte] la patru ore de la intervenţie, li s-a administrat oral o doză unică de tramadol/dexketoprofen 75 mg/25 mg (n = 260), tramadol/ paracetamol 75 mg/650 mg (n = 262) sau placebo (n = 131) Obiectivul primar l-a constituit TOTPAR6 (reducerea totală a durerii la şase ore de la administrarea dozei) 5 Skudexa® 6 Skudexa®, granule pentru soluţie orală, RCP, Octombrie 2022

Acest medicament se eliberează pe bază de prescripţie medicală PS Pentru informaţii suplimentare consultaţi RCP-ul medicamentului

Acest material este destinat profesioniştilor din domeniul sănătaţii

Berlin-Chemie A. Menarini

Calea Floreasca 169A, Etaj 7, Sector1, Bucureşti Tel/Fax +4021 232 34 32 / 233 08 26 www berlin-chemie.ro

As. Univ. Dr. Sonia Luka

UMF „Iuliu Hațieganu” Cluj, Disciplina Medicină de Urgență, UPUSMURD Spitalul Clinic Județean de Urgență Cluj Napoca

As. Univ. Dr. Eugenia Lupan-Mureșan

UMF „Iuliu Hațieganu” Cluj, Disciplina Medicină de Urgență, UPUSMURD Spitalul Clinic Județean de Urgență Cluj Napoca

Tat

UMF „Iuliu Hațieganu” Cluj, Disciplina Medicină de Urgență, UPUSMURD Spitalul Clinic Județean de Urgență Cluj Napoca

Disciplina de Alergologie, Spitalul Clinic „Nicolae Malaxa” București

Asist. Univ. Dr. Ruxandra Mihaela Vintilă

UMF „Carol Davila“, Spitalul Clinic de Nefrologie

„Dr. Carol Davila“ București, Disciplina de Alergologie, UMF Carol Davila București

Dr. Maria Moroianu-Brînzei

Compartimentul de Alergologie, Spitalul Clinic de Nefrologie „Dr. Carol Davila“ București

Consultant medical: Dr. Aurora Bulbuc, medic primar Medicină de familie

Editor Calea Rahovei, nr. 266-268, Sector 5, Bucureşti, Electromagnetica Business Park, Corp 01, et. 1, cam. 4

Tel: 021.321.61.23

e-mail: redactie@finwatch.ro ISSN 2286 - 3443

Se împlinesc 20 de ani de SMURD Iași Interviu cu Prof. Univ. Dr. Diana Cimpoeșu

„Creșterea numărului de alergologi rămâne o prioritate pentru sistemul sanitar românesc“ Interviu cu Prof. Univ. Dr. Carmen Panaitescu Bunu

Ultrasonografia clinică, o necesitate pentru a evita erorile în gardă

Conf. Univ. Dr. Adela Golea, As. Univ. Dr. Raluca Tat, As. Univ. Dr. Sonia Luka, As. Univ. Dr. Eugenia Lupan-Mureșan

4

Reacții de hipersensibilitate la substanțele de contrast iodate: ce și cum testăm

Șef Lucrari Dr. Selda Ali, Dr. Maria Moroianu-Brînzei, As. Univ. Dr. Ruxandra Mihaela Vintilă, Prof. Univ. Dr. Roxana Silvia Bumbăcea

7

10

14

Avertismente privind produsele medicinale din plante asteraceae în alergia respiratorie la polen de buruieni Conf. Univ. Dr. Florin-Dan Popescu, Asist. Univ. Dr. Mariana Preda 22

Imunodeficiența Comună Variabilă – date generale și afectare hepatică Irena Nedelea, Oana Farcău-Nicoară, Bogdan Procopeț, Horia Ștefănescu, Radu Bălan, Alexandru Maximilian Crăciun Fadei, Bianca Mitre, Ana-Maria Fit, Ioana Rusu, Diana Deleanu 26

Copierea fără acordul scris al editurii a oricăror elemente de grafică sau conținut editorial apărute în revistele editurii sunt considerate furt de proprietate intelectuală și intră sub incidența legii.

Trimite email pe adresa redactie@finwatch.ro, solicită un abonament la revista Medical Market şi primeşti 10 puncte EMC.

Asist. univ. Dr. Mariana Preda
As. Univ. Dr. Raluca

Se împlinesc 20 de ani de SMURD Iași

Interviu cu doamna doctor Diana Cimpoeșu, Prof. Univ. (H), MD, PhD, FESEM, FERC, UMF „Grigore T. Popa”, Medicină de Urgență, Secția Chirurgie II, Șeful Departamentului de Urgență Spital și Pre-spital EMS SMURD Iasi , Spitalul Județean de Urgență „Sf. Spiridon” Iasi, Președinte al Comisiei de Specialitate în Medicină de Urgență și Dezastre din Ministerul Sănătății și Colegiul Medicilor din România, Trezorier EUSEM, UEMS, Reprezentant S&B România, https://medicinaurgenta.ro/

Doamna dr. Cimpoeșu este primul profesor și conducător de doctorat în Medicina de Urgență din România încă din 2014, poziție unică deținută timp de 9 ani, după care tot doamna profesor a contribuit la crearea de competențe similare și în alte centre din România. ”Anul acesta celebrăm 20 de ani de la înființarea SMURD Iași. Am adus SMURD la Iași în aprilie 2005, apoi am organizat SMURD la Suceava, Botoșani, Piatra Neamț, Bacău și Vaslui. Avem rol de coordonator regional”. Prof. Univ. dr. Diana Cimpoeșu este secretar general al Societății de Medicină de Urgență din România și președintele Conferinței Naționale a Societății de Medicină de Urgență, care se desfășoară în perioada 20-24 mai 2025 la Palatul Culturii din Iași, când se celebrează și 20 de ani de SMURD Iași. În această calitate doamna profesor a avut amabilitatea să ne acorde un interviu pentru revista Medical Market – Medicină de Urgență 2025. Stimată doamnă profesor, vă rugăm să ne vorbiți despre activitatea pe care o desfăşurați la UPU Iaşi, despre anvergura pe care o are această unitate, echipa pe care o coordonați, competențele şi categoriile de pacienți care intră în responsabilitatea dumneavoastră.

Ca echipă avem 33 de medici specialiști, 51 de medici rezidenți, aproape 100 de asistenți medicali și cca 65 personal auxiliar. Nu sunt mulți pentru că numărul de pacienți ai noștri depășește de 3 ori pacienții spitalului. Raportat la numărul de intervenții în pre-spital nu sunt niciodată suficienți angajați. Echipa noastră a crescut mereu. Aproape toți cei care lucrează în UPU lucrează și pe mașină și pe elicopter și lucrează și în Dispecerat. Personalul este angajat de spital

dar foarte mulți dintre medici și asistenți lucrează și în pre-spital, este modelul de medicină de urgență care integrează activitatea de pre-spital cu aceea din spital. Angajăm și personal auxiliar în limita resurselor bugetare care sunt exclusiv de la Ministerul Sănătății. Raportat la numărul de pacienți pe care îi vedem ar fi nevoie întotdeauna de mai mult personal, e loc de crescut și avem planuri. Formăm permanent personal specializat, de completare pentru că avem și colegi medici care pleacă să asigure alte unități UPU și SMURD din regiunea de NE. Acum pleacă mai puțini în străinătate, dar avem foști colegi actualmente în Marea Britanie, Franța, Germania, Italia, Belgia, cu care ținem legătura și de care eu personal, ca profesor și formator al lor sunt foarte mândră.

Vă rugăm să ne spuneți doamnă profesor Cimpoeşu câteva lucruri despre cazuistica care se prezintă la UPU Iaşi.

Patologia pacienților care ajung în Unitatea de Primire Urgență a Spitalului Clinic Județean de Urgență ”Sf. Spiridon” din Iași este reprezentată de toată pato-

logia întâlnită la adult. Spitalul fiind cu rol de coordonator regional, aici ajung pacienți cu toate afecțiunile, inclusiv cei care ulterior sunt trimiși către alte spitale, specializate în Boli Infecțioase, Pneumoftiziologie, Neurologie și Neurochirurgie, Psihiatrie, Spitalul ”Parhon” cu specialitățile Nefrologie-Urologie, Centrul de Chirurgie Cardiovasculară sau Institutul Regional de Oncologie Iași. Deci, primim în urgență pacienți cu vârsta între 18 și 100+ ani, peste 100.000 de prezentări anual. Am avut și cazuri de copii, pentru că uneori, când se întâmplă mari urgențe, familia sau aparținătorii ajung la noi. Dacă ar fi să facem un top al urgențelor medicale ale pacienților noștri, pe primele locuri s-ar situa bolile cardio-vasculare, care reprezintă cea mai frecventă acuză pentru prezentarea în urgență, apoi urmează cazurile de gastroenterologie și hepatologie, din păcate sunt foarte multe urgențe și pe zona asta. Urmează în acest nedorit top cazurile de traumatologie, de la plăgi, fracturi, până la poli-traume din accidente rutiere, din căderi de la înălțime. În toate aceste cazuri intervenim cu cele 4 clinici de chirurgie care au servicii de gardă permanente pentru județul Iași și de fapt către care se direcționează toată regiunea de Nord-Est a țării. De asemenea, primim tot ce înseamnă Oftalmologie, ORL, Boli de Nutriție și Diabet, Endocrinologie, orice înseamnă patologie, nu mai contează că este urgență sau este o patologie mai veche dar pe care pacientul vineri noaptea sau sâmbătă dimineața o consideră urgență. Normal, exceptând urgențele reale, pacientul ar trebui să se adreseze inițial medicului de familie, medicului din ambulator și abia apoi, cu programare să ajungă la un spital. Din păcate aceste lucruri nu sunt implementate în educația sanitară a populației din România, astfel încât pacienții care nu găsesc o altă rezolvare ajung în urgență,

care este o poartă deschisă 24h. În creștere este și patologia oncologică. Chiar dacă foarte mulți pacienții se tratează în Institutul Regional de Oncologie din iași sau alte servicii de Oncologie ale Iașiului, în momentul în care apare urgență sau durere, febră, complicațiile chimioterapiei sau complicații post-operatorii, acești pacienți ajung aici.

Care este partea care vă revine în tratamentul acestor 100.000 de pacienți?

Noi intervenim cu tot ce înseamnă terapie de urgență și diagnostic, chiar ”păstrăm” o parte din pacienți, frecvent din lipsă de locuri în alte secții de terapie intensivă, pacienți critici, intubați, ventilați, cu suport hemodinamic, cu terapie complexă. În Iași sunt zilnic 4-5 paturi mai puține decât ar trebui să fie, uneori chiar și 12 paturi mai puțin. Fluxul activității noastre începe cu triajul pacienților, urmărind protocolul național, triaj prin care pe baza unor semne obiective, pacienții sunt împărțiți în pacienți cu cod roșu, galben, verde. Pacienții cu cod albastru și alb sunt cei în stare mai puțin gravă, care vin pentru o recomandare sau o rețetă. În medie vedem 300 de pacienți pe zi din care 15% sunt cod roșu, restul sunt cod galben și verde. Pacienților li se fac investigații, începând cu examenul fizic, apoi partea de imagistică (radiografie, ecografie, CT, IRM), analize de laborator în urgență sau în laboratorul central. Se conturează un diagnostic bazat pe toate aceste investigații și acum se decide dacă pacientul merge către un consult de specialitate, care înseamnă fie internare la noi, fie tratament în ambulatoriu sau transfer către alt spital. Procentul de internare în spitalul nostru este de cca 20% iar cam 10% sunt redirecționați către alte spitale, restul de pacienți sunt rezolvați în urgență, ceea ce este un mare beneficiu pentru sistemul medical românesc în ansamblu. Uneori familia refuză să preia pacientul în îngrijire la domiciliu, mai ales vârstnici sau cu multiple afecțiuni. Trebuie înțeles că noi suntem un spital de urgență, cu termene de spitalizare scurte, sunt alte spitale, cum ar fi cele de recuperare, cu durate de internare lungi sau care continuă monitorizarea în regim de ambulator al pacienților.

Pe lângă partea de primiri-urgențe, avem celelalte activități din cadrul

SMURD, care au debutat la noi în 2005 și care înseamnă mașină de terapie intensivă, unică pe județ, care intervine numai la cazurile cele mai grave, stop cardio-respirator, stare de comă, situațiile care sunt încadrate la cod roșu. Tot unic este și medicul care însoțește prin rotație mașina SMURD, din medici din Clinica UPU a spitalului, între care pot fi și eu într-o vineri noapte sau duminică noapte. Printre îndatoririle noastre intră și responsabilitatea împărțită cu Serviciul de Ambulanță al Dispeceratului, împreună cu care acoperim județ Iași și zona de NE a țării. Dispeceratul care se află la Inspectoratul pentru Situații de Urgență (ISU). Avem de asemenea echipă medicală medic-asistent pentru partea de intervenții cu elicopterul, pe care o administrăm împreună cu Inspectoratul General pentru Aviație. De asemenea, deservim și partea de Neonatologie pe care o gestionăm împreună cu colegii din Spitalul ”Cuza Vodă” și ISU, acesta din urmă având în grijă mașinile de intervenție și paramedicii care sunt subofițeri - pompieri.

Cum vă situați, doamnă profesor Cimpoeşu, la capitolul sensibil al dotărilor la nivel de Unitate?

În ceea ce privește dotarea Secției UPU din spital, noi am avut o extindere și modernizare în 2015 și acum după ce au trecut 10 ani, este nevoie de o dotare la standarde 2025, așa cum ne adresăm în mod repetat Ministerului Sănătății și Primăriei Iași. Așteptăm și finalizarea și darea în folosință a Spitalului Regional de Urgență în care ne vom muta, dar deocamdată suntem fericiți că putem să salvăm vieți aici unde suntem acum și cu dotarea de care dispunem. În 2022 și 2023 am mai primit un update, care ne-a poziționat la cel mai înalt nivel din România în ceea ce privește dotarea, alături de colegii din Oradea. Printr-un proiect de cercetare numit CENEMED câștigat prin competiție națională și realizat în cadrul UMF ”Grigore T. Popa” Iași, la care am avut calitatea de manager, am ”câștigat” echipamentul de suport respirator extracorporeal, pe care începând de la sfârșitul lui 2022 l-am folosit cu succes în salvarea unor pacienți în stare extrem de gravă, precum și o serie de echipamente de resuscitare, de investigații imagistice, pe care le folosim pentru pacienții noștri pe care îi includem în studii și în activi-

tatea de cercetare medicală. Acest proiect de cercetare medicală continuă prin publicarea de articole în diferite reviste științifice internaționale dar mai ales prin aplicarea unor standarde medicale europene la pacienții noștri.

Dați-mi vă rog un exemplu de pacient cu cod roşu foarte grav! În fiecare zi avem cazuri deosebite. Cel mai recent caz, extrem de grav, care a avut inițial o șansă mică de supraviețuire este cazul unui tânăr de 27 de ani. Acesta a căzut sau s-a aruncat de la etajul 8 în urma unei crize sentimentale și s-a înfipt într-o bară a gardului din jurul blocului. Am deplasat la fața locului echipa de terapie intensivă SMURD, a fost nevoie de descarcerare a pacientului, s-a tăiat acea bară din gard care îl imobiliza iar pacientul a fost adus la spital cu restul de bară înfiptă în șold. După primele intervenții de oprire a sângerării și anestezie generală, investigațiile au arătat că pacientul are fractură de bazin extrem de complexă, fractură de femur, leziuni intra-abdominale și la nivelul coapsei. Pacientul a fost operat în mai multe rânduri în spitalul nostru de echipele de chirurgie generală pentru leziunile abdominale și apoi de chirurgii ortopezi pentru refacerea oaselor bazinului. Pacientul a avut 2 luni de spitalizare la noi, pentru că exista și riscul septic, pacientul având o rană complicată făcută de un obiect metalic cu potențial septic foarte mare. După toate eforturile făcute de echipele de medici din spital, de refacere a țesuturilor, structurilor și oaselor distruse, pacientul a fost transferat către Spitalul de Psihiatrie pentru a primi suport psihologic, din două motive. În primul rând este gestul care a determinat acest traumatism sever și apoi însăși spitalizarea îndelungată uneori generează tulburări de tip depresie și anxietate. V-am descris în linii mari un caz care în ciuda prognosticului extrem de rezervat a evoluat bine și sperăm ca și mai departe tânărul să-și continue viața, pe care s-o privească cu alți ochi în ce poate face pentru el și familia lui.

Doamnă profesor Dr. Diana Cimpoeşu, vă rog să faceți câteva referiri la activitatea dumneavoastră universitară şi aceea de preşedinte al Societății de Medicină de Urgență şi Catastrofă din România. Text integral pe: revistamedicalmarket.ro

Referitor la activitatea academică, am avut bucuria în 2023 de a sărbători 30 de ani de Medicină de Urgență, de când am absolvit această specialitate dar propriu-zis activitatea academică am început-o în 2004, ca șef de lucrări și când am înființat această disciplină la UMF ”Grigore T. Popa” din Iași. Studenților din anul I le predau un curs de abilități medicale de prim ajutor iar cu studenții anului IV am un curs de Medicină de Urgență. Mai avem predare pe parte de psihopedagogie și, deosebit pentru studenții noștri sunt activitățile extra-curriculare, implicarea lor într-o serie de cursuri, workshop-uri pe care le desfășurăm în spațiile publice, în simulări, care sunt extrem de atractive. De aceea, la Iași medicina de urgență este atrăgătoare pentru cei care iau examenul de rezidențiat și de aceea avem întotdeauna toate locurile ocupate, chiar cu punctaje foarte mari. Precizez că Medicina de Urgență este o specialitate preferată de medicii absolvenți ai facultății de medicină din Iași, în condițiile în care alte facultăți de medicină din țară sau din Europa se confruntă cu o lipsă de rezidenți dispuși să

se califice în această specialitate, foarte grea dar foarte frumoasă. Meseria este solicitantă din punct de vedere fizic și psihic, emoțional, dar îți aduce și mari satisfacții pentru că nimic nu poate fi în medicină mai frumos decât, atunci când ai intervenit corect și la timp, să repornești o inimă care s-a oprit, iar persoana să se poate reîntoarce la viața cotidiană,. Nouă ne revine și partea de educație medicală de prim ajutor pentru populație, pentru persoanele laice din punct de vedere medical, care pot fi, să spunem, de la angajații Antibiotice SA până la copiii din școli sau reprezentanți ai bisericii. Anul trecut am făcut primele cursuri pentru călugării și călugărițele din mânăstirile din județul Suceava, ne-am ocupat de pregătirea lor în resuscitare și defibrilare automată.

În ceea ce privește specialitatea de Medicină de Urgență, activitatea noastră începe de la nivelul studenților la medicină, la nivelul de rezidenți, organizăm conferințe naționale, anul acesta sărbătorim și 190 de ani de Inspectorat pentru Situații de Urgență, prima Unitate de Pompieri din România s-a înființat aici

la Iași, pentru că dacă lucrăm non stop cu pompierii, ne și sărbătorim împreună. În paralel, ne desfășurăm activitatea de cercetare științifică, muncă pe care o valorificăm la nivel internațional în cadrul evenimentelor științifice de la nivel european, pe parte de resuscitare și intervenții de medicină de urgență. Anul trecut am participat pentru prima oară la Congresul American de Medicină de Urgență, ducând astfel peste ocean reputația medicinii de urgență din România. Este foarte apreciat modelul SMURD, realizat cu implicarea a două instituții ale statului, Inspectoratul pentru Situații de Urgență Iași și Clinica de Urgență din Spitalul Clinic Județean de Urgență ”Sf. Spiridon” din Iași. Vreau să subliniez că SMURD este o instituție a Statului, nu este o persoană juridică, este un model de integrare în activitatea sa a celor două instituții menționate, la care aș adăuga și a 3-a, Inspectoratul General pentru Aviație. Acestea sunt în subordinea a două ministere, Ministerul Sănătății și Ministerul Afacerilor Interne și în coordonarea Departamentului pentru Situații de Urgență.

„Creșterea numărului de alergologi rămâne o prioritate pentru sistemul sanitar românesc“

Interviu cu doamna Profesor Universitar Dr. Carmen Panaitescu Bunu, Medic primar Alergologie și

Imunologie Clinică, Medic Primar Explorări funcţionale, Șef Departament III Științe Funcționale, Disciplina Fiziologie din UMF „Victor Babeș“ Timișoara, Șef Secție Alergologie din Spitalul Clinic Județean de Urgență „Pius Brânzei“ Timișoara. Prof. Univ. Dr. Carmen Panaitescu Bunu desfășoară activităţi de predare și de cercetare în domeniile Fiziologie, Imunologie și Alergologie Clinică, este Coordonator Disciplina Fiziologie, Coordonator curs Alergologie Clinică, Coordonator doctorate în Medicină, specialitatea Imunologie și Alergologie Clinică

Stimată doamnă profesor, în calitatea dumneavoastră de președinte al SRAIC, organizați o serie de manifestări științifice pentru medicii alergologi, începând cu Congresul Național SRAIC 2025 dar și alte proiecte. Ce așteptări aveți de la aceste reuniuni și cum evaluați rezultatele?

În calitate de președinte al Societății Române de Alergologie și Imunologie Clinică (SRAIC), consider că misiunea noastră principală este de a promova excelența în educația medicală continuă, de a facilita dialogul științific între specialiști și de a susține implementarea celor mai noi practici bazate pe dovezi în alergologie și imunologie clinică.

Conferința Națională SRAIC 2025, care va avea loc în perioada 15–17 mai la București, reprezintă evenimentul de referință al comunității noastre profesionale. Așteptările mele de la această manifestare sunt mari, pentru că am reunit speakeri de prestigiu din țară și din străinătate, am abordat teme actuale – de la imunoterapie cu alergen și alergii alimentare, la patologie respiratorie și dermatologică – și am încurajat participarea tinerilor specialiști, prin sesiuni dedicate lor.

Pe lângă congres, SRAIC organizează o serie de evenimente satelit și școli de iarnă și de vară, o inițiativă devenită deja tradiție, care oferă formare intensivă, interactivă, în format restrâns, pentru medici rezidenți și tineri specialiști.

Evaluarea acestor reuniuni se face atât prin feedbackul direct al participanților, cât și prin implicarea activă a acestora în comunitatea profesională – fie prin publicarea de lucrări, participarea la grupuri de lucru, sau colaborări internaționale inițiate în cadrul acestor evenimente. Personal, consider un succes fiecare conferință în care reușim să provocăm întrebări, să aducem clarificări și să inspirăm o mai bună îngrijire a pacienților cu afecțiuni alergice.

În final, aceste manifestări sunt mai mult decât simple reuniuni științifice: ele sunt punți de legătură între generații, între centre universitare, între cercetare și practică clinică. Sunt un catalizator pentru progresul alergologiei în România, și sunt profund onorată să contribui la acest proces. Referitor la activitatea universitară pe care o desfășurați de peste două decenii, vă rog să menționați câteva noutăți în programa de învățământ și în ceea ce privește perspectivele absolvenților din această specialitate. Ce schimbări notabile s-au întâmplat în profesia de alergolog în acest arc de timp, știind că în alte discipline medicale progresele tehnologice, informatice, din științele noi au adus schimbări profunde.

În calitate de cadru didactic am fost martoră la numeroase evoluții în programa de învățământ și în perspectivele pe care le au absolvenții specializați în alergologie și imunologie clinică.

Un pas important în recunoașterea relevanței acestei specialități a fost și introducerea alergologiei ca disciplină obligatorie în

curricula de licență la UMF „Victor Babeș“ din Timișoara. Până de curând, aceasta era o materie opțională, însă am ajuns deja la al doilea an consecutiv în care alergologia este predată ca disciplină obligatorie, în anul II de studiu. Deși predarea are loc relativ devreme în parcursul formării medicale, considerăm că este un câștig major, pentru că studenții au ocazia să înțeleagă de timpuriu fundamentele imunologiei clinice și ale bolilor alergice – patologii cu incidență în continuă creștere și cu impact semnificativ asupra calității vieții pacienților. Ne bucură faptul că universitatea a răspuns realităților din practică medicală și a recunoscut importanța acestei discipline, oferindu-i locul meritat în formarea medicului generalist și a viitorului specialist.

În ceea ce privește programa de învățământ, s-au integrat progrese semnificative pentru a reflecta avansurile tehnologice și științifice din domeniu. Astfel, studenții beneficiază acum de cursuri actualizate care includ teme precum alergologia moleculară, utilizarea tehnologiilor avansate în diagnostic și tratament, precum și abordări interdisciplinare în gestionarea bolilor alergice. Aceste modificări au fost esențiale pentru a pregăti viitorii specialiști să răspundă eficient nevoilor pacienților și să se adapteze la un peisaj medical în continuă schimbare.

În ceea ce privește perspectivele absolvenților, cererea pentru specialiști în alergologie și imunologie clinică este în creștere, având în vedere prevalența tot mai mare a bolilor alergice în România. Conform datelor recente, aproximativ 25% din populația României suferă de o formă de alergie, ceea ce subliniază necesitatea unor profesioniști bine pregătiți în acest domeniu.

Pe parcursul ultimelor două decenii, profesia de alergolog a cunoscut schimbări notabile, influențate de progresele tehnologice și științifice. Introducerea metodelor de diagnostic molecular a permis o identificare

mai precisă a alergenilor și o personalizare a tratamentelor. De asemenea, dezvoltarea imunoterapiilor cu alergen a oferit soluții mai eficiente pentru pacienți. În plus, colaborarea interdisciplinară și integrarea noilor tehnologii informatice au îmbunătățit semnificativ practica medicală în alergologie.

La UMF „Victor Babeș“ din Timișoara, pe lângă activitatea de predare pentru disciplina „Științe fiziologice“ aveți și o importantă implicare în lucrări științifice de cercetare. Vă rog să amintiți câteva dintre acestea

De-a lungul anilor, am coordonat și am participat la numeroase proiecte axate pe imunologia bolilor alergice și pe impactul factorilor de mediu asupra sănătății respiratorii.

Un domeniu important de interes este alergia la ambrozie, o problemă de sănătate publică tot mai acută în România și în Europa de Est. În cadrul studiilor pe care leam desfășurat, am investigat atât prevalența sensibilizării la polenul de ambrozie, cât și profilul molecular al alergenelor implicate, în vederea optimizării diagnosticului și terapiei imunologice cu alergen. Aceste date sunt esențiale pentru fundamentarea unor politici eficiente de prevenție și intervenție.

În plus, am fost implicată în proiectul INSPIRED – axat pe inovarea în domeniul imunoterapiei alergenice și al identificării de noi biomarkeri de diagnostic și tratament.

Acest proiect ne-a permis colaborări valoroase cu centre de cercetare din Europa și a contribuit la dezvoltarea unei baze solide de cunoștințe aplicabile în practica clinică.

De asemenea, în cadrul proiectului național EVALRO, am coordonat evaluarea răspunsului imun și realizarea unei hărți moleculare a profilului de sensibilizare a persoanelor alergice și non-alergice din diferite arii geografice ale României.

Pe lângă aceste direcții, continui să lucrez în domeniul alergologiei moleculare și al terapiilor biologice, toate aceste direcții fiind reflectate în publicații internaționale și prezentări la congrese de prestigiu.

Consider că cercetarea trebuie să meargă mână în mână cu educația, iar expunerea studenților și tinerilor medici la aceste proiecte este o investiție în formarea unei generații de specialiști informați, curioși și dedicați.

Alergiile se manifestă la nivelul diferitelor organe: la nivelul pielii, al sistemului respirator, al ochilor, sistemului digestiv și altele. În activitatea

dumneavoastră clinică ați avut cazuri foarte diverse. Vă rugăm să ne spuneți care sunt situațiile care reprezintă cel mai mare risc.

Alergiile pot afecta practic orice organ, întrucât răspunsul imun implicat este sistemic, iar manifestările clinice sunt diverse –de la ușoare până la amenințătoare de viață. În practica mea clinică am întâlnit o varietate de cazuri, de la simple urticarii la reacții anafilactice complexe.

Cele mai riscante situații sunt, fără îndoială, cele care implică:

• Anafilaxia – reacția alergică sistemică severă, cu potențial letal, care poate apărea ca urmare a unor alergii alimentare (arahide, fructe de mare), înțepături de insecte (albine, viespi), medicamente (antibiotice, antiinflamatoare, anestezice) sau latex. Anafilaxia necesită intervenție medicală de urgență și administrarea imediată de adrenalină. Din păcate, există încă multă confuzie în rândul pacienților cu privire la momentul în care trebuie administrat auto-injectorul de adrenalină și la importanța acestuia.

• Astmul alergic sever, incontrolabil, în special cel asociat cu expunerea la alergeni de interior (acarieni, mucegaiuri) sau la polenuri în sezonul polinic. Acest tip de astm poate duce la exacerbări acute, spitalizări frecvente și, în cazuri extreme, la deces prin insuficiență respiratorie.

• Alergiile alimentare la copii, în special cele care debutează devreme și sunt asociate cu dermatită atopică severă. Acestea pot progresa către „marșul atopic“ – un concept care descrie evoluția de la dermatită la rinită alergică și apoi la astm.

• Sindromul de activare mastocitară, mai puțin cunoscut, dar extrem de periculos în unele cazuri, deoarece poate mima sau complica alte patologii și poate conduce la episoade anafilactice recurente fără cauze aparent evidente.

• Reacțiile medicamentoase întârziate severe, precum sindromul DRESS sau necroliza epidermică toxică, care sunt rare, dar cu risc vital crescut și necesită diagnostic rapid și internare în secții specializate. În plus, este important de subliniat faptul că impactul psihologic al alergiilor severe, mai ales la tineri sau părinții copiilor cu alergii alimentare, nu este deloc neglijabil. Frica de o reacție neașteptată duce la izolare socială, anxietate și chiar depresie.

Toate aceste cazuri ne amintesc că alergologia nu se reduce la rinite sau urticarie

– este o specialitate de graniță, cu impact profund asupra calității vieții și, uneori, asupra supraviețuirii pacientului. De aceea, recunoașterea factorilor de risc, educația pacienților și intervenția rapidă sunt esențiale în prevenirea complicațiilor severe. În unele cazuri de operații chirurgicale complexe, care necesită anestezie generală, poate și în alte cazuri medicale, este necesară testarea preventivă, verificarea pacientului din punct de vedere alergologic? Există reglementări în acest sens? Ce recomandați dumneavoastră?

Aceasta este o întrebare deosebit de importantă și actuală, iar din perspectiva mea, ca medic alergolog și cadru universitar, consider că evaluarea alergologică preoperatorie este o componentă esențială în prevenirea reacțiilor adverse severe în contextul unor intervenții chirurgicale complexe.

Evaluarea pacientului din punct de vedere alergologic înaintea unei proceduri care implică anestezie generală se recomandă în următoarele situații:

• Istoric de reacții alergice anterioare la medicamente (inclusiv antibiotice, analgezice, anestezice sau relaxante musculare).

• Antecedente de reacții anafilactice, mai ales în context medical.

• Prezența unei atopii severe (astm alergic instabil, dermatită atopică severă etc.), care poate indica o hiperreactivitate generalizată a sistemului imun.

• Operații complexe sau de urgență la pacienți cu multiple comorbidități, unde riscurile trebuie cât mai bine anticipate.

În astfel de cazuri, testarea cutanată (prick sau intradermică) și testele in vitro (cum ar fi determinarea IgE specifice sau testele de activare a bazofilelor) pot fi utile pentru identificarea sensibilității la medicamentele propuse în protocolul anestezic. În anumite situații, testele de provocare controlată în mediu spitalicesc pot fi necesare, dar doar în condiții de maximă siguranță.

În România, ca și la nivel european, nu există o reglementare strictă care să impună testarea alergologică de rutină înaintea tuturor intervențiilor chirurgicale. Totuși, ghidurile europene ale Societății de Alergologie și Imunologie Clinică (EAACI) și ale altor organizații de profil recomandă clar această evaluare în cazurile cu risc crescut.

În practică, colaborarea între alergolog, anestezist și chirurg este esențială pentru stabilirea unei conduite sigure pentru pacient.

Sunt de părere că, dincolo de reglementări, trebuie să încurajăm evaluarea personalizată a riscului alergic, mai ales în contextul creșterii numărului de pacienți cu sensibilități multiple și al utilizării frecvente a unor molecule noi în anestezie și tratamente adjuvante.

Investigațiile alergologice preoperatorii nu trebuie privite ca o formalitate, ci ca un pas esențial în medicina de precizie, menită să reducă riscurile și să crească siguranța intervenției.

În concluzie, recomand evaluarea alergologică preventivă în cazurile justificate, bazată pe o anamneză riguroasă și pe colaborarea multidisciplinară. Este o investiție în siguranța pacientului, care poate preveni evenimente cu potențial letal. Ce măsuri se pot lua la nivel de profilaxie împotriva riscului unor reacții alergice în anumite perioade ale anului, poate pentru unii pacienți cu un sistem imunitar mai precar și poate legat de dietă sau eliminarea unor factori alergenici? Am înțeles că este reglementată cultura ambroziei.

Profilaxia în alergologie reprezintă un pilon esențial în managementul modern al bolilor alergice, în special în contextul creșterii prevalenței sensibilizării la polenuri și alergeni de mediu. Aceasta trebuie să fie personalizată, ținând cont de istoricul pacientului, de particularitățile sistemului imunitar și de factorii de mediu specifici. În contextul reacțiilor alergice sezoniere, în special legate de expunerea la ambrozie – un alergen recunoscut pentru potențialul său de a declanșa reacții severe – există câteva măsuri esențiale:

Monitorizarea calendarului polinic: pacienții trebuie informați despre perioadele de polenizare ale plantelor alergenice – de exemplu, ambrozia, care polenizează începând cu luna august și până în octombrie. Evitarea expunerii în orele de vârf (dimineața devreme și seara), închiderea ferestrelor și utilizarea purificatoarelor de aer pot reduce semnificativ simptomele.

Intervenția farmacologică preventivă: începerea tratamentului cu antihistaminice sau corticosteroizi nazali cu 1-2 săptămâni înainte de sezonul polinic poate reduce intensitatea reacțiilor alergice. Pentru pacienții cu sensibilitate confirmată, imunoterapia cu alergen – care a înregistrat progrese importante în ultimii ani – reprezintă o soluție de lungă durată

ce poate reduce semnificativ sensibilitatea la ambrozie și alți alergeni. Igienizarea mediului: spălarea frecventă a părului și schimbarea hainelor după expunerea la aer liber, aspirarea cu filtre HEPA, precum și controlul umidității în locuințe contribuie la reducerea alergenilor de interior, care pot exacerba simptomele sezoniere.

Rolul dietei: pentru pacienții cu un sistem imunitar mai precar, adoptarea unei diete echilibrate, bogată în nutrienți esențiali și antioxidanți, poate sprijini funcția imunitară. Eliminarea alimentelor sau substanțelor care pot declanșa reacții alergice sau care pot potența inflamația este, de asemenea, recomandată în anumite situații, după evaluarea individuală. În ceea ce privește ambrozia – planta cu cel mai mare potențial alergen din flora spontană a României – este adevărat că legislația românească reglementează combaterea acestei buruieni invazive prin Legea nr. 62/2018. Autoritățile locale au obligația de a supraveghea terenurile și de a aplica sancțiuni în cazul nerespectării măsurilor de eliminare. Din păcate, implementarea acestor măsuri este inegală și, din acest motiv, educația populației și colaborarea între instituții rămân cruciale.

Este nevoie de o abordare integrată, în care medicii, pacienții, autoritățile și comunitățile să colaboreze pentru a reduce impactul bolilor alergice asupra sănătății și calității vieții. Profilaxia eficientă nu înseamnă doar evitarea simptomelor, ci un pas spre controlul bolii și prevenirea complicațiilor pe termen lung. Cum este acoperită rețeaua sanitară națională din punct de vedere al specialiștilor în Alergologie și Imunologie clinică?

Acoperirea rețelei sanitare naționale cu specialiști în Alergologie și Imunologie clinică rămâne, din păcate, inegală și insuficientă, în ciuda nevoii tot mai evidente de expertiză în acest domeniu. Deși în centrele universitare mari – cum sunt București, Timișoara, Cluj-Napoca, Iași, Târgu Mureș – există servicii bine structurate, cu cabinete de alergologie și unități spitalicești dedicate, în multe alte județe specialitatea este fie slab reprezentată, fie complet absentă.

Această realitate creează dificultăți majore în accesul pacienților la diagnostic și tratament corect, în special în zonele rurale sau în orașele mici, unde bolile

alergice sunt adesea gestionate empiric, fără investigații specifice, ceea ce poate duce la erori de diagnostic sau la tratamente inadecvate. În plus, lipsa specialiștilor afectează și capacitatea de a implementa imunoterapia cu alergen – singurul tratament etiologic în alergologie.

SRAIC a atras în mod constant atenția asupra acestor dezechilibre și a făcut demersuri pentru a stimula formarea și repartizarea echitabilă a specialiștilor la nivel național. Am propus includerea alergologiei pe lista specialităților deficitare în unele regiuni și colaborăm cu autoritățile sanitare pentru a crește numărul de locuri la rezidențiat și pentru a facilita integrarea tinerilor specialiști în sistemul public.

În acest context, una dintre direcțiile strategice ale SRAIC este implementarea unor centre de excelență dedicate bolilor alergice severe, cum ar fi astmul sever, care rămâne o patologie subdiagnosticată și subtratată în România. Aceste centre ar urma să funcționeze în cadrul unor spitale universitare sau instituții specializate, având rolul de a oferi diagnostic complex, tratamente biologice moderne, monitorizare multidisciplinară și suport educațional pentru pacienți. Ele ar reprezenta un model de bune practici și ar putea deveni repere pentru formarea continuă a specialiștilor, dar și pentru inițierea unor registre naționale și programe de cercetare aplicată în domeniul bolilor alergice severe. Este un proiect ambițios, dar necesar, care poate aduce o schimbare reală în viața pacienților și în modul în care este percepută și tratată alergologia în România.

Un alt aspect important este dezvoltarea rețelei de cabinete ambulatorii, care pot asigura un diagnostic precoce și un management eficient al cazurilor ușoare și medii. Creșterea numărului de alergologi în aceste structuri ar reduce presiunea de pe spitale și ar îmbunătăți semnificativ calitatea vieții pacienților.

Așadar, deși există progrese, nevoia de extindere și consolidare a rețelei de specialiști în alergologie rămâne o prioritate pentru sistemul sanitar românesc, iar SRAIC își asumă rolul activ în acest demers, prin formare, advocacy și colaborare interinstituțională.

Mulțumim doamnei profesor dr. Carmen Bunu Panaitescu pentru răspunsurile sale elaborate și pentru timpul acordat.

Ultrasonografia clinică, o necesitate pentru a evita erorile în gardă

Activitatea medicală în gardă este supusă presiunii timpului, a resurselor limitate din punct de vedere al personalului medical, al posibilității de realizare a echipelor interdisciplinare și a explorărilor paraclinice. În acest context această activitate este supusă unor erori de tipul: erori de triaj, erori de comunicare pacient-personal medical și între personalul medical implicat, diagnostic eronat sau tardiv, performanță improprie a procedurilor, terapie tardivă, erori de medicație, erori decizionale cu trimiterea acasă a unor urgențe prin nedecelarea riscului de evoluție nefavorabilă, erori la testele de laborator, monitorizare insuficientă. Frecvent erorile diagnostice se datorează prezentării clinic atipice, supraaglomerării, lipsei de experiență în cazul bolilor cu frecvență redusă, rezultatelor fals pozitive/negative ale testelor de laborator. În aceste situații algoritmele și instrumentele de lucru standardizate sunt utile pentru a elimina erorile cu impact pe supraviețuirea pacientului. Examinările de tip „point of care“ reprezintă instrumente care decelează rapid anumite patologii critice și ajută la obținerea precoce a unor informații diagnostice pentru luarea de decizii.

UConf. Univ. Dr. Adela Golea

UMF „Iuliu Hațieganu” Cluj, Disciplina

Medicină de Urgență, UPU-SMURD Spitalul

Clinic Județean de Urgență Cluj Napoca

As. Univ. Dr. Raluca Tat

UMF „Iuliu Hațieganu” Cluj, Disciplina

Medicină de Urgență, UPU-SMURD Spitalul

Clinic Județean de Urgență Cluj Napoca

As. Univ. Dr. Sonia Luka

UMF „Iuliu Hațieganu” Cluj, Disciplina

Medicină de Urgență, UPU-SMURD Spitalul

Clinic Județean de Urgență Cluj Napoca

As. Univ. Dr. Eugenia Lupan-Mureșan

UMF „Iuliu Hațieganu” Cluj, Disciplina

Medicină de Urgență, UPU-SMURD Spitalul

Clinic Județean de Urgență Cluj Napoca

ltrasonografia de tip POCUS

(„point of care ultrasound“ sau „bedside ultrasound“) este o investigație imagistică ce poate fi integrată în examenul clinic al pacientului, reprezentând un instrument de tip „sonostetoscop sau stetoscop vizual“ care poate facilita identificarea unor modificări fără expresie clinică sau cu tablou paucisimptomatic. POCUS a fost introdusă în anii 1960 și a devenit rapid un instrument util, care

dă informații binare. US (ultrasonografia) se efectuează rapid, în câteva minute, având ca și scop identificarea focală, direcționată a unor modificări morfologice sau funcționale, putând fi suport pentru algoritme decizionale de tip rule on/rule out[1,2].

Se descriu astfel situații clinice critice în care se utilizează POCUS ca spre exemplu dispneea, șocul/hipotensiunea nediferențiate, stopul cardiac, durerea toracică, trauma toracică sau politrauma, sau situații noncritice care necesită uneori decizii chirurgicale de tipul durerii abdominale, distensiei abdominale, icterului, edemului asimetric de membru[2]. Colegiul American al Medicilor de Urgență (ACEM) a descris în 2008[3]:

a. Aplicațiile de bază (core application): trauma, sarcina, anevrismul de aortă abdominală, cardiac, toracic, biliar, tract urinar, tromboza venoasă profundă, țesuturi moi și musculoscheletal, ocular, ecoghidare proceduri; b. Aplicațiile clinice funcționale și scopul intervenției medicului de urgență: resuscitarea cu scop de stabilizare; diagnostic și ultrasonografia ghidată de semn/simptom cu scopul efectuării diagnosticului diferențial; terapeutic și de ghidare ultrasonografică a procedurilor cu scop de a monitoriza pacientul. Astfel POCUS poate fi introdusă în algoritmii clinico-decizionali pentru evitarea următoarelor erori în practica medicilor de urgență și a altor specialități în gardă: diagnostic eronat sau tardiv, performanță improprie a procedurilor, terapie tardivă, erori de medicație, erori deci-

zionale cu trimiterea acasă a unor urgențe prin nedecelarea riscului de evoluție nefavorabilă, monitorizare insuficientă. Primele obiective ale utilizării POCUS în gardă sunt legate de pacientul critic sau a urgențelor medico-chirurgicale atraumatice în fața cărora trebuie să răspundem la mai multe întrebări pentru a lua decizii rapide[4]:

a. Legate de identificarea cauzelor:

I. Cum poate ecografia la pat ajuta la diferențierea tipului de șoc în departamentul de urgență?

II. Cum pot fi folosite ultrasunetele la pat să evalueze inima și VCI?

III. Cum pot fi folosite ultrasunetele la pat să evalueze abdomenul?

IV. Cum pot fi folosite ultrasunetele la pat să evalueze plămânii și pleura?

V. Cum pot ajuta ultrasunetele la pat să ghideze resuscitarea?

b. Legate de posibilitatea de management:

I. Cum poate identifica ecografia pacienții ce necesită asistență rapidă în spitale de specialitate sau regionale, cu asigurarea unui transfer rapid?

c. Analiza erorilor prin debriefing de caz după asistarea acestuia, aspect destul de rar întâlnit în practica zilnică, dar care ar conduce la îmbunătățirea actului medical, creșterea calității prin așa zisa metodă a „evidențelor sau lecțiilor învățate din practică“.

I. Cum poate ecografia evita erorile diagnostice și terapia tardivă?

II. Cum poate ecografia evita erorile de monitorizare și identificare rapidă a complicațiilor?

Cum procedăm în practica clinică: evaluăm rapid ABCDE (airway-breathing-circulation-dissability-enviroment) pacientul pentru a evidenția elementele critice, evaluând parametrii vitali respiratori și hemodinamici; examinăm clinic și începem să gândim pe baza

algoritmilor cunoscuți empiric la niște suspiciuni diagnostice, efectuând un plan de investigații și de măsuri terapeutice inițiale care să susțină funcțiile vitale ale pacientului sau să remită simptomatologia de impact (analgezie, antiemetice, reumplere volemică, etc.). Dacă avem la

dispoziție un aparat de ultrasonografie putem insera examinarea US ghidată clinic ca să manageriem precoce diagnosticul și terapia pacienților, răspunzând la întrebările menționate mai sus.

Astfel POCUS poate

fi utilizată în gardă pentru:

a.I Cum poate ecografia la pat ajuta la diferențierea tipului de șoc în departamentul de urgență?

▶ Evaluarea pierderilor de volum: externe cuatificabile: administrarea de diuretice, vasodilatatoare; ultrasonografic prezența colecțiilor la nivelul seroaselor, retroperitoneului sau la nivelul tubului digestiv;

▶ Evaluarea aspectului de supraîncărcare volemică necesită monitorizare minim invazivă frecvent inexistenă în serviciile de urgență sau camera de gardă, dar ultrasonografia poate prin vizualizarea pulmonară, vasculară, cardiacă să identifice semne specifice și permite luarea deciziei terapeutice de administrare de diuretice sau vasoactive, inotrope.

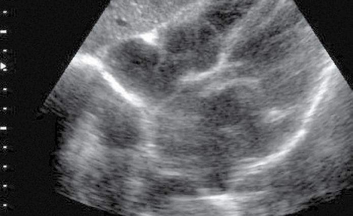
▶ Introducerea algoritmului de investigare a pacientului cu hipotensiune/ șoc RUSH (PUMP-TANK-PIPE) după cum urmează și luarea unor decizii bazate pe evidențe suport: o cordul („PUMP“)

• identificarea sacului pericardic, a colecțiilor pericardice și impactul de tip tamponadă (fig.1) cu risc de activitate electrică fără puls – necesitatea pericardiocentezei într-un serviciu de cardiologie-chirurgie cardiovasculară;

• contractilitatea globală a ventriculului stâng, identificând mărimea și statusul contractil – prezența unei insuficiențe cardiace acute (fig.2) cu necesitatea administrării medicației diuretice, inotrope, vasoactive în funcție de parametrii hemodinamici și corelarea cu aspectul plămânului și a venei cave; vizualizarea unui ventricul stâng hiperkinetic, cu reducerea volumui cavității (fig.3) ceea ce indică corelat cu aspectul VCI cu diametru redus (fig.4) o stare de hipovolemie ce necesită administrarea de fluide;

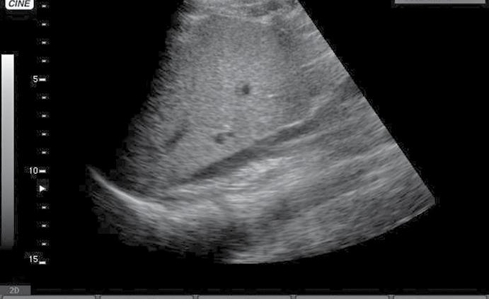
• aprecierea mărimii ventriculului stâng comparativ cu cel drept – identificarea unei supraîncărcări a ventriculului drept, cu suspiciunea de cord pulmonar acut (fig.5) și necesitatea de administrare de trombolitic pentru trombembolism pulmonar;

Fig.9. Pseudoanevrism aortic Fig.10. Anevrism aortic trombozat Fig.11. Tromboză venă femurală dreaptă
Fig.1. Secțiune subxifoidiană. Colecție pericardică. Cavități cardiace drepte colabate. Ventricul stâng cavitate redusă
Fig.2. Secțiune subxifoidiană. Cord dilatat. Perete ventricul stâng redus în dimensiuni
Fig.3. Secțiune subxifoidiană. Cord hiperkinetic (cavități reduse)
Fig.4. Secțiune intercostală dr. venă cavă inferioară
Fig.5. Secțiune subxifoidiană. Cord drept dilatat
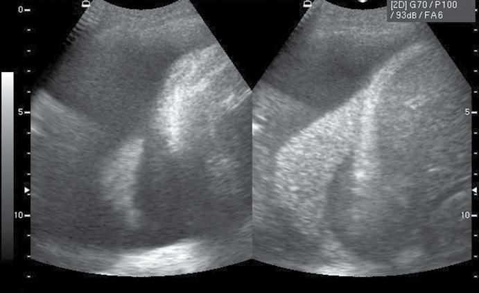
Fig.6. Secțiune intercostală dreaptă. Colecție pleurală masivă. Atelectazie pulmonară de compresiune
Fig.7. Secțiune intercostal drept. Colecție Spațiul Morrison
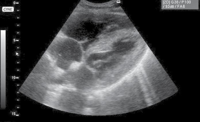
Fig.8. Secțiune longitudinală suprapubiană Colecție recto-vezicală

Reacții de hipersensibilitate la substanțele de contrast iodate: ce și cum testăm

Substanțele de contrast iodate (SCI) sunt utilizate pentru a îmbunătăți vizibilitatea structurilor interne în cadrul tehnicilor imagistice bazate pe raze X, cel mai frecvent fiind folosite în cadrul tomografiilor computerizate, dar și în cadrul angiografiei și urografiei.

SȘef Lucrari

Dr. Selda Ali

UMF „Carol Davila“, Spitalul Clinic de Nefrologie „Dr. Carol Davila“ București, Disciplina de Alergologie, UMF Carol Davila București

Dr. Maria Moroianu-Brînzei

Compartimentul de Alergologie, Spitalul Clinic de Nefrologie

„Dr. Carol Davila“ București

Asist. Univ. Dr. Ruxandra

Mihaela Vintilă

UMF „Carol Davila“, Spitalul Clinic de Nefrologie „Dr. Carol Davila“ București, Disciplina de Alergologie, UMF Carol Davila București

Prof. Univ. Dr. Roxana Silvia Bumbăcea

Compartimentul de Alergologie, Spitalul Clinic de Nefrologie

„Dr. Carol Davila“ București

CI sunt derivați ai acidului triiodobenzoic și se împart în SCI ionice și neionice, în funcție de capacitatea lor de a se transforma în ioni în soluție apoasă. Din punct de vedere chimic sunt clasificate ca fiind SCI monomerice și dimerice. SCI monomerice conțin un singur inel benzenic spre deosebire de SCI dimerice, care conțin două inele benzenice, triiodate, legate covalent. În funcție de osmolaritate pot fi cu osmolaritate crescută, izoosmolare sau cu osmolaritate scăzută (1). SCI frecvent utilizate în prezent sunt SCI monomerice, hipoosmolare, reprezentate de: Iopamidol, Iohexol, Iopromid, Ioversol, Iobitridol, Iomeprol, respectiv SCI dimerice, izoosmolare ce au ca reprezentant Iodixanolul (2) .

Clasificarea reacțiilor

adverse induse de substanțele de contrast iodate

Reacțiile adverse induse de substanțele de contrast reprezintă o problemă semnificativă ca urmare a creșterii uriașe a administrării lor atât pentru pentru procedurile diagnostice, cât și terapeutice. Reacțiile adverse la substanțele de contrast iodate sunt clasificate în reacții toxice (tip A), care sunt considerate a fi predictibile, dependente de doză, concentrație și sunt legate de proprietățile chimice ale substanței și în reacții de hipersensibilitate (tip B), impredictibile, ce nu sunt dependente de doză (3)

Reacțiile de hipersensibilitate (RHS) induse de substanțele de contrast iodate pot fi împărțite în două categorii, în funcție de intervalul de timp scurs între administrarea SCI și debutul simptomatologiei: imediate și tardive. Reacțiile imediate debutează în prima oră după administrarea substanței și se pot manifesta prin urticarie, angioedem, vărsături, dureri abdominale, diaree, rinită, conjunctivită, dispnee, bronhospasm și scăderea tensiunii arteriale, până la forme severe de anafilaxie cu pierderea conștienței (4,5). Reacțiile tardive apar la mai mult de 6 ore de la administrarea SCI, până la 7-10 zile. Acestea sunt extrem de variate din punct de vedere semiologic, de la afectări cutanate de tip exantem maculo-papulos, urticarie cu debut tardiv, eritem fix postmedicamentos, toxidermii severe (pustuloza exantematică generalizată acută (PEGA), reacție indusă medicamentos cu eozinofilie și simptome sistemice (DRESS), exantem intertriginos și flexural simetric indus medicamentos (SDRIFE), sindrom Stevens-Johnson/necroliza epidermică toxică (SSJ/NET)) și vasculite, afectări viscerale (hepatică, renală, medulară). Cea mai frecventă manifestare tardivă este reprezentată de exantemul maculo-papulos (5,6) .

Epidemiologia reacțiilor de hipersensibilitate induse de substanțele de contrast iodate

RHS imediate au fost raportate la 0,5% până la 3% dintre pacienții cărora li s-a administrat SCI neionică, iar reacțiile severe au fost prezente în 0,02% până la 0,04% dintre procedurile intravenoase (5,7,8). Aproximativ 70% dintre reacțiile imediate apar în decurs de 5 minute de la administrare, în timp ce reacțiile întârziate apar după câteva ore până la câteva zile, iar aproape toate reacțiile adverse cu potențial fatal apar în decurs de 20 de minute după administrarea intravasculară a SCI (9,10)

Mecanismele patogenice

Mecanismele patogenice care sunt implicate în declanșarea RHM la SCI sunt încă neclare. RHM imediate induse de substanțele de contrast au fost considerate inițial ca având la bază un mecanism non-alergic ce presupunea activarea nespecifică a mastocitelor și bazofilelor ca urmare a hiperosmolarității substanțelor (3). Mecanismul care stă la baza reacțiilor de hipersensibilitate imediată poate fi clasificat în alergic, IgE-mediat (hipersensibilitate de tip I) și non-alergic, frecvent prin activare nespecifică a celulelor mastocitare (1)

Un studiu prospectiv multicentric a documentat sensibilizarea IgE-mediată la unul din zece, un sfert, jumătate și, respectiv, toți pacienții cu simptome cutanate, sistemice moderate, amenințătoare de viață și, respectiv, stop cardiac (11). Riscul de alergie mediată de IgE crește atunci când trei sau patru organe diferite sunt afectate simultan, în special când apar simptome cardiovasculare în combinație cu reacții respiratorii sau cutanate. În contrast, reacțiile nonalergice sunt probabile atunci când este afectat un singur organ (5,11) .

În cadrul reacțiilor apărute prin mecanisme non-alergice, cum ar fi degranularea nespecifică a mastocitelor, simptomele pot fi similare. Reacțiile sunt idiosincrazice, independente de doză, pot apărea fără să necesite expuneri anterioare și nu se reproduc constant la reexpunere. Apariția acestora e datorată capacității substanțelor de contrast de a induce eliberare de histamină prin activarea nespecifică a mastocitelor sau bazofilelor (10) .

RHS tardive variază de la simptome nespecifice și toxice (cum ar fi durere locală sau eritem la locul injectării, prurit generalizat, eritem tranzitoriu, amețeli, greață) până la reacții adverse cutanate severe. Acestea din urmă sunt mediate în principal de celulele T, iar în biopsiile cutanate s-a demonstrat un infiltrat perivascular cu celule T CD4+ și CD8+, iar testele cutanate cu pozitivare tardivă sunt frecvente. Recent, s-a demonstrat că sindromul DRESS indus de SCI apare cu o latență foarte scurtă, în săptămâna după injectarea SCI (11) .

Evaluarea alergologică

Evaluarea alergologică include un istoric detaliat al reacției (timpul de apariție față de momentul administrării substanței de contrast, numele substanței de contrast administrate, semiologia reacției, tratamentul administrat și durata până la remisiune), dozarea nivelului seric al triptazei în timpul reacției daca este posibil, testare cutanată realizată de specialiști în domeniu (medicul alergolog) și alte investigații suplimentare care pot susține diagnosticul (4,5)

Scopul testării cutanate este reprezentat de identificarea sensibilizării IgE mediata la substanța ce a indus reacția, precum și a eventualelor substanțe care pot reacționa încrucișat prin similitudine structurală marcată, precum și identificarea de alternative care să poată fi utilizate în viitor (12,13)

Conform recomandărilor ghidului EAACI, testarea alergologică este indicată strict pacienților cu istoric de reacție de hipersensibilitate (imediată sau tardivă) indusă de o substanță de contrast iodată: anafilaxie, urticarie, angioedem sau bronhospasm izolat, respectiv exantem maculopapulos, eritem fix postmedicamentos, SDRIFE sau PEGA (6)

Testarea alergologică nu este indicată

pacienților fără istoric de reacție de hipersensibilitate la substanțele de contrast iodate, nu este indicată ca test screening, pentru a prezice reacții la substanțele de contrast iodate (14). De asemenea, pacienții diagnosticați cu alergii respiratorii, alimentare, cutanate sau medicamentoase (altele decât SCI) ori pacienții etichetați fals cu „alergie la iod” (betadină, crustacee, moluște) nu au indicație de testare. Evaluarea prin teste cutanate la SCI nu este indicată nici pacienților cu reacții cutanate localizate la nivelul locului de injectare (eritem, papule izolate) sau reacții nespecifice (prurit generalizat, senzație de căldură, greață, vertij), deoarece acestea sunt considerate reacții adverse tipice, frecvente ale administrării substanțelor de contrast (14)

Deși au fost descriși diferiți factori de risc pentru reacții de hipersensibilitate la SCI (de exemplu, sex, atopie, alergie la alte medicamente), aceștia nu reprezintă indicații pentru efectuarea unei evaluări alergologice la SCI. În mod similar, astmul, bolile cardiace, mastocitoza și tratamentul cu beta-blocante, care pot crește severitatea unei reacții de hipersensibilitate, nu reprezintă indicații pentru testare (5) .

Testarea cutanată la substanțele de contrast iodate

Testarea pentru pacienții cu istoric de reacție imediată va fi efectuată la cel puțin 4 săptămâni de la remisiunea reacției, urmând un protocol bine definit, începând cu teste cutanate prick și continuând cu teste cutanate intradermice. Intervalul optim pentru efectuarea testării cutanate este cuprins între 2 – 6 luni de la reacție. Se vor testa atât substanța incriminată cât și toate alternativele disponibile (un panel cât mai larg de SCI) (5). În cazul reacțiilor imediate, au fost publicate concentrații maxime non-iritative, acestea fiind de 1/1 (soluție nediluată, 300-320 mg/ml) în cazul testelor cutanate prick, respectiv diluție de 1/10 din concentrația din flacon pentru testarea cutanată intradermică (15,16). Se recomandă aceleași precauții ca și în cazul altor medicamente testate. Astfel concentrația inițială de testare se va alege în funcție de severitatea reacției index: cu cât reacția inițială a fost mai severă, cu atât concentrația inițială de testare va fi mai mică; testarea cutanată intradermică se va efectua doar după obținerea unui rezul-

tat negativ la testul cutanat prick. De asemenea, pentru validarea testării, trebuie utilizați martori negativi și pozitiv (17). În cazul în care se demonstrează o sensibilizare IgE-mediată la inductor printr-un test cutanat pozitiv, se contraindică administrarea acestuia, precum și a celorlate SCI cu teste cutanate pozitive, pacientul primind recomandarea de a utiliza în viitor una din substanțele de contrast cu rezultat negativ la testarea cutanată (18) În cazul pacienților cu istoric de reacție tardivă se recomandă efectuarea testelor cutanate la SCI la cel puțin 4 săptămâni după reacție, până la 6 luni de la reacție. Evaluarea alergologică ar trebui ideal să fie efectuată în termen de 6 luni de la reacția clinică, deoarece sensibilitatea testelor scade ulterior. Excepția este reprezentată de DRESS, când evaluarea se va realiza după cel puțin 6 luni de la reacție. Din cauza reactivității încrucișate crescute ale substanțelor de contrast în cadrul reacțiilor tardive se recomandă testarea substanței implicate în reacție precum și a tuturor alternativelor disponibile. Testarea se realizează conform unui protocol bine stabilit, începând cu teste cutanate prick și continuând cu teste cutanate intradermice cu citire tardivă (la 24, 48 ore până la 7-10 zile). Pentru testele cutanate intradermice se folosesc atât diluțiile 1/10, ca și în cazul reacțiilor imediate, dar și substanțele nediluate, chiar dacă pot fi iritative imediat, citirea lor realizându-se la distanță. În ceea ce privește DRESS și eritemul fix postmedicamentos, testele recomandate sunt testele cutanate patch cu substanța nediluată. Dacă în cazul DRESS camerele de testare se aplică la nivelul toracelui posterior sau brațelor, în cazul eritemului fix postmedicamentos șansele unui test pozitiv sunt mai mari dacă se aplică la nivelul leziunii reziduale (5,15)

Recomandări

În cazurile la care toate testele cutanate sunt negative este cel mai probabil vorba despre o reacție non-alergică ușoară până la moderată, posibil apărută prin mecanism de degranulare nespecifică. În acest context, se poate lua în considerare administrare unei alte substanțe de contrast iodate (în cazul în care se cunoaște substanța de contrast ce a indus reacția inițială) cu premedicație, în vederea scăderii riscului de recurență (1) .

și medicii radiologi de utilitatea evaluării post-critice a reacțiilor de hipersensibilitate induse de substanțele de contrast iodate, de necesitatea documentării acestora cu descrierea reacției, notarea substanței utilizate, precum și a terapiei necesare pentru remiterea simptomelor.

Bibliografie:

1. Rosado Ingelmo A, Doña Diaz I, Cabañas Moreno R, Moya Quesada M, García-Avilés C, García Nuñez I, et al. Clinical Practice Guidelines for Diagnosis and Management of Hypersensitivity Reactions to Contrast Media. J Investig Allergol Clin Immunol. 2016 Jun 20;26(3):144–55.

2. Nucera E, Parrinello G, Gangemi S, Buonomo A, Aruanno A, Lohmeyer FM, et al. Contrast Medium Hypersensitivity: A Large Italian Study with Long-Term Follow-Up. Biomedicines. 2022 Mar 24;10(4):759.

3. Brockow K, Sánchez-Borges M. Hypersensitivity to Contrast Media and Dyes. Immunology and Allergy Clinics of North America. 2014 Aug;34(3):547–64.

4. Demoly P, Adkinson NF, Brockow K, Castells M, Chiriac AM, Greenberger PA, et al. International Consensus on drug allergy. Allergy. 2014 Apr;69(4):420–37.

5. Torres MJ, Trautmann A, Böhm I, Scherer K, Barbaud A, Bavbek S, et al. Practice parameters for diagnosing and managing iodinated contrast media hypersensitivity. Allergy. 2021 May;76(5):1325–39.

6. Brockow K, Ardern‐Jones MR, Mockenhaupt M, Aberer W, Barbaud A, Caubet J, et al. EAACI position paper on how to classify cutaneous manifestations of drug hypersensitivity. Allergy. 2019 Jan;74(1):14–27.

7. Lee SY, Yang MS, Choi YH, Park CM, Park HW, Cho SH, et al. Stratified premedication strategy for the prevention of contrast media hypersensitivity in high-risk patients. Annals of Allergy, Asthma & Immunology. 2017 Mar;118(3):339-344.e1.

8. Costantino MT, Romanini L, Gaeta F, Stacul F, Valluzzi RL, Passamonti M, et al. SIRM-SIAAIC consensus, an Italian document on management of patients at risk of hypersensitivity reactions to contrast media. Clin Mol Allergy. 2020 Dec;18(1):13.

9. Hunt CH, Hartman RP, Hesley GK. Frequency and Severity of Adverse Effects of Iodinated and Gadolinium Contrast Materials: Retrospective Review of 456,930 Doses. American Journal of Roentgenology. 2009 Oct;193(4):1124–7.

10. Katayama H, Yamaguchi K, Kozuka T, Takashima T, Seez P, Matsuura K. Adverse reactions to ionic and nonionic contrast media. A report from the Japanese Committee on the Safety of Contrast Media. Radiology. 1990 Jun;175(3):621–8.

11. Clement O, Dewachter P, Mouton-Faivre C, Nevoret C, Guilloux L, Bloch Morot E, et al. Immediate Hypersensitivity to Contrast Agents: The French 5-year CIRTACI Study. EClinicalMedicine. 2018 Jul;1:51–61.

12. Lasser EC. The Multipotential Pseudoantigenicity of X-Ray Contrast Media. Int Arch Allergy Immunol. 2000;123(4):282–90.

13. Soria A, Bernier C, Veyrac G, Barbaud A, Puymirat E, Milpied B. Drug reaction with eosinophilia and systemic symptoms may occur within 2 weeks of drug exposure: A retrospective study. Journal of the American Academy of Dermatology. 2020 Mar;82(3):606–11.

14. Trautmann A, Brockow K, Behle V, Stoevesandt J. Radiocontrast Media

Hypersensitivity: Skin Testing Differentiates Allergy From Nonallergic Reactions and Identifies a Safe Alternative as Proven by Intravenous Provocation. The Journal of Allergy and Clinical Immunology: In Practice. 2019 Sep;7(7):2218–24.

15. Brockow K. Medical algorithm: Diagnosis and treatment of radiocontrast media hypersensitivity. Allergy. 2020 May;75(5):1278–80.

16. Brockow K. An algorithm for the management of radiocontrast media hypersensitivity, 2024 update. Allergy. 2024 Sep;79(9):2570–2.

17. Brockow K, Garvey LH, Aberer W, Atanaskovic-Markovic M, Barbaud A, Bilo MB, et al. Skin test concentrations for systemically administered drugs - an ENDA/EAACI Drug Allergy Interest Group position paper. Allergy. 2013 Jun;68(6):702–12.

18. Romano A, Atanaskovic‐Markovic M, Barbaud A, Bircher AJ, Brockow K, Caubet J, et al. Towards a more precise diagnosis of hypersensitivity to beta‐lactams — an EAACI position paper. Allergy. 2020 Jun;75(6):1300–15.

19. Kim S, Jeon KN, Jung JW, Park HK, Lee W, Lee J, et al. Substitution with Low-Osmolar Iodinated Contrast Agent to Minimize Recurrent Immediate Hypersensitivity Reaction. Radiology. 2023 Oct 1;309(1):e222467.

Avertismente privind produsele medicinale din plante asteraceae în alergia respiratorie la polen de buruieni

Pentru milioane de persoane din Europa, alergiile respiratorii la polenuri de buruieni, de tip rinită alergică cu sau fără astm asociat, reprezintă o problemă recunoscută și semnificativă de sănătate, în special pentru polenul de ambrozie/iarba pârloagelor (Ambrosia artemisiifolia) și pelin negru/pelinariță (Artemisia vulgaris), cu manifestări clinice din a doua parte a verii până toamna. Cu toate acestea, o problemă mai puțin cunoscută, dar importantă, este datorată reactivității încrucișate între componentele alergene din polen de buruieni și anumite produse medicinale pe bază de părți aeriene înflorite ale altor plante din familia Asteraceae (Compositae).

PDisciplina de Alergologie, Spitalul Clinic „Nicolae Malaxa” București

Asist. Univ.

Disciplina de Alergologie, Spitalul Clinic „Nicolae Malaxa” București

acienții sensibilizați la polenul buruienilor Asteraceae pot fi expuși riscului de reacții de hipersensibilitate mediate prin IgE atunci când sunt expuși la produse medicinale derivate din specii înrudite din punct de vedere botanic, cum ar fi mușețelul, gălbenelele și echinacea.

Familia Asteraceae include atât buruieni polenizate prin vânt (anemofile), cum ar fi ambrozia și pelinarița, cât și plante folosite în fitoterapie, polenizate de insecte (entomofile). Grăuncioarele de polen ale multor dintre astfel de plante au componente proteice alergene care au în comun secvențe similare structural, în special proteine de tip defensină, proteine de transfer lipidic (LTP) și profiline, care pot declanșa reacții alergice diferite la indivizii sensibilizați anterior. Aceste reacții adverse alergice pot varia de la sindrom de alergie orală la urticarie, exacerbări ale astmului sau chiar anafilaxie, în special la pacienții cu alergii la polen care consumă infuzii sau ceaiuri din flori de plante As-

teraceae sau suplimente care conțin astfel de grăuncioare de polen.

Pe baza rapoartelor clinice și a evaluărilor EMA (Agenția Europeană pentru Medicamente), plantele medicinale asociate cu reacții alergice datorate reactivității încrucișate cu polenul de buruieni din familia Asteraceae includ: echinacea Echinacea purpurea și E. angustifolia (raportate ca fiind cauză de reacții alergice imediate, inclusiv anafilaxie, în special la pacienții sensibilizați la polen de ambrozie), mușețel Matricaria chamomilla/Chamomilla recutita (pacienții cu rinită alergică sensibilizați la polenul de Artemisia vulgaris în mod particular expuși riscului, inclusiv de anafilaxie), gălbenele Calendula officinalis (asociate cu reacții anafilactice și angioedem de contact), păpădia Taraxacum officinale (cunoscută pentru reactivitate încrucișată cu componente alergene din polen de pelinariță și crizantemă), coada-șoricelului Achillea millefolium (polen cu potențial alergenic, implicat în astm ocupațional și rinită sezonieră), spilcuța Tanacetum parthenium (similară structural și alergenic cu mușețelul, care poate provoca reacții alergice la persoanele sensibilizate la pelinariță), splinuța Solidago virgaurea (chiar dacă prezintă reactivitate încrucișată limitată, este contraindicată la pacienții alergici la plante din familia Asteraceae) și scaiete Xanthium strumarium (date limitate referitoare la cross-reactivitate, dar suspectată pe baza similarităților grăuncioarelor de polen cu cele de ambrozia).

Având în vedere popularitatea tot mai mare a remediilor pe bază de plante, este esențial ca alergologii, medicii de familie,

specialiștii ORL și pneumologii să cunoască riscurile de reactivitate încrucișată și să-și informeze în mod corespunzător pacienții alergici la polenul anemofil de buruieni, cum ar fi cel de pelinariță sau ambrozie, cu privire la riscurile alergice asociate florilor/părților aeriene ale plantelor entomofile din familia Asteraceae utilizate ca produse fitoterapeutice, consumate ca în special ca infuzii sau ceaiuri medicinale, ca atare sau în combinație cu produse apicole, cum ar fi mierea polifloră sau de floarea-soarelui, care pot contribui cu riscuri alergice suplimentare datorită prezenței grăuncioarelor de polen de Asteraceae.

Este important de menționat că produsele medicinale care conțin părți aeriene înflorite din plante din familia Asteraceae sunt, de obicei, disponibile pentru administrare orală sub formă solidă sau lichidă. Infuziile sau ceaiurile din florile acestor tipuri de plante, cum ar fi mușețelul, gălbenelele și echinacea, sunt printre cele mai frecvent utilizate produse medicinale. Disponibilitatea este fie în formă vrac, fie ambalate în pliculețe de unică folosință. Grăuncioarele de polen de Asteraceae sunt mai mici decât dimensiunea porilor hârtiei de infuzie țesută din nailon sau nețesută celulozică, din acid polilactic, sau hibridă cu nailon. Clismele cu preparate lichide pe bază de mușețel prezintă un risc și mai mare din cauza aplicării directe pe o suprafață extinsă a mucoasei colonice.

Comitetul pentru produse medicinale pe bază de plante (HMPC) al Agenției

Conf. Univ. Dr. Florin-Dan Popescu
Dr. Mariana Preda

Redefiniţi Controlul Astmului cu Foster®

FOSTER NEXThaler și pMDI 100/6 mcg

FOSTER NEXThaler și pMDI 200/6 mcg

Dispozitive adaptate nevoilor pacienţilor: pMDI, DPI1,2

Formulări extrafine, distribuţie omogenă la nivelul întregului arbore bronșic3-8

Eficienţă clinică dovedită în îmbunătăţirea funcţiei pulmonare*9

Îmbunătăţire semnificativă a aderenţei la tratament9,10

*vs. BUD/FOR, FLU/SAL, CSI și alte medicații BUD/FOR - budesonidă/formoterol; FLU/SAL - fluticazonă/salmeterol; CSI - corticosteroid inhalator. Referinţe: 1. Corradi et al; Expert Opin Drug Deliv 2014, 11(9): 1497-1506; 2. Nicolini et al., Ther Clin Risk Manag 2008;4(5):855-864; 3. RCP Foster pMDI 100/6 mcg; 4. RCP Foster pMDI 200/6 mcg; 5. RCP Foster NEXTHaler 100/6 mcg; 6. RCP Foster NEXTHaler 200/6 mcg; 7. De Backer et al., J Aerosol Med Pulm Drug Deliv 2008; 8. Virchow et al. Journal of Aerosol Medicine and Pulmonary Drug Delivery 2018 31:5, 269-280; 9. ALFRESCO Ulmeanu et al, Journal of Asthma and Allergy 2022:15; 10. F. Braido et. al, Eur Respir J 2024; 64: Suppl. 68, PA4498.

Acest material este destinat profesioniștilor din domeniul sănătăţii. Aceste medicamente se eliberează pe bază de prescripţie medicală PRF. Profesioniștii din domeniul sănătăţii sunt rugaţi să raporteze reacţiile adverse. Raportarea reacţiilor adverse se poate face direct prin sistemul naţional de raportare (www.anm.ro). Raportând reacţiile adverse, puteţi contribui la furnizarea de informaţii suplimentare privind siguranţa acestui medicament.

Pentru informaţii complete de prescriere, vă rugăm să consultaţi Rezumatul Caracteristicilor Produsului, accesând codurile QR.

Chiesi România SRL Str. Venezuela nr. 10,sector 1, 011834, București, România Tel +40 21 202 36 42, Fax +40 21 202 36 43

www.chiesi.ro – www.chiesi.com www.instagram.com/chiesi_romania/ www.linkedin.com/company/chiesiromania/ 005/CR/Foster Family/04-2025

Imunodeficiența Comună Variabilă – date generale și afectare hepatică

Erorile Înnăscute ale Imunității (Inborn Errors of Immunity, IEI), denumite în trecut Imunodeficiențe Primare, cuprind, așa cum este redat de către ultima clasificare a IUIS (International Union of Immunological Societies Expert Committee) din 2024, un grup heterogen de 555 de afecțiuni cu determinism genetic, caracterizate prin funcționarea deficitară sau absentă a uneia sau a mai multor componente ale sistemului imun (1). Mutații noi cu semnificație patologică sunt identificate în fiecare an; la fiecare 2 ani se face o actualizare a colecției de mutații genetice relevante pentru IEI.

Irena Nedelea1,2, Oana Farcău-Nicoară1,3, Bogdan Procopeț1,3, Horia Ștefănescu1,3, Radu Bălan1,2, Alexandru Maximilian Crăciun Fadei2, Bianca Mitre2, Ana-Maria Fit4, Ioana Rusu4, Diana Deleanu2,5

1 Universitatea de Medicină și Farmacie ,,Iuliu Hațieganu”, Cluj-Napoca

2 Departamentul de Alergologie și Imunologie Clinică, Institutul Regional de Gastroenterologie și Hepatologie Profesor Doctor Octavian Fodor, Cluj-Napoca

3 Departamentul de Gastroenterologie și Hepatologie, Institutul Regional de Gastroenterologie și Hepatologie Profesor Doctor Octavian Fodor, Cluj-Napoca

4 Departamentul de Anatomopatologie, Institutul Regional de Gastroenterologie și Hepatologie Profesor Doctor Octavian Fodor, Cluj-Napoca

5 Medicină Internă, Institutul Regional de Gastroenterologie și Hepatologie Profesor Doctor Octavian Fodor, Cluj-Napoca

Autor corespondent: Bogdan Procopeț, bogdanprocopet@gmail.com

IEI sunt afecțiuni cu potențial letal și predispun la infecții, autoimunitate, boli autoinflamatorii, alergii, cancere solide și hematologice și insuficiență medulară. Deși sunt considerate boli rare, se admite în prezent că acestea au o prevalență mai înaltă decat cea estimată inițial (1). Se apreciază că 10 milioane de persoane suferă de o formă de imunode-

ficiență primară la nivel mondial (2). În SUA, IEI afectează 6 din 10.000 de indivizi (3). Prevalența IEI în România nu este cunoscută. IEI au fost considerate inițial apanajul copilăriei, însă datele actuale arată că peste 50% din pacienții cu IEI sunt indivizi de vârstă adultă. Din motive insuficient elucidate, 30-70% dintre IEI sunt umorale (4). Diagnosticul IEI rămâne o provocare la nivel mondial, datorită compexității patologiei, a tabloului heterogen și a nivelului de conștientizare asupra acestor afecțiuni. Astfel, se apreciază că IEI sunt subdiagnosticate sau nediagnosticate în 70-90% dintre cazuri (5). În plus, există o rată înaltă a diagnosticului tardiv, așa încât la momentul diagnosticului există adesea afectare ireversibilă de organ.

Imunodeficiența Comună Variabilă Cea mai frecventă imunodeficiență primară umorală simptomatică a adultului este, la nivel mondial, Imunodeficiența Comună Variabilă (CVID), cu un vârf al prevalenței în decadele 2 – 4 (6) Datele raportate aduc diferențe mari în ce privește prevalența CVID în funcție de aria geografică. Aceasta are o prevalență de 0,001 – 6,9/100.000 indivizi; cea mai înaltă prevalență este raportată în SUA (6443 cazuri, 40,2% din toate IEI) și Europa (4279 cazuri), în timp ce Australia (657 cazuri), Asia (459 cazuri, 2,6%) și Africa (156 cazuri, 1,3%) raportează o prevalență redusă a acestei afecțiuni (3) Cel mai probabil, accesul la metodele de diagnostic, existența registrelor de raportare a pacienților și conștientizarea asupra acestor afecțiuni justifică discrepanțele în ce privește prevalența raportată a CVID. Incidența bolii este de 1/25.000 – 1/50.000 indivizi. Pentru CVID, riscul de deces crește cu 1,7% pentru fiecare an

de întârziere a diagnosticului (7). Rata globală a mortalității CVID este raportată la 19,6% din pacienți (8) . Termenul de CVID a fost introdus de către Organizația Mondială a Sănătății în

Tabelul 1. Criterii de diagnostic ale CVID

1. Cel puțin unul din următoarele:

- Susceptibilitate înaltă pentru infecții

- Autoimunitate

- Boală granulomatoasă

- Limfoproliferare policlonală ce nu poate fi încadrată în alt diagnostic

- Istoric familial de deficit de anticorpi ȘI

2. Vârsta peste 4 ani* ȘI

3. IgG ↓ + IgA ↓ +/- IgM ↓ ȘI

4. Excluderea altor cauze de hipogammaglobulinemie secundară ȘI

5. Cel puțin unul din următoarele:

- Răspuns alterat la vaccinare și/sau izohemaglutinine absente

- LB cu memorie comutată↓ (< 70% x valoarea corespunzătoare vârstei) ȘI

6. Fără dovezi ale unui deficit profund al LT** – 2 din următoarele:

- CD4+ (cel/microL): 2-6 ani: < 300; 6-12 ani: < 250; >12 ani < 200

- CD4+ naive %: 2-6 ani < 25%, 6-16 ani < 20%, >16 ani < 10%

- Proliferare absentă a LT

* Simptome pot fi prezente mai devreme; se consideră că până la această vârstă, sistemul imun este imatur, hipogammaglobulinemia poate fi tranzitorie.

** O parte din pacienții cu CVID dezvoltă o formă particulară de boală, denumită de unii experți LOCID (Late Onset Combined Immunodeficiency, Imunodeficiență combinată cu debut tardiv), în care prevalează defectele limfocitelor T și care asociază un fenotip clinic mai sever, datorat infecțiilor cu agenți oportuniști (16)

INDIFERENT DE ANOTIMP PENTRU TOATĂ FAMILIA

ÎNCEPÂND DE LA 6 ANI

Profilaxie și tratament

200 de doze pentru până la 50 de zile de tratament

Rinoclenil controlează eficient simptomele rinitei alergice și non-alergice 1,2

Referințe: 1. Rezumatul caracteristicilor produsului Rinoclenil 100 μg/doza spray nazal suspensie.

2. ARIA - Allergic Rhinitis and its impact on Asthma - 2008 Update; Allergy 2008:63(Suppl.86):8-160.

Acest medicament se eliberează pe bază de prescripție medicală - PRF. Pentru informații complete despre produs, vă rugăm să consultați Rezumatul Caracteristicilor Produsului. Profesioniştii din domeniul sănătăţii sunt rugaţi să raporteze orice reacţie adversă suspectată prin intermediul sistemului naţional de raportare, ale cărui detalii sunt publicate pe web-site-ul Agenţiei Naţionale a Medicamentului şi a Dispozitivelor Medicale http://www.anm.ro.

Acest material promoțional este destinat profesioniștilor din domeniul sănătății. 001/CR/RINOCLENIL/03-2025

Tabelul 4. Răspunsul la vaccinarea cu polizaharide pneumococice*

Fenotip*

Răspunsul PPSV23**

Mai mic de 6 ani

Sever ≤2 titrul de protecție (≥1,3 mcg/mL)

Moderat <70% dintre serotipuri sunt protectoare (≥1,3 mcg/ml)

Memorie imunologică

Pierderea răspunsului în 6#până la 12 luni

6 ani și peste

≤2 titrul de protecție (≥1,3 mcg/mL)

<50% dintre serotipuri sunt protectoare (≥1,3 mcg/ml)

Pierderea răspunsului în 6#până la 12 luni

*Fenotipurile de răspuns la vaccinare nu se corelează și nu prezic severitatea infecției în toate cazurile. Dacă răspunsurile inițiale nu sunt adecvate, pacienții ar putea răspunde la a doua doză de PPSV23, administrată la un an după prima doză. Dacă anticorpii la indivizii neimunizați anterior sau la subiecții care au primit anterior vaccinuri conjugate sunt <1,3 mcg/mL, răspunsul la vaccinul polizaharidic administrat ulterior poate fi evaluat pe baza rezultatelor tuturor serotipurilor testate. La pacienții care au deja anticorpi de protecție ca răspuns la vaccinurile conjugate, răspunsul la PPSV23 poate fi evaluat numai pe baza anticorpilor la serotipurile care nu sunt în vaccinul conjugat. Răspunsurile la vaccinurile conjugate nu exclud lipsa de răspuns la polizaharidele pure.

**PPSV23: vaccin polizaharidic pneumococic 23-valent

Figura 1. Datele comune și diferențele cheie ale diagnosticului de CVID așa cum sunt redate de ESID versus ICON (ESID = Societatea Europeană de Imunodeficiențe, ICON = International Consensus Document)

Patogenia CVID

Datorită progreselor privind înțelegerea mecanismelor patologice ale bolii, CVID este privită din perspectiva hipogammaglobulinemiei și a eșecului de a produce anticorpi specifici, care predispun la infecții severe, precum și din perspectiva asocierii anomaliilor de reglare a răspunsului imun, care conduc la complicațiile neinfecțioase (10) .

CVID cuprinde forme monogenice de boală, responsabile pentru aproximativ 20% din cazurile din cohorte neconsangvine și aproximativ 70% din CVID din cohortele consangvine (17). Până în prezent, peste 60 de gene au fost asociate fenotipului CVID; dintre acestea, 24 de mutații caracterizează CVID monogenic (Tabelul 5) (1). Nu este surprinzător că multe dintre acestea sunt gene implicate în supraviețuirea, proliferarea, dezvoltarea, maturizarea și funcția limfocitelor B. Cu toate acestea, unii pacienți cu CVID fără un defect genetic cunoscut prezintă un număr marcat redus al limfocitelor B, precum și hipogammaglobulinemie. Un fenotip similar CVID poate fi exprimat de către alte IEI. O minoritate dintre pacienții cu XLP (boală limfoproliferativă X linkată), sindrom WHIM (veruci, hipogammaglobulinemie, infecții, mielocathexie), ICF (imunodeficiență cu instabilitatea centromerilor și anomalii faciale), VODI (imunodeficiență cu boală hepatică veno-ocluzivă), sindrom Good (timom și imunodeficiență) sau mielodisplazie sunt inițial evaluați de imunolog pentru infecții recurente, hipogammaglo-

bulinemie și număr redus/normal al limfocitelor B (1). Fenotipuri CVID-like sunt raportate la pacienți cu defecte congenitale ale glicozilării și boli mitocondriale, ceea ce subliniază importanța reglării căilor metabolice la nivelul celulelor imune. Astfel, CVID cuprinde un grup heterogen de boli, unele sunt cauzate de defecte genetice robuste, monogenice, cu penetranță clinică, în timp ce majoritatea formelor de CVID au la bază defecte oligogenice sau interacțiuni poligenice insuficient elucidate (10). Identificarea variantei genetice cauzatoare de boală poate îndruma către tratament țintit (Tabelul 6).

O serie de studii aduc dovezi în favoarea implicării factorilor epigenetici în patogenia CVID. Mecanismele epigenetice pot influența nivelul de exprimare al unor gene fără a altera ADN-ul germinativ și joacă un rol important în dezvoltarea celulelor imune. Aceste mecanisme includ metilarea ADN-ului și exprimarea factorilor de transcripție, alături de ARNul necodant (ncARN). Metilarea ADN este catalizată de ADN metiltransferaza și inhibă exprimarea genelor prin redu-

Tabelul 3. Valorile reper ale Ig utilizate în suspiciunea de CVID. Cut off

Tabelul 5. Imunodeficiențele predominant anticorpice, fenotip CVID, 2024 Update on the classification from the International Union of Immunological Societies Expert Committee Reducere Severă a Nivelului Seric a Cel Puțin 2 Izotipuri de Imunoglobulină cu Număr Normal sau Redus al LB, Fenotip CVID

Boală Defect genetic Transmitere OMIM Ig

Imunodeficiență comună variabilă fără defect genetic specificat (CVID)

Sindromul p110 δ activat (APDS)

Necunoscut Variabil NA IgG și IgA ↓ și/sau IgM ↓

PIK3CD GOF AD 615513 (APDS1) IgM normal/crescut, IgG și IgA scăzut

PIK3R1 AD 616005 (APDS2)

Deficit PTEN (LOF) PTEN AD 158350 Normal/scăzut

Deficit CD19 CD19 AR 107265 IgG și IgA↓ și/sau IgM ↓

Deficit CD81 CD81 AR 186845 ↓IgG, IgA și IgM ↓ sau normal

Deficit CD20 MS4A1(CD20) AR 112210 ↓ IgG, IgM și IgA normale sau ↑

Deficit CD21 CR2 (CD21) AR 120650 IgG ↓, răspuns anti-pneumococic alterat

Deficit TACI * TNFRSF13B AR sau AD 604907 IgG și IgA↓ și/sau IgM↓

Deficit receptor BAFF TNFRSF13C AR 606269 IgG și IgM ↓

Trăsături asociate

Fenotip clinic variat: majoritatea au infecții recurente, o parte au limfoproliferare policlonală, citopenii autoimune și/sau boală granulomatoasă

Infecții bacteriene severe; reducerea numărului celulelor B cu memorie și ↑ celulelor B de tranziție, viremie EBV ± CMV, sdr ganglionar/splenomegalie, autoimunitate, limfoproliferare, limfom

Infecții bacteriene severe, reducerea LB cu memorie și ↑ LB de tranziție, sdr ganglionar/splenomegalie, limfoproliferare, limfom, retard mental

Infecții recurente, limfoproliferare, autoimunitate, retard mental

Infecții recurente, posibil glomerulonefrită ( mutații CD81 abolesc exprimarea CD19 și fenocopiază astfel mutațiile CD19)

Infecții recurente

Infecții recurente

Exprimare clinică și penetranță variabilă pentru variantele monoalelice

Exprimare clinică variabilă

Deficit TWEAK TNFSF12 AD 602695 IgM și A ↓, lipsa răspunului antipneumococic Pneumonie, infecții bacteriene, veruci, trombocitopenie, neutropenie

Deficit TRNT1 TRNT1 AR 612907 Deficit al LB și hipogammaglobulinemie Anemie sideroblastică congenitală, surditate, retard mental

Deficit NFKB1 NFKB1 AD 164011 IgG, IgA, IgM normal sau ↓, normal sau ↓ LB, celule B cu memorie ↓

Deficit NFKB2 NFKB2 AD 615577 IgG, A și M ↓; număr scăzut al LB

Deficit IKAROS IKZF1 AD (haploinsuficiență) 603023 IgG, IgA, IgM ↓,LB normale sau ↓; LB și nivele Ig scad cu vârsta

Deficit IRF2BP2 IRF2BP2 AD 615332 Hipogammaglobulinemie, IgA absent

Deficit ATP6AP1 ATP6AP1 XL 300972 Nivele variabile ale Ig

Deficit ARHGEF1 ARHGEF1 AR 618459 Hipogammaglobulinemie Ig absente

Deficit SH3KBP1 (CIN85) SH3KBP1 XL 300310 Deficit IgM, IgG, pierdere de Ig

Deficit SEC61A1 SEC61A1 AD 609213 Hipogammaglobulinemie

Deficit RAC2 RAC2 AR 602049 IgG, IgA, IgM ↓, LB normale sau ↓, răspuns anticorpic redus la vaccinare

Deficit manoză oligozaharid Glucozidază

MOGS AR 601336 IgG, IgA, IgM ↓, LB ↑; răspuns slab la vaccinare

Deficit PIK3CG PIK3CG AR 619802

LB cu memorie reduse, hipogammaglobulinemie

Deficit BOB1 POU2AF1 AR NA LB cu memorie ↓, agammaglobulinemie

KARS1 deficiency KARS1 AR 619147

Metabolism alterat al LB (scăderea numărului și activității mitocondriale). Limfopenie B, hipogammaglobulinemie, răspuns alterat la vaccinare

Infecții sinopulmonare recurente, BPCO, proliferare EBV, citopenii autoimune, alopecie și tiroidită autoimună

Infecții recurente sinopulmonare, alopecie și endocrinopatii

Celule pro-B ↓, infecții sinopulmonare recurente, risc crescut de leucemie limfocitică acută, autoimunitate, fenotip CVID

Infecții recurente, posibil autoimunitate, boală autoinflamatorie

Hepatopatie, leucopenie, cupremie ↓

Infecții recurente, bronșiectazii

Infecții bacteriene severe

Infecții recurente severe ale tractului respirator

Infecții recurente sinopulmonare, deficit selectiv de IgA, glomerulonefrită poststreptococică, urticarie

Infecții bacteriene sau virale, boală neurologică severă, cunoscută și ca boală congenitală a glicozilării tip IIb (CDG-IIb)

Infecții recurente, citopenii/limfopenie, eozinofilie, splenomegalie, sdr ganglionar, HLH like

Infecții respiratorii recurente, infecții virale cronice ale SNC cu posibilă tetrapareză

Retard mental sever, surditate neurosenzorială, encefalomielită acută diseminată, afectarea sistemului nervos central și periferic, boală hepatică și cardiac. Infecții recurente/severe.

* variante heterozigote ale TNFRSF13B au fost detectate la indivizi sănătoși, astfel că acestea sunt mai curând modificatoare de boală și nu cauzatoare de boală (1).

cerea factorilor de transcripție și a elementelor care reglează ADN-ul sau prin construcția unor fragmente ADN care sunt inaccesibile factorilor de transcripție. Acest mecanism este important în etapele precoce, cât și tardive ale dezvoltării limfocitului B. Hipermetilarea unor gene relevante pentru fenotipul CVID (PIK3CD) a fost observată la nivelul limfocitelor B, alături de alterarea demetilării în cursul tranziției de la celule naive la celule cu memorie. Aceste date relevă mecanisme noi responsabile pentru defectele de generare a celulelor cu memorie la pacienții cu CVID. Alt mecanism este cel mediat de ncARN, care acționează asupra mARN la nivel posttranscripțional sau prin influențarea transcripției ADN. miARN, care acționează mai ales prin inhibarea exprimării genice, contri-

buie la reglarea dezvoltării limfocitului B în diferite etape. Importanța acestor molecule a fost dovedită pentru dezvoltarea limfocitelor B, precum și a limfocitelor T la modelele experimentale murine (4) . Astfel, etiologia CVID este plurifactorială și include factori genetici și epigenetici. Totodată, mutații somatice pot fenocopia erorile înnăscute ale imunității sau unele variații somatice pot avea impact asupra comportamentului limfocitelor B. Spre exemplu, în unele cazuri, fenotipuri similare CVID pot prezenta inițial hipergammaglobulinemie și hipogammaglobulinemie ulterior, ceea ce poate fi util ca element de diferențiere a celor cu defecte primare ale limfocitului B de cei care evoluează către CVID-like (10)

Mecanismele imunopatologice ale CVID sunt complexe și heterogene și

includ, alături de anomaliile intrinseci, de număr și/sau funcție a limfocitelor B, defecte ale căilor imunologice mediate de limfocitele T, monocite, macrofage, celule dendritice, celule limfoide înnăscute, celule NK. Pe de altă parte, s-a arătat că populația CVID are o semnătură defectuoasă a microbiomului intestinal și se suspectează că acesta este un factor important al activării limfocitelor T și a sistemului monocito-macrofagic, pentru că permite pasajul agenților patogeni și al toxinelor microbiene din intestin în circulația sistemică. Toate acestea construiesc un microclimat biologic inflamator sistemic persistent (18)

Astfel, CVID nu este o singură boală, ci cuprinde o rețea complexă de boli prin modificări genetice și imunologice.

Tabelul 7. Afecțiuni care evoluează cu PSVD

Boli hematologice Anemie aplastică, Boli mieloproliferative , Limfom Hodgkin, Mielom multiplu

Trombofilie Deficit de proteină S sau C, Mutații ale genei factorilor II sau V, Sindrom antifosfolipidic , Deficit ADAMTS13

Indusă medicamentos Didanozină , Azathioprină , Tioguanină , Oxaliplatin

Boli imunologice CVID , Deficit selectiv de IgA, Agammaglobulinemia X-linkată, Hepatită autoimună , Lupus eritematos sistemic, Artrită reumatoidă , Sclerodermie , Boala celiacă

Altele Infecție HIV, Infecții repetate gastrointestinale

Genetice Sdr Turner , Sdr Adams-Oliver, Mutații TERT , Fibroza chistică , Cazuri familiale/congenitale de PSVD, boli obliterative venoase portale

tă și disbioza intestinal sunt frecvente la populația CVID. Acestea predispun la transolcare microbiană, favorizează pasajul agenților patogeni și a endotoxinelor la sedii extraintestinale, inclusiv în circulația portală hepatică. Evaluarea endotoxinemiei, prin măsurarea lipopolizaharidului plasmatic (LPS) poate fi utilă pentru documentarea translocării bacteriene (18, 34 - 38). Un ultim mecanism propus este acela al unui atac autoimun hepatic, care pornește de la observația că unii pacienți cu CVID și HNR au din punct de vedere histopatologic, trăsături similare hepatitei autoimune, caracterizate prin infiltrat inflamator portal, necroză în punți, absența plasmocitelor și care se asociază din punct de vedere clinic cu un tipar mai sever de afectare hepatică și paraclinic cu alterarea funcției excretorii hepatice (28). Trebuie menționat că absența plasmocitelor este o trăsătură definitorie a CVID. Aceste mecanisme sunt, cel mai probabil, intricate.

Evaluarea bolii hepatice asociate CVID

Evaluarea parametrilor de laborator

Efectuarea probelor hepatice este un prim pas important pentru evaluarea cu rol de screening și diagnostic inițial al bolii hepatice. Cu toate acestea, HNR poate evolua cu probe hepatice în limite normale, prin urmare aceste teste nu sunt utile pentru screeningul în sensul PSVD (21). Unii pacienți cu CVID și boală hepatică pot prezenta trombocitopenie cu probe hepatice normale (23). Probele hepatice, mai ales fosfataza alcalină sunt crescute la unii pacienți cu CVID. Au fost raportate cazuri de CVID și hepatită autoimună seronegativă cu nivel seric al IgG în limite normale, contrar tiparului exprimat în mod obișnuit, cel de hiper IgG și justificat prin hipogammaglobulinemia caracteristică acestei imunodefici-

ențe (39). Astfel, diagnosticul de laborator al hepatitei autoimune la acești pacienți este dificil. Investigarea de bază cuprinde: AST, ALT, fosfataza alcalină, bilirubina totală, numărul de trombocite și coagulograma. Prezența sindromului de hepatocitoliză impune continuarea investigațiilor cu efectuarea markerilor de autoimunitate hepatici. În cazul în care probele sunt sever alterate, se recomandă puncția biopsie hepatică, pentru excluderea hepatitei autoimune seronegative. Recomandarea este de a evalua aceste probe cel puțin anual în cazul în care evaluarea inițială aduce rezultate în limite normale. Întrucât evaluarea de laborator poate aduce rezultate normale în PSVD, se recomandă completarea bilanțului de investigare a pacienților cu CVID cu investigațiile imagistice (21)

Evaluarea imagistică

Ultrasonografia abdominală, elastrografia hepatică și splenică și RMN-ul de abdomen pot pune în evidență modificările structurale, anatomice, hemodinamice ale axei splină-ficat. Întrucât hipertensiunea portală este o complicație redutabilă, ultrasonografia și elastrografia sunt investigații de primă linie (21). Splenomegalia este trăsătura cel mai frecvent întâlnită la pacienții cu CVID complicată cu HNR și HTPNC (21, 23, 40), însă aceasta este o trăsătură nespecifică. La pacienții cu CVID, splenomegalia este întâlnită adesea, ca trăsătură a limfoproliferării benigne caracteristice acestei imunodeficiențe, alături de hepatomegalie sau sindrom ganglionar. ESID raportează prezența splenomegaliei la 25% dintre pacienți, iar studiile pe cohortele CVID din Franța arată o prevalență a splenomegaliei de 38% (41). Un diametru al splinei de cel puțin 16 cm este predictiv pentru prezența hipertensiunii portale (21, 22). Evaluarea prin elastografie pune în evidență creșterea rigidității hepatice. Nu există un

consens privind valoarea rigidității hepatice predictivă pentru hipertensiunea portală. Unele studii raportează o valoare cut-off de 11,2 kPa, în timp ce altele arată că majoritatea pacienților cu o rigiditate hepatică mai mare de 6,5 kPa și toți pacienții cu valori de peste 20 kPa prezintă hipertensiune portală (20, 21, 22). Măsurarea ridigității splenice poate aduce date suplimentare valoroase. Două studii au arătat creșterea rigidității splenice la pacienții cu PSVD fără CVID (40, 42, 43). Studii viitoare sunt necesare pentru validarea acestei informații. CT-ul poate identifica semne de hipertensiune portală, precum modificările de calibru ale colateralelor venoase și ale vaselor intrahepatice, mai cu seamă de la nivelul ramurilor periferice ale venei porte, aceasta din urmă fiind un semn al venopatiei obliterative (44). Se recomanda efectuarea ultrasonografiei la fiecare 6 luni și a studiilor elastografice la 1-2 ani, cu scopul detecției precoce a hipertensiunii portale. Un alt test valoros recomandat este puncția biopsie hepatică (19, 21, 22)

Puncția biopsie hepatică

Biopsia hepatică este standardul de aur pentru diagnosticul HNR. În anul 2020, VALDIG (Vascular Liver Disease Group) propune drept criteriu de diagnostic al PSVD, ,,CVID și HNR și absența histologică a cirozei”. Astfel, biopsia hepatică este piatra de temelie a diagnosticului și a conduitei ulterioare (27) .

Tratamentul CVID și PSVD

Abordarea bolii de ficat asociate CVID este multidisciplinară, prin echipele cu expertiză în CVID, hepatologie, gastroenterologie și anatomopatologie. Factorii care comportă prognostic nefast și includ pacientul în categoria de risc sunt: prezența varicelor de grad înalt, prezența ascitei, nivelul bilirubinei, albuminei și al creatininei serice, alături de vârstă și prezența unor boli cronice asociate (20) .

Tratamentul cuprinde două linii: cel ghidat de factorii care conduc la modificări, pentru a preveni progresia bolii și tratamentul suportiv al HTPNC.

Tratamentul ghidat de cauză ținte cont de histologie. În cazurile care asociază boală granulomatoasă este raportată cu succes utilizarea imunosupresoarelor (steroizi, agenți biologici anti-TNF) (45) . Imunosupresoarele (corticosteroizi, azatioprină, 6-mercaptopurină) aduc beneficiu clinic și în cazurile de HNR și boală hepatică cu evoluție rapidă. Administrarea de Rituximab, micofenolat mofetil, azatioprină și corticosteroizi poate fi salvatoare în cazurile care HNR asociază alte trăsături limfoproliferative care comportă severitate, precum GLILD (46, 47). La un caz de HNR si enteropatie a fost documentată evoluția favorabilă sub tratament cu budesonid oral (48). Cazuri rare de HNR și hipertensiune portală au fost asociate tratamentului cu thiopurine, mai cu seamă raportate la pacienți cu boală inflamatorie intestinală fără CVID. Tratamentul HTPNC trebuie început la primele semne de boală. Dezvoltarea HTPNC pare să indice o progresie lentă a injuriei hepatice la acești pacienți, debutul acestei complicații este raportat la 11,8 ani de la diagnosticul de CVID (20) Sângerarea prin efracție variceală este o complicație redutabilă a HTPNC. De aceea, se indică profilaxia primară, care cuprinde ligatura endoscopică a varicelor esofagiene, tratamentul cu beta-blocante neselective, preferabil carvedilol. Acesta din urmă a demonstrat o reducere a gradientului presiunii venoase hepatice superioară propranololului (21, 49, 50, 51). Nu există un consens privind cea mai eficientă metodă de profilaxie primară (21) Unele studii pledează în favoarea profilaxiei primare prin ligaturarea endoscopică a varicelor esofagiene, în timp ce alte studii aduc date similare în ce privește beneficiul clinic al administrării de beta-blocante neselective (52, 53). Compararea acestor două metode de profilaxie primară este dificilă, însă un studiu pe un număr mare de pacienți cu CVID și PSVD, majoritatea tratați cu beta-blocante neselective, arată că riscul de sângerare prin efracție variceală este relativ mic, de 15% la 5 ani de monitorizare și subliniază eficiența terapiei cu beta-blocante neselective. Riscul de sângerare variceală în CVID și boală hepatică este similar ce-

lui al pacienților cu ciroză hepatică. Spre deosebire de pacienții cu ciroză hepatică, mortalitatea pe termen scurt este foarte mică (3,4%) la pacienții cu CVID și mai probabil reflectă o rezervă hepatică superioară pacientului cu ciroză fără CVID. Profilaxia secundară, prin beta-blocante neselective și ligaturarea endoscopică a varicelor esofagiene este foarte eficientă și are o rată mare de succes, recurența hemoragiei digestive la 5 ani fiind documentată la sub 20% dintre pacienți, profil net favorabil comparativ cu evoluția pacientului cu ciroză hepatică (20). O altă linie de tratament propusă este administrarea de anticoagulante, susținută prin beneficiul clinic observat la acești pacienți și care este similar celui observat la pacienții cu ciroză hepatică. Aceste date susțin implicarea unor anomalii ale coagulării la mecanismele patologice ale PSVD. Lipsa controlului sângerării din varicele esofagiene și prezența ascitei refractare la tratament impun amplasarea unui șunt intrahepatic portosistemic transjugular (TIPS) (19, 20, 21). Această metodă s-a dovedit eficientă în a reduce hipertensiunea portală și splenomegalia, însă aduce un risc înalt de sepsis. Decesul prin sepsis sau insuficiență multiplă de organ secundar TIPS a fost raportat până la 4 ani de la amplasare (20, 21, 54, 55). Nu există un consens privind antibioprofilaxia în aceste cazuri. Se speculează că prezența enteropatiei persistente este un factor de risc în aceste cazuri. Transplanul hepatic este salvator în cazul pacienților cu boală hepatică progresivă în ciuda tratamentului convențional. Un studiu amplu recent publicat, raportează o supraviețuire de 97% la 1 an și de 83% la 5 ani pentru cei 50 de pacienți cu CVID și PSVD transplantați. Totodată, lipsa transplantului hepatic la pacienții la risc, cu CVID și HTPNC asociază o supraviețuire redusă, de până la 60% la 5 ani (20) Datele sunt promițătoare în ce privește beneficiul transplantului hepatic în cazurile de CVID și hipertensiune portală severă.

Concluzii

Boala de ficat în CVID reprezintă o provocare în ceea ce privește diagnoticul, este adesea asimptomatică și devine evidentă tardiv, odată cu instalarea complicațiilor. Afectarea hepatică este o complicație majoră a CVID, exprimată cel mai adesea prin hiperplazie nodulară regenerativă. Mortalitatea este ridicată în ca-

zurile care evoluează către hipertensiune portală. În majoritatea cazurilor, probele hepatice și coagulograma nu reflectă severitatea afectării hepatice. Este necesară creșterea conștientizării asupra afectării hepatice, încât pacienții să aibă acces la investigații, diagnostic precoce, monitorizare si tratament.

Referințe

1. Poli C M et al. Human inborn errors of immunity: 2024 update on the classification from the International Union of Immunological Societies Expert Committee. J Hum Immun (2025) 1(1): e20250003.

2. https://www.uzleuven.be/en/news/data-better-primary-immunodeficiency-care-pid

3. Modell V, Orange JS, Quinn J, Modell F. Global report on primary immunodeficiencies: 2018 update from the Jeffrey Modell Centers Network on disease classification, regional trends, treatment modalities, and physician reported outcomes. Immunol Res. 2018;66(3):367-80.

4. Yazdani R, Habibi S, Sharifi L, Azizi G, Abolhassani H, Olbrich P, Aghamohammadi A. Common Variable Immunodeficiency: Epidemiology, Pathogenesis, Clinical Manifestations, Diagnosis, Classification, and Management. J Investig Allergol Clin Immunol. 2020;30(1):14-34.

5. Kobrynski LJ. Newborn Screening in the Diagnosis of Primary Immunodeficiency. Clin Rev Allergy Immunol. 2022;63(1):9-21.

6. Kapousouzi A, Kalala F, Sarrou S, Farmaki E, Antonakos N, Kakkas I, Kourakli A, Labropoulou V, Kelaidi C, Tsiouma G, Dimou M, Vassilakopoulos TP, Voulgarelis M, Onoufriadis I, Papadimitriou E, Polychronopoulou S, Giamarellos-Bourboulis EJ, Symeonidis A, Hadjichristodoulou C, Germenis AE, Speletas M. A Nationwide Study of the Delayed Diagnosis and the Clinical Manifestations of Predominantly Antibody Deficiencies and CTLA4-Mediated Immune Dysregulation Syndrome in Greece. Medicina (Kaunas). 2024;60(5):782.

7. Gathmann B, Mahlaoui N; CEREDIH; Gérard L, Oksenhendler E, Warnatz K, Schulze I, Kindle G, Kuijpers TW; Dutch WID; van Beem RT, Guzman D, Workman S, Soler-Palacín P, De Gracia J, Witte T, Schmidt RE, Litzman J, Hlavackova E, Thon V, Borte M, Borte S, Kumararatne D, Feighery C, Longhurst H, Helbert M, Szaflarska A, Sediva A, Belohradsky BH, Jones A, Baumann U, Meyts I, Kutukculer N, Wågström P, Galal NM, Roesler J, Farmaki E, Zinovieva N, Ciznar P, Papadopoulou-Alataki E, Bienemann K, Velbri S, Panahloo Z, Grimbacher B; European Society for Immunodeficiencies Registry Working Party. Clinical picture and treatment of 2212 patients with common variable immunodeficiency. J Allergy Clin Immunol. 2014;134(1):116-26.

8.Jolles S. The variable in common variable immunodeficiency: a disease of complex phenotypes. J Allergy Clin Immunol Pract. 2013;1(6):545-56.

9. Fudenberg H, Good RA, Goodman HC, Hitzig W, Kunkel HG, et al. 1971. Primary immunodeficiencies. Report of aWorld Health Organization Committee. Pediatrics 47(5):927–46.

10. Peng XP, Caballero-Oteyza A, Grimbacher B. Common Variable Immunodeficiency: More Pathways than Roads to Rome. Annu Rev Pathol. 2023 Jan 24;18:283-310. doi: 10.1146/annurev-pathmechdis-031521-024229.

11. Seidel MG, Kindle G, Gathmann B, Quinti I, Buckland M, et al. 2019. The European Society for Immunodeficiencies (ESID) registry working definitions for the clinical diagnosis of inborn errors of immunity. J. Allergy Clin. Immunol. 7(6):1763–70

Articole de specialitate

12. Bonilla FA, Barlan I, Chapel H, Costa-Carvalho BT, Cunningham-Rundles C, et al. 2016. International Consensus Document (ICON): common variable immunodeficiency disorders. J. Allergy Clin. Immunol. 4(1):38–59

13. Farmer JR,Ong M-S, Barmettler S,Yonker LM, Fuleihan R, et al. 2018.Common variable immunodeficiency non-infectious disease endotypes redefined using unbiased network clustering in large electronic datasets. Front. Immunol. 8:1740

14. Resnick ES, Moshier EL, Godbold JH, Cunningham-Rundles C. Morbidity and mortality in common variable immune deficiency over 4 decades. Blood. 2012 Feb 16;119(7):1650-7. doi: 10.1182/blood-2011-09-377945.

15. Sanchez LA, Maggadottir SM, Pantell MS, Lugar P, Rundles CC, Sullivan KE, et al. Two Sides of the Same Coin: Pediatric-Onset and Adult-Onset Common Variable Immune Deficiency. J Clin Immunol. 2017;37(6):592-602

16. Ameratunga R. Assessing Disease Severity in Common Variable Immunodeficiency Disorders (CVID) and CVID-Like Disorders. Front Immunol. 2018 Sep 28;9:2130. doi: 10.3389/fimmu.2018.02130.

17. Abolhassani H, Aghamohammadi A, Fang M, Rezaei N, Jiang C, Liu X, et al. Clinical implications of systematic phenotyping and exome sequencing in patients with primary antibody deficiency. Genet Med. 2019;21(1):243251

18. Andersen IM, Jørgensen SF. Gut inflammation in CVID: causes and consequences. Expert Rev Clin Immunol. 2022 Jan;18(1):31-45.

19. Globig AM, Strohmeier V, Surabattula R, Leeming DJ, Karsdal MA, Heeg M, Kindle G, Goldacker S, von Spee-Mayer C, Proietti M, Bausch B, Bettinger D, Schultheiß M, Thimme R, Schuppan D, Warnatz K. Evaluation of Laboratory and Sonographic Parameters for Detection of Portal Hypertension in Patients with Common Variable Immunodeficiency. J Clin Immunol. 2022 Nov;42(8):1626-1637.

20. Magaz M, Giudicelli-Lett H, Abraldes JG, Nicoară-Farcău O, Turon F, Rajoriya N, Goel A, Raymenants K, Hillaire S, Téllez L, Elkrief L, Procopet B, Orts L, Nery F, Shukla A, Larrue H, Degroote H, Aguilera V, Llop E, Turco L, Indulti F, Gioia S, Tosetti G, Bitto N, Becchetti C, Alvarado E, Roig C, Diaz R, Praktiknjo M, Konicek AL, Olivas P, Fortea JI, Masnou H, Puente Á, Ardèvol A, Navascués CA, Romero-Gutiérrez M, Scheiner B, Semmler G, Mandorfer M, Damião F, Baiges A, Ojeda A, Simón-Talero M, González-Alayón C, Díaz A, García-Criado Á, De Gottardi A, Hernández-Guerra M, Genescà J, Drilhon N, Noronha Ferreira C, Reiberger T, Rodríguez M, Morillas RM, Crespo J, Trebicka J, Bañares R, Villanueva C, Berzigotti A, Primignani M, La Mura V, Riggio O, Schepis F, Verhelst X, Calleja JL, Bureau C, Albillos A, Nevens F, Hernández-Gea V, Tripathi D, Rautou PE, García-Pagán JC; ERN RARE-LIVER; a study of VALDIG, an EASL consortium. Porto-sinusoidal vascular liver disorder with portal hypertension: Natural history and long-term outcome. J Hepatol. 2025;82(1):72-83.

21. Pecoraro A, Crescenzi L, Varricchi G, Marone G, Spadaro G. Heterogeneity of Liver Disease in Common Variable Immunodeficiency Disorders. Front Immunol. 2020;11:338.

22. Bez P, Warnatz K. Liver disease in primary antibody deficiencies. Curr Opin Allergy Clin Immunol. 2024;24(6):434-439.

23. Lima FMS, Toledo-Barros M, Alves VAF, Duarte MIS, Takakura C, Bernardes-Silva CF, et al. Liver disease accompanied by enteropathy in common variable immunodeficiency: common pathophysiological mechanisms. Front Immunol 2022;13:933463.

24. Farmer JR, Ong MS, Barmettler S, Yonker LM, Fuleihan R, Sullivan KE, et al. Common variable immuno-

deficiency non-infectious disease endotypes redefined using unbiased network clustering in large electronic datasets. Front Immunol 2017;8:1740.

25. Baumert LS, Shih A, Chung RT. Management of liver disease and portal hypertension in common variable immunodeficiency (CVID). JHEP Rep. 2023 Aug 13;5(11):100882.

26. Sompornrattanaphan M, Tongdee R, Wongsa C, Jitmuang A, Thongngarm T. Fatal liver mass rupture in a common-variable-immunodeficiency patient with probable nodular regenerating hyperplasia. Allergy Asthma Clin Immunol. 2022;18(1):2.

27. De Gottardi A, Rautou PE, Schouten J, Rubbia-Brandt L, Leebeek F, Trebicka J, Murad SD, Vilgrain V, Hernandez-Gea V, Nery F, Plessier A, Berzigotti A, Bioulac-Sage P, Primignani M, Semela D, Elkrief L, Bedossa P, Valla D, Garcia-Pagan JC; VALDIG group. Porto-sinusoidal vascular disease: proposal and description of a novel entity. Lancet Gastroenterol Hepatol. 2019;4(5):399-411.

28. Li Y, Xu C, Lin N, Zhao Y, Song J. Nodular regenerative hyperplasia and portal hypertension are the characteristics of liver abnormalities in patients with selective immunoglobulin A deficiency. Clin Res Hepatol Gastroenterol. 2020 Oct;44(5):e123-e125.

28. Fuss IJ, Friend J, Yang Z, He JP, Hooda L, Boyer J, et al. Nodular regenerative hyperplasia in common variable immunodeficiency. J Clin Immunol 2013;33:748–758.

29. Reshamwala PA, Kleiner DE, Heller T. Nodular regenerative hyperplasia: not all nodules are created equal. Hepatology 2006;44:7–14.

30. Jharap B, van Asseldonk DP, de Boer NK, Bedossa P, Diebold J, Jonker AM, et al. Diagnosing nodular regenerative hyperplasia of the liver is thwarted by low interobserver agreement. PLoS One 2015;10:e0120299.

31.Malamut G, Ziol M, Suarez F, Beaugrand M, Viallard JF, Lascaux AS, et al. Nodular regenerative hyperplasia: the main liver disease in patients with primary hypogammaglobulinemia and hepatic abnormalities. J Hepatol 2008;48:74–82.

32.Ziol M, Poirel H, Kountchou GN, Boyer O, Mohand D, Mouthon L, et al. Intrasinusoidal cytotoxic CD8+ T cells in nodular regenerative hyperplasia of the liver. Hum Pathol 2004;35:1241–1251.

33.Gathmann B, Mahlaoui N, Ceredih, Gerard L, Oksenhendler E, Warnatz K, et al. Clinical picture and treatment of 2212 patients with common variable immunodeficiency. J Allergy Clin Immunol 2014;134:116–126.

34. Belkaid Y, Hand TW. Role of the microbiota in immunity and inflammation. Cell 2014;157:121–141.

35. Pinzone MR, Celesia BM, Di Rosa M, et al. Microbial translocation in chronic liver diseases. Int J Microbiol 2012;2012:694629.

36. Tripathi A, Debelius J, Brenner DA, Karin M, Loomba R, Schnabl B, et al. The gut-liver axis and the intersection with the microbiome. Nat Rev Gastroenterol Hepatol 2018;15:397–411.

37. Chopyk DM, Grakoui A. Contribution of the intestinal microbiome and gut barrier to hepatic disorders. Gastroenterology 2020;159:849–863.

38. Stehle Jr JR, Leng X, Kitzman DW, Nicklas BJ, Kritchevsky SB, High KP. Lipopolysaccharide-binding protein, a surrogate marker of microbial translocation, is associated with physical function in healthy older adults. J Gerontol A Biol Sci Med Sci 2012;67:1212–1218.

39.European Association for the Study of the L. EASL clinical practice guidelines: autoimmune hepatitis. J Hepatol 2015;63:971–1004.

40.de Franchis R, Bosch J, Garcia-Tsao G, Reiberger T, Ripoll C, Baveno VII. Faculty. Corrigendum to ‘Baveno VII - renewing consensus in portal hypertension’ [J Hepatol (2022) 959-974]. J Hepatol 2022;77:271

41. Viallard JF, Parrens M, Blanco P, Moreau JF, Oksenhendler E, Fieschi C. Influence of Splenomegaly and Splenectomy on the Immune Cell Profile of Patients with

Common Variable Immunodeficiency Disease. J Clin Immunol. 2024;44(2):46.

42. Furuichi Y, Moriyasu F, Taira J, Sugimoto K, Sano T, Ichimura S, et al. Noninvasive diagnostic method for idiopathic portal hypertension based on measurements of liver and spleen stiffness by ARFI elastography. J Gastroenterol 2013;48:1061–1068.

43. Ahmad AK, Atzori S, Taylor-Robinson SD, Maurice JB, Cooke GS, Garvey L. Spleen stiffness measurements using point shear wave elastography detects noncirrhotic portal hypertension in human immunodeficiency virus. Medicine (Baltimore) 2019;98:e17961.

44. Glatard AS, Hillaire S, d’Assignies G, Cazals-Hatem D, Plessier A, Valla DC, et al. Obliterative portal venopathy: findings at CT imaging. Radiology 2012;263:741–750.

45. Fevang B. Treatment of inflammatory complications in common variable immunodeficiency (CVID): current concepts and future perspectives. Expert Rev Clin Immunol. 2023 Jun;19(6):627-638.

46. Roosens W, Staels F, Van Loo S, Humblet-Baron S, Meyts I, De Samblanx H, Verslype C, van Malenstein H, van der Merwe S, Laleman W, Schrijvers R. Rituximab and improved nodular regenerative hyperplasia-associated non-cirrhotic liver disease in common variable immunodeficiency: a case report and literature study. Front Immunol. 2023;14:1264482.

47. Daza-Cajigal V, Segura-Guerrero M, López-Cueto M, Robles-Marhuenda Á, Camara C, Gerra-Galán T, Gómez-de-la-Torre R, Avendaño-Monje CL, Sánchez-Ramón S, Bosque-Lopez MJ, Quintero-Duarte A, Bonet-Vidal ML, Pons J. Clinical manifestations and approach to the management of patients with common variable immunodeficiency and liver disease. Front Immunol. 2023 Jun 5;14:1197361.

48. Sousa eSilva R, Pereira da Silva S, Luís R, Baldaia C, L Silva S. Nodular regenerative hyperplasia in CVID patients: could low-dose oral glucocorticoids be part of the solution? Eur Ann Allergy Clin Immunol. 2023 Nov;55(6):313-315.

49. Tripathi D, Hayes PC. Beta-blockers in portal hypertension: new developments and controversies. Liver Int 2014;34:655–667.

50. Li T, Ke W, Sun P, Chen X, Belgaumkar A, Huang Y, et al. Carvedilol for portal hypertension in cirrhosis: systematic review with meta-analysis. BMJ Open 2016;6:e010902.

51. Banares R, Moitinho E, Piqueras B, Casado M, Garcia-Pagan JC, de Diego A, et al. Carvedilol, a new nonselective beta-blocker with intrinsic anti- Alpha1-adrenergic activity, has a greater portal hypotensive effect than propranolol in patients with cirrhosis. Hepatology 1999;30:79–83.

52. Sarin SK, Wadhawan M, Gupta R, et al. Evaluation of endoscopic variceal ligation (EVL) versus propanolol plus isosorbide mononitrate/nadolol (ISMN) in the prevention of variceal rebleeding: comparison of cirrhotic and noncirrhotic patients. Dig Dis Sci 2005;50:1538–1547.

53. Sarin SK, Gupta N, Jha SK, Agrawal A, Mishra SR, Sharma BC, et al. Equal efficacy of endoscopic variceal ligation and propranolol in preventing variceal bleeding in patients with noncirrhotic portal hypertension. Gastroenterology 2010;139:1238–1245.

54. Bissonnette J, Garcia-Pagan JC, Albillos A, Turon F, Ferreira C, Tellez L, et al. Role of the transjugular intrahepatic portosystemic shunt in the management of severe complications of portal hypertension in idiopathic noncirrhotic portal hypertension. Hepatology 2016;64:224–231.

55. Bettinger D, Schultheiss M, Boettler T, Muljono M, Thimme R, Rossle M. Procedural and shunt-related complications and mortality of the transjugular intrahepatic portosystemic shunt (TIPSS). Aliment Pharmacol Ther 2016;44:1051–1061.

Turn static files into dynamic content formats.

Create a flipbook
Issuu converts static files into: digital portfolios, online yearbooks, online catalogs, digital photo albums and more. Sign up and create your flipbook.
Medical Market - Alergologie și Imunologie clinică 2025 by Fin Watch - Issuu